REVISTA MEDEC EDICIÓN # 52

Page 1

REVISTA DIGITAL

CÁLCULOS EN LA VESÍCULA

EDICIÓN No. 52
FEBRERO 2023
Dr. Hugo Sánchez Albán Dr. Enrique Ortiz Quevedo CIRUJANO GENERAL Y ONCOLÓGICO

GUÍA MÉDICA

SEGUIMIENTO DE LAS VARIANTES DEL SARS-COV-2

CINCO MIL MILLONES DE PERSONAS SIN PROTECCIÓN FRENTE A LAS GRASAS TRANS ESTÁN EXPUESTAS A ENFERMEDADES CARDIACAS.

POR QUÉ ALGUNOS MEDICAMENTOS NO SE DEBEN TOMAR CON CAFÉ O BEBIDAS CON CAFEÍNA.

EL GLOSARIO MEDEC

50% DESCUENTO EN LA PRIMERAS CUOTAS GOLD

PLANES PYMES Y CORPORATIVOS

REVISTA DIGITAL #52

REVISTA MEDEC

Gerencia General Econ. Guillermo Quezada

Consejo Editorial

Dr. Nelson Chávez

Diseño y diagramación Lcda. Ximena Jiménez

Directorio Medec S.A

Dr. Néstor Gómez

Dr. Jorge Gutiérrez

Dra. Margarita Kuri

Dr. Iván Salazar

Dr. Nelson Chávez

Dr. Francisco Corredores

Dr. Eduardo Vargas

Dr. Fernando López

ENFOQUE CLÍNICO TUMOR DESMOPLÁSICO DE PEQUEÑAS CÉLULAS REDONDAS: RELATO DE CASO NOTICIAS MEDEC SECCIÓN INFORMATIVA 2 8 CÁLCULOS EN LA VESÍCULA 11 14 18 21 26 1 INFORMACIÓN GENERAL SECCIÓN COMERCIAL 27
DESDE $22.ºº 28 29
SECCIÓN CIENTÍFICA
PLANES

El tumor desmoplásico de células pequeñas y redondas es una neoplasia poco frecuente que afecta generalmente a la serosa de los órganos intraabdominales sin un origen visceral aparente.

Puede presentarse como una masa única o como múltiples tumores dentro de la cavidad abdominal, aunque se ha descrito también en otras localizaciones;

TUMOR DESMOPLÁSICO DE PEQUEÑAS CÉLULAS REDONDAS: RELATO DE CASO

afecta principalmente a personas en la segunda y tercera década de la vida y es más frecuente en hombres (1,2).

Se presenta el caso de un paciente que consulta por distensión y dolor abdominal.

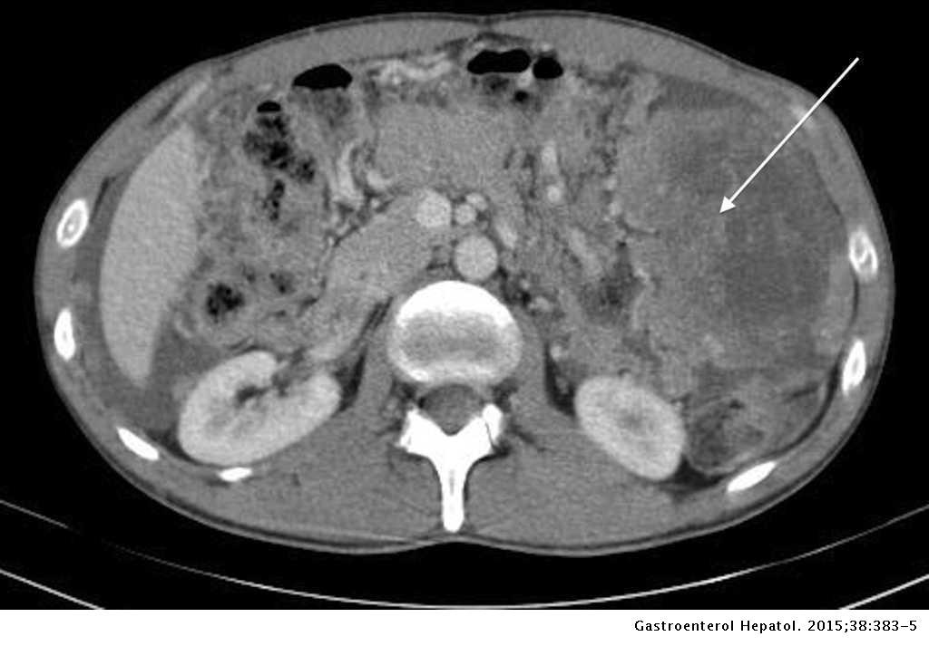
Los estudios radiológicos mostraron una masa voluminosa ubicada en el hipocondrio izquierdo acompañada de tumores de menor tamaño en la cavidad peritoneal y ascitis.

F SECCIÓN CIENTÍFICA 2
Foto: El Sevier Enfoque Clínico Dr. Enrique Ortiz Quevedo Cirujano general y oncológico

Enfoque Clínico

Realizó su formacion academica en la Universidad Católica Santiago de Guayaquil allí obtuvo el título de médico cirujano, se graduó también como Cirujano Oncológico en el Instituto Nacional de Cancerología de México.

En el año 1994 logró una beca como médico residente de cirugia mientras que en 1997 fue tambien becado como medico residente de Cirugia Oncológica en el Instituto Nacional de Cancerologia de México.

Es tutor de cirugía en la Universidad de Especialidades Espíritu Santo, Escuela de Postgrado de Medicina.

Forma parte de la Sociedad Ecuatoriana de Cirugía y de la Sociedad Ecuatoriana de Mastología, y en la actualidad es jefe del departamento de cirugía en la Clínica

Guayaquil

F SECCIÓN CIENTÍFICA 3
Dr. Enrique Ortiz Quevedo Tumor desmoplásico de pequeñas células redondas Dr. Enrique Ortiz Quevedo CIRUJANO GENERAL Y ONCOLÓGICO

Enfoque Clínico

DESCRIPCIÓN DEL CASO CLÍNICO

Paciente masculino de 36 años, sin antecedentes patológicos de importancia, acude a consulta por presentar dolor y distensión abdominal acompañado de disnea de decúbito y pérdida de peso, aproximadamente 15 kg, de seis meses de evolución. Al examen físico presentó ictericia y una masa en hipocondrio izquierdo, seis centímetros por debajo del reborde costal que se extiende de manera irregular hasta hipocondrio derecho.

Previamente, el paciente se había realizado una biopsia por punción que reportó únicamente tejido necrótico, así como una tomografía computarizada de tórax y abdomen donde se evidenció una masa a nivel de hipocondrio izquierdo multilobulada que comprime estómago, desplaza bazo y se extiende hasta hipocondrio derecho comprimiendo la vía biliar; se reportan, además, varios tumores intraabdominales y ascitis. El paciente había sido atendido previamente en otra institución donde le colocaron un stent en vías biliares.

Se decide realizar laparotomía exploradora encontrando una masa que comprime estómago y desplaza al hígado,

acompañada de varios tumores multilobulados ubicados en hipocondrio derecho y epiplón mayor. Se realizó tumorectomía. La muestra enviada a anatomía patológica describió un tumor ovalado, parcialmente delimitado que mide 21x15x10 cm, que muestra adherido a su superficie externa un segmento de epiplón que mide 30x25x0.2 cm; al corte, el tumor presenta una superficie de color gris blanquecino, de consistencia firme, de aspecto fibroso; se reciben también tres tumores de menor tamaño, cuyos diámetros fluctúan entre 1.5 y 4.5 cm con las mismas características macroscópicas del tumor de mayor tamaño. El reporte microscópico describe que los tumores se hallan constituidos por células pequeñas con núcleos redondeados que se disponen en nidos inmersos en abundante estroma desmoplásico, se observan mitosis en moderada cantidad, áreas de hemorragia y necrosis; se realizaron técnicas de inmunohistoquímica: Desmina (+), Vimentina (+), CD45 (-), CKAE1-AE3 (+), WT1 (+), Ki-67(+) 40% (Figuras 1 y 2). También se analizó el líquido ascítico. El diagnóstico histopatológico fue tumor desmoplásico de células redondas y pequeñas intraabdominal y el líquido ascítico positivo para células malignas.

SECCIÓN CIENTÍFICA 4
Dr. Enrique Ortiz Quevedo Tumor desmoplásico de pequeñas células redondas

Enfoque Clínico

Dr. Enrique Ortiz Quevedo Tumor desmoplásico de pequeñas células redondas

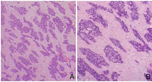
Figura 1. Tinción de Hematoxilina & Eosina: Tumor desmoplásico de células redondas y pequeñas. Se observan nidos de células pequeñas con núcleos redondeados inmersos en abundante estroma desmoplásico (A y B).

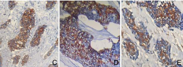
Figura 2. . Inmunohistoquímica: Tumor desmoplásico de células redondas y pequeñas. Se evidencian nidos de células pequeñas con núcleos redondeados inmersos en abundante estroma desmoplásico: Citoqueratina AE1- AE3 (C); Desmina (D); y Vimentina (E).

F
SECCIÓN CIENTÍFICA 5

Enfoque Clínico

Luego de la cirugía se inicia tratamiento de quimioterapia, no obteniendo resultados favorables. El paciente fallece diez meses después debido a progresión de la enfermedad.

DISCUSIÓN

El tumor desmoplásico de células pequeñas y redondas es una neoplasia poco frecuente, reportándose pocos casos a nivel mundial. Fue descrito por primera vez por Gerarld y Rosai en 1989 (3). Es más frecuente en varones que en mujeres, mostrando una proporción de 4:1, y tiene una mayor incidencia durante la segunda y tercera década de la vida (4). El sitio de localización más frecuente es la superficie serosa de órganos intraabdominales, no teniendo un origen visceral claro, y la presentación suele ser como una masa de tamaño variable acompañada de varios tumores peritoneales de menor tamaño, que en ocasiones pueden involucrar el retroperitoneo. Otros sitios donde se ha descrito la presencia de este tumor incluyen pleura, pelvis (simulando tumores ováricos primarios), región paratesticular, tejidos blandos, fosa craneal posterior, glándula parótida, y hueso. Es frecuente la presencia de ascitis, identificándose células neoplásicas en el estudio citológico del fluido (1,2).

Su histogénesis no es clara; debido a la ubicación se ha propuesto su origen en células primitivas de origen mesotelial, sin embargo, su presencia en otros lugares que no tienen superficies serosas pone en duda esta hipótesis.

Se ha demostrado la translocación entre el gen de Sarcoma de Ewing y el gen WT1 del tumor de Wilms t(11,22) (p13,q12), también se han descrito otras translocaciones cromosómicas asociadas (3,5–7).

Los signos y síntomas más frecuentes son aquellos relacionados con un tumor intraabdominal (distensión, dolor, masa palpable), lo cual concuerda con los datos del paciente presentado. También pueden estar presentes síntomas relacionados con obstrucción intestinal como náuseas, vómitos o constipación. Otros síntomas descritos son dolor de espalda, dolor de pecho, disnea, principalmente si hay compromiso pleural o debido a ocupación de la cavidad abdominal por el tumor o ascitis. La afectación de la vejiga o uréteres puede producir hematuria, disuria, polaquiuria (4).

Las características histomorfológicas muestran que la neoplasia está constituida por células pequeñas con núcleos

F SECCIÓN CIENTÍFICA 6
Dr. Enrique Ortiz Quevedo Tumor desmoplásico de pequeñas células redondas

Enfoque Clínico

redondeados, hipercromáticos y escaso citoplasma que se disponen en nidos o trabéculas rodeados de estroma desmoplásico. Generalmente, los núcleos son uniformes y pequeños, aunque pueden observarse zonas con diferentes grados de atipia nuclear. Los nidos de células pueden mostrar zonas de necrosis central (1,2,6,8).

Se piensa que el estroma desmoplásico es producto de la activación del factor de crecimiento alfa derivado de plaquetas que promueve la proliferación fibroblástica (7).

+De acuerdo a su morfología, el tumor desmoplásico de células redondas y pequeñas corresponde al grupo de neoplasias conocido como tumores de células redondas y pequeñas. Estos son neoplasias incluyen al sarcoma de Ewing/PNET, linfomas no Hodgkin, rabdomiosarcoma alveolar, neuroblastoma, nefroblastoma (Tumor de Wilms) (9,10). La evaluación de parámetros como la historia clínica, distribución anatómica de las lesiones, características histopatológicas, así como, el perfil de inmunohistoquímica que demuestra la diferenciación multifenotípica del tumor (positividad para marcadores epiteliales como la citoqueratina y EMA, marcadores mesenquimales y

miogénicos como vimentina, desmina, miogenina, y marcadores neuroectodérmicos como la enolasa neuroespecífica), acompañados de la evidencia de alteraciones genéticas, permiten hacer un diagnóstico diferencial con respecto a las otras neoplasias que forman parte de la familia de los tumores de células redondas y pequeñas (5,8,10). El diagnóstico diferencial con respecto a carcinoma de células pequeñas y mesotelioma de células pequeñas también se basa en los parámetros anotados anteriormente.

El tumor desmoplásico de células pequeñas y redondas es un tumor agresivo que, cuando se encuentra en ubicación intraabdominal, generalmente afecta la serosa de los órganos o el peritoneo, en ocasiones produciendo compresión extrínseca de las vísceras. Sin embargo, se ha descrito el compromiso del parénquima de órganos como el hígado, páncreas, y ovario. Las metástasis a ganglios linfáticos son raras, pero se han encontrado en estadios avanzados de la enfermedad, así como metástasis hematógenas que principalmente comprometen al hígado. El pronóstico es malo, con una escasa respuesta a la quimioterapia (2,8,9).

F
SECCIÓN CIENTÍFICA 7
Dr. Enrique Ortiz Quevedo Tumor desmoplásico de pequeñas células redondas

La vesícula es un órgano para reservorio de bilis, la misma que se produce en los canalículos biliares que conforman el HÍGADO.

La vesícula se compone de cuerpo, fondo Infundíbulo y cuello. Su ubicación es infralobular, es decir por debajo del hígado.

La bilis que se produce en el hígado es precisamente para la disgregación de los alimentos principalmente las grasas, por lo que esta bilis se acumula a manera de reservorio en la vesícula, la misma que se expulsa al intestino en el momento que existe el respectivo proceso de alimentación.

CÁLCULOS EN LA VESÍCULA

La Colecistitis es la inflamación de la vesícula biliar ocasionada principalmente por cálculos (litos) y con menor frecuencia por barro (lodo) biliar. La colecistitis es una de las principales causas de consulta en el servicio de urgencias.

La colecistitis aguda se presenta con más frecuencia en mayores de 40 años, tanto en hombres como en mujeres, siendo más frecuente en el sexo femenino en relación 2:1, aunque en los últimos tiempos por el aumento de las comidas ricas en grasas se han visto la formación de cálculos en persona menores de este rango e incluso en niños.

SECCIÓN CIENTÍFICA 8 Enfoque Clínico
Foto: www.20minutos.es Dr. Hugo Sánchez Albán Cálculos en la vesícula

Enfoque Clínico

Médico Cirujano Tratante en el Hospital Teodoro Maldonado Carbo, Jefe en el Área de Emergencia, Especializado en la Universidad de Perú en Laparoscopia. Docente en la Universidad Católica de Santiago de Guayaquil. Miembro de MEDEC.

SECCIÓN CIENTÍFICA 9
Dr. Hugo Sánchez Albán Cálculos en la vesícula Dr. Hugo Sánchez Albán CIRUJANO DIGESTIVO LAPAROSCOPISTA

Enfoque Clínico

Muchos de los problemas de la vesícula se solucionan al extraerla por lo tanto se debe realizar un intervención quirúrgica en el momento que ya tenemos la identificación por un estudio de imágenes (ecografía) de la existencia de cálculos.

Según el Dr. Hugo Sánchez esta patología se ve en personas de todas las edades, en adultos incluso en niños. “Los cálculos en la vesícula se veía sólo en personas de 40 años en adelante, ahora ya se está haciendo común verlo en niños o personas jóvenes por la mala alimentación y comidas ricas en grasas” indica el especialista.

Los cálculos en la vesícula son formados

por algunos factores:

• Dieta rica en grasas y carbohidratos simples, como por ejemplo almidones y sodas

• Dieta baja en fibras, como alimentos integrales, frutas y verduras

• Diabetes

• Mal balance metabólico como colesterol y triglicéridos elevados

• Falta de actividad física.

Para evitar cálculos en la vesícula el Dr. Sánchez recomienda realizar actividad física, controlar la alimentación, que no sea un consumo excesivo de grasas, seguir una dieta rica en fibras y proteínas de origen vegetal, nueces y sobre todo la predisposición de la persona.

Foto: www.webconsultas.com

SECCIÓN CIENTÍFICA 10
Dr. Hugo Sánchez Albán Cálculos en la vesícula PIEDRA EN LA VES ÍCULA
PIEDRAS BLOQUEÁNDO EL CANAL VESICULAR

ESTIMADO AFILIADO

Aquí encontrarás a tu disposición nuestra guía de prestadores con la Red Élite de médicos.

MÉDICOS ESPECIALISTAS EN ONCOLOGÍA

GUAYAQUIL

CHEHAB ANDRADE JORGE CHAFIC

INTERHOSPITAL TORRE DE CONSULTORIO PISO 3 CONSULTORIO 304 0995500187

DELGADO RAMOS CARLOS ALBERTO

CLINICA KENNEDY, SECCION GAMMA

1ER PISO CONS 109

046042655

ORTIZ QUEVEDO XAVIER ENRIQUE

CDLA KENNEDY NORTE Y AV LUIS ORRANTIA 21-22 Y NAHIM ISAIAS EDIF. UDIMEF 2 2DO. PISO OFIC. 204 042680681

PADILLA GUEVARA FAUSTO ERNESTO

CLINICA KENNEDY SAMBORONDON, TORRE ALFA, 2DO. PISO, OFC. 203, KM. 1 1/2 VIA SAMBORONDON 042097179

MALATAY GONZALEZ CARLOS HUMBERTO

HOSPITAL CLINICA PANAMERICANA PISO 4 CONSULTORIO 411 0997892461

MONCAYO CERVANTES JORGE BOLIVAR

INTER HOSPITAL TORRE DE CONSULTORIOS PISO 3 OFIC. 308 046003614

PLAZA CEPEDA JAIME ERNESTO

HOSPITAL CLINICA ALCIVAR TORRE MEDICA 1 PISO 3 CONSULTORIO 303 042442287

RAMIREZ MASSUH ROMMEL EDSON

INTER HOSPITAL TORRE DE CONSULTORIOS PISO 3 OFIC. 308 0997812034

COMPAÑÍA DE MEDICINA PREPAGADA I SECCIÓN CIENTÍFICA 11
..........................................................................................................
...........................................................................................................................

GUAYAQUIL

HIDALGO MARURI ROBERTO PABLO

OMNI HOSPITAL, EDF. VITALIS PISO 5 OFC. 501 ONCOLOGIA NIÑOS Y ADULTOS

0999158571

RODRIGUEZ MELENDEZ ELINA ALEXANDRA

EDIFICIO EQUILIBRIUM - CENONI

7MO PISO 707

096 7195399

QUITO

RUEDA MESIAS MIGUEL TEMISTOCLES

CENTRO MEDICO MARIANA DE JESUS 4 PISO.

0999553301

GUAYAQUIL

RAMOS MARTINEZ GLENDA ANGELITA

OMNIHOSPITAL TORRE MEDICA 1, PISO 4, OF 404 042109106

MIRANDA BURGOS ANABELA CIRCUNVALACION SUR 618 ENTRE FICUS E LAS MONJAS 0979508474

MÉDICOS ESPECIALISTAS EN CIRUGÍA GENERAL

ABARCA AGUILAR FRANCISCO LUIS

OMNI HOSPITAL TORRE MEDICA VITALIS

1 PISO 5 CONSULTORIO 517 - 518

042109083

ANDRADE ZAMBRANO RAMON TRINO

INTERHOSPITAL - PISO # 13 CONSULTORIO 1309

098-5704249

ASPIAZU BRIONES CRISTHIAN GONZALO HOSPITAL CLINICA ALCIVAR TORRE MEDICA 3 PISO 6 CONSULTORIO 5

5070010

BETANCOURT JIMENEZ FREDDY

OMNI HOSPITAL - TORRE MEDICA 1 PISO 8. CONSULTORIO 816

0999752491

CABEZAS BARRAGAN LINCOLN ALEXANDER "INTERHOSPITAL PISO 10 CONSULTORIO 5. AVDA DEL BOMBERO KM 6,5 VÍA A LA COSTA. " 0985899372

CARVAJAL ANDRADE JORGE FAUSTO HOSPITAL CLINICA KENNEDY SAMBORONDON SECC. BETA 4TO. PISO CONSULTORIO 404 0981256022

ABARCA RENDON FRANCISCO MANUEL

OMNI HOSPITAL TORRE MEDICA VITALIS

1 PISO 5 OFC 517 -518 INSTITUTO DE COLOPROCTOLOGIA 042442287

ASTUDILLO CARRION JUAN PABLO AV. RODRIGO CHAVEZ - CENTRO EMPRESARIAL COLON EDIFICIO EMPRESARIAL 2 OFIC. 206 0995432868

........................................................................................................................... ...........................................................................................................................

AURIA ASPIAZU DANNA VANNESSA TORRE MÉDICA XIMA KENNEDY CONSULTORIO 604 0987228050

GRANJA ROUSSEAU IGNACIO IHOSPITAL CLINICA KENNEDY POLICENTRO SECCION ALFA OFC. 9 042396305

LAYEDRA TORRES ANDRES HUMBERTO CLINICA KENNEDY ALBORADA, TORRE SUR PISO 9 CONSULTORIO 903 09937418115

LEON PACHECO JUAN CARLOS

HOSPITAL CLINICA SAN FRANCISCO, TORRE MEDICA 2 SAN FRANCISCO II PISO 10 CONSULTORIO 109 0997208851

SECCIÓN CIENTÍFICA 12
........................................................................................................................... ..........................................................................................................

GUAYAQUIL

CRUZ CHANG WILSON GREGORIO CLÍNICA MILENIUM, PISO 2, OFIC 3, KENNEDY NORTE, CALLE NAHIM ISAIAS Y LUIS ORRANTIA

0993375359

DACCACH PLAZA ALBERTO ELIAS

HOSPITAL CLINICA KENNEDY POLICENTRO, CENTRO DE AVANCES OFIC. 227

042395074

DEFILIPPI CORREA GALO ERNESTO EDIF EVEPO - 2 PISO FRENTE A PUERTA CONSULTORIO 6 FRENTE A EMERGENCIA DE CLINICA KENNEDY

0993832047

FRANCO MEDINA JOHANNA ELIZABETH

HOSPITAL CLINICA KENNEDY SAMBORONDON

SECC. BETA 4TO. PISO CONSULTORIO 404

042280889

GALARZA PRIETO LEONARDO EMILIO

CENTRO MEDICO ABEL GILBERT, 3ER PISO, CONSULTORIO 312

042561638

GARCÍA LÓPEZ MARIO GIOVANNY

OMNIHOSPITAL, TORRE MEDICA 2 7MO PISO CONSULTORIO 713

0993956606

SANCHEZ ALBAN HUGO JHANN

HOSPITAL CLINICA SAN FRANCISCO TORRE MEDICA II, PISO 2 CONSULTORIO 208

046018349

TOLEDO AGUILAR MARCO TRAJANO

OMNIHOSPITAL TORRE MEDICA 2, 5TO PISO CONSULTORIO 511 0999480169

QUITO

HERRERA CEVALLOS AMILCAR OMAR

HOSPITAL METROPOLITANO TORRE II

4TO PISO CONSULTORIO 410, SAN GABRIEL Y NICOLAS ARTETA

0999158571

MACHALA

JARAMILLO SOLANO CARLOS GUILLERMO

TORRE MEDICA LA CAROLINA 1, CONSULTORIO 101 PRIMER PISO

AV. EDGAR CÓRDOVA POLO Y MARCEL LANIADO

0998848536

MANTA

BAYAS BARBERAN CARLOS ANGEL

CLÍNICA AMERICANA, PISO 1 CONSULTORIO 201

0987213335

MARTINEZ GONZALEZ ANTONIO ALFONSO

OMNI HOSPITAL TORRE VITALIS 1 PISO 1 CONSULTORIO 117-118 }

MENDOZA MERCHAN RENE ANTONIO

HOSPITAL CLINICA ALCIVAR TORRE MEDICA 3 PISO 6 CONSULTORIO 605-A

0996351485

0999978222 ..........................................................................................................

MONAR ARIAS JOHN EDWIN

"HOSPITAL CLINICA ALCIVAR TORRE MEDICA 4 PISO 2 CONSULTORIO 216 MARTES Y VIERNES "

046015050

..........................................................................................................

MOSQUERA PEÑA SILVIO WELLINGTON

OMNI HOSPITAL TORRE VITALIS 1 PISO 8 OFIC. 811

042109054

ORDOÑEZ VALAREZO LUIS ENRIQUE

CLINICA SAN FRANCISCO 3ER. PISO CONSULTORIO 304 0999402520

PALOMEQUE BUENO JOHN PAUL

CDLA MIRAFLORES CLINICA RENDON BLOQUE DE CONSULTA EXTERNA, CONSULTORIO 1 042390121

VARGAS ALVARADO RAFAEL EDUARDO

CLINICA KENNEDY POLICENTRO, SECCION BETA PB # 23 0985075957

VULGARIN MARTINEZ LUIS OSCAR

HOSPITAL CLINICA SAN FRANCISCO - 3ER. PISO CONSULTORIO 303 0991264650

HERRERA CEVALLOS GLENDA YAMIRA

HSOPITAL METROPOLITANO TORRE MEDICA II PISO 4 CONSULTORIO 410

0992599825

PACURUCU JARA ABDON HUMBERTO

TORRE MEDICA LA CAROLINA 1 PISO 4 CONSULTORIO 403 072980329

SECCIÓN CIENTÍFICA 13
...........................................................................................................................

SEGUIMIENTO DE LAS VARIANTES DEL SARS-COV-2

Todos los virus cambian con el paso del tiempo, y también lo hace el SARS-CoV-2, el virus causante de la COVID-19. La mayoría de los cambios tienen escaso o nulo efecto sobre las propiedades del virus.

Sin embargo, algunos cambios pueden influir sobre algunas de ellas, como por ejemplo su facilidad de propagación, la gravedad de la enfermedad asociada o la eficacia de las vacunas, los medicamentos para el tratamiento, los medios de diagnóstico u otras medidas de salud pública y social.

La OMS, en colaboración con asociados, redes de expertos, autoridades nacionales,

instituciones e investigadores, ha estado vigilando y evaluando la evolución del SARS-CoV-2 desde enero de 2020.

La aparición de variantes que suponían un mayor riesgo para la salud pública mundial, a finales de 2020, hizo que se empezaran a utilizar las categorías específicas de «variante de interés» (VOI) y «variante preocupante» (VOC), con el fin de priorizar el seguimiento y la investigación a escala mundial y, en última instancia, orientar la respuesta a la pandemia de COVID-19.

La OMS y sus redes internacionales de expertos llevan a cabo un seguimiento de los cambios que experimenta el SARS-CoV-2 para que, en caso de que se

SECCIÓN CIENTÍFICA 14 Noticias Medec
Foto: www.who.int

detecten sustituciones significativas en aminoácidos, se pueda informar a los países y a la población acerca de las medidas que se deban adoptar a fin de reaccionar ante la variante y de prevenir su propagación. Se han establecido sistemas de ámbito mundial, cuya eficacia se está reforzando actualmente, para detectar «señales» de posibles variantes preocupantes y de interés y para evaluarlas en función del riesgo que supongan para la salud pública mundial. No obstante, las autoridades nacionales pueden optar por designar otras posibles variantes preocupantes y de interés a escala local.

Se debe reducir la transmisión mediante medidas de control establecidas y de eficacia demostrada, así como previniendo la introducción en poblaciones animales como parte importante de la estrategia mundial para reducir la aparición de mutaciones que tienen consecuencias negativas para la salud pública.

Las estrategias y las medidas que recomienda actualmente la OMS siguen funcionando contra las variantes del virus detectadas desde el comienzo de la pandemia. Se ha demostrado en muchos países con amplia transmisión de variantes preocupantes que las medidas sociales y

de salud pública, como las de prevención y control de la infección, reducen eficazmente el número de casos, hospitalizaciones y muertes por COVID-19, por lo que animamos a las autoridades locales y nacionales a continuar intensificándolas.

Denominación de las variantes del SARS-CoV-2

Los sistemas de nomenclatura establecidos para nombrar y rastrear los linajes genéticos del SARS-CoV-2 por GISAID, Nextstrain y Pango se siguen utilizando en círculos científicos y en la investigación científica, y así se continuará haciendo.

Con el fin de contribuir a los debates públicos sobre las variantes, la OMS convocó a algunos científicos del Grupo Consultivo Técnico sobre la Evolución de los Virus y de la Red de Laboratorios de Referencia de la OMS para la COVID-19, a representantes de GISAID, Nextstrain y Pango, y a otros expertos en nomenclatura virológica y microbiana y en materia de comunicación procedentes de varios países y organismos, y les encargó que buscaran denominaciones para los VOI y los VOC que fueran fáciles de pronunciar y no generasen estigmas.

Por el momento, este grupo de expertos

SECCIÓN CIENTÍFICA 15
Nota Informativa
Noticias Medec
Seguimiento de las variantes del SARS-CoV-2

Noticias Medec

convocado por la OMS ha recomendado el uso de denominaciones basadas en las letras del alfabeto griego, es decir, alfa, beta, gamma, que serán más fáciles de usar y más prácticas para los debates del público no científico.

Variantes del SARS-CoV-2, definiciones funcionales y medidas adoptadas

Es posible que las definiciones funcionales de las variantes del SARS-CoV-2 que se presentan aquí se modifiquen periódicamente para adaptarse a la evolución continua de este virus y los nuevos conocimientos al respecto. Siempre que sea necesario, cualquier variante que no cumpla todos los criterios que se mencionan en estas definiciones se podrá designar como variante preocupante, de interés o bajo vigilancia, mientras que aquellas que entrañen riesgos menores que otras variantes circulantes se podrán reclasificar, tras solicitar asesoramiento al Grupo Consultivo Técnico de la OMS sobre Evolución de los Virus- en inglés, (este grupo se denominaba anteriormente Grupo de Trabajo sobre la Evolución de los Virus).

En las actualizaciones epidemiológicas semanales de la OMS- en inglés, se proporciona regularmente información

Seguimiento de las variantes del SARS-CoV-2

actualizada sobre las clasificaciones del SARS-CoV-2, la distribución geográfica de las variantes preocupantes y los resúmenes de sus características fenotípicas (transmisibilidad, gravedad de la enfermedad, riesgo de reinfección e impactos en el diagnóstico y la eficacia de la vacuna) basada en los estudios publicados.

Principales medidas que adopta la OMS ante una variante posiblemente preocupante:

• Evaluación comparativa por la OMS y el Grupo Consultivo Técnico de la OMS sobre Evolución de los Virus de las características de la variante y de los riesgos que entraña para la salud pública.

• Si se considera necesario, coordinación de estudios adicionales en laboratorio realizados por los Estados Miembros y los asociados.

• Comunicación de los resultados y las nuevas denominaciones a los Estados Miembros y a la población en general, mediante los sistemas establecidos.

• Exámenes y, si es necesario, revisión de las orientaciones de la OMS mediante los mecanismos establecidos en la Organización.

Nota Informativa
SECCIÓN CIENTÍFICA 16

• Facilitación del intercambio de aislados víricos a través del BioHub de la OMS.

Principales medidas para los Estados Miembros si se detecta una variante preocupante:

• Envío de las secuencias completas del genoma y de metadatos conexos a una base de datos públicamente disponible, como la GISAID.

• Notificación a la OMS de los casos o conglomerados de casos asociados con la infección por la variante preocupante, por medio del mecanismo del Reglamento Sanitario Internacional.

• Si se dispone de capacidad suficiente, y en coordinación con la comunidad internacional, realización de estudios en el terreno y de análisis en laboratorio para conocer mejor los efectos de la variante preocupante en las características epidemiológicas de la COVID-19, la gravedad de los síntomas que produce, la eficacia de las medidas sociales y de salud pública, los métodos diagnósticos, la respuesta inmunitaria, la neutralización por anticuerpos y otras cuestiones pertinentes.

• Intercambio de aislados víricos a través del BioHub de la OMS y/u otras iniciativas de intercambio de virus.

Nota Informativa
Foto: ENVATO
SECCIÓN CIENTÍFICA 17 Noticias Medec
Seguimiento de las variantes del SARS-CoV-2

CINCO MIL MILLONES DE PERSONAS SIN PROTECCIÓN

FRENTE A LAS GRASAS TRANS ESTÁN EXPUESTAS A ENFERMEDADES CARDIACAS.

Ginebra, 23 de enero de 2023 — Según revela un nuevo informe de la Organización Mundial de la Salud (OMS), cinco mil millones de personas en todo el mundo siguen sin tener protección frente a las dañinas grasas trans, lo que incrementa el riesgo de que padezcan enfermedades cardiacas y mueran.

Desde el primer llamamiento de la OMS a la eliminación mundial de las grasas trans de producción industrial en 2018 —en el que se fijó como objetivo su eliminación para 2023— la cobertura poblacional de las políticas basadas en mejores prácticas

se ha multiplicado casi por seis. Cuarenta y tres países aplican ya tales políticas para eliminar las grasas trans en los alimentos, lo que supone la protección de 2800 millones de personas a nivel mundial.

Ahora bien, pese a los considerables progresos, 5000 millones de personas a escala mundial siguen expuestas a los devastadores efectos de las grasas trans en la salud, lo que supone que el objetivo mundial de su completa eliminación en 2023 es ahora mismo inalcanzable.

Las grasas trans de producción industrial

SECCIÓN CIENTÍFICA 18 Noticias Medec
Foto: iSTOCKPHOTO

Cinco mil millones de personas sin protección frente a las grasas trans están expuestas a enfermedades cardiacas.

(denominadas también ácidos grasos trans de producción industrial) se encuentran por lo general en alimentos envasados, productos horneados, aceites de cocina y productos para untar.

La ingesta de grasas trans provoca anualmente hasta 500 000 muertes prematuras por cardiopatía coronaria en todo el mundo.

«Las grasas trans no tienen ningún beneficio conocido, pero sí enormes riesgos para la salud con ingentes costos para los sistemas de salud», señaló el director general de la OMS, Dr. Tedros Adhanom Ghebreyesus. «En cambio, eliminar las grasas trans es una medida costoeficaz con enormes beneficios para la salud. En pocas palabras, la grasa trans es una sustancia química tóxica que mata y que no debería estar en los alimentos. Es el momento de eliminarla de una vez por todas».

Actualmente, nueve de los 16 países que registran una mayor proporción estimada de muertes por cardiopatías coronarias debidas a la ingesta de grasas trans no cuentan con una política basada en mejores prácticas. Se trata de Australia,

Azerbaiyán, Bhután, el Ecuador, Egipto, el Irán, Nepal, el Pakistán y la República de Corea.

Las mejores prácticas en las políticas de eliminación de las grasas trans siguen criterios específicos establecidos por la OMS y limitan las grasas trans de producción industrial en todos los entornos.

Existen dos políticas alternativas basadas en mejores prácticas: 1) establecimiento de un límite nacional obligatorio de 2 gramos de grasas trans de producción industrial por cada 100 gramos de grasas totales en todos los alimentos; y 2) prohibición nacional de la producción de aceites parcialmente hidrogenados (una importante fuente de grasas trans) y de su uso como ingrediente en todos los alimentos.

«Los progresos en la eliminación de las grasas trans corren el riesgo de estancarse, mientras las grasas trans siguen matando», indicó el Dr. Tom Frieden, presidente y director ejecutivo de Resolve to Save Lives. «Todos los gobiernos pueden frenar estas muertes

SECCIÓN CIENTÍFICA 19
Noticias Medec Nota Informativa

prevenibles promulgando ahora mismo una política basada en mejores prácticas. Ya está cerca el día en que las grasas trans dejarán de matar, pero los gobiernos deben actuar para poner fin a esta tragedia evitable».

Si bien la mayoría de las políticas de eliminación de las grasas trans se han aplicado hasta la fecha en países de ingreso alto (principalmente en las Américas y Europa), un número creciente de países de ingreso mediano han empezado a aplicar o adoptar estas políticas, como la Argentina, Bangladesh, Filipinas, la India, el Paraguay y Ucrania.

En México, Nigeria y Sri Lanka también se examina la introducción de políticas basadas en mejores prácticas en 2023. De aprobarse, Nigeria sería el segundo país de África, y el más poblado, en establecer una política de eliminación de grasas trans basada en mejores prácticas. Ningún país de ingreso bajo ha adoptado todavía una política de ese tipo para eliminar las grasas trans.

En 2023, la OMS recomienda que los países se centren en estos cuatro ámbitos:

adopción de políticas basadas en mejores prácticas, seguimiento y vigilancia, mejores aceites alternativos y concienciación. La OMS ha elaborado orientaciones para ayudar a los países a avanzar rápidamente en esas esferas.

La OMS alienta también a los fabricantes de alimentos a eliminar las grasas trans de producción industrial en sus productos, en consonancia con el compromiso asumido por la International Food and Beverage Alliance (IFBA).

Se pide a los principales proveedores de aceites y grasas que eliminen las grasas trans de producción industrial en los productos que venden a los fabricantes de alimentos en todo el mundo.

La OMS, en colaboración con Resolve to Save Lives, ha publicado un informe titulado «Countdown to 2023 WHO Report on global trans fat elimination 2022» para hacer seguimiento de los progresos hacia el objetivo de eliminar las grasas trans en 2023.

Fuente: www.paho.org

SECCIÓN CIENTÍFICA 19
Nota Informativa
Noticias Medec
Cinco mil millones de personas sin protección frente a las grasas trans están expuestas a enfermedades cardiacas.

Para muchos de nosotros, arrancar el día sin una taza de café es impensable.

Pero, en algunos casos, cuando estamos tomando ciertos medicamentos por la mañana, es mejor esperar un tiempo antes de ingerir la anhelada bebida.

Algunas medicinas se pueden tomar en distintos momentos del día, pero también se recomienda no hacerlo con líquidos que contengan cafeína.

"Hay aproximadamente unos 60 fármacos que pueden tener interacciones con la cafeína", le dice a BBC Mundo Anto nio Javier Carcas Sansuán, profesor de

Farmacología de la Universidad Autónoma de Madrid, aunque la mayoría de esas interacciones son moderadas.

Cuando tomamos un medicamento, este emprende un viaje por nuestro cuerpo y, una vez en el estómago o en el intestino, pasa a la sangre y después se distribuye por el organismo.

"Ese fármaco tiene que llegar al lugar donde ejecutará la acción para la cual se diseñó, su diana farmacológica", le dice a BBC Mundo Elena Puerta Ruiz de Azúa, profesora titular de Farmacología de la Universidad de Navarra.

SECCIÓN CIENTÍFICA 21 Noticias Medec
SE DEBEN
CON CAFÉ
POR QUÉ ALGUNOS MEDICAMENTOS NO
TOMAR
O BEBIDAS CON CAFEÍNA
Foto: Freepik

Piensa en esa diana como el punto estratégico para tratar una dolencia, la proteína dentro de nuestro cuerpo -el receptor que el medicamento va a activar o a bloquear- sobre el cual ejercerá su efecto.

Y para que haga eso es necesario que se absorba y se distribuya eficientemente.

Después, ese medicamento tiene que metabolizarse, es decir, eliminarse del cuerpo y el principal órgano en ese proceso es el hígado, el encargado de depurar nuestro organismo.

Pero ¿qué pasa si el café se suma a todo ese viaje? Depende del fármaco y de su finalidad.

En el cerebro

Por qué algunos medicamentos no se deben tomar con café o bebidas con cafeína.

Recordemos que la cafeína es un estimulante del sistema nervioso central, que puede provocar nerviosismo e hipertensión arterial.

Si hablamos de un fármaco dirigido a producir un efecto sedante o tranquilizante, la mezcla con el café o una bebida con cafeína va a ser perjudicial porque va a contrarrestar los efectos del medicamento.

Varios de estos fármacos pertenecen a la familia de las benzodiazepinas, que se usan en tratamientos, por ejemplo, de la ansiedad y el insomnio.

"La cafeína llegaría al cerebro a la vez que este fármaco", dice Puerta.

"Entonces, recibiría, por un lado, el estímulo de la cafeína y, por el otro, la acción relajante del medicamento: efectos opuestos".

"La administración de esos fármacos junto con bebidas ricas en cafeína está absolutamente desaconsejado porque estás tomando a través del café o la bebida de cola, una molécula que hace exactamente lo contrario a lo que los fármacos están tratando de lograr".

SECCIÓN CIENTÍFICA 22
Noticias Medec Nota Informativa
Foto: Envato

Noticias Medec

En el hígado

Además, algunos fármacos utilizan las mismas enzimas y proteínas que la cafeína para metabolizarse a nivel hepático, por lo que se produce una especie de interferencia que podría dar lugar a que el medicamento se acumule en el organismo más de lo necesario.

"Para algunos fármacos, quizás este aumento de concentración plasmática puede ser irrelevante porque tienen un margen de seguridad amplio, pero para otros muy específicos, como los que se prescriben para la esquizofrenia, en cuyo tratamiento es fundamental que las concentraciones del medicamento sean óptimas, puede suponer un riesgo", advierte la experta.

Nota Informativa

Por qué algunos medicamentos no se deben tomar con café o bebidas con cafeína.

"Son fármacos que no da igual que haya un poco más de concentración. Puede ser peligroso que aumente".

La cafeína, señala Carcas, puede modificar el efecto de algunos fármacos al potenciarlo o al disminuirlo.

También hay medicinas que inhiben el metabolismo de la cafeína al bloquear la acción de la enzima encargada de dicho proceso.

Un ejemplo de eso son algunos antibióticos como las quinolonas.

"Lo que puede ocurrir es que ese medicamento inhiba o disminuya el metabolismo de la cafeína y, por lo tanto, haga que aumenten las concentraciones de cafeína en el organismo y que el efecto de la misma sea mayor", señala el profesor.

También se recomienda que algunos fármacos como, por ejemplo, el que se usa para el tratamiento del hipotiroidismo, se tomen con el estómago vacío.

SECCIÓN CIENTÍFICA 23
Foto: Envato Foto: Envato

Noticias Medec

"Es importante que la tiroxina se tome en ayunas, sin haber ingerido ningún alimento, ni café, y que se espere un tiempo antes de desayunar para favorecer la absorción completa del fármaco a nivel intestinal y conseguir así los niveles óptimos de la hormona en nuestro cuerpo", indica Puerta.

Y es que la presencia de alimentos en el estómago y en el intestino también puede potencialmente dificultar la absorción de determinados fármacos.

"Aunque tomes la dosis recomendada, si una parte de ella no se absorbe no va a surtir el efecto farmacológico".

Sin embargo, para otros medicamentos, la comida es la regla de oro: algunos antiinflamatorios pueden ser muy dañinos para la mucosa gástrica.

Por eso, "a veces lo que se recomienda precisamente es ingerirlo con las comidas para minimizar este efecto gastrolesivo".

No te dejes engañar por un café con bastante leche.

Las tetraciclinas, que son un tipo de antibióticos, forman con la leche un "complejo" y eso evita su absorción, explica Puerta.

Por qué algunos medicamentos no se deben tomar con café o bebidas con cafeína.

"Ese complejo pasaría por todo nuestro sistema digestivo hasta eliminarse por las heces sin absorberse en ningún momento a través de las paredes gastrointestinales, sin llegar a la sangre y sin cumplir su objetivo".

Si te tomas ese tipo de antibiótico con un café con leche, "lo estás tirando".

Y es que esta familia de antibióticos, si se ingiere con derivados lácteos forma compuestos insolubles con el calcio, llamados quelatos, que no se van a absorber a nivel intestinal por lo que no va a tener efecto farmacológico.

Carcas nos recuerda que las bebidas de cola también pueden afectar la absorción de algunos fármacos: retrasándola o alterándola.

Nota Informativa
SECCIÓN CIENTÍFICA 24
El elemento lácteo del café Foto: ENVATO

Leer las indicaciones

Si se toman fármacos que afectan el sistema nervioso central, como antidepresivos, es fundamental seguir las indicaciones del médico, pues la cafeína de por sí es un gran estimulante de ese sistema.

Para Puerta es fundamental que los medicamentos se ingieran como los especialistas de salud lo indican.

"Olvídese de inventos caseros. Si es un sobre que hay que disolver en agua, hágalo así y no en un jugo u otro líquido

porque cambiamos completamente la composición".

Además, aclara, hay muchos fármacos que no tienen ninguna contradicción para tomarlos con el café.

"Hay qué ver cada caso concreto" y la mejor manera de cerciorarse es preguntándole a su farmacéutico o a su doctor.

"En general, es importante tomar café con moderación", recomienda Carcas.

Fuente: www.bbc.com

SECCIÓN CIENTÍFICA 25
Noticias Medec Nota Informativa
Por qué algunos medicamentos no se deben tomar con café o bebidas con cafeína. Foto: ENVATO

LABORATORIO CLÍNICO:

Es el lugar donde un equipo multidisciplinario analiza muestras biológicas humanas que contribuyen al estudio, prevención y son parte fundamental para determinar el diagnóstico de un paciente.

MATERNIDAD:

Período de la vida de una mujer comprendido entre el comienzo de la gestación, el parto y los meses de lactancia. Se refiere a todos los gastos incurridos desde el momento de la concepción hasta la terminación o alumbramiento y todas sus complicaciones. Esta cobertura aplica a la titular o cónyuge del titular según el plan contratado y/o a sus condiciones particulares.

MEDICAMENTO:

ASustancia o fármaco que sirve para curar o prevenir una enfermedad, para reducir sus efectos sobre el organismo o para aliviar un dolor físico, el mismo que debe contar con

EL GLOSARIO DE MEDEC

Presentamos a continuación algunas de las definiciones que son muy importantes cuando utilice el servicio de atención integral de medicina prepagada. En este espacio informativo ponemos en conocimiento los siguientes términos de referencia que aparecen en su contrato.

registro sanitario ecuatoriano, debe ser prescrito por un profesional de la salud debidamente autorizado.

MEDICINA CONTINUA:

Medicamentos que son de uso regular para el control de una enfermedad y/o patología en donde el afiliado y/o beneficiario requiera la administración del medicamento por un período superior a 90 días.

MEDICINA TRADICIONAL O

ANCESTRAL:

Es la suma total de conocimientos, técnicas y procedimientos basados en las teorías, las creencias y las experiencias indígenas de diferentes culturas, sean o no explicables, utilizados para el mantenimiento de la salud.

26 I

Porque los momentos DIFÍCILES son inevitables

Contáctanos:

ww w. me d ec . e c P orta l de l Clie n te
¡Asegúrate!

Turn static files into dynamic content formats.

Create a flipbook
Issuu converts static files into: digital portfolios, online yearbooks, online catalogs, digital photo albums and more. Sign up and create your flipbook.