EB961973

Page 1


Doc.MUDr.TaťjanaDostálová,DrSc.

FIXNÍASNÍMATELNÁPROTETIKA

Recenze:

Doc.MUDr.JiøíBittner,CSc. MUDr.MarieBartoòová,CSc.

©GradaPublishing,a.s.,2004

CoverPhoto©AllphotoImages,2004

VydalaGradaPublishing,a.s. UPrùhonu22,Praha7 jakosvou1879.publikaci

OdpovìdnáredaktorkaPhDr.AlenaReimanová SazbaazlomVladimírVašek Obrázkydodalaautorka

FotografienaobálceAllphotoImages Poèetstran220 Prvnívydání,Praha2004

VytisklatiskárnaPBtisks.r.o. Prokopská8,PøíbramVI

Názvyproduktù,firemapod.použitévknizemohoubýtochrannýmiznámkamineboregistrovanými ochrannýmiznámkamipøíslušnýchvlastníkù,cožnenízvláštnímzpùsobemvyznaèeno.

Postupyapøíkladyvtétoknizejsousestavenysnejlepšímvìdomímautorky.Zjejichpraktickéhouplatnìníalenevyplývajíproautorkuanipronakladatelstvížádnéprávnídùsledky.

Všechnaprávavyhrazena.Tatoknihaanijejíèástnesmíbýtžádnýmzpùsobemreprodukována,ukládánaèirozšiøovánabezpísemnéhosouhlasunakladatelství.

ISBN80-247-0655-5

1.2Vyšetøenípacienta

1.3Celkovýzdravotnístavpacienta

1.4Defektychrupu

1.5RTGvyšetøení

7.1Pøípravapilíøepøedotiskováním

7.8Pøepravaaskladováníotisku

7.9Èistìnílžic,aplikátorù,smìšovacíchzaøízení

7.10Zhotovenípomocnéhosituaèníhootiskuprotilehléèelisti

9Výbìrbarvyprofixnízubnínáhradu

9.1Postuppøivýbìrubarvy

10.1Vlastnostimodelovýchmateriálù

10.2Druhymodelovýchmateriálù

11.1Pracovnípostuppøizhotovenípracovníhomodelu

12.1Pøenosanatomickýchrozmìrùzpacientadopøístroje

12.2Rovinyaúhlydùležitépropøenosdoartikulaèníhopøístroje

12.3Zastavenímodelùdoartikulátoru

12.4Použitíkalotykzastaveníokluzníroviny

12.5Zastavenímodelùpomocíoblièejovéhooblouku

12.6Simulacepohybùkloubu

13.1Dìlenídentálníchslitin

13.2Slitinyušlechtilýchkovùobsahujícínejménì75%zlata akovùplatinovéskupiny ........................74

13.3Slitinysredukovanýmobsahemušlechtilýchkovù

13.4Dentálníslitinyzlatoplatinové

13.5Dentálníslitinyzlatopalladiové

13.6Zlatépájky

13.7Dentálníslitinystøíbrné

13.8Slitinypronapalováníkeramiky

13.9Dentálníslitinychrómkobaltové(kobaltové) achrómkobaltniklové(niklové) .....................76

13.10Hliníkovébronzy ............................76

13.11Titan ...................................77

13.12Pájky

14.1Vosky

16.2Fosfátovézatmelovacíhmoty

16.3Køemièité(etylsilikátové)zatmelovacíhmoty

19.1Dìleníkeramickýchmateriálù

19.4Pracovnípostuppøizhotoveníkovokeramickýchzubníchnáhrad...97

19.5Pracovnípostuppøizhotovenícelokeramickékonstrukce

20.3Plastyplnìnékeramickýmièásticeminebomateriálynabáziskla..104

20.4Nekovovákonstrukceproceloplastovénáhrady

20.5Pracovnípostup

22Koøenováinlej,plastickákoøenovádostavba

22.1Koøenováinlej

22.2Plastickákoøenovádostavba

23Protetickárekonstrukcepomocíimplantátu

26.1Definicearozdìlenísnímatelnýchnáhrad

26.2Spoleènékonstrukèníprvkyèásteènýchsnímatelnýchnáhrad

26.3I.tøída–snímatelnýmùstek–chrupsmezerami

26.4II.tøída–sedlovánáhrada–zkrácenýzubníoblouk ..........136

26.5III.tøída–deskovánáhrada–ojedinìlézubynebojejichskupiny...136

26.6IV.tøída–celkovánáhrada–bezzubáèelist

27Pøehledpostupùpøizhotovenísnímatelnýchnáhrad

27.1Pøedbìžnýotiskazhotovenímodelu

27.2Individuálníotiskapracovnímodel

28Stanovenímezièelistníchvztahù

28.1Vertikálníèelistnívztahy

28.2Horizontálnístanoveníèelistníchvztahù

28.3Spojeníindividuálníhootiskuastanovenímezièelistníchvztahù...152

28.4Výbìrumìlýchzubù

30Artikulacechrupusnímatelnénáhrady

31.2Nesponovákotevnízaøízení

31.5Tìlonáhrady

31.6Postuppøizhotoveníkovovéèástináhrady

33.1Teplempolymerujícípryskyøice

33.2Licípryskyøicepolymerujícíchemickoureakcí

33.3Speciálnípracovnípostupypøizhotovenísnímatelnénáhrady

40Nesponovánáhrada

40.1Extrakoronálnízásuvnéspoje–pracovnípostup............194

40.2Snímatelnánáhradasopìrnýmtømenem

40.3Hybridnínáhrada

40.4Dlouhodobápéèeonesponovékotevníprvky

41Snímatelnénáhradyvespojenísimplantáty

41.1Plánošetøení

41.2Indikaceakontraindikace

41.3Pracovnípostup

Pøedmluva

Knihutvoøísouborkapitolzfixníasnímatelnéprotetiky,kteréupøesòujízákladní pracovnímateriály,postupyapoužití.Publikacevolnìrozšiøujeanavazujenamonografii„Snímatelnáprotetika–moderníklinicképostupy“(Praha:Quintessenz, 1999).Jeurèenaprozubnílékaøeilaborantyadoplòujestávajícíuèebnicezmiòovanévseznamuvybranéliteratury.

Chtìlabychpodìkovatsvérodinìispolupracovníkùmzapodporu,kteroumiposkytují.

TutouèebnicivìnujiMUDr.MariiBartoòové,CSc.aprof.MUDr.JiøímuMazánkovi,DrSc.,bezjejichžpomocibynikdynevznikla.

1Vyšetøeníaplánošetøení

1.1Cílošetøení

Cílemprotetickéhoošetøeníjenáhradaztracenýchèástízubu,celéhozubu,skupiny zubùažchrupujakocelku.Metodyrekonstrukcejsoudnesvelmidokonalé,otázkou všakzùstává,copacientodrekonstrukceoèekává–zdapøedevšímestetiku,nebo funkènostajakémíryfunkènírehabilitacechcedosáhnout.

Zásadnímkritériemjesubjektivníiobjektivnídostupnostøešení.Správnéavhodnéošetøenízajistídlouhodobýúspìchsanace.Dnesjejižzcelanarozhodnutíošetøujícíholékaøeipacienta,jakbudeterapienároèná.Lzeøíci,žezhlediskaprotetikyje rekonstrukcezpohledudlouhodobéstabilityléèeníprioritní.Správnéplánováníošetøení,jehoèasováposloupnostidalšípéèeopacientajsouhlavnízásadouúspìšnéklinicképraxe.

1.2Vyšetøenípacienta

Vyšetøenípacientaaplánuošetøeníbymìlabýtvìnovánajednanávštìva.Správná dobaodstanoveníplánudopoèátkuvlastníhozhotovenínáhradyje1–2týdny (nebrání-liøešenízdravotnínebofinanènídùvody).Pøílišvelikýodstupmùževpacientovivzbuditnejistotu,nìkteréstaršíosobymohouzapomenoutjednotlivéfáze ošetøení,všemusímeznovuvysvìtlovataztrácímevordinacizbyteènìèas.Psychologickyvelmidobøepùsobí,má-listomatologfotodokumentaciobdobnéhoøešení, apacientsimùžesnadnopøedstavitkonkrétnífunkèníiestetickývýsledek.Ideálníje dátmožnostkonfrontacesjinýmpacientem,kterýmápodobnéøešeníajesnímspokojen.Souèástíprotetickéhoošetøeníusložitìjšíchrekonstrukcíchrupubymìlbýt èasovýplán,vèetnìrozpoètu.

Vyšetøenípacientamùžemerozdìlitdonìkolikaèástí.Nejdøíveposuzujemestav hlavyakrkusezamìøenímnakvalituchrupu.Jenutnéprovéstklinickézhodnocení defektuchrupu,posouzenístavujednotlivýchzubùijejichzávìsnéhoaparátu.KlinickousituacidokreslístudijnímodelyvartikulároruaRTGvyšetøení.Celkovýstav pacientaaschopnostspolupráceijehofinanènímožnostièastourèujíbudoucíprùbìh ošetøení.

1.3Celkovýzdravotnístavpacienta

Prosprávnýnávrhošetøeníjenezbytnéposouditicelkovýzdravotnístavpacienta, kterýmùževýraznìovlivnitdefinitivníprotetickýplán.Pøítomnostkardiovasku-

lárníchonemocnìnímùželimitovatmožnostchirurgickéhozákrokupøizavedeníimplantátù,diabetesmellitusmùžebrzditnebodokoncenarušitproceshojení.Dlouhodobámedikacemùžezmìnitmikroflórudutinyústní,stejnìjakonìkterépøípravky napø.sobsahematropinumohouvýraznìsnižovatsalivaci.

Pøirevmatickýchonemocnìních,artritidách,Parkinsonovìchorobìajinýchstavechsomezenoupohyblivostízøídkaindikujemeurèitétypynesponovýchnáhrad, kterévyžadujízruènostpacientapøinasazováníavyjímánínáhradyzúst,pøípadnì pøiudržováníhygieny.

Ualergickýchpacientùmùžebýtproblémemschopnostsnášetnavrženýmateriál. Pøedindikacíjeprotovhodnéprovìøitvanamnézepotenciálnínebezpeèínetolerance,namístìjekontrolareakcepacientakožnímtestem.Pøivlastnímošetøenípak mùžebýtprotetickývýkonprovedenzapodporyanesteziologa.

Zvýšenáopatrnostsemusívìnovatidalšímzávažnýmcelkovýmstavùm,napø. hematologickynemocným,psychickyhendikepovaným,HIVpozitivnímnebose sérovouhepatitidou.Protetickýnávrhzdenejprvekonzultujemesošetøujícím lékaøem.

1.4Defektychrupu

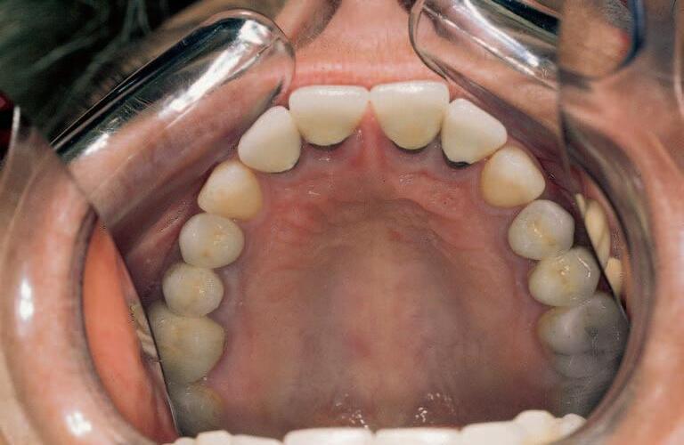
Existujeceláøadarùznýchklasifikacídefektùchrupu,znichžnejrozšíøenìjšíjeklasifikacepodleKennedyho.Praktickymnohempøehlednìjšíazohledòujícísouèasnì defektijehoøešeníjeunáspoužívaná klasifikacepodleVoldøicha, kterávychází zdoplnìnéWildovyklasifikace(I–zkrácenýzubníoblouk,II–pøerušenázubníøada, III–kombinacezkrácenéhoobloukuapøerušení):

• I.tøída

Defekt:malámezera=ztráta1–2zubù.Náhrada:sdentálnímpøenosemžvýkacíhotlaku(obr.1).

Defekt:velkámezera=ztráta3–4zubù,mezerajeohranièenapilíøiI.tøídynebo jejichekvivalenty.Náhrada:sdentálnímpøenosemžvýkacíhotlaku(obr.2).

• II.tøída

Defekt:zkrácenýzubníobloukpoprvnípremolárvèetnì–jednostrannì(obr.3), nebooboustrannì(obr.4):

bezmezer,

smezerami.

Náhrada:sdentomukóznímpøenosemžvýkacíhotlaku.

• III.tøída

Defekt:ojedinìlézubynebojejichskupiny(obr.5),všechnydefektyvyøazené zI.aII.tøídy.Náhrada:sdentálním,dentomukóznímnebomukóznìdentálním pøenosemžvýkacíhotlaku.

• IV.tøída

Defekt:úplnáztrátachrupu.Celkovánáhrada:mukóznípøenosžvýkacíhotlaku.

Obr.1 Chrupsmezerami
Obr.2 Velkámezerado4zubù
Obr.3 Jednostrannìzkrácenýzubníoblouk
Obr.4 Oboustrannìzkrácenýzubníoblouk

Obr.5 Ojedinìlézubynebojejichskupiny

Kennedyhoklasifikace dìlídefektychrupuztopografickéhohlediskana(viz Snímatelnénáhrady–klasifikace):

• Oboustrannìzkrácenýzubníoblouk –sjednoumezerou,sedvìmaaž3mezerami(oddìlenía,b,c): –smaloufrontálnímezerou(maximálnì2zuby), – svíceèetnýmiizolovanýmimezerami, – svelkoufrontálnímezerou.

• Jednostrannìzkrácenýzubníoblouk –smezerami(oddìlenía,b,c): – srozsáhloukontralaterálnímezerou, – svíceèetnýmikontralaterálnímimezerami, – skontralaterálníafrontálnímezerou.

• Mezeravpostrannímúsekuchrupu –smezerami(oddìlenía,b,c): – zubníobloukjepøerušenna2místech, – 2víceèetnémezery, – víceèetnérozsáhlémezery.

• Defektchrupuvefrontálníoblastipøesstøedníèáru, vèetnìztrátyjednoho nebooboušpièákù.

KlasifikacepodleEichnera využívájakokritériummezièelistnívztahypacienta. Vycházízopìrnýchzón,kterétvoøípremoláryamoláry. Opìrnouzónu tvoøídva premolárysjednímpremolárem,jedenpremolársprotilehlýmpremoláremamoláremnebomolársmolárem(hlavnímantagonistou):

Fixníasnímatelnáprotetika

Obr.6 PanoramatickýRTGsnímek–topografickychrupsmezeramido4zubù

• Všechnyopìrnézónyjsouzachovány.

• Jsouzachoványtøiažjednaopìrnázónaneboperzistujepouzekontaktvefrontálnímúsekuchrupu.

• Kontaktvopìrnýchzónáchzcelachybí.

VoldøichovaklasifikacejetopografickáastejnìjakoklasifikacepodleEichnera aKennedyhonezohledòujevýchozípatologickýstavchrupu.Proprotetickourekonstrukcimázásadnívýznamodhadprognózyjednotlivýchpilíøùaprogreseonemocnìní,kterápacientovizpùsobiladefekt,ježjepotøebarehabilitovat.Obrázek6dokumentujetopografickýdefektchrupu,kterýbychomklinickymohlizaøaditmezi „chrupsmezeramidoètyøzubùohranièenýpilíøiI.tøídy“.Pøibližšíanalýzelzepozorovatresorpcikostipøesahující2/3koøenù.Progredujícíonemocnìníparodontu, poškodilonejenchruppacienta,aleivýškuahomogenitukostidotémíry,žeaniokamžitáextrakcevšechzubùbybezaugmentacekostinedovolilazavéstimplantáty. Retencebudoucísnímatelnénáhradybudeproblematická.

Závìremjemožnékonstatovat,žeklasifikacedefektùchrupujedùležitápouze vkontextuscelkovýmvyšetøenímpacientazamìøenýmnaoblastdutinyústní.

1.5RTGvyšetøení

RTGstatusapanoramatickýsnímek(OPG)dokreslujeobrazdutinyústní.Informuje okvalitìjednotlivýchzubù–pøítomnostkazu,kvalitavýplní,stavnebopotøebaendodontickéhoošetøení,kvalitaprotetickésanaceastavzávìsnéhoaparátuzubu. Zrentgenologickéhovyšetøenílzeodeèíststavalveolárníkosti,resorpcialveolu,tvar

arozsahèelistníanosnídutiny,prùbìhmandibulárníhokanáluavýstupforamenmentale.RTGinformujeopatologickýchstavech,kterénejsouklinickyzjistitelné(cysty,retinovanézuby,nádory atd.).

DalšímožnostíjevyužitípoèítaèovìzpracovanýchRTGobrazù–radioviziografie.Tamùžepomocíhistogramuposouditstupeòosteointegrace implantátù,pórozitukosti. Speciálnísoftwaremìøí kalibrovanévzdálenosti,poèítaèovýprogrammùže provéstitøírozmìrnousimulacizubuèiskupinypilíøù,lzepracovatispseudobarvami(obr.7).

Dokumentacestavuchrupupomocíintraorální kameryusnadnímakroskopickoukontroluzubníhooblouku.Poèítaèovádigitalizaceobrazuumožníorientacivnepøehlednýchúsecíchchrupu. Programmùženázornìsimulovatbudoucíprotetickéøešení(obr.8a,8b).

Obr.7 RTG–RVG

RTGanalýzamázásadnívýznampøirozhodování,zdaindikovatfixní,nebosnímatelnounáhradu.Prospeciálníúèelysevyužívá iCTvyšetøení(tomografickýprùøez)hornínebodolníèelisti(implantáty,tumory).

1.6Biologickýfaktorzubù

Pøistanoveníbiologickéhofaktoruzubu(podleWilda)hodnotíme: – pøítomnostkazu, – kvalitupøedchozíkonzervaèníaprotetickéléèby,

Obr.8 Kontrolazubníhoobloukupomocíobrazuvintraorálníkameøe (a–detekceiniciálníkazivéléze,b–demonstracezubníhopovlakuakamene)

pøítomnostakvalituendodontickéhoošetøení, – stavparodontu, – hygienuvdutinìústní.

Jednotlivézubysedìlído3tøídsohledemnajejichanatomickýtvarapostavení vzubnímoblouku:

– I.tøída–špièák,prvníadruhémoláry, – II.tøída–hornístøedníøezáky,prvníadruhépremoláry, – III.tøída–postranníhorníøezáky,dolníøezáky.

Tøetímolárymajívelmirozdílnoukvalitu.Hodnotímejeprotoukaždéhopacienta individuálnì.Blokpilíøùdruhétøídy(obvykledvapremoláry)mùženahraditpilíøI.tøídy.Zvláštnískupinutvoøímolárypohemisekci,kteréèastosloužíjakopilíøII.tøídy.

Složitá,koncepènìitechnickynároènáøešenínavrhujemevelmiuvážlivìupacientù,kteøímajíneošetøenýchrupsmnohakazyasnedostateènouhygienou.

1.7Celkovýstavdutinyústní

Pøivyšetøenídutinyústníposuzujemestavtvrdýchamìkkýchtkánísezamìøenímna kostnístrukturyèelistí,dálehodnotímeparodont,sliznice,žvýkacíamimickésvaly.

Dutinaústníjeèastopredilekènímmístemvýskytuøadynejeninfekèníchonemocnìní(HIV,TBC,syfilis).Pøipeèlivémvyšetøenímùžezubnílékaøupozornitina závažnécelkovéonemocnìní(diabetesmellitus,tumoryapod.).

1.8Vyšetøenímuskuloskeletálníhokomplexu

Souèástízákladníhovyšetøeníjeiposouzenískeletuoblièejesezamìøenímna pøípadnédeformacezpùsobenéúrazynebovrozenýmivadami,napø.rozštìpy.Ty èastoomezujímožnostzhotoveníklasickéfixnínáhrady,kteránedovolujedobøerekonstruovatkostníztrátu.Limitujícíjetatoskuteènostiprozavedeníimplantátù.

Omezenéotvíráníústzpùsobenéjizevnatýmizmìnamipoúrazu,popáleninách, pøisklerodermiimùžebýtpøíèinouobtížnéhoošetøování–preparace,otiskování. Vextrémníchpøípadechmusímeplánovatpøípravuspeciálníchdìlenýchindividuálníchotiskovacíchlžièek.

Souèástívyšetøeníjeiposouzenítemporomandibulárníhokloubu.

1.9Studijnímodely

Studijnímodelyinformujíostavuchrupupøedzapoèetímléèby,umožòujíanalyzovat výchozístavaplánovat,pøípadnìmodelovat,nároènáprotetickáošetøení.Pøirozsáhlejšírekonstrukcichrupunásstudijnímodelyajejichzastavenídoartikulátoru

Obr.9 Studijnímodelpøedortodontickouterapiívdospìlosti

ušetøínepøíjemnýchpøekvapenívokamžiku,kdypacientneníschopenjednoznaènì zafixovatèelistnívztahy. Studijnímodelymohoudobøeposloužitipøikomunikaci spacientem,kterýèastovprùbìhuošetøenívyžadujetakovépostavenízubù,kterénikdynemìl,aanihonenímožnérekonstruovat.Nazákladìanalýzylzedoporuèitiortodontickénebochirurgicképøedléèeníjakosouèástpozdìjšíprotetickéterapie(obr.9).

1.10Simulacebudoucíproteticképráce

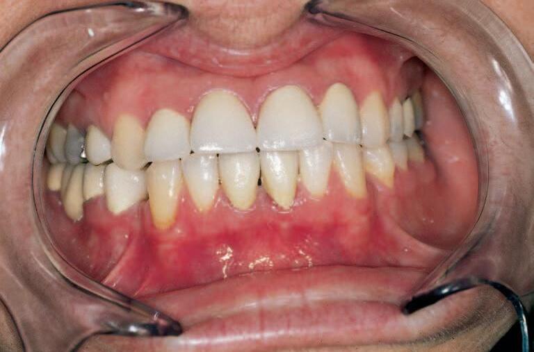
Pøisložitìjších,estetickynároènýchrekonstrukcíchjemožnéprovéstsimulacibudoucíhovzhledupacientapomocíspeciálnímakety.Uintaktníchzubù,kdeváháme spreparací,vytvoøímetenkýpryskyøiènýpøedtvarbudoucínáhrady.Ksimulaci mùžeposloužitprovizornímùsteknebopøedtvarzespeciálníhovoskubílébarvy.

Simulacebudoucíproteticképráce(obr.10,11)pacientoviijehonejbližšímpomùžerozhodnout,zdajeoptimálníprovéstnavrhovanourekonstrukci(obr.12)avjakémrozsahu(obr.13).

Analýzamodelùvartikulátoruspoluspøenosemanatomickýchrozmìrùsindividuálnímnastavenímsklonukloubníchdrahdovolíoptimálnìtvarovatokluzníhopole (obr.10,13).

Obr.10 Stavzubníhoobloukupøedprotetickýmošetøením

Obr.11 Maketabudoucíhovzhleduøezákù

1.11Plánošetøení

Plánošetøenívycházízesouhrnupøedchozíchvyšetøení.Jehocílemjezvolitoptimálnítypsanace.Vìtšinouexistujevícealternativlegeartisprovedenéterapieastím úzcesouvisíèasováifinanènírozvaha.Pacientzvolízesvéhohlediskaoptimální øešení.

Správnìpostavenýplánošetøenívzbudídùvìrupacientaaomezístrespøiošetøení.Zmínkaomožnéaplikacianestezievmnohapøípadechzabránístrachuzošetøení aumožníisložitýzákrokupacienta,kterýknámpøicházíjako„neošetøitelný“.

Základnímpožadavkempøinavrhovánífixníproteticképrácejehlediskofunkèní apochopitelnìihlediskoestetické.Pøivýbìrumateriálumusímezohlednitpøedevšímdlouhodobouestetickoustabilituimechanickouodolnost.Jeznámo,žepacient nezatìžujenáhradujenvideálnímsmìruaxiálníhozatížení,aleèastojipáèí.Dùležitýmfaktoremjedálepøirozenáabrazechrupu,kteráseprojevujenejenuvlastníchzubù,aleprobíháèastovezvýšenémíøeiuzubùumìlých.

Zpraktickéhohlediskamusímezvolittakovýmateriál,kterýsplnízárukytechnologické,budevzdorovatopotøebení(zhlediskamožnostiproplatitprácisespoluúèastízdravotnípojišťovny)abudedlouhodobìdostateènìfunkèníiestetický.

Obr.13 Estetickývzhledpacientaporekonstrukci

1.12Cenaprotetickéhoošetøení

Vsouèasnostijenacelémsvìtìlimitujícímfaktoremcena.Vìtšinazubníchnáhrad nenízdravotnímipojišťovnamiplnìhrazena.Pøesveškerévýhradykezdravotnímu pojištìnílzeøíci,ževproteticejsoupojišťovnouplnìhrazenyfunkènìnezbytnéúkonyimateriály.Pokudvšakchcemedokonaléfunkèníiestetickéøešení,bezpøiplácení sevordinacizubníholékaøeneobejdeme.Èímsložitìjšíjezubnínáhrada,tímvyšší budejejícena.

Ošetøenírealizovanévetapáchpomùžepacientovišetøitinafinanènìnároènìjší øešení.

Souèástíplánuošetøeníajehocenovékalkulacejenìkolikslovoživotnostiazárucenaprovedenoupráci.

Turn static files into dynamic content formats.

Create a flipbook
Issuu converts static files into: digital portfolios, online yearbooks, online catalogs, digital photo albums and more. Sign up and create your flipbook.