
10 minute read
Tratamiento avanzado de tumores hipofisarios
serviCio de neuroCirugía, uMae HosPital de esPeCialidades CMn la raza, iMss Tratamiento avanzado de tumores hipofisarios
En este módulo principalmente realizamos cirugía a todos aquellos pacientes con tumores en la hipófisis. En promedio practicamos cerca de 200 operaciones al año por tumores hipofisarios, que es el más común en este hospital; actualmente estamos realizando entre 5 y 6 de estos procedimientos por semana.
Advertisement
pacientes con gigantismo.
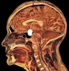
Son varias enfermedades que tienen datos clínicos en común con el tumor en la hipófisis: hay más de catorce tipos distintos de adenomas, a los que manejamos como microadenomas y macroadenomas.
Los microadenomas son aquellos cuyas dimensiones son menores a un centímetro; los macroadenomas son mayores a ese centímetro y por lo general llegan a ser quirúrgicos.
Los hay funcionales y no funcionales; los primeros son aquellos que producen hormonas: los que producen crecimiento por exceso de ACTH, que es un neurocortisol que produce la enfermedad de Cushing y los que producen prolactina bajo ciertas circunstancias. Y los no funcionales son por lo general los que operamos, que crecen más del centímetro y que producen cambios en la vía visual.
Para su detección, por lo regular el paciente tiene un lapso de seis meses en que empieza a perder el campo visual, en ocasiones ni siquiera se percatan de que están perdiendo la vista, van a que les chequen sus lentes, a que les hagan algún estudio y el oftalmólogo le dice que no hay problemas en los ojos sino en la conducción, en el nervio que lleva la información.
En promedio en este Servicio se operan entre mil quinientos a dos mil quinientos pacientes anuales en general; en el presente año, a pesar del COVID, hemos seguido operando y hemos operado a cerca de seiscientos cincuenta pacientes en lo que va de la pandemia, de manera general.
En cuanto a la probabilidad de desarrollar este tipo de tumor, para empezar el diez por ciento de todos nosotros podemos tener un adenoma hipofisiario y no necesariamente se tiene que operar.

Se sospecha de su eventual existencia porque estos tumores se caracterizan por presentar dolor de cabeza y pérdida del campo visual, estos son los dos principales datos clínicos que tienen los pacientes. enfermedades como son la acromegalia o la enfermedad de Cushing, que son alteraciones por sobreproducción de hormonas.
La acromegalia es por sobreproducción de hormonas de crecimiento, lo que vemos en aquellos
Dentro de los adenomas de hipófisis hay adenomas productores de hormonas y no productores. Los productores de hormonas condicionan ciertas


Se manda a que les hagan una tomografía y en ella se ve al tumor que está alojado en la silla turca, como arriba pasa la vía visual, al crecer el tumor la comprime visual y da un patrón característico de calidad de campo visual, que es el de los lados y así es como llegan al hospital.
Para completar su historial los tiene que ver el endocrinólogo por la cuestión hormonal y los programamos para cirugía, que puede ser por vía transnasal o por vía transcraneal.
Entre quienes presentan esta problemática, es más común el adenoma no funcional en la mujer y en grupos de edad entre los 30 y los 50 años, es decir, en la edad productiva y, por ende, esta cuestión es generadora de una elevada cifra de incapacidades laborales, por eso es que en cuanto llega tratamos de darnos prisa y resolver lo más rápido posible para que el paciente recupere calidad de vida y se reintegre a sus actividades.
La realidad es que el adenoma se ha incrementado en los últimos quince años de manera exponencial y no hay muchos centros donde se puedan atender. Hay algunas enfermedades genéticas que son muy raras y pudieran predisponer a la aparición de estos tumores; realmente suele ser más en la mujer y dentro de su familia, tal vez una tía, una hermana pueden llegar a tener adenomas.
También hay que mencionar que no todos los adenomas se operan, por ejemplo los prolactinomas cuando son pequeños se les da medicamento y es el único tumor que con medicamento muere y ya no es necesario operar. En pacientes pediátricos es más raro este tipo de tumores, el más chico que hemos operado tenía quince años y no es el tipo de tumor que hay en pacientes pediátricos, es más común en adultos.
Ese abordaje ha crecido en variedad desde el microscopio, ahora endoscópico o combinación de los dos, es una cirugía muy noble, muy anatómica: entramos a través de la cavidad nasal, nos guiamos por los cornetes y ubicamos el sitio, el seno esfenoidal y el techo de éste es la silla turca, la que abrimos, rompemos el hueso, eso cuando el tumor no lo ha roto, porque por lo general ya lo rompió debido a su crecimiento.
Abrimos el tumor y hacemos un legrado con unas cucharillas fenestradas, una vez terminado ese legrado ya viene la hemostasia y la reconstrucción, la cirugía durará en promedio cuarenta minutos a una hora y la recuperación del paciente es de dos o tres días para estar en su casa y la actividad normal será de tres a seis meses dependiendo de que sea a lo que se dedique, por ejemplo un deportista será hasta los seis meses, pero gente cómo usted o cómo yo a los tres meses ya puede hacer su vida normal.
Hay riesgo de mortalidad, sí, a pesar de que se hace por la nariz no deja de ser una cirugía cerebral, puede haber hemorragias o daños a la vía visual en un cinco por ciento de los casos; tiene una tasa de mortalidad del tres por ciento; como en cualquier otro procedimiento hay riesgo de infección, riesgo anestésico y de hemorragia.
Pero por lo general al paciente le va bien, sobre todo el que entra con un déficit de campo visual, recupera en un ochenta y cinco por ciento de los casos lo perdido, un diez por ciento queda
igual a como entró y un cinco por ciento por desgracia puede perder en forma permanente la visión.
Este procedimiento se considera como de alta especialidad, no en cualquier lugar se hace el abordaje porque sí requiere una curva de entrenamiento específica.
Nosotros nos entrenamos en Estados Unidos y aquí en este hospital hay una escuela de gente que trajo el abordaje a México, ellos nos lo enseñaron y nosotros lo hemos ido enriqueciendo con endoscopia, con algunas otras maniobras para no ser tan invasivos, para ahorrar tiempo, para que la recuperación del paciente sea más pronta.
En teoría es un procedimiento que a nivel nacional todos los neurocirujanos deberíamos hacer, pero la realidad no es así, porque por ejemplo a nivel institucional en el Seguro Social solo se realiza en el Centro Médico Siglo XXI además de nuestra UMAE, y estamos hablando a nivel institucional.
A nivel privado, en teoría todos dicen que lo hacen, pero la realidad es que no. Por eso nuestro hospital es un centro

Técnicas y procedimientos
Las técnicas de cirugía de hipófisis empezaron a principios del siglo XX en Europa, fueron desarrolladas por otorrinolaringólogos y el abordaje nasal, que es el que realizamos nosotros, nació por los años 50 y 60 a través del microscopio, ya que mejoraron los antibióticos porque antes se operaban, pero se infectaban y los pacientes morían.

de referencia a nivel nacional y, si lo requieren en algún otro estado vienen para acá aunque existan Departamentos de Neurocirugía en sus Unidades.
Puedo decir que la gran mayoría de pacientes que me toca operar aquí vienen de la región del Valle de Toluca, del Valle de México o de la zona de Tula hasta Pachuca en Hidalgo.
Es una cantidad impresionante de pacientes, a pesar de que hay neurocirujanos todo se refiere para acá porque se argumenta que se requiere de un material especial, endoscopio, microscopio, cosas que no tienen ellos aparentemente en su hospital, por lo que esos pacientes son canalizados hacia acá y tenemos una lista de espera como de tres meses.
En el ámbito privado la gente busca una atención más especializada, me buscan a mí o a otros médicos que saben que se dedican a operar hipófisis y sí hay bastantes, no como en la institución, pero hay bastante adenoma hipofisiario.
Importancia de la detección a tiempo

En el adenoma hipofisiario lo más importante es detectar a tiempo que hay cambios en la visión, porque es una patología que requiere de múltiples disciplinas no solo del neurocirujano: participa el endocrinólogo, el oftalmólogo y nuestro radioterapeuta también porque algunos tumores tienen que radiarse después de operados y no porque sean cancerosos, sino porque tienen una predisposición muy alta de volver a crecer o activarse.
A pesar de que no es canceroso, es un tumor benigno, el problema es el lugar en donde crece y la dificultad de hacer una escisión completa, porque involucra la zona del hipotálamo, que nos es vital y muchas veces el tumor comparte vasos con él, entonces si no coagula ese vaso, el paciente ya no despierta y fallece, por eso es que a algunas porciones se les tiene que dar radiación.
Afortunadamente ahora esta detección generalmente es a tiempo, sobre todo por la facilidad que tenemos como población en general de que, si sentimos algo raro ya no nos esperamos y vamos al médico, se hace una tomografía y si en esta se ve algo raro, se hace una resonancia; también por fortuna podemos encontrar ya hasta en la esquina resonadores y tomógrafos.
Pero no es lo mismo operar a una persona con acromegalia de un año de evolución a una con 20 años de evolución, como ya me tocó hacer, obviamente todo deformado y al paciente no le va bien: a pesar de que ya no produzca la hormona de crecimiento después de la

cirugía, ya el daño está hecho. En cuanto a tecnología lo más avanzado es el uso de la endoscopia, de los años 90 para acá es cuando más ha crecido.
Eso sería, considero, la más reciente aportación tecnológica en cuanto al tratamiento de los adenomas y el uso del endoscopio.
Llegamos a hacer abordajes hasta por la ceja para quitar ciertos tipos de tumores, también hacemos abordaje transciliar bajo ciertos criterios que debe tener el tumor para que sea más fácil llegar a él a través de la ceja, el abordaje más aceptado y de elección a nivel mundial es el transnasal.
Tenemos muchos casos exitosos, quizá los más comunes son los pacientes que tienen acromegalia, gigantismo: hay gente a la que le crecen las extremidades, la mandíbula, el corazón y causa insuficiencia cardiaca o alteraciones metabólicas como diabetes.
Es increíble cómo un tumor pequeño, menor a un centímetro, pueda condicionar tanto cambio en una persona y haga tanto daño. Se presume que un paciente con un adenoma productor de hormona de crecimiento disminuye su tiempo de vida hasta por diez años, entonces es muy importante detectarlo y operarlo.
Una vez operado al mes regresa el paciente y en el 70 u 80 % de los casos hay remisión del cuadro clínico, entonces ese gigante que uno veía cambia totalmente su aspecto, su fisonomía y eso es muy gratificante para uno como médico: que la gente alcance la curación.

Dr. Carlos Raúl Rangel Morales. Médico adscrito al Servicio de Neurocirugía encargado del Módulo de Cirugía de Hipófisis en el Hospital de Especialidades “Dr. Antonio Fraga Mouret” del Centro Médico Nacional “La Raza”, IMSS.
