












































Andrew Vonderschmitt
Features editor









































































![]()













































Andrew Vonderschmitt
Features editor









































































At the March 25 regular City Council meeting the vote was 4-1 to kill the proposed tobacco ordinance. The ordinance, if passed, would have required any retailer who sells tobacco to obtain a tobacco retailer’s license, regulated tobacco product pricing and packaging, limited transferability of tobacco retailer licenses, banned single use e-cigarettes, required retailers to ID every consumer of tobacco products, prohibited flavored tobacco products and limited licenses to one retailer per 2,500 residents of the city.
A principal concern pushing this action has been illegal access to tobacco products by minors. According to national studies quoted in the council’s Resolution No. 9371, passed on Oct. 22, 2024, 6.6% of middle schoolers used some form of tobacco product in 2023 which was up from 4.6% in 2022. Also in 2023, 10% of middle- and highschool-age students reported current use of some
Jo Carrerow Mountain Democrat correspondent
A new year, a new board but no new tobacco ordinance yet — or possibly ever.
Tobacco Retailers Ordinance 5211 was set to become law on April 1, but the El Dorado County Board of Supervisors voted 5-0 on March 25 to review the 16-page document for some requirements that just won’t work.
Environmental Management Director Je rey Warren said the ordinance had been approved by the previous board on Nov. 5, 2024, with enforcement scheduled to begin April 1. With feedback collected through January, he shared, concerns arose, including business transferability, minimum pack size
■ County takes a smoke break
requirements, the carding age, minimum pricing regulations and the number of tobacco retail licenses available per population density.
The existing ordinance requires that a person who sells tobacco obtain a retailer license and establishes the limit on number of tobacco retailer licenses to one retailer per 2,500 residents. There are 97 active tobacco licenses now. If the ordinance were in e ect only 77 licenses could be allowed.
“In accordance with policy A3, Health and Human Services and Environmental Management respectfully request amendments to

































































































































































































Fernando Diaz Marshall Medical
California State Assemblyman Joe Patterson has recognized Marshall CEO Siri Nelson’s leadership and community impact by naming her the 5th Assembly District’s El Dorado County Woman of the Year.
Nelson, who joined Placerville-based Marshall in July 2019, serves as the board chair of the California Hospital Association, which represents over 400 hospitals statewide. She was recently named one of the Sacramento Business Journal’s “Power 100.”
“I am honored to recognize Siri Nelson as my El Dorado County Woman of the Year,” said Assemblyman Joe Patterson, a member of the State’s Subcommittee on Health. “With nearly three decades of experience in rural healthcare, Siri’s commitment to ensuring residents have quality healthcare is commendable. Under her leadership, we have seen expanded innovative healthcare services in our community, in addition to numerous new career opportunities for residents. Thank you, Siri, for your many incredible contributions to AD 5.”
In just over five years, Nelson has transformed health care in El Dorado County, establishing Marshall as the region’s premier provider of high quality, comprehensive healthcare services. Her


vision and leadership guided Marshall through the COVID-19 pandemic to outperform other hospitals, resulting in the state asking Marshall to serve as a regional surge facility.
She has directed the development of new services, partnerships and programs, and has expanded Marshall’s footprint of care to add vitally needed services in El Dorado Hills. Her championing of Marshall’s “Elevate” culture has fostered a patient centered approach that addresses the industry’s toughest challenges with innovation and compassion. She continues to lead with vision and impact, shaping the future of health care both locally and statewide.
“I am humbled and touched by this honor,” said Nelson. “To be recognized for doing the work that I am passionate about, for believing that regardless of our size and location we can be an example of how to deliver excellent care with quality and compassion and for working day in and day out with extraordinary colleagues and community members ... there is no greater honor.” Nelson is a respected thought leader within health care throughout California and the United States. In addition to the California Hospital Association, she serves as member of the Greater Sacramento Economic Council, past chair of the Sierra Health Collaborative, and past chair of the
Dorado Hills Fire Station 86 is eerily quiet — and bare — these days. The walls have been stripped down to the metal framing inside the living quarters and the o ces. The floors are cold concrete and ceiling tiles are missing overhead. But this is a good thing, interim EDH Fire Chief Michael Lilienthal said, as the mold remediation project continues to move forward with no surprises. Lilienthal closed the station in early January, just days after taking his new top role. Mold was initially found in November 2024 and remediated but then a retest found more, prompting the closure. The crew is operating out of a nearby rental home so there’s no impact to public safety or response times.








Dec. 29, 1970 – March 15, 2025
Daniel Mainwaring
April 25, 1937 – March 5, 2025
Dan was born at the Placerville Sanatorium on April 25th, 1937, to parents Sidney and Marcella (Bassi) Mainwaring; a fourthgeneration pioneer family. He attended grammar school in Fresh Pond, CA and later in Pollock Pines, CA. Dan’s family moved to Georgetown in 1952 where his father was a Ranger with the USFS. Dan graduated from El Dorado High School in 1955 and joined the U.S. Navy shortly thereafter serving in Port Lyautey, Morocco and later Lakehurst, New Jersey. After separating from the military, Dan returned to Georgetown where he married Roberta “Bert” Warner in 1962 and moved to Diamond Springs, CA where they raised their two sons, Robert and Richard. Dan and Bert would have celebrated their 63rd wedding anniversary in June.

Dan worked in construction for multiple paving companies over the years, most of the time for his uncle, Joe Vicini. He was later employed by Caltrans as a maintenance worker and snowplow operator before transporting heavy equipment throughout the State of California until his retirement in 2001.
Upon leaving the Navy, Dan immediately started volunteering as a Rock Roller for Jeepers Jamboree. He was a natural, which was no surprise, since his Father Sid and Father-inLaw, Jack Warner, were both founding members and Chartered Directors of Jeepers Jamboree. After his father’s passing, Dan took on more responsibility within Jeepers Jamboree serving as both a Director and then later becoming the President, where he held that position for roughly 10 years. Dan also spent his time as a member and a one-time president of the Jeepherders Jeep Club, as well as a Director and member of the American Legion Post #119. Dan was an active member of the El Dorado High School Alumni Association where he thoroughly enjoyed his time as President and later Vice President until illness forced him to leave his post.
Throughout his lifetime Dan was fortunate enough to be able to take part in several once in a lifetime experiences, but one of the biggest highlights of his life was a six-week adventure jeeping through South America in the Andes, known as the “Trip to the Tip.” This journey, which was never to be forgotten, began by shipping vehicles to Lima, Peru followed by a multi week exploration through Peru, Bolivia, Argentina, and Chile down to Tierra del Fuego, the southernmost tip of the world. Later in life, Dan and his family traveled to Barrow, Alaska to complete the northernmost tip of the United States. Dan’s biggest joys in life were jeeping, camping and spending time with his family. Dan was preceded in death by his parents, his sister Sydney Burton and his brother Roy Mainwaring. He is survived by his wife Roberta, his son Robert (Shannon) Mainwaring and his son Richard (Melissa) Mainwaring. His grandchildren, Nikki (Chase) Campbell, Daniel Mainwaring, Josh Mainwaring, JD (Breanna) Petty, Elizabeth (Anthony) Randel and great grandsons, Connor Campbell and Gavin Petty.
Donations can be made to the El Dorado High School Scholarship Fund, P.O. Box 1515, Placerville, CA 95667. A Celebration of Life will be held on Saturday, May 3rd, 2025, at the El Dorado Community Hall, 6139 Pleasant Valley Rd., El Dorado, CA from 1:00 pm – 6:00 pm.
Dorothy Wheatley (Schrader) Hu stutler
Feb 15, 1920 – March 18, 2025
Dorothy Hu stutler passed away March 18, 2025, at the age of 105, with her daughter by her side. She was born before women could vote, lived as a young child without running water, survived the Depression, and was one of <4% of women in the U.S. who earned a college degree in 1942. Born on a farm in Oriole, Indiana to George and Elizabeth (Wheatley) Schrader, she had two older siblings, Helen and George. She grew up in Blue Springs, Missouri, graduated from Park College, and began teaching in Paris, Missouri where she met her husband, Edgar Hu stutler. After marrying on D-Day in 1944, they lived in various towns in North Texas where Ed was a Methodist minister. She was always involved in the community, the church, and her children’s activities, and finished her Masters degree at North Texas State University. In Dallas, Dottie excelled as a high school speech, debate, and English teacher, coaching debaters and orators who won national tournaments. She retired in 1986 to help care for her mother in California. She and Ed moved to Palo Alto upon his retirement in 1990. During the 25 years she lived in the Bay Area, she volunteered at a peace center, taught English to an immigrant who became a U.S. citizen, taught Sunday School, traveled to foreign countries, cultivated beautiful flowers, cared for her older sister, and provided her family with love, guidance, and laughter. After the deaths of her husband in 2013 and her sister in 2014, she moved to Ponte Palmero in Cameron Park to be close to her daughter. Dorothy was smart, hard-working, creative, and always helping others. She had strong ideas of right and wrong, and cared deeply about the issues of peace as well as gender and racial equality. She was preceded in death by her husband Ed, sister Helen, brother George and his son George, and is survived by her son Steve (Colette), grandson Jonathan (Amelie), and great-grandson Eric all of France, and by her daughter Sue (Mike) of El Dorado and niece Ann (Zaki) of Ventura. Donations can be made to organizations that promote peace or racial/ gender equality.

It is with heavy hearts that we announce the passing of Jennifer Beth Hutchins. She passed away on March 15 in her home in Placerville with her inseparable companion, her German Shepard Onyx. Jennifer is survived by her daughters, Kendra and Courtney; her father, Jack Memmott; her sisters, Natasha and Samantha; and her granddaughter Kataleya. Jennifer moved to El Dorado County in 1983 with her father and spent the rest of her life in Placerville and El Dorado Hills. She proudly served with the Sacramento Police Department for 15 years, beginning as a dispatcher before becoming a sworn o cer in 1995 (Academy Class 94BR-1). She retired as a Detective in 2008 and was honored as Detective of the Year in 2000 for her tireless and compassionate work protecting children who had su ered abuse. Even in retirement, Jennifer remained dedicated to justice and public safety. She volunteered her time working on cold cases with a nationwide group, lending her extensive expertise to ongoing investigations. She worked to educate fellow law enforcement, particularly in the areas of behavioral analysis, nonverbal communication, and eliciting confessions from o enders. Jennifer also had a deep love for dogs, and in 2014 she began advocating for and working to provide high-quality, all-weather, full-shift vests for law enforcement and military K9s around the world. Jennifer was also a gifted writer and poet. She found healing and expression through her words and had three poems published during her lifetime. At the time of her passing, she was working on a novel with plans to publish more of her work in the future. Please join us to celebrate the life and legacy of Jennifer Hutchins — a dedicated public servant, a loving mother and daughter, a passionate writer, and a fierce advocate for justice. We will gather to share memories that capture the joy and love she brought to the world. Her memorial will be held at American Legion Post 119, 4561 Greenstone Road, Placerville, CA, on April 12 at 2:00 PM. If you plan to attend, please contact her father Jack at (530) 748-5955 by April 5 so we can make appropriate arrangements.
Frances E. Pierce
April 11, 1930 – Feb. 25, 2025
YOUR CLOTHES
— by Judith Kroll.

Of course they are empty shells without hope of animation. Of course they are artifacts. Even if my sister[s] and I should wear some or if we give some away. They will always be your clothes without you. As we will always be your daughters without you. Frances E. Pierce, 94, April 11, 1930 to February 25, 2025, loved beautiful things and shared them generously with her daughters. One thing she didn’t share with them was a middle name, because of the one she was given by her mother, “Ethel”. She was deeply devoted to her mother, Ethel, but not to her name. This was Fran, also known as “Francois” or later as “Franny” to her late husband, Darrel (but plain “Fran” to his kids, Dale, Stuart and Eileen). She knew what she loved and she knew what she liked and she knew how she wanted things to be and did all she could to make it so and make whatever it was the best it could be. This was most evident in the home she created. Anyone who drove by the Baker Road house could plainly see it in the glorious gladiolas and dainty da odils, the Japanese maples, the fountains and feeders to lure hummingbirds and cedar waxwings closer to her kitchen window over the sink, where she could often be found rinsing vegetables or plates or the sharpest German and Japanese knives. Any one of the many guests who entered her home or, better yet, had the privilege of sharing one of her meals at the dining room table, experienced first hand her tastes and love of beautiful and delicious things. What, perhaps, not everyone could experience directly was her intelligence, which she downplayed and which was often overshadowed by the more conventionally educated at her table. Fran Pierce was wise and thoughtful, open-minded and curious, always eager to learn and try new things, like how to pilot a plane (she got a pilot’s license and flew), how to propagate plants (she became a Master Gardener) and amend soil (turkey droppings were best, though stinky), how to stick with intricate projects patiently, like knitting Polly’s wedding dress, top to bottom. Her beautiful hands did and made and soothed and held so many things, living and inanimate. So many of us were held and touched deeply by this woman, daughter, sister, cousin, aunt, wife, mother, grandmother, neighbor and dear friend. There is no doubt we will remember her whenever we eat anything made with blackberries (tasting of the wild ones she and her cousin Garnet picked on the farm in Washington as kids) or get Wordle in three tries. She passed along her love for these worldly things to us for us to savor and remember her by. She once said that she never thought she could love anything as much as she loved her cat before her first daughter, Nixa, was born. And then she found out how much more love she could feel and give. She loved being a mother and she loved being alive and figuring out how to stay alive in the best possible way, her own. When she finally died, she did it the way she wanted, peacefully in her bedroom in her home with her daughters next to her. She is survived by her daughters, Nixa and Polly, their husbands (Steve and Ernie), and her grandkids, Nick and Carson. A celebration of her life will be held in the months ahead. Anyone who wishes to take part may go to bit.ly/franpierce and submit your contact information.
Mountain Democrat sta
A six-hour stando ended with the surrender of an allegedly armed man on Red Robin Road south of Placerville Monday evening.
Jason Lee Wanzell, 49, of Sacramento was taken into custody. At about 1 p.m. on March 31, El Dorado County sheri ’s deputies responded to a possible domestic violence incident in the rural neighborhood near Sly Park Road with information indicating a suspect was armed with a firearm.
“EDSO deputies arrived at the address, contacted (one of) the parties. While conducting their investigation, the deputies heard what sounded to be a gunshot and observed a male inside of the residence who was armed with a handgun,” an EDSO social media post notes.
“While conducting their investigation the male refused to exit the residence. An EDSO Crisis Negotiation Team member was on scene and worked to establish communication with the male in the residence,” the post continues. “After approximately six hours, the male subject exited the residence and was safely taken into custody without further incident.”
Wanzell was booked into the El Dorado County Jail in Placerville on suspicion of being a felon in possession of a firearm and ammunition, wilful discharge of a firearm in a grossly negligent manner, domestic violence, causing injury to elder/dependent adult and resisting arrest. Bail is set at $223,000.
The second installment of the secured property tax is now due and will be delinquent if not paid on or before April 10.
To pay online or to find answers to the most frequently asked property tax questions, access the website at eldoradocounty.ca.gov/Services/ My-Property/Pay-Your-Property-Taxes. Taxpayers can also view or print copies of their tax bills from this website.
Payments may be made online, through the mail, at the payment bin located outside the front entrance of 360 Fair Lane, Placerville, and at the payment bin located inside the building just outside the Tax Collector’s suite entrance (instructional signage just inside the door). The bins are open for payments only during o ce hours of 8 a.m. to 5 p.m., Monday through Friday. Please note, the third-party payment processing vendor charges a convenience fee for online payments.
“We recommend making payments no less than 10 days before the delinquent date if utilizing the e-check option or if paying through your bank’s online bill payment system,” said El Dorado County TreasurerTax Collector Karen Coleman. “The law requires us to apply late penalties to all payments received after April 10, 2025.”
If there are questions concerning the assessed value of property, taxpayers are encouraged to call the Assessor’s O ce at (530) 621-5719. Questions regarding the computation of the tax should be directed to the Auditor/Controller’s O ce at (530) 621-5470. Questions regarding direct charges should be directed to the district’s phone number listed on the tax bill.
Questions regarding the total amount to pay should be directed to the Tax Collector’s O ce at (530) 6215800.
Based on recent and predicted rain and snow, the seasonal closure of dirt roads and motorized trails is being extended through April 30 on the Eldorado National Forest.
Using motor vehicles on dirt roads and trails when soil moisture is high can cause damage to roadbeds from rutting, and impaired water quality from excess erosion.
A minimum three-month closure period from Jan. 1 through March 31 was designated for the core part of the wet season in the Eldorado National Forest Travel Management Plan. This plan also ■ See CLOSURE, page A3





Eight agricultural professionals have been chosen for the California Farm Bureau’s 2025 Leadership Farm Bureau program.
Leadership Farm Bureau class members will participate in a yearlong educational and development initiative that prepares them for leadership roles in Farm Bureau and agriculture. The program includes 200 hours of instruction, with seminars on key issues affecting California farmers, ranchers and agricultural businesses.
Program participants will learn about government and legislation, media and communications, public speaking and team building. They will also attend lobbying sessions in Sacramento and Washington, D.C., and meet with lawmakers and administrative and regulatory officials.
Members of the Leadership Farm Bureau class are:
• Tharvin Gill of Sutter County, the Western region vice president relationship manager for Conterra Ag Capital.
• Alexis Harvey of Solano County, a crop consultant for Grow West, an account manager for Dixon Bee Co., a pollination consultant for Beewise
and the manager of Bedoya Orchards.
• Miranda Jachens of El Dorado County, the membership and marketing manager for the California Farm Labor Contractor Association.
• Alicia Muhr of San Diego County, the office manager at San Diego County Farm Bureau.
• David Perry of Glenn County, a fourth-generation rice farmer and owner of a trucking company that hauls rice, nuts, fruit, aggregate and cement powder.
• Samantha Piehoff of Sonoma County, the Sonoma County Farm Bureau operations manager and a fourth-generation agriculturist.
• Harley Ramirez of Shasta County, the manager for Sunbelt Rentals, where he helps provide rental equipment to local and regional farmers, ranchers, contractors and others.
• John Tamayo of Imperial County, an outside sales representative for Rain for Rent, working with farmers and ranchers to provide irrigation solutions.
The California Farm Bureau works to protect family farms and ranches on behalf of more than 26,000 members statewide and as part of a nationwide network of 5.8 million Farm Bureau members.
Tahoe Daily Tribune
ALPINE COUNTY — A 24-year-old male from California is dead following what Kirkwood Mountain Resort is calling a serious incident that took place on Saturday, March 29.
“On behalf of the full team here at Kirkwood, we extend our deepest sympathy and support to the guest’s family and friends. Our thoughts are with all those affected during this difficult time,” Ricky Newberry said, Kirkwood vice president and general
manager.
According to the resort, the incident occurred on an intermediate trail near Chair 4. Ski patrollers responded to what the resort is describing as a medical incident. It is unclear what the nature of this medical incident was exactly.
The 24-year-old was transported to the Barton Medical Clinic at Kirkwood’s base area where the male was pronounced deceased after further emergency care and evaluation.
Kristi Schroeder
Eldorado National Forest
The Eldorado National Forest has signed a Decision Notice and Finding of No Significant Impact for the Caldor Fire Restoration Project Phase I. The project aims to reduce safety risks, restore forest features and improve resilience to future disturbances.
“Partner and public engagement during the planning process was essential to shaping and improving the final decision,” said Eldorado National Forest Supervisor David Fournier. “We look forward to the ways this project can help our forest and local communities recover from the impacts of the Caldor Fire and mitigate the risks of large-scale wildfires in the future.”
The 2021 Caldor Fire burned more than 220,000 acres across Forest Service and private lands.
Continued from A2
allows the seasonal closure to start earlier or be extended based on actual conditions.
The roads and trails that are subject to the seasonal closure are marked with a “Seasonal Designation” on the current Motor Vehicle Use Maps for the forest. The MVUMs are available from any forest office or can be downloaded from the forest website at: fs.usda.gov/detail/ eldorado/maps-pubs/? cid=fseprd637014.
The seasonal closure does not affect roads and trails in the Rock Creek Area near Georgetown, which has its own wet weather closure process. For additional recreation information, contact the Visitor Services staff from 8 a.m. to 4:30 p.m.
Monday through Friday:
• Forest Supervisor’s Office — (530) 622-5061
• Georgetown Ranger
Approximately 170,057 of those acres are public lands managed by the Eldorado National Forest, making it the largest recorded fire on the forest. The severity of the fire created urgent challenges that pose risks to public safety and ecosystem health including damage to roads, trees, water sources, wildlife habitat and recreation sites.
With this last step of the planning process complete, the forest will begin implementation of the project as soon as weather allows to address these impacts. Treatments will include mechanical fuel reduction, prescribed burning and repair of infrastructure. For full project details, including the decision notice, FONSI, environmental assessment and supporting documents visit fs.usda. gov/project/?project=63359. For more information contact Andrew Mishler, Placerville District ranger, andrew.mishler@usda.gov.
District — (530) 3334312
• Placerville/Pacific Ranger District — (530)




John
John
Jeffrey
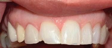
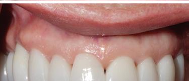
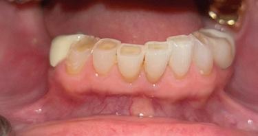
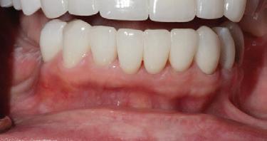
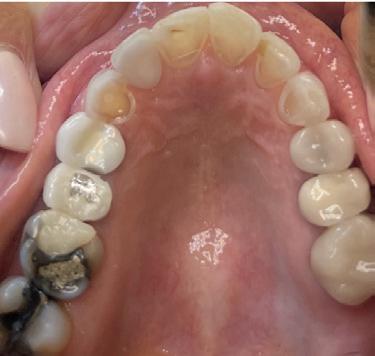
ing. A crown is also custom made from porcelain or ceramic but covers a whole tooth to restore its chewing surface, biting ability, and natural look.
644-2324
• Amador Ranger District — (209) 2593774

There is no reason to let the presence of teeth that are damaged, under-developed, chipped, discolored, stained, or otherwise less than perfect keep you from smiling. There are many ways your dentist can use the marvels of today’s dentistry to turn your smile into one you’ll be proud to show. For correction of bite irregularities and treatment of advanced decay, chips, and cracks, and other cosmetic avenues toward a happier smile, please give us a call. We provide complete, state-of-the-art oral care in a friendly, relaxing environment.
P.S. Inlays and onlays are types of partial crowns used when a tooth doesn’t have enough damage for a full crown but has too much damage for a veneer.







Sierra Bene t Solutions is a boutique employee bene t consulting rm located in Northern California. The owners, Leah Ann Zogg and Darlene Duco, started the rm in 2004 and together they have over 70 years of combined experience. They manage group accounts locally and nationally, as they are licensed in most states. They specialize in health insurance for companies of all sizes and individuals of all ages including Medicare, Covered California and the private market. This includes medical, dental, vision, life/ AD&D, disability, supplemental and travel medical policies.
Group Insurance
Employee bene ts insurance has become one of the fastest rising costs of doing business today. They strive to nd solutions that help reduce costs for employers while keeping a competitive bene t package in place for their employees – a key factor to attracting and retaining quality employees. It is important to have a knowledgeable broker who can analyze all the relevant factors of an employee bene ts program and make informed, prudent recommendations that take into consideration both short-term and long-term goals.
Individual Insurance
They assist individuals in California both in the private market and through the exchange (Covered California) as well as those eligible for Medicare (in all states). They can also determine if you qualify for a subsidy and help you get the process started to get coverage put in place. Every individual has their own unique needs for health coverage and having someone who can help you navigate the system and understand your options is extremely valuable.
All brokers have access to the same plans and rates, and Sierra Bene t Solutions differentiates themselves by the services they provide at no cost to you! They do not charge broker fees for their services. They attribute their success to their strong service philosophy and pride themselves on their high standard of professional and personalized customer service. When you have Sierra Bene t Solutions as your broker, you have a trusted advisor to reach out to for assistance—instead of getting lost in the confusing insurance maze.
If you or anyone you know needs assistance with their health insurance options, please feel free to contact them directly at (530) 745-0531 or team@sierrabene t.com. They are there to help!

“What if your favorite place in the world was right in your own back yard?”
It began with a friendly chat where it was mentioned that there u sed to be a waterfall in the back patio area of the Chamber of Commerce. Vern said he’d stop by some time and take a look. It was all but forgotten, and then one day he comes in and says, “I’m here to take a look at your waterfall”. It was a little embarrassing, really. With no budget for a gardener and it’s care low on staff priorities, the patio was overgrown and matted with a layer last fall’s leaves. Vern poked around a bit and said he’d come back when he had some time. Honestly, we didn’t expect to see him again, but low and behold he did indeed return with two of his team. They worked to reveal what had been concealed for over 30 years, filling about ten lawn and leaf bags full of debris and digging down to discover what, if any, of the old plumbing remained. With much skill, determination, passion, creativity, and thrift, the waterfall was restored and running in a few days. We are awed and so appreciative of Vern’s gift to us of this restored respite right in our own back yard.
Vern Pershing, The Art of Water 530-644-2000 • www.cowboygardener.com

from brochures and business cards to packaging and signage. axiomaticdesignagency.com • (530) 295-7754
Grapes and Ivy
A beautiful boutique that features clothing, furniture, home goods, garden pleasantries, and more. Joan, the owner, has poured her heart into this
Audra.chioino.vab2pp@statefarm.com Noble Cortes General Engineering
Established
commercial, residential, or governmental— into successful outcomes.” Noblecortes.com • (916) 917-2772
Axiomatic Design Agency
Branding design - Ensure your visual identity resonates, elevates your brand, and sets you apart. Website development – Ensure a user-friendly, engaging, and high-performing online presence. Motion Graphic design - Bring your brand to life, captivating audiences and elevating your message.

The Extraordinary Camino Hotel Step













Hannah Beauty and Spa rede nes beauty as an experience that transcends appearances. It’s about embracing your uniqueness and radiating con dence through every lash, every treatment, and every smile. Specializing in expert eyelash extensions, rejuvenating facials, precise microblading, and gentle waxing, we create personalized services that enhance your natural features.

1287 Broadway, Placerville 530-317-9790 hannahbeautyandspa.com
Miners on Main Scavenger Hunt
There are ten “Miners” hidden throughout Main Street Placerville from Sacramento Street to Clay Street. These Miners all had an impact on Placerville and El Dorado County during the Gold Rush period. Each miner has a QR code on the medallion that will take you to a webpage about the miners when scanned with your phone camera. So grab your phone and begin your hunt. visit-eldorado.com/ miners-on-main/
EDH Farmer’s Market
9 a.m. – 1 p.m. EDH Community Center, 1021 Harvard Way (at EDH Blvd). 530-6221900 www.eldoradofarmersmarket.com
Mimosa Sundays
We will be offering mimosas every Sunday so folks can come out and enjoy a picnic on our patio. Guests can also contact Ranch Girls Dream to order personal charcuterie platters that will be delivered to the vineyard to enjoy with their mimosas. 11 a.m. – 5 p.m. 530620-7474 https://cielosullaterra.com/ Hangtown Women’s Tennis Club
Wednesdays, 9 a.m. - 11 p.m., 561 Canal St, Placerville. Open to women ages 18 and up. Low annual dues. Play at El Dorado High School weather permitting. Jun - August play starts at 8. Looking to expand membership and help players improve their game with monthly clinics. Beth Drago 916-217-2110. Dart Tournament Weekly on Wednesdays. The Prospector in Placerville. 594 Main Street. $15 entry fee. 6:30 – 7.00 p.m. New Business in town offering an all ages Arcade downstairs & (21 & older) Saloon & Music Hall with Darts upstairs.
Open Mic at Marcos Café
Thursdays, 6 – 8:30 p.m. A local community favorite event happening weekly at Marcos Cafe in Lotus, at 986 Lotus Road. Open Mic is open to all ages and is a family friendly event for all skill levels and music lovers. Bring your own instrument or grab one of our guitars and play some tunes. Thursday nights from 6pm to 8:30pm, come enjoy wood red pizzas and food specials along with a great selection of local drinks. (530) 863-6870 https://marcoscafelotus.com/
Friday Night Flights at Sierra Vista Winery 4 – 8 p.m. 3 Pairings for $40 per person/$35 Wine Club. Each Guest must purchase their own ticket for the ight. Wine by the glass or bottle for purchase. Limited Seating. Reservations required. 530-622-7221 or www.sierravistawinery.com/shop/events/fnfapril4/ Apr 5 20th Annual Honor Our Troops
All American Breakfast Fund Raiser 7 – 11 a.m. Presented by the El Dorado County Association of Realtors at the Placerville Veteran’s Memorial Hall, 130 Placerville Drive, Placerville (next to the Fair Grounds). Raf e Prizes and a complete meal including eggs, toast, sausage, ham, hash





Host Raven Starr welcomed the community to view this lovingly restored, historic hotel with updated furnishings, mattresses, and amenities to provide the perfect balance of comfort and charm.
4103 Carson Rd. Camino, CA 95709 (808) 366-8201
browns, pancakes, biscuits & gravy, juice, milk & coffee! All net proceeds support: 1. Care packages to deployed military personnel who are from El Dorado County or have family members in El Dorado County; 2. Scholarships for returning El Dorado County veterans; 3. Home buyer scholarships for veterans & active military in El Dorado County; 4. El Dorado County Veteran Community Support. Tickets at the door or in advance $10. Come support your local heroes! 916-207-4194 www. edcar.org
Apr 5 Ponderosa Foundation’s Green & Gray Gathering
5:30 - 9:00 p.m. Cameron Park Country Club. Includes Buffet Dinner, Live Music performed by Ponderosa Jazz Band Programs, Raf e, -Silent Auction for student-produced creations, from Art, Floral, and Ag Mechanics, as well as other amazing items, Dessert Dash supplied by Bruin Bakers from Advanced Culinary Arts, Photo ops with our beloved Ponderosa Bruin, Cash Bar. Tickets $70. 530-213-3103, ticketstripe.com/2025PondoGreenGray
Apr 05 Placerville’s 38th Annual Spring Fishing Derby 9 – 11 a.m. Lumsden Park, rain or shine. Open to all kids, pre-school through 8th grade. Participants should bring their own shing equipment. 530-642-5232
Apr 10 Altruism Onstage at the Green Room
6 p.m. A compilation of performances by local groups, open to the general public. Each night, several performing groups will face off for the votes of the audience. The group with the most votes gets special recognition and are the ones to choose a charity toward which all the ticket proceeds will go. Half variety show and half tournament, Altruism Onstage is fun for the whole family! erinalevinson@ gmail.com clubgreenroom.com
Apr 12 Master Gardener Annual Plant Sale
8 a.m. – Noon. Sherwood Demonstration Garden, 6699 Campus Dr. Placerville Parking $2 https://ucanr.edu/site/uc-master-gardeners-el-dorado-county/central-sierra-el-dorado-county-master-gardener-sherwood
Apr 12 – 13 Rock and Gem Show
10 a.m. – 5 p.m. El Dorado County Fairgrounds, 100 Placerville Dr. Adults $7, Seniors (60+) or Military $6, Kids 12 and under free with paid adult. Fairground parking per vehicle. Great Show for Experienced Rockhounds & Fun for the Whole Family! Over 40 World Class Dealers, , lapidary Demonstrations, Free Kids’ Activities and Free Rocks, Geodes – We Will Cut Them for You edcmgs.org
Apr 12 & 26 Line Dancing with Sara 6:30 p.m. - 9:00 p.m., 2021 Smith Flat Rd, Placerville. $10 cover fee. Ages 12-14 FREE! Food and drink available for purchase on site. Sara Schindler (530) 621-1003
Apr 13 Sunday Funday 11:30 a.m. - 1:30 p.m., Element 79 Vineyards, 7350 Fairplay Road, Somerset. Brunch and Barrel Tasting: Explore the magic of wine aging with a behind-the-scenes barrel tasting of our small lot limited production estate wines. Tickets online or by phone call. 530497-0750 www.element79vineyards.com/ Events/Sunday-Funday
Apr 13 Viva ARC! - A Premium Event Tequila and Tastings for River Lovers. Indulge in an afternoon of luxury and purpose at The Villa Agave in Placerville. Savor rare, artisanal tequilas paired with gourmet bites, expertly curated by tequila a cionado Bonnie Doyle and Chef John Sanders. Each sip supports ARC’s mission to protect local natural and cultural treasures. 3 – 5:00 p.m. $150 per guest – Limited to 30 special guests . Option: Upgrade your experience with a room reservation! melissa@ARConservancy. org www.thevillaagave.com www.arconservancy.org
Apr 16 Line Dancing with Sara Western two step line dancing. 6:30 p.m. - 9:00 p.m. 251 Main St, Placerville. Doors open at 5 p.m. for happy hour drink specials until 6 p.m. Line dance instruction begins at 6:30 then open dance 7:30 – 9 p.m. The Green Room Social Club 530-957-3030 https://clubgreenroom.com/ Apr 18 Shingle Springs Community Center Bunko Dinner Fundraiser Dinner, Dessert, & Bunko! Pre-Purchase tickets at shinglespringscommunitycenter.org Or, if you prefer 530) 672-7442 or Events@ ShingleSpringsCommunityCenter.org
Adult Beverages are available for purchase. No outside alcohol please. Doors open at 5 p.m. No need to know the game; we explain everything! $25 Ticket includes Dinner, Dessert , Water, iced tea, coffee, Bunko play. Prizes for winners.
Apr 18 Home Grown Comedy at The Stage at Burke Junction Third Fridays, 8 – 10 p.m. Join The Stage for Stand Up Comedy every month! Every month, new comedians, endless laughs! Tickets only $25. $5 Beer and Wine Menu all night. The Stage at Burke Junction, 3300 Coach Ln, Suite E-1, Cameron Park. www.stageatburke.com/homegrowncomedy Apr 19 Placerville Kiwanis Easter Egg Hunt 9:30 – 11 a.m. Lions Park, Cedar Ravine, Placerville. https://placervillekiwanis.org/home Apr 19 Super Pet Fest
10 a.m. 0 2 p.m. Old Town Burke Junction in Cameron Park, 3300 Coach lane, Cameron Park. Bring your Friendly, leashed pet to this free family fun event. Learn from local pet experts and be ready to help a rescue center, lots of opportunities available for Pet lovers.... PLUS enter your Pet in the Pet

Fashion Show and walk the red carpet! 1st, 2nd and 3rd Prize winners! Learn more at FoodandFunMagazine.com and SuperPetFest. info
Apr 19 Historic Home Tour Presented by the El Dorado Historical Society, featuring Placerville’s Bedford & Clay St. district. Learn about historical interiors, the gold rush era architecture, and legendary pioneer stories! Step into history and explore the lives lived with each wall! Tickets: 30.00/22.50 for EDCHC Members. www.edchs.org Call 530.626.0773 to reserve your tickets today! Apr 20 Smith Flat House Easter Brunch 9 a.m. – 2 p.m. Make your reservations today! 530-621-1003 www.smith athouse. com/ Apr 26 Ornamental Master Gardener Plant Sale Trees, shrubs, grasses, succulents, natives, and Perennial plants. 8 a.m. – Noon. Sherwood Demonstration Garden, 6699 Campus Dr. Placerville. Parking $2 https://ucanr.edu/site/uc-master-gardeners-el-dorado-county/central-sierra-el-dorado-county-master-gardener-sherwood Apr 26 Placerville Wild re Safety Day 10 a.m. – 2 p.m. 681 Main St., Placerville. https://placervillefsc.org/
Apr 27 Rise & Shine Community Day of Service
Join other fun-loving volunteers as we clean up, x up, and spruce up our parks and community spaces! You choose your work site and meet there at 8 a.m. we work in the sunshine for a few hours and then gather for a picnic at Lions Park. Our time & efforts keep the parks beautiful and allow us all to be part of what makes Placerville so special. We hope you will join us and make a new friend as we serve together. placerville-riseandshine-2020. eventbrite.com/ Apr 26 Spring Wine Extravaganza with Groove Thang Sierra Vista Winery. 11 a.m. – 7 p.m. info@ sierravistawinery.com 530-622-7221 Celebrate the start of Spring with our Annual Spring Wine Extravaganza! Groove Thang will be playing live from 2 – 5 p.m. $10 per person incl. 50% off a glass of wine. Tacos all day for $6 a taco. Blow out
specials all weekend. No outside food or alcohol allowed. Reservations 530-622-7221 or www.sierravistawinery.com/shop/live-music/ springwine/ Formoreinformationontheseand otherevents,visitwww.visiteldorado.com Eventdate,time,cost orlocationsaresubjecttochange. Priortoattendinganeventplease con rmtheinformation.
As fate would have it, the very destructive and deadly wildfires that swept through Los Angeles neighborhoods this year erupted as its city o cials were struggling to close a large gap in their budget.

At the time, the city’s deficit was estimated to be $600 million, but this month it was updated to nearly $1 billion. It would be tempting to attribute the larger shortfall to the fires, and they undoubtedly are a factor. But City Controller Kenneth Mejia has repeatedly warned Mayor Karen Bass and City Council members that the city was overspending vis-à-vis revenues, creating a growing structural deficit.
From his first warnings in 2023, Mejia consistently warned city o cials and the public about “financial trouble including less-thanexpected revenues, increased liability payouts, and increased payroll costs and the e ects this has had on the city’s budget, departments and services,” his o ce said in a news release last month.
In a letter to Bass and other o cials, Mejia noted that years of overspending revenues had drained much of the city’s reserves, leaving it ill-prepared to cope with such volatile factors as fire-related e ects on revenues and spending and President Donald Trump’s “radical policies on tari s, federal spending cuts and immigration.
“Given the city’s ongoing structural deficit and new challenges, there will be a temptation to make more optimistic assumptions in the upcoming budget,” Mejia said in his letter. “Certainly we hope the actual performance will be greater than our estimates. Given all the uncertainties facing our city, it will be more prudent not to count on positive potential overcoming adverse realities.”
Los Angeles’ background of fiscal imprudence bears a remarkable resemblance to the state budget’s chronic deficits — overly optimistic revenue projections leading to unsustainable levels of spending — and it should be kept in mind as LA politicians try to get a bailout from the state.
Last week the city’s legislative delegation formally asked the Legislature’s budget committees for a $1.89 billion appropriation “to address the city of Los Angeles’ urgent disaster recovery e orts following the devastating fires this past January, which displaced thousands, destroyed businesses and damaged critical infrastructure.”
Clearly the request — which must have
With an approval rating now below 30% and falling (CNN has it at 29% and NBC is at 27%), the Democrat Party probably needs a name change to the Autocrat Party.

In just two short months President Donald Trump has started much of what he promised to do — stop the invasion of illegal aliens, downsize government, rid the country of violent, criminal illegals, cut hundreds of billions in wasteful, abusive spending that benefits no American taxpayers (like $50 million for condoms for Afghanistan) and recently got a partial ceasefire of the Russian/ Ukrainian war.
As to government fraud, waste and abuse, it was Democrats/socialists who claimed that’s what needed to be done with our federal government. There are video clips of Chuck Schumer, Barack Obama, Bernie

EDITOR:
El Dorado County did something special when the voters passed ballot Measure Q to improve our high school sports facilities. Oak Ridge, Ponderosa, Union Mine and El Dorado have fields with artificial turf, new exercise equipment, parking and facilities. Oak Ridge got a new wrestling room.
A grand jury report revealed that Ponderosa’s football field was installed incorrectly. The funding also promised Ponderosa a wrestling room, but it never materialized.
Ponderosa has always had a strong wrestling program. Much of this can be attributed to a robust junior program that usually has roughly 80 kids. Traditionally, it uses the high school’s facility, but Ponderosa added a girls’ team and carries over 50 boys on its team. Its wrestling room only has one mat. It’s not an issue of lack of support, but space.
Just to let you know, Ponderosa is a perennial section champion every year. The students’
interest is strong, but there isn’t room to train. I ask for two things: First, to do what was promised and build the Richard Fox wrestling room. Second, for someone in the community to step up and o er space for the Sierra Sabers to practice. They need roughly 4,000 square feet and aren’t picky. They are wrestlers, after all.
EDITOR:
egarding the front-page article titled “Protestors speak up for democracy” in the March 7 edition of the Mountain Democrat, it seems to me that the protestors do not have a very good understanding of democracy, and I was particularly surprised that the protest organizer and president of the League of Women Voters does not have a better understanding of democracy.

Sanders and even Joe Biden from 10-15 years ago all saying we need to cutout the waste, fraud and abuse within our federal government. Yet when President Trump actual does it as the chief executive of the United States, Schumer and most of his fellow Democrats go nuts. You see, most federal employees who are being let go as they are no longer necessary (probably never were) are Democrats and Democrat politicians can’t have that.
In President Trump’s first full month in o ce, February, inflation was very low, and he hasn’t even warmed up yet. So, what do the Democrats do? Scream about the high price of eggs. The reason for that was Joe Biden ordering the killing of over 100 million chickens with the excuse being bird flu. Yet just this week egg prices came down and they are expected to continue to fall.
President Trump is doing wonders to the economy (industrial production
Environmentalists have become anti-environmentalists. The man who created the best EVs had to be destroyed.
reached a record high last month) and we ain’t seen nothing yet. Yeah, it’s said by Democrats, tari s will hurt the economy. President William McKinley (for whom the highest mountain in North America was named and restored by President Trump) used tari s to fund our federal government and the country had an industrial boom. President Trump is using tari s to negotiate much fairer trade deals for American industry and secure our borders.
Part of the genius behind the significant reduction in the size of government is Elon Musk, the creator of Tesla, SpaceX and Starlink. Because he supports free speech (Musk bought Twitter to support free speech) and President Trump, he has become one of the most hated individuals of environmentalists. His first big accomplishment after creating PayPal was Tesla (named for Nikola Tesla, a scientist who advocated alternating current, among other things.
Interestingly, he was a futurist, much like Musk. AC is the electrical current that powers most of the world.). Tesla was founded by two engineers in 2003, but it was Musk who found these guys and their fledgling company a year later (infusing it initially with cash) and created the greatest EV company in the world. EVs were mandated by governments to save the world from “global warming.” That too, was a government lie, but Tesla became a darling of the Democrats/environmentalists/ socialists. I am not a fan of EVs as they come with the baggage of range and refueling anxiety, among other issues. But Musk’s second car model, the Model S, is a terrific vehicle, notwithstanding the range and refueling thing. It performed and handled with the very best gasoline cars. And it was a looker.
originated in City Hall — uses the fires as a smokescreen to rationalize a bailout for a deficit that is fundamentally the result of years-long fiscal malpractice.
Gov. Gavin Newsom and legislators will feel tremendous pressure to give Los Angeles what it wants, but doing so would be a step onto the proverbial slippery slope.
Los Angeles, unfortunately, is not the only city or local government feeling the fiscal pinch for roughly the same reasons. During and after the COVID-19 pandemic public spending soared, in large measure using many billions of dollars in federal disaster aid.
Continued from A6
Wasn’t the recent election of President Trump an example of democracy at work? And hasn’t President Trump been doing what voters elected him to do?
I know we are not used to our elected representatives actually doing what they promised, but I personally expect them to do that. I understand that those who did not vote for Mr. Trump might not like what he is doing, and they certainly have the right to protest peacefully as they did, but I don’t think it is accurate to conclude that democracy is at risk when what is happening is the result of democracy at work.
There may be specific details that will be challenged, but we have systems in place to deal
And when Uncle Sam closed his wallet, local governments were stuck with higher salaries and other spending increases they had lodged in their budgets. San Francisco, Oakland, Sacramento and many other cities are facing severe deficits, along with many school districts.
Should Newsom et al bail out Los Angeles, these other local entities will demand similar largesse from a state budget already hemorrhaging red ink and that faces the likelihood of deficits at least through the remainder of Newsom’s governorship and probably longer.
“Our short-term focus on year-to-year balance
with that if needed. Democracy is not perfect, but it is a lot better than the alternatives.
CHARLES GOMES Cameron Park
EDITOR:
Ireceived The White House Newsletter, dated March 15, 2025. I would have liked to share a screenshot but couldn’t figure out how to do it. It contained this statement “25%: The decrease in the price of eggs since President Trump took office.” I don’t know where the White House does its shopping, but I just paid $5.58 for a dozen eggs
neglects the need for a multi-year transition to service models that allow the city to live within its means,” Mejia tells other city officials in last month’s letter. “We have consistently recommended specific budgetary reforms that are even more urgently needed in the face of the manifold challenges confronting us.”
It’s good advice and is similar in tone to the cautions Newsom and legislators have received from their budget advisors — and often ignored.
Dan Walters is a journalist and author who writes for CALmatters.org, a nonprofit, nonpartisan media venture explaining California policies and politics.
(same brand) that cost me $4.68 right after the election. That’s a 19% increase. How about the rest of you? Does the White House really have something to crow about or is their statement a rotten egg?
But as soon as Musk saw the problem with Democrats and censored speech, he decided that our next president should be Donald Trump, as the man who could save America from big government, socialism/communism and the downfall of freedom and civilization as America knew it.
Environmentalists have become antienvironmentalists. The man who created the best EVs had to be destroyed. They have gone on a rampage against the one pro-environmentalist industry in America. They are trying to physically destroy Tesla with the destruction of its business establishments, car inventory and charging facilities — and in doing so created massive pollution. But that’s OK with Democrat hypocrites if it results in their regaining of power and control, believing in the end justifies the means. The result of their wanton destruction will be higher insurance premiums, which hurts all of us. They are stupid and selfish. Pigs on the farm are smarter.
And then there is perhaps the new ultimate Democrat/hypocrite, former astronaut, now Sen. Mark Kelly who claims to be a champion of the environment. So, what does he do? Kelly sold his Tesla Model S EV in protest of Musk discovering massive fraud, waste and abuse in the federal government. But that’s not all. He bought not one, but two super gas-guzzling (15 mpg) Chevy Tahoes to replace the Tesla, one for his use in D.C. and the other for his home in Tucson. He could have bought an EV Cadillac Lyriq SUV. I wonder why the Democrats even get a 27% favorable rating?
Larry Weitzman is a former El Dorado County resident.
AL-ANON is here for you if you are bothered by someone else’s drinking. Call for meeting times. (916) 3342970. https://sacal-anon.blogspot.com
AMERICAN ASSOC. OF UNIVERSITY WOMEN Foothills of EDC Branch. Our mission is to advance gender equity for women & girls. Science and Math Camp Scholarships, programs & interest groups. Leave voicemail for Laurel (530) 417-7737 or Sara (530) 4177138 eldorado-ca.aauw.net
AMERICAN LEGION POST 119 welcomes Veterans and guests to attend our monthly membership dinner and meeting the first Wednesday of the month at 6:00 PM. Legionpost119.org
CAMERON PARK NEWCOMERS
CLUB meets the first Wednesday of each month at 10:30 at the Light of the Hills Lutheran Church, 3100 Rodeo Rd., CP, 95682. New and current local community members are welcome for fun and games throughout the month. For further information contact Jill Butler at 530-295-7448.
El DORADO COUNTY AMATEUR
RADIO CLUB Dedicated to all aspects of ham radio. Meetings held on the third Tuesday of each month at the El Dorado Sheriff’s office, 200 Industrial Drive, Placerville, 6:30 pm. Visitors and non-hams welcome. Info at www.edcarc.net
PLAY CRIBBAGE Join the Gold Country Cribbers 916-212-2465 or 916-768-4452. We Play - We Teach - We Have Fun. Wednesdays 4:00 PM. Gilmore Senior Center 990 Lassen Lane, El Dorado Hills, CA Struggling with life? CELEBRATE RECOVERY is for any Hurt, Habit or Hang-up. We are a faith-based recovery program for life’s issues and struggles. Join us Thursday nights at 6:30pm at Green Valley Church, 3500 Green Valley Rd, Placerville. Doors open at 6:15pm. Children’s programs are available for ages 3 months to 18 years old. Email: celebrate@greenvalley.church. Find us on Facebook: https://m.facebook. com/crgvcc/ DEMOCRATS – Come meet with the United Democrats of El Dorado County at Round Table Pizza–Missouri Flat Rd. in Placerville at noon on the 3rd Thursday of the
month. Call (530)391-6414 or see edcdems.org for more information. GOLD RUSH CHORUS now welcomes both men and women to share the joy of singing four-part harmony in the barbershop style. To learn more or to book a performance, call Howard at (530) 647-6513
–10 AM). Social activities, lessons. Minimal cost. Not a beginners group. Some tennis experience/ability required. Call Monica 530-306-7066.
MONDAY CLUB BRIDGE seeks more players. The club is a very informal, friendly group and invites interested men and women party
Ln., Cameron Park. Meet first and third Wednesday of every month, 7pm. Come and have a paid lunch with the Retired Public Employees Association (RPEA) for CalPERS retirees and spouses. The meetings are held at 11:30AM on May 20, July 15, September 16, November 18,2024 at Denny’s (3446 Coach Lane) Cameron Park. Call 530 919 7515 for programs and information. SENIOR PEER COUNSELING Seniors 55 and over who are grieving, depressed or having issues related to aging can meet one-on-one with a caring senior, professionally supervised and trained to listen and encourage. Call (530)621-6304 to leave a message and get started.
TAXPAYERS ASSOCIATION OF EL DORADO COUNTY Our mission is to educate the public on tax issues that affect them. Our meetings are held every Monday morning from 7:30 to 8:30 at Denny’s Restaurant, Fair Lane Drive, Placerville. Meetings are open to the public. For more information call Louis (530) 622-6763. We are a non-partisan organization.

The 24-year-old fire station on Bass Lake Road has a long history of water leaks. “This station, sitting here on top of the hill, just gets pounded by the rain,” Lilienthal said. “The water was coming in through the windows and going down into the sheetrock.”
Thick, vinyl wallpaper hid the problem — a design error that won’t be repeated. “No more wallpaper,” Lilienthal assured. “The walls will be textured and painted.”
The station is also getting new carpet, cabinets and ceiling tiles inside, a moisture barrier for the roof and bigger awnings to hang over the windows, 10 of which will be replaced. Expected cost of the
repairs plus rent paid to rehome the crews is between $500,000 and $600,000, Lilienthal said. Staff is looking into whether insurance will cover some of the expense.
If everything stays on track, fire crews will be back at Station 86 soon. “We’re hoping to be living here again in early May,” Lilienthal said.
A plan is also in the works to support staff who have been exposed to mold.
“it was a health hazard, no question about it,” Lilienthal said, sharing that over the years several firefighters have complained about allergy-like symptoms when working at Station 86.
American Hospital Association’s Rural Health Services Committee. She is a member of the Women’s Fund of El Dorado County and a lifetime member of the Girl Scouts of America. She has been a featured speaker in Beckers Healthcare panels and industry podcasts, and she has appeared in local and regional magazines and print media.
ordinance 5211 and/or 5210 based on constituent and board feedback,” Warren said.
There were two ordinances at hand, brought about by concerns regarding youth tobacco usage. A 2024 national youth tobacco survey reported that 5.9% of middle and high school students reported using e-cigarettes.
Ordinance 5210 Tobacco Retail Land Use Ordinance, which imposes a limit of 1,500 feet from sensitive sites such as childcare and youth-oriented facilities, was not under the same scrutiny. It allows grandfathering in, while Ordinance 5211 does not.
During public comment many business owners and developers said their livelihoods would be threatened by limitations like not being able to pass their long-time businesses on to their children.
Paul Fusano, one of the thirdgeneration owners of Jiffy Mart Sinclair Gas Station in Diamond Springs, which has been in operation for more than 35 years, said his dad and uncle had passed recently. Since then he has been working diligently to update the names associated with the business. But, the new regulation states licenses are not transferable.
“The situation places a burden on our family. We should not be penalized for the loss of our owners who had been part of our business for so many years,” he said.
Pending tobacco licenses were at issue with developers like Mark Strauch, who along with his brother
owns several Arco/AM/PM gas stations and convenience stores in the county. Strauch said they have been working on developing three additional locations since 2020, 2021 and 2023.
“This fails to acknowledge that there are businesses with pending development applications in the county processing pipeline that submitted their entitlement applications prior to Jan. 30, 2024,” he said, referring to the date the board of supervisors adopted an emergency ordinance imposing a 45-day moratorium on new tobacco retailer applications in unincorporated areas of the county.
Leonard Grado of Grado Construction said, “If the rules change somehow during the process, it really can reflect negatively on people wanting to develop in the community because they won’t know what the ultimate outcome might be.”
Grado Construction is currently involved in more than $160 million worth of commercial, office, and residential projects in El Dorado County, according to the company website.
“These are very expensive projects to develop. A typical convenience store may run $7 million,” Grado added. Also at issue was the minimum pack size for cigars. The proposed ordinance reads that six-packs are required, but manufacturers only supply five-packs. Plus the ordinance requires carding of customers at any




age, every time they shop for tobacco.
“Often we do find unintended consequences,” said Supervisor Lori Parlin.
El Dorado County resident Ruth Michelson reminded the board of health concerns, the reason for the ordinances.
“I think we need to remember why this was addressed in the first place,” she said.
Supervisor Brooke Laine said she would like an update on county youth tobacco use statistics.
“I want to really dial down into the numbers if we want to go back and look at this,” Laine said.
Supervisor Brian Veerkamp disagreed that a county ordinance will help in the youth tobacco use situation.
“This ordinance in my opinion needs to be completely revamped or rescinded,” Veerkamp said. “We’re fools if we think we can keep these products from our youth.”
The state’s tobacco sales regulations are sufficient, he added.
Parlin disagreed.
“The state doesn’t do any of that.
type of tobacco product. Another concern has been the increase of tobacco retailers in El Dorado County in recent years. Again, according to the resolution, 52 new licenses have been issued since 2020 making a total of 143 retailers in the county.
Just over a year ago Placerville City Council followed suit with El Dorado County’s Board of Supervisors and passed a 45-day moratorium on new smoke shops in the city limits. Since then the idea of tobacco regulation in Placerville, and the county, has been kicked around like a soccer ball, coming back to the council no less than five times.
First, the 45-day ban was extended to 10 months and 15 days. An ordinance was introduced late in the year and kicked back to staff on two separate occasions for several adjustments and revisions. In December the item was “continued” with more direction to staff to satisfy resident and council member concerns.


At the March 25 regular City Council meeting, public comment was teeming with local business owners who had been notified of the ordinance in a March 14 letter from the city. Concerns included possible revenue loss, tax loss and reduction in local spending.
The packaging and pricing limitations were unfair, according to several commenters who noted they had no control over the packaging amounts available from wholesalers. Many comments focused on the restrictions to license transfers, stating that the regulation would devalue their business. A smoke shop and a gas station or
They don’t do the number of permits and all that,” Parlin said.
“Typically our level of government doesn’t do it any better than the big level of government,” Veerkamp replied.
Ordinance enforcement would initially be covered by an $800,000 state grant, but after that the county would have to obtain other funding. Veerkamp had concerns about funding — the county is facing a budget deficit — and loss of tax revenue.
Chair George Turnboo agreed, claiming the county is experiencing a “budget crisis.”
Veerkamp motioned to delay enforcement for 90 days, giving staff the time to review identified problems and Economic Development staff time to do an analysis on the impact of the ordinance on sales tax revenues. During the 90-day period enforcement will be paused on active inspections and fines. The county will continue to receive applications for permits and licenses but will not issue any new permits or licenses. The motion passed unanimously.
convenience store are not the same, according to several commenters, and should not be held to the same regulations.
Councilmember Jackie Neau started by clarifying her position on the matter.
“I wanted everyone to understand that it’s really the underage sales that are going on and the products that aren’t allowed to be sold in California that has really brought this to the surface for me,” she said.
Councilmember Ryan Carter made a motion.
“Do not approve an ordinance at this time, and we direct staff to no longer pursue a tobacco ordinance,” he said, adding that the city should rely on the “myriad state and federal laws,” already in place. His motion included bringing back a license only component at a future date.
Some concern over enforcement was voiced by Neau. City Attorney Mona Ebrahimi clarified that city could enforce state and federal laws and that the new ordinance would provide a two-pronged approach, additional restrictions on underage sales and the “reduction of licenses through attrition.”
Police Chief Joseph Wren said without a local ordinance the city would not be able to use licensing as a deterrent to repeat offenders.
“There’s nothing within the provisions to pull their license,” he said. “Having that local control gives us a little more flexibility on identifying repeat offenders and taking corrective action if needed.”
Councilmember David Yarbrough had a problem with the transfer restrictions as well as the limitations of businesses.
“That eliminates a lot of business and a lot of tax revenue for the city,”
he said. “Right now tax revenue is tough.”
Beyond those measures according to Yarbrough, the provisions of the ordinance are “just down to state law.”
Vice Mayor Nicole Gotberg reiterated her reservations over an ordinance.
“I think people should be free to make decisions about their health and body,” she said.
The ordinance was kicked around further.
Discussion of a licensing only ordinance was in the mix while disposable, single use e-cigarettes were on the chopping block.
Ebrahimi told the council about Senate Bill 1230 which was designed to increase penalties for selling to minors and provide local agencies additional code enforcement abilities, she said. This legislation incorporates fines that could be imposed, including “$1,000 to $1,500 for the first violation, $2,000 to $3,000 for the second violation at the same location within a five year period.” If violations happen more than once the Board of Equalization has the option to impose license suspension.
Gotberg listed items in the current ordinance that she would need to see removed to move forward which included prohibition on singleuse e-cigarettes, package sizing limitations, density restrictions and revising restrictions to license transferability.
After more kicking around and examination of which components would make the cut, Carter revised his earlier motion to not approve the ordinance and simply direct staff to no longer pursue a tobacco ordinance.
The motion passed 4-1 with Neau voting no.

the Hill victory Saturday night.
Gary Thomas Placerville Speedway
Fremont’s Shane Golobic took the lead on lap 15 and went on to score his 17th career Elk Grove Ford Sprint Car Challenge Tour victory on opening night at Placerville Speedway.
Golobic’s triumph during the March 29 Thrill on the Hill topped a solid 41-car field and came aboard the familiar Matt Wood Racing/ NOS Energy Drink No. 17W mount.
“It feels good to get another win in Placerville with SCCT,” commented Golobic. “I wasn’t sure how the track would be in the feature, but it turned out good and got a little tricky with the curb, which is what I like here. Dominic Scelzi made it close at the end and I could feel his pressure on the bottom. Luckily, I hit some good laps at the end and we came out on top.”
Two-time and reigning SCCT champion Andy Forsberg started on the pole of the Shop Kyle Larson main event by way of capturing the High Sierra Industries Dash. The Auburn veteran climbed out to the early lead in the 35-lap contest and attempted to keep Golobic at bay once lapped traffic came into play.
Racing through the traffic Golobic, Suisun City’s Chance Grasty and Modesto’s Tony Gomes all bunched up. A caution period brought the hot and hectic action to a stop, but the intensity continued once going back green.
Golobic hounded Forsberg in exciting fashion and made a bold move up high to grab the lead as they crossed the line to finish lap 15. Once out front the three-time Trophy Cup champion had his way with things, as racing behind him continued to keep fans on the edge of their seats.
Fresno’s Dominic Scelzi started from row five and methodically worked his way forward while running the lower portion of the speedway. He moved into the top five with 10 circuits left and then claimed second with five to go. A final race shootout saw Scelzi try his best to do something with the leader, but Golobic was too smooth upstairs and crossed the checkered flag for the win.
Scelzi came home in second to cap off an impressive run aboard the Scelzi Ent. No. 41 machine. After winning last week’s Placerville point opener, Forsberg came back to round out the podium at the helm of the Pacific Highway Rentals No. 92. Sacramento’s Austin Wood had another tremendous night finishing in fourth, while Aromas driver Justin Sanders completed the top five.
Rounding out the top 10 in the feature were Grasty, 15th starter Tanner Carrick, 17th starting Sean Becker, Justyn Cox and Bubba Decaires. Becker’s run from 17th to eighth netted him the Pit Stop USA Hard Charger Award.
As noted, a strong field of 41 Winged Sprint Cars competed on opening night, which saw Tony Gomes earn the Sierra Foothills Wine Services Fast Time Award by clocking a 10.521 around the quarter mile.
The companion Nor-Cal Dwarf Car Association main event provided several thrills of its own. In the end it was local product Shawn Whitney grabbing the checkered to earn yet another victory on the red clay. Mike Grenert, Dylan Shrum, Jace Badeker and Brenden Shrum rounded out the top five.
The Elk Grove Ford Sprint Car Challenge Tour returns to action on Saturday, April 19, at Merced Speedway. Placerville Speedway is back at it this coming Saturday, April 5, with the
Prospectors Pursuit featuring Winged Sprint Cars, Midgets, Lightning Sprints and Pure Stocks.
Results
Sprint Car Challenge Tour
Shop Kyle Larson A Main, 35 laps — 1. 17W-Shane Golobic; 2. 41-Dominic Scelzi; 3. 92-Andy Forsberg; 4. 2A-Austin Wood; 5. 4SA-Justin Sanders; 6. X1-Chance Grasty; 7. 83T-Tanner Carrick; 8. 54X-Sean Becker; 9. 42X-Justyn Cox; 10. 94-Greg Decaires V; 11. 25-Seth Standley; 12. 14W-Jodie Robinson; 13. 5V-Colby Copeland; 14. 83V-Dylan Bloomfield; 15. 17-Anthony Snow; 16. 3-Cole Schroeder; 17. 61-Travis Labat; 18. 55D-Dawson Hammes; 19. 9X-Adrianna DeMartini; 20. 2XM-Max Mittry; 21. 28-Gauge Garcia; 22. 7C-Tony Gomes; 23. 21-Shane Hopkins; 24. 13-Elijah Gile B Feature, 12 laps —1. 13-Elijah Gile; 2. 55D-Dawson Hammes; 3. 61-Travis Labat; 4. 3-Cole Schroeder; 5. 17J-Josh Young; 6. 9-Dustin Freitas; 7. 94R-Ryan Rocha[14]; 8. 7P-Jake Andreotti; 9. 93-Stephen Ingraham[13]; 10. 9L-Luke Hayes[15]; 11. 38-Tyler Cato; 12. 18C-Colby Fox[11]; 13. 15-Michael Sellers; 14. 85-AJ Alderman[12]; 15. 56C-Carson Hammes[3] C Feature, 10 laps — 1. 94R-Ryan Rocha; 2. 9L-Luke Hayes; 3. 5C-Corbin Rueschenberg; 4. 44T-Austin Taborski; 5. 88T-Tyler Fox; 6. 21C-Cody Meyer; 7. 12J-John Clark[7]
High Sierra Dash, 6 laps — 1. 92-Andy Forsberg; 2. 17W-Shane Golobic; 3. X1-Chance Grasty; 4. 7C-Tony Gomes; 5. 83V-Dylan Bloomfield; 6. 4SA-Justin Sanders; 7. 2A-Austin Wood; 8. 17-Anthony Snow[2] Tiner Hirst Ent. Heat 1, 8 laps — 1. 4SA-Justin Sanders; 2. 41-Dominic Scelzi; 3. 7C-Tony Gomes; 4. 94-Greg Decaires V; 5. 54X-Sean Becker; 6. 56C-Carson Hammes; 7. 38-Tyler Cato; 8. 18C-Colby Fox; 9. 13-Elijah Gile; 10. 9L-Luke Hayes; 11. 5C-Corbin Rueschenberg
BR Motorsports Heat 2, 8 laps — 1. 17W-Shane Golobic; 2. 14W-Jodie Robinson; 3. 2A-Austin Wood; 4. 83T-Tanner Carrick; 5. 2XM-Max Mittry; 6. 7P-Jake Andreotti; 7. 17J-Josh Young; 8. 93-Stephen Ingraham; 9. 94R-Ryan Rocha; 10. 88T-Tyler Fox
King Racing Products Heat 3, 8 laps —1. 92-Andy Forsberg; 2. 5V-Colby Copeland; 3. 17-Anthony Snow; 4. 25-Seth Standley; 5. 21-Shane Hopkins; 6. 55D-Dawson Hammes; 7. 3-Cole Schroeder; 8. 15-Michael Sellers; 9. 44T-Austin Taborski; 10. 21C-Cody
Meyer
A.R.T. Speed Equipment Heat 4, 8 laps — 1. X1-Chance Grasty; 2. 42X-Justyn Cox; 3. 83V-Dylan Bloomfield; 4. 28-Gauge Garcia; 5. 9X-Adrianna DeMartini; 6. 61-Travis Labat; 7. 9-Dustin Freitas; 8. 85-AJ Alderman; 9. 8-Justin Henry; 10. 12J-John Clark
Nor Cal Dwarf Car Association
A feature, 20 laps — 1. 15N-Shawn Whitney; 2. 12N-Mike Grenert; 3. 31N-Dylan Shrum; 4. 7N-Jace Badeker; 5. 50N-Brenden Shrum; 6. 508N-Steve Costello; 7. 57N-Ben Wiesz[14]; 8. 21N-Fred Dickey; 9. 57ON-Anthony Pope; 10. 29N-Corey Eaton; 11. 05NTim Dodson; 12. 69N-Cody Shrum; 13. 32N-Dan Geil; 14. 40N-Eric Fromong; 15. 72N-Mike Reeder; 16. 99N-Gage Meyers; 17. 38-Bennett Gooch III; 18. 52N-Chuck Conover; 19. 42N-Isaak Geil; 20. 19N-Patrick Weger
n SHOE by Jeff MacNelly




n SPEED BUMP by Dave Coverly


ARIES (March 21-April 19). Disharmony is erosive. What rubs the wrong way creates debris — dust that diminishes each side. Supportive arrangements galvanize. Strength in unity will be a theme. You’ll seek, find and live it.
TAURUS (April 20-May 20). There’s a question you’re mulling. The best possible answer will come to you today, which is so simple it almost seems like a non-answer: Keep moving forward, doing what must be done, letting life carry you.
GEMINI (May 21-June 21). Indecision can create unnecessary delays, but clarity cuts through the noise. You’ll make decisions. Small ones count. Your decisiveness is so attractive, each choice adding momentum and a confidence that’s magnetic to those around you.
CANCER (June 22-July 22). Integrity guides your actions, and clarity shapes your choices on this day of striving to accomplish what is correct, respectful, kind and prudent. To achieve these foundational qualities is to achieve meaningful success.
LEO (July 23-Aug. 22). You’re growing into the knowledge that you are meant for reciprocity. You haven’t always been attracted to people and situations that give back, but as you continue to honor yourself, the scenes with potential to fulfill you will start to feel like home.
VIRGO (Aug. 23-Sept. 22). There’s an undeniable energy about you today, one that naturally pulls people in. As the star — charismatic, attention-drawing, naturally at the center of things — you have a responsibility to stay
grounded and wield your power with compassion. LIBRA (Sept. 23-Oct. 23). Emotions may feel unrelated to actualities today. It’s as though random feelings are wired to undesignated controls, and you have no idea which will do what until someone starts twisting the knobs.
SCORPIO (Oct. 24-Nov. 21). You’re a walking polygraph test. You have your own methods for truth-detecting. If it hurts a little, it might be true. If it causes a laugh, a blush, a blink, an elevated heart rate — it might be true.
SAGITTARIUS (Nov. 22-Dec. 21). You’re growing into someone who sees things for what they are and isn’t afraid to reassess relationships that no longer feel right. This clarity allows you to make room for connections that truly resonate with who you are now.
CAPRICORN (Dec. 22-Jan. 19). The best way to start things off is with a clean slate with no debts, grudges or assumptions about how things will go. Unfortunately, hardly anything starts off like that. The second-best way to begin is in the spirit of openness and optimism.
AQUARIUS (Jan. 20-Feb. 18). These tasks are opportunities, not obligations. There’s nothing you have to do.


We are proud to announce our partnership with Vista Sotheby’s
At Vista Sotheby’s International Realty, we believe luxury is an experience, not a
ing cottage or an estate masterpiece, we provide the same unmatched visibility and exceptional
With our local expertise and Sotheby’s International Realty’s renowned reputation, elite network, and global advertising capabilities, your property will be seen by qualified buyers across the world.
From the moment your property is listed with us, it will be distributed to leading websites worldwide, maximizing its reach and exposure. Our award-winning website, combined with captivating photography, dynamic videography, and immersive virtual tours, ensures your property is showcased to millions of potential buyers, offering an engaging and seamless experience like no other.
In partnership with Sotheby’s International Realty, we’re committed to providing world-class service and continuing to elevate the real estate experience for our valued clients in El Dorado County.








April 2
The El Dorado Hills Chamber of Commerce will host a Business Connections Luncheon at Hills Church in El Dorado Hills from 11:30 a.m. to 1 p.m. For more information visit eldoradohillschamber.org.
Mojo Jennings Ship of Fools will perform, 7-10 p.m. at The Green Room Social Club in downtown Placerville. For tickets and more information visit clubgreenroom.com.
April 3
The Shingle Springs/Cameron Park Chamber of Commerce hosts its monthly mixer 5:30-7:30 p.m. at Adrian Blanco Jewelry, 502 Natoma St. in Folsom.
The El Dorado Hills Community Services District Board of Directors will hold a special meeting, 6 p.m. at the Patra Conference Center, 4207 Town Center Blvd., El Dorado Hills. The board is exploring the process of cityhood. Guests will hear presentations by the cityhood committee and the Local Agency Formation Commission and have the chance to ask questions and provide feedback.
Bad to Worse + Lioneer + Phantom Spires + The Numinous will perform, 7-10 p.m. at The Green Room Social Club in downtown Placerville. For tickets and more information visit clubgreenroom.com.
April 4
burke. + Born and Raised will perform, 7-10 p.m. at The Green Room Social Club in downtown Placerville. For tickets and more information visit clubgreenroom.com.
The Chad Bushnell Band will perform at the Red Hawk Casino Stage Bar, 8 p.m. to midnight. For more information visit redhawkcasino.com.
Falcon’s Eye Theatre at Folsom Lake College presents “American Night: The Ballad of Juan José” at the Harris Center for the Arts in Folsom at 7:30 p.m. The show runs through April 19. For tickets and more information visit harriscenter.net or call (916) 608-6888.
The Gallery at 48 Natoma invites the public to Moments of Connection: People, Places, and Presence, a solo exhibition by Yen-Ching Chang on view through May 15. Weekday gallery hours are 9 a.m. to 4:30 p.m. admission is free. Visit folsom.ca.us for more information.
April 5
The Cameron Park Community Services District will host a Community Clean Up Day from 8 a.m. to 2 p.m. For more information visit cameronpark.org.
UCCE Master Gardeners of El Dorado County will host a free public tour of the Sherwood Demonstration Garden, 6699 Campus Drive, Placerville, starting at 9 a.m. After the tour, wander around the gardens at your own pace. May be closed for inclement weather, check before visiting at tinyurl. com/59w77fhz. Parking permits are required, purchase a $2 permit at any kiosk.
El Dorado County Historical Society
News release
Unlock the doors to history and experience the captivating charm of Placerville’s Victorian era at the 2025 Historic Home Tour, presented by the El Dorado County Historical Society. On Saturday, April 19, immerse yourself in the storied homes of the Bedford Avenue-Clay Street Historic District, where architectural marvels and tales of pioneering families come to life.
This self-guided tour offers an exclusive opportunity to explore the interiors of nine beautifully preserved properties, showcasing a diverse range of 19th and early 20th-century architectural styles. From the elegant TudorRevival and Queen Anne to the classic Dutch Colonial, Eastern Shingle, Pioneer-era Gothic Revival and Art Deco, each property tells a unique story of Placerville’s rich heritage.
“We are thrilled to invite the community to step back in time and discover the secrets of Placerville’s pioneer past,” said Sean Manwaring, EDCHS public events and programming chair. “This year’s tour highlights the exceptional architectural legacy of the Bedford Avenue-Clay Street Historic District and several remarkable individuals who shaped our community.”
Tour highlights
• The Fabled Shakespeare Club: Discover the history of this iconic local institution.
• The Home of Archibald Speer Bosquit: Explore the residence of the beloved El Dorado County Sheriff and co-founder of the predecessor to InterCounty Title Co.
• The Home of LuLu Weatherwax: Step into the world of Placerville’s celebrated 19th-century artist.
• The Clay Street Home of James Blair Jr.: Witness the legacy of the illustrious Blair lumber family and the childhood home of El Dorado County’s first Olympic gold medalist.
• The Plumado House: From gold stamp


Jessica Trumble-Pitel News release
El Dorado County is a remarkable place, home to diverse ecosystems, vibrant communities and countless opportunities for learning. When students explore their surroundings in new ways — through hands-on science experiments, teambuilding activities and awe-inspiring outdoor exploration — they not only create lasting memories but also build a strong foundation for personal growth. These experiences prepare students for their futures, instilling a sense of community care and fostering a passion for science.
Pleasant Valley Middle School, a small rural school nestled in the heart of Pleasant Valley, serves families in Diamond Springs, Placerville, Somerset and Pollock Pines. Like



many schools, PVMS has faced challenges in rebooting field trips and science camps following the COVID pandemic. However, the school’s sixth-graders are thrilled to revive a Science Field Day in collaboration with Sly Park Education Center on May 8.
Sly Park Education Center, located in Pollock Pines, is a partnership between the U.S. Forest Service and the Sacramento County O ce of Education.
During their Science Field Day, sixth-graders will embark on forest hikes, conduct hands-on experiments and strengthen relationships with their teachers, parents and peers — all while deepening their connection to the natural world. This experience not only enhances academic learning but also creates a sense of belonging and community.
The success of this













Whitney Burke
El Dorado County O ce of Education
The El Dorado County O ce of Education recently announced the selection of Amy Andersen as the new associate superintendent of Educational Services.
A distinguished educational leader with a proven track record of driving student success, collaboration and excellence in education, Andersen’s 25-year career spans roles as a teacher, assistant principal, program specialist, administrator and executive director. She has played a key role in developing policies and programs that serve as state models, shaping the future of education in El Dorado County and beyond.
“With a strong history of success as a teacher, administrator and executive leader, Mrs. Andersen brings a deep understanding of instructional excellence, ensuring that schools and districts receive the service and support they need to thrive,” said El Dorado County Superintendent of Schools Dr. Ed Manansala. “Her dedication and expertise have been recognized at the local, state, and national levels, underscoring
her commitment to El Dorado County and her ability to inspire and empower teams toward shared success. Her passion for serving students and forward-thinking leadership will further strengthen EDCOE and enrich the county’s educational community.”
Since 2011, Andersen has continuously strived to enhance programs that empower school leaders and learners by serving and supporting educators, students and families through her work at EDCOE. Her expertise extends to instructional leadership, special education and human resources, where she has driven data-informed practices and innovative initiatives. As executive director of EDCOE’s Special Services from 2014-20, Andersen developed multiple instructional programs, enhancing educational outcomes for all students.
Andersen currently serves as executive director of Human Resources for EDCOE. A trusted decision-maker and champion for advancing student achievement, Andersen is committed to partnering with school districts and families and is eager to make a meaningful impact
at the county level.
“I am deeply honored to step into this new role and wholeheartedly believe in the strength and potential of El Dorado County’s educational system. Serving and supporting educators, students, and families through EDCOE’s diverse programs has been a privilege. Throughout my career, my focus has always been on the students and communities I serve. As I return to my roots as an educator, I look forward to building on that foundation and advancing educational excellence,” said Andersen.
Andersen has a master’s degree in special education from Azusa Pacific University and a Bachelor’s degree in psychology and French from Coe College.
Andersen’s statewide influence includes serving on the California Commission on Teacher Credentialing Design Team, contributing to California’s Teaching Performance Assessment and holding leadership positions within the California County Superintendents’ Personnel Administrative Services Committee.
As associate superintendent, Educational Services, Andersen will provide professional leadership and

support to EDCOE’s Educational Services sta and curriculum, instruction, and accountability leadership to El Dorado County’s
school districts and initiatives.
Whitney Burke
El Dorado County O ce of Education
Oak Ridge High School’s Academic Decathlon team brought home honors at the state competition on March 20-23, held in Santa Clara. The team secured 2nd place overall in Division 4 and earned a silver medal in the Super Quiz event, marking significant achievements for the school.
The state competition brought together high school teams who triumphed at countylevel competitions
across California. The road leading to Academic Decathlon state finals is a rigorous one for the Oak Ridge High School team, with months of preparation through intense studying and demonstrations of teamwork, quick thinking and composure under pressure at regional competitions.
Oak Ridge High School’s silver medal win in the Super Quiz event is a major accomplishment and reflects the team’s strong preparation and collaboration. The event is one of the most


exciting and publicfacing aspects of the competition with a fast-paced, team-based relay that tests students’ knowledge across a range of subjects.
The Division 4 silver medal also represents the Oak Ridge team’s dedication, preparation and academic excellence at the state level — a success made possible by the guidance of their coach and the leadership of key students.
“I am so pleased with the amazing accomplishments of our Oak Ridge High School students,” said





ORHS Academic Decathlon Team Coach Je Hassian. “Our team’s notable success was led by captains Sophia Sumimoto and Ethan Pham. I want to personally thank Dr. Manansala from El Dorado County O ce of Education and Oak Ridge High School Principal Aaron Palm for their continued support of this amazing academic competition that allows students from El Dorado County to compete at the state level. The students showed true grit and character in accomplishing this feat and I am so proud of the entire team.”
“Congratulations to the Oak Ridge Academic Decathlon team on their outstanding achievements at the state competition,” shared El Dorado County Superintendent of Schools Manansala.
“Your hard work, dedication and commitment to excellence exemplify the very best in academic achievement. You should stand tall and proud of this incredible accomplishment. May you celebrate this moment fully and carry the memories and lessons from this experience with you for a lifetime.”
The Academic
Decathlon is a prestigious, multisubject competition that promotes academic rigor, critical thinking and teamwork by requiring students to master a diverse and demanding curriculum. The competition challenges high school students to excel in 10 academic disciplines:
art, economics, essay, interview, literature, mathematics, music, science, social science, speech and the Super Quiz. The team-based structure based on GPA categories encourages collaboration, as students support and motivate one another in their quest for excellence.









































































































with




1221 Harter Avenue, Woodland. the hive@zspecialtyfood.com, 530-668-0660
Tantra Speed Date® - San Francisco! Meet Singles
Speed Dating @ 5:30pm / $45-$150 Join the speed dating revolution with a 94% connection rate! Meet singles & ignite connections through fun, chemistry-building games! The Pad Studios, 1694 Union Street, San Francisco. help@ tantrany.com
Tantra Speed Date®Sacramento! Meet Singles
Speed Dating @ 5:30pm / $45-$140 Join the speed dating revolution with a 94% connection rate! Meet singles & ignite connections through fun, chemistry-building games! Yoga Shala Sacramento, 2030 H Street, Sacramento. help@ tantrany.com
Secret Improv Society @ 8pm / $25 Shelton Theater, 533 Sutter Street, San Francisco
Crosstown 5 back at CJ's Saloon! @ 8pm CJ's Saloon, 548 Contra Costa Blvd G, Pleasant Hill
Thanks I Hate It/ Poser Emo/ Perch/ Please Save My Earth @ 8pm Neck of the Woods, San Francisco
Thanks! I Hate It @ 8pm Neck Of the Woods, 406 Clement St, San Francisco
Andrew St. James @ 8pm Kilowatt Bar, 3160 16th St, San Francisco
Adam J @ 9pm Old Ironsides, 1901 10th St, Sacra‐mento

Tomio Ueda @ 9pm Underground SF, 424 Haight St, San Francisco
Lakeside Laughs @ 9:30pm Harveys Cabaret at Harveys Lake Tahoe, Stateline
The Albertson Duo: Hotel Villagio (Yountville) @ 7:30am Hotel Villagio at The Estate Yountville, 6481 Washington St, Yountville
Love For Larry Bene�t Show featuring The Nipper Bros, Red Dirt Ruckus & Friends @ 12pm The Green Room Social Club, 251 Main St, Placerville

circa @ 2pm Mondavi Center, 523 Mrak Hall Dr, Davis
Tantra Speed Date®Reno! (Meet
Poorsport @ 7pm Old Ironsides, 1901 10th St, Sacra‐mento
Thanks! I Hate It @ 7pm Old Ironsides, 1901 10th St, Sacra‐mento
Yunger @ 7pm Old Ironsides, 1901 10th St, Sacra‐mento
awakebutstillinbed
@ 7:30pm The Starlet Room, 2708 J St, Sacramento
Tai Chi Classes for Beginners @ 8:45am Beginning tai chi classes offered at the Woodland Community & Senior Center Woodland Community & Senior Center, 2001 East Street, Woodland. tina�tness68@ gmail.com
Dance Fitness Classes at Woodland Senior Center @ 10:15am Low-impact aerobic exercise choreographed to contemporary music. Super fun! Woodland Com‐munity & Senior Center, 2001 East Street, Woodland. tina�tness68@ gmail.com
Children's Kung Fu Classes at the Davis Arts Center @ 3pm Tina Fitness is now offering chil‐dren's Kung Fu classes at the Davis Arts Center! Davis Arts Cen‐ter, 1919 F Street, Davis. duanke jie68@gmail.com
Balloon Museum | Emotion
Air - Art you can feel
@ 3:15pm Palace of Fine Arts, San Francisco
Balloon Museum | Emotion
Air - Art you can feel
@ 4pm Palace of Fine Arts, San Francisco
Balloon Museum | Emotion
Air - Art you can feel
@ 5pm Palace of Fine Arts, San Francisco
Mark Schatz @ 7:30pm Blondies' Bar, 540 Valencia St, San Francisco
Fruits @ 7:30pm Cafe Colonial, 3520 Stockton Blvd, Sacramento
Beginning + Intermediate
Tai Chi @ 10am Tai chi classes for beginning and intermediate practitioners at the Davis Arts Center Davis Arts Cen‐ter, 1919 F Street, Davis. tina�t ness68@gmail.com
Balloon Museum | Emotion
Air - Art you can feel @ 2:45pm Palace of Fine Arts, San Francisco
Balloon Museum | Emotion
Air - Art you can feel @ 3pm Palace of Fine Arts, San Francisco
Balloon Museum | Emotion
Air - Art you can feel @ 3:45pm Palace of Fine Arts, San Francisco
Balloon Museum | Emotion
Air - Art you can feel @ 4pm Palace of Fine Arts, San Francisco
Balloon Museum | Emotion Air - Art you can feel @ 4:45pm Palace of Fine Arts, San Francisco
Balloon Museum | Emotion
Air - Art you can feel @ 5:30pm Palace of Fine Arts, San Francisco



Saturday Apr 12th

Ave, San Francisco Evie Sands @ 8pm The Chapel, 777 Valencia Street, San Francisco
Thesecondopinion's 8th Annual Breakfast Bene�tA Morning With Dave Dravecky @ 8am / $150 An inspiring morning with Dave Dravecky, where we're rallying to‐gether to
Jesus Sepulveda is fresh off the release of his half-hour HBO spe‐cial, "Mr. Tough Life". Since then, he's been seen performing at no‐table locations throughout Los An‐geles including The Laugh Factory Laughs Unlimited Comedy Club and Lounge, 1207 Front Street, Sacramento. laughsunlimited@ gmail.com, 916-446-8128

Locals Night Feat: Damma Damma w members from San Geronimo and more! @ 7:30pm Blue Note Napa, Napa Moonshine & Daydreams–Live at Music City SF | Free Entry! @ 7:30pm / Free Western Swing/Country/Rock & Jazz 1355 Bush St, 1355 Bush Street, San Francisco
Love Letter/ Stardust. Juniper/ La Sombra
@ 8pm Neck of the Woods, San Francisco
Love Letter @ 8pm Neck Of the Woods, 406 Clement St, San Francisco
Jared Mattson @ 8pm The Chapel, 777 Valencia Street, San Francisco
Beginning + Intermediate Tai Chi @ 10am
Tai chi classes for beginners and intermediates at the Davis Arts Center Davis Arts Center, 1919 F Street, Davis. tina�tness68@ gmail.com
Slaughterhouse @ 7pm Ace Of Spades, 1417 R St, Sacra‐mento
Pete Kronowitt: Songs that make you feel... @ 7pm Hotel Utah Saloon, 500 4th St, San Francisco
Dos Bandoleros @ 7pm El Chato, 2301 Bryant St, San Fran‐cisco
Alex Wong: KALW + CAL
MIGRATION MUSEUM LAUNCH PARTY
@ 7pm
114 E 13th
San Francisco


Biophilia: Our Longing for Nature @ 11:30am Apr 11thJun 4th View Biophilia, a new group exhibit at the Pence! Pence Gallery, 212 D Street, Davis. penceso cialmedia@gmail.com, 530-758-3370
L.O.T.S - Second Friday Free Music Series - Muusic at Noon April 11 at the Davis UU Church! @ 12pm Members of the Light Opera The‐atre of Sacramento will present an eclectic program of vocal works: Gilbert & Sullivan favorites, and a West Coast premiere! Unitarian Universalist Church of Davis, 27074 Patwin Road, Davis. lu annhiggs@gmail.com, 916-6008872
2nd Friday ArtAbout at the Pence Gallery @ 6pm Join us for a free art reception on April 11! Pence Gallery, 212 D Street, Davis. pencesocialmedia@ gmail.com, 530-758-3370
AJ Wilkerson - Special Comedy Event @ 7pm / $30 Apr 11th - Apr 12th
With his nervous charm, endearing smile, disarming disabilities, AJ has quickly become one of the most relevant young comedians in America Laughs Unlimited Com‐edy Club and Lounge, 1207 Front Street, Sacramento. laughsunlim ited@gmail.com, 916-446-8128
Secret Improv Society @ 8pm / $25 Shelton Theater, 533 Sutter Street, San Francisco
The Librarian @ 9pm The Flamingo House Social Club, 2315 K St, Sacramento Monde UFO @ 9pm The Chapel, 777 Valencia St, San Francisco
AJ Wilkerson - Special Comedy Event @ 9:30pm / $30 Apr 11th - Apr 12th
With his nervous charm, endearing smile, disarming disabilities, AJ has quickly become one of the most relevant young comedians in America Laughs Unlimited Com‐edy Club and Lounge, 1207 Front Street, Sacramento. laughsunlim ited@gmail.com, 916-446-8128
Lakeside Laughs @ 9:30pm Harveys Cabaret




Prep time: 15 minutes
Cook time: 15 minutes
Servings: 4





The Buckeye Union School District is proud to announce that Camerado Springs Middle School has been recognized as a Schools to Watch by the California League of Middle Schools.






and efforts to close the achievement gap.
The Buckeye Union School District remains steadfast in its mission to provide innovative programs, rigorous academic standards and a supportive environment for all students. The California Honor Roll recognition reaffirms the district’s commitment to academic excellence and equity. The Honor Roll program identifies schools that demonstrate exceptional performance in student achievement, college readiness and equity over a sustained period. This recognition reflects the district’s commitment to fostering a culture of academic excellence and inclusivity.


Recipe courtesy of Marcia Stanley, MS, RDN, culinary dietitian, on behalf of Milk Means More
Nonstick cooking spray
3 cups halved cherry tomatoes
2 teaspoons olive oil
1 teaspoon minced garlic
1/2 teaspoon dried oregano or dried dill weed
1/4 teaspoon salt
1/2 teaspoon coarsely ground black pepper, divided
1 1/2 pounds salmon or halibut fillets, cut into 4 servingsize pieces
1 cup (4 ounces) crumbled feta cheese




Preheat oven to 425 F. Line 18-by-13by-1-inch (half sheet) baking pan with foil. Lightly spray foil with nonstick cooking spray. Set aside. In medium bowl, toss tomatoes, olive oil, garlic, oregano, salt and 1/4 teaspoon pepper.
Place fish pieces, skin side down, on one side of prepared pan. Sprinkle with remaining pepper. Lightly press feta cheese on top of fish. Pour tomato mixture on other side of prepared pan. Bake, uncovered, 12-15 minutes, or until fish flakes easily with fork. Place salmon on serving plates. Spoon tomato mixture over top.

This prestigious recognition highlights the school’s excellence in academic achievement, social equity and responsiveness to the developmental needs of middle school students. The rigorous application and review process for this honor involved a comprehensive evaluation of the school’s programs, practices and outcomes. As part of this recognition, Camerado Springs will be featured at an upcoming CLMS conference, where school representatives will have the opportunity to share its best practices and innovative strategies with educators statewide.
Principal Doug Shupe expressed pride in this accomplishment. “Being recognized as a School to Watch is an incredible honor that reflects the hard work and dedication of our staff, students and community,” he said. “This recognition showcases our commitment to excellence and our focus on meeting the needs of every student.”
Additionally, four of Buckeye Union’s schools have been recognized as California Honor Roll Schools by the Educational Results Partnership. This distinction celebrates outstanding academic achievement
The following Buckeye Union School District schools have been honored: Blue Oak Elementary Buckeye Elementary Camerado Springs Middle School Buckeye Union Mandarin Immersion Program
“These achievements highlight the collective efforts of our educators, staff, students and families,” said BUSD Superintendent Dr. David Roth. “Each of these schools exemplifies our district’s mission to provide a high-quality education for every child. We are proud to see each school’s hard work recognized on a statewide level.”
For more information about Buckeye Union School District visit buckeyeusd.org or contact the main office at (916) 985-2183.

by
Whether you are serving a family meal or setting out food for that garden party or potluck (the season is just around the corner), we want everyone to be safe. The memories of those meals should be the amazing flavors and great conversation, not food borne illness. Keeping food at proper temperatures and storing it for limited times is paramount for food safety.
One of the basic maxims of food safety is to keep hot foods hot and cold foods cold. Not keeping perishable food hot enough (at or above 140 degrees F) or cold enough (at or below 40 degrees F) allows bacteria to multiply quickly, rendering food potentially unsafe. Thus, when preparing or serving perishable food, it’s important that it not be left at room
temperature for more than two hours. If the temperature is above 90 degrees F (such as when you are entertaining outdoors), do not leave food out for more than one hour. Food left out for more than these time limits should be discarded.
Before refrigerating, cool off hot foods by storing them in shallow containers (so the heat can leave quickly). Label and date your leftovers. Most leftover foods will last in the refrigerator for three to four days. After that time, leftovers should be tossed. And it should go without saying that any food that is obviously spoiled (it smells unpleasant, is discolored or moldy, or abnormally soft) should be immediately thrown out, no matter how long it has been stored.
One of the most basic food safety practices is: When in doubt, throw it out. Care should also be
Tour Continued from B1 mill to architectural gem, marvel at this 1850s masonry home, which stands as a testament to our mining past. Each home will feature detailed historical information about its origins and the families who lived there, with knowledgeable docents on hand to answer questions. This is an exclusive chance to walk in the footsteps of early

taken when defrosting frozen foods, as pathogenic bacteria can multiply as the food begins to defrost when left at room temperature. Thaw frozen foods in the fridge or under cold running water, not at room temperature.
To recap: Do not leave perishable food at room temperature for more than two hours (one hour if the temperature is above 90 degrees F). This goes for food that is freshly cooked, or leftovers remaining after serving a meal or
El Dorado County settlers and experience the magic of Placerville’s historical homes. The event will take place on Saturday, April 19 from 11 a.m. to 4 p.m, in Placerville’s Bedford-Clay Street Historic District, featuring multiple historic homes on Clay Street and Bedford Ave. including the southern flank of Bedford where it joins Main Street.



entertaining. Store foods in shallow containers and refrigerate (for 3 to 4 days) or freeze promptly. Defrost frozen food safely in the refrigerator not at room temperature.
For more information on storing food and beverages, visit The FoodKeeper page at foodsafety.gov/keepfood-safe/foodkeeperapp where you can browse by category or use the search function to look up something specific. There’s also a Foodkeeper app for Android and Apple devices.
The UC Master Food Preservers of El Dorado County are a great resource for answers to your food safety and preserving questions. Email us at edmfp@ ucanr.edu. For more information about programs, events, and recipes, visit ucanr.edu/ sites/mfp_of_cs/.
Ticket holders will receive a wristband and a guide to help navigate the estimated five hour tour. For tickets and more information visit edchs.org or call the Fountain & Tallman Museum at (530) 626-0773.
mtdemocrat.com mtdemocrat.com















California Native Plant Society News release
ACRAMENTO —
SCalifornia Native Plant Month began on Tuesday, April 1, and the California Native Plant Society wants you to stop and smell the coyote mint. From fragrant coyote mint to giant chain ferns, California is filled with over 6,700 types of plants, more than any other state in the U.S. During California Native Plant Month, CNPS will highlight a plant a day as part of a small sampling of the state’s remarkable flora. In tandem, the conservation organization — now celebrating its 60-year anniversary — will suggest one action per week to help protect California’s unique native plants and habitats.
The state’s extraordinarily rich variety of plants and habitats is a globally important example of
what scientists call “biodiversity,” one word to capture the web of life on the planet — and today that web is in jeopardy. California is in one of the world’s 36 biodiversity hotspots, areas that have exceptional concentrations of endemic species that are found nowhere else, as well as elevated risks of extinction. Habitat loss from development, climate change and invasive species threaten biodiversity as never before, and endemic species are especially at risk.
Approximately 66% of endemic species are projected to experience an 80% decrease in the size of their ranges in the next 100 years.
“Living in one of the world’s biodiversity hotspots means that our local actions here in California have global impacts,” said CNPS Executive Director Dr. Jun Bando. “Each of us can make a difference, starting by getting to know and appreciate the native plants and habitats around us.”
endeavor relies on the support of the community. By coming together, everyone can ensure that rural students can experience elevated learning and personal growth.
As Henry Ford once said, “If everyone is moving forward together, then success takes care of itself.”
Pleasant Valley Middle School is eager to partner with the community to help its students thrive.
If you are interested in donating to Pleasant Valley Middle School and their development of Field Trips and Science Camps see below: Through Venmo, visit venmo.com/u/JessicaTrumble-Pitel
Checks may be mailed to Pleasant Valley Middle School at 4120 Pleasant Valley Road, Placerville, CA 95667. Make checks payable to: Gold Oak Union School District, Memo Line: Sly Park. For more information on Pleasant Valley Middle School visit gousd.k12.ca.us/District/ Department/10-Pleasant-Valley-Middle-School.
Throughout April, local CNPS chapters and partner organizations are offering dozens of opportunities to enjoy and learn about native plants in communities statewide, including plant sales, field trips, garden tours and educational talks.
“Native plants are for everyone,” said Liv O’Keeffe, senior director of public affairs at CNPS. “You can take action by learning what you are seeing on a nature trail, advocating for native plants and places to your leaders, or replacing your lawn with a native plant garden.”
Established by the state legislature in 2023, California Native Plant Month is observed in April in recognition of the state’s globally significant native plants. The recent month-long celebration is an expansion of California Native Plant Week, which was established in 2010. To learn more visit cnps.org/ celebrate.
Sunny Atkin Scholarship Fund for students of aeronautical related studies.
The Placerville Speedway at the El Dorado County Fairgrounds presents Points Race #3: 360, Pure Stocks, BRCA L/S, BRCA Midgets| Prospectors Pursuit at 5:30 p.m. For more information visit

The show runs through May 4. For tickets and more information call (916) 353-1001 or visit sutterstreettheatre.com.
The Sofia in Sacramento presents a Music and Comedy Show with Comedian Jack Gallagher at 7 p.m. For tickets and more information call (916) 443-5300 or visit bstreettheatre.

Martin Media presents Paula at the Harris Center for the Arts in Folsom at 7:30 p.m. For tickets and more information visit harriscenter.net or call (916) 608-6888.
The Green Room Social Club in downtown Placerville will host Love for Larry: Supporting Cancer Recovery noon to 4 p.m. For tickets and more information visit clubgreenroom.com.
Irish Trad Session hosted by will perform, 5-8 p.m. at The Green Room Social Club in downtown Placerville. For tickets and more information visit clubgreenroom. will perform at 3 p.m. at HWY 50 Brewery in Camino. For more information visit hwy50brewery.com/live-
Harris Center for the Arts
in Folsom presents the Commodores at 7:30 p.m. For tickets and more information visit harriscenter.net or call (916) 608-6888.
The Grass Valley Center for the Arts presents Yesterday & Today: The Interactive Beatles Experience at 6 p.m. For tickets and more information visit thecenterforthearts.org.
April 7
Placerville Arts Association will host its Spring Membership Show at the El Dorado County Government Building open 9 a.m. to 5 p.m. The show continues through April 11. For more information visit placervillearts.com.
April 8
The El Dorado Hills Genealogical Society will host a Zoom presentation by Richard Hanson at 6 p.m. on how to use photo scanners to preserve records and photos for genealogical research. zzzzcontact Pat Kriz at patkriz@ earthlink.net by Monday, April 7.
Now
Ponderosa High School Theater presents “Beetlejuice Jr. the Musical” through April 5. For tickets and more information visit pondodrama.com.
Theatre at the Mine at Union Mine High School presents “The Wizard of Oz” through April 5. For tickets and more information visit onthestage.tickets/unionmine-high-school.
Registration is now open for the 42nd Bob West Drive for Marshall. The event is Friday, June 20, at Cold Springs Golf & Country Club. For more information or to register visit marshallfound.org/golfregistration/?blm_aid=30898. The Sacramento Fine Arts Center in Carmichael presents Magnum Opus 2025 through April 12. The museum opens at 11 a.m. daily, closed Mondays. For more information visit sacfinearts.org.
Capital Stage in Sacramento presents “Everything Beautiful Happens at Night” through April 20. For tickets and more information call (916) 995-5464 or visit capstage.org.
Sutter Street Theatre in Folsom presents “Guys and Dolls” through April 27. For tickets and more information call (916) 3531001 or visit sutterstreettheatre. com.
California Museum in Sacramento presents Our War Too: Women in Service through May 4. For more details visit californiamuseum.org.






Arts and Culture El Dorado invites El Dorado County students to submit original poems about their hometown for its Our El Dorado Poetry Project. For more information visit artsandcultureeldorado.org.
The Town Center Farmer’s Market is back in action on Sundays in its new location in the amphitheater near Brickyard & South Fork. Stop by 9 a.m. to 1 p.m. to enjoy local certified produce, fresh flowers, wine, baked goods,
and

















































































































































































