ODA Journal: July/August 2024

Page 1


ADVERTISERS

Thank you to the following businesses who support the Oklahoma Dental Association by advertising in the Journal:

Alliant Insurance Services

Endodontic Associates OKC

Endodontic Practice Associates

Hopkins Dental Implant Institute

ODA Rewards Partners

Suction Solutions

The Uniform Shoppe

CONTENTS

THE OKLAHOMA DENTAL ASSOCIATION JOURNAL (ISSN 0164-9442) is the official publication of the Oklahoma Dental Association and is published bimonthly by the Oklahoma Dental Association, 317 NE 13th Street, Oklahoma City, OK 73104, Phone: (405) 848-8873; (800) 876-8890. Fax: (405) 848-8875. Email: information@ okda.org. Annual subscription rate of $39 for ODA members is included in their annual membership dues.

POSTMASTER: Send address changes to OKLAHOMA DENTAL ASSOCIATION, 317 NE 13th Street Oklahoma City, OK 73104

Periodical postage paid at Oklahoma City, OK and additional mailing offices.

Subscriptions: Rates for non-members are $56. Single copy rate is $18, payable in advance.

Reprints: of the Journal are available by contacting the ODA at (405) 848-8873, (800) 876-8890, editor@okda.org.

Opinions and statements expressed in the OKLAHOMA DENTAL ASSOCIATION JOURNAL are those of the author and are not necessarily those of the Oklahoma Dental Association. Neither the Editors nor the Oklahoma Dental Association are in any way responsible for the articles or views published in the OKLAHOMA DENTAL ASSOCIATION JOURNAL.

Copyright © 2024 Oklahoma Dental Association.

EDITORIAL

7 A Vision for Excellence: Leading Oklahoma's Dental Community Forward by Dr. Daryn Lu

STATE ASSOCIATION

8 SoonerSelect Update from the Oklahoma Health Care Authority

18 New ODA Team Members

26 Dr. Tamara Berg Runs for National ADA Office

28 ODF Hiring Dental Professionals to Serve Mobile Smiles

ADA NEWS

11 A Stronger Workforce for America Act

OFFICE SPACE

12 Dr. Stephanie Brown, Little Tooth Co.

COVER STORY

15 2024 OU College of Dentistry graduates

LEGISLATIVE LOOP

16 Introducing your Chief Lobbyist

CASE STUDIES

20 Implant Placement and Restoration by Jonathan Leonard, DDS

25 Treatment Modulations in Special Patient Cases by Lily Hartsock, DMD

CLASSIFIEDS

30 Classifed Ads

Would you like to submit a case study, scientific article, or editorial for publication in the Journal?

Email editor@okda.org with story ideas.

Is Your Information Correct?

Help the ODA keep you informed about legislative actions, educational opportunities, events, and other important member-only news. Contact Ansley Jinkins at ajinkins@okda.org or 800.876.8890 to provide ODA with your current contact information.

CALENDAR

ODA JOURNAL STAFF

EDITOR

Mary Hamburg, DDS, MS

ASSOCIATE EDITOR

Roberta A. Wright, DMD, MDSc, FACP

EDITORIAL BOARD MEMBERS

M. Edmund Braly, DDS, FACS, FAACS

Daryn Lu, DDS

Phoebe Vaughan, DDS

Meredith Turbeville, DDS

ODA OFFICERS 2024-2025

PRESIDENT

Daryn Lu, DDS president@okda.org

PRESIDENT-ELECT

Twana Duncan, DDS presidentelect@okda.org

VICE PRESIDENT

Nicole Nellis, DDS vicepresident@okda.org

SECRETARY/TREASURER

Sydney Rogers, DDS treasurer@okda.org

SPEAKER OF THE HOUSE

Mitch Kramer, DDS speaker@okda.org

IMMEDIATE PAST PRESIDENT

Paul Wood, DDS pastpresident@okda.org

ADMINISTRATIVE STAFF

EXECUTIVE DIRECTOR

F. Lynn Means

DIRECTOR OF GOVERNANCE & FINANCE

Shelly Frantz

DIRECTOR OF MEMBERSHIP

Ansley Jinkins

DIRECTOR OF COMMUNICATIONS & EDUCATION

Jill Johnson

DIRECTOR OF MEETINGS & EVENTS

Lindsay Dennis

INTERN

Ainsley Smith

Stay connected with the ODA!

August Dental Implant Month

August 6 National Fresh Breath Day

August 22 Tooth Fairy Day

August 2 OkMOM Sustainability Task Force Meeting

August 8-9 ODA offices closed for staff retreat

August 8

Oklahoma Country Dental Society Annual Party 6:00pm

August 13 Tulsa County Dental Society Exec Committee Meeting 5:30pm

August 16 ODA Council on Governmental Affairs Meeting 9:00am

August 16 ODA Annual Meeting Planning Committee 11:00am

August 16 ODA Board of Trustees Meeting 1:30pm

August 25 ADA District 12 Pre-Caucus Grapevine, TX 8:00am

September Gum Care Month

September Office Manager Appreciation Month

September 6 First Bite with ODA (DS1 students) ODA Office 5:30pm

September 13 RDGP Meeting ODA Office and Zoom 11:00am

September 19 Champions of Health Gala Cox Business Convention Center Tulsa, OK 6:00pm

September 19-21

OU College of Dentistry Alumni Weekend

September 27 ODA Success Seminar Speaker Craig Dreiling (DS3 and DS4) OUCOD 4:00pm

October Dental Hygiene Month

October 4 ODA Risk Management Webinar 11:00am okda.org/education

October 17-19 SmileCon New Orleans, LA

SAVE THE DATE

OKLAHOMA MISSION OF MERCY February 7-8, 2025 Expo Square - Tulsa Fairgrounds Volunteer registration opens October 15 at okmom.org

ODA ANNUAL MEETING April 11-12, 2025

Southern Hills Marriott - Tulsa, OK Stay tuned for big changes coming this year!

A Vision for Excellence: Leading Oklahoma's Dental Community Forward

This year, we plan to enhance our programs by producing more one-off educational events and by making big changes to the Annual Meeting to maximize your experience. The wide variety of topics we hope to include will benefit dental professionals at all levels and cover the latest in dental technology, innovative treatment methods, teamrelated topics, and best practices in patient care.

Practitioner Health and Wellness

As the newly elected president of the Oklahoma Dental Association, I am deeply honored to lead our esteemed community of dental professionals. This year, I am committed to driving our association forward with a focus on four pivotal areas: professional development, practitioner health and wellness, membership growth, and legislative advocacy. These topics came up frequently in our strategic planning sessions, and I believe that togehter we can build a stronger, more resilient dental community that benefits both practitioners and patients alike.

Professional Development

Continuing education and professional development are at the core of our mission. Dentistry is a dynamic field, and staying updated with the latest advancements is crucial for providing the highest standard of care.

This is something I am personally very passionate about. The health and wellness of our practitioners are paramount. The demands of the dental profession can take a toll on physical and mental health, leading to burnout and decreased job satisfaction.

This year, we will launch initiatives aimed at promoting practitioner well-being. We will provide resources and support systems that address stress management, worklife balance, and mental health. Our goal is to create a supportive environment where practitioners can thrive both personally and professionally. Wellness-themed CE courses, more mental health articles in the Journal and in the newsletter, and promotion of existing health services and member benefits will be key components of this initiative.

Membership Growth

A strong, growing membership base is vital for the continued success and influence of the ODA.

We aim to increase our membership this year by personally reaching out to new dentists and established practitioners alike, and by focusing on creating more diversity in our membership based on practice modalities, gender, and race. We will continue to foster a sense of community and belonging through networking events, mentorship programs, Leadership Academy, and family-friendly member appreciation activities.

Legislative Advocacy

Finally, legislative advocacy remains a cornerstone of our agenda. The dental profession is significantly affected by legislative decisions, and it is essential that we have a strong voice in shaping policies that impact our practice and our patients. This year, we will intensify our efforts to advocate for fair reimbursement rates, improved access to dental care, and policies that support the overall health of our communities. By engaging with policymakers more frequently and collaborating with other healthcare organizations, we can ensure that our interests are represented and our voices are heard.

In conclusion, I am excited about the opportunities that lie ahead and am confident in our collective ability to achieve great things. Thank you for entrusting me with this leadership role. Let's make this year a milestone in the history of the Oklahoma Dental Association, marked by growth, innovation, and positive impact.

STATE ASSOCIATION NEWS

SoonerSelect Update

SoonerSelect, Oklahoma’s new comprehensive delivery system for over 600,000 SoonerCare members, serves the needs of members, providers and local communities in unique and powerful new ways. The agency remains focused on supporting providers and members during the transition with the united goal of increasing access to services and improving health outcomes. The state’s health and dental plan partners are completing health screenings to establish robust care coordination for members, supporting local organizations and distributing millions of dollars to Oklahoma providers.

“Oklahoma is a little over two months into the SoonerSelect implementation, and members are already taking advantage of the numerous extra benefits the plans provide,” said Ellen Buettner, OHCA Chief Executive Officer. “The plans assist members to pay their utility bills, obtain secure housing and access healthy meals to address food insecurity. The flexibility afforded in this public-private partnership is just one of many key benefits made possible by this transition. We are bringing life-changing support to Oklahomans who need it most.”

“Medicaid reform isn’t optional. Through SoonerSelect, we approached it in the most fiscally conservative and efficient way possible. SoonerSelect is providing an additional $500 million for hospitals across the state, creating new taxpayer protections, and

holding down costs for patients and the state,” said Governor Kevin Stitt. “I am proud of the way OHCA has managed this transition, and while there will always be bumps in the road when rolling out programs of this size, Ellen Buettner and OHCA have been responsive and strategic in rolling this out.”

Key Achievements in SoonerSelect Implementation:

• Over $230 Million in Medical Claims Paid: Since April 1, more than 1.3 million medical claims totaling over $230 million have been paid to providers.

These claims payments include, but are not limited to:

$71M to hospitals

$31M to behavioral health practitioners

$100M to physical health providers, including physicians and mid-level practitioners

• More than 100,000 claims totaling $18 million in dental claims have been paid since Feb. 1

• $252.4 Million Enhanced Hospital Payments: $252.4 million in first directed payments have been made to Oklahoma hospitals.

• 30,000 Health Screenings: Contracted entities have completed approximately 30,000 health screenings for members to establish care coordination plans. SoonerSelect provides enhanced, wraparound benefits to improve

provided by Oklahoma Health Care Authority data reflects numbers from June 11, 2024

health care outcomes and align a member’s medical and dental needs.

• Extra Benefits Utilized: Members have utilized extra benefits provided by the plans.

• Delivery of 434 meals postdischarge from the hospital.

• Referral of 1,517 members to the YMCA.

• Providing 336 hours of tutoring services.

• Addressing infant care through newborn care kits and providing car seats and cribs.

• Community Engagement: Contracted entities hosted hundreds of member outreach events, including on-the-ground support in areas affected by recent severe weather and new member events to educate members on extra benefits.

Local Partnerships:

• Aetna Better Health of Oklahoma partnered in opening two new Workforce Innovation Talent Centers (WITCs) and one Community Resource Center to improve access to workforce training and services to the community. Members will have access to comprehensive health and supportive services to help them take proactive steps toward a healthier future.

• Humana Healthy Horizons partnered with Volunteers of

STATE ASSOCIATION NEWS

SoonerSelect Update, continued

America to provide a program in southwest Oklahoma that provides support and treatment for pregnant women and postpartum women going through addiction and substance use disorder.

• Oklahoma Complete Health has established Health Equity Zones (HE Zones). The HE Zones model is a national best practice to address disparities through local engagement in areas experiencing the greatest needs. This program provides interventions to support members in partnership with local organizations.

• Provider Financial Assistance: Oklahoma is one of a few states offering financial assistance to providers needing additional support during this transition.

• Provider Transition: Over 60,000 providers have transitioned to serving members through SoonerSelect.

• Robust Monitoring: OHCA receives more than 250 reports monthly to ensure compliance with monitoring and oversight standards.

Looking Ahead:

• Additional Enhanced Payments: An additional $500 million in supplemental payments will be distributed to Oklahoma hospitals annually, increasing total provider supplemental payments to $1.2 billion annually.

• New Provider Payment Program:

An additional $100 million will be distributed annually to Oklahoma providers, including physicians, mid-level practitioners, and behavioral health providers. This program incentivizes early intervention behavioral health screenings, after-hours access to services, and well visits.

• Increased Preventive and Primary Care Spending: Contracted entities are required to spend 11% on primary care, compared to the current 5% spent by OHCA.

• Quality Improvement: SoonerSelect’s primary focus is on quality of care and increasing access. These goals are exemplified through the contracted entities’ performance plans that are centered on critical needs like social determinants of health coordination, comprehensive diabetes care and childhood obesity.

OHCA maintains oversight and authority over Oklahoma's Medicaid program – including SoonerSelect – eligibility and program funding. Throughout the SoonerSelect implementation, OHCA has prioritized its responsibility as a protector of public trust and remains committed to holding each contracted entity accountable to ensure compliance with state, federal and contractual obligations.

“SoonerSelect builds on the existing foundation in place at Oklahoma’s health agencies to leverage the infrastructure and expertise of these health and dental plans. We continue

to be on the lookout for the places we need to adjust to ensure no one is left behind,” said Buettner. “We have held dozens of townhalls as well as in-person office hours and virtual office hours so that every provider is equipped to be successful with SoonerSelect. We have also made transitional financial assistance available to help providers bridge the gap if that support is needed.”

If you are a provider who needs support, please get in touch with OHCA at SoonerSelect@okhca.org with any SoonerSelect questions.

Use the QR code below to visit the SoonerSelect page on the Oklahoma Health Care Authority website.

Norman, Oklahoma

n Serving the OKC Metro for 43 years - since 1977

n Your patient’s experience is top priority

n 3D CBCT scanning for improved diagnosis

n Complex endodontic cases welcomed

n Complex and “heroic” teeth salvage

n Build-up and post & core placement available

n Cutting edge instrumentation and disinfection

n Zeiss microscopes used on every case

n Specializing in finding 4+ canals in molars

n Surgical and nonsurgical retreatment

n General anesthesia and oral sedation

We pride ourselves in a trusted referral pattern that ensures your patient returns to you holding you in high regard - regardless of the reason for referral. We speak highly of you to your patient and reassure them they are in good hands in your care.

We value communication between you and our office. Give us a call to talk about anything. We are even happy to help you navigate through a difficult case in your chair.

Dr. Spencer Hinckley and Dr. Percy Bolen

ADA NATIONAL NEWS

A Stronger Workforce for America Act supports job training for dental staff

With dental practices nationwide experiencing ongoing staffing shortages, a new bill aims to help strengthen workforce development and skills training programs for dental hygienists and assistants.

The A Stronger Workforce for America Act would update the Workforce Innovation and Opportunity Act, which established many workforce development programs and skills training programs.

The new legislation, which passed the House in early April, would provide individual training accounts and on-the-job training, strengthen community college workforce education programs to align with jobs like dental hygienists and assisting, and provide flexibility for states to create innovative workforce programs.

The ADA sent two separate letters April 24, one addressed to Rep. Virginia Foxx, R-N.C., chair of the House Committee on Education and

the Workforce, and one encouraging the Senate to pass the bill.

In the letter to Rep. Foxx, the Association thanked her for introducing and advancing H.R. 6655, stating that the legislation’s “commitment to increased support for skills development would be a step towards alleviating this challenge” of hiring professional dental staff.

“Improving the dental workforce pipeline so that all Americans can have better access to dental care is among the ADA’s top priorities, and you can count on the ADA as a partner in your efforts to address deficits in our workforce,” the letter said.

In its letter to the Senate, which has not yet taken up the A Stronger Workforce for America Act, the ADA urged passage of the bill. The Association also urged passage of the Action for Dental Health Act, which would increase oral health care

access by extending the law through 2026, support workforce and oral health programs, and strengthen the public/private safety net and bring dental health education and disease prevention into underserved communities.

“The vast majority of America’s dentists are finding it very challenging to hire professional dental staff, and H.R. 6655’s commitment to increased support for skills development would be a step towards alleviating this challenge. We also ask that you take up and pass S. 2891, the Action for Dental Health Act of 2023,” the ADA said.

To learn more about the ADA’s advocacy efforts, visit ADA.org/ Advocacy.

provided by American Dental Association

OFFICE SPACE

Little Tooth Co., Jenks, OK

In the heart of Jenks, Oklahoma, Little Tooth Co. stands as a beacon of compassionate and specialized pediatric dental care, led by the dedicated and highly skilled Dr. Stephanie Brown. A board-certified pediatric dentist, Dr. Brown's journey to becoming a trusted name in children's dentistry is marked by her unwavering commitment to providing positive and nurturing dental experiences.

Born and raised in Ringling, Oklahoma, Dr. Brown's early academic pursuits led her to obtain a Bachelor of Science in Chemistry. Her passion for dentistry saw her through the rigorous training at the University of Oklahoma College of Dentistry, where she earned her dental degree. Motivated by her love for working

with children, she further honed her skills by completing a dental residency program in Pediatric Dentistry at the University of Texas Health Science Center in Houston.

Dr. Brown's philosophy centers on individualized care built on trust and open communication. "I was never afraid of the dentist, but my sister was terrified. I wanted to create a place where children could feel at ease," she shares. This vision came to fruition on April 1st, when Little Tooth Co. opened its doors, offering a fun and nurturing environment designed to promote a lifetime of dental health.

The clinic is a child-friendly haven featuring stuffed animals, small chairs, colorful artwork, and a toy area in the

lobby. These elements create a cozy atmosphere that feels more like a fun play space than a typical dental office. The stuffed bear mascot, Dr. Barry Brown, is a beloved figure among young patients, adding to the welcoming environment.

Dr. Brown's expertise extends beyond routine pediatric dental care. She is wellknown for her proficiency in performing infant frenectomies, a procedure often necessary for infants with tongue-tie. Her experience at the Houston Tongue Tie Center has equipped her with the skills to handle these delicate procedures with care and precision. The recent addition of CO2 laser technology will further enhance her ability to provide state-of-the-art care. Recognizing the importance of a

collaborative approach to pediatric care, Dr. Brown collaborates with speech and language pathologists, lactation consultants, hospitals, pediatricians, and medical doctors. This network of professionals ensures that children receive comprehensive care tailored to their needs.

Little Tooth Co. is equipped to handle all types of sedation and oral surgery, ensuring that children with special needs or those requiring more complex procedures receive the care they need in a safe and comfortable setting. Dr. Brown is one of the few dentists in the area who provides oral sedation, further underscoring her commitment to comprehensive care.

"For kids, you need to have fun. Going to the dentist shouldn't be stressful."
-Stephanie Brown, DDS, MS6tf7

Parents are welcomed into the treatment area, fostering an environment of trust and comfort for both the child and their family. "Having a place that's friendly to both parents and kids is essential," says Dr. Brown. The clinic's design reflects this philosophy, with the smallest chairs you can buy, ensuring even the youngest patients feel at home.

Dr. Brown's professional affiliations include the American Academy of Pediatric Dentists, Oklahoma Dental Association, Oklahoma Association of Women Dentists, Tulsa County Dental Society, and the American Dental Association. Her participation in these organizations keeps her at the forefront of advancements in pediatric dentistry.

After practicing as a general dentist for five years and moving back to Oklahoma in 2020, Dr. Brown's dream of opening her first solo practice has become a reality. With a dedicated team of five members, Little Tooth Co. is not just a dental clinic; it's a community-centered practice where every child’s smile is nurtured with the utmost care and compassion.

Little Tooth Co.

3920 E. 91st St. Tulsa, OK 74137

littletoothcojenks.com

Congrats, graduates!

OU College of Dentistry Class of 2024

Dr. Justin Alexander

Dr. Tanner Anglin

Dr. Hima Varna Bezawada

Dr. Cole Biermann

Dr. Targhee Boss

Dr. Joshua Breece

Dr. Ryan Brownen

Dr. Baron Campbell

Dr. Mercedee Carlton

Dr. Jashneek Cheema

Dr. Devon Dahms

Dr. Sharice Davis

Dr. Mansukh Dhillon

Dr. Kenneth Do

Dr. Ayrika Eidson

Dr. Aaron Gancarczyk

Dr. Ramin Ghanbari

Dr. Kaily Ghilea

Dr. Tanna Heddlesten

Dr. Nicole Heddy

Dr. Austin Huffman

Dr. Rita John-Mure

Dr. Gurminder Kaur

Dr. Akashdeep Kaur

Dr. Gagandeep Kaur

Dr. Harjot Kaur

Dr. Manpreet Kaur

Dr. Manreet Kaur

Dr. Dylan Koehn

Dr. Jack Koszykowski

Dr. Miranda Lee

Dr. Pooja Mahajan

Dr. Ada Mandapat

Dr. Brian Mattson

Dr. Braden Merrill

Dr. Matt Miller

Dr. Zane Mills

Dr. Sherry Mina

Dr. Devin Morales

Dr. Austin Morris

Dr. Nichole Musick

Dr. Niloofar Naghdi

Dr. Avi Natha

Dr. Rehmat Pannu

Dr. Preston Patrick

Dr. Trevor Raczkowski

Dr. Taylor Ridenour

Dr. Chelsea Saffo

Dr. Aaron Sapp

Dr. Blake Shadwick

Dr. Ranim Shawareb

Dr. Paniz Sheikh-Hassani

Dr. Brian Shelton

Dr. Hannah Shelton

Dr. Mallory Shoemake

Dr. Meagan Showalter

Dr. Rowdy Simon

Dr. Hunter Stephans

Dr. Nickolas Stone

Dr. Ina Sukut

Dr. Hunter Tolliver

Dr. Monica Wang

Dr. Austin Wilkes

Dr. Eric Wyatt

LEGISLATIVE LOOP

Introducing your Chief Lobbyist

The Oklahoma Dental Association is proud to announce that we have contracted with Cornerstone, a bipartisan, employee-owned consulting firm specializing in federal and state government relations, public affairs and strategic communications, political consulting, grant consulting and business advisory services. Cornerstone provides a team of lobbyists and brings a broad and diverse range of services that are based on the team’s significant experience working in and with state and local government, as well as solid working relationships across Oklahoma.

ODA’s chief lobbyist is Mark Yates. Mark joined Cornerstone in 2021 as a principal in the firm. His experience in public policy includes working with various industries through statewide campaigns, legislative engagement, media relations, and public speaking. Mark has been successful navigating complex and challenging initiatives on behalf of the clean energy and agriculture industries.

Mark previously served as vice president at Advanced Power Alliance (APA) where he represented leading domestic and international companies in the renewable energy sector. While in this role, he managed the association’s regional public policy strategy, communications strategy, and membership recruitment efforts. Mark served a key role in shaping legislative and regulatory policy within the most important energy region in the country.

Prior to APA, Mark worked at the Oklahoma Farm Bureau, where he led membership recruitment initiatives, mobilized a statewide grassroots campaign, and lobbied for rural issues on behalf of the nearly 90,000 farmers and ranchers.

Before his time with the Farm Bureau, Mark was a professional educator in the Oklahoma public school system for 11 years. Along with his teaching experience, Mark also had administrative experience serving as a federal programs director for Plainview Public Schools in Ardmore, OK.

Mark is a graduate of East Central University in Ada, OK and holds a bachelor’s degree in history and master’s in Secondary Administration. Mark and his wife Stacy reside in Edmond, OK where they are active in their community and have two children, Londyn and Steele.

MORE ABOUT MARK

How do you stay informed about legislative and regulatory developments?

From a lobby perspective, this

is a combination of continued conversations with elected officials, monitoring media outlets, engaging with state agencies and their staff members because information flow never stops. Education and advocacy are year-round efforts.

What is your approach to building and maintaining relationships with policymakers?

Elected officials are just everyday Oklahomans voted into office by fellow Oklahomans to represent the interests of the communities within their district. They come from all walks of life, and in most cases, have shared experiences that we all hold in common. My approach has always been to build relationships just like you would with a new neighbor or someone you might meet at church for the first time.

What is your strategy for helping ODA achieve our goals?

The Oklahoma Dental Association is a well-respected brand at the state capitol. Our hope is to continue to build upon past successes and ensure we strengthen our grass roots efforts around the state. Dentists across the state represent a trusted leader in their communities and to the extent our elected officials here from them early and often the stronger our advocacy efforts will be moving forward.

How do you manage potential conflicts of interest?

Cornerstone Government Affairs is very intentional about conflict checks and prefer long term partnerships with our clients. Integrity and trust are all we have in this industry, and we are committed

Mark Yates, principal at Cornerstone Government Affairs

LEGISLATIVE LOOP

Introducing your Chief Lobbyist, continued

to serving as that trusted advisor for our clients.

How do you measure success –personal and professional?

Success comes in many forms both personally and professionally. Most often society looks to define success, but I would prefer that my family knows I love them and that I have been a great husband and father. From a professional perspective, I have the privilege of working with great people, innovative companies, and meaningful organizations. Those partnerships provide the opportunity to influence public policy in a way that benefits Oklahoma in a positive way. Whether addressing challenging issues that are complex or making minor changes to laws can provide great benefit for folks and that brings me fulfillment at work.

Would you say you are a people person?

At three years old my father started paying me to introduce myself to members of our local church. I would walk up say hello, state my name, and shake their hand. Not much has changed as I have always thrived on friendships and building meaningful relationships.

What have your three most prominent achievements as a Lobbyist been?

I have been blessed to work on some incredibly challenging issues throughout my career. Our team has had success in many areas that have created positive impacts on our state! But much like in sports, wins from last year don’t count in the win column for the next session. We are always focused on the next challenge at hand.

How do you like to spend your free time?

At home with the family and all my kids’ activities, or at church volunteering. I also enjoy fishing, golf, and reading books about history and leadership.

Who would you have dinner with – anyone past or present –and why?

Although somewhat polarizing, I think dinner with Elon Musk would be remarkably interesting. He, much like the late Steve Jobs, is a major disruptor, has an innovative mind, and the tenacity to push until he accomplishes his vision.

Why did you become a lobbyist?

I began my professional career as an educator. After eleven years, I was asked to consider a position in public policy for the Oklahoma Farm Bureau. After a lot of thought and prayer I decided to make the leap and have never looked back. I mostly contend that being a lobbyist is just like being an educator. I now educate members of the legislature on a variety of issues and each member consumes that education in different ways.

Who is your mentor and why?

My late father was one of the major influences on who I am today. Some foundational character traits were instilled in me by the consistent teaching of my father. But I always enjoy spending time with folks that stretch me professionally, as I know continued growth is necessary, or you become complacent……and that’s not ok!

What inspires you?

Inspiration can come from many areas, but my wife and kids motivate me every day.

STATE ASSOCIATION NEWS

Meet the Newest ODA Team Members

Lindsay Dennis

Director of Meetings and Events

Lindsay joined the ODA staff on April 29 as the Director of Meetings and Events. In this role she is primarily responsible for the successful execution of the ODA Annual Meeting and Mission of Mercy.

Lindsay graduated from the University of Central Oklahoma where she received a Bachelor of Arts degree in Humanities with a minor in Art History, as well as a Master of Business Administration.

Lindsay lives in Edmond with her husband, 9-year-old daughter, 7-year-old identical twin sons, and their three cats. Outside of work, she enjoys traveling, volunteerism, and NBA basketball.

Ainsley Smith

Marketing Intern

Ainsley joined the ODA staff on June 3 as a marketing intern. She is primarily working on ODA's social media, graphic design, and events. She is also assisting the communications and membership teams.

Ainsley is originally from Tulsa and graduated from Cascia Hall Preparatory School. She is currently a junior at the University of Oklahoma in Norman where she studies digital communications.

Ainsley is active in her sorority and enjoys traveling, cooking, outdoor sports, and spending time with friends and family.

STATE ASSOCIATION NEWS

Municipalities Receive Fluoridation Awards

Two Oklahoma communities recently received awards for 50 years of Community Water Fluoridation. Muskogee (left) and Del City (right) were honored for their commitment to fluoridation by the American Dental Association, Centers for Disease Control and Prevention, and the Association of State and Territorial Dental Directors. In many Oklahoma community water systems, fluoride is added to strengthen teeth and prevent cavities. Photos provided by Oklahoma State Department of Health.

CASE STUDY

from the University of Oklahoma AEGD Program

A 54 year-old Caucasian female presented to the University of Oklahoma AEGD program for #13 implant placement and restoration. Her medical history was significant for well-controlled hypertension and type 2 diabetes, with the patient’s last HbA1C reading less than 7.0 less than 3 months ago.

The edentulous #13 site had been previously treated in AEGD, with an implant placed in June of 2022. At the time of surgery, a vertical sinus lift was performed with Versah burs. A simultaneous connective tissue graft via tuberosity harvest was also completed. Closure was obtained with sling PTFE and chromic gut sutures. Notes suggest initial stability of a 4 X 10 mm ZIMVIE T3PRO Tapered implant with Encode healing abutment. The patient was prescribed amoxicillin and a medrol dose pak post operatively for one week.

At the one week post op visit, it became apparent that the sutures stabilizing the CT graft had loosened. The connective tissue graft was deemed a failure. At 2 weeks post op, significant coronal bone loss was noted circumferentially around the implant (Figure 1) and the decision was made to explant the implant. As such, the subsequent provider completed #13 explant with bone graft in August of 2022.

When I met the patient, a follow up CBCT was taken to plan for placement of a new #13 implant. Following failure of the previous implant/graft, significant buccal recession was noted on #12, and to a lesser extent on #14. A new Astra 3.6 x 8 mm Astra PrimeTaper EV implant was placed in September of 2023 (Figure 2). A papilla sparing incision was made on the mesial to prevent additional recession by #12, and initial stability with torque of 35 N/cm 2 mm subcrestal was achieved while respecting limited buccal bone (Figure 2). The floor of the sinus was engaged and a cover screw was seated fully. Amoxicillin was prescribed for one week without any medrol dose pak amidst concerns of possible diabetic contraindication.

Following placement, it became apparent that buccal keratinized tissue was considerably limited (Figure 3). As such, a pedicle flap with design noted in Figure 4 was raised at uncovery to roll tissue from the palatal to

the buccal (Figure 5). The flap was full thickness on the buccal and partial thickness on the palatal (Figure 5). A healing abutment was seated and closure was obtained with 2 simple interrupted chromic gut sutures initiated from the palatal (Figure 5). The patient was made aware of modest discomfort associated with healing on the palate by secondary intention.

At 6 weeks post uncovery, a robust gain in buccal keratinized tissue was noted (Figure 6). Upon delivery of the abutment/crown in May of 2024 (Figure 7), the hope is that this thickened tissue supports the longevity and cleansibility of the prosthetic for many years to come.

FIGURE 2
FIGURE 1

CASE STUDY

FIGURE 3a
FIGURE 3b
FIGURE 4
FIGURE 5
FIGURE 6a
FIGURE 6b
FIGURE 7a
FIGURE 7b

Word of Mouth has Gone Dark and Digital

Your online reputation matters like it always has. Patients trade experiences, collect what info they can, and then make their dental decisions. The big thing that’s changed is that it’s now almost entirely done digitally, at an enormous scale, and with incredible reach. If a patient leaves a review on a reviews site, it’s exposed to more than just that person’s friends and family. The audience extends exponentially to strangers everywhere.

With the vastness and importance of online reviews and digital word-ofmouth comes the need for tools to manage them quickly and efficiently — to use them for your practice, and to keep them from doing harm to your practice. The automation possibilities that exist now are no longer optional — they're indispensable. They can initiate review requests, consolidate reviews from different sites into a single platform, and notify you when your attention is needed, so you can attend to concerns quickly and all in one place.

Online reviews serve as a key component of a complete online presence, and the backbone of your

digital word-of-mouth efforts. A reviews solution is, therefore, a musthave when crafting a comprehensive digital marketing strategy. Let's explore further how reviews and word-of-mouth work and how dentists can leverage the value of online reviews within a complete digital marketing solution to attract and retain patients.

Digital Word-of-Mouth Empowered by Human Conversation

It's important to note that the impact of positive review word of mouth goes beyond what’s publicly visible on reviews sites. Dark Social refers to private communications that take place in emails and private messages within digital platforms. Much of the value of a practice’s reputation manifests from this form of personto-person referral working behind the scenes. Although not measurable by analytics, it is estimated to be responsible for 95% of your web traffic. So, when you make the extra effort to cultivate a healthy reviews presence, keep in mind that the value of those efforts branches off and continues to work for you.

Reviews Influence Patients

Online reviews are powerfully persuasive to prospective patients, offering a glimpse into the patient experience and the quality of care provided. According to maxill.com, 70% of dental patients say online ratings and reviews influence their choice of dentist. Just like with verbal recommendations, positive online reviews attract new patients and foster trust, while negative reviews can sow doubt and erode confidence. To solidify this trust, you must actively manage your online reputation by encouraging positive reviews and promptly address any concerns raised by patients by taking the conversation offline as quickly as possible while

remaining attentive to their concerns in the public eye.

ReviewTrackers reports that 51% of customers expect businesses to respond to reviews within 7 days. Imagine dealing with a steady stream of reviews across multiple platforms. Manually keeping up with this task can be challenging amidst the usual tasks of operating a practice. But failing to keep on top of things can result in undesired consequences — where one negative review drives prospective patients to your nearest competitor. One option for practices looking to simplify and consolidate tasks is a professional reviews management solution that can provide incredible time savings. These solutions ensure that action items are addressed without delay and in accordance with information provided by real-time analytics, and can save time.

Cultivate a Culture That Encourages Positive Reviews

You can begin to create a culture of open communication among patients that encourages positive reviews by sending follow-up emails, post-appointment surveys, and direct requests during visits to prompt patients to leave reviews. Highlighting positive feedback on a practice's website and social media platforms improves their visibility and underscores the practice's dedication to patient satisfaction.

Address Negative Feedback Right Away

Negative reviews are inevitable, but how you respond to them can shape the narrative. Unlike traditional spoken word-of-mouth, negative online reviews don’t go away. You can’t hope that people move on and forget about the issue. The post persists and can influence every potential new patient that comes along.

SPONSORED CONTENT

But the benefit of online reviews is that now you can control and reshape your brand image with a carefully crafted response that speaks volumes to help change a prospective new patient’s feelings about your practice. Imagine if they’d only read the initial bad review without your clarifying or sympathetic response.

Timely and tactful responses to negative feedback demonstrate a commitment to addressing patient concerns and improving the overall experience. By addressing issues publicly and offering solutions, you can reduce the impact of negative reviews and showcase your dedication to patient care.

As long as you’re receiving a steady stream of positive reviews, don’t be afraid of a few bad ones. If the issues raised are minor and followed up by a sincere response, they can help your practice’s reputation. People scanning through reviews tend to distrust a situation where they see nothing but perfect reviews. A few minor issues that have been addressed paint a more realistic picture and go further to establish trust.

Set Up a Complete Online Presence

A robust digital presence is essential for dentists seeking to stand out amidst fierce competition. To compete, a practice needs a holistic online presence that goes beyond simply having a professional website.

Here’s what you need to fill out your online presence:

Website

Start with an expertly crafted, brandspecific customized website.

SEO

Make sure your site is optimized for peak visibility and reaches your target audience.

Social Media

Leverage social media channels to engage with patients, share valuable content, and showcase your expertise.

Review Management

Take control of your online reputation by managing feedback on review platforms.

Here’s how to manage your reviews:

Monitor and Adapt

Reputation management requires regular attention for assessment, adjustment, and action. Regularly monitor your online reputation across review platforms, social media channels, and online forums. Customized solutions and services can streamline this process, providing real-time alerts for new reviews and mentions and can consolidate content across platforms into a single interface.

Respond Quickly

Stay proactive and respond quickly to online feedback to prevent issues from escalating to safeguard your online reputation. Engage with patients in real-time to demonstrate your commitment, which helps sustain a positive online reputation.

Bring in the Pros

Use a professional dental marketing firm to ensure that your complete portfolio of solutions operate in harmony with one another, enhancing each component.

In the Context of Digital Word-ofMouth

Online reviews are pivotal to shaping patient perceptions and driving practice success. Word-of-mouth is being digitally driven faster and further than ever before, and now requires the support of a dedicated marketing solution. By adding an online reviews solution to a comprehensive digital marketing

strategy, you can attract and retain patients, differentiate your practice, and thrive amidst an evolving industry.

Beyond managing online reviews, you’ve got to keep up with the latest digital marketing strategies to maintain a competitive edge. This includes staying up to date with trends in search engine optimization (SEO), content marketing, and social media advertising. By embracing a holistic digital marketing approach that’s proactive and practice-specific, you can stay ahead of the curve and effectively reach and engage with patients, driving practice growth and success.

ODA-endorsed ProSites delivers just the kind of reviews solution that’s woven seamlessly into a complete online presence, essential for keeping up with current digital marketing best practices. Plus, ODA members can access exclusive ODA discounts at prosites.com/ODA. Your competition is up to date — are you?

Eric Kaufman is a writer and editor with creative, marketing, instructional design, and technical writing experience. As a content writer for ProSites, Eric applies his experience with adult learning principles to help readers absorb information and ensure that it sticks. His empathetic writing philosophy focuses on reaching his audience by identifying backgrounds, interests, and goals.

CASE STUDY Treatment Modulation in Special Patient Cases

The purpose of this case presentation is to emphasize the importance of breaking from conventional restorative methods in situations that warrant special considerations and treatment modulation.

A 53-year-old female presented to the University of Oklahoma Advanced Education in General Dentistry program and was examined during a periodic oral evaluation. The patient presents with her brother, her power of attorney, due to an unspecified cognitive impairment. Upon medical history review, the patient’s brother reports that the patient is taking the following medications: Fosamax, Keppra, and Zoloft. Upon clinical evaluation, the patient presents with xerostomia and multiple areas of new carious lesions at her recall visit. The patient’s brother reports an increase in the patient’s candy and snack intake at home. During the patient’s initial restorative visit, patient behavior was assessed during a #13 mesio-occlusal restoration. The patient tolerated treatment relatively well. She was unable to tolerate a bite-block larger than a pediatric size, due to tolerance level combined with limited opening, and she required multiple breaks. The patient understood and responded to directions well. The patient did not require sedation or nitrous oxide to undergo treatment. It was deemed that for simple restorative procedures, the patient could endure treatment well up to an hour duration, beyond which the patient became restless. The patient’s behavior was deemed a Frankl 3 on the Frankl Behavioral Rating Scale.

The diagnosis of interest for the purpose of this discussion is #31 mesial recurrent decay under a gold crown. A region of recurrent decay can be evaluated on the radiograph (Figure 1A) and could be evaluated clinically with an explorer. Due to the patient's extremely limited opening, resistance to an adult bite-block, and inability to sit for long appointment times, there were concerns regarding replacing the crown and obtaining an adequate impression for crown fabrication. Additionally, a conventional crown would take two appointments for preparation and delivery. A pediatric faculty member was consulted regarding the best manner in which to approach the case. The idea of a stainless-steel crown was proposed, but concerns for adequate access, longevity, and patient tolerance of the procedure still lingered. The idea of an extraction was also proposed, but due to limited opening and to the patient’s long-term use of Fosamax, a bisphosphonate medication, this was deemed an inappropriate treatment plan as well.

Ultimately, the decision was made to prepare a class II box on the mesial aspect of #31 crown to access the decay. Clear and adequate access to the recurrent lesion was obtained and all decay was excavated until solid tooth structure was reached on all four walls on the preparation. Amalgam restoration was selected in order to achieve the desired

contact and contours. The patient tolerated the treatment well. A post operative radiograph was obtained, and a final photograph was taken (Figure 1B, Figure 2).

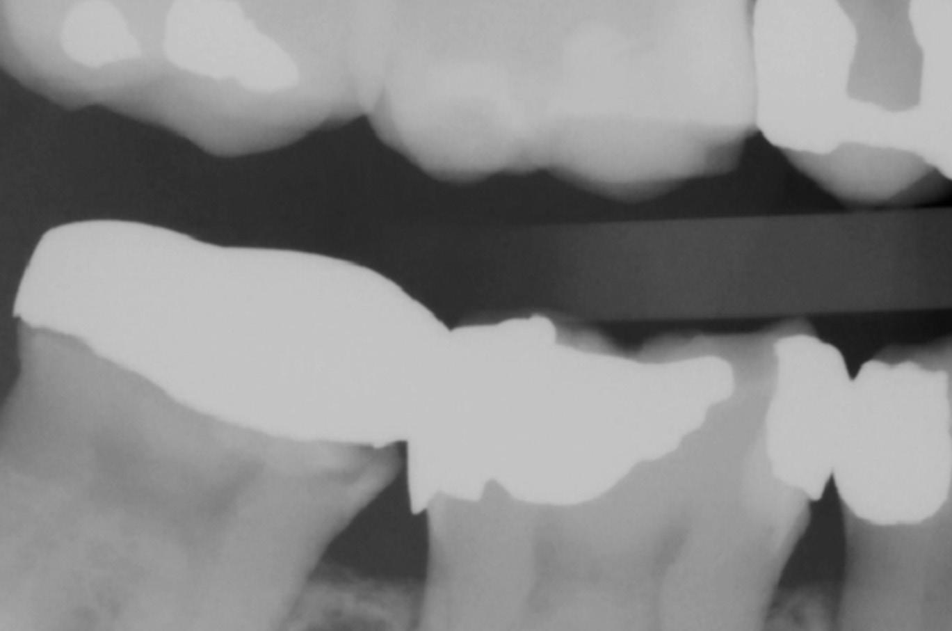
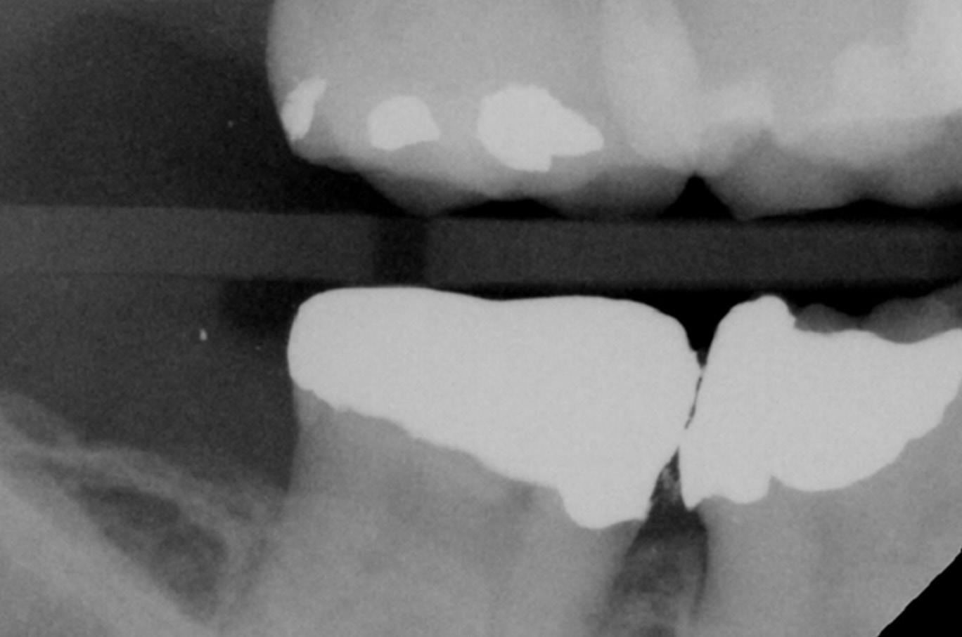
FIGURE 1A - A preoperative bitewing radiograph showcasing mesial recurrent decay on tooth #31.
FIGURE 1B - A post-operative bitewing radiograph demonstrating final mesial restoration and caries removal.
FIGURE 2
Photograph of final mesio-occlusal restoration on tooth #31.

STATE ASSOCIATION NEWS

Dr. Tamara Berg runs for national ADA office

Dr. Tamara Berg, a distinguished leader in the field of dentistry, is proud to announce her candidacy for Second Vice President of the American Dental Association (ADA). With nearly three decades of dedicated service and a proven track record of advocacy for dental health, Dr. Berg is poised to bring innovative leadership and a commitment to excellence to the ADA.

Dr. Berg has been an active member of the ADA since starting dental school in 1991. She has served in various capacities that have demonstrated her dedication to advancing the profession and improving patient care. Her extensive experience includes leadership roles at the local, state, and national levels. A few of Dr. Berg's priorities and platforms include:

Mentorship: Nurturing the Next Generation

Dr. Berg emphasizes the importance of mentorship in dentistry. Recognizing the transformative impact of experienced professionals guiding new dentists, she aims to establish robust mentorship programs within the ADA. “Mentorship has been pivotal in my career,” Dr. Berg explains. “I want to create opportunities for seasoned professionals to share their wisdom and experience with the new generation of dentists.” By connecting established practitioners with newcomers, Dr. Berg hopes to enhance career development, job satisfaction, practitioner health and wellness, and the overall quality of dental care.

Advocacy and Insurance Reform: Championing Change

A critical focus of Dr. Berg's platform is advocacy and insurance reform. She is committed to working closely with policymakers to address issues such as inadequate reimbursement rates and complex administrative processes that impede patient care. “Dental insurance should facilitate, not hinder, access to care,” she asserts.

Membership Value and Growth: Enhancing Engagement

Increasing the value of ADA membership and expanding its membership base are top priorities for Dr. Berg. She believes that demonstrating the tangible benefits of ADA

membership is essential for attracting and retaining members. Her strategy includes highlighting access to cutting-edge research, professional development opportunities, and a strong advocacy network. “We need to show dental professionals the direct impact their membership has on their practice and the profession at large,” says Dr. Berg.

Addressing Staffing Shortages: Ensuring a Robust Workforce

Dr. Berg is acutely aware of the staffing shortages in many dental practices. She plans to advocate for policies and programs that support the recruitment and retention of dental professionals. “Like many of our members, I have had issues finding staff. It recently took me six months to fill a position. We need to ensure a steady pipeline of skilled professionals entering the workforce,” she emphasizes.

Communication and Accessibility: Bridging the Gap

Effective communication and accessibility between members and the ADA is another key area of Dr. Berg's platform. She envisions a more transparent and responsive association that actively listens to its members’ needs and concerns. “Open lines of communication are vital for a thriving professional community,” she emphasizes. Dr. Berg says she hopes to hear from members directly regarding what they'd like leaders to focus on and what they need help with.

In addition to her professional achievements, Dr. Berg is also deeply committed to her community. She volunteers her time and expertise to various local health initiatives and is a mentor to young dental professionals. Her commitment to service extends beyond her practice, embodying the true spirit of the ADA.

To read Dr. Berg’s campaign statement and view her e-brochure, please visit ada.org/en/about/ governance/candidate-information. You may also email her directly at tamara.berg@coxinet.net

Dr. Tamara Berg with her husband Lowell and sons Karsten and Clayton
Dr. Berg with her team at Berg Family Dentistry

Dental Foundation Hiring for Mobile Clinics Program

The Oklahoma Dental Foundation (ODF) is bringing dental care directly to underserved communities across the state. As part of this effort, the ODF is actively recruiting dentists, dental hygienists, and dental assistants to join their new mobile clinics. These mobile clinics are designed to provide comprehensive dental care to populations that traditionally lack access to these critical services, ensuring that all Oklahomans have the opportunity to achieve and maintain optimal oral health. Oklahoma, like many states, faces significant disparities in access to

dental care. Rural areas and lowincome communities are particularly affected, with residents often experiencing higher rates of dental diseases due to limited access to preventive and restorative services.

The ODF’s mobile clinics aim to bridge this gap by bringing fully equipped dental facilities directly to these communities, offering a range of services including cleanings, fillings, extractions, and oral health education.

To staff these mobile clinics, the ODF is seeking dedicated dental professionals who are passionate

about making a difference. The Foundation is looking to hire:

Dentists: General practitioners and specialists who can provide comprehensive care and perform a wide range of procedures.

Dental Hygienists: Professionals skilled in preventive care, including cleanings, sealants, and patient education.

Dental Assistants: Individuals with the technical skills to support dentists during procedures, manage patient records, and ensure the smooth operation of the clinics.

These roles offer a unique opportunity to work in a dynamic and impactful environment. Mobile clinic staff will travel to various locations and deliver care to those who might otherwise go without. This initiative not only addresses immediate dental needs but also fosters long-term health improvements by educating patients on maintaining oral hygiene and seeking regular dental care.

Make a Significant Impact: Providing care to underserved populations can dramatically improve patients’ quality of life and overall health.

Gain Diverse Experience: Working in settings with diverse patient populations can enhance clinical skills and professional growth.

Enjoy Flexibility: The mobile clinics offer flexible scheduling options, making it easier for dental professionals to balance work and personal commitments. Collaborate with a Passionate Team: Being part of a dedicated team focused on community health and well-being can be highly fulfilling.

The ODF's mobile clinic initiative represents a significant step toward health equity in Oklahoma. By bringing essential dental services to those in need, the Foundation is not only improving individual health outcomes but also contributing to the broader goal of reducing health disparities across the state.

The success of this initiative depends on the dedication and expertise of the dental professionals who join

the team. The ODF is confident that with the right people on board, the mobile clinics will become a vital resource for underserved communities, providing essential care and education to thousands of Oklahomans.

For more information about the mobile clinics, please visit okdf.org or contact the ODF team at (405) 241-1299.

The ODF is encouraging interested candidates to apply for these positions by emailing their resume to: mobilesmilesok@okdf.org.

Together, we can make a lasting impact on the health and well-being of our communities.

Awesome FFS Practice for Sale in North Texas15 min from the OK Border

If you don't want to deal with insurance, have the skillset to keep some specialty procedures in house, and want the autonomy to do things your own way, this is the practice for you. It's located about two hours north of DFW. We’re a completely OON office. Our staff is a great close-knit group of people. Wonderful patient base. We do a little bit of everything from breadand-butter crowns and fillings, to root canals, implants, and AOX and cosmetic/full mouth rehab stuff.

We got in on scanning, milling, and printing pretty early and have an amazing workflow that lets us do a lot of our own custom lab work for a more aesthetic and personal touch. This includes 3D printing our own dentures, partials, and nightguards, as well as milling our own crowns and AOX prostheses. We have a lab grade 5-axis mill, 3D printer, IO scanner, CBCT machine, intraoral cameras, digital X-rays, etc. All brand new in 2022. 4 ops, one full time hygienist and one part time. Last year we did 1.2 million in collections and are on track to beat that this year. The practice is also newly remodeled.

I would be willing to consider an immediate purchase or an associate with the option to buy me out after a smooth transition. If interested, please call/text Chandler at (801) 895-0514.

PRACTICE FOR SALE

Oklahoma City, OK

OKC General Dental Practice for sale near Tinker AFB & Boeing, and I-240. 1500 Sq Ft, room for 4 operatories, build out 5 years old, includes Dexis, Softdent, Vatech CBCT, better than new.

Contact:

Call or text (405) 650-0945.

OFFICE FOR LEASE

Stillwater, OK

Fully Equipped Dental Office for Lease

• Self-contained unit

• 2339 sq. ft.

• Four fully-equipped operatories

• Equipped sterilization room and lab

• Digital Radiography with optional Cone Beam Technology

JOB OPENING

Guthrie, OK

Seeking a Hygienist for IMMEDIATE start!

Proud Dental is searching for a Registered Dental Hygienist to join our dedicated team of dental professionals. Our ideal candidate is passionate about oral health and will strive to deliver outstanding patient care to our guests. We are committed to staying current with the latest technology and techniques, making appointments a breeze for both our Hygienists and our patients. Whether you are a seasoned RDH seeking a new opportunity or a recent graduate eager to begin your career, submit your application today!

** $2,000 Sign-on bonus! **

Compensation and Perks

Competitive pay

Medical, dental, vision, and life insurance

PTO and paid holidays

Traditional and Roth 401(k) options

Weekends off

Qualifications

A valid Hygienist license is required

Must be certified to administer local anesthesia

Contact:

Morgan at (817) 733-6201 or mphillips@mb2dental.com

PRACTICE FOR SALE

South Tulsa, OK

Unique opportunity in one of the best zip codes in the state.  Turnkey dental office for loan payoff only (under 200k!) High quality mix of new and used equipment, ready to go. Upscale and very desirable area. Five functioning ops and 1 more plumbed with no chair. For family reasons I am having to travel out of state frequently and motivated to make this be good for both parties. Serious inquiries only. Text 918-406-6259 or email group9wbr@gmail.com

JOB OPENING

Associate Dentist, Stigler, OK

Private practice located in Stigler, OK seeking associate with possible buyout in future.  Very well established office that has been in business for 45 years with a loyal patient base.  Only private practice in Haskell County, located between Eufaula Lake and Kerr Lake.  Office is in prime location right on the main highway across from Choctaw Travel Plaza.  Building is 2000 sq ft, has 3 DR operatories, 1 hygiene operatory, break room has capabilities to be another operatory if needed.  Equipment is older but fully functional.  Office is open Tuesday - Thursday 8 to 5, and Saturday 8 to 3 (only hygiene patients are seen on Saturdays currently). Office has Dentrix software. Currently providers for 4 insurance companies including Medicaid and have FFS patients as well. Practice offers preventive, restorative, crown/bridge, denture/partials, some oral surgery, and some implants. Definite growth potential since the office currently refers for orthodontics, endodontics, periodontics, and some oral surgery and implants. Email lyndiejoan@gmail.com or call (918) 448-0181.

PRACTICE FOR SALE

Tulsa area, OK

Practice and building (approx. 2000 sq/ft), 4 Ops, Collected $680,000 on 3 days/wk. Dr. takes 4-5 wks of vacation/yr. 25 years at current location, Computerized/ Dentrix, Most specialty wk. referred out, Hyg. is booked out 6 months with 5-6 days/wk. Experienced staff.

Contact: Cathy (539) 333-0430.

PRACTICE FOR SALE

South Central Oklahoma

General Practice for Sale

2600 sq ft, 5 ops, great visible location, 4 days per week, 8 days hygiene, softdent, cerec, laser, intraoral cameras, digital radiography, super staff, collections $1.1 million.

Contact:

Call or text (580) 221-4767.

Darrell Daugherty at (405) 377-4848

CLASSIFIEDS

JOB OPENING

Oral and Maxillofacial Surgeon, Tulsa/Stillwater, OK

Are you a talented Oral Surgeon with a passion for transforming smiles and changing lives? Are you ready to take your career to the next level in a modern and patient-focused oral surgery environment?

Central Oklahoma Oral & Maxillofacial Surgery Associates is the place for you! If you’re looking for unlimited earnings potential, great benefits, and future ownership opportunities, please reach out! Our mission is simple. We strive to improve the lives of everyone we meet, not just the ones we treat.

Benefits / Compensation: You deserve to be rewarded for your hard work!

• Daily guarantee OR percentage of Collections (whichever is greater)!

• 401k after one year of employment • Unlimited earning potential

• Stable and consistent full-time schedule

• Steady new patient flow with a very busy hygiene schedule – allowing you to build your practice with confidence

• No weekends! Monday-Friday, alternating time between Stillwater, OK and Tulsa, OK.

What you should know about Dr. Miller and his team:

• Dr. Miller has owned the practice since 2000 and is a fellow of the American Association of Oral and Maxillofacial Surgeons and of the International Association of Oral and Maxillofacial Surgeons. Dr. Miller specializes in All-On-4 treatment, individual dental implants, wisdom teeth extractions, facial cosmetic treatments, and facial trauma.

• Currently, our practice involves two full-time oral surgeons and one part-time oral surgeon. Our state of the art technology allows us to provide the best results and create a productive work environment focusing our time and energy on our ultimate goal of improving our patients’ quality of life.

Contact:

Shelly Bridges (636) 399-9926

shelly@freedomdentalpartners.com

Turn static files into dynamic content formats.

Create a flipbook
Issuu converts static files into: digital portfolios, online yearbooks, online catalogs, digital photo albums and more. Sign up and create your flipbook.