Port Stephens News Of The Area 2 February 2023

Page 1

NEWS OF THE AREA 1 Thursday, 2 February 2023 “Our Family, Taking Care Of Your Family” Private Cremations Only Serving Our Region For Over 35 years Peaceful & Serene Environment After Pay & Zip Pay Available www.newcastleandhunterpetcrematorium.com receptionnhpc@gmail.com 49826395 0413911047 /newcastlepetcrematorium NOTA Graphics- Ref: PETCREMATORIUM_MYALL_17092020_NENIA C Thursday, 2 February 2023 MEDOWIE PHARMACY + PH: 4982 8564 MEDOWIE PHARMACY + PH: 4982 8564 OPEN 7 Days for your convenience Gavin Smith Gavin & Margaret-Anne Smith c News Of The Area Graphics Ref: MPHA_14052020_Nenia MEDOWIE PHARMACY + PH: 4982 8564 OPEN 7 Days for your convenience David Smith Gavin Smith Gavin & Margaret-Anne Smith, B.Pharm.MPS © News Of The Area Graphics Ref: MPHA_120117 1485 1445 TRIM TO COLOUR Happy PH: 4982 8564 Since 1982 MEDOWIE PHARMACY Gavin & Margaret-Anne Smith, MEDOWIE PHARMACY Gavin & Margaret-Anne Smith B. Pharm. MPS PH: 4982 8564 News Of The Area Graphics Ref: MPHA_2392021_NENIA OPEN 7 Days for your convenience David Smith Gavin Smith
FREE YOUR ONLY LOCALLY OWNED PORT STEPHENS NEWSPAPER Support Us Where You Can Local Community News ~ Proudly Independent ~ Family Owned PORT STEPHENSNews Of The Area Page 4 Fighter Jet Training At Salt Ash Air Weapons Range MERYL SWANSON MP 35 Sturgeon Street (PO Box 156) Raymond Terrace NSW 232 FEDERAL MEMBER FOR PATERSON Immigration Tax NDIS Communications Veterans' Affairs Superannuation including the NBN Centrelink Medicare Child Support Aged Care meryl swanson mp@aph gov au /MerylSwanson merylswanson com au 02 4983 2401 Authorised by Meryl Swanson ALP Raymond Terrace Works hard. Gets results. As your federal representative, issues I can assist you with include: Raymond Terrace’s Brooke Roach named Citizen of the Year ON AUSTRALIA Day a host of well deserving locals were rewarded for their contributions to the Port Stephens community, with Mayor Ryan Palmer announcing the recipients at a civic ceremony on January 26 at Riverside Park. A dedicated Raymond Terrace community leader and Aboriginal Liaison Officer at Hunter River High School, Brooke Roach was named the 2022 Port Stephens Citizen of the Year. “We’ve recognised Brooke as our Citizen of the Year for his extensive contributions to the community,” Mayor Palmer said. CONTINUED Page 2-3 q Member for Port Stephens Kate Washington with Citizen of the Year Brooke Roach and Port Stephens Council Deputy Mayor Giacomo Arnott. TURTLE TROUBLE Endangered Green Turtle rescued from Nelson Bay after ingesting five fishing hooks By
A GREEN TURTLE was rescued from Port Stephens waters earlier this month after ingesting five fishing hooks. Found within the d’Albora Marinas precinct at Nelson Bay, CONTINUED Page 5 Lightning Strike Bull Island Page 6
Marian SAMPSON

Marian SAMPSON 0414 521 180 marian@newsofthearea.com.au

Jewell DRURY 0402 214 754 jewell@newsofthearea.com.au

John SAHYOUN 0419 439 151 john@newsofthearea.com.au

Doug CONNOR 0431 487 679 doug@newsofthearea.com.au

EDITOR

NEWS: media@newsofthearea.com.au

ADVERTISING: ads@newsofthearea.com.au

FLIPBOOK ONLINE: www.newsofthearea.com.au

SOCIAL: facebook.com/portstephensNOTA

POST: PO Box 1000, Raymond Terrace NSW 2324

Raymond Terrace’s Brooke Roach named Citizen of the Year

FROM Page 1

“He’s passionate about sports and volunteers his time as both president and co-coach for the Magpies Rugby Club and works with many community organisations to introduce sport to people’s lives.

“On top of this, he advocates for better access to services for Aboriginal people across our whole community, and continues to inspire and be a community role model,” he added.

The other award winners were:

Freeman of Port StephensDarrell Dawson

Young Citizen of the YearEmma Newcombe

When: When: Where: Where:

Time: Time: Meet some awesome ladies!

6:30PM-8:00PM

Free Babysitting!

Free BBQ!

Women's Come Women's Come and Try Night and Try Night

Women's Come Women's Come and Try Night and Try Night

When: When: Where: Where:

Time:

All

February 10, 2023 Yulong Oval 6:30PM-8:00PM

When: When: Where: Where:

Time: Time: Meet some awesome ladies!

February 10, 2023 Yulong Oval 6:30PM-8:00PM

Make some lifelong friends!

Meet some awesome ladies!

Time: Time: Meet some awesome ladies!

Make some lifelong friends!

Free Babysitting!

Free BBQ!

Free BBQ! Free Baby-

All women 18+ who register to play get a $50 rebate!!!

Come and join our all-ages women’s team today!

2 PORT STEPHENS NEWS OF THE AREA media@newsofthearea.com.au Thursday, 2 February 2023
FLIPBOOK www.newsofthearea.com.au We have this Printed Edition available online for FREE, as well as archive editions. You can also Subscribe, for FREE, and we will email you the Printed Edition Flipbook each week. REPORTERS Email us the exact wording and we will email back a proof and price ads@newsofthearea.com.au Phone us: (02) 4981 8882 Mon, Tue or Wed mornings Phone line Open 10am -12noon
Contact Us Today for Inclusion into this Paper BUSINESS ADVERTISING CLASSIFIEDS OUTLETS Where to Find your Newspaper Become one of so many Port Stephens locals now picking up their free weekly community news. Available in newsstands & counters of over 100 businesses & locations throughout Port Stephens. Some include, supermarkets, newsagents, convenience stores, shopping centres, chemists, service stations, real estate agents, many general businesses throughout the area. A list is published towards the back of this newspaper. You can also find the outlets by going to www.newsofthearea.com.au 10,000 copies collected every week 25,000 weekly readership media@newsofthearea.com.au PORT STEPHENS News Of The Area NOTA Graphics Ref: NBCPTG_050919 NELSON BAY CANCER PATIENT TRANSPORT GROUP Is a volunteer group providing the following services to our local community Volunteer drivers who transport patients to the Newcastle Metropolitan area for cancer treatment and related Doctors’ appointments. It is an ancillary service for when cancer patients cannot access any other reliable form of personal transport for treatments and appointments. Our services are subject to available resources. This service is provided free of charge to patients and continues due to the generosity of our volunteer drivers, financial grants and donations received from the local
Phone: 0407 252 566 Email:secretary@nbcptg.com.au www.nbcptg.com.au
Tracey BENNETT 0484 263 558 tracey@newsofthearea.com.au
community.
women 18+ who register to play get a $50 rebate!!! Free BBQ!
All
Free BabyMake some lifelong friends!
Time: Meet some
Night and Try Night
and Try
February 10, 2023 Yulong Oval 6:30PM-8:00PM All women 18+ who register to play get a $50 rebate!!! Free BBQ! Free Babysitting! Make some lifelong friends!
When: When: Where: Where: women
18+ who register to play get a $50 rebate!!!
q The Robyn Yvette Dancers at the Fly Point Australia Day celebrations. Photo: Henk Tobbe. q The crowds at the Fly Point Australia Day celebrations. Photo: Henk Tobbe. q Royal Australian Air Force aircraft conducted a flypast in support of Australia day celebrations. Photo: Matt Spillard.

Port Stephens MedalHeather Buckingham

Port Stephens MedalRobert Bull

Environmental AwardCasey Freeman

Sportsperson of the YearJodi Cassar

Cultural EndeavourGabrielle Carrick

On a day filled with both celebration and sorrow, the

region’s celebrations aimed to respect First Nations people, who contributed to the cultural offerings at the events scattered across the region.

Celebrations across the region included a variety of activities from pony rides and dance demonstrations to RAAF flypasts.

The day also included the

official welcoming of new Australian citizens.

Deputy Mayor Giacomo Arnott told News Of The Area, “It was great to join Councillors and Member

for Port Stephens Kate Washington at Australia Day events across Port Stephens, where we welcomed 80 new citizens and announced our Australia Day award winners.

“I want to make special mention of two recipients from Raymond Terrace - our Citizen of the Year Brooke Roach who has, year after year, been an extremely important part of our community and has uplifted so many young Aboriginal people and made their lives better.

“And Emma Newcombe, our Young Citizen of the Year, has made her mark in our community through her hard work at Alesco.

“Emma is definitely a young person worth keeping an eye on because she has a bright future.

“Thank you to the thousands of people across Port Stephens who joined Kate Washington and I on the day,” he said.

Port Stephens Councillor Leah Anderson told News Of The Area, “I was so proud to be a part of the Australia Day Celebrations at both Raymond Terrace and Nelson Bay this year.

“We had record crowds turn out at both events, and a record number of new citizens, with 80 people from many different nationalities becoming Australian citizens.

“The other highlight of the day was seeing some very worthy people be awarded for outstanding community work via Port Stephens councils annual Australia Day awards.

“All in all it certainly was great to see family and friends enjoying time together.

“I also want to shout out a huge thanks to all of the volunteers and organisers who ensured that both the Raymond Terrace and Nelson Bay Australia Day events were a great success “

FULL TIME HAIRDRESSER WANTED

www.newsofthearea.com.au PORT STEPHENS NEWS OF THE AREA 3 Thursday, 2 February 2023 ADVERTISING Advertising within the News Of The Area reaches your local customers. Connect with them from next edition. Print media has never been as affordable for your business. Call (02) 4981 8882 or email ads@newsofthearea.com.au YOUR ONLY LOCALLY OWNED PORT STEPHENS NEWSPAPER Support Us Where You Can Need Support? Call 0431 864 778 or 0423 602 243 www.tomareebreastcancersupport.com.au Tomaree Breast Cancer Support Group offers assistance to residents on the Tomaree Peninsula who have breast cancer. If you would like to become a volunteer please give us a call. Year
q Deputy Mayor Cr Giacamo Arnott, Brooke Roach (Citizen of the Year), Emma Newcombe (Young Citizen of the Year), Casey Freeman and her daughters (Environmental Award), Heather Buckingham (Port Stephens Medal), Robert Bull (Port Stephens Medal), Darrell Dawson (Freeman of Port Stephens), Mayor Ryan Palmer, Jodi Cassar (Sportsperson of the Year) and Member for Port Stephens Kate Washington. q The RAAF aircraft in full flight. Photo: Matt Spillard. q The RAAF flypast. Photo: Matt Spillard.
you looking to work in a fun, passionate & professional environment? We want you! 38 hour work week with alternate 3 day weekend off guaranteed. Christmas, New Years & all public holidays off Above award wage, amazing monthly incentives & regular training. We want you to THRIVE!
looking for someone with reliability, friendly attitude/good team member, highly motivated & professional. If this sounds like you, please email your resume with references & CV through with your name & position in the title. Email: foreverhairbeauty@hotmail.com
Are
We’re

Fighter Jet training at Salt Ash Air Weapons Range

RAAF Base Williamtown Hawk Lead-In Fighter aircraft will return to the Salt Ash Air Weapons Range (SAAWR) to conduct training for fighter jet aircrew from Monday 30 January to Friday 24 February 2023.

Operations are scheduled for Monday to Thursday between 9:00am to 5:00pm and Fridays 9:00am to 3:00pm.

PC-21 aircraft also operate intermittently on the range in support of Number 4 Squadron combat control and joint terminal attack training.

4 Squadron has programmed training from

31 January to 2 February.

Training will run up to 10:30pm to achieve essential night time objectives.

There is currently no programmed training scheduled for F-35A Lightning II aircraft on SAAWR.

Commander Air Combat Group, Air Commodore Peter Robinson, said residents living in East Medowie, Salt Ash and Lemon Tree Passage should expect the range to be used consistently throughout this period.

“Aircrew actively minimise the use of the range and once proficiency has been attained, they move onto the next stage of their course,” Air Commodore Robinson said.

“Air Force has a

responsibility to ensure personnel are ready and able to deploy at short notice and this involves necessary air to ground training that is employed at SAAWR.”

Every effort will be made to minimise any inconvenience to residents during SAAWR training and advised the range schedule could change at short notice due to weather or operational considerations.

Members of the community seeking further information are invited to call 1800 033 200, or refer to https://www.airforce. gov.au/operations/flyingoperations or https:// aircraftnoisemap.airforce. gov.au/assets/site. html?806#base/1.

media@newsofthearea.com.au 4 PORT STEPHENS NEWS OF THE AREA Thursday, 2 February 2023 YOUR ONLY LOCALLY OWNED PORT STEPHENS NEWSPAPER FEDERAL MEMBER FOR PATERSON MERYL SWANSON MP meryl swanson mp@aph gov au 02 4983 2401 /MerylSwanson merylswanson com au 35 Sturgeon Street (PO Box 156), Raymond Terrace NSW 2324 @MerylSwanson I would like
wish
staff and students across Port Stephens returning to the classroom the very best for a successful year ahead. ADVERTISEMENT My website has a range of valuable resources that parents and students can access for support. For more information, visit merylswanson.com.au Authorised by Meryl Swanson, ALP, 35 Sturgeon St, Raymond Terrace NSW 2324 A&B 4982 7500 AUTOMOTIVES • Complete Mechanical Repairs & Servicing for all Makes & Models, 4WD & Light Commercials, Hybrid Electric Vehicles • Automatic Transmission Servicing & Repairs • Fuel Injection Service • Brake & Clutch Service • Logbook Services • Tyre sales & Fitting • Wheel Alignments • Rego checks Inspections Including LPG • Air Con Regas Unit 2/352 Soldiers Point Rd, Salamander Bay NSW 2317 ARC Licence No. AU44735 MVRL 14711 q A pair of F-35A Lightning II aircraft from No. 3 Squadron taxi for another sortie out of RAAF Base Williamtown.
to
all
Photo: Craig Barrett.
DEAR BUSINESS OWNERS Advertising and Marketing works for your business. Call or email Tracey for pricing and options to be inside the local newspaper tracey@newsofthearea.com.au or call 4981 8882

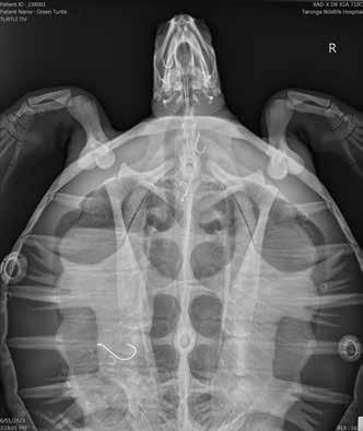
Endangered turtle rescued after ingesting five fishing hooks

FROM Page 1

and collected by Sea Shelter, the turtle was transferred to Taronga Wildlife Hospital specialists for further treatment.

X-rays of the turtle clearly show the ingested hooks.

Since being nursed by the hospital team, only one hook remains, and the team is hopeful that the turtle will make a full recovery.

Taronga Wildlife Hospital currently has three endangered Green Turtles in its care, and recently released several turtles back into the pristine waters of Port Stephens.

Another Green Turtle was admitted to the hospital in May, when it was only a hatchling, with a stomach full of plastics.

Six months later, it is on the road to recovery but still needs ongoing care.

“Many of the native animals that we care for at our Wildlife Hospitals have been injured after ingesting or becoming entangled in items that people have left behind,” Taronga Wildlife Hospital Sydney Senior Veterinarian Larry Vogelnest

said.

“We frequently receive turtles that have been washed up along the shore or found floating in the ocean unable to dive, due to a buildup of gas in the stomach from plastic consumption.

“Marine turtles will often mistake plastic bags for jellyfish, and sadly, many of them are not able to recover from their injuries,” Larry explained.

It’s not just marine animals that are impacted by plastic and marine debris however.

The hospital recently cared for a Tawny Frogmouth after it became entangled in discarded fishing line in Mosman and a Magpie Lark that was trying to build a nest out of fishing line but kept becoming entangled in it.

NSW Minister for

Environment James Griffin said while many of us are looking forward to enjoying some time in nature this weekend and making the most of summer by camping, fishing, hiking or relaxing on the beach, it’s important to make sure no rubbish is left behind.

“We all need to do our part to ensure we respect and protect our unique wildlife.

“Everyone can help by minimising the impact of plastic on the environment and simply making sure

you’re taking all rubbish with you – especially discarded fishing hooks and fishing line, which we know can be deadly for our marine life,” Mr Griffin said.

Every year, 1500 animals are admitted to Taronga Wildlife Hospitals, and Taronga is the largest contributor to veterinary services in wildlife treatment and rehabilitation in NSW.

Taronga is committed to increasing its capacity to assist wildlife in need, with Australia’s unique animals facing more challenges

than ever before including bushfires, floods and habitat destruction.

The new Taronga Wildlife Hospital in Sydney – set to open in 2025 – will increase the hospital’s capacity to hold and care for injured wildlife including turtles, koalas and platypus and other native animals by 400 percent.

The project is a joint philanthropic project between Taronga and the NSW State Government, with the Government matching philanthropic donations to Taronga up to $40 million.

www.newsofthearea.com.au PORT STEPHENS NEWS OF THE AREA 5 Thursday, 2 February 2023 NEWSPAPER Support Us Where You Can
q An X-ray of the turtle showing the ingested fishing hooks. q A turtle released recently post-rehabilitation. The turtle had its front flipper amputated after a fishing line entanglement at Nelson Bay. Photo: Marian Sampson.

Lightning strike fire on Bulls Island

MARINE Rescue Lemon

Tree Passage Base received

a phone call last weekend

about a fire on Bulls Island at Lemon Tree Passage.

The Rural Fire Service (RFS) was notified and activated, with support from a Marine Rescue boat crew on LT30.

Mick Chubb, Marine

Rescue Lemon Tree Passage told News Of The Area, “Our crew on LT30 met the crew from Tilligerry Rural Fire Brigade at our berth and conveyed them by our vessel to the eastern side of Bulls Island.

“A short time later the Soldiers Point Rural Fire Brigade Fire Boat arrived on scene and after a short briefing, took the Rural Fire Service crew and landed them on the Island, whilst the Fire Boat attacked the fire from the water side by use of a water cannon.”

The crew on LT30 was on standby to assist fighting the fire if required and to assist in towing the Fire Boat off the Island back into deep water when required.

“The fire was located in a tree which appeared to have been hit by lightning on Thursday night.”

The fire was quickly extinguished by the Rural Fire Service and the fire boat towed back to deeper water, allowing its crew to return to Soldiers Point.

The Tilligerry Rural Fire Service were taken on board LT30 and returned back to Lemon Tree Passage.

Ampcontrol collaborates in wound care solution

TOMAGO based Ampcontrol is collaborating with the Whiteley Corporation, the University of Newcastle and Western Sydney University in a grant funded Cooperative Research Centres Projects (CRC-P) Program funding innovation in chronic wound care.

The Minister for Industry and Science, the Hon Ed Husic MP, has announced $44 million in grants for Australian companies to support nineteen collaborative research projects.

The grant funds industry-lead medical research collaboration to

Changed traffic conditions on Nelson Bay Road at Salt Ash

MOTORISTS are advised of changed traffic conditions from this week on Nelson Bay Road at Salt Ash to progress the upgrade from Williamtown to Bobs Farm.

A portion of the westbound carriageway on Nelson Bay Road will be closed at Bobs Farm and motorists will be moved onto the eastbound carriageway, with one lane of traffic in each direction.

These changed traffic conditions will be in place for up to three months.

Lane closures, traffic control and a 40km/h reduced speed limit will be in place during the night work and may affect travel

times.

Short term stops may be required at times.

Motorists are advised to allow extra travel time, drive to the conditions, and follow the directions of signs and traffic control.

Transport for NSW thanks motorists for their patience during this time.

For the latest traffic updates download the Live Traffic NSW app, visit livetraffic.com or call 132 701.

solve chronic wound issues.

Cooperative Research Centres Projects support companies working to commercialise cutting-edge ideas in collaboration with researchers and innovators.

Effective management of chronic wounds requires a combination of treatments that include wound debridement, an anti-biofilm treatment, wound mapping, and a deeper tissue perception of bacterial engagement beyond the wound surface, which cannot typically be seen.

This project brings together a collaborative team made up of Whiteley Corporation, ResTech - a

joint venture between Ampcontrol and the University of Newcastle - and Western Sydney University to create a singular approach to wound care.

"This work will be of major medical impact worldwide,” said Associate Professor Greg Whiteley, Executive Chairman of Whiteley Corporation.

“Chronic wounds start with a minor skin injury that doesn't heal but progresses to a problem costing $3.5 billion in Australia alone," said Associate Professor Whiteley.

Ampcontrol Managing Director and CEO Rod Henderson said, “The funding enables industry innovators, researchers, students, and end-users to work together to deliver real

outcomes for our community and economy.”

The CRC-P grants are awarded through a competitive, meritbased selection process, assessed by an independent committee of industry experts.

The CRC-P grants support industry-led research projects, offering matched funding of between $100,000 and $3 million.

Grants are for a period of up to three years.

Professor Slade Jensen, from the Western Sydney University's School of Medicine and the Ingham Institute for Applied Medical Research (IIAMR), said, "Once established, mature biofilms become recalcitrant to standard therapeutics.

“However, bacteria

within biofilms are not visible to the naked eye.

“This project provides a rationale for the use of novel strategies to affect microbial biofilms and wound healing directly and indirectly.”

Professor Zee Upton, Deputy Vice-Chancellor Research and Innovation for the University of Newcastle, said, "Our researchers are renowned for finding new ways to help people live better, healthier lives; we also have a strong track record of working with industry partners to turn innovative ideas into realworld solutions.”

The strength of industry partnership collaboration was evident at the height of the COVID pandemic when, working with clinicians at John Hunter Hospital,

ResTech and Ampcontrol designed and built a fully functional emergency ventilator prototype for NSW Health in less than eighteen days.

Following clinical trials, the NSW Government selected the prototype to move into pre-production, which Ampcontrol rapidly manufactured in the Hunter region.

"We have shown what can be achieved here in Australia when strong partnerships exist between government, university, and industry.

“We have proven strength in local manufacturing capability and a highly skilled workforce ready for the next generation of product innovation,” said Mr Henderson.

media@newsofthearea.com.au 6 PORT STEPHENS NEWS OF THE AREA Thursday, 2 February 2023 media@newsofthearea.com.au PORT STEPHENS News Of The Area c NOTA Graphics Ref: DNDS_270123
q The crew gearing up to make sure the RFS were supported while fighting the fire on Bulls Island.

Tilligerry family surprised by koala visitor in the kitchen

TILLIGERRY’S Dee Vangement

and her family were woken by their dog barking in the early hours of the morning recently.

The home had been broken into before, so the family suspected home invaders.

When they turned the lights on, however, in their kitchen was a koala!

So how did Dee cope with the uninvited intruder?

“We rang the koala rescue people and they were there within fifteen minutes.

“The koala, which we named 'Jason', was relocated to a nearby tree,” Dee said.

“I've seen as many as ten koalas in the Admiralty Ave –Caswell Crescent circuit on my way home.

“I really don't know if it's ten different animals, or 'Jason'

on ten different occasions,” she added.

But why would a koala seek out a house to enter?

This was the question that baffled Dee, her family and locals.

A day or so later, the penny dropped.

“I was going to mop the floor so I put a splash of eucalyptus disinfectant in the bucket.

“I then put the concentrate on the bench but it fell over, leaving a pool of liquid on the surface,” she said.

“There was no way that I was going to waste it so I grabbed a wiping cloth and cleaned every surface in the house.

“I then put the wet cloth in the kitchen bin.

“The koala was beside this when we found him,” she

stated.

“This is why the koala, smelling the scent, waddled up the back steps, and pushed his way through the fly strips at the back door looking for some tasty leaves,” she concluded.

With a sea breeze blowing, the koala was probably down wind in the forested area and followed his nose.

Koala sightings are becoming rare on the Tilligerry Peninsula with two of the most visible of the area’s koalas dying over the last year or so.

'Heather', an older koala, could be seen in the lower branches of trees in the 'Habitat', while another favoured the gum trees in Henderson Park at Lemon Tree Passage.

Years ago, one waddled into the newsagency in Lemon Tree.

It took up station on a

corner greeting card stand.

The stand had two large mirrors behind it and the koala became confused when it saw two reflections of itself.

The owner ushered the

furry little fella out with a broom.

There were other reports of koalas being marooned on channel markers when the tide came in.

One even climbed the steel goal posts at Mallabula's Vince Woodman Oval during a training sesson.

A blessing in disguise for the remnant population came when a 'cool' winter bushfire worked its way into town a few years back.

With little canopy scorch, the two best natural koala areas were saved.

They are now sprouting fresh green leaves that koalas love. These forests are located between the golf club and the Oyster Cove turnoff and in the foreshore strip between Tanilba Bay and Oyster Cove. Koala expert and lifetime forester Vic Jerskis believes that the koala population is about to explode.

He states that the great bushfires of recent times have seen eucalypts sprout with vast quantities of fresh foliage and koalas are moving into them to browse and breed.

Your Paper, Your Voice - HAVE YOUR SAY

www.newsofthearea.com.au PORT STEPHENS NEWS OF THE AREA 7 Thursday, 2 February 2023 media@newsofthearea.com.au PORT STEPHENS News Of The Area
News Of The Area would love to hear your OPINION and VIEWS on issues and topics affecting our area. Keep Letters to the Editor under 250 words for its best chance of publication. Please be aware that there is no guarantee or certainty of publication from your submission to us. Publication will be determined by the editor around available space, relevance and appropriateness. Email to media@newsofthearea.com.au
q A koala snapped on the reporter’s front verandah.

International Women’s Day scholarships now open

PORT Stephens Council’s International Women’s Day scholarship program is now open, with three $1,000 scholarships up for grabs to help women achieve their goals.

For the last five years, the scholarship program has supported local women and the valuable

contribution they make to our community across a range of fields, including arts, culture, environment, business, community, health and sport.

East Ward Councillor Leah Anderson says Council is proud to support International Women’s Day and encourages all women

aged sixteen years and over to apply for one of the 2023 scholarships to help them achieve their important goals.

“International Women’s Day is a chance for us to join voices with people around the globe to celebrate the social, economic, cultural and political achievements

of women, to raise awareness about bias and to take action for equality,” Cr Anderson said.

“Right here in our own backyard, there are women doing incredible things within our community that help to make Port Stephens an inclusive and supportive place to live.

“These scholarships are a great way for women in Port Stephens to invest further into their knowledge, skill or experience in a field of their interest – whether that’s achieving a personal goal, or one that contributes to the wider community.

“It’s fantastic that Council has been able to offer these scholarships over the last five years, and continue to acknowledge

some of the amazing women of Port Stephens and support their aspirations.

“I encourage all women who have an idea, and who need a little financial support to get it off the ground, to apply for one of these scholarships” she added.

Nominations close Monday 13 February 2023, with the awardees to be announced 8 March 2023 at the International Women’s Day lunch.

For more information and to apply, visit pscouncil. info/iwd-scholarship.

Back to School vouchers to relieve financial strain

to School NSW Vouchers program provides three $50 vouchers, totaling $150 for each eligible student.

carers of school enrolled children to use towards sport and active recreation costs each year.

NSW Premier Dominic Perrottet has released welcome financial relief for parents with children returning to school in the form of vouchers.

The Premier's Back

The vouchers can be used towards the cost of school uniforms, shoes, bags, technology, textbooks and other eligible expenses at registered businesses.

The NSW Government is also helping kids get active with the Active Kids program.

The Active Kids program provides a $100 voucher for parents, guardians and

The current voucher, released on 1 January 2023, is valid until Friday 30 June 2023.

To use the voucher, find a registered activity provider and present your voucher when you sign.

If you’re a parent, carer or guardian, the student will be eligible if they are a NSW resident aged between 4.5 and 18 years,

are enrolled in school (from Kindergarten to Year 12, including those who are home-schooled or enrolled in secondary school education at TAFE NSW) and are a current Medicare card holder.

You can apply for a voucher for each eligible student. You can use the voucher for registration, participation or membership costs with an approved Active Kids provider.

The NSW Government is also helping kids get creative with the new Creative Kids program.

From 1 January 2023, parents, guardians and carers can apply for a $100 voucher for each schoolenrolled child aged 4.5 to 18 years.

The voucher may be used with a registered activity provider for registration, participation and tuition costs for a range of creative activities, including arts, drama,

dance, digital design, coding and music lessons.

Parents, guardians and carers of children aged three to six years who are not enrolled in school, can apply for a $100 voucher towards the cost of swimming lessons.

The voucher can be used for a structured swimming lesson program with an approved First Lap provider.

The voucher is valid until 30 June 2023.

media@newsofthearea.com.au 8 PORT STEPHENS NEWS OF THE AREA Thursday, 2 February 2023
media@newsofthearea.com.au PORT STEPHENS News Of The Area DAVIES TREE SERVICE • TREE REMOVAL & PRUNING • STUMP GRINDING • HEDGING • GREEN WASTE REMOVAL • MULCH SALES FREE QUOTES Fully Insured JOSHUA DAVIES 0432 739 097 DTSPportStephens@gmail.com NOTA Ref: DAVIESTREE_2022_N
FREE!!! Croquet Open Day
12th
2023
11:30pm
2:30pm JOIN
• Come-and-Try croquet • All ages • Free coaching • Play a game • Sausage sizzle Nelson Bay Croquet Club, Tomaree Sports Complex 4981 Nelson Bay Road, Nelson Bay Phone: 0476 158 555 For more information: nelsonbaycroquet@gmail.com www.nelsonbaycroquet.org.au
Sunday
February
|
to
IN THE FUN

$250 for Seniors Travel

WITH the cost of living rising fast, seniors living in regional areas can enjoy a $250 boost from the NSW Government.

Deputy Premier and Minister for Regional NSW Paul Toole said applications for the latest round of the program are now open and encouraged eligible seniors to cash in on the initiative.

“We know how much seniors value this card – it can mean the difference between an extra few trips to visit grandkids, the ease

of seeing friends locally or just getting to the shops or attending medical appointments,” Mr Toole said.

The $250 pre-paid Visa card can be used on fuel, taxis, electric charging stations and pre-booked NSW TrainLink regional trains and coaches.

Minister for Regional Transport and Roads Sam Farraway said, “I really encourage all eligible seniors to get their applications in and save themselves $250 on travel costs for this year.”

Celebrating the 2023 NSW Seniors Festival in Port Stephens

A DIVERSE program of events ensures Port Stephens seniors have lots to celebrate during this year’s NSW Seniors Festival.

The theme of Seniors Festival 2023 is Celebrate Together, encouraging local seniors to get together, enjoy social connection and celebrate the invaluable contribution they make to the Port Stephens community.

From art classes and yoga to workshops and a special

lunchtime concert, there’s something for everyone during the 2023 Seniors Festival Port Stephens.

The highlight of the 2023 program is the First National Seniors Concert, featuring a special two course lunch and local singer Drury performing his ‘All The Way – The Sinatra Songbook’.

First National Principal Rebecca Dean says that the First National Port Stephens team is honoured to sponsor

the 2023 Seniors Concert, to be held at the Nelson Bay Bowling Club.

“When we heard about this event, we knew we had to get behind it,” Mrs Dean said.

“Giving back to the community is very important to us, and we hope that everyone who gets involved has a fantastic week, with lots of great businesses offering advice, classes and events,” she added.

Mayor Ryan Palmer said the Seniors Festival is a great chance for locals to come together with friends,

or make new connections.

“We know how important social connection is for not only our mental health, but our emotional and physical health too. Our annual Seniors Festival is a great opportunity to get together, celebrate the wisdom and experience that comes with age, and meet new people,” Mr Palmer said.

NSW Seniors Festival runs from 1 to 12 February.

To see the full list of events happening across Port Stephens, visit pscouncil. info/SeniorsFestival2023

Combined Probus Club Of Medowie highlights wellness for older people

WELLNESS is something we are all striving towards and as we age sometimes it becomes harder to reach.

Our everyday activities like walking and even playing golf can be hindered by conditions like arthritis and reduced mobility.

The Combined Probus Club of Medowie had a presentation on the Wellness Centre recently.

Kevin Tomlinson, Publicity Officer, Combined Probus Club of Medowie, told News Of The Area, “The presenters Shane and Sloane provided a tremendous overview of the services available from Integrated Living Wellness Centre.

“The presentation was particularly relevant considering that it is

intended for older people looking to remain active and need exercise.

“Shane also spoke about the Government assistance and provision of IPads so that older people can learn about modern technology and also to use Zoom to communicate with other people.

“Sloane spoke about the provision of classes designed specifically for older exercisers.”

There are quite a number of activities, but not confined to the following; walking groups, chair yoga, art therapy and nutritional programs.

The group was also advised about the Port Stephens Day Activity Centre, where there are game days, craft and outings, which Sloane explained and spoke about

the opportunity to increase friendships along with opportunity with Probus.

“The members were thoroughly entertained and questions flowed with members also able to talk to the presenters afterwards

while enjoying morning tea,” he said.

Medowie Probus meets on the third Wednesday of each month at 10.00 am at the Medowie Community Centre on Ferodale Road, Medowie.

Everyone is welcome, and the meetings are a great opportunity to find out about the groups upcoming activities and Guest Speakers.

Probus has a mantra of ‘Fun, Fellowship and

Friendship’ and is intended to provide the social aspects for retired or semi-retired people.

Further information can be obtained by emailing medowieprobus@gmail. com.

www.newsofthearea.com.au PORT STEPHENS NEWS OF THE AREA 9 Thursday, 2 February 2023 Ph 02 4987 75 4 4 www.terracetenpin.com.au www.facebook .com/terracetenpin O p e n T o B o w l e r s o f A n y , o r e v e n N o , A b i l i t y W i n D i n n e r F o r T w o @ D u k e s Valentines Dinner Tournament - Sunday, Februar y 5 Tw o T h r e e - C o u r s e D i n n e r s F o r 2 To B e W o n I n c l u s i v e o f W i n e a n d $ 1 0 0 f o r d r i n k s O n e P r i z e To T h e To u r n a m e n t W i n n e r T h e 2 n d P r i z e To A R a n d o m S c o r e G a m e s : 8 N o T a p O d d s & E v e n s 3 - 6 - 9 N o r m a l G a m e www.dukesrestaurantandbar.com.au Enter Now At The Bowl GET IN SOME PRAC TICE ... ... or try SUNDAYS: $5 Games All Day StrikeZone StrikeZone Raymond Terrace media@newsofthearea.com.au PORT STEPHENS News Of The Area
q Members of the Combined Probus Club Of Medowie enjoying a meal together.

Students return to school across Port Stephens

THIS week saw children in Port Stephens and across NSW return to school.

There will be some children who are excited to return and others who have really enjoyed the time at home on holidays.

Some parents will be relieved that they will have time to themselves and others will miss the busyness of having everyone home.

Over the coming weeks, News Of The Area will highlight each of our local schools.

This week the school in focus is the Port Stephens

campus of St Philip's Christian College, birthed in 1995.

Mr Chris Walkling was the Founding Principal of the College and was appointed in 1995 with the school starting under his leadership with only 41 students.

Many of those original students are now parents themselves and the school now sees the second generation from the same family, now attending St Philip’s.

Corlette resident Kayla Watson was one of the original founding students of the school in 1995 and spoke to News Of The Area earlier this week.

You may recognise Kayla as the wife of the Port Stephens One Nation Candidate, Mark Watson.

“My husband Mark and I chose St Philip’s for our daughter Kora as the ethos of the school aligns with our Christian beliefs and values, offering the best opportunities and education, we believe, for our daughter,” Ms Watson shared.

“St Philip’s has a caring and nurturing environment with supportive teachers and great leadership,” Ms Watson continued.

This is the third year that Kayla has volunteered her time to the school community

through the parent, teacher fellowship, known as the PTF.

Ms Watson spent the first year as the Vice President and this will be her third year now as President of the PTF.

“As President of the PTF, I would like to continue to build the school community and help connect new families and establish new relationships,” Kayla said.

“I encourage parents to come and be a part of our wonderful school community,” Ms Watson continued.

News Of The Area wishes all students returning to school and their parents all the best for the year ahead.

NSW Labor announce $400 million ‘Education Future Fund’ and tutoring program

NSW LABOR has committed to the creation of a $400 million ‘Education Future Fund’, and a permanent Literacy and Numeracy tutoring program, if elected after the March state election.

Labor said the fund would ‘end the historic

underfunding of public schools’, deliver improved student outcomes and end chronic teacher shortages.

The Education Future Fund, will be used to make investments in more teachers, school counsellors and to establish a permanent literacy

and numeracy tutoring program that will use highly trained teachers to provide intensive support to the children who need help the most.

As part of the plan, a targeted Literacy and Numeracy tutoring program

will be launched on 1 July 2023.

The program will operate in both primary and high schools, with a particular focus on this year’s Year 10 grade.

NSW Labor Leader Chris Minns said, “My father was a

primary school teacher for 45 years.

“He is really passionate about the vocation and about teaching the next generation of kids.

“Everywhere I go I hear of children falling behind at school, due to cancelled classes and falling outcomes.

“Under Labor, schools will be fully funded, we’ll have more teachers in classrooms, kids off their devices and focusing on their learning.

“I’m determined to end the war on teachers and attract and keep them.

“Our future depends on it.”

Teachers Federation slams Perrottet’s plans for teacher recruitment

IN A NEW policy announced by Premier Dominic Perrottet, teachers in NSW will soon be able to enter the classroom after completing a one-year postgraduate course.

Mr Perrottet said this new policy will continue the NSW Government’s push to modernise education and make a teaching career a reality sooner for people already working.

“People at all stages of their lives have the potential to be great teachers, for those who already have an undergraduate degree we want a more streamlined approach for them to start a teaching career,” Mr Perrottet said.

“Teaching is a profession to aspire to and I don’t want a single person who is considering starting this fantastic career to be deterred by an unnecessary additional year in their training.”

Minister for Education and Early Learning Sarah Mitchell said the current two-year Masters degree requirement has been shown to act as a disincentive for aspiring

teachers, particularly midcareer professionals, and didn’t have a clear enough impact on student outcomes.

“A major barrier for people who already have an undergraduate degree and want to become a teacher is the length of time required to retrain,” Ms Mitchell said.

“Providing a new oneyear Masters pathway will enable more mid-career professionals with existing qualifications and experience to bring these to bear in our classrooms.

“This decision is backed by strong research which shows that the best way for teachers to hit the ground running is to spend more time in schools.”

Under a NSW Liberal and Nationals Government, those with an undergraduate degree would be able to complete a one-year full time postgraduate degree in order to become a secondary school teacher from 2024, with streamlined postgraduate pathways for primary school teachers to be available by 2026.

NSW Teachers Federation

president Angelo Gavrielatos said the announcement of a cut from two years to one year for postgraduate degrees was the latest in a succession of damaging and inconsistent policies that ignore the real causes of teacher shortages.

“The way to stop teacher shortages and creating a sustainable supply of teachers is to address the fundamental problems which are turning people off teaching –unsustainable workloads, uncompetitive salaries and insecure work,” Mr Gavrielatos said.

“There were 3,300 vacant permanent positions in schools in November and this is a crisis the government is incapable of fixing.

“The Federal Government’s Quality Initial Teacher Education Review found that substantially increasing the pay of beginning and senior teachers was the number one way to get more mid-career people into teaching and was far more attractive than a condensed one year qualification.

“After a decade of saying

the most important factor in education is the quality of teaching, this government now thinks lowering standards and cutting qualifications is the way to stop teacher shortages.

“Teaching has never been a more challenging profession.

“People entering the profession need high levels of skills and training to meet the complex needs of their

students and that is why all governments agreed to shift to a two year postgraduate qualification.

“Instead of recognising the difficulty and complexity of teaching, Mr Perrottet announced unqualified teachers will be brought in via Teach for Australia and now he wants to cut the qualifications for new postgraduate students.

“This is at the same time the government is spending

millions on a mid-career entry program that requires participants to complete a two year masters before they enter the classroom.

“International research shows that underqualified teachers have far higher attrition rates than those that enter through traditional pathways.

“We know that more than half of TFA graduates are gone within three years of completing the program.”

Free menstrual hygiene products for NSW students

STUDENTS at public schools across NSW will return to school in 2023 with access to free menstrual hygiene products.

More than 4600 dispensers have been installed in public schools across the state to support young women overcome barriers in accessing menstrual hygiene products.

Minister for Education

and Early Learning Sarah Mitchell celebrated the rollout of this program by the Liberal and Nationals in Government for the start of the 2023 school year.

“Getting your period should not be a barrier to education.

“We have installed 4600 sanitary product dispensers in NSW schools to ensure students can participate in all aspects of school life,” Ms Mitchell said.

“I want our young women to feel comfortable in knowing they have access to free sanitary products when they need, in their school.

“Evidence shows that providing sanitary items has a very positive impact on educational engagement and attainment, so we know this program is going to make a huge difference for our students’ education.”

media@newsofthearea.com.au 10 PORT STEPHENS NEWS OF THE AREA Thursday, 2 February 2023 media@newsofthearea.com.au PORT STEPHENS News Of The Area
q Kayla Watson was one of the founding students of St Philip's Christian College in 1995 and her daughter, Kora, continues the family tradition. Photo: Jewell Drury.

Calls for Elvis in the Bay

THE 30th Anniversary of the Parkes Elvis Festival was held recently with calls from local Elvis fans for Port Stephens to host an Elvis Festival.

Nelson Bay resident Cherie Howard Vins attended Parkes for the Elvis extravaganza and would love to see the same happen here.

The Elvis Festival is a five

day festivity with the sounds of Elvis permeating the air on every street corner.

Unlike anything you will ever experience, lovers of Elvis and his music travel from across Australia for the magical event.

There are dozens of venues which provide free concerts with an array of Elvis

tribute artists performing.

Headlining ticketed Elvis Tribute artists included headlining act Dean Z and Victor Trevino Jr from the USA.

Parkes closes off the main street of the city with various stages where the tribute artists performed.

“I got there on the Tuesday and had a look around and the

first thing you notice as you walk down the main street was how many shops got into the theme,” Cherie Howard Vins told News Of The Area.

“There was also Elvis music playing in the streets through speakers and also buskers, the locals were so friendly,” Ms Howard Vins said.

Tilligerry CWA return with big plans for 2023

THE active Tilligerry branch of the Country Women’s Association (CWA) have held their first event of the year, with much more planned for 2023.

Tilligerry CWA’s Lyn Chamberlain told News Of The

Area, “The event consisted of a get together at a members house for a delicious cooked brekkie.

“Our meetings start back at the Uniting Church Hall on Thursday 2 February at 9.30am.”

The branch’s upcoming craft day is on 9 February.

In the past, for some the word CWA may have conjured up an image of women cooking jam and scones.

Today, the reality is very different.

Being a member of the CWA is about far more than cooking and members can make a very real difference

in their own community and around the world.

Award winning cakes and scones are still on the menu, but the CWA also actively works in the mental health space, and even supports the supply of clean drinking water to women elsewhere in the world.

If anyone would like more information they can contact Lyn on 0425387015.

“You could buy 50s and 60s dresses and there were so many people dressed up, getting into the spirit of the festival.

“Entire families dressed up with Mum, Dad and children dressed as Elvis or Priscilla.”

The entire town was immersed in the life and times of Elvis and the atmosphere was absolutely electric.

The Parkes Elvis Festival

also offered the chance for couples to renew their wedding vows, a gospel service on Sunday, rock and roll dancing, swing dancing and line dancing with hairdressers available for the ladies to turn their locks into 50/60s hairstyles.

If you would like to see an annual Elvis festival here in Port Stephens, let News Of The Area know at media@ newsofthearea.com.au.

Top baby names revealed for 2022

CHARLOTTE looks set to be the most popular girls’ name in NSW in 2022 while Oliver is the number one boys’ name for the eighth year running.

Attorney General Mark Speakman and Minister for Customer Service and Digital Government Victor Dominello revealed the current top 10 NSW baby names for 2022, as recorded by the NSW Registry of Births, Deaths and Marriages.

“Welcoming a baby into the family is a joyous time for parents and selecting a name is one of the most important decisions they’ll make.

“It’s always interesting to see which names are the most popular each year,” Mr Speakman said.

“After finishing third in 2021, Charlotte is well placed to finish top of the charts joining Oliver who has been the number one baby boys’ name in NSW

since 2014,” Mr Speakman said.

“Amelia, Isla and Mia have also made the top ten for several years running, along with Jack, Noah, and William.

“We welcome the state’s newest residents and congratulate all NSW families who brought a little bundle of joy into their home in 2022.”

The top ten names for girls in 2022 are Charlotte, Amelia, Olivia, Isla, Mia, Ava, Ella, Matilda Sienna and Chloe.

The top ten names for boys in 2022 are Oliver, Noah, Leo, William, Theodore, Jack, Henry, Luca, Thomas and Charlie.

In 2022, 83,411 babies were registered in NSW, 6,648 fewer than in 2021.

However, as parents have 60 days to register their newborn, babies who were born in December 2022 may yet to be registered.

www.newsofthearea.com.au PORT STEPHENS NEWS OF THE AREA 11 Thursday, 2 February 2023 media@newsofthearea.com.au PORT STEPHENS News Of The Area
q Ten-year-old Nelson Bay resident Destiny Burgmann-Demech with Elvis tribute artist Damian Mullin. Photo: Jewell Drury. q Rachael Riley meets Dean Z and Victor Trevino Jr, Elvis tribute artists from the USA. Photo: Jewell Drury. q Cherie Howard Vins with Scottish Elvis at the Elvis Parkes Festival. Photo: supplied. q The Tilligerry CWA members getting together.

expansive, enclosed sunroom/living

area looking out over the river with three ceiling fans throughout as well as a fit-out laundry.

This area is the perfect space to exist and enjoy the serenity!

Inside the home, there is cypress pine floorboards throughout, the large kitchen looks out to the sunroom/ living area and has ample cupboard space, gas stove, oven, and dishwasher plus plantation shutters and reverse-cycle airconditioning that flows through to the dining area and living area.

The living area has a lovely combustion fireplace and ceiling fan and there is external access out to the front verandah looking out over the rural properties, this property really gives you the best of both worlds!

The main bedroom is

large with cypress pine floorboards, built-in robe, ceiling fan, reverse-cycle air-conditioning and sliding door for access out to the sunroom/living area.

Bedroom three features carpet, ceiling fan, and no built-in robe, and bedroom two features carpet, built-in robe, and ceiling fan.

The centrally located bathroom features an original claw foot bathtub with shower over bath, vanity, and toilet.

Externally, there is a workshop/shed with single-phase power with a Mezzanine level in the shed.

There is also a paved

outdoor entertaining area under shelter in-between the house and shed.

The yard is beautiful, and park-like with lovely shade trees spotted around.

The property boundary goes right down to the riverbank with its own jetty where you can enjoy fishing, kayaking, paddle boarding, and all types of boating!

The opportunity is endless!

This property is not one to miss and does not come up very often in this area so contact Emily Abela from R&R Property today on 0476 551 276 and register your interest before it goes to market!

media@newsofthearea.com.au 12 PORT STEPHENS NEWS OF THE AREA Thursday, 2 February 2023 PORT STEPHENS News Of The Area PROPERTYWeekPROPERTYWeek TEA GARDENS HAWKS NEST BULAHDELAH 83 MARINE DRIVE, TEA GARDENS P: (02) 4997 1300 E: teagardenshawksnest.nsw@raywhite.com. 67 STROUD STREET, BULAHDELAH F: (02) 4997 0106 W: raywhiteteagardenshawksnest.com M: 0488 133 998 98 Windward Circuit, Tea Gardens 96 Bayview Road, Tea Gardens 18 Leeward Circuit, Tea Gardens 30 Kurrawong Avenue, Hawks Nest 69-71 Eastslope Way, North Arm Cove 163 Myall Street, Tea Gardens ULTIMATE FAMILY HOME ULTIMATE RIVERSIDE LIFESTYLE IMPRESSIVE RESIDENCE QUAINT COTTAGE A SEA & TREE CHANGE ENTERTAINER’S DELIGHT COUNTRY COASTAL LIFESTYLE 126 Clarke Street, Pindimar 37 Mermaid Avenue, Hawks Nest 4 2 3 2 3 3 1 1 4 3 2 3 3 4 3 4 3 2 3 4 QUALITY HOME NOTA Graphics Ref: RWHI_M44_FEB2022_NEINA 18 The Esplanade, North Arm Cove 20-22 Church Street, Bulahdelah TEA GARDENS HAWKS NEST BULAHDELAH 4 2 2 7 4 5 NEW PRICE - $855,000 27 Coolabah Close, Tea Gardens AUCTION 15 FEBRUARY 5:00PM AUCTION 20 FEBRUARY 5:00PM AUCTION 31 JANUARY 5:00PM 67 STROUD STREET, BULAHDELAH M: 0488 133 998 F: (02) 4997 0106 E: teagardenshawksnest@raywhite.com W: raywhiteteagardenshawksnest.com P: (02) 4997 1300 612 Gooreengi Road, North Arm Cove 83 MARINE DRIVE, TEA GARDENS 3 1 2 6 5.5 12
acreage
market in Hinton THIS beautiful and rare property is set on 1.7ac in the historic town of Hinton on Old Punt Road, looking over and having access to the picturesque Paterson River! The original brick/ sandstone home was a single level home and has since been built on top of, roughly 30 years ago.
weatherboard upper extension has an
Beautiful
coming to the
The

Giving up the grog

well as increasing the risk of alcohol related injury.”

to overhaul one’s relationship with alcohol,” said Rebecca.

THOUSANDS of Australians say they are giving up the grog this year, according to new research.

The Finder survey of 1,085 respondents revealed two percent of Australians, equivalent to over 400,000 people, plan to stop drinking alcohol in 2023.

More than half of those are millennials (237,662 people) – with those aged 2540 most inclined to ditch the booze.

Doing the sums, that means the average Aussie could save over $1,971 a year by abstaining from alcohol, roughly $38 a week.

Rebecca Pike, money expert at Finder, said there was a growing number of ‘sober curious’ Aussies.

“Drinking excessively can lead to health problems, as

With more people realising when they don’t drink alcohol they remember more, cause less chaos, don’t lose their wages in one hit and no-longer experience a host of alcohol-related health problems, organisations are

coming up with supportive alcohol-free opportunities such as Dry July, Sober October and Dry January to kick off the year.

“Dry January, or the practice of abstaining from alcohol during the first month of the year, has gained popularity as a potential way

q A Finder survey has revealed thousands plan to give up alcohol in January and keep it going all year long which would be a win for health and hip pockets.

“Even if you missed out on the start of Dry January, it's never too late to kickstart your journey into not drinking.

“Many plan to keep it going all year long which would be a win for health and hip pockets.”

Consumption of zero percent alcohol beverages is

also on the rise, with bottle shops and venues stocking a growing range, and many mainstream brands releasing no-alcohol versions of their popular beer, wines and spirits.

Market research from Mordor Intelligence estimates that the global non-alcoholic beer market is estimated to be worth around $25 billion by 2025.

Pike said drinking was a huge part of Australian culture.

“Alcohol often plays a central role in social gatherings and events, making it difficult for those who choose not to drink to feel included.

“It’s great that people don’t have to feel like they are being excluded by choosing not to drink," Pike said.

In the past financial year, one in four Australians older than eighteen exceeded the

Australian Adult Alcohol Guideline in 2020-21 (25.8 percent), according to the Australian Bureau of Statistics.

Those born in Australia were almost twice as likely as those born overseas to exceed the guideline (30 percent compared to 17.3 percent).

Finder’s research found more men (three percent) plan to quit drinking than women this year (one percent).

The Australian guidelines for adults for low-risk alcohol consumption recommends that adults should drink no more than two standard drinks on any day to reduce the lifetime risk of harm from alcohol-related disease or injury.

The guidelines also recommend that adults should drink no more than four standard drinks on a single occasion to reduce the risk of alcohol-related injury arising from that occasion.

For information on Alcoholics Anonymous meetings near you visit https://meetings.aa.org.au/.

holding perpetrators to the highest account.

IN what is shaping up to be an election of promises and counter promises the incumbent government is pledging to take a tough stance on domestic violence.

It will commence by reviewing all sentences for domestic violence

related offences and by making sweeping changes to the handling of cases within the judicial system.

Under this proposal, the Government will commission a full-scale review of all domestic violence related sentences.

It will also undertake a feasibility study to establish a dedicated Domestic and

Family Violence Court, fund a specialist Domestic and Family Violence List across three local courts and fund a surge of an additional five magistrates to ensure cases are heard earlier.

Premier Dominic Perrottet said the Government was taking a zero-tolerance stance to domestic violence by

“We are cracking down on this abhorrent behaviour and sending a clear message to perpetrators that domestic violence will not be tolerated in our state,” Mr Perrottet said.

Attorney General Mark Speakman said the NSW Government would fund a temporary surge of five additional Local Court magistrates to help clear

the case backlog.

NSW Government promise tough action on Domestic Violence

Minister for Women’s Safety and the Prevention of Domestic and Sexual Violence Natalie Ward said these reforms complement existing measures, including new and upgraded safe rooms and remote witness rooms in metropolitan and regional courts delivered by the NSW Government.

“Victim-survivors of domestic violence should

not fall away from the journey of seeking justice because the process is too hard, drawn-out and complex,” Mrs Ward said.

“We know COVID-19 created a significant backlog in domestic violence cases being heard by the Local Court, with some victims waiting nine months or longer to have their case heard.”

assets – starting with NSW public transport.

Public Health NSW election campaign are:

It’s time for NSW to tackle vaping, gambling, and junk food advertising

PUBLIC health experts in NSW have issued a call for the next NSW Government to sideline industry interests and tackle gambling, e-cigarettes and junk food advertising to protect the state’s health.

The Public Health Association of Australia’s (PHAA) NSW Branch has released its new campaign, ‘Vote for Public Health’, ahead of the March state election,

highlighting five priorities that will relieve pressure on the state’s system by keeping people healthy and out of hospital beds.

“The gambling, vaping, and unhealthy food and beverage industries continue to profit from destroying the health and livelihoods of adults and children in New South Wales, but the incoming government can stop these harms with

targeted measures,” PHAA NSW Branch President, Assoc. Professor Kate McBride said.

“New South Wales is the gambling capital of Australia; it’s ruining families’ lives.

“The next government should implement a universal pre-commitment cashless card system with upper limits, a one button self-exclusion mechanism, and enforce prohibitions

on inducements and advertising.”

Assoc. Prof. McBride also urged action on vaping among young people, and the burden of preventable disease.

“Vaping uptake among fifteen to 24-year-olds has more than doubled in the past two years.

“We need to act now and make it an offence to supply or sell non-nicotine e-cigarette products to protect children and young people from the risk of smoking uptake.

“The next NSW Government should also follow the lead of London, Amsterdam and the ACT by banning junk food advertising on state owned

“The more gambling, vaping, and junk foodrelated issues we prevent, the less we’ll need to rely on our already strained hospital services.

“Because over a third of illness, disease, and early deaths in Australia are preventable, we need to invest significantly in preventive health interventions to ease the immense pressure on the NSW health system.

“With every $1 invested in public health initiatives returning $14, these preventive health interventions will save lives and strengthen the wider economy,” said Assoc. Prof. McBride.

The five public health priorities of the Vote For

1. Protect young people from the harm of vaping

2. Promote healthy weight among children by removing junk food advertising on state-owned assets, starting with public transport

3. Minimise harms of gambling, including including blocking any pre-election agreements with the gaming industry

4. Act boldly on climate change by banning new coal and gas mines, including expansions

5. Make prevention a health system priority.

www.newsofthearea.com.au PORT STEPHENS NEWS OF THE AREA 13 Thursday, 2 February 2023 media@newsofthearea.com.au PORT STEPHENS News Of The Area SMART MARKETING Advertising in the NEWS OF THE AREA reaches a captive audience. Call OR Email today (02) 4981 8882 ads@newsofthearea.com.au

you can pick up

Anna Bay Tavern

Anna Bay Bakery

BYO Cellars Anna Bay

Anna Bay Surf & Skate

Ingenia Holiday Park

Middle Rock Retirement Village

Anna Bay Village

Seawinds Village

Nelson Bay Bowling Club

Nelson Bay Golf Club

Woolworths Nelson Bay

Nelson Bay Newsagent

Coles Express Servo Nelson Bay

Essence Cafe

Dolphin Watch Cafe

West Diggers

Harbourside Haven

Bernie Thompson Village

Shoal Bay Pharmacy

IGA Shoal Bay

John Patterson

Bill King Aged Care

Friendly Grocer Fingal Bay

Regis Aged Care

Corlette Store

Uniting Care

Homestead Village

Sandy Shores

Big4 Soldiers Point

Soldiers Point Bowling Club

Foodworks Salamander Bay

Wanda Beach Pharmacy

Mobil Salamander Bay

Caltex Salamander Bay

Coles Salamander Bay

Natural Tucker

Woolworths Salamander Bay

Horizons Golf Club

Taylors Beach Industrial Cafe

Seaham General Store

Opal Aged Care

Red Eye Café Raymond Terrace

Angeez Takeaway Raymond Terrace

Terrace Central Plaza Post Office

Newsagent Terrace Central Plaza

Woolworths Terrace Central Plaza

MarketPlace Woolworths

Raymond Terrace Shell

Lakeside Newsagent

R&R Property

Foodworks Lakeside

Lakeside Leisure Centre

Muree Golf Club

Saxby's Bakery Salt Ash

Tanilba Bay Nursing Home

Tanilba Bay Retirement Units

Coles Tanilba Bay

Endevour Servo Tanilba Bay

Tanilba Newsagent

Post Office Tanilba Bay

Blue Marine Services

Chemist Lemon Tree

Club Lemon Tree

Tilligerry RSL

Bull n Bush Medowie

Coles Medowie

Medowie Newsagent

Medowie Pharmacy

Woolworths Medowie

Medowie Social

BP Servo Medowie

Pacific Dunes Golf Club

Metro Servo (Airport Side)

Metro Servo (Lavis Lane)

Dorin’s Draws By Paul

On theCouch

Dear Jasminda,

I was recently told I look good for my age.

On reflection, I don't think this is a compliment, but an insult.

How should I have responded?

Dear Helen,

Ah, the old backhanded compliment. A bit like the backhand return in table tennis, it can put you off guard and it is only later, on reflection, that you have the time to think of the perfect way to deal with it.

The NOTA wants you!

TELLING the incredible stories of Port Stephens is what News Of The Area (NOTA) is all about.

The independently-owned NOTA has had a presence in the Hunter region for decades and is proud to keep locals up to date with the happenings of the area.

Now, NOTA is seeking more enthusiastic locals with a background in writing to join the team in Port Stephens, with a Council reporter sought in particular.

“If you have a background in writing, and a passion for your local community, I would love to hear from you,” said NOTA Group Editor Douglas Connor.

“As the paper continues to grow, we are always looking for enthusiastic wordsmiths to help cover the region’s news, sport, events, music etc.”

Writing for NOTA can be an amazing way to connect with your local community, to meet some of the awe-inspiring locals creating change in the area, and to learn and experience the unique elements of life in our region.

Writing for NOTA is flexible, with contributor reporters able to submit as many or as few stories per week to

fit in with their present lifestyle and commitments.

Veteran NOTA reporter Marian Sampson, who has reported on local issues on the Myall Coast and Port Stephens for five years, said the role allowed her freedom, and new opportunities.

“Writing for News Of The Area has been a wonderful opportunity for me.

“I have become further connected to my community and importantly those who care passionately about their causes.

“I have had the privilege to meet some amazing people who are doing amazing things locally and internationally.

“I am valued and respected by my community as is the publication.

“As a NOTA reporter I write when I like and choose the stories that are of interest to me and my community.

“I choose my own hours and I can work from anywhere,” Marian said.

If you want to be a part of helping the community get its weekly local news hit, then let's start the conversation.

Send us an email telling us a bit about yourself to media@newsofthearea.com. au.

It is hard to know whether people who give backhanded compliments are being genuine and are actually unaware of their faux pas, or if they are just plain cruel.

A bit like real estate ads, there's usually always a hidden meaning.

So, if someone says 'You look great for your age' at the very least it's ageism, but it also seems to say, 'I can't believe someone as old as you looks so good' and that's not a great thing to hear.

If you hear: 'Wow, you're so confident. I'd never be game to wear that,' they probably mean, 'Do you really think you can get away with that outfit?'.

How about: 'I almost didn't recognise you'. Which suggests; 'You normally look terrible.'

Or: 'You look like I feel,' which translates to 'I feel really dodgy.'

Or: 'Every time you wear that dress it looks amazing.' Which probably means: 'You're wearing that again!'

Maybe you could just reply with the oft-used but still punchy 'Wisdom has been chasing you, but I see you are faster' and you will probably never receive another compliment from this person, backhanded or otherwise.

Carpe diem, Jasminda.

Council seeks State Government support

PORT Stephens Council is seeking commitment from the NSW Government to provide funding and support for the delivery of projects across the community, from health and housing to roads, public transport and education.

Mayor Ryan Palmer said the upcoming NSW State Election provides an important opportunity for Council to advocate on behalf of our community to ensure we’re at the forefront of the NSW Government’s policy and planning.

“Roads are our number one priority in the upcoming election. We’ve had a huge amount of damage to our road network over the past two years and we need urgent funding to replace, repair and upgrade our road network,” Mayor Palmer said.

“We also need to see commitment for

State Government investment in major infrastructure projects like the Bucketts Way and Medowie Road M1 intersections to increase road safety, improve freight networks and reduce travel times.

“We want to see financial investment in a range of projects to help deliver more affordable housing, including funding to fix long standing and very expensive stormwater issues and more investment in public transport networks between Port Stephens, Maitland and Newcastle,” he added.

Health services also remain a top priority for Council and the Port Stephens community.

“We’d like to see further investment in the Tomaree Polyclinic, more support for youth wellbeing and mental health services and funding to build a Raymond Terrace

Health Precinct,” Mayor Palmer said.

“Lastly, but most importantly, we’re working to gain both financial support and policy support to protect and enhance our most important asset – our incredible local environment.

“We need help to protect our koalas and enhance our habitat, grow our circular economy and achieve our community goal of being carbon neutral by 2025.

“I’m under no misconceptions that what we’re asking for is ambitious – but, we have a clear vision for our community and are committed to do our best to achieve this,” Mayor Palmer added.

To see the Community advocacy priorities visit pscouncil.

info/communityadvocacy priorities

14 PORT STEPHENS NEWS OF THE AREA media@newsofthearea.com.au Thursday, 2 February 2023
OUTLETS
your
your business stocks the paper and you are not listed here, please email us.
Where
paper If
media@newsofthearea.com.au
media@newsofthearea.com.au PORT STEPHENS News Of The Area
READING by Lynne Miles: Luke 6: 12-16 (Abridged) "After spending the whole night in prayer to God, Jesus called to Himself twelve disciples whom He also named Apostles. Simon Peter and Andrew, James and John, Phillip, Bartholomew, Matthew, Thomas, James the son of Alphaeus, Simon (the Zealot), Judas the son of James and Judas Iscariot, who became a traitor."
Email Jasminda: media@newsofthearea.com.au

Nelson Bay Golf Club Results

SUNDAY 22 JANUARY 2023

Mixed Medley Comp – Gymea Lily Course

Overall, Winners:

1 Glen Shorter (20) 39c/b

2 Karen West (20) 39

MONDAY 23 JANUARY 2023

VETS STABLEFORD

1 Rod Hancock 22

2 Eric Blow 22

3 Bob Beverley 21

TUESDAY 24 JANUARY 2023

Women’s Stableford: Brush Box Course

A1 Kris Heggie (19) 42

A2 Mary Reisch (19) 38

A3 Jenny Bezuidenhout (17) 36c/b

B1 Louise Kerr (28) 39c/b

B2 Janelle Tolhurst (24) 39

TILLIGERRY Social Golf Club

Results for 27/1/23

Outright winners:

Peter Hill and John Clayton 67

Runners up: Jack Johnstone and Peter Rados 67 1/4

Ball winners: Mark Skidmore and Jack Johnstone 68, Ed Martin and Ron McKay 70, Greg Hinton and Bill McMaster 70 1/4, Grahame Glover and Kel Dorney 76 1/4

D&C4th.

A. Kel Dorney.

B. Grahame Glover

B3 Roz Manely (29) 38

C1 Sharon Barnes (53) 40

C2 Carmel Parry (33) 39

C3 Di Brown (38) 35

WEDNESDAY 25 JANUARY 2023

MENS STABLEFORD: Bushbox Course

A1 Scott Ferguson (15) 42

A2 Guy Jennings (12) 39

A3 Peter Gibson (4) 38c/b

B1 Robert Diemar (17) 38

B2 Brian Lawrance (18) 37c/b

B3 Trevor Plane (20) 37

C1 Penton Suttcliffe (27) 39

C2 Elio Rigon (24) 38

C3 David Evans (31) 36

MENS STABLEFORD: Gymea Lily Course

A1 Christopher Gilbert (12) 40

A2 Greg Bezuidenhout (15) 39

D&C7th.

A. Greg Hinton.

B. Bill McMaster

NTP18th.

A. Ron McKay.

B. Bill McMaster Money hole

A. John Clayton.

B. Peter Rados

There were 11 starters today.

Congratulations to all the winners.

Next game

3/2/23 single Stableford eclectic.

A3 Steven Wilson (14) 37c/b

B1 Robert Connor (23) 39

B2 Nikhil Pillay (23) 38c/b

B3 Danny Marmo (17) 38

C1 Allan Milne (38) 41

C2 Doug Rowse (29) 40c/b

C3 John Lewis (41) 40

THURSDAY 26 JANUARY 2023

Women’s Stableford: Gymea Lily Course

A1 Margot Phegan (32) 38

A2 Carmel Parry (31) 34

B1 Mary Judge (34) 40

B2 Helen James (50) 37

FRIDAY 27 JANUARY 2023

Stableford Medley: Xmas Bush Course

A1 Michael Penman (21) 41

A2 Dudley Herbert (22) 36 c/b

A3 Neil Edwards (11) 36 c/b

A4 Helmut Kollmann (14) 36 c/b

B1 Forster Breckenridge (35) 37

B2 Roz Manley (28) 36

B3 Michael King (41) 34 c/b

B4 Stephen Barrett (28) 34 c/b

SATURDAY 28 JANUARY 2023

Mens Stableford: Gymea Lily Course

1 David Hurley (28) 41

2 Tim Chaplin (14) 40

3 Michael Sproule (12)38 c/b

Mens Stableford: Brushbox Course

1 John James (23) 44

2 Rosh Grace (6) 39

3 Phil Chrisler (9) 38

Women’s Stableford: Brushbox Course

1 Lucia Conlon Oatlands G Club

2 Tina Wasilewicz (32) 29

3 Barbara Frost (14) 27

10,000 copies collected each

www.newsofthearea.com.au PORT STEPHENS NEWS OF THE AREA 15 Thursday, 2 February 2023 media@newsofthearea.com.au PORT STEPHENS News Of The Area SPORTS
YOUR CUSTOMERS Contact us today and lets get your business in the News Of The Area. (02) 4981 8882 ads@newsofthearea.com.au PORT STEPHENS
week REACH
Tilligerry Social Golf Club
Tracey BENNETT 0484 263 558 tracey@newsofthearea.com.au BUSINESS ADVERTISING Contact Us Today for Inclusion into this Paper Over 25,000 weekly readers

To solve the puzzle, all the blank cells must be filled in using numbers from 1 to 9. Each number can only appear once in each row, column and in the nine 3x3 blocks.

Puzzle Play 009

One of the balls on the earring is missing. CODE BREAKER: Beds are not made for jumping on.

Auspac Media

THE RIGHT TABLE SHOW TIDAL VARIATIONS AT SEVERAL LOCATIONS

The time variation should be added to the corresponding Fort Denison time.

In view of the variations caused by local conditions and meteorological effects, these times are approximate and must be considered as a guide only. They are not to be relied on for critical depth calculations for safe navigation. Actual times of High and Low Water may occur before or after the times indicated.

4. The fortune teller’s ring is on a different finger.

THU FRI SAT SUN MON TUE WED

Graph and Times are for Sydney Fort Denison

TIDE CHART - 7 DAYS

16 PORT STEPHENS NEWS OF THE AREA media@newsofthearea.com.au Thursday, 2 February 2023 PUZZLE TIDES NEWS OF THE AREA 2 1 8 6 7 3 8 2 5 6 9 4 2 3 7 9 6 6 3 1 2 8 3 4 5 7 5 6 4 3 9 2 1 8 1 8 2 6 5 7 4 9 3 3 4 9 8 1 2 5 6 7 9 6 4 2 8 1 7 3 5 2 1 5 3 7 4 6 8 9 8 7 3 5 9 6 1 4 2 6 3 7 9 4 5 8 2 1 5 2 8 1 6 3 9 7 4 4 9 1 7 2 8 3 5 6 EXPLORAWORD ©Auspac Media Can you find the hidden meaning in the picture puzzles below? K AR B TREE TREE No. 184 1. 2. palindrome By Sean Kennedy Group 28 28 01 28 02 28 03 28 04 28 05 28 06 28 07 © 2009 Sean Kennedy pa A word, e.g. A In ‚ palindrome A word, phrase or sentence that reads the same backward or forward e.g. A man, a plan, a canal, Panama In this palindrome I suggest to Noel that we urge Estelle on ‚ G E S T E L L E 2802 © 2009 Sean Kennedy www.auspacmedia.com.au pa A word, e.g. A This Solution: NOEL, LET’S EGG ESTELLE ON palindrome A word, phrase or sentence that reads the same backward or forward e.g. A man, a plan, a canal, Panama Three palindromes: 1. make pieces secure, 2. exchange canine feet, 3. jab flying mammals 1 S P 2 S P 3 S B 2804 © 2009 Sean Kennedy www.auspacmedia.com.au pa A word, e.g. A Solution: 1 STRAP PARTS 2 SWAP PAWS 3 STAB BATS palindrome A word, phrase or sentence that reads the same backward or forward e.g. A man, a plan, a canal, Panama Three palindromes: 1. shock idiots, 2. prevent plant holders, 3. photograph cookware 1 S N pa A word, e.g. A 1 2 3 4 5 6 7 8 9 10 11 12 13 14 15 16 17 18 19 20 21 22 23 24 25 26 27 28 17566 Across 1 Deaden sound of 5 Wearies 8 Coin (Ind) 9 Minister 11 Carries 12 Newest 14 Insects 16 Senior 18 Untrue 19 Concept 20 Most secure 24 Bend 25 Turns inside out 26 Entice 27 Disreputable (coll) 28 Shoots at single men from cover Down 1 Be listless 2 Become bankrupt 3 Endure 4 Goes in 5 Fought 6 Round building 7 Relations 10 Merits 13 Results 14 Country (Afr) 15 Tautly 17 Rent 19 Implies 21 Level 22 Snare 23 Employs GRID A GOLD STAR CROSSWORD 12 X 12 !!!! : this not the page. Foley PO Box 8271 Bundall Qld Australia 4217 Telephone: (07) 5553 3200 Toll Free: 1 800 652 284 Fax: (07) 5553 3201
Email: auspac@auspacmedia.com.au Visit our site: www.auspacmedia.com.au The Feature People Classic Sudoku 184 Goldstar Crossword 17638 Explorawords 1. Ring bark 2. Treason s t E pdowns leaders, dealer, elder, reed, red, re, e alindromp E p uzzl E 1. Strap parts 2. Swap paws 3. Stab bats Goldstar Crossword Across: 1. Wallet, 5. Wicks, 8. Ruse, 9. Vendor, 11. Acrid, 12. Easter, 14. Cede, 16. Leaps, 18. Close, 19. Ayes, 20. Okapis, 24. Routs, 25. Trends, 26. Idea, 27. Elect, 28. Sylphs. Down: 1. Wave, 2. Lane, 3. Eros, 4. Turtle, 5. Wearily, 6. Caracas, 7. Sadness, 10. Danes, 13. Scourge, 14. Costume, 15. Deposit, 17. Eerie, 19. Abates, 21. Pray, 22. Snap, 23. Isis. Across 1 Pocket-book 5 Burners in candles 8 Stratagem 9 Seller 11 Pungent 12 Christian festival 14 Grant 16 Jumps 18 Shut 19 Affirmatives 20 Animals (Cent Afr) 24 Overthrows 25 Tendencies 26 Notion 27 Choose 28 Spirits of the air Down 1 Flutter 2 Narrow road 3 God of love 4 Marine chelonian 5 Tiredly 6 Capital city 7 Unhappiness 10 Natives of Denmark 13 Whip 14 Dress 15 Sediment 17 Weird 19 Subsides 21 Supplicate 22 Break 23 Egyptian goddess
Explorawords Stepdowns Palindrome Puzzle Solutions Classi C s udoku Puzzles and pagination © Auspac Media ANSWERS SPOT THE DIFFERENCE: 1. The E in fortune
different. 2.
3.
is
A star on the table cloth is smaller.
There is no X in the error message.
5.
PORT STEPHENS (high) (low) Nelson Bay 30min 15min Salamander Bay 45min 30min Soldiers Point 1hr 45min Karuah (Karuah River) 1hr 15min 45min Pindimar 45min 45min Tea Gardens 1hr 45min BROUGHTON IS. nil nil CAPE HAWKE Forster 0 to 15min NIL Wollomba River (mouth) 1hr 50min 2hrs 10min MANNING RIVER Based on bar at Harrington Harrington NIL 15 to 30min Taree 2hrs 2hrs 45min Wingham 3hrs 5min 3hrs 45min HUNTER RIVER Newcastle NIL NIL Hexham 1hr 10min 1hr Raymond Terrace 1hr 50min 1hr 55min Morpeth 3hrs 10min 3hrs 30min NEWS OF THE AREA MYALL COAST

BIG CROSSWORD SOLUTIONS

SUDOKU

Sudoku is an 81 square number grid with nine blocks each containing nine cells. To solve the puzzle, all the blank cells must be filled in using numbers from 1 to 9. Each number can only appear once in each row, column and in the nine 3x3 blocks.

NEWS OF THE AREA

YOU'RE JOKIN'

Why was the fraction nervous about marrying the decimal?

Because he would have to convert.

Are monsters good at math?

Not unless you count Dracula.

Why was the math book sad?

Because it had too many problems.

Why does nobody talk to circles?

Because there’s no point.

Why couldn't the pony sing a lullaby?

She was a little horse.

What was the first animal in space? The cow that jumped over the moon.

Why don’t elephants chew gum?

They do, just not in public.

What did the banana say to the dog?

Bananas can’t talk.

1 2 3 8 7 6 5 4 9 11 10 12

How do you make an octopus laugh? With ten-tickles.

What do you call a sleeping bull? A bull-dozer.

How do you fit more pigs on a farm? Build a sty-scraper.

What did the farmer call the cow that had no milk? An udder failure.

www.newsofthearea.com.au PORT STEPHENS NEWS OF THE AREA 17 Thursday, 2 February 2023
MEDIUM TINY CROSS WORD FIND All the words listed below can be found in the grid.
1 2 3 4 5 6 7 9 7 3 4 5 2 8 1 6 4 2 8 9 1 6 5 7 3 5 1 6 8 3 7 9 2 4 6 5 7 3 2 9 1 4 8 2 9 4 5 8 1 3 6 7 3 8 1 6 7 4 2 5 9 8 4 9 2 6 5 7 3 1 1 6 2 7 9 3 4 8 5 7 3 5 1 4 8 6 9 2 L R Z G A C M D O E S M D B A G N I Y R C E Y G I K S C P Y S C L O Q L F R N K L E E P L N D F F O Y U E S L B O I C E I T T A R T F W O Q N L C B P S V D C T R A Y G U A E P U O S H W O D P L W X Z J Y T Y D N J H T L P V T Y J E S O A X I D A R E S G H S T A J E D N M S M S G W C Y T S R D G P T F Y K J N Y C O M M U N I C A T I O N 36 38 44 51 53 32 45 33 41 48 54 39 34 49 52 42 50 43 46 40 55 37 35 47 31 Created: David Stickley Creator Copy No.3182 Qxpress: Gaynor Currie Checked: Rosemary PO Box 8271 Bundall Qld Australia 4217 Telephone: (07) 5553 3200 Toll Free: 1 800 652 284 Fax: (07) 5553 3201 Auspac Media Email: auspac@auspacmedia.com.au Visit our site: www.auspacmedia.com.au The Feature People Solution No. 3514 A B U N D A N T L Y V E R T E B R A T L O O A Q X U L R T U T U S B I V O U A C R E A L M A R S B A E H B T E C L A V C L E B L E M S H E D H M E E T E Q D E B O A R S F A N C L U B G R D P D L E R E E R E E K E X P L O R E R S L E A F O R O P E O E D D Y U B O N D V I T R I O L I C S E W S E A M E N T T C E D E S K S H Y S T E R S A G A S O W I E R L N T B M A L L E A B L E T A C T C A L I D A I I F P I H O S K I N K T E N U O U S Q U I R K T E E E G C E U N E S E R E N A D E M I D D L E A G E S TINY CROSS ACROSS: 1 Omit, 5 Race, 6 Area, 7 Less. DOWN: 1 Oral, 2 Mare, 3 Ices, 4 Teas. All Car Code Communication Crying Cycling Dares Dead Difficulties Does Drunk Expand Fly Its Lazy Led Myself Obey Off Paws Sketch Ski Soup Stupidly Tar Tray Upset Urge Votes Yes L R Z G A C M D O E S M D B A G N I Y R C E Y G I K S C P Y S C L O Q L F R N K L E E P L N D F F O Y U E S L B O I C E I T T A R T F W O Q N L C B P S V D C T R A Y G U A E P U O S H W O D P L W X Z J Y T Y D N J H T L P V T Y J E S O A X I D A R E S G H S T A J E D N M S M S G W C Y T S R D G P T F Y K J N Y C O M M U N I C A T I O N ACROSS 1 Bypass 5 Dash 6 Acreage 7 Minus DOWN 1 Voiced 2 Foal’s mother 3 Frozen treats 4 Darjeeling and oolong 9 2 1 2 8 5 7 4 6 7 9 1 3 3 8 2 5 9 6 3 1 1 2 4 ACROSS DOWN Crossword 19 x 19 Grid M Release No.3038 XPRESS. VER.4.03 publication can be separate text box. 1 12 17 23 28 36 38 44 51 53 32 2 24 45 3 33 29 11 19 27 41 48 54 4 39 5 15 20 34 49 52 13 42 6 21 25 50 16 7 14 22 30 43 46 18 40 55 8 37 35 9 26 47 10 31 PO Box 8271 Bundall Qld Australia 4217 Telephone: (07) 5553 3200 Toll Free: 1 800 652 284 Fax: (07) 5553 3201 Auspac Media Email: auspac@auspacmedia.com.au Visit our site: www.auspacmedia.com.au The Feature People Solution No. 3038 A C C E L E R A T E S C O R N F U L N U I A U A R E A U S C R A G C U R A C A O M O C K S W T H I K Q S O T T E X A C T I N G U N S A V O U R Y R I E G G I B E A S N O R T F O X T R O T F L O P T C A L W I F E E R O A D V A N D A L I S M D A Z E A L O B E E O B L U B K G I L L R E I N F O R C E P O K E I L A N D K R M D C O N Y S I N G L E S S P O I L E F T R D S L N S C A R N I V O R E P L E A S A N T I V T R E B E N T E R O O K S I N D U L G E T R I B E C U I A Y U V E O L A B S E N T L Y D E P E N D E N C Y Across 1 Bind 4 Examined 8 Fogs 12 Avant-garde (5-6) 14 Combatant 15 Photographic film company 17 Personal file 18 Undermine 19 Coverings for the arms 23 Swindle 25 Subdued 28 Molten rock 29 Suit maker 30 Vision 32 Canadian province 34 Protester 35 Central points 38 Treasury 40 Expired 41 Cuts in two 44 Muddy 46 Old 48 Castrates 51 Talk foolishly 52 Spectacular (3-8) 53 Ready 54 Calm (a situation) 55 Fellows Down 1 Copiously 2 Ballet skirts 3 Collarbone 5 Stink 6 Promise 7 Writing table 8 Pliable 9 Lizard 10 Romantic song 11 Swine 13 Cord 16 Prayer ending 20 Adventurers 21 Bitter 22 Pettifogger 24 Makeshift camp 26 Flimsy 27 Devotees’ group (3,4) 31 Time in history (6,4) 33 Defective 36 Spinal bone 37 Strategic 39 Ireland 42 Vortex 43 Legends 45 Principality 47 Peculiarity 48 Network 49 Folio 50 Tailors ANSWERS: 1. The Sea of Tranquility.
Junior Puzzler 166 SPREAD NEWS OF THE AREA MYALL COAST
2. Gluten is found in cereal grains. 3. It is true. They pressed it into bricks and used it as money.

Public Notices

Tea Gardens Car Rentals

Daily/Weekly/Monthly 0408 029 735

Karuah Motor Yacht Club

is a sports club that is family orientated located on the Karuah River Waterfront. We are a licensed premises open every Friday night from 5:00pm for delicious meals and desserts. 0415 419 741 mail@kmyc.net.au Finduson Facebook

Positions Vacant

Private Hire Car Driver

A position is available with a well established Private Hire Car Transport company. We are looking for someone living in the Tea Gardens/Hawks Nest area to join our team. Must be willing to obtain a NSW Driver Authority and ABN. Would suit a retiree looking for some casual work.

Please send expressions of interest to combinedlimos@gmail.com or phone 4984 7766.

Position Vacant

Painter/brush hand wanted for local work

Must be presentable ph Phil 0416 096 738

War Medals

Top prices paid by local collector. Call Jim 0400 060 215

FREE CLINIC BUS

AGM will be held at Hawks Nest Golf Club at 10am on 14th February 2023

For Sale

2.6HP PARSON outboard 4 stroke. Never used! $750, brand new was $987. 0466 880 639

For Sale

BOXED board games

Rum rebellion John Sands 1980’s. Top Gear game unopened 1990’s. Scrabble game collectable 1955. All good cond. Best offers

Ph: 4981 7523

BICYCLES 1 x mens

1 x womens $50 each

Ph: 0427 879 025

BUNNYKINS Collection

Royal Doulton Crockery

6 piece Unmarked $65 Ph 0429 410 590 f011222

COSMOPOLITAN

Travelling port, half price, $85 used once 4982 6443 F110822

CURTAINS, 2 sets cross over and 10m continuous curtaining heavy lace. $20 Ph 0429 780 257

DARK timber four draw desk with optional upper hood three shelves also slide out laptop desk shelf. $40. Desk chair. $30 Swivel large adjustable comfortable chair. Good used Ph: 0401 546 848 Sandy, Tanilba Bay

Lions Club of Tea Gardens Festive Season Raffle

Results. Drawn 26/1/2023. 1st prize Ticket 15575

E Linderman. 2nd prize Ticket 15865 K Hill

All winners notified. Thanks to all who participated. Kevin Thomas Raffle Coordinator.

What’s Happening Around You

What: It’s On! Tastes Like Summer Karuah

Where: Longworth Park, Karuah

When: Friday 3rd February Time: 4pm - 8pm

What: The Marina Market

Where: Nelson Bay Foreshore

When: Saturday 4th of February Time: 4pm - 8pm

What: It’s On! Tastes Like Summer Fern Bay

Where: Fern Bay Reserve, Fern Bay

When: Saturday 4th February

Time: 4pm - 8pm

What: Medowie Markets

Where: Bull N Bush Hotel, Ferodale Rd

When: Saturday 11th of February Time: 8am - 12pm

25 CD compilations

Newcastle Top 40 classics 50s-70s. $90

Ph: 02 4966 5000

4 x 17”x 6” Steel rims, fitted with 255/65x17 Dunlop AT23 tyres. Suit current Nissan Navara $130ea ono. Ph 0404 094 028

4WD EQUIPMENT Drag chain $30. 3x 20ltr Fuel Canisters $50. High lift $60. Snatch-um strap $45. incl. 2 bow shackles Mob. 0490 168 582

5 X BEACH rods with 2 large reels $60 the lot Ph: 4997 0611

Time: 9am - 1pm

What: Friday’s at Birubi Twilight Markets

Where: Robinson Reserve, Anna Bay

When: Friday 24th February Time: 4pm - 8pm

What: Fingal Bay Parkrun

Where: 3 Marine Dr, Fingal Bay

When: Every Saturday! Time: 8am

AS new single bed with base and extra length. Asking $200 0457 674 986

BABIES and Childrens clothes new, worth $1,500. Will sell $200

Ph: 0457 087 178

BOOK Case 4 shelves attractive good cond 190cm H 105cm W. $60 Ph: 4938 5923

BBQ, 2 burner, VGC hardly used inc gas bottle, on wheels $110 0427 980 079 F260123

For Sale

FRAMED pic of creamy coloured roses, $30 Ph 0429 780 257 F241122

GARDEN tools set Incl hoe, rake, mattock fork, spade, broom & crowbar. $60. 4997 0611

GENERATOR 240 inverter generator brand new never used $500ono 0478 254 191

GE Steam and dry iron from 60’s. Original box, exc cond. $40ono Ph: 4981 7523 f120123

For Sale

LOUNGE 3 piece $50. Other items too 0425 254 612

MOBILITY Scooter 4 wheel. Good cond. with front basket, rear bag and charger. $1400 Free delivery

Ph: 0418 430 643

MUST sell! Fishing reels, lines and many others. Price - best offers! Ph:

ORCHIDS, indoor plants, strawberry plants & statues. 4997 2317 e020223

GOLF set leather bag, Slazenger cart woods steels extras. $250. Ph 0476 789 721 PORTABLE

PIANO, white, good for student. $500 Ph:0466 880 639

For Sale

TYRES 4 x Golf rims and tires 195-65R15 $50 all 2 FWD tires 24565R17 50% tread $10 all Ph: 4984 3710 or 0407461 454

UNWANTED prize Roomba iRobot vac worth $500, sell $350 0402 797 896

WASHING machine Fisher and Paykel, top loader, 7kg bowl, 3 years old, VGC. $310 ono 4997 0331. Pickup Tea Gardens

WASHING machine Fisher Paykell, limited use, VGC. $250. 4982 9942

WELLINGTON

DESK 3 drawers very long 230cm. Excellent for studio or hobby. $60 Ph: 4938 5923 f260123

DINING room table extendable + 8 wicker chairs + 4 coffee tables $200 the lot. 0429485169 e160223

DVD movies incl. drama and westerns, mainly last 5-20 years. Incl 1 TV series 10x10 disks $60 Ph: 02 4966 5000

ELECTRIC jigsaw Black & Decker $40. Electric planer Black & Decker $60. Ph: 4997 0611

ELECTRIC treadmill adjusts to incline Foldable. Tracks distances, times and calories. Has emergency stop function. $50 Ph: 4919 8117 f260123

ELECTRIC Heaters

1 Electric 700mm x 360mm 2000 watts

1 Oil filled 2400 watts $40 for both. Please ring 0404 724 347

EUROPEAN Single adjust slatted bedframes & 2 latex mattresses VGC $500 each

PH: 49979797

GOLFING accessories

Golf balls - around 100? 20 cents each Golf buggy $25 Clubs and drives $2 each. Ph: 4982 2335

GOOD antique Queen Anne dressing table with mirror $60 Ph 0429 601 039

GUITAR left-handed Redding as new never played with soft case $230 Ph: 4981 9939

GYM Form Ab Booster Plus. Brand new. $30 Ph: 4982 8628 f020223

PRYDE Windsufing mast suits 7 metre sail. Little used. $99 Tea Gardens. Peter 0419 932 992

RAIL Corp Wall telephones and desktop push buttom phone 90’s Nokia Mobile 6300 in box, charger and manual 00’s. Samsung mobile and charger 00’s. 2 x Motorola units, chargers with info 90’s. Cheap best offers 4981 7523

ROYAL Doulton

Bone China 40 Pc 8 setting dinner set Ideal Christmas Gift $95 Ph 0416 229 166 f011222

WINDSURFER and fin 85 litres, Freerace 2.6m long. In a bag. No dings Some accessories available. $80. Peter 0419 932 992. Tea Gardens.

WINDSURFER boom Chinook. Good condition $90. Peter 0419932992 Tea Gardens.

YABBI pump as new $40. 4997 0611

Boats

SOLD

HALL glass table wrought iron legs, 3ft long, 16 inch wide $15. 4982 2335

HOME Office, Solid wood Lockable Computer shelving $60.00 Phone Sam 0437 878 155 f201022

HP photosmart printer $30. Ph 0429 780 257 F241122

KAYAK ‘Glide Explore’ adult single, VGC inc paddle, carry strap, pole slots, net. $300! Ph 0407 414 016

LADIES E-Bike trike

New, assembled, large rear basket. $850 Ph: 0450 531 894 ReS13072

LIKE new 4 wheel mobility scooter, front basket, rear carry bag with charger. Will deliver $2,200. 0418 430 643

MOBILITY Frame with hand rails and legs, toilet seat and new bowl. Fits over existing toilet. As new $60. 4981 7523 f260123

SKI boots, size 7 Good condition. $90 Tea Gardens. Peter 0419 932 992

SNOW chains brand new, unused adjustable, suits 16 inch wheels or others $95 Tea Gardens. Peter 0419 932 992

ST Phillips uniforms boys Blazer size 24 $50. Boys summer shirts sizes 18, 20 & 22 $10 each Ph 0415 353 798 f260123

SUNBEAM food saver VAC420 with bags, half price $55. 49826443

BROOKER Tinny, 4m 4stroke, 15HP Suzuki motor. Boat and trailer registered. Plus extras $3500 0466 880 639

Motors

2001 SAAB, 9/3 hatch auto, 275,000klms cruise control, power steer, drives well. $2,490 ono. 0466 880 639

TOYOTA Landcruiser 100 series Petrol 1999 model, white very good body. Rego Oct 2023 CL27KF $14,000 Ph: 0401 138 279

SOLD

TABLETOP beige flecked laminate wooden bevelled edges Needs legs, strong and sturdy top. 110x60cm $20 Ph: 4981 7523

TV 40”, brand new unwanted gift still in box Thomson brand. $200 0412 182 493

TWO x shop riders pull apart mobility wheel chairs. New batteries with chargers. $600 each. 0418 430 643

CARAVAN Imperial 17ft shower/toilet, twin beds Rego July. $28,000 ono Ph 0427 970 848

CLASSIFIEDS

02 4981 8882

media@newsofthearea.com.au 18 PORT STEPHENS NEWS OF THE AREA Thursday, 2 February 2023 LOCALClassifieds DEADLINE: 12noon TUESDAYS HOW TO PLACE YOUR NOTICE: EMAIL: ads@newsofthearea.com.au WEB: www.newsofthearea.com.au PH: (02) 4981 8882
PORT STEPHENS PLACE YOUR ADVERT in the News Of The Area ads@newsofthearea.com.au Email the exact words and a pic if you wish too. Caravans
MYALL COAST
CUB camper 2013 $12,000 ono 0407 093 997
clothesline GC, $25. 0413 023 296 F091221
WORK bench 136cm L $100 Ph: 4938 5923 F050522
SOLD
SOLD
boots as new $25. 4997 0611 f020223
4997
0611
AIRCONDITIONER Portable Olimpia Splendid. As new, bargain $500. 4988 6302 EXERCISE Machine Total gym shaper plus instructions, folds up $100. Nelson Bay area Ph Ron 0478 608 379 F260123 Public Notices CLASSIFIEDS 02 4981 8882
GOLF Scooter, 2 speed Lotus Blake, Tycoon AZ36. Can be fully disassembled. $3,700 ono. Ph: 4997 0435
What: Port Stephens Produce Market Where: Port Stephens Council Admin Building When: Saturday 18th of February
www.newsofthearea.com.au PORT STEPHENS NEWS OF THE AREA 19 Thursday, 2 February 2023 PLUMBING CARPET & FLOORING Marty & Jules Tel: (02) 4982 6166 Fax: (02) 4982 6122 Mob: 0417 493 687 Email: translift@bigpond.com Address: 6 Salt Ash Ave, Salt Ash CRANES PORT STEPHENS c NOTA Graphics Ref: PSCR_090616 CRANES TRADES&Services Homemakers Centre 86 Port Stephens Dr, TAYLORS BEACH 02 4982 2522 Flooring at Port Stephens Huge Warehouse - 100’s rolls in stock FREE measure & QUOTE - Call Ian Doherty today Timber & Laminate, Carpet, Vinyl, Rugs, Hybrid NOTA Graphics Ref: Choices_291020 BLINDS HAIRDRESSER LANDSCAPING PORT STEPHENS FINANCIAL SERVICES Call us today on (02) 4981 8882 or email ads@newsofthearea.com.au Want to be included in our Trades & Services directory? BLINDS - AWNINGS - SHUTTERS & ROLLER SHUTTERS ABN 90 639 121 517 S imply Smarter Blinds Local & Family Owned David Bright 0408 680 835 FREE Measure & Quote, CALL TODAY www.simplysmarterblinds.com.au admin@simplysmarterblinds.com.au DAVIES TREE SERVICE • TREE REMOVAL & PRUNING • STUMP GRINDING • HEDGING • GREEN WASTE REMOVAL • MULCH SALES FREE QUOTES Fully Insured JOSHUA DAVIES 0432 739 097 DTSPportStephens@gmail.com TREE SERVICES Lic: 373836c Call Mitch Baker for all of your plumbing, drainage and gas fitting needs! 0411 305 306 A&B 4982 7500 AUTOMOTIVES • Complete Mechanical Repairs & Servicing for all Makes & Models, 4WD & Light Commercials, Hybrid Electric Vehicles • Automatic Transmission Servicing & Repairs • Fuel Injection Service • Brake & Clutch Service • Logbook Services • Tyre sales & Fitting • Wheel Alignments • Rego checks Inspections Including LPG • Air Con Regas Unit 2/352 Soldiers Point Rd, Salamander Bay NSW 2317 ARC Licence No. AU44735 MVRL 14711 AUTOMOTIVE Email: sales@lakeviewblinds.com.au www.lakeviewsblinds.com.au Roller Blinds Plantation Shutters Vertical Blinds Roman Blinds Venetian Blinds Ziptrak Awnings Foldings Arm Awnings Roller Shutters Awnings Panel Glides Aluminium Shutters Security Doors and Grilles Curtains Salamander Bay 4984 7700 Warners Bay 4954 7190 Beresfield 4964 2230 AW3936506 Carpentry, Painting, Gyprock, Tiling, Concreting etc Insurance work and disabled modifications also PORT STEPHENS BUILDING SERVICES ESTABLISHED 1989 ALL TRADES AVAILABLE Phone Nev 0403 060 407 for FREE QUOTES | Licence 100714C PORT STEPHENS BUILDING SERVICES ESTABLISHED 1989 ALL TRADES AVAILABLE BUILDING SERVICES www.newsofthearea.com.au We have this Printed Edition available online for FREE, as well as archive editions. You can also Subscribe, for FREE, and we will email you the Printed Edition Flipbook each week. FLIPBOOK 0492149550 or 0474350330 www. drpressure .net.au Pressure Cleaning Services Residential & Commercial PLUMBING ADVERTISING Call Tracey Bennett now! 0484 263 558 Or email tracey@newsofthearea.com.au ADVERTISING Call Tracey Bennett now! 0484 263 558 Or email tracey@newsofthearea.com.au

BEST ON THE BOX

WEDNESDAY HARD QUIZ

ABC, 8pm

MONDAY HERITAGE RESCUE

SBS, 8.30pm

If the idea of renovating makes you shudder you need a bit of Nick Knowles’ enthusiasm in your life. The British actor and presenter has overseen everything, from small home makeovers (DIY SOS) to the colossal refurbishments, on this comprehensive and craftloving series. He describes himself as a “bit of a history nerd” which might give rose-coloured glasses when overseeing the painstaking process of refurbishing a heritage site. In tonight’s final, he follows the £40 million (that’s around $A70 million) restoration of Stowe House in Buckinghamshire.

FRIDAY, February 3

6.00 The Drum. Analysis of the day’s news.

7.00 ABC News. Takes a look at today’s top stories.

7.30 Monty Don’s Adriatic Gardens: Greece. Part 3 of 3.

8.30 Van Der Valk. (Mav, R) Part 1 of 3. Piet Van der Valk investigates the deaths of two innocents with no connection to each other.

10.05 The Larkins. (PG, R) The lives of a working-class family.

10.50 ABC Late News. Coverage of the day’s events.

11.05 The Larkins. (Ms, R)

11.55 Adam Hills: The Last Leg. (R)

12.35 Unforgotten. (Mal, R)

1.25 Rage. (MA15+adhlnsv)

Curl up on the couch for a master class in witty jibes and sarcasm with Tom Gleeson. After nabbing the coveted Gold Logie for his deadpan humour in this comedic quiz show, and now hosting the local version of the British game show Taskmaster, Gleeson (right)is riding a career high –and this is where it all started. In tonight’s season eight premiere, Gleeson enters the fray with a process engineer who adores The Lion King nanny who knows smallpox; a software engineer who plays Legend of Zelda and a dill-pickle maker who likes antique purses. Tune in to find out who will thwart Gleeson’s own specialist subject to score the Big Brass Mug.

THURSDAY LAW & ORDER: SVU

TEN, 8.30pm

After 24 seasons, we all know dedicated detective Olivia Benson (Mariska Hargitay) is every sex offender’s worst nightmare. “You know, men like you become so good at lying they even begin to believe the ones they tell themselves,” snarls Benson in tonight’s disturbing instalment titled “Breakwater”. It’s glaringly obvious who the bad guy is, but the problem lies with whether the SVU team can pin this conniving predator for his crimes. The story has some distressing developments, making for hard-to-watch TV, but Carisi’s (Peter Scanavino) surprising and gratifying turn against the predator makes for a welcome thrill.

SBS World News.

7.35 Scotland: A Wild Year. (PG) 8.30 Inside Central Station. (PGa, R)

Gomorrah. (MA15+s, R)

1.25 Das Boot. (Mlnv, R)

3.40 Mastermind Australia. (R)

4.40 Bamay. (R)

5.30 ANC Philippines The World Tonight.

6.00 7News Local.

6.30 7News @ 6:30.

7.00 Better Homes And Gardens. (Return) Charlie Albone, Adam Dovile and Melissa King transform a backyard into a stunning space. Johanna Griggs and Pete Colquhoun visit an amazing home that takes indoor/outdoor living to the next level.

8.30 To Be Advised.

1.30 Home Shopping. (R)

6.00 NBN News.

7.00 A Current Affair.

7.30 For The Love Of Pets. (Premiere, PGm) Narrated by Jai Courtney.

8.30 MOVIE: The Dry. (2020, MA15+alv)

A Federal Agent returns to his hometown in regional Victoria to attend the funeral of a childhood friend. Eric Bana, Matt Nable.

10.45 MOVIE: Six Degrees Of Separation. (1993, Mlns, R)

12.40 Tipping Point. (PG, R)

1.30 TV Shop: Home Shopping. (R)

4.00 Take Two. (R)

4.30 Global Shop. (R)

5.00 TV Shop: Home Shopping. (R)

5.30 Skippy The Bush Kangaroo. (R)

6.30 The Project.

7.30 The Graham Norton Show. (Ma)

8.30 Taskmaster Australia. (PGl, R) Hosted by Tom Gleeson.

9.30 The Graham Norton Show. (Mls, R) Celebrity guests include Tom Holland, Zendaya, Henry Cavill, Gugu Mbatha-Raw and Little Mix.

10.30 Just For Laughs Australia. (Mls, R)

11.00 Just For Laughs Uncut. (MA15+als, R)

0302 CONSUMER ADVICE (P) Pre-school (C) Children (PG) Parental Guidance Recommended (M) Mature Audiences (MA15+) Mature Audiences Only (AV15+) Extreme Adult Violence (R) Repeat Please Note: Programs are correct at the time of print and are subject to change by the Networks. ABC TV (2) SBS (3) SEVEN (6) TEN (5) NBN (8)
6.00 News. 9.00 News. 10.00 Searching For Superhuman. (PG, R) 11.00 Australia Remastered. (R) 12.00 News. 1.00 Les Misérables. (Mav, R) 2.00 Joanna Lumley’s Hidden Caribbean. (PG, R) 2.45 Back Roads. (R) 3.15 Gardening Aust. (R) 4.10 Long Lost Family: What Happened Next. (PG, R) 5.00 Aust Story. (R) 5.30 Hard Quiz. (PG, R) 6.00 Morning Programs. 10.10 Boswell And Johnson’s Scottish Road Trip. 11.05 Great Canal Journeys. (PGa, R) 12.00 WorldWatch. 2.05 Secrets Of Royal Gardens. (PGa, R) 3.00 NITV News: Nula. 3.40 Where Are You Really From? (PG, R) 4.10 Who Do You Think You Are? (PG, R) 5.05 Jeopardy! (R) 5.30 Letters And Numbers. (R) 6.00 Sunrise. 9.00 The Morning Show. (PG) 11.30 Seven Morning News. 12.00 MOVIE: The Bridges Of Madison County. (1995, Ml, R) 3.00 The Chase. (R) 4.00 Seven News At 4. 5.00 The Chase Australia. 6.00 Today. 9.00 Today Extra. (PG) 11.30 Morning News. 12.00 Married At First Sight. (Mls, R) 1.30 Destination WA. 2.00 Pointless. (PG, R) 3.00 Tipping Point. (PG) 4.00 Afternoon News. 5.00 Millionaire Hot Seat. (R) 6.00 Morning Programs. 7.30 GCBC. (R) 8.00 Everyday Gourmet. (R) 8.30 Ent. Tonight. (R) 9.00 Judge Judy. (PG, R) 9.30 Bold. (PG, R) 10.00 Studio 10. (PG) 12.00 10 News First: Midday. 1.00 Dr Phil. (PGa, R) 2.00 Jamie’s Ultimate Veg. (PG, R) 3.00 Ent. Tonight. 3.30 Judge Judy. (PG, R) 4.00 Farm To Fork. 4.30 Bold. (PGav) 5.00 News.
6.30
6.00 Mastermind Australia. (R)
10.20
10.50
9.25 Lighthouses: Building The Impossible. (PG, R)
SBS World News Late.
5.00 NHK World English News Morning.
11.30 The Project. (R) 12.30 The Late Show With Stephen Colbert. (PG) 1.30 Home Shopping. (R) 6am Morning Programs. 9.00 News. 10.00 AM Agenda. 11.00 NewsDay. Noon NewsDay. 1.00 Chris Kenny Tonight. 2.00 Afternoon Agenda. 3.00 Paul Murray Live. 4.00 Afternoon Agenda. 4.30 Business Now With Ross Greenwood. 5.00 Erin. 6.00 Peta Credlin. 7.00 The Rita Panahi Show. 8.00 The US Report. 9.00 The Media Show. 9.30 NewsNight. 10.00 NewsNight. 11.00 Late Programs. SKY NEWS (53) 6am WorldWatch. 9.30 Shortland St. 11.00 The Movie Show. Noon Party Of Five. 1.55 The UnXplained. 2.45 Counter Space. 3.15 WorldWatch. 5.15 Shortland St. 5.45 Joy Of Painting. 6.15 Forged In Fire. 7.05 Jeopardy! 7.35 8 Out Of 10 Cats Does Countdown. 8.30 Hoarders. 9.15 Booze, Bets And Sex That Built America. 10.55 News. 11.50 My Life Online. 12.20am Future Man. 2.00 Late Programs. 6am Morning Programs. Noon Emmerdale. 12.30 Coronation Street. 1.00 Escape To The Country. 2.00 Our Town. 2.30 Million Dollar Minute. 3.30 Medical Emergency. 4.00 Coastwatch Oz. 4.30 Better Homes. 5.30 Escape To The Country. 6.30 Bargain Hunt. 7.30 Border Security USA. 8.00 Border Patrol. 8.30 Escape To The Country. 10.30 Australia’s Big Backyards. 11.30 Late Programs. 6am Home Shopping. 8.00 Demolition Down Under. 9.00 Escape Fishing With ET. 9.30 The Love Boat. 10.30 Star Trek: The Next Generation. 11.30 JAG. 12.30pm NCIS. 1.30 NCIS: Los Angeles. 2.30 Scorpion. 3.30 The Love Boat. 4.30 Star Trek: The Next Generation. 5.30 JAG. 6.30 Scorpion. 7.30 Bull. 8.30 NCIS. 9.25 NCIS: Los Angeles. 10.20 Evil. 11.15 MacGyver. 12.15am Shopping. 2.15 Late Programs. 6am TV Shop. 7.00 Creflo Dollar Ministries. 7.30 TV Shop: Home Shopping. 10.30 Seaway. 11.30 My Favorite Martian. Noon The Young And The Restless. 1.00 The Baron. 2.00 Antiques Roadshow. 2.30 MOVIE: On The Fiddle. (1961) 4.30 Secrets Of The National Trust. 5.30 Murder, She Wrote. 6.30 Antiques Roadshow. 7.30 Queens Of Mystery. 8.30 MOVIE: Good Will Hunting. (1997) 11.05 Late Programs. BOLD (51) 9GEM (82) 7TWO (62) VICELAND (31) 6am Children’s Programs. 5.55pm Kangaroo Beach. 6.05 The Adventures Of Paddington. 6.20 Bluey. 6.30 Spicks And Specks. 7.30 Hard Quiz. 8.30 MOVIE: Trumbo. (2015, M) 10.30 Doctor Who. 11.20 Death In Paradise. 12.20am Killing Eve. 1.05 The Trip To Greece. 2.05 ABC News Update. 2.10 Close. 5.05 Curious George. 5.25 Miffy’s Adventures Big And Small. 5.35 Charlie And Lola. 5.50 Late Programs. ABC TV PLUS (22) 6am Children’s Programs. Noon Rich Kids Go Skint. 1.00 I’m Having Their Baby. 2.00 Full House. 2.30 3rd Rock. 3.30 That ’70s Show. 4.30 The Nanny. 5.00 Bewitched. 5.30 MOVIE: Over The Hedge. (2006) 7.10 MOVIE: Madagascar: Escape 2 Africa. (2008, PG) 9.00 MOVIE: Transformers: The Last Knight. (2017, M) Midnight Alphas. 1.00 In Ice Cold Blood. 2.00 Rich Kids Go Skint. 3.00 Late Programs. 6am Morning Programs. 10.00 Blokesworld. 10.30 American Pickers. 11.30 Pawn Stars. 1pm Demolition NZ. 1.30 Boy To Man. 2.30 Australia ReDiscovered. 3.00 Timbersports. 3.30 Towies. 3.45 Irish Pickers. 4.45 American Restoration. 5.15 American Pickers. 6.15 MOVIE: I Am Number Four. (2011, PG) 8.30 MOVIE: Deadpool. (2016, MA15+) 10.45 Late Programs. 6am Morning Programs. 2pm Shortland St. 2.30 The Cook Up. 3.00 Bushwhacked! 3.25 Red Dirt Riders. 3.40 Wolf Joe. 3.55 Tales Of The Moana. 4.00 Grace Beside Me. 4.30 Spartakus And The Sun Beneath The Sea. 5.00 Our Stories. 5.30 NITV News: Nula. 6.00 Bamay. 6.40 Arctic Secrets. 7.30 MOVIE: Selkie. (2000, PG) 9.05 Jarli. 9.15 Going Places With Ernie Dingo. 10.15 Homeland Story. 11.55 Late Programs. 9GO! (83) 6am God Willing. (2015, PG, Italian) 7.35 The Chaperone. (2018, PG) 9.35 The Movie Show. 10.05 The Woman In Black. (2012, M) 11.50 Night Train To Lisbon. (2013, M) 1.55pm Me And Orson Welles. (2008, PG) 4.00 Belle. (2013, PG) 5.55 Last Chance Harvey. (2008, PG) 7.35 Brad’s Status. (2017, M) 9.30 The Fifth Element. (1997, PG) 11.50 Seven Psychopaths. (2012, MA15+) 1.55am Late Programs. NITV (34) 7MATE (64) SBS MOVIES (32) ON THE Box NEWS OF THE AREA PORT STEPHENS media@newsofthearea.com.au 20 PORT STEPHENS NEWS OF THE AREA Thursday, 2 February 2023 Serving Port Stephens, Raymond Terrace and the Myall Region Serving Port Stephens, Raymond Terrace and the Myall Region NOTA Graphics Ref: LANCEBOOTS_MYALL_22102020_NENIA 49872101 www.lancebootsfunerals.com.au

SATURDAY, February 4

6.00 Rage. (PG) 7.00 Weekend Breakfast.

9.00 Rage. (PG) 10.30 Rage Goes Retro.

(PG) 12.00 News. 12.30 The Larkins. (PG, R)

2.05 Midsomer Murders. (PG, R) 3.35 Joanna Lumley’s Unseen Adventures. (PGl, R)

4.30 The Human Revolution. (PG, R)

5.25 Further Back In Time For Dinner. (PG, R)

6.25 Better Date Than Never. (PG, R) Olivia’s first ever date ends with a question mark.

7.00 ABC News.

7.30 Call The Midwife. (Ma) Trixie is assigned to a complicated case.

8.30 Midsomer Murders. (Mv, R) After the body of an unknown man is found in a theatre, DCI Barnaby and DS Winter investigate.

10.05 Unforgotten. (Mal, R) Two of the suspects are interviewed again.

10.50 Miniseries: Come Home. (Malsv, R) Part 1 of 3.

11.50 Rage Goes Retro. (MA15+adlhnsv)

5.00 Rage. (PG)

6.00 WorldWatch. 9.05 Blue Water Safari.

(PG) 10.00 Love Your Garden. (R) 11.00 Going Places. (PG, R) 12.00 WorldWatch. 1.00 Surf Life Saving. IronMan and IronWoman Series. Round 5. 3.00 Figure Skating. European C’ships. H’lights. 4.30 Destination Flavour China Bitesize. (R) 4.40 Secret Scotland. (R)

5.30 WWII Battles For Europe. (PGaw, R)

6.30 SBS World News.

7.35 Chris Tarrant’s Extreme Railway Journeys: The Lunatic Express. (PGa, R) Chris Tarrant travels across Kenya.

8.30 Portillo In The Pyrenees: A Quest Of Identity. (PG) Part 1 of 4.

9.30 Britain By Beach. (PG, R) Part 4 of 4.

10.25 Great Escapes With Morgan Freeman. (Ma, R)

11.15 Atlanta. (Ml, R)

4.35 Bamay. (R)

5.00 NHK World English News Morning.

5.15 France 24 Feature.

5.30 ANC Philippines The World Tonight.

SUNDAY, February 5

6.00 Morning Programs. 11.00 Compass. (PG, R) 11.30 Praise. (R) 12.00 News. 12.30

Landline: Summer Series. (Final, R) 12.55

Movin’ To The Country. (Final, R) 1.25 Monty Don’s Adriatic Gardens. (R) 2.25 Call The Midwife. (Ma, R) 3.25 Victoria. (PG, R) 4.15

Grand Designs: House Of The Year. (R) 5.00 Australia’s Wild Odyssey. (R)

6.00 Antiques Roadshow. (PG)

7.00 ABC News.

7.30 Joanna Lumley’s Unseen Adventures. (PG, R) Part 3 of 3.

8.20 Vera. (PGa, R) DCI Vera Stanhope investigates when the body of a popular local GP is found in the back of a burnt-out car.

9.50 Wreck. (Final, MA15+v, R) Jamie needs to rally his new friends.

10.40 Operation Buffalo. (Malv, R)

11.35 Making Child Prodigies. (R)

1.05 Les Misérables. (Mav, R)

2.05 Victoria. (PG, R)

2.55 Rage. (MA15+adhlnsv)

4.00 Classic Countdown. (Final, PG, R)

5.00 Insiders. (R)

6.00 WorldWatch. 9.10 Blue Water Safari. (PG) 10.05 Love Your Garden. (PGa, R) 11.00 Going Places. (R) 12.00 WorldWatch. 1.00

Surf Life Saving. IronMan and IronWoman Series. Round 6. 3.00 Figure Skating. European C’ships. H’lights. 4.40 Secrets Of The Tower Of London. (PGa, R) 5.30 WWII Battles For Europe. (PGaw, R)

6.30 SBS World News.

7.30 Mysteries From The Grave: Titanic. (PG, R) A look at the sinking of the Titanic

9.00 Stonehenge: The New Revelations. (PG, R) Takes a look at Stonehenge.

10.35 Scotland: In Search Of Sir Walter Scott. (PG, R)

11.35 24 Hours In Emergency. (Ma, R)

1.30 Murder Case. (MA15+l, R)

4.50 Destination Flavour: Japan Bitesize. (R)

5.00 NHK World English News Morning.

5.15 France 24 Feature.

5.30 Al Jazeera News.

6.00 Home Shopping.

7.00 Weekend Sunrise.

10.00 The Morning Show. (PG)

12.00 Horse Racing. Eskimo Prince Stakes Day and Lamaro’s Hotel Race Day.

5.00 Seven News At 5.

5.30 Border Security: Australia’s Front Line. (PG, R)

6.00 Seven News.

7.00 Big Bash League Grand Final Pre-Game. Pre-game coverage of the Grand Final.

7.30 Cricket. Big Bash League. Grand Final. From Optus Stadium, Perth.

11.30 MOVIE: Grown Ups 2. (2013, PGlnsv, R) After moving back to his Connecticut home town of Stanton with his family, a man and his friends learn some surprising lessons from their own kids as they struggle to deal with everyday life. Adam Sandler, Kevin James, Chris Rock.

2.00 Home Shopping. (R)

6.00 Drive TV. (R) 6.30 ACA. (R) 7.00

Weekend Today. 10.00 Today Extra: Saturday. (PG) 12.00

6.00 Nine News Saturday.

7.00 A Current Affair.

7.30 Space Invaders. (Return, PGa) Experts help people declutter their lives.

8.30 MOVIE: Shooter. (2007, MA15+lv, R)

A sniper tries to prove his innocence after he is framed by rogue elements within the government. Mark Wahlberg, Michael Peña.

11.00 MOVIE: Stronger. (2017, MA15+l)

1.10 Mega Zoo. (PG, R)

2.00 The Incredible Journey Presents. (PGa)

2.30 TV Shop: Home Shopping. (R)

4.30 Global Shop. (R) 5.00 TV Shop: Home Shopping. (R) 5.30 Helping Hands. (PG)

6.00 Bondi Rescue. (PGal, R) Three new lifeguards join the team.

6.30 Jamie Oliver: Together. Jamie Oliver prepares dishes for a picnic.

7.30 NCIS: Los Angeles. (Mv) Rear Admiral Ted Gordon is abducted.

8.30 FBI: International. (Mav) Raines gets the chance to prove his field skills when a Bulgarian concert hall filled with multinational student performers and their families is held hostage by a group of Albanian terrorists.

10.30 NCIS. (Mv, R) Gibbs and Fornell’s crusade comes to a climax.

12.30 Home Shopping. (R)

5.00 Hour Of Power.

6.00 Home Shopping.

7.00 Weekend Sunrise.

10.00 The Morning Show: Weekend. (PG) Highlights from the past week.

12.00 Motor Racing. Bathurst 12 Hour.

5.00 Seven News At 5.

5.30 Sydney Weekender. Chris gets aboard a Carnival Cruise.

6.00 Seven News.

7.00 Australian Idol. (PGl) Hosted by Ricki-Lee and Scott Tweedie.

8.45 Maternal. (Premiere, Mals) Three women face the challenge of balancing motherhood with being doctors in the NHS.

9.45 What The Killer Did Next: Megan Newton. (Return, Mav) Hosted by Philip Glenister.

10.45 Born To Kill? Paul Bernardo And Karla Homolka – The Schoolgirl Killers. (MA15+)

11.45 Autopsy USA. (Mad, R)

1.00 Home Shopping.

5.00 Seven Early News.

5.30 Sunrise.

6.00 NBN News.

7.00 Married At First Sight. (PGls)

8.40 60 Minutes. Current affairs program.

9.40 Nine News Late. A look at the latest news and events.

10.10 The First 48: Officer Down. (Mal)

11.05 Manhunt: The Wests. (MA15+av, R)

12.00 Law & Order: Organized Crime. (Mav, R)

12.50 Explore TV. (R)

He Said/She Said. (PG)

6.30 The Sunday Project. Panellists dissect, digest and reconstitute the daily news, events and hottest topics.

7.30 Australian Survivor. Presented by Jonathan LaPaglia.

9.00 NCIS: Hawai’i. (Mv, R) After a Japanese sailor is murdered on American soil, the NCIS team must find the killer.

10.00 FBI. (Mv, R) After a woman is kidnapped, the team looks into trysts on both sides of her seemingly perfect marriage.

11.00 The Sunday Project. (R) A look at the day’s news.

12.00 Home Shopping. (R)

4.30 CBS Mornings.

ABC TV (2) ABC TV (2) SBS (3) SBS (3) SEVEN (6) SEVEN (6) TEN (5) TEN (5) NBN (8) NBN (8)
Living On The Coast. 12.30 Mega Zoo. (PG, R) 1.30 Mr Mayor. (PGa, R) 2.00 MOVIE: Wedding Daze. (2006, PGals, R) 4.00 Ed Sheeran: Full Circle. (PGl, R) 5.00 News. 5.30 Country House Hunters Australia. (R) 6.00 Drive TV. (R) 6.30 ACA. (R) 7.00 Weekend Today. 10.00 The Coolangatta Gold 2022. (R) 11.00 For The Love Of Pets. (PGm, R) 12.00 Great Barrier Reef: A Living Treasure. (PG, R) 1.00 MOVIE: Rocky. (1976, PGlv, R) 3.30 Bondi Vet. (PGm, R) 4.30 Explore TV. 5.00 News: First At Five. 5.30 Territory Cops. (PGal, R) 6.00 Morning Programs. 8.30 What’s Up Down Under. (PG, R) 9.00 Everyday Gourmet. (R) 9.30 GCBC. (R) 10.00 St10. (PG) 12.00 4x4 Adventures. (R) 1.00 Offroad Adv. (PG, R) 2.00 All 4 Adventure. (PGl, R) 3.00 What’s Up Down Under. 3.30 Cook With Luke. (R) 4.00 Farm To Fork. (R) 4.30 Taste Of Aust. (R) 5.00 News. 6.00 Morning Programs. 7.30 Joel Osteen. 8.00 Luca’s Key Ingredient. (R) 8.30 Freshly Picked. (R) 9.00 GCBC. (R) 9.30 Destination Dessert. (R) 10.00 St10. (PG) 12.00 Australian Survivor. (R) 1.45 My Market Kitchen. (R) 2.00 Waltzing Jimeoin. (PGal, R) 2.30 Exploring Off The Grid. (PGl) 3.00 4x4 Adventures. 4.00 All 4 Adventure. (PGl) 5.00 News.
5.00
5.30 Today.
1.20
1.30 TV Shop: Home Shopping. (R) 4.00 Believer’s Voice Of Victory. (PGa) 4.30 Take Two. (R)
News Early Edition.
CONSUMER ADVICE (P) Pre-school (C) Children (PG) Parental Guidance Recommended (M) Mature Audiences (MA15+) Mature Audiences Only (AV15+) Extreme Adult Violence (R) Repeat 6am News. 6.30 News. 7.00 Gameday Live. 8.00 Gameday Live. 9.00 News. 10.00 News. 11.00 Weekend Live. Noon News. 1.00 News. 1.30 News. 2.00 News. 2.30 News. 3.00 News. 3.30 News. 4.00 News. 5.00 News. 6.00 Fox Sports News. 7.00 The US Report. 8.00 The Media Show. 8.30 NewsNight. 9.00 Fox Sports News. 10.00 Full Time Live. 11.00 Late Programs. 6am News. 6.30 News. 7.00 Gameday Live. 8.00 Sunday Agenda. 9.00 Outsiders. 10.00 Outsiders. 11.00 Business Weekend With Ross Greenwood. Noon News. 1.00 News. 1.30 News. 2.00 News. 2.30 News. 3.00 News. 3.30 News. 4.00 News. 5.00 News. 6.00 Outsiders. 7.00 Sunday With Stoker. 8.00 Bernardi. 9.00 Paul Murray Live. 10.00 Royal Report. 10.30 NewsNight. 11.00 Late Programs. SKY NEWS (53) SKY NEWS (53) 6am WorldWatch. 9.30 Shortland St. 11.00 The Movie Show. Noon Dave Gorman: Modern Life Is Goodish. 2.45 WorldWatch. 4.35 Mastermind Aust. 5.35 Dynamo: Magician Impossible. 6.30 Adam Eats The 80s. 7.30 Impossible Engineering. 8.30 The Last Overland: Singapore To London. 9.25 The Story Of. 10.15 Preserving Taste. (Premiere) 10.45 High Society. 11.40 Late Programs. 6am WorldWatch. 9.30 Shortland St. 11.00 The Movie Show. Noon In My Own World. 1.50 VICE. 2.25 Gymnastics. FIG Artistic World Challenge Cup series. H’lights. 3.55 WorldWatch. 4.25 Insight. 5.25 Adam Ruins Everything. 6.40 Cars That Built The World. 7.35 Abandoned Engineering. 8.30 Lost Gold Of World War II. 9.20 Tales From The Territories. 10.10 The Kings. 11.15 Das Boot. 12.20am Late Programs. 6am Morning Programs. 11.30 The Great Australian Doorstep. Noon Better Homes. 1.00 Australia’s Big Backyards. 2.00 Escape To The Country. 5.00 Horse Racing. Eskimo Prince Stakes Day and Lamaro’s Hotel Race Day. 5.30 Border Security USA. 6.00 Border Patrol. 6.30 The Yorkshire Vet. 8.30 Escape To The Country. 9.30 Escape To The Perfect Town. 10.30 Penelope Keith’s Hidden Villages. 11.30 Late Programs. 6am Morning Programs. 1pm The Yorkshire Vet. 2.00 South Aussie With Cosi. 2.30 The Great Australian Doorstep. 3.00 My Road To Adventure. 3.30 Our Town. 4.00 Penelope Keith’s Hidden Villages. 5.00 Escape To The Perfect Town. 6.00 Air Crash Investigation: Special Report. 7.00 Border Security. 8.30 Heathrow. 9.30 Chris Tarrant’s Extreme Railway Journeys. 10.30 Air Crash Investigation. 11.30 Late Programs. 6am Morning Programs. 10.00 The Love Boat. 11.00 All 4 Adventure. Noon What’s Up Down Under. 12.30 Exploring Off The Grid. 1.00 4x4 Adventures. 2.00 A-League All Access. 2.30 Waltzing Jimeoin. 3.00 JAG. 4.00 Scorpion. 5.00 Escape Fishing. 5.30 Reel Action. 6.00 JAG. 7.00 Soccer. A-League Men. Matchweek 15. Adelaide United v Brisbane Roar. 10.15 MacGyver. 11.10 Late Programs. 6am Shopping. 7.30 Key Of David. 8.00 All 4 Adventure. 9.00 4x4 Adventures. 10.00 Reel Action. 11.00 Healthy Homes Aust. 11.30 Roads Less Travelled. Noon JAG. 1.00 Demolition Down Under. 2.00 What’s Up Down Under. 2.30 Soccer. A-League Men. Matchweek 15. Western Sydney Wanderers v Western United. 5.30 JAG. 7.30 NCIS. 10.20 MOVIE: The Expendables 2. (2012, MA15+) 12.20am Late Programs. 6am Morning Programs. 7.30 TV Shop. 8.00 Beyond Today. 8.30 TV Shop. 10.00 My Favorite Martian. 10.30 MOVIE: Turned Out Nice Again. (1941) 12.10pm MOVIE: The Railway Children. (1970) 2.25 MOVIE: Shalako. (1968, PG) 4.45 MOVIE: Red River. (1948) 7.30 MOVIE: The Magnificent Seven. (1960, PG) 10.10 MOVIE: The Magnificent Seven Ride! (1972, M) 12.05am Late Programs. 6am Morning Programs. 7.30 In Touch. 8.00 Beyond Today. 8.30 The Incredible Journey. 9.00 TV Shop. 10.00 Helping Hands. 10.30 MOVIE: A Run For Your Money. (1949) 12.15pm MOVIE: Rich And Strange. (1931, PG) 2.00 MOVIE: Cairo Road. (1950, PG) 4.00 MOVIE: The Horse Soldiers. (1959) 6.30 Bondi Vet. 7.30 David Attenborough’s Life In Colour. 8.30 MOVIE: Dirty Harry. (1971, MA15+) 10.40 Late Programs. BOLD (51) BOLD (51) 9GEM (82) 9GEM (82) 7TWO (62) 7TWO (62) VICELAND (31) VICELAND (31) 6am Children’s Programs. 6.30pm Spicks And Specks. 7.30 Whose Line Is It Anyway? 8.15 Live At The Apollo. 9.00 Russell Howard Stands Up To The World. 9.45 The Set. 10.20 Doctor Who. 11.05 Would I Lie To You? 11.40 Bliss. 12.05am Wreck. (Final) 12.55 Fleabag. 1.20 QI. 1.50 Louis Theroux: Altered States. 2.55 ABC News Update. 3.00 Close. 5.05 Curious George. 5.25 Late Programs. 6am Children’s Programs. 6.30pm Spicks And Specks. 7.30 You Can’t Ask That. 8.30 Louis Theroux: Behind Bars. 9.30 Louis Theroux: Louis And The Brothel. 10.30 David Attenborough’s Great Barrier Reef. 11.30 Long Lost Family. 12.15am George Clarke’s Amazing Spaces Northern Lights Adventure. 1.05 Close. 5.05 Tik Tak. 5.10 Clangers. 5.20 Buddi. 5.25 Miffy’s Adventures Big And Small. 5.35 Late Programs. ABC TV PLUS (22) ABC TV PLUS (22) 6am Children’s Programs. 1.30pm Surfing Australia TV. 2.00 Motor Racing. Formula E World C’ship. Diriyah e-Prix. 3.00 Motor Racing. Formula E World C’ship. Diriyah e-Prix. 4.00 Everybody Loves Raymond: The First Six Years. 5.00 About A Boy. 5.30 MOVIE: A Cinderella Story. (2004, PG) 7.30 MOVIE: Stick It. (2006, PG) 9.35 MOVIE: The DUFF. (2015, M) 11.35 Paranormal Caught On Camera. 12.35am Late Programs. 6am Children’s Programs. 1.30pm 3rd Rock. 2.00 Filthy House SOS. 3.00 Full Bloom. 4.00 Dance Moms. 5.00 About A Boy. 5.30 MOVIE: Grumpier Old Men. (1995, PG) 7.30 MOVIE: Oblivion. (2013, M) 10.00 MOVIE: Life. (2017, MA15+) Midnight Filthy House SOS. 1.00 Full Bloom. 2.00 Dance Moms. 3.00 Power Rangers Dino Super. 3.30 Beyblade Burst Surge. 4.00 Yu-GiOh! Sevens. 4.30 Ricky Zoom. 4.50 Late Programs. 6am Morning Programs. 11.30 Boating. Australian V8 Superboats Championship. 2022 Mid-Season Review. Replay. 12.30pm Motor Racing. Bathurst 12 Hour. Qualifying and support races. 3.00 Motor Racing. Bathurst 12 Hour. Top 10 Shootout. 5.00 Last Stop Garage. 5.30 Pawn Stars. 6.30 Building Giants. 7.30 MOVIE: S.W.A.T. (2003, M) 9.55 MOVIE: Face/ Off. (1997, MA15+) 12.50am Late Programs. 6am Motor Racing. Bathurst 12 Hour. Noon My Fishing Place. 12.30 Al McGlashan’s Fish’n With Mates. 1.00 Hook, Line And Sinker. 2.00 On The Fly. 2.30 Step Outside With Paul Burt. 3.00 Mark Berg’s Fishing Addiction. 4.00 Irish Pickers. 5.00 Motor Racing. Bathurst 12 Hour. 6.00 MOVIE: The Amazing Spider-Man. (2012, PG) 8.45 MOVIE: Pacific Rim. (2013, M) 11.25 Late Programs. 6am Morning Programs. 11.35 Jarli. 11.45 Going Places. 12.45pm Arctic Secrets. 1.35 Ngumpin Kartiya. 1.55 From The Heart Of Our Nation: A Celebration. 4.50 Intune 08. 5.50 Going Native. 6.20 Kriol Kitchen. 6.50 News. 7.00 Family Rules. 7.30 Boteti: The Returning River. 8.30 MOVIE: Pluto Nash. (2002, M) 10.10 TikTok And NITV Present: First Sounds. Midnight Late Programs. 6am Morning Programs. 2.25pm The South Sydney Story. 2.55 Nyoongar Footy Magic. 3.00 Football. NTFL. Women’s. Under18s. Replay. 4.15 Football. First Nations Indigenous Football Cup. Men’s Second Semi-Final. SA All-Stars v Bunji Magic. Replay. 5.45 Songlines On Screen. 6.00 Spirit Talker. 6.30 News. 6.40 Wild New Zealand. 7.40 Idris Elba’s Fight School. 8.40 Buddy Guy: The Blues Chase The Blues Away. 10.10 Late Programs. 9GO! (83) 9GO! (83) 6am The Fifth Element. (1997, PG) 8.20 Last Chance Harvey. (2008, PG) 10.00 Lootera. (2013, M, Hindi) 12.30pm The Winter Guest. (1997, M) 2.30 The Chaperone. (2018, PG) 4.30 Sissi: The Young Empress. (1956, PG, German) 6.30 Creation. (2009, PG) 8.30 Devil’s Knot. (2013) 10.35 Concussion. (2013, MA15+) 12.25am The Public. (2018, M) 2.35 Late Programs. 6am Last Chance Harvey. Continued. (2008, PG) 6.40 Creation. (2009, PG) 8.40 Belle. (2013, PG) 10.35 Brad’s Status. (2017, M) 12.30pm The Public. (2018, M) 2.40 The Movie Show. 3.10 The Fifth Element. (1997, PG) 5.30 The Life And Death Of Colonel Blimp. (1943, PG) 8.30 The Eagle Has Landed. (1976, M) 11.00 The 15:17 To Paris. (2018, M) 12.40am Late Programs. NITV (34) NITV (34) 7MATE (64) 7MATE (64) SBS MOVIES (32) SBS MOVIES (32) ON THE Box NEWS OF THE AREA PORT STEPHENS www.newsofthearea.com.au PORT STEPHENS NEWS OF THE AREA 21 Thursday, 2 February 2023 Tracey BENNETT 0484 263 558 tracey@newsofthearea.com.au Contact Us Today for Inclusion into this Paper BUSINESS ADVERTISING News Of The Area would love to hear your OPINION and VIEWS on issues and topics affecting our area. Keep Letters to the Editor under 250 words for its best chance of publication. Please be aware that there is no guarantee or certainty of publication from your submission to us. Publication will be determined by the editor around available space, relevance and appropriateness. Email to media@newsofthearea.com.au Your Paper, Your Voice

MONDAY, February 6

6.00 News. 9.00 News. 10.00 Muster Dogs.

(R) 11.00 Antiques Roadshow. (PG, R) 12.00 News. 1.00 Silver Spitfire: The Longest Flight. (PG, R) 2.00 Parliament.

3.00 Vera. (PGa, R)

4.40 Long Lost Family: What Happened Next. (PG, R)

5.30 Hard Quiz. (PG, R)

6.00 WorldWatch. 9.15 Great British Photography Challenge. (PG) 10.20 Boswell And Johnson’s Scottish Road Trip. 11.10 Great Canal Journeys. (PGs, R) 12.05 WorldWatch.

2.10 Secrets Of The Royal Palaces. (PGa, R) 3.00

Portillo’s Greatest Railway Journeys. (R) 3.55 Who Do You Think You Are? UK. (PGa, R) 5.05

Jeopardy! (R) 5.30 Letters And Numbers. (R)

Bussell’s Royal Roadtrip.

Heritage Rescue: Stowe House. Nick Knowles heads to Stowe House.

Secrets Of Playboy: Predators’ Ball. (MA15+) A look at the Playboy Mansion parties.

11.40 Mr Mercedes. (MA15+av, R)

TUESDAY, February 7

6.00 News. 9.00 News. 10.00 One Plus One.

(R) 10.30 Everyone’s A Critic. (PG, R) 11.10 Aussie Inventions That Changed The World. (PG, R) 12.00 News. 1.00 Father Brown. (Ma, R) 2.00 Parliament. 3.00 Gardening Aust. (R) 4.10 Long Lost Family: What Happened Next. (PG, R) 5.00 Aust Story. (R) 5.30 Hard Quiz. (PG, R)

6.00 WorldWatch. 9.15 World’s Most Secret Homes. (Premiere) 10.10 Boswell & Johnson’s Scottish Road Trip. 11.05 Great Canal Journeys. (R) 12.00 WorldWatch. 2.10 The Queen’s Jewels Heirlooms & Legacy. (PGa, R) 3.05 Portillo’s Greatest Railway Journeys. (PGas, R) 4.00

(PGa, R) 5.30 Letters & Numbers. (R)

1.40 Cacciatore: The Hunter. (MA15+v, R)

3.50 Mastermind Australia. (R)

4.50 Destination Flavour: Japan Bitesize. (R)

5.00 NHK World English News Morning.

5.30 ANC Philippines The World Tonight.

6.00 Sunrise. 9.00 The Morning Show. (PG) 11.30 News. 12.00 To Be Advised.

6.00 7News Local.

6.30 7News @ 6:30.

7.00 Home And Away. (PG)

7.30 Australian Idol. (PG) Hosted by Ricki-Lee and Scott Tweedie.

9.15 Starstruck. (Premiere, PG)

Ordinary members of the public team up in trios to transform into some of the world’s biggest music icons.

10.30 Australia: Now And Then. (Mal, R) Part 1 of 4.

11.30 Busted In Bangkok. (Madv, R) Follows Thailand’s tourist police.

12.30 Home Shopping. (R)

5.00 Seven Early News.

5.30 Sunrise. 6.00

6.30 7News @ 6:30.

7.00 Home And Away. (PGa)

7.30 Australian Idol. (PG) Hosted by Ricki-Lee and Scott Tweedie.

9.15 Quantum Leap. (PGalv) Ben leaps to flashy ’70s Las Vegas and into the body of promising young boxer Danny Hill on the eve of a big title fight. In order to succeed, Ben and Addison must help the man win the fight or lose everything.

11.15 Inside Belmarsh Prison. (MA15+v, R) Part 1 of 2. 12.30

6.30 The Project. A look at the day’s news and events.

7.30 Australian Survivor. Tribes must work quickly and efficiently when facing a mega showdown at the all-important Immunity Challenge.

9.00 FBI: Most Wanted. (Mv) The abductor of a detective is connected to a mass shooter case known as The Summer Camp Massacre.

11.00 The Project. (R) A look at the day’s news and events.

12.00 The Late Show With Stephen Colbert. (PG)

1.00 Home Shopping. (R)

4.30 CBS Mornings.

6.30 The Project.

7.30 Australian Survivor. The Heroes and Villains are presented with a major prize of lasagne and photos from home up for grabs.

9.00 NCIS. (Mv, R) The NCIS team investigates the murder of a navy officer who was killed while driving home a recently released inmate and discovers a link to gang activity. Gibbs helps Palmer deal with a personal trauma.

11.00 The Project. (R) A look at the day’s news and events.

12.00 The Late Show With Stephen Colbert. (PG)

1.00 Home Shopping. (R)

4.30 CBS Mornings.

ABC TV (2) ABC TV (2) SBS (3) SBS (3) SEVEN (6) SEVEN (6) TEN (5) TEN (5) NBN (8) NBN (8)
Jeopardy!
Who Do You Think You Are? UK. (PGa, R) 5.05
1.45 Motorbike Cops. (PGl, R) 2.00 Border Security: America’s Front Line. (PG, R) 2.30 Border Security: Int. (PG, R) 3.00 The Chase. 4.00 Seven News At 4. 5.00 The Chase Australia. 6.00 Sunrise. 9.00 The Morning Show. (PG) 11.30 News. 12.00 To Be Advised. 1.45 Motorbike Cops. (PG, R) 2.00 Border Security: International. (PG, R) 3.00 The Chase. 4.00 Seven News At 4. 5.00 The Chase Australia. 6.00 Today. 9.00 Today Extra. (PG) 11.30 Morning News. 12.00 The 65th Annual Grammy Awards. (PG) 3.30 Tipping Point. (PG) 4.00 Afternoon News. 5.00 Millionaire Hot Seat. 6.00 Today. 9.00 Today Extra. (PG) 11.30 Morning News. 12.00 Married At First Sight. (Mls, R) 1.30 Country House Hunters Australia. (R) 2.00 Pointless. (PG, R) 3.00 Tipping Point. (PG) 4.00 Afternoon News. 5.00 Millionaire Hot Seat. 6.00 The Talk. (PGa) 7.00 Farm To Fork. (PG, R) 7.30 GCBC. (R) 8.00 Everyday Gourmet. (R) 8.30 Ent. Tonight. (R) 9.00 Judge Judy. (PG, R) 9.30 Bold. (PGav, R) 10.00 Studio 10. (PG) 12.00 10 News First: Midday. 1.00 Dr Phil. (PGa) 2.00 Australian Survivor. (R) 3.30 Judge Judy. (PG, R) 4.00 Farm To Fork. 4.30 Bold. (PGav) 5.00 News. 6.00 The Talk. (PGa) 7.00 Farm To Fork. (PG, R) 7.30 GCBC. (R) 8.00 Everyday Gourmet. (R) 8.30 Ent. Tonight. 9.00 Judge Judy. (PG, R) 9.30 Bold. (PGav, R) 10.00 Studio 10. (PG) 12.00 10 News First: Midday. 1.00 Dr Phil. (PGa) 2.00 Australian Survivor. (R) 3.30 Judge Judy. (PG, R) 4.00 Farm To Fork. 4.30 Bold. (PGav) 5.00 News. 6.00 The Drum. 7.00 ABC News. 7.30 7.30. 8.00 Back Roads. (PG) 8.30 Four Corners. 9.15 Media Watch. (PG) 9.35 Q+A. 10.35 ABC Late News. 10.50 The Business. (R) 11.05 Midsomer Murders. (Mv, R) 12.40 Parliament Question Time. 1.40 Father Brown. (Mv, R) 2.25 The Trouble With Maggie Cole. (PG, R) 3.10 Rage. (MA15+adhlnsv) 4.00 One Plus One. (R) 4.30 The Drum. (R) 5.30 7.30. (R) 6.00 The Drum. 7.00 ABC News. 7.30 7.30. 8.00 Better Date Than Never. (PG) 8.35 Australia’s Wild Odyssey. 9.30 Lucy Worsley: Agatha Christie Mystery Queen. (PG, R) 10.30 Shaun Micallef’s On The Sauce. (Mal, R) 11.30 ABC Late News. 11.45 The Business. (R) 12.00 Four Corners. (R) 12.50 Media Watch. (PG, R) 1.05 Parliament. 2.05 Van Der Valk. (Mav, R) 3.35 Rage. (MA15+adhlnsv) 4.00 One Plus One. (R) 4.30 The Drum. (R) 5.30 7.30. (R) 6.00 Mastermind Australia. (R) 6.30 SBS World News. 7.35
8.30
Darcey
9.25
10.15 SBS World News Late. 10.45 Partisan. (Mv)
6.00 Mastermind Australia. (R) 6.30 SBS World News. 7.35 Who Do You Think You Are? US. 8.30 U.S. And The Holocaust. (M) 10.50 SBS World News Late.
Antidisturbios.
4.45 Bamay. (R) 5.00 NHK World English News Morning. 5.30 ANC Philippines The World Tonight.
11.20
(Premiere, Malv) 12.15 Unit One. (MA15+a, R)
7News Local.
Seven Early News. 5.30 Sunrise. 6.00 NBN News. 7.00 A Current Affair. 7.30 Married At First Sight. (Mls) 9.00 Big Miracles. (Premiere, Mam) 10.00 Nine News Late. 10.30 New Amsterdam. (Return, Mam) 11.20 The Equalizer. (Mv, R) 12.10 Almost Family. (Mas) 1.00 Hello SA. (PG) 1.30 TV Shop: Home Shopping. (R) 2.30 Global Shop. (R) 3.00 TV Shop: Home Shopping. (R) 4.00 Believer’s Voice Of Victory. (PGa) 4.30 A Current Affair. (R) 5.00 News Early Edition. 5.30 Today. 6.00 NBN News. 7.00 A Current Affair. 7.30 Married At First Sight. (Mls) The social experiment continues. 9.05 The Hundred With Andy Lee. (Return, Mas) Comedy panel show. 10.05 Nine News Late. 10.35 To Be Advised. 11.30 La Brea. (Mv, R) 12.15 Tipping Point. (PG, R) 1.10 It’s All Greek To Me. 1.30 TV Shop: Home Shopping. (R) 4.00 Believer’s Voice Of Victory. (PGa) 4.30 A Current Affair. (R) 5.00 News Early Edition. 5.30 Today.
Home Shopping. (R) 5.00
CONSUMER ADVICE (P) Pre-school (C) Children (PG) Parental Guidance Recommended (M) Mature Audiences (MA15+) Mature Audiences Only (AV15+) Extreme Adult Violence (R) Repeat 6am Morning Programs. 10.00 AM Agenda. 11.00 NewsDay. Noon NewsDay. 1.00 Outsiders. 2.00 Parliament Live. 3.15 Afternoon Agenda. 4.00 Afternoon Agenda. 4.30 Business Now With Ross Greenwood. 5.00 Inside The News. 6.00 Peta Credlin. 7.00 Bolt Report. 8.00 Chris Kenny Tonight. 9.00 Paul Murray Live. 10.00 The Late Debate. 10.30 The Front Page. 11.00 Late Programs. 6am Morning Programs. 10.00 AM Agenda. 11.00 NewsDay. Noon NewsDay. 1.00 Peta Credlin. 2.00 Parliament Live. 3.15 Afternoon Agenda. 4.00 Afternoon Agenda. 4.30 Business Now With Ross Greenwood. 5.00 Inside The News. 6.00 Peta Credlin. 7.00 Bolt Report. 8.00 Chris Kenny Tonight. 9.00 Paul Murray Live. 10.00 The Late Debate. 10.30 The Front Page. 11.00 Late Programs. SKY NEWS (53) SKY NEWS (53) 6am WorldWatch. 6.50 The 77 Percent. 7.20 WorldWatch. 9.30 Shortland St. 11.00 The Movie Show. Noon Outback Rabbis: Untold Australia. 1.00 The Employables. 2.05 Devoured. 2.55 Counter Space. 3.55 WorldWatch. 5.15 Takeshi’s Castle. 5.45 Joy Of Painting. 6.15 Forged In Fire. 7.05 Jeopardy! 7.35 8 Out Of 10 Cats. 8.30 Taskmaster. 10.20 Late Programs. 6am WorldWatch. 9.30 Shortland St. 11.00 The Movie Show. Noon Rise Up. 12.55 Fanatics: The Deep End. 1.25 Planet A. 1.55 Chasing Famous. 2.50 Counter Space. 3.20 WorldWatch. 5.15 Takeshi’s Castle. 5.45 Joy Of Painting. 6.15 Forged In Fire. 7.05 Jeopardy! 7.35 8 Out Of 10 Cats. 8.30 Trip Hazard: My Great British Adventure. 9.25 Forbidden History. 10.20 Late Programs. 6am Morning Programs. 8.30 Million Dollar Minute. 9.30 NBC Today. 10.30 Better Homes And Gardens Summer. Noon Emmerdale. 12.30 Coronation Street. 1.00 Air Crash Investigation. 2.00 Weekender. 2.30 Million Dollar Minute. 3.30 Medical Emergency. 4.00 Coastwatch Oz. 4.30 Better Homes. 5.30 Escape To The Country. 6.30 Bargain Hunt. 7.30 Doc Martin. 8.30 Inspector Morse. 10.50 Late Programs. 6am Morning Programs. 8.30 Million Dollar Minute. 9.30 NBC Today. Noon Emmerdale. 1.00 Coronation Street. 1.30 Coastwatch Oz. 2.00 Creek To Coast. 2.30 Million Dollar Minute. 3.30 Medical Emergency. 4.00 Coastwatch Oz. 4.30 Better Homes. 5.30 Escape To The Country. 6.30 Bargain Hunt. 7.30 Call The Midwife. 8.45 The Inspector Lynley Mysteries. 10.45 Late Programs. 6am Home Shopping. 8.00 Snap Happy. 8.30 Destination Dessert. 9.00 iFish. 9.30 Camper Deals. 10.00 Places We Go. 10.30 JAG. 12.30pm NCIS. 1.30 NCIS: Los Angeles. 2.30 MacGyver. 3.30 The Love Boat. 4.30 Star Trek: The Next Generation. 5.30 JAG. 6.30 Scorpion. 7.30 Bull. 8.30 NCIS. 10.20 In The Dark. 11.15 SEAL Team. 12.15am Home Shopping. 2.15 MacGyver. 3.10 ST: Next Gen. 4.05 JAG. 5.00 Scorpion. 6am Home Shopping. 8.00 Snap Happy. 8.30 Destination Dessert. 9.00 iFish. 9.30 The Love Boat. 10.30 Star Trek: The Next Generation. 11.30 JAG. 12.30pm NCIS. 1.30 NCIS: Los Angeles. 2.30 Scorpion. 3.30 The Love Boat. 4.30 Star Trek: The Next Generation. 5.30 JAG. 6.30 Scorpion. 7.30 Bull. 8.30 My Life Is Murder. 9.25 Bull. 10.20 NCIS: New Orleans. 11.15 48 Hours. 12.15am Shopping. 2.15 Late Programs. 6am Morning Programs. 9.30 Newstyle Direct. 10.00 Danoz. 10.30 Seaway. 11.30 My Favorite Martian. Noon The Young And The Restless. 1.00 The Baron. 2.00 Antiques Roadshow. 2.30 MOVIE: Alive And Kicking. (1958) 4.30 Secrets Of The National Trust. 5.30 Murder, She Wrote. 6.30 Antiques Roadshow. 7.30 Death In Paradise. 8.40 Agatha Christie’s Partners In Crime. 9.55 Coroner. 10.55 Late Programs. 6am Morning Programs. 7.30 TV Shop. 9.30 Newstyle Direct. 10.00 TV Shop. 10.30 Seaway. 11.30 My Favorite Martian. Noon The Young And The Restless. 1.00 The Baron. 2.00 World’s Greatest Man Made Wonders. 3.00 Antiques Roadshow. 3.30 MOVIE: Brothers In Law. (1957) 5.30 Murder, She Wrote. 6.30 Antiques Roadshow. 7.30 New Tricks. 8.40 The Closer. 9.40 Rizzoli & Isles. 10.40 Late Programs. BOLD (51) BOLD (51) 9GEM (82) 9GEM (82) 7TWO (62) 7TWO (62) VICELAND (31) VICELAND (31) 6am Children’s Programs. 7pm Spicks And Specks. 7.30 David Attenborough’s Great Barrier Reef. 8.30 George Clarke’s Amazing Spaces. 9.15 Long Lost Family. 10.05 Australia Remastered. 11.00 Adam Hills: The Last Leg. 11.45 Louis Theroux: Behind Bars. 12.45am Whose Line Is It Anyway? 1.05 Veneno. 2.10 ABC News Update. 2.15 Close. 5.05 Tik Tak. 5.10 Clangers. 5.20 Buddi. 5.25 Late Programs. 6am Children’s Programs. 7pm Spicks And Specks. 7.30 Would I Lie To You? 8.30 Adam Hills: The Last Leg. 9.10 Bliss. 9.40 Fleabag. 10.05 QI. 10.35 Friday Night Dinner. 11.00 Penn & Teller: Fool Us. 11.45 Whose Line Is It Anyway? 12.05am Russell Howard Stands Up To The World. 12.50 ABC News Update. 12.55 Close. 5.05 Tik Tak. 5.10 Clangers. 5.20 Buddi. 5.25 Miffy’s Adventures Big And Small. 5.35 Late Programs. ABC TV PLUS (22) ABC TV PLUS (22) 6am Children’s Programs. Noon Filthy House SOS. 1.00 I’m Having Their Baby. 2.00 Full House. 2.30 3rd Rock. 3.30 That ’70s Show. 4.30 The Nanny. 5.00 Bewitched. 5.30 I Dream Of Jeannie. 6.00 M*A*S*H. 6.30 Raymond. 7.00 Young Sheldon. 7.30 The 65th Annual Grammy Awards. 11.00 To Be Advised. Midnight Dr 90210. 1.00 Vanderpump Rules. 2.00 The Nanny. 2.30 Full House. 3.00 Late Programs. 6am Children’s Programs. Noon Filthy House SOS. 1.00 I’m Having Their Baby. 2.00 Full House. 2.30 3rd Rock. 3.30 That ’70s Show. 4.30 The Nanny. 5.00 Bewitched. 5.30 I Dream Of Jeannie. 6.00 M*A*S*H. 6.30 Raymond. 7.00 Young Sheldon. 7.30 MOVIE: Jaws 2. (1978, M) 9.55 MOVIE: RoboCop 2. (1990, MA15+) 12.10am Dr 90210. 1.10 Vanderpump Rules. 2.00 The Nanny. 2.30 Full House. 3.00 Late Programs. 6am Morning Programs. 11.00 Irish Pickers. Noon Shipping Wars. 1.00 Boating. Australian V8 Superboats Championship. 2022 Mid-Season Review. Replay. 2.00 Rides Down Under: Workshop Wars. 3.00 Wheelburn. 3.30 Full Custom Garage. 4.30 Counting Cars. 5.30 American Restoration. 6.00 American Pickers. 7.00 Pawn Stars. 7.30 American Pickers. 8.30 MOVIE: Payback. (1999, MA15+) 10.45 Late Programs. 6am Morning Programs. 11.30 Pawn Stars. Noon American Pickers. 1.00 Irish Pickers. 2.00 Boy To Man. 3.00 Billy The Exterminator. 3.30 Down East Dickering. 4.30 Barter Kings. 5.30 American Restoration. 6.00 American Pickers. 7.00 Pawn Stars. 7.30 Outback Truckers. 8.30 Heavy Tow Truckers Down Under. 9.30 Aussie Salvage Squad. 10.30 Truck Night In America. 11.30 Late Programs. 6am Morning Programs. 1.30pm Spirit Talker. 2.00 Shortland St. 2.30 The Cook Up. 3.00 Jarjums. 3.55 Tales Of The Moana. 4.00 Jarjums. 4.30 Spartakus And The Sun Beneath The Sea. 5.00 Our Stories. 5.30 APTN National News. 6.00 Bamay. 6.30 News. 6.40 Arctic Secrets. 7.30 The Blinding Of Isaac Woodard. 8.30 Karla Grant Presents. 9.05 She Shears. 10.30 A Wetland For Te Waihora. 11.00 Late Programs. 6am Morning Programs. 2pm Shortland St. 2.30 The Cook Up. 3.00 Jarjums. 3.55 Tales Of The Moana. 4.00 Jarjums. 5.00 Our Stories. 5.30 Indian Country Today News. 6.00 Bamay. 6.30 News. 6.40 Arctic Secrets. 7.30 Moko. 8.00 True North Calling. 8.30 The Last Land: Gespe’gewa’gi. 9.00 Hunting Aotearoa. 9.30 Wellington Paranormal. 10.00 MOVIE: One Thousand Ropes. (2017, M) 11.45 Late Programs. 9GO! (83) 9GO! (83) 6am Sissi: The Young Empress. Continued. (1956, PG, German) 7.15 Tenderness. (2013, PG, French) 8.45 Long Way North. (2015, PG) 10.15 Support The Girls. (2018, M) 11.55 Devil’s Knot. (2013, M) 2pm Ramen Shop. (2018, PG) 3.40 Creation. (2009, PG) 5.40 Hunt For The Wilderpeople. (2016, PG) 7.35 Cousins. (2021) 9.30 Room 212. (2019, MA15+, French) 11.05 Late Programs. 6am Ramen Shop. Continued. (2018, PG) 6.40 Hunt For The Wilderpeople. (2016, PG) 8.35 Frankie. (2019, PG) 10.30 The 15:17 To Paris. (2018, M) 12.15pm Marrowbone. (2018, M) 2.15 Long Way North. (2015, PG) 3.45 Tenderness. (2013, PG, French) 5.15 The Way. (2010, PG) 7.35 Tracker. (2010, M) 9.30 In The Name Of The Land. (2019, M, French) 11.25 Late Programs. NITV (34) NITV (34) 7MATE (64) 7MATE (64) SBS MOVIES (32) SBS MOVIES (32) ON THE Box NEWS OF THE AREA PORT STEPHENS media@newsofthearea.com.au 22 PORT STEPHENS NEWS OF THE AREA Thursday, 2 February 2023 Send Us Your Sports Results Send News Of The Area your sports club’s results each week by Monday evening for publication on a Friday. Bowls, golf, tennis, kayaking, cycling, cross country, athletics, fishing etc - you name it, we can publish it in our dedicated weekly Sports Results section. Email your results, relevant photos and captions to media@newsofthearea.com.au. FROM Page 1

WEDNESDAY, February 8

6.00 WorldWatch. 9.10 World’s Most Secret Homes. 10.05 Billy Connolly: Made In Scotland. (Mal, R) 11.00 The Story Of Spice. (PG) 12.00 WorldWatch. 2.10 Secrets Of The Royal… (PGal, R) 3.00 Portillo’s Greatest

Who Do You

7.35 Wildlife ER: Brought Back From The Brink. (Premiere)

8.35 My Grandparents’ War: Keira Knightley. (PG) Part 2 of 4.

9.30 Bloodlands. The search leads to an abandoned house.

10.35 SBS World News Late.

11.05 Cargo. (MA15+a)

12.00 Thin Blue Line. (MA15+av, R)

4.35 Bamay. (R)

5.00 NHK World English News Morning.

5.30 ANC Philippines The World Tonight.

THURSDAY, February 9

6.00 WorldWatch. 9.05 World’s Most Secret Homes. 10.00 Billy Connolly: Made In Scotland. (Mal, R) 11.00 The Story Of Beer.

Sunrise. 9.00 The Morning Show. (PG) 11.30 News. 12.00 To Be Advised. 1.45 Motorbike Cops. (PG, R)

6.00 7News Local.

6.30 7News @ 6:30.

7.00 Home And Away. (PGa)

7.30 Code 1: Minute By Minute: The Cronulla Riots. (Malv)

8.30 The Front Bar: All Sports Edition. (Ml) A lighter look at the world of sport.

9.30 Kitchen Nightmares Australia. (MA15+l, R) Hosted by Colin Fassnidge.

10.35 Police Code Zero: Officer Under Attack. (MA15+l, R)

11.35 Autopsy USA. (Mad, R)

12.30 Home Shopping. (R)

5.00 Seven Early News.

5.30 Sunrise.

6.30 The Project. A look at the day’s news and events.

7.30 The Dog House Australia. (Return, PG) Narrated by Dr Chris Brown.

8.40 Fire Country. (PGa) A vegetation fire gets tricky for the crew when a panicked horse refuses to leave a burning barn.

9.40 Bull. (PGlv, R) Chunk does his daughter a favour and convinces Bull to represent a teenager on trial for robbery.

11.30 The Project. (R) A look at the day’s news and events.

12.30 The Late Show With Stephen Colbert. (PG)

1.30 Home Shopping. (R)

4.30 CBS Mornings.

6.00 Mastermind Australia. (R)

6.30 SBS World News.

7.35 From Paris To Rome With Bettany Hughes.

8.30 American Presidency With Bill Clinton.

9.20 Miniseries: The Walk-In. (MA15+)

10.15 SBS World News Late.

10.45 L’Opera. (Mdl, R)

11.35 World On Fire. (MA15+av, R)

4.00 Mastermind Australia. (R)

4.30 Bamay. (R)

5.00 NHK World English News Morning.

5.30 ANC Philippines The World Tonight.

6.00 7News Local.

6.30 7News @ 6:30.

7.00

6.30 The Project.

7.30 Taskmaster Australia. Hosted by Tom Gleeson.

8.30 Law & Order: SVU. (Ma) A lifesaver asks the Special Victims Unit for help when he suspects his boss is preying on his sister. After tragedy strikes, Velasco tries to convince a reluctant witness to testify in court.

10.30 NCIS: Los Angeles. (Mv, R) Rear Admiral Ted Gordon is abducted.

11.30 The Project. (R)

12.30 The Late Show With Stephen Colbert. (PG)

1.30 Home Shopping. (R)

4.30 CBS Mornings.

ABC TV (2) ABC TV (2) SBS (3) SBS (3) SEVEN (6) SEVEN (6) TEN (5) TEN (5) NBN (8) NBN (8)
6.00 News. 9.00 News. 10.00 Four Corners. (R) 10.45 Q+A. (R) 12.00 News. 12.30 Press Club. 1.35 Media Watch. (PG, R) 2.00 Parliament. 3.00 Gardening Aust. (R) 4.10 Long Lost Family: What Happened Next. (PG, R) 5.00 Australian Story. (R) 5.30 Hard Quiz. (PG, R) 6.00 News. 9.00 News. 10.00 Back Roads. (PG, R) 10.30 That Pacific Sports Show. (R) 11.00 Wang Gungwu Lecture 2023. 12.00 News. 1.00 Hard Quiz. (PG, R) 1.30 The Weekly. (R) 2.00 Parliament. 3.00 Gardening Aust. (R) 4.10 Long Lost Family: What Happened Next. (PG, R) 5.00 Aust Story. (R) 5.30 Hard Quiz. (PG, R)
Journeys. (PG, R) 3.55
Think You Are? UK. (PGa, R) 5.05
(R) 5.30 Letters And Numbers. (R)
Railway
Jeopardy!
(PG) 12.00 WorldWatch. 2.00 Secrets
Royal… (PG, R) 2.55 The Queen and Her Prime Ministers. (PGa, R) 3.55 Who Do You Think You Are? UK. (PGal, R) 5.05 Jeopardy! (R) 5.30 Letters And Numbers. (R) 6.00
2.00 Border Security: America’s Front Line. (PG, R) 2.30 Border Security: Int. (PG, R) 3.00 The Chase. 4.00 Seven News At 4. 5.00 The Chase Australia. 6.00 Sunrise. 9.00 The Morning Show. (PG) 11.30 Seven Morning News. 12.00 MOVIE: Frequency. (2000, Mlv, R) 2.30 Kochie’s Business Builders. 3.00 The Chase. (R) 4.00 Seven News At 4. 5.00 The Chase Australia. 6.00 Today. 9.00 Today Extra. (PG) 11.30 Morning News. 12.00 Married At First Sight. (Mls, R) 1.30 My Way. (Return) 2.00 Pointless. (PG, R) 3.00 Tipping Point. (PG) 4.00 Afternoon News. 5.00 Millionaire Hot Seat. 6.00 Today. 9.00 Today Extra. (PG) 11.30 Morning News. 12.00 Married At First Sight. (Mals, R) 1.30 It’s All Greek To Me. (R) 2.00 Pointless. (PG, R) 3.00 Tipping Point. (PG) 4.00 Afternoon News. 5.00 Millionaire Hot Seat. (R) 6.00 The Talk. (PGa) 7.00 Farm To Fork. (PG, R) 7.30 GCBC. (R) 8.00 Everyday Gourmet. (R) 8.30 Ent. Tonight. 9.00 Judge Judy. (PG, R) 9.30 Bold. (PGav, R) 10.00 Studio 10. (PG) 12.00 10 News First: Midday. 1.00 Dr Phil. (PGal) 2.00 Australian Survivor. (R) 3.30 Judge Judy. (PG, R) 4.00 Farm To Fork. 4.30 Bold. (PG) 5.00 News. 6.00 The Talk. (PGa) 7.00 Farm To Fork. (PG, R) 7.30 GCBC. (R) 8.00 Everyday Gourmet. (R) 8.30 Ent. Tonight. 9.00 Judge Judy. (PG, R) 9.30 Bold. (PG, R) 10.00 Studio 10. (PG) 12.00 10 News First: Midday. 1.00 Dr Phil. (Mav) 2.00 To Be Advised. 3.00 Ent. Tonight. 3.30 Judge Judy. (PG, R) 4.00 Farm To Fork. 4.30 Bold. (PGv) 5.00 News. 6.00 The Drum. 7.00 ABC News. 7.30 7.30. 8.00 Hard Quiz. (Return, PG) 8.30 The Weekly With Charlie Pickering. (Return) 9.00 Utopia. (PG, R) 9.25 Spicks And Specks. (PG, R) 10.10 Adam Hills: The Last Leg. (R) 10.50 ABC Late News. 11.05 The Business. (R) 11.25 Midsomer Murders. (Mv, R) 12.55 Parliament Question Time. 1.55 Rage. (MA15+adhlnsv) 4.00 One Plus One. (R) 4.30 The Drum. (R) 5.30 7.30. (R) 6.00 The Drum. 7.00 ABC News. 7.30 7.30. 8.00 You Can’t Ask That. (Final, Mal, R) 8.35 Grand Designs: House Of The Year. 9.20 Joanna Lumley’s Hidden Caribbean. (Ml, R) 10.10 Movin’ To The Country. (PG, R) 10.40 ABC Late News. 10.55 The Business. (R) 11.15 Australia’s Wild Odyssey. (R) 12.10 Q+A. (R) 1.15 Parliament. 2.15 The Trouble With Maggie Cole. (PG, R) 3.00 Rage. (MA15+adhlnsv) 4.00 One Plus One. (R) 4.30 The Drum. (R) 5.30 7.30. (R)
Of The
6.00 Mastermind Australia. (R) 6.30 SBS World News.
Home And Away. (PGa)
The Best
Faces.
acts. 10.00 Mrs Brown’s
has been released from prison. 10.45 To Be Advised. 12.00 MOVIE: Ready Or Not. (2019, MA15+hv) Samara Weaving. 2.00 Home Shopping. (R) 5.30 Sunrise. 6.00 NBN News. 7.00 A Current Affair. 7.30 Married At First Sight. (Mals) 9.00 Under Investigation. (Return, Mlv) 10.00 Nine News Late. 10.30 To Be Advised. 11.30 Ordinary Joe. (Premiere, Mav) 12.20 Tipping Point. (PG, R) 1.10 Living On The Coast. (R) 1.30 TV Shop: Home Shopping. (R) 2.30 Global Shop. (R) 3.00 TV Shop: Home Shopping. (R) 4.00 Believer’s Voice Of Victory. (PGa) 4.30 A Current Affair. (R) 5.00 News Early Edition. 5.30 Today. 6.00 NBN News. 7.00 A Current Affair. 7.30 RBT. (PGd) 8.30 Paramedics. (Ma, R) 9.30 Australia Behind Bars. (MA15+adl, R) 10.40 Nine News Late. 11.10 Emergency Call. (Ma) 11.55 Council Of Dads. (PGa) 12.40 Tipping Point. (PG, R) 1.30 TV Shop: Home Shopping. (R) 2.30 Global Shop. (R) 3.00 TV Shop: Home Shopping. (R) 4.00 Believer’s Voice Of Victory. (PGa) 4.30 A Current Affair. (R) 5.00 News. 5.30 Today.
8.30
Of The Best And Worst Of Red
(PGal, R) Daryl Somers presents HeyHeyIt’sSaturday’s most popular, funny and weird Red Faces
Boys. (Mls, R) Everyone is concerned at the news that the poisoner Peggy Piper
CONSUMER ADVICE (P) Pre-school (C) Children (PG) Parental Guidance Recommended (M) Mature Audiences (MA15+) Mature Audiences Only (AV15+) Extreme Adult Violence (R) Repeat 6am Morning Programs. 10.00 AM Agenda. 11.00 NewsDay. Noon NewsDay. 1.00 Bolt Report. 2.00 Parliament Live. 3.15 Afternoon Agenda. 4.00 Afternoon Agenda. 4.30 Business Now With Ross Greenwood. 5.00 Inside The News. 6.00 Peta Credlin. 7.00 Bolt Report. 8.00 Chris Kenny Tonight. 9.00 Paul Murray Live. 10.00 The Late Debate. 10.30 The Front Page. 11.00 Late Programs. 6am Morning Programs. 11.00 NewsDay. Noon NewsDay. 1.00 Inside The News. 2.00 Parliament Live. 3.15 Afternoon Agenda. 4.00 Afternoon Agenda. 4.30 Business Now With Ross Greenwood. 5.00 Inside The News. 6.00 Peta Credlin. 7.00 Bolt Report. 8.00 Chris Kenny Tonight. 9.00 Paul Murray Live. 10.00 The Late Debate. 10.30 The Front Page. 11.00 Late Programs. SKY NEWS (53) SKY NEWS (53) 6am WorldWatch. 9.30 Shortland St. 11.00 The Movie Show. Noon One Armed Chef. 12.55 Border To Border. 1.25 Cryptoland. 1.55 Hunters. 2.45 Counter Space. 3.15 WorldWatch. 5.15 Takeshi’s Castle. 5.45 Joy Of Painting. 6.15 Forged In Fire. 7.05 Jeopardy! 7.35 8 Out Of 10 Cats Does Countdown. 8.30 The Bloody Decade. 9.30 Letterkenny. (Return) 10.25 MOVIE: Goon. (2011) 12.10am Late Programs. 6am WorldWatch. 9.30 Shortland St. 11.00 The Movie Show. Noon The Indian Pacific: The Full Journey. 3.20 WorldWatch. 5.15 Takeshi’s Castle. 5.45 Joy Of Painting. 6.15 Forged In Fire. 7.05 Jeopardy! 7.35 8 Out Of 10 Cats Does Countdown. 8.30 The Curse Of Oak Island. 10.10 Jack The Ripper: Hidden Victims. 11.05 The UnXplained. 12.45am The Clinton Affair. 1.35 Future Man. 3.10 Late Programs. 6am Shopping. 6.30 Escape To The Country. 7.30 Under The Hammer. 8.00 Harry’s Practice. 8.30 Million Dollar Minute. 9.30 NBC Today. Noon Better Homes. 1.00 Escape To The Country. 2.00 Weekender. 2.30 Million Dollar Minute. 3.30 Medical Rookies. 4.00 Coastwatch Oz. 4.30 Better Homes. 5.30 Escape To The Country. 6.30 Bargain Hunt. 7.30 Heartbeat. 8.45 Foyle’s War. 10.55 Late Programs. 6am Morning Programs. 7.30 Under The Hammer. 8.00 Harry’s Practice. 8.30 Million Dollar Minute. 9.30 NBC Today. Noon Better Homes. 1.00 Escape To The Country. 2.00 South Aussie With Cosi. 2.30 Million Dollar Minute. 3.30 Medical Rookies. 4.00 Coastwatch Oz. 4.30 Better Homes. 5.30 Escape To The Country. 6.30 Bargain Hunt. 7.30 Father Brown. 8.30 Murdoch Mysteries. 9.30 Kavanagh QC. 11.15 Late Programs. 6am Home Shopping. 8.00 Snap Happy. 8.30 Destination Dessert. 9.00 iFish. 9.30 The Love Boat. 10.30 Star Trek: The Next Generation. 11.30 JAG. 12.30pm NCIS. 1.30 NCIS: Los Angeles. 2.30 Scorpion. 3.30 The Love Boat. 4.30 Star Trek: The Next Generation. 5.30 JAG. 6.30 Scorpion. 7.30 Bull. 8.30 NCIS. 9.25 Hawaii Five-0. 11.15 In The Dark. 12.15am Shopping. 2.15 Late Programs. 6am Home Shopping. 8.00 Snap Happy. 8.30 Destination Dessert. 9.00 iFish. 9.30 The Love Boat. 10.30 Star Trek: The Next Generation. 11.30 JAG. 12.30pm NCIS. 1.30 NCIS: Los Angeles. 2.30 Scorpion. 3.30 The Love Boat. 4.30 Star Trek: The Next Generation. 5.30 JAG. 6.30 Scorpion. 7.30 Bull. 8.30 NCIS. 9.30 NCIS: New Orleans. 10.30 SEAL Team. 11.30 48 Hours. 12.30am Shopping. 2.00 Late Programs. 6am TV Shop. 7.00 Creflo Dollar Ministries. 7.30 TV Shop: Home Shopping. 10.30 Seaway. 11.30 My Favorite Martian. Noon Days Of Our Lives. 12.55 The Young And The Restless. 1.50 New Tricks. 3.00 Antiques Roadshow. 3.30 MOVIE: Quiet Weekend. (1946) 5.30 Murder, She Wrote. 6.30 Antiques Roadshow. 7.30 As Time Goes By. 8.50 Midsomer Murders. 10.50 One Deadly Mistake. 11.50 Late Programs. 6am TV Shop. 7.00 Creflo Dollar Ministries. 7.30 TV Shop: Home Shopping. 10.30 Seaway. 11.30 My Favorite Martian. Noon Days Of Our Lives. 12.55 The Young And The Restless. 1.50 As Time Goes By. 3.00 Antiques Roadshow. 3.30 MOVIE: Night Boat To Dublin. (1946, PG) 5.30 Murder, She Wrote. 6.30 Antiques Roadshow. 7.30 Grantchester. 8.40 Poirot. 10.50 London Kills. Midnight Late Programs. BOLD (51) BOLD (51) 9GEM (82) 9GEM (82) 7TWO (62) 7TWO (62) VICELAND (31) VICELAND (31) 6am Children’s Programs. 6.05pm The Adventures Of Paddington. 6.20 Bluey. 6.25 Peter Rabbit. 6.40 Ben And Holly. 6.50 Shaun The Sheep. 7.00 Spicks And Specks. 7.30 Death In Paradise. 8.30 Banana. 9.00 Cucumber. 9.45 Killing Eve. 10.30 Veneno. 11.25 MOVIE: Trumbo. (2015, M) 1.25am Close. 5.05 Tik Tak. 5.10 Clangers. 5.20 Buddi. 5.25 Miffy’s Adventures Big And Small. 5.35 Late Programs. 6am Children’s Programs. 7pm Spicks And Specks. 7.30 QI. 8.30 Penn & Teller: Fool Us. 9.15 Hard Quiz. 9.45 The Weekly With Charlie Pickering. 10.15 Gruen. 10.55 Shaun Micallef’s MAD AS HELL. 11.25 Doctor Who. 12.10am Would I Lie To You? 12.40 Live At The Apollo. 1.25 Louis Theroux: Louis And The Brothel. 2.25 Friday Night Dinner. 2.50 ABC News Update. 2.55 Close. 5.05 Late Programs. ABC TV PLUS (22) ABC TV PLUS (22) 6am Children’s Programs. Noon Filthy House SOS. 1.00 I’m Having Their Baby. 2.00 Full House. 2.30 3rd Rock. 3.30 That ’70s Show. 4.30 The Nanny. 5.00 Bewitched. 5.30 I Dream Of Jeannie. 6.00 M*A*S*H. 6.30 Raymond. 7.00 Young Sheldon. 7.30 MOVIE: Assassins. (1995, M) 10.10 MOVIE: Rocky Balboa. (2006, M) 12.10am Married To Medicine Los Angeles. 1.10 Vanderpump Rules. 2.00 Late Programs. 6am Children’s Programs. Noon Filthy House SOS. 1.00 I’m Having Their Baby. 2.00 Full House. 2.30 3rd Rock. 3.30 That ’70s Show. 4.30 The Nanny. 5.00 Bewitched. 5.30 I Dream Of Jeannie. 6.00 M*A*S*H. 6.30 Raymond. 7.00 Young Sheldon. 7.30 MOVIE: Inception. (2010, M) 10.30 Paranormal Caught On Camera. 11.30 Young Sheldon. Midnight Married To Medicine Los Angeles. 1.00 Late Programs. 6am Morning Programs. 11.30 Pawn Stars. Noon Outback Truckers. 1.00 Heavy Tow Truckers Down Under. 2.00 Truck Night In America. 3.00 Billy The Exterminator. 3.30 Down East Dickering. 4.30 Barter Kings. 5.30 American Restoration. 6.00 American Pickers. 7.00 Pawn Stars. 7.30 Highway Patrol. 8.30 Highway Cops. 9.30 Police Strike Force. 10.30 Surveillance Oz. 11.00 Late Programs. 6am Morning Programs. 9.00 America’s Game. 10.00 American Restoration. 10.30 American Pickers. 11.30 Pawn Stars. Noon Highway Patrol. 1.00 Surveillance Oz. 2.00 Police Strike Force. 3.00 Billy The Exterminator. 3.30 Down East Dickering. 4.30 Barter Kings. 5.30 American Restoration. 6.00 American Pickers. 7.00 Pawn Stars. 8.30 MOVIE: U.S. Marshals. (1998, M) 11.10 Late Programs. 6am Morning Programs. 1pm Milpirri: Winds Of Change. 2.00 Shortland St. 2.30 The Cook Up. 3.00 Bushwhacked! 3.25 Red Dirt Riders. 3.40 Wolf Joe. 3.55 Tales Of The Moana. 4.00 Grace Beside Me. 4.30 Spartakus And The Sun Beneath The Sea. 5.00 Our Stories. 5.30 Living Black. 6.00 Bamay. 6.35 News. 6.45 Arctic Secrets. 7.35 Ice Cowboys. 8.30 First Australians. 9.30 Ray Charles: Live At The Montreux. 11.10 Late Programs. 6am Morning Programs. 2pm Shortland St. 2.30 The Cook Up. 3.00 Jarjums. 3.40 Wolf Joe. 3.55 Tales Of The Moana. 4.00 Grace Beside Me. 4.30 Spartakus And The Sun Beneath The Sea. 5.00 Our Stories. 5.30 The 77 Percent. 6.00 Bamay. 6.30 News. 6.40 Arctic Secrets. 7.30 Going Places With Ernie Dingo. 8.30 Miniseries: True Colours. 9.30 MOVIE: The Dead Lands. (2014, MA15+) 11.30 Late Programs. 9GO! (83) 9GO! (83) 6am Tenderness. Continued. (2013, PG, French) 6.15 The Way. (2010, PG) 8.35 The Crow’s Egg. (2014, PG, Tamil) 10.15 Tracker. (2010, M) 12.10pm Cousins. (2021) 2.00 Hunt For The Wilderpeople. (2016, PG) 3.55 Frankie. (2019, PG) 5.50 Lady L. (1965, PG) 7.50 Alex And Eve. (2016, M) 9.30 We’ll End Up Together. (2019, M, French) Midnight Late Programs. 5.55 Babette’s Feast. (1987, PG, Danish) 6am Babette’s Feast. Continued. (1987, PG, Danish) 7.55 The Odyssey. (2016, PG, French) 10.10 Between Two Worlds. (2021, M, French) 12.10pm In The Name Of The Land. (2019, M, French) 2.05 The Way. (2010, PG) 4.25 A Cat In Paris. (2010, PG) 5.40 Whisky Galore. (2016, PG) 7.30 The Way Back. (2010, M) 9.55 Monsieur Chocolat. (2016, French) 12.05am Late Programs. NITV (34) NITV (34) 7MATE (64) 7MATE (64) SBS MOVIES (32) SBS MOVIES (32) ON THE Box NEWS OF THE AREA PORT STEPHENS www.newsofthearea.com.au PORT STEPHENS NEWS OF THE AREA 23 Thursday, 2 February 2023 SMART MARKETING Advertising in the NEWS OF THE AREA reaches a captive audience Call OR Email today: (02) 4981 8882 ads@newsofthearea.com.au REACH YOUR CUSTOMERS Contact us today and lets get your business in the News Of The Area. (02) 4981 8882 ads@newsofthearea.com.au PORT STEPHENS 25,000 readers each week* *Based on publisher estimate after 10,000 copies are collected by community per week

Bowls Gets Serious

AFTER several weeks of social bowls during the holiday period, serious competition has now resumed at Soldiers Point.

Pennant trials have now commenced and hopes are high for a successful season! Bowls director, Mark Watt, said the top grade will have the benefit of two "imports" from Queensland and the lower grades are also stronger.

Two Soldiers Point bowlers competed last week in the final of a qualifying round for the Australian Indoor Championship.

After decisive wins in the Semis, Warren Shipley and Michael Beesley had a very close match in the Final with Beesley winning narrowly.

He will now compete in the National Finals at Tweed Heads in August.

New bowlers are welcome at Soldiers Point Bowling Club where they can receive free coaching. Please contact Mark Watt on 49827173.

News Of The Area
SPORT
Community News ~ Proudly Independent media@newsofthearea.com.au 24 PORT STEPHENS NEWS OF THE AREA Thursday, 2 February 2023 Thursday, 2 February 2023 media@newsofthearea.com.au
PORT STEPHENS
Local
q Final winner Michael Beesley.

Turn static files into dynamic content formats.

Create a flipbook
Issuu converts static files into: digital portfolios, online yearbooks, online catalogs, digital photo albums and more. Sign up and create your flipbook.