SPIS TREŚCI
Krioterapia



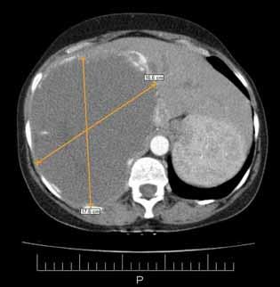
Rycina 38.39. (A–C)

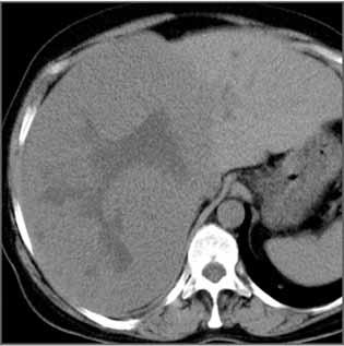
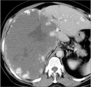
Rycina 38.40. Rycina 38.41.
Leczenie:
Monitorowanie:
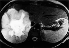
Ogniskowy rozrost guzkowy (FNH – focal nodular hyperplasia)
Epidemiologia:

Obraz kliniczny: Rozpoznanie:

Technika resekcji przełyku
Dostępy operacyjne
Resekcja przełyku przezrozworowa




