Dental Technology Today Fall 2023

Page 1

PM#40065075 –Return Undeliverable Items To: Craig Kelman & Associates, 3C-2020 Portage Avenue, Winnipeg, MB R3J 0K4 2024 Pacific Dental Conference Save The Date ADTO’s Solstice Soirée a Great Success Meet Chloe Nguyen, Second-Year Student at Vancouver Community College DENTISTRY DEPENDS ON TECHNOLOGY INSIDE THE OFFICIAL PUBLICATION OF THE DENTAL TECHNICIANS ASSOCIATION OF BRITISH COLUMBIA AND THE ASSOCIATION OF DENTAL TECHNOLOGISTS OF ONTARIO FALL 2023 Minimally Invasive Treatment Using the New Prettau® Skin® Protocol

V-Print® splint comfort

FDA 510k-cleared biocompatible 3D print resin to produce clear thermo-flexible therapeutic splints, retainer and night-guards

High flexural strength and excellent wear resistance allow for device as thin as 1 mm

Thermo-flexibility, biocompatibility, odorless and neutral flavor increases patient acceptance

Extremely fracture resistant and durable

Clear-transparent, easy to polish and color stable for excellent esthetics

No sedimentation – no shaking or “rolling” prior to use

V-Print® splint

Material for 3D printing of splints, night-guards and other diagnostic parts

FDA 510k cleared

Biocompatibility and neutral flavor ensure high level of patient acceptance

Clear-transparent – for high patient satisfaction

Rigid with high flexural strength for durable orthodontic objects

Easy to polish and stain resistant

No sedimentation – no shaking or “rolling” prior to use

… … V-PRINT
NOT VOCO Canada · toll-free 1-888-658-2584 · Fax 905-824-2788 · infousa@voco.com · www.voco.com Call 1-888-658-2584
SOME THINGS NEED TO BE SHAKEN
DOES
Introducing V-Print – a new line of sedimentation-free 3D Print resins:
Validated for 3D printers from trusted partners like Asiga, Dental Wings, Rapid Shape, Microlay, MiiCraft, Ackuretta, Shera, Straumann and Solflex. For a complete list go to www.voco.dental/3dprintingpartners V-Print splint comfort V-Print dentbase V-Print splintV-Print modelV-Print model fastV-Print SG V-Print trayV-Print Try-In V-Print cast

2024 Pacific Dental Conference Save The Date.................

Mark your calendars for the 2024 Pacific Dental Conference happening March 7-9, 2024,

7181 Woodbine Avenue, Suite 235

Markham, ON L3R 1A3

Toll Free: 1-877-788-ADTO (2386) (within Ontario)

Telephone: 416-742-ADTO (2386)

Fax: 416-798-2613

www.adto.ca

Chloe Nguyen is a second-year student at Vancouver Community College in the Dental Technology Sciences program and details her journey so far in the dental technology field.

MB #273 - 12100 Riverside Way Richmond, BC V6W 1K5

Ashley Opitz, Office Administrator

Toll Free: 1-888-495-4566

Telephone: 604-278-6279

www.dtabc.ca

©2023 Craig Kelman & Associates Ltd.

The ADTO’s summer event – A Solstice Soirée – took place on Friday, July 14, 2023, at CLIO Toronto. Having returned to an in-person format only one year previously, this year’s event showed a marked increase in attendance over 2022.

UK lab owner Steven Campbell went from two to twenty-two employees in six years. How? Digitalization. He overviews how he implemented the digital processes that led him to success.

Published by:

3rd Floor, 2020 Portage Avenue

Winnipeg, MB R3J 0K4

Tel: (204) 985-9780

Fax: (204) 985-9795

Email: jenna@kelman.ca

www.kelman.ca

Managing Editor: Jenna Conrad

Design/Layout: Tracy Toutant

Marketing Manager: Chad Morrison

Advertising Coordinator: Stefanie Hagidiakow

Return undeliverable Canadian addresses to: Craig Kelman & Associates 3C-2020 Portage Avenue

This document is printed on paper certified to the standards of the Forest Stewardship Council® (FSC®). THE OFFICIAL PUBLICATION OF THE DENTAL TECHNICIANS ASSOCIATION OF BRITISH COLUMBIA AND THE ASSOCIATION
OF DENTAL TECHNOLOGISTS OF ONTARIO
rights reserved. The contents of this publication may not be reproduced by any means, in whole or in part, without prior written consent from the publisher.
All
CONTENTS
Publication Mail Agreement: PM#40065075 DTABC President’s Message 4 ADTO President’s Message 7 HR Insider 9 Management Tips 11 Classifieds .......................................................................................................................... 28 Advertiser Product & Service Centre 30 FALL 2023 This magazine is printed on paper certified to the standards of the Forest Stewardship Council® (FSC®).
Winnipeg, MB R3J 0K4
Meet Chloe Nguyen, Second-Year Student at Vancouver Community College ....................................... 14
5
at the Vancouver Convention Centre in Vancouver, BC.
ADTO’s Solstice Soirée
Great Success ............................. 17
a
A Remake Rate to Celebrate................................................
20
Minimally Invasive Treatment Using the New Prettau® Skin® Protocol .............................. 24 A case report of a 27-year-old patient requiring a minimally invasive restoration in tooth 21 and aesthetic adjustment of tooth 11. 17 14 FALL 2023 3

MB

#273 - 12100 Riverside Way

Richmond, BC V6W 1K5

Ashley Opitz, Office Administrator

Toll Free: 1-888-495-4566

Telephone: 604-278-6279

office@dtabc.ca

www.dtabc.ca

DTABC PRESIDENT’S MESSAGE

Become a Member of DTABC

DTABC BOARD OF DIRECTORS

PRESIDENT

James Neuber, RDT, Ocean Ceramics Ltd.

VICE-PRESIDENT

Olaf Lutz, RDT, Okanagan Dental Lab Inc.

PAST PRESIDENT

Sachiyo Tsunemi, RDT, Artistic Dental Ceramics

Mohammad Lashgary, RDT, Kinetic Dental Laboratory

Calvin Moon, RDT, Moon Dental Technology Solutions

Chris Opitz, RDT, Shanto Dental Ceramics Ltd.

Donald Park, Smile Innovations Group

Will N. Varda, RDT, Anvarda Dental Services Ltd.

MANAGEMENT STAFF

Lih Fen Young, RDT Executive Director lih@dtabc.ca

Ashley Opitz Office Administrator office@dtabc.ca

Summer is winding down, technicians, staff, and dentists are returning from the holidays; we are gearing up for a fall election for three DTABC Board of Directors positions and launching our new website. We had a great AGM in May with our CE speaker and two prize winners. This year, the DTABC Board, along with the Scientific Committee, strives to bring members cutting-edge continuing education. The loaded program for PDC 2024 will cover speakers discussing mainly digital dental technology and addressing clinical and technical areas.

This fall, the DTABC will have three positions available on our Board. As a member of DTABC and the dental technician profession, you can have the most input and the ability to make positive changes for the entire profession. If you have the heart to be part of the solutions for our profession, consider putting your name forward for one of the board positions. Our profession is rapidly changing, and dental technicians of every skill level must be up-to-date, competitive, aware of opportunities, and continue to be educated to maximize our valuable expertise in the marketplace.

We are excited to announce the launch of the new DTABC website! Please come and visit us at www.dtabc.ca to check it out. Let us know your thoughts or how we can improve it through our contact form.

The DTABC AGM in May was a new way of meeting, as we had in-person and online attendance simultaneously. It was especially great to chat and meet with the members who came in person. I want to thank those that could not make it in person but joined us virtually instead. Members, if you

missed the fantastic CE lecture at our AGM, “Clinical Gems Every Tech Should Know to Support Their Docs: Preps, Adhesives and Materials,” by James Neuber, it will soon be in our member’s area for viewing. We also had two amazing prizes to give away. Congratulations to Fumiko Sasaki from Bayview Dental, who won the $600 Brasseler: Dialite ZR Extra-Oral Adjusting & Polishing System & Case and to Shinichi Okoshi from Ace Dental Lab for winning the $80 bottle of Gold Bar Whiskey. Thank you to JM from Brasseler and Daniel from Garfield Refining for sponsoring these items.

Any dental technicians/technologists, dental technician assistants, students and associates in Canada can become a member of DTABC. You can attend the PDC for free by joining the Dental Technicians Association of BC. Your membership will give you access to the PDC at no cost during the early bird registration time and allow you to capitalize on the priceless educational talent on the way. For additional information and the benefits of becoming a member, please visit www.dtabc.ca. DTABC, in partnership with the PDC Scientific Committee, is loading the PDC agenda on Saturday to empower our members with some of the best on-trend clinicians and technicians to build their value in the marketplace. Lab owners, be sure to sign up your staff as members of DTABC so they can all experience being with mentors and learn and keep up with the latest in technology, making your lab as competitive as possible.

Email office@dtabc.ca and ask, “How do I become a member?” We will help you with any questions, and we can sign you up.

I want to address a reality in our profession that every technician should be aware of.

FALL 2023 4 CLICK HERE TO RETURN TO TABLE OF CONTENTS
The loaded program for PDC 2024 will cover speakers discussing mainly digital dental technology and addressing clinical and technical areas.”

More and more dental practices are investing in digital technology that produces prosthetics that are not sent to a dental lab with qualified RDTs. This is happening in every province across Canada. I want to share some insights into this trend. I have been watching this trend develop over the years. It has happened in every industry and profession. Technology creates the path to a quicker result that we all engage in, have a look at your smartphone. They all come in every shape and size, and level of performance. You can’t change that. But you can change how you, as a professional, offer products and services that beat the competition. The reality is that most doctors that invest in their in-house labs are doing it for the simple posterior type of all-ceramic

restorations. Although these are everyday prescriptions for most dental labs, my advice to all technicians, owners, and nonowners is don’t be the rival, be the resource of solutions. With the rapidly changing technology, you want to build your value with the cases that an in-house lab can’t do. Invest your knowledge and skills into implant prosthetics, denture prosthetics, and complete mouth rehabilitations – the type of cases that can’t be done easily or quickly.

BE THE RESOURCE!

Lastly, on behalf of all dental professionals, I want to send condolences to the family and friends of two BC dentists that recently passed – Dr. David Bobyn (Kelowna, BC) and Dr. Ryan Kilistof (Vernon, BC). Dr. Bobyn had a very high regard for quality

dentistry in Kelowna. He was a long-time client of a very high-quality lab, and it is sad to see quality professionals leave our profession. Dr. Kilistof was a long-time client of our lab. He was a superb clinician and always wanted to do things right. We will miss his professionalism in dentistry and, of course, having a glass of wine with him at the PDC – he never missed the happy hour. All will sorely miss their excellence and professionalism in dentistry.

DENTISTRY DEPENDS ON TECHNOLOGY Online Early Bird Register for the PDC and DTABC begins October 15th, 2023 in conjunction with the Canadian Dental Association Pacific Dental Conference Visit the PDC website for upcoming program information at... pdconf.com March 7-9, 2024 Pacific Dental Conference Vancouver Canada Save these Dates!
FALL 2023 5 CLICK HERE TO RETURN TO TABLE OF CONTENTS
“With the rapidly changing technology, you want to build your value with the cases that an in-house lab can’t do. Invest your knowledge and skills into implant prosthetics, denture prosthetics, and complete mouth rehabilitations – the type of cases that can’t be done easily or quickly. BE THE RESOURCE!”
• •

Box 397, 101-1001 West Broadway

7181 Woodbine Avenue, Suite 235

Vancouver, BC V6H 4E4

Markham, ON L3R 1A3

Ashley Opitz, Administrative Assistant

Toll Free: 1-877-788-ADTO (2386)

Toll Free: 1-888-495-4566

(within Ontario)

Telephone: 604-278-6279

www.dentaltechniciansofbc.com

Telephone: 416-742-ADTO (2386)

Fax: 416-798-2613

www.adto.ca

DTABC

ADTO EXECUTIVE

BOARD OF DIRECTORS

BOARD OF DIRECTORS

PRESIDENT

PRESIDENT

Hal Hamilton, RDT

Karim Sahil, MDT, RDT

VICE PRESIDENT

VICE-PRESIDENT

Chris Opitz, RDT

Shabana Mirza, RDT

John Eggeling, RDT

TREASURER

Nadja Jakobi, RDT

Aura Szigiato, RDT

Greg Tamkin, RDT

Stuart Thomson

SECRETARY

Debra Orozco Blanco, RDT

MANAGEMENT STAFF

Malcolm Ashford

MEMBER BENEFITS

Executive Director

Chris Ji, RDT

Continuity of Growth

Fall is here, and it’s time to prepare for the winter cold. They say the ones prepared always flourish in the end.

Let’s keep our noses in our books and check to see if our 90 CE credits have been fulfilled. Many of our members have had their professional portfolios screened for adequate continuing education points this year. Don’t forget that as an ADTO member; you have many perks (educational webinars are just one of them) that we offer to boost your credits and keep your mind on what’s important – doing business. Make sure to sign up using the email alerts because some in-person seminars are only ‘first come, first serve.’

necessary path to create value where and when it’s needed. This event differed slightly from the summer cruise but was much more extravagant. You can read more about this event on pages 17-18.

As we get closer to the year-end, we have one other tradeshow, Spectrum Day Toronto, to attend this year, as well as the ADTO AGM. It is important for all our members to attend these in-person and virtual conferences. We are bringing up challenges in the industry that may affect us as an individual and will start affecting us as a group if handled incorrectly. These challenges and/or ideas can be discussed in person or virtually and solved before they can cause disturbances. The Board of Directors is here to serve the membership, and as our fiduciary duty, we welcome you to provide us feedback in person, by email, or by phone.

DIRECTOR OF COMMUNICATIONS AND MEMBER SERVICES

EDUCATION

Aaliyah McPherson, RDT

Renata Cecconi

604-940-2995

PAST PRESIDENTS

2016-2020 - Franklin Parada

2010-2016 - Jason Robson

2007-2010 - Gabriel Ghazal

2004-2007 - Stephen DeLuca

2003 - Michael Hrabowsky

2001-2002 - Al McOrmond

2000 - David Kochberg

1999 - Thomas Kitsos

1998 - Feliks Dawidowicz

1997 - Wilhard Barth

1996 - Bob Huybrechts

1994-1995 - Andre Theberge

1992-1993 - Michael Hrabowsky

1990-1991 - Jamie Matera

1989 - Joe Nagy

This year, we have seen dentistry bounce back to normal from the past years of confusion and challenges. We have opened many dialogues with other professional associations to better serve our members. These new collaborations will bring in new ideas which we all can benefit from in creating a harmonized dental umbrella consisting of all regulated dental professions.

Our Solstice Soirée summer event was another HIT! With many new smiles and surpassing floor capacity, it’s probably a good idea to start looking for bigger venues for the next event. From the amazing decor to the delicious food, we had a ‘night to remember.’ The feedback from our respected members continues to provide us with the

I would like to say that your Board of Executive Directors and the ADTO staff are working extremely hard to create many new avenues for benefits which provide consistent value to you. Please visit www.adto.ca for more information, or email us at info@adto.ca.

MDT, RDT

Karim Sahil, MDT, RDT President

Association of Dental Technologists of Ontario

DENTISTRY DEPENDS ON TECHNOLOGY

ADTO PRESIDENT’S MESSAGE
“This year, we have seen dentistry bounce back to normal from the past years of confusion and challenges. We have opened many dialogues with other professional associations to better serve our members.”
FALL 2023 7 CLICK HERE TO RETURN TO TABLE OF CONTENTS
CONNECTING THE FUTURE CONNECTING THE FUTURE OPEN SYSTEM Rijeka orders@udscanada.com / www.udscanada.com 1-888-532-0554 Unique Dental Supply Inc. Quality • Service • Innovation Free Training & Support MEDISCO GROUP M Scanner Printer Scanner Printer Intra Oral Scanner Face Scanner Washer 5D MultiLayer Zirconia FALL 2023 8 CLICK HERE TO RETURN TO TABLE OF CONTENTS

How to Manage a Challenging Employee

One of the biggest hurdles that managers in leadership roles grapple with is the task of managing challenging employees. It can be frustrating when an employee’s troublesome behaviour and negative attitude begin to affect the team, bringing their productivity and energy down.

This chain reaction of effects can lead to problems for the entire business, generating an unfavourable environment that negatively affects customer satisfaction and puts company objectives in jeopardy.

Dealing with difficult employees is no walk in the park. Whether it’s someone who always starts the conflict, is insubordinate, or just doesn’t listen, it’s important to confront this issue directly to keep the damage to a minimum.

Below are some steps employers can take to handle a difficult employee:

1. Focus on the behaviour, not the employee: Maintain a professional tone during the conversation. The focus is to find a resolution rather than incite conflict. To achieve this, direct the attention towards addressing specific examples of inappropriate or undesirable behaviour displayed by the employee, avoiding personal attacks. It’s important to recognize that negative behaviour may not necessarily be driven by malicious intent; it could be from other factors such as personal challenges. It’s more about understanding rather than confrontation.

2. Listen: Actively listen to their input to gain insight into the root of the issue and recognize any workplace-related concerns that could be influencing their negative conduct. At times, simply providing a platform for them to voice their concerns can lead to positive change as they feel valued and understood.

3. Provide feedback: Although providing negative feedback is challenging, it’s essential. It’s important to elaborate and give examples of their behaviour and how it has to change. Providing examples can help paint a clear picture to the employee of the type of situation the employer is alluding to. This approach not only addresses the issue at hand but also guides the employee toward practical improvements.

4. Maintain consistency: Establishing a consistent benchmark for proper workplace behaviour and employee performance. Inconsistencies in addressing issues such as lateness or incomplete reports can lead to confusion and frustration. It’s important to adhere to company policies and be consistent in feedback. Consistency helps to foster clarity and motivate diligent employees to align their performance and behaviour with your expectations.

5. Document all steps: Proper documentation serves multiple purposes – it helps in recalling and referencing specific occurrences while also safeguarding the company in case the employee’s employment ends and legal issues arise, such as wrongful termination claims.

6. Establish consequences: For effective management of a challenging employee, outlining explicit consequences in the event of unchanged behaviour is essential. Failing to specify repercussions within the agreed-upon timeframe can undermine the improvement plan. The consequence might involve formal written warnings, for example. Employees are more inclined to change their behaviour if they understand the negative impact it could have on their job.

7. Be prepared to make a tough decision: Addressing challenging employees might lead to making tough choices, such as terminating the employee if their actions are severe or fail to meet the established standards. Effective managers possess leadership qualities that differentiate them from their peers, often willing to navigate challenging scenarios. Adhere to the company’s termination policy and seek guidance from the HR department, as it’s crucial before initiating the termination process. Managing difficult employees requires a combination of empathy, patience, and effective communication. By utilizing these strategies, employers can create a workplace that encourages positive behaviour, collaboration, and growth.

Peninsula has been helping businesses with HR and health and safety compliance for 40 years. We are now trusted by over 120,000 SMB owners across the globe. In Canada, we support over 6,500 businesses in eight provinces, providing a service tailored to your business needs. Clients benefit from access to our 24/7 employer HR and OHS adviceline and coverage on legal through our Peninsula Protect Plus service promise. For more information, please visit www.peninsulacanada.com.

HR INSIDER
FALL 2023 9 CLICK HERE TO RETURN TO TABLE OF CONTENTS

Primeprint SolutionTM

SIMPLIFIED THROUGH

AUTOMATION

Highly automated end-to-end 3D printing solution reducing handling times and manual work.

CONFIDENCE IN DELEGATION

Dental intelligence hardware and software enable the user to print biocompatible applications with reproducible and accurate results.

A simple scan is all it takes

The Primeprint box and intelligent cartridge system enable convenient and easy material handling without direct contact with resins.

Introducing Primescan Connect: our high-performing intraoral scanner now available in a laptop configuration. Enjoy all the benefits of Primescan at a more accessible price.

Primescan is an intraoral scanner that allows you to perform high-precision digital impressions of the patient’s mouth, without the use of traditional impression material. With simplified scanning and streamlined workflows, Primescan Connect is a great starting point to digital dentistry.

Achieve better diagnostics, treatment planning, and accelerated financial growth all while improving the patient experience.

•PRIMEPRINT
SOLUTION IS NOW AVAILABLE IN CANADA
NEW PRIMESCAN CONNECT COMING TO CANADA NOVEMBER 2022
MEDICAL-GRADE
A
SOLUTION
Please reach out to your Laboratory or CAD/CAM Specialist to learn more. 1-800-263-1437 | www.dentsplysirona.com

All Things Website

Why do you want a website?

Pretty much the whole world of business (which includes dental labs) knows that they need a website as part of their marketing strategy.

As a result, many people have put together a website because they have heard that they need to be ‘found’ on the internet, so they stick a passive website up on the internet and hope that that will suffice. However, to be ‘found’ and attract a lot of new people to your lab requires you to be a lot more proactive in this arena.

Where are you?

Case in point, I recently searched for dental labs on Google. I was shocked that many labs are almost invisible to Google. No presence = lost business. Many of them who were listed had

NO website at all and NO Google reviews at all. They are virtually invisible to someone seeking a new dental lab to do business with. No Google reviews is the same as saying their clients don’t love them enough to even write a review. This is a turn-off to the potential new client searching for a great lab. How can you grow from a one-person show to a big operation if the dentist searching for a new lab can’t research you before they make the call?

Finding a website creator

There are many website creators in the marketplace, but the questions are always, “Will they build me a good one that will attract new clients to my lab?” and “How will I know BEFORE I hire them that they are right for me?”

Simple – go check out their websites and see what examples they have of websites they have designed and see what you think as a consumer. By the way, cheap in this arena is usually bad, but it doesn’t mean you must pay $10,000, either.

There are specific things you need to have for your website:

1. Visuals

Photographs of your lab are worth a thousand words when someone is shopping for a new lab to partner with. Make sure they are attractive and with no clutter, etc. Pictures of your staff and yourself as the owner are also very important, and most people going to your website will look for these before choosing your lab. Get professional

TIPS
MANAGEMENT
FALL 2023 11 CLICK HERE TO RETURN TO TABLE OF
CONTENTS

help on these pictures, and let your staff know ahead of time so that they can look their best!

Short videos are another helpful tool for potential new clients to learn about your lab and philosophy.

2. Optimization

Google handles trillions of searches yearly, which is only increasing. Website optimization is a set of actions that can help you improve your site’s user experience, traffic, and conversions. For instance, the website must have good content consisting of words that clients are likely to enter into Google (or whatever search engine they use) in their efforts to find a new dental lab to work with. Your website developer needs to mark those words uniquely so that the search engines find your site in answer to the prospect’s question. This is part of search engine optimization.

Another example is consistently adding or changing the content of your website so that the search engines, in their ongoing review of new internet material, will find your new content and consider you more ‘relevant’ and will therefore bring your website up higher in the rankings.

This is why you should do blogs, add articles, do podcasts (a short presentation or explanation of some aspect of your services that prospects can download and listen to), short (3-minute) videos on various topics, and links to other relevant sites (such as reference materials for your clients to read for more information on a topic).

Continually adding such things to your website informs your existing clientele and keeps them up-to-date on things they should know, but it also gets you found more frequently by potential new clients and attracts them to your lab.

In Conclusion

If you want to grow your lab and attract more dentists and denturists, you must be found and chosen over any competitor on a Google search list. This means having an attractive, informative, and helpful website showcasing you and your team and what you can do!

And then don’t forget to get as many Google reviews as possible from your clients and even from patients who come to you for shading.

Don’t be invisible!

JANICE WHEELER is the President and co-owner of The Art Of Management Inc., a practice management company dedicated to helping healthcare professionals reach their full potential. For more information, call 416-466-6217, email ami@amican.com, or go to www.amican.com.

Upcoming

edition deadlines:

• Winter 2023: November 2, 2023

• Spring 2024: January 5, 2024

• Summer 2024: May 3, 2024

MANAGEMENT TIPS
3. Active Content
SUBMIT AN ARTICLE to Dental Technology Today and share your research, cases, and practice management experience with your colleagues. To submit an article for consideration, please contact Jenna Conrad, Managing Editor, at jenna@kelman.ca. FALL 2023 12 CLICK HERE TO RETURN TO TABLE OF CONTENTS

Second-Year Student at Vancouver Community College

Introduce yourself!

My name is Chloe Nguyen, and I am an international student from Vietnam. I moved to Vancouver six years ago for high school and moved to Montreal for my undergrad in biochemistry. Eventually, I returned to Vancouver to expand my studies even more; I must love it here because I keep coming back.

What motivated you to pursue a career in dental technology?

I have always been curious and eager to learn about anything and everything. Dentistry is interesting to me; there are so many things about human teeth that you could not imagine, including how dental technicians can create artificial crowns, bridges, and a whole denture for patients. When I was younger, I had ortho treatments and implants. Since then, I have been curious about the people behind the scenes of the clinic who create the crowns by hand. I decided to research dental technology, and the more I read, the more I was convinced to have a career in dental technology, and to move above and beyond my curiosity. Now that I am in the industry and almost graduated, I am still very fascinated by what we do.

Can you describe your experience with dental technology before entering this program?

Early in my life, dental technology was just an interest. There was not much for me to research because I needed the background and knowledge to know what to search for. The best thing I could do then was observe my own ortho implants and admire how they could look and feel exactly like my natural teeth do. This sparked my interest and made me want to learn more about it.

What has been your favourite part of the program so far? Least favourite?

Every part of the program is equally impressive to me. We have all the advanced equipment needed for our study, from crowns and bridges,

orthodontics, and dentures to digital designs. In the two-and-a-halfyear program, I have a schedule that allows me to learn something new every day. My instructors are all so helpful and knowledgeable; they take their time to discuss the work and give detailed feedback. My least favourite part will be when it is over. I love learning from our instructors, but I know the learning will continue when I graduate and get to work.

How have you grown professionally and personally since you began the program, and how do you plan to continue developing your skills as a dental technician after graduation?

I know this program has taught me a lot as a person and as a professional. I appreciate the care and attention I receive from my instructors and program leaders. There were times when I had doubts about myself, but the confidence I gained because of them was incredible.

MEMBER PROFILE FALL 2023 14 CLICK HERE TO RETURN TO TABLE OF CONTENTS

After graduating, I intend to take advantage of what I have learned and apply my skills in the real world. I plan to continue my development as a professional with the skills and abilities I have learned in school as a base.

How do you plan to market yourself and your skills to potential employers, and what unique strengths do you bring to the table as a dental technology graduate?

I am lucky enough to have been taught with up-to-date digital equipment to learn about new dental technology techniques. As the world keeps moving forward, I must stay on top of new emerging technologies, or I will be left behind. After graduating from this program, I am confident I have all the skills to make crowns and bridges, dentures, and orthodontic appliances, traditionally or digitally. I learned from my mistakes and developed my problem-solving skills.

What are your short-term and long-term goals in this field?

My short-term goal will be learning and improving myself, building work connections, and taking on new challenges. For my long-term goal, I want to be someone with a reliable reputation and gain leadership experience in the field.

How do you enjoy spending time outside of school?

I’m very grateful to be living in Vancouver so that I can fulfill all my hobbies outside of school. I go hiking and camping with my friends in the summer to refresh my mind. If I’m staying at home, it sounds a bit wild, but I like to practice either my wax-up skills or wire-bending skills to promote muscle memory when in the office.

I am lucky enough to have been taught with up-to-date digital equipment to learn about new dental technology techniques.
FALL 2023 15 CLICK HERE TO RETURN TO TABLE OF CONTENTS
As the world keeps moving forward, I must stay on top of new emerging technologies, or I will be left behind.
Why pay more ??? DISCOUNT 20% UPTO FREE SHIPPING Over $300 Some condi�ons may apply excel dentalshop.com 618 East Kent Ave S #101 Vancouver, BC V5X 0B1 Fall SPECIALS Buy $3000 Get $400 OFF CouponCode: 400-OFF Buy $2000 Get $250 OFF Coupon Code: 250-OFF Buy $1000 Get $100 OFF Coupon Code: 100-OFF Call Us Tel: (604) 876-2600 Toll Free: (1 800) 881-2932

a Great Success

he annual summer event by the Association of Dental Technologists of Ontario (ADTO) took place on Friday, July 14, 2023, at CLIO Toronto. Having returned to an in-person format only one year previously, this year’s event showed a marked increase in attendance over 2022. The 2023 summer event welcomed close to 200 attendees throughout the evening.

It was fabulous to see dentistry really bouncing back this year; our hard-working Board members and dedicated ADTO staff put on another high-quality show for our members and guests. This year we welcomed the ODA, ODHA, and DAO and their respected representatives to speak and open dialogue for future collaborations. We also had the pleasure of recognizing the hard work and efforts of Al McOrmond, RDT, DD, who has recently retired from the profession. We wish him a lovely time while he continues his journey and enjoys sailing the oceans. This year’s attendees seemed to engage in meaningful discussions about their business and services and used our platform to network with other colleagues.

The venue we chose for this event was none other than CLIO. An atmosphere made for ones who desire ‘attention to detail.’ We felt it was perfect for our members and guests, who all have a passion for creating new smiles with laser precision. Soft velvet furniture in three different rooms and a VIP rooftop terrace that opened for our guests to enjoy the beautiful scenery of downtown Toronto and get some fresh air. With a premium selection of drinks and gourmet food, everyone had a chance to show off their dancing skills and burn off well-earned calories.

We could not have done it without our proud sponsors, Ivoclar, Dentsply Sirona, and Central Dental. The support from these leading supply companies led to making ADTO’s Solstice Soirée one of the best techno-clinical social events.

We are very pleased that ADTO’s Solstice Soirée was so well attended, and the Association and its members are already looking forward to next year’s event.

’s FALL 2023 17 CLICK HERE TO RETURN TO TABLE OF CONTENTS
FALL 2023 18 CLICK HERE TO RETURN TO TABLE OF CONTENTS
THE SUPPLIES YOU NEED CAN PAY FOR THE SCANNER YOU WANT! FLEX PROGRAM Only available through Henry Schein Financial Services Participating in a promotional discount program is only permissible in accordance with discount program rules. By participation in such program, you agree that, to your knowledge, your practice complies with the program requirements. Note: This promotion offers a bundled discount. You must fully and accurately report any discounts, rebates, or other price reductions (“Discounts”) to any other Federal or Provincial program upon request by any such program. You must claim the benefit of these discounts in the fiscal year in which the discounts are earned, or the following year. Accordingly, you should retain any documentation, including your invoice or purchase order, of Discounts. It is your responsibility to review any agreements or other documents applicable to these prices to determine if they are subject to any Discounts. Minimum terms and conditions: Rates and programs are subject to change at any time, without notice. All transactions are subject to the satisfaction of underwriting guidelines, credit approval, documentation requirements, and not all applicants will qualify. This program applies to qualifying equipment only and may be subject to and exclusive of, applicable taxes. Henry Schein Financial Services retains the right to modify or terminate the promotions at any time without further notice. This financing program is available through Henry Schein Financial Services only. Certain other restrictions and additional terms and conditions may apply. Promotion not available in Quebec Supplies | Equipment | Practice Management Systems | Digital Technology | Technical Services | Practice Services Buy an eligible intraoral scanner from Henry Schein Canada and earn a 10% rebate on incremental merchandise. Your rebate will be applied directly to the quarterly payment of your equipment. Offer also includes 3 or 5-year terms through Henry Schein Financial Services. For more information about our Flex Program and to book your demo, visit: henryschein.ca/Flexprogram

A Remake Rate to

Celebrate

February 23, 2022 - https://exocad.com/exoblog/story/a-remake-rate-to-celebrate

UK lab owner Steven Campbell went from two to twenty-two employees in six years. How? Digitalization. The 30-year veteran of the industry recalls what fueled the change: “I recognized that something wasn’t working in the industry –the number of technicians was declining, and we were kind of stuck in the dark ages,” Steve says. “That’s when I quit my old ways, got rid of all analog processes, and started a completely digital dental workstream.” Steve tells us about how he transformed his lab from ‘old school’ to cutting-edge and why Formula 1 racing is a little like dentistry.

Q: What are the best first steps to take when adopting a digital workflow?

My very honest answer is to get a good CAD

package because you want it to be efficient and effective. You don’t have to start with implant planning and very complex denture work. You can just start with a single crown. If you start by scanning and accepting scans by having exocad, you can then send it to other partners. I’m in the UK. I’ve got a design partner in Canada. We don’t do a lot of Michigan splints, but they do. I take the scans

in, and I send them over. Then we work on the finishing and the detailing.

Q: Sounds fairly easy – even for those new to digital.

The journey is so easy. Just get the software, start saying to surgeons, “Yes, I can accept digital,” and find a design partner – there are so many out there who

FALL 2023 20 CLICK HERE TO RETURN TO TABLE OF CONTENTS
Digital surgeons send us a scan, and we can work on it literally two minutes later.

are vying for your business. But what you will do, because we all do it, is you start to see those designs coming back and think, “Why don’t I have a go at this one?” And then you’ll do a single crown. And then the next time you think, “I’m quite comfortable with all of these, then I’ll do a bridge. I’m comfortable with this. Then I’ll do an implant.” Before you know it, you will be doing really advanced work.

Q: Any software tips for labs starting out? My number one bit of advice is to start with exocad because it’s an open system. We get scans from every scanner system. We can import them all in. All our partners are happy to work with us using exocad. We say exocad plays nicely, and that’s the truth.

Q: In addition to your love of exocad, you’ve also mentioned that you love digital surgeons. Why? Because digital surgeons send us a scan, and we can work on it literally two minutes later. We don’t have to wait for it to be poured to give them a phone call and say, “I’m sorry, but it’s not a very good impression.” They can see on their own screen how good it was. If they send us a scan in the morning, they’ll get a proposal back in two hours. It’s transformed the communication between us.

Q: Do you think that analog-only surgeons will start feeling more pressure to go digital from labs?

They’re going to get lab-side pressure for sure. A friend of mine told all his clients, “In a year, if you don’t have an intraoral scanner and you’re not sending me scans, I won’t work with you anymore.” I thought that was a brave move. It turns out it’s been the best move he ever made because all the labour time he had in his plaster room is gone. He is 95% purely intraoral scan digital.

Q: Your lab’s grown exponentially in the past few years. What’s driven that? We’ve gone from two to twenty-two employees, and this is only our sixth year.

For me, that is mind-blowing. That was purely because we moved away from any workflows that were ineffective. The other side of it is improved communication. For instance, even if a surgeon isn’t digital, they can use exocad’s webview (https://bit.ly/3rUyQRJ). With webview, you can view designs from anywhere and move the design in 3D. They can take elements in and out, which means that we can show them the plan before we make it. So, I’m not committing to expensive resources and materials to make something they don’t like. Our remake rate has fallen through the floor. Our rejection rate is incredibly low. We were used to seeing cases always coming back in. The patient doesn’t like it, or they don’t like this shape, etc. We don’t get that anymore. We nail it before we make it. It’s a paradigm shift in how we deliver dentistry.

Q: Another paradigm shift we see in many industries, dental included, is that location has become largely irrelevant. How does that pertain to your work as a digital lab?

This is the big message for digital dentistry. Geographic boundaries don’t exist anymore. If the very best smile design team happens to work in Romania, guess what? You can utilize that and send a scan to them. If they happen to be in Canada, like our design team, we’ll utilize them for all our splints.

Q: And it doesn’t really matter where your lab is based, too, right? Yes, I mean, we’re based in a very rural part of the world. North Yorkshire is gorgeous but remote. It’s not easy to recruit the most highly skilled people, but a friend who worked with us here moved to the beach in Tenerife. It didn’t matter that he moved physically. He’s still part of my team. Every day we use dentalshare (https://bit.ly/3s2qOX6). We send cases to each other and back to the surgeon in London. We’ve got Harrogate, Tenerife, and London, all on one case.

We nail it before we make it. It’s a paradigm shift in how we deliver dentistry. info@dentxsolutions.com 1.888.295.6395 dentxsolutions.com CONTACT US Bring clarity and confidence to guided surgery with exocad’s new prosthetic-driven implant planning software. From simple pre-planning for more patient engagement to full surgical protocols and extensive library collectionsexoplan 3. 1 Rijeka offers predictability for technicians, clinicians and patients. Design faster, plan with predictability and improve outcomes. DentalCAD 3.1 Rijeka exoplan 3.1 Rijeka Stay ahead of the game with the newly released DentalCAD 3. 1 Rijeka! Enjoy faster design of single-unit restorations, reuse of custom tooth setups, highly automated preop workflows and so much more. By scanning the QR code to learn more about Dentx Solutions service assistance and training. LEARN MORE? SCAN ME SIMPLIFY YOUR DESIGN JOURNEY FALL 2023 21 CLICK HERE TO RETURN TO TABLE OF CONTENTS

Have Questions?

Q: Ok, time for some fun questions. Manual or electric toothbrush? Electric, come on. I can’t use a manual toothbrush.

Q: Flossing morning and evening? I use the new TePe picks, because, man, I’m terrible with flossing. Thank goodness, I’ve got an excellent hygienist.

Q: What’s your passion? Running and coffee. I need the run to burn off the buzz from the coffee.

Q: Favorite movie or podcast? Movie? Definitely the Goonies. Who doesn’t grow up wanting to find a pirate ship? Podcasts – I follow a lot to do with Formula 1 and modern racing. I love the technical side of it. I see a lot of Formula 1 in dentistry: time pressure and teams having to work together. I cheer the teams more than the drivers.

Q: What word do you think of when I say ‘exocad?’ Incredible.

Steven Campbell is a GDC-registered dental technician with almost 30 years of experience in the industry. Working with skilled teams and some of the most highly regarded dental surgeons in the UK, he and his team at Nexus Dental Laboratory provide solutions for all aspects of restorative dentistry, especially implants and the new digital and CAD/CAM workflows. When not in the lab, Steve can usually be found at a dental event learning from his peers or representing one of the many dental organizations he has been invited to work with, including his current role as President of the Dental Laboratories Association. Rare time off is spent running with his family in the beautiful countryside that surrounds him in North Yorkshire. Keep up with Steve and his team on Instagram at www.instagram.com/nexusdentaluk/?hl=en.

info@dentxsolutions.com 1.888.295.6395 dentxsolutions.com CONTACT US
Dentx Solutions
By scanning the QR code to learn more about
service assistance and training.
The Stratasys J3 printer is a cutting-edge 3D printing solution designed for dental applications. It offers high-quality, precise, and efficient printing of dental models, surgical guides, aligners, and more. The Coritec 150i mill is a compact and precise dental milling machine, ideal for dental offices. It offers fast production, exceptional accuracy, and material versatility, enhancing efficiency and patient satisfaction.
IN-HOUSE MILLING PRECISION IN PRODUCTION SCAN ME PERFECT COLLABORATION WITH THE LATEST TECHNOLOGY FALL 2023 22 CLICK HERE TO RETURN TO TABLE OF CONTENTS

AN ECONOMY TOOTH WITH PREMIUM QUALITY

VITA MFT®

Now

VITA MFT can be used in many ways – for partial and complete prosthetics, as well as for hybrid and implant prosthetics. Since the occlusal surface has been designed to be multifunctional, the tooth line is also suitable for all common set-up concepts, VITA MFT (Multi Functional Teeth) is now available in all VITA classical A1 – D4 shades*. In addition, two VITA SYSTEM 3D-MASTER shades and the bleach shade 0M1 for posterior teeth have been added to the product range.

available
VITA
shades! www.vitanorthamerica.com 800-828-3839 © 2023 VITA North America. VITA MFT® is a registered trademark of VITA Zahnfabrik. PERFECT MATCH FREE SAMPLE CASE AVAILABLE! SCAN FOR FREE SAMPLE CASE!
in all
classical A1-D4®

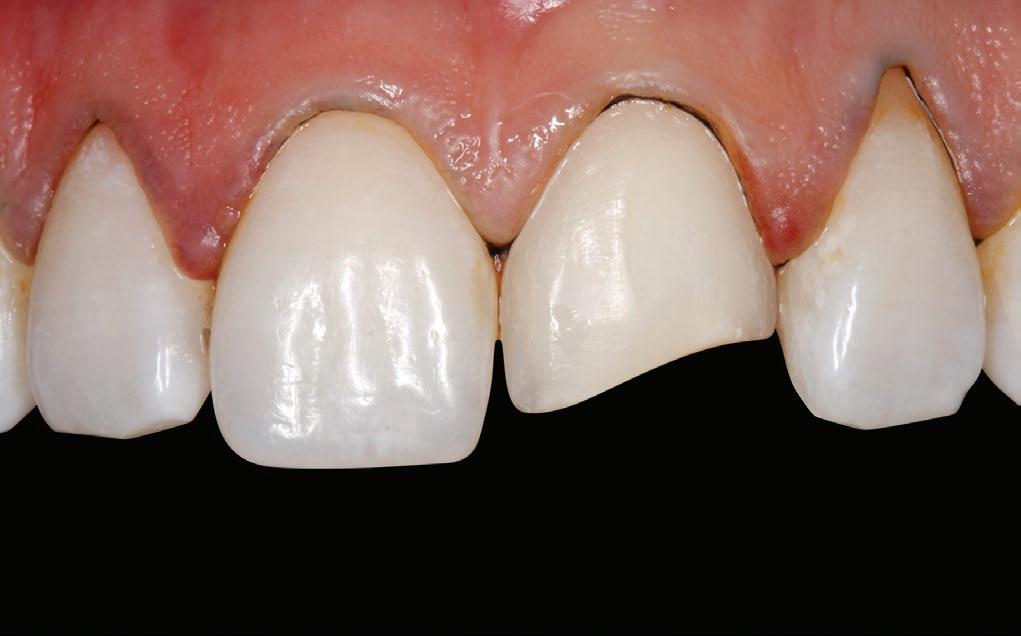
Minimally Invasive Treatment Using the New Prettau® Skin® Protocol

A case report of a 27-year-old patient requiring a minimally invasive restoration in tooth 21 and aesthetic adjustment of tooth 11

A27-year-old patient lost the incisal part of tooth 21 at the age of 11 due to a sports accident. The missing piece was replaced with a resin filling, which over time, was subject to discolouration and replaced with a lithium disilicate veneer applied without tooth preparation. The veneer showed a too-dark colour and a too-high translucency. For this reason, the patient was never totally satisfied with the restoration. In addition, a recession of the gingiva exposed the transition between the veneer margin and the tooth over time. For these factors, nine years later, the patient presented to the dentist requesting a new aesthetic solution for his anterior tooth (Figure 1). The primary goal for the techno-clinical team was to change the existing function as little as possible and/or to achieve ‘non-invasiveness’ and a ‘functionally ideal situation.’ In addition, the two central incisors needed to be adapted symmetrically, both in shape and colour, matching the shade of the patient’s natural teeth.

phase, diagnostic aspects regarding the gingival situation could also be included, if necessary: if a local or more extensive gingivoplasty or gingivectomy was necessary, this could be integrated into the mock-up, which could also be designed as temporary cemented prosthetics. In the present case, teeth 12 and 22 were included in the mock-up design to improve stabilization in the patient’s mouth.

During the first appointment with the patient, the dentist carried out dental, periodontal and radiological diagnostic assessments and documented the situation by acquiring patient photos, 3D facial scans, x-ray data, video of the patient speaking, as well as intraoral scans (Figures 2, 3A, and 3B). In addition, patient-specific occlusal information was accurately recorded by means of the PlaneSystem® (Udo Plaster, Germany). The acquired data were used not only for documentation purposes but also to produce a mock-up in the dental laboratory (Figures 4 and 5). The mock-up had great didactic, diagnostic, and clinical significance: it played an important role in the communication between the dentist, dental technician, and patient. It allowed for a predictable assessment of aesthetics and function by simulating the expected final result. During the mock-up design phase, a virtual block-out model was created to determine the correct insertion direction of the mock-up. In this

FALL 2023 24 CLICK HERE TO RETURN TO TABLE OF CONTENTS
Figure 2 Figure 3A and 3B Figure 1

The dentist removed the existing lithium disilicate veneer from tooth 21, and the tooth was minimally reduced in buccal and interdental areas in order to avoid a stronger shaping of the central incisors, but especially to make the axis and the tooth shape symmetrical. Subsequently, an intraoral scan of the actual situation was acquired and sent to the dental laboratory. The two veneers for teeth 21 and 11 were then designed (Figures 6 and 7), functionally checked with the PS1 virtual articulator and milled. In a previous phase at the dental clinic, using the special Zirkonzahn Shade Guide Prettau® Line (Figure 8) – composed of monolithic zirconia sample teeth reproducing the final restoration result – Prettau® 4 Anterior® Dispersive® zirconia was selected as the most suitable material for the restoration. The material, characterized by particularly high translucency, is already provided with a natural colour gradient. However, for an even more individual aesthetic result, the veneers were manually characterized with stains and minimally veneered with Fresco Enamel Fluo Ceramics.

Both try-in and final cementation steps were extremely demanding procedures: no major forces had to be applied to the veneers to avoid the risk of (invisible) cracks or fissures on the surface, which would lead to fractures at later times. During the try-in, aesthetic, mechanical, and functional aspects were controlled according to a checklist using different materials

FALL 2023 25 CLICK HERE TO RETURN TO TABLE OF CONTENTS
Figure 4 Figure 5 Figure 6 Figure 7 Figure 8

(water-soluble try-in paste, glycerine, GC Fit Checker, occlusion foil, and Shimstock foil). Finally, veneers preparation, as well as adhesive cementation, were carried out following carefully the proven technical and clinical Prettau® Skin® protocol developed by Zirkonzahn (the working protocol provides tested parameters from cleaning and isolation of the working area, tooth and veneers preparation, bonding preparation and application to curing) (Figures 9 and 10). Cementation was performed according to Zirkonzahn’s tested procedure using Estecem II paste (based on Zirkonzahn’s research and studies, Estecem II cement by Tokuyama Dental Deutschland GmbH is currently used for this working protocol. Regardless of which cementation paste is used, it is crucial that MDP is included at least in the primer to ensure a chemical bond to zirconia).

International courses on Prettau® Skin® are available, where dental technicians and dentists are taught the complete workflow using the correct parameters, focusing on both clinical and technical procedures. For more information and registration, or to learn more about additional educational opportunities with Zirkonzahn, contact Elena Chudakova, at +39 0474 06 6649 or elena.chudakova@zirkonzahn.com. Prettau® Skin® courses for 2023 are fully booked. Available dates for 2024: March 7-8, 2024, and September 19-20, 2024. Scan the QR code to read the course program for dental technicians.

Visit us online www.dtabc.ca www.adto.ca FALL 2023 26 CLICK HERE TO RETURN TO TABLE OF CONTENTS
Figure 9 Figure 10
Killarney -Ontario - Balsam lake www.micrylium.com 1-800-489-8868

Career Opportunities

Discover Your Denturist Dream Job

Join Lake City Denture Clinic in beautiful Williams Lake, BC. We seek an experienced dental technician to thrive in our busy clinic. Must have some experience with lab work, including: setting up all types of dentures, trimming and polishing dentures, pouring impressions, mounting cases on an articulator, rebases and repairs, and excel independently and as part of our stellar team. The clinic is also equipped with digital equipment, so some knowledge would be an asset. Competitive wage/commission (based on experience), flexible vacation, and a fantastic team atmosphere await. Plus, enjoy a signing bonus! Relocate to Williams Lake and immerse yourself in nature’s beauty. Escape the ordinary – send your resume and cover letter to lakecitydentureclinic@gmail.com today.

CAD/CAM Dental Technician

Coquitlam

Solaris Dental Design is a dental lab looking for a full-time dental technician who has experience in operating CAD/CAM scanners (3Shape or exocad), designing full crowns, bridges, implants, and fitting zirconia. Minimum two years of experience. Training will be available for further skill improvements. Able to read, understand, and speak English. Willing to learn new techniques and work with minimum supervision. If you are interested. Please email your resume to jobs.solarisdental@gmail.com.

Dental Lab Technician for Denture Clinic

Langley

Brookswood Denture Clinic in Langley, BC, is seeking a dental lab technician. This is a full-time position, Monday to Friday, 9 am to 5 pm. No weekends or evenings. We are a full-service, state-of-the-art, denture centre with an emphasis on precision dentures and dentures on implants. Applicants should have an understanding of dental terminology, be detail-oriented, and have the ability to multi-task in a fast-paced work environment. A dental technology diploma and work experience in denture fabrication are preferred but not necessary. For more information, please contact info@yourdenture.com.

Orthodontic Technician Surrey

Orthotec Dental Lab is looking for an orthodontic technician with lab experience in wire bending, acrylic work, trimming, polishing, driving, etc. For more information, contact Jean Yammine at 604-584-8884.

Dental Lab for Sale

Located in the sunny Central Okanagan, this profitgenerating dental lab has successfully operated for over 35 years. The lab is busier now than ever before. It employs six people and is up-to-date with all the current digital capabilities, resulting in increased efficiency and streamlined operations. The dental lab deals with all aspects of orthodontics, including but not limited to removable prosthetic appliances, cast partials, Valplast, complete dentures, sleep apnea, space maintenance, sports guards, LVI orthotics, brux guards, and more. The lab is located in a beautiful area that is ever-expanding and close to all amenities, making it ideal for business operations and daily life. The owner is willing to work through the sale transition to ensure everything goes smoothly and looks forward to hearing from you! Please contact dougortho57@gmail.com for more information.

Dental Lab for Sale

Central Fairview

Small laboratory/milling centre for sale located in central Fairview next to new Broadway Line station. Fully operational with many opportunities for expansion. Please email canadental@shaw.ca or call 604-872-0910 and ask for Hiro.

Dental Laboratory 50% Share for Sale

Great Vancouver

Dental Lab with 50% share for sale. Ideal central location in Great Vancouver. Fully equipped. Dental zirconia milling machine and amp; 3D printer, including Scanner. E-max® press machine. Ready and all prepared. Reason for sale: health and family reasons. A business partner will stay and help the new partner. Serious inquiries only. For more information, please email camero2010@live.com.

Dentsply Touch Porcelain Furnace for Sale

Included vacuum pump calibrated and fully functional. Good for lab backup or practice furnace. For more information, please email vandental2012@outlook.com.

Used Equipment for Sale

Kerr casting machine with well (new condition). Handler Portavacuum model 550. Ney Surveyor (new condition). Porcelain furnaceMultiMat MC (new muffle). Ney Cerampress Qex Porcelain Furnace. or more information, contact 604-247-2461.

CLASSIFIEDS
FALL 2023 28 CLICK HERE TO RETURN TO TABLE OF CONTENTS

CLASSIFIEDS

Wanted

Looking for New Simplex Articulators

Looking for new simplex articulators in any condition. Please email Alex at estheticsds@gmail.com.

Ontario Career Opportunities

Two Positions Available in Our Denture Department

Ottawa

Aurum Classic Ltd. currently has two positions available in our denture department in Ottawa.

• Denture Supervisor – Experience with traditional and digital workflow, waxing, trimming, and the ability to interact with customers via phone and emails. Supervisory experience is a must.

• Denture Technician – Experience setting, waxing, and finishing dentures. Must be able to do relines and repairs. Join our team environment, and enjoy the benefits of working with an industry leader. Please send your resumes to careernewsroom@aurumgroup.com.

Denture Technician Wanted

Hamilton

Well-established denture clinic in Hamilton is looking for a caring, diligent, motivated denture technician to join our busy practice. The ideal candidate will possess exceptional communication and problem-solving skills, strong time management, organizational and critical thinking skills with a commitment to providing excellent denture products. Qualifications include proficiency in all aspects of denture fabrication and repairs, attention to detail with a friendly and professional demeanour, and work well in a team. Experience of 3-5 years would be preferable, however new graduates are welcome to apply. Please email plentyofteeth@outlook.com with a cover letter and resume to apply.

Assistant Manager

Ottawa

Ottawa Dental Labortory Inc. is looking to hire an experienced dental technician for the position of assistant manager, training will be provided for the right candidate. Relocation allowance will be provided as a signing bonus to assist you relocate within Canada. We are a family-oriented lab with room to grow professionally and financially, pay will be based on experience. This position is for Canadian dental technicians only. For more information, contact dental2tech@yahoo.com.

Dental Lab Assistant Mississauga

This position as a dental lab assistant requires the individual to perform various tasks within the dental lab. The technician will be responsible for pouring up impressions/models, doing hands-on work with a handpiece, and doing some basic 3D digital CAD/CAM work. Training will be provided. Previous lab or dental clinic experience would be beneficial. For more information, contact dankwok7@gmail.com or 416-451-6203.

Full-Time Dental Technician

Toronto

Looking for a full-time dental technician. For more information, please contact dental2328@yahoo.ca or call 416-844-3942.

Seeking an Ortho Tech and Digital Designer

Barrie

Always growing, IDL is a state-of-the-art dental laboratory that exists where the rest of the province vacations. If you are interested in either of the above-referenced roles, contact us and let’s talk about affordable housing, quality of life, respect in the workplace, your skills and your potential for a future here. For more information, contact kevin@imagedentallaboratory.com or 705-726-6301.

For Sale

Dental Laboratory Equipment

Vaughan

Dental laboratory equipment for sale! We’re closing down our downtown office and we’re selling all equipment. Some Kavo equipment, 3Shape scanner, grinder, high speed, and more. Message me at 647-404-0866 for more information.

• Must be skilled in all lab procedures including: setting up all types of dentures, trimming and polishing dentures, pouring impressions, mounting cases on an articulator, rebases and repairs

• Implant knowledge is a plus

• Clinic equipped with digital equipment (knowledge preferred)

• Competitive wage/commission based on experience

• Enjoy a flexible vacation and a fantastic team atmosphere

• Signing bonus available

• Escape the ordinary - seize this extraordinary opportunity! Send

Join Lake City Denture Clinic in beautiful Williams Lake, BC!
• Experienced Dental Technician wanted for our busy clinic
your resume & cover letter to lakecitydentureclinic@gmail.com today.
advantage of this chance to make your career dreams come true! FALL 2023 29 CLICK HERE TO RETURN TO TABLE OF CONTENTS
Take

ADVERTISER PRODUCT & SERVICE CENTRE

Dental Technology Today would not be possible without the advertising support of these companies and organizations. Please think of them when you require a product or service. We have tried to make it easier for you to contact these suppliers by including their telephone numbers and websites. You can also go the electronic version at www.adto.ca or www.dtabc.ca and access direct links to any of these companies.

PM#40065075 Return Undeliverable Items To: Craig Kelman Associates, 3C-2020 Portage Avenue, Winnipeg, MB R3J 0K4 2024 Pacific Dental Conference Save The Date ADTO’s Solstice Soirée Great Success Meet Chloe Nguyen, Second-Year Student at Vancouver Community College INSIDE FALL 2023 Minimally Invasive Treatment Using the New Prettau® Skin® Protocol
COMPANY PAGE PHONE WEBSITE Bego Canada 6 418-683-6567 www.begocanada.com Central Dental Ltd. 13 416-694-1118 www.centraldentalltd.com Dentsply Sirona Canada 10 416-407-6752 www.dentsplysirona.com DentX Solutions Inc. 21, 22 888-295-6395 www.dentxsolutions.com Excel Dental 16 800-881-2932 www.exceldentalshop.com Ivoclar Vivadent, Inc. 32 800-263-8182 www.ivoclarvivadent.com Lake City Denture Clinic Inc. 29 250-398-9800 www.lake-city-denture-clinic.business.site Micrylium Professional Choice 27 800-489-8868 www.micrylium.ca SleepLabs Inc. 31 855-30-SLEEP (307-5337) www.sleeplabs.ca Specialty Tooth Supply 8 800-661-2044 www.specialtytoothsupply.com Unique Dental Supply 8 888-532-0554 www.udscanada.com VITA North America 23 800-263-4778 www.vitanorthamerica.com VOCO Canada 2 888-658-2584 www.voco.com Zahn Canada, A Division of Henry Schein Canada 19 800-496-9500 www.zahncanada.ca
reach dental technicians and technologists across Canada
Dental Technology Today
its targeted readership,
promotional
SPRING 2023 Meet Justin Ku, RDT INSIDE 41ST DTABC ANNUAL CONFERENCE March 9-11, 2023 PM#40065075 Return Undeliverable Items To: Craig Kelman Associates, 3C-2020 Portage Avenue, Winnipeg, MB R3J 0K4 WINTER 2022 20 23 BUYERS’ GUIDE INSIDE PM#40065075 Return Undeliverable Items To: Craig Kelman Associates, 3C-2020 Portage Avenue, Winnipeg, MB R3J 0K4 CHAD MORRISON , Marketing Manager LOOKING TO REACH DENTAL TECHNICIANS AND TECHNOLOGISTS ACROSS CANADA? Toll Free: 866-985-9788 Email: chad@kelman.ca Key Considerations to a Successful Digital Journey 2023 Pacifi Dental Conference Recap 2023 Technorama Lab Technology Conference Recap ADTO Summer Event A Solstice Soiree Meet Elizabeth Edgar, First-Year Student at Vancouver Community College INSIDE SUMMER 2023 FALL 2023 30 CLICK HERE TO RETURN TO TABLE OF CONTENTS
To
through
and
contact Chad at your earliest convenience to discuss your company’s
plans.

Captivating masterpieces

SR Phonares® II

High-end denture teeth made from composite

–Age-appropriate tooth shapes for a natural facial look –Typ and Lingual moulds for the functional posterior region –Individual tooth layering for a vibrant natural shade e ect

ivoclar.com Making People Smile © 2023 Ivoclar Vivadent, Inc. Ivoclar, Phonares, are trademarks of Ivoclar Vivadent, Inc. Rev. 1 5/2023
OUT MORE NOW
FIND

Turn static files into dynamic content formats.

Create a flipbook
Issuu converts static files into: digital portfolios, online yearbooks, online catalogs, digital photo albums and more. Sign up and create your flipbook.