Pharmaceutical & Cosmetic Review September 2024

Page 1


printers and converters of shrink sleeves & flexible packaging

Through an innovative and out of the box approach to our clients’ needs, we are not only willing, but also able to provide practical and efficient cost-saving solutions to most printing and packaging challenges. A pioneering narrow web flexographic printer, ISW specializes in, while not confined to, the manufacturing of highly decorative and complex shrink sleeves, self-adhesive and wraparound labels, and various forms of flexible packaging. By working closely with local and international suppliers, and utilising specially developed in-house processes a multitude of innovative finishes including the likes of thermochromic, glow in the dark, domed, holographic and high lustre metallics along with specialised multi-perforation solutions for promotional items are achieved.

With the manufacturing plant consisting of 10-colour and eight-colour MPS EPW560’s and a full complement of the latest offerings in finishing equipment for the conversion and inspection of our products, ISW maintains the highest level of quality and is one of only a handful of narrow web printers capable of producing wide lay flat shrink sleeves, achieving a L/F of 276mm from a printed web width of 575mm. By offering assistance and advice with every step from concept to design, production and application; we are there to ensure our clients achieve their desired vision efficiently, affordably and consistently.

Volume 51 | Number 9 www.pharmacos.co.za

18 Ethnic Care

Croda Beauty celebrates the joys of scalp comfort

Symrise Cosmetic Ingredients gets authentic about hair care

Revolutionise hair oils with silicone gum blends

30 Personal Care

Zemea Propanediol – the personal care MVP

Long-lasting odour elimination from Brenntag SA

Coschem explores the science behind BB and CC creams

Oleon launches a

Allianz reveals top 5 business

Pioneering inclusive beauty through science and education

Enhance skin and hair health with plant-derived exosomes

Approved sustainable Personal care alternative for beauty packaging

Serialise, Track & Trace

Digital identification solutions for pharma applications

Vision systems for unparalleled quality control

Spring into innovation

Welcome to the September edition of SA Pharmaceutical & Cosmetic Review! I wish I could celebrate the arrival of spring with you, but it’s still quite chilly here in Johannesburg. Nevertheless, as we transition into the latter part of the year, the personal care industry continues to evolve with remarkable innovations and a steadfast commitment to sustainability and inclusivity. This edition is packed with insightful articles that reflect these dynamic changes and offer a glimpse into the future of pharmaceuticals and cosmetics. One of the highlights of this issue is the 30 th anniversary of the Cosmetic, Toiletry & Fragrance Association of South Africa (CTFA). The CTFA has been a beacon of excellence for the personal care industry, advocating for industry standards and consumer safety. In a bumper commemorative article on page 6, we honour CTFA’s achievements.

In the realm of inclusive beauty, we spotlight innovations tailored for textured hair, including Croda Beauty’s Apiscalp for improved scalp health and Symrise's targeted solutions for curly and coily hair. Additionally, Vytrus Biotech’s introduction of plant-derived exosomes marks a significant advancement in enhancing skin and hair health. Turn to page 18 to read more.

In the section on personal care on page 30 , we explore leading ingredients that meet the needs of consumers and formulators alike. Zemea Propanediol stands out for its versatile benefits, as does Odouraze technology for effective odour control in personal care products.

You can read about RFID and QR codes for packaging in our feature on serialisation. This month we feature insightful reads on digital identification solutions and how they are transforming the landscape for more secure, patient centric supply chains. Find out more on page 36

In association news on page 40, Coschem shares a review of its recent virtual seminar in which presenters explored the science behind skincare-makeup hybrids like BB and CC creams.

I hope you find this edition informative and inspiring.

Enjoy the read!

The team

EDITORIAL

EDITOR: Abby Vorster +27 (0)71 359 4519 abby.vorster@newmedia.co.za

LAYOUT & DESIGN: Andipha Nkoloti

COVER: images/ Shutterstock.com

CONTRIBUTORS: Ayanda Mackay, Ò Expósito, M Buchholz, A Guirado, A Gallego, M Mas, P Riera, D Luna, S Laplana, T Ruiz, S Ruiz, M Gibert

ADVERTISING

KEY ACCOUNT MANAGER: Carla Melless +27 (0)83 260 6060 carla.melless@newmedia.co.za

INTERNATIONAL SALES

Germany/Austria/Switzerland: Eisenacher Medien Erhardt Eisenacher +49 228 249 9860 info@eisenacher-medien.de

Italy: Ngcombroker Giacomo Rotunno +39 370 101 4694 g.rotunno@ngcombroker.com

Taiwan: Ringier Trade Media Sydney Lai +886 4 2329 7318 sydneylai@ringier.com.hk

CIRCULATION

CIRCULATION MANAGER: Felicity Garbers felicity.garbers@newmedia.co.za

PUBLISHING TEAM

GENERAL MANAGER: Dev Naidoo

GROUP ACCOUNT DIRECTOR B2B: Johann Gerber

PRODUCTION CONTROLLER: Mandy Ackerman

ART DIRECTOR: David Kyslinger

JOHANNESBURG OFFICE

New Media Publishing, Woodlands Office Park building 13 Woodlands drive, Woodmead Sandton 2191 Tel: +27 (0)11 713 9000

POSTAL ADDRESS PO Box 784698, Sandton, Johannesburg, 2146

Published by New Media, a division of Media24 (PTY) Ltd

MANAGEMENT TEAM

CEO: Aileen Lamb

COMMERCIAL DIRECTOR: Maria Tiganis

STRATEGY DIRECTOR: Andrew Nunneley

CHIEF FINANCIAL OFFICER: Venette Malone

CEO MEDIA24: Ishmet Davidson

HEAD OFFICE

New Media, a division of Media24 (Pty) Ltd 11 Shelley Road Salt River Cape Town, 7925 Tel: +27 21 406 2002

Email: newmedia@newmedia.co.za PO Box 440, Green Point, Cape Town 8051

ADVISORY BOARD
Professor Emeritus, Faculty of Health Sciences, Nelson Mandela University Prof N T (Raj) Naidoo

The Cosmetic, Toiletry & Fragrance Association of South Africa (CTFA) was formed in 1994 and is the recognised collective representative of the cosmetics industry in South Africa.

The association represents and promotes the interests of its member companies, is an authoritative voice for the South African industry and actively articulates industry viewpoints to government departments. It continues to lead the industry forward regarding regulations and standards and encourages responsible advertising.

T: +27 11 795 4272

E: info@ctfa.co.za www.ctfa.co.za

YEARS OF ADDING VALUE TO A DYNAMIC COSMETIC INDUSTRY!

Celebrating 30 years of excellence

2024 is a significant year for CTFA – it marks the organisation’s 30th anniversary! This year, CTFA is reflecting on its journey, the strides it has made and the relationships it has built with its member companies over the past three decades.

The Cosmetic, Toiletry and Fragrance Association of South Africa (CTFA) was formed in 1994 to represent the cosmetics industry through a single, focused body. The organisation promotes the interests of its member companies, serves as an authoritative voice for the South African industry, and actively articulates industry viewpoints to government departments and international stakeholders.

Since its inception, CTFA has guided members on the South African Regulatory Codes of Practice, ensuring the cosmetic and personal care industry flourishes.

Over the years, CTFA’s team has been dedicated to supporting and developing a sustainable and respected South African cosmetic industry by maintaining high standards of quality and safety for cosmetic products. Its success would not have been possible without the organisation’s incredible member companies, which include a mix of multinational players, local brand owners, and small entrepreneurial companies.

CTFA is grateful for the hard work and dedication of its team and the individuals who have provided invaluable input by participating in committees and working groups.

As the CTFA continues its story, the industry organisation honours its beginnings and the people who have made it what it is today.

“We remain committed to finding innovative ways to support and develop a sustainable and respected South African cosmetic industry, promoting consumer safety, and contributing to the growth and progress of our members. We are proud of our achievements and excited about the future. Here’s to making an even bigger difference over the next 30 years,” says Adelia Pimentel, CTFA’s executive director.

NOTABLE ACHIEVEMENTS DURING EARLY YEARS

The CTFA was formed 30 years ago as a collective, objective body to represent the cosmetics industry. In March 1994, captains of the cosmetics industry held an historic meeting and unanimously agreed to form a trade association specifically for the industry. Based on this premise, with the support and dedication of its founding members, the CTFA

was formed as an industry organisation with a voluntary subscription business model.

" Over 80% of the businesses operating in the South African cosmetic and personal care industry are members of the CTFA"

Don Kourie, the then managing director of Estee Lauder Group of Companies, was the first CTFA chairperson. During his tenure, after working tirelessly towards the differentiation of medicines versus cosmetics, formal approval was received from the then Medicines Control Council by way of resolution 172.08.06. Importantly, this resolution indicated the acceptance of the European Union definition of a ‘cosmetic’, which remains in force to this day.

Don Kourie comments: “I would like to congratulate the CTFA on its 30th anniversary and to wish continued success to Adelia and the entire CTFA board. The CTFA does wonderful work for industry’s benefit, and I am very proud to have played a small role in being its first chairman.

“As a dedicated committee, our greatest achievement was securing a significant reduction in Ad Valorem duty, which was crippling the industry. We formed a small working group enabling a strong case to be made to the relevant authorities that resulted in a major reduction. This facilitated job growth while passing on benefits to consumers through reduced selling prices. The other major success of CTFA was in establishing the self-regulatory process to have control over advertising claims, which also ensured that certain claims that were made did not result in a product being classified as ‘a medicine’.”

Other founder members who took the chairmanship at CTFA during its founding years were Brett Gage (1996 to 1997) and John Paidoussi (1997 to 1998).

Over the years, various individuals have also given their time willingly to advance the CTFA, including the late Wally Hopkins, Robert Lunt, Rob Scott, John Knowlton, Aubrey Parsons, and Wayne van Wyk, as well as many others.

Today, over 80% of the businesses operating in the South African cosmetic and personal care industry are members of the CTFA, reflecting the driven individuals who have poured their passion and expertise into the organisation over the past three decades.

CTFA’s team includes Nadia Rashid, technical and regulatory manager; Dr Glen Malherbe, head: policy and regulatory affairs; Adelia Pimentel, executive director and Samantha Lotkin, membership officer and office support

CTFA MEMBERSHIP BENEFITS

The organisation promotes the interests of its member companies, serves as an authoritative voice for the South African industry, and actively articulates industry viewpoints to government departments, the media and key stakeholders while promoting consumer safety.

Since its inception, CTFA has guided members on the South African Regulatory Codes of Practice and Standards, serving as a conduit for cosmetic and personal care industry growth. It works with industry and government sectors, including the National Department of Health (DoH); South African Bureau of Standards (SABS); Department of Trade Industry and Competition (dtic); Department of Forestry, Fisheries and the Environment (DFFE); and international accredited bodies to ensure alignment for a responsible industry in South Africa. CTFA advocates for international harmonisation, best practices, and

CATEGORIES OF MEMBERSHIP

• Full members: brand owners, distributors, importers, and exporters of finished goods.

• Manufacturing members: manufacturers and contract manufacturers of toiletries and cosmetic products.

• Associate members: suppliers of ingredients, raw materials, packaging etc., which are not involved in production, sales, and marketing. This category also includes companies, associations, and academic institutions affiliated with the cosmetic industry which do not produce or distribute cosmetic products.

• Retail members: retail outlets with private label brands.

recognition. Since 2000, it has been a member of Cosmetics Europe – the personal care association based in Brussels. Membership is open to any company distributing and manufacturing cosmetics in South Africa. Companies associated with the cosmetics industry, but not directly involved in distribution or manufacture, such as packaging and raw material suppliers, may become associate members. Retailers are also part of the CTFA membership for their private in-house labels.

Members are extended the opportunity to be part of the decision-making process that shapes regulations and representations made on behalf of the industry by being part of CTFA committees and sub-committees.

To become a member, interested parties should contact CTFA to set up a complementary consultation. This serves to understand your business and product range. Should there be a perceived benefit for both parties, CTFA would then encourage you to become a member and assist you in complying with all requirements of membership.

CTFA monitors local and international regulatory and policy developments and keeps members updated on the legislative control of cosmetics. It provides technical expertise and advice on ingredients, labelling, packaging, and product claims.

The organisation disseminates information on standards set by technical committees consisting of cosmetic industry experts and representatives from SABS. Members have free access to relevant SABS standards.

On behalf of its members, CTFA liaises with DoH and NRCS on product and packaging regulations, and with DFFE on bioprospecting, waste management, chemicals management, and other industry and national initiatives. It also liaises with the dtic to assist members with compliance in relation to exports, imports, and expansion into international

and regional markets, as well as with SARS and Customs and Excise on Ad Valorem Excise Duty.

CTFA is a board member of the Advertising Regulatory Board of South Africa (ARB) to ensure the preservation of self-regulation in the advertising space. It also maintains relationships with and makes representations to relevant South African and international governments, legislative or other regulatory bodies, Chambers of Commerce, or Trade Associations regarding matters affecting the interests of the industry.

CTFA is a member of Cosmetics Europe and has representation on the International Organisation for Standardization (ISO) Cosmetic Committee. It assists exporters with the issuing of Certificates of Free Sale and advises small and medium-sized enterprises (SMEs) on matters of compliance.

CTFA members receive regular communication from the organisation including invitations to attend webinars, workshops, seminars, information, and training sessions.

GLOBAL MARKETS AND GROWTH IN AFRICA

The purpose of the CTFA has remained unchanged since its inception to guide members on the South African voluntary and mandatory legislative framework and to be a conduit for cosmetic and personal care industry growth.

focus includes remaining the regulatory expert and undisputed voice of the

cosmetic industry in South Africa on a local and global level. This is made possible by continuously strengthening the foundation of the organisation and its networking capacity, by procuring proactive partnerships with synergistic stakeholders –both government and industry – and in continuously reassessing its strategic focus with a view to enhancing member benefits and industry compliance.

The African continent is a considerable focus for the CTFA and building relationships with various African regulators remains vital.

The organisation also advises companies on matters of ongoing regional regulatory reform, especially where it affects the export of cosmetic products from South Africa. Nurturing current partnerships and forging

" The African continent is a considerable focus for the CTFA"

new ones is key for industry growth. Global partnerships play an important role in CTFA, as these unlock global markets for our members and bring international best practices to South Africa.

EMERGING TRENDS SHAPING INDUSTRY’S FUTURE

The cosmetic industry is dynamic, and constant innovation is a given. Ongoing regulatory developments and industry trends keep things vibrant and exciting. Trends that are current and will stay relevant in the foreseeable future include:

• Sustainability – In business and policy contexts, sustainability seeks to prevent the depletion of natural or physical resources, to ensure their long-term availability. A heightened environmental awareness amongst consumers, companies, and government is evident worldwide. In response, brand owners and manufacturers are putting sustainability at their core when researching and innovating products. Refillable products, recyclable and biodegradable packaging, and waterless cosmetics have made appearances,

together with sustainable ingredient use, biodiversity sharing benefits, and alternatives that are safer for the environment. Natural, organic, sustainably sourced, and environmentally friendly are popular claims. Arguably, the next big revolution of beauty is a sustainable future.

• Clean and green – The word ‘clean’ has arguably been exploited in the industry and is often interpreted to suit strategic marketing plans. The definition of ‘clean’ could refer to the toxicological profile of a finished product, the raw material source, or even the packaging. To curb the problem of greenwashing, efforts are made internationally to define criteria for sustainability claims. The clean and

Changing lives and supplying quality cosmetic products for over 50 years
Congratulations CTFA on your 30th anniversary!

green trend is and will stay prominent, featuring all aspects of the cosmetic and personal care industry’s value chain. As a result, companies are adopting environmentally friendly practices, contributing to a greener future for industry.

• Microplastics – Plastic pollution is the accumulation of plastic objects and particles in the Earth’s environment which adversely affects humans, wildlife, and their habitat. The European Commission has defined microplastics as “synthetic polymer particles below five millimetres in size which are organic, insoluble, and resist degradation”. Given that microplastics are present in a multitude of products, the cosmetics and personal care industry must keep this

regulatory trend top of mind in current and future strategies.

• Technology in cosmetics – Artificial intelligence and augmented or virtual reality where consumers can test colour cosmetics without physically going to a store to do so, to smart perfumes where the application can be customised to spray pattern and volume, and smart skin analysis for skin imperfections – technology is here to stay and is constantly being upgraded. These and other trends are an important component of this exciting industry, and CTFA remains informed and proactive in developments to ensure compliance and best practices are adopted locally.

With its 30 th anniversary, the CTFA is honouring its beginnings and the people who have made the organisation what it is today. Together with its members, CTFA will continue the legacy of finding ground-breaking ways to support and develop a sustainable and respected South African cosmetic industry by proactively stimulating actions and developing tools that contribute to industry growth and the progress of its members. •

PROFESSIONAL DEVELOPMENT AND TRAINING

CTFA offers a range of training programmes and workshops designed to enhance members’ skills and knowledge. From regulatory compliance to product development and marketing, the organisation’s educational resources are tailored to meet the diverse needs of our members.

The CTFA hosts the following core training sessions annualy:

• Labelling Requirements

• Cosmetic Good Manufacturing Practice (cGMP)

• Claims and Substantiation

Safety Assessor Seminar

• Compendium Updates

• Various updates and stakeholder engagements.

CTFA – https://ctfa.co.za/

decades of growth and industry development

1994: The CTFA is formed as a single, focused body to represent the cosmetics industry.

1997: CTFA successfully reduces Ad Valorem excise tax from 37.5% to 15%.

1998: The first edition of the Compendium is published.

2008: CTFA acquires a special concession for cosmetics containing sodium hyaluronate/hyaluronic acid.

2011: The new Cosmetic Export Council, CECOSA is established with CTFA’s assistance.

2012: Following the Consumer Protection Act, CTFA is represented on the task team responsible for the generic consumer goods industry code of practice.

2000: CTFA SA becomes a member of Colipa (the European Cosmetic and Perfumery Association).

2001: The second edition of the CTFA Cosmetic Compendium is published.

2002: The International Sunscreen Conference is held at Sun City, South Africa.

2013: CTFA assists the Department of Labour with the formation of the Chemical Sector Occupational Health and Safety Accord.

2014: CTFA joins the technical forum heading the Department of Environmental Affairs’ Bioprospecting Access and Benefits Sharing (BABS) to facilitate bioprospecting permits.

2015: The inaugural dti Cosmetics Steering Committee is established to address the cosmetic industry’s needs.

2003: CTFA joins the international ISO Cosmetics Committee.

2004: Ingredient labelling of cosmetic products becomes mandatory.

2006: The international SPF test method is signed and agreed on by South Africa, Japan, Europe and the USA. Labelling of the 26 allergens becomes mandatory.

2016: CTFA submitts comments on draft regulations for the cosmetic industry published by the DoH.

2017: CTFA attends the International Co-operation on Cosmetics Regulation (ICCR) meeting in Brazil as the industry association representative for South Africa.

2018: Following the liquidation of the Advertising Standards Authority of South Africa, the ARB is established. CTFA keeps a close watch on this new entity.

2019: CTFA participates in an international advocacy mission to Nairobi, Kenya, and becomes a member of the International Association Co-Operation through Cosmetics Europe.

2020: During the Covid-19 pandemic, CTFA lobbies to ensure industry products were listed as ‘Essential Products’ in the gazetted Covid-19 legislation. CTFA signs a Memorandum of Understanding with the German Cosmetic, Toiletry, Perfumery and Detergent Association (IKW) for training courses for safety assessors.

2021: Extended Producer Responsibility becomes mandatory for all producers and importers of packaging. CTFA partners with the American National Standards Institute to create capacity-building webinars.

2022: CTFA transforms its legal status to a fully-fledged corporation, operating under the South African Companies Act and registered as a Non-Profit Company (NPC). CTFA joins the African Organisation for Standardisation Technical working group (TC40) on cosmetics and related products.

2023: CTFA becomes a member of the Advertising Regulatory Board with representation on their Board of Directors. It also joins the SABS Technical Committee on Hemp and Cannabis, TC0041.

Message from the chairperson

“Looking back over the last 30 years, we are in awe of the tremendous growth and development of the South African cosmetic and personal care industry. We are proud of the role that the CTFA and its members have played in this evolution,” Nizam Kalla – AMKA Products

Since CTFA’s inception in 1994, the objective has been to have a national representative body of like-minded stakeholders who selflessly serve the industry. The dream, which has manifested itself, is the existence of an association that promotes the interest of all stakeholders encompassing Brand owners, manufacturers, and raw material suppliers alike. From outset, the focus of the CTFA has been to advise, educate and train industry stakeholders through activities such as lobbying government and engaging with local and global organisations, especially in the regulatory space. Today, its role has expanded to provide a holistic level of support to the industry, with a focus on keeping it locally, regionally, and internationally recognised.

The cosmetic industry landscape has evolved over the years, with the industry reinventing itself to become even more dynamic, innovative, and agile. CTFA has been honoured and privileged to support this transformational journey while keeping product efficacy and consumer safety of paramount importance.

CTFA has successfully reached numerous industry milestones to date. This journey has taught industry stakeholders many lessons, which have led to their continuous improvement in supporting, influencing and promoting the overall growth of the industry. As an organisation, the CTFA is poised for even greater success and looks forward to the next 30 years with optimism and excitement.

New film-forming emollient from Oleon

Oleon Health & Beauty (Oleon) is excited to announce the launch of Radiastar 1436, a vegetable-based multibranched Guerbet alcohol.

Radiastar 1436 offers remarkable performance across a wide range of applications in the beauty and cosmetics industry, delivering great film-forming properties, a sensational sensorial profile, and a soft, cushioning touch with fantastic gloss.

“With its unique skin feel, good oxidation stability, and excellent pigment dispersion properties, Radiastar 1436 is a superior filmforming emollient for use in a broad range of color cosmetic & personal care formulations,” explains Ine Matthè, product manager at Oleon Health & Beauty.

Due to its branched structure, Radiastar 1436 is liquid at room temperature – an exceptional characteristic for a molecule of C36 carbon chain length. In addition, its

occlusivity is comparable to mineral oil and better company to octyldodecanol, making it an ideal green alternative to synthetic filmforming properties.

When used as an ingredient in lipstick formulations, Radiastar 1436 assists in creating a solid, uniform layer on the lips that does not flake or break even as the solvent evaporates. It leaves a firm deposit after application to the lips, with good adhesion, for a flexible covering that is sturdy enough to flex with lip movements.

“Radiastar 1436 was shown to increase the break strength of the lipstick without increasing lipstick hardness too substantially. This Guerbet alcohol can therefore be used to create a more resilient lipstick without compromising the payoff. And, with its high refractive index, Radiastar 1436 gives a nice gloss to the lipstick together with a high color intensity,” Matthè concludes.

Top 5 business risks in 2024

Allianz reveals the top risks in the chemicals, pharmaceuticals and biopharma industries in the Allianz Risk Barometer 2024.

Business interruption is the primary concern for the chemicals, pharmaceuticals, and biopharma sector in 2024, according to the Allianz Risk Barometer. This is followed by cyber incidents (30%), energy crisis and market developments (both at 24%) and fire, or explosion (21%). The report, based on insights from over 3 000 risk management professionals and business leaders, highlights the growing importance of addressing risks to ensure business continuity and safeguard against potential disruptions.

Chemicals, pharmaceuticals and biopharma face significant business interruption risks (unchanged at the top spot) due to various factors including regulatory changes, supply chain

Did you know?

The Allianz Risk Barometer is an annual business risk ranking compiled by Allianz Group’s corporate insurer Allianz Commercial, together with other Allianz entities. It incorporates the views of 3 069 risk management experts in 92 countries and territories including CEOs, risk managers, brokers and insurance experts. The 2024 report is the 13th risk barometer publsihed by Allianz. Click on the URL to view the Allianz Risk Barometer methodology and full global and country risk rankings: https://tinyurl.com/2wva2s3z.

disruptions, natural disasters, and pandemics like COVID-19. To mitigate these risks, companies can employ several strategies such as diversifying supply chains, investing in advanced manufacturing technologies for flexibility, maintaining robust contingency plans, and leveraging digitalisation for remote operations. It is also crucial to enhance collaboration with suppliers and stakeholders, adopt predictive analytics for risk assessment, and ensure regulatory compliance.

According to reports, proactive risk management and resilience-

building measures are imperative for the long-term sustainability and competitiveness of companies in the chemicals, pharmaceuticals and biopharma industries.1

CYBER INCIDENTS

Cyber incidents maintained their ranking at second due to the increasing digitisation of operations coupled with the valuable intellectual property and sensitive data they possess.

Mitigation strategies should include implementing robust cybersecurity measures such as advanced encryption

protocols, multi-factor authentication and continuous monitoring systems to detect and respond to threats. Regular employee training on cybersecurity best practices and establishing a culture of security awareness are crucial. Additionally, companies can enhance collaboration with cybersecurity experts and participate in information-sharing networks to stay updated on emerging threats and effective defense strategies.

"

Proactive risk management and resilience-building measures are

management to ensure the long-term resilience and competitiveness of companies in the chemicals, pharmaceuticals and biopharma industries.3

MARKET DEVELOPMENT RISKS

implementing rigorous maintenance and inspection programmes.

According to researchers, a comprehensive approach to fire and explosion risk management, encompassing prevention, preparedness and response measures, is essential for ensuring the safety and continuity of operations in the chemicals, pharmaceuticals and biopharma industries. 5

FUTURE-PROOF YOUR OPERATIONS

imperative for longterm sustainability

According to studies, investing in proactive cybersecurity measures is essential to safeguard critical assets and maintain the trust of stakeholders in the chemicals, pharmaceuticals and biopharma industries. 2

ENERGY CRISIS

The energy crisis is also unchanged at third because of the reliance on energyintensive processes and the potential for supply chain disruptions. Risk mitigation strategies should focus on enhancing energy efficiency through investments in sustainable technologies, process optimisation and renewable energy sources such as solar and wind power. Additionally, implementing energy management systems and conducting regular energy audits can identify areas for improvement and reduce energy consumption.

It is vital to collaborate with energy providers and government agencies to secure reliable energy sources and develop contingency plans for energy shortages. Experts say it is critical to adopt a proactive approach to energy

As a new entrant, market development risks (ranked third) in the chemicals, pharmaceuticals and biopharma industries encompass challenges such as changing regulatory landscapes, competitive pressures, and evolving consumer preferences. Mitigation strategies should include conducting comprehensive market research to identify emerging trends and customer needs, diversifying product portfolios to reduce reliance on single markets or products, as well as investing in innovation and research and development to stay ahead of competitors.

"

Establishing strategic partnerships and collaborations with other industry players can also help mitigate risks and access new markets. Furthermore, maintaining a flexible supply chain and agile manufacturing processes can enable rapid adaptation to changing market dynamics. Practical market analysis and strategic decision-making are crucial for navigating market development risks and sustaining growth in the chemicals, pharmaceuticals and biopharma industries, according to reports. 4

FIRE AND EXPLOSION RISKS

These industries also face inherent fire and explosion risks (ranked fifth as a new risk) due to the nature of the materials and manufacturing processes involved. Mitigation strategies should prioritise the implementation of stringent safety protocols and procedures, conducting regular risk assessments and investing in state-of-the-art fire detection and suppression systems.

Employee training on fire safety practices and emergency response procedures is crucial for swift and effective action in an incident. Businesses can also reduce the likelihood of accidents by designing facilities with adequate ventilation and ensuring the separation of hazardous materials, along with

What these risks reveal is the extent to which risks are interrelated and aggregated in the networked world in which we live and work. Faced with loss scenarios that can fall like dominoes, businesses need robust, resilient operational processes to safeguard their supply chains and ensure business continuity. Business continuity planning reviews are essential and must be regularly updated. •

ALLIANZ RISK BAROMETER HIGHLIGHTS

Business interruption remains the top risk in the chemicals, pharmaceuticals and biopharma industries with 57% of responses. Cyber incidents rank second with 33% of responses.

Energy crisis and market developments share third with 24% of responses.

Business continuity planning reviews are essential and must be regularly updated.

REFERENCES:

1. 2021 Global Chemical Industry M&A Outlook, Deloitte

2. 2021 Global Information Security Survey, EY

3. 2021 Global Energy Perspective by McKinsey & Company

4. According to the Global Chemical Industry M&A Outlook 2022, Deloitte

5. Chemical Safety and Security Risk Management: The State of the Art, The American Chemical Society (ACS)

Commercial –https://commercial.allianz.com/

Diary

2024 SUBSCRIPTION FORM

Please complete in block letters, select your subscription option, and returnthisform,alongwithyourpaymentto:

NEW MEDIA, a division of Media24 (Pty) Ltd, PO Box 440, Green Point, Cape Town 8051

Email: felicity.garbers@newmedia.co.za Food Review R588 R905 Food Review + SUBSCRIPTION OPTIONS (please tick)1 YEAR2 YEAR Pharmaceutical Cosmetic Review Pharmaceutical Cosmetic Review R588 R1066 R1620 R905

Full Name: ...........................................................................................

Designation: ........................................................................................

Company: ...........................................................................................

Postal Address:................................................................................... .................................................................Code: ................................. Country: ..............................................................................................

Tel: ( ).......................................Fax: ( ) .................................. E-mail: .................................................................................................

Main activity of company:

Approximate number of employees: .................................................. VAT No: ............................................................................................... Signature:............................................................................................

Please select your preferred method of payment:

❑ I would like to receive the newsletters and feature announcements via email and may be added to the mailing lists. ❑ Direct Deposit (Complete and email this form to: felicity.garbers@newmedia.co.za

Payee: Bank: Acc No: New Media, a division of Media24 (Pty) Ltd Nedbank Seapoint 1069321540

Branch Code: 10-69-09-00

Credit Card (Mastercard & Visa only) Name of card: .............................................................................

Pharma West Africa 4 to 6 October Lagos, Nigeria www.pharma-westafrica.com

CPHi Worldwide 8 to 10 October Milan, Italy www.cphi.com/europe/en/home.html

Africa Health Expo 22 to 24 October

Joburg, South Africa www.africahealthexhibition.com

Asia 1 to 3 November Bangkok, Thailand www.in-cosmetics.com/asia/en-gb.html

analytica China 18 to 20 November

Shanghai, China analytica.de/en/china

Beauty West Africa 28 to 30 November

Lagos, Nigeria www.beautywestafrica.com

Note: The above prices are applicable to South Africa only. International rates available on request.

Scoring of scalp itching

-80% after 21 days

Hydration

+43% after 21 days

Self-evaluation of scalp desquamation

-19% immediately after the 1st application

-63% after 21 days

Celebrate the joys of scalp comfort

Hair care must address the unique needs of each individual along with the common goal of maintaining healthy, great-looking hair. Croda Beauty explores how effective hair care goes beyond surface treatment to focus on scalp health.

Ahealthy scalp is essential for preventing issues like dandruff, itching, and inflammation, which can impede hair growth and lead to hair loss. Innovative ingredients are needed to ensure proper scalp care, which supports unclogged follicles, improved blood circulation, and nutrient delivery, resulting in stronger, shinier hair.

In response to consumer demand for natural products, Croda Beauty Actives has adopted sustainable practices, like plant cell culture and biofermentation to create safe, effective, and environmentally friendly cosmetic ingredients. As a leader in this field, Croda Beauty is dedicated to developing sustainable solutions that deliver proven results while minimising environmental impact.

Apiscalp™ is a multifunctional biobased ingredient that merges science and nature for exceptional performance. This natural extract is derived from Apium graveolens (celery) seeds through supercritical CO ₂ extraction – a sustainable process that efficiently extracts compounds with high purity. This method reduces energy consumption and enables CO ₂ recycling in a closed-loop system, making it an eco-friendly solution.

"Apiscalp™ is a multifunctional biobased ingredient that merges science and nature for exceptional performance

By controlling the scalp microflora, Apiscalp™ restores homeostasis to a scalp with dry or oily dandruff. It also soothes scalp itching, redness and irritation, and helps restore the scalp stratum corneum integrity while regulating epidermal differentiation and desquamation.

INTERNATIONAL AND LOCAL TESTING

Croda Beauty Actives is pleased to unveil new tests performed on textured hair with Apiscalp™. In total, four separate with dry and oily scalps and textured hair and with different hair care routines. In the first two studies, panellists used a shampoo with 2% Apiscalp™ and a leaveon lotion with 3% Apiscalp™, or placebo products. A total of 54 volunteers with itchy

Did you know?

There is more in vivo and in vitro study data available on demand for ApiscalpTM. These additional studies were conducted to demonstrate the various benefits of the active ingredient on scalp beauty and wellness.

scalp, dry, and oily dandruff used the Apiscalp™ products, while 52 used the placebo, applying them at least three

In the third study, panellists used Apiscalp™ shampoo, and 30 used the placebo, also applying it at least three times week for three weeks to address dandruff and

In a fourth study carried out in South Africa on a panel 32 volunteers with textured hair (from type 2C to 4B following Walker hair typing system), the efficacy of ApiscalpTM was evaluated by clinical study and self-assessment after three weeks’ use of a lotion containing 3% of Most participants reported soothed

"93% of volunteers saw a reduction in dandruff, and 100% experienced alleviation of itching"

of 73% or higher. In the case of dry scalp, all indicators showed significant improvement compared to a placebo. Instrumental and dermatological studies confirmed the product's effects on comfort and purification of the scalp within seven days. Furthermore, 90% of volunteers with textured hair observed an 80% reduction in itching after three weeks of using a leave-on lotion containing 3% Apiscalp™.

Dermatological evaluations have also demonstrated the effectiveness of Apiscalp™ in soothing itching, with reductions of 33% recorded for oily scalps and 30% for dry scalps – both significant compared to the placebo. This is supported by a 46% decrease

in histamine production in the scalp. Oily scalps also showed a reduction in seborrhea by 27.2% after seven days, reaching 61% after three weeks.

After three weeks of treatment, Apiscalp™ increased hydration by 12.1% to 148% and reduced water loss by 6.9% to 36%. For volunteers with textured hair, hydration increased by 43% after using a lotion containing 3% Apiscalp™. This active ingredient limits the propensity for hyperproliferation known to be associated with dandruff. It also reduced the thickness of the stratum corneum by 13.3% to 47%, and volunteers observed a reduction of 63% in flaking.

Finally, a dermatologist assessed dandruff in volunteers with oily or dry scalps after three weeks of treatment. The results showed a significant improvement, with dandruff decreasing both in size and quantity by about 50% compared to placebo. •

Croda Beauty – www.crodabeauty.com

Walker hair typing system
Before and after images at day 0 and 21 days

A commitment to inclusivity and authenticity in hair care

The textured hair care market has seen significant growth and innovation in recent years, driven by a deeper understanding of the unique needs of curly, coily, and kinky hair types. Symrise Cosmetic Ingredients has been at the forefront of this movement, investing in extensive research and development to address the specific challenges faced by consumers with textured hair.

Consumers with textured hair, particularly those with coily and kinky hair, have historically been underrepresented by mainstream brands. However, the market is evolving, with a growing acceptance of natural hair textures and an increasing demand for products that cater to these specific needs. In the US alone, black consumers spent $1.8 billion on hair care in 2022, highlighting the significant market potential.

Symrise Cosmetic Ingredients has conducted extensive market research and consumer insights studies to better understand the needs of textured hair consumers. These studies revealed that a significant percentage of women in Brazil, the US and France describe their natural hair texture as wavy, curly, or coily, highlighting that the demand for products catering to textured hair needs is global.

TECHNICAL INNOVATIONS AND UNIQUE SOLUTIONS

Symrise Cosmetic Ingredients has partnered with the Textured Hair Consortium Project with TRI Princeton Research Institute to advance innovation in the textured hair care category. This collaboration aims to identify existing needs and develop new technical routes to address unmet consumer demands. Key areas of focus include hair breakage, scalp health, hair combability, and elongation (or anti-shrinkage).

One of the standout innovations from Symrise Cosmetic Ingredients is SymProt’in Oat, a natural biomimetic peptide that penetrates deep into the hair cortex, linking with hair bonds to repair fibres and improve hair resistance. This ingredient has been

Did you know?

60% to 70% of the world’s population has texture in their hair.1

shown to significantly enhance the strength of textured hair, making it less prone to breakage.

PRODUCT DEVELOPMENT AND FORMULATION

Symrise Cosmetic Ingredients offers a range of innovative ingredients designed specifically to meet the needs of textured hair. These technologies include:

• SymHair® Shape & Color is an adaptogenic technology which retains curl shape, protects against colour fading, strengthens hair, prevents breakage, and reduces frizz.

• SymOleo®

Nutri Intense is a combination of African butters and Several oils, which provide perfect curl definition, moisturisation, and frizz control.

hashtags like #CurlyGirlOTD to showcase the beauty of consumers in this category. The company has also collaborated with influencers and celebrities to promote its products and educate consumers about textured hair care.

The commitment of Symrise Cosmetic Ingredients to inclusivity and authenticity is evident in its marketing campaigns, which celebrate natural hair textures and promote self-acceptance. Several leading global hair care brands have also joined this movement, launching campaigns that highlight the importance of representation and inclusivity in the beauty industry.

• Hydromoist® Blackcurrant is a cationic complex of blackcurrant and coconut oils that offers softness, moisturisation, better combability, and excellent volume and frizz control, even in high humidity.

These formulation technologies address the specific challenges of textured hair, such as dryness, frizz, and breakage, while enhancing the overall appearance and health of the hair.

MARKETING AND CONSUMER ENGAGEMENT

In addition to technical innovations, Symrise Cosmetic Ingredients has focused on engaging with consumers through various marketing channels. The supplier has leveraged social media platforms like Instagram to connect with the textured hair community, using

The textured hair care market presents a significant opportunity for South African brands and manufacturers to innovate and cater to the unique needs of consumers with curly, coily, and kinky hair. Symrise Cosmetic Ingredients has demonstrated a strong commitment to advancing this category through extensive research, technical innovations, and consumer engagement. As the industry continues to evolve, the supplier’s unique solutions and market insights will undoubtedly play a crucial role in shaping the future of textured hair care. •

REFERENCE:

1. https://www.syensqo.com/en/solutions-market/ consumer-goods/personal-care/hair-caresolutions/future-of-textured-hair-care-products

Symrise Cosmetic Ingredients –www.symrise.com/scent-and-care/ cosmetic-ingredients/

SymFeel Quat Green® is a game-changing new ingredient, from upcycled and renewable feedstock material – molasses of white beetroot from the sugar industry. By leveraging green chemical synthesis techniques and sustainable sourcing, Symrise has succeeded in creating a 100% natural derived and readily biodegradable replacer for PQ-7 and 10 while upholding the high-performance standards expected in hair care formulations.

Revolutionise hair oils with silicone gum blends

Conditioning hair oils are one of the fastest growing categories in hair care. They add shine, softness, and protection, regardless of hair texture or type.

No matter where you are in the world, the fundamental needs of hair care remain remarkably consistent. We all seek stronger, healthier hair, a brilliant shine, frizz control, and protection against the elements, particularly humidity.

Hair oils address these needs with an elegance that few other products can match. By creating a protective layer over the hair cuticle, they not only add shine but also lock in moisture, smooth the hair's surface, and protect it from environmental stressors.

AECI Specialty Chemicals, in collaboration with its technology partner Dow, introduces the next generation of DOWSIL™ Silicone Gum Blends. These innovative blends are designed to help you formulate highperforming conditioning and leave-in hair products, which meet the demands of an evolving regulatory landscape.

This unique dimethiconol gum is available in four additional versatile carriers, offering a range of volatilities and viscosities. This allows formulators to tailor their products to deliver the specific benefits sought by customers, such as enhanced shine, smoothness, easy combing, and a natural finish. You also have the option to use bioderived and biodegradable carrier fluids, providing even greater formulation flexibility.

PAVING THE WAY FOR INNOVATION

Silicone gum blends represent a pivotal advancement in the hair care industry,

Our next generation of Dowsil silicone gum blends help you formulate high-performing, conditioning and leave-on hair products, compliant with the demands of an evolving regulatory landscape. Did you know?

Carrier type Non-silicone carrier High-volatility, non-silicone carrier

Carrier Properties Readily biodegradable Enables thicker formulations D4, D5, D6 <0.1% each Readily biodegradable Fast drying and lightweight D4, D5, D6 <0.1% each

Key Benefits Natural look Ease of combing Smooth feel

Ultra-light feeling Ease of combing Smooth feel

offering a unique combination of performance, versatility, and consumer appeal. Their ability to enhance product texture, efficacy, and sensory experience makes them invaluable in a wide range of hair care applications.

As consumer demands evolve towards more innovative and sustainable solutions, the development of novel silicone gum blends that balance efficacy with environmental responsibility will be

Dimethicone carrier Non-silicone, bioderived carrier

D4, D5, D6 <0.1% each

Inherently primary biodegradable

96% natural origin content (ISO 16128) D4, D5, D6 <0.1% each

Closest sensory match to Xiameter PMX 1501 Fluid Ease of combing Smooth feel

Shine Ease of combing Smooth feel

crucial. By embracing these advances, formulators can continue to push the boundaries of product performance, meeting the sophisticated needs of today’s discerning consumers while paving the way for future innovations. •

AECI Specialty Chemicals –Thureya.Sarlie@aeciworld.com or Natashia.Govender@aeciworld.com

Ingredient DOWSIL™ PMX 1504
DOWSIL™ PMX 1505
DOWSIL™ PMX 1507
DOWSIL™ PMX 1508
INCI C11-13 Isoparaffin, Isohexadecane, Dimethiconol
Isododecane, Dimethiconol
Dimethicone, Dimethiconol
C13-15 Alkane, Dimethiconol
Table 1: New generation DOWSIL™ Silicone Gum Blends
Figures 1 and 2: Heat protection test results

Transform your formulations today with the innovative DOWSIL™ Silicone Gum Blends

DOWSIL™ Silicone Gum Blends for Performance and Flexibility

• Create the brand story you want – without compromising performance

• Designed with choice of four different carriers for dimethiconol gum

• Formulate for leave-on/rinse-off products globally

• The INCI name is also listed on the China Catalog of Cosmetic Ingredients

• Formulate into anhydrous and aqueous formulations

• Ease of combing (hair manageability)

• Smooth feel

• Heat protection

• Moisturization

Pioneering inclusive beauty through science and education

In beauty, integrating science and education is significant in shaping a more inclusive, and informed consumer base. Brand business leader, Ayanda Mackay explores how L'Oréal Paris Southern Africa is using science and education to reshape the beauty landscape.

As we navigate the complexities of global beauty standards and consumer expectations, our commitment to scientific rigour and educational excellence enables us to lead the industry toward greater inclusivity and understanding. This approach is not only ethically sound but also a robust business strategy that drives innovation, consumer loyalty, and market expansion.

Education in beauty is more than just learning about products; it is about understanding the science behind them. This knowledge empowers consumers to make informed decisions, dispelling longstanding myths and misconceptions about beauty products and routines.

The feedback from South African consumers reflects a significant concern with skin tone and hyperpigmentation, with 84% considering it an extremely alarming issue. Many consumers express frustration over uneven skin tone and dark spots, which are conditions exacerbated by external factors such as sunlight and pollution, and

internal factors like hormones and genetic predisposition. L'Oréal's focus on consumercentric innovations ensures that these concerns are addressed effectively through products like Glycolic-Bright. This serum is clinically proven to reduce dark spots by 57% across all skin tones. Glycolic-Bright is a testament to our commitment to creating inclusive solutions that resonate with the unique skincare needs of South Africans.

SKINCARE MASTERCLASSES

In South Africa, where diversity in beauty standards and practices is vast, the need for consumer education is particularly pressing. Consumers from diverse backgrounds and skin types are seeking products that cater specifically to their unique needs. For instance, the beauty industry is experiencing a surge in global consumer demand for personalised and authentic products, as cited in a McKinsey report.1 This highlights a need for educational initiatives that bridge the knowledge gap to ensure that all consumers, regardless of their

background, have access to the information they need to make safe, relevant and informed choices.

"Skin University by L’Oréal educates consumers on the latest scientific advancements and sustainability practices in skincare"

Skin University by L’Oréal is a prime example of how educational platforms can significantly empower the consumer and shift the beauty industry. Through seminars, workshops, and interactive experiences, Skin University by L’Oréal educates consumers on the latest scientific advancements and sustainability practices in skincare.

The programme not only reinforces L'Oréal’s commitment to innovation and education, but also serves as a pivotal tool in cultivating a

well-informed consumer base that appreciates science-driven beauty solutions. The transfer of innovative scientific knowledge and techniques to local beauty professionals not only enhances their expertise but also boosts employment quality and the overall industry standard, aligning with global trends where education and skills development in the beauty industry are increasingly prioritised.

A TAILORED APPROACH

Our commitment at L'Oréal goes beyond localising global innovations; we actively tailor them to fit the needs of local consumers.

This approach is important in a diverse market like South Africa, where the spectrum of beauty needs and concerns varies across different demographics. Localising our scientific advancements at our Research and Innovation Centre in sub-Saharan Africa ensures that our initiatives are inclusive, reflecting and respecting the unique beauty narratives of all South Africans. The Glycolic-Bright product range, formulated with 1% glycolic

acid, is an example of a localised R&I innovation for L'Oréal.

Our collaboration with local dermatologists showcases our commitment to practical, locally relevant solutions. Additionally, our community engagement programmes aimed at educating young South Africans about skincare and healthy beauty practices underline our dedication to making a longterm, positive impact on local communities. The future of the beauty industry hinges on its ability to adapt to the educational and scientific demands of today's evolving consumer. By prioritising science and education, the industry can ensure it remains relevant, trusted, and preferred by consumers who value authenticity and inclusivity.

As we continue to witness the transformative impacts of these elements, it becomes increasingly clear that the path forward is one where education and science converge to create a beauty experience that is not only enhancing but also enlightening. This is crucial to develop products and practices that truly meet the diverse needs and expectations of consumers worldwide. •

REFERENCE:

1. https://www.mckinsey.com/industries/retail/ourinsights/the-beauty-market-in-2023-a-specialstate-of-fashion-report

L'Oréal Paris Southern Africa –www.loreal.com/en/south-africa

CELEBRATE WITH US –30 YEARS DECODING CERAMIDES

Embracing the power of the 30’s for beautiful Skin, Scalp and Hair. Evonik’s Ceramides are leading the market since their first introduction in 1994.

Skin University by L’Oréal

Enhance skin and hair health with plant-derived exosomes

Unlike synthetic alternatives, plant exosomes provide a sustainable, natural and highly effective solution, which aligns with increasing consumer demand for eco-friendly and effective beauty products.
By

By enabling cross-kingdom communication, plant-derived exosomes are ushering in a new era of cosmetic innovation. These small extracellular vesicles (sEVs), produced by plant cells, are rich in DNA, RNA, proteins and lipids, and function as natural biological communicators. They offer a unique and powerful approach to enhancing skin and hair health.

The ability to customise and control the production of various types of exosomes highlights their vast potential, positioning natural plant exosomes as a groundbreaking advancement in the quest for advanced and sustainable cosmetic solutions.

Vytrus Biotech is among the ingredient producers at the forefront of this innovation, leveraging sustainable and cutting-edge biotechnology to develop plant exosomes as natural and effective alternatives to synthetic cosmetic ingredients.

The company has successfully created high concentration plant-derived exosomes from Curcuma longa and Centella asiatica cell cultures. These exosomes significantly improve skin hydration, regeneration, and hair growth, while promoting anti-ageing, anti-inflammatory and regenerative effects, making them essential components in modern cosmetic formulations.

NATURE’S CELLULAR MESSENGERS

Exosomes, also known as ectosomes or sEVs, are lipid-bound vesicles naturally secreted by cells. These vesicles, which range in diameter from 30 nanometers to 500 nanometers, are crucial for intercellular communication as they transport bioactive molecules such as DNA, RNA, proteins, lipids, and cytokines. They play essential roles in gene regulation, immune response modulation and tissue regeneration.1

Exosomes act as ‘natural biological communicators’, carrying bioactive compounds that offer numerous benefits for the skin. Their anti-inflammatory properties help reduce redness and irritation, while their ability to modulate the immune system supports healing and skin homeostasis.2 Additionally, exosomes

promote hydration and enhance the skin barrier by stimulating the production of extracellular matrix proteins like collagen and elastin.3,4 The combined effects result in improved skin texture, elasticity and overall appearance.5,6,7

Exosomes used in cosmetics are derived from various sources, including plants, animals, and synthetic processes. Although animalderived exosomes are effective, they pose ethical concerns and stability issues.8 Synthetic exosomes lack the complexity and bioactivity of their natural counterparts.9,10 In contrast, plantderived exosomes offer a compelling alternative, combining high bioactivity with sustainability and ethical production.11,12 Structurally similar to mammalian exosomes, these plant-derived vesicles facilitate effective cross-kingdom communication with human cells.

The efficacy of exosomes in skincare depends on their ability to penetrate the skin barrier and deliver their cargo. Exosomes can enter cells through pathways like endocytosis, phagocytosis and direct fusion. For transdermal delivery, they navigate through the skin via appendageal, intercellular and transcellular routes. Their small size and fusogenic lipid membranes enable them to traverse the stratum corneum efficiently, reaching deeper skin layers to exert their therapeutic effects.13

THE POTENTIAL OF PLANT EXOSOMES

Plant-derived exosomes have several advantages over their mammalian counterparts. They are more stable, easier to produce in large quantities, and free from ethical issues. Plant exosomes lack cholesterol, making them less immunogenic and more suitable for sensitive skin. Their ability to encapsulate and protect bioactive compounds ensures sustained release and prolonged benefits. Additionally, plant exosomes can be customised to meet specific cosmetic needs, enhancing their versatility and effectiveness.

Despite these benefits, there are challenges associated with producing plant-derived exosomes for cosmetic use. Extraction and purification can be complex and costly, with

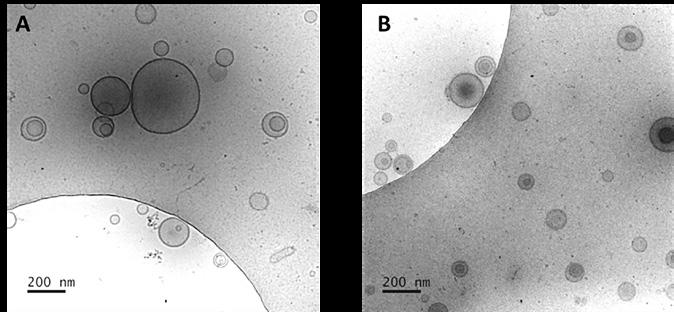
30 000 x magnification

finer structural elements are highlighted, and at 60 000 x magnification (D), a highly detailed view of the exosome surface and internal structures is provided

variability in yield and quality, depending on plant sources and environmental conditions. Ensuring consistency and high yield requires advanced biotechnological solutions.

Vytrus Biotech has overcome these challenges through the use of plant cell cultures to produce exosomes. This innovative method achieves high concentrations of bioactive exosomes, reaching billions per millilitre. By guiding plant cells to produce specific exosomes, the company can tailor their properties to address various skin and hair concerns. This approach ensures stable, scalable and customisable production, positioning plant cell culture-derived exosomes as a revolutionary advancement in the cosmetic industry.

Figure 1: Process of obtention of plant-derived exosomes in cell cultures
Figure 2: Turmeria Zen™ cell culture exosomes. TEM mages of Curcuma longa exosomes taken at 10 000 x magnification (A) where the overall morphology of the exosomes is visible. At 20 000 x magnification (B) more detailed structural features can be observed. At
(C),

highly detailed view of the exosome surface and internal structures is provided

PLANT-BASED CELL CULTURES

Vytrus Biotech focuses on natural plant exosomes cultivated from the stem cells of Curcuma longa and Centella asiatica, which offer multiple cosmetic applications. These range from reversing ageing and regenerating the skin to revitalising hair growth and density through their plant growth factors.

The Curcuma longa cell cultures include two cosmetic ingredients, Turmeria Zen™ and Capilia Longa™, which have a high concentration of exosomes at the billion level. These exosomes have been shown to significantly improve skin hydration and regeneration, increase hair density and delay hair loss. They have the potential to encapsulate and protect compounds of interest such as DNA, RNA, curcuminoids, flavonoids, terpenes, sugars, phytosterols and organic acids. Furthermore, Curcuma longa exosomes have shown involvement in intercellular communication by transporting specific growth factors, proteins and peptides.14,15

The ingredients producer has also developed Centella Reversa™, a concentrated secretome of totipotent cells from Centella asiatica cell cultures. This product contains a high billionlevel concentration of exosomes rich in growth factors, proteins and peptides. These Centella asiatica exosomes can activate patterns of expression of cutaneous genes related

to ageing, the skin barrier and hydration in keratinocytes, with powerful regenerative and anti-wrinkle effects on the skin. This combination of properties leads to the reversal of cell senescence.16

Available in South Africa from Savannah Fine Chemicals, these exosome-based active ingredients work well in skin and hair care applications, offering great potential for innovation in cosmetics. Their sustainable plant biotechnology approach aligns with consumer demand for effective and ecofriendly beauty products.

BIOLOGICAL ACTIVITY

The biological activity of plant-derived exosomes is a key factor in their efficacy for skin and hair care. Understanding the production, isolation, visualisation and characterisation of these exosomes is crucial to harness their full potential.

A transmission electron microscope (TEM) enabled Vytrus Biotech to acquire physical data such as the diameter and structure of the plant-derived exosomes. TEM images validated the structural integrity and uniformity of the exosomes, while nanoparticle tracking analysis (NTA) data demonstrated their high concentration and optimal size.

PRODUCTION AND CHARACTERISATION OF EXOSOMES

The isolation of plant exosomes from Centella asiatica and Curcuma longa cell cultures was achieved through a series of ultracentrifugation steps. Initially, cells were cultured under controlled conditions to optimise exosome production. The culture medium containing secreted exosomes was then collected and subjected to differential centrifugation, followed by ultracentrifugation at high speeds to pellet the exosomes based on their density.

TEM and cryo-TEM were used to visualise the isolated exosomes, providing detailed images of their structures and confirming their size and morphology. The exosomes from Curcuma longa, obtained under the production conditions of Capilia Longa™ and Turmeria Zen™, displayed similar spherical vesicles with slightly larger average diameters. The Curcuma longa exosomes demonstrated uniform vesicles with a high concentration, indicative of successful isolation (see figures 2 and 3).

TEM images of the exosomes from Centella asiatica, obtained under the production conditions of Centella Reversa™, revealed welldefined, spherical vesicles with consistent size distribution (see figure 4).

Vytrus Biotech used NTA to determine the size distribution and concentration of

the exosomes, tracking the movement of nanoparticles in a liquid suspension to provide quantitative measurements. The NTA characterisation confirmed that the exosomes from both Centella asiatica and Curcuma longa exhibit optimal sizes and high concentrations, validating their efficacy for advanced skincare and hair care products.

The analysis of Curcuma longa exosomes yielded notable results for both the Turmeria Zen™ and Capilia Longa™ formulations. The Turmeria Zen™ formulation was quantified at a billion-level concentration per millilitre. These particles had an average diameter of more than 100 nanometers, demonstrating a high concentration of smaller-sized exosomes.

The Capilia Longa™ formulation also showed a billion-level concentration of exosomes per millilitre, with an average diameter of more than 100 nanometers. This slightly larger size, coupled with a substantial concentration, suggests a potent formulation for hair care applications.

Similarly, for Centella asiatica in the Centella Reversa™ formulation, a significant exosome concentration of a billion level per millilitre was quantified, exhibiting an average diameter of more than 100 nanometers.

HAIR GROWTH AND DENSITY PROMOTION

With the aim to study the regenerative efficacy and hair growth and density increase of Capilia Longa™, a clinical evaluation was conducted with a panel of 40 Caucasian volunteers, male and female, between 18 and 60 years old. They all showed hair loss (ratio or hairs in Anagen and Telogen phases less than 4 (A/T=4 is considered normal), with different etiologies, grade Hamilton I-IV in male and female and grade Ludwig I-II in female, with the following:

• male and female androgenetic alopecia

• seasonal alopecia

• diffuse alopecia

• hair loss due to technical processes

• fragility

• menopause.

The clinical in vivo study assessed the regenerative efficacy of a treatment aimed at increasing hair growth and density. The number of hairs present by unit of area was calculated using images of the scalp taken with the TrichoScan® microcamera at T0, T90 and T150. The results were expressed as a percentage increase in hair density compared to the baseline. The average increase of hair density was 15.3 % and 17.3% at 90 days and 150 days, respectively. For the eyebrows and eyelash density evaluation, Curcuma longa secretome increased eyelash density by 200%

Figure 4: Centella Reversa™ cell culture exosomes. TEM images taken at 10 000 x magnification (A) where the overall morphology of the exosomes is visible. At 20 000 x magnification (B) more detailed structural features can be observed. At 30 000 x magnification (C), finer structural elements are highlighted, and at 60 000 x magnification (D), a
Figure 3: Capilia Longa™ cell culture exosomes. CRYO-TEM Images of Curcuma longa exosomes taken 40 000 x magnification (A and B)

(three-fold) after two and four months and increased the density of the eyebrows by 50% (1.5-fold) and 100% (two-fold) after two and four months (figure 5).

SKIN HYDRATION AND REGENERATION EFFICACY

For the in vivo test, a panel of 20 volunteers with an age range of 30 to 50 years was subjected to intense psychosocial stress. The volunteer selection was done via a State-Trait Anxiety Inventory for Adults questionnaire and Cortisol test in saliva (Salimetrics® Europe).

The single blind placebo-controlled study continued for 28 days during the winter (January to February) in Poland with two applications per day on the face of a placebo and Turmeria Zen™ formulation. The Polish winter is known to be extra challenging for skin in terms of dryness because of the intense cold.

Measurements were taken on the Crow’s feet area.

With the aim to evaluate the regenerative activity of Turmeria Zen™, an ex vivo test was conducted on punch biopsies (significant physical stress) to analyse the active’s regenerative properties. After the application of

Turmeria Zen™ on days 0, 3 and 5, the biopsies were analysed on day 8. Figure 6 shows that the active ingredient has higher epidermal regeneration properties than the growing factor EGF, as well as higher dermal redensifying and restructuring than EGF.

ABILITY TO REVERSE AGEING

In vivo tests were conducted to measure the biomechanical properties and wrinkle reduction benefits of Centella Reversa™. Skin firmness, elasticity, and wrinkle intensity were assessed in the clinical evaluation. This was followed by a facial complexion analysis using a VISIA®, showing a holistic rejuvenating effect (wrinkles, texture, pores, visible spots, red areas, and porphyrins).

The results of these studies demonstrate that Centella Reversa™ rejuvenates the complexion, achieving a rejuvenated appearance of up to four years.

The product’s ability to improve the characteristics of facial skin under three types of lighting was also tested. Six different parameters were measured using VISIA® Canfield Imaging Systems:

1. visible stains

2. texture

3. red areas

4. wrinkles

5. porphyrins

6. pores.15

The volunteers (women aged 52 to 63) applied Centella Reversa™ to the face twice a day as per the instructions of the study centre. Measurements were taken at 28 and 56 days.

Centella Reversa™ significantly reduced all six parameters compared to baseline at 28 days and 56 days. See figure 7.

EVALUATION OF EMOTIONAL HYDRATION EFFECT

The active ingredient significantly increased the average cutaneous hydration rate at 28 days of treatment (p < 0.001) – 13% average from the start of the study, representing 4.3-fold higher than the placebo, proving its effect as an emotional wellbeing manager.

This is a very significant value considering that the study was performed on skin selected for its level of psychosocial stress and not its level of dryness.

CONCLUSION

Plant exosomes signify remarkable progress in cosmetic science. By leveraging the inherent communicative abilities of exosomes, Vytrus Biotech has created a suite of innovative products that provide substantial benefits for skin and hair care.

The efficient delivery of bioactive compounds by plant exosomes to human cells establishes a foundation for natural, sustainable, and highly effective cosmetic solutions.

Through the application of various technological platforms, Vytrus Biotech has successfully stimulated the production of natural exosomes in plant cell cultures. The company’s research highlights that the cargo of these exosomes can be modulated based on the culturing conditions, allowing Vytrus Biotech to fine-tune their composition and potential activities to meet specific cosmetic requirements.

As ongoing research and development continue to advance in this field, the potential applications of plant exosomes in cosmetics appear limitless. This heralds a new era of advanced, eco-friendly beauty products, setting a fresh benchmark for innovation and sustainability in the cosmetics industry. •

References available on request

Figure 5: Global hair growth activation after 150 days treatment on hair (Microphotography; TrichoScan®) and 120 days treatment on eyelashes and eyebrows
Figure 7: Results on volunteers’ facial parameters as shown by VISIA®
Figure 6: Regenerative properties of Turmeria Zen™ at eight days, compared to the EGF effect (pictures of three different biopsies are shown for both EGF and Turmeria Zen™). Data from the Norwitch Skin Platform, University of East Anglia

Zemea Propanediol – the personal care MVP

As the industry continues to evolve towards more natural and effective solutions, Zemea Propanediol stands out as a leading ingredient that meets the needs of consumers and formulators alike.

Zemea® Propanediol (INCI: Propanediol; 1,3-propanediol) is a multifunctional ingredient that has revolutionised the personal care industry with its versatile benefits. Derived from a sustainable and renewable industrial field corn fermentation process, 1,3-propanediol is a bio-based alternative to petroleumderived glycols. Its incorporation into personal care products not only enhances their performance but also aligns with growing consumer demand for natural and sustainable products.

SUSTAINABILITY AND INGREDIENT PURITY

One of the primary benefits of 1,3-propanediol is its high purity and sustainability.

As consumers become more environmentally conscious, the demand for eco-friendly products has surged. 1,3-propanediol meets this need by providing a product that is 100% bio-based (ASTM D6866), reducing reliance on non-renewable resources and minimising environmental impact. Its high purity (average purity = 99.96% propanediol) means it is free

from potentially harmful impurities that can be found in petroleum-based glycols, ensuring a safer option for personal care applications.

SKIN-FRIENDLY PROPERTIES

1,3-propanediol is known for its lack of skin irritation or sensitisation, making it an ideal ingredient for all skin types, including sensitive skin. Its excellent humectancy properties help to retain moisture in the skin, providing superior hydration compared to traditional glycols. This not only improves the skin’s appearance by making it look smoother and more vibrant but also enhances the user’s sensory experience during application.

ENHANCED PRODUCT PERFORMANCE

The multifunctional nature of 1,3-propanediol allows it to serve various roles in personal care formulations. It can act as a humectant, emollient, preservative booster, viscosity enhancer, and natural solvent.

This versatility enables formulators to reduce the number of ingredients in their products, simplifying the formulation process and potentially lowering costs. Moreover, 1,3-propanediol’s unique Hansen Solubilities Properties (HSP) enable the effective delivery of active ingredients to the skin, improving the overall efficacy of a product.

BOOSTING PRESERVATIVE EFFICACY

Preservatives are essential in personal care products to prevent microbial growth and ensure product safety.

This is particularly beneficial as it can reduce the potential for preservative-related skin sensitivities and aligns with the trend towards ‘cleaner’ product labels.

A SUPERHERO INGREDIENT

Offering multifunctional benefits for personal care applications, 1,3-propanediol is a true superhero ingredient. Its sustainability, skinfriendly properties, and ability to enhance product performance make it a valuable addition to a wide range of personal care products.

The multifaceted benefits of 1,3-propanediol demonstrate its potential to continue shaping the future of personal care products. Its role in boosting preservative efficacy, enhancing moisturisation, and improving the delivery of active ingredients are just a few examples of how this ingredient can contribute to the development of innovative and sustainable personal care solutions.

As the industry moves forward, 1,3-propanediol will undoubtedly remain at the forefront of ingredient technology, offering a blend of performance, sustainability, and consumer appeal that is hard to match. •

IDEAL FOR HAND SANITISERS

" 1,3-propanediol is a true superhero ingredient, offering sustainability, skin-friendly properties, and enhanced product performance"

1,3-propanediol has been shown to boost the efficacy of preservatives, potentially allowing for lower concentrations of preservatives to be used in formulations.

Considering the recent global health crisis, hand sanitisers have become a staple in personal care. 1,3-propanediol has proven to be an effective addition to alcohol-based hand sanitiser formulations. It offers value-added benefits such as improved skin feel and moisturisation, which are important considering the frequent use of hand sanitisers and the potential for skin dryness and irritation.

IMCD South Africa – www.imcdsa.co.za

Long-lasting odour elimination

Fragrance Oils has introduced an innovative technology called Odouraze, designed to tackle malodours effectively.

In today’s fast-paced world, personal hygiene and odour control have become more critical than ever. This is because malodours can significantly impact an individual’s self-esteem and overall well-being.

Odouraze technology addresses this need by offering solutions specifically designed for personal care applications. Whether it’s body odour, sweat, or other unpleasant smells, Odouraze provides a comprehensive solution.

HOW THE TECHNOLOGY WORKS

Odouraze is versatile and can be incorporated into various formulations, making it a valuable addition to any personal care product line.

Backed by over 35 years leading industry research, Odouraze works by combining bespoke perfumery design rules with enhanced malodour elimination technology. This is particularly beneficial for personal care products such as deodorants, body washes, shampoos, and intimate care products.

and antiperspirants. These products benefit from its ability to neutralise sweat odours, providing long-lasting protection and freshness.

• Body washes and soaps: Odouraze can be incorporated into body washes and soaps to ensure users feel fresh and clean throughout the day. The technology’s ability to eliminate malodours at the source makes it an excellent choice for these products.

• Shampoos and conditioners: Hair can often trap odours, making it essential to use products that can effectively neutralise smells. Odouraze technology can be added to shampoos and conditioners for fresh smelling hair all day long. It can also make a big difference in relaxer products to mask the strong smell of ingredients.

Intimate care products: These products require special attention to ensure they are gentle yet effective.

Odouraze technology is an ideal solution to provide odour control without causing irritation.

A GAME-CHANGER IN ODOUR CONTROL

Unlike traditional fragrances that only mask odours, Odouraze

"Odouraze has been developed through extensive ingredient screening and advanced sensory testing"

A WIDE RANGE OF APPLICATIONS

• Deodorants and antiperspirants: One of the most common applications of Odouraze technology is in deodorants

Odouraze technology, developed in collaboration with Givaudan, is a significant advancement in the field of fragrance and personal care. Did you know?

has been developed through extensive ingredient screening and advanced sensory testing, allowing Fragrance Oils to create effective solutions that are tailormade to suit customers’ needs. This contributes to consumer confidence and helps boost the user’s self-esteem, making them more likely to repurchase products formulated with Odouraze. Fragrance Oils Odouraze technology is a game-changer in the personal care industry. Its ability to provide targeted malodour control and long-lasting freshness sets it apart from traditional fragrance solutions while revolutionising the way industry approaches personal hygiene. Through combining bespoke perfumery design rules with enhanced elimination technologies, Odouraze provides a certified solution to target malodours across various markets. For more information on how Odouraze can enhance your personal care products, contact the local agent, Brenntag SA. •

Our extensive expertise allows us to craft captivating scents for beloved consumer goods. In partnership with Fragrance Oils, we can supply tailor-made fragrances to suit your individual needs. Whether it’s allergen free formulas, mood-boosting scents to enhance wellness or a particular concept you envision for your brand.

Our talented Scentmakers nurture relationships with every customer, no matter how big or small and if you’re looking for new ideas, we can provide marketing insights and innovative fragrance collections inspired by the latest launches and trends.

brenntag.com

Tested and approved – truly sustainable packaging

Berry Global’s B Circular packaging range of beauty and personal care products is now available in Berry’s CleanStream recycled plastic. This is a sustainable alternative to many of the products manufactured with polypropylene.

With the capacity to recycle nearly 40%* of all polypropylene waste collected from domestic recycling bins in the United Kingdom, Berry’s innovative CleanStream® technology offers the UK’s first domestically recovered, mechanically recycled, contact-sensitive, recycled plastic at scale.

According to an in-depth life-cycle analysis by Quantis**, packaging made with CleanStream® recycled material from Berry’s Leamington Spa facility has around 35% lower carbon dioxide (CO₂) emissions than virgin plastic – a reduction of about 36 000t of CO₂ annually.

CleanStream recycled plastic can be used in the manufacture of a wide range of B Circular products, including closures, atmospheric and airless dispensers, jars, and applicators. It is designed to significantly reduce the investment costs and environmental impacts associated with advanced recycling materials and solventbased solutions. CleanStream material has been tested extensively across a range of products and processes to ensure it satisfies the rigorous standards for contact-sensitive personal care and beauty applications.

PRETTY PACKAGING WITH PERFORMANCE CREDENTIALS

“Sustainability is a major requirement for beauty packaging, but any recycled plastic for packs has to meet the highest levels of performance

in terms of protecting and preserving the product and maintaining its quality and effectiveness,” said Elodie Roger, Berry Global CPI’s VP of sustainability.

"Any recycled plastic for packs has to meet the highest levels of performance "

“CleanStream® recycled plastic meets these requirements and is already being used by several leading personal care brands, which are incorporating up to 100% of the recycled plastic in their packaging. By making it available in our B Circular range, we are anticipating the forthcoming Packaging and Packaging Waste Regulation and offering more companies the opportunity to demonstrate their sustainability commitments with a wide choice of aesthetically pleasing and consumer friendly packs.”

AN ECO-FRIENDLY LEADER

In addition to the inclusion of CleanStream® and other high-quality post-consumer recycled plastics in the packs, other initiatives to meet these objectives include:

• the development of reusable and refillable packs

• packs designed to RecyClass and Association of Plastic Recyclers guidelines to improve recyclability

• lightweighting of packs

• the use of renewable resources, such as forestry residue and used cooking oils, to replace fossil fuel feedstocks.

Berry Global’s extensive knowledge and innovative technology create a culture for the design of circular polymers that offer significant environmental benefits when compared to virgin polymers. •

Did you know?

Berry Global is one of the world’s leading plastic recyclers with a current capacity to recycle around 160 000MT annually of post consumer recycled and post industrial recycled plastic. The business also strives to recover as much of its internal scrap as possible, with most of its manufacturing sites across the globe having invested in recycling equipment.

Berry Global – www.Berryglobal.com

B Circular CleanStream product family

Digital identification solutions revolutionise the pharma landscape

The pharmaceutical industry continues to evolve, with the integration of digital identification technologies such as RFID and QR codes bringing about a significant transformation.

These innovations not only enhance supply chain processes but also improve process management and product quality. This is why RFID and QR codes are increasingly adopted by pharmaceutical, healthcare, and medical device companies.

One of the primary advantages of digital identification technologies is their ability to combat counterfeiting. Counterfeit pharmaceuticals pose a global threat, with an estimated market value of around $200 billion, putting consumer health and safety at serious risk. By implementing RFID and QR codes, pharmaceutical companies can ensure the authenticity of their products, safeguarding their brand reputation and ensuring patient safety. This not only builds trust and credibility with customers but also enhances market competitiveness.

For almost 40 years, Graphimecc has specialised in variable data printing and RFID tag application to enable advanced anti-counterfeiting measures. To date, the company’s machines have already produced over 90 billion unique products in a fully automated way, guaranteeing the highest level of quality necessary to quickly and unequivocally detect counterfeit goods on the market.

PRODUCT AUTHENTICITY AND ANTI-COUNTERFEITING

Digital identification solutions enable real-time traceability of products. This is particularly crucial in the pharma industry, where accurate patient information and efficient drug warehouse management are essential. These technologies provide healthcare professionals and patients with precise dosage information, minimising the risk of errors and improving drug administration.

Pharma compliance with stringent security and quality standards is also enabled by using digital identification technologies.

" By using RFID and QR codes, the authenticity of products can be verified throughout the supply chain"

Working together with its customers, Graphimecc’s goal is to create specific projects to fight this problem on a day-to-day basis, ultimately ensuring a future where the safety of consumers and brands is no longer threatened by counterfeiting.

Did you know?

The RFID label is characterised by a customised section in which the identification codes are printed (e.g. QR code) and/or on which a RFID label is applied on the front or back.

While traditional packaging often lacks sufficient space for essential information, digital solutions can be used to deliver vital data to patients, enhancing precision, traceability and overall product quality.

The implementation of digital identification solutions also addresses critical challenges in the pharma industry, such as production inconsistencies and the necessity for regular quality assessments. Real-time monitoring and accurate identification can significantly improve product quality, safety and supply chain efficiency. These digital solutions help reduce human errors, navigate legal compliance issues, mitigate patient safety risks, and enhance operational efficiency.

One of the key benefits of digital identification technologies is their role in anticounterfeiting. Counterfeit drugs not only

and QR

pose a risk to consumer health but also damage the reputation of pharmaceutical companies. By using RFID and QR codes, the authenticity of products can be verified throughout the supply chain, ensuring that only genuine medications reach the market. This is crucial in maintaining the integrity of the pharmaceutical industry while protecting consumers from potentially harmful counterfeit drugs.

Graphimecc, represented in South Africa by CSM, offers industrial machines specifically designed for manufacturing RFID products such as labels, tickets, hang tags and much more. These machines are divided in two groups:

RFID
codes inserted in pharmaceutical packaging play a key role in anticounterfeiting

1. ZERO RFID W TM is a machine designed for encoding RFID products and the overprinting of variable data, allowing manufacturers to obtain a high-quality product with zero errors.

2. REVO RFID W TM is a machine designed for RFID label application in reel format, including inserting RFID labels and checking register for precision and accuracy.

These machines can be fully designed according to a customer’s specific needs.

AUTOMATE AND STREAMLINE OPERATIONS

In addition to anticounterfeiting, digital identification solutions improve process

automation and cost efficiency. By automating various processes, pharmaceutical companies can streamline their operations, reduce manual errors, and enhance overall productivity. This leads to cost savings and improved efficiency, allowing companies to allocate resources more effectively and focus on innovation and research.

Furthermore, digital identification technologies play a vital role in quality control. Regular quality checks during production are essential to ensure that pharma products meet the required standards. Digital solutions enable realtime monitoring and accurate identification, allowing companies to detect and address

any quality issues promptly. This not only ensures the safety and efficacy of the products but also helps maintain compliance with regulatory requirements.

The integration of digital identification technologies such as RFID and QR codes is revolutionising the pharmaceutical industry. These innovations offer numerous benefits, including improved anticounterfeiting measures, unique product identification, real-time traceability, accurate patient information, efficient warehouse management, and compliance with safety and quality standards. By adopting these digital solutions, pharma manufacturers can enhance product quality and safety, as well as supply chain efficiency, ultimately fostering increased access to medicines and better patient care. •

CSM –

https://csm-sa.co.za/ Graphimecc –https://graphimecc.it/

Graphimecc’s ZERO RFID WTM machine

A vision for unparalleled quality control

Manufacturers and brand owners require solutions to help them comply with patient safety and traceability requirements, both easily and cost-effectively. TracePack offers machine vision and industrial barcode reading technology that is set to revolutionise the pharma and medical device industries.

In the modern age, where precision and reliability are indispensable, the pharma and medical device industries continuously seek innovative solutions to enhance their operations.

Machine vision and industrial barcode reading stand at the forefront of this transformative wave. This technology revolutionises the manufacturing of pharmaceuticals and medical devices, ensuring exceptional quality, compliance, and efficiency.

OUTLINING THE CHALLENGES

The pharmaceutical and medical device industries are bound by stringent regulatory standards and the need for high level quality control. There is zero room for error, from producing life-saving drugs to manufacturing intricate medical devices. These industries face numerous challenges, including:

Regulatory compliance – adhering to the FDA guidelines, EU Medical Device Regulation, and global Good Manufacturing Practices standards.

Traceability and serialisation –implementing robust traceability systems to prevent counterfeiting and ensure product authenticity.

"Automated visual inspection speeds up the production process and reduces human errors "

Quality assurance – achieving high levels of consistency and precision in product manufacturing to guarantee safety and efficacy. Operational efficiency – optimising production processes to reduce costs and meet market demands.

TracePack’s advanced machine vision and barcode reading solutions address these challenges head-on. The benefits of these solutions are outlined in this article.

ENHANCED QUALITY CONTROL

The technology provides unparalleled quality control. Machine vision systems such as InSight and VisionPro can inspect products at every stage of the manufacturing process. Whether checking the alignment of a medical device component or verifying the fill level of a pharmaceutical vial, these systems ensure that only products meeting the highest standards proceed.

ROBUST TRACEABILITY SOLUTIONS

Serialisation and traceability are critical in preventing counterfeiting and ensuring product authenticity. Powerful barcodereading technologies like DataMan and barcode verifiers can directly read and

verify codes on labels, packaging, and products. These systems ensure compliance with global traceability requirements and enhance supply chain transparency.

ENSURING ACCURACY IN PACKAGING

Accurate labelling on packaging with critical information such as lot codes and expiration dates is also important to maintain product quality. This information is essential for regulatory compliance and, more importantly, patient safety.

" Vision systems can verify that labels, packaging and product codes meet regulatory standards"

AI-powered machine vision systems utilise optical character recognition (OCR) and optical character verification (OCV) technologies to achieve accuracy. These advanced systems meticulously read and verify the printed information on each package, ensuring accuracy and consistency.

By eliminating the risk of manual errors, OCR and OCV technologies help ensure every product is correctly labelled, preventing potential recalls and compliance issues. This technological advancement enhances efficiency and reinforces the reliability of

pharmaceutical products and medical devices in the market.

COMPLIANCE WITH REGULATORY STANDARDS

Advanced technologies are designed to help manufacturers comply with complex regulations. Vision systems can verify that labels, packaging and product codes meet regulatory standards, checking for correct lot numbers, expiration dates and the presence of required safety markings. By automating these processes, pharmaceutical and medical device companies can reduce non-compliance risk and avoid costly recalls.

DATA INTEGRATION AND ANALYTICS

These systems are equipped with powerful data integration and analytics capabilities. Real-time data from inspections and barcode reading can be integrated into manufacturing execution systems and enterprise resource planning systems. This data-driven approach allows manufacturers to gain insights into their processes, identify areas for improvement, and maintain a high standard of continuous quality improvement.

PROCESS AUTOMATION AND EFFICIENCY

TracePack’s machine vision systems facilitate greater automation on the production floor. Automated visual inspection speeds up the production process and reduces human errors. This leads to higher throughput, lower operational costs, and the ability to meet market demand more effectively. From robotic guidance to surface inspection, the machine vision systems ensure that every production aspect is streamlined and efficient.

TracePack’s advanced machine vision and barcode reading technology is a game-changer for the pharmaceutical and medical device industries. State-of-theart machine vision and barcode reading technologies empower manufacturers to meet the highest quality, compliance, and efficiency standards. As these industries progress, precision technology like TracePack’s will be indispensable in driving innovation and ensuring the highest levels of safety and efficacy in healthcare products.

In a world where the smallest error can have significant consequences, TracePack stands as a beacon of reliability and excellence, paving the way for a safer, more efficient future in the pharmaceutical and medical device markets. •

Label verification
Shipping case tracking

Exploring the science behind skincare-makeup

hybrids

Designed to moisturise, protect and correct, tinted moisturisers and BB and CC creams are makeup-skincare hybrids with the ability to meet the diverse beauty needs of all consumers. These beauty products and their formulation ingredients were highlighted in an online seminar hosted in July by Coschem.

BB CREAMS AND SKINIFICATION

Rukaya Mansoor of Indigo Brands (South Africa) discussed the relevance of BB creams to the skinification trend. BB creams or beauty balms are multi-purpose cosmetic products that combine the benefits of skincare and makeup in one. They hydrate skin, provide coverage, and often include SPF for sun protection.

Compared to traditional cosmetics, these products combine the aesthetics of cosmetics with the benefits of skincare by incorporating active ingredients. This meets consumer demand for multifunctional products, which simplify beauty routines and improve skin health over time.

even application, lightweight feel and long lasting, non-comedogenic so it does not clog pores or cause any sensitivity. Key considerations for ingredients include:

• pigments – best suited at 5% to 10% and surface treated to improve on coverage and a natural finish

• multifunctional emulsifiers that not only stabilise the emulsion but also offer a light, silky feel to ensure a pleasant user experience

• emollients that contribute to long wear and hydration claims but are not greasy or comedogenic

• active ingredients – these form the basis of BB creams and give them their skincare benefits. Actives can be varied

EFFECT PIGMENTS IN TINTED FORMULATIONS

Janine Fitzpatrick of The Care Co. (South Africa) spoke about the benefits of using effect pigments in tinted skincare and body care. Her presentation focused on current global trends for BB and CC creams and the ways in which formulators can harness the science of effect pigments to improve the benefits and aesthetics of their tinted formulations.

as hydration, oiliness, anti-ageing, and

When formulating, the ingredients should be balanced to maintain the function of the product

skincare. Ingredient multirequirement to reduce the number of formulation

enhancing the focus on

"Ingredients should be balanced to maintain the function of the product with the function of skincare "

The selection of the correct effect pigment for a specific application is dependent on the substrate and coating effect. It is also important to understand the skin tone and concerns of the consumer. Janine highlighted that knowledge of the colour spectrum is key. Simply using complementary colours, a formulator can counterbalance standard consumer skincare concerns such as redness or sallowness.

Anti-ageing and even tone benefits are typically a requirement of good skincare products, but as performance actives do take time to show benefit,

it is advisable to add effect pigments to support with instant results.

HISTORY, TRENDS AND FORMULATING TIPS

In her presentation entitled BB Cream Chronicles, Conny Oberrauter of Infinity Grip (South Africa) shared the history of BB creams, as well as trends and formulating tips. The first BB cream was made in Germany in the 60s. Since the early 2000s, the product concept has had pheromonal growth, mainly due to the popularity in South Korea.

The biggest attribute of BB creams is that they are multifunctional and combine all the benefits of a moisturiser, sunscreen and foundation in one. BB creams are also much lighter in feel and can be used by all skin types.

Global growth in the market is expected to be around 8%. Some main category drivers will be differentiating BB creams by skin concern and expanding with more shade options for global skin tones. Social media influencers also have a big impact on the growth of BB creams. Popular online search terms for BB creams include ‘best bb cream for oily skin’. Ingredient focuses are also driven by information shared on social media.

Getting the colour right is one of the biggest challenges when formulating BB creams, along with incorporating colour into the formulation. The same principles used in formulating foundations apply to BB creams. The different pigment options include adding the iron oxides directly to the oil phase, pre-blending the iron oxides to the desired shade and then adding the mixture to the oil phase. The most convenient option is to create extenders. These are monochromatic full BB creams (or foundations) made using only one iron oxide. These extenders are then blended to achieve the desired shade. This system makes colour correction much simpler while maintaining the integrity of the formulation.

Conny also touched on the importance of claim substantiation and adhering to regulations.

TINTED MOISTURISERS AND SUNSCREENS

Leah Legodi of L’Oreal South Africa spoke about the importance of using sunscreen

and how it protects skin from UVA rays that cause premature ageing and UVB rays that cause sunburn and skin cancer. She highlighted the following factors associated with tinted sunscreens:

• Always choose a broad-spectrum sunscreen because it contains both UVA and UVB filters.

• Tinted sunscreens offer a higher SPF more than 50.

• Tinted sunscreens are currently not tailor made for a specific skin type.

• Tinted sunscreen formulations include a pigment that will mask the appearance of a white cast.

• Consumers should choose a tinted sunscreen that matches their skin tone and undertone (warm or cool undertones) as this will affect the finish.

• Tinted sunscreens can leave a powdery finish that enhances the appearance of wrinkles and dehydration lines. So, it’s advisable to use a moisturising product before applying tinted sunscreen.

• Tinted sunscreens can be used with or without regular foundation.

• Very fluid, light textured tinted sunscreens do not deposit enough

• Powdery and matte finish tinted sunscreens can enhance the appearance of wrinkle and dehydration lines, so it’s recommended to use a good moisturising product before use.

• Texture plays a very important role in the formula. Waxy textures are difficult to apply and spread on skin thus causing an uneven and patchy finish.

• The amount of product used is important –

too little might not give sufficient coverage and protection, while too much might leave a very chalky finish.

• With a provision of tinted sunscreens, white cast or ashiness should no longer be a concern.

SPARKLING PRODUCTS AND SUSTAINABILITY

In a presentation entitled Effect Pigments for Cosmetics Based on Different Substrates, Tom Taekema of Geotech International (The Netherlands) discussed special effect pigments, glitter particles and functional fillers. Represented in South Africa by Quantum Colours, Geotech’s portfolio contains 16 product lines with over 800 unique raw materials. Tom advised that Geotech is still well known for its sparkling products created by coarse mica (natural and synthetic) and borosilicate (glass) flakes from the Geopearl®, Geopearl® Crystal and Geodiamond® product lines. He also emphasised that the supplier is highly committed to sustainability and has plans to reduce its environmental footprint and that of its supply chain.

OVERCOMING FORMULATION CHALLENGES

Angele Gazon of Solabia (France) spoke about the challenges of formulating colour cosmetics in line with evolving trends. Colour cosmetics is known to be one of the

fastest evolving segments in personal care. Consumers’ needs and market trends shift within months, mainly driven by social media. Additionally, regional criteria differences add another layer of complexity. and which will not compromise the colour and sensory properties of the formula.

"Broader trends such as skin health, sun protection, inclusivity and naturality impact the work of formulators"

Solabia Group's research has developed ideal solutions to support formulations that keep pace with evolving trends, with innovative solutions to meet the needs of formulators and consumers.

REVOLUTIONISING NAIL HEALTH AND APPEARANCE

Almira Khan of The Care Co. (South Africa) took a different perspective on the topic of BB and CC creams. These products are characterised by their ability to blur, even tone, conceal, colour correct, protect and hydrate the skin. Almira explored ways in which the cosmetics industry can incorporate these characterstics into nail care.

From bold colours to tinted skin care, creamy textures to low-viscosity products, these changes demand significant formulation adjustments. Furthermore, broader trends such as skin health, sun protection, inclusivity and naturality impact the work of formulators. Meeting diverse colour palettes with the same base, achieving high SPF without compromising on the sensory experience and colour of a product, or having to incorporate targeted actives to support skin health – requirements such as these make the formulation process more challenging than ever.

This underscores the need for highly performant and flexible ingredients. Utilising the correct advanced pigment dispersant system can enhance pigment load in the formula while reducing viscosity and improving pigment dispersion, resulting in brighter and more vivid colours.

Although high pigment concentrations can lead to suspension and stability issues, the use of carefully selected bentonite organoclay gels can create low-viscosity coloured products with excellent suspension and stabilisation properties. Additionally, to integrate natural sun protection, it is essential to use a high-quality mineral UV dispersion to achieve high SPF without white cast

As the skin has imperfections, so do nails. Consumers are searching for products to minimise these imperfections, which can be due to the nail being unhealthy. Instead of simply concealing imperfections, reviving the nail from within should be a consideration.

By understanding the structure of the nail, one can utilise products that target nail concerns. These products act as a BB or CC cream by evening out the nail, brightening and neutralising yellowing on the nail, and strengthening the nail from within to minimise chipping and splitting. A few examples of products that exist on the market are ridge fillers, whiteners and nail hardeners. This is how one can heal the nail from within.

Drawing inspiration from BB and CC creams and their ability to be skin-identical, a trend has picked up for nails that have a more natural look mirroring the natural pink found on nails.

Just as certain BB and CC creams contain active ingredients, Almira explored some ingredient categories such as vitamins, oils, acids, extracts and pigments. •

Coschem – www.coschem.co.za

Turn static files into dynamic content formats.

Create a flipbook
Issuu converts static files into: digital portfolios, online yearbooks, online catalogs, digital photo albums and more. Sign up and create your flipbook.