Protocolos de Medicina Materno-Fetal (4ª Ed.) (9789897528002)

Page 1

4.ª Edição

Protocolos de Medicina Materno-Fetal

Coordenação:

Carla Ramalho Marina Moucho

Protocolos de Medicina Materno-Fetal

4.ª Edição

Coordenação

Lidel – Edições Técnicas, Lda www.lidel.pt

Nuno Montenegro

Carla Ramalho e Marina Moucho

1

2

Marta Henriques Costa, Teresa Costa

Mariana Solinho,

Ramalho, Sofia Granja

ÍNDICE © L ide L –edições técnicas Autores XIII Prefácio
3.ª Edição XXIII
da
Introdução ........................................................................................................................ XXV
Siglas e abreviaturas ................................................................................................... XXVII Parte i – Vigilância Pré-natal
Critérios para Vigilância da Gravidez em Consulta Hospitalar ................. 3
Sofia Bessa Monteiro, Francisco Santos Coelho
Vigilância de Rotina na Gravidez de Baixo Risco .......................................... 7
Coelho 3 Vigilância da Gravidez Múltipla ........................................................................... 10
Sofia Bessa Monteiro, Francisco Santos
Castro
Prescrição de Medicamentos a Grávidas e Lactantes 15
4
Alexandra Matias
Rastreio de Aneuploidias ....................................................................................... 36 Rita Figueiredo, Sofia
Monteiro
Rastreio e Diagnóstico de Cardiopatias Congénitas .................................... 41
Ecocardiografia Fetal no 1.º Trimestre............................................................... 43 Joana Félix, Alexandra Matias 8 Rastreio e Prevenção da Pré-Eclâmpsia ............................................................ 46 Carla Ramalho, Ana Paula Machado 9 Rastreio e Prevenção de Parto Pré-Termo 50 Rita Polónia Valente, Anabela Rocha, Teresa Carraca 10 Profilaxia das Infeções Urinárias na Gravidez ................................................. 53 Ana Carolina Coimbra, Mariana Guimarães 11 Profilaxia da Aloimunização RhD ........................................................................ 55 Mafalda Castro Neves, Carla Monteiro, Carla Ramalho 12 Profilaxia da Infeção Neonatal por Streptococcus do Grupo B ................. 58 Susana Correia Costa, Ana Paula Machado 13 Fibrose Cística – Atuação Pré-Conceção e Pré-Natal ................................... 61 Ana Grangeia, Carla Ramalho 14 Diagnóstico Pré-Natal de Doenças Hereditárias do Metabolismo .......... 65 Carla Ramalho, Esmeralda Rodrigues 15 Rastreio das Hemoglobinopatias na Pré-Conceção e Gravidez ............... 68 Mariana Rei, Carla Ramalho, Rita Damas, Mariana Guimarães
5
Bessa
6
Carla
7

16 Atuação Clínica nos Casos de Translucência da Nuca Aumentada ......... 73

Rita Quental, Manuela Cunha, Alexandra Matias, Carla Ramalho

17 Diagnóstico de Gravidez Inviável do 1.º Trimestre 77

Luísa Cerqueira, Teresa Carraca

18 Resolução Médica de Gravidez não Evolutiva do 1.º Trimestre ............... 79

Susana Correia Costa, Teresa Rodrigues

19 Resolução Cirúrgica de Gravidez não Evolutiva do 1.º Trimestre ............ 82

Susana Correia Costa, Teresa Rodrigues

20 Abortamento Incompleto no 1.º Trimestre da Gravidez............................. 84

Susana Correia Costa, Teresa Rodrigues

21 Resolução Médica de Gravidez Inviável do 2.º Trimestre ........................... 86

Ana Carolina Coimbra, Susana Correia Costa, Teresa Rodrigues

22 Interrupção da Gravidez por Causa Fetal......................................................... 88 Carla Ramalho, Teresa Costa Castro

23 Estudo Citogenético de Produtos de Abortamento ou Tecido Fetal .....

Sofia Dória, Carla Ramalho

24 Perda Gestacional Recorrente

Tiago Aguiar, Mariana Guimarães, Helena Carolina Dias, Sofia Bessa Monteiro

25 Doença Gestacional do Trofoblasto ...................................................................

Rita Polónia Valente, Sofia Bessa Monteiro

26 Gravidez Ectópica Tubária – Diagnóstico e Orientação Terapêutica ...... 99

Joana Xavier, Teresa Carraca

27 Gravidez Ectópica Tubária Não Rota – Tratamento com Metotrexato em Dose Única ..........................................................................................................

Joana Xavier, Teresa Carraca

28 Gravidez Ectópica Não Tubária – Diagnóstico e Orientação

Mariana Gonçalves, Helena Carolina Dias, Raquel Maciel, Anabela Rocha, Sofia Bessa Monteiro

29 Hiperémese Gravídica .............................................................................................

Rita Figueiredo, João Cavaco Gomes, Eduarda Marques

30 Infeções Urinárias Baixas na Gravidez ...............................................................

Ana Carolina Coimbra, Mariana Guimarães

31 Infeções Urinárias Altas na Gravidez

Ana Carolina Coimbra, Mariana Guimarães

32 Corticoterapia Antenatal para Estimulação da Maturidade Fetal

Maria Filipa Malheiro, Anabela Rocha

33 Ciclorrafia ....................................................................................................................

Rita Polónia Valente, Anabela Rocha

34 Ameaça de Parto Pré-Termo .................................................................................

Rita Polónia Valente, Anabela Rocha

35 Tocólise ........................................................................................................................

Beatriz Teixeira, Mariana Guimarães

36 Neuroproteção com Sulfato de Magnésio no Parto Pré-Termo ...............

Luísa Cerqueira, Teresa Rodrigues

VIII Protocolos de Medicina Materno-Fetal
Parte ii – Patologia da graVidez
90
92
96
102
105
115
118
121
124
127
130
133
135

37 Rotura Prematura de Membranas.......................................................................

Ana Carolina Coimbra, João Cavaco Gomes, Marina Moucho, Mariana Guimarães

38 Trombofilias Hereditárias e Gravidez .................................................................

Maria Inês Raposo, Mariana Guimarães

39 Síndrome Antifosfolipídica na Gravidez

Ana Mesquita Varejão, Mariana Guimarães

40 Anemia na Gravidez – Estudo e Tratamento ..................................................

Susana Correia Costa, Fátima Ferreira, Mariana Guimarães

41 Trombocitopenia na Gravidez ..............................................................................

Mariana Rei, Rita Damas, Mariana Guimarães

42 Aloimunização Antiglóbulos Rubros Fetais – Protocolo de Orientação 159

Mafalda Castro Neves, Carla Monteiro, Carla Ramalho

43 Doenças Hipertensivas da Gravidez – Classificação e Critérios de Diagnóstico ..........................................................................................................

Joana Lyra, Ana Paula Machado

44 Hipertensão Arterial Crónica

Joana Lyra, Ana Paula Machado

45 Hipertensão Gestacional e Pré-Eclâmpsia .......................................................

Joana Lyra, Ana Paula Machado

46 Prevenção e Orientação Clínica da Eclâmpsia................................................

Joana Lyra, Ana Paula Machado

47 Síndrome de HELLP

Joana Lyra, Ana Paula Machado

48 Restrição de Crescimento Fetal – Rastreio, Diagnóstico e Orientação Clínica ........................................................................................................................... 189

Tiago Aguiar, Teresa Carraca

49 Diabetes Gestacional – Diagnóstico, Vigilância, Tratamento e Reclassificação ....................................................................................................... 193

Rita Figueiredo, Sandra Belo, Gabriela Cerejeira Namora

50 Diabetes Prévia – Pré-conceção, Vigilância, Tratamento e Parto 198

Rita Figueiredo, Sandra Belo, Gabriela Cerejeira Namora

51 Obesidade e Gravidez ............................................................................................. 203

Tiago Aguiar, Sandra Belo, Ana Sampaio Oliveira, Fátima Gaspar, Teresa Rodrigues

52 Toxoplasmose na Gravidez – Diagnóstico e Orientação............................. 207

Rita Polónia Valente, Marina Moucho

53 Infeção Materna com Varicela 210

Joana Xavier, Marina Moucho

54 Rastreio e Tratamento da Sífilis na Gravidez .................................................. 212

Joana Xavier, Marina Moucho

55 Infeção Congénita por Citomegalovírus – Diagnóstico e Orientação ... 215

Gonçalo Freitas, Rita Figueiredo, Sofia Bessa Monteiro, Ana Margarida Póvoa, Marina Moucho

56 Prevenção de Transmissão Vertical do Vírus da Imunodeficiência Humana 220

Rita Figueiredo, Marina Moucho

Índice IX © L ide L –edições técnicas
137
140
144
149
155
166
169
173
180
185

57 Rubéola na Gravidez ...............................................................................................

Sara Bernardes da Cunha, Marina Moucho

58 Herpes Genital e Gravidez .....................................................................................

Rita Polónia Valente, Marina Moucho

59 Orientação da Grávida, Parturiente ou Puérpera com Infeção

Suspeita ou Confirmada de COVID-19

Carla Ramalho, Mariana Guimarães

60 Pneumonia Vírica ......................................................................................................

Gonçalo Freitas, Rita Figueiredo, João Ferreira Coimbra

61 Colestase Intra-Hepática da Gravidez

Sara Dias Leite, Sandra Seco

62 Placenta Prévia e Vasa Prévia ...............................................................................

Beatriz Teixeira, Manuela Silva, Alexandra Matias

63 Patologias do Espectro do Acretismo Placentar – Orientação Clínica no Parto .......................................................................................................................

Rodrigo Bicker Realista, Pedro Viana Pinto, Ana Paula Machado

64 Estudo das Situações de Morte Fetal de Causa Indeterminada ..............

Mafalda Castro Neves, Anabela Rocha, Carla Ramalho

65 Versão Cefálica Externa ..........................................................................................

Rodrigo Bicker Realista, Ana Paula Machado

66 Análise e Interpretação da Cardiotocografia ..................................................

Beatriz Teixeira, Antónia Costa, João Bernardes

67 Oligoâmnio – Protocolo de Orientação Clínica .............................................

Luísa Cerqueira, Magda Magalhães, Manuela Cunha

68 Hidrâmnio ...................................................................................................................

Beatriz Teixeira, Sofia Pina Rodrigues, Manuela Cunha

69 Complicações da Gravidez Múltipla

Marta Henriques Costa, Teresa Costa Castro

70 Complicações da Gravidez Monocoriónica – Orientação Clínica ............

Marta Henriques Costa, Teresa Costa Castro

71 Parto Diferido na Gravidez Múltipla

Marta Henriques Costa, Teresa Costa Castro

72 Hérnia Diafragmática Congénita .........................................................................

Luísa Cerqueira, Sara Fernandes, Mariana Borges Dias, Paulo Soares, Alexandra Matias

73 Taquiarritmias Supraventriculares ...................................................................... 288

Carla Ramalho, Joana Oliveira Miranda

74 Abordagem Diagnóstica da Patologia Tiroideia Fetal .................................

Sidonie Monteiro, Carla Ramalho

75 Hemofilia: Atuação Pré-Conceção, Pré-Natal e Periparto ........................... 299

Carla Ramalho, Manuela Carvalho, Susana Nobre Fernandes

76 Hidropisia Fetal Não Imune ..................................................................................

Carla Ramalho

77 Critérios de Referenciação para Realização de Neurossonografia e Ressonância Magnética do Sistema Nervoso Central Fetal ...................

Tiago Aguiar, Luísa Sampaio, Teresa Carraca

X Protocolos de Medicina Materno-Fetal
223
227
230
236
240
243
247
250
254
257
261
264
268
273
279
282
293
302
307

78 Atuação em Casos de Suspeita de Anomalia Genética ..............................

Ana Grangeia, Carla Ramalho

79 Patologia Funcional da Tiroide na Gravidez....................................................

Mariana Lira Morais, Joana Queirós, Anabela Rocha

80 Avaliação da Maturidade Pulmonar Fetal ........................................................

Rita Polónia Valente, Gabriela Cerejeira Namora

81 Lúpus Eritematoso Sistémico e Gravidez .........................................................

Maria Inês Raposo, José Faria da Costa, Mariana Guimarães

82 Doença Falciforme – Pré-Conceção e Vigilância da Gravidez

Juliana Moutinho, Joana Lyra, Mariana Guimarães

83 Cefaleias na Gravidez ..............................................................................................

Ana Carolina Coimbra, Andreia Costa, Madalena Pinto, Rosa Santos

84 Miastenia Gravis e Gravidez ..................................................................................

Marta Henriques Costa, Luis Braz, Mariana Guimarães

85 Epilepsia na Gravidez ..............................................................................................

Isabel Fragoso, Isabel Pires, Sofia Bessa Monteiro

86 Patologia Ortopédica e Parto ...............................................................................

Mafalda Castro Neves, Joana Manuel Freitas, Sofia Bessa Monteiro

87 Exames Radiológicos na Gravidez

Helena Carolina Dias, Sílvia Costa Dias, André Carvalho, Anabela Rocha

88 Profilaxia da Endocardite Bacteriana .................................................................

Ana Paula Machado, Cristina Cruz

Parte iii – trabalho de Parto e PuerPério

89 Cuidados Assistenciais de Rotina no Trabalho de Parto .............................

Helena Carolina Dias, Mário Mateus, Catarina Sampaio, Conceição Freitas, Sandra Seco

90 Macrossomia Fetal

Joana Xavier, Manuela Silva

91 Maturação Cervical e Indução do Trabalho de Parto ..................................

Rita Polónia Valente, Mariana Gonçalves, Teresa Costa Castro

92 Parto Vaginal em Grávidas com Cesariana Anterior .....................................

Mariana Gonçalves, Anabela Rocha

93 Trabalho de Parto Estacionário............................................................................

Vera Falcão, Sandra Seco

94 Aceleração do Trabalho de Parto ........................................................................

Vera Falcão, Sandra Seco

95 Taquissistolia – Protocolo de Atuação

Beatriz Teixeira, Antónia Costa, João Bernardes

96 Orientação do Parto na Apresentação Pélvica Unifetal ..............................

Rodrigo Bicker Realista, Pedro Viana Pinto

97 Parto Pélvico Vaginal ...............................................................................................

Rodrigo Bicker Realista, Pedro Viana Pinto

98 Distocia de Ombros – Atuação Clínica .............................................................

Luísa Cerqueira, Magda Magalhães

Índice XI © L ide L –edições técnicas
309
313
319
321
325
330
334
340
344
347
351
355
360
363
369
372
374
377
379
381
386

99 Gasometria do Sangue do Cordão Umbilical .................................................

Beatriz Teixeira, Antónia Costa, João Bernardes

100 Episiotomia e Lacerações de 1.º e 2.º Graus ...................................................

Carla Peixoto, Gabriela Cerejeira Namora, Teresa Mascarenhas

101 Lacerações Perineais de 3.º e 4.º Graus ............................................................

Carla Peixoto, Gabriela Cerejeira Namora, Teresa Mascarenhas

102 Hemorragia Pós-Parto .............................................................................................

Rita Figueiredo, Beatriz Teixeira, Daniela Cristelo, Carla Monteiro, Ana Paula Machado

103 Sistematização das Indicações para Cesariana

Ana Paula Machado, Marina Moucho

104 Técnicas Cirúrgicas de Cesariana

Mafalda Castro Neves, Marina Moucho

105 Analgesia em Contexto de Perda Gestacional

Cristiana Pinho, Sara Fonseca, Catarina Sampaio, Ana Paula Machado

106 Tromboprofilaxia na Gravidez e Puerpério

Maria Inês Raposo, Mariana Guimarães

107 Parto e Bloqueio do Neuroeixo na Grávida sob Hipocoagulação

Mariana Guimarães, Catarina Sampaio

108 Exame Anátomo-Patológico da Placenta

Carla Ramalho, Ana Costa Braga, Susana Guimarães

109 Cesariana – Profilaxia Antibiótica

Vera Falcão, João Cavaco Gomes, Marina Moucho

110 Uso Profilático de Penso com Sistema de Pressão Negativa

Vera Falcão, João Cavaco Gomes, Marina Moucho

111 Febre Intraparto

Maria Filipa Malheiro, Mariana Guimarães

112 Diagnóstico e Tratamento de Infeção Intra-Amniótica Intraparto

Maria Filipa Malheiro, Mariana Guimarães

113 Infeção Puerperal

Gonçalo Freitas, Alcina Azevedo Ferreira, Tiago Aguiar

114 Vigilância de Rotina no Puerpério

Márcia Coimbra, Ana Paula Machado

115 Contraceção no Pós-Parto e Pós-Abortamento

Maria Filipa Malheiro, Ana Margarida Póvoa

XII Protocolos de Medicina Materno-Fetal
391
393
396
399
403
405
407
411
415
417
419
421
423
425
428
434
440
Índice Remissivo 445

AUTORES

COORDENADORAS/AUTORAS

Carla Ramalho

Assistente Hospitalar Graduada de Ginecologia e Obstetrícia da Unidade Local de Saúde de São João, EPE. Professora Catedrática Convidada da Faculdade de Medicina da Universidade do Porto.

Marina Moucho

Diretora do Serviço de Obstetrícia da Unidade Local de Saúde de São João, EPE. Professora Auxiliar Convidada da Faculdade de Medicina da Universidade do Porto.

AUTORES

Alcina Azevedo Ferreira

Assistente Hospitalar Graduada de Doenças Infeciosas da Unidade Local de Saúde de São João, EPE.

Alexandra Matias

Assistente Hospitalar Graduada de Ginecologia e Obstetrícia. Professora Catedrática Convidada da Faculdade de Medicina da Universidade do Porto.

Ana Carolina Coimbra

Interna de Formação Específica de Ginecologia e Obstetrícia da Unidade Local de Saúde de São João, EPE.

Ana Costa Braga

Assistente Hospitalar de Anatomia Patológica da Unidade Local de Saúde de São João, EPE. Assistente Convidada da Faculdade de Medicina da Universidade do Porto.

Ana Grangeia

Assistente Hospitalar de Genética Médica da Unidade Local de Saúde de São João, EPE. Professora Auxiliar Convidada da Faculdade de Medicina da Universidade do Porto.

© L ide L –edições técnicas

Ana Margarida Póvoa

Assistente Hospitalar Graduada de Ginecologia e Obstetrícia da Unidade Local de Saúde de São João, EPE. Professora Auxiliar Convidada da Faculdade de Medicina da Universidade do Porto.

Ana Mesquita Varejão

Interna de Formação Específica de Ginecologia e Obstetrícia da Unidade Local de Saúde de Matosinhos – Hospital Pedro Hispano.

Ana Paula Machado

Assistente Hospitalar Graduada de Ginecologia e Obstetrícia da Unidade Local de Saúde de São João, EPE. Assistente Convidada da Faculdade de Medicina da Universidade do Porto.

Ana Sampaio Oliveira

Assistente Hospitalar Graduada de Endocrinologia.

Anabela Rocha

Assistente Hospitalar de Ginecologia e Obstetrícia da Unidade Local de Saúde de São João, EPE.

André Carvalho

Assistente Hospitalar de Radiologia da Unidade Local de Saúde de São João, EPE. Assistente Convidado da Faculdade de Medicina da Universidade do Porto.

Andreia Costa

Assistente Hospitalar de Neurologia da Unidade Local de Saúde de São João, EPE. Assistente Convidada da Faculdade de Medicina da Universidade do Porto.

Antónia Costa

Assistente Hospitalar Graduada de Ginecologia e Obstetrícia da Unidade Local de Saúde de São João, EPE. Professora Auxiliar Convidada da Faculdade de Medicina da Universidade do Porto.

Beatriz Teixeira

Interna de Formação Específica de Ginecologia e Obstetrícia da Unidade Local de Saúde de São João, EPE. Professora Adjunta Convidada da Escola Superior de Enfermagem do Porto.

Protocolos de Medicina Materno-Fetal
XIV

Carla Monteiro

Assistente Hospitalar Graduada de Imuno-hemoterapia da Unidade Local de Saúde de São João, EPE.

Carla Peixoto

Assistente Hospitalar de Ginecologia e Obstetrícia da Unidade Local de Saúde de São João, EPE. Assistente Convidada da Faculdade de Medicina da Universidade do Porto.

Catarina Sampaio

Assistente Hospitalar Graduada de Anestesiologia da Unidade Local de Saúde de São João, EPE.

Conceição Freitas

Professora Adjunta da Escola Superior de Saúde do Instituto Politécnico de Viana do Castelo. Especialista Enfermeira em Enfermagem de Saúde Materna e Obstétrica.

Cristiana Pinho

Assistente Hospitalar de Anestesiologia da Unidade Local de Saúde de São João, EPE.

Cristina Cruz

Assistente Hospitalar Graduada de Cardiologia da Unidade Local de Saúde de São João, EPE. Professora Auxiliar Convidada da Faculdade de Medicina da Universidade do Porto.

Daniela Cristelo

Assistente Hospitalar de Anestesiologia da Unidade Local de Saúde do Alto Minho, EPE.

Eduarda Marques

Assistente Hospitalar Graduada de Ginecologia e Obstetrícia.

Esmeralda Rodrigues

Assistente Hospitalar Graduada de Pediatria da Unidade Local de Saúde de São João, EPE.

Fátima Ferreira

Assistente Hospitalar Graduada de Hematologia Clínica da Unidade Local de Saúde de São João, EPE.

Autores XV © L ide L –edições técnicas

XVI Protocolos de Medicina Materno-Fetal

Fátima Gaspar

Nutricionista Especialista em Nutrição Clínica da Unidade Local de Saúde de São João, EPE.

Francisco Santos Coelho

Assistente de Medicina Geral e Familiar na Unidade Local de Saúde do Tâmega e Sousa, EPE. Mestre em Gestão e Economia de Serviços de Saúde.

Gabriela Cerejeira Namora

Assistente Hospitalar de Ginecologia e Obstetrícia da Unidade Local de Saúde de São João, EPE.

Gonçalo Freitas

Interno de Formação Específica de Ginecologia e Obstetrícia da Unidade Local de Saúde de São João, EPE.

Helena Carolina Dias

Interna de Formação Específica de Ginecologia e Obstetrícia da Unidade Local de Saúde de São João, EPE.

Isabel Fragoso

Interna de Formação Específica de Ginecologia e Obstetrícia da Unidade Local de Saúde de Trás-os-Montes e Alto Douro, EPE.

Isabel Pires

Assistente Hospitalar Graduada de Neurofisiologia Clínica da Unidade Local de Saúde de São João, EPE.

Joana Félix

Assistente Hospitalar de Ginecologia e Obstetrícia da Unidade Local de Saúde de Matosinhos – Hospital Pedro Hispano. Assistente Convidada da Faculdade de Medicina da Universidade do Porto.

Joana Lyra

Assistente Hospitalar de Ginecologia e Obstetrícia da Unidade Local de Saúde São João, EPE.

Joana Manuel Freitas

Assistente Hospitalar Graduada de Ortopedia.

Joana Oliveira Miranda

Assistente Hospitalar Graduada de Cardiologia Pediátrica da Unidade Local de Saúde de São João, EPE. Professora Auxiliar Convidada da Faculdade de Medicina da Universidade do Porto.

Joana Queirós

Diretora do Serviço de Endocrinologia da Unidade Local de Saúde de São João, EPE.

Joana Xavier

Assistente Hospitalar de Ginecologia e Obstetrícia da Unidade Local de Saúde de São João, EPE.

João Bernardes

Assistente Hospitalar Graduado Sénior de Ginecologia e Obstetrícia da Unidade Local de Saúde de São João, EPE. Professor Catedrático da Faculdade de Medicina da Universidade do Porto.

João Cavaco Gomes

Assistente Hospitalar de Ginecologia e Obstetrícia da Unidade Local de Saúde de São João, EPE.

João Ferreira Coimbra

Assistente Hospitalar de Medicina Interna da Unidade Local de Saúde de São João, EPE.

José Faria da Costa

Assistente Hospitalar de Medicina Interna da Unidade Local de Saúde do Algarve, EPE.

Juliana Moutinho

Assistente Hospitalar de Imuno-hemoterapia da Unidade Local de Saúde da Póvoa de Varzim/Vila do Conde, EPE.

Luis Braz

Assistente Hospitalar de Neurologia da Unidade Local de Saúde de São João, EPE. Assistente Convidado da Faculdade de Medicina da Universidade do Porto.

Luísa Cerqueira

Interna de Formação Específica de Ginecologia e Obstetrícia da Unidade Local de Saúde de São João, EPE.

Autores XVII © L ide L –edições técnicas

XVIII

Protocolos de Medicina Materno-Fetal

Luísa Sampaio

Assistente Hospitalar de Neurorradiologia da Unidade Local de Saúde de São João, EPE. Assistente Convidada da Faculdade de Medicina da Universidade do Porto.

Madalena Pinto

Assistente Hospitalar Graduada de Neurologia da Unidade Local de Saúde de São João, EPE.

Mafalda Castro Neves

Interna de Formação Específica de Ginecologia e Obstetrícia da Unidade Local de Saúde de São João, EPE.

Magda Magalhães

Assistente Hospitalar de Ginecologia e Obstetrícia da Unidade Local de Saúde de São João, EPE. Assistente Convidada da Faculdade de Medicina da Universidade do Porto.

Manuela Carvalho

Assistente Hospitalar Graduada Sénior de Imuno-hemoterapia da Unidade Local de Saúde de São João, EPE.

Manuela Cunha

Assistente Hospitalar Graduada de Ginecologia e Obstetrícia da Unidade Local de Saúde de São João, EPE.

Manuela Silva

Assistente Hospitalar Graduada de Ginecologia e Obstetrícia da Unidade Local de Saúde de São João, EPE. Assistente Convidada da Faculdade de Medicina da Universidade do Porto.

Márcia Coimbra

Interna de Formação Específica de Ginecologia e Obstetrícia da Unidade Local de Saúde de Viseu Dão-Lafões, EPE.

Maria Filipa Malheiro

Assistente Hospitalar de Ginecologia e Obstetrícia do Instituto Português de Oncologia do Porto.

Maria Inês Raposo

Assistente Hospitalar de Ginecologia e Obstetrícia do Hospital do Divino Espírito Santo de Ponta Delgada, EPE.

Mariana Borges Dias

Assistente Hospitalar de Cirurgia Pediátrica da Unidade Local de Saúde de São João, EPE.

Mariana Gonçalves

Interna de Formação Específica de Ginecologia e Obstetrícia da Unidade Local de Saúde de São João, EPE.

Mariana Guimarães

Assistente Hospitalar Graduada de Ginecologia e Obstetrícia da Unidade Local de Saúde de São João, EPE. Assistente Convidada da Faculdade de Medicina da Universidade do Porto.

Mariana Lira Morais

Assistente Hospitalar de Ginecologia e Obstetrícia da Unidade Local de Saúde de Gaia/Espinho, EPE.

Mariana Rei

Assistente Hospitalar de Ginecologia e Obstetrícia do Instituto Português de Oncologia do Porto.

Mariana Solinho

Interna de Formação Específica de Ginecologia e Obstetrícia da Unidade Local de Saúde da Lezíria, EPE.

Mário Mateus

Assistente Hospitalar Graduado de Neonatologia da Unidade Local de Saúde de São João, EPE.

Marta Henriques Costa

Interna de Formação Específica de Ginecologia e Obstetrícia da Unidade Local de Saúde de São João, EPE.

Paulo Soares

Assistente Hospitalar Graduado de Neonatologia da Unidade Local de Saúde de São João, EPE.

Autores XIX © L ide L –edições técnicas

XX

Pedro Viana Pinto

Assistente Hospitalar de Ginecologia e Obstetrícia da Unidade Local de Saúde de São João, EPE. Assistente Convidado da Faculdade de Medicina da Universidade do Porto.

Raquel Maciel

Assistente Hospitalar de Ginecologia e Obstetrícia da Unidade Local de Saúde de São João, EPE.

Rita Damas

Assistente Hospitalar de Hematologia Clínica da Unidade Local de Saúde de São João, EPE.

Rita Figueiredo

Assistente Hospitalar de Ginecologia e Obstetrícia da Unidade Local de Saúde de São João, EPE. Assistente Convidada da Faculdade de Medicina da Universidade do Porto.

Rita Polónia Valente

Assistente Hospitalar de Ginecologia e Obstetrícia da Unidade Local de Saúde de São João, EPE.

Rita Quental

Interna de Formação Específica de Genética Médica da Unidade Local de Saúde de São João, EPE.

Rodrigo Bicker Realista

Interno de Formação Específica de Ginecologia e Obstetrícia da Unidade Local de Saúde de São João, EPE.

Rosa Santos

Assistente Hospitalar Graduada de Obstetrícia.

Sandra Belo

Assistente Hospitalar Graduada de Endocrinologia, Diabetes e Metabolismo da Unidade Local de Saúde de São João, EPE.

Sandra Seco

Assistente Hospitalar Graduada de Ginecologia e Obstetrícia da Unidade Local de Saúde de São João, EPE.

Protocolos de Medicina Materno-Fetal

Sara Bernardes da Cunha

Assistente Hospitalar de Ginecologia e Obstetrícia da Unidade Local de Saúde de Entre Douro e Vouga, EPE.

Sara Dias Leite

Interna de Formação Específica de Ginecologia e Obstetrícia do Hospital do Divino Espírito Santo de Ponta Delgada, EPE.

Sara Fernandes

Interna de Formação Específica de Cirurgia Pediátrica da Unidade Local de Saúde de São João, EPE.

Sara Fonseca

Assistente Hospitalar Graduada de Anestesia da Unidade Local de Saúde de São João, EPE. Assistente Convidada da Faculdade de Medicina da Universidade do Porto.

Sidonie Monteiro

Interna de Formação Específica de Ginecologia e Obstetrícia da Unidade Local de Saúde do Médio Ave, EPE.

Sílvia Costa Dias

Assistente Graduada de Radiologia da Unidade Local de Saúde de São João, EPE. Assistente Convidada da Faculdade de Medicina da Universidade do Porto.

Sofia Bessa Monteiro

Assistente Hospitalar Graduada de Ginecologia e Obstetrícia da Unidade Local de Saúde de São João, EPE.

Sofia Dória

Professora Auxiliar de Genética da Faculdade de Medicina da Universidade do Porto.

Sofia Granja

Assistente Hospitalar Graduada de Cardiologia Pediátrica da Unidade Local de Saúde de São João, EPE.

Sofia Pina Rodrigues

Assistente Hospitalar de Ginecologia e Obstetrícia da Unidade Local de Saúde de São João, EPE.

Autores XXI © L ide L –edições técnicas

Susana Correia Costa

Interna de Formação Específica de Ginecologia e Obstetrícia da Unidade Local de Saúde de São João, EPE.

Susana Guimarães

Assistente Hospitalar Graduada de Anatomia Patológica da Unidade Local de Saúde de São João, EPE. Assistente Convidada da Faculdade de Medicina da Universidade do Porto.

Susana Nobre Fernandes

Assistente Hospitalar Graduada de Imuno-hemoterapia da Unidade Local de Saúde de São João, EPE.

Teresa Carraca

Assistente Hospitalar Graduada de Ginecologia e Obstetrícia da Unidade Local de Saúde de São João, EPE.

Teresa Costa Castro

Assistente Hospitalar de Ginecologia e Obstetrícia da Unidade Local de Saúde de São João, EPE. Assistente Convidada da Faculdade de Medicina da Universidade do Porto.

Teresa Mascarenhas

Assistente Hospitalar Graduada Sénior de Ginecologia e Obstetrícia da Unidade Local de Saúde de São João, EPE. Professora Associada da Faculdade de Medicina da Universidade do Porto.

Teresa Rodrigues

Assistente Hospitalar Graduada de Ginecologia e Obstetrícia da Unidade Local de Saúde de São João, EPE. Professora Auxiliar Convidada da Faculdade de Medicina da Universidade do Porto.

Tiago Aguiar

Assistente Hospitalar de Ginecologia e Obstetrícia da Unidade Local de Saúde de Trás-os-Montes e Alto Douro, EPE.

Vera Falcão

Assistente Hospitalar de Ginecologia e Obstetrícia da Unidade Local de Saúde de São João, EPE.

XXII Protocolos de Medicina Materno-Fetal

INTRODUÇÃO

Protocolos de Medicina Materno-Fetal reúne os protocolos do Serviço de Obstetrícia da Unidade Local de Saúde de São João, elaborados e revistos ao longo dos anos pelo corpo clínico do referido serviço e por elementos de outros serviços que diariamente colaboram na sua atividade clínica.

São protocolos de atuação, baseados na evidência, adaptados à realidade nacional e local, pelo que se encontram algumas referências a particularidades do funcionamento desta unidade de saúde. Os protocolos de atuação, fundamentais para a prática clínica, são também importantes do ponto de vista pedagógico e médico-legal.

Os Protocolos de Medicina Materno-Fetal, publicados pela primeira vez em 2005, veem agora editada a sua 4.ª edição, na qual, para além da revisão dos protocolos da edição anterior, foram também acrescentados inúmeros capítulos, com temas relevantes da prática clínica.

Com esta edição, é dada continuidade à partilha de conhecimentos e experiências, facilitando a prática clínica de todos os profissionais que estão envolvidos nos cuidados obstétricos e perinatais e a aprendizagem dos estudantes das ciências da saúde.

Carla Ramalho

Marina Moucho (Coordenadoras)

© L ide L –edições técnicas

CRITÉRIOS PARA VIGILÂNCIA DA GRAVIDEZ EM CONSULTA HOSPITALAR

INTRODUÇÃO

Por serem de baixo risco, a maioria das gestações requer apenas uma vigilância nos Cuidados de Saúde Primários (CSP). Em algumas situações, os riscos obstétricos associados a determinadas patologias ou condições clínicas aconselham à referenciação hospitalar, seja para uma avaliação pontual pela especialidade de Obstetrícia, seja para manter vigilância em consulta. Pode também justificar-se a avaliação hospitalar em consulta de pré-conceção para estabilização de determinada condição patológica e/ou para o ajuste terapêutico adequado.

Este protocolo visa definir os critérios para essa vigilância hospitalar, no entanto, não pretende ser uma listagem exaustiva dos mesmos.

CRITÉRIOS PARA VIGILÂNCIA DA GRAVIDEZ EM CONSULTA HOSPITALAR

Patologia cardiovascular

■ Cardiopatias congénitas;

■ Cardiomiopatias;

■ Valvulopatias;

■ Doença coronária;

■ Doenças genéticas do tecido conjuntivo;

■ Hipertensão pulmonar;

■ Fibrilhação/ flutter auricular;

■ Taquiarritmias e bradiarritmias persistentes;

■ Insuficiência cardíaca;

■ Transplante cardíaco;

■ Cirurgia cardíaca prévia;

■ Hipertensão arterial (HTA) crónica;

■ HTA diagnosticada na gravidez em curso;

■ Antecedentes de pré-eclâmpsia (PE) ou síndrome de HELLP;

■ Rastreio de PE positivo.

Patologia respiratória

■ Asma com pelo menos duas crises no último ano;

■ Doença pulmonar obstrutiva crónica (DPOC);

■ Bronquiectasias;

■ Fibrose cística (FC);

■ Sarcoidose com envolvimento pulmonar;

■ Tuberculose pulmonar;

■ Insuficiência respiratória.

© L ide L –edições técnicas 1

Fármacos a evitar no 3.º trimestre pelos efeitos deletérios associados:

■ Sulfonamidas, análogos da vitamina K: Kernicterus;

■ Salicilados e derivados pirazolónicos: Encerramento do canal arterial, oligoâmnio;

■ Cloranfenicol: Síndrome cinzenta do recém-nascido;

■ Nitrofurantoína: Anemia hemolítica do feto e do recém-nascido;

■ Aminoglicosídeos: Lesão do 8.º par craniano;

■ Tetraciclinas: Inibição do crescimento ósseo, deposição nos dentes;

■ Anticoagulantes orais: Hemorragia neonatal.

Tabela 4.1 – ClassifiC ação dos fármaCos segundo as Classes da aaP

Fármacos

Gravidez

Trimestre Classe

Medicamentos Anti-infeciosos

Aminoglicosídeos

Amamentação

Amicacina, Netilmicina, Paromomicina

Tobramicina

Bacitracina

Estreptomicina

3.º

3.º

Cefalosporinas

1.ª geração: cefalexina, cefalotina, cefazolina, cefadrina

2.ª geração: cefuroxima, cefoxitina, cefaclor

3.ª geração: ceftriaxona, cefoxitima, ceftazidima, cefixima

Moxaloctam

Penicilina G: aquosa, benzatínica, clemisol, potássica, procaínica, Penicilina V

Imipenem-cilastatina

Meropenem

Penicilinas

Penicilinas penicilinase-sensíveis

Amoxicilina, amoxicilina/ácido clavulânico

Ampicilina + sulbactam

16 Protocolos de Medicina
Materno-Fetal
2.º,
D Prec
C
Desc Canamicina
2.º,
D Com
D Prec Gentamicina 1.º D Prec
Neomicina
B Com
C Com
B
Prec
C
Prec
B
Com (continua)

Rastreio combinado (11-13+6 semanas)

Alto risco

≥1:100

Risco intermédio 1:101-1:500

DNA fetal em sangue materno

Teste invasivo

Alto risco

Baixo risco

Baixo risco <1:500 Vigilância de rotina

Figura 5.1 – Orientação de grávidas com gestação unifetal entre as 11 e as 13+6 semanas. Nos casos de risco intermédio, com critérios de exclusão para rastreio de DNA fetal em sangue materno (grávida com transplante de órgão ou medula óssea), está recomendado o teste invasivo. O teste invasivo está também recomendado no caso de diagnóstico ecográfico de anomalia estrutural do feto (protocolo “78. Atuação em casos de suspeita de anomalia genética”) ou TN ≥3 mm (protocolo “16. Atuação clínica nos casos de translucência da nuca aumentada”).

GRÁVIDAS NO 2.º TRIMESTRE

Grávidas com rastreio combinado do 1.º trimestre

A presença ou ausência de marcadores ecográficos de aneuploidias na ecografia morfológica (realizada idealmente entre as 20+0 e as 22+6 semanas) pode ser usada para modificar o risco de aneuploidia previamente estabelecido.

O risco é calculado multiplicando o risco prévio pelo likelihood ratio (LR) positivo dos fatores presentes e pelo LR negativo dos marcadores ausentes. Se apenas está presente um marcador isolado, o risco final resulta da correção do risco prévio pelo LR já calculado para esse marcador isolado (Tabela 5.2).

Tabela 5.2 – marC adores eCográfiCos de Trissomia 21 LR do marcador isolado LR positivo LR negativo

Prega da nuca (≥ 6 mm)

Úmero curto (<3 SD) <0.90 MoM para DBP

Fémur curto (DBP/Fe >P97,5) <0.91 MoM para DBP

ligeira (≥4 mm)

cardíaco hiperecogénico

hiperecogénico

0,90 Ventriculomegalia (≥10 mm)

(continua)

38 Protocolos de Medicina Materno-Fetal
23,3 0,80
3,79
0,78 4,81
0,74
0,61 3,72
7,63
Foco
Intestino
1,65 11,44
27,52
0,80 Hidronefrose
1,08
0,92
0,95 5,83 0,80
3,81
0,94

■ Saco gestacional adaptado ao nicho, adquirindo forma triangular (<8 semanas) ou oval/arredondado (≥8 semanas);

■ Ausência ou fina camada (≤3 mm) de miométrio entre o saco gestacional e a bexiga;

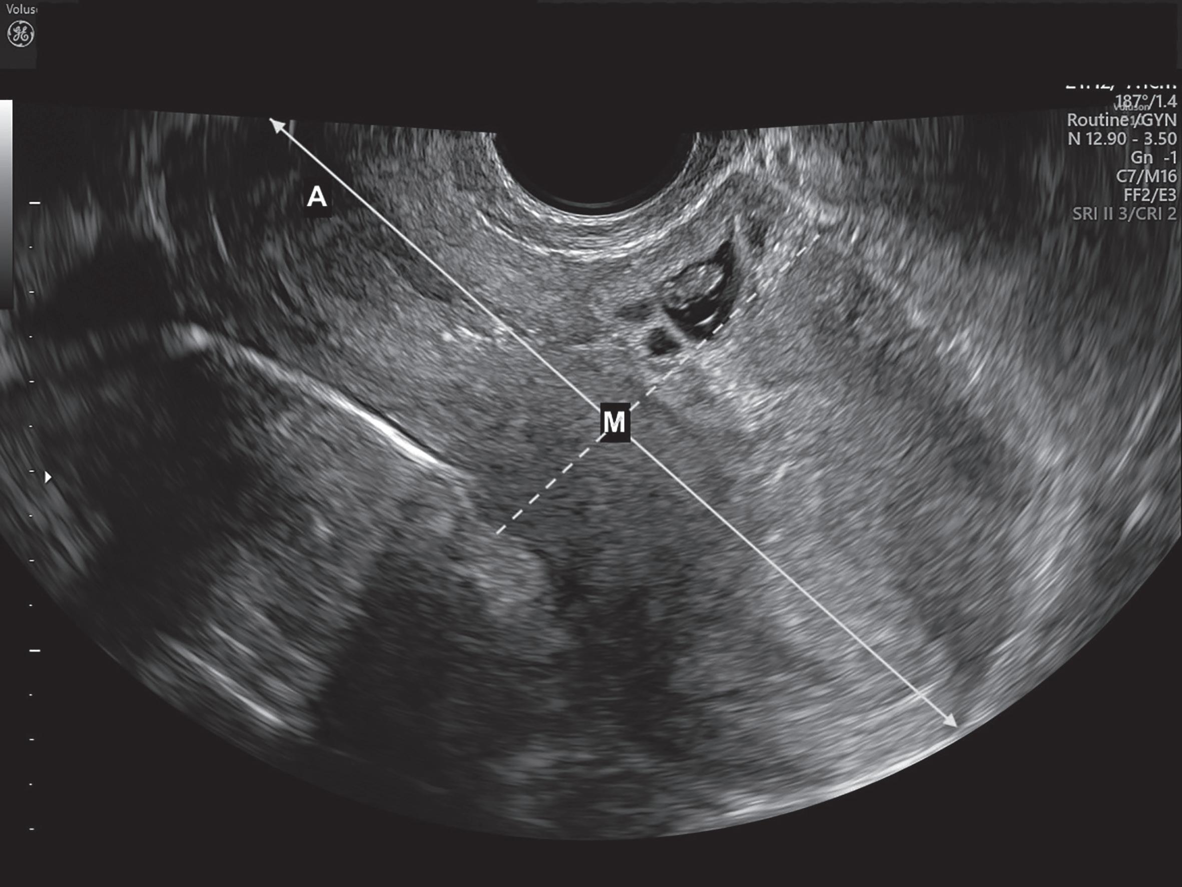
■ Localização do centro do saco gestacional, entre as 5-10 semanas (sensibilidade de 93% e especificidade de 98,9%, se idade gestacional <7 semanas): em corte sagital, avaliação da distância entre o OCE e o fundo uterino (distância A); determinação do ponto médio (M = A/2) (Figura 28.4). Se o saco gestacional se localizar entre o ponto M e o colo uterino: alta probabilidade de ser uma gravidez em cicatriz de cesariana (diagnóstico diferencial com gravidez intrauterina de implantação baixa, em que o saco gestacional se localiza entre o ponto M e o fundo uterino);

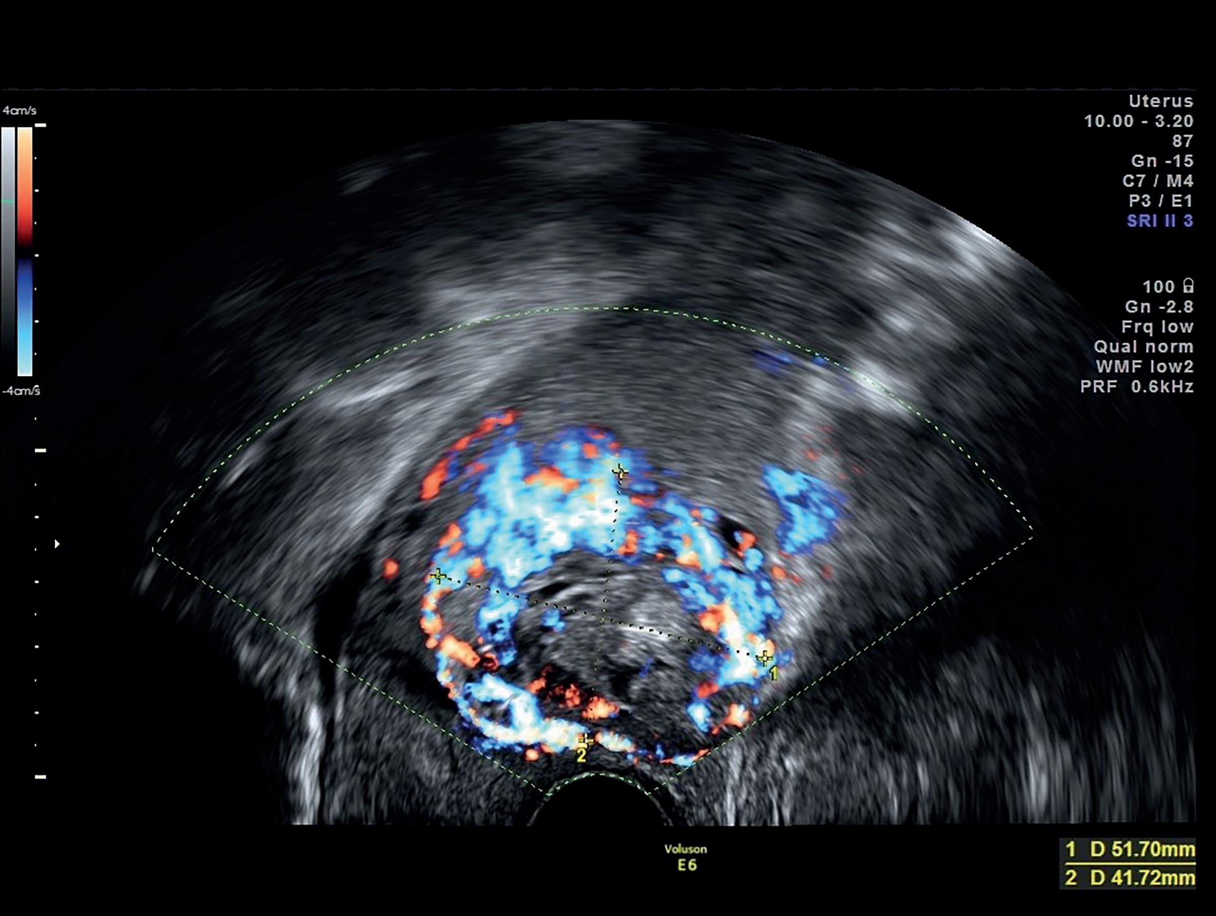
■ Hipervascularização peritrofoblástica com fluxo de alta velocidade (>20 cm/s) e baixa impedância (IP <1) (Figura 28.5).

Figura 28.4 – Gravidez ectópica em cicatriz de cesariana – saco gestacional localizado entre o ponto M e o colo uterino. (Fonte: ULS São João)

Gravidez ovárica

Figura 28.5 – Gravidez ectópica em cicatriz de cesariana – hipervascularização peritrofoblástica. (Fonte: ULS São João)

A gravidez ovárica ocorre em 1-6% das gestações ectópicas. O principal fator de risco é a endometriose. O diagnóstico é, geralmente, difícil, podendo ser confundido com um quisto do corpo lúteo/hemorrágico ou gravidez ectópica tubária. Dada a localização muito vascularizada, um terço apresenta-se com choque hipovolémico/hemoperitoneu, sendo o diagnóstico efetuado apenas intraoperatoriamente. A trompa ipsilateral deve estar intacta, o saco gestacional na localização habitual do ovário e o ovário e saco gestacional conectados ao útero pelo ligamento ovárico. Deve ser confirmado histologicamente através da presença de tecido trofoblástico aderente ao córtex ovárico.

Critérios de diagnóstico ecográfico:

■ Cavidade uterina vazia com endométrio decidualizado;

■ Imagem cística (saco gestacional) no córtex ovárico, com alta vascularização e halo hiperecogénico;

■ Imagem cística (saco gestacional) indissociável/fixo ao ovário quando é realizada pressão com sonda transvaginal (diagnóstico diferencial com gravidez ectópica tubária).

108 Protocolos de Medicina
Materno-Fetal

Tabela 40.3 – algumas formulações de ferro oral disPoníveis Para PresCrição

Substância ativa Nome comercial Apresentação Ferro elementar Associações medicamentosas

Maltofer® Ampolas bebíveis 5 mL 100 mg/5 mL –

Hidróxido férrico-polimaltose

Ferrum Hausmann® Comprimidos 100 mg/ /comprimido –

Ferrum Hausmann® Solução oral 50 mg/mL (1 mL = 18 gotas) –

Fervit® Ampolas bebíveis 15 mL 40 mg/ampola –

Proteínosuccinilato de ferro

Fetrival® Ampolas bebíveis 15 mL 40 mg/ampola –

Legofer® Ampolas bebíveis 15 mL 40 mg/ampola –

Ferro-Gradumet®

Sulfato ferroso

Sulfato ferroso + Ácido fólico

Ferro-Tardyferon®

Comprimidos de libertação prolongada 105 mg/ /comprimido –

Comprimidos de libertação prolongada 80 mg/comprimido –

Folifer® Comprimidos 80 mg/comprimido

Tardyferon Fol®

Ferrograd Fólico®

Sulfato ferroso + Hb

Pirofosfato férrico

Gluconato ferroso

Bisglinato ferroso + lactoferrina liofilizada

Comprimidos de libertação prolongada 76 mg/comprimido

Comprimidos de libertação prolongada 105 mg de ferro trivalente/ /comprimido

Acresce 1 mg de ácido fólico

Acresce 0,35 mg de ácido fólico

Acresce 0,35 mg de ácido fólico

Globifer® Comprimidos 18 mg/comprimido Acresce 519 mg de Hb

Fisiogen ferro forte® Cápsulas 30 mg/cápsula –

Fisiogen ferro® Cápsulas 14 mg/cápsula –

Ferrogin® Comprimido 30 mg/comprimido –

Hemototal® Ampolas bebíveis 35 mg/ampola –

Bioferro® Comprimidos efervescentes – –

FerCare® Cápsulas 30 mg/cápsula

Acresce 20 mg de lactoferrina

152 Protocolos de Medicina Materno-Fetal

Aplicação do fórceps de Piper

Com a mão esquerda, segurar o manípulo da primeira colher, percorrendo, com auxílio da mão direita, a cabeça fetal até à região parietal direita. Em seguida, efetuar o movimento semelhante no lado oposto, articulando as colheres do fórceps, sem forçar.

Será importante não elevar o tronco mais de 45° acima do plano horizontal, minimizando, assim, o risco de tração excessiva sobre a coluna cervical fetal (Figura 97.4).

EM CASO DE RETENÇÃO DE CABEÇA ÚLTIMA

1. Ministrar relaxante uterino – Nitroglicerina 50-200 µg, intravenoso (IV).

2. Incisões de Dührssen – Estão indicadas quando o colo não está completamente dilatado, às 2, 6 e 10 horas, com uma tesoura média romba.

384 Protocolos de Medicina Materno-Fetal A C D B
Figura 97.3 – Manobra de Burns-Marshall. Figura 97.4 – Aplicação do fórceps de Piper.

da puérpera com a sutura e uma redução no número de fios utilizados, sem aumento da incidência de equimoses/hematomas ou infeção perineal.

A sutura contínua com encerramento perineal intradérmico é o método de primeira escolha para execução de episiorrafia e de correção das lacerações perineais de 2.º grau, nas feridas de moderada extensão e sem lesões perineais (varizes vulvares, condilomatose perineal). Nos restantes casos, deve ser realizado o encerramento com pontos separados.

SUTURA CONTÍNUA COM ENCERRAMENTO PERINEAL INTRADÉRMICA (Figura 100.1)

1. Utilização de um único fio de poliglactina 910 de absorção rápida (Vicryl® Rapide) 2/0.

2. Primeiro ponto inserido acima do vértice da lesão vaginal (A). Aplicação de nó triplo e secção da extremidade distal do fio.

3. Sutura contínua não cruzada da mucosa vaginal até às carúnculas himeniais (B). Aplicação de nó corrido triplo a este nível.

4. Encerramento dos músculos e tecido celular subcutâneo perineais com sutura contínua não cruzada (C). Aplicação de nó corrido triplo ao nível da extremidade distal da lesão perineal (D).

5. Encerramento subcutâneo do períneo em direção à vagina, passando a sutura contínua de pontos não cruzados na mucosa vulvar e terminando com nó corrido triplo ao nível das carúnculas himeniais.

Figura 100.1 – Sutura contínua com encerramento perineal intradérmica.

SUTURA PERINEAL COM PONTOS SEPARADOS

(Figura 100.2)

1. Utilização de um fio de poliglactina 910 normal (Vicryl ®) 2/0 e um fio de poliglactina 910 de absorção rápida (Vicryl ® Rapide) 2/0.

2. Primeiro ponto com poliglactina 910 de absorção rápida (Vicryl® Rapide) inserido acima do vértice da lesão vaginal (A). Aplicação de nó triplo e secção da extremidade distal do fio.

3. Sutura contínua não cruzada da mucosa vaginal (B) até às carúnculas himeniais. Aplicação de nó corrido triplo a este nível (C) e secção da extremidade do fio.

394 Protocolos de Medicina
Materno-Fetal
A B C D

TROMBOPROFILAXIA

NA GRAVIDEZ

E PUERPÉRIO

INTRODUÇÃO

O tromboembolismo venoso (TEV) constitui uma das principais causas de morbimortalidade materna nos países desenvolvidos. Tem uma incidência de 0,5-2:1000 gravidezes e é responsável por 1,1 mortes maternas em cada 100 000 gravidezes. O risco tromboembólico na gravidez aumenta com a idade gestacional e atinge o máximo na primeira semana de pós-parto.

A fim de se iniciar profilaxia do TEV, todas as grávidas devem ser submetidas a uma estratificação do risco tromboembólico. Esta deve ser dinâmica, com uma primeira avaliação antes da gravidez ou na primeira consulta e reavaliação mediante intercorrências, na admissão hospitalar, no anteparto e pós-parto.

AGENTES FARMACOLÓGICOS PARA TROMBOPROFILAXIA

A heparina de baixo peso molecular (HBPM) é o fármaco de eleição pelo seu perfil de segurança materna e fetal (menor risco de trombocitopenia induzida e osteoporose, comparativamente à heparina não fracionada (HNF); não ultrapassa a barreira placentária). Tem uma resposta anticoagulante previsível, não sendo necessária a monitorização dos níveis anti-Xa, exceto em casos selecionados. A contagem de plaquetas só é necessária se houver exposição prévia à HNF. As doses são ajustadas ao peso (Tabela 106.1) e devem ser reduzidas em caso de insuficiência renal.

Tabela 106.1 – dose ProfiláTiC a, inTermédia e TeraPêuTiC a de HeParina de Baixo Peso moleCular Peso (kg)

Dose profilática

Dose intermédia

Dose terapêutica

Outros fármacos

40 mg/dia cada 12 horas 5000 U/dia cada 12 horas 175 U/kg/dia

1 mg/kg cada 12 horas na gravidez 1,5 mg/Kg/dia no pós-parto 100 U/kg cada 12 horas 175 U/kg/dia

■ Heparina não fracionada – Ponderar no periparto, em situações de elevado risco trombótico. Também pode estar indicada em caso de alto risco

© L ide L –edições técnicas
Enoxaparina Dalteparina Tinzaparina
<50 20 mg/dia 2500 U/dia 3500 U/dia 50-90 40 mg/dia 5000 U/dia 4500 U/dia 91-130 60 mg/dia 7500 U/dia 7000 U/dia 131-170 80 mg/dia 10 000 U/dia 9000 U/dia >170 0,6 mg/kg/dia 75 U/kg/dia 75 U/kg/dia
106
Maria inêS rapoSo, Mariana GuiMarãeS

Protocolos de Medicina Materno-Fetal

Protocolos de Medicina Materno-Fetal reúne os protocolos do Serviço de Obstetrícia da Unidade Local de Saúde de São João, EPE, elaborados e revistos ao longo dos anos pelo corpo clínico do referido serviço e por elementos de outros serviços que diariamente colaboram na sua atividade clínica.

São protocolos de atuação, baseados na evidência, adaptados à realidade nacional e local, pelo que se encontram algumas referências a particularidades do funcionamento desta unidade de saúde. Os protocolos de atuação, fundamentais para a prática clínica, são também importantes do ponto de vista pedagógico e médico-legal.

Protocolos de Medicina Materno-Fetal

Os , publicados pela primeira vez em 2005, veem agora editada a sua 4.ª edição, na qual, para além da revisão dos protocolos da edição anterior, foram também acrescentados inúmeros capítulos, com temas relevantes da prática clínica .

Com esta edição, é dada continuidade à partilha de conhecimentos e experiências, facilitando a prática clínica de todos os profissionais que estão envolvidos nos cuidados obstétricos e perinatais e a aprendizagem dos estudantes das ciências da saúde.

Carla Ramalho – Assistente Hospitalar Graduada de Ginecologia e Obstetrícia da Unidade Local de Saúde de São João, EPE. Professora Catedrática Convidada da Faculdade de Medicina da Universidade do Porto.

Marina Moucho – Diretora do Serviço de Obstetrícia da Unidade Local de Saúde de São João, EPE. Professora Auxiliar Convidada da Faculdade de Medicina da Universidade do Porto

ISBN 978-989-752-800-2 www.lidel.pt

9 789897 528002 4 ª Edição

Turn static files into dynamic content formats.

Create a flipbook
Issuu converts static files into: digital portfolios, online yearbooks, online catalogs, digital photo albums and more. Sign up and create your flipbook.