
























![]()



























Helping





Welcome to our 2024 Back to School Issue! Summer break flew by for our family, as I’m sure it did for yours, and...BLINK...here we are in August getting ready to send our kids back to the classroom. Knowing you have a busy checklist of things to do this month, River Region Parents is here with content and information to assist you.
Somewhere near the top of your todo-list is signing them up for after school activities. Is your child interested in more than one sport or activity? Have you considered letting them try several things at once? Not all activities take the same amount of hours, so just maybe it’s possible to let them play a sport, take a music lesson, and attend a weekly club at school.
Our 13-year-old, Grace, thrives on being busy and active. As long as her grades don’t suffer and she gets plenty of sleep each night, we plan to let her participate in several activities this fall. In addition to the new skills she’ll be learning, it will keep her body moving more and decrease her time staring at a screen, adding health benefits to boot.
While we never want to overload our kids, keeping them appropriately busy does have its advantages, and Cheryl Maguire shares all the benefits in How Multiple Extracurricular Activities Can Shape Success. Immediately following is our 2024 After School Activities Guide, where you will find registration dates, costs and other details on extracurriculars in the River Region. You’ll discover a variety of interests to consider including art, horseback riding, martial arts, sports of all kinds, theatre, and much more.
Ready or not, back to school is upon us. We invite you to spend your Saturday morning, August 24, at our Back-to-School Expo! Bring the kids and come on out to Vaughn Forest Church in Montgomery to find helpful resources like after-school activities, education assistance, counseling, sports, and much more! Meet the owners, coaches, and directors of all the services you’re looking for to make this school year the best for your child. Your kiddos will also enjoy inflatables, art stations, characters, and many hands-on activities! And it’s FREE!
We hope this issue of River Region Parents helps you not only prepare well, but also builds excitement for what we know will be a great 2024-25 school year!

River Region Parents Magazine is founded on the principle that parenting is an exciting, diverse, challenging, and significant role in our community. River Region Parents Magazine is a community advocate for families and the parenting process.
Founder
Marty Watson (1950-2006)
Editor
DeAnne Watson editor@riverregionparents.com
Research Editor
Wendy McCollum
Contributing Writers
Dr. Melvin Brown
Kristi Bush, LSW
Richard Dennis
Christina Katz
Cheryl Maguire
Kimberley Carter Spivey Lyman Woodfin Works of Wonder Therapy
Cover Photography
Lisa Smith www.studiopanache.net
Publisher Jason Watson jason@riverregionparents.com
Advertising Department (334) 213-7940 ext. 703 adservices@keepsharing.com or Text 334.328.5189
Content Manager
Anna Watson
DeAnne deanne@riverregionparents.com
Social Manager
Scott Davis
Ad Design
Tim Welch














by Works of Wonder Therapy www.worksofwondertherapy.com

Let’s just be honest, most of us experience the feeling of overwhelm more than we want to admit. There is simply too much stimulation in our world: too much to do, too much noise, too much to see, too many drivers on the road, too many people in Target, etc. Unless you move off the power grid, become self-sufficient, and live your life in isolation, you will consistently experience too much. Sadly, our consistent states of overwhelm are harming us more than we realize.
ments of overwhelm are stored in the body, which is why our brains are sometimes unable to recognize the difference between past and present. When this happens, our reactions do not appropriately match the situation.

In her book, Strong Like Water, counselor Aundi Kolber wrote, “Trauma is anything that overwhelms our nervous system’s capacity to cope. Trauma gets stuck in our bodies and must be processed.” Trauma is typically stored as a sensation that makes you uncomfortable when you are confronted with it. For example, the smell of chlorine may make you feel anxious if you witnessed a near drowning. Even if your brain does not recall the memory, your body does. The result of smelling chlorine is an anxious feeling. Mo-
We all function better when our nervous systems are not overwhelmed. Sadly, you cannot prevent these moments from happening to you or your children. They are simply part of the human experience. However, if you become more aware of how your stored traumas bring out the worst in you, you can proactively create an environment that limits damage to your children’s nervous systems.
Observe yourself. Do you have inappropriate reactions around specific circumstances, smells, locations, times of day, etc? What might be a past moment of overwhelm inhibiting you from handling the present appropriately? Once you identify it, physically work through it. For example, if loud noises bring out the worst in you,
sit and listen to annoying music when you are calm and be compassionate with yourself about how difficult this task is to do. When you can do so without being overly annoyed, your body has processed out that overwhelm.
Prioritize repairs. As parents, we all make mistakes. We raise our voices, when we should remain calm. We say things we regret. Our children do not need us to be perfect, but for them to become healthy adults, we must take the time to repair any fractures our mistakes make in our relationship before they become stored traumas in our children’s bodies. When we realize that we made a parenting mistake, we must take the time to repair our connection with our children. This process includes apologizing and taking responsibility, stating our intent to handle things differently, and ensuring that they feel loved, safe, and secure.
Stay active. We process out some overwhelm by simply moving our bodies. You must make sure that you and your children are physically active every day. A great thing to do is combine being active with the repair process. When you dance with your children, create fun obstacle courses, go for family walks, etc. your bodies release oxytocin. Oxytocin aides in the development of healthy attachments by producing feelings of trust and security.
Dr. Beth Long received her education in Counseling Psychology from Chapman University. She is a Licensed Professional Counselor and Board Certified Behavior Analyst. Beth has worked in six unique clinical environments across the country and currently owns Works of Wonder Therapy in Montgomery. Beth utilizes the knowledge from a variety of different disciplines to give her patients the best care possible. To learn more visit www.worksofwondertherapy.com.











Saturday, August 24
Union Station Train Shed, Montgomery
The Druids Charity Club is pleased to announce the 7th annual BBQ and Americana Music festival. ‘The Hog Days of Summer’ is a charity event benefiting Hogs for the Cause and other carefully selected local charities. Our best lineup yet will be rocking the shed; spanning blues, rock, soul, country, roots, and other Americana influences. Once again, our patrons can look forward to enjoying BBQ from the River Region’s finest BBQ establishments. Doors: 1:45 PM. BBQ: upon entry. Music: 2:00 PM-9:00 PM Tickets: $20; Active Military/Police/Fire/ EMS/Student GA Ticket: $10 https://www.eventbrite.com

August 17, 6am-12pm Doster Community Center
424 S. Northington Street Prattville, AL
As they say, one man’s trash is another man’s treasure. There are 31 booths to shop from with lots of used and good items.


August 16 * Church of the Ascension Lobster Fest is back for our 6th year! Join us for good food and great fellowship! You have a choice to eat your meal by diningin or choose to pick it up live or cooked! Along with your lobster, you will get sides, dessert, bread, butter and lemons. Dine-in also includes a 30-minute reception before the dinner. Proceeds benefit our outreach missions including Ascension Day School and Respite Ministry. For more info, visit https://riverregionlobsterfest.org/
August 8 and 22 * 5pm Montgomery Museum of Fine Arts
August 24 * 6 pm, Dinner at 7pm Embassy Suites, Montgomery A Dining in the Dark Experience

The Sneaker Gala will include a plated Dinner, Cash Bar, Music, Dancing, Silent Auction and so much more. All in benefit of the families and communities we serve. Don’t miss the fun. Get those tickets now! Tickets for two: $125. Visit www.familyguidancecenter.org or call 334.270.4100 for tickets.

In partnership with the City of Montgomery, Jazz Jams is back! This free event celebrates Montgomery, Alabama’s vibrant creative culture, featuring a live band, cash bar, and delicious hors d’oeuvres from Verde. This free, 21+ event features music from local jazz musicians; Music line up coming soon. This event is rain or shine; in the case of inclement weather, activities will be moved indoors. Visit https://mmfa.org/ programs-events/calendar.
August 10 * 2-6pm Montgomery Whitewater Park Freestyle Kayaking Competition Starts at 2pm, Finals at 6pm, Cash Prizes. A great spectator event! Bring a chair and watch the action. Live Music, 6-8pm: One-Eyed Mary Onsite camping is included for registrants. Additional campers $20 each. Register: montgomerywhitewater.com/ upcoming-events/alabama-triple-crown/


August 10 * Alabama Nature Center, Millbrook
The AWF Youth Fishing Rodeo program is designed to provide Alabama’s youth a chance to experience the outdoors and learn about fishing. Join us at the ANC for our annual youth fishing rodeo! Bring the kids, a few fishing poles, and a cooler and join us early this morning down at the catfish pond! Children 15 and under can catch and take home up to 5 catfish each (catfish only), but can catch and release all they want! Make sure to register online or call ahead (334-285-4550) and put your name on the list, space fills up quickly! Admission is free, snacks and drinks will also be available. Visit www.alabamawildlife.org/anc/ for registration.




Saturday, August 24 * 9 am to 12 pm
Vaughn Forest Church, Montgomery Bring the kids and come on out to find helpful resources like after-school activities, education assistance, counseling, sports, and much more! Meet the owners, coaches, and directors of all the services you’re looking for to make this school year the best for your child. Your kiddos will also enjoy inflatables, art stations, characters, and many hands-on activities! And it’s FREE!
August 17, 10am-1pm
Tucker Center * 5280 Vaughn Road

K–12th grade students have an opportunity to participate in a number of hands-on S.T.E.M. activities. Join us for a day of innovation, discovery, and fun! Don’t miss out on this opportunity to inspire the next generation of engineers. Visit www.NSBE-MP.org.

August 17, 11am to 2pm
Midtown
YMCA * 3455
Carter Hill Rd

Door prizes, food, family, music, and games! Bring your grill and register to enter the cook off or just come to eat! Funds raised go towards Midtown Family YMCA Annual Campaign. $10 per person, $5 for kids under 5.

August 16-18
Montgomery Convention Center
Sponsored by Mountain Dew, entry is just a can of food or $1 donation. With 300+ vendor booths, entertainment, and activities like the Bulls & Buckmasters bull riding show, it’s a family-friendly event. Visit buckmasters.com/resources/expo.





With a dream to always work with kids, Skylar Rugley teaches second grade at Highland Gardens Elementary School. She shares, “God put me in the right place at the right time. I’m so glad he led me to Highland Gardens with an amazing staff and administration. I couldn’t ask for a better school and environment. The students, the culture, and the dynamic environment bless me.”
Ms. Rugley graduated from Tuskegee University with a major in Occupational Therapy. She describes her experience as graduating from the best university in the land. Her educational journey equipped her with the knowledge and skills to educate young minds and leaders of our future. Though teaching is a demanding career and requires wearing many hats, teaching has provided her with an opportunity to have a fast-paced and engaging career that she loves.
As a first-year teacher last school year, Ms. Rugley established several goals for success. One of her key objectives was to have 75% of her students on grade level or above, which was achieved with the assistance of
administration and coaches. “It was tough, but once your students see your passion and love for their academic success, they rise and accept any challenge you have for them.” Another teaching goal is to develop well-rounded students and instill positive action principles that promote a mindset that can fulfill their dreams. She desires to dedicate herself to the field of education to enhance her teaching experience and gain the necessary skills to impact her students as they transition throughout their educational journey.
As Ms. Rugley continues to pursue her teaching career and explore endless opportunities, she desires to continue working in the school setting as an Occupational Therapist. She shares, “With the help of my village, God as the head of my life, my mother, family, and my supportive colleagues, I know I will be ready and prepared due to the knowledge and power I have gained throughout teaching, observing, and learning.






I am thrilled to welcome back our students, faculty, and staff for another incredible year in Montgomery Public Schools. As we head into a new chapter for all of us, with new beginnings, we are confident that the 2024-2025 school year will be an excellent year for our district, whether this is your child’s first year or their last before graduation in May.
This summer, we have been diligently preparing to ensure our schools are ready to ignite a passion for learning in every student. But we know that true educational success thrives on collaboration and encourage open dialogue and active participation from all parents and guardians. Your voice is vital to our success, and we are eager to work together to create an atmosphere where each student feels valued and empowered.
This school year marks a particularly special time for our Carver High School community. We are excited to see the continued growth of the CHS and welcome new students to the wolverine spirit. We are especially thrilled about the opening of the new Carver High School Freshman Academy, designed to provide a smooth transition and a strong foundation for incoming ninth graders.
Each student brings a unique gift to our school district, and we are committed to fostering an environment where those gifts can blossom. We encourage our students to embrace the challenges and opportunities that lie ahead and to find inspiration both within the classroom and through our vibrant co-curricular programs.
As we shared earlier in the spring, we are partnering with Trenholm State Community College to create an Early College Program. Students involved in this pilot will be rising 10th graders who will take a course of study over their 10th, 11th, and 12th grade years that will lead to an MPS

High School diploma and a Trenholm State Community College associate’s degree. They will be able to go to any 4-year institution afterward and enter as College Junior. This program would be scheduled to expand each year following with new rising 10th Graders being added each school year going forward. As advocates for college readiness and increased collegiate access, we are thrilled to know the impact of this initiative will last well beyond the extent of our careers.
As Superintendent, I am incredibly proud to lead this district and witness the dedication of our teachers, staff, and com munity. Every day, I see the passion and commitment that fuels our district and makes Montgomery Public Schools a special community. Let’s work together to make this year one to remember!
Melvin J. Brown, Ed.D., is the superintendent of Montgomery Public Schools and previously served as superintendent of Reynoldsburg City Schools in Ohio. He has 24 years of school administrative experience.












Cheer camp is an exciting event with over 40 little girls eagerly participating. They spend their days learning new cheers and dances, perfecting their routines with energy and enthusiasm. Beyond the structured activities, the camp is filled with fun times, fostering friendships and creating lasting memories. The girls work together, supporting and cheering each other on, embodying the true spirit of teamwork and camaraderie.


Nine Montgomery Academy student-athletes, across five different sports, participated in the annual AHSAA All-Star Week in Montgomery this summer. They include: John Alford (boys

tennis), Gabby Barrera (girls tennis), Sophia Cho (girls soccer), Mary Elizabeth Cole (girls soccer), Thomas Floyd (boys golf), Elle McBride (volleyball), Skyler Stovall (boys basketball), Addi Vinson (volleyball), and Edwin Wu (boys tennis). As members of the South squads, John Alford, Sophia Cho, and Elle McBride claimed MVP awards. Congrats Eagles!
This summer, Saint James School counselors Mrs. Laura Gibson and Mrs. Sarah Moncrief hosted a “Girls in Real Life Situations” camp for elementary school students. The camp explored topics related to effective communication and understanding motions, healthy friendships, positive self-esteem, and selfawareness. Students participated in empowering activities to develop coping strategies and strengthen peer relationships. The camp included an interactive etiquette lesson and celebratory tea party. Initiatives like this support Saint James School’s commitment to student emotional health and wellness.


Mattie Pugh was chosen to represent Macon East Academy at this year’s American Legion Girls State. Mattie ran for the position of mayor in the city of St. Stephen’s, located in Andrews County. She was responsible for overseeing 29 girls during this time. As part of her mayoral campaign, Mattie gave out bracelets that said, “Vote for Pugh is a vote for you!” and stickers that said, “Vote Mattie Pugh for Mayor”. In recognition of her exemplary performance as the mayor of St. Stephens, Mattie received a $16,000 scholarship to attend Troy University at a mayor’s luncheon. On her last day, she gave an exceptional speech about her city, the importance of supporting each other, building confidence, and pursuing one’s dreams. In her speech, Mattie quoted Alabama Governor Kay Ivey, who said, “Sometimes the best man for a job is a woman,” which received applause from her peers and the audience.
Mattie comes from a family of four brothers, and she thoroughly enjoyed her experience at Girls State, where she made many new lifelong friends. This week at Girls State is an experience that Mattie will never forget. Sponsored by the American Legion Auxiliary, Alabama Girls State is a top youth leadership program that offers a unique experience to its delegates. The annual Alabama Girls State took place on the campus of Troy University. During the American Legion Auxiliary Alabama Girls State program, delegates learn about local and state government through various speakers, workshops, and sessions. The American Legion members and veterans provide a special understanding of our government and a love of country to each participant at Girls and Boys State.

Trinity Upper School students embarked on an educational adventure to the vibrant state of Texas for an insightful college tour. The tour included visits to prestigious institutions such as Southern Methodist University, Texas Christian University, Baylor University, the University of Texas at Austin, and Texas A&M. Unfortunately, planned visits to Rice University and the University of Houston had to be adjusted due to hurricane damage. Despite this, the students made the most of their trip, immersing themselves in Texas culture by exploring The Alamo and enjoying a scenic river cruise on the iconic San Antonio Riverwalk. This enriching experience offered a blend of academic exploration and cultural appreciation, leaving a lasting impression on the students.


According to Dr. Maggie McElroy-Washington, the principal and CEO of TEA Academy, staff must be committed to going that extra mile if they expect students to be committed to learn, thrive and excel. She says, “As educators we must provide quality service to all students which means, keeping in compliance with the continuous improvement plan as an accredited school. Also, conducting intervention meetings, helping every student become successful by implementing high expectations, and challenging students to work harder which can prepare them not only for school, but for their futures. Having a consistent schedule and starting on time can help students manage their time wisely and stay on track. Being flexible with adaptability can help teachers meet the needs of diverse students by differentiating instruction, offering feedback, and conducting evaluations. Most importantly, being engaged with students on all levels can drive meaningful positive results. TEA Academy’s commitment is to provide a quality education to all students...Because They Matter!






Leadership within Montgomery Public Schools means more than just administration. It’s a collective effort, encompassing every teacher, staff member, parent, and community member. It’s about fostering a culture of support, empowering our students, and creating an environment where everyone feels valued and heard.
Our principals, the heart of each school community, have been tirelessly working to set the tone for a successful school year. We are particularly excited to welcome new leaders within our schools, adding fresh perspectives and energy to our ongoing journey. We are confident that this school year will be one of remarkable growth, achievement, and inspiration for our students.




Please send Your School News to: editor@riverregionparents.com.







Last school year, MCS added an additional kindergarten class. In August, we will add another first grade classroom. Each year, MCS will continue to grow in capacity until there are two classrooms per grade continuing the mission to provide an academically challenging education in a Christian environment to families with a limited school choice. Photo from first grade from Awards Day in May 2024.
The kids had a blast at summer camp diving into a whirlwind of fun activities. Every day is a new adventure, from splashing around in the pool and cooling off under the summer sun to engaging in epic laser tag battles that spark their competitive spirits. They also explored the enchanting world of Newtopia, where their imaginations ran wild. With a variety of activities to choose from, each day was filled with laughter, excitement, and unforgettable memories.








Directly after the end of the school year, rising Montgomery Academy senior John Alford participated in the annual Boys State experience at Troy University. John served as a Senate representative and Senate President Pro Tempore for the week. Alabama Boys State is one of the highest honors granted to Alabama students. Students from across the state are chosen based on their demonstration of leadership, hard work, strong morals, and motivation in school and community activities. After his experience at Boys State, Alford said,
“This week has shaped my interests, character, and future in a way that I could have never thought possible. I am truly grateful to the MA community for selecting me as



Congratulations to Forest Avenue 2nd grader Ethan Jang. Ethan’s art work was chosen as the winner for the DE&I 2024 Alabama PTA Essay Contest. The theme was to be ready to Raise awareness For Diversity, Equity & Inclusion. Ethan received the Certificate and Prize. Congratulations, Ethan!



TEA Academy, Inc. stakeholders met to discuss the 2024-2025 school term. The meeting focused on the building blocks for a successful school year, highlighting the accreditation, the school’s continuous improvement plan, staff professional development, recruiting efforts, enrollment, and safety measures. Additional discussion focused on technology, biblical principles, intervention meeting strategies, benchmarks and diverse assessments such as oral exams, presentations and group assignments. TEA remains committed to “Taking an Extra Step Towards Educational Excellence”.
Trinity’s 7th grader, Lillyan Yakley-Richter, competed at the National Baton Twirling Championships at Notre Dame in Indiana this summer. Representing Alabama, she placed 5th in the nation for her solo and 10th for x-strut, competing against athletes from across the country. This is her third year qualifying for nationals, consistently ranking top 5 in solo and top 10 in x-strut. Lillyan will compete next in October and December in Minneapolis and Chicago.










Saint James School is proud to announce many of its art students submitted works and won awards in the Middle School and High School Scholastic Art Awards. From the middle school division, Zoe Cortell won a Silver Key in Drawing and Illustrations. Charlie Jenkins won the Silver Key in Mixed Media and also won a Gold Key for her original poem submitted independently. From the high school, Cole Williams won two Gold Keys for Drawing and Illustrations as well as Photography. Elaine Vo was awarded the Gold Key for Mixed Media. Tatiana Shuford won a Gold Key for Photography while Katie Irving took home the Silver Key in Photography. Two students receive Honorable Mention: Lillian Archer in Drawing and Illustrations and Kaitlyn Smith in Painting. The five Gold Key winners will move on to the second round of judging for National Recognition and Awards.


Rising senior Anna Brown represented Montgomery Academy at the American Legion’s Girls State earlier this summer. Alabama Girls State is one of the highest honors granted to Alabama students. Students from across the state are chosen based on their demonstration of leadership, hard work, strong morals, and motivation in school and community activities. Anna was elected as Mayor of her city on the first day and served as leader to 31 girls throughout the week. After participating, Brown said, “Alabama Girls State was an unforgettable experience in which I am incredibly thankful for. It allowed me the opportunity to meet amazing girls from all over the state, and make lasting friendships!”






The Macon East cheerleaders had an amazing time this past week at AISA cheer camp at Troy University. They grew their skills and grew even closer as a team.

We are so proud of their hard work and accomplishments!
Varsity placed 2nd in their sideline performance and placed 5th in cheer. The JV team took home the superior award.
AISA All-Stars: Alexis Davis, Katie Kitchens, and Shamaiah Thomas
Varsity All-American: Alexis Davis
JV All-Americans: Ava Noffsinger, Gillie Phillips, Bella Ann Spires, Sophie Clark, and Avery Wilhoit
Pin-it-forward award for great character and leadership, given by the UCA staff: Alexis Davis
Jump off finalist: Katie Kitchens Second round of jump off: Sophie Clark
Our teams took home the final day banana. The Top Banana is the physical embodiment of what it means to attend UCA camp. The Top Banana is rewarded to the teams at camp that demonstrate qualities of leadership, spirit and the overall ability to work hard while still having a blast! This accomplishment made the week that much better! Huge thank you to all those who came out to support the girls on Thursday. Thank you to the parents who made this week possible and thank you to our Cheer Coaches, Kindall Bishop and Summer Kyser.









Recently “graduated” FAAM 5th grader, Noah Cortner, was selected to play in the Future Masters Tournament. Noah had a rough start on the first round of the Future Masters, but rebounded with a strong performance during the second round and won the Bill Maddox Award. The Bill Maddox Award is awarded to the participatant that improves the most from round 1 to round 2 He also had is very 1st hole in one! We are so proud of Noah! Keep swinging!



Saint James School is proud to announce its Global Seal of Biliteracy recipients for 2024. Saint James School is proud to announce that six of its students earned the prestigious Global Seal of Biliteracy. According to Spanish instructor, Mrs. Rhea Grate, these students worked very hard to achieve this level of language fluency.

Woochan Kim received two certificates. He achieved working fluency status in Korean and English, as well as functional fluency in Spanish and English. Mia Moran earned the functional fluency certificate for Japanese and English. Nicole Jung earned functional fluency status in Korean and English. Jaxon Mason earned functional fluency in Spanish and English. Sung Woo Shin was awarded the certificate for functional fluency in Korean and English. Cole Williams was awarded the certificate for functional fluency in Spanish and English.
According to The Global Biliteracy Seal website, “In a global society where intercultural communication has become increasingly important, the Global Seal provides a unique and recognizable certification of language skills. The Global Seal of Biliteracy provides a universally consistent and inclusive microcredential to increase opportunity for bilinguals from middle school through adulthood. It is our hope that those with language proficiency will credential their skills at one of our three certification levels and then continue to grow their skills in order to ‘Level Up’.”

When people with extraordinary talent and passion are given the technology, the facilities, and the support, they achieve great things. The discoveries and innovations happening today will help shape the future of treatments and lead to cures. And it benefits not only the patients and families who come to Children’s of Alabama, but people across the country and around the world for years to come.


Students finished the summer off strong as they completed their last summer tour with the Traveling Librarians. MPS students, rising seniors, from BrewTech, Percy Julian, LAMP, JAG, and G.W. Carver joined forces to explore different colleges. Pictured are the students at Tougaloo College in Jackson, Mississippi. Also, students visited Jackson State University and Millsaps College.


Send Your School News to: deanne@riverregionparents.com.
This summer, Trinity’s Lower School Library has been a hub of imagination, creativity, and learning during the delightful Wacky Wednesdays. Students and friends gather in the library to listen to enchanting stories read by Ms. Hasty. The fun doesn’t stop there; after the stories, they enjoy a tasty snack and engage in exciting art projects, making it a perfect way to beat the summer heat. These lively sessions have created a wonderful atmosphere, fostering a love for reading and artistic expression among the young attendees.


This summer, several special guests stopped by Montgomery Academy’s Camp Eagle to visit with campers and share more about what they do. Our sincere thanks to Air Force Lieutenant Colonels Todd & Emily Arthur (who are also MA parents!) for spending time with our campers to talk about what they do as members of our nation’s Armed Forces. The Arthurs discussed life as a military family, what it’s like working in the Air Force, all the places they’ve lived, and answered questions from a very curious audience that wanted to know all the details of what sorts of airplanes they’ve been in! Also, thank you to Montgomery Fire & Rescue for dropping by Camp Eagle to talk about the work they do in the Capital City, share their expertise on fire safety, and to give campers a tour of their fire engine.






On Tuesday, May 7, 2024, Saint James School students participated in the events surrounding the Alabama Holocaust Commission’s Annual Gathering of Remembrance in observance of Yom Hashoah Days of Commemoration. Saint James School High School Choir performed at the Alabama Department of Archives and History as a part of the ceremony. Governor Kay Ivey along with members of the legislature were in attendance. This day was impactful for the students who participated as choir performers. The Holocaust and its effects are taught yearly as part of history classes at Saint James School.

River Region Academy is looking forward to a great 24-25 school year! Engage! Encourage! Empower!



Over the weekend of May 3-5, the Saint James School Middle School Choir traveled to Georgia to compete at the Music in the Parks Festival. The students sang at Chapel Hill High School before distinguished judges, where they received Superior Ratings and placed 2nd in their division of Middle School Mixed Choir. Seventh grader Aditi Shyam was also named Outstanding Accompanist for the entire festival. The students also enjoyed a fun day together at Six Flags, riding rides and building the Trojan Community.












It’s been a fun and busy summer on Montgomery Academy’s Vaughn Road Campus! From football and volleyball to woodworking and Minecraft, kids at MA’s Camp Eagle have done it all! Camp Eagle Programs are not only for MA students, but are open to the broader community. We are looking forward to offering another fun Summer@MA in 2025!
This summer, MCS launched its first summer school program. With incredible support from local churches and organizations, our students have had many exciting activities including several




Encouraging each child to achieve their God-given potential

“For I know the plans I have for you,” declares the Lord... Jeremiah 29:11





As we get ready for the 2024-2025 school year, I’m excited to reflect on how far our school district has come.
This year marks the beginning of our 10th year, a milestone that allows us to celebrate our progress and look forward to a bright future.
Over the past nine years, we have grown from a single CK- C8 school to a system with four schools across three locations. One of our most exciting developments is the construction of our new state-of-the-art high school. The brand-new facility will span over 200,000 square feet and will feature more than 50 classrooms designed for learning and collaboration, accommodating approximately 1200 students in grades nine through twelve.
our commitment to providing top-tier educational opportunities for our students.
Although we are always looking forward, it’s also important to focus on the present. As we begin this new school year, our goals remain the same: to continue fostering academic success for all students and to ensure our schools are safe, supportive environments for every student. One of the ways these goals can be achieved is through a strong partnership between our schools, families, and community.
Parents and families play an important role in the success of our schools. We encourage everyone to join one of our PTA, volunteer at our schools, attend meetings, open houses, and curriculum events, and show support at athletic events. Your positive involvement and encouragement are invaluable to our students’ success.
We are eager to see the innovative instruction and energy our lead learners bring as they set the tone for this school year. As
bustling with our students. We look forward to all they will accomplish over the next ten months. Their hard work and creativity make our district a place of pride!
In addition to academic accomplishments, we are also anticipating the kick-off of our fall sports season. Our athletes are ready to show their skills, teamwork, and determination. We always enjoy cheering them on and celebrating their successes with our families and community!
Although we are proud of how far our district has come as we begin year ten, we are still looking forward to all that is to come!
Go, Patriots!
Superintendent, Dr. Keith Lankford has a wealth of experience in public education in Alabama. Before earning his Bachelor’s, Master’s, Education Specialist, and Doctorate, Dr. Lankford served several years in the Army and the National Guard. He has worked at almost every level of education, including paraprofessional,











Three Pike Road students are part of the Montgomery Gray 12U Ponytails Softball Team that won the State Championship! Dylan Johnson, Paisley Yeager, and Rosie Lassiter participated in the Dixie Softball World Series in Prince George, VA!

Mattie Pugh and Bryant Morrison were chosen as two of the four 2024 Washington Youth Tour representatives by Dixie Electric Cooperative! They recently embarked on a week-long adventure in our nation’s capital, and what an incredible journey it was! From visiting iconic monuments to witnessing the breathtaking Sunset Parade at the Marine Corps War Memorial, Mattie and Bryant experienced it all. They saw the “Commandant’s Own” U.S. Marine Drum and Bugle Corps and the esteemed U.S. Marine Corps Silent Drill Platoon in action. Their trip was packed with learning and inspiration. They delved into the world of co-ops, grassroots, and youth advocacy, traveled to historic Mount Vernon, and visited Ford’s Theatre and the Peterson House. A motivational speech from Mike Schlappi added an extra dose of inspiration!
Mattie and Bryant also had the chance to get a glimpse of the Capitol, meet with legislative staffers, and explore the Supreme Court building and the Library of Congress. Their visit to Arlington National Cemetery, where they paid their respects at John F. Kennedy’s grave and participated in a Wreath Laying at the Tomb of the Unknown Soldier, was truly moving.
Dixie Electric Cooperative believes in empowering future generations, and that’s why we’ve been part of the Rural Electric Cooperative Youth Tour program for many years. This program offers outstanding high school students the chance to develop leadership skills, learn about the cooperative business model, and explore historical sites in Montgomery, Ala., and Washington, D.C.

Pike Road High School Career Tech invited younger PRS students to get a taste of what they do ! More than 50 C5 & C6 students got an introduction to the Career
Tech opportunities offered at Pike Road High School. Students participated in many activities including CPR, Marketing, Virtual Reality, Agriculture, and much more.
Congratulations to Naye Yeo and Jakob White for being selected to participate in the 2024 All-Stars Tennis Event. In July, they both played #2 singles in the South team and we are very proud of our players even though the matches got rained out. Naye was awarded the South Girls Best All-Around award by showing great leadership, positive attitude, and varying degrees of competence. Thank you to our coaches and the @ahsaasports for this wonderful event!


Several Pike Road
Patriot Band members and their families dedicated a Saturday morning to volunteer with the Pike Road
P.R.A.Y.E.R. Team’s Summer Feeding Program. They teamed up with a few of the PRS Central Office crew to load vehicles with food, spreading smiles all morning long!

Headmaster and Coach
Glynn Lott is the recipient of the second annual Tim Skelton Leadership Award. The Tim Skelton Leadership Award is given annually to an individual who demonstrates exceptional leadership and service to their schools, communities, and the Alabama Independent School Association.
In addition to his role as Headmaster at Macon East Academy, Glynn currently serves as the President of the AISA’s Board of Trustees and Coach’s Association, and he is a long standing member of the AISA Athletic Committee.

Glynn Lott’s exemplary leadership, unwavering dedication, and selfless service make him a deserving recipient of the Tim Skelton Leadership Award. We commend Glynn for his outstanding contributions and look forward to his continued impact on his school, community, and the AISA!
Congratulations, Glynn Lott!
PRS Cheerleaders spent four days at Troy University at UCA Camp this summer. Pike Road Jr. High Cheer is bringing home four trophies, and our Varsity Cheer is bringing home one award!
2nd Place: Jr. High Camp Dance
2nd Place: Jr. High Sideline
1st Place: Jr. High Game Day

1st Place: Jr. High Cheer
Spirit Superior Award: Varsity
Both teams brought home the coveted BANANA!












PCA’s JV Cheer team recently attended camp at Auburn University where they placed 1st Place Overall, 1st Place Sideline, 1st Place Cheer, and 2nd Place Camp Routine! Three members were named All-Americans: Aly Cobb, Annaleigh Myrick, and AK Whirley , and Coach Brittany Gamble and Keira Curry received the “Pin It Forward Award.” Congratulations, PCA Cheer!



PCA Varsity Cheer was extended an invitation to Master’s Camp and attended at the University of Alabama June 14-17. They attained blue ribbon status on Day 2 of the camp for their Game Day routine. The team had 2 All-Americans, Senior Allie Rogers and Junior Madyson Roy, and Eboni Mckee was awarded the Pin it Forward award. The final day came with Superlative Awards, where PCA was awarded a trophy and designation for The Best Motion Technique. They thrived in this new, fast-paced camp environment and look forward to another opportunity next year.



This summer at Pine Level Elementary School we have about 100 Pine Level and Billingsley students participating in our Summer Learning program. In Mrs. Reeds class, students were investigating area using color tiles to find the missing lengths.

PCA hosted an exciting science camp for students earlier this summer to learn more and increase their interest in all things science!

PCA’s Block Party campers had fun learning new volleyball skills from current PCA JV and Varsity players and coaches! The future for PCA’s volleyball program is bright!

PCA Football’s team has been working hard this summer! Recently, the team competed in a 7 on 7 at T.R. Miller and faced great competition against four teams from Florida! Go, Panthers!












and students settling into their schedules and routines.
The issue of school safety –physical and psychological – is a major area of focus for Elmore County. Physical safety involves protecting students from violence, exposure to weapons and threats, illegal substances, etc. Psychological safety efforts promote building trust among staff, students, and families, and creating an environment that empowers students to report safety concerns. Keeping our schools safe allows students to concentrate on academics and extracurricular activities, thus helping them to reach their full potential. Specific actions we take to improve school safety include the annual update and Board approval of our Student Handbook and Code
Ms. Johnson’s fourth grade class enjoyed an educational field trip this past Friday that goes along with their study of Alabama State History. The students were able to tour Alabama’s historic Capitol. They were able to view the beautiful rotunda, the spiral staircase, the Avenue of Flags, and the portraits of the former governors. The students also enjoyed touring The First White House of the Confederacy and The Alabama Department of Archives and History. Their special treat added to an already fun-filled day was eating lunch at Chris’ Famous Hot Dogs. Special thanks to Mrs. Custard and her daughter for taking time to guide us and give their expertise at all these historic places.
of Conduct. We have implemented a threat assessment process to help us manage safety-related situations on school campus es. All Elmore County Public Schools staff are expected to wear a photo identification badge while on campus. All visitors must be checked in through the Raptor Visitor Management System and wear a printed photo identification badge at all time while in the building. A retired law enforcement officer has conducted a security audit of all school system facilities to identify areas for improvement, and we are addressing these areas. Finally, additional school resource officers (SROs) are in place throughout the system. Even with these safeguards in place, we still depend on our staff and students to remain diligent and heed “if you see something, say something” by reporting suspicious activity to school administrators.




Eight Macon East student-athletes were honored to participate in the 2022 AISA All-Star Football game held December 2 at Cramton Bowl. Deonte Powell, Sanders Manning, Gabe Spencer and Hunter Tillman all represented Macon East for the East team. Gabe Spencer was honored as Most Outstanding Offensive Back for the East team. Madison May, Ar’monni Payne, Hannah Kate Hodges and Mikalah Belser cheered the East team on from the sidelines as part of the all-star cheerleading squad. The participants enjoyed a few days of practice with their fellow AISA teammates. The East team beat the West team this year 36-22.
students and staff are readily available. We have implemented the Teen Mental Health First Aid program at the high school level. This program teaches students how to identify, understand, and respond to signs
Plans are in progress to expand this training during this school year. Students at all grade teachers, counselors, or other trusted adults on campus when they need help of any kind. Our employee assistance program is offered through American Behavioral/Uprise Health. We also partner with other agencies to provide services and/or make referrals as needed.

Elmore County is committed to providing high-quality instruction in a safe environment and the necessary academic, social-emotional, and mental health support for our students and staff. Our goal remains: Every Student Empowered – Every Student Succeeds.
Richard Dennis is the Superintendent of Education for Elmore County Schools. He is a 1983 graduate of Holtville High School. He served 21 years as a high school principal at Holtville High, Wetumpka High and most recently, Prattville High. He and wife, Leslie (also an educator) have three sons and a daughter.
Our Leo club did a great job collecting toys to help make Christmas merry and bright for lots of children!





Pictured are Megan Watkins Schaffner and the 2024 Tallassee High School Dance Line. Her grandfather, Ed Watkins, was the band director at Tallassee from 1950-1987 and established what was known as “The Long Blue Line” before it became “The Pride of Tallassee” in 1986.
(Photo courtesy of Megan Schaffner)
Olivia Giddens, a 2024 WHS graduate and ECTC Teaching & Training student, placed in the top 10 in the Early Childhood Challenge (Level 3) at the FCCLA National Leadership Convention in Seattle in June.


Victor Mendoza, a 2024 WHS graduate and ECTC Electrical student, finished second in the Electrical Construction Wiring competition for high school students at the SkillsUSA National Championships in Atlanta in June.



Rosalyn, tell us about granddaughters, Grace (9) and GG (1).
Grace and Gianna are special for many reason, including being born at specific times when our family needed the joy, happiness, and excitement that children bring. When Grace was born, I was in the delivery room, and it was a feeling that I will remember forever. Grace is a dancer, loves to sing, and is a blessing. I met Gianna a couple of hours after she was born due to COVID-19. She’s grown so fast, enrolled in daycare, experiencing potty time, and talking too.
What is the first memory you have of bonding with your grandchildren?

by Kim Spivey



The delivery room was my first bonding with Grace. I saw the doctors counting fingers and toes to make sure everything was in place. Gianna was the same, also counting fingers and toes. I laid her across my chest, too, and although I was wearing a mask, she still felt the love.
How does being a grandparent keep you young at heart?
Grandparenting keeps me young at heart because you never know what to expect. Because of the age difference of my grandchildren, Grace has more conversations, questions, and lots of opinions about everything. She keeps me on my toes, awake and sharp. Gianna keeps you moving. If I don’t keep up, she will leave me. She’s starting to talk, and I say, “Okay,” and laugh. She looks at me as if to say, ‘Granny, you have no idea what I just said and walks away.’



Do your granddaughters live nearby? If not, are you able to visit often?
Yes, we live nearby, about 15-20 minutes away. Grace is with me most of the time because of her mother’s work schedule. Gianna pops in maybe once or twice a week. We mostly get together on weekends for ice cream and church.
What are your favorite things to do with your Grace and Gianna?
Grace loves shopping and getting her nails polished, and her favorite store is Five Below. Sometimes, she enjoys skating, but Granny watches from the sidelines. Gianna loves to shop for clothes and shoes, especially shoes. She likes to pull the boxes down and walk away. I love it!
What do you hope your granddaughters remember most from their years with you?
I want them to remember that I was a good person. Always put God first and remember to pray. I want them to remember to be honest, happy, and true to themselves. And to remember, I’m here when they need me, and nobody can beat Granny’s love.
They say becoming a grandparent is the only thing that lives up to the hype. Would you agree and why?
Becoming a grandparent is a special assignment and an honor. The hype is real! The best feeling is when they say, “I love you.”

Bio: Rosalyn Williams is married to Sellers Williams, and they live in Montgomery. They have two children, Brittany (33) and Bryan (37, and two granddaughters.




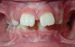
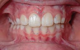
The field of orthodontics has seen remarkable advancements in the past 20 years, providing patients with more effective, efficient, and comfortable treatment options. Among these innovations, both scanning technology and Invisalign have emerged as game changers. Gone are the days of uncomfortable dental impressions; digital scanning now allows for precise modeling of teeth without the mess. Additionally, Invisalign has evolved beyond its initial “adult-focused” applications to become a versatile tool for treating a wide range of orthodontic issues in children and adolescents as well.
In our society today, children and adolescents have more activities than ever before. Invisalign offers several unique advantages that make it an attractive option for today’s busy families. For one, it eliminates the need for frequent and lengthy visits to the orthodontist's office, which is significant for children and teens involved in numerous extracurricular activities. We can treat some children faster because we can correct crowding, overbite, and spacing all at the same time. The convenience of shorter and fewer appointments can't be overstated.
Safety and hygiene are more reasons why Invisalign is suitable for young patients. Traditional braces are a great option but can pose challenges during contact sports. With traditional appliances, brackets and fixed appliances can come loose during contact sports. Invisalign can be a great option for children and adolescents with these activities.
Traditional appliances can also complicate oral hygiene routines, potentially leading to issues such as decalcification around the brackets. Invisalign aligners, being removable, allow for normal brushing and flossing, reducing the risk of dental problems and making them a hygienic choice for maintaining oral health during orthodontic treatment.
Choosing Invisalign involves careful consideration and active involvement in your child's orthodontic care. Why is that? Because success with Invisalign, particularly for children, hinges on compliance with wearing the aligners as prescribed. The key to excellent compliance is coaching, patient selection, and treatment planning. All of this takes an orthodontist who is very familiar with orthodontic treatment with Invisalign Appliances.

To determine if Invisalign is the right fit for your child, start by consulting with an orthodontist who specializes in pediatric cases using Invisalign like our office.
Here are a few steps to guide you through the consultation process:
1. Choose an orthodontist with extensive experience in treating children with Invisalign.
2. Discuss your child’s specific needs and ensure the treatment plan is tailored to their unique dental profile.
By understanding these key factors and actively participating in the treatment process, you can help your child achieve a beautiful, healthy smile with minimal disruption to your family’s daily life.








Teacher-student cooperation is an important alliance that starts at home and affects a child’s entire academic career. Having positive relationships with teachers throughout twelve years of school can make the difference between a child who adores school and all it encompasses and a child who dreads school and struggles on a daily basis.
By the time school starts each fall, teachers have already invested years of education, practice, and preparation into getting this school year off to a great start. Most parents want their children to succeed in school but sometimes students and parents inadvertently get off on the wrong foot with teachers. How can parents encourage kids to meet educational professionals halfway?
Here
are 10 tips for helping your child cultivate positive, supportive, and mutually respectful relationships with teachers from the first day of school forward.
1. Attend meet-the-teacher activities. No matter what the age of your child, don’t miss an opportunity to get to know the teacher as a both an educator and a person. It’s always appropriate for teachers and students to share things about their lives with each other as a way of bonding and getting to know each other.
2. Set positive expectations about teachers with your child. Even if the teacher your child was assigned is new or not the current parent favorite, express enthusiasm to your child about learning with the teacher she will have.
3. Communicate your child’s needs. If you can send an email to the teacher a week before school starts, that’s good timing. But it’s never too late to keep your child’s teacher up to date on your child’s specific challenges, especially those that will affect his ability to learn.
4. Let the teacher do the teaching. Once the year kicks off, assume a supporting role. Express interest in your child’s





academic work and school activities but try to let her tackle challenges like homework and projects herself.
5. See how well your child can meet standards on his own. Schools set up checkpoints like teacher conferences to assess student progress. Use these opportunities to find out how well your child is doing in school. Be relaxed and openminded about any reports, especially if they are not what you were hoping to hear.
6. Coach from the backseat. No parent likes to see a child falter. But facing struggles can be helpful in building character and teaching him lessons about himself. Don’t do your child’s work for him. Take on a cheerleading stance instead.
7. Get more structured support as needed. If the year is at the halfway point and your child is not making solid academic progress, and you have exhausted the school’s resources, consider a private tutor, a learning service like Kumon or a tutoring service like Sylvan. Try to find a private tutor with reasonable rates using an online tutor-finder like Care.com.
8. Participate. Three common commitments are parent-teacher meetings, school events, and parent volunteering. But don’t be at the school 24-7. If your child gets the sense that you are appropriately committed and engaged in the spirit of the school without hovering, she can relax, participate, and focus on doing her best.
9. Don’t pressure. Meet your student wherever he is. There is no point in projecting your prior academic success onto your child or pressing him to achieve more than he is reasonably capable of accomplishing. Love and appreciate your child as a whole person, not just a grade at the end of the year, and he will feel secure and motivated.
10. Express gratitude. Offer teachers an inexpensive card or gift at holiday time and the end of the year. But don’t write the thank-you note for your child. Help her write it herself instead until she is old enough to take over the job.











“I’m bored,” my 11-year-old daughter grumbled as she collapsed on to the couch. It was a rare unscheduled moment in her life. I cringed as I recalled what can occur when she has a spontaneous second. At the age of three, I assumed she was quietly playing with her toys only to discover the entire wall was covered with a new crayon drawn mural. We are both happier now she is enrolled in art classes. She prefers being busy which is why she partook in six different extracurricular activities this past spring. Her interests ranged from sign language class to swim team.
Besides avoiding boredom (and messes) there are many benefits to having scheduled activities for your child.

Research by NCES states that students who participated in after school activities had better attendance, higher levels of achievement, and aspirations to higher levels of education.
Even though my daughter was in six different clubs or sports, she received all A’s in her academic classes. By participating in extracurricular activities, a child is able to learn new skills which can be applied to the school setting. For example, my daughter was in the garden club and she used the information she learned about plants in her science class. Sports such as basketball, baseball and football use statistics, addition/ subtraction, probability, and geometry which can be applied to math class.
A number of research studies found students who participate in extracurricular activities perform better in school. Douglas Reeves studied data at Woodstock High School and found students who were in three or four extracurricular activities during the year had dramatically better grades than those who participated in no extra-curricular activities. There was a study done by the College Board, which found high school extracurricular participation is correlated with higher SAT scores, SAT math by 45 points and SAT verbal scores by 53 points.
If a child is participating in more than one activity, they will also experience more than one coach or teacher who will have different rules and expectations. They will have the opportunity to meet kids with a range of personalities and interests. These interactions will teach a child how to be adaptable to multiple people and situations.
Maddi and Deborah Khoshaba’s training guide, Resilience at Work, discussed the importance of being adaptable and how when adaptable people lose their jobs they thrive
Children will gain social skills both from the person in charge of the activity or sport and by interacting with their peers. They also have the opportunity to learn about team work by either playing a sport together or doing a group class such as a musical for drama.
In my daughter’s book club at the end of their discussion of the book they have social time. During one meeting she didn’t read the book, but she still wanted to go to the club since she loved the social interaction with her peers.
Common Sense Media research states on average teens spend over 9 hours per day playing video games or watching TV. If children are participating in after school activities they will have less opportunity to either watch TV or play video games and they will hopefully learn new skills.
According to the CDC obesity has affected about 12.7 million children and adolescents for the past decade. If a child participates in a sport they will be more active which leads to better health benefits from being physically fit. Even if a child did a club or an after-school activity they will be more active than if they watched TV or played video games.
Sometimes, even for my daughter, you can have too many activities. I’m always cognizant of her energy level. If she needs to skip an activity once in a while, I let her. When I noticed she wasn’t enthusiastic about going to gymnastics anymore, we both decided it would be best not to sign up for the next session. Most importantly you want to make sure your child is happy and definitely not bored










piano, singing, drums, and ukulele. We teach kids, teens, and adults ages 5 and up. We also teach beginner, intermediate, and advanced levels. Our lessons can take place in our Wetumpka home studio for local students, or online for learners outside of the area. We teach technique, music theory, and songs in the student’s favorite musical styles. (334) 625.0306 sunchomusic.com
BAMA Lanes
3020 Atlanta Highway Montgomery, 36109 Youth leagues on Fridays at 6:30. Ages 3-20. Pre-registration with free bowling. (334) 272.5423 bamalanes.com
BAMA Lanes in Prattville

Abrakadoodle Art Education
ad on page 20
Montgomery
Classes hosted at your school. Plus, Home School and Studio classes throughout the Fall and Spring. Online registration is open now! We also offer summer camps, parties, glitter tattoos and face painting. mcornwell@abrakadoodle.com abrakadoodle.com/al-montgomery-register/
Montgomery Museum of Fine Arts: Studio Programs
ad on page 26
1 Museum Drive Montgomery, 36117
Drawing and painting for preschoolers, children and adults. Afternoons and on weekends. Call for class, times, and cost information. Scholarships are available. Classes begin in September. Visit our website at www.mmfa.org and click on education tab for more fall classes. Teens, ages 13 and up, are welcome to join! For more information, please contact epalmer@mmfa.org (334) 240.4365 bmorrison@mmfa.org mmfa.org
Guitar Center
2572 Eastern Blvd Montgomery, 36117
Guitar Center offers private 1-on-1 music lessons. Learning to play music can be an amazing, lifechanging experience. Our fully-engaging lesson program provides a solid academic foundation and at the same time, encourages students to express themselves through music and helps them discover their inner artist. (334) 396-6245 stores.guitarcenter.com/montgomery
Montgomery Music Project
507 Columbus St. Montgomery, 36104
The mission of the Montgomery Music Project (MMP) is to develop young people and bring communities together through music. We do this by delivering affordable, high-quality music instruction to the children of Montgomery and the River Region and by uniting diverse geographic, ethnic, and social-economic communities under the umbrella of the arts. 2024/2025 Montgomery Music Project classes will begin late August. (334) 240.4004 montgomerysymphony.org
Montgomery Symphony Youth Orchestra
507 Columbus Street Montgomery, 36104
Runs concurrent with the school year. Audition date will be in September. (334) 414.1261 montgomerysymphony.org
Music Education on Wheels
104 Mendel Pkwy. Montgomery, 36117
Designed the positive influence of music within the education system. Group and private music lessons designed to make sure each student develops a lifelong relationship with music. (334) 676.1449 meowacademy.com
P’Zazz Art Studio
1812 Glynnwood Drive Prattville, 36066
Fall classes start September 3. Pick a day and time that fit your schedule. Classes meet once a week. $50 for the month. $20 supply fee per semester. This covers supplies for Sept. – Dec. After school and Homeschool classes available. (334) 354.1975 pzazzart.com
Suncho School of Music
Wetumpka, 36093
Learn to play the music that you love to listen to! We provide excellent private lessons in guitar,
1734 East Main Street Prattville, 36066 Youth leagues on Saturdays. Ages 3-20. Registration will begin in August. Youth leagues start in September. Please call for more information. Free bowling with paid membership. (334) 358.8600 bamalanesprattville.com
Bowlero
1661 Eastern Blvd. Montgomery, 36117 Youth Leagues will be starting up in the fall. You may come in and sign up anytime. (334) 819.7171 bowlero.com
Alabama Dance Theatre ad on page 22
1018 Madison Ave. Montgomery, 36104
The Alabama Dance Theatre will be offering fall classes in classical ballet (pre-ballet to the professional level), pointe, modern, jazz, hip-hop, contemporary and tap. Classes will be held at the Armory Learning Arts Center, home of the Alabama Dance Theatre located at 1018 Madison Avenue. (334) 241.2590 alabamadancetheatre.com
Alabama River Region Ballet ad on page 31
7981 Vaughn Road Montgomery, 36116
Registration going on now. Classes begin in September. Classes offered in all levels of Classical Ballet, Pre-Pointe and Pointe, Creative Movement and Jazz. Audition information for the Alabama River Region Ballet’s Youth Company will be announced on our website.
(334) 356.5460 alabamariverregionballet.com
Dance Generation ad on page 24
65 Ashburton Drive Montgomery, 36117
Tap, Ballet, Jazz/Hip hop, Lyrical, Baton and Gymnastics. Registration going on now at the Studio. Visit our Facebook page or please call 334-3954300 or 334-283-2201
(334) 395.4300 dancegenerationstudio.com
Tonya Speed’s Dance Connection ad on page 49
3370 Harrison Rd. Montgomery, 36109
Fall registration will be August 10th. Classes in Ballet, Tap, Tumbling, Jazz, Lyrical/Contemporary, Hip Hop, Baton and Competitive dance. Ages 2 ½ to Adult (beginner and advanced) Please call for class dates and times. Preschool classes also available on site.
(334) 277.1098
Armory Athletics Center
1018 Madison Ave. Montgomery, 36104
Fall classes begin in August. Ongoing registration. Various leveled classes offered in Gymnastics, Tumbling, and Ninja. Ages 3-18, all skill levels. Cheer, Competitive Gymnastics Team, Private lessons, Monthly special events, Parents Night Out and Camps offered. Classes offered are 45-1 hour classes: Various evening class times Monday through Thursday. Please call for rates. (334) 241.2789 armoryathletics.com
Bama Blaze Elite Cheer
6016 East Shirley Lane Montgomery, 36117
All-star Cheer, Tumbling classes, Try-out prep, School and all-star choreography. Our coaches have extensive cheer and tumbling experience. From beginners to the experienced, we are the gym for you.
(334) 233-1921
C.J.’s Dance Factory (home of the Prattville Ballet)
145 S. Court St. Prattville, 36067
Registration on Thursdays in Prattville 5:30-7:00. Instruction in: Classical Ballet/Pointe, Jazz/Lyrical, Tap, PowerTumble Gymnastics and Preschool Dance. Meet your instructor, tour the facility, watch the Nutcracker with refreshments, purchase dancewear, and pick up your costume! All students will participate in Prattville’s Nutcracker Ballet, as well as many other performances. Ages preschool to professional.
(334) 467.8603 cjsdancefactory.com
Evolve Dance Company
2072 Fairview Avenue (Pratt’s Mill Shopping Center) Prattville, 36066
We offer a variety of styles of dance for ages 2 and older. Please check our website for fall class dates. (334) 730.0310 evolvestudioforthearts.com
Lisa’s Dance Dimensions
101 Penser Blvd. Millbrook, 36054
Offer Parent/Tot, Ballet, Pointe, Lyrical, Jazz, Tap, and Gymnastics. Class times vary according to age and level. Registration begins July 22, 29, August 6, 12, and 13. Registration will take place at Gym Location 101 A Penser Blvd., Millbrook. (334) 303.7279 lisasdancedimensions.com
Mann Dance Studio
422 Pratt St. Prattville, 36054
The studio offers and excels in all forms of dance, offering beginner, intermediate, and advanced classes. Registration going on now and classes start in August . Tap, Lyrical/Contemporary, Pointe, Ballet, Gymnastics, Hip Hop, Baton and Jazz. (334) 365.5154 manndancestudio.net
Next Dimension Gymnastics
101A Penser Blvd., Millbrook, 36054
Classes offered: Parent/Tot Tumbling (ages 18mths-3), Tumble Tots (ages 3-5), Super Hero Gymnastics (ages 3-5 boys), Junior Olympic Gymnastics (ages 5 and up), Cheer/Jump/Tumble (ages 7 and up). Class times vary according to age and level. Registration begins July 22, 29, August 6, 12, and 13 . (334) 303.7279 lisasdancedimensions.com
Pike Road Dance Academy
232 West Elizabeth Lane Pike Road, 36013
Offering 9 levels of dance classes ranging from beginner, intermediate to advanced, and competition style (professional) instruction. These classes were developed for beginners all the way to more serious dancers seeking a progressive curriculum. (334) 782.9200 pikeroaddance.com
Tammy’s Academy of Dance
742 U.S. Hwy 231 Wetumpka, 36092
Registration going on now. Ballet, Tap, Jazz,



Pointe and Contemporary and Tumbling. Classes for ages 3 through adult.
(334) 221.2657 tammysacademyofdance.net
The Montgomery Ballet
405 Coliseum Blvd. Montgomery, 36109
The Montgomery Ballet is the producer of Performance on the Green, Ballet and the Beasts and The Nutcracker. Training provided in Classical Ballet for children and adults of all ages (2 1/2 to adult). Classes for different levels, (divided both by age and skill). As the Official School of The Montgomery Ballet Company, we are committed to developing first class ballet artists through quality training by experienced professional dancers in a healthy, nurturing and disciplined atmosphere. Open enrollment. Classes offered in Classical Ballet, Pointe, Variation, Modern, Tap, Jazz, Musical Theatre, Hip Hop and Contemporary. We also have a Civic Company.
(334) 721.3687 montgomeryballet.org
Tutu School
2690G Zelda Road Montgomery , 36106
Tutu School is a whimsical storybook ballet school for children 18 months to 8 years old offering classes, parties, and camps. Registration is on going and montly rates are $72. We offer a free trial class before enrolling.
(334) 363.3360
United Gym Stars & Cheer, L.L.C. 6100 Brewbaker Blvd. Montgomery, 36116
Offer Baby gym for ages 1&2, Kinder Gym for girls ages 3-4, Boys’ Preschool for boys ages 3-5, Junior Gym ages 5 & 6 yrs., Boys’ Progressive ages 6 and up, Girls’ Progressive ages 7 and up. Beginning, Intermediate, & Advanced Tumbling. Cheer and Tumble for Girls’ ages 9 and up. Please call for times and prices. Family discounts available. Registration on a monthly basis. (334) 284.2244 unitedgymstarsandcheer.com


Alabama Shakespeare Festival: Acting Academy
1 Festival Drive Montgomery, 36117
Learn more about the craft of acting at ASF’s Acting Academy. Fall Academy classes are open to new and returning students and will feature different content and material from the fall session. Please call or check our website for fall class dates and information.
Will Cotter, (334) 271.5324 asf.net
Wetumpka Depot Players
300 South Main Street Wetumpka, 36092 Fall Afterschool Sessions and Homeschool sessions available. Please email to be contacted when those programs are finalized. (334) 868.1440 wetumpkadepot.com
MANE (Montgomery Area
Non-traditional Equestrian)
3699 Wallhatchie Road Montgomery, 36064
Applications available online. Successfully teaching independent riding skills to children with cerebral palsy, mental disabilities, autism, hearing impairment and other disabilities. Goals developed individually for clients. We offer camps during the summer and winter months. (334) 213.0909 maneweb.org
Foxwood Farms Pike Road, 36064
Safe and structured lessons offered from beginning riders to experienced competitors. Lessons are taught on a semester basis. Please visit our website for rates. (334) 546.7622 foxwoodfarms.biz
Docarmo’s Taekwondo Center 3447 Malcolm Drive Montgomery, 36116
Docarmo’s Taekwondo Center offers an affordable family friendly martial arts program with no long-term contracts. Anti-abduction curriculum, Random Acts of Kindness Program, Academic Achievement Program and MORE all taught by nationally certified instructors...check us out! ***Ages 4 & older/Lil’ Dragons (ages 4-5) offered during the school year! With all memberships you receive a free uniform. (334) 220.5835 trytkdfree.com
Family Karate Center
8159 Vaughn Rd, Peppertree Shopping Center Montgomery, 36117
Montgomery’s Christian Martial Arts. Mon.- Saturday (ages 2 and up): No enrollment fee, no contract. Specialize in ADD, LD, handicapped, mentally challenged, visually impaired, blind, autistic, deaf, overweight children, and children with depression anxiety disorder. Founders of the “Stranger Danger Child Abduction Prevention Program, ASK MOM FIRST Child Molestation Prevention, and the How to Handle Bullies and Aggressive People Program. Family Karate Center now also offers Japanese Martial Arts Training and Weaponry. (334) 277.4911 montgomeryfamilykarate.com
Fleming’s Martial Arts
5521 Wares Ferry Road Montgomery, 36117
Classes for children and adults. A structured, systematic curriculum is offered in a focused and safe training environment. (334) 277.5425 flemingsmartialarts.net
Johnson Karate and Fitness Center
2801 Vaughn Plaza Rd. Ste J. Montgomery, 36116 Classes for ages 3 to Adults. At Johnson’s Karate & Fitness Academy we teach Tae Kwon Do, SelfDefense, Private Lessons, Fitness Kickboxing, Pilates, and Sport Karate. We are now offering early morning Kick Boxing classes. We offer free trial lessons. Phil. 4:13.
(334) 284.2344 johnsonsmartialartsacademy.com
Martial Arts Center
2055 Harmon Street Montgomery, 36107 Martial Arts combined with discipline and etiquette. Martial Arts is good, clean fun for kids and a great way to give them a head start in life. Our primary focus is to teach children life skills. Because a structure of respect, courtesy and honesty is built into KUK SOOL, children develop the ability to learn, listen and achieve within a highly regulated environment. Ages 6 yrs.-8 yrs. and 9 yrs. – 15 yrs. Call for times and prices.
(334) 318.1892
Montgomery Judo Academy
1555 Eastern Blvd Montgomery, 36116
Your child will reach new heights when they learn judo the gentle way! Gain confidence, build character, and learn respect. Teaching kids, teens and adults. Louis A. Balestrieri, Coach/Sensei (631) 767.8052
NextGen Martial Arts, Prattville
698 Old Farm Lane N Prattville, 36066
Tang Soo Do, Li’l Dragons (4-6 years) and XMA (Xtreme Martial Arts) offered. Many programs available.
(334) 590.3759 nextgenmartialarts.com
Tiger Park Taekwondo & Chung’s Taekwondo 3125 Bell Road Montgomery, 36116
Classes for everyone Ages 3 to adult. We now offer an After-school Program. We provide free transportation from your child’s school to our facility. Our program is designed to help your child be the best they can be, develop great self confidence, strengthen mental and physical discipline and create an interactive and educational environment.
(334) 277.2627 tigerparktkd.com
Tiger Rock Martial Arts
2750 Bell Rd. Montgomery, 36117
Classes offered for children ages 4-5 (Tiger Cubs), ages 6-11 (Junior Program) and 12-15 (Youth Class) and Adults 16 +. Please call us for more information regarding class times and schedules.
(334) 244.1465 tigerrockmontgomery.com
US Yoshukai Karate
290 N. Burbank Dr. Montgomery, 36117
Visit us on Facebook under US Yoshukai Karate for more details and classes offered. Ages 5 and up.
(334) 657.2032 usyka.com
Caesar Chess
Teaching kids to play chess in metro Montgomery. ** Public ** Private ** Homeschooled ** Caesar Lawrence – Director & Chess Coach 334-868-0271 CaesarChess@gmail.com
JoAnn’s Fabric & Craft Stores
Eastchase Market Center, 7951 Eastchase Pkwy Montgomery, 36117
We offer a variety of classes in Cake Decorating, Crocheting, Food & Cooking, Knitting, Quilting and Sewing. Please visit your local JoAnn’s for description of classes offered at this time and pricing. (334) 409.2640 joann.com
Michaels
East Chase Market Center, 7991 Eastchase Pkwy Montgomery, 36117
Learn crafting skills when and where you want with online classes from Creativebug, or sign up for in store classes in jewelry making, art painting, paper crafting, mixed media, floral design, cake decorating or knitting and crocheting. Please visit your local Michaels’ for class descriptions, times and fees. (334) 260.2846 michaels.com
Snapology
Ages 6-14. Take time off your hands while your kids play, learn, and make life long friends. We offer amazing themes for our camps and workshops year-round including spring break camps and summer camps. Please call or visit our website or on Facebook under Snapology of the River Region. Please call for more information on classes being offered near you.
(334) 318.2824 snapology.com
Prattville YMCA
ad on page 34
972 McQueen Smith Rd. S, 600 E. Main Street 348 Hwy 82 West Prattville, 36066, 36067
Registration going on now. Main After School Program, Kindergarten After School, Primary After School, Pine Level, and Daniel Pratt. Prepay first week at registration. Vans will pick up kids at public school and take them to the Main Site Program. Main Site cost is $68 for first child for members and $83 for non-members per week. Discounts for second and third children. Family discounts available. Fall sports are as follows: Football, Cheerleading, Baseball, Basketball, Taekwondo, Volleyball, Cheer, tumble, gymnastics and swim lessons available. Please call for fall sports registration dates. (334) 365.8852 or for the Prattville Bradford Branch call (334) 358.1446. prattvilleymca.org
Alabama Nature Center Fall Homeschool Classes
3050 Lanark Road Millbrook, 36054 Fall registration for the 8 classes is open on the website. The dates will be August 7 & 8, 21 & 22, September 4 & 5, 18 & 19, October 2 & 3, 16 & 17, and November 6 & 7, 20 & 21. $80.00 per child for the 8 class program. There is a $5 per sibling discount for each family. Class days are Wednesdays or Thursdays for the fall. There are 4 time options to choose from; 10:00 a.m. –12:00 p.m. Wednesday, 1:30 p.m. – 3:30 p.m. Wednesday, 10:00 a.m. – 12:00 p.m. Thursday, or 1:30 – 3:30 p.m. Thursday. There is a 10 student class limit for the Discoverers. (3 – 5 year old class) You may need to register earlier rather than later for the Discoverers class. Each other class will have a 15 student class limit. The number of classes offered each day is subject to the availability of staff here at the nature center. As registrations come in we will adjust our classes. Students will be placed in classes with students who are closest to their ages. (334) 285.4550 alabamawildlife.org
Boy Scouts
3067 Carter Hill Rd. Montgomery, 36111
About 100 Cub Scout packs located in various private and public schools, churches, etc. August/ September, city wide Fall Recruitment night for Scouts, parents can enroll their child in a pack that night. Someone will be handing out brochures at all schools in August/September. Homeschoolers are welcome.
(334) 262.2697 tukabatcheebsa.org
Boys & Girls Clubs of the River Region
412 North Hull Street Montgomery, 36104 Chisholm, (334) 265.2469, 2612 Lower Wetumpka West End, (334) 263.3371,220 Crenshaw Street Wetumpka, (334) 478.4904, 499 Alabama Street
Provides programs and opportunities, which encourage young people, particularly the disadvantaged, to maximize their potential and become caring productive citizens of our community. Activities include character and leadership development, health and life skills, education and career development, sports, fitness and recreation, and the arts. Clubs are open Mon-Fri from 3-9 p.m. during the school year and 9-5 on school holidays and in the summer. All locations serve children ages 6-18. $5.00 a year per child.
Administrative Office, (334) 832.4288 bgcmala.org
Doster Center, Prattville
101 West Main Street Prattville, 36066
Various after school activities include Afterschool Recreation Club for grades K-6th. Monday –Friday, 3 p.m. – 6 p.m. (After school transportation provided.), Vacation Club Day (for school holidays when children are out of school but parents are still working) Grades K-6, 7:30 a.m. – 5:30 p.m. (334) 361.3640
Frazer Upward Basketball
Atlanta Hwy Montgomery, 36117
Program available for girls 5 years through 8th grade and boys 5 years through 8th grade. Registration only during the month of October. Practice begins in December. Games begin in January. (334) 495.6459 frazer.church
Frazer Upward Football & Cheerleading
Atlanta Hwy Montgomery, 36117
Registration begins July and runs through August. Program offered Aug.-Oct. for rising 1st- 6th grade. Spiritual development through devotionals, coaching and athletic skills. Registration is open now. Please visit www.frazer.church under the family and sports & fitness tabs for registration link. (334) 495.6459 frazer.church
Girl Scouts
2501 Bell Road Montgomery, 36117
Daisies, Brownies and Girl Scouts. Girls discover who they are, where their talents lie, and what they care the most about. And they take action to change the world. Through our program, the Girl Scout Leadership Experience, girls develop a strong sense of self, display positive values, and seek challenges.
(800) 239.6636 girlscoutssa.org
Montgomery YMCA
Offering over 100 different programs for all ages. Including inside and outside youth and adult soccer, football (grades 1-6), basketball (year-round & all ages), track, soccer (ages 6 & up), mini-soccer (ages 4 & 5), aquatic program, cheerleading (grades 1-6), Leaders Club & Tri-Hi-Y (grades 7-12), and much more. Fees vary by activity and membership. Boys and girls can enjoy teamwork, sportsmanship and healthy competition. Contact your local YMCA branch.
Cheerleading: Cheerleading will build confidence and self esteem while developing social skills and healthy relationships with others. Ages 5-12 (no 7th graders allowed) Season: September-November. Games on Saturdays. Registration going on now until August 4th.
Basketball: ages 4-15. Registration begins in September. Youth Tackle Football: Season: September-November. Ages 6-12 (No 7th grade players will be allowed.) Games will be on Tuesdays, Thursdays and Saturdays. Registration will be going on until Aug 4th. Late Registration from August 5th-13th. Mini Flag Football: Ages: 4-7. Provide players the opportunity to learn the basics of football in a developmental environment. Registration will be going on until Aug 4th. Late Registration from August 5th-13th.
Ice Hockey: Ages 4-11. Children will learn the fundamentals of ice skating and begin to practice the skills needed to play ice hockey. This program will begin as an instructional program and evolve into a developmental league program. Please call for more information.
Fall Outdoor Mini-Soccer: for ages 3-6
Registration June 14 through August 12. Season begins in August and will end in October.
LaCrosse: The YMCA Montgomery Capitals will be formed as a competitive youth lacrosse Club. Our philosophy will be to allow all youth participants the opportunity to participate, develop a love for the game and continue to develop their skills and fundamentals. Please call for more information. Soccer: Website: www.capitalcitystreaks.org Email: msanchez@capitalcitystreaks.org. Participants can sign up at any local YMCA.
Recreational Soccer: Season- SeptemberNovember and April-May. Ages 6-18. Games Mondays, Tuesdays, Thursdays, Fridays and Saturdays. Registration is open now. Practice begins in August and games begin in September.
Indoor Soccer: Season December-January, February-March, June-August. Ages 7-17. Games Monday, Tuesdays, Thursday, Friday and Saturday depending on age group. Registration TBA Barracuda’s Competitive Swim Team: The YMCA has a year-round competitive swim program based at the East YMCA. Contact (334) 272.3390. Tryouts will held in August. Please call for more information. They can also be contacted online at www.ymcamontgomery.org.
Indian Guide (Parent-Child Program): The Adventure Guides and Princesses offers activities for children K-3rd grade and their parents. Program that aids in the growth and development of families. Contact Jeff Reynolds at (334) 269.4362 for additional information. Starts in September.
Soccer Branch, (334) 396.9754 or (678) 571-7605
Kershaw Center, W. Fairview Ave. (334) 265.1433
Cleveland Ave., Rosa Parks Ave. (334) 265.0566
Downtown, South Perry Street (334) 269.4362
East Y, Pelzer Avenue (334) 272.3390
Bell Road Y, Bell Road (334) 271.4343
Goodtimes Center, off Bell Road (334) 279.8666
Southeast Y, Carter Hill Road (334) 262.6411
Camp Chandler, Lake Jordan (334) 269.4362
Camp Grandview, Millbrook (334) 290.9622
James Wilson Jr, 1445 Wilson Park Dr., (334) 356.8471
Montgomery YMCA Goodtimes Center
2325 Mill Ridge Dr., Montgomery, 36117
Staffed from 2:30 to 6 p.m. After school programs are at the schools. Programs include snack and juice, homework time, music and language, storytelling time, outside activities, arts and crafts, projects, Science and Nature, multicultural activities, and creative time. Open registration. Also, before school programs at certain schools from 6:45 and 7 a.m. til school starts. (334) 279.8666 ymcamontgomery.org
Therapeutic Recreation Center
604 Augusta Street Montgomery, 36111
For the mentally and physically challenged. Various programs available. Classes run from 4 p.m. – 5 p.m. Monday thru Friday. Transportation is provided for Montgomery public schools. Space is limited, so please register on time. Please call for more information about registrations dates and times. (334) 240.4595 montgomeryal.gov
Wetumpka YMCA
200 Red Eagle Drive Wetumpka, 36092
YMCA Goodtimes after hours for school age children (5 to 11 yrs.) pick up and keep them until 6 p.m. Have several programs, including: Summer Camp, Youth Sports, Football, Volleyball, cheerleading, basketball, karate, T-Ball, Swim Team and soccer. Open registration. The following sports are available beginning in the fall: Football for boys’ ages 6-12, cheerleading for girls’ grades 1-6, Mini-soccer for ages 4-5. (334) 567.8282 ymcamontgomery.org
2211 Ultimate Playzone
3541 McGehee Road Montgomery, 36111
Skating, Book your birthday partyies and Inflatables. Laser Tag! Summer Open Skate - $10 ( includes skate and entry) $5 for non-skating parents. Tuesday-Friday from 1-3 p.m., Thursday Night ( Adults Only) from 7p.m.-12a.m., Friday fron 5-9 p.m.; Saturday from 1-7:30p.m., Sunday 2-7 p.m. (discount day, $8 per person). Group Discounts (min of 10 people).
Laser Tag: Your kids will love the thrill of taking on their friends in a exciting laser tag battle. (334) 593.7180 2211ultimateplayzone.com
Montgomery Skate Park
2390 Cong. W. L. Dickinson Dr. Montgomery, 36109 We invite all skaters of all ages to come out, hop on their boards and smooth their skills while having some fun. Please visit us on Facebook under Montgomery Skatepark for more information and open date. (334) 240.4561
Skate Zone 2000
88 Red Eagle Pkwy. Wetumpka, 36092 Birthday Parties, State of the Art Lasertag, Homeschool Days Skating and more. (334) 567.4434
Barber Elite Soccer
We are a professional soccer training academy committed to bringing age and skill appropriate training to local kids in the community. We offer classes from 3 years to 12 years. Our goal is to proide professional soccer training that develops soccer skills and a passion for the game. barberelitesoccer.com
FC Montgomery Futsal Soccer
Capital City Sportsplex, 1555 Eastern Boulevard (indoor/air conditioned) Montgomery, 36117
Outdoor Travel Soccer and Indoor Local Futsal club. A variety of programs offered, including; Soccer Camps, 3v3 Tourneys, Lessons, Soccer Parties, Soccer Tours and Homeschool. Registration is on going. Please check our website for our training and games schedule and team evaluation dates. Coach Bruno (Former pro & College coach – Masters Phy. Ed. (334) 207.5442 brunomr@fcmontgomery.com fcmontgomery.com
Frazer Sonshine Soccer
Atlanta Hwy. Montgomery, 36117
Held at Frazer Soccer Fields will be held in the Spring. Ages 5-12.
(334) 495.6458 frazer.church
St. James Upward Soccer
9045 Vaughn Rd. Montgomery, 36117
Registration available online. K4 through 4 grade (boys and girls welcome). Registration is going on now.
(334) 277.3037 kari@sjlife.com sjlife.com



Hampstead Tennis Montgomery, 36116 Tennis lessons open to both residents and visitors interested in enjoying the fun of tennis. Players welcomed from beginner to advanced level play of ages, and offer weekly organized private lessons (334) 207.9821 Hampsteadtennis@att.net
Wynlakes Tennis
7900 Wynlakes Blvd. Montgomery, 36117

YMCA Capital City Streaks
300 Brown Springs Road Montgomery, 36117
Participants can sign up at any local YMCA. Season- September-November and April-May. Ages 6-18. Games: Mondays, Tuesdays, Thursdays, Fridays and Saturdays. Registration is open now. Practice begins in August and games begin in September. (334) 218.3750 msanchez@capitalcitystreaks.or capitalcitystreaks.org
Adventure Sports Aquatic Center
ad on page 14
1546 E. Ann Street Montgomery, 36107
Heated indoor pool year round. Swimming Lessons, Scuba and Life Guard Classes. (334) 269.3483 adventuresports2.com
Swim Prep
Prattville & Montgomery
Private One-o-one swim lessons starting at 6 months. Maintenance and group classes offered after student has graduated our program. Please visit our website for more information and to register. (334) 356.6116 swimprepllc.com
YMCA Barracuda’s Competitive Swim Team 3407 Pelzer Avenue Montgomery, 36109
The YMCA has a year-round competitive swim program based at the East YMCA. Please call (334) 272.3390. Tryouts will be held in August. Please call for more information. (334) 272.3390 ymcamontgomery.org
O’Connor Tennis Center
ad on page 28
500 Anderson Street Montgomery, 36107 After-school Tennis Clinics offered during the school year for all ages. We follor the MPS school schedule.
(334) 240.4884 bbradshaw10s@gmail.com oconnortenniscenter.com
The Wynlakes Junior Tennis Program offers classes for students 4 years and older. Beginning with “Pee Wee Tennis” the players graduate to “Rising Stars” and move to “Excellence” and finally to the “Wynlakes Junior Tour” where players receive state ranking. Tennis at Wynlakes is a sport for everyone and is the sport of a lifetime. Please call for class times and days. (334) 273.8425 wynlakes.com
Kumon Reading & Math Center
ad on page 45
8115 Vaughn Rd Montgomery, 36116
After-school academic enrichment program that helps children achieve success. The Kumon Math program develops necessary skills to help children progress from counting through calculus. The Kumon Reading program begins with basic phonics and progresses all the way through advanced reading comprehension. (334) 649.1178 kumon.com
Sylvan Learning Center
ad on page 19
4240 Lomac St. Montgomery, 36106
Sylvan Learning Center offers:
Reading and Math Individualized tutoring with a diagnostic evaluation, ACT/SAT Test Prep, Homework Support, Study Skills, Credit Recovery. The River Region Academy is an AdvancEd/SACS Accredited School for grades K-12 with a low student teacher ratio and individualized instruction. (334) 262.0043 cd@montgomerysylvan.com sylvanlearning.com/Montgomery
Better Than Average
2820 Fairlane Dr., Suite A3 Montgomery , 36116 Building Confidence. Creating individuals who love learning. Our peer tutors aim to build relationships with our students to make learning more engaging and relatable. (334) 802.1315 betterthanaverage.online
Ed Tech Academy
2101 Eastern Blvd, Montgomery, 36116
Do you want to see an improvement in your child’s academics? Offering STEM and technology daytime and afternoon programs. Tutoring, adult classes, parent’s night out, Saturday workshops and more. Homeschoolers welcome. (334) 296.2393 edtechacademy.org
Enjoy Learning Center
2801 Vaughn Plaza Rd., Montgomery, 36116 One-on-one tutoring for ages 4 to adult. Math, science, chemistry, reading, comprehension, pho-
nics, spelling, writing, graduation exit exam, ACT and SAT. Certified, skilled teachers. (334) 625.9535 enjoylearningcenter.com
Huntington Learning Center
3251 Malcolm Drive Montgomery, 36116
One on one instruction in a specific course. Tutoring for K-12 in reading, all levels of math, study skills, writing, phonics, vocabulary and more. SAT, ACT PSAT, Advanced Placement test prep.
(334) 277.9200 huntingtonhelps.com
MasterRead
2815-C Zelda Rd., Montgomery, 36106
Grades K-12 individual tutoring. Sessions for reading, comprehension, phonemic awareness, phonics, math, composition, spelling, study skills and ACT/SAT preparation and Exit Exam preparation. (334) 271.6295
Mathnasium
3453 Malcolm Drive Montgomery, 36116
We specialize in teaching kids math the way that makes sense to them. We provide: Expert tutors, Custom learning plans and personalized instruction, and Homework help. (334) 521.8327 mathnasium.com/eastmontgomery
Read Write Learning Center
6752 Taylor Circle Montgomery, 36116
Give your student the extra boost they need this year with Read Write! Read Write offers dyslexia testing and one-on-one therapy for students with language based learning disabilities. Our services include multisensory instruction in reading, math, grammar, writing and comprehension. . (334) 328.2134 readwritelearningcenter.com
Success Unlimited
2328 Fairlane Drive Montgomery, 36106
Tutoring available for any subject. Tutoring provided by Christian certified teachers. (334) 213.0803 suacademy.com
Sylvan Learning of Prattville
2046 Farivew Ave. Prattville, 36066
Sylvan offers tutoring and individualized test prep for all math, reading, writing and more. We offer ACT/SAT Test prep. Monthly packages are available for Academic Coaching. (334) 380.4144 sylvanlearning.com/Prattville
Capitol City Juniors (CCJ)
5334 Atlanta Hwy., Montgomery, 36109
Capital City Juniors is the premier organization for girls club volleyball in Montgomery. Our mission is to blend passion with perspective and to combine the love of the sport and intensity with knowledge, integrity and discipline. We train girls from 6-18 from beginners to competitive teams. (866) 942.2509 Capitalcityjuniors.com
Next Level Volleyball Club
Montgomery
Come join us and develop yours skills essetial to the game of volleyball.
nextlevelvolleyballclub@gmail.com and on FB under Next Level Volleyball Club
Play Like Winners Volleyball Club
Montgomery
Play Like Winners by Penny Lucas-White PLW Academy that is designed to help enhance the volleyball skills and techniques of our youth in group training sessions.
playlikewinners.com

The summer of 1983 looked a bit like this for my brother and me. Wake up at 7. Eat breakfast. Do our household chores. And then we were promptly kicked outside to play. We were not allowed back inside until lunch. I was 10. He was 9. We lived on 40 acres, which included a barn, 60 cows, three horses, chickens, a few dogs, and a cat. For hours every summer, we explored all 40 acres, which also had snakes, mean bulls, hornet nests, a possessed rooster, spiders, ditches, a 50foot deep pond, very tall trees, poison ivy, poison oak, and the random fox or two. We were never told to stay away from these “dangers”. We explored. We learned. We got cut and bit and sometimes broken. We came home with skinned knees and dirty feet and have a few scars that make for really great stories. Like climbing to the top of the hay in the barn that was truly two stories stacked to steal a few chicken eggs, only to find a chicken snake had beat us to it, causing immediate panic and subsequent crash of the hay bales. For me, I learned to look for eggs a little lower. I also learned that chicken snakes are mostly harmless and really only want chickens. What we didn’t have was a parent watching us. I look back at things I did at a very early age and wonder if I would have allowed my kids at that age to do the same. I am not sure. Things shifted in the 90s. Stranger Danger, while an important discussion, almost became a hyper-fixation, and parents began bringing their kids
indoors. We had Nintendo and games in the 90s, but the games were played with friends and not the world. So while kids were spending more time inside, they were still connecting with one another on some level.

By the 2000s, more complex devices and social media had entered our lives. More kids were being brought indoors over fear of what they would be exposed to if left alone outside. And we see a shift. Kids begin to play games physically alone but online with the world. Hours and hours were spent behind a screen without realworld challenges. These are challenges that we, as humans, need to grow. So, we have seen a
shift in the childhood experience. As Jonathan Haidt discussed in his book Anxious Generation, it has become a phone-based childhood instead of a play-based childhood, which is integral to childhood, tween, and teen development.
As our fear of who or what may hurt our kids outdoors, ironically the place they are at the most risk is online. This is where predators are accessing our children. This is where they are having their childhood ripped from them and throwing them into an adult space. As parents, we brought them indoors to protect them. But are we protecting them?
My grandfather told me a story before he passed away at 93 that I will never



forget. One summer his parents left. He is unsure why they did not take him with them. He remembers being told they would return and would only be gone a couple of weeks. He was an only child. They lived in the country on a farm with access to hundreds of acres of woods. For that week or a few weeks, my grandfather took care of himself. He caught squirrels, skinned them, cooked them, and ate them. He also caught fish to eat and took care of his chores.
I loved listening to him tell the story because he smiled the entire time. He said it was wonderful! He was able to explore. He said it felt free. He was only seven years old. He and my grandmother were two of the most resilient people I know, with beautiful stories of a free childhood. Of course, I’m not advocating leaving your seven-year-old for a week, as things are pretty different now. But what I do think we can do is helicopter a bit less. Get our kids outside. Let them get dirty, skin some knees and make some scars. So one day they can tell their grandchildren about their amazing childhood and even have a few scars as receipts.
Bush serves as a national education consultant and social media safety advocate. She is a licensed social worker with greater than 15 years of clinical practice and health care experience. She attended Troy and Auburn University where she studied social work and counseling. Kristi travels nationally and has spoken with thousands of children, parents, professionals and organizations about the benefits and threats associated with social media. You may reach Kristi through her website at www.knbcommunications.com.






Around the time my twins turned 13, they stopped talking to me. After a mumbled “Hello” when they got home from school, they would scamper off to their rooms and close their doors, practically in unison.
A lot of us experience this kind of shutting down from our kids, and we’re all looking for ways to bridge the gap.
Dr. Ken Ginsburg, pediatrician and cofounder of the Center for Parent and Teen Communication at the Children’s Hospital of Philadelphia says, “It is important to build a foundation of communication skills and establish two-way dialogues early so your teens will feel comfortable coming to you as they mature.”
Kids enter a complex stage of development in middle school.
“They’ve still got one foot planted in childhood, and the other foot stepping into adulthood,” says Ginsburg. “Their bodies are changing, and their emotions are in flux. Plus, they are working to figure out where they fit in with peers, friends, and their communities.”
During this development phase, kids need to learn how to:
* cooperate with others
* negotiate peer situations
* resolve conflict
* empathize with other people’s feelings
* notice nonverbal cues
* learn how to appropriately express their own emotions in a variety of situations
But how do we help our kids develop communication skills when they rarely communicate?
1. Take time to listen.
Ginsburg recommends maintaining a consistent presence in your child’s life. Show curiosity in their interests by asking questions about their latest sports event or dance class and make yourself available when they need to talk.
Even though it may seem like they don’t want to talk to you, it’s important to make the effort to engage them in conversation. When your teen does talk to you, listen carefully to what they say and demonstrate your understanding by rephrasing what they’ve said.




Even when it seems like your teen is in their room most of the time, they are still paying attention to what you are doing. So make sure you’re modeling the behavior you want to see in them.
“Model skills you want to pass along,” says Ginsburg. “Let them see how you resolve emerging conflicts, bounce ideas off others, and seek help when needed.”
3. Role play.
One way to help your child develop these important communication skills is
through role play. They might resist but encourage them to treat it like a game. Try acting out a situation that may be difficult for them, such as which lunch table to sit at, and then offer some suggestions for what they can say in that situation.
When your child isn’t up for talking, try talking about yourself or your daily activities. Taking the pressure off them to communicate may lead them to ask questions and show an interest in what you’re saying—which is one way to help them develop their skills.
There are times when your child may experience peer pressure but is unsure how to navigate the situation. Ginsburg recommends establishing a code word with your child that they can use when they’re feeling pressured. If your child is

“Having a code word gives them a safety net while they are still developing social skills,” says Ginsburg.
4. Remember they love you, even when they don’t talk.
Most kids learn communication skills through trial and error. It can be frustrating when your previously chatty child turns into a silent teen who doesn’t want to talk to you—or prefers talking with their friends instead. But it’s a normal part of their adolescent development.
“Peers may seem more important, but no one is as valuable as parents,” Ginsburg says. “They still need your love, support, guidance, and structure.”
So I’m doing my part to model the communication skills I want my teens to develop and I’m confident they will find their way, one word at a time. Until they do, I’ll try not to take their closed bedroom doors too personally.
Cheryl Maguire holds a Master of Counseling Psychology degree. She is married and is the mother of twins and a daughter. Her writing has


The Montgomery American All-Star 6U Sweetees headed to the World Series! This group of girls are one of two teams who represented the state of Alabama in this division. The World Series Tournament was held in Louisiana July 27th- July 31st. This team worked so hard over the summer, and they are very excited for this opportunity.



These young ladies went to Charleston, South Carolina to compete in the Inspire National Dance Competition. They received numerous awards and took lots of fun master classes including Jazz, Contemporary, Tap, and Musical Theater. The girls returned home with 6 crystal diamonds, 10 diamonds, 3 judges awards, and 4 overall placements. Some of the girls also competed in the Improv competition and Jordynn Eubanks (pictured) was invited to perform in the Improv opening number. There were also lots of girls from TSDC who competed in the online photogenic competition for Face Of Inspire. Jordynn Eubanks also got a “Back to the stage pass” for Crystal Showcase and she won Miss Senior Recreational Title Winner for 2025. And, lastly, our very own Elly Robinson was in the CREW of aspiring leaders performance.
Pictured from top to bottom, left to right: Anna Gibson, Trinity Wilson, Danielle Turner, Natali McCord,
Elizabeth Stewart, Elly Robinson, Morgan Eubanks, Jordynn Eubanks, Maya Stokes, Abigail Sponsler.


, a recent graduate of Wetumpka High School and former member of Wetumpka Scout Troop 13, achieved Eagle rank during his last year of high school. Unger got his start in Scouting as a member of Cub Scout Pack 50 in 2012, chartered at that time by First Baptist Church in Wetumpka. While at Pack 50, he earned the God and Me religious award and the Arrow of Light, the highest level of achievement in Cub Scouts. In 2017, Unger joined Troop 13 at Wetumpka First Presbyterian Church, where he held a variety of leadership positions through the years, including senior patrol leader, scribe, instructor, troop guide and patrol leader. In 2020, he was named the Bryan Valliere Memorial Outstanding Scout of the Year, named for a past member of Troop 13. After achieving Eagle status in October 2023, Unger continued involvement with Troop 13 until his 18th birthday. He remains a member of the newly formed Venturing Crew 122, also chartered by First Presbyterian Church in Wetumpka. One of Unger’s favorite Scout experiences was traveling with members of his troop during the summer of 2022 to Florida Sea Base located in Key West. The Scouts spent the week deep-sea fishing, eating seafood and exploring the local sights. For his Eagle project, Unger replanted trees to replace those that were lost due to a tornado that destroyed much of First Presbyterian in 2019. The church grounds committee met with Unger, and they chose six trees for him to purchase and plant behind the church. While in high school, Unger enjoyed participating in the WHS Robotics team, where he assisted with marketing and presentation. He was also a member of the National Honor Society, the Spanish Honor Society and National Beta Club. He is a second Dan Black Belt in IJTF Taekwon-Do and is an instructor at Triumph Taekwon-Do Academy. He also started Jujitsu in 2023 at the Coosa Jiu Jitsu and Wellness Center. This fall Unger will begin school in the Physical Therapy Assistant Program at South University in Montgomery.

Not only did we dance and have fun at summer camps, Kelli Stever tutored in reading and other subjects as well! She’s going to continue this service during the year at our studio. You can call us at Tonya Speed’s Dance Connection for more information!

Saturday and Sunday in August
Beach Party
1:00 PM - 5:00 PM, Red Bluff Bar at the Silos, 335 Coosa Street Come get some rays and chill out with us on the historic banks of the Alabama River Saturdays and Sundays starting Saturday at 1 and continuing every weekend the rest of the Summer! There will be misters, fans, sprinklers, pools and more going all day with chill tunes, cool vibes and frozen drink specials from 1-5. Lay out in your bathing suit and get some sun, or enjoy corn hole, ping pong, putter ball, sidewalk chalk & more! Stay till dark for the best sunset in town and live music all night. Dogs welcome: water bowls provided. Don’t forget to bring a towel! experiencemontgomeryal.org/event/beach-party/1108/
Saturday, August 3
Sips at Sunset Garden Party

5:00 PM - 9:00 PM, Montgomery Museum of Fine Arts, One Museum Drive Montgomery, Alabama 36123
Join us for a delightful evening at the Sips at Sunset; Garden Party, a special event hosted by The Alabama Collective in partnership with Access Montgomery, designed to support and uplift small and minorityowned businesses within our community. Proceeds from this event benefit the newly established MGM S.E.E.D. Grant.
https://www.montgomeryal.gov/Home/Components/ Calendar/Event/9921/4288
August 6 - 7
Idina Menzel in Concert
8:00 PM Gogue Performing Arts Center, Auburn Menzel is a Tony® Award-winning, powerhouse multihyphenate: a singer, an actress in film and TV, a songwriter, a Broadway star, and a philanthropist. She rose to fame for her role as Maureen in the popular Broadway musical Rent, and her career took off when she won a Tony® Award for her role as Elphaba, the Wicked Witch of the West, in the smash musical ‘Wicked.’ https://goguecenter.auburn.edu/idina-menzel/
Thursday, August 8
Jazz Jams
5:00 PM Montgomery Museum of Fine Arts, One Museum Drive Montgomery, Alabama 36123 In partnership with the City of Montgomery, Alabama, Jazz Jams is back! This free event celebrates Montgomery, Alabama’s vibrant creative culture, featuring a live band, cash bar, and delicious hors d’oeuvres from Verde. This free, 21+ event features music from local jazz musicians; Music line up coming soon. This event is rain or shine; in the case of inclement weather, activities will be moved indoors.
https://www.montgomeryal.gov/Home/Components/ Calendar/Event/9898/4288
Saturday, August 10
Youth Fishing Rodeo
7:00 AM - 11:00 PM, Lanark in Millbrook The AWF Youth Fishing Rodeo program is designed to provide Alabama’s youth a chance to experience the outdoors and learn about fishing. Join us at the ANC for our annual youth fishing rodeo! Bring the kids, a few fishing poles, and a cooler and join us early this morning down at the catfish pond! Children 15 and under can catch and take home up to 5 catfish each (catfish only), but can catch and release all they want! Make sure to register online (below) or call ahead (334-285-4550) and put your name on the list, space fills up quickly! Admission is free, snacks and drinks will also be available. https://www.alabamawildlife.org/apps/fishing-rodeo/
Alabama Triple Crown- Freestyle Kayak Competition (Additional campers are $20 each.)
2:00 PM - 6:00 PM, Montgomery Whitewater Park, 1100 Maxwell Blvd Freestyle Kayaking Competition. Starts at 2pm, Finals at 6pm, Cash Prizes. A great spectator event! Bring a chair and watch the action. Live Music, 6-8pm-One-Eyed Mary. Onsite camping is included for registrants.
https://montgomerywhitewater.com/events/alabamatriple-crown-registration/
Film Club- Janet Planet
7:00 PM Capri Theatre, 1045 E Fairview Ave About Film Club: A free, open-to-all discussion after the Saturday 7 o’clock show led by one of our Capri film buffs! If you like to talk about the movies you see, this one’s for you! About the host: Anton Jackson is the Director of Montgomery Film Festival and has a deep and abiding love of arthouse films. In short, he’s our kind of nerd. https://allevents.in
Second Sunday- Downtown Montgomery
2:00 PM - 4:00 PM, Be.YOU.tiful on Wheels, 22 Dexter Ave Celebrate Second Sundays with all of your favorite small businesses!! Enjoy tasty treats, local vendors, live music, in-store specials, and catching up with friends! There’s no better place for connecting with our BeYOUtiful community! https://allevents.in
August 16-18
Buckmasters Expo
Montgomery Convention Center The Buckmasters Expo, sponsored by Mountain Dew, returns to Montgomery on Aug. 16-18, 2024. Entry is just a can of food or a $1 donation benefiting the Friendship Mission and Salvation Army. With 300+ vendor booths, entertainment, and activities like the Bulls & Buckmasters bull riding show, it’s a family-friendly event. https://buckmasters.com/resources/expo

Friday, August 16
River Region Lobster Fest Church of the Ascension, 315 Clanton Avenue Montgomery, AL 36104 Lobster Fest is back for our 6th year! Join us for good food and great fellowship! You have a choice to eat your meal by dining-in or choose to pick it up live or cooked! Along with your lobster, you will get sides, dessert, bread, butter and lemons. Dine-in also includes a 30-minute reception before the dinner. Proceeds benefit our outreach missions including Ascension Day School and Respite Ministry. https://riverregionlobsterfest.org/
Story Time- Pigs
10:00 AM El Lowder Regional Library, 2590 Bell Road We will read Party Pigs by Eric Seltzer. Come party with a family of pigs! They do all sorts of fun activities! We will also read Pignic by Matt Phelan. Join a family of pigs for their picnic as they have fun with the world around them. Will they be able to make it a perfect day? We will also have an activity. www.mccpl.lib.al.us/Pages/Index/20283/event-calendars
Grown Up Book Fair
7:00 PM - 9:30 PM, 1629 Upper Kingston Road, Prattville AL Second hand book sale, complimentary cocktails, mocktails, and make your own book mark bar, and make your own bouquet bar, candles, sourdough bread, food from the Sweet Hook Up, Fizz Co drinks, & Trucker Hat Bar! Proceeds go to our local food pantry! Will be accepting non perishable food items and
are accepting book donations of ANY kind for drop off at our millbrook location!

Gigantic Flea Market
6:00 AM - 12:00 PM, Doster Community Center, 424 S. Northington Street
Prattville, AL As they say, one man’s trash is another man’s treasure. There are 31 booths to shop from with lots of used and good items. No businesses such as Scentsy, Avon, or Tupperware, there must be household items in your booth. Limited space is available so register today!
Rules:One booth per household. One booth per person. Set-up is the Friday before the sale from 1:00 -7:00 pm. Booth rental: (24) 12×15 booths $15.00 (7) 10×10 booths $10.00
https://prattvilleal.gov/event/gigantic-flea-market-2/2024-08-17/
16th Annual Engineering Day At The Park 10:00 AM - 1:00 PM, Tucker Center, 5280 Vaughn Road E-Day at the Park allows K–12th grade students an opportunity to participate in a number of hands-on S.T.E.M. activities. We hope you can join us for a day of innovation, discovery, and fun! Don’t miss out on this opportunity to inspire the next generation of engineers. https://allevents.in
Library Fest
10:00 AM - 1:00 PM, Juliette Hampton Morgan Library, 245 High Street Celebrate the end of summer with games, prizes, line dancing, food trucks, a mini book sale, library resources, and fun at Montgomery City-County Public Library’s Fest Family Fun Day. Games include: hula hoop contest, basketball, bean bag toss, jenga, cup guessing, and bingo. https://allevents.in/montgomery/libraryfest/200026813144904
5th Annual Tailgate BBQ Cook Off
11:00 AM - 2:00 PM, Midtown Ymca, 3455 Carter Hill Road Food, family, music, and games! Join us for our 5th Annual Tailgate BBQ Cook Off! ?? Better yet, bring your own grill and register to enter the cook off! You can come to eat or come to cook! ???? We will have great food & door prizes! Funds raised go towards Midtown Family YMCA Annual Campaign. https://ymcamontgomery.org/event/5th-annualtailgate-bbq-cook-off/
Wednesday, August 21
Amalie Robert Wine Dinner
6:00 PM - 9:00 PM, TASTE, 5251 Hampstead High Street Indulge in an unforgettable evening at our 7-Course Wine Dinner featuring the owners & winemakers from Amalie Robert! Join us for a culinary journey paired with exclusive wines crafted by experts who will be present to share their passion & expertise. Each course will be meticulously paired to complement the unique flavors of these exceptional wines. Don’t miss this rare opportunity to savor fine cuisine and mingle with the masters behind the bottles! https://allevents.in
Thursday, August 22
Jazz Jams
5:00 PM Montgomery Museum of Fine Arts, One Museum Drive Montgomery, Alabama 36123 In partnership with the City of Montgomery, Alabama, Jazz Jams is back! This free event celebrates Montgomery,
Alabama’s vibrant creative culture, featuring a live band, cash bar, and delicious hors d’oeuvres from Verde. This free, 21+ event features music from local jazz musicians; Music line up coming soon. This event is rain or shine; in the case of inclement weather, activities will be moved indoors.
https://www.montgomeryal.gov/Home/Components/ Calendar/Event/9898/4288
Friday, August 23
Story Time- Cats
10:00 AM El Lowder Regional Library , 2590 Bell Road
We will read Captain Cat and the Pirate Lunch by Emma J. Virjan. Captain Cat sees three yellow birds on her pirate ship. Will the birds join Captain Cat for lunch, or will the birds become her lunch? One brave bird has a plan in this story about misunderstanding and unlikely friendship. We will also read Kitty’s Colorful Day by Ruth Martin and illustrated by Robert McPhillips. Kitty sees so many pretty colors in the world around her and wonders why she is just plain white. We will also have an activity.
https://www.mccpl.lib.al.us/Pages/Index/20283/ event-calendars
Saturday, August 24
River Region Parents Back-to-School Expo
9 am to 12 pm Vaughn Forest Church, 8660 Vaughn Road, Montgomery
Bring the kids and come on out to find helpful resources like after-school activities, education assistance, counseling, sports, and much more! Meet the owners, coaches, and directors of all the services you’re looking for to make this school year the best for your child. Your kiddos will also enjoy inflatables, art stations, characters, and many hands-on activities!
Seventh Annual Hog Days of Summer

The Druids Charity Club is pleased to announce the 7th annual BBQ and Americana Music festival. ‘The Hog Days of Summer’ is a charity event benefiting Hogs for the Cause and other carefully selected local charities. Our best lineup yet will be rocking the shed; spanning blues, rock, soul, country, roots, and other Americana influences. Once again, our patrons can look forward to enjoying BBQ from the River Region’s finest BBQ establishments. Doors: 1:45 PM. BBQ: upon entry. Music: 2:00 PM-9:00 PM. https://www.eventbrite.com
Zoo Volunteer Serve Day
9:00 AM - 4:30 PM, Montgomery Zoo and Mann Wildlife Museum, 2301 Coliseum Parkway We are looking for energetic individuals who want to volunteer in a beautiful and fun place. www.montgomeryzoo.org
FCS Kickoff Classic
2:30 PM Cramton Bowl, 1022 Madison Avenue The North Alabama Lions and Southeast Missouri State Redhawks in the annual FCS Kickoff at the historic Cramton Bowl in Montgomery, Alabama, on Saturday, Aug. 24, to kick off the 2024 college football season. Purchase tickets at https://montgomerykickoffgames.com/fcskickoff/
Heart and Sole Sneaker Gala (Tickets for two: $125) 6:00 PM Embassy Suites, Montgomery A Dining in the Dark Experience. The Sneaker Gala will include a plated Dinner, Cash Bar, Music, Dancing, Silent Auction and so much more. All in benefit of the families and communities we serve. Get those tickets now! 334.270.4100 www.familyguidancecenter.org
Love’s Dilemma Encore
7:00 PM Davis Theatre, 251 Montgomery Street Don’t miss the ENCORE presentation of Jamyla Philyaw’s hit stage play Love’s Dilemma! This is a great girls night, date night, family night!
https://allevents.in/montgomery/loves-dilemmaencore/10000943130236927
Night Ranger- Live in Concert
8:00 PM The Montgomery Performing Arts Center https://www.ticketmaster.com/
Friday, August 30
Story Time- Goodnight
10:00 AM El Lowder Regional Library, 2590 Bell Road We will read Goodnight Moon by Margaret Wise Brown and illustrated by Clement Hurd. We will also have an activity.
https://www.mccpl.lib.al.us/Pages/Index/20283/ event-calendars
The Stolen Faces at Red Bluff Bar
(All ages / FREE SHOW! )
8:00 PM Red Bluff Bar at the Silos The Stolen Faces, Nashville’s tribute to the Grateful Dead, will be returning to Red Bluff Bar in Montgomery, AL on Friday. http://www.thestolenfaces.com/
Sunday, September 1
Boeing Red Tails Classic
6:00 PM Cramton Bowl, 1022 Madison Avenue, Montgomery Join us in showcasing Historically Black Colleges and Universities in honor of the Tuskegee Airmen who fought in World War II. Get tickets and ticket packages at: montgomerykickoffgames.com/redtailsclassic/ticket-info/
September 8-10
2024 Alabama disAbility Conference
Montgomery Marriott Prattville Hotel & Conference Center at Capitol Hill, 2500 Legends Circle Prattville Welcome to the 2024 Alabama Disability Conference! Join us for a day filled with insightful sessions, networking opportunities, and engaging discussions. This in-person event is a fantastic chance to connect with fellow advocates, professionals, and individuals with disabilities. Don’t miss out on this unique opportunity to learn, grow, and make a difference in the disability community. https://www.aldisabilityconference.org

Thursday, September 12
Zoobilation: The Wildest Party in Town
6-10 PM Montgomery Zoo, 2301 Coliseum Parkway
The Montgomery Zoo and Montgomery Area Zoological Society (MAZS) proudly announce the return of THE WILDEST PARTY IN TOWN, Zoobilation. This annual fundraising event will be held at the Montgomery Zoo. Zoobilation is a major, annual fundraising event for the Montgomery Zoo. The night will feature samplings from many of the region’s finest eateries and beverage vendors; soulful, toe-tapping, live entertainment; a digital auction, and a few surprises to make the evening grand and festive. www.montgomeryzoo.com
The Wallflowers
8:00 PM Montgomery Performing Arts Centre, 201 Tallapoosa Street, Montgomery https://mpaconline.org/the-wallflowers/
Saturday, September 14
Montgomery Oyster Festival
3:00 PM to 7:00 PM Old Alabama Town, 301 Columbus Street Montgomery Oyster Festival is one of the River Region’s signature events, produced by Lightning Line and held in the charming environment of Old Alabama Town. This special event benefits the Landmarks Foundation and showcases the best of Alabama’s oyster farmers, featuring local and regional chefs, and live music. 12 tickets for oysters and drinks (1 ticket equals one chef oyster or one raw oyster from farm) (1 ticket equals one beer, 2 tickets equals a cocktail) www.eventbrite.com/e/montgomeryoyster-festival-tickets-946723544607
Sunday, September 15
Randy Travis- The More Life Tour
6:00 PM The Montgomery Performing Arts Centre https://www.ticketmaster.com
Friday, September 20 and
Saturday, September 21
Montgomery Smooth Jazz Festival
Riverwalk Amphitheater, 355 Coosa Street
The Montgomery Smooth Jazz Festival celebrates various music genres with an emphasis on Smooth Jazz and R & B. Now in our 3rd year, The Montgomery Smooth Jazz Festival will provide two days of outstanding performances for national jazz and R & B artists. Our main stage at the Riverfront Amphitheater will feature live performances accentuated with large video screens including a specially designed interactive screen allowing the artists to stylishly operate harmoniously with the music. Tickets at: www.montgomerysmoothjazzfestival.org/
Saturday, September 21
Fall Festival- MMFA
Also September 22, 10 AM to 5 PM Montgomery Museum of Fine Arts, One Museum Drive Fall Festival is a free event that celebrates Montgomery, Alabama’s vibrant creative culture, featuring both local and regional artists from all backgrounds. This free public event features an art market with more than 30 vendors, live music, art demos, food trucks, and tastings with local brewers. The Artist Market is an integral part of Fall Festival; booths feature fine arts and crafts for sale made locally in the River Region. mmfa.org/event/fall-festival-2024/
ANC Honey Festival
9 AM to 2 PM, Alabama Wildlife Federation, 3050 Lanark Road, Millbrook There will be honey for sale, kids activities, live music and much more! Festival Day will also include plant/gardening presentations, specialty vendors, and a Lanark plant sale. NaturePlex General Admission applies for this event ($5/person with a $20 maximum per family) and includes visiting the NaturePlex Discovery Hall, theater and this awesome event. www.alabamawildlife.org/calendar/?id=1080
Friday, September 27
Ballet and the Beast
6PM Montgomery Zoo, 2301 Coliseum Parkway
Experience the mesmerizing artistry of the Montgomery Ballet, alongside the talented dancers from the Montgomery Ballet School and more! montgomeryballet.org
Please check with each venue prior to attending the event to verify the information provided is still accurate and up to date.



RRP: Being raised by a single mom, what did your childhood experience teach you about motherhood?
TH: I learned that motherhood requires resilience, and as a single mother, my mother embodied resilience. She’s a nurse who has always worked hard to provide for her three girls. She instilled in us the value of hard work and perseverance. All her girls now have doctoral degrees and thriving families, and we also give back to our respective communities.
RRP: Wearing many hats, how do you balance motherhood, being a first lady, wife, and your career as a Physical Therapist?
TH: I live by prayer, patience, and planning. I’m the first to wake up and often the last to bed. I ensure everyone prepares for the next day. I’m naturally introverted, so one of my biggest challenges as a pastor’s wife has been coming out of my shell. It has forced me to stretch, and my husband and I are blessed with the most loving congregants on fire for God, which makes it easy. I love the flexibility with my kids. I was recruited to Jackson Hospital eight years ago to start their ICU early mobility program, and it was there that I developed a love for Geriatrics.
RRP: How has being a part of Jack and Jill of America impacted your life as a mom?
TH: Being surrounded by like-minded, professional women in the trenches with you who understand what you are going through has been a perfect match for my life. These women are pillars of support for me and my family. I hope I provide the same support for them.
The organization fosters cultural awareness, civic engagement, health advocacy, educational development, and social programs.
RRP: How do you encourage your children at six and four to pursue their dreams?
TH: I’m blessed to offer them opportunities to explore their interests. My daughter is a competitive swimmer and will tell you she can do anything because she is a Girl Scout. My son says he is going to be a pastor like his dad. He is into all things Lebron James and loves his dirt bike. I also remind them they can do anything through Christ, who strengthens them. (Philippians 4:13)
RRP: How do you maintain a close relationship with your children?
TH: One of our favorite daily things is listening to Forrest Frank (Good Day or God is Good). We listen to one of his songs on YouTube before leaving home or in a carpool. I also create moments for them to talk openly about anything. We often talk about trying their best, being kind, and helping others.
RRP: Do you live by a daily routine, and what does that look like for you and your family?
TH: I start my day with prayer and a spin on my peloton. I get myself ready and then get the kids ready. They eat breakfast and do Kumon before school. Gracie Corner’s Good Morning song is also a car ride staple. It serves as a daily positive affirmation that gets the day started. I usually pick them up from school and daycare and then chauffeur them to an extracurricular activity.
RRP: How do you make time for your spouse and nurture your marriage as a busy mother?
TH: We eat lunch frequently, have occasional date nights, or watch a Netflix series together. In addition to being a pastor, he is an attorney and gets busy at times. Whenever I can help lighten his load, I try to do so.
RRP: What advice would you give to a new mother?
TH: Motherhood is a journey, and no two moms are alike. Taking advice from other moms is fine, but do what works for you and your family. Give yourself grace and know that motherhood will teach you more about yourself than it ever will your kids.
Favorite scent that makes you feel calm? Eucalyptus Favorite holiday that reminds you of childhood? Christmas Summer or winter? Summer
Favorite indulging dessert? Pound Cake
Favorite indoor sport? Basketball
Tonquita Hampton is married to Leon Hampton, Jr. The couple has been married for nine years and have two children: Kori (6) and Leon II (4). They live in the city of Pike Road.






