Leigh News AUGUST 2025

Page 1


Leigh News

A Message from the retiring Editor

Some of you may have had already heard but my time as editor of the Leigh New must come to an end. This is not a decision I have made lightly but my health is now dictating that I must focus on my own wellbeing.

At this stage the plan is to finish at the end of this year, with September and November not included and so the remaining editions will be August, October and December. We have been able to appoint a very capable editor for the future, Julia Kennedy who is currently studying journalism at Deakin University Waurn Ponds. She is currently working with me on this edition and will continue to do so for October and December. As she settles into the position, the Inverleigh Progress Association have decided to have four 'seasonal editions' in 2026, March (Autumn), June (Winter), September (Spring) and December (Summer). This may change as Julia get up to speed and adjusts to Uni, part time work and being Editor of the Leigh News. We wish her every success in the future.

Federation Bridge in Inverleigh is NOW OPEN

The Inverleigh Progress Association

A organisation that is made up of local residents that want to contribute to making Inverleigh a great place to live. What is the IPA?

What does the IPA actually do?

publishes the Leigh News monthly & local phone directory undertakes community projects ie Town Stone Entrances executing the 2023 Inverleigh Community Plan advocate for Inverleigh with government organisations meets with Council every quarter to discuss local issues maintains specific community assets ie Water Standpipe & Clock Tower

2025 IPA Meeting Dates

7:30pm at the Inverleigh Public Hall.

APRIL 23rd

MAY 21st

JUNE 18th

JULY 16th

AUGUST 20th

SEPTEMBER 17th

OCTOBER 15th

NOVEMBER 19th

Find us here

Website: https://www.inverleigh.org.au/ipa

Email: inverleighpa@yahoo.com.au

Federation Bridge is now open

The riverbank at the base of Federation Bridge was heavily scoured from the October 2022 floods and repairing the riverbank was the first step to ensure the bridge was not damaged from further riverbank erosion.

The riverbank works included:

*Temporary river crossing for construction equipment and the placement of rock from the south side.

*The removal of a fallen river redgum –the fallen tree was altering the river flow, so much so, it was causing erosion to the southern bank that would affect a very large (and beautiful) river redgum on the southern bank.

*Placing geofabric and rocks to protect the existing northern riverbank, the rock armouring better protects the riverbank and the bridge towers on the northern side.

*Removal of temporary river crossing and placing rock for newly scoured section on the southern bank.

The bridge repairs consisted of:

*Replacing the timber deck and kerb

*Replacing the steel droppers so that the bridge deck level can be adjusted

*Replacing all damaged and broken bolts and screws

*Clearing out the bee hives and detritus within the southern towers

*Painting the deck with a non-slip surface and treating all steel items for corrosion and repainting

*Adjusting the level of the bridge so it is more comfortable to walk across.

The bridge is now ready to be used by the public, however it should be noted that it was never designed for horses and motorbikes as a crossing of the Leigh River

Golden Plains Shire Council

E: vicki.shelton@gplains.vic.gov.au

W: goldenplains.vic.gov.au

Is your community group looking for funding for a project or

Applications open at 9am on Friday 1 August for Golden Plains Shire Council’s Community Strengthening Grants Program 2025.

The program offers not-for-profit community groups the opportunity to apply for one-off grants to assist in delivering projects that directly benefit our Golden Plains Shire community. Grant categories have been updated to reflect strategic objectives outlined in our new Council Plan 2025-2029.

Grants of up to $7,000 are available in three categories:

• Healthy Connected Community

• Community Inclusion

• Environment and Sustainability

To read more about the three funding categories and eligible projects, please access the program guidelines from our website.

Applicants are strongly encouraged to discuss their application with Council’s Community Grants team. Please enquire as soon as possible to allow adequate time to discuss your application prior to the submission deadline.

Applications are open until 2pm, Monday 1 September 2025.

For more information and to apply for a Community Strengthening Grant, visit goldenplains.vic.gov.au, email at communitygrants@gplains.vic.gov.au or call 5220 7111.

SOMETHING FOR EVERYONE

'Hutton Build - South West' is excited to call Colac home!

We specialise in farm sheds, residential sheds, garages, and patios. We offer a diverse range of shed kits, including C section, RHS, and U Beam, ensuring you have the options to create your ideal structure.

Beyond supplying the kit, we can also provide complete project management for your build, including:

- Building and Planning Permits

- Concrete slab

- Power installation

- Shed construction

`` Whilst we specialise in our own Hutton Build sheds, we also offer professional installation services for sheds manufactured by other companies and can also organise your planning and building permits.

At Hutton Build, you'll be working with a professional Building Practitioner with over 16 years of experience. We service Colac, Geelong, Ballarat, and surrounding areas.

Check us out on Facebook or visit our website at huttonbuild.com.au. Email: address sales@huttonbuild.com.au

Contact number: 0488 031 332

Una Joyce Miller 17th August 1937 - 5th July 2025

Una Miller (nee McLeod)was born in Lismore on 17 of August 1931. The third of 3 daughters of Gordon and Mary Mc Leod . The family lived at ' Golden Hope', a section of the large Stathvean estate that was divided and sold in 1912. This is when her father bought his farm.

The Mc Leod sisters were 6 yrs apart. Elizabeth (Bessie) born in 1919, Violet born in 1925 and Una in 1931. So sure this 3rd baby would be a boy, her grandfather bought shares for the baby prior to the birth for their future.

Una, named by her older sisters after reading a book about 'a Una', was not a boy, but she learned much about cars engines, use of tools, and how to fix anything and everything. Una wore dresses and skirts as the occasion demanded, but was just as much at home wearing pants. Not so common in her era. Her tool collection would have challenged that of many men today. Una's father Gordon taught her many skills prior to both her parents deaths within a year of each other in 1964. Una was 33 years old. The shares ended up with Una at this time.

Una was educated at Foxhow Primary School until Grade 8, with 60 other students. Unlike her older sister Violet, Una rode her horse 5 miles each way. Jackie, the Shetland pony inherited from her cousin Don Gardiner often threw her off at the bottom of a hill before a causeway, and Charlie Turner spent many days coming to her rescue. Charlie refused to leave home to study at the Gordon unless Una had his pony Fanny. Fanny was docile and gentle and no more mishaps were had.

After completing year 8 at Foxhow Primary School, Una then boarded at Morongo Girls School in Geelong. She travelled by train to and from Geelong at the end of the school term, disembarking at Cressy train station.

Una married a minister, Bruce Miller and moved to Thornbury for a few months, then to Clayton. Una divorced Bruce in 1974 after separating a few years earlier. This was very unusual in the 1970's and I imagine very difficult. Una was on her own and that's the way it stayed.

Una was a member of The Country Women's Association. There she found supportive and genuine friendships. Una was asked to help out at the CWA headquarters in Lansell Road Toorak as a receptionist for a few weeks, a plot to cheer her up after her divorce.Una left 30 years later when she retired at the age of 70. Her role as ' receptionist' encompassed answering the phone, welcoming members, and generally doing everything no one else did. Whilst the team were busy worrying about whose job it was, Una usually had it done.

Una had visited New Zealand and Samoa. She was to come with me to Scotland to follow up her family history. Una has done extensive research in this area and we were to visit some of the places mentioned in family documentation in 2015. However, 3 weeks before leaving, Una decided to kick a small football with her great, great nephew Sam.

A Great kick, but it resulted in her Right femur snapping in half and her left humerous fractured when she hit the ground. Broken upper leg and upper arm.

It seems whole of Geelong Hospital knew about the 83 year old lady who broke her leg and arm playing football.

When Una arrived in Inverleigh at the end of 2006, she promptly joined The Progress Association, The Presbyterian Church, The local CWA group called Mereburn and The Red Cross.

For me, Una was an amazing Aunt, mentor and friend. I would travel to Melbourne on the train as a teenager to spend school holidays with her. I would catch the No 8 tram from near her work place in Lansell Road, Toorak to the city, and spend my days exploring. On my L plates, Una had me driving down Swanson St before it became a mall.

Family for Una was always her priority. Una enjoyed every generation she was involved with as evidenced by the football incident, and they enjoyed her. Una loved to be a part of the children's activities’ attending football matches, calling in to tennis matches.Julia was chauffeured to and from Ballet on many occasions.

Una enjoyed gardening, growing a range of roses that many people received to enjoy. Una loved a day trip to wombat Gully and so did I. Another trait passed on to me.

Una was also able to purchase, with the money given to her when she left work, a West Highland Terrier puppy. Una then found the puppy Laddie that became her mate and shadow for the next 14 years. Another connection to her Scottish background.

Family for Una was always her priority. Una enjoyed every generation she was involved with as evidenced by the football incident, and they enjoyed her. Una loved to be a part of the children's activities’ attending football matches, calling in to tennis matches. Julia was chauffeured to and from Ballet on many occasions.

Una was not only a strong, intelligent , and independent for her day, but she carried these traits for the whole of her life. Una was always thoughtful and kind, accepting people for who they were.

Una lived a life worth living for over 90 years and we are all very proud of her and loved her dearly.

A life worth celebrating! Extract from Euology by Raelene Pearce (Una's Neice)

Our local RSL invites community members to support its new project. Many will remember the unveiling of the beautifully restored 25-Pounder Gun as part of last year’s Remembrance Day activities.

The Gun sits proudly out in front of the RSL, along with the Gallipoli Lone Pine Tree, naval Mine, and Air Force wheel strut, each with its own educational story-board.

RSL members are installing a wheelchair-friendly, mobility-safe, all-weather pathway to enable and visitors to interact with the displayed items and learn about our district’s veterans’ role, history and contribution to the freedoms we all enjoy today.

'Park benches will be installed so that visitors can rest a while, take in the special atmosphere of our commemorative place, and reflect on our ancestors’ proud heritage of service’ said RSL President Deema Johnston. Two new flagpoles will also be erected.

'You can be part of this memorial project by buying a brick to help us raise funds’, Deema said. ‘Having your (or your family’s) very own inscribed brick, laid next to the new pathway, would be a very personal, permanent and special tribute’.

A single brick costs $50.00 and a double $80.00. Interested supporters can email Murray at murrita@bigpond.net.au for more information and/or to place an order.

10 Leigh News

Upcoming Fundraising Events by the Inverleigh Hall Committee

Get in early, these events sell out very fast! Don't miss out!

The Wesley family’s great appreciation for their wonderful community folks

May we, the Wesley family, take this time to express our heart felt gratitude to our lovely community folks. We thank you for your wonderful and amazing support you provided for us, during the time of our great need. Everyone of you who visited us, who gave us hugs, who prayed for us and are still praying for us, who brought food and drinks and who helped us financially and those who were there for us, we thank you from the bottom of our hearts. We are so blessed and so privileged to live in a community of so gracious, kind and loving people.

We pray that God will bless everyone with such amazing people who are always there ready to help and support. Thank you for your on-going support and love and care for us. We believe that our Lord and Saviour Jesus Christ used your touch, your hugs, your wonderful encouraging and uplifting words, your emails and your letters and your amazing help and support and care to get us through our very trying and tough time. We thank God for every one of you, indeed, it is such a great privilege to have such wonderful people around us. May the good Lord Jesus Christ bless you and your loved ones and keep you and your loved ones safe and in good health.

Thank you and many blessings to you all from the Wesley family.

LEIGH RIVER STANDPIPE

The Leigh River standpipe is managed by the Inverleigh Progress Association Inc and is located on the corner of Cambridge St, Inverleigh. For any new or existing account enquiries, please contact: Gwenda Smith (IPA Treasurer) at inverleighpa@yahoo.com.au For any general enquiries, please contact:

12 Leigh News

AUGUST 2025 Calendar article

Pelican Sculpture

I am in awe of her talent and have decided that a bronze sculpture is a thing of beauty for ever and ever. The August image for the Inverleigh Historical Society calendar is a bronze sculpture of a pelican, created by Lucy McEachern of Wingeel.

“My Sculpting dream started at school in Geelong, we were taken to a foundry in year 11 for an Art excursion and fell in love with Bronze then, but Art was always my favourite subject. Dad loved birds and we used to discuss them at lunch time after a full morning muster at “Wingiel” our property. I love their form, the way their feathers fold together, the lines, characters and freedom. Most people only see birds as they fly away, in captivity or film etc., but I get to study them and re-create a moment in time, creating movement in a solid form.

I’ve spent hours in the saddle on the family farm behind mobs of Hereford cattle and sheep and it gives you the opportunity to see the local birds in their natural habitat. So, observing the water birds on the creeks and dams and the way they interact with each other has been important in my work. Once decided on the subject, I research the bird, habitat, measurements, and character. I have seen most of them in their natural habitat, which is a significant part of the initial process as obviously a heron moves differently to a swan etc

I don’t draw, actually not great at 2D so I work straight from photos. Once the research is complete, I then have an armature made. This is normally metal and acts like a skeleton for the clay work. I make the pieces out of water-based clay so it’s easy to add and subtract and the medium lends itself to the finish that I like. The feet are generally made from wax as it isn’t as sensitive as clay.

This process can take from 1 month to 6 months depending on the size of the piece. Once the piece is finished, it is sent to the foundry, which is an art in itself.

The foundry uses the ‘Lost wax process’ which is you get a rubber mould of my original which is flexible, and then a fibre glass mould around the rubber to make it more stable. Once you have these 2 moulds my original clay bird is removed and normally thrown away. Hot wax is poured into the rubber mould, creating a wax version of my piece. Once cooled the wax is removed and covered with plaster and sand.

meet in the Inverleigh Public Hall 0n the 4th Wednesday of each Month @ 2pm (Except December & January) VISITORS ARE ALWAYS WELCOME

This mould is then placed in a kiln where the wax pours out and you have a void like an Easter egg left. Molten bronze is then poured into the void, but it is not a solid form.

The pelican would have been moulded and cast in 5 pieces for example, the swan 6 pieces, depending on the degree of difficulty. Once cast and cooled the bronze is then welded back together, cleaned up with grinding, filling welding etc and then the ‘patination’ the colour is added once the piece has been put back together. The patination process consists of heating the bronze with a torch and spraying different chemicals on the piece. Wax is then applied to create a protective surface against weather and human touch.

Today, when sculpting, I work on pieces that are commissions and other works are chosen by me. I really like the bird for its dynamic shapes and character.

Amongst her many awards and exhibition highlights, Lucy was also selected by the State Government - Women in Public Art - to provide the Vera Scantelbury Brown, OBE, war memorial statue in Linton. It is located in the Avenue of Honour, Clyde Street.

Lucy McEachern will have an exhibition on Tasmania in November and always has work at Qdos in Lorne or at The Hive in Ocean Grove.

The Inverleigh Historical Society thanks Lucy for her assistance with this article. The 2026 calendar is being assembled and ideas for images are welcome. Contact inverleighhistsoc@gmail.com

The Inverleigh Historical Society was formed in 2004. It operates under the auspices of the Inverleigh Mechanics Institute and Public Hall Committee.

Our Aims are to collect and preserve items of local historic interest and to promote research and interest in local history.

We welcome all donations to our collection or the opportunity to copy material. We are most grateful to the many people who have kept the Historical Society in mind as they sorted through their own collections. We undertake many interesting projects and have enjoyable meetings, which you are welcome to attend.

Convenor - Bronwyn Price, Secretary - Christine Windle, 0403 267 286, inverleighhistsoc@gmail.com

Pelican Sculpture PHOTO: Lucy McEachern

Inverleigh Primary School

CRT Hewitt and Whitty Grant Recipients Our school has been successful in obtaining a two thousand dollar grant to go towards new sports equipment . The CRT Primary Schools Program assist the work of important P&F volunteer organisations and recognise how they contribute to the success of the next generation as they grow and learn. Thank you to Louise and the P&F for actively applying for the grant to make this happen!

During Numeracy, students have been practising ordinal numbers through a variety of activities, both inside and outside the classroom. We’ve explored collecting data by asking yes or no questions, and students even had the chance to create and ask their own.

Over the next two weeks, students will be learning the letters ‘X’ and ‘Q’ and their corresponding sounds Once these are covered, they will have completed the entire alphabet! Additionally, they started exploring non-fiction texts, focusing on animals Students have been learning interesting facts, writing them down, and matching these facts with a picture to support their understanding

Pictured: Hewitt and Whitty Inverleigh Manager, Danny Brown and our wonderful school leaders

Time: 10am to 12noon 1st, 15th & 29th of April 2025 and continuing every two weeks

Time: 10am to 12noon commencing 4th Feb-

BANNOCKBURN INCLUSIVE

Bannockburn & District

Men’s Shed 2B Pope St Bannockburn (rear of Shire offices) Tuesdays & Thursdays 9 till 4 pm Well equiped workshop & meeting room with pool tables. Prospective members are welcome to drop in for a cuppa & look around. Contact Secretary Geoff Wild 0407 835 731 or President Syd McConachy 0408 525 905.

INVERLEIGH

Vic Park Inverleigh Scrap Metal Bin.

Victoria Park volunteers use the Metal Skip Bin to help fund the upkeep of the park.

• Absolutely NO non metal items.

• NO wire, rubber, plastic, wood, bags or e-waste,

• No tyres, batteries, gas cylinders.

• If wood, rubber, plastic etc are attached to your metal, remove it before bringing the metal to Vic Park.

• Never fill the bin over the water line. If the "Bin is Full" sign is up, place metal items at the stump or come back another day.

SHOW 2025 Marquee&Stables–InverleighHotel MelbourneCupLongWeekend

full weekend of flowers, food, music & community! Follow “Inverleigh Flower Show” on Instagram & Facebook for more details

Golden Plains Soccer Club Kicks Off for a Promising 2025 Season!

There’s a real buzz at Golden Plains Soccer Club this year, with 17 teams, from Under 7s to our Women’s and two Senior Men’s teams. The season began on Sunday 27th April and will run through until October.

For more information please contact: info@goldenplainssc.com.au

MAKE GPAA YOUR ACCOUNTANT

18 Leigh News Surfcoast Taxis

Our fleet of vehicles are growing to all late models and we are now covering an extended area including: Winchelsea, Colac, Bannockburn, Inverleigh, Great Ocean Road and Geelong. We have a fleet of 10 seater Maxi Vans, all with Capacity to carry wheelchairs.

Surfcoast Taxis Pty. Ltd.

All Bookings: 0408 325 992

Fax: 5267 2699

Email: bannotaxis@gmail.com (Admin or Stan 0429 672 888)

66A Batson Street, Winchelsea, 3241.

provider number 4050001044

Victoria has expanded the 40km/h speed limit when passing emergency services and law enforcement vehicles stationary or moving slower than 10km/h and have flashing lights or an alarm sounding to now include:

• Emergency vehicles (including ambulance, fire services, state emergency services)

• Enforcement vehicles (including Victoria Police)

• Accident towing & breakdown towing

• Roadside assistance

• Incident response services

• Escort vehicles

For more information visit transport.vic.gov.au

FEDERAL MEMBER FOR WANNON

My office can assist you with information about Federal Government services including:

Centrelink

National Disability Insurance Scheme (NDIS)

Pensions and My Aged Care

Medicare

Australian Taxation Office (ATO)

Veterans’ Affairs

Immigration, citizenship and passports

Australia Post

Telecommunications (broadband and mobile coverage)

Dan Listens, Dan Cares, Dan

Hamilton: 190 Gray Street, Hamilton VIC 3300

Warrnambool: 158 Koroit Street, Warrnambool VIC 3280 1300 131 692 dan.tehan.mp@aph.gov.au

dantehan.com.au DanTehanWannon dantehan

Authorised by Dan Tehan MP, Liberal, 190 Gray St, Hamilton VIC 3300.

20 Leigh News Golden Pens - Write side up

Contact Helen Collins on 0418 340 387 for all your Interior Design & Styling needs and she will work with you to create beautiful & functional spaces

Thanks to:

Ross & Caroline Wilson of Shelford and Mora Leach of Inverleigh for faithfully supplying the monthly rainfall figures. Your efforts are very much appreciated.

G’Day from the penners for the last month of winter, thank goodness I hear you say under your breath. Still, there is plenty of colder weather to come until we feel the warmth of the spring sunshine.

This month’s poem is from one of our part time members, RR Wilding. It’s a terrific ditty on the perils of the public transport system. If you are familiar with the metre and rhythm of the great Banjo Patterson poem, ‘The Man from Snowy River’, please read this in the same way. We hope you enjoy it as much as we did when we heard it.

We, at the Golden Pens – Write Side Up group are feeling very disheartened at the prospect of the Leigh news shutting down for the lack of an editor going forward. This is a terrific newsletter and it would be greatly missed if it were to shut down. So, on behalf of us we hope this issue can be resolved as soon as possible as we would love to continue regaling you with our poetry.

Regards, Wendy.

On Public Transport

by R.R. Wilding

There was stillness at the station for the power had gone down

No lights or screens or speakers overhead

Just the shuffling concrete echoes of a thousand aimless feet Commuters filled with existential dread.

There were businessmen in fancy suits, their phones up to their heads

Young mothers with their prams or child at foot And office workers of all breeds with tired empty eyes With nowhere now to useless tickets put.

The salesgirls scrolled upon their phones or chatted to their kind

The seniors pulled out books and settled down The tradies shared some rolling eyes and loped out to the street

Where soon would come most every bus in town.

For a public transport system is a wondrous urban feat And when a part breaks down or starts to slow Other options must appear though not as large or fast or neat

For people still must travelling onward go.

Addendum:

“I’ll not be moved!” said Hanrahan in tones of loud disdain.

He crossed his arms and frowned about and would not leave the train.

22 Leigh News POLICE REPORT FOR AUGUST

Hello all,

Whilst recently on leave on the 10/7/25 I was made aware by Bannockburn Police members that they had attended the Leigh River near the bridge and discovered that youths had left a fire going at a shelter they had constructed there as a hang out.

The youths had used a blue tarp for shelter, had a couch in there and a cupboard with disused vapes in it. Why on earth they had a fire going inside the shelter is beyond me. The fumes/smoke alone they would have been breathing in would be dangerous enough let alone the risk for the shelter to catch fire. If anyone wants to see photographs of it and the fire contact me 0r I am sure the CFA captain Andrew Collins would also have some.

If you have any children that were frequenting this location you should be informing them that firstly they should not be constructing shelters on the river bank and then accumulating furniture in them, secondly they should not be lighting fires inside them and thirdly be aware that youths are obviously getting into vaping which is not good for their health and illegal for children and people without prescriptions.

From the Victorian government health web site:

•E-liquids and e-cigarettes are particularly dangerous to young children and can lead to poisoning and even death.

•E-cigarettes are often mislabelled as being ‘non-nicotine’ but one vape can contain the equivalent nicotine as in 50 tobacco cigarettes.

•E-cigarettes cannot be used in areas where smoking is banned, cannot be displayed at retail outlets and cannot be sold to people under 18 years of age.

•In Victoria, it is generally illegal to sell, possess or use e-cigarettes outside of those prescribed by a doctor.

•The Australian Government recently introduced legislation which bans the importation of all non-prescription vaping products as well as single use vapes. The Australian Government is also working with the states and territories to only permit the sale of e-cigarettes in pharmacies.

•The liquid inside the e-cigarette contains a complex mix of chemicals including nicotine and toxic chemicals including, but not limited to, nickel, tin, benzene, arsenic, chlorine and lead. Basically be aware that some youths are obviously getting into vaping, and as a parent your knowledge of the issue is important as well as your children’s of the illegality and dangers of engaging in it.

There has been a recent theft of a large valuable trailer in Teesdale so please be aware to keep your trailers/caravans secure with either locks or store them in lockable sheds etc.

There has also been a recent burglary in Teesdale where some off road motorcycles were taken.

If anybody notices suspicious/unusual behaviour/loitering at properties please call Police on 000 to investigate.

Keep safe Chris

24 Leigh News INVERLEIGH CFA NEWS

Recently our brigade along with Winchelsea and Gnarwarre brigades attended an information session about a new battery facility in our area located on the Inverleigh – Winchelsea Rd. It is a small battery facility that has four batteries with a total capacity of 10 megawatt hours.

The battery works by capitalising on price spikes and variation within the spot electricity market that can change in five minute blocks, So when the price is low, such as on a sunny day when there is a lot of solar power being put in the grid, the battery then stores this low priced power and then later when the price goes up because of low supply or high demand it then puts the power back into the grid and makes a profit on the difference. This battery is not just sitting there fully charged waiting for the power to fail and then step in to supply power until the failure is rectified. It is constantly charging and discharging as it takes advantage of variation within the power supply. It is computer controlled and supervised

from a remote control centre. If the power does fail then it can put into the grid what ever it might have stored at the time but it is impossible to predict how long that might last.

As local fire brigades we are interested in learning about any potential risks that might arise from this sort of development and battery fires do require a different approach as they virtually cannot be put out with conventional means. Basically, they must burn themselves out and our main aim is to stop it spreading to surrounding areas. It was good to see this battery has taken the fire risk seriously and has multiple control measures in place to minimise the potential of fire.

Batteries of all sorts are becoming more common in homes, cars and industry so it is essential that we understand the risks and how to deal with any situation that might arise from them. Ewen Peel

Inverleigh Fire Brigade.

Trading Hours:

Monday-Friday 9am5.30pm

Saturday 9am - 1pm

PROFESSIONAL SERVICES:

• Prescription and medication advice

• Free blood pressure monitoring

• NDSS access point

• Weekly medication packing

• Home medication review

• Scripts on file service

• TAC and Worksafe claiming

• Return of unwanted medication

INVERLEIGH PHARMACY

Minh & Nathan Nguyen

17 High St Inverleigh. Vic 3321 phone: (03) 5206 3405 Email: Inverleighpharmacy888@gmail.com

We specialise in & offer the following services:

· Animal Health

· Chemical products / garden, cropping

· Agronomy

· Fertilizer

· Fecal egg worm counts

· Soil Testing

· Hardware

Hours of trading:

8.00am till 5.00pm Monday to Friday

8.30am till 12 pm Saturday 28 High Street, Inverleigh. Phone : 5265 1648

HewittAndWhittyisa"familyowned"business andhavebeen servicingthelocal&rural communityforover85years LocalsupporteroftheRCHGoodFridayAppeal2025.

· Fencing

· Grainline Products

· Stockfeed

· Plumbing

· Tanks / troughs & poly pipe

. Seed

· Elgas

· On farm Delivery’s

Pictured abow, the friendly Staff at H&W Inverleigh Danny, Sarah, Charli and store mascot Clover the cat.

• Yard Cleanups

• Soil Removal

• Shed Site Cuts

• Trenching

• Post Hole Auger

• 350 & 400 Augers

• Landscape Prep Work

• Located in Inverleigh

White Lotus Reiki and Crystals at shop 3/29 High St. Inverleigh, offers a wide range of ethically sourced genuine crystal and gemstone products, including jewellery and lamps. We also have a wide variety of books, journals and oracle cards, smudging products, fair trade incense, homewares and so much more!

If you are after a special gift for someone or just want to spoil yourself, then this is the shop for you.

OwnerJaneisalsoaReiki,AnimalReiki,AccessBars,Meditationand SoundHealingGroupMeditationPractitioner. Sound Healing is held each Thursday fortnight at the Inverleigh Public Hall. Bookings are also available for private Meditation Sound Healing for individuals and small groups. If you would like to know more or would like to make an appointment, you can call into the shop for a chat or contact Jane: You will also find us on Whitelotus Reiki and Crystals whitelotus_reiki

32 Leigh News

MONTHLY FOOD SWAPS are held in INVERLEIGH on second Saturday of the month 9:30 to 10:00 @Sonny Cafe and in BANNOCKBURN

@ St. Mary MacKillop School 4th Saturday each Month

CWA

NATIVE HUT NIGHT BRANCH

Est. 14th July 2014

This branch meets 1st and 3rd Tuesday of the month at 7.30pm at Teesdale Hall, Main Road Teesdale.

All ages welcome. It is not an “oldies” group. If you are interested in attending please contact: Shirley 0447 873 763

Lions Club of Inverleigh

Leigh Valley

"Lions Club newspaper collection".

Leigh Valley Lions Club collects newspapers & magazines for recycling. Funds raised are used for both local & international Lions projects. Community members are asked to deposit their papers in "LIONS" marked wheely bins located at Inverleigh Hall & beside the Bannockburn Library in High St. Pick up of large amounts can be arranged by text or phone to Secretary John Crowe 0414 674 156.

Surprise Shop

Inverleigh’s OP SHOP

Opening Hours

Tuesday, Friday & Saturday 9.00 AM – 1.00 PM

EFTPOS and Cash

NO Electrical Goods, Car Seats, Furniture, Bikes or Suitcases

Closed School Holidays

July 5th – 21st

New Volunteers Welcomed

You may have noticed the Inverleigh Surprise Shop has not been open for the last few Monday afternoons. The reason is our two regular volunteers have retired due to health issues and we have not been able to find any new recruits for Monday afternoons.

If anyone would like to help out we would welcome the extra support. You will need to undergo some training, but it is not arduous. There are usually two volunteers on duty at any time.

Volunteers are hard to find these days as most people are busy with work and family, but if you feel up to a few hours a week you would be very welcome.

Call in and make yourself known to the volunteers on duty.

Golden Plains Baha’i Community

The Baha’i Faith upholds the oneness of God, the oneness of Religion and the oneness of mankind. Religion should unite all hearts and bring spirituality and world peace.

The equality of men and women is essential to create peace.

Spiritual education for all. We have no clergy as it is up to each person to investigate truth for himself. “The earth is but one country and mankind its citizens” Baha’u’llah For more information: bahai.org or Bannockburn 52 812 102, Teesdale 52 815 143, or Ross Creek 53 420 286

Opening hours: Tuesday-Friday 10 to 4

Saturday 10 to 1

Justices of the Peace

Mr Keith Windle

77 Dundas Street INVERLEIGH Ph: 0429 651 298

Mrs E McDonald

47 High Street Inverleigh Ph: 5265 1270

Mr Peter Bufton 110 Savage Drive INVERLEIGH Ph: 0448 694 204

Mr Rod McKenzie 7 Ruxton Crt. Bannockburn Ph: 0408 527 704

Mr Stephen Gilligan SHELFORD Ph: 0409 432 933

LEIGH DISTRICT

RIDING CLUB INC

A00041565N meets for rally every 2nd Sunday Victoria Park, Park Street, Inverleigh Vic 3321

New Members always welcome for enquiries please contact

Pres. Narelle Bogle 0438 034 313

Admin & EnquiriesSue Debets 0401 149 226

P O BOX 87 INVERLEIGH VIC 3321

NOTICEBOARD

St. Joseph’s Catholic Parish of Meredith

Contact: Parish Priest Fr. Joseph Mob. 0404 598 558 Office: 5286 1230

Office open Wednesday & Friday 9.30am to 4.30 pm

CATHOLIC PARISH OF MEREDITH MASS TIMES –AUGUST 2025

Winchelsea - St. John the Baptist @ 5pm Sat. AUGUST 2, 9, 16, 23, 30

Anakie – St. Brigid – NO MASS

Meredith – St. Joseph @ 9am Sun. AUG. 10, 24

Bannockburn – St. Mary MacKillop @ 11am Sun. AUG. 3, 10, 17, 24

Inverleigh – Sacred Heart – @ 4pm Sun. AUG. 17

And for SEPTEMBER 2025

Winchelsea - St. John the Baptist @ 5pm Sat. SEP. 6, 13, 20, 27

Anakie – St. Brigid – Contact Parish PH. 52861230

Meredith – St. Joseph @ 9am SEP. 7, 21

Bannockburn – St. Mary MacKillop @ 11am Sun. SEP. 7, 14, 21, 28

Inverleigh – Sacred Heart – @ 4pm Sun. SEP. 21

Weekly Bus Service provided for residents without transport to shop in Geelong! The Bus leaves the Inverleigh Hall Every FRIDAY at 9:30 am and leaves Geelong at 2:15pm for the return trip.

Our Public Hall needs the lawns maintained. Can you join the roster to mow the lawns once or twice a year? If so, please contact: Anne-Maree Tarbett 0417 512 240

LEIGH PRESBYTERIAN PARISH

Inverleigh “Forwedonotpreachourselves, but ChristJesustheLord...” (2 Corinthians 4.5)

Sunday Service at Inverleigh 10 am.

VISITORS ARE ALWAYSWELCOME

For further information: Rev.SurendraWesley 0428489222

WHO CAN I TALK TO? 24 Hourtelephone

LIFELINE

Inverleigh Hall

Hall Hire Contact

The Inverleigh Hall Committee promotes the use of the hall and develops and maintains our fabulous community asset.

If you would like to become involved by serving on the committee or by initiating activities at the hall, please contact

Anne-Maree Tarbett 0417 512 240

Anglican Church

Church Services each Sunday 8 am Inverleigh 10 am Bannockburn 5pm Meredith

38 High Street, Inverleigh Rev’d Dr. Tim Smith 0412 673 152 Geoff Morgan 0408 106 559

Meet monthly in Inverleigh Public Hall at 1.30pm. December 2nd 12noon Xmas Lunch at Bowling Club MEETING DATES FOR 2025 April 14th 1.30pm at hall June 16th 1.30pm at hall Aug 11th AGM 12 noon at the hall Oct 13th 1.30pm at hall Dec 8th Xmas Break up, Venue tba

Heather Bogie President 0408 521 090. Joy Gray Secretary 0488 573 156.

Welcomes existing and new members alike.

We are so much more than just Tea and Scones ladies!

Social Meetings 7.30pm every last Wednesday of the month (except Dec/Jan).

Meet in Presbyterian Church Hall. inverleighcwa@gmail.com or Brooke Wauchope. Ph 0431 006 761

34 Leigh News

VICTORIA PARK

Park Street

INVERLEIGH

GROUNDS FOR HIRE

TOILETS

GRASS & SHADE

OVERNIGHT CAMPING (NO POWER)

CANTEEN & CLUBHOUSE

ANIMAL FRIENDLY

HORSE YARDS

Reasonable Rates

CONTACT:

Narelle Bogle 0438 034 313

NOTICEBOARD

KNIT, KNATTER AND THAT GROUP-TEESDALE

Bring a craft, learn a new craft or come for a walk, chat and cuppa.

Meets 2nd & 4th Tuesday’s , 9.30am - 1.30pm At Teesdale Community Hall

*BYO craft and lunch *Tea & Coffee provided.

Cost $5 Joining fee. $3 per session Contact Lesley 0400 547 157 or Shirley 0447 873 763

Ballarat Chooks Pullets for Sale: Hyline Brown Sexed and Vaccinated.

Delivering to: Winchelsea (Eastern Reserve), Inverleigh (Lawsons Park), & Bannockburn (B&S Stockfoods)

"Ballarat Chooks Information Page" Please like my page!

TEESDALE MECHANICS

INSTITUTE

(Formerly Community Hall) Behind the CFA Building Main Road, Teesdale FOR ALL YOUR HIRING NEEDS

Hall, Meeting Room, Kitchen, Tables, Chairs & Crockery.

For bookings, phone Dale on 0428 386 724

Meredith And District Motor Cycle Club

We meet the 3rd Sunday of every month for our ride day (NO RACING AND NO QUADS /4 WHEELERS)

We have 2 tracks: One that is set up as a motocross track that is marshalled and we also have a smaller flat track for kids/beginners to learn to ride.

St Johns is in attendance as well as a canteen. For more information please: head over to our Facebook page MADMCC or call 0415 503 869.

Vic Park Inverleigh Scrap Metal Bin. Victoria Park volunteers use the Metal Skip Bin to help fund the upkeep of the park.

Text or Ring Kelvin 0400 559 559 for delivery dates and times Tai Chi

• Absolutely NO non metal items.

• NO wire, rubber, plastic, wood, bags or e-waste,

• No tyres, batteries, gas cylinders.

• If wood, rubber, plastic etc are attached to your metal, remove it before bringing the metal to Vic Park.

• Never fill the bin over the water line. If the Bin is Full sign is up, place metal items at the stump or come back another day.

We run a weekly play session which brings families together to learn and develop through informal play activities and social interaction. Our aim is to provide a variety of experiences, toys and activities for children to enjoy, and create an inclusive atmosphere where care givers can have a hot drink, relax and build connections that last beyond playgroup. New members are always welcome, we hope to see you at a session soon!

Playgroup | Enquiries: playgroup.inverleigh@gmail.com

When: Wednesdays during school terms

Time: 9.15 – 11.15am

Where: Inverleigh Public Hall

Cost: $5 per family

What to bring: Please bring a piece of fruit to be cut and shared, a drink bottle and a hat Tea & coffee provided

We had a fun and relaxing end to term 2 with building week and a yoga incursion run by Firefly Wellbeing. The kids and adults all had a great time. We'll be back for a fun-filled term 3 starting with Messy play! We hope to see you at playgroup!

Our annual Back to Steiglitz Reunion returns on Sunday 26th October 2025 SAVE THE DATE

Do you have a craft or trade you would like to share from the turn of the century.

Please contact us if you make or create your own handcrafts and would like to book a stall site or demonstrate your skill. Those also wanting to display their quilts are invited to attend. Musicians/buskers/artists welcome.

ART EXHIBITION

contact Angela: a.hicksorb@gmail.com 0499 198 716 GENERAL ENQUIRIES

Contact: Lauren, at loz.b.1@outlook.com 0499 623 130 or Kathy, at peppcorn@yahoo.com 0407 556 796

Inverleigh

38 Leigh News

TABLE OF CONTENTS

• August is Dental Month!

• Spring Is Just Around The Corner

• Lambing Season IN OTHER NEWS

SPD Prime 100 Rolls

Just a reminder that we now stock SPD Prime 100 Fresh Rolls!

Our new fridge is set up in our reception area and is fully stocked with several different flavours including chicken & rice , beef & carrot, kangaroo & pumpkin, lamb & rosemary and salmon & tapioca.

If you would like to purchase Prime 100 for your dog or have any questions please come into the clinic or call us on 52811221.

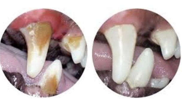
August is Dental Month!

During August we are offering 10% discount on all dental check-ups and procedures.

Nexgard Spectra for Cats

Did you know there is a complete flea and worming topical treatment for your cat?

Nexgard Spectra Spot On for cats is a complete parasite protection, all in one easy, monthly application.

Provides effective flea treatment for cats, as well as protection from ticks, mites, heartworm, lungworm, intestinal worms and INCLUDES tapeworm which means you no longer need to tablet your cat. Just one spot on application per month and it’s done!

If you would like to purchase Nexgard Spectra Spot on for your cats please drop by the clinic or call us on 03 5281 1221.

Our pet’s dental care is an important part of pet ownership. Just like in humans, dental disease can occur in pets when plaque builds up on their teeth and isn’t cleaned. Bacteria and saliva stick to your pet's teeth and form a layer of plaque which is responsible for that furry feeling that we get when we don't brush our teeth.

The plaque hardens over time into tartar. It will grow into and under your pet's gums causing gingivitis and halitosis (bad breath) which can lead to pain and tooth loss. If left untreated this can contribute to kidney, liver and heart problems. More than 85% of dogs and cats over four years of age have some form of periodontal disease.

Some of the signs to look out for are listed below.

• Bad breath

• Excessive drooling

• Pawing at mouth

• Reluctance to chew hard food

• Pain when handled around head

• Facial swelling

If you think your pet is showing the signs of periodontal disease it is important that treatment is started before any irreversible changes occur. Treating periodontal disease involves thorough scaling and flushing to remove tartar, plaque and infection. Any loose or badly infected teeth are removed. The teeth are then polished to help reduce future plaque build-up. Antibiotics and pain relief are administered at the time of the dental procedure and dispensed at discharge.

Contact the clinic on 52811221 to book an appointment to have a dental check and take advantage on the 10% discount for August.

Funny Dog Jokes

Why did the poor dog chase his own tail?

He was trying to make both ends meet!

What did the Dalmatian say when he finished dinner?

That hit the spot.

What’s a herding dog’s favourite game?

Hide and sheep.

What’s the most popular dog breed among magicians?

The labracadabrador.

Spring Is Just Around The Corner

With spring just around the corner knowing what to look out for can keep your pet safe. Here are a few of our top tips.

- Be aware of harmful flowers and plants.

- Fleas, Ticks and Heartworm are always around but are more prevelant druing the warmer months.

- Check your pet for grass seeds that can become lodged into paws, ears, eyes and their coat.

- Grass allergies and allergic reactions can cause itching, hair loss, minor sniffling and sneezing.

Contact the clinic on 03 5281 1221 if you would like to book a consultation regarding any of the above with one of our vets.

Lambing Season

Lambing season is seeing some sick little lambs come into the clinic to see us for many reasons. Some lambs are orphaned due to the Mum being unwell or unable to support 2 or more lambs.

We often see the lambs cold and dehydrated. Sometimes with scours from a change to a powdered diet. Fortunately we can help these guys by supplying warmth and rehydrating them.

Dr Gen helped this little lamb to recover from a bad start to life but now the little lamb is thriving!!

Clinic Hours: Monday - Friday 7.30am – 6.30pm Saturday 8.00am – 1.00pm

Telephone: 03 52811 221

OUR VETS

ü Dr. Peter Bond

ü Dr. Kylie Flanagan

ü Dr. Kelly Bond

ü Dr. Keeley Hunter

ü Dr. Hugh Gibson

ü Dr. Charlie Sinclair

We recognise animals large and small are part of your family and our team is committed to providing the best health care available

1759 Midland Highway, Bannockburn

info@bannockburnvet.com.au

www.bannockburnvet.com.au

Directory of Clubs, Services and Organisations

Below is a directory for clubs, organisations and services operating in Inverleigh, Teedale, Shelford and surrounding areas. If you are interested in obtaining further information about an organisation, please feel free to ring and have a chat with them. Any club or organisation who wishes to be listed, please forward details to us and we will include your listing. We would also appreciate being kept up to date with contact details.

INVERLEIGH AREA

Anglican Church Inverleigh (St Pauls)

38 High Street, Inverleigh

services: please check Leigh News for current times

contact: Rev. Dr Tim Smith Ph: 5265 1284 / 0412 673 152

Friends of Inverleigh Nature Conservation Reserve.

President: Keith Windle, 0429 651 298 windle.keith@gmail.com

Geelong & District

Carriage Drivers

Christa Jones 0408 342 403 gdcd.secretary@gmail.com

Inverleigh Bowls Club

Pres. Adrian Hurring 0418 593 849

Sec. Jenny Peel 0418 301 939

Inverleigh Cemetery Trust

Chairman: Bruce McDonald 0408 567 970

Sextant: Alex (Sandy) McCallum 0408 378 752

Secretary: Tonya Allen. 0411 624 309 inverleighcemetery@gmail.com

Inverleigh Cricket Club

Pres: Marcus Warton ph. 0400 199 309

Inverleigh CWA

Brooke Wauchope 0431 006 761. Inverleighcwa@gmail.com

Inverleigh Football/Netball Club

President: David Haste 0425 810 983

Inverleigh-Leigh Valley Lions Club

Keith Robson 0408 270 107 inverleigh.lions@gmail.com

Inverleigh Golf & Disc Golf Club

President: Greg Erwin 0408 651 744 Email: golf3321@bigpond.com

Inverleigh Historical Society

Christine Windle 0403 267 286

Liz McDonald 0417 066 433

Inverleigh Playgroup playgroup.inverleigh@gmail.com

Inverleigh Progress Assoc.

President:Hilary Hamilton 5265 1384

Inverleigh Riding Club

Leighdale Equestrian Centre

Mark Mummery - 0437 807 675 or Melinda Spiller 0413 648 012

Inverleigh RSL Sub-Branch

President: Deema Johnston 5281 1106

Inverleigh Tennis Club

Shane Lubcke 0410 483 690

Leigh District Landcare Group

Pres: Campbell Brumby 0419 889 757

Sec: Louise Blersch

Leigh District Riding Club

President: Narelle Bogle 0438 034 313

Admin & Enquiries - Sue Debets 0401 149 226

Victoria Park Reserve

Bookings, Narelle Bogle 0438 034 313

MURGHEBOLUC AREA.

Murgheboluc Recreation Reserve. 0459 042 910 - committee member booking site - spacetoco email - murgheboluc.hall@outlook.com

SHELFORD AREA

Shelford Cricket Club

Robert Rice (Pres) 0459 491 698

Shelford Progress Association

Sec: Glenn Jeffery 0413 317 779

TEESDALE AREA

CWA Native Hut Branch

Shirley Wild Ph: 0447 873 763

Leighdale Equestrian Centre

Mark Mummery - 0437 807 675 or Melinda Spiller 0413 648 012

Leighdale Pony Club Inc.

Pres: Tom McCann 5265 1169

Sec: Sue Moran 0437 914 454

Teesdale Branch Liberal Party

Charlie Hartup 5281 5222

Teesdale Cricket Club

Alister Woods. 0439 395 456

Teesdale Pre School

Mandy Bartlett. 5281 5488

Teesdale Sporting Complex

Mrs Kay Hower. 5281 5389

Teesdale Tennis Club

Mrs Judy Evans. 5281 5328

Teesdale Community Hall

Dale Smithyman 5281 5486

Working Sheepdog Club

Glenn Agnew 0427 325 905

BANNOCKBURN AREA

Bannockburn & District Men's Shed

Syd McConachy (Pres) Geoff Wild (Sect) 0407 835 731

Probus Club Bannockburn Secretary- Judith 0447 621 776 bannockburndistrictprobus@gmail.com

-S E S

Emergency 000

Windstorm and Flood 132 500

EMERGENCY

POLICE, AMBULANCE, FIRE, SES Ring 000

FOR POLICE-WITHOUT LIGHTS & SIRENS Ring: 131 444

LifeLine 5222 2233 or 13 11 14

B’burn Surgery 5281 1481

B’burn Vet 5281 1221

Surfcoast Taxi 0408 325 992

Barwon Water 1300 656 007

Power Failure 13 24 12

Geelong Hospital Accident & Emergency 5226 7564

Golden Plains Equine Vets 0437 467 097

Golden Plains Medical Centre 5281 2320

Wildlife Rescue 0500 540 000

Women’s Domestic Violence Crisis Service 1800 015 188

Shire Ranger 5220 7111

If you would like your Club or Service included in this directory, or if you need to update any details above, please contact the Editor. leighnews@bigpond.com

44 Leigh News

Leigh News © 2013, Inverleigh Progress Association Inc.

The Leigh News is published monthly (except January) by the Inverleigh Progress Association Incorporated, and is distributed free in the townships of Inverleigh, Teesdale, Bannockburn and Shelford, and the surrounding districts. Letters, comments, suggestions, articles, and reports from readers are welcome whether or not intended for publication.

The Leigh News is prepared and assembled by the Editor and printed using environmentally friendly materials and distributed by volunteer workers.

Circulation: 750.

Editorial and Advertising

Items submitted for inclusion in the Leigh News should be clearly marked “For inclusion in the (month) Leigh News” and in by the 23rd day of the month

Advertisements should be marked with the size of advert required and the number of editions in which it is to be displayed.

Advertisements or Editorial contributions should be clearly addressed to:

“Leigh News”, PO Box 247, Inverleigh, Victoria 3321 or leighnews@bigpond.com

PLAGIARISM

Contributions to the Leigh News are published with the permission of various bodies and representatives who supply the information, photos advertisements and crosswords. None of this information should be used by any other publication without first requesting permission of the supplier of this information. Using material without seeking permission is plagiarism and carries penalties.

The views or ideas expressed in this publication are not necessarily those of the editorial committee or of the Inverleigh Progress Association.

While we try to check the integrity, the publication of advertisements is not an endorsement of the advertiser’s product or quality of workmanship.

News - Advertising Costs from 1st January 2020

Contact: The Editor (Peter Trevaskis) 0407 100 791 leighnews@bigpond.com www.inverleigh.org.au Deadline

GOLDEN OLDIES MENS GROUP

A social Men’s group meeting at various locations each month.

A day trip/Outing on the First Tuesday of the Month when we have an evening Dinner Meeting, with a guest Speaker on the Third Tuesday of the Month Program for 5th August 2025

Midday @ Bunjil Look out great Barbi and wind protected toilets, the whole works! BYO meat, everything else supplied. Your partners are invited to attend also.

RSVP Rod McKenzie 0408 527 704

Tuesday 19th July, Evening Dinner Meeting

6pm @ Bannockburn Hotel

RSVP Rod McKenzie 0408 527 704

Contacts : Rod McKenzie: 0408 527 704

Murray McMillan: 0408 036 783

Keith Burton: 0409 439 831

INVERLEIGH SENIORS

Meet in the Inverleigh Public Hall @ Midday on 2nd Thursday each Month for cooked Lunch ($10), guest speaker and afternoon tea and 4th Thursday each month for an outing.

Exercise Classes Each Thursday from 10am till 10:30.

in the Inverleigh Public Hall. Cost $5 each

Our next Lunch Meeting is @ Inverleigh Public Hall (Midday). Thursday 14th August 2025. Cost $10 This is our AGM for 2025.

Come prepared to help out in the new year and join the team

Our July Outing will be on Thursday 28th August at 10:30am. We depart Inverleigh Public Hall Full details at our next Lunch Meeting

President: Peter Trevaskis 0407 100 791

Secretary: Rhonda Goodman 0409 188 258

Treasurer: Val Robertson 5265 1492

IMCO PLUMBING SERVICE

0400

643 976 Domestic - Commercial - Rural

All general Plumbing and Gasfitting - Renovations and Extensions

Hot water and Heat pump - Split system and Wood heaters

Water tanks and Pumps - Roof and Gutter

Septic and Treatment plants - Blocked drains and CCTV Inspection

Excavation, Bobcat and Tipper - Driveways and Earthworks

Simon Mcgillivray

Lic: 109610 Freequotes, Fast & Friendly Service

You’re in Safe Hands With Peter Lindeman

Delivering Exceptional Results for Over 20Years

If you’re thinking of selling a Rural or Lifestyle acreage property on the Bellarine, the Greater Geelong region or beyond then think Peter Lindeman.

Peter spent 20 years managing farms before jumping the fence to sell them; and over the last 23 years he’s helped over 350 vendors achieve extraordinary results, more often than not surpassing their expectations. Why not let Peter show you how he can help you achieve an outstanding result for your property.

Peter Lindeman

RURAL AND LIFESTYLE SALES MANAGER - ELDERS GEELONG

Located in the New Bannockburn Shopping Centre.

Opening hours:

- Monday to Friday: 8:30am - 6:00pm

- Saturday: 9:00am - 1:00pm

- Sunday’s & Public holidays = CLOSED

Pharmacy Features

* Professional

- Vaccination Clinic

(Flu, Covid, Shingles, Whooping Cough & Travel Vaccinations)

- Victorian Community Pharmacy Pilot allowing us to prescribe for:

(i) treatment of shingles

(ii) treatment of flare-up mild psoriasis (iii) resupply of select oral contraceptive pills without a prescription for women (iv) antibiotics for uncomplicated pills without a prescription for women

- Absence from work certificates

- Blood Pressure Testing

- Diabetes Australia (NDSS) Agency

- Home Medicine Reviews

- Webster-paks

- Free Prescription filing service

- Free Prescription reminder service (myTWC app & medAdvisor app)

- Extensive range of Vitamins & Supplements

- MooGoo products

- Natio

- Medela Breastpump Hire

- Hiring of crutches

- Weight Loss products

- Ear & Nose piercing

- Home Delivery Service to:

o Bannockburn

o Teesdale/Shelford

o Inverleigh

o Lethbridge

o Batesford

* Other Products & Services

- TerryWhite Chemmart Rewards PLUS Program

* FREE to join

* 20% Discount off gifts ALL YEAR

- Extensive GIFTS to choose from, including:

* Glasshouse

* Frank Green

* Handbags & Wallets

* Fragrances

* Aromatherapy & Wellbeing

- afterpay available

- Maybelline

- Designer Brands

Follow us on Facebook and be kept up to date

www.facebook.com/bannockburnpharmacy

Sell with a local agency who supports their community.

Major Sponsors of:

Bannockburn Football & Netball Club

Bannockburn Men's Shed

Bannockburn Inclusive Group

Teesdale Cricket Club

Inverleigh & District Good Friday Appeal

BANNOCKBURN SURGERY IS CELEBRATING 40 YEARS.

Dr Cameron Profitt

Dr John Henderson

Dr Benjamin Fry

Dr Rupali Jain

Dr Veronica Donahoe

Dr Edward Carson

Dr Rimas Liubinas

A humble beginning for Bannockburn Surgery when it first opened its doors in 1983 – small rooms located between what was the original supermarket and pharmacy.

Soon outgrowing these rooms, they moved in 1986 to 19 High Street with two consulting rooms, a small treatment room and tiny tearoom for its team members. Its current building (16 High Street) was opened in the year 2000 – a purpose-built practice complete with five consulting rooms and a sixth added in 2010.

The practice has grown from strength to strength and has a wonderfully dedicated team of Doctors, Nurses, Reception team and Practice Manager. They also have access to high-quality Allied Health services including podiatry and newly introduced acupuncture with Dr Rimas Liubinas, with plans for more services to follow.

For Bannockburn Surgery who celebrated their forty-year anniversary a few weeks ago, this was a proud milestone. The surgery welcomed back former team members: doctors, nurses, administration staff, and allied health for an evening of festivities reminiscing on the past forty-years and what the future holds for the practice.

The Directors (and Principal GPs) of Bannockburn Surgery would like to take the opportunity to say thank you to those whom have been part of their practice team, past and present. And also extends a warm thank you to patients for ongoing support in entrusting their health to the team at Bannockburn Surgery and their journey.

The surgery has a proud history and is incredibly excited for the future. Not only the future of Bannockburn Surgery, but also in continuing to support the growing community of Bannockburn and its surrounds. The surgery has grand plans and is eagerly awaiting to commence build

Bannockburn Surgery is a fully accredited medical practice that provides comprehensive GP services and have been practising within the community for 40 years.

Bannockburn Surgery is the largest practice within the shire.

Dr Rebecca Tidd

Dr Bushra Akhund

Dr Abhirami Selvakumar

Dr Ernest Cheng

of their purpose-built facility to be located next door to their current premises.

It is pleased to announce that another GP Registrar will be joining the team from August, Dr Ernest Cheng, which will extend the provision of service even further. They are also very fortunate that their two current GP Registrars; Dr Bushra Akhund and Dr Abhi Selvakumar will be continuing at the practice for an additional six months.

Bannockburn Surgery doctors will be continuing to bulk-bill patients with healthcare cards and pension cards, as well as those under 16 years old.

Appointments are available daily and the doctors are welcoming new patients.

Book online via the website or contact (03) 5281 1481.

We are an accredited teaching practice –training medical students, nursing students and future GPs. We

www.bannockburnsurgery.com.au Online bookings available

We put you first The team at First National Golden Plains working together to achieve for you. great results

Turn static files into dynamic content formats.

Create a flipbook
Issuu converts static files into: digital portfolios, online yearbooks, online catalogs, digital photo albums and more. Sign up and create your flipbook.