Salute&Armonia - Bergamo

Page 1

Segreti per una bocca in armonia SALUTE DEGLI OCCHI

IGIENE ORALE
E
Inserto omaggio allegato al numero odierno di Prima Bergamo, Giornale di Treviglio Anno I | Numero 1 | Maggio 2024
Occhi sani, vita radiosa ALIMENTAZIONE OLISTICA Mangiare per il corpo e l’anima YOGA
MEDITAZIONE Percorsi verso l’anima interiore

I servizi dell’Ambulatorio Koala e tanto altro in tasca

SCARICA LA NOSTRA APP

sconti, eventi e aggiornamenti sui nostri servizi

Cerca nell’App Store e Google Play: Koala Ambulatorio

I NOSTRI SPECIALISTI

Dott. RICCARDO GRINER ........................Direttore Sanitario Visite medico sportive Visite cardiologiche

Dott.ssa VALENTINA AVALLONE ...........Medico generale

Dott. LUCA APRUZZI ................................Chirurgia vascolare, angiologo

Dott.ssa MICHELA TAGLIONI ..................Visite dermatologiche

Dott.ssa MARIALUISA POZZI ..................Visite dermatologiche

Dott.ssa SILVIA BERGAMASCHI .............Visite endocrinologiche

Dott. MARIO SALA ....................................Esami ecografici

Dott. STEFANO FARINA ...........................Visite fisiatriche e neurologiche

Dott.ssa MARIANNA CANTARELLI .........Visite ginecologiche

Dott. NICOLA FRATELLI...........................Visite ginecologiche

Dott. NICOLA GAFFURI ..........................Visite gastroenterologiche

Dott. SERGIO CAVENATI.........................Visite gastroenterologiche

Dott. FILIPPO GAGLIARDI .......................Visite neurochirurgiche

Dott.ssa GAIA COLOMBO ........................Nutrizionista

Prof. ALFREDO SAVARESE ......................Visite ortopediche

Dott.ssa FEDERICA BRANDAZZA ..........Visite e consulenze ostetriche

Dott. LEONE GIORDANO .........................Visite otorinolaringoiatriche

Dott. ANDREA PREDA ..............................Visite podologiche posturali

Dott. ANDREA GAMBETTI .......................Visite proctologiche e di chirurgia addominale

Dott.ssa PAOLA LANDI ............................Visite psichiatriche

Dott. LORENZO BARINA ..........................Visite psichiatriche

Dott. SIMONE GARI ..................................Consulti psicologici e psicoterapeutici

Dott.ssa ROBERTA MENOTTI ..................Consulti psicologici e psicoterapeutici

Dott.ssa PATRIZIA CASIRATI ..................Consulti psicologici e psicoterapeutici

Dott.ssa ELISABETTA CEREA ...................Psicoterapeuta bambini/adolescenti

Dott. IGOR LUIGINO MANENTI ...............Sessuologo

Dott.ssa TANIA UBIALI .............................Visite reumatologiche

Dott. ORESTE RISI.....................................Visite urologiche e andrologiche

Dott. MICHELE MANICA ...........................Visite urologiche e andrologiche

Dott. STEFANO MINETTI ..........................Allergologo

Dott. VALENTINO FLAVIO .......................Nutrizionista sportivo

Dott. LUCA RONCHI..................................Pneumologo

Dott. FRANCESCO VALENTI .....................Chirurgo senologo NOVITÀ

Dott.ssa NICOLE SASSI ............................Logopedista

Dott.ssa GIULIA AMMONI .........................Neuropsicologa

Dott.ssa CLARA BOLDONI........................Neuropsicologa

SI ESEGUONO VISITE

• CARDIOLOGICHE

• OCULUSTICHE

• REUMATOLOGICHE

Si eseguono test cognitivi

L’ambulatorio Koala si avvale di medici specializzati in collaborazione con l’ospedale di Treviglio

I NOSTRI SERVIZI

INTERVENTI di PICCOLA CHIRURGIA

INFERMIERI a DOMICILIO

MASSOTERAPIA

FISIOCHINESITERAPIA

OSTEOPATIA per ADULTI e PEDIATRICA NOVITÀ

Tamponi vaginale e cervicali

Test genetici per il lattosio, celiachia, disbiosi e calprotectina

PROSSIMAMENTE

Ecografie neonati

Neuropsichiatra infantile

TERAPIE FISICHE

STRUMENTALI:

Tecarterapia

Laserterapia

Ultrasuonoterapia

Ozonoterapia

Magnetoterapia

Correnti tens

Elettrostimolazione

Onde d’urto

Bio-feedback pavimento pelvico uomo-donna

DIAGNOSTICA

Ecografie muscolo-tendinee

Ecocolordoppler vascolare

Ecografie morfologiche 3D/4D

Ecografie prostata e svuotamento vescica

Pap test “liquido” - HPV

Ecografie mammarie

Ecocardiogramma

Holter cardiaco - Holter pressorio

Prova da sforzo con cicloergometro

Test intolleranze alimentari (spire test)

Test genetici (harmony test DNA fetale)

Test combinato (btest)

Breath Test per helicobacter

Breath Test al lattosio

CORSI

Pilates • Yoga • Stretching

Servizio Personal Trainer anche a domicilio

www.ambulatoriokoala.it Via A. Crippa 19, Treviglio (BG) l 0363 300337 333 9507541 l info@ambulatoriokoala.it
102014-2024 Anniversario
INDICE: 2 PREVENZIONE In armonia con la primavera 26 IMPORTANZA DEL SONNO Strategie per un riposo ef ciente 6 IGIENE ORALE Segreti per una bocca in armonia 29 ESERCIZI PER LA VITA QUOTIDIANA Mantenere il corpo in forma 11 SALUTE DEGLI OCCHI Occhi sani vita radiosa 32 STRESS E SALUTE Trasforma lo stress in forza 14 SALUTE DELLA PELLE Sole splendente, pelle sicura 35 VIAGGI CHE RIGENERANO Destinazioni per il benessere nel nord Italia 19 SALUTE DEL CUOIO CAPELLUTO Consigli pratici per capelli belli e sani 41 MUSICA ED EMOZIONI Come la musica in uenza il nostro umore 20 SALUTE DELL’UDITO Come proteggere l’udito in un mondo rumoroso 42 YOGA E MEDITAZIONE Percorsi verso l’armonia interiore 22 SALUTE FISICA E MENTALE Nuovi approcci per il benessere sico e mentale 44 MASSAGGI Tipi e bene ci per il corpo e la mente 24 ALIMENTAZIONE OLISTICA Mangiare per il corpo e l’anima 48 L’ARTE COME TERAPIA Esprimersi e guarire attraverso la creatività Editore: Dmedia Group spa - Via Campi 29/L, Merate (LC) | Finito di stampare: Maggio 2024 | Stampa: Ciscra S.p.A. - Via S. Michele 36, Villanova del Ghebbo (RO) | Pubblicità: Publi iN - Via Campi 29/L, Merate (LC) - 039.99891 | Inserto omaggio alle testate Netweek

In ARMONIA

La primavera, con il suo risveglio della natura, può essere una stagione di contrasti per chi soffre di allergie stagionali. Tuttavia, non è necessario rinunciare a godersi i colori e i profumi, tipici di questo periodo, a causa di alcune intolleranze. In questo articolo, esploreremo una serie di strategie ef caci per ridurre l’impatto delle allergie e consentire a tutti di vivere in armonia con questa splendida stagione. Dalla gestione dell’esposizione al polline al trattamento dei sintomi allergici, scopriremo come affrontare al meglio le s de della primavera, mantenendo vivo il piacere di apprezzare il cambiamento di stagione.

Conoscere il nemico: polline e allergeni

Il polline, liberato dalle piante in ore, è il principale fattore scatenante delle allergie primaverili. Esistono diversi tipi di polline e ognuno può potenzialmente scatenare reazioni allergiche nelle persone particolarmente sensibili. La conoscenza dei tipi di polline più comuni nella tua zona è fondamentale per adottare strategie di prevenzione mirate. Ad esempio, se sei allergico al polline di betulla, potresti dover evitare di fare passeggiate nei parchi dove questa pianta è abbondante durante la stagione della sua oritura. Inoltre, è utile

con la primavera

identi care gli allergeni speci ci che scatenano le tue reazioni allergiche. Potresti essere allergico non solo al polline, ma anche a muffe, peli di animali o acari della polvere. Questa consapevolezza ti permetterà di adottare contromisure speci che per ridurre l’esposizione a questi allergeni. Ad esempio, potresti dover utilizzare coperture su cuscini e materassi per proteggerti dagli acari della polvere, oppure evitare il contatto con alcuni animali domestici se sei allergico ai loro peli. In de nitiva, conoscere i tipi di polline e gli allergeni speci ci a cui sei intollerante è il primo passo per piani care strategie ef caci di prevenzione e gestione delle allergie primaverili.

Monitorare i livelli di polline

Monitorare i livelli di polline è cruciale per chi soffre di allergie stagionali. Fortunatamente, esistono diversi strumenti digitali che rendono questa pratica più semplice in passato. Applicazioni e siti web dedicati forniscono dati dettagliati e aggiornati sui livelli di polline in diverse aree geogra che. Grazie a queste risorse, è possibile monitorare costan-

Prevenzione 2

temente l’andamento dei livelli di allergeni e prendere misure preventive quando necessario.

Limitare l’esposizione al polline

Evitare di trascorrere troppe ore all’aperto durante i picchi di polline, ossia nelle prime ore del mattino e nel tardo pomeriggio, è una precauzione fondamentale per ridurre l’esposizione agli allergeni. Tuttavia alcune attività all’aperto possono essere inevitabili e inderogabili. In questi casi, è comunque consigliabile piani care queste incombenze in modo da svolgerle nelle ore in cui i livelli di polline sono più bassi: nel primo pomeriggio o in serata. Inoltre, è utile tenere conto delle condizioni meteorologiche: il vento tende ad aumentarne la concentrazione di pollini nell’aria, mentre una giornata di pioggia o nuvolosa può abbassare i livelli di polline nell’ambiente. Essere consapevoli di questi fattori può aiutare a piani care le attività all’aperto in modo da ridurre al minimo l’esposizione al polline e limitare i sintomi allergici.

Proteggersi con l’abbigliamento adeguato

Indossare occhiali da sole e un cappello non solo fornisce una protezione aggiuntiva contro il polline, ma può anche ridurre l’irritazione agli occhi e alla pelle causata dalla luce solare diretta. Una volta rientrati in casa dopo essere stati all’aperto, è importante prendere ulteriori precauzioni per minimizzare gli effetti dell’esposizione al polline. Cambiare subito i vestiti può aiutare a evitare che residui di polline si diffondano negli ambienti interni. Fare una doccia veloce è altrettanto importante, poiché rimuove il polline dalla pelle e dai capelli, prevenendo così il rischio di trasferire allergeni su mobili o altri oggetti all’interno della casa. Queste semplici abitudini possono fare una grande differenza nel mantenere un ambiente domestico più sicuro e confortevole per chi soffre di allergie stagionali.

Mantenere la casa pulita

Mantenere la casa pulita è fondamentale per ridurre l’esposizione agli allergeni, ma ci sono anche altre pratiche che possono essere adottate per migliorare ulteriormente la qualità dell’aria domestica. Ad esempio, considera l’installazione di un sistema di ltraggio

dell’aria con ltri HEPA, nell’aria condizionata e nei puri catori d’aria, per catturare in modo ef cace pollini e altri allergeni presenti in casa.

Inoltre, prestare attenzione alla scelta dei prodotti per la pulizia e per la cura della casa. Opta per prodotti ipoallergenici e privi di profumi arti ciali che possono irritare le vie respiratorie. Usa aspirapolveri dotati di ltri HEPA per intrappolare più ef cacemente piccole particelle di polline e allergeni durante la pulizia.

Non dimenticare di lavare regolarmente lenzuola, coperte e tende con acqua calda per rimuovere eventuali tracce di polline che possono accumularsi su questi tessuti. Anche passare un panno umido su mobili e superci può aiutare a rimuovere il polline che vi si è depositato, riducendo il rischio di reazioni allergiche.

Farmaci antistaminici e decongestionanti

Quando i sintomi allergici diventano fastidiosi, è naturale cercare un aiuto immediato attraverso farmaci da banco. Gli antistaminici e i decongestionanti possono offrire un sollievo temporaneo dai sintomi, consentendoti di affrontare meglio la giornata. Tuttavia, è fondamentale ricordare che questi farmaci possono avere effetti collaterali e interazioni con altri farmaci. Pertanto, è sempre consigliabile consultare un medico prima di iniziare qualsiasi trattamento farmacologico per le allergie. Un dottore può infatti valutare la tua situazione speci ca, prescrivere il trattamento più adatto e fornire indicazioni su come utilizzare i farmaci in modo sicuro ed ef cace. Inoltre, un professionista può escludere altre condizioni mediche che potrebbero causare sintomi simili alle allergie e consigliare eventuali ulteriori passaggi da seguire per gestire i sintomi in modo ottimale. Non sottovalutare mai l’importanza della consulenza di un esperto quando si tratta di salute.

3

ADV

Rimedi naturali e terapie complementari

Oltre ai rimedi naturali come il miele, esistono altre opzioni per contrastare le allergie primaverili. Ad esempio l’agopuntura, una pratica in voga da millenni importata dalla medicina tradizionale cinese, può essere utile per ridurre i sintomi allergici. Si ritiene infatti che questa tecnica possa aiutare a riequilibrare il sistema immunitario e a ridurre le in ammazioni associate alle reazioni allergiche.

L’omeopatia, poi, è un’altra forma di terapia complementare che alcuni esperti trovano ef cace per il trattamento delle allergie stagionali. Gli omeopati prescrivono rimedi a base di erbe, minerali e altri ingredienti naturali, personalizzati in base ai sintomi e al pro lo individuale del paziente. Anche se la ricerca scienti ca sull’omeopatia è ancora in corso, in molti sostengono di aver ottenuto sollievo dai loro sintomi allergici attraverso questo approccio.

È importante sottolineare che, mentre queste terapie complementari possono essere utili per alcuni, potrebbero non funzionare per tutti e non sostituiscono i trattamenti convenzionali raccomandati da medici e allergologi. Prima di provare qualsiasi terapia alternativa, è sempre consigliabile consultare un professionista quali cato per valutarne la sicurezza e l’ef cacia per ciascun caso speci co.

Consultare uno specialista

Se le allergie stagionali persistono nonostante l’ado-

zione di varie strategie preventive, oppure se i sintomi sono particolarmente gravi, è importante non esitare a consultare uno specialista allergologo. Questi professionisti sono esperti nel campo delle allergie e possono offrire un’assistenza mirata e personalizzata. Durante la visita, lo specialista può eseguire test speci ci per identi care gli allergeni responsabili dei tuoi sintomi: i test possono essere ad esempio cutanei o del sangue, per determinare le tue sensibilità allergiche. Una volta identi cati gli allergeni, lo specialista può consigliare un piano di gestione personalizzato che potrebbe includere terapie farmacologiche, immunoterapia o altre opzioni di trattamento.

Consultare uno specialista allergologo può fornirti una chiara comprensione delle tue allergie e dei passi necessari per gestirle in modo ef cace, consentendoti di vivere la primavera e le altre stagioni con maggiore tranquillità e comfort.

SUGGERIMENTI e CONSIGLI

Con una combinazione di consapevolezza, precauzioni e, se necessario, interventi medici, è possibile ridurre signi cativamente l’impatto delle allergie primaverili e vivere in armonia con questa stagione di rinascita. Prenditi cura di te stesso e adotta queste strategie per godere appieno della bellezza e della vitalità della primavera, senza lasciarti sopraffare dai sintomi allergici.

5

Segreti per una BOCCA in ARMONIA

La salute dentale è un elemento fondamentale per il benessere generale. Un sorriso luminoso non solo migliora l’estetica, ma ri ette anche una buona igiene orale e una salute globale ottimale. La cura dei denti, infatti, va ben oltre l’aspetto esteriore. Un’appropriata igiene orale è ad esempio cruciale nella prevenzione di una vasta gamma di malattie gengivali e dentali che possono compromettere la qualità della vita. Con un’attenta pulizia dentale, dunque, è possibile non solo prevenire problemi ai denti stessi, ma anche migliorare la salute generale, poiché le condizioni orali possono in uenzare altri sistemi del corpo, come quello cardiovascolare. In questo articolo, esploreremo l’importanza della corretta igiene orale e forniremo consigli pratici per mantenere denti sani e gengive robuste. Investire nella salute dentale è investire nella salute complessiva.

Malattie gengivali e dentali

Le malattie gengivali e dentali rappresentano un serio

rischio per la salute orale e generale di un individuo. Spesso sono il risultato diretto di una cattiva igiene orale. La placca batterica infatti, una sottile pellicola costituita principalmente da batteri, si accumula costantemente sui denti e lungo la linea gengivale, soprattutto quando non è rimossa correttamente attraverso una spazzolatura e un uso regolare del lo interdentale. Col passare del tempo, se la placca non viene trattata ef cacemente, può indurirsi e trasformarsi in tartaro, un deposito duro che aderisce saldamente alla supercie dei denti. Il tartaro non solo crea un ambiente favorevole alla proliferazione batterica, ma può anche irritare le gengive, causando in ammazione e sanguinamento. Questo stadio iniziale delle malattie gengivali è noto come gengivite, caratterizzato da gengive arrossate, gon e e, durante la spazzolatura o il passaggio del lo interdentale, sanguinanti.

Se la gengivite non viene trattata tempestivamente, può progredire in una condizione più grave chiamata

Igiene orale 6
ADV VIENI A SCOPRIRE DA NOI LE MIGLIORI TECNOLOGIE IN CAMPO ODONTOIATRICO! IMPRONTA ORALE DIGITALE impronte digitali laser stampante 3D TAC cone-bean TREVIGLIO (BG) Viale Cassani, 5 0363 49310

parodontite. Nella parodontite le gengive si ritirano dalle radici dei denti, formando tasche gengivali che possono diventare sede di infezioni più gravi. La progressione della parodontite può portare alla perdita dei denti e ha dimostrato di essere associata a condizioni mediche come diabete, malattie cardiache e problemi respiratori, evidenziando l’importanza di una buona salute gengivale per il benessere generale. Le carie dentali sono un’altra conseguenza comune di una scarsa igiene orale. Le carie si sviluppano quando i batteri nella placca producono acidi che attaccano lo smalto dei denti, creando piccole cavità. Se non trattate, le carie possono progredire no a raggiungere il tessuto interno del dente, causando dolore e infezione. Le carie dentali possono avere gravi conseguenze se non trattate tempestivamente, inclusa la necessità di interventi dentali invasivi come otturazioni o persino trattamenti canalari.

In conclusione, una corretta igiene orale è fondamentale per prevenire malattie gengivali e dentali che possono compromettere la salute e il benessere generale. La spazzolatura regolare, l’uso del lo interdentale, i collutori antibatterici e le visite regolari dal dentista sono tutti elementi essenziali per mantenere denti sani e gengive robuste. Investire nella propria salute orale non solo migliora la qualità della vita, ma può anche ridurre il rischio di sviluppare gravi condizioni mediche associate a malattie gengivali e dentali. La prevenzione è la chiave per mantenere un sorriso luminoso e una salute generale ottimale.

Corretta igiene orale

Una corretta igiene orale è essenziale per prevenire malattie gengivali e dentali che possono compromettere la salute e il benessere generale. Con una combinazione di spazzolatura regolare, uso del lo interdentale, dieta equilibrata e visite regolari dal dentista, è possibile mantenere denti sani e gengive robuste per tutta la vita.

La spazzolatura regolare, almeno due volte al giorno, è fondamentale per rimuovere la placca batterica e i residui alimentari dai denti. Utilizzare un dentifricio contenente uoro aiuta a rafforzare lo smalto e a proteggere i denti dalle carie. È importante dedicare almeno due minuti a ogni sessione di spazzolatura per ottenere una pulizia accurata.

Oltre alla spazzolatura, l’uso del lo interdentale o di altri strumenti per l’igiene orale è essenziale per rimuovere la placca e i residui alimentari che si accumulano tra i denti e lungo la linea gengivale, laddove la spazzolatura potrebbe non riuscire ad arrivare. Il lo interdentale aiuta a prevenire la formazione di carie e la gengivite, contribuendo a mantenere una bocca sana e pulita.

Anche una dieta equilibrata gioca un ruolo fondamentale nella salute dentale. Limitare il consumo di zucche-

ri e cibi altamente acidi può ridurre il rischio di carie, mentre aumentare l’assunzione di frutta, verdura e calcio può aiutare a mantenere denti forti e gengive sane. Bere molta acqua e masticare gomme senza zucchero, poi, può agevolare e stimolare la produzione di saliva, che contribuisce a neutralizzare gli acidi nella bocca e a ridurre il rischio di carie.

In ne, le visite regolari dal dentista sono fondamentali per mantenere una buona salute orale. Durante queste visite, il dentista può eseguire controlli approfonditi per rilevare tempestivamente eventuali problemi e fornire pulizie professionali per rimuovere la placca e il tartaro dai denti e dalle gengive. Inoltre, il dentista può dare consigli personalizzati per migliorare l’igiene orale e affrontare eventuali preoccupazioni speci che. Investire nella propria salute orale non solo migliora la qualità della vita, ma può anche ridurre il rischio di sviluppare gravi condizioni mediche associate a malattie gengivali e dentali. La ricerca ha dimostrato che le malattie gengivali possono essere collegate a problemi come diabete, malattie cardiache e persino complicazioni durante la gravidanza. Mantenere una buona igiene orale è quindi un passo importante verso la salute e l’armonia complessive del corpo e della mente. Prenditi cura dei tuoi denti oggi per un futuro più sano e più luminoso.

Consigli pratici

Spazzolatura regolare: spazzolare i denti almeno due volte al giorno, con un dentifricio al uoro e per almeno due minuti ogni volta, è un pilastro fondamentale per una buona igiene orale. Questo processo rimuove ef cacemente placca batterica e residui alimentari, ri-

8

ducendo il rischio di carie e malattie gengivali.

Uso del lo interdentale: utilizzare il lo interdentale o altri strumenti per la pulizia interdentale almeno una volta al giorno è altrettanto cruciale. Questo passaggio è essenziale per rimuovere la placca e i residui alimentari accumulati tra i denti e lungo la linea gengivale, dove la spazzolatura potrebbe non essere suf ciente.

Collutori: l’uso di un collutorio antibatterico completa ef cacemente la routine di igiene orale. I collutori possono raggiungere aree dif cili da spazzolare e ridurre ulteriormente i batteri nella bocca, contribuendo così alla prevenzione della placca e alla protezione contro le malattie gengivali e dentali.

Dieta equilibrata: limitare il consumo di zuccheri e cibi altamente acidi è essenziale per la salute dentale. Optare per una dieta ricca di frutta, verdura e proteine magre fornisce al corpo i nutrienti necessari per mantenere denti forti e gengive sane.

Visite regolari dal dentista: programmare controlli dentali regolari e pulizie professionali è una parte essenziale della cura dentale preventiva. Durante queste visite, il dentista può individuare e trattare precocemente eventuali problemi, come carie o gengivite, garantendo così una salute dentale ottimale nel tempo.

Seguire queste pratiche di igiene orale e integrarle nella routine quotidiana è fondamentale per mantenere una bocca sana e un sorriso luminoso. Investire nella propria salute dentale oggi può signi care meno problemi e meno spese dentali in futuro, oltre a contribuire al benessere generale del corpo.

Dental Treviglio

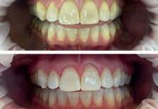
I denti gialli si possono “sbiancare”? Cause, prevenzione e rimedi esistenti

Una corretta igiene orale va ben oltre l’aspetto estetico dei denti. È un pilastro fondamentale della salute generale del nostro corpo. Spazzolare i denti regolarmente non è solo un gesto di pulizia, ma una pratica preventiva che aiuta a rimuovere i residui alimentari e la placca batterica, riducendo così il rischio di carie e malattie gengivali. Tuttavia, la spazzolatura da sola non è suf ciente L’uso del lo interdentale è altrettanto cruciale per raggiungere gli spazi interdentali in cui lo spazzolino non può arrivare, impedendo la formazione di tartaro e la proliferazione di batteri dannosi. Ma l’igiene orale non si limita solo alla pulizia. Una dieta equilibrata ricca di frutta e verdura favorisce la salute delle gengive e dei denti, fornendo loro i nutrienti necessari per rimanere forti e sani. Evitare il consumo eccessivo di zuccheri e cibi altamente processati è altrettanto importante, poiché questi possono contribuire alla formazione di placca e alla carie dentale.

Inoltre, le visite regolari dal dentista svolgono un ruolo chiave nella prevenzione e nel trattamento precoce di problemi dentali. Gli esami dentali regolari consentono al dentista di individuare eventuali segni precoci di malattie gengivali o dentali e di intervenire prontamente prima che si sviluppino in problemi più gravi.

I denti gialli rappresentano un problema estetico diffuso che può causare disagio e imbarazzo. Oltre all’impatto negativo sull’aspetto del sorriso, possono anche essere un segno di problemi di salute orale. Le cause sono molteplici: si va dal fumo all’utilizzo di alcuni farmaci, da scorrette abitudini alimentari alla scarsa igiene orale, ma in uiscono anche l’avanzare dell’età, fattori genetici, traumi e malattie. I professionisti di Dental Treviglio, realtà attiva sul territorio dal 2013, ricordano l’importanza della prevenzione: sono fondamentali un’accurata igiene orale quotidiana e professionale, eseguita ogni 6-12 mesi dal dentista o igienista dentale diducia. Tuttavia Dental Treviglio sottolinea anche l’esistenza di rimedi per “sbiancare” i denti gialli. Fra quelli naturali troviamo bicarbonato di sodio, succo di limone, aceto di mele e fragole; ecco poi dentifrici sbiancanti, contenenti abrasivi o agenti che aiutano a rimuovere le macchie super ciali dei denti. Se ciò non dovesse bastare, non resta che ricorrere allo sbiancamento chimico. Le possibilità sono numerose, perciò è bene confrontarsi con il proprio igienista dentale o dentista per selezionare la soluzione più indicata. A disposizione c’è l’applicazione di mascherine personalizzate in silicone morbido, dotate di un gel che viene applicato sui denti per un certo periodo di tempo. I metodi più ef caci sono lo sbiancamento con il laser e il Bleaching professionale, in cui il dentista applica un gel sbiancante che si attiva con il laser o tramite una luce.

Investire nella salute orale non è solo una questione di estetica, ma di benessere generale. Malattie gengivali non trattate possono portare a problemi più seri come l’in ammazione sistemica che è stata associata a condizioni come diabete, malattie cardiache e persino complicazioni durante la gravidanza. Mantenere una buona igiene orale è quindi essenziale per preservare non solo la salute dei denti e delle gengive, ma anche quel la di tutto il corpo.

In de nitiva, la cura dei denti e delle gengive non dovrebbe mai essere trascurata mento nella nostra salute complessiva e nel nostro benessere. Prendersi cura della propria bocca non è solo una questione di estetica o di evitare l’alito cattivo: garantisce una migliore qualità della vita e una salute più robusta sul lungo termine.

Viale Cassani, 5 - Treviglio (BG) www.dentaltreviglio.it info@dentaltreviglio.it Tel. 0363.49310

9
I.P.
ADV Via Europa 9 • Bagnatica BG • tel 035 683925 • WhatsApp +39 3883973930 • info@otticadimoda.it Puoi acquistare anche su www.otticabergamo.it OCCHIALI DA VISTA E DA SOLE delle migliori marche: vieni a provarli in negozio, a scoprire le nostre fantastiche promozioni e LE NUOVE COLLEZIONI

Salute degli occhi

OCCHI SANI vita radiosa

La vista è uno dei doni più preziosi che la vita ci offre, ma spesso diamo per scontato il benessere dei nostri occhi. In un’epoca nella quale siamo costantemente immersi in schermi digitali e stimoli visivi, è essenziale porre maggiore attenzione alla cura dei nostri occhi e alla prevenzione dei problemi visivi. In questo articolo esploreremo l’importanza di preservare la salute oculare per godere di una vita in armonia e benessere.

Comprendere i rischi della luce blu

La crescente dipendenza dalla tecnologia moderna ha portato a un aumento dell’esposizione agli schermi digitali come computer, smartphone e tablet. Questi dispositivi emettono una quantità signi cativa di luce blu che può penetrare profondamente nell’occhio e danneggiare la retina nel tempo. Studi scienti ci hanno evidenziato che l’eccessiva esposizione alla luce blu può aumentare il rischio di degenerazione maculare legata all’età, una delle principali cause di perdita della vista negli adulti.

Per mitigare questi rischi è consigliabile limitare il tempo trascorso davanti agli schermi digitali, specialmente nelle ore serali quando la produzione di melatonina, l’or-

mone che regola il sonno, è in uenzata dalla luce blu. Molte persone trovano utile utilizzare ltri blu sui loro schermi, oppure indossare occhiali con lenti appositamente progettate per bloccare la luce blu.

Inoltre, è importante adottare abitudini che favoriscano il riposo degli occhi: fare pause frequenti durante l’utilizzo dei dispositivi digitali, praticare esercizi di rilassamento per gli occhi, mantenere una distanza adeguata dagli schermi. Regolare la luminosità e il contrasto dello schermo, poi, può contribuire a ridurre l’affaticamento visivo.

Educare sé stessi e gli altri in merito ai potenziali rischi legati all’esposizione alla luce blu è essenziale per promuovere la salute degli occhi nella società moderna. Le persone di tutte le età dovrebbero essere consapevoli dei pericoli e adottare misure preventive per proteggere la propria vista a lungo termine.

Una dieta per occhi sani

La nostra alimentazione riveste un ruolo fondamentale nella salute degli occhi e nella prevenzione di problemi visivi. Oltre ai consigli classici, come ad esempio mangiare carote, è importante adottare un’alimentazione

11
11

equilibrata e ricca di nutrienti speci ci. Gli antiossidanti, presenti in alimenti come frutta, verdura e pesce (ricco di omega-3), svolgono un ruolo cruciale nel contrastare lo stress ossidativo e nel proteggere la salute oculare. Le vitamine A, C ed E, presenti in alimenti come agrumi, verdure a foglia verde e noci, sono essenziali per mantenere la salute degli occhi e prevenire malattie oculari degenerative come cataratta e degenerazione maculare. Integrare questi nutrienti nella nostra dieta quotidiana può contribuire signi cativamente a migliorare la vista e a preservare la salute degli occhi nel lungo termine. Inoltre è importante mantenere un adeguato livello di idratazione bevendo a suf cienza durante il giorno e limitare il consumo di alimenti ad alto contenuto di grassi saturi e zuccheri aggiunti: possono in uire negativamente sulla salute oculare. Investire nella cura della nostra alimentazione non solo migliora la nostra visione, ma contribuisce anche al benessere generale del nostro corpo.

Riposo oculare e esercizi visivi

Con il crescente uso dei dispositivi digitali nella vita quotidiana, è importante adottare abitudini che proteggano la salute dei nostri occhi. Le lunghe sessioni davanti agli schermi possono causare affaticamento oculare e tensione visiva. Per contrastare questi effetti negativi, è consigliabile praticare brevi pause ogni 20-30 minuti per distanziarsi dagli schermi, riposare gli occhi e rilassare i muscoli oculari. Durante queste pause, è utile eseguire esercizi visivi mirati, come la messa a fuoco su oggetti distanti e il movimento oculare attraverso il tracciamento di forme geometriche o lettere dell’alfabeto. Questi semplici esercizi non solo riducono l’affaticamento oculare, ma possono anche migliorare la essibilità e la forza dei muscoli oculari, promuovendo così una migliore salute visiva nel lungo termine. Integrare queste pratiche nella nostra routine quotidiana può contribuire signi cativamente a preservare la salute degli occhi e a prevenire eventuali problemi visivi derivanti dall’uso eccessivo di dispositivi digitali.

Visite oftalmologiche regolari

Una delle chiavi fondamentali per preservare la salute visiva è rappresentata da visite oculistiche regolari. Durante questi esami, gli specialisti possono identi care tempestivamente eventuali problemi visivi o malattie oculari che potrebbero svilupparsi nel tempo. È importante comprendere che la prevenzione è spesso più efcace del trattamento, quindi è bene farsi visitare periodicamente, anche in assenza di sintomi evidenti. Una diagnosi precoce consente di intervenire nel momento più opportuno, garantendo così una vista chiara e nitida sul lungo periodo. Inoltre, fare visite oculistiche regolarmente è particolarmente importante per alcune categorie di persone, come gli anziani e coloro che hanno una storia familiare di malattie oculari, poiché possono avere una probabilità più alta della media di sviluppare

problemi visivi. Investire nella cura preventiva della propria vista è quindi un passo fondamentale per mantenere una buona qualità della vita quotidiana, liberandosi così da preoccupazioni legate alla salute degli occhi.

Proteggere gli occhi dai raggi UV

L’esposizione prolungata ai raggi ultravioletti (UV) può provocare danni signi cativi e irreparabili agli occhi nel corso del tempo. Cataratta, degenerazione maculare e altri problemi oculari sono tra le conseguenze degli effetti dannosi dei raggi UV. Utilizzare occhiali da sole con adeguata protezione UV è fondamentale per ridurre il rischio di tali patologie e per proteggere la salute dei tuoi occhi. Investire in un paio di occhiali da sole di qualità non è solo una questione di stile, ma rappresenta anche un investimento diretto per preservare la vista. Assicurati che gli occhiali da sole che acquisti siano contrassegnati con la dicitura “UV400” oppure “100% protezione UV” per garantire la massima protezione. Indossare regolarmente occhiali da sole adatti quando sei all’aperto, soprattutto durante le ore di maggior esposizione al sole, è un passo importante per mantenere la salute dei tuoi occhi nel tempo e preservare una vista chiara e nitida per gli anni a venire.

Consapevolezza della sindrome da uso eccessivo di schermi

L’ampia diffusione dell’uso dei dispositivi digitali ha comportato un aumento dei casi di sindrome da uso eccessivo di schermi, una condizione caratterizzata da sintomi come secchezza oculare, affaticamento e mal di testa. È essenziale riconoscere per tempo questi sintomi di stress visivo e adottare misure preventive per mitigarne gli effetti. Una strategia ef cace è l’uso regolare di lacrime arti ciali per mantenere l’idratazione degli occhi e alleviare la secchezza oculare. Inoltre, è consigliabile praticare regolarmente pause durante l’utilizzo di schermi digitali per ridurre l’affaticamento visivo e

12

dare agli occhi il tempo di riposarsi. Anche limitare il tempo trascorso davanti ai dispositivi digitali e regolare la luminosità dello schermo può aiutare a prevenire i sintomi della sindrome da uso eccessivo di schermi.

Investire nella cura della salute visiva è essenziale per mantenere il comfort degli occhi e preservare una vista chiara e nitida a lungo termine.

Mantieni una buona igiene oculare

Una corretta igiene oculare è fondamentale per prevenire infezioni e irritazioni che potrebbero compromettere la salute degli occhi. Ecco alcuni suggerimenti:

Lavare le mani regolarmente: le mani, se non vengono lavate regolarmente, sono un veicolo comune per germi e batteri che possono facilmente trasferirsi agli occhi. Prima di toccare qualsiasi parte del viso è essenziale lavarsi accuratamente le mani.

Rimuovere delicatamente il trucco: i prodotti per il trucco, in alcuni casi, contengono sostanze chimiche o batteri che possono irritare o infettare gli occhi. Prima di andare a dormire, dunque, un’azione preventiva fondamentale è rimuovere delicatamente il trucco intorno agli occhi con appositi detergenti.

Evitare di condividere articoli personali per gli occhi: condividere articoli personali per gli occhi, come asciugamani, salviette o occhiali da sole, può aumentare il rischio di trasmissione di infezioni oculari da una persona all’altra.

Utilizzare prodotti per l’igiene oculare: esistono anche prodotti speci ci per l’igiene oculare, come soluzioni saline per il lavaggio degli occhi e salviettine disinfettanti per le palpebre, che possono aiutare a mantenere gli occhi puliti e protetti dagli agenti esterni.

Evitare di stro nare gli occhi: stro nare gli occhi con le mani non lavate può comportare il trasferimento di batteri e germi, aumentando il rischio di infezioni.

La cura degli occhi e la prevenzione dei problemi visivi sono aspetti fondamentali per godere di una vita in armonia. Prevedere abitudini quotidiane che promuovano la salute oculare può avere un impatto duraturo sulla qualità della nostra vista e sul nostro benessere complessivo. Prenditi cura dei tuoi occhi e la tua vita ri etterà chiarezza e luminosità in ogni aspetto. Ecco alcune pratiche che possono aiutare a mantenere la salute dei tuoi occhi: assicurati di avere una corretta illuminazione quando leggi o lavori al computer per evitare affaticamento oculare; fai regolari pause durante l’uso dello schermo per riposare gli occhi; proteggili dai raggi UV indossando occhiali da sole adatti quando sei all’aperto; mantieni una dieta bilanciata ricca di vitamine e antiossidanti che favoriscano la salute degli occhi, come le vitamine A, C ed E, e i carotenoidi; evita di stro narti gli occhi con le mani sporche per prevenire infezioni; sottoponiti a controlli regolari dall’oculista o dall’oftalmologo per rilevare precocemente eventuali problemi visivi e ricevere cure tempestive. Ricorda che la tua vista è preziosa, quindi prenditi cura di essa con amore e attenzione: in questo modo godrai di una vista chiara e nitida per molti anni a venire. SUGGERIMENTI

13
e CONSIGLI

Sole splendente, PELLE SICURA

Il sole, con la sua luce dorata e il suo calore avvolgente, è una delle forze vitali più potenti che governano la vita sulla Terra. Tuttavia, dietro la sua bellezza, c’è anche un rischio nascosto che spesso sottovalutiamo: i danni causati dai raggi ultravioletti (UV). Questi raggi invisibili possono penetrare profondamente nella nostra cute, danneggiando il DNA delle cellule e aumentando il rischio di malattie gravi come il cancro della pelle. È fondamentale comprendere che non sono solo le scottature ad essere dannose: anche l’esposizione cronica e ripetuta al sole senza protezione può avere conseguenze a lungo termine sulla nostra salute dermatologica.

L’aumento della conoscenza sulla protezione dai raggi solari è un passo importante verso una maggiore consapevolezza del benessere personale. Tuttavia, c’è ancora molto da fare per educare le persone su quanto sia importante adottare abitudini ef caci e regolari di protezione dai raggi solari. In questo articolo, approfondiremo i motivi per cui la protezione è essenziale per mantenere la nostra pelle sana e luminosa, esploreremo le conseguenze dei danni di un’eccessiva esposizione al sole e forniremo consigli pratici su come proteggerci ef cacemente dai raggi UV dannosi. È ne-

cessario prendere sul serio la nostra salute dermatologica e farne una priorità nella nostra routine quotidiana.

I bene ci della protezione dai raggi UV

La protezione solare è un passo cruciale nelle nostre abitudini di tutti i giorni per preservare la salute della pelle. Oltre a prevenire fastidiose scottature, l’uso regolare di creme solari ad ampio spettro svolge un ruolo fondamentale nella prevenzione del cancro della pelle e nel diminuire il rischio di melanoma e altri tumori cutanei. Questo aspetto è particolarmente importante visto l’incremento dei casi di cancro della pelle legati all’esposizione ai raggi UV. Tuttavia, i bene ci della protezione solare vanno ben oltre la prevenzione del cancro. Mantenere la pelle al sicuro dai dannosi raggi UV aiuta anche a preservarne un aspetto giovanile e luminoso sul lungo periodo. Le rughe, le macchie solari e altre imperfezioni cutanee associate all’esposizione al sole possono essere notevolmente ridotte con l’uso regolare di protezione solare. In questo modo potremo avere una pelle dall’aspetto più sano e uniforme. Inoltre, la protezione solare è essenziale per ridurre l’arrossamento e l’irritazione della pelle causati dai raggi UV. Questa precauzione non solo rende più

della pelle 14
Salute

PRONTI per un nuovo benessere?

PRONTI per un nuovo benessere?

PRONTI per un nuovo benessere?

ADV

Spine3D™ scansiona la colonna vertebrale e consente analisi posturali e di tutte le possibili deformità della colonna vertebrale senza alcuna controindicazione.

Spine3D™ scansiona la colonna vertebrale e consente analisi posturali e di tutte le possibili deformità della colonna vertebrale senza alcuna controindicazione.

Spine3D™ scansiona la colonna vertebrale e consente analisi posturali e di tutte le possibili deformità della colonna vertebrale senza alcuna controindicazione.

piacevole svolgere attività all’aperto, ma aiuta anche a mantenere la pelle idratata e confortevole. Senza una protezione adeguata, l’esposizione prolungata al sole può causare danni irreparabili alla pelle e accelerare il processo di invecchiamento. Quindi, la prossima volta che ti prepari per una giornata al sole, ricorda di applicare generosamente la protezione solare e di ripetere l’applicazione ogni poche ore, specialmente se ti trovi in ambienti all’aperto o in presenza di acqua, che può ri ettere e intensi care i raggi solari. Investire oggi nella salute della pelle con la protezione solare può fare la differenza per un aspetto sano e giovane anche in futuro.

Conseguenze dei danni solari

Oltre alle dolorose scottature, l’esposizione non protetta ai raggi UV può avere conseguenze gravi e a lungo termine sulla nostra salute dermatologica. Le scottature, infatti, sono solo la punta dell’iceberg quando si tratta dei danni che il sole può in iggere alla nostra pelle. I danni solari accumulati nel tempo aumentano il rischio di sviluppare condizioni più serie, come il carcinoma basocellulare, il carcinoma a cellule squamose e il melanoma, il più pericoloso dei tumori cutanei. Queste forme di cancro della pelle possono essere estremamente pericolose se non trattate precocemente. Diventa quindi essenziale proteggere la nostra pelle dall’esposizione eccessiva ai raggi UV.

Ma i pericoli dei raggi UV non si fermano qui. Sono anche tra i principali responsabili dell’invecchiamento precoce della pelle. La perdita di elasticità, la comparsa di rughe profonde e la formazione di macchie scure sono solo alcuni dei segni visibili dell’invecchiamento accelerato causato dall’esposizione prolungata al sole senza protezione. Questi segni possono manifestarsi

precocemente e diventare sempre più evidenti nel corso degli anni, rendendo la pelle opaca, disidratata e meno uniforme.

È importante comprendere che i danni causati dai raggi UV sono cumulativi nel tempo. Anche se non si vede immediatamente, l’esposizione prolungata al sole senza protezione può avere conseguenze gravi nel lungo periodo. Pertanto, proteggere la nostra pelle con una crema solare ad ampio spettro è fondamentale per mantenere la nostra salute dermatologica e preservare la giovinezza della pelle nel tempo.

Inoltre è basilare adottare altre misure per difendersi dai raggi UV, come indossare abiti protettivi, un cappello a tesa larga e occhiali da sole con protezione UV. Ripariamoci poi all’ombra durante le ore più calde della giornata ed evitiamo l’esposizione diretta al sole quando è più intenso, di solito tra le 10 del mattino e le 4 del pomeriggio.

In sintesi, prendersi cura della nostra pelle sotto il sole non riguarda solo l’aspetto estetico, ma anche la nostra

16

salute a lungo termine. Investire nella protezione solare oggi può prevenire una serie di problemi dermatologici e aiutare a mantenere la nostra pelle sana, giovane e radiosa nel tempo.

Modi migliori per proteggere la pelle

La buona notizia è che proteggere la nostra pelle dai danni solari è più semplice di quanto si possa pensare. Ecco alcuni consigli pratici per mantenere la nostra pelle al sicuro durante l’esposizione al sole.

Utilizzare una crema solare ad ampio spettro: scegliere una crema solare con SPF (fattore di protezione solare) 30 o superiore e assicurarsi che offra protezione contro entrambi i tipi di raggi UV, UVA e UVB.

Applicare generosamente e ripetutamente: assicurarsi di applicare abbondantemente la crema solare su tutte le parti del corpo esposte al sole. Riapplicarla ogni due ore, dopo il nuoto o dopo aver sudato.

Indossare abbigliamento protettivo: utilizzare abiti leggeri ma coprenti, occhiali da sole con protezione UV e cappelli a falda larga per proteggere il viso, il collo e le spalle.

Evitare l’esposizione diretta al sole nelle ore più calde: cerca di limitare l’esposizione al sole tra le 10 del mattino e le 4 del pomeriggio, quando i raggi UV sono più intensi.

Prendersi cura della pelle dopo l’esposizione: dopo dopo una giornata al sole, idratare bene la pelle e utilizzare prodotti lenitivi per alleviare l’irritazione e l’arrossamento.

Seguendo questi semplici consigli, possiamo godere del sole in modo sicuro e mantenere la nostra pelle protetta e sana per molto tempo. La prevenzione è la chiave per mantenere una pelle bella e giovane. Non bisogna mai sottovalutare l’importanza di proteggerci dai danni solari.

SUGGERIMENTI e CONSIGLI

Proteggere la pelle dai dannosi raggi solari è una scelta saggia che va oltre l’aspetto estetico. È un investimento nella nostra salute futura, poiché riduce il rischio di danni causati dai raggi UV, come invecchiamento precoce della pelle, macchie scure e addirittura il cancro della pelle. Applicare la protezione solare regolarmente è un atto di amore verso noi stessi che ci permette di godere del sole in modo sicuro e responsabile. Non solo proteggiamo la nostra pelle, ma anche la nostra salute generale, contribuendo così a un benessere complessivo. Non sottovalutare mai l’importanza di una buona protezione solare: è un piccolo gesto che può fare una grande differenza nel lungo periodo.

17

E Parrucchieri, un’oasi di benessere nel cuore di Treviglio

Situato nel cuore di Treviglio, E Parrucchieri è un rifugio dedicato alla bellezza e al benessere dei capelli e del corpo, curato con attenzione ai dettagli. La titolare, Eliana Ubbiali, guida uno staff di professionisti qualificati, uniti da una mission chiara: offrire un servizio impeccabile con professionalità, gentilezza e qualità.

Ciao Eliana, quali servizi offre E Parrucchieri ai suoi clienti?

Da E Parrucchieri siamo specializzati nel taglio e styling per donna e uomo, colorazioni e schiariture. La nostra offerta di trattamenti per i capelli è estremamente ampia e inclusiva, comprendendo sia opzioni biologiche che convenzionali e prediligendo solo prodotti di alta qualità. Proponiamo trattamenti specifici per migliorare la salute e la bellezza dei capelli. Tra questi, anche il rilassante trattamento Shirodara, ispirato all’antica tradizione ayurvedica. Inoltre, oltre a questi servizi, abbiamo una sezione dedicata all’estetica che offre trattamenti per il corpo e il viso, come pressoterapia, bendaggi, trattamenti anticellulite e massaggi. Infine, forniamo anche consulenze di immagine e di armocromia per guidare i nostri clienti nella scelta dei colori più adatti a loro, garantendo un’esperienza personalizzata e soddisfacente.

ADV

Qual è la filosofia del salone?

La nostra filosofia si basa su valori intrinseci di estetica, bellezza, salute e benessere, creando un ambiente in cui il cliente è al centro dell’attenzione. Ogni membro del nostro team comprende le esigenze individuali di ciascuno e offre una vasta gamma di servizi personalizzati per riflettere lo stile e la personalità dei clienti. Il salone si ispira alla filosofia di Aldo Coppola ma si distingue per il suo costante aggiornamento sulle tendenze e sulle tecniche all’avanguardia apprese durante i corsi svolti con le figure più importanti del settore come Nico Vinci, rinomato hairstylist. Siamo in grado quindi di accogliere e interpretare diverse visioni, garantendo così un risultato finale che soddisfi le aspettative.

Quali sono gli obiettivi per il futuro?

La nostra priorità rimane quella di assicurare la soddisfazione dei nostri clienti. Stiamo lavorando a nuove iniziative che rivoluzioneranno i nostri servizi di parrucchiere, offrendo tecniche esclusive per risultati ancora più sorprendenti. Inoltre, stiamo espandendo la nostra sezione di estetica per offrire una gamma più ampia di servizi. Di recente abbiamo, infatti, introdotto la figura di un’onicotecnica che non solo si occupa di manicure e pedicure con smalto semipermanente, ma offre anche trattamenti specifici come la ricostruzione unghie.

E. PARRUCCHIERI SNC

V. Matteotti 12 | TREVIGLIO (BG) | E-mail: eubbiali@gmail.com

Telefono +39 0363 40889 | Whatsapp 338 8299164

Salute del cuoio capelluto

Consigli pratici per CAPELLI BELLI e SANI

Il cuoio capelluto è una parte fondamentale per la salute e la bellezza dei capelli. Spesso trascurato, può essere la chiave per capelli forti, lucenti e privi di problemi.

Pulizia e idratazione

La pulizia regolare del cuoio capelluto è essenziale per rimuovere accumuli di sporco, sebo e prodotti per capelli. Utilizzare uno shampoo delicato, preferibilmente senza solfati e parabeni, per evitare di eliminare gli oli naturali protettivi. Massaggiare delicatamente il cuoio capelluto durante il lavaggio stimola la circolazione sanguigna e favorisce una corretta idratazione. Dopo lo shampoo, è importante utilizzare un balsamo idratante o un conditioner speci co per il cuoio capelluto secco o sensibile.

Esfoliazione e detersione profonda

Oltre alla pulizia regolare, è consigliabile esfoliare il cuoio capelluto una volta alla settimana per rimuovere le cellule morte della pelle e stimolare il rinnovamento cellulare. Si possono utilizzare scrub speci ci o preparare

rimedi naturali. Inoltre, esistono prodotti appositi per la detersione profonda del cuoio capelluto, come maschere e trattamenti a base di argilla o carbone attivo. Questi prodotti aiutano a eliminare le impurità più profonde e a puri care il cuoio capelluto, promuovendo una crescita dei capelli sana e vigorosa.

Alimentazione e stile di vita salutari

La salute del cuoio capelluto è strettamente legata alla nostra alimentazione e al nostro stile di vita. Assicurarsi di seguire una dieta equilibrata, ricca di vitamine, minerali e antiossidanti, può favorire la salute generale dei capelli e del cuoio capelluto.

Evitare prodotti aggressivi

È importante evitare l’uso eccessivo di prodotti per lo styling contenenti alcol, silicone e altri ingredienti aggressivi che possono irritare il cuoio capelluto e compromettere la salute dei capelli. È inoltre consigliabile limitare l’uso di piastre e asciugacapelli.

19

Come proteggerel’UDITO in un mondo RUMOROSO

L’udito è uno dei sensi più preziosi che abbiamo, ma spesso lo diamo per scontato. In un mondo sempre più rumoroso, è fondamentale essere consapevoli dei rischi per la salute uditiva e adottare misure preventive per la sua protezione.

L’importanza della salute uditiva

L’udito svolge un ruolo cruciale nella nostra vita quotidiana, consentendoci di comunicare, lavorare, apprendere e godere del mondo che ci circonda. Una perdita uditiva può avere un impatto signi cativo sulla qualità della vita, portando a problemi di comunicazione, isolamento sociale, ansia e depressione. Preservare la salute uditiva è quindi essenziale per mantenere il benessere generale e la piena partecipazione alla vita quotidiana.

Protezione dell’udito

Fortunatamente, ci sono diverse misure che possiamo adottare per proteggere la nostra salute uditiva e prevenire la perdita uditiva da rumore.

Utilizzare protezioni uditive: quando si è esposti a rumori forti, come durante concerti o lavori di costruzione, è fondamentale utilizzare protezioni uditive come tappi per le orecchie o cuf e antirumore. Questi dispositivi riducono l’intensità del suono che raggiunge l’orecchio interno, proteggendo le cellule uditive.

Limitare l’esposizione al rumore: cerca di limitare il tempo trascorso in ambienti rumorosi e cerca di mantenere una distanza sicura dalle fonti di rumore. Fai delle pause regolari durante le attività rumorose per permettere alle orecchie di riposare e recuperare.

Regolare il volume: quando si utilizzano dispositivi audio come smartphone, lettori MP3 o televisori, assicurarsi di mantenere il volume a un livello sicuro. Evitare di ascoltare musica ad alto volume attraverso auricolari per lunghi periodi di tempo e fare delle pause frequenti. Fare controlli periodici dell’udito: sottoporsi a controlli dell’udito regolari aiuta a individuare precocemente eventuali segnali di perdita uditiva e adottare misure preventive o terapeutiche tempestive.

Salute dell’udito 20
ADV Ristorante Pizzeria Taverna del Gallo da Salvatore Via S. Bernardino, 23/A • 24122, BERGAMO • Tel. 035 22 03 44 • Cell. 340 33 64 394 PARCHEGGIO CONVENZIONATO in via Previtali n° 22 “Le Corti di San Leonardo”
TRADIZIONE NEL PIATTO Vent’anni di tradizione • Cucina siciliana Servizio ASPORTO. Non puoi venire da noi? Nessun problema, veniamo noi da te! SALETTA PER COMPLEANNI E OCCASIONI SPECIALI
LA
PRANZI E CENE DI LAVORO

Salute fisica e mentale

Nuovi approcci per il BENESSERE FISICO e MENTALE

Negli ultimi anni, la consapevolezza sull’importanza della salute sica e mentale ha registrato un notevole aumento, specialmente tra le persone di età compresa tra i 50 e gli 80 anni. Questo cambiamento di mentalità riette una crescente comprensione del fatto che la salute non è solo l’assenza di malattia, ma anche uno stato di benessere sico, mentale e sociale ottimale. In questo articolo, esploreremo le nuove frontiere di questo campo in continua evoluzione, offrendo spunti, suggerimenti e strategie pratiche su come preservare e migliorare il benessere globale a qualsiasi età.

Alimentazione e attività sica

Una dieta equilibrata ed esercizio sico regolare sono pilastri fondamentali per mantenere la salute e il benessere. Non è necessario iscriversi in palestra o seguire programmi di allenamento intensi: anche attività semplici come passeggiate quotidiane, giardinaggio o praticare yoga possono fare una grande differenza nel mantenere il corpo attivo e in forma. L’importante è trovare

un’attività che ci piaccia e che sia sostenibile nel tempo, in modo da renderla parte integrante della nostra routine quotidiana. La chiave è la coerenza: anche piccoli cambiamenti positivi nel nostro stile di vita possono portare a grandi bene ci per la salute nel lungo termine.

Salute mentale

La salute mentale è un elemento cruciale per il benessere complessivo. Oltre a pratiche come la meditazione e la lettura che favoriscono la tranquillità e l’attività cerebrale, è importante anche il supporto sociale. La condivisione dei propri pensieri e sentimenti con gli amici e i familiari, ad esempio, può offrire conforto e prospettive utili per affrontare le s de della vita. È incoraggiante notare che sempre più persone si stanno aprendo culturalmente al dialogo sui problemi mentali. Questo cambiamento di mentalità ha contribuito a ridurre la stigmatizzazione relativa alle malattie mentali e ha reso più accessibile l’aiuto professionale quando necessario. Rivolgersi a uno psicologo o a uno psichiatra non

22

è segno di debolezza, ma di forza e consapevolezza dell’importanza della salute mentale. Inoltre, l’assistenza psicologica può offrire strumenti e strategie per gestire meglio lo stress, l’ansia e la depressione, migliorando così la qualità complessiva della vita. In sintesi, prendersi cura della propria salute mentale è un atto di responsabilità verso se stessi e gli altri.

Tecnologia e applicazioni

Oltre ai dispositivi indossabili e alle applicazioni, esistono anche piattaforme digitali che offrono consulenza medica anche non in presenza, consentendo alle persone di consultare i professionisti della salute da casa. Questa accessibilità ai servizi sanitari è particolarmente utile per chi vive in aree remote o ha dif coltà ad accedere sicamente alle strutture sanitarie. Inoltre, la tecnologia sta contribuendo allo sviluppo di strumenti di diagnosi e trattamento più avanzati, promuovendo una cura più personalizzata e mirata. In un’era in cui la tecnologia è sempre più integrata nella nostra vita quotidiana, sfruttare le sue potenzialità per migliorare la nostra salute è diventato un passo naturale verso un benessere ottimale.

Rapporti sociali

Mantenere rapporti sociali attivi è essenziale per la salute mentale e il benessere generale. Partecipare a gruppi di interesse, club o attività comunitarie non solo offre un’opportunità per incontrare nuove persone, ma aiuta anche a mantenere i legami con gli altri, creando una rete di supporto sociale. Questa connessione sociale è fondamentale per il nostro benessere emotivo, poiché ci fa sentire parte di qualcosa di più grande di noi stessi. Inoltre, partecipare a queste attività può portare a nuove amicizie, che arricchiscono la nostra vita e ci offrono nuove prospettive ed esperienze. La condivisione di interessi comuni in un contesto sociale può anche portare a una maggiore soddisfazione personale e senso di realizzazione. In de nitiva, investire nel mantenere rapporti sociali attivi può contribuire in modo signi cativo alla nostra felicità e al nostro equilibrio emotivo. Pertanto, è importante dedicare del tempo alle relazioni sociali e partecipare attivamente alla vita della comunità.

Check-up regolari

Sottoporsi regolarmente a controlli medici è fondamentale per mantenere uno stato di salute ottimale nel lungo termine. La prevenzione attraverso esami periodici consente di individuare tempestivamente eventuali patologie o condizioni di rischio, consentendo interventi tempestivi e più ef caci. Inoltre, la diagnosi precoce è spesso determinante nel migliorare le prospettive di guarigione e nel ridurre al minimo le complicazioni associate ad alcune malattie. Investire nella propria salute attraverso visite mediche regolari può quindi rappresentare un importante passo verso il benessere e la qualità della vita.

Ambulatorio Koala

SUGGERIMENTI e CONSIGLI

Dieci anni di servizi integrati, per un’attività che mette il paziente al centro

La combinazione di dieta equilibrata, eserciziosico, cura della salute mentale, utilizzo intelligente della tecnologia e mantenimento di legami sociali può promuovere una vita lunga e soddisfacente. Una dieta ricca di frutta, verdura, proteine magre e grassi sani fornisce nutrienti essenziali. L’esercizio sico regolare rafforza cuore, muscoli e ossa. La cura della salute mentale tramite meditazione, yoga o terapia migliora l’umore e riduce lo stress. L’uso ponderato della tecnologia può migliorare il benessere, mentre mantenere relazioni sociali signi cative è essenziale per l’equilibrio emotivo. Ricorda che non è mai troppo tardi per iniziare a prendersi cura di sé stessi, poiché anche piccoli cambiamenti possono portare a una vita più lunga e signi cativa.

Il 7 gennaio 2014 ha aperto uf cialmente l’Ambulatorio Polispecialistico Riabilitativo Koala. Sono passati dieci anni e la struttura di Treviglio intende celebrare lo speciale traguardo ringraziando le tante persone che le hanno dato ducia: “Senza l’energia e la professionalità dei nostri collaboratori non saremmo arrivati sin qui - hanno spiegato i titolari, Matteo Braga e Chiara Martina Camozzi, rispettivamente osteopata massoterapista e sioterapista - a loro va un enorme grazie e così anche ai molti pazienti che hanno creduto in noi. Da sempre ci è stato riconosciuto un impegno costante nella loro gestione, con grande attenzione per la componente umana, dato che la nostra attività mette al centro il paziente”. La loso a dell’ambulatorio non si è modi cata nel corso degli anni: “Mettiamo a disposizione le risorse necessarie per completare un approccio intorno al paziente - hanno continuato - proprio come il koala abbraccia il suo albero, la nostra idea è «abbracciare» il paziente con i nostri servizi, tramite un team che lavora come una vera squadra, riuscendo a fornire un servizio integrato”. Oggi l’Ambulatorio Polispecialistico Riabilitativo Koala è costantemente al lavoro per mantenere un elevato standard qualitativo nei molteplici servizi proposti: dalle visite specialistiche alle terapie, dagli esami diagnostici (ecogra e) all’osteopatia, passando per la medicina sportiva, l’erogazione di corsi di yoga, pilates e stretching, e parecchio altro.

AMBULATORIO

POLISPECIALISTICO

RIABILITATIVO KOALA via Crippa, 19 - Treviglio (BG) www.ambulatoriokoala.it info@ambulatoriokoala.it 0363.300337 - 393.339507541

Anniversario

102014-2024

23
I.P.

Alimentazione olistica

MANGIARE per il CORPO e l’ANIMA

L’alimentazione olistica si basa su un concetto semplice ma profondo: il cibo non è solo un mezzo per soddisfare la fame o fornire nutrienti al corpo, ma è anche un elemento essenziale per il benessere dell’anima.

Ascoltare il proprio corpo

Ascoltare il proprio corpo signi ca essere attenti a come reagisce a certi alimenti. Ad esempio, alcuni possono avere intolleranze a glutine o latticini. È importante identi care ed evitare gli alimenti che non ci fanno sentire bene.

Qualità anziché quantità

Dovremmo concentrarci sulla qualità degli alimenti che mangiamo. Scegliamo prodotti freschi e possibilmente biologici, riduciamo il consumo di cibi lavorati e con molti additivi. Un’alimentazione ricca di frutta, verdura, cereali integrali, legumi, noci e semi è nutriente non solo per il corpo, ma anche per l’anima.

Il ritmo dei pasti

Alimentarsi in armonia con il ritmo naturale del corpo è un altro aspetto chiave. Ciò può signi care fare un pasto più sostanzioso quando serve più energia e un pasto più leggero la sera. Ascoltare i segnali di fame e sazietà del corpo è fondamentale.

Mangiare con consapevolezza

Nutrirsi dovrebbe essere un’attività consapevole. Ciò signi ca prendersi tempo per gustare ogni boccone, apprezzando i sapori e la consistenza del cibo. Mangiare lentamente aiuta la digestione e aumenta la sensazione di sazietà.

Il cibo come medicina

Numerosi studi hanno dimostrato che alcuni alimenti hanno proprietà curative. Ad esempio, gli alimenti ricchi di omega-3 (come i pesci grassi) sono ottimi per il cuore, mentre quelli ricchi di bre (come frutta e verdura) sono importanti per una buona digestione.

24

Da oltre 100 anni, selezioniamo i migliori formaggi per offrire un banco di prodotti di altissima qualità tipici della tradizione italiana. Sul nostro banco di vendita trovi un’ampia scelta di FORMAGGI FRESCHI DOP, FORMAGGI STAGIONATI

ADV

E FORMAGGI SEMISTAGIONATI

CI OCCUPIAMO INOLTRE

DELLA VENDITA DI PRODOTTI TIPICI

DELLA TRADIZIONE ITALIANA

E DELLA TRADIZIONE BERGAMASCA: SALUMI, VINI, VASELLAME, PASTE FRESCHE, MIELI E MOSTARDA

Aperti da martedi a sabato dalle 9.00 alle 13.00 e dalle 15.00 alle 18.30

Siamo convenzionati con il parcheggio palasport.

Via San Tomaso, 100 - BERGAMO - Tel. 035.23.92.37 WWW.OLFORMAGER.IT
ALCUNI PRODOTTI

Importanza del sonno

Strategie per un RIPOSO EFFICIENTE

Il sonno gioca un ruolo cruciale nel mantenere il nostro benessere sico e mentale, soprattutto per chi si trova nella fascia d’età tra i 40 e i 70 anni. Un sonno di qualità può migliorare la concentrazione, rafforzare il sistema immunitario e bilanciare l’umore.

Esploriamo alcune strategie ef caci per migliorare la qualità del sonno:

Stabilire una routine ef cace

Una routine ef cace non riguarda solo l’orario di andare a letto e svegliarsi, ma anche le attività quotidiane. Mantenere uno schema regolare per pasti, esercizio sico e attività rilassanti può contribuire a stabilizzare il ritmo circadiano. L’adozione di una routine serale rilassante, come leggere un libro o fare una breve meditazione, può preparare la mente e il corpo al riposo notturno. Mantenere una routine costante richiede impegno e disciplina, ma può portare a bene ci signi cativi sia per la salute che per il benessere a lungo termine.

Creare un ambiente favorevole al sonno

Per creare un ambiente favorevole al sonno, è importante anche prestare attenzione alla qualità del materasso e del cuscino. Un materasso confortevole che supporti correttamente il corpo può migliorare notevolmente la qualità del sonno e ridurre eventuali dolori o fastidi durante la notte. Inoltre, scegliere un cuscino che supporti correttamente il collo e la testa può aiutare a prevenire dolori al collo e mal di testa al risveglio. Mantenere la temperatura della camera fresca, tra i 18°C e i 21°C, può favorire il sonno, poiché il corpo tende a raffreddarsi. Utilizzare lenzuola e coperte leggere ma confortevoli può contribuire a mantenere una temperatura ottimale durante la notte. In ne, limitare al minimo la presenza di dispositivi elettronici nella camera da letto, in quanto la luce blu emessa può interferire con la produzione di melatonina, l’ormone del sonno. Creare un ambiente rilassante e confortevole nella propria camera da letto è fondamentale per favorire il sonno riposante e rigenerante.

26

Limitare l’esposizione alla luce blu

Evitare l’uso di dispositivi elettronici almeno un’ora prima di coricarsi può aiutare a preparare il corpo e la mente al sonno. Se è inevitabile utilizzare dispositivi elettronici prima di dormire, è consigliabile utilizzare ltri blu o impostazioni di riduzione della luce blu per ridurre al minimo l’impatto sulla produzione di melatonina. Inoltre, è importante mantenere una routine coerente di sonno, anche nei giorni festivi o durante le vacanze, per garantire una regolazione ottimale del ritmo circadiano. Fare piccoli aggiustamenti alla propria routine e all’ambiente del riposo può fare una grande differenza nella qualità del sonno e nel benessere generale.

Alimentazione ed esercizio

Limitare il consumo di cibi pesanti, alcol e caffeina nelle ore serali può favorire un sonno più profondo e rigenerante. I pasti pesanti possono causare indigestione e disturbi, interferendo con il riposo notturno. L’alcol, sebbene possa indurre il sonno iniziale, può modi care i cicli del sonno e portare a risvegli frequenti durante la notte. La caffeina, un potente stimolante, può interferire con la capacità di addormentarsi e compromettere la qualità complessiva del riposo. È consigliabile evitare queste sostanze nelle ore serali per favorire un sonno più tranquillo e riposante. D’altra parte, l’esercizio sico regolare può essere un ottimo modo per promuovere il riposo di qualità. L’attività sica rilascia endor ne che possono ridurre lo stress e l’ansia, favorendo un sonno più profondo e rigenerante. Tuttavia, è importante evitare l’esercizio troppo vicino all’ora di andare a letto: l’attivazione del corpo potrebbe rendere dif cile il rilassamento e l’addormentamento.

Rilassarsi prima di andare

a letto

Dedicare del tempo al rilassamento prima di andare a dormire è essenziale per preparare la mente e il corpo al sonno. Attività come leggere un libro, fare un bagno caldo, praticare la meditazione o esercizi di respirazione profonda possono aiutare a ridurre lo stress e l’agitazione, favorendo un riposo più profondo e rigenerante. La lettura di un libro può distrarre la mente dai pensieri stressanti e favorire un rilassamento graduale. Un bagno caldo può aiutare a rilassare i muscoli e a ridurre la tensione accumulata durante il giorno. La pratica della meditazione o degli esercizi di respirazione può favorire uno stato di calma e tranquillità, preparando la mente per un sonno riposante.

Gestire lo stress

I livelli elevati di stress possono compromettere la qualità del riposo e portare a problemi di insonnia. Praticare regolarmente tecniche di gestione dello stress come la mindfulness, la meditazione o la scrittura di un diario può aiutare a ridurre l’ansia e migliorare il sonno. La mindfulness consiste nel concentrarsi consapevolmente sul momento presente senza giudizio e può aiutare a ridurre i pensieri ansiosi che interferiscono con il sonno.

SUGGERIMENTI e CONSIGLI

Rispettare queste semplici strategie può portare a miglioramenti signi cativi nella qualità del sonno e, di conseguenza, a bene ci tangibili per la salute sica e mentale. Uno dei principali vantaggi di un riposo di qualità è il recupero sico: durante il sonno, il corpo ha l’opportunità di riparare i tessuti, rafforzare il sistema immunitario e rilasciare ormoni cruciali per la crescita e il benessere generale. Inoltre, il riposo adeguato è fondamentale per il funzionamento cognitivo ottimale. Durante il sonno, il cervello elabora le informazioni apprese durante il giorno, rafforza le memorie e stabilisce connessioni neurali importanti per il pensiero creativo e la risoluzione dei problemi. Un buon sonno è anche essenziale per il benessere emotivo: il riposo adeguato aiuta a regolare l’umore, ridurre lo stress e migliorare la capacità di affrontare le s de quotidiane ef cacemente. In ne, il sonno di qualità può contribuire a ridurre il rischio di sviluppare condizioni di salute croniche come obesità, diabete e malattie cardiache. Pertanto, investire nella creazione di abitudini di sonno sane e nel mantenimento di un ambiente di riposo ottimale può avere un impatto positivo duraturo sulla salute e sul benessere complessivo.

27

Terapie manuali o con l’utilizzo di macchinari indolore e innovativi Trattamenti

Ozono senza aghi

Acido ialuronico senza aghi

Fisioterapia per l’adulto

Fisioterapia per il bambino

Onde d’ur to indolore

Tecarterapia

Laserterapia ad alta potenza

Terapia manuale

Massoterapia miorilassante

Riabilitazione neurologica

Riabilitazione respiratoria

Osteopatia per l’adulto

Osteopatia pediatrica

Fisioterapia post chirurgica

Rieducazione posturale individuale

Linfodrenaggio manuale Vodder

Radiofrequenza medica viso

Ultrasuono e magnetoterapia

Fisioestetica

Visite ortopediche

Trattamento per l’emicranea

Pilates posturale

ADV
UN CENTRO PER LA SALUTE ED IL BENESSERE DEL VOSTRO CORPO m me ammenti Per info e appuntamenti: Tel. 035 2817036 WhatsApp: 339 5414880 @ Fisioterapia San Lorenzo Palosco Ci trovate a Palosco (BG) Via Fratelli Marelli, 5
Studio di Fisioterapia - Dott.ssa Barbara Piovanelli

IEsercizi per la vita quotidiana

Mantenere il CORPO in FORMA

ntegrare l’esercizio sico nella vita quotidiana è cruciale in un’epoca in cui lo stile di vita sedentario è diffuso. Fare attività sica regolarmente è fondamentale per mantenere una buona salute sica e mentale. Possiamo incorporare esercizi in molteplici modi, come camminare o andare in bicicletta al lavoro anziché utilizzare l’auto, fare le scale invece di usare l’ascensore e dedicare tempo a attività come lo stretching durante le pause al lavoro. Queste semplici abitudini possono fare la differenza nel nostro benessere generale, migliorando la nostra resistenza, la nostra forza muscolare e la nostra essibilità. Inoltre l’esercizio sico aiuta a ridurre lo stress e migliora l’umore, aumentando la produzione di endor ne nel nostro corpo. È importante trovare il modo di integrare l’attività sica nella nostra routine quotidiana in modo da renderla sostenibile nel lungo termine. Anche piccoli cambiamenti possono portare a grandi bene ci per la nostra salute complessiva.

Bene ci dell’esercizio sico regolare

Gli effetti positivi dell’esercizio sico regolare non si limitano alla sfera sica ma si estendono anche a quella mentale ed emotiva. Studi scienti ci hanno dimostrato che l’attività sica regolare può ridurre il rischio di de-

pressione e ansia, migliorando l’umore e la qualità del sonno. Inoltre, l’esercizio sico stimola la produzione di neurotrasmettitori come la dopamina e la serotonina, fondamentali per il benessere mentale. Un altro importante bene cio dell’attività sica è il miglioramento della qualità della vita e dell’autostima. Chi pratica regolarmente esercizio sico spesso sperimenta una maggiore ducia in se stesso e una sensazione di realizzazione personale. Questo può portare a una migliore interazione sociale e relazionale, contribuendo così a costruire legami più forti e signi cativi con le altre persone. In sintesi, l’esercizio sico non solo è essenziale per mantenere il corpo in salute, ma ha anche profondi bene ci sulla salute mentale e sul benessere emotivo, rendendolo un pilastro fondamentale per una vita equilibrata e appagante.

Integrazione nell’attività quotidiana

Integrare l’attività sica nella routine quotidiana non richiede necessariamente un impegno massiccio di tempo o un grande sforzo. Anzi, sono i piccoli cambiamenti che possono avere un impatto signi cativo sulla nostra salute. Ad esempio, invece di prendere l’ascensore, possiamo optare per le scale: non solo ci permettono di muoverci di più, ma anche di bruciare qualche caloria

29

extra. Invece di utilizzare l’automobile per brevi spostamenti, possiamo scegliere di camminare o andare in bicicletta, contribuendo così alla nostra attività sica quotidiana. Anche una breve passeggiata durante la pausa pranzo può aiutarci a smuovere il corpo e a rinvigorire la mente, rendendoci più produttivi e concentrati nel pomeriggio. Questi piccoli cambiamenti non solo aiutano a mantenersi in forma, ma anche a migliorare l’umore e a ridurre lo stress. L’importante è trovare modi semplici e pratici per inserire l’attività sica nella nostra routine, rendendola parte integrante del nostro stile di vita.

Esercizi di forza

Gli esercizi di forza sono un pilastro importante della nostra routine di allenamento: aiutano a mantenere e aumentare la massa muscolare, ma anche a migliorare la densità ossea e la funzionalità delle articolazioni. L’aggiunta di pesi leggeri, oppure l’uso del proprio corpo come forza di resistenza, tramite esercizi come push-up, squat e plank, può essere estremamente ef cace. Questi esercizi stimolano i muscoli in modo diverso, promuovendo una maggiore forza e resistenza. Inoltre, l’aumento della massa muscolare può contribuire a un metabolismo più attivo, facilitando il controllo del peso corporeo e migliorando la composizione corporea complessiva. È importante integrare una varietà di esercizi di forza nella nostra routine per coinvolgere diversi gruppi muscolari e ottenere risultati ottimali. L’allenamento di forza regolare, insieme a esercizi aerobici e di stretching, può contribuire signi cativamente al nostro benessere sico e alla nostra qualità di vita.

Esercizi di essibilità

Gli esercizi di essibilità, come lo stretching e lo yoga, sono fondamentali per mantenere e migliorare la nostra agilità e mobilità articolare. Lo stretching regolare aiuta a mantenere i muscoli elastici e pronti all’uso, riducendo il rischio di infortuni e migliorando la postura. Nel corso degli anni, il nostro corpo tende a perdere parte della sua essibilità naturale, il che può portare a problemi di mobilità e a disagi quotidiani. Esercitarsi nella essibilità può contrastare questo processo, consentendo di mantenere una gamma completa di movimento nelle articolazioni e preservando la funzionalità del corpo nel

tempo. Inoltre pratiche come lo yoga offrono bene ci aggiuntivi, come il miglioramento della concentrazione e della consapevolezza del respiro. Integrare esercizi di essibilità nella nostra routine di allenamento è essenziale per un benessere complessivo ottimale e una migliore qualità della vita, indipendentemente dall’età. Anche pochi minuti di stretching al giorno possono fare la differenza nel mantenere il corpo agile, rilassato e pronto per affrontare le s de quotidiane.

Esercizi

aerobici

Gli esercizi aerobici sono fondamentali per migliorare la salute cardiovascolare e generale del nostro corpo. Camminare, correre, nuotare oppure andare in bicicletta sono soltanto alcune delle attività aerobiche che possiamo praticare. Questi esercizi favoriscono il usso sanguigno, aumentano la resistenza cardiaca e polmonare, aiutano a mantenere il peso corporeo sotto controllo. La raccomandazione di fare attività aerobica di moderata intensità per 150 minuti a settimana è supportata da numerosi studi scienti ci che dimostrano i suoi bene ci sulla salute. Tuttavia è importante ricordare che è sempre meglio consultare un medico prima di iniziare qualsiasi nuovo programma di allenamento, specialmente se si hanno problemi di salute preesistenti. Inoltre, variare gli esercizi aerobici praticati può rendere l’allenamento più divertente e stimolante, riducendo così il rischio di stancarsi facilmente o di annoiarsi. Con impegno e costanza, gli esercizi aerobici possono diventare una parte essenziale del nostro stile di vita sano e attivo.

SUGGERIMENTI e CONSIGLI

Incorporare l’esercizio nella vita quotidiana è una strategia ef cace e sostenibile per migliorare la salute sica e mentale. Anche piccoli cambiamenti possono avere un impatto signi cativo nel lungo termine. È importante scegliere attività piacevoli e che si possano mantenere nel tempo, creando così un approccio olistico al benessere.

30

STANCA

DI TRATTAMENTI CHE NON FUNZIONANO?

Desideri pancia piatta e glutei rimodellati?

SOLUZIONE PER

METODO BeSPA

Perdi 1 taglia in 4 settimane prenota il Tuo primo Trattamento con consulenza Estetica avanzata

BeSPA BODY BEAUTY START - BBS Modellante • Drenante Rimpolpante • Antiage

ADV
NO FALSE PROMESSE NO TRATTAMENTI STANDARD NO SOLO MACCHINARI BeSPA SanMarco Bergamo - Via Brigata Lupi, 11/B - Tel. 035246125 - Prenotazione anche on line
a soli ¤77,00 anzichè ¤200,00 entro il 30 giugno 2024 LA
TE È: Inquadra questo codice per avviare una chat WhatsApp con BeSPA San Marco Bergamo

Trasforma lo STRESS in FORZA

Gestire lo stress è cruciale per mantenere un equilibrio ottimale nella nostra vita. Esistono molte tecniche e metodi che possono aiutarci a far fronte alle pressioni quotidiane e a ridurre la tensione accumulata nel corpo e nella mente. Tra queste troviamo: la respirazione profonda, l’esercizio sico regolare, la meditazione e la pratica dello yoga. Ognuna di queste tecniche ha dimostrato di essere efcace nel ridurre i livelli di stress e nel promuovere un senso di calma interiore. Incorporare queste pratiche nella nostra routine quotidiana può fare la differenza nel gestire con successo lo stress e migliorare il nostro benessere complessivo.

Comprensione dello stress

Affrontare lo stress è essenziale per mantenere un equilibrio mentale e sico ottimale. Lo yoga e la meditazione si sono dimostrati ef caci nel ridurre i livelli di stress e nel promuovere una maggiore resilienza emotiva. Attraverso la pratica regolare, possiamo imparare a gestire meglio le nostre reazioni allo stress, adottando

un approccio più calmo e centrato nella vita di tutti i giorni. La consapevolezza del respiro e il rilassamento del corpo e della mente sono solo alcuni degli strumenti che yoga e meditazione ci offrono per affrontare le s de quotidiane con serenità e determinazione. È importante trovare il tempo per dedicarsi a queste pratiche, investendo nella nostra salute e nel nostro benessere a lungo termine.

Tecniche di respirazione

La pratica regolare della respirazione diaframmatica può portare a numerosi bene ci per la salute mentale e sica. Oltre a ridurre lo stress può migliorare la qualità del sonno, aumentare la concentrazione e persino contribuire a regolare la pressione sanguigna. Integrare questa tecnica nella routine quotidiana, magari dedicando alcuni minuti ogni giorno, può avere un impatto signi cativo sul benessere generale. È importante ricordare di eseguire la respirazione diaframmatica in modo corretto, concentrandosi sul movimento dell’addome ed evitando di sollevare le spalle durante l’inspirazione.

32
Stress e salute

Mindfulness e meditazione

La mindfulness, o consapevolezza, implica l’essere pienamente presenti nel momento, accettando completamente i propri pensieri e le proprie sensazioni. La meditazione mindfulness aiuta a ridurre lo stress osservando le emozioni da una prospettiva esterna e facilitando una migliore gestione della risposta allo stress.

Attività sica

L’esercizio sico è un potente antistress naturale. Attività come il jogging, il nuoto, lo yoga o persino una semplice passeggiata possono migliorare signi cativamente l’umore e ridurre i livelli di stress, grazie alla produzione di endor ne, gli ormoni del benessere.

Tecniche di rilassamento muscolare

progressivo

Questa tecnica comporta la tensione e il rilassamento progressivi dei diversi gruppi muscolari. Aiuta a identicare e rilasciare la tensione sica correlata allo stress, favorendo un senso generale di calma.

Gestione del tempo e prioritizzazione

In un mondo sempre più frenetico, imparare a gestire il tempo in modo ef cace è fondamentale per mantenere un equilibrio sano tra lavoro, vita personale e benessere. Stabilire priorità chiare e impostare limiti orari ci permette di concentrarci sulle attività più importanti e signi cative, riducendo lo stress e l’ansia legati alla sensazione di essere sopraffatti. L’arte della gestione del tempo non riguarda solo l’ef cienza, ma anche la capacità di trovare spazio per il riposo, il relax e il divertimento. Trovare un equilibrio tra impegni e tempo per se stessi è essenziale per mantenere una buona salute mentale e sica.

Supporto sociale e comunicazione

Aprire il cuore e condividere le nostre preoccupazioni con gli altri non solo ci fa sentire meno soli, ma ci aiuta anche a ottenere prospettive diverse e a trovare soluzioni ai problemi che affrontiamo. L’empatia e il sostegno degli amici, della famiglia e dei colleghi possono lenire il peso del nostro carico emotivo e fornirci la forza necessaria per affrontare le s de con coraggio e determinazione. Essere circondati da persone che ci sostengono e ci incoraggiano nei momenti dif cili è un dono prezioso che nutre la nostra resilienza e il nostro benessere emotivo.

Sonno di qualità

Una buona attenzione al sonno è cruciale nella gestione dello stress. Mantenere una routine regolare, creare un ambiente favorevole al riposo, come una stanza fresca e buia, e limitare l’esposizione alla luce blu prima di coricarsi possono migliorare decisamente la qualità del sonno e contribuire a ridurre i livelli di stress.

SUGGERIMENTI

Integrare le tecniche di gestione dello stress nella nostra routine quotidiana può fare la differenza tra vivere una vita di ansia e tensione costante e godere di un senso di pace interiore e benessere. È importante sperimentare diverse pratiche come la respirazione profonda, la visualizzazione, lo stretching, la meditazione o lo yoga, per scoprire quali fanno maggiormente al caso nostro e adattarle alla vita quotidiana. Anche piccoli cambiamenti come prendersi del tempo per camminare all’aperto, tenere un diario dei pensieri e delle emozioni o praticare la mindfulness, possono avere un impatto signi cativo sulla nostra salute mentale e sica. Non c’è una soluzione universale per gestire lo stress, ma con dedizione e apertura mentale, possiamo trovare le strategie che funzionano meglio per noi e creare una vita più equilibrata e soddisfacente.

CONSIGLI 33
e
Specializzati nelle pulizie degli appartamenti abitati e di prima entrata Prendetevi un po' di tempo... alle pulizie ci pensiamo noi! www.impresadipulizieiris.it BERGAMO - VIA COGHETTI, 88 035 0447726 amministrazione@irisbergamo.it IRIS IMPRESA di PULIZIE

Viaggi che rigenerano

DESTINAZIONI per il BENESSERE nel Nord Italia

Nel cuore del Nord Italia, tra paesaggi mozza ato e ricchezze naturali, si celano autentiche gemme che offrono un rifugio per rigenerare corpo e mente In un mondo sempre più frenetico, la ricerca di luoghi di tranquillità e benessere diventa essenziale per preservare la salute e trovare l’armonia interiore. Scopriamo insieme dieci destinazioni nel Nord Italia che promettono di essere dei veri santuari per il benessere sico e mentale.

Parco Naturale Mont Avic, Valle d’Aosta

Il parco è un vero e proprio gioiello all’interno di un’area protetta e offre un’esperienza indimenticabile agli amanti della natura e agli escursionisti. Con una supercie di oltre 5.747 ettari abbraccia un paesaggio variegato che comprende montagne, valli, laghi alpini e foreste secolari. È possibile incontrare una ricca varietà di ora e fauna alpina: stambecchi, camosci, aquile reali e rare specie di piante alpine. I visitatori hanno a disposizione una vasta rete di sentieri escursionistici che si snodano attraverso paesaggi mozza ato. I percorsi variano da semplici passeggiate panoramiche ad escursioni più impegnative che conducono a vette panoramiche e rifugi alpini. Chi desidera vivere il parco in modo più avventuroso può farlo in mountain bike, o con un po’ di nordic walking, o ancora con l’arrampicata su roccia. Il parco offre anche una serie di servizi per accogliere i visitatori, con informazioni sui sentieri, sui punti panoramici e sulle aree pic-nic attrezzate.

35

Parco Nazionale Gran Paradiso, Valle d’Aosta

Il Parco Nazionale del Gran Paradiso offre un’esperienza straordinaria. Con paesaggi mozza ato, una vasta rete di sentieri escursionistici e una biodiversità unica, è un vero e proprio paradiso per gli amanti della natura. Si possono esplorare laghi alpini, ghiacciai, vette imponenti. Avvistare stambecchi, camosci, marmotte. E, ancora, fare alpinismo, arrampicata, mountain bike, birdwatching ad esempio. Il parco svolge anche un ruolo cruciale nella conservazione degli ecosistemi alpini e offre strutture di accoglienza e servizi per i visitatori.

Acqui Terme, Piemonte

Acqui Terme garantisce relax con la famosa sorgente termale “La Bollente” e le sue acque, a 75°C, dalle note proprietà terapeutiche, vera e propria fonte di guarigione per corpo e spirito. Già gli antichi romani ne apprezzavano le virtù curative. Oltre alla sorgente termale, la città vanta poi un ricco patrimonio storico e culturale, derivante da storia e tradizioni più che millenarie.

Cascate del Toce, Piemonte

Le Cascate del Toce, maestose e imponenti, insieme alla vicina Ossola Valley Spa, offrono un’esperienza di benessere senza pari immersa nella bellezza naturale delle Alpi Piemontesi. Le cascate regalano uno spettacolo mozza ato, mentre la spa accoglie i visitatori con trattamenti termali rigeneranti e percorsi benessere.

Lago d’Orta, Piemonte

Situato ai piedi delle Alpi, il Lago d’Orta offre uno scenario incantevole, con l’Isola di San Giulio al centro che sembra emergere da un dipinto. Le passeggiate lungo le sue rive offrono momenti di contemplazione e tranquillità, mentre i piccoli borghi come Orta San Giulio e Omegna, ricchi di storia e cultura, invitano i turisti a esplorare le stradine acciottolate e le pittoresche piazze. Immerso in questa atmosfera magica, il visitatore può rigenerare mente e corpo, lasciandosi cullare dalla bellezza senza tempo di questi luoghi.

Cinque Terre, Liguria

Le Cinque Terre, patrimonio UNESCO, incantano con paesaggi naturali e tradizioni rurali. Monterosso al Mare, Vernazza, Corniglia, Manarola e Riomaggiore si affacciano sul Mar Ligure, circondate da vigneti e boschi. I sentieri costieri offrono un’opportunità unica per esplorare la bellezza selvaggia della zona. Tra scogliere e vigneti, è possibile riconnettersi con la natura, rigenerando lo spirito.

Bormio, Lombardia

Circondata dalle vette delle Alpi Retiche, Bormio offre innite opportunità per gli amanti degli sport invernali e delle escursioni. Le sue piste da sci, tra cui la famosa “Stelvio”, attraggono infatti sciatori da tutto il mondo, mentre i sentieri escursionistici offrono panorami mozza ato e la possibilità di avventurarsi nella natura incontaminata.

36

PILATES scopre studiando e osservando il suo corpo che mediante la respirazione, in particolare la Espirazione, riesce ad attivare il TRASVERSO DELL'ADDOME. Muscolo importantissimo per la postura, perché forma un "corsetto naturale" che mediante un allenamento mirato elimina il mal di schiena, in particolare la lombalgia.

Uno degli strumenti creati da PILATES è il REFORMER, l'ispirazione le viene copiando il letto di ospedale dove applicava il suo metodo.

ADV

IL METODO PILATES CONSISTE:

• concentrazione

• controllo

• uso del centro

• uidità

• precisione

• respirazione

Il nostro team ha questo compito: guidare le persone a capire e conoscere il loro corpo.

SUSANA la proprietaria dello studio viene dal mondo della ricerca e nel pilates ha trovato un lo conduttore che è quello di aiutare le persone a stare meglio. I nostri clienti vengono seguiti in modo personalizzato, stando attenti alle problematiche del singolo individuo.

Lago di Como, Lombardia

Le ville storiche che punteggiano le sue rive aggiungono un tocco di eleganza e fascino a questo luogo. Durante le calde giornate estive, è possibile rinfrescarsi con un tuffo nelle acque cristalline del lago o dedicarsi a sport acquatici. Inoltre, le montagne circostanti offrono numerosi sentieri escursionistici con panorami spettacolari, permettendo di immergersi completamente nella bellezza della natura.

Monte Isola, Lombardia

Le stradine strette e tortuose invitano a esplorare il fascino senza tempo di questa località bresciana, mentre i panorami mozza ato sul lago e sulle montagne circostanti offrono spettacoli indimenticabili. Gli amanti della natura possono immergersi nella rigogliosa vegetazione e percorrere i numerosi sentieri che la attraversano, scoprendo angoli nascosti e punti panoramici che lasciano senza ato.

Sirmione, Lombardia

Con la sua atmosfera incantata Sirmione è tra i gioielli del Lago di Garda. Da visitare, oltre alle terme, il centro storico che racchiude tesori come la Rocca Scaligera, imponente fortezza medievale, o le Grotte di Catullo, antiche rovine romane immerse in un suggestivo parco archeologico. I visitatori possono dedicarsi a rilassanti bagni termali oppure esplorare i vicoli del borgo antico.

Levico Terme, Trentino-Alto Adige

Questa località è un punto di riferimento per il benessere. Le acque ricche di arsenico e ferro sono rinomate per le proprietà curative e offrendo sollievo dalle tensioni quotidiane e bene ci per la pelle. In questo luogo incantevole, circondato da boschi e laghi, è possibile abbandonarsi al relax totale, praticando escursioni lungo i sentieri panoramici o concedendosi momenti di tranquillità nelle pittoresche piazze.

Merano, Trentino-Alto Adige

La cittadina attrae visitatori da tutto il mondo per le acque curative e le strutture termali. Immersi nella magni ca cornice delle Dolomiti i turisti possono godere di una vasta gamma di trattamenti. Le proprietà terapeutiche delle acque termali sono conosciute sin dai tempi degli antichi romani e continuano a essere un punto di riferimento per chi cerca un momento di riposo e relax.

SUGGERIMENTI e CONSIGLI

Queste località nel Nord Italia rappresentano dei veri e propri paradisi per coloro che cercano una pausa rigenerante dalla frenesia della vita quotidiana. Queste destinazioni offrono un’atmosfera unica e rilassante che favorisce il benessere sico e mentale. Sono luoghi dove è possibile staccare la spina, rallentare il ritmo e dedicarsi completamente al proprio benessere, che sia attraverso una passeggiata in riva al lago, una sessione di yoga all’aperto o un trattamento termale rigenerante. La scelta di visitare una di queste località può rappresentare un vero e proprio atto di auto-cura e un importante passo verso il riequilibrio sico, mentale ed emotivo.

38

Metodo Endospheres

Il trattamento per una bellezza che fa bene. Clinicamente testato•Non invasivo•Ef cace e sicuro

LE 5 AZIONI SINERGICHE

1. stimola i recettori del derma RIDUCENDO L’INFIAMMAZIONE E IL DOLORE

2. La rotazione del cilindro crea un “effetto pompa” che STIMOLA IL SISTEMA LINFATICO

3. Il movimento delle sfere attiva una “ginnastica vascolare” che MIGLIORA IL MICROCIRCOLO

4. Comprime, rende più elastico il tessuto e lo de nisce, favorendo il RIMODELLAMENTO

5. La vibrazione stimola continue contrazioni che favoriscono la TONIFICAZIONE DI MUSCOLI E TESSUTO

Orari di apertura

Lunedì 13/20

Dal Martedì al Sabato 10/20

Domenica chiusi

Scopri Helios, dove ogni trattamento è un’esperienza unica.

Chiamaci o scrivici per riservarti una CONSULENZA GRATUITA con le nostre Beauty Specialists

Via Madonna della Neve, 35a BERGAMO • Tel. 035 034 6077 • whatsapp 351 713 7670

LA TRADIZIONE NEL PIATTO

VENT’ANNI DI TRADIZIONE • CUCINA SICILIANA

ADV Ristorante Pizzeria Taverna del Gallo da Salvatore

Il Ristorante Pizzeria è situato in Borgo storico, è un locale caratteristico dove troverete un’atmosfera avvolgente dal sapore tradizionale con il calore di un ambiente familiare.

I nostri piatti conservano la genuinità e la tradizione della cucina mediterranea e una vasta gamma di pizze, dolci fatti in casa e vini nazionali.

Via S. Bernardino, 23/A • 24122, BERGAMO • Tel. 035 22 03 44 • Cell. 340 33 64 394 PARCHEGGIO CONVENZIONATO in via Previtali n° 22 “Le Corti di San Leonardo”
PUOI SEMPRE CHIEDERE AL NOSTRO CHEF IL PIATTO DEL GIORNO...
Vuoi mangiare pesce vieni da noi

Musica ed emozioni

Come la MUSICA influenza il nostro UMORE

La musica è una forza universale che trascende le barriere culturali e linguistiche, connettendoci con noi stessi e gli altri in modi ineffabili. Le note e le melodie evocano emozioni profonde, offrendoci conforto nei momenti di bisogno e ispirazione quando cerchiamo forza interiore. È una compagna costante che ci accompagna nei momenti felici e tristi, lasciando un’impronta indelebile nei nostri ricordi più preziosi.

La magia delle note

Pensateci: non c’è niente di più magico che sentire le prime note di una canzone amata. Che sia il ritmo vivace di un pezzo pop o la melodia struggente di una ballata, la musica ha il potere di cambiare il nostro umore in un attimo. Vi capita mai di ascoltare una canzone in macchina e ritrovarvi a battere il ritmo sul volante o a cantare a squarciagola? Ecco, quella è la magia della musica!

Un ponte tra cuore e mente

La musica funziona come un ponte tra il cuore e la men-

te. Ci consente di esprimere emozioni per le quali a volte fatichiamo a trovare le parole. Una canzone può raccontare anche una storia, la nostra, in modo così intimo e personale da farci sentire compresi e meno soli.

La playlist della vita

Ognuno di noi ha una “playlist della vita”: quelle canzoni che segnano i momenti importanti, che ci hanno accompagnato nei primi amori, nelle delusioni, nei successi e nei viaggi indimenticabili. Sono come amici fedeli che non ci abbandonano mai, pronti a risollevarci il morale o a condividere un momento di felicità.

La musica come terapia

La musica non è solo un passatempo, è anche una forma di terapia. Ha il potere di calmare l’ansia, di dare energia, di migliorare la concentrazione e persino di alleviare il dolore. Chi non ha mai usato una canzone triste per superare un momento dif cile o una melodia allegra per dare il via a una giornata?

41

Yoga e meditazione

Percorsi verso l’ARMONIA INTERIORE

Lo yoga e la meditazione rappresentano dei veri e propri tesori nel nostro viaggio verso il benessere e l’armonia interiore. Queste antiche pratiche, tramandate da generazioni, sono molto più di semplici esercizi sici o di tecniche di rilassamento: sono dei percorsi che ci conducono alla scoperta di noi stessi e alla comprensione della nostra vera natura. Attraverso la pratica dello yoga impariamo ad ascoltare il nostro corpo, a coltivare la consapevolezza del respiro e a connetterci con la nostra essenza più profonda. La meditazione, d’altra parte, ci offre uno spazio di silenzio interiore in cui possiamo osservare i nostri pensieri senza ltri e trovare la pace nella quiete della mente. Entrambe queste pratiche ci insegnano l’importanza di vivere nel momento presente, di accettare ciò che è e di lasciarci alle spalle ciò che non possiamo controllare. Sono strumenti potenti che ci aiutano a superare lo stress e l’ansia, a ritrovare l’equilibrio emotivo e a vivere una vita più piena e soddisfacente. In un mondo

sempre più frenetico e caotico, lo yoga e la meditazione ci offrono un rifugio di pace e serenità, un’ancora di salvezza nell’incalzante vita moderna.

La meditazione: uno sguardo nell’anima

Attraverso la pratica costante della meditazione ci avviciniamo sempre di più alla nostra natura autentica e scopriamo la pace interiore che risiede dentro di noi. Le parole del Buddha sottolineano che la meditazione è una luce che illumina il cammino della consapevolezza, aiutandoci a superare le illusioni e a vedere la realtà così com’è. Con la pratica regolare impariamo a coltivare la compassione, la gentilezza e la saggezza, trasformando la nostra vita e contribuendo al benessere di chi circonda. La meditazione infatti non è solo una pratica individualista, ma anche un’opportunità per diffondere la pace e l’amore nel mondo, creando un’onda di positività che si propaga attraverso e oltre il nostro essere.

42

L’unione di corpo e mente

Le asana (posizioni) dello yoga fungono da ponte tra il corpo e la mente, consentendo una profonda esplorazione dell’essere interiore. Ogni posizione è studiata per allungare, rafforzare e riequilibrare il corpo, ma anche per aprire i canali energetici e favorire la circolazione dell’energia vitale, nota come prana. Attraverso la pratica consapevole delle asana, impariamo a essere concentrati sul momento presente, a osservare le sensazioni del corpo, a coltivare la calma e la concentrazione necessarie per la meditazione. Le asana ci insegnano anche a superare i limiti sici e mentali, a essere essibili e adattabili di fronte alle s de della vita. In questo modo lo yoga diventa molto più di una pratica sica: diventa un cammino spirituale che ci guida alla scoperta della nostra vera natura e ci connette con il divino che risiede dentro di noi.

La respirazione: il legame tra visibile e invisibile

Il Pranayama, o controllo del respiro, è una pratica fondamentale dello yoga che ci insegna a usare consapevolmente il respiro per calmarci, energizzarci o riequilibrarci. Attraverso tecniche speci che di respirazione, possiamo regolare il usso di energia vitale (prana) nel nostro corpo, migliorando la nostra salute sica e mentale. Queste antiche tecniche yogiche sono una porta verso la consapevolezza e la trasformazione personale, consentendoci di esplorare i con ni della nostra mente e di scoprire la profondità del nostro essere interiore. Incorporare il Pranayama nella nostra pratica quotidiana può portare notevoli bene ci, aiutandoci a gestire lo stress, a migliorare la concentrazione e a trovare la calma interiore anche nei momenti più turbolenti della vita.

Meditazione: la quiete nell’azione

La saggezza del Bhagavad Gita ci insegna che la meditazione è un ponte verso la comprensione più profonda della vita e della nostra esistenza. Ci invita a esplorare la nostra connessione con il divino e ad abbracciare il nostro vero essere. È un’occasione per connettersi con la propria essenza più profonda e con l’universo che circostante. Nella meditazione diventiamo consapevoli della nostra interconnessione con tutto ciò che esiste e riconosciamo che siamo parte di un’intelligenza più grande. È attraverso questa pratica che possiamo sperimentare la vera libertà e realizzare il nostro potenziale più elevato. La meditazione ci insegna a vivere nel momento presente, a coltivare la compassione e la gratitudine, oltre a trovare la pace interiore che ognuno di noi cerca. È un’opportunità per guardare a fondo dentro noi stessi e riconnetterci con la nostra vera natura, quella di esseri spirituali in un viaggio umano. La meditazione è un ponte verso la comprensione più profonda di sé, offre la pace interiore e la chiarezza mentale.

SUGGERIMENTI e CONSIGLI

Con la pratica costante di yoga e meditazione, possiamo trasformare non solo il nostro corpo, ma anche la nostra mente e il nostro spirito. Queste discipline ci offrono strumenti preziosi per gestire lo stress, l’ansia e le s de quotidiane con calma e determinazione. Ci insegnano a coltivare la gratitudine, la compassione e la gentilezza verso noi stessi e gli altri, creando così un’aura di positività che si ri ette nelle nostre azioni e relazioni. Seguire il sentiero dello yoga e della meditazione è un atto di amore e rispetto per noi stessi, per il nostro benessere e per il mondo che ci circonda.

43

Tipi e BENEFICI per il CORPO e la MENTE

Imassaggi sono una delle pratiche più antiche ed efcaci per il benessere di corpo e mente. In un’epoca in cui la tensione e lo stress sono all’ordine del giorno, i massaggi offrono un rifugio di pace e rigenerazione. In questo articolo, esploreremo cinque tipi di massaggi originali e i loro bene ci, ispirandoci alla loso a tantrica che vede nel massaggio non solo una cura sica ma anche un percorso verso la consapevolezza e l’armonia interiore.

Massaggio ayurvedico

Originario dell’India, il massaggio ayurvedico è un’antica pratica terapeutica basata sui principi dell’Ayurveda, la scienza della vita. Questo trattamento prevede l’uso di oli essenziali appositamente selezionati in base al dosha individuale, uno dei tre principali tipi corporei secondo l’Ayurveda. Attraverso una combinazione di tecniche di sfregamento, impastamento e digito-pressione, mira a rilassare i muscoli, migliorare la circolazione e promuovere il riequilibrio energetico dell’orga-

nismo. Oltre ai bene ci sici evidenti come la riduzione dello stress e il sollievo dai dolori muscolari, questo antico trattamento ha dimostrato di avere effetti positivi sulla mente e sullo spirito, inducendo una sensazione di profondo rilassamento e benessere complessivo.

L’Ayurveda considera ogni individuo unico e consiglia trattamenti personalizzati in base alle proprie caratteristiche siche e mentali. Pertanto, durante una sessione di massaggio ayurvedico, il terapeuta prende in considerazione non solo le esigenze siche del cliente, ma anche il suo stato emotivo e mentale, adattando il trattamento di conseguenza. Questo approccio olistico permette al massaggio ayurvedico di agire non solo sul corpo, ma anche sull’equilibrio interiore della persona, aiutandola a ritrovare armonia e benessere a livello globale. Inoltre, il massaggio ayurvedico favorisce il rilascio delle tossine accumulate nel corpo, favorendo così il processo di detossi cazione e puri cazione. Questo è particolarmente importante nell’attuale contesto in cui siamo spesso esposti a agenti inquinanti

Massaggi
44

• LABORATORIO DI ANALISI CHIMICHE

• INTERMEDIAZIONE NELLO SMALTIMENTO/RECUPERO DEI RIFIUTI

• TRASPORTI E SPURGHI

• DISOTTURAZIONI TUBAZIONI

• BONIFICHE DI OGNI GENERE

• VIDEOISPEZIONI

• SANIFICAZIONE AMBIENTI INTERNI ED ESTERNI

www.facchettifabio.it

Stoccaggio di rifiuti ex speciali e tossico-nocivi autorizzata all’esercizio di un impianto di deposito preliminare con raggruppamento, ricondizionamento e recupero di rifiuti pericolosi e non pericolosi

ADV ser vizi ambient ali Facchetti Fabio srl Servizi ambientali - Spurghi civili servizi ambientali RGF S.r.l. Servizi Ambientali Caravaggio (Bg) Via Leonardo da Vinci, 161 - tel. 0363.52037 - email: info@rgfambiente.it rgfambiente.it
1989•2024

e stress ambientali che possono compromettere il nostro benessere generale. Attraverso la combinazione di oli essenziali e tecniche di massaggio mirate, il massaggio ayurvedico supporta il naturale processo di guarigione del corpo, rafforzando il sistema immunitario e ripristinando la vitalità. Il massaggio ayurvedico rappresenta non solo un trattamento terapeutico ef cace per il benessere sico, ma anche un’opportunità per riconnettersi con se stessi e con i principi di equilibrio e armonia dell’Ayurveda. Incorporare questa pratica millenaria nella propria routine di cura personale può portare bene ci duraturi, promuovendo uno stato ottimale di salute e benessere a tutti i livelli.

Massaggio shiatsu

Lo Shiatsu, che signi ca “pressione con le dita” in giapponese, è una pratica di massaggio che ha le sue radici nella medicina tradizionale cinese. Questa antica tecnica si basa sull’applicazione di pressioni precise lungo i meridiani energetici del corpo, allo scopo di ristabilire l’equilibrio del usso di energia vitale, conosciuto come Qi. Attraverso l’uso delle mani, dei pollici, dei gomiti e persino dei piedi, il terapeuta di Shiatsu applica pressioni mirate su speci ci punti del corpo, stimolando la circolazione sanguigna, alleviando la tensione muscolare e favorendo il rilascio di endor ne, i “neurotrasmettitori del benessere”. Questo trattamento è particolarmente ef cace nel ridurre lo stress, alleviare il dolore cronico, migliorare la qualità del sonno e riequilibrare sia il corpo che la mente. Oltre a essere una tecnica di guarigione sica, lo Shiatsu è considerato un’esperienza olistica che favorisce il benessere complessivo, inducendo una profonda sensazione di rilassamento e armonia interiore.

Nel contesto moderno, lo Shiatsu è ampiamente praticato e apprezzato in tutto il mondo come forma di terapia complementare. Molte persone lo trovano bene co per affrontare una serie di disturbi sici ed emotivi, dalla tensione muscolare alla depressione. Il suo approccio delicato e non invasivo lo rende adatto a persone di tutte le età e condizioni siche. Tuttavia, è importante ricordare che, come con qualsiasi forma di trattamento, è consigliabile consultare un professionista quali cato prima di sottoporsi a sessioni di Shiatsu, specialmente se si hanno problemi di salute preesistenti. Lo Shiatsu rappresenta una via ef cace per promuovere il benessere e l’equilibrio sico e mentale attraverso l’armonizzazione dell’energia vitale del corpo. Le sue antiche origini e la sua capacità di alleviare lo stress e favorire il rilassamento lo rendono una scelta preziosa in un mondo sempre più frenetico e stressante.

Massaggio con pietre calde

Il massaggio con pietre calde è una pratica terapeutica che unisce il potere rilassante del calore con le tecniche di massaggio tradizionali. Durante il trattamento, pietre lisce e riscaldate vengono posizionate strategi-

camente su punti chiave del corpo, rilasciando il calore in profondità nei tessuti muscolari e migliorando la circolazione sanguigna. Il calore delle pietre aiuta a rilassare i muscoli tesi, sciogliendo le tensioni accumulate e facilitando il rilascio delle tossine accumulate nei tessuti. Questo tipo di massaggio è particolarmente efcace nel ridurre i dolori muscolari cronici, migliorare la essibilità e promuovere una sensazione generale di benessere. L’esperienza combinata del calore terapeutico e delle tecniche professionali, peraltro, rende il massaggio con pietre calde una scelta ideale per tutti coloro che cercano un sollievo rapido e duraturo dalle tensioni e dallo stress quotidiano.

Le pietre possono essere di diversi materiali, come ad esempio basalto, granito o persino marmo. Questi materiali sono scelti per la loro capacità di trattenere il calore per un lungo periodo di tempo, garantendo un trattamento ef cace e confortevole. Il terapeuta solitamente utilizza alcune pietre durante il massaggio, applicando pressioni controllate su diverse aree speci che del corpo e ampli cando così i bene ci del trattamento.

Oltre ai bene ci sici, il massaggio con pietre calde può anche avere effetti positivi sull’equilibrio emotivo e mentale. Il calore rassicurante delle pietre e il contatto terapeutico delle mani del massaggiatore possono aiutare a ridurre lo stress, l’ansia e la tensione emotiva, favorendo uno stato di profondo rilassamento e benessere. Alcune persone ritengono che il massaggio con pietre calde sia particolarmente ef cace nel migliorare la qualità del sonno e nel promuovere una maggiore chiarezza mentale e concentrazione.

Massaggio tailandese

Il massaggio tradizionale thailandese è un’esperienza unica che va oltre il semplice trattamento sico. Questa antica pratica, a volte de nita “yoga per pigri”, combina il movimento e la pressione lungo le linee energetiche del corpo, note come “sen”. Durante il massaggio il terapeuta utilizza il proprio corpo e le mani per eseguire una serie di movimenti uidi e stretching passivo, coinvolgendo anche l’uso dei piedi, delle ginocchia e persino dei gomiti. Questa combinazione di tecniche mira a sciogliere le tensioni muscolari, mi-

46

gliorare la essibilità e ripristinare l’equilibrio energetico del corpo. Il massaggio tradizionale thailandese non solo offre bene ci sici evidenti, come il sollievo dal dolore muscolare e il miglioramento della circolazione, ma contribuisce anche a rilassare la mente e ad alleviare lo stress accumulato. Questa pratica secolare è un viaggio verso il benessere completo, in grado di lasciare una sensazione di rinnovamento sico, mentale ed energetico. Inoltre, il massaggio thailandese può avere bene ci aggiuntivi: miglioramento di postura e respirazione, stimolazione del sistema linfatico per una maggiore eliminazione delle tossine, aumento della consapevolezza corporea. Molti, dopo averlo sperimentato, ritengono che il massaggio thailandese non solo li aiuti a sentirsi meglio nel corpo, ma anche a connettersi più profondamente con se stessi e con il proprio benessere interiore. In ne, è importante sottolineare che il massaggio thailandese è un’arte che richiede pratica e competenza da parte del terapeuta. Con il suo approccio olistico e i suoi numerosi vantaggi, il massaggio tradizionale thailandese rimane una scelta adatta a coloro che cercano un modo ef cace per migliorare il proprio benessere sico, mentale ed emotivo.

Massaggio lomi lomi

Il Lomi Lomi, originario delle Hawaii, è molto più di un semplice massaggio: è un rituale che celebra l’armonia tra mente, corpo e spirito. Questa pratica ancestrale coinvolge movimenti uidi e avvolgenti, ispirati al movimento delle onde del mare e che trasmettono un senso di profonda connessione sia con la natura che con se stessi. Oltre a rilassare i muscoli e migliorare la circolazione, il Lomi Lomi favorisce il rilascio di tensioni emotive e il libero usso dell’energia vitale. Durante il trattamento il terapeuta utilizza mani, avambracci e persino i gomiti per eseguire movimenti ampi e armoniosi, così da favorire il rilascio delle tensioni accumulate nel corpo e nella mente. Il Lomi Lomi è molto più di una terapia sica: è un’esperienza olistica che nutre l’anima e ristabilisce l’equilibrio interiore. Lasciati trasportare dalle onde del Lomi Lomi e concediti una profonda esperienza di rilassamento, guarigione e rinnovamento.

SUGGERIMENTI e CONSIGLI

Ogni tipo di massaggio offre bene ci unici, agendo su diversi livelli del nostro essere. Che si tratti di rilassare i muscoli, migliorare la circolazione, riequilibrare l’energia o promuovere il benessere emotivo, i massaggi sono un potente strumento di guarigione e rigenerazione. Incorporando regolarmente queste pratiche nella nostra routine, possiamo avvicinarci a uno stato di equilibrio e armonia totale, come insegnato dalla loso a tantrica.

Il massaggio non è solo un trattamento sico, ma un’esperienza olistica che coinvolge mente, corpo e spirito. Ogni movimento, ogni tocco, è mirato a sciogliere le tensioni accumulate, a liberare l’energia bloccata e a promuovere un senso di profondo rilassamento e benessere interiore. Attraverso il contatto consapevole e la presenza empatica del terapeuta, il massaggio diventa un momento di connessione e di cura totale, che va oltre il semplice trattamento sico. I bene ci del massaggio, infatti, coinvolgono anche la psiche Queste pratiche millenarie hanno dimostrato di avere effetti positivi sulla salute mentale ed emotiva, aiutando a ridurre lo stress, alleviare l’ansia e migliorare l’umore complessivo. In un mondo sempre più frenetico e stressante, il massaggio offre un’opportunità preziosa di rallentare, di ritrovare l’equilibrio interiore e di riconnettersi con se stessi.

Inoltre, il massaggio può essere un’importante forma di auto-cura e di auto-amore. Prendersi del tempo per coccolarsi e per dedicarsi alla propria salute e benessere è essenziale per mantenere un equilibrio ottimale nella vita quotidiana. Incorporare il massaggio nella propria routine aiuta sia il corpo che lo spirito. Ogni volta che ci concediamo un trattamento di questo tipo stiamo investendo nel nostro benessere a lungo termine, nutrendo il corpo, la mente, l’anima.

47

L’arte come terapia

ESPRIMERE e GUARIRE

attraverso la CREATIVITÀ

In un mondo dove le parole a volte non bastano, l’arte emerge come un linguaggio universale di espressione e guarigione. L’arte come terapia, o arte-terapia, si basa sul potere trasformativo della creatività.

Una nestra sull’anima

L’arte permette di aprire una nestra sull’anima, offrendo uno spazio sicuro dove emozioni e pensieri possono trovare espressione senza il ltro del linguaggio verbale. È come un dialogo silenzioso ma profondo con se stessi, dove il processo creativo diventa un mezzo per esplorare e comprendere meglio le proprie emozioni.

Il potere della creazione

Nel creare arte, si abbraccia il potere della creazione. Che si tratti di dipingere, modellare, disegnare o danzare, ogni atto creativo è un passo verso il riconoscimento e l’accettazione di se stessi. È un modo per lasciar andare le tensioni, per trasformare il dolore in bellezza, la confusione in chiarezza.

L’arte come specchio

L’arte-terapia non giudica, non ha regole o limiti. Ogni opera d’arte è un ri esso unico dell’individuo che la crea. In questo processo, l’artista può rivelare e lavorare su aspetti del proprio io che altrimenti potrebbero rimanere nascosti.

Guarire attraverso la condivisione

La condivisione delle proprie opere artistiche può essere un potente strumento di guarigione. Mostrare la propria arte signi ca condividere un pezzo di sé, rompendo il silenzio e costruendo ponti di empatia e comprensione con gli altri.

Creatività come meditazione

Il processo creativo può essere meditativo. Immerse nel usso dell’arte, le preoccupazioni quotidiane si dissolvono, lasciando spazio a un momento di pace e presenza nel qui e nell’ora. È un’occasione per allontanarsi dal caos esterno e ritrovare la propria pace interiore.

48

PROTEGGI LA TUA VISTA CON STILE!

UN ESAME DELLA VISTA ACCURATO È IL PRIMO PASSO PER SCEGLIERE GLI OCCHIALI GIUSTI, CHE VALORIZZANO IL TUO STILE E OTTIMIZZANO LA TUA VISIONE

La vita di tutti i giorni può portarci a trascurare la salute visiva. Da ItalianOptic ci impegniamo a offrire esami della vista completi e personalizzati per mantenere la tua vista chiara e proteggere la salute degli occhi nel tempo.

Scegliere gli occhiali giusti va oltre l'estetica: è essenziale per la qualità del nostro stile di vita. Scopri nei nostri punti vendita una vasta selezione di montature,che combinano stile e comfort, con lenti di alta qualità adatte a ogni esigenza.

PER LA CURA DEI TUOI OCCHI SCEGLI L'ESPERIENZA DI ITALIANOPTIC

Fontanella (BG) Via Roma, 48 Tel. 0363 90 71 73

fontanella@italianoptic.it

Turn static files into dynamic content formats.

Create a flipbook
Issuu converts static files into: digital portfolios, online yearbooks, online catalogs, digital photo albums and more. Sign up and create your flipbook.