Skip to main content

Edición 9 - Año 2023

Page 1

•Irbesartán •Irbesartán / Hidroclorotiazida •Irbesartán / Amlodipina

•Irbesartán / Amlodipina / Hidroclorotiazida

EDICIÓN 09 MARZO/ABRIL 2023 2
/

Efectivo control con la mejor seguridad cardiovascular comprobada.

Garantizando la reducción del riesgo cardiovascular desde el primer día.

www.reportemedico.com Una Dosis de Información Saludable 3

AUTISMO Y VISIÓN - P. 10

EDITORIAL

8 DE MARZO. Se celebra “El Dia Internacional de la Mujer”. Fecha reconocida por la ONU y tiene sus raíces en el movimiento obrero, mediados del siglo XIX. La mujer comenzó a alzar su voz, esforzándose por ser tratada con igualdad y respeto, reclamando su derecho al trabajo, a la formación profesional y a la no discriminación laboral. El tiempo se ha encargado de darle su valor actual.

Reporte Médico celebra la efeméride, fecha que conmemora y reivindica los derechos de la mujer en todos los ámbitos de la sociedad, para lograr así la igualdad de género. “FELICIDADES”.

En esta edición traemos en portada a la Dra. Thaulys Luna, Mujer cibaeña, proveniente de la Vega, con un amplio currículo en su especialidad, la Cirugía Plástica. Quien representa de manera categórica el empoderamiento de la mujer dominicana, y en estas páginas nos relata sus experiencias en el ejercicio de su profesión. Queremos dar las gracias al Dr. Mario Lama, Director del Servicio Nacional de Salud, por sumarse a través de Reporte Médico a realzar la gestión de cinco grandes mujeres que gerencian salud y que están comprometidas en un modelo de excelencia para el pueblo dominicano. Hoy en este TOP 5 nos adentramos en sus Instituciones y su impecable trabajo, para que, a través de esta vitrina, se conozca su labor por el cambio. “congratulaciones”.

En esta nueva etapa, a través de los doctores que conforman nuestro Consejo Médico, hemos preparado par de especiales, uno de Cardiología dirigido por la Dra. Claudia Almonte, quien integró siete grandes especialistas en un segmento donde encontraremos valiosa información y consideraciones médicas sobre temas como la detección de factores de riesgo coronario y asesoramiento sobre el estilo de vida. Igualmente, en Dermatología la Dra. Emma Guzmán con un grupo de Médicos especialistas desarrolló temas de gran interés para la prevención de diferentes patologías que la piel puede enfrentar.

Y nuestro agradecimiento como siempre a los doctores que integran nuestro staff y que en cada edición nos comparten sus artículos, casos clínicos y estudios, que aportan significativamente al desarrollo médico científico.

@ceoreportemedico

INGESTAS DE SUSTANCIAS CÁUSTICAS ¿PUEDEN SER PREVENIBLES? - P. 12

SER MADRE CON ÓVULOS DONADOS (OVODONACIÓN)

P. 14

¿QUÉ HORMONAS IMPACTAN SU CAPACIDAD PARA PERDER PESO Y CÓMO PUEDE AUMENTAR SU IMPACTO? - P. 16

RELACIÓN ENTRE LA UROLOGÍA Y LA CIRUGÍA ROBÓTICA - P. 18

EDICIÓN 09 MARZO/ABRIL 2023 4

DOLOR TESTICULAR, CAUSAS - P. 28

LABORATORIOS ACROMAX DOMINICANA Y SU LÍNEA CARDIOLÓGICA LANZAN AL MERCADO ARAMAX - P. 64

Presidente

Lic. Alberto Rodríguez Fonseca

Vicepresidente

ENTREVISTA A ING. RAÚL DÍAZ VÁZQUEZ GERENTE GENERAL Y FUNDADOR DE CTO DOMINICANA - P. 46

¿PORQUÉ CUIDAR DE NUESTRAS UÑAS, POR ESTÉTICA O POR SALUD O AMBAS? - P. 50

1ER. CONGRESO INTERNACIONAL DE EDUCACIÓN MÉDICA - P. 66

Lic. Alberto Rodríguez Galeno

Redacción

Lic. Alberto Rodríguez Fonseca

Lic. Alberto Rodríguez Galeno

Fotografía

Roberto Saul Gómez

Diseño y Diagramación

José Luis Castellano

Administración y Contabilidad

Lic. Orquídea Ramírez Pérez

Asesor Jurídico

Peguero & Asociados

Teléfonos

+1 829 9629949 / +1 849 2769979 Ventas@reportemedico.com

ENVEJECIMIENTO EN LA MUJER - P. 86

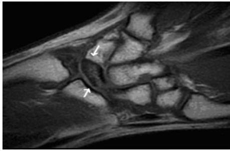
¿QUÉ ES LA ENFERMEDAD KIENBÖCK? - P.52

MANEJO DE LA ESTENOSIS URETRAL FEMENINA CASO CLINICO

Dr. Wellington A. Ledesma Cáceres

Dra. Yiraldy Merán Encarnación

P. 90

LA ASOCIACIÓN DOMINICANA DE PSICOLOGÍA PERINATAL INAUGURA

PRIMERA HABITACIÓN DE DUELO

PERINATAL EN EL PAÍS - P. 89

PREVALENCIA DE LESIÓN RENAL AGUDA EN PACIENTES CRÍTICOS AFECTADOS POR COVID-19 EN EL HOSPITAL

RODOLFO DE LA CRUZ LORA

ESTUDIO CLÍNICO

Dr. Domingo Martínez

P. 92

Reporte Médico es una publicación de AMD Dominican Group, SRL Queda prohibida la reproducción parcial o total del contenido de esta edición, su tratamiento informático o su transmisión por cualquier médico, sin permiso explicito de la empresa editora o la entidad emisora. Todos los anuncios, fotos textos e ilustraciones se publican con la previa autorización de los anunciantes.

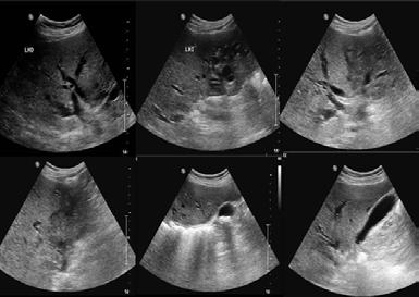
SONOGRAFÍA ABDOMINAL

Dra. Paola Pozo Rojas

P. 94

www.reportemedico.com Una Dosis de Información Saludable 5

PDTE. CONSEJO MÉDICO

CONSEJO MÉDICO EDITORIAL

EDICIÓN 09 MARZO/ABRIL 2023 6
Dr. José Ramírez Dra. Dhamelisse Then VanderHorst Dr. Jorge Vargas Dra. Alexandra Hichez Dr. Pedro Sureda Dr. Alejandro Cambiaso Dr. José de Jesús de Jesús Cirujano Oncólogo Cardióloga Pediatra Ginecólogo - Obstetra Dr. Ramón Peralta Pediatra Dra. Yini Datt Cirujana Oftalmóloga Dra. Nathalie González Radioncóloga - Mastóloga Psiquiatra Dra. Tania Medina Cirujana Plástico Dr. Pedro Ovalle Gastroenterólogo Cirujano Pediatra Médico Familiar Otorrinolaringólogo
2023
ENERO/FEBRERO
Una Dosis de Información Saludable
www.reportemedico.com Una Dosis de Información Saludable 7
Dr. Guillermo Santana Dr. José Alberto Torres Alergólogo Dr. Ivo Rodríguez Radioncólogo Internacional Dra. Claudia Almonte Cardióloga Dra. Vivíana Hernández Nutrióloga Dra. Emilia Guzmán Pediatra Dr. Fernando Contreras Gastroenterólogo Dra. Emma Guzmán Dermatóloga Dr. Franklin Montero Neurólogo Pediatra Dr. Pablo Mateo Cirujano Urólogo Dra. Gricely Pozo Enfermo crítico y Emergencias Odontólogo Dra. Evangelina Soler Neumóloga

AUTISMO Y VISIÓN

El trastorno del espectro autista (TEA) lo podemos definir como una variedad de condiciones del neurodesarrollo caracterizadas por un cierto grado de deterioro social, comunicativo y del lenguaje y la presencia de patrones de comportamiento, intereses y actividades restringidos, estereotipados y repetitivos.

EDICIÓN 08 MARZO/ABRIL 2023 10 OFTALMOLOGÍA PEDIÁTRICA

En los últimos años la prevalencía de autismo ha ido aumentando, llegando a reportarse prevalencias de 1: 250 hasta 1:88 pacientes que lo presentan, existen diversas explicaciones posibles para este aparente aumento, incluida una mayor conciencia, la expansión de los criterios de diagnóstico, mejores herramientas de diagnóstico, entre otros.

La prevalencia de padecimientos oftalmológicos en los niños con TEA es mayor que en la de sus contrapartes, llegándose a ver con más frecuencia defectos refractivos, como la hipermetropía y el astigmatismo, estrabismo, nistagmos, ambliopía, entre otros.

Es crucial para los padres y miembros del equipo de la salud entender que los niños con dicho diagnóstico, deben de ser evaluados por un oftalmólogo pediátrico, no solo para evaluar su agudeza visual; la cual es de suma importancia para el desarrollo adecuado de todo niño, sino también la evaluación de otros aspectos como los movimientos oculares, seguimiento visual, visión central y periférica, entre otros.

RECOMENDACIONES PARA EVALUACIÓN EN CONSULTA

Una de las grandes preocupaciones de los padres es ¿cómo se realizará la evaluación? Siempre les digo que “el ritmo de la consulta será dado por el pequeño”, pues a veces están muy nerviosos, recordemos que es un ambiente nuevo para ellos y si es necesario la consulta se dividirá en sesiones. Otra de las recomendaciones es que inicien a explicarles lo que harán en el consultorio, siempre les digo que vamos a “jugar a tirarnos fotos” o a “ver sus dibujos animados favoritos” a través de los diferentes elementos que utilizamos para la evaluación, incluso nos pueden ayudar viendo muñequitos en donde van a una evaluación oftalmológica y así ellos se sentirán más tranquilos; también es bueno que informen al personal de salud si les tienen miedo a las batas blancas, y así podríamos retirarlas antes de ellos entrar al consultorio. Otra de las recomendaciones es que hagan la cita en el horario que rompa lo menos posible su rutina diaria, puesto que esto les da seguridad. Y sobre todas las cosas ir con calma (a veces los padres se nos ponen más nerviosos que los niños).

Y nos gustaría terminar este artículo con una frase de José Martí “Para los niños trabajamos, porque los niños son los que saben querer, porque los niños son la esperanza del mundo”.

REFERENCIAS:

1. Little JA. Vision in children with autism spectrum disorder: a critical review. Clin Exp Optom. 2018;101:504–513. [PubMed] [Google Scholar]

ALGUNOS

SIGNOS

VISUALES

COMUNES INCLUYEN LOS SIGUIENTES:

Aversión a la mirada o contacto visual deficiente.

Entrecierra los ojos o cierra un ojo.

Mira los objetos de lado o con miradas rápidas.

Sensibilidad a la luz intensa.

Preferencia por mirar objetos en lugar de personas.

Siempre prefiere o evita un color en particular.

Ansiedad o evitación de objetos que se mueven rápidamente.

2. Jones W, Klin A. Attention to eyes is present but in decline in 2-6-month-old infants later diagnosed with autism. Nature. 2013;504:427–431. [PMC free article] [PubMed] [Google Scholar]

3. Kancherla V, Van Naarden Braun K, Yeargin-Allsopp M. Childhood vision impairment, hearing loss and co-occurring autism spectrum disorder. Disabil Health J. 2013;6:333–342. [PMC free article] [PubMed] [Google Scholar]

4. Ohya T, Morita K, Yamashita Y, Egami C, Ishii Y, Nagamitsu S, Matsuishi T. Impaired exploratory eye movements in children with Asperger’s syndrome. Brain Dev. 2014;36:241–247. [PubMed] [Google Scholar]

5. Johnson BP, Lum JA, Rinehart NJ, Fielding J. Ocular motor disturbances in autism spectrum disorders: Systematic review and comprehensive meta-analysis. Neurosci Biobehav Rev. 2016;69:260–279. [PubMed] [Google Scholar]

6. Higuchi T, Ishizaki Y, Noritake A, Yanagimoto Y, Kobayashi H, Nakamura K, Kaneko K. Spatio-

temporal characteristics of gaze of children with autism spectrum disorders while looking at classroom scenes. PLoS One. 2017;12:e0175912. [PMC free article] [PubMed] [Google Scholar]

7. Koller HP. Visual processing and learning disorders. Curr Opin Ophthalmol. 2012;23:377–383. [PubMed] [Google Scholar]

8. Black K, McCarus C, Collins ML, Jensen A. Ocular manifestations of autism in ophthalmology. Strabismus. 2013;21:98–102. [PubMed] [Google Scholar]

9. Mouridsen SE, Rich B, Isager T. Eye Disorders among Adult People Diagnosed with Infantile Autism in Childhood: A Longitudinal Case Control Study. Ophthalmic Epidemiol. 2017;24:332–335. [PubMed] [Google Scholar] Dra.

www.reportemedico.com Una Dosis de Información Saludable 11
Dalma Díaz OFTALMÓLOGA PEDIATRA Y ESTRABISMO @dra.dalmadiaz
Aderina Maldonado OFTALMÓLOGA PEDIATRA Y ESTRABISMO @dra.aderinamaldonado
Dra.

INGESTAS DE SUSTANCIAS CÁUSTICAS ¿PUEDEN SER PREVENIBLES?

¿QUÉ SON LAS SUSTANCIAS CÁUSTICAS?

Las sustancias cáusticas o corrosivas son componentes químicos, capaces de dañar los tejidos por contacto. Existen unos valores de pH que consideramos críticos. El pH por encima del cual las sustancias alcalinas tienen capacidad de producir lesiones cáusticas es igual o superior a 12, mientras que las sustancias ácidas pueden producir lesión esofágica con pH inferior a 4.

Las lesiones esofágicas por ingesta de sustancias cáusticas es un problema importante en la salud de la población pediátrica, aunque capaz de ser prevenible.

Estas lesiones son accidentes, en su mayoría ocurren en el entorno del hogar, con una alta morbilidad donde el 39% de las exposiciones a sustancias cáusticas, suceden en niños menores de 3 años y el 52% en los menores de 6 años. Ya en los adolescentes y adultos, las causas son por motivo autolítico (suicidas).

A pesar de vivir un mundo muy globalizado, donde la información es asequible a los padres y tutores. Sumado a las medidas de seguridad proporcionadas por los fabricantes. Vemos un aumento de la cantidad de exposiciones tóxicas a sustancias de limpieza (ácidas y alcalinas), que son corrosivas principalmente al tejido del esófago. Lo que representa un problema de salud con múltiples consecuencias, un alto costo de la atención en centros de la red pública o privada, y en definitiva un cambio en la dinámica de la familia.

¿Por qué ocurren estos accidentes?

Como dice la pregunta son accidentes, es decir un suceso imprevisto. Pero que tiene un factor de riesgo importante, es que los cáusticos son trasvasados o almacenados en envases de bebidas y refrescos. Es una práctica común, el dividir la sustancia en diferentes envases, para uso fraccionado de ella, o compartir con otros familiares u amigos dicho químico, con un alto peligro que representa las botellas o frascos que están fabricados para consumo, y que son atractivos para los niños.

Los fabricantes en su mayoría cumplen las reglas de un envase de seguridad, pero lo ideal sería que sea inviolable y con poca cantidad de cáustico. Por otra parte, es una alta responsabilidad de los familiares el cuidar de los niños; evitando envasar sustancias de limpiezas en botellas y frascos de bebidas. Sin querer, con plena ignorancia de sus actos, es en el entorno familiar donde ocurren la mayor cantidad de estas ingestas cáusticas.

EDICIÓN 09 MARZO/ABRIL 2023 12 CIRUGÍA PEDIATRÍCA

¿La gravedad de la lesión depende de que características?

Se entiende por lesión, al daño que ocurre en alguna parte del cuerpo. En cuanto al grado de lesión después de la ingestión de una sustancia cáustica depende del tipo de agente (ácido o alcalino), si la sustancia es un líquido o un sólido, la concentración, el volumen ingerido y la duración del contacto entre la sustancia y la mucosa del tubo digestivo.

Los cáusticos producen lesiones que se pueden clasificar similar a las quemaduras, y se determina con evaluación endoscópica el grado de lesión, que puede ser de superficial a profundo con necrosis extensa de la zona afectada.

¿Cuáles agentes causan exposiciones a lesiones cáusticas?

Las sustancias líquidas llegan con rapidez al esófago y al estómago, causando mayor daño en estos sitios más distales a la boca. Por lo general, los ácidos domiciliarios comunes son los limpiadores de inodoros, eliminadores de óxido (limpiadores de metales), líquido de baterías, destapadores de tuberías y limpiadores de piscinas. También son habituales en cualquier hogar sustancias alcalinas, como detergentes de lavaplatos, limpiadores de inodoros, limpia-pisos, limpia-vidrios, suavizantes, blanqueadores, destapadores de cañerías, removedores de moho. Entre otros.

Dentro de la gran variedad de agentes domiciliarios, tenemos la ingesta de una potente sustancia que es un sólido y muy alcalino, nos referimos a las pilas tipo monedas, muy usadas en diferentes dispositivos electrónicos del hogar e incluso de accesorios personales como, por ejemplo; el reloj de muñeca.

El término que muchas veces se atribuye a las sustancias limpiadoras es lejía, y tienen las propiedades de ser inodoras, insípidas y viscosas, lo cual facilita su ingestión por parte de los niños, pudiendo ser en grandes volúmenes.

¿Cómo actúan los cáusticos para hacer daño?

Las sustancias alcalinas causan necrosis por licuefacción (desnaturalizan las proteínas) permitiendo la agresión de la pared del esófago y de los tejidos adyacentes al mismo, es decir que son lesiones profundas. Las lesiones por ácidos producen necrosis por coagulación de las proteínas, donde a mayor concentración de la sustancia, mayor penetración a la pared esofágica y/o gástrica.

¿Cuáles son las consecuencias de ingerir un cáustico?

La más frecuente es la estenosis esofágica (estrechez de algún segmento del esófago) secundario a ingesta de sustancias cáusticas, después de la segunda o cuarta semana posterior a la ingestión. El diagnóstico de esta se realiza por endoscopia y por un esofagograma (radiografías con contraste) que pone en evidencia la estenosis. También tenemos una complicación tardía, pero grave, que es el carcinoma esofágico, que se puede evidenciar en las quemaduras esofágicas muy extensas.

Una vez identificada la estenosis, se realizan dilataciones graduales. Además, muchas veces es necesario realizar una cirugía para garantizar la alimentación del niño, como es la gastrostomía. Si la estenosis es prolongada y resistente a la dilatación, se le ofrece una alternativa que es el reemplazo o sustitución del esófago, por otro órgano que pueda hacer la función de conducto, con la finalidad de restituir la ingesta vía oral.

La ingestión de productos cáusticos sigue siendo un grave problema médico-social, por ende, un problema de salud pública, y la prevención de estos accidentes es esencial para evitar las lesiones esofágicas.

El 20-40% de las ingestiones de sustancias cáusticas produce alguna forma de lesión esofágica y aunque la muerte por esta causa es infrecuente, la morbilidad puede ser devastadora y el impacto psicosocial tanto del niño como de la familia es un gran desafío. Debido a que un niño que antes comía por la boca, ahora no puede comer, ni saborear, ni mucho menos tragar alimentos. Que de una forma u otra representa no solo una necesidad biológica, sino un gran componente social, cultural, familiar, que tiene un papel fundamental a la hora de compartir el ser humano con los demás. Imaginemos una fecha tan importante como la navidad, toda la familia gozando de los diferentes platos gastronómicos característicos de esta época, y el niño con una estenosis esofágica, sin poder comer junto a sus primos y hermanos, y tener que entender que sus alimentos están siendo proporcionados por una gastrostomía (tubo de alimentación en el estómago).

Las consecuencias psicológicas, son demoledoras, de una dimensión no cuantificada, tanto para los niños afectados como para la familia que comienza a tener esa carga de culpa que les agobia, cuando la ingesta ocurre por un descuido por parte del cuidador en su tarea de supervisión y protección.

“Pero recordemos que lo más importante es la prevención y esta se logra manteniendo las sustancias en espacios seguros y lejos del alcance de los niños. Además, evitemos usar envases que sean de productos de consumo, para guardar o distribuir estas sustancias corrosivas”.

En la imagen A: visualiza una endoscopia donde se ve lesiones del esófago y estenosis de este. B: Radiografía contrastada (esofagograma) donde observamos un esófago proximal dilatado y una estrechez significativa del esófago. C: una proyección lateral del esofagograma, se ve la estrechez en el esófago medio. D: botón de gastrostomía en paciente con estenosis esofágica.

www.reportemedico.com Una Dosis de Información Saludable 13
@drcabreravalerio.com www.drcabreravalerio.com
Dr. Carlos Manuel Cabrera Valerio CIRUJANO PEDIÁTRICO

REPRODUCCIÓN ASISTIDA

Dra. Milfra Espinal OBSTETRA / GINECÓLOGA REPRODUCCIÓN HUMANA

SER MADRE CON ÓVULOS DONADOS (OVODONACIÓN)

La ovodonación es un tipo de Fecundación In Vitro en la cual el gameto femenino (ovocito) es aportado por una mujer donante para formar embriones y luego ser implantado en una mujer receptora que desea ser madre y no puede con sus propios óvulos.

INDICACIONES

Actualmente se tienen excelentes resultados con la técnica de ovodonación por lo que sus indicaciones cada vez son mayores.

Las principales causas de indicación para la utilización de óvulos donados son:

El fallo ovárico prematuro: Se define como el cese de la función ovárica antes de los 40 años de edad y luego de la pubertad, cursando la paciente con niveles elevados de FSH y LH y Hormona Antimulleriana baja. Algunas causas de este son:

• Cirugía ovárica: endometriosis, cáncer, tumores ováricos.

• Radioterapia y quimioterapia.

• Trastornos autoinmunes como Diabetes Mellitus, miastenia gravis, enfermedad de Addison, tiroiditis, insuficiencia adrenal, anemia perniciosa.

• Defectos enzimáticos como galactosemia y deficiencia de 17 alfa hidroxilasa.

• Enfermedad pélvica severa en la mujer y parotiditis en el hombre.

• Factores ambientales como la anorexia, tabaquismo, alcoholismo.

• Trastornos hereditarios como síndrome del X frágil.

EDICIÓN 09 MARZO/ABRIL 2023 14
@dramilfraespinalm

Fallo ovárico primario; Es cuando la menstruación no se llega a producir en la pubertad. Las principales causas son:

• Síndrome de Turner: Mujeres que tienen un solo cromosoma X.

• Disgenesia gonadal: es el desarrollo anormal de una gónada.

• Síndrome de SWYER: Paciente tiene un cromosoma X y uno Y con rasgos femeninos.

• Síndrome de Savage: También conocido como síndrome del ovario resistente.

Menopausia: Es el cese de los periodos menstruales de la mujer, diagnosticada luego de 12 meses consecutivos de amenorrea y sucede por atresia de los folículos ováricos.

Mujeres con función ovárica:

• Fallos repetidos de FIV: Fallo de fecundación o implantación, abortadoras recurrentes, bajas respondedoras, baja calidad ovocitaria, ovarios inaccesibles para aspiración de óvulos.

• Alteraciones genéticas: Pacientes con cariotipo alterado, enfermedades autosómicas dominantes o recesivas, enfermedades ligadas al sexo.

SELECCIÓN DE LA DONANTE

Se realiza con mujeres (Donantes) anónimas que deben cumplir un conjunto de requisitos para su selección.

FASES

EFICACIA DEL TRATAMIENTO

Las tasas de embarazo por ovodonación superan las habituales obtenidas por otras técnicas de Reproducción Asistida. En nuestro centro FIV CEDEN tenemos una tasa de embarazo por ovodonación de un 80% pudiendo llegar a 95% en ciclos acumulados.

www.reportemedico.com Una Dosis de Información Saludable 15

¿QUÉ HORMONAS IMPACTAN SU CAPACIDAD PARA PERDER PESO Y CÓMO PUEDE

AUMENTAR SU IMPACTO?

El aumento de peso, no es solo un problema asociado con los alimentos que consumimos y la cantidad de ejercicio que se hace. También puede verse afectado por sus hormonas y viceversa. Si notas que has ganado algunas libras, puedes sentirte frustrado contigo mismo y comenzar a hacer más ejercicio. Por el contrario, si la escala dice que eres más ligero de lo normal, podrías felicitarte por lo bien que has comido.

Sin embargo, a menudo, las fluctuaciones de peso más grandes se deben a un cambio hormonal o desequilibrio, que es algo en lo que muchas personas ni siquiera piensan. Según estudios, los cambios hormonales pueden influir en tu apetito, incluyendo cuánto comes y los antojos; también pueden hacer que almacenes más grasas en tu cuerpo, dependiendo de su equilibrio como tal. Simplemente decir que uno debe “hacer ejercicio y comer bien” no siempre es suficiente para crear una diferencia real en tu vida, especialmente si tus hormonas están involucradas en tu pérdida de peso o ganancia.

Lista de Hormonas que pueden, o no, afectar tu grasa corporal a medida que envejeces:

INSULINA

La insulina es la hormona que controla nuestros niveles de azúcar en la sangre (Glicemia). La secreción de insulina está regulada por los alimentos. Se sabe que los alimentos con mayores cantidades de azúcares simples tienen un mayor efecto estimulante en la secreción de insulina, mientras que las comidas que tienen carbohidratos más complejos o son más ricos en proteínas, tienen niveles más bajos de secreción de insulina.

¿POR QUÉ ES ESTO IMPORTANTE?

El papel de la insulina es promover el almacenamiento de glucosa como glucógeno, aumentar la síntesis de triglicéridos al mismo tiempo que inhibe la conversión de ácidos grasos en ácidos ceto y también evita la formación de glucosa a partir de aminoácidos. En otras palabras, la regla de la insulina es almacenar, el rol de insulina es almacenar combustible. Ya se trate de azúcares en glucógeno o grasas en tejido adiposo.

“Bajando los niveles de insulina” para perder peso? No es el mejor enfoque, es mejor enfocar su atención en la raíz de la causa: exceso grasa corporal. Eso significa volver a los fundamentos, reducir la ingesta calórica y/o aumentar el gasto de energía.

NUTRICIÓN EDICIÓN 08 MARZO/ABRIL 2023 16
Dra. Oemil Rodríguez REMPLAZO HORMONAL
Y NUTRICIÓN @draoemil

CORTISOL

El cortisol es mejor conocida como la hormona del estrés porque se libera cuando su cuerpo está bajo estrés. Si sus niveles de cortisol son crónicamente altos, puede ser difícil minimizar los hábitos de comer en exceso. Incluso aquellos que pueden evitar este problema pueden tener problemas para perder peso.

Para reducir los niveles de cortisol, es importante evitar el estrés, comer una dieta equilibrada que no implica cortar calorías de una manera extrema y dormir al menos siete horas por noche.

El cortisol afecta a todas las células del cuerpo. Es una hormona catabólica por naturaleza, rompe proteínas en sus aminoacidos para dar gasolina que alimenta a el cuerpo durante el estrés, la infección, la enfermedad, el trauma, etc.

¿DEMASIADO ESTRÉS CONDUCE A UN AUMENTO DE PESO?

TESTOSTERONA

La testosterona ejerce efectos complejos en el cuerpo que se extienden más allá de la regulación de la fertilidad y la masa ósea. También juega un papel en la distribución de grasas y cuánta masa muscular se puede construir y mantener. Los niveles bajos afectan negativamente de varias maneras, algunos de los cuales influyen en el peso.

FUNCIONES MÁS IMPORTANTES EN AMBOS SEXOS

Mantener la masa muscular, promover el crecimiento de la misma y la fuerza ósea. Sus niveles disminuyen con la edad, principalmente explicando parte de la pérdida muscular y ósea que se le atribuye a la edad, después de los 35 años.

La deficiencia no solo suprime el crecimiento y el mantenimiento muscular, sino que también puede promover el aumento de peso.

Los niveles adecuados de testosterona son un signo de buena salud.

La testosterona ayuda a mantener la masa muscular, aumentar la cantidad de calorías que gastas y puede mantenerte motivado y físicamente activo, todo lo cual está asociado con un aumento de peso y obesidad.

ESTRÓGENO

El estrógeno está directamente involucrado en el metabolismo y el mantenimiento de un peso saludable, mediante la regulacion de glucosa y el metabolismo de los lípidos.

RELACIÓN CON EL PESO CORPORAL:

• Si padeces de Hipertiroidismo como el 1.2% de la población, la glándula es hiperactiva, secretando demasiada hormona que alteran el metabolismo y puede conducir a una pérdida de peso dramática. Eso puede sonar bastante bien, pero la condición pone en riesgo su corazón, huesos y ojos.

• Casi el 5% de la población tienen Hipotiroidismo con una glándula poco activa que produce muy poca hormona, desacelerando la tasa metabólica.

Afortunadamente, hay varias formas en que puede mejorar naturalmente su Salud Hormonal:

•Ejercicios de Fuerza: Muchos estudios muestran que el entrenamiento de fuerza puede aumentar y regular muchas de estas Hormonas.

•Suplementar la Vitamina D: Una deficiencia en la Vitamina D se asocia con desbalance tanto en neurotransmisores como desbalance Hormonal.

Estrictamente hablando… !No!

Si estás varado en una isla, los aumento en el cortisol y la adrenalina, aumentarán el rompimiento de las grasas y a medida que se queman las grasas y se aprovecha de los carbohidratos almacenados en los músculos y el hígado, finalmente conducirá a la pérdida de peso.

Sin embargo, las reglas del juego cambian cuando los alimentos procesados densos en calorías son fácilmente accesibles. Si bien, el apetito disminuye durante los episodios de estrés agudos, el estrés crónico de bajo grado manda una señal de alerta al cerebro a buscar más alimentos densos en energía. De ahí es de donde proviene la conexión de obesidad y el estrés. La combinación de exceso calórico (y niveles de insulina persistentemente elevados) con un estrés crónico de bajo grado parece ser la receta perfecta para el aumento de peso y la obesidad.

Cuando sus niveles de estrógeno disminuyen, la tasa metabólica disminuye y el cuerpo comienza a almacenar grasa. En otras palabras, subes peso.

Una deficiencia de estrógeno también contribuye a la resistencia a la insulina, que convierte el cuerpo en una máquina de almacenamiento de grasas. Además de desencadenar el aumento de peso, Los estrógenos bajos afecta donde la grasa se asienta en su cuerpo. Cuando los niveles de estrógeno disminuyen, comienza a acumular grasa abdominal, incluso si no hay un aumento en el peso en general.

HORMONAS TIROIDEAS

La tiroides, es una glándula que se encuentra en la parte delantera de el cuello, libera hormonas con efectos de gran alcance, desde estimular el crecimiento fetal hasta la regulación de la frecuencia cardíaca y la temperatura corporal hasta dictar la tasa metabólica.

•Suplementación con Zinc: La deficiencia en el zinc puede reducir ciertas funciones metabólicas. Alimentos ricos en Zinc como carne, nueces y semillas, para normalizar sus niveles.

•Sueño de Calidad: El sueño de muy mala calidad se asocia con una caída en los niveles de ciertas Hormonas y un aumento en el Cortisol. De hecho, dormir lo suficiente es uno de los aspectos más importantes de un estilo de vida saludable.

• Relajarse disminuye el estrés: El estrés crónico aumenta los niveles de cortisol, una hormona que puede suprimir los niveles de testosterona. Un ambiente sin estrés y actividades de pasatiempo relajantes son una piedra angular de un estilo de vida saludable.

www.reportemedico.com Una Dosis de Información Saludable 17

RELACIÓN ENTRE LA UROLOGÍA Y LA CIRUGÍA ROBÓTICA

A más de 20 años de la realización del primer procedimiento laparoscópico asistido por Robot, se puede decir con gran satisfacción que hemos evolucionado mucho en el ámbito de la cirugía mínimamente invasiva, no solamente desde el punto de vista tecnológico, también es importante resaltar la ganancia en visión de alta resolución tridimensional, lo cual nos da la sensación de profundidad y permite disecciones finas, control de temblor, magnificación de la imagen, uso de diferentes tipos de color para diagnosticar con precisión tumores y disminuir el riesgo de dejar al paciente con células cancerígenas.

Además, debemos destacar su gran utilidad en zonas de difícil acceso como lo son la pelvis ósea, en donde la cirugía del cáncer de próstata en urología ha sido probablemente la más realizada, siendo de gran aporte al gremio, ya que este tipo de procedimiento nos ha dado la capacidad de entender con mayor precisión la anatomía funcional de esta glándula, y así mejorar las tasas de disfunción eréctil e incontinencia.

EDICIÓN 09 MARZO/ABRIL 2023 18
UROLOGÍA

La urología tal vez tenga algunas de las cirugías que demanda mayor compromiso con los pacientes, tanto a nivel oncológico, porque el objetivo principal es que el paciente quede libre de enfermedad, pero también una visión obligatoria de la funcionalidad, ya que para un hombre la erección es de vital importancia en su desarrollo cotidiano que se refleja en su calidad de vida personal, sin contar con otras enfermedades producto de problemas anatómicos, lo que lleva a los cirujanos a ser muy cuidadosos para tener los mejores resultados posibles.

Hoy en día, en urología estamos más expuestos a la tecnología en pro del bienestar de los pacientes, por ende, se realizan más procedimientos con los sistemas robóticos, siendo el Sistema Da Vinci el más conocido. Ya contamos con 5 generaciones de robot tratando patologías diversas, entre los cuales podemos resaltar:

• La Prostatectomía radical por cáncer de próstata.

• Nefrectomía radical y parcial.

• Pieloplastia por problemas anatómicos de estrechez en la unión del riñón con el uréter.

• Cirugía de receptor en el trasplante renal.

Estas tienen un punto en común, deben ser muy bien elaboradas y son extremadamente demandantes para el médico tratante, porque hay que cuidar no solo la parte anatómica sino la funcional, teniendo en cuenta el bienestar del paciente en el tiempo.

CONCLUSIÓN

Aunque en República Dominicana no se ha masificado todavía la cirugía robótica, contamos con varias alternativas que también benefician a los pacientes y se podría decir que estamos en un plan de expansión para poder ofrecer la tecnología a la mayor cantidad de personas posibles y pronto ser una referencia caribeña en la realización de cirugías complejas con la plataforma Da Vinci.

www.reportemedico.com Una Dosis de Información Saludable 19
@drarturomedero
Dr. Nelson Arturo Medero URÓLOGO

En el mes de la mujer, reconocemos y aplaudimos el invaluable liderazgo de las directoras de instituciones de salud en el país, cuya dedicación y determinación han sido fundamentales en la mejora de la atención médica en sus comunidades.

TOP 5

DIRECTORAS RED PÚBLICA DE SERVICIOS DE SALUD

EDICIÓN 09 MARZO/ABRIL 2023 20
DR. MARIO LAMA Director del Servicio Nacional de Salud

DIRECTORA DEL HOSPITAL PEDIÁTRICO HUGO MENDOZA

DIRECTORA SERVICIO REGIONAL DE SALUD CIBAO CENTRAL

DIRECTORA HOSPITAL MATERNO INFANTIL SANTO SOCORRO

DIRECTORA DE LABORATORIOS E IMÁGENES DEL SNS

DIRECTORA

www.reportemedico.com Una Dosis de Información Saludable 21
DRA. DHAMELISSE THEN VANDERHORST DRA. ANNY MAMBRU DEL CENTRO DE GASTROENTEROLOGÍA DR. LUIS E. AYBAR LIC. YOANI ARIAS DRA. AYADELKY ROBLES DRA. MABEL JONES

DRA. DHAMELISSE THEN VANDERHORST

DIRECTORA DEL HOSPITAL PEDIÁTRICO HUGO MENDOZA

Una joven líder con la mentalidad de una ganadora

Cardióloga pediatra, ecocardiografista, promotora de los derechos de la niñez, embajadora del empoderamiento femenino, del cuidado del medioambiente y con una misión clara en la vida: servir a los demás.

Tras cinco años de trayectoria frente a la dirección general del Hospital Pediátrico Dr. Hugo Mendoza (HPHM), la doctora Dhamelisse Then, es una profesional con alta capacidad de liderazgo, determinación y vocación de servicio. Asegura, que su propósito siempre ha sido dejar una huella misionera en la salud infantil de la República Dominicana.

Tras su búsqueda constante de excelencia en todos sus proyectos, ha comenzado a perfilarse como todo un ejemplo de profesionalidad, empoderamiento y liderazgo

femenino de alto impacto, luego de que el Hospital Pediátrico Dr. Hugo Mendoza trazara una trayectoria de excelencia muy notoria a nivel nacional e internacional.

¿Qué ha significado para usted ser directora del Hospital pediátrico Hugo Mendoza?

En cuanto a mi experiencia personal ha sido un gran honor dirigir el Hugo Mendoza, y me ha dado una lección muy valiosa, que muchas mujeres debemos enfrentar hoy en día, que es encontrar el balance entre la vida personal y familiar con la vida profesional y alcanzar las metas.

¿Cuál es la importancia de la humanización en la salud?

En este sector tan demandante la humanización es fundamental. La salud es un servicio y debemos lograr empatizar con el paciente entendiendo que nos están entregando lo más importante de su vida: “sus hijos”, y es algo que hay que tener presente para brindar una experiencia memorable. La parte científica es fundamental, pero la parte humana, marca una gran diferencia y esa es nuestra filosofía de trabajo.

¿Qué ha sido lo más retador y lo más satisfactorio hasta ahora como directora del HM?

Por su naturaleza la institución trae consigo muchos retos, y durante estos cinco años lo más retador ha sido la disponibilidad de tiempo y el poder planificar mi vida de manera equilibrada. He asumido este rol con mucho compromiso, entrega y con un norte muy claro: la excelencia. Dentro de lo más satisfactorio puedo mencionar que ha sido lograr que el Hugo Mendoza continúe tra-

bajando en base a la mejora continua y la excelencia en sus servicios, y el programa lúdico Hugolandia, que ha sido maravilloso para el hospital y ejemplo a seguir.

¿Cuál considera usted que ha sido el mayor logro del HM?

La hazaña más grande obtenida por el HM es haber ganado dos veces categoría Oro en el premio Iberoamericano a la calidad, convirtiéndola en la primera institución de la República Dominicana en lograrlo. Se colocó además, en la lista de los mejores hospitales de América Latina en el Ranking de prestigiosa revista American Economy Intelligence, al lado de prestigiosos hospitales como el Albert Einstein de Brasil. Además, de ser número uno en el ranking de mejor gestión en desempeño hospitalario del país.

¿Cuáles son los pilares sobre los que se sostiene el HM para que hoy se considere uno de los mejores de la región?

Los principales pilares que sostiene la cultura organizacional son:

1- Nuestros colaboradores son profesionales destacados que trabajan enfocados en brindar un trato cálido y oportuno a los pacientes.

2- Tenemos una cultura organizacional centrada en la humanización.

3- Fomentamos el desarrollo y generamos valor a nuestro personal.

4- Velamos por estrechar lazos con nuestros grupos de interés. Y por supuesto,

5- Nos basamos en el modelo de excelencia en la gestión.

“Desde mi infancia tenía claro que quería ser doctora. Y con el tiempo descubrí que fue la mejor decisión, ya que me apasiona poder ayudar y proteger a los más vulnerables, en especial a los niños y niñas que son víctimas de abuso y maltrato”

EDICIÓN 09 MARZO/ABRIL 2023 22 TOP 5
DIRECTORAS RED PÚBLICA DE SERVICIOS DE SALUD

DRA. AYADELKY ROBLES

Comprometida en lograr el nivel más alto de salud en el Cibao Central

Ayadelky Robles es una mujer, que asume retos con mucho empeño. Antes de asumir la dirección del Servicio Regional de Salud Cibao Central, se desempeñaba como médico general en la Clínica San Antonio de Padua , Bonao, en el Hospital Dr. Pedro Emilio de Marchena, Bonao, luego hizo la especialidad en nutriología clínica, inició en la Clínica de Obesidad y Estética Bonao (CLIBON), en el Instituto de Cirugía Ortopédica y Rehabilitación Avanzada (INCORA) La Vega y en el Centro Médico Padre Fantino, La Vega.

Fue designada por el Servicio Nacional de Salud bajo la dirección del Dr. Mario Lama como directora médica del Hospital Traumatológico y Quirúrgico Profesor Juan Bosch, El Pino La Vega, donde pocos días después pasó a ser la directora regional de salud, Cibao central.

¿Personalmente que ha significado para usted ser directora del Servicio Regional de Salud Cibao Central?

Definitivamente una gran oportunidad y un gran reto. Ser directora regional donde nunca antes estuvo una mujer es un antes y un después para la historia, es una gran responsabilidad que cada día yo asumo con compromiso y más aún rodeada de un gran equipo de trabajo comprometido. La única mujer de los 9 regionales del sur soy yo y eso para mí ha sido un logro porque le abre las puertas a otra mujer y a la juventud para seguir trabajando hacia la excelencia del sector salud.

¿Qué ha sido lo más retador y lo más satisfactorio hasta ahora como Directora del Servicio Regional de Salud Cibao central?

Mi mayor satisfacción ha sido ver como estaban los hospitales a nuestra llegada y Centros de Primer Nivel de Atención o CPN, como la gente lo conoce, y verlos ahora transformados, renovados, equipados, cumpliendo con la totalidad de la cartera de servicios que ofrecen y más especialista en cada área , más enfermeras, bioanalistas, odontólogos entre otros y, sobre todo ver la confianza y alegría de la gente cuando va a un hospital y cree que está en una clínica.

¿Cuál considera usted que ha sido el mayor logro de la Dirección Regional de Salud Cibao Central?

Los mejores logros considero son el remozamiento del Hospital Armida García en La Vega, antiguo IDSS, la apertura de los UCIS de adulto, Pediátrico y Neonatal del Hospital Dr. Pedro Emilio de Marchena, Bonao, el tomógrafo del hospital Luis Morillo King, de La Vega, que nunca en la historia había contado con uno, los más de 1,000 nombramientos en el sector salud que nos permite brindar asistencia en todos los hospitales de nuestra región, la remodelación de muchos CPNS de nuestra regional, nuevas ambulancias en varios de nuestros hospitales.

¿Cuáles son lo pilares sobre los que se sostiene la Dirección Regional de Salud Cibao Central para que hoy en día se considere uno de los mejores para este top 5 ?

Nuestros pilares son: Responsabilidad, humanismo, calidad y calidez en los servicios, sin importar banderas políticas, raza, estatus social, solo la alegría y satisfacción de nuestros pacientes. Cuando trabajamos para brindar salud y olvidamos las preferencias se logran grandes cosas y esos han sido nuestros pilares, la salud primero que todo.

¿Cuál es la importancia de la humanización de la salud?

Cuando un servicio es humanizado, se hace con amor, sin importar raza, color, nivel social, aquí lo único que importa es que es un ser humano y solo por eso la atención debe ser excelente.

“Mi compromiso es transformar nuestros servicios de salud de la red pública al nivel más alto de calidad, dando las mejores atenciones a los usuarios, ver como el personal médico, enfermería y demás personal de cada hospital se comprometen a salvar vidas cada día, a brindar servicio humanizado”.

www.reportemedico.com Una Dosis de Información Saludable 23

DIRECTORAS RED PÚBLICA DE SERVICIOS DE SALUD

DRA. MABEL JONES

DIRECTORA

Es una mujer perseverante, apasionada por su profesión y que no la detienen los desafíos. Egresada de Medicina de la Universidad Central del Este, durante 23 años ha sido colaboradora en el área de Radiología del Hospital General Plaza de la Salud, realizando trabajos de Sonografía y Doppler Vascular del cual tiene una especialidad realizada en el Imaging Professional Institute de Miami Florida.

Ha sido docente de Doppler vascular por más de 15 años, formando a un gran número de médicos que hoy se dedican a la realización de esta valiosa herramienta diagnóstica, también ha incursionado en centros de atención primaria y sonografías que actualmente dirige.

¿Cuál sería su mayor motivación para realizar su gestión en el Hospital Materno Infantil Santo Socorro?

Desarrollarme en el área donde me formé que es la medicina y la administración hospitalaria y aprovechar esa plataforma para contribuir a mejorar mi nación y, que mejor forma de hacerlo a través de la salud de una comunidad, sobre todo, la salud mental de niños y adolescentes, área que me conmueve y me motiva cada día hacerlo mejor. El Santo Socorro es el Centro de referencia Nacional De Salud Mental infanto juvenil, por lo que, si está funcionando a toda capacidad significa que estamos tocando miles de vidas, ayudándoles a insertarse a la sociedad y dándoles a los pacientes y a sus familias la posibilidad de mejorar su calidad de vida.

¿Personalmente que ha significado para usted ser directora del Hospital Materno Infantil Santo Socorro?

Encontramos a nuestra llegada un centro lleno de retos, desde la infraestructura, los servicios, el personal y, poco a poco, con mucha constancia y el apoyo de un equipo que comparte el deseo de hacerlo bien, gestionar el cambio de manera continua, hemos cambiado el rostro de este centro y la gente lo percibe y se nota en el aumento del número de atenciones brindadas y las mejoras de los servicios.

¿Cuál considera usted que ha sido el mayor logro del Hospital Materno Infantil Santo Socorro?

La reestructuración y remodelación del área de salud mental, que hoy es un espacio que brinda atenciones de salud con calidad, calidez y en un ambiente favorable para los pacientes y sus familias con cambios tangibles que se aprecian ahora y una segunda etapa que incluyen una remodelación completa del área de internamiento, de intervención en crisis, lo cual es un gran logro para el centro y para la salud mental del país.

¿Cuáles son los pilares sobre los que se sostiene El Hospital Materno Infantil Santo Socorro para que hoy en día se considere uno de los mejores para este top 5?

Calidad del Servicio, Calidad de la atención al usuario, profesionalismo del personal de salud y la innovación de servicios de cardiología, ecocardiograma de adultos y pediátrico, Doppler vascular, el programa uniendo voluntades de la primera dama, el departamento de Salud mental, entre otros, creo que son las bases que nos han traído hasta aquí.

¿Cuántas personas se han beneficiado del crecimiento del Hospital Materno Infantil Santo Socorro?

Según los datos recopilados hasta la fecha hemos impactado más del 80% de los usuarios en relación a años anteriores y seguimos creciendo, una muestra es la remodelación en curso que nos augura aumento en los servicios y una mayor capacidad para la atención.

“La combinación de la empatía, la solidaridad y la humanización, son prioritarios para que un Centro de Salud , tenga el éxito asegurado”.

EDICIÓN 09 MARZO/ABRIL 2023 24
5
TOP

LIC. YOANY ARIAS

DIRECTORA NACIONAL DE LOS LABORATORIOS CLÍNICOS E

Yoany Arias es bioanalista de profesión, especialista en Administración y gestión de la calidad en los servicios de los laboratorios en salud, gestora en educación cooperativista y egresada del programa de dirección Hospitalaria de Barna Management School.

A lo largo de su trayectoria profesional ha ocupado varios cargos tales como; encargada de los servicios de laboratorios en la parroquia San Rafael Arcángel, encargada de capacitación en el Hospital Dr. Darío Contreras, presidenta de la Cooperativa Nacional de servicios múltiples de los Bioanalista, secretaria del Consejo Nacional de Cooperativas CONACOOP, en la parte Gremial fue secretaria general del Colegio Dominicano de Bioanalista y delegada Gremial del Hospital Darío Contreras.

¿Qué ha significado para usted estar al frente de los Laboratorios Clínicos e Imágenes?

Durante estos casi tres años como directora nacional de los Laboratorios Clínicos e Imágenes, la mayor motivación es poder ofrecer servicios de calidad a los ciudadanos, sobre todo aquellos que no tienen acceso a los servicios privados. Poder implementar pruebas y servicios que solo se encontraban a nivel privado, que cada laboratorio a nivel público del país pueda tener equipos de alta tecnologías como tomógrafos, resonadores, mamógrafos, sonógrafos.

¿Los retos más importantes en su gestión?

Lo más retador inició cuando fue designada como la primera Bioanalista en el gabinete

de salud para dar respuesta a la pandemia del COVID 19 en el año 2020 en materia de laboratorio clínico, una vez ya asumido el cargo, crear una dirección desde cero, elaborando una estructura organizativa, creando guías, formularios para la supervisión de los servicios de laboratorio y sangre e imágenes, así como políticas que permitieran dar cumplimientos a las normativas establecidas por el órgano rector.

Cuéntenos un poco de sus logros a lo largo de este periodo

Lo más satisfactorio ha sido la incrementación de los servicios, que se han mantenido en incremento desde nuestra llegada a esta dirección, dando cumplimiento a la cartera de servicios e implementación de nuevas pruebas, como es el caso de pruebas de HPV, ampliación en el acceso de las pruebas de carga viral y CD4 a pacientes que viven con HIV.

Resumen del aumento en la producción del servicio del recuento de linfocitos TCD4 y Carga Viral de VIH.

cada uno de los laboratorios y servicios de imágenes de la Red Pública.

Hemos tenido un impacto positivo ante los profesionales del área, desde esta dirección se han realizado un total de 500 designaciones entre bioanalistas, técnicos en imágenes, Licenciados en imágenes, así como radiólogos y en relación de producción de servicios impactamos en toda la población ya que hoy en día podemos demostrar un aumento en la producción de servicios.

La producción proyectada de los laboratorios clínicos de la red pública de salud en el año 2022 es de 21,803,1966 en comparación con el año 2019 cuya producción fue de 17,546,682, en desempeño al 2022 se evidencia un aumento de 3,433,821 lo que equivale a un 19% de aumento.

Fuente: Repositorio de Información y Estadísticas de Servicios de Salud (RIEES)

Fuente: Repositorio de Información y Estadísticas de Servicios de Salud (RIEES)

¿Qué pilares afianzan sus éxitos en el manejo de esta Institución?

Los pilares de donde se sostiene esta dirección para ser considerada entre uno de los mejores del top 5 son; cali dad, equidad, eficiencia, eficacia, responsabilidad con lo que este equipo de 22 colaboradores asume cada día las tareas asignadas en el seguimiento a los nueve servicios regionales y a

www.reportemedico.com Una Dosis de Información Saludable 25
IMÁGENES
Añ os Recu en to d e Linf oc itos T CD4 De te rm in ac ió n de Ca rg a Vira l Pr ue ba VIH 2020 8,991 34,765 281,044 2021 41,052 37,930 392,747 2022 78,059 54,968 419,973 Co mp ar at iv o Se rv ic io s Diag nó st ic os Pr ue ba s de Lab or at or io Pr ue ba s de Imá ge ne s Añ os 2019 17,546,682 2,330,883 Añ os 2021 18,378,660 2,508,959 Añ os 202 2 21,803,196 3,044 ,277 In cr em en to e n Porcentaje año 2022 19% 21%
“La importancia de la humanización de los servicios de Laboratorio e imágenes es fundamental para ofrecer servicios con calidad a nuestros usuarios”.

DIRECTORAS RED PÚBLICA DE SERVICIOS DE SALUD

DRA. ANNY MAMBRÚ

DIRECTORA DEL CENTRO DE GASTROENTEROLOGÍA DR. LUIS E. AYBAR

Médico Internista. Gastroenteróloga. Endoscopista, empoderada en el logro de valores al servicio de su comunidad.

Estudió en la Universidad Autónoma de Santo Domingo (UASD). Post-grado en Medicina Interna y Gastroenterología, esta última con Lauro Académico SUMMA CUMLAUDE en el Hospital Francisco Moscoso Puello. Maestría en Máster Gestión Hospitalaria de la Escuela EOI de Madrid- España.

Directora Centro Médico y Gastroenterología de Santo Domingo (CEGESD).

¿Mayor motivación para realizar su gestión en el Centro de Gastroenterología Dr. Luis E. Aybar?

Su mayor motivación en el Centro es estar identificada con llevar los servicios de gastroenterología a la excelencia, brindándolos a nuestros usuarios y además exaltar el compromiso de cada día, de nuestros colaboradores.

¿Personalmente que ha significado para usted, ser directora del Centro de Gastroenterología Dr. Luis E. Aybar?

Para mí, ser directora, ha sido un reto e Innovación en mi vida profesional, personal y espiritual.

¿Qué ha sido lo más retador y de mayor satisfacción hasta ahora, como directora del Centro de Gastroenterología Dr. Luis E. Aybar?

Lo más retador ha sido enfrentarme a lo desconocido, a los cambios que ha tenido este nuevo modelo de gestión, que ha servido para impulsar la buena Ética, la buena Práctica y el buen Servicio.

¿Cuál considera usted que ha sido el mayor logro del Centro de Gastroenterologia Dr. Luis E. Aybar?

Su mayor logro, sentirme identificada con tratar de dar desde el hospital y dirección, un servicio eficiente, oportuno y eficaz, además haber contribuido en los cambios estructurales de la Institución. Por ejemplo, hemos realizado un remozamiento de diferentes áreas del hospital entre las cuales podemos mencionar: reparación total de techo, el cual se encontraba en muy malas condiciones, afectando áreas como habitaciones, salas de consulta, área de cocina, etc. Igualmente se realizó una ampliación al servicio de despensa y cocina, arreglo del área de atención al usuario y el área de trabajo social, área de enfermedades inflamatorias. Dotación de aire acondicionado, computadoras entre otros equipos y enseres para el bienestar del personal médico, enfermeras, obreros y usuarios. Todo esto gracias al SNS dirigido por el

Dr. Mario Lama, quien siempre ha sabido dar respuesta a las necesidades de los centros de salud.

¿Cuáles son los pilares sobre los que se sostiene el Centro de Gastroenterologia Dr. Luis E. Aybar, para que hoy en día se considere uno de los mejores para este Top 5?

¡Los Pilares!... Estar enfocados y trabajando diariamente por el compromiso con la Fiabilidad, Profesionalidad, Accesibilidad y Amabilidad; como atributos de Calidad, comprometidos en los servicios brindados a nuestros usuarios.

¿Cuántas personas se han beneficiado del crecimiento del Centro de Gastroenterologia Dr. Luis E. Aybar?

Por poner un ejemplo, durante el año 2022. Consulta Externa: usuarios Asistidos 40,941 Área de Laboratorio: usuarios atendidos 687,231

Área de Imágenes: 52, 963 usuarios.

¿Cuál es la importancia de la Humanización de la Salud?

Para mi humanizar la salud, es darse, entregarse, amar, buscar lo mejor de servir con Empatía y Responsabilidad, que el usuario sienta que va a recibir una atención óptima donde su salud es lo primordial en este centro médico.

“ La mujer de hoy en día es empoderada , hemos entendido que tenemos un compromiso con la salud dominicana y que la medicina científica debe ser continua ”.

EDICIÓN 09 MARZO/ABRIL 2023 26 TOP 5

DOLOR TESTICULAR CAUSAS

El dolor testicular es una afección muy frecuente en los hombres, algunas afecciones pueden desencadenar un dolor de leve a muy intenso, dependiendo de la causa que la produce.

El escroto agudo, es un síntoma que se caracteriza fundamentalmente por dolor escrotal de aparición brusca y que puede ir acompañado de otros síntomas y signos dependiendo de su etiología, como: tumefacción escrotal, náuseas, vómitos, síndrome miccional, etc. que nos van a orientar hacia su diagnóstico.

Constituye un motivo frecuente de consulta urgente, siendo la orquiepididimitis la causa más común en la población

adulta y la torsión testicular en la pediátrica. Este último cuadro, representa, además, una verdadera urgencia.

En cuanto a la etiología, las causas fundamentales del síndrome del escroto agudo son: la torsión testicular, la orquiepididimitis aguda y la torsión de los apéndices testiculares, que constituyen el 95% de los casos. Además, existen muchas otras causas que pueden ser divididas en testiculares y extratesticulares.

EDICIÓN 09 MARZO/ABRIL 2023 28 UROLOGÍA

CAUSAS TESTICULARES

-Torsión del cordón

-Torsión de los anexos testiculares

-Infecciones orquitis, epididimitis

-Hidrocele- espermatocele

-Varicocele

-Quiste de epidídimo

-Traumatismos

-Tumores testiculares

-Infarto testicular idiopático

CAUSAS EXTRATESTICULARES

-Hernia inguinoescrotal

-Edema escrotal idiopático

-Picadura de insecto

-Gangrena de Fournier

TORSIÓN TESTICULAR

Es considerada una urgencia quirúrgica, pues si no se establece el tratamiento en un lapso de 4-6 horas, puede ocurrir el infarto testicular. Aunque los términos de Torsión testicular y Torsión del cordón espermático se utilizan de forma indistinta.

Desde el punto de vista fisiopatológico, la torsión da lugar a una detención en el retorno venoso.

Puede aparecer a cualquier edad, es más frecuente durante la adolescencia entre 12-18 años. La incidencia se calcula en 1 de cada 4000 hombres menores de 25 años.

SÍNTOMAS

El dolor constituye el principal síntoma de presentación, típicamente de aparición brusca, intenso, y normalmente localizado en el escroto, aunque puede estar referido a la región inguinal o hemiabdomen inferior, simulando cuadros de apendicitis aguda, cólico reno uretral o gastroenteritis.

En el neonato se suele presentar únicamente como una masa escrotal firme, dura, con transiluminación negativa e indolora.

El dolor puede ir acompañado de náuseas, o vómitos. Generalmente no existe fiebre y la aparición de la misma traduce necrosis testicular, por lo que se observa solo en casos evolucionados.

En ocasiones la torsión se resuelve espontáneamente, lo que explica la alta frecuencia en la que los pacientes refieren episodios previos.

DOPPLER ESCROTAL

Es una prueba de fácil realización en cualquier momento. En caso de Torsión existe una acusada disminución del sonido sobre la arteria testicular y próximo a la obstrucción, esta intensificado.

TRATAMIENTO

Una vez establecido el diagnóstico debe intentarse la detorsión manual, ya que es procedimiento más rápido para reestablecer el flujo testicular.

La orquidopexia debe realizarse para evitar la torsión y puede ser bilateral, ya que la anomalía anatómica que predispone a la torsión es bilateral en más de 50% de los casos. El 5-30%de los testículos que no son fijados, sufren un nuevo episodio de torsión.

www.reportemedico.com Una Dosis de Información Saludable 29
@tomasonalis
Dr. Tomas Onalis Cuevas CIRUJANO URÓLOGO

ESPECIAL DERMATOLOGÍA

AVANCES Y DESAFÍOS EN DERMATOLOGÍA EN LA REPÚBLICA DOMINICANA

Perspectivas de las Especialistas en el cuidado de la piel

DRA. EMMA GUZMÁN

CONSEJO MEDICO EDITORIAL REPORTE MÉDICO

CIRUJANA DERMATÓLOGA - DIRECTORA DEL INSTITUTO DERMATOLÓGICO Y CIRUGÍA DE PIEL DR. HUBERTO BOGAERT DIAZ

Hoy en día los avances de la Dermatología no solo son clínicos sino también, Dermatología Quirúrgica y Cosmética. Lo que ha permitido hacer diagnósticos a tiempo y corregir trastornos y enfermedades de la piel, membranas mucosas, cabello, uñas; para beneficio de los pacientes.

Como integrante del Consejo Médico Editorial de Reporte Médico, es para mí un motivo de gran satisfacción tener en esta entrega especial un grupo de Doctoras especialistas en Dermatología, quienes expondrán en sus artículos algunas patologías con sus diagnósticos, tratamientos y Prevención, ayudando a tener una piel saludable, lo que es reflejo de equilibrio físico y mental.

@draemmaguzdecruz

EDICIÓN 09 MARZO/ABRIL 2023 30

Dra. Edelmira Bonilla de Duluc

DERMATÓLOGA, CIRUJANA DERMATÓLOGA

CEO – CLIDERM, Clínica Dermatológica. Docente del Instituto Dermatológico y Cirugía de Piel Dr. Huberto Bogaert Diaz. Ex-presidente de la Sociedad Dominicana de Dermatología.

@clidermrd

Dra. Luisa González de Bogaert

DERMATÓLOGA, CIRUJANA DERMATÓLOGA

Director Médico Clínica de piel Dr. Huberto Bogaert desde 2002. Cirujana Dermatóloga.

dra.luisagonzalez

Dra. Mariel Isa

DERMATÓLOGA

Presidente Sociedad Dominicana de Dermatología. Director Médico de Isa Grupo Dermatológico. Co-coordinadora de la Residencia de Dermatología del IDCP-DHBD.

@isagrupodermatologico

Dra. Rossy Nuñez

DERMATÓLOGA, CIRUJANA DERMATÓLOGA

Subespecialista en Tricologia y Trasplante de pelo.

Coordinadora del Capítulo de Tricologia de la Sociedad Dominicana de Dermatología.

@dra.rossynunez @unitrap.rd

Dra. Rocío Peralta Sánchez

DERMATOLOGÍA CLÍNICA Y COSMÉTICA

Dra. Ilse Arias

DERMATÓLOGA CLÍNICA Y ESTÉTICA TRICÓLOGA

@drarocioperaltaude

drailsearias_derma

www.reportemedico.com Una Dosis de Información Saludable 31

ESPECIAL DERMATOLOGÍA

AVANCES Y DESAFÍOS EN DERMATOLOGÍA EN LA REPÚBLICA DOMINICANA

CIRUJANA DERMATÓLOGA - DIRECTORA DEL INSTITUTO DERMATOLÓGICO Y CIRUGÍA DE PIEL DR. HUBERTO BOGAERT DIAZ CONSEJO MÉDICO EDITORIAL REPORTE MÉDICO

CUIDADO DE LA PIEL EN LA MUJER

¿QUÉ SE PUEDE HACER?

Desde los primeros tiempos de la humanidad se buscan métodos para mejorar la apariencia física, mantener la juventud es un tema que está presente en cada individuo, podemos señalar que no existe la verdadera belleza como definición porque todo depende de la raza y la cultura, existiendo siempre la armonía entre la mente y lo físico.

La Dermatología y la cosmética han evolucionado de manera extraordinaria en los últimos tiempos con el objetivo de que cada día los tratamientos para mejorar la apariencia física sean más efectivos y menos invasivos con mejores resultados estéticos.

EDICIÓN 09 MARZO/ABRIL 2023 32
Dra. Emma Guzmán

TRATAMIENTOS COSMÉTICOS

El rejuvenecimiento facial anteriormente se consideraba una opción exclusivamente quirúrgica, en la actualidad este concepto ha variado, cada día se aplican múltiples tratamientos de los cuales podemos resaltar:

La Exfoliación Química: desde años remotos ha sido un pilar en el rejuvenecimiento facial y poder adquirir un aspecto juvenil eliminando la piel superficial envejecida, estos exfoliantes se distinguen por sus ingredientes activos (ácido kojico, ácido glicólico, ácido salicílico, alfa hidroxiácido, entre otros) y por la profundidad de la lesión dérmica que producen sin producir necrosis del tejido.

Estos procedimientos requieren varias aplicaciones y debemos señalar que proporcionan cambios sutiles en el estrato corneo y en la epidermis dañada por lo que muestran una piel fresca y brillante.

PRINCIPIOS BÁSICOS PARA LOGRAR

UNA PIEL SALUDABLE

Tenemos que destacar, que la protección solar se logra con productos que permiten bloquear la radiación ultravioleta (UV) del sol, ayudando a proteger a las personas de las quemaduras solares y a reducir el riesgo de cáncer de piel.

Láser para Rejuvenecimiento Facial: este ha sustituido la dermoabrasión y la exfoliación química. Estos pueden ser (1) Ablativos, utilizados para fotodaño, arrugas finas y cicatrices leve y (2) los láseres No Ablativos que son utilizados principalmente para el rejuvenecimiento facial superficial sin la agresión de la piel evitando la etapa de cicatrización.

La selección adecuada del paciente es el punto fundamental al aplicar esta tecnología, considerando foto tipo de piel y de esta manera poder obtener los mejores resultados.

Las Sustancias de Rellenos: muy utilizadas en la actualidad, podemos resaltar que la ideal es aquella que no es tóxica, no carcinogénica, no alergénica y sin efectos adversos, mostrando un aspecto natural, las más utilizadas son:

Ácido Hialurónico como agente activo, este es un componente importante de la piel humana y su mecanismo de acción es fijar y retener agua por lo que crea volumen en su lugar de aplicación.

Ácido Poliláctico, un polímero biodegradable reabsorbible diseñado para ser utilizado en la hipodermis para reparar atrofias de la piel, su técnica de aplicación es a través de cánulas para de esta forma, no causar efectos indeseables, muy utilizado para estimular el colágeno que a partir de los 25 años va disminuyendo su producción

La Hidroxiapatita de Calcio, es un producto utilizado para relleno de partes blandas con muy buenos resultados en surcos profundos, se aplica con cánulas para mayor seguridad y se reserva para pieles maduras.

Es un tratamiento estético de última generación, un implante inyectable blando, seguro, sencillo e inmediatamente eficaz, natural al tacto y permanece en su lugar durante muchos meses o años.

Estas técnicas de aplicación de rellenos deben ser cuidadosamente planeadas para cada paciente, marcar y diseñar las áreas para infiltrar con cánulas romas, de esta forma evitar hematomas y complicaciones.

Debemos conocer las funciones del protector solar que contiene protección química y reduce la cantidad de rayos que penetran en la piel, es decir, absorbe la radiación ultravioleta.

Sin embargo, el bloqueador solar, un producto físico, que impide por completo que la radiación penetre a la piel, ya que reflejan completamente los rayos, tanto UVA (Ultravioleta tipo A) como UVB (Ultravioleta tipo B).

Por lo que es más recomendado ambos tipos de filtros solares y deben de ser reaplicados cada 3 horas, para obtener una real protección de la piel.

CONCLUSIÓN

Tenemos que puntualizar que la prioridad del Dermatólogo es ayudar y orientar al paciente y plantearle los procedimientos que pudieran ser efectivos para sus necesidades y tipo de piel, para mantener una piel saludable manteniendo siempre la armonía en sus facciones respetando sus proporciones anatómicas para poder lucir de manera natural.

Referencia bibliográfica:

Patel NG, Patel NJ. Epidemiological study of skin (dermatological) diseases and its treatment. 2018;3(4):40–2.

Taylor SC. Epidemiology of skin diseases in people of color. Highlight Skin Color. 2022;71:271–5.

Sanchez MR. Cutaneous diseases in Latinos. Dermatol Clin. 2019;21(4):689–97.

Talakoub L, Wesley NO. Differences in perceptions of beauty and cosmetic procedures performed in ethnic patients Med Surg. 2019;28:115–29.

www.reportemedico.com Una Dosis de Información Saludable 33
PERSPECTIVAS DE LAS ESPECIALISTAS EN EL CUIDADO DE LA PIEL

ESPECIAL DERMATOLOGÍA

AVANCES Y DESAFÍOS EN DERMATOLOGÍA EN LA REPÚBLICA DOMINICANA

LA TOXINA BOTULÍNICA SIGUE SIENDO LA PRIMERA OPCIÓN EN COSMÉTICA

En la Dermatología cosmética existe un grupo de procedimientos seleccionados que cada día más ofrecen a nuestros pacientes la alternativa de refrescar su rostro de una manera segura, prudente y en corto periodo de respuesta. Es sin lugar a dudas la aplicación de toxina botulínica tipo “A” el número uno en el mundo a la hora de seleccionar trabajar el tercio superior de la cara principalmente. Puede ayudar en otras zonas, pero su gran respuesta la ofrece a nivel de la frente, región glabelar y área lateral de los ojos.

EDICIÓN 09 MARZO/ABRIL 2023 34
Dra. Edelmira Bonilla de Duluc CEO – CLIDERM, Clínica Dermatológica. Docente del Instituto Dermatológico y Cirugía de Piel Dr. Huberto Bogaert Diaz. Ex-presidente de la Sociedad Dominicana de Dermatología.

BENEFICIO COSMÉTICO DE LA TOXINA BOTULÍNICA TIPO A

Desde finales de la década de los 80, cuando se inicia el uso cosmético de la toxina botulínica tipo A, este se ha logrado mantener posicionado como el procedimiento de elección para refrescar el rostro, sobre todo cuando buscamos trabajar las líneas de expresión o arrugas dinámicas del tercio superior de la cara -frente, región glabelar o entrecejos y patas de gallo o laterales de los ojos-. Otras áreas que también pueden beneficiarse, pero ya de una forma más selectiva son las líneas radiales peribucales, bandas verticales del cuello, depresiones en las comisuras labiales, reborde mandibular en la cara cuadrada y ala nasal.

Considerado por sociedades especializadas internacionales como el procedimiento cosmético más popular del mundo, esto viene dado principalmente por la seguridad que ofrece en manos profesionales debidamente formadas y por lo predecible de sus resultados.

Hoy día podemos asegurar su efecto preventivo en todo paciente que lo aplique adecuadamente. Dándole continuidad a sus tratamientos se retardarán las líneas de expresión o arrugas de las áreas susceptibles a ser tratadas, pero si bien es cierto que esto es una realidad demostrada no es menos cierto que iniciar a temprana edad no es lo adecuado, primero porque regularmente no se necesita y segundo y más importante pudieran desarrollar inmunidad al producto, encontrándose posteriormente con la realidad de que cuando verdaderamente lo necesiten no disfrutarán de sus beneficios.

Otra utilidad de la toxina botulínica tipo A aprobada, es su aplicación en la hiperhidrosis o aumento de la sudoración, sobre todo axilar y palmas de manos. El uso de la toxina botulínica en el síndrome migrañoso, vale la pena mencionarlo, sobre todo por el cambio de vida que han podido disfrutar los pacientes con esta afección. Un avance significativo acaba de darse recientemente con la aprobación por la FDA americana de una nueva toxina botulínica tipo A, la cual le ofrecerá al paciente un efecto de inicio más rápido y con mayor tiempo de duración.

CONCLUSIÓN

Una vez seleccionado un producto de marca confiable, aplicado por el médico especialista del área, la toxina botulínica es y seguirá siendo el mejor aliado para ofrecer en el tratamiento cosmético de la cara del adulto. Es un procedimiento tolerable de riesgos prevenibles con una técnica adecuada y resultados predecibles sin alterar la cotidianidad del paciente.

Referencia bibliográfica:

Carruthers J., and Carruthers A. Practical cosmetics BOTOX techniques. J. Cutan. Med Surg, 1999 Dec; 3 Suppl 4;S49-S52.

Tamura B.M. Odo M.Y., Chang B., et al. Treatment of nasal wrinkles with botulinum toxin. Dermatol Surg. 2005;31(3):271-275.

Benedetto, Anthony V\. Botulinum toxin in clinical medicine. Clin. Dermatol. 2003;21(6):465-468.

Blugerman G, and Schavelzon D. Multiple Eccrine Hidrocystomas: a new therapeutic option with Botulinum Toxin, Dermatol. Surg. 2003; 29(5):557-558.

www.reportemedico.com Una Dosis de Información Saludable 35
PERSPECTIVAS DE LAS ESPECIALISTAS EN EL CUIDADO DE LA PIEL

ESPECIAL DERMATOLOGÍA

AVANCES Y DESAFÍOS EN DERMATOLOGÍA EN LA REPÚBLICA DOMINICANA

CÁNCER DE PIEL. SÍNTOMAS CLÍNICOS

¿QUÉ SE PUEDE HACER?

El Cáncer de piel es el crecimiento anormal de células en las diferentes capas de la piel. Se desarrolla con mayor frecuencia en la piel expuesta al sol. Es importante revisar la piel ante cualquier cambio, en lesiones previas, o aparición súbita de una lesión. La detección temprana brinda la mayor posibilidad de que el tratamiento sea exitoso.

EDICIÓN 09 MARZO/ABRIL 2023 36
Dra. Luisa González de Bogaert DERMATÓLOGA, CIRUJANA DERMATÓLOGA Director Médico Clínica de piel Dr. Huberto Bogaert desde 2002.

El Cáncer de Piel, se presenta con mayor frecuencia en las zonas de la piel expuestas al Sol. Estas son: Cuero Cabelludo, Cara, (área centro facial), los Pabellones Auriculares, Extremidades Superiores (brazos y manos).

EXISTEN TRES TIPOS MÁS FRECUENTES DE CÁNCER DE PIEL:

Cáncer de Células Basales

Cáncer de Células Escamosas

Melanoma Maligno

CARCINOMA DE CÉLULAS BASALES SÍNTOMAS

1-Una lesión redondeada, perlada, como pápula.

2-Lesión Plana, parecida a una cicatriz, cerosa

3-Úlcera Sangrante, que se cura y remite

CARCINOMAS DE CÉLULAS ESCAMOSAS. CARCINOMAS EPIDERMOIDES

Se presenta en áreas expuestas al sol, en personas de piel clara (fototipo 1-2-3) que han estado mucho tiempo de sus vidas, con una exposición solar continua, debido a su profesión, usualmente (agricultores, ganaderos, deportistas)

Se presenta como:

1-Una lesión plana, eritematoescamosa, sangrante y friable

2-Un nódulo firme y rojo

MELANOMA MALIGNO

Puede aparecer en cualquier parte del cuerpo, en piel normal o sobre un nevo (Lunar preexistente).

Se puede desarrollar en la piel no expuesta al sol, como palmas de manos y plantas de pies, mucosas orales y anales.

SIGNOS :

1-Un lunar que cambia de color, Tamaño, o textura, o sangrante

2-Una pigmentación súbita, color marrón

3-Lesión pequeña con bordes irregulares, con discromías (diferentes tonos y colores)

4-Lesión que arde o duele

5-Lesiones oscuras en palmas de manos, plantas de los pies, en mucosas de vagina, boca, ano, nariz

PERSPECTIVAS DE LAS ESPECIALISTAS EN EL CUIDADO DE LA PIEL

FACTORES DE RIESGO

-Piel Clara.

-Exposición excesiva al sol.

-Historia de insolaciones o quemaduras solares.

-Úlceras crónicas.

-Historia de quemaduras, o cicatrices por quemaduras.

-Múltiples Lunares.

-Lesiones cutáneas Pre cancerosas (Queratosis Actínicas).

-Antecedentes familiares de Cáncer de Piel.

-Antecedentes personales de Cáncer de Piel.

-Sistema inmune comprometido.

-Exposición a Radiación o ciertas sustancias químicas (arsénico).

PREVENCIÓN

-Usar protector solar

-Evitar exposición solar en horas del mediodía

-Evitar las camas de bronceados

-Cuidados con medicamentos fotosensibilizantes

-Revisión periódica de la piel por su Médico Dermatólogo.

Referencia bibliográfica: Mayo Clinic Family Health Book 5 edition

www.reportemedico.com Una Dosis de Información Saludable 37

ESPECIAL DERMATOLOGÍA

AVANCES Y DESAFÍOS EN DERMATOLOGÍA EN LA REPÚBLICA DOMINICANA

DERMATÓLOGA

Presidente Sociedad Dominicana de Dermatología. Director Médico de Isa Grupo Dermatológico. Coordinadora de la Residencia de Dermatología del IDCP-DHBD.

PROCESOS DERMATOLÓGICOS MÁS FRECUENTES EN LA PIEL DE LA MUJER

Lo primero que debemos recordar es que la piel es el órgano más grande del cuerpo humano, nuestro órgano externo y carta de presentación. A través de la piel podemos identificar numerosas patologías que puedan afectar nuestro cuerpo externa e internamente y la relación con otros órganos y sistemas. En el caso de las mujeres, la apariencia y mantenimiento de la piel resultan realmente importantes; existe una mayor tendencia a cuidarla, evaluarla y atender cualquier situación que se presente en ella a tiempo.

EDICIÓN 09 MARZO/ABRIL 2023 38
Dra. Mariel Isa

PERSPECTIVAS DE LAS ESPECIALISTAS EN EL CUIDADO DE LA PIEL

PATOLOGÍAS DERMATOLÓGICAS

COMUNES EN LA MUJER

1-DERMATITIS DE CONTACTO ALÉRGICA

Hay numerosas patologías dermatológicas que afectan nuestra piel y dentro de las más comunes para la mujer, mencionamos la dermatitis de contacto alérgica que de acuerdo con la literatura se presenta en 1 de cada 5 mujeres en su mayor parte por sustancias aplicadas o en contacto con la piel del rostro.

Síntomas

Generalmente cuando se presenta podemos observar zonas de eritema, inflamación, cambios en la textura, áreas de descamación importante y dependiendo de lo agudo e importante hasta zonas de exudados.

Causas

Dentro de los factores comunes de las dermatitis de contacto alérgicas están las causadas por el contacto con el níquel, el uso de aretes, anillos, collares, botones del pantalón y otros materiales. En cualquier caso, eliminar el contacto con la sustancia o agente es el primer paso para la mejoría.

2-PSORIASIS

Proceso que en la actualidad se considera más que un proceso aislado, un síndrome, esto debido a la gran cantidad de asociaciones con procesos internos.

Síntomas. tratamiento

La psoriasis se presenta clásicamente como placas o parches eritematosos con escamo costras blanquecinas en la superficie, localizadas principalmente en codos y rodillas y salientes óseos, así como cuero cabelludo, en algunos casos diseminación del cuadro clínico e incluso eritrodermia (enrojecimiento generalizado). Es importante realizar el correcto diagnóstico y establecer manejo multidisciplinario con participación de cardiología, endocrinología, nutrición, reumatología y gastroenterología.

3-ACNÉ. SÍNTOMAS

En el acné solemos encontrar la lesión elemental llamada comedón, requisito indispensable para su diagnóstico, en algunos casos comedones abiertos y en otros cerrados, al igual que pápulas eritematosas y pústulas; en casos más severos nódulos y quistes. Dependiendo de la presentación clínica el acné puede presentarse con lesiones residuales como la Hiperpigmentación post Inflamatoria, el Eritema post Inflamatorio y las lesiones tipo cicatriz.

Causas

Las causas del acné son multifactoriales, desde procesos de oclusión por piel muerta, producción de queratina que tapa el folículo y la producción de sebo, compromiso bacteriano por el Cutinebacterium acnes y sobrepoblación de agentes micóticos como la Malassezia spp., procesos genéticos, hormonales e individuales de cada paciente, entre otros.

4-ROSÁCEA. SÍNTOMAS

En el caso de la rosácea se caracteriza por un proceso de piel roja de la cara, con la aparición en algunos casos de pápulas eritematosas, telangiectasias e incluso lesiones más severas, todo depen-

diendo de su forma de presentación y se presenta principalmente en mujeres de mediana edad.

5-EL HIRSUTISMO

Caracterizado por crecimiento indeseado de pelo en áreas como la cara a nivel de barba, espalda y pecho y otras zonas, es una patología que se presenta en mujeres y en ocasiones se considera debido a algún trastorno hormonal.

6-EL MELASMA

Son manchas marrones de carácter multifactorial y que afectan a una importante cantidad de mujeres de nuestro país, cuyo tratamiento es complejo y no siempre satisfactorio.

7-LAS ALOPECIAS O PÉRDIDAS DE PELO

Destacándose las alopecias de carácter androgénico, alopecia areata o pérdida circunscrita de pelo y en estos tiempos la llamada alopecia frontal fibrosante.

Otras patologías, importante mencionar, la dermatitis seborreica, el lupus eritematoso sistémico, cáncer de piel, léntigos solares o lesiones de fotodaño, patologías producidas por hongos como las onicomicosis, entre otras.

CONCLUSIÓN

Muchos de estos trastornos que afectan la piel de la mujer a pesar de que afectan cualquier área corporal se concentran en la cara, lo que resulta realmente incómodo, recurriendo muchas veces a los maquillajes intensos para cubrir el defecto. Una correcta evaluación que permita un diagnóstico y abordaje adecuado, promete conseguir mejores resultados y lograr relacionar cualquier proceso externo a patologías internas, así como los cuidados básicos de una buena humectación y protección solar adecuada.

Referencia bibliográfica:

Fitzpatrick´s. 2005. Color Atlas and Synopsis of Clinical Dermatology. McGrawHill.

Enfermedades de la Piel. Disponible en: https://medlineplus.gov/spanish/ skinconditions.html

Descripción de las lesiones cutáneas. Disponible en: https://www.msdmanuals.com/es-do/professional/trastornos-dermatológicos/abordaje-del-paciente-dermatológico/descripción de las lesiones

www.reportemedico.com Una Dosis de Información Saludable 39

ESPECIAL DERMATOLOGÍA

AVANCES Y DESAFÍOS EN DERMATOLOGÍA EN LA REPÚBLICA DOMINICANA

Dra. Rossy Nuñez

Completó sus estudios universitarios en la Pontificia Universidad Católica Madre y Maestra, campus Santiago, obteniendo el título de Doctora en Medicina Cum Laude en el año 2008. Realiza su especialidad en Dermatología en el Instituto Dermatológico Dominicano y Cirugía de Piel Dr. Huberto Bogaert Diaz. Posteriormente, realiza la sub especialización en Cirugía Dermatológica en dicha institución. Realizó su trabajo de investigación en el IDCP sobre la Eficacia Terapéutica del PRP en Alopecía Androgenética en pacientes masculinos de dicha Institución.

Movida por el deseo de aprender técnicas actuales en transplante de pelo, se traslada a Puerto Rico, al Cosmetic and Hair Surgery Center con el Doctor Edgar Reyes. En el 2018, realiza el Máster Internacional en Tricología y Trasplante Capilar impartido en la Universidad de Alcalá de Henares, Madrid, España. Actualmente es miembro activo de la Sociedad Dominicana de Dermatología. Coordinadora del capítulo de tricología de la Sociedad Dominicana de Dermatología.

ALOPECIA EN LA MUJER: ABORDAJE INTEGRAL

La caída del cabello se ha convertido en motivo de consulta frecuente en el dermatólogo/tricólogo. Este problema es cada vez más común en el sexo femenino, experimentando un impacto psicológico importante, puesto que, el cabello se ha considerado un atributo muy apreciado en todas las culturas y para lo cual se han venido buscando múltiples formas de cuidado y conservación. Sea cual sea el tratamiento, para su mejor eficacia, es muy importante identificar la causa específica de la pérdida de cabello.

EDICIÓN 09 MARZO/ABRIL 2023 40

FACTORES QUE INCIDEN EN LA CAÍDA DEL CABELLO

Además de la genética, existen otros factores que provocan la caída del mismo, como son anemias, enfermedades de la glándula tiroides, enfermedades autoinmunes, desequilibrios hormonales, dietas y malnutrición, uso de algunos medicamentos, el estrés, entre otros. En estos casos, es necesaria una evaluación sistémica integrada del estado de salud en que se encuentra la paciente para poder llegar al diagnóstico y tratamiento apropiados según el tipo de alopecia.

IMPACTO PSICOLÓGICO DE LA ALOPECIA

Independientemente de su aspecto o estructura, ya sea corto o largo, rizado, liso, rubio, moreno o pelirrojo, el cabello de una mujer desempeña un papel esencial en su imagen siendo considerado uno de sus atributos físicos más importantes.

Sin duda alguna, ver en el espejo un indicio de calvicie incipiente o salida abundante de pelo, ya sea en el cepillo, en la almohada o en el suelo, es una dura prueba de la vida diaria que impacta de manera psicológica y, por ende, genera sentimientos de angustia, desconcierto, impotencia, falta de autoestima, inseguridad y retraimiento.

El término alopecia se utiliza para describir la caída relativamente abundante y precoz del pelo, de cualquier tipo y origen. Deriva del griego “alópex”, que significa zorra, y tiene que ver con la característica de este animal, que muda su pelo dos veces al año.

FASES DE CRECIMIENTO DEL CABELLO

Cabe resaltar que el pelo tiene fases de crecimiento y que nace en su papila y se va extendiendo a través del folículo piloso y emerge finalmente a través del cuero cabelludo, destinado a crecer en longitud. Si el cuero cabelludo y las células que la generan están sanas, pues el pelo tendrá el grosor conveniente, buena textura, saludable y crecerá entre 2 y 6 años.

Cada folículo piloso es independiente y experimenta su propio ciclo de crecimiento. Dado que en una cabeza humana suele haber entre 100.000 y 150.000 cabellos, se calcula que cada día pueden desprenderse entre 50 y 100 de ellos. Por lo que existe una caída diaria prácticamente normal. Cuando este ciclo se invierte o se altera, pues entonces vamos a ver una caída mayor, entre 300 a 400 cabellos diarios, y esto causa mucha ansiedad en quien la padece. Este tipo de caída se denomina Efluvio telogénico

En la mujer, las causas de caída del cabello pueden ser muy variadas. Según las estadísticas, más de dos tercios de las mujeres se enfrentan a problemas de alopecias en algún momento de su vida, en ocasiones ligados a causas genéticas y a veces de carácter estacional. Se asocia con frecuencia a factores medioambientales como son el estrés o la ansiedad, a la falta de hierro por no ingerirlo en dosis suficientes o perderlo en caso, por ejemplo, de menstruaciones abundantes; uso frecuente de extensiones. Se observan, también, factores sistémicos como alteraciones de tipo endocrinológico por enfermedades tiroideas, a desequilibrios hormonales que se producen tras la menopausia, con un descenso de los estrógenos y un aumento de la presencia de andrógenos, que son las hormonas masculinas. De hecho, la pérdida de densidad del cabello con el posterior aclaramiento del cuero cabelludo, es un hecho muy frecuente entre las mujeres mayores de 60 años, o incluso antes, en la fase de premenopausia, en ocasiones acompañado de un aumento de la vellosidad facial y en otras zonas del cuerpo, lo que se conoce como hiperandrogenismo.

Asimismo, tratamientos como la quimioterapia, provocan una caída del cabello en fase anágena; trastornos inmunológicos, regímenes dietéticos mal realizados donde se dejan de recibir oligoelementos indispensables para un buen funcionamiento del microambiente folicular, sobre todo aquellas dietas con menos de 1.500 calorías; el consumo de determinados medicamentos, o inclusive abandonar el tratamiento anticonceptivo con hormonas femeninas, ya que estos estrógenos potencian la fase anágena, que es la de crecimiento del cabello. El posparto, también puede provocar, en un gran porcentaje, una caída de pelo posterior ya que los niveles hormonales se reequilibran, de manera que todo el cabello que había quedado latente en la fase anágena pasa bruscamente a la fase telógena.

La genética, también se suma a los factores de pérdida de densidad o aclaramiento siguiendo un patrón de caída característico que provoca una miniaturización de ese pelo debido a un efecto hormonal, siendo más propensa a este tipo de caída aquellas mujeres con antecedentes familiares, sean estos masculinos o femeninos.

La Tricología: Es la rama de la Dermatología que estudia el pelo, cuero cabelludo y sus patologías, ha experimentado importantes avances en las últimas décadas y son muchos los recursos disponibles para tratar la alopecia, desde medicamentos tópicos y orales innovadores y con evidencia científica, así como también, procedimientos capilares para la estimulación del crecimiento del pelo.

En aquellos casos más avanzados, es posible recurrir al trasplante capilar, siempre y cuando sea el tipo de alopecia indicada para ello.

CONCLUSIÓN

Fase Anágena: Cuando estos folículos pilosos crecen.

Fase Telógena: Cuando se encuentran en reposo, con una duración aproximada de tres meses.

En medio de estas dos fases existe una fase de transición que es la Fase Catágena, que dura 3 semanas.

En vista de que existen más de 100 tipos de alopecias, mi recomendación siempre será buscar la ayuda de un tricólogo certificado para que pueda establecer primero la causa con la mayor precisión posible, realizando una evaluación adecuada para hacer el diagnóstico correcto y, por ende, instaurar el tratamiento más apropiado y eficaz.

www.reportemedico.com Una Dosis de Información Saludable 41
PERSPECTIVAS DE LAS ESPECIALISTAS EN EL CUIDADO DE LA PIEL

ESPECIAL DERMATOLOGÍA

AVANCES Y DESAFÍOS EN DERMATOLOGÍA EN LA REPÚBLICA DOMINICANA

DERMATOLOGÍA CLÍNICA Y COSMÉTICA

MELASMA

Las molestosas manchas oscuras en la piel, sobre todo en la cara (frente, región malar y supralabial) son una de las afecciones más comunes que vemos en la consulta dermatológica, una vez se presentan tienden a ser de evolución crónica, conllevan una importante repercusión psíquica e indudable trascendencia social y profesional para las personas que la padecen.

Podemos aclarar una mancha, mientras más temprano se haga mejor, pero no podemos ni usted tampoco, conseguir que no vuelva a aparecer o que se extienda más allá de su lugar de inicio, ya que el origen de las mismas tiende a ser múltiple y se combinan varias razones a la vez, lo importante es, que la mismas son el resultado de una respuesta inmunológica e inflamatoria en las diferentes capas de la piel, pudiendo estar superficial( melasma epidérmico) o profundo (melasma dérmico) o una combinación de ambas, como lo es en la mayoría de los casos.

EDICIÓN 09 MARZO/ABRIL 2023 42
Dra Rocío Peralta Sánchez

ESTA RESPUESTA DE LA PIEL OCURRE YA SEA POR:

Dejarse llevar por las combinaciones de tratamientos que el dermatólogo/a le prescriba de acuerdo a sus necesidades del momento y que se van rotando a medida que se va evolucionando, siempre recordando que quisiéramos que existieran tratamientos milagrosos, pero se necesita el uso continuo de un tratamiento por un mínimo de 16 semanas, tiempo que se toma una piel normal en recambiar para que se puedan apreciar cambios considerables.

Modificar hábitos de su rutina diaria resulta tan importante como el tratamiento dado.

Agregar nutracéuticos antioxidantes, algunos medicamentos de última generación que también contribuyen a controlar la parte vascular o eritematosa, a reparar el daño de las fibras de colágeno y elastina.

1. Daño solar acumulado que se ha recibido generalmente durante los primeros 18 a 25 años de vida, por una exposición solar inadecuada.

2. A cambios hormonales que se pueden presentar: durante la toma de anticonceptivos, el embarazo, la menopausia o la andropausia.

3. Toma de algunas medicinas que reaccionan en nuestra piel manchándola al entrar en contacto con el sol, desde algunos antinflamatorios no esteroides hasta algunas familias de ansiolíticos o antidepresivos.

4. El inadecuado uso de cosméticos o productos naturales para la piel que tengan perfumes o fragancias, dentro de su composición, cabe destacar este punto por la creciente oferta y demanda de medicamentos para eliminar manchas supuestamente naturales, que lejos de conseguir resultados naturales lo que tienden es a empeorar las mismas.

5. Enfermedades dermatológicas per se, que pueden llegar a confundirse con el Melasma cuando son tratados desde el punto de vista estético, de ahí la importancia de una consulta dermatológica, ya que es el médico con subespecialidad de la piel y sus anexos el que tiene conocimiento integral de estas enfermedades, necesitando una formación académica de 4 años, para ser Dermatólogo o Dermatóloga, y posteriormente 1 o 2 años haciendo una subespecialidad y toda la vida de estudios para mantenerse actualizado no solamente en los tratamientos a ofrecer, sino también en los orígenes de las diferentes condiciones o enfermedades de la piel.

RECOMENDACIONES:

Cada Piel es distinta y reaccionará de manera diferente de ahí que los tratamientos deben ser individualizados y deberían enfocarse en buscar el, o los agentes detonantes en ese individuo, todo manejo de la piel debe ofrecer una adecuada protección ante el sol, tanto untado, tomada, como físicamente, las 24 horas del día y los 365 días del año.

Dieta abundantes en antioxidantes.

La asociación en consultorio o cabinas con procedimientos dermoestéticos que permitan alcanzar los melanófagos (los malos de la película) cargados de melanina, los vasos sanguíneos, a través de peelings de grado médico de última generación, mesoterapia, percusión transcutánea con agujas.

La utilización de tecnologías láseres en algunas ocasiones puede ser algo positivo, aunque No siempre puede dar los resultados esperados.

La mejor opción que puedes darte a ti misma/o, es practicar el menos es más cuando de manchas se tratan.

Acudir a un dermatólogo certificado, que maneje melasma y trastornos de hiperpigmentación.

www.reportemedico.com Una Dosis de Información Saludable 43
PERSPECTIVAS DE LAS ESPECIALISTAS EN EL CUIDADO DE LA PIEL

ESPECIAL DERMATOLOGÍA

AVANCES

DERMATÓLOGA CLÍNICA Y ESTÉTICA TRICÓLOGA

BIOESTIMULACIÓN, EL NUEVO CONCEPTO QUE

REVOLUCIONA LOS TRATAMIENTOS NO INVASIVOS

Un término que está muy de moda.

¿Pero qué es realmente una BIOESTIMULACIÓN?

EDICIÓN 09 MARZO/ABRIL 2023 44
Dra. Ilse Arias Y DESAFÍOS EN DERMATOLOGÍA EN LA REPÚBLICA DOMINICANA

El envejecimieto inicia desde que nacemos, y este va a depender de factores intrínsecos (que no podemos cambiar, es nuestro proceso evolutivo natural) y factores extrínsecos, que si dependen de nosotros, ejemplo: el estilo y la calidad de vida son sumamente importantes, dormir adecuadamente, alimentarse lo más saludable posible, ejercitarnos, etc… todo eso influye en cómo se verá nuestra piel no solo por fuera sino también por dentro.

Dentro de las sustancias que utilizamos está la hidroxiapatita de calcio (RADIESSE), procedimientos tales como el bionutrilift (revitalización facial), polinucleótidos, ácido polilactic… Entre otras.

A partir de los 25 años, nuestro cuerpo deja de producir las proteínas esenciales para mantener nuestra piel y esto se debe a la degeneración biológica natural, por ende, en medicina general y más en dermatología estética, nos estamos enfocando en PREVENCIÓN más que corrección, para de esta forma poder obtener mejores resultados y más duraderos en el tiempo.

La Bioestimulación es un proceso que consiste en la regeneración o la reparación de los tejidos mediante la activacion de las células que producen las proteínas específicas que mantienen una piel joven, bella, pero sobre todo saludable, como son: el colágeno, la elastina y el ácido hialurónico.

Este proceso se lleva a cabo mediante una serie de sustancias que penetramos en la piel para provocar nueva formación de colágeno (neocolagénesis) molécula encargada de crear y mantener las estructuras de los tejidos, por lo que es parte fundamental para mantener la firmeza y flexibilidad de la piel y existen tecnologías que promueven esta nueva formación de colágeno al tiempo que tensan los tejidos profundos y están aprobadas por la FDA y EMA.

¿QUIÉNES APLICAN?

¡TODOS!!... los que quieran trabajar en pro del envejecimiento, la edad depende de cada paciente y su genética, ya que tratamos las necesidades de cada paciente de forma individual.

www.reportemedico.com Una Dosis de Información Saludable 45
PERSPECTIVAS DE LAS ESPECIALISTAS EN EL CUIDADO DE LA PIEL

Entrevista a Ing. Raúl Díaz Vázquez

Gerente General y Fundador de:

CTO

DOMINICANA

15 AÑOS COLABORANDO CON LA FORMACIÓN MÉDICA DOMINICANA

CTO es una institución académica de formación de postgrado y educación española fundada en 1983, con una amplia oferta en Cursos, Diplomados y Maestrías en el área de Salud dirigido a Médicos y Enfermeras. Con sede central en Madrid y desde el año 2008 con operaciones en nuestro país.

Sus ofertas académicas son amplias, desde programas de posgrado y Masters en diversas Ramas de la Medicina para: Cardiología y Medicina Interna, Manejo de arritmias, insuficiencia, síndrome metabólico, Nutrición; en el área de Gastroenterología, Ecografía y Endoscopia digestiva, Hepatología. También ofrece medicina estética, investigación clínica, Gerencia Hospitalaria y MBA en Industria Farmacéutica y Biotecnología para Médicos.

Además de la preparación para los exámenes de residencias Médicas internacionales, como el MIR en España, El USMLE en Estados Unidos o El ENURM en República Dominicana.

¿Cómo es el proceso para que un Médico General pueda concursar para una Residencia Médica?

CTO lleva 15 años en República Dominicana, donde hemos capacitado más de10.000 Médicos Dominicanos con nuestros cursos de acceso a especialidad Médica. A través de los concursos que establece el Ministerio de Salud Pública y la Oficina de Residencias Médicas, cada año se realiza un concurso y un examen único de residencias Médicas, (el ENURM) que se celebra en la Universidad Autónoma de Santo domingo, en el caso de España el Examen (MIR) o en Estados Unidos el (USMLE STEP 1 y STEP 2 CK).

Al superar dichas pruebas selectivas, los Médicos Generales aspirantes a residencias Médicas podrán ganar una plaza de medicina especializada e incorporarse al Hospital en diferentes áreas o ramas de la medicina, como podría ser: Medicina Interna, Medicina De Familia, Cirugía General, Pediatría etc... dentro del interés de cada aspirante.

Los principales requisitos para poder concursar en el ENURM son: ser Médico Graduado por una Universidad Dominicana reconocida ante el MESCYT, haber culminado la pasantía de ley y no ser mayor de 45 años. En el caso del MIR o del USMLE los médicos aspirantes tendrán que realizar un proceso de legalización y homologación de documentos universitarios y obtener un visado que les permita concursar y posteriormente ejercer como residentes en España o Estados Unidos.

El pasado 5 de Marzo se celebró en República Dominicana el EXAMEN NACIONAL ÚNICO DE RESIDENCIAS MÉDICAS (ENURM), ¿qué novedades nos puedes contar al respecto y que resultados han obtenido los alumnos CTO?

Efectivamente este pasado Domingo 5 de Marzo, 5031 Médicos Dominicanos tomaron el Examen ENURM, destacando que más del 70% de los aspirantes fueron mujeres. Para este Examen CTO ha preparado más de 1200 alumnos. El examen constó de 5 versiones con 100 preguntas c/u, y selección múltiple de respuesta con 4 opciones. El aspirante debe obtener una nota igual o superior a 65 puntos para aprobar el examen y tener derecho a poder concursar por las 950 plazas de residencias médicas que ofrece el Ministerio de Salud Pública y La Oficina de Residencias Médicas de la República dominicana. Las notas son publicadas a través de la oficina de Residencias Médicas de la Facultad de Medicina de la Universidad Autónoma de Santo Domingo.

Una vez los aspirantes conocen sus notas, se abre una fase de revisión e impugnación del examen, donde algunas preguntas pueden ser sometidas a anulación o cambio en sus respuesta o bibliografía. Culminada esta etapa se realiza el llamado a concurso durante el mes de Mayo y Junio, donde los aspirantes conforman una sábana de adjudicación de plaza, previa entrevistas en los hospitales donde desean aplicar para una plaza. Serán tomadas en cuenta la nota del examen, el índice académico y lauros, haber culminado la pasantía y haber superado satisfactoriamente la entrevista en el hospital donde aplicó.

EDICIÓN 09 MARZO/ABRIL 2023 46

¿Veo que esta firma igual está en España y otros países, la validación de los médicos extranjeros que utilizan sus servicios son validados también en España?

El origen de CTO es español. En España existe la posibilidad de que un médico extranjero / dominicano pueda concursar por una de las 8550 plazas de especialidad médica a través del examen MIR (Médico Interno Residente). Para ello tenemos programas de capacitación para que los aspirantes dominicanos tengan un alto desempeño en este examen y puedan aspirar a una plaza de formación especializada en los hospitales españoles. El 100% de los médicos dominicanos que han conseguido plaza especializada MIR en España en los últimos 10 años han sido alumnos de CTO. El examen MIR se celebró el pasado 21 de ENERO, para el cual se presentaron 11.000 Médicos de diversas nacionalidades principalmente españoles. De los cuales 25 Médicos Dominicanos alumnos CTO tendrán posibilidad de adjudicar una plaza durante el Mes de Abril donde se produce la selección de hospital, incorporándose al hospital durante el mes de mayo de 2023.

El requisito para poder concursar al MIR es que estén graduados como médicos, hayan homologado su título legalizado por el MESCYT ante el Ministerio de Educación Español, este proceso está durando máximo 6 meses gracias al Real Decreto 889/2022 para convalidación de títulos extranjeros. Además, deberán obtener un visado para viajar a España a tomar el examen. Para todos estos trámites administrativos nuestra institución CTO también asesora a los alumnos.

¿Cuál es el mejor momento para que un médico se prepare con ustedes para los exámenes de residencias médicas y cuánto dura el proceso?

Un Estudiante de Medicina que esté cursando el Internado, Un médico graduado o Médico Pasante puede iniciar nuestros programas de formación para el examen de acceso a especialidad en España, tienen una duración mínima de 16 meses y máxima de 24 meses. Mientras que para el USMLE en Estados Unidos o el ENURM en Dominicana la formación es de 12 meses máximo y mínima de 6 meses.

En el caso de nuestra oferta de Maestrías están principalmente dirigidas a Médicos Graduados Generales, Residentes y Especialistas, Investigadores y Docentes Universitarios.

¿En dónde es que ustedes ofrecen sus estudios, en centros particulares?

Nuestros programas se dividen en Virtuales y Presenciales. Actualmente contamos con alianzas con Universidades Dominicanas como la UNPHU, UTESA, UCNE, UCE y PUCMM, que nos ceden por convenio sus espacios físicos, aulas o auditorios para la impartición de nuestras clases presenciales, en el caso de los cursos preparatorios para el ENURM. En el caso de los cursos MIR para España el alumno tiene la posibilidad de elegir 14 ciudades de España para desde allí continuar su formación presencial o directamente virtual desde R. Dominicana. En el caso de la formación del USMLE para el STEP 1 y STEP 2 CK las clases son virtuales interactivas.

www.reportemedico.com Una Dosis de Información Saludable 47
CTO CUENTA CON 14 DELEGACIONES INTERNACIONALES EN PAÍSES COMO MÉXICO, PANAMÁ, COLOMBIA, ECUADOR, PERÚ, CHILE Y REPÚBLICA DOMINICANA, ENTRE OTRAS.

¿A qué tipo de profesionales están dirigidos sus servicios, son asequibles a cualquier profesional o son muy costosos para una clase pudiente?

Tenemos entendido que ustedes tienen su propia editorial MEDICA, ¿Qué tipo de literaturas ofrecen a sus lectores? ¿Y qué publicaciones novedosas traen para el 2023?

CTO Editorial es una empresa del GRUPO CTO que produce más de 200 publicaciones anuales con difusión en 20 países, publicamos en lengua española, italiana e inglés.

Entre nuestras obras editoriales destacan los tratados de Medicina en colaboración con la sociedad española de Cardiología y Medicina Interna, así como tratados en el área de Pediatría, Gastroenterología, y sobre todo nuestra obra Magna, el Manual CTO de Medicina y Cirugía para la preparación del MIR, el ENURM, USMLE y otros exámenes de Residencias Médicas. Concretamente en República dominicana este año 2023 relanzamos nuestra 7ma edición del Manual CTO para República Dominicana con todas las actualizaciones que ha implicado el examen ENURM del pasado domingo 5 de Marzo. Cuenta con 28 asignaturas, más de 40 autores dominicanos. Es el Temario con el que afrontar el próximo examen ENURM del 2024 y ya está a la venta en nuestras sucursales.

En CTO estamos absolutamente comprometidos con ofrecer programas de estudios universales, actualizados que cubran las necesidades y competencias que requiere el médico del siglo 21, pero fundamentalmente accesibles para todos y todas con el mayor rigor científico y máximos estándares de excelencia académica. De hecho, hemos firmado un importante acuerdo con el MINISTERIO DE EDUCACION SUPERIOR MESCYT por el que hemos sido seleccionados como empresa académica oferente con 200 becas internacionales para nuestros programas cursos y masters, donde el MESCYT cubrirá el 100% del costo del programa para los alumnos beneficiarios de la Beca tu Futuro. Así como también el MINISTERIO DE DEFENSA junto con el HOSPITAL CENTRAL DE LAS FFAA subvenciona la formación de los cursos CTO para el ENURM dirigido a médicos militares y asimilados. En este sentido podemos decir que la mayoría de profesionales de la medicina y la enfermería de este país pueden acceder a nuestra oferta académica.

¿Por qué un médico de término debería utilizar sus servicios, ¿Cuáles son las ventajas que ustedes ofrecen?

Los concursos de residencias médicas cada vez son más competitivos, este año en República Dominicana concursaron 5031 aspirantes para 950 plazas de residencias Médicas. Solo las mejores calificaciones podrán optar por una de estas plazas, entre Medicina Interna, Pediatría, Ginecología, Cirugía General, etc. etc.

Nuestros alumnos desde hace 15 años ocupan las mejores posiciones en este examen teniendo un índice de aprobados de más del 86% entre nuestros alumnos. Un récord histórico en el sector que permitió en el concurso de residencias médicas del 2022 que de las 950 plazas ofertadas por el Ministerio de salud pública para residencias Médicas, 700 alumnos CTO ganaran y ocuparan una plaza de Residente en los diferentes Hospitales del país. En el caso de España y EEUU tenemos 100% de ocupación de plazas de residencias médicas por ALUMNOS CTO Dominicanos.

Una vez el médico que utiliza sus servicios con ustedes, ¿les aseguran áreas laborales, o ahí termina todo?

Después de finalizar el proceso de formación académica con CTO el médico aspirante a residencias médicas ENURM que se examinó el pasado 5 de marzo, en función

de la nota que obtenga, podrá concursar por las 950 plazas ofertadas por el ministerio de Salud Pública de la R. Dominicana.

En estos momentos CTO ha organizado sus JORNADAS POST-ENURM 2023 para brindar orientaciones gratuitas a todos los aspirantes en general sobre la revisión del examen ENURM 2023, como será el proceso de impugnación de preguntas que puedan ser sometidas a revisión, también orientar a los aspirantes sobre la documentación para concursar en las entrevistas y consejos de nuestros expertos para que sean los más exitosas posibles.

¿Cuáles son las plazas de especialidad más demandadas en el concurso de residencias médicas?

Podemos encontrar un bloque de especialidades que aglutinan un importante número de plazas. Como son Medicina interna con 169 plazas y 3 años de duración, Pediatría con 93 plazas y 3 años de duración y Ginecología con 105 plazas 4 años de duración, Luego tenemos otro bloque de especialidades muy codiciadas por los aspirantes, donde solamente los aspirantes con mejores notas en el ENURM pueden entrar a competir; Cirugía General 48 plazas, Urología 8 plazas, Otorrinolaringología 7 plazas, Neurocirugía 3 plazas. Dos de las plazas menos demandadas a las que se puede concursar con una nota de examen promedio son Medicina de Familia y Emergenciología.

EDICIÓN 09 MARZO/ABRIL 2023 48

¿PORQUÉ CUIDAR DE NUESTRAS UÑAS, POR ESTÉTICA O POR SALUD O AMBAS?

Las uñas tienen un gran protagonismo en la apariencia personal y general de una persona. Cada día estamos más atentos a ocuparnos de su cuidado, de vernos bien, de lucir bien, pero lo importante no es solo vernos bien, si no estar bien, sanos en una de las partes más importante de nuestra visual externa. Lo que mostramos al mundo y de cómo; unas uñas cuidadas traducen lo que somos, pensamos y como nos sentimos.

PODOLOGÍA
EDICIÓN 08 MARZO/ABRIL 2023 50

Las uñas son un reflejo de nuestra salud en general, así que, hay que prestarles atención. Los cambios en su crecimiento, coloración, fragilidad, dureza, presencia de ciertas ondulaciones, rayas o líneas blanquecinas o negruzcas; pueden significar que tienen algún tipo de trastorno subyacente. Se refleja el estrés, la nutrición inadecuada y problemas sistémicos que nos orientan a que debemos priorizar la visita a nuestro médico en la consulta de patología ungueal. También son expresión, de cuanto abusamos de su nobleza, las onicofagias, manicure o pedicure agresivos aplicando productos químicos abrazores de mala calidad que producen irritaciones con daños de moderado a severo y en muchos casos irreversibles de la placa ungueal. Los traumatismos en gran proporción, son responsables de las onicopatías que pudieran producir anoniquias y onicomicosis.

Las dolencias de las uñas son más frecuentes de lo que pensamos y es poco lo que hacemos por ellas, pero sin duda alguna su bienestar aumenta nuestra calidad de vida.

LAS UÑAS PUEDEN SER AFECTADAS POR VARIAS ENFERMEDADES Y TRASTORNOS, ALGUNOS DE LOS CUALES INCLUYEN:

Onicomicosis: es una infección producida por hongos en la uña, que puede causar engrosamiento, cambios de coloración, desprendimiento del lecho ungueal y deformidad de la uña. En ocasiones puede producir dolor.

Psoriasis ungueal: es una afección auto inmunitaria que puede causar decoloración, engrosamiento y deformidad de la uña. Diagnóstico diferencial con la onicomicosis.

Liquen plano ungueal: afección inflamatoria que puede causar engrosamiento y ondulación de la uña, así como cambios en su color.

Onicogrifosis: es un engrosamiento y deformidad de la uña que a menudo se debe a una lesión previa.

Paroniquia: es una infección bacteriana o fúngica que causa hinchazón, enrojecimiento y dolor alrededor de la uña.

Onicodistrofia traumática: es un trastorno que se produce como resultado de lesiones repetidas en las uñas, como el uso constante de zapatos ajustados o la práctica de ciertos deportes.

Hematomas subungueales: son lesiones que ocurren post trauma de la uña, lo que puede provocar la aparición de un hematoma debajo de la uña.

Melanoniquia: La melanoniquia es una afección médica que se caracteriza por la decoloración o oscurecimiento de las uñas. Esto puede ser causado por varios factores, como traumas, medicamentos, infecciones o enfermedades médicas subyacentes. La melanoniquia puede ser una afección benigna, pero también puede ser un signo de una enfermedad médica subyacente más grave, como el melanoma, un tipo de cáncer de piel.

Si nota algún cambio en el color, la textura o la forma de las uñas, consulte a un médico especialista en la uñas para determinar el diagnóstico y el tratamiento adecuado; ya que podrían ser un signo de una infección o una condición médica subyacente.

El cuidado de las uñas es importante no solo para mantenerlas estéticamente atractivas, sino también para mantener la salud de las uñas y prevenir problemas que pudieran ser en ocasiones graves e irreversibles.

RECOMENDACIONES PARA MANTENER UÑAS SANAS, TANTO DEL PIE, COMO DE MANOS.

La recomendación habitual de las uñas tanto de las manos como para los pies es:

Limpieza: Mantener las uñas limpias es esencial para prevenir infecciones. Lave sus manos regularmente y asegúrese de secar bien las uñas después de cada lavado.

Hidratación: Aplique una crema hidratante para manos y uñas regularmente para mantener las uñas y la piel circundante suaves e hidratados.

Protección: Use guantes cuando trabaje con productos químicos o haga trabajos de jardinería para proteger sus uñas. Evite morderse las uñas: Morderse las uñas puede dañar las uñas y aumentar el riesgo de infecciones.

Consulte a su médico en PieSalud, nos ocupamos del cuidado de las uñas tenemos un equipo de profesionales a la disposición, con nuestro servicio de Pedicure y Manicure Clínico, muy profesional, con el conocimiento anatómico y de las afecciones más comunes de las uñas, no aplicamos esmaltes ni usamos productos que pudieran lesionar el lecho ungueal.

Recuerde, el cuidado regular de las uñas puede mantenerlas fuertes, saludables y atractivas.

www.reportemedico.com Una Dosis de Información Saludable 51
Dra. Doris Ramírez R. CEO PIE SALUD / MÉDICO PODÓLOGO
@piesaludrd

¿QUÉ ES LA ENFERMEDAD KIENBÖCK?

Consiste en la osteonecrosis idiopática semilunar, que algunos investigadores han atribuido a las variaciones anatómicas óseas y vasculares por disminución de la irrigación de sangre al semilunar (aguda o por traumatismos a repetición). La osteonecrosis semilunar puede conducir a la fragmentación, colapso y artritis radio carpiana / medio carpiana. (Payatakes, Alexander; Sotereanos, Dean G. 2009).

ROBERT KIENBÓCK (1871-1953)

Fue un radiólogo quien describió el “origen traumático” del semilunar.

Después de revisar la literatura radiológica publicada entre 1895 y 1910, y de la revisión de sus series de pacientes con anomalías del semilunar y el anterior trabajo anatómico sobre lo que había pensado de las anomalías congénitas del semilunar, describió una condición caracterizada por dolor, rigidez y, a menudo, inflamación de la muñeca asociada radiológicamente con la esclerosis del semilunar. Su primera serie incluyó 20 casos de la literatura y 16 de los suyos. Revisó las radiografías de estos casos y observó la localización del hueso esclerótico y fragmentado en la porción proximal radial del semilunar. Creía que esta enfermedad era a consecuencia de los cambios vasculares postraumáticos debido a una lesión ligamentosa a partir del trauma repetitivo, con el colapso resultante y reblandecimiento del semilunar.

Esto es contrario a la causalidad de una fractura del semilunar como un resultado de un incidente traumático solo, es decir, una condición secundaria a un único importante evento traumático.

Observó una similitud entre sus pacientes con necrosis avascular del escafoides carpiano (descrito un año antes por preiser) y la necrosis avascular de la cabeza femoral (enfermedad de Legg-perthes). (Cooney. 2015, p.472)

En la necrosis avascular del hueso semilunar incierta, se ha discutido la interacción de múltiples factores predisponentes, es así que para Schmitt y Lanz (2008):

La lesión traumática vascular es considerada como el principal factor etiológico de la osteonecrosis del semilunar. Afecta principalmente la mano dominante de hombres que realizan trabajos manuales, se piensa que los traumatismos repetitivos son los responsables de la oclusión vascular. El patrón vascular del semilunar es considerado un factor predisponente.

Es por ello, que las variaciones esqueléticas que pueden conducir a la lesión del semilunar o algún otro factor puede desencadenar la osteonecrosis. Todavía no está claro si las líneas de fractura del semilunar ocasionalmente visto a principios de la enfermedad de Kienböck representan un evento primario, o si estas fracturas se producen más tarde en el proceso, después de la resorción del hueso necrótico causan debilidad estructural.

TRAUMATOLOGÍA EDICIÓN 08 MARZO/ABRIL 2023 52

En efecto, es una enfermedad poco frecuente pero potencialmente debilitante.

La causa exacta y el tratamiento óptimo continúan eludiendo los investigadores. Sin embargo, cada vez más atención a la evaluación de los resultados ha llevado a una mayor facilidad de la toma de decisiones cuando se enfrentan a este difícil problema.

VASCULARIZACIÓN DEL SEMILUNAR

La vascularización del semilunar ha sido ampliamente estudiada por Lee y por Gelberman y colegas. Tanto el suministro de sangre interna como la externa han sido establecidos. Sus estudios demostraron que el suministro de sangre del semilunar es variable y esta variabilidad contribuye a la enfermedad de Kienböck. Gelberman et ál. Identificaron tres tipos de anastomosis intraósea: Y, I, y X que representan, respectivamente, el 59%, 31%, y 10% de las muestras. Ellos también observaron que el 8% de sus muestras tenían solo los vasos palmares que entran al semilunar. (Cooney. 2015, p.465-467).

. Según Gelberman:

“El semilunar recibe su suministro sanguíneo de las fuentes palmar y dorsal o del aspecto palmar únicamente. En el 80% de los especímenes, el semilunar recibe nutricios de los aspectos palmar y dorsal. En el 20% de los especímenes, recibe vasos nutricios solo de la superficie palmar. En ambos lados de estas superficies dorsal y palmar relativamente pequeñas, el semilunar está cubierto por cartílago articular y ningún otro vaso entra al hueso. Los vasos que entran a la superficie dorsal son de las ramas del arco intercarpiano dorsal y, ocasionalmente, de rama más pequeñas de la rama dorsal de la arteria interósea anterior”. (Doyle y Botte. 2006, p.512).

53
Dra. Karina Núñez ESPECIALISTA EN TRAUMATOLOGÍA Y ORTOPEDIA CIRUJANA DE LA MANO @dra.karinanunez @dra.karinanunez

Sobre el aspecto palmar, los vasos nutricios del semilunar son suplidos por el arco intercarpiano palmar, ramas comunicantes de la arteria interósea anterior y arteria recurrente cubital. Los vasos que entran al semilunar dorsalmente son ligeramente más pequeños que los que entran palmarmente. Los vasos mayores se ramifican proximal y distalmente después de entrar al hueso y finalizan en el hueso subcondral. Los vasos dorsales y palmares se anastomosan intraóseamente distal a la porción media del semilunar. El polo proximal posee una vascularización relativamente menor.

Necrosis Avascular del Hueso Semilunar

Fuente: Gerwin M. (1993). Hand clinics-The Journal of hand Surgery.

FISIOPATOLOGÍA DE LA ENFERMEDAD DE KIENBÖCK

Existen dos grandes teorías:

a) Teoría Traumática

b) Teoría no Traumática.

TEORÍA TRAUMÁTICA: Distinguimos dos grupos según su origen: De origen vascular o de origen óseo.

1)De origen vascular: Existe una lesión primaria de la vascularización que provoca una isquemia ósea y una necrosis del semilunar. Esto puede ocurrir tras una lesión de la vascularización por afectación de las estructuras cápulo-ligamentosas de la muñeca, o tras un problema neurovascular que comprometa el flujo del semilunar tras la afectación de capilares, arteriolas y sinusoides.

2) De origen óseo: Dentro de éstas tenemos: por fractura del semilunar (por compresión o por fracturas trabeculares según morfología del semilunar), por desnivel entre cubito y radio, por ángulo de inclinación radial, por ángulo de inclinación de la fosa lunar y por variaciones del índice de traslación medial del semilunar.

TEORÍA NO TRAUMÁTICA: Engloba las siguientes causas:

1.- Factores constitucionales: La pubertad tardía, el color claro del iris, el pelo rubio son factores que hacen que exista un semilunar menos resistente.

2.-Obliteración vascular: La circulación puede quedar ocluida por émbolos sépticos, asépticos, micro embolismos grasos, gaseosos o trombos.

3.-Enfermedad del Tejido Conectivo: Lupus Eritematoso Diseminado, Esclerodermia, enfermedades en las que se dice que esta necrosis puede producirse por dos motivos: por vasculitis o después del tratamiento con esteroides.

4.-Otras causas: La Sicklemia o anemia de células falciformes, enfermedad de Caisson (buceadores), microembolismos grasos asociados al alcoholismo y a la hiperlipidemia, enfermedad de Gaucher, la osteoporosis que se produce en mujeres mayores posmenopáusicas. (Amigo, 2008).

CAUSAS

La enfermedad de Kienböck se produce por la destrucción del tejido óseo (osteonecrosis) del hueso semilunar del carpo o muñeca. La alteración del hueso se produce como consecuencia de inflamación, lesión o más frecuentemente, fractura del mismo, que da lugar a una osteocondrosis (reblandecimiento del hueso).

Suele presentarse entre los 20 y los 40 años de edad, aunque puede originarse por un único episodio de trauma repetitivo. Es el doble de frecuente en varones que en mujeres.

Clasificación de Decoulx

En 1957, Decoulx y sus colaboradores modificaron la clasificación de Stáhl en que la presencia de una fractura no era obligatoria para su inclusión en los estadios tempranos. Estadio I: el aumento de la densidad del semilunar con la preservación de su forma.

Estadio II: cambios quísticos de semilunar. Estadio III: la fragmentación y el colapso. Estadio IV: artritis de las articulaciones radiocarpiana o mediocarpiana (o ambas).

Clasificación de Lictman

En 1977, Lictman y sus colaboradores modificaron las dos clasificaciones anteriores para incorporar aquellas situaciones de las cuales las radiografías simples eran normales.

Estadio I: radiografías normales, gammagrafías ósea normal o con punto caliente y la MRI con edema en el semilunar.

Estadio II: esclerosis del semilunar sin colapso.

Estadio III: fragmentación y el colapso del semilunar.

IIIA: sin colapso carpiano.

IIIB: con colapso carpiano (pérdida de la altura carpiana y la posición rotatoria del escafoides).

La necrosis del semilunar puede derivar de un traumatismo en la muñeca, como una fractura compuesta, provocando la interrupción del suministro de sangre al hueso. Asimismo, hay documentación que muestra que algunas personas tienen una única arteria que suministra al semilunar, que fácilmente podría lesionarse, incluso por un esguince leve, provocando que el paciente desarrolle el Kienböck. Hay una predisposición a que se origine en el lado derecho y en los trabajadores manuales.

SÍNTOMAS

La forma de presentación más frecuente son las siguientes:

-Dolor de muñeca, asociado con inflamación de la sinovial.

-Disminución de la fuerza de agarre

-Aumento del grosor de la muñeca por acumulación de líquido en la zona (edema).

-Limitación funcional.

A largo plazo la enfermedad suele desembocar en una artrosis de muñeca.

CLASIFICACIÓN

Estadio IV: cambios artríticos de las articulaciones radiocarpiana o mediocarpiana (o ambas).

TRATAMIENTO

El valor de la estratificación de la enfermedad de Kienböck se encuentra en la orientación de la selección del tratamiento, en la predicción de los resultados del tratamiento, y en la comparación de los resultados de diferentes regímenes de tratamiento. Hay una amplia gama de tratamientos propuestos para la enfermedad de Kienböck, pero ciertas técnicas han documentado patrones de éxito.

Bibliografía

(Doyle y Botte. 2006, p.490). Cooney. 2015, p.466. Netter. 2007, Kapandji. 2009, p151

Gerwin M. (1993). Hand clinics-The Journal of hand Surgery.

Green, Perderson, Hotchkiss y Wolfe (2007), p.756.

EDICIÓN 09 MARZO/ABRIL 2023 54
@dra.karinanunez
@dra.karinanunez @dra.karinanunez
MARZO/ABRIL 2023

PORTADA

Dra. THAULYS THAMAR LUNA

CIRUJANA PLÁSTICO, ESTÉTICO Y RECONSTRUCTIVO

“La cirugía plástica es una expresión artística sobre el cuerpo humano. Así como es el cincel y la piedra al escultor, lo es el bisturí y el cuerpo para un cirujano plástico, la cual se expresa al máximo en el quirófano”.

En esta nueva edición Reporte Médico presenta en portada a la doctora Thaulys Thamar Luna , quien cursó estudios de Medicina General en la Universidad Católica Tecnológica del Cibao ( UCATECI), posteriormente realiza la especialidad de Cirugía General en el Hospital Presidente Estrella Ureña , Avalada por la Pontificia Universidad Católica Madre y Maestra ( PUCMM) 2011 -2014 , luego viaja a México , donde cursa la residencia de Cirugía Plástica , Estética y Reconstructiva en el Hospital General Dr. Rubén Leñero, Avalada por la Universidad Nacional Autónoma de México ( UNAM) 2014 - 2018

¿QUÉ LA MOTIVÓ A ESPECIALIZARSE EN CIRUGÍA PLÁSTICA, ESTÉTICA Y RECONSTRUCTIVA?

El mundo de la cirugía es muy activo y retador, el campo es muy amplio y rompe la monotonía, es dinámica e interesante. Lo que más me motivó a ser Cirujano Plástico es ver la cara de felicidad de un paciente luego de que lo ayudes a resolver un problema, como por ejemplo: Las secuelas del cáncer de mama , ver la felicidad en la cara de una madre cuando le operan a su niño de labio y paladar Hendido, es ver que le puedes devolver la funcionalidad a una mano, ver la felicidad de una mujer cuando recupera la confianza en si misma al ver su cuerpo reconstruido, el cual había sufrido cambios posteriores al embarazo; la cirugía Plástica tiene la capacidad de transformar a través de la belleza y la funcionalidad .

drathaulysluna

www.reportemedico.com Una Dosis de Información Saludable 57

¿Es la Cirugía plástica una fuente inspiradora de autoestima y confianza en la mujer?

¡Sí! ¡Totalmente!... El objetivo de la Cirugía Plástica es mejorar la autoestima, mejorar el amor propio, reducir y eliminar los complejos físicos que molestan a las personas y también rejuvenecer y hacer más atractivos los cuerpos. Por mi parte me siento a gusto cuando el paciente me pide resultados naturales, estos resultados se consiguen haciendo procedimientos quirúrgicos sencillos, no complicándonos la vida, pudiendo recuperarse rápido con intervenciones poco agresivas.

EDICIÓN 09 MARZO/ABRIL 2023 58

Sabemos que cirugía plástica y Estética no tienen igual significado. ¿Qué connotaciones diferenciales existen en ambos conceptos?

Muchas personas piensan que cirujano plástico y cirujano estético significan lo mismo, lo cual no es cierto. De hecho, existen importantes diferencias de concepto, importantes de comprender a fondo antes de decidir quién le realizará la cirugía estética que siempre ha deseado. Tanto la cirugía estética como la cirugía reconstructiva son partes de la cirugía plástica. La especialidad de Cirugía Estética como tal no existe, al igual que no existe el cirujano estético; solo los cirujanos plásticos están avalados oficialmente para la realización de cirugía estética. SODOCIPRE es una sociedad científica que agrupa la mayoría de especialistas en Cirugía Plástica en República Dominicana, que se han hecho merecedores a formar parte de la misma por sus méritos en cuanto a formación, conocimientos, experiencia y ética, y que actualizan sus conocimientos a través de congresos, cursos y publicaciones. Por lo tanto, la elección de un cirujano plástico avalado por una institución o por las asociaciones y sociedad médica correspondiente, brindará al paciente la mayor confianza a la hora de someterse a tratamiento o intervención estética.

¿Cuál es su visión de la cirugía Plástica del presente y futuro?

La cirugía plástica del futuro estará configurada por una serie de características que ya podemos empezar a vislumbrar, debido a las tendencias que se aprecian en las consultas. Ofrecer resultados naturales es cada vez una tendencia más habitual y demandada en cirugía estética. Los rostros operados en exceso ofrecen una imagen que al final genera rechazo, porque el individuo acaba perdiendo sus rasgos originales. Los tratamientos se van ajustando cada vez más a cada persona. Buscar modelos en personajes famosos es algo que aún persiguen algunos pacientes, pero estos son cada vez más conscientes de que la belleza es algo personal y propio de cada uno. La armonía se consigue en función de las singularidades de cada individuo. La tendencia del futuro se centrará en realizar procedimientos menos invasivos y que requieran un menor tiempo de recuperación. Aunque esta demanda es difícil de cumplir en algunas cirugías debido a la complejidad de algunos casos, la cirugía plástica tiene como objetivo que los tiempos de recuperación sean menores y los procedimientos menos traumáticos. Una de las tendencias en la actualidad es el fitness, y con la evolución de la lipoescultura en los últimos años y específicamente la liposucción de alta definición, se pueden lograr esos resultados, que anteriormente estaban limitados a personas con regímenes de ejercicio y alimentación muy rigurosos. Los tratamientos antienvejecimiento seguirán ocupando los primeros puestos, porque la gente se encuentra cada vez mejor con más años y quiere seguir mostrando una apariencia juvenil a pesar del paso del tiempo. En la cirugía plástica las nuevas tecnologías están también introduciéndose con fuerza.

www.reportemedico.com Una Dosis de Información Saludable 59

Hoy en día muchas intervenciones de cirugía plástica y estética son llevadas a cabo por personas que no están tituladas específicamente para ello. Los llamados másteres en distintas cirugías estéticas son solo cursos de unos pocos días de duración con clases teóricas y visualización de vídeos de técnicas quirúrgicas. Nada que ver con la formación especializada, en la que los futuros cirujanos plásticos van realizando intervenciones de complejidad progresiva ayudados por cirujanos expertos que tutelan su aprendizaje. La Sociedad Dominicana de Cirugía Plástica Reconstructiva Y Estética (SODOCIPRE) agrupa a los cirujanos plásticos acreditados de la República Dominicana. Los miembros de la SODOCIPRE se rigen por sus estatutos y por los códigos de ética del CMD. Lo lamentable del asunto es que algunos Colegios Médicos y Universidades, promocionan estos másteres de alto precio y expiden diplomas que pueden confundir a los pacientes que ignoran todo esto. Esto promueve que siga existiendo el problema de intrusismo en la cirugía plástica y estética, con el consiguiente riesgo para el paciente. Los procedimientos no quirúrgicos son los inyectables (botox/ácido hialurónico) y la Dermolipectomía dentro de lo quirúrgico son los más realizados. Es recomendable que investiguen bien con quien se van a operar, la preparación académica que tenga el médico, quien lo avala, pues al fin y al cabo realizarse un procedimiento quirúrgico no se puede subestimar, puesto que es algo muy importante que puede afectar la salud.

Según su experiencia, ¿Cuáles serían los beneficios de mayor importancia de los avances tecnológicos?

Los avances tecnológicos son un hecho tangible, los parámetros de belleza van sufriendo cambios conforme pasa el tiempo y las técnicas en cirugía plástica se han adaptado a estos cambios. Cada día son más las pacientes que buscan resultados más fitness, más naturales y con menor tiempo de recuperación y las tecnologías en las que cabe destacar la liposucción asistida (PAL/Microaire), la liposucción asistida por ultrasonido (Vaser), y la Radiofrecuencia (Retraction), nos ha ayudado a proporcionarles a nuestros pacientes estos beneficios. Los avances tecnológicos nos posibilitan la aparición de nuevas técnicas o mejoran las ya existentes. El uso de la tecnología en cirugía plástica no solo se ha limitado a mejorar los resultados estéticos, los beneficios se extienden también al post operatorio. Gracias a su uso podemos realizar procedimientos menos agresivos con mejores resultados y más seguros. Un ejemplo de esto es la liposucción Vaser, con la cual podemos realizar una mayor extracción de tejido adiposo con menor sangrado y un post quirúrgico con menos inflamación y mínimo dolor, lo que se traduce a una recuperación más placentera. Cada día son más las pacientes que se documentan antes de llegar a la consulta y solicitan el uso de estas tecnologías.

El hombre no escapa de los procedimientos de la cirugía plástica y estética, ¿Cuáles son los más requeridos por el sexo Masculino?

Cada vez son más los hombres que se ven atraídos por la cirugía plástica, mientras que antes se tenía como algo exclusivo del sexo femenino, el porcentaje de pacientes que solicitan procedimientos estéticos ha ido cambiando, en nuestra consulta el 18% de nuestros pacientes son del sexo masculino y dentro de los procedimientos más solicitados por estos podemos mencionar: la ginecomastia, lipoescultura, abdominoplastia, cirugía de párpados y el botox.

EDICIÓN 09 MARZO/ABRIL 2023 60
¿Su opinión personal sobre el INTRUSISMO y consecuencias en los procedimientos de la Cirugía plástica y estética?

Dra. THAULYS THAMAR LUNA

“En un futuro cercano la cirugía plástica tendrá mucho más alcance, un público mayor, cada día habrá más cirujanos plásticos llenando plazas y espacios en el país. La especialidad estará al alcance de todos, vendrán nuevas tecnologías, cambios en las estéticas con la moda, y más hombres acudirán a la consulta”.

www.reportemedico.com Una Dosis de Información Saludable 61

Dra. THAULYS THAMAR LUNA

EDICIÓN 09 MARZO/ABRIL 2023 62

¿Qué procedimientos tienen mayor demanda de acuerdo a la edad de los pacientes?

El paso del tiempo conlleva una serie de transformaciones que son las que determinan las preferencias en el ámbito de cirugía plástica. En las edades menor a 30 años la cirugía plástica por excelencia es el aumento mamario y la liposucción, hay un gran porcentaje de reducción mamaria, en las que tienen más de 30 años y ya son madres, la más solicitada es la lipoescultura con abdominoplastia, seguida del levantamiento mamario y a partir de los 50 años, blefaroplastia, estiramiento facial y abdominoplastia.

¿Existen tendencias de los diversos procedimientos en Cirugía plástica por las influencias culturales y sociales?

La cirugía plástica está influenciada por los cambios culturales, las redes sociales, influencers. Así como hay tendencia en ropa, corte de pelo y colores de temporada, también esto se refleja en la cirugía plástica. La tendencia actual está enfocada en el contorno corporal, todos quieren lucir un cuerpo fit que se vea natural, esto desde mi punto de vista influenciado en que se aproxima el verano y todos quieren lucir cuerpos espectaculares en traje de baño.

En consulta preoperatorias ¿Cuáles son las inquietudes que más se repiten?

Cada paciente es único y su entorno y decisiones siempre serán diferentes, muchas de sus inquietudes se repiten durante la consultas pre operatorias y son: en cuanto al dolor, la anestesia, el tiempo de recuperación, las cicatrices y ¿cómo van a quedar?, lo cual se le informa adecuada y detalladamente en cada tópico, haciendo énfasis en las expectativas realistas.

Tener expectativas reales es lo que va a ayudar a los pacientes a tener buenos resultados, con una efectiva comunicación médico-paciente, dejando lo más claro posible que el objetivo de la cirugía plástica es mejorar el aspecto de las áreas que les desagradan, exponer las expectativas y las realidades y dejarles saber que los resultados no son inmediatos y que dependen de acuerdo al procedimiento a realizarse y las condiciones individuales de cada persona. La planificación del paciente es muy importante y deben someterse a la cirugía en el momento en que tengan el tiempo suficiente para una excelente recuperación.

¿Cuáles serían las evaluaciones preoperatorias más relevantes en sus pacientes?

En la consulta inicial se evalúa su estado de salud a través de la historia clínica y el examen físico. Se pregunta sobre sus expectativas de manera sincera y franca, para así proporcionarle las alternativas, los riesgos y limitaciones de cada una. Los criterios a tomar en cuenta son: BMI menor de 34. Enfermedades controladas (HTA, DM-2, Tiroideas, Asma). Evaluación y Autorización por departamentos en conjunto como: cardiología, neumología y anestesiología. Teniendo una planificación y atención única e individualizada para cada paciente.

Tenemos en boga el turismo de salud, ¿Qué protocolos clínicos se aplican en cuanto al tiempo y recuperación de pacientes extranjeros en el país?

Todo dependerá del tipo de cirugía plástica y del lugar de procedencia de la paciente, de la edad del paciente, de su estado físico, en fin, de su historia clínica completa. Existen protocolos según el lugar de procedencia con una estadía previa al procedimiento quirúrgico que oscilan entre 3 a 5 días. Para la mayoría de las cirugías estéticas en promedio la recuperación post Quirúrgica por lo general oscilará entre los 15 y 25 días, sin embargo, no verán resultados finales del procedimiento hasta transcurrir de 6 a 8 meses y algunos casos hasta 1 año.

www.reportemedico.com Una Dosis de Información Saludable 63

LABORATORIOS ACROMAX DOMINICANA Y SU LÍNEA CARDIOLÓGICA

Lanzan al mercado ARAMAX

•Irbesartán •Irbesartán / Hidroclorotiazida •Irbesartán / Amlodipina

•Irbesartán / Amlodipina / Hidroclorotiazida

UN POTENTE ANTIHIPERTENSIVO, AHORA CON MÚLTIPLES COMBINACIONES PARA LOS PACIENTES

El equipo de Reporte Médico estuvo presente en el lanzamiento oficial de ARAMAX, un potente antihipertensivo, que viene en múltiples combinaciones y presentaciones, por parte de Laboratorios ACROMAX, realizado a base de Irbesartán y que ratifica el lema de la empresa, en su línea Cardiológica «garantiza la reducción del riesgo cardiovascular desde el primer día».

La actividad se desarrolló en el hotel Intercontinental de Santo Domingo , donde Laboratorios ACROMAX tuvo como invitado especial al Dr. Ricardo López Santi de Argentina, un maestro de la cardiología , quien vino a ofrecer una conferencia magistral sobre el uso de este potente hipertensivo que no solamente funciona para los cardiólogos, sino también para la comunidad de médicos internistas, ya que posee múltiples combinaciones que hacen que este producto pueda medicarse para pacientes que acudan a ambos tipos de especialistas.

EDICIÓN 09 MARZO/ABRIL 2023 64

El Dr. López Santi se hizo acompañar, en parte de esta presentación, por la cardióloga dominicana Dra. Claudia Almonte, expresidente de la Sociedad Dominicana de Cardiología, también por el cardiólogo Guatemalteco Dr. Fernando Wyss y el Dr. Osiris Valdéz, cardiólogo dominicano, dichos especialistas pudieron contar las experiencias de sus pacientes a través del uso de este medicamento.

El evento también contó con la participación de la Dra. Rafaelina Concepción, presidenta de la Sociedad Dominicana de Cardiología, y un nutrido grupo de cardiólogos del país, entre los cuales se destacan la Dra. Mildred Ureña, el Dr. Víctor Atallah, el Dr. Fulgencio Severino, entre otros especialistas que se dieron cita para la celebración que estuvo a casa llena.

El evento estuvo amenizado por la reconocida comunicadora Anier Barrios.

www.reportemedico.com Una Dosis de Información Saludable 65

DURANTE DOS DÍAS CONSECUTIVOS ADOFEM DESARROLLÓ EL: 1ER. CONGRESO INTERNACIONAL DE EDUCACIÓN MÉDICA

Durante dos días consecutivos el equipo de Reporte Médico, estuvo presente en el “1er. Congreso Internacional de Educación Médica” de la Asociación Dominicana de Facultades y Escuelas de Medicina (ADOFEM), donde trataron distintos temas en torno a la enseñanza de los estudiantes de medicina.

EDICIÓN 09 MARZO/ABRIL 2023 66
Fundada 1975

El evento tuvo como tema principal la educación médica integral hacia los recursos humanos en salud y los planes de estudio con las exigencias de acreditación nacionales e internacionales.

En este encuentro de la comunidad médica dominicana se desarrollaron los temas: «Retos y Desafíos de la Educación Médica en Las Américas» por el doctor Marcos Núñez Cuervo, quien Puntualizó que somos el continente con la mayor cantidad de escuelas de medicinas del mundo, y que República Dominicana cuenta con instituciones líderes en Santiago, Santo Domingo y otras Regiones y que son de gran aporte a la medicina en el país, y enfatizó que las escuelas de medicinas deben comenzar a cambiar desde adentro, para poder promover el cambio y cambiar los paradigmas hacia la medicina preventiva .

La Dra. Togarma Rodríguez habló sobre “La ética y bioética como cultura de la investigación”, “Importancia de la bioética en la educación médica”, por el Dr. Miguel Suazo, esta jornada también incluyó temas como: “Una Salud (One Health) en el Currículum de Medicina” por la Dra. Helena Chapman, “Los Concursos de Residencias Médicas Internacionales: Visión Holística Para el Médico Dominicano” a cargo del ingeniero Raúl Díaz, “Atención Primaria en el Currículum Médico Basado En Aps” por el Dr. Ángel Pellegrino, entre otros temas vitales en la educación médica.

Asimismo, se desarrolló el panel “Investigación en educación médica. Experiencias y mejores prácticas en República Dominicana”, a cargo de Two Oceans in Health, con la participación de los doctores Eddy Pérez Then, Marija Miric, Massiel Méndez, Wanda Quezada, Juan Castillo Ureña y Rafael Valdez.

El director de CTO, Ingeniero Raúl Díaz habló sobre “ Los concursos de Residencias Médicas internacionales: Visión Holística para el médico Dominicano” una amplia exposición de los puntos más importantes para las aspiraciones a plazas médicas.

El evento estuvo dedicado al Dr. José Raymundo Jiménez Hernández, en honor a su trayectoria en educación, quien fue decano del Instituto Tecnológico de Santo Domingo (INTEC) por 25 años ininterrumpidos.

www.reportemedico.com Una Dosis de Información Saludable 67

ESPECIAL CARDIOLOGÍA

CARDIOLOGÍA CLÍNICA, DESAFÍOS Y AVANCES PERSPECTIVAS

DE LOS ESPECIALISTAS

DRA. CLAUDIA ALMONTE

Consejo Médico Editorial Reporte Médico, Cardiólogo, Pasada Presidente de Sodocardio, Pasada Presidente de la Sociedad Centroamericana y del Caribe de Cardiología. draclaudiaalmonte

Como integrante del Consejo Médico Editorial de Reporte Médico, en esta nueva edición nos complace participar con un especial de Cardiología, con artículos preparados por médicos especialistas de nuestro país, esperando sean de utilidad a nuestros colegas, así como a seguidores de este valioso medio.

Las Enfermedades cardiovasculares son causa de muerte número uno en el mundo, dentro de las cuales se describe cardiopatía isquémica, falla cardíaca, Hipertensión arterial, accidente cerebrovascular, valvulopatías, enfermedades de arterias periféricas y congénitas.

Nuestro especial abarca desde la prevención a la intervención con algunas herramientas para diagnóstico de algunas de ellas.

En este segmento cardiovascular, estaremos abordando desde las Enfermedades congénitas. Estas están presentes en el corazón del bebé antes del nacimiento, pudiendo llegar a la adultez, para ello la Dra. Dhamelise Then, Cardiólogo Pediatra estará a cargo de este tema.

El Dr. Victor Cuello nos describe el Síncope entidad que preocupa e involucra a un equipo multidisciplinar en su investigación.

La Cardiopatía Isquémica (síndrome coronario, infarto), afección por demás creciente en estadísticas en pacientes jóvenes incluso, descrita por el Dr. Fulgencio Severino.

Igual contaremos con el tema Circulación extracorpórea en el escenario quirúrgico cardíaco abordada por la Dra. Mildred Ureña.

Rehabilitación Cardíaca condiciones que proporcionan una incorporación luego de un evento cardiovascular o recuperación a diagnósticos de enfermedad crónica cardíaca, serán tratadas por la Dra. Rafaelina Concepción.

Importancia de la prevención o detección temprana de aterosclerosis subclínica en el desarrollo de enfermedad coronaria, donde el Dr. Carlos Maiorana iniciando con una introducción de la inflamación aterosclerosis y pasando con el Dr. Victor Atallah a hablarnos sobre la importancia del Score de Calcio Coronario.

No dejamos como tema importante también la Enfermedad Cardiovascular en la mujer, históricamente infradiagnosticada y tratada, a propósito del mes de marzo donde existe un día Internacional de la mujer y cada día crece la concientización de la misma.

EDICIÓN 09 MARZO/ABRIL 2023 68

Egresado del Instituto Tecnológico de Santo Domingo (INTEC), con Postgrados en Cardiología, Cardiología Nuclear y Cardiología Intervencionista del Lenox Hill Hospital, Estados Unidos.

victoratallah

Cardióloga / Rehabilitadora Cardíaca. Presidenta Sociedad Dominicana de Cardiología. Pasada Presidenta Sociedad Dominicana Cardiología Capítulo Norte. Miembro ACEIDSS, FACC, FSIAC, SOMECCOR, SEC, AHA, AMCAR.

rafaelinaconcepcion

Director Cardiología Hospital Dr. Salvador B. Gautier. Maestro de la Medicina.

fulgenciomarceloseverino

Cardiólogo Pediatra Ecocardiografista

Directora Hospital Pediátrico Dr. Hugo Mendoza - Consejo Médico Editorial Reporte Médico.

Dr. Victor Cuello

Egresado de la Escuela de Medicina de la Universidad Iberoamericana, posteriormente realiza especialidad de Cardiología en La Universidad de Aix-Marsella II, Hospital de la Timone, Francia. Además de ser miembro de la Sociedad Dominicana de Cardiología, es el actual Director Médico de la Clínica Corazones Unidos.

victorbiban dhamelisse

Dra. Mildred Ileana Ureña Rivera

Internista – Cardióloga Intensivista – Perfusionista

Cardiólogo – Ecocardiografísta

Fellow de la Universidad Central de Venezuela Asociación Dominicana Para el Estudio de la Obesidad (ASODEO) Máster Universitario en Avances de Cardiología de la Universidad Católica de Murcia.

dramildredurena

mairanacarlos

www.reportemedico.com Una Dosis de Información Saludable 69
Dra. Dhamelisse Then VanderHorst Dr. Carlos Alberto Maiorana Rivero Dr. Fulgencio Severino Dra. Rafaelina Concepción Dr. Victor Atallah

ESPECIAL CARDIOLOGÍA AVANCES Y DESAFÍOS

ENFERMEDAD CARDIOVASCULAR EN LA MUJER

Existe un infradiagnóstico de la enfermedad cardiovascular en la mujer, así como subdiagnóstico y subtratamiento en muchas ocasiones.

El desconocimiento de identificación, alerta en la mujer, lo relacionado a su principal causa de muerte, la enfermedad cardiovascular que en la mayoría de los casos conlleva diagnósticos tardíos.

EDICIÓN 09 MARZO/ABRIL 2023 70
Dra. Claudia Almonte Cardiólogo, Pasada Presidente de Sodocardio, Pasada Presidente de la Sociedad Centroamericana y del Caribe de Cardiología.

Año tras año, se han incrementado las campañas de concientización sobre dicha afección, pero aún nos falta mucho en nuestros países.

Debe hacerse periódicamente un reconocimiento cardiovascular preventivo, desde la adolescencia acudir además de su pediatra o ginecólogo al cardiólogo, en la adulto joven y alrededor de la menopausia.

Los síntomas tanto de hipertensión arterial o infarto suelen no ser tan clásicos, por lo que la invitación es a hacer un reconocimiento cardiovascular, conocer su peso, tensión arterial, glicemia, colesterol, historia familiar, no minimizar síntomas, acudir o llamar a su médico ante cualquier alerta.

Diversas campañas en Latinoamérica históricamente han elevado la necesidad de concienciar sobre la importancia de la prevención y detección de la enfermedad cardiovascular en la mujer.

La subrepresentación en estudios científicos de la mujer, va menor a un 39%, el número de infartos en mujeres incluso jóvenes ha incrementado, muchos factores de riesgos en la mujer siguen siendo poco reconocidos (abuso, violencia, ambiental, socioeconómico y poco conocimiento sobre su salud).

Go Red For Women creada por Asociación Americana del corazón, invita cada primer viernes de febrero a vestirnos de rojo para ayudar a la educación sobre dicha afección.

El colegio americano de cardiología en el 2021 presentó algunas estrategias elaboradas para reducir la carga global por enfermedad cardiovascular en la mujer al 2030.

La Sociedad Interamericana de cardiología, presentó en junio 2022 en el contexto de su congreso las primeras Guías de prevención primaria en la mujer por la SIAC.

Los factores de riesgos clásicos como sedentarismo, hipertensión arterial, obesidad o sobrepeso, tabaquismo, colesterol elevado, cardiopatía congénita, diabetes, alcoholismo, son compartidos con los hombres para riesgo de enfermedad cardiovascular.

Es importante señalar, que como mujer poseemos riesgos propios como la menopausia, síndrome ovario poliquístico, trastornos hipertensivos durante los embarazos, menarquía muy temprana o tardía, violencia de género, depresión, enfermedad autoinmune (Lupus, Artritis), anticonceptivos.

El manejo multidisciplinar en la mujer en la prevención cardiovascular, consta de la implicación del ginecólogo, endocrinólogo, nutricionista, psicólogo y cardiólogo.

Llevar buenos hábitos, no fumar, comer saludable, hacer ejercicios, higiene mental, dar seguimiento a sus factores de riesgos y saber sus números óptimos para una buena salud, disminuye el porcentaje de enfermedades y eventos.

www.reportemedico.com Una Dosis de Información Saludable 71
PERSPECTIVAS DE ESPECIALISTAS

ESPECIAL CARDIOLOGÍA AVANCES Y DESAFÍOS

SCORE DE CALCIO CORONARIO

Identificación y Manejo de Aterosclerosis coronaria.

El Score de Calcio Coronario (SCC), también conocido como cuantificación de calcio en arterias coronarias, es un examen no invasivo que usa tomografía computarizada (TC) para evaluar la cantidad de calcio presente en las arterias coronarias del corazón, es una forma práctica y no invasiva de evaluar si alguien está en riesgo aumentado de sufrir ataque cardíaco y eventos cardiovasculares (ECV)

EDICIÓN 09 MARZO/ABRIL 2023 72
Dr. Victor Atallah Egresado del Instituto Tecnológico de Santo Domingo (INTEC), con Postgrados en Cardiología, Cardiología Nuclear y Cardiología Intervencionista del Lenox Hill Hospital, Estados Unidos.

Esta placa calcificada evidencia aterosclerosis, enfermedad arterial coronaria (EAC).

Puede ser utilizado para identificar pacientes que podrían beneficiarse de una intervención temprana, prevención ECV. Es para médico y paciente una de las mejores formas de predecir riesgo cardiovascular y optimizar uso de terapias, y manejo de pacientes.

El SCC se reporta en puntuación total como un número, donde un 0 es ausencia de placa calcificada, y también en percentil riesgo por sexo y edad, percentiles de riesgo de 0-25%, 25-50%, 50-75%, 75-100%, más de 100%.

No necesita preparación especial previa, puede seguir tomando medicinas forma habitual, debe evitar la cafeína y no fumar 4 horas previas al examen. Es un estudio rápido que no toma más de 10 minutos. Es indoloro y no invasivo.

Score SCC predice fuertemente el riesgo con la misma magnitud de efecto en todas las razas, grupos de edad y ambos sexos a 10 años. CAC 0 tuvo menor riesgo de mortalidad que personas caracterizadas con cero factores de riesgo CV. Una puntuación SCC de 0 se puede usar como justificación para bajar el riesgo y reconsiderar tratamiento con estatinas de por vida cuando el paciente o el médico no estén seguros o haya efectos secundarios.

Para prevención primaria EAC, SCC ≥ 100 estimaciones de beneficio para uso aspirina, participantes con SCC de 0, se estima reciben daño neto de la aspirina.

Una puntuación 0 de SCC es muy tranquilizadora en cuanto al bajo riesgo real del paciente y potencialmente pudiéndose evitar el uso de estatinas y aspirina en ese individuo, al menos durante 5 años y se ha demostrado obviar estatinas y aspirina es costo-efectivo en este subgrupo.

El SCC se puede utilizar para evaluar eficacia tratamiento en pacientes con ECV. Detecta cambios cantidad o progresión usual de calcificación arterias coronarias post tratamiento, que puede indicar si tratamiento ha sido eficaz.

Reducción de mortalidad y ECV. Pacientes con ECV que recibieron un tratamiento guiado por el SCC tuvieron una reducción significativa en la mortalidad y los eventos cardiovasculares en comparación con aquellos que recibieron tratamiento convencional.

Esta prueba se recomienda en hombres mayores de 40 y mujeres mayores de 50 con factores de riesgo coronario y es la prueba de más alto valor pronóstico, un score de calcio de 0 confiere riesgo 10 a 15 años mortalidad cardíaca por debajo del 1% en hombres y mujeres. Score por encima de 100 tiene riesgo moderado de eventos, y por encima de 300 el riesgo aumenta significativamente, pero estos números deben asociarse a edad y sexo para establecer un percentil de riesgo, riesgos por encima del 75% son altos, riesgos por debajo del 25% son bajos.

Beneficios más destacados del SCC:

Identificación temprana del riesgo de ECV, detecta calcificación arterias coronarias ante síntomas enfermedad cardiovascular.

Mejor precisión evaluación del riesgo. El SCC es más preciso que otros factores de riesgo convencionales para predecir el riesgo de ECV, que la presión arterial, colesterol y tabaquismo. También puede aportar información adicional sobre riesgo en pacientes con diabetes, hipertensión y otros factores de riesgo. Al identificar a los pacientes de alto riesgo, se pueden implementar cambios en el estilo de vida y tratamientos preventivos para reducir el riesgo de enfermedad cardiovascular.

Un puntaje de SCC de 0 confiere un período de garantía de 10-15 años contra la mortalidad en individuos con riesgo bajo a intermedio que no se ve afectado por la edad o el sexo. En personas consideradas a alto riesgo por puntajes riesgo clínico, una puntuación de SCC de 0 confiere mejor supervivencia que en individuos con riesgo bajo a intermedio, pero con cualquier puntaje SCC.

El SCC puede ser utilizado para mejorar la toma de decisiones clínicas en pacientes con enfermedad cardiovascular establecida.

Se recomienda pacientes consulten sus médicos para determinar si el SCC es adecuado para ellos, o realización de Angiotomografía coronaria, estudio más extenso, que involucra preparación leve e inyección de contraste. que incluye el SCC pero extiende a visualización de coronarias y evaluación de lumen (luz de los vasos) y sub clasificación de placas.

Referencias: Greenland, P., et al. (2018). 2018 ACC/AHA clinical practice guideline on the management of blood cholesterol. Journal of the American College of Cardiology, 73(24), e285-e350.

Arbab-Zadeh, A., et al. (2015). Effect of coronary artery calcium scanning Valenti V; A 15-Year Warranty Period for Asymptomatic Individuals Without Coronary Artery Calcium: A Prospective Follow-Up of 9,715 Individuals. JACC Cardiovasc Imaging. 2015; 8(8):900-9

Miedema MD; Use of coronary artery calcium testing to guide aspirin utilization for primary prevention: estimates from the multi-ethnic study of atherosclerosis. Circ⦁Cardiovasc Qual⦁Outcomes. 2014; 7(3):453-60

Ten-year association of coronary artery calcium with atherosclerotic cardiovascular disease (ASCVD) events: the multi-ethnic study of atherosclerosis (MESA)

www.reportemedico.com Una Dosis de Información Saludable 73
gn VALOR 0 Muy Bajo Bajo Moderado Moderado Alto Alto Muy Baja Muy Poco Probable Probabilidad mínima o leve de estenosis coronaria Alta probabilidad de estenosis coronaria Alta probabilidad de estenosis coronaria significativa 1-10 11-100 101-300 >300 PROBABILIDAD DE ENFERMEDAD CORONARIA SIGNIFICATIVA RIESGO CARDIOVASCULAR
PERSPECTIVAS DE ESPECIALISTAS

ESPECIAL CARDIOLOGÍA AVANCES Y DESAFÍOS

Dra. Rafaelina Concepción

Cardióloga / Rehabilitadora Cardíaca. Presidenta Sociedad Dominicana de Cardiología. Pasada Presidenta Sociedad Dominicana Cardiología Capítulo Norte. Miembro ACEIDSS, FACC, FSIAC, SOMECCOR, SEC, AHA, AMCAR.

¿QUÉ ES LA REHABILITACIÓN CARDÍACA?

La Organización Mundial de la Salud (OMS) ha definido la rehabilitación cardíaca como: “la suma de actividades necesarias para influir favorablemente en la causa subyacente de la enfermedad, así como para proporcionar las mejores condiciones físicas, mentales y sociales posibles, de modo que los pacientes puedan, por su propio esfuerzo, preservar o recuperar, cuando se pierda, un lugar tan normal como sea posible en la comunidad”.

EDICIÓN 09 MARZO/ABRIL 2023 74

La rehabilitación cardíaca ha evolucionado mucho en las últimas tres décadas, desde centrarse únicamente en el entrenamiento físico hasta reconocer que debe ser una intervención compleja de múltiples componentes que incluya “evaluación del paciente, educación, modificación de los factores de riesgo, incluidas recomendaciones dietéticas, modificación del estilo de vida, asesoramiento para dejar de fumar, asesoramiento psicológico.

Para garantizar el aseguramiento de la calidad, las directrices nacionales e internacionales, se debe recomendar la participación de un equipo multidisciplinario en la ejecución óptima de los programas de rehabilitación cardíaca (PRC). los pacientes son evaluados y derivados a rehabilitación por un cardiólogo o un médico con especial interés en la mejoría integral del paciente. Existe evidencia de una disminución, estadísticamente significativa, de la mortalidad con los PRC en estudios aleatorios, a corto y largo plazo, incluso en enfermos con insuficiencia cardíaca. Varios meta análisis han demostrado similares conclusiones. Pese a estos resultados y al evidente efecto positivo a nivel de rentabilidad, el desarrollo de los programas en el mundo es insuficiente, y más en nuestro país República Dominicana.

– Disminución del peso y la adiposidad.

3.- En la función endotelial.

– Mejoría de la vasodilatación dependiente del endotelio, mediada por óxido nítrico.

4.- Sobre la inflamación.

– Disminución de los factores de inflamación con descenso de la proteína C-reactiva.

5.- A nivel Hematológico.

– Disminución de la agregación plaquetaria.

– Aumento de la fibrinólisis.

6.- En el sistema nervioso autónomo.

7.- Sobre la circulación colateral.

8.- Sobre la neoangiogénesis.

Los efectos del entrenamiento físico sobre la calidad de vida, se pueden dividir a Nivel Central con un incremento o menor deterioro de la función ventricular. Y a nivel Periférico; mejoría en la función del endotelio arterial. Con un aumento en las siguientes estructuras: en la capilaridad muscular, tamaño y número de mitocondrias, crestas mitocondriales, capacidad oxidativa, diferencia arteriovenosa de O2. Elevación del umbral de angina por descenso de la frecuencia cardíaca (FC) y la pasiva (PAS), (en reposo y a niveles de esfuerzo submáximo), En el nivel respiratorio, descenso de disnea, capacidad vital aumentada, mejoría en la cinética diafragmática y en el nivel psicológico: descenso en estrés, depresión y ansiedad.

Efectos del entrenamiento físico supervisado que actúan sobre el pronóstico:

1.-Sobre el consumo de oxígeno.

2.- Sobre los factores de riesgo clásicos .

– Mejor control de la hipertensión arterial.

– Menor porcentaje de fumadores.

– Mejor perfil lipídico: disminución de triglicéridos, colesterol total, colesterol LDL, aumento de colesterol HDL.

– Mejor control de la diabetes.

La Rehabilitación Cardíaca tiene diferentes fases y esta se realiza en cualquier paciente con enfermedad cardiovascular:

Fase I: La cual se realiza durante el periodo de internamiento o fase hospitalaria hasta que el paciente esta dado de alta, ya sea por un Síndrome coronario agudo, falla Cardíaca, Cirugía de corazón.

Fase II: Ambulatoria, se continua la atención de la primera fase, donde hay una supervisión de los profesionales que conforman el equipo multidisciplinario de Rehabilitación Cardíaca. Aprendiendo adoptar un estilo de vida cardiosaludable.

Fase III: De mantenimiento, la realiza el paciente de manera domiciliaria y con la supervisión del equipo de rehabilitación cardíaca, que se realizará de manera periódica en el centro de rehabilitación.

CONCLUSIÓN

• Los conocimientos actuales demuestran que los programas de rehabilitación cardíaca consiguen mejorar la calidad de vida y el pronóstico de los pacientes con cardiopatía. La relación costes-beneficios es claramente positiva.

• El desarrollo de estos sistemas terapéuticos de prevención secundaria depende fundamentalmente de los profesionales de la medicina. El trabajo conjunto del cardiólogo y el equipo multidisciplinario, por un lado, y la protocolización de las actuaciones, por otro, deberían lograr que todos los enfermos cardiópatas se acogieran a este tipo de programas.

www.reportemedico.com Una Dosis de Información Saludable 75
DE ESPECIALISTAS
PERSPECTIVAS

ESPECIAL CARDIOLOGÍA AVANCES Y DESAFÍOS

Dr. Fulgencio Severino

EVITEMOS LA MUERTE POR CARDIOPATÍA ISQUÉMICA

La Cardiopatía isquémica es la principal causa de muerte y de años de vida perdidos por enfermedad y fallecimientos en República Dominicana, lo cual influye negativamente en el desarrollo nacional y el crecimiento económico.

Para el 2019 fueron registradas 15, 306 muertes por esta causa en el país, equivalente a 1 de cada 5 personas fallecimientos, siendo más frecuente en hombres 57.65%, aunque en relación al número de fallecidos en cada sexo la proporción es similar 22% de las mujeres y 21.4% de los hombres.

EDICIÓN 09 MARZO/ABRIL 2023 76
Director Cardiología Hospital Dr. Salvador B. Gautier

CARDIOPATÍA ISQUÉMICA. PRESENTACIÓN: FORMA CRÓNICA Y AGUDA

La cardiopatía isquémica se presenta en la población de forma crónica y aguda.

La dieta recomendada es bajo consumo de sal, menos de 5 gramos diario, azúcar refinada a cantidades inferior a 30 gramos por día, eliminando bebidas azucaradas y aumentando la ingesta de carbohidratos a base de fibras como ensaladas, frutas y granos enteros. Una dieta baja en grasas saturadas reduciendo el consumo de carnes rojas, huevos, lácteos a no más de dos veces por semana y comidas industrializadas y rápidas.

En cuanto al ejercicio es preferible caminar una hora diaria al menos 5 días a la semana.

Las personas hipertensas deberán recibir tratamiento farmacológico con la meta de alcanzar niveles de presión arterial en mmhg de 120 a 129 sistólica y 70 a 80 diastólica. Esta meta podría ser más alta en personas de edad que superen los 79 años o que dichos niveles arteriales le produzcan efectos indeseables.

-Forma Crónica: Es caracterizada por dolor torácico, definido como opresivo, detrás del esternón que se presenta con la actividad física o las emociones y mejora o desaparece con el reposo. A esa presentación se le conoce como Síndrome Coronario Crónico o cardiopatía isquémica crónica estable.

-Forma Aguda: Se presenta con el dolor opresivo, retroesternal, en reposo o con actividad mínima. A esta forma aguda se le denomina, Síndrome Coronario Agudo con elevación del segmento ST o sin elevación del segmento ST.

Aproximadamente 33% de los pacientes presentan disnea, fatiga, palpitaciones, síncope y dolor en otras partes como epigastrio, hombro, tórax, cuello.

¿QUÉ ORIGINA LA CARDIOPATÍA ISQUÉMICA?

La cardiopatía isquémica es producida en la mayoría de los casos por una placa de aterosclerosis en las arterias coronarias que irrigan sangre al corazón, la cual reduce el flujo sanguíneo en más de un 50% aunque la mayoría de la forma sintomática en el 70% en la forma crónica y al romperse esa placa genera un trombo agudo que se agrega y reduce total o casi total el flujo sanguíneo en los síndromes coronarios agudo. En aproximadamente 20% de los pacientes tienen arterias normales y las causas son espasmos coronarios producto de daños en el endotelio arterial o en la microcirculación coronaria, anemia, arritmias, embolismo y disección de las coronarias.

PREVENCIÓN CARDIOVASCULAR. FACTORES DE RIESGO A CONTROLAR

Los esfuerzos para evitar la cardiopatía isquémica son dirigidos al control de los factores de riesgos que favorecen la aterosclerosis. Estos factores aumentan en número de veces al compararlo con las personas que carecen de los mismos, el riesgo de cardiopatía isquémica, en 1.53 la hipertensión arterial, 2.58 el tabaco, 1.36 la dieta, 2.32 la diabetes mellitus y 1.61 la dislipidemia.

En el país la participación de esos factores de riesgos en la cardiopatía isquémica es para hipertensión arterial 50.66%, dislipidemia 44%, dieta 43%, diabetes mellitus 23.48%, tabaco 21.18% y obesidad 21.18%.

Las principales medidas preventivas están orientadas a evitar la obesidad y con ello prevenir y controlar la hipertensión, diabetes y dislipidemia mediante dieta saludable y ejercicio, acompañado de la obligada necesidad de dejar de fumar.

Los diabéticos deberán recibir dieta con menores proporciones calóricas de carbohidratos que los no diabéticos y tratamiento farmacológico siguiendo las orientaciones del médico tratante.

La dislipidemia deberá ser abordada teniendo como objetivo alcanzar niveles de colesterol LDL o colesterol no HDL según el nivel de riesgo del paciente que se determina por la presencia de enfermedades cardiovasculares aterosclerótica, diabetes, insuficiencia renal y ecuaciones de riesgos que para tales fines han elaborados diferentes sociedades cardiológicas del mundo adaptándola a nuestro país. Para alcanzar dichos niveles metas, debe disponerse de los beneficios que aportan la dieta baja en colesterol como la supresión de lácteos, huevos, carnes rojas, comidas fritas o guisadas, rápidas e industrializadas para que los aportes calóricos provenientes de las grasas que debe ser de 30 a 35% sean principalmente de ácidos grasos monosaturados e insaturados. En muchos pacientes es necesario el uso de fármacos hipolipemiantes.

CONCLUSIÓN

Los pacientes con Síndrome Coronario Crónico y Agudo deberán recibir tratamiento médico e intervencionista según lo dispongan los cardiólogos tratantes.

Bibliografía

2019.Global Burden Desease. https://vizhub.healthdata.org/gbd-results/

J. Knuuti et al. 2019 ESC guidelines for the diagnosis and management of chronic coronary syndromes. Eur Heart J, Volume 41, Issue 3, 14 January 2020, Pages 407–477

Thygesen K, Alpert JS, Jaffe AS, et al. Fourth Universal Definition of Myocardial Infarction (2018). J Am Coll Cardiol. 2018;72(18):2231-2264

Thygesen K, Alpert JS, Jaffe AS, et al. Fourth Universal Definition of Myocardial Infarction (2018). J Am Coll Cardiol. 2018;72(18):2231-2264

Whelton PK, et al. 2017. ACC/AHA/AAPA/ABC/ACPM/AGS/APhA/ASH/ ASPC/NMA/PCNA Guideline for the Prevention, Detection, Evaluation, and Management of High Blood Pressure in Adults: A Report of the American College of Cardiology/American Heart Association. J Am Coll Cardiol 2017; 71: e127–e248.

Grundy SM, Stone NJ, Bailey AL, et al. 2018 AHA/ACC/AACVPR/AAPA/ ABC/ACPM/ADA/AGS/APhA/ASPC/NLA/PCNA Guideline on the Management of Blood Cholesterol: A Report of the American College of Cardiology/American Heart Association Task Force on Clinical Practice Guidelines. Circulation. 2019;139(25):e1082-e1143

www.reportemedico.com Una Dosis de Información Saludable 77 PERSPECTIVAS DE ESPECIALISTAS

ESPECIAL CARDIOLOGÍA AVANCES Y

Dra. Dhamelisse Then VanderHorst

DÍA DE LAS CARDIOPATÍAS CONGÉNITAS

¿Podemos predecir el futuro hoy en día, una vez que tenemos el diagnóstico prenatal?

El 14 de febrero se ha declarado Día Mundial de las Cardiopatías Congénitas y conmemoramos a los pequeños héroes que nacen con este tipo de afecciones que conjuntamente con sus familias enfrentan desde el nacimiento grandes batallas para mantener la vida. Nos unimos a la concientización de la población sobre la detección temprana de esta condición que salva vidas.

EDICIÓN 09 MARZO/ABRIL 2023 78
DESAFÍOS Cardiólogo Pediatra Ecocardiografista

Las cardiopatías congénitas son anomalías en la estructura y función del corazón que están presentes desde el nacimiento, afectando la forma en que fluye la sangre a través del corazón y del cuerpo y pueden variar en gravedad, desde leves hasta potencialmente mortales. Ocurren en alrededor de 8 a 10 por cada 1000 niños que nacen vivos. A pesar de todos los esfuerzos para hacer el diagnóstico, sigue siendo una de las principales causas de muerte neonatal e infantil en todo el mundo.

Desde el año 1980, con el desarrollo de la tecnología y el advenimiento de la medicina fetal, ha sido posible mejorar cada vez más el diagnóstico de estos pacientes antes del nacimiento, lo que ha permitido mejorar el entorno al momento de su nacimiento, reduciendo así el riesgo de muerte.

En muchos países ya se ha establecido que en las evaluaciones que realiza el obstetra, este debe hacer un tamizaje adecuado del corazón, tanto anatómico como funcional, para así referir a un experto en medicina fetal cuando exista alguna sospecha de cardiopatía.

Existen indicaciones claras y precisas de cuándo realizar una ecocardiografía fetal, como son las siguientes:

Maternas: gestantes que han sido diagnosticadas con cardiopatías congénitas, que han estado expuestas a algún teratógeno o que padecen enfermedades que se asocian a malformaciones cardíacas fetales como Lupus, Diabetes, entre otras.

Fetales: aumento del pliegue nucal, cariotipo anormal u otras malformaciones estructurales. Pero lo más importante es que se haga un tamizaje y si se encuentra una anomalía en la estructura o funcionamiento, se realice un estudio detallado, ya que el 80% de las cardiopatías ocurren en pacientes de bajo riesgo.

El ecocardiograma fetal debe realizarse entre las 18 a 22 semanas de gestación, bien puede ser a partir de la semana 14. El seguimiento es muy importante porque puede haber cambios evolutivos en la estructura tras la primera evaluación. Existen limitaciones porque hay cardiopatías como la coartación o el Retorno Venoso pulmonar anómalo que en ocasiones no se pueden identificar en el feto.

¿CUÁL ES EL IMPACTO DE HACER UN DIAGNÓSTICO FETAL?

Se puede brindar asesoría prenatal multidisciplinaria (obstetra, cardiopediatra, cirujano cardiovascular, genetista), que incluya una información clara de las características y progresión de la enfermedad, la asociación con síndromes genéticos, el manejo en la terapia y los días de estancia hospitalaria, permitiendo así una intervención psicológica y planificación económica temprana de la familia.

Podemos hacer una planificación estratégica del nacimiento del bebé para minimizar los riesgos, en relación al diagnóstico que hemos realizado, planteándonos los posibles escenarios, pudiendo predecir lo que ocurrirá en el futuro cuando nazca y ocurra la transición entre la circulación fetal y la del adulto.

Al tener un diagnóstico prenatal la corrección o planeación de la cardiopatía, ya sea por cirugía o cateterismo serían más oportunos, se realiza el desembarazo en un centro especializado o se coordina un traslado adecuado, el paciente permanece menor tiempo en la Unidad de terapia intensiva neonatal, ya que nos evitamos reanimarlo del choque al prevenir el compromiso hemodinámico.

CONSIDERACIONES A TOMAR EN CUENTA:

• El nacimiento debe ser a la semana 39, y no se ha demostrado un beneficio entre la cesárea y un parto vía vaginal.

• La transición fetal puede ser muy incierta, en algunos pacientes pueden cursar con inestabilidad hemodinámica, y esto va a depender de los cortocircuitos necesarios para llevar la sangre al pulmón o al cuerpo.

• ¿Qué pacientes tendrán problemas? 4-10% (los que sean dependientes del flujo pulmonar o del flujo sistémico) requerirán atención muy especializada en la sala de parto, pero es muy importante saber que amerita estar preparado con prostaglandinas a la mano, marcapaso externo, personal que conozca la anatomía y la transición.

ESTRATIFICACIÓN DE RIESGO DE CARDIOPATÍAS CONGÉNITAS EN EL NACIMIENTO:

Escenario I Cardiopatías de Bajo Riesgo

-CIA, CIV, CAV, Arritmias benignas

-Puede nacer por parto vaginal

-Recibir los cuidados rutinarios de neonatología

-Se egresa el paciente y se refiere a consulta externa de cardiología pediátrica

Escenario II Riesgo Mínimo Fisiología Perinatal Incierta

-Pueden nacer estables y ponerse muy graves en cualquier momento.

-Tetralogía de Fallot. Coartación de Aorta.

-Se requiere que el neonatólogo sepa lo que va a esperar en la transición para el uso de Prostaglandinas.

-Debe haber comunicación estrecha con el cardiólogo.

Escenario III Riesgo Alto

-Requieren estabilización inmediata al nacer

-Transposición de Grandes Arterias con septo restrictivo, Conexión Venosa Anómala

Pulmonar Total con septo restrictivo, Arritmias inestables.

-Se recomienda cesárea para que todo el equipo esté preparado (neonatólogo y cardiólogo).

-En ocasiones se requiere cateterismo urgente.

CONCLUSIÓN:

El diagnóstico prenatal ofrece la ventaja de predecir la condición en la que nacerá el bebé y así planificar el nacimiento de manera que se reduzcan los riesgos cuando se diagnostica una cardiopatía congénita.

www.reportemedico.com Una Dosis de Información Saludable 79 PERSPECTIVAS DE ESPECIALISTAS

ESPECIAL CARDIOLOGÍA AVANCES Y DESAFÍOS

Egresado de la Escuela de Medicina de la Universidad Iberoamericana, posteriormente realiza especialidad de Cardiología en La Universidad de Aix-Marsella II, Hospital de la Timone, Francia. Además de ser miembro de la Sociedad Dominicana de Cardiología, es el actual Director Médico de la Clínica Corazones Unidos, director y presidente de la Fundación Corazones Unidos y editor de la Revista Corazones Unidos.

SÍNCOPE VASOVAGAL. PROBLEMA MÉDICO DE ALTA FRECUENCIA

El síncope es una pérdida repentina de corta duración de la conciencia con pérdida del tono postural acompañado de una resolución espontánea. El paciente queda inmóvil y flácido, tiene los miembros fríos, pulso débil y respiración superficial. En ocasiones se producen sacudidas musculares involuntarias, pareciendo ser una convulsión.

EDICIÓN 09 MARZO/ABRIL 2023 80
Dr. Victor Cuello

Existen muchos tipos de síncopes, pero hablaremos del síncope vasovagal o neurocardiogénico el cual representa el 2 al 6% de los ingresos en las emergencias.

El síncope vasovagal se debe a una baja en la irrigación cerebral debido a una irregularidad en el sistema nervioso autónomo, actualmente se desconoce la causa exacta de esta entidad, aunque sí sabemos factores que pueden producirlo, tales como:

• Temperaturas Extremas.

• Permanecer mucho tiempo de pie.

• Comidas Copiosas.

• Defecación con mucho esfuerzo.

• Toma de muestras sanguíneas.

Esta baja del flujo sanguíneo cerebral en su mayor parte se debe a una Baja de la presión arterial 70% lo que provoca el síncope y en menor proporción a una baja de la frecuencia cardíaca, esto se puede evidenciar en el Tilt Test la cual es la prueba para detectar síncope vasovagal de origen indefinido.

En la mayor parte de casos el síncope vasovagal es benigno y no requiere intervención ni tratamiento. No obstante, todo paciente que hace un síncope se le debe realizar un Electrocardiograma y un Ecocardiograma y así se pueden descartar otros tipos de pérdida de conocimiento. Existen pacientes que por mala suerte no presentan el presíncope (sensación desagradable que generalmente viene acompañada de mareos y náuseas) y pierden el conocimiento sin previo aviso, aquí el trauma puede ser fatal, como por ejemplo: una persona en una autovía conduciendo y presente el evento.

SÍNTOMAS

Antes de desmayarte por un síncope vasovagal, podrías sentir lo siguiente:

• Aturdimiento.

• Visión de túnel: el campo de la visión se estrecha hasta ver solo lo que está enfrente.

• Náuseas.

• Sensación de calor.

• Sudor frío y húmedo.

• Visión borrosa.

Durante un episodio de síncope vasovagal, los que estén a tu alrededor pueden notar:

• Movimientos bruscos y anormales

• Pulso lento y débil

• Pupilas dilatadas

• Piel Pálida

El tratamiento es educar al paciente a que no luche en contra de ese presíncope que es la antesala de la pérdida de conocimiento, debe acostarse y levantar los pies, así por gravedad la irrigación cerebral aumenta.

www.reportemedico.com Una Dosis de Información Saludable 81 PERSPECTIVAS DE ESPECIALISTAS

ESPECIAL CARDIOLOGÍA AVANCES Y DESAFÍOS

CIRCULACIÓN EXTRACORPÓREA Y CIRUGÍA CARDÍACA

La circulación extracorpórea es todo sistema en el cual la circulación total o parcial es sacada fuera del cuerpo con la condición de que la sangre retorne nuevamente a el. La primera máquina corazón-pulmón fue construida en 1812 por Frey y Gruber, pero es en el año 1951 cuando se inicia su difusión con el fortalecimiento del incipiente campo de la cirugía cardíaca. El circuito extracorpóreo está compuesto de varios elementos: bomba, oxigenadores, reservorios, intercambiador de temperatura, filtros, hemoconcentradores, tuberías, conectores y cánulas.

EDICIÓN 09 MARZO/ABRIL 2023 82
Dra. Mildred Ileana Ureña Rivera Internista – Cardióloga – Intensivista – Perfusionista

¿EN QUÉ CONSISTE EL CIRCUITO EXTRACORPÓREO?

El circuito extracorpóreo consiste en drenar la sangre desde la aurícula derecha y llevarla al reservorio venoso, desde donde es llevada a la bomba (que la impulsa haciendo el papel del corazón), desde ahí pasa al oxigenador (que hace el papel de pulmón) y luego pasa a la línea arterial que está conectada al paciente, por lo que regresa nuevamente al paciente, ya oxigenada. Durante el circuito extracorpóreo existen varios parámetros que nos indican si la perfusión es o no adecuada: gases arteriales, presión arterial, estado de coagulación y diuresis. NOTA. PERFUSIONISTAS: Son integrantes esenciales del equipo cardioquirúrgico, que se encargan de operar la máquina de circulación extracorpórea. La función del Perfusionista es mantener la perfusión tisular y satisfacer las demandas de oxígeno del organismo.

Los eventos adversos que se observan en el postoperatorio de la cirugía cardíaca se deben en gran parte a la respuesta inflamatoria sistémica inducida por el sistema de circulación extracorpórea. El contacto de la sangre con los circuitos ocasiona secreción de mediadores del sistema inmunitario, los cuales pasan a la circulación sanguínea durante y después del procedimiento. Por lo que la activación del complemento, neutrófilo y liberación de algunas citocinas, ocasionan trastorno en la microcirculación, coagulopatías, fiebre y disfunción orgánica (riñón, pulmón, etc). Todas estas manifestaciones que ocurren después de la circulación extracorpórea es lo que se llama síndrome de post-perfusión o post-bomba.

Aunque la circulación extracorpórea es más difundido en cirugía cardíaca, también se usa en cirugía de transplante de hígado y en neurocirugía cuando es necesario bajar la temperatura, como forma de proteger el cerebro y disminuir su consumo de oxígeno.

La derivación cardiopulmonar (DCP) produce alteraciones, ya que la sangre al entrar en contacto con el material sintético, dispara la liberación de sustancias vasoactivas que modifican la contractilidad miocárdica y la permeabilidad vascular, iniciando la llamada respuesta inflamatoria sistémica, responsable muchas veces de la mortalidad asociada a cirugía cardíaca. La DCP produce aumento de varias sustancias: aldosterona, vasopresina, bradiquinina, glucagón, histamina, óxido nítrico, leucotrieno, entre otras. También produce disminución de varias sustancias: renina, angiotensina II, serotonina, tiroxina, etc.

RESPUESTA INFLAMATORIA SISTÉMICA

Describe aquellos cambios que se sobreponen a la respuesta fisiológica normal después de una cirugía. Ella puede ocasionar cambios hematológicos como alteraciones de los factores de coagulación, de la vía extrínseca e intrínseca, fibrinólisis y en ocasiones coagulación intravascular diseminada (CID). Una complicación frecuente es el síndrome de falla orgánica múltiple (FOM) que incluye la deficiencia respiratoria, el choque y la insuficiencia renal. El FOM es el determinante más importante para mortalidad, pues cuando aparece, la mortalidad aumenta hasta 10 veces en comparación con enfermos en quien no se presenta.

Entre los eventos como la disfunción orgánica, el síndrome de insuficiencia respiratoria, la infección y sangrado post-operatorio se relacionan con la activación del complemento, debido a eventos que ocurren en cadena. En el síndrome post-bomba se sugiere la participación de las anafilotoxinas C3 y C5 que liberan histamina y aumentan la permeabilidad vascular.

Las citocinas actúan como inotropos negativos que parecen contribuir en la cascada isquémica y en la producción del aturdimiento miocárdico. La DCP puede ocasionar susceptibilidad a las infecciones.

Entre las determinantes para el desarrollo de la falla multiorgánica se relaciona con el tiempo de la derivación, a más tiempo, más complicaciones. Además, se menciona, la ventilación mecánica por más de 48 horas y el pinzamiento de la aorta por más de 85 minutos.

Hoy en día se usa también la cirugía sin bomba (off pump), tratando de evadir la circulación extracorpórea por sus efectos deletéreo ya descrito, su limitante es que no todos los pacientes califican para esta técnica, por lo que, de usarla, se evalua la relación riesgo/beneficio. Aunque la circulación extracorpórea tiene mayor riesgo que la cirugía off pump, esta técnica (DCP) no ha sido desplazada en su totalidad, ya que sus beneficios, muchas veces superan los riesgos.

www.reportemedico.com Una Dosis de Información Saludable 83 PERSPECTIVAS DE ESPECIALISTAS

ESPECIAL CARDIOLOGÍA AVANCES Y DESAFÍOS

Cardiólogo – Ecocardiografista Fellow de la Universidad Central de Venezuela Asociación Dominicana Para el Estudio de la Obesidad (ASODEO) Máster Universitario en Avances de Cardiología de la Universidad Católica de Murcia Coordinador Unidad de Lípidos, Obesidad y Riesgo Cardiometabólico de IMEDIX

ATEROSCLEROSIS

E INFLAMACIÓN

Las enfermedades cardiovasculares (ECV) siguen siendo la principal causa de enfermedad carga en el mundo, con la tasa estandarizada por edad de CVD aumentando en algunos países de altos ingresos.

EDICIÓN 09 MARZO/ABRIL 2023 84
Dr. Carlos Alberto Maiorana Rivero

FISIOPATOLOGÍA DE LA ENFERMEDAD ATEROSCLERÓTICA

Es compleja y progresiva, se desarrolla silenciosamente a lo largo de diferentes vasos territorios mucho antes de que una estenosis alcance relevancia funcional o ocurra un evento isquémico. El reconocimiento de la aterogénesis como un proceso dinámico en vez de un depósito pasivo de colesterol ha subrayado la existencia de mecanismos inflamatorios claves. Hoy en día es notorio que la aterosclerosis es una enfermedad inflamatoria crónica de bajo grado que acontece en la pared arterial, y se inicia principalmente en respuesta a elementos endógenamente modificados, en especial las lipoproteínas oxidadas de baja densidad (LDLox), que estimulan las respuestas inmunes innata y adaptativa, que desempeña un papel importante para la progresión de la aterosclerosis. La acumulación intracelular de colesterol es el desencadenante de la respuesta del inflamasoma conducente a la producción de mediadores inflamatorios como las interleucinas (IL-1 , IL-6 entre otras).2

La teoría lipídica postula que colesterol LDLox es sin duda un factor causal de la aterosclerosis, y se ha convertido en el principal objetivo terapéutico de la prevención cardiovascular. Sin embargo, a pesar de los eficaces fármacos disponibles en la actualidad, como las estatinas, ezetimiba y los inhibidores de PCSK9, utilizados en monoterapia o en terapia combinada, todavía nos enfrentamos a una tasa inaceptablemente alta de episodios cardiovasculares (riesgo residual). Por tanto, una vez reconocida y aceptada la aterosclerosis como una inflamación crónica de la pared arterial, es fácil comprender que hayan surgido estrategias antiinflamatorias para la prevención de las complicaciones de la aterosclerosis, como Colchicina y Canakinumab.

En los últimos años, numerosos estudios han correlacionado diferentes biomarcadores con la enfermedad cardiovascular. Entre los biomarcadores, en el país contamos con la PCR de alta sensibilidad (hs-PCR) considerando como valor normal ≤ 2 mg/dL, siendo el marcador de inflamación y riesgo residual más estudiado en el ámbito de la aterosclerosis. Los valores elevados de hs-PCR se han relacionado con diversos factores, como la hipertensión arterial, el índice de masa corporal (IMC), el tabaquismo, el síndrome metabólico, la diabetes mellitus, la obesidad, la terapia hormonal sustitutiva y las infecciones e inflamaciones crónicas. En el estudio Women’s Health Study, un valor > 3 mg/l resultó un predictor independiente de

eventos cardiovasculares. Al igual que en el estudio ARIC (Atherosclerotic Risk in Communities Study), estos datos indican que el valor de hs-PCR proporciona una medida adicional para la estimación del riesgo de enfermedad coronaria.

En el estudio Carotid Atherosclerosis and Stroke Collaboration (CASCO) publicado, muestra una relación lineal independiente de la interleucina 6 (IL-6) circulante como marcador de inflamación, con la gravedad y la progresión de la placa carotídea en 5 años de seguimiento, donde los pacientes con IL-6 elevada incrementa el 44% la probabilidad de Riesgo de Obstrucción de la Arterias Carotídea, por la formación de placa aterosclerótica altamente vulnerable y protrombótica, comparado a quienes presentan niveles normales de este marcador de Inflamación. Concluyendo que La Inflamación es un factor importante que contribuye al riesgo de progresión de la placa, independientemente de la dislipidemia y otros factores de riesgo cardiovascular.

Circulation Research. 2022;131:e22–e33

Recientemente se muestra un meta análisis con 31.245 pacientes que participaron en múltiples ensayos clínicos publicado en la prestigiosa revista Lancet 2023, donde valoraron importancia relativa de la hs-PCR y del (LDL) como determinantes del riesgo de eventos cardiovasculares adversos mayores, muerte cardiovascular y muerte por todas las causas entre los pacientes que recibieron tratamiento hipolipemiantes, apreciando que pacientes divididos en cuartiles y tratados con estatinas, muestran que la inflamación evaluada por hs-PCR fue un predictor más fuerte del riesgo de futuros eventos cardiovasculares y muerte que el colesterol de lipoproteínas de baja densidad.9

Lancet. 2023 Mar 3;S0140-6736(23)002155

Por todo lo manifestado, los médicos deberíamos enfocarnos en el uso combinado de terapias para reducir los lípidos e inhibir la inflamación para reducir el riesgo de aterosclerosis, y la agresividad farmacológica a utilizar dependerá siempre del Riesgo Cardiovascular Individual de cada paciente.

Referencias:

J Am Coll Cardiol 2021;77(15):1958–9.

J Am Coll Cardiol 2019;74(12):1608–17.

Circulation, 105 (2002).

Eur Heart J, 25 (2004).

Circulation, 107 (2003).

N Engl J Med, 342 (2000).

Circulation, 109 (2004).

Circulation Research. 2022;131:e22–e33.

Lancet. 2023 Mar 3;S0140-6736(23)00215-5.

www.reportemedico.com Una Dosis de Información Saludable 85 PERSPECTIVAS DE ESPECIALISTAS
American Journal of Preventive Cardiology 13 (2023)
EDICIÓN 08 MARZO/ABRIL 2023 86

ENVEJECIMIENTO EN LA MUJER

MÉDICO INTERNISTA-GERIATRA

El envejecimiento según el sexo conlleva describir diferencias marcadas desde múltiples aspectos, los cuales podemos dividirlos en este artículo, en sociales, clínicos y físicos, para tratar brevemente de detallarlos. A nivel mundial se está desarrollando una transición demográfica que conllevará a que haya una mayor proporción de la población de la tercera edad, y la República Dominicana no está exenta, según la Oficina Nacional de Estadísticas (ONE) se proyecta que para el 2050 las personas de 65 años y más representarán alrededor del 16% del total de la población dominicana y las personas de edad extrema (de 80 y más) constituirán el 4.2%.

Gran parte de esas personas mayores serán mujeres porque tienen una expectativa de vida mayor, reportando también la ONE que hacia el año 2030, de la totalidad de envejecientes el 57.27% será femenino a diferencia del 42.73% que será masculino; sin embargo, aunque las mujeres viven más que los hombres, las mujeres adultas mayores tienen indicadores de salud más pobres que los hombres de su misma edad, existen muchas connotaciones negativas del envejecimiento femenino a diferencia del masculino, el llegar a la vejez, en las mujeres, está llena de estereotipos, cuestionamientos y comentarios negativos, simplemente por ser mujeres mayores, por cómo se visten o cómo actúan.

La calidad de vida de esos años no siempre es buena o saludable porque hay mayor probabilidad de padecer enfermedades crónicas y pérdidas funcionales y también si le sumamos a esto la “feminización del cuidado”, en el cual las mujeres de cualquier edad están a cargo del cuidado de otro familiar, afecta completamente su estado de salud y su proceso de envejecimiento. Otro de los factores en el que el envejecimiento femenino está condicionado es la mayor probabilidad de enviudar que los hombres y por consiguiente vivir en soledad.

Decía el autor John Gray que “los hombres son de marte y las mujeres de venus”, para así hacer alusión a la diferencia que hay entre

ambos y, al envejecer, es cierto y obvio que hay características específicas de cada uno. En los siguientes párrafos, vamos a mencionar de forma breve algunos de los cambios más relevantes de esta etapa.

Sobre los cambios clínicos en la mujer, al envejecer, se ven centrados principalmente en los temas ginecológicos, predominando la menopausia dentro de ellos, que repercute directamente en su fisiología y que clínicamente se refiere al cese de los ciclos menstruales.

La Organización Mundial de la Salud (OMS) la define como el cese permanente de la menstruación por la pérdida de la actividad folicular ovárica.

Cabe aclarar que los ciclos menstruales no cesan de manera súbita, sino que es provocado por una transición donde existirán diversos síntomas y trastornos hormonales, a este tiempo se le conoce como perimenopausia y se presenta alrededor de los 47 años; entonces el tiempo transcurrido entre el estado reproductivo y el no reproductivo se llama climaterio cuya edad promedio de inicio es de 51 años. Si apareciese antes de los 40 años se conoce como menopausia temprana.

GERIATRÍA
87

El proceso de menopausia es provocado en si por cambios neuroendocrinos dinámicos que a su vez va a conllevar, entre otros, a los siguientes trastornos:

Perdida ósea: Resultando por el aumento en la remodelación ósea y el desequilibrio entre formación y resorción de los huesos.

Cambios endocrinos: Estos son muy marcados y cambia la dinámica entre hipotálamo-hipófisis y ovario envejecido, provocando, entre otros, elevación de LH (Hormona Luteinizante) y FSH (Hormona foliculoestimulante) y disminución progresiva de los niveles de gonadotropina.

Mayor riesgo de aumento de peso: se cree que la menopausia altera el metabolismo de

las células adiposas, existiendo menor lipólisis y mayor actividad de la lipoproteína lipasa del tejido adiposo como resultado de la deficiencia estrogénica y el aumento de andrógenos.

Síntomas vasomotores: Conocidos como “bochornos”, que son una sensación súbita de calor interno desde el tórax hacia la cabeza y el cuello.

Atrofia urogenital: El efecto de la falta de estrógenos a nivel vulvovaginal provoca el adelgazamiento y aplanamiento de la vulva, atrofia del clítoris, acortamiento de la vagina, el meato urinario cambia su ángulo con la sínfisis del pubis de 90 grados a 180 grados, disminuye la distancia entre la uretra y el introito vaginal, entre otros cambios.

A nivel del tracto urinario bajo, hay mayor incidencia de infección de vías urinarias y se cree que las posibles causas son alteración en el vaciamiento vesical, aumento del volumen residual, pobre higiene perineal e incremento de la incontinencia urinaria y fecal.

Trastornos del sueño: Durante la transición menopáusica hay mayor prevalencia de alteraciones del sueño, fatiga e insomnio; se cree que los estrógenos influyen en el sistema nervioso central contribuyendo a cambios en el estado del ánimo.

Cognición: Se cree que los cambios hormonales mediados por los estrógenos a nivel cerebral podrían influir en la memoria durante la menopausia, sin embargo, no hay estudios suficientes que avalen esta teoría.

Otra de las esferas clínicas afectadas con el envejecimiento en la mujer sucede en la glándula mamaria, durante el climaterio, hay mayor frecuencia de cáncer de mama, pero las estadísticas apuntan que esto ocurre mas en la sexta década de la vida y que disminuye su frecuencia en las décadas posteriores.

El envejecimiento femenino también está condicionado por los cambios físicos a los que conlleva, que en el caso de la mujer se convierte en estigmatizaciones que les afectan de forma directa, están encasilladas en cánones específicos de juventud y belleza que se constituyen prácticamente en requisitos para desenvolverse en la vida pública.

El gran reto a asumir a partir de ahora es cambiar la visión esencialmente negativa en la vejez en general, que logre proteger los derechos de las personas mayores y que incluya políticas sociales adicionales que garanticen su inclusión, y en el caso de las mujeres mayores tiene que incluir un esfuerzo mayor para derribar la discriminación que se deriva tanto por la edad como por el género, ya que la sociedad exige que la mujer debe mantener una imagen que se asocia a juventud y escondan una imagen física que corresponda con los cambios físicos que se producen con el paso del tiempo.

Nuestra sociedad deberá diseñar políticas para mayores que sean diferentes, que tome en cuenta que en el futuro no muy lejano habrá una generación de jubiladas independientes que exigirán un empoderamiento de su grupo etario, que serán mujeres con una vida laboral fuera del hogar, con acceso y práctica de las nuevas tecnologías y de forma individual seguir en la búsqueda de construir un envejecimiento activo que nos permita disfrutar de una nueva ancianidad más funcional y participe del entorno.

EDICIÓN 09 MARZO/ABRIL 2023 88

LA ASOCIACIÓN DOMINICANA DE PSICOLOGÍA PERINATAL INAUGURA PRIMERA HABITACIÓN

Santo Domingo. La Asociación Dominicana de Psicología Perinatal (ADPP), inauguró la primera habitación de despedida orientada al duelo perinatal en el país, en el Hospital Materno Infantil San Lorenzo de los Mina, la cual lleva por nombre Jardín Colibrí.

“Nos sentimos orgullosos de presentarles esta iniciativa, la primera habitación de despedida en la República Dominicana, dedicada al Duelo Perinatal, la misma tiene como objetivo conceder un espacio íntimo y respetuoso a las familias que atraviesan el terrible suceso de la muerte de un bebé antes o después de nacer, este espacio les permite a los padres y familiares sostener, vestir, besar y despedirse de su bebé” acto que humaniza el duelo perinatal convirtiéndolo en un referente nacional e internacional para el abordaje adecuado ante este tipo de acontecimiento el cual favorece además a los profesionales de la salud al disponer de un espacio digno donde puedan informar la aterradora noticia y además contener emocionalmente a las familias, así lo declaró la Licda. Angy Estévez, Psicóloga Clínica con Maestría en Intervención Social y Especialidad en Salud Mental Perinatal, presidenta y fundadora de la institución.

Además, la Licda. Angy Estévez, manifestó que la Asociación Dominicana de Psicología Perinatal tiene como propósito principal instaurar esta rama de la psicología en el país, conjuntamente, sensibilizar, acompañar e intervenir en los procesos psicoafectivos que se presentan en etapas de concepción, embarazo, parto y postparto, y a su vez capacitar a los profesionales de la salud relacionados al área materno infantil como una estrategia para la reducción de la muerte materno infantil.

Como una forma de mejorar y concluir este proyecto, la ADPP, capacitó al personal de salud, entre ellos: psicólogos, residentes, obstetras, pediatras, perinatólogos, enfermeras, neonatólogos, psiquiatras y sonografistas, por medio de la formación sobre cuidados paliativos perinatales y abordaje adecuado de la muerte perinatal.

encargada del programa mamá canguro y la Licda Teresa Narváez, directora de Project Hope; la Licda. Angy Estévez, presidenta y fundadora de la Asociación Dominicana de Psicología Perinatal; además, los acompañaron miembros del Consejo Administrativo y Académico Licda. Jenifer Calderón y Licda. Catherine Acevedo.

La habitación de despedida contó con la colaboración de los miembros del consejo administrativo y académico, así como de voluntarios de la institución quienes donaron los materiales de equipamiento, mientras que la Licda. Cristina Bello, arquitecta y directora general de Disueña aportó sus dones y talentos profesionales para la creación de este espacio, la señora Suneica Carmelina Rivas y la señora Surelis Tejeda, propietarias de la tienda El faldellín, aportaron el delicado moisés donde los padres podrán colocar su bebé, la Licda. Estevez motivó a las personas a donar para que este proyecto pueda extenderse a todo el país.

En el acto estuvieron presentes el doctor Leonardo Aquino Rosario, director del Hospital; la doctora Dagne Sánchez, gerente de Perinatología, la doctora Cleotilde Matos, ex

La Licda. Angy Estévez, explicó que la primera habitación de duelo perinatal está inspirada en la leyenda del colibrí, una de las aves más bellas que habita en América y, a pesar de ser la más pequeña en el mundo, su presencia simboliza muchos conceptos, este se conoce como un mensajero y guardián del tiempo y de los pensamientos, su presencia ofrece amor, alegría y esperanza.

La Asociación Dominicana de Psicología Perinatal (ADPP), son pioneros en la formación de profesionales en Salud Mental Perinatal de la República Dominicana.

www.reportemedico.com Una Dosis de Información Saludable 89
NOTICIA
DE DUELO PERINATAL EN EL PAÍS

MANEJO DE LA ESTENOSIS URETRAL FEMENINA

PRESENTACIÓN DE UN CASO CLÍNICO

@Dr.wellingtonledesmard

ESTENOSIS URETRAL.

DESCRIPCIÓN GENERAL.

OBJETIVO:

Describir la técnica y los resultados obtenidos de la uretroplastia dorsal con injerto de mucosa lingual (IML) para el tratamiento de la estenosis uretral femenina.

La estenosis uretral femenina es una rara condición que cursa con síntomas del tracto urinario bajo de tipo vaciado (obstructivo), pudiendo representar hasta un 13% de la causa obstructiva (4). Podemos definirla como aquel estrechamiento de la luz uretral inferior a 14 French (Fr), desde el cuello vesical hasta la uretra distal (1).

Debido a que la uretra femenina posee una corta longitud, anatómicamente la ubicamos debajo y detrás de la sínfisis púbica y por su movilidad relativa, la incidencia de estenosis postraumatismo pélvico en mujeres es inferior a la de los hombres entre un rango de 0-6% (2).

Dra.

@yiraldy_meran

CAUSAS

Es más frecuente observar este tipo de patología de la uretra femenina asociada a cirugías endoscópicas o de uretra abierta, dilatación uretral, sondaje uretral, radioterapia por neoplasias pélvicas (2), diverticulectomía uretral, procedimientos para corregir la incontinencia urinaria y colporrafia anterior (3).

PRESENTACIÓN CASO CLÍNICO:

Femenina de 50 años de edad quien presenta síntomas del tracto urinario bajo, del tipo vaciado (nicturia de 5 ocasiones, esfuerzo miccional, chorro urinario débil y lento) desde hace 14 años.

Como antecedentes quirúrgicos relevantes se destacan, cesárea hace 14 años (con colocación de sondaje uretral) y cirugía uretral endoscópica hace 2 años.

Al examen físico podemos destacar:

Genitales externos: adecuados para edad y sexo, fenotípicamente femeninos. Labios mayores cubren labios menores, introito permeable, meato uretral externo norminserto, edematizado, se palpa fibrosis en toda la uretra desde 0.5 cm del meato.

EDICIÓN 09 MARZO/ABRIL 2023 90
Dr. Wellington A. Ledesma Cáceres URÓLOGO RECONSTRUCTIVO
URÓLOGA
Yiraldy Merán Encarnación
CIRUJANA
UROLOGÍA

En cuanto a los estudios diagnósticos prequirúrgicos se realizó una uroflujometría, que arrojó los siguientes resultados. Volumen urinario total 346 cc // Qmax 10.2 ml/seg (un Qmax ≤12 ml/seg es considerado un parámetro diagnóstico de obstrucción) ** En esta paciente no se logra medir orina residual por imposibilidad de sondaje.

TÉCNICA QUIRÚRGICA

Realizamos una técnica similar a la descrita por Migliari. Con la paciente con doble técnica anestésica (bloqueo subaracnoideo y anestesia general inhalatoria) y en posición de litotomía se introduce una guía de trabajo a través del meato externo, esto es debido al grado de estrechez.

Se toma el injerto de mucosa lingual unos 3 cm, posterior a ello, se sutura la lengua con hilo reabsorbible Vycril rapic 4-0 puntos continuos (Figura 4 y 5). Se sutura el injerto hacia el lecho uretral con puntos simple Vycril 4-0 (Figura 6 y 7).

CONCLUSIÓN

Se realiza una incisión en forma de U inverti da a 1.5 cm por debajo del clítoris (Figura 1), disecamos separando la mucosa vulvar de la uretral, creando un plano entre la uretra y el tejido cavernoso adyacente del clítoris, con el fin de liberar toda la longitud de la uretra (Figura 1).

La disección se debe realizar con cuidado para no lesionar el bulbo ni el cuerpo cavernoso del clítoris. Para lograr esto, la disección se debe realizar siempre cerca del tejido fibroso de la uretra.

Una vez liberada toda la uretra, se realiza uretrotomía dorsal hasta lograr un diámetro de 28 French (Fr). En el caso de esta paciente, la uretrotomía se llegó hasta la unión uretro-vesical (Figura 2 y 3).

RESULTADOS

El procedimiento quirúrgico fue realizado sin inconvenientes. No se evidenciaron complicaciones quirúrgicas. La paciente fue egresada a las 24 horas postquirúrgicas, la sonda transuretral permaneció por 4 semanas, al retiro de la misma, se evidencia buena amplitud uretral. La paciente presentó síntomas irritativos los cuales fueron tratados con antimuscarínicos, se realiza sonografía pélvica con medición de orina residual postmicción que solo arrojó 5 ml, urocultivo positivo para E. coli que fue tratado con antibioterapia de amplio espectro. Después de 6 meses la paciente ha evolucionado en buenas condiciones, sin sintomatología obstructiva, sin incontinencia y con resultados cosméticos satisfactorios.

La uretroplastia con injerto de mucosa lingual dorsal supone una técnica quirúrgica eficaz y segura para el tratamiento de estenosis uretral femenina, con resultados satisfactorios a largo plazo. Además de que al emplear mucosa lingual y no oral, se suma el componente estético que es un factor a discutir y tomar en cuenta cuando se le plantea a la paciente la técnica quirúrgica a emplear.

REFERENCIAS

Rev. Arg. de Urol. • Vol. 82 (4) 2017 (133-140) ISSN 0327-3326: Uretroplastía femenina con injerto de mucosa bucal.

Atlas de cirugía urológica de Hinman cuarta edición. Capítulo 87, reconstrucción uretral femenina, páginas 665-672

Reconstructive urologic surgery. Section 7, uroginecologic reconstruction, Female urethral reconstruction for Courtenay K Moore, pg 567572.

Actas Urológicas Españolas vol.35 no.4 abr. 2011: Uretroplastia con injerto dorsal de mucosa oral en estenosis uretral femenina.

www.reportemedico.com Una Dosis de Información Saludable 91

INJURIA RENAL AGUDA

PREVALENCIA DE LESIÓN RENAL AGUDA

EN PACIENTES CRÍTICOS

AFECTADOS POR COVID-19 EN EL HOSPITAL RODOLFO DE LA CRUZ LORA

DURANTE EL PERÍODO ENERO – DICIEMBRE 2021

La Injuria Renal Aguda (IRA) se define como la disminución de la capacidad que tienen los riñones para eliminar productos nitrogenados de desecho con progresión de horas a días.

Es relevante mencionar, que una de las complicaciones en COVID 19 es la (IRA).

Aunque es poco frecuente, condiciona un pronóstico negativo muy importante donde el daño renal parecía estar más relacionado con el fallo multiorgánico, que con el tropismo renal del virus.

En un metaanálisis reciente, la prevalencia de (IRA) dentro de los pacientes ingresados con COVID 19 fue del 28% elevándose al 46% entre los pacientes críticamente enfermos, y casi el 20% requirió apoyo con terapias de reemplazo renal.

METODOLOGÍA

Fue un estudio observacional, retrospectivo, descriptivo y de corte transversal en el que se buscó determinar prevalencia de Lesión Renal Aguda en 160 pacientes en la Unidad de Cuidados Intensivos afectados por COVID 19.

La herramienta de recolección de datos fue un formulario basado en la investigación titulada “Incidencia, Características y Resultado de COVID 19 en Adultos con Terapia de Reemplazo Renal”.

En esta investigación se utilizaron variables cualitativas y cuantitativas tales como: sexo, comorbilidades, rangos de edad, tipo de soporte ventilatorio y prevalencia.

Por otro lado, como criterios de inclusión se utilizaron todos los pacientes diagnosticados con (IRA) con infección post COVID 19 en contraste, como criterios de exclusión estuvieron todos los pacientes con diagnóstico de (IRA) antes del COVID 19 y todos los pacientes con serología negativa para COVID 19.

EDICIÓN 09 MARZO/ABRIL 2023 92
@drdomingomartinez ESTUDIO CLÍNICO
Dr. Domingo Martínez
MÉDICO INTERNISTA NEFRÓLOGO

4TO CONGRESO NACIONAL DE MEDICINA CRÍTICA Y CUIDADOS INTENSIVOS

Dr. Domingo Martínez / Nefrólogo/internista

Dra.Fanny Márquez / Intensivista/internista

Dr. Pineda de la Cruz /Médico epidemióloga

Dra. Yocaida García / Internista Intensivista

Est. Manuel Alemán / Estudiante de Medicina

GRÁFICA #1: INCIDENCIA DE LESIÓN RENAL

GRÁFICA #3: COMORBILIDADES EN PACIENTES CON COVID-19 SEXO

GRÁFICA #2: FRECUENCIA DE IRA SEGÚN EL SEXO

DISCUSIONES Y CONCLUSIONES

Se determinó una incidencia del 48% de los pacientes que desarrollaron Lesión Renal Aguda Post COVID 19. Estos resultados discrepan a los obtenidos en el estudio realizado el 9 de junio del 2020, titulado “Coronavirus y Riñón”, donde se reportó una incidencia entre el 3- 9%.

Se identificó que el sexo masculino fue el más afectado, con un 58% de los enfermos. Resultados similares al estudio realizado por la Sociedad Española de Nefrología titulado “Insuficiencia Renal Aguda en la Infección por Coronavirus Sar -Cov 2 COVID 19” en donde los hombres desarrollaron con mayor frecuencia (IRA) posterior al COVID 19 con 69, 9%.

Las principales comorbilidades incluían HTA y DM en proporciones de 75% y 68% respectivamente. Datos que concuerdan con el estudio citado anteriormente, donde la HTA y la DM fueron las comorbilidades más comunes en pacientes con (IRA), con un 71% y 36%.

El rango de edad más afectado fue el de 50 -65 años con un 41% Los resultados del estudio titulado “Incidence Characteristics and Outcome of COVID 19 in Adults on Kidney Replacement Therapy Regionwide Registry Study” difieren indicando a los mayores de 85 años como la población más afectada.

En cuanto al tipo de soporte ventilatorio la incidencia de Lesión Renal Aguda fue más frecuente en aquellos que utilizaron modali-

GRÁFICA #4: DISTRIBUCIÓN SEGÚN EL MODO VENTILATORIO

MECÁNICA INVASIVA

VENTILACIÓN MECÁNICA NO INVASIVA

dad invasiva con un 66%; resultados similares se obtuvieron en el estudio Lesión Renal Aguda en COVID 19 análisis en el Hospital Ángeles Mocel realizado por Prado Lozano y col, obteniendo un 77% frente a un 37% no invasiva, similar al estudio Mortalidad y Fracaso Renal agudo en pacientes con ventilación no invasiva realizado en el Hospital General Universitario Reina Sofía que fue de 29%.

www.reportemedico.com Una Dosis de Información Saludable 93
48% 48% 34% 42% 52% 52% 66% 58% ANEXOS Y REFERENCIAS
SIN LESION RENAL AGUDA MASCULINO HTA VENTILACIÓN
CON LESION RENAL AGUDA FEMENINO DM

SONOGRAFÍA ABDOMINAL

Cuando hablamos de ecografía o sonografía nos encontramos con una prueba de diagnóstico que nos da la posibilidad de obtener imágenes bi y tridimensionales de los órganos del paciente mediante el uso de ultrasonidos. En el caso de la sonografía abdominal los órganos que podemos ver son los que se encuentran en la cavidad abdominal.

¿EN QUÉ CASOS SE REALIZA UNA ECOGRAFÍA ABDOMINAL?

La ecografía abdominal permite observar los órganos abdominales (hígado, la vesícula biliar, el páncreas, el bazo, los riñones y la vejiga urinaria) tanto para su evaluación morfológica y en casos más específicos para evaluar su funcionalidad.

En primer lugar, sirve como prueba de control para examinar diversas zonas, en este caso el abdomen, donde encontramos órganos como los riñones, hígado, bazo , páncreas, vesícula biliar , aorta abdominal entre otros .La ecografía abdominal permite obtener gran información de estos órganos, por lo que, en muchos casos, es empleada como prueba preventiva, cuando el paciente presenta como síntoma principal el dolor abdominal, alteraciones a nivel de analíticas previas , o como prueba en pacientes post control tras intervenciones quirúrgicas o para comprobar la efectividad de ciertos tratamientos.

Otro uso de la ecografía abdominal frecuente es como prueba de apoyo para realizar una biopsia hepática o renal o drenar abscesos localizados en algún órgano del abdomen.

¿CÓMO SE REALIZA UN EXAMEN DE ECOGRAFÍA ABDOMINAL?

La ecografía abdominal se lleva a cabo con gel que se extiende en la zona y nos servirá junto al transductor (sonda) convexo. La combinación de ambos elementos genera imágenes por ondas sonoras de órganos a estudiar.

La prueba se realiza con el paciente acostado en decúbito supino en la camilla, el abdomen descubierto, y el médico a continuación le dará indicaciones de cómo debe colocarse en cada momento y de los instantes en los que es necesario que mantenga la respiración, para mejor valoración y efectividad del estudio.

EDICIÓN 09 MARZO/ABRIL 2023 94 RADIOLOGÍA

Beneficios y riesgos de una ecografía de abdomen

Todo son ventajas para el paciente que se realiza un estudio de ecografía abdominal. Se trata de una prueba de diagnóstico por la imagen no invasiva, totalmente segura y sin radiación ionizante.

recurre a esta y en función de los resultados obtenidos, se determina la necesidad de realizar otro tipo de estudio que ofrezca el diagnóstico definitivo. En el caso de que sea estrictamente necesario analizar estructuras abdominales más profundas, se recurrirá al TAC (Tomografía computarizada) abdominal que sí que emite radiación ionizante.

¿Cómo me preparo para una prueba de ecografía abdominal?

-Ecografía abdominal en ayunas Para realizarse una ecografía abdominal únicamente se requiere acudir en ayunas de 6 a 8 horas. Durante este periodo, el paciente podrá ingerir únicamente agua. Esto disminuye la presencia de gas a nivel abdominal, así como mejor valoración de la vesícula biliar la cual en condiciones postprandial se observará contraída, pudiendo presentar datos falsos positivos.

¿Cuánto tiempo dura una prueba de ecografía abdominal?

El tiempo estimado de la duración de este estudio oscila entre 10 y 20 minutos. En el caso de que su función sea la de prueba complementaria para una biopsia hepática o renal o drenar abscesos localizados en algún órgano del abdomen, el tiempo de realización puede ser mayor.

Comparación de la ecografía abdominal con otras pruebas de diagnóstico

A diferencia de otras pruebas de diagnóstico, la ecografía es un procedimiento muy seguro en el que no se produce radiación ionizante. Estas características, positivas para el paciente, han convertido a este estudio por ultrasonido en la preferencia de muchos especialistas para el diagnóstico de enfermedades.

Resulta fundamental cumplir con estos requisitos y cualquier otro que indique el médico para obtener imágenes claras y lograr un resultado óptimo de la prueba, así como ofrecer el diagnóstico adecuado.

¿Qué se puede detectar en una ecografía abdominal?

La ecografía abdominal es un examen de diagnóstico por imagen que pretende ver los órganos internos del abdomen y para diagnosticar las enfermedades que puedan tener su origen de un mal funcionamiento de estos. Asimismo, la ecografía abdominal puede englobar la ecografía pélvica, es decir, una ecografía transabdominal que pretende observar la vejiga y los órganos que derivan de ella, en el caso de las mujeres, los ovarios, el útero, el cuello uterino, en el caso de los hombres, la próstata y las vesículas seminales. Si a raíz de la prueba, se descubren resultados anormales, podremos identificar las diversas patologías de la zona estudiada.

Asimismo, en muchas ocasiones la ecografía es prueba complementaria en el descubrimiento de muchas patologías. Primero se

www.reportemedico.com Una Dosis de Información Saludable 95
@paopp1920

GUÍA

Alergología Cardiología

Endocrinología y nutrición

Hematología

Medicina interna

Nefrología Neumología

Neurología

Neurofisiología Clínica

Oncología Pediatría

Psiquiatría

Rehabilitación

Reumatología Geriatría

Urología

Gastroenterología

Cirugía Bariátrica

Cirugía Pediátrica

Cirugía General

Ginecología y Obstetricia

Cirugía Plástica

Ortodoncia y Odontología

Neurocirugía

Otorrinolaringología

Podología y Podiatra

Oftalmología

Ortopedia

Traumatología

Toxicología

www.reportemedico.com

Telfs: +1 829 962-9949

ventas@reportemedico.com

Dominicana MARZO / ABRIL 2023
República
FORMA PARTE DE NUESTRA PLATAFORMA
Redes
ESTA SECCIÓN AGRUPAMOS A LOS GALENOS MÁS DESTACADOS DE LA REPÚBLICA DOMINICANA
MÉDICA SUSCRÍBETE Y
Newsletter Semanales + Videos Podcast +
Sociales + Website EN

GUÍA MÉDICA

Dr. José R. Barriento Martínez

ESPECIALIDAD MÉDICO CIRUJANO CIRUGÍA LAPAROSCÓPICA

PATOLOGÍAS

Hernias, Vesículas, Tiroides, Partes Blandas, Apéndice.

CENTRO POLICLÍNICO NACIONAL: Avenida Guayubin Olivo, Santo Domingo. Horario: Lunes a Viernes 8:30 Am - 12:00 Pm.

CENTRO MÉDICO MONUMENTAL:

Horario: Martes y Jueves de 2:30 pm a 6:00 pm

TORRE DE ESPECIALIDADES SANTO DOMINGO: Horario: Martes y jueves por cita.

809 788-2323 / Móvil: 829 230-3822

Dr. Hugo M. María P.

ESPECIALIDAD

CIRUJANO GENERAL

PATOLOGÍAS

Cirujano General, Laparocopista y Oncólogo.

BELLA TERRA MALL: Centro de Medicina Avanzada 1er nivel, Suite A40. Av. Juan Pablo Duarte. Santiago de los Caballeros.

Horario: Lunes - Martes y Jueves 10:00 Am a 12:00 Pm

809 971-1718 - Móvil: 829 994-0946

drhugomaria drhmmp@hotmail.com

Dr. Domingo Martínez Charles

ESPECIALIDAD

NEFRÓLOGO - INTERNISTA

PATOLOGÍAS

Experto en Terapias Renales. Patología Clínicas Renales.

INCAE: Santo Domingo Este

Horario: Martes y Jueves de 2:00 Pm - 5:00 Pm

CLÍNICA DR RODRIGUEZ SANTOS: C. Bartolomé Colón, Santo Domingo 10309.

Horario: Lunes/Martes/Miércoles/Viernes de 8:00 Am - 12:30 Pm

829 340-1381

@drdomingomtnez

José Barriento

dr.barriento dr.barriento@gmail.com

drdomingomartinez

dr.martinezcharles@gmail.com

www.reportemedico.com Una Dosis de Información Saludable 97 www.reportemedico.com
ONCOLOGÍA CIRUGÍA GENERAL NEFROLOGÍA

GUÍA MÉDICA

UROLOGÍA

Dr. Tomas Onalis

Cuevas

ESPECIALIDAD CIRUJANO URÓLOGO

PATOLOGÍAS

Litiasis Renal, hiperplasia Prostática, Cáncer de Próstata, Varicocele.

GRUPO MÉDICO SAN MARTÍN: Tercer Nivel, Av. San Martin #232.

Horario: Lunes, Martes, Viernes 8:00 Am a 12:00 Pm

CLÍNICA PERAVIA BANI: Calle Mella #16, Telf.: 809 522-3846

Horario: Miércoles 9:00 Am

809 565-1777 - Ext.: 303 / Móvil: 809 848-5374

tomasonalis cuevas.urologo@gmail.com

Dra. Yiraldy Meran

ESPECIALIDAD CIRUJANA URÓLOGA

PATOLOGÍAS

Enfermedades Prostáticas, Cálculos Renales, Infección de Vías Urinarias, Cirugía Reconstructiva Uro-Genital, Patologías del Piso Pélvico Femenino.

CLÍNICA DE CIRUGÍA Y ESPECIALIDADES DR. UREÑA ARIAS: Avenida Hermanas Mirabal #341, Santo Domingo Norte.

Horario: Lunes y jueves a partir de las 11:00 Am.

809 218-1657

yiraldy_meran

urologameran@gmail.com

EDICIÓN 09 MARZO/ABRIL 2023 98
República Dominicana MARZO/ABRIL 2023

www.reportemedico.com

UROLOGÍA PSIQUIATRÍA

Dr. Miguel Sánchez Caba

ESPECIALIDAD CIRUJANO URÓLOGO PATOLOGÍAS

Cirugía Urológica Moderna y Vanguardista (Robótica, Laparoscópica, Endoscópica, Percutánea, Reconstructiva, Trasplante Renal, Cirugía de Disfunción Eréctil y Urológica Convencional).

HOMS: Consultorio: 518 ( 5ta Planta), Autopista Duarte Kilómetro

2.8 Santiago, República Dominicana.

Horario: 8:00 Am a 1:00 Pm Consultas Programadas www.drsanchezcaba.com

829 947-2222 Ext: 60518/60530 - Móvil: 829 741-5518

urologo.dr.sanchez.caba urologo@drsanchezcaba.com

Dr. Wellington A. Ledesma Cáceres

ESPECIALIDAD URÓLOGO RECONSTRUCTIVO

PATOLOGÍAS

Estrechez Uretral, Patología prostática, Infertilidad masculina, Cálculos renales, Disfunción Eréctil.

CENTRO MÉDICO UCE: Calle Pedro Henríquez Ureña #68

Horario: 2:00 Pm a 5:00 Pm

809 475-6102 / Móvil: 829 720-3181

Dr.wellingtonledesmard welldocc@gmail.com

Dra. Jeanette A.

Taveras Pérez

ESPECIALIDAD PSIQUIATRÍA

PATOLOGÍAS

Trastornos del ánimo, Trastornos de Ansiedad, Trastornos del Sueño, Trastornos de la Conducta Alimentaria, Trastornos de la Personalidad, entre otros.

GRUPO MÉDICO NACO: 1er piso, Calle Fantino Falco

esquina Luis Alberti.

Horario: Por citas, de lunes a viernes.

CEDIMAT: Calle Arturo Logrono, Plaza de la salud.

Horario: Por citas, Martes mañana y tarde - Jueves por la mañana.

849 456-4878 / Móvil: 829 384-4878

dra.jeanettetaveras drajeanettetp@gmail.com

Dra. Paola Rodríguez Leger

ESPECIALIDAD UROLOGÍA

PATOLOGÍAS

Patologías de la Próstata, Litiasis Renal, Disfunción Eréctil, Patologías del Pene y Testículos, Infección urinaria y de Transmisión Sexual, Incontinencia Urinaria.

CENTRO POLICLÍNICO NACIONAL

Av. Guayubin Olivo, Santo Domingo Este

Horario: Lunes a Viernes a partir de las 3:00 Pm.

809 788-2323 - Móvil: 829 221-6683

paolarodriguez_urologa

perl2000@hotmail.com

Dra. Alexandra Hichez Lachapel

ESPECIALIDAD PSIQUIATRÍA

PATOLOGÍAS

Psiquiatría General y de Enlace, Adicciones Psicooncología.

TORRE PROFESIONAL CORAZONES UNIDOS: Calle Tetelo Vargas 26,Ensache Naco Piso 4 Suite 404, Santo Domingo.

809 960-9464 / 809 856-5204

dra.hichez

www.reportemedico.com Una Dosis de Información Saludable 99

GUÍA MÉDICA

CIRUGÍA PLÁSTICA

Dr. Eduardo José Garrido Méndez

ESPECIALIDAD

CIRUGÍA PLÁSTICA

PROCEDIMIENTOS

Mamoplastia Reducción, Aumento, Gluteoplastia, Liposucción, Otoplastia, Blefaroplastia, Lipoescultura, Levantamiento Mamario, Lifting Facial, Abdominoplastia y Rinoplastia.

CENTRO DE GINECOLOGÍA Y OBSTETRICIA: Ave. Independencia

#451. Santo Domingo.

Horario: Lunes a Viernes 9:00 Am a 5:00 Pm

809 735-9679 / Móvil: 809 846-9800

dr.eduardogarrido dr.eduardogarrido@gmail.com

Dra. Danivel N. Céspedes

ESPECIALIDAD

CIRUGÍA PLÁSTICA, RECONSTRUCTIVA Y ESTÉTICA

PROCEDIMIENTOS

Tecnología: Vaser, Renuvion (J plasma) y Microaire. Procedimientos: Bichectomia, Blefaroplastia, Mamoplastia de Aumento o Reducción, Mastopexialevantamiento con o sin Implantes.

CLINICA CECILIP: Calle Wilfredo García #5, 3er nivel Suite 1, Santo Domingo.

829 466-0022 / Móvil: 809 383-3151

dradanivelcespedes dradanivelcespedes@gmail.com

Dr. Yoiner Manuel Cedeño Rodríguez

ESPECIALIDAD

CIRUGÍA PLÁSTICA, RECONSTRUCTIVA Y ESTÉTICA

PROCEDIMIENTOS

Liposuccion, Abdominoplastia, Cirugia de mamas, Cirugia Facial, Retiro de Biopolimeros.

CENTRO DE CIRUGÍA ESTÉTICA Y RECONSTRUCTIVA DIOSA

LOS JARDINES SANTIAGO - Telf.: 809 382-3322

C/ TIBURCIO MILLAN LOPEZ 211, LA ROMANA

Horario: Lunes a Viernes de 9:00 Am - 12: 00 / 2:00 Pm - 6:00 Pm

809 556-8182 / Móvil: 809 803-0035

Dr.yoinercedeno dr.yoinercedeno@hotmail.com

Dra. Thaulys Thamar Luna

ESPECIALIDAD

CIRUJANA PLÁSTICA ESTÉTICA Y RECONSTRUCTIVA

PROCEDIMIENTOS

Cirugía Facial, Contorno Corporal.

CENTRO MÉDICO PADRE FANTINO: Calle General Juan Rodríguez #83, La Vega - Telf.: 809 573-2533 Ext. 226

Horario: Lunes a Viernes a partir de las 3:00 Pm

849 869-3793 / Móvil: 809 769-3793

drathaulysluna drattluna@gmail.com

Dra. Tania Medina

ESPECIALIDAD

CIRUGÍA PLÁSTICA

PROCEDIMIENTOS

Contorno Corporal: Liposucción, Lipoescultura; Abdominoplastia, Cirugía de Seno, Cirugía Facial.

CECILIP: Calle Wilfredo García Reyes Encarnación #5, Santo Domingo.

Horario: Previa Cita tucirujana dramedina@tucirujana.com

809 562-1586

Dr. Gebal

ESPECIALIDAD

Matos

CIRUJANO PLÁSTICO Y RECONSTRUCTIVO

PROCEDIMIENTOS

Lipoescultura HD, Abdominoplastia, Levantamiento Senos y Glúteo, J-Plasma, Vaser, Rinoplastias.

CECIPLER: Calle Pedro Ignacio Espaillat 256, casi esquina José Contreras Gazcue - Santo Domingo

Horario: Lunes a Viernes 7:00 Am a 4:00 Pm

829 779-8293 - Móvil: 849 458-0003

drgebalmatos drgebalmatos1@gmail.com

EDICIÓN 09 MARZO/ABRIL 2023 100
2023
República Dominicana MARZO/ABRIL

CIRUGÍA PLÁSTICA NEUMOLOGÍA

Dr. Giovanny Pérez Cabrera

ESPECIALIDAD

CIRUGÍA PLÁSTICA

PROCEDIMIENTOS

Cirugías facial, Senos, Abdomen y Contorno Corporal, Glúteos, e Inyectables.

Móvil: +1 917 6008541 / Móvil: 829 642-1175

drgpplastica

www.reportemedico.com

Dr. Manuel A. Peralta García

ESPECIALIDAD

CIRUJANO PLÁSTICO

PROCEDIMIENTOS

Cirugía de busto, cirugía facial, cirugía corporal, cirugía masculina, cirugía reconstructiva.

Centro de Cirugía Plástica y Lipoescultura – CECILIP: Suite 5,

Nivel, Calle Wilfredo García Reyes, #5 Arroyo Hondo, DN Horario: Lunes a Viernes 8:00 Am a 6:00 Pm

809 920- 8989 www.drmanuelperalta.com drgpplastica@gmail.com

Dra. Glorinil Carmina

Mercedes German ESPECIALIDAD CIRUJANA PLÁSTICA RECONSTRUCTIVA Y ESTÉTICA PROCEDIMIENTOS

Contorno Corporal: Lipoescultura HD, Liposucción, Abdominoplastia, Lifting de Espalda, Cirugías de Mamas (Reducción, Aumento y Levantamiento con o sin Implantes) y Glúteos.

Cirugías Faciales: Lifting Facial, Liposucción de Papada, Blefaroplastia, Bichectomia, Rinoplastia. Tecnología: Vaser y Retraction Radiofrecuencia.

CENTRO DE CIRUGÍA PLÁSTICA Y ESPECIALIDADES SANTO

DOMINGO: C/ Manuel María Castillo #20. Primer Piso Consultorio 107 - Horario: Lunes, miércoles y viernes 8:00 Am a 12:00 Pm

drmanuelperalta manuelperaltamd@gmail.com

Dra. Massiel Fernández de Haché

ESPECIALIDAD MÉDICO INTERNISTA Y NEUMÓLOGA

PROCEDIMIENTOS

Asma, Alergias Respiratorias, EPOC, Neumonías, Covid-19, Influenza.

PLASTIMEDIC: Calle Sócrates Nolasco N0. 4, Santo Domingo. Horario: Lunes a Viernes 10:00 Am a 12:00 Pm.

CECILIP: Calle Wilfredo García Reyes Encarnación N05. Arroyo Hondo. Santo Domingo. Horario: Lunes a Viernes 9:00 Am a 11:00 Am.

CECIPLER: Calle Pedro Ignacio Espaillat #256 casi esquina José Contreras, Gazcue. Horario: Lunes a Viernes 12:00 Am a 3:00 Pm.

809 686-5826 - Móvil: 809 817-8326 massieldehache@gmail.com

draglorimercedes

dra.glorimercedes@gmail.com

Dra. Magdelyne Ceballos Olivero

ESPECIALIDAD

NEUMÓLOGA-BRONCOSCOPISTAFUNCIÓN PULMONAR-INTERNISTA. CONSULTA DE NEUMOLOGÍA Y MEDICINA INTERNA PROCEDIMIENTOS

Espirometría, Volúmenes pulmonares por pletismografía corporal, Difusión monóxido de carbono, Broncoscopia, biopsia pleural, Toracentesis, Evaluación pre-operatoria.

CLINICA ABREU: Calle Arzobispo Portes #853 consultorio #110-B 1er

Nivel - Horario: Miércoles y viernes 3:00 Pm

CENTRO MÉDICO MONUMENTAL: Calle Gaspar Polanco #206

Horario: Lunes y jueves 9:00 Am 4to piso.

PLAZA DE LA SALUD: Lunes y jueves 3:00 Pm - Martes, miércoles y viernes 7:00 Am

829 715-0452

Neumoceballos

809 334-6204

dramassielfernandezneumologa

Dra. Evangelina Soler

ESPECIALIDAD NEUMÓLOGA INTERNISTA

PATOLOGÍAS

Asma, Tratamiento para COVID, Influenza, Neumonía, Pulmonía.

TORRE PROFESIONAL CORAZONES UNIDOS: Calle Tetelo Vargas N0. 26, Suite 606. Santo Domingo

809 793-5553 / Móvil: 809 430-8287

draevangelinasoler

evangelina_soler@hotmail.com

www.reportemedico.com Una Dosis de Información Saludable 101
Tercer CENCARCI: Mauricio Alvarez 4, Santiago de los Caballeros.

GUÍA MÉDICA

DERMATOLOGÍA

OBSTETRICIA

Dra. Edel Gómez

ESPECIALIDAD DERMATOLOGÍA Y CIRUGÍA DERMATOLÓGICA

PATOLOGÍAS

Dermatología Clínica, Dermatología Quirúrgica, Estética, Enfermedad de Transmisión sexual.

CLISID: Avenida República de Colombia #80, Arroyo Hondo II

Horario: Lunes y Jueves 4:00-7:00 Pm, Jueves y sábados 8:00 Am - 12:00 m.

PH HEALTH CARE: Ave Privada #68, Torre Empresarial Esmeralda, Suit 401

Horario: Martes 2:00 Pm - 6:00 Pm, Viernes 9:00 Am -12:00m

809 922-8291- Móvil: 809 935-5333

dra.egoderma dra.ejgomez@gmail.com

Dra. Ilse Arias

ESPECIALIDAD DERMATOLOGÍA

PATOLOGÍAS

Dermatología Clínica y Estética

BELLA TERRA MALL: 2do nivel B-08 Santiago Instituto Materno Infantil y Especialidades Santiago

809 247-9430 / Móvil: 829 881-9430

drailsearias_derma drailsearias@gmail.com

Dr. Ramiro Díaz

Primera - MD RDMS

ESPECIALIDAD

MEDICINA MATERNO FETAL CIRUGÍA FETAL

PROCEDIMIENTOS

Diagnóstico Prenatal, Interconsultas de Medicina Materno Fetal, Procedimientos Invasivos Fetales, Cirugía Fetal.

CEDEN: Calle Juan Paradas Bonilla 8B, Naco, Santo Domingo. Calle Duarte numero 25 San Francisco de Macorís.

Horario: Lunes a Viernes 9:00 Am - 2:00 Pm.

VIENTRE MATERNO: Calle Rosario esquina Alfonseca Plaza Soho Mall, módulo B05, Moca - Horario: Sábados 9:00 Am - 4:00 Pm

829 843-6461

dr_ramirodiaz

dr.ramirodiaz@gmail.com

República Dominicana MARZO/ABRIL 2023

Dra. Emma Guzmán

ESPECIALIDAD CIRUJANA DERMATÓLOGA, COSMIATRA

PATOLOGÍAS

Dermatología Clínica, Dermatología Quirúrgica, Estética.

CENTRO DE UNIDAD DERMATOLÓGICA DRA. EMMA GUZMÁN: Av. Bolívar 208, Gazcue Santo Domingo.

Horario: Lunes 1:30 Pm a 4:00 Pm.

Martes y miércoles 11:30 Am a 4:00 pm.

Jueves y viernes 9:00 Am a 2:00 Pm.

809 685-8478

draemmaguzmandecruz

emmaguzman729@hotmail.com www.draemmaguzman.com

Dra. Carolyn Rodríguez

ESPECIALIDAD DERMATOLOGÍA

PATOLOGÍAS

Dermatitis atópica. Acné. Dermatitis seborreica. Micosis. Pediculosis. Onicocriptosis (uña encarnada).

TORRE PROFESIONAL DE CORAZONES UNIDOS: Calle Tetelo Vargas 26, Ensanche Naco. Piso 4, suite 402 UNIPEDIATRAS

Horario: Lunes 3:00 Pm - 6:30 Pm. Miércoles 3:00 Pm - 6:30 Pm.

809 472-3525 / Móvil: 829 902-9303

dracarolynrodriguez Unipediatrascontigo

Dr. Agustín Díaz Rodríguez, FACOG

ESPECIALIDAD OBSTETRICIA Y GINECOLOGÍA MEDICINA MATERNO FETAL PATOLOGÍAS

Embarazo de alto riesgo, Diagnóstico prenatal ( US Genética, Morfológica, Perfil Hemodinámico, Neurosonografia) Consulta preconcepcional, Procedimientos invasivos, Pruebas genéticas.

CEDEN: Calle Juan Paradas Bonilla, N°8 b, Naco.

Horario: 2:00 Pm a 7:00 Pm

Agustín Díaz Rodríguez

829 378-0797 / Móvil: 829 548-4877

dr.agustindiaz_mmf

a.diazmmf@gmail.com

EDICIÓN 09 MARZO/ABRIL 2023 102

GINECOLOGÍA - OBSTETRICIA

Dra. Jhalime Atie Fernández

ESPECIALIDAD GINECOLOGÍA Y OBSTETRICIA

PATOLOGÍAS

Embarazo, Patologías Ginecológicas y de Cuello Uterino, Infertilidad, Colposcopia, Histeroscopía.

WOMENS CARE CENTER: Calle paseo de los Locutores #2, Piantini, Santo Domingo.

Horario: Previa cita.

CLISID: Avenida República de Colombia #80, Arroyo Hondo.

Horario: Previa cita.

809 563-9765 / 829 982-8291 - Móvil: 809 217-0338

dra.jhalimeatie ldrajhalimeatie@gmail.com

Dr. Jorge Vargas Guzmán

ESPECIALIDAD GINECOLOGÍA Y OBSTETRICIA

PATOLOGÍAS

Laparoscopia, Cirugía Estética Vaginal Laser, Urología Ginecológica.

CLÍNICA ABREU

Horario: Lunes, Martes y Jueves 9:00 Am a 7:00 Pm

Miércoles y Viernes 2:00 Pm a 1:30 Pm

BRACA SANTO DOMINGO

Horario: Miercoles y Viernes 9:00 Am a 1:30 Pm

809 688-4448 / Móvil: 809 697-8374

drjorgevargasg jorgevargas45@gmail.com

Dra. Irka Peña

ESPECIALIDAD GINECÓLOGA - OBSTETRA COLPOSCOPISTA

PATOLOGÍAS

Embarazo de alto riesgo. Patología cervical. Colposcopía.

TORRE PROFESIONAL PEREYCA: C/Luis F. Thomen #457, suite 305, El millón. Santo Domingo.

Horario: Lunes a Viernes, 8-12 Am / 3-7 Pm y Sábados 8-12 m

809 476-7565 / Móvil: 809 860-3550

drairkawp Dra Irka peña drairkawp@hotmail.com

www.reportemedico.com

Dra. Milfra Espinal Madera

ESPECIALIDAD GINECÓLOGA - OBSTETRA REPRODUCCIÓN ASISTIDA

PATOLOGÍAS

Fertilización In Vitro- Inseminación Artificial - Endometriosis - Ovarios Poliquísticos- Ovodonación. Diagnóstico genético preimplantacional.

FIV CEDEN: Calle Juan Paradas Bonilla, N°8 b, Naco.

Horario: 9:00 Am a 5:00 Pm

829 766-2426

Dramilfraespinal dramilfraespinal@gmail.com

Dra. Silveria Pujols Montero

ESPECIALIDAD GINECÓLOGA - OBSTETRA COLPOSCOPISTA

PATOLOGÍAS

Enfermedad Pélvica Inflamatoria, Vaginitis o Infecciones Vaginales, Sangrado Uterino Anormal, Miomatosis Uterina.

GRUPO MÉDICO SAN MARTIN: Tercer nivel, Av. San Martin #232. Telf.: 809-565.1777 Ext. 303

Horario: Martes 3:00 Pm- Miércoles 5:00 Pm- Jueves 9:00 Am

ASÍSTEME: C/ Orfelismo #50 próximo a rehabilitación

Telf.: 809-273-6555

Horario: Martes 10:00 Am - Viernes 8:00 Am

809 565-1777 / Móvil: 809 862-8218

Dra.silveriapujols Silveria.obstetra@gmail.com

Dra. Isabelle Marie Alvarado

ESPECIALIDAD GINECÓLOGA OBSTETRA EN ADULTOS Y NIÑAS PATOLOGÍAS

Amenorrea (retraso menstrual). Infecciones vulvo-vaginales. Sangrado Uterino disfuncional. Pubertad precoz. Labios menores fusionados.

TORRE PROFESIONAL DE CORAZONES UNIDOS: Calle Tetelo

Vargas 26, Ensanche Naco. Piso 4, suite 402 UNIPEDIATRAS

Horario: Jueves 3:00 Pm - 6:30 Pm. Sábado 9:00 Am - 12:00 Pm.

809 472-3525 / Móvil: 809 657-0290

dra.isabelalvarado Unipediatrascontigo

www.reportemedico.com Una Dosis de Información Saludable 103

GUÍA MÉDICA

NUTRICIÓN

Dra. Noemi Tavarez

ESPECIALIDAD

NUTRIÓLOGA CLÍNICA, OBESÓLOGA DIETÉTICA Y DIETOTERAPIA

TORRE PROFESIONAL CORAZONES UNIDOS: Piso 4 Suite 406, Santo Domingo

829 422-2511

dra.noemitavarez noemi_tavarez2@hotmail.com

Dra. Indhira Corporán De Peña

ESPECIALIDAD DIABETOLOGÍA Y NUTRICIÓN PATOLOGÍAS Diabetes, Obesidad, Dislipidemia. Nefropatía.

CLISID: Avenida República de Colombia #80, Arroyo Hondo

Horario: 8:00 Am a 12:00 Md

849 207-9678

draicorporan draicorporan@gmail.com

Dra. Vanessa De La Maza

ESPECIALIDAD PEDIATRA NUTRICIÓN INFANTIL PATOLOGÍAS

Asesoría en lactancia. Consulta de niño sano. Alimentación complementaria. Procesos febriles. Infecciones respiratorias. Afecciones gastrointestinales.

TORRE PROFESIONAL DE CORAZONES UNIDOS: Calle Tetelo

Vargas 26, Ensanche Naco. Piso 5, suite 502 UNIPEDIATRAS

Horario: Lunes y Miércoles 10:00 Am - 2:00 Pm, Jueves 3:00 Pm - 6:00 Pm

809 472-3525 / Móvil: 829 591-1600

dra.delamaza Unipediatrascontigo

República Dominicana MARZO/ABRIL 2023

Dra. Viviana Hernández Ferrer

ESPECIALIDAD

NUTRIÓLOGA CLÍNICA

PATOLOGÍAS

Nutrición para control de peso, Embarazo de alto riesgo, Enfermedades Gastrointestinales y Nutrición Intrahospitalaria.

TORRE PROFESIONAL CORAZONES UNIDOS: Calle Tetelo Vargas N0. 26, Piso 3 Suite 305, Santo Domingo.

Horario: Martes y Jueves 8:00 Am a 6:00 Pm

WOMENS CARE CENTER: Calle Paseo de los Locutores, Esq. Lincoln Piso 3

Horario: Lunes, Miércoles y Viernes 8:00 Am a 6:00 Pm

809 373-8567 / Móvil: 849 251-4046

dra.vivianahernandezf consultas@dravivianahernandez.com

Dra. Altagracia Páez

Abreu

ESPECIALIDAD

PEDIATRA ESPECIALISTA EN NUTRICIÓN

PATOLOGÍAS

Obesidad, alimentación complementaria, alergias alimentarias estreñimiento, nutrición en deportistas y TEA.

TORRE PROFESIONAL DE CORAZONES UNIDOS: Calle Tetelo Vargas 26, Ensanche Naco. Piso 5, suite 502 UNIPEDIATRAS

Horario: Lunes 4:00 Pm - 6:00 Pm, Miércoles o Viernes 10:00 Am - 12:00 Pm 809 472-3525 / Móvil: 849 865-5970

dra.altagraciapaez Unipediatrascontigo

Dra. Oemil Rodríguez

ESPECIALIDAD REMPLAZO HORMONAL Y NUTRICIÓN

PATOLOGÍAS

Desbalance Hormonal/ Anti Aging

PLAZA MEZALUNA: Calle Federico Geraldino, Santo Domingo.

Horario: Lunes a Viernes de 9:00 Am a 5:00 Pm.

809 792-8680 - Móvil: 809 545-1539

draoemil

draoemil@oemilrodriguez.com

EDICIÓN 09 MARZO/ABRIL 2023 104

OFTALMOLOGÍA HEMATOLOGÍA

Dra. Dalma Diaz De La Rosa ESPECIALIDAD OFTALMÓLOGO PEDIATRA

PATOLOGÍAS

Conjuntivitis. Uveitis. Estrabismos. Orzuelos. Defectos refractivos. Queratocono.

TORRE PROFESIONAL DE CORAZONES UNIDOS: Calle Tetelo

Vargas 26, Ensanche Naco. Piso 5, suite 502 UNIPEDIATRAS

Horario: Lunes a Jueves 4:00 Pm - 6:00 Pm

809 472-3525 / Móvil: 829 556-9909

dra.dalmadiaz Unipediatrascontigo

Dra. Aderina Maldonado ESPECIALIDAD OFTALMÓLOGA

PEDIATRA

PATOLOGÍAS

Defectos refractivos. Retinopatia de la prematuridad. Retinopatia diabetica. Conjuntivitis. Catarata congenita. Estrabismo.

TORRE PROFESIONAL DE CORAZONES UNIDOS: Calle Tetelo

Vargas 26, Ensanche Naco. Piso 5, suite 502 UNIPEDIATRAS

Horario: Lunes, Miércoles o Jueves 10:00 Am - 12:00 Pm

809 472-3525 / Móvil: 809-756-5274

dra.aderinamaldonado Unipediatrascontigo

Dr. José A. Alfaro Pla ESPECIALIDAD OFTALMÓLOGO

PATOLOGÍAS

Cataratas, Prótesis Ocular, Glaucoma, Estrabismo, Ocloplastia.

CENTRO DE OBSTETRICIA Y GINECOLOGÍA: Independencia, Esq. José Pérez, Santo Domingo.

Horario: Lunes a viernes: 2:00 Pm a 7:00 Pm

809 687-9142 / Móvil: 809 543-5225

josealfaropla@gmail.com

Dra. Minerlisa Tavárez

Hernández

ESPECIALIDAD OFTALMÓLOGA CIRUJANA-ALTA ESPECIALIDAD EN RETINA Y VÍTREO

PATOLOGÍAS

Retinopatía Diabética, Retinopatía de la Prematuridad, Desprendimiento de Retina, Catarata.

CLÍNICA DE OJOS VEO: Calle Manuel María Seijas, Número 26, San Cristobal.

Horario: Lunes a viernes 8:00 Am -5:00 Pm.

Sábados de 8 Am - 12 Pm.

809 384-2776

clinicadeojosveo clinicadeojosveo@gmail.com

Dra. Evelin Mena Toribio

ESPECIALIDAD HEMATÓLOGA DE ADULTOS MEDICO INTERNISTA

PATOLOGÍAS

Diagnóstico y Tratamientos de las Anemias, Anemia de Células Falciformes y otras Hemoglobinopatías, Hematología en Pacientes Embarazadas, Trastornos de Coagulación, Hemoterapia y Medicina Transfusional, Enfermedades Malignas como Leucemias, Linfomas, Mieloma Múltiple, Síndromes Mielodisplásicos y Mieloproliferativos.

CLINICA ABREU: Calle Arzobispo Portes 853, Consultorio 205B, Santo Domingo 10208

Horario: Martes y Jueves 1:00 Pm a 6:00 Pm

CENOMED: Calle Padre Boil número 1, Gazcue, Santo Domingo 10210.

Horario: Jueves 9:00 Am a 12:00 Pm

809 688-4411 - Ext 222/309

evelin_mena emenatori@gmail.com

www.reportemedico.com Una Dosis de Información Saludable 105
www.reportemedico.com

GUÍA MÉDICA

CIRUGÍA PEDIÁTRICA PEDIATRÍA

Dra. Eliana Toral ESPECIALIDAD

CIRUGÍA PEDIÁTRICA

PATOLOGÍAS

Frenillo sublingual y de Labio Superior, Atresia Esofágica, Atresias Intestinales, Defectos Congénitos de la pared Abdominal (Gastrosquisis/Onfalocele), Hernia Umbilical, Hernia Inguinal, Hidrocele, Testículos No descendidos, Varicocele, Fimosis, Apendicitis, Colelitiasis, Tumores Abdominales, Tumores Torácicos, Patologías Colorrectales. Toda patología quirúrgica desde el 1er día de vida hasta los 18 años.

TORRE PROFESIONAL CORAZONES UNIDOS: Calle Tetelo #26, Suite 906 Santo Domingo.

Horario: Lunes a Viernes de 9:00 Am A 5:00 Pm

809 688-7006 / Móvil: 829 730-6189

dra.elianatoral draelianatoral@gmail.com

Dra. Sandra Cruz Ortiz

ESPECIALIDAD

PEDIATRA - NEONATÓLOGA

PATOLOGÍAS

Problemas Respiratorios del Recién Nacido, Prematuridad, Patologías Quirúrgicas del Recién Nacido (clínica), Crecimiento y Desarrollo, Malformaciones Congénitas.

HOMS: Autopista Duarte Km 2.8, Santiago de los Caballeros.

Horario: 9:00 Am - 2:00 Pm

829 947-2211 / Móvil: 809 440-5145

drasancruzortiz@gmail.com

República Dominicana MARZO/ABRIL 2023

Dra. Elizabeth Mejía Paulino

ESPECIALIDAD

PEDIATRA INTENSIVISTA

PATOLOGÍAS

Paciente crítico, Paciente en riesgo, Post quirúrgicos en general y Cardiovasculares, Pediatría general.

HS MEDICAL CENTER: Calle Florence Terry número 7

Horario: Lunes 8:00 Am-1:00 Pm, Martes 8:00 Am - 1:00 Pm, Jueves 8:00 Am - 6:00 Pm

CLÍNICA CORAZONES UNIDOS: Calle Tetelo Vargas, Edificio Principal 1er piso.

Horario: 8:00 Am - 1:00 Pm Servicio continúa 24 horas.

849 340-3032 / Móvil: 829 720-0393

Dra.elizabethmejia lizmp11@gmail.com

EDICIÓN 09 MARZO/ABRIL 2023 106

Dr. Franklin R. Montero Contreras

ESPECIALIDAD NEURÓLOGO PEDIATRA

PATOLOGÍAS

Neurología Pediátrica, Epileptologia Infantil, Video Electroencefalografía, Neurometabolismo, Enfermedades Degenerativas, Trastornos

Neuroconductuales y Escolares.

CENTRO MÉDICO UCE: Edif Torre Azul - UCE 5to piso suite 504 calle Cesar Dargam #10, La Esperilla. Santo Domingo.

Horario: Martes, Jueves y Viernes (Previa Cita)

TORRE PROFESIONAL CORAZONES UNIDOS: Calle Tetelo Vargas #26, piso 8 consultorio 805, Ensanche Naco.

Horario: Lunes y Miércoles (Previa Cita)

809 476-7206 / 809 731-8368 Móvil: 849 356-7206 / 655-2377

frmontero@yahoo.com

Dra. Alicia De La Cruz

ESPECIALIDAD PEDIATRA PERINATÓLOGA

PATOLOGÍAS

Recién nacidos peso bajo. Recién nacidos hijos de madre de alto riesgo. Prematuros. Niños con condición especial. Seguimiento a niños sanos.

TORRE PROFESIONAL DE CORAZONES UNIDOS: Calle Tetelo

Vargas 26, Ensanche Naco. Piso 5, suite 502 UNIPEDIATRAS

Horario: Martes o Jueves 9:00 Am - 12:00 Pm

809 472-3525 / Móvil: 809 993-3439

delacruz1 Unipediatrascontigo

Dra. Sandra Morales Castillo

ESPECIALIDAD

ENDOCRINÓLOGO PEDIATRA PATOLOGÍAS

Trastornos del peso. Trastorno de la talla. Trastorno de la Tiroides.

Trastornos de la formación sexual. Trastornos de colesterol y Triglicéridos.

Diabetes.

TORRE PROFESIONAL DE CORAZONES UNIDOS: Calle Tetelo Vargas 26, Ensanche Naco. Piso 4, suite 402 UNIPEDIATRAS

Horario: Miércoles 2:30 Pm - 6:30 Pm. Viernes 8:30 Am - 12:00 Pm.

809 472-3525 / Móvil: 829 641-3536

dra.sandramoralesc Unipediatrascontigo

www.reportemedico.com

Dra. Jeyni Vega Pérez

ESPECIALIDAD HEMATÓLOGA PEDIATRA

PATOLOGÍAS

Anemias. Falcemia, talasemias, hemofilia. Sangrados anormales. Trastornos plaquetarios. Ganglios inflamados. Fiebres de causa desconocida.

TORRE PROFESIONAL DE CORAZONES UNIDOS: Calle Tetelo

Vargas 26, Ensanche Naco. Piso 5, suite 502 UNIPEDIATRAS

Horario: Miércoles 4:00 Pm - 6:00 Pm, Viernes 2:00 Pm - 6:00 Pm.

809 472-3525 / Móvil: 829-986-8419

dra.jeynivega Unipediatrascontigo

Dra. Willna De La Rosa Brito

ESPECIALIDAD

NEFRÓLOGO PEDIATRA PATOLOGÍAS

Infección de vías urinarias, malformaciones de vías urinarias, hipertensión arterial, litiasis renal, edema (proteinuria /hematuria), Síndrome nefrótico /nefrítico.

TORRE PROFESIONAL DE CORAZONES UNIDOS: Calle Tetelo

Vargas 26, Ensanche Naco. Piso 5, suite 502 UNIPEDIATRAS

Horario: Jueves 3:00 Pm - 6:00 Pm, Sábados 9:00 Am - 12:00 Pm.

809 472-3525 / Móvil: 809 219-6623

willnadelarosa Unipediatrascontigo

Dr. Ramón E. Peralta Mauricio

ESPECIALIDAD PEDIATRA FISIÓLOGO RESPIRATORIO

PATOLOGÍAS

Gripes frecuentes, asma, inapetencia, recién nacidos con procesos respiratorios.

TORRE PROFESIONAL DE CORAZONES UNIDOS: Calle Tetelo Vargas 26, Ensanche Naco. Piso 5, suite 502 UNIPEDIATRAS

Horario: Lunes a Viernes 9:00 Am - 12:30 Pm y 3:00 Pm - 6:00 Pm

809 472-3525 / Móvil: 809 880-8005

Unipediatrascontigo

drperaltam@yahoo.com

www.reportemedico.com Una Dosis de Información Saludable 107
PEDIATRÍA

GUÍA MÉDICA

NEUROCIRUGÍA OTORRINOLARINGOLOGÍA

Dr. Francisco Matos Ureña

ESPECIALIDAD NEUROCIRUGÍA

CIRUGÍA DE COLUMNA VERTEBRAL PATOLOGÍAS

Tumores Cerebrales, Hernias de Disco, Aneurismas, Traumas de Cráneo y de la Columna Vertebral, Enfermedades degenerativas de la Columna Vertebral., Cirugía para Epilepsia.

HOSPITAL METROPOLITANO DE SANTIAGO (HOMS): Autopista

Juan Pablo Duarte Km. 28, Santiago De Los Caballeros

Horario: Lunes y Miércoles 9:00 Am a 12:00 Pm

CLÍNICA DR. JOSÉ GREGORIO HERNÁNDEZ: Calle 27 de Febrero

No. 21, Puerto Plata

Horario: Lunes a Jueves de 3:00 Pm a 6:00 Pm

Dr. Ismael Peralta

ESPECIALIDAD NEUROCIRUJANO

PATOLOGÍAS

Hernias Discales, Neuralgia Trigeminal, Tumores Cerebrales, Tumores Espinales, Fracturas Vertebrales, Aneurismas Cerebrales.

MEDICAL NET EDIFICIO A: 6to nivel, Suite Orthonet. Calle Rafael

Augusto Sánchez N0. 45 Piantini, Santo Domingo DN.

Tel: 809 227-1065

Horario: Viernes y Sábados de 8:00 Am a 5:00 Pm

CENTRO GAMMA KNIFE: Cedimat, Plaza de la Salud Dr. Juan M.

Taveras R, C. Pepillo Salcedo, Santo Domingo. Tel: 809 732-1771

Horario: Viernes de 11:00 Am a 2:00 Pm

829 340-0502

dr.franciscomatos

dr.franciscomatos

829 380-2890 info@drfranciscomatos.com

Dr. Francisco Estrella

ESPECIALIDAD NEUROCIRUJANO

PATOLOGÍAS Funcional. Neuro Radiocirugía. Cirugía Columna y Mínima Invasión Cerebral-Espinal.

CLÍNICA ABREU

Horario: Lunes y Viernes. 7:30 Am a 5:00 Pm

HOSPITAL METROPOLITANO DE SANTIAGO

Horario: Martes, Miércoles y Jueves. 7:30 Am a 5:00 Pm

809 7024-000 / Móvil: 809 7024-000

neuroestrella

iperaltabaez@gmail.com

dr.ismaelperalta uns_neurosurgery

Dra. Jhoanny González

González

ESPECIALIDAD

OTORRINOLARINGOLOGÍA, AUDIÓLOGA CLÍNICA.

PATOLOGÍAS

Dolor de Oídos. Dolor de Garganta. Congestión nasal. Ronquidos. Pérdida Auditiva. Sangrado nasal.

TORRE PROFESIONAL DE CORAZONES UNIDOS: Calle Tetelo Vargas 26, Ensanche Naco. Piso 4 suite 402. UNIPEDIATRAS.

Horario: Martes o Jueves 3:30 Pm - 6:00 Pm

809 472-3525 / Móvil: 809 919-2533

dra.jhoannygonzalez unipediatrascontigo neuroestrella@gmail.com

EDICIÓN 09 MARZO/ABRIL 2023 108
República Dominicana MARZO/ABRIL 2023

www.reportemedico.com

OTORRINOLARINGOLOGÍA ODONTOLOGÍA

Dra. Mabel Queliz

ESPECIALIDAD OTORRINOLARINGOLOGÍA. OTOLOGÍA Y NEUROOTOLOGÍA. PATOLOGÍAS

Roncos y apneas. Vértigos. Sinusitis. Implante coclear. Otorrinolaringología en general niños y adultos.

UNIPEDIATRAS: Calle Tetelo Vargas 26, Ensanche Naco. Piso 4, suite 402.

Horario: Jueves 10:00 Am - 1:00 Pm.

809 472-3525 / Móvil: 829 344-9574

dramabelqueliz.otorrino

mabelqueliz@gmail.com

ESPECIALIDAD CIRUGÍA E IMPLANTOLOGÍA ORAL

PROCEDIMIENTOS

Estética dental, Implantes, Tratamiento de canal, Prótesis dental.

DR. G DENTAL BOUTIQUE: Ave. Núñez de Careces #110, Suite 101, Plaza Mirador, Mirador Norte Sto. Dgo.

Horario: 9:00 Am - 6:00 Pm

MI CLÍNICA DENTAL: Ave. Los Restauradores #38B Sabana Perdida.

Horario: 8:30 Am - 6:00 Pm

809 723-0204

Drfulbiogrullon fulbiogrullon@gmail.com

Dr. Manuel Sanabia Saviñon

ESPECIALIDAD ODONTÓLOGO

PROCEDIMIENTOS Estética-Cosmética Dental.

Dra. Kerlenys Mercedes Moquete Peña

ESPECIALIDAD REHABILITACIÓN DENTAL, ESTÉTICA DENTAL E IMPLANTES DENTALES.

PROCEDIMIENTOS

Estética Dental, Rehabilitación Bucal, Implantes Dentales.

CECIPLER: Calle Pedro Ignacio Espaillat 256, casi esquina José Contreras Gazcue - Santo Domingo

809 877-6229 - Móvil: 829 605-8676

drakerlenysmoquete moquetep.22@gmail.com

ODONTOLOGIQUE:

Ensanche Paraíso, Calle Francisco Carias, Lavandier #11

Horario: Previa cita

849 352-9684

consulta@drmanuelsanabia.com

dr.manuelsanabia odontologique.rd

www.reportemedico.com Una Dosis de Información Saludable 109
Dr. Fulbio Grullón

GUÍA MÉDICA

MEDICINA INTERNA - GERIATRÍA INFECTOLOGÍA - ALERGOLOGÍA

Dra. Milagros Alcántara Marte

ESPECIALIDAD

MEDICINA INTERNA PATOLOGÍAS

Revisiones Rutinarias, Medicina Preventiva, Dislipidemias, Hipertensión, Diabetes.

HOSPITEN: Alma Mater Esquina Bolívar.

Horario: Lunes, martes, jueves y viernes 3:00 Pm a 7:00 Pm

809 541-3000 - Móvil: 809 627-6545

dra.milagrosalcantara malcantara@hospiten.com

Dr. Milvio Pérez

ESPECIALIDAD

-MEDICINA INTERNA

-CUIDADOS INTENSIVOS

PATOLOGÍAS

Medicina Critica, Accidentes Cerebrovasculares, Patologías Cardiovasculares, e Infecciosas Complicadas.

CLÍNICA ABREU: Calle Arzobispo Portes 853, Santo Domingo 10208.

Horario: Lunes a Jueves 1:00 Pm a 5:00 Pm

CONSULTORIO: Calle Fabio Fiallo 55, Santo Domingo

829 902-9881

dr.milvioperez drmilvioperez@gmail.com

Dr. José Alberto Torres Hernández

ESPECIALIDAD ALERGOLOGÍA E INMUNOLOGÍA PATOLOGÍAS

Enfermedades alérgicas en adultos y niños: dermatitis atópica, inmunodeficiencias, rinitis, sinusitis, asma, alergias alimentarias, anafilaxia, alergias de contacto, alergias a medicamentos. Urticaria y Angiodema. Desensibilizaciones con medicamentos. Tratamientos con biológicos e Inmunoterapia.

CLÍNICA CORAZONES UNIDOS: C/ Fantino Falco no. 19. Ens. Naco

Horario: Martes y jueves 3:30-7:00 Pm

HS MEDICAL CENTER: C/ Florence Terry No. 7. Ens. Naco.

Horario: Miércoles 12-3 pm

809 683-6185 / Móvil: 829 763-3925

doc.josetorres jatorresh75@gmail.com

Dra. Alexandra Castillo

ESPECIALIDAD

INTERNISTA-GERIATRA

PATOLOGÍAS

Evaluación del Adulto en General, Valoración Geriátrica Integral, Visitas Domiciliarias.

CENTRO POLICLÍNICO NACIONAL: C/Guayubin Olivo No. 1, Vista Hermosa, Santo Domingo Este.

Horario: Lunes a Miércoles a partir 2:30 Pm y Jueves a partir de las 9:00 Am

809 788-3333 - Ext. 449 / Móvil: 809-915-0503

dra.alexandracastillo dra.acastillo@gmail.com

Dra. Johanny Contreras

ESPECIALIDAD INFECTÓLOGA PEDIATRA PATOLOGÍAS

Síndrome febriles. Adenopatias. Enfermedad de kawasaki/síndrome inflamatorio. Infecciones por herpes, sífilis, epstein barr, citomegalovirus. Infecciones de piel.

TORRE PROFESIONAL DE CORAZONES UNIDOS: Calle Tetelo Vargas 26, Ensanche Naco. Piso 5, suite 502 UNIPEDIATRAS

Horario: Lunes 3:00 Pm - 6:00 Pm, Jueves 9:00 Am - 12:00 Pm.

809 472-3525 / Móvil: 829 855-6835

dra.johanny_contreras_glez

Unipediatrascontigo

Dra. Linda Medina Lantigua

ESPECIALIDAD ALERGOLOGÍA E INMUNOLOGÍA

PATOLOGÍAS

Asma alérgica. Rinitis Alérgica. Dermatitis Atópica. Urticaria. Conjuntivitis Alérgica.

TORRE PROFESIONAL DE CORAZONES UNIDOS: Calle Tetelo Vargas 26, Ensanche Naco. Piso 4 suite 402. UNIPEDIATRAS

Horario: Martes 2:30 Pm - 6:00 Pm. Jueves 9:00 Am - 12:00 Pm

829 346-0668

alergiassantodomingo

unipediatrascontigo

EDICIÓN 09 MARZO/ABRIL 2023 110
República Dominicana MARZO/ABRIL 2023

GASTROENTEROLOGÍA CIRUGÍA BARIÁTRICA

Dra. Eliana Reyes Marte

ESPECIALIDAD

GASTROENTERÓLOGA

ENDOSCOPISTA -INTERNISTA

PATOLOGÍAS

Reflujo Gastroesofágico (Acidez Estomacal) Gastropatías, Úlcera Péptica, Hepatitis, Enfermedades de la Vesícula Biliar y Tracto Biliar, Colitis, Síndrome de Intestino Irritable, Pólipos de Estómago y Colon, Pancreatitis, Sobrepeso y Obesidad (Balón Gástrico)

CEGASDDOM: C/ Alexander Fleming #41. Ensanche La Fe

Horario: Martes, Jueves, Sábado 9:00 Am a 12:00 Pm

CENTRO MÉDICO BELLAS ARTES UNICLID: Calle Abelardo

Rodríguez. Esq. Mahatma Ghandi, Gazcue. Santo Domingo. (3er Nivel)

Horario: Lunes 09:00 Am a 12:00 Pm Martes 02:00 Pm a 06:00 Pm

809 399-9846

dra.reyesmarte

dra.reyesmarte@gmail.com

Dr. Pedro Ovalle Abreu

ESPECIALIDAD

GASTROENTERÓLOGO - INTERNISTA

PATOLOGÍAS

Endoscopía Terapéutica, Vías Biliares, Páncreas, Ultrasonido Endoscópico.

CENTRO ESTUDIOS DIGESTIVOS: Rafael Augusto Sánchez 4. MedicalNet B, Santo Domingo

809 685-0757

drpedroovalle

Dr. Fernando Contreras

ESPECIALIDAD GASTROENTEROLOGÍA

PATOLOGÍAS

Gastroenterología general, Reflujo gastroesofágico, Gastroscopía y colonoscopía diagnóstico y terapéutico, Cápsula endoscópica y Hepatología general.

Centro de gastroenterologia avanzada: Suit 602 en Medical Net A, Calle Rafael Augusto Sánchez# 45.

Horario: Previa Cita

809 613-9697

centrogastroenterología

Dra. Karoll Elizabeth Padilla Gratereaux

ESPECIALIDAD

CIRUJANA HEPATO PANCREATO BILIAR

PATOLOGÍAS

Patologías quirúrgicas del páncreas, del higado, de la vesícula biliar, de las vías biliares (como tumores benignos o malignos, piedras, lesiones)

GOS CARE: Calle Luis Padilla N. 6 Los Prados

Horario: Lunes a Viernes de 11:00 Am a 3:00 Pm

809 898-6372 / Móvil: 809 977-7000

goscarerd karollpadilla

Dra. Sonia Díaz Rodríguez

ESPECIALIDAD

GASTROENTEROLOGA PEDIATRA

PATOLOGÍAS

Dolor abdominal. Reflujo gastroesofágico. Constipación. Diarrea. Ictericia. Intolerancia lactosa. Alergia Proteína Leche de Vaca.

TORRE PROFESIONAL DE CORAZONES UNIDOS: Calle Tetelo Vargas 26, Ensanche Naco. Piso 5 suite 502. UNIPEDIATRAS

Horario: Lunes 10:00 Am - 12:00 Pm, Miércoles o Viernes 4:00 Pm - 6:00 Pm

809 472-3525 / Móvil: 809 224-9686

dra.soniadiaz unipediatrascontigo

Dra. Marlen Rondón

ESPECIALIDAD

CIRUGIA BARIÁTRICA

LAPAROSCOPÍA AVANZADA

PATOLOGÍAS

Obesidad Mórbida

CONSULTORIOS CORAZONES UNIDOS IV: Calle Fantino Falco

N°. 9, 2do Piso Bloque B Consultorio 11

CENTRO MÉDICO COROMINAS PEPIN: Calle Prof. Aliro Paulino

N°. 11 Edificio Principal 2do Piso

829 243-3168 / Móvil: 849 360-2281

non__obese

www.reportemedico.com Una Dosis de Información Saludable 111
www.reportemedico.com

GUÍA MÉDICA

CARDIOLOGÍA PSICOLOGÍA

Dra. Guadalupe Castillo Roa ESPECIALIDAD

CARDIÓLOGA PEDIATRA ECOCARDIOGRAFÍSTA

PATOLOGÍAS

Cardiopatias congenitas. Arritmias cardiacas. Sincope. Dolor torácico. Soplos. Evaluación preqx. Portador de sind genético.

TORRE PROFESIONAL DE CORAZONES UNIDOS: Calle Tetelo

Vargas 26, Ensanche Naco. Piso 5, suite 502 UNIPEDIATRAS

Horario: Martes 2:30 Pm - 6:00 Pm, Viernes 9:00 Am - 12:00 Pm.

809 472-3525 / Móvil: 809 858-9648

guadalupeacastilloroa Unipediatrascontigo

Lcda. Consuelo García

ESPECIALIDAD PSICÓLOGA CLÍNICA

Neuropsicóloga, Terapeuta Familiar y de Pareja, Terapeuta Infanto-Juvenil, Terapeuta Cognitivo-Conductual.

CLISID: Avenida República de Colombia #80, Arroyo Hondo

Horario: Miércoles de 2:00 Pm a 7:00 Pm y sábados de 8:00 Am a 1:00 Pm.

CCE Medical Group: Acrópolis Center, 3er nivel.

Teléfono: 809-692-8525 - Horario: Lunes de 4:00 Pm a 8:00 Pm

República Dominicana MARZO/ABRIL 2023

Dra. Dhamelisse Then VanderHorst

ESPECIALIDAD

CARDIÓLOGO PEDIATRA

ECOCARDIOGRAFÍSTA

PATOLOGÍAS

Evaluaciones Cardiovasculares Preoperatorias, Previo Deportes de Alto Rendimiento, Cardiopatías Congénitas y Adquiridas.

CENTRO MÉDICO REAL: Consultorio 501

Horario: Lunes, Martes y Jueves en las tardes

809 537-0872 / Móvil: 809 693-6473

Dhamelisse doctorathen@gmail.com

Dr. Víctor Cuello

Mainardi

ESPECIALIDAD

CARDIOLOGÍA ADULTOS

- Director Médico Corazones Unidos

- Director Fundación Corazones Unidos

CLÍNICA CORAZONES UNIDOS: Calle Fantino Falco No. 21. Santo Domingo info@fundacioncorazonesunidos.com

809 567-4421 - Ext: 2250

Lic. Angy Estévez, M.A.

PSICÓLOGA CLÍNICA

MAESTRÍA EN PSICOLOGÍA DE LA INTERVENCIÓN SOCIAL

ESPECIALIDAD Salud Mental Perinatal Depresión Prenatal y Postparto, Diagnóstico de Anomalías Congénitas, Embarazo de Alto Riesgo, Duelo por Pérdida Gestacional y Perinatal.

CENTRO DE ATENCION A LA MUJER EMBARAZADA:

C/ Arzobispo Meriño 505 esq. Mella, Santa Bárbara, Zona Colonial.

Horario: Lunes a Viernes 8:00 Am - 1:00 Pm.

INSTITUTO DOMINICANO DE PSICOLOGIA PERINATAL: Consultas online - Horario: Martes, Jueves y Viernes 8: 30 Am- 3:00 Pm

829 982-8291 - Móvil: 809 801-6614 angy.estevez@gmail.com

lic.consuelogarcia lic.consuelogarcia@gmail.com

829 718-5848

angyesteveza psicologiaperinatalrd

EDICIÓN 09 MARZO/ABRIL 2023 112

www.reportemedico.com

ORTOPEDIA -TRAUMATOLOGÍA QUIROPRAXIA PODOLOGÍA - PODIATRÍA

Dr. Abraham Machuca

ESPECIALIDAD

ORTOPEDIA Y TRAUMATOLOGÍA

Fellowship en Artroscopia y Cirugía de Rodilla.

PATOLOGÍAS

Lesiones de Rodilla y Hombro, Lesiones Deportivas, Lesiones de Columna Vertebral, Manejo del Dolor Osteoarticular, Traumatología en General.

CENTRO MÉDICO MONUMENTAL: Carmen Mendoza de Cornielle

Esq. Gaspar Polanco, Bella Vista. Santo Domingo

Horario: Lunes de 9:00 Am a 1:00 Pm

Martes a Miércoles de 9:00 Am a 4:00 Pm

CEMERAF: Calle José Contreras 156, Santo Domingo

Horario: Previa Cita

849 280-3665 / Móvil: 809 977-8805

tuortopeda

ajmachuca24@gmail.com

Dra. Karina Núñez

ESPECIALIDAD TRAUMATÓLOGA

CIRUJANA DE LA MANO

PATOLOGÍAS

Fracturas, Túnel del Carpo, Dedo en Gatillo, Tumores, amputaciones, microcirugía. Traumatología en General.

TORRE PROFESIONAL CORAZONES UNIDOS: Consultorio 306.

Horario: De 8:00 Am a 5:00 Pm de Lunes a Viernes previa cita.

CLÍNICA CRUZ JIMINIAN: Consultorio 603.

Horario: Lunes a Viernes Previa Cita.

809 814-1435

doctorakarinanunez@gmail.com

dra.karinanunez

Dr. Delfilio Martínez

ESPECIALIDAD CIRUJANO ORTOPEDA TRAUMATÓLOGO

PATOLOGÍAS

Reemplazo Articular Cadera y Rodilla. Ortopeda Pediátrico.

TRAUMACARE: Calle Jonás Salk, Zona Universitaria esquina Dr. Piñeiro.

Horario: Lunes a Jueves de 2:00 Pm a 5:00 Pm

809 807-3636 / 5023 - Móvil: 809 838-4382

drmartinez203

drmartinez203@gmail.com

Dr. Ferdinand A. Navarro

ESPECIALIDAD QUIROPRÁCTICO

PATOLOGÍAS

Dolor de Espalda, Hernia Lumbar, Hernia Cervical, Manguito Rotador, Fascitis plantar.

CENTRO QUIROPRACTICO 180 GRADOS: Plaza Bella Terra Mall 1er nivel Mod A78 Juan Pablo Duarte Santiago, RD

Horario: Lunes, Miércoles y Jueves 7:30 Am - 5:00 Pm

Martes 7:30 Am - 8:00 Pm / Viernes 7:30 Am - 2:00 Pm

Sábados 7:30 Am - 12 Pm

809 382-7319 - Móvil: 829 839-2710

centroquiropractico180 ferdin_nm@yahoo.com

www.reportemedico.com Una Dosis de Información Saludable 113

Turn static files into dynamic content formats.

Create a flipbook