Spring 2024 Research & Innovation Magazine

Page 1

RESEARCH & INNOVATION

LONG ISLAND UNIVERSITY

DIGITAL DOUBLES

WHERE ENGINEERING MEETS MEDICINE

How researchers are creating virtual twins of hearts, livers and other organs To speed drug development and improve treatment

TOP 7% OF UNIVERSITIES WITH HIGH-RESEARCH

TOP 7% OF UNIVERSITIES WITH HIGH-RESEARCH ACTIVITY

100+ majors in competitive fields such as business, accounting, nursing, veterinary medicine, computer science, fashion, performing arts, education and more.

LETTER FROM THE UNIVERSITY PRESIDENT LETTER FROM THE VICE PRESIDENT FOR RESEARCH

LONG ISLAND UNIVERSITY IS POSITIONED AS A LEADER in delivering research and education with a high social impact. We have welcomed renowned scientists from around the world and cutting-edge partnerships with industry innovators. Our ambitious research agenda has earned recognition from Carnegie Classification, which ranked LIU among the top 7% of universities nationwide for high research activity.

38 NCAA DIVISION I TEAMS

MEN’S TEAMS

As part of the Dassault Systèmes partnership, Dr. Mohammed Cherkaoui is leading a team of researchers to develop digital organs that will transform healthcare and treatment for diseases of major organs. Recognized for his pioneering work in micromechanics and nuclear engineering, Dr. Cherkaoui has been ranked among the top 2% of scientists in the world by Stanford University.

Baseball

Basketball

Cross Country

Soccer Swimming & Diving Tennis

Our sights are always set on the future. Our ambitious research initiatives are an integral part of LIU’s ongoing mission to provide unparalleled opportunities for our students to grow as thought leaders and innovators who will serve and inspire their communities.

Fencing Football

Golf

Ice Hockey

Lacrosse

Rowing

LONG ISLAND UNIVERSITY’S RESEARCH VISION bridges STEM disciplines with healthcare through the development and validation of digital technologies that will enable greater precision in medicine and treatment personalization.

Our overall strategy promotes renowned research faculty and postdoctoral researcher development and career progression. High-impact research embeds our curricula and, using immersive experiential learning and exposure to real-world global challenges, will increase STEM participation among all student populations. We will pave the way toward a more targeted, personalized approach for drug development while simultaneously minimizing risks associated with drug toxicity.

Indoor Track & Field

WOMEN’S TEAMS

Acrobatics & Tumbling Basketball

Ice Hockey Lacrosse

We are focused on creating a comprehensive ecosystem that promotes research in digital health that supports LIU signature research areas as well as drives digital transformation for maximum socio-economic impact.

Outdoor Track & Field Volleyball

Water Polo Wrestling

Bowling

Cross Country Equestrian

Fencing

Field Hockey Golf

Gymnastics

Swimming Tennis

LONG ISLAND UNIVERSITY | SPRING | 2024
Rowing Rugby Soccer Softball
Indoor Track Outdoor
Volleyball ACCELERATING the EXCEPTIONAL
2
HIGH-RESEARCH ACTIVITY Hockey Swimming Track & Field Track & Field Volleyball performing arts, education 4 Medicine in a Virtual World Software Is Being Used to Build Virtual Twins of Human Organs 8 The Dassault Systèmes Difference Partnering with a French Multinational Company 10 Boron Discoveries Spark Disease Breakthroughs Boron Is Being Used to Develop Medications 12 Fighting Prostate Cancer Exciting Results with Compounds in Blueberries and Grapes 14 Herd Immunity Developing a Vaccine for Bovine Respiratory Disease 16 The Green Team Collaborating on a Novel Approach to Combat Climate Change 18 New Hope for Heart Transplants Progress in Battling Heart Transplant Rejection 20 Turmeric’s Impact on Osteoarthritis Symptoms Researchers Author Article to Advise Pharmacists 22 Expanding Mental Health Across the Map Ambitious Partnership with Underserved Communities 24 Digitizing History Making Local History Sources Accessible 26 Unraveling Cosmic Mysteries 27 How Marine Animals Adapt to Climate Change in Antarctica 28 Research Goes Viral 30 Top 10 Ranking for High-Earning Women Graduates 31 Q&A: The Science Behind Addiction and Recovery CONTENTS 4 8 10 12 14 3
4

MEDICINE IN A VIRTUAL WORLD MEDICINE IN A VIRTUAL WORLD

A multi-disciplinary approach to develop human organ digital twins

5

MODELING THE HUMAN BODY IS NO LONGER A DREAM MODELING THE HUMAN BODY IS NO LONGER A DREAM

Dassault Systèmes, a Fortune Future 50 global corporation and Long Island University research partner, led the creation of the virtual heart. “Dassault Systèmes developed the digital twin of the heart. This is more than 40 years of science and development, 40 years of hard work, cloud computing, high-power computing, methodology, science and nanotechnology. It’s multi-disciplinary,”

Dr. Mohammed Cherkaoui, Vice President for Research, said of a pulsing image, far more than a picture, a repository of data from one individual that has helped revolutionize medicine. “Behind it is science, equations, mathematics,” he continued. “It is electrical engineering, computer engineering, nano technology and chemistry. All you can imagine in terms of science worked together to construct this digital twin of the heart. Now

it is starting to pay off.” Surgeons are using computers and the virtual world to do “virtual surgery” for surgical trainings and to plan actual procedures.

Virtual twin technologies and associated FabLab (3DExperience) platforms are being developed at Long Island University. In addition, Baylor College of Medicine is working with LIU’s School of Engineering to drive advances in clinical research and patient care.

Virtual Hearts

Imaging has changed healthcare, providing information, not just images. “If we can mimic the entire heart as an engineering concept and develop a digital twin of the heart, we can test drugs on the heart and predict drug toxicity prior to going to clinical trials,” Dr. Cherkaoui said.

LONG ISLAND UNIVERSITY | SPRING | 2024
6

LIU hosted the 8th International Symposium on the Living Heart and Virtual Human Twin, examining lungs, brain and liver.

“Modeling the human body is no longer a dream,” Steve Levine, founder of the Living Heart Project and Senior Director of Virtual Human Modeling at Dassault Systèmes, said. “It’s a commitment by Dassault Systèmes that will no doubt change the future of life for generations to come.” Rather than using patients, drug companies could first test drugs on virtual patients, identifying toxicity earlier. A decade after Dassault Systèmes began its digital discoveries, development of digital doubles, or technological twins, is science, not science fiction.

“Modeling and simulation can help to inform clinical trial designs, support evidence of effectiveness, identify the most relevant patients to study, and assess product safety,” Dr. Tina Morrison, FDA Deputy Director in the Division of Applied Mechanics, Office of Science and Engineering Labs, Center for Devices and Radiological Health, said in a written statement. “In some cases, in silico clinical trials (with digital twins) have already been shown to produce similar results as human clinical trials.” In silico trials, conducted using computer simulations and AI, can substantially speed up trials, and reduce cost.

Developing drugs digitally

Developing digital twins that mimic real organ

reactions to drugs seems futuristic, but it is an advancement the FDA takes seriously enough to collaborate with research partners such as Dassault Systèmes.

“Developing drugs through clinical trials is a ‘long pathway’ that can easily take 15 years and cost $5 billion. Virtual twins could reduce that to five years. It also can better predict drug toxicity, accelerating the development and manufacturing of drugs. Our main research emphasis is to work on clinical trials, to use technology to develop drugs, to test drugs on virtual humans. The heart, liver and kidney, in particular, have difficulty absorbing drugs. If companies can use virtual doubles to predict toxicity, they can save time, money and lives. The digital twin is beyond software. It’s science at a different scale. The value proposition is to come up with in silico clinical trials. That means we will do the clinical trials on virtual humans,” Dr. Cherkaoui indicated.

A virtual world

Virtual models have already revolutionized many industries, including aviation, automobiles and even airplane terminals where data is assembled and linked to let administrators monitor activity including lines, jet arrivals and more. Plane parts are tested virtually long before prototypes are built. Crash test dummies have largely given way to virtual tests. Why not healthcare? Dassault Systèmes leveraged their experience in engineering and

expanded from engineering to health.

A heart, in its essence, is a biological pump essential to human life that can be modelled virtually. “It’s a muscle whose function is to pump blood. Inside, the behavior of a heart follows the same standard as an aircraft like Boeing or BMW,” Cherkaoui said. FDA studies estimate 6.7% of hospitalized patients have a serious adverse drug reaction and a fatality rate of 0.32%. That would mean a staggering 2,216,000 serious adverse drug reaction in hospitalized patients, causing over 106,000 deaths annually, according to the FDA. About 100,000 Americans die annually from “non-adapted drugs” and 2 million are hospitalized due to adverse reactions to medications.

Dassault Systèmes technology is approved for and being used for some surgeries, although the FDA is looking at other uses. Virtual twins could help predict toxicity in virtual patients before they go into real ones as well as to provide models for surgeons.

Imaging, software and AI can let us know whether someone shows traits making them likely to develop Alzheimer’s disease. “Based on engineering concepts, we can predict years in advance that someone could develop Alzheimer’s disease,” Dr. Cherkaoui said of work to develop a digital brain, still being tested. $

7
Image courtesy of Dassault Systèmes

The Dassault Systèmes difference

Building a high-tech healthcare engineering hub by Partnering with a multi-billion-dollar tech company

Long Island University and French multi-national Dassault Systèmes officials and researchers united to announce a major partnership just days before the anniversary of the World Health Organization’s founding in 1948.

LIU and Dassault Systèmes announced the evolution and expansion of a scientific and educational partnership that could help transform digital healthcare and lead to a brighter future. The two institutions inaugurated a far-reaching and expanded alliance in life sciences built with brick-and-mortar, software and combined research. The university is now the site of a fourth Dassault

Center of Excellence in the United States, alongside three Dassault Centers of Excellence at the University of Southern California, Illinois Institute of Technology and Purdue University.

The Dassault Systèmes 3DExperience Education Center of Excellence is the only U.S. center focusing on life sciences in the world. It targets research with high societal impact in pharmaceutical sciences, precision medicine and healthcare in the digital age.

“It’s a strategic partnership, a strategic alliance,” Dr. Mohammed Cherkaoui, Vice President for Research, said. “The main emphasis is the connection between engineering and health.”

LIU is working with Cornell University, the Massachusetts Institute of Technology, the Baylor College of Medicine, and the Hospital for Special Surgery in New York City, although they are not Dassault Systèmes hubs. “We have a strong network worldwide,” Dr. Cherkaoui said. “Researchers from outstanding universities, clinicians, physicians from hospitals, industry, and regulatory bodies such as the FDA.”

Dassault Systèmes also partnered with institutions worldwide to establish centers in France, Mexico, Germany, Switzerland, Brazil and India.

LONG ISLAND UNIVERSITY | SPRING | 2024
8
We are at the heart of this new era. But it has to be fully holistic.You have the research component, the outreach component. We need to get the right vision of workforce development.

The Dassault Systèmes partnership combines academia with industry to hone methods to test medicine, educate, and develop and deliver treatment in the virtual world before the physical world as well as educate. “We have the profound belief that the virtual world extends and improves the real world, helping to address today’s social and environmental challenges,” Dr. Rama Kondru, Co-CEO of Medidata, a Dassault Systèmes brand company, said.

Dr. Kondru added that this “strategic initiative with LIU” could both help educate and “innovate” to help “transform healthcare and solve some of the biggest medical challenges in areas such as cancer and Alzheimer’s disease.”

The Dassault Systèmes difference Partnerships are crucial in academia and research, and the university’s alliance with France-based Dassault Systèmes is an example of the evolution of a relationship, a company and university. Dassault Group, the parent company of Dassault Systèmes, was founded in 1929 as an aviation company with a focus on airplane construction. “Every airplane has to follow the Dassault Systèmes standards,” Dr. Cherkaoui said. “To receive the approvals to fly, companies must follow rules of Dassault in coordination with the Federal Aviation Administration.” After conquering aviation, the Dassault Group launched Dassault Systèmes in 1981 with around 20 engineers supporting the aviation industry. Dassault Systèmes grew to a massive workforce, spanning numerous industries, assisting with 3D digital design, digital mock-ups and more,

from buildings to the human body. Dassault Systèmes provides a 3DExperience platform, software and services to 300,000 customers across 146 nations with about $6 billion in 2023 revenues. Fortune magazine ranked Dassault among the Future 50, global companies with the best prospects for long-term growth. The publication cited its software used to design, develop and modify products such as cars, airplanes and more, and its expansion into life sciences.

Engineering education

In addition to its partnership with Dassault Systèmes, Long Island University has carved out a digital engineering niche, merging medicine and engineering. The university pioneered to build a Bachelor of Science and Master of Science in Artificial Intelligence, and recently obtained New York State Education Department approval and ABET/CAB accreditation to offer the first Bachelor of Engineering in Digital Engineering, launching in fall 2024. “We have the first [digital] engineering program and the first master’s program in artificial intelligence. We cannot put a vision with research if we don’t address workforce training. It has to be fully integrated,” Dr. Cherkaoui said.

Dr. Cherkaoui believes engineering can play a crucial role in healthcare’s evolution due to the convergence of medicine and engineering. “We need to train the next generation of physicians and engineers,” he said. “It’s a new paradigm. There’s a paradigm shift.”

Facing the future

Long Island University is developing a digital healthcare hub. “We are investing in opportunities and technology to ensure our students become future leaders and innovators in emerging industries,” President Kimberly R. Cline added.

Board of Trustees Chair Eric Krasnoff, former CEO and Chairman of Pall Corporation, a major life sciences and high-tech healthcare company, described the partnership as one that can “create an ecosystem where students, faculty and industry partners can collaborate on real-world, impactful learning.” While the partnership unites institutions and expertise in digital medicine, it can advance research and education.

“Today, we are experiencing a big move to excellence with applied, high-impact research. That follows a holistic approach,” Dr. Cherkaoui said. “The education component is fully integrated in the research component.” Research at the Dassault Center of Excellence includes precision medicine using “virtual twins.” $

9

BORON DISCOVERIES SPARK DISEASE BREAKTHROUGHS

With the help of funding from the NIH and other grants, dr. Bhaskar Das is using Boron compounds to target numerous diseases

In healthcare, individual medications target diseases, slowing or stopping them. But in the battle against disease, some elements provide a whole new methodology and window for delivering medicine to treat many ailments. For that reason, boron is sometimes referred to as having not just medical qualities, but as a kind of “magic” atom.

10

Dr. Bhaskar Das, Professor of Pharmaceutical Sciences, is a recognized expert and central figure in using boron to battle illness. In “Boron-Containing heterocycles as promising pharmacological agents” published in 2022 in Bioorganic & Medicinal Chemistry, he and fellow researchers summed up boron’s role in medicine.

“The incorporation of the ‘magic’ boron atom is an important new strategy in the field of medicinal chemistry,” Dr. Das and fellow researchers wrote. “Boron compounds can form various bonds with their biological targets.” Boron compounds, building on Dr. Das’ research, have been deployed to target numerous diseases and are showing promise in treating everything from brain cancer to Alzheimer’s disease. While Dr. Das talks about boron’s promise, he points to products as well, often developed by relying on or with references to his work. “Our research is truly translational in its nature. We are focusing on BBB: Boron-Brain-Biology,” he said.

FDA-approved boron-containing compounds have been developed such as bortezomib (Velcade), tavaborole (Kerydin), ixazomib (Ninlaro), crisaborole (Eucrisa), and vaborbactam (used with meropenem in Vabomere). Boron (the chemical element known as a “B”) is a key building block in creating effective drug candidates. Heterocycles are organic compounds with a ring structure including at least one carbon atom and at least one other chemical element. “Boron-based heterocycles have an incredible potential in the ongoing quest for new therapeutic agents owing to their plethora of biological activities and useful pharmacokinetic profiles,” is the way Dr. Das puts it.

A researcher who did post-doctoral work at the Massachusetts Institute of Technology and Harvard Medical School, Dr. Das said boron has a “knack to form various bonds with biological targets.” Boron-based compounds are usually not toxic and typically involve fewer complex molecules more easily produced at lower costs than carbon counterparts. “Understanding the pathways and the biochemical issues is important. There’s tremendous potential. It is about one drug for multiple targets. These [boron-based] compounds have been found to be highly beneficial in molecular design as they interact with various biological targets. There is a need to develop new chemotherapeutic agents with novel modes of action,” Dr. Das said.

In his research, Dr. Das also partners with Texas Tech, Mt. Sinai, Cornell, Yale, Harvard, and Albert Einstein College of Medicine, creating an infrastructure to investigate boron. Research is ongoing on boron and brain cancer, diabetes, obesity and more. Dr. Das and fellow researchers in the Bioorganic & Medicinal Chemistry article added that “boron-based heterocycles are exciting new compounds to combat both the existing and new diseases.” He was awarded $3.3 million from the Department of Defense to develop boron-based therapeutics for a kidney disease known as focal segmental glomerulosclerosis (FSGS). “Boron-based therapeutics is a very promising area to cure some fatal diseases.” he said.

Dr. Das is working on using boron-based compounds for brain cancer and neurodegenerative diseases, Alzheimer’s disease, prostate cancer, obesity, and cardiovascular diseases. “The unique chemistry of boron is something that people hadn’t looked at,” Das said, describing boron as a kind of bullet that can be fired at diseases. “We’re now focusing on the ability to synthetize these compounds to get them to the target.” Dr. Das has obtained funding from the National Institutes of Health, Icahn School of Medicine at Mount Sinai, Baylor College of Medicine, the Regents of the University of California, Washington University, and many other sources. “In recent years, boron-containing compounds have emerged as a new and exciting field of research in medicinal chemistry,” Canadian researchers Katia Messner, Billy Vuong and Geoffrey Tranmer wrote in “The Boron Advantage: The Evolution and Diversification of Boron’s Applications in Medicinal Chemistry” in Pharmaceuticals (Basel).

The U.S. Food and Drug Administration (USFDA) approved boron-based bortezomib for multiple myeloma, tavaborole for onchomycois, and crisaborole for atopic dermatitis, to name just a few. Vabomere recently was approved, combining vaborbactam and an antibiotic to combat complex urinary tract infections.

Boron-based compounds could be key weapons in the battle against many other diseases. A wide range of boron-based compounds such as Diazaborines possess immense anti-bacterial potential, according to Dr. Das. Oxadiazaboroles, oxazaborilidines, and azaborines also demonstrate other useful biological activities. Other boron-based compounds, such as

bortezomib and ixazomib, are used to treat multiple myeloma and mantle cell lymphoma, killing cancer cells. They interact with the disease to inhibit homeostasis. Experiments suggest that bortezomib could block growth factors and cytokines in multiple myeloma, Dr. Das added.

Additionally, vaborbactam helps antibiotics function effectively and Tavaborole, an antifungal drug approved to treat onychomycosis and other nail infections, is the first oxaborole antifungal agent used as a topical solution. Crisaborole, approved for the treatment of atopicdermatitis, blocks enzymes. Dutogliptin increases blood glucose levels, as well, and Talabostat inhibits tumor-associated proteins and provokes a tumor-specific immune response, battling-small-cell lung cancer and malignant melanoma. “Chemo kills everything,” Dr. Das said. “This is selective uptake by the tumor in terms of addressing it.” Importantly, boron is not radioactive. In animal studies less tissue destruction occurs with boron-based compounds because the tumor cell is the only element activated, which could lead to less toxic drugs to treat brain cancer, and malignant brain tumors in general. Normal cells stay normal.

Dr. Das obtained an NIH supplemental grant targeting angiogenesis and inflammation for Alzheimer’s disease. He said BT75, a boron-containing retinoid he developed with fellow researchers, may slow Alzheimer’s disease progression. He’s investigating it as a “promising anti-inflammatory and neuroprotective agent” regarding Alzheimer’s disease. As Dr. Das sees it, boron’s medical qualities are anything but magic. They are, however, very real. He talks about the hope of establishing an International Center for Boron Research at Long Island University. “That’s my dream,” he said of efforts to mine boron not for magic or miracles, but medicine.

“Advances in boron chemistry have reinforced the therapeutic potential of boron-based heterocycles in drug design,” he added. “There is tremendous promise to develop FDA-approved drugs.” $

11
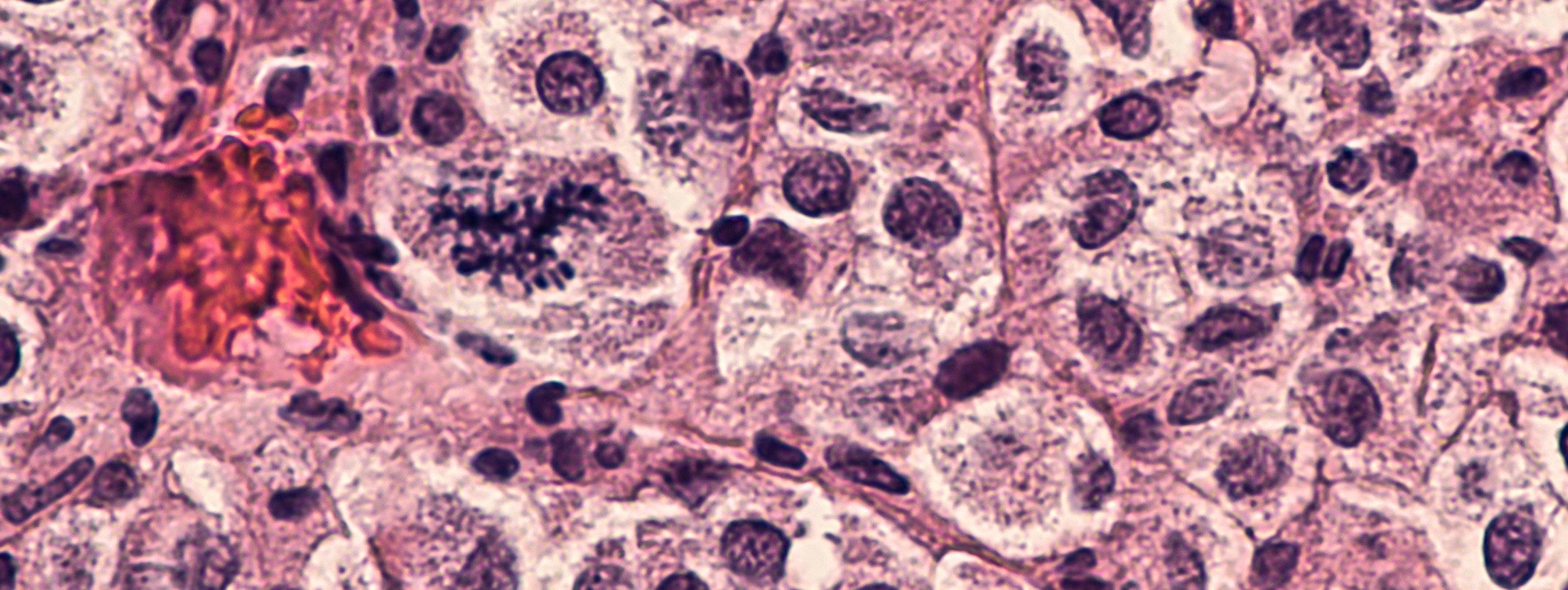
Biopsy showing pigmented cells and mitosis of metastatic melanoma

FIGHTING PROSTATE CANCER

DR.

ANAIT S. LEVENSON’S RESEARCH ON COMPOUNDS FOUND IN BLUEBERRIES AND GRAPES HAS EXCITING IMPLICATIONS FOR PREVENTION AND TREATMENT

Prostate cancer is a leading cause of death and illness in men.

Professor of Cancer Research and Pharmacology Anait S. Levenson, M.D., Ph.D., is at the forefront of research on how compounds known as stilbenes, which are found in grapes, blueberries and other foods, may help prevent and treat prostate cancer.

STUDYING STILBENES

Studies have linked diets high in certain fruits and vegetables to decreased prostate cancer risk. There is significant interest in stilbenes, which are a micronutrient found in plants. More than 500 stilbenes – which occur naturally in grapes, blueberries, rhubarb, peanuts, tea and other foods – have been identified. Stilbenes’ exciting potential to prevent and treat inflammation-driven diseases, including cancer, is recognized due to their antioxidant and anti-inflammatory properties and their ability to activate cell death.

“The most famous stilbene is resveratrol, which is found in grapes,” said Dr. Levenson. In the mid-20th century, scientists first isolated resveratrol and began studying its potential cardiovascular benefits. “According to studies, French people had a lower incidence of cardiovascular incidents compared to others in the world, despite a diet high in fat,” Dr. Levenson said. “Scientists hypothesized that this was because the French drank a lot of red wine, which contains resveratrol. Studies found that resveratrol inhibits the development of plaque in blood vessels.”

In the late 1990s, research first suggested resveratrol’s potential role in breast cancer prevention and treatment. Dr. Levenson began working with resveratrol in the early 2000s while doing breast cancer research at Northwestern University, Chicago. She published a book chapter about the role of resveratrol in breast cancer – which is among seven book chapters and more than 60 peer-reviewed journal articles published by Dr. Levenson throughout her outstanding career.

12

When Dr. Levenson transitioned to prostate cancer research, she began studying resveratrol’s applications to prostate cancer.

“We started having good results in the lab, which prompted the question of which kinds of analogs or derivatives of resveratrol could potentially be more potent,” said Dr. Levenson. The team synthesized pterostilbene, a close cousin of resveratrol that is found in blueberries. “Pterostilbene showed even more potent biological activity than resveratrol in inhibiting prostate cancer,” Dr. Levenson said.

The researchers published articles and gave presentations on their findings in numerous national and international conferences. After a conference presentation, Dr. Levenson was approached by Japanese scientists who suggested she add experiments with another stilbene, gnetin C, which is found in the melinjo plant, a staple of the Indonesian diet and which was not available commercially at that time. When Dr. Levenson came to Long Island University, she and her team added gnetin C to their studies. In a series of experiments, Dr. Levenson’s team discovered gnetin C was much more potent and efficient at slowing prostate tumor progression in preclinical mouse models of prostate cancer than either of the other two stilbenes.

TARGETING THE MTA1 MOLECULE

Dr. Levenson’s research, which has been published in peer-reviewed journals such as Molecular Oncology, Oncotarget, PloS ONE, Annals of New York Academy of Sciences, and Molecular BioSystems, focuses both on utilizing stilbenes for cancer prevention and treatment and understanding the molecular and genetic mechanisms of prostate cancer progression and metastasis. “Understanding the underlying pathways of cancer progression is key to developing targeted therapies to prevent and treat cancer,” she said. Dr. Levenson and her team focus specifically on the impacts of resveratrol, pterostilbene and gnetin C on the prostatecancer pathway associated with MTA1, a molecule that is highly expressed in prostate cancer (and certain other cancers).

Dr. Levenson’s team previously highlighted the role of MTA1 in prostate cancer progression by studying mice genetically modified to overproduce MTA1. Their research showed that mice with higher levels of MTA1 were more likely to develop cancerous prostate cells than mice with normal MTA1 levels. “An overexpression of MTA1 is also associated with the development of more aggressive forms of prostate cancer and metastasis,” Dr. Levenson said.

MTA1 impacts prostate cancer in part by affecting molecules known as microRNAs (miRNAs for short), which control multiple cancer development pathways, including enhancing cancer progression and cancer cells’ ability to metastasize. Dr. Levenson’s research has shown how stilbenes can protect against prostate cancer by targeting MTA1 and altering miRNAs, causing tumor-suppressing genes to be turned on and thus slowing cancer progression and inflammation pathways.

STILBENE PROGRESSION

In prior years, Dr. Levenson’s team treated prostate cancer cells in the lab with resveratrol and pterostilbene. They discovered that both stilbenes suppressed tumor cells’ growth rate, but that pterostilbene was more potent than resveratrol in inhibiting MTA1. They subsequently treated mice who were genetically modified to overproduce MTA1 with a pterostilbene-supplemented diet. The research team also discovered that mice with pterostilbene-supplemented diets had reduced levels of MTA1 and certain miRNAs and subsequently showed fewer cancerous prostate cells. The team published studies in Cancer Prevention Research offering preclinical evidence for the potential of pterostilbene as a promising natural agent for an MTA1-targeted intervention to prevent disease in high-risk patients who are under active surveillance for prostate cancer.

Grape powder (which contains both resveratrol and pterostilbene) was added to the diet of mice that were genetically predisposed to developing prostate cancer. Mice treated with the grape powder were found to have lower levels of tumor-causing miRNAs and less abnormal prostate cell growth. More recently, Dr. Levenson’s team found gnetin C to be the most efficient stilbene at slowing prostate tumor progression in preclinical studies by exerting anticancer and anti-inflammatory activity, suggesting its application as a novel and effective chemopreventive and therapeutic agent. The team published four papers with gnetin C, including in Nutrients, Cancers, and Molecular Nutrition and Food Research, and have one in progress.

“We found that gnetin C alone and gnetin C combined with FDA-approved drugs can effectively inhibit tumor progression in advanced prostate cancer,” Dr. Levenson said. “To further ascertain the potential role of gnetin C in prostate cancer therapy, synthetic manipulations to obtain new analogs with improved pharmacokinetics and anticancer activity may expand the therapeutic range of gnetin C in all stages of prostate cancer.” Dr. Levenson’s findings of stilbenes’ ability to protect against prostate cancer in mice points to the potential for human trials in the future.

LOOKING AHEAD

Dr. Levenson’s discoveries have exciting implications for the general male population as well as patients under active surveillance for prostate cancer and those with the disease.

According to Dr. Levenson, the fact that prostate cancer is an age-related, slow-growing disease points to a huge potential for using diet for prevention. “Having more stilbene-containing foods in our diets may help protect both the general population and ‘at risk’ patients from developing prostate cancer,” she said. Her team’s findings have also pointed to stilbenes’ potential for treatments for prostate cancer patients both on their own and in combination with other therapies. According to Dr. Levenson, “While the significant amounts of stilbenes in foods such as blueberries and grapes may help to prevent cancer from developing, the ability to modify these natural substances into potent anticancer drugs is a thrilling development as we strive to provide better outcomes for cancer patients.” $

An overexpression of MTA1 is also associated with the development of more aggressive forms of prostate cancer and metastasis.
MTA1 molecule
13

Dr. Thomas Inzana is battling bovine respiratory disease

Dr. Thomas Inzana has been developing a vaccine and treatments to battle respiratory and other diseases in cattle.

Professor at the College of Veterinary Medicine

Dr. Inzana already developed a vaccine for swine respiratory disease that was marketed by Boehringer Ingelheim Vetmedica. He is now using more than $1 million in total grants to create a vaccine for respiratory disease in cows that often occurs in what is known as a “biofill” or a bacteria collection. The work also has implications for humans.

The American College of Veterinary Microbiologists named Dr. Inzana a Distinguished Veterinary Microbiologist of the year, two years after he was given the Albert Nelson Marquis Lifetime Achievement Award by Marquis Who’s Who.

He is a Fellow of the American Association for the Advancement of Science and a winner of the Beecham Award and the Pfizer Award for research.

Dr. Inzana holds three patents for vaccines against swine pleuropneumonia and encapsulated toxigenic bacteria. His work now focuses on bovine respiratory disease caused by the pathogen Histophilus somni.

The United States Department of Agriculture (USDA), the nation’s biggest veterinary research funder, awarded Inzana a grant to battle this disease that takes a big toll on the nation’s cattle and causes great morbidity.

“Respiratory disease is the costliest disease to the cattle industry, although other agents besides H. somni cause respiratory disease,” Dr. Inzana said.

Due to cattle’s crowded conditions, respiratory and other diseases can spread rapidly. Bovine respiratory disease leads to $1 billion in annual economic loss, although histophilus somni is only one of four bacteria agents that cause this respiratory ailment in cattle.

Dr. Inzana’s most recent USDA award was for “An Intelligently-Designed Vaccine to Prevent Bovine Respiratory and Other Diseases Due to Histophilus somni,” among four major bacteria causing bovine respiratory disease. “After respiratory disease, it gets into the blood stream,” Dr. Inzana said regarding histophilus somni. “It can spread to the brain, heart, joints. It causes multisystemic disease, besides respiratory disease.”

14

He has written or co-authored 126 peer-reviewed manuscripts, 28 book chapters, seven books and his work has received consistent competitive funding from the USDA for 37 years, as well as from the National Institutes of Health, the Department of Defense and industry. While most think of veterinarians as treating domestic animals, the USDA is a primary veterinary research funder.

Disease due to H. somni was first discovered in 1956 in feedlots throughout the United States and has become a periodic problem. Efforts to prevent and treat H. somni diseases often include materials developed in laboratory flasks, but Dr. Inzana said the bacteria often occur in a biofilm, a kind of suspension, community or collection of bacteria. Analyzing ribonucleic acid or RNA reveals genes are expressed differently in host organisms and laboratory flasks, he added. “We are growing the organisms as close to the way they are in the host as we can. When they’re growing in a culture flask in a medium with iron, they don’t need to make proteins that

bring in iron. When they’re in an animal or human, there’s no free iron.”

Dr. Inzana employs matrix-assisted laser desorption/ionization time of flight, a spectrometer that uses a laser to blast and analyze bacteria. “It’s almost like getting a genetic sequence,” he said. “Based on that protein analysis, with the proper computerized analysis, it’s accurate in identifying almost every bacterium out there. Farm animals often are stressed, making them more susceptible to inflammatory diseases.” His research led to recommendations for ways to separate new shipments of cattle, including quarantining them, rather than adding directly to herds.

“The CDC was saying, ‘If you’re sick, don’t mingle,’” he said of the agency’s approach to Covid-19. “You can do the same thing with farm practices. Don’t bring new animals into the herd until they’ve been quarantined or tested or keep them separate.” He said any bovine vaccine must make sense economically so it can be used in herds, without soaring costs. “The farmer has to look at it as an effective

cost mechanism,” Dr. Inzana added. “You’ll be vaccinating a whole herd.” He is developing a “subunit” vaccine that contains components of the bacteria present in the host. Inzana analyzed the immune response to H. somni diseases after the vaccine was administered in mice and then in cattle, through a collaboration with the Mississippi State University Veterinary School. They tweaked the vaccine, obtaining promising results in preventing disease from spreading in a biofilm, which could have implications for human beings. “The vaccine we’re developing is targeted to remove the biofilm or treating the biofilm form,” he said. “The natural state of most bacteria is a biofilm. It certainly is for somni.”

One Health is a term for looking at ways veterinary research and human health can overlap. “I can study pathogens similar to human pathogens,” Dr. Inzana said. “If it works for the animal pathogen, it could work for the human pathogen.”

Dr. Inzana, a Ph.D. board-certified clinical microbiologist, said his

research includes examining compounds that dissolve bacterial biofilms, which can make bacteria more resistant to antibiotics. “The bottom line is the diseases that affect animals are similar or the same as those that affect people and treatments can be very much the same,” he said. “It’s a good model for human respiratory disease. The type of vaccine we’re developing may involve a biofilm.”

Infections in human beings following surgery can develop in biofilms with bacteria that resist antibiotics. “If you have surgery and get an infection in a joint, or in a stent that gets infected, you’ll have a biofilm there,” he said. By targeting the disease in biofilm, it may be possible to stop its spread, making antibiotics more effective in these situations.

“We are looking at compounds that remove the biofilm and make antibiotics more effective,” he said. “If you know a host is susceptible to biofilm disease, you can use a vaccine to try and prevent it.” $

Respiratory disease is the costliest disease to the cattle industry, although other agents besides H. somni cause respiratory disease.
15

The negative impact of carbon dioxide (CO2) emissions on the environment is well documented. With support from a National Science Foundation (NSF) grant, Department of Chemistry, Physics and Mathematics faculty member Cheng Zhang, Ph.D., and a team of students are working on a novel approach to mitigate CO2 emissions’ harmful effects.

Dr. Zhang is the recipient of an NSF award to fund “Novel Carbon Nanosphere Encapsulated Bimetallic Catalysts and Metal-CeO2 Interfaces for CO2 Conversion to Value-added Chemicals.” Her study began in the fall and extends to August 2026.

Dr. Zhang, whose background includes more than a decade of industry experience, has long been passionate about combatting climate change.

Current Research

Her research on mitigating the impact of CO2 emissions centers on efficiently converting CO2 into light olefins through a catalytic hydrogenation process. Light olefins are high-value components used in polymer and plastic production and can be turned into fuels. This research focus has the dual impact of removing CO2 from the atmosphere while generating high-demand commercial products more efficiently. Dr. Zhang’s research team is seeking to facilitate the discovery of new robust catalysts as well as more precise and tunable control of catalytic properties for more efficient CO2 conversion to light olefins.

16

“We chose this catalytic hydrogenation process approach due to its potential to address both environmental and economic challenges associated with excessive CO2 emissions, aiming to develop sustainable and innovative solutions for a greener future,” Dr. Zhang said.

“Converting CO2 into valuable products reduces its concentration in the atmosphere, potentially mitigating its impact on global warming and climate change. Using CO2 as a feedstock for producing chemicals or fuels represents a form of carbon recycling, which can contribute to a more sustainable use of resources. Converting CO2 into high-value chemicals or fuels also provides economic incentives, potentially creating a market for products that would otherwise contribute to greenhouse gas emissions.”

Building on Prior NSF Research

Dr. Zhang’s current CO2 emissions research is a continuation of her previous NSF-funded research entitled, “Carbon Dioxide Hydrogenation to Light Olefins over Carbon Nanosphere (CNS) Encapsulated Metal/Metal Carbide Core-Shell Catalysts.” Dr. Zhang’s team, which included more than 30 students, synthesized a series of CNS encapsulated Fe-Co bimetallic catalysts with varying molar ratios of iron (Fe) and cobalt (Co) and evaluated the catalysts. They discovered that CNS-FeCo at a Fe/Co mole ratio of 1:2 (denoted as CNS-Fe1Co2) is a more promising catalyst for direct CO2 conversion to light olefins versus either CNS-Fe or CNS-Co under the same testing conditions.

“This recent work provided new insight and incentive for a continued study with much broadened scope,” Dr. Zhang said. “The ultimate goal is to develop a fundamental understanding of how catalyst design can improve catalyst efficiency for CO2 conversion to light olefins.”

For the current research term, the team’s objective is to investigate and understand key structural and electronic properties of CNS encapsulated bimetallic catalysts with potential functionality that affect CO2 conversion activity and selectivity. This fundamental understanding will ultimately allow the team to use these parameters to tune the catalyst functionality for efficient CO2 conversion. The researchers are working to synthesize, evaluate and characterize CNS encapsulated Fe-M based bimetallic catalysts (where “M” refers to the metals copper (Cu), nickel (Ni), magnesium (Mn), or zinc (Zn), and compare them to the previously established CNS-Fe1Co2 benchmark catalysts. In addition, ceric oxide (CeO2), a widely

used industrial catalyst, will be introduced inside the CNS to study how its interactions with other metals in the confined space of CNS affect CO2 hydrogenation.

Empowering Student Researchers

Dr. Zhang’s commitment to involving students in research represents a significant component of her own research. Her prior NSF research project produced 11 publications in peer-reviewed journals in the areas of chemistry, energy, catalysis and material sciences, with students serving as first and co-authors. Dr. Zhang’s students made 94 conference presentations, both poster and oral, at North American Catalysis Society international meetings, American Chemical Society (ACS) national meetings, ACS regional research symposiums, and campus-wide LIU Discovery Days. The 30-plus students from diverse ethnicities, backgrounds and majors also received invaluable training on catalysis synthesis, testing and characterization.

“By working with Dr. Zhang for four years…I have been granted the opportunity to have been accredited in nine publications and presentations as well as the opportunities to become a member of the ACS and the North American Catalysis Society,” said recent LIU graduate Nicole Forte, who majored in biology and forensic science. “I have participated in ACS meetings, the 27th North American Catalysis Society Meeting and Long Island University’s undergraduate research symposium. By working in a research lab, I have learned how to work independently in a laboratory setting, as well as how to collaborate with others while conducting research.”

“Full immersion in research, especially in tasks like co-authoring papers and presenting findings, boosts students’ confidence, motivation and interest in pursuing further education or careers in the field,” Dr. Zhang said. Co-authoring papers and presenting at conferences or events can help students establish connections within the academic community and gain recognition for their contributions. “Research experience distinguishes students in job applications for graduate school or professional positions, demonstrating their practical skills and commitment to academic or scientific inquiry. Overall, involving students in research not only enriches their educational experience but also contributes to the advancement of knowledge by introducing fresh perspectives and fostering a new generation of researchers and scholars.”

Daniel Weber, a recent graduate, worked in Dr. Zhang’s research group for three years.

“Conducting research with Dr. Zhang was one of the greatest experiences that I have had in my life,” said Weber, a chemistry major. “While my lectures and labs taught me the basic principles of chemistry, this research pushed me to figure out how to hold myself accountable for my responsibilities, problem solve, and taught me to never accept anything the way that it is.”

According to Dr. Zhang, Weber’s swift job placement upon graduation – secured within a week of submitting his resume – speaks volumes about the practical applicability of the skills and knowledge he gained through his research experience. “This immediate job placement showcases the tangible value that employers place on research-based skill sets and the high regard for the training received in academia,” she said. “Moreover, Daniel’s contribution didn’t end with securing his job. His ability to utilize the skills gleaned from his research experience to train other employees at his new workplace further underscores the practical relevance and transferability of academic research to real-world scenarios.”

Current senior and biology major Messarah Al-Taee said being part of Dr. Zhang’s lab has provided many valuable lessons. “Although our projects are done on a smaller scale, being able to witness the positive results which could possibly work on a larger scale fuels our desire to continue working harder,” Al-Taee said. “Dr. Zhang is always looking for ways for her students to grow and continually presents them with opportunities that expand their knowledge.” Dr. Zhang added, “When students’ research work makes an impact on their field, leading to discussions, advancements or practical applications, it not only validates their efforts but also contributes to the broader knowledge base. This impact is a source of pride for both the students and their mentor.” $

17

Dr. Douglas Jennings, Pharmacy Practice Division Chair at the College of Pharmacy, sees the benefits and challenges of heart transplants daily.

As a member of the New York-Presbyterian Hospital Columbia University heart transplant team, he helps select candidates, set up drug regimens, monitor and medicate those who receive transplants. He guides transplant candidates in efforts to help their bodies welcome rather than reject hearts, using medications to smooth the path. Ways to reduce rejection are key to Jennings’ work and for the lives of patients. Dr. Jennings’ recent research, however, published in Pharmacotherapy, the official journal of the American College of Clinical Pharmacy, could help open a new avenue to ease transplants. The work won for best paper at the American College of Clinical Pharmacy (ACCP)’s recent annual conference.

Dr. Jennings and fellow researchers identified an additional reason for rejection that could help bodies accept transplanted hearts. The research started by investigating safe and efficient dosing in mycophenlate Mofetil (MMF), a key immunosuppressive medicine. Studying more than 100 patients, funded by the ACCP, they found that the gut microbiome, a bacteria agglomeration in the gut, appears to impact immunosuppressive medications. “Designing optimal immune suppression regimens is central to long-term survival for patients after transplant,” he said recently in his office at the Brooklyn campus.

Patients have been given three principal drugs for the last 20 years, but toxicity and organ rejection remain key concerns and challenges. Roughly 20 percent of patients have rejection episodes in the first year, when the risk is highest. “Usually these rejections are minor, because they’re caught on routine surveillance,” Dr. Jennings said. More than 90 percent of patients survive the first year; for patients who survive the first year, the median survival is about 12 years.“That hasn’t increased since the mid 2000’s,” he said. “Our long-term survival hasn’t budged.”

Kidneys prompt the most transplants followed by livers, hearts, and lungs. Only around 3,000 heart transplants are performed annually in the United States, while 6 million people experience heart failure.

Artificial hearts (mechanical circulatory support, or MCS) help those who are not transplant candidates and act as bridges to transplants. “Survivability and quality of life are not as good,” Jennings said, noting that “organ scarcity” remains a huge obstacle. Reducing rejection could be, if not heart transplants’ Holy Grail, a game changer. “Any information that can refine or explain how best to use these drugs would be very beneficial,” he said.

NEW HOPE for HEART TRANSPLANTS

DR. DOUGLAS JENNINGS’ RESEARCH FOCUSES ON REDUCING REJECTION RATE

LONG ISLAND UNIVERSITY | SPRING | 2024
18

TRANSPLANTS

Dr. Jennings’ recent research explores the relationship between the gut microbiome, thousands of bacteria in the gastro-intestinal tract, and immune-suppressive agents needed to help bodies accept hearts.

“The historical understanding of drugs is that in order to remove them from the body, you metabolize them in the liver, and they are cleared by the kidneys,” he said. “Those are the standard pathways by which drugs are removed.”

His work identified a possible third pathway, involving the gut microbiome inactivating medications. “We identified specific bacteria more present for people who experienced toxicity,” he said. “This reinforces the notion that drug exposure is influenced by specific bacteria.” Healthcare providers can identify and quantify bacteria in patients’ gut microbiome, potentially allowing a personalized treatment that also would examine genetic makeup’s influence on drugs. “The gut microbiome is a piece of the puzzle in your response to these drugs,” he continued. “We’re building out the puzzle piece by piece.”

Innovation is improving artificial hearts, which initially often failed during the first two years. Pumps now function a decade or longer, requiring less blood thinning. But they are not an open-ended cure for heart failure. “The devices only support the left ventricle. They don’t mimic normal physiology the way a human heart would,” Dr. Jennings said. “The artificial pumps are a stopgap. They’re a bridge.”

Xeno transplantation, using pig hearts, including two transplants done at the University of Maryland, shows promise, although initial patients only survived several months.“We would have to genetically modify pigs,” Dr. Jennings said. “Until then, we just don’t have enough donors. We’ve been trying to push the needle.” Drugs that cure Hepatitis C make it possible to use people’s organs even if they had that disease. “That expanded the donor pool.” he said. “That increased our transplant numbers.” DCD, or donation after cardiac death, also expanded the pool. “These are all very small steps,” Dr. Jennings said.

He is seeking funding to further explore the interface between medication, microbiomes, and outcomes after heart transplants, including studying a diabetes medication that shows promise for heart transplant patients, based on impacts on gut microbiomes. If research reduces rejection rates, that could help heart transplant recipients live longer, richer lives. Determining which gut bacteria impact medications and how to manage that interaction could improve efficacy and longevity, whether through diet or medications.

“There’s no intervention at this point,” he said regarding managing bacteria’s impact on transplanted hearts. “This is all still very preliminary. We’re still gathering data.” $

HEARTS AND PATIENTS

In addition to his role at Long Island University, Dr. Douglas Jennings is part of the New York-Columbia Presbyterian heart transplant team, which completes approximately 80 adult transplants annually with 12 to 14 patients he monitors daily.

Dr. Jennings is one of two heart transplant pharmacists at New York Presbyterian-Columbia along with a third at New York Presbyterian-Cornell.

“I take care of these people after their heart transplant surgery,” Dr. Jennings said. “I go around with the team in the morning. We see all the patients and come up with a plan.” As a pharmacist specializing in heart transplants, he oversees drug selection, dosing, and interactions as well as various medical questions.

“In the afternoon, a lot of time is spent physically with patients,” he said. “They have tremendous regimens.”

Patients during the first year typically come in at least once a month for testing, undergo EKGs, blood work and biopsies.

“The most medication is during the first year. They need a lot of physical therapy,” Dr. Jennings said. “Some have to go to rehab to be able to walk and take care of themselves.”

He also runs transplant support groups for people who had transplants recently or in the more distant past and pre-transplant patients.

“I’ve talked to people who had transplants 30 years ago,” he said. “They just had a good match. We match based on blood type and size.”

Good genetic matches from close relatives can lead to longevity, yet sometimes donors simply are perfect or near perfect matches.

“People who live the longest are just lucky,” he said. “They get a good match from a donor with a similar genetic background.”

19

TURMERIC’S IMPACT ON OSTEOARTHRITIS SYMPTOMS

DR. JOSEPH NATHAN AND PHARMACY STUDENTS COLLABORATED TO GUIDE PHARMACISTS

Pharmacists

field various consumer questions about medications, from what the correct dosage is to whether there are side effects or drug interactions. But the questions don’t stop at pharmaceutical products. People also turn to their pharmacists for advice on dietary supplements.

“There is much confusion and misinformation about the effects of dietary supplements, and many people misuse them,” said Dr. Joseph P. Nathan, Pharm.D., Professor of Pharmacy Practice at the Arnold & Marie Schwartz College of Pharmacy and Health Sciences at Long Island University. Dr. Nathan, who focuses his research on drug information resources and real-word evidence in the practice of pharmacy, has authored several articles that provide pharmacists with practical information for advising consumers on various dietary supplements.

“People are looking for an easy fix. If they’re tired, they may ask their pharmacist if there is a vitamin to treat fatigue. If they have anxiety or depression, they may ask for an herb or supplement that could take care of these conditions,” said Dr. Nathan, who is also Co-Director of the College of Pharmacy’s Leonardi Institute for Health Analytics and AI, formerly known as the International Drug Information Center, a community information resource serving pharmacists and others. Dr. Nathan is also a practicing pharmacist in a community pharmacy.

A question that comes up often is whether turmeric will help ease symptoms of osteoarthritis, which the Centers for Disease Control and Prevention says affects 32 million Americans. A disease affecting the joints, osteoarthritis causes inflammation, pain, stiffness and mobility loss.

20

Long used in Chinese and Ayurvedic medicine as an anti-inflammatory agent, turmeric and its primary active component, curcuminoids, are promoted for their ability to improve a variety of conditions, including osteoarthritis. But dietary supplements are generally not recommended by the 2019 American College of Rheumatology/Arthritis Foundation Guideline for the Management of Osteoarthritis of the Hand, Hip and Knee. To give pharmacists practical information about turmeric’s use in osteoarthritis, Dr. Nathan recently collaborated with Doctor of Pharmacy (PharmD) students Jenna Deng, Zayda Habib and Dana Persaud to author an article titled “Clinical Overview: Turmeric for the Management of Osteoarthritis,” which ran in Pharmacy Times. “People have heard that turmeric can improve osteoarthritis and they see it as an easy fix,” Dr. Nathan said. “They don’t have to go to a doctor to get it, and since it is natural, they view it as being safe.” But, he cautioned, dietary supplements can sometimes cause harmful side effects or interact adversely with medications.

LITERATURE REVIEW

Based on their literature review, Dr. Nathan and his collaborators reported that oral turmeric is generally well-tolerated. The most frequently reported adverse effects include gastrointestinal symptoms, headache and dizziness, and these are generally mild. However, the authors noted, turmeric should be used with caution in pregnant patients due to possible stimulation of the uterus. They further reported that large quantities of turmeric may increase the risk of hepatoxicity, or liver damage. Although

there is limited or conflicting evidence regarding interactions between turmeric and other drugs, the authors cautioned that turmeric use with anticoagulants and anti-platelets could theoretically increase the risk of bleeding because turmeric is said to have anti-platelet effects. Dr. Nathan and his collaborators also noted a potential increased risk of hypoglycemia when mixed with anti-diabetic drugs, among other potential interactions.

The authors also reviewed the literature to determine turmeric’s effectiveness at easing osteoarthritis symptoms. The authors noted that NatMed, a commonly used database focusing on dietary supplements, rates turmeric as being “Possibly Effective” for osteoarthritis management. “This rating is based on several meta-analyses of clinical studies showing that turmeric extracts and/ or curcuminoid products reduce knee pain and stiffness, improve physical function, and reduce the need for rescue medications when compared with placebo,” the authors wrote.

Dr. Nathan’s team also reported on a recent systemic review and meta-analysis found via a PubMed search that looked at 15 studies with a total of 1,670 patients. This particular review examined efficacy and safety evidence of curcuminoids alone in the treatment of knee osteoarthritis.

The investigators found that curcuminoid products were significantly more effective than placebo in improving the visual analog scale (VAS) score for pain, the Western Ontario and McMaster Universities (WOMAC) total score, WOMAC pain score, WOMAC function score and WOMAC stiffness score. In improving

knee pain and function, curcuminoids were found to perform as well as non-steroidal anti-inflammatory drugs (NSAIDs), which are commonly used to treat osteoarthritis. The incidence of side effects – which were mainly gastrointestinal – did not differ significantly from that reported with placebo. The investigators in the systemic review concluded that curcuminoids can be expected to relieve pain and improve function in patients with knee osteoarthritis in the short term without increasing adverse effect incidence. However, the investigators urged caution when considering curcuminoids for knee osteoarthritis because of the low quality of the studies that the meta-analysis included.

“Evidence of dietary supplements’ effectiveness is very often limited, not just quantity-wise, but also quality-wise,” Dr. Nathan said. “When it comes to drugs, the Food and Drug Administration (FDA) thoroughly evaluates data and scrutinizes studies to ensure the medication is safe and effective. If studies have not been performed properly, the FDA will say there’s not enough evidence. The same regulations do not apply when it comes to dietary supplements and, as a result, the studies that are out there often do not meet high quality standards.” For instance, Dr. Nathan said, some studies will examine a suboptimal amount or too much of the ingredient. Or a study may not have the necessary number of participants to be considered statistically powered.

In the case of turmeric, “the evidence that we can draw from is limited, based on the research quality and quantity,” he said. “There is little evidence to show that these products are effective.” The authors

concluded that turmeric may provide some benefit in the management of knee osteoarthritis. But “pharmacists should be cautious in their recommendations and recognize the limited evidence that exists to support such use,” they said. “As a rule of thumb with dietary supplements like turmeric, my philosophy is that if there is some evidence that it may work, and it’s known to be fairly safe, and you don’t have unsafe medication interactions or other contraindications, then try it for a month or two and see if it works,” Dr. Nathan said. “If you see improvement, keep using it. If there’s no improvement, stop using it.”

COLLABORATION

The PharmD students who collaborated on the article were part of the inaugural “Introduction to Medical Writing and Communication” elective course.

The course, which was developed in collaboration with Drs. Tina Zerilli and Sara Grossman, gives teams of students the opportunity to collaborate with faculty members to author articles for publication. “Publishing articles allows students to establish themselves as scholars and to stand out from others when they apply for residency or fellowship training programs after graduation,” said Dr. Nathan, who together with Dr. Zerilli presented the course at the annual meeting of the American Association of Colleges of Pharmacy. “Working with students on publications is one of the most rewarding parts of my career,” said Dr. Nathan. “When students see their article come to fruition, they are so happy and want to share it with everyone in the world.” $

21

EXPANDING MENTAL HEALTH ACROSS THE MAP

The United States is mired in a mental health crisis, exacerbated by insufficient and inequitable access to services and a lingering stigma to seeking help. It is a complex problem requiring multi-faceted solutions.

Long Island University, in collaboration with three high-needs school districts in the region, secured a $4.05 million U.S. Department of Education grant to fund the Long Island Mental Health Professional Expansion Project, an ambitious initiative to recruit diverse candidates from the three school district communities and educate them as social workers, school counselors or mental health counselors to train and ultimately work in those specific communities.

The project is spearheaded by Kathleen M. Feeley, Ph.D., a Professor of Education who leads the Center for Community Inclusion (CCI), which provides members of the LIU community, educators, families, early interventionists, medical professionals, employers and the community at large with resources to support individuals with disabilities, enabling them to become active community members and realize their full potential. Helene Fallon, CCI’s Associate Director, was instrumental in developing the application for The Mental Health Professional Expansion Project, which is administered through the CCI.

Mental Health Professional Expansion Program

The five-year Mental Health Professional Expansion Project will recruit, educate and train 16 total individuals to work in the Brentwood, Freeport and Uniondale school district communities. Qualified applicants hailing from those communities will be selected to enter the Mental Health Counseling Master of Science, School Counseling Master of Science or Master of Social Work programs. The 16 students will receive scholarships that leave them responsible for only $500 out of pocket per semester; the students will study for four or five semesters, depending on the master’s program. The degree candidates must agree to conduct and complete all required fieldwork and internships and agree to work for two years after graduation within the participating high-needs school district communities.

The first cohort of seven students entered the master’s programs in fall 2023. These students will begin their fieldwork in the participating school districts in fall 2024. An evidence-based retention plan is in place to ensure the 16 total students successfully complete the program as designed.

The Mental Health Professional Expansion Project’s focus includes several aims, Dr. Feeley said. “We will prepare diverse individuals to enter the mental health field and to work in high-needs communities,” she said. “We are working with

LONG ISLAND UNIVERSITY | SPRING | 2024
22

specific schools within the three high-needs school districts to shift practices to a Multi-Tiered System of Support (MTSS) for delivery of mental health services. This is an evidence-based, three-tiered system. The first tier refers to services that benefit the entire school population. The second tier includes additional services and programs for specific groups at higher risk for mental health challenges, such as LGBTQ students or newcomers to the country. The third tier addresses the needs of students requiring highly intensive mental health services. We are helping the specific schools with each district to either establish leadership teams or train existing leadership teams to ensure sustainability of the MTSS framework after the five-year grant period ends.”

Dominque Ramos, Ed.D. serves as the Project Coordinator. Also, professors from the Counseling Department (Dogukan Ulupinar, Ph.D.) and the Social Work Department (Lois Stein, D.S.W.) will support the leadership teams in getting input from

Socioeconomic conditions greatly impact mental health, and mental health disorders have been shown to have a negative impact on social and academic functioning, with related decreased opportunities for education, employment and social mobility.

school personnel, parents, community members and other stakeholders and rolling out the multi-tiered interventions. Much of the behind-the-scenes work is conducted by CCI’s Administrator/Evaluator team of Heather Jones and Joshua Geier. The scholarship recipients also have a dedicated Promise Coach, Natalie Gutierrez, who serves as mentor and a resource to them.

Each leadership team was asked to first assess the current programs in place. “Based on the results of these assessments, we are starting to roll out appropriate professional development,” Dr. Feeley said. “For instance, the Freeport School District has a wellness center in the schools in which we are working, so there is no need to provide professional development on setting up a wellness center.”

As part of the Mental Health Professional Expansion Project, LIU will also conduct a thorough evaluation of the relevance, usefulness and quality of its curricula for training social workers, mental health counselors and school counselors and make necessary adjustments to the course curriculum within these master’s degree programs.

Disparate Access to Mental Health Services

A complex array of social, economic and environmental factors contributes to the shortage of school-based mental health professionals, specifically those from diverse backgrounds, and particularly in high-needs school districts in the region. The immense weight of stressors that disproportionality affect low-income residents, combined with a lack of established infrastructure for fixing the inequities, leads to the need for a comprehensive partnership to tackle the issue.

Bordering New York City, Long Island is largely perceived as an affluent region, yet large financial gaps exist between different communities. For example, the median individual income in Brentwood was only $31,623 in 2021, compared to $75,486 in neighboring Dix Hills, according to the U.S. Census Bureau. There is also a long history of deep-seeded racial disparities in the region. In 1947, Long Island became home to America’s first so-called suburb, Levittown, whose developer used contractual clauses to prevent people of color from moving into the community. For decades, discriminatory real estate practices contributed to today’s patchwork of segregated communities, each lacking racial and economic diversity and each with its own school district. As the

majority of school funding comes from tax dollars, school districts serving communities with higher real estate values have been able to generate greater funding, while districts serving poorer communities have been at a distinct disadvantage.

Underserved communities are disproportionately impacted by substance use issues, gang activity, homelessness and related difficulties. The COVID-19 pandemic exacerbated existing disparities by leaving many students from high-needs schools with interrupted education due to a lack of resources to access instruction (including access to devices, internet and an environment conducive to online learning). Socioeconomic conditions greatly impact mental health, and mental health disorders have been shown to have a negative impact on social and academic functioning, with related decreased opportunities for education, employment and social mobility.

As Dr. Feeley and her team noted in the grant application, half of mental illnesses emerge during or before adolescence, with the majority of mental health issues occurring before age 25, placing a disproportionate burden on young people. However, less than half of young people with mental illness receive adequate treatment, according to Substance Abuse and Mental Health Services Administration (SAMSHA). Left unaddressed, students with mental health challenges will experience multiple disparities throughout their lives.

Employing the MTSS approach, which is an equity-based and needs-driven mental health support service delivery framework, the project expects to reduce disparities in mental health challenges and increase access to mental health treatment across the Brentwood, Uniondale and Freeport school districts. The CCI will continue to work with school leaders to enhance implementation and progress over the course of the five-year project, to empower school personnel with knowledge of the “next steps” when they identify a student in need and the ability to coordinate appropriate support within the school, within the district and/or with outside organizations to improve student outcomes. $

23

DIGITIZING HISTORY MAKING THE PAST ACCESSIBLE

From Lincoln to Whitman, Boy Scouts to Baptisms The Palmer School of Library and Information Science is Creating Permanent Records of Ephemeral Documents

Historians traditionally search through musty, even brittle documents, sometimes in climate-controlled rooms, foraging through fragile collections, looking for hidden historic gems and an occasional “Eureka” moment. It’s a time-consuming and even antiquated process, as paper deteriorates over time. After all, diamonds may be forever, but documents aren’t, although digitizing them can give paper the permanence that lets historians study them far into the future.

Dr. Gregory Hunter, Professor in the Palmer School of Library and Information Science, and researchers at the Palmer School are taking history into the future – or at least the present. They are digitizing thousands of documents, increasing ease and access to them to historians, writers, and the public.

Through an initiative called “Digitizing Local History Sources,” Dr. Hunter and his team are digitizing documents and collections from historical societies. Armed with $2.5 million in grants, including a $1.5 million initial grant and $1 million follow-up endowment grant in 2022 both from the Robert David Lion Gardiner Foundation, they are giving local history new life. The initiative already digitized 83,000 images and 5,500 gigabytes of data from 50 historical organizations. Images are available at the DLHS (Digitizing Local History Sources) portal at liu.access.preservica.com. Like archaeologists on digs in search of dinosaur bones, Palmer School researchers discover documents and images, mining local Long Island historic society collections and making them available online.

“Many larger cultural heritage organizations are digitizing their own collections,” Dr. Hunter said. “Our unique role is bringing this level of expertise to the small historical organization. Local historical organizations typically do not have the resources or expertise to complete this ‘essential work.’ The DLHS project amounts to a lifeline for local history that can have national and even international implications. We assist local organizations, many of which are run by volunteers, with preservation quality digitization that they would never be able to do on their own.”

The Palmer School offers a Master of Science in library and information science, and since 1990 an Advanced Certificate in archives and records management, the only such certificate program registered with the New York State Education Department. “The Palmer School has a program to educate the next generation of archivists. That’s why we have this focus on digitization and digital records. That’s what the next generation of professionals needs to understand and master,” Dr. Hunter, a member of the Society of American Archivists, continued. More than 100 graduate students in the Palmer School’s M.S. and Advanced Certificate programs have used a variety of scanning equipment, including portable digitization labs and a high-power DT Atom system that sells for $95,000 today.

“You don’t have to place items on glass and close a cover,” Dr. Hunter said of the DT Atom. The portable kits contain an Epson scanner, a Dell PC, cables and a user guide, everything they need to digitize materials on site. “A team of two students use them at a historical society,” he said.

LONG ISLAND UNIVERSITY | SPRING | 2024
24

The Palmer School, he added, preserves according to national and international preservation standards, capturing images as TIFF (tag or tagged image file format) files. “There’s no compression or loss of data,” he said, noting the university and historical societies all receive TIFFs. “The public-facing site contains JPEGs.” Hunter and his research team have preserved documents from baptisms to burial records, also saving stories by scanning documents, photographs and a few paintings, providing free access to first-hand documents including historic events, famous figures and people in general. They have scanned images and documents related to the wealthy such as William K. Vanderbilt to Walt Whitman, as well as enslaved people in the 1700s, the agricultural community, LGBTQ community, and hurricanes. “With Vanderbilt, we digitized oversized photo albums that document life of the rich in the early part of the 20th century,” he said of work done partnering with the Vanderbilt Museum. “We did photo albums of his auto racing and trips around the world on his yachts.”

The Palmer School partnered with the Walt Whitman Birthplace Association, scanning pages from his family Bible, a ticket from a theatre lecture he gave on April 15, 1880, on the death of Abraham Lincoln, and other images. They digitized early church sacramental records, including baptismal and marriage records starting in 1725 from the historic St. George’s Episcopal Church in Hempstead, New York, founded in 1702. “There is record of a baptism of an enslaved child in 1726,” Dr. Hunter said. While he noted Census records typically don’t name enslaved people, this church record shows the baptism of “Titus a negro male child slave.”

“We partner with historical organizations to digitize priority items,” he said. “We’re doing high-quality digital images.” Hunter and his research team, including faculty and students from the Palmer School, also collaborated with the Hallockville Museum Farm to document agricultural history, including scrapbooks. And they worked with the Cherry Grove Archives Collection,

“Their top priority was preserving photo albums that were donated to the historical society. We go with the priority of the historical organization,” he said. “We preserved thousands of images from photo albums donated to them of people on Fire Island from the fifties forward.”

They also are digitizing documents and images related to historic events, including a hurricane from nearly a century ago. “The 1938 hurricane reshaped Long Island. It formed Shinnecock Inlet and destroyed some of the coastal communities completely,” Dr. Hunter said, “Many organizations have things about the 1938 hurricane, especially photo albums.”

Digital images are generally more accessible than the originals, but the authentic item is sometimes best for certain purposes. “There are times when you won’t necessarily see the watermark. There are archivists who talk about intrinsic value,” he said. “Sometimes the original is the one you want to see.”

Preserving history provides educational value to the public and is part of the pedagogic process for students. “They [the students] understand the concept of local history in ways they never would,” Dr. Hunter said. “We’re not just in a university collection. They work with people whose passion is local history.” $

25

UNRAVELING COSMIC MYSTERIES

Black holes have long interested scientists and science fiction writers, but they are very real. Observations are beginning to reveal the nature of black holes as well as the larger universe. The National Science Foundation Gravitational Physics-Theory program awarded Dr. Steven Liebling, Professor of Math and Physics, a grant to research black holes, regions of space with such a powerful gravitational field that matter and radiation cannot escape.

As principal investigator, Dr. Liebling’s research titled “Magnetized Mergers of Black Holes and Neutron Stars with LES (Large Eddy Simulation) and Neutrino Transport” is funded through May 2025. “We have entered a very exciting time in high-energy astrophysics with observations accumulating,” he said in the abstract for the grant. “It is in this context that numerical work helps guide and extract the science.”

Dr. Liebling said that he has “long been fascinated” with black holes, relativity, and Einstein. “Less from an astrophysics perspective, and more philosophical about what the universe allows and the rules that it follows. Black holes are where the most extreme stuff happens,” Dr. Liebling said. “It’s where nature shows how she really works. Time and space get mixed together. All the fundamental forces of nature are important.”

He said that by observing black holes, it may be possible to test Einstein’s theory of gravity, called General Relativity. “There are good reasons to think there has to be a better, more complete theory, but Einstein’s theory passes every single one,” Dr. Liebling added. “Black holes may be the best potential place to test gravity, though, because it’s gravity at its extreme.”

A specialist in black holes, computational modeling and relativity, Dr. Liebling said magnetic structure studies can provide important information and mathematics can help see further into the depths of these phenomena. His research touches on the nature of matter at very high densities, “so high that labs on Earth cannot probe.”

“I put black holes on the computer and see what happens to them dynamically. So one can look at two black holes that smash together in a binary merger,” he continued. “I look at the densest objects there are (black holes and neutron stars) and see what happens when they merge. Computers are well-suited to such studies.” That such mergers produce very powerful gravitational waves means one can compare the numerical results with actual observations, Dr. Liebling said.

“As for the magnetic structure, black holes are thought to be the engines of some very energetic phenomena including what are called long gamma ray bursts,” he continued. “There are some general arguments that the black hole powers an incredibly large electromagnetic field which accelerates charged particles and lights up the universe. However, the precise details of this process are not known.”

His research on black holes has been published in Science, Proceedings of the National Academy of Sciences and Physical Review Letters. Dr. Liebling also received previous grants through the NSF and NASA and has been a guest scientist at Brookhaven National Laboratory, a KITP (Kavil Institute for Theoretical Physics) Scholar at the University of California at Santa Barbara (UCSB), and a visiting professor at the Perimeter Institute for Theoretical Physics in Canada.

Dr. Liebling also served on the Nominating Committee for the Topical Group in Gravitation, a group under the American Physical Society, and on NSF review panels.

“In principle these studies help extract understanding from the observations, such as knowing what kind of objects produced observed signals, including gravitational waves and light,” Dr. Liebling said. “We learn how dense materials like gold and platinum get produced, statistics of black holes across the universe, and many other things.”$

LONG ISLAND UNIVERSITY | SPRING | 2024
26

HOW MARINE ANIMALS ADAPT TO CLIMATE CHANGE IN ANTARCTICA

Some people see Antarctica as a frozen, isolated continent, but to Dr. Scott Santagata, in the Department of Biology, it is a polar region that can help unlock valuable knowledge in understanding how organisms adapt to ocean acidification and global warming. The National Science Foundation’s Office of Polar Programs funded his research on the impact of cold and environmental change on Antarctic marine invertebrate animal (bryozoans) habitats reminiscent of tropical environment coral reefs.

Dr. Santagata said these “invertebrate communities…occupy significant portions of the shallow and deep seafloor and provide habitat for other marine animals.” He sees studying these organisms as one way to test how climate change is impacting life not only on the Earth’s surface, but deep in the sea. “Many polar marine organisms are adapted to narrow environmental temperature limits that may be exceeded by shifts in the global climate,” Dr. Santagata said. “Understanding the genomic changes underlying adaptations to polar environments is critical for predicting how climate change will affect life in these environments.”

While life hidden deep in the ocean may be out of reach for most of us, he shines a spotlight on it as a way to illuminate larger global issues. “As an evolutionary biologist with broad interests in the development, evolution, and ecology of aquatic invertebrates, the opportunity to study Antarctic marine animals was a lifelong goal,” he said.

Dr. Santagata said his taxonomic expertise in the kinds of marine organisms readily found in Antarctic shelf habitats makes him well-suited to this study. His lab group collaborated on an initial, six-week-long research cruise aboard the NSF’s R/V Nathaniel B. Palmer on the western Antarctic Shelf, gathering Antarctic organisms from sites in the Palmer Archipelago, Bellingshausen Sea, Amundsen Sea, and Ross Sea. On subsequent research cruises to the Weddel Sea, Santagata said his colleagues gathered additional relevant data.

“Typically, the sampling, sorting, and preservation of the samples would be accomplished around the clock each day by two different shifts of researchers,” Santagata added. He said the NSF-funds also were used to create workshops to “train diverse groups of scientists using computational tools to identify genetic modifications of organisms from disparate environments.” Dr. Santagata said that “through our workshops we provide outreach to the public, students and scientists to raise awareness and appreciation of spectacular Antarctic marine life.”

Understanding “adaptations to polar environments is critical for predicting how ecological changes will affect life in these fragile environments,” he said, adding that this research could provide “critical insights into the molecular rules of life in a rapidly changing Antarctic environment.” $

27

VIRAL RESEARCH GOES VIRAL STUDY ON CHATGPT’S RESPONSES TO MEDICATION QUESTIONS GRABS HEADLINES IN MAINSTREAM MEDIA

The launch of ChatGPT triggered widespread academic integrity discussions and concerns that students would use it inappropriately for homework and exams. But three faculty members thought of another potential problem with OpenAI’s wildly popular chatbot, which uses artificial intelligence to answer questions and generate content.

“We started wondering what would happen if people started using ChatGPT to get answers to medication questions for their patients, for themselves or for their loved ones,” said Sara Grossman, Pharm.D., a faculty member in the Arnold & Marie Schwartz College of Pharmacy and Health Sciences.

Dr. Grossman and fellow College of Pharmacy faculty members

Tina Zerilli, Pharm.D., and Joseph P. Nathan, Pharm.D., whose research focuses on the drug information sector, decided to study the topic. Their findings made headlines in national and international mainstream news.

Free ChatGPT Research Study

OpenAI offers both free and paid versions of ChatGPT. LIU Pharmacy’s Grossman, Zerilli and Nathan focused their research on the free version, which reportedly has about 180 million users. Results from the research found that free ChatGPT’s answers to nearly three-quarters of drug-related questions reviewed by the LIU Pharmacy researchers were incomplete, contained inaccurate information and/ or did not provide a direct response to

the question; crucially important, LIU researchers found that in some cases free ChatGPT’s misinformed answers could possibly be dangerous to patients.

Dr. Grossman was the lead author on the study, which was presented by Dr. Zerilli at the American Society of Health-System Pharmacists’ Midyear Clinical Meeting.

CNBC published a news story on Drs. Grossman, Zerilli and Nathan’s research findings on free ChatGPT validity, and within the week after its presentation, the results were reported close to 550 times by news outlets around the world. The professors were interviewed by media outlets and invited to give talks on the topic by universities and organizations as far away as Hong Kong.

“I think it received a lot of publicity because one, it was an interesting and timely topic, and two, because of the findings. If we had found that free ChatGPT did a great job, the findings would not have been that big of a story,” said Dr. Nathan.

The Process

At various points in their academic careers, Dr. Grossman and her two colleagues have staffed the College of Pharmacy’s International Drug Information Center – currently known as the Leonardi Institute for Health Analytics and AI (Institute).

The Institute is a community resource providing reliable information from appropriate sources to address questions primarily from pharmacists and other healthcare providers and consumers.

28

The Institute commonly fields questions on drug interactions, dosing instructions, medication side effects and other topics.

Dr. Grossman and her team conducted the free ChatGPT study in May 2023 using 45 real questions posed to the Institute over a 16-month period. First, the three investigators researched and answered the 45 questions. Each answer was reviewed by a second investigator. They used these answers to serve as a standard by which the free ChatGPT answers would be compared.

The investigators posed the questions to free ChatGPT. Six of the 45 questions were excluded because there was insufficient literature to produce a data-driven standard response. This left 39 questions for ChatGPT to answer.

The Findings

The investigators compared free ChatGPT’s answers to their previously established standard answers. Only 10 of the 39 free ChatGPT-provided responses were judged to be satisfactory according to the researchers’ criteria.

For the remaining 29 questions, 11 responses generated by free ChatGPT did not directly address the question, 11 had inaccuracies and 12 were

incomplete (some responses fell into more than one category). For each of the 39 questions, the researchers also asked free ChatGPT to provide references with the answer, though free ChatGPT only included a reference list with eight responses – and each of the eight included non-existent references.

Some of free ChatGPT’s answers could potentially endanger patients. “One of the most concerning findings involved baclofen, a drug used for muscle spasms,” Dr. Grossman said.

The medication can be administered orally or intrathecally, and the question that was posed concerned the conversion rate between the intrathecal and oral dosages.

“With some drugs, there is an established dose conversion recommended for clinicians, but based on our search, there was no established dose conversion for baclofen,” Dr. Grossman said. “We found a number of publications in the literature where clinicians described their experience, but there was no uniform conversion factor.

“However, in its response, free ChatGPT referred to a single established conversion and noted it was

recommended by two reputable organizations. These two organizations do exist, but they do not provide guidance on this topic. The fact that they were referred to in this way was troublesome.”

Further concerning was that free ChatGPT went on to provide a numeric example of how to calculate a dose conversion, but this example confused milligrams with micrograms, which are a thousand times smaller, and as a result, arrived at a recommended dose that was a thousand-fold smaller – a “major error,” according to Dr. Grossman.

“This particular medication can cause withdrawal symptoms, including hallucinations and seizures, so it has to be tapered gradually,” Dr. Grossman said. “Suddenly going from a high dose to a very low dose can produce serious consequences. Because of errors such as these, we are truly concerned with the responses of the free version of ChatGPT and recognize that it could have a profound impact on patient care.”

Also troubling, free ChatGPT was asked if a drug interaction exists between Paxlovid, an antiviral medication used to treat COVID-19, and the blood pressure medication verapamil. Free

ChatGPT incorrectly indicated that no interactions existed for this drug combination. But in fact, the combined use of Paxlovid and verapamil could result in excessive lowering of blood pressure.

The fabricated references, which included made-up articles, were another concern, Dr. Grossman said, though she emphasized that the study was completed in May 2023. “It is our understanding that OpenAI was addressing the reference fabrication and that improvements have been made to the [free ChatGPT] product since,” she said, adding that the paid version of ChatGPT may also produce better results.

Given the researchers’ findings, Dr. Grossman said, “Healthcare professionals and patients should be cautious about using ChatGPT as an authoritative source for medication-related information. Anyone who does use ChatGPT for medication-related information should verify the information using trusted sources.” $

One of the most concerning findings involved baclofen, a drug used for muscle spasms.
29

TOP 10 RANKING FOR HIGH-EARNING WOMEN HEALTHCARE GRADUATES

Career exploration resource Steppingblocks ranked Long Island University among the Top 10 R2 Universities in the Northeast for high-earning women graduates under age 40.

In 2022, women in the United States earned $0.82 for every dollar made by men, based on a Pew Research Center analysis. The gender pay gap remained relatively unchanged over the past two decades, improving only slightly from 2002, when women cleared $.80 for every dollar that men earned.

According to Steppingblocks, the gender pay gap is attributable in part to the so-called opportunity gap, which refers to a tendency that women climb the corporate ladder more slowly than men. Accelerating women’s upward mobility early in their careers can significantly reduce lifetime income deficits versus male counterparts, according to Steppingblocks.

Built on a diversity, equity, inclusion and opportunity foundation, LIU was recognized for helping reduce the gender pay gap by matriculating a high number of women under age 40 who gross more than $100,000. According to the Steppingblocks study, LIU women alumnae under age 40 earn an average $128,266 annual salary. The resource listed pharmacy and pharmacology, nursing and other health professions as the university’s top fields of study for high-earning women graduates.

Via hands-on learning experiences with some of the nation’s leading nursing and medical professionals together with clinical placements in world-class hospitals, LIU nurses are well-positioned for successful careers. Beyond the Bachelor of Science in Nursing, graduate nursing program opportunities including the Master of Science in Nursing and Family Nurse Practitioner programs further advance nurses in medical careers.

The six-year Doctor of Pharmacy (PharmD) program prepares students to work as pharmacists, a dynamic profession. In addition to ensuring safe and effective prescription and nonprescription medication distribution, today’s pharmacists participate fully in patients’ professional teams and render independent clinical outcomes. LIU Pharmacy graduate program offerings, which include a Doctor of Philosophy in Pharmaceutical Sciences and Master of Science programs in Pharmaceutics, Pharmacology & Toxicology, Drug Regulatory Affairs and Pharmacy Administration, allow students to develop specialized expertise and accelerate career advancement.

The university’s robust degree offerings in other health professions include a broad range of baccalaureate, master’s and doctorate programs. Fields of study include Physical Therapy, Occupational Therapy, Speech Language Pathology and Audiology, Respiratory Care, Biomedical Sciences, Clinical Laboratory Sciences, Radiologic Technology, Nutrition and Dietetics, Psychology, Social Work, Veterinary Technology and more. $

LONG ISLAND UNIVERSITY | SPRING | 2024
30

QA &

DTHE SCIENCE BEHIND ADDICTION

AND RECOVERY WITH SCHOOL OF HEALTH PROFESSIONS DEAN

engagement in addiction treatment both in the ED and afterward, and facilitate referrals to evidence-based treatment settings.

r. Michael V. Pantalon joined Long Island University as Dean of the School of Health Professions. Having previously served 26 years with the Yale School of Medicine, Dr. Pantalon brings a wealth of experience and expertise to Health Professions faculty and students.

Dr. Pantalon received a B.A. in Psychology from Binghamton University, an M.A. and Ph.D. in Clinical and School Psychology from Hofstra University and an M.S. in Clinical Psychopharmacology from William James College. During his distinguished career at Yale School of Medicine, he made significant contributions to the fields of psychology and medicine. Serving as Senior Research Scientist in the Department of Emergency Medicine, and Director of Yale’s Screening, Brief Intervention and Referral Treatment (SBIRT) program, Dr. Pantalon conducted research that advanced patient care across medical disciplines. His extensive funded research and influential publications, including his best-selling book “Instant Influence,” positioned Dr. Pantalon as a significant voice in health education, patient care strategies and motivational enhancement.

We spoke with Dean Michael Pantalon about his deep dedication to science-based addiction and recovery treatment research, including “Brief Negotiation Interviewing” – a non-confrontational counseling method grounded in respecting and reinforcing the client’s autonomy from addiction to recovery.

WHAT FUELED YOUR COMMITMENT

TO IMPROVING ADDICTION AND RECOVERY TREATMENT?

Two things mainly fueled this commitment. The first was losing two friends to heroin overdoses when I was very young. They were the first friends I made when I moved to a new neighborhood, and they taught me how to play the guitar. So, these two boys, who were brothers, factored in a very large way in my personal development and in my frustration that more is not done for those with addiction and that even when we do help, it often comes with stigma.

The second was learning early in my career that there actually was a science of addiction and recovery – something many people, even those learning to become psychologists, like I was at the time, do not know. This was both a tragedy and, frankly, an embarrassment to me. So, I quickly resolved to do my part in changing that.

HOW IS YOUR RESEARCH, FUNDED BY THE SUBSTANCE ABUSE & MENTAL HEALTH SERVICES ADMINISTRATION (SAMHSA) GOING? AND HOW CAN BETTER EVIDENCE-BASED ADDICTION TREATMENT METHODOLOGIES BE IMPLEMENTED BY HOSPITALS, CLINICS AND OTHERS?

The research is going well, both with the SAMHSA project and our other National Institutes of Health/National Institute on Drug Abuse (NIH/NIDA) grants. We’ve been able to train and embed a new type of addiction professional in a very large healthcare system in Connecticut – Yale-New Haven Health. They are called Health Promotion Advocates (HPAs), a type of professional (versus peer) recovery coach in emergency departments (EDs) and inpatient units. They [HPAs] screen patients for substance use, offer brief motivational counseling to encourage

Our group has defined the standard of care for Screening, Brief Intervention and Referral to Treatment (SBIRT) and is a model for healthcare systems across the country. Our research has shown that over 60% of patients seen by an HPA engage in addiction treatment after they leave the ED. Finally, this work has also led to the development of a suite of evidence-based digital tools, even ones that incorporate AI, to help patients as well as addiction and health professionals of all sorts to learn how to implement our evidence-based brief motivational approach.

IF YOU HAD TO CHOOSE ONE RECOVERY APPROACH/ METHODOLOGY THAT COULD POTENTIALLY ENSURE 80%-95% RECOVERY, WHAT WOULD IT LOOK LIKE?

I would choose the Brief Negotiation Interview, or BNI for short. The BNI gets the conversation started in a motivational way, because people with addiction often are pushed into treatment, which does not work. Ideally, however, we would use the BNI to motivate folks only into evidence-based treatments, like cognitive-behavioral therapy and medications for addiction treatment, like Suboxone.

HOW DO WE AS FRIENDS AND FAMILY ENSURE OUR LOVED ONES WHO FACE ADDICTION RECEIVE THE BEST RECOVERY TREATMENTS?

Always remember these three things:

• Chairs not beds: Intensive outpatient treatment (in chairs) works as well as inpatient/residential treatment, i.e., rehab in beds, and it is 10 times more affordable.

• Traditional “interventions” like the ones you see in TV shows and movies do NOT work; motivational approaches like the BNI and something called Community Reinforcement Approach & Family Training (CRAFT) [are the best evidence-based treatments].

• There is always hope. Find the right evidence-based treatment and focus on slow and steady progress.

TO LEARN MORE ABOUT BEST EVIDENCE-BASED ADDICTION AND RECOVERY RESEARCH, WHICH BOOKS, AUTHOR-COLLEAGUES, PUBLICATIONS, WEBSITES OR OTHER RESOURCES WOULD YOU RECOMMEND, AND WHY?

Books

To know where to go for treatment:

• Inside Rehab: The Surprising Truth About Addiction Treatment – and How to Get Help That Works (December 31, 2013) by Anne M. Fletcher

To learn how to motivate yourself or someone else to go to treatment:

• Instant Influence: How to Get Anyone to Do Anything (May 9, 2011) by Michael Pantalon

Websites:

Below are the folks who determine which [addiction and recovery treatments are] evidence-based:

• For drug addiction, www.nida.nih.gov

• For alcohol addiction, www.niaaa.nih.gov

Other Resources:

• Treatment Locators, https://www.samhsa.gov/ and www.psychologytoday.com

• To receive low-cost, high-access addiction BNI coaching: www.recoverypad.com $

31

ACCELERATING the EXCEPTIONAL

RANKED IN THE TOP 7% OF UNIVERSITIES WITH HIGH-RESEARCH ACTIVITY

720 Northern Boulevard Brookville, NY 11548
A007_24_5

Turn static files into dynamic content formats.

Create a flipbook
Issuu converts static files into: digital portfolios, online yearbooks, online catalogs, digital photo albums and more. Sign up and create your flipbook.