




August is here, and we’re celebrating two of the most joyful aspects of our lives: kids and pets. This month’s theme is all about cherishing these beloved family members and the happiness they bring to our lives.
In this issue, we have our regular style column from Styleelyst, offering fantastic fashion tips to keep your kids looking stylish all summer long. You won’t want to miss Ashley’s expert advice on the latest trends and must-have pieces.
We are also thrilled to feature a heartwarming story about kids from the King School doing incredible things on a global scale. These young changemakers are making a difference in the world, and we’re proud to share their inspiring journeys with you.
For those of you staying local this summer, we have curated picks for enjoying the best of what Greenwich has to offer. From fun outdoor activities to hidden gems, our guide will help you make the most of the season right here in our beautiful town.
As always, we love seeing your summer adventures and special moments. Be sure to tag us in your favorite summer memories on social media. Your photos and stories bring our community closer together and remind us of all the wonderful experiences we share.
Thank you for being a part of the Greenwich Lifestyle family. We hope this issue brings you joy, inspiration, and plenty of ideas for enjoying the rest of your summer with your kids and pets.
PUBLISHER
Laura Sabia | laura.sabia@citylifestyle.com
EDITOR
Kristin Burnell | kristin.burnell@citylifestyle.com
PUBLISHER ASSISTANT
Emma Parente | emma.parente@citylifestyle.com
CONTRIBUTING WRITERS
Sarah Bamford, Anna Barnes, Ashley Cannon, Kellie Kerwin
CONTRIBUTING PHOTOGRAPHERS
Abby Cole, David Malosh, Andrea Ceraso
CHIEF EXECUTIVE OFFICER Steven Schowengerdt
CHIEF OPERATING OFFICER Matthew Perry
EXECUTIVE DIRECTOR OF HR Janeane Thompson
AD DESIGNER Rachel Chrisman
LAYOUT DESIGNER Rhiannon Coffman
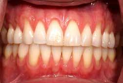
Periodontist & Implant Surgeon
Dr. Traynor Practices the Most Advanced Techniques in Periodontics and Implant Placement Including:
· Laser Therapy to Treat Gum Infections and Regrow Bone (LANAP)
· Laser Therapy to Save Failing Implants
· Cosmetic Treatments to Improve the Look of Your Smile
· State of the Art Technology for Custom Implant Placement
· Same Day Implant Placement for Broken Teeth
WHERE NEIGHBORS CAN SEE AND BE SEEN
1 - 14: The Blossoming Business Garden Soirée, in June, themed “A String that Ties Us Together”. This event encapsulated the essence of connection, community, and collaboration. Held in a stunning garden and poolside oasis at a private residence in New Canaan. Guests shopped and experienced the best of Fairfield County fashion and lifestyle brands.
15 - 28: The Blossoming Business Garden Soirée, in June, themed “A String that Ties Us Together”. This event encapsulated the essence of connection, community, and collaboration. Held in a stunning garden and poolside oasis at a private residence in New Canaan. Guests shopped and experienced the best of Fairfield County fashion and lifestyle brands.
In-Person + Virtual Consultations!
Top 4 Reasons Why You Should Consider LANAP Laser Gum Treatment to Save Your Teeth:
+ Save money by saving your natural teeth.
+ Only FDA approved laser treatment to promote healthy bone and gum regeneration.
DMD, FIALD
Dr. Michele Volchonok is a laser cosmetic dentist. She specializes in laser treatments including SmoothLase (wrinkle removal) Lipase (Natural Lip augmentation) and SleepLase (Snoring and Airway treatment).
+ No scalpels or sutures means minimal bleeding, pain, or downtime.
+ Treat multiple teeth in one appointment.
DMD, MS, FICOI, FIALD
Dr. Alex Volchonok is a dual Ivy-League trained Board-Certified Periodontist and Oral Implantologist with advanced training in minimally-invasive surgical and laser periodontal therapy procedures.
July 1 – 21
July 22 – August 11
August 12 – September 1
A six-time Pro-Am American Smooth Ballroom champion, Robin Kencel is a leading real estate broker in Greenwich and has held leadership positions in civic and community organizations in Greenwich and the region for the past 32 years. Young women who are affiliated with several organizations that Kencel supports, including Bellarmine College, Girls With Impact and Teach for America CT, will accompany her to Connecticut events, when feasible, to help advance intergenerational dialogue and understanding.
Welcome to The Cubhouse, where you can shop, play and learn in a beautiful space that is develop mentally enriching. The Cubhouse has been designed for families with children aged 0-5, and strives to be sustainable, non-toxic and earthfriendly. The Cubhouse offers a vari ety of classes: baby & kids yoga, lan guage enrichment and socialization classes, tummy time and milestone classes, art sensory classes and more! They are also available for birthday parties and special pop-up events!
ARTICLE BY LAURIE A. GUZDA | PHOTOGRAPHY BY JAY COHEN
The campus of King School is more akin to a college than a high school. Apparently, so is the curriculum.
Five years ago, students Nic Perez and James Hilton approached Nick DeFelice, Chair of the Science Department at King with a proposal… Can we implement the creation of a vivarium to breed a critically endangered species of frog, the Oophaga lehmanni?
The red-banded dart frog is endemic to a small section of rainforest in the Anchicaya Valley of western Columbia. King partners with the Calle Zoo in Columbia.
They are the boots on the ground. The goal is to provide prominent zoos globally with offspring to continue to foster populations as well as an educational resource.
Andres Posso-Terranova is a professor of Biology at the University of Saskatchewan. In his 2020 study explains, “They benefit the ecosystem as a healthy addition to the genetic diversity of the tropical rainforest. Genetic variation ensures stronger, more disease-resistant populations, both animals and plants. That's why it's important to preserve these frogs."
The Frog Project – A Conservation Effort that Educates, Empowers, Connects. Students, teachers and community come together in a most unique and satisfying way.
Poison frogs are highly sought after on the international black market and collectors love them for their amazing variation in colors and patterns. Each frog is worth up to $2,000, which prompts local impoverished people to sell them to traffickers. But the Colombian government is campaigning with locals to offer alternative income sources that could stop the trafficking.
King School, Mr DeFelice and these amazing students are not just learning science. They are making a difference while developing confidence, leadership, and problem-solving skills. Duncan Baird, the current student lead on the project, wants people to know that “Nature is NOT a hobby. We’re not doing this because we want to, we’re doing it because we have to.”
So what does this teach students at King School?
It’s about the environment, giving back and student empowerment. It’s inspirational and an awareness for detail. For some students, it’s a connection to other students, which is helpful when you’re new to the school. It’s unique. It’s a joint effort from the top down. It reflects King School’s philosophy to empower students through education, teamwork, confidence and pride in their accomplishments. It’s truly a project of awesome impact. You can watch the video of the construction of the vivarium on the King School website. And, if that wasn’t daunting enough, how about this - they breed their own flies to feed to the frogs.
Design Lighting by Marks has been installing indoor and outdoor lighting for 40 years transforming a room or outside area into a magical space.
Dark foyers & hallways brought to life, making it enjoyable and welcoming.Understated landscape lighting can make your home more welcoming, without it being noticeable Our team is neat, clean, safe, and organized!
We come as close to natural lighting as possible, installing lighting that blends into your environment making it understated and welcoming. When lighting is installed properly, you can’t tell where it’s coming from!
AND HOW YOU CAN GET YOUR KIDS TO HAVE FUN IN THE KITCHEN!
ARTICLE BY LAURA SABIA
BY
INSPIRATION AND BACKGROUND:
WHAT INSPIRED YOU TO START PREPPY KITCHEN, AND HOW DID YOU GET STARTED IN THE CULINARY WORLD?
I’m a mom-taught chef who started out as a middle school math and science teacher. When my husband and I wanted to start a family, I knew I would want to be home more, and he encouraged me to pivot to my other passion, food, and teach people how to cook. Thus, Preppy Kitchen was born.
CAN YOU SHARE A BIT ABOUT YOUR CULINARY JOURNEY AND ANY MEMORABLE EXPERIENCES THAT SHAPED YOUR CAREER?
I really just think of myself as a teacher. I never would have imagined that I would have a cookbook, let alone two, when I was a math and science teacher worrying about tomorrow’s lesson plans. The most memorable moments have come from meeting people who use my recipes and watch my videos, and listening to the amazing stories they share. Food is really a place where we can come together.
NEW COOKBOOK:
WHAT INSPIRED YOU TO WRITE THIS NEW COOKBOOK SPECIFICALLY FOR KIDS AND FAMILIES?
Life has gotten exponentially busier as my sons George and Lachlan have gotten older, and I still want to make delicious food for my family but in less time (and with no added stress). My new book is filled with just that- quick and easy recipes, so no matter how little time you have, you can still make an amazing meal. I streamlined the recipes so there are fewer ingredients where possible and gave tips for using all our favorite time-saving appliances, from air fryers to slow cookers.
CAN YOU TELL US ABOUT THE THEME OF THE COOKBOOK AND WHAT SETS IT APART FROM OTHER COOKBOOKS?
Aside from all my recipes being tested over and over until they are foolproof, this book really focuses on delivering a variety of delicious recipes that are quick, easy, and full of timesaving tips, including how to use your air fryer, slow cooker, and instant pot where possible. Almost every recipe has ingredient variations given, so you can try using different flavors and proteins based on what you already have in your pantry, fridge, or freezer. Plus, the baking recipes are super adaptable– choose if you want to make the chocolate cake as a layer cake or sheet cake, or try it as cupcakes next time. I want you to come back to the book again and again, using all of my tips, hacks, and guidance to make the recipes your own.
WHAT ARE SOME OF YOUR FAVORITE RECIPES FROM THE NEW COOKBOOK AND WHY?
It’s very hard to choose a favorite but the Cheesy Turkey Meatballs with Pasta is a family favorite we all love. It’s a dish inspired by one my mom made for me growing up. It’s comforting and nostalgic, and just all-around delicious.
WITH KIDS:
WHY DO YOU THINK IT’S IMPORTANT FOR KIDS TO LEARN HOW TO COOK?
Cooking is a great life skill to have. It really sets you free and allows you to make food you enjoy and feed people you love. Cooking is also one of the few things we still do that’s tactile, and requires our attention. We are not on screens, but instead we are focused and together. It’s really a meditative moment where parents can bond with children in a unique way.
WHAT ARE SOME TIPS YOU HAVE FOR PARENTS WHO WANT TO INVOLVE THEIR CHILDREN IN COOKING?
Just get them in the kitchen and find ways for them to help. Even if it’s as simple as stirring together the ingredients you already measured out and put in the bowl.
Watching their excitement when they see how that runny batter turned into big fluffy muffins in the oven, and knowing they had a part in that is pretty magical.
ARE THERE ANY SPECIFIC RECIPES IN THE COOKBOOK THAT ARE PARTICULARLY KID-FRIENDLY OR EASY FOR YOUNG CHEFS TO TRY?
Since the book is “super-easy” nearly every recipe would work with kids. The build-your-own cookie cupcakes would be a really fun place to start since little ones can choose their favorite cookie to incorporate into the batter and frosting. There are also two recipes in the book that my kids love to cook all the time– George’s Pancakes and Waffles and Lachlan’s Favorite Banana Bread.
DO YOU HAVE ANY PERSONAL ANECDOTES OR STORIES RELATED TO THE RECIPES IN THE COOKBOOK?
So many of the recipes are personal because they are variations of things I grew up with, like My Grandfather’s Cioppino and the Oatmeal Lace Cookies. Nana’s Vegetable Soup is one my mom will make when she comes to visit the farm in the summer and picks whatever abundant vegetables are out in the garden to make this vibrant and easy dinner. The Cream Cheese and Caraway Stuffed Salmon is a mashup of a few dishes I’ve loved for a while. The Perfect Vanilla Cupcakes are the most requested recipe from my friends. I’ll bring a big
“ONCE KIDS HAVE THE BASICS DOWN, YOU CAN GIVE THEM SPACE TO BE CREATIVE.”
batch to most of the parties I get invited to, so I was very excited to include the recipe in the book.
ARE THERE ANY FAMILY RECIPES OR TRADITIONS INCLUDED IN THE COOKBOOK?
So many recipes in this book are from my family. The Butter-Basted Sea Bass Fillets with Citrus Salsa is a recipe we enjoy throughout the summer when the grill is out, and we are eating al fresco. The Olive Oil
Cake with Whipped Mascarpone is the cake I regularly make for myself on my birthday (it’s that good).
EATING:
HOW DO YOU BALANCE MAKING RECIPES THAT ARE BOTH DELICIOUS AND HEALTHY FOR KIDS?
My biggest advice– don’t skimp on the veggies! A lot of times, unhealthy eating comes down to us not wanting to use our
valuable time or energy for a couple of extra steps (like making a salad to have a side of veggies), so we look for shortcuts. My new book is full of shortcuts, including a pantry of convenience chapter that shows you how to get set up for success and have tons of dressings, dry mixes, and the rest on hand so you can minimize extra time spent in the moment. You can quickly bring some wellsalted water to a boil and blanch the veggies you have on hand in 3 to 4 minutes, then use that same water to make a batch of pasta. Top it with the homemade Pesto-by-the-Batch you made last month and stashed in the freezer, and just like that, your meal is ready!
WHAT ADVICE DO YOU HAVE FOR PARENTS WHO ARE TRYING TO GET THEIR KIDS TO EAT MORE VEGETABLES OR TRY NEW FOODS?
In our house, the rule is you have to try it. If you don’t like it, that’s fine, but you won’t know until you have some.
FUN AND CREATIVITY:
HOW DO YOU ENCOURAGE CREATIVITY IN THE KITCHEN WHEN COOKING WITH KIDS?
Once kids have the basics down, you can give them space to be creative. This could be choosing the spices in a pasta sauce, toppings on a pizza, or decoration scheme for a cake. It’s just important to give them support as needed while not taking over the project. Things never have to be perfect.
DO YOU HAVE ANY FUN COOKING ACTIVITIES OR CHALLENGES THAT FAMILIES CAN DO TOGETHER?
I would encourage families to try a weekend meal they can make together. Pizzas are a great place to start. You can make the dough from scratch, make the sauce, and do the assembling. Once you’re all confident in the kitchen, you can move to weeknight meals where the pace is less leisurely.
BEHIND THE SCENES:
CAN YOU SHARE ANY BEHIND-THE-SCENES STORIES FROM THE PROCESS OF CREATING THIS COOKBOOK?
As my twin boys Lachlan and George have gotten older, life just gets busier but I still want to make delicious meals. As I tested recipes my main focus was how can this be more easy, flexible, and fast so it was a really fun challenge for myself.
WHAT WAS THE MOST CHALLENGING PART OF WRITING THIS COOKBOOK, AND WHAT WAS THE MOST REWARDING?
The most challenging part was choosing the recipes, I had so many requests on the last book tour that I kept in mind, plus a ton of recipes I had been dreaming up for the book over the last couple of years. There are, however, only so many you can include in one book! The most rewarding part was tasting the finished dishes at the end of development when they had been refined to work easily and taste delicious!
FUTURE PROJECTS:
DO YOU HAVE ANY UPCOMING PROJECTS OR PLANS THAT YOU CAN SHARE WITH OUR READERS?
My book tour is in August, and I cannot wait to get out there and meet some lovely people, sign books, and hear wonderful stories about food.
ARE THERE ANY OTHER THEMES OR TYPES OF COOKBOOKS YOU’RE INTERESTED IN EXPLORING IN THE FUTURE?
I have so many ideas, from baking focused to recipes for kids.
ADVICE AND TIPS:
WHAT ARE SOME COMMON MISTAKES PEOPLE MAKE WHEN COOKING WITH KIDS, AND HOW CAN THEY AVOID THEM?
Set things up so you and the kids will have fun. This means doing some extra prep work beforehand. Forgetting to break all the steps down can make the process more stressful in the moment. I recommend having every single thing you’ll need at hand– from ingredients to tools to kitchen towels for cleaning up– at the start so you can simply focus on the recipe and enjoying the time with your kids.
WHAT ARE YOUR TOP THREE TIPS FOR PARENTS WHO WANT TO FOSTER A LOVE OF COOKING IN THEIR CHILDREN?
Get kids in the kitchen and involve them in everything they can do. A three-year-old can add spices and mix anything! A ten-year-old can stir the sauteing vegetables or bread the chicken cutlets. Giving them these age-appropriate tasks gives kids the confidence to take charge in the kitchen. We would make pizzas just about every Sunday. Eventually, the repetition really sunk in and my boys can now make the dough from scratch and have a great time!
PERSONAL FAVORITES:
WHAT IS YOUR ALL-TIME FAVORITE DISH TO COOK, AND WHY?
I love eclairs. They are the perfect combination of creamy, crisp, decadent but delicate, and just plain delicious. I could eat an entire batch on my own, so I only make them when I have guests on the way!
IF YOU COULD COOK A MEAL FOR ANYONE IN THE WORLD, WHO WOULD IT BE AND WHAT WOULD YOU MAKE?
I would cook for my mom and, preferably, with her. Our time in the kitchen is so special to both of us. The menu would include a Greek salad, Spicy Greek Orzo (a recipe in the new book), Spanakopita, and a lemon roll cake (her favorite).
With summer in full swing, the focus shifts towards effortless style and playful pieces. This month, I've got my eye on some key trends for women and the coolest finds for the kiddos. Dive in and discover your new summer favorites!
DANRIE | AN EXPERTLY-EDITED CHILDREN'S BOUTIQUE
Featuring the Lison Paris India One Piece Swimsuit in Aqua Floral, $84 and Lison Paris Lea Caftan in Pink, $86. Sun, sand, and stunning style – the India One-Piece Swimsuit is your perfect beach companion. This captivating swimsuit boasts playful ruffle details that add a touch of whimsy, while the delightful pink and blue floral pattern guarantees you’ll turn heads. Pro Tip: For an optimal fit, I recommend sizing up.
Swoon-worthy from the first glance, the Lea Caftan isn’t just a cover-up, it’s a feeling. Crafted in a blush pink that flatters every skin tone, it boasts playful tassel accents and cascading ruffles for a touch of whimsical romance.
shopdanrie.com | @shopdanrie
ARTICLE BY ASHLEY CANNON
PHOTOGRAPHY BY @STYLEELYST/ASHLEY CANNON & BRAND IMAGERY
WAYB | CHAMPIONING FAMILY TRAVEL AND MAKING IT EASIER.
Featuring the Pico™ Portable Car Seat in Jet Black , $380. The Pico™ is a game-changer for on-the-go families. Ditch the bulky traditional car seat and embrace the freedom of the Pico, the revolutionary car seat designed with portability in mind. This clever contraption folds down to a compact size, making it a breeze to transport whether you’re dashing through airports, hopping in rideshares, or buckling your little one in for a quick errand. Weighing in at a mere 8 pounds, The Pico™ is a lifesaver for busy parents who are constantly on the move. But don’t be fooled by its lightweight designThe Pico™ meets all U.S. safety standards for both car and airplane use, ensuring your child stays secure wherever your travels take you.
wayb.com | @hellowayb
LAGOS | BOLDLY UNIQUE JEWELRY MEETS CLASSIC DESIGN
Featuring the Three Station Round Mother of Pearl Necklace, $2,000.For a touch of understated luxury, consider a necklace featuring three luminous rounds of mother-of-pearl. These glowing orbs are elegantly framed with caviar beading crafted from 18K gold, adding a touch of texture and warmth to the piece. This necklace is perfect for elevating your everyday look or adding a touch of sophistication to a special occasion outfit.
lagos.com | @lagos_jewelry
FRANNE GOLDE | LOOK GOOD, FEEL GOOD. CHIC ESSENTIALS DESIGNED IN LA.
Featuring the Crepe Gauze Bias Skirt in Ivory, $170and the Crepe Gauze Long Cami in Ivory, $160.Indulge in pure luxury with this top and skirt combo crafted from exquisite crepe gauze. This dreamlike fabric is not only impossibly lightweight and breathable, but it’s also meticulously woven to ensure it becomes a cherished staple in your wardrobe for summers to come.
Wrinkle-resistant? Check. All-day comfort? Absolutely. Travel-friendly versatility? You bet. This top effortlessly transitions from day to night, making it the perfect companion for any warm-weather adventure.
frannegold.com | @frannegold
Featuring the Banwood Trike in Cream, $195. Looking for a stylish and comfortable first ride for your tot? The Banwood Trike, with its plush seat, vegan leather accents, and wicker basket, is a charming choice. Available in six colors, this tricycle is perfect for balance training and motor skill development. Plus, its removable push bar offers little ones the security they need to build confidence for pedaling on their own.
maisonette.com | @maisonetteworld
PAOLA SIGHINOLFI | CONTEMPORARY
JEWELRY WITH COLOMBIAN ITALIAN SOUL.
Featuring the Tribal Earrings, $341. Elevate your wardrobe with these exquisite, handcrafted earrings made in Barcelona. Textured 18kt gold-plated pewter embodies the meticulous attention to detail that defines true artistry. Timeless elegance and refined charm will imbue your ensemble with an air of effortless sophistication.
paolasighinolfi.com | @paolasighinolfi_
CUYANA | LIVE FEWER, BETTER. EVERY DAY.
Featuring the Mini Zipper Pouch in Daffodil, $88.Ditch the drab! This mini leather pouch in a sunny buttery yellow hue is the pop of color your outfit craves. The perfect petite partner for your everyday bag, it’s crafted from luxurious Italian pebbled leather that’s both posh and practical. Don’t let its size fool you – the surprisingly roomy interior swallows your makeup essentials and other bits and bobs with ease. It’s the little luxury that makes a big statement. Add gold foil monogram for an additional $15.
cuyana.com | @cuyana
To see my fashion, beauty and lifestyle selects on the daily, be sure to head to styleelyst.com and follow me on social @styleelyst | Psst. keep your eyes peeled for The Style List in the 2024 issues of both Greenwich and Darien Lifestyle Magazines. In addition to being a style columnist, Ashley Cannon is a fashion/lifestyle influencer (@styleelyst/styleelyst.com), mother and marketing specialist. She resides in Fairfield County, CT with her husband, daughter and yellow lab.
BY CINDY SITES
Sister Duo Jenny Allen and Kristen Studwell are here to find you your next home
ARTICLE BY KRISTIN BURNELL
A dynamic duo together since birth, twin sisters Jenny Allen and Kristen Studwell are the dream realtor team of Greenwich. Both growing up in town, they are hardworking, and highly skilled in the real estate industry and will help you find your next home with ease. From smaller rentals to luxury new construction homes, the pair has unmatched knowledge of the Greenwich area. You will not be disappointed when working with these two, who bring a fresh perspective to the ever-changing real estate market.
Jenny and Kristen work hand and hand, offering you the best, most trustworthy experience when it comes to making important decisions regarding real estate. Kristen started working alongside her sister at the beginning of 2024, bringing even more expertise to their listings.
Their core values and skills align with the community of Greenwich, their beloved hometown they are proud to show off as neighborhood experts.
GL: CAN YOU TELL US A LITTLE BIT MORE ABOUT YOU AND KRISTEN AND THE WORK YOU DO TOGETHER.
JA: Kristen and I have been together since birth, so what better way than to have my best friend by my side in real estate. We support each other where needed and have a strong clientele of friends, family and people we just met. It's always a bonus to have someone you fully support, trust and can rely on in business and life.
“It’s always a bonus to have someone you fully support, trust and can rely on in business and life.”
GL: AS GREENWICH NATIVES, WHAT HAS MADE YOU STAY IN THIS COMMUNITY?
JA: The community! We love everything that Greenwich has to offer. It's a small, big town. The diversity, people, proximity to NYC, amenities, the beaches, schools (both public and private), amazing local restaurants, shopping and knowing that we live in a place where the community truly cares about one another. It's a great town to raise your family in.
GL: WHAT HAVE BEEN SOME OF YOUR FAVORITE PROJECTS YOU HAVE WORKED ON? WHAT IS YOUR FAVORITE THING ABOUT WORKING TOGETHER?
JA: I love working with developers and on new construction projects. Being able to see the transformation from the ground up is a really fun process to be a part of. It's even more rewarding when we have buyers get in early enough to customize some of the build along the way. I love seeing buyers' dreams become realities.
It's also fun and important to educate buyers that are not local to this community. Having lived in every nook of this town, knowing that each small zip code has a lot to offer and is different from each other. It's exciting to educate clients on this amazing town and to help find the perfect home for clients' individual needs.
WHERE TO LEARN MORE ABOUT JENNY AND KRISTEN: https://www.jennyallenhomes.com @jennyallen_greenwich 203-921-6327
200 Greenwich Avenue, 3rd Floor Greenwich, CT 06830
Dr. Michelle Peacock PhD Clinical & Forensic Psychologist
Authentic, Compassionate, Motivating Therapy committed to true healing and making positive changes for a more fulfilling and productive life.
Specializing in: Anxiety · Depression · Trauma · Relationships Grief · Personality Disorders · More
Schedule Your Free Consultation Today 203.742.0500 | greenwichpsychwell.com michelle@greenwichpsychwell.com
522 E. Putnam Ave. Greenwich
www.culnova.com
Tel. +1 860 652 2963 eMail: info@culnova.com
Flagship Store: 520 North Main St. Port Chester, NY. 10573 Where tradition meets innovation.
CULNOVA is your one-stop shop for kitchen design. Through our strong partnerships with the best stone, tile, appliance, and plumbing suppliers, we will be able to help you achieve your dream Home. Offering a European design, crafted in our facility in the heart of Connecticut, we can build and install fully custom kitchens, bathrooms, closets, and more in just a few weeks. Please schedule your appointment to meet one of our design specialists.
ARTICLE BY SARAH BAMFORD @HYBRIDMEDIACOMM
HOW DO YOU SERVE YOUR LOCAL COMMUNITY?
I am the newest food rescuer and share the organization's passion and mission of feeding the community and reducing food waste. I volunteer at the New Canaan Nature Center because I love nature and animals. In 2022 I sold my toys to support relief efforts in Ukraine and last year my neighbor and I set up a lemonade stand to raise money for St. Jude Children’s Hospital. My family and I donate to a Christian aid missionary group.
WHAT DO YOU LOVE ABOUT BEING A STUDENT IN GREENWICH?
This year I worked with other students and teachers at Whitby on an environmental clean-up event. I came up with the idea to set up an after-school activity where teachers and students dedicated time to cleaning up the school's pond. I’m also really involved in the theatre program and this year I starred in Disney's Aladdin Jr. and last year Shrek Jr. the musical. I love acting but I also love to play hockey, soccer, basketball, and baseball.
WHAT’S YOUR FAVORITE HIDDEN GEM IN TOWN?
I like The Card Shop on Greenwich Ave, Starbucks, and the beach at Greenwich Point Park, my grandmother takes me there on the weekends during the summer months. I also like the food at Burgers, Shakes & Fries, and we go hiking at the Mianus River Park.
TELL US ABOUT YOUR PET, MOSES.
Moses has been a part of our family for the past 3 years and he is very affectionate and loves to be held. His favorite foods are carrots, lettuce, parsley, and tomatoes. We grow our own organic garden in the backyard every spring and summer. He enjoys being outside and roaming the garden, it is his hidden gem.
The Greenwich Youth Cheerleading League promotes fun and teamwork in a safe environment for all
ARTICLE BY KELLIE KERWIN
PHOTOGRAPHY BY GREENWICH YOUTH CHEERLEADING LEAGUE
Let’s hear it for the Greenwich Youth Cheerleading League (GYCL)! For parents with children in third to eight grade who may be looking for a fall activity with a strong sense of team, inclusion and community, this information and article is for you. As a current Coach, Director and Board Member with the league, I can say with confidence that this program is not only
"We love cheering for the Cos Cob Crushers!
Go Green, Go Gold!" - Kyleigh & Colette
extremely organized, but it offers and encourages girls and boys from elementary to middle school to learn the key fundamentals and skills necessary to be successful at the sport. The program is a stepping stone to prepare children for a great level of cheerleading, including high school and beyond, but most importantly, it is meant to be FUN! Participants can also expect to experience how to work together through collaboration, develop teamwork skills, make connections with peers, get physically active and enjoy a supervised, safe environment.
Formed in 2004, the Greenwich Youth Cheerleading League operates as an entity alongside the Greenwich Youth Football League and is a townwide recreation program for Greenwich residents or students attending private school within Greenwich
and is not affiliated with Greenwich elementary of middle schools (public or private). The Greenwich Youth Cheerleading League operates under strict guidelines for the health and safety of its cheerleaders. To promote the league’s ideals of safety and enjoyment for all in an organized and supervised environment, the Board mandates that all coaches are CPR, First Aid and AED Certified. In addition, all coaches must complete an extensive concussion training certification and all head coaches are AACCA certified.
Registration is still open for this Fall 2024 and interested participants can log onto http://www.gycl. org/ to complete the process to be enrolled on one of the following teams: BANC Raiders (New Lebanon, Hamilton Avenue and Western Middle School), Cos
Cob Crushers (Cos Cob, Julian Curtis and Central Middle School), Glenville Mavericks (Glenville, Parkway and Western Middle School), North Mianus Bulldogs (North Mianus, North Street, ISD and Eastern Middle School) and Putnam Generals (Old Greenwich, Riverside and Eastern Middle School). Each squad is broken down by the following grade levels: Bantam (third and fourth grade), Junior (fifth and sixth) and Senior (seventh and eighth) and will cheer for their respective tackle football teams. Included in the registration, cheerleaders will receive a team t-shirt and cheer bow, as well as the athletes Town of Greenwich permit and insurance fees. Practice is determined by team, but typically takes place twice a week with football games every Sunday starting in September through early November. Uniforms and poms are also supplied. Early bird registration begins every year in the spring and then prices increase on July 1. Scholarships are available by request.
The Greenwich Youth Cheerleading League also hosts an annual car wash fundraiser in early September at Cos Cob School, pep rally and an exhibition at the end of the season allowing every squad the chance to show off a special choreographed routine they learned for spectators, friends and family. You may also spot the cheerleaders at local events like the St. Patrick’s Day parade and each team historically closes out the year with an awards banquet.
“BOOM
BOOM BOOM DYNAMITE! WE'RE DYNAMITE, WE'RE OUT OF SIGHT, WE'RE TICK TICK TICK TICK TICK TICK TICK BOOM!”
In addition to the main squads, the Greenwich Youth Cheerleading League offers children in grades 1-2 the opportunity to participate in a Mascot program, which is the perfect way to learn all the basics in a more junior role. The Mascot teams proudly support and cheer on the newly established Greenwich Youth Flag Football League. And for those who really want to go the extra mile, the Greenwich Youth Cheerleading League offering a competition cheerleading team – Greenwich United – which is made up of cheerleaders in fifth to eight grades from across town working together as one team
to ultimately getting them ready to cheer at Greenwich High School. Greenwich United is tryout based and the program runs beyond football season practicing 1-2 per week and competing at 3-6 competitions throughout Connecticut.
The Greenwich Youth Cheerleading League is still looking for a local business to be the official 2024 League Sponsor. In Greenwich, there’s nothing more important than fostering our local youth sports teams. If you are interested in becoming a sponsor, volunteering supporting in any way, please reach out to gyclcheerleading@gmail.com.
OFFERED FOR $12,989,000
This magnificent estate was designed by renowned architect Roger Ferris and boasts 5 levels of living with spectacular water vistas of Southport Harbor. Entry to the main level is through an imposing 2 story limestone portico into the embrace of a soaring space that is the Gallery with its mesmerizing marmalade marble floor and stunning floating wrought iron circular staircase. From this point, all major rooms on the floor emanate in a logical clockwise progression: Living Room, Library, Family Room, Eat in Kitchen, and Dining Room. Fabulous floor to ceiling windows and French doors open to take full advantage of Southport Village & Harbor, Country Club of Fairfield, Long Island Sound and the Manhattan skyline.
The gracious Master Bedroom Suite has a sitting room with fireplace, his & hers full baths, dressing areas and private studies. The floor below the Master Suite are 6 en-suite bathrooms and a media/playroom area.
Below the main level is a Cabana Room with kitchenette, elaborate bath complex, sauna, exercise room, office and wine cellar which leads to an outdoor heated gunite pool with spa and limestone patio. Progressing down, the next level brings you to the indoor sports facility including a squash/ basketball court and dance studio. The lowest level of this home has a 75-foot-long Italian marble lined indoor pool with a glass skylight roof. The Guest House has a Living Room, Kitchen, 2 Bedrooms, 2 Full Baths & 2 Bay Garage.
YOU DON'T HAVE TO GET ON A PLANE TO FEEL LIKE YOU'RE INDULGING IN SUMMER VACATION
ARTICLE BY ANNA BARNES
“You’ve still got time to get all the vacation vibes around town these last few weeks of the season.”
If a summer getaway didn't make your summer itinerary, don't fret! You've still got time to get all the vacation vibes around town these last few weeks of the season.
Craving fresh pizza and pasta? Take a leisurely stroll down Greenwich Avenue to Terra, where you can indulge in delightful flavors that capture the essence of Italy. From traditional pizzas to homemade pastas, Terra promises a culinary experience that satisfies your longing for genuine Italian cuisine.
If you missed out on waterfront experiences, l'escale at the Delamar is the perfect place to fulfill your coastal summer dreams. Right along the water, the breathtaking views really capture the essence of a seaside vacation.
If your plans to sail through the Greek Isles were foiled, enjoy a slow morning at Ardens in Rowayton. The bright whites & crisp blues will transport you to sipping your coffee oceanside in Santorini.
If you're craving some traditional Texasstyle BBQ, be sure to catch a Mason Street BBQ pop-up this summer. It's the perfect opportunity to indulge in mouth-watering barbecue that will have you reconsidering making burgers and brats in the backyard.
If Paris was your dream destination this summer, make une réservation at Le Penguin. Their menu will certainly whisk you away to the City of Lights with the flavors that evoke the charm and sophistication of Parisian dining.
If the thing you missed most this summer were delicious German pastries, never fear: Black Forest Bakery is here to satisfy your cravings with their large and delightful selection of treats.
If you favor a getaway infused with vibrant Latin flair, Happy Monkey is the place to be. Offering an array of delectable Latin inspired dishes, this lively venue boasts an atmosphere so infectious that you’ll find yourself wanting to dance the night away.
Whether your pup has the obedience of a dog show finalist, or social behavior that makes you want to play dead around others, you can develop more owner confidence with help from this expert trainer.
“Socializing your dog is beneficial for both dogs and their owners,” says Taryn Tyler, a certified dog trainer. “It creates confidence for both dogs and owners and displaces the anxiety we feel when our dogs aren’t behaving like we want them to.”
Taryn says that boundaries can be learned by dogs of any age.
“There’s a nasty perception along the ‘can’t teach an old dog new tricks’ line of thinking,” she says. “While you can’t take a dog with serious behavioral issues and completely turn them around 180 degrees, you can make improvements in how you understand your dog and how they understand you. Dog training isn’t just for struggling pups either. Creating a relationship between you and your canine based on confidence, reliability and reward can turn a good dog into a great dog.”
ARTICLE
BY LISA MOYER
PHOTOGRAPHY BY JANIE
JONES
STYLED BY ANGELA
BROOCKERD
“Creating a relationship between you and your canine based on confidence, reliability and reward can turn a good dog into a great dog.”
Taryn stresses that teaching a dog to sit or stay is less about tricks and more about the relationship that builds between animal and owner. “That, in turn, fosters an environment where the next time a family hosts Thanksgiving or has friends over, the owner and their dogs fall into the habit of obeying commands because of the confidence built through all the work put in beforehand.”
Even dogs with a troubled history can achieve improvement.
“We all love our dogs, but they can be stressful when they can’t seem to click in our home environments.
• Socializing is more than taking your dog in public. A guy can dump a bunch of mulch in your driveway and spread it, but he’s not a landscaper until he’s following a plan. When the doorbell rings or a visitor comes into the house, what’s our expectation for the dog? When we’re in public and the dog’s attention is diverted, what’s our plan to refocus them? Socialization is 99 percent working on small steps as part of a larger plan.
• Socializing isn’t about our dogs being the center of attention in public. Everyone loves seeing a dog, but our best outcome for the dog is to go unnoticed. Sitting by our side, ignoring external stimuli, remaining calm—those are things we strive for when socializing a dog.
• When socializing dogs with other dogs, start small. Take a walk with another dog to get them to just exist in the same vicinity. Once they’re able to not be excited by the other dog, work on limited playing in controlled environments.
• If someone comes into your home, let them know what boundaries you’re working on with your dog. You can even suggest asking them to carry a few treats and work on some of the behaviors your dog is already comfortable with.
Once your dog is able to socialize with other pets, playdates are a great way to encourage good play behavior. One way to celebrate your pup’s birthday is to celebrate with their favorite furry friends. Here are a few helpful tips for making your gathering a success.
• Set up play areas for your furry guests to enjoy. This can include a doggy pool or splash pad, chew toys, frisbees, and don’t forget the pet-friendly bubbles.
• Offer party guests birthday attire such as a birthday hat, bandana or party outfit. Set up a photo wall for pet owners to get photos with their furry friends in their birthday outfits. Better yet, make it a costume competition, and invite guests to come dressed up ready to show off their pup’s attire.
• Create a treat display with a pet-friendly birthday cake and various chewy snacks for guests to give their pups.
• Party favors are a must to end your festivities with a bang. Fill party bags with bouncy balls, treats, and pet-friendly bubbles to send your guests off with a smile.
NOW - SEPTEMBER 8TH
iCreate 2024: Annual Juried Exhibition of High School Talent
Vicki Netter Fitzgerald Gallery, Bruce Museum | 10:00 AM
iCreate is a regional competition consisting of selected works in the Bruce Museum’s Vicki Netter Fitzgerald Gallery. iCreate inspires young minds to embrace their unique styles and engage with other artists in their age group. This exhibition is a platform to celebrate their passion and creativity. The volume of the artwork received is breathtaking, with over 800 submissions to view.
AUGUST 3RD
Yoga at the Perrot Library
Perrot Memorial Library | 9:30 AM
Join Tracy Bruce for Yoga at the Library! Nearly 20 years ago Tracy first discovered the sacred path of yoga and its healing and transformative power. Since then, Tracy has dedicated more than 10,000 hours to the study of philosophy, meditation, breath work, and the biomechanics of yoga. Her classes are strength-building for all aspects of Mind, Body and Spirit.
AUGUST 7TH
The Future Heavies
Roger Sherman Baldwin Park | 7:00 PM
New England's #1 '80s Band, "The Future Heavies" will perform for the second time as part of the Greenwich Department of Parks and Recreation Summer Concert Series. This band is fun, professional, and danceable, and features two female lead vocalists, keyboards, guitar, saxophone, bass, and drums, with members from Cheshire, Hamden, Harwinton, Middletown, and Monroe.
AUGUST 7TH
The Old Greenwich Farmer’s Market
38 West End Avenue, Old Greenwich 2:30 PM
The Old Greenwich Farmers Market brings CT grown produce and locally crafted products together on Wednesday afternoons from the end of May through the end of October. The market is anchored by 3 farmsSmith's Acres, Riverbank and Woodland Farms - and filled in with other baked goods, kombucha, olive oil, orchids, popsicles, soups, and other locally produced foods.
AUGUST 17TH
Downtown Milford | 10:00 AM
The Milford Oyster Festival will have 30,000 oysters! All oysters harvested in Milford waters by Briarpatch Enterprises, Inc. Try the sweet taste of Milford oysters and enjoy them with a craft beer or premium wine. Enjoy musical performances by Little Feat, Lead Singers of Classic Rock, and Living Colour. Shop on the Green with over 200 Arts & Crafts vendors!
AUGUST 19TH
"Marquis de Lafayette Victory Lap Through
Greenwich” 200th Anniversary Celebration
Greenwich Historical Society | 10:00 AM
Join DAR Horseneck Chapter and Alliance Francaise Greenwich and Greenwich Historical Society for the "Marquis de Lafayette Victory Lap Through Greenwich” 200th Anniversary Celebration. Hosted at the Greenwich Historical Society, with the support of the Town of Greenwich and local dining establishments. A commemorative prix-fixe lunch at L’Escale will follow at 1:00 pm.
Look and feel your best with The
Sit down one-on-one with Josy Cash APRN, CRNA and enjoy a bespoke consultation process for Advanced Facial Rejuvenation, Collagen Stimulation, Sculptra treatment and Skin Excellence.
Regenerate
Want to be featured?
GET
FDA
Sculptra
Name: Karin Lund
Age: 17
Hometown: Greenwich, CT
School: Blake School
HOW HAS GIRLS WITH IMPACT HELPED YOU, WHETHER PERSONALLY OR PROFESSIONALLY?
The process of developing a prototype and venture has exposed me to the intricacies of entrepreneurship which have proved to be very useful in many fields that I have come across throughout my high school career. When I entered the Girls With Impact program, I had a clear and exact vision for my venture; I didn’t regard the development of my prototype as a malleable endeavor, rather a fixed path of creation. As I progressed in my GWI course, I encountered various setbacks. With the help of my GWI mentor, I was able to adapt and respond to these obstacles. I would say that my experience with making “real time” decisions while not being able to predict the impact of these choices has been and will continue to be applicable to many of my studies .
CAN YOU PINPOINT SPECIFIC SKILLS OR KNOWLEDGE GAINED FROM THE GWI PROGRAM THAT YOU FOUND MOST VALUABLE, EVEN IF YOU DIDN'T CONTINUE WITH THE VENTURE?
When developing procedures for my prion contamination research or examining a witness in a mock trial, I am constantly having to quickly respond to new information or unexpected obstacles. I think the tools associated with the field of entrepreneurship are fundamental for any field, and in order to revolutionize other fields, one must understand entrepreneurship. All of us that are part of the GWI community are so fortunate to have had exposure to the GWI curriculum, GWI’s team, and GWI’s impact firsthand
Although I have now pivoted from my prototype and venture, I am still an active participant in the Girls With Impact community. As an ambassador and the Vice President of the Student Board, I aim to expand the geographical reach of available scholarships. By advocating for Girls With Impact and voicing
the benefits of the program to various audiences, including government officials and representatives, I hope to grow further interest and commitment to the worthwhile cause of female entrepreneurship. I am grateful for my own experience at Girls With Impact, and I hope the program’s impact continues to be available to more girls who are ready to make their own impact.
While I am currently engaged in professional violin ensembles and All-State competitive swimming and mock trial, I primarily focus on my research in the fields of genetics, specifically gene therapy and prion contamination, and mathematics, specifically about elliptic curves and number theory. The tools I learned in my course at Girls With Impact have undoubtedly proved to be useful as I attempt to address problems and develop novel solutions to current and relevant biological setbacks. As a result, I am currently establishing a free program for elementary and middle school students that highlights the relevant intersections between STEM and entrepreneurship. I hope that my program will create a bridge between STEM and entrepreneurship, which is core to developing new solutions and technologies for the benefit of the entire world