Broad Street Scientific 2013-2014

Page 1


Volume 3 | 2013-2014

Volume 3 | 2013-2014

The North Carolina School of Science and

The North Carolina School of Science and

Mathematics Journal of Student STEM Research

Mathematics Journal of Student STEM Research

Volume 3 | 2013-2014

The North Carolina School of Science and Mathematics Journal of Student STEM Research

Table of ConTenTs

Broad Street Scientific Staff A Letter from the Chancellor

A Call for the Revival of the Scientific Method

Ivette Fernandez Diaz, 2015

Synthesis of a Novel Titanium Dioxide and Monolayer Molybdenum Disulfide Photocatalyst for Applications in Hydrogen Generation

Margaret Tian, 2014

The Role of TGF-ß Signaling in Pancreatic Stellate Cells in Pancreatic Ductal Adenocarcinoma

Kelsey Gallant, 2014

The Antimicrobial Efficacy of Nitric Oxide Based on Release Rate from Mesoporous Silica Nanoparticles on A. actinomycetemcomitans and S. mutans

Shraddha Rathod, 2014

Antibiotic Resistance Dissemination Increased by High Frequency of Conjugating Bacteria in Escherichia coli Populations

Jennifer Wu, 2014

Atherosclerosis-Inducing Cytotoxin 7-Ketocholesterol Is Mitigated by Exposure to 70-Kilodalton Heat Shock Protein in THP-1 Human Monocyte Cells

Anne Feng, 2014

Design and Synthesis of a Novel Thiolate Histone Deacetylase Inhibitor

Maxwell Tucker, 2014

Optimizing the Synthesis of Flat-Sheet Phase Inversion Polyvinylidene Fluoride (PVDF) Membranes for Membrane Distillation

Margaret Pan, 2014

Drosophilia p21-activated kinase 3 in Glia Interacts with flower in Neurons to Regulate Synapse Structure and Function

Daniel Ren, 2015

Computational Model of Virus Diffusion in Human Airway Surface Liquid with Applications to Gene Therapy

Kanan Shah, 2014 Vivek Pisharody, 2014

Analysis of the Conductivity of Thiophene and its Disubstituted Derivatives when Exposed to Various Solvents

Juan Marin, 2014 Online

Colby Andrews, 2014 Online

Dependence of Magnus Force on Velocity and Spin of a Smooth Ball

Jacob Bringewatt, 2014

Experimental Investigation of Wave Energy Conversion in Buoys of Varying Major and Minor Axis Ratios

Jessica Lee, 2014

Featured Scientist:

An Interview with Dr. Elizabeth Cates

Words from the Editors

Hello, and welcome to the Broad Street Scientific: NCSSM’s journal presenting student research in science, technology, engineering and mathematics. In this third edition of Broad Street Scientific, we aim to present student research and to stress the importance of effective communication involved with scientific research. We hope that you enjoy our 2014 issue.

The editors have chosen diatoms as the graphic theme of this year’s publication. Diatoms, one of Earth’s first life forms, are a group of unicellular photosynthesizing algae found in aquatic environments. Distinguished by their silicon-based skeletal cell walls (frustules), diatoms take on beautiful elaborate microscopic structures. One example is the radially symmetrical shape of centric diatoms (of the class Coscinodiscophyceae), which is showcased on both covers of the publication. These pictures were generously provided by Mr. Howard Lynk of Antique Slides, who creates extensive photograph collections of natural art forms. These diatoms are also found on the side bar of our publication, which is separated by scientific discipline.

The editors would like to thank the administration, faculty, and staff of NCSSM for the opportunity to pursue our research goals in any of the science, technology, engineering or mathematics fields. The support students are given to conduct research is incomparable to any other North Carolina high school, and the student body would like to recognize this important investment in our, and the state’s, future. We would like to thank our Faculty Advisor, Dr. Jonathan Bennett, for his continual advice and guidance through the third edition of the Broad Street Scientific. We would also like to thank our Chancellor, Dr. J. Todd Roberts, for his active support of the publication this year. The Broad Street Scientific would also like to thank Halston Lim and Tejas Sundaresan, last year’s chief editors, and Vincent Cahill, last year’s chief publication editor, for their support in transitioning to the third edition of the Broad Street Scientific. We would like to thank Dr. Amy Sheck, our Dean of Science, for her continued support and promotion of the publication for the past few years and would also like to thank Mr. Brock Winslow for helping us secure an interviewee using the NCSSM alumni database. Lastly, the Broad Street Scientific is extremely grateful to Dr. Elizabeth Cates ‘87 for providing a feature interview for the publication and for making strides in the scientific community, serving as a role model to the next generation of scientific researchers.

Again, welcome to the third edition of the Broad Street Scientific. We hope you enjoy reading the issue.

Broad Street Scientific Staff

Chief Editors

Publication Editors

Biology Editors

Physics Editors

Chemistry Editors

Engineering Editors

Math and Computer Science Editors

Webmasters

Faculty Advisor

Madeline Finnegan, 2014

Kavirath Jain, 2014

Adam Beyer, 2014

Dina Chen, 2015

Hannah McShea, 2014

Andrew Peterson, 2014

ChiChi Zhu, 2015

Jackson Allen, 2014

Danny Oh, 2014

Neeraj Suresh, 2015

Pranav Arrepu, 2015

Pranay Orugunta, 2014

Danuh Kim, 2015

Parth Thakker, 2014

Christopher Yuan, 2014

Zack Polizzi, 2014

Jenny Wang, 2015

Justin Yang, 2015

Christopher Zhen, 2014

Abhimanyu Pintoo Deora, 2015

Stephen Yang, 2014

Dr. Jonathan Bennett

Letter from the Chancellor

“Nothing in life is to be feared. It is only to be understood.”
~ Marie Curie

I am proud to introduce the third edition of the North Carolina School of Science and Mathematics’ (NCSSM) scientific journal, Broad Street Scientific. Each year students at NCSSM conduct significant scientific research and Broad Street Scientific is a student-led and -produced showcase of some of the best research being done by students at NCSSM.

Providing students with opportunities to apply their learning through research is not only vitally important in preparing and exciting students to pursue STEM degrees and careers after high school, but essential to encouraging innovative thinking that allows students to scientifically address major challenges and problems we face in the world today and will face in the future. Opened in 1980, NCSSM was the nation’s first public residential high school where students study a specialized curriculum emphasizing science and mathematics. Teaching students to do research and providing them with opportunities to conduct high-level research in biology, chemistry, physics, the applied sciences, math, and the social sciences is a critical component of NCSSM’s mission to educate academically talented students to become state, national and global leaders in science, technology, engineering and mathematics. One of our strategic goals at NCSSM is to expand real-world learning opportunities for students through our research, mentorship, and summer research and internship programs. Over the past two-years we have more than doubled the number of these opportunities and look forward to continuing to provide more of our students with the type of experiences that lead to the outstanding learning reflected in Broad Street Scientific.

The research showcased in this publication is an example of the significant research that students conduct each year at NCSSM under the direction of the outstanding faculty at our school and in collaboration with researchers at major universities. For twenty-seven years NCSSM has showcased student research through our annual Research Symposium each spring and at major research competitions such as the Siemens Competition in Math, Science and Technology, the Intel Science Talent Search, and the International Science and Engineering Fair to name a few. The publication of Broad Street Scientific provides another opportunity to highlight the outstanding research being conducted by students each year at the North Carolina School of Science and Mathematics.

I would like to thank all of the students and faculty involved in producing Broad Street Scientific, particularly faculty sponsor Dr. Jonathan Bennett and senior editors Madeline Finnegan and Kavi Jain. Explore and Enjoy!

Sincerely,

A Call for the Revival of the Scientific Method

Ivette Fernandez Diaz was selected as the winner of the 2013-2014 Broad Street Scientific Essay Contest. Her award included the opportunity to interview Dr. Elizabeth Cates as part of the Featured Scientist section of the journal.

This paper will discuss the origins, changes, and importance of the Scientific Method, the organized series of steps by which scientists create new knowledge. The Scientific Method is the “principles and procedures for the systematic pursuit of knowledge involving the recognition and formulation of a problem, the collection of data through observation and experiment, and the formulation and testing of hypotheses.” Back in the 6th grade, I learned that the scientific method had 8 steps: 1) Pose a question, 2) Conduct background research, 3) Form a hypothesis, 4) Test the hypothesis, 5) Observe the experiment, 6) Collect data, 7) Analyze the data, and 8a) Ask whether your hypothesis was correct or incorrect, and, if incorrect, 8b) Form a new hypothesis (steps). However, the Scientific Method also often includes an equally important 9th step which is the clear communication of findings, as seen here in Broad Street Scientific publication. Let’s now take a moment to investigate the origin of these steps.

The first known person to follow this structured approach to scientific work was the Greek philosopher Aristotle (384-322 BC). He used inductive reasoning, or empirical measurement, to create and support theories, using detailed observations made by other scientists. His predecessor Plato (427-347 BC) used strictly abstract reasoning to justify natural phenomena; however, Aristotle insisted that abstract reasoning had to be supported by natural observations. Less recognized, but equally contributing was Ibn Al-Haytham (965-1040 AD), the first man to develop a full-fledged scientific process for experimentation. Al-Haytham developed his process in Egypt by observing the natural world, stating problems, forming hypotheses, testing them, analyzing results, drawing conclusions, and reporting the findings. AlBiruni (973-1048 AD) improved upon Al-Haytham’s method by insisting on reproducibility of results and taking an average of results to account for human error in experimentation. Around the same time, the first instance of the aforementioned 9th step came to us through the work of Al-Rahwi (851 – 934 AD), a scientist that added peer review to the process, highlighting the importance of discussing literature with regard to the creation of knowledge - the ultimate goal of the scientific method. Many still consider Roger Bacon (1210-1293 AD) in England to be the creator of the scientific method, and to his credit, he did create one, nearly a century after AlHaytham. His method was spelled out in his Instauratio

Magna and was centered on inductive reasoning. He was influenced by his colleagues Nicolaus Copernicus (1473-1543) and Galileo Galilei (1564-1642), who together exemplified Aristotle’s notion of physical evidence supporting abstract thought: Copernicus had a theory of our planets revolving around the sun, and Galilei confirmed his theory with observations through a telescope. Years later, Isaac Newton (1642-1727 AD) used the scientific method refined by Al-Haytham and Bacon in all his experiments to mathematically describe nature and motion, creating the fields of calculus and classical mechanics.

However, in today’s world of technological revolution, the scientific method has been somewhat overshadowed. Nowadays, data is easily accessible to students through various media. Researchers collect data and post it online, thus eliminating the need for others to perform experiments themselves; instead, these scientists can simply find trends with the data available online and completely skip the “archaic” Scientific Method. But what do we lose when we skip the Scientific Method? We lose scientific inquiry. What the Scientific Method gives us, as self-aware individuals, is an opportunity to observe the physical phenomena in the world around us, to form ideas regarding these phenomena, and to test it in a logical manner. Data-mining effectively removes this independent inquiry. There are no formations of hypotheses or experimental work. The Scientific Method gives us the tools to gather data independently and analyze it in organized steps. It makes discovery the main objective of science through a systematic approach to experimental processes, and encourages collaborative scientific inquiry in youth. Data-mining focuses on finding patterns in raw data, while the Scientific Method discovers the reasons for these patterns.

A misconception often perpetuated in the classroom is the idea that data correlating with one’s hypothesis proves the merit of this hypothesis; however, this is not so. Hypotheses cannot be proven or disproven, only supported or opposed. (Karsai 636) Data-mining further confuses students starting out in scientific studies. They could be led to believe that data matching a trend represents an accurate explanation of phenomena. By testing through the Scientific Method, students are not as focused on the correlation between data and a hypothesis, but rather focus on the conclusion data implies (Karsai 636). Instead

of selecting data to validate ideas, the Scientific Method allows scientists to find unbiased, naturally-occurring trends (Lee 67). The process focuses on more than validity of hypotheses (Karsai 633). In order to have a profound theory, the data trend must be reproducible and have a demonstrated cause. This eliminates the errors in science produced by bias (intentional or not) in the experimenter (Harris 10).

Another aid the Scientific Method gives to the scientific community is its organization. The orderly fashion by which it tests ideas lends itself to accuracy and precision. Again, the Scientific Method compensates for human prejudice because it is objective (Harris 10). It is a logical process: observe nature, see a pattern in one aspect of it, isolate the aspect, test it, and report on results. If the results don’t completely match the original pattern, go back to the drawing board (Lee 67). This systematic approach allows colleagues to review work for objectivity and flaws. It encourages peer review, which in turn produces better results for the scientific community as a whole.

If taught correctly, the Scientific Method can give students realistic experience in research. The method is the basis upon which students can cultivate their ideas and desires to learn collaboratively. (Peterson 216) By applying the method to real-world situations instead of mining for data, students use scientific protocols based in inquiry to test for their own data (Kasair 633). It also introduces them to the idea of failure in a positive way. Just because an experiment’s data produced unanticipated results doesn’t mean that your experiment, hypothesis, or you as a scientist are failures. It reveals the flaws in a hypothesis, allowing it to be modified in order to match trends in data and further test it for accuracy (Kasair 634). In doing so, the Scientific Method allows for continual progress in innovation through inquiry. By having a foundation in the methodology of scientific discovery,we can be less distracted by failure and more focused on the process of finding truths (Karsai 636).

References

Al-Khalili, Professor. “The ‘first true scientist’.” BBC News. BBC, 1 Apr. 2009. Web. 13 Dec. 2013. <http:// news.bbc.co.uk/2/hi/7810846.stm>

Harris, William. “How the Scientific Method Works” 14 January 2008. HowStuffWorks.com. <http://science. howstuffworks.com/innovation/scientific-experiments/ scientific-method.htm> 12 December 2013.

“History of the Scientific Method.” - How Science Became Important. Explorable.com, n.d. Web. 12 Dec. 2013. <http://explorable.com/history-of-the-scientificmethod>.

Karsai, Istvan, and George Kampis. “The Crossroads Between Biology And Mathematics: The Scientific Method As The Basics Of Scientific Literacy.” BioScience 60.8 (2010): 632-638. Google Docs. Web. 13 Dec. 2013. Lee, Harold N.. “Scientific Method And Knowledge.”

Philosophy of Science 10.2 (1943): 67. JSTOR. Web. 13 Dec. 2013.

Peterson, Orval L.. “The Scientific Method: Its Use at Various Levels of Science and in Science Teaching.” University of California Press on behalf of the National Association of Biology Teachers Vol. 14.8 (1952): 215216. JSTOR. Web. 13 Dec. 2013.

“scientific method.” Merriam-Webster. MerriamWebster, n.d. Web. 12 Dec. 2013. <http://www.merriamwebster.com/dictionary/scientific%20metho

“Steps of the Scientific Method.” Steps of the Scientific Method. Science Buddies, n.d. Web. 12 Dec. 2013. <http://www.sciencebuddies.org/science-fair-projects/ project_scientific_method.shtml>.

“Who Invented the Scientific Method?.” Who Invented the Scientific Method?. Explorable.com, n.d. Web. 12 Dec. 2013. <http://explorable.com/who-invented-thescientific-method>.

Synthesis of a Novel Titanium Dioxide and Monolayer

Molybdenum Disulfide Photocatalyst for Applications

in

Hydrogen

Generation

ABSTRACT

The depletion of fossil fuel reserves as well as the environmental and human health hazards posed by combustion of nonrenewable fuels have created a push for clean, renewable energy. Hydrogen fuel produced by solar-powered photocatalysis of the water splitting reaction provides a source of sustainable and unlimited energy. In this study, a novel titanium dioxide and monolayer molybdenum sulfide co-catalyst was engineered for applications in photocatalytic hydrogen production. Chemical vapor deposition was used to create a monolayer MoS2 thin film. Mixed-phase TiO2 powder was synthesized using the sol-gel method, and a thin TiO2 layer was deposited on the MoS2 films using an atomizer. Raman and AFM measurements confirmed the presence of mixed-phase TiO2 and unprecedented uniformity of the monolayer MoS2 films. Hydrogen production testing showed that the produced co-catalysts were significantly more effective at water splitting than TiO2 systems. This co-catalyst shows potential in efficient and low cost production of renewable hydrogen fuel using solar energy and water.

Introduction

As industries grow and global population rises, the world’s energy consumption is projected to increase by 56% by 2040 [18]. Nonrenewable energy sources, such as the fossil fuels and natural gas that currently supply over 82% of our energy, are becoming increasingly limited and produce environmentally harmful byproducts, leading to global warming [18]. The development of a long-term, clean, and renewable energy source is essential to power our growing needs [1]. Hydrogen fuel (H2) produced from water splitting using solar energy has emerged as an entirely sustainable fuel that utilizes abundant and renewable resources – water and sunlight [1, 2]. To realize hydrogen fuel as a commercially viable energy source, a low-cost and efficient photocatalyst must be engineered to drive its production. This technology would provide a clean and virtually unlimited source of renewable energy with just sunlight, water, and a photocatalyst.

1.1 Photocatalysis

Photocatalysts are materials, typically solid semiconductors, that harness light energy to drive chemical reactions. There are two types of photocatalyst bandgaps: direct and indirect. In a direct bandgap semiconductor, the top of the valence band and the bottom of the conduction band occur at the same value of momentum, while in an indirect bandgap semiconductor, they occur at different momentums. When light with sufficient energy hits a photocatalytic semiconductor, the negatively charged electrons (e–) within the valence band are excited and bridge the bandgap to the conduction band, resulting in charge

separation by leaving behind a positively charged hole (h+) [3]. It is easier for an electron-hole pair to be produced with a direct bandgap because less momentum is required to excite the electron to the desirable in semiconductors. During water splitting, the photogenerated electrons are donated to create hydrogen gas while the holes are filled with the electrons given up by oxygen production [4]. The goal of this project is to engineer a photocatalyst with an appropriate bandgap to absorb visible light and catalyze the oxidation and reduction of water to produce hydrogen fuel.

To engineer an efficient and effective photocatalyst for water splitting, two important criteria must be met. Firstly, the catalyst must have a larger bandgap than that required for the oxidation and reduction of water into oxygen and hydrogen (~1.23eV) [4]. Secondly, the bandgap must range from a higher potential than the reduction of water to a lower potential than the oxidation of water as illustrated in Figure 2. Many photocatalysts have been engineered to

absorb UV light. However, UV light only constitutes ~3% of the light energy that hits the Earth’s surface, whereas visible light is more abundant and can be more efficiently used [1, 3, 5]. Combining two photocatalysts with suitable bandgaps to create a co-catalyst can promote efficient charge separation and light absorption in the visible range [1]. In this study, titanium dioxide (TiO2) and monolayer molybdenum disulfide (MoS2) were combined to create an efficient water splitting co-catalyst.

1.2 Nanomaterial Research

Over the past decade, there has been an exponential growth in nanoscience and nanotechnology research [6]. The discovery of graphene, a single atomic layer or monolayer of carbon, and its fascinating functionalities has prompted an intensive search for other a2D singlelayer materials [1, 6, 7]. New and unique physical and chemical properties emerge when materials are reduced to a nanometer scale due to quantum confinement [6]. Quantum confinement refers to the transition from the continuum of energy states found in parent bulk materials to narrow, discrete energy states in nanoscale materials due to the trapping or confinement of electron-hole pairs in potential wells, areas surrounding an energy minimum. Potential wells can be visualized as a deep valley on a flat terrain that traps objects inside of it. In bulk materials, particles behave as if they are free. However, when materials are in the nanoscale, the small potential wells have a significant confining effect on electron-hole pairs. Changing the size of a material impacts the dimensions of its potential wells and available energy states of its electronhole pairs. This effectively tunes the material’s bandgap, making it possible for scientists to engineer materials for specialized uses [6, 9]. This ability to create materials with specific desirable properties makes 2D nanomaterials ideal for use in catalysis.

1.3 Titanium Dioxide

Since its photocatalytic abilities were discovered by Fujishima and Honda in 1972 [6], TiO2 has been

extensively studied as a photocatalyst and semiconductor material for usage in solar cells [10], air and water purification [9, 12], self-cleaning surfaces, and hydrogen generation [6]. TiO2 is one of the most widely used photocatalysts due to its chemical and photocatalytic stability, nontoxicity, high catalytic ability, and low cost of production [3, 12, 13]. The synthesis of TiO2 nanomaterials has been carried out using various methods, including sol-gel, hydrothermal, solvothermal, chemical vapor deposition, physical vapor deposition, and electrodeposition [6]. For applications in photocatalysis, high surface area, mixed-phase anatase and rutile TiO2 is most desirable. High surface area allows for more catalytic interactions and mixed phase TiO2 has been shown to possess the highest photocatalytic ability [6]. However, for uses in water splitting, TiO2 suffers from charge recombination and absorption only in the UV range [1]. In addition, while TiO2 has a large bandgap (3.2eV) and is effective in the oxidation of water, it cannot reduce water efficiently due to its incompatible bandgap and undesirable charge recombination [6]. TiO2/platinum systems have been created to overcome this problem, but the high cost and scarcity of platinum prevents this technology from being commercialized [1]. To create a commercially viable TiO2 co-catalyst system, it is essential to combine TiO2 with a low-cost photocatalyst to achieve more efficient water splitting by tuning the bandgap and promoting charge separation.

1.4 Molybdenum Disulfide

The transition metal semiconductor molybdenum disulfide (MoS2) has recently gained much attention due to its high catalytic activity [5], thermal and chemical stability [8], strong photoluminescence [13], and lack of unsatisfied valence shells [8]. Molybdenum disulfide is made up of layers of covalently bonded S-Mo-S held together by weak van de Waals forces [9]. It has found applications in dry lubrication [9], hydrodesulfurization [5], photoelectrochemical electrodes [5], phototransistors [1], and photocatalysis [9]. However, MoS2 is an indirectbandgap semiconductor with a bandgap of 1.29 eV [9] and therefore cannot absorb and utilize light energy efficiently. Furthermore, its small bandgap prevents it from being an effective water splitting photocatalyst. When MoS2 is synthesized on a nanoscale, however, quantum confinement effects emerge to give the material unique and desirable properties. Two dimensional monolayer and few-layer MoS2 show increased photoluminescence and an extended direct bandgap of 1.90eV in monolayer films [9, 15]. While bulk MoS2 does not have an adequate bandgap, the larger 1.90eV direct bandgap of monolayer MoS2 matches well with the reduction of water to hydrogen (Fig. 2), making it an excellent catalyst to combine with TiO2. Unfortunately, current methods employed in making monolayer MoS2, such as mechanical and chemical exfoliation [9, 14] or sulfurization of MoO3

[14], cannot produce centimeter scale films or precisely control film thickness, thereby preventing the production of monolayer MoS2/TiO2 photocatalysts. In this project, a new self-limiting MoS2 chemical vapor deposition procedure was used to develop high quality, large area, and uniform monolayer films [14].

By combining TiO2 nanoparticles and monolayer MoS2, an effective co-catalyst for solar-powered water splitting can be engineered (Fig. 3). In the past, MoS2/ TiO2 co-catalysts have been created by depositing TiO2 nanoparticles on MoS2 bulk structures or vice versa [1, 5]. Few-layer MoS2 coupled with TiO2 has already been shown to have markedly higher water splitting abilities [1] and absorbance in the visible light range as compared to TiO2 due to the more suitable bandgap [5]. These catalysts could be further improved with the use of atomic-scale monolayer, rather than few-layer, MoS2 with its even larger direct bandgap and more prevalent quantum confinement effects. Not only does a monolayer MoS2/TiO2 cocatalyst offer advantages in a more suitable bandgap, but also the heterostructure interface between the catalysts promotes better charge separation. This project aims to create a uniform MoS2 monolayer film, synthesize rough and catalytically efficient mixed phase TiO2, and produce a monolayer MoS2/TiO2 co-catalyst for applications in hydrogen production.

2. Methods and Materials

2.1

Preparation of TiO2

The synthetic procedure for titanium dioxide was selected with two important properties in mind: mixed phase crystalline structure [15] and high surface area [16]. TiO2 can be found in three crystalline phases: anatase, rutile, and brookite. Though pure anatase is the most catalytically active crystalline phase of TiO2, it has been shown that mixed-phase anatase and rutile, like commercial Degussa P25 TiO2 (80:20), outperforms individual polymorphs with the highest photocatalytic ability [12]. Although there is no comprehensive explanation for this, it is hypothesized to be due to rapid electron transfer from rutile to lower energy anatase trapping sites, which leads to stable charge separation [15]. The surface morphology and catalytic ability of TiO2 can also be modified. Additives such as polyethylene glycol have been shown to increase surface roughness of TiO2 and enhance overall catalytic ability [2].

The sol-gel method was used to synthesize TiO2 powder due to its minimal equipment requirements, low production cost, and ability to produce high quality powders and large area, homogenous thin films [12, 17]. Mixed-phase anatase and rutile TiO2 was synthesized using a sol-gel method adapted from Šegota et al [11]. Titanium (IV) isopropoxide (TTIP, Aldrich 97%) was used as a titanium precursor and dissolved into 200-proof ethanol in a 1:40 molar ratio. Glacial acetic acid (to catalyze the reaction), acetylacetone (for peptization), and distilled water (for gelation) were then added to the solution in a 0.9:1.3:12.5 molar ratio. Polyethylene glycol (PEG, Mw = 4500) was added to produce rougher and more catalytically active TiO2. The solution was stirred vigorously at room temperature for 2 hours and sonicated for 30 minutes. The resulting sol-gel was dried at 60°C for 24 hours and then calcined at 550°C in open air to form crystalline anatase and rutile mixed-phase TiO2. The crystalline product was ground into a fine TiO2 powder using a mortar and pestle. Films of TiO2 were produced as controls. The prepared TiO2 powder was added to water (0.2g/25mL) and sonicated to produce a dilute solution. Clean borosilicate glass slides (~1cm2) were heated on a hot plate to 100°C. The TiO2 solution was then sprayed onto the slides using an atomizer. The high temperature instantly vaporized the water, leaving behind a thin layer of TiO2. The TiO2 slides were annealed in air at 200°C for 30 min.

2.2 Dip Coating Setup

To improve upon the atomizer thin film procedure, a dip coating synthetic setup was created to produce more uniform TiO2 thin films [17] (Fig. 4). Rather than manually dipping the substrates into the sol, a setup was created that would allow for consistent, controllable dip and withdrawal rates to improve uniformity of the thin films. Two open syringes were used to transfer TiO2 sols at a steady rate determined by the diameter of the needle. The glass substrate was placed inside the barrel of the lower syringe and the sol was dripped inside, essentially “dipping” the substrate as the liquid’s surface level rose (~2 cm/min). Once the substrate was entirely covered, it was allowed to soak in the solution for 10 minutes. The solution was subsequently dripped out of the syringe at the same rate, and the substrate was allowed to cure for 10 minutes before being dried at 100°C for 1 hour and calcined at 550°C for 3 hours. In future work, this method will be adapted to deposit uniform, thin layers of TiO2 upon the monolayer MoS2.

2.3 Synthesis of monolayer MoS2

High-quality, uniform monolayer molybdenum disulfide (MoS2) films were deposited onto sapphire substrates (~1 cm2) using a new self-limiting chemical vapor deposition (CVD) technique developed by Yu et al [14]. MoCl5 (>99.99% Aldrich) and sulfur powder (Aldrich) which were used as precursors, were heated up to 850°C (28°C/ min) at low pressure (2 torr) in a tube furnace under argon flow (50 sccm). Gaseous MoS2 was formed under the high temperature and was deposited as a solid film onto a substrate downstream (Fig. 5a).The synthesis was based on a self-limiting process in order to accurately control the number of MoS2 layers deposited. The partial pressure of MoS2 gas (PMo) must be larger than the vapor pressure of the film (P°Mo) for the reaction to move forward. The film vapor pressure increases with layer number. Therefore, to guarantee the formation of a smooth, single atomic monolayer, the MoS2 partial pressure during synthesis was adjusted to remain between the vapor pressure of monolayer and bilayer MoS2, with the larger vapor pressure of bilayer film preventing further deposition (Fig. 5b). Unlike current exfoliation techniques, this synthesis procedure produced high quality, uniform, centimeterscale MoS2 monolayer films.

2.4 Synthesis of monolayer MoS2/TiO2 co-catalyst

The monolayer MoS2/TiO2 co-catalyst was produced by depositing a thin layer of TiO2 on top of the existing monolayer MoS2 film. In depositing the TiO2 layer, it was important to create a thin layer so as to not obscure the underlying MoS2 film. The same procedure used for producing TiO2 films with an atomizer mentioned above (Section 2.1) was carried out on a monolayer MoS2 substrate. After the TiO2 layer was deposited, the co-catalyst was heated at 200°C for 30 minutes in

an argon environment to allow the TiO2 to better bind to the monolayer MoS2. Two different co-catalysts were synthesized and compared: one using the synthesized TiO2 with PEG additive and the other with Degussa P25 TiO2.

2.5 Data Collection

Raman mapping measurements were carried out using a Horiba Labram HR800 Raman Microscopy with an excitation wavelength of 532 nm. A Shimadzu 1700 UVvis was used to carry out UV-vis spectrum and methyl orange dye degradation tests. The thickness and surface topology of the produced substrates were measured using an Atomic Force Microscope (AFM, Veeco Dimension-3000). The photocatalytic ability of the synthesized TiO2 powders were compared to that of commercial Degussa P25 by examining each powder’s degradation rate of methyl orange dye. Methyl orange powder (33mg/L) was added to a solution of 0.020M citric/citrate buffer (pH = 3.0) and DI water. TiO2 powder (0.2g) and 30 mL of the methyl orange solution were combined in a beaker and stirred constantly under illumination with a 100W light source. Samples of methyl orange were drawn out every 5 minutes using a syringe and nylon filter to filter out TiO2 particles and were analyzed using a spectrophotometer. The absorbance at a chosen wavelength (504.7nm) was monitored for 45 minutes. By examining the rate of decrease in absorbance, photocatalytic ability of the individual TiO2 powders was compared.

The catalysts’ water-splitting abilities were tested using a custom-designed experimental setup (Fig. 6b). The catalyst substrates were secured inside short sections of dialysis tubing (Fig. 6a), which were used to allow the movement of water and trap the produced gas. The catalysts were then placed in small glass containers and immersed completely in a methanol and water solution (1:4 by volume). A 100W light source was used to illuminate the samples with a water tank placed in between to absorb heat and prevent evaporation. Images were taken at different times to monitor gas production.

3. Results

3.1 Characterization of TiO2 powder and MoS2 thin films

The composition of synthesized TiO2 powder and uniformity and thickness of MoS2 thin films were analyzed using Raman spectroscopy and Atomic Force Microscopy (AFM).

3.1.1 Raman Spectroscopy

The synthesized TiO2 powder and MoS2 thin films were characterized using Raman spectroscopy. The composition of the mixed-phase TiO2 powder was confirmed by the anatase and rutile peaks present in the Raman spectrum (Fig. 7) and were consistent with the peaks for mixedphase TiO2 found in literature [10]. The MoS2 thin films exhibited excellent uniformity as indicated by Raman measurements. Two characteristic modes can be found in the spectrum: the Ag mode associated with out-ofplane sulfur atoms and the E12g mode related to in-plane

vibrations of Mo and S atoms [14]. The frequency difference between the two modes is known to correspond with layer number and can be used to determine the thickness of the MoS2 film. Monolayer MoS2 with its single layer of MoS2 units has fewer possible vibrational modes as compared to bulk MoS2 material, resulting in a smaller frequency difference (20 –22 cm-1 versus 26 cm-1) between the two modes. This is clearly illustrated in Figure 8, which shows the Raman spectra of bulk MoS2 (b) as well as the synthesized MoS2 film (a) with an extra peak in the monolayer spectrum that corresponds to the sapphire substrate used. Numerous Raman spectra were taken at different locations on the substrate. The Ag and E12g peak positions were identical for these spectra, indicating that the entire MoS2 film was a homogenous monolayer.

3.1.2 Atomic Force Microscopy

Atomic force microscopy (AFM) was used to characterize the thickness and surface topology of the MoS2 films (Fig. 9). Intentional scratches were introduced to the thin film to measure the difference in thickness between the bare substrate and the MoS2 film. The data showed a smooth (roughness < 0.2nm) and continuous MoS2 surface with no steps or voids. A 0.68nm difference in thickness was recorded between the sapphire substrate and MoS2 film, which matches literature values for the thickness of monolayer MoS2 [14].

3.1.3 UV-vis analysis

The absorbance of TiO2, monolayer MoS2, and monolayer MoS2/TiO2 thin films were analyzed using UV-vis. The spectrum of the MoS2/TiO2 co-catalyst showed higher absorption in the visible range (400 – 700 nm) over TiO2. Spectra of TiO2 and MoS2 were taken as controls (Fig. 10). The results also confirm the presence of both TiO2 and MoS2 in the co-catalyst. The co-catalyst curve’s shape strongly follows that of TiO2, but two characteristic MoS2 peaks also appear in the 600 – 650 nm region.

3.2 Photocatalytic Ability

3.2.1 Methyl Orange Dye Degradation

Photocatalytic ability was assessed by examining the degradation rate of methyl orange (MO) dye. Three different TiO2 powder samples were tested: Degussa P25 and two samples of TiO2synthesized with PEG additive (pure anatase and mixed-phased). After 45 minutes of illumination, Degussa P25 TiO2 showed the largest amount of degradation (12.8%) with the synthesized mixed-phase and pure anatase TiO2 powders degrading 2.06% and 1.55% of the methyl orange dye, respectively (Table 1). The larger amount of degradation in the mixedphase TiO2 supports the literature findings that mixedphase anatase and rutile is more photocatalytically active than phase-pure anatase TiO2. Although the synthesized TiO2 powders had rougher

surface parameters and higher catalytic ability due to the PEG additive, these properties were not reflected in the data. This may be due to the commercial processing that Degussa P25 TiO2 undergoes to achieve particles sizes of 20 – 30nm, thus giving it a much larger effective surface area than that of the synthesized TiO2 powders that were ground by hand with a mortar and pestle and had grain sizes of ~1mm.

3.2.2 Water-splitting Hydrogen Production Tests

The final step was to examine the MoS2/TiO2 cocatalyst’s efficiency by assessing its ability to produce hydrogen gas in water. Four catalysts were tested: two monolayer MoS2/TiO2 co-catalysts made with either synthesized TiO2 or Degussa P25, one plain Degussa P25 TiO2 substrate, and one glass substrate as a control. Hydrogen production was evaluated by taking images of the water-splitting reactions after 30 minutes, 1 hour, and 24 hours of illumination (Fig. 11). After 24 hours, the catalysts were agitated to remove the bubbles on the surface and illuminated for another few hours to observe whether gas would continue to be produced.

The images of the reactions show a clear difference in the amount of hydrogen produced by the different substrates. After 30 minutes of illumination, pure TiO2 substrates (Fig. 11b) produced a small amount of gas bubbles, while both MoS2/TiO2 co-catalysts (Fig. 11c, d) produced significantly larger amounts of gas. The control slide showed only a single bubble after 24 hours of illumination (not shown), indicating that the gas observed was not a result of evaporation or gas coming out of solution. Out of the two co-catalysts tested, the co-catalyst with Degussa P25 TiO2 showed more hydrogen production, as evidenced by the higher bubble density on the catalyst’s surface. This is consistent with the previous methyl orange degradation results that showed higher photocatalytic ability in Degussa P25. After 30 minutes of illumination, the catalysts did not appear to continue producing significant amounts of gas, which may have been due to the fact that the catalyst surface was covered with bubbles, thus limiting its contact with water molecules. After agitation and further illumination, the catalysts continued to produce hydrogen gas.

4. Discussion

The foremost achievement of this research was the synthesis of a monolayer MoS2 and mixed-phase TiO2 thin film photocatalyst for use in water-splitting hydrogen production. This was accomplished by first creating a uniform monolayer MoS2 film, then synthesizing mixedphase TiO2 powder, and finally depositing a thin layer of TiO2 on top of the monolayer MoS2 film to form a cocatalyst.

Significant testing was performed on the synthesized cocatalyst and its components to show their potentials

Fig. 11: Images after 30 minutes of illumination of a) plain glass, b) TiO2, c) MoS2/TiO2 co-catalyst with synthesized TiO2, and d) MoS2/TiO2 co-catalyst with commercial Degussa P25.

in photocatalytic water splitting. The monolayer MoS2 films made using a new CVD self-limiting procedure were found to be of high quality. AFM measurements and Raman spectra taken at several locations on a single film showed excellent monolayer uniformity across the entire film. Compared to current methods of mechanical or chemical cleavage of bulk material, this CVD procedure was confirmed to produce larger area films and offer better control over the thickness or layer number of the deposited film. Raman spectra were used to confirm that the TiO2 powder synthesized was indeed mixed-phase. Methyl orange degradation tests performed on three different TiO2 powders showed that commercial Degussa P25 had the highest photocatalytic ability, which may have been due to the larger particle size, and thus smaller surface area, of the synthesized powders. However, between the two synthesized powders, mixed-phase anatase and rutile was more catalytically active than pure anatase TiO2, which was supported by the literature. Tests performed on the monolayer MoS2/TiO2 co-catalyst indicated its improved absorption and higher water-splitting abilities as compared to plain TiO2 systems. UV-vis spectra taken of the co-catalyst showed increased absorption in the visible range of light, a property that allows the co-catalyst to better harness solar energy in the visible range. The cocatalyst also showed significant improvement over TiO2 in hydrogen production when illuminated in a methanolwater solution. During the testing, it was found that gas production stopped after the catalysts’ surfaces were covered, indicating that frequent agitation is needed to allow for continued hydrogen production. To the best of my knowledge, this project is particularly unique because TiO2 has never before been combined with monolayer MoS2; it has only been coupled with bulk MoS2 and fewlayer MoS2. Monolayer MoS2 compared to few-layer or bulk MoS2 has advantages in a larger bandgap and higher surface to volume ratio, which results in a more efficient water-splitting photocatalyst films and can be adapted to deposit MoS2 with different dimensions and parameters.

5. Conclusions and Future Work

Through my research, I was able to synthesize a new lowcost monolayer MoS2/mixed-phase TiO2 photocatalyst that shows potential in improving solar-powered hydrogen production through splitting water. This technology can supply a source of clean, abundant, and sustainable energy to meet the world’s growing energy needs. Future work includes:

•Further processing of TiO2 powders to achieve particle sizes comparable to Degussa P25.

•Dissolving the sapphire substrate using concentrated NaOH to increase contact between the co-catalyst layers and water.

•Increase control over TiO2 deposition using dip-coating setup shown above (Section 2.2)

•Quantifying hydrogen production rate in pure water

•Testing co-catalyst water-splitting performance under natural sunlight.

References

[1] W. Zhou, Z. Yin, Y. Du, X. Huang, Z. Zeng, Z. Fan, H. Liu, J. Wang, and H. Zhang, “Synthesis of few-layer MoS2 nanosheet-coated TiO2 nanobelt heterostructures for enhanced photocatalytic activities.,” Small (Weinheim an der Bergstrasse, Germany), vol. 9, no. 1, pp. 140–7, Jan. 2013.

[2] T. D. Silipas, E. Indrea, S. Dreve, R.-C. Suciu, M. C. Rosu, V. Danciu, V. Cosoveanu, and V. Popescu, “TiO 2 – based systems for photoelectrochemical generation of solar hydrogen,” Journal of Physics: Conference Series, vol. 182, p. 012055, Aug. 2009.

[3] U. G. Akpan and B. H. Hameed, “Solar degradation of an azo dye, acid red 1, by Ca–Ce–W–TiO2 composite catalyst,” Chemical Engineering Journal, vol. 169, no. 1–3, pp. 91–99, May 2011.

[4] A. L. Linsebigler, G. Lu, and J. T. Yates, “Photocatalysis on TiO2 Surfaces: Principles, Mechanisms, and Selected Results,” pp. 735–758, 1995.

[5] K. H. Hu, X. G. Hu, Y. F. Xu, and J. D. Sun, “Synthesis of nano-MoS2/TiO2 composite and its catalytic degradation effect on methyl orange,” Journal of Materials Science, vol. 45, no. 10, pp. 2640–2648, Jan. 2010.

[6] X. Chen and S. S. Mao, “Titanium dioxide nanomaterials: synthesis, properties, modifications, and applications.,” Chemical reviews, vol. 107, no. 7, pp. 2891–959, Jul. 2007.

[7] Z. Yin, H. Li, H. Li, L. Jiang, Y. Shi, and and H. Z. , Yinghui Sun, Gang Lu, Qing Zhang, Xiaodong Chen, “Single-Layer MoS 2 Phototransistors,” ACS Nano, no. 1, pp. 74–80, 2012.

[8] B. Radisavljevic, A. Radenovic, J. Brivio, V. Giacometti, and A. Kis, “Single-layer MoS 2 transistors,” vol. 6, no. March, 2011.

[9] K. F. Mak, C. Lee, J. Hone, J. Shan, and T. F. Heinz, “Atomically thin MoS₂: a new direct-gap semiconductor.,” Physical review letters, vol. 105, no. 13, p. 136805, Sep. 2010.

[10] O. Frank, M. Zukalova, B. Laskova, J. Kürti, J. Koltai, and L. Kavan, “Raman spectra of titanium dioxide (anatase, rutile) with identified oxygen isotopes (16, 17, 18).,” Physical chemistry chemical physics : PCCP, vol. 14, no. 42, pp. 14567–72, Nov. 2012.

[11] S. Šegota, L. Ćurković, D. Ljubas, V. Svetličić, I. F. Houra, and N. Tomašić, “Synthesis, characterization and photocatalytic properties of sol–gel TiO2 films,” Ceramics International, vol. 37, no. 4, pp. 1153–1160, May 2011.

[12] D. O. Scanlon, C. W. Dunnill, J. Buckeridge, S. a Shevlin, A. J. Logsdail, S. M. Woodley, C. R. a Catlow, M. J. Powell, R. G. Palgrave, I. P. Parkin, G. W. Watson, T. W. Keal, P. Sherwood, A. Walsh, and A. a Sokol, “Band alignment of rutile and anatase TiO2.,” Nature materials,

vol. 12, no. September, pp. 10–13, Jul. 2013.

[13] R. S. Sundaram, M. Engel, a Lombardo, R. Krupke, a C. Ferrari, P. Avouris, and M. Steiner, “Electroluminescence in single layer MoS2.,” Nano letters, vol. 13, no. 4, pp. 1416–21, Apr. 2013.

[14] Y. Yu, C. Li, Y. Liu, L. Su, Y. Zhang, and L. Cao, “Controlled scalable synthesis of uniform, high-quality monolayer and few-layer MoS2 films.,” Scientific reports, vol. 3, p. 1866, Jan. 2013.

[15] D. C. Hurum, A. G. Agrios, K. A. Gray, T. Rajh, and M. C. Thurnauer, “Explaining the Enhanced Photocatalytic Activity of Degussa P25 Mixed-Phase TiO 2 Using EPR,” pp. 4545–4549, 2003.

[16] R. K. Wahi, Y. Liu, J. C. Falkner, and V. L. Colvin, “Solvothermal synthesis and characterization of anatase TiO2 nanocrystals with ultrahigh surface area.,” Journal of colloid and interface science, vol. 302, no. 2, pp. 530–6, Oct. 2006.

[17] N. Avci, P. F. Smet, H. Poelman, N. Velde, K. Buysser, I. Driessche, and D. Poelman, “Characterization of TiO2 powders and thin films prepared by non-aqueous sol–gel techniques,” Journal of Sol-Gel Science and Technology, vol. 52, no. 3, pp. 424–431, Jul. 2009.

[18] U.S. Energy Information Administration. “Total Energy - Independent Statistics and Analysis.” U.S. Energy Information Administration, n.d. Web. 16 Sept. 2013.

[19] Cao, Linyou. “CAREER: Van Der Waals Expitaxial Heterostructures: Beyond 2D Materials.” Unpublished grant, 2013. Print.

The role of TGF-ß signaling in pancreatic stellate cells in pancreatic ductal adenocarcinoma

Kelsey Gallant

ABSTRACT

Pancreatic cancer has a 5-year survival rate of only 6%, and many current therapies are not effective in prolonging survival. Pancreatic cancer contains an abundant fibrotic stroma comprised of extracellular matrix (ECM) proteins like collagen and fibronectin. This dense stroma can promote cancer initiation and metastasis as well as limit the ability of drugs to get to the cancer cells. Therefore, developing therapies that target the fibrotic stroma may inhibit cancer progression and improve the effectiveness of chemotherapy. Pancreatic stellate cells (PSCs) are responsible for making the fibrotic stroma. During pancreatic cancer, PSCs are activated to a myofibroblast state that is characterized by excessive secretion of ECM proteins. Transforming Growth Factor-ß (TGF-ß) signaling activates PSCs to the myofibroblast state. In this study, we analyze the downstream signaling pathways, including the canonical TGF-ß-Smad pathway and the non-canonical TAK1-p38 MAPK and PI3K-Akt pathways, to determine how TGF-ß activates PSCs. We block signaling through these pathways using chemical inhibitors and measure myofibroblast activation of PSCs.

Introduction

Pancreatic ductal adenocarcinoma or PDAC is a form of pancreatic cancer that is characterized by a highly malignant phenotype that is resistant to most forms of therapy [1,5,8]. In fact, the incident rate is synonymous with the morality rate [8]. In previous studies, the PDAC tumor has a very aggressive, fibrotic stroma [3]. The PDAC tumor is normally comprised of 80 percent stroma. This stroma is made up of extracellular matrix or ECM proteins such as collagen, growth factors, fibronectin,etc [3]. ECM proteins create a stiff, harsh microenvironment in the stroma that promotes the progression of chronic pancreatitis or pancreatic cancer [3,8]. Additionally the stiffness limits the ability of chemotherapy drugs to reach the cancer cells [3].

The pancreas is an organ that has both exocrine and endocrine features. The function of the endocrine portion is to secrete hormones that regulate carbohydrate metabolism, while the exocrine portion produces enzymes that aid in digestion [1,3,5,8]. The enzyme producing cells are collectively called acinar cells and pump enzymes into the duodenum [6]. One of the several types of acinar cells includes pancreatic stellate cells. Pancreatic stellate cells are myofibroblastlike cells located in the pancreas. The normal function in the cell includes maintaining tissue structure as well as regulating the synthesis and decomposition of proteins within the extracellular matrix (2). Pancreatic stellate cells (PSCs) are unique in their ability to switch from a quiescent to activated state or myofibroblastic state [2,5,6,7]. Normal functioning PSCs stay in the quiescent state until any sort of trauma happens to the pancreas in which they will activate to regulate the proteins in the pancreas and return to the quiescent state when repair has been completed [6]. However, PSCs

may activate themselves or sustain activation after repairing and continue proliferation, migration, apoptosis, and synthesis when those functions are unnecessary to the pancreas[5,8]. Previous studies have shown that activated stellate cells promote chronic pancreatitis and pancreatic cancer [2,5,6].When PSCs are activated they secrete the ECM proteins mentioned above which cause the fibrotic stroma of PDAC. Particularly, alpha smooth muscle actin or α-SMA, a cytoskeletan protein, is only secreted when the PSCs are in the myofibroblastic state. This protein is used as a marker for PSC myofibroblastic activity [7].

In addition, growth factors that are secreted from activated PSCs promote cancer progression in neighboring epithelial cells as well as increase density in the fibrotic stroma [2,3]. These growth factors create a crosstalk between the PSCs and cancer cells [8]. This interaction promotes activities such as proliferation, migration, invasion, and apoptosis [3,8].

Transforming Growth Factor Beta (TGF-ß) is the key inducer of stellate cell activation and extracellular matrix secretion [7]. TGF-ß signaling occurs when the TGF-ß ligand binds to its receptors on the cell membrane. The ligand binding causes activationn of downstream signaling pathways. TGF-ß can signal through several downstream pathways including the canonical SMAD pathway [4]. The SMADs are transcription factors. From past studies, it is known that the TGF-ß-p38 MAPK pathway activates more known hepatic stellate cells in the kidney [9]. The TGF-ß activates the p38 MAPK through TRAF6 (TNFΑ Receptor Associated Factor 6) and TAK1 (TGFß Activated Kinase 1) [9]. Since the TGF-ß-p38 MAPK signaling pathway is responsible for the activation of hepatic stellate cells; it is hypothesized that the inhibition of TGF-ß-p38 MAPK and TGF-ß-SMAD signaling will inhibit TGF-ß induced activation of pancreatic stellate

cells to the myofibroblastic state.

This is important because if the TGF-ß-p38 MAPK signaling pathway is responsible for any activation of PSCs, then by inhibiting parts of the pathway, the activation of the PSCs can be blocked or slowed. If activation is not happening anymore, then the severity of PDAC tumor or chronic pancreatitis can be reduced or obliterated.

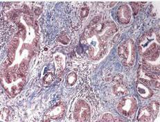
Figure 1. Normal pancreatic tissue Figure 1a in comparison to one that has been effected with pancreatic ductal adenocarcinoma Figure 1b. Collagen is stained blue. (Shields et al. 2012)1

Figure 2: Location of pancreatic stellate cells [6]

Figure 3. Features and properties of PSCs in the quiescent versus activated state. α-SMA which was used as a marker for activation is only expressed by activated PSCs [6].

Figure 4a. TGF-ß-p38MAPK signaling pathway, a noncanonical pathway in TGF-β signaling. We blocked p38 and TAK-1 in the HPSCT and LTC-14 PSCs. (Blobe et al. 2000)3.

Figure 4b. TGF-ß-Smad signaling pathway, a canonical pathway in TGF-β signaling. We blocked ALK-5 (Receptor 1) in the HPSCT and LTC-14 PSCs (Zhang et al. 2009)2

1Shields MA, Dangi-garimella S, Redig AJ, Munshi HG. Biochemical role of the collagen-rich tumour microenvironment in pancreatic cancer progression. Biochem J. 2012;441(2):541-52.

2Faull C, Prasad R, Griffiths A, et al. TRANSFORMING END OF LIFE CARE THROUGH CLINICAL TEMPLATE DESIGN AND TRAINING. BMJ Support Palliat Care. 2014;4(Suppl_1):A97-A98.

3 Blobe GC, Schiemann WP, Lodish HF. Role of transforming growth factor beta in human disease. N Engl J Med. 2000;342(18):1350-8.

Materials and Methodology

The TGF-ß-p38 pathway was studied using two different cell lines: immortalized human pancreatic stellate cells with Tween (HPSCT) and large T immortalized cells (LTC-14).

The inhibitors

SB203580 p38 MAPK. A selective inhibitor of p38 MAPK. This compound inhibits the activation of MAPKAPK-2 by p38 MAPK and subsequent phosphorylation of HSP27 (9). SB203580 inhibits p38 MAPK catalytic activity by binding to the ATP-binding pocket, but does not inhibit phosphorylation of p38 MAPK by upstream kinases (10).

5Z-7-oxozeanol TAK-.1 Resorcyclic lactone of fungal origin that acts as a potent and selective transforming growth factor-ß-activated kinase 1 (TAK1) mitogen-activated protein kinase kinase kinase (MAPKKK) inhibitor (IC50 = 8 nM). Displays > 33-fold and > 62-fold selectivity over MEKK1 and MEKK4 respectively. Inhibits IL1-induced activation of NF-ȝB (IC50 = 83 nM) and JNK/ p38. Inhibits production of inflammatory mediators, and sensitizes cells to TRAIL- and TNF-Α-induced apoptosis in vitro.

SP431542 TGF-ß receptor. ALK-5 (TGF-beta type I receptor). It has also been shown that this compound can replace Sox2 when reprogramming cells to iPS cells. 2-(3-(6-METHYLPYRIDIN-2-YL)-1H-PYRAZOL4-YL)-1,5-NAPHTHYRIDINE.

Tissue Culture

Each cell line (LTC-14 and HPSCT) was cultured in 8 well dishes with approximately 400,000 cells per well and 2 mL of 10 percent fetal bovine serum (FBS) DMEM media and 1 percent Pen Strep solution. The cells were incubated for 24-48 hours, or until about 85 percent confluency.

Serum starvation and inhibitor treatment

After both cell lines were serum starved to reduce interference in the enzymatic activity of the cell before inhibitor treatment. The 10 percent FBS was aspirated off the cells, which were rinsed twice with phosphate buffer solution (PBS), and filled with 2mL of 0.5 percent FBS medium in each well. The cells were serum starved for 6 hours. For each cell line there are two groups: the DMSO control and the inhibitor group. The control had 4 wells with 2mL of 0.5 percent FBS with DMSO. The inhibitor group 4 wells had 2mL of 0.5 percent FBS with an inhibitor. Amount of inhibitor used depended on the confluency of the cells at the time of treatment: about 200 liters for normal confluency amount decreased for lower confluencies. The TGFß treatment for both the control and inhibitor groups followed a dose of 0pm , 10pm, 25pm, and 50pm. After 24 hours of treatment the proteins were lysed and harvested with warm 2xSB. The harvested proteins were transferred

4Preliminary data created by my mentor Rachel Hesler

to tubes where they were warmed and centrifuged.

Figure 5. Concentration assay of the inhibitors that were used in this experiment. This determines the best concentration of inhibitor to most successfully block signaling (Hesler et. al 2013)4.

Western blotting assay

The 40 ȝL protein samples were resolved on three gels: two 10 percent polyacrylamide and one 7.5 percent polyacrylamide . The gels ran at 80 V/cm through the stacking portion of the gel and at 120 V/cm after the proteins had gone through the stacking and into the resolving gel. The western blot gel was transferred on nitrocellulose. During the transfer process, the primary and secondary wash was a mixture of tris-buffered saline (TBST), 5 percent milk, and antibody for the corresponding protein: Α-SMA, fibronectin, and ß-actin. The ß-actin and fibronectin western blot used 1ȝL anti-mouse 800 (green) antibody; Α-SMA used 1ȝL anti-mouse 680 (red) and 1ȝL anti-rabbit 800 (green). The western blots were developed and quantitated using a LICOR Odyssey machine.

Immunofluorescence assay

LTC-14 cells were cultured and plated in an 8 well dish with a coverslip in each well with approximately 400,000 cells per well. There were three groups: a dimethyl sulfoxide (DMSO) control, p38 inhibitorand TAK-1 inhibitor. Each group consisted of 2 samples: a group treated with TGF-ß and one untreated. The samples were fixed with 4 percent formaldehyde in PBS for 15 mins at room temperature and permeabilize with 0.1 percent Triton. The samples were labeled for immunofluorescence with antimouse 680 and DAPI. All values were normalized to their control condition.

Results

Western blot assay: LTC-14 cell line with P-p38

The expression of α-SMA was reduced in the samples treated with 0,10,and 25 pm of TGF-ß. However, the well

that was treated with 50 pm of TGF-ß had an expression of α-SMA that was greater than the DMSO control. The fibronectin secretion has also clearly showed reduced expression . The ß-actin had a consistent result.

Western blot assay: HPSCT cell line with P-p38

This experimental group of samples had a higher expression of α-SMA than the DMSO control. The amount of fibronectin was also higher in the control than the one with the P-p38 inhibitor. The baseline ß-actin was consistent.

Western blot assay: LTC-14 cell line with TAK-1

This group had a lower expression of α-SMA than the control. This could mean that the TAK-1 inhibitor in fact inhibited the activation of the stellate cells. Additionally the expression of fibronectin in the TAK-1 inhibitor cells were lower than the control for 0,10, and 25 pm doses of TGF-ß, however the 50 pm concentration of TGFß sample was higher than the control.

Western blot assay: HPSCT cell line with TAK-1

α-SMA had a much lower expression than the DMSO control. However, the dramatically low expression could possibly been a transfer error. There was a clear reduction in the expression of fibronectin in the inhibitor samples in comparison to the DMSO control. Baseline ß-actin was constant.

Western blot assay: LTC-14 cell line with ALK-5

The data from the LTC-14 cell line with the ALK-5 inhibitor was not collected for α-SMA due to a transfer error. The fibronectin results confirm that the ALK-5 inhibitor did reduce the expression of fibronectin in the cell samples. The ß-actin sample was constant.

Western blot assay: HPSCT cell line with ALK-5

The ALK-5 inhibitor reduced the expression of α-SMA in the 10pm and 50pm samples of TGFß, while the 0pm and 25pm were much higher than the control. The expression of fibronectin in the samples with the inhibitor was much lower than the DMSO control samples. The ß-actin baseline was even.

Figure 6a.

Figure 6b.
Figure 7a.
Figure 7b.
Figure 8a.

Figure 8b.

Figure 6a-8b. Western blotting assays of treated PSCs from the HPSCT and LTC-14 cell lines. Each assay had a DMSO control group and a inhibitor treated group. Within each group had cells that were activated by a different concentration of TGF-β. The cells were quantified for activation by comparing α-SMA and fibronectin activation to the baseline β-actin activation.

Immunofluorescence assay

In negative DMSO control, untreated PSCs appeared normal. The treated, positive DMSO control showed myofibroblastic stress fibers from the α-SMA. The P-p38 had the most striking results of the three immunofluorescence assays. The sample with TGF-ß almost completely inhibited the activation of the PSCs. The TAK-1 inhibitor did inhibit the some of the activation, but not as much as the P-p38 inhibitor.

Figure 9. Immunofluorescence assay of LTC-14 cells treated with DMSO,p38, and TAK-1 inhibitor. One group was not activated with TGF-β as a control while the other group was treated with 50μL of TGF-β. The bright red staining indicates α-SMA stress fibers that are only seen during myofibroblastic activation. Blue staining indicates the presence of DAPI.

Discussion

The results support my hypothesis that the TGF-β-p38 MAPK pathway that is normally associated with kidney stellate cells is also responsible for the myofibroblastic activation of pancreatic stellate cells which can increase the harsh microenvironment of the fibrotic stroma, chemoresistance in the tumor, and communication with pancreatic cancer cells. The canonical TGF-β-SMAD pathway is also responsible in the signaling of PSCs. This TGFβ-p38 pathway is important in cancer research because, prior to my research it had not been studied for its role in pancreatic cancer. The P-p38 inhibitor was successful in inhibiting the myofibroblastic activation of the PSCs with the concentrations that were use, meaning TGF-β-p38 contributes to cell activation and by inhibiting it, the affects of the PSC activation is decreased or inhibited. Inhibition of TGFB-Smad and TGFB-p38 MAPK signaling may be beneficial to patients with chronic pancreatitis or pancreatic cancer since it can reduce myofibroblast activation of pancreatic stellate cells. This research is significant because, prior to my research, the role of the pathway in pancreatic cancer was previously unexamined. At certain levels of TGF-β activation, the P-p38 inhibitor from the non-canonical pathway was successful in reducing the myofibroblastic activation of the PSCs. The reduction of PSC activation means the reduction in PDAC tumor density making easier to treat. Also this also halts cancerous activity such as proliferation, migration, apoptosis ,and invasion that is normally prevalent during myofibroblastic PSC activation. This means that the TGF-ß-p38 pathway is clearly important in the PSC cell activation .The inhibitors used in this pathway can possibly be used in the treatment of chronic pancreatitis or pancreatic ductal adenocarcinoma in molecular targeted therapy treatment.

Conclusion and Future Directions

The role of TGF-ß signaling in pancreatic stellate cell activation is prevalent and as suggested from the data, the signaling pathway can be inhibited by specific concentrations of kinase inhibitors from the TGF-ß-p38 MAPK pathway and the TGF-ß-SMAD pathway.While there was clear reduction in PSC activation when treated with the inhibitors, that was not the case with every concentration of TGF-β in the Western Blot assay. This could indicate that the inhibitor concentration that was used was too low to completely block the TGF-ß receptor. In the future, in order to get stronger results in Western blot assays, all three inhibitors: P-p38, TAK-1, and ALK-5, will be redone. Additionally, experiments with the inhibitor concentrations can access the best concentrations of the inhibitors that block TGF-ß. As discussed in the introduction. PSC activation can lend to cancerous activity such as apoptosis, migration, invasion ,and proliferation. These would be notable factors to analyze in TGF-ß signaling using a migration or invasion assay.

Acknowledgements

Special thanks to Rachel Hesler for mentoring me throughout my research project, Dr. Gerard Blobe (Principal Investigator) for hosting me in your lab, Dr. Amy Sheck for sponsoring me, Carolina Livery for providing transportation to and from Duke University, and the Department of Pharmacology and Cancer Biology at Duke University.

References

[1] Apte, M. V., Wilson, J. S., Lugea, A., & Pandol, S. J. (2013). A Starring Role for Stellate Cells in the Pancreatic Cancer Microenvironment. Gastroenterology, 144(6), 1210–1219. doi:10.1053/j.gastro.2012.11.037

[2] Bachem, M. G., Schünemann,M., Ramadani,M., Siech, M., Beger, H., Buck, A., … Adler, G. (2005). Pancreatic carcinoma cells induce fibrosis by stimulating proliferation and matrix synthesis of stellate cells. Gastroenterology, 128(4), 907–921. doi:10.1053/j.gastro.2004.12.036

[3] Farrow, B., Albo, D., & Berger, D. H. (2008). The Role of the Tumor Microenvironment in the Progression of Pancreatic Cancer. Journal of Surgical Research, 149(2), 319–328. doi:10.1016/j.jss.2007.12.757

[4] Hanahan, D., &Weinberg, R. A. (2011). Hallmarks of Cancer: The Next Generation. Cell, 144(5), 646–674. doi:10.1016/j.cell.2011.02.013

[5] Mews, P. (2002). Pancreatic stellate cells respond to inflammatory cytokines: potential role in chronic pancreatitis. Gut, 50(4), 535–541. doi:10.1136/gut.50.4.535

[6] Omary, M. B., Lugea, A., Lowe, A. W., & Pandol, S. J. (2007). The pancreatic stellate cell: a star on the rise in pancreatic diseases. Journal of Clinical Investigation, 117(1), 50–59. doi:10.1172/JCI30082

[7] Shek, F. W.-T., Benyon, R. C., Walker, F. M., McCrudden, P. R., Pender, S. L. F., Williams, E. J., …Iredale, J. P. (2002). Expression of Transforming Growth Factor-ß1 [Secretion and Turnover in Chronic Pancreatitis. The American Journal of Pathology, 160(5), 1787–1798. doi:10.1016/S0002-9440(10)61125-X

[8] Tang, D., Wang, D., Yuan, Z., Xue, X., Zhang, Y., An, Y., …Miao, Y. (2013). Persistent activation of pancreatic stellate cells creates a microenvironment favorable for the malignant behavior of pancreatic ductal adenocarcinoma. International Journal of Cancer, 132(5), 993–1003. doi:10.1002/ijc.27715

[9] Tsukada, S. (2005). SMAD and p38 MAPK Signaling Pathways Independently Regulate 1(I) Collagen Gene Expression in Unstimulated and Transforming Growth Factor- -stimulated Hepatic Stellate Cells. Journal of Biological Chemistry, 280(11), 10055–10064. doi:10.1074/jbc. M409381200

The Antimicrobial Efficacy of Nitric Oxide Based on Release Rate from Mesoporous Silica Nanoparticles on A. actinomycetemcomitans and S. mutans

ABSTRACT

Steptococcus mutans and Aggregatibacter actinomycetemcomitans (AA) are bacterial strains commonly found in the dental plaque biofilm and cause conditions such as dental caries, gingivitis, and periodontitis. Current treatments (other than surgery) for these diseases have not been shown to have long-term applicability. Due to its various reaction pathways, nitric oxide (NO) is an effective antimicrobial agent as it is difficult for bacterial strains to form a resistance against it. This study focuses on varying the identity of the NO storage molecule in mesoporous silica nanoparticles (MSNs) to change NO release rates and determine the differences in particle concentration required for bacterial eradication. MSNs (diameters of ± 700nm) were synthesized and grafted with three different aminosilanes, MAP3, AEAP3, and BAP3, and were analyzed using a dynamic light scattering system, SEM, and NO analyzer (NOA). AA was exposed to different concentrations of BAP3 and AEAP3 particles, and the number of visible bacteria after exposure was determined using microbial culturing methods. Slower NO release rates showed to require a lower particle concentration for AA elimination. It was noted that higher particle dosages may be needed to effectively reduce the bacterial viability of S.mutans.

Introduction

Although there has been little research on dental plaque, its effects on health can prove to be detrimental. Plaque is the main cause of tooth decay and cavities; the bacterial biofilm releases acids which break down enamel after fermentation of carbohydrates (particularly sucrose) in the oral cavity. Furthermore, the major accumulation of dental plaque is the root cause of dental caries and gingivitis, which can infect the tooth, gum, and eventually, the bone underneath.[1] According to the American Dental Association, in 2010, about 52% of males and 45% of females suffered from gingivitis.[2] Another plaque-related oral disease, periodontal disease affects oral health through the deterioration of the alveolar tissue around the tooth. Major tooth and connective tissue weakening occurs through the reaction of the body’s natural immune response to the bacteria and the bacterial toxins associated with periodontal disease.[3] As of 2012, about 47.2% of American adults suffer from some form of periodontal disease.[4]

Streptococcus mutans strain dominates among the various species of bacteria which compose cariogenic dental plaque. Streptococcus mutans strain is strongly associated with the formation of gingivitis and dental carries. Aggregatibacter actinomycetemcomitans is a Gram- negative, rodshaped, anaerobic bacterium which has shown major association with periodontal disease. Specifically, it is linked with localized aggressive periodontitis, which is the severe infection of the gingiva. After a certain amount of buildup, plaque is difficult to remove, even with professional cleaning. The most common result of untreated periodontitis is tooth loss, but the bacteria from the disease can be inhaled and enter the bloodstream, adversely affecting the lungs,

heart, and many other human organs. AA has also been shown to produce leukotoxin, which destroys white blood cells.[5] Early detection and elimination of these strains can prevent such diseases from occurring. Although certain formulations and medications to prevent against gingivitis and periodontal disease have been developed, long term research is still needed to fully test their efficiencies. [3] It would be beneficial to determine new, effective ways to eliminate these strains once methods such as brushing and mechanical abrasion cease effectiveness.

Nitric oxide (NO)- releasing silica nanoparticles have shown to be 99.999% effective in killing biofilm-based microbial cells, specifically in the strains Pseudomonas aeruginosa, Eschericha coli, Staphylococcus aureus, Staphylococcus epidermis, and Candida albicans.[6] Due to its high antimicrobial efficacy, NO is applicable in eliminating S. mutans and A. actinomycetemcomitans as they have some similar properties to the above listed strains. Unlike other common bacterial treatments, NO is beneficial as it is difficult for bacteria to form a resistance against it, due to its various reaction pathways possible. (Fig. 1)

NO Reactions

At low concentrations, NO acts as a signaling molecule to promote growth and activity of immune cells; however, at higher concentrations, NO irreversibly damages DNA, proteins, and lipids, ultimately resulting in cell death. NO can diffuse through cell membranes of invading pathogens. Mostly, damage is not done by NO directly, but instead by products formed from its autoxidation. NO- mediated antimicrobial action is exerted through 3 mechanisms: the direct reaction of the reactive nitrogen oxide species (RNOS) with the DNA structure, the inhibition of DNA

Figure 1: This shows the variety of ways NO can react with other molecules. Due this property, it is difficult for bacteria to form resistance.

repair, and the increased generation of alkylating agents (which damage DNA) and hydrogen peroxide. NO is useful to kill bacteria in the body without harming the host because cells naturally contain superoxide, which reacts with NO to form peroxynitrite. Peroxynitrite is relatively stable and nonreactive, and therefore does not have a detrimental effect on somatic cells.[7]

NO, being in the gas state, requires a vehicle of delivery. NO can be released through the protonation of certain molecules called NO donors which can be stored in mesoporous silica nanoparticles (MSNs) for later release.

Formation of NONOates and NO

Release from MSN Scaffolds

NO is released from molecules called NO donors. The N- diazeniumdiolate donor is commonly used in MSNs as it is a NONOate (releases 2 NO equivalents, rather than 1) (Fig. 2) and it releases freely in aqueous environments, making it applicable for use in the body. When the MSNs are placed in aqueous environments, the diazenium diolate molecules are protonated, liberating the 2 NO molecules. [8]

Figure 3: MAP3

Less complex structure allows high protonation probability

Figure 2: [11] N-diazeniumdiolate, once protonated, releases 2 molecules of NO, and is therefore called a NONOate.

Aminosilanes- MAP3, BAP3, AEAP3

These aminosilane molecules, aminosilanes 3- methylaminopropyltrimethoxysilane (MAP3), N-(2aminoethyl)-3-aminopropyltrimethoxysilane (AEAP3), and N-butylaminopropyltrimethoxysilane (BAP3), serve as NO storage systems on the MSN (NO comes from the N- diazeniumdiolate molecules on the aminosilanes). These are grafted into the pores of the MSN and react to form 2 NO molecules when protonated (H+).

Each of these aminosilanes results in different release rates due to the various structures. For example, MAP3 (Fig.3) has a greater probability to become protonated in solution due to a less complex structure, while AEAP3 (Fig. 5) releases NO at a slower rate, likely due to stabilization of the N-diazeniumdiolate by its amine group.

NO Delivery Mechanisms

Silica nanoparticles have gained a large amount of attention in recent years as potential drug delivery agents. They have been extensively explored due to their chemical flexibility, biocompatibility, and easily tunable properties (e.g size,etc.). Nonporous silica nanoparticles have surface chemistries that cannot be easily controlled and have limited storage (Schoenfisch). As compared to these traditionally used nonporous silica nanoparticles, mesoporous silica nanoparticles have easily tunable interior pore systems which can store larger amounts of cargo.[9-14]

Figure 4: BAP3 ty

Figure 5: AEAP3

tAmine group causes stabilization of N-diazeniumdiolate, resulting in slow NO release rate

MSN Synthesis and Modification

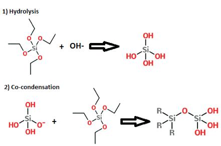
Figure 6: These are the reactions that occur in the surfactant-templated sol gel method.

700nm MSN particles were synthesized for this study. MSNs are synthesized through supramolecular self-assembly, which includes the surfactant-templated sol gel method (hydrolysis and co-condensation), micelle binding, and surfactant removal. Overall, a silica source (which is relatively biodegradable) is hybridized and co-condensed (Fig. 6) in the presence of surfactant micelle templates. The surfactant serves to define the shape of the MSN pore system during synthesis. Before the surfactant is extracted, a methylsilane is grafted onto the surface, inhibiting the area to allow no other molecule to bind at surface sites. The surfactant is extracted, forming ordered internal pores (Fig.7).[10,11] To further functionalize the MSNs to modify release rates, the post-grafting synthesis method (which is implemented after MSN synthesis) or the cocondensation synthesis method (which is implemented during the MSN synthesis) could be used. Using the cocondensation method, the aminosilanes can co-condense with the template-silicate aggregates; however, this results in loss of the ordered pore system of the MSN. The post-

grafting method does not interfere with the mesostructures and mesoporosity of the MSN, and the aminosilanes are able to be placed directly in the made pores.[11] In order to avoid changing the inner structure of the MSN, the post-grafting method would be the most efficient way to test the effects of NO release rates. To modify the NO release rates on the MSN, various aminosilanes can be grafted on the surface. Modification of particle scaffolds with the aminosilanes MAP3, AEAP3, and BAP3, has already been shown to be an effective way to modify NO release rates. Since the surface of the MSN is already occupied by methylsilane molecules, the only available area for the aminosilanes to attach are in the pores, resulting in particles with controlled identical surfaces and different NO release rates. (Fig.8)

Because release rates of NO can be controlled on the MSN through the grafting of varied aminosilanes, these vehicles are an ideal means of investigating the effect of NO release kinetics on the efficiency of bacterial eradication.[6,11] The antimicrobial differences of MSNs based on release rates in general have not been studied. If exposure of the same amount of NO molecules to bacterial strains over a longer period of time results in greater toxicity, a shorter release rate of NO would be the most effective in eliminating the strains. By modifying properties of the MSN scaffold and observing its effect on the elimination of certain bacterial species, the particle scaffold can be optimized for elimination of pathogenic bacterial strains. The experimentation on Streptococcus mutans and Aggregatibacter actinomycetemcomitans (AA) specifically would lead to possible methods of reducing plaque-related oral diseases. NO-releasing MSNs would serve to eradicate the bacteria found in the plaque biofilm through possible implementation in mouthwash or tooth paste.

Figure 8: This shows the complete grafting process of the MSN. The pores are first filled with CTAB, which maintains the MSN’s porous structure. TMMS is then grafted on the surface. This allows for the exterior surface area to be inhibited, so other molecules grafted later would not be able to bind to the surface. This ensures controlled surface properties, as no other molecule can graft on the surface. The CTAB is next extracted from the pores to make space for aminosilanes to be grafted. The aminosilanes in the pores are protonated to release NO molecules.

Materials and Methods

Materials:

Analytical mettler balance, carbon/hydrogen/nitrogen elemental analyzer, centrifuge, parr hydrogenation vessel, chemiluminescent nitric oxide analyzer, dynamic light scattering instrument zeta sizer, glass slides, hot plate, oven, pipettes/ micropipettes, scanning electron microscope, sonicator, vortex, 2 M ammonium hydroxide (NH4OH), A. actinomycetemcomitans culture, Agar plates, aminosilanes: 3-methylaminopropyltriethoxysilane (MAP3), N-2-aminoethyl)-3-aminopropyltrimethoxysilane (AEAP3), N-butylaminopropyltrimethoxysilane (BAP3), anhydrous pyridine, anhydrous toluene, ethanol, cetylmethylammonium bromide (CTAB), milliQ water, tetraethyl orthosilicate (TEOS), trimethoxymethylsilane, S. mutans culture, surfactant removal solution (9:1 EtOH/ HCl)

Procedures:

MSN Synthesis[15]: Particle Synthesis:

162 mLWater, 175 mL ethanol, 11.6 mL NH4OH (2M), and 280mg CTAB were placed in a round bottom flask and stirred for at least 10 minutes. 1.39mL TEOS was added, the solution was stirred for 2 additional hours (with stirring), and was collected via centrifuge. The supernatant was dispensed and the particles were rinsed with ethanol twice. The particles were dried under vacuum. Two 150mg batches were synthesized for experimental replication.

Grafting the Particles:

50mg of particles were weighed into three plastic tubes. 10 mL of toluene and 100µL trimethoxymethylsilane (TMMS) were added to each tube, and the solution was stirred. 125µL anhydrous pyridine was then added, after which the solution was heated at 90ºC and stirred for 18 hours. The solution was spun in the centrifuge and the particles were collected and rinsed with ethanol twice. The particles were then dried under vacuum. The grafting procedure was repeated, using the aminosilanes AEAP3, BAP3, and MAP3, instead of TMMS.

Extracting Surfactant:

The dried MSNs were suspended in surfactant removal solution, which is 9:1(ethanol:HCl) and sonicated for 30 minutes. The solution was centrifuged, and the particles were dried and collected.

Charging:

The MSNs were suspended in a 9:1 dimethylformamide/ methanol solution. 25 mL of anhydrous sodium methoxide were added to the solution, which was placed into the parr hydrogenation vessel. The vials were placed under 10atm nitric oxide with stirring and left for 3 days.

DLS (Dynamic Light Scattering):

This method measured the general size of each particle within a population to confirm the particles that were being synthesized were 700nm. A sonicator was filled with

ice until the outside was cold to the touch. MSN particles were suspended in milliQ water (1mg/10 mL). The ice was replaced with water, and the solution in the vial was sonicated for 20 minutes. A cuvette was filled with solution, and measurements were taken.

SEM (Scanning Electron Microscope):

This method was used to confirm the shape and nonaggregate form of the synthesized particles. MSNs were suspended in milliQ water. The solution was pipetted on a miniature glass square slide which was subsequently placed under vacuum to remove the solvent. SEM images of the particles were then acquired.

Minimum Bactericidal Concentration Assay (MBC):

Agar plates were prepared. 108 bacterial suspensions (of AA and S.mutans) were diluted to 106 in BHI. Bacteria were exposed to different concentrations of MSNs (1mg/1mL). A blank plate and control plate (exposed to particles without NO) were made as well. The 2 hour assay was incubated for 2 hours and the 4 hour assay was incubated for 4 hours. The bacterial suspension was put in a plating machine. The bacterial colonies were counted. This MBC was designed for 2 trials of particle exposure (MAP3, AEAP3, and BAP3) for both bacterial strains.

Results and Conclusions

Results and Illustrations

The DLS graph shows the diameter of the majority of MSNs in both batches (MSN1/MSN2) to be between 650-700nm, which is the size expected based on previous syntheses with the same methods in the lab. The graph forms a basis for future comparison, as both batches have very similar sizes. (Fig. 9)

SEM images were taken of a few particles which confirmed the MSNs’ rounded shape and non-aggregated layout (Fig. 10a/10b).

The NOA results for MSN1 showed varied release rates for the MSNs grafted with MAP3, AEAP3, and BAP3. According to the graph, MAP3 particles clearly had the highest release rates. The AEAP3 and BAP3 particles had lower release rates, but intersected at around 2 hours, releasing 0.4 µmol/mg at that time. The release rates for AEAP3 and BAP3 particles, although they are slightly different, seem more similar within the first 2 hours, by the time the amount of NO present was equal. (Fig. 11) MSN2, when tested in the NOA also showed different release rates for the MSNs grafted with various aminosilanses and MAP3 had the highest relative release rate as well. The MSN2 AEAP3 and BAP3 particles had lower and more differed release rates than MSN1. However, the MSN2 AEAP3 and BAP3 release curves intersected, showing that MSN2 had the same amount of NO release (0.4 µmol/mg), but this time over 4 hours. (Fig. 12)

Figure 9: The DLS measurements determine the size distribution within a large population of particles.

Figure 10a/10b :The SEM images show rounded, non-aggregated particles.

Figure 11: This shows the NO release over time of the 3 types of grafted MSNs from particle Batch 2.

Figure 13: BAP3 MSN1 were exposed to AA at different concentrations for 2 hours and a 3 log reduction occurred.

AA- MSN1- 2 hour assay:

When MSN1 was exposed to the AA bacteria strain for 2 hours, the BAP3 (Fig. 13) and AEAP3 (Fig.14) particles showed approximately a 3 log reduction in both trials using the same concentration of particles (4 mg/mL). There was a slight glitch in reduction in the BAP3 assay at 2 mg/ mL. Overall, both the BAP3 and AEAP3 particles had very similar trends in AA viability vs. particle concentration.

AA- MSN2- 4 hour assay:

According to Fig 5, both particle types reduced AA by more than a 3 log reduction, however at different particle concentrations (AEAP3: 3 mg/mL, BAP3: 4 mg/

Figure 12 :This shows the NO release over time of the 3 types of grafted MSNs from particle Batch 1.

Figure 14: AEAP3 particles were exposed to AA at different concentrations for 2 hours and a 3 log reduction occurred.

mL). However, the BAP3 molecule showed a sudden increase in bacteria concentration and then a decrease again, which could have been caused by a cell spread/counting error. This graph shows that AEAP3 particles were able to eliminate AA with a smaller concentration (1 mg/mL less) than BAP3 was able to.

The effect of MAP3 MSN1 on S.mutans showed a very slight reduction in bacteria when exposed- only between a 1 log and 2 log reduction, rather than the necessary 3 log reduction necessary to claim effective bacterial elimination. (Fig. 16)

Figure 15: BAP3 and AEAP3 of MSN2 were exposed to AA at different concentrations for 4 hours and a 3 log reduction occurred.

MSN1 and MSN2 Release and AA Anti-microbial Properties Summary

Table 1: This summarizes the NO release from the MSNs and the particle concentrations required for a 3 log AA reduction. The final NO totals were the same for every particle batch/ type at the designated times but the release rates were different (as seen in Fig. 11/12). AEAP3 MSN2 (slowest release rate) were able to eliminate AA at the smallest concentration.

Figure 16: MAP3 particles were exposed to S.mutans in a 2 hour assay and a 3 log reduction did not occur.

S.mutans- MSN1- 2 hour Assay

Discussion

Since both batches of particles were similar in size and shape, and were not aggregated, further testing could be done.

Differences in NO Release Rate

Compared to each other, the release rates of MSN1 and MSN2 had the same trends for AEAP3, BAP3, and MAP3 particles, but had a quantitative difference . As shown on the graphs, the MSN1 batch had faster release rates than the MSN2 batch did. This may have occurred because, during the grafting process, the MSN2 were left to incubate with the aminosilanes for 6 hours, rather than 2 hours the MSN1 did. MSN2 therefore allowed more time for the aminosilanes to seep further into the pores, and thus requiring the protons (H+) to travel further into the pores to protonate the N- diazeniumdiolate and release NO. The aminosilanes in MSN1 would have not entered as deep into the pores and therefore would have been able to be protonated earlier, resulting in the faster release rate.

NO Release Concentrations and Times

The NOA results served as a strong base for bacterial experimentation and comparison. For MSN1, results showed that AEAP3 and BAP3 had the same total NO released, 4 µmol/mg, after about 2 hours. In MSN2 release rates graphs, it was shown that the final NO released from AEAP3 and BAP3 particles were also the same, 4 µmol/ mg, but at 4 hours. When completing bacterial assays, using matched NO concentration NOA readings showed that any difference in killing efficiency that would occur was due to release rate and not the final concentration of NO. Therefore, to control the experiment, only particles grafted with AEAP3 and BAP3 were used for further experimentation.

AA Bacterial Assay

It had already been shown that a 2 hour assay was effective for AA, but a 4 hour assay had never been done in the lab. Therefore, before beginning the experiment, a 4 hour assay was run with blank NO particle exposure, and the AA was shown to be able to survive; it was necessary to prove that any killing would be due to the particles and not because the AA could not withstand the assay duration. Because all of the AA survived throughout the 4 hours, further assays with MSNs could be completed. Since MSN1 intersected NO yields at around 2 hours and MSN2 at around 4 hours, the specific particles were exposed to AA with the 2 hour and 4 hour assays respectively.

Analyzing the bacterial elimination curve, both AEAP3 particles and BAP3 particles showed to have approximately the same killing trend for the 2 hour assay (MSN1). The bacteria was pronounced effectively eliminated as there was a 3 log reduction (there could have been a larger reduction, but the cell counter cannot account for such small

bacterial concentrations) of the AA. The very similar release rates in the MSN1 (Fig. 11), may have resulted in the nearly identical bacteria elimination curves.

During the 4 hour assay (MSN2), both AEAP3 and BAP3 particles showed to eliminate bacteria by 3 log, but at slightly different trends. The AEAP3 was able to eliminate a greater amount of bacteria with a lesser particle concentration when compared to BAP3. There was a sharp jump in the BAP3 curve, which was probably due to counting and spread error. Looking back at the NOA results (Fig. 12), the AEAP3 particles had a mildly slower release rate than the BAP3 particles, thus showing that constant, slow exposure of MSNs may be more effective in AA elimination.

S. mutans Bacterial Assay

The MAP3 MSN1 particles were tested using a 2 hour assay on S.mutans to ensure bacterial killing (which is represented by a log3 reduction), but results showed that the reduction did not occur. In the experiment, only between a 1 and 2 log reduction occurred, so it cannot be said that the concentrations of NO were sufficient to eliminate S.mutans as it was on AA. These results were unexpected because NO is known to have a 99.999% bacterial elimination rate on some bacterial strains. This, however, could have been due to S.mutans innate characteristic of producing NO therefore showing little reaction to smaller concentrations of NO- releasing MSNs. For the purpose of testing the effect of release rates on bacteria killing, only AA was further tested.

Conclusions and Future Work

By modifying MSNs with various aminosilanes, NO release rates were changed and their effects on bacterial activity against A. actinomycetemcomitans and S. mutans were tested. MSNs with diameters of 700nm were synthesized. The NOA results for all the aminosilane-grafted particles matched the expected relative rates of release based on their molecular structures. When analyzing the NOA results, matched totals were found at 2 hours for MSN1 and 4 hours for MSN2, creating a control for final NO concentration in the bacteria at either 2 hours or 4 hours, depending on the assay. Therefore it was able to be concluded that any difference in bacteria elimination was caused solely by release rate. By comparing the release rate of the grafted MSNs to the elimination of AA, it was determined that a slower NO release rate may be able to eliminate AA using a lesser MSN concentration, as the AEAP3 MSNs killed faster and released slower compared to the BAP3 MSNs. In order to further test if a slower release rate is more effective, aminosilanes with greater number of functional groups and complexities, and therefore even more decreased release rates such as AHAP3 (Fig. 17) and AHAM3, could be grafted to MSNs and tested in AA bacterial assays. In addition, the incubation period during the aminosilane grafting process could be

Figure 17 AHAP (Slightly more complex than AEAP3 due to and increased carbon count)

increased to 6 hours to allow for a greater time period for the aminosilanes to seep throughout the pores, and result in a slower release rate.

When analyzing the S.mutans elimination data, the strain was not affected much by the concentrations of MSNs. Because of its innate property of producing NO, a greater concentration of particles could be exposed to the strain to see if a 3 log reduction can be reached by overcoming it’s resistance.

Once the ideal release rate of NO to eliminate AA is found, we are a step forward in figuring out the key to biological applications of nanoparticles to kill bacterial strains efficiently. When combining a slower NO release rate with other ideal MSN modifications (hydrophobicity/hydorphillicity, charge, size, etc.) the optimal method in eliminating AA with nanoparticles would be formed. These optimized particles could be used to eradicate bacterial species with similar properties to AA, leading to methods to cure other bacterial diseases. Studies on the interaction between S.mutans and NO would be beneficial in devising elimination methods for S.mutans and the few other bacterial species that self-produce NO. Specifically speaking, after further tests and studies, MSNs working against AA and other strains found in the dental plaque biofilms could implemented in toothpastes, mouth washes, and in other oral health medications (for periodontal diseases) to easily reduce the number of people with oral diseases.

References

[1] 3 Saskatchewan. Government of Saskatchewan. Health. - Health. Government of Satkatchewan, 2012. Web. 17 May 2013.

[2] “Oral Hygiene Statistics.” Statistic Brain RSS. N.p., n.d. Web. 25 Sept. 2013.

[3] “Periodontal (Gum) Disease: Causes, Symptoms, and Treatments.” National Institute of Dental and Craniofacial Research- Oral Health. NIH, n.d. Web. 25 Sept. 2013.

[4] “CDC: Half of American Adults Have Periodontal Disease.” Perio.org. American Academy of Periodontology, 4 Sept. 2012. Web. 25 Sept. 2013.

[5] 5 Rylev, Mette, Ahmed B. Abduljabar, Jesper Reinholdt, Oum-Keltoum Ennibi, Dorte Haubek, Svend Birkelund, and Mogens Kilian. “Proteomic and Immunoproteomic Analysis of Aggregatibacter Actinomycetemcomitans

JP2 Clone Strain HK1651.” Journal of Proteomics 74.12

(2011): 2972-985. Print.

[6] Hetrick, Evan M., Jae Ho Shin, Heather S. Paul, and Mark H. Schoenfisch. “Anti-biofilm Efficacy of Nitric Oxide- Releasing Silica Particles.” Anti-biofilm Efficacy of Nitric Oxide- Releasing Silica Particles 30 (2009): 2782-789. Web.

[7] Joe, Backman. “The ABC’s of the Reactions between Nitric Oxide, Superoxide, Peroxynitrite and Superoxide Dismutase.” Oxygen (1999): 1-13. Print.

[8] Nichols, Scott P., Wesley L. Storm, Ahyeon Koh, and Mark H. Schoenfisch. “Local Delivery of Nitric Oxide: Targeted Delivery of Therapeutics to Bone and Connective Tissues.”Targeted Delivery of Therapeutics to Bone and Connective Tissues 64.12 (2012): 1177-188. ScienceDirect.com. Web. 13 Apr. 2013.

[9] He, Qianjun, and Jianlin Shi. “Mesoporous Silica Nanoparticle Based Nano Drug Delivery Systems: Synthesis, Controlled Drug Release and Delivery, Pharmacokinetics and Biocompatibility.” Journal of Materials Chemistry 21 (2011): 5845-855. Print.

[10] Li, Zongxi, Jonathon C. Barnes, Aleksandr Bosoy, J. F. Stoddart, and Jeffery I. Zink. “Mesoporous Silica Nanoparticles in Biomedical Applications.” Chem. Soc. Rev. 41 (2012): 2590-605. Print.

[11] Asefa, Tewodros, and Zhimin Tao. “Biocompatibility of Mesoporous Silica Nanoparticles.” Chemical Research in Toxicology (2012): A-T. Print.

[12] Wu, Si-Han, Yann Hung, and Chung-Yuan Mou. “Mesoporous Silica Nanoparticles as Nanocarriers.” Chemical Communications 47.36 (2011): 9972-985. Print.

[13] Slowing, I., J. Viveroescoto, C. Wu, and V. Lin. “Mesoporous Silica Nanoparticles as Controlled Release Drug Delivery and Gene Transfection Carriers.”Advanced Drug Delivery Reviews 60.11 (2008): 1278-288. Print.

[14] Huh, Seong, Jerzy W. Wiench, Ji-Chul Yoo, Marek Pruski, and Victor S.-Y. Lin. “Organic Functionalization and Morphology Contol of Mesoporous Silicas via a Co-Condensation Synthesis Method.” Chem. Mater. 15 (2003): 4247-256. Print.

[15] Carpenter, Alexis W., Danielle L. Slomberg, Kavitha S. Rao, and Mark H. Schoenfisch. “Influence of Scaffold Size on Bactericidal Activity of Nitric Oxide-Releasing Silica Nanoparticles.” ACS Nano 5.9 (2011): 7235-244. Print.

[16] Oliver, R. C., L. J. Brown, and H. Loe. “Result Filters.” National Center for Biotechnology Information. U.S. National Library of Medicine, Feb. 1998. Web. 17 May 2013.

Antibiotic Resistance Dissemination Increased by High Frequency of

Conjugating

Bacteria in Escherichia coli Populations

ABSTRACT

According to the World Health Organization, the total societal cost of antibiotic resistance amounts to over $35 billion dollars per year in the United States alone when accounting for lost lives, wages, and extended hospital stays. Bacterial conjugation, a type of horizontal gene transfer, is one of the processes by which antibiotic resistance is disseminated throughout a bacterial population. In the search for methods to inhibit the spread of antibiotic resistance, preventing bacterial conjugation is considered a promising target. However, the degree to which conjugation affects the rise of antibiotic resistance is unclear. This study investigated the effect of different ratios of conjugatory donors to recipients of Escherichia coli on the population’s resistance to tetracycline. Strains BB4 and DH5α served as the donor and recipient cultures respectively and were allowed to conjugate before being plated in tetracycline containing agar; resistance was quantified by colony density. Results showed that the presence of conjugating bacteria had a greater relative effect on colony density at higher tetracycline concentration. A donor percentage of 5% (1:19) more than doubled the minimum inhibitory concentration of tetracycline required. At a donor percentage of 20% (1:4), colony density approached levels of an entirely resistant population. This experiment has revealed that even at low levels, bacterial conjugation has the potential to rapidly increase the resistance of a bacterial population and presents conjugation as a crucial target for slowing the spread of antibiotic resistance.

Introduction

Potent antibiotics are a double edged sword because their effectiveness against susceptible bacterial strains is also a strong selective force for developing resistant strains. The spread of antibiotic resistance has become a pressing problem as evidenced by the fact that the number of methicillin resistant Staphylococcus aureus infections has risen by 300% in ten years [1]. In a retrospective study spanning from 1950 – 2002, over 1,500 E. coli isolates were taken from humans, cattle, chickens, and pigs and assessed for their susceptibility to 15 different antimicrobial drugs [2]. Around 54% of the strains tested were resistant to more than one antibiotic, with resistance most commonly found against older drugs such as tetracycline, ampicillin, streptomycin, and sulfonamide [2]. Once a bacterial cell acquires resistance to an antibiotic, the gene encoding this ability can be rapidly disseminated throughout the population through forms of horizontal gene transfer such as bacterial transformation, transduction, and conjugation. Current methods of combatting antibiotic resistance are mainly focused upon the discovery of new drugs and avoidance of unnecessary or low level dosages of antibiotics [3]. However, natural selective pressures often occur more quickly than the discovery of new drugs and over-thecounter medications are difficult to regulate. Because horizontal gene transfer is a major contributor to antibiotic resistance but is nonessential for survivorship except in the presence of antibiotics, disrupting gene transfer will allow bacterial populations can remain susceptible to current treatments for a longer period of time and resistance to transfer inhibition will be slow to occur [4]. Resistance inhibitors can then be used in conjunction with conventional drugs to create long term potent treatment combinations which are especially important for patients in nosocomial settings [4].

Conjugation is the transfer of plasmid DNA from one bacterial cell to another and can only occur between a donor containing a conjugatory plasmid and a recipient that lacks one. After the recipient receives a plasmid, it becomes a donor itself. Conjugation has even been known to occur between two different species of bacteria [5]. The components of conjugation machinery are encoded on plasmids; basic components include a relaxase, a coupling protein, and a type IV secretion system (T4SS) [6].

In another study conducted on the EcoR collection strains, it was found that 21% of the strains were capable of conjugation [7]. Experiments on the frequency of plasmid transfer performed on E. coli strain BW27783 (a K-12 strain derivative) estimated the transfer frequency of plasmid R388 [8]. It was also found that increasing the donor to recipient ratio from 2.5% to 50% led to an increase in maximum transfer rate of 0.2 to 0.7 transconjugant per recipient cell [8]. Conjugation frequency was shown to increase logarithmically which is explained by the fact that after conjugation occurs, recipient cells themselves become donors and further propagate their plasmid [8].

The next step is to identify mechanisms of lateral gene transfer that contribute the most to the spread of antibiotic resistance. The inhibition of these mechanims, such as conjugation, has the greatest potential to delay resistance development allowing more time for researchers to discover new treatment methods. Previous studies have only examined either the phenomenon of rising antibiotic resistance or the prevalence of conjugation individually. In contrast, this study looks at the rise of antibiotic resistance in combination with conjugation by varying the proportion of the antibiotic susceptible population in the presence and absence of conjugating strains and quantifying the resulting population’s resistance to the antibiotic tetracycline. This will assess the impact of bacterial conjugation on antibiotic

resistance dissemination and conjugation’s suitability as a target in halting the spread of resistance.

Materials and Methods

E. coli Strains and Media

The study organism was Escherichia coli strains DH5α, DH5α (Tetr), and BB4 (Table 1). E. coli was chosen because it is a widely used model organism in which conjugatory plasmids are naturally found. The strain recipient DH5α (Carolina Biological) had an F- genotype meaning it lacked a conjugatory plasmid. The donor strain was BB4 which contains an F plasmid that confers tetracycline resistance (Ward Scientific). DH5α (Tetr), was a nonconjugating F- tetracycline resistant strain that was used as a control. DH5α (Tetr) was created by transforming the DH5α strain with plasmid pBR322 which confers tetracycline resistance (Carolina Biological). DH5α was made competent through CaCl2 and glycerol treatment and transformed using heat shock [9]. All E. coli strains were cultured in sterile Mueller-Hinton (MH) broth that was prepared according to manufacturer’s instructions and incubated at 37ºC. For strains BB4 and DH5α (Tetr), the media was supplemented with 10 µg/mL of tetracycline. For both donor and recipient cultures used in experiments, cells were diluted to an OD600 of 0.300 as measured by a spectrophotometer. Testing protocols for MIC values followed guidelines established by the Clinical and Laboratory Standards Institute [10].

Conjugation Experimental Design

In this experiment, cultures with starting BB4 population percentages (donor to recipient ratio) of 100% (1:0), 20% (1:4), 10% (1:9), 5% (1:19), 2.5% (1:39), and 0% (0:1) by volume were allowed to conjugate with DH5α. After cultures were allowed to conjugate, E. coli inoculum from each donor percentage setup were plated on MH agar containing tetracycline concentrations of 32 µg/mL, 16 µg/mL, 8 µg/mL, 4 µg/mL, 2 µg/mL, and 0 µg/mL. After 18 hours of incubation at 37 ºC, growth was assessed by determining the colony density of each 100 mm plate. Each antibiotic concentration and donor percentage combination was replicated five times. The Control groups were incubated under the same conditions as the experimental and composed of the non-conjugating tetracycline resistant strain DH5α (Tetr), cultured with the recipient strain DH5α in the same percentages as listed above and then plated on MH agar containing the same tetracycline concentrations as above. The control was used to determine the colony formations that can be attributed

to the initial population of tetracycline resistant cells.

Growth Curve Generation

A preliminary experiment involving the growth rate of all three strains of E. coli was conducted in order to control for genotypic discrepancies between the three strains that may cause differences in growth. Each of the three strains was grown in both MH broth containing 0 µg/mL and 8 µg/mL of tetracycline. The OD600 of each culture over 24 hours was measured using a SpectroVis Plus Spectrophotometer blanked with a cuvette filled with sterile MH broth. Falcon 50 mL conical centrifuge tubes were filled with 40 mL of MH broth containing the appropriate amount of antibiotic (either 0 µg/mL or 8 µg/ mL) and inoculated with 100 µL of an overnight culture of one of the three E.coli strains grown in tetracycline free MH broth to an OD600 of 0.300. All cultures were grown in a shaking water bath at 37º C. Data were collected every hour for the first nine hours and then once again at the 24 hour mark. Each treatment was performed in triplicate.

Conjugation Protocol

Both donor and recipient strains were vortexed and diluted with MH broth as necessary until they reach an OD600 of 0.3. Each culture was then further diluted by a factor of 10-6 before being allowed to conjugate so that individual colonies would form once plated. When mating the two strains, donor percentages (donor to recipient ratio) of 100% (1:0), 20% (1:4), 10% (1:9), 5% (1:19), 2.5% (1:39), and 0% (0:1) by volume were set up in a 1.5 mL microcentrifuge tube and vortexed. The total volume of each mixture was 1 mL. The E. coli culture was then allowed to conjugate for 60 minutes in a 37ºC shaking water bath. At the end of this period, the tube was vortexed for 10 seconds to disrupt mating. As a control, DH5α (Tetr) and recipient (DH5α) ratios equivalent to ones listed above were also prepared in the same manner. This setup represented colony densities that could be expected under antibiotic selective pressures without the effect of plasmid transfer. After the conjugating period was over, 30 µL of each setup was pipetted onto MH agar plates containing the appropriate antibiotic concentration and spread with an L-shaped spreader and incubated for 18 hours at 37°C.

Minimum Inhibitory Concentration (MIC) Determination

The MIC was determined using the agar serial dilution method [10]. Four serial dilutions of tetracycline by a factor of ½ with a starting concentration of 32 µg/ml were used to prepare agar of varying antibiotic concentration [11]. Tetracycline free MH agar plates were separately prepared. 25 mL of agar was poured into

each 100mm x 25mm Corning culture dish. Bacteria to be inoculated were grown overnight to an OD600 of 0.300. After the plates were inoculated, they were incubated at 37º C for 18 hours. The MIC was taken as the lowest antibiotic concentration at which no growth was observed.

Colony Formation Comparison

After all petri dishes have been incubated for 18 hours, the number of colonies on each dish was counted using a colony counter (Figure 1). The surface of each plate was divided into 36 one cm2 squares that were numbered and four unique randomly chosen squares chosen by a random number generator were counted. Colonies growing on the border of a square were included inside the square. The colony density of each plate was then averaged. The increase in colony formation caused by conjugation was calculated by subtracting the average number of colonies in the control experiment from the average in the corresponding conjugation experiment in the same experimental conditions. The difference was then divided by the average in the control group to determine the percent change.

Figure 1. Colony counting. The above image represents the grid used to count colonies. The square outlined in red has dimensions of 1cm x 1cm. Four squares on each plate were chosen at random and the number of colonies present in each square was averaged for each dish.

Source: author’s photo.

LD50 Assessment

Average colony densities at each donor percentage were plotted against antibiotic concentration. Total density used to calculate LD50 was taken to be the average colony density in plates containing 0 µg/mL of tetracycline. For each initial BB4 or DH5α (Tetr) percentage, the antibiotic concentration at the intercept with a line plotted at 50% of the average density in 0 µg/mL of tetracycline was determined to be the LD50 for that initial BB4 or DH5α (Tetr) percentage.

Statistical Analysis

The software program JMP version 10.0.0 (SAS Institute, 2012) and Microsoft Excel were used for all statistical analyses. E. coli growth curve: Optical densities of each strain were averaged at each time point and an ANOVA was performed to determine significance between the maximum optical densities of each strain at 24 hours. Difference in Colony Formation: A threeway ANOVA was performed using JMP. The main effects in the model were antibiotic concentration, presence of conjugation, and initial Tetr population size. Crossed effects of antibiotic concentration by Tetr population percent, antibiotic concentration by presence of conjugating bacteria, Tetr population percent by presence of conjugating bacteria, and antibiotic concentration by Tetr population percent by presence of conjugating bacteria were also analyzed.

Results

From the growth curves plotted at the start of experimentation (Figure 2), it was seen that all three strains of E. coli that were used in this study exhibited similar growth rates and carrying capacities. In broth containing no tetracycline, all three strains grew robustly as expected and reached a maximum OD600 at 24 hours that was not significantly different (ANOVA, df = 2, F-ratio = 3.5633, p < 0.2624) (Figure 2A). In the growth curve generated with broth containing a tetracycline concentration of 8 µg/ml, the susceptible strain, DH5α was greatly inhibited compared to other two trains with a maximum OD600 of 0.075± 0.001414 (ANOVA, df = 2, F-ratio = 3874.23, p <0.0001). BB4 reached an OD600 of 0.2403 ± 0.00144 and DH5α (Tetr) reached a maximum OD600 of 0.2363± 0.00072 showing they had the same carrying capacity (Tukey-Kramer, p < 0.53) (Figure 2B). This shows that DH5α (Tetr) would function as a suitable control for BB4 in determining differences in colony formation and changes in minimum inhibitory concentrations.

To determine the effect of conjugation on the tetracycline resistance of an E. coli population, various population sizes of BB4 cells were cultured with susceptible DH5α cells and then grown in tetracycline concentrations ranging from 0 µg/ml to 32 µg/ml (Figure 3).

Across all non-zero tetracycline concentrations, colony density of plates with conjugating cells was higher than those without when the initial Tetr population was between 5% and 20% inclusive (Figure 3). The difference in colony density between the control and conjugation treatments was magnified at high tetracycline concentrations (16 µg/ mL and 32 µg/mL). A 5% conjugating population (BB4) was able to raise the MIC of the population to greater than 32 µg/mL (Figure 3F). As antibiotic concentration, and thus selective pressures, increases, the adaptive

Figure 2. E. coli growth curves A) Growth as measured by OD600 in 0μg/mL tetracycline. All three strains of E.coli exhibit similar growth patterns over 24 hours. ANOVA at the 24 hour time point suggests that genotypic differences among strains shows minimal effect (p <0.2624). B) Growth as measured by OD600 in 8μg/mL tetracycline. Strains BB4 and DH5α (Tetr) display similar growth rates under antibiotic stress (p <0.53) while DH5α shows very little resistance to tetracycline over 24 hours (p < 0.001). DH5α (Tetr) would serve as suitable control strain in colony formation assessment.

value of conjugation increases as well. At all antibiotic concentrations, there was no significant difference between the colony density when the initial conjugating BB4 population was 20% and 100% (Tukey-Kramer, p < 0.80).

ANOVA values displayed in Table 2 shows that the size of the intial Tetr population, antibiotic concentration, and especially the presence of conjugation all have a significant effect individually upon colony density even when variance due to all other variables are not taken into consideration. When analyzing the cross effect of tetracycline concentration by presence of conjugation, it was noted that at every non zero tetracycline concentration, there was a significant difference between the colony density of setups with and without conjugation.

The increase in E. coli survival due to conjugation becomes most apparent when the percent increase in colony density is viewed at each experimental condition (antibiotic and donor percentage interaction) (Figure 4). The impact of BB4’s ability to transfer antibiotic resistance on colony formation was amplified at both high tetracycline concentrations and donor population sizes. General trends show that conjugation has a larger effect on colony density relative to controls at high antibiotic concentrations and donor percentages. The highest increase from control conditions was seen at 32 µg/mL and 20% BB4 population; colony density increased by

425% due to conjugation (Figure 4).

In another representation, the LD50 of the population at each initial resistant Tetr percentage was determined for treatments with and without conjugation. From this, we see that the difference in LD50 concentrations between populations with and without BB4 donors is most noticeable at initial Tetr populations of 5%, 10%, and 20% (Figure 5). Since the LD50 -concentration was calculated without fitting the dose response curve, it cannot be ascertained that the LD50 dosages are indeed representative values. However, given the significance of the difference between the responses of populations with and without conjugation shown previously, the LD50 values are appropriate estimates to represent the difference conjugation exerts on colony density.

Discussion

In this study, it has been shown that bacterial conjugation can greatly raise a population’s antibiotic resistance and is especially effective at improving colony viability in high antibiotic concentrations. The results suggest that bacterial conjugation is an important factor in antibiotic resistance dissemination; consequently, inhibiting conjugation is important target for slowing resistance development.

Previous works have found that lateral gene transfer has given rise to multi-drug resistant pathogens in hospital settings due to the presence of similar resistance genes among four different bacterial species [12]. However, in these works, the mechanism of horizontal gene transfer with the greatest contribution to resistance dissemination was not investigated. Comparisons between the rate of resistance developed through natural and artificial selection and through conjugation are needed.

Figure 3. Colony density with and without conjugation in tetracycline concentrations. A-F) Colony density on plates with and without conjugation in respective antibiotic concentrations as labeled (0 μg/mL – 32 μg/mL). Initial Tetr percentages of 0% and 100% are negative and positive controls. Growth in 0 μg/mL (A) also served as a control for the absence of selective pressure. Growth of the 100% Tetr pops shows that when the entire population is resistant, there is no relative cost or benefit from conjugation (with compared to without) across all antibiotic concentrations. Error bars denote SEM.

Figure 4. Percent increase in colony density due to conjugation. Percent increase was calculated by subtracting the average colony density of control plates at each experimental condition from the respective average density in the conjugating populations and then dividing by the average colony density of the control. Figure legend indicates size of donor BB4 by volume. Initial donor BB4 proportions of 0 % and 100% were not shown since they served as negative and positive controls, respectively.

Figure 5. Effect of conjugation on tetracycline LD50 and increase in colony density. E.coli tetracycline LD50 (μg/ml) with and without conjugation. LD50 concentration for 5-20% initial Tetr population exhibit the greatest effect of conjugation on LD50 concentration. 0% and 100% initial Tetr population serve as negative and positive controls, respectively.

E. coli with a minimum inhibitory concentration greater than 16 µg/ml tetracycline are considered resistant [10]. This project has shown that at a tetracycline concentration of 16 µg/ml and a donor population of 20%, resistant colonies increased by over 100% relative to the control (Figure 4E). This represents a startling rise in resistance due to conjugation since 21% of E. coli strains have been found to contain F-like plasmids capable of transferring itself [7]. It should be noted that at high tetracycline concentrations, there is a low basal colony density. Thus numerical increases in colony density reflect a large percentile increase in density. However, a BB4 population size of 20% does allows the colony density on all plates to come close to that of an entirely resistant starting culture in all tetracycline concentrations tested (Figure 3).

The logistic relationship between BB4 population and resistant colonies is likely due to the logistic nature of bacterial conjugation itself. Since transconjugant cells become donors themselves, the number of resistant bacterial cells increases exponentially due to conjugation and then levels off when all cells have become resistant [13]. Population density is also limited through interactions with the carrying capacity since there is a biological toll associated with producing antibiotic neutralizing compounds. Consistent with inferences based on literature, Figure 3 shows a logistic increase in colony density with respect to donor number. This is notable since it shows that even at low levels, the presence of conjugating bacteria can exert a large influence on the antimicrobial susceptibility of a bacterial population. LD50 assessments also show that populations with conjugating bacteria require a higher tetracycline concentration to reach 50% of their carrying capacity which reflects how conjugation can greatly decrease the potency of antibiotics (Figure 5).

The effect of having a conjugating population was also magnified at high tetracycline concentrations. The density plateaus once initial BB4 proportion reaches 20% since it is logical to assume that enough cells have acquired resistance to be limited by carrying capacity instead of tetracycline concentration. At a BB4 proportion of 20%, percent increase in resistance jumped from a 36% increase to a 190% increase when the antibiotic concentration changed from 8 µg/ml to 16 µg/ml. This may be due to the fact that at low sublethal antibiotic levels, more E. coli cells are able to cope with the stress and evolve resistance over time [14]. The high basal growth rate in low tetracycline concentrations thus diminishes the importance of the resistance gene carried on the plasmid because other genotypes are sufficient for survival albeit at a higher metabolic cost. However, the converse is also true: in the previously bactericidal dosage of 32 µg/ml tetracycline, conjugation enabled resistant E. coli colonies to gain a foothold and increase resistance by 4.25-fold. This suggests that conjugation alone may lead to bacterial infections that cannot be cured with a previously bactericidal dose of antibiotics.

Another factor in the acquisition of antibiotic resistance

is the formation of biofilms. Studies have found that in biofilms can lead to decreased susceptibility through activation of altered metabolic pathways, formation of persister cells, as well as the creation of a physical barrier against foreign compounds [15]. Biofilms require an initial cluster of cells that adhere to a solid surface and secrete biofilm determinants [16]. Conjugation during the planktonic (free floating) phase may play into this phenomenon by spreading resistance genes that allow for the formation of an initial cluster of resistant cells. These cells ultimately divide to form a biofilm colony that even protects susceptible cells from antibiotics. There is also a cyclic nature to this process since Lactococcus lacti biofilms have been observed to promote plasmid pAMβ1 transfer to more than 10,000 times compared to a non-biofilm forming strain [17]. These additional plasmid transfers aids in the creation of a greater number of resistant clusters that could later form biofilms themselves. This would explain how cultures with 5% donor could grow on agar that contained a previously bactericidal antibiotic concentration of 32 µg/ml tetracycline.

Conclusion and Future Work

This study showed that bacterial conjugation between E. coli strains BB4 and DH5α led to higher rates of resistant colony formation especially at tetracycline concentrations at or above the MIC of 32 µg/ml tetracycline. In some cases, resistance can be seen to double or even triple with increasing donor composition. Therefore, bacterial conjugation can be seen as a major mode of antibiotic resistance transmission. In bacterial fauna found outside the laboratory, conjugatory plasmids may also have a bigger role than what was explored in this study since many plasmids and conjugatory transposons have a broad host range and can be transferred between different bacterial species [14]. This can rapidly lead to the development of drug resistance among multiple species of infectious agents.

In this experiment, resistance was represented by colony density at 18 hrs. What can be considered in future works is that individual colonies can vary in size and morphology from plate to plate even though the composition of the initial inoculum was standardized. Larger colonies that may contain more cells were accounted for equivalently as smaller colonies. Future studies may aim to measure growth through wavelength absorbance in liquid cultures where cells are more homogenously suspended or develop methods of uniformly accounting for growth on agar plates.

Although plasmid movement has been noted to be the most common form of horizontal gene transfer, further experimentation can be done to investigate other forms of horizontal gene transfer such as transduction and transformation and their role in antibiotic resistance dissemination [18]. Furthermore, mathematical and experimental models can be developed to determine

differences in conjugation rate in liquid and solid media. Bacterial cultures suspended in liquid media have increased motility and thus increased likelihood to come into contact with recipient cells [8]. Yet in colony formations, neighboring cells are closer in proximity and contact is aided by an extracellular polymeric matrix [16]. What this study ultimately highlights is that bacterial conjugation is a key mechanism in the rapid rate of antibiotic resistance development. Although selective forces cannot be stopped, they can be hindered. Conjugation inhibition, whether through interactions with conjugatory components or the cell membrane [19] should prove to be a promising next step for drug development.

Acknowledgments

I would like to thank Dr. Amy Sheck, for guidance and expertise in all aspects of the experimental process; Dr. Dan Teague for statistical analysis and data interpretation; Ms. Korah Wiley for advice and aid during experimental setup and data collection; Research in Biology colleagues of 2013-2014 and Glaxo fellows for constant encouragement, assistance throughout the research process, and peer review of paper; and Glaxo Endowment for funding and sponsorship of project.

References

[1] Pray, L. 2008. Antibiotic resistance, mutation rates and MRSA. Nature Education 1: 34-36.

[2] Tadesse, D., S. Zhao, E. Tong, S. Ayers, A. Singh, M. Bartholomew, P. McDermott. 2012. Antimicrobial drug resistance in Escherichi coli from humans and food animals, United States, 1950-2002. Emerging Infectious Diseases 18: 741-749.

[3] Fernando B., T. M Coque, and F. de la Cruz. 2011. Ecology and evolution as targets: the need for novel ecoevo drugs and strategies to fight antibiotic resistance. Antimicrobial Agents and Chemotherapy 55: 3649-3660.

[4] Smith, A. and F.E Romesberg. 2007. Combating bacteria and drug resistance by inhibiting mechanisms of persistence and adaption. Nature Chemical Biology 3: 549-556.

[5] Dahlberg, C., M Bergstrom, M Andreasen, B. Christensen, S. Molin, and M Hermansson. 1998. Interspecies bacterial conjugation by plasmids from marine environments visualized by gfp expression. Molecular Biology and Evolution 15: 385-390.

[6] Llosa, M., Gomis-Ruth, F.X., Coll, M., and De La Cruz, F. 2002. Bacterial conjugation: a two-step mechanism for DNA transport. Molecular Microbiology 45: 1–8.

[7] Boyd, E., C. Hill, S. Rich, and D. Hartl. 1996. Mosaic structure of plasmids from natural populations of Escherichi coli. Genetics 3: 1091 -1100.

[8] del Campo I., R. Ruiz, A. Cuevas, C. Revilla, L. Vielva, and F. de la Cruz. 2012. Determination of conjugation rates on solid surfaces. Plasmid 67: 174-182.

[9] Chung, C.T, S.L. Miemela, and R. H. Miller. 1989. One-step preparation of competent Escherichia coli: transformation and storage of bacterial cells in the same solution. Proceedings of the National Academy of Sciences 86: 2172-2175.

[10] Wikler M., F. Cockerill, W. Craig, M.N. Dudley, G. Eliopoulos, D.W. Hecht, J.F. Hindler, D. Low, D. Sheehan, F. Tenover, J. Turnidge, M. Weinstein, B. Zimmer. M.J. Ferraro, and J.M. Swenson. 2006. Performance standards for antimicrobial susceptibility testing seventeenth informational supplement. Clinical and Laboratory Standards Institute 26: 1-49.

[11] Andrews, J. M. 2001. Determination of minimum inhibitory concentrations. Journal of Antimicrobial Chemotherapy 48: 5-16.

[12] Naiemi N. A., B. Duim,P. Savelkoul, L. Spanjaard, E. Jonge, A.Bart, C, Vandenbroucke-Grauls, and M. de Jong. 2005. Widespread transfer of resistance genes between bacterial species in an intensive care unit: implications for hospital epidemiology. Journal of Clinical Microbiology 43: 4862-4864.

[13] Gehring, R., P. Schumm, M. Youssef, and C. Scoglio. 2010. A network-based approach for resistance transmission in bacterial populations. Journal of Theoretical Biology 262: 97-106.

[14] Dzidic, S., and V. Bedekovic. 2003. Horizontal gene transfer-emerging multidrug resistance in hospital bacteria. Acta Pharmocologica Sinica 6: 519-526.

[15] Anderson, G.G., and G.A. O’Toole. 2008. Innate and induced resistance mechanisms of bacterial biofilms. Current Topics in Microbiology and Immunology 322: 85-105.

[16] Beloin, C., A. Roux, and J-M. Ghigo. 2008. Escherichia coli biofilms. Current Topics in Microbiology and Immunology 322: 249-289.

[17] Luo, H., K. Wan, and HH. Wang. 2005. Highfrequency conjugation system facilitates biofilm formation and pAMβ1 transmission by Lactococcus lactis. Applied and Environmental Microbiology 71: 2970-2978.

[18] Ochman, H., J.G. Lawrence, and E. A. Groisman. 2000. Lateral gene transfer and the nature of bacterial innovation. Nature 405: 299-304.

[19] Baquero, F., T.M. Coque, and F. de la Cruz. 2011. Ecology and evolution as targets: the need for novel ecoevo drugs and strategies to fight antibiotic resistance. Antimicrobial Agents and Chemotherapy 55: 3649-3660.

*Agilent Technologies. 2013. Escherichia coli host strains. http://www.chem-agilent.com/pdf/strata/200256.pdf. Accessed: 9/24/13

**Invitrogen. 2013. DH5alpha Genotype. http://www. lifetechnologies.com/us/en/home/life-science/cloning/ competent-cells-for-transformation/chemicallycompetent/dh5alpha-genotypes.html. Accessed: 9/22/13

Atherosclerosis-Inducing Cytotoxin 7-Ketocholesterol Is Mitigated by

Exposure to 70-Kilodalton Heat Shock Protein in THP-1 Human Monocyte Cells

ABSTRACT

The 70-kilodalton heat shock protein (HSP70) is a cytoprotective protein produced at an elevated concentration in individuals afflicted with atherosclerosis and has been linked to reduced risk of coronary artery disease. In contrast, 7-ketocholesterol (7KC) and other oxysterols have been implicated in accelerating the onset of atherosclerosis by inducing apoptosis in foam cells. As such, the goals of this study were to determine 1) whether HSP70 ameliorates the cytotoxic effects of 7KC on THP-1 human monocyte cells; 2) what dose of HSP70 maximizes cell viability; 3) whether incubation of cells in HSP70 before exposure to 7KC (“before” treatment) improves viability relative to simultaneous application of HSP70 with 7KC (“with” treatment). Cells were exposed to varying concentrations of HSP70 and 7KC and assayed for viability using a Trypan blue stain. Data indicate that the optimal concentration of HSP70 occurs at 0.8 μg/ml. The “before” treatment was not significantly better than the “with” treatment in the presence of 7KC; however, in the absence of 7KC, the “before” treatment improved cell viability. These results show that HSP70 opens a possible avenue of pursuit towards atherosclerosis therapy aimed specifically towards limiting the cytotoxic effect of 7KC.

Introduction

Atherosclerosis is a cardiovascular disease characterized by the thickening of the arterial walls caused by cholesterol accumulation. Coronary heart disease, a form of atherosclerosis that occurs in the coronary arteries, is currently the leading cause of death among both men and women in the United States [1]. In 2008, nearly a quarter (23%) of global deaths resulted from heart attacks and strokes, both of which are strongly associated with atherosclerosis [2].

Oxysterols are oxidized derivatives of cholesterol that play a major role in a wide range of biological processes, including the formation of bile acids and cholesterol metabolism [3]. Although oxysterols naturally occur in extremely low levels compared to other sterols [4], they are known to have a profound impact on the regulation of cholesterol homeostasis, which they control by acting as ligands to enzyme receptors [5]. As a result, certain oxysterols are crucial for proper functioning of many of the body’s natural processes. Other oxysterols, however, can be detrimental to proper cellular function and have been implicated for their role in atherosclerosis. One of these damaging oxysterols is 7KC, a widely studied oxysterol due to its relative abundance in atherosclerotic plaques that cause chronic inflammation and can lead to blockage of the arteries. In the bloodstream, sterols and oxysterols often occur inside of low density lipoproteins (LDLs), which cause inflammation signals to be sent out from the artery walls. These signals attract monocytes that enter the vascular wall and differentiate into macrophages. The resulting macrophage cells then engulf the LDLs through receptor-mediated endocytosis. This process allows the LDLs and the oxysterols (including

7KC) within them to travel through the cytosol into the lysosomes, where they accumulate over time. Normally, the lysosome simply converts the cholesterol into cholesteryl esters and transports them back out into the cytosol, resulting in the formation of harmless lipid-laden macrophages called foam cells (Figure 1).

When high levels of 7KC are present in LDLs, the oxysterol stimulates atherosclerosis by acting as a cytotoxin. Firstly, 7KC promotes an accelerated accumulation of cholesterol [6]. In this case, the lysosome becomes overwhelmed by the high cholesterol traffic, so free cholesterol becomes trapped within the organelle. Furthermore, as more and more free cholesterol enters the lysosome, the organelle begins to de-acidify [7], thus reducing its ability to process the lipid. These lipid-dense macrophages, or foam cells, now begin to accumulate in a single location within the artery, forming a lipid-rich layer as they degrade; this contributes to the necrotic core (mass of dead cells) of the plaque that is characteristic of atherosclerosis [8]. Additionally, 7KC is also known to promote the differentiation of monocytes into macrophages and cause lysosomal membrane permeabilization, exacerbating the formation of the necrotic core.

These cytotoxic effects of 7KC could be mitigated by the introduction of heat shock proteins (HSPs). HSPs are a class of highly conserved, ubiquitous proteins that function as chaperones to prevent protein misfolding. At appropriate levels, HSPs serve a variety of important functions within the arterial walls. Although HSP65 has been proven capable of decreasing the sizes of atherosclerotic lesions in mice via mucosal administration [9], to my knowledge, no other HSP has been tested as an atherosclerosis treatment. Among the remaining proteins,

HSP70 is the most likely to improve cell viability in the presence of oxysterols if delivered as a drug. HSP70 is a cytoprotective protein that is produced at an elevated concentration when an individual is afflicted with atherosclerosis [10]. Data also suggest that an elevated level of HSP70 prior to the presence of 7KC may also limit the risk of atherogenesis, as high levels of HSP70 were found in patients with low risk of coronary artery disease [11]. In the case of oxysterols, HSP70 expression is induced in the presence of intact oxidized LDLs (oxLDLs), into which oxysterols are typically packaged, but not the oxysterols themselves [12]. As a result, when the oxLDL surrounding the oxysterol is degraded, such as in parts of atherosclerotic lesions, the HSP70 response is no longer triggered, thus allowing a greater cytotoxic effect. The rescue mechanism could potentially be artificially induced by the introduction of HSP70 molecules; however, such a treatment may be a proverbial double edged sword, as HSP70 may also induce an inflammatory response, which contributes to lesion formation [13].

Figure 1. The effect of 7KC on the onset of atherosclerosis. While normal cellular function persists with basal levels of 7KC, high levels of 7KC result in cholesterol accumulation, lysosomal deacidification, lysosomal membrane permeabilization, and increased monocyte differentiation. These factors ultimately lead to mass foam cell formation and apoptosis, allowing

for the formation of the necrotic core of the lipid-rich plaque characteristic of atherosclerosis.

As such, the goals of this study were to identify whether HSP70 is capable of improving the viability of THP1 human monocyte cells exposed to the oxysterol 7KC when added before and with the oxysterol, and what optimal dosage of HSP70 minimizes cell mortality.

Materials and Methods

Cell culture

THP-1 monocyte cells were obtained through a generous donation by the Mackman Lab at the University of North Carolina School of Medicine. Cells were cultured in a CO¬¬2 incubator at 37°C, 5% CO¬2 in RPMI-1640 media (Gibco) supplemented with 10% FBS (Thermo Scientific), 1 mM sodium pyruvate (Sigma), 1 mM HEPES (Sigma), 1% glucose (Sigma), and 1% penicillin/ streptomycin (Sigma), as recommended by the source lab. During maintenance of the cell line, cells were split every 3-4 days. HSP70 (MyBioSource) and 7KC (Sigma) were added to media as needed for each desired treatment level. Each independent treatment replicate was placed into an individual well on a standard 12-well tissue culture plate. The location of each plate within the incubator was randomized each day using a random number generator.

Determination of THP-1 viability in response to treatment

To determine the optimal dosage of HSP70 to maximize cytoprotective effects against 7KC, THP-1 cells were exposed to either 0 µg/ml or 6 µg/ml of 7KC dissolved in 95% non-denatured ethanol. The 7KC dose concentration was selected through a combination of the results from Mathieu et al. [6], which suggested a concentration between 4 µg/ml and 10 µg/ml to produce detectable results, and from a preliminary experiment to determine the concentration within that range that reached LD50 at approximately 72 hours (73.06 ± 4.21 hours). Further preliminary experiments verified that the concentrations of ethanol added to the media had no detectable impact on cell viability (2.71% decrease at 96 hours, p > 0.05). Each treatment was also exposed to 0 µg/ml, 0.4 µg/ml, 0.8 µg/ml, 1.2 µg/ml, or 1.6 µg/ ml of HSP70. These treatment levels were based upon the concentration of HSP65 administered to decrease atherosclerotic lesion size in mice [9]. In order to distinguish the effects of adding HSP70 before or with the 7KC, the “before” treatments were incubated with their respective concentrations of HSP70 and media for 24 hours prior to the initial data collection point (at which

point 7KC was also added) while “with” treatments were incubated in media only. To minimize the effects of natural discrepancies between cells split into independent flasks during culture, all cells utilized in the experiment were pooled prior to distribution into individual treatments.

Data was collected by sampling 20 µl of cells from each well at 24 hour intervals over a period of 96 hours. Cells were stained using 0.4% Trypan Blue dye, which allows for dead cells to appear dark blue while live cells remain clear, then counted on a hemocytometer to determine the cell viability. The entire experiment was repeated 3 times, with 6 replicates in the first trial and 4 in both of the following. The first two trials were performed on cells obtained from the same set of 3 tubes of frozen stock after 9 and 11 passages, respectively, whereas the third was performed on cells from a second set of 3 tubes after 6 passages. All frozen cells were obtained from the same lab.

Statistical analyses

Data were analyzed using JMP v.10.0.0 software (SAS Institute, Inc., 2012) and Microsoft Excel. Comparisons between treatments were performed on logarithmically transformed data using an ANOVA followed by the Tukey HSD test for preliminary data and all treatment variables investigated in the study (HSP70 timing, 7KC, and HSP70 concentration). The logarithmic transformation was performed to provide a normal error distribution, which is inherently assumed in statistical analyses utilized in this paper. Response to treatment was expressed in terms of the negative log of percent mortality, which serves as an indication of cell viability. Quantitative comparisons between treatments are expressed in terms of percent change relative to the control in transformed data (percent change calculated after transformation). In all cases, a p-value < 0.05 was set for statistical significance.

Results

70-kilodalton heat shock protein timing

In the absence of 7KC, the “before” treatment resulted in higher viability than the “with” treatment at 0 hours (7.29%, p < 0.05), 24 hours (13.22%, p < 0.01), and 96 hours (32.47%, p < 0.001) (Figure 2). However, no difference was detected with the presence of 7KC between the “before” and “with” treatment. Thus, “before” and “with” treatments were grouped collectively for all further analyses.

7-ketocholesterol

By 24 hours after incubation, 7KC acted as a potent cytotoxin at 6 µg/ml in the absence of HSP70, decreasing cell viability by 27.24% (p = 0.0023) compared to the

control (Figure 3A); this confirms the results of Mathieu et al. [6]. Across all concentrations of HSP70, viability was significantly reduced by 24 hours except at the 0.8 µg/ ml dose, at which no significant difference was detected in viability between the presence and absence of 7KC until 48 hours (Figure 3B). By 48 hours, differences are detected with regards to 7KC treatment across all HSP70 treatments throughout the remainder of the experiment (Figure 3).

Figure 2. Viability by HSP70 dose timing (before or with 7KC) over time. Data represents the collective analysis of all 7KC and HSP70 treatment levels. No significance was detected in the 6 μg/ml 7KC treatment. * indicates significant differences between treatments at each respective time point (p < 0.05); ** indicates p < 0.01; *** indicates p < 0.001. Error bars denote 1 SEM .

70-kilodalton heat shock protein concentration

Prior to 72 hours, no differences were detected between any of the HSP70 treatments. At 96 hours, in all samples exposed to 7KC, cells exhibited significantly lower viability than the control regardless of HSP70 treatment level. The 0 µg/ml and the 0.8 µg/ml treatments appear to optimize cell viability. However, while 0 µg/ml treatment was not different from the next best concentration, the 0.8 µg/ml treatment had 93.85% higher viability (Figure 4). No differences were detected in the absence of 7KC.

Discussion

Viability in the absence of 7KC was improved by the “before” treatment; viability in the presence of 7KC was not. As such, HSP70 may be intrinsically cytoprotective as the only difference between “before” and “with” treatments was 24 hours in HSP70-treated media. Since no significant difference was detected in HSP70 concentration at 0 µg/ ml 7KC, any inherent cytoprotective properties may be more affected by exposure duration than dosage strength. At all concentrations but 0.8 µg/ml HSP70, a significant difference was detected between presence and

Figure 3. Viability by 7KC treatment over time. THP1 cells were exposed to either 0 μg/ml or 6 μg/ml 7KC over a span of 96 hours. Data represents both “before” treatment and “with” treatment. Figure summarizes data for cells exposed to 0 μg/ml (A) or 0.8 μg/ml (B) HSP70; cells exposed to all other HSP70 concentrations behaved similarly to the 0 μg/ml treatment. * indicates significant differences from the control (no 7KC) at each time point (p < 0.05); ** indicates p < 0.01; *** indicates p < 0.001. Error bars denote 1 SEM .

absence of 7KC by 24 hours. As such, the data strongly suggest that the 0.8 µg/ml concentration optimizes cytoprotective effects, possibly totally negating the toxic effect of 7KC at 24 hours.

In the presence of 7KC, both the 0 µg/ml and 0.8 µg/ ml HSP70 treatments optimized viability. This surprising since the viability at the intermediate treatment level, 0.4 µg/ml, was significantly lower than that of both the 0 µg/ ml and 0.8 µg/ml. Typically, it is expected that the dose response data will have a single peak at the optimal dosage if the optimal dose occurs within the range of treatments utilized. However, since this anomalous trend did not persist in the third trial, the behavior may have been an artifact of the cell stock used in the first two trials.

The strange phenomena occurring at the 0 µg/ml and 0.4 µg/ml HSP70 are particularly because the population as a whole on average naturally fluctuates between these

Figure 4. Viability by HSP70 treatment level over time. THP-1 cells were exposed to varying levels of HSP70 over a span of 96 hours. Data represents both the “before” and the “with” treatment. No significance was detected in the negative control (0 μg/ml 7KC). Levels not connected by the same letter are significantly different (p < 0.05). The absence of letters indicates no significant differences. Error bars denote 1 SEM .

two levels of HSP70 [14]. As such, if the anomalous behavior at the 0 µg/ml and 0.4 µg/ml concentrations are truly merely an anomaly, this study could provide an explanation as to why higher levels of HSP70 are linked to a less rapid onset of atherosclerosis [10]. However, regardless of the behavior of the data between 0 µg/ml and 0.4 µg/ml HSP70, 0.8 µg/ml HSP70 appears to optimal viability after analysis of both 7KC and HSP70 concentration.

Conclusion

Oxysterols, specifically 7KC, have been implicated in accelerating the formation of atherosclerotic plaque. They do so by accelerating the rates of cholesterol endocytosis by macrophage cells (leading to lysosome deacidification), increasing lysosomal membrane permeabilization, and promoting monocyte differentiation [8]. While there currently are existing treatments for atherosclerosis, there are very few drugs presently in existence that specifically target 7KC and other oxysterols, despite their profound impact on atherogenesis.

This study proposes the theory that the introduction of nonendogenous HSPs may mitigate the harmful effects of 7KC. Previous studies have linked high levels of HSP70 to reduced rates of coronary artery disease [11] and have shown that HSP70 is present in higher levels as a cytoprotectant in patients with atherosclerosis [10]. While another related heat shock protein, HSP65, has been shown to reduce the size of lesions in mice [9], no studies until now have been conducted to link HSP70 to

cytoprotective effects against 7KC or any other oxysterol.

The first two goals of this study were to determine whether HSP70 may be used as a cytoprotective agent to mitigate the deleterious effects of 7KC on THP-1 cells and what dose of HSP70 optimizes these cytoprotective effects. At 24 hours, the data strongly suggests that the 0.8 µg/ml concentration is able to improve the viability of cells exposed to 7KC; its effects were profound enough to mask any cytotoxic effects of the 7KC treatment. However, beyond 24 hours, no dosage of HSP70 was capable of improving cell viability to the same extent. Furthermore, consistently throughout all 3 trials, the highest viability in cells exposed to 7KC occurred at 0.8 µg/ml HSP70. Both of these observations indicate that 0.8 µg/ml is most likely the optimal dosage of HSP70 to maximize viability against 7KC.

The third goal of this study was to determine whether the timing of the HSP70 dosage results in any additional increased viability as compared to cells exposed to both substances simultaneously. The purpose of incorporating this element into the study was to determine whether HSP70 has any preventative capacities against the cytotoxic effects of 7KC. While it could not be concluded that HSP70 has any detectable effect on viability in the presence of 7KC, the data do indicate that the extra 24 hours of incubation in HSP70 improves viability in cells in the absence of 7KC. This could indicate inherent beneficial effects of prolonged exposure to HSP70 even in the absence of stressors.

However, several key questions have yet to be answered. Firstly, it is unclear based on the results of this study whether the unexpected behavior of monocyte viability between 0 µg/ml and 0.4 µg/ml during trials involving the first cell stock was real or merely a result of unforeseen and unexplained experimental error. Furthermore, since, as stated previously, human HSP70 levels naturally fluctuate between these two concentrations, it may be interesting to characterize the viability of monocytes exposed to 7KC and treated with varying dosages of HSP70 within this range. Such an experiment, if performed on multiple cell stocks, would also confirm whether the surprising behavior observed in the first two trials truly was an anomaly.

Most importantly, it remains to be determined why HSP70 has any impact on the viability of cells exposed to 7KC. As of now, there is little insight as to why heat shock proteins are linked to reduced symptoms of atherosclerosis and other vascular diseases; this study was among the first to link heat shock protein to any specific step in the atherogenesis process. Despite the data that link certain dosages of HSP70 to reduced cell mortality, this experiment has not been able to elucidate the specific mechanism by which HSP70 acts as a cytoprotectant. For instance, since no assay was performed in this study

to determine the location of the heat shock protein relative to the cell, it is unknown whether the HSP70 physically entered the cell or activated a cytoprotective pathway through interactions with surface proteins. It is quite possible that the latter occurs, as it was shown by Johnson et al. [15] that in macaques, HSP72 and HSP73 (members of the HSP70 family) improve the viability of heat-stressed aortic cells without internalization (entering the cell), but further experimentation is necessary to substantiate this claim. This particular aspect at least could be determined in future experimentation through the use of fluorescently tagged HSP70. However, the eventual characterization of the entire pathway will be necessary before any pharmaceutical applications of HSP70 are possible to determine whether and how essential cellular functions are affected.

The argument could be made that the increased viability response is not uniquely tailored towards damage induced by 7KC, but rather that HSP70 merely generally improves viability, which counterbalances the deleterious effects of the cytotoxin. However, this is unlikely to be the case. In 1990, it was verified that HSP70 improves the integrity of the lysosomal membrane [15]; since this directly counteracts one of the major cytotoxic effects of oxysterols (increased lysosomal permeabilization), the heat shock protein is most likely specifically cytoprotective against 7KC and other oxysterols. However, to validate this conjecture, as well as to identify the other positive tendencies of the HSP70, it will be necessary to characterize the specific pathways involved.

In spite of certain questions that remain to be addressed, the conclusions of this study show that HSP70 opens a potential avenue of pursuit for future atherosclerosis treatment targeted specifically at mitigating the effects of oxysterols.

Acknowledgments

I would like to thank Dr. Amy Sheck, Ph.D. for her mentorship and guidance throughout the research process; Dr. Floyd Bullard, Ph.D. for his expertise and guidance with statistical analysis; Ms. Korah Wiley for her advice and guidance during data collection; Research in Biology colleagues and Glaxo fellows (Jackson Allen, Jovan Baslious, Madden Brewster, Joseph Kirollos, Hannah McShea, and Jennifer Wu) for their support, assistance with miscellaneous tasks during data collection, and peer review of all materials; Research in Biology seniors (William Ge, Jordan Harrison, Chelsey Lin, Ian Maynor, and Elizabeth Tsui) for their guidance and advice; William Ge for his aid with revision during literature search; Dr. A. Phillip Owens III, Ph.D. for his generous donation of THP-1 cells and advice on cell

culture; Dr. Nigel Mackman for his generous donation of THP-1 cells; the Glaxo Endowment for financial support for the Research in Biology program.

References

[1] Kochanek, K.D., J. Xu, S.L. Murphy, A.D. Miniño, and H. Kung. 2011. Deaths: final data for 2009. National Vital Statistics Report. 60: 1-116.

[2] Mathieu, J., J. Schloendorn, B.E. Rittmann, and P.J.J. Alvarez. 2008. Microbial degradation of 7-ketocholesterol. Biodegradation. 9: 807-813.

[3] World Health Organization. 2011. Global status report on noncommunicable diseases 2010. Vascular Biology. 23: 1055-1059.

[4] Bjorkhem, I. 2002. Do oxysterols control cholesterol homeostasis? The Journal of Clinical Investigation. 110: 725-730.

[5] Schroepfer, G.J. 2000. Oxysterols: Modulators of cholesterol metabolism and other processes. Physiological Reviews. 80: 361-554.

[6] Mathieu, J.M., F. Wang, L. Segatori, and P.J. Alvarez. 2012. Increased resistance to oxysterol cytotoxicity in fibroblasts transfected with a lysosomally targeted Chromobacterium oxidase. Biotechnology and Bioengineering. 109: 2409-2415.

[7] Cox, B.E., E.E. Griffin, J.C. Ullery, and W.G. Jerome. 2007. Effects of cellular cholesterol loading on macrophage foam cell lysosome acidification. The Journal of Lipid Research. 48: 1012-1021.

[8] de Grey, A.D.N.J., P.J.J. Alvarez, R.O. Brady, A.M. Cuervo, W.G. Jerome, P.L. McCarty, R.A. Nixon, B.E. Rittmann, and J.R. Sparrow. 2005. Medical bioremediation: Prospects for the application of microbial catabolic diversity to aging and several major age-related diseases. Aging Research Reviews. 4: 315-338.

[9] Maron, R., G. Sukhova, A. Faria, E. Hoffmann, F. Mach, P. Libby, and H.L. Weiner. 2002. Mucosal administration of heat shock protein-65 decreases atherosclerosis and inflammation in aortic arch of low-density lipoprotein receptor-deficient mice. Circulation. 106: 1708-1715.

[10] Pockley, A.G., A. Georgiades, T. Thulin, U. de Faire, J. Frostegård. 2003. Serum heat shock protein 70 levels predict the development of atherosclerosis in subjects with established hypertension. Hypertension. 42: 235-238.

[11] Zhu, J., A.A. Quyyumi, H. Wu, G. Csako, D. Rott, A. Zalles-Ganley, J. Ogunmakinwa, J. Halcox, and S.E. Epstein. 2003. Increased serum levels of heat shock protein 70 are associated with low risk of coronary artery disease. Arteriosclerosis, Thrombosis, and Vascular Biology. 23: 1055-1059.

[12] Pirillo, A., W. Zhu, P. Roma, G. Galli, D. Caruso, F. Pellegatta, and A. Catapano. 1999. Oxysterols from

oxidized LDL are cytotoxic but fail to induce hsp70 expression in endothelial cells. FEBES Letters. 462: 113116.

[13] Kilic, A. and K. Mandal. 2012. Heat shock proteins: pathogenic role in atherosclerosis and potential therapeutic implications. Autoimmune Diseases. 2012: 9 pages. doi: 10.1155/2012/502813.

[14] Rea, I.M., S. McNerlan, and A.G. Pockley. 2001. Serum heat shock protein and anti-heat shock protein antibody levels in aging. Experimental Gerontology. 36: 341-352.

[15] Johnson, A.D., P.A. Berberian, and M.G. Bond. 1990. Effect of heat shock proteins on the survival of isolated aortic cells from normal and atherosclerotic cynomolgus macaques. Atherosclerosis. 84: 111-119.

Design and Synthesis of a Novel Thiolate Histone Deacetylase Inhibitor

ABSTRACT

Histone deacetylase inhibitors are a class of chemotherapeutic epigenetic drugs that have recently been found to be quite effective in the treatment of a number of late stage carcinomas. The inhibitors interfere with gene expression by chelating the zinc ion found in class I histone deacetylases, which causes apoptosis in cancer cells. However, current commercial inhibitors suffer from either limited selectivity causing a host of side effects, or structural complexity which poses a significant synthetic challenge. Here, a novel thiolate histone deacetylase inhibitor with a small aromatic surface recognition region and an aliphatic linker is reported. This molecule was designed using the MolDock virtual docking method, and is anticipated to display significantly greater selectivity than current hydroxamic acid inhibitors by combining the thiolate chelating agent characteristic of depsipeptide inhibitors with a structurally simple linker and capping group. After design and modeling, this compound was synthesized with a simple three-step synthesis, verified by FT-IR and NMR, making production very simple when compared to current selective cyclic depsipeptide inhibitors. This compound shows significant promise as a novel histone deacetylase inhibitor for the treatment of cancer.

1 Introduction

Histone deacetylase inhibitors are a class of drugs which have been used for many years to treat a number of disorders, including mood disorders and epilepsy. These inhibitors have only recently come into use as cancer treatments; although research into this application began in the midnineties, the FDA did not approve the first drug, vorinostat, until 2006 [1]. Currently only two histone deacetylase inhibitors are approved for cancer treatment, although many more are in development. This class of drugs is very promising due to its favorable cytotoxicity profile along with its high selectivity and potency [2]. However the most potent inhibitors feature complex structural components which make synthesis a challenge. In this project a novel inhibitor with high predicted selectivity and simple synthesis is proposed.

Histone deacetylase (HDAC) is an enzyme which removes acetyl groups from histones. Histones are a class of proteins upon which DNA is coiled and are a major component of chromatin. The removal of acetyl groups allows for tighter packing of the DNA on the histone proteins, and as a result limits gene expression due to the physical inaccessibility of the genetic material. This function is opposite of that which is completed by the histone acetyltransferase enzyme, which acetylates certain histones and therefore promotes gene expression. Eighteen HDACs have been identified in humans, and they are divided into three classes based on structure. Class I and class II HDACs contain a metallic ion cofactor in their active site, Zn2+ [3]. While other HDACs do play important roles in the body, class I is of primary concern for cancer treatment [4]. This is because class I HDACs are found almost exclusively in the nucleus and have the most effect on gene

expression, while class II inhibitors are believed to have tissue specific functions [5]. Thus selectivity for this class is a valuable trait in inhibitors, as it prevents unwanted side effects and yields better performance.

Histone deacetylase inhibitors (HDACi) offer epigenetic treatment and act as antagonists, binding to the HDAC and preventing it from fulfilling its purpose. This is desirable because overexpression of HDACs is reported in a number of cancers, and inhibition can lead directly to apoptosis [5]. Structurally, HDACis consist of 3 parts: the chelating agent, the linker, and the capping group (Figure 1).

The chelating group has the largest effect on HDACi efficacy because it coordinates with the Zn2+ in the HDAC, thus preventing it from catalyzing deacetylation [6]. The linker length can have a significant impact on efficacy of a HDACi because it effects the ability of the chelating agent to reach the zinc ion. However, this length is easily adjustable and can be optimized simply. The capping group, which acts as a surface recognition section for the enzyme, is perhaps one of the most important parts of an inhibitor, as it has a large effect on the selectivity and activity of an inhibitor. HDACis are divided into categories based on the properties of their capping groups and chelating agents.

1.1 Hydroxamic Acid Inhibitors

The most studied class of HDACis is the hydroxamic acids. These inhibitors contain a hydroxamic acid as a chelating agent, which forms a very stable 5 membered ring with the zinc ion [3]. One such inhibitor is suberoylanilide hydroxamic acid (SAHA), also known as vorinostat, which is now on the market under the name Zolinza for late stage cancer treatment [1,7]. Studies have even shown that SAHA may be effective for the treatment of Huntington’s disease, hinting at possible other applications for deacetylase inhibitors [8]. Hydroxamic acid inhibitors tend to have small, hydrophobic, and usually aromatic surface recognition groups, which are simple synthetically due to the easy availability of precursors. In figure 2, note these similarities across 3 common hydroxamic acid inhibitors [9]. This hydrophobicity is very important to activity, as it increases binding affinity by creating favorable interactions with the amino acid residues around the active site, and in fact nearly all HDACis have a hydrophobic surface recognition areas. Despite these favorable stuctural characteristics, hydroxamic acid inhibitors do feature a notable downside when compared to other inhibitor classes. These inhibitors do not show the high level of selectivity seen in other inhibitors, and therefore have less favorable cytotoxicity profiles. This manifests itself in uncomfortable side effects for the patients, as evidenced by clinical trials of vorinostat, in which some patients experienced pain, anorexia, fatigue, nausea, and vomiting [4].

1.2 Depsipeptide/Thiolate Inhibitors

Another class of HDACi is the depsipeptide class. These inhibitors contain large cyclic depsipeptide capping groups and feature a thiol chelating agent. One inhibitor of this class, romidepsin (FK228), is one of only two HDACis to be approved by the FDA for cancer treatment. Romidepsin, like many depsipeptide inhibitors acts as a prodrug, with a disulfide bond that is reduced within the

body to form the active thiol [10]. Another naturally derived depsipeptide inhibitor is largazole, a compound that is still in preliminary stages but may one day be approved for cancer treatment. Largazole contains a thioester which is transformed within the body to form the thiol active metabolite. Largazole and romidepsin actually are very structurally similar, with identical chelating agents and linkers, along with very similar macrocycles [11].

In general, the depsipeptide inhibitors yield higher activity and selectivity than hydroxamic acid inhibitors [9]. However, depsipeptide inhibitors have large macrocycles which are challenging synthetically. For example, largazole has a 17 carbon macrocycle which contains two five membered heterocycles as well as a number of substituents. This creates a synthesis which consists of many steps and has a relatively low yield overall. When considering commercial production, this complexity could make such a drug prohibitively expensive, especially when compared to the structurally simple hydroxamic acid inhibitors.

1.3 Project Goals

The purpose of this project is to create a synthetically and structurally simple yet highly effective histone deacetylase inhibitor for use in cancer treatment. This can be accomplished by combining desirable traits from multiple classes of inhibitor, in particular by combining the thiolate chelating agent with the simple aromatic capping regions from hydroxamic acid inhibitors. Surprisingly, work in this area has been relatively limited. While a few attempts at thiolate analogues of SAHA have been made, few entirely engineered HDACis have been synthesized [12,13]. Therefore the goal is to create a structurally simple, easy to synthesize product that should be highly effective as an inhibitor, and in particular yields greater selectivity than current hydroxamic acid inhibitors. The design of this molecule can be carried out using computational models of protein-ligand binding to accurately predict most optimal structures.

2 Materials and Methods

2.1

Computational Modeling and Structural Determination

To determine an ideal molecular structure for a novel inhibitor, computational methods were utilized. Molegro Virtual Docker software was used to model the interactions between large number of potential structures and histone deacetylase proteins, as well as modeling several known HDACis as reference ligands. Molegro Virtual Docker uses the MolDock molecular docking method, which utilizes a heuristic method and an evolutionary algorithm. This particular docking method has been shown to yield significantly higher accuracy than other molecular docking methods, and allowed for easy relative comparison of many ligands, which was a valuable trait for these tests [14]. Additionally, MolDock supports metal cofactors, which is especially important for class I HDACs which contain zinc dependent binding sites.

The crystal structure of HDAC8, determined by X-ray crystallography, was obtained from the worldwide Protein Data Bank [15]. This structure was imported into the Virtual Docker, and then an analysis of electrostatic forces was used to detect cavities which could be likely binding sites. The proper cavity was selected manually based on the location of the zinc ion, and ligands were subsequently docked with this cavity. In total, eight ligands were docked on the protein, 6 of which were novel structures, along with two reference molecules, trichostatin A (TSA) and suberoylanilide hydroxamic acid (SAHA), both visible in figure 2. Each of these novel compounds featured a similar surface recognition domain, derivative of the structure found in TSA. However, the tertiary amine was modified to a primary amine for the sake of synthetic simplicity. This surface recognition structure was decided upon due to the relatively high performance of TSA when compared to other hydroxamic acid inhibitors [16]. In these six novel ligand structures, changes were made to the linker domain, including esterification and varying aliphatic chain length. Figure 4 shows some of the capabilities of this software, including the graphical interface and output. The software was also instructed to calculate relative binding affinities

of the top 5 poses for each ligand These poses were then viewed for structural accuracy, and then compared to yield the structure with most ideal inhibition properties. Results from this modeling can be seen in table 1.

2.2 Novel Thiolate Synthesis

Based on binding affinity results from the computational modeling described above, the molecule visible in figure 5 was settled upon. Structurally, it consists of two identical molecules joined by a disulfide bond. The starting materials for this synthesis were 4-nitrobenzoyl chloride and 6mercapto-1-hexanol, as seen in figure 6.

The first synthetic step was the esterification reaction between the acid chloride and the alcohol. This procedure was adapted frvom Hubbard and Brittain [17, 18]. 7.45x10−4 moles of both 4nitrobenzoyl chloride and 6-mercapto-1-hexanol were combined in 10 mL dichloromethane with triethylamine catalyst. This reaction mixture was stirred for three and a half hours in an ice bath at 0◦C under an argon atmosphere. The reaction was monitored via thin layer chromatography using a 2:3 ratio of hexane to ethyl acetate as the eluent, and then visualized using UV light. The product mixture was washed three times with a brine solution, then dried over sodium sulfate. This sample was purified using column chromatography with silica gel 60 and a solvent mixture consisting of 3:1 hexane and ethyl acetate. After purification, the sample yielded one spot on TLC and was deemed to be relatively pure. The solvent was extracted from the column fractions using rotary evaporation, and produced an oily yellow solid. An attenuated total reflectance (ATR) attachment on a Fourier transform infrared spectrophotometer (FT-IR) was used to verify structure. Strong absorbance at 2928 cm−1

was indicative of an aliphatic CH stretch, and the carbonyl peak at 1720 cm−1 was indicative of the successful addition of the acid chloride. Strong absorbance at 1350 cm−1 was also indicative of the nitro group, which provides additional evidence for a successful synthesis.

The next step in this synthetic plan was the reduction of the nitro group to an amine. This reduction was accomplished using stannous chloride dihydrate as described by Bellamy [18,19]. The purified product from the previous reaction was combined in a 1:5 molar ratio with SnCl2·2H2O in ethyl acetate. This reaction mixture was then heated to 70◦C and stirred for one hour. The majority of SnCl2·2H2O was removed using gravity filtration, and the remaining reaction mixture was washed with brine and then dried over sodium sulfate. TLC showed the sample to be relatively pure, and thus no further purification was necessary. Solvent was evaporated using a rotary evaporator, and the sample was then massed to calculate yield. IR spectroscopy was once again used for structural verification, and there was clear indication of a primary amine with absorbance at 3364 cm−1. This reaction yields the product seen in figure 8.

The final reaction involved the oxidation of the thiol to form a disulfide dimer of figure 8, thus producing the molecule seen in figure 5. This was accomplished by stirring the thiol in a solution of dichloromethane under an oxygen atmosphere at slight positive pressure for 20 hours, producing a near quantitative yield of the disulfide. Final structural verification was carried out using proton and carbon-13 NMR.

After this first synthesis, a second scale-up synthesis was completed to verify results and test scale-up feasibility. For the benzoyl chloride esterification, all amounts were quintupled, and reaction time was increased to 4.5 hours. Column purification failed with a ethyl acetate:hexane eluent due to poor product solubility in this mixture. To rectify this, a 3:2 mixture of dichloromethane and hexane was used. The nitro reduction reaction was run using an identical procedure. However, the final oxidation of the thiol to a disulfide was done using a new procedure, using hydrogen peroxide catalyzed with potassium iodide, adapted from Kirihara et al [20]. Molar equivalents of the thiol and 30% H2O2 solution were combined in the presence of one mole percent KI and stirred for 4 hours in 10 mL of ethyl acetate at room temperature. Extraction was preformed using ethyl acetate, washed once with deionized water and three times with brine. The resulting organic layer was dried over sodium sulfate, and then solvent was removed using a rotary evaporator.

2.3 Instrumentation

All infrared spectra were acquired using a Shimadzu FTIR 8400S. Eighty scans were run to yield accurate spectra. An attenuated total reflectance (ATR) adapter was used to allow for the analysis of the solid samples.

Proton and C13 NMR were obtained using an Anasazi EFT-60 spectrometer. The proton spectra were collected running 128 scans at 60.01 MHz. Carbon-13 spectra were collected with 32,768 scans at 15.089MHz. Both scans were collected on approximately 30 mg of product dissolved in deuterated chloroform. These spectra were created using equipment at an off-site academic institution due to the lack of instrumentation available locally.

3. Results and Discussion

3.1 Molecular Modeling and Structure Determination

The MolDock virtual docker engine generated hundreds of potential poses for each of the eight potential ligands modeled. For each pose generated, numerous parameters are considered, including hydrogen bond energies, electron affinity, cofactor interactions, and many more. All of these parameters are combined to create the rerank score, which is designed to accurately predict relative binding affinity for a number of different ligands. Table 1 shows the top pose for each of the eight tested ligands and the associated

values for a number of key factors. All energies on an arbitrary relative scale unless otherwise noted.

Note the six potential inhibitors tested, with varying linker length and esterification, along with a methyl group akin to TSA’s linker domain. There are some interesting trends to note from these data. In general, longer linker chains tend to perform better than shorter, and ester linkages seem to perform better than the ketone equivalents. Additionally, a methyl group directly adjacent to the carbonyl seemed to yield better binding affinity. While SAHA did outperform the ultimate synthetic target in terms of binding affinity for HDAC8, it is expected that the synthetic target will yield better selectivity due to the thiolate chelating agent. While better performance might have been gained from addition of a methyl group, this was decided against in favor of synthetic simplicity. If the modeled ligand from figure 10 is compared to the synthetic target from figure 5, it may be noticed that the synthetic target is a disulfide dimer of the modeled molecule. This is because the free thiol is vulnerable to various reactions within the body, and if unprotected will have limited effects in vivo. Other thiolate inhibitors have a variety of protecting groups. Romidepsin features a disulfide bond which is reduced to a thiol in the body, while largazole utilizes a thioester which is also reduced in vivo [10,21]. In this case, a disulfide dimer seemed to be a convenient solution that protected the otherwise vulnerable thiol while also avoiding any wasteful protecting groups.

3.2 Synthesis Results

The reaction of 4-nitrobenzoyl chloride and 6-mecapto-1-hexanol was successfully carried out with a yield of 30.4%. After purification, the sample produced one spot on TLC, indicating relatively high purity. This yield was lower than hoped, likely due to the low catalytic activity of triethylamine. Next the reduction of the nitro group to a primary amine was successfully carried out with a yield of 42.9%. This was surprising, as TLC reaction monitoring seemed to indicate that the reaction had gone to completion. Because of this, it seems likely that product was lost in the extraction process. In particular, there may be a significant amount of product in the aqueous portion from extraction. The final thiol oxidation had poor yield and a long reaction time using the O2 gas method. To rectify this, the hydrogen peroxide procedure was adopted, and produced near quantitative yields in a much shorter time than the O2 procedure.

While intermediate products were verified using IR spectroscopy, final structural verification was carried out using NMR. Proton and carbon-13 shifts were predicted computationally using B3LYP/6-31G**calculations after structural optimization had been preformed using a 6-31G*basis set. Figure 11 shows the carbon-13 spectrum used for final verification. Noise along the baseline is due partially to impurities and partially to the low resolution of this 60 MHz NMR. This spectrum shows 11 distinct peaks in locations similar to those predicted by the computations. This is conclusive evidence for the presence of the expected disulfide product.

4. Conclusions

This project was successful in synthesizing an entirely novel compound that shows promise as a highly selective histone deacetylase inhibitor. Modeling using the MolDock platform yielded insights into the functionality of the inhibitors, and allowed for the design of a previously

unsynthesized molecule with favorable docking features. This compound was then synthesized in a simple three step synthesis that should be easily replicable and required minimal purification. This offers significant improvement over current highly selective inhibitors. Romidepsin is synthesized with an overall yield of 9.5%, and requires separate syntheses for many uncommon starting materials, making it a huge synthetic challenge overall [22]. The increased structural simplicity of the product reported above is key when considering the large scale production necessary of all pharmaceutical substances.

5. Future Work

Future work for this project falls into three main categories. First, additional computational data should be obtained to determine more about the properties of this inhibitor design. Experimentation with varying hydrophobic regions and non-aliphatic linkages could produce interesting results. However, the main computational work lies in validating the assertion that the thiolate chelating agent does in fact yield improved selectivity. This can be done by modeling the same set of test ligands on a number of other HDACs, including HDAC1, 2, and 3, as well as several class 2 and 3 HDACs. This would produce compelling evidence for the increased selectivity of thiolate chelating agents.

Another important aspect of future work is increased synthetic yield and validation. Currently, the esterification reaction has relatively low yield, likely due to the low catalytic activity of triethylamine. This yield may be improved by using a different tertiary amine catalyst, such as 4-dimethylaminopyridine (DMAP) or diethylmethylamine [17]. The next reaction in the synthesis is the nitro group reduction. This reaction also showed a relatively low yield, although the cause of this is not fully understood. Thin layer chromatography indicated that the reaction went to completion, yet final product mass was disappointingly low. This may be due to product losses in the extraction process, where some product may have been retained in the aqueous phase or in the stannous chloride from gravity filtration. A better workup process, including switching extraction solvents, may produce better yield. Due to the inability to access NMR or mass spectrometry equipment, product analysis, especially of intermediate products, is not particularly robust. In a future synthesis replication, it would be necessary to obtain accurate spectra for each product to verify structure. Additionally, reaction scale-up should be attempted to production on a multi-gram scale.

The final step in the project development would be preliminary biological testing. Testing can be performed on a variety of histone deacetylases to calculate IC50 values. This will allow for accurate real world comparison of this drug to other inhibitors, and if this preliminary testing is promising, in vivo testing could take place using established cell lines. Ultimately, it is hoped that this compound

has the potential to reach clinical trials and perhaps one day serve as a chemotherapeutic epigenetic drug for the treatment of late stage carcinomas.

Acknowledgments

I would like to thank Dr. Myra Halpin of the North Carolina School of Science and Mathematics, for mentoring me throughout this entire project. I would like to thank Dr. Darrell Spells for his organic chemistry expertise, along with the entire research program at NCSSM. Finally, I would like to thank Dr. W. Andrew Tucker of Queens University for his assistance with NMR Spectroscopy.

References

[1] Merck, “Study of ZOLINZA ( vorinostat ) for Investigational Use for Advanced Malignant Pleural Mesothelioma Did Not Meet Primary Endpoint,” Merck Newsroom, pp. 1–2, 2011.

[2] J. a. Souto, E. Vaz, I. Lepore, A.-C. Poppler,¨ G. Franci, R. Alvarez, L. Altucci, and A. R. de Lera, “Synthesis and biological characterization of the histone deacetylase inhibitor largazole and C7- modified analogues.,” Journal of medicinal chemistry, vol. 53, pp. 4654–67 , June 2010.

[3] K. E. Cole, D. P. Dowling, M. A. Boone, A. J. Phillips, and D. W. Christianson, “Structural Basis of the Antiproliferative Activity of Largazole, a Depsipeptide Inhibitor of the Histone Deacetylases,” Journal of the American Chemical Society, no. 133, pp. 12474–12477, 2011.

[4] X. Ma, H. H. Ezzeldin, and R. B. Diasio, “Histone deacetylase inhibitors: current status and overview of recent clinical trials.,” Drugs, vol. 69, pp. 1911–34, Oct. 2009.

[5] M. Dokmanovic, C. Clarke, and P. a. Marks, “Histone deacetylase inhibitors: overview and perspectives.,” Molecular cancer research : MCR, vol. 5, pp. 981–9, Oct. 2007.

[6] Y. Liu, L. A. Salvador, S. Byeon, Y. Ying, J. C. Kwan, B. K. Law, J. Hong, and H. Luesch, “Anticolon Cancer Activity of Largazole , a Marine-Derived Tunable Histone Deacetylase Inhibitor,” Journal of Pharmacology and Experimental Therapeutics, vol. 335, no. 2, pp. 351 –36, 2010.

[7] W. K. Kelly, O. a. O’Connor, L. M. Krug, J. H. Chiao, M. Heaney, T. Curley, B. MacGregoreCortelli, W. Tong, J. P. Secrist, L. Schwartz, S. Richardson, E. Chu, S. Olgac, P. a. Marks, H. Scher, and V. M. Richon, “Phase I study of an oral histone deacetylase inhibitor, suberoylanilide hydroxamic acid, in patients with advanced cancer.,” Journal of clinical oncology : official journal of the American Society of Clinical Oncology, vol. 23, pp. 3923–31, June 2005.

[8] E. Hockly, V. M. Richon, B. Woodman, D. L. Smith, X. Zhou, E. Rosa, K. Sathasivam, S. Ghazi-Noori, A. Mahal, P. a. S. Lowden, J. S. Steffan, J. L. Marsh, L. M. Thompson, C. M. Lewis, P. a. Marks, and G. P. Bates, “Suberoylanilide hydroxamic acid, a histone deacetylase inhibitor, ameliorates motor deficits in a mouse model of Huntington’s disease.,” Proceedings of the National Academy of Sciences of the United States of America, vol. 100, pp. 2041–6 , Feb. 2003.

[9] T. a. Miller, D. J. Witter, and S. Belvedere, “Histone deacetylase inhibitors.,” Journal of medicinal chemistry, vol. 46, pp. 5097–116, Nov. 2003.

[10] R. Furumai, A. Matsuyama, N. Kobashi, and H. Deacetylases, “FK228 ( Depsipeptide ) as a Natural Prodrug That Inhibits Class I Histone Deacetylases FK228 ( Depsipeptide ) as a Natural Prodrug That Inhibits Class I,” Cancer Research, vol. 228, pp. 4916–4921, 2002.

[11] J. Hong and H. Luesch, “Largazole: from discovery to broad-spectrum therapy.,” Natural product reports, vol. 29, pp. 449–56, Apr. 2012.

[12] T. Suzuki, A. Kouketsu, A. Matsuura, A. Kohara, S.-I. Ninomiya, K. Kohda, and N. Miyata, “Thiol-based SAHA analogues as potent histone deacetylase inhibitors.,” Bioorganic & medicinal chemistry letters, vol. 14, pp. 3313–7, June 2004.

[13] a. Saito, T. Yamashita, Y. Mariko, Y. Nosaka, K. Tsuchiya, T. Ando, T. Suzuki, T. Tsuruo, and O. Nakanishi, “A synthetic inhibitor of histone deacetylase, MS-27-275, with marked in vivo antitumor activity against human tumors.,” Proceedings of the National Academy of Sciences of the United States of America, vol. 96, pp. 4592–7, May 1999.

[14] R. Thomsen and M. H. Christensen, “MolDock: a new technique for high-accuracy molecular docking.,” Journal of medicinal chemistry, vol. 49, pp. 3315–21, June 2006.

[15] J. R. Somoza, R. J. Skene, B. a. Katz, C. Mol, J. D. Ho, A. J. Jennings, C. Luong, A. Arvai, J. J. Buggy, E. Chi, J. Tang, B.-C. Sang, E. Verner, R. Wynands, E. M. Leahy, D. R. Dougan, G. Snell, M. Navre, M. W. Knuth, R. V. Swanson, D. E. McRee, and L. W. Tari, “Structural snapshots of human HDAC8 provide insights into the class I histone deacetylases.,” Structure (London, England : 1993), vol. 12, pp. 1325–34, July 2004.

[16] M. Yoshida, M. Kijima, M. Akita, and T. Beppu, “Potent and specific inhibition of mammalian histone deacetylase both in vivo and in vitro by trichostatin A .,”

The Journal of Biological Chemistry, 1990.

[17] P. Hubbard and W. J. Brittain, “Mechanism of Amine-Catalyzed Ester Formation from an Acid Chloride and Alcohol,” The Journal of Organic Chemistry, vol. 63, pp. 677–683, Feb. 1998.

[18] T. W. Bentley, G. Llewellyn, and J. A. McAlister, “S(N)2 Mechanism for Alcoholysis, Aminolysis, and Hydrolysis of Acetyl Chloride.,” The Journal of organic chemistry, vol. 61 , pp. 7927–7932, Nov. 1996.

[19] F. D. Bellamy, “SELECTIVE REDUCTION

OF AROMATIC NITRO COMPOUNDS WITH STANNOUS CRLORIDE IN NON ACIDIC AND NON AQUEOUS MEDIUM,” Tetrahedron Letters, vol. 25, no. 8, pp. 3–6, 1984.

[20] M. Kirihara, Y. Asai, S. Ogawa, T. Noguchi, A. Hatano, and Y. Hirai, “A Mild and Environmentally Benign Oxidation of Thiols to Disulfides,” Synthesis, vol. 2007, pp. 3286–3289 , Nov. 2007.

[21] K. Taori, V. J. Paul, and H. Luesch, “Structure and Activity of Largazole , a Potent Antiproliferative Agent from the Floridian Marine Cyanobacterium Symploca sp .,” Journal of the American Chemical Society, vol. 130, no. 6, pp. 1806–1807, 2008.

[22] T. Greshock, D. Johns, Y. Noguchi, and R. Williams, “Improved total synthesis of the potent HDAC inhibitor FK228 (FR-901228),” Organic letters, vol. 10, no. 4, pp. 613–616, 2008.

Optimizing the Synthesis of Flat-Sheet Phase Inversion Polyvinylidene Fluoride (PVDF) Membranes for

Membrane Distillation

ABSTRACT

Accompanying the world’s ever-growing population is an increased demand for efficient and environmentallyfriendly means of producing potable water. Membrane distillation (MD) is a rising technology combining distillation and filtration techniques that seeks to address this issue. This project aimed to optimize the synthesis of porous polyvinylidene fluoride (PVDF) membranes for MD by evaluating the synergistic effect of various synthesis parameters on membrane morphology. PVDF was selected as the polymeric material due to its high hydrophobicity, chemical resistance, thermal stability, and mechanical strength. PVDF was dissolved in N,N-dimethylacetamide to form solutions of varying concentration, and water was utilized as a non-solvent to induce membrane precipitation. Based on literature regarding coagulation kinetics, it was hypothesized that increasing the coagulation bath temperature and lowering the concentration of PVDF in the casting solution would result in membranes with a higher percentage of finger-like pores. These offer straighter channels for water vapor transport to increase flux. SEM imaging, supported by porosity and hydrophobicity data, has both indicated membrane viability and suggested the presence of differing degrees of influence among synthesis parameters. These data, coupled with further studies, may shed light upon such parameter synergy to allow for the holistic optimization of PVDF membrane synthesis.

Introduction

1.1 Rationale

As the world’s population continues to grow throughout the twenty-first century, there is an ever-increasing need for an environmentally and economically-friendly means of producing potable water. In fact, according to data provided by the World Health Organization (WHO), approximately 1.1 billion people in the world today do not have access to healthy drinking water [1]. Since seawater constitutes 97% of the Earth’s surface water, desalination is a particularly promising science. However, current desalination methods such as reverse osmosis and traditional distillation require high energy input for operation [2].

Membrane distillation (MD), which has emerged as a promising means of addressing this issue, is a method of water treatment driven by differences in vapor pressure across a porous, hydrophobic membrane. A quasi-hybrid of filtration and distillation, MD is a highly versatile and potentially-advantageous alternative to traditional desalination technology due to its ability to effectively harness waste heat to produce clean water [2].

Since the membrane physically governs the passage of water vapor, the efficiency of a MD system mostly depends upon the properties of the hydrophobic membrane utilized. Therefore, the purpose of this research project was to optimize the synthesis process of porous PVDF membranes for application in MD. Polyvinylidene fluoride (PVDF) was selected as the material for membrane synthesis due to its high hydrophobicity, chemical resistance, thermal stability, and mechanical strength (fig. 1) [3].

This project was undertaken with the goal of both qualitatively and quantitatively determining the effects of various synthesis parameters on membrane characteristics. It was hypothesized that increasing the coagulation bath temperature and lowering the concentration of PVDF in the casting solution would result in membranes with a higher percentage of finger-like pores. Finger-like pore structures are thought to be more desirable for MD than their spongy counterparts because the fingers offer straighter channels for vapor transport to potentially increase water vapor flux.

1.2 Background

The simplest and most commonly utilized MD configuration for pilot testing is known as Direct Contact Membrane Distillation (DCMD), where the membrane is in direct contact with both the feed and purified permeate streams (fig. 2). This is the system under which experimen-

tation was carried out for this project. Other configurations of MD differ in how the resulting permeate is collected and processed by the system, and these may factor in air gaps, vacuums, and sweeping gases on the permeate side [2].

A DCMD setup consists of five basic components: a hot feed stream, a cold permeate stream, a membrane module containing a hydrophobic membrane, and pumps for cycling water (fig. 3). At the membrane interface, the minimal temperature difference necessary to drive water vapor transport is approximately 20 ºC, though some systems may apply greater heat to their feed streams to achieve temperature differences of up to 50 ºC [2]. Much like how steam rises from a hot cup of coffee, water vapors from the hot feed will naturally diffuse through the pores, while the hydrophobicity of the membrane prevents the liquid phase from passing through, leaving only purified water on the permeate side. Since such systems can utilize waste heat to generate the small temperature gradient necessary for mass transfer, MD has the potential to be far more energy efficient than distillation and reverse osmosis [2].

MD can be applied to purify geothermally-heated hydrofracking wastewater, as well as to create self-contained systems of producing fresh water for passengers aboard a ship by harnessing heat generated by ship boilers. MD setups constructed near industrial factories can make effective use of heat produced by machinery. The versatility of such a system in capturing various heat sources contributes greatly to its energy efficiency. Though still in the

developmental phases, commercial pilot systems for MD have attained maximum fluxes of approximately 50 liters per square meter of membrane per hour [2].

Flat-sheet PVDF membranes for MD are commonly synthesized by a process known as immersion precipitation (IP) phase inversion, wherein the polymer solution is cast on a substrate and then immersed in a coagulation bath. The coagulation bath consists of a solution in which the polymer cannot dissolve, and this is referred to as the “non-solvent.” In most cases, the non-solvent is deionized (DI) water, which induces the precipitation of the dissolved polymer. Precipitation is exothermic, and the energy released is referred to as “heat of mixing.” A high heat of mixing indicates a faster coagulation rate, which is important in the determination of pore morphology [4]. Pores are created as the solvent coalesces and leaches out of the newly-forming membrane. The kinetics of the solvent/non-solvent exchange determine membrane morphology. By altering conditions of phase inversion, the rate of polymer precipitation will also change, and this sensitive relationship allows for more controlled development of membrane properties [3].

Previous literature illustrates that faster precipitation of the membrane, which can result from high coagulation temperatures, is conducive to the formation of asymmetric membranes with finger-like pores, as in figure 4. In an asymmetric membrane, the surface in contact with the non-solvent coagulates first, and a dense upper skin with smaller pores is formed. This is known as the active side, and it is oriented facing the feed solution in an MD setup to allow for greater selectivity. Finger-like pores, if present, will form adjacent to the upper skin, providing channels for vapor transport.

A recent study by Zhao et al. [5] produced highly spongy membranes using low coagulation temperatures of 25 ºC, while Wang et al. [6] was able to synthesize membranes with finger-like character at a higher coagulation temperature of 50 ºC. It has also been suggested that lower polymer concentration in the casting solution will allow the surface layer of the precipitating polymer to properly rupture and begin the propagation of finger voids [4]. Though there has been substantial research conducted in the field of PVDF membrane synthesis, previous literature has yet to fully elucidate the synergistic effect of multiple synthesis parameters on membrane morphology. By investigating polymer concentration and coagulation temperature concurrently, this research hopes to shed light on such synergy and achieve optimization of PVDF membrane synthesis.

Materials & Methods

2.1 Materials

Membrane synthesis was carried out using commercial Kynar 741 polyvinylidene fluoride (MW = 254,000 g/ mol), N,N-dimethylacetamide (DMAc, reagent grade) as the solvent, and DI water as the non-solvent.

2.2 Membrane Preparation

Basic experimental methods for the IP phase inversion synthesis of flat-sheet PVDF membranes were adapted from Khayet & Maatsura [7], with alterations made in specific parameters such as polymer concentration, temperature, and coagulation bath composition. Polymer solutions of 100 g were first prepared at concentrations of 10%, 15%, and 20% by weight. To ensure complete polymer dissolution, PVDF powder was dissolved in DMAc at 50 ºC for 1 hr and subjected to constant magnetic stirring. The three solutions, pale yellow in color after heat exposure, were then allowed to degas and cool to room temperature prior to casting (fig. 5).

Membranes were cast using a commercial casting knife (Gardco Universal Blade Applicator) on either glass slides or non-woven fabric supports. To minimize air exposure, casts were immediately immersed in a coagulation bath of DI water at varying temperatures. Unsupported membranes were cast at 7 mils thickness (177.0µm), and these

spontaneously peeled off of the glass slides as precipitation took place (fig. 6). Membranes cast on fabric supports were 10 mils (254.0µm) in thickness to compensate for the presence of the support. These membranes, rather than peeling, became more opaque as precipitation proceeded. Supports were utilized primarily to combat membrane shrinkage, which can hinder membrane characterization processes.

Coagulation baths were prepared at temperatures of 25 ºC, 40 ºC, and 55 ºC, and utilized in the creation of membranes for each polymer concentration and thickness. Membranes of each initial condition were synthesized in triplicate, resulting in a total of 54 membranes. Immersed casts were left undisturbed for 5 minutes to allow for complete precipitation. The fully-precipitated membranes were then leached in DI water for 24 hrs to remove residual solvent and dried and stored until further use.

2.3 SEM

Surface and cross-sectional membrane morphology were examined using a scanning electron microscope (FEI XL30 SEM-FEG). Membrane samples were fractured using liquid nitrogen to ensure a clean cross-sectional view, and all samples were sputter-coated in a thin layer of gold to improve conductivity. Cross-sectional images were only obtained from unsupported membranes because fabric supports would not yield to fracturing by liquid nitrogen. Surface images were obtained from both.

2.4 Porosity

Porosity is the total volume occupied by membrane pores. In order to measure porosity, the membrane was first massed, and then the total volume of the membrane was determined by water displacement. Porosity, ε, was calculated according to the following equation adapted from literature [6,7]:

Here, m is the mass of the membrane in grams, V_mem is the measured volume of the membrane obtained by water displacement, and d_PVDF is 1.78g/mL, as per literature [10].

2.5 Hydrophobicity

Hydrophobicity, which is vital to the production of non-wetting MD membranes, was measured in terms of the contact angle between a drop of water and the membrane surface (fig. 7) [2,6]. These values were obtained using a contact angle goniometer (Krüss EasyDrop). With this instrument, microliter aliquots of water were deposited onto the membrane surface and the subsequent angles formed were measured via integrated image analysis capabilities.

Greater angles equate to greater hydrophobicity since contact angles assess how well a surface resists the natural adhesion of water molecules. Unsupported membranes experienced membrane shrinkage that prevented accurate contact angle values from being obtained, so hydrophobicity was instead determined in all supported membranes. From each of the triplicate supported membranes, 15 contact angles measurements were made. These 45 values were then averaged and statistically-analyzed to find representative hydrophobicity measures for membranes synthesized under each set of initial conditions.

2.6 LEP

Liquid entry pressure (LEP) is the maximum pressure a membrane can withstand before allowing water to permeate its pores. If the hydrostatic pressure of the feed solution in an MD setup exceeds the LEP, then the membrane will be wetted, and contaminants from the feed solution will pass through the pores and taint the permeate. LEP for the membrane specimens were determined using an HP4750X Stirred Cell (Sterlitech Co.). In or-

der to measure LEP, the membrane was supported by a porous metal disk and then placed at the bottom of the stirred-cell filled with ~100mL of water. The stirred cell was then attached to a tank of compressed air. The air was slowly released, and the pressure reading at which water began exiting the spout of the stirred-cell was taken as the experimentally-determined value for LEP.

Results and Discussion

3.1 SEM

SEM was the primary means by which membrane morphology was assessed. Surface SEM imaging was performed to gather information about pore size, a factor that directly impacts membrane selectivity. Figure 8 depicts a surface SEM image from a membrane of 10% PVDF cast at 55 ºC. As evident in the bottom right-hand corner of the image, there is some lack of uniformity within surface pore structures of the PVDF membranes fabricated. This can likely be attributed to procedural error. For example, if the immersion of a cast in the coagulation bath was not performed with a swift and uninterrupted sweeping motion, the undulation of the water in the bath could adversely impact surface morphology and result in the smears evident on this specimen.

Though specific pore sizes vary within the sample, all are within the micrometer scale, which will provide the selectivity necessary for effective salt rejection and water purification in an MD system. Similar trends in pore sizes and surface morphology were evident in the remaining surface SEM images as well.

In order to evaluate the validity of the initial hypothesis that higher coagulation temperatures and lower polymer concentrations would result in membranes with a greater percentage of finger like pores, cross-sectional SEM im

ages were taken from all unsupported membranes. Representative images from each of the triplicate sets are organized as follows:

These images suggest an overall increase in finger-like structure with increases in polymer concentration. The membranes cast from 10% PVDF solution display greater spongy characteristics, and the slight finger structures that do form throughout the samples appear irregular and poorly-defined. More uniformity is present in the 15% PVDF membranes, but the structure is still predominantly spongy. Within the 20% PVDF samples, finger-like pore structures are uniform, clearly-defined, and constitute approximately 50-60% of the membrane thickness. Spanning all of the membrane samples are occasional macrovoid formations, particularly evident in membranes M2, M3, M4, and M6 from figure 9 above. These small air gaps are clearer in structure than simple spongy membrane but lack the depth element of finger structures. As there is no clear trend in macrovoid formation, it is likely that these are merely byproducts of the casting process. For example, if a solution was not fully degassed and miniscule bubbles were present in the cast prior to coagulation, macrovoid formation would be likely. Further testing of LEP and flux in MD system should give insight on the precise effect of macrovoids on membrane efficacy.

Little change in membrane morphology is exhibited across the coagulation temperature gradient. Though slight differences are present, no clear trend is common to all of the membrane samples. Within the 10% PVDF samples, there appears to be larger void sizes with increases in coagulation temperature, but the pores formed are not definitively structured like fingers. Variations within the 15% and 20% samples are minimal.

While both occurrences are inconsistent with what was initially hypothesized, this gives rise to the examination of other factors that may have affected membrane morphology. Upon reevaluating literature sources, it was noted that the organic solvent utilized, N-N, dimethyl-

acetamide (DMAc), is mildly hygroscopic, meaning that it will actively pull moisture from the air [11]. Since water was the non-solvent, it is likely that the humidity of the surrounding environment and the elapsed time between solution preparation and casting would affect the resulting membrane morphology. Introducing moisture from the environment would prematurely initiate polymer precipitation, slowing the overall rate of coagulation and causing deviations from ideal conditions for synthesizing fingerlike pore structures. The time of air exposure between membrane casting and non-solvent immersion may also have similar effects if the air was of substantial humidity.

The SEM images indicate that there exists a direct relationship between polymer concentration and percentage of finger-like pores produced, where higher polymer concentrations equate to higher percentages of finger-like pores. This directly opposes that which is claimed by Berghof [4]. The data obtained from this experiment then raise a question regarding the boundaries for polymer solution concentrations for which any given observation is valid. Since literature does not specify a range of polymer concentrations, there could hypothetically exist a “threshold” lower bound for concentration, beyond which finger-like pores cannot form. The low viscosities of low PVDF concentrations may negatively impact finger propagation, so if said threshold falls between 15% and 20%, then the concentrations tested in this experiment would not accurately depict the relationship between polymer concentration and morphology. The validity of both experimental and literature-obtained data must be assessed in further trials with increased sample size and a wider range of concentrations for testing. Likewise, a greater coagulation temperature gradient may be necessary to induce desired changes in membrane morphology.

3.2 Porosity

Displayed in Table 1 are measures of porosity for membranes cast from each initial condition of solution concentration and coagulation temperature:

There exists some variation between overall porosities and the trends indicated visually by SEM imaging, but this was to be expected due to the implicit error associated with the water-displacement procedure utilized. An alternate method proposed by current literature involves calculating volume as a function of membrane thickness, but this method was not employed due to the presence of slight variations in thickness across the samples [12]. Low values of standard deviation illustrate that the general trend of decreasing porosity with increasing polymer concentration may be of significance. However, obtaining precise values is not as vital as affirming the presence of substantial porosity in the membrane, which indicates permeability. These data don’t directly factor into determinations of membrane efficacy, but rather serve as supplementary confirmation for the presence of pore structures, which can be assessed visually from SEM imaging.

3.3 Hydrophobicity

Hydrophobicity is a measure highly dependent upon surface morphology. Because rougher surfaces offer minimal opportunities for contact between the water droplet and the membrane surface, hydrophobicity increases with surface roughness. Figure 10 displays a contact angle taken at the upper extreme of the hydrophobicity measures for membrane M1 from an area of high surface roughness.

Due to the softness of the PVDF material, the membrane surface was subject to unwarranted modifications during the synthesis procedure. Small disruptions of the bath during coagulation could lead to a texturization beyond micro-pores. Therefore, as per existing literature, substantial variability is typically exhibited within contact angle measurements [13]. The values obtained for hydrophobicity of each type of membrane are displayed in the graph as follows:

Though there is variance within these hydrophobicity measurements, indicated by the standard deviation error bars, these data suggest a possible correlation between low polymer concentrations and greater hydrophobicity measures. Such a correlation is supported by the crosssectional SEM images obtained for the membranes. Since hydrophobicity is a function of surface roughness, it is highly dependent upon coagulation kinetics and resulting morphology as well. More sponge-like characteristics toward the active side of the membrane surface, as facilitated by slow coagulation rates, would translate to greater hydrophobicity. As a general trend, a greater percentage of sponge-like character is evident in membranes with lower polymer concentration, so hydrophobicity is in accordance with what is indicated by SEM imaging.

3.4 LEP

Measures of LEP, which are dependent upon both hydrophobicity and tensile strength, will give insight on the durability of a membrane [2]. Low LEP values indicate that a membrane will not be able to withstand the water pressure applied in actual MD application. If the liquid phase is allowed to pass through the hydrophobic membrane pores, then the membrane is rendered ineffective. Though increases in overall porosity and quantity of voids will theoretically allow for greater rates of water flux, such alterations may also adversely impact the strength of the membrane. Therefore, LEP serves as a constraint for alterations in membrane morphology because more finger-like pores are desirable only if membrane strength is not compromised. Though data have not yet been obtained for LEP of the membrane samples in this experiment, ongoing work will allow for the determination of an optimal balance between membrane morphology and membrane durability.

Conclusions and Future Work

4.1

Conclusions

The principle achievement of this research was the synthesis and characterization of porous hydrophobic PVDF membranes for potable water production in membrane distillation processes. Under varying initial synthesis conditions, PVDF membranes were successfully fabricated by immersion precipitation phase inversion. It was hypothesized based on literature that lower polymer concentrations and higher coagulation bath temperatures would result in a greater percentage of finger-like pores in the PVDF membranes. While SEM imaging seemed to indicate otherwise, the data obtained give insight regarding the complexity of the relationship between synthesis parameters and pore morphology. SEM illustrated general increases in finger-like structure with greater polymer concentrations, while coagulation temperature had little apparent effect on morphology. In addition to the effect of other factors such as environment humidity and concentration thresholds, differing degrees of influence is a plausible explanation for the trends evident in SEM because the effect of polymer concentration seems to supersede that of coagulation temperature.

Nevertheless, highly uniform and well-defined pore structures were evident in membranes synthesized from 20% PVDF, which are promising for future studies. Adequate porosity levels assessed in the membranes are suggestive of high water vapor flux in an MD system, and hydrophobicity, in accordance with the morphology trends noted from SEM, is such that the membranes are expected to successfully bar the passage of tainted feed solution. Though significant progress has been made in evaluating the effects of polymer concentration and coagulation temperature on membrane morphology, more concrete conclusions are still necessary to obtain. Noting such, further studies with increased sample sizes and wider ranges of testing will be employed in order to achieve a clearer understanding of the synergy governing synthesis parameters and resulting membrane morphology.

4.2 Future Work

Future work for this project will include performing LEP tests and flux tests on current samples to assess membrane viability in a benchmark DCMD system. Greater sample sizes and more controlled synthesis conditions will be implemented to increase procedural uniformity. In future studies, a mechanized procedure may be applied for membrane casting. Such a system would involve a simple conveyor belt with a casting knife set on top, slightly immersed in the coagulation bath at the bottom. As membranes are cast, they will be transported by conveyor belt into the coagulation bath at a constant rate. This will further regulate the synthesis process, improving repeatability and efficiency to allow for more effective testing of new procedures.

To address the issue of DMAc’s hygroscopic properties, additional batches of PVDF solutions will be stored in a low humidity environment. A greater range of coagulation temperatures will be utilized, and temperatures will be maintained more consistently with an external heat source. Other parameters of membrane synthesis such as PVDF molecular weight, coagulation bath composition, and dissolution temperature will also be considered for testing. Ideally, the data obtained from these trials will be able to elucidate the holistic effect of various synthesis parameters on the efficacy of PVDF membranes for MD.

Acknowledgments

This project was conducted over the course of two trimesters and the adjoining summer, and all experimentation was performed in the Wiesner lab at Duke University Department of Civil and Environmental Engineering. I would like to thank the lab and its Principal Investigator, Dr. Mark R. Wiesner, for providing equipment and resources. I would also like to thank Judy Winglee, whom I worked with closely in the Wiesner lab, for her help in selecting a research topic, providing initial lab training, and performing SEM imaging of the membrane specimens. In addition, I would like to thank the Research in Chemistry program at the North Carolina School of Science and Mathematics and my research advisor Dr. Myra Halpin for introducing me to the wonders of scientific inquiry and offering support and guidance throughout the research process.

References

[1] D. M. a Alrousan, P. S. M. Dunlop, T. a McMurray, and J. A. Byrne, “Photocatalytic inactivation of E. coli in surface water using immobilised nanoparticle TiO2 films.,” Water research, vol. 43, no. 1, pp. 47–54, Jan. 2009.

[2] L. Camacho, L. Dumée, J. Zhang, J. Li, M. Duke, J. Gomez, and S. Gray, “Advances in Membrane Distillation for Water Desalination and Purification Applications,” Water, vol. 5, no. 1, pp. 94–196, Jan. 2013.

[3] F. Liu, N. A. Hashim, Y. Liu, M. R. M. Abed, and K. Li, “Progress in the production and modification of PVDF membranes,” Journal of Membrane Science, vol. 375, no. 1–2, pp. 1–27, Jun. 2011.

[4] F. Berghof, “The formation mechanism of phase inversion membranes,” vol. 21, pp. 241–255, 1977.

[5] Y.-H. Zhao, B.-K. Zhu, X.-T. Ma, and Y.-Y. Xu, “Porous membranes modified by hyperbranched polymersI. Preparation and characterization of PVDF membrane using hyperbranched polyglycerol as additive,” Journal of Membrane Science, vol. 290, no. 1–2, pp. 222–229, Mar. 2007.

[6] X. Wang, X. Wang, L. Zhang, and Q. An, “Journal of Macromolecular Science , Part B : Physics Morphology and Formation Mechanism of Poly ( Vinylidene Fluoride ) Membranes Prepared with Immerse Precipitation : Ef

fect of Dissolving Temperature,” no. July 2013, pp. 37–41.

[7] M. Khayet and T. Matsuura, “Preparation and Characterization of Polyvinylidene Fluoride,” pp. 5710–5718, 2001.

[8] H. Fan, Y. Peng, Z. Li, P. Chen, Q. Jiang, and S. Wang, “Preparation and characterization of hydrophobic PVDF membranes by vapor-induced phase separation and application in vacuum membrane distillation,” Journal of Polymer Research, vol. 20, no. 6, p. 134, May 2013.

[9] X. Wang, L. Zhang, D. Sun, Q. An, and H. Chen, “Formation mechanism and crystallization of poly(vinylidene fluoride) membrane via immersion precipitation method,” Desalination, vol. 236, no. 1–3, pp. 170–178, Jan. 2009.

[10] C.-L. Li, D.-M. Wang, A. Deratani, D. Quémener, D. Bouyer, and J.-Y. Lai, “Insight into the preparation of poly(vinylidene fluoride) membranes by vapor-induced phase separation,” Journal of Membrane Science, vol. 361, no. 1–2, pp. 154–166, Sep. 2010.

[11] M. G. Buonomenna, P. Macchi, M. Davoli, and E. Drioli, “Poly(vinylidene fluoride) membranes by phase inversion: the role the casting and coagulation conditions play in their morphology, crystalline structure and properties,” European Polymer Journal, vol. 43, no. 4, pp. 1557–1572, Apr. 2007.

[12] J. Zhang, N. Dow, M. Duke, E. Ostarcevic, J.-D. Li, and S. Gray, “Identification of material and physical features of membrane distillation membranes for high performance desalination,” Journal of Membrane Science, vol. 349, no. 1–2, pp. 295–303, Mar. 2010.

[13] C.-Y. Kuo, H.-N. Lin, H.-A. Tsai, D.-M. Wang, and J.-Y. Lai, “Fabrication of a high hydrophobic PVDF membrane via nonsolvent induced phase separation,” Desalination, vol. 233, no. 1–3, pp. 40–47, Dec. 2008.

[14] Y. Xiao and M. R. Wiesner, “Characterization of surface hydrophobicity of engineered nanoparticles.,” Journal of Hazardous Materials, vol. 215–216, pp. 146–51, 2012.

Drosophila p21-activated kinase 3 in Glia Interacts with flower in Neurons to Regulate Synapse Structure and Function

ABSTRACT

The primarily neuronally expressed gene flower plays an important role in synapse development, mediating the targeted release of Ca2+ at presynaptic terminals in order to couple endocytosis and exocytosis, allowing for proper synaptic vesicle fusion and neurotransmitter release. To gain insight into how flower is regulated, we examined the predominantly glial gene p21-activated kinase 3 (pak3). pak3 is known to interact with spastin, an AAA ATPase involved in microtubule severing, which is important to synapse development. Since both flower and spastin affect synapse formation, we hypothesized that pak3 also interacts with flower. To test this idea, we dissected Drosophila larvae with pak3 and flower mutations and inspected the synapses at their muscle 4 neuromuscular junctions. Here, we show that whereas pak3 mutants show only minimal synaptic defects and flower mutants have major deficiencies, when both genes are simultaneously mutated, loss of pak3 significantly enhances flower mutant synaptic phenotypes. Thus, pak3 and flower interact synergistically to regulate synapse structure and function. Additionally, this supports the theory that glia are essential nervous system components and play key roles in proper nervous system functions.

Introduction

The development and maintenance of neuronal synapses is a complex process that involves regulation from a variety of proteins which are encoded by specific genes. Much is currently known about the structure and function of synapses, however, less is known about the molecular pathways and mechanisms that shape synapse development and allow synapses to function properly [1]. What is particularly important and intriguing is how synapses at neuromuscular junctions (NMJs) are regulated and maintained, since these connections ultimately lead to proper motor function and coordination of the organism [1][2].

In this report, we use the model organism Drosophila melanogaster to study the NMJs. Drosophila provides a plethora of benefits for the researcher, particularly when studying synaptic transmission. Benefits of the Drosophila NMJ as a model synapse include the easy manipulation of genetics and observability of phenotypes, its accessibility to the powerful experimental technique of immunocytochemistry, its close resemblance to vertebrate glutamatergic synapses, and finally, its incredible plasticity and dynamic nature [1][3][4]. Additionally, Drosophila has a fairly simplistic body layout, which allows us to easily examine its synapse structures at multiple NMJs per animal [1][4]. In this particular investigation, we look at muscle 4 NMJs because they are easily quantifiable in comparison to the more complex neuronal arbors at other muscles. Most importantly though, Drosophila is ideal for a model system because it shares many evolutionarily conserved genes and biochemical nervous system pathways with vertebrates –including humans – which makes it an effective tool to study neurobiological processes [4].

Currently, we know that various neuronal proteins, antibodies, and enzymes interact at the active zones of synapses to promote vesicular neurotransmitter release

[5][6][7][8]. Each neuron’s axon contains a number of presynaptic terminals, or boutons, where neurotransmitter is released from the neuron into the muscle cell. Neurotransmitter receptors on the muscle cells then receive the signal, which causes positive ions to enter and depolarize the muscle cells, leading to various physiological effects in the cells [9][10]. However, regulation and maintenance of these synapses is much more complex, and involves not only neurons but glia as well [11][12][13].

Previous studies involving synapse regulation have looked towards p-21 activated kinase 3, or pak3, a loosely evolutionarily conserved Drosophila gene expressed in glia, which is thought to regulate the actin cytoskeleton in glial cells [14][15]. When pak3 alone is mutated, there are only mild effects on synapse structure and function. However, pak3 is also known to interact with spastin, a functionally conserved gene which encodes an AAA ATPase that is involved in microtubule-severing in neurons. Spastin serves to sever microtubules to allow for proper axonal development and synapse formation, particularly affecting the structure and function of boutons at NMJs [16][17] [18]. Mutations in spastin lead to an increased number of boutons at the NMJs, a decreased average bouton size, a more “bunched” structure, and a reduced amplitude of evoked responses, or reduced functionality (Sherwood et al., 2004). However, when pak3 is mutated in addition to spastin, the loss of functional pak3 completely suppresses spastin mutant phenotypes. This is interesting because it shows that pak3 could potentially play a major role in synapse regulation [19].

Another evolutionarily conserved gene, flower (fwe), encodes an important Ca2+ channel which regulates endocytosis and exocytosis in neurons and allows for sustained neurotransmission in presynaptic terminals [20] [21]. To do this, Flower proteins localize at the periactive zones during synaptic fusion, which allows for the neurotransmitter signal to be properly transferred

Daniel Ren

from the presynaptic cleft of neurons to the receptors on muscle cells. Similar to spastin, flower also affects synapse structure and function at the NMJs, causing numerous extra boutons (often of a small and clustered nature) to be present at the NMJs, which leads to reduced synaptic vesicle function [21]. In this investigation, we desired to find out whether or not pak3 interacts with genes, other than spastin, which affect synapse structure and bouton formation, such as flower. If there is interaction (whether it be positive or negative interaction), it would lend greater support to the theory that pak3 is involved in regulating synapse structure overall (and is not just spastin-specific), as well as impact our current understanding of the role that glia play in structuring synapses and maintaining their proper function and utility.

Materials and Methods

Drosophila stocks and genetic combinations

To conduct this experiment, various fly stocks with different genotypes were bred to obtain larvae with desired genotypes. In total, there were 3 groups of fly larvae with different loss-of-function mutations. pak3d02472/Df(3R) pak3 heterozygotes had a d02472 PBac insertion in the pak3 gene, which dramatically reduces mRNA expression, and a Df(3R)pak3 complete deletion of pak3, together disabling its actin-regulatory function. fweDB25/fweDB56 heterozygotes had mutations in flower so as to reduce its Ca2+ channeling function. fweDB25, pak3d02472 / fweDB56, Df(3R)pak3 heterozygotes had simultaneous mutations in both genes, disabling the function of both flower and pak3. These fly larvae were obtained by setting up crosses between “parent” flies to obtain the desired genotypes. pak3d02472/Df(3R)pak3 heterozygotes were obtained by crossing pak3d02472/TM6b adult flies with Df(3R)pak3/TM6b adult flies and selecting for pak3d02472/ Df(3R)pak3 larval offspring. Larvae with this genotype were identified based on marker characteristics associated with the balancer chromosome TM6b. The Tubby (Tb) gene has been recombined onto the TM6b chromosome, and is a dominant marker which makes larvae with Tb significantly fatter and shorter than normal. pak3d02472/ Df(3R)pak3 heterozygotes were wild type in length (since they did not have the TM6b balancer chromosome), whereas pak3d02472/TM6b and Df(3R)pak3/TM6b larvae had the balancer chromosome and displayed the tubby trait. TM6b homozygotes died before embryogenesis was complete.

fweDB25/fweDB56 heterozygotes were acquired in a similar manner, by selecting offspring from crosses between fweDB25/TM3 Sb Kr-Gal4 UAS-GFP and fweDB56/ TM3 Sb Kr-Gal4 UAS-GFP, based on the marker trait of fluorescence exhibited by larvae with the TM3 Sb Kr-Gal4 UAS-GFP balancer chromosome. fweDB25/fweDB56 larvae were yellowish-grey and non-fluorescent when placed under blue light, whereas heterozygotes with the balancer

chromosome emitted a fluorescent green glow under blue light. Similar to TM6b, TM3 homozygotes died before hatching.

The experimental group, fweDB25, pak3d02472/ fweDB56, Df(3R)pak3 heterozygotes were attained by selecting non-tubby larval offspring from crosses between fweDB25, pak3d02472/TM6b and fweDB56, Df(3R) pak3/TM6b parent flies. The fweDB25, pak3d02472/ TM6b and fweDB56, Df(3R)pak3/TM6b fly lines were created by genetically recombining the flower mutations and pak3 mutations onto the same chromosome, to allow for the maintenance of a stock.

Originally though, all fly stocks came from genetic manipulations of the flies’ genomes. fweDB25 and fweDB56 mutations were introduced by feeding the flies ethyl methanesulfonate (EMS), a chemical mutagen that causes random point mutations in DNA [21]. Flies were then screened for fweDB25 and fweDB56 mutations. The pak3d02472 mutation was obtained using a PBac transposable element. This was injected into the posterior end of early embryos using P-element insertion, which utilizes the enzyme transposase in order to insert the gene mutations into the flies’ genomes [22]. The Df(3R)pak3 deletion was made by genetically inducing flippase (FLP) in a fly, with two PBac insertions that flanked the pak3 coding region (d02472 and e00329). The flippase caused the FRT (FLP-recombination target) sites within the two insertions to line up, make a loop, and recombine, which removed the intervening pak3 coding sequence [19].

Fly husbandry

Fly stocks were kept in vials at 25 °C with ample fly food (nutrient-rich carbohydrate and yeast mixture), with approximately 20 flies in each vial. Vials were plugged with cotton balls to keep flies from escaping. Flies were transferred into new vials every 2 weeks when not being used, and every 4 days when being used, in order to ensure that the flies had a hygienic living environment.

When setting up crosses to obtain larvae of desired genotypes, selected male and female adult flies were placed in cages (larger than vials) and capped with nutrient-rich grape juice plates with yeast paste. The grape juice plates were made up of a mixture containing agar, Milli-Q water, sucrose, grape juice, tegosept (antifungal agent) and ethanol (to dissolve the tegosept), and were more beneficial to the flies’ health and survival than traditional fly food. Initially the plates were made by using a premade Genesee powder mixture; however, it was determined that using real frozen grape juice concentrate instead of powder created better quality grape juice plates, which allowed fly larvae to survive longer and grow larger before necrosis occurred and the larvae began to die. This allowed for the dissection of slightly larger larvae, which was especially important since the mutations being studied already decreased the life expectancy of the larvae.

The fresh grape juice mixture was made by combining

400mL Milli-Q water, 12.0g Difco agar, 13.2g sucrose, 100mL Welch’s grape juice concentrate, and 1g of tegosept dissolved in 10mL ethanol. The mixture was then heated on a hot plate and stirred until its contents dissolved, let cool, and heated again for 5 more minutes. Once the solution cooled to a reasonable temperature (~70 °C), it was pipetted into petri dishes (7mL per dish) and let cool and solidify. The grape juice plates were then capped and stored at 4 °C until they were used.

Larval immunocytochemistry

Live third instar larvae were filleted and dissected in 1x phosphate buffered saline (PBS, Invitrogen) at room temperature. After dissection, fillets were fixed in 4% paraformaldehyde (PFA) for 35 minutes. Fillets were washed twice quickly in PBS and then placed into eppendorf tubes. They were washed more thoroughly in PBS with 0.2% Triton X-100 (PBST) and placed on a nutator to continuously mix the solution. Fillets were then blocked using a solution composed of PBST with 5% normal goat serum, 0.01% bovine serum albumin, and 0.02% sodium azide (PBTNA) for 1 hour at room temperature. The blocking solution was removed, and primary antibody (rabbit anti-HRP) diluted 1:300 in PBTNA was applied to the fillets overnight at 4 °C. Primary antibody was removed the next day and secondary antibody (goat anti-rabbit Alexa 488, diluted 1:300 in PBTNA) was applied to each tube. The fillets, now incubated in secondary antibody, were nutated at room temperature for 2 hours in the dark, and afterward washed with PBST. With the immunocytochemistry stage being completed, the larval fillets were mounted onto microscope slides in VectaShield mounting medium and sealed with a cover slip and nail polish (acting as an adhesive).

Imaging and Quantification

NMJ synapses were analyzed under a Zeiss fluorescent light microscope. The primary and secondary antibodies that were previously applied served to stain neuronal membranes green (488 nm) when excited by blue light, which allowed for the visualization of presynaptic bouton structure when viewed under a fluorescent light microscope. Total and terminal boutons were quantified, in order to provide a complete and accurate sense of the synapse structures. Total bouton number was calculated by counting all 1b and 1s boutons at muscle 4 of each hemisegment, no matter their size or structure. Terminal boutons were those at the distal end of an axonal branch, which had no further boutons connected to them. Total bouton number measures overall synaptic growth and terminal number measures the amount of branching in the arbor.

Representative images of synapses from each of the genotypes were taken with a Zeiss LSM 510 confocal laser scanning microscope.

Data Analysis

After quantifying the total and terminal boutons present in each muscle 4 hemisegment for all of the larvae dissected, the average, standard deviation, and standard error were calculated for each genotype. The total and terminal number of boutons for the three genotypes were then compared to each other, and Student’s t-test (2-tails, homoscedastic) was conducted between fweDB25/fweDB56 and fweDB25, pak3d02472/ fweDB56, Df(3R)pak3 to test for statistical significance.

Results

pak3 interacts synergistically with flower

Larvae in the pak3 control group, pak3d02472/ Df(3R)pak3, have greatly reduced pak3 gene expression, presumably reducing Pak3 functionality in regulating actin projections. This causes minimal differences in synaptic structure and function compared to wild type larvae [19].

In fweDB25/fweDB56, the flower control group, the flower gene has been mutated so as to compromise its function, reducing the ability of the Flower-mediated Ca2+ channel to allow synaptic vesicle fusion. This causes a significantly increased amount of total and terminal boutons [21].

fweDB25, pak3d02472/fweDB56, Df(3R)pak3 is the experimental group, in which both pak3 and flower have been mutated, effectively eliminating the function of both. In this case, the total and terminal bouton counts at the NMJs are higher than those of the controls, indicating that some relationship between pak3 and flower exists. Figure 1 displays the average total and terminal bouton numbers for all three larval genotypes.

Figure 1. effects of loss-of-function gene mutations on total and terminal bouton counts: this table displays the average number of total and terminal boutons at the muscle 4 NMJs of fly larvae for all three genotypes tested. The experimental group, fweDB25, pak3d02472/ fweDB56, Df(3R)pak3, in which both pak3 and flower have been mutated, has higher average total and terminal bouton counts compared to both of the controls (pak3d02472/Df(3R)pak3 and fweDB25/fweDB56).

For terminal bouton counts, the p-value calculated from Student’s t-test between fweDB25/fweDB56 and fweDB25, pak3d02472/ fweDB56, Df(3R)pak3 is .037, which is below

.05, the cutoff for statistical significance. This means that the terminal bouton numbers of fweDB25, pak3d02472/ fweDB56, Df(3R)pak3 larvae are significantly different than those of fweDB25/fweDB56, indicating that loss of pak3 increases the number of terminal boutons and enhances mutant flower synaptic phenotypes. Figure 2 graphically illustrates this relationship.

Figure 2. Simultaneous pak3 and flower mutations significantly increase terminal bouton numbers: the graph displays the terminal boutons for each genotype. The terminal bouton number of fweDB25, pak3d02472 / fweDB56, Df(3R)pak3 larvae is increased from that of both of the controls. The p-value calculated from Student’s t-test between fweDB25/fweDB56 and fweDB25, pak3d02472 / fweDB56, Df(3R)pak3 is .037, which is statistically significant. Statistical significance is indicated by the (*).

For total bouton numbers, the p-value calculated from Student’s t-test between fweDB25/fweDB56 and fweDB25, pak3d02472/ fweDB56, Df(3R)pak3 is 0.054, which is barely above the significance cutoff of 0.05; counting more larvae should increase the statistical power. Thus, it is likely that deleting both pak3 and flower results in different total bouton counts than just deleting flower. Figure 3 offers a graphical representation of terminal bouton numbers for each genotype. Figure 4 provides representative images of NMJ synapses for each genotype.

Collectively, the differences in total and terminal bouton numbers indicate that loss of pak3 enhances synaptic phenotypes exhibited by the loss of flower, specifically increasing the extra terminal, and likely total, boutons. Thus, pak3 and flower functionally interact in a positive and synergistic manner, in which the function of both genes is to aid in the proper formation and development of synaptic boutons.

Figure 3. Simultaneous pak3 and flower mutations likely affect total bouton numbers: similar to terminal boutons, the average total bouton number of fweDB25, pak3d02472 / fweDB56, Df(3R)pak3 larvae is increased from that of both of the controls. The p-value calculated from Student’s t-test between fweDB25/ fweDB56 and fweDB25, pak3d02472 / fweDB56, Df(3R)pak3 is 0.054, which is barely above the significance cutoff of 0.05.

Independent yet interrelated molecular pathways

Since loss of pak3 enhances the extra boutons created by loss of flower and increases the severity of the phenotype, pak3 and flower are likely parts of two independent bouton-forming pathways. Removing any one component of a single pathway would disrupt it and likely render the pathway useless (so removing another part would have no additional affect since the pathway has already been disrupted), whereas with multiple signaling pathways, removing parts of both bouton development pathways would cause defects in both, leading to a more severe phenotype than if only one had been disrupted.

Additionally, we know that loss of pak3 has little or no effect on bouton number on its own. However, pak3 is a necessary component in bouton formation and may be the only actin-remodeling part of the bouton formation process [15]. Since pak3 is an essential part of the pathway, we would expect its deletion to have a significant impact on the biochemical pathway. However, seeing as loss of pak3 alone has minimal effects on bouton structure, another molecule (likely a molecule that is part of the flower bouton formation pathway) may be able to take over the function of pak3. But, when both pak3 and flower are mutated, both bouton formation pathways are disabled, and there is nothing capable of taking over the actin remodeling function of pak3; as a result, the double-mutant phenotype becomes more severe than that of either the pak3 or flower mutation alone. Thus, although the pak3 and flower pathways leading to bouton formation are separate biochemical pathways, they are highly interrelated and interact with each other in order

to ensure proper bouton formation and synaptic development.

Figure 4. flower, pak3 double mutant NMJs display altered synaptic morphologies: wild type – this is a picture of a typical muscle 4 NMJ synapse in a wild type fly larva. The glia are labeled in green (gliotactin-Gal4, UAS-mCD8GFP) and the neurons are labeled in red (anti-HRP). The red circles are the synaptic boutons, specialized structures at the ends of axons, from which neurotransmitter is released onto the next cell (here, the muscle). This image provides several important insights. First, it shows the close interaction between glia and neurons, indicated by how proximal their positions are to each other. Secondly, it provides a reference for what “normal” NMJ synapses should look like. Additionally, it allows for a visual comparison between wild type and pak3 (pak3d02472/Df(3R)pak3) NMJs and shows that there is very little difference between the two. pak3 –This is a representative image of a pak3d02472/Df(3R)

pak3 NMJ, with the neuron stained with anti-HRP. Like wild-type NMJs, pak3d02472/Df(3R)pak3 NMJs are fairly simple, with relatively few branches (affecting terminal bouton count), few total boutons, and largesized boutons. This specific synaptic structure is considered “normal” and allows for proper functioning of the synapses. flower – As displayed in the image, the fweDB25/fweDB56 NMJ is much more involved than the WCS or pak3 NMJs, and includes more total and terminal boutons, as well as a highly branched and clustered structure. The individual boutons are also much smaller than normal. Together, these factors cause an abnormal synapse structure, leading to greatly compromised synaptic function. flower, pak3 – In this image, representing fweDB25, pak3d02472/fweDB56, Df(3R)pak3 mutants, the phenotype seen in flower mutants is significantly increased, with even more total and terminal boutons. A main axonal branch can be seen (going from the bottom left corner to the top right corner), with many smaller branches splitting off from the main branch. Many of these boutons appear even smaller than those at fweDB25/fweDB56 NMJs. Collectively, these characteristics provide strong evidence that loss of pak3 enhances flower mutant synaptic phenotypes.

Discussion

From this investigation, we have determined that pak3, a primarily glial expressed gene that is involved in regulating actin projections, interacts synergistically with flower through separate yet connected pathways in order to regulate synapse structure and function, and that simultaneous deletion of both genes results in severe synaptic defects. This is important because it provides deeper insight into the function of pak3, a relatively unknown gene, illustrating that pak3 plays an important role in synapse development and regulation, and is not just spastin-specific. Additionally, although this study looks at the NMJs of fruit flies, the family of p21-activated kinases is evolutionarily conserved, and a similar gene to pak3 exists in vertebrates, including humans [23]. Thus, this study not only elucidates the molecular relationship between two genes, but also how those genes could potentially interact in human nervous systems.

Another important connection is the relationship between pak3 interactions with flower and pak3 interactions with spastin. Even though both spastin and flower are neuronal genes that affect synapse structure and function, their relationships to pak3 are completely opposite – whereas loss of pak3 suppresses the extra boutons created by loss of spastin [19], loss of pak3 enhances the extra boutons created by loss of flower. This difference is noteworthy because it signifies that perhaps there are many bouton-forming pathways used by neurons, and pak3 happens to interact antagonistically with spastin (at least in bouton formation) and synergistically with

flower. Figures 5 and 6 provide a visual illustration of the proposed interactions between pak3, flower, and spastin at NMJs.

Another aspect to consider is the site of action of pak3. Although it is primarily expressed in glia, pak3 is also expressed in a few neurons, albeit in a limited manner [15]. Thus, we must take into consideration the fact that some of the results we have observed could, in fact, be due to neuron-driven pak3 expression instead of glial-driven pak3 expression, as we have postulated. However, since pak3 is predominantly expressed in glia, and glia interact with neurons very closely (Figure 4), the synaptic phenotypes ensuing from pak3 deletion are likely a result of glialdriven pak3. Nevertheless, in order to test the possible discrepancies arising from glial versus neuronal-driven pak3 expression, it may be possible to delete pak3 only in certain cell types and compare the phenotypic results. Tissue-specific knockdown of pak3 in only neurons or in only glia, using RNAi, should reveal which can phenocopy the genetic interaction of the mutant alleles. This would allow us to learn more about the site of action of pak3, as well as reveal more information about the function of pak3 in cell types other than glia. For example, in what particular glia and neurons at what stages in development is pak3 being expressed?

Figure 5. A model of synaptic development at the NMJ: this model provides a visual illustration of the interactions between pak3, flower, and spastin at a typical Drosophila muscle 4 NMJ. pak3 is thought to regulate actin projections in glia [14][15]; Flower is a trans-membrane protein that mediates Ca2+ uptake during endocytosis and exocytosis; and Spastin serves to sever microtubules to allow for proper axonal growth. Both spastin and flower are primarily expressed in the neuron, while pak3 is mainly expressed in glial cells surrounding the neuron [15][17][21]; however, pak3 interacts genetically with both spastin [19] and flower in order to regulate synaptic structure and function. More specifically, pak3 interacts antagonistically with spastin [19] while pak3 interacts synergistically with flower. Details have been simplified in this diagram in order to allow for more focused examination of pak3, flower, and spastin. However, there are many other molecules (including secondary messengers, protein kinases, and other signaling molecules) involved in the

actual biochemical pathways leading to proper synaptic development. Figure is not drawn to scale.

All in all, this investigation also provides support for the growing consensus in the scientific community about the role of glia in the nervous system. Although glial cells were originally viewed solely as “support” cells for neurons, more evidence nowadays leads us to believe that glia play a critical role in proper nervous functions. In this report, our results support the idea that pak3 in glia is very important for the regulation of synaptic structure and function at the NMJs, and that glia and neurons work together in order to ensure proper development of synapses.

Figure 6. A closer look at synaptic regulation: this illustration is zoomed in on an individual synaptic bouton, in order to more thoroughly model synaptic regulation by pak3, flower, and spastin. Pak3, Flower, and Spastin proteins are shown carrying out their cellular functions, though actual molecular processes have been greatly simplified. Additionally, this model more accurately displays the close relationship between glia and neurons, with filopodial actin projections extending from the glial cell to the synaptic bouton on the neuron. Although the actual mechanisms of interaction between glia and neurons is unknown, this proposed model would allow the pak3 biochemical pathway to physically interact with the flower and spastin pathways at synaptic boutons, leading to our observed phenotypes. Also, the interactions between pak3 and flower and pak3 and spastin may or may not be related; in this diagram all three proteins are shown together in order to provide a more comprehensive picture of the role of pak3 in synaptic regulation. Figure is not drawn to scale.

Future Directions

The results of this investigation have also raised new questions to be answered in future studies. Perhaps other genetic combinations could be tested, to see if pak3 interacts with other genes besides flower and spastin. One potential target is dap160, a primarily neuronally expressed

gene that scaffolds the periactive zone of synapses and is involved in vesicle endocytosis and synaptic growth [24][25]. Since dap160 has similar functions to flower, perhaps pak3 not only interacts with spastin and flower, but also with dap160 (and possibly with other synapseaffecting genes as well). Investigating these other possible interactions would provide us with greater insight about the breadth of pak3 functionality, as well as illustrate the specific relationships between pak3 and other genes.

Another interesting extension would be to test the relationship between flower and spastin, particularly since they have opposite interactions with pak3 but qualitatively similar mutant phenotypes on their own (increased numbers of small synaptic boutons), to see how they would interact with each other. This would allow us to take a step back from specifically looking at pak3 and increase our overall understanding about the complex and involved nature of synapse development and regulation.

Finally, it would be noteworthy to examine other glial pathways, besides the pak3 pathway, which are known to affect synaptic bouton formation. draper, a glial expressed gene, is involved in the engulfment of destabilized presynaptic boutons and the disposal of neuronal debris during synaptic development, and affects synaptic bouton numbers [11]. Preliminary data suggests that draper, similar to pak3, is able to suppress spastin [15]. What is the effect of draper on flower though? Will draper interact synergistically with flower to regulate synaptic structure and function, like pak3, or antagonistically, like its interaction with spastin? Answering these fundamental questions would allow us to continue to expand our understanding of the role of glia in synaptic development and regulation.

In summary, pak3 is a highly intriguing gene that appears to play a significant role in synapse development and displays great potential for future research and investigation.

Acknowledgments

I gratefully thank Nina T. Sherwood for allowing me to work in her laboratory and utilize the resources available to conduct my research project. I also thank Emily Ozdowski, Chris Crowl, and Myra Halpin for their mentorship and support throughout my project. Thanks to Charlene Chen for her technical assistance with larval fillets and Esther Park for genetic recombination of mutant alleles.

WORKS CITED

[1] Collins, C. A., and DiAntonio, A. 2007. Synaptic development: insights from Drosophila. Curr. Op. Neuro. 17, 35-42.

[2] Choquet, D., and Triller, A. 2013. The dynamic synapse. Neuron 80, 691-703.

[3] Venken, K.J.T., and Bellen, H.J. 2005. Emerging technologies for gene manipulation in Drosophila melanogaster. Nat. Rev. Genet. 6, 167-178.

[4] Bellen, H. J., Tong, C., and Tsuda, H. 2010. 100 years of Drosophila research and its impact on vertebrate neuroscience: a history lesson for the future. Perspectives 11, 514-523.

[5] Landis, D.M.D., Hall, A.K., Weinstein, L.A., and Reese, T.S. 1988. The organization of cytoplasm at the presynaptic active zone of a central nervous system synapse. Neuron 1, 201-209.

[6] Kittel, R.J., Wichmann, C., Rasse, T.M., Fouquet, W., Schmidt, M., Schmid, A., Wagh, D.A., Pawlu, C., Kellner, R.R., Willig, K.I., et al. 2006. Bruchpilot promotes active zone assembly, Ca2+ channel clustering, and vesicle release. Science 312, 1051-1054.

[7] Graf, E.R., Daniels, R.W., Burgess, R.W., Schwarz, T.L., and DiAntonio, A. 2009. Rab3 dynamically controls protein composition at active zones. Neuron 64, 663677.

[8] Nishimune, H. 2012. Active zones of mammalian neuromuscular junctions: formation, density, and aging. Annals NY Acad. Sci. 1274, 24-32.

[9] Nakanishi, S., Nakajima, Y., Masu, M., Yoshiki, U., Nakahara, K., Watanabe, D., Yamaguchi, S., Kawabata, S., and Okada, M. 1998. Glutamate receptors: brain function and signal transduction. Brain Res. Rev. 26, 230-235.

[10] Featherstone, D. E., Rushton, E., Broadie, K. 2002. Developmental regulation of glutamate receptor field size by nonvesicular glutamate release. Nat Neurosci. 5, 141146.

[11]Fuentes-Medel, Y., Logan, M.A., Ashley, J., Ataman, B., Budnik, V., and Freeman, M.R. 2009. Glia and muscle sculpt neuromuscular arbors by engulfing destabilized synaptic boutons and shed presynaptic debris. PLoS Biol 7, e1000184.

[12] Schafer, D.P., and Stevens, B. 2013. Phagocytic glial cells: sculpting synaptic circuits in the developing nervous system. Curr. Op. Neuro. 23, 1034-1040.

[13] Allen, N.J. 2013. Role of glia in developmental synapse formation. Curr. Op. Neuro. 23, 1027-1033.

[14] Asano, Y., Jimenez-Dalmaroni, A., Liverpool, T. B., Marchetti, M. C., Giomi, L., Kiger, A., Duke, T., and Baum, B. 2009. Pak3 inhibits local actin filament formation to regulate global cell polarity. HFSP J. 3, 194203.

[15] Ozdowski, E.F. and Sherwood, N.T. 2013. Glial involvement in neuronal synaptic bouton formation implicates pak3 and draper function. 54th Annual Drosophila Research Conference, Washington, D.C., Poster 453C.

[16] Trotta, N., Orso, G., Rossetto, M.G., Daga, A., and Broadie, K. 2004. The hereditary spastic paraplegia gene, spastin, regulates microtubule stability to modulate synaptic structure and function. Curr. Biol. 14, 11351147.

[17] Sherwood, N. T., Sun, Q., Xue, M., Zhang, B., and Zinn, K. (2004). Drosophila Spastin regulates synaptic microtubule networks and is required for normal motor function. PLoS Biol. 2, 2094- 2111.

[18] Du, F., Ozdowski, E. F., Kotowski, I. K., Marchuk, D.A., and Sherwood, N. T. 2010. Functional conservation of human Spastin in a Drosophila model of autosomal dominant-hereditary spastic paraplegia. Hum. Mol. Genet. 19, 1883-1896.

[19] Ozdowski, E. F., Gayle, S., Bao, H., Zhang, B., and Sherwood, N. T. 2011. Loss of Drosophila melanogaster p21activated kinase 3 suppresses defects in synapse structure and function caused by spastin mutations. Genetics 189, 123-135.

[20] Cousin, M. A., and Robinson, P. J. 2000. Ca(2+) influx inhibits dynamin and inhibits arrests synaptic vesicle endocytosis at the active zone. J. Neurosci. 20, 949-957.

[21] Yao, C. K., Lin, Y. Q., Ly, C. V., Ohyama, T., Haueter, C. M., Moiseenkova-Bell, V. Y., Wensel, T. G., and Bellen, H. J. 2009. A synaptic vesicleassociated Ca2+ channel promotes endocytosis and couples exocytosis to endocytosis. Cell 138, 947-960.

[22] Parks, A.L., Cook, K.R., Belvin, M., Dompe, N.A., Fawcett, R., Huppert, K., Tan, L.R., Winter, C.G., Bogart, K.P., Deal, J.E., et al. 2004. Systematic generation of highresolution deletion coverage of the Drosophila melanogaster genome. 36, 288-292.

[23] Mentzel, B., and Raabe, T. 2005. Phylogenetic and structural analysis of the Drosophila melanogaster p21activated kinase DmPAK3. Gene 349, 25-33.

[24] Koh, T. W., Verstreken, P., and Bellen, H. J. 2004. Dap160/Intersectin acts as a stabilizing scaffold required for synaptic development and vesicle endocytosis. Neuron 43, 193-205.

[25] Marie, B., Sweeney, S. T., Poskanzer, K. E., Roos, J., Kelly, R. B., and Davis, G. W. 2004. Dap160/Intersectin scaffolds the periactive zone to achieve high-fidelity endocytosis and normal synaptic growth. Neuron 43, 207219.

Computational model of virus diffusion in human airway surface liquid with applications to gene therapy

ABSTRACT

It is well-established that many diseases, such as influenza and the common cold, are transmitted by the respiratory route. However, little is known about the mechanics of virion movement within the airways. Recently, computational fluid dynamics models have shed light on particle deposition in the airways, yet the post-deposition motion of particles through airway surface fluid (ASL) is largely unknown. In this paper, we present a stochastic model of antibody diffusion in human airway surface liquid. Ciliary clearance, antibody-induced trapping mechanisms, and virus neutralization are considered. Additionally, this model was applied to adeno-associated virus 6 (AAV6), a strong candidate vector for respiratory gene therapy. Simulations were conducted in the MATLAB computing environment. While this model is intended for future use in analyzing candidate vectors for respiratory gene therapy, it is also broadly applicable to understanding the motion of other viruses in the ASL.

Introduction

Purpose and Motivation

Many illnesses, from the common cold to influenza, are transmitted through the respiratory tract. As we breathe, viruses are inhaled and settle on the surface of the airways [23]. However, the airway epithelium is protected by a layer of airway surface liquid (ASL) that traps inhaled particles [7]. This ASL is continuously cleared toward the esophagus by the tiny, whip-like cilia of the epithelial cells [2]. Once at the esophagus, the ASL and its trapped particles are swallowed and subsequently destroyed by the acidic contents of the stomach [19]. Furthermore, antibodies (Ab) present in the ASL bind to the virions, slowing them through interactions with mucin fibers while also reducing their ability to bind to and infect cells [23]. Clearly, the ASL layer serves as a crucial defense against many respiratory viruses. Only those virions that diffuse across the ASL prior to swallowing and prior to Ab neutralization can infect cells [9]. Unfortunately, laboratory experiments on virus characteristics in the human lung are difficult to design and conduct. As of yet, there is little understanding of how virions are able to reach epithelium in spite of ASL defenses [6]. Improved knowledge of virus movement and neutralization mechanics may lead to improved treatments for viral diseases, as well as improved use of viruses for alternative applications. This serious lack of understanding is important from both immunological and medical perspectives.

In this paper, we present a computational model of virion diffusion across the ASL that takes into account mucociliary clearance mechanisms, antibody-induced trapping in mucus, and virion neutralization intended for use in analyzing possible gene therapy vectors. This model is also broadly applicable to simulate the diffusion of viruses across the ASL. We also present an application of

this model to Adeno-Associated Virus 6 (AAV6), a strong candidate for gene therapy applications [11].

Airway Physiology

The ASL, the first line of defense against inhaled pathogens, consists of a lubricating periciliary layer (PCL) directly on top of the epithelium and an outer mucus layer [3]. The mucus layer consists primarily of water (98%), salts (≈ 1%), and glycosylated mucin proteins (≈ 1%) [22]. The PCL fluid characteristics are poorly understood, but is thought to maintain its lower viscosity through osmosis across the epithelium [5]. The low viscosity of PCL enables the whip-like cilia of respiratory epithelia to “beat” at frequencies of up to approximately 200 Hz. Each mature epithelial cell may have up to two-hundred cilia [22]. The tips of these cilia penetrate the mucus layer, propelling the mucus and PCL layers, and anything within them, including proteins, virions, and bacteria, toward the esophagus at a rate of tens of microns per second [20].

The structure of the airways resembles a series of branching, tubular segments, the uppermost of which is the trachea. This large airway branches into two smaller primary bronchi, which later bifurcate into multiple bronchioles [24]. Each level of branches is assigned a generation number in order to group structures that are at a similar depth in the lungs; the trachea is G0, the primary bronchi is G1, and so on [1]. The total number of airway segments in the g-th generation is 2g. With increasing generation number, the diameter and length, and therefore surface area, of each tubular airway decreases, but the number of tubular segments per generation increases. Mucus thickness and velocity decrease as well [16].

Where two deeper generations are joined, the ridge between them is referred to as the carina, or carinal ridge[8]. As ASL is cleared from a deeper generation to a higher generation, approximately 85% of the lower generation’s

ASL volume passes around the carina, while the remaining 15% move over the ridge. Due to reduced ciliary clearance efficiency at the carinal ridge, this 15% of ASL is delayed by as much as 10-15 minutes at the bifurcation [12].

Figure 1. Electron microscope images of airway epithelia. (a) SEM image of ciliated and non-ciliated epithelial cells from the trachea.

Figure 2: In the respiratory system, whiplike cilia beat in a wave-like patter, moving the ASL up towards the esophagus, where it is swallowed and destroyed [20].

(b) Time-sequence SEM images of a cross section of rabbit tracheal culture. The motion of the cilia can be inferred from the sequential images. The PCL and mucus layers of the ASL are also visible.

Gene therapy and suitability of viruses

Viruses can enter the body through numerous openings, including the nose and mouth. Once inside, viruses attempt to attach to host cells with varying degrees of specificity and implant their own genetic information into the host cell’s DNA, thereby hijacking the cell’s reproductive machinery to create more viruses which subsequently attack other cells[4]. Recently, researchers have attempted to repurpose viruses’ ability to insert strands of DNA into existing cellular DNA in gene therapy to repair or replace defective genetic information [17]. Virus-delivered gene therapy is currently being investigated for a variety of re-

spiratory diseases, including cystic fibrosis (CF), chronic obstructive pulmonary disease (COPD), a-antitrypsin deficiency in the lungs, and inherited chronic obstructive pulmonary disease (COPD).

However, viruses must overcome a variety of immune response mechanisms prior to infecting cells. The ASL itself, as well as the many antibodies in it, serves as a strong defense against viruses. Viruses have only a limited time window in which to diffuse across the ASL before they are carried to the esophagus and swallowed[14]. Distributed throughout the ASL, antibodies have the ability to bind to antigens on the virus surface, preventing these antigen binding sites from attaching to a host cell [17]. The paratype, the binding tip of the Ab, attaches to the virus; the size of the antibody also blocks nearby antigen binding sites. In the respiratory tract, the most prevalent antibody is broadly-neutralizing Immunoglobulin-G (IgG) [18]. In general, the binding rates between antibodies and a given virus are not necessarily the same as the binding rates of antibodies to other viruses, even within the same airway generation. Thus, certain antibodies are more suitable for gene therapy applications than others [10]. In addition to antibodies, the respiratory tract defends against virions by phagocytosis by macrophages. This process, however, is much slower than antibody interactions, and, for the time scales and regions of the lung simulated, macrophagy is not significant.

For example, cystic fibrosis is a serious genetic disease resulting from a mutation in the cystic fibrosis transmembrane conductance regulator (CFTR) gene [21]. The CFTR gene affects trans-membrane transport in many organs; in the respiratory system, it affects mucociliary transport mechanisms and leads to thick, viscous mucus. Ineffective elimination coupled with continued production leads to a buildup of ASL within the lungs and airways. Traditionally, much CF research has focused on loosening thick ASL and preventing bacterial infections within the airways. In the case of cystic fibrosis, gene therapy may be able to replace existing, incorrectly coded CFTR genes with correct genetic information. Thus, virus-delivered gene therapy has the potential to play a major role in treating CF. Understanding the motion of viruses within the ASL will likely elucidate this emerging therapeutic option [15].

Model

Unfortunately, experiments on virion motion in living organisms are difficult to design and conduct. Thus, computational models serve as necessary tools for understanding ASL characteristics and role in immunology. In addition, computational models can aid in planning lab experiments. Running simulations allows researchers to analyze ideas quickly and relatively inexpensively before conducting experiments.

Many existing models largely focus on airflow and

mucus transport but do not consider particle diffusion through the respiratory tract itself. For example, a recent computational model simulates particle clearance in cystic fibrosis lungs [14]. However, this model, unlike our model does not simulate individual particle clearance or penetration to the epithelium. Instead, the model focuses on mass particle clearance. Existing models do not simulate particle diffusion, a critical mechanism for gene therapy. Our work introduces a new model that incorporates particle diffusion, penetration, and clearance, and is broadly applicable to understanding virus motion. We anticipate that this model will be primarily used to better understand gene therapy vectors.

To illustrate the capabilities of this model, we present a specific application to Adeno-Associated Virus 6 (AAV6), a strong candidate for respiratory gene therapy, in order to illustrate the modeling capabilities of this method. AAV6 is considered a strong candidate vector for gene therapy. Despite its ability to infect both dividing and nondividing cells, AAV6 does not trigger replication and cell lysis except in the presence of so-called “helper viruses.” Serotype 6 is considered especially well suited to respiratory applications [10]. The model described herein can be used to analyze virus neutralization patterns as well.

Method

Our model begins where these earlier models leave off; we start with the deposition of virions in the ASL. Previous models have used computational fluid dynamics (CFD) to simulate airflow properties and particle deposition concentrations in early airway generations [24]. According to these models, as particles are breathed in, those with diameters on the order of 0.1 µm or smaller are also trapped in the highest generations of the airways because their relatively small radii and masses make Brownian effects significant. For a spherical particle, the StokesEinstein equation gives the diffusivity coefficient D of a particle undergoing Brownian motion:

where kB is the Boltzmann constant, T is the temperature, R is the hydrodynamic radius of the particle, and η is the dynamic viscosity of the fluid through which the particle moves [15]. A larger diffusivity coefficient increases the distance that a particle can diffuse in a given time interval. Particles with small radii are thus more likely to drift into contact with the airway walls. Particles with larger radii have lower diffusivities, making Brownian effects negligible. However, the relatively large inertia of large-radii particles prevents them from moving smoothly with the airstream at the bifurcations at the ends of generations. These models predict that particles with diameters on the order of 1.0 µm or larger collide with and become trapped in nasal hairs or mucus in the uppermost parts of the airways, in part because [13]. Particles with diameters between 1.0 µm and 0.1 µm, such as the AAV6 virion (diameter 0.025 µm), travel deeper into the lung before colliding with airway walls [15]. The size of the AAV6 virion makes efficient delivery for gene therapy applications possible.

Models of lung deposition patterns indicate that virion deposition is nearly uniform by area in upper airway generations, with elevated deposition rates near the insides of bifurcations between generations; because the area of these bifurcations is small, we assume that virions are initially deposited uniformly by area on the surface of the ASL [15].

As mucus is a hydrogel, its structure consists of a matrix of fibers inundated with an interstitial fluid composed primarily of water. Due to their small size relative to the average pore size of this mesh, antibodies and virions can diffuse across the matrix mesh through interstitial fluid. We approximate the viscosity of this interstitial fluid with the viscosity of water.

Though the left generations of the lung, and in particular, the left bronchus, are usually shorter that the right generations, a symmetrical lung model is commonly used because a significant reduction of complexity can be achieved with little change in qualitative results [13]. Table 1 lists the lung characteristics used in this model. As phagocytosis and thermal degradation are only significant on much longer time scales, they are not incorporated into this model.

As very little is known about PCL fluid, computational models often assume it function similarly to the mucus layer. The respiratory tract branches into a series of generations; with increasing generation number, the mucus layer is known to decrease in depth. As the relationship between PCL layer depth and generation number is poorly understood; it is assumed to remain constant in this and other models.

In this model, each virus i is assigned a pair of (xi, zi)

Figure 3. Diagram of model

coordinates. The x-coordinate represents the particle’s distance from the esophagus, where x = 0; the z-coordinate represents the particle’s distance from the epithelium, where z = 0. The diffusion of viruses is simulated by Brownian motion. In each time step Δt, the position of each virus is updated according to the following equations,

where the W x and W z are standard normal random variables, v g is the speed of the mucus relative to the epithelium in the g-th generation in which the particle is currently located and tends to decrease as the generation number increases. D’ is the diffusivity of the virus adjusted for a two-dimensional simulation.

As ASL is cleared from a deeper generation to a higher generation, approximately 85% of the lower generation’s ASL volume passes around the carina, while the remaining 15% move over the ridge. Due to reduced ciliary clearance efficiency at the carinal ridge, this 15% of ASL is delayed by as much as 10-15 minutes at the bifurcation [12]. As virions diffuse through the ASL, they may encounter antibodies (Ab). The binding and unbinding of Ab can be written in the form of the following reaction:

Here, the notation Vn,N denotes a virion with N total binding sites, of which n are currently unavailable for binding. The reaction kinetics are:

where ko f f is the kinetic rate constant of this forward reaction (gaining an Ab) and kon is the rate constant of the reverse reaction (losing an Ab). When an antibody binds to a virion, the n is updated. In doing so, steric hindrance must be taken into account. In the case of AAV6, each virus has approximately 60 trimeric binding antigens, each of which contains of 3 binding sites. However, each bound antibody physically obstructs an additional 5 binding sites. Although the average AAV6 virion has 180 binding sites, only a maximum of 30 antibodies can actually bind to a AAV6. Of the virions that crossed to the epithelium in our simulation, an average of 6 antibodies were bound to each virion. Thus, each bound antibody reduces n by 6.

Table 1: Characteristics of the symmetric lung used in this model.

When large numbers of virion-antibody interactions are simulated, this reaction can be analyzed probabilistically. Assuming that Ab binding is a Markovian process – that is, Ab binding rates for a given virion at time t +Δt are independent of the state of the particle at times before t – the probability that a given virion will undergo a binding or unbinding event are:

The probability of multiple events occurring during Δt are o(Δt); for small (< 1) Δt , multiple binding can be neglected. These binding rates will depend upon the particular virus and Ab simulated.

Viruses in actual airways will diffuse until they are either cleared through the esophagus or penetrate the ASL and reach the epithelium. To produce realistic values for clearance and penetration rates, the method described above is iterated until all simulated viruses initially deposited in the airways have been cleared through the esophagus or penetrated the epithelium. In this paper, we refer to this time as the biologically significant time interval, TBS.

An Application to Gene Therapy

Parameters

To demonstrate the capabilities and utility of this model, we implemented this simulation for the AAV6 virus, a strong candidate for respiratory gene therapy. The use of AAV6 in respiratory gene therapy has been previously explored in clinical trials. Parameters of the model, including characteristics of AAV6, are listed in Table 2. The diffusivity of AAV6 in respiratory mucus was calculated using the radius of AAV6 and the Stokes-Einstein relationship. This model was implemented in MATLAB. Due to computing constraints, this model, as implemented, could not be run to TBS on sets of greater than 15,000 viruses for times greater than 1.5 hours. By 1.5 hours, all viruses were cleared through the esophagus or penetrated through the epithelium, and all of the mucus present at the beginning of the simulation had traveled to the esophagus.

2. Model parameters used in

Virus Motion

Figures 4 and 5 provide a sample of the motion all particles in the simulation undergo. As a virus particle undergoes Brownian motion, its z position, or distance from the epithelium, fluctuates between the epithelium and the air-mucus interface. As an example, Figure 4 shows the z positions of selected particles that start in different generations. As expected, each particle moves in a seemingly patternless manner regardless of generation. When averaged, however, particle z positions decrease over time as particles diffuse toward the epithelium. Virus particles are also moved toward the esophagus by mucocilliary clearance mechanisms, which lead to a steadily decreasing x position. Figure 5 shows the x positions of the same particles plotted in Figure 4. However, because the particle also undergoes Brownian motion in the x direction, particle positions in Figure 5 do not form a smooth curve. In Figures 4 and 5, the particles that began in the first and fourth generation penetrated the epithelium, at which point their z positions became zero and their x positions became constant. The figures show that when a particle penetrates to the epithelium (z = 0), the corresponding x position of the particle remains constant from that time step forward, as the particle is no longer being pushed upward by mucociliary clearance mechanisms. In addition, when the particle is cleared to the esophagus (x = 0), the particle’s z position stops changing and the path ends, as the particle is no longer a part of the simulation.

Figure 4. Plot of z positions of selected virions originally deposited in different generations over time

Figure 5. Plot of x positions of selected virions originally deposited in different generations over time.

At the end of TBS, 1.12% of all virus particles penetrated the ASL to reach the epithelium, while 98.88% of the particles had been cleared to the esophagus, as shown in Figure 6b.

Effect of Antibody Concentration

Though Ab binding reduces virion diffusivity because of mucus affinity, it does not completely stop virion motion; most AAV6 virions reaching the epithelium have bound antibodies. However, Ab do reduce the average infectivity of viruses reaching the epithelium. The average effective infectivity, defined as the percent of Ab sites occupied, was 50%. Figure 6c shows the distribution of antibodies bound per virion at the end of the simulation. Almost all virions have between 15 and 19 antibodies bound to them by the time they have reached the epithelium.

Figure 6. Summary of the output of model as applied to AAV6. (A) Penetration versus the concentration of antibodies. (B) Percentage of viruses cleared and penetrated after 1.5 hours. (C) Percent of viruses that reach the epithelium by number of bound antibodies.

Table
AAV6 simulation.

Though it is conceptually clear that increased IgG concentration reduces virus penetration and virus infectivity, and vice versa, the impact of individual variation in IgG concentrations is not known qualitatively. To evaluate the model’s sensitivity to IgG concentration, simulations with antibody concentrations ranging from 0.1 µg/ml to 100 µg/ml, as shown in 6a. The percent of virions reaching the epithelium decreases rapidly as the concentration of antibodies increases. In addition, to show the role of antibodies in the respiratory tract, the model was simulated without Ab interactions influencing virion diffusion. Without antibodies, 92% of the virions reached the epithelium. With a concentration of 1 ug/ml, this number had significantly decreased to 45%, indicating that antibodies play a significant role in respiratory defense.

Discussion and Conclusion

Conclusion

Antibodies were found to play a significant role in defending the respiratory tract against virions. When the diffusion of AAV-6 was simulated with no antibodies present in the system, 92% of all virions had crossed the ASL and reached the epithelium. In addition, the diffusion of AAV6 was simulated for IgG concentrations ranging from 0.1 µg/ml to 100 µg/ml to show the effect of antibody concentrations on virion diffusion. As antibody concentration increases, the penetration proportion of AAV-6 decreases exponentially. This confirms that neutralizing antibodies can be a major barrier to aerosol gene therapy.

So far, we have applied our model to study the AAV6 virus, a strong candidate for gene therapy for cystic fibrosis. An average person has an AAV6- specific IgA concentration of 15 µg/ml. With this concentration, about 1.12% of all deposited AAV6 particles reach the cell epithelium and have an 50% effective infectivity. 97% of all particles that had penetrated the epithelium had between 15 and 19 antibodies attached to them. This small window for the number of antibodies attached suggests that the antibodies on viruses distribution has reached its equilibrium point. Simulating these interactions for a longer time, thus, will not change the number of antibodies bound to the penetrated viruses. In addition, particles deposited in the fourth generation have a higher penetration rate, but those in the second generation have a higher effective infectivity. However, the difference in penetration rate between the second and fourth generations is greater than the difference in bound antibodies between the second and fourth generations, indicating virions initially deposited in the fourth generation are more effective in providing gene therapy. Experiments can be run to validate the point that AAV-6 virions initially deposited in the fourth generation of the respiratory tract will result in the most effective gene therapy, as this results in the highest penetration.

Discussion

The new model introduced here is a valuable tool in analyzing the mechanics of virus motion and antibody interactions. The broad applicability of our model to different viruses and antibodies, as well as its extensibility to new scenarios, enables its use in a variety of scenarios to answers diverse questions. This model will be useful in analyzing virus diffusion and interactions between antibodies and virions in the airway surface liquid of the respiratory tract. Our model will need to be verified by in vivo or clinical data, but our predictions are well-aligned with observations made by others in terms of poor viral efficacy.

Most models focus on mucus transport but do not consider diffusion through the respiratory tract. Our model goes beyond the latest computational model for virion diffusion through the ASL by simulating not only particle clearance due to mucocilliary mechanisms but also virion penetration to the epithelium. In addition, unlike many current models, we account for antibody interactions with virions in the mucus. These critical aspects of virion interactions with the airway surface liquid gives our model greater predictive power in gene therapy and drug delivery applications than existing models.

By understanding these interactions better, we can gain insight into the role mucus plays in the transmissions of viruses. Mucus is often overlooked by scientists despite its importance to health because there is usually little curiosity or interest in mucus. An accurate computational model of virion diffusion through mucus is critical for evaluating and developing mucosal-administered viral gene therapy. This model can also be used to analyze drug delivery by removing antibody interactions from the file. These models are a more convenient and cost-effective way to evaluate the barriers that obstruct the transport of existing drugs, predict the effectiveness of new drugs, and design drugs with desirable properties in mucus.

Future Work

Future additions to model

While this model attempts to include all factors that have a significant impact on virus diffusion through ASL, certain assumptions were made to reduce computational complexity. Although the majority of the antibodies in the ASL are IgG antibodies, other antibodies are present in smaller amounts but were not modeled due to computing constraints. Each additional type of Ab has different rate constants and different binding and unbinding kinetics. Though simulating these additional types of Ab would generally increase the complexity of the computations, the effects of IgA, one of these additional types of Ab, can be approximated relatively simply. Each IgA protein is superficially similar in structure to two IgG bound back-to-back and its effects are similar to two IgG molecules. Thus, the effect of IgA can be estimated by increasing the concentration of IgG input to the program. IgA does differ from

IgG in that IgA can enable to formation of multi-virus complexes by binding to different viruses on each side. We expect that this will reduce virion diffusion through mucus. In the context of the Stokes-Einstein equation, the effective hydrodynamic radius of these multi-virus complexes will be larger than the radii of individual virions, making the diffusivities of the multi-virion complexes smaller than the diffusivities of individual virions. Though qualitatively simple, multi-virus complexes are quantitatively very difficult to model. For non-spherical particles, the Stokes-Einstein equation is only an approximation; for large multi-virus complexes, the spatial conformation of the complex will affect the diffusivity. However, multivirus complexes likely require viruses to be closely spaced, and for virions with bound IgA to collide with other virions at sufficiently high energies. Furthermore recent work by our mentor suggests that IgA may have much lower affinity to mucin fibers than IgG, which we expected will increase rates of virus penetration of the epithelium. Based on these factors, we do not believe that IgA will have a significant impact on this particular simulation. However, in the future, we plan to implement IgA separately in our model, and provide a method of tracking other Ab types, as they may be significant in other scenarios with different parameters.

Kon and Koff values for binding and unbinding kinetics are dependent upon the antibody and viruses being simulated. For AAV-6 with IgG antibodies, the system of antibodies attached to viruses reached its equilibrium point, and thus all viruses that penetrated the epithelium had between 15 and 19 antibodies attached to them. However, with a decreasing the Kon value, the system will not yet have reached the equilibrium point, thus resulting in a smaller number of antibodies bound per virus. In addition, viruses with a lower number of antibody binding sites would result in a fewer number of antibodies present when virions reach the epithelium. Thus, this model can be used to test the penetration rates of viruses with lower Kon values or fewer binding sites.

Future Applications

Though we applied our model to a particular virion, our model has broad applicability to other scenarios. For example, our model could be used to compare the suitability of candidate viruses for gene therapy. Variations in number of binding sites, radius, binding kinetics, etc. may influence the effective infectivity of a given viral vector. More generally, our model can be used to investigate the motion of pathogenic respiratory viruses in normal human lungs and also asthma lungs, as patients with asthma have lower mucus velocities since all ASL parameters can easily be changed in our model. Additionally, our model can be used to supplement analyses of hypotheses on the unresolved question of PCL composition.

Acknowledgements

We would like to acknowledge Mr. Gotwals for his help and support through the Research in Computational Science Program at NCSSM, and Dr. Sam Lai and Dr. Alex Chen at UNC-Chapel Hill for their mentoring and great advice.

References

[1] J. E. Agnew. “Bronchiolar aerosol deposition and clearance”. In: European Respiratory Journal 9.6 (June 1996), pp. 1118–1122. ISSN: 00000000. DOI: 10.1183/09031936.96.09061118. URL: http://erj.ersjournals. com/content/9/6/1118.

[2] Alex Braiman and Zvi Priel. “Efficient mucociliary transport relies on efficient regulation of ciliary beating.” In: Respiratory physiology & neurobiology 163.1-3 (Nov. 2008), pp. 202–7. ISSN: 1569-9048. DOI: 10.1016/j. resp.2008.05.010. URL: http://www.ncbi.nlm.nih.gov/ pubmed/18586580.

[3] Brian Button et al. “A periciliary brush promotes the lung health by separating the mucus layer from airway epithelia.” In: Science (New York, N.Y.) 337.6097 (Aug. 2012), pp. 937–41. ISSN: 1095-9203. DOI: 10.1126/ science.1223012. URL: http://www.ncbi.nlm.nih.gov/ pubmed/22923574.

[4] Tom Chou and Maria R D’Orsogna. “Multistage adsorption of diffusing macromolecules and viruses.” In: The Journal of chemical physics 127.10 (Sept. 2007), p. 105101. ISSN: 0021-9606. DOI: 10.1063/1.2764053. URL: http://www.ncbi.nlm.nih.gov/pubmed/17867780.

[5] RV Craster and OK Matar. “Surfactant transport on mucus films”. In: Journal of Fluid Mechanics 425 (2000), pp. 235–258. URL: http://journals.cambridge.org/abstract\_S0022112000002317.

[6] Yen Cu and W M Saltzman. “Mathematical modeling of molecular diffusion through mucus”. In: 61.2 (2010), pp. 101–114. DOI: 10.1016/j.addr.2008.09.006.Mathematical.

[7] Nico Derichs et al. “Hyperviscous airway periciliary and mucous liquid layers in cystic fibrosis measured by confocal fluorescence photobleaching.” In: FASEB journal : official publication of the Federation of American Societies for Experimental Biology 25.7 (July 2011), pp. 2325–32. ISSN: 1530-6860. DOI: 10.1096/fj.10-179549. URL: http:// www.pubmedcentral.nih.gov/articlerender.fcgi?artid=311 4535\&tool=pmcentrez\&rendertype=abstract.

[8] WMFoster, E Langenback, and E H Bergofsky. “Measurement of tracheal and bronchial mucus velocities in man: relation to lung clearance.” In: Journal of applied physiology: respiratory, environmental and exercise physiology 48.6 (June 1980), pp. 965–71. ISSN: 0161-7567. URL: http://www.ncbi.nlm.nih.gov/pubmed/7380708.

[9] Anthony R Geonnotti and David F Katz. “Dynamics of HIV neutralization by a microbicide formulation layer: biophysical fundamentals and transport theory.” In: Biophysical journal 91.6 (Sept. 2006), pp. 2121–30. ISSN:

0006-3495. DOI: 10.1529/biophysj.106.086322. URL: http://www.pubmedcentral.nih.gov/articlerender.fcgi?arti d=1557566\&tool=pmcentrez\&rendertype=abstract.

[10] Brittney L Gurda et al. “Capsid Antibodies to Different Adeno-Associated Virus Serotypes Bind Common Regions.” In: Journal of virology June (June 2013). ISSN: 1098-5514. DOI: 10.1128/JVI.00622-13. URL: http:// www.ncbi.nlm.nih.gov/pubmed/23760240.

[11] Christine L Halbert, James M Allen, and A Dusty Miller. “Adeno-Associated Virus Type 6 ( AAV6 ) Vectors Mediate Efficient Transduction of Airway Epithelial Cells in Mouse Lungs Compared to That of AAV2 Vectors”. In: 75.14 (2001), pp. 6615–6624. DOI: 10.1128/ JVI.75.14.6615.

[12] Werner Hofmann and Robert Sturm. “Stochastic model of particle clearance in human bronchial airways”. In: Journal of aerosol medicine 17.1 (2004), pp. 73–89. URL: http://online.liebertpub.com/doi/pdf/10. 1089/089426804322994488.

[13] SM H¨ogberg. “Nanoparticle transport and deposition in the large conducting airways using CFD”. In: (2006). URL: http://epubl.ltu.se/1402-1617/2006/193/LTUEX-06193-SE.pdfhttps://pure.ltu.se/ws/files/30999496/ LTU-EX-06193-SE.pdf.

[14] Julian Kirch et al. “Mucociliary clearance of micro- and nanoparticles is independent of size, shape and charge–an ex vivo and in silico approach.” In: Journal of controlled release : official journal of the Controlled Release Society 159.1 (Apr. 2012), pp. 128–34. ISSN: 1873-4995. DOI: 10.1016/j.jconrel.2011.12.015. URL: http://www. ncbi.nlm.nih.gov/pubmed/22226774.

[15] Clement Kleinstreuer, Zhe Zhang, and Zheng Li. “Modeling airflow and particle transport/deposition in pulmonary airways.” In: Respiratory physiology & neurobiology 163.1-3 (Nov. 2008), pp. 128–38. ISSN: 1569-9048. DOI: 10.1016/j.resp.2008.07.002. URL: http://www. ncbi.nlm.nih.gov/pubmed/18674643.

[16] Bonnie E Lai et al. “Transport theory for HIV diffusion through in vivo distributions of topical microbicide gels.” In: Biophysical journal 97.9 (Nov. 2009), pp. 2379–87. ISSN: 1542-0086. DOI: 10.1016/j.bpj.2009.08.010. URL: http://www.pubmedcentral.nih.gov/articlerender. fcgi?artid=2770622\&tool=pmcentrez\&rendertype=abst ract.

[17] Gary K Lee et al. “PEG conjugation moderately protects adeno-associated viral vectors against antibody neutralization.” In: Biotechnology and bioengineering 92.1 (Oct. 2005), pp. 24–34. ISSN: 0006-3592. DOI: 10.1002/bit.20562. URL: http://www.ncbi.nlm.nih.gov/ pubmed/15937953.

[18] Youdong Mao et al. “Subunit organization of the membrane-bound HIV-1 envelope glycoprotein trimer.”

In: Nature structural & molecular biology 19.9 (Sept. 2012), pp. 893–9. ISSN: 1545-9985. DOI: 10.1038/nsmb. 2351. URL: http://www.pubmedcentral.nih.gov/articlerender.fc gi?artid=3443289\&tool=pmcentrez\&rendertype=abstra ct.

[19] H Matsui et al. “Coordinated clearance of periciliary liquid and mucus from airway surfaces.” In: The Journal of clinical investigation 102.6 (Sept. 1998), pp. 1125–31. ISSN: 0021-9738. DOI: 10.1172/JCI2687. URL: http : / / www . pubmedcentral . nih . gov / articlerender . fcgi ? artid = 509095 \ &tool = pmcentrez \&rendertype=abstract.

[20] Sorin M Mitran. “Metachronal wave formation in a model of pulmonary cilia.” In: Computers & structures 85.11-14 (Jan. 2007), pp. 763–774. ISSN: 0045-7949. DOI: 10.1016/j.compstruc.2007.01.015. URL: http:// www.pubmedcentral.nih.gov/articlerender.fcgi?artid=263 0197\&tool=pmcentrez\&rendertype=abstract.

[21] A Multicenter. “Repeated Adeno-Associated Virus Serotype 2 Aerosol-Mediated Cystic Fibrosis Transmembrane Regulator Gene Transfer to the Lungs of Patients With Cystic Fibrosis *”. In: (2004), pp. 509–521.

[22] D J Smith, E a Gaffney, and J R Blake. “Modelling mucociliary clearance.” In: Respiratory physiology & neurobiology 163.1-3 (Nov. 2008), pp. 178–88. ISSN: 15699048. DOI: 10.1016/j.resp.2008.03.006. URL: http:// www.ncbi.nlm.nih.gov/pubmed/18439882.

[23] B O Stuart. “Deposition and clearance of inhaled particles.” In: Environmental health perspectives 55 (Apr. 1984), pp. 369–90. ISSN: 0091-6765. URL: http://www. pubmedcentral.nih.gov/articlerender.fcgi?artid=1568355\ &tool=pmcentrez\&rendertype=abstract.

[24] R Sturm, W Hofmann, and G Scheuch. “Particle clearance in human bronchial airways: comparison of stochastic model predictions with experimental data”. In: Annals of Occupational . . . 46.Suppl. 1 (Jan. 2002), pp. 329–333. ISSN: 0003-4878. DOI: 10.1093/annhyg/46. suppl\_1.329. URL: http://annhyg.oxfordjournals.org/ content/46/suppl\_1/329.full.pdf+htmlhttp://annhyg. oxfordjournals.org/content/46/suppl\_1/329.shorthttp:// annhyg.oxfordjournals.org/cgi/doi/10.1093/annhyg/46. suppl\_1.329.

Analysis of the Conductivity of Thiophene and its Disubstituted Derivatives when Exposed to Various Solvents

ABSTRACT

A computational experiment was performed in order to analyze the effects of three solvents on the conductivity of disubstituted thiophene derivatives. Thiophenes are often used for their conductivity and transparency, especially as polymer semiconductors. Applications of these polymers include, but are not limited to, solar panel electrodes and touchscreens. Experiments with PEDOT:PSS, proved that doping this polymer in ionic liquids significantly elevated its conductivity. EDOT is one of the monomers included in PEDOT:PSS and provided as basis for this study in which other solvents were tested through computational chemistry calculations. This experiment was conducted through the North Carolina School of Science and Mathematics Computational Chemistry server by utilizing the MOPAC software package with PM3 theory for all calculations. These calculations consisted of a series of geometry optimizations and molecular orbital calculations for thiophene, EDOT, EDST, VDOT, and ProDOT. Experimental data from CCCBDB was compared to computational values obtained on the heat of formation of thiophene in order to find how accurate the data on these molecules would be through MOPAC. Each molecular orbital calculation was ran in three different solvents: water, acetonitrile, and cyclohexane as well as calculations without a solvent for a point of comparison. Conductivity was measured in a qualitative manner based on a standard set by molecular orbitals calculations in no solvent. Several trends were developed based on the data. The polar solvents, water and acetonitrile, raised the band gap by significant quantities, therefore lowering conductivity. The band gap is simply the gap between the HOMO and the LUMO of the molecules in the study. The polar solvents, which were water and acetonitrile, decreased the heat of formation the most when compared to the nonpolar solvent, cyclohexane. The polarity of thiophene caused an increase of interactions with the polar solvents, leading to more change in structure and properties. Since the molecules experienced minor change in cyclohexane, it is believed that thiophene and its derivatives had little interaction with the nonpolar solvent due to their opposite polarity. As observed in this study, polarity was the main factor of influence on conductivity.

Introduction

Computational Chemistry provides chemists with the tools to model and predict the structure, properties, and activities of a molecule. Through a variety of methods, computational chemists can perform experiments without having to step foot into a lab. These methods include ab initio, semi-empirical, molecular mechanics, and density functional theory. For this study, semi-empirical methods were utilized due to their faster processing times and ability to calculate the behavior of molecules in a solution. Through this method, core electrons are not taken into account and only calculations of valence electrons are made. In this study, the effects of polar and nonpolar solvents on the molecules EDOT, EDST, VDOT, and ProDOT are analyzed. Each of these molecules are disubstituted thiophene derivatives, meaning that several hydrogen atoms of the base thiophene molecule have been replaced with oxygen or sulfur. Their structures, as seen on Figure 1, are composed of a ring of 4 carbons and 1 sulfur atom. The ring is characterized by double bonds between carbons 2 and 3 as well as carbons 4 and 5. These derivatives are particularly useful as building blocks for π-conjugated

systems such as PEDOT:PSS. Systems such as these are used primarily for their electrochemical properties as conductive polymers[1]. One of the main features of these systems is that they have low energy and are stable, which is caused by delocalized electrons. Doping by oxidation of such conductive polymers removes these delocalized electrons resulting in higher mobility of other electrons in the system.

Figure 1. Structure of a basic thiophene as Seen When Built in WebMO

Thiophene is an aromatic compound. These types of chemical compounds are unsaturated, meaning they have at least one double bond, and are characterized by at least one planar ring structure[2]. The arrangement of the molecules makes them very stable and with low reactivity. One of the uses of thiophenes is in pharmaceuticals. This monomer is very similar to benzene based on several characteristics and properties. In some cases, they may be used interchangeably without much change in activity. The sulfur in thiophene, however, makes it more conductive due to more delocalization of electrons. Changes in thiophene structure such as the ones in the derivatives in this study serve to make the molecule more reactive and conductive, allowing it to have a greater variety of applications.

EDOT (3,4-Ethylenedioxythiophene), demonstrated in Figure 2, is the most common monomer found in this study. When used to form the polymer PEDOT, it can be a useful transparent conductor. For example, PEDOT can be found as a component of solar cells. EDOT is a building block known for its high reactivity and low polymerization potential, facilitating the formation of PEDOT[1]. This monomer is also known for its strong donor electron properties and ability to lower band gaps[3]. Often times in material science, EDOT is combined with other molecules to obtain low band gap polymers with desired qualities. Unfortunately, PEDOT has poor solubility, which is a roadblock for the material considering that it is usually applied in the solvent water. This obstacle can be overcome by mixing the ionomer PSS (polystyrene sulfonate) with PEDOT to form PEDOT:PSS, as shown in Figure 3[4].

The mixture of the two ionomers has more conductivity than EDOT and has found itself in many commercial applications. Touchscreens with capacitive sensing utilize a thin film of PEDOT:PSS as a transparent electrode. Other uses involve using PEDOT:PSS coating to increase the efficiency, control, and conductivity of electrodes in biobots[5]. This allows for low power circuits to send short electrical pulses to the antennae of Madagascar Hissing Cockroaches to be able to control their movement.

Although PEDOT:PSS has great conductivity, its properties can be enhanced through ionic liquid secondary doping[6]. Ionic liquids are known for their stability and high ionic conductivity. They also have a great affinity for conductive polymers, which is another cause for experimenting with them. When PEDOT:PSS is doped in a mix containing several types of ionic liquids and salts, its conductivity is greatly and permanently increased[7,8]. It is important to keep in mind that PEDOT and PSS must be doped first in a solvent in order to make the polymer and ionic liquids would be present in a secondary doping. After secondary doping, the conductivity of this molecule rivals that of indium tin oxide, another conductor with many commercial uses. In this study, ionic liquid doping served as point of comparison against polar and nonpolar solvents. It is important to keep in mind that doping is a process where a polymer’s conductivity is changed through contact with a dopant, which adds impurities to the polymer[6]. This process creates films of semiconducting and conducting materials after being in contact with a dopant in a liquid solution. Just testing the stated molecules in a solvent may differ slightly from the doping methodology, but differences processes will be ignored for the purposes of this study.

EDST (3,4-Ethylenedisulfanylthiophene), shown below in Figure 4, is very similar to EDOT structurally. The key difference between the two molecules is the presence of sulfur rather than the sulfur and oxygen combination in EDOT[9]. EDST does have a slightly lower oxidation potential than EDOT. That being said, EDST is slightly less

Figure 3. 2D Structure of PEDOT:PSS Chains[7].
Figure 2. 3D Structure of EDOT as Seen When Built in WebMO

likely to gain electrons than EDOT. In terms of the band gap, poly-EDST has a higher band gap than PEDOT. The band gap is defined as the difference between the frontier orbitals of the molecules[10]. It provides insight into the conductivity of the molecule through the conclusion that the lower the band gap is, the greater the conductivity of the molecule. Like EDOT, it can be mixed with other molecules to have more favorable qualities. When EDST is mixed with EDOT, the new mixture, EDOT-EDST, has a lower band gap than PEDOT and poly-EDST. Like mentioned before, this lower band gap shows that EDOTEDST is more conductive than PEDOT and poly-EDST. In terms of functionality, EDOT-EDST is a better conductive polymer than PEDOT, but it is still overshadowed by PEDOT:PSS.

The next disubstituted derivative of thiophene examined in this study is VDOT (3,4-Vinylenedioxythiophene), and it can be seen in Figure 5. VDOT is composed of the same amount of carbon, oxygen, and sulfur as EDOT. However, the ethylene bridge is replaced with a vinylene bridge as noted in the name of the molecule. Because of this replacement, the band gap of VDOT decreases to a point that is lower than the band gap of EDOT just slightly[11]. Because of the lower band gap and the increased stability, VDOT was considered to be the replacement for EDOT, but PEDOT:PSS soon came after the development of VDOT. Since then, VDOT has been greatly overshadowed by the mixture of PEDOT:PSS.

ProDOT (3,4-Propylenedioxythiophene), visualized in Figure 6, is primarily used as an auxiliary electrode in solar panels[12]. These electrodes can have multiple roles. In a two electrode system, the auxiliary electrode serves as the cathode or the anode depending on the charge of the working electrode. Three electrode systems have superseded the two electrode system. In these modern systems, the auxiliary electrode has to balance the amount of electricity going to the working electrode. The polymer, PProDOT, can also be used for displays as it is a stable electrochromic polymer[13]. These types of polymers change and contrast colors when charges are applied. PProDOT is able to change between different shades of blue, according to its charge.

Figure 5. 3D Structure of VDOT as Seen When Built in WebMO
Figure 6. 3D Structure of ProDOT as Seen When Built in WebMO
Figure 4. 3D Structure of EDST as Seen When Built in WebMO

Each of these molecules are great building blocks for π-conjugated systems. The polymers created from these building blocks are generally better conductors than their monomer counterparts. Conductivity of these polymers is extremely important due to their demanding applications. To increase conductivity, the polymers can be doped using various solvents. When it comes to ionic solvents, research has shown that conductivity is greatly increased. Particularly, 1-butyl-3-methylimidazolium tetrafluoroborate (bmim)BF4 which increased conductivity of PEDOT:PSS significantly[6]. The goal of this paper is to discuss the conductivity of these thiophene derivatives when exposed to polar and nonpolar solvents. The solvents tested in this paper include water, acetonitrile, and cyclohexane. These three solvents were chosen because of their polarity and their similar boiling points. Water and acetonitrile are both polar solvents, while cyclohexane is nonpolar. Similar boiling points were chosen due to a link between the boiling point and conductivity. Cyclohexane and acetonitrile nearly have the same boiling point, while the boiling point of water is slightly higher. Since the goal of this paper is focused on polarity, the boiling point variable was somewhat eliminated through the selection of solvents with similar boiling points.

The two polar solvents have some interesting electrochemical properties. Water is very conductive, and its conductivity increases with heat. Acetonitrile dramatically boosts the conductivity of ionic liquids. These ionic liquids are the same ones that are used in the doping process for PEDOT:PSS in order to boost its conductivity. It would be interesting to see the effects of doping PEDOT:PSS with an ionic liquid mixed with acetonitrile[14]. This would establish a platform for future experimentation both computationally and experimentally. On the other hand, the nonpolar solvent, cyclohexane, is not conductive due to its polarity.

When testing for conductivity, it is expected that the acetonitrile solvent will increase conductivity of the molecules due to the fact that it increases the conductivity of ionic liquids, which are used in the doping process for PEDOT:PSS. Even though boiling point seems to be a factor of higher conductivity, the greater boiling point of water seems irrelevant due to the fact that distilled water acts almost as an insulator. Like the ionic liquids, it is believed that acetonitrile will remove a few delocalized electrons to increase the conductivity of the molecule. In contrast, not much change is expected from calculations with cyclohexane. Since the charges are relatively neutral in the nonpolar solvent, the delocalized electrons will not be removed from the thiophenes.

Computational Approach

The North Carolina School of Science and Mathematics Computational Chemistry server, along with a WebMO interface, was utilized to run all the jobs in this study. Specifically, the MOPAC software package with

PM3 theory served to do all the calculations. MOPAC is designed for semi-empirical calculations, which utilize experimental data to simplify mathematical equations. The main focus of this method is placed on valence electrons since these are involved all chemical reactions. Semiempirical methods are known for their speed while also producing accurate results. They are ideal for molecules containing 50-100 atoms. Ab initio methods are another option, but due to slower processing times they could not be used in this study. The times of calculation were also not suitable for the time frame of this study. At the beginning, B3LYP and MP2 were the two main theories used to analyze the molecules presented. It may be possible that other theories do work with DFT method and these monomers, but lack of time and resources did not allow for further investigation.

Initially, DFT methods were used for the calculations in this analysis; however, the inconsistencies that were discovered made it clear that MOPAC was the best method in this situation. The DFT method, MP2, failed to perform a geometry optimization for any of the molecules. B3LYP provided data for some of the molecules, but the time taken and the inconsistencies ruled out DFT. MOPAC is well suited to work with molecules in solvents. Because this study is heavily focused on solvents and it provided reasonable heats of formation, MOPAC was chosen over DFT and the Gaussian software package. There were pitfalls of choosing MOPAC over Gaussian. Even though MOPAC is suited for solvents, it was very limited in terms of the number of built in solvents that were available to be analyzed.

PM3 was the theory used along with MOPAC. PM3 is an acronym for Parameterization Method 3. MOPAC may use Modified Neglect of Differential Overlap (MNDO), Austin Method 1 (AM1), or PM3 as its theories. The latter was chosen for this study because it is robust and very common. PM3 was the last theory developed out of the three listed above. It contains parameters similar to AM1. PM3, however, uses a different number of Gaussian functions for calculating repulsing forces in the core of atoms.

The first step in running the calculations was defining the structure of the molecules in the study, as seen above. These were built in the WebMO workspace. A comprehensive clean-up using mechanics was performed multiple times in order to add hydrogens, set the hybridization, and roughly optimize the structures by idealizing the bond lengths and angles. The main goal of the comprehensive clean-up was to minimize the total strain energy of the roughly optimized structure. With minimized total strain energy, the molecule will be at its most stable state and yield more accurate results.

All of the molecules were symmetrized after the comprehensive clean-ups. Through this process, each molecule is matched with its point group symmetry so the end results and mathematics are more accurate. Point group symmetries are another factor that helps classify and predict the properties of a molecule since molecules with the

same symmetry tend to be alike. These symmetries can be predicted by looking at the structure. If the molecule can be rotated around an axis and result in the original structure then it has symmetry. The axis can be set on one atom, the center of the molecule, or any of the xyz planes. Another type of symmetry comes from the molecule having a point of inversion. Depending on what type of axis is used for symmetry, the point group symmetry is predicted. From the molecules analyzed, VDOT and thiophene were the only ones with a C2V (Figure 7) point group symmetry. Water is another example of a molecule with a C2V point group. These have four symmetry operations. EDOT and EDST had a C2 symmetry, ProDOT was symmetrized with Cs, and for PEDOT:PSS the point group was C1. Point group symmetries of C1 do not have any axis of rotation, reflection planes, or inversion centers. A default tolerance of 0.05 was utilized for all symmetries.

Figure 7. Planes of Symmetry of VDOT Structure as Seen in WebMO. This graphic depicts how VDOT may be rotated around two different planes with axis on the sulfur atom.

Geometric optimizations were then performed on each molecule. Through trials involving EDOT, no differences in the data were observed between structures optimized with and without the solvent when molecular orbital calculations were made. This realization greatly reduced computation time due to the large amount of time required to perform a geometry optimization of molecules in a solvent.

After the geometry optimizations, the optimized molecules were used to perform molecular orbital calculations. Molecular orbitals are simply formed by the combination of atomic orbitals from the atoms in the molecule. According to the Molecular Orbital Theory, a wide variation of information can be found through the molecular orbitals. The structure, properties, and activity can be predicted. One of the main uses includes describing how the atomic orbitals overlap to make up a molecule. This leads to predicting the reactivity and conductivity of a molecule. The movement and behavior of electrons can be defined by a wave-like motion. An electron may either be in an up phase or a down phase of the wave. Two atoms or mole-

cules that have waves in the same phases are more likely to react when they come in contact. Reactivity and conductivity have a close correlation as explained by the band gap.

The overlap of atomic orbitals is called a linear combination of atomic orbitals (LCAO). Initially, LCAO theory was used to optimize the wavefunction. Now, with computational chemistry, it primarily serves the purpose of determining the structure of molecular orbitals through the properties of atomic orbitals. The structure of these molecular orbitals provides insight into how the electrons move across molecules based on how electrons move in the atoms that comprise the molecule.

The molecular orbital calculations provide information related to all of the molecular orbitals found in the molecule. Each molecule was ran through the molecular orbital calculation four times using their optimized structures. The first calculation determined the molecular orbitals of each molecule in no solvent. Then they were tested using each solvent: water, acetonitrile, and cyclohexane. The molecular orbitals of interest in this study are the frontier orbitals: the highest occupied molecular orbital (HOMO) and the lowest unoccupied molecular orbital (LUMO). In terms of band theory, the HOMO corresponds to the valence band, and the LUMO corresponds to the conduction band. The valence band is to be completely filled with electrons that are bound to individual atoms. On the other hand, the conduction band is a space where electrons can move around due to them being delocalized. The electrons found in the conduction band are responsible for the conductivity of the molecule. The space in between in valence band and the conduction band is known as the band gap. The band gap, in terms of frontier molecular orbital theory, corresponds to the HOMO-LUMO gap. This band gap also provides information to the conductivity of the molecule. In the case of these thiophene derivatives, the lower the gap the greater the conductivity of the molecule1. The lower gap corresponds to greater reactivity, which is good for the transfer of delocalized electrons and, consequently, conductivity. With molecular orbital theory, the HOMO of a molecule interacts with the LUMO of another molecule in a reaction. These frontier orbitals of EDOT are visualized in Figure 8.

Figure 8. The HOMO of EDOT is on the left, while the LUMO is on the right.

The molecular orbital calculations also provided the heat of formation for each molecule in each solvent. This additional data provided further insight into how the solvents would affect each molecule. Heat of formation is simply the change in energy to form one mole of a substance. Unlike the HOMO-LUMO gap, no formula was needed to find the heat of formation. WebMO provided the heat of formation in kcal/mol, which is the standard unit for heat of formation in this paper. To determine the HOMO-LUMO gap, the HOMO energy must be subtracted from the LUMO energy. This gap is measured in electron volts, which is the standard used for the gap in this paper.

In order to calculate the accuracy of the calculations through MOPAC, a percent error formula was utilized. An experimental value was obtained from the Computational Chemistry Comparison and Benchmark Database (CCCBDB) for the heat of formation for thiophene. The CCCBDB is a government resource for computational data on a variety of molecules[15]. This site obtains its results from ab initio methods, where all the calculations are made from scratch. One of its purposes is to provide a source where researchers can compare their data and various computational methods. Their main focus is thermochemical properties of molecules. They also allow for users to download geometries to be used in further studies. The experimental value of heat of formation in thiophene is 27.46 kcal/mol. In the percent error formula, the experimental value is subtracted from the computational value from MOPAC. Then the result is divided by the experimental value. The absolute value of the product is multiplied by 100 to find the percent error. This formula is very useful when comparing different methods in computational chemistry and finding any significant differences. MOPAC, as well as DFT with B3LYP/3-21G, were tested with the formula.

In order to find the effects of each solvent on the various molecules, the percent error function was once again used. In this case, the experimental value was replaced with the heat of formation or band gap of the molecule without a solvent. Values obtained from calculations with solvents replaced the computational value above.

Selecting the solvent for the different trials was facilitated by the WebMO interface. MOPAC calculations with solvents were limited and the main options were water, acetonitrile, and cyclohexane. Gaussian software package allows for a greater variety options due to possible modifications of the input code. The solvent name as well as static and dynamic dielectric constants can be defined in the code.

Results and Discussion

As mentioned in the section above, the primary software package utilized in this analysis was MOPAC. Ini-

tially, the DFT method B3LYP was to be utilized due to its common use for thiophene and its disubstituted derivatives. However, Table 1 shows that there were some great inconsistencies in the data using B3LYP.

Table 1. Model chemistries compared to experimental values from the NIST database to identify accuracy of computational chemistry methods.

To test the choice of model chemistry, thiophene was optimized using Gaussian B3LYP/3-21G and MOPAC PM3. The computational values were then compared to the values from the Computational Chemistry Comparison and Benchmark Database. After the revelation that B3LYP provided such a large error for the heat of formation, MOPAC PM3 was utilized for all geometry optimizations and molecular orbitals calculations in this study. The difference between the two methods can easily be seen through the percent error calculation. B3LYP/3-21G produced a percent error of 1,257,287.5% while MOPAC PM3 had a percent error of 11.68%.

MOPAC was then used to obtain the data for the analysis. The molecular orbital calculations for the molecules Thiophene, EDOT, EDST, VDOT, and ProDOT demonstrated that the polar and nonpolar solvents increased the band gap of each molecule. Polar solvents, however, had a more significant effect on the band gaps and heats of formation. As mentioned above, each molecule was subject to three solvents. The main data collected came from the heat of formation, in kcal/mol, and the HOMO-LUMO Gap, measured in eV. Table 2 shows each molecule in each solvent.

Thiophene, the parent molecule in this study, set the standards for comparison for the other molecules in the study. Every solvent lowered the heat of formation, if only slightly. The polar solvents, water and acetonitrile, lowered the heat of formation by about 1.5 kcal/mol. The nonpolar solvent, cyclohexane, lowered the heat of formation by only 0.57 kcal/mol. Thiophene had the highest band gap out of all the molecules tested. With a higher gap, less reactivity is expected from the molecule and therefore less change overall. The addition of the polar solvents to thiophene caused the band gap to be raised to the highest peak in this study. That peak, 9.415 eV, was raised by the polar solvent, water, 0.064 eV from the molecular orbital in no solvent. The other polar solvent, acetonitrile, produced extremely similar results to water. However, the nonpolar solvent, cyclohexane, only raised the gap by 0.023 eV.

Table 2. Heat of formation and band gap thiophenes and its derivatives in various solvents. Molecular orbitals calculations were performed on each molecule using the listed solvents. The resulting heats of formation (kcal/mol) and the HOMO-LUMO gap (eV) are listed for each run.

For EDOT, the polar solvents lowered the heat of formation by about 6.5 kcal/mol. The nonpolar solvent only lowered the heat of formation by nearly 2 kcal/mol. Opposite results were seen for the HOMO-LUMO gap. The nonpolar solvent raised the HOMO-LUMO gap by 0.033 eV while the polar solvents raised the gap by about 0.1 eV. It was surprising to see in the first disubstituted derivative that the gap was actually raised for each solvent.

EDST had significant changes in the heat of formation. Similar to EDOT, the solvents lowered the heat of formation for EDST. The polar solvents lowered the heat of formation the most by about 9.5 kcal/mol. The nonpolar solvent also lowered the heat of formation but only slightly as compared to the polar solvents. The HOMOLUMO gap also followed the trend set by EDOT. The nonpolar solvent raised the gap by 0.101 eV while the polar solvents raised the gap by about 0.29 eV. It should be noted that EDST was the only disubstituted derivative with a positive heat of formation in this study. This observance is somewhat odd due to all of the molecules being derivatives of thiophene; consequently, they should have very similar properties.

ProDOT continued the trend of the polar solvents decreasing the heat of formation the most when compared to the nonpolar solvent. Water and acetonitrile lowered the heat of formation by about 6 kcal/mol. The nonpolar cyclohexane performed as expected, and the heat of formation was lowered by about 1.8 kcal/mol. In terms of

the HOMO-LUMO gap, the polar solvents raised it more than the nonpolar solvent. Water and acetonitrile raised the gap by 0.07 eV while cyclohexane raised it by only 0.03 eV.

Most of the heats of formation were either in the positive or negative 30 to 40 kcal/mol range. VDOT was the only exception with heats of formation in the negative 10 to 20 kcal/mol range. Again, the trend of the polar solvents decreasing the heat of formation the most was observed. The polar solvents lowered the heat of formation by about 5 kcal/mol, and the nonpolar solvent lowered the heat of formation by only 1.5 kcal/mol. Like the molecules before, the polar solvents raised the band gap the most, but in this case, only slightly more than that of the nonpolar solvent. Water and acetonitrile raised the gap by 0.04 eV while cyclohexane raised the gap by 0.02 eV.

Analysis of the changes in the heats of formation has presented a surprising trend. In each molecule, it was observed that the polar solvents decreased the heat of formation the most. It was also observed that the polar solvents raised the HOMO-LUMO gap more than the nonpolar solvent. Another key observation was that the two polar solvents were so similar in results despite them being completely different molecules.

Table 3. Percent difference between the heat of formation/band gap values calculated with various solvents and values without solvents

Overall, water had the most significant effect on the thiophenes. There was an average change of 21.98% in the heat of formation of all molecules with this solvent. The band gaps were raised by an average of 1.34%. Acetonitrile had very similar, but slightly less, effects on the heat and band gap. A change of 21.28% was observed in the heat, while 1.27% increase of the gap was present. Similar results were expected from water and acetonitrile due to

their polarity and similar properties. Cyclohexane had the least effect, which is caused by its nonpolar features. The average change seen from this solvent in heat was 7.79% and only 0.54% in the band gap. The percent difference in the band gap is quite insignificant and it’s possible that it was caused by simple and common calculation errors within the software.

The largest effects on heat of formation were seen on VDOT where polar solvents changed that heat by approximately 46%; however, this monomer saw the least change in its band gap with only 0.44% change on its polar molecules as seen on Table 3. The most significant increase in band gap is observed in EDST with water as solvent at 3.54% change. EDST happened to have the second highest effect on heat of formation with approximately 23% on its polar solvents. An interesting trend is that EDST and VDOT had the highest heat of formation out of the four components when no solvent was involved. Both of them also had the lowest band gaps. Thiophene base, which had the highest original band gap, was least affected by the solvents in its heat with a maximum 4.92% change. It’s band gap saw minimal change as well with a range of 0.25% to 0.68% increase.

The data from the calculations did not support the stated hypothesis that acetonitrile would increase the conductivity of thiophene and its disubstituted derivatives. While the two polar solvents did have the most significant effect on the molecules, conductivity was actually decreased as can be concluded by a raise in band gaps. Cyclohexane caused minimal change in all cases. The nonpolar solvent, however, had the same effect of lowering conductivity as well.

Rather than increasing conductivity, each solvent increased resistivity of the molecules. With a combination of ionic liquid doping and polar solvents, researchers can obtain full control of conductivity. For example, polar solvents can be used to decrease conductivity as a safeguard from overloading an electrical system.

The original goal of this analysis was to study the effects of ionic liquids on PEDOT:PSS. Primarily, discussing the increase or decrease of conductivity was the goal. After learning that analyzing large polymers would be too computationally expensive, steps were taken to shorten computational run time. PEDOT:PSS was then divided into its two main components: PEDOT and PSS. Again, these two are polymers, and it was not feasible to run calculations on the polymers. The next step was to simplify the molecules even more. Because these two are polymers, they were split into their monomer counterparts, EDOT and SS. Studies were discontinued with SS due to computational run time. With one molecule left, EDOT became the main focus of the paper. EDOT being a disubstituted derivative of thiophene sparked the study of several related disubstituted derivatives of thiophene. It would be interesting to see how the original study of PEDOT:PSS, and other related polymers, would have panned out if computation time was not a factor. The effects directly from ionic

liquids could not be tested either due to limitations on the MOPAC software. Water, acetonitrile, and cyclohexane proved to be the easiest solvents to perform experiments. Their properties and the software limitations created good reasons for their use in this study.

The completion of this analysis has prompted questions related to future studies. The main item of interest is how oxygen and sulfur affect properties of thiophenes. To analyze these properties, polymers composed of different thiophenes should be examined. Hopefully, this study will provide insight into the interactions of oxygen and sulfurs in the polymer with varying structure monomers.

Conclusions

Through the analysis of thiophene and its disubstituted derivatives, it can be concluded that polar solvents decrease the conductivity of these molecules the most. Water and acetonitrile had very similar effects on all of the molecules concerning heat of formation and band gap, the main parameters in this study.

In terms of increasing conductivity, cyclohexane turned out to be the best solvent due to its minor effect. The nonpolar solvent decreased conductivity the least out of the three solvents in this analysis. All three of the solvents raised the band gap, which corresponded to a decrease in conductivity. Polarity seems to be the greatest factor that influenced the results. The polar solvents, water and acetonitrile, raised the band gap by nearly the same amounts. Acetonitrile raised the band gap by slightly less , making water the worst solvent for decreasing the resistance of thiophene and its disubstituted derivatives. These results were uniform across all molecules tested in the analysis, which provides the basis for a safe conclusion that polar solvents would be the least ideal for increasing conductivity of thiophene and its disubstituted derivatives.

One conclusion that can be made from the heat of formation data is that oxygen plays a significant role in lowering its values. EDST and thiophene were the only two molecules without an oxygen atom in their structures and they had the highest heat of formation. Adding an atom of oxygen will continuously decrease the heat of formation. No effects were seen, however, on the band gaps as EDST and thiophene had either the lowest or highest band gap. Patterns on the amount of change were not seen either in relevance to oxygen.

Polar solvent had the most impact on the molecules in this study. This may have been due to the fact that thiophenes are polar as well. With two polar molecules, it is expected that there is more interaction and leading to greater effects either in the positive or negative direction. The nonpolar solvent did not have uneven distribution of charges, which may have caused less reactivity.

VDOT had the most change in its heat of formation and least in its band gap throughout all the solvents. The minor change in the band gap might have been due to its double bond. This extra double bond between carbons

is in charge of increasing the stability of the molecule and allowing less change to take place in its band gap, which deals directly with reactivity.

EDST experienced the most change in its band gap throughout all of the solvents. This change could be due to the addition of sulfur, rather than oxygen, in this particular disubstituted derivative. It is possible that the lower electron affinity of sulfur, when compared to oxygen, is responsible for this change. Electrons are less strongly attracted to sulfur, which leads to more reactivity and a less stable molecule.

Several trends were identified in this analysis. To summarize, the polar solvents decreased the heat of formation the most, and they raised the band gap the most when compared to the nonpolar solvent. It is possible that thiophene and its disubstituted derivatives, being polar, interacted with the polar solvents due to polar solvents dissolving polar molecules. Because the molecules experienced little change in the nonpolar solvent, cyclohexane, it is believed that thiophene and its derivatives had little interaction with the nonpolar solvent due to their opposite polarity.

Acknowledgement

The authors thank Mr. Robert Gotwals for assistance with this work. Appreciation is also extended to the Burroughs Wellcome Fund and the North Carolina Science, Mathematics and Technology Center for their funding support for the North Carolina High School Computational Server.

References

[1] Sotzing, Gregory A., and John R. Reynolds. “Poly[trans-bis(3,4- ethylenedioxythiophene)vinylene]:

A Low Band-gap Polymer with Rapid Redox Switching Capabilities between Conducting Transmissive and Insulating Absorptive States.” Journal of the Chemical Society, Chemical Communications 6 (1995): 703.

[2] Lenz, Annika, Hans Kariis, Anna Pohl, Petter Persson, and Lars Ojamäea. “The Electronic Structure and Reflectivity of PEDOT:PSS from Density Functional Theory.” Chemical Physics (2011): 44-51. Print.

[3] Alper Bozkurt, Amit Lal, Low-cost flexible printed circuit technology based microelectrode array for extracellular stimulation of the invertebrate locomotory system, Sensors and Actuators A: Physical, Volume 169, Issue 1, 10 September 2011, Pages 89-97

[4] Döbbelin, Markus, Rebeca Marcilla, Maitane Salsamendi, Cristina Pozo-Gonzalo, Pedro M. Carrasco, Jose A. Pomposo, and David Mecerreyes. “Influence of Ionic Liquids on the Electrical Conductivity and Morphology of PEDOT:PSS Films.” Chemistry of Materials 19.9 (2007): 2147-149.

[5] Xia, Yijie, and Jianyong Ouyang. “Salt-Induced Charge Screening and Significant Conductivity Enhancement of

Conducting Poly(3,4- ethylenedioxythiophene):Poly(styr enesulfonate). “ Macromolecules 42.12 (2009): 4141-147. Print.

[6] Onorato, Amber, Michael A. Invernale, Ian D. Berghorn, Christopher Pavlik, Gregory A. Sotzing, and Michael B. Smith. “Enhanced Conductivity in Sorbitol-treated PEDOT–PSS. Observation of an in Situ Cyclodehydration Reaction.” Synthetic Metals160.21-22 (2010): 2284289.

[7] Turbiez, Mathieu, Pierre Frère, Magali Allain, Nuria Gallego-Planas, and Jean Roncali. “Effect of Structural Factor on the Electropolymerization of Bithiophenic Precursors Containing a 3,4- Ethylenedisulfanylthiophene Unit.” Macromolecules38.16 (2005): 6806-812. Print.

[8] Synthesis, Characterization, and Photovoltaic Properties of a Low Band Gap Polymer Based on Silole-Containing Polythiophenes and 2,1,3- Benzothiadiazole Jianhui Hou, Hsiang-Yu Chen, Shaoqing Zhang, Gang Li, and Yang Yang Journal of the American Chemical Society 2008 130 (48), 16144-16145

[9] Leriche, Philippe, Philippe Blanchard, Pierre Frère, Eric Levillain, Gilles Mabon, and Jean Roncali. “3,4-Vinylenedioxythiophene (VDOT): A New Building Block for Thiophene-based P- conjugated Systems{.” ChemComm (2005): 275- 77. Print.

[10] Lee, Kun-Mu, Chih-Yu Hsu, Po-Yen Chen, Masashi Ikegami, Tsutomu Miyasaka, and Kuo-Chuan Ho. “Highly Porous PProDOT-Et2 film as Counter Electrode for Plastic Dye-sensitized Solar Cells.” Physical Chemistry (2009): 3375- 379. Print.

[11] Gaupp, C. L., Welsh, D. M. and Reynolds, J. R. (2002), Poly(ProDOT-Et2): A High-Contrast, HighColoration Efficiency Electrochromic Polymer. Macromol. Rapid Commun., 23: 885– 889.

[12] Influence of Solvent on Ion Aggregation and Transport in PY15TFSI Ionic Liquid–Aprotic Solvent Mixtures Oleg Borodin, Wesley A. Henderson, Eric T. Fox, Marc Berman, Mallory Gobet, and Steve Greenbaum The Journal of Physical Chemistry B 2013 117 (36), 1058110588

[13] NIST Computational Chemistry Comparison and Benchmark Database, NIST Standard Reference Database Number 101, Release 16a, August 2013, Editor: Russell D. Johnson III http://cccbdb.nist.gov/

[14] Schmidt, J.R.; Polik, W.F. WebMO Pro, version 7.0; WebMO LLC: Holland, MI, USA, 2007; available from http://www.webmo.net (accessed January 2014).

[15] The North Carolina High School Computational Chemistry Server, http://chemistry.ncssm.edu (accessed January 2014).

[16] MOPAC Version 7.00, J. J. P. Stewart, Fujitsu Limited, Tokyo, Japan.

[17] Gaussian 03, Revision C.02, M. J. Frisch, G. W. Trucks, H. B. Schlegel, G. E. Scuseria, M. A. Robb, J. R. Cheeseman, J. A. Montgomery, Jr., T. Vreven, K. N. Kudin, J. C. Burant, J. M. Millam, S. S. Iyengar, J. Tomasi, V. Barone, B. Mennucci, M. Cossi, G. Scalmani, N. Rega, G.

A. Petersson, H. Nakatsuji, M. Hada, M. Ehara, K. Toyota, R. Fukuda, J. Hasegawa, M. Ishida, T. Nakajima, Y. Honda, O. Kitao, H. Nakai, M. Klene, X. Li, J. E. Knox, H. P. Hratchian, J. B. Cross, V. Bakken, C. Adamo, J. Jaramillo, R. Gomperts, R. E. Stratmann, O. Yazyev, A. J. Austin, R. Cammi, C. Pomelli, J. W. Ochterski, P. Y. Ayala, K. Morokuma, G. A. Voth, P. Salvador, J. J. Dannenberg, V. G. Zakrzewski, S. Dapprich, A. D. Daniels, M. C. Strain, O. Farkas, D. K. Malick, A. D. Rabuck, K. Raghavachari, J. B. Foresman, J. V. Ortiz, Q. Cui, A. G. Baboul, S. Clifford, J. Cioslowski, B. B. Stefanov, G. Liu, A. Liashenko, P. Piskorz, I. Komaromi, R. L. Martin, D. J. Fox, T. Keith, M. A. Al-Laham, C. Y. Peng, A. Nanayakkara, M. Challacombe, P. M. W. Gill, B. Johnson, W. Chen, M. W. Wong, C. Gonzalez, and J. A. Pople, Gaussian, Inc., Wallingford CT, 2004.

[18] Roncali, J., Blanchard, P. and Frére, P. 3,4- Ethylenedioxythiophene (EDOT) as a versatile building block for advanced functional π- conjugated systems. J. Mater. Chem., 15, 2005, 1598-610

[19] “aromatic compound”. Encyclopædia Britannica. Encyclopædia Britannica Online. Encyclopædia Britannica Inc., 2014. Web. 17 Jan. 2014 <http://www.britannica.com/EBchecked/topic/35 891/aromatic-compound>.

Dependence of the Magnus Force on Velocity and Spin of a Smooth Ball

ABSTRACT

The dependence of the Magnus effect, the force that causes a spinning ball to curve, on the velocity and spin of a smooth ball was investigated. Two previously proposed models – one that shows the Magnus force to depend on the product of the spin rate and velocity, and the other that indicates that the force depends on the spin rates times the velocity squared – were compared. A subsonic wind tunnel was built for the experiment, and a pool ball on an axle was hung rigidly from two force sensors in the test section of the wind tunnel. Force data was taken for a variety of spins and velocities, ranging from 5.9 to 44.2 rad/s and 5.9 to 11.6 m/s, respectively. Within this range the Magnus force seemed to be jointly proportional to the spin rate and the velocity squared. Due to noise in the data, further work will be necessary to strengthen the conclusions.

Introduction

The Magnus force, first noted in published literature by Newton, is the force that causes spinning balls to curve. (Newton 1671). Some papers report an ωV dependence, while others demonstrate that the force varies with ωV^2. Even after much experimentation, the quantitative description of the Magnus force is unknown; papers discern between an ωV (Watts and Ferrer 1987) and a ωV2(Briggs 1959) relationship, where ω is the spin rate and V it the linear velocity of the ball. The difference is encapsulated in the lift coefficient, as can be seen in the general equation for the Magnus force (Eq. 1).

where A is the cross-sectional area of the ball, ρ is the density of the air, and CD is the lift coefficient.

The issue is made even more complicated by the experimentally observed reverse Magnus effect where a smooth, spinning ball will sometimes curve in the opposite direction as compared to the normal Magnus effect (Briggs 1959).

New data focuses on spins and velocities ranging from 5.9 to 44.2 rad/s and 5.9 to 11.6m/s. The experiment also seeks to verify the mechanism Cross proposes for the reverse Magnus effect.

Previous Experiments

Some of the first significant experiments on the aerodynamics of spinning balls were done by Briggs (Briggs 1959). His experiments were notable not only for their originality; he also was the first to experimentally observe the reverse Magnus effect for a smooth spinning ball. Taking this unexpected observation into account is an essential component of any description of the Magnus force.

Briggs dropped spinning baseballs through a 1.8m wind tunnel with a horizontal wind of known velocity. The balls were coated lightly with lampblack-containing lubricant so that when they hit a piece of cardboard attached to the tunnel floor their point of impact was recorded. To determine the lateral deflection two measurements were made, one with the ball spinning clockwise and the other with the ball spinning counterclockwise. The lateral deflection was determined to be one half the distance between the two marks.

As shown in Fig. 1, Briggs’s data show that for translational baseball velocities in the range of 20m/s to 40m/s and angular velocities of 125 rad/s to 188 ras/s the Magnus-induced deflection is directly proportional to the speed of the ball squared. He also determined that the Magnus force is directly proportional to the spin rate.

Fig. 1 Graph showing that the ratio of deflections depends on the velocity squared. The ratio of deflections plotted on the y axis is directly proportional to the Magnus force.(Briggs 1959).

This early data on the Magnus force on a baseball was not Briggs’s only contribution. His paper also includes evidence for a reverse Magnus effect for a smooth spinning ball. Using the same apparatus, Briggs recorded the deflections for both a smooth rubber ball, and a smooth Bakelite sphere. He found that at moderate velocity and spin rates that these smooth balls curved opposite the usual direction. From these results, Briggs concluded that this negative Magnus effect occurred due to the boundary layer flow around the ball remaining laminar on the side of the ball moving with the wind while becoming turbulent on the side moving against the wind stream (Briggs 1959).

Another significant set of data was taken by Watts and Ferrer (Watts and Ferrer 1987). For their experiment Watts and Ferrer impaled baseballs with shafts in three different seam orientations. The strain on the support was measured using a calibrated microstrain indicator. The effects of drag on the strain were removed by conducting experiments with the ball spinning both clockwise and counterclockwise. The difference of these two results divided by two was taken to be the results from the lift (Magnus) force alone (Watts and Ferrer 1987).

The data obtained by Watts and Ferrer are shown in Fig. 2. The open shapes are Briggs’s data and the dotted line lines are a set of data obtained by Sikorsky, who had concluded that seams had a significant effect on the flight of a baseball. Sikorsky apparently never published his data in scientific literature (Watts and Ferrer 1987).

Fig. 2 Lift data from Watts and Ferrer experiments. (Watts and Ferrer 1987).

Watts and Ferrer’s data was contradictory to Briggs’. Their data and subsequent analysis of other sources pointed to the Magnus force being proportional to ωV rather than ωV2 as Briggs concluded. Watts and Ferrer applied the Kutta-Zhukoviskii theorem that states whenever a two dimensional object moves through an inviscid fluid, and there is a net circulation of fluid around the object, a net

force arises perpendicular to both the velocity and vorticity vectors with a magnitude of ωV (Watts and Ferrer 1987). The pair cite references claiming that this appears to apply to rotating cylinders and spheres, as well. Thus they argue that the lift coefficient follows the relationship in Eq. 2.

where D is diameter of the ball, ω is the angular velocity, and V is the mean wind stream velocity. Dω /V is known as the spin factor S.

For Briggs’s linear dependence of the lift force on ωV2 to hold, the lift coefficient must be the product of the relationship above and the Reynolds number. This is shown in Eq. 3.

where v is the kinematic viscosity of air.

This equation disagreed with the data of Watts and Ferrer and several others who showed that the Magnus force has at most a weak dependence on the Reynolds number for R > 0.5×105 (Watts and Ferrer 1987).

The Boundary Layer

The Magnus force, regardless of direction, speed, or spin of the ball, is believed to be caused by uneven boundary layer separation. Essentially the boundary layer is a thin layer of fluid very close to the solid wall of an object moving relative to the fluid.

For a fluid flowing past a surface, the fluid layer immediately adjacent to the surface “sticks” to the surface, due to the fluid’s viscosity; thus, its velocity relative to the surface is zero. Each successive layer rubs against the layers next to it, creating shearing forces between layers. These shearing forces mean that the faster moving layers drag the slower layers along, so that the velocity of the fluid relative to the surface increases in the direction perpendicular to the surface. After some distance, the fluid is unaffected by the surface; the velocity is referred to as the mean wind stream velocity. The region between this layer and the surface makes up the boundary layer, the thickness of which is typically between 3 and 30mm (Watts and Bahill 1990).

In a direction perpendicular to the surface, the velocity of the air relative to the surface increases, while as air moves along the surface it is slowed by friction. At the point where both u=0 and , a phenomenon called boundary layer separation occurs and the boundary layer disappears rearward of this point. u is the component of the velocity along the surface and y is the direction perpendicular to the surface (Cross 2012).

For a smooth, non-spinning sphere, separation usually occurs halfway between the front and rear of the ball. For a ball moving horizontally that is viewed side-on, this separation occurs near the top and bottom of the ball.

This boundary layer is the origin of the typical description of the Magnus force. Essentially, the rotation imparted to the boundary layer by a spinning ball affects the points of boundary layer separation in a way that causes the Magnus force.

The standard explanation using this idea is as follows. For a spinning ball, separation is delayed on the side where the ball’s surface is moving in the same direction as the free stream velocity and separation occurs prematurely on the side where the ball’s surface is moving against the free stream velocity. As a result, the wake of a horizontally moving ball projected with backspin is deflected downwards. This is because at the point of separation, the air separates approximately tangentially to the ball’s surface. By Newton’s Third Law, this deflection of air downwards imparts an upward force on the ball (Watts and Ferrer 1987). For a ball with topspin, the air is directed upwards and the Magnus force is directed downwards (Mehta 1985).

The Reverse Magnus Effect

Thus far, we have discussed the qualitative origin of the regular Magnus force. The proposed explanation for the reverse Magnus force depends on turbulence (Briggs 1959, and is further elaborated upon in a recent paper by Cross (Cross 2012).

For a non-spinning, smooth ball at relatively low speed (i.e. Reynolds numbers below ) air flow in the boundary layer is laminar. The wake is turbulent, but within the boundary layer the flow is smooth, causing the boundary layer separates near the top and bottom of the sphere, when viewed side-on. However, if flow in the boundary layer on one side of the ball becomes turbulent, say from roughness or a raised seam, then separation will occur later on this side. This results in a deflection of the ball opposite the direction of the wake. A turbulent boundary layer induces later separation by pulling in high speed air at the edge of the boundary layer, increasing the average air speed near the ball’s surface. Greater air speed means it takes friction on the ball’s surface longer to slow the air within the boundary layer, and thus the result is later separation. Similar to the Magnus effect, this uneven boundary layer separation results in a force that deflects the ball from its normal trajectory.

At high ball speeds, airflow becomes turbulent on both sides regardless of asymmetrical roughness, leading to delayed separation on both sides, resulting in no lateral force on the ball. (Assuming it has no spin.)

Similarly, turbulence can be used to explain the reverse Magnus force. Essentially, for a ball projected with backspin at certain speeds and rotation rates, transition to turbulence in the boundary layer will occur on the bottom, but not the top of the ball, as the relative velocity of the air past the ball is greater on the bottom than the top. Given that boundary layer turbulence occurs when Re > , this will occur when the velocity and spin rate are such that,

On the side of the ball with a greater velocity relative to the air, the turbulence pulls in higher speed air from outside the boundary layer. This means that the boundary layer will separate later on this side, causing a reverse Magnus effect. This is depicted in Fig. 3.

However, at relatively low mean flow speeds, flow in the boundary is laminar on both sides and at high speeds flow is turbulent on both sides, so that the Magnus effect occurs normally (Cross 2012).

Figure 3: A negative Magnus force can arise as shown here if the air flow is laminar on the upper side of the ball and turbulent on the lower side. In this example, the tangential speed of the ball relative to the air due to spin is 4.4 m/s, and the center of mass speed is 10 m/s. Thus point A translates to the right at 5.6 m/s and point B translates at 14.4 m/s. The air flow near A is laminar, and the flow near B is turbulent. Diagram from Cross (Cross 2012).

Materials and Methods

Equipment

The research was conducted with the use of a wind tunnel designed specifically for this exploration. For the actual experimentation, we used an air compressor and hose, two Vernier Dual Range Force Sensors, a Kestrel 1000 anemometer (Kestrel), a standard international 5.715cm diameter pool ball, and a laptop to collect data using LoggerPro software (LoggerPro).

Wind Tunnel Design and Construction

The open wind tunnel consists of three basic parts: the bellmouth, where air enters the tunnel; the test section where experimentation occurs; and the diffuser that contains the fan that draws air through the tunnel. A 3-dimensional schematic is shown in Fig. 6. As will be discussed later, the tunnel was designed so that the airflow through

the tunnel was fast enough that the full range of boundary layer flow types on both sides of the spinning ball could be achieved (e.g. laminar on both sides, laminar on one side, while turbulent on the other, and turbulent on both sides).

Since we want a high airflow rate, we want the cross sectional area to be smaller for a given volumetric flow rate. As the wind tunnel was built on a limited budget it had to have the smallest possible area such that the walls of the tunnel had a limited impact on the results. The maximum blockage for the test section is 7.5%, where blockage is the percent of the cross sectional area blocked by the model under experimentation (San Diego State). Thus for a 5.715cm pool ball the minimum cross sectional area for the test section of the wind tunnel is 342cm2. This corresponds to minimum dimensions of about 18.5cm by 18.5cm for the test section. The fan used is a 48 inch, 19,500cubic-feet/min, Q-Standard Belt-Drive drum fan, manufactured by Northern Tool and Equipment (Northern Tool and provides a terminal flow velocity of 6 m/s. Approximating the air to be incompressible yields the relationship below (Eq. 4)

where A is the cross sectional area and V is the air velocity. This approximation is valid at wind speeds significantly below the speed of sound (NASA).

Choosing 60m/s as the desired (idealized) maximum speed in the test section, the necessary cross sectional area was calculated to be 1530cm2, which corresponds to a test section of dimensions 39.1cm by 39.1cm. This speed was chosen to give a significant margin of error to allow for air flow losses in the tunnel. Then the length of the test section was determined. There must be at least 0.5 diameters from the beginning of the test section to the front of the model in order for irregularities in the flow due to contraction to

smooth out (Mehta and Bradshaw 1975). Thus the test section was determined to be 40cm in length

The bellmouth must have a large cross sectional area and a short length, while still smoothly constricting flow into the test section. For a small, open wind tunnel the area contraction ratio should be 6 to 9 (Mehta and Bradshaw 1975).Thus the opening to the bellmouth was chosen to have a cross sectional area of 10000cm2 (100cm side lengths). This contracts down to the test section area in a smooth bell-like shape over 61cm. At the entrance to the bellmouth there is a wire mesh screen to help remove turbulence from the flow.

The fan used was 48 inches in diameter, so the diffuser had to expand the tunnel from the test section to that size. While the length ratios aren’t quite as important on this side of the test section, aluminum flashing was used to smoothly transition to the greater cross sectional area, in order to ensure low-turbulence air flow.

The test section was built out of wood and acrylic sheet, and the bellmouth and diffuser were constructed from aluminum flashing on a wooden frame. Upon completion of construction, a smoke test was conducted to ensure that air flow in the tunnel was smooth. The results of the test were positive.

Experimental Details

To conduct the experiment, a standard American (5.175cm diameter) pool ball was mounted on an axle with countersunk ball bearings and then rigidly hung in the test section from two Vernier Dual-Range force sensors (Vernier). A schematic is shown in Fig. 5.

Figure 4: A schematic of an open design wind tunnel. Units are in centimeters.

Figure 5: A simple cross-section schematic of the experimental set up.

The ball could be spun by blowing compressed air over the top of the ball. The same hole that allowed access for the hose nozzle was also large enough to put an anemometer (Kestrel) into the tunnel to measure the wind speed.

To vary the spin rate, force data was simply taken from the instant the compressed air was shut off until the ball’s spin slowed to a stop. This interval was recorded using a 480fps high speed camera (Casio) so that video analysis during data processing could give the angular velocity at various points during this time interval.

The linear velocity of the air past the ball was controlled by hooking up the fan to a 20A Variac (variable voltage transformer), which could then be adjusted to control the power (and thus volumetric flow rate) of the fan.

After calibration of the force sensors, eleven trials were run using this method, with linear velocities ranging from 5.9 to 11.6 m/s.

Results and Analysis

The raw force data were noisy due to what is likely a combination of vibration and the pool ball not being perfectly centered on the axle. In order to filter out this noise a large amount of data processing had to be done.

First, the forces from each of the two sensors were summed to get the total force on the ball at a given instant. This total force is the result of the Magnus force, as the sensors were zeroed before data collection to account for the weight of the ball and axle, the only other force acting in the vertical plane (see Fig. 6). The sensors were also calibrated using default factory settings stored on the device (Vernier). At higher spin rates much of the noise in the data is most likely due to vibrations, so the force data was averaged over 0.2s intervals in order to reduce this noise. The angular velocity of the ball was also calculated over these same 0.2s intervals using video analysis techniques. At lower spin rates, the variation in the data is caused more by uncertainty in the angular velocity rather than by vibrations. Thus for the data with ωV2<2000 rad∙m2/s3, 0.05s averaging intervals were used.

Essentially, the LoggerPro software was used to track the coordinate location of a small marker placed on the pool ball at either 0.2 sec (96 frame) or 0.05 (24 frame) intervals. Then, the average angular velocity of the ball could be determined for the time interval simply by dividing the change in angular position by the time interval. Force data was collected every 0.02s, so a simple arithmetic mean was used to determine the average force for each time interval.

To determine whether ωV and ωV2 gave the most accurate description of the Magnus effect the force was plotted versus each of these products and a linear regression was done. These results are shown in Fig. 8. Uncertainties in the force measurements were calculated by doing a standard deviation of the mean for each time interval.

Figure 6: A force diagram of the forces acting on a ball in flight where FM is the Magnus force, FD is the drag force, and mg is the gravitational force. The ball is projected from left to right with backspin.

7: Smoke

To determine whether ωV and ωV2 gave the most accurate description of the Magnus effect the force was plotted

Figure
test of baseball portraying boundary layer disruption [13].

Figure 8: This upper graph shows the vertical (Magnus) force plotted vs. ωV and the corresponding linear regression. The lower shows the same for the Magnus force vs. ωV2.

versus each of these products and a linear regression was done. These results are shown in Fig. 8. Uncertainties in the force measurements were calculated by doing a standard deviation of the mean for each time interval.

There is a correlation of 0.59 and 0.48 between the Magnus force and ωV2and the Magnus force and ωV, respectively. Also, the spin and velocity appears to have little effect on the Magnus force until about ωV2<2000 rad∙m2/s3. From this data it appears that the ωV2 relationship is the correct one, however, given the noise in the data one cannot put much confidence in these results.

In the realm of about 2300 rad∙m2/s3 there are some positive forces, which possibly corresponds to the reverse Magnus effect. However, once again, given the noise in the data, one can not definitively state that this actually is a reverse Magnus effect. Briggs (Briggs 1959) and Cross (Cross 2012), who both present reverse Magnus force data, have vastly different spin factors at which the reverse effect occurs - Briggs’s spin factors are about 0.25, whereas Cross’s are around 0.84. Our new data show a potential reverse Magnus effect at spin factors of around 0.15. Further data may determine if these results really do correspond to a reverse Magnus effect.

Conclusion/Future Work

The dependence of the Magnus effect, the force that causes a spinning ball to curve, on the velocity and spin of a smooth ball was determined. A subsonic wind tunnel was built for the experiment, and a pool ball on an axle was hung rigidly from two force sensors in the test section of the wind tunnel. Force data was taken for a variety of spins and velocities, ranging from 5.9 to 44.2 rad/s and 5.9 to 11.6 m/s, respectively. Within this range the Magnus force seems to depend on the product of the spin rate and the velocity squared; however, further research will be necessary to further support this conclusion. A possible reverse Magnus effect was also observed where this product was in the range of approximately 2100 to 2400 rad∙m2/s3. While the research suggests some preliminary results, due to noise in the data it is impossible to make any conclusions with a high degree of certainty. Future work would include designing a method to reduce vibration of the apparatus from which the ball is hung, in order to achieve results with more precision.

Acknowledgements

I would like to acknowledge Dr. Jonathan Bennett and Dr. William McNairy of the North Carolina School of Science and Mathematics for their assistance in my research process.

References

[1] R. K. Adair. The Physics of Baseball, 3rd ed.

HarperCollins, New York, 2002

[2] L. W. Alaways. “Aerodynamics of the curve ball: An investigation of the effects of angular velocity on baseball trajectories.” Ph.D. thesis, University of California, Davis, 1998.

[3] L. W. Alaways and M. Hubbard. “Experimental determination of baseball spin and lift.” Journal of Sports Science 19 (2001): 349-358

[4] G. K. Batchelor. An Introduction to Fluid Dynamics Cambridge University Press, London, 1967

[5] L. J. Briggs. “Effects of spin and speed on the lateral deflection (curve) of a baseball and the Magnus effect for smooth spheres.” American Journal of Physics 27 (1959): 589-596

[6] R. Cross. “Aerodynamics in the classroom and at the ballpark.” American Journal of Physics 80 (2012): 289297

[7] R. Cross. Physics of Baseball & Softball Springer, New York, 2012

[8] “Dual-Range Force Sensor.” Vernier Software & Technology. N.p., n.d. Web. 22 Sept. 2013.

[9] C. Frohlich. “Aerodynamic drag crisis and its possible effect on the flight of baseballs.” American Journal of Physics 52 (1984): 325-334

[10] T. Jinji and S. Sakurai. “Direction of spin axis and spin rate of the pitched baseball.” Sports Biomechanics 5 (2006): 197-214

[11] “Kestrel 1000 Wind Meter | Pocket Wind Meter.” KestrelMeters.com. N.p., n.d. Web. 22 Sept. 2013.

[12] “Logger Pro.” Vernier Software & Technology. N.p., n.d. Web. 22 Sept. 2013.

[13] R. Mehta. “Aerodynamics of Sports Balls.” Annual Review Fluid Mechanics 17 (1985): 151-189

[14] R. Mehta and P. Bradshaw. “Technical Notes: Design Rules for Low Speed Wind Tunnels.” The Aeronautical Journal of the Royal Aeronautical Society (1979): 443-449

[15] A. Nathan. “The effect of spin on the flight of a baseball.” American Journal of Physics 76 (2008): 119124

[16] I. Newton. “A new theory about light and colors.” American Journal of Physics (Reprint) 61 (1993): 108-112

[17] “Q Standard Belt-Drive Drum Fan — 48in., 1 1/2 HP, 19,500 CFM Model# 10248.” Portable Generators, Pressure Washers, Power Tools, Welders. N.p., n.d. Web. 22 Sept. 2013.

[18] L. Rayleigh. “On the irregular flight of a tennis ball.” Messenger of Mathematics 7 (1877): 14-16.

[19] A.F. Rex. “The effect of spin on the flight of batted baseballs.” American Journal of Physics 53 (1985): 10731075

[20] G. S. Sawicki, M. Hubbard, and W. Stronge. “How to hit home runs: Optimum baseball bat swing parameters for maximum range trajectories.” American Journal of Physics 71 (2003): 1152-1162

[21] S. Sawicki, M. Hubbard, and W. Stronge. “Reply to

‘Comment on How to hit home runs: Optimum baseball bat swing parameters for maximum range trajectories.’”

American Journal of Physics 73 (2005): 185-189

[22] “Vehicle Aerodynamics.” Vehicle Aerodynamics. San Diego State, n.d. Web. 19 Apr. 2013.

[23] R.G. Watts and A. Bahill. Keep Your Eye on the Ball: The Science and Folklore of Baseball, W.H. Freeman and Company, 1990

[24] R.G. Watts and S. Baroni. “Baseball-bat collisions and the resulting trajectories of spinning balls.” American Journal of Physics 57 (1989): 40-45

[25] R.G. Watts and R. Ferrer. “The lateral force on a spinning sphere: Aerodynamics of a curve ball.” American Journal of Physics 55 (1987): 40-44

[26] “Wind Tunnel Parts.” Wind Tunnel Parts. NASA, n.d. Web. 19 Apr. 2013. Company, 1990

[24] R.G. Watts and S. Baroni. “Baseball-bat collisions and the resulting trajectories of spinning balls.” American Journal of Physics 57 (1989): 40-45

[25] R.G. Watts and R. Ferrer. “The lateral force on a spinning sphere: Aerodynamics of a curve ball.” American Journal of Physics 55 (1987): 40-44

[26] “Wind Tunnel Parts.” Wind Tunnel Parts. NASA, n.d. Web. 19 Apr. 2013.

Experimental Investigation of Wave Energy Conversion in Buoys of Varying Major and Minor Axis Ratios

ABSTRACT

The goal of this investigation was to identify the optimal ratio of major to minor axis in an oblate ellipsoid wave buoy to facilitate the greatest power output from a wave energy converter. To create our lab set-up, we constructed an acrylic wave tank with a custom-made wave maker, wave absorber, and wave energy converter. We then printed, using a 3-D printer, buoys of varying shapes but constant volumes and masses. We tested the buoys using waves with frequencies ranging from 0.67 Hz to 1.00 Hz and amplitudes ranging from 1.0 to 3.0 inches; from each trial we gathered voltage and current data. Our findings suggest that the higher the ratio of major to minor axis, the more efficient the buoy at wave energy conversion; of the three buoys tested, the one with the longest major axis produced the most energy per wavefront at all frequencies and amplitudes.

Introduction

The growing human energy consumption has increased the stress applied to natural resources and led to the demand for a sustainable solution available to the modern world. To put into perspective the magnitude of energy available from wave power, the 1 TWh of wave energy that enters the coastal waters of the British Isles on the average day is comparable to the average daily energy use in the UK—and wave energy converters (WECs) are the mechanism through which wave energy can be exploited (1). The increased interest in WECs creates the end to which the goals of this investigation are aimed:

• first, the construction of a functioning wave tank, wave maker, wave absorber, wave energy converter, and wave buoys;

• second, the capture of electrical energy through the heave of an ellipsoid buoy;

• third, the identification of the optimal ratio of major to minor axis in an ellipsoid wave buoy in order to facilitate the greatest power output.

Key Properties of Wave Energy Converters

Wave energy conversion can be facilitated by a variety of devices, all of which fall under the category of wave energy converters (WEC). One class of WEC, the focus of this paper, is the class of floating devices, which float on the surface of the water and rock back and forth with the incident wave. Rising and falling with the ocean, these devices have buoy or float systems that directly transfer the energy from the wave to the WEC (1).

A characteristic specifically applicable to a WEC, and fundamental to the evaluation of its efficiency, is capture width, L_WEC, also termed absorption width or absorption length, which can be related, at a given frequency for an isolated body in three dimensions, to the ratio of the total mean power absorbed by the body to the mean power per unit crest wave width of the incident wave train. For an incident wave:

For a point absorber, or a WEC with dimensions considerably smaller than the wavelength of the wave, that is axisymmetric and operated only in heave, the maximum possible capture width can be represented by the equation (1)

Materials and Methods

The wave tank was constructed from cell-cast acrylic, which has the advantages of lighter weight and greater durability than glass, while still retaining high transparency. The dimensions of the tank, as shown in Figure 2, were chosen so that all the pieces can be cut from a commercially available 4’ x 8’ sheet. The thickness of the sheet

Figure 1. Graph of the mean wave energy power across the world in kW/m^2 during the month of January (1)

is determined by the depth of the water; for this tank, the necessary minimum thickness of the acrylic is 0.95cm (3/8”) (2).

Figure 2. Dimensions for the Wave Tank. The wave tank, in this experiment, is filled to 0.3 m, creating a body of water defined as shallow water because the water depth is less than half the wavelength of the wave.

The edges of the cut acrylic sheet were checked for abrasions or burrs, and the irregularities smoothed out with an emery cloth. These pieces were then temporarily adhered in place with adhesive tape around the outside of the box. The pieces were permanently welded together through the process of solvent welding; by running a syringe filled with acrylic solvent cement along the insides of the tank, a chemical process occurs that welds the joints together, creating a single piece of acrylic out of two. Solvent welding, and later a silicon sealant along the inside of the joints, ensured the security of the seal.

Figure 3. Constructed acrylic wave tank, the edges

The wave maker is of the plunger-type and consists of a wedge that essentially cuts into the surface in order to displace a volume of water and form a wave. The frame of the wave maker was built from plywood and the pieces held together with wood-glue; the entire model was varnished to prevent water damage and sealed with epoxy and silicon sealant to create watertight edges.

4. Plunger-type wave maker, constructed of plywood and supported by metal guides.

This wave-maker is operated by hand, and allows for control of both frequency and amplitude. Within the tank, two metal guides support the wave maker, keeping it upright and at the same time providing amplitude control, as markings placed one inch apart indicate the height to which the wave maker is lifted. Frequency control comes in the form of a metronome, which creates the tempo to which the wave maker is operated.

Once the wave is created by the wave maker, it travels to the opposite side of the tank, which contains the wave absorber. The model of absorber used in this investigation is of the passive type, defined by an unvaried reaction to an incident wave regardless of the wavelength. The absorber was constructed out of a plywood frame, and supports four sheets of vertical mesh that face the incident wave. A low layer of bricks topped with gravel fills the gaps in the spaces between the vertical mesh. This mesh, and the gravel, diffuse the energy of the incident wave and dampen the refraction of the wave, minimizing interference at the wave energy converter.

The next step was the construction of the wave maker.

The next part of this investigation was the construction of a working generator. The generator operates by converting linear heaving motion into electrical power, which is achieved through a magnet and coil generator. The copper coil, wound over a thousand rounds, was suspended over the tank by a series of clamps, and connected to a differential voltage probe and a current probe at the two ends of the wire. As stated by Faraday’s Law of Induction,

welded with solvent cement.
Figure

the movement of a magnet through a stationary, tightlywound copper coil, induces a voltage that can be measured by these connected probes.

Figure 6. The wave energy converter, consisting of a copper coil and a stack of neodymium magnets inside.

The last part of the installment process is the construction of the wave buoys, which, for this investigation, were printed from a 3D printer. To use this printer, a 3D model is first constructed using SolidWorks™ and uploaded to the printer software. After printing each buoy, an acid bath dissolves any support material used during the printing process.

Figure 7. Ellipsoid buoy, slack anchored by two hooks, supporting a stack of magnets within the coil.

Three holes were then drilled into the ellipsoid. Two holes were drilled on opposite sides of the buoy for two hooks to be inserted; the hooks allow for the buoy to be

anchored with slack chains to the side of the wave tank so that the buoy is not pushed by the wave towards the end of the tank. The third hole was drilled at the center of the top of buoy, where a stack of neodymium magnets adhered to a thin metal rod is mounted, pointing straight up. As the incident wave hits the buoy and the buoy begins to move in an oscillating motion, the chains constrain the buoy to move only in heave, pushing the magnets through the coil.

1 2.5 inch 2.5 inch 8 : 8 2

Figure 8. Schematics of a buoy. As the aspect ratio increases, the buoy gets progressively flatter and wider, the value of a increasing in comparison to b.

The dimensions of the three buoys created and tested are shown in Figure 8. The volume of the buoys are kept the same, at around 65.4 inch2, or the volume of a sphere with a 2.5 inch radius; however, their proportions are different. The aspect ratio of each buoy varies by 1:8 for each; the first buoy, a sphere, has an aspect ratio of 1:1, the second 8:7, the third 8:6.

Full operation of the wavetank can be illustrated in Figure 9. It begins at the wave maker end; the wave maker is manually moved up and down at a specific frequency in a specific amplitude, propagating a wave towards the other end of the tank. The wave hits the buoy, causing it to heave, and pushing the magnets up and down within the coil. This movement generates a voltage and current that is measured by the current and differential voltage probes, and recorded on two graphs: Current vs Time, and Voltage vs Time. Once past the buoy, the wave then hits the wave absorber and is diffused by the mesh and gravel.

Results and Discussion

Each trial of this investigation was run as described in the previous section for a 25 second interval. Only the last 15 seconds were used during data analysis—the first 10 seconds are used to stabilize the characteristics of the wave. The raw data gathered from the trials were graphs of Current vs Time and Voltage vs Time. To manipulate these graphs into data that can be used comparatively, the equation:

Buoy Major Axis (A) Minor Axis (B) Ratio (A:B)

9. Full wave tank schematic, including the wave maker, wave absorber, buoy, and generator.

10. The data gathered in Trial 3-25 (buy 3, 3 inch amplitude, 1Hz), showing the graphs for as well as the manipulated power graph.current voltage

was used, and the two graphs multiplied to produce a graph of Power vs Time. The integral of the 10-25 second section of the Power vs Time graph then gave the amount of energy, in watts, produced by the multiple incident waves. Figure 10 shows an example trial, with Current recorded in red, Voltage recorded in blue, and the manipulated Power graph in green.

Each frequency was expected to yield a specific number of waves for a 15 second interval; this number is confirmed through a visual analysis of the graphs, as a pair of relative maximum and minimum represent the movement of the

buoy as it passes the crest and trough of a wave period. The energy dissippated was divided by the number of wavefronts to arrive at the energy per wavefront for each buoy at a given frequency and amplitude.

Nine different scenarios were tested: amplitudes of 1, 2, and 3 inches, at 40, 50, and 60 beats per minutes (or 0.67, 0.83, and 1 Hz), with three trials performed at each different amplitude and frequency.

Running the analysis shown in Figure 12 for all 27 of the trials associated with the nine amplitudes and frequencies associated with a buoy, allows for the values graphed in Figure 13-15 to be produced.

Figure
Figure

Figure 12. Trials 25-27 of Buoy 3, illustrating the data analysis process. The integrated power over the 15 second time interval is divided by the 15 waves that hit the buoy during that period and the energy per wavefront found

Figure 13: This graph shows the data points of 0.67 Hz, graphing Energy captured per wavefront against amplitude. The colors indicate the buoy; red for Buoy 1, green for Buoy 2, and blue for Buoy 3.

Figure 14. This graph shows the data points of 0.83 Hz, graphing Energy captured per wavefront against amplitude. The colors indicate the buoy; red for Buoy 1, green for Buoy 2, and blue for Buoy 3.

Figure 15: This graph shows the data points of 1.00 Hz, graphing Energy captured per wavefront against amplitude. The colors indicate the buoy; red for Buoy 1, green for Buoy 2, and blue for Buoy 3.

Closely comparing Figure 13 and 14, for many of these frequencies and amplitudes the energy absorbed by the buoy for a wavefront of a wave in a 0.67 Hz trial or 0.83 Hz trial differs little: Buoy 2, for example, at a two inch amplitude, shows less than a 2% difference between the average values for a 0.67 Hz and 0.83 Hz. There is also no trend for which tends to be greater; for the three amplitudes of the three different buoys, six of the nine points have a higher energy absorbed value for 0.67 Hz, differences ranging from <2% in Buoy 2, at 2 inches, to >60% in Buoy 3, at 3 inches.

However, an outlier for all three graphs would be the prominent jump between the relatively similar 0.67 and 0.83 Hz values in Figures 13 and 14 and the much higher 1.00 Hz values in Figure 15. During the investigation it was determined that the wave tank had likely been structered in a way that it resonanted at 1.00 Hz, and a standing wave formed within the tank because of inconsistences in the wave damper. The presence of a standing wave increased the amplitude of the wave and thus the heave of the buoys, heightening the energy output of each buoy at 1.00 Hz beyond that of the 0.83 Hz and a 0.67 Hz.

Looking at each individual graph, at all nine points, the average values show a progressive increase from Buoy 1 to Buoy 2, then from Buoy 2 to Buoy 3. Two of these points are inconclusive for two of the associated buoys: the error bars of Buoys 2 and 3 cross at 2 inches and 0.83 Hz, as

with Buoys 1 and 2 at 3 inches and 0.63 Hz. A noticeable trend across all three buoys is the progression of values from Buoy 1 to Buoy 2 to Buoy 3. As the buoy ratio changes, becoming wider and flatter, the values indicate that it absorbs more and more energy for each indicate wavefront. The blue points on the graph, representing Buoy 3, are higher than those of the green, representing Buoy 2. The same can be same of the green points being higher than the red, representing Buoy 1, and creating a progession upward of Buoy 1, Buoy 2, and Buoy 3, for all nine combinations of amplitude and frequency.

Conclusions and Future Work

The data gathered through this investigation indicates a probable trend between buoy aspect ratio and captured electrical energy; the two are seen to be positively correlated, in that as the ratio of major to minor axis in an oblate buoy increases, the electrical energy captured through heave increases.

Further work to be pursued in this study includes the testing of buoys with aspect ratios of 8:5, 8:4, and so forth to see if the trends indicated in this paper continue. Another possible extension of this study would focus on prolate rather than oblate ellipsoids: Figure 8 indicated an oblate buoy, where the cross section of the buoy would be circular when cut along the major axis, rather than a prolate buoy, where the cross section would be circular along the minor axis.

Works Cited

[1] Cruz, João. Ocean Wave Energy. Springer: SpringerVerlag Berline Heidelberg, 2008. Print.

[2] “How to Build Your Own Acrylic Aquarium.” Hubpages. 24 June 2011. Web. 20 May 2013. <http://tehgyb. hubpages.com/hub/How-to-Build-Your-Own-AcrylicAquarium>

Featured Scientist: An Interview with Dr. Elizabeth Cates

Left to Right: BSS Faculty Sponsor Dr. Jonathan Bennett, Ivette Fernandez Diaz, Dr. Elizabeth Cates, Madeline Finnegan, Kavirath Jain. Photo Credit: Brian Faircloth

Dr. Elizabeth Cates is a class of 1987 NCSSM graduate. After attending NCSSM, she attended NC State where she obtained a BS in Chemistry and then graduated from Penn State University with a PhD in Materials Chemistry. She has worked as Senior Development Chemist at Milliken and Co. and currently works as Vice President of Research and Development for Innegra Technologies, a plastics company. She now resides in the Greenville, South Carolina area. Below are excerpts from our interview with Dr. Cates. To read a full transcript of the interview, see the Broad Street Scienti website.

As a 1987 NCSSM graduate, how did your high school experiences help shape your career path?

Coming here was a wonderful exposure to so many different things. Part of my career I can attribute to my teacher, Bill Youngblood, because he walked into class and said, “I’m going to teach this at collegiate level knowing that you’re going to take it all again in college.” His approach to teaching was very application oriented. We would have organic problems but he would frame them in a real world scenario. In some ways that spoiled me because the classes in college where I was told to learn material without reason frustrated me. I always wanted to know why... So we were talking earlier, Madeline, that Dr. Warshaw’s first year here was my first year at NCSSM. He was my faculty advisor and I took a genetics class with him. I became absolutely mesmerized by genetics. I still am. The year after I graduated, the school had a DNA recombination unit donated to it. I was so jealous when I heard that. If I were a year later I would’ve been able to play with that. And I have no doubt in my mind that a year later my career path would’ve been completely different.

Given your experience working in the R&D sector, can you talk a little bit about the integration of science and business in what you do?

That’s a fun question. Science and business – there’s always more science than there is money for, so you have to pick and choose what you work on. Working in industry forces you to make decisions faster than if you were in a more academic setting. That’s the beauty of universities: the freedom to think about what one finds interesting and following

it wherever it goes because that can lead to beautiful things…In business you have to justify what you’re doing and it forces you to think a little further down the road…For example, the company that I work for makes a yarn based on polypropylene chains. The polymer chains are very highly oriented in the yarn, which makes it much stronger than normal polypropylene. It’s a very highly crystalline material and our sales team wants to sell it in colors. Now you can buy all kind of fiber products in colors - we dye them for our clothes all the time, but if you’re dying polymers, the places where the dye molecules go are where it’s not crystalline and our polymers are 80% crystalline, so that’s cut down the number of places dye molecules go by 50%... So, now we have the question: how can I create something that’s colored that inherently lacks color? If you can frame it like that, it forces you to look at the problem closely…So what really is the problem we’re trying to solve here? Sometimes people will come to you and say things like, “I need something that doesn’t burn,” but you need to talk to them to understand that I need something that doesn’t burn, smells like grapefruit, and floats on water, for example. You learn to ask a lot of questions to really understand the picture going forward.

Going off of the previous question - If you could give one piece of advice to an aspiring young scientific entrepreneur, what would it be, and why?

Pay attention to people. As scientists it’s easy to fall in love with science, but its people and how people interact with what you’re making that is the driving force. It is far easier to solve the problem that someone has than to create something and then make them want it. Now there are some people gifted at that. In fact, here at our ten year reunion one of my classmates showed up with a cool phone gadget (and remember this is back when cell phones were just phones), and he had this phone that had a keyboard that slid out of it and you could type on it. Later it became the HipTop that was sold to T-Mobile when you guys were about four years old. The human interaction factor on this thing was incredible. It anticipated a need that people had giving them the ability to bypass calling people and leave them messages, in an efficient manner. Understand people is the key…. If you make something that’s hard to get to or hard to fix, you’ve created a bad design. Think about the people and everything flows much easier and that is an often overlooked part of it because we love the science and technology so much. It’s one of the things that I have to remind myself when I talk to people…You have to find that point and say, “okay, what’s the key thing that I want you to know? How can I say this in plain English?”

Could you give our readers a professional perspective on the importance of being skilled at reading, writing, and discussing scientific literature?

Absolutely. If you cannot convey in simple plain English the point of what you’re doing to somebody else on the street, it’s a waste of time. I cannot emphasize enough the importance of being able to communicate clearly, both in writing and verbally, to people what you’re doing. And sometimes you have to go beyond the science and look for metaphors to help explain things…So being able to reduce it to a concept that everyone can relate to allows me to convey what I need to convey. The ability to communicate the importance of what you’re doing in a language that everyone can understand is so important because if you don’t have that ability, your work is useless. There will be three other nerds like you on the planet that will be able to appreciate your work. If you can explain things clearly in terms of the meaning of the work to the listeners, then it makes it very easy to make people to buy into whatever it is you want them to do.

Turn static files into dynamic content formats.

Create a flipbook
Issuu converts static files into: digital portfolios, online yearbooks, online catalogs, digital photo albums and more. Sign up and create your flipbook.