Eastern Shore Parents VBS Guide Issue (May 2024)

Page 1

The region’s only emergency department for kids just got better.

We’re excited to announce the opening of the new Pediatric Emergency Center at USA Health Children’s & Women’s Hospital. Uniquely designed for patients 18 and under, it is the only facility on the Alabama Gulf Coast dedicated to caring for sick and injured children 24 hours a day, every day. Our board-certified physicians, specially trained pediatric nursing staff, and child life specialists offer the highest level of care available when every second counts.

usahealthsystem.com

1 www.facebook.com/auburnopelika.parents UNIVERSITY HOSPITAL • CHILDREN’S & WOMEN’S HOSPITAL • PROVIDENCE HOSPITAL MITCHELL CANCER INSTITUTE • PHYSICIAN ENTERPRISE
Eastern Shore Parents I May 2024 www.easternshoreparents.com 2
3 www.facebook.com/easternshoreparentsmagazine

JUNE 3 - 7 & JUNE 10 - 14

8:00 AM -3:00 PM

CHOOSE

Grades: Rising 7th-9th DAY CAMP OPTION ONLY DUE TO MAIN CAMPUS RENOVATIONS SCAN HE RE

!

1) Mini-Medical Schoo l

2) Robotics, Rocketry, & Propulsio n

3) Engineerin g

4) Technological Desig n

TO REGISTER AN D LEARN MORE ABOUT THES E EXCITING COURSE OFF E RINGS!!

Eastern Shore Parents I May 2024 www.easternshoreparents.com 4
FROM
OF FOU
ENGAGING STEM TRACKS!
ONE
R
125 5 DAUPHI N S T. • MO BI L E, A L 36604 • 2 5 1.4 4 1.2 100 • WW W.AS MS .N ET • AD MIS S IO N S@A SM S .N ET

May 2024

Self-Care Ideas for Busy Moms

Tips for adding calm to your days.

2024 VBS Guide

Sign your kids up for one (or several) Vacation Bible Schools.

Summer With Teens

Ten ideas to help you bond and savor the summer with your teenager. 52

Finding Purpose in an Empty Nest

Help for moving into life after kids. 58

On The Cover

Ellie Grace Langley (18) is the oldest daughter of Shane and Elisabeth Langley and big sister to Ford (17), Ollie (15), Lois Kate (9), Jules Ann (7), and Charlie (3). She is the granddaughter of Cranford and Jeannie Langley, Jeannie (Jeff) Ingram, and the great granddaughter of Roberta (Cranford) Langley.

Ellie Grace is graduating from Fairhope High School and is excited to attend The University of Mobile in the fall. In her free time she loves spending time with her family, being active outside and attending church activities.

Bush, LSW

5 www.facebook.com/easternshoreparentsmagazine Departments Columns 16 Teacher of the Month 18 School Bits 51 Book Reviews 60 Family Calendar 6 Publisher’s Note Lynn Knighton 8 Meeting Kids Where They Are Works of Wonder Therapy, LLC 14 Kids Health Watch Sponsored by Magnolia Springs Pediatrics 44 Dinner’s Ready Gabriele Jones 64 Tweens,
and Screens Kristi
Teens
Volume 17 Number 1
46
56

Many parents enter the month of May with a range of emotions. Excited is one emotion because we all made it to the finish line of another school year and summer is just around the corner. But, with all the end-of-year activities, awards ceremonies, concerts, and more, May can be stressful. Sure, we started the school year strong but the days, weeks, and months of packing lunches, homework, and the overall routine have worn us down. It is very comical to me that Mother’s Day falls during May because all moms, and dads, know that May is one of the busiest months of the year for parents of school-age children. Everyone tells us to relax and take time for ourselves, but who has time? Whether you can carve out five minutes or five days, I do hope all moms take a little time this month for self-care. If you can, try to find some time every day for yourself. Something I have been doing for a while, that I am finding works for me, is my morning routine. I start the day off stretching right out of bed, with NO screens until after my routine and devotional time. I also wait 90 minutes before drinking my coffee. For me, this sets my body, mind, and spirit up for the day. Waiting 90 minutes for coffee helps me avoid that late afternoon slump. When I still drove my kids to school I carried my devotion in my car and would find time in the grocery parking lot, my driveway, or wherever I was to just sit in my quiet car and have my time. The important thing is to find what works for you. Sarah Yale provides more self-care recommendations in this month’s feature, Self Care for Busy Moms.

If you have a child graduating, you are probably going through a whole range of emotions! Joy, sadness, nostalgia... you name it. We are so proud of our baby birds and excited to see them spread their wings in this next chapter of life, but the reality that they could be moving away soon makes us want to hold tight and spend every moment we can with them. The problem is most teens don’t want Mom and Dad to tag along all day. Fortunately, Rebecca Hastings has some fun ways to grab that quality time in 10 Ways to Enjoy Summer with Your Teen.

Also, for you soon-to-be empty-nesters, Pam Molnar has some helpful information in her feature, Finding Purpose in an Empty Nest. The thought of empty-nesting is terrifying for many parents, but it can also be a great time for moms and dads to reconnect, pick up old hobbies they put aside or even find new ones! As she will show you, an empty nest does not mean an empty life.

Of course, we have a lot for parents of younger kids too! This month you will find our annual Vacation Bible School Guide. You will find information on numerous VBS offerings in the area, so check out all the cool themes and sessions offered and register! If you are looking for family activities to participate in this month, make sure you check out the Family Calendar.

I want to send a big congratulations to the class of 2024! These students have worked very hard to get to this point. Parents, grandparents, and teachers are very proud, and we all wish you well on your next adventure.

To all the moms, I hope you have a wonderful Mother’s Day!

an exciting, diverse, challenging, and significant, role in

Editor

Research Editor

Contributing Writers

Kristi Bush, LSW

Rebecca Hastings

Gabriele Jones

Pam Molnar

Dave Ramsey

Robert L. Rux, M.D. Works of Wonder Therapy, LLC

Sarah T. Yale

Cover

President

Advertising

Ad

Eastern Shore Parents I May 2024 www.easternshoreparents.com 6 lynn@easternshoreparents.com Lynn Publisher’sNote
Publisher Lynn Knighton lynn@easternshoreparents.com
DeAnne Watson deanne@easternshoreparents.com
Lucy Green
Jenn
Photography
Glies Photography www.jenngliesphotography.com
Jason
Watson jason@easternshoreparents.com
Opportunities Lynn Knighton ads@easternshoreparents.com
(251) 929-2099
Scott Davis Eastern Shore Parents magazine is published monthly by KeepSharing, LLC. Mailing address: P.O. Box 374, Montrose, Alabama, 36559. The phone number for voice and fax is (251) 929-2099. Eastern Shore Parents is copyrighted 2024 by KeepSharing LLC. All rights reserved. Reproduction in whole or part without written permission is prohibited. Opinions expressed in Eastern Shore Parents magazine are those of the authors and do not necessarily reflect the view of the owners, nor do they constitute an endorsement of products and services herein.
, is founded on
is
Eastern
Magazine is a
for families and the parenting process. The Eastern Shore’s Foremost Parenting Source Visit us online at www.easternshoreparents.com
Design Tim Welch Web Content Manager
Eastern Shore Parents Magazine
the principle that parenting
our community.
Shore Parents
community advocate

What’s Your Parenting Style? (And Which Style is Best)

Psychologists Baumrind, Maccoby, and Martin used observations and interviews to identify parenting styles. The researchers assessed disciplinary strategies, communication styles, displays of nurture and warmth, and expectations of maturity and control. Their research suggested that parents fall into four main categories of parenting styles: authoritarian, uninvolved, permissive, and authoritative.

Authoritarian parents have high expectations of behavior but often ignore the wants and needs of their children. They tend to punish children for mistakes without taking the time to ensure a full understanding of what was done wrong and how it can be avoided in the future. Baumrind referred to this style as “spare the rod, spoil the child parents.”

The positives of the authoritarian approach are obedience and proficiency. The negatives are that these children are more likely to lie and behave appropriately to avoid punishment. Children

raised by authoritarian parents report lower levels of happiness and competence. Uninvolved parents place few demands on their children and display low desires to respond and communicate minimally. Uninvolved parents meet their children’s basic needs but do not take the time to develop secure attachments. They provide very little guidance, structure, rules, and support to help their children feel safe and secure. Children raised by uninvolved parents struggle to self-regulate their emotions and establish healthy social relationships. They frequently develop symptoms of depression and anxiety.

Children raised by uninvolved parents are the least likely to be successful members of society. Sadly, I have seen a tremendous increase in this style since “smart devices” have become common among families.

Permissive parents tend to demand very little from their children. This style of parenting is often called “gentle parenting” because it focuses on collaboration more than expectation. Permissive parents

Let your smile shine as bright as the summer sun! Your Þrst visit is just a call, text, or click away.

Not looking for regular braces? How about clear braces or aligners?! YouÕve got options!

prioritize fun and a nurturing environment. They have few rules and encourage children to make their own decisions. Children raised by these parents are more likely to be selfsufficient and independent but have weak impulse control and self-regulation skills.

Authoritative parents have clear rules/ expectations and take the time to communicate effectively with their children by answering questions. Authoritative parents prioritize teaching over punishing. They provide warmth, support, and feedback. They set standards by clearly defining and upholding appropriate boundaries. The authoritative parenting style helps children develop strong executive functioning skills.

If you want to be the “best” parent you can be, it is vital to understand your personal parenting strengths and weaknesses. The healthiest of these styles is authoritative. Research has repeatedly shown that children raised by authoritative parents are more likely to be productive members of society. I have learned that the easiest way to ensure you are an authoritative parent is by joining with your children to ensure that they do what you have asked them to do. Simply provide your presence, encouragement, and support until the expectation is met.

If you want to examine your parenting style closer, there is an insightful quiz at https://www.verywellmind.com/parentingstyle-quiz-7562663.

Dr. Beth Long received her education in Counseling Psychology from Chapman University. She is a Licensed Professional Counselor and Board Certified Behavior Analyst. Beth has worked in six unique clinical environments across the country and currently owns Works of Wonder Therapy in Montgomery. Beth utilizes the knowledge from a variety of different disciplines to give her patients the best care possible. To learn more visit www.worksofwondertherapy.com.

Eastern Shore Parents I May 2024 www.easternshoreparents.com 8
by Works of Wonder Therapy www.worksofwondertherapy.com
251.928.9292 www.stricklandorthodontics.com

Newbery Award Winning Author

Coming to Page & Palette

Exciting news for young readers - Newbery Award winner Katherine Applegate is coming to Page & Palette! On Friday, May 10th at 5PM, the beloved author of The One and Only Ivan series will sign and discuss THE ONE AND ONLY FAMILY, a delightful, unforgettable final foray into the world of Ivan, the world’s favorite silverback. This is a ticketed event - one purchase of THE ONE AND ONLY FAMILY per family is required for admittance. To purchase, call 251-928-5295 or stop by Page & Palette, 32 South Section Street, Fairhope, AL 36532.

13th Annual Children’s Cup Regatta

The annual Children’s Cup Regatta, a family-friendly event supporting patients from the Alabama Gulf Coast who receive care at Children’s of Alabama, is set to unfold on Saturday, June 8, 2024, at the Fairhope Yacht Club, at 1010 Volanta Avenue.

In honor of Katie Hamlin of Fairhope, the “Katie’s Cup Youth Regatta” provides young sailors an opportunity to participate. Katie’s journey began when she was diagnosed with a possible staph infection in May 2009. After falling sick a few weeks later, she was induced into a coma and put on a ventilator. Following a diagnosis of acute respiratory distress syndrome, she was transferred to Children’s of Alabama. After seven months of treatment, Katie was able to return home and is now a walking, talking miracle.

As a family-friendly event, the Regatta invites guests to immerse themselves in an array of activities for all ages. Goers can anticipate exciting races, with admission being free of charge starting at noon. Throughout the afternoon, a variety of engaging activities await, including bidding on silent auction items, enjoying the kids’ activity area, and live music.

Participation from out-of-town sailors and non-yacht club members is welcome. Boats can be parked at Fairhope Yacht Club overnight. The entry fee for Portsmouth, Rhodes 19, and Catalina 22 is $50 per boat. The Youth Class entry fee is $25 per boat. All entry fees are tax deductible.

The event extends an invitation to Children’s of Alabama patients and their families, offering them an opportunity to witness the sailing action up close. A few boats will be available to take former patients out to watch the sailing action up close. For more information or to register online, visit childrensal.org/ foundation or call Kerrie Benson at (251) 610-4969. Event updates will be posted regularly to facebook.com/ChildrensCupRegatta. Day-of registration is available from 8-10:30 a.m. at the Fairhope Yacht Club.

Feeding the Gulf Coast Annual Chef Challenge

The 24th Annual Chef Challenge, sponsored by MCG Workforce Solutions, will take place on Thursday, May 16, 2024, at the Mobile Convention Center from 6-9 p.m. Chef Challenge is Feeding the Gulf Coast’s annual fundraiser that brings together some of our area’s most celebrated chefs

Eastern Shore Parents I May 2024

Fairhope Rotary Steak Cook-off

Since 2005, The Fairhope Rotary Steak Cook-off has brought to Fairhope a unique combination of searing Western BBQ-style steaks, Mardi Gras Carnival atmosphere and a chance to “see and be seen” at one of the most fun annual events hosted on the Eastern Shore. A whole year’s worth of planning comes together each May when teams of both professional chefs and local luminaries test their epicurean grilling skills on fine steaks. The event kicks off on Saturday evening when the gracious merchants along South Bancroft Street between the campus of Coastal Alabama Community College and adjacent to Fairhope’s French Quarter shutter their stores and relinquish the street to every manner of woodand charcoal-fired grills, from custom BBQ trailers to Texas

Eastern Shore Art Center Presents 6th Annual “White Linen Night”

Ssavvy savvy mom

kids

New consignors welcome! amazing volunteer perks!

s core the brands you score

at super low prices you can’t afford to miss!

CONSIGNOR,VOLUNTEER, & SHOPPING INFO: savvy savvy mom sale sale .com .com

The galleries of Eastern Shore Art Center will be transformed for its White Linen Night 2024 fundraising gala on Thursday, May 16! Dress in your favorite white attire or get a little beachy this year and dance the night away to the surf stylings of Mr. Big and Rhythm Sisters. Amidst both silent and live art auctions, the evening will spotlight exceptional coastal cuisine from several of your favorite local restaurants. Tickets include an open bar featuring hand-selected wines and a signature margarita by The Grand Hotel Golf Resort and Spa.

“This event is one of our largest fundraisers of the year, generating funds that help us reach our mission and expand our programming,” says Marketing Director Adrienne Clow. “We are so grateful to our attendees and sponsors that support the arts along the Eastern Shore.” Can’t make the event, but still want to support ESAC? Online bidding for the Silent Auction is open to the public and now available! Winners will be selected the night of the event. Create a free account and place your

The event will be held Thursday, May 16, 2024 @ 7-10pm at Eastern Shore Art Center (401 Oak St. Fairhope, AL 36532). Tickets are on Sale

Now: $125 per person (includes food and open bar). Limited tickets available. Order online at www.event.gives/wln2024. You may also call (251) 928-2228 or pick up at the Art Center Tues-Fri 10am-4pm or Sat 10am-6pm. Photo credit: Stephen Savage Photography

www.facebook.com/easternshoreparentsmagazine
R
R umme'r
sale sale kids sale
R
'' '

Prodisee Pantry Invites You to Fill the Plate

“Filling the Plate of the hungry with healthy food and filling their hearts with hope is not only our passion but our mission!” According to Prodisee Pantry’s Executive Director, Deann Servos, Baldwin County families have visited Prodisee Pantry 210,635 times since 2003 seeking assistance with the most basic of needs: food and hope! “Prodisee Pantry’s volunteers distributed 660 tons of food, but we are so much more than a box of groceries. We listen, encourage and connect families with other services that can lift them from poverty to self-sufficiency,” says Servos.

Red plates are starting to pop up all across the county at banks, churches, businesses, small groups, civic clubs, etc. Each plate has a value of about $100. One nickel, one dollar, ten dollars or one hundred dollars at a time, the community will FILL THE PLATE of our neighbors in need. “We are asking the community to donate what they can when they see the red plates. It’s simple to give, just scan the QR code on the plate or drop at donation in the collection jar. For so many, healthy fresh fruits and vegetables are a luxury... but for pennies on the dollar Prodisee Pantry can provide a family with these nutritious options from local farmers,” Servos says.

The image of who is HUNGRY in most people’s minds isn’t who Prodisee Pantry sees. Over two decades, our volunteers often recognize themselves in the faces of the 531,000 individuals who have eaten food provided by Prodisee Pantry. The hungry include the elderly woman sitting next to you at church, the single mom with two kids at the grocery store buying milk, your neighbor, or a co-worker. 10,489 family visits in 2023. They are struggling financially due to job loss or low wages, medical expenses, natural disasters and other crises.

It costs just $40 to provide a family with 100 plus pounds of groceries. But, Prodisee Pantry is more than just a box of groceries to these families. Each family receives fresh produce, meats, bread, staple grocery items and onsite access to dozens of other supportive programs. Our caring volunteers can plug a family into onsite representatives for free legal services, SNAP (food stamps), counseling, employers, budget help, medical & dental assistance, job readiness classes and so much more. We love hearing families say “I came for food, but left with... a job... a voucher for clothes for my kids... housing help and more! FOOD, CONNECTIONS and HOPE HAPPEN at Prodisee Pantry! For more information, to donate or to volunteer visit prodiseepantry.org.

Eastern Shore Parents www.easternshoreparents.com 12

Ballin’ on Belrose

68 Ventures and the Cox Family Foundation will once again host the third annual Ballin’ on Belrose event in Olde Towne Daphne on Saturday, May 18, 2024.

Registration opens at 7 a.m., and the race begins at 8 a.m. at Belrose Park on Belrose Avenue in Daphne. Ballin’ on Belrose will benefit the Baller Dream Foundation. The Baller Dream Foundation team works to help local brave young warriors and their families impacted by cancer by offering events to help raise their spirits and celebrate their lives. We are going even bigger this year by donating an additional $10,000 to a Baldwin-County based nonprofit. The nonprofit with the most completed laps up the hill will win the prize.

Ballin’ on Belrose is a walk/run event inspired by the 29029 Everesting Challenge but adapted for our local community. It involves a race up Belrose Avenue and culminates in a street party at the top of the hill with refreshments, music, a kids’ area and camaraderie. Thanks to the support of the City of Daphne, Belrose Avenue will be blocked off from 7:00 a.m. to Noon on the day of the event to allow participants to complete the challenge safely.

To accept the challenge and race to be the first to finish or join in the fun for just a few climbs, sign up for only $25 per racer at ballinonbelrose.com. To sponsor this event, visit ballinonbelrose.com. Sponsorships are available on many levels, or you may donate any value at the above site.

Huntington Learning Center’s Beth Dotson, Awarded IFA Franchisee of the Year

The International Franchise Association (IFA named Beth Dotson, owner of Huntington Learning Center in Daphne, AL, as a 2023 Franchisee of the Year. Dotson was honored at the 64th IFA Annual Convention in Phoenix, Ariz., for being an outstanding franchise establishment owner-operator.

“Franchisees of the Year exemplify what franchising is all about –providing opportunity, serving others, and fulfilling the American Dream,” said Matthew Haller, President and CEO of the International Franchise Association. “We are proud to recognize Beth with the highest honor IFA awards to individual franchisees, and I have no doubt her work is changing lives and making a lasting community impact.” Individuals are selected for their involvement in their communities, embodying the entrepreneurial spirit, fostering a strong and healthy culture with their workforce, and assisting their fellow franchisees when called upon.

Beth Dotson is the proud owner of the Huntington Learning Center located in Daphne, Alabama, where she has been dedicated to providing exceptional educational services since 2007. Recently, Beth expanded her commitment to educational excellence by acquiring the Montgomery location of Huntington Learning Center.

When people with extraordinary talent and passion are given the technology, the facilities, and the support, they achieve great things. The discoveries taking place today will help shape the future of treatments and lead to cures – benefitting not only our patients and families, but people across the country and around the world for years to come.

www.facebook.com/easternshoreparentsmagazine
happens Amazing ChildrensAL org 1600 7TH AVENUE SOUTH • BIRMINGHAM, AL 35233 205-638-9100 Brand_AMAZING_Montgomery-Parent_7.5x4.8-PROD.indd 1 11/28/22 2:34 PM

KidsHealthWatch

Sponsored by Magnolia Springs Pediatrics

Summer, Sunscreen and Bugspray

Summer is almost here! It’s time for swimming, boating, fishing, and playing outside! Of course, we still need to use common sense and social distancing when it’s appropriate. When I think back to my childhood growing up in Mobile, I often think about those long summer days, playing without a care in the world, and wonder if I ever thought to put on sunscreen or bug spray. I’m pretty sure I didn’t. But times have changed, and we have to protect our children better. It’s estimated that before the age of 18, we have almost 80% of our lifetime sun exposure. This exposure puts us at a significantly increased risk of not only sunburn but skin cancer as well. Let’s talk about some ways to protect your child.

For infants less than six months old, dress them in lightweight long pants and shirts with a brimmed hat, even if the sun exposure is thought to be short. I can think of plenty of times when my family’s short trips to town end up as half-day marathons and long times out in the sun. It’s OK to use sunscreen on infants in exposed areas as long as you avoid the palms of the hands (ingestion risk) and use an SPF 30 or greater.

The times when you are most likely to feel the sun’s damaging effects are 10AM4PM, and that is of course the time when kids play outside. So avoid that time when you can, but if they go out, apply at least SPF 30 waterproof sunscreen every 2 hours, especially after swimming or hard play. Hats and sunglasses are a good idea as well and keep those kids hydrated! Remember, our children learn and mimic what we as parents do, so put on sunscreen yourself and be a good role model.

Finally, remember that a higher SPF doesn’t always mean better protection. All sunscreen needs to be applied frequently!

Another question I frequently get from parents is about bugs and bug spray. The biggest concern today, in addition to bites and itching, is the transmission of disease. While rare, these illnesses can affect people of all ages, especially children. One of the best ways to prevent bug exposure is to limit their growth, so check your property for any standing water and dump it out. And try to avoid exposure in the evenings when the bugs come out.

When it comes to bug sprays, I get a lot of questions about DEET vs. natural

products for protection. While low amounts of DEET are safe for your infant and child, some people prefer to use other products. Remember, just because a product is “natural” doesn’t mean it can’t be toxic, especially if ingested. When compared head to head, most of the natural products were inferior to those containing DEET, especially in length of effectiveness. So, whatever product you choose to use, follow the directions and use only what you need. For the most part, the higher the DEET concentration, the longer it lasts. For example, a concentration of 4-5% will last around 90 minutes. Most of the natural products last only 10-20 minutes, so reapply as needed and avoid exposure if possible. Also, don’t use combo bug repellent and sunscreen products because the bug repellent tends to lower the SPF.

Enjoy the weather here in Baldwin County, but enjoy it safely. Please refer to cdc. gov and aap.org for further resources, and talk to your child’s doctor if you have questions.

Robert L. Rux, M.D. is a Board Certified Pediatrician at Magnolia Springs Pediatrics. Originally from Mobile, he attended medical school at The University of Alabama School of Medicine (UAB) and completed residency at The Children’s Hospital of Alabama (UAB).

Eastern Shore Parents I May 2024 www.easternshoreparents.com 14
15 www.facebook.com/easternshoreparentsmagazine

Sponsored by:

Brittany Luckie

Fairhope East Elementary School

For the past eight years, Mrs. Brittany Luckie has had the honor and privilege of teaching the “Luckie Few,” a K-6th Self-Contained Special Needs Classroom at Fairhope East Elementary.

“I teach special education because I like to watch my students learn and succeed when others think they can’t,” said Mrs. Luckie. “My students have so much more to offer the world than just a possible disability.”

In high school, Mrs. Luckie volunteered in a special needs classroom. It was then that she realized her calling was to teach Special Education. She attended the University of South Alabama and graduated with a Bachelor’s Degree in Speech and Hearing Sciences and a Master’s Degree in Special Education K-12.

“The way special needs children’s brains worked intrigued me,” she shared. “I knew that teaching students with special needs was a privilege and a blessing, and I couldn’t wait to be a part of something bigger.”

Mrs. Luckie’s classroom is unique because she is the only teacher for her students from K-6th grade. She becomes one of the most important individuals in their lives, outside of their caretakers at home. She also has the assistance of two amazing paraprofessionals each year!

Each year, Mrs. Luckie writes a plan for each student to meet them where they are. She teaches

her students in small group settings throughout the day based on their specific needs. She stays in constant communication with their parents and holds annual meetings to discuss each child’s specific goals, needs, and successes.

“I recognize the potential in every student, and I have high expectations of them because I know they are capable of reaching big goals,” shared Mrs. Luckie. “I make sure each student gets their lessons taught in a way that engages them and fits their specific needs and skills. I always try to make things fun and enjoyable for them. If they enjoy what they are doing and are constantly reminded how smart they are, they want to work harder!”

This incredible teacher has one desire - that by sixth grade, each of her students leave her classroom knowing they are capable of doing anything they set their minds to. That they are smarter than most people realize and perfect just the way they are.

Mrs. Luckie shares, “There is nothing quite like seeing a child accomplish a goal today that they could not reach yesterday. Every student is a success story. You just need to be willing to be patient and find that success.”

Brittany Luckie and her husband Cory have been married for 10 years. They have two handsome sons - Crosby (8) and Chandler (5). She enjoys reading in her free time, watching her boys play sports and visiting the hunting camp.

Bayside Students Participate in Model UN

A special congratulations goes out to 15 of our Bayside Academy Admirals who participated in St. Michael Catholic High School’s Fourth Annual Spring Model UN Simulation held on Saturday, March 16, 2024.

Eighth graders Hugh Ashurst, Savannah Cochran, Bax Fargason, Holden Gray, Cutler Grice, Petro Benassi Monegatto, and Austin Pete Williams served on the Special Political (SPECPOL) Committee with the topic of addressing Outer Space Colonization and Conquest of Mars. Seventh grader Arya Amin joined 8th graders Lila Clark, Mary Campbell Elmore, Caroline Ernest, Allison Hagan, Anna Heiser, and Penny Hood, along with freshman Amelia Hicks, on the Social Humanitarian (SOCHUM) Committee with the topic of addressing cultural diversity.

Over 100 high school and middle school students

from 14 schools took part in this conference. All of our delegates represented the Bayside Academy’s student talent very well. Advisor Elizabeth Mulligan was proud of their dedicated effort in preparation for and in engagement during the Model UN conference. In addition, Amelia Hicks was recognized during the closing ceremony and received an Honorable Mention award for her position paper and an Honorable Mention Best Delegate! In the past four years, Bayside Academy delegates have won an impressive six awards at the Spring Cardinal Model UN Conferences.

Picture 1: Front row left to right: Mary Campbell Elmore, Arya Amin, Penny Hood, and Amelia Hicks. Back row left to right: Caroline Ernest, Allison Hagan, Lila Clark, Anna Heiser, and Mrs. Elizabeth Mulligan.

Picture 2: Front row left to right: Austin Pete Williams, Savannah Cochran, Holden Gray, and Mrs. Elizabeth Mulligan. Back row left to right: Pedro Benassi Monegatto, Cutler Grice, Bax Fargason, and Hugh Ashurst.

Exploring the Skies of Knowledge at Christ the King Catholic

CTKCS third graders soared through history at the National Naval Aviation Museum. They explored over 150 restored aircraft, dove into immersive films, and even hopped into the cockpit for an unforgettable experience!

Central Baldwin Middle’s Employee of the Month

Congratulations to the Central Baldwin Middle School March Employee of the Month, Tressa Wimpee, for her outstanding work as Cafeteria Manager! She consistently goes above and beyond in ensuring that students and staff are well taken care of every day!

Spanish Fort High’s Talent Show

Spanish Fort High School’s annual talent show featured some awesome performances! Congrats to the winners: Chase Riley, Gary Simmons, and Josh Summers won 1st 2nd and 3rd place, respectively.

Eastern Shore Parents 18

Bayshore Christian School

Spring Formal

BCS Upper School students enjoyed a spectacular evening dancing under the stars at the annual Spring Formal event! The night was brimming with laughter and camaraderie, creating unforgettable memories for all.

Christ the King Catholic NJHS

Congratulations to your newly inducted 7th and 8th-grade NJHS at CTKCS! These students are committed to scholarship, leadership, service, character, and citizenship.

Fairhope West Elementary’s Teacher of the Year!

Congratulations to Fairhope West Elementary School’s Teacher of the Year, Haley Norris! There was a special night of celebrating sponsored by the Baldwin County Coalition. Fairhope West Elementary is so proud of you Mrs. Norris! Thank you for being amazing, loving, nurturing, encouraging, and teaching such

19 www.facebook.com/easternshoreparentsmagazine
WE HOPE YOU HAD A GREAT YEAR! REGISTERING NOW FOR 30 MONTHS - 1ST GRADE stjamesfairhope.school 860 N. Section St • Fairhope, AL 36532 251.928.2912 LEARN MORE & SCHEDULE A TOUR We’re open for tours throughout the summer months.

Fairhope High Students Receive Scholarship

The American Legion Auxiliary Post 199 has chosen Reese Adams and Alysa Shamo from Fairhope High School to receive full scholarship to Alabama Girls State this summer. Girls State will take place on the campus of Troy University in June and is a unique experience designed to develop a love for our state and country.

Foley Middle Student Places at Alabama

Beef Cook-Off

Foley Middle School’s own Ainslee

Parr represented Foley Middle and FCCLA well at the Alabama Beef CookOff in Hoover, Alabama. Ainslee took second place at the state level. We are so proud of you!

Daphne East Amazing Teacher

Congratulations to Daphne East Elementary School’s Mrs. Roberson! Mrs. Roberson was recognized at the Baldwin County Teacher of the Year banquet. Daphne East Elementary is

Eastern Shore Parents I May 2024 www.easternshoreparents.com 20

St. Michael Catholic High Presents “Cinderella”

The Drama Club at St. Michael put on a wonderful musical performance of “Cinderella” on April 12th and 13th, the first theatrical performance in the school’s history. Bravo Cardinals!

Belforest Elementary Students Spend a Day at the Farm

First graders of Belforest Elementary School spent the day at Linda’s Learning Farm! The students expanded their study of animals and their offspring, by having hands-on experiences including looking for similarities and differences among the animals and learning how the animals have behaviors that help them survive. A hayride, black-eyed pea planting, popsicles, playground time, and a picnic lunch were also enjoyed!

Stonebridge Elementary’s Teacher of the Year

Congratulations to Megan Wolter for being recognized as Stonebridge Elementary School’s Teacher of the Year!

21 www.facebook.com/easternshoreparentsmagazine

Eclipse Party at J. Larry Newton

How do you organize a solar eclipse party? You planet!

The 2nd graders at J. Larry Newton Elementary School enjoyed celebrating Space Day! They learned so much about the solar eclipse, worked on space phonics, took pictures with their favorite admin astronaut, and took pictures in their special space photo booth!

Spanish Fort Middle’s Teacher of the Year

Spanish Fort Middle School is so proud of Mrs. Monica Shaner who represented Spanish Fort Middle in the Baldwin County Teacher of the Year Banquet! Lots of amazing educators all being recognized for their hard work and efforts inside and outside the classroom.

Foley Elementary Students Receive Letters from Germany

Foley Elementary School students in Mrs. Storey and Ms. Franklin’s classes were excited to receive their pen pal letters from students in Foley’s Sister City, Hennef, Germany. Students have gained an appreciation for other languages, cultures, and countries, while improving their writing skills!

Eastern Shore Parents I May 2024 www.easternshoreparents.com 22

Daphne High Student Wins Big!

Congrats to Daphne High School student

Morgan Hewes! She won 1st Place

Intermediate

Open X Strut, 2nd place Show

Twirl, 3rd place

Intermediate

Open Solo and 3rd place overall

Intermediate Pageant. Daphne High School is so proud of her passion for the sport of baton twirling!

Robertsdale NJROTC

Cadet Aims High

Robertsdale HS NJROTC Cadet Haley Wheeles competed this week in the Junior Olympic Rifle Championship at the Olympic Training Center in Colorado Springs, CO. Overall, 178 athletes came from around the nation to compete in either the Under 21, Under 18, or Under 15 categories.

Cadet Wheeles competed in the Under 18 category which included 93 shooters. The match took place over two days and Cadet Wheeles’ total was only 63.1 points less than the Junior Olympics National Champion, shooting 95% as many points as the national champion who has been shooting longer. As a result, Cadet Wheeles has drawn early interest from shooting coaches of several universities.

Noteworthy is that Cadet Wheeles practiced just once before qualifying at the state match and this week’s match is just her second 60-shot standing match ever! In addition to being a great shooter, she carries a 4.00 GPA as a junior at Elberta HS and is a Company Commander within the Robertsdale HS NJROTC program, a Leadership Academy graduate, an Alabama Girls State nominee, the Vice President of the EHS FFA, a varsity athlete, and a leader in community service. She serves as just another example of the great students involved in RHS NJROTC.

23 www.facebook.com/easternshoreparentsmagazine
CAMP CARDINAL 2024 VOLLEYBALL ADULTING 101 FOOTBALL ART ESSAY WRITING SPEED & ATHLETICISM THEATER SOCCER SCIENCE & NATURE PLUS MANY MORE! Camp Cardinal 2024 at St. Michael Catholic High School offers exciting opportunities for students aged 7 to 16 to explore athletics and academics this summer. Monday - Thursday Morning Sessions: 9 AM to 12 PM Afternoon Session: 12:30 PM to 3:30 PM The cost of each camp is $150. campcardinal@stmichaelchs.org www.stmichaelchs.org/camp-cardinal-2024

Central Christian School

Eclipse Party at Renaissance School

Renaissance School’s amazing Science Teacher, Mrs. Jenny built a sun and moon to scale and demonstrated the eclipse. Students also enjoyed their special eclipse glasses.

Eastern Shore Parents I May 2024 www.easternshoreparents.com 24 Send School News and Photos to: lynn@easternshoreparents.com!
Visits the State Capitol

St. Michael Catholic Student Presented with Prestigious Scholarship

Congratulations to St. Michael senior Samir Crooker, who was presented the Bryant-Jordan Scholarship Program’s newest scholarship, the W. Edgar Welden Service Award, at the Scholarship Banquet held on Monday, April 15tth in Birmingham. This $5,000 scholarship is also a prestigious honor!

Renaissance Student

Competes at State Level

Renaissance student, Anderson Sparks

Foley High Student Wins Athlete Award

Foley High School student, Kolton Nero, is the 7A winner of the Bryant Jordan Student-Athlete Achievement Award! Way to go, Kolton!

Daphne Elementary School Shines at Special Olympics

Daphne Elementary School students rocked it at the Special

Spanish Fort Middle Showcase Night

Spanish Fort Middle School held their very first Showcase Night highlighting many of the elective classes. The Spanish Fort Middle students are so talented and creative! They did an amazing job showcasing their hard work. Spanish Fort Middle would like to recognize their teachers who helped make this event such a success.

Mrs. Caylen Stewart - Choir Director

Ms. Natalie Hughes - Band Director

Ms. Heather Hall - Theatre Director

Mrs. Kristina D”Aquisto - Art Teacher

Ms. Michelle Sikes - Spanish Teacher

Ms. Linda Grant - Creative Writing Teacher

Mrs. Paige Wilson - Curriculum Leader

Bayshore Christian School Experiences Solar Eclipse

BCS Upper School students didn’t let a little cloud cover ruin their solar eclipse experience! Students were thrilled to witness the eclipse and made the most of this remarkable event last month!

Foley High Choir Goes to Tallahassee

Congratulations to the Foley High School Choir students who traveled to Tallahassee to participate in the Alabama Vocal Association Solo & Ensemble Festival. They had three groups receive Excellent ratings and for the first time, they had three soloists participating.

Landon BrowderExcellent rating

Lillian BenderSuperior rating

Leo PerezSuperior rating

J. Larry Newton Medieval Day

The 6th grade GEP students at J. Larry Newton Elementary School have been studying the Medieval Era. Students finished their unit with a fun “faire” where they played Bocci ball and practiced their archery and jousting skills. Sir Clay of Newton made a guest appearance and was dubbed a knight.

Eastern Shore Parents I May 2024 www.easternshoreparents.com 26

Robertsdale Elementary Music Glow Party

Mrs. Ryan’s class at Robertsdale Elementary School had an awesome day at a Music Glow Party! Pasta or Composer was a hit! They matched music symbols, composed music, played symbol skeet ball, and played Music Choice Boards!

Robertsdale Inducts New Honor

Society Members

Congratulations to the newest members of the Robertsdale Elementary School National Elementary Honor Society!

2024 Fairhope High School NHS Inductions

Fairhope High School inducted 188 new members into the National Honor Society today! Fairhope is so proud of all of these scholars!

veterinarian care to animals in need.

27 www.facebook.com/easternshoreparentsmagazine

Spanish Fort Elementary Visited by Miss Alabama Teen USA

Former Spanish Fort Elementary School student Kensey Collins, the reigning Miss Alabama Teen USA, spent a morning speaking and reading to Spanish Fort Elementary first and second graders. She encouraged them to “fill each other’s bucket” with kindness. She even shared her crown a little! Spanish Fort Elementary School is so thankful for the bright light she is in the state and Spanish Fort community!

Foley Elementary Students Publish Their Hopes and Dreams

Mrs. Siler’s Sixth Graders of Foley Elementary School have just received their published class book, and the excitement is contagious! Each student poured their heart and soul into crafting a unique page, writing heartfelt letters to their future selves and illustrating their dreams. Today, these sprouting authors and illustrators proudly hold their published work in their hands, a testament to their creativity and dedication!

Eastern Shore Parents I May 2024 www.easternshoreparents.com 28
Save Time and Money and Get the Prescriptions You Need Take advantage of our IN-HOUSE PHARMACY We will ship right to your home. Sildenafil (Viagra) • Tadalafil (Cialis) • Tamsulosin (Flomax) *Locations vary Contact Us Today: 251-433-1895 • uampa.com

Bay Minette Elementary Teacher of the Year

Congratulations to Bay Minette Elementary School’s Teacher of the Year, Winifred Riley! She was honored, along with many of the greats, at the Baldwin County Teacher of the Year dinner in Pointe Clear.

Ordo Amoris Classical Studies Ancient Greece

Ordo Amoris

Classical Academy students wrapped up their study of Ancient Greece with a schoolwide Greek Olympics Day! Our upper schoolers led the teams of Athens, Sparta, Thebes, and Macedon in games such as javelin throwing, archery, discus, arm wrestling, relay races, and a host of other activities. This was the perfect way to bring ancient history alive to our students!

Book Character Parade at Daphne Elementary

The students and teachers at Daphne Elementary School dressed up as their favorite book characters for the Book Character Parade to celebrate Read Across America Week! What a fun day!

29 www.facebook.com/easternshoreparentsmagazine

Baldwin County High Signing Day for Future Teachers

A very special ceremony took place at Baldwin County High School as four seniors have answered the call for a career in education as part of the Future Teachers Signing Day. They include: Molly Caruthers, Jameia Brooks, and Derriana Bishop, who will be attending Coastal Alabama Community College, and Whitney Jernigan who will attend Troy University.

As part of the ceremony, each student shared their college and career plans as well as their motivation to become a teacher. Many cited the desire to make a positive influence on students as their driving force, the impact teachers had made on their own lives, and to help students excel to their full potential.

BCHS teacher Chantelle McPherson serves as an advisor for the Future Teachers of Alabama chapter. She shared with the signees that teaching is a mission that not everyone is called to enter. “Your mission is to educate and inspire the next generation. It is an important mission and it can’t be taken lightly,” she said. “Your mission is more than teaching math, science, reading, English or history. You are teaching life and inspiring your students to fulfill their purpose.” Future Teachers of Alabama is an organization within the Aspiring Educators/Student Division of the Alabama Education Association (AEA). It is for middle and high school students who have expressed an interested in the field of education as a career choice. The purpose of holding the Future Teachers’ Signing Day is to build statewide excitement about reducing the teacher shortage in Alabama and celebrating the seniors who are ready to take on the challenge of educating future students.

The program was implemented at BCHS in 2021. In addition to taking part in job shadowing of educators, the FTA members also take part in various service projects throughout the school year. FTA Advisors at BCHS include Chantelle McPherson, Misty Byrd, Diona Davis and Vickie Locke.

Eastern Shore Parents I May 2024 www.easternshoreparents.com 30 Send School News and Photos to: lynn@easternshoreparents.com!

Christ the King Catholic School

Explores History’s Hidden Treasures

Christ the King Catholic School fourth-grade students journeyed through time at Fort Conde, delved into Mobile’s past at the History Museum, and ignited excitement at the Phoenix Fire Museum on an unforgettable field trip.

Central Christian Students

Learn CPR

Central Christian had CPR instruction day and certification is on the way! These Health class students learned how to perform CPR on children and infants, as well as the Heimlich Maneuver for children and adults. Well done, guys!

Spanish Fort High Students Are Published Authors

Ms. Johnson’s creative writing students at Spanish Fort High School have become published authors. They have written and illustrated their book titled, The

31 www.facebook.com/easternshoreparentsmagazine

Ordo Amoris Classical Academy Welcomes Local Author

On March 12th, Ordo Amoris students were blessed with a presentation from author Eleanor Stewart (pen name D.E. Partridge). Author of the beloved “Dimension Chronicles”, Ms. Stewart shared her story of writing and publishing her novels as a young teenager. While speaking on the process of authorship, she inspired our students to glorify the Lord in their writing.

St. Michael Catholic Regatta Success

Last month, our St Michael sailing team competed in the Wet & Cool High School Regatta held at FYC. There were 11 teams competing from across the Gulf Coast. Nate Hartwell & Fisher Key sailed in Division A and won first place in that division. Graham Rose, Anna Christian Moore and Lucy Hartwell sailed in Division B with a fourth-place finish. Overall, the St Michael Cardinals finished in first place, which is first in St. Michael history!

Eastern Shore Parents I May 2024 www.easternshoreparents.com 32
Mobile and Baldwin County’s Board Certified Allergy Experts coastalallergyasthma.com Call us today to schedule your appointment!

Bayshore Christian School

Cotillion

BCS seventh and eighthgrade students enjoyed a magical evening filled with laughter and dancing at this year’s Logic School Cotillion. Thank you to everyone for making this night so memorable.

Daphne High Students and Teacher of the Month

Congratulations to the Daphne High School

Students and Teacher of the Month!

Freshman Lydia Pruitt Sophomore

Chiyo Culbertson

Junior Cullen Thomas

Senior Zoie Pratt

Biology Teacher

Angela Shaw

Belforest Teacher Receives Grant

Congratulations to Belforest Elementary School’s Math Coach, Ms. White. She won a SEEDS (Supporting Educational Excellence in Daphne Schools) grant which will fund all Kindergarten and First grade students to make their own 100-bead string! With these 100-bead strings, students can relate numbers to the number line, work with a unit of ten, realize the size of numbers compared to other numbers, and so much more! After attending an OGAP Math training, the teachers were able to really see the benefits in a 100-bead string! They learned how to incorporate it into their student’s every day learning experience!

33 www.facebook.com/easternshoreparentsmagazine
Eastern Shore Baptist Church 6847 Park Drive :: Daphne 251-626-5550 ESBC Kid’s Week June 10-14 Register by May 15 to get a FREE T-SHIRT! Completed Kindergarten–6th grade. Register at myesbc.net or scan code:

Robertsdale High at the Baldwin County Championship Meet

Robertsdale High School had a great day in

Silverhill Teachers Participate in Art Advancing Program

As a part of the “Sharing Our He’Arts” program, Silverhill Elementary School faculty

Fairhope West Students

Wins Design Contest

Fairhope West Elementary School’s fifth grade recently took part in a contest to design an anti-litter campaign poster for the City of Fairhope. Mayor Sullivan surprised the winner at Fairhope West Elementary. Congratulations Madolyn Haddan, from Mrs. McPhillip’s class! Madolyn will be recognized at the annual Earth Day Mobile Bay celebration. All of the Fairhope West Elementary School 5th graders signed a pledge to not litter, to educate others about littering and its negative impacts, and to be a role model to others by cleaning up in front of their house. We hope to see all the 5th graders sporting their new t-shirt with Maddie’s design at the Fairhope Pier Park for the City of Fairhope’s Earth Day celebration!

Florence B Mathis Teacher Receives National Board Certification

Florence B Mathis Elementary School is proud to be celebrating their Best of Baldwin teacher Alana Carpenter! She was recognized at the Teacher of the Year Banquet for receiving her National Board Certification! Congratulations, Mrs. Carpenter! Send

School News to: lynn@easternshore parents.com!

Baldwin County High Beta Chi Sigma Wins Battle of the Bay Step Show

The first time proved to be the charm for Beta Chi Sigma. The Baldwin County High School step dance team took part in the 21st annual Battle of the Bay Step Show on Saturday, March 16, and walked away as winners. This marked the team’s first time entering the competition, sponsored by Mobile Kappa League at USA Mitchell Center. Taking top prize on their first try was exhilarating, said sponsor Kayland Lamar. “The girls were beyond excited! We all put so much time and energy into creating a show that we were proud of so the fact that all that hard work paid off was truly amazing,” she said. Beta Chi Sigma is an elite service organization that was established in 2019 on the BCHS campus by Kayland Lamar and Norleisha Lewis. The organization is built on the principles of C.L.A.S.S. (Character, Leadership, Attitude, Sisterhood, and Scholarship). The purpose of Beta Chi Sigma is to promote positive interaction between young ladies who exemplify excellence through leadership, social and cultural awareness, character development, sisterly relations, and academic success. The team performs for pep rallies, sportin g events and other school and community events. The timeline to prepare immediately followed basketball season, which gave us just under six weeks. This was a time crunch,” Lamar said. “The ladies rose to the challenge and practiced 3-5 days a week and on some days sacrificed their lunch period to do run-throughs.” That dedication paid off in a big way. “They worked diligently to produce a concept, create the routine, and fine-tune it. They truly committed themselves to the process and pushed their bodies to the limit.

The sponsor credited team president Derriana Bishop for her leadership and said the team’s greatest advantage was that each member contributed to the show in their own unique way which “brought a personalized flair to the truly unmatched show.” Team members were quick to thank those who have supported them along the way and who had provided additional support heading into the competition, including local businesses, school personnel, and alumni members. Their one-of-a-kind costumes were designed and created by Kennedi Grace, a junior at BCHS and member of the group’s Big Sister, Little Sister Mentoring Program.

THE ONE AND ONLY COMPLETE YOUTH TO SEMI-PRO SOCCER CLUB IN THE AREA

Eastern Shore Parents I May 2024 www.easternshoreparents.com 36
WWW.UNION10FCBALDWINCOUNTY.COM RECREATION LEAGUE COMPETITIVE TRAVEL ADULT 5V5 / 7V7 LEAGUES SPECIAL NEEDS PROGRAM WINTER FUTSAL SUMMER CAMPS HOMESCHOOL PROGRAM VILLAGE PARK TRAINING GROUND

Double State Champions for Bayside Chess

The Bayside Chess Admirals steamrolled their way to state titles in high school and middle school divisions of the Alabama State Scholastic Chess Championships held March 23 in Pike Road, Alabama.

The high school team captured the U1300 rating category title, marking back-to-back championships after winning the U1200 title last year. The format is a combination individual and team event, with the top four scores counting as the team score. The chess Admirals battled players from Hoover High School, Joseph Bruno Montessori Academy (Birmingham), Phillips Preparatory School, and Contemporary Education Academy (Huntsville), among others. Although Bayside’s three-year streak of a player winning the individual title was broken, the team prevailed to take the crown. Team members are Rhett Montgomery, Jacob Stallworth, Boyce Magli, Evan Stafford, and Colt Hancock, all of whom finished in the top ten and took home individual medals.

The middle school team played in the highly competitive U1100 division, featuring 36 players. Bayside dominated teams from Bumpus Middle School (Hoover), Discovery Middle School (Huntsville), Hayden Middle School (Warrior), and Foley, clinching the title after four rounds in the five-round event. Team members are John Stephen Klimjack, Huan Chen, Don Chen, Elias Blossom, Ben Freeman, and Eli Solomon. Klimjack finished with four points out of five and took home a fourth–place medal. Don Chen had 3.5 points and finished ninth. This is the first middle school state championship for Bayside since 2004. Michael Klimjack played in the open section, a two-day event, and took seventh place. With these titles, Bayside Chess now has a total of 14 State Championships, more than any other school in Alabama. Of these, nine are high school, three middle school, one junior varsity, and one elementary. All of them are in the 7A classification, since there are no divisions by school size in chess.

37 www.facebook.com/easternshoreparentsmagazine

Bayside Academy’s Key Club Recognized as Alabama’s Key Club of the Year

Bayside Academy’s Key Club has been named Alabama’s Key Club of the Year. They received the J. Whit King Outstanding Club Award which is awarded to the most outstanding club in the Alabama District of Key Club International. This is a tremendous accomplishment, and we are so proud of our students and their hard work under faculty sponsor Rochelle Tripp.

Additionally, the Bayside Key Club received the Social Media Award for their Instagram page.

On Monday, March 25, Key Club Division 14 Lieutenant Governor Jillian Nichols visited Bayside to officially present the awards to the club officers.

Pictured: Bayside Academy Key Club officers receive official recognition from Key Club International as Alabama’s Key Club of the Year. Pictured are Bayside Key Club officers Colt Hancock, Virginia McCrory, Jack Roussos, Ava Bindon, and Amelia Hicks with Key Club Division 14 Lieutenant Governor Jillian Nichols.

12pm-2pm, and 3pm-5pm

Central Baldwin Middle’s Teacher of the Year

The Baldwin County Schools Teacher of the Year Banquet was a night to remember! Huge congratulations to Mrs. McShane on her well-

Eastern Shore Parents I May 2024 www.easternshoreparents.com 38
Follow us on social for updates! An exciting place for young ones to explore! • Ball Pits • Jumpy House • Role Play Village • Dress Up area • Train & Hot Wheels tables and more! E Celi's Play Cafe Q celis_playcafefairhope k celisplaycafe@gmail.com m 251-209-9986 Birthday Party Packages Monthly Memberships Available Daily Weekly Specials Offered Register for Open Play Sessions at www.celisplaycafe.com Ages 0-5 Years Open Play Spring Hours: 2 hour sessions $15 a child Tuesday
9am-11am,
Coming Soon - Mommy and me classes! 18169 Wright BLVD Fairhope , AL Shops at Point Clear Shopping Center next to Publix 251 209. 9986 Club Pilates Playdates! See website for details
- Saturday:

Renaissance Student Receives Perfect Score

Congratulations to Renaissance School student, Anna Catherine ! She received a perfect score in her Public Speaking dual enrollment course with Coastal Alabama Community College. Her wonderful instructor sent Anna Catherine a beautiful email to congratulate her and acknowledge that she has NEVER awarded such high scores. We are so proud!

Daphne Middle Mural Wins First Place

Daphne Middle School’s annual themed mural won first place this year. The Jimmy Buffett murals were voted on by the 200 vendors that come to Fairhope for the Fairhope Arts and Crafts Festival. During the festival, the murals were displayed in a storefront, and now, for the next year, will be on display at Fairhope Chocolate in Fairhope. There was a recent art reception at Fairhope Chocolate, and all teacher/ student murals were recognized, and the Daphne Middle School art program received $500 for winning first place.

Fairhope East Choir Performs at Festival

The Fairhope East Elementary Choir provided a wonderful acapella performance at the 2024 Fairhope Arts and Crafts Festival. FEES music teacher Mrs. Tierney Moore directed the 4th-6th grade students as they entertained the audience with a variety of songs. The

39 www.facebook.com/easternshoreparentsmagazine
Send School News to: lynn@easternshore parents.com!

Fairhope East Elementary Library Receives Grant from FEEF

The Fairhope East Elementary library was recently awarded a grant for 18 VOX books from the Fairhope Educational Enrichment Foundation (FEEF). VOX books are unique as they are the first books to combine audio and print in one resource. We are thankful to be supported by FEEF!

Spanish Fort Elementary Encourages Reading with Bingo

Mrs. Smith of Spanish Fort Elementary School hosted a reading challenge that ran through the month of March. If a student got five in a row on their reading Bingo board, they could turn it in for a prize. The class concluded the challenge with over 200 boards turned in! That’s incredible! From the bingos, they drew 20 students to receive a book coin. Congratulations to Rhett, Henry, Owen, Mills, Reece, Emmery, Evan, Luke, Hattie, Kyndal, Addison, Riley, Marthabelle, Keegan, Kseniya, Marion, Ellie, and Toni

(Not pictured Adeline and David)

Eastern Shore Parents I May 2024 www.easternshoreparents.com 40

Bayside Academy Congratulates

Winners of Virtual Art Competition of Alabama

The Visual Arts Department of Bayside Academy is proud to announce their students who juried into the 2023–2024 Virtual Art Competition of Alabama (VACA) sponsored by the Alabama Arts Education Association (AAEA). The students with an asterisk beside their names also received awards in the show.

The Virtual Art Competition is a juried student virtual art competition for Grades K–12 sponsored by the AAEA to give students the opportunity to more broadly showcase their art. The show is open to all public and private schools in Alabama, and the selected artwork may be viewed in the VACA online gallery at https://www. myaaea.org/vaca.

Virtual Art Competition of Alabama Winners

1st Grade

*William Bahouth “Continuous Line Me” —

Second Place Ribbon Winner

4th Grade

*Brooks Blackmer “Sea Taker” — Second Place Ribbon Winner

Louis Westbrook “Wanderer”

7th Grade

Lizzie Noble “Pink Tree”

Addy Fribourg “Printed Floral”

Alice Ogburn “Moonlit” 9th Grade

Penny Snell “Mon Papillon” 10th Grade

Garrek Snell “Burning Blue”

Reed Fugard “Dragon” 11th Grade

Luke White “Bauhaus Ball” 12th Grade

Isabelle Rutland “Fattoa Mano”

*Isabelle Rutland “La Pacchiana” — Honorable Mention

*Elizabeth Ernest “Home” —

Second Place Ribbon Winner

Nina Dowhan “Fossilized Fauna”

Mia Bindon “Entangled Materials” We are so proud of these talented students!

Pictured: “Home” by Elizabeth Ernest

www.facebook.com/easternshoreparentsmagazine

Renaissance School Focuses on Future

Renaissance School had a great time visiting Troy University! Preparing for our future is not just our main focus, but it’s also our favorite thing to do!

Bay Minette Elementary Learn Importance of Dental Hygiene

The PreK class at Bay Minette Elementary School had guest speakers recently! Nursing students from the University of South Alabama taught students about the importance of dental hygiene.

After discussing all about “Dental Health”, students were able to demonstrate the correct way to brush their teeth. Students were treated with a goody bag filled with a new toothbrush, toothpaste, dental flosser, etc. Special “Thank You” to the future RN’s, Madison Hastings (former Bay Minette Elementary School student alum), Gillian Langham, Ella Kate Osmer, & Addie Fuller for taking time to come teach our classes all about Dental Hygiene. We also want to congratulate each of the young ladies on their upcoming graduation in May!

Eastern Shore Parents I May 2024 www.easternshoreparents.com 42
to: lynn@easternshoreparents.com! It’s all about Don’t miss out on an award-winning, Christ-centered camp for your daughter this Summer! Susan & Larry Hooks, Owners & Directors Donna Bares, Assistant Director 10years in a row! Best of Parenting WINNER www.riverviewcamp.com 800-882-0722 On Top of Lookout Mountain in Historic Mentone, Alabama • Riding - English, Western, and Jumping • Swimming • Heated Pool • Ropes Course • Climbing Tower • Outdoor Nature Skills • Sports • Soccer • Basketball • Beach Volleyball • Tennis • Canoeing • Golf • Archery • Gymnastics • Cheerleading • Dance • Chorus • Drama • Arts & Crafts • CIT Program • Campfires every night • Optional trips & more! • Tennis • Canoeing REGISTER ONLINE TODAY! Choose from 1- and 2-week Sessions and Mother-Daughter Weekends!
Send School News and Photos
43 www.facebook.com/easternshoreparentsmagazine Bayside Academy is an independent, coeducational, college preparatory day school offering a superior educational opportunity to students in grades PK-12. For details, please visit www.baysideacademy.org or call 251.338.6446. CONGRATULATIONS TO THE CLASS OF 2024

“Growing up, I knew dinner was ready when the smoke alarm went off. My mom was a very honest woman. She never pretended to enjoy cooking, but my two sisters and I never missed a meal,” said Chanté Bias. “My mom simply gave each of us a cookbook, and we would laugh, learn how to cook, and listen to good music! Cooking teaches patience. The dinner table growing up was always a place of peace.”

Chanté is an Empowerment Engineer, also known as a preschool teacher, at Coastal Kids Academy in Daphne, AL. When she isn’t at work, Chanté loves to spend time with her three daughters, Madison, Morgan, and Madalena.

“My three children range in age from seven to 23, so mealtime can get interest ing. We try to establish daily, weekly and monthly family traditions,” Chanté shared. “Each day I set a timer for a chore to be done together and for us to read together before bedtime. Each week, I let my seven-year-old pick a movie or a fun cookie recipe for us. Each month, we try to travel to visit a family member or friend.”

The simple things mean the most to Chanté. In fact, she lives by a quote she heard during a sermon at church that says, ‘The main things are the plain things, and the plain things are the main things.’ She believes that the everyday moments make the biggest difference in our lives if we pay attention to them.

“The recipe I am sharing today is a simple Chicken and Sweet Pepper Quesadilla. I decided to share this particular recipe because my now senior daughter is heading off to college,” shared Chanté. For the last few months, I have been encouraging her to share in mealtime food prep. There are so many dorm-friendly, easy, quick, and minimalistic meals that you can create out of a quesadilla—which is her favorite food at the moment.”

This was also a dish that Chanté remembers eating years ago with her own mom.

“This dish, like all meals, is prepared with love and laughter,” she said. We laugh a lot in our kitchen, but the jokes end when it comes time to wash dishes and clean up!”

Chicken and Sweet Pepper Quesadillas

Ingredients:

• 2 chicken breasts, skinless and boneless, chopped into bite sized pieces

• 4 tbsp avocado oil

• 2 diced sweet peppers

• Shredded cheese (sprinkle your desired amount)

• 4 Large flour tortillas

• 1 tbsp Cajun seasonings

• 1 tbsp garlic powder

• Dash of cayenne pepper

Directions:

1. In a bowl add seasonings to dice chicken.

2. Pour 2 tbsps of avocado oil into a pan on medium-high heat.

3. Add chicken mixture to the pan.

4. After the chicken has sautéed for five minutes, add the chopped sweet peppers and sauté for an additional five minutes.

5. Remove the ingredients from pan.

6. Using the same pan, add 2 tbsp of avocado oil to the pan and add a flour tortilla in the pan and sprinkle with cheese.

7. Add the chicken mixture and fold the tortilla in half and heat on both sides.

8. Remove the quesadilla from pan.

9. Repeat the steps for the remaining chicken and pepper mixture.

10. You may slice and serve with guaca mole or a side salad.

Gabriele has been married to her husband Daniel for 17 years. Together they have three incredible children – two boys, ages 16 and nine, and a sweet girl who will be two in August.

Gabriele is a full-time Sales Director for Mary Kay Cosmetics. When she isn’t spending time with family or building her business, she supports her husband who is the Lead Pastor and Planter of Forward Church in Gulf Shores.

Eastern Shore Parents I May 2024 www.easternshoreparents.com 44

SOMETHING TO SMILE ABOUT

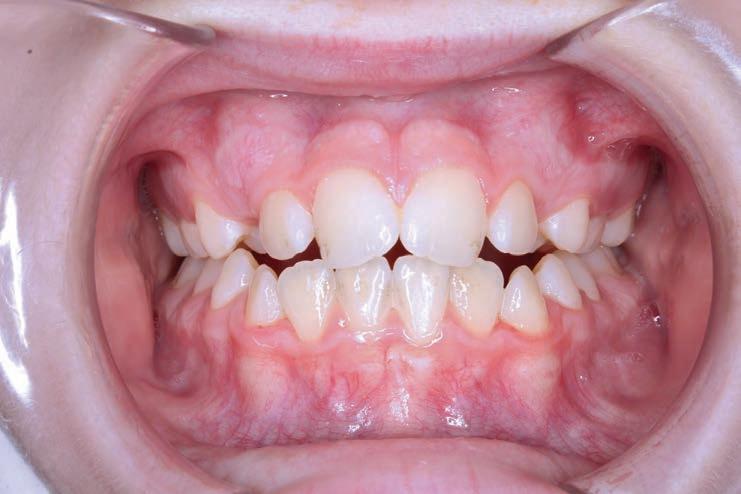
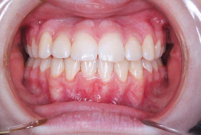
At Glass Orthodontics, you’re more than just another faceyou’re a unique person and our team values that. With one dedicated doctor and a hands-on team, everyone will know your name! Consultations are always complimentary and we offer flexible appointments and interest free payment plans. With four locations to serve you, there is always something to smile about at Glass Orthodontics.

45 www.facebook.com/easternshoreparentsmagazine D AP HN E ATMORE • B AY MIN E TT E • BREWTON 25 1.6 2 6.7 7 70 | GL A SSO R THO.CO M
AFTER BEFORE AFTER

Moms, you are on the job 24 hours a day, 7 days a week. You take care of everyone: the kids, your spouse, the pets, maybe an elderly parent, your home, and you work too. You need to take time-outs to recharge your batteries so overload does not overwhelm you. People work ing in offices take morning and afternoon breaks and a lunch hour. A fifteen-minute break can feel luxurious when you pause to refresh and refocus on yourself.

Toss aside the to-do list in your head for a little while; it can wait. Instead of homework, settle the kids into a coloring project or a PBS program, which might require your help. When you take a few minutes to relax, you will recharge yourself for the rest of the day.

forward to your mommy break, which will help you make it a habit.

Schedule Your Break Time

Take out your planner, or schedule your break on your phone with a reminder. Start with an afternoon break daily, then add the morning break after a few days to get everyone used to the relaxation ritual. Ideally, you should plan to take a mom break in the morning and again in the afternoon at a set time. Start with 15 minutes and work your way up in five-minute increments. You will find yourself looking

from native plantings in your yard.

It is okay if the leaves have fallen off. Put them in a pretty vase right near your mom chair. Or, stop in the flower section at the grocery store and grab an inexpensive bouquet in colors you enjoy. You can put a few drops of your favorite essential oil in the water.

Lavender, vanilla, bergamot (a citrus fruit similar to lemons), rose, and other scented oils can help you feel more relaxed.

Put on Calming Music Without Vocals

Claim a Comfortable Chair

Set up a space near an end table. Claim a chair as your ongoing special mom chair. Tell everyone mom time is at the same time every day. Give them the opportunity to think of a quiet activity they can do to relax and recharge themselves.

Bring Outdoor Beauty Inside

Step outside to grab some branches

Listening to calming music without vocals can help you feel more serene. Put on some earbuds and listen to a luscious piano or violin concerto to complete your sensory ritual.

Make Your Feet Feel Cozy

Buy some cozy, fuzzy, pretty socks for yourself. We are always looking for inexpensive, cool socks for the kids. Think about yourself, too. Something about softness on the feet feels like a spa experience. All that running around and doing

www.facebook.com/easternshoreparentsmagazine

for others tires your feet. Cozy socks send a comforting message to your body and brain. Order online or pick them up at a discount store.

Sip Something Good

Get yourself a new special tea cup at the thrift store or order online as a symbol of your new endeavor to make time for yourself. You can treat yourself to a new flavor of tea. The color, aroma, and taste will refresh you. Slow down, sip away, and savor the flavor.

If tea is not your thing, bubbly water is refreshing, especially with an essence you enjoy, such as pear, raspberry, or mango. Pour it into one of your fancy drinking glasses usually reserved for company. Gaze at the sparkling bubbles in your glass. Inhale and sip away.

Enjoy a Little Tasty Treat

Buy yourself a box of handmade chocolates at the local chocolatier. Most retailers carry sugar-free and gluten-free selections, too. Eat one per day as a reward for all that you do.

If you are not into chocolate, buy some gourmet berries in the organic section of the market. Relax in your chair while you enjoy a few each day.

Peruse the Pages of a Beautiful Magazine

Go to the library to get hard copies of magazines with lots of colorful photos. Turn the pages and enjoy the images; you don’t have to read the articles. Allow yourself to dream or think about whatever you want. This is your time. If a creative idea pops into your head, write it down on a paper notepad before it slips away. You can research it later, not during your break. Place a notepad and pencil on the table next to your special mom chair.

Keep Your Mind Off Concerns

During your break, try to refocus away from important concerns and just enjoy the peace and tranquility. Put your cell phone out of reach and turn off any sound, including vibration, that will distract you from your break.

Make a Commitment

Check your planner to make sure your break for tomorrow is there to remind you. Try not to skip a day or change the time because it might slip away.

Sarah T. Yale is a mom who writes articles about kid’s activities, family fun, wellness, nutrition, hobbies, and nature to inspire and encourage.

Eastern Shore Parents I May 2024 www.easternshoreparents.com 48 ESP
49 www.facebook.com/easternshoreparentsmagazine

How to Know When You Should Offer Advice/Help

Q. I’m worried about my younger brother, and I need some advice. He’s divorced and has a son, and lately, it seems like he only wants to be a dad when it’s convenient. On top of this, he’s very irresponsible with money for someone in their thirties. Our mom and dad passed away several years ago, so I feel like this leaves me to be the big brother and parent at the same time. I’m not sure how to help him. Can you give me some advice, please?

A. You’re a good and caring big brother to be concerned and want to help. And it’s a tough situation for you, especially with your parents no longer in the picture. When I help people on my show, I have the benefit of them calling in and actually wanting help. These folks care about what I think, and in most cases, they real

ize things aren’t working for them. I don’t just walk up to people and say, “You know, what you’re doing is really stupid. Let me fix you.” I think that’s kind of the situation you’re in right now. So, before anything else, I’d begin to pray for him. Ask God to bring people into his life who will have a positive impact on him.

One of the worst things about these situations is watching people you love do bad things to themselves and the people around them. Honestly, I don’t know there’s really a lot you can do without becoming the enemy to some degree. You can always try to hold him to a higher standard, and refuse to tolerate immature, irresponsible behavior when you’re around him. You might even look for opportunities to use yourself as an example. I’m not talking about puffing out

your chest and pretending to be perfect. I’m just saying maybe point out areas in your life where you made mistakes in the past and how you fixed the problems. But going out and trying to actively intervene in his life without permission, or shaming him in hopes it’ll make him grow up and be a man, would probably do more harm than good. Approach him in a gentle, caring way. Again, not like some know-it-all, but just let him know you care and you’re there to help if he’s having difficulties. Take him out to lunch once in a while, or invite him over, and let him know you’re there for him if he needs to talk.

And remember what I said earlier about prayer? Bringing God into the equation is never a bad idea.

Eastern Shore Parents I May 2024 www.easternshoreparents.com 50

There's a Story Here... There's a Story Here...

Cinder Cinder by Marissa Meyer by Marissa Meyer

Cinder is the first installment in the bestselling Lunar Chronicles series, a mash-up of fairy tales and science fiction by Marissa Meyer. Readers will be enthralled by this futuristic Cinderella retelling in which a teenage cyborg must fight for Earth's survival against villains from outer space.

Love Love & Gelato & Gelato by Jenna Evans Welch by Jenna Evans Welch

A summer in Italy turns into a road trip across Tuscany in this clean teen romance filled with mystery and adventure. Readers will love following Lina as she discovers a magical world of secret romances, art, and hidden bakeries in the Italian countryside!

The Rule of Three The Rule of Three by Eric Walters by Eric Walters

What if all the modern technology in the world stopped working? That is the challenge facing Alex and his neighbors in Rule of Three, a fastpaced story of survival from Eric Walters. Filled with battles on land and sea, this thrilling read shows the difference a group of teens can make when they band together.

Nevermoor Nevermoor by Jessica Townsend by Jessica Townsend

Fans of Harry Potter can’t get enough of The Trials of Morrigan Crow, an enchanting series by Jessica Townsend. Fast-paced and actionpacked, Townsend’s enchanting tales transport readers to an imaginative world in which a cursed girl escapes death, but is then tested beyond her wildest imagination.

51 www.facebook.com/easternshoreparentsmagazine
Find these great books and more at your local bookstore Page & Palette | 32 S. Section St. Fairhope | (251) 928-5295 | www.pageandpalette.com ® ®

Days are slipping away. We feel them through our fingertips like the sand our kids once played in. No matter how tight I clench my fist the sand keeps falling. Our kids go from first steps to first car in the blink of an eye. My instinct is to grab tighter, to hold on to every moment. Instead of holding so tight to what was, maybe we need to relax.

What if we opened our hands and decided to have fun with our budding adults?

Summer is the perfect time to enjoy little things with your teen. Without the pressures of school, there is more time to enjoy the moments this summer.

1) Introduce them to a movie from your youth. They’ll think it’s fun to make fun of the clothing and hair and cheesy movie lines. You’ll enjoy the walk down memory lane with your teen.

2) Let them plan a day for the family. Give them a budget and let them take the lead. It’s exciting to see what they come up with. We could talk all about the great skills they are practicing in this one, but it’s more fun just to sit back and enjoy the ride. You may be surprised to see what they come up with!

3) Read a book together. Maybe not out loud together, but pick a book you can both read. I find my teen reads far faster than I can, so I have to make a conscious effort on this one. Without making it formal, just find times to slip the story into conversation. It’s a connection you can both enjoy.

4) Pick a show to watch together. Start with episode one, pop some popcorn, and enjoy a good binge-fest together. While I often lament having my quiet evenings from back in the days of 8 pm bedtimes, you have time to relax together. Find a way to enjoy it.

5) Go to a game or a concert. It doesn’t have to be the major leagues or a top musician, but find a local game for a sport your kid loves or a local concert for a style of music your teen enjoys. It’s simple, doesn’t cost a lot, and gives you a great time out together, and it’s great if it is outdoors! Plus this one doesn’t usually take much convincing.

6) Be the house the kids want to come to. This one isn’t as bonding as some of the other ideas on the list, but when you create an atmosphere your teen and her friends want to be in it is so good. Not only is your teen around more, but you get to know her friends and see them interact together. Be goofy and silly. Have the good snacks. Resist the urge to embarrass or scold. Don’t mistake this for changing how you do things or your rules. Just be real and welcoming and let the rest happen naturally.

7) Serve someone else. Not all teens are eager to participate in serving others, but once you get started most kids come around and even appreciate it. Find something you can do for someone else together. Working together is the key to making this successful. Good places to try are soup kitchens, reading to kids (even summer camps and summer school may offer opportunities), cleaning up a park, or bringing a meal to

53 www.facebook.com/easternshoreparentsmagazine
Spectacular Waterfront Venue PERFECT FOR REHEARSAL DINNERS 30 to 100 Guests Rehearsal Dinners Small Weddings Corporate Meetings Holiday Parties Reunions,Graduations Celebrations Reveals, Showers & More originaloysterhouse.com/banquet | 251-753-5813 101 Bienville Blvd. Dauphin Island, AL 36528 www.disl.edu 251-861-2141 Discover Alabama’s Water Resources

SUMMER 2024 gulf camp

DAY CAMP IN GULF STATE PARK

MONDAY TO FRIDAY 8:00AM TO 12:00PM

SESSION 1: JULY 8-12

SESSION 2: JULY 15-19

SESSION 3: JULY 22-26

SESSION 4: JULY 29-AUG 2

OUTDOOR COOKING

ARTS AND CRAFTS

$195/SESSION

AGES 7-13

$45/DAY PASS

someone who could use some help. It doesn’t have to be complex, it just needs to be about giving.

8) Play their game. Sometimes teens are wrapped up in the latest game or app. Get involved. It will most likely be funny, but giving them the chance to show you how to do something creates a special bond. Recognizing their expertise helps them feel respected and that goes a long way.

9) Dream together. Even little moments offer opportunities to connect. Asking questions is a great way to see glimpses of your teen that you never imagined. Here are a few questions to get you started: What is your dream vacation? What kind of house do you think you’ll live in when you’re my age? If you could eat anything in the world for your last meal what would it be?

10) Make time, but don’t force it. Being available is one of the best ways to create a connection. It doesn’t mean following your teen around, but make sure that you aren’t checking out or disappearing every time they are home. Be present and open and see what happens!

Eastern Shore Parents I May 2024 www.easternshoreparents.com 54 ESP
Rebecca Hastings is a freelance writer specializing in parenting and education. She has written for publications such as The Washington Post, Parent Co, Money Saving Mom, and the A Fine Parent.
REGISTER AT GULFCENTER.ORG
BIKING
SWIMMING KAYAKING
NATURE

Grading Family Movies: Streaming, Online Rentals, and Theatrical Releases

The Beautiful Game

The Long Game

Netflix Rating Overall Violence Sex Profanity Alcohol/Drugs

PG-13 A- A- B+ C+ B

Mal is manager of England’s homeless soccer team, where he oversees the training of a recovering heroin addict, a Syrian refugee, an exuberant thief, and an intense striker. When he stumbles across Vinny, a man with undeniable talent on the pitch, Mal knows that this player has what it takes to help England win the World Cup But Vinny also has plenty of baggage…This underdog sports film hits all the right beats and is both inspiring and entertaining for families. It’s a tale of compassion, courage, and simple goodness.

Photo ©Netflix

Theaters Rating Overall Violence Sex Profanity Alcohol/Drugs

PG B B A- C+ C+

It’s 1955 and Texas golf clubs won’t allow Mexican-Americans on their fairways –unless they are caddies. But five of the Del Rio club’s caddies built their own course on scrubland and developed impressive skills. When J.B. Pena, the new high school superintendent, forms a golf team, the boys just might have what it takes to win the state championship. This story of sports and human equality is uplifting and offers themes of dignity, self-respect, courage, persistence, and hard work. It’s well suited for families with teens. Photo ©Bonniedale

Godzilla v. Kong: The New Empire Theaters

PG-13

Godzilla is roaming the earth, hunting and destroying other Titans. Kong has gone into the Hollow Earth, looking for more creatures like him. He hasn’t found anyone, but something is transmitting new signals that are prompting Godzilla to absorb more radiation. Creature features should be action-packed and exciting but this flick is neither. Most of the runtime is devoted to four tedious human characters and even the destructive scenes of monster mayhem feel boring. Hard to believe, but even Godzilla can be dull.

Ghostbusters: Frozen Empire Theaters

Madu

PG-13

The Spengler clan has relocated to New York, restoring Ghostbuster services to the city. Much to their dismay, they find themselves battling spectres and City Hall. They also stumble across an ancient brass artefact that unleashes a malevolent ancient deity with the power to plunge the city into a new Ice Age. Stiff, overly expository, and containing too many flat jokes, this sequel is less entertaining than its predecessor. It has a significant amount of supernatural violence, but that won’t deter dedicated fans Photo ©Sony Pictures Entertainment Motion Picture Group

Disney+

Rating Overall Violence

Sex Profanity Alcohol/Drugs

TV-PG A- A A A A

Anthoy Madu went viral on Instagram for dancing barefoot on the streets of Lagos. Soon after, the Nigerian boy received an invitation to study ballet in England. This documentary follows Anthony’s journey as he adapts to a new country, is diagnosed with a disability, battles homesickness, and devotes himself to the rigorous field of ballet. Anthony’s hard work and dedication are inspiring, and this is a family-friendly choice for anyone interested in the arts. The format is occasionally disjointed but that doesn’t reduce the power of the film’s message. Photo ©Disney+

55 www.facebook.com/easternshoreparentsmagazine
Rating Overall Violence Sex Profanity Alcohol/Drugs
C C A C+ A
Sex
Rating Overall Violence
Profanity Alcohol/Drugs
C C+ A- C+ B-
Detailed reviews available at www.parentpreviews.com

Celebration Church

ad on page 27

180 Dyer Road Fairhope, 36532

Theme: On a Mission

Dates: July 29-31, 2024 Times: 9:00am - 12:00pm

Ages: Kindergarten- 6th grade

Discover your unique mission with us, learn to fight the enemy, and spread God’s mission to others. Join us for an adventure of faith!

(251) 928-0343 www.fairhopechurch.com

Eastern Shore Baptist Church

ad on page 33

6847 Park Drive Daphne, 36526

Theme: Breaker Rock Beach

Dates: June 10-14, 2024

Times: 8:30am - 12:00pm

Ages: Completed K - 6th grade

Get ready for a week of adventure at ESBC Kids Week where kids will learn that God’s truth never changes!

(251) 626-5550 leann@myesbc.net www.myesbc.net

Eastern Shore Presbyterian Church

ad on page 12

320 Presbyterian Drive Fairhope, 36532

Theme: Camp ESPC

Dates: June 3-6, 2024 Kick off June 2 at 4pm Times: 9:00am - 12:00pm Ages: (going into) K5 - 6th grade

“Behold, I am making all things new”. Join us at Camp ESPC, where everyday is an adventure! Register at:www.myvbs.org/espcVBS24 (251) 210-1226 adavey@easternshorepca.org www.easternshorepca.org

St. Andrews b y the Sea

ad on page 25 17263 Fort Morgan Road Gulf Shores, 36542

Dates: July 15-18, 2024 Times: 9:00am - 12:00pm Ages: 3 years-5th grade Visit our website to register www.saintandrewbythesea.org

(251) 968-3900 www.standrewbythesea.org

Loxley First Baptist Church

1050 North Alabama Street Loxley, 36551

Theme: Scuba-Diving into Friendship with God Dates: June 2-6, 2024 Times: 6:00pm - 8:30pm

Ages: Completed Kindergarten - 6th grade

Children will go on an undersea adventure where they will be immersed in the Word of God and learn about His never-ending love. (251) 964-5261 jacklynau06@gmail.com www.fbcloxley.com

Providence United Methodist Church

32200 Jimmy Faulkner Drive Spanish Fort, 36527

Theme: Scuba

Dates: June 2-6, 2024 Times: 5:30pm - 7:45pm

Ages: Kindergarten -Completed 5th grade (251) 626-2510 www.providencemethodist.org

3Circle Church

Daphne Campus - 10080 County Road 64 Daphne, 36526

Theme: Camp 3Circle

Dates: June 3-7, 2024 Times: 9:00am - 12:00pm

Ages: 4 years - 4th grade

Camp 3Circle is a fun-filled week for kids ages 4 years-4th grade. We incorporate worship, Bible study, and games to point children to God’s great love for them.

(251) 990-3112 info@3circlechurch.com www.3CircleChurch.com/camp

3Circle Church

Fairhope Campus - 10274 State Highway 104 Fairhope, 36532

Theme: Camp 3Circle

Dates: June 3-7, 2024 Times: 9:00am - 12:00pm

Ages: 4 years - 4th grade

Camp 3Circle is a fun-filled week for kids ages 4 years-4th grade. We incorporate worship, Bible

study, and games to point children to God’s great love for them.

(251) 990-3112 info@3circlechurch.com www.3CircleChurch.com/camp

Fairhope UMC

155 South Section Street Fairhope, 36532

Theme: Scuba

Dates: June 3-7, 2024 Times: 8:45am - 12:15pm Ages: 3 years – rising 6th grade

Take kids deep into an amazing undersea adventure where they’ll experience the ever-flowing, never-ending love of God. At Scuba VBS, kids will be immersed in the Word and discover what living water is really all about! Registration: https://www. fairhopeumc.org/vbs2024/ (251) 928-1148 jenna.hood@fairhopeumc.org www.fairhopeumc.org

First Baptist Church of Foley 221 North Alston Street Foley, 36535

Theme: Breaker Rock Beach

Dates: June 3-6, 2024 Times: 9:00am - 12:00pm

Ages: K4 - 6th grade (251) 943-8352 tspradlin@fbcfoley.com www.fbcfoley.com

First Baptist Gulf Shores

2300 West 1st Street Gulf Shores, 36542 Theme: Jungle Journey

Dates: June 3–7, 2024 Times: 8:00am - 11:00am

Ages: Completed K5-5th grade (251) 968-7369 children@fbcgulf.com www.fbcgulf.com/

Gulf Shores Church of Christ

2414 W 1st St, Gulf Shores, 36542

Theme: The Greatest Show

Dates: June 3-5, 2024 Times: 6:00pm - 8:00pm

Ages: K3-5th grade (251) 968-7769 www.gulfshoreschurchofchrist.org

Gulf Shores Methodist ChurchSouth Campus

1900 Gulf Shores Parkway Gulf Shores, 36542

Theme: Scuba- Diving into Friendship with God

Dates: June 3-6, 2024 Times: 5:30pm - 8:00pm Ages: 4 years- going into 5th grade

Kids will take a deep dive below the surface to build a strong faith! SCUBA is an amazing undersea adventure where they will be immersed

Eastern Shore Parents I May 2024 www.easternshoreparents.com 56

in the Word and discover what living water is really all about.

(251) 968-2411 cammie@gulfshores.church www.gulfshores.church

Spanish Fort Presbyterian Church

6620 Spanish Fort Boulevard Spanish Fort, 36527

Theme: Camp Firelight, A Summer Camp Adventure with God

Dates: June 3-6, 2024 Times: 6:00pm - 8:00pm

Ages: Rising Kindergarten - 5th grade

Register early, space is limited, www.myVBS.org/ sfpc or call the church office at 626-1242 (251) 626-1242 www.spanishfortpresbyterian.com

St. Paul’s Episcopal Church

28788 North Main Street Daphne, 36526

Theme: Scuba- Diving into Friendship with God

Dates: June 3-6, 2024 Times: 9:00am - 12:00pm

Ages: 3 years - 10 years

Dive into a friendship with God! Go deep into an amazing undersea adventure where kids experience the ever-flowing, never ending love of God! (251) 626-2421 officestpaulsdaphne@gmail.com www.stpaulseasternshore.com

Trinity Presbyterian Church 545 South Mobile Street Fairhope, 36532

Theme: Dive Into A Friendship With God

Dates: June 3-7, 2024 Times: 9:00am - 12:00pm

Ages: Completed K - 4th grade

Registration: https://vbspro.events/p/trinity2024 (251) 928-2524 www.tpcfairhope.org

Fish River Baptist Church 17140 County Road 33, Fairhope, AL 36532

Theme: Breaker Rock Beach

Dates: June 9-14, 2024 Times: 6:00pm - 830pm

Ages: Kindergarten- 6th grade

Kids will be challenged as they discover that God’s truth never changes, everyone needs Jesus, and learn to speak the truth in love. (251) 928-0402 www/fishriverbaptistchurch.com

Lighthouse Baptist- Eastern Shore 10526 Co Rd 64 Daphne, 36526

Theme: Keepers of The Kingdom

Dates: June 9-12, 2024 Times: 6:00pm-7:30pm Ages: 4 years - 12 years

With Keepers of the Kingdom, your kids will learn how they can be part of God’s kingdom through salvation in his Son and will be equipped with the armor of God to become Keepers of the Kingdom and strong in today’s battle for truth. (251) 445-3118 info@lbceasternshore.com www.lbceasternshore.myanswers.com

Orange Beach Methodist Church

28751 Canal Road Orange Beach, 36561

Theme: Start the Party! Celebrate the Good News

Dates: June 10-14, 2024 Times: 5:30pm8:00pm Ages: PreK (fully potty trained) - 5th grade (251) 981-6751 oboffice@obmchurch.com www.obmchurch.com/VBS

Spanish Fort United Methodist Church

6690 Spanish Fort Blvd Spanish Fort, 36527

Theme: Scuba- Diving Into Friendship with God

Dates: June 10-13, 2024 Times: 5:30pm7:30pm Ages: 5 years (by 9/1/2024)- 5th grade. Register by May 15 ,2024. (251) 626-1334 children@spanishfortumc.org www.spanishfortumc.org/vbs/

First Methodist Church of Bay Minette

120 West 2nd Street Bay Minette, 36507

Theme: Scuba- Diving into Friendship with God

Dates: June 17-21, 2024 Times: 8:00am12:00pm Ages: 4 years - rising 6th grade (251) 937-8303 www.fumcbayminette.org

East Pointe Baptist Church

34742 Hwy 225 Spanish Fort, 36527

Theme: Scuba- Diving into Friendship with God

Dates: June 24-27, 2024 Times: 9:00am-12:00pm

Ages: Completed Kindergarten - completed 6th Take kids deep into an amazing undersea adven ture where they’ll experience the ever-flowing, never-ending love of God. At Scuba VBS, kids will be immersed in the Word and discover what living water is really all about!

(251) 626-6263 kellie@eastpointebaptistchurch.com www.eastpointebaptistchurch.com

3Circle Church

Robertsdale Campus Robertsdale, 36567

Theme: Camp 3Circle

Dates: July 8-12, 2024 Times: 9:00am - 12:00pm

Ages: 4 years - 4th grade

Camp 3Circle is a fun-filled week for kids ages 4 years-4th grade. We incorporate worship, Bible study, and games to point children to God’s great love for them.

(251) 990-3112 info@3circlechurch.com www.3CircleChurch.com/camp

Barnwell Baptist Church

7780 US Highway 98 Fairhope, 36532

Theme: Scuba- Diving into Friendship with God

Dates: July 15-19, 2024 Times: 8:30am11:30am Ages: 4 years - 10 years (251) 928-8286 barnwellbaptist@gmail.com www.barnwellbaptist.org

City Hope Church

29964 Saint Basil St Daphne, 36526

Theme: City Hope Church’s Camp Jr

Dates: July 15-18, 2024 Times: 9:00am-12:00pm

Ages: 3 years - 1st Grade

Just like older kids get to experience Camp, our younger kiddos are going to get to be a part of Camp Jr this summer too! This is a day camp for preschool and early elementary aged kids, and it’s happening at our Mobile and Foley locations too! (251) 626-0123 www.cityhope.churchcenter. com/registrations/events/2076395

City Hope Church

21270 Miflin Road Foley, 36535

Theme: City Hope Church’s Camp Jr

Dates: July 15-18, 2024 Times: 9:00am-12:00pm

Ages: 3 years - 1st Grade

Just like older kids get to experience Camp, our younger kiddos are going to get to be a part of Camp Jr this summer too! This is a day camp for preschool and early elementary aged kids, and it’s happening at our Mobile and Foley locations too! (251) 626-0123 www.cityhope.churchcenter. com/registrations/events/2076395

Jubilee Baptist Church

9264 Pleasant Road Daphne, 36526

Theme: Start The Party: Celebrate The Good News!

Dates: July 15-18, 2024 Times: 5:45pm - 8:00pm

(Doors Open at 5:30 pm) Ages: Entering Kindergarten - Current 6th grade Jesus gives us the most amazing reasons to party: friendship, belonging, forgiveness, life, and purpose. That’s why we believe God’s love and the Gospel of Jesus is the best news ever! Online Preregistration is required. (251) 621-7095 kayley@jubileebaptist.com www.jubileebaptist.com

St. Paul’s Lutheran (Foley)

400 N Alston Street Foley, 36535

Theme: Camp Firelight

Dates: July 22-26, 2024 Times: 9:00-12:00 pm Monday-Thursday and 9:00-1:00 pm on Friday

Ages: PK4-6th grade

Drop off will begin every morning at 8:30 AM. Snacks will be provided everyday. A pizza lunch will be provided on Friday. (251) 943-6931 stpauls.lcms.foley@gmail.com www.stpaulslcms.com ESP

57 www.facebook.com/easternshoreparentsmagazine

My youngest child graduates from college this spring. For the life of me, I don’t know how that is possible. I am still trying to lose the baby fat from my pregnancy. Regardless, when I look over at my man-child loading up his car with a combination of pots and pans and video games, I know what they say is true –the days are long, but the years are short.

While my son is approaching a new chapter and a big milestone in his life, I can’t deny that my life is changing, too. The light at the end of the parenthood tunnel is getting very bright and that means my role as a provider and decision maker in my child’s life is coming to an end. While my role as a parent is changing, my importance in their lives is not.

As parents, we give our children all the tools they need to succeed in life and now they need to take the baton and run with it. Although you might not be ready for a change, know that they have been thinking about this for a long time and can’t wait to flex their independence. The good news is, we will always be needed as a sounding board and mentor, but they can handle the day-to-day. It’s time to start the next chapter of our lives, too.

Give yourself a little grace and a chance to grieve. You will have good days and bad ones. This chapter of life is uncharted, scary and sometimes lonely, much like how it was when you first brought your child home. It’s normal to be weepy for a little while, but eventually, you will need to shift the focus to your new normal.

Make a plan to stay connected. When my daughters went to college, they often called me between classes to share their news or tell me about their new friends. My son, on the other hand, is not a chit-chatter. I would only get a call or text if it was important. As a compromise, I suggested a Facetime date on Son-day and an evening goodnight text to keep in touch while he spreads his wings.

Focus on you. For more than 18 years, the focus has been on your children. Permit yourself to be a little self-centered. Get

uate your diet and start an exercise routine that includes cardio, weights and stretching. Go through your closet and decide what to keep and what to update. Try out a new hair color or style to go with your new role.

Stay in touch with your friends – especially those going through the same phase of life. Just like when our children were babies, we still need the companionship and advice of other parents going through our shared experiences. We need the reassurance that we are doing the right thing and a shoulder to cry on when we are frustrated or engulfed in self-doubt.

Practice what you preach. Remember when you told your child about putting themselves out there to new experiences? That’s good advice for you, too. If you are not sure what to do, make a vision board or a list that includes ideas. Do you want to learn something new? Start a business? Travel to somewhere on your bucket list? You can’t use your kids as an excuse anymore. Now is the time to do it.

Reconnect with your partner. My husband and I enjoy our date nights as empty nesters. We no longer need to work dinner around soccer games or worry about teenagers walking in on us. Use this next phase of your relationship to try new recipes that the kids would never eat, join a couples pickleball league or take a long road trip to visit friends or family that have moved out of state.

Embrace the clean spaces of a quiet home. While we love our kids, it is so refreshing to leave for the day and return home to the same empty sink you left in the morning. You can finally enjoy settling into bed without the vibration of music coming through the vents or the loud one-sided conversation of your child playing Call of Duty with his headphones on. This is the kind of euphoria that is easy to get used to.

59 www.facebook.com/easternshoreparentsmagazine ESP
Pam Molnar is a freelance writer who is almost a full time empty nester with three successful grown and flown kids.

FamilyCalendar

Thursday May 2

Gulf Coast Hot Air Balloon Festival

5:00 PM - 9:00 PM, OWA , 101 S OWA Blvd Foley, AL, 36535 The Gulf Coast Hot Air Balloon Festival is approaching its 19th year of flying!

We are excited you are interested in coming to this year’s event that will feature balloons from across the country, enjoy food vendors, arts and craft vendors, and retail vendors. Join us at OWA for this fun-filled weekend. www.gulfcoastballoonfestival.com/

ESRT Presents Cats

7:30 PM Henry George Bluff Park , Fairhope, AL, 36532 Eastern Shore Repertory Theatre will bring Cats to the 11th Annual Theatre on the Bluff on May 2 - 4, 2024 directed by Erin Langley with choreography by Matthew Kiel. All shows begin at 7:30 p.m., and gates will open at 6:30 each evening. Patrons should bring their own blanket or lawn chair, and picnics are encouraged. Concessions will also be available for purchase.

www.easternshorerep.org/theatreonthebluff

Brown Bag by the Bay (Free) May Day Park, Daphne, AL, 36526 Join us for the return of everyone’s favorite lunchtime concert series, Brown Bag by the Bay, 11:30 AM - 1:30 PM at Daphne’s May Day Park.

Friday May 3

Gulf Coast Hot Air Balloon Festival

11:00 AM - 10:00 PM, Details on May 2.

ESRT Presents Cats

7:30 PM Details on May 2.

Saturday

May 4

Double Vision 5K

8:00 AM Canal Street & South Washington Avenue, Mobile, AL, 36602 Join us Saturday, May 4 at 8:00 am for the Tunnel Vision 5K to benefit the sight programs of the Lions Club of Mobile. Participants have the opportunity to run through the Bankhead Tunnel, not once, but twice-a unique Mobile Experience. www.raceroster.com/events/2024/87471/doubletunnel-vision-5k

Good Life Bicycle Ride

8:30 AM The Lodge at Gulf State Park, 21196 E Beach Blvd Gulf Shores, AL, 36542 Registration is now open for the Good Life Bicycle Ride. We are providing the following four options to take a relaxing, scenic bicycle ride through the beautiful backcountry trails of Gulf State Park - May 4, 7, 9, 11 www.goodliferide.org

WKRG Gulf Coast Home and Outdoor Expo

9:00 AM - 4:00 PM, Daphne Civic Center, 2603 U.S. Highway 98 Daphne, AL, 36526 Bringing together all of the Gulf Coast’s best home improvement companies. You’ll find everything from roofing to appliances and all your outdoor living needs at the Gulf Coast Home and Outdoor Expo.

Gulf Coast Hot Air Balloon Festival

11:00 AM - 10:00 PM, Details on May 2.

May Day Celebration 2024

11:00 AM - 4:00 PM, May Day Park, Daphne, AL, 36526 Join us on Saturday, May 4th, 2024, from 11AM to 2PM at May Day Park for a day filled with family fun and nostalgia. Experience the magic with:

Carnival rides, BBQ, Live music, Crafts for the kids, Face painting, Sweet treats from local vendors, Learn to dance the May Pole and so much more!

Derby Dayz

3:00 PM Oak Hollow Farm, 14210 South Greeno Road Fairhope, AL, 36532 A fun afternoon of food, friends, auctions, and Kentucky Derby to support our mission to provide weekend backpack food for local children.

Crawfish Cook-Off

5:00 PM Halliday Park, Bay Minette, AL, 36507 northbaldwinchamber.com/2024-crawfish-cook-off/

ESRT Presents Cats

7:30 PM Henry George Bluff Park , Fairhope, AL, 36532 Eastern Shore Repertory Theatre will bring Cats to the 11th Annual Theatre on the Bluff on May 2 - 4, 2024 directed by Erin Langley with choreography by Matthew Kiel. All shows begin at 7:30 p.m., and gates will open at 6:30 each evening. Patrons should bring their own blanket or lawn chair, and picnics are encouraged. Concessions will also be available for purchase.

www.easternshorerep.org/theatreonthebluff

May The Fourth Be With You Gulf Coast Exploreum Science Center & IMAX Theater, 65 Government Street Mobile, AL, 36602 May The Fourth is BACK!!! Details coming soon find us on Facebook for times, activities, movie info, tickets, and more.

www.exploreum.com

Monday May 6

9th Annual Alabama Seafood Cook-off

6:00 PM - 8:00 PM, The Wharf, 23101 Canal Road Orange Beach, AL, 36561

Come out to support this longstanding, interactive event hosted by the Alabama Seafood Marketing Commisson, and cheer on the chef you think should win it all!

www.alwharf.com

Tuesday May 7

Baldwin County Youth Orchestra Concert

7 PM, Foley Civic Center, 407 E Laurel Ave, Foley, AL Join the Baldwin County Youth Orchestra as our Band, Orchestra, and String groups play some of your favorite classical pieces. From the Familiar “Can Can” and Habanera to Mozart this evening is sure to delight all who attend. To conclude our performance with a bang, we will have our first ever combined performance from all the instrumental groups! Don’t miss it! For more information about how you can be a part of the music, visit www.bcyorchestra.com or call (251)279-0848.

Good Life Bicycle Ride

8:30 AM The Lodge at Gulf State Park, 21196 E Beach Blvd Gulf Shores, AL, 36542 Registration is now open for the Good Life Bicycle Ride. We are providing the following four options to take a relaxing, scenic bicycle ride through the beautiful backcountry trails of Gulf State Park - May 4, 7, 9, 11 www.goodliferide.org

Baldwin County Youth Orchestra Spring Concert

7:00 PM Foley Civic Center, 407 E Laurel Ave Foley, AL, 36535 Join the Baldwin County Youth Orchestra as our Band, Orchestra, and String groups play some of your favorite classical pieces. From the Familiar “Can Can” and Habanera to Mozart this evening is sure to delight all who attend. To conclude our performance

with a bang, we will have our first ever combined performance from all the instrumental groups! Don’t miss it!

www.bcyorchestra.com

Thursday May 9

Good Life Bicycle Ride

8:30 AM The Lodge at Gulf State Park, 21196 E Beach Blvd Gulf Shores, AL, 36542 Registration is now open for the Good Life Bicycle Ride. We are providing the following four options to take a relaxing, scenic bicycle ride through the beautiful backcountry trails of Gulf State Park - May 4, 7, 9, 11 www.goodliferide.org

South Baldwin Community Theatre presents “A Streetcar Named Desire”

7:30 PM South Baldwin Community Theatre, 2022 West 2nd Street Gulf Shores, AL, 36542

Tennessee Williams’ classic Southern-Gothic play dramatizes the experiences of Blanche DuBois, a former Southern belle who, after encountering a series of personal losses, leaves her once-prosperous situation to move into a shabby apartment in New Orleans rented by her younger sister Stella and brother-in-law Stanley. www.sbct.biz

Bluey Visits Celi’s Play Cafe

9:00 AM - 11:00 AM, Celi’s Play Cafe, 18169 Wright Blvd Fairhpe, AL, 36532 Bluey is Coming! Hosted by South Baldwin Literacy Council & Celi’s Play Cafe activities include special guests Bluey, and guest reader Susan Bartholomew, activities, photos with bluey and snack. REGISTRATION is REQUIRED. Sign up at www. celisplaycafe.com

251-209-9986 www.celisplaycafe.com

Fairhope’s Girls Night Out -2024 ($35)

4:00 PM Fairhope Welcome Center, 20 N. Section Street Fairhope, AL, 36532 Fairhope & Co. presents Girls Night Out. Join us as we celebrate our Diamond Anniversary! After all, Fairhope is a girl’s best friend! business.eschamber.com/events/calendar/2024-05-01

Brown Bag by the Bay (Free)

May Day Park, Daphne, AL, 36526 Join us for the return of everyone’s favorite lunchtime concert series, Brown Bag by the Bay, 11:30 AM - 1:30 PM at Daphne’s May Day Park.

Veterans Memorial Group of Baldwin County presents The Wall That Heals (Free) Baldwin County Coliseum, 19477 Fairground Road Robertsdale, AL, 36567 The exhibit features a threequarter scale replica of the Vietnam Veterans Memorial in Washington, D.C. Visitors have the opportunity to do name rubbings of individual service member’s names on The Wall. In addition, the 53-foot trailer that carries The Wall transforms to become a mobile Education Center featuring a timeline of the war, more information about the Memorial in Washington D.C., and a collection of items that have been left at The Wall. The Wall and mobile Education Center will be open 24 hour daily through 2 p.m. on Sunday, May 12.

centralbaldwin.com/the-wall-that-heals-baldwin-county-al/

Friday May 10

Live at Five Concert

5:00 PM Halstead Amphitheater, 450 Fairhope Ave Fairhope, AL, 36532 Get ready to rock with the legendary Marshall Tucker Band, as they take the stage. www.liveatfivefairhope.com

Eastern Shore Parents I May 2024 www.easternshoreparents.com 60

FamilyCalendar

Newbery Award Winning Author Coming to Page & Palette

5:00 PM Page & Palette, 32 South Section Street Fairhope, AL, 36532

Exciting news for young readers - Newbery Award winner Katherine Applegate is coming to Page & Palette! On Friday, May 10th at 5PM, the beloved author of The One and Only Ivan series will sign and discuss THE ONE AND ONLY FAMILY, a delightful, unforgettable final foray into the world of Ivan, the world’s favorite silverback. This is a ticketed event - one purchase of THE ONE AND ONLY FAMILY per family is required for admittance. To purchase, call 251-928-5295 or stop by Page & Palette 251-928-5295

Ladies Night Out

5:30 PM - 8:30 PM, John F. Rhodes Civic Center, 301 D’Olive Street Bay Minette, AL, 36507 Ladies Night Out features one-stop shopping from a variety of vendors and retailers. The event will be held 5:30 to 8:30 p.m. May 10 at the John F. Rhodes Civic Center. Admission is $5 and proceeds will benefit North Baldwin Coalition for Excellence in Education and local community projects.

South Baldwin Community Theatre presents “A Streetcar Named Desire” 7:30 PM Details on May 9.

EcoWild Outdoor Expo

Mobile Convention Center, 1 S Water St Mobile, AL, 36602 Expo bringing outdoor enthusiasts the best in lifestyle gear, accessories and information, alongside the ecological initiatives to keep the Gulf Coast wild. Get ready to interact with outdoor activity and lifestyle vendors, educational sessions and guest talks, recreational exhibits, family-friendly activities, outdoor-themed art gallery, food trucks and more! www.ecowildexpo.com

Veterans Memorial Group of Baldwin County presents The Wall That Heals (Free) Details on May 9.

Saturday

May 11

Creek Crawl

8:10 AM Graham Creek Natural Preserve, 23460 Wolf Bay Drive Foley, AL, 36535 Join us for an adrenalinepumping 4-mile obstacle course that will have you jumping, running, and crawling your way to victory! It’s going to be an epic day filled with excitement, laughter, and unforgettable memories! But that’s not all! After conquering the course, refuel with a delicious lunch catered by Cactus Cantina and groove to the beats of DJ Tony Nelson! Bring the whole family along and soak up the sun for a day of fun and laughter! Ages 10 & up are welcome to join in on the action! www.crawlcreek.itsyourrace.com

Good Life Bicycle Ride

8:30 AM The Lodge at Gulf State Park, 21196 E Beach Blvd Gulf Shores, AL, 36542 Registration is now open for the Good Life Bicycle Ride. We are providing the following four options to take a relaxing, scenic bicycle ride through the beautiful backcountry trails of Gulf State Park - May 4, 7, 9, 11 www.goodliferide.org

52nd Annual Foley Art in the Park

9:00 AM - 5:00 PM, Heritage Park, 104 N Mckenzie Foley, AL, 36535 Join us at “Art in the Park”, a competitive juried fine arts show for artists and craftsmen from across the southeast. www.foleyartcenter.com/art-in-the-park/

FoleyCon

10:00 AM - 5:00 PM, Foley Civic Center, 407 E. Laurel Ave. Foley, AL, 36535 Small-town “Comic con” focused on video game/sci-fi/fantasy hobbies and games with venders selling similarly themed arts and crafts.

www.visitfoley.com/event/foleycon-2024/

Elvis Remembered with Shane Tucker

3:00 PM OWA Theater, 205 N. OWA Blvd Foley, AL, 36535 Elvis Remembered with Shane Tucker www.visitowa.com/

Fairhope Rotary 2024 Steak Cookoff

7:00 PM Downtown Fairhope, Fairhope, AL, 36532www.fairhopesteak.org/

C Spire Concert Series Presents: Alabama with special guest Jamey Johnson

7:00 PM The Wharf Amphitheater, 23101 Canal Rd Orange Beach, AL, 36561 C Spire Concert Series Presents: Alabama with special guest Jamey Johnson www.alwharf.com/

South Baldwin Community Theatre presents

“A Streetcar Named Desire”

7:30 PM Details on May 9.

EcoWild Outdoor Expo

Mobile Convention Center, 1 S Water St Mobile, AL, 36602 Expo bringing outdoor enthusiasts the best in lifestyle gear, accessories and information, alongside the ecological initiatives to keep the Gulf Coast wild. Get ready to interact with outdoor activity and lifestyle vendors, educational sessions and guest talks, recreational exhibits, family-friendly activities, outdoor-themed art gallery, food trucks and more! www.ecowildexpo.com/

Veterans Memorial Group of Baldwin County presents The Wall That Heals (Free) Details on May 9.

Sunday May 12

52nd Annual Foley Art in the Park

9:00 AM - 4:00 PM, Heritage Park, 104 N Mckenzie Foley, AL, 36535 Join us at “Art in the Park”, a competitive juried fine arts show for artists and craftsmen from across the southeast. www.foleyartcenter.com/art-in-the-park/

South Baldwin Community Theatre presents

“A Streetcar Named Desire” 2:30 PM Details on May 9.

EcoWild Outdoor Expo Details on May 11. www.ecowildexpo.com

Veterans Memorial Group of Baldwin County presents The Wall That Heals (Free) Details on May 9.

Tuesday May 14

C Spire Concert Series Presents: STAIND in Concert with special guests Seether, Saint Asonia and Tim Montana

6:00 PM The Wharf Amphitheater, 23101 Canal Rd Orange Beach, AL, 36561 C Spire Concert Series Presents: STAIND in Concert with special guests Seether, Saint Asonia and Tim Montana www.alwharf.com

Thursday May 16

Brown Bag by the Bay (Free)

11:30 AM May Day Park, Daphne, AL, 36526 Join us for the return of everyone’s favorite lunchtime concert series, Brown Bag by the Bay, 11:30 AM - 1:30 PM at Daphne’s May Day Park.

24th Annual Chef Challenge

6:00 PM - 9:00 PM, Mobile Convention Center, Mobile, AL, 36602 Chef Challenge is Feeding the Gulf Coast’s annual fundraiser that brings together some of our area’s most celebrated chefs and restaurants for an evening of superb food and drink, live entertainment by Roman Street, and a vast silent auction--all in the name of ending hunger along the central Gulf Coast. feedingthegulfcoast.org/get-involved/chefchallenge

“White Linen Night” Presented by Eastern Shore Art Center

7:00 PM Eastern Shore Art Center, 401 Oak Avenue Fairope, AL, 36532 The galleries of Eastern Shore Art Center will be transformed for its White Linen Night 2024 fundraising gala on Thursday, May 16! Dress in your favorite white attire or get a little beachy this year and dance the night away to the surf stylings of Mr. Big and Rhythm Sisters. Amidst both silent and live art auctions, the evening will spotlight exceptional coastal cuisine from several of your favorite local restaurants. Tickets include an open bar featuring hand-selected wines and a signature margarita by The Grand Hotel Golf Resort and Spa. Tickets are on Sale Now: $125 per person (includes food and open bar). Limited tickets available. Order online at www. event.gives/wln2024. You may also call (251) 9282228 or pick up at the Art Center Tues-Fri 10am-4pm or Sat 10am-6pm.

251-928-2228 www.event.gives/wln2024

South Baldwin Community Theatre presents “A Streetcar Named Desire”

7:30 PM Details on May 9.

Friday May 17

Heritage Park Marketplace and Movie at Dusk

4:00 PM Heritage Park, 104 N McKenzie St Foley, AL, 36535 Heritage Park Marketplace will showcase a variety of arts and crafts as well as plants, vegetables, fruits, and gift items. The marketplace will operate from 4 p.m. to 7 p.m., with live entertainment beginning at 6 p.m., followed by a movie at dusk. Those who come for the music and a movie are asked to bring a chair or a blanket for seating.

Baldwin Youth Chorus Concert

7:00 PM Resurrection Church, 2401 Main St, Daphne, AL 36526 Enjoy a beautiful night of music performed by Baldwin Youth Chorus. This event is free.

South Baldwin Community Theatre presents “A Streetcar Named Desire”

7:30 PM Details on May 9.

Saturday May 18

Ballin’ on Belrose

8:00 AM - 12:00 PM, Olde Towne Daphne | Belrose Avenue, Daphne, AL Ballin’ on Belrose is a community walk/run event on Belrose Avenue in

Daphne, between Main Street and Mobile Bay. It is a day of fun for all ages with DJ music, sponsor booths, food and drink, a kids’ play area with inflatables, face painting, photo ops and more. Named “Ballin’” for the Baller Dream Foundation, the event aims to raise

61 www.facebook.com/easternshoreparentsmagazine

FamilyCalendar

funds to support the foundation’s efforts in supporting, comforting, and offering once-in-a-lifetime experiences to lift the spirits of children and young adults battling cancer. www.ballinonbelrose.com

Morgan Cunningham -- Author Signing 1:00 PM - 3:00 PM, Page & Palette, 32 S Section Street Fairhope, AL, 36532 www.pageandpalette.com

South Baldwin Community Theatre presents “A Streetcar Named Desire” 7:30 PM Details on May 9.

Mobile Symphony Presents A Latin Rhapsody 7:30 PM Saenger Theatre, 6 South Joachim Street Mobile, AL, 36602 Mobile Symphony Presents A Latin Rhapsody. Our favorite Cuban pianist, Aldo Lopez-Gavilan, returns to perform Gershwin’s Rhapsody in Blue. Beyond Gershwin’s Rhapsody, you’ll sway to the intoxicating rhythms of Arturo Marquez’s Danzon, a modern Mexican classic inspired by a Cuban dance. And you’ll want to dance to the beat of Bernstein’s West Side Story. What a way to end the season! www.mobilesymphony.org

Sunday May 19

South Baldwin Community Theatre presents “A Streetcar Named Desire” 2:30 PM Details on May 9.

Mobile Symphony Presents A Latin Rhapsody 2:30 PM Saenger Theatre, 6 South Joachim Street Mobile, AL, 36602 Mobile Symphony Presents A Latin Rhapsody. Our favorite Cuban pianist, Aldo LopezGavilan, returns to perform Gershwin’s Rhapsody in Blue. Beyond Gershwin’s Rhapsody, you’ll sway to the intoxicating rhythms of Arturo Marquez’s Danzon, a modern Mexican classic inspired by a Cuban dance. And you’ll want to dance to the beat of Bernstein’s West Side Story. What a way to end the season! www.mobilesymphony.org

City of Daphne Sunday Sunset Concert Series

(Free) 6:00 PM Bayfront Park, 6200 Bayfront Park Dr. Daphne, AL, 36526 Come enjoy the Sunday Sunset Concert Series at Bayfront Park! www.daphneal.com/

Thursday May 23

Youth of the Year Luncheon

11:30 AM Riverview Plaza Hotel , 64 S Water St Mobile, AL, 36602 Youth of the Year is the signature event that aligns with our mission to enable all young people to reach their full potential as productive, caring, responsible citizens. www.bgcsouthal.org

Brown Bag by the Bay (Free)

11:30 AM May Day Park, Daphne, AL, 36526 Join us for the return of everyone’s favorite lunchtime concert series, Brown Bag by the Bay, 11:30 AM - 1:30 PM at Daphne’s May Day Park.

S’mores on the Shore (Free)

6:00 PM Gulf Shores Public Beach, Gulf Shores, AL, 36547 Campfires, live music and s’mores will be the scene as the City of Gulf Shores hosts its annual S’mores on the Shore event. The fun will begin at 6 p.m. at the west end of the Gulf Shores Public Beach.

Friday May 24

Heritage Park Marketplace

4:00 PM - 7:00 PM, Heritage Park, 104 N McKenzie St Foley, AL, 36535 Heritage Park Marketplace will showcase a variety of arts and crafts as well as plants, vegetables, fruits, and gift items. The marketplace will operate from 4 p.m. to 7 p.m.

www.visitfoley.com

Music and a Movie

6:00 PM Heritage Park, 104 N McKenzie St Foley, AL, 36535 Live entertainment begins at 6 p.m., followed by a movie at dusk. The marketplace and Music and a Movie will continue every Friday through June 9. Those who come for the music and a movie are asked to bring a chair or a blanket for seating. www.visitfoley.com/

White Tie Rock Ensemble – Monsters of Rock

7:30 PM OWA Theater, 205 N. OWA Blvd Foley, AL, 36535 Get ready to rock as White Tie Rock Ensemble takes center stage at OWA Theater on May 24 & 25 for an epic performance – Monsters of Rock! From the iconic sounds of Kiss to the powerhouse performances of AC/DC and Def Leppard, the show will be an unforgettable journey through the greatest hits of rock history www.visitowa.com

Saturday May 25

100 Alabama Miles Local Kickoff

8:30 AM Historic Blakeley State Park, 34745 State Hwy 225 Spanish Fort, AL, 36527 Blakeley’s event will feature a 2 mile-hike along a portion of our incrediblypreserved Civil War battlefield guided by park staff. Come explore our beautiful natural environment while learning about the park’s unique cultural heritage! We will have a limited number of commemorative t-shirts available for event participants free with registration while supplies last! www.blakeleypark.com/

Family Fun Market Day

10:00 AM Fairhope Pier, 1 N Beach Rd Fairhope, AL, 36532 Come out to South Beach Park at the Fairhope Pier to shop local small businesses while having a fun day with your family! Along with awesome vendors, we will have food trucks, a bounce house, fun activities for the kids, treats & the list in growing!

Cspire Concert Series Presents: Cole Swindell with special guests Dylan Scott and Jon Langston

7:00 PM The Wharf Amphitheater, 23101 Canal Rd Orange Beach, AL, 36561 Cspire Concert Series Presents: Cole Swindell with special guests Dylan Scott and Jon Langston www.alwharf.com

White Tie Rock Ensemble – Monsters of Rock

7:30 PM OWA Theater, 205 N. OWA Blvd Foley, AL, 36535 From the iconic sounds of Kiss to the powerhouse performances of AC/DC and Def Leppard, the show will be an unforgettable journey through the greatest hits of rock history www.visitowa.com

Sunday May 26

Baldwin Pops - Loxley Municipal Park

Memorial Day Concert

3:00 PM Loxley Municipal Park, Loxley, AL, 36551 This concert will be a Memorial Day tribute with patriotic

tunes and pieces that honor those that have made the ultimate sacrifice for their country. www.baldwinpops.com/events

Monday May 27

Baldwin Pops - Fairhope Memorial Day Concert

5:00 PM Henry George Park , Fairhope, AL, 36532 This concert will be a Memorial Day tribute with patriotic tunes and pieces that honor those that have made the ultimate sacrifice for their country. www.baldwinpops.com/events

Tuesday May 28

STEM Lecture

3:30 PM Daphne Public Library, 2607 US-98 Daphne, AL, 36526 May 28th 3:30pm Porch: The Atomic Age & The Space Race. This history lecture will cover the events taking place after World War II when several countries around the world raced to turn sciencefiction into science-fact. These lectures are open to adults and teens, children up to parent discretion and must be supervised. 251-620-2500 www.daphneal.com/178/Library

Thursday May 30

Brown Bag by the Bay (Free)

11:30 AM May Day Park, Daphne, AL, 36526 Join us for the return of everyone’s favorite lunchtime concert series, Brown Bag by the Bay, 11:30 AM - 1:30 PM at Daphne’s May Day Park.

Glenn Miller Orchestra

7:00 PM Saenger Theatre, 6 South Joachim Street Mobile, AL, 36602 Hear all the legendary jazz & swing hits.

www.asmglobalmobile.com/

Friday May 31

Heritage Park Marketplace

4:00 PM - 7:00 PM, Heritage Park, 104 N McKenzie St Foley, AL, 36535 Heritage Park Marketplace will showcase a variety of arts and crafts as well as plants, vegetables, fruits, and gift items. The marketplace will operate from 4 p.m. to 7 p.m.

www.visitfoley.com

Music and a Movie

6:00 PM Heritage Park, 104 N McKenzie St Foley, AL, 36535 Live entertainment begins at 6 p.m., followed by a movie at dusk. The marketplace and Music and a Movie will continue every Friday through June 9. Those who come for the music and a movie are asked to bring a chair or a blanket for seating. www.visitfoley.com

Wednesday June 5

Summer Reading

Kick-Off (Free)

2:00 PM - 4:00 PM, Fairhope Public Library, 501 Fairhope Avenue Fairhope, AL, 36532 All Ages! Join us for our outdoor Summer Reading Kickoff Party and learn about this year’s theme: “Adventure Begins at Your Library” at Fairhope Public Library! Our Kickoff Party will feature special guests from the local area. This all-ages event is FREE to attend, and everyone is welcome to join us outside, behind Fairhope Library, for a delightful afternoon of fun and learning. Stop by to get all of the materials you will need to participate in Summer Reading this year!

251-929-1465 www.fairhopelibrary.org/

Eastern Shore Parents I May 2024 www.easternshoreparents.com 62

FamilyCalendar

Friday June 7

2024 Boots & Bandanas Drawdown 5:30 PM Baldwin County Coliseum, 19477 Fairground Road Robertsdale, AL, 36567 www.centralbaldwin.com

Saturday June 8

Children’s Cup Regatta

4:00 PM Fairhope Yacht Club, 1010 Volanta Avenue Fairhope, AL, 36532 The annual Children’s Cup Regatta is a familyfriendly event supporting patients from the Alabama Gulf Coast who receive care at Children’s of Alabama. Participation from out-of-town sailors and non-yacht club members is welcome. 251-610-4969 www.childrensal.org/foundation

Masquerade Ball

6:00 PM Daphne Civic Center, 2603 US-98 Daphne, AL, 36526 Our event invites you to “mask out” cancer for one night by celebrating local cancer survivors and those still fighting. This year’s summer event will boast great music, food, drink, and a silent auction and always-entertaining live auction. www.anchorcrossfoundation.org/masquerade-ball/

Every Monday

Lego Free Build - Spanish Fort Public Library

3:30 PM Spanish Fort Public Library, 7361 Spanish Fort Boulevard Spanish Fort, AL, 36527 Every Monday 3:30 - 5 pm, patrons are invited to the Spanish Fort Public Library to exercise their creativity and practice their engineering skills by constructing their very own LEGO® creation. 251-410-READ www.spanishfortpubliclibrary.org

Every Monday and Friday

Free Build - STEM Play (Free)

9:15 AM - 12:00 PM, Fairhope Public Library, 501 Fairhope Avenue Fairhope, AL, 36532 Ages 2 to 10 years old. Come put your creative imagination to the test! We will put out all of our legos, soft blocks, lincoln logs, picnic pieces, buckets of dinosaurs, and more. Join us in the Activity Room for Free Build every Monday and Friday from 9am - Noon. 251-929-1465 www.fairhopelibrary.org/

Every Monday May 27-July 29

Slice of Summer

6:00 PM - 9:00 PM, The Wharf, 23101 Canal Road Orange Beach, AL, 36561 Kids’ Activities (camel rides, face painting and much more) + DJ: 6-9 pm, SPECTRA Laser Light Experience: 8:30, 9 + 9:30 pm 251-224-1000 www.alwharf.com

Every Tuesday

Story Time with Surani

10:00 AM Spanish Fort Public Library, 7361 Spanish Fort Boulevard Spanish Fort, AL, 36527 www.spanishfortpubliclibrary.org/

Story time - Lap Babies (Free)

10:30 AM Daphne Public Library, 2607 US-98 Daphne, AL, 36526 Lap babies at 10:30 am (infant to 23 months) Songs, stories, puppets and more! 251-620-2500 www.daphneal.com/178/Library

Family Game Night - Spanish Fort Public Library

4:30 PM Spanish Fort Public Library, 7361 Spanish Fort Boulevard Spanish Fort, AL, 36527 Bring the

family or bring your friends (or bring both!) to SFPL on Tuesday evenings! Pull up a chair and enjoy playing one of the many board and card games we have available for use.

251-410-READ www.spanishfortpubliclibrary.org/

Tuesdays May 28 - July 30

Wild Wild Wharf

6:00 PM - 9:00 PM, The Wharf, 23101 Canal Road Orange Beach, AL, 36561 DJ Matt will be turning up the tunes as you dance the two-step. Enjoy a mechanical bull, face painting + so much more.

251-224-1000 www.alwharf.com

Every Third Tuesday

Kickstart Art (Free)

3:30 PM Daphne Public Library, 2607 US-98 Daphne, AL, 36526 Kickstart art for 4th-8th grade. 3:30pm4:30pm in the cafe.

251-620-2500 www.daphneal.com/178/Library

Every Wednesday

Storytime - Page & Palette

10:00 AM Page & Palette, 32 S Section Street Fairhope, AL, 36532 Please join us on Wednesdays at 10:30 AM for storytime! Each week, Miss Paula share a silly story the whole family will enjoy.

251-928-5295 www.pageandpalette.com

Wednesdays May 29 - July 31

Pepsi Treasure Hunt for Hunger benefitting Secret Meals for Hungry Children

6:00 PM - 9:00 PM, The Wharf, 23101 Canal Road Orange Beach, AL, 36561 Pepsi Treasure Hunt for Hunger benefitting Secret Meals for Hungry Children. Treasure Hunt + DJ Matt: 6-9 pm, SPECTRA Laser Light Experience: 8:30, 9 + 9:30 pm 251-224-1000 www.alwharf.com

Every third Wednesday

Observe and Explore (Free)

10:00 AM Graham Creek Natural Preserve, 23460 Wolf Bay Drive Foley, AL, 36535 The program will begin at 10:00 am with a story that fits the theme. This will be followed by a short lesson with an activity or science experiment. The program will end with a themed craft. Lessons and activities are based on elementary level concepts and skills related to nature. 251-923-4267 www.grahamcreekpreserve.org

Every

Thursday

Little Explorers Sensory Play and Learn

Story Time

10:00 AM Spanish Fort Public Library, 7361 Spanish Fort Boulevard Spanish Fort, AL, 36527 www.spanishfortpubliclibrary.org/

Story time Preschool (Free)

10:30 AM Daphne Public Library, 2607 US-98 Daphne, AL, 36526 Story--time for 2 yrs. – 4 yrs. 251-620-2500 www.daphneal.com/178/Library

After School Book Club

3:30 PM - 4:30 PM, Daphne Public Library, 2607 US-98 Daphne, AL, 36526 After School Book Club –Thursday 3:30 PM -4:30 PM (Kindergarten -5th grade) www.daphneal.com/178/Library

Lego Club (Free)

4:00 PM Fairhope Public Library, 501 Fairhope Avenue Fairhope, AL, 36532 Do you love LEGOs? So do we! Kids ages 8-12 can come to the Activity Room for collaborative play and building, working toward our very own LEGO brickfilm, filmed by our FHPL builders! 251-929-1465 www.fairhopelibrary.org/

Farmer’s Market Storytime (Free)

4:00 PM Fairhope Public Library, 501 Fairhope Avenue Fairhope, AL, 36532 Farmer’s Market Storytime every Thursday at 4pm at the Fairhope Farmer’s Market outside behind the library. 251-929-1465 www.fairhopelibrary.org/

Thursdays May 30 - August 1

Wiki Wiki Wharf

6:00 PM - 9:00 PM, The Wharf, 23101 Canal Road Orange Beach, AL, 36561 Get ready to cool off in the water slide and water bouncy. Show off your skills on the surfboard simulator or have your face painted to go along with the theme. 251-224-1000 www.alwharf.com

Every Thursday until June 27

Spring Outdoor Farmers Market

3:00 PM - 6:00 PM, Behind Fairhope Public Library, Fairhope, AL, 36532 The farmers market will feature a varied selection of individual booths selling local produce, plants, honey, baked items, handmade soaps, and more. For entertainment and the whole family, the farmers market will feature live music and activities for the kids

First Friday of Every Month

Graham Creek Natural Preserve Guided Tours

(Free) 9:00 AM Graham Creek Natural Preserve, 23460 Wolf Bay Drive Foley, AL, 36535 Call to reserve a golf cart tour of the reserve. Limit: 8 251-923-4267 www.grahamcreekpreserve.org

Every Saturday

Stapleton Market

8:00 AM - 1:00 PM, Stapleton School, 35480 Harriot Avenue Stapleton, AL, 36578 Stapleton Market will showcase and support local farmers and craftspeople. Make plans now to take part weekly in this seasonal farmer’s market every Saturday from May 11 through September 14.

Saturday Storytime-Barnes and Noble

11:00 AM Barnes and Noble, 30500 State Hwy 181 Suite 414 Spanish Fort, AL, 36527 Come every Saturday for storytime at 11am.

251-621-3545 www.stores.barnesandnoble.com/ store/2186

Every third Saturday

Observe and Explore (Free)

10:00 AM Graham Creek Natural Preserve, 23460 Wolf Bay Drive Foley, AL, 36535 The program will begin at 10:00 am with a story that fits the theme. This will be followed by a short lesson with an activity or science experiment. The program will end with a themed craft. Lessons and activities are based on elementary level concepts and skills related to nature. 251-923-4267 www.grahamcreekpreserve.org

Second and fourth Sundays

Mobile Bay Maker’s Market

11:00 AM - 3:00 PM, Along Mobile Bay at The Pier, Fairhope, AL, 36532 Taking place every 2nd and 4th Sunday of the month, the Mobile Bay Maker’s Market features over 35 local artisans, farmers, and makers along the gulf coast. Food trucks are also on site.

63 www.facebook.com/easternshoreparentsmagazine
send your calendar events to lynn@ easternshoreparents.com.
Please

Telling the Algorithm to Kiss Off

I was watching my son scroll his social media the other day and he was “liking” almost everything he saw. Sharing. Saving. Sometimes commenting. At that point, I realized how very different our social media consumption is.

Other than the obvious generation gap and his propensity to follow bodybuilders, truck stuff, and teens, in general, doing a lot of weird things...and my propensity that leans towards

business account online, and you don’t do these things, over and over and over all day to exhaustion...forget about it. Three people will see your stuff. It is ridiculous. My son, however, does what it asks for. He maintains a constant scrolling, liking, and commenting machine. So, the algorithm loves him and feeds him more and more of what he engages with. And on the hamster wheel, he rolls.

Why is this a

or because we are of the generation that raised themselves and never did anything we were told to do anyway.

Gen Z and Gen A are different. The engagement is ongoing and never-ending. It seems to feel okay to these generations. Even if it doesn’t, they will likely never admit it, and they lack the desire or skills to back out of their bubble and explore new worlds against the algorithm grain.

largely an Insta gram consumer, with FB for family and friend stuff and a bit of TikTok when I want to see animals doing dumb things.

However, what is important is how I interact with these apps. I am a silent scroller. I rarely “like” anything except the occasional sweet picture or post from friends or family. It is even more uncommon for me to provide comments on posts. I will share, but only if I find it hysterical or educational. And I LOVE to research, taking deep dives for answers to all of my pressing questions, which goes against all of the algorithm rules. Searching does talk to the algorithm some, but not engaging with platforms goes against what the algorithm tries to force you to do. And if you want to grow your

limits our understanding and growth. It confines us to a small bubble that prevents us from exploring the world’s complexities. The narrow lens distorts reality and hinders our ability to embrace differences and variety.

I love exploring different viewpoints. Our differences are what make us unique. And interesting. Being fed the same dribbling stream of information greatly contributes to divisiveness. People begin to believe that one view is the only view. It is an empathy stealer. How can we empathize with others if we hold fast to only one point of view? This worries me for adults but terrifies me for our youth. Like me, many (not all) adults of my generation (Gen X’ers) seem to be more of the silent scrolling type. Maybe because we “just don’t get it,”

Social media was created as a way to be social. To interact with one another. I remember when FB first came about, we could all chat with each other. Or not. But we could still see that person’s feed. We were not forced into a relationship with people and ideas in order to see the information. While I get that there are positives associated with having some algorithm influence, I can not help but think it has manipulated us into tiny bubbles. In true Gen X fashion, I do not respond well to being manipulated. I will continue my silent scroll, my quiet desire for all viewpoints. In my small way, I tell the algorithm to kiss off as I reach outside my bubble.

media safety advocate. She is a licensed social worker with greater than 15 years of clinical practice and health care experience. She attended Troy and Auburn University where she studied social work and counseling. Kristi travels nationally and has spoken with thousands of children, parents, professionals and organizations about the benefits and threats associated with social media. You may reach Kristi through her website at www.knbcommunications.com.

Eastern Shore Parents I May 2024 www.easternshoreparents.com 64
Kristi Bush serves as a national education consultant and social
1 www.facebook.com/auburnopelika.parents Parents stop hpv Keep Your Kids Cancer Free! More than 26,000 new cases of HPV cancers could be prevented with HPV vaccination Prevents of HPV cancers 90% Protects boys and girls against
Don’t Delay. contact your childs doctor today! Vaccine costs are covered by most insurance programs, Medicaid, and the Vaccine for Children Program (VFC).
Vaccine is Cancer Prevention! 90% Visit alabamapublichealth.gov/imm for more information and other available resources. Don’t Wait to Vaccinate AGE AT FIRST DOSE DOSE #2 DOSE #3 9 years until 15th birthday 6-12 months after dose #1Not Needed 15 years or older 1-2 months after dose #2 Approximately 4 months after dose #2
half a dozen cancers including cervical and other HPV cancers.
HPV

Turn static files into dynamic content formats.

Create a flipbook
Issuu converts static files into: digital portfolios, online yearbooks, online catalogs, digital photo albums and more. Sign up and create your flipbook.
Eastern Shore Parents VBS Guide Issue (May 2024) by KeepSharing - Issuu