Edición 14 - 2024

Page 1


EDITORIAL

En esta nueva edición presentamos el recuento de tres importantes eventos, donde el equipo de Reporte Médico estuvo presente, hablamos de importantes obras que vienen a reforzar la literatura médica dominicana “Guía Básica de las Vacunas”, de la Asociación de Representantes, Agentes y Productores Farmacéuticos (ARAPF), “El Hombre y su Próstata” del Doctor Pablo Mateo y “Odontología, Salud, Prevención y Sonrisa” de la doctora Arabella Michelen.

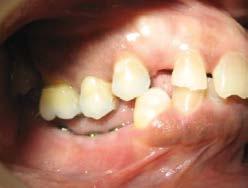
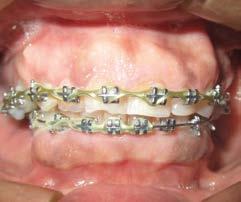
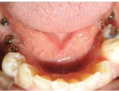
En esta nueva edición traemos en portada a la doctora Arabella Michelen, destacada odontóloga egresada de la UNPHU, Miembro de nuestro Consejo Médico Editorial y CEO de Odontología Dominicana (ODONTODOM), una institución que ofrece todas las especialidades de la odontología moderna e integrada por un gran equipo de especialistas a nivel nacional, transformando sonrisas y mejorando calidad de vida de sus pacientes desde 1991. Además de un amplio e interesante especial de Odontología que agrupa nueve especialistas que nos hablan sobre los principales retos en la actualidad odontológica.

También traemos en nuestras páginas parte de la Evolución de la Neurocirugía en República Dominicana donde partimos por mencionar al Dr. Ney Arias, quien promueve la primera generación de neurocirujanos como el Dr. José Joaquín Puello, cuya visión y habilidades sentaron las bases para el desarrollo de esta especialidad en nuestro país

La neurocirugía en República Dominicana ha prosperado gracias al compromiso y la dedicación de pioneros que han marcado su camino. ¡El advenimiento de la microcirugía, técnicas de mínima invasión, manejo neuro oncológico y la cirugía funcional, ya son parte de nuestras ofertas de tratamiento y sí… están disponibles en nuestro país! Este especial editorial nos llena de orgullo y gratitud, ya que nos permite compartir conocimientos, avances y descubrimientos que impactan directamente en la práctica clínica y en la mejora de la salud pública en nuestra sociedad.

Además, es impórtate agradecer a todos los médicos que forman parte de nuestro Staff y que en cada edición nos traen de primera mano importantes, casos clínicos, artículos, que nutren científicamente estas ediciones.

Finalmente, pero no menos importante nuestro firme compromiso y agradecimiento con nuestros anunciantes que hacen posible fortalecer esta plataforma comunicacional.

Presidente Lic. Alberto Rodríguez Fonseca

@ceoreportemedico

ARAPF PONE EN CIRCULACIÓN LA “GUÍA BÁSICA DE LAS VACUNAS” PARA PROMOVER LA SALUD COMUNITARIA EN REPÚBLICA DOMINICANA - P. 10

DR. PABLO MATEO PUSO EN CIRCULACIÓN SU NUEVO LIBRO “EL HOMBRE Y SU PRÓSTATA”- P. 12

SÍNDROME DE STEVENS JOHNSON Y NECRÓLISIS EPIDÉRMICA TÓXICAL P. 18

CARDIO DIABETOLOGÍA - P. 16

SODOCARDIO, UNIDOS POR LA PREVENCIÓN CARDIOVASCULARP. 24

LA VITRIFICACIÓN DE OVOCITOS - P. 30

LAS VACUNAS, PROTAGONISTAS DE LA SALUD INTEGRAL DE TODOS NOSOTROS P. 32

LA FAMILIA PILAR FUNDAMENTAL EN LA SALUD Y EL BIENESTAR NEONATAL P. 34

RECIBIR QUIMIOTERAPIA EN CASA: ¿ES POSIBLE EN REPÚBLICA DOMINICANA? - P. 42

DIETAS MÁGICAS - P. 50

DERMATITIS ATÓPICA “SIN FILTROS” - P. 64

LACTANCIA MATERNA EN SITUACIONES DIFÍCILES - P. 78

EL DISEÑO DE CONSULTORIOS MÉDICOS UNA

PERSPECTIVA DE LA ARQUITECTURA HOSPITALARIA- P. 62

Presidente

Lic. Alberto Rodríguez Fonseca

Vicepresidente

Lic. Alberto Rodríguez Galeno

Redacción

Lic. Alberto Rodríguez Fonseca

Lic. Alberto Rodríguez Galeno

Fotografía

Darwin Pérez

Sebastián Rodríguez Inciarte

Diseño y Diagramación

José Luis Castellano

Administración y Contabilidad

Lic. Mariana Inciarte

Asesor Jurídico

Peguero & Asociados

Teléfonos

+1 829 962-9949 / +1 829 570-9979 +1 829 558-3999

Ventas@reportemedico.com

Reporte Médico es una publicación de AMD Dominican Group, SRL

Queda prohibida la reproducción parcial o total del contenido de esta edición, su tratamiento informático o su transmisión por cualquier médico, sin permiso explicito de la empresa editora o la entidad emisora. Todos los anuncios, fotos textos e ilustraciones se publican con la previa autorización de los anunciantes.

Dra. Yini Datt Cirujana Oftalmóloga

Dra. Emma Guzmán Dermatóloga

CONSEJO MÉDICO EDITORIAL

Dr. Pedro Ovalle Gastroenterólogo

Dra. Evangelina Soler Neumóloga

Dra. Claudia Almonte Cardióloga

Una Dosis de Información Saludable

Dr. José Ramírez Dra. Dhamelisse Then VanderHorst
Dr. Jorge Vargas
Dr. Pedro Sureda Cirujano Oncólogo Cardióloga Pediatra Ginecólogo - Obstetra
Dr. Ramón Peralta Pediatra
Dr. Pablo Mateo Cirujano Urólogo
Dra. Nathalie González Radioncóloga - Mastóloga
Cirujano Pediatra
PDTE. CONSEJO MÉDICO
Dra. Jeanette Taveras Psiquiatra
Dr. José de Jesús de Jesús Otorrinolaringólogo
Dr. José Alberto Torres Alergólogo
Dr. Ivo Rodríguez Radioncólogo Internacional
Dra. Vivíana Hernández Nutrióloga
Dra. Emilia Guzmán Pediatra
Dr. Fernando Contreras Gastroenterólogo
Dr. Franklin Montero Neurólogo Pediatra
Dra. Gricely Pozo Enfermo crítico y Emergencias
Dra. Arabella Michelen Odontóloga
Dr. Francisco Estrella Neurocirujano
Dr. Alejandro Cambiaso Médico Familiar

www.arapf.org

PONE EN CIRCULACIÓN LA “GUÍA BÁSICA DE LAS VACUNAS”

PARA PROMOVER LA SALUD COMUNITARIA EN REPÚBLICA

DOMINICANA

La “Guía Básica de las Vacunas” desarrollada por ARAPF está disponible gratuitamente en formato digital e impreso para educar sobre vacunas y promover la salud pública.

La Asociación de Representantes, Agentes y Productores Farmacéuticos, Inc. (ARAPF) presentó la “Guía Básica de las Vacunas” la segunda entrega de su Serie Educativa en Salud Comunitaria, con el objetivo de informar y concienciar a la población dominicana sobre un tema tan importante como las vacunas y el proceso de inmunización, el cual ha sido un hito en materia de salud.

La puesta en circulación de este recurso educativo se llevó a cabo en un encuentro con miembros de la junta directiva de ARAPF y la prensa nacional, donde el Dr. José Brea del Castillo, presidente de la Sociedad Dominicana de Vacunología, desarrolló la ponencia “Rompiendo mitos de las vacunas”, uno de los temas abordados en la guía.

“Este nuevo documento, desarrollado por ARAPF, destaca la importancia de las vacunas para la salud. Con un enfoque claro y didáctico, buscamos educar a la población dominicana sobre los conceptos fundamentales y proporcionar orientaciones pertinentes; de esta manera, pretendemos fomentar la conciencia ciudadana para promover un comportamiento más responsable y efectivo en la salud pública”, expresó Juan Miguel, vicepresidente ejecutivo de ARAPF.

Asimismo, informó que este manual se distribuirá totalmente gratis en los formatos digital e impreso, además, podrá descargarse a través del portal oficial de la Asociación.

Juan Miguel Madera, Carolina Díaz y Juan José Alorda

“Para ARAPF, ser parte activa en la promoción de información relevante en el sector salud y contribuir significativamente al bienestar de nuestra población va más allá de asegurar la calidad de medicamentos, insumos médicos, productos vinculados a la salud y alimentos. Estamos comprometidos con la educación y el autocuidado responsable de nuestra nación”, agregó el Sr. Madera, a la vez, dijo que actúan de manera proactiva en el proceso de aprendizaje, fomentando prácticas saludables y proporcionando información esencial para capacitar a los ciudadanos en la toma de decisiones informadas sobre su salud.

Dentro de la “Guía Básica de las Vacunas”, los ciudadanos encontrarán información detallada sobre la definición de las vacunas y su composición, cómo funcionan para proteger nuestra salud, su clasificación según su uso y beneficios, la importancia de desmentir mitos comunes relacionados con las vacunas, la inmunidad colectiva, así como información sobre posibles reacciones o eventos adversos tras la vacunación y datos históricos de destacados investigadores detrás de las vacunas y la línea de tiempo de la Covid-19.

VACUNACIÓN EN LAS AMÉRICAS

La relevancia de la cobertura de vacunación comenzó en el año 2002 con el origen de la “Semana de Vacunación en las Américas”, una iniciativa propuesta por los Ministros de Salud de la Subregión Andina. Esta iniciativa surgió como respuesta al último brote de sarampión endémico en el continente. La misma sugería la realización de campañas de vacunación sincronizadas para alcanzar a las poblaciones más vulnerables, poner fin al brote y prevenir futuros casos.

En este contexto, cada año, más de 40 países y territorios en las Américas se reúnen para crear conciencia sobre la importancia de la inmunización y llevar a cabo jornadas de vacunación, especialmente dirigidas a las poblaciones que carecen de acceso a los servicios de salud. Esto ha contribuido a que más de 1,000 millones de personas sean vacunadas contra diversas enfermedades desde 2002.

Actualmente, la Organización Mundial de la Salud (OMS) revela que se dispone de vacunas para prevenir más de 20 enfermedades que pueden ser mortales. La inmunización previene cada año entre 3.5 y 5 millones de defunciones por enfermedades, tales como: difteria, tétanos, tos ferina, gripe y sarampión.

SOBRE ARAPF

La Asociación de Representantes, Agentes y Productores Farmacéuticos, Inc. (ARAPF), creada hace 75 años con la finalidad de agrupar y representar a las empresas del sector, así como promover la constante actualización y mejoramiento de la actividad en el sector salud de República Dominicana, colaborando con el desarrollo del país, especialmente en el ámbito de la salud. Desde su fundación, ARAPF ha convocado al sector para luchar contra el comercio ilícito de medicamentos y productos vinculados a la salud, aunando esfuerzos con las autoridades dominicanas y a través de sus asociados ser proveedores de productos de alta calidad para garantizar el bienestar de los dominicanos. En el desarrollo del comercio, ARAPF promueve la libertad de empresa, la libre competencia, el respeto al derecho de patente y la práctica de la más elevada moralidad según lo hace constar en su Manual de Buenas Prácticas para la Industria Farmacéutica, y brinda su cooperación en los programas de salud diseñados por las autoridades nacionales.

José Reyes, José A. Martínez, Carlos Leroux de Moya, Carolina Díaz, Juan José Alorda y José Brea del Castillo
José Brea del Castillo
Juan José Alorda

Dr. Pablo Mateo puso en circulación su nuevo libro

“El hombre y su Próstata”

El equipo Reporte Médico estuvo presente en el lanzamiento del libro, “El hombre y su Próstata”, reciente obra escrita por el destacado Médico Urólogo Pablo Mateo, teniendo como escenario la Sala Aida Cartagena de la emblemática Biblioteca Nacional Pedro Henríquez Ureña, de Santo Domingo, en la cual se dieron cita importantes profesionales de la medicina y de la industria farmacéutica y la salud.

Este libro contiene en sus páginas los principales padecimientos prostáticos, que afectan al hombre y el asesino silencioso cáncer de próstata, que según la encuesta de demografía y salud (Endesa) en República Dominicana, el cáncer de próstata es el más frecuente en hombres con una prevalencia de 9.5%, es decir, que por cada 100 hombres entre 45 y 59 años, casi 10 tienen un cáncer de este órgano, pero lo más importante es que estas personas solo el 59% sabe que lo tiene, 40 de cada 100 no sabe que tiene este cáncer. (Cesdem,2013).

El doctor pablo mateo comentó importantes datos sobre el cáncer de próstata

“La incidencia o casos nuevos llevan un nivel de crecimiento acelerado. En el año 2018 hubo 3156 casos nuevos, para el año 2020 se esperaban 3351 casos. Para el año 2030 más de 4508 y para el 2040 unos 5823 casos nuevos”

El doctor Pablo Mateo, enfatizó que para conjurar este crecimiento acelerado del padecimiento prostático la clave es la detención temprana, el cáncer es un problema de salud pública mundial por su alta mortalidad y por la discapacidad que produce y provoca grandes repercusiones que se expanden en los diferentes niveles de vida del individuo abarcando su esfera social, económica, psicológica y sexual, también resaltó que existen muchos tipos de cáncer, unos menos agresivos, aun cuando sea en el mismo órgano como la próstata.

Existe la creencia que en los hombres más viejos, el cáncer de próstata crece más lento, pero esto es engañoso porque hay muchas excepciones, según algunas estadísticas el cáncer de próstata resulta muy agresivo en el 15% de los casos matando a corto plazo, de ahí que algunos médicos recomiendan no hacer nada cuando diagnostica un cáncer de próstata, basado en la idea de que es muy lento y supone que no progresará y el individuo complete su ciclo de vida, pero esto varía de una persona a otra”

El Dr. Pablo Mateo también expuso que en la actualidad existen tratamientos modernos que permiten ayudar a mejorar los casos avanzados de cáncer prostático, fármacos que suprimen y eliminan la formación de hormonas masculinas que es lo que hace crecer el tumor y que por esta razón los hombres deben tener cuidado con el uso de la testosterona, hormona masculina que se utiliza para aumentar el vigor masculino y su uso indiscriminado puede precipitar el desarrollo o progreso del cáncer latente en la próstata.

El galeno ofreció ¡Gracias a Dios!, por darle la oportunidad de cumplir su sueño y por ende dejar un legado a las nuevas generaciones, El Prólogo del libro, fue realizado por el Dr. Humberto Villavicencio. Exdirector de la Fundación Puigver, Barcelona, España e inspirado

por el entusiasmo del Dr. Héctor Mateo, destacado y reconocido cardiólogo dominicano que le dio su apoyo en el desarrollo de este proyecto y como dato importante social, el dinero recaudado por las ventas de este libro, será cedido como donación, para realizar jornadas en zonas necesitadas del país, enfocadas en la detección temprana de cáncer de próstata.

Esta velada culminó con las recomendaciones de siempre, consultar con su urólogo y de considerar todas las opciones de tratamiento presentadas en este libro.

www.drpablomateo.com

@urologodrmateo

.Coordinador Departamento Uro-Oncología Instituto Nacional del Cáncer (INCART)

.Presidente Congreso Confederación Americana de Urología (CAU) 2018 .Presidente Comité de Ética Sociedad Dominicana de Urología (SDU) .Presidente Fundación Dominicana de Urología (FUNDOURO)

Que un cambio de nombre no te quite el sueño!!

Vuelve a dormir tranquilo ahora con

CARDIO DIABETOLOGÍA

EL ROL DEL CARDIÓLOGO EN EL MANEJO DEL PACIENTE DIABÉTICO

Dra. Yamiris Delgado

CARDIÓLOGA - ️INTERNISTA - ECOCARDIOGRAFISTA

@drayamirisdelgado

La cardiología ha experimentado cambios exponenciales en el manejo del paciente diabético en los últimos 10 años, con una expansión del rol del cardiólogo en la prevención de complicaciones cardiovasculares, generado a partir de la creciente evidencia de nuevas terapias que modifican el curso de la enfermedad cardiovascular creando así la necesidad de nuevas competencias que sean trasladados a la práctica clínica.

La Diabetes mellitus es considerada una Enfermedad cardiovascular creciente con cerca de 30 millones de americanos y un 26 % de dominicanos que la padecen, de los cuales la mayoría morirán de complicaciones de la enfermedad cardiovascular como la cardiopatía isquémica y la falla cardiaca.

La estimación del riesgo de padecer una de estas complicaciones debe ser una rutina en la consulta de cardiología preventiva en el paciente diabético junto al screening para nuevos casos y la iniciación de manera temprana de medicamentos hipoglicemiantes con efectos cardio protectores debe ser parte del manejo óptimo en este grupo de pacientes diabéticos, por el alto potencial de reducir las complicaciones cardiovasculares que caracterizan a estos nuevos grupos de medicamentos

Los cardiólogos hemos aprendido a manejar efectivamente trastornos como hiperlipidemias e hipertensión, este protocolo de prevención en el tratamiento puede ahora ser extendido al manejo de la diabetes para prevención de la enfermedad cardiovascular, esta disciplina emergente de Cardio-Diabetología subraya una nueva área de enfoque para el cardiólogo con nuevas terapias para el paciente diabético enfocadas en la disminución de la glicemia, pero con protección cardiovascular.

Este nuevo paradigma en el manejo del paciente diabético se centra en el manejo individualizado de cada paciente por un equipo multidisciplinario, donde el rol del cardiólogo es fundamental en detectar de manera temprana los factores de riesgo cardiovasculares antes de que sean manifiestos en el paciente diabético y detener la progresión de la enfermedad cardiovascular, así como garantizar la protección de órganos vitales como riñón y cerebro, disminuyendo de esta forma las complicaciones catastróficas que sugieren una insuficiencia renal terminal en hemodiálisis o un accidente cerebrovascular.

TERAPIAS HIPO GLUCEMIANTES:

Este nuevo foco en la Cardio Diabetología es liderado por la implementación de 2 nuevas clases de terapias hipo glucemiantes: inhibidores de contransportar sodio- glucosa (ISGLT2) y agonistas del receptor GLP-1, así como, las estra-

tegias en el control óptimo de niveles de colesterol basados en el riesgo individual de cada paciente, alcanzando las metas de LDL, control de la hipertensión y disminución de la progresión de la enfermedad renal con medicamentos nuevos como los antagonistas de mineralocorticoides, (finerenona), así como la terapia de antiagregación plaquetaria ( aspirina ) ISGLT2 inhiben la reabsorción de sodio en el túbulo proximal del riñón y disminuye los niveles de glicemia al reducir la reabsorción de glicemia promoviendo glucosuria. Estos medicamentos incluyen dapaglifozina, empaglifozina canaglifozina administración vía oral.

Los ISGLT2 han demostrado con la evidencia científica actual una disminución de la mortalidad cardiovascular, así como disminución de infarto y stroke , disminuyendo también la hospitalización por falla cardiaca.

Los agonistas del receptor GLP-1, incluyen semaglutide liraglutide y dulaglutide se administran vía subcutánea y mimetizan las acciones de GLP (péptido parecido de glucagón) generando un potente control glucémico acompañado de pérdida de peso y disminución de la ocurrencia de eventos arterioescleróticos.

CONCLUSIÖN

Estamos frente a una nueva era en el manejo del paciente diabético dirigida a evitar las complicaciones que ocasionen la muerte de estos pacientes y estamos comprometidos en ofrecer a nuestros pacientes todas las terapias nuevas disponibles en nuestro país en un esfuerzo individualizado con cada paciente y bajo un enfoque multidisciplinario que incluye al endocrinólogo o diabetólogo y nefrólogo que garantice según las últimas evidencias clínicas que nuestros pacientes diabéticos vivan más y mejores años de vida en salud.

El rol del cardiólogo en el manejo del paciente diabético radica en estimar el riesgo de complicación cardiovascular y manejo de los factores de riesgo: lípidos, presión arterial, obesidad, abuso de tabaco y ahora también la diabetes e iniciar terapias con beneficio cardiovasculares en todos los pacientes con enfermedad cardiovascular establecida.

SÍNDROME DE STEVENS JOHNSON Y NECRÓLISIS EPIDÉRMICA TÓXICA

MANEJO PRECOZ, RECOMENDACIONES A PROPÓSITO DE UN CASO

La Necrosis Epidérmica Toxica o síndrome de Lyell (NET) y el síndrome de Stevens Johnson (SSJ) son reacciones cutáneas adversas a las medicaciones que involucran la piel y las membranas mucosas; afectan anualmente desde uno a dos pacientes por cada millón y son considerados como urgencia médica, debido a que pueden ser fatales. Se caracterizan por sensibilidad mucocutánea y típicas erosiones hemorrágicas, eritema y severo desprendimiento epidérmico. En una mayoría de casos, los medicamentos se identifican como la principal causa.

María Cristina

@dramariamatosrd

El diagnóstico se apoya mayormente en la clínica y del análisis histológico de la biopsia cutánea presentando una necrólisis epidérmica gruesa por la extensa apoptosis queratinocítica.

Debido a su alto riesgo de mortalidad de hasta 30%, el manejo de estos pacientes requiere atención inmediata.

La enfermedad ocular aguda se da en un 50% casos y consiste en conjuntivitis membranosa o pseudomembranosa grave, úlceras corneales, uveítis anterior e incluso panoftalmitis.

Las complicaciones oculares del síndrome de Stevens-Johnson (SJS), si son suficientemente graves, pueden llevar a úlceras corneales recurrentes, leucoma, perforación y, finalmente, ceguera. La morbilidad causada por esta enfermedad puede deberse a las complicaciones corneales agudas, pero usualmente son el resultado de la cicatrización corneal, por lo que se producen secuelas crónicas en el 35 % de los pacientes, como lo son cambios cicatriciales tipo simbléfaron, entropión, ectropión, triquiasis, ojo seco grave u opacificación corneal.

Restasis: Ciclosporina

0.05% de Laboratorio

Allergan

Presentamos el Caso Clínico de un síndrome de Stevens-Johnson (SSJ) con afectación oftalmológica.

Se trata de paciente femenina de 16 años y 5 meses de edad, que llega al departamento de inmunología y superficie ocular del instituto contra la ceguera por glaucoma INCOCEGLA en fecha de 26 de octubre año 2022, la misma es derivada desde un hospital por presentar afectación ocular tras síndrome de Steven Johnson y NET. Entre los síntomas que refiere están: ojo rojo crónico que no ha mejorado con medicamentos, dolor ocular constante, fotofobia intensa, baja visión.

En la exploración: AV. 20/200 ambos ojos que no mejora con la mejor refracción, En lampara de hendidura se observa: Edema palpebral ambos ojos, disfunción de glándulas de meibomio severa, escamas, quemaduras y madarosis ambos ojos, inyección ciliar ambos ojos, cornea turbia, queratitis filamentosa, ulcera corneal epitelial ojo derecho, conjuntivitis pseudomembranosa ambos ojos.

TRATAMIENTO

Como tratamiento procedo a retirar bajo anestésico tópico las pseudomembranas, y epitelio corneal, conservando zona limbar ambos ojos, coloco lente de contacto terapéutico.

Inicio tratamiento tópico con ciclosporina 0.05% cada 12 horas, lágrimas de ácido hialuronato sin conservantes cada 1-2 horas, ungüento de dexametasona y ciprofloxacina dentro de ambos ojos y bordes de parpados antes de dormir, 1 vez al día.

En la revisión a los cuatro días:

Biomicroscopia: En ojo derecho queratitis filamentos a las 7 horas, cornea turbia, edema corneal, en ojo izquierdo epitelización completa, cornea transparente no hace, blefaritis posterior moderada a severa con DGM, secreciones amarillentas, no pseudomembranas. Mejoría de la piel de parpados y edema, persiste madarosis.

Procedo a retirar epitelio con filamentos en ojo derecho respetando limbo. Tratamiento tópico continuo esquema con ciclosporina tópica 0.05% cada 12 horas por 3 meses y agrego plasma rico en plaquetas activado cada 3-4 horas, y vitamina C V.O 2 gramos cada 24 horas.

Consulta de seguimiento en una semana: La paciente refiere mejoría clínica. Continuo mismo esquema.

En consulta de seguimiento al mes y medio:

AV OD 20/30 OS 20/20.

EN LH vemos cornea transparente, no queratitis, ca profunda, DGM moderada, presencia de lesión en parpado superior granuloma de unos 2mm x 2mm. Ptosis palpebral mecánica mejoría, persiste madarosis ambos ojos.

Decido continuar esquema e iniciar láser IPL para la DGM Y blefaritis posterior y como antiinflamatorio de superficie ocular, realizo 2 sesiones de láser IPL cada 15 días, continuo esquema tópico y dejo vitamina C oral 1 gramo al día.

Luego de dos sesiones IPL veo en consulta,

AV OD 20/25 OS 20/20.

En LH, córnea transparente, ca profunda, no edema palpebral, mejoría de la blefaritis y de la DGM, mejoría de la lesión en tarso superior OS ,no ojo rojo, nota ojos más humectados, refiere la lesión le molesta menos, mejoría de la ptosis. Decido preparar para cirugía de resección de la lesión y completar el plan de IPL antes de la cirugía. Realizo 2 sesiones más IPL separadas por dos semanas, continuo tratamiento tópico y oral con vitamina C, retiro plasma.

En la revisión de 1 mes y medio tras las cuatro sesiones de láser IPL.

AV OD 20/20 OS 20/20

Segmento anterior. Córnea transparente, no hiperemia conjuntival, inicio de crecimiento de las pestañas, no edema palpebral, no ptosis en ojo izquierdo.

La paciente refiere la lesión del párpado se cayó luego de la cuarta sesión de láser IPL.

A nivel clínico persisten síntomas de síndrome de ojo seco grado leve, arenilla y sequedad cuando no usa las gotas.

Tratamiento: Lagrimas artificiales sin conservantes, ciclosporina 0.05% tópico cada 12 horas por 3 meses más, retiro ungüento dexametasona.

Pauto revisión control para 5 -6 meses. En septiembre 2023 veo en consulta control de seis meses.

Paciente refiere sentirse muy bien , no molestias oculares, no síntomas de SOS.

AV OD 20/20 OS 20/20

Córnea transparente, ca profunda, no hiperemia, tarsos dentro de parámetros de normalidad, Párpados y pestañas sanas. Mejoría de la DGM. Decido continuar solo con lágrimas artificiales sin conservantes. Retiro ciclosporina tópica.

Tras seis meses acude a nuevo control. AV 20/20 ambos ojos. Segmento anterior normal, anexos sanos. No síntomas de SOS. Tratamiento lagrimas artificiales 3-4 veces al día. Revisiones anuales.

CONCLUSION

Entre el 69% y el 81% de los pacientes con SSJ y el 50% y 67% de los pacientes con NET presentan daño ocular. Se observan desde cuadros leves de conjuntivitis, edema palpebral, eritema, costras, pseudomembranas y en los casos más severos simbléfaron y ulceración corneal persistente, triquiasis, distriquiasis, entropión-ectropión, oclusión del punto lagrimal, o del daño específico sobre la población de células madre del limbo. La disminución de la agudeza visual tiende a ser severa y se presenta un deterioro marcado en la calidad de vida.

Distintos tratamientos para la enfermedad de la superficie ocular grave en SJS cuando se encuentra en su fase crónica:

Conformados por medidas de soporte como lubricantes, trasplante de membrana amniótica y, más recientemente, desarrollos quirúrgicos como la reconstrucción de la superficie ocular con trasplante de células madre epiteliales corneales. Sin embargo, el trasplante de córnea en el SJS presenta un riesgo considerablemente alto de rechazo.

El uso de ciclosporina oral y tópica puede resultar en una alternativa para retrasar o reemplazar este tipo de procedimientos quirúrgicos, siendo un fármaco con un perfil conocido y sus efectos secundarios pueden ser monitorizados con el fin de evitarlos.

El tratamiento precoz y oportuno con terapia inmunosupresora incluyendo ciclosporina A y corticosteroides sistémicos, tópicos y nuevas terapias antinflamatorias de superficie ocular pueden ser importantes para evitar procedimientos invasivos, cicatrización en los diversos tejidos y baja visión

EL tratamiento con ciclosporina reduce muchos marcadores de inflamación, también reduce una osmolaridad lagrimal elevada. La ciclosporina también tiene efectos anti-apoptóticos relevantes para la anulación de la normal relación de las células epiteliales/leucocitos, un efecto que no produce el tratamiento con corticosteroides aislados.

Adicionalmente, se ha informado de que el tratamiento con ciclosporina provoca una recuperación de la disminución de la densidad de células calciformes en la conjuntiva de los pacientes afectados con enfermedad de superficie ocular severa.

Con el uso de ciclosporina tópica precoz y prolongado como inmunosupresor, las propiedades anti apoptóticas, reparación y prevención de metaplasia escamosa del plasma aunado al tratamiento de la DGM severa con láser IPL, se ha logrado una mejoría clínica sostenible en este caso.

Usaba las lágrimas artificiales con frecuencia, como cuando iba al cine. Entonces, fui a ver al oftalmólogo. Después de todo, se trataba de mis ojos. así supe que tenía una enfermedad.

Mi oftalmóloga dijo que producía pocas lágrimas a causa de una inflamación provocada por una enfermedad llamada "ojo seco crónico". Y ese sí era un problema.

Me dijo que podía usar las lágrimas artificiales para tener un alivio temporero. Pero para que pueda producir más de mis propias lágrimas, me recetó RESTASIS® (emulsión oftálmica de ciclosporina) 0,05 %, de uso continuo, cada 12 horas, es decir, dos veces por día en cada ojo.

Uso aprobado

La emulsión oftálmica RESTASIS® ayuda a aumentar la capacidad natural de los ojos de producir lágrimas, que puede verse reducida por la inflamación causada por la ojo seco crónico. RESTASIS® no aumentó la producción de lágrimas en pacientes que utilizaron gotas antiinflamatorio o tapones en el conducto lagrimal.

Información de seguridad importante (continuación)

El efecto secundario más frecuente es una sensación de ardor temporal. Otros efectos secundarios incluyen enrojecimiento de los ojos, secreción, ojos llorosos, dolor ocular, sensación de cuerpo extraño, comezón, punzada y visión borrosa.

Lo invitamos a que informe a la FDA cualquier efecto secundario negativo de medicamentos de venta con receta. Visite el sitio www.fda.gov/medwatch, o llame al 1-800-FDA-1088.

Información de seguridad importante

No utilice la emulsión oftálmica RESTASIS® si es alérgico a cualquiera de sus componentes. Con el fin de evitar lesiones y contaminación ocular, no permita que la punta del vial entre en contacto con el ojo o con otras superficies. Se recomienda no usar RESTASIS® mientras se tienen puestas las lentes de contacto. Si usa lentes de contacto, quíteselas antes de utilizar el producto.

En la página siguiente encontrará el Resumen de la Información completa sobre el producto. Los resultados individuales pueden variar.

Disponible solo con receta médica.

hable con su oftalmólogo sobre RESTASIS® hoy mismo.

16 millonEs dE rEcEtas dE RESTASIS® formUladas dEsdE 2003 si tiene interés en un kit de información gratuito y en ahorros a largo plazo, visite restasis.com o llame al 1-866-271-6242.

® marcas registradas propiedad de allergan, inc. © 2013 allergan, inc., irvine, ca 92612, EE. UU. apc80Hl13

DRA. ROSA NOEMÍ CUETO PAYANO

SODOCARDIO, UNIDOS POR LA PREVENCIÓN CARDIOVASCULAR

El equipo de Reporte Médico visitó recientemente la sede de la Sociedad Dominicana de Cardiología donde tuvimos el placer de entrevistar a la Dra. Rosa Noemí Cueto Payano, actual presidente de SODOCARDIO, para el periodo 2023-2025, quien nos brindó valiosa información sobre su gestión en marcha, basada en propósitos, objetivos e innovaciones, que conllevan a mejorar la salud cardiovascular del pueblo dominicano.

La Dra. Rosa Noemí Cueto Payano es Cardióloga, Internista, Ecocardiografista. Nacida en San Pedro de Macorís donde actualmente aún reside y dio sus primeros pasos en los estudios que la llevaron al Instituto Nacional de Cardiología Dr. Ignacio Chávez de México.

Desde el 2023 inició su gestión en esta importante Sociedad Médica de la mano de un nutrido grupo de Médicos Cardiólogos, esparcidos a lo largo del territorio nacional.

www.sodocardio.org.do

¿Qué la motivó a postularse para Presidente de SODOCARDIO?

En lo personal, ser ejemplo para mis hijos, sobrinos, amigos y familiares, con esto le envío un mensaje, que todo es posible si lo pones en manos del Altísimo Dios y crees en el poder de tus sueños.

En lo profesional, trabajar por y para todos los cardiólogos miembros de la Sociedad de Cardiología y poder, con nuestras actividades científicas, impactar y mejorar su práctica médica. Asi como ser su voz en los escenarios en que me toque representarlos. Y, por supuesto, trabajar por los pacientes cardiovasculares, educarlos y orientarlos en la prevencion de los factores de riesgo cardiovascular.

¿Qué proyectos y avances ha desarrollado durante este periodo en SODOCARDIO?

En la sociedad tenemos 14 Consejos Científicos que abarcan las más importantes patologías cardiovasculares. Cada uno se ha destacado en actividades particulares, teniendo un objetivo primordial que la gente común conozca y contrarreste sus factores de riesgo cardiovascular.

Sin lugar a dudas, nuestro mayor énfasis ha sido trabajar para la prevención de las enfermedades cardiovasculares. Los pasos de avance en este sentido han sido muchos:

Un convenio con la Fundación Española de Cardiología que nos permite replicar sus campañas, y desarrollar proyectos similares. En ese sentido, trabajamos para crear las bases para una Asociación de Pacientes Cardiovasculares. Una plataforma que permitirá que los pacientes, además de ser educados y capacitados sobre su enfermedad, puedan tener una participación activa en diferentes escenarios y sobre todo en la implementacion de políticas públicas relativas a las enfermedades cardiovasculares.

Pertenecer a la Red Iberoamericana de Salud Cardiovascular cuya misión es la garantía y mejora de la salud de los ciudadanos iberoamericanos, basados en los principios de democratización y humanización de los Servicios de Salud, mejorando la calidad de vida en los pacientes que requieren atención cardiovascular.

¿Qué ha hecho su gestión para llevar mensajes de prevención y concientización?

Hemos trabajado arduamente en la prevención cardiovascular. El mayor avance es llevar el mensaje a la gente para que conozcan sus factores de riesgo y como combatirlos antes que aparezcan las enfermedades cardíacas. El Consejo de Prevención ha tenido un papel preponderante llevando el mensaje a empresas, universidades, escuelas, plazas. Es un trabajo continuo, pues las enfermedades Cardiovasculares representan un alto índice de afectación al pueblo dominicano.

¿Qué resultados se han obtenido a través de la integración de SODOCARDIO y la Sociedad Interamericana de Cardiología (SIAC) y la federación Mundial de Cardiología (WHF)

Aunar esfuerzos siempre da buenos resultados. Nos ha permitido compartir investigaciones, estudios clínicos, que garantizan beneficios a los pacientes; unificar las guías y protocolos para las diferentes patologías, un alto nivel en la educación y formación continua de nuestros miembros y que interactuen con profesionales de cualquier parte del mundo, entre muchas otras.

¿Qué avances desde el punto de vista investigativo y tecnológico, le han parecido significativos en estos últimos años en el control de las enfermedades cardiovasculares?

Como toda ciencia los avances son continuos, desde un medicamento hasta un dispositivo. Creo que en la actualidad, lo más relevante es el uso de la Inteligencia Artificial para mejorar el diagnóstico y la predicción de eventos cardiovasculares, así como la interpretación de imágenes cardiacas, permitiendo diagnósticos más rápidos y precisos. Marcapasos sin cables, stents bioadsorbibles, telemedicina y monitoreo remoto, programas virtuales de rehabilitación cardíaca, por mencionar algunos.

Definitivamente, el campo de la cardiología se está transformando y estas nuevas herramientas y enfoques dinamizan la práctica médica y como consecuencia mejoran la atención al paciente.

¿Cómo ha sido la integración de los diferentes Capítulos de la Sociedad Dominicana de Cardiología, para fortalecer y unificar el gremio?

La Sociedad Dominicana de Cardiología tiene 5 capítulos que representan los cardiólogos de cada demarcación, trabajamos unidos y con una misma visión. Realizan programas de actividades científicas y sociales, pero siempre en atención al programa general diseñado por la Junta directiva Nacional, de la que cada presidente de capítulo es parte.

¿Qué nos puede adelantar sobre los próximos eventos planificados por SODOCARDIO y resultados que esperan obtener?

SODOCARDIO, siempre mantiene una agenda cargada de actividades científicas con temas actuales e innovadores. Simposios, Talleres, Webinars y nuestro Congreso Dominicano de Cardiología, que se realiza cada 2 años. Actualmente estamos enfocados en la parte científica y organizativa del mismo, que se celebrará del 19 al 22 de junio del 2025, en el Centro de Convenciones Punta Cana.

¿Conociendo el altísimo costo que trae como consecuencia desarrollar una enfermedad cardiovascular, SODOCARDIO tiene algún mecanismo para contribuir con las personas de escasos recursos?

Como Sociedad Científica sin fines de lucro no tenemos recursos para fomentar programas de ayuda a pacientes directamente, pero conscientes de esa realidad, lo que hacemos es solicitar al Ministerio de Salud Pública que los muy costosos y para patologías muy específicas, sean incluidos en el Programa de Medicamentos de Alto Costo de dicho Ministerio.

Un mensaje final para sus agremiados y para el pueblo dominicano.

A nuestros miembros que tengan la absoluta seguridad de que continuaremos desarrollando programas y alianzas que permitan su formación y capacitación en cada una de las subespecialidades de la cardiología.

A la población en general, le invito a tomar consciencia sobre la importancia de cuidar su salud cardiovascular. Es necesario adoptar hábitos saludables, como comer mejor, ejercitarse, reducción del stress. Recordarles que la mejor medicina es la prevención.

DIRECTIVA SODOCARDIO 2023 – 2025

Dra. Rosa Noemí Cueto P. - Presidente

Dra. Carmen Rodríguez - Vice Presidente.

Dra. Ysmenia Diez - Secretaria General.

Dra. Eunice Tavárez - Tesorera

Dr. Samuel Ramos - Secretario Educación médica continua.

Dra. Vismary Pineda - Secretaria de actas.

Dr. Franklin Colón - Secretario asuntos internacionales.

Dra. Clara L Encarnación - Vocal

Dr. Elvis Rivera - Vocal

Dr. Martín Decena - Presidente Cap. Prov. Santo Domingo

Dra. Dinanyeli Martínez - Presidente Cap. Norte

Dr. Ruddy García Safadit - Presidente Cap. Nordeste

Dra. Santa Marisol Franco - Presidente Cap. Sur

Dra. Yania Reyes - Presidente Cap. Este

LA VITRIFICACIÓN DE OVOCITOS

Una Oportunidad para la Maternidad Diferida y la Preservación de la Fertilidad en pacientes oncológicas.

La vitrificación de ovocitos se ha convertido en una técnica fundamental en el campo de la medicina reproductiva, brindando a las mujeres la capacidad de postergar la maternidad sin comprometer la calidad de sus ovocitos. En un mundo en constante evolución, donde las mujeres buscan equilibrar su vida profesional, personal y reproductiva, la vitrificación emerge como una herramienta que empodera y otorga opciones. Además de postergar la maternidad, esta técnica también desempeña un papel crucial en la preservación de la fertilidad en personas que se someterán a tratamientos oncológicos.

LA IMPORTANCIA DE LA VITRIFICACIÓN PARA POSTERGAR LA MATERNIDAD

Cada vez más mujeres eligen postergar la maternidad debido a razones personales, profesionales o educativas. La vitrificación de ovocitos permite preservar la fertilidad y ofrece la tranquilidad de saber que podrán intentar concebir con sus propios óvulos en el futuro. Esta técnica ha ganado popularidad no solo por su alta eficiencia, sino también, por la flexibilidad que ofrece a las mujeres modernas. Permite que las personas tomen decisiones informadas sobre cuándo y cómo desean ser madres, independientemente de las circunstancias médicas.

¿CUÁL ES LA EDAD IDÓNEA PARA LA VITRIFICACIÓN DE OVOCITOS?

La edad ideal para vitrificar ovocitos es antes de los 35 años, ya que la calidad y cantidad de los óvulos disminuyen con la edad. A partir de los 35, la reserva ovárica disminuye significativamente y aumentan la incidencia de anomalías cromosómicas, lo que afecta las tasa de éxito en futuros tratamientos de fertilización in vitro.

La vitrificación mantiene la calidad de los óvulos, ofreciendo mayores tasas de embarazo y menor riesgo de anomalías cromosómicas. A medida que la mujer envejece, especialmente después de los 38 años, los óvulos presentan más alteraciones genéticas, reduciendo la efectividad de los tratamientos de fertilidad.

Preservar la fertilidad antes de los 35 años permite a las mujeres que postergan la maternidad tener hijos con sus propios óvulos en el futuro. Sin embargo, cada caso debe evaluarse individualmente, ya que algunas mujeres mayores (37-39 años) aún pueden beneficiarse de este tratamiento.

En resumen, la vitrificación de ovocitos antes de los 35 años maximiza las posibilidades de éxito y minimiza los riesgos asociados con la disminución de la calidad ovocitaria.

UN RAYO DE ESPERANZA EN MEDIO DE LA ADVERSIDAD

Enfrentar un diagnóstico oncológico es un desafío emocional y físico abrumador. La vitrificación de ovocitos ofrece un rayo de esperanza para las pacientes. Aunque la preservación de la fertilidad puede no ser una prioridad inmediata, es crucial que visiten a un especialista en fertilidad antes de comenzar el tratamiento oncológico. Los tratamientos de quimioterapia y radioterapia pueden causar daños irreversibles a los ovarios, por lo que este paso es fundamental para mantener opciones abiertas y brindar esperanza en medio de un momento difícil. Al preservar sus ovocitos, estas pacientes pueden centrarse en su tratamiento sin la preocupación de perder su capacidad de concepción, visualizando un futuro donde la maternidad aún es posible después de superar la enfermedad.

EL PROCESO DE VITRIFICACIÓN DE OVOCITOS:

La vitrificación es un proceso de congelación ultrarrápida que impide la formación de cristales de hielo, los cuales podrían dañar las estructuras celulares. Los ovocitos se tratan con sustancias crioprotectoras y se enfrían rápidamente a temperaturas extremadamente bajas, preservando así su integridad. Esta técnica permite que los ovocitos mantengan su viabilidad y potencial de fertilización, incluso después de ser descongelados.

DURACIÓN DEL ALMACENAMIENTO

Los ovocitos vitrificados pueden permanecer congelados por tiempo indefinido sin que se afecte su viabilidad. Estudios han demostrado que los ovocitos pueden ser descongelados y utilizados exitosamente, incluso después de más de una década en almacenamiento.

EXCELENCIA EN SERVICIOS DE VITRIFICACIÓN EN REPÚBLICA DOMINICANA:

Además, es importante destacar que en la República Dominicana existen laboratorios especializados y equipados con tecnología de vanguardia, así como un personal médico altamente capacitado en la realización de la vitrificación de ovocitos. Estos centros ofrecen a las mujeres la oportunidad de acceder a este proceso de preservación de la fertilidad de manera segura y efectiva, brindando confianza y tranquilidad a quienes desean postergar la maternidad o enfrentan tratamientos oncológicos.

La disponibilidad de estos servicios en República Dominicana no solo amplía las opciones reproductivas de las mujeres en el país, sino que también refleja un compromiso con la calidad y la excelencia en la atención médica reproductiva. La combinación de instalaciones modernas y personal especializado hace de estos laboratorios un recurso valioso para quienes buscan preservar su fertilidad y planificar su futuro reproductivo.

CONCLUSIÓN:

La vitrificación de ovocitos no solo permite a las mujeres postergar la maternidad, sino que, también se convierte en una herramienta indispensable para preservar la fertilidad en personas que enfrentan tratamientos oncológicos. En medio de desafíos médicos y emocionales, esta técnica brinda la posibilidad de un futuro donde la maternidad sigue siendo una opción viable. En un mundo en constante cambio, la vitrificación representa un logro científico que empodera a las mujeres y a todas las personas que luchan contra enfermedades, otorgándoles la capacidad de decidir cuándo y cómo formar una familia.

Dra. Yahaira Soto Casado

LAS VACUNAS, PROTAGONISTAS DE LA SALUD INTEGRAL DE TODOS NOSOTROS

EN TIEMPOS DE BROTES DE VIRUS, LA TRANQUILIDAD QUE BRINDA UNA COBERTURA COMPLETA DE VACUNACIÓN ES INVALUABLE PARA LAS FAMILIAS.

La vacunación es la mejor herramienta para la prevención y protección de algunas enfermedades infecciosas. Además, constituye una de las medidas de salud colectiva que más vidas ha salvado en todo el mundo y a lo largo de la historia, desde su invención.

Los bebés, los niños y los adolescentes deben recibir todas las vacunas que les correspondan según su edad y esquema de vacunación. En República Dominicana, contar con el respaldo de un seguro de salud se ha convertido en una necesidad transcendental para salvaguardar el bienestar de la población.

Just Salud Local, es el nuevo seguro médico de Seguros Reservas que se distingue por su compromiso con la salud infantil, ofreciendo una cobertura excepcional para vacunas. Dependiendo del plan seleccionado, esta cobertura puede abarcar entre el 80% y el 100% de los costos de vacunación para niños hasta los 12 años.

Desde vacunas rutinarias como tétanos, difteria, hepatitis A y B, sarampión, varicela, neumococo, gripe o rubéola, que a veces pueden llegar a ser más graves en la infancia, hasta las recomendadas durante los brotes estacionales de enfermedades, como la influenza. Este seguro permite que los padres puedan proporcionar a

sus hijos la protección necesaria en el contexto actual, sin preocuparse por responder a costos elevados.

Entendiendo la importancia de la inmunización continua, también ofrece a los mayores de 12 años la oportunidad de mantenerse protegidos. Para este grupo, cubre una vacuna por año, garantizando así que adolescentes, jóvenes y adultos puedan acceder a las inyecciones necesarias para mantener su salud a lo largo del tiempo.

A través de Just Salud Local, Seguros Reservas reafirma su compromiso con la salud integral de sus asegurados. Con una amplia gama de beneficios que incluyen servicios ambulatorios, hospitalarios y gastos médicos catastróficos, posicionándose, así como una solución completa y accesible para todos.

La inclusión de una amplia cobertura para vacunas subraya el enfoque preventivo y proactivo de la empresa, asegurando que tanto niños, como adultos, estén preparados para enfrentar los desafíos de salud actuales y futuros. Más que un seguro; es una garantía de bienestar para toda la familia que se adapta a las necesidades cambiantes del entorno y proporciona tranquilidad en cada etapa de la vida.

segurosreservas.com

DRA. SANDRA CRUZ

LA FAMILIA

PILAR FUNDAMENTAL EN LA SALUD Y EL BIENESTAR NEONATAL

Como pediatra neonatóloga, he tenido el privilegio de observar de cerca cómo la familia, esa unidad básica de la sociedad, desempeña un papel crucial en el bienestar y la salud de los recién nacidos. Más allá de ser un simple grupo de individuos que comparten lazos de sangre, la familia es una red de apoyo emocional, social y, en muchos casos, económico. Esta reflexión busca mostrar los diversos aspectos en los que la familia impacta en la salud neonatal y cómo se puede fortalecer este núcleo para promover un bienestar integral desde los primeros días de vida.

ROL DE LA FAMILIA EN LA SALUD Y BIENESTAR DEL RECIÉN NACIDO.

-Es fundamental reconocer que la familia proporciona el primer entorno en el que se desarrollan los individuos.

Desde el nacimiento, los recién nacidos dependen completamente de sus padres para satisfacer sus necesidades básicas y para recibir amor y cuidado. La calidad de las relaciones familiares puede afectar profundamente el desarrollo físico, emocional y psicológico del bebé. Ciertos estudios han demostrado que los bebés que crecen en ambientes familiares estables y amorosos tienden a tener mejor salud general y una mayor capacidad para manejar el estrés en etapas posteriores de la vida.

-La familia desempeña un papel crucial en la formación de hábitos saludables desde el nacimiento.

Los padres, como principales cuidadores, tienen una influencia significativa en la salud y el bienestar del recién nacido. Prácticas como la lactancia materna, la higiene adecuada y el cumplimiento de las citas médicas de seguimiento, son aspectos de la vida diaria que se aprenden y se practican en el entorno familiar. Por ejemplo, una familia que valora la lactancia materna de seguro criará un bebé con un sistema inmunológico más fuerte y un menor riesgo de infecciones y enfermedades crónicas en el futuro.

-La familia también actúa como un sistema de apoyo vital en momentos de enfermedad y crisis.

El apoyo emocional y práctico de la familia es esencial durante los periodos de enfermedad neonatal, ya que puede influir en la recuperación y en la capacidad del bebé para superar la enfermedad. En mi práctica médica, he visto cómo los recién nacidos con un sólido sistema de apoyo familiar tienden a tener mejores resultados de salud y una mejor adherencia a los tratamientos médicos necesarios. La familia puede facilitar el acceso a la atención médica, ayudar en la administración de medicamentos y proporcionar el cuidado necesario durante la recuperación.

Sin embargo, no todas las familias proporcionan un entorno positivo. La disfunción familiar, caracterizada por conflictos constantes, abuso, negligencia o falta de apoyo emocional, puede tener efectos devastadores en la salud de los recién nacidos. El estrés crónico y el trauma derivados de un entorno familiar negativo pueden llevar a problemas de salud física y mental en los primeros años de vida. Además, los bebés que crecen en familias disfuncionales tienen un mayor riesgo de desarrollar problemas de salud a largo plazo.

Dado el impacto significativo que tiene la familia en la salud neonatal, es crucial que los profesionales de la salud reconozcan y aborden las dinámicas familiares en su práctica. La intervención temprana en familias con problemas puede prevenir el desarrollo de enfermedades y promover un entorno más saludable. Los programas de educación para padres, la terapia familiar y los servicios de apoyo comunitario

son herramientas valiosas que pueden ayudar a fortalecer las familias y mejorar su capacidad para proporcionar un entorno de apoyo.

CONCLUSIÓN

La familia es un pilar fundamental en la salud y el bienestar de los recién nacidos. Su influencia abarca desde el desarrollo neonatal hasta el apoyo en momentos de enfermedad. Como pediatras neonatólogos, debemos esforzarnos por entender y apoyar las dinámicas familiares para promover la salud integral de nuestros pequeños pacientes. Fomentar relaciones familiares saludables y proporcionar apoyo a las familias en crisis puede tener un impacto duradero y positivo en la salud de la comunidad en general.

“La familia, en su esencia, es la base sobre la cual se construye el bienestar individual y colectivo desde los primeros días de vida”.

ESPECIAL DE NEUROCIRUGÍA

Evolución de la Neurocirugía en República Dominicana

NEUROCIRUJANO

Consejo Médico Editorial Reporte Médico

La neurocirugía en República Dominicana ha prosperado gracias al compromiso y la dedicación de pioneros que han marcado su camino desde sus inicios. Entre los primeros neurocirujanos destacados se encuentra el Dr. Ney Arias, quien promueve la primera generación de neurocirujanos como el Dr. José Joaquín Puello, cuya visión y habilidades sentaron las bases para el desarrollo de esta especialidad en nuestro país. Con tenacidad y pasión, estos profesionales abrieron nuevos horizontes en el tratamiento de enfermedades neurológicas.

¡El advenimiento de la microcirugía, técnicas de mínima invasión, manejo neuro oncológico y la cirugía funcional, ya son parte de nuestras ofertas de tratamiento y sí… están disponibles en nuestro país!

Es un privilegio ser parte de la revista médica “Reporte Médico”, que se posiciona como la guía médica más importante para República Dominicana. Este especial editorial nos llena de orgullo y gratitud, ya que nos permite compartir conocimientos, avances y descubrimientos que impactan directamente en la práctica clínica y en la mejora de la salud pública en nuestra sociedad. Agradecemos profundamente a nuestros colegas, lectores y colaboradores por confiar en nosotros como fuente de información médica confiable y actualizada.

Como copartícipes del consejo editorial nos comprometemos a continuar elevando los estándares de la neurocirugía en República Dominicana, impulsando la investigación, la formación académica y la atención clínica especializada. Con cada artículo, investigación y caso clínico compartido en estas páginas, reafirmamos nuestro compromiso con la salud y el bienestar de nuestra comunidad.

Animamos a las futuras generaciones de jóvenes médicos dominicanos a seguir los esfuerzos y estudios. La neurocirugía no solo representa un desafío intelectual y técnico, sino también, una oportunidad para marcar una diferencia significativa en la calidad de vida de nuestros pacientes.

@neuroestrella

DR. WILLIAM DEL ROSARIO MARTINEZ

NEUROCIRUJANO

DR. FRANKIE VIÑALS PRESTOL

NEUROCIRUJANO

DR. JOSÉ ORLANDO BIDÓ FRANCO

NEUROCIRUGÍA FUNCIONAL Y ESTEREOTÁXICA

DR. ISMAEL PERALTA

NEUROCIRUJANO

INDICACIONES QUIRÚRGICAS DE LA EPILEPSIA EN LA NIÑEZ: TENDENCIAS Y EXPECTATIVAS

DR. FRANCISCO ESTRELLA NEUROCIRUJANO

ESPECIALISTA EN:

Cirugía Cerebral y Columna Vertebral. Neuralgias, Epilepsia, Dolor, Cirugía Funcional

La epilepsia es una condición neurológica que afecta a millones de niños en todo el mundo. Para aquellos que no responden adecuadamente a los tratamientos farmacológicos, la cirugía es una opción viable. En los últimos cinco años, las tendencias en las indicaciones quirúrgicas han evolucionado significativamente, destacando avances en técnicas quirúrgicas y enfoques más personalizados.

En los últimos cinco años, se ha observado un aumento en la precisión de las evaluaciones perioperatorias, gracias a la mejora en las técnicas de neuroimagen y el uso de tecnologías como la resonancia magnética funcional (fMRI), y electrofisiología (Electroencefalograma y Video EEG). La evidencia científica ha mostrado que los resultados a largo plazo son más favorables. Además, la cirugía mínimamente invasiva y la neurocirugía asistida por navegación y robótica han ganado terreno, reduciendo los riesgos y mejorando los resultados postoperatorios. También se ha fortalecido el enfoque multidisciplinario en el manejo de la epilepsia, integrando a neurólogos, neurocirujanos, psicólogos y trabajadores sociales en el proceso de toma de decisiones.

La cirugía de epilepsia puede transformar la vida de un niño y su familia. Desde una perspectiva familiar, la mejora en la calidad de vida del niño al reducir o eliminar las convulsiones puede aliviar el estrés y la carga emocional sobre los padres y familiares.

Las evaluaciones preoperatorias son cruciales para determinar la idoneidad de un paciente para la cirugía. Estas incluyen:

•Monitoreo de Video-EEG: Identificación precisa de la zona epileptógena.

•Neuroimagen: Resonancia magnética (fMRI) para detectar anomalías estructurales.

•Evaluaciones Neuropsicológicas: Establecer el impacto de la epilepsia en las funciones cognitivas.

•PET y SPECT: Ayudan a localizar la actividad metabólica anormal en el cerebro.

LOS PROCEDIMIENTOS QUIRÚRGICOS

QUE PRESENTAN LOS MEJORES

RESULTADOS INCLUYEN:

•Resección Focal: Ideal para epilepsias focales bien localizadas, con tasas de éxito de hasta el 70-80% en la eliminación de crisis.

•Hemisferectomía Funcional: Utilizada en casos de epilepsia severa hemisférica, especialmente en condiciones como la encefalitis de Rasmussen.

•Callosotomía Corpuscular: Eficaz en epilepsias atónicas (crisis de caída), reduciendo la severidad de las crisis.

•Estimulación del Nervio Vago (VNS y Estimulación Cerebral Profunda): Alternativa cuando la resección no es posible, disminuyendo la frecuencia de crisis en un 50%. Estos procedimientos son seleccionados en función de la zona epileptógena y la expectativa de minimizar el impacto en las funciones cognitivas y motoras del paciente. Valorando siempre en equipo multidisciplinario los riesgos y beneficios.

RIESGOS IMPORTANTES:

•Infecciones postoperatorias.

•Déficits neurológicos transitorios o permanentes.

•Hemorragia cerebral.

BENEFICIOS:

•Socioeconómicamente, la reducción en la frecuencia de las crisis puede disminuir los costos de atención médica a largo plazo.

•Mejorar la capacidad de los padres para trabajar, al reducir la carga de cuidado constante.

•Reducción significativa o eliminación de las convulsiones.

•Mejora en la calidad de vida y capacidad cognitiva. Lo que traduce en posibilidad de avance en escolaridad e independencia.

•Disminución del uso de medicamentos antiepilépticos y sus efectos secundarios.

La cirugía no es el último paso para seguir en nuestros pacientes, pues se requiere de disciplina y constancia por parte de los familiares y pacientes; el seguimiento postoperatorio incluye:

•Monitoreo Regular: EEG para evaluar la actividad cerebral.

•Rehabilitación Neuropsicológica: Apoyo en la recuperación cognitiva y emocional.

•Ajustes de Medicación: Reducción gradual de antiepilépticos bajo supervisión médica.

•Evaluación Psicosocial: Asistencia para la reintegración escolar y social.

En Latinoamérica y República Dominicana, el acceso a cirugía de epilepsia pediátrica es limitado por factores económicos, de infraestructura y educacional. Sin embargo, se están realizando esfuerzos para mejorar la disponibilidad de estos tratamientos a través de programas de capacitación, cooperación internacional y políticas de salud pública que prioricen la epilepsia refractaria. Para favorecer la selección de cirugía y su aprobación por parte del sistema de salud pública, inicialmente tendríamos que hacer énfasis en los siguientes aspectos:

•Incrementar la Capacitación Médica: Formación de equipos multidisciplinarios educados en esta condición.

•Fortalecer las Infraestructuras Hospitalarias: Equipar hospitales con tecnología y recursos.

•Campañas de Concienciación: Informar a las familias sobre las opciones quirúrgicas y sus beneficios.

•Subsidios y Programas de Asistencia: Facilitar el acceso a la población vulnerable que han sido privados de tratamientos quirúrgicos.

CONCLUSIONES Y RECOMENDACIONES

La cirugía de epilepsia en la niñez ofrece una esperanza significativa para aquellos que no responden a los tratamientos convencionales. Es crucial que las familias y los pacientes estén bien informados sobre las opciones disponibles y los posibles resultados. Las recomendaciones incluyen:

•Educación Continua: Proveer a los familiares y pacientes con información actualizada sobre la epilepsia y las opciones quirúrgicas.

•Apoyo Psicosocial: Asegurar que las familias tengan acceso a servicios de apoyo psicológico y social durante el proceso pre y postoperatorio.

•Políticas de Salud Pública: Abogar por políticas que faciliten el acceso a tratamientos quirúrgicos avanzados y a la atención médica integral para la epilepsia pediátrica.

Finalmente la cirugía de epilepsia en la niñez, cuando se selecciona adecuadamente y se realiza en el entorno adecuado, puede transformar vidas y ofrecer una nueva oportunidad de desarrollo y bienestar a los niños afectados y sus familias. La cirugía puede transformar vidas, proporcionando una reducción significativa en las crisis y mejorando la calidad de vida. Para los familiares y pacientes pediátricos, es esencial considerar esta opción en caso de epilepsia refractaria, realizar las evaluaciones preoperatorias adecuadas y un plan de seguimiento postoperatorio riguroso. En Latinoamérica y la República Dominicana, se deben implementar estrategias para mejorar el acceso y la aceptación de estos tratamientos, asegurando que más niños puedan beneficiarse de estos avances médicos.

TRATAMIENTO QUIRÚRGICO EN LA ENFERMEDAD DE PARKINSON

La enfermedad de Parkinson es la alteración del movimiento más frecuente y afecta a un grupo importante de la población de más de cuarenta años de edad. Ocurre por un defecto en la producción de dopamina, un neurotransmisor para funciones neurológicas, tanto motoras como no motoras. Los síntomas cardinales son temblor en reposo, lentitud de movimientos y gestos, rigidez muscular y alteración de reflejos y marcha.

El tratamiento consiste en la administración de levodopa (sustituto de dopamina) y/o otras sustancias que ayudan al funcionamiento de la misma por diferentes mecanismos.

La mayoría de los pacientes responde bien a los medicamentos; otros son resistentes a ellos o presentan intolerancia y efectos secundarios, que pueden ser tan incapacitantes como la enfermedad. Más de 90% de los pacientes en uso de levodopa por más de siete años presenta efectos secundarios o falta de beneficio con el uso de la misma. Dentro de estos, se encuentran: discinesias, cese súbito del efecto del medicamento, fluctuaciones del efecto del medicamento y posturas distónicas muchas veces dolorosas.

La cirugía para el Parkinson no es nueva. Existe desde la mitad del siglo XX, reactivándose en los años 80 debido al surgimiento de la tomografía, que mejoró los sistemas de localización anatómica. La introducción de la resonancia magnética potencializó aún más la precisión de estos procedimientos en los años 90’s.

¿QUIÉNES DEBEN SER OPERADOS?

Las indicaciones quirúrgicas incluyen pacientes en cualquiera de las siguientes condiciones:

• Predominio de temblor

• Enfermedad unilateral o asimetría importante de síntomas motores (temblor, rigidez, bradicinesia)

• Complicaciones del tratamiento: Intolerancia del medicamento, discinesia, fluctuaciones “on/off” y distonía por levodopa

• Síntomas bilaterales con deterioro progresivo

• Expectativa de mejoría de calidad de vida

¿EN QUÉ CONSISTE LA CIRUGÍA?

Los tratamientos quirúrgicos para el Parkinson utilizan métodos estereotáxicos (estereo=espacio, taxia= localización), que

generan un sistema de coordenadas referenciales externo al cráneo para localizar las estructuras intracraneales.

El objetivo del tratamiento quirúrgico es modular el funcionamiento de estructuras cerebrales profundas que están afectadas por la deficiencia de dopamina. En el complicado circuito del control motor existen varias estructuras anatómicas, que son potenciales blancos quirúrgicos en la enfermedad de Parkinson (núcleo subtalámico, globo pálido interno, núcleo talámico ventral intermedio).

Tradicionalmente, la forma de generar la mejoría fue mediante pequeñas lesiones en el blanco quirúrgico, por medio de la inserción de un electrodo cerebral conectado a un generador de radiofrecuencia.

La observación de que la estimulación previa a la lesión mejoraba los síntomas motores, llevó a finales del siglo pasado a la introducción de los neuro estimuladores (Deep Brain Stimulation- DBS). Estos sofisticados dispositivos implantables, sustituyeron en la mayor parte del mundo desarrollado a las lesiones por radiofrecuencia y se han convertido en el standard de oro del tratamiento quirúrgico de la enfermedad.

Sin embargo, aún se continúan realizando las lesiones por radiofrecuencia para aquellos que no pueden acceder a la estimulación, o en países donde no está disponible. De manera paradójica, en las últimas décadas, las lesiones han tenido un resurgir con la nueva técnica de ultrasonido focalizado por resonancia magnética (MRI-FUS), que se usa en pacientes con predominio de temblor y que tienen contraindicación para la invasión del cerebro con electrodos.

¿PUEDE HACERSE ESTA CIRUGIA EN RD?

Desde el año 1999 realizo en Santo Domingo procedimientos estereotáxicos para la enfermedad de Parkinson. Las técnicas disponibles incluyen la talamotomía por radiofrecuencia (para pacientes en que predomina el temblor y rigidez unilateral), la palidotomía por radiofrecuencia (en los que predominan rigidez, lentitud y discinesias inducidas por la medicación), estimulación cerebral profunda -DBS- del núcleo subtalámico uni o bilateral (para pacientes con síntomas motores que ameriten grandes cantidades de medicación y tengan fluctuaciones) y DBS palidal uni o bilateral (para los pacientes en que predominan la discinesias y comorbilidad depresiva).

DR. JOSÉ ORLANDO BIDÓ FRANCO

NEUROCIRUJANO

ESPECIALISTA EN: Neurocirugía funcional y estereotáxica

Los estimuladores pueden ser de batería de un solo uso, que dura hasta 5 años, o recargables que duran hasta 15 años para ameritar recambio. No está disponible en nuestro país el MRI-FUS.

Todas estas técnicas están asociadas a mejoría de los síntomas motores, de las fluctuaciones del efecto de la medicación y de la calidad de vida global de los pacientes.

La gran virtud de los procedimientos de estimulación cerebral profunda reside en que, al no realizar lesión cerebral directa, y ser un procedimiento reversible y ajustable, representa menor riesgo para el paciente. Además, puede ser realizado de manera bilateral simultánea y permite variar los parámetros de estimulación en cuanto al contacto utilizado, voltaje, amplitud y frecuencia de onda.

Una cirugía exitosa para el Parkinson, no evita que el paciente necesite continuar tomando medicamentos, pero hace que su efecto sea más duradero, con mejor resultado y menos efectos adversos. En el caso de la estimulación del núcleo subtalámico, se puede esperar una reducción de la dosis diaria de levodopa en muchos pacientes.

RECIBIR

QUIMIOTERAPIA EN CASA: ¿ES POSIBLE EN REPÚBLICA DOMINICANA?

IntraCare Center, primer centro en ofrecer quimioterapia a domicilio en el país, con tecnología de punta bajo los estándares y protocolos que brindan los centros de salud en el extranjero.

Recibir tratamientos oncológicos desde el hogar, de forma oportuna a las necesidades y expectativas de los pacientes, es posible debido al programa “Tu Quimio en Casa” que realiza el moderno centro de salud IntraCare Center, el cual cuenta con altos estándares de calidad.

Este primer centro en ofrecer quimioterapia a domicilio en el país nace con el objetivo de satisfacer la necesidad en el servicio dominicano hacia aquellos pacientes diagnosticados con cáncer, quienes requieren de una quimioterapia especializada en un ambiente que posea todas las herramientas para su proceso de tratamiento, desde la preparación de las terapias hasta su acompañamiento de bienestar emocional, mental y nutricional.

El centro trabaja de la mano con las principales aseguradoras del país como son: Humano, con los planes (Max, Royal y Platinum); SeNaSa (subsidiado, contributivo, pensionado y jubilado), Just, ARS Primera, ARS Banco Central, ARS Abel González, SURA, MAPFRE y Monumental.

IntraCare Center

Es un hospital de día especializado en brindar servicios oncológicos con un personal totalmente capacitado y comprometido a mejorar la calidad de vida de todos sus pacientes adultos y pediátricos con cáncer, mediante quimioterapias, consultas médicas oncológicas especializadas, programas de salud preventiva, tecnología y sistemas innovadores.

Para los usuarios que requieren del programa “Tu Quimio en Casa” ya sea por privacidad o por imposibilidad de traslado, tienen a su disposición un personal médico altamente calificado y con experiencia en el área de oncología y quimioterapia, con un trato humanizado y criterios clínicos, seguridad y monitoreo permanente.

Este servicio domiciliario también aplica para pacientes con tratamientos de larga duración, evitando con “Tu Quimio en Casa” la necesidad de ser ingresado en un centro de salud. El procedimiento consiste en el traslado de un personal médico al domicilio del paciente con los equipos a utilizar, tales como bombas de infusión de línea continua con un sistema cerrado, con un programa que

permite ver la trazabilidad de las infusiones, con batería con capacidad para 5 horas de carga.

Igualmente, sillones de quimioterapia que permiten al usuario ajustarlo a su gusto, de manera que se sienta cómodo durante la medicación. También se convierten en silla de ruedas y en camilla, lo que facilita el traslado sin necesidad de desconectarlo de su tratamiento de quimioterapia, manejo del dolor o cuidados paliativos.

Además de ofrecer este novedoso servicio, son especialistas en dar cuidados paliativos y manejo del dolor a pacientes adultos y pediátricos (no recién nacidos), en el hogar y ambulatorio, para lo que poseen una infraestructura moderna y cómoda diseñada para

que el paciente se sienta como en su hogar.

Con todas las bondades que poseen los servicios de IntraCare, el paciente oncológico no tiene la necesidad de viajar a otros países para recibir sus tratamientos, como se acostumbraba, ya que cuenta con las mejores condiciones, sistemas y tecnología de punta para aplicar las quimioterapias con los mismos estándares y protocolos que brindan los centros de salud en el extranjero.

Conjuntamente, cuentan con un sistema de prescripción digital y trazabilidad activa, que permite a los médicos oncólogos y hematólogos a nivel nacional realizar sus indicaciones de los tratamientos de quimioterapia, de acuerdo con las normas internacionales.

DOLOR CRÓNICO

DE ESPALDA BAJA: NUEVAS ALTERNATIVAS

NEUROCIRUJANO

ESPECIALISTA EN:

Hidrocefalia, Enfermedad Degenerativa de la Columna Vertebral, Hernias Díscales, Tumores Cerebrales, Trauma Craneal y Vertebral, Dolor Crónico de Espalda y Cuello, Neuralgias Craneofaciales.

El dolor lumbar crónico es una grave problemática de salud pública de alcance global, productor de sufrimiento y discapacidad, así como de elevados costos económicos para los estados. La incidencia actual se estima en un 5% a 10%, con una prevalencia de por vida que oscila entre 60 y 90%. El 50% de los casos se resolverá de forma espontánea en dos semanas, y hasta un 90% a las 6 semanas, sin embargo, un grupo importante desarrollará dolor crónico.

Estamos frente a una condición médica costosa e incapacitante cuyo comportamiento epidemiológico muestra un nivel de expansión inquietante, superando en ocasiones todo nuestro arsenal terapéutico y diagnóstico para posicionarse como causa líder de discapacidad laboral a nivel mundial durante más 30 años.

Los neurocirujanos y ortopedistas, luego de una extensa formación, estamos entrenados para dar resolución quirúrgica al 15 a 20% de las lumbalgias, refiriéndonos a aquellas cuyo fundamento etiológico corresponde a patologías específicas y puntuales, tales como: las hernias discales, la estenosis de canal, la inestabilidad clínica, las deformidades, los traumas y los tumores, con honrosos resultados; el resto corresponde a lumbalgias inespecíficas, un estado nebuloso y confuso donde se superponen una serie de condiciones médicas, psicológicas y sociales que convierten

la evaluación y el manejo de esta condición en todo un reto espartano, ya que las imágenes médicas, la sintomatología y el examen físico pueden, en ocasiones ser completamente divergentes, lo cual plantea un desafío a nuestra forma tradicional de entender y practicar la medicina.

La mayor parte de la bibliografía disponible en la actualidad apunta en una sola dirección: El manejo efectivo de la patología dolorosa lumbar y espinal en general, debe ser integral y multidisciplinario, dando participación conjunta a fisiatría/rehabilitación, psicología/psiquiatría, medicina del trabajo, reumatología, medicina del dolor y al cirujano espinal, se necesita del concierto de un grupo variado de saberes y capacidades que aborden la problemática desde todos los frentes posibles y de forma simultánea.

TÉCNICAS INTERVENCIONISTAS PARA EL CONTROL DEL DOLOR

Una de las alternativas emergentes que vienen a engrosar nuestro arsenal terapéutico son las técnicas intervencionistas para el control del dolor, lo cual consiste en una serie de procedimientos de mínima invasividad que buscan la mejoría de los síntomas a través de la interrupción del ciclo natural del dolor, logrando esto mediante la destrucción o modulación de las pequeñas fibras nerviosas que captan la señal dolorosa desde los lugares en donde se originan para conducirlas hasta la corteza cerebral, en donde la experiencia del dolor se hace consciente, para esto se utilizan medios físicos como la electricidad, que pueden destruir la terminación nerviosa mediante la generación de calor o creando campos electromagnéticos intensos en la proximidad del nervio los cuales modifican su comportamiento. También se utilizan agentes farmacológicos que pueden bloquear la transmisión nerviosa, algunos de forma temporal, como los esteroides y anestésicos locales; y otros de forma permanente, como los neurolíticos (p.ej. Fenol, alcohol, glicerol). Entre estas técnicas también se incluye la cementación vertebral, para el manejo de fracturas vertebrales osteoporóticas y tumorales generadoras de dolor; las adhesiólisis peridurales, para el control dolor espinal producido por fibrosis y adhesiones; y la colocación de neuroestimuladores y bombas intratecales, para el manejo de síndromes dolorosos de difícil control, como el síndrome de dolor espinal postoperatorio persistente.

A través de estas técnicas podemos tratar síndromes dolorosos espinales tales como: •Dolor originado en las articulaciones facetarias: Aunque muchas veces subvalorado, constituye el 15 al 45% de todos los casos de dolor lumbar crónico, la osteoartritis facetaria es la principal causa, los pacientes experimentan dolor y rigidez lumbar que

limita los movimientos de extensión y rotación, y se distribuye en las regiones glúteas, lumbares y de extremidad inferior sin pasar más allá de la rodilla, puede imitar en ocasiones cuadros radiculares. La evaluación médica estricta puede elevar nuestro nivel de sospecha sobre la presencia de la patología, los bloqueos articulares lo confirman; las imágenes diagnósticas no siempre son coherentes con el cuadro clínico. La termólisis del nervio facetario mediante la radiofrecuencia, es el tratamiento de elección con nivel de evidencia II de acuerdo a la American Society of Interventional Pain Management.

•Dolor sacroiliaco: Se origina en la articulación Sacroiliaca, formada entre el hueso sacro y los huesos iliacos, ubicada en el segmento más inferior de la región lumbar, llega a constituir hasta el 25% de todos los casos de dolor lumbar crónico; la osteoartritis, los traumas, los embarazos, las fijaciones vertebrales, la asimetría en la marcha, etc; pueden generar la enfermedad y el dolor. La denervación por radiofrecuencia de esta articulación puede brindar alivio prolongado a los pacientes afectados.

•Dolor neuropático compresivo: Producido por procesos irritativos que involucran una o varias raíces nerviosas, generalmente relacionado con hernias discales lumbares o estenosis de canal; 10 a 20% de la población lo sufre actualmente y entre un 13 y 40% lo experimentarán en algún momento de sus vidas, se caracteriza por dolor severo acompañado de sensación de calambre o electricidad que recorre la extremidad inferior extendiéndose generalmente hasta el pie. La Radiofrecuencia pulsada del Ganglio de la Raíz dorsal puede aportar niveles significativos de mejoría de duración variable, en escenarios donde otros métodos no han sido suficientes.

CONCLUSIÓN

Las técnicas intervencionistas y mínimamente invasivas para el control del dolor de origen espinal, se erigen como una herramienta útil y segura para asistir a pacientes aquejados de cuadros dolorosos refractarios cuando los métodos más conservadores han fallado y la cirugía convencional no es vista como una opción. Son procedimientos rápidos, seguros, ambulatorios y de bajo nivel de riesgo que han venido a enriquecer nuestro arte, aportando nuevas y mejores alternativas a los pacientes.

“la ciencia avanza a pasos agigantados, la investigación y la inventiva no se detienen y el intervencionismo se perfila como una maravillosa promesa para nuestra práctica hoy, pero aún más brillante para los días por venir”.

NEUROCIRUGÍA EN REPÚBLICA

AVANCES DE LA CIRUGÍA NEURONCOLÓGICA (TUMORES CEREBRALES Y DE COLUMNA VERTEBRAL) EN REPÚBLICA DOMINICANA

En la República Dominicana, los avances en equipos especializados y cuidados postoperatorios en el tratamiento de tumores cerebrales y de columna vertebral han evolucionado significativamente en los últimos años, mejorando la calidad de vida de los pacientes y aumentando las tasas de éxito en los procedimientos quirúrgicos.

Luego de la implementación de la ley de Seguridad Social (87-01) entre el 2003 y 2005 toda la población dominicana, independientemente de su condición social, laboral, económica y del régimen financiero a que pertenezca, tiene derecho a los servicios de salud que se incluyen en el Catálogo de Prestaciones de Servicios de Salud (PDSS). Esto ha permitido la creación de empresas consignadas al alquiler de diversos equipos, instrumentos y aparatos especializados destinados a mejorar la calidad del tratamiento quirúrgico y a disminuir las complicaciones asociadas. También la ley de la Seguridad Social ha permitido que se mejore la infraestructura de los centros médicos públicos y privados, principalmente el desarrollo de las Unidades de Cuidados Intensivos (UCI) las cuales se han diversificado y subespecializado en unidades de cuidados intensivos pediátricos, cardiovasculares, traumáticos, polivalentes, Unidades de stroke o ictus (antiguamente accidentes cerebrovasculares), entre otros.

La tecnología ha jugado un papel fundamental en la detección temprana y el tratamiento preciso de estas patologías. Equipos especializados como resonancias magnéticas de alta definición (1.5 y 3 Tesla), tomografías computarizadas avanzadas (PET CT) y sistemas de navegación quirúrgica (neuronavegación intraoperatoria), permiten a los neurocirujanos planificar con precisión las intervenciones, identificar la ubicación exacta del tumor y minimizar el daño a tejido sano circundante durante la cirugía.

Los dispositivos intraoperatorios de alta energía y las herramientas de monitoreo y visualización como el aspirador ultrasónico, craneotomo eléctrico, cauterizador bipolar, neuroendoscopio, microscopio quirúrgico y el neuromonitoreo intraoperatorio pueden ser trasladados a distintos puntos del país, lo que mejora el acceso a dichas tecnologías en las regiones más remotas de la República Dominicana.

Además, los avances en técnicas quirúrgicas mínimamente invasivas han reducido los tiempos de recuperación y han disminuido el riesgo de complicaciones postoperatorias en pacientes con tumores cerebrales. Cada vez más los neurocirujanos dominicanos se especializan en diversas áreas de la oncología, preparándose entre uno y dos años adicionales. Nuestro país cuenta con neurocirujanos oncólogos generales, especialistas en tumores de la base del cráneo, especialistas en tumores de la columna vertebral y neuropediatras. La especialización y la tecnología ayudan a los cirujanos a acceder a los tumores a través de pequeñas incisiones, lo que resulta en menos trauma para el paciente y una recuperación más rápida.

En cuanto a los cuidados postoperatorios, en la República Dominicana se ha observado un enfoque integral que abarca la rehabilitación física, la terapia ocupacional y el apoyo psicológico para los pacientes que han sido sometidos a cirugía de tumores cerebrales y de columna vertebral.

Programas de seguimiento especializados ayudan a monitorizar la evolución del paciente, prevenir complicaciones y mejorar la calidad de vida a largo plazo. Es importante destacar que la colaboración interdisciplinaria entre neurocirujanos, neurólogos, oncólogos, endocrinólogos, intensivistas fisioterapeutas y psicólogos ha sido clave en la mejora de los resultados. Esta aproximación holística garantiza una atención integral y personalizada para cada paciente, teniendo en cuenta no solo aspectos físicos, sino también emocionales y cognitivos.

CONCLUSIÓN

En resumen, los avances en equipos especializados y cuidados postoperatorios en el tratamiento de tumores cerebrales y de columna vertebral en la República Dominicana han permitido ofrecer una atención de calidad, mejorar los resultados clínicos y brindar esperanza a los pacientes y sus familias. “La combinación de tecnología de vanguardia, técnicas quirúrgicas innovadoras y un enfoque multidisciplinario ha transformado el panorama de la neurocirugía en el país, marcando un hito en la atención de patologías complejas del sistema nervioso central”.

NEUROCIRUJANO

ESPECIALISTA EN:

Hernias Discales, Neuralgia Trigeminal, Tumores Cerebrales, Tumores Espinales, Fracturas Vertebrales, Aneurismas Cerebrales.

Podemos mejorar aún más… ¡lo sabemos!… la descentralización de la medicina pública y privada sigue siendo un reto. La falta de inversión en los pueblos y de la mejoría de las condiciones sociales en regiones apartadas hace que la mayoría de los pacientes y especialistas se concentren en las dos grandes ciudades del país (Santo Domingo y Santiago) creando largas listas de espera para el tratamiento definitivo de sus enfermedades.

“Sigamos trabajando por el desarrollo de las especialidades médicas en las comunidades rurales, es un deber de todos, de la empresa privada, del gobierno, pero principalmente de nosotros mismos, los dominicanos”.

DR. ISMAEL PERALTA

ESPECIAL NEUROCIRUGÍA

¿QUÉ ES LA RADIOCIRUGÍA Y SU APLICACIÓN EN NEUROCIENCIAS?

DR. FRANKIE VIÑALS PRESTOL

NEUROCIRUJANO CEREBRAL Y COLUMNA VERTEBRAL

La radiocirugía estereotáctica es un tipo de terapia radiante cuyos haces son muy precisos y su energía mucho más potente que la usada en radioterapia. Al principio -y durante muchos años- la radiocirugía era exclusiva para tratar dolencias de la cabeza, hoy en día, con los avances de la ciencia, ya podemos hablar de radiocirugía extracraneal, es decir, existe la posibilidad de tratar otros órganos o estructuras fuera de la cabeza con una precisión submilimétrica (Ej.: pulmón, columna vertebral, próstata, etc.)

Cabe mencionar que, aunque escuchemos el sufijo “cirugía”, este procedimiento no conlleva ningún tipo de incisiones ni anestesia, pues es totalmente indoloro y se realiza de manera ambulatoria.

En el mundo existen básicamente dos tipos de máquinas que son las responsables de estos tratamientos: el gamma knife y los aceleradores lineales (LINAC). En esta primera entrega, deseamos hacer una explicación de lo que desde hace 14 años venimos realizando en CDD-Clínica Abreu.

En la actualidad, contamos con 1,200 pacientes tratados, lo que se traduce en una vasta experiencia y orgullosamente podemos decir que nuestros resultados han sido excelentes, pues el porciento de complicaciones es menos de 1%. El diapasón de entidades que podemos tratar es muy amplio, ya que esto incluye tumores (tanto benignos como malignos), lesiones vasculares (malformaciones arteriovenosas, fístulas, cavernomas), entre otras patologías.

¡El mundo ha avanzado bastante en cuanto a manejo de patologías que pueden ser tratadas mediante esta técnica! .Es preciso mencionar que en nuestra región, particularmente en nuestro país, debido a las limitaciones que tenemos con las ARS y con la misma SISALRIL, que debería hacer revisiones periódicas para ampliar los catálogos de coberturas, hay ciertas condiciones o patologías que no hemos tenido la oportunidad de tratarlas pero que sí están contempladas en las lesiones que son tributarias de radiocirugía, como son: neuralgia del trigémino, trastornos obsesivos-compulsivos, enfermedad de Párkinson, psicocirugía, entre otros.

Finalmente, es obligatorio mencionar que no todos los tumores son candidatos de primera instancia a la radiocirugía, ya que si son muy grandes y lo ideal es primero la resección quirúrgica. Luego de operados, si queda algún remanente se complementa el tratamiento con la radiocirugía.

La obtención de una biopsia para diagnóstico patológico será siempre importante pero no imprescindible para poder conformar un tratamiento adecuado y poder hablar de pronóstico. También existirán casos que pueden y serán tratados sin biopsia, como los denominados “inoperables”, así como algunos pacientes oncológicos que en el contexto de su enfermedad es esperable que cursen con metástasis cerebrales en algún momento.

¡Por tanto, siempre será beneficioso acudir a su médico y pedir información sobre este tipo de procedimientos y sus beneficios!

13 niveles, 160 consultorios con equipamiento de última generación y más de 700 estacionamientos.

Salas de espera privadas, área de toma de muestra y salas de lactancia.

Diseño y construcción bajos estándares internacionales, state-of-the-art por Ingeniería Estrella.

Conexión física con el Hospital Metropolitano de Santiago (acreditado por Accreditation Canada) y miembro de la Asociación Dominicana de Turismo de Salud.

DIETAS MÁGICAS

La obsesión por adelgazar es una realidad en la sociedad actual, estamos invadidos por imágenes de cuerpos perfectos que invitan continuamente a reducir peso sin importar la salud. Esta presión social puede motivar en muchos casos, el que se sienta una especie de obligación de adelgazar. Y es ahí donde aparecen las dietas mágicas.

Las dietas mágicas constituyen un régimen alimenticio cuyo contenido es muy bajo en calorías. Dentro de las más populares se encuentran aquellas cuya promesa es adelgazar de manera rápida y “sin esfuerzo”, lo cual no solo es un fraude, sino también un peligro para la salud. De hecho, puede ocasionar complicaciones serias como arritmias cardíacas, gastrointestinales, malestar general, mareos, intolerancia al frío, sequedad en la piel, caída del pelo, contracturas musculares, amenorrea, insomnio, ansiedad, irritabilidad y depresión.

Por ende, si estás pensando cambiar tus hábitos alimenticios, considera que una buena alimentacion para perder peso debe:

1. Proporcionar menos energía que la necesaria para mantener el peso corporal.

2. Suministrar las proporciones adecuadas de todos los nutrientes.

3. Ser agradable al paladar, conforme a los gustos del paciente y asequible.

Dra. Rosanna Domínguez NUTRIÓLOGA CLÍNICA/OBESÓLOGA DIETOTERAPISTA

@dra.rosannadominguezf27

Por último, recuerda que si buscas salud y bienestar, debes pensar en el equilibrio, variedad y moderación para mantener un buen estado de salud, lo cual permitirá que obtengas hábitos que te garanticen una mejor calidad de vida.

Estos cambios no ocurren de la noche a la mañana, recuerda si iniciaste un cambio en tu estilo de vida que este sea perdurable en el tiempo y para esto necesitas un acompañamiento de un profesional en el área.

Tomando en cuenta que, si tenías varios años sufriendo de sobrepeso y obesidad, esta no se irá en tan solo unos días, necesitas crear hábitos que mejoren tu calidad de vida, garantizando tus requerimientos nutricionales sin déficit de nutrientes.

La obesidad y las enfermedades que esta desencadena deben tratarse siempre, cuidando y optimizando la salud y bienestrar del paciente.

Dra. Arabella Michelén

Odontóloga

Odontología, Salud, Prevención y Sonrisa

En esta nueva edición traemos en portada a la doctora Arabella Michelén, destacada odontóloga egresada de la UNPHU, oriunda de San Juan de la Maguana, pueblo que la vio nacer y dar sus primeros pasos en esta importante carrera.

En 1991 funda Odontología Dominicana (ODONTODOM), una institución que ofrece todas las especialidades de la odontología moderna e integrada por un gran equipo de especialistas a nivel nacional, transformando sonrisas y mejorando calidad de vida de sus pacientes.

En 2001 establece su sede de oficinas administrativas y clínica principal en la Torre ODONTODOM, ubicada en el ensanche paraíso de Santo Domingo. En la actualidad, su red de alcance abarca las principales regiones del país, a través de la incorporación de diferentes sucursales.

Su misión, visión y valores elevan los estándares del servicio odontológico en la República Dominicana, logrando ser una institución líder y vanguardista con profesionalismo, calidad, pasión y entrega por sus pacientes.

La doctora Arabella Michelén, también ha sido presidente de (ACLIDED), Asociación de Clínicas Dentales Privadas. Actualmente también se desempeña como miembro del Consejo Médico Editorial de nuestra Revista Reporte Médico y es autora de cientos de artículos, cápsulas educativas, Instagram live, sobre prevención en materia de salud oral, además, creadora y anfitriona de los podcast, sombreros de vida y OdontoDom contigo.

Dra. Arabella Michelén

Hablemos sobre sus inicios en el mundo de la odontología y… ¿cómo surgió la idea de fundar ODONTODOM?

Nace desde la universidad… no con ese nombre, queríamos crear una institución que brindara servicios de calidad adaptado a nuestra realidad como dominicanos y también por mi pasión a los servicios de salud y la prevención. Época en que mi esposo y yo, en ese momento éramos novios, es decir, en la década de los 80. Clara en la perspectiva de brindar servicio de calidad, basada en la ética, alta tecnología y sabiendo que íbamos a enfrentar ya un mundo cambiante, esos fueron nuestro norte

¿Cuáles fueron los principales desafíos que enfrentó al expandir ODONTODOM a nivel nacional?

Uno de los principales desafíos era vencer el miedo a enfrentar este proyecto. La parte económica no era fácil, también estaba incluida la parte familiar. Eso implicaba quitarle mucho tiempo y dedicación a lo que era mi familia, aunque… en el inicio de ODONTODOM solo tenía un hijo, luego creció la familia y ya eran tres. Entonces, hubo que hacer un equilibrio que implicaba un esfuerzo extra, para poder ser buena madre, esposa y también desarrollarme en el plano profesional.

Gracias a las universidades de nuestro país, el odontólogo dominicano tiene una muy buena formación y esa preparación también constituyó un punto muy importante a mi Favor. ¡Pero si!!, fueron tiempos de arduo trabajo y saber priorizar. De agradecer, que muchas personas creyeran y confiaran en el proyecto, porque como siempre he dicho al equipo que trabaja a mi lado, el Odontólogo afiliado pone en nuestras manos su producción económica y esas facturas que ellos envían es dinero, entonces hay que velar por ellas y estar muy agradecido por esta confianza Además de su papel como odontóloga también es una empresaria exitosa.

¿Qué habilidades y conocimientos considera esenciales para gestionar una red tan amplia de clínicas?

-Hoy la CEO de ODONTODOM, pero el dueño, el propietario, siempre ha sido Dios y eso lo he visto desde el principio. Una parte importante y esencial es que no debo separar lo que es mi ética, mis valores morales, mi formación católica, con lo que voy a hacer como profesional, esa parte no debo separarlas.

-Otra parte importante es que debo incentivar a todos los colaboradores y mantenerme en una preparación continua y actualizada en todo lo relacionado a la empresa.

-Reconocimiento de debilidades y fortalezas, esas debilidades tratar cada día superarlas, al igual que afianzar más las fortalezas.

-Otro factor de suma importancia es tener un buen equipo de trabajo, eso es imprescindible, porque solo… no es posible lograrlo y mantenerlo en el tiempo; confiar y delegar, trasmitir los principios morales. Creo que esa es la clave del éxito de ODONTODOM.

¿Cómo ha influido la tecnología en la gestión de operación de ODONTODOM?

La tecnología Juega un rol esencial en el desarrollo de cualquier área del quehacer humano. En mi caso… la odontología no es la excepción, por el contrario, es un gran aliado que nos sirve para brindar servicios de excelentes estándares, cotizar los mismos y asegurarle al paciente una odontología actualizada; sin la alta tecnología es difícil crecer. Además de la parte odontológica, está la parte administrativa, las cuales, constituyen dos pilares muy importantes para una empresa.

Los avances Científicos en estos momentos son impresionantes, y cada día tenemos nuevos fármacos, nuevos equipos, nuevos productos y todo eso se puede aplicar directamente para el beneficio del paciente y la sociedad.

¿Cuáles son sus principales objetivos sociales y en que ha contribuido ODONTODOM en república dominicana?

Como mujer católica no puedo vivir de espalda a las necesidades de mi alrededor, de mi ciudad, de mi país, equipo de la Pastoral De La Salud, de nuestra Arquidiócesis de Santo Domingo, donde trabajamos con todo tipo de enfermo y alrededor de 87 dispensarios en la ciudad. Por otro lado, en ODONTODOM y como mujer nos hemos preocupado por becar y educar mujeres, niñas de nuestro propio entorno y sobre todo de nuestros colaboradores para que mañana ellas puedan salir adelante y también cumplir sus sueños.

¿Qué consejos les daría a otros odontólogos emprendedores que deseen expandir su negocio y convertirlos en una red de clínicas exitosas?

Que no se queden solamente en el sueño, que lo intenten, pero que lo hagan de una forma organizada, planificada, asesorados por expertos y que vayan paso a paso, porque lo bueno generalmente cuesta, pero, asimismo es más duradero y que si lo soñó lo pueden lograr en nombre de Dios

¿Cuáles son sus planes a futuro para ODONTODOM?

ODONTODOM está enfrascado en pasar de todo lo que es análogo a digital, pero en todos los aspectos: administrativos, clínico. Dando el salto que marque la diferencia en materia de tecnología, con el principal objetivo de seguir brindando servicios de calidad y a la altura de la odontología mundial y también suplir las necesidades de nuestros pacientes, porque cada día merecemos más y de lo mejor. Por otro lado, estamos incentivando cada vez más al paciente a volver la mirada hacia atrás y que todos nos ocupemos un poquito más de prevención, porque se ha olvidado en muchos de nuestros hogares pre-

venir, muchas veces solo tratamos de curar y al prevenir no solamente se evitan enfermedades, también evitamos que los daños ya ocasionados por esas enfermedades preexistentes, cada día sean menores. Estamos enfocados en extremos; La prevención y la alta tecnología, es así como nace la publicación de nuestro libro “Odontología, Salud, Prevención y Sonrisa” como un granito de arena para aportar a la sociedad.

¿Cómo es su visión al ser una destacada influencia dentro del cuidado bucal de las personas?

Definitivamente la prevención juega un rol muy importante en cuanto a la salud oral y esta prevención tiene tres pilares que son: una sana alimentación, una correcta higiene y las visitas periódicas al dentista, de las cuales las dos primeras, es decir, la sana alimentación y la correcta higiene desde el hogar son fundamentales. En el caso de niños y adolescentes, las visitas periódicas al dentista también son coordinadas con los padres, es decir, que más del 70 % de la prevención en materia de odontología se hace desde la casa; si controlamos eso, si respetamos eso, los índices y la salud oral de nuestros habitantes va a ser mucho mejor, pasaremos de números rojos a verde, así como poder disminuir caries y enfermedades periodontales, que son las enfermedades más comunes de la boca.

¿Puede mencionarnos la fortaleza de la Inteligencia artificial y su aporte para la salud bucal en el pueblo dominicano?

Vemos pasos agigantados con la introducción en todos los sectores de la inteligencia artificial. La inteligencia artificial vino para quedarse y no solamente en la parte de la ciencia y de la odontología. Es una aliada; es cierto que nunca va a poder sustituir al clínico, porque el contacto directo con el paciente, la historia clínica, el verlo , el calor humano no tiene precio y marca la diferencia; pero sin embargo, es una gran herramienta que nos ayuda a brindar un mejor servicio en diversas áreas y especialidades odontológicas; creer que se puede vivir de espalda a ella, no es posible, ya es una realidad y que se ha convertido en una socia que nos permite dar cada día un mejor servicio a los pacientes.

¿Cómo ve el intrusismo odontológico en la República Dominicana?

Gracias a la Dirección de Habilitación, dirigida por el Dr. Gerardo Mesa, se viene realizando un buen trabajo para regular la práctica de la odontología en nuestro país, falta aún, pero hemos recorrido un buen trecho en favor de la regularización.

¿Cuáles han sido los casos más complejos afrontados en esta larga carrera profesional?

Me ha tocado enfrentar en el ejercicio de la odontología durante 30 y tantos años, casos muy duros. Recuerdo uno que dejó huella emocional y fue el darle a una madre el diagnóstico de un cáncer oral de su hija. Eso realmente fue muy duro emocionalmente y también al verlo y valorarlo, como madre no me gustaría pasar por esa experiencia, pero es parte de mi trabajo y sé que se hizo lo mejor por la paciente.

“ODONTOLOGÍA, SALUD, PREVENCIÓN Y SONRISA”

Un libro que nace de una pluma enriquecida de conocimientos

Recientemente la doctora Arabella Michelén presentó su más reciente literatura médica odontológica titulada “Odontología, Salud, Prevención y Sonrisa”, obra que recopila una extensa información extraordinariamente valiosa, no solo dirigida al profesional de la odontología, sino más bien a toda la población.

El lanzamiento de esta obra tuvo lugar en las instalaciones del Gran Hotel Embajador, donde se dieron cita, importantes personalidades representantes del sector salud de nuestro país, así como también profesionales del área, familiares y amigos, quienes disfrutaron de una amena velada.

La doctora Michelén compartió sus impresiones con nuestro equipo, contándonos como nace esta obra, “Odontología, Salud, Prevención y Sonrisa”, nace la prevención de manera natural. Empecé a escribir hace más de dos décadas artículos sobre salud oral para pacientes, al pasar el tiempo, los recopilé y una gran parte de ellos son los que están resumidos aquí, en estos ocho capítulos”.

Por su parte la doctora Virginia Laureano Echavarría, Presidente del Colegio Dominicano de Odontólogos relató “Al llegar a mis manos este legado odontológico me llevó a la vida misma de su escritora, la cual ha sido capaz de entrarnos en el vasto campo de la odontología. La misma entrelaza, la sabiduría, el servicio, la vocación y la abnegación de los profesionales del quehacer de esta ciencia, nos pasea por el laberinto que ha transitado la carrera desde sus orígenes hasta la era contemporánea”.

Este libro también conto con la participación del doctor Juan Gerardo Mesa, Director de Habilitación y Acreditación del Ministerio de Salud Pública de la República Dominicana, quien expresó en el prólogo “Muchos aportes nos regala, “Odontología, Salud, Prevención y Sonrisa”, deseo destacar la forma llana, clara, precisa y entendible cómo la autora se refiere en cada tema. Es un texto dedicado a los pacientes, que aborda desde lo sencillo, medidas preventivas que inician en el hogar y dan fruto a la sociedad.

“Odontología, Salud, Prevención y Sonrisa”, nos recuerda a todos los que integramos el sector salud, en general, que debemos asumir prácticas y decisiones que promuevan el bienestar y eviten enfermedades, presentes y futuras. Motivar a los pacientes a que incluyan hábitos que mejoren y les otorguen calidad de vida” relató el doctor Mesa.

La doctora Mayra modesto garrido, CEO de Excel Dentistry, N.J. escribió por su parte “Hoy la autora nos lleva de la mano, a recorrer un camino de información, de una manera sencilla, desde el origen, prevención, entorno familiar, social y emocional, de cada paciente. Nos resume el fruto de largos años de estudio, entrega y experiencia, siempre enfocada al bienestar, función, estética y preservar una sonrisa saludable y hermosa. Disfrutemos y hagamos nuestras, todas estas enseñanzas que nos comparte”.

Por último, el equipo de Reporte Médico pregunto a la Doctora Michelén, al escribir cada capítulo de este libro y ver el camino recorrido como profesional de esta área ¿Qué resta por decir que no se haya mencionado en esta obra?

Ufff… queda mucho por decir. Que ya he escrito… y ¿qué no lo está? Lo más importante desde mi punto de vista, es que cada uno asumamos nuestro rol con relación a la salud oral, el estado, la población y los profesionales de la salud oral.

Finalmente dirija unas palabras de prevención a nuestros lectores.

La salud entra por la boca, existe una estrecha relación de la salud oral con la salud general. Descuidarse con la salud oral le puede llevar a problemas a nivel cardíacos, páncreas, articulaciones, parto prematuro, bebé de bajo peso y otros…

“No olviden… Prevenir es mejor y más sencillo que curar”.

EL DISEÑO DE CONSULTORIOS MÉDICOS

UNA PERSPECTIVA DE LA ARQUITECTURA HOSPITALARIA

El diseño de consultorios médicos es un aspecto crucial de la arquitectura hospitalaria que impacta significativamente la experiencia del paciente y la eficiencia del Médico. Desde el momento en que el paciente llega a la consulta hasta la realización de las evaluaciones, cada detalle debe estar cuidadosamente planificado.

@arhosp

La experiencia del paciente comienza mucho antes de la consulta en sí. La accesibilidad es fundamental; los consultorios deben estar diseñados para facilitar el movimiento de personas, incluyendo aquellas con discapacidades. Esto implica rampas, puertas automáticas y ascensores, así como señalización clara y espacios amplios que permitan el libre desplazamiento, incluyendo baños accesibles para personas con discapacidad.

Las áreas de espera deben ser diseñadas para ofrecer confort y calma. Muebles ergonómicos, acceso a agua potable y revistas son elementos básicos, pero en la era digital, es igualmente importante ofrecer Wi-Fi gratuito y estaciones de carga para dispositivos móviles. Los medios digitales audiovisuales, como pantallas que proyectan información de salud y consejos médicos, pueden mantener a los pacientes informados y entretenidos mientras esperan.

Una vez dentro, la iluminación y la ambientación juegan un papel crucial en la percepción del paciente. La iluminación natural es preferible, ya que reduce el estrés y crea un ambiente más acogedor. Cuando no es posible, se deben usar luces LED regulables cálidas que imiten la luz natural. La ambientación debe ser tranquila y profesional, utilizando colores suaves y decoraciones minimalistas que no distraigan pero que al mismo tiempo ofrezcan una sensación de bienestar.

Dentro del consultorio, el diseño debe facilitar el acceso rápido a equipos médicos y materiales necesarios para las evaluaciones. Cada especialidad médica tiene sus requisitos específicos, pero algunos elementos comunes incluyen:

•Mobiliario ergonómico: Camillas ajustables, sillas para el paciente y el médico que faciliten la comodidad y el acceso durante los exámenes.

•Materiales de calidad: Guantes, batas, cubrebocas, y otros artículos desechables de alta calidad para garantizar la higiene y la seguridad.

•Estaciones de lavado de manos y desinfección.

•Equipos de diagnóstico: Aparatos de medición de signos vitales, otoscopios, oftalmoscopios, y equipos de ECG, entre otros.

•Sistemas de almacenamiento seguros para medicamentos y muestras.

•Tecnología médica avanzada: Sistemas de registro electrónico de salud, dispositivos de telemedicina y otros equipos tecnológicos que mejoran la precisión y eficiencia del diagnóstico y tratamiento.

Un diseño eficiente permite que todos estos elementos estén al alcance del médico, facilitando un flujo de trabajo continuo y minimizando el tiempo de inactividad.

Para asegurar la seguridad y calidad de la atención, es crucial que los consultorios médicos cumplan con las normativas de habilitación establecidas por organismos nacionales como el Ministerio de Salud Pública y organismos internacionales como la Joint Commission. Estas normativas abarcan en sentido genérico las siguientes características:

•Seguridad del paciente: Diseño de espacios libres de riesgos con equipos de emergencia accesibles.

•Control de infecciones: Espacios fáciles de limpiar con materiales antimicrobianos y protocolos claros de desinfección.

•Privacidad y confidencialidad: Consultorios diseñados para asegurar la privacidad del paciente durante las consultas y procedimientos.

•Accesibilidad: Cumplimiento de las normativas de accesibilidad para personas con discapacidades.

Un consultorio médico bien diseñado no solo mejora la experiencia del paciente, sino que también optimiza la eficiencia del profesional de la salud. Desde la accesibilidad y la ambientación hasta el equipamiento médico y el cumplimiento de normativas internacionales, cada detalle cuenta. Los profesionales de la salud deben considerar la colaboración con arquitectos especializados en arquitectura hospitalaria para crear espacios que reflejen su compromiso con la calidad y la atención del paciente.

Al invertir en un diseño de consultorio adecuado, no solo se está mejorando la funcionalidad y la estética del espacio, sino que también se está contribuyendo a una mejor atención médica. La búsqueda de un arquitecto especializado es un paso fundamental para lograr este objetivo, asegurando que cada aspecto del consultorio esté optimizado para satisfacer las necesidades de los pacientes y los profesionales de la salud.

Para los médicos que están considerando rediseñar o establecer un nuevo consultorio, es esencial:

•Contrate a un arquitecto especializado: Involucre a un profesional con experiencia en diseño de espacios médicos para asegurar un proyecto bien planificado y ejecutado.

•Priorice la accesibilidad: Asegúrese de que su consultorio sea accesible para todos los pacientes, incluyendo aquellos con discapacidades.

•Incorpore tecnología moderna: Integre sistemas digitales y audiovisuales para mejorar la experiencia del paciente y la eficiencia operativa.

•Optimice la iluminación y ambientación: Utilice una combinación de luz natural y artificial y elija colores y materiales que promuevan un ambiente tranquilo y profesional.

•Cumplir con las normativas dispuestas por el Ministerio de Salud Pública, así como sus habilitaciones.

Al seguir estas recomendaciones, los médicos pueden asegurarse de que sus consultorios no solo sean funcionales, sino también espacios donde los pacientes se sientan seguros y bienvenidos.

DERMATITIS ATÓPICA “SIN FILTROS”

La Dermatitis o el eczema atópico es una de las enfermedades de la piel más prevalentes en el mundo y una de las menos reconocidas. A menudo descartadas como “solo una afección de la piel”, sin embargo, las necesidades de los pacientes no se abordan de manera oportuna y de apoyo.

El eccema o dermatitis atópica es una enfermedad inflamatoria crónica de la piel que se encuentra en el centro de otros problemas de salud; es la primera manifestación de la llamada “Marcha atópica” (aparición progresiva de enfermedades alérgicas desde la infancia) y que afecta la salud mental de forma considerable. Es una condición increíblemente difícil para los pacientes y sus familias, lo que condiciona seriamente la vida diaria. La salud y el bienestar general de un individuo pueden verse gravemente afectados por la enfermedad, siendo incluso ser causa importante de incapacidad para trabajar, disminución del rendimiento en el trabajo y a nivel escolar.

La falta de información sobre el eccema y los tratamientos aumenta la ansiedad de los padres, haciendo que esta enfermedad no sólo muchas veces no se trate de forma adecuada, si no que cronifique y se convierta en un grave problema para el paciente y su entorno familiar.

La Comunidad Europea de Eczema Atópico como cada año conmemora el “Día Mundial del Eczema Atópico” el 14 de septiembre, para amplificar las voces de quienes viven con eczema atópico. Su participación puede marcar una diferencia significativa en la creación de conciencia, la promoción de la comprensión y la defensa de una mejor atención y tratamiento.

La Federación Europea de Asociaciones de Pacientes con Alergias y Enfermedades de las Vías Respiratorias (EFA), en colaboración con Global Skin, ha desarrollado el kit de herramientas de la campaña del Día Mundial del Eczema Atópico 2024, donde además pretende enfocarse en revelar las realidades verdaderas y sin filtros de las personas que viven con eccema atópico, destacando sus desafíos diarios y la necesidad de una atención integral.

Además de los recursos prediseñados que se compartirán tal cual, el kit de herramientas de la campaña del Día Mundial del Eczema Atópico 2024 contiene una guía paso a paso sobre cómo personalizar su contenido visual en las redes sociales a través de los mediante los hashtags #AtopicEczemaUnfiltered y #AtopicEczemaDay, garantizando que todo permanezca coherente en los materiales de su campaña.

El acceso a tratamientos oportunos sigue siendo un reto para muchos pacientes con eccema atópico, lo que a menudo provoca un sufrimiento prolongado y exacerba los síntomas. Los pacientes con eccema atópico a menudo luchan sin poder acceder a una atención oportuna y un tratamiento óptimo. A menudo se da el caso de que los pacientes simplemente no pueden acceder a una atención dermatológica especial o a un tratamiento básico.

Las guías clínicas actuales indican el objetivo de controlar de la Dermatitis atópica con enfoques tópicos primero, si es posible, antes de pasar a los tratamientos sistémicos debido al mayor riesgo y gravedad de los posibles efectos secundarios.

Los pacientes y sus proveedores de atención médica deben trabajar juntos para revisar cualquier factor, incluido el impacto de la enfermedad en la calidad de vida de una persona, antes de decidir sobre la mejor opción de tratamiento sistémico, incluidos los nuevos tratamientos biológicos.

doc.josetorres

ESPECIAL DE ODONTOLOGÍA

Evolución de la Odontología en República Dominicana

CEO DE ODONTOLOGÍA DOMINICANA

Consejo Médico Editorial Reporte Médico

Es un honor para mí ser parte del Consejo Médico de la Revista Reporte Médico, de manera especial, estoy muy agradecida de que esta edición, esté dirigida a la odontología, rama de la ciencia que ha tenido un avance importante en nuestro país, tanto a nivel de servicios profesionales, siendo un referente en la odontología de América Latina, como por la ética de nuestros profesionales y la actualización continua de los mismos en su área del saber.

En este número, nuestros lectores podrán disfrutar de varios artículos de diferentes especialidades de la salud oral, bajo la firma de destacados odontólogos de nuestro país, los cuales van desde la prevención hasta la aplicación de los avances tecnológicos en nuestra área de acción, con el objetivo principal de que cada paciente pueda disfrutar de salud oral.

@odontodomrd

DR. ERICK MOTA

Especialista Odontología

DRA. GABRIELLA GUZMÁN

Especialista Odontología

DR. OMAR MARTE

Especialista Odontología

DRA. MADELINE MEJÍA GÓMEZ

Especialista Odontología

DRA. LORET DOMÍNGUEZ MICHELEN

Especialista Odontología

DR. JUAN GERARDO MESA

Especialista Odontología

DRA. NAIROVIS VÁSQUEZ SÁNCHEZ

Especialista Odontología

DR. CARLOS TEJADA MIQUI

Especialista Odontología

ESPECIAL ODONTOLOGÍA

SALUD ORAL Y ENVEJECIENTES

DRA. ARABELLA MICHELEN

El cuerpo humano es una máquina perfecta donde cada tejido, órgano, sistema, se relacionan entre sí, con el objetivo de optimizar sus funciones y que ese individuo disfrute de buena salud física y mental. La boca no es la excepción y es parte importante de ese proceso.

Envejecer es un proceso natural, influyen factores genéticos, ambientales y fortuitos; es inevitable con el transcurrir de los años, sin embargo, las medidas preventivas que se tomen pueden marcar la diferencia, entre un individuo y otro; tanto en el padecimiento de enfermedades, evitar complicaciones, como en la calidad de vida del paciente.

Entre las condiciones más comunes, características de la edad, en materia de salud oral, se puede mencionar:

Xerostomía: Ausencia de saliva; está muy asociada a la mujer en la etapa pre, durante y pos-menopausia, debido a los fuertes cambios hormonales. Es muy común en pacientes tratados con radioterapia en las áreas cercanas a las glándulas salivales.

Dificulta la alimentación, deglución y la fonación; provoca dolor, ardor, apariciones de llagas y fisuras y aumenta las probabilidades de padecer caries y enfermedad periodontal.

Se recomienda alimentación suave, toma abundante de líquido, sobre todo agua, caramelos sin azúcar, estimulantes salivales y colutorios recomendados por su dentista.

Enfermedades periodontales: Las mismas son inflamatorias y crónicas, por lo tanto están asociadas a enfermedades sistémicas de forma bidireccional en ocasiones y en otros casos son factores predisponentes. Es así como hay una íntima relación con la diabetes, Alzheimer, articulaciones, partos prematuros y bebé de bajo peso al nacer.

Afectan la alimentación del paciente, su bienestar, salud oral y general.

Un alto porcentaje de dientes perdidos en los adultos mayores tienen su origen en las periodontopatías. Esta ausencia dentaria debe ser tratada, devolviendo la funcionabilidad y estética al paciente.

Medidas preventivas sencillas: Como higiene oral correcta, sana alimentación y visitas periódicas al dentista, son el arma perfecta para evitar que se establezca la periodontitis y controlarla.

Una correcta rutina oral, requiere de habilidades motoras, que pueden haberse perdido con los años o quizás como secuela de algún padecimiento, es importante que el paciente reciba ayuda a la hora de realizar la misma, con el objetivo de que sea eficiente.

Ausencia dentaria: Ante la falta de uno o más dientes, es importante el reponerlos. La historia clínica general y buco dental del paciente, diagnóstico y su personalidad; van a ser parte importante de la guía para diseñar el plan de tratamiento.

Existen múltiples alternativas, desde colocación de implantes dentales, que luego serán rehabilitados prótesicamente a prótesis fijas y removibles.

El plan de tratamiento será diseñado tomando en cuenta las condiciones de salud de cada paciente, su entorno y actitud. Factores que son clave para el éxito del mismo.

Fracturas dentarias: Son más comunes en pacientes de la tercera edad, la mejor medida preventiva es el cambio en la dieta, evitar alimentos duros y pegajosos, así como, visitar de forma periódica al dentista, el tratamiento varía dependiendo del tipo de fractura y los tejidos dentarios comprometidos; desde una simple restauración, un tratamiento de endodoncia, llegando a una extracción y su rutera reposición.

Las enfermedades sistemáticas crónicas: son más comunes con el paso de los años que en la juventud; es importante tomar en cuenta la relación de las mismas con la salud oral. Las más comunes son: diabetes, enfermedades del sistema circulatorio, Alzheimer, demencia senil, entre otras. Todas guardan íntima relación con la salud oral, ignorarlo es agravar el panorama.

CONCLUSIÓN

“La prevención desde la infancia juega un rol importante en la salud oral y en hacer posible que se llegue a envejeciente con todas las piezas dentarias en boca, por consecuencia, en buen estado de salud; siendo esto un factor agregado importante en la calidad de vida de ese individuo”.

CEO Odontología Dominicana @odontodomrd

IMPLANTES DENTALES: INNOVACIÓN Y SALUD ORAL EN EL SIGLO XXI

La salud bucodental desempeña un papel crucial en el bienestar general, y en este sentido, los implantes dentales han emergido como una solución destacada en la odontología moderna, proporcionando una alternativa perdurable y estética para la pérdida de dientes. Desde su introducción, los implantes han evolucionado notablemente, convirtiéndose en la elección preferida tanto para dentistas como para pacientes.

En este artículo, exploraremos en profundidad qué son los implantes dentales, sus múltiples beneficios, el proceso de colocación y los criterios que determinan la elegibilidad para este tratamiento, así como las innovaciones más recientes en cirugía guiada y herramientas de flujo digital en implantología.

¿QUÉ SON LOS IMPLANTES

DENTALES?

Los implantes dentales son estructuras de titanio que se insertan quirúrgicamente en el hueso maxilar o mandibular, actuando como raíces artificiales para sostener coronas, puentes o dentaduras. Este material es biocompatible, lo que significa que es compatible con el cuerpo humano y se fusiona de manera efectiva con el hueso en un proceso llamado osteointegración. Esta integración proporciona una base sólida y estable para el diente artificial, imitando la función de la raíz de un diente natural.

BENEFICIOS DE LOS IMPLANTES

DENTALES

-Estética Mejorada: Los implantes dentales ofrecen una apariencia natural y estética. Las coronas personalizadas se diseñan meticulosamente para coincidir con el color, la forma y la estructura de los dientes naturales del paciente, brindando así una sonrisa atractiva y armoniosa.

-Funcionalidad y Comodidad: A diferencia de las dentaduras removibles, los implantes no se deslizan ni se mueven, lo que facilita la masticación, el habla y otras actividades cotidianas. Esta estabilidad se traduce en una mayor comodidad y confianza para el paciente.

-Preservación Ósea: La pérdida de dientes puede conducir a la reabsorción ósea, un proceso en el cual el hueso maxilar se deteriora debido a la falta de estimulación. Los implantes dentales proporcionan la estimulación necesaria al hueso, previniendo su degeneración y preservando la estructura facial.

-Durabilidad: Con el cuidado adecuado, los implantes dentales pueden durar toda la vida, lo que los convierte en una inversión a largo plazo en la salud bucal del paciente

-Mejora en la Calidad de Vida: Los pacientes que optan por implantes dentales suelen experimentar una mejora significativa en su calidad de vida. Pueden disfrutar de sus comidas favoritas sin restricciones, hablar con claridad y sonreír con confianza en diversas situaciones sociales.

CIRUGÍA GUIADA Y FLUJO DIGITAL EN IMPLANTOLOGÍA

La cirugía guiada y el flujo digital han revolucionado la forma en que se planifican y ejecutan los implantes dentales. Estas innovaciones permiten una precisión excepcional y una experiencia más cómoda para el paciente. Aquí hay un vistazo a algunas herramientas y tecnologías utilizadas en el flujo digital en implantología:

-Tomografía Computarizada Cone Beam (CBCT): Proporciona imágenes tridimensionales de alta resolución del área bucal, permitiendo una planificación precisa del tratamiento y una evaluación exhaustiva de la anatomía del paciente.

-Software de Planificación de Implantes: Permite al dentista planificar la posición exacta de los implantes en relación con las estructuras anatómicas circundantes, como nervios y senos maxilares, antes de la cirugía.

-Impresión 3D: Se utiliza para fabricar guías quirúrgicas personalizadas que dirigen con precisión la colocación de los implantes durante la cirugía, lo que minimiza el riesgo de errores y maximiza la precisión.

-Sistemas de Navegación Quirúrgica: Utilizan imágenes digitales en tiempo real durante la cirugía para guiar al dentista en la colocación precisa de los implantes, mejorando aún más la precisión y la seguridad del procedimiento.

EL PROCESO DE COLOCACIÓN DE IMPLANTES

El procedimiento para la colocación de implantes dentales consta de varias etapas y puede extenderse a lo largo de varios meses. Aquí se presenta un resumen conciso del proceso:

-Evaluación Inicial y Planificación: El proceso comienza con una consulta detallada, durante la cual el dentista evalúa la salud bucal del paciente, revisa las radiografías y planifica el tratamiento utilizando tecnología de flujo digital.

-Extracción y Preparación del Sitio: Si es necesario, se lleva a cabo la extracción de dientes dañados, seguida de la preparación del sitio para la colocación del implante, utilizando información obtenida de la planificación digital.

-Colocación del Implante: Durante esta etapa, el implante de titanio se inserta quirúrgicamente en el hueso, utilizando una guía quirúrgica personalizada para garantizar una colocación precisa.

-Colocación del Pilar y la Corona: Una vez que el implante se ha integrado completamente, se coloca un pilar sobre él, seguido por la fijación de una corona personalizada. Este proceso restaura la funcionalidad y la estética de la dentición del paciente de manera efectiva.

Cirujano oral, Implantólogo y Rehabilitación oral

Rehabilitación oral

¿Quiénes son Candidatos para los Implantes Dentales?

Los implantes dentales son una opción viable para la mayoría de las personas que han perdido uno o más dientes, aunque es fundamental considerar ciertos factores, como: -Salud Ósea y Gingival: El paciente debe contar con suficiente cantidad de hueso en el área del implante y no padecer enfermedades periodontales activas.

-Salud General: Condiciones médicas como la diabetes no controlada o el tabaquismo pueden afectar la osteointegración y el éxito del implante.

-Compromiso con la Higiene Bucal: Los implantes requieren un cuidado adecuado, incluyendo cepillado, uso de hilo dental y visitas regulares al dentista.

CONCLUSIÓN

Los implantes dentales representan una innovación notable en el campo de la odontología, ofreciendo una solución efectiva y estética para la pérdida de dientes. Con una amplia gama de beneficios, que van desde mejorar la estética facial hasta restaurar la función masticatoria, los implantes constituyen una inversión significativa en la salud bucal y la calidad de vida de los pacientes. Gracias a las tecnologías de cirugía guiada y flujo digital, el proceso de colocación de implantes se ha vuelto más preciso y cómodo que nunca, ofreciendo resultados duraderos y satisfactorios para aquellos que buscan una solución perdurable para la pérdida dental.

DR. ERICK MOTA
DR. TAKESHI ARIYAMA

ESPECIAL ODONTOLOGÍA

IMPORTANCIA DE LA INTERCONSULTA

DR. OMAR MARTE

Ortodoncista

Director I.D.O.

La práctica odontológica ha cambiado radicalmente en las puertas del siglo 21, hace 20 años el odontólogo general desempañada todas las funciones necesarias de los problemas de salud del paciente y porque no decirlo, de la familia.

Todos los adelantos técnicos y científicos han hecho que este campo se diversifique y comiencen a surgir las diferentes especialidades odontológicas.

En esta ocasión hemos traído un caso clínico que intenta explicar cómo debe manejarse el paciente desde que llega a nuestra consulta hasta su término, los especialistas involucrados en el mismo y sus exitosas recomendaciones. Veamos pues.

CASO CLÍNICO

Paciente masculino 47 años, acude a la consulta en busca de una segunda opinión profesional.

Se observa zonas de espacios interdentales superiores y falta de molares inferiores que se aprecian al sonreir. (Fig. 1 y 2). En la radiografía panorámica se observan colocación de 6 implantes superiores e inferior (Fig. 3), lo cual llamó nuestra atención, porque no se tuvo el criterio de los dientes en boca, pues la rehabilitación (colocación de dientes faltantes) no caben en el mismo.

Procedimos el ortodoncista y rehabilitador a planificar el caso para aprovechar los implantes previamente colocados por el otro colega.

Se le colocaron braces superiores e inferiores para aumentar los espacios y cerrar espacios no estéticos.

Logrados los objetivos ortodónticos se procedió a enviarlos al rehabilitador para la colocación de coronas sobre implantes (Fig. 4 y 5).

El manejo exitoso de un paciente va de la mano con los profesionales adecuado para

Fig. 2
Fig. 3
Fig. 4
Fig. 5
Fig. 1 y 2

IMPORTANCIA DE ESTAR HABILITADO EN ESTOS TIEMPOS, SUS GARANTÍAS PARA LOS PROFESIONALES DE LA SALUD Y PACIENTES

La Habilitación del Ministerio de Salud Pública: Un Pilar Fundamental para la Salud en la República Dominicana

En la República Dominicana, el sector salud juega un papel crucial en el bienestar de la población. Sin embargo, para garantizar la calidad y seguridad de los servicios prestados, es indispensable que tanto los profesionales como los establecimientos de salud cumplan con los estándares establecidos por las autoridades sanitarias. En este contexto, la habilitación otorgada por el Ministerio de Salud Pública se convierte en un elemento fundamental para el correcto funcionamiento del sistema sanitario.

Pero, ¿qué es la habilitación? Es el proceso formal mediante el cual se verifica que un establecimiento de salud cumple con las condiciones mínimas y particulares en cuanto a recursos físicos, humanos, estructurales y de funcionamiento, para ofrecer servicios de salud de calidad a la población. Este proceso se encuentra regulado por la Ley General de Salud No. 42-01, el Decreto 1138-03 y el Reglamento Técnico para la Habilitación de los Servicios Clínicos, Quirúrgicos y Diagnósticos, aprobado y puesto en vigencia mediante resolución núm. 0005-2024, del 29 de febrero de 2024.

El proceso de habilitación comienza con la aprobación de los planos arquitectónicos, los cuales deben ser dimensionados y mostrar: las instalaciones sanitarias, la ruta de evacuación del personal, el sistema contra incendios y/o extintores y la ruta de desechos hospitalarios. Una vez que la autoridad sanitaria competente valida estos requisitos y los requerimientos de las Guías de Diseño Arquitectónico, se emite la certificación de No Objeción a Planos. Con este documento, el solicitante puede proceder a presentar toda la documentación pertinente según el tipo de establecimiento de salud.

Es importante destacar que tanto la certificación de No Objeción a Planos como la Licencia de Habilitación son emitidas por la Dirección de Habilitación de Servicios y Establecimientos de Salud (DHSES) adscrita al Viceministerio de Garantía de la Calidad de

los Servicios de Salud del Ministerio de Salud Pública. Junto con la licencia, se entrega la Cartera de Servicios y el Listado de Recursos Humanos aprobado, lo que llamamos Dossier.

IMPORTANCIA Y GARANTÍAS

La habilitación ofrece múltiples beneficios y garantías, tanto para los profesionales de la salud como para los pacientes. Debido a que la calidad de la atención médica no solo depende de infraestructura o equipos, sino también de la competencia y experiencia del personal que presta los servicios, evaluamos los recursos humanos en salud, que es un componente esencial del proceso de habilitación.

La DHSES evalúa la titulación, verificando que los profesionales de la salud cuentan con los títulos académicos y exequátur para ejercer su profesión de manera legal. También, si aplica, verifica si cuentan con la formación de especialidad necesaria para brindar atención en las áreas de su competencia. En ese sentido, para los profesionales de la salud representa un aval oficial que certifica la calidad y seguridad de los servicios prestados por el doctor/a. Esto se traduce en un mayor reconocimiento y prestigio dentro del sector, lo que puede generar mayor confianza por parte de los pacientes.

Por otro lado, para los pacientes, garantiza que reciban atención médica en establecimientos y por parte de profesionales que cumplen con los estándares de calidad y seguridad. Cabe resaltar que, por mandato de la normativa nacional vigente, la licencia de habilitación deberá estar colocada en un lugar visible del centro de salud, por lo que los pacientes tienen acceso a información clara y precisa sobre los servicios y profesionales de la salud aprobados por el Ministerio de Salud Pública.

La habilitación es una herramienta poderosa para fortalecer el sistema sanitario dominicano. Sin embargo, para lograr este objetivo, es necesario un esfuerzo conjunto por parte de todos los actores involucrados: las autoridades sanitarias, los profesionales de la salud y la población dominicana.

Director del departamento de Habilitación y Acreditación de Establecimientos y Servicios de Salud del Ministerio de Salud

En esta ocasión, quiero aprovechar la oportunidad para exhortar a la población dominicana a que, al momento de buscar atención médica, priorice acudir a establecimientos de salud que cuenten con la habilitación. Esta decisión genera confianza y tranquilidad y reduce riesgos de infecciones y otros problemas de salud asociados a la atención médica de baja calidad.

Es importante destacar que la habilitación local no debe ser el punto final para los establecimientos de salud. Por el contrario, debe ser el punto de partida para una búsqueda constante de la excelencia en la atención médica. En ese sentido, la obtención de acreditaciones nacionales e internacionales, como el sello de calidad del Instituto Dominicano para la Calidad (INDOCAL) o la Certificación Joint Commission International, representa un paso crucial hacia la mejora continua de los servicios.

Este tipo de acreditaciones posiciona a nuestro país en un entorno competitivo, convirtiéndose en una herramienta fundamental para diferenciar a los centros de salud y atraer pacientes de todo el mundo, especialmente en el ámbito del turismo de salud.

DR. JUAN GERARDO MESA

ARMONIZACIÓN OROFACIAL, EL COMPLEMENTO PERFECTO DE

DRA. GABRIELLA GUZMÁN

En los últimos años, la Armonización Orofacial (AOF) ha ganado popularidad en diversos países como una rama emergente de la odontología y la medicina estética que busca no solo mejorar la apariencia del rostro, sino también, abordar aspectos funcionales de las estructuras orales y periorales.

La AOF y la odontología se complementan perfectamente, ya que juntas proporcionan soluciones que combinan función y belleza, creando una sinergia entre la salud bucal y la estética facial.

Los tratamientos combinados permiten un enfoque integral que aportan recursos innovadores y efectivos para una variedad de problemas dentales y faciales.

Dentro de los procedimientos estéticos y terapéuticos que abarca la AOF, podemos mencionar la aplicación de:

LA ODONTOLOGÍA

-Toxina Botulínica: generalmente conocida como “botox”, es uno de los productos estrella de la estética facial, eficaz en la reducción de la hiperactividad muscular con el cual podemos reducir líneas de expresión, arrugas dinámicas, así como también aplicarlo en el tratamiento de bruxismo, hipertrofia de maseteros y sonrisa gingival; la inyección de “botox” en los músculos responsables de levantar el labio superior puede reducir la exposición excesiva de las encías al sonreír, proporcionando una sonrisa más equilibrada y estética.

-Ácido Hialurónico (AH): es una sustancia que se encuentra de forma natural en el cuerpo humano, principalmente en la piel, las articulaciones y los ojos. Como relleno dérmico en tratamientos estéticos, es utilizado para hidratar la piel, rellenar arrugas, mejorar la elasticidad y volumen de los tejidos que pueden verse afectados debido a la pérdida de los dientes y el proceso natural de envejecimiento. Pero su aplicación va más allá de la estética, el AH es utilizado en el tratamiento de la enfermedad periodontal, cirugías de regeneración de tejidos periodontales, injerto de encía, recesiones gingivales y en algunos Trastornos Temporomandibulares.

-Bioestimuladores de colágeno: estos productos han logrado posicionarse dentro de la AOF, ya que a diferencia de los rellenos dérmicos como el AH, están compuestos por materiales biocompatibles que, una vez inyectados en la piel, estimulan la actividad celular para producir colágeno y elastina, rejuveneciendo el rostro, mejorando la textura de la piel y proporcionando volumen y sustentación de adentro hacia afuera.

-Terapia Fotodinámica de baja intensidad: es una herramienta muy valiosa

para la AOF y la odontología, ya que, gracias a sus efectos de regeneración celular, analgesia, antiinflamatorios y antioxidantes, podemos aplicarla en casi todas las áreas de la odontología, ya sea de forma postoperatoria o como coadyuvante en los diferentes tratamientos.

-Ultrasonido: esta nueva tecnología no invasiva utiliza energía ultrasónica que penetra a las diferentes capas de la piel, promoviendo la producción de colágeno y elastina, dando como resultado un efecto “lifting” con una piel más firme y joven.

Al momento de realizar un tratamiento integral de AOF, el diagnóstico inicial debe incluir un análisis detallado del sistema estomatognático: dientes, encías, maxilares, músculos y articulaciones temporomandibulares; y de la estética facial para planificar tratamientos personalizados e individuales.

Combinar los tratamientos dentales y faciales resulta en una mejora global y significativa de la estética y la funcionalidad del rostro. La colaboración entre diferentes especialistas permite abordar todas las necesidades del paciente, desde la salud dental hasta la simetría facial y el rejuvenecimiento estético.

Este enfoque hace que los pacientes experimenten una transformación que abarca desde una mejor sonrisa hasta un perfil facial equilibrado y rejuvenecido, lo cual aumenta su confianza, autoestima y calidad de vida.

“La unión entre la armonización orofacial y la odontología representa el futuro de los tratamientos estéticos y funcionales, proporcionando resultados naturales, armónicos y duraderos”.

Esp. Armonización Orofacial R3- Ortodoncia y Ortopedia Maxilar

FOTOTERAPIA EN ENDODONCIA

La endodoncia es la especialidad de la odontología destinada a mantener el diente en boca, está enfocada en el diagnóstico, tratamiento de enfermedades y lesiones que afectan la pulpa dental de manera irreversible.

Existen múltiples factores que conllevan a dicha afección siendo la caries dental la principal patología que en su estadio inicial suele ser indolora, de no ser tratada de forma correcta puede desencadenar en una condición degenerativa, a medida que la caries va creciendo y acercándose a la pulpa dental aparece la sensibilidad a cambios térmicos y el dolor es continuo, persistente y nocturno, suele estar sufriendo un daño irreversible y por lo tanto será necesaria una endodoncia para conservar el diente.

TRATAMIENTO ENDODÓNTICO

Uno de los desafíos más importantes y fundamentales con el fin de garantizar resultados óptimos en la realización de un tratamiento endodóntico es conseguir una excelente desbridación, limpieza y desinfección efectiva del sistema de conductos. Para conseguirlo, utilizamos diferentes herramientas y métodos que tenemos disponibles dependiendo la necesidad de cada caso en particular como: soluciones de irrigación específicas, limas manuales y rotatorias; especialmente diseñadas para introducirse y limpiar de manera efectiva la diversidad anatómica de los conductos radiculares, así como también, el uso de medicación intraconducto de ser necesario.

FOTOTERAPIA Y SALUD ORAL

Sin embargo, muchas veces con esto no son suficientes, ya que diversos estudios han reportado la persistencia de algunos microorganismos en tratamientos endodónticos realizados, donde no se ha conseguido la curación de los tejidos periapicales debido a que la flora bacteriana es muy amplia. Se ha tratado de mejorar los protocolos de desinfección incluyendo diferentes herramientas tecnológicas como en el caso de la terapia fotodinámica, la cual utiliza una fuente de luz y sustancias fotosensibilizantes que favorecen el proceso de eliminación de las bacterias remanentes dentro del sistema de conductos radiculares.

Gracias a múltiples estudios científicos el uso del láser en endodoncia ha ganado aceptación llegando a considerarse como un complemento, es decir que es un agregado a la terapia don-

de no vamos a sustituir ninguno de los pasos convencionales, permitiendo así una eliminación eficaz de la población de microorganismos presentes, y así prevenir la reinfección de los conductos radiculares.

Mediante una fibra específica, la aplicación de la luz láser en diferentes longitudes de onda según la necesidad se distribuirá por los conductos, ofreciendo una mayor limpieza y desinfección que la técnica sin láser. Su aplicación es indolora y solo tarda escasos minutos.

El empleo del mismo es útil también en procedimientos endodónticos convencionales o quirúrgicos los cuales tienen como objetivo mantener el diente y sus raíces cuando el tratamiento ha fallado, los efectos positivos del láser se centran en la disminución de la inflamación y menor riesgo de contaminación y filtración de las bacterias luego del sellado apical. Otro de los usos del láser en este procedimiento está relacionado con el manejo del dolor post-terapia endodóntica.

Se definen dos tipos de láser el de baja potencia, que produce una acción bioestimulante, analgésica y antiinflamatoria de los tejidos biológicos, utilizados en procesos de descontaminación, el que se ha visto ser prometedor. Uno de estos grupos incluye aquellos láseres que emiten un tipo de luz capaz de penetrar en los tejidos ofreciendo así una gran capacidad de desinfección.

El otro grupo de láser actúa directamente activando los productos empleados para la desinfección que utilizamos de forma habitual para la limpieza de los conductos, consiguiendo conductos más limpios.

Existe también un láser de alta potencia, con el que se pueden realizar incisiones y exéresis de los tejidos realizando funciones de corte y coagulación cuando nos enfrentamos a cirugías apicales, siendo esta combinación de ambos láser lo que marca la diferencia. Las recomendaciones para los pacientes sometidos al tratamiento endodóntico con laserterapia, tanto preoperatorias como postoperatorias, son independientes al uso del mismo. Es decir, no es necesario tomar ningún tipo de precaución adicional por el hecho de usar el láser en el tratamiento.

No tiene efectos secundarios ya que es una luz curativa.

Especialista en Endodoncia

Es interesante conocer que, en caso de que el tratamiento no se finalice en una sola sesión, deberá tomarse una precaución especial al masticar por la zona tratada para evitar fracturas dentales. En caso de molestia o sensibilidad postoperatoria, algo habitual en este tipo de tratamientos se indicará el uso de analgésicos y antiinflamatorios para mitigar el dolor. Finalmente, no debemos olvidar que, un tratamiento endodóntico de calidad deberá ir siempre seguido de una correcta restauración del diente con el fin de garantizar su función a lo largo del tiempo y evitar la recolonización de microorganismos.

CONCLUSIÓN

Es fundamental saber que siempre debe ser un odontólogo especialista quien diagnostique una patología pulpar y por tanto quien indique la necesidad de realizar un tratamiento endodóntico. En términos generales, la principal recomendación por parte del profesional de la odontología debe ser preventiva, es decir, conseguir que el paciente acuda de forma regular a las revisiones con el odontólogo y ante la sospecha de cualquier problema dental solicitar una visita adicional.

DRA. MADELINE MEJÍA GÓMEZ

ORTODONCIA: DE LOS APARATOS METÁLICOS A LA APARATOLOGÍA INVISIBLE

DRA. NAIROVIS VÁSQUEZ SÁNCHEZ

Brackets Metálicos

Tradicionalmente, los brackets metálicos han sido la herramienta principal en ortodoncia. En sus inicios, se colocaban utilizando aros metálicos (bandas) alrededor de cada diente. Con el tiempo, estos brackets han evolucionado, haciéndose más pequeños y redondeados, mejorando tanto en estética como en comodidad.

Avances hacia la Estética.

A medida que avanzaba el tiempo, la ortodoncia evolucionó de soluciones tradicionales a enfoques más estéticos. Se introdujeron brackets de cerámica y de zafiro, que ofrecían una apariencia más agradable, con bordes redondeados y superficies lisas, proporcionando mayor comodidad en comparación con los brackets metálicos.

Alineadores Invisibles.

La ortodoncia es una rama de la odontología que se enfoca en guiar y corregir las estructuras dentofaciales, tanto en pacientes en desarrollo como en aquellos que han alcanzado la madurez ósea y dental. Esta disciplina no solo busca restaurar la función correcta del complejo bucomaxilofacial, sino también mejorar la estética a través de diversos aparatos ortodónticos que han evolucionado significativamente con el tiempo.

El deseo de corregir y alinear los dientes se remonta a muchos siglos atrás. Sin embargo, la ortodoncia comenzó a tomar auge en el siglo XVIII y se consolidó como una disciplina formal en el siglo XIX. Fue durante este período cuando se desarrollaron los primeros sistemas de clasificación de maloclusiones y los dispositivos diseñados para corregirlas.

Entre las opciones de tratamiento, se destacan los aparatos ortopédicos, que corrigen problemas óseos durante la etapa de crecimiento y desarrollo del paciente. Es de vital importancia tratar el paciente antes de que se complete la madurez ósea para lograr una corrección y/o modificación ósea eficaz.

El verdadero salto tecnológico en ortodoncia llegó con la aparición de los alineadores invisibles. A finales del siglo XX, Align Technology impactó el mercado con la introducción de Invisalign. Estos alineadores están hechos de placas transparentes personalizadas, creadas a partir de moldes y escaneos digitales de la boca del paciente. Permiten mover los dientes gradualmente hacia la posición deseada.

Proceso de Fabricación de Invisalign.

•Evaluación Inicial: El ortodoncista toma fotografías, radiografías y una impresión digital mediante un escáner 3D. Esto asegura precisión y detalle en la creación del modelo para la elaboración de los alineadores.

•Planificación 3D del Tratamiento: Utilizando un software avanzado, el ortodoncista planifica los movimientos dentales por etapas, determinando la posición final de los dientes.

•Fabricación de Alineadores: La información se envía a los laboratorios de Align Technology, donde se imprimen los alineadores de acuerdo con el plan de tratamiento completo.

•Entrega y Ajuste: Los alineadores se envían al ortodoncista para iniciar el tratamiento con el paciente.

Ventajas de los Alineadores Invisalign

•Impresión 3D: se escanean los dientes del paciente para crear un modelo preciso que permita la impresión precisa de los alineadores.

•Planificación Digital: El tratamiento se planifica y visualiza digitalmente.

•Personalización: Los alineadores se fabrican según las necesidades específicas de cada paciente.

•Estética: Los alineadores son transparentes, siendo casi imperceptibles en comparación con los brackets tradicionales.

•Comodidad: Hechos de un material plástico suave, no irritan la mucosa bucal ni las encías.

•Removibles: Se pueden quitar para comer, cepillarse, y usar hilo dental, facilitando una mejor higiene bucal.

•Menos Visitas al Ortodoncista: Requieren menos ajustes y, por lo tanto, menos consultas.

•Sin Restricciones Alimenticias: Se retiran para comer.

•Reducción de Emergencias: Al no tener alambres ni brackets, las emergencias son muy pocas.

•Consultas cortas y más espaciadas: Las visitas al consultorio son generalmente más cortas y el periodo de tiempo un poco más largo, es decir, las citas serán cada mes y medio o dos meses.

“Para un tratamiento exitoso, es necesario que los pacientes sean evaluados por un especialista certificado y sigan las recomendaciones del ortodoncista”.

Especialista en Ortopedia de los Maxilares y Ortodoncia

PROBIÓTICOS Y SALUD ORAL

El cuerpo humano funciona como una máquina, donde todas y cada una de sus piezas, en este caso, tejidos, órganos, sistemas… están íntimamente relacionados, es así como se puede afirmar que la salud oral afecta la salud general y viceversa.

Por lo tanto, ante la presencia de hábitos, lesiones o enfermedades complejas, el tratamiento es multidisciplinario, por ejemplo: un paciente con un alto consumo de tabaco, azúcares procesadas, estrés, problemas del sueño, diabético, hipertenso, por solo mencionar algunas condiciones y/ o enfermedades; el abordaje y el plan de tratamiento debe ser local, sistémico y en ocasiones acompañado de terapias psicológicas; interactuando varios especialistas del área de la salud. Dicho todo esto, la intención principal, es hablar de seres humanos, de su bienestar y salud general, no solo bucodental.

¿QUÉ ES LA MICROBIOTA ORAL?

La microbiótica oral es muy basta, formada por microorganismos patógenos y no patógenos; en la boca tenemos tejidos y secreciones muy diferentes unos de otros (lengua, carrillos, saliva, paladar) lo cual favorece la proliferación de estos, dada la variedad de ecosistemas existentes están las condiciones ideales en términos de: temperatura, humedad, pH, nutrientes, etc, que permiten a los microorganismos multiplicarse en forma rápida y sin inconvenientes. Facilitando así la presencia de procesos infecciosos que, si no son diagnosticados y tratados a tiempo, pasan a ser crónicos, tales como: las periodontopatías y la caries dental.

Las enfermedades periodontales, son inflamatorias, gracias a ellas, pasa una cantidad importante de microorganismos patógenos a través del torrente sanguíneo al resto del cuerpo, aumentándose así el riesgo de un parto prematuro, afecciones musculares, incluyendo el corazón, diabetes, articulaciones, por solo mencionar algunos.

Sin placa bacteriana o Biofilm no existe enfermedad periodontal, hay otros factores que son predisponentes, pero es necesaria la presencia de microorganismos patógenos, si se incorporan los no patógenos al Biofilm, las posibilidades de procesos infecciosos disminuyen.

El premio Novel, Elías Metchnikkoff, fue el primero en hablar de los probióticos, hace más de un siglo, los cuales podemos definir, de una forma sencilla y llana, como microorganismos beneficiosos para el ser humano y que están presente en la cavidad oral. Años después científicos han empezado a hablar de una placa bacteriana ecológica, donde el porcentaje de microorganismos no patógenos presente la convierten en no dañina para la salud oral.

Hasta el momento se ha tratado la caries dental y la enfermedad periodontal, con prevención, control de la placa bacteriana, fármacos y los procedimientos dentales que se requieran. Escuchar hablar de los probióticos implica volver la vista a una flora más saludable que haga un equilibrio de la microbiótica, que sea menos favorable a los microorganismos patógenos y por tanto a la enfermedad.

SON AMPLIAMENTE CONOCIDOS LOS BENEFICIOS DE LOS PROBIÓTICOS

A NIVEL DE FLORA INTESTINAL. ¿POR QUÉ SERÍA LA EXCEPCIÓN LA CAVIDAD ORAL?

Es importante mencionar, no es abandonar todas las medidas preventivas hasta ahora adoptadas y probadas científicamente en su acción de reducción de las infecciones orales, como son: una higiene oral correcta, que incluya cepillado, con un cepillo dental y un dentífrico adecuado para cada paciente, hilo y colutorio; después de cada comida y al despertarse, así como una alimentación balanceada o la recomendada por un profesional autorizado y las visitas periódicas al dentista y sus recomendaciones de tratamientos preventivos y curativos.

Estudios científicos muestran que los probióticos utilizados en problemas intestinales, promueven la salud. En la cavidad oral, pueden ser de gran utilidad en la prevención de caries, periimplantitis, periodontopatías y otras. No se puede ignorar que la boca es la puerta de entrada al resto del organismo, que disminuir procesos infecciosos bucodentales es también mejorar la salud general y por tanto la calidad de vida.

Dra. En Odontología y Especialista en implantes.

El uso de probióticos, desde mi punto de vista… es poner a la disposición una nueva herramienta, que viene a sumarse a las demás, en beneficio de toda la población, especialmente de los pacientes más susceptibles a padecer de enfermedades orales, tales como: las embarazadas, diabéticos, con dificultades motoras, fumadores, entre otros.

Las principales fuentes de probióticos de forma natural son: alimentos fermentados, yogures, pepinillos, encurtidos, etc.

Las enfermedades bucodentales, a pesar de todas las medidas preventivas tomadas, son de alta prevalencia, un alto porcentaje de la población mundial las padece, República Dominicana no es la excepción. Definitivamente los probióticos pueden jugar un papel estelar, siempre y cuando se integren en cantidades suficiente a la flora oral y a la placa bacteriana, bajo la supervisión de un profesional capacitado.

“Apostamos al avance científico en esta área, con el objetivo de lograr así una mejor respuesta inmunológica y por tanto mayor efectividad en la prevención y tratamiento de los procesos infecciosos, lesiones y enfermedades de la cavidad oral”.

DRA. LORET DOMÍNGUEZ MICHELEN

LANZAMIENTO DEL PROTOCOLO DE MANEJO PERIODONTAL PARA

PERSONAS VIVIENDO CON DIABETES

DR. CARLOS TEJADA MIQUI

Al hablar de bidireccionalidad de la diabetes - periodontopatías, se rompe el esquema hasta ahora visto por la mayoría de odontólogos del cuidado especial al paciente diabético, ya que puede tener complicaciones periodontales; hoy, también es importante observar que el paciente periodontal tiene una predisposición a padecer de diabetes mellitus.

Diferentes estudios epidemiológicos muestran que un paciente que padece de enfermedad periodontal, tiene mayor riesgo de ser diabético tipo 2 que aquel que sus encías están sanas. Los primeros, en condiciones severas pueden experimentar alteraciones metabólicas de la glucosa.

zación a nivel de encías. Definitivamente hay una íntima relación entre ambas enfermedades.

El tratamiento de las dos enfermedades evitan complicaciones a nivel sistémicos, por ejemplo, no tratar los problemas periodontales en un paciente diabético, puede desencadenar complicaciones a nivel del sistema cardiovascular y riñones. La otra cara de la moneda, un paciente diabético, no controlada, no puede recibir el tratamiento periodontal adecuado, ni tendrá la mejor respuesta al mismo, comprometiéndose así su salud oral y general.

Paciente multidisciplinario, tanto en el área de la odontología, como en la medicina. La guía se convierte en la voz de alerta ante un mínimo cambio en la salud del paciente.

La enfermedad periodontal es inflamatoria, como tal afecta la respuesta inmunológica del paciente, guardando una estrecha relación con el resto del organismo. Apoyados en las pruebas científicas de la bidireccionalidad: periodontopatías – diabetes. SODOPERIO (Sociedad Dominicana de Periodoncia) a través del Observatorio Dominicano de Diabetes (ODODI) han creado el Protocolo de Manejo Periodontal para personas viviendo con diabetes; bajo el lema: “Esta boca tiene un cuerpo”.

Este protocolo será implementado por el ministerio de Salud Pública, y todas las clínicas dentales privadas de nuestro país que así lo deseen, siendo la 1ra. vez en la historia de la medicina dominicana que se crea la sinergia entre diferentes especialidades de la medicina y los Odontólogos Periodontistas.

Al realizar este protocolo, el cual, dicho sea de paso, su aplicación genera un sin número de beneficios, desde el paciente, su entorno familiar, a la comunidad científica y estado; ya que se obtendrán datos estadísticos que permitirán enfocar los esfuerzos hacia la salud de la población.

El mismo permitirá darle seguimientos al paciente en diversos factores que son claves en este binomio: enfermedades periodontales y diabetes o viceversa, tales como:

La prevención juega un rol de vital importancia en ambas, higiene, alimentación balanceada, estilo de vida saludable, visitas periódicas al profesional de la salud correspondiente.

-Ambas son enfermedades inflamatorias; es más complicado manejar un paciente diabético con problemas periodontales, esta última puede generar resistencia a la insulina y un paciente diabético retarda el proceso de cicatri-

Es imposible ignorar el aumento alarmante de pacientes que padecen diabetes y enfermedad periodontal, sin importar edad, raza, sexo. Lamentablemente, el estilo de vida adoptado en estos tiempos, alimentación, obesidad, sedentarismos, malos hábitos, son algunos de los factores que han disparado la incidencia de las mismas en nuestra sociedad; ambas afectan la calidad de vida del individuo, de su entorno familiar y de toda la población.

El tratamiento de ambas en más de una ocasión va a necesitar de la interconsulta con diferentes especialistas de la odontología y medicina, probablemente esta voz de alerta será dada por el manejo del paciente siguiendo el protocolo, a través del registro de pequeños o significativas variaciones en su salud.

CONCLUSIÓN

Concluir sin felicitar a todo el equipo que ha trabajado en la elaboración del mismo no es justo… queda ahora la labor más importante. “Implementarlo en cada paciente, del sector público y privado, con el principal objetivo de beneficiar a toda nuestra población en materia de salud oral y general”.

Presidente de la Sociedad Dominicana de Periodoncia e Implantes Dentales SODOPERIO

LACTANCIA MATERNA EN SITUACIONES DIFÍCILES

¿CÓMO MANEJAR EL ESTRÉS Y LA ANSIEDAD?

ANGY ESTÉVEZ

Psicóloga Clínica, Social y Perinatal

Asociación Dominicana de Psicología

Perinatal

La lactancia materna es una experiencia natural y fructuosa, además, proporciona beneficios tanto nutricionales como emocionales tanto para la madre como para el bebé, sin embargo, puede convertirse en un gran desafío cuando la madre enfrenta situaciones de estrés y ansiedad. El éxito de la lactancia no puede considerarse de manera aislada sin tener en cuenta el contexto en el que se desarrolla, ni se puede olvidar la influencia que ejerce en otros aspectos como la conducta maternal y los factores psicológicos o psicosociales que pueden afectar su éxito.

La psicología perinatal tiene mucho que contribuir en el proceso de la lactancia debido a dos razones fundamentales, la primera es por la interacción en la diada y la segunda por el papel que desempeñan las hormonas como por ejemplo las principales la oxitocina y la prolactina que son quienes dirigen la lactancia (Carter y Altemus, 1997).

La oxitocina es conocida como la “hormona del amor o de la felicidad” y desempeña un papel crucial en la eyección de la leche durante la lactancia, conjuntamente, la prolactina es la hormona principal responsable de la producción de leche en las glándulas mamarias, sin embargo, el estrés y la ansiedad pueden tener un impacto significativo en la producción y liberación de la leche materna, en la interacción de la madre con su bebé y que el acto de amamantar sea incómodo y difícil, de hecho, los autores Ingram, Johnson y Greenwood (2002) revelan en la definición de éxito en la lactancia que no debe existir dolor, pues este puede considerarse un indicador de depresión postparto.

SITUACIÓN

DE ESTRÉS Y ANSIEDAD POSTPARTO

Respecto al postparto es un periodo de mucha vulnerabilidad para las madres, es una etapa de grandes retos tanto físicos como emocionales que pueden llevar a niveles significativos de estrés y ansiedad, además, pudieran intensificarse por el desafío que conlleva la responsabilidad de cuidar un recién nacido, la lactancia materna y las expectativas sociales y personales.

La lactancia materna pudiera ser un periodo de mucha alegría, sin embargo, puede ser afectado por una serie de factores estresantes que lo imposibilite, como por ejemplo; problemas de salud materna o del bebé, falta de apoyo social y familiar, la falta de acceso a asesores de lactancia, situaciones económicas, problemas de pareja, vivir en condición de pobreza o hacinamiento, vivir en un entorno inseguro con ruidos y otras molestias, normas culturales donde vean la lactancia materna en público como algo anormal y exista estigma asociado a esta, la presión social por no cumplir con las expectativas sociales y personales, entre otros.

Disponer de habilidades efectivas para el manejo del estrés y la ansiedad durante el período de lactancia es crucial para mejorar tanto el bienestar de la madre como la experiencia de la lactancia. La capacidad de enfrentar y superar estos desafíos emocionales no solo favorece la salud mental de la madre, sino que también facilita una conexión más profunda y significativa con el bebé.

ESTRATEGIAS PRÁCTICAS QUE PUEDEN SER DE GRAN AYUDA PARA LAS MADRES LACTANTES QUE ENFRENTAN ESTRÉS Y ANSIEDAD.

-Educación: la información es poder, es vital que te informes acerca de la lactancia materna ya sea con una asesora, asistiendo a clases prenatales, grupos de apoyo, leyendo libros, escuchando un podcast o preguntarle a tu pediatra. -Red de apoyo: la red de apoyo es un respaldo crucial para la lactancia materna, estos pueden ser familiares, amigos, otras madres que estén en la misma situación y profesionales de la salud.

-Técnicas de relajación: practicar técnicas de relajación como la respiración

profunda, la meditación guiada, tomarse un tiempo para tomar un baño con agua tibia para relajar los músculos y mejorar la circulación.

-Autocuidado: es importante tomarse tiempos de descanso, además, tener una alimentación balanceada, hacer ejercicios y dormir adecuadamente.

-Asesoramiento profesional: Si sientes que no tienes la capacidad de lidiar con algunos temas relacionados a la lactancia o la maternidad buscar un psicólogo perinatal te proporcionará estrategias personalizadas y un espacio seguro para expresar dudas, preocupaciones e inquietudes.

CONCLUSIÓN

En conclusión, la lactancia materna en situaciones de estrés presenta desafíos únicos, que van más allá de los problemas físicos y emocionales típicos. Las estrategias para manejar el estrés ofrecen herramientas prácticas para reducir la ansiedad y mejorar el bienestar general, reconocer y abordar el estrés no solo facilita el éxito de la lactancia materna, sino que también contribuye al bienestar general de la madre y el bebé.

GUÍA MÉDICA

República Dominicana

AGOSTO/SEPTIEMBRE 2024

EN ESTA SECCIÓN

AGRUPAMOS A LOS GALENOS

MÁS DESTACADOS DE LA REPÚBLICA DOMINICANA

Alergología

Cardiología

Endocrinología y nutrición

Hematología

Medicina interna

Nefrología

Neumología

Neurología

Neurofisiología Clínica

Oncología

Pediatría

Psiquiatría

Rehabilitación

Reumatología

Geriatría

Urología

Gastroenterología

Cirugía Bariátrica

Cirugía Pediátrica

Cirugía General

Ginecología y Obstetricia

Cirugía Plástica

Ortodoncia y Odontología

Neurocirugía

Otorrinolaringología

Podología y Podiatra

Oftalmología

Ortopedia

Traumatología

Toxicología

GUÍA MÉDICA

UROLOGÍA

Dra. Yiraldy Meran

ESPECIALIDAD CIRUJANA URÓLOGA RECONSTRUCCIÓN GENITO-URINARIA Y AFIRMACIÓN DE GÉNERO

PATOLOGÍAS

Estrechez uretral masculina y femenina. Estética genital. Incontinencia urinaria masculina y femenina. Prótesis peniana. Cirugías de afirmación de género.

CLÍNICA DE CIRUGÍA Y ESPECIALIDADES DR. UREÑA ARIAS: Avenida Hermanas Mirabal #341, Santo Domingo Norte.

Horario: Lunes y jueves a partir de las 11:00 Am.

yiraldy_meran 809 218-1657

urologameran@gmail.com

Dr. Robert Mejía

ESPECIALIDAD

CIRUJANO URÓLOGO

PATOLOGÍAS

Cáncer de Próstata, Disfunción Eréctil, Incontinencia Urinaria Femenina, Cálculos (piedras) en el sistema urinario completo, Hiperplasia Prostática Benigna.

CENTRO DE OBSTETRICIA Y GINECOLOGÍA: Av. Independencia

451 - Horario: Todos los días en las mañanas exepto los jueves a partir de la 7:00 Am - Lunes, Miércoles y Viernes el día Completo.

CHARLES SUMMER CENTRO MÉDICO MODERNO

Horario: Martes y jueves en las tardes a partir de las 4:00 Pm.

809 686-5153 / Móvil: 809 223-1580

urologorobertmejia robermejiadr@gmail.com

Dr. Tomas Onalis Cuevas

ESPECIALIDAD

CIRUJANO URÓLOGO

PATOLOGÍAS

Litiasis Renal, hiperplasia Prostática, Cáncer de Próstata, Varicocele.

GRUPO MÉDICO SAN MARTÍN: Tercer Nivel, Av. San Martin #232. Horario: Lunes, Martes, Viernes 8:00 Am a 12:00 Pm

CLÍNICA PERAVIA BANI: Calle Mella #16, Telf.: 809 522-3846

Horario: Miércoles 9:00 Am

809 565-1777 - Ext.: 303 / Móvil: 809 848-5374

tomasonalis cuevas.urologo@gmail.com

CLÍNICA ABREU: No. 105-C, Santo Domingo

Horario: Martes y viernes de 9:00 Am a 12:00 m

SIUAR: MEDICALNET B

Horario: Lunes y jueves 2:00 Pm a 5:00 Pm

www.reportemedico.com

Dr. Miguel Sánchez Caba

ESPECIALIDAD

CIRUJANO URÓLOGO PATOLOGÍAS

Cirugía Urológica Moderna y Vanguardista (Robótica, Laparoscópica, Endoscópica, Percutánea, Reconstructiva, Trasplante Renal, Cirugía de Disfunción Eréctil y Urológica Convencional).

HOMS: Consultorio: 518 ( 5ta Planta), Autopista Duarte Kilómetro 2.8 Santiago, República Dominicana.

Horario: 8:00 Am a 1:00 Pm Consultas Programadas www.drsanchezcaba.com

829 947-2222 Ext: 60518/60530 - Móvil: 829 741-5518

urologo.dr.sanchez.caba urologo@drsanchezcaba.com

Dr.

Wellington A. Ledesma

Cáceres

ESPECIALIDAD

URÓLOGO RECONSTRUCTIVO

PATOLOGÍAS

Estrechez Uretral, Patología prostática, Infertilidad masculina, Cálculos renales, Disfunción Eréctil.

CENTRO MÉDICO UCE: Calle Pedro Henríquez Ureña #68

Dra. Ana Isabel Chávez Guzmán

ESPECIALIDAD CIRUJANA URÓLOGA

PATOLOGÍAS

Cirugía Mínimamente Invasiva Oncología Urológica.

809 475-6102 / Móvil: 829 720-3181

Horario: 2:00 Pm a 5:00 Pm Dr.wellingtonledesmard welldocc@gmail.com

Dra. Jeanette A. Taveras Pérez

ESPECIALIDAD PSIQUIATRÍA

PATOLOGÍAS

Trastornos del ánimo, Trastornos de Ansiedad, Trastornos del Sueño, Trastornos de la Conducta Alimentaria, Trastornos de la Personalidad, entre otros.

GRUPO MÉDICO NACO: 1er piso, Calle Fantino Falco esquina Luis Alberti.

Horario: Por citas, de lunes a viernes.

CEDIMAT: Calle Arturo Logrono, Plaza de la salud. Horario: Por citas, Martes mañana y tarde - Jueves por la mañana.

849 456-4878 / Móvil: 829 384-4878

dra.jeanettetaveras drajeanettetp@gmail.com

TORRE PEREYCA: Calle Luis F. Thomén 456, piso 6 consuiltorio 606, El Millón. Santo Domingo. Horario: Lunes, Miércoles y Viernes cita previa.

SIUAR MEDICAL NET B Horario: Lunes, Miércoles y Viernes cita previa.

849 243-1289 / 809 738-6000 - Móvil: 809 994-8835 anaisa_chavez PODIATRÍA

dra.chavezurologa@gmail.com

Dra. Alexandra Hichez Lachapel

ESPECIALIDAD PSIQUIATRÍA

PATOLOGÍAS

Psiquiatría General y de Enlace, Adicciones Psicooncología.

TORRE PROFESIONAL CORAZONES UNIDOS: Calle Tetelo Vargas 26,Ensache Naco Piso 4 Suite 404, Santo Domingo. dra.hichez

809 960-9464 / 809 856-5204

GUÍA MÉDICA

CIRUGÍA PLÁSTICA

Dr. Eduardo José Garrido Méndez

ESPECIALIDAD CIRUGÍA PLÁSTICA

PROCEDIMIENTOS

Mamoplastia Reducción, Aumento, Gluteoplastia, Liposucción, Otoplastia, Blefaroplastia, Lipoescultura, Levantamiento Mamario, Lifting Facial, Abdominoplastia y Rinoplastia.

CENTRO DE GINECOLOGÍA Y OBSTETRICIA: Ave. Independencia #451. Santo Domingo.

Horario: Lunes a Viernes 9:00 Am a 5:00 Pm

809 735-9679 / Móvil: 809 846-9800

dr.eduardogarrido dr.eduardogarrido@gmail.com

Dra. Danivel N. Céspedes Zorob

ESPECIALIDAD

CIRUGÍA PLÁSTICA, RECONSTRUCTIVA Y ESTÉTICA. TENCOLOGÍAS: VASER, MICROAIRE, RETRACTION, RENUVION (J PLASMA) E INDIBA.

PROCEDIMIENTOS

Cirugía de Contorno Corporal y Cirugía Facial.

Clínica CECILIP: Calle Wilfredo García Reyes Encarnación #5, 3er Nivel, Suite 1 - Horario: Previa Cita Martes - Miércoles y Jueves.

Centro Médico Padre Fantino: 2do Nivel Calle General Juan Rodríguez #83, La Vega - Horario: Previa Cita Lunes y Viernes.

829 466-0022 / Móvil: 809 383-3151

dradanivelcespedes dradanivelcespedes@gmail.com

Dr. Yoiner Manuel Cedeño Rodríguez

ESPECIALIDAD

CIRUGÍA PLÁSTICA, RECONSTRUCTIVA Y ESTÉTICA

PROCEDIMIENTOS

Liposuccion, Abdominoplastia, Cirugia de mamas, Cirugia Facial, Retiro de Biopolimeros.

CENTRO DE CIRUGÍA ESTÉTICA Y RECONSTRUCTIVA DIOSA LOS JARDINES SANTIAGO - Telf.: 809 382-3322

C/ TIBURCIO MILLAN LOPEZ 211, LA ROMANA

Horario: Lunes a Viernes de 9:00 Am - 12: 00 / 2:00 Pm - 6:00 Pm

809 556-8182 / Móvil: 809 803-0035

Dr.yoinercedeno dr.yoinercedeno@hotmail.com

República Dominicana AGOSTO /SEPTIEMBRE 2024

Dra. Thaulys Thamar Luna

ESPECIALIDAD

CIRUJANA PLÁSTICA ESTÉTICA Y RECONSTRUCTIVA

PROCEDIMIENTOS

Cirugía Facial, Contorno Corporal.

CENTRO MÉDICO PADRE FANTINO: Calle General Juan Rodríguez #83, La Vega - Telf.: 809 573-2533 Ext. 226

Horario: Lunes a Viernes a partir de las 3:00 Pm

849 869-3793 / Móvil: 809 769-3793

drathaulysluna

drattluna@gmail.com

Dra. Glorinil Carmina

Mercedes German

ESPECIALIDAD

CIRUJANA PLÁSTICA RECONSTRUCTIVA Y ESTÉTICA

PROCEDIMIENTOS

Contorno Corporal: Lipoescultura HD, Liposucción, Abdominoplastia, Lifting de Espalda, Cirugías de Mamas (Reducción, Aumento y Levantamiento con o sin Implantes) y Glúteos.

Cirugías Faciales: Lifting Facial, Liposucción de Papada, Blefaroplastia, Bichectomia, Rinoplastia. Tecnología: Vaser y Retraction Radiofrecuencia.

CENTRO DE CIRUGÍA PLÁSTICA Y ESPECIALIDADES SANTO

DOMINGO: C/ Manuel María Castillo #20. Primer Piso Consultorio 107 - Horario: Lunes, miércoles y viernes 8:00 Am a 12:00 Pm

809 686-5826 - Móvil: 809 817-8326

draglorimercedes

dra.glorimercedes@gmail.com

Dr. Gebal Matos

ESPECIALIDAD

CIRUJANO PLÁSTICO Y RECONSTRUCTIVO

PROCEDIMIENTOS

Lipoescultura HD, Abdominoplastia, Levantamiento Senos y Glúteo, J-Plasma, Vaser, Rinoplastias.

CECIPLER: Calle Pedro Ignacio Espaillat 256, casi esquina José Contreras Gazcue - Santo Domingo

Horario: Lunes a Viernes 7:00 Am a 4:00 Pm

829 779-8293 - Móvil: 849 458-0003

drgebalmatos drgebalmatos1@gmail.com

Dr. Giovanny Pérez Cabrera

ESPECIALIDAD

CIRUGÍA PLÁSTICA

PROCEDIMIENTOS

Cirugías facial, Senos, Abdomen y Contorno Corporal, Glúteos, e Inyectables.

CENCARCI: Mauricio Alvarez 4, Santiago de los Caballeros.

Móvil: +1 917 6008541 / Móvil: 829 642-1175

drgpplastica

drgpplastica@gmail.com

Dra. Luz Daniela Guzmán

ESPECIALIDAD NEUMÓLOGA - INTERNISTA BRONCOSCOPISTA REHABILITACIÓN PULMONAR

PATOLOGÍAS

Asma, EPOC, Neumonía, Tabaquismo, Efusión pleural.

CENTRO MEDICO UCE: Edificio UCE 1 consultorio No. 121.

Horario: Lunes (10 am - 12 pm) - Martes (12 m - 2 pm) Jueves (10 am - 12 pm)

829 546-6804

Neumoluzguzman dra.luzguzman.neumologa@gmail.com

Dra. Magdelyne

Ceballos Olivero

ESPECIALIDAD

NEUMÓLOGA-BRONCOSCOPISTAFUNCIÓN PULMONAR-INTERNISTA. CONSULTA DE NEUMOLOGÍA Y MEDICINA INTERNA PROCEDIMIENTOS

Espirometría, Volúmenes pulmonares por pletismografía corporal, Difusión monóxido de carbono, Broncoscopia, biopsia pleural, Toracentesis, Evaluación pre-operatoria.

CLINICA ABREU: Calle Arzobispo Portes #853 consultorio #110-B 1er

Nivel - Horario: Miércoles y viernes 3:00 Pm

CENTRO MÉDICO MONUMENTAL: Calle Gaspar Polanco #206

Horario: Lunes y jueves 9:00 Am 4to piso. PLAZA DE LA SALUD: Lunes y jueves 3:00 Pm - Martes, miércoles y viernes 7:00 Am

Dr. Brayam Mariot

ESPECIALIDAD CIRUGÍA PLÁSTICA RECONSTRUCTIVA Y ESTÉTICA.

PROCEDIMIENTOS

Cirugía de Contorno Corporal y Cirugía Facial.

Tencologías: Vaser, Microaire, Retraction, Renuvion (J Plasma) e Indiba.

Centro de Cirugía Plástica CECIP: Calle Manuel M. Castillo #20 3er Nivel Santo Domingo - Horario: Martes - Miércoles y Jueves.

Centro Médico Padre Fantino: 2do Nivel, Calle General Juan Rodríguez #83, La vega - Horario: Lunes y Viernes

849 259-5000 / 809 977-2793

drmariot dr.brayammariot@gmail.com

Dra. Massiel Fernández de Haché

ESPECIALIDAD

MÉDICO INTERNISTA Y NEUMÓLOGA

PROCEDIMIENTOS

Asma, Alergias Respiratorias, EPOC, Neumonías, Covid-19, Influenza.

PLASTIMEDIC: Calle Sócrates Nolasco N0. 4, Santo Domingo. Horario: Lunes a Viernes 10:00 Am a 12:00 Pm.

CECILIP: Calle Wilfredo García Reyes Encarnación N05. Arroyo Hondo. Santo Domingo. Horario: Lunes a Viernes 9:00 Am a 11:00 Am.

CECIPLER: Calle Pedro Ignacio Espaillat #256 casi esquina José Contreras, Gazcue. Horario: Lunes a Viernes 12:00 Am a 3:00 Pm.

809 334-6204

massieldehache@gmail.com

dramassielfernandezneumologa

Dra. Evangelina Soler

ESPECIALIDAD NEUMÓLOGA INTERNISTA

PATOLOGÍAS

Asma, Tratamiento para COVID, Influenza, Neumonía, Pulmonía.

TORRE PROFESIONAL CORAZONES UNIDOS: Calle Tetelo Vargas N0. 26, Suite 606. Santo Domingo

evangelina_soler@hotmail.com

GUÍA MÉDICA

DERMATOLOGÍA

OBSTETRICIA

Dra. Carolyn Rodríguez

ESPECIALIDAD

DERMATÓLOGA CLÍNICA Y PEDIÁTRICA

PATOLOGÍAS

Acné, Dermatitis, Micosis, Onicocriptosis, Cirugías menores.

Clínica de Dermatología y Especialidades CLIDERMES

Calle Duarte #53 Los Alcarrizos.

Horario: Lunes a viernes de 8:00 Am - 6:00 Pm

Móvil: 829 902-9303

dracarolynrodriguez

Dra. Ilse Arias

ESPECIALIDAD DERMATOLOGÍA

PATOLOGÍAS

Dermatología Clínica y Estética

BELLA TERRA MALL: 2do nivel B-08 Santiago Instituto Materno Infantil y Especialidades Santiago

809 247-9430 / Móvil: 829 881-9430

drailsearias_derma drailsearias@gmail.com

Cemdoe

Dr. Omar De la Rosa

ESPECIALIDAD GINECÓLOGO ENDOCRINÓLOGO ESPECIALISTA EN REPRODUCCIÓN HUMANA

Horario: Lunes, Martes, Jueves y Viernes de 8:00 Am a 12:00 Pm

Centro Médico Bellas Artes

Horario: Lunes y Jueves a partir de las 4:00 Pm

Móvil: 809 415-0337

República Dominicana AGOSTO /SEPTIEMBRE 2024

Dra. Emma Guzmán

ESPECIALIDAD CIRUJANA DERMATÓLOGA, COSMIATRA

PATOLOGÍAS

Dermatología Clínica, Dermatología Quirúrgica, Estética.

CENTRO DE UNIDAD DERMATOLÓGICA DRA. EMMA GUZMÁN: Av. Bolívar 208, Gazcue Santo Domingo.

Horario: Lunes 1:30 Pm a 4:00 Pm. Martes y miércoles 11:30 Am a 4:00 pm. Jueves y viernes 9:00 Am a 2:00 Pm.

809 685-8478

draemmaguzmandecruz

emmaguzman729@hotmail.com www.draemmaguzman.com

Dra. Yahaira Soto Casado

ESPECIALIDAD GINECÓLOGA OBSTETRA REPRODUCCIÓN ASISTIDA

PATOLOGÍAS

Fertilización invitro, preservación de la fertilidad, síndrome de ovarios poliquistico, endometriosis , inseminación artificial.

HS MEDICAL CENTER: C/ Florence Terry Griswuld 7, Naco Santo Domingo. +1 (849) 340-3032

SERVICIOS OBSTÉTRICO FRANKENBERG: +1 (829) 764-1448 809 654-3234

PUNTA CANA DOCTORS: +1 (809) 902-6746 / 809 654-3234

Horario: Lunes 8:00 AM a 1:00 PM Viernes 8:00 a 1:00 PM

dra.yahaira.soto

dra.soto.yahaira@gmail.com 809 654-3234 / Móvil: 809 654-3234

Dr. Agustín Díaz

Rodríguez, FACOG

ESPECIALIDAD

OBSTETRICIA Y GINECOLOGÍA

MEDICINA MATERNO FETAL PATOLOGÍAS

Embarazo de alto riesgo, Diagnóstico prenatal ( US Genética, Morfológica, Perfil Hemodinámico, Neurosonografia) Consulta preconcepcional, Procedimientos invasivos, Pruebas genéticas.

CEDEN: Calle Juan Paradas Bonilla, N°8 b, Naco.

Horario: 2:00 Pm a 7:00 Pm

dr.agustindiaz_mmf Agustín Díaz Rodríguez

829 378-0797 / Móvil: 829 548-4877

a.diazmmf@gmail.com

www.reportemedico.com

Dra. Alondra Susana Vargas

ESPECIALIDAD GINECÓLOGA OBSTETRA ESPECIALISTA EN FERTILIDAD

Torre Profesional Corazones Unidos: Calle Tetelo vargas #26

Horario: Lunes y viernes 1:00 Pm a 5:00 Pm, Martes 9:00 Am a 5:00 Pm.

Centro Médico UCE: Calle Pedro Henriquez Ureña #68

Horario: Lunes y Viernes 8:00 a 12:00 Pm.

809 792-2226 / Móvil: 849 220-6026

draalondrasusana

CLÍNICA ABREU

Dr. Jorge Vargas Guzmán

ESPECIALIDAD GINECOLOGÍA Y OBSTETRICIA

PATOLOGÍAS

Laparoscopia, Cirugía Estética Vaginal Laser, Urología Ginecológica.

Horario: Lunes, Martes y Jueves 9:00 Am a 7:00 Pm

Miércoles y Viernes 2:00 Pm a 1:30 Pm

BRACA SANTO DOMINGO

Horario: Miercoles y Viernes 9:00 Am a 1:30 Pm

809 688-4448 / Móvil: 809 697-8374

drjorgevargasg jorgevargas45@gmail.com

Dra. Lenny Altagracia Capellán Cordero

ESPECIALIDAD

GINECÓLOGA / OBSTETRA / SONOGRAFISTA ESTUDIO DE LA PAREJA INFÉRTIL PATOLOGÍAS

Miomatosis Uterina / Histeroscopias Embarazo Ectópico / Infertilidad Rejuvenecimiento y Cirugía Láser.

INSTITUTO DE CIRUGÍA ESPECIALIZADA: Av. Bolívar 208/ 6to. Piso.

Horario: Lunes a Viernes de 8:00 Am a 4:00 Pm

809 686-5100 / Móvil: 829 467-1750

dra.lennycapellan doctoralenny@hotmail.com

Dra. Milfra Espinal Madera

ESPECIALIDAD

GINECÓLOGA - OBSTETRA REPRODUCCIÓN ASISTIDA

PATOLOGÍAS

Fertilización In Vitro- Inseminación Artificial - Endometriosis - Ovarios Poliquísticos- Ovodonación. Diagnóstico genético preimplantacional.

FIV CEDEN: Calle Juan Paradas Bonilla, N°8 b, Naco.

Horario: 9:00 Am a 5:00 Pm

829 766-2426

Dramilfraespinal dramilfraespinal@gmail.com

Dra. Silveria Pujols Montero

ESPECIALIDAD GINECÓLOGA - OBSTETRA COLPOSCOPISTA

PATOLOGÍAS

Enfermedad Pélvica Inflamatoria, Vaginitis o Infecciones Vaginales, Sangrado Uterino Anormal, Miomatosis Uterina.

GRUPO MÉDICO SAN MARTIN: Tercer nivel, Av. San Martin #232. Telf.: 809-565.1777 Ext. 303

Horario: Martes 3:00 Pm- Miércoles 5:00 Pm- Jueves 9:00 Am ASÍSTEME: C/ Orfelismo #50 próximo a rehabilitación Telf.: 809-273-6555

Horario: Martes 10:00 Am - Viernes 8:00 Am

809 565-1777 / Móvil: 809 862-8218

Dra.silveriapujols Silveria.obstetra@gmail.com

Dr. Ramiro Díaz

Primera - MD RDMS

ESPECIALIDAD

MEDICINA MATERNO FETAL CIRUGÍA FETAL

PROCEDIMIENTOS

Diagnóstico Prenatal, Interconsultas de Medicina Materno Fetal, Procedimientos Invasivos Fetales, Cirugía Fetal.

CEDEN: Calle Juan Paradas Bonilla 8B, Naco, Santo Domingo. Calle Duarte numero 25 San Francisco de Macorís.

Horario: Lunes a Viernes 9:00 Am - 2:00 Pm.

VIENTRE MATERNO: Calle Rosario esquina Alfonseca Plaza Soho Mall, módulo B05, Moca - Horario: Sábados 9:00 Am - 4:00 Pm

829 843-6461

dr_ramirodiaz

dr.ramirodiaz@gmail.com

GUÍA MÉDICA

NUTRICIÓN

Dra. Noemi Tavarez

ESPECIALIDAD NUTRIÓLOGA CLÍNICA, OBESÓLOGA DIETÉTICA Y DIETOTERAPIA

TORRE PROFESIONAL CORAZONES UNIDOS: Piso 4 Suite 406, Santo Domingo.

RESTORE METABOLIC CENTER: Calle Dr. Heriberto Pieter #20. Ensanche Naco, Santo Domingo.

829 422-2511

dra.noemitavarez noemi_tavarez2@hotmail.com

Dra. Rosanna Domínguez

ESPECIALIDAD NUTRIÓLOGA CLÍNICA, OBESÓLOGA DIETISTA, PSICOTERAPIA DE LA OBESIDAD. DIETAS. NUTRICIÓN BARIÁTRICA.

TORRE PROFESIONAL PEREYCA

Horario: Lunes y Martes de 2:00 Pm a 6:00 Pm Jueves y Viernes de 8:00 Am a 12:00 Pm

809 636-1471 / Móvil: 849 918-3696

dra.rosannadominguezf27

Dra. Vanessa De La Maza

ESPECIALIDAD PEDIATRA NUTRICIÓN INFANTIL PATOLOGÍAS

Asesoría en lactancia. Consulta de niño sano. Alimentación complementaria. Procesos febriles. Infecciones respiratorias. Afecciones gastrointestinales.

TORRE PROFESIONAL DE CORAZONES UNIDOS: Calle Tetelo Vargas 26, Ensanche Naco. Piso 5, suite 502 UNIPEDIATRAS

Horario: Lunes y Miércoles 10:00 Am - 2:00 Pm, Jueves 3:00 Pm - 6:00 Pm

809 472-3525 / Móvil: 829 591-1600

República Dominicana AGOSTO /SEPTIEMBRE 2024

Dra. Viviana Hernández Ferrer

ESPECIALIDAD NUTRIÓLOGA CLÍNICA

PATOLOGÍAS

Nutrición para control de peso, Embarazo de alto riesgo, Enfermedades Gastrointestinales y Nutrición Intrahospitalaria.

TORRE PROFESIONAL CORAZONES UNIDOS: Calle Tetelo Vargas N0. 26, Piso 3 Suite 305, Santo Domingo. Horario: Martes y Jueves 8:00 Am a 6:00 Pm

WOMENS CARE CENTER: Calle Paseo de los Locutores, Esq. Lincoln Piso 3 Horario: Lunes, Miércoles y Viernes 8:00 Am a 6:00 Pm

809 373-8567 / Móvil: 849 251-4046

dra.vivianahernandezf consultas@dravivianahernandez.com

Dra. María Fca. Matos Terrero

ESPECIALIDAD NUTRIÓLOGA CLÍNICA- OBESOLOGA DIETISTA, NUTRICIÓN BARIÁTRICA, PSICONUTRICIÓN.

PATOLOGÍAS: Sobrepeso, Obesidad, Nutrición Bariátrica, Nutrición en el Embarazo, Alimentación adecuada en personas con Diabetes Mellitus, Hígado Graso, Colesterol Alto.

CITENUTRI EN TORRE AZUL DEL CENTRO MÉDICO UCE: C/ César Dargam no. 10, 4to piso Suit 401, La Esperilla.

Horario: Martes y Jueves de 2 a 6pm

TRAUMACARE: C/ Díaz Piñeyro no. 51, zona universitaria Horario: Miércoles 8 a 12 y de 1 a 6pm

829 532-5243 / Móvil: 809 512-5243

dramariafrancisca dramariamatos@hotmail.com

Dra. Altagracia Páez Abreu

ESPECIALIDAD PEDIATRA ESPECIALISTA EN NUTRICIÓN

PATOLOGÍAS

Obesidad, alimentación complementaria, alergias alimentarias estreñimiento, nutrición en deportistas y TEA.

TORRE PROFESIONAL DE CORAZONES UNIDOS: Calle Tetelo Vargas 26, Ensanche Naco. Piso 5, suite 502 UNIPEDIATRAS

Horario: Lunes 4:00 Pm - 6:00 Pm, Miércoles o Viernes 10:00 Am - 12:00 Pm

809 472-3525 / Móvil: 849 865-5970

dra.delamaza Unipediatrascontigo

dra.altagraciapaez Unipediatrascontigo

HEMATOLOGÍA

Dra. María Cristina Matos Díaz

ESPECIALIDAD CIRUJANA OFTALMÓLOGA

PATOLOGÍAS

Cirugía Catarata, cirugía de presbicia, síndrome de ojo seco, blefaritis, miopía.

MEDICAL NET: Segundo piso. C/ Rafael Augusto Sánchez No. 45

Suit 204. Ensanche Piantini. Santo Domingo.

Horario: Jueves Am Y Viernes Pm por citas.

GRUPO MÉDICO ALTERNA: Plaza Naco Segundo Nivel.

Horario: Lunes Pm, miércoles Pm, jueves meridiano, Viernes Am INCOCEGLA

Horario: Martes 8:00 Am -12:00 y Miércoles 8:00 Am -12:00 m

809 732-9988 - Móvil: 809 769-5631

Dramariamatosrd dramatosdiaz@gmail.com

Dr. Henry Ely Peguero

ESPECIALIDAD CIRUJANO OFTALMÓLOGO

PATOLOGÍAS

Cirugías de Cataratas, combinadas con Glaucoma y Cirugías con Láser Refractivas, Cirugía de Párpados.

HOSPITEN: Todos los días de 10:00 Am a 5:00 Pm ( horario corrido) viernes a las 11:0 Am.

CEMCARDIO: Lunes Jueves de 8:00 Am a 10:00 Am y de 5:00 Pm a 7:00 Pm, Viernes solo en la tarde a partir de las 5:00 pm.

HOSPITAL MATERNO INFANTIL SANTO SOCORRO: Viernes 8:00 Am a 11:00 Am.

Dra. Aderina Maldonado

ESPECIALIDAD OFTALMÓLOGA PEDIATRA

PATOLOGÍAS

Defectos refractivos. Retinopatia de la prematuridad. Retinopatia diabetica. Conjuntivitis. Catarata congenita. Estrabismo.

TORRE PROFESIONAL DE CORAZONES UNIDOS: Calle Tetelo Vargas 26, Ensanche Naco. Piso 5, suite 502 UNIPEDIATRAS

Horario: Lunes, Miércoles o Jueves 10:00 Am - 12:00 Pm

809 472-3525 / Móvil: 809-756-5274

dra.aderinamaldonado Unipediatrascontigo

Dra. Minerlisa Tavárez Hernández

ESPECIALIDAD OFTALMÓLOGA CIRUJANA-ALTA ESPECIALIDAD EN RETINA Y VÍTREO

PATOLOGÍAS

Retinopatía Diabética, Retinopatía de la Prematuridad, Desprendimiento de Retina, Catarata.

CLÍNICA DE OJOS VEO: Calle Manuel María Seijas, Número 26, San Cristobal.

Horario: Lunes a viernes 8:00 Am -5:00 Pm.

809 384-2776

Sábados de 8 Am - 12 Pm. clinicadeojosveo clinicadeojosveo@gmail.com

Dra. Belkis Fernández

ESPECIALIDAD MÉDICO INTERNISTA - HEMATÓLOGA

PATOLOGÍAS

Leucemias, Falsemias, Anemias, Linfomas, Mielomas.

Torre Profesional Corazones Unidos: Calle Tételo Vargas #26, Piso 10 Suite 1002, Ensanche Naco.

Horario: Previa Cita

Centro de Obstetricia y Ginecología: Edificio II, 5to piso, Avenida Independencia, Esquina José Joaquín Pérez.

Horario: Previa Cita

809 687-2030/ 809 262-4296 - Móvil: 809 696-5221

dra.fernandezl

GUÍA MÉDICA

MEDICINA INTERNA

Dra. Milagros

Alcántara Marte

ESPECIALIDAD

MEDICINA INTERNA

PATOLOGÍAS

PEDIATRÍA

Revisiones Rutinarias, Medicina Preventiva, Dislipidemias, Hipertensión, Diabetes.

HOSPITEN: Alma Mater Esquina Bolívar.

Horario: Lunes, martes, jueves y viernes 3:00 Pm a 7:00 Pm

809 541-3000 - Móvil: 809 627-6545

dra.milagrosalcantara malcantara@hospiten.com

Dra. Sandra Cruz Ortiz

ESPECIALIDAD PEDIATRA - NEONATÓLOGA

PATOLOGÍAS

Problemas Respiratorios del Recién Nacido, Prematuridad, Patologías Quirúrgicas del Recién Nacido (clínica), Crecimiento y Desarrollo, Malformaciones Congénitas.

HOMS: Autopista Duarte Km 2.8, Santiago de los Caballeros.

Horario: 9:00 Am - 2:00 Pm drasancruzortiz@gmail.com

829 947-2211 / Móvil: 809 440-5145

Dr. José Alberto Torres Hernández

ESPECIALIDAD

ALERGOLOGÍA E INMUNOLOGÍA PATOLOGÍAS

Enfermedades alérgicas en adultos y niños: dermatitis atópica, inmunodeficiencias, rinitis, sinusitis, asma, alergias alimentarias, anafilaxia, alergias de contacto, alergias a medicamentos. Urticaria y Angiodema. Desensibilizaciones con medicamentos. Tratamientos con biológicos e Inmunoterapia.

CLÍNICA CORAZONES UNIDOS: C/ Fantino Falco no. 19. Ens. Naco

Horario: Martes y jueves 3:30-7:00 Pm

HS MEDICAL CENTER: C/ Florence Terry No. 7. Ens. Naco. Horario: Miércoles 12-3 pm

doc.josetorres jatorresh75@gmail.com 809 683-6185 / Móvil: 829 763-3925

República Dominicana AGOSTO /SEPTIEMBRE 2024

INFECTOLOGÍA - ALERGOLOGÍA

Dra. Alicia De La Cruz

ESPECIALIDAD PEDIATRÍA INTENSIVISTA NEONATAL

PATOLOGÍAS

Recién nacidos peso bajo. Recién nacidos hijos de madre de alto riesgo. Prematuros. Niños con condición especial. Seguimiento a niños sanos.

TORRE PROFESIONAL DE CORAZONES UNIDOS: Calle Tetelo Vargas 26, Ensanche Naco. Piso 5, suite 502 UNIPEDIATRAS

Horario: Martes o Jueves 9:00 Am - 12:00 Pm

CENTRO MEDICO UCE: Edificio profesional Dr. Guarionex López, suite 204 - Horario: Lunes, martes, miércoles y viernes de 2:00 Pm a 5:00 Pm - Citas WhatsApp 829-981-0862 809 Consultorio 732-0862 809 472-3525 / Móvil: 809 993-3439 delacruz1 Unipediatrascontigo

Dr. Ramón E. Peralta Mauricio

ESPECIALIDAD PEDIATRA FISIÓLOGO RESPIRATORIO

PATOLOGÍAS

Gripes frecuentes, asma, inapetencia, recién nacidos con procesos respiratorios.

TORRE PROFESIONAL DE CORAZONES UNIDOS: Calle Tetelo Vargas 26, Ensanche Naco. Piso 5, suite 502 UNIPEDIATRAS

Horario: Lunes a Viernes 9:00 Am - 12:30 Pm y 3:00 Pm - 6:00 Pm

809 472-3525 / Móvil: 809 880-8005

Unipediatrascontigo

drperaltam@yahoo.com

GUÍA MÉDICA

ONCOLOGÍA CIRUGÍA GENERAL NEFROLOGÍA

Dr. José R. Barriento Martínez

ESPECIALIDAD MÉDICO CIRUJANO CIRUGÍA LAPAROSCÓPICA AVANZADA

PATOLOGÍAS

Hernias, Vesículas, Tiroides, Partes Blandas, Apéndice, Pared Abdominal.

CENTRO POLICLÍNICO NACIONAL: Avenida Guayubin Olivo, Santo Domingo. Horario: Lunes a Viernes 8:30 Am - 12:00 Pm.

HOSPITEN: Horario: Martes y Jueves de 8:00 Am a 1:00 Pm

TORRE DE ESPECIALIDADES SANTO DOMINGO: Horario: Martes y jueves por cita.

809 788-2323 / Móvil: 829 230-3822

Dr. Martin Breton

ESPECIALIDAD CIRUJANO ONCÓLOGO

PATOLOGÍAS Cabeza, Cuello, Maxilofacial.

CLÍNICA UNIÓN MEDICA DEL NORTE: Torre F. Nivel 6, Suite 687.

Horario: Lunes a Jueves 8:00 Am a 6:00 Pm. martinbretonm 809 226-8686

Dr. Domingo Martínez Charles

ESPECIALIDAD NEFRÓLOGO - INTERNISTA

PATOLOGÍAS

Experto en Terapias Renales. Patología Clínicas Renales.

INCAE: Santo Domingo Este Horario: Martes y Jueves de 2:00 Pm - 5:00 Pm

CLÍNICA DR RODRIGUEZ SANTOS: C. Bartolomé Colón, Santo Domingo 10309. Horario: Lunes/Martes/Miércoles/Viernes de 8:00 Am - 12:30 Pm

829 340-1381

José Barriento

dr.barriento dr.barriento@gmail.com

drdomingomartinez

@drdomingomtnez dr.martinezcharles@gmail.com

GUÍA MÉDICA

Dr. William Del Rosario Martínez

ESPECIALIDAD NEUROCIRUJANO

PATOLOGÍAS

Hidrocefalia, Enfermedad Degenerativa de la Columna Vertebral, Hernias Díscales, Tumores Cerebrales, Trauma Craneal y Vertebral, Dolor Crónico de Espalda y Cuello, Neuralgias Craneofaciales.

CENTRO MÉDICO CANELA 1: Ciudad La Romana.

Horario: Lunes a Viernes 11:00 Am a 2:30 Pm - Telf: 809 556-3135

HOSPITEN PUNTA CANA

Horario: Lunes 4:00 Pm a 6:00 Pm - Telf: 809 686-1414

CENTRO MÉDICO CENTRAL ROMANA

Horario: Martes 8:00 Am a 11:00 Am, Viernes: 2:00 Pm a 5:30 Pm Telf: 809 723-1206.

Móvil: 829 962-4980

williamrosario24 williamrosario24@gmail.com

CLÍNICA ABREU

Dr. Francisco Estrella

ESPECIALIDAD NEUROCIRUJANO

PATOLOGÍAS Funcional. Neuro Radiocirugía. Cirugía Columna y Mínima Invasión Cerebral-Espinal.

Horario: Lunes y Viernes. 7:30 Am a 5:00 Pm

HOSPITAL METROPOLITANO DE SANTIAGO

Horario: Martes, Miércoles y Jueves. 7:30 Am a 5:00 Pm neuroestrella

809 7024-000 / Móvil: 809 7024-000

República Dominicana AGOSTO /SEPTIEMBRE 2024

Dr. Ismael Peralta

ESPECIALIDAD NEUROCIRUJANO

PATOLOGÍAS

Hernias Discales, Neuralgia Trigeminal, Tumores Cerebrales, Tumores Espinales, Fracturas Vertebrales, Aneurismas Cerebrales.

MEDICAL NET EDIFICIO A: 6to nivel, Suite Orthonet. Calle Rafael

Augusto Sánchez N0. 45 Piantini, Santo Domingo DN. Tel: 809 227-1065

Horario: Viernes y Sábados de 8:00 Am a 5:00 Pm

CENTRO GAMMA KNIFE: Cedimat, Plaza de la Salud Dr. Juan M. Taveras R, C. Pepillo Salcedo, Santo Domingo. Tel: 809 732-1771

Horario: Viernes de 11:00 Am a 2:00 Pm

829 340-0502 dr.ismaelperalta uns_neurosurgery

iperaltabaez@gmail.com

Dra. Jhoanny González González

ESPECIALIDAD OTORRINOLARINGOLOGÍA, AUDIÓLOGA CLÍNICA.

PATOLOGÍAS

Dolor de Oídos. Dolor de Garganta. Congestión nasal. Ronquidos. Pérdida Auditiva. Sangrado nasal.

TORRE PROFESIONAL DE CORAZONES UNIDOS: Calle Tetelo Vargas 26, Ensanche Naco. Piso 4 suite 402. UNIPEDIATRAS.

Horario: Martes o Jueves 3:30 Pm - 6:00 Pm

809 472-3525 / Móvil: 809 919-2533

dra.jhoannygonzalez unipediatrascontigo neuroestrella@gmail.com

Dra. Mabel Queliz

ESPECIALIDAD OTORRINOLARINGOLOGÍA. OTOLOGÍA Y NEUROOTOLOGÍA.

PATOLOGÍAS

Roncos y apneas. Vértigos. Sinusitis. Implante coclear. Otorrinolaringología en general niños y adultos.

UNIPEDIATRAS: Calle Tetelo Vargas 26, Ensanche Naco. Piso 4, suite 402.

809 472-3525 / Móvil: 829 344-9574

Horario: Jueves 10:00 Am - 1:00 Pm. mabelqueliz@gmail.com

dramabelqueliz.otorrino

ARQUITECTURA HOSPITALARIA ODONTOLOGÍA

LOS ÁLAMOS: SANTIAGO

Arq. Cindy Barbeito

ESPECIALIDAD ARQUITECTURA HOSPITALARIA DISEÑOS, REMODELACIÓN, HABILITACIÓN

Horario: Atención previa cita.

LOS PRADOS: SANTO DOMINGO

Horario: Atención previa cita.

809 707-1569 arhosp

cindy.barbeito@gmail.com

Dra. Madeline Denise Mejía Gómez

ODONTOLOGÍA

ESPECIALIDAD ENDODONCIA

ODONTO-DOM: Calle Haim López Penha #32 Ensanche Paraíso

Horario: Lunes de 9:00 -12:00 am y de 1:30 - 5:00 pm y jueves de 1:30 - 5:00 pm

Avenida Isabel Aguiar, Plaza Isabel Aguiar 2do nivel Horario: Martes y viernes de 9:00 - 12:00 y de 1:30 -5:00 pm

829 520-4648 - Móvil: 829 944-0886

Odontodomrd mademe12@gmail.com

Dra. Nairovis Vásquez Sánchez

ODONTOLOGÍA

ESPECIALIDAD ORTOPEDIA DE LOS MAXILARES Y ORTODONCIA

ODONTO-DOM: Calle Haim López Penha #32 Ensanche Paraíso

Horario: Lunes - viernes 8:30 am - 5:00 pm

809 541-2840 - Móvil: 829 278-6055

Odontodomrd nairovis01@hotmail.com

Dra. Kerlenys Mercedes Moquete Peña

ESPECIALIDAD

REHABILITACIÓN DENTAL, ESTÉTICA DENTAL E IMPLANTES DENTALES.

PROCEDIMIENTOS

Estética Dental, Rehabilitación Bucal, Implantes Dentales.

CECIPLER: Calle Pedro Ignacio Espaillat 256, casi esquina José Contreras Gazcue - Santo Domingo

809 877-6229 - Móvil: 829 605-8676

drakerlenysmoquete moquetep.22@gmail.com

GUÍA MÉDICA

CIRUGÍA BARIÁTRICA

Dr. Manuel Arias

ESPECIALIDAD

CIRUGÍA BARIÁTRICA Y LAPAROSCÓPICA MÍNIMAMENTE INVASIVA.

PROCEDIMIENTOS

Balón Gástrico, Bypass Gástrico, Manga Gástrica.

Centro Policlínico Nacional: Calle Guayubín Olivo No. 1 Vista Hermosa, Santo Domingo Este. Horario: Lunes a Viernes de 8:00 AM12:00 PM / 5:00 PM - 7:00 PM Sábados de 9:00 - 2:00 PM.

CEDIGASTRO

Horario: Lunes a Viernes de 2:00 PM - 4:00 PM

829 766-8952

Dr. Jonathan Tuma

ESPECIALIDAD

-Cirugia bariátrica y metabólica.

-Laparoscopia avanzada.

-Cirugía general.

PROCEDIMIENTOS

-Manga Gástrica. -Bypass Gástrico. -Balón Intragástrico.

Centros de atención - Horarios: previa cita.

• SD Wellness Center.

• Centro Médico Dominico Cubano.

• Clínica Cruz Jiminian.

(829) 763-8862

dr.tuma tumabariatrica@gmail.com

Dr. Daniel N. Lluberes

ESPECIALIDAD

CIRUGÍA BARIÁTRICA Y MÍNIMAMENTE INVASIVA.

PROCEDIMIENTOS

Cirugía General, Laparoscópica

Avanzada y mínimamente Invasiva. Intragástrico.

International Private Biotecchnology Medicine Associates IPBMA: 2do Nivel Avenida Independencia, No. 655, Gazcue Distrito Nacional. Horario: Previa Cita

Clínica Integral 3: 2do piso, Consultorio 203, Av España No. 96, Calero Villa Duarte. Santo Domingo Este. Horario: Previa Cita

Policlínico Bonao POLIBON: 1er Nivel, Av. Duarte esquina Dr Gautier No. 28. Bonao

809 817-7868

drdanielluberes

drdlluberes@gmail.com

República Dominicana AGOSTO /SEPTIEMBRE 2024

Dra. Nibelka Tejeda

ESPECIALIDAD

CIRUGÍA BARIÁTRICA

PROCEDIMIENTOS

Bypass Gástrico, Colocación Balón Gástrico, Manga Gástrica.

Imla Wellness Center: Calle Bayacán 25, Renacimiento Distrito Nacional.

Horario: Cita previa Lunes a Viernes 10:00 Am a 12:00 Pm de 3:00 Pm a 6:30 Pm, sábado 10:00 Am a 12:00 Pm www. resetbariatricsurgery.com

809 620-1770 / Móvil:829 686-0304 resetbariatricsurgery

Info@resetbariatricsurgery.com

Dr. Guillermo Moncada

ESPECIALIDAD

CIRUJANO BARIÁTRICO Y METABÓLICO LAPAROSCOPIA AVANZADA CIRUGÍA GENERAL.

PROCEDIMIENTOS

Manga gástrica, Bypass gástrico. Colecistectomia laparoscopica. Cirugía antirreflujo. Cirugía laparoscopica abdominal.

Centro Médico Dominico Cubano: Calle Doctor Piñeyro, esq. Jonas Salk, Zona Universitaria.

Horario: Martes y Jueves 9:00 Am a 12:00 Pm

SD Wellness Center. Horario: Previa cita.

809 566-0010

dr.guillermo_moncada

Dra. Niurky De La Rosa Villa

ESPECIALIDAD

CIRUGÍA BARIÁTRICA Y METABÓLICA

PROCEDIMIENTOS

Manga Gástrica, Balón Gástrico, Bypass Gástrico, Cirugía de Revisión, Cirugía Antirreflujo.

CLÍNICA ABREU: C/Arzobispo Portes 853, Santo Domingo 10208

Horario: Lunes 9:00 am - 1:00 pm

CITENUTRI: C/Cesar Dargam #10, Torre Azul suite 401

Horario: Martes y Jueves 2:00 pm - 6:00 pm

829 245-3822 / Móvil: 829 763-4639

delarosabariatrica

dra.niurkydlrv@gmail.com

www.reportemedico.com

Dra. Eliana Reyes Marte

ESPECIALIDAD GASTROENTERÓLOGA ENDOSCOPISTA -INTERNISTA

PATOLOGÍAS

Reflujo Gastroesofágico (Acidez Estomacal) Gastropatías, Úlcera Péptica, Hepatitis, Enfermedades de la Vesícula Biliar y Tracto Biliar, Colitis, Síndrome de Intestino Irritable, Pólipos de Estómago y Colon, Pancreatitis, Sobrepeso y Obesidad (Balón Gástrico)

MEDWORK GLOBAL: C/Rafael Augusto Sánchez, #41 Piantini.

Horario: Lunes 02:30 pm a 07:30 pm

CENTRO MÉDICO BELLAS ARTES UNICLID: Calle Abelardo Rodríguez. Esq. Mahatma Ghandi, Gazcue. Santo Domingo. (3er Nivel)

Horario: Lunes 09:00 Am a 12:00 Pm Martes 02:00 Pm a 06:00 Pm

809 399-9846 / 809 375-5109

dra.reyesmarte

dra.reyesmarte@gmail.com

Dra. Brimary Arias María

ESPECIALIDAD GASTROENTERÓLOGA

ENDOSCOPISTA -INTERNISTA

PATOLOGÍAS

Diagnóstico y Terapéutica de Enfermedades Digestivas. Gastroscopía. Colonoscopía. Balón Intragástrico.

TORRE PROFESIONAL KP: Suite 601. Av. Pedro Henríquez Ureña No. 83 - Horario: Martes 8:00 Am a 12:00 m, 2:00 Pm a 5:00 Pm, previa cita.

CENTRO MÉDICO LUPERÓN.

Horario: Lunes y Miércoles, 8:00 Am a 12:00 m.

809 712-2763

dra.ariasmaria

drab.ariasmaria@gmail.com

Dr. Pedro Ovalle Abreu

ESPECIALIDAD GASTROENTERÓLOGO - INTERNISTA

PATOLOGÍAS

Endoscopía Terapéutica, Vías Biliares, Páncreas, Ultrasonido Endoscópico.

Dr. Fernando Contreras

ESPECIALIDAD GASTROENTEROLOGÍA

PATOLOGÍAS

Gastroenterología general, Reflujo gastroesofágico, Gastroscopía y colonoscopía diagnóstico y terapéutico, Cápsula endoscópica y Hepatología general.

Centro de gastroenterologia avanzada: Suit 602 en Medical Net A, Calle Rafael Augusto Sánchez# 45.

Horario: Previa Cita

809 613-9697 centrogastroenterología

Dra. Jennifer Encarnación

ESPECIALIDAD GASTROENTERÓLOGA

ENDOSCOPISTA -INTERNISTA

PATOLOGÍAS

Gastritis, pancreatitis, enfermedad de vía biliares, síndrome de intestino irritable, colocación de balón gástrico.

Cemeco: San Cristobal Horario: Lunes a Sábado 11:00 Am a 4:30 Pm

Cediamet: Torres de Especialidades Médicas Horario: Previa Cita.

WhatsApp: 809 636-3964 / Cel: 809 924-700

tugastro_rd

Dra. Pamela Cabrera López

ESPECIALIDAD GASTROENTERÓLOGA

PATOLOGÍAS

Hígado Graso, Obesidad, Gastritis, Pancreatitis, Cáncer de Colon.

Torre Profesional Corazones Unidos: Calle Tételo Vargas #26 suite 401, Naco.

Horario: Lunes a viernes 8:00 Am a 6:00 Pm

Sábado 8:30 Am 12:00 Pm

809 631-7882 - Móvil: 849 244-7999

CENTRO ESTUDIOS DIGESTIVOS: Rafael Augusto Sánchez 4. MedicalNet B, Santo Domingo 809 685-0757 drpedroovalle

Dra.pamgastro25

dra.pamelacabreralopez@gmail.com

GUÍA MÉDICA

Dra. Mildred Ileana

Ureña Rivera

ESPECIALIDAD

CARDIOLOGÍA, INTERNISTA, INTENSIVISTA Y PERFUSIONISTA.

PATOLOGÍAS

Hipertensión Arterial, Cardiopatías Coronarias, Trastorno de los Lípidos, Insuficiencia Cardiaca, Evaluación Cardiovascular.

CLINICA INDEPENDENCIA NORTE: Calle Sol Poniente #7, 3er. piso, Suite 317.

Horario: Lunes, martes y miércoles a partir de las 2:00 Pm.

809 732-4402 - Móvil: 809 729-0979 dramildredurena

mildredileana@hotmail.com

Dra. Yamiris Delgado

ESPECIALIDAD CARDIOLOGÍA

MEDICINA INTERNA ECOCARDIOGRAFISTA

PATOLOGÍAS

Hipertensión arterial , Dislipidemias, Cardio diabetología, Cardio obstetricia, Prevención cardiovascular, Falla cardíaca.

CENTRO MÉDICO REAL: Consultorio 311

Horario: 8:00 am - 12:00 pm

EDIFICIO MÉDICO PROFESIONAL: (al lado del Centro Médico Real)

Consultorio 203

Horario: 2:00 - 5:00 pm

809 692-3694 - Móvil: 809 869-5002

drayamirisdelgado dradelgado82@gmail.com

República Dominicana AGOSTO /SEPTIEMBRE 2024

Dra. Dhamelisse Then VanderHorst

ESPECIALIDAD

CARDIÓLOGO PEDIATRA ECOCARDIOGRAFÍSTA

PATOLOGÍAS

Evaluaciones Cardiovasculares Preoperatorias, Previo Deportes de Alto Rendimiento, Cardiopatías Congénitas y Adquiridas.

CENTRO MÉDICO REAL: Consultorio 501

Horario: Lunes, Martes y Jueves en las tardes

809 537-0872 / Móvil: 809 693-6473

Dhamelisse doctorathen@gmail.com

10115

Dra. Rosanna Aguasanta Guerrero

ESPECIALIDAD CARDIOLOGÍA.

PATOLOGÍAS

Hipertensión arterial, Cardiopatía isquémica, Falla cardíaca, Dislipidemia, Cardiotoxicidad secundaria a quimioterapia.

Horario: Lunes y miércoles 2:00 Pm - 6:00 Pm, sábado 8:00 Am - 12:00 Pm

CEMDOE, Centro Médico Domínico Cubano Horario: Lunes 2:00 a 7:00 Pm, Martes 8:00 Am a 1:00 Pm y sábados 8:00 Am a 12:00 Pm.

Móvil: 829 319-9089 aguasanta70@hotmail.com dra_rosanna_aguasanta_cardio

CEMDOE:

Dra. Pamela Féliz

ESPECIALIDAD CARDIÓLOGA-INTERNISTA PSICOCARDIÓLOGA.

PATOLOGÍAS

Prevención y Tratamiento de Enfermedades Cardiovasculares, Intervención de Aspectos Psicológicos y Sociales que llevan a las Enfermedades Cardiovasculares.

Horario: Lunes 2:00 a 7:00 Pm, Martes 8:00 Am a 1:00 Pm y sábados 8:00 Am a 12:00 Pm.

CENTRO MÉDICO MONUMENTAL:

Horario: Lunes y jueves 8:00 Am a 12:00 Pm.

809 882-8186 psicocardio

pamelafeliz09@hotmail.com

CARDIOLOGÍA

ORTOPEDIA -TRAUMATOLOGÍA QUIROPRAXIA

Dr. Emil Moronta Soriano

ESPECIALIDAD CARDIÓLOGO ECOCARDIOGRAFISTA

PATOLOGÍAS Hipertensión Arterial, Cardiopatía Isquémica, Falla cardíaca, cardio-oncologia.

INSTITUTO ONCOLÓGICO DR. HERIBERTO PIETER Unidad de cardio-oncología.

Horario: Martes 8:00 am -3 :00 pm miércoles 2:00 pm, 7: 00 pm.

CENTRO MEDICO REAL: Unidad cardiovascular.

Horario: Lunes, martes y jueves 3:30 pm - 7:00 pm.

Móvil: 809 865-0028

morontasoriano

emorontasoriano@gmail.com

Dra. Karina Núñez

ESPECIALIDAD TRAUMATÓLOGA

CIRUJANA DE LA MANO

PATOLOGÍAS

Fracturas, Túnel del Carpo, Dedo en Gatillo, Tumores, amputaciones, microcirugía. Traumatología en General.

TORRE PROFESIONAL CORAZONES UNIDOS: Consultorio 306. Horario: De 8:00 Am a 5:00 Pm de Lunes a Viernes previa cita. CLÍNICA CRUZ JIMINIAN: Consultorio 603. Horario: Lunes a Viernes Previa Cita.

809 814-1435

doctorakarinanunez@gmail.com

dra.karinanunez

Dr. Abraham Machuca

ESPECIALIDAD

ORTOPEDIA Y TRAUMATOLOGÍA

Fellowship en Artroscopia y Cirugía de Rodilla. PATOLOGÍAS

Lesiones de Rodilla y Hombro, Lesiones Deportivas, Lesiones de Columna Vertebral, Manejo del Dolor Osteoarticular, Traumatología en General.

CENTRO MÉDICO MONUMENTAL: Carmen Mendoza de Cornielle

Esq. Gaspar Polanco, Bella Vista. Santo Domingo

Horario: Lunes de 9:00 Am a 1:00 Pm

Martes a Miércoles de 9:00 Am a 4:00 Pm

CEMERAF: Calle José Contreras 156, Santo Domingo Horario: Previa Cita

849 280-3665 / Móvil: 809 977-8805

tuortopeda

ajmachuca24@gmail.com

PSICOLOGÍA

Dr. Delfilio Martínez

ESPECIALIDAD CIRUJANO ORTOPEDA TRAUMATÓLOGO

PATOLOGÍAS

Reemplazo Articular Cadera y Rodilla. Ortopeda Pediátrico.

TRAUMACARE: Calle Jonás Salk, Zona Universitaria esquina Dr. Piñeiro.

Horario: Lunes a Jueves de 2:00 Pm a 5:00 Pm

809 807-3636 / 5023 - Móvil: 809 838-4382

drmartinez203 drmartinez203@gmail.com

Dr. Ferdinand A. Navarro

ESPECIALIDAD QUIROPRÁCTICO

PATOLOGÍAS

Dolor de Espalda, Hernia Lumbar, Hernia Cervical, Manguito Rotador, Fascitis plantar.

CENTRO QUIROPRACTICO 180 GRADOS: Plaza Bella Terra Mall 1er

nivel Mod A78 Juan Pablo Duarte Santiago, RD

Horario: Lunes, Miércoles y Jueves 7:30 Am - 5:00 Pm

Martes 7:30 Am - 8:00 Pm / Viernes 7:30 Am - 2:00 Pm

Sábados 7:30 Am - 12 Pm

809 382-7319 - Móvil: 829 839-2710

centroquiropractico180 ferdin_nm@yahoo.com

Lic. Angy Estévez, M.A.

PSICOLOGA CLINICA, SOCIAL Y PERINATAL.

ESPECIALIDAD

Embarazo inesperado. Embarazo de alto riesgo. Ajuste adaptativo de la maternidad y paternidad. Diagnóstico de anomalías congénitas. Duelo por pérdida gestacional y perinatal.

ASOCIACIÓN DOMINICANA DE PSICOLOGÍA PERINATAL

Calle General Frank Félix Miranda 38, Edificio Np I, 4to piso, Ensanche Naco.

Horario: Lunes a viernes por cita.

829 718-5848

angy.estevez@gmail.com

angyesteveza psicologiaperinatalrd

Issuu converts static files into: digital portfolios, online yearbooks, online catalogs, digital photo albums and more. Sign up and create your flipbook.