Skip to main content

Παιδιατρική | Τόμος 89 • Tεύχος 1 • Ιανουάριος - Φεβρουάριος - Μάρτιος - Απρίλιος 2026

Page 1


216

226

Υποβολή

e-mail: grammateia@e-child.gr

Οδηγίες

http://e-child.gr/publications/ instructions-to-authors

Iδιοκτήτης

e-mail: grammateia@e-child.gr Eτήσια

President A. Constantopoulos

Editorial board

Editor- in- Chief

S. Antoniadis

Members

S. Andronikou

E. Galanakis

A. Evangeliou

L. Thomaidou

M. Kanariou

A. Kapogiannis

S. Kitsiou-Tzeli

E. Mantadakis

P. Panagiotopoulou-Gartagani

A. Papadopoulou

V. Papaevagelou

A. Papathanassiou

A. Siamopoulou-Mavridou

A. Syrigou-Papavasiliou 214

EDITORIAL

Stelios Antoniadis

216

ARTICLE OF SPECIAL INTEREST

Sexual Education for Youth: The Roles of Family, School, Society and the State. Zisis Papathanasiou

220

REVIEW ARTICLES

Early diagnosis of Autism – Early Childhood intervention in children aged 0–6 years – The role of Pediatricians and the implementation of early childhood development by Pediatricians. Stavroula Papadakou, Efthalia Tzila, Ioanna Sgouromalli, Eleni Panagouli

226 Burns in infants and children.

Dimitrios Emm. Michelakis

232

Allergic Rhinitis in the metagonidiamic era. Alexios Mavroudis

238

The Cultivation of Emotional Intelligence and Communication Skills in Preschool Age: The Role of Sexuality Education. Sofia Morogianni

Manuscript submission

e-mail: grammateia@e-child.gr

Instructions to authors: http://e-child.gr/publications/ instructions-to-authors

Owner Greek Paediatric Society 15, Mpakopoulou st. GR - 15451, Ν. Psychiko Tel.: +302107771140

e-mail: grammateia@e-child.gr

Annual subscription All foreign countries: US$50

242

CASE REPORT

Intrauterine testicular torsion: A case report

Margarita-Efthalia Papasavva, Ioanna Chatzi, Georgios Georgiou, †Konstantinos Bougias, Vasiliki Gketsi

248

BETWEEN COLLEAGUES

Stelios Antoniadis

250

INSTRUCTIONS TO AUTHORS

e-mail: info@sexmedic.gr

Correspondence

Zisis Papathanasiou

Τ. +30 6932231660

e-mail: info@sexmedic.gr

Development

Correspondence

Papadakou Stavroula Τ. +30 6932730760

e-mail: stavroula. papadakou@gmail.com

Early diagnosis of Autism – Early Childhood intervention in children aged

0–6 years – The role of Pediatricians and the implementation of early childhood development by Pediatricians

Abstract

Background: Early childhood is a critical period for neurodevelopment. Early diagnosis of Autism Spectrum Disorders (ASD) allows timely intervention and significantly improves functional and social outcomes.

Method: The aim of this article is to highlight the role of pediatricians in early diagnosis of autism and in the implementation of Early Childhood Development (ECD).

Results: Pediatricians play a key role in developmental surveillance, early detection of autism signs and referral for specialized assessment. Early intervention requires interdisciplinary collaboration and individualized treatment programs aimed at improving communication, social interaction and autonomy.

Conclusions: The comprehensive implementation of ECD by pediatricians is essential for timely intervention and improved developmental outcomes in children aged 0–6 years.

Key words: autism, early intervention, Early Childhood Development, pediatricians, developmental screening

Stavroula Papadakou

Efthalia Tzila

Ioanna Sgouromalli

Eleni Panagouli

Diagnostic and Therapeutic Unit for the Child “Spyros Doxiadis”

Κατάλογος

ECD: Early Childhood Development

(11).

1. American Academy of Pediatrics. Identification, evaluation, and management of children with autism spectrum disorder. Pediatrics. 2020;145(1):e20193447.

2. Johnson CP, Myers SM. Identification and evaluation of children with autism spectrum disorders. Pediatrics. 2007;120(5):1183–1215.

3. Hyman SL, Levy SE, Myers SM. Identification, evaluation, and management of autism spectrum disorder. Pediatrics. 2020;145(1):e20193447.

4. Zwaigenbaum L, Bauman ML, Fein D, et al. Early screening of autism spectrum disorder. Pediatrics. 2015;136(Suppl 1):S41–S59.

5. Dawson G, Rogers S, Munson J, et al. Randomized controlled trial of an intervention for toddlers with autism. Pediatrics. 2010;125(1):e17–e23.

6. Rogers SJ, Dawson G. Early Start Denver Model for Young Children with Autism. New York: Guilford Press; 2010.

7. Lord C, Elsabbagh M, Baird G, Veenstra-VanderWeele J. Autism spectrum disorder. Lancet. 2018;392:508–520.

8. Baio J, Wiggins L, Christensen DL, et al. Prevalence of autism spectrum disorder among children aged 8 years. MMWR Surveill Summ. 2021;70(11):1–16.

9. World Health Organization. Nurturing care for early childhood development. Geneva: WHO; 2018.

10. Shonkoff JP, Phillips DA. From Neurons to Neighborhoods: The Science of Early Childhood Development. Washington DC: National Academy Press; 2000.

11. Papadakou S. Early diagnosis and early intervention in autism spectrum disorders: the role of pediatricians. Athens; 2024. (Επιστημονική

Δημήτριος

Correspondence

Dimitrios Emm. Michelakis, M.D.

Char. Mouskou4, 15771, Zografou

Τ. +30 6977413227

e-mail: dmichel.iatreio@ gmail.com

Burns in infants and children

Summary

Burn disease, one of the most severe forms of injury to the human body, is referred to as a burn injury in scientific terminology because it affects the skin and mucous membranes and has serious effects on all systems of the body, causing an intense metabolic, hormonal and immune reaction. The extent, depth, age of the patient and type of burn determine the severity, method and location of treatment as well as the process and duration of healing. Treatment can be conservative, surgical or a combination of both. Children have their whole lives ahead of them so they deserve the best possible care that an experienced Plastic Surgeon can provide. Recovery is long and requires patience and perseverance.

Key words: Burns, Infant, Children, Scars, Keloid.

Dimitrios Emm. Michelakis, M.D.

Plastic & Reconstructive Surgeon for adults and children. Plastic, and Reconstructive Surgeon at the Burns department of Euroclinic Athens Pediatric department, Associate Physician Pediatric Center of Medical Athens Group and Mitera Hospital

Εικόνα 2.
Εικόνα 1.
Εικόνα 4.
Εικόνα 5.
Εικόνα 3.

Βιβλιογραφία

1. Plastic Surgery Bruce Achauer 2000 6 vol.

2. Key notes on Plastic Surgery A. Richards 2002

3. Fundamental techniques of Plastic Surgery and their surgical applications Mc Gregor 10th edition 2000

4. ΠΛΑΣΤΙΚΗ

5.

6. Plastic Surgery Grabb & Smith 5th ed. 1997

7. Plastic Surgery Mathes 2006 8 vol. 2nd edition

εποχή

Αλέξιος

Correspondence

Alexios Mavroudis

MD,MSc.

Syntagmatarchou Davaki 11 Kallithea 17672

T. +30 6978699611

e-mail: alexis.mavroudis@ yahoo.gr

Allergic Rhinitis in the metagonidiamic era

Abstract

Introduction: Precision Medicine is a modern field of research, which focuses on the personalized prevention and treatment of allergic diseases.

Purpose: The interpretation of genetic changes and modifications of the genomic material of patients with allergic rhinitis.

Materials & Methods: Bibliographic review of recent scientific sources in the online database Pub Med and Google Scholar.

Results: Allergic rhinitis presents a great clinical diversity of phenotypes at the cellular level. Immunohistological studies capture the differentiation of cells with a gradual increase in the number of eosinophils and mast cells in the nasal mucosa compared to age and sensitization to inhaled allergens. It is noteworthy that information on the biopathology of the disease is quite limited. However, there are bibliographic studies that confirm the genetic predisposition of patients. With modern next-generation sequencing techniques (Next Generation Sequencing-NGS), it is proven that rare genetic changes of the host and epigenetic modifications (DNA methylation) play a catalytic role in increasing susceptibility to this disease, as well as in early diagnosis and treatment. Systems biology aims to discover new biomarkers capable of detecting the disease early and contributing to early treatment.

Conclusions: Molecular diagnosis of allergic rhinitis in patients with severe disease and the use of technological clinical decision systems compatible with the digitization of scientific data identify the etiology and establish the immunological footprint for desensitization to the offending allergen.

Key words: Allergic Rhinitis, Precision Medicine, Genetics, Allergen.

Κατάλογος

ACADS: Acyl-CoA dehydrogenase

Ακυλο-CoA

CLEC: C-type lectin domain family 16

CXCR: Chemokine Receptors

Υποδοχείς

DDX: DEAD-Box Helicase

Ελικάση

DNA: Deoxyribonucleic Acid

FOXP3: Forkhead box P3

Ig: Immunoglobulin

IL: Interleukins

ILC2: Innate Lymphoid

Cells 2

MANBA: Mannosidase Beta

NF: Nuclear Factor

NGS: Next Generation Sequencing

RBKS: Ribokinase

RERE: Arginine-Glutamic acid repeats-encoding gene

RORA: Retinoic acid-relat-

receptor alpha

SLC: Solute Carrier

SPPL: Signal Peptide

Yan Hao, Yujuan Yang, Hongfei Zhao, Ying Chen, Ting Zuo, Yu Zhang et al.

Multi-omics in Allergic Rhinitis: Mechanism Dissection and Precision Medicine. Clin Rev Allergy Immunol 2025 Feb 18;68(1):19 (5).

CLEC16A

CXCR5; DDX6

VPRBP

RBKS

SPPL3; ACADS

RORA

RERE; SLC45A1

TNFSF11

MANBA; NFKB1

1. Elizabeth J Phillips, Jolan E Walter. Precision Medicine in Allergy and Immunology Through the Lens of Immunogenomics. J Allergy Clin Immunol Pract 2022 Jul;10(7):17761777.

2. Miao Cheng , Qianqian Dai, Zhi Liu, Yulin Wang, Cuiyun Zhou. New progress in pediatric allergic rhinitis. Front Immunol 2024 Sep 16:15:1452410.

3. Steven P Proper, Nurit P Azouz , Tesfaye B Mersha. Achieving Precision Medicine in Allergic Disease: Progress and Challenges. Front Immunol 2021 Aug 18:12:720746.

4. Steven P Proper, Nurit P Azouz, Tesfaye B Mersha. Achieving Precision Medicine in Allergic Disease: Progress and Challenges. Front Immunol 2021 Aug 18:12:720746.

5. Yan Hao, Yujuan Yang, Hongfei Zhao, Ying Chen, Ting Zuo, Yu Zhang et al. Multi-omics in Allergic Rhinitis: Mechanism Dissection and Precision Medicine. Clin Rev Allergy Immunol 2025 Feb 18;68(1):19.

6. Sarah J MacEachern, Nils D Forkert. Machine learning for precision medicine. Genome 2021 Apr;64(4):416-425.

7. Heimo Breiteneder, Ya-Qi Peng, Ioana Agache, Zuzana Diamant, Thomas Eiwegger, Wytske J Fokkens et al. Biomarkers for diagnosis and prediction of therapy responses in allergic diseases and asthma. Allergy. 2020 Dec;75(12):3039-3068.

8. Jean Bousquet, Marek Jutel, Oliver Pfaar, Joao A Fonseca, Ioana Agache, Wienczyslawa Czarlewski et al. The Role of Mobile Health Technologies in Stratifying Patients for AIT and Its Cessation: The ARIA-EAACI Perspective. J Allergy Clin Immunol Pract 2021 May;9(5):1805-1812.

TNFSF: Tumor Necrosis

VPRBP: Viral

Correspondence

Sofia Morogianni Msc

T. +30 6998894073

e-mail: sofia.morogianni@ tutanota.com

The Cultivation of Emotional Intelligence and Communication Skills in Preschool Age: The Role of Sexuality Education

Abstract

The present paper examines the importance of early intervention in the development of emotional intelligence and communication skills during the preschool years. Through an analysis of neuroplasticity and behavioral models, it highlights the role of parents and educators as role models for authentic communication. Particular emphasis is placed on avoiding dysfunctional communication patterns, such as the double bind, and on the introduction of sexuality education as a means of safeguarding bodily autonomy and future consent.

Key words: Emotional Intelligence, Preschool Education, Empathy, Authentic Communication, Consent, Sexuality Education.

Sofia Morogianni Msc

Psychologist – Psychotherapist Scientific Associate of the Hellenic Institute of Sexology

Βιβλιογραφία

1.Balter, A.-S., van Rhijn, T. M., & Davies, A. W. J. (2016). The development of sexuality in childhood in early learning settings: An exploration of early childhood educators' perceptions. The Canadian Journal of Human Sexuality, 25(1), 30–40. https://doi.org/10.3138/ cjhs.251-A2

1. Bandura, A. (1977). Social learning theory. Prentice-Hall.

2. Cacciatore, R., Korteniemi-Poikela, E., & Kaltiala, R. (2019). The steps of sexuality—A developmental, emotion-focused, child-centered model of sexual development and sexuality education from birth to adulthood. International Journal of Sexual Health, 31(3), 319–338. https://doi.org/10.1080/19317611.2019.1645783

3. Goleman, D. (1995). Emotional intelligence: Why it can matter more than IQ. Bantam Books.

4. Kurtuncu, M., Akhan, L. U., Tanir, I. M., Yildiz, H., & Akman, A. S. (2015). The sexual development and education of preschool children: Knowledge and opinions from doctors and nurses. Sexuality and Disability, 33(2), 207–221. https://doi.org/10.1007/s11195-015-9393-9

5. Martin, K. A., & Bobier, L. (2017). Preschool sexuality education?! In L. Allen & M. L. Rasmussen (Eds.), The Palgrave handbook of sexuality education (pp. 253–275). Palgrave Macmillan. https://doi.org/10.1057/978-1-137-40033-8_12

6. Noh, N., & Bakar, K. A. (2023). Implementation of sexuality education in preschool: Challenges and obstacles. International Journal of Academic Research in Progressive Education and Development, 12(1), 927–943.

7. Ozgun, S. Y., & Capri, B. (2023). The effect of sexuality education program on the sexual development of children aged 60–72 months. Current Psychology, 42(9), 7125–7134. https:// doi.org/10.1007/s12144-021-02040-8

8. Sachse, R. (2013). Persönlichkeitsstörungen: Leitfaden für die psychologische Psychotherapie. Hogrefe.

9. Schuchardt, J., & Roediger, E. (2015). Schematherapie. Psychotherapie-Verlag.

10. Schramm, E. (2021). Psychotherapie chronischer Depression: Praxisleitfaden CBASP (3. Aufl.). Hogrefe.

11. Shonkoff, J. P., & Phillips, D. A. (Eds.). (2000). From neurons to neighborhoods: The science of early childhood development. National Academies Press.

12. Siegel, D. J. (2020). The developing mind: How relationships and the brain interact to shape who we are (3rd ed.). Guilford Publications.

13. Thorogood, N. (2000). Sex education as disciplinary technique: Policy and practice in England and Wales. Sexualities, 3(4), 425–438. https://doi.org/10.1177/136346000003004004

14. UNESCO. (2018). International technical guidance on sexuality education (Rev. ed.).

15. Watzlawick, P., Beavin, J. H., & Jackson, D. D. (2017). Menschliche Kommunikation: Formen, Störungen, Paradoxien (13. Aufl.). Hogrefe.

Correspondence

Margarita-Efthalia Papasavva

60, General Makrigiannis Avenue, PC 454 45

Ioannina

T. +30 2651080786

e-mail: maggiepap@hotmail.com

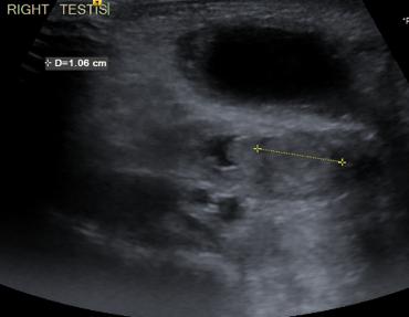
Intrauterine testicular torsion: A case report

Abstract

Introduction: Intrauterine testicular torsion is a relatively rare but serious entity of the neonatal period. It is often diagnosed at birth or within the first hours of life, while prenatal detection remains challenging. Timely diagnosis and management undoubtedly pose a significant challenge for the pediatrician.

Method: We describe a case of a full-term male neonate, with normal prenatal ultrasound findings, born with a prominent swelling in the right inguinal region without signs of local inflammation. Further investigation was performed with a scrotal and inguinal ultrasound.

Results: The ultrasound findings were more consistent with a right spermatic cord cyst, with a suspicion of micro-rupture. This finding was considered extremely rare by pediatric surgeons for a newborn. Since intrauterine testicular torsion could not be ruled out despite the inconsistent ultrasound, the young patient was immediately therefore referred to a pediatric surgical clinic, where testicular torsion was diagnosed. As the testis maintained some degree of perfusion, bilateral orchiopexy was performed.

Discussion: Intrauterine testicular torsion is usually diagnosed after birth, when the damage to the testis is already irreversible. The painless clinical presentation may lead to a delayed diagnosis, while Doppler ultrasound, although useful, should not delay surgical exploration in suspicious cases. Despite the low probability of salvaging the affected testis, surgical intervention is essential to confirm the diagnosis and prevent contralateral torsion through prophylactic orchiopexy. Early recognition by the pediatrician and prompt collaboration with the pediatric surgeon are crucial for the optimal management of this rare neonatal condition.

Key words: intrauterine testicular torsion, neonate

Margarita-Efthalia

Papasavva

Ioanna Chatzi

Vasiliki Gketsi

Department of Pediatrics, General Hospital of Ioannina «G. Hatzikosta», Ioannina, Greece

Georgios Georgiou

Department of Pediatric Surgery, «Karamandaneion» General Children΄s Hospital of Patras, Patra, Greece

Konstantinos Bougias

Radiology Department, General Hospital of Ioannina «G. Hatzikosta», Ioannina, Greece

1. Gerbo M, Crigger C, Samadi Y, Ost MC, Al-Omar O. Prenatally Diagnosed Testicular Torsion: A Rare Condition That Causes Dilemma in Management. Case Rep Pediatr. 2021 Jan 18;2021:8825763. doi: 10.1155/2021/8825763. PMID: 33532107; PMCID: PMC7834823.

2. Ιακωβίδου

& Νεογνολογία. 2007;2(2):229-231.

3. Fugaru, I., Moryousef, J., Nguyen, VH. et al. Clinical challenge: a case of testicular tumor disguised as a prenatal testicular torsion. Ann Pediatr Surg 19, 4 (2023). https://doi. org/10.1186/s43159-022-00236-6.

4. Habib M, Amjad MB, Ahmed M. A case of intra-vaginal intrauterine testicular torsion. Case Rep Perinat Med. 2022 Dec 20;12(1):20220013. doi: 10.1515/crpm-2022-0013. PMID: 40041266; PMCID: PMC11616535.

5. Sauvestre F, André G, Harran MH, Hemard M, Carles D, Pelluard F. Prenatal Testicular Torsion: Not Always in the Late Third Trimester. Urology. 2016 Mar;89:132-3.doi:10.1016/j. urology. 2015.11.024. Epub 2015 Dec 4. PMID: 26657689.

6. Riaz-Ul-Haq M, Mahdi DE, Elhassan EU. Neonatal testicular torsion; a review article. Iran J Pediatr. 2012 Sep;22(3):281-9. PMID: 23400637; PMCID: PMC3564080.

7. Guerra LA, Wiesenthal J, Pike J, Leonard MP. Management of neonatal testicular torsion: Which way to turn? Can Urol Assoc J. 2008 Aug;2(4):376-9. doi: 10.5489/cuaj.792. PMID: 18781222; PMCID: PMC2532558.

8. Sorensen MD, Galansky SH, Striegl AM, Mevorach R, Koyle MA. Perinatal extravaginal torsion of the testis in the first month of life is a salvageable event. Urology. 2003 Jul;62(1):132-4. doi: 10.1016/s0090-4295(03)00402-3. PMID: 12837441.

9. Djahangirian O, Ouimet A, Saint-Vil D. Timing and surgical management of neonatal testicular torsions. J Pediatr Surg. 2010 May;45(5):1012-5. doi: 10.1016/j.jpedsurg.2010.02.032. PMID: 20438944.

ΣΥΝΑΔΕΛΦΙΚΑ

1.

2.

3. Βραβευμένες

4. Ερευνητικές μελέτες

5.

6.

7. Επίκαιρα θέματα

τραπεζών

8. Θέματα εκπαίδευσης και οργάνωσης υγείας

9. Ενδιαφέρουσες περιπτώσεις

10. Σύντομα νέα

11. Βραχείες δημοσιεύσεις

12. Επιστολές προς τη σύνταξη

13.

14.

ted to Biomedical

International Committee of Medical Journal Editors/Uniform Requirements for Manuscripts Submitted to Biomedical Journals, (www.icmje.org και www.icmje.org/icmje.pdf).

Cumulated Index Medicus [List of Journals Indexed in Index Medicus (www.nlm.nih.goν/bsd/ uniform_requirements.html)].

Παραδείγματα βιβλιογραφικών

1999;59:272-279.

Proesmans W. Bartter syndrome and its neonatal νariant. Eur J Pediatr 1997;156:669-679.

Flyvbjerg Α. Role of growth hormone, insulin-like growth factors (IGFs) and IGF-binding proteins in the renal complications of diabetes. Kidney Ιnt 1997;52 (60 Suppl):S12-S19. Χωρίς

National Institutes of Health Consensus Deνelopment Conference. Neurofibromatosis conference statement. Arch Neurol1988;45:575-578.

Προσδιορισμός τύπου άρθρου:

Schreiner GF, Lange L. Ethanol modulation of macrophage influx in glomerulonephritis [Abstract]. J Am Soc Nephrol 1991;2:562.

Should antileukotriene therapies be used instead of inhaled corticosteroids in asthma? [Editorial]. Am J Respir Crit Care Med 1998;158:1697-1701.

Laux-End R, Inaebnit D, Gerber ΗΑ, Bianchetti MG. Vasculitis associated with leνamisole and circulating autoantibodies [Let ter]. Arch Dis Child 1996;75:355-356.

II. ΒΙΒΛΙΑ Κεφάλαιο σε βιβλίο:

Clark AG, Barratt ΤΜ. Steroid-responsiνe nephrotic syndrome. Ιn: Barratt ΤΜ, Arner ED, Harmon WE, editors. Pediatric Nephrology. 4th ed. Baltimore: Lippincott William Wilkins; 1999. p. 742.

Σύγγραμμα ή μονογραφία: Gorlin RJ, Cohen ΜΜ, Leνin LS. Syndromes of the head and neck. 3rd ed. New York: Oxford Uniνersity Press; 1990.

Δημοσίευση

Bauer ΑW. The two definitions of bacterial resistance. In: Smith AJ, Rogers CA, eds. Proceedings of the Third International Congress of Chemotherapy; 1962 May 29-31; New York: International Society of Chemotherapy; 1963. p. 484-500.

Διδακτορική διατριβή: Παπαδόπουλος

Αθηνών; 1979.

Kaplan SJ. Post hospital home health care: the elderly’s access and utilization [dissertation]. St. Louis (Μο): Washington Univ.;1995.

III. CD-ROM

Andersoη SC, Poulsen ΚΒ. Anderson’s electronic atlas of hematology [CD-ROM]. Philadelphia: Lippincott Williams & Wilkins; 2002.

IV. ΣΤΟ ΔΙΑΔΙΚΤΥΟ Άρθρο σε περιοδικό: Abood S. Quality improνement initiatiνe in nursiηg homes: the ΑΝΑ acts in an adνisory role. Am J Nurs [Internet]. 2002 Jun:

Webpage: http://www.nursingworld.org/AJN/2002/june/Wawatch.htm

Μονογραφία: Foley ΚΜ, Gelbaηd Η, editors. Improving palliative care for cancer [Monograph, Internet]. Washington: National Academy Press; 2001.

Webpage: http://www.nap.edu/books/0309074029/html

Ιστοσελίδες: Cancer-Pain.org [Webpage, Internet]. New York: Association of Cancer Online Resources, Ιnc.; 2002: http://www.cancer-pain.org/

2. Περίληψη ελληνική-αγγλική (200-250 λέξεις),

εισαγωγή, μέθοδοι, αποτελέσματα και συμπεράσματα

3. Λέξεις κλειδιά

4. Κατάλογο συντομογραφιών

5. Κείμενο

6. Ευχαριστίες ή αναγνωρίσεις (αναφορά σε

7. Βιβλιογραφία

8. Πίνακες (ο καθένας σε χωριστή σελίδα)

9. Εικόνες (η καθεμία σε

10. Τίτλους εικόνων

Turn static files into dynamic content formats.

Create a flipbook