Παιδιατρική | Τόμος 87 • Τεύχος 1 • Ιανουάριος - Απρίλιος 2024

Page 1

Τόµος 87 | Τεύχος 1 Ιανουάριος | Φεβρουάριος | Μάρτιος | Απρίλιος 2024 Τ ετ ρ αµ η ν ι α ί ο επ ι στ η µο νικό πε ρ ι ο δ ι κό της Ελλ ηνι κ ή ς Παι δ ιατρ ι κ ή ς Ετα ι ρε ί α ς Volume 87 | Number 1 January | February | March | April 2024 Fo ur mo n t hl y scientific jour n al of th e Gr eek Pae d iat r ic Socie t y ISSN 0377-2551

Τόμος 87 | Τεύχος 1 | Ιανουάριος-Φεβρουάριος-Μάρτιος-Απρίλιος 2024

Τετραμηνιαία έκδοση της Eλληνικής Παιδιατρικής Eταιρείας

Περιεχόμενα

008

ΕΠΙΣΤΟΛΗ ΑΠΟ ΤΟΝ ΔΙΕΥΘΥΝΤΗ ΣΥΝΤΑΞΗΣ

Στέλιος Αντωνιάδης

010

ΕΠΙΚΑΙΡΟ ΘΕΜΑ

Επιθετικές και βίαιες συμπεριφορές σε παιδιά και εφήβους. Γεράσιμος Κολαΐτης

014

ΑΡΘΡA ΕΙΔΙΚΟΥ ΕΝΔΙΑΦΕΡΟΝΤΟΣ

Η σημασία της στοματικής υγιεινής και ορθοδοντικής πρόληψης για την ανάπτυξη ενός υγιούς στόματος σε παιδιά προσχολικής και σχολικής ηλικίας.

Ανδρονίκη Χατζηιωάννου

036

Αναφυλαξία: Αναγνώριση, διάγνωση και αντιμετώπιση στο σχολικό περιβάλλον. Δημήτριος Κασίμος, Άννα Παπάζογλου

044

ΑΡΘΡΟ ΑΝΑΣΚΟΠΗΣΗΣ

Ανοσολογικό αποτύπωμα της πρώιμης νεογνικής σηψαιμίας.

Αλέξιος Μαυρουδής

056

ΠΕΡΙΓΡΑΦΗ ΕΝΔΙΑΦΕΡΟΥΣΩΝ ΠΕΡΙΠΤΩΣΕΩΝ

Περίπτωση νόσου Crohn με επιπλοκές από το ουροπoιητικό σύστημα. Σαλαβούρα Κατερίνα, Παναγιώτου Ιωάννα, Ρώμα Ελευθερία, Ορφανού Ειρήνη

Πρόεδρος

Α. Κωνσταντόπουλος

Συντακτική επιτροπή Διευθυντής

Σ. Αντωνιάδης

Mέλη

Σ. Ανδρονίκου Ε. Γαλανάκης

Α. Ευαγγελίου Λ. Θωμαΐδου Μ. Κανάριου Α. Καπόγιαννης Σ. Kίτσιου-Τζέλη Ε. Μανταδάκης

Π. Παναγιωτοπούλου-Γαρταγάνη Α. Παπαδοπούλου

Β. Παπαευαγγέλου Α. Παπαθανασίου Α. Σιαμοπούλου-Μαυρίδου Α. Συρίγου-Παπαβασιλείου

004

Υποβολή εργασιών e-mail: grammateia@e-child.gr

Οδηγίες προς τους συγγραφείς: http://e-child.gr/publications/ instructions-to-authors

Iδιοκτήτης Eλληνική Παιδιατρική Eταιρεία Μπακοπούλου 15,15451, Ν. Ψυχικό

Tηλ.: 2107771140 e-mail: grammateia@e-child.gr

Eτήσια συνδρομή: €40

Eιδικευόμενοι, φοιτητές: €20

060

Οξεία εγκεφαλοπάθεια, ηπατική και νεφρική ανεπάρκεια από ιό γρίπης Α σε ανοσοεπαρκές νήπιο.

Μαργαρίτα-Ευθαλία Παπασάββα, Ιλιάδα Νάκου, Βασιλική Γκέτση

068

Επιπλεγμένη πνευμονιοκοκκική πνευμονία από ορότυπο 3 σε εμβολιασμένο ανοσοεπαρκή παιδιατρικό ασθενή.

Μαργαρίτα-Ευθαλία Παπασάββα, Δήμητρα Σαββίδου, Τζωρτζίνα Τζανακάκη, Ανδρέας Ηλιάδης, Βασιλική Γκέτση

076

ΣΥΝΑΔΕΛΦΙΚΑ Στέλιος Αντωνιάδης

078

ΚΡΙΤΙΚΗ ΒΙΒΛΙΟΥ Αριστείδης Γ. Διαμαντής

082

ΟΔΗΓΙΕΣ ΠΡΟΣ ΤΟΥΣ ΣΥΓΓΡΑΦΕΙΣ

S. Andronikou

E. Galanakis

A. Evangeliou

L. Thomaidou

M. Kanariou

A. Kapogiannis

S. Kitsiou-Tzeli

E. Mantadakis

P. Panagiotopoulou-Gartagani

A. Papadopoulou

V. Papaevagelou

A. Papathanassiou

A. Syrigou-Papavasiliou 008

A. Siamopoulou-Mavridou

EDITORIAL

Stelios Antoniadis

010

CURRENT ARTICLE

Aggressive and violent behavior in children and adolescents.

Gerasimos Kolaitis

014

ARTICLES OF SPECIAL INTEREST

The importance of oral hygiene and orthodontics prevention in children's oral and facial development.

Androniki G. Hatzioannou

036

Anaphylaxis: Recognition , diagnosis and treatment at the school environment.

Dimitrios Cassimos, Anna Papazoglou

044

REVIEW ARTICLE

Immunological profile of early neonatal sepsis.

Alexios Mavroudis

056

CASE REPORTS

A case report of Crohn’s disease with complications from urinary track. Salavoura Katerina, Panagiotou Ioanna, Roma Eleutheria, Orfanou Irini.

006 Contents Four monthly publication of the Greek Paediatric Society Volume 87 | Number 1 | January-February-March-April 2024 President A. Constantopoulos Editorial board Editor- in- Chief
S. Antoniadis Members

Manuscript submission

e-mail: grammateia@e-child.gr

Instructions to authors: http://e-child.gr/publications/ instructions-to-authors

Owner

Greek Paediatric Society 15, Mpakopoulou st. GR - 15451, Ν. Psychiko Tel.: +302107771140

e-mail: grammateia@e-child.gr

Annual subscription

All foreign countries: US$50

060

Acute encephalopathy, renal and hepatic failure in an immunocompetent toddler with influenza type A infection.

Margarita-Efthalia Papasavva, Iliada Nakou, Vasiliki Gketsi

068

Serotype 3 complicated pneumococcal pneumonia in a vaccinated immunocompetent paediatric patient.

Margarita-Efthalia Papasavva, Dimitra Savvidou, Georgina Tzanakaki, Andreas Iliadis, Vasiliki Gketsi

076

BETWEEN COLLEAGUES

Stelios Antoniadis

078

BOOK PRESENTATION

Aristidis G. Diamantis

082

INSTRUCTIONS TO AUTHORS

ΕΠΙΣΤΟΛΗ

ΑΠΟ ΤΟΝ ΔΙΕΥΘΥΝΤΗ

ΣΥΝΤΑΞΗΣ

Α

γαπητοί Συνάδελφοι εκλεκτοί φίλοι

Χαίρομαι ιδιαίτερα που τελικά οι εκκλήσεις μου σε ό,τι αφορά στο θέμα της παιδικής παραβατικότητας-εγκληματικότητας βρήκαν ανταπόκριση στο εμπεριστατωμένο άρθρο του του Ομότιμου Καθηγητού Παιδοψυχιατρικής Γερ. Κολαΐτη. Θα χαρώ ακόμα περισσότερο εάν υπάρξουν και άλλες απόψεις για το θέμα αυτό το οποίο θεωρώ ότι είναι άκρως επίκαιρο αφού πανθομολογούμενα αποτελεί μια συνεχιζόμενη πρωτόγνωρη κατάσταση που ανησυχεί

όλους μας. Παρήγορο είναι αυτό που διάβασα ότι έχει δημιουργηθεί επιτροπή επιστημόνων

οι οποίοι θα ασχοληθούν με το θέμα από κάθε άποψη έτσι ώστε να διαγνωστούν τα αίτια και

να υπάρξει αποτελεσματική αντιμετώπιση.

Σε ό,τι αφορά στην πανδημία φαίνεται ότι τα πράγματα είναι κάπως καλύτερα ή τουλάχιστον

καλύτερα από όσο περιμέναμε.

Δεν ξέρω εάν θα μας επηρεάσουν αυτά που ακούγονται για την αύξηση των κρουσμάτων

ιλαράς, παγκόσμια αλλά και στην Ευρώπη. Τα παιδιά μας είναι επαρκώς εμβολιασμένα

(εμβολιαστική κάλυψη 90%-95%) όμως στη διάρκεια της πανδημίας είναι πολύ και δικαιολογημένα κατανοητό το να μην έγιναν κάποια εμβόλια καθώς και οι αναμνηστικές

δόσεις τους. Επίσης δεν πρέπει να ξεχνάμε ότι πάντα υπάρχει ο κίνδυνος της επαφής με πληθυσμούς από χώρες με χαμηλό επίπεδο εμβολιασμού που βρίσκονται στην Ελλάδα, κάτι

που δεν επιτρέπει τον παραμικρό εφησυχασμό. Σε κάθε περίπτωση οι επαΐοντες πιστεύουν

ότι ίσως μπορεί να υπάρξουν μερικά κρούσματα τα οποία όμως δεν θα φτάσουν σε επίπεδο

επιδημίας. Τα παραπάνω ισχύουν και για την αύξηση των κρουσμάτων κοκκύτη που ακούμε

τελευταία.

Το ευχάριστο νέο της περιόδου αυτής είναι ότι το δέκατο τρίτο Συνέδριο των Υποειδικοτήτων

της Παιδιατρικής είχε, όπως και όλα τα προηγούμενα, μεγάλη επιτυχία. Όλες οι ανακοινώσεις

008

οι οποίες παρουσιάστηκαν από επιστήμονες που κατείχαν το θέμα τους σε βάθος

παρακολουθήθηκαν με ιδιαίτερο ενθουσιασμό από μεγάλο αριθμό συνέδρων. Πρέπει δε

ιδιαίτερα να τονίσω ότι πολλοί φίλοι μου μίλησαν με εγκωμιαστικά σχόλια για την εργασία

που είχε ως θέμα τις μεταμοσχεύσεις και τη δωρεά οργάνων στα παιδιά.

Ενημέρωση της τελευταίας στιγμής. Μολονότι το υψηλό επίπεδο εμβολιασμού των παιδιών

στη χώρα μας δεν εμπνέει ανησυχίες αξίζει να προστεθεί το δημοσίευμα που διάβασα

τώρα στο φύλλο της 12.3.2024 στην ημερήσια Ελληνική εφημερίδα της Κωνσταντινούπολης

«Απογευματινή»: «Νέα ανακοίνωση με αφορμή την έξαρση της ιλαράς σε διάφορες χώρες

εξέδωσε χθες ο Εθνικός Οργανισμός Δημόσιας Υγείας της Ελλάδος (ΕΟΔΥ). Για το 2024, μέχρι στιγμής έχουν δηλωθεί τέσσερις θάνατοι στην Ευρωπαϊκή Ένωση. Όπως αναφέρει ο

Οργανισμός, το 2023 δηλώθηκαν 2.361 επιβεβαιωμένα κρούσματα ιλαράς από 23 χώρες της Ευρωπαϊκής Ένωσης, οι χώρες με τα περισσότερα είναι: Ρουμανία (1.755), Αυστρία (186), Γαλλία (118), Γερμανία (82), Βέλγιο (69), Πολωνία (37), Ιταλία (44), Ισπανία (13) και Σουηδία (11). Ο ΕΟΔΥ πληροφορεί ότι το 2023 δηλώθηκαν μέσω του περιφερειακού γραφείου του ΠΟΥ Ευρώπης - WHO/ EURO, 42.065 επιβεβαιωμένα κρούσματα ιλαράς σε χώρες εκτός ΕΕ. ο Οργανισμός συστήνει στους Έλληνες πολίτες να επιβεβαιώνουν τον πλήρη εμβολιασμό τους, με δύο δόσεις του μικτού εμβολίου ιλαράς-ερυθράς-παρωτίτιδας (εμβόλιο MMR), πριν από κάποιο ταξίδι. Όσον αφορά στον αριθμό των επιβεβαιωμένων κρουσμάτων στις χώρες εκτός

ΕΕ, αναφέρθηκε ως εξής: Καζακστάν (13.662 κρούσματα), Ρωσία (10.954), το Κιργιζιστάν (5.486), Τουρκία (4.559), Αζερμπαϊτζάν (3.316), Ουζμπεκιστάν (1026) και Αρμενία (518)».

Το θέμα των κρουσμάτων μηνιγγίτιδας ας το αφήσουμε για το επόμενο τεύχος.

Με ιδιαίτερη πάντα εκτίμηση και

συναδελφική αγάπη

Στέλιος Αντωνιάδης

Καθηγητής

Παιδίατρος – Παιδοκαρδιολόγος

009

Επιθετικές και βίαιες συμπεριφορές

σε παιδιά και εφήβους

Ομότιμου Καθηγητού Παιδοψυχιατρικής Γερ. Κολαΐτη

Η επιθετική συμπεριφορά στα παιδιά και στους εφήβους μπορεί να αποτελεί μέρος της φυσιολογικής τους ανάπτυξης ή σύμπτωμα διαφόρων ψυχικών διαταραχών (π.χ. κατάθλιψης), αν και τα παιδιά αυτά είναι σε μεγαλύτερο κίνδυνο να θυματοποιηθούν παρά να θυματοποιήσουν. Η επιθετικότητα και η βία παρουσιάζει μεγάλη ετερογένεια, που αποτελεί εμπόδιο, μεταξύ άλλων, και στην κατανόηση των αιτιολογικών μηχανισμών της. Είναι ωστόσο βέβαιο πως η επιμονή της συνδέεται με διάφορες αρνητικές εκβάσεις και δυσπροσαρμοστική λειτουργικότητα αργότερα στην ενήλικη ζωή όπως π.χ. μαθησιακή αποτυχία, χαμηλή κοινωνικοοικονομική κατάσταση, ανεργία, χρήση ουσιών, αυτοκτονία, εγκληματικότητα και κοινωνική απομόνωση. Η επιθετικότητα, η βία και γενικώς η θυματοποίηση μεταξύ ανηλίκων (καθώς και μεταξύ ενηλίκων και ανηλίκων) μπορεί να εκδηλωθούν με διάφορες μορφές σε διάφορα πλαίσια (οικογένεια, σχολείο, κοινότητα κ.λπ.) και (θα έπρεπε να) αποτελούν μείζον θέμα δημόσιας υγείας.

Διαταρακτικές διαταραχές

Στην Ψυχιατρική Παιδιού και Εφήβου, η επιθετική συμπεριφορά κατατάσσεται στις διαταρακτικές συμπεριφορές (disruptive behaviors), και διακρίνεται σε παρορμητική/ αντιδραστική (impulsive/reactive) ή προμελετημένη (proactive) επιθετικότητα. Τέτοιες συμπεριφορές στους ανηλίκους που παραβιάζουν τα δικαιώματα των άλλων και βασικούς κοινωνικούς κανόνες αποτελούν συχνά σύμπτωμα της διαταραχής προκλητικής εναντίωσης (επίμονο πρότυπο συμπεριφοράς χαρακτηριζόμενο από αρνητισμό, εχθρικότητα και εναντίωση) και των διαταραχών διαγωγής (σε μεγαλύτερα συνήθως παιδιά). Οι διαταραχές διαγωγής (conduct disorders) έχουν ως βασικό σύμπτωμά τους, την επιθετικότητα και βία προς ανθρώπους και ζώα. Επιπλέον, εκδηλώνονται με σύγκρουση με κάθε μορφής εξουσία, ανυπακοή προς κοινωνικούς κανόνες, ψέματα, φυγές από το σπίτι, σκασιαρχείο από το σχολείο, βανδαλισμοί, καταστροφή περιουσίας, σεξουαλική δραστηριότητα και συστηματική χρήση ουσιών, καπνού και αλκοόλ σε ασυνήθιστα μικρές ηλικίες, καθώς και παραβίαση νόμων (παραβατικότητα). Μερικά νεαρά άτομα έχουν δυσκολίες στις κοινωνικές σχέσεις, άλλα είναι μέλη συμμοριών, και συνήθως έχουν, παρά τη σκληρή εικόνα προς τα έξω, χαμηλή αυτοεκτίμηση. Η συμμετοχή σε συμμορίες παρέχει τη δυνατότητα στα μέλη της, ίδιας συνήθως κουλτούρας, να βρίσκουν την αποδοχή και υποστήριξη που δεν βρίσκουν στην καθημερινή ζωή τους. Οι διαταραχές διαγωγής έχουν έναρξη στην παιδική ή στην εφηβική ηλικία. Η διάκριση αυτή έχει σημασία λόγω της ιδιαίτερα κακής πρόγνωσης για τα παιδιά των οποίων οι δυσπροσαρμοστικές συμπεριφορές εμφανίζονται πολύ πρώιμα, επειδή τείνουν νευροψυχιατρικά να είναι περισσότερο ευάλωτα, να χρειάζονται εντατικότερη ψυχιατρική θεραπεία μεγαλώνοντας και να συμπεριφέρονται περισσότερο επιθετικά. Επιπλέον, η διάγνωση σχετίζεται με εγκληματικότητα στην ενηλικίωση, συζυγικά προβλήματα, κακές εργασιακές σχέσεις, ανεργία και κακή σωματική υγεία. Η σημασία της έγκειται επίσης στην ανάπτυξη παραβατικότητας - αποτελούν προγνωστικό παράγοντα για χαμηλές σχολικές επιδόσεις, χρήση/εξάρτηση ουσιών, άγχος, κατάθλιψη και αυτοκτονία. Είναι γνωστό ήδη από τη δεκαετία του ’70 και τη μελέτη της Αμερικανίδας παιδοψυχιάτρου Lee Robins πως 25-40% παιδιών με διαταραχές διαγωγής θα αναπτύξουν δυσκοινωνική (ή αντικοινωνική, όπως είναι γνωστή) διαταραχή προσωπικότητας στην ενήλικη ζωή. Αντιστρόφως, όλοι οι αντικοινωνικοί ενήλικες είχαν ιστορικό διαταραχών διαγωγής στην παιδική τους ηλικία. ΕΠΙΚΑΙΡΟ ΘΕΜΑ

010

Αιτίες επιθετικής και βίαιης συμπεριφοράς

Είναι ερευνητικά τεκμηριωμένο πως για τις διαταραχές διαγωγής ευθύνονται ατομικοί και οικογενειακοί, και λιγότερο κοινωνικοί (κυρίως έμμεσα μέσω επίδρασης στην άσκηση του

γονικού ρόλου, στην ψυχική υγεία και στη σχέση των γονέων μεταξύ τους) παράγοντες. Στους πρώτους περιλαμβάνονται, μεταξύ άλλων, το δύσκολο ταμπεραμέντο, το χαμηλότερο νοητικό δυναμικό και η σχολική αποτυχία του παιδιού. Ιδιαίτερα σημαντικός είναι ο τρόπος λειτουργίας των γονέων και ανατροφής του παιδιού τους. Πιο συγκεκριμένα, η σκληρή (harsh) και τιμωρητική διαπαιδαγώγηση, με χρήση βίας, ή ασταθής (άλλοτε αυστηρή και άλλοτε παραχωρητική) ή τύπου laissez faire («ας κάνει ό,τι θέλει»), ανατροφή με υψηλά επίπεδα αρνητικότητας και χαμηλά ζεστασιάς, αποτελούν πρόσφορο έδαφος για την ανάπτυξη προβλημάτων διαγωγής από την προσχολική ηλικία. Επιπλέον, ιστορικό κακομεταχείρισης του ανηλίκου, γενετικές (και επιγενετικές) επιδράσεις, και ψυχική διαταραχή (με ή χωρίς χρήση αλκοόλ και ουσιών) του ενός ή και των δύο γονέων. Γενετικοί παράγοντες έχουν ενοχοποιηθεί, μάλλον όμως μόνον επί παρουσίας περιβαλλοντικής επιβάρυνσης. Από μακροχρόνιες μελέτες προκύπτει ότι οι παραπάνω παράγοντες κινδύνου είναι παρόντες ήδη στη νηπιακή ηλικία, συνδέονται με αποργανωμένο δεσμό (disorganized attachment) με τους φροντιστές του παιδιού, και αποτελούν προβλεπτικούς παράγοντες μετέπειτα επιθετικής συμπεριφοράς στη σχολική ηλικία. Το οικογενειακό σύστημα, ενώ μπορεί να αποτελεί παράγοντα κινδύνου (risk factor), μπορεί να δράσει υποστηρικτικά (protective factor) και να προάγει την φυσιολογική ανάπτυξη των παιδιών με ζεστασιά, δομή, οριοθέτηση και προκοινωνικές αξίες (prosocial values) ή, επί απουσίας, να αποτελέσει στόχο παρεμβάσεων θετικής γονικότητας.

Κοινωνικές συνθήκες όπως π.χ. οικονομική ανέχεια, ανεργία, ανοχή και ατιμωρησία, το αρνητικό μοντέλο γονέων και γενικώς ενηλίκων που χρησιμοποιούν βία, ευνοούν την εμφάνιση και εξάπλωση της βίας. Σημαντικός παράγοντας είναι, επίσης, η έκθεση σε βίαια ηλεκτρονικά παιχνίδια (video games) που μπορεί να προκαλέσει απευαισθητοποίηση (μείωση

δηλαδή των γνωστικών, συναισθηματικών ή/και συμπεριφορικών απαντήσεων) στη βία στην πραγματική ζωή του ανηλίκου μέσω αποκλεισμού της ενσυναίσθησης, με αποτέλεσμα αύξηση της επιθετικότητας και μείωση των προκοινωνικών συμπεριφορών του.

Επιθετικότητα και βία στο σχολείο

Στο βιβλίο τους «Fifteen Thousand Hours», ο «πατέρας» της σύγχρονης Παιδοψυχιατρικής

Michael Rutter και οι συνεργάτες του, αναφέρονται στις 15000 ώρες που περνούν τα παιδιά

στο σχολείο και μελετώντας, και συνεπώς τη σημαντική επίδραση του εκπαιδευτικού

συστήματος. «Στην ηλικία των 18 ετών, οι νέοι μας έχουν υποστεί σχεδόν τόσες επιδράσεις απότοσχολείοκαιτουςσυνομηλίκους,όσεςκαιαπότουςγονείςτους», και αυτό μάλλον έχει υποτιμηθεί.

Eίναι γνωστό πως η θυματοποίηση εξαιτίας σχολικού εκφοβισμού και βίας (bullying) αποτελεί ένα παγκόσμιο φαινόμενο και πρόβλημα, η παγκοσμιότητα και έκταση του οποίου επιβεβαιώθηκε και από την Eurasian Child Mental Health Study (EACMHS), με συμμετοχή και της Ελλάδας (υπεύθυνος: Καθηγητής Γερ. Κολαΐτης). Η μελέτη αυτή αφορούσε το παραδοσιακό και διαδικτυακό bullying (cyberbullying) σε δείγμα 21688 εφήβων, 13–15 ετών σε 13 χώρες Ευρώπης και Ασίας, χαμηλού - μεσαίου, ανώτερου - μεσαίου, και υψηλού εισοδήματος (Chudal et al, 2021). Τα ποσοστά οποιασδήποτε θυματοποίησης κυμαίνονταν ευρέως, από 16,1% στην Ιαπωνία έως 43,9% στην Ινδονησία. Πιο συγκεκριμένα, τα ποσοστά

οποιασδήποτε θυματοποίησης ήταν 28,1% για ολόκληρο το δείγμα, της παραδοσιακής

θυματοποίησης μόνο ήταν 17,7%, της διαδικτυακής μόνο 5,1% και της συνδυασμένης 6,1%. Τα ελληνικά ποσοστά ήταν 11,5%, 2,7% και 2%, αντίστοιχα. Όταν συγκρίθηκαν διαφορετικές ομάδες θυματοποίησης, η συνδυασμένη θυματοποίηση είχε σημαντικά υψηλότερη συσχέτιση με συναισθηματικά συμπτώματα σε κορίτσια και αγόρια, παρά η παραδοσιακή θυματοποίηση μόνο ή η διαδικτυακή θυματοποίηση μόνο. Ομοίως, η συνδυασμένη θυματοποίηση είχε μια πολύ ισχυρότερη συσχέτιση με τα συμπτώματα διαγωγής σε σύγκριση με την παραδοσιακή μόνο θυματοποίηση σε

όχι

σύγκριση με διαδικτυακή μόνο θυματοποίηση (Chudal et al, 2021). Η Ελλάδα παρουσίαζε από τα χαμηλότερα επίπεδα θυματοποίησης μεταξύ των χωρών (αρχές 2017), ωστόσο η επανάληψη της μελέτης μετά

011
CURRENT ARTICLE
κορίτσια και αγόρια, αλλά
σε

6ετία (αρχές 2023) δείχνει πως στη χώρα μας τα ποσοστά παραδοσιακού και διαδικτυακού bullying τριπλασιάζονται (αδημοσίευτη εργασία).

Το σχολείο γίνεται σταδιακά ένας μη ασφαλής χώρος για τους μαθητές του (συχνά και για τους εκπαιδευτικούς), ενώ θα έπρεπε να παρέχει ασφάλεια και προστασία στους μαθητές, ιδιαίτερα σ’ εκείνους που το έχουν μεγαλύτερη ανάγκη. Στο πλαίσιο της παραπάνω μελέτης, βρέθηκε ότι ο επιπολασμός των εφήβων που αισθάνονταν ανασφαλείς στο σχολείο τους διέφερε ευρέως, με μέσο επιπολασμό 31,4% για το συνολικό δείγμα. Παρατηρήθηκε και στα δύο φύλα μια σημαντική σχέση μεταξύ της αίσθησης ανασφάλειας και του παραδοσιακού, καθώς, επίσης, και του συνδυασμένου bullying (Mori et al, 2022) .

Αναφορικά με την σεξουαλική βία και κακοποίηση, στα σχολεία των ΗΠΑ το συχνότερo πρόβλημα είναι η κακοποίηση μεταξύ μαθητών, το επόμενο συχνό είναι η κακοποίηση μαθητή από γνωστό του ενήλικα και το λιγότερο συχνό η κακοποίηση μαθητή από επισκέπτη στο σχολείο, αν και πιθανώς η πιο επικίνδυνη λόγω πιθανότητας απαγωγής και πρόκλησης σωματικής βλάβης. Την περίοδο 2011-15, αναφέρθηκαν 17.000 σεξουαλικές επιθέσεις στα σχολεία, 5% των οποίων αφορούσαν 5-6χρονα παιδιά. Δυστυχώς, και σύμφωνα με πρόσφατα επίσημα στοιχεία, στη συντριπτική πλειονότητα τα περιστατικά σεξουαλικής κακοποίησης και βίας στη Δευτεροβάθμια και Τριτοβάθμια εκπαίδευση στις ΗΠΑ, δεν αποκαλύπτονται. Η στάση των σχολείων είναι γνωστή ως των 4 Ds: Delay (investigating), Deny (responsibility), Distort (the facts), Disparage (the victim), and Devalue (the victim’s right to an equal education), δηλαδή καθυστέρηση της έρευνας, άρνηση της ευθύνης, παραμόρφωση των γεγονότων, δυσφήμηση του θύματος και υποτίμηση του δικαιώματος του θύματος στην εκπαίδευση.

Παρά ταύτα, στοιχεία από Ευρώπη και ΗΠΑ δείχνουν πως τα σχολεία συμβάλλουν με πολλά περιστατικά παιδιών που χρήζουν προστασίας, ακολουθούν οι δικαστικές και αστυνομικές αρχές, οι κοινωνικές υπηρεσίες και οι επαγγελματίες υγείας (τα πιο σοβαρά περιστατικά). Η αναγνώριση και αναφορά στις αρμόδιες αρχές και υπηρεσίες της κακομεταχείρισης ενός παιδιού είναι ύψιστης σημασίας και προτεραιότητας, ακόμα κι αν δεν υπάρχει βεβαιότητα για την κακοποίηση. Στην ελληνική πραγματικότητα, οι εμπλεκόμενοι (θύματα, γονείς, γείτονες, εκπαιδευτικοί, ακόμα και επιστήμονες υγείας) συχνά σιωπούν επειδή δεν θέλουν εμπλοκή, φοβούνται τη στιγματοποίηση της οικογένειας ή του σχολείου, πιθανή περαιτέρω θυματοποίηση από τον δράστη/θύτη, ή/και επειδή δεν προστατεύονται. Επιπλέον, από τους παρατηρητές μαθητές, λίγοι παρεμβαίνουν, και όταν το κάνουν η άσκηση βίας σταματάει σε μόλις δέκα (10) δευτερόλεπτα!

Επιπτώσεις σε θύματα και θύτες Εκτός της ψυχικής οδύνης που προκαλούν αυτές οι διαταραχές διαγωγής, κυρίως στους

άλλους, η οικονομική επιβάρυνση της Πολιτείας είναι δεκαπλάσια. Μια, όχι ευκαταφρόνητη, υποομάδα αυτών των νεαρών παρουσιάζει ιδιαίτερα ανησυχητική εικόνα και εξέλιξη. Πρόκειται για ανηλίκους χωρίς μεταμέλεια και ενοχές για τις αντικοινωνικές τους πράξεις, χωρίς ενσυναίσθηση για τους άλλους, με ρηχό συναίσθημα (callous-unemotional traits) και αδιαφορία για το σχολείο, και οι οποίοι δυστυχώς θα εξελιχθούν σε αντικοινωνικούς ενήλικες με ασταθείς διαπροσωπικές σχέσεις και επαγγελματική πορεία, ακαδημαική αποτυχία, χρήση ουσιών, πρωιμότερο θάνατο και -σε ακραίες περιπτώσεις- εγκληματικότητα και /ή αυτοκτονικότητα.

Οι κακοποιητικές εμπειρίες είναι δυνατό να επηρεάσουν τη σωματική και ψυχική υγεία των ανηλίκων θυμάτων, την ποιότητα ζωής και την εμπλοκή τους με ουσίες (νόμιμες και μη).

Από τις πρώτες αντιδράσεις του θύματος αποτελεί η διαταραχή μετατραυματικού στρες (με συμπτώματα επαναβίωσης ή/και αποφυγής του γεγονότος, υπερεγρήγορσης, και έντονα αρνητικά συναισθήματα π.χ. ενοχές, ντροπή, θυμός), κατάθλιψη, άγχος, αυξημένος κίνδυνος κατάχρησης ουσιών, αυτοκτονικότητας κ.λπ. Τα προβλήματα αυτά χρήζουν οπωσδήποτε θεραπείας αλλιώς τα ανήλικα θύματα (όπως και οι θύτες) τα μεταφέρουν στην ενηλικίωσή τους μεταδίδοντας πιθανότατα την κακομεταχείριση τους και στις επόμενες γενιές. Μακροχρόνιες

012 Επιθετικές και βίαιες συμπεριφορές στους ανηλίκους

επιπτώσεις του bullying στα θύματα, μπορεί να είναι άγχος και κατάθλιψη, αυτοκτονικότητα, προβλήματα σωματικής υγείας, κακή ποιότητα ζωής και οικονομικές απώλειες.

Αντιμετώπιση-Θεραπεία-Πρόληψη

Ο ελληνικός Ποινικός Κώδικας προβλέπει αναμορφωτικά και θεραπευτικά μέτρα ανάλογα με την ηλικία των εφήβων (οι έφηβοι 15-18 ετών φέρουν ποινική ευθύνη για τις πράξεις τους) και όχι με τη σοβαρότητα των αντικοινωνικών πράξεών τους. Υπάρχει ανάγκη αυτοτελών νομοθετημάτων στην ποινική νομοθεσία των ανηλίκων, όπως σε άλλες χώρες. Οι παρεμβάσεις έγκαιρης θεραπείας, και προτιμότερο, πρόληψης στους γονείς για θετική λειτουργία και ανατροφή των τέκνων είναι αποτελεσματικές, ιδιαίτερα αν σε αυτές συμμετέχουν γονείς, παιδιά και εκπαιδευτικοί. Οι θεραπευτικές παρεμβάσεις παιδιού και γονέων (οπωσδήποτε)

είναι αναγκαίο να γίνονται έγκαιρα, και να συμπεριλαμβάνουν τη θεραπεία προβλημάτων ψυχικής υγείας που συνυπάρχουν όπως π.χ. κατάθλιψη (30% περιπτώσεων), δυσκολίες προσοχής και (υπερ)κινητικότητας, χρήση ουσιών.

Ωστόσο, προτιμότερες και αποτελεσματικότερες είναι οι παρεμβάσεις πρόληψης (με βάση τις αρχές του Αμερικανού ψυχολόγου Patterson, από τη δεκαετία του 1980) στους γονείς για θετική λειτουργία και ανατροφή (positive parenting) των τέκνων τους, ιδιαίτερα μάλιστα αν συμμετέχουν τα παιδιά και οι εκπαιδευτικοί. Ακόμη και μητέρες που αποτελούσαν παράγοντα κινδύνου για τα παιδιά τους (λόγω κατάθλιψης, θυμού, ιστορικού κακοποίησης κατά την παιδική τους ηλικία, κατάχρησης ουσιών) ανταποκρίθηκαν θετικά σε πρόγραμμα αγωγής που οδήγησε σε βελτίωση της γονικής συμπεριφοράς τους. Άλλες παρεμβάσεις για παιδιά με προβλήματα προσοχής και διαγωγής, με τη μέθοδο της αγωγής σε κοινωνικές δεξιότητες (social skills training), έδειξαν σημαντική βελτίωση συμπεριφοράς. Ένα παρόμοιο πρόγραμμα υλοποιήθηκε από την Παιδοψυχιατρική Κλινική ΕΚΠΑ, στο ΓΝΠ «Η Αγία Σοφία», με χρηματοδότηση του Ιδρύματος «Σταύρος Νιάρχος» (2011-14). H παρέμβαση που περιελάμβανε 12 ομαδικές συνεδρίες με 78 συνολικά γονείς παιδιών 3-8 ετών, μείωσε σημαντικά τις προβληματικές συμπεριφορές (διαγωγής, υπερκινητικότητας κ.λπ.) των τέκνων τους, το στρες των γονέων, ενώ ταυτόχρονα έγινε δεκτό με ικανοποίηση από το σύνολό τους.

Ενδεικτική βιβλιογραφία

1. Κολαΐτης Γερ. και Συνεργάτες. Σύγχρονη Ψυχιατρική Παιδιού και Εφήβου-Ψυχική Υγεία και Ψυχοπαθολογία. Αθήνα: Ιατρικές Εκδόσεις ΒΗΤΑ, Νοέμβριος 2021

2. Chudal R, Tiiri E, Brunstein Klomek A, Ong SH, Fossum S, Kaneko H, Kolaitis G, Lesinskiene S, Li L, Huong MN, Praharaj SK, Sillanmäki L, Slobodskaya HR, Srabstein JC, Wiguna T, Zamani Z, Sourander A; Eurasian Child Mental Health Study Group. Victimization by traditional bullying and cyberbullying and the combination of these among adolescents in 13 European and Asian countries. Eur Child Adolesc Psychiatry 2022 Sep;31(9):1391-1404. doi: 10.1007/s00787-021-01779-6.

3. Mori Y, Tiiri E, Lempinen L, Klomek AB, Kolaitis G, Slobodskaya HR, Kaneko H, Srabstein JC, Li L, Huong MN, Praharaj SK, Ong SH, Lesinskiene S, Kyrrestad H, Wiguna T, Zamani Z, Sillanmäki L, Sourander A; EACMHS Study Group. Feeling Unsafe at School Among Adolescents in 13 Asian and European Countries: Occurrence and Associated Factors. Front Psychiatry 2022 Apr 25:13:823609. doi: 10.3389/fpsyt.2022.823609.

013 Επιθετικές και βίαιες συμπεριφορές στους ανηλίκους

Η σημασία της στοματικής υγιεινής

και ορθοδοντικής πρόληψης για την

ανάπτυξη ενός υγιούς στόματος σε

παιδιά προσχολικής και σχολικής

ηλικίας

Ανδρονίκη Χατζηιωάννου

Εισαγωγή

Η σπουδαιότητα ενός υγιούς και αισθητικά αποδεκτού χαμόγελου έχει ευτυχώς εκτιμηθεί

στην σύγχρονη κοινωνία. Στους προηγούμενους αιώνες τα οδοντικά αποστήματα ήταν από τις πρώτες αιτίες θανάτου σύμφωνα με την ιστορία της ιατρικής. (1) Ο παγκόσμιος οργανισμός υγείας χαρακτηρίζει τον δείκτη τερηδόνας, ελλειπόντων και σφραγισμένων δοντιών (DMFT) (D-Decayed, M-Missing, F-Filled, T-Tooth) ως δείκτη ευημερίας. DMFT index classification (WHO 2013).

Στον ανεπτυγμένο κόσμο ο δείκτης αυτός είναι μικρός ενώ στις υπό ανάπτυξη χώρες πολύ μεγάλος.

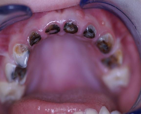
Στην Ελλάδα για τα παιδιά της προσχολικής ηλικίας, που είναι και η περίοδος που ξεκινά ο τερηδονισμός, σύμφωνα με μελέτη της Ελληνικής οδοντιατρικής ομοσπονδίας σε συνεργασία με την αντίστοιχη παγκόσμια, το 36% των παιδιών μας έχουν ήδη τερηδονικές βλάβες οι οποίες αυξάνονται με την ηλικία.(2)

ΟΔΟΝΤΙΑΤΡΙΚΉ ΠΡΟΛΗΨΗ

Οι δύο συχνότερες νόσοι του στόματος που μπορεί να εμφανιστούν στα παιδιά είναι η τερηδόνα και η ουλίτιδα. Δημιουργούνται από την οδοντική μικροβιακή πλάκα μετά το φαγητό.

Τα μικρόβια παράγουν οξέα που καταστρέφουν την επιφάνεια των δοντιών και δημιουργούν φλεγμονή στα ούλα.

Για τον λόγο αυτό πρέπει η πλάκα να απομακρύνεται με το βούρτσισμα.

α. καθαρισμός-βούρτσισμα

Με την εμφάνιση του πρώτου νεογιλού δοντιού ξεκινά και η φροντίδα του στόματος. Μετά από κάθε γεύμα με μία βρεγμένη γάζα καθαρίζουμε τα δόντια και τα ούλα.

Αργότερα μπορεί να χρησιμοποιήσουμε μια μικρή μαλακή οδοντόβουρτσα. Έτσι το παιδί μαθαίνει και του γίνεται συνήθεια στην καθημερινή του φροντίδα. Καλό θα είναι οι γονείς να βουρτσίζουν τα δόντια των παιδιών μέχρι περίπου τα 7 έτη. Όταν το παιδί ελέγχει την κατάποση μπορεί να χρησιμοποιηθεί ποσότητα φθοριούχου οδοντόκρεμας (μεγέθους κόκκου ρυζιού).

Μέχρι τότε μόνο με λίγο νερό πάνω στην οδοντόβουρτσα.

Επίσης μπορεί να γίνεται χρήση οδοντιατρικού νήματος για να απομακρύνονται οι τροφές που εγκλωβίζονται ανάμεσα στα δόντια.

β. διατροφή

Η αποφυγή της ζάχαρης και ιδιαιτέρως σακχαρούχων τροφών με κολλώδη

Αλληλογραφία Ανδρονίκη Γ. Χατζηιωάννου Πριάμου 37, Άνω Βούλα ΤΚ.16673 Κ. 6973610846

014
που
σύσταση
ΑΡΘΡA ΕΙΔΙΚΟΥ ΕΝΔΙΑΦΕΡΟΝΤΟΣ

Correspondence

Androniki G. Hatziioannou

Priamou 37, Ano Voula

16673

M. +306973610846

επικάθονται πάνω στις οπίσθιες μασητικές επιφάνειες των δοντιών, βοηθά στην αποφυγή δημιουργίας τερηδοντικών βλαβών.

Στα ροφήματα με μπιμπερό φρόνιμο είναι να μην βάζουμε ζάχαρη, όπως επίσης να μην κοιμάται το παιδί με ζαχαρούχο διάλυμα στο μπιμπερό. Αποφεύγουμε έτσι τη δημιουργία τερηδόνων θηλασμού

γ. Φθόριο

Η χρήση του βοηθά στην πρόληψη της δημιουργίας της τερηδόνας. (3,4,5,6,7,8)

Έχει την ιδιότητα να κάνει πιο ανθεκτικές τις επιφάνειες των δοντιών στις επιθέσεις των βακτηριδίων της μικροβιακής πλάκας.

Μέχρι 2 ετών μπορεί να χρησιμοποιηθεί και οδοντόκρεμα με ποσότητα φθορίου 250-500 ppmf. (ppmf parts per million - μονάδα μέτρησης φθορίου)

Μέχρι 6 ετών οδοντόκρεμα με ποσότητα φθορίου 1000 ppmf ενώ μετά τα 6 χρόνια κανονική οδοντόκρεμα με ποσότητα φθορίου 1450-1500 ppmf.

Επίσης συστήνεται τοπική εφαρμογή φθορίου στον οδοντίατρο 1-2 φορές το χρόνο ανάλογα με τις ανάγκες του παιδιού

δ. Επικαλύψεις οπών και σχισμών (sealants)(9)

Με αυτή την ανώδυνη τεχνική καλύπτονται οι μασητικές επιφάνειες των οπίσθιων δοντιών (νεογιλών και μονίμων) οι οποίες μορφολογικά παρουσιάζουν οπές και σχισμές και από τις οποίες ξεκινούν συνήθως οι τερηδονικές βλάβες.

Γίνεται δε χωρίς αφαίρεση οδοντικού ιστού και έτσι το παιδί εξοικειώνεται με τον οδοντίατρο

015
ARTICLES OF SPECIAL INTEREST
Tερηδόνες θηλασμού (nursing bottle caries)

Β/ ΤΡΑΥΜΑ(10)

Ο τραυματισμός των δοντιών και των ιστών που τα περιβάλλουν είναι πολύ συχνός στην παιδική ηλικία. Χρειάζεται έγκαιρη και σωστή αντιμετώπιση για περιορισμό μελλοντικών προβλημάτων.

α. Τραύμα στα νεογιλά δόντια

Όταν το τραύμα γίνει ενώ το παιδί έχει ακόμα παιδικά δόντια συνήθως γίνεται εμβύθιση στο κόκκαλο ή αποσπάται πλήρως από αυτό (εκγόμφωση).

Στην περίπτωση της εμβύθισης εξετάζουμε ακτινογραφικά αν έχει τραυματιστεί το οδοντικό σπέρμα του μόνιμου διαδόχου δοντιού.

Αν δεν έχει νεκρωθεί με το χρόνο επανέρχεται στην αρχική του θέση. Στην περίπτωση ολικής εκγόμφωσης παιδικού δοντιού δεν το βάζουμε πίσω στην θέση του, επικοινωνούμε με τον παιδοδοντίατρο για την εκτίμηση της κατάστασης.

016 Η σημασία της στοματικής υγιεινής και ορθοδοντικής πρόληψης

Αν το νεογιλό δόντι νεκρωθεί γεγονός πού φαίνεται από την αλλαγή χρώματος και δημιουργηθεί απόστημα ή συρίγγιο πρέπει να θεραπευθεί για να μην χαλάσει η οδοντική επιφάνεια του μόνιμου διαδόχου δοντιού.

β. Τραύμα στα μόνιμα δόντια Είναι πολύ συχνό στην ηλικία των 7-8 ετών που το παιδί έχει ήδη τα μόνιμα μπροστινά του δόντια. Μπορεί να συμβεί:

β1--κάταγμα μύλης

Αν βρεθεί το σπασμένο κομμάτι καλό είναι να το βάλουμε σε φυσιολογικό ορό ή σε νερό. Επικοινωνούμε με τον θεράποντα ιατρό και ή γίνεται συγκόλληση του κατεαγότος τμήματος ή συμπληρώνεται το έλλειμμα με ειδικά οδοντιατρικά υλικά εφόσον εξετάσουμε πρώτα τη θέση της γραμμής του κατάγματος σε σχέση με το οδοντικό νεύρο.

β2--κάταγμα ρίζας Αν διαγνωσθεί ακτινογραφικά κάταγμα ρίζας αυτό εκτιμάται από τον θεράποντα ιατρό. Γλωσσική ναρθηκοποίηση και ενδοδοντική θεραπεία βοηθούν στην περαιτέρω εξέλιξη

017 Η σημασία της στοματικής υγιεινής και ορθοδοντικής πρόληψης

β3-Ολική εκγόμφωση Όταν βγει όλο το δόντι από το φατνίο ενεργούμε ως εξής:

1. Βρίσκουμε το δόντι

2. Το ξεπλένουμε με κρύο νερό, χωρίς να πιάνουμε τη ρίζα

3. Το βάζουμε πίσω στη θέση του στο φατνίο και το κρατάμε σταθερό με μία γάζα ή αν αυτό είναι δύσκολο το βάζουμε σε κρύο γάλα

4. Επικοινωνούμε με τον θεράποντα ιατρό ο οποίος θα προβεί σε ενδοδοντική θεραπεία και γλωσσική ναρθηκοποίηση του δοντιού με τα γειτονικά δόντια εκατέρωθεν. Απαραίτητη η περιοδική κλινική και ακτινογραφική εξέταση

Σημαντικό ρόλο στην έκβαση της θεραπείας παίζει η ηλικία του παιδιού από την οποία εξαρτάται ο βαθμός ανάπτυξης της ρίζας του δοντιού. Γλωσσική ναρθηκοποίηση δοντιού

018
Η σημασία της στοματικής υγιεινής και ορθοδοντικής πρόληψης

γ. Πρόληψη οδοντικού τραύματος

Παιδιά και έφηβοι που έχουν έντονη πρόταξη των εμπρόσθιων δοντιών είναι πιο επιρρεπή

στο τραύμα.

Συνιστάται δε αφενός η χρήση ειδικών ναρθήκων αν ασχολούνται με αθλητικές δραστηριότητες

και αφετέρου η έγκαιρη ορθοδοντική διόρθωση τής οριζόντιας πρόταξης των εμπρόσθιων δοντιών

Εκτός από την οδοντιατρική πρόληψη σημαντική στην προσχολική και σχολική ηλικία είναι και η ορθοδοντική πρόληψη.

Γ/ΟΡΘΟΔΟΝΤΙΚΗ ΠΡΟΛΗΨΗ

Γ1. θηλασμός πιπίλας ή δακτύλου (11)

Ο θηλασμός της πιπίλας συνιστάται το αργότερο μέχρι 3-4 ετών. Αν συνεχιστεί και αργότερα

δημιουργούνται οδοντοσκελετικά προβλήματα που διορθώνονται μόνο με ορθοδοντική θεραπεία.

Ο θηλασμός του δακτύλου είναι πιο εθιστικός και τερματίζεται δυσκολότερα λόγω ψυχολογικής εξάρτησης.

Επιπλέον το δάχτυλο ασκεί μεγαλύτερη πίεση από αυτή της πιπίλας στο εύπλαστο οστούν τής άνω γνάθου δημιουργώντας έτσι μεγαλύτερη οστική παραμόρφωση- ανανεωγμένη δήξηη οποία δεν είναι αναστρέψιμη μετά το 5ο έτος της ηλικίας παρά μόνο με τη βοήθεια της ορθοδοντικής παρέμβασης

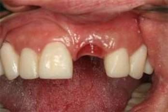
Γ2. Διατήρηση χώρου μετά την πρόωρη εξαγωγή νεογιλών οπισθίων δοντιών Σε περίπτωση πρόωρης εξαγωγής δοντιού (λόγω τερηδόνας ή αποστήματος) είναι απαραίτητη η τοποθέτηση μηχανήματος διατήρησης χώρου (space maintainer) μέχρις ότου

019
ανατείλει στο οδοντικό τόξο το μόνιμο δόντι. Αθλητικός νάρθηκας Διόρθωση οριζόντιας πρόταξης για αποφυγή οδοντικού τραύματος Η σημασία της στοματικής υγιεινής και ορθοδοντικής πρόληψης
020 Αν δεν διατηρηθεί ο χώρος της πρόωρης εξαγωγής, τα δύο παράπλευρα δόντια συγκλίνουν
τους,
το
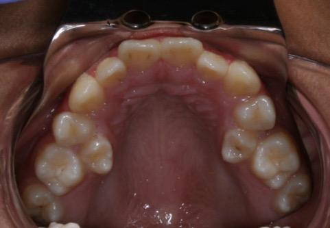
δόντι παραμένει έγκλειστο ή ανατέλλει
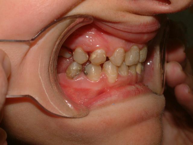
Οι δεύτεροι προγόμφιοι ανέτειλαν υπερώια λόγω έλλειψης χώρου στο οδοντικό τόξο Η σημασία της στοματικής υγιεινής και ορθοδοντικής πρόληψης
μεταξύ
κλείνοντας τον χώρο και έτσι
μόνιμο
εκτός οδοντικού τόξου. Space
maintainer -band and loop μετά την πρόωρη εξαγωγή του 2ου νεογιλού γομφίου

Αυτό δημιουργεί και παράπλευρα προβλήματα στην σωστή σύγκλειση των δύο γνάθων με συνέπεια αισθητικά και λειτουργικά προβλήματα στα δόντια και στην άρθρωση των γνάθων (κροταφογναθική διάρθρωση ΚΓΔ).

Αν κλείσει μερικώς ή ολικώς ο χώρος της πρόωρης εξαγωγής επεμβαίνουμε με ορθοδοντικό μηχανισμό για να τον επανακτήσουμε για να μπορέσει να ανατείλει το διάδοχο μόνιμο δόντι.

Γ3. Ελεγχος χρόνου ανατολής δοντιών Αρκετές φορές η ανατολή των μόνιμων δοντιών αργεί να γίνει ή δεν γίνεται καθόλου. Αν συμβαίνει αυτό υπάρχει κάποιος λόγος τον οποίο πρέπει να εξετάσουμε.

Στην ηλικία των 7 ετών, σύμφωνα με τις οδηγίες της Αμερικανικής Ορθοδοντικής Εταιρείας AAO (American Association of Orthodontics), καλόν θα είναι να εξετάζεται κλινικά αλλά και ακτινογραφικά η κατάσταση της μεικτής οδοντοφυίας του παιδιού για σκελετική ή οδοντική ασυμμετρία των γνάθων, για ελλείποντα δόντια ή δυνητικώς έγκλειστα ή για παρουσία οδοντωμάτων ή για έκτοπη ανατολή

Γ3α. ελλείποντα

Όταν υπάρχει γενετική έλλειψη μονίμων δοντιών αν επέμβουμε ορθοδοντικά σε μικρή ηλικία κλείνουμε τα κενά μικραίνοντας τα οδοντικά τόξα και έτσι το παιδί αποφεύγει μελλοντικές προσθέσεις (γέφυρες ή εμφυτεύματα).

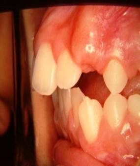
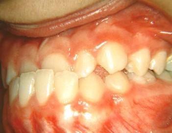
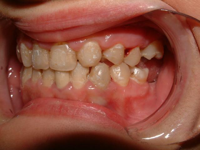
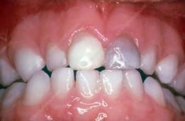
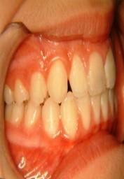
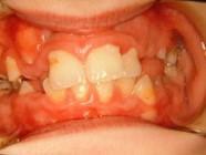
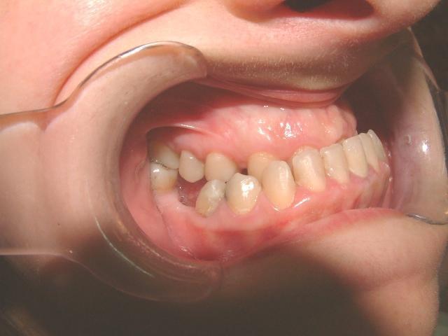
Γενετικώς ελλείποντα δόντια (ο άνω αριστερός πλάγιος, ο άνω δεξιός 2ος προγόμφιος, οι κάτω δεύτεροι προγόμφιοι αμφοτερόπλευρα.)

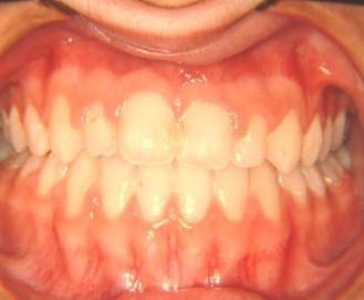
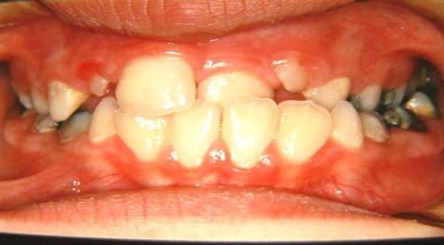
Μετά το πέρας της ορθοδοντικής θεραπείας, (2η φωτογραφία), τα κενά που δημιουργήθηκαν

από την έλλειψη των μονίμων δοντιών μετά την φυσιολογική απόπτωση των νεογιλών δοντιών, έκλεισαν με ορθοδοντική παρέμβαση

Γ3β. παρουσία οδοντωμάτων (ref.12,13,14)

Τα οδοντώματα είναι οι συχνότεροι οδοντογενείς όγκοι που παρουσιάζονται σε παιδιά μέχρι 20 ετών και που εμποδίζουν την ανατολή των μόνιμων. Προέρχονται από ιστούς που συμμετέχουν στην οδοντογένεση.

021
Η
στοματικής υγιεινής και ορθοδοντικής πρόληψης
σημασία της
022 Η σημασία της στοματικής υγιεινής και ορθοδοντικής πρόληψης

Στην συγκεκριμένη περίπτωση η παρουσία οδοντωμάτων εμποδίζει την ανατολή των μόνιμων κεντρικών τομέων καθιστώντας τα έγκλειστα.

H έγκαιρη παρέμβαση λύνει το πρόβλημα με την χειρουργική απομάκρυνση των οδοντομάτων και με την υποβοηθούμενη μετατόπιση των κυρίως δοντιών με ορθοδοντικές δυνάμεις.

Γ3γ. έκτοπη ανατολή μονίμων δοντιών Συμβαίνει όταν το διάδοχο μόνιμο δόντι ανατέλλει σε άλλη θέση από τον πρόγονό του.

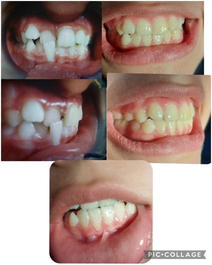
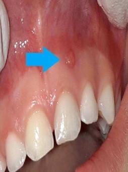
Εδώ παρατηρούμε τον κυνόδοντα να ανατέλλει ανάμεσα στον κεντρικό και πλάγιο τομέα. Η έγκαιρη ορθοδοντική παρέμβαση στην κατάλληλη ηλικία προλαμβάνει μελλοντικές συγκλεισιακές ανωμαλίες.

Γ4. Ελεγχος ανατολής κυνοδόντων και διάνοιξη υπερώας (ref.15,16)

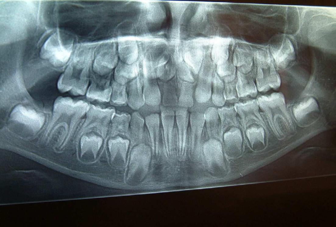
Κατά την εξέλιξη του ανθρωπίνου είδους οι γνάθοι γίνονται μικρότεροι. Για αυτόν τον λόγο και οι φρονιμίτες, τρίτοι γομφίοι, γίνονται συνήθως έγκλειστοι, καθώς και οι άνω κυνόδοντες που ανατέλλουν προτελευταίοι στην άνω γνάθο και δεν βρίσκουν αρκετό χώρο στα οδοντικά τόξα.

Στα 7 χρόνια του παιδιού εξετάζουμε με πανοραμική ακτινογραφία τη θέση των μονίμων άνω κυνοδόντων στο οστό και αναλόγως πράττουμε.

Αν δεν υπάρχει αρκετός χώρος για αυτά,κάνουμε διεύρυνση της υπερώας με ορθοπεδικό μηχάνημα.

023
Η σημασία της στοματικής υγιεινής και ορθοδοντικής πρόληψης
024 Με
να ανατείλουν και έτσι αποφεύγουμε μελλοντικό εγκλεισμό τους στο οστό της άνω γνάθου. Έγκλειστος κυνόδοντας σε ενήλικα, παρουσία του νεογιλού προγόνου του. Η σημασία της στοματικής υγιεινής και ορθοδοντικής πρόληψης
τον τρόπο αυτό τα βοηθάμε

Ορθοδοντική παρέμβαση στον συγκεκριμένο ενήλικα, μετά από χειρουργική αποκάλυψη του εγκλείστου κυνόδοντα, και μεταφορά του στο οδοντικό τόξο.

Για αποφυγή της παραπάνω διαδικασίας τονίζεται ξανά η σημασία του έγκαιρου ορθοδοντικού ελέγχου στην σχολική ηλικία των παιδιών για τη διάγνωση

Γ5.Πρόληψη σε περιοδοντικά μελλοντικά προβλήματα (17,18)

Τραυματική σύγκλειση γνάθων δημιουργεί απορρόφηση στο ούλο.

025
H έγκαιρη διόρθωση της σταυροειδούς συγκλείσεως στο παιδί αυτό των 8 ετών, αποτρέπει και διορθώνει την απορρόφηση ούλου και οστού στην περιοχή του κάτω τομέα. Η σημασία της στοματικής υγιεινής και ορθοδοντικής πρόληψης

Γ6. Διόρθωση οδοντοσκελετικών προβλημάτων πριν την αλλαγή των μόνιμων δοντιών

- Προγναθισμόs άνω γνάθου - Προγναθισμόs κάτω γνάθου - Σταυροειδής σύγκλεισηΠροσωπική ασυμμετρία

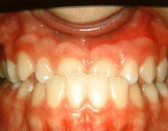
- Προγναθισμόs άνω γνάθου

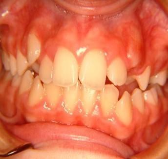
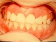
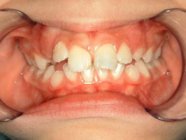
1η περίπτωση

Αρχική οδοντοσκελετική κατάσταση παιδιού με προγναθισμό άνω γνάθου και έντονη οριζόντια πρόταξη άνω τομέων Η σημασία της στοματικής υγιεινής και ορθοδοντικής

026
πρόληψης
027 Αμέσως μετά το τέλος της ορθοδοντικής θεραπείας. Οι αλλαγές στην οδοντική του σύγκλειση αλλά και στο πρόσωπο είναι εμφανείς 15 χρόνια μετά την αρχική περάτωση της θεραπείας, το αποτέλεσμα παραμένει σταθερό και ο ασθενής απέκτησε ένα υγιές και αρμονικό χαμόγελο και πρόσωπο. Η σημασία της στοματικής υγιεινής και ορθοδοντικής πρόληψης
028 Δεύτερη περίπτωση Αρχική κατάσταση Η σημασία της στοματικής υγιεινής και ορθοδοντικής πρόληψης

Μετά το πέρας της ορθοδοντικής θεραπείας.

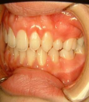
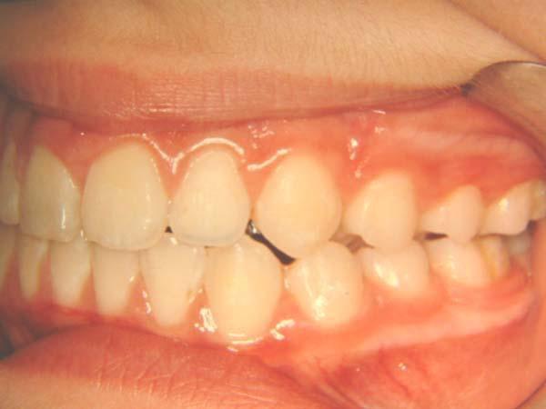
-Προγναθισμόs κάτω γνάθου

Πρώτη περίπτωση

029
Η σημασία της στοματικής υγιεινής και ορθοδοντικής πρόληψης
030
Η σημασία της στοματικής υγιεινής και ορθοδοντικής πρόληψης
Πριν Μετά

Εάν ο προγναθισμός της κάτω γνάθου δεν αντιμετωπιστεί σε νεαρή ηλικία τότε η διόρθωση του θα χρειαστεί και τη βοήθεια της γναθοπροσωπικής χειρουργικής, διότι όταν η ανάπτυξη τερματιστεί δεν γίνονται γναθικές αλλαγές κατά τη διάρκεια της ορθοδοντικής θεραπείας παρά μόνο μετακινήσεις φατνιακού οστού και δοντιών (19)

Δεύτερη περίπτωση

031
Η σημασία της στοματικής υγιεινής και ορθοδοντικής πρόληψης
Aσθενής με έντονο υπογναθισμό της άνω γνάθου και προγναθισμό της κάτω.

Υπεβλήθη σε συνδυασμό προχειρουργικής ορθοδοντικής θεραπείας, γναθοπροσωπικής χειρουργικής και μεταχειρουργικής ορθοδοντικής θεραπείας λόγω της ηλικίας της Σταυροειδής σύγκλειση - Προσωπική ασυμμετρία

Διόρθωση σταυροειδούς συγκλείσεως σε ηλικία 8 ετών απέτρεψε προσωπική ασυμμετρία. Η έγκαιρη θεραπεία σε οδοντοσκελετικά προβλήματα και η σκελετική διόρθωση της σχέσης των δύο γνάθων πρέπει να γίνεται στην περίοδο της σχολικής ηλικίας και έχουν εμφανή αποτελέσματα στο πρόσωπο και στην ψυχολογία του παιδιού

Γ7. Ελεγχος ύπαρξης στοματικής αναπνοής. (20)

Εάν άλλο στοιχείο που πρέπει να προσέξουμε και να διαγνώσουμε κατά την σχολική ηλικία των παιδιών είναι αν η αναπνοή τους γίνεται από το στόμα (mouthbreathing).

Τα παιδιά με στοματική αναπνοή παρουσιάζουν μακρόστενο πρόσωπο, μισάνοιχτο ή ανοιχτό στόμα, έκταση της κεφαλής προς τα πίσω, στενή υπερώα, κακή οδοντική σύγκλειση, παρουσία τερηδονικών βλαβών λόγω ξηρασίας του στόματος και περιοδοντικά προβλήματα.

032
Η σημασία της στοματικής υγιεινής και ορθοδοντικής πρόληψης

Μεγαλώνοντας το παιδί μπορεί να εμφανίσει άπνοια και διαταραχές στον ύπνο. Τα αίτια της στοματικής αναπνοής είναι πολλαπλά, όπως ιγμορίτιδα, πολύποδες, ορθοδοντικές ανωμαλίες από θηλασμό δακτύλου, στραβό ρινικό διάφραγμα, υπερτροφικές αδενοειδείς εκβλαστήσεις, αλλεργίες, υπερτροφικές αμυγδαλές.

Η κατάσταση είναι περίπλοκη και αντιμετωπίζεται από πολλές ιατρικές ειδικότητες όπως παιδίατροι, αλλεργιολόγοι, ΩΡΛ, καρδιολόγοι, ορθοδοντικοί κ.λπ.

Από την ορθοδοντική ματιά πρέπει να διαγιγνώσκεται η στοματική αναπνοή, να παραπέμπεται στους ειδικούς γιατρούς και να διευρύνεται η άνω γνάθος με ορθοπεδικούς μηχανισμούς.

033
Πριν Μετά Η σημασία της στοματικής υγιεινής και ορθοδοντικής πρόληψης

Ορθοδοντική θεραπεία σε παιδί με στοματική αναπνοή. Έγινε διεύρυνση υπερώας. Με τη διεύρυνση της άνω γνάθου, βοηθάμε τα παιδιά προσχολικής και σχολικής ηλικίας να θεραπευθούν σε μεγάλο βαθμό με τη συμβολή φυσικά των παιδιάτρων και ΩΡΛ.

Συμπέρασμα

Στην προσχολική και σχολική ηλικία των παιδιών είναι σημαντική η οδοντιατρική πρόληψη και η έγκαιρη ορθοδοντική διάγνωση για την ανάπτυξη ενός υγιούς αισθητικά και λειτουργικά στόματος.

Είναι λανθασμένη η εντύπωση ότι τα παιδικά δόντια θα αλλαχθούν και δεν χρειάζονται φροντίδα, όπως και ότι το παιδί πρέπει να αλλάξει όλα τα παιδικά του δόντια για να έχει ορθοδοντική διάγνωση.

Βιβλιογραφία

1. Στοματογναθικές και τραχηλοπροσωπικές λοιμώξεις. Ε.Καρυαμπά, Κ.Αλεξανδριδης, Α. Αγγελόπουλος) eclass.uoa.gr. File php DENT236. Ενότητα 1η

2. Αλεξίου Π: Τι έδειξε Πανελλήνια έρευνα΄ Υστέρηση σε πρόληψη, ενημέρωση, φροντίδα όπως πριν 20 χρόνια. Φάρμακο-Υγεία 2007:43-44

3. Τhe role of fluoride on caries prevention-Yomna Nassar, Melina Brizuela, Alexandria university, faculty of Dentistry

4. Kassebaum NJ,Bernabe E, Dahiya M-Global burden of untreated caries: a systematic review and metaregression. J.Dent. Res. 2015 May; 94(5) 650-85.

5. Clark MB, Keels MA, Slayton RL. Section of oral health. Fluoride use in caries prevention in the primary care setting. Pediatrics 2020 Dec ;146(6)

6. Moyer VA,US preventive services task force. Preventive services task force recommendation statement. Pediatrics 2014;133(6): 1102-11.

7. Recommendation of using fluoride to prevent and control dental caries in the United States. Center for Disease control and prevention MMWR Recomm. Rep 2001 Aug.17;50 (RR- 14):1-4

8. Fluoride toothpastes for preventing dental caries in children and adolescents. Cochrane Datasase syst. Rev. 2003; 2003 (1)CD002278

9. The use of fibrin sealant during non-emergency surgery: a systematic review of evidence of benefits and harms. Edwards SJ, Crawford F, Van Velthoven MH, et al. Southampton technology Assesment, No. 20.71.

10. Traumatic injuries of teeth by Andreasen, published by Willey-Blackwell,2018

11. Ελληνικη παιδοδοντική εταιρεία-www.hspd.gr

12. Μπουραζάνη Μ, Σφακιανού Α, Καραθανάση Β, Χρυσομάλη Ε, Τάσιος Κ, ΣκλαβούνουΑνδρικοπούλου Α Παιδοδοντία 2012,26(2)53-57

13. Αγγελόπουλος Α, Παπανικολάου Σ, Αγγελοπούλου Ε:Σύγχρονη Στοματική και Γναθοπροσωπική Παθολογία. Αθήνα Ιατρικές εκδόσεις Λίτσας 2000: 471-6 14. Κακαράντζα Ε,Αλεξανδρίδης Κ , Αγγελόπουλος Α. Τα οδοντώματα τών γνάθων. Βιβλιογραφική ανασκόπηση και παρουσίαση 4 περιπτώσεων σε παιδιά.

Οδοντοστοματολογική πρόοδος 1984; 38: 195-201

15. Mechanisms of tooth eruption and orthodontic tooth movement. Dent. Res. 2008; 87:414-34

16. Becker A. General principles related to the diagnosis and treatment of impacted teeth: The orthodontic treatment of impacted teeth. Becker A, ed. St.Louis :Mosby 1998:1-11

17.Periodontal treatment in children and adolescents A Tsami. Odontostomatological Progress 2009,63(1):94-111

18.Bimstein E, Eidelman E. Morphological changes in the attached and keratinized gingiva and gingival sulcus in the mixed dentition. J.Clin. Periodontol 1988;15.175-182

19. Surgical Orthodontic Treatment by William R. Proffit and Raymont P.White ,Jr. Mosby 1991 pages 2-23, and 428-481

20. The impact of mouth breathing on dentofacial development. A concise review

National Library of Medicine. Front Public Health. 2022;10:Published online 2022 Sept. 8,2022

034
Η σημασία της στοματικής υγιεινής και ορθοδοντικής πρόληψης
035 Η σημασία της στοματικής υγιεινής και ορθοδοντικής πρόληψης

Αναφυλαξία: Αναγνώριση, διάγνωση

και αντιμετώπιση στο

περιβάλλον

Δημήτριος Κασίμος, Άννα Παπάζογλου

Περίληψη

σχολικό

Αλληλογραφία

Δημήτριος Κασίμος

Τ. 2551030476

e-mail: dkasimos@med. duth.gr

Η αναφυλαξία αποτελεί μια επείγουσα κατάσταση, επικίνδυνη για τη ζωή. Εκδηλώνεται με συμπτώματα από πολλά συστήματα όπως δέρμα, αναπνευστικό, καρδιαγγειακό και προκαλείται μετά από την επαφή με κάποιο αλλεργιογόνο, μέσω οποιασδήποτε οδού. Η επιτυχής αντιμετώπισή της βασίζεται στην ταχεία διάγνωσή καθώς και στην άμεση και αποτελεσματική θεραπεία. Το φάρμακο πρώτης εκλογής είναι η αδρεναλίνη ακολουθούμενη από εισπνεόμενα βρογχοδιασταλτικά ή αδρεναλίνη και ενδοφλέβια υγρά και τέλος από αντιϊσταμινικά και κορτικοστεροειδή. Οι πρώτες κινήσεις αντιμετώπισης που λαμβάνουν χώρα πριν τη μεταφορά στο νοσοκομείο είναι υψίστης σημασίας για την έκβαση του ασθενή. Είναι σημαντικό να αναγνωρίζονται εγκαίρως τα κλινικά σημεία της αναφυλαξίας και να γίνεται άμεση έναρξη θεραπείας με στόχο τη διατήρηση της βατότητας των αεραγωγών και την αποφυγή της καρδιαγγειακής κατέρρειψης. Λόγω της ανάγκης για άμεση παρέμβαση είναι σημαντικό να υπάρχει σωστή ενημέρωση και εκπαίδευση των γονιών, των ασθενών αλλά και των εκπαιδευτικών ώστε να είναι σε θέση να αναγνωρίζουν τα σημεία και τα συμπτώματα και να αντιμετωπίζουν ενδεχόμενα επεισόδια αναφυλαξίας άμεσα και αποτελεσματικά. Σε κάθε σχολικό περιβάλλον οφείλει να υπάρχει βαλιτσάκι αναφυλαξίας, με αυτοχορηγούμενη αδρεναλίνη, ενώ οι ασθενείς με γνωστή αλλεργία να έχουν μαζί αντίστοιχη ταυτότητα και πρωτόκολλο αντιμετώπισης. Τέλος, χρειάζεται να υπάρχει εκπαιδευμένη σχολική νοσηλεύτρια για αντιμετώπιση τέτοιων περιστατικών.

Δημήτριος Κασίμος Άννα Παπάζογλου Παιδιατρική Κλινική, Πανεπιστημιακό Νοσοκομείο Αλεξανδρούπολης

036
ΑΡΘΡA ΕΙΔΙΚΟΥ ΕΝΔΙΑΦΕΡΟΝΤΟΣ

Correspondence

Dimitris Cassimos

Τ. +302551030476

e-mail: dkasimos@med. duth.gr

Anaphylaxis: Recognition , diagnosis and treatment at the school environment

Abstract

Anaphylaxis is a life-threatening emergency. It manifests with symptoms from many systems such as skin, respiratory and cardiovascular and is caused after contact with an allergen, through any route. Its successful treatment is based on rapid diagnosis and the subsequent immediate and effective treatment. The drug of first choice is adrenaline followed by inhaled bronchodilators or adrenaline, intravenous fluids and finally, antihistamines and corticosteroids. First aid measures that take place before transport to the hospital are of the utmost importance for the patient's outcome. It is important to recognize the clinical signs of anaphylaxis in time and to start treatment immediately with the aim of maintaining airway patency and avoiding cardiovascular collapse. Due to the need for immediate intervention, it is important to have proper information and training for parents, patients and teachers so that they are able to recognize the signs and symptoms and deal with possible anaphylaxis episodes promptly. In every school environment there must be an anaphylaxis kit with portable autoinjector adrenaline, while patients with a known or possible allergy must have a corresponding identity card with them and a protocol of anaphylaxis treatment. Finally, it is highly important to hire a trained school nurse capable to deal with such incidents.

Εισαγωγή

Η αναφυλαξία είναι μια πολύ σοβαρή, επικίνδυνη για τη ζωή, γενικευμένη ή συστηματική

αντίδραση υπερευαισθησίας, που συχνά χαρακτηρίζεται από σοβαρό άσθμα και υπόταση.

Συνήθως προκαλείται μέσω ενός αλλεργικού μηχανισμού, κυρίως από την IgE.

Η αναφυλαξία επηρεάζει τον οργανισμό συνολικά προκαλώντας συμπτώματα από πολλά όργανα . Εκδηλώνεται με αιφνίδια εμφάνιση των συμπτωμάτων και εξελίσσεται ταχύτατα, ενώ τα συμπτώματα ποικίλλουν από ήπια ερυθρότητα μέχρι απόφραξης των αεροφόρων οδών με ή χωρίς αγγειακή κατέρρειψη. Ο θάνατος είναι δυνατόν να προέλθει από ασφυξία ή καρδιαγγειακή κατέρρειψη. Αποτελεί μία κατάσταση η οποία χρήζει άμεσης αναγνώρισης των συμπτωμάτων, επιθετικής αντιμετώπισης και ελαχιστοποίησης των εκλυτικών παραγόντων. (1,2)

Ιστορικά Στοιχεία

Dimitrios Cassimos

Anna Papazoglou Pediatric Clinic, Alexandroupolis University Hospital

To 1902 o Charles Richet και ο Paul Portier περιέγραψαν τη θανατηφόρο αντίδραση σε ένα σκύλο που προσπάθησαν να ανοσοποιήσουν με το δηλητήριο της θαλάσσιας ανεμώνης. Το γεγονός ότι προκλήθηκε το αντίθετο από το προσδοκώμενο αποτέλεσμα τους ενέπνευσε να εισάγουν τον όρο της αναφυλαξίας, συνθέτοντας τις ελληνικές λέξεις ανά και προφύλαξη. Ο C. Richet 11 χρόνια μετά κέρδισε το βραβείο Νόμπελ Φυσιολογίας και Ιατρικής ¨σε αναγνώριση της συνεισφοράς του στο χώρο των αναφυλακτικών αντιδράσεων¨. Η ανοσοσφαιρίνη της αλλεργίας

037
IgE ανακαλύφθηκε, σχετικά πρόσφατα, μόλις το 1967.(1) Αίτια Στα πιο συχνά αντιγόνα που προκαλούν αντιδράσεις υπερευαισθσίας τύπου Ι περιλαμβάνονται
ARTICLES OF SPECIAL INTEREST

τροφές (ξηροί καρποί, αυγά, θαλασσινά), αεροαλλεργιογόνα, φάρμακα (πενικιλλίνη, σαλυκιλικά), παράγωγα εντόμων (δηλητήριο μέλισσας) καθώς και τρίχες ζώων. (3)

Επιδημιολογία

Σύμφωνα με πρόσφατες δημοσιεύσεις η παγκόσμια επίπτωση της αναφυλαξίας κυμαίνεται μεταξύ 50 και 112 επεισόδια ανά 100.000 άτομα το χρόνο. Τα τελευταία χρόνια έχει παρατηρηθεί αύξηση των νοσηλειών εξαιτίας της αναφυλαξίας, χωρίς ωστόσο να αυξηθούν τα επίπεδα της θνητότητας. (4)

Κλινική Εικόνα Η αναφυλαξία επηρεάζει τον οργανισμό συνολικά προκαλώντας συμπτώματα από πολλά όργανα και συστήματα. Χαρακτηρίζεται από αιφνίδια εμφάνιση των συμπτωμάτων και εξελίσσεται ταχύτατα. Τα συμπτώματα ποικίλλουν από ήπια ερυθρότητα μέχρι απόφραξη των αεροφόρων οδών με ή χωρίς αγγειακή κατέρρειψη. Είναι σημαντικό να αναγνωρίζονται εγκαίρως τα σημεία σοβαρής αναφυλαξίας, τα οποία περιλαμβάνουν μεταξύ άλλων: εκπνευστικό και εισπνευστικό συριγμό, αναπνευστική δυσχέρεια, κυάνωση κ.λπ. (Πίνακας 1,2) (5)

Πίνακας 1. Σημεία σοβαρής αναφυλακτικής αντίδρασης

Σημεία σοβαρής αναφυλακτικής αντίδρασης

Εκπνευστικός συριγμός

Εισπνευστικός συριγμός

Αναπνευστική δυσχέρεια

Κυάνωση ή ωχρότητα

Ταχυκαρδία

Κοιλιακό άλγος

Διαταραχή επιπέδου συνείδησης

Shock

Σπασμούς

Πίνακας 2. Συχνότητα σημείων και συμπτωμάτων αναφυλακτικής αντίδρασης. Τροποποιημένο από: Lieberman PL. Recognition and first-line treatment of anaphylaxis. (5)

038 Αναφυλαξία: Αναγνώριση, διάγνωση και αντιμετώπιση στο σχολικό περιβάλλον
Σημεία και Συμπτώματα Συχνότητα (%) Ερύθημα, αγγειοοίδημα 88 Οίδημα ανώτερου αεραγωγού 56 Δύσπνοια, συριγμός 47 Εξάψεις 46 Ζάλη, συγκοπή, υπόταση 33 Ναυτία, έμετοι, διάρροια, κοιλιακός πόνος 30 Ρινίτιδα 16 Κεφαλαλγία 15 Οπισθοστερνικός πόνος 6 Κνησμός χωρίς εξάνθημα 5 Σπασμοί 2

Ανάλογα με την οδό εισόδου του αλλεργιογόνου διαφοροποιούνται οι κλινικές εκδηλώσεις

και ο χρόνος εμφάνισής τους. Σε περιπτώσεις ενδοφλέβιας χορήγησης φαρμάκων, αυτή οδηγεί συνήθως σε καρδιαγγειακές εκδηλώσεις. Σε από του στόματος, όπως σε περιπτώσεις τροφικών αλλεργιογόνων, κατά κύριο λόγο έχουμε αναπνευστικές εκδηλώσεις, ενώ, τέλος, μπορεί η είσοδος να γίνεται διαδερμικά, όπως σε περιπτώσεις νηγμών εντόμων, με αναπνευστικές και καρδιαγγειακές εκδηλώσεις.

Τα πρώτα συμπτώματα που εμφανίζονται συνήθως είναι από το δέρμα το στόμα και το φάρυγγα. Οι δερματικές εκδηλώσεις δεν εμφανίζονται πάντοτε σε αναφυλαξία. Συγκεκριμένα το 80 %

των περιπτώσεων θανατηφόρου αναφυλαξίας από τροφές δεν είχαν δερματικές εκδηλώσεις. (6)

Διάγνωση

Η άμεση διάγνωση και έγκαιρη αντιμετώπιση είναι απαραίτητη, καθώς η αναφυλαξία είναι μία οξεία και εν δυνάμει θανατηφόρος κατάσταση. Λαμβάνοντας υπόψη την άμεση αναγνώριση των κλινικών σημείων, έχοντας ένα ακριβές ιστορικό και αφού αποκλεισθούν

άλλες καταστάσεις οδηγούμαστε στην ορθή διάγνωση και την κατάλληλη θεραπεία. (7)

Διαγνωστικά Κριτήρια Αναφυλαξίας

Η αναφυλαξία είναι πολύ πιθανό να συμβαίνει όταν έχουμε συμπτώματα από τουλάχιστον δύο συστήματα (δέρμα, αναπνευστικό, καρδιαγγειακό, γαστρεντερικό ). Συγκεκριμένα:

Οξεία εμφάνιση ασθένειας (εντός λεπτών ή λίγων ωρών) με ταυτόχρονη εμφάνιση βλαβών από το δέρμα, τους βλεννογόνους ή και τα δύο (πχ γενικευμένους πομφούς, κνησμό ή ερυθρότητα, οίδημα χειλέων-γλώσσας-σταφυλής)

Και τουλάχιστον ένα από τα παρακάτω:

α. Αναπνευστική συμμετοχή ( πχ δύσπνοια, συριγμός-βρογχόσπασμος, σιγμός, μείωση PEF, υποξαιμία)

β. Χαμηλή αρτηριακή πίεση( κατέρρειψη, συγκοπή)

γ. Σοβαρά γαστρεντερικά συμπτώματα (π.χ. έντονο κοιλιακό άλγος, επαναλαμβανόμενοι έμετοι), ειδικά όταν υπάρχει έκθεση σε μη τροφικά αλλεργιογόνα δ. Αιφνίδια πτώση της αρτηριακής πίεσης ή βρογχόσπασμος ή λαρυγγική συμμετοχή μετά από έκθεση σε γνωστό αλλεργιογόνο για τον ασθενή ή σε ένα υψηλής υποψίας αλλεργιογόνο

ακόμη και σε απουσία εκδήλωσης από το δέρμα.

Σύμφωνα με τα πιο πρόσφατα κριτήρια του WAO σε παιδιά με γνωστή ή πολύ πιθανή αλλεργία, έκθεση σε ύποπτο αλλεργιογόνο και αιφνίδια εμφάνιση βρογχόσπασμου, λαρυγγόσπασμου ή

απότομη πτώση αρτηριακής πίεσης, αρκούν για τη διάγνωση της αναφυλαξίας. (4)

Ανάλογα με τα συμπτώματα που εκδηλώνει ο ασθενής από κάθε σύστημα, υπάρχουν κριτήρια

τα οποία ταξινομούν την αναφυλαξία ανάλογα με τη βαρύτητα. (Πίνακας 3) (8,9)

Η διαφορική διάγνωση περιλαμβάνει νοσήματα που προκαλούν

● Απόφραξη αεροφόρων οδών – Αναπνευστική δυσχέρεια

● Αγγειακή κατάρριψη

● Διαταραχή του επιπέδου συνείδησης

● Εμετό, κοιλιακό άλγος

● Δερματικές εκδηλώσεις

● Διαταραχές συμπεριφοράς (10)

039 Αναφυλαξία: Αναγνώριση, διάγνωση και αντιμετώπιση στο σχολικό περιβάλλον

Πίνακας 3. Ταξινόμηση βαρύτητας αναφυλακτικών αντιδράσεων. (Τροποποιημένο από

Second symposium on the definition and management of anaphylaxis: summary report-Second National Institute of Allergy and Infectious Disease/Food Allergy and Anaphylaxis Network symposium.) (18)

Βαθμός αντίδρασης Ήπια Μέτρια Σοβαρή

Δέρμα Αιφνίδιος κνησμός

οφθαλμών και μύτης, γενικευμένος κνησμός, αιφνίδια ερυθρότητα προσώπου, κνίδωση, αγγειοοίδημα

Οποιοδήποτε από τα προηγούμενα

Οποιοδήποτε από τα προηγούμενα Γαστρεντερικό

Αίσθημα στοματικού κνησμού και καύσους, ήπιο οίδημα χειλέων, ναυτία, έμετος, ήπιο κοιλιακό άλγος

Ρινική απόφραξη και/ή

Αναπνευστικό

πταρμοί, ρινόρροια, κνησμός λαιμού, αίσθημα

«σφιξίματος», ήπιος

Οποιοδήποτε από τα συμπτώματα ήπιας αντίδρασης και οξύ κοιλιακό άλγος, υποτροπιάζοντες έμετοι

συριγμός Οποιοδήποτε από τα

συμπτώματα της ήπιας αντίδρασης και βράγχος φωνής, υλακώδης βήχας, δυσκολία κατάποσης, σιγμός, συριγμός, δύσπνοια

Καρδιαγγειακό Ταχυκαρδία* Ταχυκαρδία

Νευρικό Αλλαγή στο επίπεδο συνείδησης Ζάλη, αίσθημα επικείμενου θανάτου

Οποιοδήποτε από τα συμπτώματα μέτριας αντίδρασης και απώλεια ελέγχου του εντέρου

Οποιοδήποτε από τα συμπτώματα μέτριας αντίδρασης και κυάνωση ή SaO2<92%, αναπνευστική απόφραξη

Υπόταση και/ή κυκλοφοριακή καταπληξία, αρρυθμία, σοβαρή βραδυκαρδία

και/ή ανακοπή

Σύγχυση, απώλεια συνείδησης

* Ταχυκαρδία >120-130 σφύξεις/λεπτό από τον 3ο μήνα - 2ο χρόνο ζωής (50).

Αντιμετώπιση

Η αντιμετώπιση της αναφυλαξίας στηρίζεται στα τρία Α:

1. Αναγνώριση των συμπτωμάτων

2. Αντίδραση άμεση

3. Αξιολόγηση των αιτιολογικών παραγόντων

Η έγκαιρη διάγνωση και η ταχεία αντιμετώπιση με σκοπό την άμεση και ασφαλή μεταφορά στο νοσοκομείο είναι σημαντικά. Σκοπός της πρωτογενούς αντιμετώπισης είναι η διατήρηση της βατότητας των αεροφόρων οδών, η αναστροφή του βρογχόσπασμου και η διατήρηση της καρδιακής παροχής και της ιστικής αιμάτωσης.

Κατά την αρχική αντιμετώπιση ακολουθούνται τα εξής βήματα:

1. Ο ασθενής τοποθετείται σε κατακεκλιμένη θέση, με ανύψωση των ποδιών, εφόσον βέβαια δεν παρουσιάζει αναπνευστική δυσχέρεια.

2. Εκτιμάται η αναπνοή, η κυκλοφορία και το επίπεδο συνείδησης

3. Αναζήτηση βοήθειας

4. Διατήρηση βατότητας των αεροφόρων οδών : στοματοφαρυγγικός καθετήρας, τραχειοτομή

5. Αδρεναλίνη με διάλυση 1: 1000 και δοσολογία με 0.01 mg/kg , εναλλακτικά 0.005 mg/kg στο σημείο εισόδου αλλεργιογόνου ή χρήση αυτοχορηγούμενης αδρεναλίνης

6. Ισχαιμική περίδεση

7. Οξυγόνο 6-8 lt/min

8. Ενδοφλέβιος καθετήρας

040 Αναφυλαξία: Αναγνώριση, διάγνωση και αντιμετώπιση στο σχολικό περιβάλλον

9. Εισπνοές με β2 διεγέρτη ή αδρεναλίνη

10. Αντιϊσταμινικό

11. Κορτικοειδές

Μετά την αρχική αντιμετώπιση και σταθεροποίησή του ο ασθενής μεταφέρεται πάντα στο νοσοκομείο. (11,12)

Τα φάρμακα τα οποία χρησιμοποιούνται σε επεισόδιο αναφυλαξίας

1. Αδρεναλίνη: Στο πλάγιο τμήμα του μηρού. Επαναλαμβάνεται εφόσον χρειάζεται ανά 5-15 λεπτά για 3-4 φορές. Η ενδομυϊκή χορήγηση εμφανίζει καλύτερη βιοδιαθεσιμότητας και πιο παρατεταμένη δράση. Σε κυκλοφορική κατέρρειψη μπορεί να δοθεί αργά ενδοφλεβίως σε διάλυση 1:10.000 με 0.1μγ/kg/min.

Υπάρχουν δοκιμές σε πειραματικό στάδιο για χρήση με υπογλώσσια χορήγηση. Η χρήση της αδρεναλίνης μειώνει την ανάγκη εισαγωγών.

2. Αντιϊσταμινικά: Βελτιώνουν τα δερματικά συμπτώματα, ελαττώνουν την αγγειαδιαστολή και εξαγγείωση πλάσματος

3. Κορτικοειδή: Τροποποιούν την όψιμη αλλεργική αντίδραση. Χρησιμοποιούνται κυρίως η πρεδνιζολόνη με 1- 2 mg/kg/ 24ωρο, η μεθυλπρεδνιζολόνη με 2 mg/kg/ 6ώρο και η υδροκορτιζόνη με 4-8 mg/kg (max 300mg) και στη συνέχεια

2 - 4 mg/kg κάθε 6 ώρες (13,14)

Στον Πίνακα 4 παρουσιάζεται ο αλγόριθμος για την αντιμετώπιση της αναφυλαξίας.

Πίνακας 4. Αλγόριθμος αντιμετώπισης αναφυλαξίας. Τροποποιημένο από

Anaphylaxis: guidelines from the European Academy of Allergy and Clinical Immunology (19)

041 Αναφυλαξία: Αναγνώριση, διάγνωση και αντιμετώπιση στο σχολικό περιβάλλον

Σε ένα επεισόδιο αναφυλαξίας ο κίνδυνος θανάτου είναι αυξημένος όταν δεν χορηγηθεί αδρεναλίνη, όταν προϋπάρχουν νοσήματα όπως βρογχικό άσθμα ή καρδιακή νόσος και όταν το αλλεργιογόνο έχει χορηγηθεί με ταχεία ενδοφλέβια ένεση. Σχεδόν σε όλα τα παιδιά που εμφανίζουν βαρύ επεισόδιο αναφυλαξίας συνυπάρχει και άσθμα. (6)

Στη μακροχρόνια αντιμετώπιση των ασθενών με επεισόδιο αναφυλαξίας έχει πρωταρχικό ρόλο η πρόληψη. Απαραίτητη είναι η ενημέρωση και εκπαίδευση των γονιών, των παιδιών, καθώς και των δασκάλων ώστε να είναι σε θέση να αναγνωρίσουν και να αντιμετωπίσουν σωστά και άμεσα ένα νέο επεισόδιο αναφυλαξίας. Στους ασθενείς χορηγείται ταυτότητα με γνωστές ή πιθανές αλλεργίες και οπωσδήποτε το σπίτι και το σχολείο εξοπλίζονται με φαρμακείο αναφυλαξίας. Απαραίτητη κρίνεται και η παρουσία έμπειρης σχολικής νοσηλεύτριας, η οποία να είναι σε θέση να διαχειρίζεται και να αξιολογεί απειλητικές για τη ζωή καταστάσεις και να δρα εγκαίρως.(15) Σε μία μελέτη που διενεργήθηκε από τους Feketea et al. το 2023 σε ελληνικά σχολεία, διαπιστώθηκαν κενά και δυσκολίες στην διαχείριση αντιδράσεων τροφικής αλλεργίας και αναφυλαξίας από τους δασκάλους. Προκειμένου λοιπόν το σχολείο να εξασφαλίσει ένα ασφαλές περιβάλλον για τους μαθητές χρειάζεται εφαρμογή συστηματικών προγραμμάτων παρέμβασης με σκοπό την ενημέρωση και ευαισθητοποίηση των εκπαιδευτικών.(16) Όσον αφορά τον ασθενή χρήσιμη είναι η διενέργεια αλλεργιολογικού ελέγχου, καθώς σε αναφυλαξία από νυγμό υμενόπτερων ή από φάρμακα υπάρχουν οι επιλογές της ανοσοθεραπείας και της απευαισθητοποίησης αντίστοιχα. Τέλος, ιδιαίτερα σημαντική είναι η ψυχολογική υποστήριξη των ασθενών που έχουν εμφανίσει σοβαρό αναφυλακτικό επεισόδιο, ώστε να διατηρούν την ψυχραιμία τους και να είναι σε θέση να αντιμετωπίσουν αποτελεσματικά ένα νέο επεισόδιο αναφυλαξίας. (17)

Βιβλιογραφία

1. Johansson SGO, Nopp A, van Hage M, Olofsson N, Lundahl J, Wehlin L, et al. Passive IgE-sensitization by blood transfusion. Allergy. 2005 Sep;60(9):1192–9.

2. Lieberman P. Biphasic anaphylactic reactions. Ann Allergy Asthma Immunol Off Publ Am Coll Allergy Asthma Immunol. 2005 Sep;95(3):217–26; quiz 226, 258.

3. Sato S, Yanagida N, Ito K, Okamoto Y, Saito H, Taniguchi M, et al. Current situation of anaphylaxis in Japan: Data from the anaphylaxis registry of training and teaching facilities certified by the Japanese Society of Allergology - secondary publication. Allergol Int Off J Jpn Soc Allergol. 2023 Jul;72(3):437–43.

4. Cardona V, Ansotegui IJ, Ebisawa M, El-Gamal Y, Fernandez Rivas M, Fineman S, et al. World allergy organization anaphylaxis guidance 2020. World Allergy Organ J. 2020 Oct;13(10):100472.

5. Lieberman PL. Recognition and first-line treatment of anaphylaxis. Am J Med. 2014 Jan;127(1 Suppl):S6-11.

6. Macdougall CF, Cant AJ, Colver AF. How dangerous is food allergy in childhood? The incidence of severe and fatal allergic reactions across the UK and Ireland. Arch Dis Child. 2002 Apr;86(4):236–9.

7. Meyran D, Cassan P, Nemeth M, Singletary E, Raitt J, Djarv T, et al. The Ability of First Aid Providers to Recognize Anaphylaxis: A Scoping Review. Cureus. 2023 Jul;15(7):e41547.

8. Pouessel G, Deschildre A, Dribin TE, Ansotegui IJ, Cardona V, Chinthrajah RS, et al. Refractory Anaphylaxis: A New Entity for Severe Anaphylaxis. J Allergy Clin Immunol Pract. 2023 Jul;11(7):2043–8.

9. Shah A, Dribin TE, Wang J. How to define severity: A review of allergic reaction severity scoring systems. Ann Allergy Asthma Immunol Off Publ Am Coll Allergy Asthma Immunol. 2023 Aug;131(2):170–5.

10. Dribin TE, Motosue MS, Campbell RL. Overview of Allergy and Anaphylaxis. Emerg Med Clin North Am. 2022 Feb;40(1):1–17.

11. Fleming JT, Clark S, Camargo CA, Rudders SA. Early treatment of food-induced anaphylaxis with epinephrine is associated with a lower risk of hospitalization. J Allergy Clin Immunol Pract. 2015;3(1):57–62.

12. Morriello F, Chapman M. Epinephrine in anaphylaxis. CMAJ Can Med Assoc J J Assoc Medicale Can. 2023 May 15;195(19):E683.

042 Αναφυλαξία:
και αντιμετώπιση στο σχολικό περιβάλλον
Αναγνώριση, διάγνωση

13. Sidhu N, Jones S, Perry T, Thompson T, Storm E, Melguizo Castro MS, et al. Evaluation of Anaphylaxis Management in a Pediatric Emergency Department. Pediatr Emerg Care. 2016 Aug;32(8):508–13.

14. Pistiner M, Mendez-Reyes JE, Eftekhari S, Carver M, Lieberman J, Wang J, et al. Factors Associated With Epinephrine Use in the Treatment of Anaphylaxis in Infants and Toddlers. J Allergy Clin Immunol Pract. 2024 Feb;12(2):364-371.e1.

15. Kim YH, Kim AL. Evaluating Standardized Job Competencies for Managing Students at Risk for Anaphylaxis in Elementary School Nurses. Healthc Basel Switz. 2023 Jul 24;11(14):2102.

16. Feketea G, Lakoumentas J, Papatriantafyllou E, Douladiris N, Efthymiou D, Stanciu LA, et al. Food Allergy Management Competence in Greek Schools. Child Basel Switz. 2023 Mar 11;10(3):541.

17. Pumphrey R. Anaphylaxis: can we tell who is at risk of a fatal reaction? Curr Opin Allergy Clin Immunol. 2004 Aug;4(4):285–90.

18. Sampson HA, Muñoz-Furlong A, Campbell RL, Adkinson NF, Bock SA, Branum A, et al. Second symposium on the definition and management of anaphylaxis: summary report-Second National Institute of Allergy and Infectious Disease/Food Allergy and Anaphylaxis Network symposium. J Allergy Clin Immunol. 2006 Feb;117(2):391–7.

19. Muraro A, Roberts G, Worm M, Bilò MB, Brockow K, Fernández Rivas M, et al. Anaphylaxis: guidelines from the European Academy of Allergy and Clinical Immunology. Allergy. 2014 Aug;69(8):1026–45.

043 Αναφυλαξία: Αναγνώριση, διάγνωση και αντιμετώπιση στο σχολικό περιβάλλον

Ανοσολογικό αποτύπωμα της πρώιμης νεογνικής σηψαιμίας

Αλληλογραφία Αλέξιος Μαυρουδής MD Ερυθρού Σταυρού Τέρμα Τ.Κ. 22131, Τρίπολη Αρκαδία Τ. 6978699611 e-mail: alexis.mavroudis@ yahoo.gr ΑΡΘΡΟ

Αλέξιος Μαυρουδής

Περίληψη

H πρώιμη νεογνική σηψαιμία αποτελεί μια ιδιαίτερη πρόκληση για τον κλινικό ιατρό, αφού συνυπάρχει ανωριμότητα των ανοσολογικών μηχανισμών ενάντια στους παθογόνους μικροοργανισμούς. Σκοπός της εργασίας είναι η μελέτη των μοριακών μηχανισμών και των βιολογικών αποκλίσεων της νεογνικής ηλικίας σε συνδυασμό με τους περιβαλλοντικούς παράγοντες. Πραγματοποιήθηκε βιβλιογραφική ανασκόπηση έγκυρων επιστημονικών άρθρων και συγγραμμάτων στο διαδίκτυο με αποτέλεσμα τη συλλογή πληροφοριών που αφορούν τη φυσιοπαθολογία της νεογνικής σήψης. Σύμφωνα με τα ευρήματα, στη νεογνική ηλικία παρατηρούνται ποιοτικές και ποσοτικές μεταβολές των κυτταρικών στοιχείων που συμμετέχουν στους αμυντικούς μηχανισμούς. Ουσιαστικός ρόλος αποδίδεται στην έμφυτη ανοσία που χαρακτηρίζεται από αμεσότητα δράσης και μη ειδική αντιμετώπιση με στόχο τον περιορισμό του κινδύνου. Μελέτες υπογραμμίζουν τη μειωμένη αντιγονο-παρουσίαση από τα «επαγγελματικά κύτταρα» APCs, την ελαττωμένη έκκριση κυτταροκινών και στο MHC περιορισμό επεξεργασίας των αντιγόνων, γεγονός που καθιστά τα νεογνά ευάλωτα σε λοιμώξεις. Παράλληλα, η ατελής ενεργοποίηση της προσαρμοστικής ανοσίας επηρεάζει αρνητικά τους μηχανισμούς άμυνας, αφού εκφράζεται ελάττωση των συνδιεγερτικών μορίων (CD40, CD80, PD-1) με συνέπεια διαταραχή της βιολογικής δράσης των Τ-λεμφοκυττάρων. Επικουρικά, και τα αιμοπετάλια με τη παραγωγή διαλυτών παραγόντων συμμετέχουν, καθοριστικά, στη φλεγμονή. Τελειώνοντας, εκτιμάται ότι, και οι περιβαλλοντικοί παράγοντες (κάπνισμα, μητρικό γάλα, χοριοαμνιονίτιδα) επηρεάζουν τον ανοσολογικό φαινότυπο των μικρών ασθενών. H ανάπτυξη της ανοσολογικής απάντησης, λοιπόν, είναι αποτέλεσμα της ανωριμότητας, αλλά και της προσπάθειας διατήρησης της ανοσολογικής ανοχής στα κοινά αντιγόνα με σκοπό την πρόληψη της ιστικής βλάβης και των επιπτώσεων της φλεγμονής.

Λέξεις-κλειδιά: Ανοσολογία, πρώιμη νεογνική σηψαιμία, φυσιοπαθολογία, φλεγμονή, περιβάλλον.

Αλέξιος Μαυρουδής Παιδιατρική Κλινική Γ.Π.Ν. “ Η Ευαγγελίστρια”

044
ΑΝΑΣΚΟΠΗΣΗΣ

Correspondence

Alexios Mavroudis MD

Erithrou Staurou Terma

22131, Tripoli, Arkadia

T. +306978699611

e-mail: alexis.mavroudis@ yahoo.gr

Immunological profile of early neonatal sepsis

Summary

Early neonatal sepsis poses a particular challenge for the clinician, as it coexists with the immaturity of the immune mechanisms against pathogenic microorganisms. This study aims to investigate the molecular mechanisms and biological deviations of the neonatal age in conjunction with environmental factors. A literature review of reputable scientific articles and online sources was conducted to collect information regarding the pathophysiology of neonatal sepsis. According to the findings, qualitative and quantitative changes in cellular elements involved in defense mechanisms are observed in the neonatal age. Significance is attributed to innate immunity characterized by immediate action and non-specific confrontation aiming to limit the risk. Studies emphasize the reduced antigen presentation by "professional cells" APCs, diminished secretion of cytokines, and limitations in MHC antigen processing, making neonates vulnerable to infections. Simultaneously, incomplete activation of adaptive immunity negatively affects defense mechanisms, with a decrease in co-stimulatory molecules (CD40, CD80, PD-1), leading to the disruption of the biological function of T-lymphocytes. Additionally, platelets, through the production of soluble factors, play a crucial role in inflammation. In conclusion, it is estimated that environmental factors (smoking, maternal milk, chorioamnionitis) also influence the immunological phenotype of infants. The development of the immune response is thus a result of immaturity and the effort to maintain immune tolerance to common antigens, aiming to prevent tissue damage and the consequences of inflammation.

Keywords: Immunology, early neonatal sepsis, pathophysiology, inflammation, environment.

Εισαγωγή

Η νεογνική σηψαιμία αποτελεί ιδιαίτερη πρόκληση για τον κλινικό παιδίατρο, διότι συνδέεται με απειλητική για τη ζωή δυσλειτουργία οργάνων στο πλαίσιο ενός απορυθμισμένου ανοσολογικού συστήματος (1). Παράλληλα, συνυπάρχει και μια ανοσολογική ανωριμότητα ενεργοποίησης των μοριακών μηχανισμών άμυνας έναντι των παθογόνων, με συνέπεια την εμφάνιση σοβαρής παθολογικής εικόνας (2).

Σύμφωνα με πρόσφατες μελέτες, ορίζεται ως το κλινικό σύνδρομο με χαρακτηριστικά τα γενικευμένα συμπτώματα λοίμωξης, όπως αυτά εμφανίζονται σε παιδιά με ηλικία μικρότερη του ενός μήνα και αποδεικνύεται με θετική καλλιέργεια αίματος. Η διάγνωσή της προκύπτει από ένα συνδυασμό κλινικών και εργαστηριακών ευρημάτων και στηρίζεται στην απομόνωση ενός βακτηριακού, ιογενούς ή μυκητησιακού παράγοντα. Θεωρείται ένα μοναδικό φλεγμονώδες αποτύπωμα που συνδέει τη φυσική και προσαρμοστική ανοσία με βιολογικά μόρια διακυτταρικής επικοινωνίας, όπως είναι οι κυτταροκίνες, οι οποίες αποτελούν και βιοδείκτες με καθορισμένη σημασία και τρόπο λειτουργίας (3). Οι τιμές τους δεν μεταβάλλονται ανάλογα με τη διάρκεια του νοσήματος ή με τη βιολογική μεταβλητότητα των νεαρών ασθενών. Άλλωστε, όταν εκδηλώνονται παθολογικά νοσήματα, οι κυτταροκίνες

Alexios Mavroudis Peadiatric Department General Hospital

διαφέρουν, γεγονός που τις καθιστά πολύ σημαντικές, διότι αυτό βοηθά σε μεγάλο βαθμό να προσδιοριστεί μια επείγουσα ιατρική κατάσταση.

045
Επομένως, η φλεγμονή μπορεί να διαγνωσθεί με ακρίβεια και αξιοπιστία και μάλιστα, μπορεί να προσδιοριστεί και η πιθανή αιτία της
(4).
“EYAGELISTRIA”
REVIEW ARTICLE

Επιπλέον, η νεογνική σηψαιμία διακρίνεται στην πρώιμη (<72 ώρες) και στην όψιμη (> 72 ώρες), ανάλογα με το χρόνο εμφάνισής της μετά τον τοκετό. Η διάκριση αυτή είναι χρήσιμη, αφού τόσο η κλινική εικόνα, όσο και τα μικρόβια που την προκαλούν διαφέρουν και στις δύο περιπτώσεις, οπότε και η θεραπευτική αγωγή που χορηγείται είναι ανάλογη των παθολογικών ευρημάτων (5). Στην παρούσα εργασία η βιβλιογραφική ανασκόπηση στηρίζεται στην πρώιμη νεογνική σηψαιμία (EOS), κατά την οποία οι υπεύθυνοι μικροοργανισμοί προέρχονται συνήθως από το μητρικό ουρογεννητικό και γαστρεντερικό σύστημα. Σύμφωνα με στοιχεία της Αμερικανικής Νεογνολογικής Εταιρείας, οι Gram θετικοί μικροοργανισμοί είναι οι αιτιολογικοί παράγοντες στο 62% των περιπτώσεων, ενώ στο 43% του συνόλου ο εντοπισμένος μικροοργανισμός είναι ο Streptococcus agalactiae. Οι Gram αρνητικοί μικροοργανισμοί αποτελούν το 37% των αιτιολογικών παραγόντων της πρώιμης νεογνικής σήψης, εκ των οποίων το 29% είναι Escherichia coli. Ακολουθούν και άλλα παθογόνα, όπως οι ιοί και οι μύκητες (5),(6).

Τέλος, η πρώιμη νεογνική σηψαιμία αποτελεί μια ιδιαίτερη πρόκληση για τον κλινικό ιατρό, αφού η συχνότητά της είναι δύσκολο να διευκρινιστεί, καθώς ο χρονικός περιορισμός στην ταξινόμησή της και τα διαγνωστικά κριτήρια δεν αφήνουν πολλά περιθώρια για την ορθή καταγραφή των επιδημιολογικών στοιχείων. Μελέτη από τριάντα μονάδες νεογνών στο Ηνωμένο Βασίλειο αναφέρει συχνότητα 0,7 περιπτώσεις ανά 1000 γεννήσεις ζωντανών νεογνών, ενώ στην Ελλάδα καταγράφεται ένα σταθερό ποσοστό επίπτωσης 1,8/1000 γεννήσεων ζωντανών νεογνών με θνησιμότητα 3,23%. Τα δεδομένα αυτά αντανακλούν τη διαφορετική διακύμανση των τιμών ανάλογα με το βιοτικό επίπεδο της χώρας προέλευσης των στατιστικών στοιχείων και την ποιότητα παροχής υπηρεσιών υγείας, την χρήση προληπτικής αντιβιοτικής αγωγής πριν τον τοκετό, το ποσοστό πρόωρων τοκετών, τις περιβαλλοντικές συνθήκες, καθώς και τις μεθόδους διάγνωσης (7),(8).

Η παρούσα εργασία, μέσω της βιβλιογραφικής ανασκόπησης, έχει ως στόχο τη μελέτη των ανοσολογικών μηχανισμών που ευθύνονται για την πρώιμη νεογνική σηψαιμία. Καθοριστικής σημασίας συνιστώσα στη διαδικασία της φλεγμονής αποτελεί η φυσική ανοσία, η επιγενετική μεταβλητότητα των νεαρών ασθενών σε συνδυασμό με τους περιβαλλοντικούς παράγοντες, καθώς και η αντίδραση του ξενιστή στη λοίμωξη.

1. Ανοσοβιολογία

Ο οργανισμός αμύνεται κατά των μικροβίων και των βλαπτικών ουσιών μέσω χημειοταξίας και μετανάστευσης (μόρια προσκόλλησης), φαγοκυττάρωσης και ενδοκυττάριας θανάτωσης των μικροβίων (κατά κύριο λόγο με οξειδωτικούς μηχανισμούς ή με το συμπλήρωμα) και, εν τέλει, μέσω ενδοκυττάριας αποδόμησης των βλαπτικών ουσιών (λυσοσώματα: σακίδια ενζύμων) (9). Στη νεογνική ηλικία παρατηρούνται ποιοτικές αλλά και ποσοτικές μεταβολές των κυτταρικών στοιχείων που επηρεάζουν τους αμυντικούς μηχανισμούς έναντι του μικροβίου ξενιστή. Ειδικότερα, τα πρόωρα νεογνά έχουν μειωμένη κυτταρική ανοσία, χαμηλότερη ενεργοποίηση κυττάρων φυσικού φονέα (ΝΚ), ελαττωμένη παραγωγή προφλεγμονωδών κυτταροκινών, μειωμένη διαπλακουντιακή μεταφορά ανοσοσφαιρινών και χαμηλότερα επίπεδα συμπληρώματος στον ορό (10), (11).

Από την άλλη πλευρά, οι αλληλεπιδράσεις μεταξύ μικροβίων και ξενιστή υποδηλώνουν τη σύγκλιση δύο θεωριών σχετικά με την «υπόθεση της υγιεινής» και τον «εμβρυϊκό επαναπρογραμματισμό», αποδεικνύοντας ότι καθ’ όλη τη διάρκεια της προγεννητικής και μεταγεννητικής ζωής, η έκθεση του νεογνού σε μικρόβια επηρεάζει τη βιολογία και τον ανοσολογικό φαινότυπο του. Πρόκειται για ένα μοναδικό γεγονός που συνδέει τη φυσιολογία του νεογνού με το περιβάλλον (κλίμα, διατροφή, κάπνισμα, σωματική άσκηση, ατμοσφαιρική ρύπανση) και με το γενετικό του υλικό (γονιδίωμα), διαμορφώνοντας μια κατάσταση ομοιόστασης στον οργανισμό (12),(13),(14).

1α. Φυσική ανοσία Η φυσική ανοσία αποτελεί το πρώτο στάδιο επαφής του μικροβίου με τον ανθρώπινο οργανισμό και θεωρείται πρωταρχικής σημασίας για την επιβίωση των νεογνών. Υπάρχει εκ γενετής,

046 Ανοσολογικό αποτύπωμα της πρώιμης νεογνικής σηψαιμίας

Κατάλογος συντομογραφιών

ΑDCC: Antibody-Dependent Cellular Cytotoxicity

Κυτταρική κυτταροτοξικότητα εξαρτώμενη από αντισώματα

ΑP-1: Activator Protein-1 Μεταγραφικός Παράγοντας-1

CD: Cluster of Differentiation Σύμπλεγμα Διαφοροποίησης

CXCL: Chemokine ligand Συνδέτης Χημειοκίνης

FOXP3: Forkhead box P3 Μεταγραφικός Ρυθμιστής

HLA: Human Leukocyte Antigen Aντιγόνο Ανθρώπινου Λευκοκυττάρου

IL: Interleukine Ιντερλευκίνη

LFA-1: Lymphocyte Function-Associated Antigen 1 Aντιγόνο 1 που σχετίζεται με τη λεμφοκυτταρική λειτουργία

ΜΑPK-1: MitogenActivated Protein Kinase-1 Πρωτεϊνική Κινάση Ενεργοποιημένη από Μιτογόνο

ΜΗC: Major Histocompatibility Complex Kύριο Σύμπλεγμα Ιστοσυμβατότητας

NET: Neutrophil Extracellular Traps

Ουδετεροφιλικά Δίκτυα Χρωματίνης

NLRP-3: NLR Family Pyrin

Domain Containing 3 Φλεγμονόσωμα

PAX-5: Paired Box Protein

Pax-5 Μεταγραφικός Παράγοντας

PAMPs: PathogenAssocciated Molecular Patterns Μοριακό Μοτίβο Εξαρτώμενο από το Παθογόνο

PRRs: Platelets

Recognition Receptors

Υποδοχείς Αναγνώρισης Προτύπων

δεν εξελίσσεται και χαρακτηριστικό της είναι η αμεσότητα δράσης, καθώς και η μη ειδική αντιμετώπιση, προκειμένου να περιοριστεί άμεσα ο κίνδυνος. Περιλαμβάνει τους φυσικούς φραγμούς του δέρματος και των βλεννογόνων, κύτταρα διαφόρων τύπων, μεσολαβητές της φλεγμονής, όπως κυτταροκίνες (ΙL-6, IL-1β, IL-10, IL-18, IL-17A, ΤΝF-α, INF-γ), χημειοκίνες (CXCL9, CXCL10 και CXCL11, C3a, C5a) και το συμπλήρωμα, αφού ενεργοποιεί μηχανισμούς άμυνας χωρίς να είναι απαραίτητο να έχει έρθει ήδη ο οργανισμός σε επαφή με το μικρόβιο. Παρέχει, λοιπόν, ένα μεγάλο όγκο πληροφορίας, το «σήμα κινδύνου» (danger signal), με σκοπό να αναπτυχθεί η επίκτητη ανοσία, αφού έχει πια προσαρμοστεί αποκλειστικά στο αντιγόνο εισβολέα (15). Παράλληλα, τα κύτταρα της φυσικής ανοσίας ενεργοποιούν ενδοκυττάριες οδούς για τη μεταφορά της πληροφορίας, που με τη σειρά τους ενεργοποιούν μεταγραφικούς παράγοντες (NFκB, AP1, MAPK) και αυτό έχει ως αποτέλεσμα να παράγονται οι μεσολαβητές της φλεγμονής, να εμφανίζονται συνδιεγερτικά μόρια, μόρια προσκόλλησης (Iντεγκρίνες, L- Σελεκτίνη, P- Σελεκτίνη), να μετακινούνται λευκοκύτταρα στους ιστούς της φλεγμονής, καθώς επίσης και να κινητοποιείται η ειδική ανοσιακή άμυνα (16).

Αξιοσημείωτο ρόλο στη διασύνδεση της φυσικής με την ειδική ανοσία διαδραματίζουν τα αντιγόνο-παρουσιαστικά κύτταρα (ΑPCs), κυρίως, τα μακροφάγα και τα δενδριτικά κύτταρα, τα οποία παρουσιάζουν υποδοχείς που αναγνωρίζουν ειδικά πρότυπα δομών, τα «μοριακά πρότυπα των παθογόνων (ΜΜΠ)» (PAMP, Pathogen associated molecular patterns), ή τα «μοριακά πρότυπα κινδύνου (MPK)» (Dangerassociatedmolecularpatterns). Η αναγνώριση αυτή ενεργοποιεί τα κύτταρα της φυσικής ανοσίας για να καταπολεμήσουν τα παθογόνα, ασκώντας ποικίλες δράσεις που ολοκληρώνονται με την ανάπτυξη της φλεγμονής. Τα δενδριτικά κύτταρα (DCs) θεωρούνται τα πλέον σημαντικά για παρουσίαση, αφού εκφράζουν

στην επιφάνειά τους συνδιεγερτικά μόρια (π.χ. Β7), τα οποία λειτουργούν ως εκφραστές

ρύθμισης (checkpoint), και η αλληλεπίδρασή τους με τα αντίστοιχα μόρια συνδέτες (π.χ.CD28)

πάνω στα παρθένα Τ κύτταρα βοηθά την ενεργοποίησή τους (17), (18), (25).

Μια άλλη σημαντική λειτουργία είναι η φαγοκυττάρωση. Τα φαγοκύτταρα (μακροφάγα, ουδετερόφιλα, δενδριτικά κύτταρα) έχουν στην επιφάνειά τους πολλούς υποδοχείς για

να συνδέονται με διάφορες ουσίες. Μεταξύ αυτών των υποδοχέων είναι οι οψωνικοί, οι αποπτωτικοί και οι πρωτεϊνικοί TLR (Toll Like Receptors). Η πρώτη κατηγορία υποδοχέων προσδένεται και φαγοκυτταρώνει βακτήρια που έχουν εντοπιστεί με IgG ανοσοσφαιρίνες. Η δεύτερη κατηγορία προσδένεται σε διάφορα μόρια στις επιφάνειες των βακτηριακών σωματιδίων, και, τέλος, με τη σύνδεση των μικροβιακών σωματιδίων στους πρωτεϊνικούς υποδοχείς ενδυναμώνεται η φαγοκυττάρωση, ενεργοποιείται ο μηχανισμός δράσης του πυρηνικού παράγοντα κΒ (NF-κΒ) και προκαλείται απελευθέρωση ορμονών με αποτέλεσμα τη ρύθμιση της φλεγμονής (15), (19). Ειδικότερα, πυροδοτείται μια σειρά από ενζυματικές αντιδράσεις στα φαγοκύτταρα, οι οποίες έχουν σκοπό να καταπολεμήσουν τον εισβολέα και να ελέγξουν τη λοίμωξη και απαντούν χημειοτακτικά εάν υπάρχει νεκρωμένος ιστός, φλεγμονή και ξένοι μικροοργανισμοί, ενώ παράγονται προφλεγμονώδεις κυτταροκίνες που έλκουν στο σημείο της βλάβης άλλα φλεγμονώδη κύτταρα (πχ. ουδετερόφιλα). Αυτά είναι τα βασικά κύτταρα τα οποία ολοκληρώνουν αντιδράσεις κυτταρικής ανοσίας και καταπολεμούν μικροοργανισμούς με την οξειδωτική έκρηξη και την παραγωγή δραστικών ριζών Ο2 (2Ο2 + NADPH → 2O2- + NADP+ + H+), μέσω του συστήματος της μυελοϋπεροξειδάσης (MPO), της παραγωγής μονοξειδίου του αζώτου και με την έκλυση διαφόρων μικροβιοκτόνων πρωτεϊνών. Από αυτές τις μικροβιοκτόνες πρωτεΐνες, οι κυριότερες είναι οι μικρές κατιονικές πρωτεΐνες defensins («πρωτεΐνες άμυνας»), οι serpocidins (azurocidin και καθεψίνη G) και η «πρωτεΐνη που αυξάνει την διαπερατότητα των μικροβιακών μεμβρανών» (bacterial permeability increasing protein, BPI) (20), (21), (22), (23).

Οι διεργασίες που αναφέρθηκαν, επιβεβαιώνουν ότι η έμφυτη κυτταρική άμυνα ενός οργανισμού για την καταπολέμηση κάθε ξένης ουσίας ή κάθε παθογόνου μικροοργανισμού

είναι ένα σύνθετο φαινόμενο αποτελούμενο από αλλεπάλληλες αλληλεπιδράσεις. Στην νεογνική ηλικία, μελέτες υπογραμμίζουν τη μειωμένη αντιγόνο-παρουσίαση από τα «επαγγελματικά κύτταρα» (APCs), την ελαττωμένη έκκριση κυτταροκινών και το MHC περιορισμό

047 Ανοσολογικό αποτύπωμα της πρώιμης νεογνικής σηψαιμίας
από το κύτταρο επεξεργασίας του αντιγόνου, γεγονός που καθιστά τα νεογνά
σε λοιμώξεις.
ο απόλυτος αριθμός των ουδετερόφιλων και
ιδιαίτερα ευάλωτα
Παράλληλα,

μακροφάγων, καθώς, επίσης, και των πρωτεϊνών του συμπληρώματος είναι μειωμένος σε σχέση με αυτόν των ενηλίκων (10-80% του φυσιολογικού) με αποτέλεσμα τη δυσλειτουργία στην μεταναστευτική και φαγοκυτταρική δραστηριότητα στη φάση της οξείας φλεγμονής. Βέβαια, σε όλη αυτή τη διαδικασία δρουν ανασταλτικά και η ανεπαρκής παραγωγή των εξωκυττάριων παγίδων (NETS) των ουδετεροφίλων, η μειωμένη κυτταρολυτική δράση των φυσικών φονικών κυττάρων NK (Natural Killer), καθώς και η αλλοίωση της σύστασης του μικροβιώματος από τα εγγενή λεμφοειδή κύτταρα (ILCs) (20), (24), (25).

Ειδικά, τα φυσικά φονικά κύτταρα ΝΚ καταστρέφουν τους ιούς και τα ενδοκυττάρια βακτήρια, μέσω της μαζικής παραγωγής του νεκρωτικού παράγοντα όγκου (TNF-γ), αλλά και μέσω των περφορινών και των κυτταροτοξικών ενζύμων που περιέχουν. Δεν δηλώνουν τον λειτουργικό υποδοχέα των Τ-κυττάρων (TCR), αλλά εκφράζουν τα συμπλέγματα CD16, CD56, CD57. Τα κύτταρα-στόχους τα αναγνωρίζουν ειδικοί υποδοχείς, οι οποίοι δεν λειτουργούν όταν ένα κύτταρο-στόχος εμφανίζει στην επιφάνειά του μόρια HLA, επομένως η κυτταροκτονία διακόπτεται (26).

Εικόνα 1. Έμφυτες ανοσολογικές αποκρίσεις στα νεογνά (Απόδοση), Πηγή (2).

Συμπερασματικά, αναπτύσσεται μικρότερη αντίσταση σε φυσιολογικά επίπεδα stress, λόγω ανωριμότητας του ανοσοποιητικού συστήματος και χρονοεξαρτώμενης μείωσης της ομοιοστατικής ικανότητας του με τη συμμετοχή των κυττάρων της φυσικής ανοσίας. Ο διακριτός ρόλος αυτών των κυττάρων αποτελεί μοναδικό στοιχείο για την άμυνα του οργανισμού «Βλ. Εικ 1». Σημειώσεις: DCs: Dendritic Cells (Δενδριτικά Κύτταρα), HLA: Human Leukocyte Antigen (Ανθρώπινο Λευκοκυτταρικό Αντιγόνο),

NET: Neutrophil Extracellular Traps (Ουδετεροφιλικά Δίκτυα Χρωματίνης), ADCC: Antibody-Dependent Cellular Cytotoxicity (Κυτταρική Κυτταροτοξικότητα Εξαρτώμενη από Αντισώματα), ILCs: Ιnnate Lymphoid Cells (Εγγενή Λεμφοειδή Κύτταρα).

1β. Επίκτητη Ανοσία Η ειδική ανοσία «ωριμάζει» αφού ο οργανισμός έρθει σε επαφή με το αντιγόνο, γεγονός που σημαίνει ότι αναπτύσσεται μετά τη γέννηση. Εξελίσσεται με αργό ρυθμό (διαφορά φάσης ημερών ή εβδομάδων) αφού εκδηλωθεί το πρώτο ερέθισμα. Οι φορείς της επίκτητης ανοσίας (Τ και Β λεμφοκύτταρα) είναι κύτταρα με ξεχωριστούς υποδοχείς για κάθε ένα ξένο παράγοντα. Ειδικότερα, τα Β-λεμφοκύτταρα παράγουν αντισώματα (ανοσοσφαιρίνες), αναγνωρίζουν λεπτές δομές στην επιφάνεια των παθογόνων, οι οποίες ονομάζονται αντιγόνα, ενώ τα Τ-λεμφοκύτταρα έχουν υποδοχείς για τα αντιγόνα και με την ενεργοποίησή τους μετακινούνται στους ιστούς για να καταστρέψουν το λοιμώδη παράγοντα, βοηθούν στη λειτουργία των Β-λεμφοκυττάρων και στη μετάπτωσή τους σε κύτταρα μνήμης, εκφράζοντας

048 Ανοσολογικό αποτύπωμα της πρώιμης νεογνικής σηψαιμίας

σε υψηλά επίπεδα την αντι-αποπτωτική πρωτεΐνη Bcl-2 (β-cells lymphoma 2), η οποία φαίνεται να συμβάλλει στην μακροχρόνια επιβίωσή τους (27).

Τα Τ λεμφοκύτταρα ενεργοποιούνται με την αναγνώριση του αντιγόνου, το οποίο εμφανίζεται στη θήκη των MHC μορίων, από τον Τ κυτταρικό υποδοχέα (ΤCR). Ειδικότερα, τα CD8+ Τ κυτταροτοξικά κύτταρα εντοπίζουν το αντιγόνο σε σχέση με μόρια MHC τάξης I, ενώ τα CD4+ T βοηθητικά κύτταρα εντοπίζουν το αντιγόνο σε σχέση με μόρια MHC τάξης II. Τα πρωτεϊνικά αντιγόνα που περνούν στους επιθηλιακούς φραγμούς και μπαίνουν στην κυκλοφορία συλλαμβάνονται από τα DCs στο αίμα και τους λεμφαδένες. Η διασύνδεση των TCRs με τα PAMPs και τα DAMPs οδηγεί στην ωρίμανση των δενδριτικών κυττάρων, τα οποία θα παρουσιάσουν το αντιγόνο στα παρθένα (naive) T κύτταρα. Επομένως, οι κυτταρικές ανοσοαπαντήσεις ξεκινούν με την ενεργοποίηση των παρθένων T κυττάρων, τα οποία πολλαπλασιάζονται και διαφοροποιούνται σε δραστικά Τ κύτταρα. Ένα παρθένο Τ κύτταρο θα πρέπει να λάβει τα εξής μηνύματα: 1) με την αναγνώριση του συγκεκριμένου αντιγόνου, και 2) με την αλληλοεπίδραση μεταξύ των συνδιεγερτικών μορίων, δηλαδή με τη σύνδεση του Β7 (CD80/CD86) στην επιφάνεια των DCs με το CD28 στην επιφάνεια των Τ κυττάρων, προκειμένου να ενεργοποιηθούν και να παραχθούν οι κυτταροκίνες και οι υποδοχείς τους. Η IL-2, την οποία παράγουν τα ενεργοποιημένα Τ κύτταρα, έχει αυτοκρινή δράση και προκαλεί κλωνική εξάπλωση αντιγονο-ειδικών κλώνων. Ταυτόχρονα η IL-2, την οποία παράγουν τα Τ κύτταρα και τα «επαγγελματικά κύτταρα» (APCs) προκαλεί τη διάκριση των Τ κυττάρων σε δραστικά και σε μνημονικά. Κατά τη διάρκεια της ενεργοποίησης των Τ-κυττάρων αναπτύσσονται δύο τύποι κυτταρικών απαντήσεων. Τα CD4+ βοηθητικά κύτταρα (Th1/Th2) εκκρίνουν κυτταροκίνες, οι οποίες επιστρατεύουν και ενεργοποιούν άλλα λευκοκύτταρα, που φαγοκυτταρώνουν και, τελικά, καταστρέφουν τους μικροοργανισμούς, ενώ τα CD8+ κυτταροτοξικά κύτταρα (CTLs) εξουδετερώνουν μολυσμένα κύτταρα, που περιέχουν μικροβιακές πρωτεΐνες στο κυτταρόπλασμα τους και με αυτόν τον τρόπο περιορίζουν την πηγή της λοίμωξης (27), (28), (29).

Αντίθετα, τα B-λεμφοκύτταρα μετατρέπονται σε πλασματοκύτταρα, παράγοντας αντισώματα και επιτρέπουν την ενεργοποίηση των APCs και του συμπληρώματος. Ένας μικρός αριθμός

των Β-λεμφοκυττάρων, που στην πλειονότητά τους εκφράζουν στην επιφάνειά τους

ανοσοσφαιρίνες τύπου IgG, παραμένει για μεγάλο διάστημα στο λεμφικό ιστό και συνιστά τα Β-λεμφοκύτταρα μνήμης (30). Για τη συντήρηση αυτών των κυττάρων μνήμης υπάρχουν ενδείξεις ότι χρειάζεται ένας μηχανισμός συνεχούς διέγερσης με αντιγόνο, αλλά σε χαμηλή ένταση. Σε αυτή τη διαδικασία συμμετέχει το μικροπεριβάλλον του μυελού των οστών και, κυρίως, τα στρωματικά κύτταρα με την παραγωγή της IL-27, αλλά και ένα σύνολο μεταγραφικών παραγόντων από τους οποίους σημαντικότερος είναι ο PAX-5 με σκοπό την παραγωγή του Β-κυτταρικού υποδοχέα (BCR). Aκολουθεί η μετανάστευση των Β-λεμφοκυττάρων στα δευτερογενή λεμφικά όργανα, όπου και αλληλεπιδρούν με τα αντιγόνα και τα Τ βοηθητικά λεμφοκύτταρα. Κάθε στάδιο ανάπτυξης των Β-λεμφοκυττάρων συνοδεύεται από την έκφραση συγκεκριμένων δεικτών επιφανείας (π.χ. CD19, CD21) που επιτρέπουν τον χαρακτηρισμό και την μελέτη των κυττάρων αυτών (31).

Παρατηρείται, λοιπόν, μια σταδιακή ενεργοποίηση της επίκτητης ανοσίας, που είναι γνωστή και με την ονομασία «προσαρμοστικό ανοσοποιητικό σύστημα» ή «επίκτητο ανοσοποιητικό σύστημα», το οποίο συνίσταται από εξειδικευμένα κύτταρα και διαδικασίες που εξουδετερώνουν τους παθογόνους οργανισμούς και αναστέλλουν την ανάπτυξή τους, ενώ παράλληλα αλληλεπιδρούν με κύτταρα της φυσικής ανοσίας, ενισχύοντας την άμυνα του οργανισμού.

1γ. Aνοσορρύθμιση Η νεογνική σηψαιμία αναπτύσσεται σε ασθενείς με διάσπαρτη λοίμωξη, η οποία ενεργοποιεί τα κύτταρα της φυσικής ανοσίας (ιδιαίτερα τα πολυμορφοπύρηνα κύτταρα) και ξεκινά μεγάλη παραγωγή κυτταροκινών. Τα κλινικά και εργαστηριακά ευρήματα είναι η πολυμορφοπυρήνωση, ο πυρετός, και οι αυξημένοι παράγοντες οξείας φάσεως στο πλάσμα. Η ενεργοποίηση των πολυμορφοπύρηνων κυττάρων είναι η απάντηση του μυελού στις κυτταροκίνες που κυκλοφορούν, κυρίως του παράγοντα αποικισμού κοκκιοκυττάρων (granulocyte colony-

049 Ανοσολογικό αποτύπωμα της πρώιμης νεογνικής σηψαιμίας

stimulating factor, GCSF) και προκαλεί βαθμιαία αντικατάσταση των κοκκιοκυττάρων που εμπλέκονται στην φλεγμονή. Παράλληλα, υπάρχει μια, επίσης, βαθμιαία ενεργοποίηση της επίκτητης ανοσίας, η οποία ενισχύει την άμυνα του οργανισμού. Σε όλη αυτή τη βιολογική διαδικασία έχουν μελετηθεί διάφορα σημεία ελέγχου (checkpoints), που στοχεύουν στη ρύθμιση των ανοσολογικών αποκρίσεων. Πρόκειται για ένα γεγονός που αναδεικνύει τη μοναδικότητα των μοριακών μηχανισμών και, ταυτόχρονα, συνδυάζει την επιγενετική μεταβλητότητα των μικρών ασθενών με το περιβάλλον (25), (32).

1δ. Επιγενετική Η επιγενετική είναι ένα πεδίο μελέτης που εστιάζει σε μοριακές τροποποιήσεις οι οποίες επηρεάζουν τη λειτουργία των γονιδίων, χωρίς να αλλοιώνουν την υποκείμενη αλληλουχία του DNA. Η έρευνα επικεντρώνεται στα miRNAs, τα οποία είναι σύντομα δίκλωνα μόρια (20-24 ριβονουκλεοτίδια) που ελέγχουν μετα-μεταγραφικά το mRNA για να επηρεάσουν μοριακούς στόχους που εμπλέκονται σε διαδικασίες ρύθμισης της γονιδιακής έκφρασης. Η λειτουργία τους εξαρτάται από πολλούς παράγοντες, όπως η ενδοκυττάρια συγκέντρωση και η συγγένεια των αλληλεπιδράσεων των miRNA με τα γονίδια στόχους. Τα μόρια miRNAs εκκρίνονται στα βιολογικά υγρά (πλάσμα, μητρικό γάλα), διαθέτουν γενετική πληροφορία και μεταφέρονται με τα εξωκυτταρικά κυστίδια στο μικροπεριβάλλον, εξασφαλίζοντας την κυτταρική επικοινωνία. Μελέτες σε βιολογικό υλικο από τον ομφάλιο λώρο (αίμα και ιστός) εντοπίζουν την παρουσία ορισμένων υποτύπων miRNAs με τη βαρύτητα της νεογνικής σηψαιμίας. Το πιο υπερεκφρασμένο miRNA στο πλάσμα από ασθενείς με EOS είναι το miR-211-5p, αλλά στον ιστό του λώρου βρέθηκε το miR-223-5p. Η ανάλυση, λοιπόν, των miRNAs και των στόχων τους συμβάλλει στην κατανόηση των παθογόνων παραγόντων στη νεογνική σήψη και, ταυτόχρονα, παρέχει νέους βιοδείκτες για διαγνωστική, προγνωστική και θεραπευτική προσπέλαση (33).

2. Ανοσολογικό αποτύπωμα

To ανοσοποιητικό σύστημα είναι σε μια δυναμική ισορροπία που μεταβάλλεται στην περίπτωση της νεογνικής σηψαιμίας. Οι προφλεγμονώδεις αποκρίσεις έναντι των ανοσοκατασταλτικών μορίων διεγείρονται με σκοπό την άμυνα ενάντια στον παθογόνο παράγοντα. Σε αυτή τη βιολογική διαδικασία υπάρχουν πρωτεϊνικοί μηχανισμοί ελέγχου που καθορίζουν, κυρίως, την αποτελεσματικότητα της ανοσίας. Οι πιο σημαντικοί περιγράφονται παρακάτω:

Α) Tα νεογνικά ουδετερόφιλα έχουν χαμηλότερη έκφραση μορίων προσκόλλησης (L-Σελεκτίνη, CCR7, LFA-1), τα οποία διευκολύνουν τη δέσμευση στο αγγειακό ενδοθήλιο, μειώνοντας τη μετανάστευση τους στο σημείο της μόλυνσης κατά 50%. Παράλληλα, παρουσιάζουν μειωμένη ελαστική παραμόρφωση που συνδυάζεται με υπόταση και μπορεί να οδηγήσει σε μικροαγγειακή απόφραξη και σε πολυοργανική ανεπάρκεια κατά τη διάρκεια της σηψαιμίας. Επίσης, υπάρχει ατελής σχηματισμός των NETs και μειωμένες φαγοκυτταρικές ικανότητες, λόγω αλλοίωσης της δομής των κυτταροπλασματικών πρωτεϊνών (ακτίνης, μυοσίνης, σπεκτρίνης) και μειωμένης απόκρισης σε αποπτωτικά ερεθίσματα, τα οποία μπορεί να αποτρέψουν την αντιμετώπιση της φλεγμονής και να οδηγήσουν σε έντονη βλάβη των ιστών. Ο συνδυασμός αυτών των αλλαγών στις λειτουργίες των ουδετερόφιλων μπορεί να κάνει τα νεογνά πιο ευαίσθητα στη σήψη από ότι τους ενήλικες (2), (10), (34).

Β) Παρατηρείται, επιπλέον, ελάττωση των συνδιεγερτικών μορίων (CD80, CD40, PD1) με αποτέλεσμα την απενεργοποίηση των Τ κυττάρων. Το φαινόμενο αυτό ονομάζεται ανεργία κλώνου. Άλλωστε, η αναγνώριση του αντιγόνου συμβάλλει στην ενεργοποίηση του T κυττάρου, ενώ το συνδιεγερτικό σήμα στην επιβίωση, και η κυτταροκίνη IL-12 που προέρχεται από το αντιγονοπαρουσιαστικό κύτταρο συμβάλλει στη διαφοροποίησή του. O ανασταλτικός υποδοχέας PD-1 (Programmed death-1) που εκφράζεται στην κυτταρική επιφάνεια των T-κυττάρων καθορίζει τη βαρύτητα της σηψαιμίας. Σύμφωνα με μελέτες σε νεογνά ποντίκια, η έλλειψη του υποδοχέα (PD-1-/-) επιτείνει το φαινόμενο της φλεγμονής, αυξάνοντας τη συγκέντρωση των φλεγμονοδών κυτταροκινών (IL-6, IL-10, TNF-α), ελαττώνοντας τους αντιφλεγμονώδεις παράγοντες (IL-27), και, ταυτόχρονα, επιτυγχάνει μετάπτωση των Τ-κυττάρων σε Τ-reg (Τ-ρυθμιστικά κύτταρα) με αυξητική παραγωγή του

050 Ανοσολογικό αποτύπωμα της πρώιμης νεογνικής σηψαιμίας

μεταγραφικού παράγοντα (FOXP3), με αποτέλεσμα τη καταστολή των μηχανισμών της σήψης. Επιτυγχάνεται, επομένως, καταστολή του πολλαπλασιασμού των Τ-λεμφοκυττάρων, χωρίς να ενεργοποιούνται σηματοδικά μονοπάτια απόπτωσης (35), (36). Επικουρικά, προς την ίδια κατεύθυνση, δρουν και τα αιμοπετάλια, τα οποία μέσω των υποδοχέων τους (PRRs, PAMPs, ΤLRs) αναγνωρίζουν παθογόνα, απελευθερώνουν διαλυτούς παράγοντες (κυτταροκίνες, χημειοκίνες, μεσολαβητές λιπιδίων, κ.λπ.) και εξωσώματα μέσω της αποκοκκίωσης και συμμετέχουν στην αλληλεπίδραση της φυσικής ανοσίας με την έμφυτη (37).

Επομένως, οι πρωτεϊνικοί μηχανισμοί αποτελούν σημείο ελέγχου των ανοσολογικών αποκρίσεων και θα μπορούν να συμβάλλουν σε έρευνα για τη παραγωγή βιολογικών μορίων που θα αναστέλλουν την λειτουργία τους. Σε άλλες παθολογικές καταστάσεις, αντισώματα

που δεσμεύουν τους ανασταλτικούς υποδοχείς PD-1, έχουν εγκριθεί για την ανοσοθεραπεία νεοπλασιών, με την ιδέα ότι όταν ανασταλούν αυτοί οι μηχανισμοί, το T κύτταρο θα διεγερθεί έντονα και θα επαυξήσει την ανοσολογική αντίδραση κατά των κυττάρων του όγκου. Πράγματι, αυτό συμβαίνει και έτσι το αντι-PD-1 αντίσωμα (Nivolumab) έχει λάβει έγκριση για τη θεραπεία του μεταστατικού μελανώματος. Όμως, για τα νεογνά χρειάζεται έρευνα και επίμονη προσπάθεια για τη παραγωγή ανάλογων θεραπειών (38).

3. Περιβάλλον

Το χρονικό διάστημα από τη σύλληψη έως το τέλος της περιγεννητικής περιόδου είναι μοναδικό για την ανθρώπινη ζωή. Υπολογίζεται ότι ένα πλήθος ερεθισμάτων, γεγονότων και νοσημάτων έχουν επιπτώσεις για μεγάλο διάστημα στην εμβρυοπλακουντιακή μονάδα, επηρεάζοντας και καθορίζοντας έτσι τη μετέπειτα ζωή. Θεωρείται, βέβαιο, ότι γεγονότα που επηρεάζουν τη φυσιολογική εξέλιξη της εγκυμοσύνης μπορούν να καθορίσουν την υγεία των μικρών παιδιών.

Χαρακτηριστικό παράδειγμα είναι η χοριοαμνιονίτιδα, η λοίμωξη των εμβρυϊκών υμένων και αφορά ποσοστό που κυμαίνεται μεταξύ του 3% και του 10% των τελειόμηνων κυήσεων και είναι σημαντικός παράγοντας νεογνικής σήψης. Περιπτώσεις ενδοαμνιακής μόλυνσης έχουν διαπιστωθεί σε έγκυες γυναίκες με πρόωρο τοκετό και με ανέπαφους τους εμβρυικούς υμένες ή μετά από ρήξη αυτών, σε έγκυες γυναίκες με ανεπάρκεια του έσω τραχηλικού στομίου ή με ασυμπτωματικό κοντό τράχηλο χωρίς εμφάνιση κλινικής συμπτωματολογίας, καθώς και σε έγκυες γυναίκες με ιδιοπαθή κολπική αιμορραγία, με προδρομικό πλακούντα, με ιστορικό καπνίσματος και κλινική χοριοαμνιονίτιδα. Τα πιο συνηθισμένα μικρόβια είναι το κολοβακτηρίδιο, ο αερόβιος και αναερόβιος στρεπτόκοκκος, ο αναερόβιος σταφυλόκοκκος και οι μικροοργανισμοί που ευθύνονται για τα σεξουαλικώς μεταδιδόμενα νοσήματα. Η έγκαιρη διάγνωση και η έναρξη της θεραπείας με αντιβιοτικά ευρέος φάσματος θεωρείται ότι μπορούν να αναστρέψουν σοβαρές βραχυπρόθεσμες και μακροπρόθεσμες συνέπειες που σχετίζονται με τον ανοσολογικό προγραμματισμό του εμβρύου (39). Σε αυτή τη διαδικασία συμμετέχουν και άλλοι παράγοντες, όπως το αλκοόλ, το κάπνισμα, όπου η υπερβολική κατανάλωσή τους κατά τη διάρκεια του 2ου τριμήνου αυξάνει τον κίνδυνο νεογνικής λοίμωξης (40).

Σημαντικό ρόλο στην πρόληψη των νεογνικών λοιμώξεων παίζει και η διατροφή με το μητρικό γάλα, το οποίο προσφέρει θρεπτικά συστατικά και την ενέργεια που είναι απαραίτητη για να εκτελέσει ο οργανισμός όλες τις λειτουργίες του. Παρέχει ανοσορρυθμιστικούς παράγοντες που προάγουν την ενεργητική ανοσοποίηση (νουκλεοτίδια, κυτταροκίνες, λευκοκύτταρα, ανοσοσφαιρίνες) και επιτρέπουν την ωρίμανση του ανοσοποιητικού συστήματος. Ειδικότερα, στο πύαρ, η παρουσία των νουκλεϊνικών οξέων αυξάνει την ανάπτυξη του γαστρεντερικού συστήματος, η δράση της ΙL-10 ρυθμίζει ανασταλτικά τον καταρράκτη της φλεγμονής, ενώ τα Β και Τ λεμφοκύτταρα αυξάνουν την παραγωγή των sIgA και εξουδετερώνουν τα μικρόβια που εισβάλλουν στο πεπτικό σύστημα αντίστοιχα. Τα πλεονεκτήματα του μητρικού θηλασμού είναι ιδιαιτέρως σημαντικά και σε συνδυασμό με τη χορήγηση των προβιοτικών (lactobacillus) φαίνεται ότι ο θηλασμός μειώνει σε ποσοστό 30% τις λοιμώξεις του αναπνευστικού και του γαστρεντερικού συστήματος σε βρέφη ηλικίας έως 6 μηνών. Ο θηλασμός, λοιπόν, είναι πολύτιμο δώρο ζωής και αποτελεί δικαίωμα για κάθε νεογέννητο, τόσο για τη σωματική του

051 Ανοσολογικό αποτύπωμα της πρώιμης νεογνικής σηψαιμίας

ανάπτυξη, όσο και για την ψυχική του υγεία και εξέλιξη (41), (42).

Ωστόσο, οι επιστήμονες θεωρούν ότι χρειάζεται περεταίρω έρευνα προκειμένου να κατανοηθούν οι περιβαλλοντικοί παράγοντες για την αιτιολογία της νεογνικής σήψης, ώστε να κατανοηθεί και το ανοσολογικό αποτύπωμα των μικρών ασθενών με ακρίβεια και να μελετηθεί ο φαινότυπος της λοίμωξης στα νεογνά.

4. Συζήτηση

Η ανάπτυξη ανοσολογικής απάντησης στην νεογνική ηλικία είναι αποτέλεσμα της ανωριμότητας, αλλά και της προσπάθειας διατήρησης της ανοσολογικής ανοχής στα κοινά αντιγόνα με σκοπό την πρόληψη της ιστικής βλάβης και των επιπτώσεων της φλεγμονής. Με την ενεργοποίηση των ανοσολογικών μηχανισμών και την ταυτόχρονη διέγερση των κυτταρικών και βιολογικών αποκρίσεων προκαλείται σοβαρή παθολογία του ανοσοποιητικού συστήματος με αυξημένη νοσηρότητα και θνησιμότητα. Η επίδραση της φυσικής και της ειδικής ανοσίας κατά των παθογόνων μικροοργανισμών έχουν σαν στόχο να αντιμετωπίσουν τη λοίμωξη και να περιορίσουν τον αριθμό των μολυσμένων κυττάρων. Συγκεκριμένα, η ειδική ανοσία οδηγεί στην παραγωγή εξουδετερωτικών αντισωμάτων (neutralizing antibodies) παρουσία του συμπληρώματος. Αντίθετα, σε περίπτωση που η λοίμωξη έχει πλέον εγκατασταθεί, τότε τα μολυσμένα κύτταρα καταστρέφονται από φυσικά φονικά κύτταρα (κύτταρα ΝΚ), καθώς και από τα κυτταροτοξικά T CD8+ κύτταρα, περιορίζοντας τον μολυσματικό παράγοντα. Η αλληλεπίδραση της έμφυτης με την προσαρμοστική ανοσία οδηγεί, επομένως, σε ενεργοποίηση της Τ-λεμφοκυτταρικής απόκρισης κυτταροτοξικότητας, σε απόκριση των ΝΚ κυττάρων και στην παραγωγή κυτταροκινών. Οι κυτταροκίνες διαδραματίζουν ουσιαστικό ρόλο στις αμυντικές αντιδράσεις και στην προώθηση της ανάπτυξης άλλων υποτύπων Τ-κυττάρων με αποτέλεσμα τη ρύθμιση της φυσιοπαθολογίας της σήψης. Τέλος, η πρόκληση ενεργών ανοσοποιητικών ερεθισμάτων μπορεί να προστατεύσει από τις συνέπειες της οξείας φλεγμονής και να κτίσει τοίχος ανοσίας στο νεογνό. Οι επαγόμενες από τα εμβόλια ανοσοαποκρίσεις στα νεογνά είναι μειωμένες αναφορικά με την ποσότητα και την ποιότητα, αφού απαιτούνται πολλαπλοί ενισχυτές για την παραγωγή της ανοσολογικής μνήμης. Άλλωστε, μια βασική προϋπόθεση για την αποτελεσματικότητα ενός εμβολίου είναι να ξεπεράσει το κατώφλι της έμφυτης ανοσίας, η οποία αποτελεί την πρώτη άμυνα του οργανισμού, δεν παρουσιάζει αντιγονοειδικότητα και δεν έχει μνήμη. Η έμφυτη ανοσία προσπαθεί να απομακρύνει το αντιγονικό ερέθισμα με το μικρότερο ενεργειακό κόστος για τον οργανισμό, ενώ μπορεί να είναι αποτελεσματική σε περιπτώσεις προηγούμενης μόλυνσης και ύπαρξης ειδικής άμυνας ενάντια στον αντιγονικό παράγοντα, ύπαρξης μικρού φορτίου του μολυσματικού παράγοντα ή αντιμετώπισης μικρού πρωτεϊνικού αντιγόνου με εύκολο καταβολισμό. Μια άλλη βασική προϋπόθεση είναι ο πολυμορφισμός των αντιγόνων ιστοσυμβατότητας (MHC) του πληθυσμού. Η εξατομικευμένη αποτελεσματικότητα ενός εμβολίου βασίζεται στην ικανότητα δημιουργίας συμπλόκου MHC/αντιγόνου, το οποίο στο πλαίσιο του μηχανισμού της αντιγονοπαρουσίασης αναγνωρίζεται από τα Τ-λεμφοκύτταρα για την περαιτέρω αντιγο-ειδική ενεργοποίησή τους (43), (44).

Συμπερασματικά, απαιτείται εντατική ερευνητική προσπάθεια, ώστε να κατανοηθεί πλήρως η βιολογία της πρώιμης νεογνικής σηψαιμίας και να τεθούν τα κατάλληλα διαγνωστικά και θεραπευτικά πρωτόκολλα που θα βοηθήσουν τον κλινικό ιατρό στην καθημερινή του πρακτική.

Βιβλιογραφία

1. Kara G. Greenfield, Vladimir P. Badovinac, Thomas S. Griffith, Kathryn A. Knoop, Sepsis, Cytokine Storms, and Immunopathology: The Divide between Neonates and Adults. Immunohorizons 2021; 5(6): 512–522.

2. Tsafaras GP, Ntontsi P, Xanthou G, Advantages and Limitations of the Neonatal Immune System. Front Pediatr 2020 Jan 28:8:5.

3. Ilkay Ozmeral Odabasi, Ali Bulbul, Neonatal Sepsis. Med Bull Sisli Etfal Hosp 2020;54(2):142–158.

4. Rea IM, Gibson DS, McGilligan V, McNerlan SE, Alexander HD, Ross OA. Age and Age-

052 Ανοσολογικό αποτύπωμα της πρώιμης νεογνικής σηψαιμίας

Related Diseases. Role of Inflammation Triggers and Cytokines. Front Immunol. 2018 Apr 9;9:586.

5. Pratibha Yadav, Shailendra Kumar Yadav, Progress in Diagnosis and Treatment of Neonatal Sepsis: A Review Article J Nepal Med Assoc 2022;60(247):318-24.

6. Renato Soibelmann Procianoy, Rita C Silveira, The challenges of neonatal sepsis management. J Pediatr (Rio J) 2020 Mar-Apr;96 (1 Suppl):80-86.

7. Kirsty Sands, Owen B Spiller, Kathryn Thomson, Edward AR Portal, Kenneth C Iregbu, Timothy R Walsh, Early-Onset Neonatal Sepsis in Low-and Middle-Income Countries: Current Challenges and Future Opportunities. Infection and Drug Resistance 2022:15 933–946.

8. Statistics.gr/el/home [Webpage, Internet], ΠΗΓΕΣ: ΕΛΣΤΑΤ 1974 – 2018 & ΥΠ.ΕΣ. 2019: https://www.jodi.graphics/925.

9. Kolaczkowska E, Kubes P, Neutrophil recruitment and function in health and inflammation. Nature Reviews Immunology 2013;13:159–175.

10. Glaser MA, Hughes LM, Jnah A, Newberry D, Neonatal Sepsis: A Review of Pathophysiology and Current Management Strategies. Adv Neonatal Care 2021 Feb 1;21(1):49-60.

11. Khalid N. Haque, Neonatal Sepsis in the Very Low Birth Weight Preterm Infants: Part

1: Review of Definition, Diagnosis and Management. Journal of Medical Sciences (2010); 3(1):1-10.

12. April C Apostol, Kirk D C Jensen, Anna E Beaudin, Training the Fetal Immune System Through Maternal Inflammation-A Layered Hygiene Hypothesis. Front Immunol 2020 Feb 11:11:123.

13. Unzila Ali Nayeri, Catalin S Buhimschi, Guomao Zhao, Irina A Buhimschi, Vineet Bhandari, Components of the antepartum, intrapartum, and postpartum exposome impact on distinct short-term adverse neonatal outcomes of premature infants: A prospective cohort study. PLoS One 2018 Dec 5;13(12) e0207298.

14. Kaplan JL, Shi HN, Walker WA, The role of microbes in developmental immunologic programming. Pediatr Res. 2011 Jun;69(6):465-72.

15. Plüddemann A, Mukhopadhyay S, Gordon S. Innate immunity to intracellular pathogens: macrophage receptors and responses to microbial entry. Immunol Rev. 2011; 240(1): 11-24.

16. Wynn JL, Wong HR: Pathophysiology and treatment of septic shock in neonates, Clin Perinatol. 2010;37(2):439–479.

17. Istemi Han Celik, MD1, Morcos Hanna, DO2, Fuat Emre Canpolat, MD, Mohan Pammi, MD, PhD, MRCPCH2, Diagnosis of Neonatal Sepsis: The Past, Present and Future. Pediatr Res. 2022 January;91(2):337–350.

18. Takeuchi O, Akira S, Pattern recognition receptors and inflammation. Cell. 2010:140:805–820.

19. Wu J, Chen ZJ, Innate immune sensing and signaling of cytosolic nucleic acids. Annual Review of Immunology 2014:32:461–488.

20. Μascarenhas J, Ravandi F, Hoffman R, Phagocytes. In: Hoffbrand V.Α, Catovsky D, Tuddenham E, Green A.R editors. Postgraduate Hematology. 6th ed. Blackwell Publishing Ltd;2001. p.300-327.

21. Hye Sun Yoon, Neonatal innate immunity and Toll-like receptor. Korean J Pediatr 2010 Dec;53(12):985-8.

22. Chow A, Brown BD, Merad M, Studying the mononuclear phagocyte system in the molecular age. Nature Reviews Immunology 2011: 11:788–798.

23. Shi Y, Li HQ, Shen CK, et al: Plasma nitric oxide levels in newborn infants with sepsis. J Pediatr 1993:123(3):435–438.

24. Janeway CA, Medzhitov R: Innate immune recognition. Annual Review of Immunology 2002:20:197–216.

25. Emily Hensler, Habesha Petros, Chyna C Gray, Chun-Shiang Chung, Alfred Ayala, Eleanor A Fallon, The Neonatal Innate Immune Response to Sepsis: Checkpoint Proteins as Novel Mediators of This Response and as Possible Therapeutic/Diagnostic Levers. Front Immunol 2022 Jul 4:13:940930.

26. Aharon G Freud, Michael A Caligiuri, Human natural killer cell development. Immunol Rev 2006 Dec:214:56-72.

27. Προγράμματα

053 Ανοσολογικό αποτύπωμα της πρώιμης νεογνικής σηψαιμίας
Εκπαίδευσης EKΠΑ. Φυσική (εγγενής) και επίκτητη
Συμπληρωματικής

ανοσία. Συνοπτική παρουσίαση. Ανοσολογία και ρευματικά νοσήματα. 2019;9-43. 28. Θεοδώρα Κεραμιτζόγλου, Διασύνδεση φυσικής και ειδικής ανοσοαπάντησης. Αντιγονοπαρουσιαστικά κύτταρα. Ανοσία 2021;17 (1): 44 – 48.

29. Amalie K Bentzen, Lina Such, Kamilla K Jensen, Andrea M Marquard, Leon E Jessen, Natalie J Miller et al. T cell receptor fingerprinting enables in-depth characterization of the interactions governing recognition of peptide-MHC complexes. Nat Biotechnol. 2018: Nov 19.

30. Hoffman W, Lakkis FG, Chalasani G. B Cells, Antibodies, and More, Clin J Am Soc Nephrol, 2016;11(1):137-154.

31. Hagman J, Lukin K, “Hands-on” regulation of B cell development by the transcription factor Pax5. Immunity. 2007; 27(1): 8-10.

32. Paediatric and neonatal sepsis and inflammation. [Editorial]. Pediatric Research 2022;91:267-269.

33. Ahlam Fatmi, Nafissa Chabni, María Cernada, Máximo Vento, María González-López, Mourad Aribi, et al. Clinical and immunological aspects of microRNAs in neonatal sepsis. Biomed Pharmacother 2022 Jan:145:112444.

34. Fleischmann-Struzek C, Goldfarb DM, Schlattmann P, Schlapbach LJ, Reinhart K, Kissoon N. The Global Burden of Paediatric and Neonatal Sepsis: A Systematic Review. Lancet Respir Med (2018) 6(3):223–30.

35. Rabe H, Nordström I, Andersson K, Lundell AC, Rudin A. Staphylococcus Aureus Convert Neonatal Conventional CD4(+) T Cells Into FOXP3(+) CD25(+) CD127(low) T Cells via the PD-1/PD-L1 Axis. Immunology (2014) 141(3):467–81.

36. Latchman Y, Wood CR, Chernova T, Chaudhary D, Borde M, Chernova I, et al. PD-L2 is a Second Ligand for PD-1 and Inhibits T Cell Activation. Nat Immunol (2001) 2(3):261–8.

37. Daniel O'Reilly, Claire A Murphy, Richard Drew, Afif El-Khuffash, Patricia B Maguire, Fionnuala Ni Ainle, Platelets in pediatric and neonatal sepsis: novel mediators of the inflammatory cascade. Pediatr Res 2022 Jan;91(2):359-367.

38. Hotchkiss RS, Colston E, Yende S, Crouser ED, Martin GS, Albertson T, et al. Immune Checkpoint Inhibition in Sepsis: A Phase 1b Randomized Study to Evaluate the Safety, Tolerability, Pharmacokinetics, and Pharmacodynamics of Nivolumab. Intensive Care Med (2019) 45(10):1360–71.

39. Ιωάννης Κ. Θανασάς, Χοριοαμνιονίτιδα: μια σοβαρή μαιευτική επιπλοκή. Επιστημονικά Χρονικά 2018; 23(3): 339-360.

40. Theresa W Gauthier 1, Carolyn Drews-Botsch, Arthur Falek, Claire Coles, Lou Ann S Brown, Maternal alcohol abuse and neonatal infection. Alcohol Clin Exp Res 2005 Jun;29(6):1035-43.

41. Patricia Palmeira, Mag da Carneiro-Sampa, Immunology of breast milk. Rev Assoc Med Bras 2016; 62(6):584-593.

42. M. Σακλαμάκη-Κοντού, Μητρικός θηλασμός (Ι)-Θρεπτικές βιοχημικές και ανοσολογικές ιδιότητες του μητρικού γάλακτος. Πλεονεκτήματα του μητρικού θηλασμού. Παιδιατρική 2009:(79):365-374.

43. Segal S, Tzehoval E, Feldman M. Immunological tolerance: high-dose antigen-induced suppressor cells from tolerant animals inactivate antigen-presenting macrophages. Proc Natl Acad Sci U S A. 1979;76:2405-9.

44. Kim M, Moon HB, Kim K, Lee KY. Antigen dose governs the shaping of CTL repertoires in vitro and in vivo. International Immunology 2006;18: 435-444.

054 Ανοσολογικό αποτύπωμα της πρώιμης νεογνικής σηψαιμίας
055 Ανοσολογικό αποτύπωμα της πρώιμης νεογνικής σηψαιμίας

Περίπτωση

νόσου

Crohn με επιπλοκές από το ουροποιητικό σύστημα

Σαλαβούρα Κατερίνα, Παναγιώτου Ιωάννα, Ρώμα Ελευθερία, Ορφανού Ειρήνη

Περίληψη

Τ. 2107777027

K. 6977592484

e-mail: salavourakaterina@ gmail.com

Εισαγωγή: Η φλεγμονώδης νόσος του εντέρου περιλαμβάνει δύο διαφορετικές κλινικές οντότητες με κοινή κλινική εικόνα, τη νόσο του Crohn και την ελκώδη κολίτιδα. Οι επιπλοκές της νόσου του Crohn είναι σπάνιες στην παιδική ηλικία. Μέθοδοι: Κλινική εκτίμηση και εκτεταμένος εργαστηριακός έλεγχος της περίπτωσης. Αποτελέσματα: Παρουσιάζεται η περίπτωση κοριτσιού με νόσο του Crohn, που εμφάνισε επιπλοκές από το ουροποιητικό σύστημα κατά τη διάρκεια επεισοδίου έξαρσης της νόσου του. Η ασθενής εμφάνισε οξεία νεφρική ανεπάρκεια, που οφειλόταν σε αμφοτερόπλευρη απόφραξη των ουρητήρων. Η απόφραξη αυτή ήταν επιπλοκή φλεγμονής του οπισθοπεριτοναικού χώρου και αιμορραγικής κυστίτιδας κατ' επέκταση της φλεγμονής της πυέλου. Επιπλέον, η χρόνια φλεγμονώδης πορεία της νόσου ήταν η αιτία εμφάνισης ειλεο-κυστικού συριγγίου. Συμπέρασμα: Επιπλοκές του ουροποιητικού σε ασθενείς με νόσο του Crohn σπάνια. αναφέρονται στη βιβλιογραφία Σαλαβούρα Κατερίνα Παναγιώτου Ιωάννα Ρώμα Ελευθερία Ορφανού Ειρήνη Α’ Παιδιατρική Κλινική Πανεπιστημίου

056
Αθηνών, Νοσοκομείο Παίδων "Η Αγία Σοφία" Αλληλογραφία
Σαλαβούρα Κατερία Γ. Παπανδρέου 45, Γουδή 17533
ΠΕΡΙΓΡΑΦΗ ΕΝΔΙΑΦΕΡΟΥΣΩΝ ΠΕΡΙΠΤΩΣΕΩΝ

Correspondence

Salavoura Katerina

G. Papandreou 45, Goudi 17533

Τ. +302107777027

K. +306977592484

e-mail: salavourakaterina@ gmail.com

A case report of Crohn’s disease with complications from urinary track

Summary

Background: Inflammatory bowel disease consists of two different entities of idiopathic chronic intestinal inflammation, Crohn’s disease and ulcerative colitis. Complications in Crohn’s disease are rare in children.

Methods: Clinical and laboratory investigation of our case.

Results: We present a girl with Crohn’s disease, who presented with nearly fatal urinary complications during an acute severe exacerbation of her disease. She developed acute renal failure due to bilateral ureteral obstruction that was a probable complication of generalized inflammation of the pelvis, retroperitonitis and hemorrhagic cystitis. Pigtails were necessary for ureterolysis and decompression of the obstructed ureters. In addition, a fistula connecting ileum and bladder appeared due to chronic inflammation.

Conclusion: Urinary complications of Crohn’s disease are infrequently reported in the literature.

Εισαγωγή

Το κλινικό φάσμα της ιδιοπαθούς φλεγμονώδους νόσου του εντέρου περιλαμβάνει την νόσο του Crohn και την ελκώδη κολίτιδα, που χαρακτηρίζονται από την ίδια κλινική

συμπτωματολογία, δηλαδή διαρροϊκές κενώσεις με πρόσμιξη αίματος, κοιλιακό άλγος και συστηματικές εκδηλώσεις. Τα νοσήματα αυτά είναι χρόνια, εμφανίζουν εξάρσεις και υφέσεις, που δεν μπορούν να προβλεφθούν. Επιπλοκές με συμπτωματολογία από το ουρογεννητικό σύστημα περιγράφονται σπάνια και περιλαμβάνουν την ουρολιθίαση, την απόφραξη της ουροποιητικής οδού και ανάπτυξη συριγγίων.

Παρουσιάζεται περίπτωση κοριτσιού ηλικίας 14 ετών με νόσο του Crohn, το οποίο εμφάνιση οξεία απόφραξη του ουροποιητικού και οξεία νεφρική ανεπάρκεια, καθώς και ειλεο-κυστικό συρίγγιο, κατά τη διάρκεια επεισοδίου έξαρσης της νόσου του.

Περιγραφή περίπτωσης

Salavoura Katerina

Panagiotou Ioanna

Roma Eleutheria

Orfanou Irini

Α’ Pediatric Clinic

University of Athens, Children’s Hospital “Agia

Sophia”

Η ασθενής διαγνώστηκε με νόσο του Crohn σε ηλικία 5 ετών. Εμφάνιζε διαρροϊκές κενώσεις με πρόσμιξη αίματος, κοιλιακό άλγος και απώλεια βάρους. Στο κληρονομικό ιστορικό αναφέρεται ελκώδης κολίτιδα στη μητέρα και πεπτικό έλκος στον πατέρα. Το ατομικό ιστορικό μέχρι τη δεδομένη στιγμή ήταν ελεύθερο. Ο εργαστηριακός έλεγχος κατά την εισαγωγή του στο νοσοκομείο έδειξε ήπια αναιμία και αυξημένη ταχύτητα καθίζησης. Η ενδοσκόπηση του ανώτερου και κατώτερου πεπτικού είχε χαρακτηριστικά διάχυτη σοβαρή φλεγμονή και ιστολογικά ευρήματα χρόνιας φλεγμονώδους νόσου του εντέρου. Η θεραπεία εκλογής ήταν η σαλοπυρίνη,

Το παιδί εμφάνισε δύο περιόδους έξαρσης της νόσου σε ηλικίες

057
που οδήγησε σε ύφεση της νόσου.
7 και 9 ετών. Στην ηλικία των 7 ετών παρουσίασε κοιλιακό άλγος και βλεννοαιματηρές κενώσεις, καθώς και πορφυρικό εξάνθημα άνω και κάτω άκρων, το οποίο συνοδευόταν από οίδημα. Ο εργαστηριακός έλεγχος
CASE REPORTS

έδειξε επιμονή της αναιμίας και αυξημένη ΤΚΕ. Στις καλλιέργειες κοπράνων αναπτύχθηκε ιός Rota και Aromonas hydrophila. Η ενδοσκόπηση του ανώτερου και κατώτερου πεπτικού έδειξε οίδημα και φλεγμονή του ενδοθηλίου στο κατιόν και σιγμοειδές. Στην αγωγή με σαλοπυρίνη προστέθηκαν κορτικοστεοειδή με σταδιακή ελάττωση και αζαθειοπρίμη. Παράλληλα, το παιδί εμφάνισε την 1η λοίμωξη του ουροποιητικού. Σε ηλικία 8 ετών εμφάνισε δεύτερη λοίμωξη με χαρακτηριστικά πυελονεφρίτιδας και υψηλό πυρετό. Ο διαγνωστικός έλεγχος περιλάμβανε υπερηχογράφημα κύστεως και νεφρών, τα οποία ήταν φυσιολογικά και επίσης DMSA, που ήταν επίσης φυσιολογικό.

Η 4η έξαρση της νόσου εμφανίστηκε σε ηλικία 14 ετών με βλεννοαιματηρές κενώσεις και κοιλιακό άλγος. Η ενδοσκόπηση έδειξε επιδείνωση της προηγούμενης εικόνας με ανάπτυξη χρόνιων αλλοιώσεων και εικόνα οισοφαγίτιδας, γαστρίτιδας και δωδεκαδακτυλίτιδας χωρίς εμφάνιση κοκκιωματώδους ιστού. Η διάβαση του κατώτερου πεπτικού έδειξε σοβαρή φλεγμονή κατά μήκος του κόλου και πολύποδες στον τελικό ειλεό θέτοντας τη διάγνωση της νόσου του Crohn. Η μαγνητική χολαγγειοπαγκρεατογραφία (MRCP) ήταν φυσιολογική. Η επιδείνωση της εικόνας έθεσε αναγκαία τη χορήγηση βιολογικού παράγοντα (Infliximab). Κατά τη διάρκεια αυτής της υποτροπής, το παιδί παρουσίασε δυσουρικά ενοχλήματα και αιματουρία (Ερυθρά>200/κοπ) με οξεία επιδείνωση της κλινικής του εικόνας και εμφάνιση ανουρίας. Στον εργαστηριακό έλεγχο διαπιστώθηκε αύξηση της ουρίας και της κρεατινίνης αίματος (114mg/dl, 1.2mg/dl, αντίστοιχα). Επίσης, σημειώθηκαν διαταραχές των παραγόντων πήξης και αύξηση των d-dimmers. Στον υπερηχογραφικό έλεγχο βρέθηκε διάταση των ουρητήρων και διάταση του παχέος εντέρου με χαρακτηριστικά μεγάκολου. Τα ίδια ευρήματα και φλεγμονή του μεσεντερίου βρέθηκαν στην αξονική τομογραφία. Η διάγνωση οξείας νεφρικής ανεπάρκειας από πίεση των ουρητήρων από το φλεγμένων μεσεντέριο ήταν η πιθανότερη διάγνωση και το παιδί οδηγήθηκε επειγόντως στο χειρουργείο. Η κυστεοσκόπηση έδειξε οξεία φλεγμονή της κύστεως με πολλαπλά αιμορραγικά συγκρίματα, που δημιουργούσαν απόφραξη. Αρχικά, η αντιμετώπιση ήταν η ενδοφλέβια χορήγηση υγρών και ακολούθησαν πλύσεις της κύστεως με καθετηριασμούς. Η κατάσταση επιδεινώθηκε και το παιδί εισήχθη στη μονάδα εντατικής θεραπείας, όπου χορηγήθηκαν ενδοφλέβια αντιβιοτικά, κορτικοστεροειδή σε υψηλές δόσεις και αντιυπερτασικά φάρμακα. Η ασθενής βελτιώθηκε μετά από 10 ημέρες νοσηλείας, με μείωση των επιπέδων ουρίας και κρεατινίνης. Ο περαιτέρω έλεγχος έδειξε αύξηση της διαμέτρου των νεφρών και αύξηση της διαμέτρου του πυελοκαλυκικού συστήματος (2.5-3cm). Η ενδοφλέβια πυελογραφία έδειξε υδρονέφρωση του δεξιού νεφρού, καθυστέρηση στην αποβολή του ραδιοφαρμάκου και διάταση του δεξιού ουρητήρα και κύστεως. Η αξονική έδειξε επιπλέον περιουρητηρικό απόστημα. Ήταν αναγκαία η χειρουργική τοποθέτηση pigtails αμφοτερόπλευρα για την ομαλή παροχέτευση των νεφρών.

Το ίδιο χρονικό διάστημα, το παιδί εμφάνισε κεφαλαλγία. Ο έλεγχος έδειξε οίδημα οπτικής θηλής. Η μαγνητική εγκεφάλου και η μαγνητική αγγειγραφία ήταν φυσιολογικά. Ανιχνεύτηκε όμως αυξημένη ενδοκράνια πίεση (55mmHg) και χορηγήθηκε ακεταζολαμίδη. Η εμφάνιση καλοήθους ενδοκράνιας υπέρτασης θεωρήθηκε ότι οφειλόταν στην παχυσαρκία, την αυξημένη αρτηριακή πίεση εξαιτίας της νεφρικής ανεπάρκειας και των υψηλών δόσεων κορτικοειδών.

Ένα μήνα αργότερα, παρά τη βελτίωση της εργαστηριακής εικόνας, το παιδί εμφάνιζε διαλείπουσα αιματουρία και λιποσφαίρια στη μικροσκοπική εξέταση ούρων. Η υποψία ουρητηρο-ειλεικού συριγγίου επιβεβαιώθηκε με αμεσοσκόπηση.

Συζήτηση

Επιπλοκές του ουροποιητικού στη νόσο του Crohn αναφέρονται με συχνότητα που ποικίλει από 4 έως 35% σε διάφορες μελέτες (1). Η συχνότερη είναι η ουρολιθίαση, εξαιτίας αυξημένης

αποβολής ασβεστίου στα ούρα λόγω των ανοσοκατασταλτικών θεραπειών. Τα εντερο-ουρογεννητικά συρίγγια είναι σπάνια επιπλοκή (2). Σε μεγάλη μελέτη με 78 ασθενείς εμφανίζονται σε μικρό ποσοστό (2). Τα συμπτώματα είναι δυσουρία, υποτροπιάζουσες λοιμώξεις του ουροποιητικού και ανεύρεση αέρα και κοπράνων στο ουροποιητικό σύστημα.

058 Περίπτωση νόσου Crohn με επιπλοκές από το ουροποιητικό σύστημα

Η κυστεοσκόπηση και η αξονική τομογραφία είναι διαγνωστικά στο 74% και 52% των ασθενών, αντίστοιχα. Τα συρίγγια ξεκινούν από τον ειλεό (64%), το κόλον (21%) και το ορθό (8%) και καταλήγουν στην κύστη (88%), ουρήθρα (6%), τον ουραχό (3%) και ουρητήρα (1%). Στις περισσότερες περιπτώσεις είναι αναγκαία η χειρουργική διόρθωση (90%) (2,3).

Αμφοτερόπλευρη απόφραξη των ουρητήρων και υδρονέφρωση αναφέρεται επίσης σπάνια στην βιβλιογραφία (4). Η επιπλοκή αυτή είναι αποτέλεσμα της φλεγμονής του οπισθοπεριτοναικού χώρου και την ανάπτυξη ίνωσης. Η έξαρση της νόσου, που συνοδεύεται από φλεγμονή του οπισθοπεριτοιακού χώρου οδηγεί σε φλεγμονή των ουρητήρων και της κύστεως μέσω της λέμφου και της μικροσκοπικής επικοινωνίας που υπάρχει (5, 6). Αποκατάσταση των ουρητήρων και εκτομή του φλεγμαίνοντος τμήματος του εντέρου είναι η καλύτερη θεραπευτική αντιμετώπιση (7,8,9,10,11). Αναφέρονται αμφιλεγόμενα αποτελέσματα από την χειρουργική επέμβαση, εξαιτίας της ανάπτυξης συριγγίων με άλλα όργανα. Η εμφάνιση σηψαιμίας και η ανεύρεση πολλαπλών συριγγίων είναι η κυριότερη αιτία εμφάνισης υποτροπών. Συχνότερα προσβάλλεται ο δεξιός ουρητήρας για άγνωστους λόγους.

Η ασθενής μας αποτελεί ενδιαφέρουσα περίπτωση, εξαιτίας εμφάνισης σπάνιων επιπλοκών της νόσου. Η εικόνα τοξικού μεγάκολου αντιμετωπίστηκε με επιτυχία συντηρητικά και δεν υπήρξε ανάγκη εκτομής του εντέρου, παρά το γεγονός ότι παρουσίαζε εικόνα τοξικού μεγάλου. Η εμφάνιση οξείας νεφρικής ανεπάρκειας και αιμορραγικής κυστίτιδας, εξαιτίας της διάχυτης φλεγμονής στον οπισθοπεριτοναικό χώρο, αναφέρονται σπάνια στη βιβλιογραφία στην παιδική ηλικία. Η τοποθέτηση pigtails μέχρι ακόμη και σήμερα δημιούργησε αποσυμφόρηση του ουροφόρου συστήματος, αποφεύγοντας χειρουργική επέμβαση στην περιοχή και τον κίνδυνο εμφάνισης υποτροπών και νέων συριγγίων. Το ειλεο-κυστικό συρίγγιο, που βρέθηκε με την κυστεοσκόπηση αντιμετωπίζεται συντηρητικά με χρόνια χορήγηση χημειοπροφύλαξης. Δεν έγινε αποκατάσταση του συριγγίου και δεν έχουν εμφανιστεί επιπλοκές μέχρι τώρα.

Αξιοσημείωτο στην αντιμετώπιση του παιδιού είναι η συντηρητική αντιμετώπιση των επιπλοκών. Είναι γνωστό ότι η χειρουργική επέμβαση στη νόσο του Crohn αντενδείκνυται, γιατί συνοδεύεται από υποτροπές και επιδείνωση της πορείας της νόσου. Προκαλεί εντύπωση, όμως σε μια ασθενή με τόσο σοβαρά προβλήματα, που έθεσαν σε κίνδυνο τη ζωή της, η συντηρητική αντιμετώπιση ήταν αποτελεσματική και επιτυχής.

Βιβλιογραφία

1. Ishi G, Tanaka N, Ishii N, Matsumoto H. Management of urinary complication of Crohn’s disease. Nippon Hinyokika Gakkai Zasshi 2007; 98 (6): 757-763

2. Ruffolo C, Angriman I, Scarpa M et al. Urologic complications in Crohn’s disease: suspicion criteria. Hepatogastroenterology 2006; 53 (69): 357-360

3. Yamamoto T, Keighley M. Enterovesical fistulas complicating Crohn’s disease: clinicopathoilogical features and management. Int J Colorectal Dis 200; 15 (4): 211-5

4. Block G, Enker W, Kirsner J. Significance and treatment of occult obstructive uropathy complicating Crohn’s disease. Annals Surg 1973; 178 (3); 322-330

5. Ueno Y, Tanaka S, Kanao H et al. A case of Crohn’s disease with hydronephrosis caused by ureteropelvic junction obstruction. Eur J Gastroenterol Hepatol 2006; 18(9): 1015-8

6. Elabbassi T, Bachar A, Moufakkir A, El Berni Y, Particularities of urological complications in Crohn's disease: Report of two cases. Ann Med Surg (Lond) 2022 Jun 6:79:103903

7. Ben-Ami H, Ginesin Y, Behar M et al. Diagnosis and treatment of urinary tract complications in Crohn’s disease: an experience over 15 years. Can J Gastroenterol 2002; 16 (4): 225-9

8. Sato S, Sasaki I, Funayama Y et al. Management of urinary complications in Crohn’s disease. Surg today 1999; 29 (8): 713-7

9. Gruner J, Sehon J, Johnson L. Diagnosis and management of enterovesical fistulas in patients with Crohn’s disease. Am Surg 2002; 68 (8): 714-9

10. Solem C, Loftus E, Tremaine W et al. Fistulas to the urinary system in Crohn’s disease: clinical features and outcomes. Am J Gastroenterol 2002; 97 (9): 2300-5

11. Carazo P, Escalona M, Earle S et al. Bilateral hydronephrosis secondary to ileocolic Crohn’s disease. Actas Urol Esp 2002; 26 (6): 425-8

059 Περίπτωση νόσου Crohn με επιπλοκές από το ουροποιητικό σύστημα

Οξεία εγκεφαλοπάθεια, ηπατική και

νεφρική ανεπάρκεια από ιο γρίπης

Α σε ανοσοεπαρκές νήπιο

Μαργαρίτα-Ευθαλία Παπασάββα, Ιλιάδα Νάκου, Βασιλική Γκέτση

Περίληψη

Η νόσηση από γρίπη είναι πολύ κοινή ανάμεσα στον παιδιατρικό πληθυσμό, με προεξάρχουσα κλινική εικόνα την προσβολή του αναπνευστικού συστήματος, η οποία υποχωρεί πλήρως σε μερικές ημέρες. Σπανιότερα, η γρίπη μπορεί να προσβάλλει όλα τα συστήματα του οργανισμού, ειδικά το Κεντρικό Νευρικό Σύστημα, τους νεφρούς και το ήπαρ. Περιγράφουμε την περίπτωση τρίχρονου ανοσοεπαρκούς αγοριού, με νόσηση από τον ιό της γρίπης Α, χωρίς ιδιαίτερη συμμετοχή από το αναπνευστικό σύστημα, που παρουσίασε εντός ολίγων ωρών πολυσυστηματική προσβολή με εγκεφαλοπάθεια, ηπατική και νεφρική ανεπάρκεια και διάχυτη ενδαγγειακή πήξη. Νοσηλεύτηκε σε ΜΕΘ Παίδων για αρκετό καιρό και παρέμεινε με νευρολογικά ελλείμματα μετά την έξοδο από αυτήν.

Λέξεις-κλειδιά: γρίπη, εγκεφαλοπάθεια, ηπατική ανεπάρκεια, νεφρική ανεπάρκεια, ιός γρίπης Α

Αλληλογραφία

Μαργαρίτα-Ευθαλία Παπασάββα

Λ. Μακρυγιάννη, ΤΚ 454 45, Ιωάννινα

Τ. 2651080786

e-mail: maggiepap@hotmail. com

Μαργαρίτα-Ευθαλία Παπασάββα

Βασιλική Γκέτση Παιδιατρικό Τμήμα Γ.Ν. Ιωαννίνων "Γ. Χατζηκώστα", Ιωάννινα

Ιλιάδα Νάκου Παιδονευρολογικό Τμήμα ΠΓΝΙ, Ιωάννινα

060
ΠΕΡΙΓΡΑΦΗ ΕΝΔΙΑΦΕΡΟΥΣΩΝ ΠΕΡΙΠΤΩΣΕΩΝ

Correspondence

Margarita-Efthalia

Papasavva

Makrigianni Avenue, PC 454 45, Ioannina, Greece Τ. +30 2651080786 e-mail: maggiepap@ hotmail.com

Acute encephalopathy, renal and hepatic failure in an immunocompetent toddler with influenza type Α infection

Abstract

Influenza infection is very common among the pediatric population, with prominent clinical presentation the involvement of the respiratory system, which usually resolves within a few days. Rarely, influenza may affect all human systems, particularly the Central Nervous System, the kidneys and the liver. We describe the case of a three-year-old immunocompetent boy, with influenza type A infection, without respiratory participation, who presented within a few hours with multi-system organ failure (encephalopathy, renal and hepatic failure and disseminated intravascular coagulation). He was hospitalized in PICU and recovered with neurological defects.

Keywords: influenza, encephalopathy, hepatic failure, renal failure, influenza virus A

Εισαγωγή

Η πρώτη επιδημία νόσου που έμοιαζε με γρίπη περιγράφηκε από τον Ιπποκράτη το 412

π.Χ. Η πρώτη πανδημία νόσου για την οποία υπάρχουν πειστικά στοιχεία ότι πρόκειται για

Margarita-Efthalia

Papasavva

Vasiliki Gketsi

Department of Pediatrics, General Hospital of Ioannina “G. Ηatzikosta”

Iliada Nakou

Department of Pediatric Neurology, University Hospital of Ioannina, Ioannina

γρίπη περιγράφηκε το 1580. Από τότε έχουν αναφερθεί 31 πανδημίες γρίπης, από τις οποίες οι τέσσερις έχουν συμβεί τον 20ό αιώνα. Οι ιοί της γρίπης είναι RNA ιοί, που ανήκουν στην οικογένεια Orthomyxoviridae και μολύνουν πολλά σπονδυλωτά. Στον άνθρωπο, νόσηση προκαλούν οι ιοί γρίπης A, B και C. Υποδιαιρούνται σε ορότυπους ανάλογα με τις γλυκοπρωτεΐνες που εμφανίζονται στην επιφάνειά τους: τη γλυκοπρωτεΐνη Η και τη γλυκοπρωτεΐνη Ν. Υπάρχουν αρκετά είδη τέτοιων γλυκοπρωτεϊνών και ακόμη περισσότεροι συνδυασμοί. Τα κλασικά συμπτώματα της νόσου σχετίζονται με το αναπνευστικό σύστημα. Δυσλειτουργία σε εξωπνευμονικά όργανα και ιστούς, με επακόλουθες καρδιαγγειακές, μυοσκελετικές, νευρολογικές, ηπατικές και νεφρικές επιπλοκές, μπορεί να εμφανιστούν κυρίως σε ανοσοκατασταλμένα άτομα ή σε άτομα με παράγοντες κινδύνου, όπως παχυσαρκία, υποκείμενα νοσήματα ή προχωρημένη ηλικία [1]. Οι νευρολογικές επιπλοκές είναι σπάνιες και εμφανίζονται κυρίως σε παιδιά και ηλικιωμένους. Το συντριπτικό ποσοστό (78%) αυτών των επιπλοκών στα παιδιά αφορά επιληπτικές κρίσεις, ενώ εγκεφαλοπάθεια αναφέρεται μόνο στο 11% αυτών των περιπτώσεων [2].

Περιγραφή της περίπτωσης

Άρρεν νήπιο, ηλικίας 3 ετών και 3 μηνών, με ελεύθερο οικογενειακό και ατομικό ιστορικό και πλήρως εμβολιασμένο για την ηλικία του, προσκομίστηκε στο Τμήμα Επειγόντων Περιστατικών λόγω υψηλού πυρετού (μέχρι 40.8οC) από 30 ωρών πριν την εισαγωγή του, υπνηλίας από μίας ώρας και πιθανού επεισοδίου γενικευμένων τονικοκλονικών σπασμών, διάρκειας μικρότερης του ενός λεπτού, που λύθηκε χωρίς θεραπευτική παρέμβαση. Οι γονείς ανέφεραν ότι τo παιδί είχε ήπια ρινική καταρροή, επίσης από 30ώρου, και είχε κάνει δύο εμετούς κατά την προσπάθεια χορήγησης σιροπιού παρακεταμόλης. Το πεντάχρονο αδελφάκι

061
του είχε ιογενή λοίμωξη αναπνευστικού τις αμέσως προηγούμενες ημέρες. Στην κλινική εξέταση διαπιστώθηκαν: ΒΣ: 13.5kg (10η -25η ΕΘ), ΥΣ: 100cm (50η -75η ΕΘ), ΠΚ:
CASE REPORTS

52.5cm (90η ΕΘ), ωχρότητα, αγγειοκινητικές διαταραχές, Θ: 40.8°C, HR:180/min, RR: 50/ min, CRT: 2-3sec, ΑΠ: 85/40mmHg και 20λεπτά αργότερα 90/50mmHg, SpO2: 96-98% (ατμοσφαιρικός αέρας), φυσιολογικό αναπνευστικό ψιθύρισμα, εξέρυθρες φυσαλιδώδεις παρίσθμιες καμάρες, μικροί πρόσθιοι και οπίσθιοι τραχηλικοί λεμφαδένες. Η εξέταση του κυκλοφορικού, πεπτικού και ουροποιογεννητικού συστήματος δεν ανέδειξε παθολογικά ευρήματα. Ο ασθενής ήταν υπνηλικός, αλλά απαντούσε κανονικά σε λεκτικά, απτικά και επώδυνα ερεθίσματα. Είχε ισοκορία και τα κορικά αντανακλαστικά εκλύονταν συμμετρικά αμφοτερόπλευρα. Δεν είχε αυχενική δυσκαμψία, τα σημεία Brudzinski και Kernig ήταν αρνητικά, τα εν τω βάθει και επιπολής αντανακλαστικά εκλύονταν φυσιολογικά, δεν είχε σημείο Babinski, οι εγκεφαλικές συζυγίες ελέγχθηκαν φυσιολογικές, ομοίως και η αισθητικότητα. Είχε αδυναμία ορθοστάτησης, ερχόταν σε καθιστή θέση, αλλά ασταθώς. Η βυθοσκόπηση δεν ανέδειξε παθολογικά ευρήματα.

Στον εργαστηριακό έλεγχο εισαγωγής (Πίνακας 1, Πίνακας 2) διαπιστώθηκαν λευκοπενία με λεμφοκυττάρωση, μικρού βαθμού θρομβοπενία, αρνητικοί δείκτες λοίμωξης, υπεργλυκαιμία και μικρή αύξηση της AST και της γGT. Η ακτινογραφία θώρακα δεν ανέδειξε παθολογικά ευρήματα. Η δοκιμασία ταχείας ανίχνευσης αντιγόνου (Rapid test) ιών γρίπης Α και Β στο ρινοφαρυγγικό έκκριμα ήταν αρνητική.

Πίνακας 1. Εργαστηριακός έλεγχος εισαγωγής

Πίνακας 2. Αέρια φλεβικού αίματος κατά την εισαγωγή

Πορεία νόσου - θεραπευτική αντιμετώπιση: Το νήπιο αντιμετωπίστηκε άμεσα με ενδοφλέβια χορήγηση κεφοταξίμης και ακυκλοβίρης και με από του στόματος χορήγηση οσελταμιβίρης παρά το αρνητικό Rapid test για γρίπη. Λίγη ώρα μετά την προσέλευσή του στο ΤΕΠ παρουσίασε πιθανό επεισόδιο σπασμών (2-3 τονικοκλονικές κινήσεις άκρων), που λύθηκε αυτόματα. Στην αρχή της νοσηλείας του, το παιδί ήταν ωχρό, με εξέρυθρα χείλη και απαντούσε λογικά στις ερωτήσεις (όπως και κατά την εισαγωγή), με κολλώδη ομιλία και αντιδρούσε κανονικά στα επώδυνα και τα ανώδυνα ερεθίσματα.Τα ζωτικά του σημεία είχαν ως εξής: ΑΠ:89/60mmHg, HR:150/min, Θ:39°C, CRT:3sec. Στις επόμενες δύο ώρες δεν απέβαλε ούρα. Τέθηκε ουροκαθετήρας και χορηγήθηκε 1η φόρτιση με IV NaCl 0.9%. Λόγω προοδευτικά διεγερτικής συμπεριφοράς και εγκεφαλοπαθητικού (υψίσυχνου) κλάματος διενεργήθηκε

062 Οξεία εγκεφαλοπάθεια, ηπατική και νεφρική ανεπάρκεια από ιο γρίπης Α σε ανοσοεπαρκές νήπιο
WCB (/μl) 2.900 Ινωδογόνο (mg/dl) 293.8 ALP(IU/L) 191 P/L/M (%) 35/59/6 ΤΚΕ (mm/1sth) 2 AST(IU/L) 61 Hb (g/dl) 11.5 CRP (mg/L) 4.8 ALT(IU/L) 20 Ht (%) 34.6 Glu (mg/dl) 205 γGT(IU/L) 71 PLT (/mm3) 121.000 Ure (mg/dl) 40 LDH(IU/L) 309 PT (sec) 13.81 Cr (mg/dl) 0.83 CK (IU/L) 132 aPΤT (sec) 45.05 K (mEq/L) 3.5 Ca(mg/dl) 9.8 INR 1.2 Na (mEq/L) 142 P (mg/dl) 3.7 pH 7.36 pCO2 (mmHg) 34 HCO3 (mmol/l) 18.9 BE (mmol/l) 5.9

CT εγκεφάλου (εικόνα 1), που έδειξε υπόπυκνη απεικόνιση των θαλάμων αμφοτερόπλευρα. Οι δομές της μέσης γραμμής βρίσκονταν σε φυσιολογική θέση. Το κοιλιακό σύστημα και ο υπαραχνοειδής χώρος απεικονίστηκαν συμβατά με την ηλικία του εξεταζόμενου. Την 5η ώρα νοσηλείας το παιδί εμφάνισε σταδιακή επιδείνωση της κλινικής του εικόνας με ολιγουρία και μη καλή επικοινωνία με το περιβάλλον. Παρουσίασε βυθιότητα, δεν απαντούσε σε λεκτικά ερεθίσματα, αντιδρούσε μόνο στα απτικά και στη συνέχεια μόνο στα πολύ επώδυνα

ερεθίσματα, ενώ παρουσίασε και υπόταση (Συστολική Αρτηριακή Πίεση: 75-76 mmHg και Διαστολική Αρτηριακή Πίεση: 35-40 mmHg). Ελήφθη νέος εργαστηριακός έλεγχος (Πίνακας 3, Πίνακας 4), στον οποίο διαπιστώθηκε επιδείνωση της νεφρικής και ηπατικής λειτουργίας, πτώση των αιμοπεταλίων και ευρήματα συμβατά με Διάχυτη Ενδαγγειακή Πήξη (ΔΕΠ). Στη συνέχεια έγιναν άλλες 3 φορτίσεις με NaCl 0.9% (20ml/kg -10ml/kg- 20ml/kg αντίστοιχα) και τέθηκαν ενδοφλέβια: Φρέσκο κατεψυγμένο πλάσμα (15ml/kg), συμπυκνωμένα ερυθρά (10ml/kg), ντοπαμίνη (10mcg/kg/min), φουροσεμίδη (1mg/kg) και Βιταμίνη Κ. Παρατηρήθηκε βελτίωση της διούρησης (5.5ml/kg/h). Έγινε υπερηχογράφημα καρδιάς που δεν ανέδειξε παθολογικά ευρήματα (φυσιολογική συσπαστικότητα μυοκαρδίου, φυσιολογικό κλάσμα εξώθησης, χωρίς πρόβλημα από τις βαλβίδες). Λόγω της συνολικής του κλινικοεργαστηριακής εικόνας και της επιδείνωσης της οξεοβασικής του ισορροπίας (Πίνακας 4) αποφασίστηκε η διακομιδή του στη ΜΕΘ του Νοσοκομείου Παίδων Αθηνών «Π. και Α. Κυριακού». Τέθηκε ρινογαστρικός καθετήρας και γαστροπροστασία, διασωληνώθηκε και διακομίστηκε για περαιτέρω αντιμετώπιση. Στον εργαστηριακό έλεγχο αμέσως πριν τη διακομιδή του σε ΜΕΘ (Πίνακας 3, Πίνακας 4), παρουσίασε λευκοπενία, αναιμία, ΔΕΠ, νεφρική ανεπάρκεια και εκσεσημασμένη αύξηση των ηπατικών ενζύμων (AST=6.234 U/l, ALT=2.696 IU/l, LDH=6.667 IU/l). Τα αποτελέσματα των λοιπών εργαστηριακών εξετάσεων που είχαν ληφθεί κατά τη νοσηλεία (πίνακας 5) απέκλεισαν σήψη από βακτηριακό παράγοντα, λοίμωξη από ερπητοϊό, λήψη τοξικών ουσιών και εν τέλει τέθηκε η διάγνωση της λοίμωξης από ιό γρίπης Α (θετική PCR ρινοφαρυγγικού επιχρίσματος). Επίσης, ο αδρός ανοσολογικός έλεγχος ήταν εντός φυσιολογικών ορίων.

Εικόνα 1. CT εγκεφάλου: υπόπυκνη απεικόνιση των θαλάμων αμφοτερόπλευρα

063 Οξεία εγκεφαλοπάθεια, ηπατική και νεφρική ανεπάρκεια από ιο γρίπης Α σε ανοσοεπαρκές νήπιο
064 Οξεία εγκεφαλοπάθεια, ηπατική και νεφρική ανεπάρκεια από ιο γρίπης Α σε ανοσοεπαρκές νήπιο
Πίνακας 3. Επόμενοι εργαστηριακοί έλεγχοι (2ος και 3ος πριν τη διακομιδή) Πίνακας 4. Αέρια αρτηριακού αίματος (2η λήψη και 3η πριν τη διασωλήνωση)
2ος έλεγχος 3ος έλεγχος WCB (/μl) 3.270 3.630 P/L/M(%) 73/25/3 83/15/2 Hb (g/dl)/ Ht (%) 11.2/33.2 9.7/29.3 PLT(/mm3) 92.000 84.000 PT/aPTT (sec) 23.53/71.98 29.12/81.38 INR/ Ινωδογόνο(mg/dl) 2.14/247 2.7/226.3 CRP (mg/L) 5.98 8.74 Glu(mg/dl) 44 Ure/ Cr (mg/dl) 77/1.32 92/1.03 K/ Na (mEq/L) 3.8/146 3.8/147 CK (IU/L) 230 AST/ALT (IU/L) 364/129 6.234/2.696 γGT (IU/L) 51 21 LDH (IU/L) 6.667 TBL/DBL (mg/dl) 0.89/0.42 TPR (g/dl) 5.8 Αέρια αρτ. αίματος 2η λήψη (χωρίς Ο2) 3η λήψη (με Ο2) pH 7.4 7.30 pCO2(mmHg) 25.5 31.3 pO2(mmHg) 94.6 222.1 BE (mmol/l) -7.8 10.3 HCO3 (mmol/l) 15.6 15.1 Lac (mmol/l) 1.9 Καλλιέργειες αίματος, ούρων Στείρες Καλλιέργεια φαρυγγικού Φυσιολογική χλωρίδα Καλλιέργεια κοπράνων Φυσιολογική χλωρίδα Ag κοπράνων για Rota/Aδενο-ιούς (-) Rapid test για γρίπη Α & Β (-) PCR για γρίπη Α & Β (+) για γρίπη Α C3/C4 (mg/dl) 87.7/14.2 IgG/IgM/IgA (mg/dl) 609/75.1/70.2 Τοξικολογική εξέταση ορού-ούρων (-)
Πίνακας 5. Λοιπός εργαστηριακός έλεγχος εισαγωγής

Έκβαση νόσου: Το παιδί, αφού νοσηλεύτηκε με πολυοργανική ανεπάρκεια στη ΜΕΘ Παίδων για αρκετές εβδομάδες, εξήλθε με εικόνα χοριοαθετωσικής παράλυσης. Σιτιζόταν με καθετήρα σιτίσεως για 35 ημέρες μετά την έξοδό του από την ΜΕΘ, ενώ χρειάστηκε μακροχρόνιο εντατικό πρόγραμμα αποκατάστασης (εργοθεραπεία, φυσιοθεραπεία, λογοθεραπεία) προκειμένου να επανέλθει η λειτουργικότητά του. Παρουσίασε επιληψία και τέθηκε σε αντιεπιληπτική φαρμακευτική αγωγή. Έξι χρόνια μετά, συνεχίζει να έχει δυσαρθρία, αθετωσικό βάδισμα, ήπιο τρόμο των άκρων και της κεφαλής και συνεχίζει να λαμβάνει την αντιεπιληπτική αγωγή.

Συζήτηση

Οι νευρολογικές επιπλοκές από τον ιό της γρίπης είναι σπάνιες. Εμφανίζονται πιο συχνά σε παιδιά και ηλικιωμένους. Περιλαμβάνουν το σύνδρομο Reye, την εγκεφαλοπάθεια, την εγκεφαλομυελίτιδα, την εγκάρσια μυελίτιδα, την άσηπτη μηνιγγίτιδα, τις εστιακές νευρολογικές διαταραχές και το σύνδρομο Guillain-Barre [3,4]. Η μέση ετήσια επίπτωσή τους υπολογίζεται σε 3.39/1.000.000 παιδιά ηλικίας ≤ 14 ετών [5]. Συχνότερα παρατηρούνται επιληπτικές κρίσεις (78%). Η εγκεφαλίτιδα/εγκεφαλοπάθεια εμφανίζεται σπανιότερα (11%) [2], κυρίως σε παιδιά ηλικίας <5 ετών, αλλά μπορεί να είναι εξαιρετικά σοβαρή. Το ποσοστό θνητότητας ανέρχεται σε 30%, ενώ πολλοί από τους επιζήσαντες ασθενείς εμφανίζουν νευρολογικά υπολείμματα, άλλοτε άλλου βαθμού [6, 7].

Όσον αφορά την ηπατική βλάβη, είναι επίσης μια ασυνήθιστη επιπλοκή κατά τη διάρκεια

λοίμωξης από γρίπη Α. Παρατηρείται σε <3% των νοσούντων [8] και κυρίως σε ασθενείς με

ηπατική κίρρωση [9] και σε ορισμένους ηλικιωμένους ασθενείς [1]. Αντίστοιχα, οι νεφρικές επιπλοκές που σχετίζονται με τη γρίπη είναι χειρότερες σε άτομα με προϋπάρχοντες

παράγοντες κινδύνου, συμπεριλαμβανομένης της παχυσαρκίας, της χρόνιας νεφρικής νόσου

και της αυξημένης ηλικίας [10,11]. Εικάζεται ότι οφείλονται σε μειωμένη νεφρική αιμάτωση

λόγω υποογκαιμίας ή αγγειοδιαστολής σε ασθενείς με σήψη, κατά τη διάρκεια σοβαρής λοίμωξης από γρίπη.

Όμως, όπως υποστηρίζεται από βιβλιογραφικά δεδομένα, οι νοσούντες από γρίπη που εμφανίζουν εγκεφαλοπάθεια, εμφανίζουν ταυτόχρονα, σε ένα μεγάλο ποσοστό (67%), επιπλοκές τόσο από τους νεφρούς όσο και από το ήπαρ [12]. Το γεγονός αυτό αποδίδεται κυρίως σε παθολογική ανοσολογική απάντηση του ασθενούς στον ιό της γρίπης, παρά στην άμεση επίδραση του ίδιου του ιού στα όργανα στόχους [13]. Η παθολογική ανοσολογική απάντηση έχει επίσης θεωρηθεί ως υπεύθυνος παθογενετικός μηχανισμός των νευρολογικών

βλαβών σε ασθενείς με γρίπη. Η υπόθεση αυτή υποστηρίζεται από το γεγονός ότι τα επίπεδα

IL-6, TNF-alpha και IL-10 στον ορό βρέθηκαν να είναι σημαντικά αυξημένα σε παιδιατρικούς

ασθενείς με εγκεφαλίτιδα, σε σύγκριση με ασθενείς με γρίπη χωρίς νευρολογική συμμετοχή [14, 15].

Όσον αφορά το περιστατικό μας, αξίζει να σταθεί κανείς σε τρία σημεία:

Α) Στον ασθενή μας η δοκιμασία ταχείας ανίχνευσης (Rapid test) για ιούς γρίπης ήταν αρνητική, ενώ ο έλεγχος με αλυσιδωτή αντίδραση πολυμεράσης αντίστροφης μεταγραφής (Reverse Transcription–Polymerase Chain Reaction, RT-PCR) απέβη θετικός.

Τα ταχέα διαγνωστικά τεστ γρίπης (Rapid tests) είναι δοκιμασίες ανίχνευσης αντιγόνου, που μπορούν να ανιχνεύσουν τα ιικά αντιγόνα της γρίπης σε 10-15 λεπτά με μέτρια ευαισθησία (50-70%) και υψηλή ειδικότητα. Μπορεί να παρέχουν ψευδώς αρνητικά αποτελέσματα (και μάλιστα συχνότερα από ότι ψευδώς θετικά), ιδιαίτερα κατά τη διάρκεια της κορύφωσης της δραστηριότητας της γρίπης στην κοινότητα [16]. Τόσο η ευαισθησία όσο και η ειδικότητα αυτών των δοκιμασιών παρουσιάζουν σημαντική μεταβλητότητα ανάλογα με την ηλικία του ασθενούς, τον επιπολασμό της νόσου, την πορεία της μόλυνσης και την ποιότητα του kit που χρησιμοποιείται [17], και είναι σαφώς χαμηλότερες από ό,τι η ευαισθησία και η ειδικότητα της ιικής καλλιέργειας και της αλυσιδωτής

αντίστροφης μεταγραφής (Reverse Transcription–Polymerase Chain Reaction, RT-PCR) [16]. To CDC (Centers for Disease Control and Prevention) εφιστά την προσοχή

065 Οξεία εγκεφαλοπάθεια, ηπατική και νεφρική ανεπάρκεια από ιο γρίπης Α σε ανοσοεπαρκές νήπιο
αντίδρασης
τον ιό της γρίπης και συνιστά στους
πολυμεράσης
για τη σωστή ερμηνεία των διαγνωστικών εργαστηριακών δοκιμασιών για

κλινικούς ιατρούς, όταν υπάρχει υψηλός δείκτης κλινικής υποψίας και αρνητικό Rapid test να προβαίνουν σε έλεγχο με RT-PCR [16].

Β) Η κύρια κλινική προβολή της νόσου δεν περιελάμβανε σοβαρή συμμετοχή από το αναπνευστικό (ο ασθενής μας δεν είχε καθόλου βήχα). Το γεγονός αυτό δεν πρέπει να αποτρέψει τον θεράποντα ιατρό από το να συμπεριλάβει στη διαφορική διάγνωση την γρίπη. Στην μελέτη του Teutsch και συν., που σχετίζεται με σοβαρή νευρολογική νόσο σε παιδιά με γρίπη και περιλαμβάνει μια μεγάλη σειρά ασθενών κατά τη διάρκεια μιας δεκαετίας, μόνο το 36.1% των παιδιών της μελέτης έλαβαν αντιιικά φάρμακα [18].

Γ) Υπήρξε ταυτόχρονα σοβαρότατη προσβολή του ΚΝΣ, του ήπατος και των νεφρών (οξεία εγκεφαλίτιδα, ηπατική και νεφρική ανεπάρκεια), γεγονός που υποστηρίζεται από τα βιβλιογραφικά δεδομένα για ταυτόχρονη εμφάνιση αυτών των επιπλοκών σε ορισμένους ασθενείς.

Συμπερασματικά, ο παιδίατρος, ιδιαίτερα σε περιόδους επιδημίας, σε σοβαρά περιστατικά πρέπει να συμπεριλαμβάνει στη διαφορική διάγνωση την γρίπη. Ακόμα κι αν τα συμπτώματα από το αναπνευστικό είναι αμβληχρά και οι δοκιμασίες ταχείας ανίχνευσης αρνητικές, οφείλει να προχωρεί σε άμεση έναρξη αγωγής με οσελταμιβίρη, εν αναμονή των αποτελεσμάτων του εργαστηριακού ελέγχου. Επιπλέον, είναι προφανής η επιτακτική ανάγκη για περαιτέρω έρευνα για τη σχέση του ιού της γρίπης με νευρολογική, ηπατική και νεφρική βλάβη.

Βιβλιογραφία

[1]. Keilich SR, Bartley JM, Laura Haynes. Diminished immune responses with aging predispose older adults to common and uncommon influenza complications. Cell Immunol,2019 Nov; 345: 103992. Published online 2019 Oct 10.

doi: 10.1016/j.cellimm.2019.103992

[2]. Newland JG, Laurich VM, Rosenquist AW, Heydon K, Licht DJ, Keren R, et al. Neurologic complications in children hospitalized with influenza: characteristics, incidence, and risk factors. J Pediatr, 2007 Mar;150(3):306-10.

doi: 10.1016/j.jpeds.2006.11.054.

[3]. Studahl M. Influenza virus and CNS manifestations. Journal of Clinical Virology, 28 (2003) 225–232.

doi: 10.1016/S1386-6532(03)00119-7.

[4]. Glaser CA, Winter K, DuBray K, Harriman K, Uyeki TM, Sejvar J, et al. A populationbased study of neurologic manifestations of severe influenza A (H1N1) pdm09 in California. Clinical Infectious Diseases, 55 (2012) 514–520. doi: 10.1093/cid/cis454.

[5].Donnelley E, Teutsch S, Zurynski Y, Nunez C, Khandaker G, Lester-Smith D, et al. Severe Influenza-Associated Neurological Disease in Australian Children: Seasonal Population-Based Surveillance 2008–2018. Journal of the Pediatric Infectious Diseases Society, Volume 11, Issue 12, December 2022, Pages 533–540.https://doi.org/10.1093/jpids/ piac069.

[6]. Mizuguchi M. Influenza encephalopathy and related neuropsychiatric syndromes. Influenza and other respiratory viruses, 7 (2013) 67–71. doi: 10.1111/irv.12177.

[7]. Gonzalez B, Brust D. Novel influenza A (H1N1) presenting as an acute febrile encephalopathy in a mother and daughter. Clinical infectious diseases, 49 (2009) 1966–1967. doi: 10.1086/649014.

[8]. Carrillo-Esper R, Pérez-Bustos E, Ornelas-Arroyo S, Albores-Saavedra J, Misael Uribe. Liver involvement in severe human influenza A H1N1. Ann Hepatol, 2010;9:107–11.

[9]. Duchini A, Viernes ME, Nyberg LM, Hendry RM, Pockros PJ. Hepatic decompensation in patients with cirrhosis during infection with influenza A. Arch Intern Med, 2000 Jan 10;160(1):113-5. doi: 10.1001/archinte.160.1.113.

[10]. Bagshaw SM, Sood MM, Long J, Fowler RA, Adhikari NK, Acute kidney injury among critically ill patients with pandemic H1N1 Influenza A in Canada: cohort study. BMC Nephrology, 14 (2013) 123. doi: 10.1186/1471-2369-14-123.

[11]. Jung JY, Park BH, Hong SB, Koh Y, Suh GY, Jeon K, Koh SO, Kim JY, Cho JH, Choi HS,

066 Οξεία εγκεφαλοπάθεια, ηπατική και νεφρική ανεπάρκεια από ιο γρίπης Α σε ανοσοεπαρκές νήπιο

Acute kidney injury in critically ill patients with pandemic influenza A pneumonia 2009 in Korea: a multicenter study. J Crit Care, 26 (2011) 577–585. doi: 10.1016/j.jcrc.2011.02.012.

[12]. Steininger C, Popow-Kraupp T, Laferl H, Seiser A, Gödl I, Djamshidian S, Stöckl EP. Acute encephalopathy associated with influenza A virus infection. Clinical infectious diseases, 36 (2003) 567–574. doi: 10.1086/367623.

[13]. Papic N, Pangercic A, Vargovic M, Barsic B, Vince A, Kuzman I. Liver involvement during influenza infection: perspective on the 2009 influenza pandemic. Influenza Other Respir Viruses, 2012;6: e2–e5. doi: 10.1111/j.1750-2659.2011.00287.x.

[14]. Kawada JI., Kimura H, Ito Y, Hara S, Iriyama M, Yoshikawa T, Morishima T. Systemic cytokine responses in patients with influenza-associated encephalopathy. J Infect Dis, 188 (2003) 690–698. doi: 10.1086/377101.

[15]. Ichiyama T, Morishima T, Isumi H, Matsufuji H, Matsubara T, Furukawa S, Analysis of cytokine levels and NF-κB activation in peripheral blood mononuclear cells in influenza virus-associated encephalopathy. Cytokine, 27 (2004) 31–37.

doi: 10.1016/j.cyto.2004.03.012.

[16]. Overview of Influenza Testing Methods/CDC www.cdc.gov>flu>professionals.

[17]. Takahashi H, Otsuka Y, Patterson BK. Diagnostic tests for influenza and other respiratory viruses: determining performance specifications based on clinical setting. J Infect Chemother. 2010 Jun;16(3):155-61. doi: 10.1007/s10156-010-0035-y. Epub 2010 Feb 27.

[18]. Teutsch SM, Zurynski YA, Nunez C, Lester-Smith D, Festa M, et al. Ten Years of National Seasonal Surveillance for Severe Complications of Influenza in Australian Children. Pediatr Infect Dis J. 2021 Mar 1;40 (3):191-198.

doi: 10.1097/INF.0000000000002961.

067 Οξεία εγκεφαλοπάθεια, ηπατική και νεφρική ανεπάρκεια από ιο γρίπης Α σε ανοσοεπαρκές νήπιο

Επιπλεγμένη πνευμονιοκοκκική πνευμονία από ορότυπο 3 σε εμβολιασμένο ανοσοεπαρκή παιδιατρικό ασθενή

Μαργαρίτα-Ευθαλία Παπασάββα, Δήμητρα Σαββίδου, Τζωρτζίνα Τζανακάκη, Ανδρέας Ηλιάδης, Βασιλική Γκέτση

Περίληψη

Μετά από την εισαγωγή του 13-δύναμου συζευγμένου πολυσακχαριδικού πνευμονιοκοκκικού εμβολίου (PCV13) στα προγράμματα παιδιατρικής ανοσοποίησης σε όλο τον κόσμο, η διεισδυτική πνευμονιοκοκκική νόσος και η επιπλεγμένη πνευμονιοκοκκική πνευμονία από ορότυπο 3 δεν έχουν μειωθεί σημαντικά στον παιδιατρικό πληθυσμό. Αυτό το επιδημιολογικό εύρημα έχει προκαλέσει συζήτηση σχετικά με την αποτελεσματικότητα του PCV13 έναντι της πνευμονιοκοκκικής νόσου από ορότυπο 3 στα παιδιά. Περιγράφεται η περίπτωση ανοσοεπαρκούς αγοριού, ηλικίας 5.5 ετών με επιπλεγμένη πνευμονιοκοκκική πνευμονία από ορότυπο 3. Το παιδί ήταν πλήρως εμβολιασμένο με 4 δόσεις του PCV13.

Λέξεις-κλειδιά: 13-δύναμο συζευγμένο πνευμονιοκοκκικό εμβόλιο (PCV13), επιπλεγμένη πνευμονία, ορότυπος 3 πνευμονιοκόκκου, παιδιά

Αλληλογραφία Βασιλική Γκέτση Λ. Μακρυγιάννη 60, ΤΚ 454 45, Ιωάννινα, Ελλάδα Τ. 2651080785

K. 6945398479

e-mail: vikigetsi@gmail.com

Μαργαρίτα-Ευθαλία Παπασάββα Δήμητρα Σαββίδου Βασιλική Γκέτση Παιδιατρικό Τμήμα, Γενικό Νοσοκομείο Ιωαννίνων "Γ. Χατζηκώστα"

Τζωρτζίνα Τζανακάκη Εργαστήριο Επιτήρησης Λοιμωδών Νοσημάτων (ΕΕΛΝΟ), Εθνικό Κέντρο Αναφοράς Μηνιγγίτιδας, Τμήμα Πολιτικών Δημόσιας Υγείας, Σχολή Δημόσιας Υγείας, Πανεπιστήμιο Δυτικής Αττικής

Ανδρέας Ηλιάδης Μονάδα Εντατικής Θεραπείας Παίδων, Πανεπιστημιακό Γενικό

068
Νοσοκομείο Πατρών
ΠΕΡΙΓΡΑΦΗ ΕΝΔΙΑΦΕΡΟΥΣΩΝ ΠΕΡΙΠΤΩΣΕΩΝ

Correspondence

Vasiliki Gketsi

60, Makrigianni Av., PC 454 45, Ioannina, Greece

Τ. +30 2651080785

M. +30 6945398479

e-mail: vikigetsi@gmail.com

Serotype 3 complicated pneumococcal pneumonia in a vaccinated immunocompetent paediatric patient

Margarita-Efthalia Papasavva, Dimitra Savvidou, Georgina Tzanakaki, Andreas Iliadis, Vasiliki Gketsi

Abstract

After the introduction of the 13-valent pneumococcal conjugate vaccine (PCV13) in the Paediatric National Immunization Programs, both invasive pneumococcal disease and complicated pneumonia due to serotype 3 have not been significantly decreased in the paediatric population. This epidemiological data have raised a great concern about the efficacy of PCV13 against serotype 3 pneumococcal disease in children. We report the case of a 5.5-year-old boy with community acquired complicated pneumococcal pneumonia due to pneumococcus serotype 3. The patient was fully vaccinated with 4 doses of PCV13.

Keywords: 13-valent pneumococcal conjugate vaccine (PCV13), complicated pneumonia, S. pneumoniae serotype 3, children

Margarita-Efthalia Papasavva

Dimitra Savvidou

Vasiliki Gketsi

Paediatric Department, General Hospital of Ioannina "G. Hatzikosta"

Georgina Tzanakaki Laboratory Surveillance of Infectious Diseases (LSID), National Meningitis Reference Laboratory, Dept. of Public Health Policy, School of Public Health, University of West Attica

Andreas Iliadis

Pediatric Intensive Care Unit, University General Hospital of Patras

Εισαγωγή Η λοίμωξη από πνευμονιόκοκκο (Streptococcus pneumoniae) έχει αρκετές κλινικές εκδηλώσεις, συμπεριλαμβανομένης της διεισδυτικής πνευμονιοκοκκικής νόσου (που περιλαμβάνει τη μηνιγγίτιδα, τη βακτηριαιμία και τη βακτηριακή πνευμονία), με τον S. pneumoniae να παραμένει το συχνότερο αίτιο βακτηριακής πνευμονίας στα παιδιά. Έχουν εντοπιστεί 101 ορότυποι πνευμονιοκόκκου, οι περισσότεροι από τους οποίους είναι ικανοί να προκαλέσουν σοβαρές ασθένειες στον άνθρωπο. Η πνευμονιοκοκκική νόσος είναι ενδημική παγκοσμίως, αλλά η κατανομή των ορότυπων του πνευμονιοκόκκου μεταβάλλεται με την πάροδο του χρόνου, την ηλικία, την κλινική εκδήλωση και τη γεωγραφία [1]. Παρά τη χρήση συζευγμένων εμβολίων πνευμονιοκόκκου (PCV) και μάλιστα την σχεδόν καθολική καθιέρωση του 13δύναμου συζευγμένου πολυσακχαριδικού πνευμονιοκοκκικού εμβολίου (PCV13) στις αναπτυγμένες χώρες, ορισμένοι ορότυποι πνευμονιοκόκκου που περιλαμβάνονται στα εμβόλια (με συχνότερο τον ορότυπο 3) παραμένουν σημαντικές αιτίες επιπλεγμένης πνευμονίας και διεισδυτικής πνευμονιοκοκκικής νόσου στα παιδιά. Περιγράφεται η περίπτωση ανοσοεπαρκούς αγοριού, ηλικίας 5.5 ετών, πλήρως εμβολιασμένου με PCV13, που παρουσίασε διεισδυτική πνευμονιοκοκκική νόσο από ορότυπο 3.

Περιγραφή περίπτωσης

Αγόρι, ηλικίας 5.5 ετών, προσκομίστηκε στο Τμήμα Επειγόντων Περιστατικών λόγω πυρετού (έως 38.5°C) από τριημέρου, καθώς και βήχα και θωρακικού άλγους από 24ώρου. Κατά την κλινική εξέταση εισαγωγής o ασθενής είχε όψη πάσχοντος, ωχρότητα προσώπου, κυανωτικά χείλη. Το βάρος του (32 kg) ήταν >97η Ε.Θ. και το ύψος του (124 cm) στην 97η Ε.Θ. Παρουσίαζε ταχύπνοια (αναπνοές: 58/min) και ταχυσφυγμία (σφύξεις: 160/min). Τα υπόλοιπα ζωτικά σημεία του είχαν ως εξής: CRT 3sec, Θ: 36.2οC, Α.Π.: 112/61mmHg, SpO2: 93% (στον ατμοσφαιρικό αέρα). Είχε επίχριστη γλώσσα, εξέρυθρα παρίσθμια, εισολκές σφαγής

069
και μεσοπλευρίων διαστημάτων. Στην ακρόαση του αναπνευστικού αναδείχθηκε σωληνώδες φύσημα και μεγάλη μείωση του αναπνευστικού ψιθυρίσματος δεξιά, έως και
CASE REPORTS

κατάργηση αυτού στη δεξιά βάση. Κατά την εξέταση του πεπτικού διαπιστώθηκε ευαισθησία στην ψηλάφηση της δεξιάς πλάγιας κοιλιακής χώρας, χωρίς σύσπαση και χωρίς σημεία περιτοναϊσμού. Δε διαπιστώθηκε ηπατοσπληνομεγαλία. Από την εξέταση των υπολοίπων επιμέρους συστημάτων δεν προέκυψε κάτι το παθολογικό. Το ατομικό αναμνηστικό ιστορικό ήταν ελεύθερο. Ο ασθενής ήταν πλήρως εμβολιασμένος για την ηλικία του. Όσον αφορά τον εμβολιασμό έναντι του πνευμονιοκόκκου, είχαν γίνει τέσσερις δόσεις με το 13δύναμο συζευγμένο πολυσακχαριδικό πνευμονιοκοκκικό εμβόλιο (PCV13) σε ηλικίες 3, 5, 7 και 14 μηνών αντίστοιχα. Από τα εργαστηριακά ευρήματα κατά την εισαγωγή σημειώνεται η υποξυγοναιμία (Πίνακας 1), η αύξηση της τιμής της ΤΚΕ, της CRP, της προκαλσιτονίνης, του ινωδογόνου, της ουρίας και της κρεατινίνης, καθώς και ο σχετικά χαμηλός αριθμός των αιμοπεταλίων (Πίνακας 2). Στην Α/α θώρακα εισαγωγής (Εικόνα 1) διαπιστώθηκε εκτεταμένη σκίαση που κατελάμβανε τον δεξιό πνεύμονα, με εικόνα υγρικής συλλογής σύστοιχα. Στην CT θώρακα (Εικόνα 2 α,β,γ) αναδείχθηκε εικόνα πύκνωσης με αεροβρογχόγραμμα, που καταλάμβανε τον δεξιό άνω και κάτω λοβό και σε μικρότερη έκταση τον μέσο λοβό, καθώς και εικόνα υπεζωκοτικής συλλογής σύστοιχα, μεγίστου πάχους 3 cm. Μετά την εισαγωγή το παιδί τέθηκε σε οξυγόνο, έγινε ενδοφλέβια χορήγηση υγρών και διόρθωση ηλεκτρολυτικών διαταραχών, και χορηγήθηκαν ενδοφλέβια κεφοταξίμη (200mg/kg ΒΣ/24ωρο), κλινδαμυκίνη (40mg/kg ΒΣ/24ωρο) και βανκομυκίνη (60mg/kg ΒΣ/24ωρο). Δώδεκα ώρες μετά την εισαγωγή οι τιμές των δεικτών νεφρικής λειτουργίας σχεδόν είχαν αποκατασταθεί, όμως ο ασθενής παρέμενε ταχυσφυγμικός και ταχυπνοϊκός, με ανάγκες σε οξυγόνο, υψηλό πυρετό (έως 39.3°C), κατάργηση του αναπνευστικού ψιθυρίσματος στον δεξιό πνεύμονα, ενώ ο απεικονιστικός επανέλεγχος με US ημιθωρακίων (Εικόνα 3) ανέδειξε αύξηση του πλευριτικού υγρού (μέγιστο πάχος 3.4cm) και διαφραγμάτια εντός αυτού. Τοποθετήθηκε σωλήνας θωρακικής παροχέτευσης, αφαιρέθηκαν άμεσα περίπου 400ml παχύρρευστου σκωριόχροου πυοαιματηρού υγρού (Εικόνα 4) και ο ασθενής τέθηκε σε πρωτόκολλο ινωδόλυσης με αλτεπλάση (alteplase) για τρία 24ωρα. Η εξέταση του πλευριτικού υγρού (Πίνακας 3) έδειξε ότι επρόκειτο για πυοθώρακα από πνευμονιόκοκκο ορότυπου 3. Η ταυτοποίηση και η τυποποίηση του υπεύθυνου μικροοργανισμού (πνευμονιοκόκκου) έγινε με μοριακές τεχνικές απ’ ευθείας στο πλευριτικό υγρό καθώς η καλλιέργεια ήταν αρνητική. Συγκεκριμένα, η ταυτοποίηση έγινε με την μέθοδο της πολυπλεκτικής αντίδρασης της πολυμεράσης (mPCR) (Tzanakaki et al 2005) [1], ενώ για την τυποποίηση εφαρμόσθηκε η μέθοδος Capsular Sequence Typing (CST) (Marmaras et al 2021) [2]. Η θωρακική παροχέτευση αφαιρέθηκε μετά από τρία 24ωρα. Συνολικά παροχετεύτηκαν μέσω αυτής 1500ml πλευριτικού υγρού. Το 3ο 24ωρο νοσηλείας ο ασθενής παρουσίασε γενικευμένο κηλιδοβλατιδώδες εξάνθημα προσώπου, κορμού και άκρων με συνοδά διάσπαρτα αιμορραγικά στοιχεία. Η χορηγούμενη αντιβιοτική αγωγή διακόπηκε και αντικαταστάθηκε με ενδοφλέβια λινεζολίδη. Η κλινική και εργαστηριακή εικόνα προοδευτικά βελτιώθηκαν: Η ταχύπνοια και οι ανάγκες σε οξυγόνο υποχώρησαν το 4ο 24ωρο νοσηλείας, η ταχυσφυγμία το 7ο 24ωρο και ο πυρετός το 8ο 24ωρο νοσηλείας. Οι δείκτες φλεγμονής αρνητικοποιήθηκαν και η ακτινολογική εικόνα βελτιώθηκε σημαντικά (Εικόνα 5 α,β,γ). Ένα μήνα μετά την εισαγωγή, στην Α/α θώρακα υπήρχε σαφής μείωση της έκτασης της σκίασης στη μεσότητα του ΔΕ πνεύμονα, όμως, εντός αυτής αναδείχτηκε διαυγαστική περιοχή με πιθανή ύπαρξη επιπέδου (κοιλότητα), εύρημα που συνάδει υπέρ προηγηθείσας νεκρωτικής πνευμονίας (Εικόνα 5γ). Συνολικά χορηγήθηκε αντιβιοτική αγωγή για 30 ημέρες (κεφοταξίμη, βανκομυκίνη και κλινδαμυκίνη για 2 ημέρες και στη συνέχεια λινεζολίδη για 28 ημέρες, αρχικά ενδοφλέβια για 2 εβδομάδες και στη συνέχεια από του στόματος για άλλες 2 εβδομάδες).

070 Επιπλεγμένη πνευμονιοκοκκική πνευμονία από ορότυπο 3 σε εμβολιασμένο ανοσοεπαρκή παιδιατρικό ασθενή

Πίνακας 1. Αέρια αρτηριακού αίματος την 1η ημέρα νοσηλείας

Πίνακας 2. Eργαστηριακός έλεγχος εισαγωγής Στον ατμοσφαιρικό αέρα, κατά την εισαγωγή

071 Επιπλεγμένη πνευμονιοκοκκική πνευμονία από ορότυπο 3 σε εμβολιασμένο ανοσοεπαρκή παιδιατρικό ασθενή
Υπό οξυγόνο με ροή 3 L/min, 30 min μετά την εισαγωγή pH 7.41 pH 7.33 pCO2 (mmHg) 36 pCO2 (mmHg) 40.4 pO2 (mmHg) 53.9 pO2 (mmHg) 74 HCO3- (mmol/L) 22.8 HCO3- (mmol/L) 20.8 BE (mmol/L) -1.2 BE (mmol/L) -4.8 Lac (mmol/L) 2.13 Lac (mmol/L) 1.7 SpO2 (%) 88.3 SpO2 (%) 93.6 WBC (/μL) 9320 SGOT/ SGPT (U/L) 30/41 N/L/M (%) 79/16/5 TPR/ ALB (g/dl) 6.2/3.6 Hb (g/dl) 12.1 K (mmol/L) 4.6 Ht (%) 35.7 Na (mmol/L) 137 PLT(/μL) 257000 Glc (mg/dL) 153 ΤΚΕ (mm/1η ώρα) 99 Urea (mg/dL) 112 CRP (mg/L) 439 Cre (mg/dL) 1.11 PT/aPTT (sec) 13.05/40.28 Ca (mg/dL) 9.1 INR 1.19 P (mg/dL) 4.4 D-dimers (mg/L) 1.76 ALP (U/L) 180 Ινωδογόνο (mg/dL) 1235 γGT (U/L) 14 Εικόνα 1. Ακτινογραφία θώρακα εισαγωγής: εκτεταμένη σκίαση που καταλαμβάνει τον δεξιό πνεύμονα, με εικόνα υγρικής συλλογής σύστοιχα.
Εικόνα 3. Υπεζωκοτική συλλογή σε υπερηχογραφικό έλεγχο Εικόνα 4. Παροχέτευση υπεζωκοτικής συλλογής (πυοθώρακα)

Πίνακας 3. Εξέταση πλευριτικού υγρού

Κύτταρα

216000 (Ν:70%, L: 25%)

Glc 36

LDH

14120 U/L

Gram χρώση

2 mg/dl

22.8

Gram θετικός κόκκος Καλλιέργεια στείρα

PCR

α

Streptococcus pneumoniae, ορότυπος 3

Εικόνα 5 (α,β,γ). Προοδευτική βελτίωση των ακτινολογικών ευρημάτων σε α/ες θώρακα την 4η ημέρα νοσηλείας (α), τη 13η ημέρα νοσηλείας (β) και ένα μήνα μετά (γ)

Συζήτηση

Το PCV13 περιλαμβάνει τους 7 ορότυπους που περιέχονταν στο προγενέστερο 7δύναμο εμβόλιο (ορότυποι 4, 6B, 9V, 14, 18C, 19F, 23F) και επιπρόσθετα άλλους 6 ορότυπους (1, 3, 5, 6A, 7F, 19A). Τα στοιχεία ανοσογονικότητας του PCV13 που ελήφθησαν πριν την αδειοδότηση του σκευάσματος, υποδεικνύουν μια ισχυρή ανοσολογική απάντηση και αντισωματική λειτουργικότητα για όλους τους ορότυπους (συμπεριλαμβανομένου και του ορότυπου 3), ιδίως μετά την αναμνηστική δόση [3]. Μετά την ένταξη του συγκεκριμένου εμβολίου στο παιδιατρικό Εθνικό Πρόγραμμα Εμβολιασμών, έχουν δημοσιευτεί και δημοσιεύονται συνεχώς μελέτες που αποσκοπούν στην εκτίμηση της αποτελεσματικότητάς του. Τα αποτελέσματα αυτών των μελετών παρουσιάζουν ιδιαίτερο ενδιαφέρον: ενώ ο σχετικός κίνδυνος για επιπλεγμένη πνευμονιοκοκκική πνευμονία από ορότυπο 1 στα παιδιά μειώθηκε σχεδόν 10 φορές την περίοδο κυκλοφορίας του εμβολίου (2016-2019) σε σχέση με την προηγούμενη περίοδο (2010-2015), ο αντίστοιχος κίνδυνος επιπλεγμένης πνευμονιοκοκκικής πνευμονίας στα παιδιά από ορότυπο 3 σχεδόν διπλασιάστηκε [4]. Οι πνευμονιόκοκκοι και ο ορότυπος 3 παραμένουν οι κύριες αιτίες παιδικής επιπλεγμένης πνευμονίας. Η εμφάνιση περιπτώσεων διεισδυτικής πνευμονιοκοκκικής νόσου στον παιδιατρικό πληθυσμό από άλλους ορότυπους

073 Επιπλεγμένη πνευμονιοκοκκική πνευμονία από ορότυπο 3 σε εμβολιασμένο ανοσοεπαρκή παιδιατρικό ασθενή
του
από
και
είναι πολύ πιο
αν και περιορίζονται σε τρεις μόνο μελέτες, υποδηλώνουν ότι το PCV13 παρέχει άμεση προστασία έναντι του ορότυπου 3 σε ενήλικες ηλικίας ≥65 ετών [6], μελέτες που μιλούν για αποτυχία του εμβολίου έναντι του ορότυπου 3 στον παιδιατρικό πληθυσμό έρχονται από πολλές χώρες υψηλού εισοδήματος της Αμερικής, του Δυτικού
της Ανατολικής Μεσογείου και της Ευρώπης [3], μεταξύ των οποίων βρίσκονται η
του εμβολίου πλην
3, όπως
19Α
1
σπάνιες [5]. Παρότι τα επί του παρόντος διαθέσιμα στοιχεία,
Ειρηνικού,

Πορτογαλία [4,7], η Γερμανία [5], η Αυστραλία [8], αλλά και η Ελλάδα [9]. Το περιστατικό μας έρχεται να προστεθεί σε αυτές τις περιπτώσεις.

Έχουν προταθεί διάφορες θεωρίες που θα μπορούσαν να εξηγήσουν τη σοβαρή νόσηση από ορότυπο 3 σε εμβολιασμένα ανοσοεπαρκή παιδιά. Η προστασία από την φορεία και η μοναδική καψιδική δομή του ορότυπου 3 μπορεί να χρειάζονται ενεργοποίηση διαφορετικών ανοσολογικών μονοπατιών. Συγκεκριμένα, σε κάποιες περιοχές, ειδικά στο Ηνωμένο Βασίλειο, η νόσηση από τον ορότυπο 3 οφείλεται κυρίως σε έναν νέο κλώνο (Clade 2), που έχει υψηλότερα επίπεδα αντίστασης στα αντιβιοτικά και μεταλλάξεις στα υποκάψια γονίδιά του. Αν σε αυτά τα χαρακτηριστικά αυτού του νέου κλώνου μπορεί να αποδοθεί η μειωμένη αποτελεσματικότητα του PCV13 να προστατεύσει από την φορεία, τότε είναι πιθανό ένα παρόμοιο φαινόμενο να παρουσιάζεται και με οποιοδήποτε εμβόλιο που στοχεύει στο καψιδικό αντιγόνο του ορότυπου 3 [3].

Η ανεύρεση του πνευμονιοκόκκου με μοριακές τεχνικές με αρνητική καλλιέργεια, συνάδει με την βιβλιογραφία. Σχετικές μελέτες, με επαρκείς σειρές ασθενών, αναφέρουν ότι η ανεύρεση του υπεύθυνου παθογόνου σε επιπλεγμένη με υπεζωκοτική συλλογή πνευμονία στα παιδιά επιτυγχάνεται κυρίως με PCR πλευριτικού υγρού (σε ποσοστό 69%-89%) [4,5,7,10], παρά με καλλιέργεια αυτού (ποσοστό 11-12%) [4,7] ή καλλιέργεια αίματος. Κατά συνέπεια, επισημαίνουν ότι οι μοριακές μέθοδοι (PCR) είναι απαραίτητες για την ανίχνευση της διεισδυτικής πνευμονιοκοκκικής νόσου, καθώς και για την ταυτοποίηση του υπεύθυνου ορότυπου του πνευμονιοκόκκου. Επιπλέον, η ευρύτερη χρήση τους είναι απαραίτητη για τον προσδιορισμό του πλαισίου προστασίας που προσφέρει το PCV13 σε διαφορετικές γεωγραφικές περιοχές μετά την σχεδόν καθολική εφαρμογή του.

Συμπερασματικά, τα μελλοντικά PCV δεν θα πρέπει να καλύπτουν μόνο νεοεμφανιζόμενους ορότυπους, αλλά και να περιλαμβάνουν ένα πιο αποτελεσματικό συστατικό έναντι του ορότυπου 3.

Βιβλιογραφία

1. Tzanakaki G, Tsopanomichalou M, Kesanopoulos K , Matzourani R, Sioumala M, A Tabaki, et al. Simultaneous single-tube PCR assay for the detection of Neisseria meningitidis, Haemophilus influenzae type b and Streptococcus pneumoniae 2005. Clinical Microbiology and Infection. Volume 11 (5), pp 386-390. https://doi.org/10.1111/j.1469-0691.2005.01109.x

2. Marmaras N, Xirogianni A, Papandreou A, Petinaki E, Papaevangelou V, Tsolia M, et al. Pneumococcal Serotype Identification by Capsular Sequence Typing (CST): A Modified Novel Approach for Serotyping Directly in Clinical Samples. Diagnostics (Basel). 2021 Dec 14;11(12):2353. doi: 10.3390/diagnostics11122353.

3. Grant L R, Slack M P E, Theilacker C, Vojicic J, Dion S, Reinert R-R, et al. Distribution of Serotypes Causing Invasive Pneumococcal Disease in Children From High-Income Countries and the Impact of Pediatric Pneumococcal Vaccination. Clin Infect Dis. 2023 Feb 1; 76(3): e1062–e1070. doi: 10.1093/cid/ciac475. PMCID: PMC9907512. PMID: 35789262.

4. Silva-Costa C, Gomes-Silva J, Pinho M D, Friães A, Ramirez M, Melo-Cristino J. Continued Vaccine Breakthrough Cases of Serotype 3 Complicated Pneumonia in Vaccinated Children, Portugal (2016-2019). Microbiol Spectr. 2022 Aug 31;10(4):e0107722. doi: 10.1128/ spectrum.01077-22.

5. Goettler D, Streng A, Kemmling D, Schoen C, Kries R, Rose M A, et al. Increase in Streptococcus pneumoniae serotype 3 associated parapneumonic pleural effusion/ empyema after the introduction of PCV13 in Germany. Vaccine. 2020 Jan 16;38(3):570-577. doi: 10.1016/j.vaccine.2019.10.056. PMID: 31735502.

6. McLaughlin J M, Jiang Q, Gessner B D, Swerdlow D L, Sings H L, Isturiz R E, et al. Pneumococcal conjugate vaccine against serotype 3 pneumococcal pneumonia in adults: A systematic review and pooled analysis. Vaccine. 2019 Oct 8;37(43):6310-6316. doi: 10.1016/j. vaccine.2019.08.059. PMID: 31522807.

7. Silva-Costa C, Brito M J, Pinho M D, Friães A, Aguiar S I, Ramirez M, et al. Pediatric Complicated Pneumonia Caused by Streptococcus pneumoniae Serotype 3 in 13-Valent

074 Επιπλεγμένη πνευμονιοκοκκική πνευμονία από ορότυπο 3 σε εμβολιασμένο ανοσοεπαρκή παιδιατρικό ασθενή

Pneumococcal Conjugate Vaccinees, Portugal, 2010-2015. Emerg Infect Dis. 2018 Jul;24(7):1307-1314. doi: 10.3201/eid2407.180029. PMID: 29912700 PMCID: PMC6038763.

8. Haggie S, Fitzgerald D A, Pandit C, Selvadurai H, Robinson P, H Gunasekera H, et al. Increasing Rates of Pediatric Empyema and Disease Severity With Predominance of Serotype 3 S. pneumonia: An Australian Single-center, Retrospective Cohort 2011 to 2018. Pediatr Infect Dis J. 2019 Dec;38(12):e320-e325. doi: 10.1097/INF.0000000000002474. PMID: 31634299.

9. Syrogiannopoulos G A, Michoula A N, Tsimitselis G, Vassiou K, Chryssanthopoulou D C, Grivea I N. Pneumonia with empyema among children in the first five years of high coverage with 13-valent pneumococcal conjugate vaccine. Infect Dis (Lond). 2016 Oct;48(10):749-53.

doi: 10.1080/23744235.2016.1192720. PMID: 27320108.

10. Azzari C, Serranti D, Nieddu F, Moriondo M, Casini A, Lodi L, et al. Significant impact of pneumococcal conjugate vaccination on pediatric parapneumonic effusion: Italy 2006-2018. Vaccine. 2019 May 6;37(20):2704-2711. doi: 10.1016/j.vaccine.2019.04.012. PMID: 30981627.

075 Επιπλεγμένη πνευμονιοκοκκική πνευμονία από ορότυπο 3 σε εμβολιασμένο ανοσοεπαρκή παιδιατρικό ασθενή

ΣΥΝΑΔΕΛΦΙΚΑ

Eδώ και πολλά χρόνια οι περισσότερες συγγενείς καρδιοπάθειες διαγιγνώσκονται και αντιμετωπίζονται με πολύ ικανοποιητικά αποτελέσματα στην Ελλάδα. Υπήρχαν όμως εποχές που τα πράγματα δεν ήταν τόσο καλά με αποτέλεσμα να αισθάνομαι ότι πρέπει να στείλω κάποια παιδιά, με πολύ δύσκολες καρδιοπάθειες, στο εξωτερικό. Φυσικά αυτό δεν ήταν πάντα κάτι εύκολο μια και έπρεπε να δοθούν τα απαραίτητα πιστοποιητικά διάγνωσης και αδυναμίας αντιμετώπισης της περίπτωσης στην Ελλάδα, πάντα μετά τη διάγνωση από τον καθετηριασμό καρδιάς και την αγγειοκαρδιογραφία που είχα κάνει εγώ. Πολλές φορές το Υπουργείο έφερνε αντιρρήσεις γι’ αυτό και νομίζω ότι αξίζει τον κόπο να αναφέρω ένα παράδειγμα που λέει πολλά.

Για κάποιο περιστατικό, που είχε κάθε δικαίωμα να πάει στο εξωτερικό, μια και στην Ελλάδα

δεν υπήρχε εμπειρία σε τέτοιου είδους εγχειρήσεις (πάντα έστελνα μόνο τα περιστατικά που

δεν μπορούσαν να χειρουργηθούν στην Ελλάδα με αποδεκτά ποσοστά επιτυχίας) ζήτησα ακρόαση από τον Υπουργό Υγείας που ήταν γιατρός και είχε ακούσει το όνομά μου. Όταν συναντηθήκαμε μου εξέφρασε τον δισταγμό του λέγοντας ότι έχει ακούσει πως τέτοια περιστατικά μπορούν να αντιμετωπιστούν και στη χώρα μας. Του απάντησα λέγοντας κάτι που μου έμεινε, χωρίς να ξέρω πως μου είχε έρθει. Του είπα: «αξιότιμε κύριε Υπουργέ εάν σκιστεί το παντελόνι μου, εργένης είμαι, ξέρω να το ράψω, αλλά σίγουρα θα τραβάει από εδώ, θα σουρώνει από εκεί. Εάν το ράψει η μητέρα μου θα είναι σαφώς καλύτερο το αποτέλεσμα, Στην περίπτωση όμως που θα το ράψει ο Versace (τότε ζούσε) ούτε που θα φαίνεται, εσείς που θα στέλνατε το παιδί σας». Συνέχισα δε λέγοντας ότι αυτά είναι παιδιά και έχουν πολλά χρόνια ζωής μπροστά τους, οπότε το παραμικρό που δεν είναι τέλειο σίγουρα θα δημιουργήσει αργότερα προβλήματα. Ο εξαιρετικός κύριος Υπουργός χαμογέλασε, μου έδωσε το χέρι του, αλλά και την έγκριση για τη μετάβαση του παιδιού. Το παιδί δεν ήταν συγγενής μου, ούτε είχα πάρει δεκάρα για να υπάρχουν οικονομικοί λόγοι (ποτέ δεν πήρα τίποτα για αυτές μου τις υπηρεσίες), ούτε και είχα κανέναν άλλο λόγο να φτάσω σε αυτό το σημείο εκτός από την προσπάθειά μου να κάνω ό,τι καλύτερο μπορούσα για τα παιδιά με ιδιαίτερα σύμπλοκες

συγγενείς καρδιοπάθειες. Ήμουν πεπεισμένος και μάλιστα ακράδαντα για το ότι στην Ελλάδα δεν υπήρχε η αντίστοιχη εμπειρία με κέντρα όπως αυτό του Great Ormond Street το οποίο γνώριζα πολύ καλά μια και εκεί είχα κάνει το μεγαλύτερο μέρος της εξειδίκευσής μου.

Μεγάλο μου καμάρι αποτελεί να βλέπω ότι στη συντριπτική τους πλειονότητα τα παιδιά αυτά σήμερα ζουν, βρίσκονται στην ηλικία των 40 περίπου χρόνων και ζουν με μια εξαιρετική ποιότητα ζωής. Τα περισσότερα, όπως φαίνεται από τις ερευνητικές εργασίες που έχω κάνει για

076
ΣΥΝΑΔΕΛΦΙΚΑ

πρώτη φορά στην Ελλάδα, δεν έχουν διαφορές από τη συγκριτική ομάδα ως προς τις σχέσεις τους με το άλλο φύλο και τη σεξουαλική τους ζωή. Φλερτάρουν και παντρεύονται, όπως όλα τα άλλα συνομήλικά τους. Από μια άλλη εργασία μου, την οποία παρουσίασα και πάλι για

πρώτη φορά στην Ελλάδα, φαίνεται η εγκυμοσύνη και ο τοκετός των κοριτσιών με συγγενείς καρδιοπάθειες που, με τη σωστή παρακολούθηση, δεν διαφέρουν από την εγκυμοσύνη και τον τοκετό των κοριτσιών τα οποία δεν έχουν κανένα πρόβλημα. Στα αποτελέσματα της δημοσιευμένης εργασίας παρουσιάζονται οι εγκυμοσύνες-τοκετοί των πρώτων 15 γυναικών με συγγενή καρδιοπάθεια, οι οποίες γέννησαν χωρίς κανένα πρόβλημα υγιή νεογνά. Σε τρίτη ερευνητική εργασία μου μελέτησα για πρώτη φορά στην Ελλάδα τις σπουδές, καθώς και την επαγγελματική αποκατάσταση των παιδιών με συγγενείς καρδιοπάθειες. Τα αποτελέσματά μας έδειξαν πως δεν υπήρχε καμία διαφορά από την ομάδα των υγειών παιδιών-εφήβωννεαρών ενηλίκων η οποία αποτελούσε την ομάδα σύγκρισης. Για όλα τα παραπάνω τα οποία μερικώς επαναλαμβάνω αισθάνομαι μεγάλη χαρά και υπερηφάνεια παρόλο που καμιά φορά με πικραίνουν τα παιδιά εκείνα, σήμερα νεαροί ενήλικες, για τα οποία έκανα ό,τι καλύτερο μπορούσε να γίνει και αυτά με ξέχασαν. Ευτυχώς που υπάρχουν και αυτά, που είμαστε φιλικά ακόμα μαζί για να απαλύνουν τη λύπη και την απογοήτευσή μου.

ΣΤΕΛΙΟΣ ΑΝΤΩΝΙΑΔΗΣ

077
BETWEEN COLLEAGUES

Είδα τόσο φως μέσα σε λίγα λόγια σου.

Τα πρόσωπα που επηρέασαν τον Γεώργιο

Παπανικολάου (Dr Pap)

Της Γιούλης Κόκκορη

γράφει ο Δρ Αριστείδης Γ. Διαμαντής

Ιατρός-Κυτταρολόγος, Διδάκτωρ Ιατρικής Σχολής ΕΚΠΑ Επίτιμο Μέλος Ελληνικής Εταιρείας Κλινικής Κυτταρολογίας

Τον Απρίλιο, που μας πέρασε, εξεδόθη από τις εκδόσεις Εύμαρος το πολύ ενδιαφέρον βιβλίο της κυρίας Γιούλης Κόκκορη για τον ερευνητή γιατρό από την Κύμη Γεώργιο Παπανικολάου (1883-1962) με τον τόσο τρυφερό, θα έλεγα, τίτλο «Είδα τόσο φως μέσα σε λίγα λόγια σου» και υπότιτλο «Τα πρόσωπα που επηρέασαν τον Γεώργιο Παπανικολάου».

Θεωρώ ότι από τις πρώτες πωλήσεις του, το συγκεκριμένο βιβλίο έχει ήδη αποτελέσει

εκδοτική επιτυχία, αφού πρόσφατα προχώρησε και σε δεύτερη έκδοση, μέσα σε λιγότερο από πέντε μήνες από την πρώτη. Είμαι απολύτως πεπεισμένος ότι θεωρείται ήδη μια πνευματική

επιτυχία της κυρίας Κόκκορη, γιατί στον βωμό της σημερινής αμφισβήτησης των αξιών της κοινωνίας μας, η συγγραφέας αντέταξε τη δική της άψογα δουλεμένη εισφορά, βασισμένη σε οικογενειακά αρχεία και πλούσιο, μερικές φορές, ανέκδοτο φωτογραφικό υλικό παλαιότερων εποχών, προκειμένου να σκιαγραφήσει πρόσωπα και γεγονότα, που καθόρισαν την πορεία στη ζωή και την επιστήμη του μεγάλου μας γιατρού. Αναμφίβολα, το πόνημα αυτό αποτελεί τιμή για την ίδια που το έγραψε αλλά και για τον Πέτρο Κακολύρη, «ψυχή» των εκδόσεων Εύμαρος, που αγκάλιασε την προσπάθειά της αυτή, προχωρώντας στην έκδοσή του.

Σήμερα, όσοι ασχολούνται με το γράψιμο, γράφουν συνήθως είτε βιβλία για ειδικούς είτε εκλαϊκευμένα κείμενα για το γενικό αναγνωστικό κοινό. Η κυρία Κόκκορη έγραψε για ειδικούς και μη ειδικούς αναγνώστες.

Η συγγραφέας μάς ταξίδεψε μαζί με τον πρωταγωνιστή της ιστορίας της πίσω στον χρόνο, ψάχνοντας σε αποτυπωμένες μνήμες στο χαρτί ή προφορικές μαρτυρίες αλλά και σε εικόνες, που κρατούσε με προσοχή φυλαγμένες στο πολύτιμο αρχείο της. Όπως θα αντιληφθούν οι αναγνώστες του βιβλίου, τα πρόσωπα της ιστορίας της δεν είναι μυθιστορηματικοί, αλλά πραγματικοί ήρωες και

078
της ζωής και την προσωπικότητα του ήρωά της. ΚΡΙΤΙΚΗ ΒΙΒΛΙΟΥ
τα γεγονότα αληθινά και όχι φανταστικά. Είναι πρόσωπα υπαρκτά και η παρουσία τους καθόρισε την πορεία

Πριν η ιστορία τους μεταφερθεί στο χαρτί είχαν προηγηθεί παλαιότερες απόπειρες καταγραφής. Είχε προηγηθεί το θαυμάσιο πόνημα της ανιψιάς του Παπανικολάου, της κόρης του μεγάλου του αδελφού, της Μαρίας Κόκκορη, για τη ζωή και το έργο του Γεώργιου Παπανικολάου, που είδε το φως της δημοσιότητας πρώτη φορά το 1985. Δεν πρέπει να θεωρηθεί υπερβολή αν τολμήσω να καταθέσω ότι το συγκεκριμένο πόνημα με καθόρισε και στάθηκε η αφορμή στην επιλογή της ειδικότητάς μου στην ιατρική, στην αρχή η ανάγνωσή του και η αργότερα η μελέτη του, η οποία μέχρι σήμερα συνεχίζεται μέσα από μια περισσότερο ώριμη ματιά.

Έτσι, η κυρία Γιούλη Κόκκορη δεν θα μπορούσε, παρά να ακολουθήσει τη βιωματική καταγραφή της μητέρας της, αφού η ίδια από μικρό κοριτσάκι έζησε τις οικογενειακές ιστορίες, άλλοτε ακούγοντας, άλλοτε διαβάζοντας και άλλοτε η ίδια καταγράφοντας. Οι εξαιρετικές της μελέτες για «την κοπέλα από ’τσι πάνου», την Κούλα Στεφάνου, του παιδικού και εφηβικού έρωτα του Παπανικολάου, καθώς και η φιλία του με τον δημοτικιστή και μεγάλο μας παιδαγωγό Αλέκο Δελμούζο, που δημοσιεύτηκαν στο περιοδικό Ρόπτρο, αποτελούν ένα μικρό μόνο δείγμα γραφής της ακαταπόνητης κυρίας Κόκκορη, που όλα αυτά τα χρόνια

διέσωσε, βελτίωσε και συνεχίζει ακατάπαυστα να εμπλουτίζει το τεράστιο αρχείο της

μητέρας της, αφιερώνοντας χρόνο και κόπο στην έρευνα και συγγραφή μελετών σχετικών με κάθε πτυχή της ζωής και του έργου του Γεώργιου Παπανικολάου. Το όνειρό της να δει κάποια μέρα το σπίτι της οικογένειας των Παπανικολάου στην Κύμη, στο οποίο μεγάλωσε

και έζησε ο διάσημος γιατρός και ευεργέτης της ανθρωπότητας, αρχίζει μάλλον να γίνεται

πραγματικότητα χάρις στις συνεχείς και άοκνες προσπάθειές της να μετατραπεί σε μουσειακό χώρο. Είθε!

Η ζωή και το έργο δημοσίων προσώπων αποτελεί πάντοτε ντοκουμέντο εποχής, αντανακλώντας

το ήθος και τις κοινωνικές συνήθειες των ανθρώπων, που έζησαν κοντά τους την ίδια χρονική περίοδο. Το πολύ ενδιαφέρον αυτού του βιβλίου είναι ότι το πρόσωπο, γύρω από το οποίο

περιστρέφεται ο βασικός του άξονας, είναι μια από τις πιο εξέχουσες και εμβληματικές

προσωπικότητες της ιατρικής επιστήμης αλλά και της κοινωνίας γενικότερα. Είμαι σίγουρος

ότι οι περισσότεροι γνωρίζουν, έστω και αδρά, τη ζωή του μεγάλου Έλληνα γιατρού, που με το τιτάνιο επιστημονικό του έργο έμελλε να σφραγίσει τον αιώνα που πέρασε.

Τότε για ποιο λόγο ένα νέο βιβλίο για τον Παπανικολάου; Γιατί όσα και να γραφούν για τον Παπανικολάου θα είναι και πάλι λίγα. Αυτοί που έγραψαν με βιωματικά κριτήρια και συναισθηματική φόρτιση από τη γνωριμία μαζί του και αυτοί που έγραψαν ή θα γράψουν με την αντικειμενικότητα, που χαρακτηρίζει την επιστημονική προσέγγιση του έργου και της προσωπικότητας του βιογραφούμενου. Εκατοντάδες εγκωμιαστικά άρθρα έχουν γραφτεί μέχρι σήμερα και άλλα τόσα θα εξακολουθήσουν να γράφονται, όσα χρόνια κι αν περάσουν, για τον εμβληματικό επιστήμονα που «χάρισε ζωή στις γυναίκες ολόκληρου

Ποτέ δεν θα πάψουν άλλωστε, γιατί ο Παπανικολάου ακόμη και σήμερα, 60 και πλέον χρόνια από τον θάνατό του, εξακολουθεί να εμπνέει και να παραδειγματίζει. Τα λόγια των νεανικών του χρόνων εξακολουθούν να έχουν διαχρονική αξία: «…Το ιδανικόν μου δεν είναι να

079
BOOK PRESENTATION
του κόσμου».

πλουτίσω ούτε να ζήσω ευτυχής, αλλά να εργασθώ, να δράσω να δημιουργήσω, να κάμω κάτι τι αντάξιον ενός ανθρώπου ηθικού και δυνατού…».

Και αυτό έπραξε σε όλη του τη ζωή. Βρήκε και παρέδωσε στην ανθρωπότητα χωρίς ανταλλάγματα και οικονομικά οφέλη από τις πωλήσεις του το ανθρωποσωτήριο τεστ, σώζοντας εκατομμύρια γυναίκες από τον καρκίνο του τραχήλου της μήτρας, που έμεινε στην ιστορία της ανθρωπότητας με την επωνυμία ΠΑΠ-ΤΕΣΤ, από τη σύντμηση του ονόματός του στην Αμερική. Ανέπτυξε, διέδωσε και καθιέρωσε μια νέα ειδικότητα στην Ιατρική. Την ειδικότητα της Κυτταρολογίας, η οποία σήμερα με την ανάπτυξη και εφαρμογή των μεθόδων της Μοριακής Βιολογίας, ξεφεύγει πλέον από τις απλές διαγνωστικές της δυνατότητες και επεκτείνεται αποτελεσματικά σε κλινικό επίπεδο, συμβάλλοντας έτσι στον καθορισμό της πρόγνωσης και της ανταπόκρισης στη θεραπεία, καθοδηγώντας ή τροποποιώντας ανάλογα τα θεραπευτικά πρωτόκολλα των φαρμάκων.

Για όποιον αναλαμβάνει να σκιαγραφήσει μια μεγάλη φυσιογνωμία, θα πρέπει να έχει το προνόμιο να έχει συνδεθεί μαζί της. Στο σημείο αυτό θεωρώ σημαντικό να καταθέσω την προσωπική μου άποψη για το πώς αντιλαμβάνομαι εγώ την οπτική γωνία, με την οποία η συγγραφέας προσέγγισε νοηματικά και συναισθηματικά τον Παπανικολάου. Διαισθάνομαι, πως η συγγραφέας «γνωρίζει» εκ του σύνεγγυς τον Παπανικολάου. Για την κυρία Κόκκορη, ο Παπανικολάου δεν είναι μόνον ο σπουδαίος ερευνητής, ο πρωτοπόρος γιατρός, ο ιδρυτής της Κυτταρολογίας. Είναι, πολύ περισσότερο… είναι μέλος της οικογένειάς της! Η συγγραφέας, στην αρχή του βιβλίου της, σημειώνει: «Τι είναι εκείνο που διαμορφώνει μια μεγαλοφυΐα;», κλείνοντας το μικρό εισαγωγικό της σημείωμα με τα εξής: «Η περιέργεια μου να βρω περισσότερα στοιχεία για τα πρόσωπα που σχετίζονταν άμεσα με τον Γεώργιο Παπανικολάου αποτέλεσαν το έναυσμα για την έρευνά μου». Κάπως έτσι λοιπόν, φαντάζομαι ότι η συγγραφέας, έχοντας στο νου της τον χρόνο που βιάζεται και όλα τα παρασύρει στο διάβα του, προσπάθησε και το πέτυχε, ώστε η μνήμη να ξαναζωντανέψει τον άνθρωπο που έφυγε. Γιατί, κανένας δεν πεθαίνει πραγματικά, παρά μόνον όταν λησμονιέται! Το συγκεκριμένο πόνημα αποτελεί συλλογή ντοκουμέντων, για τη συγγραφή του οποίου απαιτήθηκε πολλή δουλειά και μεράκι. Η αριστοτεχνική του γραφή μάς μεταφέρει πίσω, στη νοσταλγία των νεανικών μας αναγνωσμάτων. Μάς μεταδίδει τον αέρα μιας ολόκληρης εποχής, που η συγγραφέας αποφάσισε με μεγάλο σεβασμό στην αλήθεια να εξιστορήσει.

Μεγάλο προτέρημα του βιβλίου αποτελεί η επιλογή της ύλης και της δομής του, ούτως ώστε

να καλύπτει τις απαιτήσεις τόσο του βιαστικού αναγνώστη, που επιθυμεί μέσα σε λίγο χρόνο

να έρθει σε επαφή με τα νεανικά χρόνια του Παπανικολάου και τα πρόσωπα που επηρέασαν την προσωπικότητά του, όσο και του πιο απαιτητικού μελετητή που αναζητά περισσότερα στοιχεία, που θα του επιτρέψουν να εμβαθύνει στην προσωπικότητα του μεγάλου επιστήμονα.

Στο θαυμάσιο αυτό δημοσίευμα, η συγγραφέας συμπεριέλαβε και φωτογραφικά ντοκουμέντα, τα οποία είναι αδιαμφισβήτητα, αλληλοσυμπληρούμενα, αλληλοερμηνευόμενα και διαχρονικά.

080 ΚΡΙΤΙΚΗ ΒΙΒΛΙΟΥ

Το πόνημά της είναι μια γοητευτική αφήγηση με τα κείμενά του να κινούνται συνεχώς πάνω σε ένα δρόμο ανάμεσα στην ιστορική καταγραφή και τη λογοτεχνική αφήγηση, διεγείροντας το αναγνωστικό πάθος για την άμεση ολοκλήρωσή του. Η γραφή της πιστοποιεί συγγραφικό ταλέντο, δηλώνει σφαιρική προσέγγιση του αντικειμένου και αντανακλά εργατικότητα, μεθοδικότητα, επιμέλεια, ευρυμάθεια και πνεύμα ανήσυχο, ευθύ και διεισδυτικό.

Το βιβλίο της αποτελεί ταυτόχρονα πορτρέτο και χρονικό. Αξίζει κανείς να το διαβάσει! Ανεξάρτητα από τα εσωτερικά του γνωρίσματα, το βιβλίο σε κερδίζει ευθύς εξαρχής με τα εξωτερικά και μόνο χαρακτηριστικά του. Τη βιβλιοδεσία του, το εύχρηστο μέγεθός του, τον ισορροπημένο κατά ενότητες αριθμό σελίδων, την ευχάριστη και εύκολα αναγνώσιμη γραμματοσειρά και, κυρίως την επιλογή του φωτογραφικού υλικού, που το κάνει πιο εύληπτο και ζωντανό. Οι επικεφαλίδες του είναι διακριτές και οι μικρές ενότητες σημαντικές, σηματοδοτώντας τη φύση των κειμένων που ακολουθούν. Το βιβλίο, χάρις στα σύντομα και ευσύνοπτα κεφάλαια, χάρις στα μικρά κατατοπιστικά σχόλια και, κυρίως χάρις στην απλή, καθημερινή και μεστή γλώσσα που χρησιμοποιεί η συγγραφέας, διαβάζεται ευχάριστα και προτρέπει τον αναγνώστη να το διεξέλθει απνευστί από την αρχή μέχρι το τέλος. Η αρχική

εντύπωση που αφήνει το βιβλίο στο φυλλομέτρημά του και η τελική εμπειρία μετά την ανάγνωσή του συμπίπτουν.

Επειδή το άμεσο παρεπόμενο της αναλυτικής μελέτης ενός βιβλίου είναι η κριτική, ο τελικός

κριτής της προσπάθειας του συγγραφέα είναι ο αναγνώστης. Αν ο τελικός αποδέκτης μετράει

την ευκολία της μελέτης και κατανόησης μιας πνευματικής εργασίας και την ολοκληρωμένη

παρουσίαση του θέματος, τότε το πόνημα αυτό ασφαλώς περνάει με άριστα όλα τα σημεία

ελέγχου. Η συγγραφέας αφήνει στους μεταγενέστερους υπό καλές προϋποθέσεις τη σκυτάλη

για τη συνέχεια. Ευελπιστώντας, ότι ο χρόνος θα καταξιώσει αυτή την προσπάθειά της, η

κυρία Κόκκορη μάς παραδίδει σήμερα το ιστορικό αυτό τεκμήριο.

Την ευχαριστώ, τη συγχαίρω και της εύχομαι καλοτάξιδο το βιβλίο της!

081 BOOK PRESENTATION

A. Γενικές πληροφορίες

Το περιοδικό “Παιδιατρική” είναι η επιστημονική έκδοση και ιδιοκτησία της Ελληνικής Παιδιατρικής Εταιρείας, που διανέμεται στα μέλη της. Έχει ως βασικούς στόχους την αποτύπωση του παιδιατρικού επιστημονικού έργου και τη συνεχή ενημέρωση των Παιδιάτρων. Για το σκοπό αυτό δέχεται για δημοσίευση ποικιλία άρθρων και συγκεκριμένα:

1. Άρθρα σύνταξης (μετά από πρόσκληση της Συντακτικής Επιτροπής)

2. Ανασκοπήσεις

3. Βραβευμένες εργασίες

4. Ερευνητικές μελέτες

5. Κλινικά κουίζ

6. Επιλεγμένες συζητήσεις στρογγυλών τραπεζών

7. Επίκαιρα θέματα

8. Θέματα εκπαίδευσης και οργάνωσης υγείας

9. Ενδιαφέρουσες περιπτώσεις

10. Σύντομα νέα

11. Βραχείες δημοσιεύσεις

12. Επιστολές προς τη σύνταξη

13. Περιλήψεις της βιβλιογραφίας

14. Ανακοινώσεις προσεχών συνεδρίων και επιστημονικών εκδηλώσεων

15. Αναφορές και κριτική νέων εκδόσεων, ελληνικών και ξένων, παιδιατρικού ενδιαφέροντος

Η Συντακτική Επιτροπή διατηρεί το δικαίωμα να δημοσιεύει άρθρα με ιδιαίτερο επιστημονικό ενδιαφέρον, καθώς και άρθρα με επίκαιρα θέματα χωρίς να τηρείται η σειρά υποβολής. Επίσης, μπορεί να αποφασίζει για τη δημοσίευση εργασιών που έχουν παρουσιαστεί στο ετήσιο Παιδιατρικό Συνέδριο, την ολική ή μερική δημοσίευση παρουσιάσεων ιδιαίτερου ενδιαφέροντος και την ολική ή μερική δημοσίευση επιστολών που αναφέρονται σε δημοσιευμένα επιστημονικά άρθρα του περιοδικού.

Στις εργασίες με επίκαιρα θέματα πρέπει να αναγράφεται στην πρώτη σελίδα η πρόθεση των συγγραφέων για την αναγκαιότητα της ταχείας δημοσίευσης. Η Επιτροπή Σύνταξης διατηρεί το δικαίωμα της αποδοχής της ταχείας δημοσίευσης.

Όλες οι εργασίες πρέπει να μην έχουν εν μέρει ή εξ ολοκλήρου δημοσιευθεί ή υποβληθεί για κρίση σε άλλο περιοδικό. Επιπλέον, στην εργασία θα πρέπει να αναφέρονται τυχόν επιδοτήσειςχορηγίες ή άλλες πηγές υποστήριξης. Όλες οι κλινικές έρευνες πρέπει να έχουν γίνει μετά από πληροφορημένη συναίνεση των μετεχόντων ή των νομίμων εκπροσώπων τους, σύμφωνα με τις διακηρύξεις του Ελσίνκι και του Τόκιο. Επίσης, πρέπει να έχουν τηρηθεί οι οδηγίες για τη φροντίδα πειραματόζωων του Εθνικού Ινστιτούτου Υγείας των ΗΠΑ (DHEW Publication, ΝΙΗ, 80-23). Οι κλινικές μελέτες πρέπει να έχουν εγκριθεί από την επιτροπή Ηθικής και Δεοντολογίας του Νοσοκομείου.

Οι απόψεις και τα συμπεράσματα των συγγραφέων που διατυπώνονται στις δημοσιευμένες εργασίες δεν αντικατοπτρίζουν απαραίτητα αυτές του περιοδικού. Η καταχώριση διαφημίσεων στο περιοδικό δεν υποδηλώνει οπωσδήποτε έγκριση των περιεχομένων τους από την Ελληνική Παιδιατρική Εταιρεία, τη Συντακτική Επιτροπή ή από τον εκδότη του περιοδικού.

Όλες οι δημοσιευμένες εργασίες θεωρούνται ιδιοκτησία του περιοδικού “Παιδιατρική” και η ολική ή μερική αναδημοσίευσή τους επιτρέπεται μόνο μετά από έγγραφη συγκατάθεση του περιοδικού.

Β. Σύνταξη των εργασιών

Όλες οι εργασίες πρέπει να ακολουθούν “Κοινές Προδιαγραφές για Χειρόγραφα που υποβάλλονται σε Βιοϊατρικά Περιοδικά” (Uniform Requirements for Manuscripts Submitted

082 ΟΔΗΓΙΕΣ ΠΡΟΣ ΤΟΥΣ ΣΥΓΓΡΑΦΕΙΣ

to Biomedical Journals), οι οποίες τροποποιήθηκαν πρόσφατα και δημοσιεύονται στις διευθύνσεις: www.icmje.org και www.icmje.org/icmje.pdf

Το κείμενο πρέπει να έχει την ακόλουθη διάταξη: σελίδα τίτλου, βραχύς τίτλος, περίληψη στα ελληνικά και τα αγγλικά, κατάλογος συντομογραφιών, κείμενο, ευχαριστίες καθώς και αναφορά σε επιδοτήσεις-χορηγίες ή άλλες πηγές υποστήριξης, βιβλιογραφία, πίνακες, εικόνες, τίτλοι εικόνων.

Η έκταση προσδιορίζεται:

• Για τις ανασκοπήσεις σε 2000-3000 λέξεις.

• Για τις ερευνητικές εργασίες σε 1500-2500 λέξεις και τις ενδιαφέρουσες περιπτώσεις σε 1000-1500 λέξεις.

• Για τις βραχείες δημοσιεύσεις σε 1000-1500 λέξεις.

• Για τις επιστολές σε 250-500 λέξεις.

Σελίδα τίτλου

Πρέπει να περιλαμβάνει:

• Τον τίτλο (<14 λέξεις) του άρθρου. Δεν επιτρέπονται συντμήσεις.

• Το όνομα και το επώνυμο κάθε συγγραφέα στην ονομαστική.

• Το επιστημονικό κέντρο (ίδρυμα, κλινική, εργαστήριο) από όπου προέρχεται η εργασία. Σε περίπτωση έλλειψης συνεργασίας με συγκεκριμένα κέντρα, πρέπει να αναφέρεται η ιδιότητα του/των συγγραφέα/ων (π.χ. ιδιώτης παιδίατρος) και ο τόπος διαμονής του/τους.

• Την πλήρη διεύθυνση, e-mail και το τηλέφωνο του συγγραφέα με τον οποίο γίνεται η αλληλογραφία.

Περιλήψεις

Η περίληψη πρέπει να ανακεφαλαιώνει τους στόχους της εργασίας, τη μεθοδολογία, τα

κυριότερα αποτελέσματα και τα συμπεράσματα της μελέτης.

• Θα πρέπει να περιλαμβάνει τουλάχιστον 200 λέξεις, όμως δεν θα πρέπει να υπερβαίνει τις 250 λέξεις.

• Η περίληψη των εργασιών πρέπει να είναι δομημένη στις εξής παραγράφους: εισαγωγή, μέθοδοι, αποτελέσματα και συμπεράσματα.

Στην περίληψη στα αγγλικά πρέπει να αναγράφονται στην αρχή του κειμένου ο τίτλος της εργασίας και τα ονόματα των συγγραφέων στα αγγλικά. Το περιεχόμενο του αγγλικού κειμένου

πρέπει να είναι δομημένο σε: εισαγωγή (background), μέθοδοι (methods), αποτελέσματα (results) και συμπεράσματα (conclusions). Η περίληψη στα αγγλικά δεν πρέπει να διαφέρει από την αντίστοιχη στα ελληνικά.

Κάτω από την ελληνική και την αγγλική περίληψη σημειώνονται τρεις έως πέντε λέξεις κλειδιά

που θα χρησιμοποιηθούν για το θεματικό ευρετήριο.

Κείμενο

Οι ερευνητικές εργασίες περιλαμβάνουν: εισαγωγή, μεθόδους, αποτελέσματα και συζήτηση. Η εισαγωγή περιλαμβάνει τα τελευταία δεδομένα της έρευνας στο συγκεκριμένο θέμα με τις κυριότερες βιβλιογραφικές παραπομπές και το σκοπό της εργασίας. Η περιγραφή των μεθόδων πρέπει να είναι ακριβής και αρκετά λεπτομερής, ώστε να επιτρέπει την αναπαραγωγή τους από άλλους ερευνητές. Επίσης, πρέπει να αναφέρονται με λεπτομέρειες οι στατιστικές μέθοδοι ανάλυσης και αξιολόγησης των αποτελεσμάτων. Τα αποτελέσματα πρέπει να παρουσιάζονται με σαφήνεια και να συνοδεύονται από την απαραίτητη στατιστική ανάλυση. Η συζήτηση πρέπει να περιλαμβάνει τα συμπεράσματα που προκύπτουν από την εργασία, τη σημασία που μπορεί να έχουν και την πιθανή συσχέτισή τους με παρατηρήσεις

083 ΟΔΗΓΙΕΣ ΠΡΟΣ ΤΟΥΣ ΣΥΓΓΡΑΦΕΙΣ
άλλων ερευνητών. Οι ενδιαφέρουσες περιπτώσεις περιλαμβάνουν σύντομη εισαγωγή, περιγραφή της περίπτωσης και βραχεία συζήτηση, με έμφαση στη διαφορική διάγνωση.

Τα υπόλοιπα θέματα έχουν ελεύθερη δομή κατά την κρίση των συγγραφέων τους. Ευχαριστίες ή αναγνωρίσεις (αναφορά σε επιδοτήσεις-χορηγίες ή άλλες πηγές υποστήριξης) θα πρέπει να αναφέρονται στο τέλος του κειμένου και πριν από τις βιβλιογραφικές παραπομπές.

Τιμές εργαστηριακών εξετάσεων Οι τιμές των εργαστηριακών εξετάσεων πρέπει να εκφράζονται στο Διεθνές Σύστημα Μονάδων (SI Units) και στο Μετρικό (Conventional-Συμβατικό) Σύστημα μέσα σε παρένθεση. Πίνακες μετατροπής περιλαμβάνονται στις διευθύνσεις: www.icmje.org και www.icmje.org/icmje.pdf.

Συντομογραφίες

Οι συντομογραφίες που έχουν επιβληθεί διεθνώς, δημοσιεύονται σε κάθε τεύχος του περιοδικού. Σύνθετοι και μακροσκελείς όροι που επαναλαμβάνονται συχνά στο κείμενο μπορούν να αντικαθίστανται από συντομογραφίες που επεξηγούνται από τους συγγραφείς σε ειδικό κατάλογο, ο οποίος υποβάλλεται μαζί με την εργασία. Οι συντομογραφίες αναφέρονται σε παρένθεση μόνο στις περιλήψεις.

Βιβλιογραφικές παραπομπές Στο τμήμα της βιβλιογραφίας καταχωρούνται όλες οι βιβλιογραφικές παραπομπές με τη σειρά που αναφέρονται στο κείμενο. Στο κείμενο, οι βιβλιογραφικές παραπομπές αναφέρονται με αραβικούς αριθμούς σε παρένθεση. Οι βιβλιογραφικές παραπομπές δεν πρέπει να υπερβαίνουν:

• τις 70 στις ανασκοπήσεις

• τις 40 στις ερευνητικές εργασίες

• τις 20 στα επίκαιρα θέματα και τις ενδιαφέρουσες περιπτώσεις

• τις 10 στις βραχείες δημοσιεύσεις και τις επιστολές

Η σύνταξη των βιβλιογραφικών παραπομπών γίνεται σύμφωνα με τις πρόσφατα τροποποιημένες προδιαγραφές της International Committee of Medical Journal Editors/ Uniform Requirements for Manuscripts Submitted to Biomedical Journals, (www.icmje.org και www.icmje.org/icmje.pdf). Οι συντμήσεις των τίτλων των περιοδικών γίνονται με βάση το Cumulated Index Medicus [List of Journals Indexed in Index Medicus (www.nlm.nih.goν/bsd/ uniform_requirements.html)].

Παραδείγματα βιβλιογραφικών παραπομπών

Ι. ΠΕΡΙΟΔΙΚA

Αν οι συγγραφείς είναι έως έξι, αναγράφονται όλοι, ενώ αν είναι επτά ή περισσότεροι, αναγράφονται οι πρώτοι έξι και προστίθεται “et al” ή “και συν”.

Τακτική έκδοση περιοδικού: Αντωνίου Δ, Μπάρα Χ, Γιαννάτου Χ. Εμβόλια: επίδραση στην επιδημιολογία των λοιμωδών

νοσημάτων και την παιδιατρική πράξη. Παιδιατρική 1999;59:272-279.

Proesmans W. Bartter syndrome and its neonatal νariant. Eur J Pediatr 1997;156:669-679.

Συμπληρωματικό τεύχος περιοδικού:

Flyvbjerg Α. Role of growth hormone, insulin-like growth factors (IGFs) and IGF-binding proteins in the renal complications of diabetes. Kidney Ιnt 1997;52 (60 Suppl):S12-S19.

Χωρίς συγγραφέα:

National Institutes of Health Consensus Deνelopment Conference. Neurofibromatosis conference statement. Arch Neurol1988;45:575-578.

084 ΟΔΗΓΙΕΣ ΠΡΟΣ ΤΟΥΣ ΣΥΓΓΡΑΦΕΙΣ
ΟΔΗΓΙΕΣ ΠΡΟΣ ΤΟΥΣ ΣΥΓΓΡΑΦΕΙΣ

Προσδιορισμός τύπου άρθρου: Schreiner GF, Lange L. Ethanol modulation of macrophage influx in glomerulonephritis [Abstract]. J Am Soc Nephrol 1991;2:562.

Should antileukotriene therapies be used instead of inhaled corticosteroids in asthma? [Editorial]. Am J Respir Crit Care Med 1998;158:1697-1701.

Laux-End R, Inaebnit D, Gerber ΗΑ, Bianchetti MG. Vasculitis associated with leνamisole and circulating autoantibodies [Let ter]. Arch Dis Child 1996;75:355-356.

II. ΒΙΒΛΙΑ Κεφάλαιο σε βιβλίο: Clark AG, Barratt ΤΜ. Steroid-responsiνe nephrotic syndrome. Ιn: Barratt ΤΜ, Arner ED, Harmon WE, editors. Pediatric Nephrology. 4th ed. Baltimore: Lippincott William Wilkins; 1999. p. 742.

Σύγγραμμα ή μονογραφία: Gorlin RJ, Cohen ΜΜ, Leνin LS. Syndromes of the head and neck. 3rd ed. New York: Oxford Uniνersity Press; 1990.

Δημοσίευση σε τόμο πρακτικών: Bauer ΑW. The two definitions of bacterial resistance. In: Smith AJ, Rogers CA, eds. Proceedings of the Third International Congress of Chemotherapy; 1962 May 29-31; New York: International Society of Chemotherapy; 1963. p. 484-500.

Διδακτορική διατριβή: Παπαδόπουλος Χ. Η θεραπεία του στραβισμού [διδακτορική διατριβή]. Αθήνα: Πανεπιστήμιο Αθηνών; 1979.

Kaplan SJ. Post hospital home health care: the elderly’s access and utilization [dissertation]. St. Louis (Μο): Washington Univ.;1995.

III. CD-ROM

Andersoη SC, Poulsen ΚΒ. Anderson’s electronic atlas of hematology [CD-ROM]. Philadelphia: Lippincott Williams & Wilkins; 2002.

IV. ΣΤΟ ΔΙΑΔΙΚΤΥΟ

Άρθρο σε περιοδικό: Abood S. Quality improνement initiatiνe in nursiηg homes: the ΑΝΑ acts in an adνisory role. Am J Nurs [Internet]. 2002 Jun:

Webpage: http://www.nursingworld.org/AJN/2002/june/Wawatch.htm

Μονογραφία: Foley ΚΜ, Gelbaηd Η, editors. Improving palliative care for cancer [Monograph, Internet]. Washington: National Academy Press; 2001.

Webpage: http://www.nap.edu/books/0309074029/html

Ιστοσελίδες: Cancer-Pain.org [Webpage, Internet]. New York: Association of Cancer Online Resources, Ιnc.; 2002: http://www.cancer-pain.org/ Πίνακες και Εικόνες Οι πίνακες αριθμούνται

085
με τη
που
ΟΔΗΓΙΕΣ ΠΡΟΣ ΤΟΥΣ ΣΥΓΓΡΑΦΕΙΣ
με αραβικούς αριθμούς
σειρά
εμφανίζονται στο κείμενο. Περιλαμβάνουν βραχύ τίτλο και επεξήγηση των συντμήσεων στο κάτω μέρος.

Όλο το απεικονιστικό υλικό (σχήματα, διαγράμματα, φωτογραφίες, κ.λπ.) χαρακτηρίζεται ως εικόνες και θα πρέπει να αποστέλλεται σε ηλεκτρονική μορφή και σε αρχεία υψηλής ανάλυσης. Σε περίπτωση που αυτό δεν είναι δυνατό, το υλικό θα αποστέλλεται ταχυδρομικώς και στο πίσω μέρος των εικόνων θα σημειώνεται με μολύβι ο αριθμός της εικόνας και το όνομα του πρώτου συγγραφέα, καθώς και ένα βέλος το οποίο να δείχνει το πάνω μέρος της εικόνας. Στις φωτογραφίες ασθενών δεν πρέπει να αναγνωρίζεται η ταυτότητά τους. Οι ασθενείς δεν πρέπει να αναφέρονται ονομαστικά.

Γ. Υποβολή και Δημοσίευση των Εργασιών Όλες οι εργασίες πρέπει να αποστέλλονται στην ηλεκτρονική διεύθυνση της εταιρείας ( grammateia@e-child.gr). Σε ξεχωριστό μήνυμα θα δηλώνεται ότι η εργασία δεν έχει εν μέρει ή εξ ολοκλήρου δημοσιευθεί ή υποβληθεί για κρίση σε άλλο περιοδικό και ότι οι συγγραφείς εγκρίνουν τη δημοσίευσή της στο περιοδικό “Παιδιατρική”. Επιπλέον, θα πρέπει να αναφέρονται τυχόν επιδοτήσεις-χορηγίες ή άλλες πηγές υποστήριξης. Εφόσον η εργασία γίνει αποδεκτή, το διορθωμένο σύμφωνα με τις υποδείξεις των κριτών κείμενο πρέπει να υποβάλεται στη Συντακτική Επιτροπή μέσω e-mail που να περιλαμβάνει την εργασία σε πρόγραμμα Word. Σε ξεχωριστό αρχείο θα περιλαμβάνεται επιστολή όπου θα αναφέρονται αναλυτικά οι τροποποιήσεις ή οι αντιρρήσεις στις προτάσεις των κριτών.

Η καθυστέρηση της επανυποβολής του τροποποιημένου κειμένου πέραν των 30 ημερών συνεπάγεται νέα υποβολή.

Τα κείμενα των εργασιών που δε γίνονται αποδεκτές για δημοσίευση, δεν επιστρέφονται.

Μπορεί να επιστραφούν, εφόσον ζητηθεί εντός εξαμήνου, τα σχήματα και οι φωτογραφίες που τα συνοδεύουν.

Πριν αποστείλετε ηλεκτρονικά την εργασία σας, βεβαιωθείτε ότι το αρχείο περιλαμβάνει:

1. Σελίδα τίτλου που περιέχει:

• τίτλο και βραχύ τίτλο εργασίας

• όνομα και επώνυμο συγγραφέων (ολογράφως)

• επιστημονικό/ά κέντρο/α όπου έγινε η εργασία

• όνομα, διεύθυνση, ηλεκτρονική διεύθυνση και τηλέφωνο συγγραφέα για αλληλογραφία

2. Περίληψη ελληνική-αγγλική (200-250 λέξεις), δομημένη στις εξής παραγράφους: εισαγωγή, μέθοδοι, αποτελέσματα και συμπεράσματα

3. Λέξεις κλειδιά

4. Κατάλογο συντομογραφιών

5. Κείμενο

6. Ευχαριστίες ή αναγνωρίσεις (αναφορά σε επιδοτήσεις-χορηγίες ή άλλες πηγές υποστήριξης)

7. Βιβλιογραφία

8. Πίνακες (ο καθένας σε χωριστή σελίδα)

9. Εικόνες (η καθεμία σε χωριστή σελίδα)

10. Τίτλους εικόνων

086
ΟΔΗΓΙΕΣ ΠΡΟΣ ΤΟΥΣ ΣΥΓΓΡΑΦΕΙΣ
087 ΟΔΗΓΙΕΣ ΠΡΟΣ ΤΟΥΣ ΣΥΓΓΡΑΦΕΙΣ
088 crea v e o m m u n ca o n serv ce s crea v e o m m u n ca o n serv ce s

Turn static files into dynamic content formats.

Create a flipbook
Issuu converts static files into: digital portfolios, online yearbooks, online catalogs, digital photo albums and more. Sign up and create your flipbook.