January 23 Education Resource Guide

Page 1

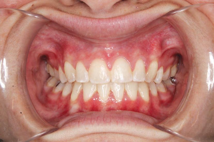
AFTER

SOMETHING TO SMILE ABOUT

At Glass Orthodontics, you’re more than just another faceyou’re a unique person and our team values that. With one dedicated doctor and a hands-on team, everyone will know your name! Consultations are always complimentary and we offer flexible appointments and interest free payment plans.

3 www.facebook.com/easternshoreparentsmagazine D AP HN E • ATMORE • B AY MIN E TT E • BREWTON 25 1.6 2 6.7 7 70 | GL A SSO R THO.CO M
BEFORE AFTER
Eastern Shore Parents I January 2023 www.easternshoreparents.com 4

New

Health

5 www.facebook.com/easternshoreparentsmagazine Departments Columns 14 Teacher of the Month 16 School Bits 55 Book Reviews 56 Family Calendar Publisher’s Note Lynn Knighton Meeting Kids Where They Are Beth Long, PhD, LPC, BCBA 12 Kids Health Watch Sponsored by Magnolia Springs Pediatrics 44 Dinner’s Ready Gabriele Jones 60 Tweens, Teens and Screens Kristi Bush, LSW
The Cover
Volume 15 Number 8 January 2023 46
a School A three-step approach to finding the right fit for your child. 48 College Admission: 101 What you don’t know, but need to, about the application process. 40
Resources
schools, speech therapy,
prep, and
52
On
Hunter Hughes (18), son of Kim and James Hughes and little brother to Mary Kathleen and Calvin Hughes. Grandparents are Brenda and the late Doug Nunnelley, and the late Kathleen and Ted Ezell. Hunter is a football player, baseball player and a 3 Circle Church intern.
Choosing
Education
Career/tech
ACT/SAT
more.
Year’s
Resolutions for making your health a priority in 2023.

Happy New Year! I hope everyone enjoyed a wonderful holiday season. Hopefully, you found time to celebrate with friends and family and rest and recharge for the new year. I cannot help but think about the new year and all it brings. I reflect on things I want to do differently and prepare for any upcoming changes that may be on the horizon in 2023. For many, 2023 may include preparations to send a child to “big” school for the first time or possibly prepare to send a child off to college.

If either of these scenarios sounds like something you will be dealing with this year, you will want to hold on to January’s “Education” Issue. This month, you will find what we hope are helpful resources for navigating your child’s education, including feature articles and our annual Eastern Shore Parents Education Directory. This directory includes a complete list of area private schools, public career academies, tutors, and homeschool resources. You will also want to check out the School Bits to get a glimpse into some of the activities in our area schools.

As you will see in the School Bits and directory, the area is blessed to have some excellent schools, both public and private. Many of you may find that the school you are zoned to is a perfect fit for your family. You may love the curriculum, class size, athletic opportunities, and clubs offered. If so, that is ideal! Easy choice! However, some families may feel their zoned school is not a good fit for their child. For example, they may want a school with a particular religious affiliation or smaller class sizes. They may even be looking for a specific type of curriculum, career focus, or learning environment. In that case, they are researching their options, and we are here to help with that research. A good place to start your research is this month’s feature, 3 Steps to Choosing the Best School for Your Child, by Heidi Smith Luedtke.

You may have a student on the home stretch of high school and looking into the college application process. I can tell you from experience, it can be challenging, stressful, and full of surprises. From researching schools to unexpected fees, there is a lot to prepare yourself for when the time comes. Fortunately, Charline Barger has supplied us with helpful information in her feature College Admissions 101: What You Don’t Know About the College Application Process.

Choosing schools and thoughts of our babies leaving the nest, even if just for the school day, can be overwhelming, so make sure you make time for a bit of family fun. In this month’s family calendar, you will find some great activities to help you take a break. With Mardi Gras on the horizon, you will also find some Mardi Gras parades on the calendar.

Even if you have settled school decisions and college feels a lifetime away, we hope you will enjoy all the other great resources in this month’s issue. From community news to movie reviews, there is something for every age and every stage in our January issue.

Wishing everyone good health and happiness in 2023.

Lynnlynn@easternshoreparents.com

The Eastern Shore’s Foremost Parenting Source

Eastern Shore Parents Magazine, is founded on the principle that parenting is an exciting, diverse, challenging, and significant, role in our community. Eastern Shore Parents Magazine is a community advocate for families and the parenting process.

Publisher

Lynn Knighton lynn@easternshoreparents.com

Editor DeAnne Watson deanne@easternshoreparents.com

Research Editor Lucy Green

Contributing Writers

Charline Barger

Kristi Bush, LSW Gabriele Jones

Beth Long, PhD, LPC, BCBA

Heidi Smith Luedtke, Ph.D. Pam Molnar

Dave Ramsey Robert L. Rux, M.D.

Cover Photography

Jenn Glies Photography www.jenngliesphotography.com

President Jason Watson jason@easternshoreparents.com

Advertising Opportunities

Lynn Knighton ads@easternshoreparents.com (251) 929-2099

Ad Design

Tim Welch

Web Content Manager

Scott Davis

Visit us online at www.easternshoreparents.com

Eastern Shore Parents magazine is published monthly by KeepSharing, LLC. Mailing address: P.O. Box 374, Montrose, Alabama, 36559. The phone number for voice and fax is (251) 929-2099.

Eastern Shore Parents is copyrighted 2023 by KeepSharing LLC. All rights reserved. Reproduction in whole or part without written permission is prohibited.

Opinions expressed in Eastern Shore Parents magazine are those of the authors and do not necessarily reflect the view of the owners, nor do they constitute an endorsement of products and services herein.

www.easternshoreparents.com

Eastern Shore Parents I January 2023
6
Publisher’sNote

One of the reasons I am so passionate about my job is that I want to help other parents not make all the mistakes I made. Unfortunately, one of my greatest blunders is that I did not embrace and appreciate the differences between my oldest child and me.

I am an extreme extrovert. I love being around people, listening to people, and watching people. I enjoy humans so much that I built a career around them. I have been genuinely interested in others for as long as I can remember. I have never been afraid of strangers. My parents never had to pay for Girl Scout Camp because I always sold more than enough cookies to go for free.

My oldest child is an extreme introvert. People and social gatherings have always exhausted him. When he was a toddler, he played for hours on his own. He never wastes time on small talk. He is now 21 and

has had the same best friend since he was 8 (even though we moved 15 hours away when he was 11).

Because I value people and relation ships so much, I viewed his introversion and quietness as a problem. I feared he would never be successful because he would not be able to connect with others. I started to make expectations on the number of people he spoke with at church and school. I required him to schedule social out ings with friends. I have no regrets about pushing him in areas that were uncomfort able for him, and he is very thankful that I did. What I do regret is not appreciating our differences and respecting him more.

As he matured into an adult, he recognized that he needed to learn to be comfortable around others. He became a barista, a tutor, and a leader in clubs at his college, and he forced himself into situa tions that helped him grow in areas that he began to recognize as shortcomings. My

oldest was the first person to teach me that we grow and learn when we feel supported, not when we are forced to do so. He also taught me that we all develop in our own time. What do I know now that I wish I had known then?

1. Move at their pace. My husband made our children shake hands with and thank every service member or police

Eastern Shore Parents I January 2023 www.easternshoreparents.com 8
Differences
Appreciating the
CALL US AT (251) 928-0300 FOR AN APPOINTMENT Pediatric ENT Patients Nasal & Endoscopic Sinus Surgery Allergy Testing & Treatment Ear & Mastoid Surgery Thyroid & Salivary Gland Surgery Airway & Voice Disorders Cancer of the Head & Neck Brian W. Hixon, M.D. | Frank K. Hixon, M.D. | William B. Norris, M.D. Quality Care Close to Home Since 1985 CALL US AT (251) 928-0300 FOR AN APPOINTMENT Pediatric ENT Patients Nasal & Endoscopic Sinus Surgery Allergy Testing & Treatment Ear & Mastoid Surgery Thyroid & Salivary Gland Surgery Airway & Voice Disorders Cancer of the Head & Neck Brian W. Hixon, M.D. | Frank K. Hixon, M.D. | William B. Norris, M.D. Quality Care Close to Home Since 1985
9 www.facebook.com/easternshoreparentsmagazine

Annual Eastern Shore Medical Alliance King Cake Sale

Fairhope, AlabamaKing Cakes are a unique part of the Mardi Gras season and The Eastern Shore Medical Alliance (ESMA) is helping to keep the good times rolling with their annual king cake sales. ESMA MEMBERS are selling king cakes through January 24th. These aren’t just any king cakes but delicious, fresh, cream cheese filled DELICACIES from New Orleans. Individuals or companies can purchase their king cake(s) from an ESMA member or email esmakingcakes@gmail.com. You may also check out their Facebook page at ESMA King Cakes for more information. The cakes are $32 AND must be pre-ordered. They will be available for pick up February 6th and 7th.

ESMA has been selling king cakes for over twenty years to benefit local charities in our area. This year proceeds will benefit Alabama Free Clinic, Under His Wing, and a brand new facility called the Baldwin Family Village. The Eastern Shore Medical Alliance is an organization that brings together physicians and their spouses to support the local needs of the Baldwin County community.

Submissions for Young Author’s Anthology Now Being Accepted

Ignite a love for literacy through the power of publishing! The Metro-Mobile Literacy Council is now accepting submissions to our 2023 Young Authors’ Anthology (grades 3-5) & Both Sides of the Bay Literary Teen Magazine (grades 6-12). This is not a contest, but a chance for students to showcase their work. Entries can be poems, short stories, fiction or non-fiction. The deadline to submit writing is February 28, 2023. Visit our website at http:// metromobilelit.weebly.com for more information. Public, private, and homeschool students are encouraged to participate.

Fairhope Elementary Pirate Dash 2023

Register today for the 2023 Pirate Dash 5K & 1-Mile Fun Run to benefit Fairhope East Elementary, Fairhope West Elementary and J. Larry Newton Elementary School. This beloved community event is set for February 4th at Knoll Park. In its 8th year, the 5K route takes participants through the Fruit & Nut District of downtown Fairhope and finishes along beautiful Mobile Bay. The 1-Mile Fun Run is an out and back route along Bayview Avenue. Visit runsignup.com and search Pirate Dash 5K to register by February 1st. For more information find us on Facebook, Instagram or contact us at thepiratedash@ gmail.com or call 251-648-2122.

Girl Scout Cookie Time!

Stock up on all of your favorite Girl Scout cookies and power unique and amazing experiences for girls with every purchase. This year iconic favorites such as Thin Mints, Samoas, Tagolongs, Doi-dos, Adventurefuls, and Trefoils will be back as well as the newest addition to the Girl Scout cookie line-up, the Raspberry Rally! Also new to customers in Southern Alabama this year: Lemon-Ups, Girl Scout S’mores and gluten-free Toffee-tastics! Talk about delicious!

Girl Scouts will sell cookies, door-to-door, at cookie booths and online. On January 6, 2023, Girl Scouts will begin selling door-to-door during the annual Cookie Walkabout Weekend. On January 13, 2023, Girl Scouts will begin selling cookies at cookie booths in their area. Girl Scouts of Southern Alabama will also be hosting cookie drive-thrus on January 13, 2022 at their Montgomery and Mobile offices. The Raspberry Rally will be sold exclusively online, starting February 27th. The 2022 Girl Scout Cookie Program will end on March 5, so make sure to stock up! The more cookies girls sell, the more earnings they have to power impactful community projects and personal enrichment experiences, such as STEM activities and traveling. Every purchase of Girl Scout Cookies is an investment in girls both now and in the future and their leadership capabilities, with 100 percent of the net revenue staying local. To learn more about the Girl Scout Cookie Program, and to find out when Girl Scouts will be selling near you, visit girlscoutssa.org.

Fairhope Girls Softball Registration

Fairhope Girls Softball will be registering for the new season in January. Registration is open to girls 3 - 18. For more information or to register visit www.fairhopegirlssoftball. com Also, “Like” the on Facebook for updates: www.Facebook.com/ fairhopegirlssoftball.

Eastern Shore Parents I January 2023 www.easternshoreparents.com 10

2023 Senior Bowl

The Senior Bowl is excited to announce its public events for Senior Bowl Week 2023. Join us Thursday, February 2nd for a Stage Divided: A night with the Tide and Tigers, held at the Saengar Theatre at 6:00 p.m. Friday, February 3rd starting at 6:30 p.m., kickoff Mardi Gras season by joining us on the parade route from the Renaissance Hotel on Royal Street and then west on St. Francis Street past Bienville Square for our annual Mardi Gras player parade. After the parade, please join us for our FREE downtown concert, located at Cathedral Square beginning at 8 p.m. featuring NELLY! Saturday, February 4th, join us on-campus for game day. Enjoy tailgating, Senior Bowl Fan Fest, Southern University’s “Human Jukebox,” Senior Bowl Team Walk, and the 74th annual Senior Bowl kicking off at 1:30 p.m. Purchase your tickets now at www.seniorbowl.com/tickets.

OWA’s 3rd Annual Arts &

Crafts Festival

The 3rd annual OWA Arts & Crafts Festival is scheduled for January 28, from 12-6pm in the beautiful entertainment district of Downtown OWA. This pedestrian-friendly walking area features an abundance of shops, dining, and entertainment, and will be home to a festival showcasing vendors, live music, kids’ activities and more. Live entertainment will begin at noon featuring dancing by the Poarch Creek Band of Indian Dancers on the Island Stage. Fun activities for the kids will take place from 12-4pm and beginning at 1:30pm enjoy live music. Guests can expect to be immersed in the sights and sounds of local art, music, and handcrafted goods. This familyfriendly event is completely free to attend and enjoy. Visit www.visitowa.com.

9th Annual Joy of Life Mardi Gras Ball

The 9th Annual Wind Creek Hospitality “Joy of Life” Mardi Gras Ball benefiting St. Jude Children’s Research Hospital will take place on Saturday, January 28, 2023, at the Daphne Civic Center. The 2023 gala will present St. Jude patients as King and Queen. The “Joy of Life” Mardi Gras Ball will showcase the culinary skills of Mobile’s most amazing chefs and restaurants, a live and silent auction, as well as great musical entertainment all while raising funds for the St. Jude’s.

There are many patients at St. Jude Children’s Research Hospital in Memphis, TN from the Mobile and Baldwin County area receiving treatment for cancer and other life threatening diseases. St. Jude Children’s Research Hospital is internationally recognized for its pioneering work in finding cures and saving children with cancer and other deadly diseases. St. Jude is the only pediatric cancer research center where families never pay for the care their child receives. Visit https://secure.qgiv.com/event/ joy-of-life-ball-2022/ for more information.

11 www.facebook.com/easternshoreparentsmagazine
2,000 sq. ft. Space with Private Bathrooms Spectacular Waterfront Venue PERFECT FOR REHEARSAL DINNERS 30 to 100 Guests Rehearsal Dinners Small Weddings Corporate Meetings Holiday Parties Reunions,Graduations Celebrations Reveals, Showers & More originaloysterhouse.com/banquet | 251-753-5813

Debunking Old Wives’ Tales

Anyone who has ever had a baby knows that other people LOVE to give you their opinion on raising your child. It can come from family members, friends, co-workers, and often strangers in the store. Of course, if you get ten different opinions, what do you get? Ten different answers! At the end of the day, no one has bad intentions for raising your child, but indirectly, they can lead to confusion and stress and sometimes can cause harm! The statement “we did it when you were little, and you are fine” doesn’t cut it. Just because you specifically turned out okay doesn’t mean it was right. Today let’s review some common wives’ tales and how to address those issues with your child.

The most common confusion is with fever. Fever phobia is perpetuated by old wives’ tales stating that fever will cause brain damage and serious injury to your child. Of course, this is false. Fever is our body’s way of letting us know there is an infection, and it actually helps fight off that infection. A true fever is anything equal to or greater than 100.4 F, and anything less is NOT fever.

There is no such thing as a low-grade fever! You either have a temperature of 100.4 F or greater or not!

You cannot tell a child’s temperature by touching their forehead. In addition, never “add a degree” to a temperature if taken under the arm. This myth has been spread by daycares and some healthcare workers and makes no sense. Finally, never alternate fever-reducing medications to lower the child’s temperature. This can be extremely dangerous. Instead, pick one and use it appropriately. In the end, it does not matter what the actual temperature value is. You either have a fever, or you don’t! What is most important is what other symptoms are going on with the fever.

Our next topic relates to the frequency of bathing a newborn. For the most part, they only have to be cleaned every few days. However, if it’s part of a working nighttime routine, go for it! Another myth says that bouncing or standing a baby on their legs will lead to “bow-leggedness.” This is false, so bounce away! And what about picking up your baby every time they cry? “You will spoil them!” they say. Again, this is false. Babies less than four months of age have limited

self-soothing techniques. So, pick them up. It’s okay!

Finally, let’s discuss feeding. First, we never recommend water for babies under six months of age. It can mess up the electrolytes in an infant’s bloodstream and lead to seizures. Next, if your baby is on formula, it is NOT okay to start trying all the different types because your child is crying, gassy or spitting up. Most of these issues can be resolved with other methods. Each time you change a formula, it can take a week to get used to it. While some babies will need a different formula, the changes should be made by consulting your doctor. And giving rice cereal will not help a baby sleep through the night. It is especially important never to put rice cereal in a bottle.

So what do you do when someone gives you advice? Be polite, say thank you, and then call your doctor. Most times, it’s a simple yes or no, and that can make all the difference!

L. Rux, M.D. is a Board Certified Pediatrician at Magnolia Springs Pediatrics. Originally from Mobile, he attended medical school at The University of Alabama School of Medicine (UAB) and completed residency at The Children’s Hospital of Alabama (UAB).

Eastern Shore Parents I January 2023 www.easternshoreparents.com 12
KidsHealthWatch
Robert
13 www.facebook.com/easternshoreparentsmagazine

High School

Lights. Camera. Jackson! Jessica Jackson, to be exact, our nominated Teacher of the Month, is the Theatre Director at Daphne High School.

“I did not intend to be a teacher. I planned to be a famous actor or, at the very least, get signed on with a Shakespeare Festival,” said Mrs. Jackson. “This is my first year at Daphne, and the kids are amazing. They love theatre just as much as I do. I am enjoying every minute with them.”

Mrs. Jackson graduated from Troy University with a Bachelor’s Degree in Communication Arts and a Master’s in English Language Arts Secondary Education. She has been teaching for 14 years, and though she has taught some English and Oral Communication Classes, most of her career has been geared toward theatrefocused classes.

“I was part of the first graduating class of theatre majors who were required to take the Praxis in preparation. So we were sort of guinea pigs for the program, and my senior capstone was a teaching project,” Mrs. Jackson explained. “With that under my belt, I went ahead and got my Education Master’s in ELA.

She is very proud that Troy was able to use her and her classmates to pilot the only Theatre Ed program in the state of Alabama.

“This is my love and my passion, and I cannot imagine teaching anything else,” she said lightheartedly. “I’d probably quit teaching altogether if they told me I had to teach anything else.”

Keeping her students motivated and engaged is something Mrs. Jackson strives for daily. She has found that the best way to do that is to offer several different types of assignments - including solo projects and team projects - that allow each student to find a place to shine.

“Different kids thrive in different environments, and I try to offer a variety of chances for them to work their best way,” said Mrs. Jackson. “As a director, I try to listen to my kids and allow them to explore and create meaningful characters. I give them guidance and direction but allow them freedom, too. I work out problems with them, not for them. I also like to put students in positions of ‘power’ by allowing them to direct, stage manage, and run the shows all themselves. I try to push them to figure things out independently and learn from experiences.”

Sponsored by: Jessica Jackson Daphne Jessica Jackson is in her first year teaching at Daphne High School. She is married to her college sweetheart Ronnie, who is the Vice President of South Baldwin Community Theaters and her personal set designer. Together they have 2 boys, Gage (5) and Miles (3). When she has a little free time, Mrs. Jackson enjoys acting, cooking, gardening, reading and anything outdoors.
15 www.facebook.com/easternshoreparentsmagazine

Autauga County Schools

Bayside Academy Congratulates SALT Photo Contest Winners

Bayside Academy is proud to congratulate our 2022 winners of the South Alabama Land Trust (SALT) Photo Contest. The contest is sponsored by SALT to showcase the natural beauty of coastal Alabama.

To view the winning photography, please visit https:// southalabamalandtrust. org/salt-photo-contest/.

Junior Fauna

First Place: Sophia Haines ‘25

Walk in Christmas Parade

BCS cheerleaders had a blast walking in the Fairhope Christmas Parade! We loved seeing our BCS & ESPC community celebrating this festive time of year!

Junior Flora

First Place: Elizabeth Ernest ‘24 Second Place: Sophia Haines ‘25

Third Place: Garrek Snell ‘26

Junior Habitat

First Place: Thomas Hearin ‘24 Junior People in Nature

First Place: Elizabeth Ernest ‘24 Second Place: Elin Backman ‘25

We are very proud of our talented students and the amazing work they produce!

Christ the King Catholic Feast of St. Nicholas

8th graders at Christ the King Catholic School led rotations for the younger students to learn about St. Nicholas on his feast day. Students watched a little performance about St. Nicholas, illustrated a book, participated in an activity, and created a festive miter during these rotations.

Pictured: First place photographs taken by Bayside Academy students: “Evanescent Green Sea Turtle Embryo” by Sophia Haines; Junior Flora winner by Elizabeth Ernest; “Sky is on Fire” by Thomas Hearin; “Man in the Boat” by Elizabeth Ernest

Robertsdale Elementary School Self-Portraits

Many students have finished their self-portraits and have art on display!! Kinder-2nd learned about printmaking and texture & focused on drawing their whole bodies to include all facial features, arms with legs, and legs with feet. 3rd grade is completing self portraits with the theme, “Begin with the end in mind” and including their future careers. 4th-6th grades have learned how to identify an artist’s style and made portraits in the style of Tim Burton. They also learned about values and shading to add depth to their drawings.

Eastern Shore Parents I January 2023 www.easternshoreparents.com 16

Thanks Toros for donating enough canned goods to the Spanish Fort Middle School Prodisee Pantry food drive to earn the school a PJ Day!

Bayshore Christian Enjoy Last Colloquy

competitions making gingerbread into two teams by grade level to compete with each other. Fellowship and laughter abounded!

Christ the King Catholic Fifth Grade Service Club

S.O.C.K.S (Servants Of Christ the King Students) is a service club composed of all CTK fifth graders. The club provides an opportunity for students to work on their Catholic Formation through service and volunteerism for our community. Students worked on the final stage of the “Chemo Blankets” service project in December. They made 30 blankets for patients undergoing chemotherapy at the Southern Cancer Center. These blankets will help keep patients comfortable while undergoing their treatments at the center.

17 www.facebook.com/easternshoreparentsmagazine

Autauga County Schools

experiences for the Daphne community, and it is in these experiences we come to know ourselves as family. We are grateful for both of you.

Foley Elementary Attend

“Elf, Jr.” Performance

4th graders in Mrs.James’ and Mrs Oppliger’s classes at Foley Elementary School had an “elfmazing” time on their field trip to see Elf, Jr. at the Foley Civic Center. Thank you so much to the

Eastern Shore Parents I January 2023 www.easternshoreparents.com 18

Bay Minette Elementary Holds Blanket Drive

Bay Minette Elementary held a blanket drive in support of North Baldwin White Christmas, a non-profit organization dedicated to providing holiday assistance to children of low-income families who reside in North Baldwin County.

Members of the school’s Lighthouse Team helped with the blanket drive and were on hand for the presentation to White Christmas representatives. NBWC serves children from newborn through 12-years of age. The non-profit will have a booth set up at Christmas Fest to take additional requests for assistance.

Special Grants Awarded at W. J. Carroll Intermediate

W. J. Carroll Intermediate School is so excited to share that five of our teachers were awarded grants to fund projects for their classrooms. We were also awarded funding for the CompassIILife youth mentoring program for our school! WJC was awarded a total of $13,500 by our Daphne education foundation, SEEDS, Supporting Educational Excellence in Daphne Schools. Congratulations to Mrs. Erin Tyler, Mrs. Samantha Bender, Mrs. Pam Earle, Dr. Blair Heald, and Mrs. Jessica Johnson! We want to thank SEEDS for continuing to support the education of our Daphne students each year!

19 www.facebook.com/easternshoreparentsmagazine

Autauga County Schools

Eastern Shore Parents I January 2023 www.easternshoreparents.com 20
Renaissance School Achieve Dual Accreditation! Renaissance School achieves

St. Michael Catholic Model UN Conference Success

On Thursday, November 17th, 2022, the St. Michael Model UN Team traveled to Conway, Arkansas to participate in the 57th Annual Arkansas Model UN (AMUN) Conference. The 34 St. Michael students were part of the over 400 students from 26 high schools from Arkansas, Alabama, Louisiana, Missouri, and Texas competing in AMUN 2022. The SMCHS team competed with prowess and poise, winning 19 awards, including the second highest award!

Silverhill Elementary School Spreads Cheer

Silverhill students are spreading holiday cheer to soldiers in the army. We would like to thank one of our parents, Ms. Stabler, for reaching out to give us the opportunity to make Christmas cards for Mr. Chipper Drinkard and his friends who will spend their holidays serving our country in Germany.

21 www.facebook.com/easternshoreparentsmagazine
Send School News and Photos to: lynn@easternshoreparents.com!

Spanish

Student

Autauga County Schools

J. Larry Newton Keva Engineering Club

The Keva Engineering Club at J. Larry Newton had a blast engineering the highest tower!

Art at Elsanor Elementary

Mrs. Foran’s fifth grade class at Elsanor Elementary School showing off their Recycled Art Projects. The students took trash and turned it into art or something useable. Some students made windchimes, a guitar, birdhouses, maracas, shields, ornaments, and more!

Eastern Shore Parents I January 2023 www.easternshoreparents.com 22
Fort
Selected As a Carson Scholars Nominee We wish Emma the best of luck as she pursues this great opportunity!

Daphne Middle Students Study Judicial System

Mrs. Norrell’s and Mrs. Marshall’s students at Daphne Middle School have been hard at work in class recently learning about trial and courtroom procedures in their current unit of study. The classes recently traveled to Montgomery to see the judicial

Congratulates Creative Writing Winners

This quarter, Bayside Academy students were given the opportunity to compete in the annual creative writing contest hosted by Alabama Independent Schools Association (AISA). The prompt invited students to imagine opening their own restaurant and asked that they describe it vividly, including details about its menu, location, and vibe. School-level winners include “Kindness Cafe” in the Grades 3–5 division written by 5th grader Andrew Ray, “A La Mars” in the Grades 9–10 division written by 9th grader Kay Knoth, and “Pronto!” in the Grades 11–12 division written by 11th grader Isabelle Rutland

Congratulations to these talented writers! They will now move to the state level of competition.

Pictured: Bayside Academy students Andrew Ray, Kay Knoth, and Isabelle Rutland

23 www.facebook.com/easternshoreparentsmagazine

Autauga County Schools

J. Larry Newton Media Specialist

Awarded Baldwin EMC Grant

Baldwin EMC surprised Mrs. Frank, J. Larry Newton School Media Specialist, with grant funding to start a new Vox Book collection! The Vox Books are just like our other library books, but also have the special ability to read the story to our students. These are a fabulous addition to our library for our emerging readers, ESL students, and all of our students that just love to have a great story read to them. Thank you Baldwin EMC for giving back to our

Eastern Shore Parents I January 2023 www.easternshoreparents.com 24

Robertsdale High Teachers Earn National Board Certification

A HUGE congratulations to Ms. Brittany Eames and Ms. Carol Turner for earning National Board Certification! These two friends and amazing educators have been working very hard to earn this distinguished title. If you wander into the classroom of either teacher, you will consistently find students actively participating in collaborative and engaging learning experiences. Ms. Eames and Ms. Turner join Dr. Salinas and Dr. Brantley as National Board Certified educators at RHS. We have another group of teachers currently in the process of attaining this certification. We are so proud!

Stonebridge Elementary Holds Ribbon Cutting

Stonebridge Elementary held the official ribbon cutting for the new elementary school located in the Spanish Fort Feeder pattern. Members of the school’s Lighthouse Team were on hand to commemorate the official opening of the school along with Loxley Mayor Teal, Spanish Fort Mayor McMillian, State School Board Representative Jackie Ziegler, community representatives, BCBE Board Members and staff. An overview of the 132,235 S.F. elementary school includes: Shelter incorporated in classroom wing

56 Classrooms

2-Pre-K Classrooms

2-STEM Classrooms

6 Special Needs Classrooms

2-Pathway Classrooms

Cafetorium with seating for 480 with Stage Gymnasium with seating for 450 Chorus Room Band Room

Media Center with collaborative seating Security Cameras for the entire campus Covered Car Rider and Bus Drop off areas

25 www.facebook.com/easternshoreparentsmagazine

Autauga County Schools

Three Renaissance Seniors Make Their Choice

(and Corey Bentley from Foley Middle) competed in a Hackathon at the Alabama School of Math and Science last October, competing against

High School students. Their project won second place and they were asked to come back and present their project to the mayor of Mobile, Sandy Stimpson at the Innovation Portal facility in downtown Mobile. Their presentation was a hit! They met the mayor and toured the facility. Innovation Portal is a shared space and nonprofit incubator for accelerating startup growth for entrepreneurs, innovators and creatives. They also met with Nathaniel Nuon, Co-founder of 3rd Realms Creations, base in Mobile, which makes the Megaverse virtual reality arenas and virtual production systems for movies (similar to Mandalorian series virtual sets).

Renaissance School Seniors, Hunter Moore, Gabe Reynier, and Jonathon McCammon, have been accepted and have chosen Beacon College in Leesburg, Florida to obtain their bachelor’s degrees. Hunter and Gabe will major in Computer Science, and Jonathon will major in Business. They have

Eastern Shore Parents I January 2023 www.easternshoreparents.com 26

Congratulations to Daphne Trojan Theatre

Congratulations to the DHS Trojan Theatre kids for their fantastic weekend at the State Trumbauer Theatre Festival. They were all fantastic competitors in their events, cheerleaders for each other, and supporters of the arts. A special congratulations goes out to the following for their State wins: ACT Performance Scholarship RecipientSavannah Crawford ACT Performance Scholarship 1st Alternate Recipient - Isabelle Davis

Chelsea Williams - 3rd Place Musical Comedic Solo

Audrey Alcathie - 2nd Place Musical Dramatic Solo Jake Houston & Cole Wilson -

2nd Place Musical Comedic Duo Sadie Houston & Lauren Taylor3rd Place Musical Comedic Duo Emily Mercer & Olivia Powe2nd Place Duet Pantomime

Fractions and Crafts at Stonebridge Elementary

Mrs. Hurst’s class at Stonebridge

Elementary worked with fractions and data collection while doing a winter craft.

Students At Bay Minette Middle Honor Veterans

Ms. C’s Visual Arts classes at Bay Minette Middle School share their love and respect in the season of giving. Students made Veterans Day handmade poppy flower notecards and handwritten letters of love and gratitude for our William F. Greene Veteran’s.

27 www.facebook.com/easternshoreparentsmagazine

Autauga County Schools

Cheerleaders Named American Congratulations to Kinley Hermecz

Walt Disney Works Magic Kingdom’s Thanksgiving Day Parade. We are so proud of their accomplishments!

Way to go Reygan and Kinley! Go Lions!

Cooking Club at Florence B Mathis

First Grade Literary Cooking Club listened to Christmas Cookies and Cookiesaurus Christmas and decorated Christmas cookies!

Send School News to: lynn@ easternshoreparents.com!

Bayshore Christian Selected by Troy University as a Member of

“The 87”

Abbie Haygood of Fairhope, AL, has been selected by Troy University as a member of “The 87”. The 87, formerly Who’s Who, recognizes juniors, seniors and graduate students who have excelled in campus leadership and in their academic area. Selections are made based on academic standing, community service, leadership ability and potential for continued success.

Eastern Shore Parents I January 2023 www.easternshoreparents.com 28

St. Michael Catholic Teacher Awarded Baldwin EMC Grant

Congratulations to St. Michael Academic support teacher, Katie Beckmann, for being awarded

Catholic School participated in a Mini Course Day. Students went to three different courses throughout the day. These courses offered students something new beyond the typical school day. Junior high students had the opportunity to learn new skills, show off their creativity, and find new interests. Archery, casting, pour painting, and cooking were just some of the courses offered on Mini Course Day. This is a new tradition at CTKCS and has

29 www.facebook.com/easternshoreparentsmagazine

Autauga County Schools

Renaissance School Celebrates Annual

Renaissance School has some exciting

Fairhope High Sends Cards to Our Troops

Students (and faculty) joined the Fairhope High School counseling department in operation “Christmas Cards for Our Troops!” The cards were sent to service members deployed during this holiday season. Thank you to everyone who contributed to this project!

Send School News to: lynn@ easternshoreparents.com!

Eastern Shore Parents I January 2023 www.easternshoreparents.com 30
Mobile and Baldwin County’s Board Certified Allergy Experts coastalallergyasthma.com Call us today to schedule your appointment!

Bayside Kindergarteners Have Christmas Breakfast with Parents

On Friday, December 9, Bayside Academy kindergarten parents had a Christmas breakfast on the bluff with their children. All attendees were clad in Christmas pajamas and snuggled on family blankets. The children sang Christmas carols for their parents and were read a holiday story by Head of School Dr. Scott Phillipps. The event was a surprise for the children, who thought they were singing only for Dr. Phillipps and were thrilled to be greeted by their parents on the bluff as well! A joyous time was had by all. Pictured: Bayside Academy kindergarteners sing carols for their parents during their Kindergarten Christmas celebration on the Bayside bluff.

Bayshore Christian Participate in Bookmark Contest

Congratulations to 1st place winner 5th grader Caroline Cutler for the beautiful bookmark she submitted to the Daphne Public Library 2022 Children’s Bookmark Contest! We are so proud of our students who placed in this contest with their amazing artwork!

31 www.facebook.com/easternshoreparentsmagazine

Elberta Elementary Selected as National Blue Ribbon

It was a great day to celebrate Elberta Elementary being selected as the US. Department of

to all 3 elementary schools today to spread a little Christmas cheer!

Eastern Shore Parents I January 2023 www.easternshoreparents.com 32

Daphne East Elementary

Congratulations to Daphne East Elementary Spelling Bee winner, runner up, and the participates!

Winnerosiah Dandridge 6th grade Runner Lundyn Hackworth 6th grade

Fairhope East Studies

Paper Circuits

Fairhope East Elementary 6th grade STEAM students taught 2nd graders all about paper circuits. They created a simple circuit to create an LED holiday card.

Foley High Performs

Elf The Musical, Jr.

Under the direction off Logan Lane, an alumni of Foley High School Theatre Department, Foley High School Theatre students performed a total of four performances of ELF THE MUSICAL JR. in one day! Three of those shows were performed for elementary students from our Foley feeder pattern! We had the pleasure of performing for nearly 1,000 elementary school students. We are so thankful that all of these students got to experience the magic of live theatre!

Mr. Lane’s theatre classes worked incredibly hard to mount this production after our theatre department had just finished a successful production of STEEL MAGNOLIAS!

The Foley High School Theatre Department is making good on its promise of providing quality theatrical experiences for our community. We hope this is the beginning of many more community partnerships! We can’t wait to see what is in store for our final production in April: FREAKY FRIDAY THE MUSICAL! There are many reasons to be proud to be a Foley Lion; our theatre program is one of them!

33 www.facebook.com/easternshoreparentsmagazine

Daphne High Football Reads to Daphne Elementary Buddies

We had an amazing time with our Daphne High School Football buddies reading to us today.

Eastern Shore Parents I January 2023 www.easternshoreparents.com 34

Rensaissance Senior Inducted Into Phi Theta Kappa

Renaissance Senior, Mary-Camila was recently inducted into Phi Theta Kappa (Junior College Honor Society), and has chosen to attend Flagler College in St. Augustine, FL. She has received a Presidential Scholarship and a Ponce De Leon Scholarship. She will major in Musical Theatre and minor in Education. She will have the ability to audition for theatre scholarships in Fall of 2023. Congratulations!

On the

Spanish Fort students in Mrs. Montee’s class were on the case today! The detectives used their fact and opinion skills to solve cases and figure out who did it!

Belforest Elementary Students Attend Theatrical Performance

Belforest Elementary first graders experienced a theatrical performance, Tiramisu With a Touch of Christmas. Afterwards, the students picnicked at Centennial Park, and with the help of parent volunteers, made a keepsake ornament. The children enjoyed learning about Christmas traditions!

Send School News and Photos to: lynn@easternshoreparents.com!

35 www.facebook.com/easternshoreparentsmagazine
251-861-2141 101 Bienville Blvd., Dauphin Island, Alabama 36528 www.disl.edu FAP-1966G-A > edwardjones.com | Member SIPC There may be opportunities for your investments to be working harder for you. Let's work together to make sure your financial strategy is optimized. Contact us today for a complimentary review. Why should a financial review be at the top of your list?
9805 Millwood Circle, Suite A Spanish Fort, AL 36527 251-621-0781
Cheryl A Smith Financial Advisor

Fairhope East Visits

Dauphin Island Sea Lab

Autauga County Schools

Bayside Academy Named Mobile Optimist Club’s 1A-5A Runners of the Year

Bayside Academy sophomore Catherine Doyle and senior Ty Postle were selected by the Mobile Optimist Club as the 1A–5A Runners of the Year for Mobile and Baldwin County. The Mobile Optimist Club recognizes cross country athletes during the season as Runners of the Week and then chooses one male and one female athlete from 1A–5A and 6A-7A as Runners of the Year.

Catherine and Ty were recognized at the Mobile Optimist Club’s luncheon on Thursday, November 17.

Catherine’s personal best 5K time of the season is 18:57, which set a new school record. Ty’s personal best time of 16:28 remains the secondbest time in school history. We are so very proud of these runners!

Pictured: Bayside

Eastern Shore Parents I January 2023 www.easternshoreparents.com 36
Academy’s Ty Postle and Catherine Doyle are joined by Varsity Cross Country Coach Joe Swagart.
Accepting New Patients Mary Wells, MD • Leslie Evans, MD • Megan Dimoff, MD Dylan Wells, MD • Gary Nelson, MD fairhopeobgyn.com • 251.928.1222 19450 South Greeno Road Fairhope, AL  36532
Fairhope East Elementary Students visited Dauphin Island Sea Lab. Squid dissection was just one of the activities the students experienced.

Local School Counselors Awarded the Program of Distinction Award

The Alabama School Counselor Association held its annual awards luncheon on Thursday, November 17 during the Alabama Counseling Association Conference. During this awards luncheon, Mrs. Natalie Ward and Mrs. Kim Powell, school counselors from Belforest Elementary School; and Mrs. Dianna Wolchina and Mrs. Kim Windham, school counselors from the Baldwin County Secondary Virtual School, were recognized for winning the Program of Distinction Award. The Alabama School Counseling Program of Distinction recognizes school counseling programs that demonstrate an exemplary level of implementation of a comprehensive, data-driven school counseling program. The application process for this prestigious award is an all-inclusive collection of 18 components that align with the Comprehensive Counseling and Guidance Model for Alabama Public Schools (State Plan) and the American School Counselor Association National Model. Recipients of the Alabama School Counseling Program of Distinction also receive the Recognized ASCA Model Program (RAMP) Award, which is the highest award any school counseling program can earn. In attendance at the awards luncheon to help celebrate these school counselors were Mr. Eddie Tyler, Superintendent; Mr. Marty McRae, Assistant Superintendent; Ms. Patrice Davis, Prevention and Support Services Coordinator; Mrs. Rocky Moore, Assistant Principal, Baldwin County Secondary Virtual School; and Mrs.

Gina McClure, Assistant Principal, Belforest Elementary School. Congratulations are extended to Kim Powell, Natalie Ward, Kim Windham, and Dianna Wolchina for achieving this exceptional honor and recognition. They join the ranks of the other ten schools from Baldwin County who have achieved this monumental milestone.

www.facebook.com/easternshoreparentsmagazine

Autauga County Schools

Renaissance School “Travels”

Around the World for Christmas

This year for Renaissance School’s annual Christmas Production, Ms.Darby took everyone on a theatrical walk through to celebrate Christmas Around the World! This was an original piece that Ms. Darby and the students brought to life. Pictured below is Australia!

The Grinch “Scene” at Fairhope West

3rd and 4th grade Video Club members learned how to use the green screen to create special effects. Then, they used their new skills to place themselves into a scene with the Grinch!

Eastern Shore Parents I January 2023 www.easternshoreparents.com 38

St. James Students

completed eMints training. She has served in many roles at BCHS including Freshman Class Sponsor, Leadership Team, and Co-Founder and current sponsor of Beta Chi Sigma Service Organization and Step Team.

39 www.facebook.com/easternshoreparentsmagazine
Fairhope’s annual Magical Christmas Parade.
Eastern Shore Parents I January 2023 www.easternshoreparents.com 40

As a parent, I knew of the many milestones my children would face, from learning to walk and talk to navigating relationships and exams. One I was not prepared for was applying for college. The days when getting into college were a breeze are long gone; the applicant pool is far more competitive. Schools that admitted students with less than a B average years ago now often seek an average GPA above 4.0. Because of these higher stakes, many experts recommend applying to five to eight colleges. That makes

Unfortunately, many colleges utilize the Common App so that information can be entered only once. Research which colleges use this method and talk to admissions officers; some prefer students use the school’s application. The Common App opens on August 1, so your senior should be ready to apply at this time. If admitted early, they will have first dibs on housing, and scholarship offers will roll in to help you decide which school is the best value.

What can you do to help your child through this next milestone? First, arm them with the knowledge of what to expect to see on a college application and how to make

Test Scores

To Submit or Not to Submit? Many schools have dropped the testing requirement. If the score is high, submit. If not, consider leaving it out.

Which test? Take the SAT and ACT. Some excel in only one. The science covered in the ACT really tests reading comprehension, so strong readers may prefer it.

Test early! Test when geometry is completed, even if in middle school. These skills may be forgotten if you wait! Retest in junior year, so the reading score is at its best. Register early! Sites fill quickly, and late fees are applied.

Study! Experts recommend starting 2-3 months before the test, 10-20 hours a week. Test multiple times. Scores tend to improve after the first attempt, especially if students are studying. Complete testing by the end of junior year.

Superscore me! Best subject area scores are accepted by most schools.

Activities

Types : School clubs, internships, jobs, volunteering, babysitting, etc.

Honors

Types: Local/national awards, honor societies, and other memberships

Number: Shoot for five.

Essays

Topic: Choose one of seven essay prompts on the Common App.

Optional Covid Question: Share the effects of the pandemic on grades, etc.

Supplementals: Additional writing is required by some schools. Personalize for each school; research and use observations from visits.

Time to Shine: Below average stats? Numbers do not give a full picture; personality, perseverance, and passion come through here.

Make it Personal: Lower GPA due to medical conditions or difficulties at home? Low scores because of anxiety? Schools know each student’s experience is unique; they will pay attention, so be sure to share.

The Cost of Applying

Test Registration: $55-60 for each attempt

: Colleges typically remove elective grades and add half a point to honors/full

: Colleges love to see students who challenge themselves,

Self-Reported Student Academic Record

: Most schools require this to enter courses and grades for recalculation; it can

Number : Try for ten. It is wonderful to have an athlete or musician, but that one activity takes up one of the ten lines on the Common App.

It’s not too late! Even if it is junior year, encourage your student to get involved, especially with activities related to their intended major.

Volunteering : List multiple volunteer experiences. Go beyond the number of required hours!

Test Prep: Online $100-$2,800, in-person $800-$3,600, private tutors $1,600-$8,000. Tips: Watch for free testing days at your child’s school. See if you qualify for a fee waiver. A book and index cards are not to be frowned upon! Search for free online resources (see below).

Application Costs: Average fee is $50, up to $100. Tips: Request fee waivers on the application or through the National Association for College Admission Counseling (NACAC). Watch for schools without fees and free regis

41 www.facebook.com/easternshoreparentsmagazine

tration weeks. Start filling out an application and wait; you may receive a fee waiver by email!

The Waiting Game

How long until we find out? Anywhere from days to months, the average wait time for roll ing admissions is 4-6 weeks. Look for early action/decision deadlines to speed up the process (usually early Nov. or Dec.)

Don’t worry!

If your child doesn’t have top credentials, don’t be discouraged. There is a school for everyone, and a college’s average GPA is just that, an average. Utilize the school’s counselor for resources and advice. Speak with admissions officers in person if possible. Some will tell you activities aren’t as important to them as grades; some value the essay above all else. If your student isn’t aiming for a top-tier school, they don’t necessarily need to apply to several. Submit early, so there is time to apply to more if needed, but one may be enough if your child knows what they want and are aware of a college’s expectations.

Once your student has clicked that submit button, sit back, attempt to relax, and know you have done your job. Your not-solittle kiddo will reach that milestone and soon be ready to face the next one on their own.

Resources

Admissions Calculator/School Rankings: www.usnews.com www.niche.com www.prepscholar.com(plus test prep, application experts)

GPA Calculator: https://gpacalculator.net/

Test Prep: www.khanacademy.com www.act.org www.ixl.com

ESP

www.easternshoreparents.com

Eastern Shore Parents I January 2023
42
PIRC is available seven days a week, from 8 a.m. to 11 p.m. PIRC is NOT a crisis or suicide hotline. Call for mental health resources. The PIRC is generously supported by funding from the Anne B. LaRussa Foundation of Hope, United Way of Central Alabama, the Daniel Foundation of Alabama and the Walker Area Community Foundation.
navigate the
and
(7472) 205- 638 - PIRC Services are FREE and confidential. Services provided by phone are not medical advice and should not be considered as such. Services are provided via telephone by licensed mental health professionals who recommend the most appropriate mental health resources. PIRC-0003_PIRC_Ad_Montgomery-Parent-4.9x7.25.indd 1 10/11/22 3:37 PM
Free/Inexpensive
Charline Barger is a freelance writer who teaches high school English and Creative Writing. She also serves on the board of Emerald Coast Writers
as
Secretary and Youth Writers Contest Director. She lives in Pace, FL with her boyfriend, three children and a host of animals.
Helping
mental health system for teens
children.

“When I asked my family their favorite thing I cook, Mini Bacon Wrapped Meatloafs was the unanimous choice,” shared Alex Robin son. “While it is cer tainly not the healthi est thing I cook, it is the ultimate comfort food and a big crowdpleaser with the Robinsons.”

Alex and her hus band Jay have been married for 16 years and have always re sided in Fairhope, AL. Together they have four children - Jay Nick (14), Parks (10), Greer (5), and their caboose Alexandra (2).

“I always wanted a big family,” Alex said. However, she shared that after her two boys, she was diagnosed with Hodgkin’s Lymphoma and told her the chances of having more children would be slim. “We were thrilled when, after four years in remission, God blessed us with a miraclea healthy baby girl - and then our caboose, another healthy baby girl! Being a Mom of four can be crazy and stressful, but my children bring immeasurable joy into my life.”

Alex is a graduate of Auburn University and majored in mass communications. Through her internship on the Eastern Shore, she fell in love with all things Fairhope, most notably the festivities - like the Arts and Crafts Festival and the Annual Christmas Tree Lighting.

“Upon graduation, I went to work for the City of Fairhope, helping to plan events like Lighting of the Trees and the Fairhope Christmas Parade. I don’t think a more fun job exists,” said Alex. “I love people and knew I wanted a job where I was constantly interacting and serving others. So, I fell in love with event planning!”

These days, Alex balances her time between being home with the kids and

working part-time for the Downtown Fairhope Business Association. She describes it as the perfect balance of staying connected to the community she loves and still being a busy mom of four. When they are not enjoying the city they call home, Alex said they head to Walt Disney World as often as possible. As annual pass holders, the family spends much time at the most magical place

Topping

:

• ½ cup ketchup

• 1 tablespoon brown sugar

• 1 tablespoon spicy brown mustard

• ½ cup fried onion pieces

would like but prefer to eat at home.

“I do most of the cooking during the week, but Jay takes over on the weekends. He is a wonderful cook and always gives traditional recipes his yummy twist,” Alex said. “When making this Mini Meatloaf recipe for dinner, I tend to serve it with mashed potatoes and old-fashioned green beans.”

Bacon Wrapped Mini Meatloaves

Meatloaf:

Preheat oven or grill to 350 degrees F. Line a baking sheet with foil. Melt butter in saute pan over medium heat. Cook onions until fragrant and slightly brown, stirring occasionally, about 3-5 minutes. Reduce heat to low and add garlic; cook for 2-3 minutes. Remove from heat. In a large bowl, combine ground beef, egg, bread crumbs, milk, Worcestershire sauce, thyme, and cooked onions and garlic. Use your hands to mix well, but try not to overwork the meat. Divide into six equal-sized portions and shape into disks. Wrap bacon slices around the edge of the disks. The diameter of the meatloaf should be so that the bacon ends just meet or slightly overlap. In a separate bowl, com bine ketchup with mustard and brown sugar. Divide equally and spread over the tops of the mini meatloaves. Sprinkle tops with crispy fried onions. Bake in preheated oven or grill until bacon is just golden, about 1 hour and 15 minutes.

Gabriele has been married to her husband Daniel for 16 years. Together they have three incredible children - two boys, ages 15 and eight, and a sweet girl who joined the family last summer. She is a full time Pink Cadillac Sales Direc tor for Mary Kay Cosmetics. When she isn’t spending time with family or building her business, she supports her husband who is the Lead Pastor and Planter of Forward Church in Foley.

Eastern Shore Parents I January 2023 www.easternshoreparents.com 44
Alex shared that the Robinson crew
1
2
medium onion (diced) •
cloves garlic (minced)
• 1 tablespoon butter
1
• 1 ½ pounds ground beef •
large egg • 1 cup bread crumbs • 1 cup milk
• 1 tablespoon Worcestershire sauce • 1 teaspoon dried thyme • 6 bacon slices

Comparing schools is challenging because each institution offers unique programs in a unique environment. One may present a specialized science curriculum geared toward a future in engineering, while another focuses on developing cooperation and compassion through active community service. The comparisons parents must make are apples-to-oranges at best. Faced with so much detailed information about so many exciting opportunities, it’s hard to stay focused on the end goal: finding the best educational option for your student.

Eastern Shore Parents I January 2023 www.easternshoreparents.com 46
Approach the school-selection process with this three-step strategy to make sure your kids’ needs come first.

Step 1: Assess your Values

Start your school-selection process at home. “Ask yourself what you expect of a school and what you expect of your child, in terms of attitude, behavior, motivation and achievement,” says educational psychologist Jennifer Little, Ph.D., founder of Parents Teach Kids. You may want a school that has high cultural or ethnic diversity, or whose students and staff have religious values similar to those of your family. Clarifying your values will help you put schools’ marketing materials in context.

Acknowledge practical matters as well. Determine how far you’re willing to drive and how much tuition you can afford. Be honest with yourself about the level of involvement you will have in your child’s school. Many schools require parents to volunteer a specified number of hours. Create a personal checklist of your requirements and limita tions so you don’t overlook important factors.

Step 2: Seek Info

For each potential school, collect information on curriculum, studentteacher ratio and academic outcomes. Study data that show how students scored on placement tests for math, English and foreign languages, and pay particular attention to how many students graduate and what schools they attend next. Also, pay attention to accreditation. The National Association of Independent Schools and similar state associations require member schools to uphold rigorous standards and to undergo periodic review. This makes school officials accountable to other educators who are in touch with national standards and teaching trends.

Examine course descriptions, materials and teacher preparation to evaluate the quality of a school’s curriculum. Also, ask about choice. You want your child to have a firm foundation in primary subjects and a choice among interesting electives. Kids are motivated to learn when they can pursue subjects they select. Learn about the availability of special programs that interest your child, such as language immersion or music instruction.

Visit schools on your short list to evaluate the academic workload and environment. Ask students how much homework they do each night and attend classes to see how teachers affect learning. Do they use readings, lectures or group discussion? Do students do projects, community service or internships at local businesses or universities? A school’s instructional strategy should

match up with its educational objectives and your child’s learning style, Little says. Highly competitive classes can undermine learning for some students. Others might be frustrated by a collaborative approach.

Keep in mind a school is more than its academic programs. It is a community of learners. Observe social dynamics among students and ask how teachers encourage cooperation and manage behavior problems. Kids can’t learn when they’re struggling with classroom chaos or feel left out of exclusive cliques.

Look at how adults are involved in the school. A strong parent-teacher association ensures that ideas and information flow both ways. Involvement from alumni suggests a strong sense of pride in the institution. Find out how long teachers have been at the school and whether they receive regular professional development. High turnover may reflect bad management. It can also create a poor climate for learning.

Step 3: Focus on Fit

“Ideally, you want to match the school to the learner,” says Faya Hoffman, founder of the Washington, DC, learning concierge service, My Learning Springboard. “A school with a phenomenal reputation may not be the right fit for your child.” Be honest about whether an institution’s approach fits with your student’s interests and temperament.

If your child has an Individualized Educational Plan due to learning (or other) disabilities, find out what services are available to meet his needs. Smaller schools may not have fulltime staff to provide speech or occupational therapy or counseling services. Speak directly with staff members who provide services your child needs, so you understand how your child will get help. Knowing what to expect sets everyone up for success.

Although it may be inconvenient, Hoffman says siblings may need different educational approaches – and different schools – to learn and thrive. Focus on each student as an individual to make the best educational decisions for your family.

ESP

Heidi Smith Luedtke is a personality psychologist and mom of two. She is the author of Detachment Parenting.

47 www.facebook.com/easternshoreparentsmagazine

Private Schools

Bayshore Christian School ad on page 17

316 Presbyterian Drive, Fairhope, AL 36532

Our mission is to graduate students with a Biblical worldview who will inspire, impact, and serve their communities. Our students will be critical thinkers who are academically and spiritually prepared for college and their life’s calling. Grades Preschool through 12th. Sports include baseball, basketball, bowling, cheer, cross country, golf, soccer, softball, swim, tennis, volleyball and wrestling. Extracurriculars include Latin Club, Math Club, National Honor Society, Theatre Club, and Robotics Club. (251) 929-0011 BCSadmin@bayshorechristian.org www.bayshorechristian.org

Bayside Academy

ad on page 1

303 Dryer Avenue, Daphne, AL 36526

Bayside’s mission is to prepare students to be successful both academically and in life. These students will exhibit high character, a sense of responsibility, respect for self and others, and a commitment to excellence in all their endeavors. Grades PK3–12. We field 40 teams in 17 sports for students in Grades 7–12 and have Youth Development League (YDL) offerings in nine sports for students in Grades 1–6. (251) 338-6300 admissions@baysideacademy.org www.baysideacademy.org

Christ the King Catholic School

ad on page 23

708 Dryer Ave, Daphne, AL 36526

A ministry of Christ the King Parish, providing a quality Catholic education for children in pre-kindergarten through eighth grade. Together with parents and the parish community, Christ the King Catholic School prepares students to meet the future with faith, knowledge and integrity. Offering CYO Athletics and clubs including Accelerated Reader, Altar Servers, Band (5th-8th grade), Scouts, Scholars’ Bowl, Choir, Spelling Bee, Peer Helpers Program, Rosary Club, Leadership Team, Chess Club, Catholic Cup, Robotics Class, Art Class, Piano Club, and Yearbook. Facebook.com - cthekingdaphne (251) 626-1692 ckcs@ctkcsdaphne.org www.ctkcsdaphne.org

High Hopes for Autism (St. Benedict’s School)

ad on page 23

12786 South Illinois Street, Elberta, AL 36530

High hopes is preparing children with Autism Spectrum Disorders, and other developmental delays, to participate independently in the community. We specialize in communication. Our goal for each client is to be able to communicate their, needs, thoughts, and feelings. We accept clients up to 4 years old and will continue to work with families until their individual needs are met. We use Applied Behavioral Analysis (ABA) techniques and all of sessions are one to one. Monitoring via ccTV and parent training is available during the therapy session. We accept insurance, visit our website to see our current list. (251) 986-7007 highhopes4autism@gmail.com www.highhopes4autism.org

Nature Connect Outdoor School Kindergarten

ad on page 27

7159 McIntyre Street, Fairhope, AL 36532

Nature Based Kindergarten for ages 5-6. Our kindergarten focuses on achieving 1st-grade readiness through a nature-based curriculum. Our kindergarten program will allow us to take your child’s interests and turn them into meaningful, developmentally appropriate learning experiences to teach and enhance reading and language skills, math skills, writing skills, and science concepts, as well as allow for creative time in the form of art, music, and movement. In addition to our outdoor explorations and academic goals, we lay the foundation for a love of learning through outdoor experiences that encourage a child’s physical, mental and social growth. 251-513-7802 www.natureconnectalabama.org

www.easternshoreparents.com 48

Renaissance School of the Eastern Shore ad on page 13

25870 Austin Road, Daphne, AL 36526

Renaissance School of the Eastern Shore is a full curriculum school for 1st-12th grade level students accredited by Accreditation International and National Council for Private School Accreditation. In order to meet our students specific needs we integrate a systematic, differentiated, multi-sensory approach into a small group setting. #RenaissanceSchool #ReawakeningEducation (251) 990-0041 www.rs.education

St. Benedict Catholic School ad on page 19

12786 Illinois Street, Elberta, AL 36530

St. Benedict Catholic School is a fully accredited private school founded in 1921 and continues to serve students in South Baldwin County grades PreK 3 through 8th grade. They are committed to building a community of inquisitive minds, faithful souls, and giving hearts in a safe and loving environment. St. Benedict has been recognized as the Best Preschool and Private School in Baldwin County* for 2021 and 2022. They offer affordable tuition options and are currently enrolling.

(251) 986-8143 info@saintbenedict.net www.saintbenedict.net

St. James Episcopal School ad on page 24

860 North Section Street, Fairhope, AL 36532

The mission of St. James Episcopal School is to introduce children to Christ in a nurturing environment by providing exemplary preparation for future learning. Serving ages 30 months - 3rd grade for the 2022-2023 school year. Our enrichment classes are designed to complement classroom instruction through music, language, dance, environmental science and more. After-hours care is available through our Extended Day Program, until 5:30. A growing list of fun, educational after-care activities is available.

(251) 928-2912 schooldirector@stjamesfairhope.org www.stjamesfairhope.school

Central Christian School

17395 State Highway 104, Robertsdale , AL 36576

CCS is celebrating 52 years in Christian Education! We offer a superior educational opportunity for qualifying students K3-12th grade. We purpose for each student to achieve academic excellence through a Christ-centered approach within our traditional setting. Our middle school and high school athletic programs are competitive within the Panhandle Christian Conference. (251) 947-5043 nmoats@ccssaints.com www.ccssaints.com

Marietta

Johnson School of Organic Education

8 Marietta Drive, Fairhope, AL 36532

The Organic School serves students ages four through ten in a balanced program of academics, outdoor learning, and arts education, where each child learns naturally, without grades or pressure. (251) 928-9347 marietta.school@mchsi.com www.fairhopeorganicschool.org

Snook Christian Academy

18930 County Road 28, Foley, AL 36535

Snook Christian Academy, formerly known as Alabama Gulf Coast Christian Academy, is committed to excellence in academics, following Alabama’s Courses of Study through a Biblical perspective and accreditation through both Cognia (AdvanceED), AISA, and NCSA. Snook Christian Academy competes in the Alabama Independent School Association (AISA) on the 1A level. SCA has a variety of sports options each season. Some athletic team options at SCA include Football, Volleyball, Cheer, Basketball, Archery, Baseball, Softball, Track, and Field.

(251) 989-2333 sca@snookchristian.org www.snookchristian.org

South Baldwin Christian Academy

6900 AL-59, Gulf Shores, AL 36542

South Baldwin Christian Academy (SBCA) is an accredited, private Christian school helping students in preK3-12th grade discover the plans God has for their lives. SBCA is accredited by Cognia, the gold standard in Christian preK12th grade education. We are committed to offering high quality academic programs with a Biblical worldview to help our students reach their God-given potential.

(251) 968-1230 www.southbaldwinca.org

St. Michael Catholic High School

11732 St Michael Way, Fairhope, AL 36532

St. Michael Catholic High School, a college preparatory school of the Archdiocese of Mobile, aspires for its students to become scholars, leaders and disciples of Jesus Christ. (251) 459-0210 jenny.kopf@stmichaelchs.org www.stmichaelchs.org

St. Patrick Catholic School

23070 Highway 59 North, Robertsdale, AL 36567

St. Patrick Catholic School guides students on their faith journey to God, providing each student with an excellent education and developing his/her potential in a safe, supportive atmosphere that has been nurtured through the years by the faith of the Central Baldwin Catholic community and the Presentation Sisters. Serving students K-8, St. Patrick Catholic School offers a variety of sports and activities for the students such as Basketball, Cheer, Soccer, Volleyball, Running Club, Coastal Kids Quiz, Technology Fair, and more. (251) 947-7395 school@stpatcatholic.com www.school.stpatcatholic.com

Public School Resources

Alabama School of Math and Science

ad on page 7

1255 Dauphin Street, Mobile, AL 36604

Alabama’s only fully public and totally residential STEM high school. ASMS’s mission is to provide academically motivated Alabama students with exceptional preparation in the fields of math, science, computer science, and the humanities. Serving grades 10th - 12th. Sports: basketball, cross-country, tennis, volleyball, and cheer. Also offering Choir, Band, Debate Team, Science Olympiad, SGA, Robotics Team, and over 35 clubs on campus. (251) 441-2100 admissions@asms.net www.asms.net

Baldwin County Public Schools

2600-A North Hand Avenue, Bay Minette, AL 36507

The Baldwin County (Alabama) Public School System serves more than 31,000 students and is the fastest growing school system in Alabama. Please visit our website for zoning, registration and other information. (251) 937-0306 www.bcbe.org

Baldwin County Public Schools - INTERNATIONAL

BACCALAUREATE PROGRAMME

IB students demonstrate a strong commitment to learning, both in terms of the mastery of subject content and in the development of the skills and discipline necessary for success in a competitive world. The IB Diploma Programme is not necessarily for the most able students, but for the most motivated students. Characteristics that many IB students share are motivation, commitment, and self-discipline. Daphne High School and Fairhope High School are fully authorized IB World Schools. For more information contact Daphne High School, (251) 626-8787 or Fairhope High School, (251) 928-8309. www.bcbe.org/ib

Baldwin County Public Schools – CACC Dual Enrollment

Coastal Alabama Community College provides college credit opportunities to eligible high school students to enroll in college classes concurrently with high school classes, and to receive both high school and college credit where appropriate. For more information or to register contact your high school. www.bcbe.org/careertech

Baldwin County Public Schools Career and Technical Education 1091 B Avenue, Loxley, AL 36551

The Division of Career and Technical Education is focused on helping students achieve success through leadership development, career awareness, and academic excellence. Career Technical Education is offered in all eight high schools as elective courses, at two technical centers and is offered in all middle schools in Baldwin County. CTE is focused on developing the 21st Century Skills and technical skills of 7-12 grade students and strives to prepare student for the transition to postsecondary learning and workforce opportunities. It provides students essential leadership skills through participation in student organizations. Career Education Clusters include: Agriculture and Natural Resources; Architecture and Construction; Arts, Audio-Visual Technology and Communications; Business Management and Administration; Finance Information Technology and Marketing; Education and Training; Government and Public Administration; Health Science; Hospitality and Tourism; Human Services; Marketing, Sales, and Service; Science, Technology, Engineering and Math (STEM); Transportation, Distribution and Logistics. (251) 972-6862 www.bcbe.org/careertech

49 www.facebook.com/easternshoreparentsmagazine

Baldwin County Teacher Cadet Academy

This family of classes and practical experiences develop the art of teaching, planning, and administration in schools, colleges, technical institutes, and businesses. www.bcbe.org/teachercadet

Baldwin County Virtual School Elementary Middle School 19812 Underwood Road, Foley, AL 36535

For nearly a decade, Baldwin County has offered one of the finest virtual school programs in Alabama. Today, students in grades 9-12 attend Baldwin County Virtual Secondary School and students in grades K-8 attend Baldwin County Virtual Elementary/ Middle School. (251) 607-5628 www.bcbe.org/baldwinvirtual

Baldwin County Virtual School Secondary School 605 U.S. Highway 98, Daphne, AL 36526

For nearly a decade, Baldwin County has offered one of the finest virtual school programs in Alabama. Today, students in grades 9-12 attend Baldwin County Virtual Secondary School and students in grades K-8 attend Baldwin County Virtual Elementary/ Middle School. (251) 607-5622 www.bcbe.org/baldwinvirtual

Baldwin Preparatory Academy - Coming August 2024

At Baldwin Prep, academics and real-life, on-the-job experience will be integrated in a state-of-the-art building designed for academic and industryspecific immersion. Programs of study include will include health sciences, automotive technology, cyber security, culinary arts, engineering, cosmetology, construction, welding, graphic design, HVAC, teaching, aviation and logistics. Registration is planned to open Fall 2023. Classes are scheduled to begin Fall 2024 www.baldwinprep.com

North Baldwin Center for Technology 505 Dr. Martin Luther King, Jr. Boulevard, Bay Minette, AL 36507

The North Baldwin Center for Technology is dedicated to providing quality skills and education to prepare students for success toward post secondary goals. Visit our website and our Facebook page for more information. Programs: Health Science, Graphic Design, HVAC, Automotive Technology, Building Construction, Welding, Cosmetology, Baldwin County Teacher Cadet Academy.

(251) 937-6751 cwilson1@bcbe.org www.nbctschool.com/

South Baldwin Center for Technology 19200 Carolina Street, Robertsdale, AL 36567

South Baldwin Center for Technology is a high school career technical center serving the following high schools: Robertsdale High, Fairhope High, Foley High, Orange Beach High and Elberta High.

Principal: Adam Sealy

Programs: Cooperative Education, Baldwin County Teacher Cadet Academy, Automotive Technology, Building Construction and Carpentry, Welding, Health Sciences, Culinary Arts, Cosmetology (251) 947-5041 asealy@bcbe.org www.bcbe.org/Domain/90

The Academy at the Fairhope Airport 8600-C County Road 32, Fairhope, AL 36532

The Baldwin County Public School System, Coastal Alabama Community College and the Fairhope Airport Authority have partnered together to offer all high school students and adults courses in Airframe Technology, Electrical & Instrumentation, and Welding. The Academy at the Fairhope Airport provides the critical training needed to supply local business and industry with a skilled workforce.

(251) 929-7378 Tplato@bcbe.org www.bcbe.org/Page/552

Homeschool Communities, Co-Ops and Cover Schools

Nature

ad on page 27

7159 McIntyre Street, Fairhope, AL 36532

Through exploring, stories, crafts, and adventure, children are supported to develop a stronger connection to themselves, the natural world, and their community. Skills introduced include plant identification, animal tracking, shelter building, fire safety, bird identification, storytelling, and hazard awareness. Ages 6 - 10 on Tuesday or Thursday. Also offering Wilderness Skills for ages 11 - 13. 251-513-7802 www.natureconnectalabama.org

Academy on the Eastern Shore

22979 U.S. Highway 98, Fairhope, AL 36532

Unity on the Eastern Shore now provides a cover school for Alabama parents who want to home school their children. Academy on the Eastern Shore exists to support parents in their right to school their children in a responsible manner. Academy on the Eastern Shore does not accept responsibility for the education of enrolled students. Rather, the school allows parents a means through which they assume responsibility for their children’s education. Academy on the Eastern Shore accepts children/families from the entire state of Alabama regardless of race or religion. No statement of faith is required for admission. (251) 990-8934 unityeasternshore@live.com www.unityeasternshore.wixsite. com/unity/homeschool-academy

Bridge Christian Academy

P.O. Box 701, Fairhope , AL 36533

BCA is a legal home school covering in Alabama for parents who desire to provide academic excellence with a Biblical worldview. BCA is a “hands off” legal home school cover. We are statewide with an office in Fairhope, AL.

Founded in 2000 by Pastor Todd & DuAnne Seeley, BCA has been a leader in church schools for many years. Our purpose is to offer support, encouragement and accountability for home school families. (251) 979-6227 AlabamaBCA@gmail.com www.BridgeChristianAcademy.com

Central Christian School Homeschool

17387 Highway 104, Robertsdale , AL 36567

Central Christian Homeschool is a non-denominational Christian homeschool program for students Kindergarten through 12th grade. (251) 947-7754 msimmons@ccssaints.com www.ccssaints.com

Classical Conversations

Classical Conversations is a proven Christian education program created by parents for parents. We do this through a Christ-centered and family-friendly approach to homeschooling that makes everything biblical and simple. Our program covers K-4 to College Credit and includes college degree opportunities for parents, as well. To find a program near you visit Community Search on our website.

www.classicalconversations.com

Erin’s Gulf Coast Homeschool Adventures

Erin’s Gulf Coast Homeschool Adventures is unique opportunity for gulf coast homeschoolers.3 Adventures each month: We Adventure between Pensacola FL and New Orleans, LA, but stay primarily around the Alabama and Mississippi coasts. Also found on Facebook. etw501@yahoo.com www.erinsgulfcoasthomeschooladventures.com/

Navigators Homeschool Co-Op Baldwin County

Navigators Homeschool Cooperative is a Christ-centered co-op which exists to DISCIPLE our children, ENCOURAGE parents, SERVE our community, and OUTREACH to other homeschooling families. We provide opportunities for families to come together to enrich their students’ learning experiences with elective classes, field trips, play dates, and holiday celebrations. NavigatorsHomeschoolCoop@gmail.com www.thenavigators.info

North Baldwin Christian Academy

2706 Scarlet Drive , Bay Minette, AL 36507

The North Baldwin Christian Academy is designed to help homeschooling families complete the home education journey into the high school years with excellence. We want to open doors for these families. Whether a family has been homeschooling for years, or considering homeschooling for the first time, we want to help. heheadquarters@yahoo.com www.northbaldwinchristian.com

South Alabama Homeschooling

See exciting community events, find information on getting started homeschooling, answers to often asked questions, and connect to other area homeschool support groups! Find on Facebook - South Alabama Homeschoolers. southalabamahomeschooling@gmail.com www.southalabamahomeschooling.com

ACT/SAT Prep

Huntington Learning Center ad on page 15

6880 US Hwy 90 (Suite 13), Daphne, AL 36526

Huntington helps students score higher on important college entrance and scholarship exams like the ACT, SAT, and PSAT, as well as high school entrance and other exams, such as the ISEE and ASVAB. Higher scores can mean better schools, more scholarship opportunities, and more career choices in the future. Call to begin your child’s individualized program today! (251) 621-1055 beth.dotson@gmail.com www.huntingtonhelps.com/center/daphne

Eastern Shore Parents I January 2023 www.easternshoreparents.com 50
Connect Outdoor School Homeschool Enrichment

Coastal Alabama Community College

Bay Minette Campus, Five (5) 4-hour weekend day live instructional sessions, over a five-week period, plus 8 hours of homework per week online with 24-7 access! The first and last weeks are Full 4-Hour Mock ACTs! The FULL ACT Prep Intensive includes all ACT Study Manuals (English, Math, Reading, and Science) and 1,250 ACT Practice Test Questions. Fee is $289. February 26March 6. Saturdays 10am - 2pm www.coastalalabama.edu/act-prep-intensive-2022-02-26/

Dr. Wycondia West (251) 455-1255 wycondiawest@yahoo.com westinstructionalservices.net/course/

Peggy Varnado (601) 466-1406 pbvarnado@aol.com

Phillip Martin ACT Prep philipmartinact@gmail.com www.philipmartinact.com

Thomas Tompkins (251) 223-1528 Gatorfan820@yahoo.com

Subject Tutors

Huntington

ad on page 15

Learning Center

6880 US Hwy 90 (Suite 13), Daphne, AL 36526

Huntington Learning Center helps students of all ages improve grades, test scores and confidence. We offer Academic Evaluations, programs tailored to each student’s needs and individualized instruction from qualified teachers. Tutoring, Test Prep and more for students in K - 12th grade. Call to begin your child’s individualized program today! (251) 621-1055 beth.dotson@gmail.com www.huntingtonhelps.com/center/daphne

Eastern Shore Baptist Church FREE Tutoring

6847 Park Drive, Daphne, AL 36526 (251) 626-5550 Brenda@myesbc.net www.myesbc.net

The Think Tank Tutoring (251) 300-9697 thinktankminds@gmail.com www.thinktankminds.com

Thomas Tompkins (251) 223-1528 Gatorfan820@yahoo.com

Therapy - Occupational, Speech, Language, and Handwriting

High Hopes for Autism

(St. Benedict’s School) ad on page 23 12786 S. Illinois St, Elberta, AL 36530

High hopes is preparing children with Autism Spectrum Disorders, and other developmental delays, to participate independently in the community. We specialize in communication. Our goal for each client is to be able to communicate their, needs, thoughts, and feelings. We accept clients up to 4 years old and will continue to work with families until their individual needs are met. We use Applied Behavioral Analysis (ABA) techniques and all of sessions are one to one. Monitoring via ccTV and parent training is available during the therapy session. We accept insurance, visit our website to see our current list. (251) 986-7007 highhopes4autism@gmail.com www.highhopes4autism.org

American Autism & Rehabilitation Center

8909 Rand Avenue, Daphne, AL 36526

A facility aimed at treating a variety of special needs in one convenient location. Speech, occupational therapy, feeding therapy, ABA therapy, psychological/diagnostic services and more. (251) 210-1632 info@americanautismcenter.com www.americanautismcenter.com

Beach Speech Therapy

236 E 20th Avenue, Gulf Shores, AL 36542 (251) 610-8000 Beachspeech2020@gmail.com www.beach-speech-therapy-llc.business.site/

Foley Therapy

316 S Mckenzie Street Suite 101, Foley, AL 36535

Maria has been fondly referred to as the “Toy Doctor”. She engages in play to elicit the fundamental skills required for developmental; sensory motor perceptual and handwriting. Foley Therapy addresses the feeding and listening concerns of parents and teachers that children encounter. (251) 978-1280 www.foleytherapyot.com

Hand In Hand Therapy & Tutoring, LLC

9837 US Highway 98, Fairhope, AL 36532

Occupational therapy for children birth to 26. Other services include Cognitive Behavioral interventions, therapy for Tourette or Tic disorders, dyslexia/alexia, handwriting, Visual/Motor skills, Tutoring and more. Find us on Facebook! (251) 517-7787 jessica@handinhandal.com www.handinhandal.com

Kids Always Kount Therapy Services

26420 Kensington Place (Suite C), Daphne, AL 36526

Kids Always Kount offers speech, occupational, physical therapy, audiology, and OG specialized reading services for children from birth to age twenty-one. (251) 517-0355 www.kidsalwayskount.net/

Let’s Play Therapy

8531 Spanish Fort Boulevard, Spanish Fort, AL 36527

Pediatric occupational therapy, physical therapy, speech therapy, and feeding therapy using a strength based play model to use the child’s strengths to address their weaknesses. Services also focus on family training to train and empower families how to help their child away from the clinic. (251) 929-4848 info@letsplaytherapycenter.com www.facebook.com/letsplaytherapycenter

Melanie B. Waters, M.C.D., CCC-SLP - Spoken Word Speech Language Services LLC 9086 Merritt Lane, Suite D, Daphne, AL 36526

Evaluation & treatment for speech-sound issues, tongue thrust, poor listening skills, auditory processing disorder, reading difficulties, dyslexia, social deficits, stuttering and communication problems. (251) 786-8255 mel.spokenword@gmail.com www.spokenwordspeech.com

North Baldwin Infirmary Pediatric Therapy

1815 Hand Avenue, Bay Minette, AL 36507

Providing comprehensive care to children who require occupational, physical and speech therapy. We offer an environment where all three therapies can work together with families to guarantee each child is receiving exactly what he or she needs. We also strive to find the correct balance of challenge and play so that children can work toward their treatment goals while having fun. (251) 937-2823 www.infirmaryhealth.org/services/therapy-services/pediatrictherapy-services/

Read & Ride - Equine Educational Consultants

19818 Lawrence Road, Fairhope, AL 36532

Therapy program for children with Dyslexia. A 45 minute Spire reading lesson with a certified teacher and a 45 minute trail ride on our therapy horses! (251) 747-8219 Tonyalhalterman@gmail.com

Read-Write

1048 Stanton Road, Daphne, AL 36526

Read-Write specializes in academic language therapy for students with dyslexia and other learning disabilities, including math. One-on-one, intensive instruction during and after school hours. (251) 625-4020 baldwinoffice@readwritelearningcenter.com www.readwritelearningcenter.com

South Baldwin Regional Medical Center

1613 North McKenzie Street, Foley, AL 36535

Physical Therapy, Occupational Therapy, Speech Therapy. Providing on-going care for the patient and improved communication with the referring physician. (251) 949-3580 www.southbaldwinrmc.com/rehab-services

Therapy Services at USA Children’s & Women’s Hospital

1610 Center Street, Mobile, AL 36604

Pediatric Therapy Services at USA Health Children’s & Women’s Hospital offers a collaborative, team-oriented program with physical, occupational and speech language therapies for our pediatric patients. Therapy services requires a physician’s referral. (251) 415-1670 www.usahealthsystem.com/locations/pediatric-therapy-services-clinic

Thomas Hospital Pediatric Therapy

212 Hospital Drive, Suite B, Fairhope, AL 36532

Providing comprehensive care to children who require occupational, physical and speech therapy. We offer an environment where all three therapies can work together with families to guarantee each child is receiving exactly what he or she needs. We also strive to find the correct balance of challenge and play so that children can work toward their treatment goals while having fun. (251) 279-1640 laurie.repoll@infirmaryhealth.org www.infirmaryhealth.org ESP

www.facebook.com/easternshoreparentsmagazine

51

When January arrives, many of us have already thought about our resolutions for the new year. According to Statista.com, the most common resolutions in the U.S. are health focused, including exercise more, eat healthier and lose weight.

Eastern Shore Parents I January 2023 www.easternshoreparents.com 52

Sadly, by January 8th, 25% of us have already given up, and by July 4th, only 46% of people are still successful with their plans to stay healthy. So how do you become one of the successful ones? By having a plan that includes small changes to your lifestyle without turning it upside down.

Cut back on alcohol and sugary drinks. By the time the holidays are over, we have all had our share of empty-calorie drinks. The American Heart Association recommends no more than 25 grams of daily sugar for women and 36 grams for men. You will find that much sugar in a 12 oz. can of soda, an 8oz. margarita or a Grande Vanilla Latte. Going into the new year, try reducing your intake of sodas, specialty coffee drinks, and alcohol. Then, slowly exchange those sugary drinks with water, unsweet teas, and homemade vegetable juice drinks until you have kicked the habit.

Start a consistent exercise program. Not everyone enjoys going to the gym to exercise. In fact, Americans spent $397 million on unused gym memberships last year, according to a survey by Finder.com. Save your money and get moving doing something you enjoy. Join a pickleball league, go on daily walks, participate in a weekly yoga or spin class, or simply lift weights at home. Use accountability apps like StickK or Pact, or find a friend to exercise with you to keep you motivated.

Make a meal plan and prep for it. As a busy mom, I set aside time on Sunday afternoons to plan our week of meals, make a grocery list and prepare anything I can to make dinner

53 www.facebook.com/easternshoreparentsmagazine
Seven Must Have Health Apps for 2023 1. Calm – For better sleep, reduced anxiety, improved focus (Subscription) 2. Map My Walk – Routing map for walking, biking, running, etc. (Free or subscription) 3. Streaks – To do list allowing you to keep track of your healthy habits ($4.99, iOS only) 4. Flo – Period, ovulation predictor and pregnancy calendar (Subscription) 5. Think Dirty. Shop Clean – Scan beauty and cleaning products to find out their ingredients (Free and subscription) 6. Fooducate – Weight loss app with recipes, diets and community (Free or subscription) 7. Freeletics – Free exercise app that you can do anywhere (Free or subscription)

time more manageable. By hav ing a plan, it will be easier to include more whole grains, fresh vegetables, and lean meats into your meals and keep you from hitting the drive-thru on the way home. Pinterest and Insta gram are excellent sources for dinner ideas to supplement your go-to lunch and dinner recipes. Need more help? Check out the SideChef app for easy recipes and meal plans connected to grocery apps like Amazon Fresh or Walmart.

Keep learning, growing, and pursuing new things. Despite the old wives’ tale, you can teach an old dog new tricks. Is this the year you learn Spanish or how to play the piano? Maybe it’s the year you reenter the workforce or start your own business. Even tasking yourself with a simple Word a Day vocabulary builder or a daily crossword puzzle pushes you just outside your comfort zone. Challenging yourself exercises your brain and makes you mentally strong, helping to fight cognitive decline in the future.

Get more sleep. While many of us are probably aware of how much sleep our kids need, we don’t realize how important sleep is to our health. The average adult needs 7-9 hours of quality sleep each night to allow their body to rest, repair and recharge. Improve your sleep habits by keeping a consistent bedtime and

creating a relaxing routine to prepare your body for rest mode. Keeping the bedroom cooler at night, replacing old mattresses, and using apps like White Noise Lite will aid in getting a full night’s rest.

Make all your doctor appointments for the

It is amazing how often you can put this task off, but by scheduling at the beginning of the year, you will have a better chance of getting and keeping the appointment you want. Start with an appointment for a physical and discuss your health goals with your provider. Don’t forget to schedule time with a dentist (2 cleanings per year), dermatologist, gynecologist, and optometrist. Be sure to schedule your mammogram and any other age-appropriate medical tests, too.

Connect with more people. If we learned one thing during the pandemic, it is that we need human interaction. Join groups with your interests, like book clubs, animal rescues, or nature enthusiasts. Plan a consistent date night with your spouse, a mom and me date with your kids, or monthly dinner with your neighbors. Want to stay connected with people who are far away? Enjoy a Zoom cocktail hour with friends who live out of state. You can also reach out to a pen pal group and start exchanging letters with someone from across the country or the world.

Eastern Shore Parents I January 2023 www.easternshoreparents.com 54 ESP
Pam Molnar is a freelance writer and mother of three who strives to make her New Year’s resolutions last longer than January.

Sunday January 1

Polar Bear Dip

Flora Bama, 17401 Perdido Key Drive Pensacola, FL, 32507 Wear a crazy costume, bring the whole family and take a New Year plunge into the Gulf of Mexico! No registration is required. Event is from 12:00pm3:00pm. www.florabama.com/annual-events

Wednesday January 4

Winter Wednesdays

10:30 AM Bellingrath Gardens and Home, 12401 Bellingrath Gardens Road Theodore , AL, 36582 Even during the cold season, Bellingrath Gardens is filled with blooms and beauty. Gulf Coast residents and visitors are invited to join us at our Winter Wednesdays series in January and February for sessions on gardening, history and more. 251-973-2217 www.bellingrath.org

Thursday January 5

South Baldwin Community Theatre presents “The Odd Couple (Female Version)”

7:30 PM 2022 West 2nd Street Gulf Shores, AL, 36542 www.sbct.biz

Friday January 6

South Baldwin Community Theatre presents “The Odd Couple (Female Version)”

7:30 PM 2022 West 2nd Street Gulf Shores, AL, 36542 www.sbct.biz

Black Jacket Symphony

8:00 PM Saenger Theatre, 6 South Joachim Street Mobile, AL, 36602

The Black Jacket Symphony will perform Fleetwood Mac’s Rumours. https://www.asmglobalmobile.com/

Saturday January 7

Miles for Missions”5K and Fun Run

8:00 AM Daphne City Hall, 1705 Main St. Daphne, AL, 36526 The Youth Choir of Eastern Shore Baptist Church presents the “Miles for Missions” 5K and Fun Run on Saturday, January 7, 2023 in Daphne, Alabama. The race begins at 8:00 a.m. at Daphne City Hall, and proceeds benefit the 2023 Youth Choir Mission Tour to the Appalachian region of Kentucky and North Carolina.

https://runsignup.com

Orange Beach: Body, Mind, Spirit Expo

10:00 AM - 7:00 PM, Orange Beach Event Center, 4671 Wharf Pkwy Orange Beach, AL, 36561 An event for people who are into alternative health, wellness tools, products, holistic and metaphysical practitioners, and more. http://www.OrangeBeachExpo.com

Lower Delta Tour

11:30 AM Historic Blakeley State Park, 34745 State Hwy 225 Spanish Fort, AL, 36537 Explore the forgotten southern reaches of the Mobile-Tensaw Delta on this unique two-hour adventure through a hidden natural habitat just minutes from Mobile and the communities of Eastern Shore. Departing from the Blakeley dock.

https://www.blakeleypark.com/

Emily Cordon -- Author Signing

1:00 PM - 3:00 PM, Page & Palette, 32 S Section Street Fairhope, AL, 36532 Mr. Crab is on a mission to find his dream island. Throughout his journey, he must decide whether to give up or to continue

pursuing his dream. In the end, Mr. Crab will have to decide if his dream is worth the wait. This story is geared towards kids ages 3-5 years old and perfect for preschoolers as well as Kindergarteners. 251-928-5295 www.pageandpalette.com

Still Standing - A Tribute to Elton John 7:00 PM OWA Theater, 205-A N. OWA Blvd Foley, AL, 36535 https://visitowa.com/ still-standing/

South Baldwin Community Theatre presents “The Odd Couple (Female Version)”

7:30 PM 2022 West 2nd Street Gulf Shores, AL, 36542 www.sbct.biz

Sunday January 8

Mobile Half Marathon

2:00 PM Corner of Government Blvd and Claiborne St. Mobile, AL, 36602 For 2023, we will only feature a Half Marathon. We also have a 1.2 Mile Fun Run. All events benefit First Light Community Foundation of Mobile (Formerly L’Arche Mobile Foundation). mobilemarathon.org

South Baldwin Community Theatre presents “The Odd Couple (Female Version)” 2:30 PM 2022 West 2nd Street Gulf Shores, AL, 36542 www.sbct.biz

Still Standing - A Tribute to Elton John 3:00 PM OWA Theater, 205-A N. OWA Blvd Foley, AL, 36535 OWA Theater is proud to present Still Standing - A Tribute to Elton John on January 7 & 8, 2023. https://visitowa.com/still-standing/

Wednesday January 11

Winter Wednesdays

Details on January 4.

Thursday January 12

South Baldwin Community Theatre presents “The Odd Couple (Female Version)” 7:30 PM 2022 West 2nd Street Gulf Shores, AL, 36542 www.sbct.biz

Friday January 13

South Baldwin Community Theatre presents “The Odd Couple (Female Version)” 7:30 PM 2022 West 2nd Street Gulf Shores, AL, 36542 www.sbct.biz

Saturday January 14

Cruise to the Site of Old Mobile: Alabama’s First European Settlement

9:00 AM Live Oak Landing, 8700 Live Oak Road Stockton, AL, 36579 Join us for a one-of-a-kind excursion through the storied waters of the Mobile-Tensaw Delta as we journey to the original site of the town of Mobile, founded in 1702. The trip requires a short hike. https://www.blakeleypark.com/

Winter Jam

6:00 PM Mobile Civic Center, 401 Civic Center Dr, Mobile, AL, 36602 World Vision presents Winter Jam Tour, hosted by Newsong & produced by Premier Productions, Christian music’s biggest tour, is back for 2023 with headliners We the Kingdom and Jeremy Camp and a solid lineup of acts including Andy Mineo, Disciple, Austin French, NewSong and featuring for the first time Dove Award-winning new artist of the year Anne Wilson. https://www.asmglobalmobile.com/

Roman Street in Concert

7:00 PM OWA Theater, 205 N OWA Blvd. Foley, AL, 36535 Head to the OWA Theater Saturday, January 14 to see Roman Street perform live! visitowa.com

South Baldwin Community Theatre presents “The Odd Couple (Female Version)”

7:30 PM 2022 West 2nd Street Gulf Shores, AL, 36542 www.sbct.biz

Cruise to the Site of Old Mobile:

Alabama’s First European Settlement

Live Oak Landing, 8700 Live Oak Rd Stockton, AL, 36527 Join us for a one-of-a-kind excursion through the storied waters of the Mobile-Tensaw Delta as we journey to the original site of the town of Mobile, founded in 1702!

www.blakeleypark.com

Sunday January 15

South Baldwin Community Theatre presents “The Odd Couple (Female Version)”

2:30 PM 2022 West 2nd Street Gulf Shores, AL, 36542 www.sbct.biz

Tuesday January 17

Mobile Jewish Film Festival

7:00 PM USA Fairhope Campus, Fairhope, AL, 36532 The Man in the Basement movie

https://www.mobilejewishfederation.org/mobilejewish-film-festival/2023

Wednesday January 18

Winter Wednesdays

Details on January 4.

Louis C.K.

7:30 PM Saenger Theatre, 6 South Joachim Street Mobile, AL, 36602 Six-time Emmy Award winner Louis C.K. has released over eight stand up specials. www.asmglobalmobile.com

Thursday January 19

The Temptations & The Four Tops

Mobile Civic Center, 401 Civic Center Dr. Mobile, AL, 36602 The Temptations & The Four Tops https://www.asmglobalmobile.com/

Friday January 20

Sunset Cruise from Five Rivers Delta Resource Center

4:45 PM Five Rivers Delta Resource Center, Spanish Fort, AL, 36527 Come along on a brief relaxing voyage departing from the Bartram Landing at Five Rivers Delta Resource Center as we experience nature’s splendor and be back in time to grab a seafood dinner on the Causeway!

https://www.blakeleypark.com/

Saturday January 21

Krewe de la Daphine Parade

1:00 PM Dauphin Island, Dauphin Island, AL

https://www.townofdauphinisland.org/

The Mobile Symphony Orchestra Presents Symphonic Innovations

7:30 PM Saenger Theatre, 6 South Joachim Street Mobile, AL, 36602 The Mobile Symphony Orchestra Presents Symphonic Innovations https://mobilesymphony.org/

Eastern Shore Parents I January 2023 www.easternshoreparents.com 56
FamilyCalendar

Delta Discovery Tour from Five Rivers Delta Resource Center

Bartram dock at Five Rivers Delta Resource Center, Spanish Fort, AL, 36527 This 90-minute excursion into the wild and scenic Mobile-Tensaw Delta--known as the “American Amazon,”--introduces visitors and residents alike to a truly astounding natural habitat. 10:00AM, 1:00PM https://www.blakeleypark.com/

Sunday January 22

The Mobile Symphony Orchestra Presents Symphonic Innovations

2:30 PM Saenger Theatre, 6 South Joachim Street Mobile, AL, 36602 The Mobile Symphony Orchestra Presents Symphonic Innovations https://mobilesymphony.org/

Wednesday January 25

Winter Wednesdays

Details on January 4.

Jason Isbell and The 400 Unit

8:00 PM Saenger Theatre, 6 South Joachim Street Mobile, AL, 36602 Jason Isbell and The 400 Unit with special guest Peter One https://www.asmglobalmobile.com/

Friday January 27

Comedy Hypnosis Show

7:00 PM Brandon Styles Theater, Foley, AL, 36535 Join legendary hypnotist Terry Stokes for 60 minutes of hilarious antics and unbelievable hypnotism at the Stoked Comedy Hypnosis Show for all-ages. One of the few shows where the audience is the “stars” of the show, this unforgettable show is your opportunity to see or be seen! The kids will love watching parents and grandparents on the stage! visitowa.com

Saturday January 28

The Big Beach 7k

9:00 AM 101 E Beach Blvd Gulf Shores, AL, 36542 You are invited to join us for the 7K in beautiful Gulf Shores, Alabama The courses are flat and fast running on the fully paved trails. bigbeachmarathon.com

Cruise to the Site of Old Mobile: Alabama’s

First European Settlement

9:00 AM Live Oak Landing, 8700 Live Oak Road Stockton, AL, 36579 Join us for a one-of-a-kind excursion through the storied waters of the Mobile-Tensaw Delta as we journey to the original site of the town of Mobile, founded in 1702. The trip requires a short hike. https://www.blakeleypark.com/

Gumbo & Alabama Slammer Festival

10:00 AM - 7:00 PM, Heritage Park, Main Street & Craig Street Atmore, AL, 36502 Come to enjoy - gumbo, live music, food trucks, huge kid zone, vendors and more. beachlifeevents.com/gumbo_tickets.php

Dauphin Island People’s Parade

1:00 PM Dauphin Island, Dauphin Island, AL Dauphin Island People’s Parade https://www.townofdauphinisland.org/

Joy of Life Mardi Gras Ball

6:00 PM Daphne Civic Center, 2603 US-98 Daphne, AL, 36526 The 9th Annual Wind Creek Hospitality “Joy of Life” Mardi Gras Ball benefiting St. Jude Children’s

Research Hospital will take place on Saturday, January 28, 2023 at the Daphne Civic Center. The 2023 gala will present St. Jude patients as King and Queen. The “Joy of Life” Mardi Gras Ball will showcase the culinary skills of Mobile’s most amazing chefs and restaurants, a live and silent auction, as well as great musical entertainment https://secure.qgiv.com/event/joy-of-life-ball-2022/

3rd Annual OWA Arts & Crafts Festival

OWA, Foley, AL, 36535

OWA’s immaculate Downtown entertainment district is the perfect backdrop for Coastal Alabama’s newest arts and crafts festival! Immerse yourself in the sights and sounds of local art, music, and handcrafted goods. You’ll even have the chance to make a little art yourself! visitowa.com

Sunday January 29

The Big Beach Marathon, Half Marathon 8:00 AM 101 E Beach Blvd Gulf Shores, AL, 36542 You are invited to join us for the Big Beach Marathon and Half Marathon in beautiful Gulf Shores, Alabama the weekend of January 29th & 30th, 2022. The courses are flat and fast running on the fully paved trails through Gulf State Park, with the start and finish located at the Hangout with stunning beaches and views of the Gulf of Mexico. bigbeachmarathon.com

Monday January 30

Winter Concert Series ($35)

7:00 PM Erie H. Meyer Civic Center, 1930 W 2nd St Gulf Shores, AL, 36542 Jim Witter’s The Piano Men https://www.gulfshoresal.gov/1426/Winter-ConcertSeries

Tuesday January 31

Winter Concert Series ($35)

7:00 PM Erie H. Meyer Civic Center, 1930 W 2nd St Gulf Shores, AL, 36542 Jim Witter’s The Piano Men https://www.gulfshoresal.gov/1426/Winter-ConcertSeries

Wednesday February 1

Winter Wednesdays Details January 4.

Thursday February 2

Sr. Bowl Summit

6:00 PM Saenger Theatre, 6 South Joachim Street Mobile, AL, 36602 A night with the Tide and Tigers. Moderated by famed football historian and Mobile, AL native Ivan Maisel, the annual Senior Bowl Summit brings together Alabama and Auburn football greats on stage for a memorable night as we listen to the best stories about their greatest moments as members of the Crimson Tide and Tigers. https://www.seniorbowl.com/

Expect Excellence Community Theatre presents “Disney’s The Little Mermaid” ($15)

7:00 PM Orange Beach Performing Art Center, 23908 Canal Rd Orange Beach, AL, 36561 https://www.orangebeachal.gov/423/PerformingArts-Center

Friday February 3

Sr Bowl Parade

6:30 PM Downtown Mobile, Mobile, AL, 36602 Join in on all the fun for the annual Senior Bowl Mardi Gras Player Parade at 6:30pm.

Expect Excellence Community Theatre presents “Disney’s The Little Mermaid” ($15)

7:00 PM Orange Beach Performing Art Center, 23908 Canal Rd Orange Beach, AL, 36561

https://www.orangebeachal.gov/423/Performing-ArtsCenter

Free Senior Bowl Concert

8:00 PM Cathedral Square, Mobile, AL, 36602 Join us for our free downtown concert, located at Cathedral Square featuring Nelly.

Saturday February 4

Pirate Dash 2023

8:00 AM Knoll Park, Fairhope, AL, 36532 Join us

Saturday February 4, 2023 for the Fairhope Pirate Dash to support all Fairhope Elementary Schools! Run or walk our 5k event through the beautiful Fruit & Nut district or take on the 1-mile fun run that is loved by both students & adults!

runsignup.com/Race/AL/Fairhope/FairhopePirateDash5k

Battlefield Blitz

8:00 AM Historic Blakeley State Park, 34745 State Hwy 225 Spanish Fort, AL, 36527 Registration for the park’s annual fundraiser, the Battlefield Blitz 5K and Fun Run!

https://www.blakeleypark.com/

Senior Bowl 2023

1:30 PM Hancock Whitney Stadium, 500 Stadium Dr Mobile, AL, 36608 The Reese’s Senior Bowl is widely regarded as the preeminent college football all-star game and the first stage in the NFL Draft process. www.seniorbowl.com

Expect Excellence Community Theatre

presents “Disney’s The Little Mermaid” ($15)

7:00 PM Orange Beach Performing Art Center, 23908 Canal Rd Orange Beach, AL, 36561 /www.orangebeachal.gov/423/Performing-Arts-Center

Mobile Opera presents Let Freedom Sing

7:30 PM Murphy High School Auditorium, 100 S Carlen St Mobile, AL, 36606

https://www.mobileopera.org/let-freedom-sing/

Sunday February 5

Massacre Island Secret Society (Dauphin Island)

10:00 AM Dauphin Island, Dauphin Island, AL, 36528

Massacre Island Secret Society (Dauphin Island)

Expect Excellence Community Theatre presents “Disney’s The Little Mermaid” ($15)

2:00 PM Orange Beach Performing Art Center, 23908 Canal Rd Orange Beach, AL, 36561

www.orangebeachal.gov/423/Performing-Arts-Center

Monday February 6

Winter Concert Series ($35)

7:00 PM Erie H. Meyer Civic Center, 1930 W 2nd St Gulf Shores, AL, 36542 Riders in the Sky www.gulfshoresal.gov/1426/Winter-Concert-Series

Tuesday February 7

Winter Concert Series ($35)

7:00 PM Erie H. Meyer Civic Center, 1930 W 2nd St Gulf Shores, AL, 36542 Riders in the Sky www.gulfshoresal.gov/1426/Winter-Concert-Series

57 www.facebook.com/easternshoreparentsmagazine
FamilyCalendar

Shen Yun

7:30 PM Mobile Civic Center, 401 Civic Center Dr. Mobile, AL, 36602 Take your family and friends on a magical journey and discover new hope for the future! The breathtakingly beautiful Shen Yun show is as inspiring as it is exciting. https://www.asmglobalmobile.com/

Friday February 10

Casino on the Coast 2023

6:00 PM - 10:00 PM, Orange Beach Event Center, 4671 Wharf Pkwy W Orange Beach, AL, 36561 A fun night of dinner, drinks and dancing.

Biggest fundraiser of the year. 100% of proceeds donated back to the South Baldwin community. Helps support many local nonprofit organizations. Scholarship money awarded to local high school seniors & Coastal Alabama CC students.

https://al-orangebeach.civicplus.com/Calendar.aspx?E ID=2802&month=2&year=2023&day=29&calType=0

Apollo’s Mystic Ladies

6:45 PM Daphne Civic Center, 2603 US-98 Daphne, AL, 36526 Starts behind the Daphne Civic Center on Scenic 98

Exit Stage Left presents LIFE Is

The Working Title

7:30 PM Foley Civic Center, 407 E. Laurel Avenue Foley, AL, 36535 A middle-aged playwright has been commissioned to write a new play. Without a subject to write about and a deadline quickly approaching, he looks for inspiration within himself. He finds this challenging when he is forced to face his inner struggles with past ghosts, while also in search of happiness in the various relationships in his life. 251-385-3753 https://exitstageleft.org/

Saturday February 11

Sea Turtle Half Marathon and Sweetheart 5k

7:00 AM The Hangout, 101 E. Beach Blvd. Gulf Shores, AL, 36542 Join us for a flat and fast race along our beautiful Gulf Coast beaches. T https://www.facebook.com/seaturtlehalf/

Mystic Mutts of Revelry Parade

3:00 PM Fairhopers Community Park, Church Street Fairhope, AL The Mystic Mutts of Revelry Parade is a walking Mardi Gras parade in downtown Fairhope, AL, for the canine population. This year’s theme is “Pawjama Party.” Both human and their pets are encouraged to wear “pajama’s” to the event. https://www.facebook.com/mysticmuttsofrevelry

Knights of Ecor Rouge

6:30 PM Fairhope Civic Center, Fairhope, AL Starts at the Fairhope Civic Center

Exit Stage Left presents LIFE Is The Working Title 7:30 PM Details on February 10.

Sunday February 12

Exit Stage Left presents LIFE Is The Working Title 2:00 PM Details on February 10.

Thursday February 16

Winter Concert Series ($35)

7:00 PM Erie H. Meyer Civic Center, 1930 W 2nd St Gulf Shores, AL, 36542 Marc Broussard www.gulfshoresal.gov/1426/Winter-Concert-Series

Friday February 17

Maids of Jubilee

6:45 PM Fairhope Civic Center, Fairhope, AL Starts at the Fairhope Civic Center on Section Street; south on Section to Fels Avenue; west on Fels to Church Street; north on Church to Fairhope Avenue; east on Fairhope to Bancroft Street; north on Bancroft to Magnolia Avenue; west on Magnolia to Church Street; south on Church to Fels Avenue; east on Fels to Section Street; north on Section to end at the starting point.

Sea Lab Science Friday: STEM: The Ocean Version

Dauphin Island Sea Lab, 101 Bienville Blvd Dauphin Island, AL, 36528 Sea Lab Science Friday: STEM: The Ocean Version, Please register at bit.ly/SeaLabScienceFridays. Ocean Drifters - 9:30-11:30 am, Trash(in) the Ocean - 1:00-3:00 pm and ROVing the Gulf - 3:00-5:00 pm bit.ly/SeaLabScienceFridays

Saturday February 18

Foley Parade

12:00 PM West Roosevelt and Alston Foley, AL Starts at West Roosevelt and Alston and travels north on Alston; turns west on 98 (West Laurel Avenue); turns south on Oak Street; turns east on West Roosevelt and ends at Alston.

Monday February 20

Order of Mystic Magnolias

6:45 PM Fairhope Civic Center, Fairhope, AL, 36532 Starts at the Fairhope Civic Center

Tuesday February 21

Gulf Shores Parade

10:00 AM Winn Dixie Shopping Center, Gulf Shores, AL

Orange Beach Parade

2:00 PM Perdido Beach Blvd Orange Beach, AL, 36561

Saturday February 25

I Pink I Can 4 Mile Run/Walk

9:00 AM Flora-Bama , 17401 Perdido Key Drive Pensacola, FL, 32507 The unique annual I Pink I Can Run 4-Mile Run/Walk for breast cancer will take place Feb. 25 at 9 a.m. from the Flora-Bama in Orange Beach, Alabama.

runsignup.com/Race/FL/Pensacola/IPinkICanRun

Every day through January 16

Ice Skating Rink

The Wharf, 23101 Canal Road Orange Beach, AL, 36561 Let us bring winter to you! Grab a pair of skates and glide, spin or fall into the season on real ice from November 11 - January 16 https://alwharf.com/

Every Monday

Free Build - STEM Play (Free) 9:00 AM - 12:00 PM, Fairhope Public Library, 501 Fairhope Avenue Fairhope, AL, 36532 Ages 2 to 10 years old. Come put your creative imagination to the test! We will put out all of our legos, soft blocks, lincoln logs, picnic pieces, buckets of dinosaurs, and more. Join us in the Activity Room for Free Build every Monday and Friday from 9am - Noon. 251-929-1465 www.fairhopelibrary. org/

Every Monday

MakerSpace Mondays at Fairhope Library

Krewe of Mullet Mates

2:00 PM Mullet Point, Point Clear, AL Mullet Point

Mystical Order of Mirams

5:30 PM Perdido Beach Boulevard, Orange Beach, AL A two-mile stretch of Perdido Beach Boulevard (Alabama 182) from west to east. Starting at Wintzell’s Oyster House (24131 Perdido Beach Boulevard) and ending at Alabama 161.

Mystics of Pleasure

6:00 PM Perdido Beach Boulevard Orange Beach, AL, 36561 A two-mile stretch of Perdido Beach Boulevard (Alabama 182) from west to east. Starting at Wintzell’s Oyster House (24131 Perdido Beach Boulevard) and ending at Alabama 161.

Shadow Barons

6:45 PM Daphne Civic Center, Daphne, AL Starts behind the Daphne Civic Center

Sunday February 19

Loyal Order of the Firetruck

2:29 PM Daphne Civic Center, Daphne, AL Starts behind the Daphne Civic Center

Krewe du Cirque

6:00 PM OWA, Foley, AL, 36535

6:00 PM Fairhope Public Library, 501 Fairhope Avenue Fairhope, AL, 36532 Ages 9+. Join us every Monday in the MakerSpace for fun, hands-on crafts and activities. We will have a different craft, experiment, or group activity every week! All materials are provided for free.

251-929-1465 www.fairhopelibrary.org/

Every Tuesday

Movers & Shakers Toddler Storytime (Free)

10:00 AM - 10:50 AM, Fairhope Public Library, 501 Fairhope Avenue Fairhope, AL, 36532 Ages 18 months to 2 years old. Join us for a special storytime just for toddlers every Tuesday at 10am in the Activity Room for silly books, silly songs, and fun crafts. This summer we will focus on ocean themed stories and crafts - perfect for our little explorers!

251-929-1465 www.fairhopelibrary.org/

Story time - Lap Babies (Free)

10:30 AM Daphne Public Library, 2607 US-98 Daphne, AL, 36526 Lap babies at 10:30 am (infant to 23 months) Songs, stories, puppets and more!

251-620-2500 www.daphneal.com/178/Library

Big Kid Storytime (Free)

11:00 AM - 11:50 AM, Fairhope Public Library, 501 Fairhope Avenue Fairhope, AL, 36532 Ages 3 to 7 years old. Join our super fun storytime every Tuesday at 11am, where we read new books, sing new songs,

Eastern Shore Parents I January 2023 www.easternshoreparents.com 58
FamilyCalendar

do creative crafts, and make new friends. This summer we will focus on ocean themed stories and crafts! 251-929-1465 www.fairhopelibrary.org/

Teen Writers

NaNoWriMo Group (Free) 6:00 PM Fairhope Public Library, 501 Fairhope Avenue Fairhope, AL, 36532

Teen Writers NaNoWriMo Group 251-929-1465 www.fairhopelibrary.org/

Last Tuesday of the month

Tech Tuesdays

4:00 PM Spanish Fort Public Library, 7361 Spanish Fort Boulevard Spanish Fort, AL, 36532 Tech Tuesdays (last Tuesday of the Month). Spanish Fort High School Seniors assist Senior Adults with Tech Headaches. Bing your device and/or your questions to the Spanish Fort Public Library for some hands-on tech assistance. Made possible by the Spanish Fort High School FFCLA chapter of https://fcclainc.org/ Family, Career and Community Leaders of America (FCCLA) 251-410-READ www.spanishfortpubliclibrary.org

Every Wednesday

Centennial Park Story Time (Free)

10:30 AM Centennial Park, 1706 Main Street Daphne, AL, 36526 Centennial Park Story Time 251-620-2500 www.daphneal.com/178/Library

Storytime Wednesday - Spanish Fort Library

10:30 AM Spanish Fort Public Library, 7361 Spanish Fort Boulevard Spanish Fort, AL, 36527 Join the Spanish Fort Public Library for stories, songs, and group time each Wednesday morning at 10:30 a.m. Best for ages 5 and under.

251-410-READ www.spanishfortpubliclibrary.org

Bookworm Bandits Book Club (Free)

4:00 PM - 5:00 PM, Fairhope Public Library, 501 Fairhope Avenue Fairhope, AL, 36532 Ages 8-12. Need some fun books to read this summer? Ms. Casey has you covered! Join her every Wednesday

in Study Room #2 to discuss what you’re reading and chat about the monthly book club picks. Books are provided for free. Questions? Email tweens@ fairhopelibrary.org 251-929-1465 www.fairhopelibrary.org/

Storytime - Page & Palette

10:30 AM Page & Palette, 32 S Section Street Fairhope, AL, 36532 Please join us on Wednesdays at 10:30 AM for storytime! Each week, Miss Paula share a silly story the whole family will enjoy. 251-928-5295 www.pageandpalette.com

Every Thursday

Babies and Books Storytime (Free)

10:00 AM - 10:45 AM, Fairhope Public Library, 501 Fairhope Avenue Fairhope, AL, 36532 Ages Newborn to 18 months. Join us for our special storytime just for babies and caregivers every Thursday at 10am for nursery rhymes, silly songs, tummy time, and sensory play.

251-929-1465 www.fairhopelibrary.org/

Storytime Thursday - Spanish Fort Pblic Library

10:30 AM Spanish Fort Public Library, 7361 Spanish Fort Boulevard Spanish Fort, AL, 36527 Join the Spanish Fort Public Library for stories, songs, and group time each Wednesday morning at 10:30 a.m. Best for ages 5 and under.

251-410-READ www.spanishfortpubliclibrary.org

Pre-K Story Time (Free)

10:30 AM Daphne Public Library, 2607 US-98 Daphne, AL, 36526 Pre-K story time at 10:30 am (24 months to 4 years) stories and craft. 251-620-2500 www.daphneal.com/178/Library

Homeschool Hour

11:00 AM - 11:55 AM, Fairhope Public Library, 501 Fairhope Avenue Fairhope, AL, 36532 Ages 8-14. Join us every Thursday at 11am for Homeschool Hour! We will explore a new topic every week, followed by a hands-on craft or STEAM based activity. The idea is to explore fun topics in a laid-back, relaxed setting - the perfect place to make new friends! Need more info? Email youthservices@fairhopelibrary.org 251-929-1465 www.fairhopelibrary.org/

Every Friday

Free Build - STEM Play (Free)

9:00 AM - 12:00 PM, Fairhope Public Library, 501 Fairhope Avenue Fairhope, AL, 36532 Ages 2 to 10 years old. Come put your creative imagination to the test! We will put out all of our legos, soft blocks, lincoln logs, picnic pieces, buckets of dinosaurs, and more. Join us in the Activity Room for Free Build every Monday and Friday from 9am - Noon.

251-929-1465 www.fairhopelibrary.org/

Every Saturday

ART Club Saturday

9:30 AM - 10:30 AM, Spanish Fort Public Library, 7361 Spanish Fort Boulevard Spanish Fort, AL, 36527 ART Club Saturday! 9:30 – 10:30 limit of 15 participants. Best for ages 7 and up. Advance registration is recommended to ensure we have enough supplies. Visit https://www.spanishfortpubliclibrary.org/sfplevents for more information.

251-410-READ www.spanishfortpubliclibrary.org

Every first and third Sunday

Animal Ambassadors

2:00 PM Five Rivers Delta Center, 30945 Five Rivers Boulevard Spanish Fort, AL, 36527 Join us at 2 PM as we present one or more of our live educational animals. Free, family friendly, no registration required. www.outdooralabama.com/activities/5-rivers-alabama-delta-resource-center

Second and fourth Sundays

Mobile

Bay Maker’s Market

11:00 AM - 3:00 PM, Along Mobile Bay at The Pier, Fairhope, AL, 36532 Taking place every 2nd and 4th Sunday of the month, the Mobile Bay Maker’s Market features over 35 local artisans, farmers, and makers along the gulf coast. The event takes place just south of the Fairhope Municipal Pier. Food trucks are also on site.

We make every effort to ensure the accuracy of these calendar events. However, you should call ahead to confirm dates, times, location, and other information.

59 www.facebook.com/easternshoreparentsmagazine
FamilyCalendar

Is Your

Child

Talking to a Stranger Online (Part One)

We all remember when our parents warned us “not to talk to strangers.”

For those of us north of 35, that mostly meant we were not to talk to someone in person we did not know. Or do not talk to someone who approaches you that your parents do not know. Today this takes on a whole different meaning. Do not talk to strangers now applies more to the “online space” than the “in-person” space. But what are the odds that your kid will talk to someone online they do not know? And how early is this happening?

Every parent worries about online predators at some point, and we must be cautious. While it is rare for our kids to be contacted by a predator, it does happen, and it is best to be prepared. While the incidence of these unwanted contacts seemed to be declining between 2005-2010, the numbers surged back up post-pandemic. This is due to many of us being isolated and on our devices more than ever, giving predators a perfect opportunity to take advantage of and manipulate new online users.

Today’s article will be the first of a two-part series. First, we will discuss how these dangerous interactions can come to be in the first place and the risks associated. Then, next month, we will discuss how to prevent it from happening and how to talk with your child specifically.

A recent survey in 2019 of almost 4000 children found that 43 percent, ages 8-13, are talking to people they do not know online. They chat either via social media or gaming platforms. Some research indicates kids as young as five are chatting with strangers. This typically happens when they get access to gaming devices. It is equally terrifying that more than half of these kids are providing their addresses and phone numbers. We will also be remiss to think these conversations happen only among young children. Teens are just as guilty, and the incidence of meeting these strangers in person rises once young kids become teenagers. Many of these meet-ups result in a teen being taken. So chatting with a stranger can have many consequences, ranging from inappropriate conversations to grooming, soliciting of pictures, and even sex trafficking.

In reality, anyone can create a fake profile and pretend they are someone else. These predators can “groom” your child into thinking they are your child’s best friend or, for older kids, someone with whom they can have a romantic relationship. Research shows that predators will wait days, months, or even years to establish a strong relationship with your child or teen before they act on any plans they have for your child. It is incredibly easy for hackers to glean information from young children and then use it to access their parents’ accounts.

With older teens, we see a disturbing trend of predators using information to blackmail teenagers. For instance, if inappropriate pictures have been shared, the next step may be to ask for videos. If those are shared, then the predator may ask for more videos. If the teen refuses, this is when harassment and blackmail begin. This becomes a viscous, exhausting, and terrifying cycle that most teens feel they cannot escape.

Let me stop here for a second and mention that many times instead of an unknown predator asking for pictures or information, the “predator” is someone your child DOES know. More often, I see kids and teens pressuring one another for inappropriate information and pictures than I see predator activity.

As parents, we want to lead from confidence and knowledge rather than fear. Next month we will discuss what to look for specifically on your child’s devices and what conversations to have. In the meantime, your best defense is your open dialogue with your child and random device checks. It will be your absolute best way of discovering what your child is doing online.

Kristi Bush serves as a national education consultant and social media safety advocate.

She is a licensed social worker with greater than 15 years of clinical practice and health care experience.

She attended Troy and Auburn University where she studied social work and counseling. Kristi travels nationally and has spoken with thousands of children, parents, professionals and organizations about the benefits and threats associated with social media. You may reach Kristi through her website at www.knbcommunications.com.

Eastern Shore Parents I January 2023 www.easternshoreparents.com 60
1 www.facebook.com/auburnopelika.parents Parents stop hpv Keep Your Kids Cancer Free! More than 26,000 new cases of HPV cancers could be prevented with HPV vaccination Prevents of HPV cancers 90% Protects boys and girls against half a dozen cancers including cervical and other HPV cancers. Don’t Delay. contact your childs doctor today! Vaccine costs are covered by most insurance programs, Medicaid, and the Vaccine for Children Program (VFC). HPV Vaccine is Cancer Prevention! 90% Visit alabamapublichealth.gov/imm for more information and other available resources. Don’t Wait to Vaccinate AGE AT FIRST DOSE DOSE #2 DOSE #3 9 years until 15th birthday 6-12 months after dose #1Not Needed 15 years or older 1-2 months after dose #2 Approximately 4 months after dose #2

Turn static files into dynamic content formats.

Create a flipbook
Issuu converts static files into: digital portfolios, online yearbooks, online catalogs, digital photo albums and more. Sign up and create your flipbook.