Weser Report - Weyhe, Syke, Bassum vom 23.04.2023

Page 1

Keine klare Tendenz

Warum vielen Handwerkern die Planungssicherheit fehlt

Freibad-Saison beginnt

Das Weyher Bad öffnet am 30. April seine Türen

Stürmisch und abwechslungsreich

Kleine Häfen und spektakuläre Natur im hohen Norden Dänemarks

rbe-stuhr.de

Besuchen Sie unsere große Ausstellung!

Steller Straße 2 28816 Stuhr|Großmackenstedt Telefon: 04206|41 62-0

Geldbörse gestohlen

B ASSUM Beim Einkaufen in einem Discounter an der Bremer Straße wurde einer 81-jährigen Frau die Geldbörse gestohlen. Diese hatte sie in ihrem Rucksack verstaut, der unbemerkt geöffnet wurde. Der Bargeldschaden beträgt rund 200 Euro. Weiterhin fehlen die Bezahlkarten. (WR)

Autoräder abmontiert

W EYHE Unbekannte haben alle vier Räder von einem Pkw abmontiert und entwendet. Das Fahrzeug stand auf einem öffentlichen Parkplatz im Schlehenkamp. Der Schaden beträgt rund 8.000 Euro. Hinweise nimmt die Polizei unter 0421 /80660 entgegen. (WR)

Fahrerin hatte über drei Promille

W EYHE Die Polizei hat in der Leester Straße eine 58-jährige Pkw-Fahrerin gestopt, die augenscheinlich erheblich unter Alkoholeinfluss stand. Die Überprüfung erbrachte eine Atemalkoholkonzentration von 3,3 Promille. (WR)

Anzeige

Gasthaus ·R estaurant

Gasthaus ·R estaurant

Nob el

HAUSTÜREN Nobel

Moordeic h

SpeisenI TrinkenI Feiernseit1869

Moordeic h

SpeisenI TrinkenI Feiernseit1869

Speisen I Trinken I Feiern seit 1869

WOHIN MIT IHRER

SPARGELPARTY?

MIT SPEISEN

UND GETRÄNKEN?

Wir helfen Ihnen gerne!

Mit Tanz, kalt-warmen Buffet, inkl. Suppe und Dessert

Unser DJ sorgt ab 19 Uhr für Stimmung.

Mehr Infos unter: nobel-moordeich.de/publicpartys

Neuer Weg 13 · 28816 Stuhr-Moordeich Tel. 0421 / 5 68 00 · Fax 56 36 48 www.nobel-moordeich.de

Große Banner weisen auf die neue Fahrradstraße hin. Über die Einrichtung freuen sich Holger Opitz (ADFC), Dierk Heitmann, Stefan Sommer, Bürgermeister Frank Seidel und Max Serzisko (v. l., alle Gemeinde Weyhe). Foto: Runge

Radfahrer haben jetzt Vorfahrt

Die Straße Am Deich in Dreye ist die erste Fahrradstraße in der Gemeinde Weyhe T HORSTEN R UNGE

W EYHE Die Stärkung des Radverkehrs hat in der Gemeinde Weyhe Priorität. Und nun sollen Fahrradfahrer buchstäblich selbst Priorität haben – auf der ersten sogenannten Fahrradstraße im Gemeindegebiet. Passenderweise ist diese auf dem Abschnitt von Deutschlands beliebtestem Radfernweg im Ortsteil Dreye entstanden, dem Weser-Radweg. 320 Meter von Am Deich und Zollhof sind nun in eine Fahrradstraße umgewandelt worden – als Lückenschluss des Weser-Radweges, der hier vorübergehend seinen Verlauf direkt am Wasser verlässt. Auf

dem Teilstück durch das Dreyer Wohngebiet verlaufen zudem die Weyher Tour, der Geestweg und der Grüne Ring, es ist als Hauptroute im Verkehrsentwicklungsplan aufgeführt, Bestandteil der Radverkehrskonzepte des Kommunalverbundes Niedersachsen/Bremen ist es ebenfalls. Doch was genau bedeutet für diese nun die Ausweisung als Fahrradstraße? Der Radverkehr hat dort nun Vorrang, der motorisierte Verkehr hat sich fortan nach ihm zu richten – nicht mehr umgekehrt. Autos sind hier ab sofort nur noch „zu Gast“, die Fahrer von Pkw haben ihr Verhalten „in besonderer Weise auf die Bedürf-

nisse des Radverkehrs“ einzustellen. Wer auf dem Fahrrad unterwegs ist, gibt folglich künftig das Tempo vor, eine Geschwindigkeitsbegrenzung auf 30 Kilometer pro Stunde gilt ohnehin. Und: Es ist an dieser Stelle ausdrücklich erlaubt, dass Radelnde nebeneinander fahren dürfen.

Farbige Markierungen, aufgebracht auf dem erst 2022 teilweise erneuerten Asphaltbelag, weisen auf diese Neuerungen hin, Schilder und Banner machen zusätzlich darauf aufmerksam. Die Fahrbahnbreite liegt in diesem Bereich zwischen 3,30 und vier Metern. Begegnungen der unterschiedlichen Verkehre sind so-

mit größtenteils problemlos möglich, Rücksichtnahme ist aber jeweils zwingend erforderlich, eine entsprechende „Entschleunigung“ auf der Fahrradstraße dadurch unumgänglich. Wobei das Verkehrsaufkommen insbesondere auf Am Deich – im Gegensatz zum Zollhof gilt die Regelung „Anlieger frei“ – ohnehin als gering einzuschätzen ist. Doch bei Weyhes bislang einziger Fahrradstraße soll es nicht bleiben, weitere werden derzeit geprüft. Insbesondere der weitere Verlauf des Weser-Radweges im Bereich Rieder Straße, also vom Deich auf den Deichverteidigungsweg, wird in Betracht gezogen.

Sonja Eden ist die „Weyherin des Jahres 2022“

W EYHE Trägerin des Bundesverdienstkreuzes am Bande ist

Sonja Eden bereits seit 2009.

Nun erhielt sie während einer Feierstunde im Weyher Rathaus auch die höchste Auszeichnung

„Weyherin des Jahres 2022“ ih-

rer Heimatgemeinde für ehrenamtliche Leistungen. Und die sind vielfältig: Asylbegleiterin der ersten Stunde, Gründungsmitglied des Runden Tisches gegen Rechts – für Integration, Streetwatcherin aus Leiden-

schaft, überzeugte Mitwirkende im Weyher Präventionsrat, treibende Kraft bei der Pflege der Frankreich-Partnerschaft mit Coulaines, 16 Jahre lang Mitglied des Gemeinderates. Noch länger war sie nur für ihre abso-

lute Herzensangelegenheit engagiert: die Schulelternarbeit und damit die Förderung der Weyher Kinder. Die Auszeichnung „Organisation des Jahres 2022“ geht an den Nabu Weyhe (WR)

WEYHE/SYKE/BASSUM Auflagenstärkste Anzeigenzeitung in Bremen und Umgebung NR. 3648/53. JAHRGANG SONNTAG, 23. APRIL 2023
Anzeige

Nachahmenswert

R IKE F ÜLLER

Rund fünf Wochen ist es her, dass der Nettomarkt an der Gottfried-MenkenStraße geschlossen wurde. Fünf Wochen, in denen aus Sicht der Anwohner nicht viel passiert ist, um die Situation insbesondere für mobilitätseingeschränkte Menschen zu verbessern. Keine Behörde, kein Unternehmen und nicht einmal der Beirat konnten bisher sichtbar helfen. Immerhin: Der Beirat stellt nun Globalmittel für privat organisierte Hilfsangebote zur Verfügung und auch die Gewoba steigt in die Unterstützung der Hilfen ein. Trotzdem ging in den Augen der Anwohner, die den nächsten Supermarkt nur schlecht oder gar nicht erreichen können, zu viel Zeit verloren. Angebote, die sofort umgesetzt wurden, sind rein privat. Und das bis jetzt ohne jegliche finanzielle Unterstützung. Das ist Nachbarschaftshilfe – füreinander da sein und denjenigen helfen, die Hilfe brauchen. Aus der Situation in der Gartenstadt Süd kann auch etwas Positives erwachsen: Zusammenhalt im Ortsteil und das Wissen, dass man sich aufeinander verlassen kann.

Events mit Aussicht

Auf rund 1.200 Quadratmetern sollen ab November dieses Jahres die ersten Gäste am Lankenauer Höft empfangen werden. Am Freitag feierte die Bremer Catering Service GmbH (BCS) Richtfest auf der Landzunge mit dem markanten Turm. Auf zwei Etagen entstehen ein Restaurant sowie ein großer verglaster Eventbereich. Die sechs Meter tiefe Terrasse, mit Blick auf das Wasser und die kürzlich eröffneten

Hausboote, kann ebenfalls genutzt werden. Erste Buchungen für Tagungen und Feiern sind bereits eingegangen. „Wir werden auf jeden Fall in diesem Jahr schon Kohlfahrten anbieten“, sagt Theo Bührmann, Geschäftsführer der BCS. Investiert wurde ein zweistelliger Millionenbetrag. Ein weiterer Plan: Neben dem Gebäude soll ein Privatstrand entstehen, der etwa für Trauungen gebucht werden kann. (rf)

Unklare Aussichten

Warum die Frühjahrsumfrage zur Konjunktur kein einheitliches Bild für das Handwerk liefert

R OBERT L ÜRSSEN

W ESER R EPORT : In der aktuellen Konjunkturumfrage der Handwerkskammer Bremen ist der Geschäftsklimaindex im Vergleich zum Frühjahr 2022 um 35 Punkte auf 102 gesunken. Warum ist die Stimmung im Handwerk so trüb?

T HOMAS K URZKE : Ich würde die Stimmung nicht durchweg als trüb bezeichnen, sie ist besser, als wir im Herbst vermuten konnten. Die Handwerksbetriebe agieren aber zurzeit vorsichtig. Man spürt, dass sich ganz viel verändert. Wir haben hier in der Kammer jeden Monat ein anderes Thema, das uns und die Betriebe beschäftigt. Das führt dazu, dass man nicht mehr die Planungssicherheit hat wie in früheren Jahren. Insgesamt zeigt die Umfrage ein sehr uneinheitliches Bild. Wir haben keine klare Tendenz.

O LIVER K RIEBEL : Wenn man auf die Umfrage schaut, dann heben sich die positiven und die negativen Äußerungen auf.

Abgesehen vom Kfz-Gewerbe berichten viele Branchen über sinkende Umsätze. Wie erklären Sie sich das?

K URZKE : Auch das hat wieder eine Vielzahl von Gründen. Einige Firmen sind geschrupft aufgrund von Fachkräftemangel. Handwerker sind im Durchschnitt keine großen Unternehmen. Wenn von durchschnittlich vier bis zwölf Mitarbeitern einer weggeht, macht sich das sofort bemerkbar. Auf der anderen Seite haben wir jetzt konjunkturell ein Winterhalbjahr hinter uns. Das legt das ganze Außenhandwerk lahm. Da ist es normal, dass die Umsätze in den Bauberufen sinken.

Auf zwei Etagen entsteht derzeit am Lankenauer Höft die neue Eventlocation mit Restaurant. Foto: Schlie

K RIEBEL : Wenn Sie den Endkonsumenten nehmen, der

genau schauen muss, wo er sein Geld investiert, der überlegt sich zweimal, ob er sein Brot beim Bäcker kauft oder zum Discounter geht. Unsere Betriebe spüren, dass die Umsätze sinken, weil die Preise steigen.

Die Auftragsreichweite ist seit der Herbstumfrage von 22,8 Wochen auf 11,7 Wochen gesunken. Bekommen die Kunden jetzt schneller einen Dachdecker oder Heizungsinstallateur zu Gesicht?

K RIEBEL : Ja, sollte man meinen. Aber es ist nicht gleich verteilt. Es gibt gewisse Gewerke, wo die Reichweite schon immer bei vier bis fünf Wochen im Durchschnitt lag. Dort ist es auch jetzt wieder der Fall. Mit den 11,7 Wochen bewegen wir uns auf dem Niveau, wo wir 2020 und davor waren. Das ist keine Entwicklung, die uns überrascht. Die Situation vorher war der Lieferkettenproblematik geschuldet. Viele Aufträge hatten sich aufgestaut, weil Teile nicht verfügbar waren.

Neue Herausforderungen für die Feuerwehr

„Die Feuerwehr ist im Wandel“, sagt Innensenator Ulrich Mäurer. Im Jahr 2022 gab es 100.000 Einsätze und 181.000 Notrufe. „In allen Bereichen sind die Zahlen radikal nach oben gegangen, seien es Brände, technische Hilfeleistungen oder die Alarmierungen des Rettungsdienstes.“

Dies liege laut dem Innensenator an der Krise im Ge-

sundheitswesen. „Der Trend geht dahin, bei jeder Kleinigkeit 112 anzurufen.“

Bei der Zahl der gestiegenen Brände sieht Philipp Heßemer, Leiter der Feuerwehr, die Gründe in der nun bestehenden Rauchmelderpflicht sowie an den vielen heißen Sommertagen. „Der Klimawandel bringt neue Herausforderungen für uns“, sagt er. Deswegen seien auch die

technischen Hilfeleistungen gestiegen: „Stürme und Überschwemmungen kommen immer häufiger vor.“

Die Zahl der Verkehrsunfälle und Großbrände sei konstant geblieben.

Um den neuen Herausforderungen der Feuerwehr gewachsen zu sein, fordert Mäurer mehr Geld und mehr Personal: „Gerade haben wir rund 700 Beschäftigte. Das

K URZKE : Jetzt setzt wieder ein Stück Normalität ein. Es ist für den Endverbraucher auch unzumutbar, wenn man ein halbes Jahr auf jeden warten muss.

Wie wirkt sich die Zinsentwicklung in Verbindung mit den hohen Materialpreisen auf das Bauhandwerk aus?

K URZKE : Der Neubau ist im privaten Bereich praktisch zum Erliegen gekommen. Das gibt in einigen Bereichen Kapazitäten frei. Einige Handwerker, die sich in den vergangenen Jahren stark im Bereich Neubau bewegt haben, sind jetzt gezwungen in die Sanierung auszuweichen. Das führt zu einer Verschiebung. Bei den öffentlichen Gebäuden wurde langfristig geplant, da geht der Neubau weiter. Das ist allerdings von Bundesland zu Bundesland unterschiedlich. Einige halten an ihren Projekten fest, andere sind da vorsichtiger. Bremen liegt irgendwo in der Mitte. Es ist aber unheimlich wichtig,

dass die öffentliche Hand an ihren Vorhaben festhält auch wenn alles teurer wird. Schulen und Kindergärten werden gebraucht. Das hat unheimliche Signalkraft für private Investoren. Alles wird teurer. Stichwort: Inflation. Womit müssen Ihre Kunden rechnen?

K RIEBEL : Die Preise werden weiter steigen, davon gehen viele Betriebe aus. Auch da ist das Bild wieder sehr unterschiedlich, wenn man es auf die verschiedenen Gewerke herunterbricht. Aber letzlich ist die Preisspirale noch nicht zu Ende.

K URZKE : Vieles hängt an der Entwicklung der Energiepreise. Man kann nur hoffen, dass wir den Höhepunkt der Inflationswelle erreicht haben. Es gibt ja ein paar vorsichtige Anzeichen, dass es ein Stück wieder zurück geht. Aber dass es wieder deutlich günstiger wird zu bauen, damit ist in den nächsten Monaten nicht zu rechnen.

Haus & Grund ist 125

will ich in den kommenden Jahren auf 900 aufstocken.“

Unter dem Motto „Unsere Feuerwehr 2025“ verfolgt die Feuerwehr ein neues Leitbild, um eine gemeinsame Identität zu schaffen. Der Fokus liege auf Fehlerkultur, Transparenz und Beteiligung. Heßemer erklärt: „Im Kern geht es um kollegiale Beziehungen und eine bessere Kommunikation.“ (kea)

Der Eigentümerverein Haus & Grund ist 125 Jahre alt. In der Oberen Rathaushalle feierten Mitglieder und Gäste aus Wirtschaft und Politik am Freitag das Jubiläum.

„Wir bringen uns seit 125 Jahren engagiert dort ein, wo das private Eigentum betrof-

Keine Zeitung erhalten? Meldung bitte über www.weserreport.de/ewz

Hotline: 0421/36 66 350 Vertriebsleitung: Sascha Carstens

Herausgeber: KPS Verlagsgesellschaft mbH

Contrescarpe 75a, 28195 Bremen Tel. (04 21) 36 66 01, Fax 36 66 160

E-Mail: redaktion@weserreport.de

Leserzuschriften: leserbriefe@weserreport.de

Chefredaktion: Robert Lürssen,robert.luerssen@weserreport.de

Stellvertr. Chefredaktion: Rike Füller, rike.fueller@weserreport.de

Lokales: Emre Altug Martin Bollmann, Rike Füller, Bettina Gößler, Lars Lenssen, Kea Neeland, Thorsten Runge Reise, Motor und Sonderthemen: Marinos Kaloglou Sport: Lars Lenssen

fen ist. An die Politik richten wir die Bitte, das Augenmerk bei den anstehenden Modernisierungsverpflichtungen auf die finanzielle Machbarkeit zu richten“, sagte der Vorsitzende von Haus & Grund Bremen, Thomas Trenz, in seiner Rede. Foto: eal

Ihrem Briefkasten anzubringen. Weitere Informationen finden Sie auf dem Verbraucherportal www.werbung-im-briefkasten.de Internet: www.weserreport.de Druck: Funke Niedersachsen Druckzentrum GmbH Verbreitete Auflage: 269.979 Exemplare mit DELME

Exemplare

B REMEN 2 Sonntag, 23. April 2023 RÄUMUNGS-VERKAUF bis zu 85% reduziert Endspurt – nochmalige Gelegenheit KÜCHEN Nolte Nobilia Neff DEKO Porzellan Gläser Lampen Teppiche POLSTER Brühl Erpo Ruf-Betten ESSZIMMER Bert Plantagie Selva Landhaus SCHRANKWAND/ HIGHBOARD RMW-Rietberger Gwinner Lieferung möglich! Möbel Meyer GmbH Di.-Fr. 10.00 - 18.30 Uhr, Sa. 10.00 - 15.00 Uhr, Montags geschlossen Waller-Heerstr. 196 · 28219 Bremen Tel. 0421 / 38 22 97
KOMMENTAR
Malermeister Thomas Kurzke (links) ist Präses der Handwerkskammer Bremen. Oliver Kriebel (rechts) ist dort als stellvertretender Hauptgeschäftsführer tätig. Foto: Schlie
Kultur: Bettina Meister Das BLV: Regina Drieling, Antje Spitzner Büro Osterholz-Scharmbeck : Jasmin Johannsen, Marius Roskamp Fotos: Klaus Werner Schlie Anzeigenleiter: Johannes Knees Kleinanzeigen: Tel. 36 66 400, Fax 36 66 500 Gestaltete Anzeigen: Tel. 36 66 101 info@weserreport.de Zurzeit gelten Anzeigenpreisliste Nr. 50 vom 29. Januar 2023 und unsere darin abgedruckten AGB. Falls Sie dieses Produkt nicht mehr erhalten möchten, bitten wir Sie, einen Werbeverbotsaufkleber mit dem Zusatzhinweis „Keine kostenlosen Zeitungen“ an
REPORT,
REPORT
REPORT 354.863
HAMME
und WÜMME

Einkaufstouren für Senioren

Warum zwei Brüder in ihrer Freizeit die Nachbarn zum Supermarkt fahren

R IKE F ÜLLER

Die plötzliche Schließung des Netto-Marktes an der Gottfried-Menken-Straße (WESER REPORT berichtete) hatte vor vier Wochen für viel Ärger in der Nachbarschaft gesorgt. Vor allem ältere und immobile Menschen sowie diejenigen, die sich den Einkauf im nahe gelegenen Biosupermarkt nicht leisten können, fordern eine schnelle Lösung. Die wird es wohl nicht geben, wie sich nun auf einer Sondersitzung des Neustädter Beirats zum Thema zeigte. Geladen waren sowohl Vertreter der Senatsressorts Wirtschaft und Bau als auch Vertreter der Gewoba und von Netto. Das Ziel: Eine Zwischenlösung, bis in einigen Jahren ein dauerhafter Betrieb – in neuem Gebäude –starten kann.

Zwei, die sich schon etwas überlegt haben und aktiv geworden sind, sind Paul und Karl Eggert. Die Brüder wohnen ebenfalls in der Gartenstadt Süd, gemeinsam mit ihrem Vater. „Wir sind beim Gassigehen von einer älteren Dame auf das Problem aufmerksam gemacht worden und dachten uns, dass man doch schnell etwas auf die Beine stellen muss“, sagt Paul Eggert. Kurzerhand entschieden die Brüder, für die älteren Menschen zum nächsten Discounter zu fahren und ihnen den Einkauf zu bringen. „Für viele ist das Einkaufen aber auch ein Grund, aus

dem Haus zu gehen und für soziale Kontakte. Das ist ihnen wichtig“, sagt der 21-jährige Paul. Also entschieden er und sein 17-jähriger Bruder, der eigentlich gerade sein Abitur macht, die Senioren zu fahren.

Dafür gestalteten sie einen Flyer, versuchten über das Rosencafé ihr Angebot zu bewerben. „Bisher fahren wir nur eine Dame“, sagt Paul und befürchtet, dass die älteren Nachbarn das Angebot als unseriös betrachten. Die Brüder verlangen kein Geld

Einstellungen trotz Flaute

Ladungsrückgänge wegen voller Läger

Die Bremer Spediteure sehen sich seit dem vergangenen Herbst mit erheblichen Ladungsrückgängen konfrontiert. Waren die Exporte im Jahr 2022 um elf Prozent und die Importe um immerhin knapp fünf Prozent gestiegen, erwarten die Unternehmen laut einer Umfrage des Vereins Bremer Spediteure (VBS) für dieses Jahr einen Rückgang bei den Exporten um acht Prozent und bei den Importen sogar um 15 Prozent. Anlass zum Personalabbau sei das aber nicht. „Wir gehen davon aus, dass es im dritten und vierten Quartal wieder besser wird“, sagt VBS-Vorsitzender Oliver Oesterreich. Den starken Rückgang im

Import erklären die Spediteure damit, dass die Läger des verbrauchernahen Handels noch gut gefüllt seien mit Gartengeräten, Sportartikeln, Elektroartikeln, Einrichtungsgegenständen und vielem mehr, mit dem sich die Konsumenten während der Coronazeit eingedeckt hätten. Nun aber gäben sie ihr Geld lieber für Reisen, Restaurantbesuche, Events, Kino und Theater aus. Die Händler blieben somit vorerst auf ihren Waren sitzen und bestellen keine neuen –zum Beispiel aus Fernost. Auch, wenn sich die Märkte beruhigt haben, planen 40 Prozent der UnternehmenNeueinstellungen. (rl)

Kandidaten

pragmatisch eine Lösung gesucht und gefunden haben, versuchen alle anderen Beteiligten noch, möglichst bis Herbst eine Zwischenlösung zu organisieren und zu finanzieren. Das Problem: Die Stadt baut und betreibt keine Supermärkte, die Gewoba wiederum plant, das marode Gebäude abzureißen und an gleicher Stelle einen Einkaufsmarkt samt Ärztehaus zu errichten – wenn denn ein Betreiber gefunden werden kann. Und den gibt es laut Stefan Stahl, Geschäftsbereichsleiter bei der Gewoba, bisher nicht.

Bürgermeister Andreas Bovenschulte und Bürgerschaftspräsident Frank Imhoff stellen sich am Montag, 24. April in den Dienst der guten Sache. Sie verkaufen ab 13 Uhr auf dem Liebfrauenkirchhof Lose der BürgerparkTombola. Unterstützt werden sie von Sylvia Wedemeyer, Präsidentin des Bürgerparkvereins, und Bürgerparkdirektor Tim Großmann. (rl)

Sem Eisinger singt im Weserpark

für ihre Touren, sehen es als reine Nachbarschaftshilfe. Im Rahmen der Sondersitzung suchten sie Unterstützung für ihr Angebot. Die Gewoba bot den beiden inzwischen die Bereitstellung eines Lastenrads an. „Wir brauchen aber eine andere Lösung, weil die Leute ja mitfahren sollen“, erklärt Paul. Für kommende Woche ist nun noch ein Treffen mit der Gewoba geplant, die auf jeden Fall helfen will. Im Gespräch sind – nach der Klärung rechtlicher Fragen –

auch größere Mietwagen, wie Unternehmenssprecherin Christine Dose bestätigt.

Für den Fall, dass mehr Nachbarn die Hilfe der Brüder in Anspruch nehmen, habe er bereits Kontakt mit Autovermietungen aufgenommen, sagt Paul. Weitere Fahrer würden sich auch in der Nachbarschaft finden, ist der Selbstständige sich sicher. Kontakt zu den Brüdern vermittelt das Rosencafé, Thedinghauser Straße 115A.

Und während Paul und Karl völlig unentgeltlich und

Eine Zwischenlösung während der Abriss- und Bauphase – möglicherweise als Zelt –lohne sich aber nicht für einen so kurzen Zeitraum, wie Lorenz Rogatty, Gebietsleiter Expansion bei Netto, erklärte. Auch er wolle an dem Standort etwas Neues realisieren, allerdings gegenüber des Gewobagebäudes, im Bereich des ebenfalls leer stehenden Pennymarktes. Am Ende dürfen sich die Anwohner also vielleicht sogar über zwei Supermärkte an der Gottfried-Menken-Straße freuen.

Der Beirat fordert nun, schnellstmöglich einen Runden Tisch einzurichten und zu prüfen, ob etwa ein Bürgerbus eingesetzt werden kann oder ob mobile Supermärkte beauftragt werden können. Außerdem soll mithilfe von Globalmitteln unterstützt werden.

Sem Eisinger, der Gewinner der 20. Staffel der Castingshow „Deutschland sucht den Superstar“ ist am 24. April ab 15 Uhr zu Gast im Weserpark. Der 29-jährige singt seinen Siegertitel „Don‘t Let Me Go“ auf einer Bühne im Lichthof vor Peek&Cloppenburg. Im Anschluss können sich Fans Autogramme abholen. Ausgerichtet wird das Event vom Edeka Center. (WR)

Sem Eisinger gewann die 20. Staffel von DSDS.

Katastrophe in der Kita

Initiative will mit Kundgebung auf Situation aufmerksam machen

„Die Betreuungssituation in Bremer Kitas ist extrem angespannt – und zwar trägerübergreifend“, sagt Julia Offermann, die gemeinsam mit anderen Eltern im Herbst 2022 die Initiative „Kitastrophe“ gegründet hat.

„Wir wollen eine Lobby für die Kinder und die Eltern sein, aber auch für die Fachkräfte, die total überlastet sind und ihre Arbeit nicht mehr leisten können“, erklärt die Mutter. Dafür haben sie am Mittwoch, 26. April, ab 15.30 Uhr auf dem Marktplatz vor der Bremischen Bürgerschaft eine Kundgebung geplant.

Die Initiative will zeigen, was es bedeutet, wenn die Kita-Versorgung ausfällt oder nur eine Notbetreuung gewährleistet wird. „So etwas kann existenzbedrohend sein. Einer Alleinerziehenden, die oft bei der Arbeit fehlt, weil ihr Kind nicht betreut ist, kann im schlimmsten Fall eine Kündigung drohen“, so Offermann. Sie selbst musste für ihr älteres Kind den KitaPlatz einklagen. „Das konnte ich aber nur, weil ich eine Rechtsschutz-Versicherung habe. Viele Menschen wissen gar nicht, dass sie einen Rechtsanspruch auf einen Platz haben“, meint die Mutter. Da sie aber keinen Platz

für ihr zweites Kind bekommt, muss sie momentan in Elternzeit bleiben – obwohl sie finanziell gesehen wieder arbeiten gehen müsste. Aber nicht nur für die Eltern, auch für die Kinder sei die Situation belastend.

Diese Probleme seien schon lange bekannt. Deswegen hat die Initiative bereits über 2.300 Stimmen für ihre Petition gesammelt. „So wollen wir Druck auf den Senat ausüben. Wir wollen gehört werden und auf die Lage aufmerksam machen“, hofft Offermann. Konkrekt wollen sie Ausbildungswege angemessen vergüten und den Zugang zur Ausbildung er-

leichtern, etwa durch mehr Pia-Plätze. Weiterhin fordert die Initiative die Anwendung des wissenschaftlich empfohlenen Betreuungsschlüssels, zum Beispiel bei Kindern unter drei Jahren ein Betreuer auf drei Kinder statt auf neun, und bei älteren Kindern ein Betreuer auf 7,5 Kinder statt auf 20. Bei der Kundgebung werden Geschichten von betroffenen Familien vorgelesen und ihnen eine Stimme gegeben. Offermann betont: „Eltern, Kinder und Fachkräfte werden auf dem Marktplatz zeigen: Wir brauchen Lösungen – akut und langfristig.“ (kea)

B REMEN Sonntag, 23. April 2023 3 MO – SA 9 – 18:30 Uhr MELDE DICH ZUM NEWSLETTER AN! VISBEK WILDESHAUSENVECHTA STUHR BAD ZWISCHENAHN OLDENBURG SO geschlossen SO 14 – 17 Uhr SO 14 – 17 Uhr SO 10 – 13 Uhr SO 11– 17 Uhr SO 14 – 17 Uhr Ahlhorner Str. 25 – 29Westring 1 Oldenburger Str. 122Varreler Landstr. 31Mühlenstr. 5 – 7 Oldeweg 4 © Blumen Ostmann GmbH, Fotos: Intratuin Sonntags nur Verkauf von Blumen und P anzen in kleinen Mengen! 3 STÜCK 10.–EDELGERANIE verschied. Farben 12 cm Topf 3.99 3 STÜCK 10.–SCHOPFLAVENDEL 15 cm Topf 3.99 TOP PREIS GARTENBANK TESS 117 × 67,2 × 81,5 cm 149.–129.–Nur in Oldenburg: Gartenmöbel in Riesenauswahl! TOP PREIS SCHWARZÄUGIGE SUSANNE Höhe 90 cm 19 cm Topf 14.99 9.99 TOP PREIS OLEANDER Höhe 70 cm 20 cm Topf 14.99 9.99 3 STÜCK 7.50 TRIO ZAUBERGLÖCKCHEN 12 cm Topf 2.99 TOP PREIS HORTENSIE verschied. Farben 19 cm Topf 14.99 9.99 SACK 7.99 PFLANZENERDE 45 Liter, mit Dünger für 2 Monate 2+1 GRATIS
Die Brüder Paul (l.) und Karl Eggert bieten an, ihre älteren Nachbarn in der Gartenstadt Süd zum Einkaufen zu fahren. Foto: Schlie Foto: Stefan Gregorowius
verkaufen Lose

KÜCHENTESTERGESUCHT vonDo.27.04.bisSa.29.04.2023

Im Rahmen unserer Sonder-A kt ion erhalten die er sten 50 Küchen Käufer ihre freigeplante Küche zum halben Preis. DiePreisvorteile, die wir von den Küchen-Herstellern für diese besondere Ak tionbekommen haben, geben wir an unsere Kunden weiter. Als Küchentester müssen Sie lediglich bis zwei Wochen

nach der Lieferung Ihrer Küche einen knapp gehaltenen Fragebogen ausfüllen. Dafür erhalten Sie zusätzlicheinen Warengut schein im Wert von 20 0 Euro, den Sie in einem unserer Zurbrüggen Einr icht ungs häus er einlös en kö nnen Bitte beachten Sie: Bei diesen sensationellenPreisvorteilen müssen wir die

Ak tion auf 50 Küchentesterpro Standor t beschränken, da derar tige Nachlässe im täglichen Verkauf nicht möglich sind.

Rufen Sie jetz t an undsichern Sie sich vorab Ihren per sönlichen Termin. Wir, das gesamte Zurbrüggen-Team, freuen uns auf Ihren Anruf.

JETZTSCHNELLIHRENTERMINSICHERN!

SieerreichenunszuunserenÖffnungszeitenunter:

TEL:04221/920-302

www.zurbrueggen.de Zurbrüggen Wohn-Z en trum GmbH 59 42 3 Unna Hans- Bö ckler-S tr.4 DIEERSTEN50KÜCHEN-KÄUFERERHALTENIHRE FREIGEPLANTEKÜCHEZUMHALBENPREIS! Zurbrüggen Wohn-Zentrum GmbH, 27 75 5 Delmenhors t, Sees tr 7, Tel. 04221/ 92 0-92 0 Öf fnungszeiten: Mont ag-S amst ag 10.0 0-19.0 0 Uhr 200 € ZURBRÜGGEN WARENGUTSCHEIN ELEK TRO- & SANITÄRANSCHLÜSSE -OPTIONALLIEFERSERVICE FACHGERECHTE MONTAGE AUFM ASS VOR ORT AUSGEZEICHNETER ZURBRÜGGEN-SERVICE + PREIS 1/2 ZUM FREIGEPLANTEKÜCHEN GiltaufUVP-Preise.NichtkombinierbarmitanderenRabattaktionen.GiltnurfürNeukäufe.AusgenommenElektrogeräteundZubehör.GiltnichtfürdenOnlineshop. UnseregeschultenKüchenFachberaternehmensich vielZeitfürSie,ummit IhnengemeinsamIhre Traum-Küchezurealisieren.

Öger im Land des Weihrauchs

Hamburger Türkei- und Orientspezialist nimmt den Oman neu ins Programm auf

Mit der „Romantika“ zu den Fjorden

festen Liegeplätzen im Eemshaven, begründet Holland Norway Lines ihren Schritt. „Die Situation im Eemshaven zwang uns, nach Alternativen zu suchen. Wir sind sehr froh, dass wir eine Lösung gefunden haben“, sagt Morten Aggvin, CEO von Holland Norway Lines.

Die MS „Romantika“ fährt aktuell zwischen Cuxhaven und Norwegen. Foto: Holland Norway Lines Der Norden Deutschlands rückt näher an Norwegen. Möglich macht es die neue, bis Ende Mai durchgeführte Fährverbindung zwischen Cuxhaven und Kristiansand. Ab 1. Juni erfolgen die Abfahrten dann ab Emden. Angeboten wird die Passage von der Reederei Holland Norway Lines, die bisher ihre Abfahrten vom niederländischen Eemshaven Richtung norwegischer Fjorde durchführte.

Das Ausweichen auf Cuxhaven beziehungsweise Emden ist eine Reaktion auf die jüngsten Herausforderungen im Zusammenhang mit den

Alle zwei Tage legt die MS „Romantika“ um 15.30 Uhr in Cuxhaven ab und kommt nach vormittags in Skandinavien an. Das Schiff befördert neben Passagierinnen und Passagieren auch Autos, Motorräder, Wohnmobile, Wohnwagen und Lkw. (mar)

Der ehemalige Sultan von Oman Qabus bin Said hat gleich eine komplette Etage des Al-Bustan Palace bewohnt. Auch der King of Pop Michael Jackson soll im Fünf-Sterne-Hotel, das architektonisch einem arabischen Märchenschloss nachempfunden ist, entspannte Tage verbracht haben. Künftig können sich auch Kunden von Öger Tours hinter den Mauern des von Ritz Carlton geführten Hauses vor den Toren von Muscat wie Sultane fühlen.

„Der Oman glänzt mit atemberaubenden Landschaften, kühner Architektur, paradiesischen Stränden und einer enormen Gastfreundschaft“, rührt ÖgerTours-Produktmanager Volker Bromund die Werbetrommel für das neu ins Portfolio des Hamburger Veranstalters aufgnommene Ziel im Osten der Arabischen Halbinsel. Bromund weiter:

„Als Orient-Spezialist freuen wir uns besonders, dass wir dieses Sehnsuchtsziel nun auch unseren Gästen mit einem ausgewählten Hotelund Flugprogramm präsen-

Alle Termine & Preise auf unserer Homepage oder Sie scannen einfach den jeweiligen QR-Code.

Ob die Sultan Qabus Moschee oder das Royal Opera House – in der omanesischen Haupt- und Hafenstadt Muscat gibt es eine Reihe von Sehenswürdigkeiten.Foto: Brian auf Pixabay

tieren können.“ Das Land des Weihrauchs bietet ein breitgefächertes

Angebot an Urlaubsmöglichkeiten und besticht durch seine Naturschönheiten.

Kulturinteressierte zieht es in Städte wie Nizwa und Muscat. Aktivurlauber etwa unternehmen Wanderungen durch den Wadi Nakhr, den Grand Canyon des Oman. Taucher wiederum entdecken die kunterbunten Korallenriffe des Indischen Ozeans in der Region Salalah.

Öger bietet für das Sultanat insgesamt 43 Hotels, vorwiegend im Vier- und FünfSterne-Bereich. Das Programm umfasst neben CityHotels auch luxuriöse Strand- und Berg-Resorts, so etwa das Fünf-Sterne-Anantara Al Jabal Al Akhdar Resort, das nach eigenen Angaben höchstgelegenste FünfSterne-Haus im Nahen Osten.

Als Zielflughäfen stehen Muscat und Salalah zur Wahl. Geflogen wird mit Linienfluggesellschaften wie etwa Lufthansa, Oman Air, Qatar Airways, Etihad Airways und Turkish Airlines. Alle Hotels sind bei Bedarf auch individuell, ohne Flug buchbar.

■ Weitere Infos auf oeger.de und im Reisebüro. (mar)

R EISE Sonntag, 23. April 2023 5 Am Wall 137- 139, 28195 Bremen Telefon (0421) 696644-0 info@reisetreff-bremen.de www.die-perfekte-kreuzfahrt.de Bordguthaben pro Kabine bei 2er Belegung im 1. und 2. Bett. Buchungszeitraum bis 15. Mai 2023. AIDAVARIOPreise pro Personbei2er-Belegung, limitierte Kontingente. Zwischenverkauf und Änderungen vorbehalten. Reiseveranstalter: AIDA Cruises –German Branch of Costa Crociere S.p.A., Am Strande 3d, 18055 Rostock. Reisevermittler: Reisetreff, Inhaber: Matthias Preusche, Am Wall 137- 139, 28195 Bremen. * Skandinavische Städte mit Stockholm 10 Nächte mit AIDAmar Reisezeitraum: Mai - August 2023 Innen ab 849,- Meerblick ab 1.049,- Balkon ab 1.349,Inklusive 200 €* Bordguthaben Island & Grönland 21 Nächte mit AIDAaura Reisezeitraum: Juli - August 2023 Innen ab 2.799,-
& Norwegen
Nächte
AIDAsol
Innen
Norwegens Fjorde 10 Nächte mit AIDAperla
Schottland & Norwegen
Innen
ab 1.799,Golf von Biskaya 14 Nächte mit AIDAaura Reisetermin: 12. Mai - 26. Mai 2023 Innen ab 1.199,- Meerblick ab 1.649,Norwegen mit Lofoten & Nordkap 14 Nächte mit AIDAbella Reisezeitraum: Mai - August 2023 Innen ab 1.249,- Meerblick ab 1.699,- Balkon ab 2.199,Ärmelkanal & Golf von Biskaya 12 Nächte mit AIDAsol Reisetermin: 30. Juli - 11. August 2023 Innen ab 1.499,-Meerblick ab 2.099,-Balkon ab 2.399,Reisezeitraum: Mai - Juli 2023 Innen ab1.199,- Meerblick ab1.649,- Balkon ab 2.149,Highlights am Polarkreis 17 Nächte mit AIDAluna Reisezeitraum: Mai - August 2023 Innen ab 1.699,- Meerblick ab 2.249,- Balkon ab 3.299,Norwegens Fjorde ab Warnemünde 9 oder 10 Nächte mit AIDAmar Reisezeitraum: Mai - August 2023 Innen ab799,-Meerblick ab999,- Balkon ab 1.299,Reisetermin: 26. Mai - 09. Juni 2023 Innen ab 1.599,- Meerblick ab 1.999,Nordische Inseln mit Island 14 Nächte mit AIDAbella Westeuropas Flüsse ab Hamburg 14 Nächte mit AIDAaura Beispielroute Beispielroute Beispielroute Beispielroute Beispielroute Beispielroute Beispielroute Beispielroute Beispielroute Reisezeitraum: Mai - August 2023 Innen ab 949,- Meerblick ab 1.199,- Veranda ab 1.299,Inklusive 200 €* Bordguthaben Inklusive 200 €* Bordguthaben Inklusive 200 €* Bordguthaben Inklusive 200 €* Bordguthaben Inklusive 200 €* Bordguthaben Inklusive 200
Bordguthaben
Bordguthaben Inklusive
Bordguthaben Inklusive
Bordguthaben Inklusive
Bordguthaben
Meerblick ab 3.799,Großbritannien
9
mit
Reisezeitraum: Mai - September 2023
ab799,- Meerblick ab1.099,- Balkon ab 1.399,-
England,
12 Nächte mit AIDAsol Reisezeitraum: Mai - August 2023
ab999,- Meerblick ab1.299,-Balkon
€*
Inklusive 200 €*
200 €*
300 €*
300 €* Bordguthaben Inklusive 200 €*
Neue Fähre von Cuxhaven nach Kristiansand

Sportverletzungen am Knie

Dr. Christian Homuth, Leitender Oberarzt Zentrum für Schulterchirurgie, Arthroskopische Chirurgie und Sporttraumatologie

Mi 26 4 2023 um 17:30 Uhr

activo an der Roland - Klinik

Niedersachsendamm 65a, 28201 Bremen

Anmeldung Di. 25.4. ab 9 Uhr, Tel. 0421.8778-330 Vortrag und Parken sind kostenlos.

Videos gibt es unter:

www.roland - klinik.de/mediathek

Roland - Klinik gemeinnützige GmbH www.roland - klinik.de

Schmerzen in den Griff bekommen

Wie Orthesen bei Arthrose das Leben erleichtern können

Wenn das Knie schmerzt, ist oftmals Arthrose das Problem. „Es gibt in Deutschland mehrere Millionen Menschen, die an der Erkrankung leiden. Die Betroffenen beobachten zum Beispiel Entzündungsschübe, Verdickungen und Verformungen an Knien, Fingern und an weiteren Gelenken“, erklärt Thorsten Belkot, Orthopädietechniker bei Oesterreich Orthopädietechnik. Betroffene könnten oftmals durch hochmoderne Orthesen, die die Gelenke entlasten und dadurch die Schmerzen reduzieren, zu einem aktiveren Alltag mit mehr Lebensqualität zurückkehren, so der Fachmann.

Dabei sei es durch die gezielte Gelenkentlastung möglich, ganz normal wieder spazieren zu gehen oder auch moderat Sport zu betreiben.

AKTIV MIT ARTHROSE

KOSTENLOSER ORTHESEN-TEST vom 24. Aprilbis 05. Mai 2023

April bis

für Vorträge und Übungen!

VORTEILE DIESER KNIEORTHESE:

• Dauerhafte Schmerzlinderung

• Schonende, entlastende

Oesterreich OrthopädieTechnik führt spezielle Orthesen für leichtere, aber auch für fortgeschrittene Kniearthrosen. Thorsten Belkot bietet Betroffenen die Möglichkeit, die innovativen neuen Entlastungs-Orthesen

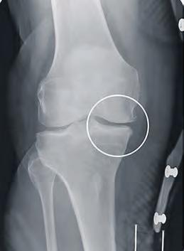
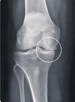
Gelenkverschmälerung auf der Knie-Innenseite ohne Orthese. Fotos: Oesterreich

der Firma Össur während der Arthrose-Testwochen auszuprobieren. „Die klinisch nachgewiesene Wirksamkeit sowie eine einfache Handhabung der Orthese sprechen für sich“, betont Belkot.

Als am stärksten belastetes Gelenk des menschlichen Körpers ist das Knie am häufigsten von arthrotischen Veränderungen betroffen. Heil-

SPRECHSTUNDE

Tausendsassa Krafttraining

L ARS H ILDEBRANDT Inhaber Crunchtime Fitness

Zugrichtung zur Entlastung des Gelenks auf der KnieInnenseite.

bar sind Arthrosen nicht. Es gibt jedoch effektive Methoden, um den Schmerz in den Griff zu bekommen und so eine eventuelle Operation weit hinauszuzögern.

Oesterreich Orthopädietechnik bietet vom 24. April bis 5. Mai spezielle Beratungen rund um das Thema Arthrose und kostenloses austesten einer Orthese an. An-

Gelenkentlastung auf der Knie-Innenseite mit Orthese. Fotos: Oesterreich

meldungen nimmt das Team unter Telefon 79 00 30 sehr gerne entgegen. Die beiden Orthesen-Testwochen finden in allen drei Bremer Filialen in der Bürgermeister-SmidtStraße 32–36 (nähe Hauptbahnhof), Berliner Freiheit 1e (Vahr) und in Stader Straße 35 (Peterswerder) statt. Weitere Informationen unter www.otoesterreich.de (WR)

Wenn der Heuschnupfen Asthma verursacht Achtung, Pollen!

Bitte um telefonische Anmeldung 0421/790030

Für ein bewegtes Leben ...

Studien zeigen mittlerweile ganz klar den Zusammenhang zwischen hoher Lebensqualität und regelmäßig durchgeführtem Krafttraining. Neben diversen positiven Auswirkungen auf den Stoffwechsel (zum Beispiel erhöhte Fettverbrennung, Ausschüttung von Myokinen) hat Krafttraining auch positive Auswirkungen auf die Leistungsfähigkeit des Gehirns, die Sturzprophylaxe und das muskuloskelettale und myofasziale System allgemein (im Volksmund gern auch als „Haltungsapparat“ des Körpers genannt. Sogar auf das Herz-Kreislaufsystem und das neuronale System hatte es deutlich messbare Trainingseffekte. Krafttraining ist also viel mehr als „Pumpen“. Krafttraining ist eine „Lebensund Körpererneuerungsquelle“, die, unter fachkundiger und professioneller Anleitung absolviert, die Chance auf ein langes, gesundes und eigenständiges Leben erhöht und verbessert. Im direkten medizinischen Kontext zeigten Studien, dass ein gezieltes Krafttraining vor einer Therapie und/oder OP, eine sogenannte „Preha“, die an eine Therapie/OP anschließende „Reha“ oder Wiedereingliederung in den Alltag auch ohne Reha erfolgreicher verlief und die Patienten überwiegend schneller wieder in ihrer individuellen Lebenssituation belastbar waren. Die betrifft neben den klassischen orthopädischen und kardiovaskulären Themen auch immer mehr onkologische Bereiche.

Kaum ist Frühling, fliegen auch schon wieder die Pollen. Der feine Blütenstaub verursacht bei Allergikerinnen und Allergikern oft eine laufende Nase und juckende Augen. Die Blütenpollen können aber auch allergisches Asthma auslösen. Allergisches Asthma ist eine chronische, entzündliche Erkrankung der Atemwege und eine Überreaktion des Immunsystems. Auslöser können neben Blütenstaub auch Tierhaare oder andere Stoffe aus der Umwelt sein. Erwachsene, die an unbehandeltem Heuschnupfen leiden, haben ein dreifach höheres Risiko, an Asthma bronchiale zu erkranken. Die Schwere des Asthmas und die Art der Beschwerden können variieren. Trockener Husten, pfeifende Geräusche beim Ausatmen oder Atem-

not sind typische Krankheitssymptome. Bei einem Anfall verkrampft die Muskulatur im Bereich der Bronchien, die Schleimhaut schwillt an und es wird verstärkt zäher Schleim gebildet, der die Atemwege verengt und ein Gefühl des Erstickens auslösen kann. In jedem Fall muss Asthma ärztlich behandelt werden, aber auch Allergikerinnen und Allergikern wird empfohlen, sich in einer spezialisierten Arztpraxis behandeln zu lassen.

Die Therapie von Asthmapatientinnen und -patienten erfolgt häufig mittels eines Inhalators. Viele Apotheken vor Ort bieten kostenfrei die neue pharmazeutische Dienstleistung „Einweisung in die korrekte Arzneimittelanwendung mit Üben der Inhalationstechnik“ an. (WR)

Mehr Krankheitsfälle durch Zecken

Seit der Corona-Pandemie verbringen viele Menschen ihre Freizeit mehr und mehr im Grünen. Das bleibt nicht ohne Folgen, wie aktuelle Daten zur Arbeitsunfähigkeit von Versicherten der KKH Kaufmännische Krankenkasse zeigen. Seit Beginn

der Corona-Krise haben sich immer mehr Berufstätige wegen Borreliose krankschreiben lassen müssen. Im vergangenen Jahr zählte die KKH 212 Arbeitsunfähigkeitsfälle mit fast 4.000 Fehltagen wegen der LymeKrankheit, die durch Ze-

ckenstiche übertragen werden kann. Das sind gut 18 Prozent mehr als 2021 (179 Fälle) und sogar fast 28 Prozent mehr als 2020 (166 Fälle). In den beiden Vor-Corona-Jahren lag die Zahl mit jeweils 155 Fällen noch darunter.

Das Prinzip STENUM: gelebte Ganzheitlichkeit. Selbstverständlich sind Patienten ALLER Krankenkassen herzlich willkommen!

Bitte vormerken: „Tag des Neubaus“ (Einweihung unseres neuen Bettenhauses!) am 10. Juni!

Das Department für Endoprothetik mit jährlich ca. 550 Operationen ist einer der Fachbereiche der STENUM Ortho GmbH.

Im Bereich der Endoprothetik kommen die innovativsten Medizintechnologien zum Einsatz.

Seit 2015 ist die STENUM Ortho ein zerti ziertes EndoProthetikZentrum und darauf spezialisiert, Implantationen von künstlichen Gelenken durchzuführen. Das können Sie von uns in der Endoprotetik erwarten:

- reguläre Einsetzungen von Hüft-, Knie-, Schulter-, Ellenbogen- und Sprunggelenken inklusive anfallender Wechseloperationen

- Arthroskopische Operationen an Knie-, Schulter-, Ellenbogen- und Sprunggelenk

- rekonstruktive Gelenkchirurgie

- sekundäre Behandlung von Knochenbrüchen, Unfallfolgen, posttraumatischen Fehlstellungen und Pseudoarthrosen

- moderne orthopädische Fußchirurgie, Umstellungsosteotomien bei Hallux valgus, Operation von Hammerzehen, Rückfußkorrektur sowie Behandlung von diabetischem Fuß/Charcot

I HRE G ESUNDHEIT Sonntag, 23. April 2023 6
STENUM Ortho GmbH 27777 Ganderkesee Heilstättenweg 1 Tel. +49 (0)4223 71-0 Fax + 49 (0)4223 71-217 gesund@stenum-ortho.de www.stenum-ortho.de Unser Leistungsspektrum: Wirbelsäulenorthopädie Endoprothetik • Arthroskopie Fußchirurgie • Konservative Orthopädie Sonstige orthopädische Operationen Physiotherapie • Sportorthopädie Kommen Sie als Patient zu uns, gestalten wir Ihnen den Aufenthalt in STENUM so angenehm wie möglich. Unsere freundlichen Mitarbeiter und die familiäre Atmosphäre im Haus sorgen für einen angenehmen Aufenthalt –wir kümmern uns gerne um Sie.
Lebensqualität
Begleiter
tägliche Aktivtäten
Gehen, Laufen oder Radfahren Bürgermeister-Smidt-Straße 32–36 (Nähe HBF) I 28195 Bremen Stader
Behandlung • Einschränkung der Medikamente • Hinauszögern von Operationen • Erhöhung des Aktivitätsgrades • Verbesserung der
• Komfortabler
• Uneingschränkt
beim
Straße 35 I 28205 Bremen-Peterswerder Berliner Freiheit 1e I 28327 Bremen-Vahr www.ot-oesterreich.de
www.weserreport.de

Thorsten Runge Tel. 0421-36 66 119

Redaktion.Syke @weserreport.de

ANZEIGEN Tel. 04 21 - 36 66 -165

ZUSTELLUNG Tel. 04 21 - 36 66 350 vertrieb@weserreport.de

Tagesfahrt

nach Hildesheim

B ASSUM Der Kultur- und Heimatverein Bassum veranstaltet in diesem Jahr wieder einen Tagesausflug. Am Sonntag, 4. Juni, fährt die Gruppe mit dem Bus zunächst nach Hildesheim. Dort wird eine Stadtführung mit anschließendem Mittagessen angeboten. Am frühen Nachmittag fährt die Gruppe dann weiter nach Pattensen. Hier wird das Schloss Marienburg, die authentisch erhaltene Sommerresidenz der Welfen, dem ältesten Fürstenhaus Europas. Das Schloss zählt zu den bedeutendsten neugotischen Baudenkmälern Deutschlands.

Anmeldungen nimmt Günter Radtke unter der Telefonnummer 04241/1891 entgegen. (tr)

Saison beginnt Sonntag

Weyher Freibad öffnet am 30. April / Eintrittskarten aus dem Internet

W EYHE Das ist der Termin, auf dessen Bekanntgabe so viele Wasserratten aus Weyhe schon sehnlichst gewartet haben: Ab kommenden Sonntag, 30. April, kann endlich wieder im Freibad geschwommen werden. Der Saisonstart erfolgt somit zum gewohnten Zeitpunkt und deutlich früher als in den vergangenen Jahren, von den Pandemie-Auflagen der jüngeren Vergangenheit ist auch nichts mehr geblieben. Es gelten ansonsten die bisherigen Öffnungszeiten und Eintrittspreise. Auf eine Neuerung dürfen sich die Badegäste aber einstellen. Die werden einige aber auch schon herbeigesehnt haben. Denn in diesem Sommer ist es endlich möglich, Eintrittskarten vorab im Internet zu erwerben. Der neue Online-Ticketshop ist zu finden unter https://pretix.eu/ freibadweyhe/sommer oder als Link auf der Website der Gemeinde Weyhe. Zusätzlich wird vor dem Freibad ein Aufsteller mit einem QRCode stehen, der direkt zum Ticketshop weiterleitet. Erhältlich sind dort Einzeloder Zehnerkarten.

„Saisonkarten wiederum sind personengebunden und somit nicht übertragbar. Insbesondere das Alter muss weiterhin unkompliziert für unser Personal kontrollierbar sein, das geht am besten direkt beim Verkauf an der Kasse“, erklärt Badebetriebsleiter Markus Kuske diese Einschränkung.

Der Vorverkauf für die Saisonkarten vor Ort läuft von Mittwoch, 26. April, bis Freitag, 28. April, jeweils von 9 bis 14 Uhr. Ab dann soll auch der Online-Ticketshop freigeschaltet sein. Zahlungsmethoden für diesen sind das Lastschriftverfahren sowie der digitale Bezahldienst Paypal. Wer eine Karte online kauft, bekommt eine EMail zugeschickt. Diese kann als Ausdruck an der Kasse vorgezeigt werden. Es

reicht aber auch das Scannen des darauf enthaltenen QR-Codes in Papierform oder vom Handydisplay am Lesegerät des Drehkreuzes. Die Freibadkasse ist natürlich weiterhin wie gewohnt besetzt. Diese Möglichkeit dürfte den Einlass aber deutlich beschleunigen. Damit heißt es: Kein langes Anstehen und Bezahlen mehr, sondern einfach Code einlesen, durchgehen, umziehen – und rein ins Becken. (WR)

Führung im Friedeholz

S YKE Das Friedeholz ist das ganze Jahr über ein Anziehungsort für Gäste aus nah und fern. Im Mai besticht es durch das satte Grün des frischen Laubes. Am 5. Mai um 15 Uhr führt Gästeführer

Günter Kastens auf einem Waldspaziergang durch diese

Kulisse und gibt vielen Informationen zu Wald und Natur. Treffpunkt: Parkplatz neben der Seniorenresidenz Deutsche Eiche/Waldstraße 69. Anmeldungen wegen begrenzter Teilnahmezahl bitte im Bürgerbüro der Stadt Syke unter 04242/164314. (WR)

WAS WÄRE WENN

MAI 2023 EUROPAWOCHEN MITMACHEN MITKOMMEN MITREDEN

Buntes Programm auf europa.bremen.de Eröffnungsfeier mit Autorenduo Herr&Speer 6. Mai ab 17 Uhr, Bel Étage am Brill

Machen Sie sich um Wertvolles wie Urkunden, Schmuck und andere Wertsachen keine Gedanken. Verwahren Sie alles am besten dauerhaft in unseren Schließfachanlagen in Bremen.

W EYHE S YKE B ASSUM Sonntag, 23. April 2023 7
WEYHE SYKE BASSUM
www.gartendiscounter.de 1999.- 1000 € gespart statt 2999.-* *UVP des Herstellers Blockhaus „Norwegen“ 4 x 4 m Breite 400 cm x Tiefe 400 cm, 28 mm Wandstärke Wandstärke 28 mm
Konfigurieren Sie selbst! (diese Modell sind nicht mehr rabattierfähig) Sie erhalten bei uns alle Aluminium-Terrassendächer auch in allen weiteren erdenklichen Maßen! Sprechen Sie unser Fachpersonal gerne an! *Kostenloses Aufmaß bei Bestellung einer Aluminium-Terrassenüberdachung! Ansonsten werden 100 Euro für das Aufmaß als Aufwandsentschädigung berechnet! Die Exklusivangebote sind nicht rabattierbar. 400 cm breit x 300 cm tief, Dacheindeckung mit Doppelstegplatte 400 cm breit x 300 cm tief, Dacheindeckung mit 8 mm Verbundsicherheitsglas 500 cm breit x 300 cm tief, Dacheindeckung mit 8 mm Verbundsicherheitsglas 500 cm breit x 300 cm tief, Dacheindeckung mit Doppelstegplatte 1249.je 750 € gespart Gerätehaus „Madrid“ o. „Ontario“ Breite 300 cm x Tiefe 300 cm, 28 mm Wandstärke, als Satteldach oder Flachdach erhältlich Wandstärke 28 mm statt 1999.-* *UVP des Herstellers Besuchen Sie uns auch auf Alu-Terrassendächer 800 € gespart 1399.Blockhaus „Nizza“ Breite 390 x Tiefe 300 cm, 28 mm Wandstärke statt 2199.-* *UVP des Herstellers Wandstärke 28 mm Gartenhaus der Woche Aluminium-Terrassenüberdachungen In dieser Woche erhalten Sie 15% Rabatt auf alle Terrassenüberdachungen Gartenzaun der Woche Megastabiler Bohlenzaun „Tytus“ Breite 180 cm x Höhe 180 cm, gerade oder mit Rundbogen 44.99 statt 89.99* REGIO PARTNER Garten König GmbH – Sitz der Gesellschaft: 26215 Wiefelstede • HRB 205287 28816 Mackenstedt-Stuhr • 3-K-Weg 12 Telefon: 0 42 06 / 29 95 16 • Telefax: 0 42 06 / 29 95 18 • E-Mail: stuhr@der-gartenkoenig.de Öffnungszeiten: Montag – Freitag: 9.00 – 18.00 Uhr • Samstag: 9.00 – 14.00 Uhr *Unverbindliche Preisempfehlung des Herstellers. Alles Abholpreise ohne Dekoration. Abb. können vom Original abweichen. Alle Maße sind Ca.-Maße. Technische Änderungen und Irrtümer, sowie Farbabweichungen vorbehalten. Alle Häuser sind unbehandelte Bausätze. Nur solange der Vorrat reicht 28876 Oyten • Lübkemannstr. 23-25 Telefon: 04207 / 90 99 293 • E-Mail: oyten@der-gartenkoenig.de Garten König GmbH – Sitz der Gesellschaft: 26215 Wiefelstede • HRB 205287 Sicher verwahrt. Ihr persönliches Schließfach gibt Ihnen
sicheres Gefühl.
Badbetriebsleiter Markus Kuske zeigt den QR-Code mit den im Internetshop Tickets bestellt werden können. Foto: Runge
1699.- 2499.- 2799.- 1999.-
ein
© S-Com
Weil’s um mehr als Geld geht. www.sparkasse-bremen.de/ schließfach
PUB QUIZ
CINEMAEUROPA
UMWELT & KLIMA COMICLESUNG FOTOGRAFIE ERASMUS+ BREMEN & BREMERHAVEN
CHANCEN
DIVERSITÄT

Solaranlagen & Photovoltaik

Start ins Elektro-Zeitalter

Umweltfreundlicher Strom vom Carportdach

Elektromobilität boomt, mit 470.559 Pkw mit reinem Elektroantrieb wurde laut Statista 2022 in Deutschland ein neuer Zulassungsrekord erzielt. Elektroautos sind dann besonders umweltfreundlich, wenn sie mit Strom aus regenerativen Energiequellen betrieben werden. Als passende Fläche dafür eignet sich zum Beispiel das Carportdach. Hersteller wie die Solarterrassen & Carportwerk GmbH bieten

dazu bewährte Systemlösungen aus deutscher Fertigung mit Hochleistungssolarzellen. Die selbst erzeugte und selbst genutzte Energie reduziert den Bezug aus den öffentlichen Netzen, sodass sich die Anlage durch eingesparte Stromkosten mit der Zeit von allein bezahlt macht. Unter solarcarporte. de gibt es ausführliche Informationen und Kontaktmöglichkeiten für eine individuelle Beratung. (djd)

PV-Anlage rechnet sich schnell

Vier wichtige Fragen und Antworten rund um das Solarsystem auf dem

Mit einer eigenen Photovoltaik-Anlage wollen immer mehr Haushalte unabhängig von hohen Strompreisen werden. Mit ergänzendem Stromspeicher kann man dabei eine Autarkie von bis zu 70 Prozent erzielen. Hier sind vier wichtige Fragen und Antworten rund um die Anschaffung eines Solarsystems.

Welche Voraussetzungen sind für eine PV-Anlage nötig?

„Eigentlich ist sie für alle geeignet“, erklärt Solarexperte Rouven Piontek. Am einfachsten sei Photovoltaik in einem Einfamilienhaus umzusetzen, das man selbst bewohnt und besitzt. Fast jede Dachneigung ist mittlerweile für PV-Anlagen geeignet, sogar Flachdächer. Bei einem steilen Dach hat man im Winter mehr Erträge, weil die Sonne niedriger steht, bei einem flachen Dach fallen sie im Sommer höher aus.

Elektromobilität boomt. Damit stellt sich allerdings auch die Frage, wo E-Autos aufgeladen werden können. Ein Solarcarport kann umweltfreundliche Energie frei Haus liefern. Foto: DJD/www.solarcarporte.de

Mit welchen Kosten muss man bei der Anschaffung rechnen?

Die Kosten hängen von ver-

schiedenen Faktoren ab wie dem Baustil, der Dachfläche und der Ausrichtung. „Die durchschnittliche Anlagengröße liegt heute bei neun bis zehn Kilowatt peak (kWp) Spitzenleistung, die durchschnittliche Speichergröße bei sieben bis acht Kilowatt-

stunden (kWh). Preislich sind wir da bei etwa 22.000 bis 25.000 Euro brutto“, so Piontek.

Wie schnell amortisiert sich eine PV-Anlage?

Rouven Piontek rechnet vor:

Ein Zwei-Personen-Haushalt mit einem Jahresstromverbrauch von 3.000 kWh hat etwa 150 Euro Stromkosten pro Monat, also 1.800 Euro im Jahr. Mit einer vergleichsweise kleinen PVAnlage mit 4,1 kWp und 5,1 kWh Speicher könnte sich der Haushalt zu 69 Prozent unabhängig vom allgemeinen Stromnetz machen, die Kostenersparnis läge bei 1.356 Euro pro Jahr. „Bei einer Investitionssumme von angenommenen 18.000 Euro hätte sich die Solaranlage in etwa 13 Jahren amortisiert“, so Piontek.

Gibt es staatliche Förderungen?

Das ist von Bundesland zu Bundesland verschieden. Außer der Einspeisevergütung gibt es aktuell kein bundesweites Förderprogramm ausschließlich für PV-Anlagen. Wer ein energieeffizientes KfW-40-Plus-Haus baut, kann unter Umständen auch mit Zuschüssen für Photovoltaik und Speicher rechnen. (djd)

Komplettes Solarsystem erwerben

Der einfachste Weg zu mehr Unabhängigkeit vom Strommarkt führt über eine Photovoltaikanlage mit Stromspeicher – dann steht auch grüner Strom zur Verfügung, wenn die Sonne nicht scheint. „Seit Jahresbeginn 2023 entfällt die 19-Prozent-

Mehrwertsteuer auf Lieferung und Installation von PV-Anlagen und Stromspeichern, was die Anschaffungskosten stark reduziert. Zudem sind die Erträge aus der Einspeisung nun steuerfrei“, erläutert Solarexperte Rouven Piontek. Dies gilt

rückwirkend bereits für 2022. Große Stromanbieter bieten häufig die Möglichkeit ein komplettes Solarsystem aus PV-Anlage, Wechselrichter, intelligentem Stromspeicher und bei Bedarf einer Wallbox zu erwerben alternativ auch zu pachten. (djd)

eigenen Dach
Photovoltaik · Solarthermie · Holz- und Pelletheizungen Tel.: 04242 - 80106 28857 Syke-Barrien www.reinhard-solartechnik.de IH R ENE RG IEMI X ZUM SELBERM AC HEN! IhrAnsprechpartnerinder Re gion: StubbeEnergietechnik-enerixDiepholz Mobil: +4 9 42 1 84514911 E-Mail:diepholz@enerix.de www.enerix.de/pho to vo ltaik /d iepholz enerix__diepholz
Fast jede Dachneigung ist mittlerweile für die Installation einer Photovoltaik-Anlage geeignet. Foto: DJD/EWE TEL/Getty Images/Stephen Lux

Solaranlagen & Photovoltaik

Handwerker ergänzen sich

Bei einer Photovoltaik-Anlage arbeiten das Elektro- und das Dachdeckerhandwerk zusammen

Um rund 20 Prozent stieg der Anteil von Photovoltaik (PV) an der Stromerzeugung im letzten Jahr. Damit ist Photovoltaik bei den erneuerbaren Energiequellen mit 58 Terawattstunden Strom klarer Gewinner. Und der PVTrend wird sich weiter fortsetzen, zumal neben Fördergeldern ab 2023 auch steuerliche Vergünstigungen genutzt werden können.

Wichtig für Bauherren zu wissen: Geht es um die Installation von Solaranlagen, ist das Dachdeckerhandwerk, gemeinsam mit dem Elektrohandwerk, der richtige Ansprechpartner. Der Dachdecker weiß, worauf es ankommt, wenn er die Module entweder als Aufdachanlage aufs Dach stellt oder integriert mit Solarelementen im Dach verbaut. Denn neben einer funktionierenden Stromerzeugung soll sich eine PVAnlage auch harmonisch ins architektonische Gesamtkonzept einfügen. Der Umgang mit traditionellen und modernen Baumaterialien, die Ausführung von Wärmedämmungen und energiesparenden Maßnahmen an der gesamten Gebäudehülle gehören zu den täglichen Aufgaben des Dachdeckers.

„Das Dachdeckerhandwerk besitzt die umfassende Kompetenz, um alle an Dach und Wand anfallenden Arbeiten selbst auszuführen. Das schützt vor Überraschungen, wie beispielsweise undichte Dächer nach der Installation

Für die Installation von Solar-Anlagen ist das Dachdeckerhandwerk, gemeinsam mit dem Elektrohandwerk der richtige Ansprechpartner. Foto: HF.Redaktion/akz-o

einer PV-Anlage. Nicht umsonst lautet die offizielle Definition des Dachdeckerhandwerks auch ‚Fach-gewerk für die gesamte Dach-, Wand- und Abdichtungstechnik‘“, erklärt Dirk Bollwerk, Präsident des Zentralverbands des Deutschen Dachdeckerhandwerks (ZVDH). Wird eine PV-Anlage nach den geltenden Fachregeln installiert, kann sich der Bauherr in der Regel 20 Jahre lang an klimafreundlichem Strom durch Sonnenenergie erfreuen. Weitere Voraussetzung für einen störungsfreien Ablauf ist zudem eine koordinierte Abstimmung zwischen dem Dachdecker und Elektrohandwerk. Neben der vorhandenen Gebäude-

elektrotechnik muss auch der passende Anschluss ans Verteilnetz der Energieversorger berücksichtigt werden. Die Bundesverbände beider Gewerke haben daher letztes Jahr eine umfassende Kooperation beschlossen, um eine fachgerechte Umsetzung der PVStrategie auf Deutschlands Dächern sicherzustellen.

Bereits bei der Planung ist der Dachdecker-Innungsbetrieb die erste Wahl, denn seine Mitglieder bilden sich regelmäßig weiter, um ihre Kunden und Kundinnen fachkundig beraten zu können. So wissen sie, welche Dächer geeignet sind, ob Indach- oder Aufdachsysteme die bessere Variante sind, wie es sich

mit innovativen Solarziegeln verhält, oder informieren über Systeme zum EnergieGebäudemanagement. Auch mit Fördermaßnahmen kennen sich Dachdecker und Dachdeckerinnen aus. Mittlerweile haben über 1.000 Dachdeckerbetriebe an einer ZVDH-zertifizierten Weiterbildung zum Photovoltaik-Manager im Dachdeckerhandwerk teilgenommen, Ende des Jahres werden es 2.000 sein.

Wer einen InnungsDachdeckerbetrieb sucht, wird hier fündig: dachdecker. de. Alle Informationen über neue steuerliche Regelungen sind auf der Website des Fi nanzministeriums abrufbar: bundesfinanzministerium.de

Ihr regionaler Solarpartner Gorilla Solar GmbH Mühlenstr.1, 27259 Varrel ���� 04274 9313-40 gorillasolar.de

NutzenSiedieSonnenenergiezum VorteilfürIhren StromverbrauchmiteinerPhotovoltaikanlage.

PV-Anlagen Wärmepumpen Batteriespeicher E-Mobilität

Wir sindgernefürSieda! Wo? Hier: KBServicepoint Bassum GmbH Tel.:042419220-0 bassum@kb-servicepoint.de

KBServicepointBremenGmbH Tel.:0421989990-90 bremen@kb-servicepoint.de www.kb-servicepoint.de

S OLAR Sonntag, 23. April 2023 9

30.04.2023|13-18Uhr

seiensieunsere gäste

zueinemmaritimen nachmittag

FreuenSiesichauf Fischbrötchen ausderKult-Gaststätte „Veddeler-Fischgaststätte“,tolle Weine vonWinzerOtto Beckersowie Bier vonunserem Partnerder

FlensburgerBrauerei.

SichernSiesicheinesunserer sofort verfügbarenModelle versandkostenfrei undzueinemunschlagbarenPreis.Unsere

BeraterstehenIhnen währendderkompletten VeranstaltungmitRatundTatzurSeite. WirfreuenunsaufSie!

Goldpreis knackt Rekord

Experte vor Ort / Vorsicht vor Pelzankäufern

Krisenängste und anhaltende Inflationserwartungen sind u.a. preistreibend für den derzeitigen Goldpreisanstieg. Kunden, die bereits mit dem Gedanken gespielt hatten, sich von altem Goldschmuck und Zahngold zu trennen, erhalten heutzutage mehr denn je. Dabei ist es ratsam den Verkauf einem Sachverständigen oder dem Fachhandel anzuvertrauen. Goldschmuck, Münzen, Golduhren und Zahngold (auch mit Zähnen) bringen dem Kunden oft einen überraschend hohen Geldbetrag ein. Aus Scham, Unsicherheit oder einfach aus Unwissenheit, trauten sich viele Kunden bisher nicht an den Verkauf solcher Stücke heran. Häufig haben die Erben kein Interesse an dem Goldschmuck oder tragen nur noch Silberschmuck. Besonders die Expertentage der Firma DAGOSI in Stuhr, der Bremer Neustadt oder Findorff bieten eine ideale Möglichkeit sich von kaputtem, unmodernen oder einfach lange nicht mehr getragenem Schmuck zu trennen

und dafür hohe Preise zu bekommen. Sachverständige mit jahrelanger Erfahrung prüfen vor Ort und bewerten in der Regel innerhalb weniger Minuten. „Eine ehrliche und kompetente Bewertung sind beim Goldankauf sehr wichtig,“sagt das Team von DAGOSI Stuhr. Die Firma mit Sitz in Bremen kauft und handelt seit über 15 Jahren mit Wertsachen aus den Edelmetallen aber auch mit hochwertigen Uhren und Porzellan. Zu den Kunden gehören Zahnärzte, Dentallabore, Rechtsanwälte und auch sehr viele Privatleute. Vorsicht! Polizei und Medien warnen regelmäßig vor fliegenden Händlern, die leerstehende Ladengeschäfte kurzzeitig anmieten und den Ankauf von Gold, Uhren und Pelzen zu überhöhten Preisen bewerben. Kunden berichten von Abzocke und windigen Methoden. Der Ankauf und Hausbesuche solcher Händler dienen häufig zu Vorbereitungen für andere Straftaten, wie z.B. Diebstähle oder Einbrüche.

DaraufkönnenSiesichfreuen:

-RiesigeAuswahlanstarkreduziertenAusstellungsstücken

-KurzeLieferzeiten&kostenloseAnlieferung

-MaritimerNachmitag

-KulinarischeKöstlichkeiten inkl.Getränke

A NZEIGEN 10 Sonntag, 23. April 2023
– Anzeige –
Verkaufsoffenersonntag
StrandkorbManufakturbuxtehude |Carl-Zeiss-Straße6|21614Buxtehude Tel.04161596680|info@strandkorbprofi.de|www.strandkorbprofi.de

Katzen, Kunst und ein Affe

Detlef Stein und Heinrich Lintze laden zum Spaziergang zur Kunst in den Schnoor

B RITTA L EHNER

B REMEN Heute kaum vorstellbar, war der Schnoor früher ein Arme-Leute-Viertel. Regelmäßig gab es Hochwasser, die Häuser waren klein und klamm. Die Balge – ein breiter Nebenarm der Weser –floss in Höhe des heutigen Altenwalls rund 700 Meter bis zur Schlachte. Heute ist von dem Balgearm nichts mehr zu sehen, lediglich die Balgebrückstraße und die kleine Gasse Hinter der Balge erinnern daran. Heinrich Lintze und Detlef Stein starten ihren Schnoor-Rundgang an der Marterburg 55.

Auf einem trostlosen Parkplatz zeigt das Duo auf Reste der früheren Stadtmauer. „Im 13. Jahrhundert wurde der Durchfluss der Balge durch die Stadtmauer gesperrt, da Durchlässe in den Befestigungsanlagen immer neuralgische Punkte in der Stadtverteidigung waren“, erklärt Lintze. Vorbei geht es an den kleinen Schnoorhäusern bis zum Katzencafé. „Angesichts der katastrophalen hygienischen Bedingungen gab es früher viele Ratten und Mäuse im Schnoor. Die Schnoorbewohner hielten deshalb Katzen, um dem Problem Herr zu werden“, verrät Lintze.

Erst in den 1960er Jahren änderte sich das Image des Viertels. Während die Modernisten im Rat alles abreißen wollten, bevorzugten die Traditionalisten einen Erhalt des Schnoors. Die Lösung war eine Aufwertung des Gebietes. An 14 Stellen im Schnoor war ab sofort Ausschank erlaubt. Im Rahmen der Sanierung fügte man in die teils durch den Zweiten

Dieser hübsche Torbogen und nur einer von zahlreichen Spolien, denen man auf der Schnoor-Tour mit Detlef Stein (links) und Heinrich Lintze begegnet. Foto: Lehner

Weltkrieg in Mitleidenschaft gezogenen Gebäude sogenannte Spolien ein. „So bezeichnet man wiederverwendete Teile alter abgerissener Häuser, die an ganz anderen Stellen im Bremer Stadtgebiet standen. Der Begriff Spolien geht zurück auf das lateinische Wort spolium für Beutestück oder erbeutete Waffe“, erklärt der frühere Lehrer, Heinrich Lintze. Während sein themati-

scher Schwerpunkt die Historie des Stadtteils ist, lenkt der Bremer Kunsthistoriker Detlef Stein beim Spaziergang das Auge auf Kunstwerke. So wie zum Beispiel auf den Ottjen-Alldag-Brunnen beim Institut für niederdeutsche Sprache. Ottjen Alldag war die Titelfigur einer in den 1910er Jahren erschienenen Roman-Trilogie des Bremer Schriftsteller Georg Droste (1866–1935). „Die Ro-

manfigur steht im Mittelpunkt des von dem Bremer Bildhauer Claus Homfeld gestalteten filigranen Wandreliefs“, sagt Stein. Im weiteren Verlauf der rund 90-minütigen Tour trifft man auch auf Heini Holtenbeen beziehungsweise dessen ungefähr lebensgroße Skulptur. Er lebte im 19. Jahrhundert im Schnoor.

Einen anderen „Bewohner“ des Schnoors würde man ohne einen Fingerzeig von Stein sehr wahrscheinlich übersehen. „Fipps der Affe ist eine Figur von Wilhelm Busch. Die Skulptur kann man seit 1984 am Amtsfischerhaus bewundern. Geschaffen wurde sie bereits 1965 von Peter Lehmann“, sagt Stein. „Dem Bremer Künstler haben wir übrigens auch die Schweine in der Sögestraße und viele weitere Skulpturen zu verdanken“, fügt der Kunsthistoriker hinzu. „Der Name Schnoor bezieht sich übrigens nicht auf die Gebäude, die wie auf einer Schnur aufgereiht stehen, sondern auf die zahlreichen Tau- und Seilhersteller, die früher hier ihrem Gewerbe nachgingen“, erläutert Lintze.

Weitere Termine für die Schnoor-Führung sind am 2. Mai um 14 und 18 Uhr und am 8. Mai um 10.30, 12.30 und 14.30 sowie am 1. Juni um 10.30, 12.30 und 14.30 und am 2. Juni um 16 Uhr.

Außerdem nehmen Heinrich Lintze und Detlef Stein am 9. Mai jeweils sechs Tiere in Bremens Innenstadt in Augenschein. Los geht es um 14, 16 und 18 Uhr.

Alle Führungen dauern 90 Minuten und kosten 10 Euro. Anmeldungen per E-Mail an schweizer7@t-online.de

Informationsabend für Existenzgründer

L ANDKREIS Ein Unternehmen zu gründen, erfordert heute eine Vielzahl an Informationen. Darüber muss sich der Gründer vorher Gedanken machen. Aber auch in der Phase nach dem Unternehmensstart, ist eine Vielzahl von betriebswirt-

Strandkorbprofis

öffnen die Türen

L ANDKREIS Die Strandkorbprofis in Buxtehude öffnen am kommenden Sonntag, 30. April, ihre Türen für einen verkaufsoffenen Sonntag in maritimen Flair. Von 13 bis 18 Uhr bieten die Strandkorbprofis ein umfangreiches Sortiment an Strandkörben aller Art an. Alle aktuellen Modelle und Kollektionen sind vorrätig und können vor Ort begutachtet werden. Für alle, die nicht nach Buxtehude kommen können, bieten die Strandkorbprofis ein umfangreiches Online-Angebot an. Hierbei können Kunden alle Strandkörbe einfach und bequem von zu Hause aus konfigurieren und bestellen. (WR)

schaftlichen Informationen notwendig. Die Wirtschaftsjunioren bieten zusammen mit ihren Kooperationspartnern am Donnerstag, 4. Mai, von 17 bis 20 Uhr einen Themenabend im Rathaus Stuhr an. Hier besteht die Gelegenheit im 30-minütigen Ro-

tationsmodus zu den Themengebieten Steuern und Buchführung; betriebliche und unternehmerische Absicherung sowie zum Thema Finanzierung und öffentliche Finanzierungshilfen aktuelle Informationen aus kompetenter Hand zu be-

kommen und Fragen zu stellen. Alle drei Themengebiete können nacheinander besucht werden.

Anmeldungen werden über die IHK-Geschäftsstelle unter der Telefonnummer 04252/75198182 angenommen.

sofortverfügbar

T WISTRINGEN Ein 23-jähriger aus Twistringen muss mit einer Strafanzeige wegen Umweltverschmutzung rechnen. Der Twistringer hatte in der Topheide mehrere Kartons mit Altpapier, Autozubehör und fünf Liter Altöl entsorgt. Die Polizei fand in dem Müll die Adresse des 23-Jährigen. (tr)

ANGEBOTE MO. 24.04. BIS MI. 26.04.2023

SCHLACHTFRISCHE SCHWEINELEBER

BEHRENS SCHWENKSTEAK herzhaft & saftig, ideal für Pfanne & Grill 100 g € 1,05

HAUSGEMACHT: GEKOCHTES METT rein Schwein oder rein Rind, saftig bei unter 10% Fett 100 g € 1,39

HAUSMACHER: WEISSKOHLSALAT ohne Konservierungsstoffe 100 g € 0,85 Und immer mit dabei: Unser Vollys-Sparschweinsortiment: einfach gut, einfach günstig!

ANGEBOTE DO. 27.04. BIS SA. 29.04.2023

GYROSBRATEN der klassische Bratenoder einfach mal auf den Grill-Spieß: genuss-info.de 1000 g € 8,90

SCHINKEN-SCHNITZEL 1A UND WÜRZSCHNITZEL* aus der zarten Oberschale, ideal auch für Geschnetzeltes: genuss-info.de 100 g € 1,09

FRISCHE HÄHNCHENKEULEN vollfleischig 100 g € 0,75

WIEDER DA: BEHRENS RINDNALDOS die Rinderbratwurst für den KennerBasis 0,99 €/100g 5-er Pack € 4,90

KARTOFFELSALAT BAYRISCHER ART hausgemacht, ohne Konservierungsstoffe, kalt & warm ein Genuss 100 g € 0,79

*Probieren Sie dazu auch unsere hausgemachten Steak- und Grillsoßen, ein Gedicht! Weitere Infos unter genuss-info.de

WURST & SALATE REGIONALES FLEISCH SIFRI-QUALITÄT

www.weserreport.de

SPEZIALITÄT ZUM WOCHENENDE:

AUGSBURGER

WEISSWURST eigene Herstellung n. Originalrezept Eingang großer Parkplatz Tel. 0421 / 48523032

Hans-Bredow-Straße

Bahnhofstraße 48 28844 Kirchweyhe Tel. 04203/6548 Hauptstraße 53 28857 Syke 04242-934355

Space Star Select 1.2 5-Gang NEU 52 kW 0 km ab 14.490 €*

sofortverfügbar

Alle Neuwagen von MITSUBISHI MOTORS verfügen standardmäßig über eine 5 Jahre Hersteller-Garantie *5 Jahre Hersteller-Garantie bis 100.000 km Details unter www.mitsubishi-motors.de/garantie

1193 ccm, 52 kW, 5-türig, ABS, ESP, Multi-Infodisplay, ZV Fernbededienung, 6x Airbag, Klima, el. FH vorn, Metallic gegen Aufpreis, Abb. zeigt Sonderausstattung, zzgl. Überführungskosten Verbrauch (l/100 km): innerorts 5,4 l, außerorts: 4,0 l, komb. 4,5 l, CO2-Emission (g/km): kombiniert 104, Effizienzklasse: C

Autohaus Pleus GmbH An der Schmiede 1-2 28816 Stuhr-Varrel Telefon: 0 42 21/37 17 | www.autohaus-pleus.de

A USDER R EGION Sonntag, 23. April 2023 11
Anzeige gegen 23-Jährigen P Kostenlose Parkplätze BrunoKleineGmbH&Co.KG Am Wehrhahn4 27753Delmenhorst Tel.04221120800 BrunoKleineGmbH&Co.KG AmmerländerHeerstr.259 26129Oldenburg Tel.0441384920 BrunoKleineGmbH&Co.KG Josefstraße67 49393Lohne Tel.044422808 ralleArtikelgilt:nursolangeder r alle Artikel gilt: nur solange der Vo rr at reicht. Kleider invielen Dessinsund Formen ab€ 4599 NEUES MODETHEMA! Hemdjacke auchincamel, bleuundmarine, Gr.50-64 € 7999 Sommerliches Sweatkleid mitSchmetterlingmotiv, Gr. 104-146 € 2499 GROSSEAUSWAHL anT-Shirtsab € 12 ,99 ! OffiziellerBekleidungspartner der Terra WortmannOpen NEFZ (Neuer Europäischer Fahrzyklus) Messverfahren ECE R 10 Eclipse Cross Plug-in Hybrid Gesamtverbrauch: Stromverbrauch (kWH/100 km) kombiniert 19,3. Kraftstoffverbrauch (l/100 km) kombiniert 1,7 C02-Emission (g/km) kombiniert 39. Effizienzklasse A+. Zzgl. Überführungskosten, Metallic-, Perleffekt- und Premium-Metallic-Lackierung gegen Aufpreis. Alle Neuwagen von MITSUBISHI MOTORS verfügen standardmäßig über eine 5 Jahre Hersteller-Garantie *5 Jahre Hersteller-Garantie bis 100.000 km Details unter www.mitsubishi-motors.de/garantie **Der empfohl.Preis ergibt sich aus der unverbindlichen Preisempfehlung 41.190,00 € abzgl. 4.500,00 € empfohl. Aktions-Rabatt. unverbindli Eclipse Cross Plug-in Hybrid NEU 138 kW 0 km ab 36.690.- €** Autohaus Pleus GmbH An der Schmiede 1-2 28816 Stuhr-Varrel Telefon: 0 42 21/37 17 | www.autohaus-pleus.de Space Star Select 1.2 5-Gang NEU 52 kW 0 km ab 14.490 €* 1193 ccm, 52 kW, 5-türig, ABS, ESP, Multi-Infodisplay, ZV Fernbededienung, 6x Airbag, Klima, el. FH vorn, Metallic gegen Aufpreis, Abb. zeigt Sonderausstattung, zzgl. Überführungskosten Verbrauch (l/100 km): innerorts 5,4 l, außerorts: 4,0 l, komb. 4,5 l, CO2-Emission (g/km): kombiniert 104, Effizienzklasse: C Alle Neuwagen von MITSUBISHI MOTORS verfügen standardmäßig über eine 5 Jahre Hersteller-Garantie *5 Jahre Hersteller-Garantie bis 100.000 km Details unter www.mitsubishi-motors.de/garantie
#Fleischerei Behrens ÜBER 90 SORTEN | HAUSGEMACHTE
Tel. 0421 / 409 48 33
Zubereitungstipps unter genuss-info.de 100 g €
Besuchen Sie uns: Sie finden uns auch in den Inkoop Märkten in Brinkum, Bassum und Harpstedt WÜRZGULASCH vom Schwein, mager, würzig, pfannenfertig
0,39
100 g € 0,89

Seit 1995 steht BULLSfür spor tliches Radfahren mit höchsten Qualitätsansprüchenin nahezu jeder Preisklasse. Vom Einsteiger-Mountainbike biszu Highend-E-Bike bietet BULLS ein überzeugendesBike-Por tfolio, das jedes Jahr aufs Neue Testsiege renommier ter Fachmagazine einfähr t.

AKTIONSTAGE %

BULLS E-SUV

ICONIC EVO TR-1

• vollgefeder tes

Fahr werkmit62mm

Breitreifenfür souveräne Sicherheitbei Schlaglöchern undschlechten Straßen

•kraft voller Bosch

CX-Motormit Kiox Farbdisplay absenkbare Sattelstütze

KINDERRAD

TOKEE20 STREET

•leichtlaufendes Alu-Jugendrad mit spor tlichen

Genen

•einfachbedienbare

7 Gang Shimano Schaltung

•hochwertige Qualitätfür

lange Ausdauer ab 5+Jahre

BULLS DAILY GRINDER1

•flottes Gravel-und Touringbikefürden täglichen Einsatz

• 16 Gang Shimano Clarisgarantiertzügiges Vorankommen

•zuverlässigeShimano Scheibenbremsen

• NabendynamoundLED-Lichtanlage

•funktionell:lange Schutzbleche und Systemgepäckträger

•eleganter Rahmenmitvielen Montageoptionen

•außergewöhnlich gutes Preis-Leistungsverhältnis

BULLS E-MTB

LT CX400

•Allround-E-MTB mitausgewogenen Fahreigenschaften BoschCX Spor tmotorfür Schub in jeder Lage

•9 Gang Shimano Deore E-Bike Schaltung Hydraulische Scheibenbremsen

•elegantintegrier ter 400Wh

Power-Akku MonkeyLink ready

Irrtümer,Druckfehler,Preisänderungenund Liefermöglichkeiten vorbehalten. Teilweise keine Originalabbildungen.Angebotenursolangeder Vorrat reicht. **ehemaligeUVP***Preisentsprichtunserem Markteinführungspreisderaktuellen Saison1) Kaufpreisentsprichtdem Nettodarlehensbetrag Gebundener Sollzinssatz(jährl.)0,0%;effektiverJahreszins0,0%; Beispiel: Finanzierungsbetrag 1.000,- Euro 10 Monate 100,-€. samtbetrag beieiner Laufzeit von 10 Monaten: 1.000,-€.Angabenzugleich repräsentatives Beispiel i. S. d.§ 17 Abs. 4 PangV. VermittlungerfolgtausschließlichfürdenKreditgeber BNP Paribas S.A. Niederlassung Deutschland, Standort München: Rüdesheimer Straße 1, 80686 München.In Österreicherfolgtdie VermittlungfürdieSantander Consumer BankGmbH, DonauCity-Straße 6, 1220 Wien
0%Finanzierung 1) oderBike-Leasingmöglich! BULLS MOUNTAINBIKE COPPERHEAD 2 • Top-Mountainbikemit hochwertigem Rahmen •zuverlässige22 Gang Shimano Deore Schaltung •schnelllaufende Schwalbe Allroundbereifung • hydraulischeShimano Scheibenbremsen •29“ Laufräder für idealesRoll rhalten BULLS MOUNTAINBIKE RAPTOR/FELI DISC •hochwertig verarbeiteter, eleganterAluminium-Rahmen •leichtbedienbare 21 Gang Shimano Rapidfire-Schaltung •sichere, verschleißarme Scheibenbremsen 877.gespart auf UVP 202.UVP 1079.Beste Voraussetzungen für Training und Touren im Gelände ales Rollverhalten 1079.TollesMountainbike in vielen Farben u. Größen 488.gespart auf UVP 191.UVP 679.1188.gespart auf UVP 111.UVP 1299.Das smar te System CX 85Nm Drehmoment 750Wh Mi dem neuen Kiox300Smar System! neuen Kiox 300 Smart 4222.gespart auf UVP 977.UVP 5199.Alltagstauglicher Fahrspaßpur! Vollfederung Irrtümer, Druckfehler, Preisänderungen und Originalabbildungen. Angebote nur solange der ** ehemalige UVP *** Preis entspricht unserem Markteinführungspreis der aktuellen 488.gespart auf UVP 141.UVP 629.CX 85Nm Drehmoment 400Wh Für alle Wege! 500WhAkku + 200 € 2132.gespart auf UVP 567.UVP 2699.www.zweirad-stadler.de BREMEN(Hansator) Zweirad-Center StadlerBremenGmbH, Hafenstraße 1, 28217 Bremen, Jetzt noch lähnger fürSie da! Mo - Sa 10:00-20:00Uhr

Ducksch-Festival in Berlin

Werder gewinnt auch ohne Niclas Füllkrug beim Tabellenletzten mit 4:2

R OBERT L ÜRSSEN

Angetrieben von rund 25.000 mitgereisten Fans hat Werder das Schlüsselspiel beim Bundesliga-Schlusslicht Hertha BSC mit 4:2 (2:0) gewonnen und die eigene Negativserie beendet. Nach einer zeitweise überlegen geführten Partie leisteten sich die Bremer am Ende wieder zwei Abwehrfehler und brachten sich so noch in Not.

Jean-Manuel Mbom aus dem Profikader sammelte gestern Spielpraxis im U 23-Team. Foto: Hansepixx

U 23 verschafft sich Luft

Drei wichtige Punkte sammelte Werders U 23-Team gestern in der Regionalliga Nord. Die Elf von Trainer

Konrad Fünfstück besiegte auf Platz 11 Schlusslicht Kickers Emden mit 3:0 (2:0) und baute damit den zuletzt bedenklich geschrumpften Vorsprung auf die Abstiegszone wieder aus.

Dikeni Salifou aus dem Profi-Kader erzielte bereits nach elf Minuten die Führung für die Bremer. Jannic Ehlers erhöhte noch vor dem

Seitenwechsel auf 2:0 (45.). Routinier Philipp Bargfrede sorgte mit dem 3:0 (50.) früh für klare Verhältnisse.

Neben Salifou kam aus der Bundesliga-Mannschaft auch Jean-Manuel Mbom zum Einsatz.

Bereits am Freitagabend hatte der SV Atlas Delmenhorst durch einen 4:2-Erfolg gegen Jeddeloh neue Hoffnung im Abstiegskampf geschöpft.

Der Bremer SV ist an diesem Wochenende spielfrei. (rl)

Start in Hannover

Ihren Weg nach Bremen nehmen die Teilnehmer der Deutschlandtour der Radprofis am 27. August von Hannover aus in Angriff. In der niedersächsischen Landeshauptstadt startet die Schlussetappe der fünftägigen Rundfahrt, das Ziel befindet sich in der Bremer

Überseestadt. Zuvor muss das Feld in der Hansestadt noch mehrmals einen Rundkurs absolvieren. Aufgrund des flachen Profils der Strecke rechnen Radsportfreunde im Finale mit einem spektakulären Massensprint auf der KonsulSmidt-Straße. (rl)

Die erste Szene gehörte den Berlinern. Richter spielte steil auf Lukebakio, dessen Abschluss parierte Pavlenka mit dem Fuß. Danach spielte nur noch Werder. Jens Stage steckte den Ball zu Marvin Ducksch durch, der traf zum 1:0 nach sechs Minuten. Weil in der Entstehung Weiser und Toussart im Mittelfeld zusammengeprallt waren, gab es Proteste der Hertha. Für den VAR gab es aber keinen Grund das Tor einzukassieren.

1,90€ -36%

7,70€ -45%

SPIELERZEUGNIS

Jiri Pavlenka 2

Der zweite Bremer Treffer ging erneut auf das Konto von Ducksch. Christian Groß flanke von der rechten Seite in den Raum zwischen zwei Berliner Verteidigern, Ducksch köpfte herrlich ins lange Eck (27.).

Niklas Stark 3

Milos Veljkovic (bis 80.) 3

Marco Friedl 2

Mitchell Weiser 2

Leo. Bittencourt (bis 66.) 3

Christian Groß (bis 90.) 2

Jens Stage 3

Anthony Jung (bis 80.) 3

Max. Philipp (bis 66.) 3

Marvin Ducksch 1

Romano Schmid (ab 66.) -

Eren Dinkci (ab 66.) -

Lee Buchanan (ab 80.) -

Amor Pieper (ab 80.) -

Ilia Gruev (ab 90.) -

Wenn es etwas auszusetzen gab am Auftritt der Bremer in der ersten Hälfte, dann dass sie nicht noch mindestens einen weiteren Treffer nachlegten. Philipp (30.), Ducksch (41.) und Stage (45.) wurden jeweils wunderbar in Szene gesetzt, verfehlten aber jeweils das Ziel. Nach dem Seitenwechsel versuchte es Hertha-Trainer Dardai mit drei neuen Spielern. Doch Werder blieb sta-

bil. Besser noch: Ducksch legte nach. Flanke Anthony Jung, Ballannahme mit der Brust. Dropkick ins kurze Eck – 3:0 (51.).

Werder wollte mehr, blieb bissig und aufmerksam. So war Weiser zur Stelle, als Hertha-Torwart Christensen einen ungenauen Rückpass nicht richtig verarbeiten konnte. Der Bremer gewann den Zweikampf und schon den Ball ins leere Tor – 4:0 (63.).

Der Drops damit gelutscht? Leider nicht! Weil die Bremer im Sechser-Raum den Ball nicht unter kontrol-

le bekamen, sah sich Niklas Stark in ein 1:1-Duell gegen Ngankam gezwungen. Der Berliner siegte und traf zum 1:4 (68.).

Nicht so schlimm angesichts des klaren Vorsprungs? Vielleicht, wenn kurz darauf Veljkovics Rettungsversuch gegen Ngankam nicht zum Elfmeter für die Gastgeber geführt hätte. Lukenbakio verwandelte zum 2:4 (79).

Die Bremer wankten kurz, aber dieses Mal fielen sie nicht. Stattdessen gab es eine verdiente grün-weiße Jubelarie im Olympiastadion.

Besuchunsinunserem300m2 großen LadenimEinkaufsparkDuckwitz!

MacheinSchnäppchen

9,90€ -51%

Gültigabdem25/4

3,95€ -50%

Gültigabdem25/4

Scanneden QR-Code undfindeden WegzurFiliale 4€ -50%

den zur

9,90€ -51%

Gültigabdem25/4

-Angebotegültigbiseinschließlich1.

GratisGeschenk

GibdenGutscheininderFilialeabund erhalte25 Maschenmarkierergratis. (Gültigbiseinschließlich Juli2023)

gratis. 2023)

S PORT Sonntag, 23. April 2023 13 Hobbii Bremen | Duckwitzstraße55 | 28199 Bremen | (SiefindenunsimEinkaufsparkDuckwitz)
Marvin Ducksch und Marco Friedl hatten in Berlin reichlich Grund zum Jubeln, auch wenn es zum Ende nochmal knapp wurde. Foto: Nordphoto/Kroeger

S tartenSiejetztIhre ganz persönliche Energiewende! Wirhabendafürtechnisch ausgereifte Marken-Photovoltaik-Anlagen mithohen Wirkungsgraden inverschiedensten Ausführungen und Leistungsklassen nebstZubehöram Lager. AufWunschkönnenSiedie Montage in Eigenregie oderaberauch vergleichsweise kurzfristigvonunseremqualifiziertenFachpersonalvornehmenlassen.Inder Regelvergehen vonder Auftragserteilung biszur Montage durchuns nurca.4-8Wochen.SpätestensabdiesemZeitpunktsindSiedann energieversorgungstechnisch weitestgehendunabhängig undkönnendiefinanziellenVorteilemiteinem guten Gefühlüber vieleJahrehinwegnutzen.HandelnSiejetzt,denndieZukunfthatbereits begonnen!

UnsereleistungsstarkenMarken-Photovoltaik-Moduleüber ze ugendurch hohe Qu alität undknall ha rt ka lkulie rt e Preis e

Ef f izient , ko mfortabel , schnell .

Di e stärkstenundinnovativs te n Phot ovoltaik-ModuleaufdemMarkterreichen einenAutarkiegra d vo n biszu100%.

All e wichtigen Fu nktionensin d bequemausde r Fe rn e übe r ein e Appsteuerba r.

Nu r 4- 8 Wo chen vo n derAuftragser te ilungbiszurMontage!

WirbauenfürKommunen,StädteundGemeinden - WirbauenfürEinzelhande l undGewerbe - WirbauenfürprivateNutzer SCIGmbH

Am Ta bakqua rt ier62 28197Breme n Te lefon0421 - 38030187 in fo @sci-bremen.d e www.sci-bremen.d e

Ve rt rieb, Ber at ungund Ve rkauf (Nu r nac h te lefonischer Ve re inbarung)  St ar te n Si e jetzt Ihrepersönliche Energie we ndemitauberem St rom,sauberer Wä rmeundundsaubere Mobilitä t
Abbildunge n ähnlich.Fü Druck-undSatzfehle r übernehmenwi r keineHaftung.SCI/4-232
!
2-Abdruckzu ve rrin ge rn. Di ese Philosophi e gil t auc h fürun s. Du rc h di e Op timierun g de r Liefer ke tten re duzierenwi r den CO 2- Au ss to ß signifikan t.
Di e angegeben en Pr eisesin d nur wä hrenddesAktionszeitraumsbiszum31.5.2023 gülti g. So lange der Vo rr at re ich t. * 4,92 ab 13.950,00 7,38 ab 18.950,00 9,84 ab 23.950,00 4,8 3,74 ab 16.450,00 7,2 7,48 ab 20.750,00 9,6 11,23 ab 26.450,00 z. B. PV-Komplettanlage ink l. fachgere cht erMontage Spitzenleistun g (kWp) z. B. PV-Komplettanlag e inkl . Sp eicherein heit Spit ze nleistung(kWp)Speiche r (kWh) Aktions-Preis(€) Aktions-Preis(€) tage! -Pre i s (€ ) AKTION* fürSchnellentschlossene! Ihre wirksamst e St rompreisbremse schon t au f lange Si cht dieUm we ltund Ihr Po rt emonnaie! saubererMobilitä WeitereInfosunter www.sci-bremen.de r hel f en dabe i , Ih re n CO 2-Abdr uc k z
www.inkoop.de Gültig KW 17/2023 vom 24.04. bis 29.04.2023 Für Druckfehler keine Haftung. Abbildungen ähnlich. Abgabe in haushaltsüblichen Mengen. Herausgegeben durch inkoop Verbrauchermärkte GmbH, Elbinger Straße 32, 27755 Delmenhorst Zum 1. Mai wird gegrillt! Papa Joe‘s Tomatenketchup oder Saucen versch. Sorten 1l = 3,70/2,22 300/500ml Flasche 1 11 Müller Müllermilch versch. Sorten 1l = 2,23 400ml Flasche 0 89 Deutschland/Holland Erdbeeren 1l = 6,98 400g Schale 2 79 Söhnlein versch. Sorten 1l = 3,45 0,75l Flasche 2 59 Dr. Oetker Pizza Tradizionale versch. Sorten, gefroren 1kg = 5,69-4,80 350-415g Packung Die Ofenfrische oder Culinaria versch. Sorten, gefroren 1kg = 5,61-4,57 355-435g Packung 1 99 Vilsa BioMineralwasser versch. Sorten, + 3,30 Pfand 1l = 0,42 12x1l PET-Flasche 4 99 4 99 Persil Vollwaschmittel versch. Varianten 1WA = 0,31/0,28/0,25 16/18/20 Waschanwendungen Meica Bratmaxe 8+1 1kg = 9,91 560g Packung 5 55 Rougette Grillkäse versch. Sorten 1kg = 12,72 180g Packung 2 29 Homann Kartoffel- o. Nudelsalat versch. Sorten 1kg = 4,96 400g Becher 1 99 Heineken Bier mit eingebautem Easy-Zapfhahn und CO2-System, für beste Zapfqualität, pfandfrei 1l = 2,40 5l Fass 11 99 3 99 Italien Demeter BIO-Weine Pinot Grigio IGP trocken oder Tempranillo VdT 1l = 5,32 0,75l Flasche 3 49 Becks Bier + 0,48 Pfand 1l = 1,76 6x0,33l Flasche Hex´n Creme-Dip 1kg = 15,27 150g Becher 2 29 Weinschorle herrlich erfrischend, weiß/rosé 1l Flasche 1 29 Gültig KW 17/2023 vom 24.04. bis 29.04.2023
WIR FÖRDERN REGIONALITÄT UND NACHHALTIGKEIT MIT VIELEN ZERTIFIZIERTEN PRODUKTEN. Weitere Infos unter www.inkoop.de/verantwortung Deutschland Gurken 500/600g schwer Stück 0 99 Niederlande Rispentomaten 1kg 2 49 Soanien Spargel, grün 1kg = 7,48 400g Bund 2 99 Bremerland Milch 3,7% Fett 1l Milchbeutel 1 29 Dairygold Butter o. Streichzart versch. Sorten 1kg = 7,96 250g Packung/Becher 1 99 LAC Schlago. Kochsahne 32/15% Fett 1kg = 6,95 200g Becher 1 39 Ovomaltine Crunchy Cream Brotaufstrich 1kg = 7,87 380g Glas 2 99 Seendamer 55% Fett i. Tr. 1kg = 9,93 150g Packung 1 49 EDEKA Bio Mozzarella in Lake, 45% Fett i. Tr. 1kg = 8,72 200g Beutel 1 09 Milram Frühlingsquark auch Sour Cream, Aioli, Kartoffelcreme 1kg = 4,27 185g Becher 0 79 Zentis Fruchtaufstrich 50% weniger Zucker versch. Sorten 1kg = 10,21/9,26 195/215g Glas Zentis Fruchtaufstrich Naturrein versch. Sorten 1kg = 9,95/9,05 200/220g Glas 1 99 Müller Froop Frucht auf Joghurt, versch. Sorten 1kg = 1,93 150g Becher 0 29 EDEKA Bio Bacon 100g Packung 1 69 EDEKA Bio Frische Vollmilch pasteurisiert, homogenisiert, länger haltbar, 3,8% Fett 1l Packung 1 29 SanLucar Mini-RomaTomaten „Küsse“ aus Tunesien 1kg = 9,22 270g Schale 2 49 SanLucar CherryRispentomaten „Praline“ aus Tunesien 1kg = 11,10 200g Schale 2 22 Deutschland/ Holland Erdbeeren 1l = 6,98 400g Schale 2 79 Die ganze Welt der Frische!

Erhältlich in der Filiale Raiffeisenstraße 1, 27777 Ganderkesee

Artikel gültig von Montag, 24.04.23 bis Mittwoch, 26.04.23

Zubereitungstipps!

Schlachtfrische Schweineleber 100g

0 39

Behrens Schwenksteak - herzhaft & saftig, ideal für Pfanne & Grill 100g

Hausgemacht:

1 05

0 89 Würzgulasch - vom Schwein, mager, würzig, pfannenfertig100g 1 39

0 85

Und immer mit dabei: Unser Vollys-Sparschweinsortiment: Knusperbauch 0,99€/Stück, Kasseler-Sauerkrautpfanne 0,59€/100 g und Fleischwurst einfach 1,65€/Stück

Spezialität zum Wochenende: Augsburger Weißwurst - eigene Herstellung nach Originalrezept -

Gyrosbraten - der klassische Bratenoder einfach mal auf dem Grill-Spieß1kg

Zubereitungstipps!

8 90

Zubereitungstipps!

Gekochtes Mett - rein Schwein oder rein Rind, saftig bei unter 10% Fett100g 0 75

Artikel gültig von Donnerstag, 27.04.23 bis Samstag, 29.04.23 1 09

Schinken-Schnitzel Ia und Würzschnitzel* - aus der zarten Oberschale, ideal auch für Geschnetzeltes100g

Wieder da:

Behrens Rindnaldos - die Rinderbratwurst für den Kenner100g = 0,99

Frische Hähnchenkeulen - voll eischig100g 4 90

5er Packung

Kartoffelsalat „Bayrischer-Art“ - hausgemacht, ohne Konservierungs-stoffe, kalt und warm ein Genuss100g

Hausgemachter Weißkohlsalat - ohne Konservierungsstoffe100g 0 79

*Probieren Sie dazu auch unsere hausgemachten Steak- und Grillsoßen, ein Gedicht! Weitere Infos unter genuss-info.de.

Einfach
einfach günstig! Französischer Weichkäse Tortenbrie 50% Fett i. Tr. 100g 0 99 Victoriaseebarsch let fett- und grätenarm 100g 1 49 Aus eigener Herstellung: Lachsspieß PaprikaKräuterbutter 100g 2 49 Chiabrot* 1kg = 3,50 540g Stück 1 89 Matjes in Honig-Senf-Sauce 100g 1 69 Forellen let ohne Haut, heißgeräuchert 100g 3 29 Aus eigener Herstellung: Mediterrane Frischkäsecreme 60% Fett i. Tr. 100g 1 49 Kirschpaprika mit Käse gefüllt 100g 2 99 Österreichischer Schnittkäse Ländle Weinkäse 50% Fett i. Tr. 100g 2 49 Beemster mild & pikant versch. Sorten, 48% Fett i. Tr. 100g 1 19 AUS DER SB-BACKSTATION! * nicht erhältlich in der Schönemoorer Straße
-
gut,
Bi Carazza 3er Packung 2 29 Rettergut Bio-Suppe versch. Sorten 1l = 5,92 375ml Glas 2 22 EDEKA Bio Ahornsirup aus Kanada, Grad A, zum Würzen, Abschmecken und Grillen geeignet 1l = 16,76 250ml Flasche 4 19 Kühne Schlemmertöpfchen fein, süß, scharf, mild 1kg = 4,51 530g Glas 2 39 Dallmayr Capsa versch. Sorten 10er Packung 2 49 Oro di Parma Tomaten passiert oder stückig versch. Sorten 1kg = 3,73 400g Dose 1 49 Manner Waffeln mit Cremefüllung, versch. Sorten 1kg = 7,40/5,55 300/400g Beutel 2 22 Nestlé Smarties Schokolinsen mit Zuckerüberzug, versch. Sorten 1kg = 9,25/8,54 120/130g Rolle 1 11 EDEKA Baguetterie Steinofenbaguette zum Fertigbacken, Olive, Peperoni, Zwiebel 1kg = 4,30 300g Stück 1 29 Nestlé After Eight auch Erdbeere 1kg = 7,45 200g Packung 1 49 1 49 Nestlé Choclait Chips, Choco Crossies 1kg = 12,96/9,93/10,64 115/150/140g Packung Nestlé Kit Kat, Lion o. Smarties Minis 1kg = 7,97/6,87/6,37 187/217/234g Beutel 1 49 EDEKA BIO Reiswaffeln ungesüßt, mit Salz 100g Packung 0 49 EDEKA BIO Reiswaffeln Joghurt oder Schoko 100g Packung 0 79 EDEKA BIO Kürbiskernbrötchen 1kg = 6,22 320g Packung 1 99 EDEKA Bio Linsenwaffeln 1kg = 12,33 90g Packung EDEKA Bio Gemüsemais 1kg = 3,36 330g Dose 1 11 EDEKA Bio Apfelmus ohne Zuckerzusatz 1kg = 2,19 360g Glas 0 79 EDEKA BIO Krustenbrötchen 1kg = 4,66 320g Beutel 1 49 Bauerngut Bockwürstchen in Eigenhaut 1kg = 6,17 6 Stück = 180g Glas 1 11 EDEKA BIO Dinkelbrot 1kg = 3,18 500g Packung 1 59 EDEKA BIO Vollkorn-Baguette 1kg = 5,97 300g Packung 1 79 EDEKA BIO Maiswaffeln 1kg = 5,36 110g Packung 0 59 Meßmer Bio-Tee, Länder-Tees, Wohlfühl-Tees versch. Sorten 18/20er Packung 1 49 Tony‘s VollmilchSchokolade versch. Sorten 1kg = 11,06 180g Tafel 1 99 Bünting BIO-Tee versch. Sorten 20er Packung 1 79 NEU IM SORTIMENT!
Nestlé Schöller Multipack-Eis versch. Sorten, gefroren 4-9er Packung 1 99 Dr. Oetker Pizza Tradizionale versch. Sorten, gefroren 1kg = 5,69-4,80 350-415g Packung Die Ofenfrische oder Culinaria versch. Sorten, gefroren 1kg = 5,61-4,57 355-435g Packung 1 99 Tillman‘s Toasty Snack zum Toasten, versch. Sorten, gefroren 1kg = 10,68 280g Packung 2 99 McCain Golden Longs extra knusprig, gefroren 1kg Beutel 2 49 Agrarfrost Knusperfrites Wellenschnitt gefroren 1kg = 2,65 750g Becher 1 99 Nestlé Schöller Nuii-Eis versch. Sorten, gefroren 3er Packung 1 99 Hipp Windeln versch. Größen 36/32/29/26er Packung 7 99 L‘Oréal Paris Men Expert Deo-Spray, Roll-on versch. Varianten 1l = 39,80/13,27 50/150ml Dose 1 99 6 99 Calgon Wasserenthärter Pulver, Gel, Tabs, versch. Varianten, 1kg = 4,66/1l = 3,33 1,5kg/45/36er Packung/ 2,1l Flasche Nestlé PURINA Gourmet-Gold Alleinfuttermittel für ausgewachsene Katzen, versch. Sorten 1kg = 4,59 85g Dose 0 39 2 99 Axe Bodyspray versch. Sorten 1kg = 19,93 150ml Dose Dr. Best Zahnbürste Hoch-Tief/Schwingkopf, versch. Sorten Stück 1 59 Fa Duschgel versch. Varianten 1l = 3,96 250ml Flasche 0 99 4 99 Persil Vollwaschmittel versch. Varianten 1WA = 0,31/0,28/0,25 16/18/20 Waschanwendungen 2 79 Iglo Fischstäbchen, Back schstäbchen, Lachsstäbchen, Brezelstäbchen, Rösti-Stäbchen versch. Sorten, gefroren 1kg = 12,46/7,66/8,30/6,20 224/364/336/450g Packung Garnier Wahre Schätze Shampoo oder Spülung, versch. Varianten 1l = 7,96/9,95 250/200ml Flasche 1 99 Bi e lösen Sie bei Ihrem Einkauf Ihre DeutschlandCard-Punkte ein.

sind alle Personen ab 18 Jahren, außer Mitarbeiter der beteiligten Unternehmen und deren Angehörige. Der Gewinner wird schriftlich benachrichtigt. Eine Barauszahlung des Gewinns und der Rechtsweg sind ausgeschlossen. Ihr Daten für das Gewinnspiel werden ausschließlich zur Gewinnermittlung und Gewinnübergabe benötigt und anschließend vernichtet. Eine Verwendung für Werbezwecke erfolgt nicht. Die Teilnahme ist unabhängig vom Kauf. Einsendeschluss ist der 30.04.2023.

Gewinnen Sie mit dem Deutschen Weintor 1 von 5 Spargeltöpfen!

SCHÖNEMOORER STRASSE 72 27753 DELMENHORST Telefon 04221 9353-0 BRENDELWEG 5 27755 DELMENHORST Telefon04221 9356-0 OLDENBURGER STRASSE 74 27753 DELMENHORST Telefon04221 9354-0 BREMER STRASSE 78-82 27751 DELMENHORST Telefon04221 9358-0 JUPITERSTRASSE 2 28816 STUHR-BRINKUM Telefon0421 80779-0 WINDMÜHLENWEG 1 27777 GAN.-BOOKHOLZBERG Telefon04223 7090-0 WILDESHAUSER STR. 2 27243 HARPSTEDT Telefon04244 9267-0 RAIFFEISENSTRASSE 1 27777 GANDERKESEE Telefon04222 9443-0 BAHNHOFSTRASSE 13 27211 BASSUM Telefon04241 9319-0 Öffnungszeiten in allen Märkten: Montag bis Samstag von 7 bis 21 Uhr in Ihrer 9x Nähe! Captain Morgan Spiced Gold, 35% Vol. 1l = 12,84 0,7l Flasche 8 99 Mariacron Weinbrand, 36% Vol. 1l = 8,56 0,7l Flasche 5 99 Sinalco Cola, Orange oder Zitrone Limonade, teilweise koffeinhaltig, + 0,25 Pfand 1l = 0,55 1,25l PET-DPGFlasche 0 69 Springer Urvater 28% Vol. 1l = 6,84 0,7l Flasche 4 79 Vilsa BioMineralwasser versch. Sorten, + 3,30 Pfand 1l = 0,42 12x1l PET-Flasche 4 99 Italien Demeter Bio-Weine Chardonnay, Merlot, Rosato, trocken 1l = 5,32 0,75l Flasche 3 99 Bayreuther Hell + 3,10 Pfand 1l = 1,40 20x0,5l Flasche 13 99 Ballantine‘s Scotch Whisky, 40% Vol. 1l = 15,70 0,7l Flasche 10 99 Kuemmerling 35% Vol. 1l = 17,76 25x0,02l Packung 8 88 Tea-RichEistee versch. Sorten 1l = 1,05 0,75l Packung 0 79 mein becker‘s bester Fruchtsäfte oder Nektare versch. Sorten 1l Packung 1 49 Rotkäppchen Weine versch. Sorten 1l = 3,99 0,75l Flasche 2 99 Warsteiner Pils 1l = 1,40 5l Dose 6 99 König Pilsener versch. Sorten, + 3,42 Pfand 1l = 1,39 24x0,33l Flasche 10 99 Berentzen Traditionskorn, Strothmann Weizenkorn oder Kräuter 30/32% Vol., 1l = 7,13 0,7l Flasche 4 99 Veltins Pils versch. Sorten, + 3,42 Pfand 1l = 1,51 24x0,33l Flasche 11 99 2 X 0,5L DOSE VELTINS GRATIS! Sie zahlen nur das anfallende Pfand. + Deutsches Weintor eG · An der Ahlmühle 1 · 76831 Ilbesheim Telefon: +49 6341 3815-0 · E-Mail: info@weintor.de · www.weintor.de Weintor Weine versch. Sorten 1l = 5,32 0,75l Flasche 3 99 Um einen Spargeltopf zu gewinnen, senden Sie diesen Coupon einfach auf einer ausreichend frankierten Postkarte an: inkoop Verbrauchermärkte GmbH, Elbinger Straße 32, 27755 Delmenhorst Teilnahmeberechtigt
Alter
Name Straße PLZ/Ort Telefon

Turn static files into dynamic content formats.

Create a flipbook
Issuu converts static files into: digital portfolios, online yearbooks, online catalogs, digital photo albums and more. Sign up and create your flipbook.