Northwest Dentistry - September/October 2024

Page 1


Volume 103, Number 5 September-October 2024 Vollume 103 Nu b mber 5 Held with Open Arms: The U’s Cleft and Craniofacial Clinic

Journal of the Minnesota Dental Association

Volume 103, Number 5

September-October 2024

Features

14 Held with Open Arms: The U of M’s Cleft and Craniofacial Clinic

Meet the clinic’s new director, Dr. Renie Daniel

21 The University of Minnesota School of Dentistry Cleft and Craniofacial Clinic

25 A Give Back a Smile Case Report: Rachel Ryan Cooper, D.D.S.

29 The Minnesota Dental Foundation

Community and educational grants

33 What Are You Doing in Retirement? Dr. John Nydahl

An old friend shares a new way to care

37 Something Beautiful: And You’ll Come A-Waltzing Mathilda With Me …

William E. Stein, D.D.S.

40 Conquering the Karen Conundrum: Five Steps to Turning the Tide on Tough Customers

Kate Zabriskie

Our cover feature this time turns our spotlight on one of the University of Minnesota School of Dentistry’s specialty clinics, the Cleft & Craniofacial Clinic, and its new director, Dr. Renie Daniel. Learning about these special patients and the care they receive in the C&C Clinic is not only a measure of what the profession can and hopes to do, but an emotional experience when meeting the people who make it happen on every level. “Held with open arms” is a statement of purpose and passion we can all recognize. Cover feature begins on page 14.

Departments

6 President’s Message: A Journey of Service and Leadership in Dentistry

Alejandro M. Aguirres, D.D.S., M.S., M.B.A.

8 Give and You Shall Receive Report from the Trustee to the Tenth District of the American Dental Association

Scott L. Morrison, D.D.S., M.S.

9 Editorial: The Trajectory of Life

Being young, being older, being connected to it all

John E. Lueth, D.D.S.

43 District News

Southeastern takes a gentle look at why we love autumn in Minnesota; Southern sets a great Fall Meeting; West Central review this year’s House of Delegates; Student celebrates ASDA Fever Week; Minneapolis says good-bye to summer; and Northeastern rocks the calendar

64 Heading Home: Frost Warning

An end-of-summer smile as comfortable as a pair of old shoes

Page 37

Correction

In the July-August issue in the article “The Minnesota Dental Foundation: A History of and Legacy of Care” by Dr. Stephen Litton, the following names were inadvertently left off. They are current members of the Minnesota Dental Foundation Legacy Circle. The author reiterates this invitation:

As always, if you have any further questions, please reach out to an MDF board member or any of its officers.

Dr. Clark LaChapelle

Dr. Stephen & Bonnie Litton

Dr. & Mrs. Steven Means

Dr. Patrick Morgan Estate

Drs. JoAnn & Mark Omlie

Dr. Rosalie Perpich

Dr. Katie Post

Dr. Robert Reed Estate

Dr. Freeman & Shirley Rosenblum

Dr. Daniel Shaw & Judith McKloskey

Dr. Howard W. & Cheryl B. Taylor

Dr. Matthew Vaillant

Floyd Wehrman Estate

Dr. James & Sonja Zenk

Letters to the Editor

Readers of Northwest Dentistry are invited to submit Letters to the Editor on topics related to articles or columns previously published in the journal. Letters written to express viewpoints about current policies or actions of the MDA or other agencies will be referred to an appropriate individual, department, or committee to directly respond to the author. The views expressed are those of the writers and do not necessarily reflect the opinions or official policies of the Minnesota Dental Association, the NWD Editorial Advisory Board, or Northwest Dentistry editorial staff. Letters will be accepted by e-mail at info@mndental.org.

John E. Lueth, D.D.S., Executive Editor

Susan Miller, Managing Editor

William E. Stein, D.D.S., C.D.E., Editor Emeritus

Editorial Advisory Board

Norman F. Coates, D.M.D.

Amber D. Cziok, D.D.S.

Brent L. Florine, D.D.S.

Jeanni R. Foss, D.D.S.

Gary H. Hildebrandt, D.D.S., M.S.

Michael A. Kurkowski, D.D.S., Contributing Editor

David H. Lipschultz, D.D.S., Contributing Editor

Jasmine Yesil, D.D.S.

Rosalie J. Perpich, D.D.S., Ex Officio

Michael J. Till, D.D.S., Ph.D., Contributing Editor

Publication office: 1335 Industrial Boulevard, Suite 200, Minneapolis, MN 55413-4801, (612)767-8400

Minnesota Dental Association Staff

Carmelo Cinqueonce, Executive Director

Whitney Bey, Director of Convention Operations

Vicki Capistrant, Director of Operations

Linda T. Fomasina, Executive Assistant

Dawn M. Jensen, Director of Membership

Stephanie Leclair, Communications Director

Dan Murphy, Director of Government Affairs

Hanna Nguyen-Dao, Regulatory Affairs Manager

Mia Stranberg, Membership Services Coordinator

Contents of NORTHWEST DENTISTRY

©2024, publication number 395240, published bimonthly by the Minnesota Dental Association, 1335 Industrial Boulevard, Suite 200, Minneapolis, MN 55413-4801, is the official journal of the Minnesota Dental Association. Periodicals postage paid at St. Paul, Minnesota. POSTMASTER: Please send address changes to Northwest Dentistry, 1335 Industrial Boulevard, Suite 200, Minneapolis MN 55413-4801. Northwest Dentistry is published under the supervision of the Northwest Dentistry Editorial Advisory Board. Neither the Editorial Staff, the Editor, nor the Association is responsible for any expression of opinion or statement of fact, all of which are published solely on the authority of the author whose name or initials are indicated. All content of Northwest Dentistry is copyrighted by the Minnesota Dental Association and may not be reprinted without written permission. Subscription price $20.00 (members) or $35.00 (non-members) per annum in advance. Foreign countries $90.00 per annum. Single copies $6.50 U.S.A./$15.00 Foreign. Website: www.mndental.org.

Advertising Information

Classified advertising is available to members at a discounted rate. Visit Hesy-Re.com to view and submit ads. Display advertising information and rates are also available on www.mndental. org under News/Journal or by calling Stephanie Leclair, Communications Director, at (612) 767-8400.

The acceptance of advertising in Northwest Dentistry does not necessarily imply approval of the advertised product by the Minnesota Dental Association.

Printed on recycled paper containing 10% post consumer fiber using domestic soy-based inks.

Mission Statement for Northwest Dentistry

To educate, entertain, and exchange information with dental professionals by providing a quality publication consistent with the ethical standards of the profession. Northwest D E N

Brian Maxwell bmaxwell@gateway.bank

952-465-3892

NMLS#: 598337

Laura Mayer lmayer@gateway.bank

651-209-4891

NMLS#: 598342

Bruce Downey bdowney@gateway.bank

651-209-4805

NMLS#: 598333

A Journey of Service and Leadership in Dentistry

Alejandro M. Aguirre, D.D.S., M.S., M.B.A.*

In the ever-evolving landscape of dentistry, it is crucial to pause and reflect on our journey, both as individuals and as a profession. My path, from a young dental student in Mexico City to a leader in American dentistry, offers insights into the challenges and opportunities facing our field today.

The Foundations of Service

My story begins with the values instilled by my parents: hard work and education. These principles, universal in their application, have guided my career from its earliest stages. However, it was a high school volunteering experience at Mother Teresa’s orphanages and nursing homes that truly shaped my perspective on service.

Reading about St. Maximilian Kolbe’s ultimate sacrifice in Auschwitz was a pivotal moment. It made me realize that if someone could give his or her life for another, surely I could give my time and skills to help others. This ethos of service, later reinforced by a mentor who said, “God put us on this earth to help others,” has been the cornerstone of my professional life.

A Career of Adaptation and Growth

My journey in dentistry has been one of constant adaptation. From owning a private practice to serving as a full-time faculty member, and now working as an employee dentist, each role has offered unique lessons. This adaptability is crucial in our rapidly changing profession.

Throughout my career, I have been fortunate to serve in various leadership roles:

1. Minneapolis District Executive Council, Trustee, and President

2. ADA Council of Membership and ADPAC Board Member

3. AAE, Foundation for Endodontics Board Member

4. Chair of the Mission of Mercy (MOM) event since 2011

5. Various dental and non-dental committees and boards at state and national levels

These experiences, complemented by an MBA from the Carlson School of Management, have provided me with a comprehensive view of our profession’s challenges and opportunities.

The Generous Spirit of Dental Professionals

One constant throughout my journey has been

the generous spirit of dental professionals. Regardless of background or nationality, our community shares a commitment to service that transcends borders and cultures. This shared value is our greatest strength as we face the challenges ahead.

Facing the Future: Challenges and Opportunities

As we look to the future, several critical issues demand our attention:

1. Workforce shortages

2. Insurance complexities

3. Rising student debt

4. Declining membership in the tripartite

These challenges require innovative solutions and a willingness to adapt our traditional models. As Warren Buffet wisely said, “Price is what you pay, value is what you get.” Our focus must be on enhancing the value we provide to every member of our profession.

A Call to Action

The future of dentistry depends upon our collective effort. As ambassadors of our profession, we must:

1. Embrace continuous learning and adaptation

2. Explore new membership models that provide tangible value

3. Foster mentorship and support for the next generation of dental professionals

4. Maintain our commitment to service and ethical practice

Commitment to the Future: Inclusivity, Growth, and Transparency

As we navigate the challenges ahead, I want to emphasize my unwavering commitment to the future of our profession, particularly to our dental students, who represent the next generation of leaders in dentistry.

Continued on next page

*Dr. Aguirre is the 2024-25 president of the Minnesota Dental Association. He is an endodontist in Brooklyn Park, Minnesota and five other locations in the wider Metro area. Email is aaguirre 2805@ gmail.com

Alejandro
Aguirre

President’s Message

Continued from previous page

Empowering Dental Students

Our dental students are not just the future of our profession; they are its lifeblood. I pledge to do everything in my power to support their journey, from education to practice. This includes:

1. Advocating for resources and opportunities that ease the burden of student debt

2. Creating mentorship programs that bridge the gap between experienced professionals and students

3. Ensuring that the voice of students is heard and valued in our association’s decision-making processes

Fostering an Inclusive and Respectful Environment

The strength of our profession lies in its diversity. I am fully committed to creating and maintaining an inclusive, kind, and respectful environment within our association. This commitment includes:

1. Actively seeking out and valuing diverse perspectives in all our initiatives

2. Implementing programs that promote cultural competence and understanding

3. Ensuring that leadership opportunities are accessible to all, regardless of background

4. Addressing and eliminating any forms of discrimination or bias within our professional community

Promoting Personal and Professional Growth

Our association must be a catalyst for both personal and professional growth. I am dedicated to:

1. Expanding continuing education opportunities that cater to a wide range of interests and specialties

2. Creating platforms for knowledge sharing and collaboration among members

3. Developing leadership programs that nurture the potential in every member

Commitment to Transparency and Open Discussion

Trust is the foundation of any strong community. As a leader, I pledge to:

1. Maintain open lines of communication with all members

2. Provide regular, transparent updates on the Association’s activities and decisions

3. Create forums for open discussion where all voices can be heard and respected

4. Be accountable for our actions and decisions as an association

By focusing on these areas, we can build a stronger, more inclusive, and more dynamic dental profession. Our commitment to students, inclusivity, growth, and transparency will ensure that we not only meet the challenges of today but also create a thriving environment for the dentists of tomorrow.

Conclusion

Our profession stands at a crossroads. The challenges we face are significant, but so are the opportunities. By drawing on our shared values of service, adaptation, and collaboration, we can shape a future for dentistry that is both sustainable and inspiring.

I extend my heartfelt gratitude to all who have supported me on this journey, including my wife Laura, daughter Andrea, mentors, and colleagues. Special thanks go to Mr. Carmelo Cinqueonce and the professional MDA team, as well as Ms. Angela Amman, our legal counsel, for their unwavering support and guidance.

As we move forward, let us remember that our greatest strength lies in our unity and shared commitment to service. Together, we can ensure that dentistry remains a noble and rewarding profession for generations to come. ■

Give and You Shall Receive

These days, nearly everyone is focused on value; value for dollars expended and return on investment. At the American Dental Association, the Board of Trustees is continually analyzing the use of membership dues and non-dues revenues to maximize the impact of dollars expended and benefits to member dentists.

I feel as though our society, and in many ways our membership, is focused on only answering the question “What’s in it for me”? I can still recall a famous inaugural address of a shortterm United States president stating, “Ask not what your country can do for you, ask what you can do for your country”. The importance of that kind of civic action and public service has, I am sorry to say, faded. That being said, membership in organized dentistry is not solely about what you get, but it is also about what you have the opportunity to give.

So, how can we give?

Envisioned to address the dental health care needs of veterans who do not currently qualify for dental services through the Veterans Administration system, Give Veterans a Smile will kick off during SmileCon 2024. The initial kick-off and fundraising event will be held at the World War II Museum in New Orleans, a museum that offers an absolutely fabulous tribute to the operations of the European and Pacific theaters of the war. If you plan to attend SmileCon, please consider a sponsorship to support the Give Veterans a Smile Initiative and/or purchase a ticket to attend the kick-off event.

items through an Amazon gift registry established by the DVNF.You can access the gift registry at amazon.com/ hz/wishlist/ ls/2BOR6XZREVVQ9/ref=hz_ ls_biz_ex. With just a few clicks, you can provide needed comfort items for disabled veterans who have served to protect the freedoms that we hold dear. Please use the following shipping address (which you will need to input) to send items to the DVNF:

Membership in organized dentistry is not solely about what you get, but it is also about what you have the opportunity to give.

Give through your continued membership, and encourage other dentists to join. Give by offering your time and talents to serve in an advisory or leadership position, and work with others to enhance the purpose and outreach of your local dental society, state dental association, and the American Dental Association (ADA). Give by supporting humanitarian efforts such as Give Kids a Smile, Dental Lifeline, Mission of Mercy, Remote Area Medical, and now, Give Veterans a Smile.

Another opportunity to help support our nation’s veterans involves the packing of oral hygiene kits following the Opening Session at SmileCon 2024. This packing project will take place within the Social Responsibility Hub of Dental Central (the Exhibit Hall) and requires only a few minutes of your time. Oral hygiene products provided by corporate sponsors will be packaged with dental health education materials and resources for mental health services. These kits will be forwarded to the Disabled Veterans National Foundation (DVNF) in Maryland for inclusion in larger comfort packs that will include additional items such as blankets, hats, socks, gloves, combs, nail trimmers, and soap. Whether you will be in New Orleans or not, you have the opportunity to purchase some of these additional comfort package

Disabled Veterans National Foundation 5009 Forbes Blvd Suite G Lanham, MD 20706

Finally, consider providing dental care to a military veteran in need. Dental Lifeline is an organization that works to match individuals in need of dental treatment with providers who are willing to volunteer their services. The difference you can make in the life of a disabled veteran is undoubtedly priceless.

Giving back to the community and to the dental profession is a personal decision; a decision that only you can make. I just want each of you to know that there is a place for every one of us to give back; whether it be related to dental health education, legislative advocacy, wellness, or governance. Think about how you might be interested in giving back, and ask how

Continued on next page

*Dr. Morrison is the Trustee to the Tenth District of the American Dental Association, representing Iowa, Minnesota, Nebraska, North Dakota, and South Dakota. He is a periodontist in Omaha, Nebraska. Email is morrisons@ada.org

Report from the ADA

Continued from previous page

you might help your local community, your local dental society, your state dental association, and the ADA.

SmileCon 2024

I hope that many of you will be attending SmileCon 2024 in New Orleans, Louisiana. If you will be in

New Orleans on Sunday, October 20th, plan to join us for an ADA District 10 (Iowa, Minnesota, Nebraska, North Dakota, and South Dakota) parade through the French Quarter featuring a six-piece band and myself leading the way. Our parade

route will end at Oceana, where we will enjoy some refreshments to celebrate the camaraderie that we share within District 10.

Respectfully submitted, Scott L. Morrison District 10 Trustee

Give through your continued membership, and encourage other dentists to join.

An Endless Horizon Editorial

When the nights start to get a little cooler and the daylight a bit shorter, when the first tinge of yellow leaves is noted on an occasional tree here and there, and when I first begin to notice the loud, incessant chirping of crickets and hear the crack of football pads accompanied by coaches’ whistles at high school practice fields … that is when my brain says summer is ending and fall is here!

I enjoy seeing the kids coming in to the dental office during this time of year when I can ask them if they are excited to get back to school. Or, a couple of weeks later, I will be asking them how the first days of school are going. Sometimes I get to ask the teachers the same! The kids almost always are excited — nervousness sometimes being the dominant excitement! — as they either look forward to that new grade level or challenges ahead. Some may simply be resigned. Another hurdle to pass over with the possible hope that it’ll all be fine soon. Teacher reactions vary, but most often they might be described less as being excited and more as being hopeful. It often seems as if the teachers answer less in a way relating about themselves, but moreso in words that convey that they are directing their energies with seriousness toward education that can benefit their wards.

These thoughts of mine about the passing of summer and the beginning of fall are a bit more poignant this year.

days of my youth — grade school through high school and a couple thereafter — as the beginning of the next level of learning is soon to be upon me. But in the past weeks of this year, I certainly have reflected a bit more on those long-ago days when I was preparing for yet another school year. Why? Well, because I attended two 50th year high school class reunions, of course. (Not a misprint. And not exactly what you might conjure up. Ask sometime.) Geez, were there a few old folks there! But for the most part, the energy was just as youthful, positive, and fun as 50+ years ago! Why do I mention this? Because the marvelous articles and stories related in this issue of your journal seem in many ways to be analogous to stages of our lives. As children, particularly small children, we are so much under the care and influence of our parents and elders. Without even our knowledge during those early years, it is our caregivers, those who teach us — at home, in school, at church, in our community — who shape and direct our lives. As we grow, learn, experience life, and begin to gain independence and make our own decisions, we may sooner or later come to appreciate how we have arrived at that stage of our lives … with the help of others.

were recalled, shared, laughed over, or reflected upon at one of those 50-year class reunions. I just gave you one answer as to why I celebrated at two reunions this summer. It was with the kids of that community that I spent the greatest number of years together in classrooms, on sports fields or courts, performing music, and during the summer filling days with a great variety of activities and all the rest of growing up. But it was with equal enthusiasm and sharing of stories or memories also long past that I enjoyed my classmates, teammates, and friends from grades 8 through 12!

The day after high school graduation we packed the moving vans and my family moved to an entirely different community far from either of the first two. And the time after that has played out approximately four fairly distinct life stories or phases since. Because that is how I sometimes view the road(s) I have travelled, I invite you to consider whether the contents of this issue may be similarly reflected: a range of ages or stages of life. And alongside those ages and stages the decisions, relative importances, or simply reflections that may be made from any point along the journey.

Just as the grade schooler has an entire life yet to unfold, the infant born with cleft palate is on the front end of a journey unable on its own

I don’t know if these thoughts of mine about the passing of summer and the beginning of fall are a bit more poignant this year. Forever I have recalled in general or specifically those

Many of my earliest memories come from those years from kindergarten through seventh grade where I grew up alongside classmates and neighbor kids of one small community. Many of those stories

Continued on next page

*Dr. Lueth is the Executive Editor of Northwest Dentistry. He is a general dentist in private practice in Bemidji, Minnesota. Email is jluethdds@gmail.com

Continued from previous page

to predict what that journey may be like for him or her. Are there adults giving of themselves in order to teach and prepare children to know the things they need to know and build upon as they progress through life? Are there skilled caregivers, surgeons, and teams of health care personnel, as we witness through the leadership of Dr. Renie Daniel, whose calling and passion provide not just restoration or reconstruction, but restore wholeness to individual lives?

As we pass through the grades of school learning or stages of our physical, mental, and emotional growth, do there continue to be teachers, mentors, role models looking out for us? And will we have turned around to do the same for those coming along after us? If we have benefitted from the care or guidance of others, will we do so for others? Will we provide them with the opportunities that we may have enjoyed?

For example, opportunities to flourish — to have or experience more of the things that are good for humans to have. This would include opportunities to live healthy lives, have economic opportunities, have opportunities for educational and cultural pursuits, and have the opportunity to make important decisions affecting themselves and their families.

Just how much love, care, and attention must be devoted to that needy little being we may have been who tentatively entered the day care, preschool, or kindergarten those first days, assisted by a mother or father’s guiding hand? Exploration, education, and learning in the years to follow will

certainly play a role in shaping their lives. How much more, then, must it be so for the child born with a cleft? For those lucky children or young adults who receive the caring and expertise of persons skilled in cleft repairs, not to mention all of the other means of support of the team, their lives will have been significantly impacted and changed for the better going forward. There exists the opportunity to give back a smile!

Those of us who have experienced different stages or seasons of life up to and beyond those which took us through the education necessary to practice dentistry probably could consider (or for the older among us, “look back upon”) what it is (or was) that influenced our decisions or philosophy of our chosen work. Were there events that led us to pursue a particular path on our journey? Did we apply our abilities or passion toward a certain goal? Serendipity? Or not? What influenced how we embrace or enact our professional practice. Dr. Daniel shared where she is now and what brought her there! How about you?

As time marches on a career unfolds, a profession is practiced, but eventually probably comes to an end. Who of us can imagine and tell of a 60th reunion? Drs. Carlson and Indrehus can! All those possibly forgotten building blocks of life — wooden as a toddler, class schedules and instruction as a student, manner of practice as the professional — ultimately made us who we became and what we did. But the practice of dentistry may wind down or come to an end. And might there be another phase or season of life offered us? As

we are interested in doing among the pages of this journal, we like to ask “Where are you now?” or “What are you doing in retirement?” Being the successful and motivated type of persons we tend to be in this profession, retirement often simply means changing what you say you do while still making a positive contribution!

So, from among all of the examples you can read about within these pages, from the existence of and treatment care provided through the University of Minnesota School of Dentistry Cleft and Craniofacial Clinic, to the grateful patient stories, or the sharing of a journey leading to the practitioner at mid-profession, to the giving back by those grateful for what others have given them, to celebrating through reunion a valued past, or through a story like that of Dr. John Nydahl’s “fourth quarter of life” avocation, what themes might we note?

How about the needs we have in our youth being supplied for us, to the opportunities we have as adults which offer engagement in the things we value, and gratefulness as we travel further along that path of life? All good themes to contemplate, I think. And as I recall fond memories of my own grade school and high school years - having had the good fortune to rekindle conversations with some “kids” I knew back then — I am thankful. As I read and learn about the ways some of my dental colleagues practice for the good of others, I cannot help but be inspired. And to face the future with the example given by a particular man I have known, learned from, and admired, I am encouraged. ■

“I haven’t been everywhere, but it’s on my list” Susan Sontag

In doubt about how to navigate an issue?

We W ’r ’ e he h re for you! The h Dentists s Insuurancce e Co C mpan a y of o feers rs tooools l to o na n viga g te e pot o en e tiial a liabbil i ittie i s in n the e areas of f docume m ntat a

TD TDIC IC pooliccyhhoolde d rs r can n tap p int n o re r

u ces, , gui u

nc

e

nd d edduc u atio i n to mittiggatte e the e ri r sks s of pr praccticiing g dentitistry tod o ay

Time-saving Resources

• Dent n i istr yy sp s ec e ifi i c refereencce e guuiddes s

• Mu M lttililinngguual l infnfororme m d co c ns n ent t forms

• St S a atee sppeccifiific c foorms and d te t mplates

One-on-One Guidance

• No N -ccosst t R Risk s Managgemenent t Ad Advi v ce e Linne

• Dedi d ca cated an a al a ys y ts t witth h un u iq ique exppeertise se

• Co Convnvenenient t onlline e ap appo p in intm t ennt t sccheeduuliing g

Ongoing Education

• C C.E. E - el e iggibble livve, e exper e t-leed se semimina n rs

• Co C nv n en enieent n onn- de dema m nd d eLe L ar a ni n ng opt p io ions n

• Ar A t tiicl c es e and n insnsigght h s on tre r nd ndinng risk k topopic i s

Pl Plusus, , po poli l cy cyho h ld l er e s ca c n eaarn r C.E E annd d

by comomplplet e in ing g a riisk sk man a ag agememennt semi m na narr.

p ore e

It is every parent’s deepest wish that their child will grow to be healthy, happy, and ultimately independent. Not everyone is so fortunate, however. For those whose little ones arrive with cleft and craniofacial anomalies, the first fears can be overwhelming. It is our great good fortune here in Minnesota to have the University of Minnesota School of Dentistry’s Cleft & Craniofacial Clinic to begin restoring the dreams of these families.

For every time you find yourself counting your blessings for something as simple, and as profound, as turning a faucet and getting warm water, you are already in the place where you can recognize the road these families take. Facial deformities can be difficult for anyone to look at, even the most experienced specialists. It is our wish that for anyone confronting this experience, you discover what they know: If you look in the eyes of these patients, you will find yourself where you need to be.

Held with Open Arms: The U of M Cleft & Craniofacial Clinic

Introduction:

Recently NWD was introduced to the School of Dentistry’s new Director of their Cleft & Craniofacial Clinic, Renie Daniel, D.M.D., M.D., F.A.C.S. Dr. Daniel is a cleft and craniofacial surgeon who received her D.M.D. at Temple University in Philadelphia and her M.D. at New York Medical College. She had a Fellowship at the Charleston Area Medical Center in Cleft & Craniofacial Surgery, and carries both her dental and medical licenses in the state of Minnesota, is a member of the American Board of Oral and Maxillofacial Surgery, and a Fellow of the American College of Surgeons. Impressed as we were to read this, more impressive has been getting to know her though the following interview. In this complex and demanding specialty, we need people who “have the heart for the [proverbial] long day”. She sounds like a fit for us.

NWD: Why were you excited to come to Minnesota? What do you think of us so far?

The Editors

NWD: Often the toughest part of meeting someone new is finding the first thing to say. In your case, it seems like that should be “Welcome to Minnesota!” You came from North Carolina? When? Please tell us about yourself: family, education — and, what kind of kid were you?

Dr. Daniel: I moved to Minnesota at the end of February this year from North Carolina where I had the honor of serving on the cleft & craniofacial team at the University of North Carolina at Chapel Hill for the past seven and a half years. My home, though, is Bergen County, New Jersey, and I am a proud “Jersey Girl”. I am a first generation South Indian, and my parents hold the classic immigrant story, moving to the U.S. in the seventies to build a better life for their family. In fact, my dad wrote a book about his experience relocating to the United States and what life has been like over the past 45+ years in the country he now calls home.

Growing up I LOVED school and reading. I had quite the active imagination. I loved playing outside with my brother and neighbors, especially bike riding until it was dark outside and time for dinner.

Dr. Daniel: The most exciting thing about moving to Minnesota was the fact that when I mentioned to coworkers or friends about the move, every person would say, “You are going to love Minneapolis”. When people talk of other major U.S. cities, you will hear a “but” – “L.A. is fun, but the traffic is a nightmare”. No one has told me a “but” yet.

NWD: Where did your interest in, the connection to, this specialty start for you?

Dr. Daniel: My interest in the specialty came from a week-long rotation with the oral and maxillofacial surgery residents when I was a senior in dental school. Up until that point in my training, I knew only of the chairside aspect of dentistry. During this rotation, we met the residents in the morning to make rounds, scrubbed into OR cases, assisted in outpatient clinic procedures, and sat in on grand rounds. I was floored with not only the surgeries I was witnessing, but the medical knowledge base of the residents and attendings. I haven’t looked back since then.

NWD: What did you find in yourself to take on patients like these – what “lit the fire” and continues to do so?

Continued on next page

Dr. Renie Daniel and patient in the Cleft & Craniofacial Clinic.

Cover Feature

Continued from previous page

Dr. Daniel: Similar to my experience in dental school, my “fire was lit” to serve the cleft & craniofacial patient population when I was a first-year resident. The cleft and craniofacial surgeon at our hospital was a plastic and reconstructive surgeon with whom we rotated, as there were no plastic surgery residents to cover his cases. My senior residents were more interested in the orthognathic surgery, maxillofacial trauma, and pathology cases, so I found myself assigned to him quite often. The more I operated with him in the operating room, the more I became fascinated with the beauty and complexity of these cases. Seeing the patients for follow-up in clinic was also joyful, because the surgeries are so transformative. Each case is so different, and I find myself having to come up with “back-up plans” to solve these “puzzles”. It is mental gymnastics in a great way!

NWD: While every case is special, is there one that stands out for you, perhaps your first …

Dr. Daniel: There are too many to recall! I would have to say the two that stand out the most are those of a six-yearold and a 71-year-old.

The six-year-old was born in Yemen, and had severe bilateral facial clefting that extended to her orbits and left her blind. The family was told to seek treatment in Egypt, but when they arrived, the family was told to seek care in the United States. Sponsored by a local organization, they received a medical visa to travel to Chapel Hill, North Carolina. I met the child when she presented to UNC and we began her reconstructive surgeries.

It was amazing to see how much she blossomed in a year after having her lip repaired and her palate closed, allowing her to speak.

The second beautiful case is that of a 71-year-old gentleman who presented to the Operation Smile program in Tegucigalpa, Honduras. He had spent his entire life with an unrepaired cleft lip, enduring stares and whispers. By the time the week was over, he was smiling - while the volunteers were in tears (of joy!).

NWD: Let’s talk about handling these patients and their families. The emotional toll cleft can take on a family is significant, and can be overwhelming. Treatment is a long process. Please talk about these special relationships among patient/family/treatment team — and the special skills needed to handle them.

Dr. Daniel: The bond between the families and myself is probably my favorite part of taking care of these patients. When parents first come to us, they are undoubtedly anxious, distraught, confused, scared. This is where compassion and great listening skills come into play. Some parents have many questions, while others are still in shock over the diagnosis and next steps for their child. We emphasize to families they are not alone on this journey. Our parents are included in all treatment decisions, and when the child is old enough, he or she is included as well. Cleft care is definitely a team sport; there is no room for anyone to have an ego.

NWD: Who is the team? Please describe what they offer: hope (of course), stability, safety, an achievable goal of normalcy … Please endorse the idea that “a baby with a cleft lip and palate is a normal baby who simply has a defect that can be repaired surgically”.

Dr. Daniel: There are many permeations to a cleft team, but to be approved by the American Cleft Palate Craniofacial Association (ACPA) three core specialties must be represented. They are: cleft/craniofacial surgeon, speech language pathologist, and orthodontist. At the University of Minnesota’s cleft and craniofacial team, we also have audiology, nursing, pediatric dentistry, oral and maxillofacial surgery, otolaryngology, and prosthodontics. We have access to make seamless referrals to genetics, nutrition, ophthalmology etc.

A cleft child has different needs at different stages of his or her life, so having each of these specialites, we are able to anticipate what the child’s treatment will look like for the

The Clinic’s resources on full display.

Dr. Daniel and colleague in conference. upcoming year.

Cleft lip and palate is certainly a manageable condition, and having a robust team is the cornerstone to ensuring these children meet their full potential and grow up to be thriving individuals.

NWD: Cleft patients are generally treated by a coordinated team until all issues have been addressed and treated. Recommendations to connect with a cleft team are best made when the defect is recognized, generally at birth or even before. How well can ultrasound identify clefts prenatally, and what kind of support can be initiated before birth? Do cleft babies have special difficulties at birth due to the defect?

Dr. Daniel: Provided that the baby’s hands/feet aren’t in the way of the sonographer, a cleft lip can be identified reliably at the mother’s 20-week ultrasound. Cleft palates are harder to identify on ultrasound, but if the conditions are right can sometimes be seen.

of what their baby will need immediately after birth as well as an overview of what to expect over the next 12 months. It is important not to overwhelm moms and dads with too much information, so we like to focus on the most pressing issue when babies with clefts are born, which is feeding. Babies with cleft palate cannot breastfeed, and it is the priority to educate parents on the types of nipples and bottles that can be used such that feeding does not become a stressful event. After the baby is born, we check in quite frequently with parents (usually once a week for the first four to six weeks) to ensure everything is going well.

NWD: What are the ongoing dental needs of these patients?

Dr. Daniel: Children with clefts have many dental needs, as it is not uncommon for their teeth to have ectopic eruption, be malpositioned, or hypoplastic. There can be supernumerary teeth or oligodontia which would require prosthodontic rehabilitation.

NWD: Now let’s talk about the clinic. It is described in the allied piece on pages 21-22, but we would like to see it through your eyes. Now and for the future, what is needed, from the small to the large?

Seeing the patients for follow-up in clinic was also joyful, because the surgeries are so transformative.

We offer prenatal consults as soon as a mom has received the diagnosis. These consults are invaluable to parents given that there is a lot of “noise” online and it is hard for families to sift through accurate information regarding clefting and treatment of clefts. At these visits our goal is to manage expectations, and more importantly, give parents an “outline”

Dr. Daniel: There are so many things I would love for our clinic to have!

One of our main priorities for this clinic would be to hire more personnel; for example, a full time child psychologist and social worker.

A clinical psychologist would be a great asset to help patients navigate not only through the “normal” stressors of adolescence such as peer pressure, bullying, and self-esteem, but also to provide support for children who spend their younger years in and out of hospitals and doctors visits.

A psychologist would also be able to administer and interpret neuropsychological assessments, as well as provide short- and long-term mental health services.

Likewise a social worker would be instrumental in Continued on next page

Cover Feature

Continued from previous page

helping families maneuver the health care system in terms of understanding the complexities of medical assistance programs and insurance. A social worker would be able to coordinate services for our families that live hours away and have difficulty keeping appointments due to transportation issues.

A full-time administrative assistant who could help our nurse coordinator with secretarial duties would be an added bonus.

In addition to hiring staff, our clinic space needs to be revamped. We need new dental chairs and we especially need new cabinetry. Our audiology and speech equipment are quite dated and need to be replaced. A scanner to scan babies for NAM (nasoalveolar molding) would eliminate the need for impressions. A television in the waiting area where educational videos can play would be a lovely addition for families. In the future we hope to secure a mobile van so that our team can travel to the rural areas of Minnesota to care for children who otherwise cannot reach us.

NWD: We would like you to address our readers about the clinic and how it and you and your team are part of Minnesota’s dental community and what that means to all concerned — because we are all concerned. The podium is yours.

Dr. Daniel: The diagnosis of a cleft or craniofacial anomaly is overwhelming, and the treatment time can be lengthy. Our goal is to empower parents, advocate for the most vulnerable population, and follow the standards of

care set forth by the American Cleft Palate Craniofacial Association.

The University of Minnesota’s Cleft and Craniofacial Clinic, housed in the dental school, has been treating the people of Minnesota and nearby states for the past 60 years, as well as educating the next generation of orthodontists, pediatric dentists, oral and maxillofacial surgeons, audiologists, and speech language pathology students who rotate in our clinics. These students and residents then take their talents out into the community and become the providers our clinic collaborates with. We are so thankful to the dental community who cooperate with us to ensure our patients receive high quality and timely care. From the bottom of our hearts and from each and every patient that calls the U of M cleft team their own, we thank you! ■

Becoming more and more comforable with the Clinic, its people, and himself, this young patient exemplifies the successes that the extended family of the Clinic creates.

Our goal is to empower parents, advocate for the most vulnerable population, and follow the standards of care set forth by the American Cleft Palate Craniofacial Association.

When a child is held with open arms, he or she is supported, encouraged, nourished, and dreamed for. Each of these gifts must find its match in the outside world.

For supported, there is brave; not confident, that comes later. Brave comes first.

For encouraged, there is being open to trying. It’s a light in the eyes.

For nourished, there is healthy. Feeling strong, “capable of”.

And for dreamed for, there is knowing how to do all these things as they have been taught, and learned, by example.

Whether you have children or whether you don’t, or perhaps you don’t have them yet, the world a child is born into and the world that is/can be waiting for him or her is greater than anyone can know. Every day what is possible becomes someone’s reality. This is what it looks like.

The University of Minnesota School of Dentistry Cleft and Craniofacial Clinic

The Cleft and Craniofacial Clinic is a specialty clinic of the University of Minnesota School of Dentistry, located in the Malcolm Moos Health Sciences Tower on the Minneapolis Campus. With an emphasis on improving the quality of life for our patients, the Cleft and Craniofacial Clinic specializes in treating children and adults with conditions affecting the head, face, and dentition, including cleft palate.

About the Cleft and Craniofacial Clinic

The Cleft and Craniofacial Clinic at the University of Minnesota specializes in evaluating and treating people with conditions affecting the head, face, and dentition. We provide care for children and adults with cleft lip and palate, and many rare and complex craniofacial conditions. Our care optimizes the facial appearance, speech, craniofacial and dental development, and quality of life for individuals. Treatment includes expert surgical care, but truly takes a team, built on a trusting relationship that emphasizes the whole person from birth through adulthood.

Prenatal Consulting

Most often, cleft lip is diagnosed prenatally. After the diagnosis of cleft lip and/or cleft palate is made, families are scheduled for a prenatal consultation. Families will be provided with education on what to expect at birth, feeding, timing for surgeries, and supportive resources including hearing and cleft lip and palate speech therapy. We are also able to connect you with other families who have cared for babies with cleft lip and/or palate so that you can learn more from their personal stories.

The School of Dentistry Cleft & Craniofacial Clinic is the only team approved by the American Cleft Palate Craniofacial Association (ACPA) associated with the University of Minnesota academic health system.

Nasoalveolar Molding (NAM) for Cleft Lip and Palate

Nasoalveolar molding (NAM) is a pre-surgical appliance that can slowly bring together the two sides of a cleft lip or palate. The custom-made orthopedic appliance resembles an orthodontic retainer. Nasoalveolar molding can reduce the width of the cleft, refine nasal symmetry, minimize scarring, and improve feedings. Our team will see your newborn as soon as possible to discuss early treatment and evaluate whether NAM is appropriate.

Questions to Ask When Selecting a Cleft Team

We know finding the right team can be overwhelming. This is why we have come up with questions to ask yourself and your team to decide if they are the right fit for you and your child.

Conditions Treated at the Clinic

Conditions treated at the Clinic include:

• Cleft lip

• Cleft palate

• Nasoalveolar Molding (NAM)

• Pierre Robin Sequence

• Velopharyngeal insufficiency (VPI or nasal speech)

• Craniosynostosis

• Abnormal head shape/plagiocephaly

• Syndromic craniofacial anomalies, including but not limited to Stickler, Treacher Collins, Apert, Crouzon, and Pfeiffer syndromes

• Oculo-auriculo-vertebral Spectrum (Hemifacial Microsoma/Goldenhar Syndrome)

• 22q11.2 deletion syndrome (Velocardiofacial/DiGeorge syndrome)

• Ectodermal Dysplasia

• Craniofacial feeding problems

• Beckwith-Weidemann syndrome

• Microtia

• Facial trauma, cancer reconstruction and paralysis

• Facial hemangiomas

• Vascular malformations

We also evaluate, diagnose, and treat many other craniofacial conditions not listed. Contact us to discuss. Continued on next page

Cover Feature

Continued from previous page

Our Team

Our team is composed of providers and faculty across the University of Minnesota, UM physicians, and affiliate partners across the Twin Cities and state. We work together to provide an integrated treatment approach to provide the best treatment, care, and long-term management resources to our patients. Our multidisciplinary team consists of plastic surgeons, neurosurgeons, orthodontics, pediatric dentists, speech therapists, psychologists, otolaryngologists, audiologists, genetics, social work, and nurse team coordinator. The University of Minnesota is an American Cleft Palate-Craniofacial Association approved team. This means our team meets the compliance standards and safety of the national organization.

A Patient Testimonial

“I’ve been a patient of U of M since childhood. I would recommend them 10/10 to anyone. The Cleft & Craniofacial Clinic has been a huge part of my life all these years. I have put my trust in their hands and have always been taken care of very well. They most definitely explain things to you in a way you can understand. Each step of the way they are in contact with you, so you are not lost, and they most certainly listen to your concerns. As a team they come together to figure out the best step-by-step care solution for you as a patient and put a plan together that they think is the best. They truly put their patients first, and I have felt that for years. It’s a very kid-friendly environment, and as an adult I give a round of applause for the care they give to me now even more.”

Molly, Cleft & Craniofacial patient

Certificate of Recognition from the State of Minnesota

We were honored to be recognized on 60 years of service by Minnesota

Governor Tim Walz and Lt. Governor Peggy Flanagan. Congratulations to the Cleft and Craniofacial Clinic for 60 years of excellence!

“The State of Minnesota recognizes the Cleft & Craniofacial Clinic at the University of Minnesota School of Dentistry for their 60th anniversary. With medical and dental specialists who embody patientcentered care and medical/dental fiscal responsibility in their practice, the clinic provides excellent service to patients with congenital and acquired anomalies.”

The Cleft and Craniofacial Clinic may be contacted at: University of Minnesota Cleft and Craniofacial Clinic 6-296 Moos Tower, 515 Delaware St. SE, Minneapolis, MN 55455 Phone: 612-625-5945 • Email: cleft@umn.edu

As a local, family-owned, independent agency, Dyste Williams specializes in the insurance needs of dentists. We work with more than 900 Minnesota dentists and oral surgeons. Our advisors can design a comprehensive plan to fit your needs and budget using an array of products, including personal insurance programs exclusive to MDA members.

A Give Back a Smile Case Report: Rachel

Introduction

In our July-August issue, we put a spotlight on the American Academy of Cosmetic Dentistry’s Give Back a Smile program. We acknowledged the many, many stories of domestic violence and abuse, and the many dentists, staffs, and lab technicians who volunteer in the program. Minnesota dentists certainly are no different, and so we saved one of our participants’ reports for this issue in order to attend even more closely to the connections among one patient, one dentist, one staff or staff member, and one clinical experience. First up is Dr. Ryan Cooper of Newport. Please welcome his patient Rachel to our pages and to the collective memory and institutional knowledge of what our members contribute to all our lives on a daily basis.

Rachel

The Editors

Rachel was with her abuser for a very long time, and had two children with him. The abuse was both verbal and physical, which escalated a lot after their second child was born. She lost #6 from being punched in the face. Rachel’s abuser would beat her in front of her older son. When she realized her son understood what was going on, she knew she had to leave. She didn’t want her sons to grow up seeing mom being repeatedly abused, and she feared it would get to a point where she would not survive the beating.

Rachel started doing wedding photography with a friend to save some money to escape. Her friend gave her money and a place to stay so that she could save herself and the kids from her abuser. However, the trauma from being beat up and verbally abused for years gave her severe anxiety, PTSD, and a habit of pulling her hair and eyebrows out. She felt worthless and as if she didn’t deserve anything in the world because that was what she was told for many years. The friend who got her out of her relationship with her abuser signed her up for Give Back a Smile to help regain function in her mouth, as well as to rebuild her confidence and selfworth.

First Contact

When Rachel first came to me, she was a shell of herself. I always take photos for new patients and cosmetic consults. I asked her to smile and she did - without showing her teeth. She could barely look me in the eye. As my assistant, April, was taking her radiographs, she did a wonderful job easing her anxiety and connecting with her. I knew that I should ensure April would be my assistant on this case throughout the entire process.

Clinical Presentation and Treatment Planning

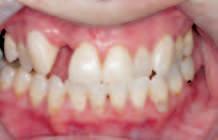
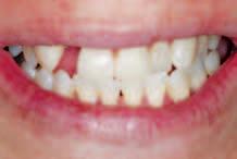
Rachel had decay on every single tooth, generalized failing restorations, many missing teeth in the posterior, and a couple of unrestorable teeth. She also had malaligned teeth in the anterior and crossbite on #10 with

Continued on next page

*Dr. Cooper is a general dentist in private practice in Newport, Minnesota. Email is ryancooperdds@gmail.com

Rachel
Rachel’s road map to that beautiful smile.

Clinical Feature

Continued from previous page

no corresponding jaw issues. I felt we could correct the appearance by slightly opening her bite and aligning with restorative. In her esthetic zone, we decided together that a bridge would be the best course of treatment to replace #7, and to use zirconia fullcoverage crowns to treat the decay. On the lower anterior, we determined composite restorations would suffice to treat the decay. For the upper posterior missing teeth, we planned a removable partial denture to fill out her buccal corridor and to add some more function. I reached out to The Oral Surgery Center to assist us in removing the unrestorable teeth. I employed

Renstrom Dental Studio for the restorative aspect of the case. Both offered to do this pro bono.

Treatment and Outcome

The most rewarding part of this case was to see Rachel’s confidence blossom.

We began treating by removing all decay in the lower arch and doing fullcoverage crowns in the posterior and composites in the anterior. Next, we moved to the upper arch, where we removed decay and did full-coverage crowns and a bridge from #6-8. Once everything was restored, we scanned for our upper partial denture.

The most rewarding part of this case was to see Rachel’s confidence blossom. She was able to talk to my team and to me while looking us in

the eye. She told us about how she was enrolled in classes and had applied for a job. Her life had significantly changed for the better with her newfound confidence.

To Smile, To Speak, To Be

We say in our office that a smile is the door to the heart of your being. Once opened, it profoundly expresses who you are. We believe smiles can change the world. Give Back a Smile epitomizes this sentiment. This program allows us to help individuals who have had unimaginable violence in their lives get a second chance. This process has been the most rewarding part of my career, and I recommend others consider signing up for a chance to change someone’s life. Unfortunately, there are too many victims of domestic violence in this world. We, as dentists, can do our part to help these victims find reasons to smile again. ■

Archives

From the Editors: Northwest Dentistry has as part of its mission to be “timely and timeless”. Now and then material gathered from its archives make a page or two of interest that includes both. Read on, and listen for the past becoming present.

From July 1943:

Relaxing in Wartime

At this time of year dentists should avail themselves of their first opportunity to leave the stress and strain of a busy practice, and for a few days or weeks, relax with nature. Minnesota’s lakes and woods, never more beautiful than in the late summer and early fall, are an ideal place to find tranquility and to soothe

taut and shattered nerves. We are very fortunate in being so well-blessed with Nature’s beauties, for with 10,000 lakes from which to choose, every one of the 1,500 remaining dentists in Minnesota should be able to find a favorite spot easily accessible in spite of the transportation problem.

Dr. William H. O’Brien, associate professor of Pathology and Preventative [sic] Medicine, University of Minnesota, once stated: “Because

of the long hours spent in office practice, few dentists know how to live a normal, balanced life.” While the practice of dentistry is interesting, it is also confining, and we need the diversion that a vacation offers for normal living. Everyone is working longer hours now, and with the added worries that war brings, a sensible attitude toward work and play is doubly important. Few states offer such perfect recreational facilities as Minnesota; so let’s take some time out this summer to rest, relax, to live.

You will find that one of the many results of such a vacation will be increased efficiency in the working hours ahead. ■

Contributors

2024 Membership Year

The Minnesota Dental PAC (MINDENPAC) advocates for dental health. Our nonpartisan PAC exists to advance the dental profession and enhance patient access to oral health. MINDENPAC continues to represent the voices of dentists across the state and provides an influential presence at the Capitol each session. Contributions from dentists allow us to support friends of dentistry and help elect and re-elect legislators that support oral health and organized dentistry.

Thank you to those who have contributed to MINDENPAC from September 2023 to September 2024, your support is appreciated!

Governor + Club ($500+)

Dr. Alejandro Aguirre

Governor’s Club ($500)

Dr. Amber Cziok

Dr. Geetha Damodaran

Dr. Katherine Divine

Dr. Mike Flynn

Dr. Adam Holder

Dr. Tim Holland

Senator’s Club ($250)

Dr. Robert Gardetto

Dr. Zach Hazelton

Dr. Woody Kwon

Dr. Kim Lindquist

Dr. Bonnie Moeller

Dr. Jason Murray

Dr. Marc Orjansen

Dr. Rose Perpich

Representative’s Club ($150)

Dr. Andrew Atchison

Dr. Doug Erickson

Dr. Jon Hallie

Member ($75)

Dr. Dr. Joseph Becker

Dr. Perry Belcher

Dr. David Bengston

Dr. Andrew Bohnsack

Dr. David Haugen

Dr. Kirby Johnson

Dr. Stephen McDonnell

Dr. Bruce Brandsness

Dr. Brooke Brown

Dr. Shari Bruning

Dr. Lee Ann Herbert

Dr. Seth Huiras

Dr. Steve Litton

Dr. Paul Morgan

Dr. Aruna Rao

Dr. Gregory Swenson

Dr. Loren Taple

Dr. Brandon Ulstad

Dr. William Rolfe

Dr. Robert Springer

Dr. Bob Wottreng

Dr. Kirby Johnson

Dr. Rachel Malterud

Dr. Andrew Moffitt

Dr. Nikki Porttiin

Dr. John Noack

Dr. Eric Strand

Dr. Rob Vander Broek

Dr. Scott Wagnild

Dr. Yasemin Yesil

Dr. Jeff Remakel

Dr. Barbara Roy

POSTERS AVAILABLE

These pages were developed for potential use in an office posting or on a website.

These resources are presented in a manner designed to enhance patient confidence of the ongoing competence of member dentists. The list of advantages highlights resources easily accessible to the member dentists which the public would find reassuring.

MDA MEMBERSHIP AND ETHICS’ BENEFITS

MDA membership demonstrates an individual’s commitment to the ADA Principles of Ethics & Code of Professional Conduct

OUR CODE

SIMPLIFIES

By eliminating the need to invent, or recreate individual standards, we become a peer group with shared aspirations and goals. The Code assists dispute resolution and evolves to provide guidance in new and emerging situations.

INSPIRES

Professional integrity and public trust are elevated by setting transparent standards of responsibility and conduct.

CLARIFIES

The Principles of Ethics uses clear, unambiguous language, which delineates our professional responsibilities, standards, and expectations. It provides guidelines to clarify ethical dilemmas, provide support, and to share concerns.

mndental.org

I have elected to be a PROUD

MEMBER OF THE MINNESOTA DENTAL ASSOCIATION

which demonstrates an individual commitment to the ADA Principles of Ethics & Code of Professional Conduct I VOW TO:

HONOR a patient’s right to choose and their role as an integral member of the treatment planning process. I will also honor their right to confidentiality (Autonomy)

PROTECT patients from harm, utilizing current knowledge and adept skill; and providing proper referrals to optimize treatment (Nonmaleficence)

ACT for the benefit of the patient and the public at large, through competent and timely delivery of dental care (Beneficence)

DELIVER care with fairness and without prejudice; promoting access for all (Justice)

COMMUNICATE as clearly and honestly as I can (Veracity)

I welcome questions and open discussion regarding these Principles and your Healthcare.

mndental.org

All three of these statement pieces were created and developed through a collaborative effort of the Constitution, Bylaws, & Ethics Committee of the MDA.

To obtain these documents: www.mndental.org

MDA MEMBERSHIP ENHANCES PROFESSIONAL DEVELOPMENT

Membership provides advantages via access to:

PROFESSIONAL GUIDANCE

Ethics and Peer Review guidance and education

Comprehensive guidance for compliance with state and federal regulations

Business management and transition assistance

EDUCATION

Continuing education offerings that are hands-on, current, and diverse

Information on emerging issues and opportunities

Updates on legislative affairs and initiatives

Business management and transition assistance

OPPORTUNITIES

Auxiliary recruitment and development

Leadership development and opportunities

Member-only endorsed products, services, and discounts

Volunteer opportunities and support

mndental.org

Air Crash Exercise Report: Rochester 2024

Frederick W. Nolting, D.D.S., M.S.*

Date: September 13, 2024

Location: Rochester International Airport, Rochester, Minnesota

On September 13th, 2024, a comprehensive air crash response exercise took place at Rochester International Airport. Sponsored by Rochester International Airport and Rochester Emergency Management, this drill involved around 400 participants, including players, observers, and evaluators. According to the NTSB representative on-site, this was “the largest and most extensive field exercise ever held in the United States, outside of New York City”.

Participants included:

• FBI

• Rochester Police Department

• Olmsted County Sheriff’s Office

• Minnesota State Patrol

• Rochester Fire Department

• Rochester International Airport staff

• Mayo Clinic Ambulance Service

• Mayo One Helicopter Transport

• Mayo Clinic Actors Group**

• Olmsted County Medical Examiner’s Office

• Medical examiners from various agencies in the Twin Cities and Southeast Minnesota

• D-MORT dentists from Southeast Minnesota and the Twin Cities

• American Airlines

• NTSB

• Rochester Emergency Management

• Olmsted County Public Health

Exercise Overview

The day commenced with check-in and a briefing at the Rochester International Event Center, located half a mile from the airport. The briefing outlined the exercise’s goals, the roles of each group, and the timing for deployment to the crash site. The scenario involved an airliner crash with 60 people on board during landing.

Each group received a handout detailing the event schedule, an aerial map of the crash site, and specific instructions. The D-MORT team was integrated into the Medical Examiner’s group and was deployed after fires were

Continued on next page

*Dr. Nolting is a general dentist practicing with the Northwest Dental Group in Rochester, Minnesota, and is a member of the Minnesota Board of Dentistry. Email is NOLTING@ aol.com

Our M.E. group.

Continued from previous page

extinguished, live victims were treated and transported, and the scene was deemed safe.

Field Operations

The D-MORT team began by walking along one side of the crash site, placing numbered flags to mark human remains (white flags), aircraft parts (red flags), and personal belongings (magenta flags). To ensure nothing was missed, the team conducted a second sweep of the area.

Our task involved cataloging human remains. A three-member team was assigned to each flag, documenting the flag number, body part, and description. The location was recorded using GPS, and each body part was bagged with an attached information sheet. Bags were sealed to preserve evidence and maintain the chain of custody before being transported to a collection point.

The crash site was divided into two distinct debris fields: the grassy area at the head of the runway, and the runway itself with its grassy borders. This separation facilitated easier navigation and processing. Subsequent identification and further cataloging of remains will be conducted at the Mayo Clinic Medical Examiner’s Office next month.

Additional Considerations

A separate team managed the aircraft parts and personal belongings, ensuring evidence preservation and chain of custody. The exercise concluded with a “Hotwash” or afteraction debrief. The entire group convened first, followed by a separate meeting for the Medical Examiner Team. Discussions focused on improving procedural efficiency, standardizing practices, and preparing for future exercises or real incidents.

Key takeaways included:

• The airport would be closed during a real event, extending the processing time to several days with shifts.

• The exercise benefited from ideal weather conditions; future scenarios must account for varying weather and field conditions.

• Communications during a real event would differ due to potential airport closures. To prevent confusion, the phrase “THIS IS AN EXERCISE” was used in all broadcast messages.

The NTSB representative noted that the lack of congratulatory remarks among participants indicated a genuine commitment to learning and improvement. ■

Mayo 1 landing to pick up an injured survivor.
Debris field just short of the runway.

2024 CRASH VICTIMS

The Mayo Clinic, a leader in innovative medical education, utilizes a unique approach to train its medical students through the “Standardized Patients” program. This program integrates actors trained to simulate various medical conditions and scenarios into the curriculum, aiming to bridge the gap between theoretical knowledge and practical application.

Actors, or standardized patients (SPs), are rigorously trained to portray different patient conditions, symptoms, and histories. They provide students with realistic, hands-on experiences in a controlled environment. During training, medical students interact with these actors to perform physical examinations, gather patient histories, and develop differential diagnoses. Faculty members observe these interactions, providing feedback on students’ performance to enhance their clinical skills.

The program’s key advantage is the opportunity for students to refine their bedside manner.

Effective communication is vital in medicine, and SPs create a safe space for students to practice empathy, deliver difficult news, and build rapport. Feedback from SPs and faculty helps students understand the impact of their communication on patient care.

Additionally, the Standardized Patients program exposes students to a diverse range of scenarios, including complex or rare conditions, which they might not encounter in regular clinical rotations. This exposure boosts their competence and confidence. The consistent symptoms and histories provided by SPs support the development of diagnostic skills and appropriate treatment planning.

Ultimately, the program fosters a compassionate, patient-centered approach to care, aligning with Mayo Clinic’s emphasis on holistic patient management. By interacting with SPs, students gain valuable insights into the emotional and psychological dimensions of patient care. ■

Debris field on the runway.
Injured survivor brought to Mayo 1 for transport.

Let's make sure that includes you

When you succeed, we succeed

Tap into our expanding Minnesota membership.

Make your practice more efficient and profitable with processes that prioritize patient care over administrative tasks.

Humana offers plan benefits that patients feel good about using. When patients feel better about going, you feel better about growing.

Let’s connect

How many Humana members live in your practice area?

Scan the QR code or visit Humana.com/ memberfinder to use our new MemberFinder tool and find out.

*72% of respondents report that in-network availability has a major or somewhat influence on where they seek dental care.

GCHMCVPEN

Community and Educational Grants from The Minnesota Dental Foundation

The following community and educational clinics received funding from the Minnesota Dental Foundation in 2024 to help support projects that assist the underserved in accessing much-needed dental care. We thank these institutions for their commitment of helping children and adults receive oral health care.

CARE Clinic

Red Wing

CentraCare Foundation

Willmar

Central Lakes College

Brainerd

Children’s Dental Health Services

Rochester

Ely Community Health Center

Ely

Minnesota Dental Foundation

Continued from previous page

Family HealthCare

Fargo

Gillette Children’s Hospital Foundation

St. Paul

Greater Minneapolis Crisis Nursery

Minneapolis

Hope Dental Clinic

St. Paul

Just Kids Dental Two Harbors

Lake Superior Community Health Center Duluth

Lakewood Health System Staples

Let’s Smile, Inc. Owatonna

Minnesota State University

Mankato

Mission Outpost Dental Clinic

Burnsville

New Beginnings Pregnancy + Family Support

Grand Rapids

Northern Dental Access Center

Bemidji

Ready, Set, Smile PA

Minneapolis

Sawtooth Mountain Clinic Oral Health Task Force

Grand Marais

Sharing and Caring Hands

Minneapolis

The Salvation Army

Good Samaritan Dental Clinic

Rochester

Pregnancy + Family Support

And You’ll Come A-Waltzing Mathilda with Me …

Dear readers.

This installment of our now-and-then “Something Beautiful” page is a piece of the story we focused on in the July-August issue when we told the stories of Give Back a Smile and the Purple Leash Project. Funny that. As with every one of those stories, it became immediately personal. When NWD Executive Editor Emeritus Bill Stein sent the email to tell us about Tilly, he was just Bill. “Just”. He was the world to this pup, just like any person any dog lucky enough to find his or her Forever Home is.

Tilly really was something beautiful. One day at a book signing, Bill told us, “a nice lady who would sit near me” asked, out of the blue, if she could paint Tilly. Bill said yes, and offered to pay her. From the get-go this lady would not accept a cent for her work. We think that might be the definition of “pure”, a definition belonging to so many who grace our pages. And so, without further “adieu” (yes, intended), here is the story of a farewell to a friend, dedicated to all those who ask for nothing in return.

The Editors

Continued on next page

For the Love of Dog

She was born in a puppy mill in the hills of Kentucky. As soon as she could leave she made her way to Cincinnati and caught a flight to Minnesota and her new home. She was a brave little girl from the very beginning, all three pounds of her.

She was joyfully received by her new family: a small town dentist, Bill, and his beautiful wife, Terry. Her official name was “Bill and Terry’s Waltzing Matilda”, but she went by “Tilly”. Together they began the three-hour trip to her new home on the shore of lovely Cedar Lake in Aitkin, Minnesota.

However, they did make one important stop on the way, a visit with a newly graduated veterinarian named Dr. Katie. Dr. Katie took Tilly into the first small examining room on the left, where she was found to be in good health except for a few parasites.

From that day on, whenever Tilly would visit the clinic, the first little room on the left was hers and Katie was her doctor.

There was a big fluffy Ragdoll cat napping in the kitchen when Tilly got to her new home. She took a flying leap and landed right on his belly and proceeded to drag him around the floor by his ear. The mellow cat didn’t mind much, and managed to put up with his tiny tormentor from then on.

The next night Fr. Paul, the jovial priest, came over for dinner and balanced the little pup on his great belly and “Baptized” her with a blessing of Holy Water. For the rest of her life, when Bill and Terry would read their evening prayers, she would insist on sitting on Terry’s lap. She was her “Prayer Puppy.”

She loved playing with her many toy animals, and knew each by name and would go pick them out on command.

She loved her home on Cedar Lake and enjoyed swimming and going for rides on her pontoon boat, where she would hail all the passing boats with her signature bark.

Tilly was a watchdog. She would bark to alert her family about any and all strange goings-on. This is what watchdogs do, as opposed to guard dogs, which lie in wait and attack intruders. Watchdog Tilly would just merrily bark and welcomeanyone into the house after giving them a good sniffing over to convince herself that they were okay.

She had a way of “talking” when she was excited about something, not barking or growling but a series of sounds that seemed like she was trying use words of her own like the people she loved did.

Tilly could always pick out her Christmas presents from under the tree.

Tilly developed into a spectacular pup. She was a Welsh Terrier, and she was ALL terrier: fierce, joyful, loyal, smart, and playful.

She loved having the “Zoomies”, and of course belly rubs.

All through the years she enjoyed her periodic visits to see Dr. Katie in her little exam room, the first one on the left. She would greet all the other animals in the waiting room, and everyone loved to have her visit. She never complained about being poked or prodded.

Tilly had thirteen-and-a-half good years on Cedar Lake. One day she wasn’t feeling up to par, and a visit to the first room on the left showed that she was in kidney failure, but she even managed to rally from that.

After her fourteenth birthday things began to deteriorate. She was placed on prednisone for an irritable bowel condition. This only led to her inability to control her peeing, and this embarrassed her and made a mess of the house.

She began to sleep more, and became listless. On the first of August, we could see the end was near, yet

She loved her home on Cedar Lake and enjoyed swimming and going for rides on her pontoon boat, where she would hail all the passing boats with her signature bark.

She was Bill’s constant companion, going for long walks with him when he could, and later in life staying by his side when he couldn’t anymore. She loved playing “Wing” with Terry, chasing around a grouse wing suspended by 100 lb. test musky line from a cane pole.

she had one last spirited game of “Wing” with Terry, tail wagging and looking for all the world like the puppy of old.

She sat on Bill’s lap as they made one final trip to her little exam room on the left and the final comforting visit to her dear Dr. Katie. ■

What Are You Doing in Retirement: Dr. John Nydahl

Introduction:

In our ongoing but peripatetic series “What Are You Doing in Retirement?” we have discovered with great delight that the answers to that question can be surprising, illuminating, and even inspiring. Case in point, this issue’s guest Dr. John Nydahl, a long-time very active MDA member and a special friend of our journal, all of which is covered among his answers to our questions. We have a special place not only in our hearts for these interviews, but in our mission as a member benefit as well. That “fourth quarter” in any of our lives is getting longer, more challenging in any number of ways, and if you are prepared, creative, and lucky, sweeter too. We’re starting to think of these interviews as a Master Class.

The Editors

NWD: Welcome back to the pages of Northwest Dentistry. It has been a while! We are sure old friends will be delighted to see you again, and new ones are always to be found in this community. For the latter, please give us a quick biography: Are you a native Minnesotan; family — any other dentists; education; time in practice; and service in organized dentistry. Then, for those old friends, well, whatcha been up to? And our must-have question: What kind of kid were you?

Dr. Nydahl: Yes, I’m a Minnesota native born in Minneapolis. (FYI, I was adopted as an infant, as was my younger sister.) My father was an orthopedic surgeon, an uncle an ophthalmologist, cousins in internal medicine and dentistry, so I had a background in patient care growing up.

We lived in Minneapolis until I was four, and then moved to Eden Prairie in 1951 to a mid-centurymodern home my father built on Bryant Lake. Eden Prairie had a population then of about 1,500, a far cry from today. There were three dairy farms within a mile or so, and most of the township was agricultural. My mother wondered if she’d ever see her city friends again, but they all seemed to move to the southwest suburbs too. By the time I finished high school (senior class size of about 100), this area had grown to roughly 5,000 or so. So, I grew up in what I think was the best of all possible worlds — rural surroundings with plenty of space to roam about with friends, yet downtown Minneapolis was only 30 minutes away.

What kind of kid was I? I loved learning, and studied hard. Summers from age 8 to 15, I went to YMCA camp in the Eveleth area for a month

of swimming, canoeing, sailing, horseback riding. I took piano lessons for six years (my mother was a music major in college), played trumpet in band in 6th and 7th grade, then gave it up for football and track, but took guitar lessons, too. There was plenty of fishing and water skiing as well. In the shades-of-Tim-Walz department, our football W-L record my senior year was one win, one tie, and all the rest losses. It took a few more decades and Bud Grant’s son coaching the team to get to a state championship.

After high school, I attended Carleton College in Northfield, majoring in biology. I applied to dental school at the U of M during my junior year at Carleton, and was accepted to start the following fall, 1968. (At that time, you could begin dental school with as few as two years of college.) I received my D.D.S. in June of 1972, and then did a year of Continued on next page

Continued from previous page

“hospital dental internship” (now the term is general practice residency) at the University of Washington and VA Hospitals in Seattle. Midway through that year, I received notice from my draft board to present for a physical exam. I had been student-deferred through college and dental school, but my draft lottery number was 25, so I wasn’t surprised. I decided then to apply for commission in the U.S. Navy Dental Corps, was accepted, and allowed to delay induction until my internship was completed in late June and after my wedding to Barb, my wife of 51 years, in late July 1973.

I served two years active duty at NAS Point Mugu, an hour north of Los Angeles on the California coast. It was a small dental facility, just five dentists. I was the only one who enjoyed doing root canals, so I did most of them, and decided to apply for an endo residency at the U of M. I was accepted, resigned

my commission in August 1975, and returned to the Twin Cities. I completed the endo program in June 1977, and began my specialty practice in St. Cloud.

As the first endodontist to practice in the area, things began slowly. I practiced three days a week the first year, and taught two days in the undergraduate endo clinic at the U. The next year I practiced four days and taught one, the third year I taught one day alternate weeks, and after that the practice was full time. I also had satellite days in Willmar and Brainerd over the course of my practice.

My introduction to organized dentistry was through Dr. Wes Streed, an orthodontist in my building (later MDA president) who was just completing his second term on the MDA Publications Committee. He approached me about taking his place when he finished, and brought me down to a meeting to have a look.

I liked what they were doing, and accepted the position. I worked with then NWD Editor Mel Holland, MDA Executive Director Bob Harder, Editorial Production “chief office boy” Fred Miller (that’s his slight smile delivering that description, by the way), and Fred’s daughter, Sue, who is now NWD’s long-time Managing Editor, as well as the other committee members from around the state. I eventually chaired the committee for several years in my second term. From there I went on to serve on the Peer Review and other committees. I served as Trustee for the West Central District from1996-2002, and was Alternate Delegate and Delegate to the ADA for several years.

NWD: Next up, the retirement focus. The “when” of retirement is its benchmark. Digging into it for this look at it, though, let’s go deeper. First off, when did

you retire — literally, and then in terms of starting the process emotionally, philosophically, “for real”? When did the change from active practice to the transition begin, and how did it progress? How long did it take, and were there surprises along the way?

Dr. Nydahl: In August 1994, I was diagnosed with multiple sclerosis. I began treatment with a diseasemodifying drug six months later. Fortunately, my progression has been slow, and now, after thirty years, I can still walk on my own with the help of a cane.

However, the diagnosis set Barb and me thinking of the what-ifs and when of retirement. With help from financial advisors, we found that we were able to let things go at age 60, while still in good shape to move and do some traveling. It took us about two years from start to finish to get through the process. I sold my practice and equipment to another local endodontist, who had just built a new building. My practice was in an office condominium, and we sold the space to another business.

I officially retired from practice at the end of August 2007, a little over 35 years after graduating with my D.D.S. I maintained my Minnesota license for a few years after retiring, just in case I missed practice and wanted to do some teaching one place or another, but in the end, let it lapse at the end of 2010. I still follow the profession in the literature from the ADA and the AAE. I find technology advances like cone beam CT that have come out since I retired amazing. I must say, though, that the costs of a

dental education (and the college costs before it) are frightening to contemplate. I completed my D.D.S. nearly debt-free, and did my endo residency on the original GI Bill, which covered tuition and paid some living expenses to boot. I still find myself doing dentistry in my dreams. Often, I wake thinking — Wait, I don’t have a license anymore!

NWD: Looking back, what did you retire from? Did you have a plan for what comes next? Did you “hit the ground running”? Now that you have had some time to look back from this perspective of being retired, what do you see? Are you still in touch with what the profession is doing, with colleagues and friends? Do you miss it? What part?

We decided we wanted to do some volunteer work to help people less fortunate than we are.

Dr. Nydahl: Since both our sons were living in Portland, Oregon, we decided to move closer to them. Alex, our oldest, is a Physician Assistant at Oregon Health and Sciences University Hospital, and his brother Graham is currently riding herd over our two grandchildren as a house husband and amateur potter. Our daughter-in-law works for an educational software company. One of my dental school classmates, Richard Page, lives and practiced in the Eugene area, and we had visited Dick and Carole several times. We liked the area, bought a home in Springfield, and have been here now for 17 years. We wish we were an hour from Portland instead of two-plus, but are glad we aren’t living there – the traffic is just too much. (I’m pretty sure one could say the same about the Twin

Cities these days.) Here we have the University of Oregon Ducks, now in the Big Ten (18?), and much enjoy football and women’s basketball. It will be interesting to see how the old Pac-12 teams fare against their new competition.

So, what have I been doing in retirement? We knew we wanted to travel while we could. We have been to Alaska, Copper Canyon in Mexico, the Galapagos, several trips to Europe, and nearly a month in Australia. In fact, we left on August 29th for a trip to Iceland that was originally planned for 2020 but was canceled due to COVID.

That said, here’s the thing about retirement:You can’t just travel and play golf. I had originally thought about getting an Oregon dental license by reciprocity and possibly teaching in dental assisting or hygiene, but that never materialized. We decided we wanted to do some volunteer work to help people less fortunate than we are. Barb and I tried an AARP program in money management for a couple who was having trouble making ends meet. That went well for a year, until the husband passed away. His wife chose not to continue with the program after his death.

I saw an ad for another program which involved tax preparation for low- and middle-income individuals. This is run by the AARP Foundation, in cooperation with the IRS and state Departments of Revenue, and is known as the Tax-Aide program. As I have been doing my own personal tax returns since my first summer job in 1962, it was a natural fit for me. I started in the program in January 2009 and have just completed my 16th year. During that time, I’ve served 11 years as District Coordinator of the six sites in my area, though I stepped back from that a couple of years ago. I

Continued on next page

Continued from previous page

currently run two sites, with a total of a dozen volunteers (Barb is a Client Facilitator) and volunteer as a preparer two days a week at a third location. So, during the season from February through mid-March, I’m working three-and-a-half days a week, plus e-filing returns into the evening and dealing with any rejected returns as they occur.

NWD: Talk to us about the satisfaction and the perspective this work gives you, please.

Dr. Nydahl: I find it incredibly satisfying to be able to help taxpayers through what for them is a worrisome and very hard-to-fathom process, get them the maximum refund they deserve, and do it all at no cost to them. I find that even for those folks who may owe money with their return, most of them suspect they owe

more than they really do and leave happy anyway.

NWD: What are the practicalities?

Dr. Nydahl: We’ve been lucky finding good sponsors for our TaxAide sites — senior centers, churches, community rooms at Goodwill and St.Vincent de Paul locations. They have been very accommodating in providing space for us to do our work, and they appreciate what we can do for their clients at no charge. The hardest part for us is simply setting up equipment to start a day and taking it all down at the end. Not so bad in your early 60’s, but getting more difficult in the later 70’s! Unfortunately, COVID resulted in both a loss of volunteers and fewer new recruits, so our numbers have been down for a few years, but will hopefully increase in the future.

NWD: What would you like our readers to know about retirement?

Dr. Nydahl: I have tried my best to keep my MS progression as slow as possible by regular exercise and physical therapy. I have been riding a stationary bike for at least 25 years — I’ve worn out three and am on my fourth! I read on a Kindle while I ride and attempt to learn something every day.

To sum up, whether you stay in the dental profession ‘til you’re 80 as some do or retire early like I did, you’ll be better off staying active in something that keeps you thinking, keeps you helping others, and keeps you moving.

Thanks for listening. John ■

Dr. Nydahl may be reached at jdnydahl@gmail.com

“Perhaps it is to do with the difference between good and evil: Good is selfless, while evil is always self-interested. Good will attract good to itself, and those involved will unite toward a common goal. Evil, in turn, draws evil men, but they will never truly act as one. They will always be distrustful, always jealous. Ultimately, they seek power for themselves alone, and for that reason they will always fall apart at the end.”

We Are Collecting …

Minnesota dentists love Robert Frost — a simple statement wherein fact and poetry meet. In support of that ever-widening idea, NWD has decided to embark on another of our “We are collecting” adventures, this time along “roads not taken”.

First we need to shake off the layers of false familiarity that may encrust one of the poet’s most admired and beloved pieces, “The Road Not Taken”. Find a quiet place and give it a revisit. Then, ask yourself what came to mind immediately. Make note of that, and then, if so inclined, let it sink in and reconnect you with your own road “that has made all the difference”.

That is what we would love to hear about.

This has been a year of blow after blow to our established way of doing and even thinking. A reset would do well to include finding, again, and sharing a time/place/incident/ piece of advice that changed your life. This could certainly include thoughts about how well the choice turned out, perhaps even describing a less desirable outcome than anticipated, hopefully with resolution and maybe a silver lining.You may share regrets and how they have been overcome. Allow “The Road” to give a nudge to those occasional musings of how serendipitous life can be, but most of all, “from that moment on”.

Take your time, but please consider doing it. With a picture or two, even better. It could be or have been anything –after all, that is what this inquiry is based on.

Consider it a pause at that fork in the road we all come to to let others know that, like the poem itself, not keeping important ideas to yourself is an important idea in itself. And we will keep collecting until we can do that right.

Robert Frost would approve. ■

Contributions should be sent to NWD Managing Editor Sue Miller at nwdmiller@comcast.net.

The Road Not Taken

Two roads diverged in a yellow wood, And sorry I could not travel both And be one traveler, long I stood And looked down one as far as I could To where it bent in the undergrowth;

Then took the other, as just as fair, And having perhaps the better claim, Because it was grassy and wanted wear; Though as for that the passing there Had worn them really about the same,

And both that morning equally lay

In leaves no step had trodden black. Oh, I kept the first for another day! Yet knowing how way leads on to way, I doubted if I should ever come back.

I shall be telling this with a sigh Somewhere ages and ages hence: Two roads diverged in a wood, and I— I took the one less traveled by, And that has made all the difference.

Conquering the Karen Conundrum Five Steps to Turning the Tide on Tough Customers

Kate Zabriskie*

Opening Volley

She wanted to return a cake that was almost gone. How bad could it have been?

Normally, if something is spoiled or not up to standards, it’s returned almost intact. This thing was a pile of crumbs. But it gets better: She demanded cash, yelled at the proprietor, and started causing a scene. Leaving everyone hoping she would never come back.

Interactions with these people can escalate and affect the morale of employees and the reputation of the business.

Well, they didn’t. His car was a low-end luxury car. The company’s customers with real money did not act like that. The entitlement oozed out of every pore in his body. Quoth the owner of the business: “I handled the situation, but he was horrible!”

Finding a Workable Definition

He brought his car in for a repair and demanded that it be detailed at no charge. “You have no idea who I am!”

Encountering customers with challenging behaviors — sometimes colloquially referred to as “Karens” — is an inevitable part of business, including the business side of dentistry. With apologies to all of the very nice people in this world named Karen, if not handled

properly, interactions with these people can escalate and affect the morale of employees and the reputation of the business.

When something is wrong with a product or service, customers should complain, and businesses should do all they can to correct the problem. When customers cross the line, however, they require a different approach.

How to Help Your Team

Don’t leave navigating interactions with

Continued on next page

*Kate Zabriskie is the president of Business Training Works, Inc., a Marylandbased talent development firm. She and her team provide onsite, virtual, and online soft-skills training courses and workshops to clients in the United States and internationally. For more information, visit www.businesstrainingworks.com

Practice Management

Continued from previous page

entitled customers up to your staff to figure out. Entitled customers are not the regular run-of-the-mill challenge, and your staff needs to be ready to handle them.

Step One: Be Clear About What They Can and Cannot Accommodate

While rules can seem restrictive on the surface, when thoughtfully developed, they can help employees — i.e., staff members — navigate tough situations. What can they offer at the onset of the situation? What are various circumstances that may come up? In other words, where is the line?

Step Two: Give Staff a Framework to Follow and Practice It

A framework or model can provide guidance employees/staff can access in real time if it is something they have memorized and practiced. ACORN is such a tool.

Acknowledgment and Appreciation: Recognize the patient’s patronage and acknowledge any requests. Going back to Example #2, here is what can happen at this point:

“So you want to have your car detailed while we repair it. We can accommodate that. I have two packages: a light detail at $150, and a deep detail at $300. Which would you like me to add to your order?”

Customer: “I want you to include the deluxe detail at no charge. I’ve spent a fortune here.”

“And we appreciate your business.”

Clarity and Boundaries: Clearly communicate what is possible within the office’s policies, setting realistic expectations for what services can be provided, such as “Our detailing packages do have a cost associated with them.”

Offering Options: Present the patient with viable alternatives or solutions, guiding him or her toward available choices that align with the office’s capabilities, such as “Do you

want either package, or should we hold off for another time?”

Repetition and Reaffirmation: Repeat and reaffirm key points as necessary, especially in the face of persistent or unreasonable demands, to maintain a clear and consistent message. Back to you-know-who:

Customer: “Are you deaf? I said I want you to include it. I spend a lot of money here.”

“Sir, I hear you, and we do appreciate your business. Detailing is not free or something we add in. Again, would you like to purchase a detailing package today?”

can accommodate. Detailing services have a fee. Would you like to purchase a package?”

Step Four: Learn and Adapt from Every Encounter

Practice the framework with your employees before they need it.

Never Engage with or Match the Bad Behavior: Steer the dialogue toward a positive outcome by focusing on constructive solutions, avoiding confrontation, and keeping the conversation on track toward resolution.

Patient: “I want to see the boss — (i.e., the dentist)!”

Office Manager: “I can certainly get her.”

Whether it’s ACORN or something else, practice the framework with your employees before they need it.

Step Three: Be Prepared to Handle Escalations

Managers are managers for a reason. When customers cross the line, managers must be willing to step in and support their team.

“Mr. Green, I understand from Wendy that you have requested a deep detail package at no charge. Is that correct?”

Customer: “Yes. I spend a lot of money here, and it’s the least you can do. I’ve already wasted too much time on this.”

“As Wendy explained, we appreciate your business. As for the request for free service, that’s not something we

After a particularly difficult interaction with an entitled customer, it is beneficial for the team to debrief and discuss what happened, what was handled well, and what could be improved. A review after the fact provides valuable learning opportunities and helps refine the organization’s approach to handling similar situations in the future. Collecting and analyzing feedback from these encounters can also inform potential adjustments to policies and procedures to better serve both customers and staff.

Step Five: Recognize Team Members Who Effectively Manage Challenges

Acknowledging and rewarding employees/staff who effectively manage challenging interactions can significantly impact morale and motivation. Recognition can take many forms, from verbal praise in team meetings to more formal rewards to an office equivalent of Employee of the Month programs. Celebrating these successes reinforces the value of skilled customer service and encourages continued excellence.

Conclusion

Dealing with entitled customers is a complex challenge that requires a thoughtful, consistent approach.You can navigate these difficult interactions more smoothly by equipping your team with clear policies and effective communication frameworks such as ACORN. Additionally, be prepared to step in when needed. And when challenges arise, use each one to learn and grow as a team. ■

Northeastern District

12411 Superior Street

Suite 828

Duluth, MN 55802

I Remember Vern

Fifty-one years ago, I was a new dentist, just starting my practice in Aitkin, Minnesota. My dental school advisor and friend Dr. Tony Romano, suggested that I be sure to take an active part in the then “Duluth District Dental Society”.

Tony introduced me to all the leaders of the District, men like Richard Westman, Jack LeVasseur, Len Sarvella, and the famous Amundson brothers, Dale, Gordy, and, of course, Vern.

The Duluth District was known as the most active district in the Minnesota Dental Association, and Vern encouraged me to get involved, and he served as a mentor to me as well as my friends Drs. Matt Anzelc and Bill Zimbinski. The four of us enjoyed spending time together attending to the various duties and functions of the District.Vern made sure we advanced in organized dentistry, and

nominated us for membership in the Duluth Dental Forum and things like fellowships in the American and International Colleges of Dentists.Vern unselfishly took care to see that young dentists found success.

The dental fishing expeditions were legendary.Vern and Gordy were gracious in offering their palatial cabins on Lake Vermillion as a gathering place for all the dentists the evening before they set out for Lake of the Woods for the official fishing festivities.

I would always fish with Vern, Matt, and Bill. There was always a mostly friendly rivalry with other boats containing such famous nimrods as Jim Westman, Duane MacDonald, Gene Altiere, and John Wainio.

Vern unselfishly took care to see that young dentists found success.

I started writing for Northwest Dentistry exactly 40 years ago, when it was just a little black and white journal consisting mostly of reprints from “Dental Abstracts” and dry district reports from Minnesota and the Dakotas - that’s where the “Northwest” comes from. I came on board the “Publications Committee” in 1988. The MDA president was Dr. Vern Amundson, and he and the officers decided it was time take the journal in a whole new direction.

This did not sit well with the longtime editor, who made life hell for Vern, but Vern stood his ground, and today Northwest Dentistry is one of the leading award-winning dental journals in

North America due to the courage and foresight of Vern.

Over the years, I have been able to see Vern receive many well-deserved honors and listen to his acceptance speeches.Vern gets emotional. To say the least. So much so that the members of the District took it upon themselves to present him with an official “Vern’s Crying Towel” to use on these occasions. His son Blake informs me that he has inherited the gene too.

Vern was a great family man, father, husband (three times!), healer, leader, and friend.

His was a life well lived. It was an honor to be his friend.

May God bless and comfort his family.

*Dr. Stein is Editor Emeritus of Northwest Dentistry. He is a general dentist retired from private practice in Aitkin, Minnesota. Email aitkindent@aol.com

“Strive not to be a success, but to be of value.”
Albert Einstein
Vern Amundson, D.D.S.

Southeastern District

150 East 4th Street

Winona, Minnesota 55987

“I’m so glad I live in a world where there are Octobers.” L.M. Montgomery, Anne of Green Gables

I’m sure I am not the only one who goes through seasonal checklists to make sure nothing is forgotten. Our lists seem to get longer rather than shorter over time. Do I remember a time when my list was a handful of items? Yes I do, and I would say it was life before pets, life before kids, at an age where trivial worries consumed a lot of my thoughts. But as time goes by we revise our lists and they become much more meaningful.

Certainly I have noticed my lists have multiplied in types and categories, but right now I would like to invite all of our readers to take a minute to reflect and show mindfulness in the things we do every year that indicate another season starting rather than one ending.

Autumn falls upon the Lakeview Drive Inn in Winona. No more banana splits until spring, alas!

So in that spirit, I will show some of my indications of fall knocking at the door.

My first list is the one I keep as a family member and for my home. Shrubs are needing pruning, spring flowers need removal from their pots as they are looking a little scraggly and holding on for dear life, summer clothing set to be swapped with a little warmer fare, window cleaning, A/C and furnace servicing completion, avoiding pumpkin spice flavored items, and dodging Christmas-related displays as well as I am able. This list fits for many of us, and I am sure many of us have similar items.

Then, of course, there is our dental-home-related fall checklist. Someone tell me why this list got

A dying elm tree found new life at the Lakeview Drive Inn as this “not actual size” root beer barrel. Famous? Of course it is!

longer during our COVID retreat, because I have no idea why this particular list got as long as it did. Whether it is renewing our radiation equipment registration, OSHA bloodborne pathogen training, filter changes, servicing our compressor and vacuum, defrosting and cleaning out our break room fridge, off site water testing planning - the list goes on… Thankfully we all chip in for different parts of the office list with our work families, but also thankfully we all Continued on next page

Sugar Loaf Bluff.
Overlooking the Southeastern District from Winona and environs.

Southeastern District

Continued from previous page

know where the list is and check it off religiously to make sure nothing is overlooked. My recent challenge being that the four pages that the currently exists as a part of was placed on an office wish list to condense into a one page easier to follow document. Challenge accepted!

I think of other folks and places that have signs and indicators and their own lists for welcoming fall. Herein Winona one is our local drive-in. Sure enough, the sign is up that they are closed for the season. The Lakeview Drive Inn, located in Winona, is one of the oldest restaurants in Winonafirst opened in 1938. It hosts a lot of our community events, and provides services for our local sports teams and residents. There is a pretty cool giant wood-carved root beer barrel located right in front. This now-iconic landmark was a dying elm until it

was transformed by Saint Paul artist Curtis Ingvoldstad. From local car shows to family gettogethers, many great memories were made there. This is a popular location for college jobs for servers and cooks. Thanks for another great season, Glowczewski brothers! We look forward to our signs of spring with your opening again.

An Annual Observation

Our Minnesota Dental Association selected representatives gather annually at the MDA House of Delegates, this year in beautiful Bemidji in mid-September. This is a reminder that if you are not involved, every member should consider this an open

Happy Autumn

invitation to join us in reviewing our resolutions that help guide us in our daily operations. This is yet another opportunity to have your voice heard.

An Open Invitation from the Theater of Seasons

I hope all of our readers have had a moment to reflect and enjoy some of our signs of our wonderful fall color being around the corner and ready for us to enjoy in so many different ways! I hope you enjoyed some of my Octobers.

Gilmore Creek Bridge.

Southern District

Seth Huiras

Associate Editor 110 1st Street North Montgomery, Minnesota 56069 shuiras@gmail.com

SDDS Fall Meeting

The Southern District had yet another successful Fall Meeting, this year in Sleepy Eye. We had around 40 people in attendance to learn all about diagnosis and treatment planning of endodontic lesions and biomimetic dentistry. Dr. Michael Regan Anderson was the endodontist from Rochester, Minnesota who provided clear and concise evidencebased methods and treatments that are creating the standard of care in endodontics. Dr. Anderson gave us impactful knowledge that will help us all prevent unnecessary endodontic treatments and access more effective treatment options.

Additionally, Dr. Dave Wold was the general dentist (also from Rochester) who taught us how he made a pivotal decision in his career to learn about how to create minimally invasive treatment options when he started to question the long-term prognoses conventional direct and indirect restorative techniques. He taught immediate bonding techniques on

deep dentin layers, called “hybrid layers”, that create strong cohesion with coronal onlay restorations. Both speakers are alumni of the University of Minnesota School of Dentistry, and they are having amazing careers. We thank them for “giving back” to the dental community and the Southern District.

The business meeting was also a productive gathering for our district. We elected to keep Yours Truly on as Trustee of the District for a second three-year term. We elected Richard Brown from Balaton to be our Chair of Exhibitors. As well, we voted to donate another scholarship to the Minnesota West Community & Technical College. Further, we arranged for another Meet and Greet this winter at Mankato State University at the dental hygiene department, and we learned from our MDA Director of Legislative Affairs, Daniel Murphy, about the upcoming election season and the possible effects it will have on our next

My advice and challenge to any dentist reading this update is to think about one small thing you can do for the Tripartite in the coming year that will help us remain relevant and grow.

push in the legislature, in addition to many other current events and topics. We looked forward to the House of Delegates in Bemidji, sending six delegates to the meeting, and we hope that they continue to help the Tripartite make decisions that keep the dental association working and succeeding during these challenging times of decreased membership and volunteering within our profession. My advice and challenge to any dentist reading this update is to think about one small thing you can do for the Tripartite in the coming year that will help us remain relevant and grow. Our practices, our patients, and our dental community depend upon the connections we make and grow within our Tripartite organization. Thank you all who contribute in small and large ways to help support and grow our practices, our profession, and the health of our patients.

“You

have brains in your head.You have feet in your shoes. You can steer yourself any direction you choose.You’re on your own. And you know what you know. And YOU are the one who’ll decide where to go ...”

Dr. Seuss, Oh, the Places You’ll Go!

Time Capsule

We Are Collecting: The Minnesota Dental Association 100-Year Time Capsule

May we begin by saying, “Yes, this is for real”. The Minnesota Dental Association and Northwest Dentistry are beginning the collection of items to place in a 100-year time capsule. It is our intention to gather its contents on an open-ended time-line, compile them, prepare them as the project evolves, and eventually seal them away, to be opened, literally, one hundred years from now by the members of the Minnesota Dental Association upon that day.

Herewith is an invitation and an opportunity to tell the “us” of a hundred years from now:

What we hope to do

What we’re going to do

What we’re going to ask for

What we’re going to look for

And

What we’re going to be for.

And what matters, now and to come.

In a place where there are no politics, no “Us vs. Them”, we hope to create a message for the “yet to be” members of our profession. But, where to start?

Sometimes you start with a feeling. Follow that to its thought.

Sometimes it helps to simply start with what you don’t want.

“What we know now” is where we begin to choose what we want to send forward.

Previously we asked, “What kind of treasure is imperishable in the face of time?” and offered:

Something from all of us.

Something that will last.

Something strong and serious, centered and solid. With wings.

This invitation will appear in every issue of this journal for quite a while to come. We hope you will join us in contributing the ideas that will go into our Time Capsule. We are not looking for the physical objects, but certainly their photos, illustrations, their descriptions, and why you think they should be a part of our gathering. Add to that we want, we welcome, messages that are fun, thought provoking, musical, unique, and curious in every sense of the word. Please as well, if you are so moved, put in a wish …

A new question raised is, where will this time capsule be located? We are pretty sure we’re not going to bury it …

So to the current stewards of our profession, here is your question: How do you make something last a hundred years?

Answer: Watch over it.

Perhaps when we finally close the time capsule, we should think not in terms of burying it, but as planting it. What comes then, time will tell.

As any seed will tell you, it takes the time it takes.

Please join us.

The Editors

To contribute, please contact NWD Managing Editor Sue Miller at nwdmiller@comcast.net

Questions to help choose items to go into the NWD time capsule.

1. What item or items from dentistry would you put in our Time Capsule?

2. What items or items from life today in general would you put in our Time Capsule?

3. Please tell us why!

The marker for the 1939 World’s Fair time capsule.

Minneapolis District

201 West Raven Street Belle Plaine, Minnesota 56011-1704

Greetings from the Minneapolis District Dental Society

I hope everyone had an enjoyable summer. The District had a successful and well attended 96th annual Trap Shoot at the Metro Gun Club on August 16th. Fun was had by all.

We jumped into an active fall with a meeting of our Caucus, followed by participation at the House of Delegates (HOD) in Bemidji on September 13th. Twenty-three enthusiastic delegates represented our district well. This will be a big year legislatively, so consider donating to MINDENPAC, as the Association is planning on pursuing an aggressive legislative agenda.

By the time you read this, a boat cruise would have taken place on September 24th. The boat cruise was on Lake Minnetonka, where attendees had time to relax and enjoy the fall

the

weather, while networking with colleagues and friends.

It’s not too late to register for Cider and CE on November 7th, 6:00 p.m., at the Minneapolis Cider Co. The CE will be an update from the Board of Dentistry, with a chance to sample some cider while connecting with other dentists. Check your email or go to www.mplsdds.org and look for Meetings and Events to find information on registering for this CE or any other upcoming event.

This winter the District will host a “not to be missed” event, the 2025 Midwinter Meeting, featuring Dr. Gary DeWood. Bring your entire team for a half day of education and bonding

outside the office on Friday, January 31st, at the Marriott Southwest in Minnetonka.

It

so much

The Minneapolis District caucuses before
2024 MDA House of Delegates.
MDDS president Tasha Strait at the caucus.
was
fun that these guys hung around for one more pic. Never tried the Trap Shoot? Maybe next year .

Minneapolis District

Continued from previous page

It has been a busy half a year, with many committees and fellow dentists gathering behind the scenes to organize activities and carry forth the business of the Minneapolis District Dental Society. If you are interested in participating in any of the events or becoming more involved, please feel free to reach out to me or the fabulous team at the MDA.

A clear shot for Ryan Clouse complete with well-positioned onlookers
Out in the field at the Metro Gun Club, Woody Kwon and Joe Fricton relax among the other competitors.

Student District

515 Delaware Street Minneapolis, MN 55455

Minnesota ASDA Fever Week Kicks Off a Great Year!

September 3rd marked the start of a new school year at the University of Minnesota School of Dentistry. The Minnesota Student District Dental Society has been diligently preparing to welcome incoming, returning, and international dental students, with the goal of introducing everyone to the world of organized dentistry.

Our Executive Committee, Fever Week team, and Wellness Committee have united to highlight the best aspects of the dental profession we have chosen. The activities kicked off with the “ASDA 101” Lunch and Learn, where first- and secondyear students enjoyed lunch while learning about ASDA and its connections with the MDA and ADA. This was followed by another Lunch and Learn with the MDA, providing all classes with a refresher on the importance of organized dentistry. This year’s MDA Lunch and Learn featured Dr. Aruna Rao, who reflected on her experiences with ASDA and the impact of organized dentistry on her career.

leaders did an outstanding job planning the welcome week.

But it’s not all about having fun. As classes ramp up, the Advocacy Committee is preparing for an engaging October.

The excitement continued through the weekend, with a pickleball tournament at Minneapolis Pickleball Club, where 27 teams competed for the chance to win a free membership for the year. The winning team, Spencer Wick (D3) and Isabelle Ouyang (D3), showcased their skills on the court. Many D1 students also enjoyed mingling with classmates at Surly Brewing Company following their White Coat Ceremony. The festivities wrapped up with a tailgate before the UMN vs. Rhode Island football game.

Spencer Wick and Isabelle Ouyang after winning the 27-team double-elimination pickleball tournament.

Fever Week Chair Jacob Pokreifka and other second-year

Our Fever Week team has been hard at work, but the Wellness Committee has been just as busy. Led by Keisha Kappel, Charlie Brimacomb, and Nick Perron, they

are planning an exciting golf scramble on October 6th at North Oaks Golf Club. Last year’s tournament, which revived a cherished tradition, was a great success. This year, the organizers aim to foster a fun atmosphere for networking and socializing.

But it’s not all about having fun. As classes ramp up, the Advocacy

Continued on next page

Students gather at the end of Fever Week pickleball tournament.

Student District

Continued from previous page

Committee is preparing for an engaging October. Jen Liu and Isabelle Ouyang are eager to introduce students to the role of advocacy in the dental field. We are deeply grateful for the

support of the MDA and the ADA as we plan these events. We would also like to extend our thanks to the many MDA members who generously contributed to sponsoring firstyear dental students’ ASDA dues.

Your support enhances enthusiasm for ASDA and organized dentistry, and enables us to create meaningful opportunities for our peers, demonstrating the importance of getting involved in organized dentistry.

West Central District

Brandon L. Ulstad Reporter

622 3rd Street

Madison, MN 56256

The MDA Has a Deep Bench

Paul Bunyan and Babe welcomed the West Central District to Bemidji for this year’s House of Delegates. The meeting was hosted at the beautiful Sanford Center, where the Bemidji State University Beavers play ice hockey. Our district’s caucus was scheduled for a meeting space in the arena’s upper concourse where the temperatures were quite cold. Being a hearty group, we were able to handle this challenge with grace. Our loyal delegation this year consisted of last year’s president Marc Orjansen, Mike Hamann, Robert Gardetto, Kirby Johnson, Jeff Griffith, and Brandon Ulstad. We had one other representative there, but she was unable to caucus with us, because she was running (successfully, I might add) for election as the second vice-president of the MDA. Congratulations to Aruna Rao for being elected to this position! She, along with Scott Wagnild (presidentelect of the MDA), will represent our district well at the state level. It was good to be together and to work on the business of the MDA.

Our district has done a good job at developing quality leaders that have moved on to significant positions within our organization. I would say we have done a great job recruiting quality individuals. It would be great to get more quantity along with the quality, so I encourage people to find ways to get involved in the next year.

There are some changes coming to the ADA which will hopefully make things even more relevant for those of us who already see the quality that comes from being part of our esteemed group. Hopefully these changes will help others realize the benefits of working together within our profession. Many of the practitioners in the West Central District are in solo practice, so finding ways to connect with other dentists can be such a morale booster. Whether it is the House of Delegates, Leadership Conference, Star of the North, or local CE events, there are so many ways to connect with others and work together towards the betterment of our profession.

Many of the practitioners in the West Central District are in solo practice, so finding ways to connect with other dentists can be such a morale booster.

We have some new people in leadership positions within our district now, so please reach out if you are interested in getting more involved, or, for that matter, have ideas about how to get others more involved. Our president for the next year is Deepak Kademani.

Jeff Griffith stepped up to be our presidentelect. Within the past year Kirby Johnson has taken over for long time treasurer Mike Hamann. Just recently Hannah Lundstrom took over secretarial duties for David Ude. I think with these new leaders in place we should look forward to having a great year!

Paul Bunyan and Babe welcomed the West Central District to Bemidji for this year’s House of Delegates.

AUTHOR GUIDELINES

Introduction. Northwest Dentistry is the official journal of the Minnesota Dental Association (MDA). Bimonthly distribution includes the member dentists of the Minnesota Dental Association, students and libraries of the University of Minnesota School of Dentistry, and subscribers worldwide. Circulation exceeds 3,000. In addition, manuscripts appearing in the journal are published on the MDA web site. Northwest Dentistry features: scientific and clinical research and discussion, reviews of the literature, and treatment techniques; features on member and Association activities; practice management; professional guidelines including regulatory updates; and news and editorial/opinion articles including Letters to the Editor. All clinical and research articles and abstracts submitted for publication will be reviewed by a peer panel of experts upon submission. Feedback including suggestions for improvement and clarifications to assist the author(s) will be made prior to publication.

Northwest Dentistry is published under the supervision of the Northwest Dentistry Editorial Advisory Board and the Editorial Staff of the Minnesota Dental Association. Neither the Editorial Staff, the Editor, nor the Association is responsible for any expression of opinion or statement of fact, all of which are published solely on the authority of the author whose name or initials are indicated. The Association reserves the right to reduce, revise, or reject any manuscript. Manuscripts for publication and correspondence regarding editorial matters should be addressed to the Editor. Letters of inquiry are requested for proposed articles, to include a brief description of subject matter, length, and requirements for photos and/or graphic support. Articles and photos published in Northwest Dentistry become the property of the Minnesota Dental Association and may not be reprinted without written permission.

Deadlines for copy supplied by Contributing Editors and other regular contributors are provided by editorial staff prior to start of each new volume.

Manuscript and Illustration Preparation. All manuscripts must be submitted as Word documents, either emailed or sent on disk. The title should be kept short; MDA reserves the right to shorten titles. An abstract of approximately 50-100 words should be included. Manuscripts should not be less than 800 words (approximately four double-spaced pages) nor more than 5,000 words (approximately 20 pages).

Use of illustrations and photographs is encouraged. They should be submitted as JPEGs or TIFFs, and should be sent as individual files (one per image) that are not embedded in any other program. They should be at least 350 dpi at two and one-half inches wide. All illustrations and drawings should be numbered and top and bottom should be indicated. Each illustration should be accompanied by an appropriate legend, which should be listed separately and not on the illustration or drawing. The text of the paper should indicate the preferred points of insertion. The corresponding author’s name, address, fax, phone, and email must accompany the manuscript.

References should be selective. They must be keyed to the text and numbered consecutively with their appearance within the text. They should include, in order: name of author, title of article, name of periodical, volume, number, date of publication, and page numbers. For books, the name of the publisher and its location should be included. Up to three authors may be listed. For four or more authors, the first three authors should be listed, followed by et al.

Example: White SN, MacEntee MI, Smithson DS et al. Restorative treatment for geriatric root caries. J Cal Dent Assoc 22(3);1994:55-60.

Authorship Requirements. When a manuscript is submitted, a signed statement on authorship responsibility, a statement on financial disclosure, and one of the two following statements on copyright or

federal employment must be included. Each of these three statements must be signed by all authors.

Authorship responsibility: “I certify that I have participated sufficiently in the conception and design of this work and the analysis of the data (when applicable), as well as the writing of the manuscript to take public responsibility for it. Neither this manuscript nor one with substantially similar content under my authorship has been published or is being considered for publication elsewhere, except as described in an attachment. If requested, I shall produce the data upon which the manuscript is based for examination by the editors or their assignees.”

Financial disclosure: “I certify that any affiliations with or involvement in any organization or entity with a direct financial interest in the subject matter or materials discussed in the manuscript (e.g., employment, consultancies, stock ownership, honoraria, expert testimony) are disclosed below. I have listed research or project support in an acknowledgment.”

Copyright transfer: “In consideration of the action of Minnesota Dental Association in reviewing and editing this submission, the author undersigned hereby transfers, assigns, or otherwise conveys all copyright ownership to MDA in the event that such work is published by MDA in any medium, including, but not limited to, Northwest Dentistry and the MDA web site.”

Publication and Copyright. Contributors will be notified within 90 days if a manuscript is accepted for publication.

In consideration of the action of the Minnesota Dental Association in reviewing and editing this manuscript, the authors transfer, assign or otherwise convey all copyright ownership of the manuscript, excluding photographs, to MDA. In addition, the authors grant permission for manuscripts and all images to be published by MDA in any medium, including but not limited to the web sites of Northwest Dentistry Journal and the Association, as well as third-party publishers of reference materials licensed through the MDA. In all such cases, materials shall bear the Northwest Dentistry volume, issue and page information. If authors do not have copyright ownership of submitted images, authors hereby warrant that such permission has been obtained and a Permission of Use form submitted to the Editor prior to publication.”

Authors will be granted reprint and republish permission upon request whenever possible.

Letters to the Editor. Readers of Northwest Dentistry are invited to submit Letters to the Editor on topics related to articles or columns previously published in the journal. Letters written to express viewpoints about current policies or actions of the MDA or other agencies will be referred to an appropriate individual, department, or committee to directly respond to the author. The views expressed are those of the writers and do not necessarily reflect the opinions of the Minnesota Dental Association, the Northwest Dentistry Editorial Advisory Board, or Northwest Dentistry editorial staff. Letters will be accepted by email at info@mndental.org. Complete Letters to the Editor policy can be found at www.mndental.org.

Reprints. Principal authors of manuscripts published in Northwest Dentistry will receive three copies of the issue in which the article appears. Please see the Northwest Dentistry reprint policy on the MDA web site, www.mndental.org, for further information concerning reprint or other reproduction policy.

Correspondence. Address all manuscripts and related correspondence to: Susan Miller, Managing Editor Northwest Dentistry nwdmiller@comcast.net

Northwest Dentistry is indexed in the Index to Dental Literature

Dentists

The Promises Are Real…

When I finally admitted that I was powerless over alcohol, something strange happened: My life started getting better. Instead of trying to juggle my practice, my family, marriage, and children while prioritizing my drinking behaviors, I finally decided that fighting for my right to drink copious amounts of beer and whisky each week was indeed ruining all that was truly important to me. So, I surrendered. I surrendered fully and authentically to my addiction. It was the first time I became vulnerable and open to my shortcomings and my disease. And from there I grasped and held tight to my higher power. This was a daily choice to surrender, and required a large amount of humility. It is not an easy task to be vulnerable. It opens us up to potential attack, but the alternative is a perpetual internal attack on ourselves, and the consequences are dire.

It is true that my whole attitude and outlook on life has changed in some incredibly profound ways.

In my professional life, it was becoming exceedingly difficult to hide the fact that I was alcoholic, and as a result my clients suffered. I knew they weren’t getting the best possible care that I could provide, while my peers did their best to look the other way. In my personal life, those who loved me most chose to treat me with caution and never fully relied on me in a way they needed. Looking back now, albeit very difficult, I realized that I was falling apart in almost every way and leaving a wake of broken relationships and less-than-my-best work lying on the table.

My life started getting better when I realized that I had a problem with alcohol. I began surrounding myself with peers who were also struggling. I reached out and started attending meetings, and I found a sponsor, something I had never done before in my past attempts at sobriety. I began to fully submit to every aspect of recovery that was available to me because the alternative was becoming a very dark and insidious road. I became vulnerable, to myself and with others. I add heard of “The Promises” before in meetings, but never really gave it much thought until some of those Promises started to manifest in my personal and professional life. For those of you not familiar with the A.A. Promises:

The Promises of A. A.

NEW COPY TO COME

If we are painstaking about this phase of our development, we will be amazed before we are halfway through. We are going to know a new freedom and a new happiness. We will not regret the past nor wish to shut the door on it. We will comprehend the word serenity and we will know peace. No matter how far down the scale we have gone, we will see how our experience can benefit others. The feeling of uselessness and self-pity will disappear. We will lose interest in selfish things and gain interest in our fellows. Self-seeking will slip away. Our whole attitude

Continued d on n next t page g

Dentists Concerned for Dentists (DCD) is a group of recovering alcoholic and/or chemically dependent dentists concerned about other dentists who might have problems in their relationships with alcohol and/ or other mood-altering drugs. Although we receive our funding, for the most part, from the Minnesota Dental Association (MDA), we are a completely separate organization. Our business and clinical processes are supported by Sand Creek Workplace Wellness, a local provider of employee assistance services, and the administrators of the MDA’s Dentist Wellness Program. They answer our phones and provide a consulting psychologist/chemical health specialist, who also functions as a service coordinator for the group. We adhere to a strict code of confidentiality.

If you or loved one is struggling with a chemical health

concern, please don’t hesitate to reach out. The good people in Dentists Concerned for Dentists are willing to meet with you, and if an intervention is necessary, there are licensed intervention specialists to help to guide and support the process.

No information regarding the cases we become involved with is shared with the Minnesota Dental Association or the State Board of Dentistry.

For confidential help to address alcohol and/ or other drug concerns, please contact Dentists Concerned for Dentists (DCD) at 651-2750313. You can also visit our website at Dentists Concerned for Dentists|Minnesota Dental Association (mndental.org)

Dentists Concerned for Dentists

Continued from previous page

and outlook upon life will change. Fear of people and of economic insecurity will leave us. We will intuitively know how to handle situations which used to baffle us. We will suddenly realize that God is doing for us what we could not do for ourselves.

Are these extravagant promises? We think not. They are being fulfilled among us - sometimes quickly, sometimes slowly. They will always materialize if we work for them.

In the early days and months of my recovery, these words didn’t seem to resonate that much for me. However, I continued on my path and went to meetings each week — sometimes a few times a week — and I was diligent about getting together with my sponsor. The opportunity to talk with someone who had been through the process and shared with me my struggles was invaluable, and now my sponsor is one of my closest and most trusted friends.

Self-seeking did slip away from my life. I recognize my selfishness more quickly, and make steps to change in the moment, rather than sit with my unresolved expectations of others to fester, which definitely can

cause problems. The feeling of being useless and feeling sorry for myself has also subsided.

It is true that my whole attitude and outlook on life has changed in some incredibly profound ways, and I do know a new freedom and new happiness. Before, in my addiction, I believed that using was the path to freedom and happiness, and now I see very clearly that it was a terrible lie. In truth, I was a slave to my addiction, and eventually, it caught up to me. It always does.

My life has a sense of profound peace now, and while it’s not always perfect — I make mistakes and get angry, or impatient, or even get down or overwhelmed with life sometimes — I have found that dealing with challenging situations is much easier in sobriety. My loved ones have noticed the change too, and my relationships — both personally and professionally — have never been better. There is a simple-hearted contentment that exits in my sobriety that I have begun to realize I want to share with others who may also struggle or feel lost in their addiction. The promises are real because they are being fulfilled among us, if we work for them.

Grateful DCD member

SUGGESTION BOX

As part of its process in reviewing the content of Northwest Dentistry, the NWD Editorial Advisory Board of the Minnesota Dental Association invites readers to offer comments and suggestions on the material that appears in each of the journal’s departments: front of the book (editorial/opinion); covers and cover features; Clinical, Feature, and Practice Management departments; MDA committee and district reports, including Dentists Concerned for Dentists; and “Heading Home”. We want to know what you like, don’t like, would like to see or see more of. Ideas should be directed to Northwest Dentistry Managing Editor Sue Miller at nwdmiller@comcast.net ■

Opportunities

Placing a Classified Ad in Northwest Dentistry

Classified advertisements should be posted directly to the Minnesota Dental Association website: www.mndental.org/advertise

You have the option of posting to the website only or posting on the website and in the print edition of Northwest Dentistry. One insertion in the print edition of Northwest Dentistry is for a period of two months.

Complete all required screen fields to submit your ad. MDA members should log in to receive member rate. Once submitted, your ad will be reviewed by the MDA for content approval.

Member rate for website only is $50/month. Non-member rate for website only is $100/month. Member rate for print only is $25 for up to 25 words, plus $0.25 for additional words. Non-member rate for print only is $50 for up to 25 words, plus $0.75 for additional words.

Careers

Dentist

Opportunity - Close to the Twin Cities with Plenty of Blue Sky! - We are accepting applications for a general dentist to join our growing team at White Birch Dental in Princeton, MN - located only 60 minutes from downtown Twin Cities. Live and work where there is no traffic and where a three acre yard is normal. We offer best-in-class culture and professional development, student loan forgiveness, paid travel, personal coaching, CEREC same-day crowns, CBCT radiology, free continuing education, generous compensation, performance-based incentives, 401K, and paid time off. Don’t take our word for it, sometimes the brochures don’t match the experience, contact us to talk to one of our other doctors! Best of all, we offer loyal patients that appreciate you and value your care. An all-star team of assistants and hygienists is waiting to help you be successful. We even offer additional continuing education in airway dentistry--tongue tied babies, and adults and children with sleep and breathing disorders. This is an excellent opportunity to work in a well-established private practice with over 60 years and make a positive impact on the oral health of our community. Apply now to join our team! Job Type: 3 to 5 Days a week.

Email at whitebirchdental.alex@gmail. com or text Dr. Alex at 651-324-9231.

Seeking Full-time DentistVIBRANT GROUP PRACTICE. Full-time Dentist - Located in beautiful lakes country - Fergus Falls, MN was voted “10 Best Places to Live and Boat in the USA” - Emphasis on work/life balance - Set your own schedule and have the autonomy to practice as you like - Modern facility equipped with cutting edge dental technology - Digital workflow with high definition x-ray units, intraoral cameras and scanning, in-office crown milling and soft/hard tissue laserTeamwork makes the dream work - Our dedicated and energetic staff makes our practice thrive - Superior compensation package, benefits, and relocation bonus - Committed to your success with encouraging mentorship and an opportunity for future partnership. Check us out at www.lifesmilesdental.com and on social media. Please contact us for more information at 218-340-6906 or jbalgaard@lifesmilesdental.com.

Semi-Retired Dentist - Seeking a semi-retired dentist to work in a wellequipped dental office two or more days a week caring for my longstanding patients. Office located in LowertownSt. Paul. Call 651-224-1444.

Associate Dentist Sartell, MN - Persona Dental in Sartell, MN is seeking a full-time associate dentist to join our practice. We are a two-doctor practice with one partner retiring. We have a skilled and supportive team with a focus on top-notch, compassionate care for our patients. Our office hours are Monday through Thursday 8:00–4:40 so no Fridays or weekends! All experience levels are encouraged to apply including new and upcoming grads. Part-time and flexible schedule also an option if desired. Sartell is located in central Minnesota just one hour from the metro area. Our community offers an excellent location to live with a top-rated school district, close proximity to St. Cloud and the metro, and ample outdoor activities. Benefits: Health insurance, FSA/HSA, 401k and match, Dental benefits for self and family, Generous compensation package with guarantee base plus bonus, Life insurance, Malpractice insurance, Uniforms paid. To apply please send your resume to drshari@personadental. com.

Part-Time Dentist Position with Lake Superior Views - Enjoy amazing Lake Superior views right from your operatory. Not to mention the Apostle Islands are right in your backyard. We are looking for a part-time dentist to

Continued on next page

Business Opportunities

Continued from previous page

join our established private practice in Ashland, WI. Our office features all of the latest technology such as Sirona Orthophos CBCT, Cerec scanner, and mill, Dentrix, Dexis, etc. Our team’s core values are Empathy, Teamwork, Quality Dental Care, and Integrity. We offer competitive compensation packages for our team members. If you’re looking to work and live where you love to play we look forward to hearing from you! Please contact our office at info@baydentaldds.com or 715-682-6675.

Classifieds

BEAUTIFUL PRACTICE FOR SALE IN THE NORTH COUNTRY - One of a kind opportunity in a busy and productive practice. 3,189 square-foot facility has 5 fully equipped operatories including 2 suites. Collections average over $1,020,00 annually over the past 2 years. Over 1,700 active patients. PLEASE CONTACT MATT LAHN AT APM TRANSITIONS FOR

INDEX TO ADVERTISERS

MORE INFORMATION AT Matt@ advancedpracticemanagement.com or 952-921-3360.

HIGH

TECH EAST METRO PRACTICE - This busy family practice has 4 operatories (capacity for additional op) in 2,621 square feet. Collections average over $800,000 annually in the last 3 years. It is modernly equipped and decorated and has over 830 active patients. *** RECENT PRICE DROP *** PLEASE CONTACT MATT LAHN AT APM TRANSITIONS FOR MORE INFORMATION AT Matt@ advancedpracticemanagement.com or 952-921-3360.

Fantastic opportunity in the Central Lakes Region - 2,500 square-foot facility has 4 fully equipped operatories. Collections average $600,000 annually over the past 3 years. Over 1,100 active patients. FOR MORE INFORMATION PLEASE CONTACT MATT LAHN

AT APM TRANSITIONS AT APM@ADVANCEDPRACTICE MANAGEMENT.COM OR 952921-3360.

FANTASTIC ASSOCIATE

OPPORTUNITY - Associateship available with opportunity to buyin. We are seeking an associate 2-4 days/week in Grand Rapids, MN. We are a thriving, family-oriented general practice in a great Northern Minnesota community. Call Dr. Leanna McBride (218)-259-2368 or Dr. Lisa Johnson (218)-259-3524, granddentalcenter. com.

WE UPHOLSTER

DENTAL

CHAIRS TO LOOK LIKE NEW! - We specialize in reupholstering dental chairs. We have a degree in upholstery & over 30 years exp. Call Jennell 651-890-2897 or email jennell@designcommercialinterior. com. Why buy new when you can renew. We have you covered.

Minnesota Dental Association Directory

OFFICERS, TRUSTEES, AND COMMITTEE CHAIRS 2024-2025

Officers

President

Alejandro Aguirre 12545 42nd Pl N Plymouth, MN 55442-2348 (763) 458-3564 (phone) aaguirre2805@gmail.com

President-Elect

Scott Wagnild 1108 Western Avenue Fergus Falls, MN 56537-4808 (218) 736-4000 (office) swagnild@gmail.com

First Vice-President

John Noack

600 Professional Drive Northfield, MN 55057-2755 (507) 645-5264 (office) jnoack135@gmail.com

Second Vice-President

Aruna Rao

3950 Veterans Dr., Ste. 102 St. Cloud, MN 56303 (320) 253-8380 arunarao611@gmail.com

Treasurer Loren Taple 1227 Northwood Pkwy Eagan, MN 55121-4204 (651) 687-0789 (office) (651) 687-0902 (fax) ltaple@northwooddental.com

Speaker of the House

Stephen McDonnell 2456 Haverton Road Saint Paul, MN 55120-1730 (612) 867-7263 (phone) mcdonnellsn83@gmail.com

Executive Director

Carmelo Cinqueonce 1335 Industrial Boulevard Suite 200 Minneapolis, MN 55413-4801 (612) 767-8400 (office) (612) 767-4250 (direct line) 1-800-950-3368 (toll free) (612) 767-8500 (fax) ccinque@mndental.org

Trustees

Minneapolis District

Lee Ann Herbert 1525 County Road 101 N Minneapolis, MN 55447-2707 (763) 475-2820 (office) (763) 475-1037 (fax) drlah@comcast.net

Saint Paul District

Michael Ahn 1222 N Frontage Rd Hastings, Minnesota 55033 (651) 437-1166 (office) mike.w.ahn@gmail.com

Northwestern District

Zachary Hazelton

10 Mag Seven Court Southwest Suite 220 Bemidji, MN 56601-4678 (218) 333-8668 (Office) (218) 333-1515 (Fax) zach@tallpinesfamilydentistry.com

Northeastern District

Nathan Pedersen 802 W 42nd St Hibbing, MN 55746-3222 (218) 263-8381 (office) npedersendds@msn.com

Southern District

Seth Huiras 110 1st St N Montgomery, MN 56069-1514 (507) 364-8001 (office) shuiras@gmail.com

Southeastern District

Paul Morgan 70 E 4th St Winona, MN 55987-3508 (507) 454-2020 (office) pgmorgan@hbci.com

West Central District

Brandon Ulstad 622 3rd St PO Box 10 Madison MN 56256 (320) 598-7433 (office) bulstad@hotmail.com

Student District

Annmarie Schmid University of Minnesota School of Dentistry 515 Delaware Street Southeast Minneapolis, MN 55455 (612) 246-0203 schm4342@umn.edu

Committee Chairs

Affinity Products

Doug Williams 3345 River Park Ct NE Bemidji, MN 56601 (218) 751-4216 (office) molar@paulbunyan.net

Barriers to Care

Stephen Shuman 3737 Bryant Avenue South Minneapolis, MN 55409-1019 (612) 827-8310 (office) (612) 827-8408 (fax)

Board of Dentistry

R. David Resch 1371 7th Street W Saint Paul, MN 55102-4205 (651) 222-0351 (office) (651) 222-1556 (fax) dr.dresch@comcast.net

Constitution, Bylaws, and Ethics

Michael A. Kurkowski 5835 Saint Albans Court Shoreview, MN 55126-4754 (651) 484-3235 mmkurkowski@msn.com

Dental Education

Herbert Schulte 5524 Nicollet Avenue Minneapolis, MN 55419-1930 (612) 823-1816 (office) office@herbschulte.com

Environment and Safety

R. David Resch 1371 7th Street W Saint Paul, MN 55102-4205 (651) 222-0351 (office) (651) 222-1556 (fax) dr.dresch@comcast.net

Legislative Affairs

James Nickman 700 Village Center Drive Suite 110 North Oaks, MN 55127-3019 (651) 484-8611 (office) (763) 786-2302 (fax) james.nickman@comcast.net

MnMOM

Alejandro Aguirre 12545 42nd Pl N Plymouth, MN 55442-2348 (763) 458-3564 (phone) aaguirre2805@gmail.com

Membership Aruna Rao 3950 Veterans Drive St. Cloud, MN 56303 arunarao611@gmail.com

New Dentist

Yazan Alkhatib 4948 34th Avenue Minneapolis, MN 55417-1504 (612) 722-4676 (phone) yaz.alkhatib1@gmail.com

Peer Review

George Kinney 1000 Radio Drive Suite 240 Woodbury, MN 55125-8444 (651) 729-1894 (office) (651) 739-5496 (fax) gjkdds@gmail.com

Resolution Review

Howard Taylor 2985 Valley View Ln New Brighton, MN 55112-4460 (651) 442-9905 (phone) taylor.hwt@gmail.com

Scientific Session

Anne Kent 701 Park Avenue Minneapolis, MN 55415-1623 (612) 873-6963 (office) kent0071@umn.edu

AMERICAN DENTAL ASSOCIATION

10th District Trustee

Scott Morrison 2459 N 148th Street

Omaha, NE 68116 (402) 658-3550 morrisons@ada.org

Affiliated Organizations

Minnesota Dental Foundation

Stephen F. Litton, President 9731 Minnetonka Blvd. Apt. 426 Minnetonka, MN 55305 (612) 868-9580 sflitton@aol.com

MINDENPAC

Michael Flynn 560 Debra Lane Lewiston, MN 55952-0607 (507) 523-2267 (office) (507) 523-2206 (fax) mikeflynndds@gmail.com

Frost Warning

Whose shoes these are I think I know. Your guess is good as mine is, though. Securely tied and deftly tossed, The game’s afoot, but who has lost?

My little dog must think it queer For shoes to be so far from here. Between the ground and wild blue yonder Has given him a thing to ponder.

He gives his little warning bark

To get us safe at home by dark. It’s summer’s ending, strange and yet Methinks what was, was quite well met.

Now the path is dark and deep, And farther still from flying feet. And we shall hear contentment’s song When things are back where they belong.

Freely adapted from Robert Frost’s “Stopping by Woods on a Snowy Evening” by NWD Managing Editor Sue Miller. Apologies upon request.

Turn static files into dynamic content formats.

Create a flipbook
Issuu converts static files into: digital portfolios, online yearbooks, online catalogs, digital photo albums and more. Sign up and create your flipbook.
Northwest Dentistry - September/October 2024 by Minnesota Dental Association - Issuu