22-23 Marquette Messenger: Issue III

Page 1

MESSENGER the n. III VOLUME XXX, ISSUE III | MO 63017 | MARQUETTEMESSENGER.COM | NOVEMBER 2022 See pgs. 8-9 CONCUSSIONS RISE AMONG US STUDENT ATHLETES

ROLL CALL

NEW VOTERS

06 ROBOTICS FUNDRAISER

Robotics team members plan a fundraiser that involves throwing pies at volunteer teachers.

10 MUSIC MADNESS

From the radio to social media, the discovery of new artists has evolved.

13 OPINION: REDUCE VOTING AGE?

Messenger staff discuss whether to reduce the federal legal voting age.

16 RISE IN ESPORTS

The rise in competitive esports tournaments in St. Louis popularizes the sport among students.

Photographs by Parker Brandt, Aarushi Bute, Liza Cooper, Tiona Merritte, Shyam Punnachalil, Jacob Robinson and Anika Talyan

Front page photo illustration by Shyam Punnachalil and Aarushi Bute

ABOUT US

public forum, published eight times a year by students enrolled in the News Production class at Marquette High School, Chesterfield, MO, 63017.

The publication serves to inform readers about issues concerning the

Opinions of Messenger columnists or the Editorial Board are not representative of the opinions of the entire Messenger staff or the administration. The full student can be viewed on the Messenger official website, responses

yourmhsnews@gmail.com. The right to submitted material and to refuse to print material because of space limitations, repetitive subject matter,

libelous content or any other reason the editor in chief and adviser deem appropriate, including advertisements and letters to the editor.

The Messenger is nationally recognized as a member of the National Scholastic Press Association (NSPA), Columbia Scholastic Press Association (CSPA), the Journalism Education Association, Missouri Journalism Education Association and Quill & Scroll. This year, the publication was named a Hall of Fame recipient and Quill & Scroll George H. Gallup award winner. Past issues have been named NSPA Pacemaker finalists and CSPA Crown finalists. The Messenger website is a Distinguished Site recipient.

The publication office is located in Room 226, (636) 891-6000 ext. 26228.

INSIDE
Newly turned 18 year olds exercise their power to vote in the 2022 midterm elections.
03 10 16 13 Students attending concerts obtain tickets through various means. See full story on pg. 11. @MHSNEWSPRODUCTIONS @MARQUETTEMESSENGER 06 Contact sports put athletes at risk for concussions. See full story on pgs. 8-9 MHSNews | Art Highlights MHSNews Local Alternative
its
Band Creates
Own Brand
Elliott Jorgensen

2022 Midterm Elections

Students join new generation of voters

Volunteering as an election judge at the polls on Tuesday, Nov. 8, Carter Glea son, senior, realized how few people really vote.

“It can be extremely difficult for people working 9-5 jobs to get out and vote, and it’s even more difficult for, often low-income, citizens who work outside of 9-5 hours,” Gleason said.

He said that if election day was a national holiday, there would be much easier access for people to be able to make it out to vote. RSD was off school that day allowing for easier access to voting for faculty and staff and those students of voting age.

Gleason turned 18 this past year and was able to cast his vote on Tues day, Nov. 8, making him a member of an entire generation of new voters.

Gleason signed up to volunteer at the polls through a link posted at pol itics club. He started volunteering for the 2020 presidential election, which sparked his love of politics.

“I was very happy to vote for the first time,” Gleason said. “Even if you think your vote won’t change any thing, you still have to vote. Only when everyone votes, can we truly gauge the country’s opinion.”

Gleason was one of 27 percent of voters ages 18 to 29 who cast a vote in this election, according to an early estimate by the Center for Information and Research on Civic Learning and Engagement at Tufts University. This would be the second highest turnout for voters under the age of 30 in at

Senate

Results

Eric Schmitt 55.5%

Trudy B. Valentine 42.1%

House of Representatives Republican Seats 6 Democratic Seats 2

Amendment 3 passed with 53.1% of voters affirming the legalization of marijuana.

least the last three decades.

Anna Gray, social studies teacher, has been integrating the midterm elec tions into her Contemporary Issues and Government classes this semester.

“There are some really interesting toss-up states in the mix this year for the Senate race,” Gray said.

After the first day of tallying, Georgia, notoriously a swing state, had to extend voting for their Senate candidates selection through a run-off, which will take place Dec. 6.

Gray also had been following Pennsylvania, another toss-up state, which ended up electing its Democratic candidate, despite having more Repub lican-voting counties.

Gray said she had a few students

who expressed excitement about the elections this year and were eager to show her their sample ballots.

Mahita Avasarala, senior, wasn’t eligible to vote; she won’t turn 18 until next July. This didn’t curb her election enthusi asm, though.

“I think vot ing is extremely important, even when a voter does not agree with me,” Av asarala said. “The whole point of liv ing in a democracy is

that the government represents the will of the people. If we do not go out and vote, then we are not embodying the true spirit of the system we live in.”

For Avasarala, and many in her gen eration, voting is their next big mile stone. Many candidates and nonprofits, like “I am a voter” and Missouri’s U.S. Senate candidates Trudy Busch Valen tine and Eric Schmitt have put messag es or information online to encourage voter turnout.

Midterm elections generally have a lower voter turnout than presiden tial elections. The 2020 presidential election had the highest voter turnout of the 21st century, with 66.8 percent of citizens 18 years or older partici pating, according to the U.S. Census.

Votes from the November midterms could take weeks to be counted, but are projected to exceed 2018, which was the highest voter turnout in a midterm since 1914.

“Voting is a must because it is the expression of our voices and the utilization of rights that have been fought for over 200 years,” Avasarala said. “I couldn’t see a scenario in which I do not try to get my vote in.”

School was not in session on Tuesday, Nov. 8, because MHS and other RSD schools are polling places.

HOT Takes: Students react to election results

“I think the midterms were eventful. I feel like it doesn’t matter if they legalize marijuana because people were still doing it anyway. It’s fine that it passed, but it doesn’t make a difference.”

“I didn’t know how to feel about the midterms, mostly because I’m only a sophomore and I’m far away from actually being able to vote.”

“I didn’t know a ton about the results until after the election was over. Once I did look into it though, the result might not be what I wanted but I’m glad I paid attention so I know for the future how the midterms work.”

“I didn’t vote, but there was no red wave! I think legalizing marijuana will make it taxed more, but I think the midterms were good.”

NEWS 3 issue III
IAN KERSHMAN, freshman CAM KOSSMANN, sophomore junior senior

Drug shortage affects ADHD treatment

Growing up, Lydia Lange, sophomore, was a straight A and B student, spending her time writing short stories, making art with her mom and hanging out with friends after school. But in the midst of Lange’s everyday interests were subtle difficulties in focusing.

Whether doing homework in the evenings or navigating her day, Lange said she was easily distracted and often found herself day dreaming.

“I can’t imagine just waking up and being ready to go for the day and focused on my routine,” Lange said.

Her symptoms worsened in the third grade when she noticed a vis ible drop in her grades. Lange’s mother and grandmother came to the conclusion that it was time to see a doctor.

Her doctor’s visit resulted in a diagnosis of attention-deficit/hyperactivity disorder (ADHD) and a prescription for Adderall, a medication used in treating ADHD.

“ADHD has basically ruled my life, until I started taking medicine,” Lange said. “And that’s when I realized, ‘oh, I can get through the day and do normal things without getting distracted’.”

Lange said Adderall has transformed her symptoms, and even her teachers noticed an improvement in her focus.

“They noticed a huge difference, and they even talked to my mom about it,” Lange said.

Last month, the Food and Drug Administra tion (FDA) announced a shortage of amphet amine mixed salts, or Adderall, which is affecting prescription fulfill ment for students like Lange who have ADHD.

Elisa Pramod, Lange’s grandmother and legal guardian, said the Adderall shortage has had a terrible impact on people like Lange who are in need of the medication for their symptoms.

“The struggle with mental health is enough as it is, but when you take away things that make them kind of feel more normal, I think it’s just terrible,” Pramod said.

Pramod said when she was a child, she was a daydreamer and wasn’t able to focus. As an adult, she was diagnosed with attention

deficit disorder (ADD) and was also prescribed Adderall for her symptoms. The difference with the medication was night and day for Pramod.

“From the perspective of someone with ADD, it feels like your head is somewhere else and you’re not where you need to be,” Pramod said.

After taking Adderall, Pramod said her work production tripled that year because she was able to increase her concentration.

Dr. Nausheen Hasan, pediatric pharmacist at Sarepta Therapeutics and MHS Class of 1997, said the Adderall shortage is caused by two main factors: a rising demand for the product and issues with produc tion.

Due to the increased amount of children in need of Adderall, many manufacturers are unable to fulfill the demand. Additionally, Dr. Hasan said there may be a backlog from pan demic-induced labor shortages which leads to the supply chain or the manufacturing of the medication.

Dr. Hasan said she had difficulty obtaining the medication during her previous experi ence working in a hospital pharmacy.

“There are many other shortages in hospi tals as well, but for this particular one, when there’s a shortage, we’ve worked to figure out other solutions,” Dr. Hasan said.

For example, pharmacists can lower the dose of Adderall or Adderall users can take breaks with the medication.

“You don’t need to be on Adderall over the weekend or during holidays,” Dr. Hasan said.

If there’s a risk, primary care providers can also switch the formu lation, but a doctor consultation is required to do so.

“There’s not a whole lot we can do except trying to get over that pandemic-induced labor shortage and getting our supply chain back in order,” Dr. Hasan said. “I think it’s going to take us a couple of years before we get there, but shortages come and they go.”

4 NEWS nov. 2022
Lydia Lange, sophomore, finds it hard to concentrate during school due to her attention-deficit/hyperactivity disorder (ADHD). Some symptoms she experiences include headaches, trouble focusing in class and daydreaming. As the recent Adderall shortage worsens, Lange said the lack of access to medication could wors en ADHD symptoms. Photograph by Anvi Talyan. Illustration by Emma Tyulyayev
62% of teens ages 12-17 with ADHD use medicine as treatment
Information from the CDC
issue III ADVERTISEMENTS 5 Boost Your College Applications and Fast-Track Your Academic Plan at STLCC As a student at STLCC, you can earn college credits that are guaranteed to transfer. Connect with an academic advisor to plan your schedule and get the classes you need to jump-start your four-year degree. Spring classes begin Jan. 17 Summer classes begin May 15 and June 5 Complete our free online application: stlcc.edu/apply 2645 Generations Drive Wildwood, MO 63040 636-422-2000 stlcc.edu/chat YEARBOOK Buy the yearbook FAST at www. yearbookordercenter.com or 1.866.287.3096 The price increase as time goes by!

Pie to the face raffle begins

Ed Bolton, science teacher, said he will do almost anything to support the multiple clubs and organizations at MHS.

Even if that means getting a pie in the face.

The Gluons Robotics Team is selling raffle tickets for $1 during the four lunch shifts the week of Dec. 5-9.

The raffle tickets that were purchased will be put in a pool of names, and a random winner will be drawn. The winner then gets to pie a willing teacher in the face in front of students and staff on Friday, Dec. 9 during lunch.

“The way I look at it, pie washes off,” Bolton said. “It’s not like they’re doing anything that’s going to leave scar ring or damage.”

Bolton said he has robotics club members in every one of his classes which motivated him to participate.

“I think it will be fun,” Bolton said. “Hopefully me getting a pie in the face will inspire my students to buy a ticket.”

Sahana Visarla, junior, is a member of the Gluons and is helping set up the fundraiser.

Visarla said the main reason why they are putting this on is because robotics is responsible for raising its own funds.

“Robotics parts are expen sive and things can break or malfunction easily,” Visarla said.

“I feel like we need some safety money in case something unex pected were to happen.”

The last time this event was put on was in 2019, and Visarla said she is looking forward to bringing it back to MHS.

“It went over really well in the past,” Visarla said. “So, I’m hoping it has the same suc cess rate this year and in the years to come.”

Kevin Sharitz, technical education teacher, agreed to get a pie in the face.

Overall, Sharitz said he wishes he knew what kind of pie is going to be shoved in his face so he can be more prepared.

“I always like to know what’s going on,” Sharitz said.

Sharitz said he is planning on advertising this raffle to his students.

“I feel like I’m here to help the student body in any way I possibly can,” Sharitz said.

Robotics team creates new book

anvi TALYAN

The Gluons robotics team is creating a children’s book that focuses on robotics and STEM, an idea that excites Anna Hill-Jones, junior.

“We really want to make sure that these ideas that science can be fun and interesting and excit ing are getting to those younger kids early on,” Hill-Jones said.

The book follows two characters, an athlete and a robotics member, where the athlete originally bullies the other character for their interest in robotics. After the switch, the characters start to gain respect for each other and become friends by the time they switch back to their correct body.

Hill-Jones said the plot is loosely based off the movie “Freaky Friday,” where the two main characters switch bodies and experience life in the other person’s shoes.

“If we have a really strong plot device, we can get it across to kids that robotics is fun and worth doing,” Hill-Jones said.

The team plans to publish through Amazon.

Once finished, the Gluons plan to give the book out to different RSD elementary schools, the MHS library and the preschool at MHS. HillJones said she hopes the book will take two to four months to complete.

As of now, the team has finished the script and the rough outline of the drawings. They are

currently working on the final storyboards to share with the illustrators.

Christina Tyulyayev, senior, is helping color the book, after being provided the line art from the other illustrator, Emma Tyulyayev, senior.

Tyulyayev is the Gluons build captain, and though she is not part of the business team, she decided to help with the illustration because she had the most experience with art out of the rest of her team members.

“I’ve never really seen another robotics team come up with a children’s book talking about First Tech Challenge, so I think it’s a pretty unique idea,” Tyulyayev said.

Senior Dhruv Bansal, co-captain of the Gluons, said many children can be intimidated by the moving parts of robotics, so the book presents a clear and interesting way to communicate with them.

“One of our biggest objectives is always to try to get younger kids interested in robotics from early ages, which can be hard,” Bansal said.

There had originally been some push back when the team first considered the idea because some team members felt that the idea wouldn’t be properly executed. Bansal said that in response, the team decided to move forward with it under the agreement that the business team puts their entire effort into the project.

“I think that if we execute it right, it will be re ally impactful in trying to get kids more interest ed in robotics and about the values of robotics,” Bansal said.

nov. 2022 FEATURES
“If we have a really strong plot device, we can get it across to kids that robotics is fun and worth doing,”
Anna Hill-Jones Junior
annie ALCORN Anna Hill-Jones, junior, brainstorms for the book the Gluons Robotics team is creating for elementary stu dents. The team hopes to have the book finished by February. Photographs by Shyam Punnachalil and Anika Talyan
Ticket Details: $1 per ticket Sold during lunch Dec. 5-9 Winner gets to pie a teacher Thank you to our Sponsors! Steidtmann Family Lowder Family Risenhoover Family Swarna Family Garre Family Kemp Family
Illustration by Parker Brandt

Top Five Countries Hosting Ukrainian Refugees

Ukraine

Family hosts refugee from Ukraine

While making her usual Ukrainian soup, borscht, Ka rina Solomakhina, senior, learned of an unexpected addition to her family: a Ukrainian refugee.

In her 30s with a “bubbly personality,” Olga Re balka, the refugee, is an “exciting new member of the family,” Karina said.

“Seeing her happy makes me happy,” Karina said. “It’s comforting because you’re helping someone out from a tragic situation.”

According to the Center for Strategic and In ternational Studies, there are more than 7 million Ukrainian refugees from the Russo-Ukrainian War, with the majority moving to Poland and Germany.

Karina said her family found the opportunity to host refugees through her church.

“I wasn’t very involved in the process, but a fam ily that we know in Ukraine contacted my aunt until they were able to bring her here,” Karina said.

Living with a new addition to the family, Karina said her life hasn’t changed substantially except for more upkeep on her appearance, but she has learned to be more patient.

“When inviting a new person to my home, I had to get used to being patient for the simplest things like placing utensils in the kitchen,” Karina said.

For the four months Rebalka has been in America, Karina said she and her family have taken Rebalka on family trips and activities from Florida to Eckert’s Farm to float trips.

“It was always my dream to visit the ocean,” Re balka said. “Florida was the biggest impression I got.”

The biggest challenge Rebalka said she faced was traveling to America.

“I was asked many questions about the border ser vices of Germany,” Rebalka said. “It was really tough and scary.”

Though the traveling process was difficult, Rebal ka said being matched with the host family was easy as she knew the host family. But, it was also worri some.

GlobalGiving Ukraine Crisis Relief Fund:

Raising funds to support locally-led organizations in Ukraine.

https://www.globalgiving.org/projects/ukrainecrisis-relief-fund/

“I was worried because I haven’t seen the fami ly for a while, maybe around 20 years, and did not plan to stay very long,” Rebalka said. “But everything turned out fine. I feel good; they’re like my own family.”

Marina Solomakhina, Karina’s mom, said the process of hosting Rebalka was challenging due to language barriers.

“There’s a lot of work for it,” Marina said. “First

Ukrainian Red Cross: Collecting blood, distributing first-aid, dispatching volunteers, conducting emergency activities. https://donate.redcrossredcrescent.org/ua/ donate/

Karina Solomakhina, senior, travels with her family and Olga Rebalka, a refugee from Ukraine. On their way to Florida, they stopped in Alabama at a rest stop.

ly, you need to fill out all the documents, and if you don’t know the language, it’s very tough. You need help from a person who knows the language very well.”

Marina said she hopes to host another refugee once Rebalka stands back on her feet.

“Yes, it’s hard,” Marina said. “But we are happy that we invited her because to live there among the bullets and bombs is very scary.”

Kyiv School of Economics:

Provide military and medical equipment and emergency services through their charitable foundation.

issue III FEATURES 7
Poland - 1,422,482 Germany - 997,895 Czechia - 442,443 Italy - 170,646 Spain - 145,838
Information from the UN Refugee Agency During Rebalka’s first week living with Solomakhi na’s family, she met with three of her aunts who would be helping her through her transition. Photographs by Marina and Karina Solomakhina
https://kse.ua/support/donation

During a football game, Ashley Schaller, senior, performs a routine with other cheerleaders. Schaller was a flyer on the team and sustained her third concussion in 18 months on Monday, Sept 19. “It’s definitely very upsetting because I’ve done this my whole life and I haven’t really had issues until these past two years,” Schaller said. Photograph by Jacob Robinson

Concussion injuries interrupt seasons, academics

As a flyer on the varsity cheerleading team, Ashley Schaller, senior, said she has to be fearless.

Her role involves being thrown up into the air as high as possible by the cheerleaders at the base of the routine. However, with being in the air comes the possibility of falling as well, and Schaller has sus tained numerous injuries from falling.

“I’m starting to realize how dangerous it can be,” Schaller said. “I love cheer. I’ve done it my whole life, but I have to live with my brain my whole life.”

In under 18 months, Schaller has sustained three concussions — the first in August of last year, the sec ond at the end of last November and the most recent on Monday, Sept. 19.

Schaller is not alone. According to an ongoing 13-year study conducted by the American Academy of Orthopaedic Surgeons, incidences of concussions across all sports have increased despite greater aware ness about the injury.

Ten percent of all contact sport athletes sustain concussions yearly, according to the Brain Injury Research Institute. Contact sports include sports such as football and soccer along with cheerleading.

Dr. Jonathan Tiu, assistant professor of neurology and orthopedic surgery at Washington Universi ty, specializes in neurorehabilitation. He defines a concussion as any physical change to the brain, either from direct impact or whiplash, that prevents normal function of the brain.

Dr. Tiu said neurological symptoms of concus sions consist of headaches, dizziness and imbalance. People may also have trouble focusing and may feel more irritable and anxious. A concussion injury may also affect sleep.

“There is some thought that concussions can dis rupt the normal function of our emotional circuits in our brain,” Dr. Tiu said. “It’s quite difficult to isolate these emotional circuits because of how complex human behavior is.”

Dr. Tui said other more objective measures such as cognitive tests and tests of balance and eye func tion can help to evaluate a concussion’s impact on an athlete as well.

Long-term effects of concussions and head inju ries are still being researched, but potential implica tions could include an effect on cognition. However, Dr. Tui said he sees less permanent damage to the brain from a concussion than other brain injuries.

“The majority of people who have had a concus sion will report that at least in terms of how they feel, their symptoms will completely resolve within a week or so,” Dr. Tui said.

EFFECT ON STUDENTS

Schaller said her condition from her most recent concussion made her unable to compete in this year’s Regionals and Qualifiers, and she will most likely be unable to compete at State as well. She has taken a break from cheerleading for more than a month.

Schaller said she also has trouble concentrating in classes and suffers from sporadic headaches. This dis comfort impacts her ability to focus in class and often forces her to leave school because of the pain.

Teachers provide her with paper notes as opposed to online copies to limit her screen exposure.

She said her pediatrician warned her against con tinuing flying in the future and has even recommend ed her taking a longer break from the sport.

Kevin Schaller, Ashley’s father, said an injury such as a concussion can be detrimental to an individual’s day-to-day life.

8 IN-DEPTH
Donovan Fitzmaurice, sophomore, attempts a spin move to pressure CBC’s quarterback during a game on Nov. 12. Fitzmaurice was a defensive tackle for the varsity football team and during the game on Friday, Oct. 21, Fitzmaurice sustained a concussion Photograph by Jacob Robinson

How Different Parts of the Brain are Affected by Brain Trauma

Frontal

Hippocampus diffuculty making new memories

Cerebellum challenges with balance and language

“I get it, sports are sports and people are compet ing extremely hard, so injuries can occur,” Kevin said.

The medical professionals he brought his daughter to was three concussions was a lot, Kevin said.

“I take a step back and think I love her so much that if something were to happen, I couldn’t forgive myself,” Kevin said. “She has her entire life ahead of her.”

Sophomore Donovan Fitzmaurice, defensive tack le for the varsity football team, sustained a concus sion in the football game against Pattonville on Oct. 21.

“I was dizzy, but I just kept going,” Fitzmaurice said. “I just knew I had one.”

Fitzmaurice has had to change his everyday rou tine as a result of his injury.

“I just limit so much activity, take things slow,” Fitzmaurice said. “And just take care of my body.”

But Fitzmaurice said he isn’t worried about con cussions in the future, and neither is junior Brianna Kappeler, varsity soccer defender.

“There’s always the worry that when you’re going to go up for a head ball against someone else that you’re going to hit heads and could get a concussion,” Kappeler said. “There’s always the possibility. You never really know with head injuries and there’s nothing you can really do to prevent it.”

CURRENT MEASURES

Michael Stewart, football coach, said every coach is trained in identifying concussions through symp tomatic tests. If a player is thought to have a concus sion, they are passed onto MHS’ athletic trainer, Jessi Austin.

Austin then assesses the details of the injury and performs more precise tests on balance, memory and cognition, such as SCAT-5 and Bombs tests on the player. If the tests conclude the player has a concus sion, they are sent to a neurologist and will recover on average for 7 to 10 days until symptoms subside. The recovery process involves limiting strenuous activity and excessive screen time to be safe.

Austin said she has seen between 10 to 15 concus sions since the beginning of this year.

“I’ve seen some people get better in two days,” Austin said. “I’ve seen some people take months.”

Ashley Hobbs, j.v. cheer coach, said the number one priority in cheerleading is safety, and the first thing all athletes are taught is how to be safe.

“By nature we are lifting people in the air, throw ing people in the air, catching people in the air,” Hobbs said. “That means you have to protect those people, not just in the air, but on the ground.”

The first practice always starts with the most basic cheerleading skills and progressively gets more advanced. If one of the cheerleaders cannot handle a skill, they do not move on, Hobbs said.

Besides training athletes, coaches also use tech nology to safeguard athletes. For example, in football they use form-fitting helmets and are exploring other new technologies like a Q-Collar.

Stewart said the theory of the Q-collar is that it is placed around a player’s neck and applies pressure to the neck, pooling up blood in the brain to pad it more. Q-collar prevents the brain from bouncing around inside the skull and hitting the sides.

Although Q-Collar isn’t available for high school students yet, eventually if it works well enough it will trickle down to the lower levels, Stewart said.

Carol DeMatteo, professor of rehabilitation science at McMaster University, said Q-collars are not scientifically proven to improve conditions and form-fitted helmets can’t stop a brain moving within the skull.

DeMatteo said even though the technology doesn’t completely work, other strides in sports safe ty have been made, such as changing the rules around rougher play and hits to the head to prevent these injuries.

After a player’s first concussion they are prone to more.

“50 percent of youth will have another injury within one year of the first,” DeMatteo said.

IN-DEPTH 9
Lobe concentration, problem solving skills and judgement
Basal Ganglia motor control, can cause irregular, involuntary movements
Illustration by Emily Chien
Steps To Play Procedures After Concussion Light cardiovascular exercise Running on flat surface with no equipment Full, normal practice or training Full participation after being cleared by medical professional Non-contact training drills in full equipment. Weight-training can begin A minimum of one day should be taken between each step
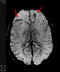
The brain in this scan from an MRI has a brain bleed in the frontal cortex, which can happen during a concussion, said Carol DeMatteo, professor of rehabilitation science at McMaster University. Media used with permission by Carol Dematteo
Information from MSHSSA
Information from Flint Rehab

Where have teens found music? Ten years ago

A study by Tech Dirt conducted in 2012, showed that 64 percent of teens found a majority of their music from YouTube.

A study by Marketing Charts showed that in 2021, 58 percent of teens find music through music streaming apps, such as Spotify and Apple music.

The Tech Dirt study showed that in addition to YouTube, 56 percent of teens found new music from the radio, then 53 percent through iTunes, and lastly 50 percent by CDs.

Now

Closely behind streaming apps, 53 percent of teens find music through social media such as TikTok or Instagram.

Teens also found music through friends and TV programs.

22 percent of teens now still find new music from the radio.

Technology changes methods of finding tunes

tiona MERRITTE

Jason Winter, music teacher, often asks his students about the music they have been listening to and then he gives the songs a try.

“I had a student introduce me to a group called Tuxedo. Although I've heard of the group before, I found a lot more of their music that had a great groove and fun message,” Winter said.

Over his 26 years of teaching, Win ter has said that he noticed changes in how students find their music.

“In my early teaching we learned about music titles through radio sta tions, which means our consumption of music was controlled by the producers, radio stations and advertisers,” Winter said. “As technology changed, we had more access to music through other means.”

Now, students consume music through apps such as Spotify, Insta gram or TikTok.

“The switch to digital music record ing and sharing now allows so much access to artists and music that we would have never seen 26 years ago,” Winter said.

Clark Rovin, senior, is one of Winter's students. When his friends ask him for song recommendations, he picks the most upbeat songs on his playlist. Rovin uses YouTube, Sound

Cloud and Spotify to find his favorite songs.

But he doesn’t find these songs by searching for them.

“Normally, I just find them while doing other things like reading or playing a game,” Rovin said. “If you just go and explore, and start listening to different songs, eventually you’ll find something.”

Rovin likes to take advantage of technology when it comes to finding music.

“Once I got a phone, I was able to have access to the internet whenever I liked,” Rovin said. “That gave me the freedom to not have to just listen to whatever was on the radio.”

As Marlen Reynoso, sophomore, scrolled through TikTok in October, she stumbled upon a haul video on her For You Page (FYP). In the background was a sped up version of the song “Ev ergreen” by Omar Apollo.

“I saw more videos with his song on my FYP and a friend told me more about him,” Reynoso said. “I started listening to his songs.”

TikTok is an app that uses different audios over short videos. Every month there’s a handful of audios that start trending, and some of those are short snip-bits of songs.

Reynoso has found a number of songs from scrolling through TikTok

such as “Really Bad Boy” by Red Velvet and “One More Hour” by Tame Impala, to name a few.

In the past year, gatekeeping, or keeping an artist or song to oneself, became a common practice among Tik Tok users. This began once users began to debate whether it is good to have songs trend on TikTok, or not.

Saja Mohsen, sophomore, can see both sides to this argument.

“I used to like ‘Take my Breathe’ by

Song: "Running Up That Hill"

Album: Hounds of Love

Artist: Kate Bush

Marlen Reynoso, sophomore, speaks out about which songs she discovered on TikTok from albums within her collection.

Song: "Material Girl"

Album: The Immaculate Collection

Artist: Madonna

Song: "Everybody Wants to Rule the World"

Album: Tears Rolled Down Greatest Hits

Artist: Tears for Fears

The Weekend. That blew up on TikTok, but then I stopped liking it,” Mohsen said. “It’s kind of off and on with Tik Tok. You begin to hear it too much and then you get sick of it, but once it gets off TikTok you start to like it again.”

Before downloading the app, she listened mostly to pop, such as Steve Lacy and The Weekend.

“TikTok helps spread music taste,” Mohsen said.

Song: "One More Hour"

Album: The Slow Rush

Artist: Tame Impala

Song: "Today"

Album: Siamese Dream Artist: Smashing Pumpkins

10 ARTS & ENTERTAINMENT nov. 2022
Marlen Reynoso, sophomore, attended Omar Apollo's concert on Thursday, Nov. 10. Reynoso found his music on TikTok and said she really enjoyed it. "I'm happy I found his music. He's a great performer," Reynoso said. Photograph by Marlen Reynoso

Ticket Turmoil

Students discuss obtaining tickets for concerts

Taylor Swift Conan Gray

Brooke Eck, junior, grew up listening to Taylor Swift.

“Reputation was the first concert I went to without my mother,” Eck said.

The queue for the pre-sale of Swift’s 2023 tour opened at 10 a.m., Tuesday, Nov. 15, on Ticketmaster so Eck joined the waiting list for a chance at the tickets.

“It was open for two minutes and then Ticketmaster paused it,” Eck said.”It was letting 100 people in every 20 minutes.”

Eck had her phone open throughout all of her classes, until she was let into the sale during seventh hour.

“I thought this process would be over by 11 so I’m just happy it was over before school ended,” Eck said.

Annie Goldsmith, sophomore, was able to see Conan Gray in concert on Oct. 2.

“I went to see Conan because he’s my favorite person in the world, and I would not pass that up,” Goldsmith said.

Goldsmith and her parents waited until the tickets went on sale to get two tickets, one for her and a friend.

“They offered, the tickets were only 30 or 40 dollars,” Goldsmith said.

Photograph by Aarushi Bute

Pitbull

Annie Goldsmith, sophomore, saw Pitbull during his “Can’t Stop us Now” tour with her friends on Saturday, Sept. 3.

Jordan KennedyStainback saw H.E.R on May 4 for her “Back of my Mind” tour, this was his first concert in three years.

“My mom actually surprised me with the tickets,” Kennedy-Stainback said. “To make up for the money, I promised her that I would finish my sophomore year with great grades and work on chores.”

Photograph by Jordan KennedyStainback

by Elliott Jorgensen

“My friends got the tickets and then I paid them back,” Goldsmith said.

Photograph Annie Goldsmith

ARTS & ENTERTAINMENT issue III

SPEAK OUT IS AFFIRMATIVE ACTION FAIR?

The Supreme Court held hearings on Mon day, Oct. 31, about affirmative action, the practice of favoring individuals during the college admissions process who belong to groups known to have been discriminated against previously.

“I do think it’s equitable. It compensates for all the extra struggles that minorities have to endure.”

Twitter verification shouldn’t be easy

Twitter officially rolled out wide-spread verifi cation on Wednesday, Nov. 9. In this process, users who pay $7.99 for Twitter Blue will have the verified checkmark next to their name. It is commonly seen on the accounts of celebrities and other notable pub lic figures and platforms.

uals to separate them from parody accounts that will spread false information under their name.

“No.

Elon Musk, who became the new Chief Executive Officer of Twitter after a $44 billion dollar purchase, intro duced this new process.

“Blue check will be the great leveler,” Musk said in a tweet. “Widespread verifica tion will democratize jour nalism & empower the voice of the people.”

Immediately after Musk’s policy weakened the barrier between verified accounts and normal ac counts to a mere $8, several Twitter users started to impersonate notable celebrities, reporters and com panies. One account in particular impersonated NBA Superstar LeBron James, claiming he was demanding a trade from the Los Angeles Lakers.

EDITORIAL

BOARD

But will widespread veri fication actually democratize journalism?

By pursuing an ideal online community on Twit ter in which the average individual can feel a height ened sense of importance, Musk is actually destroy ing the very purpose behind verification.

Musk’s policies are dangerous. With any Twitter user being able to attain verification, it will be hard er for individuals to differentiate truth from a lie when seeking infor mation. This would be detrimental as Twitter is such a prominent, free news source in modern society. The consistency that it provides will be broken if users cannot separate the real reporters from the impersonators.

“I think affirmative action is fair. It’s meant to help people who didn’t grow up with the same resources as us. We’re all very privileged, especially here.”

Former St. Louis Cardinals manager Tony La Rus sa filed a lawsuit against Twitter in 2009 after being falsely impersonated on the application. Twitter then unveiled a blue check mark next to notable individ

We must pay attention and identify misinforma tion, especially with nearly half of all tweets coming from Gen-Z, according to Twitter. These illogical ver ifications are the end of accurate, credible news, and it is up to us as users to take a stand against them.

Letter to the Editor

The distance between MHS’ front doors and home plate is more than a third of a mile. That’s roughly 800 steps shouldering a 30-pound gear bag through the cross hairs of the parking lot exodus, past a large plain of practice fields and the baseball field all on the way to after school games.

fence. The baseball players have dubbed the varsity field the “Sandbox” as it’s one of the smallest in the area, standing at just 185 feet from plate to fence.

“Yes. I’ve seen it work at a lot of colleges and I think it’s important to get minorities into higher education because they don’t have as many opportunities as other people.”

Relocating the softball fields would bring much needed recognition to the program and would pro vide a solution to safety concerns. Marquette’s varsity softball program is among the most successful athlet ic programs offered at the school. And yet, nestled in the northwestern most corner of the property rests the softball field, leaving fans wondering: “Where’s the game at?” Foul balls commonly fly into the fields running parallel to the first base line to never be seen again, while home run balls crash like meteor show ers on the soccer practice just outside the left field

Now, this would require a good deal of mon ey and a near complete re-layout of the turf plain, which would be difficult to work out around the other sports seasons as they require their own practice space. But, it’s what the fans, players, and coaches deserve for upholding a tradition of success and defending the MHS name over all these years. We’ll keep hitting home runs and winning games until something is done about it.

7 12
nov. 2022
OPINIONS
SREEHARI CHENGALVALA, freshman KAITLYN
MALOY, senior
LILLY JEAN BAPTISTE, sophomore WILL HELIGMAN, junior
“I think that [admissions] should be based on student’s educational value, like how well they do in class, not on their race.”
If you have better qualifications, you should get in. Qualifications are more important than anything.”
Illustration by Emma Tyulyayev

Anti-Semitism must not be tolerated

parker BRANDT

Growing up with di vorced parents, I expe rienced two different upbringings. I had two sets of parents, two sets of siblings, two closets and two homes. But, as a child, religion was one of the most difficult conflicts I faced: the choice between Judaism and Lutheran Christianity.

I had a hard time identifying with one religion or the other, and because each of my parents was so important to me, I didn’t know which was the “right” choice. I still haven’t made a choice, but each religion highly reso nates with and is important to me.

That is why the modern wave of anti-Semitism has been so difficult for me to process.

The senseless hate toward the Jew ish community exhibited by famous pop culture icons, athletes and politi cians will never be okay.

Kyrie Irving, point guard for the Brooklyn Nets, was suspended by the NBA for a minimum of five games after tweeting a link to an anti-Semitic film that perpetuates false ideas about Jews, like that the Holocaust wasn’t real.

Ye, formerly Kanye West, once tweeted that he was “going death con 3 on JEWISH PEOPLE” and that he can’t be anti-Semitic because “Black people are actually Jew also.” His comment referred to the U.S. military defense readiness level called “DEFCON.”

Irving only issued an apology after his suspension was issued by the NBA, and when asked if he had any anti-

Semitic beliefs, he wasn’t able to give a “yes” or “no” answer.

The claims and statements made by these public figures also has been perpetuated by a series of “projection bombings” in cities across Europe and in the states. While this form of protest — projecting images or phrases onto large, often famous, buildings or land marks — has been around for years, people in support of Ye and Irving’s statements have taken to the method.

In Jacksonville, Fla., a message reading “Kanye was right about the Jews” was projected at the TIAA Bank Field after a game between Florida and Georgia. This happened only days after a series of anti-Semitic messages were displayed on a major highway in Jacksonville.

It is hard for me to understand why the struggle of millions of people can be cast aside and ridiculed by privi leged celebrities with no remorse for their actions.

When you have a large-scale plat form and the ability to reach millions of people with your thoughts and your voice, spreading hate and misinforma tion can lead to widespread violence and discrimination.

Religious freedom isn’t exclusive to the white, traditional Christians who wrote and created our constitutional rights. Considering how far as we have come as a nation, the systematic op pression of religions can no longer be carried on or tolerated.

If we want to protect our rights, we have to protect each other.

Methods of are getting out of hand

situation seems childish.

In the past month, a can of tomato soup was hurled at a Van Gogh in London, cake was smeared across the Mona Lisa in the Louvre and mashed potatoes splattered down the front of a priceless Monet in Potsdam, Germany.

So-called climate change activist groups like “Just Stop Oil” and “Last Generation” have been attacking famous works of art with various foods to bring media attention to the increasing threat of global warming.

The pieces of art were not harmed be cause they have pro tective glass, but the knowledge that people are willing to harm art to make dramat ic statements is alarming. And while these public exhibitions of protest do attract attention, it’s the wrong way to go about addressing a pressing issue.

How are we supposed to take the activist groups seriously when they are running at a Van Gogh armed with Campbell’s Tomato Soup? The whole

In order to protest effectively, groups or individuals must not act too rashly. If they do, their crazed actions will leave a bad taste in the public’s mouth, which will make the masses more likely to dismiss the protestors as insane. And by dismissing the protes tors, the public is also dismissing the issue.

This is exactly why peaceful pro tests like Martin Luther King Jr.’s March on Washington and the Women’s Suffrage Parades were so successful: they brought attention to an issue without inciting vio lence or harming anything.

The method of protest must be related to the topic of protest. These groups would be more effective in getting their message across if they expressed their discontentment outside places that are actually contrib uting to global warming, like oil drilling plants or greenhouse-gas producing factories.

Defiling a harmless art piece to make a point is ridiculous and a hap hazard waste of food. If these protests continue to happen, there could be a

movement to protect valuable art by hiding it away or making it harder to view. This would defeat the whole pur pose of art, which is to be admired.

It is essential to address real world problems like climate change, but until a few dramatic activist groups stop their antics, the movement to invoke change will not be taken seriously by the public.

Should the voting age be lowered from 18 years old?

Lowering the voting age to 16 would not only provide teens with a say in matters that affect them, but would also make sense given the role many teens already play. Many issues up for election are those that affect teens and younger generations the most. Just as it would hardly be fair to let only teenagers vote on tax rates, it makes little sense to only exclusively let adults vote on objects of importance to younger generations like public school policies and environmental issues. Additionally, teenagers are already treated like adults in other facets of their lives. According to Youth Rights, roughly a quarter of a million minors are tried or incarcer ated as adults annually. Also, in 2011, minors paid more than $730 million in income tax. If teenagers can suffer the negative aspects of being an adult, they should be granted the benefits of being an adult too. Sixteen and 17 year-olds can drive, have a job, donate blood and register as organ donors — they should be granted the right to vote as well.

claire LOWDER

While many teenagers are perfectly ca pable of forming and expressing political opinions, the voting age shouldn’t be lowered due to the fact that, along with a lack of knowledge and experience, the brain isn’t fully developed until the mid to late 20s. Many teens are easily influenced and even pressured by their parents, peers and the media, which would result in a decline of the quality of democracy. Along with this, most teenagers don’t have a good under standing of the government unless they have taken a government or politicsrelated course in school. Most people already agree: in a 2019 Hill-HarrisX poll, it was found that 84 percent of registered voters opposed lowering the voting age. Finally, turnout of voters from the ages of 18-29 is extremely low historically, suggesting that many aren’t ready or prepared to vote until later in life anyway.

issue II OPINIONS 13
liza COOPER
YES
In order to be taken seriously, protestors must not let their passions get the best of them.
NO
Photo Illustration by Liza Cooper Illustration by Emma Tyulyayev
14 ADVERTISEMENTS nov. 2022
Item of the month BANQUET WAIT STAFF Great Location Great Weekly Schedule Competitive Pay Sign On Bonus And more
November

Overcoming Obstacles

Swimmer faces challenges of movement disorder

Born with cerebral palsy that affects the functioning of his legs, swimmer Logan Fischer, senior, faces challenges and limitations every time he steps foot into the pool.

“I’ve started to use my legs a little bit more. I know that it’s going to be different learning how to swim for myself in compari son to other people,” Fischer said. “But I feel like that’s part of the fun of it. Learning my own way to tackle the challenge and get through it.”

Cerebral palsy is a condition that causes complications in movement and posture as a result of abnormal devel opment to the cerebellum, the region of the brain that controls movement.

Fischer started competitively swimming nearly 10 years ago for the Rockwood Swim Club. He said he pursued swimming in high school with his friends in order to get a different experience while still performing in a sport he loved.

“I was pleasantly surprised that it was very team based and that the team

morale was very high,” Fischer said. “I think that’s one of the main aspects of high school swimming I really en joyed.”

Jodi Fischer, Logan’s mother, said Logan started aqua therapy at Ranken Jordan when he was only 1 year old and continued that once a week for five and a half years..

“The warm water was tremendous for his muscles because for kids with neuro muscular and cere bral palsy, the water gives great sensory feedback and helps with movement,” Jodi said.

Joe Schoedel, swim coach, said the experience in coach ing Logan and helping him work past his limitations has been enhanced by Logan’s work ethic and mindset.

“Everybody’s got challenges. His are just a little different from everyone else’s,” Schoedel said. “He has a diffi cult time doing kicking sets and things like that, so he is really compensated by working on his upper body strength and technique and it’s beautiful. He swims beautifully.”

Bowler adapts to rare vision impairment

liza COOPER

Austin Johnson, senior, is not new to bowling. In fact, he grew up around it.

His two older brothers were into the sport and on the MHS bowling team, which led him to try out for the same team in 2018.

“I quite enjoy bowling,” Johnson said. “I find that it’s very relaxing, not overly exhausting and I get to work with the team.”

Johnson was diagnosed with a rare condition called anirid ia, which is where an individual has a com plete or partial absence of an iris in their eyes. Although aniridia can provide challenges to his vision, it certainly won’t slow him down, Johnson said.

“I’ve adapted to it pretty well,” he said. “I’ve worked with coaches and they all support me.”

Johnson also said he likes bowling because it is not a defensive sport.

The bowling team meets at West County Lanes 4 p.m. to 6 p.m. Mondays for practices. They compete on Sun days, also at West County Lanes.

Corey Johnson, Austin’s mom, likes the bowling club because it allows students to be social while also being

active. On Wednesdays, middle school ers interested in the sport are welcome to bowl with the club.

“Austin has a younger brother who’s in seventh grade and is on the Wednes day night league with him,” Corey said. “It’s kind of a little family thing for us.” Corey loves to be present to cheer her sons on.

“Like with any sport as a parent, that’s what you’re there to do — support your kid,” she said.

Bowling is a MSH SAA sport, but the team is not officially sponsored by MHS even though eight MHS students partici pate. All of the coach es for the team are volunteers and some of them were on the bowling team when they were students at MHS.

Dallas Remy, senior, said he joined to play with Johnson. Both were on the team when they placed sixth at State last year.

Overall, Remy said, the team is a unified front who takes pleasure in what they do.

“Obviously we fight sometimes, but who doesn’t bicker,” he said. “It’s all good fun and we do well and we win.”

issue III SPORTS 15
Logan Fischer (far right), senior, has been swimming for the swim and dive team beside his twin brother Will since his freshman year. Fischer, who has cerebral palsy, improves as a swimmer by internally competing with himself rather than his surroundings. Photograph by Jodi Fischer
“Like with any sport as a parent, that’s what you’re there to do — support your kid,”
Corey Johnson mother
Austin Johnson, senior, has been bowling since 2018 after drawing inspiration from his two older brothers. Johnson lives with aniridia, a rare eye condition which impairs his vision. “Having a sport that the ball goes away from you, and you’re not having to physically catch a ball or anything was really helpful,” Johnson said. Photograph by Jacob Robinson
“I’ve started to use my legs a little bit more. I know that it’s going to be different learning how to swim for myself in comparison to other people,”
Logan Fischer senior

shyam PUNNACHALIL

Whenever he has the time, Aaron Mathys, senior, travels to downtown St. Louis to play in Super Smash Bros. tournaments in areas such as Saint Louis University (SLU), Washington University and the St. Louis Science Center.

His interest in this competitive play started during COVID when his other activities were canceled. Esports, or competitive video gaming, allowed Ma thys to compete with others without leaving his home.

“Being around those who enjoy playing the same game at a higher level really improved my motivation to get better,” Mathys said. “At that point, I started to actually learn the game and become a competitive player.”

After hearing about how the St. Louis Super Smash Bros. community offers tournaments every week, Ma thys decided to take the step forward to compete.

“I personally like competing be cause it allows me to take my skills in a hobby and transform it into something that can actually earn rewards and recognition,” Mathys said.

Nicholas Chiu, Saint Louis Universi ty Director of Esports and tournament organizer, said esports is a great com munity for students.

“Having set schedules, practices, and eligibility requirements makes esports a way more controlled activity than casual gaming,” Chiu said.

Along with directing SLU’s teams, Chiu supervises a wave of Smash tour naments in the St. Louis area such as the ones Mathys attends.

“I like running tournaments be cause it’s the most intimate way of establishing a community. Creating

events and tournaments, especially in-person ones, allows for a mix of people to meet new people and develop friendships,” Chiu said.

As a new competitor in Super Smash Bros. esports, Luke Dahl gren, sophomore, said the outgoing community St. Louis has for the game allows him to improve and learn more.

“It’s a new experience to walk out of your house and attend a competitive tournament, but it’s fun knowing you have supportive people at these tour naments and in this community to help you grow as a player,” Dahlgren said.

Dahlgren’s end goal is to eventual ly be an internationally ranked Super Smash Bros. Ultimate player on the Panda Global Rankings Ultimate.

Chiu said the accessibility for play ers like Dahlgren adds to the popularity esports has in the area.

“You don’t even need to own the game itself to be able to participate in events,” Chiu said. “Accessibility is something that Super Smash Bros. does very well and it makes our retention at events stay at high levels. People can improve as a result.”

Chiu said esports will be a great investment for schools and programs in the future.

“Esports resonates very well with the younger generation. It’s constantly evolving and this makes it imperative for colleges and businesses to innovate with the younger demographic,” Chiu said. “I think it is and will continue to be a popular medium for people to indulge in.”

Fall

16 SPORTS nov. 2022
Aaron Mathys, senior, competes at the St. Louis Science Center during a Super Smash Bros. tournament. Mathys attends tournaments like these because he enjoys playing the game competitively. “Tournaments are a way to show off my skills, review game play, and build a community,” Mathys said. Photograph by Shyam Punnachalil
Sports Recap
Esports popularizes in STL Football 10-2 Placed 2nd in Class 6 District 1 Division Softball: 20-11 Placed 4th in the
Class 5 State Tournament Boys Swim & Dive: 8-3 Placed 11th at MSHSAA Class 2 Boys State Championship Girls Golf: 7-5 Placed 8th in the Missouri Class 4 State Tournament Girls Volleyball: 23-10-3 Boys Soccer: 9-8 Field Hockey: 12-7 Girls Tennis: 4-4 Cross Country: 1-5 boys finish 0-5 girls finish Use the QR code to vote! Is Esports a Sport? The Messenger surveyed 103 students during lunch: 40 63
Gavin Marsh, senior, tries to push past the CBC defense after his reception. Marsh had 8 receptions for 191 yards in MHS’ loss to CBC in the District Championship. “I thought we overall had a pretty good season. We did everything we were supposed to do. We met all our expectations,” Marsh said. Photograph by Jacob Robinson
Missouri

Turn static files into dynamic content formats.

Create a flipbook
Issuu converts static files into: digital portfolios, online yearbooks, online catalogs, digital photo albums and more. Sign up and create your flipbook.