Eastern Shore Parents Summer Fun Issue (June 2024)

Page 1

The region’s only emergency department for kids just got better.

We’re excited to announce the opening of the new Pediatric Emergency Center at USA Health Children’s & Women’s Hospital. Uniquely designed for patients 18 and under, it is the only facility on the Alabama Gulf Coast dedicated to caring for sick and injured children 24 hours a day, every day. Our board-certified physicians, specially trained pediatric nursing staff, and child life specialists offer the highest level of care available when every second counts.

usahealthsystem.com

1 www.facebook.com/auburnopelika.parents UNIVERSITY HOSPITAL • CHILDREN’S & WOMEN’S HOSPITAL • PROVIDENCE HOSPITAL MITCHELL CANCER INSTITUTE • PHYSICIAN ENTERPRISE
1 www.facebook.com/easternshoreparentsmagazine

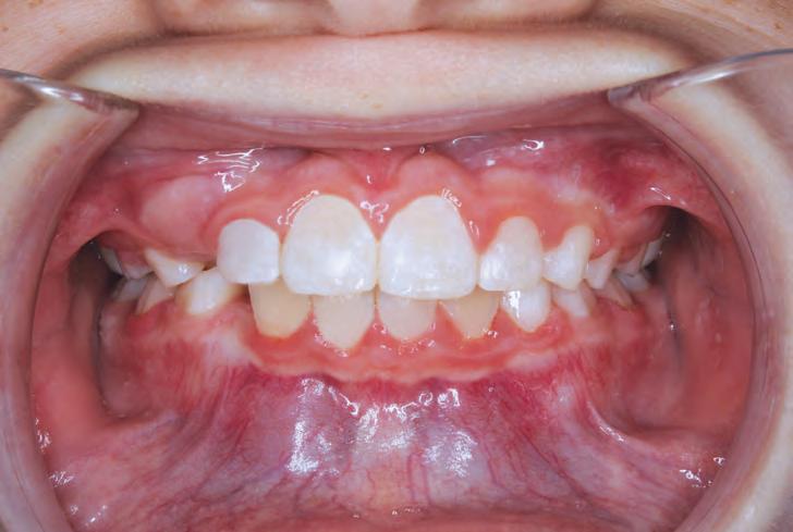
SOMETHING TO SMILE ABOUT

At Glass Orthodontics, you’re more than just another faceyou’re a unique person and our team values that. With one dedicated doctor and a hands-on team, everyone will know your name! Consultations are always complimentary and we offer flexible appointments and interest free payment plans. With four locations to serve you, there is always something to

Eastern Shore Parents I June 2024 www.easternshoreparents.com 2 ATMORE • B AY MIN E TT E • BREWTON 25 1.6 2 6.7 7 70 | GL A SSO R THO.CO M
AFTER BEFORE AFTER
TH R ILL
THEN CHILL . OWA’s
Bay,
options.
,
Tropic Falls is Alabama’s tropical getaway in every season. The region’s biggest indoor water park is joined by 23 theme park attractions and Big Water
our outdoor wave pool and surf simulator. Plus tropically inspired dining
Plan your fun times at VisitOWA.com!

Celebrating Dads

Ideas for honoring fathers, husbands, grandfathers and father-figures!

Summer Fun Guide

Local and nearby activities offer your kids a summer to remember.

Best Summer Ever

Discover nine ways to amp up creative family fun.

New to Town?

Discover eight ways to make family friends fast.

AnnaLei McCovery (age 2 1/2), daughter of Blair Gordon and Vernon McCovery, Jr., and little sister to Alexis (17), Alayna (12), and Kinsley (8). Grandparents are Angela McCovery Webb, the late Anne and Curtis Gordon, and the late Vernon McCovery, Sr.

AnnaLei enjoys going on family camping trips in her princess dress and fishing with her daddy. She is very interested in every type of animal and all the fun noises they make. Her love for music is obvious! No matter what time of day you can always find AnnaLei “singing” and dancing.

5 www.facebook.com/easternshoreparentsmagazine Departments Columns 14 Teacher of the Month 16 School Bits 62 Family Calendar 67 Book Reviews 6 Publisher’s Note Lynn Knighton 8 Meeting Kids Where They Are Works of Wonder Therapy, LLC 13 Kids Health Watch Sponsored by Magnolia Springs Pediatrics 40 Dinner’s Ready Gabriele Jones 68 Tweens, Teens and Screens Kristi Bush, LSW On The Cover
Volume 17 Number 2
June 2024
46
42 50
58

Publisher’sNote

I have the best memories of summers as a kid. Summers always included VBS, time with cousins, and neighborhood friends. Time spent at my grandmother’s house in the country was always a good time. She made country breakfast, and then my cousins would come over, and that is when the fun really started. We would climb the giant fig tree, get chased by the rooster, and find all kinds of things to do outside. As it got too hot or rainy, we moved indoors, where there was one big hall from the front door to the back. We would take turns sitting in a rolling office chair while the others took a running start and hurled us down the big hallway, holding on for dear life. One afternoon, we had the idea for my younger cousin to jump off the bed, grab the light fixture, and swing across the room. She did just that except for the swing part; she immediately went straight to the floor, still holding the light fixture. I’m pretty sure our parents are still mad about that one 40-ish years later. But that sweet soul of a grandmother never raised her voice. She had the smile of an angel and the patience of Job. Spending time with the other side of the family was just as fun. Those visits were filled with lots of beach time and midnight fishing on the pier. Yes, we were still mischievous with those cousins, too, but those times were more food fights and trying to pierce my grandmother’s ears, which she let us do! Looking back, I am pretty sure the adults were into the margaritas that night, probably as a result of the food fight. The rest of the summer was spent with neighbors running through the sprinklers, riding bikes, making “go-karts” out of scrap materials (brakes not included), and fun crafternoons making coffee can stilts and whatever else the World Book Encyclopedia Craft Edition had in store for us. The point of all this is that, as kids, we never expected our parents to figure out what we would do with our time. We were left to figure it out, and telling them “I’m bored” was not an option. That would end in chores. We joined our creative juices together and made our fun. Yes, it landed us in trouble a few times, but we have great memories and laugh to this day about it all.

While you may not have a grandmother with a terrifying rooster or the World Book Encyclopedia, you have your June “Summer Fun” copy of Eastern Shore Parents! We have filled this issue with ideas and activities to create a summer full of creative thinking and fun. In Christina Katz’s feature Best Summer Ever: Nine Ways To Amp Up Creative Family Fun, you will find ways to curate wonderful crafternoons that are great for those extra hot days and inevitable rainy afternoons. For those days you want to get out of the house, definitely check out our annual Summer Family Fun Guide. The guide is stuffed with amusement parks, hiking trails, library events, and more. If that is not enough, you can find even more to do in the Family Calendar!

Father’s Day is also part of the June festivities. In honor of Father’s Day, we are featuring Rebecca Hasting’s article Celebrate All the Dads in Your Life for Father’s Day. Her feature not only covers ideas for celebrating your biological father but also ways to honor all of the people who play a father-like role in your or your children’s lives. Be it a father, grandfather, uncle, or mentor, make sure you let them know how important they are to you!

Wishing you all a safe and joy-filled summer and Happy Father’s Day!

lynn@easternshoreparents.com

Eastern Shore Parents Magazine, is founded on the principle that parenting is an exciting, diverse, challenging, and significant, role in our community. Eastern Shore Parents Magazine is a community advocate for families and the parenting process.

Publisher Lynn Knighton lynn@easternshoreparents.com

Editor

DeAnne Watson deanne@easternshoreparents.com

Research Editor Lucy Green

Contributing Writers

Kristi Bush, LSW

Beth N. Davis

Rebecca Hastings Gabriele Jones

Christina Katz

Dave Ramsey

Robert L. Rux, M.D. Works of Wonder Therapy, LLC

Cover Photography

Jenn Glies Photography www.jenngliesphotography.com

President Jason Watson jason@easternshoreparents.com

Advertising Opportunities

Lynn Knighton ads@easternshoreparents.com (251) 929-2099

Ad Design

Tim Welch

Web Content Manager

Scott Davis

Eastern Shore Parents magazine is published monthly by KeepSharing, LLC. Mailing address: P.O. Box 374, Montrose, Alabama, 36559. The phone number for voice and fax is (251) 929-2099.

Eastern Shore Parents is copyrighted 2024 by KeepSharing LLC. All rights reserved. Reproduction in whole or part without written permission is prohibited. Opinions expressed in Eastern Shore Parents magazine are those of the authors and do not necessarily reflect the view of the owners, nor do they constitute an endorsement of products and services herein.

Eastern Shore Parents I June 2024 www.easternshoreparents.com 6
Lynn
The Eastern Shore’s Foremost Parenting Source Visit us online at
www.easternshoreparents.com
7 www.facebook.com/easternshoreparentsmagazine

How Social Media is Shaping Your Children

Our children, no matter what age, soak up everything. They are sponges that absorb their friends, celebrities, social media, television shows, and movies. For the most part, mature adults can separate the good from the bad and right from the wrong. Most importantly, adults can separate facts from opinions. Children are not capable of this type of critical thinking. Children take opinions and solidify them as facts. Their brains naturally seek information that confirms their new beliefs, and this is the danger young minds face when using social

Dr. Michael Workman, Associate Professor of Technology Management at Texas A&M, conducted a study to determine if social media can change our opinions. “We found that when people are seeking new information about a topic, social media can change their minds,” Workman said. “But if they have already decided on something, say politics or religion, they mostly seek information to confirm what they already believe. If you have already made up your mind about something, then social media is not going to change it for you.” Social

believe. This phenomenon is referred to as “the echo chamber effect”.

So why is this important to parents? This research reveals that it is vital for parents to build a solid foundation of morals, values, and beliefs before allowing their children to access social media. If you do not take the time to sit down and talk to your children about the important issues in the world today, social media will form your children’s opinions without any input from you.

I hear opinions shared as fact consistently from children, pre-teens, and teens. Even when I provide evidence to the contrary, they do not believe me and are unwilling to listen to the truth. Do you remember when you were 12 and knew everything, only to mature and realize that you knew nothing? The terrifying fact is that the youth of today have an “echo chamber” to confirm every juvenile opinion they have. As parents, we must ensure that our children are well grounded before we open their minds up to the terrifying world of social media.

Dr. Beth Long received her education in Counseling Psychology from Chapman University. She is a Licensed Professional Counselor and Board Certified Behavior Analyst. Beth has worked in six unique clinical environments across the country and currently owns Works of Wonder Therapy in Montgomery. Beth utilizes the knowledge from a variety of different disciplines to give her patients the best care possible. To learn more visit www.worksofwondertherapy.com.

Eastern Shore Parents I June 2024 www.easternshoreparents.com 8
by Works of Wonder Therapy www.worksofwondertherapy.com
9 www.facebook.com/easternshoreparentsmagazine

Distinguished Young Women

Distinguished Young Women is a national scholarship program that inspires high school girls to

develop their full, individual potential through a fun, transformative experience that culminates in a celebratory showcase of their accomplishments. Our mission is to empower young women to reach their full potential by providing scholarship opportunities for college as well as personal development to become confident leaders. Join us for the Preliminaries on June 27-28, and the National Finals on June 29. Please visit https://distinguishedyw.org/ for more information.

NatureNauts at Bellingrath Gardens and Home

Embrace the beauty of nature and the excitement of learning at Bellingrath Gardens & Home’s NatureNauts event. On Wednesday, June 12, 2024, from 9 a.m. to noon, families are invited to participate in a day filled with educational fun, focusing on the rich wildlife and ecology of the Gulf Coast.

Engage with the Raptor Road

Show

The highlight of NatureNauts is the much-anticipated Raptor Road Show presented by the Environmental Studies Center (ESC). Set on the picturesque Great Lawn, this show brings the audience up close and personal with majestic birds of prey, including redtailed hawks, American kestrels, screech owls, and more. These rehabilitated birds serve as ambassadors to educate and inspire visitors about the fascinating world of raptors.

Explore Marine Life with Dauphin Island Sea Lab

The Dauphin Island Sea Lab will engage young minds with their Discovery Hall touch tables. This hands-on experience allows children to meet the creatures of Mobile Bay, fostering a deeper appreciation for marine biology and the delicate ecosystems of the Gulf Coast.

Learn from Renowned Environmental Organizations

● Alabama Audubon ● Alabama Coastal Foundation

● Dauphin Island Sea Lab - Discovery Hall Programs

● DISL Marine Mammal Research Program

● Environmental Studies Center ● Leave No Trace Center

Additional Attractions include Interactive Education, Story Time, Conservation Activities.

Admission: ● Adults: $16 ● Children (5-12): $10

● Children (4 and under): Free ● Friends of Bellingrath: Free For more information and to purchase tickets, please visit Bellingrath Gardens and Home website.

8th Annual Corn Festival

Coastal Alabama Farmers and Fishermen’s Market is excited to host the 8th Annual Corn Festival the day before Father’s Day, June 15 from 9 a.m. to 2 p.m. The festival will feature all your favorite vendors, a corn-eating contest, and tons of activities for the kids. This year there will also be a Corny Dad Cook-Off! Three local cooks, who also happen to be dads, will compete to see who has the best dish that features corn as the main ingredient. 200 lucky members of the public will get to taste each dish and vote for their favorite. fCome check out all the incredible options our vendors have to offer. From seafood to farm fresh produce to delicious baked goods to artisan crafted treasures there’s something for everyone at CAFFM. If you would like to be a vendor, please contact Alescia at 251-709-4469.

4th of July Celebration 2024

Get Ready for an Independence Day Extravaganza brought to you by the City of Mobile. Join us at the USS Alabama Battleship Memorial Park on July 4th from 6:00pm – 9:30pm for live music, bounce houses, games, activities, face painting, and a spectacular fireworks show at 9:00pm. Invite your friends and family to enjoy the fun! Please visit https://www.cityofmobile. org/parks-rec/events/4th-of-julycelebration-2024 for more information. 2,000

Exceptional Foundation Karaoke Night

Exceptional Foundation of the Gulf Coast invites you to saddle up for a boot-scootin’ good time a the 3rd Annual Karaoke Night. This evening of Music, Food, and Fun will be held Thursday, June 27th from 5:30pm – 8:00pm at 28788 N. Main Street, Daphne, Alabama. The event is open to the public. Tickets are $15 for one or 2 tickets for $25. Proceeds from this event will benefit Exception Foundation Gulf Coast. Exception Foundation Gulf Coast provides social and recreational opportunities for the special needs community of Baldwin and Mobile Counties. For sponsor opportunities or info call (251) 625-8955.

Eastern Shore Parents I June 2024 www.easternshoreparents.com 10
sq. ft. Space with Private Bathrooms

Area July 4th Fireworks and Independence Day Celebrations

Baldwin Pops and City of Fairhope Independence Day Celebration: Come celebrate our nation’s independence with a concert from the Baldwin Pops who will be playing patriotic tunes and crowd favorites, followed by a live performance of marches to accompany the City of Fairhope fireworks display. For this concert, come early and bring your best picnic set up because awards will be given for the best picnic display and Baldwin Pops will have a raffle for a chance to conduct the band! The concert begins at 6:30 pm and will be located at Henry George Park in Fairhope. Fireworks begin at approximately 9pm. As a reminder, this is an alcohol-free event, and no personal fireworks are permitted. For more information on Fairhope’s Fourth of July Fireworks display call 251-929-1474.

The City of Robertsdale is excited to once again host its Annual 4th of July Fireworks around 9pm at Garrett Park, located at 18080 Pennsylvania St, Robertsdale. Bring blankets or lawn chairs as families, friends, and neighbors gather to celebrate this patriotic occasion.

umme'r S '' ' savvy savvy mom sale kids kids R R R New consignors welcome! amazing volunteer perks! at super low prices you can’t afford to miss! s core the brands you score I I Bathrooms Spectacular Waterfront Venue PERFECT FOR REHEARSAL DINNERS 30 to 100 Guests Rehearsal Dinners Small Weddings Corporate Meetings Holiday Parties Reunions,Graduations Celebrations Reveals, Showers & More originaloysterhouse.com/banquet | 251-753-5813

2024-2025 USS ALABAMA Crewmates Announced

Now hear this! USS ALABAMA Battleship Memorial Park is pleased to announce the selection of our 2024-2025 USS ALABAMA Crewmates. Representing the park this year will be:

• Camille Bailey, age 19. Camille attends Coastal Alabama Community College where she is a freshman majoring in Nursing. She is the daughter of Donald Bailey and Jennifer Bailey.

• Ella Cranton, age 19. Ella attends Bishop State Community College where she is a sophomore majoring in Mechanical Engineering. She is the daughter of Christopher and Michelle Cranton.

• Alexandria Lopez, age 19. Alexandria attends the University of Mobile where she is a freshman majoring in Pre-Health Biology. She is the daughter of Michael and Lisa Lopez.

• Kinsey Otzenberger, age 19. Kinsey attends the University of Mobile where she is a freshman majoring in Communications. She is the daughter of Timothy and Kim Otzenberger.

• Mackenzie Rowe, age 20. Mackenzie attends the University of South Alabama where she is a sophomore majoring in Speech and Hearing Sciences. She is the daughter of Michael and Jennifer Rowe.

• Annalise Wright, age 19. Annalise attends the University of South Alabama where she is a freshman majoring in Business. She is the daughter of Donald and Jessica Wright.

The USS ALABAMA Crewmates will each be awarded a $2,000 scholarship to the college or university of their choice. At the end of their year of service Miss USS ALABAMA and Miss USS DRUM will be named. These two young women will receive an additional $1,000 and $500 scholarship respectively. The USS ALABAMA Crewmate program was founded in 1967 as an ambassador program for the newly created USS ALABAMA Battleship Memorial Park. Each year a group of young women is selected to represent USS ALABAMA Battleship Memorial Park at local and state events. More than 300 young women to date have served as USS ALABAMA Crewmates.

For more information on the USS ALABAMA Crewmate Program, please call Lynne Price at 251-438-2834, or email lprice@ussalabama.com.

Eastern Shore Parents I June 2024 www.easternshoreparents.com 12

KidsHealthWatch

Sponsored by Magnolia Springs Pediatrics

Getting Your Kids Ready for College!

Happy Summer, y’all! Well, this month, I’m writing a bittersweet article because we are coming to grips with the fact that my kids are growing up and will be headed off to college soon! (Insert crying emoji here.) But they will grow up in spite of our best efforts, so there are some things as parents that we need to do to help them get ready!

Most colleges and military commitments require not only a physical, but some require blood work and a tuberculosis test, and almost all require either a booster or new immunizations. Unfortunately, there are still outbreaks of preventable illnesses like mumps or measles, as well as new ones. The colleges will send out what they need, but since the immunizations are pretty much the same across the board, let’s talk about those. First, be sure that all routine childhood immunizations are up to date. These include the Tdap (tetanus, diphtheria, and pertussis), MMRV (measles, mumps, rubella, and varicella), Hepatitis A and B, Haemophilus, and Polio. Some require

boosters at certain ages, so check with your physician.

Next, let’s think about vaccines for older kids. There are several vaccines for bacterial meningitis. These are often required and necessary because of how dangerous they can be. There are cases every year of college-age kids who have died from this disease. Next is an annual flu shot, followed by a pneumococcal shot for those with underlying health conditions. The Covid vaccine is also available for older teenagers, and I highly recommend it. Finally, the HPV series is critical for both males and females to stop the spread of the virus that can cause cervical and other cancers. It’s an amazing medical breakthrough. Some parents are scared as it is considered a sexually transmitted disease. If you think this won’t apply to your child, you need to reconsider back to your late teens and twenties and reconsider!

Another consideration is the transfer of healthcare. Kids with chronic illnesses

and/or on chronic medications need to figure out a plan for their care at the new destination. Student health can often manage most conditions, but sometimes a specialist is needed. Talk with student health first for advice.

Finally, as we prepare to send our children off to college, let’s start thinking about the things they still need and gradually empower them to manage them. From washing clothes to self-hygiene, these are great first steps. But it’s equally important to let our children navigate the immunization and paperwork process and even call the college themselves to help manage their care. This small step can empower our kids to take control of their healthcare, a skill that will carry over into all aspects of their lives in the next chapter of their young lives!

13 www.facebook.com/easternshoreparentsmagazine
Robert L. Rux, M.D. is a Board Certified Pediatrician at Magnolia Springs Pediatrics. Originally from Mobile, he attended medical school at The University of Alabama School of Medicine (UAB) and completed residency at The Children’s Hospital of Alabama (UAB).

Sponsored by:

“Julia Otto is not just a teacher; she is an icon at Christ the King Catholic School,” shared Amanda McCallam, the Director of Admissions of Advancement at Christ The King Catholic School (CTKCS). “With three decades of teaching experience, Julia has cultivated a teaching philosophy that goes far beyond typical classroom expectations. For her, teaching isn’t just about the academic curriculum; it’s about nurturing the whole student - mind, body, and soul.”

Ms. Otto currently teaches Kindergarten at CTKCS in Daphne, AL. She obtained her Bachelor in Elementary Education from Springhill College in 1982 and hasn’t stopped teaching since. It is a true calling. She has been teaching for 33 years in the Archdiocese of Mobile.

Fostering strong faith in her students is just as important to Ms. Otto as watching them strengthen their academia daily. In her classroom, she couples her love for art and reading by encouraging her students to explore their creative side.

“She gives the students an opportunity for self-expression through creativity and literature. In her classroom, she encourages her students to explore their artistic talents and dive into the world of storytelling,” Mrs. McCallam shared. “The growth she sees in her students’ reading abilities and eagerness to share their artistic

Julia Otto

Christ the King Catholic School

creations is a testament to her dedication and influence.”

Ms. Otto says there is no greater joy in her life than watching her students grow in multiple facets each year. She works hard to connect with each of her students, and she brings an abundance of joy and laughter to anyone in her space. She desires that her teaching makes an impact beyond the classroom walls.

“Ms. Otto embodies the qualities of a truly exceptional educator: passion, dedication, and a genuine love for her students,” Mrs. McCallam said.

Sharing a little advice for those who might be early in their teaching careers, she says, “Be open to learning and change. No class or year will ever be the same. You have to be able to adjust and pivot to meet the needs of your students and their families.”

Receiving the award of the Eastern Shore Parents Teacher of the Month left Ms. Otto truly humbled. “There are so many amazing teachers at Christ the King and on the Eastern Shore,” she said. “Being recognized for this is special!”

Julia Otto has two children and four grandchildren. Outside of teaching, she enjoys reading, going to the beach, and spending time with her family.

South Baldwin Center for Technology Annual Awards and Certificates

South Baldwin Center for Technology held its annual awards and certificates program at the Robertsdale Coliseum. BCBE Superintendent, community leaders, principals, parents, and family members were on hand to congratulate the seniors on their accomplishments.

Awards were presented for Outstanding students in each program area as well as scholarship announcements for students. The Garrett Phillips Memorial Vocational Scholarship was given to five students, the annual scholarship is awarding $20,000 in scholarships in 2024 to recipients.

Coastal Alabama Community College presented cords and certificates to students who have completed dual enrollment programs with the college.

The National Technical Honor Society members were also recognized and received honor cords and certificates were given to all seniors who have completed their program requirements. Congratulations to all seniors and best wishes on a successful career.

Bayshore Senior Awarded Belforest Water System Scholarship

Congratulations to BCS senior Peter Gardner for being awarded the 2024 Belforest Water System Scholarship Program!

Your dedication and hard work have truly paid off, Peter. Here’s to a bright future!

W. J. Carroll Teacher and Staff Appreciation Week

The W. J. Carroll Intermediate School PTO and parent volunteers ended Teacher and Staff

Appreciation Week with 90s style and a dutyfree lunch from Newks! Thanks to all that helped honor and celebrate such amazing faculty and staff for the week!

J. Larry Newton Celebrates Graduation with Seniors

Fairhope High School seniors and J. Larry Newton kindergarten students, hand in hand, proudly paraded through the halls, adorned in caps and gowns, celebrating their graduation together! Congratulations to all the graduates!

Stonebridge Students Learn About the Strings

The second-grade classes at Stonebridge Elementary School enjoyed playing the cello and violin with Ms. Overby.

Eastern Shore Parents I June 2024 www.easternshoreparents.com 16

Fairhope Principals Win

Employee Award

Go, Pirates! Fairhope principals, Mrs. Angie Hall of Fairhope Middle School and Mrs. Tonya Harrelson of J. Larry Newton, were awarded the Baldwin Proud Employee Award! We are Pirate Proud of you both!

Stonebridge Students Safety Day

Fourth grade students at Stonebridge Elementary School participated in the Progressive Agriculture Safety Day learning about electrical safety, sun/ beach safety, pet safety, cyber safety, and much more. The day was filled with hands-on experiences and lots of information!

Silverhill Celebrates AR Program Goals

The Silverhill Elementary School library celebrated their students who earned their Reading Point Club goals during second semester with a movie celebration, pizza, and popsicles! The students also had so much fun on their walking field trip to

17 www.facebook.com/easternshoreparentsmagazine

Bayshore Theatre Presents “Little Women”

Bravo to the incredible cast and crew of the BCS Theatre Department for bringing the timeless classic “Little Women” to life on stage! A heartfelt thank you to all who contributed to making this production successful!

Send School News and Photos to: lynn@easternshoreparents.com!

Foley High’s Literary Lions Magazine Contest

Congratulations to the winners of Foley High School’s first annual Literary Lions Magazine contest!

Poetry Division: 1st Place: Waverleigh Ethridge

2nd Place: Diya Patterson

3rd Place: Skyler Thompson Cali Art Division:

1st Place: Fynn Stanford

2nd Place: Maggie Smith

3rd Place: Toprak Saylak

Best Short Story: Luke Michael

All winners received gift cards to Drowsy Poet, and their work will be published in this year’s edition of Foley Lions Pride & Poetry Magazine. Way to go!

Eastern Shore Parents I June 2024 www.easternshoreparents.com 18

Spanish Fort Middle Spring Concert

Congratulations to the Spanish Fort Middle 7th and 8th grade choir and band students, staff, and directors for a fantastic performance at the 2024 Spring Concert. Student solos, choirs, drum lines and band ensembles performed a variety of music. Students were also awarded participation certificates and received award recognition at the event. Congratulations to Band teacher Ms. Hughes and Choir teacher Mrs. Stewart for a great event!

St. Michael Catholic High New Athletic Stadium

The new, in campus athletic stadium is nearing completion

St. Michael Catholic Student Government Officers

Congratulations to the newly elected Student Government Officers at St. Michael Catholic High School

Back row: L-R Andrew Kiernan (VP), Jameson Calvery (President), Jack Garrison (Parliamentarian), Grace Rivers (Sacristan/Chaplain), Samantha Kokoszka (Secretary), not pictured Cooper Kurth (Treasurer).

Front row sitting L-R: Madi Taylor (O’Sullivan - Communications/ Sacristan) and Nora Ruffin (O’SullivanPresident)

LeeAnn Bonner (Portier - Communications/ Sacristan), Katherine Robinson (Portier - VP), Lina Ramps (PortierPresident)

Marianna Barragan (Allen - President), Dayla Anderson (AllenCommunications/Sacristan)

Justin Barfield (Quinlan - VP)

Not pictured: Franklin Kasch, Fisher Key, Natalia Pyatt and Lily Kerbl

Congratulations to the Daphne East Elementary Math Team

Congratulations to the Daphne East Elementary School Math Team! They competed at Belforest Elementary recently.

Olivia Zheng-1st in Speed Round Amalie Weidman - 3rd in Speed Round

Olivia Zheng, Aubrey O’Brian, QiNan Ou- First Place Group Competition, 1st Place

Individual TestOlivia Zheng, 3rd Place

IndividualQiNan Ou

Thanks Mrs. Bethay and Mrs. Dunbar for sponsoring the team and thanks Mrs. Redden and Mr. McGhee for helping out!

Eastern Shore Parents I June 2024 www.easternshoreparents.com 20

Check Out This Local Mate’s Eagle Scout Project

Dareon Maynard, 10th grader at Bayshore Christian School, has been scouting since 1st grade. During his time, Maynard has held several leadership positions including being inducted into the Order of Arrow, the National Honor Society for BSA where he currently serves as the Chapter Chief for Baldwin County for OA, making him the first African American to hold this position. Most recently Dareon earned his Brotherhood in OA. Furthering his scouting journey, Dareon is working on his Eagle Scout. The project he has selected allows him to combine his love of scouting with his love of chess. When Maynard was a student at Daphne East Elementary, he proposed starting a chess club then served as its first President. Under the guidance of teacher sponsor Mr. Terrance Watts, the club participated in tournaments and ultimately earned 1st place trophies. During this time Dareon earned designation as the top elementary school chess player in Mobile and Baldwin Counties. Maynard wants to encourage other students to engage in the game of chess so he is making plans to construct a concrete chess board at Daphne East. To fund the project, he is hosting a brick fundraiser. Personalized bricks will be placed at the base of the chessboard. Bricks are 3 5/8 x 7 5/8 and include up to 3 personalized lines with up to 18 characters per line. The cost per brick is $125. To purchase and personalize your brick or for more information on this project email, dareon.maynard@ bayshorechristian.org.

Fairhope West

Elementary

Wins Essay Contest

Fairhope West Elementary School 5th grader, Trinity Barnes, has been selected as the winner of the school’s annual school counseling essay contest. Trinity received a gift card to Chick-fil-A. Way to go, Trinity!

21 www.facebook.com/easternshoreparentsmagazine
2024

The girls’ team secured an impressive 5th place finish in the state, while the boys’ team claimed the 4th spot. Their outstanding performance is a testament to their talent, determination, and teamwork.

Extraordinary Triumph for Bayshore’s Track and Field Team!

Bayshore Christian School’s Track and Field team accomplished something truly remarkable last month! Despite consisting of just 8 athletes, they brought home a total of 8 medals from the state championships: 6 gold, 1 silver, and 1 bronze.

Saturday, July 13 • 9 a.m. - Noon

Join us for a day focused on baby!

Visit with OB/GYNs, attend educational sessions, tour The Birthing Suites at Springhill, meet the lactation consultants and labor & delivery nurses, visit vendor tables with products and services for baby & parents, ask questions/get answers. Our FREE event features prize drawings & refreshments.

Daphne Middle Students of the Month

Congratulations to the Daphne Middle School students of the month! Alanis Watson and Naomi Guzman are shining examples for their peers and we appreciate their efforts to succeed and lead at Daphne Middle School.

Eastern Shore Parents I June 2024 www.easternshoreparents.com 22
Send School News and Photos to: lynn@easternshoreparents.com! Springhill Medical Center Campus • 3715 Dauphin Street • Building 2, 2nd Floor

Robertsdale High Students Represent at Youth Leadership South

Congratulations to Robertsdale High School students Addison Hardy and Hope Giardina for being nominated to represent Robertsdale High School in the first ever Youth Leadership South Program. Youth Leadership South is a new opportunity for rising high school juniors and seniors offered through the Office of Executive Vice President and Provost, Dr. Andi Kent at the University of South Alabama. The program is designed to help students enhance leadership skills, interact with faculty, staff, and student leaders, and learn more about the opportunities available through higher education.

CTKCS Physics Carnival

Our 8th graders showcased their knowledge with games and activities, all rooted in physics principles. Seeing the younger students having a blast while learning how things work was fantastic. Huge shoutout to our creative 8th graders for an outstanding job!

www.facebook.com/easternshoreparentsmagazine

Daphne Elementary Teacher Appreciation Week

Daphne Elementary School had a lot of fun during Teacher Appreciation Week! Daphne Elementary loves their teachers. They do such a great job with the students every day! Daphne Elementary made its way through the decades from the 50’s to the 90’s with themed dress-up days. Big thanks to the PTO for providing treats each day during the week and a tasty duty-free lunch at the end!

Bayshore Seniors Participates in Civil Discourse and Difficult Decisions Program

Last month, BCS’s senior class traveled to the Mobile Federal Courthouse for the Civil Discourse and Difficult Decisions Program. Judge Murray and several local volunteer lawyers presented the Bayshore students with a court case involving the First Amendment. The students, as prosecutors, defendants, and jurors, had to argue the case and come to a resolution.

We appreciate the Mobile Federal Court for taking the time to build our community.

Eastern Shore Parents I June 2024 www.easternshoreparents.com 24
101 Bienville Blvd. Dauphin Island, AL 36528 www.disl.edu 251-861-2141 Discover Alabama’s Water Resources

St. James Episcopal School 2024 Graduates

St. James Episcopal School congratulates their 2024 Kindergarten graduates

Robertsdale High Class of 2024

Congratulations to Robertsdale High School’s graduating class of 2024!

Graduation at Nature Connect Outdoor School

Nature Connect School’s kindergarteners celebrated graduation and are ready for their next chapter. Congratulations, graduates!

25 www.facebook.com/easternshoreparentsmagazine
WE HOPE YOU HAD A GREAT YEAR! REGISTERING NOW FOR 30 MONTHS - 1ST GRADE stjamesfairhope.school 860 N. Section St • Fairhope, AL 36532 251.928.2912 LEARN MORE & SCHEDULE A TOUR We’re open for tours throughout the summer months.

Author’s Celebration at Christ the King

CTKCS middle school students worked hard in the fourth quarter to create and illustrate fun, engaging stories. Younger students were treated to these stories during the CTKCS Author’s Celebration. It was entertaining to watch the middle schoolers’ storytelling come to life.

Foley Elementary Student Honored at Art Show

Foley Elementary School Student Kadriana W. was honored at the Superintendent Art Show! Her art will be displayed at central office for the whole year. Congratulations Kadriana!

Daphne High Seniors Celebrate

From Senior Picnic to Senior Sunset, Daphne High School celebrated a beautiful day for the Class of 2024. Everyone graduating will certainly be missed. A big thank you to Mrs. Hudgins for all the planning and work she put into for this year’s seniors.

Eastern Shore Parents I June 2024 www.easternshoreparents.com 26

Fairhope High School Class of 2024

Congratulations to Fairhope High School’s graduating class of 2024!

Foley Middle Named Coach of the Year

Congratulations to Foley Middle School’s Coach Pryor! He was named the BCMSAA 2A Football Coach of the Year! We are thankful for Coach Pryor and his dedication to the growth of the Foley Lions!

Daphne High Students and Teacher Awarded with Scholarships

Daphne High School senior Blakeney Wells was a 2024 recipient of the Baldwin Proud Future Teacher Scholarship, Daphne High School senior Emma Lopez as a recipient of the 2024 AEA Partnership Scholarship, and Daphne High Teacher Katie Clarke as recipient of the 2024 Josh Hall Memorial Scholarship!

“Baldwin Proud Future Teacher Scholarships were presented last night at Baldwin County Virtual School’s Pelican Hall. Over 40 scholarships were given to students pursuing a degree in education. Family members, co-workers, BCBE staff members, and friends joined in the awards celebration. The scholarships, originally developed by the BCBE HR Department, recognize high school seniors who aim to enter the field of education and become one of Baldwin County’s future teachers. Also handed out at the ceremony were the Josh Hall Memorial Scholarships. The scholarships were developed to honor former colleague Josh Hall, for an employee who is enrolled in a teacher certification program or for an employee’s child who is enrolled in a teacher certification program. The AEA, Alabama Education Association, presented two scholarships for students interested in pursuing a career in education. The final $1000 award will become a recurring award called the Superintendent’s Award. Congratulations to all award recipients and best wishes on your future careers.

27 www.facebook.com/easternshoreparentsmagazine

Bayside Academy Students Win Scholastic Art & Writing Awards

Bayside Academy is very proud to announce the results of the Region-at-Large competition of the Scholastic Art & Writing Awards. We congratulate our students who have been honored with a Scholastic Art & Writing Award in one of the most prestigious art competitions for high school students in the United States.

Since 1923, the Scholastic Awards have recognized some of America’s most celebrated artists when they were teenagers. This group of distinguished alumni includes, among others, artist Andy Warhol, author Truman Capote, portrait photographer Richard Avedon, poet Sylvia Plath, actor Robert Redford, and clothing designer Zac Posen. Bayside’s Visual Arts Department is excited to have some of our creative students join this group of artists.

Each year, students across America submit more than 300,000 original works in 29 different categories of art. Outstanding works are honored with Gold Keys, Silver Keys, and honorable mentions. Gold Keys are awarded to work demonstrating the highest level of achievement in originality, personal voice, and technical skill, and these winners advance to the national level of judging in New York City. On average, only 5% of all regional submissions (260,000plus) are recognized with Gold Keys and advance to the national competition. This year, six of our talented students were rewarded for their artistic endeavors.

Bayside’s 2024 Scholastic Art & Writing Award Winners

Gold Keys

Junior Molly Hagan Junior Sophia Haines

Silver Keys

Senior Mia Bindon Junior Sarah Sommerville

Honorable Mentions

Senior Isabelle Rutland (two awards) Sophomore Garrek Snell

We are so very proud of these talented students who have put in many long hours to create their art. Pictured: Bayside Academy students Isabelle Rutland, Mia Bindon, Garrek Snell, Sarah Sommerville, and Molly Hagan display their awardwinning work. Sophia Haines is not pictured, but her Gold Key-winning photograph of camels is in the center.

Eastern Shore Parents I June 2024 www.easternshoreparents.com 28

Bayside Academy’s Girls Track & Field Team and Boys Soccer Team Win State Championships

Congratulations to Bayside Academy’s girls track & field team and boys soccer team for their respective state championships! Go Admirals!!

29 www.facebook.com/easternshoreparentsmagazine

Foley Middle Teachers Receive Grants

Congratulations to Foley Middle School’s Mrs. Esposito, Ms. Murphy, and Ms. Putt on receiving a grant for their classrooms through the South Baldwin Chamber Foundation. We are so excited to see all of the fun lessons and experiences that they have planned for their students!

Daphne Middle Students Wins at FBLA State

Congratulations to Violet Turner, 8th grader at Daphne Middle School, who won first place at the FBLA State for Career Exploration.

Rockwell Purple Star Month

At Rockwell Elementary School April is Purple Star Month. Purple Star schools show a major commitment to students and families connected to our nation’s military. Active and retired duty parents joined their students in the cafeteria for a special celebration and recognition. All branches of the military were represented at the event.

Fairhope East STEAM Class Become Teachers

Fairhope East Elementary School had an exciting week in their 6th-grade STEAM class! The students took on the role of educators and taught preschoolers all about Earth and Space! From weather patterns to constellations, they engaged the little ones with hands-on activities, weather tools, and even Ozobots! Their creativity soared as they explored rockets, planets, and built models of the Earth’s layers, inspiring the next generation of scientists and explorers!

Hardy E. Calloway Memorial Scholarship Awarded

It is with great pleasure that The Hardy E. Calloway Memorial Fund announces the 6th recipient of the Hardy E. Calloway Memorial Scholarship. Please help us congratulate 2024 award recipient, Rylee Elizabeth Davis! Rylee will be attending college this fall majoring in Criminal Justice. She will receive a certificate along with a check for $1,000 presented at the Fairhope High School awards night. The scholarship committee focused on how the financial support may be able to help a graduating Senior in the transition to college and how they exemplify the attributes of Hardy E. Calloway. In the application, Rylee shared her perspective on teamwork, honoring our Veterans, and being a leader amongst peers.

Thank each one of you who have supported this scholarship to make this possible and to continue remembering and honoring Hardy E. Calloway.

Eastern Shore Parents I June 2024 www.easternshoreparents.com 30

Florence B Mathis Class Project Receives Grant

At Florence B Mathis Elementary School, Mrs. Carpenter’s class project, Kids in the Kitchen, was chosen as one of the Chamber grant recipients. This grant submission required the teacher and students to outline a classroom need and their proposal for its direct effect on student learning. They are excited to improve math and science skills through hands-on learning while cooking!

Bayside Academy’s Class of 2024

Bayside Academy held its commencement exercises on the bluff on Thursday, May 16, 2024. With the addition of the 73 members of Class of 2024, Bayside alumni now number more than 2,000.

Send School News and Photos to: lynn@easternshoreparents.com!

31 www.facebook.com/easternshoreparentsmagazine

Elementary

Sunshine Club

Belforest Elementary School’s Sunshine Club painted ceramic birds for the Brennity residents. The Brennity residents sent back a video wishing the students a happy summer and sent Chick-fil-A gift cards in sundae dishes and desk pets.

Mr. And Miss CBMS

It was a spectacular night at Central Baldwin Middle School for the last dance with our 8th graders! Congratulations to Mr. and Miss CBMS, Mr. Talon Foley and Miss Abby Watson!

Renaissance School Trip to Weeks Bay

Renaissance School 9th graders enjoyed applying their knowledge at Weeks Bay Estuary!

Eastern Shore Parents I June 2024 www.easternshoreparents.com 32 Send School News and Photos to: lynn@easternshoreparents.com!
Belforest

Fairhope West Lemonade War

Fairhope West Elementary School’s 2nd Annual Lemonade War was a huge success! The young entrepreneurs learned about economics, marketing and so much more! Congratulations to Mrs. Arnold’s class for selling the most!

Renaissance School

Decision Day

Renaissance School

2024 Decision Day was a success! Congratulations to all of the amazing Seniors. We can’t wait to see what you do next!

Foley Elementary Receives Donation from Kidz Eats

Kidz Eats presented Foley Elementary School with a donation! Kidz Eats is a program started by a group of retired teachers who saw the need for helping children experiencing food insecurity. They provide 63 food bags each week to Foley Elementary totaling approximately $20,000 a year! We are so thankful for the Kidz Eats Program, the volunteers that make and deliver the food bags each week, for the food, and for the donation! Thank you, Kidz Eats!

33 www.facebook.com/easternshoreparentsmagazine

St. Michael Catholic High School Girls Soccer

The St. Michael Catholic High girls team was the runner up in the AHSAA 4A state championship. We are proud of these hard working Cardinals!

Robertsdale Elementary Student Honored at Art Show

Robertsdale Elementary School’s Avriel Edwards was honored at a reception for The Superintendent’s Art Show. Her beautiful artwork will be on display in the BCBE Central Office in Loxley for the next year! What an honor! We are so proud of you, Avriel!

Daphne East Competes at Chess

Congratulations to Daphne East Elementary students Xavier and Ben! They competed and placed at the Baldwin County Chess Tournament.

Rockwell Employee of the Month

Sending a huge congratulations to the Rockwell Elementary School principal, Mr. Robbie Owen, for being recognized by his peers as an Employee of the Month for the Baldwin County Public Schools. It goes without saying he deserves this award every month!

W. J. Carroll

100 Point Club

Field Trip

W. J. Carroll Intermediate School’s annual 100 Point Club Field Trip took place recently. The eligible students got to watch the Pensacola Blue Wahoos play the Birmingham Barons. What a great day to celebrate accomplishments!

Renaissance School Peer Helpers

Congratulations to Renaissance School 2024 Peer Helpers! You did an amazing job supporting your peers through their emotional, social, and academic needs.

Eastern Shore Parents I June 2024 www.easternshoreparents.com 34

Spanish Fort Hatches Chicks

At Spanish Fort Elementary School, Mrs. Clarke’s 1st grade class has had a blast learning about the chicken life cycle over 3 weeks. They were able to witness 5 of the 10 chicks hatch, while the other 5 hatched during the night. What an engaging and memorable learning experience for all!

Baldwin County High School Presents Academic Banners

Baldwin County High School presented Academic Banners to 41 students who have dedicated themselves to excellence in academics and involvement in their school and community. To receive the banners, the senior students must have a 20 ACT score or better, one or more AP/ DE classes, Career Ready Credential, and at least two of the following: 3.5 GPA or better, National Honor Society, and member of club or extracurricular activity. Those receiving Academic Banners included Madison Anderson, Payton Ball, Linsey Brinkman, Saylor Bryant, Emily Byrd, Savannah Cale, Conner Cash, Jackson Cassady, Taylor Chain, Kaydence Comalander, Kathryn Daniels, Ruby Day, Lauren Donald, Eli Emmons, Daelyn Fine, Joshua Graham, Marissa Greco, Alfonzo Griffin, Angelina Grubbs, Payton Guy, Bailey Harris, Whitney Jernigan, Elias Johnson, Ciera McReynolds, Rae’unna Mims, Alyssa Moorer, Tyler Musgrove, Matalynn Padgett, James Phillips, Joshua

Rice, Katie Rieben, Hannah Robinson, Kinsey Seals, Maranda Singleton, Kaiden Smith, Kensley Smith, Madison Smith, Shelby Stewart, Quincy Walters, Stacie Wilson and Eli Woody

On graduation night, the banners will be hung from the graduate’s chair as their final recognition of their hard work at BCHS. During today’s presentation ceremony, each banner recipient shared their college or career plans. This marks the third year for BCHS to award Academic Banners to students.

35 www.facebook.com/easternshoreparentsmagazine

Bayside Academy Student Wins First

Place in Congressional High School Art Competition

Bayside Academy senior Nina Dowhan won first place and senior Mia Bindon won fourth place in the 2024 Congressional High School Art Competition for Alabama’s First Congressional District. Each spring, the Congressional Institute sponsors a nationwide high school art competition to recognize and encourage artistic talent in the nation and in each congressional district. Students submit entries to their congressional office, and panels of district artists select the winning entries. Winners are recognized both in their district and at an annual awards ceremony in Washington, D.C. The winning artworks are displayed for one year in the U.S. Capitol. Nina and Mia were recognized by Congressman Jerry Carl at a reception in early May, and Nina will be recognized later this year at the awards ceremony in Washington, D.C.

Pictured: Winning artwork by Nina Dowhan ’24 and Mia Bindon ’24

Renaissance School Teacher Appreciation

What an amazing Teacher Appreciation Week at Renaissance School! We truly felt appreciated. Thank you to all of the incredible students, families, and businesses that participated!

Silverhill Annual Band Concert

Silverhill Elementary School recently had their End of the Year 6th grade band concert, conducted by Mrs. White! We are so proud of all the accomplishments throughout this year!

Central Baldwin Middle Spring Concert

The 7th and 8th grade Central Baldwin Middle School Band Spring Concert was amazing! They are such a talented group of students. Thank you Mr. Collins for your dedication to the CBMS Band Program.

St. Michael Catholic High National Honor Society

The St. Michael Chapter of the National Honor Society inducted 30 new members on Wednesday, April 17th after Mass. The current officers spoke and lit candles to represent the Four Pillars of the National Honor Society - Scholarship, Service, Leadership and Character before swearing in the new members. We are proud of these hard working students!

Eastern Shore Parents I June 2024 www.easternshoreparents.com 36

Bay Minette Middle TSA Students

Compete in Technology Conference

The Bay Minette Middle School TSA students competed in the Technology Conference in Montgomery, Alabama. Emily Parker, Josiah Stevens -Problem Solving 3rd place; Catherine White- Goose Chase 1st place, Ava Fowler- Goose Chase 1st Place; Catherine WhiteState Pin; Marcus Baker, Catherine White, Cameron Spillman- Vex Robotics; Alton Powell, Ava Fowler, Collin Peak -Vex Robotics; Noah Gardner, Madison Likeley- Problem Solving; Madison Likeley -Safety Poster; Emily Parker -Safety Poster; Alton Powell-Safety Poster all placed in the top ten. Mrs. McFadden and Mrs. Markulj would like to congratulate these students on their superior performance!

Foley High Schools

Honors Class of 2024

Foley High School was recently able to recognize 120 of their graduating seniors! The students earned $8.7 million in scholarships and 43 of them earned their seal of biliteracy! We are so proud of the Foley High School Class of 2024!

37 www.facebook.com/easternshoreparentsmagazine
Mobile and Baldwin County’s Board Certified Allergy Experts coastalallergyasthma.com Call us today to schedule your appointment!

Spanish Fort High Honors Day

Spanish Fort High School held the Class of 2024 Senior Awards and Honors event. Scholastic honors, honor cords, community scholarships and recognitions, military recognitions, and academic awards were presented. Congratulations to the Spanish Fort High School Class of 2024.

Saints Send Off

Our 2024 Saints Send-Off was a huge success! Graduating seniors who graduated 8th grade from CTKCS in 2020 were welcomed back to their old stomping grounds for us to wish them well! Our current students got a glimpse into the future of what their hard work and dedication to their schooling will accomplish! Pictured are some of the graduating seniors and their siblings who attend CTKCS. Once a CTKCS Saint, always a CTKCS Saint!

Spanish Fort Middle Class Displays Excellent Attendance

Attendance Matters! At Spanish Fort Middle School, Mrs. Price’s homeroom won the best attendance for April! They will get a Chick-fil-A breakfast! Congratulations!

Daphne Elementary Wax Museum

Daphne Elementary School’s 3rd Grade Wax Museum presentations took place recently.

The students worked hard and did an excellent job! There were so many great costumes and performances. Thank you to the 3rd Grade teachers for planning such an awesome event!

Belforest Showcases Musical Talent

Belforest Elementary School students showed off their musical talents! Belforest’s 3rd, 4th, and 5th grade Strings classes performed recently as well as the 6th Grade Band students!

Eastern Shore Parents I June 2024 www.easternshoreparents.com 38

Fairhope East Thanks Fire Department

At Fairhope East Elementary School, Mrs. Alman and Mrs. Anderson’s 5th grade classes made banners thanking the Fairhope Fire Department for their hard work and for keeping the community safe!

Spanish Fort High Student Receives Art Prize

Two Spanish Fort High School students were selected in the top 25 artists to be displayed in the ASAMA Annual High School Art Competition: Justin Pablo and James Middleton Congratulations to James for receiving the overall prize! He will receive a $250 gift card and $1,000 for our school’s art program! His drawing is incredible!

Bay Minette Elementary Walk & Roll to School

There was a huge turnout this morning (Wednesday, May 1) for the “Walk & Roll to School Day” at Bay Minette Elementary. Participating students, teachers and parents met at the Bay Minette Municipal Pool to begin their trek to BMES, making their way down the sidewalks along East 12th Street to Hoyle Avenue and then turning into the school campus on East 8th Street. Families and friends joined together for the walk as part of the annual event, which is held to raise awareness for the need to create safer routes for walking and bicycling. Sponsored by the Safe Routes to School Coalition, the event also emphasizes the importance of increasing physical health among children, pedestrian safety, traffic congestion and concern for the environment. This event was the fourth initiated by the Baldwin County Safe Routes to School Coalition and marked the first time for BMES to participate. Special thanks to all those who came out in support of this great new event!

39 www.facebook.com/easternshoreparentsmagazine

It is often said that happiness is food cooked by Dad. In Joe Emer’s case, happiness as a child was food prepared by his Grandpa Joe. One of his favorites was a breakfast dish.

“My grandfather on my mom’s side, Grandpa Joe, lived near Milwaukee, WI, about two hours away from where I grew up in Appleton. When we were kids, trips to visit them always felt magical,” Joe shared. “One of the contributing magical factors was when Grandpa Joe made our favorite dish for breakfast, his Slovakian Palačinkys. My Grandma Millie would also help, but Grandpa Joe’s family has Slovakian roots.”

The Slovakian Palačinky is similar to a very thin pancake or crêpe. Traditionally, it is sweet and coated in cinnamon and sugar. This dish makes a wonderful breakfast-for-dinner option on busy weeknights because the ingredients are staples that can be found in most pantries and they do not take long to make.

“When my brother and sister were at the table, we’d eat them as fast as they could make them,” said Joe. “So now, to pass this on to my kids, our family tradition is to make them on Christmas morning. It’s something special to help create holiday and family memories.”

Joe and his wife Katie have been married since 2011 and have two children: Eli (12) and Mia (10). Eli plays competi-

tive travel soccer with Mobile Rush and plays the piano at Steinway Academy. Mia is on the competitive dance team at Sheffield School of Dance and also does gymnastics at Next Level Tumbling.

“Like many parents, we are always on the go. They keep us busy, and we love it,” Joe exclaimed. “There’s nothing better than watching and encouraging them to do what they love. Katie and I are extremely proud of them.”

Joe loves to cook and thankfully with his career as a host for Studio10 on Fox10, he is able to connect with many local chefs and experience plenty of delicious food that can be found along our Gulf Coast.

“Watching all these amazing chefs on Studio10 over the years has only expanded my palette and deepened my love of so many different types of food,” he said.

Topping options:

• Sifted powdered sugar (family favorite)

• Cinnamon & Sugar (family favorite)

• Fruit preserves, marmalade, or jam

• Whipped cream

• Syrup (The kids like this, however, it’s traditionally frowned upon, like putting ketchup on steak!)

Directions:

1. Combine flour, sugar, and salt in a mixing bowl.

2. Add the whole eggs, one at a time, and beat after each egg.

3. Add milk and vanilla extract and beat until smooth.

4. Stir in the melted butter.

Now that you have your batter...

5. Pour about 1/2 cup batter into a heated, lightly greased skillet.

6. Swirl around the skillet to coat the bottom of pan.

“When my wife and I get a rare date night, we love to explore our local restaurants and especially try to support our chefs that come on Studio10.”

Slovakian Palačinkys

Ingredients:

• 2 cups milk

• 6 eggs, beaten

• 1 cup all-purpose flour

• ¼ cup white sugar

• 1 teaspoon vanilla extract

• 2 tablespoons butter

• pinch of salt

• Canola or vegetable oil to coat the pan during cooking

7. When it starts to bubble up and is slightly brown on the underside, turn and slightly brown on the other side.

8. Lay the palacinky flat and sprinkle cinnamon and sugar (or filling of choice) on the inside and roll.

9. Top with sifted powdered sugar (or topping of choice).

10. Serve with a side of bacon or sausage!

Gabriele has been married to her husband Daniel for 17 years. Together they have three incredible children – two boys, ages 16 and nine, and a sweet girl who will be two in August.

Gabriele is a full-time Sales Director for Mary Kay Cosmetics. When she isn’t spending time with family or building her business, she supports her husband who is the Lead Pastor and Planter of Forward Church in Gulf Shores.

Eastern Shore Parents I June 2024 www.easternshoreparents.com 40
Family photo credit: Nicky Mendenhall Photography

Growing up with a single mom, Father’s Day always felt a bit tricky. I did have a relationship with my biological dad, but we were not very close. Instead of limiting the person we honored on Father’s Day to him, my mom taught me how to honor people who had a father-like role in my life.

I’ve been blessed to honor five other men who carried that role in my life. For me, this was an uncle, a grandfather, and a step-father who later adopted me. When I got married, I added my father-in-law, and finally my husband as the father of our kids. The beauty of Father’s Day doesn’t have to be limited to one person. Instead, we can recognize the contributions of people who are fatherly in our lives and our children’s lives. As we approach Father’s Day this year, you can recognize and celebrate all the dads in your life.

Honoring Your Dad

The most obvious person to celebrate is your own father. No matter why you consider this person your dad, you can use this day to honor them for the role they play in your life. Consider these ideas to honor your dad:

Personalized Gifts:

Consider giving your dad a personalized gift that reflects his interests and hobbies. It could be a custommade item, engraved with a meaningful message or his initials.

Cook His Favorite Meal: Prepare your dad’s favorite meal for dinner. It’s a thoughtful way to show him how much you care.

Memory Jar: Encourage family members to write down their favorite memories or messages for your dad and place them in a decorative jar. Present it to him as a keepsake and reminisce about some favorite memories.

Meaningful Ways to Celebrate a Grandfather

Grandfathers have a unique role in their grandchildren’s lives. Sometimes they are part of your daily life. Other times, grandfathers live far away or there are other limits to how often you connect. Father’s Day is still a great time to remind them of how much you care. Here are some ways you or your children can honor a Grandfather:

Handwritten Letter or Card: Express your gratitude and love for your grandfather in a heartfelt letter or card. Share

specific memories or qualities you admire about him.

Family Gathering: Organize a family get-together or a special meal to honor your grandfather. It could be a barbecue, coffee date, or dinner at his favorite restaurant.

Photo Album or Scrapbook: Create a photo album or scrapbook filled with pictures of your grandfather, family gatherings, and memorable moments together.

Ideas for Celebrating a Father-Like Relative

Many times people have a relative like an uncle step into a fatherly role. This could be because a father is absent or simply because they care and want to show their love and support. Recognize them on Father’s Day with one of these ideas:

Gift Basket: Put together a gift basket filled with his favorite snacks, drinks, books, or hobbies. Tailor it to his interests and preferences.

Outdoor Adventure: Plan an outdoor activity that your loved one enjoys, such as fishing, hiking, or a stroll in the park. Spend quality time together in nature.

www.facebook.com/easternshoreparentsmagazine

Video Message: If you cannot be with your uncle in person, consider recording a video message to send him on Father’s Day. Share your love and appreciation for him in a heartfelt video.

Ideas for Celebrating Your Spouse

Watching your husband become a father impacts you and your children for a lifetime. Consider how you can make him feel special and loved for all he does. Think about ways you can show him you appreciate him, as well as ways your kids can show him that they love him.

Breakfast in Bed: Start his day off with a special breakfast served in bed. Prepare his favorite dishes and include a handwritten note or card expressing your love and appreciation.

Family Outing: Plan a fun family outing or activity that your husband enjoys. It could be a trip to the zoo, a hike in nature, a visit to his favorite museum, or a picnic in

Get creative and make DIY gifts together with your kids to surprise your husband. It could be homemade cards, crafts, or personalized photo albums that capture special family moments.

Tech-Free Day: Declare a tech-free day where the focus is on spending quality time together as a family. Disconnect from devices and engage in activities like board games, completing a project, or outdoor adventures.

Family Movie Night: Set up a cozy movie night at home with your husband’s favorite films, snacks, and blankets. Spend the evening cuddled up together enjoying quality family time.

Surprise Getaway: Plan a surprise weekend getaway or staycation for your husband and the family. This is a great way to unwind and create new memories together.

Express Appreciation: Throughout the day, verbally express your appreciation for your husband’s role as a father and partner. Let him know how much he means to you and how grateful you are for everything he does for the family.

Rebecca traded the classroom for writing when she stayed home with her three children. Passionate about authenticity, faith, and family, she now writes regularly at www.myinkdance.com. Her first book, Worthy, is available on Amazon.

Eastern Shore Parents I June 2024 www.easternshoreparents.com 44 ESP
2024

Grading Family Movies: Streaming, Online Rentals, and Theatrical Releases

The Fall Guy

IF

Kingdom of the Planet of the Apes

After a catastrophic injury ends a stunt man’s career, he’s surprised to be invited back to the biz – this time as a stunt double for a big star. What he doesn’t know is that the movie is being directed by his erstwhile fling and that the lead actor has gone missing. The Fall Guy is blessed with the comic talents of Ryan Gosling and Emily Blunt and delivers the expected fun, stunts, and energy. Parents should note that the movie has plenty of action violence and a whole bunch of profanity. The PG-13 rating should be taken seriously.

Photo ©Universal Pictures

What if imaginary friends could become real? And what if they need new friends when their human pals outgrow them? When Bea’s father needs heart surgery, she is consumed with anxiety. But then she meets Cal who takes her to a retirement home for Imaginary Friends (IFs), where the matchmaking process takes place. Often quite somber and slow-paced, this film is also touching and whimsical. It’s impressively cast and offers upbeat tunes and some happy tears for many viewers.

Having won the war for the planet, ape groups have spread across the earth, forgetting their own history When Noa’s village is razed to the ground, learning about his species’ past and finding the tyrant Proximus who is terrorizing ape communities becomes critically important. This rebooted franchise is always better than expected, with thoughtful scripts, intriguing ideas, and some of the best digital effects in the world of cinema. There are some scenes of intense violence, but other negative content is minimal. Photo ©20th Century Studios

Thelma the pony dreams of musical greatness, but fame eludes her – until she is accidentally doused in glittery paint and mistaken for a unicorn. Soon she’s a viral sensation, struggling with issues of honesty and authenticity. This film is neither original nor complex, but it delivers solid messages to kids, along with bouncy tunes and a determinedly upbeat attitude. The gross-out potty humor will be a bit much for adults, but that won’t deter the preschoolers and other young viewers for whom this film was made Photo ©Netflix

Determined to rebuild his career in America, Australian concert promoter David Smallbone moves his family to Nashville. The job doesn’t work out and soon the family are working odd jobs to pay the bills – and taking a hard look at their homegrown musical talent. Based on a true story this clean Christian-lite film offers a glimpse at a united family that works and struggles together, under the guidance of their faith-filled, devoted parents, and creates a legacy of musical achievement. Photo ©Lionsgate

45 www.facebook.com/easternshoreparentsmagazine
Rating Overall Violence Sex Profanity Alcohol/Drugs PG-13 C+ C A- C- C
Theaters
Theaters Rating Overall Violence Sex Profanity Alcohol/Drugs PG A- A A B A
Photo ©Paramount Pictures
Theaters Rating Overall Violence Sex Profanity Alcohol/Drugs PG-13 B- C A B- A
Thelma the Unicorn Netflix Rating Overall Violence Sex Profanity Alcohol/Drugs PG B+ B A A A
Theaters Rating Overall Violence Sex Profanity Alcohol/Drugs PG B+ B+ B+ B+ A
Unsung Hero
Detailed reviews available at www.parentpreviews.com

Are you simultaneously excited about and dreading summer? If so, prepare to make the most of all of the unstructured, non-scheduled time your kids will soon be spending at home...or summer may not end up nearly as relaxing for you as it is for your kids!

Take a cue from ‘The Artful Parent,’ blogger Jean Van’t Hul. She says, “When a child explores, learns, and creates, the side effect is often a mess. To say no to the messes inhibits the exploration and the creativity that can take place. That should take place. It’s a child’s job to explore the world around him, to experience it and learn as much about it as possible. If the adults in his world continually say, ‘don’t make a mess, be quiet, sit down, be still, leave that alone, do it this way, color within the lines, don’t get your clothes dirty,’ that inhibits the exploration and the learning.”

To make sure you are ready for a summer that is as creative as it is easy, take a few tips from this list. You’ll be ready to squeeze as much fun as you can out of every lazy summer day.

Test-drive The Art Supplies:

Where do you keep your arts and craft supplies? If stored where they are easy to

access, your kids will be more likely to use them. Give your arts and crafts storage area a quick overhaul for summer. Check markers. Sharpen pencils. Melt old crayons into new bigger ones. Restock your finger paint and drawing pads. Get enough clipboards or pads for each member of the family. Whatever kinds of projects your family likes to indulge in, make sure you’ve got all the supplies on hand and ready to roll!

Plenty of Places to Brainstorm:

We have an assortment of white boards around the house that absorb an awful lot of creative energy. My eight-year-old daughter kneels in front of the one in her bedroom when she wants to draw picture after picture after picture. I use one in my office to catch ideas as they go flitting by or to jot down a few professional to-dos. And believe it or not, if I write down the family chores on the white board in the kitchen, I’m more likely to get the cooperation from the rest of the family when I need it, so we can all get back to playing.

Become Project-oriented: Creating a garden, a tree house, or a worm box are all examples of outdoor projects the family

can undertake together this summer. If you have a rainy day or prefer to stay indoors, why not get a jump on next season’s holiday gifts or cards? If everyone in the house prefers to work on his or her own projects at his or her own pace, why not make sure that each person has their own craft area, where they can leave a project out while it’s in process, until its completed. You’ll find that projects are more likely to get finished when they are easily accessible.

Bring On The Color: Painting your walls, your furniture, your fence or your home is one of the cheapest and most fun ways to get a fresh look at home. Why not get the whole family involved? Even a toddler can paint primer on a wall. Tweens and teens might enjoy the sense of accomplishment that comes from getting an entire house painted. Mom and Dad can swing in a hammock and sip a cold drink while each school-age child paints one piece of furniture from their bedrooms a favorite new hue.

Garden with Themes: Why have a common garden when you could have a fairy garden or a pizza garden or a found objects garden? For ideas and inspiration,

CAMP CARDINAL

47 www.facebook.com/easternshoreparentsmagazine
VOLLEYBALL FOOTBALL ART SPEED & ATHLETICISM SCIENCE & NATURE SOCCER BASKETBALL CHEERLEADING PLUS MORE!
Catholic High School offers exciting opportunities
students aged 7
16
explore athletics
academics
summer. Morning (9 AM to 12 PM) and afternoon (12:30 PM to 3:30 PM) camp sessions are available, Mon - Thurs. The cost of each camp is $150. campcardinal@stmichaelchs.org www.stmichaelchs.org/camp-cardinal-2024
2024
Camp Cardinal 2024 at St. Michael
for
to
to
and
this

consult the illustrated gardening books for children by author Sharon Lovejoy: Roots, Shoots, Buckets & Boots (Workman 1999), Trowel & Error (Workman 2002), and Toad Cottages & Shooting Stars (Workman 2010). Why not give each member of the family their own garden plot so they can nurture the harvest of their choice?

Take an Unexpected Adventure:

When you set out as a family towards an unfamiliar destination, your senses come alive with possibilities. Instead

of planning every summer family outing, why not just grab some snacks and water bottles, hop in the car, and surprise yourselves? Perhaps there is a city nearby you can explore. Perhaps you are just an hour from a state park or wildlife sanctuary. Target a quaint small town you can traverse from end to end on foot. Keep an ongoing list of destinations on one of your whiteboards, take a quick family vote to decide on a one, and you’re off!

Host

A Backyard Extravaganza: Older children might like to put on plays or puppet shows for younger children in the summer. Why not let them play the roles of producer, director, marketing spokesperson, etc. and get the whole neighborhood involved? Fun can really start to catalyze when you pool the neighborhood dress-up clothes, create an impromptu story, and start casting parts...even if only to while away a long afternoon.

Get a Little Wild: Maybe during the school year you don’t welcome the extra mess that body paint, mud, glitter, bathtub crayons, clay, or temporary hair dyes can bring into your hallowed home. But during the summer months, why not? Kids experience a lot of pressure to conform when they are in school, so let them get wild while the days are long, the nights are short, and homework is nothing more than a distant memory.

Make Multimedia Memories: Keep a camera or a video recorder handy so you can document your colorful, creative summer and share it with your distant friends and relatives. And don’t worry about what to do with all your images and film clips. The long cold winter is coming just as sure as you are fully enjoying every minute of your fleeting summer. You’ll be so happy making memories that neighbors you haven’t seen in ages may invite themselves over to join the fun.

Happy creative summer!

Author, journalist, and writing coach, Christina Katz adores summer family fun. You’ll find her in the backyard coming up with lots of outdoor projects or luring everyone into the car for an impromptu family road trip.

Eastern Shore Parents I June 2024 www.easternshoreparents.com 48
ESP

Don’t Risk It All

Q. My husband is a good, hard-working man, who has been stuck in a job he really doesn’t like for almost 10 years. He came to me the other day with an idea to cash out his 401(k) and use the money to open a business. He has always loved the idea of going into business for himself, and I want him to be happy, but I’m not sure this is a good idea. Do you have any advice?

A. Yes, I do have some advice. And it can be summed up in one word. Don’t. I admire your husband’s spirit, but the way he wants to approach this turns the entire situation into a trap. Think about it. If his business idea doesn’t work out, you guys have lost your retirement savings, and bankruptcy becomes a very real possibility. Diving head-first into opening a new business just because you’re bored with your current situation, or tired of answering to others, is not a good idea.

Look, I get it. Lots of folks have an entrepreneurial spirit. And everyone I know like that wants to live their dream. The problem is these dreams can turn into nightmares, for the entrepreneur and everyone around them, if they don’t plan wisely and very carefully ahead of time.

In my mind, one definition of a nightmare in business is “going all in.” When you’re playing cards, this means betting everything on a single hand. You never go “all in” when it comes to business.

So, for the moment, the first question he needs to ask himself is this: How can I live my dream without going all in?

For starters, he needs to find something he truly loves doing and can look forward to every single day. To have any chance of success, he’ll have to live and

breathe that idea. I know you love this guy and want to help. So, the best thing you can do right now is express your concerns about his idea, and offer to help him think about what he could do every day that would make him smile. Once he has the answer to that question, the next step is figuring out how to start that business without putting your entire financial world in danger. In other words, how can he save up some money— and start small—instead of blowing your entire savings or going into debt?

If you have some cash other than your emergency fund or retirement fund, it’s okay to use some of that. But never, ever, go into debt to start a business, or pledge every dime you have to something that could be a complete disaster.

It’s not an either/or proposition. He doesn’t have to risk it all to get away from a job he hates and live his dream!

49 www.facebook.com/easternshoreparentsmagazine
251.928.9292 www.stricklandorthodontics.com
Let your smile shine as bright as the summer sun! Your Þrst visit is just a call, text, or click away. Not looking for regular braces? How about clear braces or aligners?! YouÕve got options!

Amusement Parks / Outdoor Fun

Downtown OWA

ad on page 3

100 N OWA Blvd Foley, 36535

Open 7 days a week with no admission charge, Downtown OWA is Coastal Alabama’s destination for shopping, dining and entertainment—just minutes from the beach on the Foley Beach Express. (251) 923-2111 info@VisitOwa.com www.VisitOWA.com

Tropic Falls at OWA

ad on page 3

1501 S OWA Boulevard Foley, 36535 Tropic Falls at OWA features your favorite themepark rides and attractions—from family-friendly to hair-raising—just minutes from Alabama beaches on the Foley Beach Express. (251) 923-2111 www.visitowa.com/destinations/ tropic-falls-at-owa

Tropic Hideaway RV Park

ad on page 3

2252 Creek Winds Road Foley, 36535 Relax into a tropical vibe at the new Tropic Hideaway RV Resort at OWA. The 190-lot luxury RV resort features amenities like pickleball courts, pool and clubhouse, all with a tropical, island atmosphere. Located minutes from Alabama beaches off the Foley Beach Express. (251) 955-3157 https://tropichideaway.com/

Adventure Island

24559 Perdido Beach Blvd Orange Beach, 36561 Go-karts, bumper boats, laser tag, adventure golf, glow golf, arcade games and paddle-boat rides. Kiddie rides available. Open year round. (251) 974-1500 www.adventure-island.com

Alabama Animal Safari Park

1664 Venable Road Hope Hull , 36043 Drive through our safari park in your vehicle and feed the animals through your windows! Spend an hour, or stay the day! (334) 288-2105 www.alabamasafaripark.com

Alabama Gulf Coast Zoo

20499 Oak Road East Gulf Shores, 36542

Join the Adventure! Visit the Alabama Gulf Coast Zoo. Feed a giraffe, enjoy animal adventures and

presentations, and more. t’s fun and educational for everyone! Open daily 9am-4pm (251) 256-7008 www.alabamagulfcoastzoo.com

Alligator Alley

19950 Highway 71 Summerdale, 36580

Start your guided adventure with a walk, where you can see alligators from hatchlings to mature adults, relaxing, sunbathing, courting and nesting along with other natural inhabitants such as turtles, ospreys, owls and bull frogs only a couple feet away! (251) 946-2483 www.gatoralleyfarm.com

Coastal Segway Adventures

21101 State Highway 135 Gulf Shores, 36542

Two-hour guided Segway tours through the Backcountry Trail. Kayak tours as well as paddle board, kayak, ebike, etrike and biking rentals. Please call or visit our website to reserve a tour. (251) 509-8687 www.coastalsegwayadventures.com

Creekside Mini Golf & Arcade

20868 County Road 20 Foley, 36535

Adventure Awaits! Two 18-hole mini golf courses, a gem amd fossil mining sluice, and a lively arcade packed with games for all ages. (251) 451-4653 www.creeksideminigolf.net

Fairhope Skate Park

701 Volanta Avenue Fairhope, 36532 fairhopeal.gov/community/parks-recreation/skate-park

Fairways of Fairhope Disc Golf

805 N Greeno Rd Fairhope, 36532 www.facebook.com/fairwaysoffairhope

Fast Eddies Fun Center

505 West Michigan Avenue Pensacola, 32505

Enjoy FAST Go-Karts, a Tropical Mini-Golf Course, and a Construction Zone with Mini Excavators! Take a swing in our Batting Cages and then Cool off and win prizes in our LARGE Arcade!

850-433-7735 www.fasteddiesfuncenter.com

Ferris Wheel

23101 Canal Road Orange Beach, 36561

It’s a landmark for every Gulf Coast beach vacation. Day or night, that first glimpse of The Wharf’s Ferris wheel — one of the tallest in the Southeast — means you’ve arrived. With the tree-top views and gulf breezes, it’s a favorite way to make memories during your stay! (251) 224-1000 www.alwharf.com

Foley Skate Park

300 W Roosevelt Ave Foley, 36535 6,000 square foot Skate Park (251) 213-6190 www.visitfoley.com/listing/foleyskate-park/

Gulf Shores Skate Park

2008 West 3rd Street Gulf Shores, 36542

The Gulf Shores Skate park is a 6500 square foot outdoor facility with 10 concrete modular skate ramps designed for beginner through advanced skaters. Children 12 and under must be accompanied by an adult.

(251) 968-1420 www.gulfshoresal.gov/1231/ Skateboard-Park

LuLu’s Beach Arcade & Ropes Course

200 East 25th Avenue, Gulf Shores, 36542

Enjoy Fun, Food and Music. Come check out LuLu’s Beach Arcade and LuLu’s Ropes Courses – The Mountain of Youth & Munchkin Mountain! (251) 967-5858 www.lulusfunfoodmusic.com/location/gulf-shores/

Park & Splash Pad

11101 County Road 64 Daphne, 36526

The Cafe and Splash Pad are open MondayFriday seasonally during the summer. Also enjoy basketball courts, playground, or walking trail which are open year-round. (251) 621-9555 (Ext.535) www.coastalchurch.tv/ cafeandpark

Pirates Island Golf

3201 Gulf Shores Parkway Gulf Shores, 36542 Adventure golf experience for all ages. Please call or check our website for hours and pricing. (251) 968-4653 www.piratesislandgolf.com

Shrimpy’s Mini Golf & Ice Cream

204 East 2nd Avenue Gulf Shores, 36542

Come play a round or two of putt-putt golf on our 18-hole Fishing Village mini golf course and experience the LARGEST shrimp in the Southeast! (251) 948-6464 www.shrimpysminigolf.com

SPECTRA Laser Light Experience

23101 Canal Road Orange Beach, 36561

The Wharf’s SPECTRA Laser Light Experience incorporates sophisticated choreographed lighting effects with state-of-the-art lasers and popular surround-sound music, delivering a truly unique entertainment experience. Free shows take place on Main Street every night (251) 224-1000 www.alwharf.com

Eastern Shore Parents I June 2024 www.easternshoreparents.com 50

Tanger Mini Golf

2601 South McKenzie Street Foley, 36535 Call or stop by Shopper Services to start your round of mini golf! (251) 943-9303 www.tangeroutlets.com

The Factory of Gulf Shores

18948 Oak Road West Gulf Shores, 36542 Trampolines, arcade games, flight simulator, birthday parties, open jump, teen night and more. Visit us online for updates. (251) 202-0900 www.thefactorygulfshores.com

The Track

3200 Gulf Shores Parkway Gulf Shores, 36542

The Track in Gulf Shores features fun for the whole family with six go-kart tracks, mini golf, blaster boats, Kids Country rides, the Skycoaster, Spinning Coaster, Fat Daddy’s Arcade and more! (251) 270-0209 www.funatthetrack.com

The Wharf – Hot Wharf Summer

23101 Canal Road Orange Beach, 36561 Hot Wharf Summer - treasure hunts, live bands, weekly fireworks, kids activities + so much more! Visit our website for a full calendar of events and activities (251) 224-1000 www.alwharf.com

The Wharf Express 23101 Canal Road, Orange Beach, 36561 All aboard–choo choo! The Wharf Express will take you for a fun ride around Main Street to explore the sights and sounds of The Wharf! Each ride costs $6 per person (3 years and under ride free). Check our website for seasonal run times and details. (251) 224-1000 www.alwharf.com

Tiki’s Bikes, Boats & Beach Rentals

Gulf Shores, 36542

We have bikes, e-bikes, paddleboards, pontoon boats, beach chairs, umbrellas, beach carts delivered FREE directly to your vacation accommodation in the Gulf Shores, Orange Beach and Fort Morgan areas. (251) 240-0506 https://tikisbikes.com/

Town of Dauphin Island

Free Family Movie Nights

East End Beach (Behind Fort Gaines) Bienville Boulevard Dauphin Island, 36528

Free Family Movie Nights at the West End Beach start Memorial Day weekend. Movies start at dusk (around 8pm).

(251) 861-5525 www.townofdauphinisland.org

Town of Dauphin Island

Sunday Sunset Concerts

51 Bienville Blvd Dauphin Island, 36528

2024-Sunset Concerts-the popular Sunset Concert series will start April 28. Concert dates: April 28, May 26, June 30, July 28, Sept. 1 & Oct. 13.

(251) 861-5525 www.townofdauphinisland.org

Wales West RV Resort and Light Railway

13670 Smiley Street Silverhill, 36576

Wales West offers a Water Slide, Waterfall, fresh lake, Sandy Beach, Swimming, Shady deck for picnicking, Indoor Pool, Playground, Train Rides at 10 AM, 2 and 4 PM. Call or check website for details.

(251) 232-2322 www.waleswest.com

Arts / Crafts / Music

Alabama Gulf Coast Music Hall

12615 Foley Beach Express, Foley, 36535

Musical events and dinner shows featuring local and national artists. Venue rental available for large and small groups & special events with catering available.

(251) 978-2462 alabamagulfcoastmusichall.com

Coastal Arts Center of Orange Beach

26389 Canal Road Orange Beach, 36561

Offering classes, workshops, and camps to all ages and skill levels. Visit us online or sign up for our newsletter to catch program information. (251) 981-2787 www.orangebeachal.gov/324/About

Coastal Makers Art Studio

20764 Barbara Lane Robertsdale, 36567

Coastal Makers allows anyone and any age to express their creativity through a variety of mediums, tools, textiles & techniques in a fun mess-making environment!

(251) 455-2909 www.coastalmakers.com

Eastern Shore Art Center

401 Oak Street Fairhope, 36532

The Eastern Shore Art Center connects people of all ages and abilities with the arts through education, exhibitions and outreach activities. Sign up for our newsletter and join us on Facebook. Gallery hours: Tues-Fri 10am-4pm, Sat 10am-6pm (251) 928-2228 https://esartcenter.org/

Fantasy Island Toys Craft Classes

335 Fairhope Avenue Fairhope, 36532

Create some summer fun and join our activity classes! Classes usually last 30 minutes to an

51 www.facebook.com/easternshoreparentsmagazine

hour. Please visit Facebook or Instagram for class schedule.

(251) 928-1720 www.fantasyislandtoys.com

Home Depot

Home Depot offers kids projects & crafts. www.homedepot.com

Michael’s at Eastern Shore Centre

10200 Eastern Shore Blvd Spanish Fort, 36527 Join us for FREE classes, demos and other events in store or from the comfort of your home. (251) 621-2686 www.michaels.com

Paint Party Studios

107B W Orange Ave Foley, 36535

Located in Downtown Foley offering Kids Birthday Paint Parties, Glow Paint Parties and classes and drop-in days for all ages. See website for class calendar and private party information. (251) 343-2423 www.paintpartystudios.com

Bowling / Skating / Movies / Indoor Fun

Celi’s Play Cafe

ad on page 12

18169 Wright Blvd Fairhope, 36532

Indoor play space designed for children ages 0-5! We offer a safe and fun environment for your little ones to play and explore. While your children are having a blast, you can relax and enjoy our delicious cafe food and drinks. Memberships and Birthday Party Packages available! Follow us on Facebook for updates. (251) 209-9986 Celisplaycafe@gmail.com www.celisplaycafe.com

OWA Theater

ad on page

205 N. OWA Blvd Foley, 36535

OWA Theater is the centerpiece of Downtown OWA’s entertainment offerings. OWA Theater hosts sellout events year-round, from Halloween Horror Shows to productions like Christian Comedy Fest and Menopause the Musical. State-of-the-art sound, lighting and seating make for a comfortable & memorable venue—and adult beverages are available for purchase! (251) 369-6100 www.visitowa.com

AMC Theatres

23101 Canal Road, Orange Beach, 36561

Come catch the biggest movie events of the year on the biggest screens in town (251) 981-4444 www.amctheatres.com/movietheatres/pensacola-mobile/amc-classic-wharf-15

Arena - The Next Level Laser Tag/ Bazooka Ball

23101 Canal Rd, Ste M-201 Orange Beach, 36561

Visit us for great entertainment for all ages! Perfect for birthday parties, civic outings and family vacations. We offer laser tag, arcade games and bazooka ball for all ages (251) 224-5297(LAZR) arenaorangebeach.com

Brandon Styles Showroom at OWA 101-H S OWA Boulevard Foley, 36535

Featuring a lineup of ever-changing acts and shows, from family-friendly to date night, the quick-witted Brandon Styles will have you doubling over in your chair. (251) 237-3330 www.brandonstyles.com

Breakout Orange Beach

23101 Canal Rd, Ste L-208 Orange Beach, 36561

Work together to solve puzzles, crack codes and find hidden items in order to escape in under an hour! Each game is a real-life escape room adventure for small groups of friends, family or coworkers. Take team building to a whole new level! (251) 929-8330 breakoutgames.com/orange-beach

CMX Pinnacle 14

3780 Gulf Shores Parkway Gulf Shores, 36542 (251) 923-0100 www.cmxcinemas.com/Locationdetail/Pinnacle-14-Cinemas

Eastern Shore Lanes

10460 Eastern Shore Blvd Spanish Fort, 36527 Bowling, laser tag, arcade games, high ropes course, clip and climb, golf simulator, birthday parties and more. (251) 625-3400 www.eslanes.com

Fairhope United Methodist Church

155 South Section Street Fairhope, 36532

FUMC Christian Life Center is open MondayFriday 8:00am–5:00pm. We have a walking track, fitness room, game room and more. (251) 928-1148 www.fairhopeumc.org

Fairways Indoor Golf Club

25000 Bass Pro Dr (Ste 104) Spanish Fort, 36527 Fairways houses high definition golf simulators in which players use real clubs and balls to enrich their golf experience no matter what skill or commitment level to the sport of golf. (251) 621-5277 www.fairwaysindoorgolfclub.com

Fat Daddy’s Arcade

24565 Perdido Beach Blvd, Orange Beach, 36561

Fat Daddy’s Arcade is one of the area’s top attractions for family friendly entertainment, featuring more than 80 arcade games, great prizes, pizza and drinks. (251) 980-1050 www.fatdaddysarcade.com

Hot Wheels Skate Center

616 Whispering Pines Road Daphne, 36526

Roller skating, birthday parties, private parties, after school care, day camps in summer and holidays. Full service concessions, arcade games, pro-shop and Free Wifi. Skate schedules and pricing on our website and Facebook page. (251) 626-5120 www.hotwheelsdaphne.com

Humdingers Virtual Reality Lounge

30500 State Highway 181, Spanish Fort, 36527

The fun is non-stop with VR, games, escape rooms, food, and activities for all ages. (251) 303-2557 www.humdingersvr.com

Jumpin’ Jellybeans

30500 State Hwy 181, (Suite 424) Spanish Fort, 36527

Indoor play space for ages 0-10 years. Visit us on Facebook for updates. (251) 626-0007 jumpinjellybeansspanishfort.com

Jurassic Golf

3800 Gulf Shores Pkwy Ste 142 Gulf Shores, 36542

Welcome to Alabama’s Glow-in-the-Dark Dinosaur Adventure! Featuring 18 holes of prehistoric Family Fun! (251) 948-0227 www.jurassicgolfgs.com

Outer Limits VR

23101 Canal Rd, Ste N-101 Orange Beach, 36561

Outer Limits is the ultimate virtual reality arcade. It features five fully immersive rides that offer both

single and multiplayer options for you to experience on your own or grab a group of your friends and ride them together. Outer Limits gives you the unimaginable experience of VR gaming along with the thrill of each game. Explore the experience that awaits you. We’ll see you on the other side. (Ages 7+ only)

(251) 240-0647 www.vrfunplays.com

The Axe

23101 Canal Rd, Ste G-201 Orange Beach, 36561

Whether you want to channel your inner lumberjack or you just want to try out a new competitive hobby, axe throwing (a.k.a. hatchet throwing) is a fun, unique sport that’s taking North America by storm. It’s a great way to celebrate a special occasion, organize a team building event, or simply have a fun time with family and friends!

(251) 202-3099 www.civilaxethrowing.com

The Gulf Bowl

2881 South Juniper Street Foley, 36535 Bowling, arcade games, hologate, laser tag, birthday parties and more. Ask about our summer programs.

(251) 943-4575 www.gulfbowl.com

Tortuga Adventure Golf, LLC

30500 State Hwy 181, Spanish Fort, 36527 Indoor blacklight adventure golf that takes the players on a journey through the pirate island of Tortuga in the Caribbean. (251) 626-6221 www.tortugaadventuregolf.com

Urban Air Adventure Park

31000 Bass Pro Drive Spanish Fort, 36527 Wall-to-wall trampoline arenas, Dodgeball Courts, Stunt Airbag, Slam Dunk Tracks, Runway Tumble Track, The Tubes Obstacle Course, Urban Warrior Course™ and Warrior Battle Beam. Indoor Ropes Course, Indoor Climbing Walls, Pro Zone Performance Trampoline Pit and Urban Air Sky Rider Indoor Coaster. (256) 269-3213 www.urbanairtrampolinepark.com

We Rock the Spectrum

1802 A US Highway 98, Daphne, AL 36526 ALL kids have a place to play, create, and use their imagination. With open play, children are welcome to come in and enjoy full use of the gym with all equipment, and an arts & crafts section. (251) 355-6178 werockthespectrumdaphne.com

Golf

Craft Farms Golf Resort –Cypress Bend & Cotton Creek

3840 Cotton Creek Circle Gulf Shores, 36542 Offering 2 public courses with 36 Holes of Palmer Golf award-winning courses. Development Programs, private and individual lessons. (251) 968-3002 www.craftfarms.com

Glenlakes Golf Club

9530 Clubhouse Drive Foley, 36535

GlenLakes Golf Club features 27 holes of unforgettable golf. The 18-hole, links-style, Dunes-Vista course and the 9-hole resort-style Lakes layout provide a golf experience second to none. (251) 955-1220 www.glenlakesgolf.com

Gulf Shores Golf Club

520 Clubhouse Drive Gulf Shores, 36542 Open to the public with memberships available. The Clubhouse offers dining and a Pro Shop. Visit

Eastern Shore Parents I June 2024 www.easternshoreparents.com 52

our Facebook page for updates. (251) 968-7366 www.gulfshoresgolfclub.com

Lake Forest Golf Course

1 Golf Terrace Daphne, 36526

An 18-Hole Golf Course, driving range with chipping and putting green. Call or come by the pro shop for summer program information. (251) 626-0788 www.lakeforestdaphne.com

Orange Beach Golf Center

4700 Easy Street Orange Beach, 36561 New program kicks off with a summer Junior Academy-Junior Beginner 8-Week Program (ages 6-12) on Mondays or Tuesdays, June 3-July 23, and Teen Beginner 8-Week Program (ages 13-18) on Mondays or Tuesdays, June 3-July 25, for an hour each morning. (251) 981-4653 www.facebook.com/OBGolfCenter

Quail Creek Golf Course

19841 Quail Creek Drive Fairhope, 36532

An 18 hole golf course. Snack bar, club fitting, driving range, putting and chipping areas. For tee times & fees, call the pro shop. (251) 990-0240 www.fairhopeal.gov/services/quailcreek-golf-course

Rock Creek Golf

140 Clubhouse Drive Fairhope, 36532

Rock Creek is best known as a fun, player-friendly course for locals, members and visitors to the area. Ask about our lessons. (251) 928-4223 www.rockcreekgolf.com

Soldiers Creek Golf Club

28341 Preserve Trail Elberta, 36530

Test your accuracy with our fairways, water hazards and sand traps. 18-hole course. Challenge

and improve your game. Call the pro shop for program information. (251) 986-8633 www.soldierscreekgolfcourse.com

Timber Creek Golf Course

9650 Timber Creek Boulevard Daphne, 36526

A 27-hole Championship Layout, Full Service Restaurant, First Class Practice Facilities. Check with the pro shop for summer program information. (251) 621-9900 www.golftimbercreek.com

Horseback Riding

Blue Horse Farm LLC

26061 Monsanto Road Loxley, 36551

Blue Horse Farm LLC is an equestrian center with lessons, boarding and equine consultation. (210) 842-0838 www.facebook.com/BlueHorseFarmAL/

Granato Stables @ Lake Forest Stables

268 Equine Circle Daphne, 36526

Looking for a great family outing? Come on by our Horse Farm! Granato Stables @ Lake Forest Stables is a family friendly farm. We offer riding lessons, trail rides, birthday parties and more. (757) 288-3002 www.lakeforeststables.fun/

Wild Hawk Ranch, LLC

24080 JD Waters Lane Robertsdale, 36567

Horseback Riding or Horse Training lessons on our horses at our place or we can come to your property. Baldwin County (Robertsdale, Loxley, Foley, Bay Minette) and Pensacola areas. Cost-$50 per hour for riding or lessons (Sat and Sun only) (850) 418-3684 www.wildhawkranch.com

Page and Palette and The Book Cellar

ad on page 67

32 South Section Street Fairhope, 36532

Story Time (Wednesdays - 10:00am), author events, books, greeting cards, journals, and novelty merchandise. Purchase a coffee or tea from Latte Da or visit The Book Cellar. Visit us on Facebook! (251) 928-5295 books@pageandpalette.com www.pageandpalette.com

Bay Minette Public Library

205 W 2nd St Bay Minette, 36507 Summer Reading Program is back, every Tuesday from June 4-July 9 at 1:00pm at the John F. Rhodes Civic Center. Program schedule: June 4-All Hands Productions puppet show, June 11-Michelle’s Magical Poodles, June 18-Cowboy Bruce, Brannen, June 25-Freedom Ranch, July 2- Magician Bruce Walstad, July 9-Science Lady (251) 580-1648 www.bayminettepubliclibrary.org/

Daphne Public Library

2607 US Highway 98 Daphne, 36526 Summer reading kickoff-June 3, 10:00am12:00pm at the Daphne Civic Center, David Stephens puppeteer performs at 10:30am. There will be free food and entertainment. Marvelous Monday Shows-10:30am June 3, 10, 17, 24. Please visit our website and Facebook page for updates and summer programs. (251) 620-2500 (Ext. 2508) www.daphnelibrary.org

53 www.facebook.com/easternshoreparentsmagazine
Libraries/Storytimes

Fairhope Public Library

501 Fairhope Avenue Fairhope, 36532

Join us for our outdoor Summer Reading Kickoff Party June 5th from 2pm-4pm and learn about this year’s theme: “Adventure Begins at Your Library”! Our Kickoff Party will feature special guests from the local area. This all-ages event is FREE to attend, and everyone is welcome to join us outside, behind Fairhope Library, for a delightful afternoon of fun and learning. Stop by to get all of the materials you will need to participate in Summer Reading this year! For June and July we will have our Big Event Wednesdays at 2pm in the Giddens Room where a different performer will come each week. Begins June 12-July 24th (June 19th no big event). (251) 929-1465 youthservices@fairhopelibrary.org www.fairhopelibrary.org

Foley Public Library

319 East Laurel Avenue Foley, 36535

Visit our website or Facebook page for events, activities and updates. (251) 943-7665 www.foleylibrary.org

Loxley Public Library

1001 Loxley Avenue Loxley, 36551 Visit us on Facebook. Stop by or call for summer events and programs. (251) 964-5695 facebook.com/LoxleyPublicLibrary

Marjorie Younce Snook Public Library

202 W Broadway Avenue Summerdale, 36580 2024 Summer Reading Program held on Tuesday mornings in June from 10:00am-12:00pm. Visit our website for more information. (251) 989-2011 www.summerdalelibrary.com

Orange Beach Public Library

26267 Canal Road Orange Beach, 36561

Summer Reading Kickoff Party-June 1st 10:3012:00pm, special performances Thursdays at 2:00pm in June/July. Stop by the library or visit our website for full summer activity schedules. (251) 981-2923 www.orangebeachlibrary.org

Robertsdale Public Library

18301 Pennsylvania Street Robertsdale, 36567 Open Monday-Friday 9:00am-5:30pm. (251) 947-8960 www.robertsdale.org/library

Silverhill Oscar Johnson

Memorial Library

21967 6th Street Silverhill, 36576 (251) 945-5201 www.silverhillalabama.com/ services/#library

Spanish Fort Public Library

7361 Spanish Fort Blvd Spanish Fort, 36527 Outdoor Adventure Safety Day! June 4th @ 10AM-1:00pm in the Spanish Fort Community Center. Adventure begins at your library! Come explore and learn about our wilderness, boat safety and “how to prevent forest fires” with special guest Smokey the Bear! Stay for a cool treat to beat the heat and grab your Summer reading bag filled with SFPL’s schedule of free fun family activities!

(251) 410-READ (7323) librarian@cityofspanishfort. com www.spanishfortpubliclibrary.org

Thomas B. Norton Public Library

221 West 19th Avenue Gulf Shores, 36542 Summer Reading Program. Join us each Friday at 10:30AM at the Adult Activity Center for a new and exciting performer! June 7, 14, 21, 28, July 12, 19. All ages welcome! Summer Reading packets with reading logs will be given out on June 7th, after that they can be picked up

at the library! All ages are welcome and all programs are FREE to the public. Visit Facebook for activity listings.

(251) 968-1176 thomasbnortonlibrary@gmail.com www.gulfshoresal.gov/924/Library

Museums / Historical Sites / Science / Education

Historic Blakeley State Park

ad on page 43

34745 State Highway 225 Spanish Fort, 36527 Bring the whole family and enjoy more than 25 miles of trails, educational programs, boat cruises, cabins, RV spots and primitive camping. Other events: Be a part of the “100 Alabama Miles Challenge” kickoff June 24, Auburn University Raptor Center for two special educational programs: July 15, 10:30am, 11:30am. (251) 626-0798 office@blakeleypark.com www.blakeleypark.com

USS ALABAMA Battleship

Memorial Park

ad on page 51

2703 Battleship Parkway Mobile, 36602

You’ll walk the decks of the Mighty A, our WWII battleship. Explore and see how sailors lived aboard this floating city. Learn about the USS DRUM, the oldest American submarine on public display. See over 30 historic airplanes, vehicles, tanks, a B-25 Mitchell Bomber, and a super-secret spy plane. (251) 433-2703 info@ussalabama.com www.ussalabama.com

Alabama Aquarium at the Dauphin Island Sea Lab

101 Bienville Boulevard Dauphin Island, 36528

The Alabama Aquarium’s beautiful visual exhibits and engaging interactive exhibits will help you understand the interactions in Mobile Bay, the fourth-largest estuary system in the United States. Check disl.edu/events for family-friendly experiences. (251) 861-2141 www.disl.edu

Colonial Fort Condé

150 South Royal Street Mobile, 36602

Explore the stories of Mobile’s past under French, British, Spanish and American rule at Colonial Fort Conde. Admission is included with admission into the History Museum of Mobile. (251) 544-5480 www.historymuseumofmobile.com/ colonial-fort-conde/

Exploreum Science Center

65 Government Street Mobile, 36604

8,500-square-foot, hands-on discovery science center with a state-of-the-art PCI Digital Dome Theater. The Exploreum is an education based attraction focused on STEM learning. (251) 208-6893 www.exploreum.com

Fairhope Museum of History

24 North Section Street Fairhope, 36532

Exhibits of Fairhope’s history including Fairhope’s founders, the Single Tax theory, town jail, Jubilee phenomenon and many other displays. (251) 929-1471 museum@fairhopeal.gov www.fairhopeal.gov/departments/museum

Flight Works Alabama

2000 Aerospace Dr Mobile, 36615

Explore dozens of interactive exhibits that trace the history of aviation, explain the science of flight, and place you in the pilot seat! Airbus tours, workshops, field trips, and more await you at FWA!

(251) 512-2320 info@flightworksalabama.com www.flightworksalabama.com

Foley Railroad Museum

125 East Laurel Avenue Foley, 36535

The Depot Museum displays history of the city and the railroad in Foley. Model Train exhibit and trackless train ride. Please visit our website for days and hours.

(251) 943-1818 www.foleyrailroadmuseum.com

Fort Gaines

95 Bienville Boulevard Dauphin Island, 36528

Battle site of Battle of the Bay in 1864. See the battlements and soldiers’ living quarters, used from 1800’s-1946. Lots of fun for families and kids!

(251) 861-6992 thefort@townofdauphinisland.org www.townofdauphinisland.org

Holmes Medical Museum

111 West Laurel Avenue Foley, 36535

Step back to 1930s & 40s and see the first clinic & 10 bed hospital in Baldwin County. Self guided tours, free admission. (251) 970-1818 www.facebook.com/HolmesMedicalMuseum

Orange Beach History Museum

25805 John Snook Drive Orange Beach, 36561

Built in 1910 as a schoolhouse and now houses local, Native American artifacts and fishing memorabilia. View collectibles from the early days of the fishing industry. Open Monday - Thursday, 9 am - 4 pm (251) 981-8545 www.orangebeachal.gov

Swift-Coles Historic Home

17424 Swift-Coles Lane, Bon Secour, 36511 Swift-Coles Historic Home-Swift-Coles Historic Home is open to the public for self-guided tours. It is always a good idea to call ahead to make certain we are not closed for a private event. (251) 949-5550 www.SwiftColesHistoricHome.com

The National Maritime Museum of the Gulf of Mexico

155 South Water Street Mobile, 36602

With over 80 immersive exhibits and interactive, the National Maritime Museum has something for maritime lovers of every age. All summer teachers and military are free with ID. Come and Sea! (251) 436-8901 www.gulfquestmuseum.com

Naval Aviation Museum

1750 Radford Boulevard Pensacola, 32508

Explore the world’s largest Naval Aviation museum and one of the most-visited museums in the state of Florida. See more than 150 beautifully restored aircraft. Open daily and admission is free.

(850) 452-2894 www.navalaviationmuseum.org

The History Museum of Mobile

111 South Royal Street Mobile, 36602

The History Museum of Mobile is an educational and entertaining destination for both adults and children. As you explore the museum’s galleries, interesting artifacts and fascinating stories will appear around every corner.

(251) 208-7508 www.museumofmobile.com

Eastern Shore Parents I June 2024 www.easternshoreparents.com 54

Nature Trails / Marine Education / Environmental

Bellingrath Gardens and Home

ad on page 55

12401 Bellingrath Gardens Rd Theodore, 36582 Bellingrath Gardens and Home features a 65-acre estate Garden and historic Home, and blooms and beauty year-round. Open daily from 8am - 5pm. (251) 973-2217 bellingrath@bellingrath.org www.bellingrath.org

Dauphin Island Sea Lab

ad on page 24

101 Bienville Boulevard Dauphin Island, 36528

The Dauphin Island Sea Lab is the state of Alabama’s marine research and education center. Programs include K-12, professional development, undergraduate and graduate, and the Alabama Aquarium. The Aquarium is open year-round from 9 a.m. until 5 p.m. (251) 861-2141 www.disl.edu

ADCNR Wildlife and Freshwater Fisheries

Hunting, fishing, youth programs, family events, canoe trails, outdoor activities and state regulations. www.outdooralabama.com

Alabama Birding Trails

Discover a variety of feathered visitors and year-

round residents. Visit our website for a list of trails, convention centers and activities. www.alabamabirdingtrails.com

Back Country Trail

24037 Perdido Beach Blvd Orange Beach, 36561 Butterfly garden, rock climbing, biking, jogging, walking, wildlife, geocaching and more! Trail maps, locations and tour information available online. Visit us on Facebook for events. (251) 981-1180

www.gulfshores.com/blog/things-to-do/outdooractivities/the-complete-guide-to-the-hugh-s-branyonbackcountry-trail/

Beach Bike Rentals

4 Market Street Orange Beach, 36561

To provide a fun and safe opportunity to experience the Gulf Coast on a bike. Our customer focused rentals and options are designed to be simple and fun to use and enjoy. (251) 968-1770 www.beachbikerentalsorangebeach.com

Bicycle Trails

The Baldwin County Trailblazers advocate for improved and expanded walking and biking opportunities in Baldwin County, Alabama. Visit our website for a list of trails. www.baldwincountytrailblazers.org

Bon

Secour National Wildlife Refuge

12295 State Highway 180 Gulf Shores, 36542 Brochures and maps available at trailhead kiosks and outside the refuge office. Visit our website for Facility openings and hours. (251) 540-7720

www.fws.gov/refuge/bon-secour

Environmental Studies Center

6101 Girby Road Mobile, 36693

The Environmental Studies Center is a natural sciences education facility designed to provide unique learning experiences to school children and the general population. (251) 221-5000 www.mcpsesc.com

Five Rivers Delta Resource Center

30945 Five Rivers Boulevard Spanish Fort, 36527 5 Rivers is your gateway to the Mobile-Tensaw Delta. Open 7 days per week and free to the public, the facility features live animals and exhibits highlighting Alabama’s rich natural resources. (251) 625-0814 www.Alabama5Rivers.com

Infinity Bicycles

Come enjoy beautiful Orange Beach /Gulf Shores and Daphne Alabama on a bike, the only way to truly explore the area and all it has to offer. All of our rentals are from high quality brands such as Trek and are rotated out annually to insure that our customers get the most out of their rental. infinity-bicycles.com/product-list/bike-rentals-1238/

Weeks Bay Plantation & Silo Wake & Ski Park

12562 Mary Ann Beach Road Fairhope, 36532

Seasonal u-pick blueberries, produce, flowers & herbs, AirBnB stays, and family friendly water park now open! (251) 233-1585 www.weeksbayplantation.com

Weeks Bay Reserve

11300 U.S. Highway 98 Fairhope, 36532

Take time to explore a local natural treasure. Bring family and friends to enjoy our Visitor Center, boardwalks and trails that provide overlooks of beautiful Weeks Bay. (251) 928-9792 www.weeksbayreserve.com

55 www.facebook.com/easternshoreparentsmagazine

Parks

Fairhope’s Community Park

105 South Church Street Fairhope, 36532 Slides, rope-climbing sphere, musical-instrument sidewalk, swings, monkey bars and splash pad. The community park offers pavilion areas available on a first come, first serve basis. (251) 929-1479 www.fairhopeal.gov

Gulf State Park & Nature Center

20115 State Highway 135 Gulf Shores, 36542 There is something for everyone here. Swimming pool, Kayak and paddleboard rentals, Fishing, and bike rentals, bike sharing, parasailing, beach services, Geocaching, camps and weekly activities for everyone. Visit our website for activity calendar.

(251) 948-7275 www.alapark.com/gulf-state-park

Meaher State Park

5200 Battleship Pkwy East Spanish Fort, 36527 Day-use, picnicking, camping hook-ups, boat ramp and fishing pier. Self-guided nature trails with boardwalk.

(251) 626-5529 alapark.com/parks/meaher-state-park

Spanish Fort Town Center

Park & Splash Pad

29000 Bass Pro Drive Spanish Fort, 36527 Pavilion, splash pad, and more. Please call or check our website for splash pad hours. (214) 561-8884 www.spanishforttowncenter.com

Town of Dauphin Island Parks & Recreation

1011 Bienville Blvd. Dauphin Island, 36528 Many activities to choose from such as the Audubon Bird Sanctuary, Boating, Camping, Fishing, Fort Gaines, Kayaking, Public beach access, Trails and more! (251) 861-5525 www.townofdauphinisland.org/ parks-and-recreation

Recreation Centers

Bay Minette Recreation Complex

611 McMeans Avenue Bay Minette, 36507 Classes, sports and more. Seasonal city league basketball, softball, soccer, football, swim team and youth cheerleading. (251) 580-2546 https://teamsideline.com/bay minette

Bounds Family YMCA

8051 Whispering Pines Road Daphne, 36526

Promoting healthy kids, families and communities by offering activities and programs for wellness and family fun. (251) 626-0888 www.ysal.org

Daphne Recreation Center

2605 US Highway 98 Daphne, 36526

From parks and trails to youth and adult sports leagues, fitness and dance classes to music and special community events, we strive to offer you a variety of opportunities to maintain an active lifestyle in the City of Daphne. (251) 620-2700 www.daphneal.com/229/Recreation

David L. Bodenhamer Rec Center

310 West 19th Avenue Gulf Shores, 36542

Instructional classes, swim lessons, swim teams and recreation programs. Call or visit us online

for schedules, membership and activity updates. Follow our Facebook page! (251) 968-1420 www.gulfshoresal.gov/1162/DavidL-Bodenhamer-Recreation-Center

Fairhope Rec Center

803 North Greeno Road Fairhope, 36532

Fitness rooms, classes, spin, gymnasium, racquetball court, walking track, activity room, sauna, dressing facilities, and nursery. Membership information available online or at the Rec Center. (251) 928-7270 www.cofairhope.com

Foley Recreation Center

121 North Alston Street Foley, 36535

We offer a wide range of activities, parks and sports programs, swimming, tennis, and more. Visit us on Facebook for current hours and updates.

(251) 970-5020 www.foleyrecreation.com

Orange Beach Rec Center

4849 Wilson Boulevard Orange Beach, 36561 Gymnasium, fitness room, multipurpose, teen and game rooms. (251) 981-6028 www.obparksandrec.com/recreationcenter.html

Swimming

Eastern Shore Aquatics Center-ESAC

Swim programs for all ages & abilities. Visit our website for Lessons or to join SWAT. (251) 300-0820 www.swimforswat.com

Fairhope Rec Center Pool

803 North Greeno Road Fairhope, 36532

Fairhope Recreation Center & Municipal Pool is a membership based community center. Swim lessons, Swim team, party rental.

(251) 990-0175 www.cofairhope.com

Foley Recreation Swim

300 West Roosevelt Street Foley, 36535

Swim lessons offered throughout the summer at Max Griffin Pool. Summer swim programs, teams, hours, pricing and schedules are listed on our website.

(251) 943-7946 foleyrecreation.com/swimming

Lake Forest Swim

197 Country Club Drive Daphne, 36526

Ages 3-18, Swimmers start as early as the age of three and some continue with the team until the age of eighteen. Children of all ages are allowed to participate in competitive swimming events based on ability. If a child requires one on one training, many of the assistant coaches are available for personal coaching.

(251) 626-0788 lakeforestswim.swimtopia.com/

Orange Beach Aquatics Center

4853 Wilson Boulevard Orange Beach, 36561

Junior olympic swimming pool, diving well, tube slide and wading pool with spray and waterfall. Swimming lessons, water aerobics and more. (251) 974-7946 www.orangebeachal.gov/224/ Aquatics-Center

Tennis

George C. Myers Tennis Center

2049 West 2nd Street Gulf Shores, 36542 Pro-shop, 6 soft courts, 12 hard courts and an indoor clubhouse. Please call for clinic and lesson information. Pickleball-3 courts of indoor open play

at Gulf Shores Cultural Center (19470 Oak Road West). (251) 968-1431 www.gulfshoresal.gov/1129/Tennis

Lake Forest Summer Tennis

197 Country Club Dr Daphne, 36526

Get your kids involved in Tennis today! (251) 648-3952 www.uberjuniortennis.com

Mike Ford Tennis Center

600 Morphy Avenue Fairhope, 36532

12 lighted courts, 4 Pickle Ball Courts, Backboard and an outdoor lighted walking track. Full time Kids and Adult tennis programs and pickleball classes. (251) 990-9526 www.fairhopeal.gov/community/ sports-complexes/tennis

Orange Beach Tennis Center

4851 Wilson Boulevard Orange Beach, 36561

The Tennis Center offers youth, adult and senior adult tennis programs. (251) 974-6387 obparksandrec.com/tenniscenter.html

Water Fun / Sailing / Cruises and Tours

Airboat Adventures

3775 Battleship Pkwy Spanish Fort, 36527

Take an Adventure Ride with Airboat Adventures in the Mobile-Tensaw River Delta. Bring the kids, your family, and closest friends! (251) 680-4477 www.airboatadventures.net

Airboat Express

3733 Battleship Parkway Spanish Fort, 36527

Take a tour with us and experience a treat for the Whole family! Please call for reservations. (251) 370-7089 www.airboatexpress.com

Alabama Canoe Trails

We offer canoeists and kayakers alike the ability to explore the State’s unique natural resources while providing paddlers with opportunities for both day and over-night trips. (251) 625-0814 www.alabamacanoetrails.com

Dauphin Island Marina

650 LeMoyne Drive Dauphin Island, 36528

Dauphin Island Marina is a full-service marina. We also charter fishing trips, cruises on the Duke, boat rentals and tours. (251) 861-2201 www.townofdauphinisland.org/ things-to-do/dauphin-island-marina

Delta Explorer Boat Cruises

34745 State Highway 225 Spanish Fort, 36527

Explore the areas natural habitat including Delta adventure cruise, Port of Mobile cruise, Civil War on the Eastern Shore, lunch and sunset cruises. Book your adventure online at Blakeleypark.com/ Cruises. (251) 626-0798 www.blakeleypark.com/Cruises

Dolphin Cruises - Cold Mil Fleet

5749 Bay La Launch Ave Orange Beach, 36561

We offer daytime and sunset cruises for groups, private cruises, field trips, birthdays, and more. Visit our website for cruise times, prices and booking.

(251) 943-3510 www.dolphincruises.com

Dolphins Down Under

28101 Perdido Beach Blvd Orange Beach, 36561

Dolphin tours, Sunset Trips and other Special

Eastern Shore Parents I June 2024 www.easternshoreparents.com 56

Events. Visit our website for booking and excursion descriptions.

(251) 968-4386 www.dolphinsdownunder.net

Down Under Dive Shop

1129 Gulf Shores Parkway Gulf Shores, 36542 Snorkeling Tours, Scuba Instruction, SUP, Kayaking, Scuba certification, CPR, diver rescue, open water courses, excursions and more! Visit us online to book an activity. (251) 968-3483 www.downunderdiveshop.com

Fairhope Boat Company

702 N Section St Fairhope, 36532 Canoes, Kayaks and Sailing Gear. Our experienced staff can answer all your questions from what type of boat to the best locations to see nature. We also offer guided trips to the Mobile Delta and surrounding areas. (251) 928-3417 www.facebook.com/FairhopeBoatCompany

Go Go Kayaks

Gulf Shores, 36542

Go Go Kayaks rents kayaks, paddle boards, games and more. We deliver fun. (251) 752-7529 www.gogokayaks.com

Mobile Bay Ferry

51 State Highway 180 Dauphin Island, 36528

The Mobile Bay Ferry connects two of the Gulf Coast’s most beautiful and historic landmarks with a safe and scenic experience. (251) 861-3000 www.mobilebayferry.com

Paddled By You

26448 Cotton Bayou Dr Orange Beach, 36561 Family-owned kayak and paddle board rental.

Single, double, triple and paddle kayaks and stand up paddle boards available for rent. Please call for pricing.

(251) 752-9250 www.PaddledByYou.com

Pirate Ship Cruises and Alabama Cruises

4575 South Wilson Blvd Orange Beach, 36561 Pirate ship cruises, fishing charters, dolphin cruises, pontoon boats, jet ski and kayak rentals, dinner cruises and more.

(251) 981-4127 www.hudsonmarina.net

Sailaway Charters

24231 Gulf Bay Road Orange Beach, 36561 Offering family type 2 and 3 hour nature cruises (oyster, crab, and, shrimping) or do inshore fishing within protected waters. Please call for booking. Max.6 passengers. (251) 974-5055 www.sailorskip.com

Styx River Tube and Canoe Rental

26091 Waterworld Road Robertsdale, 36567 Canoe, Kayak and Tube rentals. Visit our website for trip options and prices. (251) 960-1161 www.styxrivertubing.com/

Underwater Works, Inc.

24208 US Highway 98 Fairhope, 36532

Exchange and share information, ask questions from the experts, and connect with other divers. Underwater Works specializes in scuba diving instruction offering both SSI and PADI open water diver courses. (251) 928-5550 www.alabamadive.com

Waterville USA

906 Gulf Shores Parkway Gulf Shores, 36542

Waterville USA offers you 20-acres of fun through our waterpark, amusement park and escape rooms. (251) 948-2106 www.watervilleusa.com

WildNative ToursGulf Shores/Orange Beach

4159 County Road 6 Gulf Shores, 36542

Guided Tour: the Dolphins & Wildlife Kayak Experience (251) 272-4088 https://wildnativetours.com/

WildNative Tours - Spanish Fort

30841 Five Rivers Boulevard Spanish Fort, 36527 Tours departing from The Battleship Causeway: Experience the Port, Bay and Delta on the Secretly Awesome Charter, Delta Wildlife Kayak Tour (251) 272-4088 https://wildnativetours.com/

WildNative Tours - Stockton

8610 Rice Creek Road Stockton, 36579

The Champion Cypress Kayak Adventure or Bottle Creek Indian Mound Interpretive Kayak Tour (251) 272-4088 https://wildnativetours.com/

Wind and Water Learning Center

26233 Canal Road Orange Beach, 36561

If you are looking for a fun summer adventure, check out the special activities and events held at the Wind and Water Learning Center. Many different sailing and paddling Programs. (251) 424-5909 www.orangebeachal.gov/386/WindWater-Learning-Center ESP

57 www.facebook.com/easternshoreparentsmagazine

Most everyone has experienced being the new person in a community, school or other environment. Every family needs a support system and when you’re new in town, time is of the essence. Once your family has settled on the neighborhood you will live in, your next step is to get out there and meet people in the community. While it can be daunting at first, these eight tips will help you find new friends fast.

1. Check and see if your neighbor hood has a community association. You may not have to look much farther than your own neighborhood to find new friends. Many neighborhood associations hold events that you can attend to meet your neighbors. Who knows, your famous pot luck salad at the neighborhood barbeque might win you your next best friend.

2. Look into local moms groups. Most communities are overflowing with dozens of official and unofficial playgroups for kids. Look online or call your pediatrician for recommendations. These groups usually connect mothers of similarly aged children. Your kids may find future classmates through these groups.

3. Talk to the schools your children will be attending. See if there are any community groups that your child can get involved in. They will meet new friends and you can get to know other moms and dads in the process. Girl Scouts, Cub Scouts, sports teams and other like activities will help your family find similarly minded friends.

4. While you are inquiring at the school, ask about the PTA/Parents’ Organization. Usually the head of these organizations can help you get in touch with other parents and help you find activities that you and your family can participate in.

5. Look into local houses of worship. Faith and friendship go hand in hand. Find a local house of worship and ask the pastor, priest or rabbi for recommendations on committees you can join, families you should meet or other organizations that will connect you with your soon-to-be friends.

6. Join! Join the pool, join the community center, go to where the people in your

community congregate. Once you have joined, volunteer to get yourself out there. It may take some elbow grease to connect you with future friends.

7. Identify the super-connectors. It always seems like a handful of people in every community seem to know everyone. Befriend these people. They will connect you with others and always seem to be willing to help out others.

8. Find your tribe. Do the things you love and the people you are meant to connect with will follow. Whether quilting, writing or soccer is your thing, there is

likely a group of people nearby who love what you love and would love for you to join them.

Making friends and connections in the neighborhood and surrounding community helps parents find support in a place that may feel far from home. Get out there today and meet some people. You never know where you might find those lifelong family friends.

www.facebook.com/easternshoreparentsmagazine
Beth N. Davis writes from Rockville, MD where she and her husband are raising their four children. ESP

Loxley First Baptist Church

1050 North Alabama Street Loxley, 36551

Theme: Scuba-Diving into Friendship with God

Dates: June 2-6, 2024 Times: 6:00pm - 8:30pm

Ages: Completed Kindergarten - 6th grade Children will go on an undersea adventure where they will be immersed in the Word of God and learn about His never-ending love. (251) 964-5261 jacklynau06@gmail.com www.fbcloxley.com

Providence United Methodist Church

32200 Jimmy Faulkner Drive Spanish Fort, 36527

Theme: Scuba

Dates: June 2-6, 2024 Times: 5:30pm - 7:45pm Ages: Kindergarten -Completed 5th grade (251) 626-2510 www.providencemethodist.org

Eastern Shore Presbyterian Church

320 Presbyterian Drive Fairhope, 36532

Theme: Camp ESPC

Dates: June 3-6, 2024 Kick off June 2 at 4pm Times: 9:00am - 12:00pm Ages: (going into) K5 - 6th grade

“Behold, I am making all things new”. Join us at Camp ESPC, where everyday is an adventure! Register at:www.myvbs.org/espcVBS24 (251) 210-1226 adavey@easternshorepca.org www.easternshorepca.org

3Circle Church

Daphne Campus - 10080 County Road 64 Daphne, 36526

Theme: Camp 3Circle

Dates: June 3-7, 2024 Times: 9:00am - 12:00pm

Ages: 4 years - 4th grade

Camp 3Circle is a fun-filled week for kids ages 4 years-4th grade. We incorporate worship, Bible study, and games to point children to God’s great love for them.

(251) 990-3112 info@3circlechurch.com www.3CircleChurch.com/camp

3Circle Church

Fairhope Campus - 10274 State Highway 104 Fairhope, 36532

Theme: Camp 3Circle

Dates: June 3-7, 2024 Times: 9:00am - 12:00pm

Ages: 4 years - 4th grade

Camp 3Circle is a fun-filled week for kids ages 4

years-4th grade. We incorporate worship, Bible study, and games to point children to God’s great love for them.

(251) 990-3112 info@3circlechurch.com www.3CircleChurch.com/camp

Fairhope UMC

155 South Section Street Fairhope, 36532

Theme: Scuba

Dates: June 3-7, 2024 Times: 8:45am - 12:15pm

Ages: 3 years – rising 6th grade

Take kids deep into an amazing undersea adventure where they’ll experience the ever-flowing, never-ending love of God. At Scuba VBS, kids will be immersed in the Word and discover what living water is really all about! Registration: https://www. fairhopeumc.org/vbs2024/ (251) 928-1148 jenna.hood@fairhopeumc.org www.fairhopeumc.org

First Baptist Church of Foley

221 North Alston Street Foley, 36535

Theme: Breaker Rock Beach

Dates: June 3-6, 2024 Times: 9:00am - 12:00pm

Ages: K4 - 6th grade (251) 943-8352 tspradlin@fbcfoley.com www.fbcfoley.com

First Baptist Gulf Shores

2300 West 1st Street Gulf Shores, 36542

Theme: Jungle Journey

Dates: June 3–7, 2024 Times: 8:00am - 11:00am

Ages: Completed K5-5th grade (251) 968-7369 children@fbcgulf.com www.fbcgulf.com/

Gulf Shores Church of Christ

2414 W 1st St, Gulf Shores, 36542

Theme: The Greatest Show

Dates: June 3-5, 2024 Times: 6:00pm - 8:00pm

Ages: K3-5th grade (251) 968-7769 www.gulfshoreschurchofchrist.org

Gulf Shores Methodist ChurchSouth Campus

1900 Gulf Shores Parkway Gulf Shores, 36542

Theme: Scuba- Diving into Friendship with God

Dates: June 3-6, 2024 Times: 5:30pm - 8:00pm

Ages: 4 years- going into 5th grade

Kids will take a deep dive below the surface to build a strong faith! SCUBA is an amazing undersea

adventure where they will be immersed in the Word and discover what living water is really all about. (251) 968-2411 cammie@gulfshores.church www.gulfshores.church

Spanish Fort Presbyterian Church

6620 Spanish Fort Boulevard Spanish Fort, 36527

Theme: Camp Firelight, A Summer Camp Adventure with God

Dates: June 3-6, 2024 Times: 6:00pm - 8:00pm

Ages: Rising Kindergarten - 5th grade

Register early, space is limited, www.myVBS.org/ sfpc or call the church office at 626-1242 (251) 626-1242 www.spanishfortpresbyterian.com

St. Paul’s Episcopal Church

28788 North Main Street Daphne, 36526

Theme: Scuba- Diving into Friendship with God Dates: June 3-6, 2024 Times: 9:00am - 12:00pm

Ages: 3 years - 10 years

Dive into a friendship with God! Go deep into an amazing undersea adventure where kids experience the ever-flowing, never ending love of God! (251) 626-2421 officestpaulsdaphne@gmail.com www.stpaulseasternshore.com

Trinity Presbyterian Church

545 South Mobile Street Fairhope, 36532

Theme: Dive Into A Friendship With God

Dates: June 3-7, 2024 Times: 9:00am - 12:00pm

Ages: Completed K - 4th grade

Registration: https://vbspro.events/p/trinity2024 (251) 928-2524 www.tpcfairhope.org

Fish River Baptist Church

17140 County Road 33, Fairhope, AL 36532

Theme: Breaker Rock Beach

Dates: June 9-14, 2024 Times: 6:00pm - 830pm

Ages: Kindergarten- 6th grade

Kids will be challenged as they discover that God’s truth never changes, everyone needs Jesus, and learn to speak the truth in love. (251) 928-0402 www/fishriverbaptistchurch.com

Lighthouse Baptist- Eastern Shore

10526 Co Rd 64 Daphne, 36526

Theme: Keepers of The Kingdom

Dates: June 9-12, 2024 Times: 6:00pm-7:30pm

Ages: 4 years - 12 years

With Keepers of the Kingdom, your kids will learn

Eastern Shore Parents I June 2024 www.easternshoreparents.com 60

how they can be part of God’s kingdom through salvation in his Son and will be equipped with the armor of God to become Keepers of the Kingdom and strong in today’s battle for truth. (251) 445-3118 info@lbceasternshore.com www.lbceasternshore.myanswers.com

Eastern Shore Baptist Church

6847 Park Drive Daphne, 36526

Theme: Breaker Rock Beach

Dates: June 10-14, 2024 Times: 8:30am12:00pm Ages: Completed K - 6th grade Get ready for a week of adventure at ESBC Kids Week where kids will learn that God’s truth never changes! (251) 626-5550 leann@myesbc.net www.myesbc.net

Orange Beach Methodist Church

28751 Canal Road Orange Beach, 36561 Theme: Start the Party! Celebrate the Good News Dates: June 10-14, 2024 Times: 5:30pm - 8:00pm Ages: PreK (fully potty trained) - 5th grade (251) 981-6751 oboffice@obmchurch.com www.obmchurch.com/VBS

Spanish Fort United Methodist Church

6690 Spanish Fort Blvd Spanish Fort, 36527

Theme: Scuba- Diving Into Friendship with God

Dates: June 10-13, 2024 Times: 5:30pm - 7:30pm Ages: 5 years (by 9/1/2024)- 5th grade. Register by May 15 ,2024. (251) 626-1334 children@spanishfortumc.org www.spanishfortumc.org/vbs/

First Methodist Church of Bay Minette 120 West 2nd Street Bay Minette, 36507

Theme: Scuba- Diving into Friendship with God Dates: June 17-21, 2024 Times: 8:00am12:00pm Ages: 4 years - rising 6th grade (251) 937-8303 www.fumcbayminette.org

Christ Presbyterian Church

8450 Whispering Pines Road, Daphne, AL 36532

Theme: Scuba- Diving into Friendship with God

Dates: June 21-28, 2024 Times: 5:15pm - 7:30pm Ages: 5 years - 12 years (251) 621-9444 christchurchdaphne@gmail.com www.cpcdaphne.com

Faith Family Fellowship

7100 Spanish Fort Blvd, Spanish Fort, AL 36527

Theme: Camp Faith

Dates: June 23-27, 2024 Times: June 23, 5:00pm - 8:00pm. June 24-27, 9:00am-2:00pm Ages: 1st-5th grade

Sunday night will be a fun-filled family night that everyone will enjoy. We will have food, sign in stations and activities for the whole family. Monday through Thursday will be a full day of VBS style activities along with lunch and some extra fun activities to finish out the day. (251) 626-1379 daisy@faithfamilyonline.com www.vbspro.events/p_early/f194be

East Pointe Baptist Church

34742 Hwy 225 Spanish Fort, 36527

Theme: Scuba- Diving into Friendship with God Dates: June 24-27, 2024 Times: 9:00am-12:00pm

Ages: Completed Kindergarten - completed 6th At Scuba VBS, kids will be immersed in the Word and discover what living water is really all about! (251) 626-6263 kellie@eastpointebaptistchurch.com www.eastpointebaptistchurch.com

3Circle Church

Robertsdale Campus Robertsdale, 36567

Theme: Camp 3Circle

Dates: July 8-12, 2024 Times: 9:00am - 12:00pm Ages: 4 years - 4th grade

Camp 3Circle is a fun-filled week for kids ages 4 years-4th grade. We incorporate worship, Bible study, and games to point children to God’s great love for them. (251) 990-3112 info@3circlechurch.com www.3CircleChurch.com/camp

Barnwell Baptist Church

7780 US Highway 98 Fairhope, 36532

Theme: Scuba- Diving into Friendship with God Dates: July 15-19, 2024 Times: 8:30am - 11:30am

Ages: 4 years - 10 years (251) 928-8286 barnwellbaptist@gmail.com www.barnwellbaptist.org

City Hope Church

29964 Saint Basil St Daphne, 36526

Theme: City Hope Church’s Camp Jr

Dates: July 15-18, 2024 Times: 9:00am-12:00pm Ages: 3 years - 1st Grade

Just like older kids get to experience Camp, our younger kiddos are going to get to be a part of Camp Jr this summer too! This is a day camp for preschool and early elementary aged kids, and it’s happening at our Mobile and Foley locations too! (251) 626-0123 www.cityhope.churchcenter.com/ registrations/events/2076395

City Hope Church

21270 Miflin Road Foley, 36535

Theme: City Hope Church’s Camp Jr

Dates: July 15-18, 2024 Times: 9:00am-12:00pm

Ages: 3 years - 1st Grade

Just like older kids get to experience Camp, our younger kiddos are going to get to be a part of Camp Jr this summer too! This is a day camp for preschool and early elementary aged kids, and it’s happening at our Mobile and Foley locations too! (251) 626-0123 www.cityhope.churchcenter.com/ registrations/events/2076395

Jubilee Baptist Church

9264 Pleasant Road Daphne, 36526

Theme: Start The Party: Celebrate The Good News! Dates: July 15-18, 2024 Times: 5:45pm - 8:00pm (Doors Open at 5:30 pm) Ages: Entering Kindergarten - Current 6th grade

Online Preregistration is required. (251) 621-7095 kayley@jubileebaptist.com www.jubileebaptist.com

St. Andrews by the Sea

17263 Fort Morgan Road Gulf Shores, 36542

Dates: July 15-18, 2024 Times: 9:00am - 12:00pm Ages: 3 years-5th grade

Visit our website to register www.saintandrewbythesea.org (251) 968-3900 www.standrewbythesea.org

St. Paul’s Lutheran (Foley)

400 N Alston Street Foley, 36535

Theme: Camp Firelight

Dates: July 22-26, 2024 Times: 9:00-12:00 pm Monday-Thursday and 9:00-1:00 pm on Friday Ages: PK4-6th grade

Drop off will begin every morning at 8:30 AM. Snacks will be provided everyday. A pizza lunch will be provided on Friday. (251) 943-6931 stpauls.lcms.foley@gmail.com www.stpaulslcms.com

Celebration Church

180 Dyer Road Fairhope, 36532

Theme: On a Mission

Dates: July 29-31, 2024 Times: 9:00am - 12:00pm Ages: Kindergarten- 6th grade

Discover your unique mission with us, learn to fight the enemy, and spread God’s mission to others. Join us for an adventure of faith! (251) 928-0343 www.fairhopechurch.com

61 www.facebook.com/easternshoreparentsmagazine

FamilyCalendar

Saturday June 1

Living History Crew Drill

9:00 AM - 3:00 PM, USS ALABAMA Battleship Memorial Park, 2703 Battleship Pkwy Mobile, AL, 36602 Come see history come to life with our WWII reenactors during the Living History Crew Drill. Interact with historical WWII reenactors aboard the USS ALABAMA and USS DRUM. These historical reenactors, dressed in WWII period Navy uniforms, demonstrate what life aboard ship was like during wartime. They share stories from our original crewmen, conduct weapons briefings, and demonstrate drills while aboard ship www.ussalabama.com

Summer Reading Kickoff Splash BashOrange Beach Public Library

10:30 AM - 12:00 PM, Orange Beach Public Library, 26267 Canal Road Orange Beach, AL, 36561 Summer Reading Kickoff, enjoy inflatable water slide, bounce house, arts and crafts and more. (251) 981-2923 www.orangebeachlibrary.org

Sunday June 2

Summer Kickoff Party

4:00 PM - 8:00 PM, Loxley Municipal Park, Loxley, AL, 36551 ALL students 6-12th grade are invited to Odyssey Youth’s Summer Kickoff Party. Enjoy food, games, activities and prizes.

Monday June 3

Summer Reading Kickoff

10:00 AM - 12:00 PM, Daphne Civic Center, 2603 US Highway 98 Daphne, AL, 36526 Join us at the Daphne Civic Center for our annual Summer Reading Kickoff! The event begins June 3rd at 10:00 am and ends at 12:00 pm. Pick up your Summer Reading bag, enjoy hot dogs, and watch a special performance by puppeteer David Stephens. https://www.daphneal.com/178/Public-Library

Tuesday June 4

Outdoor Adventure Safety Day

10:00 AM - 1:00 PM, Spanish Fort Public Library, 7361 Spanish Fort Boulevard Spanish Fort, AL, 36527 Adventure begins at your library! Come explore and learn about our wilderness, boat safety and “how to prevent forest fires” with special guest Smokey the Bear! Stay for a cool treat to beat the heat and grab your Summer reading bag filled with SFPL’s schedule of free fun family activities! www.spanishfortpubliclibrary.org/

Wednesday June 5

Summer Reading Kick-Off (Free)

2:00 PM - 4:00 PM, Fairhope Public Library, 501 Fairhope Avenue Fairhope, AL, 36532 All Ages! Join us for our outdoor Summer Reading Kickoff Party and learn about this year’s theme: “Adventure Begins at Your Library” at Fairhope Public Library! Our Kickoff Party will feature special guests from the local area. This all-ages event is FREE to attend, and everyone is welcome to join us outside, behind Fairhope Library, for a delightful afternoon of fun and learning. Stop by to get all of the materials you will need to participate in Summer Reading this year! 251-929-1465 www.fairhopelibrary.org/

Friday June 7

2024 Boots & Bandanas Drawdown

5:30 PM Baldwin County Coliseum, 19477 Fairground Road Robertsdale, AL, 36567 www.centralbaldwin.com/

Saturday June 8

World Ocean Day 2024

7:30 AM - 2:00 PM, 15500 Perdido Key Drive Perdido Key, FL, 32507 Yoga and story-time for the kids. Then you will be able to either participate in a volunteer beach clean-up activity, or check out exciting vendors at the beach and participate in activities, or interact with a turtle and visit with Ocean Experts! The day will conclude with an ocean-themed family movie at the Southwest Library Branch on Gulf Beach Highway!

https://business.visitperdido.com

Eastern Shore Baptist Church Miles for Missions 5K and Fun Run

8:00 AM Daphne City Hall, 1705 Main Street Daphne, AL, 36526 The Youth Choir of Eastern Shore Baptist Church presents the “Miles for Missions” 5K and Fun Run on Saturday, June 8th, 2024 in Daphne, Alabama. The race begins at 8:00 a.m. at Daphne City Hall, and proceeds benefit the 2024 Youth Choir Mission Tour to Tulsa and Oklahoma City.

https://runsignup.com/Race/AL/Daphne/ESBCMilesforMissions

Animal Ambassadors Cruise

10:00 AM Bartram Landing at Five Rivers Delta Resource Center, 30841 Five Rivers Blvd Spanish Fort, AL, 36527 Join Five Rivers Delta Resource Center and Historic Blakeley State Park for a unique 90-minute cruise into the wild and scenic Mobile-Tensaw Delta www.blakeleypark.com/Things-to-Do/Events

Jamie Bertagnolli Book Signing

10:30 AM Barnes and Noble, 30500 State Hwy 181 Suite 414 Spanish Fort, AL, 36527 Author Jamie Bertagnolli will be here signing his wonderful children’s books from 10:30 to 1:30. Please stop by to grab your copy and join us for story time. www.stores.barnesandnoble.com/store/2186

Masquerade Ball

6:00 PM Daphne Civic Center, 2603 US-98 Daphne, AL, 36526 Our event invites you to “mask out” cancer for one night by celebrating local cancer survivors and those still fighting. This year’s summer event will boast great music, food, drink, and a silent auction and always-entertaining live auction. www.anchorcrossfoundation.org/masquerade-ball/

Eastern Shore Chamber Music FestivalClose Encounters (Free)

7:30 PM Fairhope Unitarian Fellowship, 1100 Fairhope Ave Fairhope, AL, 36532 Join us for the second season of the Eastern Shore Chamber Music Festival: Out of This World! www.escmf.org

Sunday June 9

Eastern Shore Chamber Music FestivalStarry Eyed (Free)

2:30 PM St. Francis at the Point, 17280 Scenic Highway 98 Fairhope, AL, 36532 Join us for the second season of the Eastern Shore Chamber Music Festival: Out of This World! www.escmf.org

Eastern Shore Chamber Music FestivalEarthbound (Free)

2:30 PM St. Francis at the Point, 17280 Scenic Highway 98 Fairhope, AL, 36532 Join us for the second season of the Eastern Shore Chamber Music Festival: Out of This World! www.escmf.org

Phantom Curses the Opera an original parody of Gaston Leareux’s novel: Phantom of the Opera ($10 at the door $8 in advance)

6:30 PM City of Loxley Civic Center, 4198 Municipal Park Dr Loxley, AL, 36551 Family Friendly comedic performance. run time :1:30mins. Phantom a quite enjoying ghost finds his peace disturbed when a new company moves in. can he endure another bad performance before he goes mad. Hilarious antics begin. Who will win out the actors or the phantom. commediadelarte.org

Tuesday June 11

Bingo Night

3:30 PM - 5:00 PM, Daphne Public Library, 2607 US98 Daphne, AL, 36526 Join us every other month on the second Tuesday for some bingo fun! This is a free event with prizes up for grabs, seating is limited. 251-620-2500 www.daphneal.com/178/Library

Wednesday June 12

NatureNauts at Bellingrath Gardens and Home 9:00 AM - 12:00 PM, Bellingrath Gardens and Home, 12401 Bellingrath Gardens Rd Theodore, AL, 36582 Plan a day of summertime fun for the family! Learn about the wildlife and ecology of the Gulf Coast from a variety of environmental organizations throughout the region during NatureNauts at Bellingrath Gardens and Home. www.bellingrath.org

Thursday June 13

Southern View Media’s annual Summer Social 5:00 PM - 8:00 PM, 25369 US-98 Daphne, AL, 36526 Hosted by Southern View Media and Pelican Promos, this event is your ticket to an afternoon filled with laughter, live music and mouth watering Southern comfort food. www.SouthernViewMedia.com

Celi’s Princess Tea Day

18169 Wright Blvd., Fairhope

Wear a princess outfit from home or wear one of ours! Enjoy manicures, hair, tea and cookies. Reservation required. Reserve your spot at www.celisplaycafe.com. 251-209-9986

Friday June 14

Sunset Cruise

6:40 PM Historic Blakeley Park dock, 34745 State Hwy. 225 Spanish Fort, AL, 36527 Kick off your weekend in style by joining us for a relaxing excursion down the waterways of the lower Mobile-Tensaw Delta. Departing from the Blakeley dock , we’ll take an early evening cruise to the head of Mobile Bay and enjoy the stunning views of the setting sun and the cool bay breeze before returning upriver. www.blakeleypark.com/Things-to-Do/Events

Luke Bryan in Concert

7:00 PM The Wharf Amphitheater, 23101 Canal Rd Orange Beach, AL, 36561 Luke Bryan with special guests Lily Rose, Josh Ross, Chance Beckham + DJ Rock. www.alwharf.com

Eastern Shore Chamber Music FestivalSpace Cowboys (Free)

7:30 PM Fairhope Unitarian Fellowship, 1100 Fairhope Ave Fairhope, AL, 36532 Join us for the second season of the Eastern Shore Chamber Music Festival: Out of This World! www.escmf.org

Eastern Shore Parents I June 2024 www.easternshoreparents.com 62

FamilyCalendar

Saturday June 15

LuLu’s Hot Trot 2024

7:30 AM LuLu’s, 200 E. 25th Ave. Gulf Shores, AL, 36542 Join us for a flat and fast 5K Run/Walk and 1 mile fun run followed by a fun party at LuLu’s. Proceeds from the event benefits ARC-Baldwin County. https://lulusfunfoodmusic.com/lulus-hot-trot/

Lower Delta Tour

9:00 AM Historic Blakeley Park dock, 34745 State Hwy. 225 Spanish Fort, AL, 36527 Explore the forgotten southern reaches of the Mobile-Tensaw Delta on this unique two-hour adventure through a hidden natural habitat just minutes from Mobile and the communities of Eastern Shore.

www.blakeleypark.com/Things-to-Do/Events

Corn Festival, Boat Show & Fishing Expo

9:00 AM - 2:00 PM, Coastal Alabama Farmers and Fishermens Market, 781 Farmers Market Lane Foley, AL, 36535 Celebrate the flavors of the season with fresh watermelon, tomatoes, and, of course, corn. All your favorite vendors will be on hand with produce, seafood, honey, and artisan creations. There will also be kids activities, a bounce house, and an all-ages corn eating contest. Something new and special this year is our Corny Dad Cook-Off! We have three incredible local cooks, who also happen to be dads, that are ready to compete. www.coastalalabamamarket.com/home

Luke Bryan in Concert

7:00 PM The Wharf Amphitheater, 23101 Canal Rd Orange Beach, AL, 36561 Luke Bryan with special guests Lily Rose, Josh Ross, Chance Beckham + DJ Rock are coming to The Wharf Amphitheater on June 14 + 15 as part of the 2024 C Spire Concert Series!

Eastern Shore Chamber Music FestivalRocket Science (Free)

7:30 PM Fairhope Unitarian Fellowship, 1100 Fairhope Ave Fairhope, AL, 36532 Join us for the second season of the Eastern Shore Chamber Music Festival: Out of This World! www.escmf.org

The Ray Howard Band at OWA Theater

7:30 PM OWA Theatre, 205 N OWA Blvd, Foley, AL, 36535 Join us Saturday, June 15th for a special evening with The Ray Howard Band! From Motown to Earth Wind & Fire, you will hear all your favorite feel-good and soulful classics! www.visitowa.com/entertainment/owa-theater/

Movie on the Bluff

8:00 PM Henry George Park, Fairhope, AL, 36532 Join us for our 4th Annual Movie on The Bluff Summer Series! Catch a free movie after you enjoy the sunset on Mobile Bay. Popcorn and snow cones will be provided. Donations not required but appreciated. Any amounts received will go to benefit Fairhope Schools. Bring a chair or blanket!

Thursday June 20

Shop, Eat & Stroll

5:00 PM - 8:00 PM, Downtown Bay Minette, Bay Minette, AL Join the North Baldwin Chamber of Commerce and a few of our local Bay Minette businesses.

Bluey Day at Celi’s Play Cafe 18169 Wright Blvd., Fairhope Reservation required. Reserve your spot at www. celisplaycafe.com. 251-209-9986

Glow in the Park Summer Movies

8:00 PM Fairhopers Community Park,, 105 S Church Street Fairhope, AL, 36532 Movie enthusiasts of all ages are invited to bring along a blanket or lawn chair, pack a picnic, and unwind with their loved ones in a magical outdoor setting. The Downtown Fairhope Business Association will be offering complimentary popcorn and distributing glow-in-the-dark items before each screening. Additionally, attendees can arrive early from 6:30 PM to 8:30 PM to capture special moments with Moana.

Friday June 21

Rock the Country Music Festival The Grounds, 1035 Cody Rd N Mobile, AL, 36608 Rock the Country is coming to The Grounds June 21-22, 2024! Come see Kid Rock, Jason Aldean, Big & Rich ft Gretchen Wilson, Brantley Gilbert, Randy Houser, Uncle Kracker, Tyler Farr, Sadie Bass, Gavin Adcock, and Dee Jay Silver take the stage! www.rockthecountry.com/mobile

2024 Summer Music at Meyer (Free) 6:00 PM 400 E. 22nd Ave. Gulf Shores, AL, 36542 Join us at Meyer Park for an incredible musical

happens Amazing

When people with extraordinary talent and passion are given the technology, the facilities, and the support, they achieve great things. The discoveries taking place today will help shape the future of treatments and lead to cures – benefitting not only our patients and families, but people across the country and around the world for years to come.

ChildrensAL •org

1600 7TH AVENUE SOUTH • BIRMINGHAM, AL 35233 205-638-9100

www.facebook.com/easternshoreparentsmagazine
Brand_AMAZING_Montgomery-Parent_7.5x4.8-PROD.indd 1 11/28/22 2:34 PM

FamilyCalendar

performance featuring Rhonda Hart and Smokey Otis. Attendees will be encouraged to participate in the musical action with egg shakers and tambourines provided by the City of Gulf Shores. As an added incentive to join us, Sassy Bass will be present giving away two ukuleles.

www.gulfshoresal.gov/1428/Music-at-Meyer-Park

Saturday June 22

Home Show

8:00 AM - 3:00 PM, John F. Rhodes Civic Center, 301 D’Olive Street Bay Minette, AL, 36507 The Home Expo is your one-stop shop for home updates and services for your home in North Baldwin.... whether you own, rent, looking to build or buy!

Mobile Bay and the Eastern Shore Tour

9:00 AM Bartram Landing at Five Rivers Delta Resource Center, 30841 Five Rivers Blvd Spanish Fort, AL, 36527 Experience a unique look at beautiful Mobile Bay and the scenic Eastern Shore on this relaxing voyage past the charming towns of Spanish Fort, Daphne, Montrose, and Fairhope and down to the historic Middle Bay Lighthouse. www.blakeleypark.com/Things-to-Do/Events

Juneteenth Celebration

3:00 PM - 8:00 PM, Fairhope Pier, Fairhope, AL, 36532 Vendors, food trucks, motivational and inspirational speakers, kids activities, and family friendly.

Big Band Dance Party

7:00 PM - 9:00 PM, Fairhope Civic Center, Fairhope, AL, 36532 Fundraiser Big Band Dance Party-enjoy silent auction, dance contests and best costume. www.baldwinpops.com

Rock the Country Music Festival

The Grounds, 1035 Cody Rd N Mobile, AL, 36608 Rock the Country is coming to The Grounds June 21-22, 2024! Come see Kid Rock, Jason Aldean, Big & Rich ft Gretchen Wilson, Brantley Gilbert, Randy Houser, Uncle Kracker, Tyler Farr, Sadie Bass, Gavin Adcock, and Dee Jay Silver take the stage! www.rockthecountry.com/mobile

14th Annual Kyser Miree Memorial Fishing Tournament

The Mobile Big Game Fishing Club at Orange Beach Marina, Orange Beach, AL All proceeds this year will benefit Wilmer Hall Children’s Home in Mobile. www.wilmerhall.org/events/kyser-fishing

Thursday June 27

Girls’ Night Out

4:30 PM Belforest Pointe, 26573 AL-181 Daphne, AL, 36526 This well deserved evening out will give women the chance to enjoy time with their friends while shopping local businesses as well as the opportunity to learn about services offered to women in and around Baldwin County, Alabama. Silent Auction, Raffle, and Event T-Shirt Sales to benefit The Lighthouse. https://www.eventbrite.com

Karaoke Night benefitting Exceptional Foundation Gulf Coast (1 ticket is $15. 2 tickets $25) 5:30 PM - 8:00 PM, Exceptional Foundation Gulf coast, 28788 N Main Street Daphne, AL, 36526 Saddle up for a boot-scootin’ good time! Food, drinks, and fun await! Proceeds benefit Exceptional Foundation Gulf Coast. Call or email us for tickets or additional information. 251-625-8955 www.exceptionalfoundationgc.org

Expect Excellence Music Studio presents Dream On: A Tribute to Classic Rock

7:00 PM Orange Beach Performing Arts Center, 23908 Canal Rd Orange Beach, AL, 36561 www.orangebeachal.gov/423/Performing-Arts-Center

Celi’s Itty Bitty Petting Zoo

18169 Wright Blvd., Fairhope Reservation required. Reserve your spot at www. celisplaycafe.com. 251-209-9986

Distinguished Young Women

7:00 PM Mobile Civic Center, 401 Civic Center Dr Mobile, AL, 36602

Distinguished Young Women is a national scholarship program that inspires high school girls to develop their full, individual potential through a fun, transformative experience that culminates in a celebratory showcase of their accomplishments. www.distinguishedyw.org

Friday June 28

Expect Excellence Music Studio presents Dream On: A Tribute to Classic Rock

7:00 PM Orange Beach Performing Arts Center, 23908 Canal Rd Orange Beach, AL, 36561 www.orangebeachal.gov/423/Performing-Arts-Center

Dierks Bentley in Concert

7:00 PM The Wharf Amphitheater, 23101 Canal Rd Orange Beach, AL, 36561 Dierks Bentley with special guests Chase Rice + Tyler Braden is coming to The Wharf Amphitheater on Friday, June 28 as part of the 2024 C Spire Concert Series. www.alwharf.com

Distinguished Young Women

7:00 PM Mobile Civic Center, 401 Civic Center Dr Mobile, AL, 36602 Distinguished Young Women is a national scholarship program that inspires high school girls to develop their full, individual potential through a fun, transformative experience that culminates in a celebratory showcase of their accomplishments. www.distinguishedyw.org

Saturday June 29

Port of Mobile Cruise

9:00 AM Historic Blakeley Park dock, 34745 State Hwy. 225 Spanish Fort, AL, 36527 This cruise winds through the scenic delta and down the historic Mobile River for a relaxing voyage through the Port of Mobile. www.blakeleypark.com/Things-to-Do/Events

Distinguished Young Women

7:00 PM Details on June 28.

I Believe in Miracles Benefit for The Miracle League of Coastal Alabama

7:00 PM - 11:00 PM, Baldwin County Coliseum, 19455 Fairground Rd Robertsdale, AL, 36567 This event has rapidly exploded into a huge community effort benefitting The Miracle League of Coastal Alabama in their effort to build a community park that focuses on the needs of children with disabilities in Baldwin County, Alabama.

Monday July 1

Alice in Wonderland JR Auditions

9:00 AM - 11:00 AM, Orange Beach Performing Arts Center, 23908 Canal Rd. Orange Beach, AL, 36561 www.orangebeachal.gov/423/Performing-Arts-Center

Wednesday July 3

Independence Day Street Party

5:00 PM The Wharf, 23101 Canal Road Orange Beach, AL, 36561 Happy Birthday, USA! Join us as we celebrate with red, white and FUN! www.alwharf.com

Thursday July 4

Shark 5K Run / Competitive Walk & 1 Mile Fun Run

7:00 AM The Wharf, 23101 Canal Road Orange Beach, AL, 36561 Join us for the Annual Shark 5K Run / Competitive Walk & 1 Mile Fun Run www.thesharkrun.com/

4th of July Celebration 2024

6:00 PM - 9:30 PM, USS ALABAMA Battleship Memorial Park, 2703 Battleship Pkwy Mobile, AL, 36602www.cityofmobile.org/parks-rec/events/4th-ofjuly-celebration-2024

Fairhope’s Fourth of July Celebration and Fireworks Display

7:30 PM Fairhope Henry George Park, Fairhope, AL, 36532 Join us in celebrating Independence Day with a spectacular firework show and concert over the beautiful Mobile Bay! Lawn chairs, blankets, and picnics are suggested. www.fairhopeal.gov

Fireworks Cruise 7:45 PM Historic Blakeley Park dock, 34745 State Hwy. 225 Spanish Fort, AL, 36527 This cruise takes guests out into the headwaters of Mobile Bay for a stunning view of Mobile’s 4th of July fireworks display. www.blakeleypark.com/Things-to-Do/Events

The City of Gulf Shores Fourth of July Fireworks Celebration

9:00 PM 20800 E. Beach Blvd. Gulf Shores, AL, 36542 The City of Gulf Shores will celebrate the Fourth of July with a stunning fireworks display, beginning at 9 p.m. on July 4. Fireworks will be shot from the Gulf State Park Fishing and Education Pier. www.gulfshoresal.gov/1431/Independence-DayCelebration

Saturday July 6

Flora-Bama’s Freedom Run

8:00 AM Flora-Bama Lounge, Package and Oyster Bar, 17401 Perdido Key Dr. Pensacola, FL, 32507 This patriotic run will feature two courses: The 4 Mile Run/ Walk Course or the 1-Mile Fun Run/Walk. https://www.florabama.com/freedom-run

Wednesday July 10

Savvy Mom Sale

9:00 AM - 5:00 PM, Daphne Civic Center, 2603 US-98 Daphne, AL, 36526 Savvy Mom Sale is a seasonal consignment sale. We invite you to volunteer, consign, & shop with the Savvy Mom Sale! Visit our website or checkout our Facebook page for updates, volunteer perks, consignment opportunities and discount days! www.SavvyMomSale.com

Thursday July 11

Savvy Mom Sale

10:00 AM - 7:00 PM, Daphne Civic Center, 2603 US98 Daphne, AL, 36526 Savvy Mom Sale is a seasonal consignment sale. We invite you to volunteer, consign, & shop with the Savvy Mom Sale! Visit our website or

Eastern Shore Parents I June 2024 www.easternshoreparents.com 64

FamilyCalendar

checkout our Facebook page for updates, volunteer perks, consignment opportunities and discount days! www.SavvyMomSale.com

Friday July 12

Savvy Mom Sale

9:00 AM - 5:00 PM, Daphne Civic Center, 2603 US-98 Daphne, AL, 36526 Savvy Mom Sale is a seasonal consignment sale. We invite you to volunteer, consign, & shop with the Savvy Mom Sale! Visit our website or checkout our Facebook page for updates, volunteer perks, consignment opportunities and discount days! www.SavvyMomSale.com

Palooza in the Park

5:00 PM - 7:30 PM, Meyer Park, Gulf Shores, AL Bring your crew and join us as we celebrate.

Theatre 98 presents “Bonnie & Clyde, the Musical”

7:30 PM Theatre 98, 350 Morphy Ave Fairhope, AL, 36532 www.theatre98.org/

Saturday July 13

Savvy Mom Sale

8:00 AM - 2:00 PM, Daphne Civic Center, 2603 US-98 Daphne, AL, 36526 Savvy Mom Sale is a seasonal consignment sale. We invite you to volunteer, consign, & shop with the Savvy Mom Sale! Visit our website or checkout our Facebook page for updates, volunteer perks, consignment opportunities and discount days! www.SavvyMomSale.com

Springhill Medical Center’s Hello Baby Family and Baby Expo

9:00 AM - Noon Springhill Medical Center Campus - Building 2, 3715 Dauphin Street, Building 2, 2nd Floor Mobile, AL 36608 No registration required. Join us for a day focused on baby! Visit with OB/ GYNs, attend educational sessions, tour The Birthing Suites at Springhill, meet the lactation consultants and labor & delivery nurses, visit vendor tables with products and services for baby & parents, ask questions/get answers. We’ll be registering attendees for prizes and offering fun activities. Don’t miss out on our useful giveaways and enjoy some delicious refreshments. FREE!

Theatre 98 presents “Bonnie & Clyde, the Musical”

7:30 PM Theatre 98, Fairhope, AL, 36532 www.theatre98.org/

Thursday July 18

Shop, Eat & Stroll

5:00 PM - 8:00 PM, Downtown Bay Minette, Bay Minette, AL Join the North Baldwin Chamber of Commerce and a few of our local Bay Minette businesses. www.cca.northbaldwinchamber.com/

Friday July 19

Parker McCollum Concert

7:30 PM The Wharf Amphitheater, 23101 Canal Rd. Orange Beach, AL, 36561 Parker McCollum with special guest Corey Kent. www.alwharf.com

Saturday July 20

2024 Summer Music at Meyer (Free)

6:00 PM 400 E. 22nd Ave. Gulf Shores, AL, 36542 Join us at Meyer Park for an incredible musical perfor-

mance featuring Molly Thomas and the Rare Birds. www.gulfshoresal.gov/1428/Music-at-Meyer-Park

Every Monday and Friday

Free Build - STEM Play (Free)

9:15 AM - 12:00 PM, Fairhope Public Library, 501 Fairhope Avenue Fairhope, AL, 36532 Ages 2 to 10 years old. Come put your creative imagination to the test! We will put out all of our legos, soft blocks, lincoln logs, picnic pieces, buckets of dinosaurs, and more. Join us in the Activity Room for Free Build every Monday and Friday from 9am - Noon. 251-929-1465 www.fairhopelibrary.org/

Every Monday in June

Daphne Summer Reading Shows

10:00 AM Daphne Public Library, 2607 US-98 Daphne, AL, 36526 Marvelous Monday Shows-10:30am June 3, 10, 17, 24. Please visit our website and Facebook page for updates and summer programs. 251-620-2500 www.daphneal.com/178/Library

Every Monday

Lego Free Build - Spanish Fort Public Library

3:30 PM Spanish Fort Public Library, 7361 Spanish Fort Boulevard Spanish Fort, AL, 36527 Every Monday 3:30 - 5 pm, patrons are invited to the Spanish Fort Public Library to exercise their creativity and practice their engineering skills by constructing their very own LEGO® creation. 251-410-READ www.spanishfortpubliclibrary.org

Every Monday May 27-July 29

Slice of Summer

6:00 PM - 9:00 PM, The Wharf, 23101 Canal Road Orange Beach, AL, 36561 Kids’ Activities (camel rides, face painting and much more) + DJ: 6-9 pm, SPECTRA Laser Light Experience: 8:30, 9 + 9:30 pm 251-224-1000 www.alwharf.com

Every Tuesday

Bay Minette Public Library Story Time

10:00 AM Bay Minette Public Library, 205 W 2nd St Bay Minette, AL, 36507 Story-time runs year-round at 10 a.m. Tuesdays in the Children’s Room at the Bay Minette Public Library. These stories are geared toward younger children but all are welcome. www.cityofbayminetteal.gov/departments/library

Story Time with Surani

10:00 AM Spanish Fort Public Library, 7361 Spanish Fort Boulevard Spanish Fort, AL, 36527 www.spanishfortpubliclibrary.org/

Story time - Lap Babies (Free)

10:30 AM Daphne Public Library, 2607 US-98 Daphne, AL, 36526 Lap babies at 10:30 am (infant to 23 months) Songs, stories, puppets and more! 251-620-2500 www.daphneal.com/178/Library

Tuesdays from June 4-July 9

Bay Minette Public Library Summer Reading Shows

1:00 PM John F. Rhodes Civic Center, 301 D’Olive St Bay Minette, AL, 36507 Summer Reading Program will meet 1 p.m. Tuesdays (June 4-July 9) at the John F. Rhodes Civic Center. We have six weeks of Summer Reading Fun lined up for kids of all ages. This year’s theme is “Adventure Begins at Your Library.” www.cityofbayminetteal.gov/departments/library

Every Tuesday

Tweens (3rd – 5th) (Free)

2:00 PM Daphne Public Library, 2607 US-98 Daphne, AL, 36526 Tweens (3rd – 5th) Reading times 251-620-2500 www.daphneal.com/178/Library

Every Tuesday in June

Family Game Night - Spanish Fort Library

4:30 PM Spanish Fort Public Library, 7361 Spanish Fort Boulevard Spanish Fort, AL, 36527 Bring the family or bring your friends (or bring both!) to SFPL on Tuesday evenings! Pull up a chair and enjoy playing one of the many board and card games we have available for use.

251-410-READ www.spanishfortpubliclibrary.org/

Tuesdays May 28 - July 30

Wild Wild Wharf

6:00 PM - 9:00 PM, The Wharf, 23101 Canal Road Orange Beach, AL, 36561 DJ Matt will be turning up the tunes as you dance the two-step. Enjoy a mechanical bull, face painting + so much more. 251-224-1000 www.alwharf.com

Every Third Tuesday

Kickstart Art (Free)

3:30 PM Daphne Public Library, 2607 US-98 Daphne, AL, 36526 Kickstart art for 4th-8th grade. 3:30pm-4:30pm in the cafe.

251-620-2500 www.daphneal.com/178/Library

Every Wednesday Storytime - Page & Palette

10:00 AM Page & Palette,

32 S Section Street Fairhope, AL, 36532 Please join us on Wednesdays at 10:30 AM for storytime! Each week, Miss Paula share a silly story the whole family will enjoy.

251-928-5295 www.pageandpalette.com

Mommy and Me Storytime-Barnes and Noble 11:00 AM Barnes and Noble, 30500 State Hwy 181 Suite 414 Spanish Fort, AL, 36527 Come join us for Storytime Every Wednesday at 11am. 251-621-3545 www.stores.barnesandnoble.com/ store/2186

Every Wednesday June 12July 24 (except June 19)

Big Event Wednesday-Summer Reading 2:00 PM Fairhope Public Library, 501 Fairhope Avenue Fairhope, AL, 36532 A different performer will come each week. Begins June 12-July 24th (June 19th there will not be a Big Event Wednesday as the library will be closed that day). www.fairhopelibrary.org/

Every Wednesday in June

Story time - Preschool (Ages 2 to 5) (Free) 2:00 PM Daphne Public Library, 2607 US-98 Daphne, AL, 36526 Story time - Preschool (Ages 2 to 5) 251-620-2500 www.daphneal.com/178/Library

Wednesdays May 29 - July 31

Pepsi Treasure Hunt for Hunger benefitting Secret Meals for Hungry Children

6:00 PM - 9:00 PM, The Wharf, 23101 Canal Road Orange Beach, AL, 36561. Treasure Hunt + DJ Matt: 6-9 pm, SPECTRA Laser Light Experience: 8:30, 9 + 9:30 pm 251-224-1000 www.alwharf.com

Every third Wednesday

Observe and Explore (Free)

10:00 AM Graham Creek Natural Preserve, 23460 Wolf Bay Drive Foley, AL, 36535 The program will begin at

65 www.facebook.com/easternshoreparentsmagazine

10:00 am with a story that fits the theme. This will be followed by a short lesson with an activity or science experiment. The program will end with a themed craft. Lessons and activities are based on elementary level concepts and skills related to nature. 251-923-4267 www.grahamcreekpreserve.org

Every Thursday

Little Explorers Sensory Play and Learn Story Time

10:00 AM Spanish Fort Public Library, 7361 Spanish Fort Boulevard Spanish Fort, AL, 36527 Little Explorers Sensory Play and Learn Story Time www.spanishfortpubliclibrary.org/

Farmer’s Market Storytime (Free)

4:00 PM Fairhope Public Library, 501 Fairhope Avenue Fairhope, AL, 36532 Farmer’s Market Storytime every Thursday at 4pm at the Fairhope Farmer’s Market outside behind the library. 251-929-1465 www.fairhopelibrary.org/

Every Thursday until June 27

Spring Outdoor Farmers Market

3:00 PM - 6:00 PM, Behind Fairhope Public Library, Fairhope, AL, 36532 The farmers market will feature a varied selection of individual booths selling local produce, plants, honey, baked items, handmade soaps, and more. The farmers market will feature live music and activities for the kids.

Thursdays May 30 - August 1

Wiki Wiki Wharf

6:00 PM - 9:00 PM, The Wharf, 23101 Canal Road Orange Beach, AL, 36561 Get ready to cool off in the water slide and water bouncy. Show off your skills on the surfboard simulator or have your face painted to go along with the theme. 251-224-1000 www.alwharf.com

Every first Friday

Graham Creek Natural Preserve Guided Tours (Free) 9:00 AM Graham Creek Natural Preserve, 23460 Wolf Bay Drive Foley, AL, 36535 Call to reserve a golf cart tour of the reserve. Limit: 8 251-923-4267 www.grahamcreekpreserve.org

Every third Saturday

Observe and Explore (Free)

10:00 AM Graham Creek Natural Preserve, 23460 Wolf Bay Drive Foley, AL, 36535 The program will begin at 10:00 am with a story that fits the theme. This will be followed by a short lesson with an activity or science experiment. The program will end with a themed craft. Lessons and activities are based on elementary level concepts and skills related to nature.

251-923-4267 www.grahamcreekpreserve.org

Graham Creek Natural Preserve Trail Trot (Free) Graham Creek Natural Preserve, 23460 Wolf Bay Drive Foley, AL, 36535 Call to reserve a hike of the preserve. 251-923-4267 www.grahamcreekpreserve.org

Second and fourth Sunday

Mobile Bay Maker’s Market

11:00 AM - 3:00 PM, Along Mobile Bay at The Pier, Fairhope, AL, 36532 Taking place every 2nd and 4th Sunday of the month, the Mobile Bay Maker’s Market features over 35 local artisans, farmers, and makers along the gulf coast. The event takes place just south of the Fairhope Municipal Pier. Food trucks are also on site.

We make every effort to ensure the accuracy of these calendar events. However, you should call ahead to confirm dates, times, location, and other information.

Eastern Shore Parents I June 2024 www.easternshoreparents.com 66
2024

There's a Story Here... There's a Story Here...

The Underdogs of Upson Downs The Underdogs of Upson Downs by Craig silvey by Craig silvey

A heartwarming story about a girl and her dog, and of kindness, friendship, hurdles, and—most importantly -- bringing out the best in yourself and others. Annie lives in the country town of Upson Downs with her best friend, an adopted stray dog called Runt. The two share a very special bond, but can they win the Krumpets Dog Show in London? With all eyes on them, Annie and Runt must beat the odds to save her farm.

The The Day I Fell Into a Fairytale Day I Fell Into a Fairytale by Ben Miller by Ben Miller

Lana loves stories, especially the ones she and her brother, Harrison, share in their make-believe games. But something magical happens -hidden in her town’s new supermarket, Lana discovers a portal to a fairytale world! But these aren’t happy-ever-after fairy tales -- they are darker and more dangerous, and the characters need Lana’s help to defeat an evil witch. Can she convince Harrison to believe in the stories and journey to the world with her?

Orris and Timble: Orris and Timble: The Beginning The Beginning by Kate DiCamillo by Kate DiCamillo

The first book in a warm and funny early-reader trilogy about a misanthropic rat and a naive owl—and the beginning of a beautiful friendship! Orris the rat lives alone in an old barn surrounded by his treasures, until his solitude is disrupted by a small owl. Can Orris “make the good and noble choice” and rescue the owl, despite the fact that owls and rats are natural enemies? And if he does, will he be ready for the consequences?

Charlie Charlie Thorne and Thorne and the Royal Society the Royal Society by Stuart Gibbs by Stuart Gibbs

In the fourth installment of the bestselling Charlie Thorne series, Charlie searches for Isaac Newton's secret treasure across Europe and Australia. From a chase over the rooftops of Cambridge University to scaling the Sydney Harbour Bridge to skirting a volcanic eruption, Charlie will need to think one step ahead of her opponents and keep herself out of the hands of the many enemies who are hot on her tail.

www.facebook.com/easternshoreparentsmagazine 67
Find these great books and more at your local bookstore Page & Palette | 32 S. Section St. Fairhope | (251) 928-5295 | www.pageandpalette.com ® ®

Unplugged and Liberated Re-Entry is Hard!

I took 30 days off of social media. Feeling overwhelmed and exhausted, I decided to take what felt like a bold step and disconnect. In the spirit of full transparency here, I must admit to allowing myself 20 minutes daily to catch up with close friends and family. It is the end of the school year, and we have many close friends with kids graduating and doing really cool things as they get ready for college. I was incredibly intentional about where I spent that time and completely logged off of my work social media. No research. No scrolling. Zero “connecting”. For 30 days. Little did I know that this break would transform my perspective and make me question whether I wanted to return at all.

I had a panic attack the first couple of days. I was sure that work would completely stop. That the tech world would fly past me and that I would never catch back up upon re-entry. On the friends and family side, I worried I might miss out on special events, birthdays, and life-changing moments. But then, I began to feel a profound sense of liberation. I have taught my students and clients for years to remove yourself to quiet the noise, and you will feel free. Better. Clear. The noise settled.

I found myself reaching out to people directly to engage in meaningful conversations and catch up. Each friend or family member I connected with was so happy to

have an actual conversation. Many were going through private life events that felt heavy, and they welcomed the chance to talk. Even more critical, I re-discovered the joy of simple pleasures. Free from the constant noise of social media, I found solace in moments of solitude. At the lake. In my flower garden. A solo trip where I spent time by myself for three days felt like heaven. Taking this time allowed me to get still long enough to reflect on who I truly am. Why I felt the need to step back from the work that I love so much...and the social media world that drives it. I realized almost two weeks in that I was experiencing, among other things, signs of burnout. And that social media had played a huge role in why I felt this way. In my stillness, I recognized that I was burnt out on hearing (seeing) stressful online content. Be it from family, friends, or work, I was burnt out from the constant noise in my life that reached out to me from behind a screen.

After 30 days off-screen, re-entry felt like a complete attack on my senses in the most rude way possible. The time off allowed me to reconnect with what feels right and good and important in life. As much as I lectured on this, I discovered I had slowly fallen into the screen connection trap, which led to my feelings of imbalance and frustration.

Re-entry has been hard. My new sense of freedom feels challenged. So I want to share with you things I am putting

in place to sustain better balance, hoping they may also help you.

1. Intentionality. I pay close attention to who and what I allow to occupy head space.

2. Time. I do not allow fun scrolling for anything longer than 20 minutes per day. I stopped “doom scrolling” years ago, but even “fun scrolling” becomes a time stealer and contributes to the constant online noise in your life.

3. Genuine connections. Face to face. Phone calls. Some texting. I am creating sacred spaces in my life to spend time with those I love. I find this has extended to work, and I am creating more opportunities for real connections there as well. And it just feels better. Right. Comforting. Useful. Effective.

Do I recommend your own personal social media hiatus? Yes. Try it for 30 days. Allow yourself time to move through the uncomfortable beginning. Find ways to show up for the important people in your life. I promise the settled, beautiful, connected ending is worth it.

Kristi Bush serves as a national education consultant and social media safety advocate. She is a licensed social worker with greater than 15 years of clinical practice and health care experience. She attended Troy and Auburn University where she studied social work and counseling. Kristi travels nationally and has spoken with thousands of children, parents, professionals and organizations about the benefits and threats associated with social media. You may reach Kristi through her website at www.knbcommunications.com.

Eastern Shore Parents I June 2024 www.easternshoreparents.com 68
1 www.facebook.com/auburnopelika.parents Parents stop hpv Keep Your Kids Cancer Free! More than 26,000 new cases of HPV cancers could be prevented with HPV vaccination Prevents of HPV cancers 90% Protects boys and girls against half a dozen cancers including cervical and other HPV cancers. Don’t Delay. contact your childs doctor today! Vaccine costs are covered by most insurance programs, Medicaid, and the Vaccine for Children Program (VFC). HPV Vaccine is Cancer Prevention! 90% Visit alabamapublichealth.gov/imm for more information and other available resources. Don’t Wait to Vaccinate AGE AT FIRST DOSE DOSE #2 DOSE #3 9 years until 15th birthday 6-12 months after dose #1Not Needed 15 years or older 1-2 months after dose #2 Approximately 4 months after dose #2
1 www.facebook.com/auburnopelika.parents

Turn static files into dynamic content formats.

Create a flipbook
Issuu converts static files into: digital portfolios, online yearbooks, online catalogs, digital photo albums and more. Sign up and create your flipbook.