Torsten B. Möller, Emil Reif
Kapesní atlas rentgenové anatomie





Torsten B. Möller, Emil Reif
Kapesní atlas rentgenové anatomie
Grada Publishing
Upozornění pro čtenáře a uživatele této knihy Všechna práva vyhrazena. Žádná část této tištěné či elektronické knihy nesmí být reprodukována a šířena v papírové, elektronické či jiné podobě bez předchozího písemného souhlasu nakladatele. Neoprávněné užití této knihy bude trestně stíháno. Automatizovaná analýza textů nebo dat ve smyslu čl. 4 směrnice 2019/790/EU a použití této knihy k trénování AI jsou bez souhlasu nositele práv zakázány.
Torsten B. Möller, Emil Reif
Kapesní atlas rentgenové anatomie
Překlad 7. vydání
Překlad:
MUDr. Michal Horáček, DEAA
Přeloženo z německého originálu Taschenatlas Röntgenanatomie, 7. vyd., ISBN 978-3-13-244187-3, vydaného v roce 2021 nakladatelstvím Georg Thieme Verlag.
Copyright © 2021 of the original German language edition by Georg Thieme Verlag KG, Stuttgart, Germany. Original title: “Taschenatlas Röntgenanatomie”, 7th edition, by Torsten Bert Möller and Emil Reif.
Czech Edition © Grada Publishing, a.s., 2024
Cover Photo © cz.depositphotos.com, 2024
Cover Design © Grada Publishing, a.s., 2024
Vydala Grada Publishing, a.s.
U Průhonu 22, Praha 7 jako svou 9767. publikaci
Odpovědná redaktorka Petra Královcová
Sazba a zlom Vladimír Fára Počet stran 384 1. vydání, Praha 2024
Vytiskly Tiskárny Havlíčkův Brod a. s.
Názvy produktů, firem apod. použité v knize mohou být ochrannými známkami nebo registrovanými ochrannými známkami příslušných vlastníků, což není zvláštním způsobem vyznačeno.
Postupy a příklady v této knize, rovněž tak informace o lécích, jejich formách, dávkování a aplikaci jsou sestaveny s nejlepším vědomím autorů. Z jejich praktického uplatnění však pro autory ani pro nakladatelství nevyplývají žádné právní důsledky.
ISBN 978-80-271-7589-5 (pdf)
ISBN 978-80-271-6955-9 (print)
Křížová
(hrudní kost),
Sternum (hrudní kost), bočná projekce
Obě ramena, AP projekce, se zátěží
kloub,
kloub, AP projekce
Loketní kloub, bočná projekce
Axiální snímek lokte
šikmá projekce
Předloktí, AP projekce
Kyčel, axiální projekce
Femur (kost stehenní), AP projekce
Femur (kost stehenní), bočná projekce
Kolenní kloub, AP projekce 157
Kolenní kloub, bočná projekce 159
Kolenní kloub, Frikova tunelová projekce 161
Patela, sériová projekce ve flexi 30 °, 60 ° a 90 ° (defilé pately) 163
Bérec, AP projekce 165
Bérec, bočná projekce
Hlezno (horní kloub zánártní), AP projekce 169
Hlezno (horní kloub zánártní), bočná projekce 171
Noha, AP projekce 173
Noha, bočná projekce 175
Patní kost, bočná projekce
Patní kost, tangenciální projekce
Zánártí (tarsus), AP projekce
Zánártí (tarsus), šikmá projekce
Nárt (metatarsus), AP projekce
Nárt (metatarsus), šikmá projekce
AP a bočná projekce
bočná projekce
segmenty
Hrudník, první šikmá projekce (šermířská)
Hrudník, druhá šikmá projekce (boxerská)
Tomografie plicního hilu vpravo, bočná projekce
Tomografie křížokyčelního (sakroiliakálního) kloubu
Kontrastní vyšetření
Trávicí systém
Hypofarynx, AP projekce
Hypofarynx, bočná projekce
Žaludek (jícen)
Žaludek (duodenum)
Pasáž trávicím traktem
Tenké střevo
Cílený snímek ileocekální oblasti
(tračník)
Defekografie (vyšetření vyprazdňování tlustého střeva)
Vyšetření orgánů s nitrožilním podáním kontrastní látky 248
Intravenózní vylučovací urografie
Intravenózní cholecystocholangiografie
Artrografie zápěstí, PA projekce
Artrografie zápěstí, bočná projekce
Artrografie ramenního kloubu, AP projekce 257
Artrografie ramenního kloubu, šikmá projekce 259
Artrografie kolenního kloubu
Artrografie hlezenního kloubu (horního kloubu zánártního)
A carotis interna, AP projekce, arteriální fáze 265
A carotis interna, bočná projekce, arteriální fáze
A carotis interna, AP projekce, venózní fáze
267
269
A carotis interna, bočná projekce, venózní fáze 271
A vertebralis, AP projekce, arteriální fáze
273
A vertebralis, bočná projekce, arteriální fáze 275
A vertebralis, AP projekce, venózní fáze
A vertebralis, bočná projekce, venózní fáze
277
279
Cévy krku, AP projekce 281
Oblouk
A pulmonalis, AP projekce, venózní fáze
Truncus coeliacus, arteriální fáze
Truncus coeliacus, venózní fáze
A mesenterica superior, arteriální fáze
A mesenterica superior, venózní fáze
Arteriae renales, arteriální fáze
renales, venózní fáze
Arteriografie pánve a dolní končetiny, pánev
Arteriografie pánve a dolní končetiny, stehno
Arteriografie pánve a dolní končetiny, koleno
Arteriografie pánve a dolní končetiny, bérec
Arteriografie pánve a dolní končetiny, distální bérec
myelografie, AP projekce
Lumbální myelografie, bočná projekce
Lumbální myelografie, šikmá projekce
Bipedální lymfografie, AP projekce, fáze plnění
Bipedální lymfografie, šikmá projekce, fáze plnění
Bipedální lymfografie, AP projekce, fáze střádání
Bronchografie, AP projekce, vlevo
Bronchografie, bočná projekce, vlevo
Sialografie slinné žlázy příušní, nárys
Sialografie slinné žlázy příušní, AP projekce
ERCP (endoskopická retrográdní choledochopankreatikografie)
Ani přes zavedení digitálního zobrazování v posledních letech se na projekcích, hodnocení nálezů, a především na důležitosti znalostí anatomických detailů konvenčních rentgenových snímků nic zásadního nezměnilo Důkazem je tato kniha Její popularita nám činí velkou radost Podnítila mnohá vylepšení textu a projekcí či aktualizaci schémat a zařazení některých nových rentgenových obrazů Ve struktuře knihy však neustále přísně oddělujeme Normální rentgenové nálezy od Kapesního atlasu projekčních technik Každou kapitolu konvenční rentgenové diagnostiky se snažíme vyložit stručně a přesně, bez velkého překrývání informací, ale současně bychom čtenářům chtěli umožnit vhled do dalších aspektů problematiky, jež by pro ně mohly být důležité někdy jindy Jednotný styl a stejné rentgenové snímky usnadňují čtení, učení i vyhledávání potřebných informací
Dillingen
Torsten B Möller
Emil Reif
Páteř a pánev
Horní končetina
Dolní končetina
Přehledné snímky
Kontrastní vyšetření
Speciální vyšetření
Diagnostika skeletu


1 sutura sagittalis (šev šípový)
2 foveolae granulares
3 sutura lambdoidea (šev lambdový)
4 sinus frontalis (dutina kosti čelní)
5 strop orbity (očnice)
6 planum sphenoidale
7 cellulae ethmoidales (etmoidální sklípky / dutinky kosti čichové)
8 sutura frontozygomatica (šev mezi kostí čelní a kostí lícní)
9 horní hrana pyramidy (kosti skalní)
10 linea innominata
11 meatus acusticus internus (vnitřní zvukovod)
12 arcus zygomaticus (jařmový oblouk)
13 caput mandibulae (hlavice dolní čelisti)
14 septum nasi et concha nasalis inferior (nosní přepážka a dolní nosní skořepa)
15 sinus maxillaris (dutina horní čelisti)
16 processus mastoideus (bradavkový výběžek)
17 squama occipitalis (šupina kosti týlní)
18 dens axis (zub čepovce)
19 maxilla (horní čelist)
20 canalis mandibulae (kanál v dolní čelisti)
21 angulus mandibulae (úhel dolní čelisti)
22 mandibula (dolní čelist)
23 protuberantia mentalis (bradový výběžek)


os frontale (kost čelní)
os occipitale (kost týlní)
os temporale (kost spánková)
os zygomaticum (kost lícní)
os parietale (kost temenní)
os sphenoidale (kost klínová)

1 lamina externa
2 diploe
3 lamina interna
4 sutura coronalis (šev korunový)
5 sulcus arteriae meningeae mediae
6 sinus frontalis (dutina kosti čelní)
7 fossa hypophysialis (jamka tureckého sedla pro hypofýzu)
8 ala major ossis sphenoidalis (velké křídlo kosti klínové)
9 sutura lambdoidea (šev lambdový)
10 lamina cribrosa
11 processus clinoideus anterior (přední kuželovitý výběžek)
12 processus clinoideus posterior (zadní kuželovitý výběžek)
13 os nasale (kost nosní)
14 sinus sphenoidalis (dutina kosti klínové)
15 os zygomaticum (kost lícní, laterální stěna orbity/očnice)
16 clivus
17 cellulae ethmoidales (etmoidální sklípky, dutinky kosti čichové)
18 pars petrosa ossis temporalis (pyramida / kost skalní kosti spánkové)
19 sinus maxillaris (dutina horní čelisti)
20 porus acusticus externus (otvor zevního zvukovodu)
21 processus coronoideus mandibulae (krkavčitý výběžek dolní čelisti)
22 foramen magnum
23 processus zygomaticus (lícní výběžek)
24 palatum durum (tvrdé patro)
25 nasopharynx (nosohltan)
26 palatum molle (měkké patro)
27 mandibula (dolní čelist)


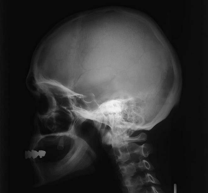
1 sutura lambdoidea (šev lambdový)
2 protuberantia occipitalis (externa a interna)
3 os occipitale (kost týlní)
4 sulcus sinus transversi
5 crista occipitalis
6 foramen magnum
7 hrana pyramidy (kosti skalní)
8 eminentia arcuata
9 jádro labyrintu
10 cellulae mastoideae (mastoidní sklípky / dutinky v processus mastoideus)
11 meatus acusticus internus (vnitřní zvukovod)
12 arcus posterior atlantis (zadní oblouk nosiče)
13 foramen jugulare
14 dens axis (zub čepovce)
15 articulatio temporomandibularis (čelistní kloub)
16 caput mandibulae (hlavice dolní čelisti)


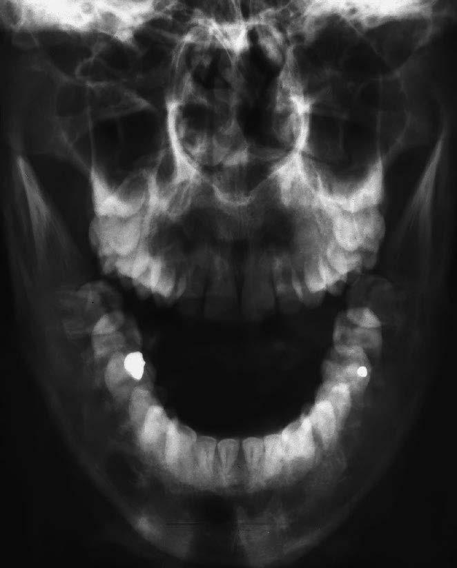
1 sinus frontalis (dutina kosti čelní)
2 os nasale (kost nosní)
3 přední etmoidální sklípky
4 orbita (očnice)
5 septum nasi (nosní přepážka)
6 ala major ossis sphenoidalis (velké křídlo kosti klínové)
7 foramen infraorbitale
8 foramen rotundum
9 zadní etmoidální sklípky
10 os zygomaticum (kost lícní)
19 mandibula (dolní čelist) Paranazální dutiny, okcipitomentální (Watersova) projekce
11 sinus maxillaris (dutina horní čelisti)
12 recessus alveolaris maxillae
13 sinus sphenoidalis (dutina kosti klínové)
14 foramen ovale
15 processus alveolaris maxillae
16 caput mandibulae (hlavice dolní čelisti)
17 margo superior partis petrosae (horní hrana pyramidy / kosti skalní)
18 lingua (jazyk)


1 sinus frontalis (dutina kosti čelní)
2 strop orbity (očnice)
3 crista galli
4 linea innominata
5 planum sphenoidale
6 margo superior partis petrosae (horní hrana pyramidy / kosti skalní)
7 laterální stěna orbity (očnice)
8 os zygomaticum (kost lícní)
9 přední etmoidální sklípky
10 meatus acusticus internus (vnitřní zvukovod)
11 septum nasi (nosní přepážka)
12 sinus maxillaris (dutina horní čelisti)
13 cavitas nasi (nosní dutina)
14 dens axis
15 articulatio atlantoaxialis


1 sinus frontalis (dutina kosti čelní)
2 strop orbity (očnice)
3 planum sphenoidale
4 orbita (očnice; podbarvena šedě)
5 cellulae ethmoidales (etmoidální sklípky / dutinky kosti čichové)
6 laterální stěna orbity (očnice)
7 ala minor ossis sphenoidalis (malá křídla klínové kosti)
8 linea innominata
9 lamina orbitalis (papyracea)
10 ala major ossis sphenoidalis (velké křídlo kosti klínové)
11 fissura orbitalis superior
12 processus frontalis ossis zygomatici (čelní výběžek kosti lícní)
13 foramen rotundum
14 dno orbity (očnice)
15 horní hrana pyramidy (kosti skalní)
16 septum nasi (nosní přepážka)
17 arcus zygomaticus (jařmový oblouk)
18 concha nasalis inferior (dolní skořepa nosní)
19 sinus maxillaris (dutina horní čelisti)
20 palatum durum (tvrdé patro)


1 sinus frontalis (dutina kosti čelní)
2 strop orbity (očnice)
3 ala minor sinistra ossis sphenoidalis (levé malé křídlo kosti klínové)
4 ala minor dextra ossis sphenoidalis (pravé malé křídlo kosti klínové)
5 planum sphenoidale
6 cellulae ethmoidales (etmoidální sklípky, dutinky kosti čichové)
7 canalis opticus (kanál optického nervu)
8 laterální stěna orbity (očnice)
9 fissura orbitalis superior
10 sinus sphenoidalis (dutina kosti klínové)
11 os zygomaticum (kost lícní)
12 pars petrosa ossis temporalis (pyramida / kost skalní kosti spánkové)
13 sinus maxillaris (dutina horní čelisti)


1 dno orbity (očnice)
2 septum nasi (nosní přepážka)
3 planum nuchale
4 sinus maxillaris (dutina horní čelisti)
5 laterální kontura maxily (horní čelisti)
6 spina nasalis anterior
8 maxilla (horní čelist)
10 angulus mandibulae (úhel dolní čelist) Maxila (horní čelist)
7 processus coronoideus (krkavčitý výběžek)
9 ramus mandibulae (rameno dolní čelisti)


1 articulatio temporomandibularis (čelistní kloub)
2 caput mandibulae (hlavice dolní čelisti)
3 processus coronoideus (krkavčitý výběžek)
4 alveolární okraj
5 foramen mandibulae
6 protuberantia mentalis (bradový výběžek)
7 cavitas dentis (pulparis) (dřeňová dutina zubu)
8 canalis radicis dentis (zubní kanálek)
9 foramen apicis radicis dentalis
10 foramen mentale
11 canalis mandibulae (kanál v dolní čelisti)
12 angulus mandibulae (úhel dolní čelisti)


1 stříška kloubní jamky čelistního kloubu
2 articulatio temporomandibularis (čelistní kloub)
3 caput mandibulae (hlavice dolní čelisti)
4 sinus maxillaris (dutina horní čelisti)
5 cavitas nasi (nosní dutina)
6 processus coronoideus (krkavčitý výběžek)
7 maxilla (horní čelist)
8 ramus mandibulae (rameno dolní čelisti)
9 angulus mandibulae (úhel dolní čelisti)
10 dentes molares (stoličky)
11 canalis mandibulae (kanál v dolní čelisti)
12 dentes premolares (premoláry)
13 dens caninus (špičák)
14 dentes incisivi (řezáky)
15 foramen mentale
16 tuberculum mentale (sumace s projasněním trachey)

19 canalis radicis dentis (kořenový kanál)
20 cavitas dentis (pulparis) (dřeňová dutina zubu)
21 dentin korunky (zubovina)
22 sklovina 23 foramen mentale
24 radix dentis (zubní kořen)
25 dentes incisivi (řezáky)
26 dens caninus (špičák)
27 dentes premolares (premoláry)
28 dentes molares (stoličky)
10 recessus alveolaris (dno dutiny horní čelisti) 11 sinus maxillaris (dutina horní čelisti) 12 fossa pterygopalatina 13 processus pterygoideus (křídlový výběžek kosti klínové) 14 angulus mandibulae (úhel dolní čelisti) 15 stín jazyka 16 canalis mandibulae (kanál v dolní čelisti) 17 os hyoideum (jazylka) 18 foramen apicis radicis dentis
1 processus styloideus (bodcovitý výběžek)
2 palatum molle (měkké patro)
3 caput mandibulae (hlavice dolní čelisti)
4 processus condylaris 5 arcus zygomaticus (jařmový oblouk)
6 processus coronoideus (krkavčitý výběžek)
7 dno orbity (očnice)
8 cavitas nasi (nosní dutina)
9 palatum durum (tvrdé patro)

Skelet nosu, bočná projekce


1 sutura frontonasalis
2 sulci ethmoidales
3 os nasale (kost nosní)
4 sutura nasomaxillaris
5 cartilago nasi (chrupavka nosní)
6 maxilla (horní čelist)
7 vestibulum nasi
8 spina nasalis anterior