















May is a month of celebrations! It’s the end of another school year, which is certainly worth celebrating. We are attending graduation parties and ceremonies for our seniors. And we are celebrating Moms on May 12, Mother’s Day!
It could be said that I already had my Mother’s Day celebration in April. Yes, I decided I needed some time away from, well, everything! So I took off to the beach by myself for three days. I titled this little getaway my “Mom-cation,” which I think may end up being a tradition for me.
Knowing I might feel a little lonely at times, I made sure to schedule things to do with the purpose of self-care in mind. I got a day pass at a local gym and worked out twice in a new environment. I went to a local state park and hiked the beach trail through the dunes. I splurged and got a massage and pedicure at a nearby spa. Besides that, I took walks on the beach, ordered whatever food I wanted for dinner, and watched Netflix until I was ready to go to bed. Sounds pretty good, right? It was!
We moms give so much each day to care for our children and families. Even when we aren’t busy actively doing something for them, we are almost always actively thinking (or worrying) about them. Taking some time for ourselves isn’t selfish; it helps us care for them better in the long run because we feel refreshed and renewed.
If a beach trip isn’t in the cards for you, Sarah Yale offers several practical ways to incorporate time for yourself into your daily routine in her article, Self-Care for Busy Moms. But, I would encourage you to consider a “Momcation” in the future, even if it’s just one night away. You deserve it!
Happy Mother’s Day, and Congratulations, Graduates! You’ve made your moms and dads very proud. Best of luck as you enter the next chapter of your lives!
River Region Parents Magazine is founded on the principle that parenting is an exciting, diverse, challenging, and significant role in our community. River Region Parents Magazine is a community advocate for families and the parenting process.
Founder
Marty Watson (1950-2006)
Editor
DeAnne Watson editor@riverregionparents.com
Research Editor Wendy McCollum
Contributing Writers
Dr. Melvin Brown
Kristi Bush, LSW
Richard Dennis
Rebecca Hastings
Pam Molnar
Kimberley Carter Spivey Lyman Woodfin Works of Wonder Therapy
Sarah Yale
Cover Photography
Lisa Smith www.studiopanache.net
Publisher Jason Watson jason@riverregionparents.com
Advertising Department (334) 213-7940 ext. 703 adservices@keepsharing.com or Text 334.328.5189
Content Manager
Anna Watson
Social Manager
Scott Davis
Ad Design
Tim Welch
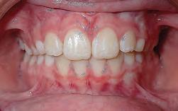
The field of orthodontics has seen remarkable advancements in the past 20 years, providing patients with more effective, efficient, and comfortable treatment options. Among these innovations, both scanning technology and Invisalign have emerged as game changers. Gone are the days of uncomfortable dental impressions; digital scanning now allows for precise modeling of teeth without the mess. Additionally, Invisalign has evolved beyond its initial “adult-focused” applications to become a versatile tool for treating a wide range of orthodontic issues in children and adolescents as well.
In our society today, children and adolescents have more activities than ever before. Invisalign offers several unique advantages that make it an attractive option for today’s busy families. For one, it eliminates the need for frequent and lengthy visits to the orthodontist's office, which is significant for children and teens involved in numerous extracurricular activities. We can treat some children faster because we can correct crowding, overbite, and spacing all at the same time. The convenience of shorter and fewer appointments can't be overstated.
Safety and hygiene are more reasons why Invisalign is suitable for young patients. Traditional braces are a great option but can pose challenges during contact sports. With traditional appliances, brackets and fixed appliances can come loose during contact sports. Invisalign can be a great option for children and adolescents with these activities.
Traditional appliances can also complicate oral hygiene routines, potentially leading to issues such as decalcification around the brackets. Invisalign aligners, being removable, allow for normal brushing and flossing, reducing the risk of dental problems and making them a hygienic choice for maintaining oral health during orthodontic treatment.
Choosing Invisalign involves careful consideration and active involvement in your child's orthodontic care. Why is that? Because success with Invisalign, particularly for children, hinges on compliance with wearing the aligners as prescribed. The key to excellent compliance is coaching, patient selection, and treatment planning. All of this takes an orthodontist who is very familiar with orthodontic treatment with Invisalign Appliances.
To determine if Invisalign is the right fit for your child, start by consulting with an orthodontist who specializes in pediatric cases using Invisalign like our office.
Here are a few steps to guide you through the consultation process:
1. Choose an orthodontist with extensive experience in treating children with Invisalign.
2. Discuss your child’s specific needs and ensure the treatment plan is tailored to their unique dental profile.
By understanding these key factors and actively participating in the treatment process, you can help your child achieve a beautiful, healthy smile with minimal disruption to your family’s daily life.
Psychologists Baumrind, Maccoby, and Martin used observations and interviews to identify parenting styles. The researchers assessed disciplinary strategies, communication styles, displays of nurture and warmth, and expectations of maturity and control. Their research suggested that parents fall into four main categories of parenting styles: authoritarian, uninvolved, permissive, and authoritative.
Authoritarian parents have high expectations of behavior but often ignore the wants and needs of their children. They tend to punish children for mistakes without taking the time to ensure a full understanding of what was done wrong and how it can be avoided in the future. Baumrind referred to this style as “spare the rod, spoil the child parents.”
raised by authoritarian parents report lower levels of happiness and competence.
Uninvolved parents place few demands on their children and display low desires to respond and communicate minimally.
Uninvolved parents meet their children’s basic needs but do not take the time to develop secure attachments. They provide very little guidance, structure, rules, and support to help their children feel safe and secure. Children raised by uninvolved parents struggle to self-regulate their emotions and establish healthy social relationships. They frequently develop symptoms of depression and anxiety.
The positives of the authoritarian approach are obedience and proficiency. The negatives are that these children are more likely to lie and behave appropriately to avoid punishment. Children
Children raised by uninvolved parents are the least likely to be successful members of society. Sadly, I have seen a tremendous increase in this style since “smart devices” have become common among families. Permissive parents tend to demand very little from their children. This style of parenting is often called “gentle parent
prioritize fun and a nurturing environment. They have few rules and encourage children to make their own decisions. Children raised by these parents are more likely to be selfsufficient and independent but have weak impulse control and self-regulation skills.
Authoritative parents have clear rules/ expectations and take the time to communicate effectively with their children by answering questions. Authoritative parents prioritize teaching over punishing. They provide warmth, support, and feedback. They set standards by clearly defining and upholding appropriate boundaries. The authoritative parenting style helps children develop strong executive functioning skills.
If you want to be the “best” parent you can be, it is vital to understand your personal parenting strengths and weaknesses. The healthiest of these styles is authoritative. Research has repeatedly shown that children raised by authoritative parents are more likely to be productive members of society. I have learned that the easiest way to ensure you are an authoritative parent is by joining with your children to ensure that they do what you have asked them to do. Simply provide your presence, encouragement, and support until the expectation is met.
If you want to examine your parenting style closer, there is an insightful quiz at https://www.verywellmind.com/parentingstyle-quiz-7562663.
Dr. Beth Long received her education in Counseling Psychology from Chapman University. She is a Licensed Professional Counselor and Board Certified Behavior Analyst. Beth has worked in six unique clinical environments across the country and currently owns Works of Wonder Therapy in Montgomery. Beth utilizes the knowledge from a variety of differ
Saturday, May 18 * 10am-6pm
The Grounds of Century Church 1001 Marler Road Pike Road, AL 36064 Supporting Pike Road School’s Arts and Athletics programs. Three Bands, Crawfish - Thousands of pounds, Hamburgers, Hotdogs, BBQ, and other treats for the kids available to purchase. Bring your tents and coolers!
Kid and Family Friendly Adults: $50 if you purchase tickets in advance or $75 on the day of the event. Kids: 12 and under are FREE. Kids: 13-18 only $30 https://www.eventbrite.com
May 11 * Montgomery Whitewater
Six-person crews will compete for the “Fastest Whitewater Rafting Team in Alabama.” Whitewater rafting experience not required, as teams will be partnered with a raft guide. Participants and guests can enjoy a day of live music performances, good food, drinks, and on-site activities. https://experiencemontgomeryal.org/ event/all-forward-festival/934/
Friday, May 24 * 6:30pm- 7:30pm Troy University’s Davis Theatre Candlelight concerts bring the magic of a live, multisensory musical experience to awe-inspiring locations like never seen before. Get your tickets now to discover the music of Taylor Swift under the gentle glow of candlelight. Experience Miss Americana’s charttopping hits in a new light surrounded by the glow of thousands of flickering candles. Tickets at feverup.com.
Friday, May 24 * 4:30-7:30pm McIntyre Community Center
Teens aged 13-17 are invited to the Mayfest Carnival where there will be games, free food, a live DJ, a rock climbing wall, carnival themed snacks, and so much more. It’s going to be a night to remember! www.montgomeryal.gov
Friday, May 24 * 7pm 624 Washington Ave, Montgomery Pack your lawn chairs and picnic baskets and join the MSO for a FREE evening of music as we kick-off Memorial Day weekend with the return of our popular Jubilee Pops Concert. This outdoor concert will be performed from the terrace of the Alabama Department of Archives and History in downtown Montgomery. This year we will celebrate Memorial Day weekend with music that helps us kick off the summer and honors those who have given the ultimate sacrifice. The concert starts at 7pm, so be sure to get there early to set up in your favorite spot!
May 17-18 * Renaissance Montgomery Hotel & Spa 201 Tallapoosa Street Montgomery, AL 36104 Visit downtown Montgomery, rich in history and southern hospitality, to meet some of your favorite authors of various genres. The Capital City Author Event will host over 80 authors, including many local Alabama authors. https://www.eventbrite.com
May 18-19 * Starting at 2pm Alabama Nature Center, Millbrook Enjoy a night with your family under the stars with activities that include making smores, a movie, a glow stick night hike, and more! The kids will even get to make their own glow stick lantern to take home! Guests will need to bring their own camping supplies, and all camping will be Tent Only. Campfires will only be allowed in designated areas. The fee for this event will be a weekend pass rate of $5 per person, the weekend pass will be good for Saturday, May 18th and Sunday 19th only. Activities and Campsite set up will begin at 2pm Saturday, campsites must be cleaned up and vacated by 9am Sunday. Register at www.alabamawildlife.org/shop/ natureplex-events/
May 17-18 * Red Bluff Bar at the Silos 355 Coosa St Montgomery, AL 36104
Vintage Hospitality Group proudly presents the second annual Red Bluff Music, Arts & Food Festival at Montgomery’s Riverwalk Amphitheater. Honoring the region’s rich musical heritage, the yearly event will showcase the best in blues, jazz, country, southern soul, and more. https://www.redblufffest.com/
May 18 * 7:30am
Get ready to lace up your sneakers for the 45th Montgomery Jubilee Run! Join us for an electrifying day pounding the historic streets of Old Alabama Town. Whether you’re in for the competitive 8K or here to honor Peggy McLendon Lanier with the 2-Mile walk/run, know that you’re supporting a great cause—the Alabama Sheriffs Youth
Tuesday, May 14, 6pm * MPAC Dance, sing, and learn with Blippi and special guest Meekah as they discover what makes different cities unique. Will there be monster trucks, excavators, and garbage trucks galore? You bet! So get ready to shake those wiggles
Saturday, May 18 11am-2pm Rotary Park, 98 Coosa Street
Join the City of Montgomery’s Parks and Recreation Department for a free, family-friendly day in the park. There will be food trucks, vendors,
Sydney Owens is being recognized for her dedication and hard work as a first-year teacher at Wetumpka Elementary School. She chose to teach at Wetumpka Elementary because she fell in love with the school and everything the administrators, teachers, and staff do for students. Ms. Owens interned at WES and had a wonderful experience. She shares, “All the teachers were amazing. They welcomed me with open arms and treated me like their own.”
Sydney graduated from Faulkner University with a Bachelor’s in Elementary Education. She’s working on her Master’s in Elementary Education from Faulkner University and will graduate in June. Becoming a third-grade teacher was a passion for loving the age group. After her internship last year, she felt connected with these older students and their stage of life. “I want to be the reason that they continue to love school and want to succeed in their school career.”
Being a teacher means everything to Ms. Owens. It’s something she’s wanted to do since she was a young girl. Watching young
minds grow and explore new things is a gift for her. Her mentor teacher shares, “She is a rockstar! She works hard to give her students hands-on materials while incorporating the rigor needed in 3rd grade. Her love for learning pours out daily in her love for her students. She’s a ray of sunshine everywhere she goes.”
As a first-year teacher, there have been days that she’s questioned herself, but then she gets a smile from one of her students or sees the excitement when they finally understand something that they have been struggling with, and it makes her remember the reason why she wanted to become a teacher.
Her goals are to make an impact on her students, be a role model, shape her students, and enhance their learning.
After teaching, Sydney hopes to work with the state of Alabama as a reading coach for other teachers.
To the graduating class of 2024,
Congratulations! As Superintendent of Montgomery Public Schools (MPS), I want to extend my heartfelt congratulations to each and every one of you on your remarkable achievement. Graduating from high school is a significant milestone in your life, and you should be incredibly proud of all your accomplishments.
As you prepare for your next life chapter, whether pursuing higher education, entering the workforce,
entering the military, or exploring other opportunities, I want you to carry the values and lessons you have learned during your time at MPS. Always remember that if you put in hard work and have integrity and kindness in all that you do, you’ll create a path to achieve your goals.
You’ll always have your parents, family, teachers, school staff, and our district supporting you every step of the way. Life will come with many challenges, but remember, you can overcome anything. We’ve prepared you to conquer the world and reach your highest potential.
Finally, I want to thank our parents, guardians, and supporters. Your support proves that we’re stronger together. I want to encourage you all to continue supporting MPS and playing an active role in our schools and com -
munity. We encourage you to volunteer or join a school’s local PTA. Again, congratulations Class of 2024! You did it!
Macon East students take pleasure in creating an impact within the community. The MANE Staff and Board of Directors united to acknowledge the tireless efforts and commitment of MANE’s exceptional volunteers. Hanna Ray Hubbard, a senior, was honored as the High School Senior Volunteer of the year, while Audrey McWhorter received recognition as the Youth Volunteer of the Year.
MANE offers secure and efficient opportunities for therapeutic horseback riding to individuals of all ages in the Tri County area.
River Region Academy’s Senior Class of 2024 enjoyed an April morning at Vaughn Road Park. It was a time for fellowship, fun, photos, and picnicking.
This year’s Montgomery Catholic Campus Ministry Spring Retreat got students out of the classroom for a few days and brought them into an encounter with God.
The purpose of this retreat is to foster the faith life among our students. It helps students physically create a space of retreating from daily distractions while engaging with the Lord.
During the retreat, there is a balance of awesome games, free time,
Trinity’s Student Government Association presented Hope Inspired Ministries with a generous donation collected during their Change 4
A long-standing facet of life at Montgomery Academy has been the annual Community Day, when the Upper School sends its students, faculty, and staff across the city (and slightly beyond) to pitch in with local organizations that need an extra few sets of hands. This year, we
were proud to partner with over 19 organizations!
for the Color/Fun Run. The money will be donated to Camp ASCCA in April. Students enjoyed a morning full of activities and games, including 3-legged races, inflatables, obstacle course races, Scavenge Pop Relay, and others. After lunch, the entire school came together at the football field to cheer on additional games such as tug of war, cup stacking, and sponge relays. The culminating event is the senior tug of war. This year Gold came out on top of the day!
Alabama Christian Academy seniors embraced a day of exhilarating adventure at Launch Trampoline Park, relishing their well-deserved break from school responsibilities. Amidst the soaring jumps and playful flips, laughter echoed as friendships were strengthened and memories were created. It was a joyous occasion, filled with camaraderie and shared excitement, marking a cherished moment in their final year together before embarking on new journeys beyond the walls of academia.
William Milner, a promising young football talent, has signed with Huntingdon College, marking a significant milestone in his athletic career. The talented athlete has long been recognized for his exceptional skills on the field, and his decision to join the Huntingdon Hawks football program has generated excitement among fans and supporters alike. Milner’s journey to this point has been marked by hard work, dedication, and a passion for the game. His commitment to excellence both on and off the field has set him apart as a stand out player, earning him accolades and recognition from coaches, teammates, and fans. For Milner, signing with Huntingdon College represents an exciting new chapter in his football career. The opportunity to join a respected program like the Hawks and compete at the collegiate level is a dream come true for the young athlete, who has long aspired to play at the highest level possible. In joining the Huntingdon Hawks, Milner brings with him a wealth of talent and potential. His athleticism, skill, and determination make him a valuable addition to the team, and his presence is sure to make an impact on the field. As Milner prepares to begin this new chapter in his football career, fans and supporters eagerly anticipate watching him shine on the field and achieve great success with the Huntingdon Hawks. With his talent and drive, there is no doubt that William Milner has a bright future ahead of him in the world of football.
TEA Academy paused to acknowledge and celebrate Mardi Gras on February 12th. Prior to that day, the students researched Mardi Gras and learned that it is also called “Fat Tuesday.” Fat Tuesday is the day before ‘Ash Wednesday’ which is the start of the Lenten Season — 40 days of purification (reflection, fasting, and praying) leading up to Easter Sunday. TEA’s staff decorated the environment and treated the students to a Mardi Gras meal. Many thanks to Dr. Maggie McElroy-Washington, CEO of TEA Academy, and Wanda McElroy-Colvin (Mobile, AL) for donating Mardi Gras beads.
Trinity’s 4th and 5th Grade students had an enriching experience at a career fair, where they explored a multitude of professions and discovered the endless possibilities for their future aspirations. It was an inspiring opportunity for the students to envision their potential paths and ignite their passion for lifelong learning and career exploration.
Ms. DeHart’s class was outdoors and learning about nature on a beautiful spring day!
16 AP Biology and AP Environmental Science students traveled to Iceland, the land of fire and ice. Students were able to apply their knowledge from the classroom while visiting the many wonders Iceland has to offer. Led by Upper School teachers Alex Cone, Dinah McLemore and Marlee Winn, the group explored a Viking museum, reinforced their learning of geothermal heating at the Hellisheidi Power Station, hiked Sólheimajökull glacier, visited numerous hot springs and waterfalls, explored the heart of Langjökull Glacier through underground ice tunnels, and stood on the bridge between two continents. A final stop past the volcano fields of Grindavik to the Blue Lagoon wrapped up their trip. It was the trip of a lifetime and a wonderful learning experience!
Lower School welcomed hundreds of special guests to campus for Grandfriends’ Day! Our program included an opening Eagle Talk where students and grandfriends interacted, sharing what they love about the other’s visits and through singing and playing a Simon Says-type game called “Captain’s Coming.” Students led their guests on a “Talk and Tour” through the school, filling out a special bingo card, prompting students to learn more about their grandfriends. Thank you to all who made this special day such a success!
On Saturday, February 24, Saint James students competed against other math teams from around the state in the Alabama Statewide High School Math
Math Team won the competition for Division 2, beating out 19 other teams from around the state. They had the highest team score of any school in Division 2 with a score of 717; the second-place school scored 537. In individual scoring, Woochan Kim placed first and Chloe Choi placed second in Division Two on the Comprehensive exam. Further, Jacob Shin, Steve Chung, Junseo Oh, Siwoo Kim, and Liam Seo placed in the top 25%.
Saint James Math Team also won District 6 for Alge bra II. Chloe Song and Yuha Shin placed in the top 25% in Division 2 on the Algebra II exam.
Alabama Christian Academy recently showcased its commitment to inclusivity by hosting a Special Olympics basketball tournament. The event brought together athletes of all abilities, celebrating diversity and sportsmanship. Participants had the opportunity to showcase their skills, fostering a sense of camaraderie and unity. With the support of volunteers and the enthusiastic cheers from spectators, the tournament exemplified ACA’s dedication to providing opportunities for all individuals to thrive and succeed in both sports and life. Such initiatives not only promote physical activity but also instill values of acceptance and support within the community.
The Live Laugh Love Farm in Prattville donated a dozen hatching eggs from their flock to River Region Academy. All twelve eggs show signs of life. We are thankful for the opportunity to share this beautiful experience with our amazing students!
GOD HAS A PLAN AND A PURPOSE FOR ME
Encouraging each child to achieve their God-given potential
AISA Blue Ribbon School
“For I know the plans I have for you,” declares the Lord... Jeremiah 29:11
3975 Vaughn Road Montgomery, AL 36106 ecalions.org 334-272-3882
Forest Avenue’s March “Caught Being Good” Emily Claire Hall, Luke Lee, Caleb Kim, Mekhi White, Nathan Ta, and Nathan Phan (not pictured). We are proud of them and their hard work with having good behavior! Keep up the great work!!
Accredited: ACTS, AISA, SACS, Advanced ED, NCPSA
Girl Scouts of Southern Alabama (GSSA) is proud to announce that Elisabeth Aaij has earned her Gold Award!
The Girl Scout Gold Award is the pinnacle of the Girl Scout Leadership Experience, and it’s available exclusively to Girl Scout Seniors and Ambassadors (9-12 grade). Through the Gold Award, girls engage in a rigorous leader ship process, as they tackle issues they are passionate about to create long-term, sustainable change. To earn the Gold Award, Girl Scouts typically spend one to two years exploring the root cause of a local or global issue and partner with the community to create lasting solutions.
For Ellis’s project, she built a community native pollinator garden. She also started a club to maintain the garden and hosted an educational event about the importance of native pollinators.
Elisabeth Aaij has been a Girl Scout for 12 years and will soon graduate from LAMP High School. She has received her Bronze, Silver, and now Gold Awards, but she is not done yet! She hopes to continue to work at Camp Kiwanis and some day to be a part of a troop as an adult leader. She expresses, “Girl Scouts has been a constant in my life for years, and I want to give back to the program for all that the program has given me.”
At Success Unlimited Academy, Abby Campton stands out with her exemplary academic excellence and leadership. Over her four years, Abby’s commitment to both studies and extracurriculars has been unwavering. She has been a driving force in the Praise Team and SUA Singers, spreading joy through music. Abby’s academic prowess earned her a spot in the National Honor Society, while her leadership skills flourished as Senior Class President. Outside the classroom, Abby’s involvement in clubs like PEARLS Girls Club and the H2O Bible Club highlights her dedication to service and personal growth. Her contributions to the Yearbook and SGA further showcase her diverse talents. Looking ahead, Abby plans to major in Secondary Education at Faulkner University, embodying her passion for teaching and making a difference. Her favorite quote, “Life isn’t about always getting all the best things as you anticipate, but it’s about learning to see positivity in every circumstance,” reflects her resilient spirit and optimistic outlook. Congratulations, Abby Campton, on being named SUA’s 2024 Valedictorian. Your achievements inspire us all and we eagerly await your future successes.
Macon East Academy 2nd and 3rd grades enjoyed a trip to visit Gayle Planetarium in Oak Park. They enjoyed watching a movie in the dome theatre with cartoon alien characters visiting one planet to the next. They found Earth to be the best place to visit- of course. They also learned about constellations in the night sky- especially the ones we can see in the sky right now. Lastly, they all loved the laser light show! Afterwards, they had a picnic lunch and played for a little while in Oak Park.
Mrs. Ausley’s Kindergarteners and Mrs. Moles’s second grade teamed up to learn about fractions this week! The second graders mentored the kindergarteners on equal parts and helped each create their own fraction donut! The pair then got to enjoy donuts together that they cut into halves, thirds, and fourths!
Trinity’s 7th Grade English Class showcased their creativity in a Greek mythology wax museum, which was inspired by their English lessons. The students brought the stories of the Greek gods and goddesses to life by transforming the characters into larger-than-life exhibits.
Montgomery Catholic held its Annual Works of Mercy Day and Joint Elementary Field Day on Friday, March 22. Students, faculty, and volunteers from all 3 campuses gathered together to spend the
The day began with nearly 1,000 people joining together for school-wide Mass in the High School gym. After Mass, our elementary students enjoyed indoor field day throughout our en tire Middle and High School Campus! They played dodgeball, human ring toss with inflatables,
As our elementary students were enjoying field day, our middle and high school students were hard at work serving the community as they participated in their Annual Works of Mercy Day. We had over 200 of our high school students go out into the community to volunteer at multiple service locations, including Mercy House, Catholic Social Services, Montgomery Children’s Center, Hope Inspired Ministries, Sav-a-Life, Life on Wheels, Camp Grandview, Montgomery Food Bank, East YMCA, and more.
While our high schoolers were in the community, our entire middle school student body performed acts of service around the school campus. Some of these projects included weeding and laying fresh pine straw around campus, filling Ziploc bags with toiletries to hand out to those in need in our community, cleaning middle school classrooms, organizing storage closets, and more. It was an amazing day for these students and it wouldn’t have been possible without all of our wonderful teachers, staff, and parent volunteers who made it happen!
Carsen Gilmore and Rayna McCallum read a tribute to Mr. Lamar and presented him with a torch pin in honor of him being named as Forest Avenue’s Helping
Send Your News by the 12th of each month: deanne@ riverregionparents.com.
Saint James School recently announced the selection of 20-year coaching veteran Aubrey Blackwell as its next head football coach.
“I am honored to serve as the next head football coach at Saint James School, and my family and I are excited to return home to Montgomery and the Trojan family. My mission as a coach is to use the game of football to teach students life lessons of character, integrity, faith, and love. This goes hand-in-hand with what Saint James does everyday, building up students and helping them grow and develop into outstanding adults who one day will lead their communities, love their families, and have pride in their school,” Blackwell said.
Blackwell is returning to Saint James School where he was the assistant head football coach and offensive coordinator from 2012-2014 and helped the team secure its first region championship in school history. He most recently served as the head football coach and director of athletic enrichment at Jackson Academy in Jackson, Miss. (2022-2024), and prior to that, the head football coach and co-athletic director at Benjamin Russell High School in Alexander City, Ala. (2021-2022) and the head football coach and assistant athletic director at Montgomery Catholic Preparatory School (2015-2020). Blackwell also previously served as the assistant football and baseball coach at Saint Paul’s Episcopal School in Mobile, Ala. (2010-2012) and held several collegiatelevel baseball coaching jobs from 2004-2010.
“Coach Blackwell is the perfect fit for this role, and we are incredibly excited about the future of our football program under his leadership,” said Head of School Dr. Larry McLemore. “As any who know him will attest, he is a great leader and a man of strong character. Coach Blackwell sets an example that reflects our Trojan core values of Character, Commitment, Courage, and Community. I am confident he will continue the outstanding tradition of our football program while focusing first and foremost on building up boys who are leaders and responsible student-athletes on and off the field.”
In 2017, he was named the Alabama Football Coaches Association 4A Head Coach of the Year and is a three-time Capital City Conference Head Coach of the Year. As a head football coach, his overall record of 74-35 includes three region championships, one state runner-up, and two state semifinal appearances, as well as numerous offensive school records and player success both on and off the field. He is also a strong advocate of developing student leaders and growing youth sports programs and has successfully built both in his most recent positions. He and his wife, Brandi, are in the process of relocating back to Montgomery with their two children, Will (14) and Kayla (12).
Upper elementary students from River Region Academy attended STARBASE Maxwell the first week of April, where they were inspired in STEM careers as they explored science, technology, engineering, and math. Coding was one of their favorite activities. STARBASE Maxwell is a unique and innovative Department of Defense (DoD) STEM awareness and outreach program that creates a bridge between DoD and civilian communities while providing local students access to DoD’s wealth of expertise in STEM career fields.
TEA Academy’s school therapist, Dr. Miriam Moore, met with students to focus on ‘Emotions’ and ‘Behaviors’.
She honed in on anger issues and empathy.
Dr. Moore’s approach was to change the students’ mindsets from being selfish to becoming more loving and considerate of others. She stressed positive feelings and actions instead of reacting without any regard to the consequences. Dr. Moore provides Professional Development and training to the students and the staff in an effort to keep all involved on a positive mindset, as well as to continue keeping our environment free from fights and negative issues in general. The students did interactive exercises to further emphasize and demonstrate how they should respond and react to difficult situations. Dr. Moore stressed to the students the importance of seeking ways to make situations better, not worse. Final thought and the Golden Rule: Be compassionate and treat others the way you want to be treated.
Alabama Christian Academy has recently announced the appointment of Kristin as the new Director of the Reading Lab, effective this fall. Kristin brings a wealth of experience and a deep-rooted connection to ACA, having previously served as a 1st-grade teacher within the institution.
Kristin’s transition to the role of Reading Lab Director marks an exciting chapter in her career at ACA. Her tenure as a dedicated 1st-grade teacher has equipped her with valuable insights into early childhood education and literacy development, making her ideally suited to lead the Reading Lab’s efforts in fostering strong reading skills among students.
A cherished member of the ACA community, Kristin is not only passionate about education but also deeply invested in the school’s mission and values. Her commitment to nurturing young minds and fostering a love for reading is evident in her years of service as a teacher. Beyond her professional endeavors, Kristin is a devoted mother of three, with all her children attending ACA. This personal connection to the school further underscores her dedication to its success and the well-being of its students.
The appointment of Kristin Thomas as the Director of the Reading Lab signifies ACA’s continued commitment to providing students with the highest quality of education and support. With her leadership, ACA looks forward to further enriching its reading program and empowering students to excel academically.
As Kristin embarks on this new role, the ACA community eagerly anticipates the positive impact she will undoubtedly have on the reading proficiency and overall educational experience of its students. Her passion, dedication, and expertise make
Lower School students spent much of January and February on a virtual journey to South Korea, courtesy of the annual Culture Study! Now in its 27th year, the Culture Study offers students a glimpse into life in different parts of the world, and has featured such countries as India, Brazil, Mexico, Germany and Australia. Through research, hands-on projects, visits from Korean nationals and Korean-Americans, and special meals in the cafeteria, we learned about the people, the land, and the animals of this fascinating part of the world. The immersive experience ended with a week of “festival” activities, as we made kimchi, played the traditional game Yut Nori, and learned to write our names in Hangul. We were also visited by a storyteller, who regaled us with myths and folktales from
Soar, Eagle, soar! And barn owl, and hawk, and kestrel, and turkey vulture! Montgomery Academy 5th graders ventured to the Auburn University Raptor Center for a morning full of incredible raptors, led by the talented and knowledgeable staff on location. Students were able to get close views of each bird, along with a world of new information about what makes these birds of prey so special. Thank you to the leaders, and to the Resident Raptors, for an unforgettable experience!
Ten Saint James choral students participated in the Alabama Vocal Association All-State Choral Festival at the Birmingham Jefferson Civic Center from February 29 – March 2. These students auditioned for board members this past November where they were selected to be members of this elite choral ensemble. The All-State Festival allows students with outstanding musical ability and initiative to receive public recognition, to sing under the direction of nationally recognized choral clinicians, and to perform choral literature of the highest quality.
Saint James All-State Choral Members for 2024 were Levi Johnson, Rain Johnson, Jaxon
Montgomery Catholic’s Holy Spirit campus has hit the ground running with its Heart & Sole Running Club for 5th and 6th-grade girls! They have been learning all about building healthy habits like running and focusing on being grateful for the gifts God has given them!
These girls are crushing it!
The St. Bede’s Hearts on Fire Running Club is off to a hot start also! We are so excited that we could add a boy’s group this year! Some incredible things these students get to experience in this club are reflecting on a bible verse during warm-ups, fun warm-up games to promote teamwork, positive attitudes during laps, and an award given to recognize those students encouraging others as they run. Students have also been given 8 different saint medals to learn and write about a saint each week in their Hearts on Fire journals! These clubs encourage students to build healthy habits and learn to live and apply their faith in everything they do!
The Francis Marion Chapter of the National Daughters of the American Revolution recently recognized three outstanding high school seniors with the DAR Good Citizens Award. This award has been given since 1934 to students who demonstrate dependability, service, leadership, and patriotism in their communities. The 2024 winners of this prestigious award are Marcy Gregory from Alabama Christian Academy, Will Alexander from Saint James School, and Mary Massey McCulloch from Trinity Presbyterian School. The students and chapter members enjoyed a buffet lunch at the Montgomery Country Club, followed by the presentation of awards by Good Citizen Committee Chair, Jan Davis. Each student winner received a certificate of honor and a pin. Furthermore, the students had the opportunity to partici pate in an essay contest and win scholarship mon ey. The winner of the essay contest at both the chapter and regional level was Will Alexan der, who read his essay as part of the program.
On Friday, April 12, Partners in Catholic Education (PICE) hosted its Annual Senior Success Seminar for Montgomery Catholic seniors, in which the senior class heard presentations from faithful, successful leaders to prepare them for life after high school. This is an opportunity for seniors to understand and participate in professional dress, discussion, networking, relationship-building, strength-finding, and more! They heard powerful presentations from the Special Teams Coordinator for the University of Georgia football team, Scott Cochran, his wife, Cissy Cochran, True Colors Master Trainer, Barry Waite, and professor of Data Analytics at Troy University, Dr. Noah Trudeau.
Scott and Cissy Cochran discussed the power of game planning for the future so that we are not left to our own devices, but rely on God’s guidance and plans. Barry Waite emphasized the uniqueness of each individual and empowered students to embrace their personalities and gifts to develop their relationship with God and others. Dr. Trudeau taught students how to juggle school, work, and life by teaching them how to, well, juggle. He encouraged students to concentrate on manageable steps toward success that will help them grow.
Along with these incredible talks, students had the opportunity to ask a panel of three MCPS graduates attending nearby colleges about their college experiences and how to prepare for life after high school: Joey Rodrigu ez at Troy University, Sebastien Sayegh at Auburn University, and Landry Samuels at Tuskegee University. They asked questions about college social life, class management, how to balance it all, and more.
Students were challenged to become who God has called them to be. Activities are always a huge help with self-evaluation, so students learned how to juggle, separated themselves into groups that most fit with their personalities, and created chants to represent their groups. To top off the activities, some faculty members demonstrated ways NOT to dress for a job interview!
And we all know you can’t be prepared for the professional world without professional essentials! As a gracious gift from PICE, boys received new ties and girls received pearl bracelets.
As always, we are so grateful to PICE for sponsoring this event and giving these students such a unique space to develop as people! We also want to offer a huge thank you to all our speakers who volunteered their time to inspire these students as they take the next steps in life!
Saint James School is proud of its elementary, middle, and high school students who placed at the AISA District 5 Art Competition on Wednesday, February 28th. Fifty-two Saint James students competed at the district level. Among those students, twenty received awards. In Elementary and Middle School Divisions, first place winners will move on, and in the High School Division, first and second place winners will move on to the AISA State Competition on Tuesday, April 2nd at Faulkner University.
In the elementary division, the following students received awards. In Water Base Painting, Joy Seo received 1st place. In Opaque Painting, Stanton received 1st place in Drawing-Color. In Collage, Willa Markham was awarded 2nd place.
In the middle school division, Emily Trock received 1st place in Mixed Media. In Water Base Painting, Sam Bentley won 1st place. Sophia Griffin placed 1st in Drawing-Color, won 1st place is 3D. In Printmaking, Cole Register placed 1st. Zoe Cortell won 2nd place in Painting. From the high school entrants, Wendy Stombaugh placed 1st in Mixed Media. In 3D, Kaitlyn Smith placed 1st. Chloe Song placed 1st in Water Base Painting, while Mae Puckett won 2nd place in the same category. In Opaque Painting, Alice Chen was awarded 1st place. Lillian Archer won 1st place in Drawing Non-Color. Levi Koch placed 1st in Printmaking. In Drawing-Color, Cole Williams placed 2nd.
Saint James School offers art classes at every division level. Elementary art is taught by Beth Fuhrman. Middle School art classes are taught by Aimee Bentley. High School students are taught by Evelyn Shoults.
Montgomery Catholic 8th grader, Mary Eden Rall, earned an honorable mention in the New York Times’s “‘How To’ Informational Writing Contest for Teenagers!” Essays were submitted between January 10 - February 14 from over 2,200 middle and high school students worldwide. The contest aimed to engage teenagers in creative writing by sharing their favorite “how-to’s.” The contest saw topics across the board ranging from “How to Do the Worm” to “How to Make Fear Your Friend” to “How to Become Friends With a Wild Bird.” Mary Eden’s honorable mention topic was “How to Be When Meeting New People.”
Mary Eden’s essay focused on becoming a likable person without compromising your true self, sacrificing boundaries, or “trying” to be likable. “Studies show that people who are real and vulnerable are easier to meet because they are likable,” Rall said. “Being vulnerable helps build trust because vulnerability is relatable. Likability is not determined by competency. Showing vulnerability and owning mistakes helps develop trust and makes people want to come back,” Rall continued.
You can read Mary Eden’s full essay at montgomerycatholic.org!
Dance in ADT’s Cinderella Forest Avenue fourth graders Elizabeth Anne Cook and McKenna Dunn, along with fifth grader Rebekah Barber, danced this past weekend in the Alabama Dance Theater’s production of Cinderella!
Three of Trinity’s Sophomore students were selected for The University of Alabama’s Capstone Leadership Academy. The students attended two days of seminars in Tuscaloosa along with other sophomores from around the state to develop their leadership skills.
Pike Road High School Robotics and STEM teacher, Catherine Kenny, spent a school day a little differently last week. Mrs. Kenny had a rare opportunity to fly with the U.S. Navy Blue Angels! After being nominated by a coworker she was chosen out of many nominees to fly with the Blue Angels at Maxwell Airforce Base ahead of their weekend air show. Mrs. Kenny was treated to a backseat flight by a Blue Angels pilot, who performed numerous stunts and maneuvers typical of their air shows. Mrs. Kenny has been an educator for 26 years, so she is no stranger to unique learning experiences, but she never expected this! Although she has done so much for her students over the years, she never thought she would be selected for this amazing opportunity.
Pike Road Schools is proud to recognize Eighth Graders, Will Ballard (Baseball, Basketball, Football, Gymnastics, Soccer), Gunner Gibbs (Baseball, Football), Sarah Gulsby (Cross Country, Tennis), and Caileb Wilson (Basketball, Football) as nominees for the esteemed Jimmy Hitchcock Memorial Award. The purpose of the Jimmy Hitchcock Memorial is to recognize outstanding 8th-grade athletes, who by their actions have consistently represented the highest ideals of Christian leadership in athletics. Congratulations Will, Sarah, Gunner, and Caileb!
Congratulations to Seoyun Ha, a senior at PRHS for placing 2nd at the State Level of the PTA Reflections contest this year!
Macon East Academy Senior Ethan Jones was selected as a member of the 2023-2024 AISA All-State Academic Team. Additionally, Jacob Simpson, Anna Watson, and Kaiden Byrom have been chosen as the recipients of the AISA Student-Athlete Award for the 2023-2024 academic year. This recognition speaks volumes about their unwavering commitment and drive in both their studies and sports endeavors. Congratulations Seniors!
In the 2024-2025 school year, students from PRJH will be able to participate in A+ College Ready, a statewide initiative that partners with secondary schools to develop a diverse pipeline of students prepared for success in college, career, and life through expanding access Advanced Placement (AP) and other challenging coursework in grades 6-12. Participating schools receive high-quality training, incentives, supplies, curricular materials, student study sessions, AP exam subsidies, and other ongoing support through two different offerings, listed below.
The AP Training and Incentive Program (APTIP): Schools receive support for Advanced Placement students and teachers, as well as training, supplies, and incentives for ALL teachers in grades 6-11 in math and grades 6-10 in science, English, social studies, and computer science. The Alabama State Department of Education has partnered with A+ College Ready for more than 15 years to develop this initiative, serving the majority of Alabama’s high schools during that time.
Middle School Training and Incentive Program (MSTIP): In addition to the APTIP, A+ College Ready also offers a program focused solely on middle schools. These schools receive the same training and support to raise academic expectations and to increase rigor in middle grades to ensure students are ready for their high school curriculum.
The Pike Road Jr. High and High School Choirs including the Concert Choir, Jr. High Show Choir (Panache), and Sr. High Show Choir (Prestige) sang the National Anthem at the Biscuits Season Opener. This is the sec ond year in a row they have been invited to kick off the Biscuit’s baseball season. There were almost 100 students representing the Pike Road Choir Programs on the field. Before the game, Pike R Schools Baseball players, Caleb Rhodes and Adam Foley threw out the first pitches.
Senior, Ellis Edmonds has earned her Girl Scouts of Southern Alabama (GSSA) Gold Award.
Not only is this an outstanding achievement, but Ellis is the first Girl Scout of Pike Road to earn this award! The Girl Scout Gold Award is the pinnacle of the Girl Scout Leadership Experience. Through the Gold Award, girls engage in a rigorous leadership process, as they tackle issues they are passionate about to create long-term, sustainable change. To earn the Gold Award, Girl Scouts explore the root cause of a local or global issue and partner with the community to create lasting solutions. Two years ago, Ellis visited the Children’s Center Adult Program (CCAP), an organization that supports individuals with disabilities. While there, she learned that each student had the potential to cook for themselves, but they were unable to understand a typical recipe (i.e. one with written words). That is when she decided to bridge that gap and find a way for each student to cook recipes by themselves. Ellis created a spiral-bound cookbook, called Chefs Beyond Bounds, for developmentally disabled adults that uses pictures as steps. The cookbook consists of five categories: breakfast, lunch, snack, dinner, and dessert. Each category contains four recipes, allowing dietary restrictions to be met and making it more accessible to the students. The cookbook contains a total of 20 recipes. It also uses the colors yellow and blue because they contrast with each other and are more visible to people who are colorblind.
Macon East Academy Seniors Ethan Jones and Kaiden Byrom are both Pike Road Ladies Auxiliary 2024 Community Service Scholarship recipients. Ethan is the son of Jeffrey and Rachel Jones of Pike Road. He is very passionate about volunteering. His volunteering includes Macon East Academy baseball, football, and cheer team manager, Vaughn Forest Church Camp Leader, Vaughn Forest Student Worship Team, Night to Shine buddy, Joy to Life Foundation volunteer, 12 Days of Giving Can Drive, and Elementary field day PTO volunteer. Ethan excels in leadership as well. He is the SGA president, National Honor Society President, SGA Chaplain, Theatre President, Photographer President, Chess Club President, and Yearbook Editor at Macon East Academy. He was selected as Activity Director, House of Representative member, Clerk of House, and Chief of Staff at American Legion Alabama Boys State. Ethan plans to attend Troy University and major in secondary Mathematics.
Kaiden is the daughter of Charles and Kimberly Byrom of Pike Road. Kaiden is an avid volunteer including Heart to Heart of Montgomery, Night to Shine, Operation Christmas, Alabama Baptist Children’s Home Foster Family, and MANE. Kaiden is the captain of the Macon East Academy cheer team and received many honors including UCA All American (received this award in 2020, 2021, 2022, 2023), AISA All-Star cheerleader and AISA All-Star Cheerleading Scholarship Recipient. She is a member of the Macon East Knights basketball team, softball team, Drama Club, Student Government Association, Yearbook Committee, Photography Club, Math Competition Team, National Honor Society and National Thespian Honor Society. Kaiden plans to attend Faulkner University or the University of Alabama and major in Child Psychology.
Graduation season is here, and all the fun that comes with the end of another school year is already filling our calendars! With just a few weeks left, our schools are a flurry of events, activities, and last-minute lessons before we ring the dismissal bell one last time. May is a celebratory time for many reasons, but I’d like to focus on two deserving groups who are synonymous with this month: graduates and educators. Congratulations, Class of 2024! You did it, and we couldn’t be more proud of everything you’ve accomplished and all that still lies ahead for you! For many of you, this is the first step in your education al journey, and yet, for others, this is the
grand finale as you embark on vocational and military endeavors. Whatever path you take after you walk off the graduation stage, always know that we are here for you, cheering you on. Ralph Waldo Emerson may have said it best when he penned, “What lies behind you and what lies in front of you, pales in comparison to what lies inside of you.” You were designed with unique talents and abilities, and we can’t wait to see you use those gifts to make the world a better place.
We would not be celebrating this year’s graduating class without recognizing the teachers and support staff who helped make it possible for our seniors to achieve this milestone. May is set aside as a special time to honor those who’ve made it their life’s work to educate future genera-
about it, education is the only profession that creates all others, and we are privileged to have the best people in the business! Many of you go above the call of duty every day in and out of the classroom. You are making a difference, one student at a time. And to those retiring this year, please remember that a teacher never truly retires since their years of work live on in their students’ hearts and minds.
I hope you enjoy a memorable summer break! We look forward to having everyone back on campuses soon - but not too soon - for the start of the 2024-2025 school year.
Lyman Woodfin is a 17-year veteran of the school system having served as a classroom teacher, coach, and school administrator. Most recently, Lyman Woodfin was the Marbury High School principal, serving the
Nico Bologna, a Prattville High School freshman and stand-out soccer player, traveled to Düsseldorf, Germany, earlier this year to pursue his professional soccer dreams. As just a teenager, making plans to leave behind the life he knew was not an easy decision, but the opportunity to possibly play soccer professionally one day was not something he could pass up. When reflecting back on this momentous decision, Nico’s mom, Tina Bologna, said, “It took a lot of prayers, faith in God, support, and having the right village surround us.” Nico plans to remain in-country for at least three months, playing with his current team. During this time, he is going on trials, hoping to sign with a club for the 2024-2025 season. Knowing that he can continue his studies through the district’s virtual learning platform has been a huge relief to Luca and Tina Bologna, Nico’s parents. Without the ability to go virtual, this opportunity may have been out of reach as he would have been required to attend a private, international school that could be quite costly, according to the family. In partnership with Autauga County Schools and CDM Sports Management, Nico will remain a virtual student until he returns home. In addition to his Prattville High School studies, Nico is also taking German through his sports management agency. If Nico were to advance in these trials, he could possibly go “pro” before he even graduates high school. While Nico wouldn’t be able to sign professionally until his 17th birthday, he’s giving it everything he’s got to achieve his dreams. In the meantime, he appreciates the opportunity to become more independent, mature as a young man and soccer player, and eagerly anticipates his future.
Prattville Primary School has been named a Leader in Me Lighthouse School by Franklin Covey Education, one of only 22 schools in Alabama. Leader in Me is a framework centered around leadership, academics, and culture, and the Lighthouse School designation is a highly-regarded national standard. A lighthouse is defined as “a secure structure shining a beacon of light providing guidance, direction, and hope, and that’s just what PPS is for its nearly 700 students and their families, teachers & staff. This certification is evidence that the school has produced outstanding results in school and student outcomes by implementing the Leader in Me process with fidelity and excellence. It is also because of the school’s extraordinary impact on staff, students, parents, and the greater community.
Our 6th graders took part in the Beyond the Horizon Air & Space Show & STEM Expo held at Maxwell Air Force base in April. What a great learning experience for our students!
Spring had us enjoying the sunshine & learning to value and protect our planet! Our students were picking up trash, learning about how to recycle, reduce, & reuse, exploring in the outdoor classroom and learning about
PLES Pre-K students toured the lunchroom kitchen during National Nutrition Month. Students were able to see where their food is prepared and stored. They also learned how the dishwasher cleans the dishes. Students talked about how the school kitchen is different that their kitchen at home. It was a fun learning experience for our Pre-K students!
During our virtual learning days back in January, one of our 1st graders decided he’d like to write a letter to the White House. He wrote about himself and how he’d love to visit one day. He also asked for a picture. Recently, he was so excited to have a letter from the White House addressed straight to him! He received a picture of the president, personalized letter, and a White House activity book. This definitely made his day and is something he can hold on to forever! We are so proud of you, Warren!
The Alabama Department of Education recognized several Autauga County schools as 2024 Purple Star Schools recipients or renewals. This year’s recipients are among nearly 250 schools state-wide earning this designation for their commitment to students and families connected to the nation’s military. 2024 Purple Star School Recipient Pine Level Elementary School 2024 Purple Star School Renewals
Daniel Pratt Elementary
Prattville High School
Prattville Junior High School
“We want to ensure every student who moves to Alabama is given every opportunity for academic growth and achievement – and the Purple Star School Program helps families identify military-friendly schools and helps local schools become more prepared to address the challenges facing these students,” said State Superintendent Dr. Eric G. Mackey. The 2024 Purple Star School recipients and renewals join Marbury High School, Prattville Elementary School, Prattville Intermediate School, Prattville Kindergarten School, and Prattville Primary School in affirming their commitment to the district’s military-connected students and families.
Each year, April is set aside as a military child appreciation month, officially known as the Month of the Military Child. While military members serve around the world, we often forget the challenges faced by their children. Military families move on average every two to three years, impacting military children through changing schools and support networks. Therefore, Month of the Military Child is set aside to recognize military children for their sacrifice and bravery. On Friday, April 19, we observed Purple Up Day, a special day of recognition for military children. We encouraged all students and staff to wear the color purple as a symbol of support for military kids and their families. The color purple was chosen as it is a combination of the colors of all branches of the military. Purple Up Day serves to raise awareness of the unique challenges faced by military chil-
dren. It is an opportunity for everyone to show their appreciation and support for these brave young people, and to recognize their service and sacrifices for our country.
The end of the school year is a month away. Our students are preparing for a strong finish academically as well as enjoying spring sports and planning for the next school year. State-required spring assessments are completed for students in grades 3-8. These students will also take STAR Reading and STAR Math assessments before the year ends. Assessment results help us identify specific areas(s) in which each child needs additional support as well as any curriculum standards that need additional focus in our classrooms. The data also helps us plan professional development activities during the summer and over the course of the school year. The ultimate goal of this work is to maximize our students’ ability to achieve academic success, thus preparing them for success in school and in life.
Spring sports are in full swing with a soccer, softball, and/or baseball game being played around the district several days each
week. Track and basketball have just finished their seasons, and football spring practice is already underway. Cheerleading tryouts for the 2024-2025 school year have been completed in all four communities, and squads are already preparing for conditioning, practices, and summer camps. Our high schools have recently held their junior-senior proms, a highlight of the year for our oldest students. Finally, high school graduation ceremonies are just over a month away and signal the successful completion of a 13-year long career in public education.
Finally, we are already busy planning for the 2024-2025 school year. From staffing to curriculum and professional development, we constantly strive for “Every student empowered ~ every student succeeds!”
Richard Dennis is the Superintendent of Education for Elmore County Schools. He is a 1983 graduate of Holtville High School. He served 21 years as a high school principal at Holtville High, Wetumpka High and most recently, Prattville High. He and wife, Leslie (also an educator) have three sons and a daughter.
Welding Technology students at the Elmore County Technical Center were asked to repair the airplane teeter totter from Wetumpka Elementary School. Not only did they repair the needed welds, but students also tested the safety of the teeter totter before putting it back in service with the students on the playground.
Josie Burdick, a senior from Stanhope Elmore High and third-year student in ECTC’s Public Safety program, was named the March Student of the Month at ECTC. She is pictured with CTE Director, Emilie Johnson, and Public Safety instructor, Fitzgerald Sheppard.
Students in the Career and Technical Education (CTE) programs at Stanhope Elmore High School participated in the Reality Check budgeting simulation where each was assigned a career and family situation to navigate a monthly budget of real-world expenses.
Have you heard about the HIPPY program? HIPPY stands for the Home Instruction of the Parents of Preschool Youngsters. It is a school readiness program that helps parents prepare their preschool child for academic success. HIPPY is a home-based, family-focused program that is provided for parents of two, three, and four-year old children in English and Spanish, free of charge. The program empowers parents to teach their children at home with fun and easy activities. Children who participate in the HIPPY program start elementary school ready to learn and prepared to excel.
How does HIPPY work? Lessons are delivered by Home Visitors who are active parents from the community. These instructors are trained to cover a highly structured, 30-week curriculum in English or Spanish in the parent’s home. Home Visitor’s schedule a time to meet with parents once a week for about an hour visit. They provide parents with educational materials, review and role-play the lessons, and provide encouragement and support.
What happens in a typical HIPPY lesson? Lessons feature a wide variety of activities for parent and child, such as: reading stories together and answering questions about these stories, counting and grouping, learning sounds, increasing vocabulary, and identifying opposites. Parents will work with their child approximately 15 minutes a day, 5 days a week to complete the lessons. The HIPPY program provides parents with the materials they need to complete the weekly lessons.
What might a parent gain by signing their child up for the HIPPY program? The satisfaction of teaching their own children and watching them flourish. Parents who participate in the program can experience the joy of learning with their children while getting the support and help of trained HIPPY Home Visitors. Parents who participate in the HIPPY program will also have the opportunity to socialize with other participating families at HIPPY group meetings held throughout the academic year.
HIPPY is a FREE program that is offered to the families of Elmore County by the Elmore County Board of Education. If you would like more information about the program or would like to enroll your child, please contact the HIPPY Coordinator for Elmore County Mrs. Sherry Spigener at (334) 567-1200 ext. 24009 or email Mrs. Spigener at sherry.spigener@elmoreco.com.
Don’t miss out on the opportunity to be a part of this wonderful free learning program in Elmore County.
The Elmore County Technical Center hosted its annual Employer Showcase hosting 26 different organizations for an all-day event on campus where students selected their top 3 choices to visit and learn about future educational and employment opportunities. Pictured is Schitt’s Plumbing demonstrating the equipment used daily on the job from their service truck to students.
All students in grades 9-12 at Holtville High School participated in a career fair with local employers in April showcasing a variety opportunities for parttime, summer, and full-time work as well as educational programs available to them through the school system.
The third-grade students from Victory Christian Academy recently went on a field trip to the Alabama Nature Center in Millbrook. They were taught about diverse animal tracks and had the chance to create track castings to bring back home. Exploring the forest, they also learned to identify different plant species. Venturing to the pond, they searched for various pond-dwelling creatures. Later, they attended a live animal presentation and watched a movie about different animal habitats. It was a thrilling and educational day for the students, as they discovered more about the wildlife native to Alabama.
The District FFA Competitions were held at Southern Union State Community College on Friday, April 19. Jerry Cunningham has been a part of the Tallassee FFA Quartet as a student, coach, or choral director for 50 years. This year, his 50th FFA Quartet won 1st place and now moves on to State. The 2nd place FFA Quartet was from Pike Road High School — also coached by Mr. Cunningham! Pike Road FFA Quartet: Reese Graydon, Carlee McFarland, Morgan Dozier, and Phoebe Cole Tallassee FFA Quartet: Anna Griggs, Emily Hacker, Sarah Jane Patterson, Draven Haynes
Ms. Johnson’s fourth grade class enjoyed an educational field trip this past Friday that goes along with their study of Alabama State History. The students were able to tour Alabama’s historic Capitol. They were able to view the beautiful rotunda, the spiral staircase, the Avenue of Flags, and the portraits of the former governors. The students also enjoyed touring The First White House of the Confederacy and The Alabama Department of Archives and History. Their special treat added to an already fun-filled day was eating lunch at Chris’ Famous Hot Dogs. Special thanks to Mrs. Custard and her daughter for taking time to guide us and give their expertise at all these historic places.
Eight Macon East student-athletes were honored to participate in the 2022 AISA All-Star Football game held December 2 at Cramton Bowl. Deonte Powell, Sanders Manning, Gabe Spencer and Hunter Tillman all represented Macon East for the East team. Gabe Spencer was honored as Most Outstanding Offensive Back for the East team. Madison May, Ar’monni Payne, Hannah Kate Hodges and Mikalah Belser cheered the East team on from the sidelines as part of the all-star cheerleading squad. The participants enjoyed a few days of practice with their fellow AISA teammates. The East team beat the West team this year 36-22.
Career Coaches led a resume workshop during Holtville High School’s Adulting 101 series educating students about proper resume formatting, content, and length.
Pike Road High School Leo Club
Collects Chrismtas
Toys for Kids
Four seniors from Wetumpka High School (Bubba, Brody, Dalton, Parker) passed the 3G Stick Welding industry certification exam this spring.
Our Leo club did a great job collecting toys to help make Christmas merry and bright for lots of children!
Bonnie Capps is a local mom and a kindergarten teacher at Saint James School. She’s been married for 15 years to Matthew Capps, the Deputy Director of Alabama State Parks, and they have two daughters: Mary Nell (10) and Charlotte (8). During their free time, they love to visit Alabama State Parks and spend as much time in nature as possible. Having a passion for the great outdoors, the Capps family enjoys hiking, fishing, and attending Auburn University sports. Bonnie and Matthew grew up eating home-cooked meals at their kitchen tables surrounded by family. Bonnie shares, “Growing up, my mom made dinner memorable. We could be eating a hotdog or a gourmet meal, but we always had a candlelight dinner growing up. I have tried to pass that tradition on to my family. There is something that makes you feel special when a table is lit by candlelight (even if it is a 5 p.m. supper and the sun is still out).
Whether it is cereal night or cooking from scratch, they prioritize eating meals together while spending quality time around the dinner table. Bonnie lovingly
shares, “Serving my family is one of my greatest joys. I do not take it for granted. Having uninterrupted time together as a family at the table is very important and special to us.”
Like many busy families on the go, Bonnie enjoys quick and simple meals that her family will devour. She refers to that kind of meal as a ‘one-dish wonder.’ She usually roasts veggies with sausage once a week. It’s convenient to keep frozen, organic veggies on hand; specifically, the Greenwise brand has a delicious chicken sausage with a long shelf life, so she keeps her freezer stocked.
One of the family’s favorites is homemade biscuits. These are perfect paired with the above mentioned roasted sauage and veggies or your family’s favorite dish.
Ingredients:
• 2 Cups of self-rising flour (if you don’t have self-rising, you can add one tablespoon of baking powder and 1/2 teaspoon of all-purpose flour)
• 1/2 cup of cold butter cut into pea size cubes (I use a cheese grater and frozen butter to make flakes of butter)
• 6 TBSP of milk (more as needed)
Directions:
Preheat oven to 450 degrees. Line a baking sheet with parchment paper or a silicone mat. In a large bowl, combine flour and butter. Use a pastry cutter, a fork, or two
knives and cut in butter until a coarse meal develops and butter is evenly distributed.
Add milk and stir until a soft dough forms. If the dough is sticky, add more flour, one tablespoon at a time. If the dough is dry, add more milk, one tablespoon at a time.
Spread the dough onto a lightly floured surface and knead for 20 seconds, adding flour if the dough becomes sticky. Roll out to 1/2-inch thick and cut out biscuits with a biscuit cutter or the top of a glass. Press the uncut dough together and continue rolling and cutting biscuits.
Bake until lightly golden brown on top and fragrant, about 10 to 12 minutes.
For extra, double the recipe and freeze half of the raw biscuits. When ready to eat, pull from the freezer and bake.
Kimberley Carter Spivey is a freelance writer, blogger, author, and entrepreneur. When she’s not working as an Instructional Systems Designer and copy-editor on Maxwell AFB, she’s busy freelancing, blogging, or toiling away at her next book. Her debut book Bloom: How to Get from Good Enough to a Life You Love can be purchased on Amazon and girlyouwrite.com.
Summer @MA offers a wide variety of opportunities to explore new activities, strengthen academic & athletic skills, and build lasting relationships.
There is something for everyone, and most camps are open to the public for any student entering grades1to12. Join us for an a M A zing summer!
Moms, you are on the job 24 hours a day, 7 days a week. You take care of everyone: the kids, your spouse, the pets, maybe an elderly parent, your home, and you work too. You need to take time-outs to recharge your batteries so overload does not overwhelm you. People working in offices take morning and afternoon breaks and a lunch hour. A fifteen-minute break can feel luxurious when you pause to refresh and refocus on yourself.
Toss aside the to-do list in your head for a little while; it can wait. Instead of homework, settle the kids into a coloring project or a PBS program, which might require your help. When you take a few minutes to relax, you will recharge yourself for the rest of the day.
Take out your planner, or schedule your break on your phone with a reminder. Start with an afternoon break daily, then add the morning break after a few days to get everyone used to the relaxation ritual. Ideally, you should plan to take a mom break in the morning and again in the afternoon at a set time. Start with 15 minutes and work your way up in five-minute
increments. You will find yourself looking forward to your mommy break, which will help you make it a habit.
Set up a space near an end table. Claim a chair as your ongoing special mom chair. Tell everyone mom time is at the same time every day. Give them the opportunity to think of a quiet activity they can do to relax and recharge themselves.
Step outside to grab some branches from native plantings in your yard. It is okay if the leaves have fallen off. Put them in a pretty vase right near your mom chair. Or, stop in the flower section at the grocery store and grab an inexpensive bouquet in colors you enjoy. You can put a few drops of your favorite essential oil in the water. Lavender, vanilla, bergamot (a citrus fruit similar to lemons), rose, and other scented oils can help you feel more relaxed.
Listening to calming music without
vocals can help you feel more serene. Put on some earbuds and listen to a luscious piano or violin concerto to complete your sensory ritual.
Buy some cozy, fuzzy, pretty socks for yourself. We are always looking for inexpensive, cool socks for the kids. Think about yourself, too. Something about softness on the feet feels like a spa experience. All that running around and doing for others tires your feet. Cozy socks send a comforting message to your body and brain. Order online or pick them up at a discount store.
Get yourself a new special tea cup at the thrift store or order online as a symbol of your new endeavor to make time for yourself. You can treat yourself to a new flavor of tea. The color, aroma, and taste will refresh you. Slow down, sip away, and savor the flavor.
If tea is not your thing, bubbly water is refreshing, especially with an essence you enjoy, such as pear, raspberry, or mango. Pour it into one of your fancy drinking glasses usually reserved for company.
Gaze at the sparkling bubbles in your glass. Inhale and sip away.
Buy yourself a box of handmade chocolates at the local chocolatier. Most retailers carry sugar-free and glutenfree selections, too. Eat one per day as a reward for all that you do.
If you are not into chocolate, buy some gourmet berries in the organic section of the market. Relax in your chair while you enjoy a few each day.
Go to the library to get hard copies of magazines with lots of colorful photos. Turn the pages and enjoy the images; you don’t have to read the articles.
During your break, try to refocus away from important concerns and just enjoy the peace and tranquility. Put your cell phone out of reach and turn off any sound, including vibration, that will distract you from your break.
Check your planner to make sure your break for tomorrow is there to remind you. Try not to skip a day or change the time because it might slip away.
T. Yale is a mom who writes articles about kid’s activities, family fun, wellness, nutrition, hobbies, and nature to inspire and encourage. She takes care of her family, including her two children, a husband, an elderly parent, two cats, and a German shorthaired pointer.
Allow yourself to dream or think about whatever you want. This is your time. If a creative idea pops into your head, write it down on a paper notepad before it slips away. You can research it later, not during your break. Place a notepad and pencil on the table next to your special mom chair.
I was watching my son scroll his social media the other day and he was “liking” almost everything he saw. Sharing. Saving. Sometimes commenting. At that point, I realized how very different our social media consumption is.
Other than the obvious generation gap and his propensity to follow bodybuilders, truck stuff, and teens, in general, doing a lot of weird things...and my propensity that leans towards
business account online, and you don’t do these things, over and over and over all day to exhaustion...forget about it. Three people will see your stuff. It is ridiculous. My son, however, does what it asks for. He maintains a constant scrolling, liking, and commenting machine. So, the algorithm loves him and feeds him more and more of what he engages with. And on the hamster wheel, he rolls.
Why is this a
or because we are of the generation that raised themselves and never did anything we were told to do anyway.
Gen Z and Gen A are different. The engagement is ongoing and never-ending. It seems to feel okay to these generations. Even if it doesn’t, they will likely never admit it, and they lack the desire or skills to back out of their bubble and explore new worlds against the algorithm grain.
largely an Insta gram consumer, with FB for family and friend stuff and a bit of TikTok when I want to see animals doing dumb things.
However, what is important is how I interact with these apps. I am a silent scroller. I rarely “like” anything except the occasional sweet picture or post from friends or family. It is even more uncommon for me to provide comments on posts. I will share, but only if I find it hysterical or educational. And I LOVE to research, taking deep dives for answers to all of my pressing questions, which goes against all of the algorithm rules. Searching does talk to the algorithm some, but not engaging with platforms goes against what the algorithm tries to force you to do. And if you want to grow your
limits our understanding and growth. It confines us to a small bubble that prevents us from exploring the world’s complexities. The narrow lens distorts reality and hinders our ability to embrace differences and variety. I love exploring different viewpoints. Our differences are what make us unique. And interesting. Being fed the same dribbling stream of information greatly contributes to divisiveness. People begin to believe that one view is the only view. It is an empathy stealer. How can we empathize with others if we hold fast to only one point of view? This worries me for adults but terrifies me for our youth. Like me, many (not all) adults of my generation (Gen X’ers) seem to be more of the silent scrolling type. Maybe because we “just don’t get it,”
Social media was created as a way to be social. To interact with one another. I remember when FB first came about, we could all chat with each other. Or not. But we could still see that person’s feed. We were not forced into a relationship with people and ideas in order to see the information. While I get that there are positives associated with having some algorithm influence, I can not help but think it has manipulated us into tiny bubbles. In true Gen X fashion, I do not respond well to being manipulated. I will continue my silent scroll, my quiet desire for all viewpoints. In my small way, I tell the algorithm to kiss off as I reach outside my bubble.
Kristi Bush serves as a national education consultant and social media safety advocate. She is a licensed social worker with greater than 15 years of clinical practice and health care experience. She attended Troy and Auburn University where she studied social work and counseling. Kristi travels nationally and has spoken with thousands of children, parents, professionals and organizations about the benefits and threats associated with social media. You may reach Kristi through her website at www.knbcommunications.com.
Days are slipping away. We feel them through our fingertips like the sand our kids once played in. No matter how tight I clench my fist the sand keeps falling. Our kids go from first steps to first car in the blink of an eye. My instinct is to grab tighter, to hold on to every moment. Instead of holding so tight to what was, maybe we need to relax.
What if we opened our hands and decided to have fun with our budding adults?
Summer is the perfect time to enjoy little things with your teen. Without the pressures of school, there is more time to enjoy the moments this summer.
1) Introduce them to a movie from your youth. They’ll think it’s fun to make fun of the clothing and hair and cheesy movie lines. You’ll enjoy the walk down memory lane with your teen.
2) Let them plan a day for the family. Give them a budget and let them take the lead. It’s exciting to see what they come up with. We could talk all about the great skills they are practicing in this one, but it’s more fun just to sit back and enjoy the ride. You may be surprised to see what they come up with!
3) Read a book together. Maybe not out loud together, but pick a book you can both read. I find my teen reads far faster than I can, so I have to make a conscious effort on this one. Without making it formal, just find times to slip the story into conversation. It’s a connection you can both enjoy.
4) Pick a show to watch together. Start with episode one, pop some popcorn, and enjoy a good binge-fest together. While I often lament having my quiet evenings from back in the days of 8 pm bedtimes, you have time to relax together. Find a way to enjoy it.
5) Go to a game or a concert. It doesn’t have to be the major leagues or a top musician, but find a local game for a sport your kid loves or a local concert for a style of music your teen enjoys.
It’s simple, doesn’t cost a lot, and gives you a great time out together, and it’s great if it is outdoors! Plus this one doesn’t usually take much convincing.
6) Be the house the kids want to come to. This one isn’t as bonding as some of the other ideas on the list, but when you create an atmosphere your teen and her friends want to be in it is so good. Not only is your teen around more, but you get to know her friends and see them interact together. Be goofy and silly. Have the good snacks. Resist the urge to embarrass or scold. Don’t mistake this for changing how you do things or your rules. Just be real and welcoming and let the rest happen naturally.
7) Serve someone else. Not all teens are eager to participate in serving others, but once you get started most kids come around and even appreciate it. Find something you can do for someone else together. Working together is the key to making this successful. Good places to try are soup kitchens, reading to kids (even summer camps and summer school may offer opportunities), cleaning up a park, or bringing a meal to someone who could use some help. It doesn’t have to be complex, it just needs to be about giving.
8) Play their game. Sometimes teens are wrapped up in the latest game or app. Get involved. It will most likely be funny, but giving them the chance to show you how to do something creates a special bond. Recognizing their exper -
tise helps them feel respected and that goes a long way.
9) Dream together. Even little moments offer opportunities to connect. Asking questions is a great way to see glimpses of your teen that you never imagined. Here are a few questions to get you started: What is your dream vacation? What kind of house do you think you’ll live in when you’re my age? If you could eat anything in the world for your last meal what would it be?
10) Make time, but don’t force it. Being available is one of the best ways to create a connection. It doesn’t mean following your teen around, but make sure that you aren’t checking out or disappearing every time they are home. Be present and open and see what happens!
Abrakadoodle Summer Art Camps ad on page 14
Abrakadoodle’s robust and comprehensive curriculum was designed by educators and artists. And while kids are learning and developing new skills, they are developing their own personal style of creativity. Pike Road Arts Center: Preschool (3-5 years) - Session 1 & 2: June 11-13 & July 9-11; Elementary (6-12) - Session 1 & 2: June 11-13 & July 9-11 (334) 265.5758 mcornwell@abrakadoodle.com abrakadoodle.com/al-montgomery
Art Buzz Kids Camp ad on page 34
7732 Eastchase Parkway Montgomery Zoo-tacular Art Camp: June 17-21, 2024 Lions, tigers, bears, oh my! A week of all things furry, fuzzy, scaley, feathery, and slimy! The perfect colorful adventure for the animal lovers in your life...we’ll even be designing our own zoos! Children must bring a snack, lunch, and water bottle. (ALL items must be peanut free). Pricing Info $230 a week or $50 a day Super Duper You Art Camp: July 15-19, 2024 It’s a bird. it’s a plane....no, it’s a SUPER DUPER KID! Every kid is a superhero in their own way, and we’re celebrating that this week! A week of capes, costumes,, secret identities, super powers, cityscapes, sidekicks, comics, and more! We’re even creating a superhero photo shoot! Children must bring a snack, lunch, and water bottle. (ALL items must be peanut free). Pricing Info $230 per week or $50 a day per child. (334) 245.3387 wineanddesign.com/montgomeryal
Montgomery Catholic Preparatory School Art & Drama Camps
ad on page 31
5350 Vaughn Road Montgomery Fine Arts Summer Camp
June 3-6, Rising 1st-7th Grade, 8:30-11:30 Children’s Musical Theatre Camp
July 8-12, Rising 4th-8th grade, 1-4 p.m. (334) 272.7221 montgomerycatholic.org/summercamps
Montgomery Museum of Fine Arts ad on page 59
1 Museum Drive Montgomery Junior Art Camp (ages 5-8), 8:30 a.m.-12 p.m.
June 3, 4, 5, 6, 7 and July 8, 9, 10, 11, & 12.
Youth Art Camp Days (ages 9-12), 8:30 a.m.-12 p.m.
June 3, 4, 5, 6, 7 and July 8, 9, 10, 11, & 12.
Teen Camp (ages 13-18) 10 a.m. until 2 p.m.
June 25, 26, 27, 28 and July 23, 24, 25, 26, & 27. (334) 240.4333 mmfa.org
Saint James School ART and STEM Camps
ad on page 1
6010 Vaughn Road Montgomery
Color Wheel Camp: Ages: Rising 1st - 3rd Grade Dates: June 4, 5, 6
Color Wheel Camp: Ages: Rising 4th - 6th Grade Dates: June 11, 12, 13
STEM Camp: Rising 2nd - 5th Grade Dates: June 17, 18, 19 (334) 277.8033 stjweb.org
Alabama Shakespeare Festival Theatre Camps
1 Festival Drive Montgomery
Summer Camps 2024 registration is open. Not only will campers have lots of fun in a theatre environment, they’ll also come home and return to work, community, and school with the beneficial FIVE Cs: Creativity, Collaboration, Communication, Critical Thinking, and CONFIDENCE! 3 camp sessions for Rising K-6 graders and 3 sessions for Rising 7th-12th graders. (334) 271.5393 asf.net
Armory Learning Arts Center
1018 Madison Ave. Montgomery
Summer 2024 Classes have been updated on our webpage. Check out our new offerings We offer kids summer art classes, adult art classes, music, dance, fitness and acting classes. (334) 625.ARTS (2787) Facebook under Armory Learning Arts Center
ASU Tonea Stewart’s Performing Arts Camp 915 S. Jackson Street Montgomery
TAPS, May 28-June 8; Camp 3T, June 23-29 and Camp Gifted, June 17-21. Please visit asutheatrecamps.com for more details. (334) 229.6755 asutheatrecamps.com
Mixed Media Art Camps with Barb Grimes 1923 Mulberry Street Montgomery
Tuesday, Wednesday and Thursday 2 to 3:30 p.m. June 4-6 and June 18-20 at Barb’s on Mulberry. For ages 5-12, $120 (334) 546.2233 barb2shop@yahoo.com
Pike Road Theatre Kids Production Camps 4710 Pike Rd Pike Road
Beauty & The Beast Jr. Camp Dates: June 3-14
Performance Dates: June 14-15
Seussical Kids Camp Dates: July 18-26
Performance Dates: July 26-27 (334) 414.0193 pikeroadtheatrecompany.org
P’zazz Art Studio
138 W. Main St. Prattville
Variety of summer camps from June 5-July 25. (334) 354.1975 pzazzart.com
“Summertime Fun Painting” with Barb Grimes 11650 Hwy. 80 E Pike Road
Tuesdays and Thursdays: May 28 & 30, June 4 & 6, June 11 & 13, June 18 & 20, June 25 & 27, July 2 & 3 (Wed.) 10:30 a.m. at Bubba Co. All classes are $15 each. FREE sweet treats. (334) 544.0303 barb2shop@yahoo.com
Wetumpka Depot Theatre Summer Camps
300 South Main Street Wetumpka
The Wetumpka Depot Players will kick off summer programs from June-July. Enroll your students in a week-long summer program and various workshops. For dates and time contact kmeanor@ wetumpkadepot.com.
(334) 868.1440 wetumpkadepot.com
Alabama Dance Theatre ad on page 49
1018 Madison Avenue Montgomery June 3-July 3; The Alabama Dance Theatre will be offering summer classes in Classical Ballet (pre-ballet to the professional level), Modern, Jazz, Hip-Hop, Contemporary, Composition/Choreography and Broadway. Highlights of summer classes include a new class Broadway, classical ballet training and creative movement classes open to ages 3 and up. Tutus and Tiaras Camp for ages 3-8 on May 28-31 from 9:30-12:30. Classes will include preballet, creative movement, crafts, and story time. July 8-20: Summer Intensive: This two week intensive allows dancers to attend classes with master teachers. They will also perform in Alabama Dance Theatre’s annual performance of Stars on the Riverfront July 21-22. Free to the public. Please feel free to bring a picnic. (334) 625.2590 alabamadancetheatre.com
Alabama River Region Ballet ad on page 3, 53
7981 Vaughn Road Montgomery
Fairytale Ballet Camp: June 17-21 and July 15-19, 9am – 12pm. Register now for the most excit-
ing event for young dancers, ages 3 – 7 years old! Each week, the dancers will learn about one fairytale ballet, meet the princess ballerina, and participate in themed crafts and activities.
July 15-19, Monday – Friday, 10 am – 2:30 p.m. Summer Intensive: Alabama River Region Ballet School is excited to offer a two-week Intensive Summer Seminar for intermediate and advanced students, ages 12 – 18 with a minimum one year of experience on pointe. Dancers will take daily classes in Ballet, Pointe, Variations, Jazz, Modern and Contemporary taught by some of the most talented guest artists and ARRB teachers. The Summer Intensive will include a repertory of classes that focuses on improving the dancers’ technique, as well as the opportunity to learn new choreography, and choreography from the classical repertory. Please call for pricing. (334) 356.5460 riverregionballet@gmail.com alabamariverregionballet.com
Tonya Speed’s Dance Connection ad on page 34
3370 Harrison Rd Montgomery Summer Fun Dance Camps 7 weeks of Summer, all day camps beginning June 3 for ages 3-11. Dance Classes All styles, Talent Shows and Dress Up, Theme Days, Modeling and Manners, Baton and Cheer, Princess Appearances, Musical Theatre and Arts and Crafts.
(334) 277.1098 Facebook: Tonya-Speeds-DanceConnection
Armory Athletics
1018 Madison Avenue Montgomery
Sports and recreation, swimming, arts & crafts, and educational field trips! Parents, please provide lunches, swim wear & towel, concession money, and socks and closed toed shoes for field trips. (334) 625.2789 armoryathletics.com
C.J.’S Dance Factory (home of the Prattville Ballet)
145 S. Court Street Prattville
All Summer Dance Camps will be June 20-July 18, Thursdays with something for everyone! We keep your dancer active, happy and learning! . (334) 467.8603 cjsdancefactory.com
Lisa’s Dance Dimensions
2981 Main St. Millbrook
Please visit our website for our Summer classes being offered. Classes will be running 7 weeks beginning in June . Day and Evening classes available.
(334) 549.4378 lisasdancedimensions.com
Mann Dance Studio
422 Pratt St. Prattville
Classes begin in June and will run through July. Classes will be offered for 6 years and up. These classes will be divided according to age. This is a combination class, which includes ballet, gym, jazz/hip hop.
(334) 365.5154 manndancestudio.net
Montgomery Ballet
1044 East Fairview Avenue Montgomery
Summer Intensive: July 22-26: Beginner/Intermediate, 10:00 am – 1 pm
Advanced Students: July 29-August 2. $400 (334) 721.3687 montgomeryballet.org
Next Dimensions Gymnastics
101 Penser Blvd. Millbrook
Please visit our website for our Summer classes being offered. Classes will be running 7 weeks beginning in June. Day and Evening classes available. (334)549.4378 lisasdancedimensions.com
Pike Road Dance Academy
232 West Elizabeth Lane Pike Road
ACRO Camp, July 22-25, $85
Summer Elite Intensive, June 3-7, $250
Summer Ballet Intensive, July 15-18, $250
Barbie Dance Camp (ages 2/3 and 4/5), June10-13, $135
Taylor Swift Camp (ages 6-12), June 17-20, $135
Mermaid Ballet Camp (ages 2/3 and 4/5), July 22-25, $85
Princess Ballet Camp (ages 2/3 and 4/5), June 10-13 (334) 782.9200 pikeroaddance.com
Tutu School Montgomery
2960G Zelda Road Montgomery
Sleeping Beauty summer camp Monday, June 24th-Friday, June 28th from 9am-2pm daily. $275. Camp is for children ages 3-8 years old. No prior dance experience required. (334) 363.3360 tutuschool.com
United Gymstars & Cheer Camp
6100 Brewbaker Blvd. Montgomery
June 3- July 26 - 7 week Summer Camp, Weekly themed activities, gymnastics, trampoline, rope climbing, crafts and more. Time: 7:30 a.m. to 4 p.m. Ages: 5-12. Please bring a sack lunch. (334) 284.2244 unitedgymstarsandcheer.com
Alabama Christian Academy ad on page 55
4700 Wares Ferry Road Montgomery
May 28-August 2. Every day at Camp Eagle is filled with exciting activities - and LOTS of them!! Your child will be placed in age-appropriate groups
and get to participate in recreational and team building activities. We would love for you to join us as we soar into a summer of fun!!
Alabama Christian Academy NEST: We would love for you to join us as we soar into a summer of fun!! Please call for more information. (334) 277.1985 dsanford@alabamachristian.org acacampeagle.org
Camp Chandler - YMCA
ad on page 43
1240 Jordan Dam Rd Wetumpka
June 3-July 26 with 8 sessions be offered. Camp Chandler will be offering day camp Monday through Friday for eight weeks this summer for children ages 5 to 12. Hot breakfast and lunch will be provided. Day camp is perfect for first-time campers or anyone who wants to participate in some of our famous Camp Chandler activities with our fun-loving Camp Chandler staff. (334) 229.0035 ymcamontgomery.org
Let’s Learn Loc’s Hairstyling Summer Program
ad on page 50
1311 E. South Blvd Montgomery
June-July 2024, Monday through Friday, 9 am to 2 pm. 1wk or 2wk Program for Ages 13-16. Lunch Included. Experienced instructor and certificate of completion. Cost is $375 per week and spots are limited so register now. Early registration $50 discount before May 1 (334) 233.9780
Montgomery Academy Summer Camps ad on page 47
1550 Perry Hill Road, Montgomery, AL 36106 Summer at The Montgomery Academy offers a variety of camp programs. With programs ranging from academic to athletics, coding to writing, crafts to fun and games, there is something for every child’s interest! Explore our camp offerings, schedules and register online at montgomeryacademy. org/summer and get ready for an aMAzing summer! For information, contact Jennie Kim Rains, Director of Auxiliary Programs and Civic Engagement at summer@montgomeryacademy.org. (334) 273.7170 montgomeryacademy.org/summer
Montgomery Parks and Rec Summer Programming ad on page 4
From June 3-July 26 drop off kids age 6-17 at one of our many sites across the city for a summer of fun! Activities include swimming, archery, arts and crafts, music, field trips and more. On April 6, a registration kick-off event will take place at Oak Park from 10 am to 2 pm.
334-625-2300 funinmontgomery.com
Newtopia Summer Camp ad on page 67
3731 Malcolm Drive Montgomery Register now for summer camp, July 15-18, Ages 5-10 only. Fun, exciting daily themed activities. (334) 356.4518 newtopiafunpark.com
Prattville YMCA ad on page 36
600 E Main Street and 972 McQueen Smith Rd. S Prattville YMCA Summer Day Camp, girls and boys ages 6-12. Begins May 28 – August 6. Mon. – Friday from 7 a.m. until 6 p.m. Summer Day Camps are available at Daniel Pratt Elementary School, Main and Pine Level Elementary School. For more information contact the YMCA Childcare Branch at (334) 358-1446. Online registration available at prattvilleymca.org. Financial assistance available for those who qualify.
Gymnastics and Cheer Camp, Ages 5 ½ and up. Dates to be announced. For more information call YMCA Don M. Smith Branch, 365.8852
• Super Summer Sport Camps, Mon-Thurs, 9 a.m.- 12 p.m. YMCA Bradford Branch – 358-9622
Outdoor Adventure Camp: Boys & Girls, ages 9-16. Members and Non-Members. Dates will be available May 1.
• Prattville YMCA Camp 2:22 Teen Camp, rising 7th graders – rising 9th graders, girls and boys. Begins May 28-August 6. Mon. – Friday from 7 a.m. until 6 p.m. Camp 2:22 is held at the Bradford Branch on McQueen Smith Road. For more information contact the YMCA Bradford Branch at (334) 358-9622. Online registration available at prattvilleymca.org. Financial assistance available for those who qualify. (334) 358.9622 prattvilleymca.org
Trinity School Day Camps ad on page35
1700 East Trinity Blvd. Montgomery
Please refer to Trinity Presbyterian School website for more information at www.trinitywildcats.com/ summercamps (334) 213.2100 trinitywildcats.com
Alabama State University SKYCAP/ ReImagined 2024
915 S. Jackson Street Montgomery
June 3-28: SKYCAP Reimagined, a newly designed program, is a fun-filled college learning adventure for children and youth in grades 2 - 9. SKYCAP Reimagined will support students in their journey to academic and personal success. (334) 229.4686 alasu.edu/continuingeducation
Alabama Wildlife Federation
3050 Lanark Road Millbrook
ANC Summer Camp: Camp dates and sessions offered from May 28 through August 2nd. Please visit our website for session dates and descriptions for each camp. All camp sessions are co-ed and full day, 8:30 a.m. to 3:30 p.m.; with the exception of Tadpole Camp. Lunch is included and extended care is available.
(334) 285.4550 alabamawildlife.org
Boys & Girls Clubs of the River Region
Chisholm, 2612 Lower Wetumpka, West End, 220 Crenshaw St, and Wetumpka, 399 North Alabama Street Montgomery
May 24-August 2. Focus on 5 core program areas: Education, Arts, Sports & Recreation, Health & Life Skills and Citizenship Leadership Development. Cost: $10 per child per year which includes 2 shirts. Mon-Fri, 9 a.m.- 5 p.m. Please call for school term schedule.
(334) 832.4288 Bgcmala.org
Camp Grandview — YMCA
4700 Camp Grandview Road Millbrook
Dates: May 27 - August 2
Grandview Family YMCA Summer Day Camp is an action-packed outdoor experience led by highly trained and imaginative YMCA staff, located on 190 wooded acres with two beautiful lakes. As a Day Camp, our facilities are unmatched; a water park, lap pool, an airnasium, fishing pond, athletic fields, hiking trails, mud pit, disc golf, ga-ga pits, an archery range, art and game room, and a gymnasium. This camp is for children that have completed kindergarten through 10th grade. (334) 290.9622 ymcamontgomery.org
Camp Sunshine for Boys
3067 Carter Hill Road Montgomery
July 22-26 (334) 262.2697 tukabatcheebsa.org
Camp Tukabatchee
3067 Carter Hill Road Montgomery
Boy Scout Day and resident camps. June 16-22 (800) 977.2688 tukabatcheebsa.org
Connect Camp at Heritage Baptist Church
1849 Perry Hill Road Montgomery
July 15-19. A remarkable day camp experience is coming back to the River Region! Non-stop fun and active play. Bible-based teachings, and new friends for the entire family. $249 all inclusive 5 day pricing.
(706) 310.6055 connectcamps.com/montgomery
Gross Out Camp Takes Science Outdoors
Alabama Nature Center (Lanark) Millbrook
July 22-26: This award-winning science camp focuses on hands-on biology. Activities include
creek stomping expeditions for macro-invertebrates, meet-a-tree style scientific observation, and creativity such as making your own bird-poop paint (not from birds). Kids will meet live snakes in a reptile program. Learning has never been this much fun! Ages 6-9. (205) 540.6642 GrossOutCamp.org
Montgomery Zoo
2301 Coliseum Parkway Montgomery
Make summer vacation a wildlife adventure that you will never forget. Join kids of similar ages and interests for a fun-packed, educational experience themed around ZOOFARI WORLD QUEST. See daily live animal presentations; get up close and personal with some of the Educational animals at the Montgomery Zoo; enjoy scavenger hunts; craft time; classroom time; playtime, train, and sky lift rides; participate in animal encounters with the giraffes, river otters, parakeets and our collection of petting zoo animals; see behind the scene tours and visits with our zookeepers, and other staff members. Ages 5-12 years old (334) 240.4900 montgomeryzoo.com
Prattville Parks & Recreation Summer Youth Program
Weekly Field Trips, Games, Crafts and Swimming
Begins May 30 until the Friday before school starts, 7a.m. until 6 p.m.; Ages 5 going into K-6th grade. Registration begins April 1st at the Doster Center. Parent Orientation Date: May 23 Registration Fee – Non-refundable $75 registration per child; $75/week.
YMCA Cleveland Branch
1201 Rosa L. Parks Avenue Montgomery 10 weeks of Youth Specialty Camps, May 28 until August 2. (334) 265.0566 ymcamontgomery.org
YMCA East Branch
3407 Pelzer Ave Montgomery 10 weeks of Youth Specialty Camps, May 28 until August 2. (334) 272.3390 ymcamontgomery.org
YMCA Goodtimes
2325 Mill Ridge Drive Montgomery May 28-August 2. Summer Goodtimes Day Camp: At the Y this summer, children ages 4 to
11 can do everything from learning how to swim improving their reading skills. Every day your child will participate in learning enrichment activities that stretch their mind, daily devotions that will teach them character through skits and songs, and health and nutrition through the daily snack and lunch program.
Summer Goodtimes Day Camp will be offered at Cleveland YMCA, East YMCA, Goodtimes Center, and Wetumpka YMCA. www.ymcamontgomery.org (334) 279.8666 ymcamontgomery.org
YMCA Kershaw
YMCA Wetumpka
2225 West Fairveiw Ave. Montgomery Summer Camp Dates, May 28 until August 4. (334) 265.1433 ymcamontgomery.org
YMCA Montgomery Emory Folmar
Soccer Complex
300 Brown Springs Road Montgomery
The YMCA of Greater Montgomery is inspiring youth by teaching the fundamentals of the game of soccer. These skills will assist in the overall development of the youth that are participating. They will learn how to pass, shoot, one-touch, throw -in, free kick, penalty kick, goal keeping, offense and defense. Participants will have comprehension of the rules and terminology of the game of soccer. (334) 396.9754 ymcamontgomery.org
YMCA Southeast Branch
3455 Carter Hill Road Montgomery Summer Camp Dates, May 28 until August 4. (334) 262.6411 ymcamontgomery.org
YMCA Wetumpka
200 Red Eagle Road Wetumpka Summer Camp Dates, May 28- August 4. (334) 567.8282 ymcamontgomery.org
200 Red Eagle Road Wetumpka Summer Camp Dates, May 28- August 4. (334) 567.8282 ymcamontgomery.org
YMCA Wilson
1445 New Park Drive Montgomery Summer Camp Dates, May 28-August 2. (334) 356.8471 ymcamontgomery.org
Callaway Gardens
US Hwy 18 Pine Mountain
Summer hours- 9:00 am-6:00 pm daily. Callaway Gardens is a great location for family vacations in Georgia. Your family will love hiking in our gardens, swimming in Robin Lake, exploring the Cecil B. Day Butterfly Center, golf, spa and more. Summer Family Adventure is a four- to sevennight Summer vacation that connects your loved ones and offers countless options for fun in a beautiful natural environment. Callaway Gardens partners with the Florida State University Flying High Circus, whose members lead guests ages 3-17 in a variety of exciting day-camp activities. Adults have their own eclectic lineup of offerings, and late afternoons and evenings reunite families to enjoy beach parties and competitions, bingo
and trivia games, educational shows and outings, and much more.
1-800-Callaway callawaygardens.com
Chewacla State Park
124 Shell Toomer Pkwy. Auburn
696 scenic acres are a delightful pause from nearby interstate traffic. Facilities include a 26-acre lake, swimming area, playgrounds, hiking trails, a modern campground, picnic areas with tables, grills and shelters, and newly renovated cabins. (334) 887.5621 alapark.com/Chewacla/
Coosa River Adventures
415 Company Street Wetumpka
Available all days (weather permitting). Scheduling is required. Cost is $69 per two-person canoe, $65 per sit-on-top, two person kayak and $34 per sit-on-top, one-person kayak. Stand-up paddleboards rental is $39. Cost includes transportation to the launch site, paddles and life jackets. Shuttle rate for those owning their own equipment is $15 per kayak or canoe. Try out tote-n-float Program. Simply tote one of our boats and float your favorite waters. Canoes are $69 a day. add tax to prices listed. Call for appointment and scheduling. (334) 514.0279 coosariveradventures.com
DeSoto State Park
13883 County Road 89, Fort Payne, AL
Nestled atop beautiful scenic Lookout Mountain in northeast Alabama, this 3,502-acre park provides Mountain Chalets, Log & Rustic Cabins, Motel Rooms, Meeting Rooms, and also has both Improved & Primitive campgrounds. Also features a picnic area with playground, Olympic-size swimming pool, nature center with interpretive programs and live animals, & over 19 miles of hiking & mountain biking trails. (256) 845.0051 alapark.com/DeSotoResort
Georgia Aquarium
225 Baker St. NW, Atlanta, GA Atlanta
With more than eight million gallons of fresh and marine water and more aquatic life than found in any other aquarium, you are sure to see things you’ve never seen before! Please check our website for rates and specials. Annual, premium, combo, and group rates available (404) 581.4000 georgiaaquarium.org
Great Wolf Lodge
150 Tom Hall Parkway La Grange
Resort near Atlanta features indoor water park fun, kid-friendly actitivities, dining options and more - all under one roof. Lodging available. (844) 473.9653 greatwolf.com/georgia
Horseshoe Bend Military Park
11288 Horseshoe Bend Rd. Daviston
Monday-Sunday 8:00 am – 5:00 pm. Tour the free museum and view the 22 minute film, “The Battle of Horseshoe Bend”. Then enjoy hiking the trails, a picnic, canoe the Tallapoosa River, and go fishing. Children (6 to 12 years old) with families are encouraged to participate in the Junior Ranger Program. Program booklets are available free at the Visitor Center. Children completing the required activities will be awarded a Certificate and Junior Ranger Badge. The program must be completed while in the Park and is not available for groups. (256) 234.7111 https://www.nps.gov/hobe/index.htm
Imagine It! Children’s Hands on Museum
275 Centennial Olympic Park Drive NW. Atlanta Atlanta’s only children’s museum, is the perfect place for children age eight and under and their families to learn and explore together in a safe and fun hands-on environment. (404) 659.KIDS childrensmuseumatlanta.org
Lake Lanier Islands - Chattahoochee Rapids Beach & Water Park
7000 Holiday Rd. Buford
With more than a dozen exciting rides and attractions, Chatttahoochee Rapids Beach & Waterpark at Lake Lanier Islands Resort offers summer fun for the entire family. The Kiddie Lagoon and Wiggle Waves are perfect for pint-sized guests and relaxing is easy on our half-mile of sandy white beach!
(800) 840.LAKE lakelanierislands.com
Legoland Discovery Center
3500 Peachtree Rd. NE Atlanta
Explore our indoor attractions! 15 rides and attractions including LEGO rides, soft play area, 4D cinema, MINILAND, guided tours, DUPLO Village, LEGO Friends Olivia’s House, LEGO Ninjago Laser Maze and more, ideal for ages 3-10 years. (404) 848.9252 legolanddiscoverycenter.com
McWane Science Center
200 19th Street North Birmingham
Rates range $8.00-$20.00; Children under 2 Free; Monday-Friday 9:00 am-5:00 pm, Saturday 10:00 am- 6:00 pm, Sunday 12:00-6:00 (205) 714.8300 mcwane.org
Port Columbus - National Civil War
Naval Museum
1002 Victory Drive Columbus
The National Civil War Naval Museum tell the story of the sailors, soldiers, and civilians, both Free and enslaved as affected by the Navies of the American Civil War and provides a repository for relevant archives and artifacts on the subject, for all generations of the public. The Museum uses all available media systems/distribution platforms and live interpretation in furtherance of this mission.
(706) 327.9798 portcolumbus.org
Stone Mountain
U.S. Highway 78 East, Exit 8 Stone Mountain Toddlers 2 and under Free, Discounts and annual passes available; Summer at the Rock! June 10-July 30; 10:30 am -8:00 pm. Summer at the Rock includes adventure and excitement for every member of the family. From fun filled attractions to special summer entertainment and the nightly Lasershow Spectacular in Mountainvision, it’s the perfect destination for you and your family to unplug and reconnect this summer. Experience Stone Mountain Park daily during Summer at the Rock. Board the Scenic Railroad and take a trip around the base of the Mountain. Challenge yourself on SkyHike, the nation’s largest family adventure course, or cool off and play in spray on Geyser Towers...the adventures are endless! Please visit our website for tickets options and pricing.
(800) 401.2407 stonemountainpark.com
Swayback Bridge Trail
Jordan Dam Road in Elmore County Wetumpka Hiking/Biking approximate 8-mile trail with arrows and 1/4-mile markers so you can turn back when you reach your limit. Or the looping nature of the trail allows for crossover at several points to shorten your trip. Trail has views of creek and the Swayback Bridge, which is part of the old Hwy. 231. No charge, but do accept donations to help maintain the trail. No motorized vehicles or horses allowed.
(334) 567.9090 trailoflegends.org/
Windcreek State Park
4325 Alabama Highway 128 Alexander City
This park spans 1,445 acres along the shores of scenic Lake Martin, that is a 41,000-acre clearwater reservoir perfect for fishing, swimming and boating. Park facilities include the largest stateoperated campground in the United States with 626 sites.
(256) 329.0845 alapark.com/WindCreek
Huntington Learning Center ad on page 13
3251 Malcolm Drive, Montgomery
Individual testing and tutoring in reading, study skills, writing, phonics, spelling, math and ACT/ SAT prep, GED and exit exam. Students ages 5 - adult.
(334) 277.9200 huntinghelps.com
Mathnasium Summer Power
Math Workout Programs
ad on page 26
3453 Malcolm Drive (Taylor Road at Billingsley Place Promenade) Montgomery
Mathnasium in the Summertime Solidify foundations, improve understanding, and get ahead on next year’s concepts in a fun, low-pressure environment. (334) 521.8327 mathnasium.com/eastmontgomery
Montgomery Catholic Preparatory Summer Camps ad on page 31
5350 Vaughn Road Montgomery
Robotics Summer Camp: June 10-12, Junior Engineers Summer Camp: June 20-22, Maker’s Space Summer Camp: July 22-24. Please call for more information. (334) 272.7221 montgomerycatholic.org
Sylvan Individualized Tutoring ad on page 18
4240 Lomac Street Montgomery
Individualized 5-week Tutoring Camp
Go back to school powered by a summer of Learning! Available dates are June 3rd through August 2nd. 2-hour sessions twice a week for 5 weeks, Monday through Thursday. Times: 8:30–10:30, 10:30-12:30, 1:30-3:30, 3:30-5:30; Saturday available times: 8:30-10:30 and 10:3012:30. $150 a week. $95 Registration fee and $49 per assessment for new students.
Back to Basics 2-week Camp for K through 2nd grade. Beginning reading and phonics hands-on program for emerging readers to reinforce foundational literacy skills.Camp dates available are
through Friday 9:30-11:30; $600 for 20 hours of fun while learning. (334) 262.0043 CD@montgomerysylvan.com sylvanlearning.com/Montgomery
ACT Bootcamp with Lee Gonet
1565 Ray Thorington Road (at Gracepoint Church) Montgomery
June 3-7 and July 8-12. Lee Gonet’s unique method of having students take multiple practice tests, individually rework missed problems, and then review error types in group settings improves students’ scores dramatically, increasing ACT composites from 2 to 12 points in just a week’s time. This intensive prep class is Monday through Friday, includes book, practice tests, handouts, water, snacks, and 40 hours of testing and instruction. (334) 524.7371 leestestprep.com
Churchill Academy
1685 Taylor Road Montgomery
Tutoring available for summer. Grades K-12. One-on-one tutoring. Location provided by age. (334) 625.8252 churchillacademy.net
Enjoy Learning Center
2801 Vaughn Plaza Rd., Suite H Montgomery
One-on-one tutoring for ages 4 to adult. Math, science, reading, comprehension, phonics, spelling, writing, graduation exit exam, ACT and SAT. Certified, skilled teachers. Credit/debit cards accepted. (334) 625.9535 enjoylearningcenter.com
MasterRead
2815-C Zelda Rd. Montgomery
Grades K-12 individual tutoring. Sessions for reading, comprehension, phonemic awareness, phonics, math, composition, spelling, study skills and ACT/SAT preparation and Exit Exam preparation.
Summer School & Tutoring at Success Unlimited
4500 Vaughn Road Montgomery
Summer School, Dates to be decided. Call now to enroll. Enrollment is limited. Dress code required. Tutoring offered at various dates and time. All grade levels. One on one time and Small Groups. (334) 213.0803 suacademy.com
Autauga Prattville Public Library
254 Doster Street Prattville
Preregister at any Autauga Prattville Public Library Branch Today! The Summer Reading Program is to encourage reading throughout the summer months. Children going into grades preschool-6th grade are invited to participate. (334) 365.3396 appl.info
Millbrook Library
3650 Grandview Road Millbrook
Summer Reading Program for Ages 4-12; The Summer Reading Programs is to encourage reading though out the summer months and enjoy different adventures and travel to exciting places. (334) 285.6688
Montgomery Library
Sign up for summer reading programs to be held at various locations. https://www.mccpl.lib.al.us/
Wetumpka Library
212 S. Main Street, Wetumpka Summer program offered for grades 1 – 6. Meeting at Wetumpka Civic Center. Registration starts in May. Summer program offered for grades 7-12. (334) 567.1308
When people with extraordinary talent and passion are given the technology, the facilities, and the support, they achieve great things. The discoveries taking place today will help shape the future of treatments and lead to cures – benefitting not only our patients and families, but people across the country and around the world for years to come.
ChildrensAL •org
1600 7TH AVENUE SOUTH • BIRMINGHAM, AL 35233 205-638-9100
2211 Ultimate Playzone
3541 McGehee Road Montgomery
Skating, Book your birthday partyies and Inflatables. Laser Tag! Summer Open Skate - $10 (includes skate and entry) $5 for non-skating parents. Tuesday-Friday from 1-3 p.m., ( $7 per person). (334) 593.7180 2211ultimateplayzone.com
BAMA Lanes
3020 Atlanta Highway Montgomery
EAT ‘n’ BOWL, while lane availability lasts, until 8 p.m. daily. (Includes 3 games, shoe rental, and meal). Prices vary upon day and time (334) 272.5423 bamalanesusa.com
BAMA Lanes in Prattville
1734 East Main Street Prattville
EAT ‘n’ BOWL, (includes 2 games, shoe rental, and meal) Prices and times vary upon day. (334) 358.8600 bamalanesusa.com
Bowlero
1661 Eastern Blvd. Montgomery
Special summer deals. Please call for more information and weekend pricing. (334) 819.7171 bowlero.com
Fountain City BMX Track
802 County Road 4 Prattville
Tuesday and Friday Practices. Fun for any age. Race on most Sundays. For information please visit us on Facebook under Fountain City BMX. (334) 300.4328 www.fountaincitybmx.com
MANE’s Unified Summer Camp
3699 Wallahatchie Road Pike Road
4 weekly Camp sessions. Cost $250 per week. May 28-30, June 4-6, June 18-20 and June 25-27. Riders must be between the ages of 4-12. (334) 213.0909 maneweb.org
Skate Zone Wetumpka
88 Red Eagle Pkwy. Wetumpka
Please call for Summer hours and rates. Please visit us on Facebook under Skate Zone 2000. (334) 567.4434 Facebook under Skate Zone Wetumpka
Faulkner Baseball
ad on page 40
Faulkner University, Atlanta Highway Montgomery
Whether you are a youth player looking to receive top instruction from a college coach, or you are a high school player hoping to hone your skills to reach the next level, we have something to offer you! All players must bring their own baseball equipment including sneakers/turf shoes in case of inclement weather.
Youth Session I: June 10-13;
Youth Session II: June 17-20; Youth Session III: June 24-27 aulknerbaseballcamps.com
FC Montgomery Soccer Futsal ad on page 27
1555 Eastern Blvd. Montgomery
Brazilian Soccer Futsal Indoor Camps (indoor/air conditioned) Coach Bruno (Former pro & College coach - Masters Phy. Ed.)
Camp Dates: (All ages) May 27-31, June 10-14, June 24-28, July 8-12 and July 22-26 from 8 a.m. until 5 p.m. (Full day or half day option) (334) 498.4625 fcmontgomery.com
Macon East Academy ad on page 17
15396 Vaughn Road Cecil Baseball Mini Camp, June 24-26
Softball Mini Camp, June 24-26 Volleyball Camp, June 10-12 Basketball Camp, June 3-5 (334) 277.6566 maconeast.net
Montgomery Catholic Preparatory ad on page 31
5350 Vaughn Road Montgomery Wrestling Camp (Boys, K5-6th grade), June 1-3 Baseball Camp (Boys, K5-6th grade), July 8-10; Soccer Camp (K5-8th grade ), June 3-5 ; Basketball Camp (K5-6th grade), June 24-26 ; Softball Camp (Girls, K5-6th grade), June 10-12 ; Football Camp (Boys,K5-6th grade), July 17 f; Volleyball
Camp (Girls, rising 4th-8th), June 17-19; Cheer Camp (Girls, K4-6th grade.),July 29-31; Girl’s Flag Football (Rising K5-6th grade ), June 24-26. (334) 272.7221 montgomerycatholic.org
O’Connor Tennis Center ad on page 50
500 Anderson Street Montgomery Summer Camps: Monday - Thursday
Age 4-6; 9-10 AM, $50 per day with advance registration or $60 per week, $15 per day drop in. Age 7-16; 9-11 a.m, $110 per week, $30 per day drop in. Dates: June 3-6, 10-13, 17-20, 24-28, July 8-11, 15-18, 22-25. (334) 240.4884 oconnortenniscenter.com
Saint James School ad on page 1
6010 Vaughn Road Montgomery
Saint James School will continue its summer tradition of providing a variety of sports and cheerleader camps for young people. Printed information will be available soon and will include cost, age groups and other pertinent information. Call Katie Barton, Athletic director, or the individual coaches at (334) 277.8033, ext. 145.
(334) 277.8033, ext. 145 stjweb.org
Faulkner Sports Camps
5345 Atlanta Hwy. Montgomery
Hal Wynn, 386.7285, softball camp; Dates TBA Scott Sanderson, 386.7159, basketball camp; Session I: June 17-20; Session II: June 24-27 Pritchard Ndaira, 386.7162, Girls soccer camp Tori Renda, 386.7149, Volleyball Camp
Rob Gray, 386.7671, Football Camp; TBA Gabriel De Quieroz, 386.7162, Men’s soccer Reed Sutton, 386.7509, Women’s Basketball; TBA (334) 386.7148 www.faulkner.edu
Huntingdon College
1500 East Fairview Avenue Montgomery High School Showcase Skills Camp, Grades 9-12, May 18; Summer Kids Camp 1, May 28-May 30; Summer Kids Camp II, June 4-6.
Basketball Camp: Boys and Girls ages 6-17 Kids Camp 1, June 24-27; Kids Camp 2, July 22-25; High School Elite Camp, June 1; Soccer I.D. Camp (Grades 9th-12th), July 13; Summer Youth Academy (Ages 5-13), June 17-21. Softball Camp: Prospect Camp, July 20 for ages 7-12 grade. huntingdon.edu
YMCA Montgomery Soccer Complex
300 Brown Springs Road Montgomery (334) 641.0122 ymcamontgomery.org
Adventure Sports ad on page 24
1546 East Ann St. Montgomery
Have your child swimming before Summer. Private swim lessons offered for ages 2 years to adult YEAR round. Indoor and outdoor pool available. Heated indoor pool for year round lessons. Pool parties offered. (334) 269.DIVE (3483) adventuresports2.com
Doster Center
424 South Northington Street Prattville Swim lessons and swim team (enrollment limited). Registration begins May 1st. Swim Team is affili ated with YMCA. Please call for more information. (334) 361.3640 prattvilleal.gov
Goldfish Swim School
Eastchase in Montgomery
Register for our Jump Start Clinics! They are a great and easy way to get children ready to swim or progress toward their next swim level. Weekly this summer: 5 consecutive 30-minute lessons. Same time, same instructor.
(334) 373.1690 goldfishswimschool.com
Pratt Park, Prattville
460 Doster Road Prattville
Swimming lessons. Ages 6months to 36 months
and 3 and up. Please call for rates and session dates. Maximum of 20 kids. No makeup days due to weather unless the whole session is canceled. Check with your local branch for times and costs.
(334) 361.3640 prattvilleal.gov
Swim Prep
Montgomery and Prattville
Private One-on-one swim lessons starting at 6 months. Maintenance and group classes offered after student has graduated our program.
Please visit our website for information and to register. (334) 375.2023 swimprepllc.com
YMCA Branches
Summer Swim Leagues
YMCA Goodtimes Center 279.8878, 2325 Mill Ridge Drive, Montgomery. East YMCA, 3407 Pelzer Ave., 272.3390
Southeast YMCA, 3455 Carter Hill Rd.,262.6411 Kershaw YMCA, 2225 W. Fairview Ave., 265.1433 Bell Road YMCA, 2435 Bell Rd., 271.4343
Cleveland Avenue, 1201 Rosa Parks, 265.0566
Prattville YMCA, 600 Main Street, 365.8852
Wetumpka YMCA, Red Eagle Dr., 567.8282.
Lake Eufaula 104 Lakepoint Dr, Eufaula, AL 36027
Picturesque Lakepoint Resort State Park is located on the banks of the 45,000-acre Lake Eufaula. Lakepoint offers a variety of amenities such as an 18-hole championship golf course, full service restaurant and lounge, marina, hiking trails, modern campground, swimming complex, tennis courts and playgrounds.
334-687-6026 www.lakeeufaula.info/pages/Lakepoint-State-Park
Lake Martin
Lakeside Marina, Dadeville, Al, 36853
Pleasure Point Marina Cabin Rentals; Dadeville, AL, 36853
Rentals: cabins, boats, watercraft, tubes, boards and skis.
256-825-9286; 256-825-9400; lakesidemarinallc.com; www.pleasurepointmarina.com rrp
The Beautiful Game
The Long Game
Ghostbusters: Frozen Empire
Mal is manager of England’s homeless soccer team, where he oversees the training of a recovering heroin addict, a Syrian refugee, an exuberant thief, and an intense striker. When he stumbles across Vinny, a man with undeniable talent on the pitch, Mal knows that this player has what it takes to help England win the World Cup But Vinny also has plenty of baggage…This underdog sports film hits all the right beats and is both inspiring and entertaining for families. It’s a tale of compassion, courage, and simple goodness. Photo ©Netflix
Theaters
It’s 1955 and Texas golf clubs won’t allow Mexican-Americans unless they are caddies. But five of the Del Rio club’s on scrubland and developed impressive skills. When J.B. Pena, superintendent, forms a golf team, the boys just might ha the state championship. This story of sports and human equality offers themes of dignity, self-respect, courage, persistence, and hard work. It suited for families with teens. Photo ©Bonniedale
Godzilla is roaming the earth, hunting and destroying other Titans. Kong has gone into the Hollow Earth, looking for more creatures like him. but something is transmitting new signals that are prompting Godzilla to more radiation. Creature features should be action-packed and exciting but this flick is neither. Most of the runtime is devoted to four and even the destructive scenes of monster mayhem but even Godzilla can be dull. Photo ©Warner Bros
The Spengler clan has relocated to New York, restoring Ghostbuster services to the city. Much to their dismay, they find themselves battli They also stumble across an ancient brass artefact that unleashes ancient deity with the power to plunge the city into a new Ice Age. Stiff, overly expository, and containing too many flat jokes, this sequel is less entertaining than its predecessor. It has a significant amount of supernatural violence, but that won’t deter dedicated fans
Anthoy Madu went viral on Instagram for dancing barefoot on the streets of Lagos. Soon after, the Nigerian boy received an invitation to study ballet in England. This documentary follows Anthony’s journey as he adapts to a new country, is diagnosed with a disability, battles homesickness, and devotes himself to the rigorous field of ballet. Anthony’s hard work and dedication are inspiring, and this is a family-friendly choice for anyone interested in the arts. The format is occasionally disjointed but that doesn’t reduce the power of the film’s message. Photo ©Disney+
Learning Center’s
The International Franchise Association named Beth Dotson, owner of Huntington Learning Center in Montgomery, AL, as a 2023 Franchisee of the Year. Dotson was honored at the 64th IFA Annual Convention in Phoenix, Ariz., for being an outstanding franchise establishment owner-operator.
“Franchisees of the Year exemplify what franchising is all about – providing opportunity, serving others, and fulfilling the American Dream,” said Matthew Haller, President and CEO of the International Franchise Association. “We
Confident Cuties dropped in for confidence boosters by engaging in self-Image art, stories, and making “Brag Bags.” Yes, they were given permission to brag on themselves and share all the things they could do and all the things they absolutely loved about themselves. These Confident
My youngest child graduates from college this spring. For the life of me, I don’t know how that is possible. I am still trying to lose the baby fat from my pregnancy. Regardless, when I look over at my man-child loading up his car with a combination of pots and pans and video games, I know what they say is true –the days are long, but the years are short.
While my son is approaching a new chapter and a big milestone in his life, I can’t deny that my life is changing, too. The light at the end of the parenthood tunnel is getting very bright and that means my role as a provider and decision maker in my child’s life is coming to an end. While my role as a parent is changing, my importance in their lives is not.
As parents, we give our children all the tools they need to succeed in life and now they need to take the baton and run with it. Although you might not be ready for a change, know that they have been thinking about this for a long time and can’t wait to flex their independence. The good news is, we will always be needed as a sounding board and mentor, but they can handle the day-to-day. It’s time to start the next chapter of our lives, too.
Give yourself a little grace and a chance to grieve. You will have good days and bad ones. This chapter of life is uncharted, scary and sometimes lonely, much like how it was when you first brought your child home. It’s normal to be weepy for a little while, but eventually, you will need to shift the focus to your new normal.
Make a plan to stay connected. When my daughters went to college, they often called me between classes to share their news or tell me about their new friends. My son, on the other hand, is not a chit-chatter. I would only get a call or text if it was important. As a compromise, I suggested a Facetime date on Son-day and an evening goodnight text to keep in touch while he spreads his wings.
Focus on you. For more than 18 years, the focus has been on your children. Permit yourself to be a little self-centered. Get up to date on all medical appointments you have put off. Reeval-
uate your diet and start an exercise routine that includes cardio, weights and stretching. Go through your closet and decide what to keep and what to update. Try out a new hair color or style to go with your new role.
Stay in touch with your friends – especially those going through the same phase of life. Just like when our children were babies, we still need the companionship and advice of other parents going through our shared experiences. We need the reassurance that we are doing the right thing and a shoulder to cry on when we are frustrated or engulfed in self-doubt.
Practice what you preach. Remember when you told your child about putting themselves out there to new experiences? That’s good advice for you, too. If you are not sure what to do, make a vision board or a list that includes ideas. Do you want to learn something new? Start a business? Travel to somewhere on your bucket list? You can’t use your kids as an excuse anymore. Now is the time to do it.
Reconnect with your partner. My husband and I enjoy our date nights as empty nesters. We no longer need to work dinner around soccer games or worry about teenagers walking in on us. Use this next phase of your relationship to try new recipes that the kids would never eat, join a couples pickleball league or take a long road trip to visit friends or family that have moved out of state.
Embrace the clean spaces of a quiet home. While we love our kids, it is so refreshing to leave for the day and return home to the same empty sink you left in the morning. You can finally enjoy settling into bed without the vibration of music coming through the vents or the loud one-sided conversation of your child playing Call of Duty with his headphones on. This is the kind of euphoria that is easy to get used to.
May 2-12
The Explorers Club Cloverdale Playhouse, 960 Cloverdale Road Montgomery, AL 36106 London, 1879. The prestigious Explorers Club is in crisis: their acting president wants to admit a woman, and their bartender is terrible. True, this female candidate is brilliant, beautiful, and has discovered a legendary Lost City, but the decision to let in a woman could shake the very foundation of the British Empire, and how do you make such a decision without a decent drink? Grab your safety goggles for some very mad science involving deadly cobras, irate Irishmen and the occasional airship.
https://www.eventbrite.com
Friday, May 3
Maddie and Tae Concert
8:00 PM Montgomery Performing Arts Centre, 201 Tallapoosa Street Montgomery, AL 36104 Together as longtime friends and music collaborators, Maddie Font and Taylor Kerr co-wrote 14 of the album’s 15 tracks including the Platinumcertified No. 1 country radio hit, “Die From A Broken Heart,” which Esquire calls “their finest moment yet.” https://mpaconline.org/maddie-tae/
Saturday, May 4
Gavin Degraw in Concert
8:00 PM Montgomery Performing Arts Centre, 201 Tallapoosa Street Montgomery, AL 36104 GRAMMY® Award-nominated multiplatinum singer and songwriter Gavin DeGraw’s inimitable voice and soulful style boldly bloomed on his 2003 platinum-certified full-length debut, Chariot. It included the gold single “Follow Through,” as well as both platinum hits, “Chariot,” and “I Don’t Want To Be.” His gold-certified Sweeter saw him return to the Top 10 as the single “Not Over You” went four times platinum. Meanwhile, his duet with Colbie Caillat, “We Both Know,” garnered a GRAMMY® Award nomination in the category of “Best Song Written For Visual Media” for Safe Haven. https://mpaconline.org/gavin-degraw/
Sunday, May 5
Montgomery RnB and Blues Picnic
1:00 PM - 9:00 PM, Riverwalk Amphitheater, Montgomery RNB BLUES PICNIC MONTGOMERY 2024 “DUKES & BOOTS” EDITION Montgomery RnB and Blues Picnic, a event dedicated to soul healing. Live DJ’s, Food, Music, Games. Bring a cooler Yes we are still healing & it feels good to be around great beautiful people. A event with good food, music, wellness and healing vendors, games and more. https://rnbbluespicnic.com/
Thursday, May 9
2024 Gathering of Eagles Luncheon 11:30 AM - 1:00 PM, Wynlakes Golf & Country Club, 7900 Wynlakes Boulevard Montgomery Come join us at the beautiful Wynlakes Golf & Country Club for a day filled with networking, delicious food, and inspiring speakers. This in-person event is a great opportunity to connect with fellow professionals in a relaxed setting. Don’t miss out on this chance to be part of something special. Mark your calendars and get ready for a memorable experience at the Gathering of Eagles Luncheon!
https://www.eventbrite.com
Mommy & Me Sugar Scrub Workshop
6:00 PM Shoppes at EastChase, 7274 EastChase Parkway Join The Shoppes at Eastchase for an exciting memory filled workshop of creating your own custom sugar scrub and floral bouquet with your child! Looking for a unique Mother’s Day experience to share with your daughter or son? Join us for a creative sugar body scrub workshop. In this workshop, you will create your own custom sugar scrub…one for you and your guest! You’ll then learn about the unique properties of natural skin care products and our natural exfoliants and botanicals to use in your custom scrub. Each guest will mix and blend their own (one-of-a-kind!) sugar body scrub to take away with them.
https://aqualimeskincare.com/
Friday, May 10
Gospel Music Spectacular:Mighty Clouds, Keynotes, Willie Banks Jr. & others
7:00 PM Davis Theatre for the Performing Arts, 251 Montgomery Street Family Reunion Fest presents Mother’s Day Weekend Gospel Music Spectacular. Don’t miss this epic concert on May 10th at the Davis Theatre for the Performing Arts in Montgomery, Alabama!
https://www.eventbrite.com
Mother’s Day Mayhem w/ Syleena Johnson! 8:00 PM BB Kings Blues Club, 1801 Eddie L Tullus Road R&B Sensation Syleena Johnson and Friends will be performing live Friday, May 10th! https://www.ticketweb.com
Saturday, May 11
All Forward Festivals Montgomery Whitewater, 1100 Maxwell Boulevard Businesses, clubs, and corporations from around the state will take on the ultimate team-building challenge of whitewater rafting. Six-person crews will compete for the “Fastest Whitewater Rafting Team in Alabama.” Whitewater rafting experience is not required, as teams will be partnered with a raft guide. Participants and guests can enjoy a day of live music performances, good food, cold drinks, and various on-site activities.
https://experiencemontgomeryal.org/event/all-forward-festival/934/
The Get Down Spring Concert Series
4:00 PM Montgomery Whitewater, 1100 Maxwell Boulevard Enjoy incredible live music performances every Saturday night at Montgomery Whitewater Get Down Spring Concert Series. Free to the public. Sam Carlson at 4:00 p.m. Ted Hefko & The Thousandaries at 5:30 p.m. Teddy and the Rough Riders at 7:00 p.m.
Rhomania Gala: Celebrating Our Culture and Community
6:00 PM - 10:00 PM, RSA Activity Center, 201 Dexter Avenue Montgomery, AL 36104 The Beta Sigma Alumnae Chapter of Sigma Gamma Rho Sorority, Inc. cordially invites you to our event, Rhomania Gala: Celebrating Our Culture and Community. We are excited to have as our keynote speakers for this event Montgomery County Circuit Court Judges, the Honorable J.R. Gaines and the Honorable Monet Gaines. Rhomania is Beta Sigma Alumnae Chapter’s annual event, that recognizes individuals who have positively impacted our community. Because of their leadership and unselfishness, Montgomery is a better place to live, work and play. You can expect a night of fellowship, food, dancing and fun!
https://www.eventbrite.com
Sunday, May 12
Mother’s Day at the Montgomery Zoo Montgomery Zoo, 2301 Coliseum Parkway A big thank you to all the Moms out there. With much gratitude and appreciation of your dedicated and loyal service to our sons and daughters, please celebrate Mother’s Day at the Montgomery Zoo and Mann Wildlife Learning Museum. All Moms receive FREE admission to the Montgomery Zoo and the Mann Wildlife Learning Museum. Join us for Mom’s special day. https://www.montgomeryzoo.com/
Harriot II Mother’s Day Cruise
6:30 PM Riverboat - Harriott II, 200 Coosa Street Come celebrate Mother’s Day with a cruise aboard Montgomery’s only riverboat, The Harriott II. You have two options for Mom’s special day; a dinner cruise or a patio ride-only option.
https://experiencemontgomeryal.org/event/harriot-iimothers-day-cruise/983/
Tuesday, May 14
Blippi - The Wonderful World Tour
6:00 PM Montgomery Performing Arts Centre, 201 Tallapoosa Street Blippi is coming to your city for the ultimate curiosity adventure in Blippi: The Wonderful World Tour! So, come on! Dance, sing, and learn with Blippi and special guest Meekah as they discover what makes different cities unique and special. Will there be monster trucks, excavators, and garbage trucks galore? You bet! So get ready to shake those wiggles out and OJ Twist your way through this brand-new musical party!
https://mpaconline.org/blippi/
Friday, May 17
Capital City Author Event 2024
Renaissance Montgomery Hotel & Spa at the Convention Center, 201 Tallapoosa Street Montgomery, AL 36104 Visit downtown Montgomery, AL, rich in history and southern hospitality, to meet some of your favorite authors of various genres. The Capital City Author Event will host over 80 authors, including many local Alabama authors.
https://www.eventbrite.com
Red Bluff Music, Arts & Food Festival (also May 18th) Red Bluff Bar at the Silos, 355 Coosa St Montgomery, AL 36104 Vintage Hospitality Group proudly presents the second annual
Red Bluff Music, Arts & Food Festival at Montgomery’s Riverwalk Amphitheater. Red Bluff Bar at the Silos on the River Region’s historic waterfront has become the epicenter of our community’s social scene from spring to fall. The Red Bluff Festival is the pinnacle of its annual festivities, and this year’s event promises to be the most spectacular yet. Honoring the region’s rich musical heritage, the yearly event will showcase the best in blues, jazz, country, southern soul, and more. https://www.redblufffest.com/
Saturday, May 18
7th Annual King Kong Mayday! Car Truck & Audio Super Show!
Evans Park and Pavillion Mega Park, 3958 Birmingham Highway Montgomery, AL 36108 Biggest Mayday in Alabama Every Year! Over 1,500 people are expected for our 7th Annual Year! The biggest in-car truck and audio compete for the King of mayday! Over 100 trophies Super Show + Top 5 King Kong Mayday Champions!! https://www.eventbrite.com
Capital City Author Event 2024
Renaissance Montgomery Hotel & Spa at the Convention Center, 201 Tallapoosa Street Montgomery, AL 36104 Visit downtown Montgomery, AL, rich in history and southern hospitality, to meet some of your favorite authors of various genres. The Capital City Author Event will host over 80 authors, including many local Alabama authors. https://www.eventbrite.com
Montgomery Jubilee Runs
7:30 AM Old Alabama Town, 301 Columbus Street
We’re calling on athletes and fun-run enthusiasts to join us for an electrifying day pounding the historic streets of Old Alabama Town. Whether you’re in for the competitive 8K or here to honor Peggy McLendon Lanier with the 2-Mile walk/ run, know that you’re supporting a great cause—the Alabama Sheriffs Youth Ranches. With chip timing, certified courses, and a spread of age group awards, this run doesn’t skimp on the competitive edge. Race packets await your pickup, filled with goodies including the official race number and a stylish Jubilee Run shirt to commemorate your participation in this iconic event. runsignup.com/Race/AL/Montgomery/JubileeRuns
Magical Creatures Education Program
10:00 AM - 12:00 PM, Montgomery Zoo, 2301 Coliseum Parkway Meet some of the magical animals that are featured in the movies like Harry Potter and The Hobbit. You will get a chance to meet these animals
up close, learn about them in their habitats, and take home some special prizes for yourself.
https://www.montgomeryzoo.com/
Animal Enrichment Day at Montgomery Zoo
10:00 AM - 3:00 PM, Montgomery Zoo, 2301 Coliseum Parkway Animal Enrichment day is a chance to see the Zoo through a very unique lens. Our Animal Care team puts together enrichment activities for a variety of our animals to enjoy during the day. These stimulating activities involve all 5 senses of animals that keep their mind and body active. This is presented in the form of special toys, their favorite foods, unique scents, puzzles and more. Come watch our animals enjoy a invigorating day with friends!
https://www.montgomeryzoo.com/
12th Annual Crawfish Boil (Adults: $50 if you purchase tickets in advance or $75 on the day of the event. Kids: 12 and under are FREE. Kids: 13-18 only $30)
10:00 AM - 6:00 PM, Century Church, 1001 Marler Road Pike Road, AL 36064 12th Annual Crawfish Boil at Century Church on Marler Road. Supporting Pike Road School’s Arts and Athletics programs
3 Bands, Crawfish - Thousands of pounds Hamburgers, Hotdogs, BBQ, and other treats for the kids are available to purchase. Bring your tents and coolers! Food, Fun, and Family Friendly Outdoors Fun! See you there and thanks for helping support our students. https://www.prpatriotfund.com
River Region Natural Hair Show Health & Wellness Expo
10:00 AM - 9:00 PM, Marriott Prattville Hotel & Conference Center, 2500 Legends Circle Prattville, AL 36066 Come join us at the Marriott Prattville Hotel
& Conference Center for a day of celebrating natural hair, health, and wellness and Essence of Beauty’s 5 year anniversary! This exciting event brings together a community of individuals who embrace and appreciate the beauty of natural hair. Whether you’re rocking your curls, coils, or locs, this show is all about embracing your unique style.
https://www.eventbrite.com
Food & Grooves
Mayfest
11:00 AM - 2:00
PM, Rotary Park, 98 Coosa St Join the City of Montgomery’s Parks and Recreation Department for a free, family-friendly day in the park. There will be food trucks, vendors, live music, and so much more. https://www.montgomeryal.gov
A Spring Day in France - Wine Taste & Buy Event 2:00 PM - 4:00 PM, Taste - at Hampstead, 5251 Hampstead High Street, #100 Indulge your senses in a delightful afternoon of French wines! Join us for a unique wine tasting experience set against the backdrop of a beautiful spring day in France. Dive deep into the world of French wines with Bobby Flournoy, our esteemed wine connoisseur. With his immense knowledge and passion for wines, Bobby will guide you through a curated selection of exquisite French wines, sharing fascinating insights and stories along the way. Attendees will receive a 10% discount on their next visit to brunch at Taste! Reserve your spot today and elevate your wine knowledge. https://tastemgm.ticketleap.com
Prince’s Purple Rain- Black Jacket Symphony
8:00 PM Montgomery Performing Arts Centre, 201 Tallapoosa Street Remember putting on an album and listening from start to finish? Relive that moment with a live concert experience unlike any other as The Black Jacket Symphony recreates a select classic album live in its entirety!
https://mpaconline.org/princes-purple-rain/
Friday, May 24
Teen Mayfest Carnival
4:30 PM - 7:30 PM, McIntyre Community Center, 1249 Hugh St. Join the McIntyre Community Center in conjunction with Army ROTC, Western Hill Neighborhood association, Councilwoman Riley and St. John’s Episcopal church May 24 from 4:30pm-7:30pm. Teens aged 13-17 are invited to the Mayfest Carnival where there will be games, free food, a live DJ, a rock climbing wall, carnival themed snacks, and so much more. It’s going to be a night to remember!
https://www.montgomeryal.gov
Candlelight: A Tribute to Taylor Swift
6:30 PM - 7:30 PM, Troy University’s Davis Theatre for the Performing Arts, 251 Montgomery
and the Baby Taylor guitar to the synth-pop songs on Midnights, Taylor Swift has wholeheartedly given fans an honest insight into the life of a music icon. https://feverup.com
Jubilee Pops
7:00 PM, 624 Washington Ave, Montgomery, AL Pack your lawn chairs and picnic baskets and join the MSO for a FREE evening of music as we kick-off Memorial Day weekend. This outdoor concert will be performed from the terrace of the Alabama Department of Archives and History in downtown Montgomery. experiencemontgomeryal.org/event/jubilee-pops/711/
Saturday, May 25
Overtime and The Blue Collar Soldiers Band 7:00 PM 3496 Wetumpka Hwy, Montgomery, AL 36110 Overtime, backed by his Blue Collar Soldiers Band will be performing his classic’s along with new music fresh for 2024! Joining thetour are Big Murph (Tennessee), Jonezen (California), DurtE (Pennsylvania) and in select cities, Colt Graves (Kentucky). https://www.ticketweb.com
Rock the Boat Montgomery All White Boat Ride Memorial Day Weekend 2024
8:30 PM Harriet II Riverboat, 255 Commerce Street
Ivy’s Gala: A Night of Gratitude, a fabulous event to celebrate and express our heartfelt thanks to Elmore County Foster Parents. Join us for an incredible evening at the Wetumpka Civic Center! It’s time to show our appreciation and give thanks at Ivy’s Gala: A Night of Gratitude. Get ready to celebrate, dance, and have a blast with friends and loved ones. This in-person event will be filled with joy, laughter, and heartfelt moments.
https://www.eventbrite.com
ACT Bootcamp with Lee Gonet Cloverdale Baptist Church, 608 E Fairview Ave, Montgomery, AL 36106 Lee Gonet will hold two ACT Bootcamps this summer at Cloverdale Baptist Church. The first is June 3-7 and the second is July 8-12. Students will meet from 8:00-12:30 Monday, Wednesday, Friday, and 8:00-4:00 Tuesday and Thursday. The cost is $250 per week, and students will take, correct, and review two full-length ACT practice tests, as well as learn test-taking strategies specific to the ACT. Lee has been successfully teaching ACT Prep in the Tri-County area for 25 years and is an ACT Certified teacher. For more information and to register for a Bootcamp session, visit her website. leestestprep.com
younger girls at the church, including my children. I love teaching praise dance because I teach the girls about God and His love for them. I hope that I am instilling things into them that they can take forever in their lives.
RRP: How did you encourage your children to embrace gymnastics and dance?
Brittney: They were always flipping all over the house, so we decided they needed to learn proper techniques since they were interested. The biggest thing that has helped is that we teach them to keep going even when it’s hard and that it is perfectly okay to try again. We encourage them to notice when their hard work has paid off.
RRP: What is your biggest fear as a mother?
Brittney: My biggest fears as a mother are not making the right decisions regarding my children and keeping them safe. There are a lot of opinions out there about how you should raise children. I try hard not to fear and put my trust in God that things will work out.
RRP: How did working with youth through the criminal system impact your life as a mother?
Brittney: Working in juvenile justice taught me to be present for my children. I realized some children don’t have someone to believe in them, so they listened to the negative influences.
RRP: How do you handle difficult parenting situations?
Brittney: Honestly, I pray and discuss things with my husband. When we don’t know the answers, we seek counsel from our parents. We trust them to provide sound advice through wisdom, love, and support. When you have a support system behind you, it’s easier to navigate the challenges of parenthood proactively and effectively. We are thankful for our parents.
RRP: What have you learned about yourself through motherhood?
Brittney: I am learning to give myself grace and patience. I am a work in progress. I know that with each stage of my childrens’ lives, I will grow and change in motherhood. That’s the beauty of being a mother. I’m continuing to learn and grow with them.
Rapid Fire Questions:
Favorite thing to do indoors? Arts and crafts. Most unexpected compliment you ever received? Someone saying I have patience. Favorite holiday? My birthday! Day on the beach or hike in the mountains? A day on the beach. What scent makes you feel nostalgic? Bath and Body Works. It makes me think about high school.
Brittney Jones is a staff attorney with the City of Montgomery. She has been married to Justin Jones for ten years and they have three girls: Catherine (7), Eleanor (5), and Sophia (3).
the nation’s leading school ranking organization
We’re proud to announce that Montgomery Academy has been recognized as the #1 Best Private School in Montgomery by Niche! is year, we ranked in the following categories:
#1 Best Private K-12 Schools in Montgomery Area
#1 Best Private High Schools in Montgomery Area #3 Best Private K-12 Schools in Alabama #6 Best Private High Schools in Alabama
We’ve earned this ranking by scoring highly in many different factors including SAT/ACT scores, the quality of colleges that students consider, student-teacher ratio, student culture and diversity, and parent and student experiences. See all the rankings at Niche.com. Discover the MA difference at MontgomeryAcademy.org e Pursuit of Excellence in K-12 Education Contact Rachael Gallagher, admissions@montgomeryacademy.org