cholecystektomii –
w badaniu histopatologicznym po cholecystektomii
Pierwszym jest miejsce usytuowania zmiany
patologicznego w opisanym stopniu zaawansowania
Przy takim samym stopniu zaawansowania nowo-
preparowania lub w czasie usuwania z jamy brzusznawet w stadium T1a sama cholecystektomia jest
Kolejnym istotnym punktem przy podejmowaniu

leczenie chorych ze zmianami nowotworowymi, znalezionymi przypadkowo po cholecystektomii,
w stadium T1b i T2 zaawansowania nowotworu zale-
rozpoznanie raka w preparacie histopatologicznym
stopatologicznym po cholecystektomii wykryto raka
uzasadnione w sytuacji, gdy proces nowotworowy
Leszek Królicki, Jolanta Kunikowska
znanie ustalane jest w trakcie operacji lub na pod-
rzeczywistemu stopniowi zaawansowania choroby,
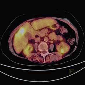
wego stopnia zaawansowania, jak i ognisk przerzutowych. Podstawowym radiofarmaceutykiem stoso-
syglukoza (18F-FDG). Zastosowanie analogu glukozy
chorobowym.
reakcji w produkcji adenozynotrifosforanów (ATP)glukozy jest proporcjonalny do stopnia biologicznej 18F-FDG transportowana jest
sokinazy. Badanie PET jest szczególnie przydatne


zmian chorobowych stwierdzanych w innych technikach obrazowych, nowotworowych,
badania u chorego z podejrzeniem choroby
badanie u chorego po operacji stanowi badanie z wyboru w ponownej ocenie stopnia zaawansowa-
stosowanie chemioterapii przedstawionej w innym
sowanym stadium choroby prowadzone jest leczenie
po zastosowaniu leczenia operacyjnego i radioterapii
paliatywnego leczenia ukierunkowanego na zmiany
cia w grupie chorych poddanych tylko protezowaniu
W przypadku radioembolizacji czynnikiem leczni-
w otoczeniu miejsca promieniowania (a nie tylko na
Procedura radioembolizacji polega na wykonaniu
Tc i wy-
Po przygotowaniu zestaw poddawany jest na-
maga jeszcze potwierdzenia w kolejnych badaniach