Eastern Shore Parents December 2022

Page 1

SUNDAY GATHERINGS DECEMBER 4, 11, 18

Fairhope Campus • 8:00, 9:30, 11A Daphne Campus • 8:45 & 10:15A Robertsdale Campus • 9:00 & 10:30A

*SOAR (Special Needs Ministry) o ered at 9:30A, only at the Fairhope Campus

DECEMBER

CHRISTMAS EVE GATHERINGS

CHRISTMAS EVE GATHERINGS

25 • ONLINE ONLY

DECEMBER 22

Fairhope Campus • 5:00 & 6:30P Daphne Campus • 6:00P

*SOAR (Special Needs Ministry) o ered at 5:00P, only at the Fairhope Campus

DECEMBER 24

Fairhope Campus • 12:30, 2:00, 3:30, 5:00P Daphne Campus • 1:00, 2:30, 4:00P Robertsdale Campus • 2:00 & 4:00P

*SOAR (Special Needs Ministry) o ered at 5:00P, only at the Fairhope Campus

FAIRHOPE CAMPUS

10274 State Highway 104 Fairhope, AL 36532

DAPHNE CAMPUS

10080 County Rd 64 Daphne, AL 36526

ROBERTSDALE CAMPUS 21630 Highway 59 Robertsdale, AL 36567 LEARN MORE AT

Eastern Shore Parents I December 2022 www.easternshoreparents.com 2
3CIRCLECHRISTMAS.COM
5 www.facebook.com/easternshoreparentsmagazine Departments Columns 14 Teacher of the Month 16 School Bits 44 Book Reviews 60 Family Calendar 6 Publisher’s Note Lynn Knighton 8 Meeting Kids Where They Are Beth Long, PhD, LPC, BCBA 13 Kids Health Watch Sponsored by Magnolia Springs Pediatrics 40 Dinner’s Ready Gabriele Jones 64 Tweens, Teens and Screens Kristi Bush, LSW On The Cover Harper
months),
Lauren
grandparents
Connie and Bill Boatner and
Harper loves her two-fur siblings and sliding at the park. Volume 15 Number 7 December2022 Encouraging Empathy How to help your child develop empathy to its full potential. 46 58 Giving and Receiving Ideas for teaching them to be givers, not only “getters”. 50 7 Experience Gifts Consider giving your kids the gift of a new experience this Christmas. 42
Marie Butts (age 19
daughter of
and Tyler Butts. Her proud
are
Ron and Cathey Kellerhouse.

The holidays are officially upon us. Calendars are filling up with school programs and church concerts while our to-do lists are growing by the day. If we are not careful, a wonderful time with family and friends can become a season of stress. Unfortunately, if you are like me, most of that stress is self-inflicted. I overcommit and put too much pressure on myself, not to mention the way that I overthink the gifts I give. The irony in that is I am not a great gift-giver. You would think someone putting so much thought into gifts would be a fabulous gifter, but I tend to miss the mark. For example, buying the “perfect” phone case but for the wrong size phone.

I am improving, though. I mentioned last year that I have gotten more into giving experiences like concert tickets, gift certificates for classes, or movie passes. We have loved this concept because it gives the recipient something to look forward to, plus a wide variety of options for experience gifts. In addition, experience gifts don’t have to be expensive either. Maybe wrap up some materials for s’mores with a certificate for a night of camping in the backyard. Or even some popcorn and movie box candy with a certifi cate to have a movie night and stay up past bedtime. Sarah Lyons offers some great ideas in 7 Experience Gifts to Give Kids This Season. Get creative with how you wrap the gift so it will be fun to open! For example, you might attach the concert tickets to a band tee or other merch. If you are giving a yoga class gift certificate, wrap it with a yoga mat or water bottle. Not feeling very creative? Just pop on Pinterest, and I am sure you will find some fun ideas.

While we are speaking of experiences and the holidays, you will want to flip over to our Holiday Happenings Guide, which is packed with many holiday outings that are perfect for making memories with your family. Make sure you check out the Family Calendar also to find even more community events for December.

With all of the gift-giving around the holidays, we need to be mindful that our kids are not becoming desensitized to the unique nature of receiving a gift. Instead, we want them to be grateful for all they have and all they receive. So how can we foster and encourage an attitude of thankfulness? Sandi Schwartz has given us some helpful ideas to consider in her feature, How to Balance Receiving with Giving. Something I would like to add to her article is to involve children in the gift process. For example, give them a budget, or have them make something, so they can experience for themselves the thought, time, and effort that goes into giving someone a gift. Maybe even give them cute stationary to write thank you notes after the holidays.

On that note, please remember those struggling financially and/or emotionally this holiday season. Make it a family priority to give back and help those in need. It doesn’t matter if you have a big donation to give to a charity, if you are helping an older neighbor with some repairs, or even just sharing a smile with someone. You never know how that act of kindness may give that person the hope and encouragement they need.

May God bless you with peace, love, and joy this season,

lynn@easternshoreparents.com

The Eastern Shore’s Foremost Parenting Source

Eastern Shore Parents Magazine, is founded on the principle that parenting is an exciting, diverse, challenging, and significant, role in our community. Eastern Shore Parents Magazine is a community advocate for families and the parenting process.

Publisher

Lynn Knighton lynn@easternshoreparents.com

Editor DeAnne Watson deanne@easternshoreparents.com

Research Editor Lucy Green

Contributing Writers

Kimberly Blaker

Kristi Bush, LSW Gabriele Jones

Beth Long, PhD, LPC, BCBA Sarah Lyons Dave Ramsey

Robert L. Rux, M.D. Sandi Schwartz

Cover Photography

Jenn Glies Photography www.jenngliesphotography.com

President Jason Watson jason@easternshoreparents.com

Advertising Opportunities

Lynn Knighton ads@easternshoreparents.com (251) 929-2099

Ad Design

Tim Welch

Web Content Manager

Scott Davis

Visit us online at www.easternshoreparents.com

Eastern Shore Parents magazine is published monthly by KeepSharing, LLC. Mailing address: P.O. Box 374, Montrose, Alabama, 36559. The phone number for voice and fax is (251) 929-2099.

Eastern Shore Parents is copyrighted 2022 by KeepSharing LLC. All rights reserved. Reproduction in whole or part without written permission is prohibited. Opinions expressed in Eastern Shore Parents magazine are those of the authors and do not necessarily reflect the view of the owners, nor do they constitute an endorsement of products and services herein.

www.easternshoreparents.com

Eastern Shore Parents I December 2022
6
Lynn Publisher’sNote

My husband and I recently watched Summer Rental, a 1985 movie about a family on vacation. We noticed a stark difference be tween the behavior of the children in this older movie and the behavior of children in more recent productions. The children in “Summer Rental” were more realistic. They talked too much but could entertain themselves without elec tronics, complained, and argued with one another. Children in current family movies are often depicted as quiet, rational, and glued to devices. The difference between the parents was also drastic.

The parents from the 80s movie were in control and demanded respect. Unfortunately, modern media often displays weak parents who care more about making their children happy than about raising productive, healthy adults. It was shocking to see what I observe in my practice daily displayed on the screen.

I often speak with pediatricians, their nurses, and other mental health professionals about the pattern we are all seeing of parents looking for a medical diagnosis instead of simply accepting their responsibility and the

reality of parenting. Unfortunately, many fac tors play into the epidemic that Leonard Sax, MD refers to as “The Collapse of Parenting.”

One factor you may not be aware of is that drug companies are profiting from misrepre senting typical childlike behavior as a medical problem. For example, when I was in graduate school, a bipolar disorder diagno sis required episodes of depres sion and mania to last for days (at least). In the mid-1990s, a group of Harvard researchers success fully argued that bipolar disorder in children was different because the cycles lasted only minutes. Accord ing to their research, children who were sad one minute and happy the next were “abnormal,” which led to a forty fold increase in the prescriptions of Resperdal and Seroquel. When the research team was investigated, it was determined they were paid $4 million by the companies that produced these drugs.

There is an epidemic of parents not owning up to the responsibility of raising chil dren well. Instead of learning how to parent effectively and creating environments that set children up for success, some are looking for excuses, explanations, and accommodations.

How do we fix this? We empower parents to control what they can. The research consis tently reveals that food, sleep, and media significantly impact behavior. You have control of these things. Your children may not like the limits you set, but this is YOUR responsibility.

1. Feed them healthy foods. I always ask interns to notice any commonalities between problem behaviors and nutrition. After only a day or two of doing intakes, every intern has reported that children with the most significant behavior problems only eat highly processed foods full of carbohydrates. These foods spike blood sugar, causing irritability.

2. Ensure they get 10 to 12 hours of sleep each night. A lack of sleep creates symptoms consistent with ADHD and several other diagnoses. Keep bedrooms free of toys and electronics, create consistent bedtime routines, and use sound machines. If you have done everything you can to help your child sleep and nothing works, discuss it with your pediatrician.

3. Place strong limits on video games and handheld media. A growing body of evidence reveals how detrimental these devices are to brain development. Also, these devices limit social interactions and learning experi ences. It is important for children to be bored, observe their environments, and communicate constantly with the people around them.

Dr. Beth Long received her education in Counseling Psychology from Chapman University. She is a Licensed Professional Counselor and Board Certified Behavior Analyst.

Beth has worked in six unique clinical environments across the country and currently owns Works of Wonder Therapy in Montgomery. Beth utilizes the knowledge from a variety of differ ent disciplines to give her patients the best care possible. To learn more visit www.worksofwondertherapy.com.

Eastern Shore Parents I December 2022 www.easternshoreparents.com 8
Control What You Can
251.928.9292 www.stricklandorthodontics.com Give the gift of a confident smile! Mention this ad and we will match your initial payment up to $500!

Magic Christmas in Lights

Bellingrath Gardens and Home is entering into the 28th year of Magic Christmas in Lights, a Christmas light display that is deeply beloved by the community of the Gulf Coast. The annual display takes place November 25, 2022 through January 4, 2023. There has been a new scene added to the show for the last two years, and this year is no different. Bellingrath will be adding a new scene to this year’s show that will be sure to catch the eyes and hearts of our guests. It is top-secret as to what the scene is and where it will be, but it is pink. The Magic Christmas in Lights crew has been working diligently to get all of the lights on display all throughout the Gardens and around the Home. Hot chocolate, s’mores, classic concessions, and more will be available in the Gardens for the duration of Magic Christmas in Lights. There is a special opportunity to view this year’s show before it is open to the public for those who are interested in getting an exclusive sneak peek.

Bellingrath Gardens and Home will be closed on December 25, 2022 and January 4, 2023.

Mobile Ballet presents The Nutcracker

Mobile Ballet brings the unmatched tradition and magic of The Nutcracker to the Mobile Civic Center Theater on December 10th and 11th!

Outstanding guest artists share the stage with Mobile Ballet Company and students in this holiday favorite, with exciting choreography by Katia Garza performed to Tchaikovsky’s timeless score. Join Clara and the Nutcracker Prince in their adventures with the Mouse King and the Sugar Plum Fairy in this magical story that delights audiences of all ages!

Guest artists for this production include Melissa Gelfin Depoli and Rafael Quenedit of Cincinnati Ballet, Adrian Fite and Simon Plante of Ballet West, and audience favorite Daniel Benavides of Orlando Ballet will be returning. Mobile Ballet’s production of The Nutcracker has been a hallmark of the holidays for 35 years and continues to be a cherished annual tradition for the entire Gulf Coast region.

The holidays just aren’t complete until you come see The Nutcracker! Three performances are available: Saturday, December 10th at 2:30pm and 7:30pm, and Sunday, December 11th at 2:30pm. Tickets are $20-$60. Visit www.mobileballet.org to purchase tickets or learn more about Mobile Ballet.

9 www.facebook.com/easternshoreparentsmagazine
Merry Christmas! FROM EASTERN SHORE PRESBYTERIAN CHURCH Community Carol Sing on the Bluff: Dec 10 @ 4:00 PM Christmas Eve Services: 4:00 & 5:30 PM Christmas Day Services: 9:15 & 11:00 AM easternshorepca.org | 251.928.0977

40th Annual Christmas Festival

Join the North Baldwin Chamber to celebrate 40 years of fun ‘round the Courthouse Square for the 40th Annual Christmas Festival in Bay Minette, AL! Enjoy a two day festival on December 2-3, 2022, full of Vendors, Entertainment, Food, Kids Activities, a 5K & Fun Run, the Annual Twilight Christmas Parade, Ping Pong Prize Drop, and so much more! For more information, please visit northbaldiwnchamber.com, find the event on Facebook and/or email marlee@northbaldwinchamber.com!

Impact Youth Theater presents

“Tiramisu

with a Touch of Christmas”

Impact Youth Theatre presents “Tiramisu with a Touch of Christmas”.

Prodisee Pantry One Family One Day Campaign

HUNGER is not just an issue over the holidays. But, it is forefront in our minds as we prepare to join family and friends for holiday festivities. So many families in our area are worried about putting healthy food on the table on a regular basis. Inflation, rising food prices and higher gasoline are really crushing families’ budgets. Did you know that Prodisee Pantry can fill the plate of a hungry family for one day for just five dollars? Just this year families will have visited Prodisee Pantry over ten thousand times for this most basic need… a need filled with over 600 tons of groceries!

The One Family One Day Campaign is simple: Donate $5 and Fill the Plate of #OneFamilyOneDay at Prodisee Pantry! A simple way to support a hungry local family with three nutritious meals for one day! Donate online by simply scanning the QR Code which links to our website at prodiseepantry.org/ donate or drop a donation by Prodisee Pantry at 9315 Spanish Fort Blvd, Spanish Fort, AL 36527.

Prodisee Pantry provides locally sourced fresh fruits and vegetables, milk, meats and staple food items along with encouragement and connections to dozens of other services that address other needs! This community ministry runs on the energy of volunteers, the generous donations of the community and the power of prayer! For more information on Prodisee Pantry visit www. prodiseepantry.org.

FEEF Beneficiary of the Winn Dixie Community Bag Program

Fairhope Educational Enrichment Foundation has been chosen as the beneficiary of the Winn Dixie Community Bag Program. FEEF will received $1 for each $2.99 reusable bag purchased at the Fairhope Winn Dixie during the month of December. Help support the Fairhope Schools feeder pattern by purchasing one of the reusable bags at Fairhope Winn Dixie this month!

The Eastern Shore Elf is BACK

The Eastern Shore Elf is BACK and will be spotted shopping throughout the Eastern Shore at his favorite small businesses. This year, he has a special surprise and will be celebrating the 12 Days of Christmas at each stop. Each place he stops in Fairhope, Daphne and Spanish Fort will have a 12 Days of Christmas theme! Follow along on the Eastern Shore Chamber of Commerce’s Facebook and Instagram pages.

The Eastern Shore Elf is a social media campaign put together by the Eastern Shore Chamber of Commerce to help raise awareness and remind people to shop small on the Eastern Shore during the holiday season.

Eastern Shore Parents I December 2022 www.easternshoreparents.com 10

Impact 100 Baldwin County Names 2022 Grant Recipients

Five area non-profits will now be able to better fulfill their missions thanks to new grants from Impact 100 Baldwin County. At its annual An Evening of Impact on October 26, Impact 100 Baldwin County awarded $545,000 total to Lillian Recreational Park (project- Parks and Recreation- The Heart of the Community), Alabama Sheriff Youth Ranch- Baldwin County Boys Ranch (project- Vocational Program for Ranchers), Stapleton Volunteer Fire Department (project-Protecting and Preparing for Growth), Ecumenical Ministries (projectEmmy’s Thrift Store Expansion) and Ruff Wilson Youth Organization (project- Fortifying for the Future). They will each receive $109,000. The non-profit organizations were selected from a competitive field of applicants and vetted by a rigorous review process including site visits, financial analysis and in-depth discussions within the respective focus group. The finalists made a short presentation about their projects at An Evening of Impact. Members voted tonight for whom they found most compelling, and the results were announced at the end of the event. These awards bring the total invested in our community to over $5 million. Visit www.impact100baldwincounty.org for information.

“Christmas in the Fort” Events

Join the City of Spanish Fort for Christmas in the Fort. We will kick off this Christmas season at Spanish Fort Community Center (7361 Spanish Fort Blvd) with the annual Christmas Tree Lighting & Movie Night at 5pm on Sunday, December 4. Light refreshments will be served, and live music will lead the community in Christmas carols as the City tree is brought to life with Christmas lights. Afterward, families are invited to join the City of Spanish Fort and Spanish Fort Public Library for a short family holiday film.

On Saturday, December 10, “The Spirit of Christmas” Parade will take place at Eastern Shore Centre (30500 AL-181) at 6pm. The Spirit of Christmas Parade is led by the prestigious Daphne-Spanish Fort Air Force JROTC Color Guard and Cadets, followed by the award-winning Spanish Fort High School Marching Band and cheerleaders, Miss Spanish Fort High School, and the Grand Marshal. Adding to the holiday cheer are local civic groups, dance troupes, floats decorated by church and business organizations, and more! Of course, The Spirit of Christmas Parade would not be complete without a visit from the jolly old elf himself, Santa Claus, arriving with a little assistance from the Spanish Fort Fire Department!

Last but not least, children of all ages are invited to bring their adults to Spanish Fort Community Center at 6pm on Thursday, December 15, for ‘Twas the Night Before Christmas Book Reading. Children are encouraged to wear their favorite pajamas and bring their coziest blanket to snuggle while we sing Christmas carols and listen to our favorite holiday stories. The final story, Clement Clarke Moore’s beloved Christmas classic, ‘Twas the Night Before Christmas, will be read by a special guest from the North Pole! After Storytime, families have a chance to share their holiday hopes with Santa before enjoying cookies and warm cocoa.

For more information, contact the City of Spanish Fort at 251-626-4884 or visit www. cityofspanishfort.com/christmasinthefort.

11 www.facebook.com/easternshoreparentsmagazine
OUR FRIENDS ARE EXCITED TO SEA YOU THIS HOLIDAY! VISIT THE ALABAMA AQUARIUM PURCHASE YOUR TICKETS TODAY DISL.EDU/AQUARIUM Dauphin Island Sea Lab OPEN 7 DAYS A WEEK 102 BIENVILLE BLVD., DAUPHIN ISLAND, AL 36528 251-861-7500

The Bay Shore Ballet Theatre Presents “The Nutcracker”

Fairhope’s Bay Shore Ballet returns to the stage this December with performances of the legendary holiday classic ballet, “The Nutcracker”, to be presented at the Fairhope Civic Center on Saturday, December 10th at 2 p.m. and 7 p.m., and on Sunday, December 11th at 3:00 p.m.

This year marks Bay Shore Ballet’s 26th annual production of this famous story ballet, celebrated and beloved throughout the world. Janet

Carole, artistic director and former principal ballerina with Les Grands Ballets Canadiens in Montreal, the Oakland Ballet, and soloist with the Pennsylvania Ballet, resets this timeless story in two acts with talented dancers from around the bay area. Performing to the beautiful score of Peter Tchaikovsky, the story comes to life with professional sets and scenery featuring the artistry of the late William Loyed.

Bay Shore Ballet Theatre principal dancers Katy Ford and Anna Bowler Conyers alternate in the starring role of the Sugar Plum Fairy, pairing with principal dancer Zachariah Woods as the Nutcracker Prince. Ms. Ford and Ms. Conyers also appear alternately as the Snow Queen, and principal dancer Abby Kate Long and Alivia Dowden appear alternately as The Rose Queen in the sparkling Act II Waltz of the Flowers. The role of young Clara is danced by Gianna Barfield and the role of her Uncle Drosselmeyer is played by Joe Roh. Mary Elizabeth Roh takes the role of the menacing King of the Rats, who is defeated along with his straggly army of rats in a battle against the toy tin soldiers and the heroic Nutcracker. The exotic dance of Arabian Coffee is highlighted alternately by Abby Kate Long and Courtney Oden dancing as the Arabian princess. Stephanie Barfield appears as the delightful Mother Ginger in the Kingdom of Sweets, dancing along with her gingersnaps. Other featured Bay Shore Ballet Company dancers include Courtney Oden and Meredith Bates, alternately as the Ballerina Doll, and company senior dancer Mary Elizabeth Roh as Little Bo Peep. Marlee Calhoun dances as the Chinese soloist and Caroline Adamski, Alyssa Schaffer and Meg Galloway are featured in the in the Russian Dance.

Tickets for “The Nutcracker”, $12, can be purchased on-line at eventbrite.com (http://eventbrite.com/) for the Bay Shore Ballet’s production of “The Nutcracker” and will also be sold at the door. For more information call 251-990-9744, or www.bayshoreballet.com.

Eastern Shore Parents I December 2022 www.easternshoreparents.com 12

KidsHealthWatch

Sponsored

RSV Strikes Again

Now that the pandemic is over, we are seeing a lot of different infections coming back in full force! Of course, the flu is bad right now, but I want to educate you about an illness that can affect infants and those with underlying medical issues, especially lung problems. I’m talking about Respiratory Syncytial Virus or RSV. RSV is a virus that can cause serious respira tory symptoms in kids of all ages, but especially in infants. RSV usually starts off as a simple cold with a runny nose, a little cough, and stuffiness. However, over the course of a few days, it can progress to wheezing and rapid shallow breathing (80-90 times per minute). I know there are several daycares and schools that have sent notes home regarding RSV, so I want you to be armed with information. Let’s talk about what is happening in the lungs so we can understand the treatment.

Bronchiolitis is the general term for the infection that RSV causes. RSV isn’t the only cause; it’s just the most common and can be the most dangerous. In bronchiolitis, the lower airways become very inflamed and pro duce a lot of mucus. This obstructs the air

ways, causing respiratory symptoms. While there is no foolproof way to prevent bronchi olitis, washing hands frequently and avoiding sick exposures can help. However, there are some risk factors. Anyone in daycare, even mother’s day out for a few half days a week, anyone exposed to cigarette smoke, and younger siblings of school-age children are at risk. The time from exposure to fullblown symptoms can be a few days, but the illness itself can last from 7-21 days, depending on the severity!

The virus is highly contagious and is spread through the air.

The reason RSV is such a big deal is that it has been responsible for severe respi ratory illnesses, hospitalizations, and even death in younger and/or premature infants. Not all cases are this serious, but sometimes they can be, so be alert. The hard part about RSV in young infants and premature babies is that rapid, shallow breathing can lead to fatigue and poor air exchange. When a child gets fatigued, they also tend to eat and drink less, which can lead to dehydration.

The treatment of RSV is tricky. Since it is a virus, antibiotics don’t help eliminate the primary infection. However, you can develop secondary bacterial infections after the initial infection. The best treatments are support ive care. Humidifiers and saline drops can be useful, and sometimes, if the respiratory symptoms are severe enough, a nebulizer or breathing machine can help. The diagnosis of RSV is made at your doctor’s office, and treatment options can be discussed. The most important thing is to keep a child hydrated. Frequently a child with RSV will take less volume of formula or breast milk at any sitting because of the increased work of breathing and fatigue. But a child will feed more often, so their intake will still be okay over 24 hours.

Be on the alert, RSV is here this year. Don’t hesitate to discuss this with your physi cian, especially if you have a young infant with respiratory symptoms.

Robert L. Rux, M.D. is a Board Certified Pediatrician at Magnolia Springs Pediatrics. Originally from Mobile, he attended medical school at The University of Alabama School of Medicine (UAB) and completed residency at The Children’s Hospital of Alabama (UAB).

13 www.facebook.com/easternshoreparentsmagazine

“When you see a student realize what they are capable of or when they perceive the world in a new and exciting way, it just makes your day,” shared Mr. Paul Saboe, our Eastern Shore Parents Teacher of the Month. Mr. Saboe has been teaching for a total of 24 years. He has been teaching freshman World History at St. Michael Catholic High School for the last four years.

“Like a parent, teachers live vicariously through their students, and when they succeed, we succeed,” said Mr. Saboe. “I work with students in the classroom and also coach our Model United Nations team. My favorite teaching moment was seeing our older students chair and running a Model UN conference for area middle and high school students in the spring and fall. Our Model UN team received the Best Delegation Award, the top conference honor, at the University of Alabama Model UN Conference this past February.”

Working with high schoolers can be chal lenging as the students grow into their own persons. When it comes to keeping his freshmen motivated and engaged, Mr. Saboe shares that he treats them with respect and attention.

“My students know I care about them, and I engineer moments of small successes

so that they feel capable as the challenges grow during the year. They know that I am out to help them reach their potential and that every assignment we do serves a purpose. Ultimately, I feel my job is not just to teach but to build culture and community.”

Whatever Mr. Saboe is doing with his stu dents, it works. Having won the 2021 Nappie for Coolest Teacher in Baldwin County and now being featured as ESP’s Teacher of the Month, he joked it might be time to retire. However, that doesn’t seem to be in the cards anytime soon.

“While I hope the students understand and enjoy the history we cover, we are a skills-oriented class. I use history to teach essay writing, public speaking, critical thinking, and skills that will serve my students in courses to come and in life in general,” shared Mr. Saboe. “I also try to teach them how to be people of good ethos - with goodwill, good sense, good character. Finally, they should acknowledge and realize that “The Empire Strikes Back” is clearly the best of the Star Wars movies.”

Paul Saboe relocated to Fairhope, AL eight years ago because he had the opportunity to teach at St. Michael, a fairly new school at the time. He has two Bassett Hounds, Webster and Penny, and often volunteers with the Alabama Bassett Rescue. He loves reading, watching un-educational TV shows, and enjoying nature at Five Rivers, Bayfront Park and Weeks Bay.

Paul Saboe St. Michael Catholic High School
15 www.facebook.com/easternshoreparentsmagazine

Autauga County Schools

Renowned Author Visits Bay Minette Middle School

The Fly High Goose Foundation has made a $1,000 donation to the Baldwin County High School Sporting Clays team. Amber and Kelly Johnson presented the donation during the second annual Fly High Goose Foundation Clay Shoot. Coaches Jason Crysell, Gayland Hadley, Billy Roberts, and team member Reed Roberts accepted on behalf of the BCHS team.

Robertsdale Elementary Art on Display

Congratulations to the following Robertsdale Elementary students who had their art on display at the Honeybee Festival: 1st grade- Nataly Galvan, Connor New house, Giovanni Garcia, Saul Obispo, Caleb Leachman, Cora Thomas, Addie Sims and Lily Wells

2nd Grade -Imani Taylor, Chance Perkins, Elli Rose Del Rio and Kynslee Sirmon

3rd Grade - Olivia Martinez, Kaylee Olson and Hannah Doss

4th Grade - Gabby Welch, Alicia Galeano Soza and Jedi Ott

5th Grade - Anaya McAlman, Ella Abdo, Amia Rogers, Donald Golden, Corbin Wilson, Dixie Hadley, Yeida Martinez and Ayla Metzler

6th Grade - Bella DeCilles and Ansley Rabren

All Saints’ Chapel at St. James St. James kindergarteners enjoyed their All Saints’ Chapel service as each student dressed as and presented information about their saint!

Renowned author Jason Reynolds met with students at Bay Minette Middle School today in a private event as part of the final leg of his “GRAB THE MIC: Tell Your Story” platform. The event was moderated by Lenise Ligon with Fox10 News along with BMMS students Starla Chapman and Jy’Quan Benjamin. Students in the crowd were also permitted to ask questions of the author, who shared about his writing experiences and motivations. Reynolds is currently the National Ambassador for Young People’s Literature through the Library of Congress in Washington D.C. Bay Minette Middle School is one of only nine schools across the country that Reynolds visited in person during this last year of his ambassadorship. BMMS was chosen out of hundreds of applicants based on a proposal submitted by their librarian, Ronda Campbell. Schools involved with the “GRAB THE MIC” tour each received a Story Cube which is a stand-alone device that allows students to create, edit, and print stories of their own. Story Cubes are specifically designed for classroom use and offer educators a fun, immersive way to inspire creative thinking and analysis. The Cube will allow students to share their stories with select peers participating in the program nationwide.

Simon & Schuster Publishing along with the Dollar General Literacy Foundation donated signed copies of Reynolds’ book, Look Both Ways: A Tale Told in Ten Blocks to all students participating in the event.

Jason Reynolds is the author of 13 books for young people including Look Both Ways: A Tale Told in Ten Blocks, a National Book Award finalist, which was named a Best Book of 2019 by NPR, The New York Times, The Washington Post, and Time.

A native of Washington DC, Reynolds began writing poetry at 9 years old and is the recipient of a Newberry Honor, a Printz honor, an NAACP Image Award, and multiple Coretta Scott King Award honors.

Eastern Shore Parents I

Christ The King Catholic Spanish Class

Second grade students at Christ the King Catholic made “Titeres de Dedo” with Senora Davidson in celebration of “El Dia de los Muertos”. Students in Kindergarten-8th grade participate in Spanish Class at CTKCS.

Spanish Fort Elementary New Book Vending Machine

Spanish Fort Elementary School is excited to unveil our new book vending machine! This was made possible with last year’s Boosterthon and our PTA. It is now time to fill it with books!

Stonebridge Elementary Learns about Veterans Day

Miss Gore’s class at Stonebridge Elementary loved having Jaxon’s dad, Chief Warrant Officer Jimmy Stewart, come to our class to teach us about Veterans Day!

17 www.facebook.com/easternshoreparentsmagazine
MKT-5894K-A-A1 AECSPAD Life is full of moments that matter. We can help you get ready for that next moment. Cheryl A Smith Financial Advisor 9805 Millwood Circle, Suite A Spanish Fort, AL 36527 251-621-0781
> edwardjones.com | Member SIPC

Autauga County Schools

St. Michael Sailing Team Wins First Place

On October 29th, the St. Michael sailing team won first place in the Gulf Coast Fall Brawl! Sailing for St. Michael (pictured below from left to right) were Fisher Key, Nate Hartwell, Anna Christian Moore, and Gavin Byrnes. The sailing team will round out the Fall Season the weekend before Thanksgiving at the Great Oaks Invitational at Southern

Congratulations to Fairhope Middle Cheer

Eastern Shore Parents I December 2022 www.easternshoreparents.com 18
News and
Congratulations to Fairhope Middle School Cheerleaders and Coach Searcey for earning Program High Score, 2nd Place in a tough division and a bid to State at AHSAA Super South Regionals! Go Pirates! Send School
Photos to: lynn@easternshoreparents.com!

Bay Minette Elementary Kickball Tournament

Sportsmanship. Team spirit. Working together. Cheering for others. Students at Bay Minette Elementary are learning life skills of sportsmanship, team spirit and working together. Physical Education students participated in the BMES “World Series” kickball tournament. Student teams were selected based on their sportsmanship and leadership skills. Students were assigned roles on the team such as team manager, athletic trainers, referees, and scorekeepers, and were in charge of the games. Students cheered for their team members, gave high fives, patted each other on the backs, and excited for everyone. Although two teams were selected as “winners” of the tournament all participants were winners for their character, how they played the game and how incredible they conducted themselves.Photos courtesy BMES

CubScout Pack 177 Holds Family Camp Out

CubScout Pack 177 of Spanish Fort held their annual fall Family Camp Out at Historic Blakeley State Park. Webelos Scouts Tristan Labrato (left) and Jonathan New (right) are examining a full body snake skin they found.

Full STEAM Ahead at W. J. Carroll

Students at W. J. Carroll Intermediate used their imagination, know how, and tools to bring their ideas to life during their STEAM lab today.

19 www.facebook.com/easternshoreparentsmagazine

Math Operations at Belforest Elementary

Belforest Elementary 6th Grade students are learning about the order of operations by evaluating expressions! Medical teams are collaborating in their areas of specialty, to solve real-world problems! They are having a blast in 6th Grade math!

Eastern Shore Parents I December 2022 www.easternshoreparents.com 20
busy harvesting turnips and radishes to donate to Prodisee Pantry.

Insulators Studied at Fairhope East Elementary

Mrs. Farmer’s fourth grade scientists at Fairhope East Elementary are exploring conductors and insulators.

Foley High School 7A Regional Champs

Congratulations to the Foley High football team on securing the 7A region football title! Go Lions!!

21 www.facebook.com/easternshoreparentsmagazine

Short the Squirrel Visits Belforest

Short the Squirrel visited Belforest Elementary 2nd and 3rd graders. Short shared his newest book and encouraged students to allow reading to take them to different places. Short the Squirrel has been named the Mascot for Alabama Literacy!

Autauga County Schools

are being added to our Service Learning Tree for volunteering their PE time to help lay ground cover in

Spanish Fort Middle Honors Veterans

Spanish Fort Middle School honored veterans during the Annual Veteran’s Day Assembly, organized by Mrs. Monica Shaner, our 7th grade Civics and Geography teacher. A special thanks to AG1 Christopher Cordell for being our keynote speaker. Thank you to all our veterans who were able

Spanish Fort CTE Leadership Students Attend Conference

Spanish Fort High School CTE leadership students participated in the Joint Development Leadership Conference (JLDC) where they were able to listen to lectures on leadership as they prepare for lives beyond high school!

Global Traveling Mural Project at Stonebridge Elementary

their mural. Once the pieces arrive, we will connect them to make a new 10-foot mural that represents schools from across the USA. There are currently over 130 schools from all over the world participating in this 2022 Global Traveling Mural Project.

Eastern Shore Parents I December 2022

swim meet last night! The team had 31 Time Improvements, 6 Individual First place finishes, 31 Sectional Qualifying swims, and 6 Individual State Meet qualifying times. A big congrats goes out to Lena Amare, Noah Greer, Stephen Laraway, and Anastasia Newton for their individual event 1st places!

East Elementary

Peer Helpers at Daphne East Elementary were trained to be Alphabuddies! Some of them will begin working with kindergarten students who need extra help learning their letters next week. The rest will be ready if needed!

23 www.facebook.com/easternshoreparentsmagazine

Autauga County Schools

Boy Scouts from Christ The King Catholic School Thank Veterans

Boy Scouts from Christ the King Catholic School participated in the Mobile Bay Area Veterans Day Parade in Mobile, AL. The boys were proud to show their love and support to all those that courageously sacrifice their lives for our country.

together for feasting, fellowship, and fun in celebration of the season.

Eastern Shore Parents I December 2022 www.easternshoreparents.com 24
Send School News and Photos to: lynn@easternshoreparents.com!

Daphne Middle Students Place in Public Library Bookmark Contest

Three of Mrs. Sherry Bittinger’s 8th grade art students at Daphne Middle School placed in the annual, Daphne Public Library Bookmark Contest: From left to right: Kam Wright, 3rd place, Kyra Lamont, 2nd place, and Gracie Wake, 1st place. The winners received a certificate and ribbon. Congratulations!

Helping navigate the mental health system for teens and children.

Services are FREE and confidential. Services provided by phone are not medical advice and should not be considered as such.

Services are provided via telephone by licensed mental health professionals who recommend the most appropriate mental health resources.

Fairhope High School Care Closet Expanded

FHS is happy to announce that our Care Closet has expanded!!

Approximately six years ago, members of FBLA-Future Business Leaders of Americacame up with an idea of a service project to create an area that would house free school supplies to any FHS student in need. It did not take long for that little idea to grow into something much larger that also provided things from clothing to personal hygiene products to a food pantry for students. A few weeks ago, that area grew even larger as it moved from a corner of the school’s book room into a classroom. The area not only grew in size but also grew in what it provides to our students. The Care Closet now has the following items for any student at FHS free of charge: t-shirts, pants, shorts, socks, shoes, backpacks, jackets, coats, a complete collection of personal hygiene products, notebooks, composition books, pens, pencils, highlighters, binders, folders, graph paper, etc, and now men’s dress shirts, dress pants, sport coats, ties, girl’s dresses and business attire to be utilized for job interviews, sports banquets, and/or school dances.

PIRC is available seven days a week, from 8 a.m. to 11 p.m.

PIRC is NOT a crisis or suicide hotline. Call for mental health resources.

This wonderful resource would not have been possible without contributions from many community members, community organizations, FHS clubs, FHS administration and countless hours spent by members of FBLA. If you have a student in need of any item provided by the Care Closet, please contact your grade level counselor, Mrs. Barrett or Mrs. Lee our social workers, any FHS admin, or our school nurses. Your child’s needs will be handled in a professional and confidential manner. Pictured are FBLA members Harrison Sparks, Gracie Gardner and Ryleigh Busby sorting and hanging items that were donated to the Care Closet.

www.facebook.com/easternshoreparentsmagazine
The PIRC is
generously supported by funding from the Anne B. LaRussa Foundation of Hope, United Way of Central Alabama, the Daniel Foundation of Alabama and the Walker Area Community Foundation.
(7472) 205- 638 - PIRC
PIRC-0003_PIRC_Ad_Montgomery-Parent-4.9x7.25.indd 1 10/11/22 3:37 PM

Autauga County Schools

Bayside Students Perform Well in Daphne Public Library’s Bookmark Contest

Bayside Academy is proud to congratulate our 2022 winners of the Daphne Public Library’s “Back-to-School” Bookmark Contest. The contest is sponsored by the Friends of the Daphne Public Library and is open to all students in Baldwin County. Bayside had two overall winners and many students placing in the top three for each grade level.

Overall Winners in the Teen Category

2nd Place Overall Winner: Isabelle Rutland (11th grade)

3rd Place Overall Winner: Mattie Lee (9th grade)

Grade Level Winners

Kindergarten

1st Place: Ann Copeland Snead

2nd Place: Nora Ridley

3rd Place: Thompson Sanders First Grade

1st Place: Crew Keenan 2nd Place: Fig Taylor

Eleventh Grade

1st Place: Emma Atkinson

2nd Place: Starla Ou

Twelfth Grade

3rd Place: John Henry Johnson

Picture 1: Bayside Academy’s Early Childhood Center winners of the 2022 Daphne Public Library Bookmark Contest: Nora Ridley,

Picture 2: Bayside Academy’s Lower School winners of the 2022 Daphne Public Library Bookmark Contest: Mary Margaret Wells,

Fourth Grade

1st Place: Lucy Smith

Fifth Grade

2nd Place: Dahlia ElSalibi

3rd Place: Andrew Ray Seventh Grade

3rd Place: Natalie Johnson Tenth Grade

2nd Place: Annie Midyett

Finn Mason, Aubrey Cates Rider, Art Teacher Shannon Noble holding Barrett Kimbrell’s ribbon and bookmark, Lucy Smith, Fig

the 2022 Daphne Public Library Bookmark Contest: Natalie

Picture 4: Bayside Academy’s Upper School winners of the 2022 Daphne Public Library Bookmark Contest: Front Row: John Henry Johnson, Annie Midyett, Starla Ou, and Emma Atkinson.

Eastern Shore Parents www.easternshoreparents.com 26

Daphne High Trojan Theatre Drama Club Competes at Trumbauer

A big congratulations goes out to the members of the DHS Trojan Theatre Drama Club members who participated in the Trumbauer Theatre Competition. They were amazing and brought home 8 medals of Excellence and 28 medals of Superiority (all advancing to State competition).

Patrick Graham - Superior (advancing to State) in Dramatic Monologue

Chloe Sivak - Excellent in both Dramatic Monologue & Musical Dramatic Solo

Lilah Nagel - Superior (advancing to State) in Comedic Musical Solo

Tralise Pounds - Superior (advancing to State) in Stage Management

Emily Mercer & Olivia Powe - Superior (advancing to State) in Duet Pantomime

Isabelle Davis - Superior (advancing to State) in Classical Dramatic Monologue & Excellent in Comedic Monologue

Addison Ratliff - Superior (advancing to State) in Dramatic Musical Dramatic

Laurel Burcham & Addison Ratliff - Superior (advancing to State) in Classical Comedic Duo

Audrey Alcathie - Superior (advancing to State) in both Musical Dramatic Solo and Musical Comedic Solo

Chelsea Williams - Superior (advancing to State) in both Musical Dramatic Solo and Musical Comedic Solo

Sadie Houston - Excellent in Musical Solo Dramatic

Lauren taylor & Sadie Houston - Superior (advancing to State) in Comedic Musical Duo

Lauren Taylor - Superior (advancing to State) in Comedic Musical Solo

Jake Houston - Excellent in Solo Musical Dramatic

Cole Wilson & Jake Houston - Superior (advancing to State) in Comedic Musical Duet

Lily Melton - Excellent in Solo Musical Dramatic

Gracie Robinson - Superior (advancing to State) in both Musical Comedic Solo and Comedic Monologue

Madison Lang - Superior (advancing to State) in Musical Dramatic Solo

Sheridan Fawcett - Excellent in Makeup Design

Reagan Reid & Lily Melton - Excellent in Classical Comedic Duo

Em McAlexander - Superior (advancing to State) in Musical Dramatic Solo - Superior (advancing to State) in Musical Dramatic Solo - Superior (advancing to State) in Group Musical

27 www.facebook.com/easternshoreparentsmagazine

J. Larry Newton Students

Visit the Pelican’s Nest

Mrs. Bowman’s class had a fun-filled afternoon at the Pelican’s Nest and studying the Mobile Bay estuary!

Autauga County Schools

Baldwin County Cross Country Team Members Qualify for State

The Baldwin County High School Cross Country Team had four members qualify for the state competition. They include sophomores Drew Dykes, Byron Rodriguez and Ben Selph; and senior Kailee Cox. This marks the fourth consecutive year for Cox to qualify for state. Rodriquez is making his second appearance at the state competition while Dykes and Selph will compete at state

Fairhope East Elementary Uses Vex IQ Robotic Program

Students and teachers at Fairhope East Elementary are so excited to start using the Vex IQ robotic program. Our school received the Alabama State Department of Education AMSTI Alabama Robotics Grant Program funding.

Eastern Shore Parents I December 2022 www.easternshoreparents.com 28

Local Schools Named to Leader in Me Lighthouse Academic Honor Roll

Congratulations to Daphne Elementary School and Fairhope West Elementary 2022 Leader in Me Lighthouse Academic Honor Roll school. These schools serve as exemplars for Leader in Me Schools throughout the world.

The Lighthouse Academic Honor Roll to recognize Leader in Me Schools that have both met the rigorous requirements necessary to achieve and maintain Lighthouse School Certification and shown exemplary academic growth or proficiency as measured by state accountability standards.

The Lighthouse Academic Honor Roll is determined through the data analysis of an independent nonprofit—Schooldigger.com—a website focused on empowering families with reliable data about the performance of their children’s school. The Schooldigger. com algorithm scores on a percentile ranking, comparing like schools across the state. To meet the academic proficiency standard, a school must be at or above the 85th percentile for the state’s combined proficiency standards. To meet the academic growth standard, the school must be at or above the 50th percentile and have shown a 5 percent growth from the previous year’s percentile ranking.

National STEM Day at Robertsdale Elementary
High
STEM program NOVEMBER 25, 2022 – JANUARY 4, 2023 Closed December 25, 2022 and Janauary 1, 2023 12401 Bellingrath Gardens Road • Theodore, AL 36582
Robertsdale
School

Visit Foley Optimist Club

Members of Foley Middle School Peer Helpers were guests at the Foley Optimist Club. Alexis Ables, Cole Reid, Haedyn Shoots, and Isabella Garcia shared their experiences in Peer Helping this year. They discussed training, mentoring, tutoring, Mane Event, Red Ribbon Week plans, and what they have planned for the rest of the year. Everyone enjoyed the good food and visiting with members of our community.

Autauga County Schools

Baldwin County K9 Visits Daphne East Elementary

The Baldwin County K9 Unit visited Daphne East Elementary School Kindergarten - 3rd grade students as a continuation of Red Ribbon Week. Thank you Baldwin County Sheriff’s

Special Grant

Congratulations to Bay Minette Elementary ‘s very own Jennifer Gee. Recipient of the Baldwin EMC Operation Round Up Star Light Grant. We are extremely proud of you! (Mrs. Gee is not pictured she is currently on maternity leave).

J. Larry Newton Students Raise Donations for Hurricane Ian Victims

J. Larry Newton students collected monetary donations for the Leroy Nottingham Firefighter Paramedic Benevolent Fund to assist those

at Rockwell Elementary

Rockwell Elementary kicked off Red Ribbon Week with a fun DRONE picture of all of our students! The Spanish Fort Police Department brought their drone over and got some FUN shots of our students. Chief Barber presented a very special Chief’s Coin to Rockwell’s Red Ribbon Representative, Andrew for his work in raising money for the Spanish Fort Police Department. This honor is not something given frequently. THANK YOU CHIEF BARBER! THANK YOU to our Rockwell families for purchasing the t-shirt that was the fundraiser for the drone project! They are available to wear all year!

ROCKWELL IS ROCKIN’ A DRUG FREE LIFE!

www.easternshoreparents.com

Students at St. James Honors Veterans

2nd and 3rd graders at St. James School led a Veteran’s Day Program along with Lt. John Port. Students sang God Bless America, recited the Pledge of Allegiance, and helped Lt. Port raise the flag!

Robertsdale High Cheerleaders

31 www.facebook.com/easternshoreparentsmagazine
Congratulations to Robertsdale High School Cheerleaders on making it to 6A State Championship!
6A State Championship
Send School News and Photos to: lynn@easternshoreparents.com!

St. Michael Students Enjoyed Trick or Treating

St. Michael students enjoyed “Trick or Treating” to all of their teachers on October 31st, during the Principal’s Assembly time.

Autauga County Schools

Fairhope Middle Held its Annual Veterans Day Celebration

Fairhope Middle School held its annual Veterans Day celebration honoring local veterans and their military service. Each branch of the military was recognized with attending veterans. The honored guests were celebrated with a reception following the event. Students, band members, and the Fairhope High JROTC were on hand to

Simulated Workplace at South Baldwin Center for Technology

Students at South Baldwin Center for Technology are learning valuable workplace skills while still in high school. Members of the BCBE Board toured SBCT today to see firsthand this incredible technology, prior to joining the workforce. These simulators allow students real-life workplace scenarios.

Eastern Shore Parents I December 2022 www.easternshoreparents.com 32

Christ The King Catholic Field Trip Fun!

Encore! Encore! Third grade students from Christ the King Catholic School travelled to the Fairhope Civic Center to see the Eastern Shore Repertory Theatre’s production of Newsies Jr. Not only was this a wonderful exposure to arts education, students were able to cheer for fellow classmates participating in the show!

Bayside Had Successful Cereal Box Drive

Bayside Academy’s Key Club held a “Crunch Hunger” cereal box drive benefiting Prodisee Pantry in Spanish Fort. The school-wide initiative brought in more than 1,400 boxes of cereal, ensuring that

STEAM

Lab at Foley Elementary

Foley Elementary School’s awesome STEAM lab, Mrs. Whitehead’s Class designed and tested their own Mayflower ship to sail on the ocean!

33 www.facebook.com/easternshoreparentsmagazine

Bayshore Christian Celebrates Another State Championship!

Send School News and Photos to: lynn@eastern shoreparents.com!

Bayshore

Christian Bayshore Christian School’s Kindergarten classes celebrate the 50th Day of School in style!

Peer Helpers from Silverhill Elementary attended the 9th Annual Jennifer Claire Moore Foundation Peer Helper Jubilee Convention!

Spanish Fort Elementary Use Art to Raise Awareness

To raise awareness of Autism, Mrs. DiMario’s class created “Glitter Bottles” and used their creativity to create artwork by finger painting. These activities brought awareness to how art can be a soothing and a great form of selfexpression.

Central Baldwin Middle School Veterans Day Decorating Contest

CBMS held a hallway decorating contest in honor of Veterans Day! Thank you to our judges Mayor Lyles of Silverhill, Mayor Teal of Loxley, Loxley Police Chief Chip Cason, and Brooke Flowers from the City of Loxley. Congrats to our winners Mrs. Lohn, Mrs. Judy, and Mrs. Spoon!

Eastern Shore Parents www.easternshoreparents.com

The future is bright! These 3rd and 4th grade girls and boy did an amazing job in their first day of Future Teachers Club at Fairhope West Elementary! They planned, practiced and delivered a fun Thanksgiving read aloud to some of our 1st graders! Way to go Future Teachers! in our community because of you!

South Baldwin Center for Technology’s

Virtual Dissection Table

BCBE Board Members and administrators toured South Baldwin Center for Technology today to view the new Anatomage Table in Health Sciences. It’s the world’s first virtual dissection table! There are only 3 units in high schools across the state and all three are in Baldwin County: South Baldwin Center for Technology, North Baldwin Center for Technology, and Foley High. This type of technology will give students a first-hand, simulated experience while in high school. The Health Science cluster provides students with essential knowledge and skills for pursuing a career in health care. Students choose one of five Health Science pathways- Therapeutic Services, Health Informatics, Support Services, or Biotechnology Research and Development. Since its beginning in 2004, Anatomage has continuously dedicated itself to developing and innovating medical imaging technology. The innovations in volumetric visualization, 3D image segmentation, surgical planning, and simulation have laid the foundation for the company’s core technologies. To keep up with the everchanging healthcare market needs, Anatomage’s software team has been striving to put forward the most cutting-edge technology solutions.

35 www.facebook.com/easternshoreparentsmagazine

Bay Minette Beta Club Lends a Hand

Send School News and Photos to: lynn@eastern shoreparents.com!

Foley High National Technical Honor Society

Foley High School National Technical Honor Society inducted 24 new members this year. This is the largest class of inductees to be inducted into the Foley High NTHS.

Bayshore

Christian Hosts Senator Elliott

BCS would like to thank Alabama State Senator Chris Elliott for visiting and speaking to our 12th and 8th-grade students last month!

students competed at the Walter Trambauer High School District Theatre Festival. In their individual events for acting and Tech categories they received 12 superior scores advancing to state and 7 excellent scores. Brandon Blais, Danielle Woods and Hayden Taylor were named All Star Cast Members. Ava Macoikas, Megan Nelson were named Best Supporting Actors. Isabelle Acosta, Caroline Pierce were named Best Leading Actors. Spanish fort High School’s “Too Many Daughters” won Best Ensemble and 1st place in Studio Theatre. We also received a “Best in Show” for our Studio Theatre and they’re advancing to state!

Eastern Shore Parents I December 2022 www.easternshoreparents.com
The Bay Minette Middle School Beta NTHS celebrates the accomplishments of today’s career and technical education students.

Daphne Elementary Veterans Day Display

The Eastern Shore Chamber of Commerce was enjoying the Veteran’s Day artwork outside Daphne Elementary School North when they met a Daphne Elementary School 2nd grader. She proudly showed off her artwork and said veterans are “brave, kind, and protect us.” She gave a salute to all veterans and told us about her great grandfather who once served our country. Thank

Special Guests at Foley Elementary

Mrs. Sullivan’s class at Foley Elementary School had some very special guests this week.

The branches of service represented were the Army, Air Force, Navy, and the Marines. We are thankful for

37 www.facebook.com/easternshoreparentsmagazine
Homecoming Spirit Week at BCS was a huge hit this year! Our students had some great creativity and tons of fun!
Gift Certi cates Available Hours: M-F 10am-5:30pm Sat 10am-2pm

Autauga

St. Michael’s Annual Guys Camping Retreat

30 young men participated in St. Michael’s annual Guys Camping Retreat October 23-24th at Blakeley State Park. The young men enjoyed hiking, food fellowship and Mass in the beautiful outdoor setting.

County Schools

Engineering at Fairhope West

Third grade engineers at Fairhope West Elementary in Mrs. Cork’s class designed and tested pumpkin launchers today using the engineering design process. They worked collaboratively to plan, create, and test their launchers. They learned that not all builds go as planned but they were able to use these lessons to plan for improvement!

Foley Middle Virtual Field Trip

Students in Mr. Anderson’s classes at Foley Middle School traveled all over Washington D.C. on a virtual field trip. During the trip, students learned about the White House, the National Mall, and other iconic locations!

Eastern Shore Parents I December 2022 www.easternshoreparents.com 38
Mobile and Baldwin County’s Board Certified Allergy Experts coastalallergyasthma.com Call us today to schedule your appointment!

GlenLakes Golf Club Announces Scholarship Opportunity

As GlenLakes Golf Club owners enter their 10th year of business, they have decided to give back to their community. GlenLakes is planning their first ever scholarship program for their junior golfers. They will be offering these scholarships in May 2023 to graduating high school students who have participated in their youth golf program. Interested graduating seniors in May 2023, who have participated in the GlenLakes Junior Golf Program should contact David Musial for more information (251-9551220). Applications open January 1 and the deadline is February 28.

To raise funds for the scholarship program, GlenLakes will be hosting their first ever Scholarship Golf Tournament April 14, 2023, 8 A.M. Shotgun start, lunch and awards following play. If you are interested in supporting this scholarship program by registering to play, sponsoring, making a donation or volunteering your time, please contact Linda B. Spangrud, 815-978-5976.

Recognized Veterans Day

Bayside Academy recognized Veterans Day on Friday, November 11, with a school-wide ceremony with The StarHouser and Sammy Giattina led The Pledge of Allegiance.

a personal connection to Bayside Academy and its students were recognized individually on the field for Bayside Band treated the crowd to a lovely rendition of the United States Armed Forces Medley. Veterans from each branch of service stood

at attention as their song was played.

We were honored to have Dr. Jason Halbert ’95, prior service member of the U.S. Army Special Operations Command, serve as the keynote speaker, and he gave an inspiring talk to our students and future veterans. Bayside Academy is truly grateful to every veteran for their service to our great country.

www.facebook.com/easternshoreparentsmagazine

It’s hard to believe, but Christmas has arrived and celebra tions are in full swing for families on the Gulf Coast. This month’s Din ner’s Ready recipe, brought to you by Dar lene Jones from Orange Beach, AL, might just be the perfect addition to all those upcoming family meals.

“I’m sharing the original recipe that my grandmother, Lucy Bell, always had at her annual Christmas party - Lucy’s Sweet Glazed Ham,” said Darlene. “My grand mother always held her party on Decem ber 22nd and everyone in the family knew that was her day for family, no excuses.”

Darlene has since carried this tradi tion on with her own family. She has been married to her husband, Bob, for 40 years, and together they have four boys and eight grandchildren.

“Since retiring and becoming empty nesters, my husband and I enjoy trying different restaurants. I don’t cook as often as I did when the boys were growing up and living at home,” Darlene shared. “Even still, my hobbies are collecting reci pes and cookbooks and watching cooking shows. I probably have every cooking gadget made. I seriously have a problem.”

Darlene’s ham recipe is very versatile, so you can make it your own by adding some of the twists she shares below. She also decided to add her own recipe for Candied Yams since they pair so well together. Her hope is you might enjoy add ing these family-favorite recipes to your own tradition.

Lucy’s Sweet Glazed Ham (Original Recipe)

Serves approx. 6-8 people Prep time is approximately 15-20 minutes

Ingredients

• 6-8 lb. Smoked Half Ham, Shank or Butt

• 1 cup apple juice (any sweetened juice such as pineapple, cherry, or grape can be substituted)

• 1 heaping tsp grape jelly (or use the jelly, jam, or preserves you prefer, espe cially if using a different juice)

• 1/4 cup packed light brown sugar

Directions

Preheat oven to 350°. Remove any excess fat from ham, then score ham with knife. Scor ing helps the sauce get into the ham. Place scored ham in deepsided oven proof dish.

In medium saucepan, combine apple juice, grape jelly and brown sugar on low to med-low heat until the jelly and brown sugar has dissolved and is warmed through.

Pour half of the sauce over scored ham. Cover with foil and bake 30 minutes per half pound. Halfway through, pour remaining sauce over ham, cover and continue baking. Then uncover, baste ham with the sauce it has been cooking in, and cook 30 minutes more.

Candied Yams

Serves 4-6; Prep time: 20-25 minutes

Ingredients

• 4-5 med sweet potatoes

• 1 stick (1/2 cup) butter + 2 Tbsp for greasing oven-proof serving dish

• 1/2 cup granulated sugar

• 1/2 cup firmly packed light brown sugar

• 1/4 cup Karo syrup (light or dark)

• 1/4 cup maple syrup

Preheat oven to 350°.

Cover sweet potatoes in large pot with cold water (do not peel). Bring to boil on high and then lower to medium, boiling for 20 minutes. This step makes for easier peeling and shortens the cooking time. Potatoes will not be done at this stage.

Pour off water, and rinse with cold water until able to safely handle.

Peel and slice potatoes into wedges and put into but tered oven-proof serving dish.

In a medium saucepan, melt butter over low heat, add sugars and syrups, stirring until sugars dissolve. If sauce is too thick add 1/4 cup orange juice. Pour sauce over potatoes in dish.

Cover and bake 45 minutes, then un cover and bake 15-30 minutes more.

Gabriele has been married to her husband Daniel for 16 years. Together they have three incredible children - two boys, ages 15 and eight, and a sweet girl who joined the family last summer. She is a full time Pink Cadillac Sales Direc tor for Mary Kay Cosmetics. When she isn’t spending time with family or building her busi ness, she supports her husband who is the Lead Pastor and Planter of Forward Church in Foley.

Eastern Shore Parents I December 2022 www.easternshoreparents.com 40

Bayside Academy is an independent, coeducational, college preparatory day school offering a superior educational opportunity to students in grades PK-12. For details, please visit www.baysideacademy.org or call 251.338.6446.

41
www.facebook.com/easternshoreparentsmagazine

Does it feel like your kids already have more toys than they could ever want? I love the holidays and the spirit of gift-giving, but every year, I wonder what toys my kids could possibly want and where they will go in our already crowded home. Experience gifts are a great gift option that has benefits for kids, parents, and other gift-givers.

Here are some excellent experience gift ideas for every child on your list.

Eastern Shore Parents I December 2022

Season pass

One of my family’s favorite gifts is seasonal passes to local attractions. This saves us money and encourages us to get out, enjoy our city, and make memories along the way. Some attractions to consider are zoo admission, a local museum, amusement park tickets, or swimming season passes to the area pool.

Subscription box

A subscription box is a great gift idea especially for tweens and teens who are hard to buy for. They are now available for any age, interest, and price range. So if your child loves science, reading, art, games, or sports, chances are there is a subscrip tion box that will fit their interests.

Classes and camps

Consider giving the gift of prepaid classes or camps that fit your child’s interest. Some ideas include dance, gymnastics, sports, cooking, art, or music. Classes and camps can be ex pensive but are worth the money and allow kids to try something new.

Travel

Consider combining your holiday and vacation budget by taking a family trip. Whether it’s an overnight trip to a nearby indoor water park or a cross-country trip, traveling is a great way to expose your child to different places and build family memo ries simultaneously.

Tickets

Tickets to a favorite sporting event, concert, or show is a great idea for a gift for the whole family. Combine the gift with a T-shirt to wear to the event or a backstage tour to make the day more memorable.

Box it up

If your budget is a little smaller, try putting together several things in a box for your child to enjoy. For example, create a movie box with a movie or video rental gift card, candy, popcorn, and a warm blanket so the family can enjoy a movie night at home. Combine art supplies, sketchbooks, paints, and other craft items for an art box. You could also put together a cooking box, ingredients for homemade playdough with cookie cutters, or a gardening box with seeds, gloves, and tools. Get creative and combine your child’s interests to create a customized package.

Adventure gifts

For the adventurous child, look for experience gifts that give them a chance to try something they wouldn’t usually get to do. Some ideas could include horseback riding, fishing, camp ing, rock climbing, indoor skydiving, or a day at a gym with an obstacle course or trampolines.

With an experience gift, your child will create great memo ries while enjoying something they may not have had the opportunity to try otherwise. A bonus is that there is no need to store the item after the child has grown tired of playing with it.

ESP HOSTED BY: EASTERN SHORE PRESBYTERIAN CHURCH

43 www.facebook.com/easternshoreparentsmagazine
Sarah Lyons is a freelance journalist and contributing writer. JOIN US FOR A COMMUNITY CAROL SING ON THE BLUFF DECEMBER 10TH 4 P.M. DECEMBER 17TH 4 P.M. (RAIN DATE)

SOMETHING TO SMILE ABOUT

At Glass Orthodontics, you’re more than just another faceyou’re a unique person and our team values that. With one dedicated doctor and a hands-on team, everyone will know your name! Consultations are always complimentary and we offer flexible appointments and interest free payment plans. With four locations to serve you, there is always something to smile about at Glass Orthodontics.

45 www.facebook.com/easternshoreparentsmagazine D AP HN E • ATMORE • B AY MIN E TT E • BREWTON 25 1.6 2 6.7 7 70 | GL A SSO R THO.CO M
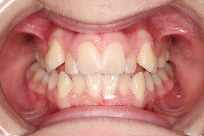
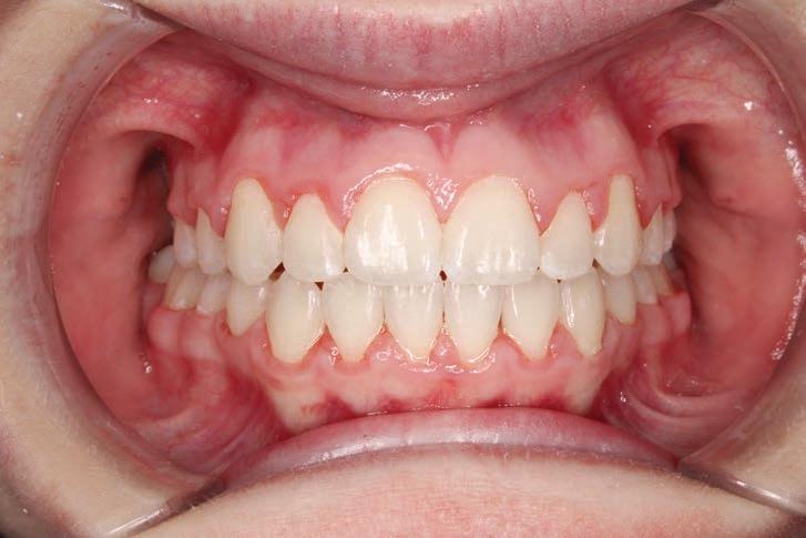
BEFORE AFTER
AFTER

One of the critical challenges of holiday time is that our children get so used to receiving oodles of gifts that they begin to expect that they will always get more and more. But have you noticed how quickly they lose interest in many toys they receive during the holidays?

Eastern Shore Parents I December 2022 www.easternshoreparents.com 46

Showering our children with gifts every year can end up being detrimental if they become numb to the excitement of presents and focus only on the receiving side of the holidays. However, there are several ways to instill some balance so that our children learn to appreciate what they receive while also giving to others.

Express Gratitude

Gratitude is one of the most impor tant ways to boost happiness, provid ing us with incredible psychological, physical, and interpersonal benefits. It improves our health, reduces stress, and helps us focus on the positive aspects of life. In addition, teaching our kids how to step back and be thankful for what they have will keep them grounded and help them realize just how lucky they are to receive toys and other gifts at holiday time.

You can encourage your kids to express their gratitude for the gifts they receive by writing thank-you notes to friends and relatives. You can also go around the dinner table and invite everyone to say how grateful they are for each gift and why it is so meaningful to them. Finally, journaling is one of the most popular and effective ways to ex press gratitude. It encourages our kids to acknowledge the joyous moments in their day, no matter how insignificant they may seem. Consider giving them their own gratitude journal this holiday season, so they have the perfect place to record what they are thankful for, including their holiday gifts and other special moments throughout the year.

Learn That Less Is More

How many dolls does one little girl really need? If you dig through your chil dren’s old toys, you may be taken aback by how many of each item they have: mul tiple puzzles, games, cars, trucks, plastic figures, and art supplies. It never ends. When they are showered with too many presents, it reduces the interest value of each toy very quickly. According to Kim John Payne in Simplicity Parenting: Using the Extraordinary Power of Less to Raise Calmer, Happier, and More Secure Kids, kids who are inundated with toys are so overwhelmed that they are unable to play by themselves and can even develop focus issues.

47 www.facebook.com/easternshoreparentsmagazine

It is essential to teach our children how to pick and choose a few special gifts they would like and not go overboard. Par enting coach Carla Naumburg developed a fabulous poem to inspire the types of presents to give to children for the holidays that help make each gift meaningful. This approach goes beyond just the toys chil dren typically want, allowing parents and children to be more creative with gifts.

Something you want, something you need, to wear, to read.

Something to see, something to spare, something to cook, something to share.

Give to the Less Fortunate

The holiday season can quickly become a shopping spree if we are not careful. But this is a particularly critical time of year to remember those who cannot cel ebrate the holidays like we are with piles of gifts. December is the perfect time to clean out the playroom and practice some giving. Spend time each year going through every nook and cranny to weed out the old toys before you bring in the new ones. Ask your children to collect piles of items to recycle, throw away, and donate. When the children choose from their own pile of toys, it creates a powerful hands-on experience to learn about the balance between giving and receiving.

After you do this exercise a few times, your kids will automatically realize that no matter what new gifts they receive, they will choose some that they no longer play with to give to children who may not get any presents at all. This is a habit that everyone can easily add to their holiday traditions.

You can also encourage your children to forgo a new gift or two to purchase items for those in need. Look for a holiday toy drive in your community to support and take your kids with you to purchase the items and deliver them to the charity.

Sandi Schwartz is an author, journalist, and mother of two. She has written extensively about parent ing, wellness, and environmental issues. As the founder and director of the Ecohappiness Project, her mission is to inspire and educate families to build a nature habit to feel happier and calmer. Learn more at www.ecohappinessproject.com.

Eastern Shore Parents I December 2022 www.easternshoreparents.com 48 ESP

Now through December 22 and December 26-28

Bicentennial Park Drive-Thru Christmas Lights Show 2022

@ Bicentennial Park

51233 State Highway 225 Stockton, AL 36579 5:00pm-9:00pm each night, Fee: $10 per vehicle (Monday – Friday ONLY) www.cityofbayminette.org

Now through December 23

Trim-A-Tree Christmas Event

@ Tanger Outlet (Suite 230) 2601 South McKenzie Street Foley, AL 36535

Local artists decor, pottery, jewelry, and more. Sponsored by the Foley Art Center. Monday - Sat urday 10am - 7pm, Sunday 11am - 6pm. (251) 943-4381 www.foleyartcenter.com/time-a-tree/

Fish River Christmas Tree FarmHoliday Activities

@ Fish River Christmas Tree Farm 13982 Woodhaven Dairy Road East Summerdale, AL 36580

Stroll the 40 acre Christmas Tree Farm picking the perfect tree. Choose & cut, fir, flocked and con tainer trees to replant after the holidays. Additional activities on select dates include Santa visits, live manger scene, train and more! While the farm is open daily from 8am-5pm (except Thanksgiving), the special dates for Santa visits and tree train farm tours will be Nov. 25-27, Dec. 3-4, and Dec. 10-11 from 10am - 4pm. (251) 988-8114 www.fishrivertrees.com

Now through December 24

Photos with Santa at the Wharf ad on

page 1

@ The Wharf

23101 Canal Road Orange Beach, AL 36561

Weekends and select event dates. Ho Ho Holiday photo time with Santa at The Wharf! Children can also bring their wish list letters to give to the Jolly Claus or write one in his village. Open Fridays (3-6 pm), Saturdays (10am–6pm) and Sunday (noon–6pm). Times subject to change. (251) 224-1000 info@alwharf.com www.alwharf.com

Santa’s Wonderland

@ Bass Pro Shop 20000 Bass Pro Dr Spanish Fort, AL 36527

Santa is coming to Spanish Fort Bass Pro. Free pictures with Santa, advance reservations recom mended. Families can mail their letter to Santa and receive free giveaways while supplies last. (251) 607-5900 www.basspro.com/shop/en/santaswonderland

Wales West Arctic Express

@ Wales West RV Resort and Light Railway 13670 Smiley Street Silverhill, AL 36576

Authentic steam train ride to the North Pole, through decorations, lights, and snow! Santa visit, Toy, Free Refreshments, Minitrain rides, Hayless Hayride, Potato Cannon, Cafe, Gift Shop. Res ervations online. Fridays, Saturdays, Sundays, 4pm-9pm, Nightly starting Dec. 14. Tickets can be purchased online. (888) 569-5337 www.waleswest.com

Now through December 29

Drive-Through Holiday Lights Display

@ Bicentennial Park

51233 State Highway 225 Stockton, AL

The light display will be open from 5 to 9 p.m. and admission is free. Please note: the drive-through will be closed Dec. 9-10 for a Christmas Festival at the park and Dec. 23 and 26 as part of the County’s Christmas holidays. This event is for passenger vehicles only. Buses, RVs and other commercial vehicles are prohibited. The event is sponsored by the Baldwin County Archives & History, Parks, and CIS departments. Donations will be accepted.

Now through January 4

Magic Christmas in Lights

ad on page 29

@ Bellingrath Gardens and Home 12401 Bellingrath Gardens Rd Theodore, AL 36582

Join us for the 27th season. You will stroll through a dazzling light display throughout the 65-acre Garden estate. In addition, the Bellingrath Home is decorated in its holiday finery and enhanced with beautiful poinsettias. (251) 973-2217 bellingrath@bellingrath.org www.bellingrath.org

Now through January 14

SUBZERO: Discovering Life Among the Ice

ad on page 47

@ Gulf Coast Exploreum

65 Government St. Mobile, AL 36602

Visitors will engage in an interactive journey from the Arctic to Antarctica as they discover the worlds of the coldest places on Earth. Slip and Slide Sock Skating Rink. Guests will be able to skip the skates and enjoy a wintertime tradition not often experienced in the South, wearing only socks. (251) 208-6893 www.exploreum.com/exhibits/special/

Now through January 16

Ice Skating Rink

ad on page 1

@ The Wharf

23101 Canal Road Orange Beach, AL 36561

Let us bring winter to you! Grab a pair of skates and glide, spin or fall into the season on real ice. Open Monday–Friday (4-10pm), Saturday and Sunday (10am – 10pm). Special hours apply for holidays and school breaks. Visit alwharf.com for more details and ticketing. (251) 224-1000 www.alwharf.com

December - Fridays and Saturdays

Holiday Movies - The Fort Park

@ The Fort Park

29001 Bass Pro Drive Spanish Fort, AL 36527 www.spanishfortcenter.com/the-fort-park

Saturdays through December 24

The Wharf North Pole Express ad on

page

@ The Wharf 1

23101 Canal Road Orange Beach, AL 36561

This winter, The Wharf Express is on a holiday mission! Put on your PJs and ride The Wharf North Pole Express each Saturday until Christ mas, where every child will receive a candy cane, a coloring book and a golden ticker sticker. Open Saturdays (10am–10pm). Times subject to change. (251) 224-1000 www.alwharf.com

Eastern Shore Parents I December 2022 www.easternshoreparents.com 50

December 1

Christmas in Downtown Atmore

@ Heritage Park

Main Street & Craig Street Atmore, AL 36502

Take a stroll down Main Street and do some Christmas Shopping at local businesses. Be sure to walk down to First National Bank & Trust, visit with Santa and have your pictures taken. Also, there you will be able to see the beautiful tree lightning. 4:30pm-7:30pm. (251) 368-3305 www.atmorechamber.com

Daphne’s Tree Lighting

@ Daphne City Hall

1705 Main Street Daphne, AL 36526

Join us for Daphne’s Annual Tree Lighting with special musical guests Roman Street. Activities start at 5:30 PM and program starts at 6 PM. Train rides, caroling, children’s activities and more! (251) 620-1000 www.daphneal.com

Christmas Ornament MakingFamily Storytime

@ Gulf Shores Public Library

221 W 19th Ave Gulf Shores, AL 36542

Join us for a holiday storytime at the Gulf Shores Public Library! Stick around after and make a beautiful ornament to display on your tree for years to come! 10:30am (251) 968-1176 www.gulfshoresal.gov/christmas

December 1-2

Ho-Ho Homicide Murder Mystery Dinner Show

@ OWA

1501 South OWA Blvd Foley, AL 36535

Looking for a little mystery and great food this holiday season? Don’t miss the holiday-themed

murder mystery dinner show, Ho-Ho Homicide at the Brandon Styles Theater in Downtown OWA.

Tickets available online. (251) 923-2111 www.VisitOWA.com/Christmas

December 2

The Baldwin Pops Holiday Concert

@ Daphne Civic Center

2603 US Highway 98 Daphne, AL 36526

Join us for our holiday celebration at the Daphne Civic Center!! 7:00pm. ALL concerts are Toys for Tots collection sites and all will have a special visi tor from the North Pole to have your photo taken with, for a $5 donation to the band. (251) 278-8530 www.baldwinpops.com

Ornament Take and Make Drive Thru

@ Daphne Public Library

2607 Highway 98 Daphne, AL 36526

Come create a special ornament for your holiday décor here at the Daphne Public Library! (251) 620-2500 (Ext. 2508) www.daphnelibrary.org

Bedtime Stories with Santa

@ Bay Minette Library

205 West 2nd Street Bay Minette, AL 36507

The event features Christmas-themed stories and a visit with Santa Claus! There is no charge to attend. 6:30pm. (251) 580-1648 www.facebook.com/Bay-MinettePublic-Library-65278263205

Silverhill Christmas Parade

Silverhill, AL 36576

Join us for the annual Christmas parade at 6:30pm. We will have Food trucks, pictures with Santa and a special guest after the parade (251) 945-5198 www.facebook.com/SilverhillAlabama

Fairhope’s Magical Christmas Parade

@ Downtown Fairhope

Fairhope, AL 36532

Fairhope’s Magical Christmas Parade begins at 7:00pm at the intersection of Morphy and Section Street and continues down Section to Oak Street. (251) 929-1466 www.fairhopeal.gov

Sims Park Christmas Celebration

@ Johnnie Sims Park

348 W 19th Ave. Gulf Shores, AL 36542

Enjoy a night with family, friends and fellow resi dents celebrating the holiday season at Johnnie Sims Park! Families can enjoy pictures with Santa, holiday treats, crafts, and the 6th Annual Snowball Drop. 6pm-8pm www.gulfshoresal.gov/1624/Christmas-Events

The Prophecy Show

@ Saenger Theatre

6 South Joachim Street Mobile, AL 36602

Come experience the power, the music and the magic this Christmas season at the Mobile Saenger Theatre as The Prophecy Show performs all your favorite music from the Trans-Siberian Orchestra and more! www.mobilesaenger.com

Mobile Symphony Youth Orchestra

“Holiday Concert”

@ Foley Civic Center

407 East Laurel Avenue Foley, AL 36535

The child musicians are sure to move audiences with sounds of the Christmas season. Show begins at 7:00pm. (251) 943-1545 www.mobilesymphony.org

Foley’s Christmas in the Park

@ Heritage Park

101 East Laurel Avenue Foley, AL 36535

Come out to hear Christmas carols, sip hot cocoa, enjoy the lighting of the Christmas Tree, and visit with Santa. Free cocoa. 6:00pm - 8:00pm. (251) 943-1300 www.visitfoley.com

December 2-3

Coastal Ballet Company Presents “The Nutcracker”

@ Orange Beach Performing Arts Center 23908 Canal Road Orange Beach, AL 36561

The classical Christmas ballet will be per formed at 6:00pm on December 2 and at 2:00pm on December 3. Tickets are $25 per adult, $10 for children ages 4-17, and free for children 3 and younger. Tickets available at orangebeachal.gov.

(251) 979-9851 www.coastalballet.com

40th Annual Christmas Fest in Bay Minette

@ Courthouse Square Bay Minette, AL 36507

Join the North Baldwin Chamber to celebrate 40 years of fun ‘round the Courthouse Square for the 40th Annual Christmas Festival in Bay Mi nette, AL! Enjoy a two day festival on December 2-3, 2022, full of Vendors, Entertainment, Food, Kids Activities, a 5K & Fun Run, the Annual Twilight Christmas Parade, Ping Pong Prize Drop, and so much more! For more information, please visit the website or find the event on Facebook!

(251) 937-5665 (Ext. 2) marlee@northbaldwin chamber.com www.northbaldwinchamber.com

December 2-4 and 9-11

South Baldwin Community Theatre presents “A Christmas Carol”

@ South Baldwin Community Theatre 2022 West 2nd Street Gulf Shores, AL 36542

A delightfully refreshing version of Charles Dickens’s classic Christmas tale told from a new perspective — a young boy’s grandfather. Dec. 2, 3, 9, 10 - 7:30pm, Dec. 4, 11-2:30pm www.sbct.biz

Pancakes & Pajamas with

Clara

ad on page 11

@ Mobile Ballet Studio 4351 Downtowner Loop North Mobile, AL 36609

Pancakes & Pajamas with Clara is a special behind-the-scenes event offering children a unique opportunity to step inside the world of The Nutcracker at Mobile Ballet. Times: 9:30am, 11:30am, Ages: Suggested ages 3-8 (all ages welcome), Tickets: $20 per child/$15 for accompa nying parent. www.mobileballet.org

Robertsdale Christmas Parade

@ Honeybee Park

Robertsdale, AL 36567

Robertsdale Christmas parade at 6:30 PM. After the parade, Santa will be available for pictures at Honeybee Park. Bring your camera to snap a photo of your child(ren) with Santa. (251) 947-2626 www.centralbaldwin.com

City of Daphne Christmas Parade

Main Street Daphne, AL 36526

Parade begins at 11:00am from the Daphne Civic Center complex, through Olde Towne Daphne, and back again. Join us for this holiday favorite! (251) 620-1000 www.daphneal.com

Dauphin Island Christmas Parade

Dauphin Island, AL 36528 Dauphin Island Christmas Parade at 11:00am. www.dauphinislandchamberofcommerce.com

Breakfast at the Manger

@ Fairhope United Methodist Church 155 South Section Street Fairhope, AL 36532 $5 Pancake breakfast, inflatables, pictures with Santa, cookie decorating, and more! Hear Santa read the story of Jesus’ birth. 8:30am-10:30am (251) 928-1148 www.fairhopeumc.org

Foley Kiwanis Club Christmas Parade

@ Downtown Foley Foley, AL 36535

Parade begins at 10:00am and winds through

downtown Foley. Festive floats, treats and throws, and of course, Santa waves a Merry Christmas to all. Float applications available online. (251) 943-1032 www.foleykiwanisclub.com

Gulf Coast Arts Alliance Open House

@ Gulf Coast Arts Alliance

225 E. 24th Ave. Gulf Shores, AL 36542

Join us for all things Christmas at the GCAA Gal lery. Light refreshments all day. 10:00am-5:00pm (251) 948-2627 www.gulfshores.com/

Wreath Making Workshop

@ Colonial Fort Condé

150 S Royal St Mobile, AL 36602

Participants will make wreaths with natural, Colonial-inspired materials. 10:30am–12:00pm. The classes are $45 for members and $55 for non-members. Make your reservations online. (251) 544-5480 www.historymuseumofmobile.com

Gingerbread Jam-Gingerbread Building Contest

4671 Wharf Pkwy West Orange Beach, AL 36561

A gingerbread house building competition for families & businesses. Please provide your own supplies. Proceeds support Culinary Camp schol arships. Building begins at 9am-open to public 11-2: free entry. Free Cookies and hot chocolate. (251) 284-0558 www.orangebeachal.gov/events/ performing-arts

Love like Jesus Annual Silent Auction

@ Street’s Exquisite Plants & Aquatic Gardens 17750 Greeno Road Fairhope, AL 36532

Love like Jesus Annual Silent Auction with proceeds are going to the Women’s Care Medical Center. 11:00am-1:00pm. (251) 990-0901 www.streetsoffairhope.com

Foley’s Annual “Let It Snow!”

@ Heritage Park

101 East Laurel Avenue Foley, AL 36535

Join us in Heritage Park beginning at 11:00am directly following the Christmas Parade. There will be snow flurries, kids activities, live entertainment, a Christmas marketplace and Santa will be joining us as well. 11am-3pm. (251) 943-1300 www.visitfoley.com

Eastern Shore Parents I December 2022 www.easternshoreparents.com 52
3
December

December 3-4

St. Lawrence Christmas Bazaar

@ St. Lawrence Church

370 South Section Street Fairhope, AL 36532

Silent auction with virtual bidding option, vendor booths, bake sale, handcrafted gift baskets, and Christmas Cafe. Unique art and antiques for purchase. Live Bluegrass Christmas music Saturday and pictures with Santa! We’ll have Gumbo, candied nuts and apples, baked goods, and homemade casseroles to go. Saturday and Sunday from 9:00am - 3:00pm. (251) 928-5931 www.stlawrencechristmasbazaar.com

December 3 and 10

City of Fairhope Santa Saturdays

@ Downtown Fairhope 24 Section Street Fairhope, AL 36532

Santa will be visiting Fairhope in front of the Fairhope Museum of History from 10:30am - 12pm.

Alabama Gulf Coast Zoo. 11:00am-2:00pm (251) 256-7008 www.alabamagulfcoastzoo.com/

December 3, 10, 17

Breakfast with Santa

@ The Grand Hotel

One Grand Boulevard Point Clear, AL 36564

Santa is coming to the Grand Hotel! Watch your children’s eyes light up with the magic of the sea son. Limited Seating Available. This holiday event sells out each year, so secure your tickets now! (251) 928-9201

December 3, 9, 10, 16, 18

Graham Creek Christmas Trail

@ Graham Creek Nature Preserve Interpretive Center 23030 Wolf Bay Drive Foley, AL 36535

Come walk through Christmas lights on our Memorial Boardwalk while enjoying the cool, crisp

activities are subject to change. Detailed informa tion, reservations, and a full list of holiday events can be found online at VisitOWA.com/Christmas. (251) 923-2111 www.VisitOWA.com/Christmas

December 3-22

The North Pole Experience

@ OWA

1501 South OWA Blvd Foley, AL 36535

Select Dates - Children and families will be able to participate in free Christmas crafts with Santa’s Elves while waiting to grab a photo with the jolly man himself! Hours and dates for all activities are subject to change. Detailed information, reserva tions, and a full list of holiday events can be found online at VisitOWA.com/Christmas. (251) 923-2111 www.VisitOWA.com/Christmas

December 3, 10, 17, and 23

Saturdays with Santa - The Fort Park

December 4

City of Spanish Fort Christmas Tree Lighting & Movie Night

@ Spanish Fort Community Center

7361 Spanish Fort Blvd

Bring in the Christmas spirit during our annual Christmas Tree Lighting. Light refreshments will be served, and live music will lead the community in Christ mas carols as the City tree is brought to life with Christmas lights. Afterward, families are invited to watch a short fam ily holiday film. 5:00pm (251) 626-4884 www.cityofspanishfort.com

Eastern Shore Choral Society Christmas Concerts

@ First Fairhope

300 South Section Street Fairhope, AL 36532

Enjoy holiday music. Concert begins at 3:00pm. escs.artisticdirector@gmail.com www.ESCS.org

Malbis Christmas Market

10145 US-90 Daphne, AL 36526

Malbis Market is a collection of local vendors. Our Christmas event is coming up soon. We will be showcasing more than 40 local vendors! Come and enjoy a FREE family fun day full of local shopping and food trucks at the beautiful Historic Malbis Nursery. 11:00am-5:00pm www.facebook.com/malbismarket

Mobile’s Singing Children Christmas Concert - Ceremony of Carols

@ Cathedral of Immaculate Conception

2 South Claiborne Street Mobile, AL 36602

Mobile’s Singing Children Christmas Concert at 3:00pm. Free Admission with Suggested donation at the door $10. www.mobilesingingchildren.org

December 5

The Baldwin Pops Holiday Concert

@ Foley Civic Center

407 E Laurel Avenue Foley, AL 36535

Join us for our holiday celebration at the Foley Civic Center! 7:00pm. ALL concerts are Toys for Tots collection sites and all will have a special visi tor from the North Pole to have your photo taken with, for a $5 donation to the band. (251) 278-8530 www.baldwinpops.com

Eastern Shore Choral Society Christmas Concerts

@ Spanish Fort United Methodist Church 6690 Spanish Fort Blvd Spanish Fort, AL 36527

Enjoy holiday music. Concert begins at 7:00pm. escs.artisticdirector@gmail.com www.ESCS.org

December 6

The Baldwin Pops Holiday Concert

@ Gulf Shores Cultural Event Center

19470 Oak Road West Gulf Shores, AL 36542

Join us for our holiday celebration at the Gulf Shores Cultural Center!! 7:00pm. ALL concerts are Toys for Tots collection sites and all will have a special visitor from the North Pole to have your photo taken with, for a $5 donation to the band. (251) 278-8530 www.baldwinpops.com

Holiday Storytime with Santa and Mrs. Claus

@ Fairhope Public Library

501 Fairhope Avenue Fairhope, AL 36532 Join us for this special storytime and singalong

with Santa and Mrs. Claus! There will be picture opportunities and crafts after the program. 11:00am, Children 3-8yrs. (251) 990-0209 www.fairhopelibrary.org

Impact Theatre presents Tiramisu with a Touch of Christmas

@ Daphne Civic Center 2603 US-98 Daphne, AL 36526 “Tiramisu with a Touch of Christmas”-Tuesday, De cember 6, 2022 at 1:00 p.m.(By reservation -Email reservations to impacttheaterreservations@gmail. com) and the 6:30pm is Open Seating. Conces sions available for the evening performance. impacttheaterreservations@gmail.com

December 8

Holiday Storytime with Santa

@ Gulf Shores Public Library

221 W 19th Ave Gulf Shores, AL 36542

Santa is making an appearance at the Gulf Shores Public Library to read a special book for the chil dren in our community. 10:30am (251) 968-1176 www.gulfshoresal.gov/christmas

December 9

Baldwin County Youth Orchestra

Christmas Concert

@ Daphne Civic Center 2603 US-98 Daphne, AL 36526

Christmas Around the World Concert, No Admis sion charge but a toy for Toys for Tots is appreci ated. Silent Auction Available during Concert. (251) 279-0848 www.bcyorchestra.com

Daphne’s Snow & Movie Night in the Park

@ Daphne City Hall

1705 Main Street Daphne, AL 36526

Come join us for snow and movie night in Down town Daphne! Snow begins falling at 4:00pm, visit with Santa from 5:00pm-7pm; three Christmas Classic movies from 6:00pm-8:00pm. (251) 620-1000 www.daphneal.com

Gift Take-n-Make

@ Daphne Public Library

2607 Highway 98 Daphne, AL 36526

Parents need Christmas presents too! Bring your child to the community room to make you a spe cial gift this year! 1:30pm-4:30pm. (251) 620-2500 (Ext. 2508) www.daphnelibrary.org

Loxley Christmas Parade

Loxley, AL 36551

Parade starts at 6:30pm at the Loxley Church of God. The parade will travel down Highway 59 and

end at Municipal Park. Join us after the parade for our first Christmas in the Park! (251) 964-5162 www.townofloxley.org

December 9-10

Christmas at Bicentennial Park Festival

@ Bicentennial Park

51233 State Hwy 225 Stockton, AL 36579 5:00pm-9:00pm each night, Free Admis sion (Generous donations accepted), Parking at Live Oak Landing, 8700 Live Oak Landing Road (251) 580-1897 www.baldwincountyal.gov/ departments/archives-history/events-andnews/list-view

December 10

Bay Shore Ballet Academy “The Nutcracker”

ad on page 23

@ Fairhope Civic Center

161 North Section Street Fairhope, AL 36532

This holiday classic will delight people of all ages! Times: 2:00pm, 7:00pm. Visit our website for updates. (251) 990-9744 bayshoreballetacademy@gmail.com www.bayshoreballet.com

Billy Claus Visits LuLu’s!

ad on page 7

@ Lucy Buffett’s LuLu’s

200 East 25th Avenue Gulf Shores, AL 36542

The fun starts at 1pm and Billy Claus and his LuLubelle’s will arrive at 2pm, read a Christmas story, and listen to your wish list! Arts & crafts, live music and pictures with Billy Claus. (251) 967-LULU (5858) www.lulusfunfoodmusic.com

Breakfast with Santa

ad on page 49

@ First Fairhope

300 S Section St, Fairhope, AL 36532

9:00am - 11:00am. Get a picture made with Santa, enjoy breakfast, decorate a sugar cookie, write a letter to Santa, both preschool and graded chil dren will enjoy making a Christmas craft, and hear the Christmas story.

(251) 928-8685 www.firstfairhope.org/Christmas

Community Carol Sing

@ On the Bluff in Fairhope

Eastern Shore Presbyterian Church invites the community to join in a Community Carol Sing on the bluff in Fairhope Alabama at 4:00pm. (Rain date is December 17)

Twilight Christmas Parade

@ Downtown Atmore

Twilight Christmas Parade beginning at 5pm. This will go from City Hall down Main Street and turn on Lindberg Avenue and end at the High School. Visit Atmore Chamber and go to the events page for more information.

(251) 368-3305 www.atmorechamber.com

Spanish Fort Spirit of Christmas Parade

@ Eastern Shore Centre

30500 State Hwy 181 Spanish Fort, AL 36527

6pm at the beautiful Eastern Shore Centre. Featuring local groups, floats, and Santa Claus himself, “The Spirit of Christmas” Parade is a wonderful way to celebrate the holidays. (251) 626-4884 www.cityofspanishfort.com/christ masinthefort

Eastern Shore Parents I December 2022 www.easternshoreparents.com 54

Santa Drop

@ Flora Bama

17401 Perdido Key Drive Pensacola, FL 32507

Kick-off the Christmas season watching Santa skydive onto the beach and enjoy activities for kids in the Flora-Bama tent. 11am - 2pm. (850) 492-0611 www.florabama.com/events.html

Annual Christmas Lighted Boat Parade

@ Lucy Buffett’s LuLu’s 200 East 25th Avenue Gulf Shores , AL 36542

We like to celebrate the Holidays Gulf Coast style with brightly decorated boats to light the night! The boats will leave LuLu’s Gulf Shores at dusk and head to the Wharf. (251) 968-6902 www.mygulfcoastchamber.com

Elberta Christmas Parade, Tree Lighting Santa and Movies in the Park Main Street Elberta, AL 36530 5:30 pm. Tree lighting, Santa, and Movies in the Park will take place following the parade. Chili Cook Off in the park 10am-2pm. (251) 986-5995 www.townofelberta.com

YMCA Elf Ride

@ OWA

1501 South OWA Blvd Foley, AL 36535 Dress up in your best elf costume, decorate your bike and have fun with the YMCA at OWA. Proceeds will benefit the John McClure Snook Family and Bounds Family YMCA. www.visitowa.com/ymca-elf-ride

December 10-11

Mobile Ballet presents

“The Nutcracker” ad on page 11

@ Mobile Civic Center Theatre

401 Civic Center Drive Mobile, AL 36602

Outstanding guest artists share the stage with Mo bile Ballet Company and students in this cherished Mobile holiday tradition, performing to the timeless score by Tchaikovsky with exciting choreography by Artistic Director Katia Garza. Join Clara and the Nutcracker Prince in their adventures with the Mouse King and the Sugar Plum Fairy in this magical story that will delight audiences of all ages. December 10, 2:30pm, 7:30pm December 11, 2:30pm (251) 342-2241 www.mobileballet.org

Mobile Symphony presents “A Cinematic Christmas”

@ Saenger Theatre

6 Joachim Street Mobile, AL 36602

Your favorite holiday music from your favorite holi day movies! Dec 10-7:30pm, Dec 11-2:30pm (251) 432-2010 www.mobilesymphony.org

Red Bird Christmas

@ Magnolia Springs

Magnolia Springs Magnolia Springs, AL 36555

The event will feature luminaries Saturday and Sunday nights along Oak Street, Pecan Grove, and other streets. Sunday will have feature Cook ies with Santa & Mrs Claus and Tree Lighting. www.townofmagnoliasprings.org/

Holly Days on Main Festival ad on

page 1

@ The Wharf

23101 Canal Road Orange Beach, AL 36561

Arts and crafts vendors, special performances, a lighted boat parade and more. 9am-5pm. (251) 224-1000 info@alwharf.com www.alwharf.com

December 11

A Celebration of Hope ad on

page 49

@ First Fairhope

300 S Section St Fairhope, AL 36532

3:00pm and 6:00pm - Enjoy the sounds of Christ mas with a full choir and orchestra, a Celtic band and the intimacy of silent night as we celebrate the Christ Child and the hope that is found in Jesus. Featuring First Fairhope’s Worship Choir and Or chestra, Welsh Revival from University of Mobile, our First Kids Choir and so much more, this will be a night to remember and will set the tone for an incredible Christmas!

(251) 928-8685 www.firstfairhope.org/Christmas

City Hope Christmas Festival ad on

page 12

@ City Hope Church Malbis 29964 St. Basil Street Daphne, AL 36526

There will be Christmas music, treats, fake snow, and a lot of fun for the whole family. This is a FREE event, but bring extra cash for the yummy food trucks. Invite everyone you know! For more info and social invites, visit CityHope.cc/fest. 3:00pm-7:00pm. www.cityhope.cc/fest

Jolly Jog 2022

@ The Mill

85 N Bancroft Street Fairhope, AL 36532

Join us for Family Fun at The Mill-Jolly Jog will feature a .5 mile fun run, kids activities, family costume contests, Santa, and live music. 1:00pm www.junior-auxiliary-of-the-eastern-shore.com

Live Nativity

@ Providence United Methodist Church 32200 Jimmy Faulkner Dr Spanish Fort, AL Live nativity from 5:30pm–6:30pm. www.providencemethodist.org/

Drive Thru Nativity

@ St. Paul’s Eastern Shore

28788 North Main Street Daphne, AL 36526

Come join us anytime between 5:00pm-7:00pm for this special event to pause and reflect on the meaning and beauty of Christmas. You will drive thru our campus and view live scenes of the spec tacular story of Christ’s birth. (251) 626-2421 www.stpaulseasternshore.com

Drive-Thru Nativity

@ Fairhope Pier

4 North Beach Road Fairhope, AL 36532

See the story of the birth of Jesus from your own car! From the Angel to the Manager scene, with music and live animals. This event is free. 5pm - 7pm. (251) 928-2524 www.tpcfairhope.org

December 12 and 19

Christmas Crafternoons

@ Fairhope Public Library

501 Fairhope Avenue Fairhope, AL 36532 Dec. 12-Join us for smallwoods painting and ornament making. Dec. 19-Make a wooden Nativity scene or snowman and yarn or twig stars. 3:00pm-5:00pm. Ages 5 and up. (251) 990-0209 www.fairhopelibrary.org

December 15

Twas the Night Before Christmas Book Reading

@ Spanish Fort Community Center

7361 Spanish Fort Blvd Spanish Fort, AL 36527

Twas the Night Before Christmas book reading-

55 www.facebook.com/easternshoreparentsmagazine

children are encouraged to wear their pajamas and bring their favorite blanket. The evening begins with singing of Christmas carols, guest readers read aloud several holiday books, and the final story, “’Twas the Night Before Christmas”, is read by a guest reader from the North Pole! 6:00pm (251) 626-4884 www.cityofspanishfort.com

Santa Stories

@ Daphne Public Library 2607 Highway 98 Daphne, AL 36526

Join us in the Library Community Room as Santa shares his favorite stories with his Eastern Shore friends! There will be cookies and warm cocoa. Don’t forget your cameras! 2 sessions -4pm or 5pm (251) 620-2500 (Ext. 2508) www.daphnelibrary.org

Thursday Home School Hour: Holiday Traditions and International Cuisine,

@ Fairhope Public Library

501 Fairhope Avenue Fairhope, AL 36532

Bring a presentation on a different country and that region’s holiday traditions, and bring a dish to share with the rest of our group. After admiring and sampling everyone’s dishes, we’ll continue the fun with some holiday games and prizes. 11:15am (251) 990-0209 www.fairhopelibrary.org

Movies at Meyer Park -

Christmas Edition

@ Meyer Park

400 E 22nd Ave Gulf Shores, AL 36542

We will be showing a Christmas movie during the month of December. We encourage locals and visitors to bring a blanket, lawn chair, friends, and family, and join us for a free Christmas movie under the stars! 6pm www.gulfshoresal.gov/1624/Christmas-Events

Mrs. Claus and Cookie Decorating Storytime

@ Gulf Shores Public Library

221 W 19th Ave Gulf Shores, AL 36542

Join us for a very special storytime with Mrs. Claus herself! After the story, she is going to help us decorate Christmas cookies! 10:30am (251) 968-1176 www.gulfshoresal.gov/christmas

December 16

A Roman Street -Marlow Boys Christmas

@ Saenger Theatre

6 South Joachim Street Mobile, AL 36602

A Roman Street -Marlow Boys Christmas-come hear Christmas Classics done in a new and excit ing way on Friday, December 16 at 7:30pm. www.asmglobalmobile.com

Mobile’s Singing Children - Point Clear

Concert Series at St. Francis at the Point 17280 Scenic Highway 98 Point Clear, AL 36564

Point Clear Concert Series at St. Francis at the Point Church at 7:30pm. Free Admission (251) 928-1255 www.stfrancisatthepoint.org

December 17

Christmas at the Exploreum ad on page 47

@ Exploreum

65 Government St. Mobile, AL 36602

Have a holly jolly holiday at the Exploreum’s annual Christmas event! Experience some winter-time fun at this family-friendly event! 10:00am-2:00pm. (251) 208-6893 www.exploreum.com

A Very Electric Christmas

@ Mobile Civic Center Theatre

401 Civic Center Drive Mobile, AL 36602

Dancing toy soldiers, caroling worms and perform ing poinsettia’s, light up the stage in Lightwire Theater’s A Very Electric Christmas. Audiences of all ages will treasure this magical tale of family, friendship and hope set to timeless holiday hits. (251) 208-7906 www.asmglobalmobile.com

Charlie Brown Jazz Christmas

@ Saenger Theatre

6 South Joachim Street Mobile, AL 36602

The 13th Annual A Charlie Brown Jazz Christmas featuring Taylor Hicks. (251) 208-5600 www.asmglobalmobile.com

Santa Pictures-Coastal Alabama

Farmers and Fishermens Market

@ Coastal Alabama Farmers and Fishermens Market 20733 Miflin Road Foley, AL Come and get your picture taken with Santa. Tell him what you would like for Christmas. 10am-1pm (251) 709-4469 www.coastalalabamamarket.com/home

Make it to the Line Run or Walk

@ Flora Bama

17401 Perdido Key Drive Pensacola, FL 32507

Let’s all “Make it to the Line” just in time for Christmas! Run, jog, walk to the line at our 4-Mile Run/Walk and 1-Mile Fun Run. Race will benefit the Secret Santa program, helping local families in need. (850) 492-0611 www.florabama.com/events.html

Breakfast with Santa

@ Erie Meyer Civic Center

1930 West 2nd Street Gulf Shores, AL 36542

Breakfast with Santa at the Erie H. Meyer Civic Center. Beginning at 8am. (251) 968-1171 www.gulfshoresal.gov/1624/ Christmas-Events

Sweet Treats with Mrs. Claus

@ OWA

1501 South OWA Blvd Foley, AL 36535

Join the world’s most cheerful hostess for a joyful celebration full of holiday magic! On Saturday, December 17, Mrs. Claus returns to OWA with her top elf assistant JJ to celebrate beloved holiday traditions. Come sing along to festive song and dance numbers sure to get everyone in the holiday spirit! Hours and dates for all activities are subject to change. Detailed information, reservations, and a full list of holiday events can be found online at VisitOWA.com/Christmas.

(251) 923-2111 www.VisitOWA.com/Christmas

December 19-20

Bay Area Performing Arts Christmas in Concert

@ Bay Area Performing Arts

Daphne, AL 36526

Featuring repertoire from musical theatre, holiday favorites, and classical staples, this immersive concert will truly be a Christmas wonder! (251) 455-0355 Info@bayareaperformingarts.com www.bayareaperformingarts.com

December 19-23

Winter Wonderland Minecraft

@ STEM for Kids

5906 Sweetwater Circle Fairhope, AL 36532

Have fun with Minecraft by picking 1 day or all 5 days for our STEM Winter Camp! Become a toy store owner in Winter Wonderland, our Minecraft city, create toys with a budget, and hire helpers to get the toys out for the holidays! Design and build the city of Winter Wonderland. Requirements: You must have a computer/laptop with Windows 10, iPad, or Chromebook. We will provide accounts for class. Please click this link to download the app and follow instructions: www.education. minecraft.net/get-started/download/. Monday through Friday, 9am - 4pm for full day ($200) or 9am - 1pm for half day ($150). Single day and extended day options available. (251) 210-8781 www.stemforkids.net/register/Terri tory/ShowPrograms?Tid=51&f=0&Sid=0

December 20

Christmas Movie Night

@ Daphne Public Library

2607 Highway 98 Daphne, AL 36526

Bring the whole family! Snacks will be provided. Don’t forget to wear your PJ’s! 4pm-7:30pm (251) 620-2500 (Ext. 2508) www.daphnelibrary.org

Christmas Movie and Hot Cocoa

@ Fairhope Public Library

501 Fairhope Avenue Fairhope, AL 36532

Join us for a holiday movie, hot cocoa, and a treat! Bring your own comfy pillow and blanket and wear your favorite pajamas. Ages 5 -11, Times: 2:00pm4:00pm (251) 990-0209 www.fairhopelibrary.org

December 21

Snow Night

ad on page 49

@ First Fairhope

300 S Section St Fairhope, AL 36532

Pirates

of Fish River Christmas Boat Parade

@ Fish River

Fairhope, AL 36532

Lighted Christmas Boat Parade hosted by The Pi rates of Fish River! Starts at 98 Bridge in Weeks Bay; We will turn around north of 32 bridge. Find us on Facebook for update on time.

December 18

Frog Pond Christmas Party

@ Frog Pond at Blue Moon Farm

Silverhill, AL 36576

Frog Pond Christmas Party-Grayson Capps, Ross Newell, Cary Hudson, Corky Hughes, Katrina Miller. Opening with – THE KRICKETS. 2pm www.thefrogpondatbluemoonfarm.com

5:00pm - 7:00pm - Come have fun in the SNOW at the corner of Church & White street. Our First Kids will be showing “Frozen” on the big screen and kids will enjoy hot chocolate, a s’mores station, carnival rides, cookie decorating and of course a few “reindeer games”. Free event. (251) 928-8685 www.firstfairhope.org/Christmas

December 22

Pajama Party and Holiday Movie

@ Gulf Shores Public Library

221 W 19th Ave Gulf Shores, AL 36542

Wear your favorite Christmas pajamas to the Gulf Shores Public Library and join us for a holiday movie! 10:30am (251) 968-1176 www.gulfshoresal.gov/christmas

Eastern Shore Parents I December 2022 www.easternshoreparents.com 56

3 Circle Church Christmas Services

ad on page 2

Fairhope Campus - 10274 State Highway 104

Daphne Campus - 10080 County Road 64

Robertsdale Campus - 21630 Highway 59

3 Circle Church invites you to Christmas Ser vices. December 22 - Fairhope services at 5:00 and 6:30pm. SOAR (Special Needs Ministry) offered at 5:00pm service at Fairhope campus only. Daphne services at 6:00pm. December 24 - Fairhope services 12:30pm, 2:00pm, 3:30pm and 5:00pm. SOAR (Special Needs Ministry) offered at 5:00 pm service at Fairhope campus only. Daphne services at 1:00pm, 2:30pm, and 4:00pm. Robertsdale Campus services at 2:00pm and 4:00pm. www.3CircleChristmas.com

December 24 and December 25

Eastern Shore Presbyterian Church Christmas Services

ad on page 9, 43

320 Presbyterian Drive Fairhope, AL 36532

Eastern Shore Presbyterian Church invites you to join them for Christmas Eve and Christmas Day services. Christmas Eve service times are 4:00pm and 5:30 pm. Christmas Day services are 9:15am and 11:00am.

251-928-0977 www.easternshorepca.org

First Fairhope Christmas Eve Services

ad on page 49

@ First Fairhope

300 S Section St Fairhope, AL 36532

You are invited to First Fairhope for Christ mas Eve. Christmas Eve Worship will be held at 5:00pm. Call or visit our website for more information. (251) 928-8685 www.firstfairhope.org/Christmas

December 26 - 30

Motion Commotion 2

@ STEM for Kids

5906 Sweetwater Circle Fairhope, AL 36532

In this Mechanical Engineering adventure, participants step into the world of transportation and amusement park! Caution: rides design in progress using friction, spinning and magnets. Children get hands-on, experience 4C skills of Communication, Collaboration, Critical Thinking and Creativity with engineering design chal lenges. Activities include: Stop-It-Droid TM, Zipline Engineering, Design Roller Coaster Ride, Design Maglev Train, and more. Monday through Friday, 9am - 4pm for full day ($200) or 9am - 1pm for half day ($150). Single day and extended day options available. Call or visit our website for more information.

(251) 210-8781 www.stemforkids.net/register/Terri tory/ShowPrograms?Tid=51&f=0&Sid=0

December 30

A Magical Cirque Christmas

@ Mobile Civic Center Theatre

401 Civic Center Drive Mobile, AL 36602 National Artists Corp. presents A Magical Cirque Christmas.

(251) 208-7906 www.asmglobalmobile.com

December 31

Happy Noon Year

ad on page 47

@ Gulf Coast Exploreum 65 Government St. Mobile, AL 36602

Countdown to Noon Years with the whole family. Join us again as we celebrate 2022 and bring in the new year! 9am-1pm. (251) 208-6893 www.exploreum.com/exhibits/special/

LuLu’s Noon Year’s Eve Celebration

ad on page 7

@ Lucy Buffett’s LuLu’s 200 East 25th Avenue Gulf Shores, AL 36542

Noon Year’s is a FREE family event for all ages. Kid friendly activities begin at 10:00am with a beach ball drop at NOON! See you there! (251) 967-LULU (5858) www.lulusfunfoodmusic.com

Kids Confetti Drop

ad on page 1

@ The Wharf 23101 Canal Road Orange Beach, AL 36561

If your little ones are too young to stay up until mid night, join us at The Wharf for our annual Kids Con fetti Drop, featuring tons of family friendly activities plus an early daytime countdown to the new year. Event time is 10 am – 2 pm. Confetti drop at noon! (251) 224-1000 info@alwharf.com www.alwharf.com

Reelin’ In the New YearNYE Street Party ad on page 1

@ The Wharf 23101 Canal Road Orange Beach, AL 36561

Reel in the new year with us at The Wharf for our New Year’s Eve Street Party. Live bands, family friendly and adult-centered fun all rounding off at midnight with our marlin drop and fireworks. Resolutions are for the start of the month. Give yourself one last excuse to let loose! Admission is free. 5pm-Midnight. (251) 224-1000 info@alwharf.com www.alwharf.com

Fairhope’s New Year’s Eve Family Celebration

@ Downtown Fairhope Fairhope, AL 36532

Bring your family and ring in the New Year in downtown Fairhope with face painting, fireworks, dancing in the streets, DJ and ball drop at mid night! 8:30pm - 12:30am. (251) 929-1466 www.fairhopeal.gov

MoonPie Over MobileNew Year’s Eve Celebration

Downtown Mobile Mobile, AL 36602 Ring in 2023 at the hottest New Year’s Eve Cel ebration in the South, MoonPie Over Mobile! Rock out of 2022 in downtown Mobile with the MoonPie Drop at midnight and jam to the sounds of Third Eye Blind and an epic fireworks/laser light show! All the fun starts at 8 p.m. as Downtown Mobile (251) 208-1550 www.ncsmobile.org

January 1

Polar Bear Dip

@ Flora Bama

17401 Perdido Key Drive Pensacola, FL 32507 Wear a crazy costume, bring the whole family and take a New Year plunge into the Gulf of Mexico! No registration is required. 12:00pm - 3:00pm. (850) 492-0611 www.florabama.com/events.html

57 www.facebook.com/easternshoreparentsmagazine
December 22 and 24

Empathy is the ability to put yourself in another’s shoes. It’s similar to sympathy but with an important difference. To sympathize is to care about and understand the suffering experienced by another. When you sympathize with someone, you feel sorry for them. Sympathy gives you the ability to say the right thing to comfort another.

But empathy goes a step further. It’s the ability to actually experience or relive the feelings of another. When you empa thize, rather than focusing on your own feelings about the other person’s situa tion, you’re able to focus on the emotions of that person. When you empathize, the other person can tell you’re really listening to them. Furthermore, empathy increases your ability and likelihood to help the per son with whom you empathize.

According to neuroscientists, the vast majority of us are born with the brain wiring necessary to empathize. Psychopaths make up about 1% of the population and are the exception, according to a 2013 study by neuroscientists at the University of Chicago and the University of New Mexico. Still, among the 99% of us who are born with this capacity, most don’t fully develop or use it to its potential.

Benefits of empathy

Empathy is beneficial in many ways, according to Katherin Sears, Ph.D., in “Why Empathy Benefits Everyone.” It provides us the ability to act kindly toward others, forgive family and friends, and bond with others over their ups and downs. Without the ability to empathize, it would be difficult, if not impos sible, to form and maintain friendships. In fact, we’d have difficulty getting along with others at school or work and in society.

Satya Nadella, the CEO of Microsoft, in an interview with CBS Good Morning, revealed another vital benefit of empathy. Without it, she says, “there is no way we could innovate.” This makes a lot of sense. Although some people would still have the desire to innovate for personal gain, in novation would be far more limited. People

would lack the motivation to innovate to help others unless it offered a reward for themselves. The field of medicine is a perfect example. Many strides have been made in medicine over the decades, much of which has resulted from human empathy.

How to teach kids empathy

Experts believe, based on a large body of evidence, that empathy can be shaped. Not only can kids learn to empa thize better, but so can adults. By practic ing the following as a family, you can foster your and your child’s ability to empathize.

Active listening. This is a crucial com ponent of empathy. Practice really listen ing to each other and trying to understand the other’s perspective. Active listening includes paying close attention to body language and facial expressions, so you can better understand the other person. It also requires refraining from interrupt ing. Parents’ modeling of active listening with their kids is particularly crucial to kids’ development of this skill.

Give back. Talk with your kids about the experiences, feelings, and needs of those who are less fortunate. Consider various forms of adversity, such as kids with a ter minal illness, the homeless, poor families, and those in nursing homes. Ask your kids open-ended questions. Have them consider how it feels to be in those other people’s shoes. Then make a plan with your kids to help out in some way.

Commonalities. Despite the ability to em pathize, studies have found people are often less empathetic toward those of other races or who are stereotyped in some way. Con

sider the things you have in common with those who are different and talk about these commonalities with your child. Also, ask your kids what they might have in common with someone of another ethnicity or race.

Lose yourself in fiction. It’s a great way to experience and understand another, even though the characters are fictitious. This will improve your ability to empathize in real-life situations. It’s a great way to teach kids empathy, too. Children’s books com monly have characters faced with adversity or dealing with challenging situations.

Practice reading faces. People often don’t share what they’re feeling or experiencing. Yet, it’s often written all over their faces. Pay attention to people’s expressions, and try to understand what they’re feeling.

Look for opportunities to care. Every day there are people all around us in need. So, set an example for your kids. If an elderly person is struggling to load heavy grocer ies into their car, quickly put yourself in their shoes. Then offer to help. Also, have your kids practice looking for ways to care.

Share in excitement and joy. Empa thy isn’t only about understanding people’s downs. It’s also the ability to share in their happiness. Regardless of how busy you are, when your child is excited about something, take a moment to really share in your child’s enthusiasm. Likewise, share your experience with your child when something brings you great joy.

59 www.facebook.com/easternshoreparentsmagazine ESP
CALL US AT (251) 928-0300 FOR AN APPOINTMENT Pediatric ENT Patients Nasal & Endoscopic Sinus Surgery Allergy Testing & Treatment Ear & Mastoid Surgery Thyroid & Salivary Gland Surgery Airway & Voice Disorders Cancer of the Head & Neck Brian W. Hixon, M.D. | Frank K. Hixon, M.D. | William B. Norris, M.D. Quality Care Close to Home Since 1985 CALL US AT (251) 928-0300 FOR AN APPOINTMENT Pediatric ENT Patients Nasal & Endoscopic Sinus Surgery Allergy Testing & Treatment Ear & Mastoid Surgery Thyroid & Salivary Gland Surgery Airway & Voice Disorders Cancer of the Head & Neck Brian W. Hixon, M.D. | Frank K. Hixon, M.D. | William B. Norris, M.D. Quality Care Close to Home Since 1985
Kimberly Blaker is a freelance writer. She also owns an online bookshop, sagerarebooks.com.

Thursday December 1

Bay Bash at Battleship Park

6:00 PM USS Alabama Battleship Memorial Park, Mobile, AL, 36602 Mobile Baykeeper is hosting its Bay Bash fundraiser on December 1 at Medal of Honor Aircraft Pavilion in Battleship Park. The year-end an nual event is a celebration of the beauty, health, and heritage of Mobile Bay and our coastal communities. www.mobilebaykeeper.org/

Fairhope Teen Art Guild

6:00 PM Fairhope Public Library, 501 Fairhope Avenue Fairhope, AL, 36532 Fairhope Teen Art Guild-Ages 12-18 at 6pm in the MakerSpace 251-929-1465 www.fairhopelibrary.org/

Wish Night Mobile

6:00 PM Renaissance Mobile Riverview Plaza Hotel, The event will feature fine dining and beverages, live music, an exclusive silent auction, wish kid appear ances and special mission moments, and a whole lot more. We currently have more than 30 children in the South Alabama region waiting on a wish. The funds generated by Mobile Wish Night will help create lifechanging wishes for children right here in our state who are battling critical illnesses. www.alabamawishnight.com

Friday December 2

Sea Lab Science Friday: STEM: The Ocean Version Alabama Aquarium at the Dauphin Island Sea Lab, 101 E Beach Boulevard Dauphin Island, AL, 36528 www.bit.ly/SeaLabScienceFridays

2022 Taste of the Island

7:00 PM 4671 Wharf Parkway Orange Beach, AL, 36561 Enjoy dining on the Signature Dishes and Drinks from over 30 of the Gulf Coast’s Finest Res taurants while dancing the night away to the Beach Band sounds of the Tyn Tymes. This Charitable Event benefits “Toys for Tots” & Locals in Need. www.mysticsofpleasure.com/

Black Violin

8:00 PM Mobile Civic Center, 401 Civic Center Drive Mobile, AL, 36602 Black Violin is an American hip hop duo from Fort Lauderdale, Florida comprising two classically trained string instrumentalists, Kevin Sylvester and Wilner Baptiste, who go by the stage names Kev Marcus and Wil B. Kev Marcus plays the violin, and Wil B. plays the viola. www.asmglobalmobile.com/

Saturday December 3

Living History Crew Drill

8:00 AM USS Alabama Battleship, 2703 Battleship Parkway Mobile, AL, 36603 Come see history come to life with our WWII historical reenactors as they board the battleship USS ALABAMA and submarine USS DRUM. Be on deck for “call to battle stations” at 1:00 p.m. and watch the crew repels air attacks www.ussalabama.com

The Fab Four

8:00 PM Saenger Theatre, 6 South Joachim Street Mobile, AL, 36602 The Emmy Award-Winning Fab Four is elevated far above every other Beatles Tribute due to their precise attention to detail. www.asmglobalmobile.com/

Delta Discovery Tour

Bartram Landing at Five Rivers Delta Resource Center, 30945 Five Rivers Boulevard Spanish Fort, AL, 36527 This 90-minute excursion into the wild and scenic

lower reaches of the Mobile-Tensaw Delta--known as the “American Amazon,”--introduces visitors and residents alike to a truly astounding natural habitat. www.blakeleypark.com/

Sunday December 4

Outdoor Movie Night

6:00 PM Spanish Fort Public Library, 7361 Spanish Fort Boulevard Spanish Fort, AL, 36537 Outdoor mov ies on the back patio are here! A fun family night for all ages. www.spanishfortpubliclibrary.org

Nate Bargatze: The Raincheck Tour

8:00 PM Saenger Theatre, 6 South Joachim Street Mobile, AL, 36602 www.asmglobal mobile.com/

the largest communities in the Southeast. Guests may climb the tallest of the mounds, which rises some 45 feet above the delta marsh! This cruise offered in fall and winter.

www.blakeleypark.com

Cast Iron Cookoff: A Surf ‘n Turf Battle at the Fort

11:00 AM Fort Gaines, 51 Bienville Boulevard Dauphin Island, AL, 36528 The Bama-Q Cast iron Skillet Challenge will feature 30 top cook teams creating their best “surf & turf” dish as well as sampling tasty seafood bites in a Peoples Choice contest.

www.eventbrite.com/e/bama-q-cast-iron-battleat-fort-gaines-competitor-registration-tick ets-349476101427

Bay Area Performing Arts Presents “Frozen Jr.” Details December 8.

Sunday December 11

Bay Area Performing Arts Presents “Frozen Jr.” Details December 8.

Delta Discovery Tour

Bartram Landing at Five Rivers Delta Resource Center, 30945 Five Rivers Boulevard Spanish Fort, AL, 36527 This 90-minute excursion into the wild and scenic lower reaches of the Mobile-Tensaw Delta--known as the “American Amazon,”--introduces visitors and residents alike to a truly astounding natural habitat. www.blakeleypark.com/

Monday December 5

Holiday Floral Arrangement Class 10:00 AM Fairhope Public Library, 501 Fairhope Av enue Fairhope, AL, 36532 Holiday Floral Arrangement Class – Giddens 251-929-1465 www.fairhopelibrary.org/

Tuesday December 6

Anime Club 5:00 PM Fairhope Public Library, 501 Fairhope Avenue Fairhope, AL, 36532 Anime Club for Ages 12-18 251-929-1465 www.fairhopelibrary.org/

Thursday December 8

15th Annual Chocolate Affair 6:00 PM Daphne Civic Center, 2603 US-98 Daphne, AL, 36526 Enjoy dinner, an array of desserts, music, silent auction, and a live “fund the mission” auction, while getting all the latest updates on the impact your dollars and service have made and will continue to make, helping families with children experiencing homelessness in Baldwin County! www.familypromisebaldwinal.org/events

Bay Area Performing Arts Presents “Frozen Jr.” Bay Area Performing Arts, 8724 Rand Avenue Daphne, AL, 36526 251-455-0355 www.bayareaperformingarts.com/

Friday December 9

Beach, Dune, and Maritime Forest Excursion ($12 per person)

9:45 AM Alabama Aquarium at the Dauphin Island Sea Lab, 101 E Beach Boulevard Dauphin Island, AL, 36528 Beach, Dune, and Maritime Forest Excursion

Bay Area Performing Arts Presents “Frozen Jr.” Details December 8.

Saturday December 10

Excursion to the Bottle Creek Mound Complex

9:00 AM Live Oak Landing, 8700 Live Oak Road Stockton, AL, 36527 The stunning Bottle Creek site, accessible only by boat, features 18 earthen mounds built centuries ago by Native Americans and was once of

Thursday December 15

Movies at Meyer Park

6:00 PM Meyer Park, 400 E 22nd Avenue Gulf Shores, AL, 36542 Locals and visitors are invited to bring their lawn chairs and blankets and join us at Meyer Park for a free movie under the stars! Movies will begin at 6 p.m. each night. December 15: Elf www.gulfshoresal.gov/1421/Movies-at-Meyer-Park

Bay Area Performing Arts Presents “Frozen Jr.” Details December 8.

Friday December 16

Greer’s Markets/This is Alabama Mardi Gras 6:30 PM Downtown Mobile, Mobile, AL, 36602 The skies of downtown Mobile will be filled with beads, moon pies and more as the LendingTree Bowl presents Mobile’s largest Mardi Gras Parade with floats from 20 mystical societies. www.lendingtreebowl.com/

Bowl Team Pep

Rallies

7:30 PM Downtown Mobile Fans are invited to attend the official bowl team pep rallies. Both participating institutions will hold their of?cial pep rallies outside of each team party venue in downtown Mobile. www.lendingtreebowl.com/

Who’s Bad - Michael Jackson Experience

7:30 PM Mobile Civic Center, 401 Civic Center Drive Mobile, AL, 36602 www.asmglobalmobile.com/

This Is Alabama Street Party

8:00 PM Downtown Mobile, Mobile, AL, 36602 “This Is Alabama Street Party” will be on Dauphin St from South Jackson St to South Royal St. There will be performers located at Bienville Square. www.lendingtreebowl.com/

Bay Area Performing Arts Presents “Frozen Jr.” Details December 8.

Sunset Cruise from Five Rivers Delta Resource Center

Bartram Landing at Five Rivers Delta Resource Center, 30945 Five Rivers Boulevard Spanish Fort, AL, 36527 Come along on a brief relaxing voyage as we experi ence nature’s splendor. www.blakeleypark.com/

Eastern Shore Parents I December 2022 www.easternshoreparents.com 60
FamilyCalendar

Saturday December 17

Utopicon ‘22

9:00 AM - 3:00 PM, Fairhope Public Library, 501 Fairhope Avenue Fairhope, AL, 36532 Sci Fi and Fantasy Fandom Convention – all ages! Giddens Auditorium and Upstairs 251-929-1465 www.fairhopelibrary.org/

Lending Tree Bowl

4:45 PM Hancock Whitney Stadium, 500 Stadium Drive Mobile, AL, 36608 The LendingTree Bowl will be played at Hancock Whitney Stadium in Mobile, Alabama on Saturday, December 17, 2022 at 4:45 pm CST. www.lendingtreebowl.com/the-game/game-day/

Bay Area Performing Arts Presents “Frozen Jr.” Details December 8.

Holiday Delta Discovery Cruises from Five Rivers

Bartram Landing at Five Rivers Delta Resource Center, 30945 Five Rivers Boulevard Spanish Fort, AL, 36527 Join us for a special holiday-themed 90-minute excur sion into the wild and scenic Mobile-Tensaw Delta. www.blakeleypark.com/

Sunday December 18

Monica & Ne-Yo Concert

7:00 PM Mobile Civic Center, 401 Civic Center Drive Mobile, AL, 36602 Monica & Ne-Yo Concert www.asmglobalmobile.com/

Rainbow Kitten Surprise

8:00 PM Saenger Theatre, 6 South Joachim Street Mobile, AL, 36602 Rainbow Kitten Surprise www.asmglobalmobile.com/

Holiday Delta Discovery Cruises from

Five Rivers

Bartram Landing at Five Rivers Delta Resource Center, 30945 Five Rivers Boulevard Spanish Fort, AL, 36527

Join us for a special holiday-themed 90-minute excur sion into the wild and scenic Mobile-Tensaw Delta. www.blakeleypark.com/

Thursday December 22

Teen IRL

6:00 PM Fairhope Public Library, 501 Fairhope Avenue Fairhope, AL, 36532

Teen IRL for Ages 12-18 251-929-1465 www.fairhopelibrary.org/

Saturday December 31

New Years Eve Bay Bash

8:00 PM - 12:00 AM, Battle House Hotel, 26 N Royal Street Mobile, AL, 36602 Taking place at The Battle House in downtown Mobile, enjoy private, balcony views of the New Year’s eve festivities happening in the street below. Enjoy a reception style meal and a signature open bar, balcony views of the fireworks and the Moon Pie drop. www.mobilebaykeeper.org/bay-bash

Thursday January 5

South Baldwin Community Theatre presents “The Odd Couple (Female Version)” 7:30 PM 2022 West 2nd Street Gulf Shores, AL, 36542 www.sbct.biz

Friday January 6

South Baldwin Community Theatre presents “The Odd Couple (Female Version)”

Details on January 5.

Black Jacket Symphony

8:00 PM Saenger Theatre, 6 South Joachim Street Mobile, AL, 36602 The Black Jacket Symphony will perform Fleetwood Mac’s Rumours. www.asmglobalmobile.com/

Saturday January 7

Orange Beach: Body, Mind, Spirit Expo

10:00 AM - 7:00 PM, Orange Beach Event Center, 4671 Wharf Parkway Orange Beach, AL, 36561 An event for people who are into alternative health, wellness tools, products, holistic and metaphysical practitioners, and more. www.OrangeBeachExpo.com

South Baldwin Community Theatre presents “The Odd Couple (Female Version)”

Details on January 5.

Saturday January 14

Winter Jam

6:00 PM Mobile Civic Center, 401 Civic Center Drive Mobile, AL, 36602 World Vision presents Winter Jam Tour, hosted by Newsong & produced by Premier Productions, Christian music’s biggest tour, is back for 2023 with headliners We the Kingdom and Jeremy Camp and a solid lineup of acts including Andy Mineo, Disciple, Austin French, NewSong and featuring for the first time Dove Award-winning new artist of the year Anne Wilson. www.asmglobalmobile.com/

61
www.facebook.com/easternshoreparentsmagazine
FamilyCalendar 2,000 sq. ft. Space with Private Bathrooms Spectacular Waterfront Venue PERFECT FOR REHEARSAL DINNERS 30 to 100 Guests Rehearsal Dinners Small Weddings Corporate Meetings Holiday Parties Reunions,Graduations Celebrations Reveals, Showers & More originaloysterhouse.com/banquet | 251-753-5813

Cruise to the Site of Old Mobile: Alabama’s First European Settlement

Live Oak Landing, 8700 Live Oak Road Stockton, AL, 36527 Join us for a one-of-a-kind excursion through the storied waters of the Mobile-Tensaw Delta as we journey to the original site of the town of Mobile, founded in 1702! www.blakeleypark.com

Thursday January 19

The Temptations & The Four Tops

Mobile Civic Center, 401 Civic Center Drive Mobile, AL, 36602 The Temptations & The Four Tops www.asmglobalmobile.com/

Wednesday January 25

Jason Isbell and The 400 Unit

8:00 PM Saenger Theatre, 6 South Joachim Street Mobile, AL, 36602 Jason Isbell and The 400 Unit with special guest Peter One www.asmglobalmobile.com/

Saturday January 28

The Big Beach 7k

9:00 AM 101 E Beach Boulevard Gulf Shores, AL, 36542 You are invited to join us for the 7K in beautiful Gulf Shores, Alabama The courses are flat and fast running on the fully paved trails. www.bigbeachmarathon.com

Gumbo & Alabama Slammer Festival

10:00 AM - 7:00 PM, Heritage Park, Main Street & Craig Street Atmore, AL, 36502 Come to enjoy - gumbo, live music, food trucks, huge kid zone, vendors and more. www.beachlifeevents.com/gumbo_tickets.php

Sunday January 29

The Big Beach Marathon, Half Marathon

8:00 AM 101 E Beach Boule vard Gulf Shores, AL, 36542 You are invited to join us for the Big Beach Marathon and Half Marathon in beautiful Gulf Shores, Alabama the weekend of January 29th & 30th, 2022. The courses are flat and fast running on the fully paved trails through Gulf State Park, with the start and finish located at the Hangout with stunning beaches and views of the Gulf of Mexico. www.bigbeachmarathon.com

Every Monday

Free Build - STEM Play (Free)

9:00 AM - 12:00 PM, Fairhope Public Library, 501 Fairhope Avenue Fairhope, AL, 36532 Ages 2 to 10 years old. Come put your creative imagination to the test! We will put out all of our legos, soft blocks, lincoln logs, picnic pieces, buckets of dinosaurs, and more. Join us in the Activity Room for Free Build every Monday and Friday from 9am - Noon. 251-929-1465 www.fairhopelibrary.org/

Lego Build

3:30 PM - 5:00 PM, Spanish Fort Public Library, 7361 Spanish Fort Boulevard Spanish Fort, AL, 36537 Free build -Activity Room, Ages 2-10yrs. 251-410-READ www.spanishfortpubliclibrary.org

MakerSpace Mondays at Fairhope Library

6:00 PM Fairhope Public Library, 501 Fairhope Avenue Fairhope, AL, 36532 Ages 9+. Join us every Monday in the MakerSpace for fun, hands-on crafts and activities. We will have a different craft, experiment, or group activity every week! All materials are provided for free. 251-929-1465 www.fairhopelibrary.org/

Every Tuesday

Movers & Shakers Toddler Storytime (Free)

10:00 AM - 10:50 AM, Fairhope Public Library, 501 Fairhope Avenue Fairhope, AL, 36532 Ages 18 months to 2 years old. Join us for a special storytime just for toddlers every Tuesday at 10am in the Activity Room for silly books, silly songs, and fun crafts. This sum mer we will focus on ocean themed stories and crafts - perfect for our little explorers! 251-929-1465 www.fairhopelibrary.org/

Story time - Lap Babies (Free)

10:30 AM Daphne Public Library, 2607 US-98 Daphne, AL, 36526 Lap babies at 10:30 am (infant to 23 months) Songs, stories, puppets and more! 251-620-2500 www.daphneal.com/178/Library

Big Kid Storytime (Free)

11:00 AM - 11:50 AM, Fairhope Public Library, 501 Fairhope Avenue Fairhope, AL, 36532 Ages 3 to 7 years old. Join our super fun storytime every Tuesday at 11am, where we read new books, sing new songs, do creative crafts, and make new friends. This sum mer we will focus on ocean themed stories and crafts! 251-929-1465 www.fairhopelibrary.org/

Family Game Night

4:30 PM - 7:00 PM, Spanish Fort Public Library, 7361 Spanish Fort Boulevard Spanish Fort, AL, 36537 Little Explorers Sensory Play. Registration required. 251-410-READ www.spanishfortpubliclibrary.org

Teen Writers NaNoWriMo Group (Free)

6:00 PM Fairhope Public Library, 501 Fairhope Avenue Fairhope, AL, 36532 Teen Writers NaNoWriMo Group 251-929-1465 www.fairhopelibrary.org/

Second Tuesdays thru December 13

Little Explorers Sensory Play

10:30 AM Spanish Fort Public Library, 7361 Spanish Fort Boulevard Spanish Fort, AL, 36537 Little Explor ers Sensory Play. Registration required. 251-410-READ www.spanishfortpubliclibrary.org

Every Wednesday

Centennial Park Story Time (Free)

10:30 AM Centennial Park, 1706 Main Street Daphne, AL, 36526 Centennial Park Story Time 251-620-2500 www.daphneal.com/178/Library

Storytime - Page & Palette

10:30 AM Page & Palette, 32 S Section Street Fairhope, AL, 36532 Please join us on Wednesdays at 10:30 AM for storytime! Each week, Miss Paula share a silly story the whole family will enjoy. 251-928-5295 www.pageandpalette.com

Storytime Wednesday - Spanish Fort Public Library

10:30 AM Spanish Fort Public Library, 7361 Spanish Fort Boulevard Spanish Fort, AL, 36537 Join the Spanish Fort Public Library for stories, songs, and group time each Wednesday morning at 10:30 a.m. Best for ages 5 and under.

251-410-READ www.spanishfortpubliclibrary.org

Virtual Preschool Story Time (Free)

2:00 PM Virtual, Daphne, AL, 36526 Virtual Preschool story time at 2:00 pm (24 months to 4 years) on Daphne Library Children’s Department Facebook page. 251-620-2500 www.daphneal.com/178/Library

Bookworm Bandits Book Club (Free)

4:00 PM - 5:00 PM, Fairhope Public Library, 501 Fairhope Avenue Fairhope, AL, 36532 Ages 8-12. Need some fun books to read this summer? Ms. Casey has you covered! Join her every Wednesday in Study Room #2 to discuss what you’re reading and chat about the monthly book club picks. Books are provided for free. 251-929-1465 www.fairhopelibrary.org/

Every Thursday

Babies and Books Storytime (Free)

10:00 AM - 10:45 AM, Fairhope Public Library, 501 Fairhope Avenue Fairhope, AL, 36532 Ages Newborn to 18 months. Join us for our special storytime just for babies and caregivers every Thursday at 10am for nursery rhymes, silly songs, tummy time, and sensory play.

251-929-1465 www.fairhopelibrary.org/

Pre-K Story Time (Free)

10:30 AM Daphne Public Library, 2607 US-98 Daphne, AL, 36526 Pre-K story time at 10:30 am (24 months to 4 years) stories and craft.

251-620-2500 www.daphneal.com/178/Library

Storytime Thursday - Spanish Fort Public Library

10:30 AM Spanish Fort Public Library, 7361 Spanish Fort Boulevard Spanish Fort, AL, 36537 Join the Span ish Fort Public Library for stories, songs, and group time each Wednesday morning at 10:30 a.m. Best for ages 5 and under.

251-410-READ www.spanishfortpubliclibrary.org

Homeschool Hour

11:00 AM - 11:55 AM, Fairhope Public Library, 501 Fairhope Avenue Fairhope, AL, 36532 Ages 8-14. Join us every Thursday at 11am for Homeschool Hour! We will explore a new topic every week, followed by a hands-on craft or STEAM based activity. The idea is to explore fun topics in a laid-back, relaxed setting - the perfect place to make new friends! Need more info?

Email youthservices@fairhopelibrary.org 251-929-1465 www.fairhopelibrary.org/

Thursday Night Tween/Teen Tabletop Gaming

4:30 PM - 7:00 PM, Spanish Fort Public Library, 7361 Spanish Fort Boulevard Spanish Fort, AL, 36537 Tween/Teen Tabletop Gaming Night

251-410-READ www.spanishfortpubliclibrary.org

Every Friday

Free Build - STEM Play (Free)

9:00 AM - 12:00 PM, Fairhope Public Library, 501 Fairhope Avenue Fairhope, AL, 36532 Ages 2 to 10 years old. Come put your creative imagination to the test! We will put out all of our legos, soft blocks, lincoln logs, picnic pieces, buckets of dinosaurs, and more. 251-929-1465 www.fairhopelibrary.org/

Every first and third Sunday

Animal Ambassadors

2:00 PM Five Rivers Delta Center, 30945 Five Rivers Boulevard Spanish Fort, AL, 36527 Join us at 2 PM as we present one or more of our live educational animals. Free, family friendly, no registration required. www.outdooralabama.com/activities/5-rivers-alabama-delta-resource-center

Second and fourth Sundays

Mobile Bay Maker’s Market

11:00 AM - 3:00 PM, Along Mobile Bay at The Pier, Fairhope, AL, 36532 Taking place every 2nd and 4th Sunday of the month, the Mobile Bay Maker’s Market features over 35 local artisans, farmers, and makers along the gulf coast. The event takes place just south of the Fairhope Municipal Pier. Food trucks are also on site.

Eastern Shore Parents I December 2022 www.easternshoreparents.com 62
FamilyCalendar We make every effort to ensure the accuracy of these calendar events. However, you should call ahead to confirm dates, times, location, and other information. Please send your calendar events to lynn@ easternshoreparents.com.

Grading Family Movies: Streaming, Digital Rentals, and Theatrical Releases

Enola Holmes 2

Netflix Rating Overall Violence Sex Profanity Alcohol/Drugs PG 13 B+ C A A C

Enola Holmes is on the case. Hired to find Sarah Chapman, who went missing after being falsely accused of theft at the match factory where she works, Enola’s quest will take her from high society balls to the slums and factories of Victorian London. En route, she will wind up working with her brother, Sherlock, as their cases intersect. Packed full of adventure and non stop action, this movie features appealing characters, impressive period detail, and a twisty plot. It also has some very intense violence so the PG 13 rating should be taken seriously. Photo ©Netflix

Till Theaters

Rating Overall Violence Sex Profanity Alcohol/Drugs PG 13 A C A A B

When 14 year old Emmett Till was kidnapped and murdered in 1955, his mother insisted on an open casket funeral. The evidence of the brutality the boy suffered before his death horrified Americans and served as an impetus to the Civil Rights Movement. This movie is the story of Mamie Till, her agonizing grief and steely resilience. It can be heartbreaking to watch, with some violence and racial epithets but it also makes a critical period of history accessible to teen viewers. Photo © Universal Pictures

Rating Overall Violence Sex Profanity Alcohol/Drugs PG-13 B- D+ A C+ A

With the death of King T’Challa, Queen Ramonda must protect her kingdom from the global powers that seek its vibranium resources. When the hunt for vibranium disturbs the undersea Tolakan kingdom, Wakanda is drawn into war and can only be saved by a new Black Panther. This film provides lots of action and escape into exotic locales but after awhile the endless spear battles and other violent contests get dull. There are also two plots, one of which is intriguing and the other ridiculous. Photo ©Walt Disney Motion Picture Studios

Netflix

Rating Overall Violence Sex Profanity Alcohol/Drugs PG A A A A- A

Struggling to adjust to his new city home, Elmer argues with his mother and runs away. He is swept off to the magical Wild Island where he must help a dragon named Boris save the island from sinking into the sea. Beautifully animated, this movie contains plenty of kid appropriate adventure. It’s also a sweet tale about friendship and has a plotline about overcoming fear that will help kids who struggle with anxiety. This clean, charming film is a great choice for family movie night. Photo ©Netflix

Rating Overall Violence Sex Profanity Alcohol/Drugs PG 13 B C A B A

Sophia’s wish comes true when she and her unwitting best friend, Agatha are carried away to the legendary School of Good and Evil. But Sophia’s convinced there’s been a mistake. She’s been assigned to the School of Evil when she wants to be a magical princess. Based on a YA novel series, this film delivers fast moving action and a lot of violence. It also provides probing questions about morals and ethics, which makes it worth watching for teens. Photo ©Netflix Photo ©Netflix

Detailed reviews available at www.parentpreviews.com

63 www.facebook.com/easternshoreparentsmagazine
Black Panther: Wakanda Forever Theaters My Father’s Dragon The School for Good and Evil Netflix

Devices as Christmas Gifts... What You Need to Know

Christmas is here! I feel like we were celebrating last year’s Christmas, well, yesterday. Time sure does fly. I think being a parent immediately puts all of us in a time warp. Speaking of, how much do you miss the “old days” of Christmas? If you are north of 30, you know what I am talk ing about. Devices were not the “main gift”. We used to ask for bi cycles, coloring books, Lite-Brites, Cabbage Patch Kids, or a base ball bat. Okay, maybe you need to be north of 40 to remember some of those, but the reality is that devices didn’t become the main attraction until about 10, maybe 15, years ago. Other than the occasional Nintendo, our parents were not out buying cell phones, iPads, or gaming de vices that had access to the entire world.

I am also willing to bet if you had ap proached one of your parents with the idea of “do you want to buy a device that will allow your 8-yearold to have access to anyone across the world at all hours of the day,” they would have told you to take a hike. I think there is something to be said for the “go outside and play” generation. Our gifts usually brought us together with friends or, at the very least, spurred a safe, creative outlet.

But as much as we can wish for the old days, we are most definitely in a new

and different generation. And if your child has their first cell phone or gam ing device on their list, there are a few things we must consider first, as parents, to protect our kids. First, how old is your child? And I do not mean just chronologi cally. What is their maturity level? I have met many 16-year-olds I did not think should have access to any online activity. Take some time to think about how your child acts and reacts to situations. Do they follow your rules? Will they obey the boundaries you set, or will they test them at all times? This will help you decide if it is time for a device, if they need restrictions placed on it, or if they may not need one at all.

Secondly, are you ready for a part-time job? What does this mean? The parents I work with always ask, “What is the ‘best age’ for a device?” I always respond with, “Are you ready for a part-time job?” Are you ready for your relationship with your child to change? Because the reality is that to protect children, we MUST look at what they are doing. This means we must learn how to operate their phone. You need to know how to use each app on the phone. How to access their folders and pictures. And then you must

invest the time, weekly in the beginning for our young kids, doing random device checks. This is time-consuming. And the harsh reality is it will never feel like enough. You will always feel like you need to protect them more. And you will always wonder if they are doing things you cannot access and should not be doing.

Third, are you ready to set boundar ies and rules around the device? You must do this to protect your child. Not just from others but from themselves. And, these boundaries must be established early. I encourage you to talk about kids before purchasing a phone or device. Because if the limits cannot be agreed upon, then it may not be time for a device in the home.

While all of this may sound exhaust ing and stressful, we must ensure we do what we can to protect our kids. If your gut feeling is that your kid is not ready for a device, it is okay to listen to that feeling. And to wait. They will survive. Maybe a “throwback” Christmas with toys that encourage time together is just what everyone needs.

Kristi Bush serves as a national education consultant and social media safety advocate.

She is a licensed social worker with greater than 15 years of clinical practice and health care experience.

She attended Troy and Auburn University where she studied social work and counseling. Kristi travels nationally and has spoken with thousands of children, parents, professionals and organizations about the benefits and threats associ ated with social media. You may reach Kristi through her website at www.knb communications.com.

Eastern Shore Parents I December 2022 www.easternshoreparents.com 64
1 www.facebook.com/auburnopelika.parents Parents stop hpv Keep Your Kids Cancer Free! More than 26,000 new cases of HPV cancers could be prevented with HPV vaccination Prevents of HPV cancers 90% Protects boys and girls against half a dozen cancers including cervical and other HPV cancers. Don’t Delay. contact your childs doctor today! Vaccine costs are covered by most insurance programs, Medicaid, and the Vaccine for Children Program (VFC). HPV Vaccine is Cancer Prevention! 90% Visit alabamapublichealth.gov/imm for more information and other available resources. Don’t Wait to Vaccinate AGE AT FIRST DOSE DOSE #2 DOSE #3 9 years until 15th birthday 6-12 months after dose #1Not Needed 15 years or older 1-2 months after dose #2 Approximately 4 months after dose #2

Turn static files into dynamic content formats.

Create a flipbook
Issuu converts static files into: digital portfolios, online yearbooks, online catalogs, digital photo albums and more. Sign up and create your flipbook.