Sheridan Road, December/January 2025

Page 1


It’s your story. We’re here to help ensure the best is yet to come.

At Fifth Third Private Bank, we bring more than 160 years of experience as trusted advisors to high net worth and ultra-high net worth individuals, families and businesses. Our local team is committed to bringing together a comprehensive strategy that helps you and your family meet your financial goals.

From sophisticated wealth planning to custom investment advice and management, we can address complex financial needs and provide flexible solutions as your personal wealth management goals evolve over time. We’re here to help write your story and provide personalized guidance every step of the way.

Experience Transcendent

Enter a world of exquisite comfort and ease connected to the iconic 5-star St. Regis Chicago hotel. The Residences at The St. Regis Chicago will captivate you with awe inspiring views, exceptional finishes, and bespoke amenities. Live high above it all, right in the middle of it all.

To schedule your personal tour, please contact Leila Zammatta with the Magellan Marketing Group at +1 312 854 8524.

Ultra-luxurious lakefront residences, from 1,097 SF pieds-à-terre to full floor, 6,800 SF, 360°-view penthouses. One-to-five-bedroom homes from $840,000 to $18,500,000. 363 E. Wacker Drive, Chicago, IL 60601 | srresidenceschicago.com

DIAMONDS IT’S SNOWING

WE CALL THIS HOME

Source:

PROUD TO BE THE NORTH SHORE’S #1 LOCAL BROKERAGE FIRM

HELP SECURE YOUR FUTURE

Our mission is to bring peace of mind and quality of life to each and every one of our clients. Backed with nearly six decades of wealth management experience through some of the most turbulent markets in history, we have the toolset to help bolster your peace of mind. We pair the resources from one of the

Our mission is to bring confidence and quality of life to each and every one of our clients. Backed with nearly six decades of wealth management experience through some of the most turbulent markets in history, we have the toolset to help bolster your confidence. We pair the resources from one of the largest financial institutions in the country (Wells Fargo) with a personalized touch to wealth management. Each client portfolio is personalized to their goals and risk tolerance, as we manage each account individually – not by a computer software program.

– not by a computer software program.

Quality of life is how you

you

Quality of life is how you define it! We love learning what quality of life means to you – your dreams, hopes, and aspirations for you and your family. Yellowstone Wealth Management believes individual management & true client discovery is the only way we can tailor a portfolio that is truly designed to help bring you confidence and quality of life.

Over 100,000 Readers Weekly

The North Shore Weekend combines a local news digest of doings and reviews with stunning art and photography for which the NS Weekend is known, together with lifestyle features, which enriches the leisure time of our devoted Saturday and Sunday readership since 2012.

CAHILL OWNERS
BRANDON DELFINO & CHRIS MCNELLY

EDITOR’S NOTE

Our December/January issue toasts the end of 2024 and the beginning of 2025 with tales of artists, designers, celebrities, philanthropists, and business innovators. Our cover feature highlights the incredible talent of artist and educator Mairin Hartt. Read Below the Surface to learn about her creative process. On the fashion front, our first feature introduces Lake Forest native Contessa Mills, who shares details about the debut of her “exquisitely unordinary” clothing line.

Heading into the world of charitable endeavors, our second feature introduces Julie Hoffmann, founder of JH Philanthropy. Julie explains her joy in helping clients affect and deepen impact in Chicago and beyond. Transitioning from philanthropy to a world of catwalks, our third feature catches up with Illinois native Cindy Crawford. The supermodel was in town for an event at the CD Peacock Mansion in Oak Brook. Leaving the runway, we turn to the power to pivot in our fourth feature where Annie Rogers “cleans house” with her recent venture, Mise en Place. We round out the features with Lake Forest’s Stephen Sinclair. His startup BOUNTE uses AI to revolutionize the “Lost & Found” departments in the travel, hospitality, and educational fields. Was a beloved pair of cufflinks or a treasured stuffed animal left behind at a Four Seasons? Relax, BOUNTE will have it located in no time.

In Shore vs. City, we introduce the founder of clean makeup brand Bitty Balm—Highland Park’s Maggie Schmieder. Exchanging additive and dye-free products for good-for-you matcha, Trending catches up with Katie Mankoff, founder of Mantra Matcha.

Planning a cozy dinner party? Recipe whips up a showstopper dessert—a dreamy Cranberry Charlotte Russe. Escaping the cold, we pack our bags for a wild stay in Thailand. First Class explores the bustling city of Bangkok and the serene Golden Triangle where elephants and beauty abound.

We close the issue with young starlet Alina Tabor, who shares tales from the stage in New Zealand.

Follow Sheridan Road on Instagram: @sheridanrdmag

Versace Silk Baroque Jumpsuit, Versace Medusa Heritage Watch, and Versace Protea Bag—what I am hoping to see under the Christmas tree!
Julie Hoffmann founder of JH Philanthropy wearing a Leo Lin dress from The Lake Forest Shop. Julie is featured in Bridge to Legacy
Corrigan

“ Unlike many coaches and therapists I do not rely on formulas or pathological diagnoses to advance my client’s goals. Instead, I partner with the client to deepen their self-awareness, strengthen their confidence and courageously chart their unique path forward.”

Coach Dave helps high-achieving mid-to late-career professionals overcome:

• Feeling stuck or lost

• Leadership roadblocks

• Self-doubt

• Loss and grief (job, relationship, family)

• Indecision or worry about what’s next

• Imposter Syndrome

518.727.6531

www.heycoachdave.com/lflb 253 Market Square Court, Suite C Lake Forest, IL 60045

Call today!

I live and work on the North Shore and am available for both in-person and virtual sessions.

Tcherassi dress,
Lake Forest Shop, lakeforestshop.com

AGENDA

SAVE the DATE

Sheridan Road provides the North Shore’s comprehensive social calendar.

THROUGH DEC 29

IRVING BERLIN’S WHITE CHRISTMAS

WHERE: The Marriott Theatre, Lincolnshire

One of America’s most cherished silver screen classics comes to the stage in this holiday favorite. Packed with dazzling hits like “Blue Skies,” “Count Your Blessings,” “I Love a Piano,” and the title song, “White Christmas,” your entire family will celebrate this magical time of year with this uplifting classic. marriotttheatre.com

DECEMBER 6 – 28

THE NUTCRACKER

WHERE: Lyric Opera House

The Joffrey Ballet’s annual holiday tradition celebrates the magic of the season and the rich cultural heritage of Chicago. Magic is on the horizon for young Marie and the Nutcracker Prince, thanks to a visit from the mysterious Great Impresario. At the stroke of midnight on Christmas Eve, Marie sets out on an unforgettable journey through Chicago’s 1893 World’s Fair, a marvel of sights, sounds, and entertainment. joffrey.org

DEC 7 – MARCH 9

HYDE PARK ART CENTER

BIENNIAL EXHIBITION

WHERE: Hyde Park Art Center

The Art Center announces Ground Floor, the eighth iteration of the biennial program showcasing select work by recent graduates from each of Chicago’s five MFA (Master of Fine Art) programs. The works on display will include themes of loss, liberation,

alternative archiving methods, and engaging the senses to be more connected and present in defiance of the overwhelmingly isolated state of our world. hydeparkart.org

DECEMBER 8

HOLIDAY HOME TOUR

WHERE: Start at Lake Bluff History Museum

Looking for holiday decorating inspiration or want something fun to jump start the season?

The Lake Bluff History Holiday Home Tour is a great opportunity to pick up new ideas while enjoying the creativity and traditions of Lake Bluff residents who dress their homes up for the holidays. lakebluffhistory.org/events

DECEMBER 14

BREAKTHROUGH T1D

ILLINOIS GALA

WHERE: McCormick Place Join Breakthrough T1D for their ninth fundraising gala. Last year’s celebration saw record-breaking fundraising for T1D research. Enjoy an unforgettable evening featuring an expansive silent auction, one-of-a-kind live auction, seated dinner, award-winning live entertainment, and a night of fundraising all in support of the diabetes community. breakthrought1d.org

JANUARY 8 – 12

DISCOVER® BOATING

CHICAGO BOAT SHOW

WHERE: Donald E. Stephenson Convention Center, Rosemont

The iconic Chicago boat event, the largest of its kind, is always a fun weekend featuring

hundreds of boat companies showing their newest boats in cold January. This annual fun, sunny respite has been held in Chicago for more than 80 years. chicagoboatshow.com

FEBRUARY 21

ART IN MOTION

WHERE: Wildman BT, Chicago

Hosted by the Associate Board, the 22nd annual Art in Motion event aims to raise over $500,000 for Shirley Ryan AbilityLab’s Art Therapy and Therapeutic Recreation programs—unique and healing programs supported exclusively through philanthropy. Enjoy a lively cocktail party with music, refreshments, and patient artwork on display. Meet the artists and bid on their artwork throughout the night. sralab. org/artinmotion

FEBRUARY 28

HPDS GALA

WHERE: Bryn Mawr Country Club

Hyde Park Day School celebrates 25 years of serving bright children with learning disabilities at its annual gala. All proceeds are allocated to the school’s Bright Futures Scholarship Fund. hydeparkday.org/

DEC 7 - JAN 29

RODNEY SMITH

PHOTOGRAPHY

WHERE: Anne Loucks Gallery, Winnetka Rodney Smith (1947-2016) is long acclaimed for his iconic photographs that combine brilliant composition and light with his distinctive sense of style, substance, and wit. Using only light and film, Smith’s unretouched, dreamlike images are matched in quality by the physical beauty of his prints. The show includes 20 of the photographer’s unique images filled with subtle contradictions and surprise. loucksgallery.com

Rodney Smith, Viktoria and Rainer in Car
Anne Loucks Gallery
December 7 - January 29

Invest with Intention

NEWSWORTHY

NATURE’S

FRONT ROW SEAT

The Savute region of Chobe National Park in northwest Botswana is famous for its diversity of wildlife including the elusive African wild dog and hardto-spot leopards. The best place to catch a view of these animals is at the newly rebuilt Savute Safari Lodge by Desert & Delta Safaris. The property’s open-air communal space has been carefully reimagined to prioritize the views over one of Botswana’s most dramatic waterholes. This unique waterhole, featured in world-renowned documentaries, including National Geographic’s Savage Kingdom and the BBC’s Planet Earth, is one of Botswana’s best “in-lodge” wildlife experiences. Executed by South Africa-based design firm Dakota Design, the sophisticated, new interiors of the 12 en-suite safari suites infuse traditional safari lodge designs with a clean, contemporary feel. The color palette draws inspiration from the striking contrasts of the Kalahari, blending earthy greens with the vibrant colors of the life-giving rains. To book, or for more information, email info@desertdelta.com.

Nestled in a serene valley with breathtaking views of the majestic Mt. Ololokwe, the newly opened Basecamp Samburu immerses guests in the untamed beauty of northern Kenya. Mt. Ololokwe, revered by the Samburu people for its spiritual significance, provides a stunning backdrop that captivates visitors from sunrise to sunset. Basecamp Samburu is Saruni Basecamp’s newest addition to its luxury safari lodge portfolio. A pair of exquisite open-air elevated starbeds—one standard and one deluxe that includes a jacuzzi—makes the experience perfect for stargazers, honeymooners, or anyone who wants to be surrounded by the complete tranquility of the Kenyan wild. Samburu is a largely undiscovered region where guests enjoy unique species such as Grevy’s zebra, gerenuk, and reticulated giraffe. The property provides five safari tents, including one multi-room tent designed for families. The property’s eco-friendly design embodies a minimalistic ethos executed by boutique Norwegian architecture firm Bull Arkitektur that emphasizes sustainability. To book, or for more information, email reservations@sarunibasecamp.com.

WILD LUXURY LUXE LILLIE

Since 1990, Lillie Alexander Boutique has been a fashion cornerstone of the North Shore. Ownership recently transitioned from founder Lillie Milovanovic to Lauren Peters, ushering in a new chapter for this beloved boutique. Known for excellence in style and service, Lillie Alexander offers a range of styles from casual dresses to elegant formal wear, all designed to flatter every figure. Offering a curated selection of high-end women’s clothing and accessories, Lillie Alexander customers can discover renowned designer brands such as Veronica Beard and Ulla Johnson. Under Lillie’s mentorship and Lauren’s leadership, Lillie Alexander strives to deliver an elevated shopping experience marked by individualized service and a welcoming atmosphere. The knowledgeable staff is dedicated to helping customers feel confident and comfortable, embodying the belief that “when you look good, you feel good.” Open seven days a week, Lillie Alexander is committed to providing exceptional customer service in a no pressure environment. Whether updating your wardrobe or searching for the perfect outfit for a special occasion, Lillie Alexander Boutique is the destination for timeless elegance and modern fashion. Lillie Alexander is located at 197 East Westminster in Lake Forest.

WARNER INSTITUTE

A NEW CHAPTER IN AESTHETICS: SURGERY & INJECTABLES

As 2024 comes to a close, the world of aesthetics is evolving in exciting ways, blending advanced surgical techniques with innovative injectables to create transformative experiences. At the forefront of this evolution are Warner Aesthetic & Reconstructive Institute and The Skin Lounge, where the seamless integration of surgery and injectables offers patients a comprehensive path to their beauty goals.

TRANSFORMATIVE JOURNEYS WITH DR. JEREMY WARNER

In the Northfield suburbs of Chicago, Dr. Jeremy Warner stands out as a leading figure in plastic and facial surgery. A double board-certified physician, Dr. Warner is dedicated to pushing the boundaries of aesthetic medicine. His commitment to excellence is exemplified by his patented procedures, SWIFT Lift and SWIFT Sculpt, which are redefining the traditional facelift and neck lift.

These groundbreaking techniques are performed in-office under local anesthesia, providing a safe and convenient alternative to conventional surgeries. By prioritizing patient comfort and innovative care, Dr. Warner ensures that each transformation is not only exceptional but also tailored to the individual needs of his patients. His approach emphasizes safety and efficacy, making him a beacon of excellence in the field.

THE ART OF INJECTABLES WITH ALYSSA NASMAN, RN

For those seeking non-surgical options, Alyssa Nasman, RN, offers a personalized approach to injectables that enhances natural beauty. With a deep understanding of the balance between aesthetics and science, Alyssa prioritizes facial harmony and individualized care. Her passion lies in empowering patients through education and customized treatments, ensuring that each client feels confident and radiant. Alyssa’s philosophy revolves around highlighting unique features while achieving a harmonious overall appearance. She believes that beauty is a journey, and she guides her patients through this transformative experience with care and compassion.

A COLLABORATIVE APPROACH

The talent between Dr. Warner and Alyssa exemplifies a natural approach to aesthetics. By combining surgical innovation with non-invasive treatments, they create personalized plans that cater to the diverse needs of their patients. Whether you’re considering surgery or exploring injectables, the team at Warner Aesthetic & Reconstructive Institute and The Skin Lounge is dedicated to helping you achieve your aesthetic aspirations.

As we enter a new year, it’s time to embark on your own transformative journey. Discover the exceptional services offered at Warner Aesthetic & Reconstructive Institute and The Skin Lounge, where the latest in surgical and injectable techniques come together to redefine beauty and boost self-confidence.

DR. JEREMY WARNER, MD FACS
ALYSSA NASMAN, RN

SHORE CITY

Highland Park’s Maggie Schmieder is the visionary behind Bitty Balm, the “Makeup ON Purpose” brand dedicated to creating dye-free, healthier beauty products. Bitty Balm is formulated without parabens, phthalates, fragrances, or lake and synthetic dyes addressing a gap in the market for clean, limited-ingredient makeup. As a beauty brand founder, Schmieder’s mission is to provide women with healthier makeup options. The line offers multi-purpose, fun products that are safe for eyes, lips, and cheeks and perfect for adding a pop of color and shine across your face. Look for Bitty Balm as part of the curated “Think Dirty” Holiday Clean Beauty Box at cleanbeautique.com

Beyond her role as a beauty entrepreneur, Schmieder is also a children’s book author and illustrator, special education teacher, and mother of two girls. The multitalented entrepreneur sets aside her color palette to share her city and shore favorites with Sheridan Road

EDITED BY REDDING WORTH / PHOTOGRAPHY BY

BY

BY

What’s on the horizon? Focusing on getting Christmas ready for my girls, decorating the house, getting Bitty Balm into customers’ hands for holiday gifting, and shipping to customers across the country Mantra? Talk to strangers Best grooming tip? Less is more when it comes to what you put on your face and the ingredients in your products Guilty pleasure? McDonald’s Diet Coke Favorite foods? Cheese and dark chocolate Music you love? SiriusXMU and Alt Nation, Holly Humberstone, King Princess, ‘70s -‘80s Michael Jackson Best advice ever given to you? We can’t make more time, but we can make our time worth more Best advice you have ever given? Approach difficult situations and people with empathy Earliest memory? Sitting on my grandma’s lap at 4 years old, learning to

tie a bow with her drawstring When you wake up, you? Twirl the sleeping dogs’ ears lying in bed with us Before bed you? Share highs and lows of the day and say I love you to my husband and girls What’s on your bookshelf? Books I have written and illustrated, books from my childhood and my girls’ childhood that I can’t bear to part with You can’t live without? Sunshine and Vitamin D Love to escape to? Portugal Advice you would give to your younger self? Relax, it only gets better, and you WILL do great things

ON THE SHORE IN THE CITY

Your style is? Jeans, Birkenstocks or sneakers, a simple Tee Can’t leave the house without? My phone Transportation? Mini Cooper convertible—it is such an impractical mom car, but I love it Driving music? My Apple music on shuffle Place to eat? Abigails, Happi Sushi, Spirit Elephant, Indus Shop? Anthropologie, Style Shack, Paper Source, and Beat Street for the kids Best thing about the Shore? Walking to the beach, listening to Ravinia in the backyard, and the kids being able to walk to school Worst thing about the Shore? Everything closes so early The perfect day is? A lazy morning, browsing local shops for holiday gifts, and dinner with friends. Our neighbors and friends make the North Shore our home

Your style is? Jeans, ballet flats, lots of stacked jewelry Can’t leave the house without? Bitty Balm to freshen up my cheeks and lips Transportation? Metra, walking Driving music? I usually chat with whoever I am with on the train or in the Uber Place to eat? Bloom Plant Based Kitchen, Sweet Mandy B’s Shop? Nordstrom, Zara, Nike Best thing about the City?

The energy and the different vibes in each neighborhood Worst thing about the City? The traffic and crime The perfect day is? Taking the train to the city for drinks and dinner or going down for a special event or concert

Maggie Schmieder and her pup Archie. Schmieder is wearing Dudley Stephens jacket, dudley-stephens.com, and Maje striped top and pleated skirt, bloomies.com
Bitty Balm
Lisbon, Portugal
Bloom Plant Based Kitchen
Happi Sushi

THE PREVIEW

APRÉS SKI

EDITED BY MORGAN HOGERTY PHOTOGRAPHY BY JAMES GUSTIN STYLING BY THERESA DEMARIA HAIR & MAKEUP BY MARGARETA KOMLENAC

The 118-year-old Allendale Shelter Club is hitting the slopes this winter with a new name, Allendale Women’s Board, and an exciting fundraiser, “Après Ski/Aspen.” The indoor/outdoor party will bring this beloved post-ski celebration to Lake Forest with cocktails and champagne, fire pits, and VIP yurts paired with a menu designed by Chef Paul Kahan of One Off Hospitality. Allendale Association is a nonprofit child welfare agency based in Lake Villa dedicated to the care, education, treatment, and advocacy of disadvantaged youth in Illinois. “Allendale focuses on healing and growth,” explains event co-chair and President Karen Anderson. “The school believes in every kid until they can believe in themselves.” Don your finest après ski attire and support kids in need. For more information, visit allendale4kids.org or follow @allendalewomensboard on Instagram.

THE WHO

Allendale Women’s Board and all their fabulous and festive friends

THE WHERE

Conway Farms Golf Club, Lake Forest

THE WHEN

February 22, 6 p.m. until late!

THE WHY

Who needs a mountain when there’s a DJ, cocktails, fire pits, and a reason to make a difference for children who need it most?

WEARING

Aspen-inspired après ski attire

Whitley Herbert, Cassie
Carver, Samantha Trace, Claire Concannon, Karen Anderson, Meredith Mitchell, all wearing Moncler, Neiman Marcus

ESQUIRE

NAVIGATING DIVORCE DURING THE HOLIDAYS

Managing the emotional complexities of divorce during the holiday season requires thoughtful planning and self-care, but it also offers a chance to forge new traditions and strengthen family bonds.

The holiday season can be emotionally intense for anyone, but for individuals going through a divorce, it presents unique challenges. From handling new family dynamics to managing shared responsibilities and expectations, the holidays often amplify emotions, logistical hurdles, and family drama. However, with careful planning and a focus on self-care, those going through a divorce can find ways to create meaningful and manageable holiday experiences for them and their families.

Emotional Strain and Resilience

For adults and children in the midst of a divorce, the holidays can magnify feelings of loss, loneliness, and stress. This is often due to traditions being disrupted or family gatherings feeling different than usual. Encourage your family to acknowledge these feelings, but also to look at the holidays as an opportunity to create new traditions that might even be more fun. This takes a lot of planning ahead, but the planning will pay off with a long-term benefit to your family.

Tips for Parents to Take Care of Their Emotional Wellbeing

Don’t just take care of everyone else. Practice self-care through journaling, meditation, and talking to a therapist. Schedule a massage or a long walk so that you are centered and able to be present for your family. Spend time with supportive friends and family who provide comfort and encouragement. Avoid situations or gatherings that may trigger conflict or stress. Try to rise above the conflict.

Managing Co-Parenting during The Holidays

For divorcing parents, co-parenting during the holidays can bring a set of logistical challenges. Developing a holiday schedule that serves the best interests of the children and respects each parent’s needs and extended families requires clear, proactive communication. Courts often encourage parents to develop holiday arrangements in advance, keeping the children’s needs front and center. Christmas happens every year at the same time, it is not an emergency.

Financial Considerations and Budgeting

Divorce often brings financial strain, which can be heightened during the holiday season with gift-giving, travel, and special events. It’s important for clients to be mindful of their budgets and prioritize what truly matters to them, avoiding unnecessary

debt or financial pressure. Set boundaries around gift giving to prevent competition and focus on meaningful experiences.

While the holidays can be challenging for those going through a divorce, they can also provide an opportunity to redefine personal traditions, strengthen family ties, and focus on what truly matters. By setting realistic expectations, managing co-parenting responsibilities with respect, and prioritizing emotional health, individuals can find ways to make the holiday season more manageable and meaningful.

HAPPY HOLIDAYS FROM STRATEGIC DIVORCE

Michone J. Riewer
STYLING BY THERESA DEMARIA

THE BEST REPLACEMENT WINDOWS

We are a window & door company dedicated to delivering outstanding services from the first consultation to the last inspection.

WINDOW INSTALLATION

No matter if you have one window or 1000, our team of licensed experts will help you each step of the way. All of our windows feature fully customizable hardware recessed into the frame for a modern appearance and state of the art functionality.

DOOR INSTALLATION

We offer a large selection of colors, styles, and high-quality materials for exterior doors for your home. Our team of knowledgeable experts will help you select the best door for your home.

“We just installed all new windows at our house and we love them! Before we made our decision we went to the manufacturer’s plant to see how the windows are made. We were concerned at first because Russ’s price was more than half of his competitors quoted price. After our tour we were very comfortable with our decision. Installation day was quick and painless. Our house was left in great condition. I highly recommend this company!”

Oscar de la Renta Scalloped Sequin Mini Dress, modaoperandi.com

FASHION

FASHION

01 BOTEH Indira Panayiota One-Piece Swimsuit, modaoperandi.com 02 Bottega Veneta Hop Large Intrecciato Suede Shoulder Bag, net-a-porter.com

03 ISABEL MARANT Beryl Rigid Jeans, modaoperandi.com 04 Matteau Cotton Shirt, modaoperandi.com 05 Chloé Marcie Leopard Loafer, neapolitan collection, 847-441-7784 06 Dodo Bar Or Dot Printed Shearling Coat, neta-porter.com 07 Ralph Lauren Polo ID Small Leather Tote, ralphlauren.com 08 Posse Exclusive Romeo Bow-Detailed Linen Midi Dress, modaoperandi. com 09 Loro Piana Cable-knit Cashmere Tapered Track Pants, net-a-porter. com 10 Versace Boots, versace.com 11 ERDEM Drape Midi Skirt, neapolitan collection, 847-441-7784 12 KHAITE Willow Textured-leather Knee Boots, net-a-porter.com 13 Chloé Georgia Boot, neapolitan collection, 847-441-7784 14 Favorite Daughter Exclusive The Juniper Satin Duster, modaoperandi.com 15 Carolina Herrera Pearl Button Top with Bow Ruffle Sleeve, neapolitan collection, 847-441-7784 16 ERDEM Short Sleeve Midi Dress, neapolitan collection, 847-441-7784 17 Chloé Ride Handbag, neapolitan collection, 847-441-7784 18 Dries Van Noten Suede Sneakers, modaoperandi.com 19 Emilia Wickstead Cappia Appliquéd Moire Midi Dress, modaoperandi.com 20 Ralph Lauren Stirrup Watch, ralphlauren.com 21 Rick Owens Headon Knitted Cashmere and Wool-blend Turtleneck Bodysuit, net-a-porter.com 22 Cara Cara Tay Feather-Trimmed Jacquard Mini Dress, modaoperandi. com 23 Gucci Reversible Hooded Belted Wool and Silk-blend Jacquard Coat, net-a-porter.com 24 Ralph Lauren Bear Tote, ralphlauren.com 25 Mixed Shape Halfway Band, razny.com 26 The Row Hereditas Flat Loafer, neapolitan collection, 847-441-7784 27 Loro Piana Cropped Cotton and Cashmere-blend Corduroy Tapered Pants, net-a-porter.com

01 Trudon Ernesto Candle
Nili Lotan Jamison Jacket
Aurem Karina Cuff Reflective Bangle
No. 8 Belt
Trudon Ernesto Diffuser
Beard Colette Ankle Strap Pointed Toe Pump
Lingua Franca Brushed Wool Cardigan
Franca Bianca Plaid Fair Isle Robe
Leather Jacket
Beard Lisbeth Suede Slingback Pump
Aurem St. German in Black 125/250
Hunter Bell Ryder Sweater
Shearling Clog
Trudon Robin Room Spray
Nili Lotan Arleth Sweater

Rugport has an inventory of over 10,000 rugs.

We are the largest handmade rug store in the Midwest and are among the top ten in the nation.

We offer a wide range of handmade rugs from around the world, including antique, traditional, modern, contemporary, and transitional styles.

In addition to our extensive selection of rugs, our services include custom handmade rug creation, repair, restoration, stair rug installation, nano rug protection, and cleaning.

We are also pleased to feature unique antique accessories and furniture curated by Lee Youngstrom of Barrington, in collaboration with Irongate Designs, exclusively at RUGPORT.

CULTURE & ARTS

THE NORTH SHORE’S MOST CREATIVE PURSUITS

MAIRIN HARTT

Mairin Hartt wearing Dorothee Schumacher dress, Neiman Marcus Northbrook. Photography by Maria Ponce/Styling by Theresa DeMaria/ Hair & Makeup by Leanna Ernest

ART & ARTIST

BELOW THE SURFACE

Mairin Hartt wearing Proenza Schouler dress, Neiman Marcus Northbrook and Canned Goods cuff, cannedgoods.com
WORDS BY THOMAS CONNORS / PHOTOGRAPHY BY MARIA PONCE STYLING BY THERESA DEMARIA / HAIR & MAKEUP BY LEANNA ERNEST

ART & ARTIST

The imagery of artist Mairin Hartt occupies a zone between the solid and the immaterial.

Hinting at both disorienting randomness and inscrutable organization, it registers as remnants of what was and intimations of what may come to be. “My work,” she has written, “is an attempt to establish a physical representation of the elusive—exploring the uncomfortable space between growth and decay, existence and non-existence.”

A lifelong Chicagoan, Hartt has been drawing since she was a kid. “As a child, my goal was to get better at representation—I wanted what I drew to look more like what I saw in real life. I drew everything, especially portraits of my siblings since they were the few willing to indulge me. In high school, my work veered more into Expressionism, using lots of color to ‘grab the viewer’s attention.’ Initially, I thought I’d be a portrait painter, but eventually, I asked myself why I was creating portraits and realized that it was because of all the wonderful shapes that made up the human face, rather than the face itself.”

A milestone in Hartt’s creative evolution, her journey through form and content, technique and expression, came in her junior year at the School of the Art Institute of Chicago. “I was trying to figure out what my work was about, how my interest in science, art, and nature came together,” she recalls. “I was sitting in my art history class, listening to a lecture on the Romanticists and the Sublime, in which the viewer was instilled with feelings of awe, fear, and a sense of the infinite, leading to one’s sense of mortality. This felt like something I had been trying to do in one way or another. It made me think of times in my life when I might have felt the sublime—hearing my heartbeat at the doctor’s office at age 6, being completely mesmerized seeing Monet’s haystacks for the first time or looking through a microscope at impossibly small cells and organisms, an entire universe we can’t see.”

Furthering Hartt’s interest in disorder and dissolution was an Environmental Science and Policy class. “We were discussing energy and the second law of thermodynamics, which, in very simple terms, means that entropy increases over time. My professor made an offhand comment, that considering the principle of least

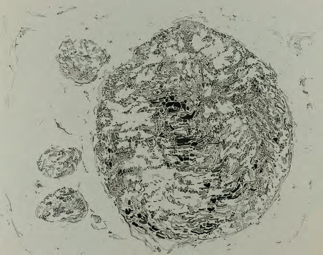
Untitled 4 [Against the grain], 2018, Pen and ink on toned paper, 11 x 14 in

ART & ARTIST

ABOVE: Untitled 5 [Against the grain], 2018, Graphite and pen on toned paper, 11 x 14 in LEFT: Untitled 2 [Against the grain], 2018, Pen on toned paper, 11 x 14 in OPPOSITE PAGE TOP: Beginning 8, 2014, Watercolor on Watercolor Paper, 22 in x 30 in OPPOSITE PAGE BOTTOM: Untitled 9 [Against the grain], 2018, Graphite and pen on toned paper, 11 x 14 in

ART & ARTIST

effort—organisms wanting to use the least amount of energy for the greatest gain—life should not exist. That statement took me aback and after class, I asked him, ‘How does life exist, then?’ And he responded, ‘Well, that’s the question.’”

Hartt, who is Director of Education at The Art Center Highland Park, went on to earn a Master of Fine Arts in Studio Art from the University of Wisconsin-Milwaukee. While there, she explored the idea of the sublime that momentary sense of wonder that makes us stop and think—on a small scale, applying ink to glass slides that she then installed in boxes and lit from behind. With their visual field reduced when they peered inside, viewers were caught in an experience both restrictive and expansive. Since then, Hartt has been rigorous in her explorations. Against the grain, a series of mixed media drawings, referenced microscopic cross-sections of human tissue. With Non-Existent Decay, she traced eroded chunks of concrete onto Mylar and added her own marks in graphite and ink to allude “to both celestial bodies and microscopic entities, reflecting the interconnected complexities between entropy and existence.”

Clearly, Hartt isn’t interested in making purely pretty pictures. “My more abstract pieces tend to get a wide range of reactions, becoming an object for projection that reveals more about the viewer than the artwork,” she observes. “I was in a group show in 2015 called Lexicon in which artist statements were not displayed, so viewers could guess what the artwork was about and write down their reactions on sticky notes placed next to the artwork. I was exhibiting a piece from my Repetitious Infinitum

series, and most of the responses said it reminded them of a heartbeat or lines from a seismograph, which I thought was interesting since the line work in that piece was copied from cracks in a concrete floor.”

Hypnotic and perhaps hard to read, elusive yet illustrative, Hartt’s work is as mysterious as life itself.

For more information, visit mairinhartt.com.

“I enjoy following other brand-builders on journeys similar to mine. Watching and learning from a diverse mix of entrepreneurs is empowering and inspiring. Peter Rahal (founder of RXBAR and currently launching David) and Ali Bonar (founder of Oat Haus) are two of my favorites to follow.”

MATCHA MAKER

Katie Mankoff, a Northbrook-based female founder, fitness enthusiast, and mother of three daughters, has made a name for herself as the founder of Mantra Matcha. A graduate of Indiana University with a major in communications and a minor in business, she later earned her master’s in education along with an ACE Fitness Certification. Mankoff’s career began in the classroom where she taught kindergarten; she then moved on to lead high-intensity group workouts at Shred415. With a lifelong passion for health and wellness, Mankoff naturally transitioned into nutrition and wellness entrepreneurship. After being accepted into The Hatchery, a business incubator for consumer-packaged goods in Chicago, she developed Mantra Matcha from the ground up. Her brand offers small-batch, super-premium ceremonial grade matcha infused with nutrient-dense superfoods. Unique matcha blends like Strawberry Lemon and Banana Cacao Matcha, are organic, non-GMO, and free from artificial flavors or added sugars. Mantra Matcha is crafted to enhance physical and mental well-being by benefitting energy, focus, and mood. Mankoff sets aside her carefully crafted matcha blends, to share how she stays on trend in a deliciously busy world.

EDITED BY MORGAN HOGERTY

PHOTOGRAPHY BY KATRINA WITTKAMP

STYLING BY THERESA DEMARIA

HAIR AND MAKEUP BY LEANNA ERNEST

“I had read The Miracle Morning by Hal Elrod a few years ago which helped me build a morning routine to make the most of each day. I am about to read another book by Hal, titled The Miracle Equation, which breaks down what it takes to truly achieve even the most difficult goals.”

IN HER EARBUDS

“For fun, I love listening to the SmartLess podcast. It’s laugh-out-loud funny and always features great guests.”

Katie Mankoff, founder of Mantra Matcha, wearing Toccin Houndstooth jacket and AS by DF dress, Neiman Marcus Northbrook
ON HER MOBILE
ON HER NIGHTSTAND

COLLECTOR’S CORNER

ALL HAIL THE QUEEN OF BOHEMIANS

The magical paintings of Chicago Surrealist Gertrude Abercrombie are becoming some of the hottest pieces in the art world.

Gertrude Abercrombie is having a long overdue moment. After decades of being one of the Chicago art world’s best kept secrets, Abercrombie is receiving the notoriety that was unfairly denied her for so long. In recent years, Abercrombie has had major solo exhibitions at KARMA gallery in New York, Illinois State Museum in Springfield, and the Elmhurst Art Museum and is set to have a major retrospective open at the prestigious Carnegie Museum of Art in Pittsburgh in January, then traveling to the Colby College Museum of Waterville, Maine.

But it’s not just the museums that are taking notice. In the last five years, prices for works by Abercrombie have skyrocketed, with auction records falling almost as quickly as they can be set. In 2022, Freeman’s | Hindman brought a single-owner collection of 21 Abercrombie works to auction, and the collection more than doubled its presale estimate, selling for a combined $2.8 million. Just three months later, Freeman’s | Hindman broke the world auction record for Abercrombie, selling a typically surreal painting of a solitary woman, a barren landscape, a white horse, and a crescent moon for $437,500.

on canvas features a woman levitating above a sleek black chaise lounge, reminiscent of one from Abercrombie’s apartment. The scene is set against a backdrop of an austere interior, complete with a vibrant green rug and a black cat seemingly raising its paw to conjure the act of levitation—a testament to Abercrombie’s sharp wit and imaginative vision.

Abercrombie was born to travelling opera singers in 1909, which made her early years a whirlwind of travels and adventure before the family finally settled in Hyde Park in 1916. Her fine art career got off to a humble start, drawing illustrations for Mesirow Department Store and Sears advertisements. By the 1930s, though, she had become a full-time artist and a fixture of Chicago’s vibrant jazz scene, becoming fast friends with Charlie Parker, Sarah Vaughan, and Dizzy Gillespie, who played at her wedding.

That record didn’t even last two full years as Freeman’s | Hindman once again broke this record in September of this year with the sale of The Magician in its September Post War and Contemporary Art auction for $469,900. The delightfully whimsical oil

Abercrombie was so beloved in these circles that she became known as “the queen of bohemian artists.” Yet her artwork carries an almost overwhelming sense of loneliness and self-loathing. It’s remarkable that an artist who felt so unloved and unlovely despite her popularity and a circle of close, loving friends was able to transform these feelings into an art of power, beauty, and psychological truth that continues to speak to all those who have the privilege to see it.

For more information, visit freemansauction.com.

The Magician, 1956
Sold for $469,900
Self and Cat (Possims), 1953 Sold for $375,000
Untitled (Woman with Tethered Horse and Moon), 1947 Sold for $437,500

TRAVEL & CUISINE

FIRST CLASS TRAVEL EXPERIENCES AND DINING

WILD ABOUT THAILAND

Elephants by the river at Anantara Golden Triangle in Chiang Rai, Thailand. First Class visits Bangkok and Chiang Rai.

THE KINGDOM OF THAILAND

Join me on excursions through a bustling capital city and a quiet jungle full of gentle giants.

Thailand, located in the center of mainland Southeast Asia, boasts a variety of landscapes including bustling metropolises and dense jungles. Even after visiting three times, I remain captivated by the vibrancy of its capital city, Bangkok, and the beauty of its jungles.

During a recent expedition with my daughter, our journey began in Bangkok—a cosmopolitan hub of 9 million on the banks of the Chao Phraya River (translated as “River of Kings”). Bangkok’s history spans over two centuries but its fairly recent evolution from a humble riverside trading village into Southeast Asia’s most dynamic and colorful capital is truly remarkable.

Here ancient traditions seamlessly intertwine with the 21st century. Intricately carved temples scattered throughout the city are illuminated by a sun that reflects almost blindingly from sleek skyscrapers. In the busy streets, thousands of motorbikes flow in rhythmic waves. Every turn reveals makeshift shrines and colorful tuk-tuks—three-wheel motorized taxis—whose drivers promise riders a great fortune at the ride’s end.

We chose Anantara Siam Bangkok for our short stay. Stepping out of the Anantara car, we crossed a body of water peppered with lily pads and entered immense glass doors opened by staff dressed in chut thai (traditional Thai garb). Once in the lobby, the city’s commotion disappeared. Hundreds of orchids perfumed

Wat Paknam Phasi Buddha visible from the canal of the Chao Phraya River.

the air with an intoxicatingly refreshing scent, and hand-painted silk ceilings and an immense mural made entirely of hand-woven Thai silk added color to the gleaming white space. After checkin, we were led to our room via an open-air courtyard filled with greenery and anchored by a koi pond. The sumptuous, colorful accommodations were exactly what this weary traveler had hoped for; the rich fabrics enveloping the suite felt like a warm embrace.

After the lengthy day of travel, the spa was an itinerary must. We chose the Anantara Signature Massage, which stimulates circulation and deeply relaxes muscles—the perfect remedy for jet lag.

Fully restored after our treatment, we dined at Biscotti, a Michelin Guide-listed Italian restaurant on the hotel’s ground floor. Mesmerized by the chefs in the open kitchen, we devoured Wagyu Beef Carpaccio, Focaccia Mascarpone, and Pappardelle Bolognese, topping off the feast with a creamy Tiramisu. Perfection.

Before exploring the city the next morning, we started with a hearty breakfast at the open-air Parichart Court. We decided between an array of Indian stews, Asian noodle dishes, yogurts, cold cuts, egg stations … the options were endless and delicious.

Bangkok was once crisscrossed by thousands of klongs or canals and was known as the “Venice of the East.” Although many klongs were filled in over time, the city still boasts more than 1,500. So, a tour of the klongs and the River of Kings was a sightseeing must. Departing from our hotel’s sister property, Anantara Riverside Bangkok, we joined our guru or guide, Diamond, on a wooden longtail boat eager to glimpse the floating markets and flower-laden boats.

We cruised along Klong Dao Kanong past traditional wooden canal homes perched—many precariously—over the river, offering a glimpse into local life. We disembarked at Wat Ratchaorot—a gorgeous temple built during the Ayutthaya period boasting Thai-Chinese architecture with intricate carvings and a giant reclining Buddha.

Back in the boat, we traveled down Klong Bang Luang, a canal once lined with aristocratic residences. Once again on land, we participated in the Thai custom of feeding catfish for luck. Hundreds of fish slithered over each other competing for the brightly colored pellets. We visited The Artist’s House, made famous by TikTok videos, where we created a traditional Thai mask. While crafting our treasures, we were treated to a traditional Thai puppet show incorporating ancient myths and legends.

For lunch, our guide led us down a tiny street to a “restaurant” consisting of one table next to a stove. Our Pad Thai and sweetened Thai tea were delicious—we could hardly believe it was made in such a tiny, streetside kitchen.

Sated, we boarded our boat en route to Wat Paknam Phasi. Deep in the network of canals in the oldest part of the city sits a 187-foot (the height of a 20-story building) Buddha clad in gleaming bronze that looms over the Klong Dan waterway. Be sure to get a photo from your boat—we have a great picture of the two of us with Buddha’s face peering over our shoulders. A walk through the beautiful gardens and waterfalls led us into the temple where we admired a gorgeous neon-painted dome and a 26foot glass stupa (Sanskrit for “heap”), called the “Cosmic Stupa.”

Returning to the resort, we passed The Grand Palace and Wat Arun (The Temple of Dawn)—two of the city’s iconic sights. Bidding farewell to our guru, we headed to dinner and a captivating Thai cultural performance on the banks of the river. Khon—the art of Thai dance—incorporates graceful hand gestures, colorful costumes, and quite a bit of fire breathing. It was thrilling.

Our exhilarating day ended as we watched nightfall transform the city into a sea of lights with neon signs illuminating the night markets and rooftop bars.

Anantara Siam Bangkok Hotel Guest Room
Longtail boat cruising through Bangkok canals. Photography by splendens
Anantara Siam Bangkok Hotel Lobby

Bangkok boasts contrasts and surprises that captivate and enchant. If you can, allow at least two to three full days as there is so much to see! The Grand Palace is a must and to experience it all will take several hours.

We left the big city for Chaing Rai to begin exploring the enchanting world of elephants at Asia’s premier elephant camp— Anantara Golden Triangle Elephant Camp and Resort.

Nestled in the lush, rolling hills of northern Thailand, the camp is a sanctuary of tranquility and beauty. The area where the borders of Thailand, Myanmar, and Laos meet on the banks of the Mekong River is known as the Golden Triangle. The hotel sits perched high on a hillside, offering unparalleled views of Laos’ majestic mountains, Myanmar’s winding riversides, Thailand’s verdant plains, and the Mekong River.

After check-in, we followed a walkway cut through the jungle to our suite, which boasted two terraces, a living room, sleeping quarters, and an enormous bathroom equipped with a retractable wall for the bather craving a breathtaking vista.

Visible from our suite was our dinner destination—a “nest” elaborately woven from “twigs” in a towering tree. The chef guided us up a path toward the resort’s shrines where we set intentions before entering the nest for our treetop dining experience. Once seated, the nest ascended via a motorized apparatus to the treetop. While the view from our room was breathtaking, we now had a panoramic bird’s eye view of the three countries, the rivers, and darling elephants enjoying an evening stroll with their mahouts or caretakers.

Our elaborate “Gourmet Odessey” dinner picnic featured a “savory expedition” that included delicacies like local burrata with sliced prosciutto, arugula, and olive oil, bruschetta with sweet basil

and kalamata olives, and seared king scallops in gazpacho and mint chili oil topped with sliced white truffle. The “sweet venture” portion of the picnic included a rose and pumpkin mousse with sour cream, a coconut crème brûlée, and kaffir lime financier with local vanilla and passion fruit compote. We dined like queens. As the sun slipped below the horizon, our nest gently descended concluding our arboreal adventure. This experience was just one of the extraordinary and unforgettable moments offered at this unique retreat.

Early the next morning, we eagerly arose for our elephant adventures. Clad in denim mahout gear, we hopped in a jeep and headed down the drive to the camp. The resort is world famous for its elephant camp established in 2003 along with the Golden Triangle Asian Elephant Foundation to help elephants in need. Following a 1989 logging ban, thousands of mahouts were left without work and were forced to beg alongside their elephants on the streets. To date, more than 60 elephants have been rescued. Today, 20 of these elephants, accompanied by their entire mahout families, live in the resort’s jungle.

Anantara Golden Triangle Jungle Bubble Lodge at night
Anantara Golden Triangle Elephants in their natural habitat

FIRST CLASS

for a post-meal dip in the plunge pool. That night, we slumbered under this canopy of stars surrounded by our wise and gentle companions.

The next morning, as the sun rose, our elephant friends trumpeted a welcome to another glorious day. We were greeted by the buggy driver who whisked us off to join the resident veterinarian, three elephants, and their mahouts on their daily walk. We meandered together through the sprawling forest as the vet regaled us with tales of elephant behavior and biology and watched as the gentle giants splashed in the Mekong River. Their playful splashes created rainbows in the sunlight, melting our hearts. We adored the interaction between Bo and Chok Petch (the resident baby). Bo is not Chok Petch’s biological mother, but she has taken on a maternal role with the slightly naughty youngster.

In a picturesque thatch-roofed “kitchen,” my daughter and I prepared medicinal food for two of the resort’s older elephants. Our ingredients were neatly arranged in gleaming steel bowls: rice; tamarind (for aiding digestion); pellets; bananas; salt; and grain. Over the next 20 minutes, we worked to combine the ingredients into delicate balls. Once complete, we handfed Boon Rod and Ja Thong who devoured every morsel. After the meal, it was time for their bath. To keep cool, elephants like to toss dirt on their backs and heads—it was now time to shower them head to toe. We had such fun perching on our tip toes as we tried to reach the top of these towering creatures who loved being bathed.

Once the elephants were clean, Boon Rod filled her trunk with water to playfully shower us.

Following this adventure, we embarked on the Jungle Bubble Experience—another bucket list escapade! An elaborate ironwork buggy carried us from the resort into the jungle where we found elephants grazing in front of three gigantic transparent “bubbles” perched on a raised wooden deck peppered with several conversation vignettes and a plunge pool. The bubbles housed two bedrooms and a lounge. Two concealed bubbles provided privacy for the bathrooms.

Our attentive butler served us a four-course dinner as our pachyderm pals munched on piles of bamboo. Rustling leaves and the melodious calls of exotic birds provided an ambient soundtrack, and a dazzling tapestry of stars emerged, inviting us

Before saying our goodbyes, we shared berries with our leathery-skinned friends who never turned down a treat.

To feed our bodies, we visited Sala Mae Nam where we feasted on traditional northern Thai cuisine. The restaurant is located at the heart of the resort and its expansive terrace welcomes the most beautiful views. A favorite dish was the Chef’s Khao Soi Gai, a delicious northern-style yellow noodle coconut curry with chicken.

When not frolicking with elephants, our preferred pastime was lying in the poolside cabanas that overlooked the infinity pool. The pool was surrounded by pines, palms, and flowering trees gently swaying in the breeze while butterflies floated from flower to flower.

You mustn’t leave the camp without visiting the spa. We began our treatment while seated on floating beds overlooking the jungle. Piano and flute melodies hung in the air as our masseuse gently washed our feet in a rose-scented bath. The massage incorporated my favorite technique—warm herbal compresses. After the treatment, we enjoyed a dip in our private plunge pool overlooking the Golden Triangle—relaxation at its finest.

With heavy hearts we bid farewell to our 15,000 lbs. playmates, knowing that all great things must come to an end. Until next time!

This Thai itinerary is ideal for travelers who seek the brilliance of city lights, unforgettable encounters with nature, and the incomparable luxury of Anantara resorts.

For more information, visit anantara.com.

The Tree Top Dining Experience
An aerial view of Anantara Golden Triangle Resort

CRANBERRY CHARLOTTE RUSSE

WORDS AND PHOTOGRAPHY BY FOOD EDITOR MONICA KASS ROGERS

This little jewel of a holiday treat combines whipped cream vanilla mousse with a tart but sweet cranberry gelee topper, ringed with delicate lady fingers. Like so many vintage sweets, the provenance of the charlotte russe is a bit vague. Some historians suggest the French chef Marie-Antoine Carême invented the dessert in the 18th century for his employers, Queen Charlotte of England and

Russian Czar Alexander I. Either way, charlotte russes became popular in America, trickling down to the streets of New York City where a vastly simplified version was sold in push-bottom paper cups from the ‘30s to the ‘50s.

This no-bake recipe also yields a bonus for your holiday table. Mix the reserved cooked cranberries from the topper with the leftover gelee for a bowl of delicious cranberry relish!

RECIPE

Makes 2, 6-inch charlottes

INGREDIENTS

Charlotte Russe

• 2 teaspoons unflavored gelatin powder (1 packet) softened in 3 teaspoons warm water

• 1 cup whole milk

• 4 large egg yolks

• 1 cup heavy whipping cream

• 1 tablespoon vanilla bean paste (Nielsen-Massey)

• 28 lady fingers

• Cranberry gelee (from recipe below)

Cranberry Gelee

• 2 cups fresh cranberries

• 1 1/2 cups water

• 1/2 cup sugar

• 3 tablespoons fresh-squeezed lemon juice

• 2 teaspoons unflavored gelatin powder (1 packet)

• Fresh juice from 1 small orange (to make 2 tablespoons)

For the garnish

• Thin orange slices

• A few fresh cranberries

• Sprigs of fresh rosemary

• Holiday ribbon

METHOD

Charlotte Russe

In a small bowl, sprinkle gelatin powder over 3 teaspoons warm water and stir. Set aside to bloom gelatin. Whisk egg yolks well in a medium-sized bowl. Set aside. Place milk in a heavy saucepan over medium heat until steaming but not boiling. Temper egg yolks by whisking 1/2 of the steamed milk into the bowl of whisked egg yolks. Whisk in the rest of the milk. Return mixture to the saucepan and whisk continuously over medium-low heat. Add the bloomed gelatin and continue whisking until gelatin has fully dissolved and custard has thickened enough to thickly coat the back of a spoon. Remove custard from heat. Pour custard through a fine mesh strainer into a clean bowl and set aside to cool for 1 hour and 15 minutes.

While custard cools, line two 6-inch removable-bottom cheesecake tins with plastic wrap, allowing edges of wrap to extend over the rims of the tins. Cut the bottom of each lady finger off so that, when standing upright, each lady finger should be just above the top of the tin. Save the ladyfinger bottoms to line the bottom of the tins. Line the inside edges of each cheesecake tin with the trimmed ladyfingers, nestling them sugar-side-out, side by side, and straight up so that the cut edges stand flush with the bottom of each tin. Fill the bottom of the tins with the reserved ladyfinger bottoms (laid flat).

Once custard has cooled, whip 1 cup of heavy whipping cream until medium peaks form. Using a rubber spatula, gently fold 1/3 of the cooled custard into the whipped cream. Repeat, gently folding the rest of the custard into the cream. Divide mixture between the two lady-finger-lined cheesecake tins. (You should have about 1/2 inch of ladyfingers still exposed above the mixture.) Refrigerate. Important: You will add the partially set cranberry gelee to the top of the charlottes after they have set for 3 hours.

Cranberry Gelee

Bloom gelatin powder by stirring with 3 teaspoons warm water in a small bowl. Set aside. Combine 2 cups of fresh cranberries with 1 1/2 cups water in a saucepan over medium-high heat. Heat to boiling. Cover, reduce heat to medium-low, and simmer for 10 minutes until berries have popped, and mixture is soft. Pour berry mixture through a fine mesh stainer, capturing the juice in a bowl. Do not press on the berries—that will “muddy” the clarity of the juice. Reserve the berries. Place the strained juice back in the saucepan. Add lemon juice and 1/2 cup sugar. Stir over medium-high heat until sugar has dissolved (3 minutes.) Add bloomed gelatin and continue stirring until gelatin has fully dissolved (5 minutes.) Remove from heat, pour into a glass bowl, and cool for 20 minutes. Strain fresh orange juice through a fine mesh strainer twice. Stir strained orange juice into cranberry juice mixture. Leave cranberry orange mixture in a bowl until charlotte russe has been refrigerated for 2 hours. At this point, refrigerate bowl of gelee for 45 minutes until thickened and slightly wobbly, but not fully set. Pour a small amount of thickened gelee over the tops of the two charlotte russes and smooth to fill the tops of the cakes. (Save the remaining gelee to make cranberry relish.) Return charlottes to refrigerator for another 2 hours until gelee is fully set or refrigerate overnight.

Garnish And Serve

Grip the plastic wrap extending over the edges of the cheesecake tins to lift charlotte russes from tins. Discard plastic and carefully place charlotte russes on serving platter. Wrap a ribbon around each charlotte russe. Decorate tops with thin slices of orange, sprigs of rosemary, and a few tiny raw cranberries. Serve cold.

Make Bonus Cranberry Relish

Place the reserved cooked cranberries in a small pan. Add 1/2 cup water and 1/3 cup sugar and stir over medium heat for 3 minutes. In a bowl, stir cranberry mixture with leftover cranberry gelee. Refrigerate until set.

SPIRITS HAND CRAFTED

One constant in this world of uncertainty is the role of quality alcoholic spirits in life’s celebrations. Regardless of the occasion, a well-crafted cocktail can embody the moment without a word. Most have a go-to, but the landscape of options is vast, ever-changing, and deserving of scrutiny. Ted Banick, former owner of Highwood’s Teddy O’Brian’s, is now on board with Vermont Spirits (vermontspirits.com), Vermont’s oldest craft distillery and New England’s finest purveyor of craft spirits. Established in 1999 and now located in Quechee Vermont, their dedication to small-batch, hand-crafted spirits with locally sourced ingredients enables them to produce forest-to-bottle award-winning spirits capable of competing with much larger well-known distilleries. After a successful 22-year run behind the bar, his affinity for the brands and the culture of the company led him to invest in the distillery. As a result, they are now available in Illinois and worth a sip or two.

The line of spirits includes:

Vermont Gold Vodka: Handmade from nature’s most eco-friendly ingredient—the sap of maple trees. The pure maple sap is fermented to preserve the unique characteristics of its sugars. It is distilled in a one-of-a-kind glass column still and blended with pure Vermont distilled water to create an exceptionally clean, uniquely American Vodka. It recently took third in the USA Today Best Craft Vodka reader’s choice competition.

No. 14 Bourbon: Named in honor of Vermont, the 14th state, No. 14 Bourbon unites two American classics: bourbon whiskey and Vermont maple syrup. The strength of the bourbon is softened by the sweetness of the maple, bringing out the subtle notes of cherry vanilla and oaky spice and broadening its appeal to a variety of palates. The result is a wonderfully smooth spirit with a warm lasting finish.

Coppers American Gin: This gin is distilled with wild juniper berries, hand-picked in Northern Vermont. The coriander and angelica root build on this base, with cassia, orange peel, and cardamom pods rounding out the body to form a unique, American-style Gin.

Coppers Sugarwood Gin: A Vermont expression of this classic spirit using hand-picked local juniper berries, orange peel, and green tea in the distillation and finished with a light touch of maple for a smooth, lasting finish.

Coppers Barrel Aged Gin: Aged in used bourbon barrels to create one of the most distinctive, yet versatile, spirits available anywhere. The years of barrel aging in the Vermont climate mellows this gin to create a whiskey-like spirit with a slight nose of juniper, mid-palate warmth, and an unexpectedly smooth finish. Truly a gin for whiskey lovers.

Although many popular brands employ celebrities as ambassadors, as an emerging brand in the Midwest, Vermont Spirits relies on the quality of the product and the endorsements of faithful drinkers to spread the word and build the brand. As a former bar owner, Banick, notes how impactful suggestions from regular patrons are. They truly help determine what sits on the back bar and on the shelf at your local liquor store.

The No. 14 Bourbon and select other brands are available at many local restaurants and retailers including select Binny’s Beverage Depots as well as independent retailers including Sunset Foods in Highland Park, Jerry’s Liquors in Highwood, and Courtyard Wines in Lake Forest. Don’t let the holiday season pass without showing how much you care by giving your favorite people a small slice of Vermont in a bottle.

For more information, product samplings, private events or to introduce product to your favorite bar, restaurant or liquor store, contact Ted Banick via email at ted@vermontspirits.com.

Creating Timeless In terior s, that our clients love coming home to...

HOUSE & HOME

AN INSIDE LOOK AT CHICAGO’S MOST EXCLUSIVE ADDRESS—THE NORTH SHORE

THE

ART OF INTERIORS

Tour a Tudor redesign and peruse pops of color in home décor

The family room of a Winnetka Tudor revamped by designer Jodi Morton of Jodi Morton Design. The project is featured in Home Tour
Photography by Dustin Halleck

HOME TOUR

JUSTSO

Designer Jodi Morton helps a young family make their first house a home.

WORDS BY THOMAS CONNORS

PHOTOGRAPHY BY DUSTIN HALLECK

HOME TOUR

One of the biggest drivers in home design today is transitional style, where antiques co-exist with contemporary pieces and the high-end is found alongside the humble. Yet, achieving a happy balance is easier said than done. It takes a keen eye and an informed appreciation for the past and the present to create a home with the eye-pleasing equilibrium expressed in this Hubbard Woods residence.

Home to a young family relocating from a city condo, this 1928 Tudor was reimagined by Evanston-based Jodi Morton of Jodi Morton Design. While the home’s mechanicals had been updated in recent years, a succession of renters had worn the place down and Morton’s clients were eager to make the house their own.

The homeowners were living with furniture they’d brought from the city, but it didn’t quite fit this new environment. “So, we started from scratch,” says Morton. “We began as I do with most of my clients, by collecting inspiration images and developing a shared visual vocabulary. From there, we took our cues from the house. The husband is more contemporary and the wife more traditional, so we settled on a fresh, transitional look that felt appropriate to both the architecture and their lifestyle. And they love green and blue, so we peppered those hues throughout the home, creating continuity without feeling thematic.”

The result is a home that looks sophisticated, but not studied. “My client didn’t always know how to describe what she liked, but once we started working together, she was able to easily identify pieces and silhouettes that resonated with her and the design came together rather seamlessly,” shares Morton. “We mixed retail and trade sources to create rooms that their young family can live in comfortably now and grow into later.”

The living room—anchored by a richly hued rug from Oscar Isberian—is set with simple, clean-lined seating from Crate & Barrel and Cisco Home and illuminated by a mid-century-style

Dining room
Primary bedroom
Kitchen. Jodi Morton Design did kitchen paint, stools, and lighting. DDK Kitchen Design Group did the overall kitchen design/construction.

HOME TOUR

chandelier from Visual Comfort. In the dining room, a streamlined white oak table keeps company with black armchairs sporting a vaguely vintage profile (both from Rejuvenation). Color plays a key role in the family room, with its steely blue walls, olive green sectional, and a round leather ottoman from Article in a toasty brown.

Although the clients were fine with the house’s existing layout, Morton did make one important alteration. “There was an empty space under the stairs on the second floor that lacked purpose. Their daughter loves to read, so we created a reading nook for her with a custom bench, mattress-style cushion, and reading lights.”

Morton’s clients had begun collecting abstract art while living in the city and those pieces—along with newly commissioned work by Annette Baksinskas—punctuate almost every room. A black and white work by Baksinskas hangs above the living room fireplace. A large format piece by Li Wang occupies a wall of the dining room, while a dynamic cityscape by Matthew Schaefer enlivens the family room. “That final art layer brings so much vitality to a room,” observes Morton. “It’s exciting to watch rooms come to life once clients commit to growing their art collection.”

Their art collection isn’t the only thing growing. Since moving in, the homeowners have welcomed their second child. And they’ve asked Morton to return and continue transforming their home. “We’re currently working on additional spaces, and every time I’m there, toys, Legos, art projects, and tiny shoes are strewn throughout and it’s so great to see how livable the spaces are. I love making families happy in their homes. That’s what it’s all about.”

For more information, visit jodimortondesign.com.

Front hall

ON THE BRIGHT SIDE

Counteract the winter grays with a pop of bold color.

EDITED BY ALLISON MELONE

01 Toulouse Performance Velvet Counter Stool, danielhouse.club 02 Alkemis Paint in Bacalar, alkemispaint.com 03 Trove Object Gallery Cubism Tumblers, troveobjectgallery.com 04 Flowerpot Portable LED Table Lamp, teaknewyork. com 05 Hudson Grace Deruta Bowl, Hudson Grace Glencoe, 847-557-0599 06 Missoni Maseko Cushion, domanihome.com 07 Verloop Pillow Collection, shop.verloopknits.com 08 KYOTO Serenity, assouline.com 09 Velvet Chain Link Pillow, domanihome.com 10 Molino Grinder by Fabien Cappello for Hem, hem.com 11 Oscar Amethyst Bowl, Jonathan Adler Chicago, 312-2749920 12 Albert Bar Stool, teaknewyork.com 13 Kallista Bath Fixture, kallista. com 14 Mustard Made Glass Collection, us.mustardmade.com 15 Hermès Box, Hermès Chicago, 312-787-8175 16 Hermès Pillow, Hermès Chicago, 312-7878175 17 Hudson Grace Mohair Throw, Hudson Grace Glencoe, 847-557-0599 18 Casa Branca Velvet Pillow, shop.clothandkind.com 19 Hermès Backgammon Set, Hermès Chicago, 312-787-8175 20 Rosemary Hallgarten Plum fabric, rosemaryhallgarten.com 21 Mix Mat, teaknewyork.com

Happy Holidays! Happy Holidays!

Girls THRIVE at Woodlands.

A Catholic, Independent, College-Preparatory Day and Boarding High School for Girls

Pam MacPherson
Kate Murlas
Trish Herakovich
Wendy Smith
Andrea Liedtke-Miller

BRIDGE to LEGACY

Empowering philanthropists, one family at a time.

Julie Hoffmann wearing Acler dress from The Lake Forest Shop
WORDS BY MONICA KASS ROGERS / PHOTOGRAPHY BY KATRINA WITTKAMP STYLING BY THERESA DEMARIA / HAIR & MAKEUP BY LEANNA ERNEST

Speaking with JH Philanthropy founder and CEO

Julie Hoffmann, one thing is clear: Her passion is finding your passion and shaping it into a strategic, impactful philanthropic plan. “I really see myself as a human bridge between philanthropists and the lasting impact they want to achieve in the world,” she observes.

Eschewing polished industry speak or slick marketing messages, Hoffmann gets “real” with clients, asking the unfiltered questions that get to the heart of any person’s raison d’être: “What are the critical social issues that truly resonate with you? What makes your soul come to life?” And “When you lie down at night, what gives you a sense of pride?”

By going deep with clients from the get-go, Hoffmann establishes the level of raw honesty, respect, and acceptance necessary to build trust—and to help each person unearth and claim their unique legacy. “I strive to reflect this level of vulnerability and authenticity in all of my interactions,” says Hoffmann, adding, with a laugh, “Frankly, I don’t know how to show up as anything but myself, quirks and all!”

Understanding the human desire to leave an impact is universal, but the “to whom, with whom, and how” is unique to each philanthropic family and led Hoffmann to found JH Philanthropy (JHP) in 2019.

The recognition of this need came during Hoffmann’s 15-year career leading nonprofits and foundations. “Nearly every family or foundation I encountered in my work faced different challenges and had singular interests. It was very clear to me that a cookie-cutter approach simply would not suffice.”

Today, whether guiding individuals, multi-generational families, private foundations, or corporations in bringing their legacies to life, Hoffmann and her team recognize the individuality of each person they encounter, and the importance of helping everyone feel involved. Hoffmann explains, “Making something everyone can be part of, and understanding what each person and each generation wants to get out of it—no matter their passions or family dynamics—is key.”

make grant decisions, how you will communicate with each other and nonprofits, and how you plan to measure, and scale, results.”

Hoffmann and her team can help clients through these steps. And, once the JHP team and the family have aligned on a plan, JHP can help run it–from the nuts and bolts of grant administration to serving as a liaison for the family with nonprofits, grantees, and the community.

JHP calls itself a “nonprofit-centered philanthropy advisory” because “no matter what approach different clients take with their philanthropy, we always aim to center the perspective of the nonprofit leaders and the constituents they serve, leading to greater impact,” Hoffmann notes.

Therefore, JHP prioritizes clear and respectful communication with nonprofits to achieve more dynamic and authentic partnerships.

Hoffmann at a recent philanthropy workshop.

“For clients, the path to creating a giving plan usually starts with two ‘w’s and an ‘h’: Why are we doing philanthropy? What kind of impact or engagement do we want to have? And how (with what structure, strategy, and grant administration) are we going to make it happen?”

“Many families don’t think they need much structure or governance, but an effective philanthropy ecosystem is truly a business to be set up and should be treated as such,” explains Hoffmann. “It’s important to have clarity around issues such as how you will

Many clients find JHP during transition points in life, such as a liquidity event or a significant wealth transfer. “This could be a married couple who has sold their business and wants to expand their social impact, or a family with four generations and 50 members living across the country struggling to reach consensus.”

In each situation, the goal is to help clients come together to understand the roles philanthropy and wealth play in their lives. “We assist them in dreaming up and building a philanthropic ecosystem that honors their legacy, acknowledges diverse interests of family members, and fosters collaboration across generations,” she explains.

Engaging the next generation in family philanthropy is key for Hoffmann. Take, for example, a family four generations deep with an 80-year-old patriarch, his siblings, their kids, and their kids’ children. As the wealth creator, the patriarch is thinking about his legacy but is also worried about whether his family is aligned with his philanthropic vision. His siblings are perhaps more concerned with setting their children up for success, and the third and fourth generations have completely different priorities and values and may not be excited about giving at all.

Navigating all of this, JHP’s job is to design a philanthropic vehicle that the family could engage with and coalesce around. “Plus,” says Hoffmann, “we understand family dynamics, account for diverse communication styles, and establish practices that lead to civil discourse and mutual learning. All, so we can create an environment that encourages collaboration and social impact.”

Once a giving vehicle has been established, Hoffmann and her team stay in close contact to ensure goals are met, keep tabs on satisfaction levels, and meet regularly with clients and their grantees. Through it all, clients’ philanthropic goals, the nonprofit landscape, and the families continue to evolve.

“Those early experiences—especially seeing how my mom engaged with everyone she spoke to as if they were the most interesting person in the world, whatever their background, shaped a lot of who I am and what I do now.”

The JHP team stays abreast of these changes by creating customized objective rubrics to evaluate possible grantees and giving practices that align with each client’s values. “One family may prioritize economic mobility, for example, while another may focus on climate change or democracy,” says Hoffmann. “We treat their passions like our own.”

Looking ahead, Hoffmann says the blessing of a world filled with opportunity and generosity brings with it the challenge of increased demand. JHP just doubled the size of its team, launching operations in Dallas and San Francisco, in addition to its home base in Chicago, but will still have to say no to some potential clients. “We never want to become cookie-cutter advisors,” Hoffmann sums. “We want to continue delivering bespoke, high-impact work for our clients, ensuring that they know they have a trusted advisor by their side through thick and thin.”

Respect for others is rooted in Hoffmann’s life. Experiences as a child volunteering with her sister and mother, helping to build a recovery house for formerly incarcerated women while she was in college, teaching kids to read and write in the Dominican Republic, and serving as a Peace Corps Community Health Volunteer all shaped her perspective. “Those early experiences—especially seeing how my mom engaged with everyone she spoke to as if they were the most interesting person in the world, whatever their background, shaped a lot of who I am and what I do now,” says Hoffmann.

Hoffmann feels incredibly fortunate to be part of this work.

“In a single day, we might discuss initiatives like a two-generation scholarship program to increase educational access and economic mobility, or work on making Chicago the first diaper-need-free city. We might meet with our giving circle clients, make connections for a nonprofit leveraging technology to increase access to food pantries, and work with a group of foundations on increasing access to funding for their grantees. And then we will lead a session for young family members on best practices for foundation governance and budgeting. It’s truly a dream to be involved in and facilitate these efforts.”

For more information, visit jhphilanthropy.com.

Hoffmann wearing Smythe blazer and Veronica Beard skirt and blouse, Neiman Marcus Northbrook

MARKING TIME WITH CINDY CRAWFORD

The style icon shares her appreciation for design, innovation, and the joy of a daughter realizing her mom has an incredible watch collection.

An extra ripple of excitement filled the air as the sun set over The CD Peacock Mansion at Oakbrook Center when, among the beautiful people sliding out of sleek supercars, one extraordinarily gorgeous woman stopped on the red carpet, OMEGA Ambassador Cindy Crawford.

Once inside, Crawford, OMEGA US Brand President Arnaud Michon, CD Peacock Vice Chairman, Steve Holtzman, and Vice President of Client Engagement and Experience, Qi Holtzman, greeted those gathered from under boughs of blossoms.

Michon joked with the crowd that long before the lacquer walls and bronze floor inlay of this soaring jewel box were crafted, Steve Holtzman saw what could be. “We came when this was a restaurant and it was hard to imagine that one day we’d be here in this beautiful place, but Steve had the vision,” he said.

Inspired by lenticular cloud formations, the one-of-a-kind modern structure incorporates a serpentine glass facade that gives way to ample sun-drenched interiors featuring organic forms, custom furnishings, and a heightened experiential environment. The Mansion offers the world’s finest luxury jewelry and watches, including the dedicated OMEGA boutique filled with the most beautiful and innovative collections from the brand.

As the espresso martinis flowed and collectors browsed, Crawford graciously sat with us for a few minutes to talk timeless style and enduring friendships.

As the longest standing Brand Ambassador for Omega what qualities and principles do you share with the brand that keeps your relationship so strong?

“We both care about time, but in the literal sense, like, I’m very punctual, and Swiss companies appreciate that. There’s also a timelessness that is a part of OMEGA’s brand values and hopefully part of mine. One of the things I really appreciate about OMEGA is the history and all the cool things they’ve been a part of. And I think fashion, as well. Now more than ever, a watch has to offer more than time because no one needs to wear a watch to tell time, so a great watch has to have a fashion or style aspect to it.”

“It’s fun to have a daughter to share that stuff with and she’s starting to appreciate what I have.”

You’ve been photographed in multiple campaigns wearing The Constellation. How do you see this collection worn?

“The thing I love about The Constellation, especially in the smaller size, is that it’s like a piece of jewelry. I like this watch because it feels like a bracelet. Within OMEGA The Constellation was known as ‘Cindy’s choice’ for many years.”

You’ve seen the world throughout your illustrious career. What makes returning to your Midwestern roots feel special after all these years?

“On this visit, it was a treat to walk around Oakbrook Center and see how all the stores have changed. When I stay in Chicago, I love walking around Michigan Avenue or along Lake Michigan. A wonderful thing about Chicago that I think is underrated is that you’re in a city and you can walk along a beautiful lake.”

When you’re back in the Chicagoland area, what are your favorite things to do?

“I always try to have dinner with my high school friends. On a recent visit, my friend Chris Chelios picked us up in his boat after dinner at RPM Seafood and took us along the Chicago River and out onto Lake Michigan. It was the perfect night, and my Illinois friends know hockey, so they appreciated having a hall-of-famer take us out maybe more than my LA friends would.”

Do you share the same taste in accessories like jewelry and watches with your daughter and fellow brand ambassador Kaia Gerber? Are there any pieces that you both love to wear?

“Like most daughters she wants to have her own style and her own taste, but I do see some similarities. I often wear gold hoops and that’s what she wanted for her birthday. She recently did a red carpet and borrowed some of my jewelry including one of my vintage OMEGA watches. It’s fun to have a daughter to share that stuff with and she’s starting to appreciate what I have.”

We feel so lucky to have this incredible family-owned fine jewelry and watch store in Chicagoland. How does this OMEGA shop in The CD Peacock Mansion compare to others?

“What’s cool about this store is the history and it’s beautiful. Every detail, from the inlay floor to the walls and chandeliers, it’s like the store itself is covered in jewelry. Most OMEGA stores are standalone, so they’re smaller. For OMEGA to be in this beautiful store makes it a great place to shop for watches.”

The CD Peacock Mansion at Oakbrook Center is located at 298 Oakbrook Center, Oak Brook, 630-571-5355, cdpeacock.com.

Dinner inside The CD Peacock Mansion at Oakbrook Center.

HOMEWORTHY

Digital marketing maven Annie Rogers’ next step is organizing homes with her new venture—Mise en Place.

Annie Rogers wearing Kobi Halperin dress, Neiman Marcus Northbrook
WORDS BY THOMAS CONNORS / PHOTOGRAPHY BY MARIA PONCE STYLING BY THERESA DEMARIA / HAIR & MAKEUP BY LEANNA ERNEST

Success—and the contentment that can come from it—are often hard-won. So, it sure helps to have a great start right out of the gate, long before putting your nose to the grindstone. “Our home was a sanctuary of art, music, and intellectual curiosity,” shares Annie Rogers, recalling her Michigan childhood. “A grand piano dominated the living room, and my dad’s towering steel sculptures filled the backyard. Thanksgiving and Christmas tables were always filled with artists and musicians. The evenings would often go late, with my dad’s piano improvisations filling the air.”

Growing up in a literate, cultured household, it’s not surprising that Rogers went on to earn a degree in English at the University of Michigan. But when she set off for Chicago after graduation, she wasn’t sure what she would do with her life. To pay the bills, she took a job selling yellow page ads over the phone. “That was a humbling experience, to say the least, but I found my footing in media and advertising with an entry-level role at Starcom Worldwide. This was a pivotal moment, as I began networking with industry veterans across TV, print, and radio. This led me to an opportunity to work at Turner Broadcasting during the digital

“It’s been a journey of exploration and growth, fueled by a willingness to embrace the unexpected.”

revolution, which was a game-changer. Witnessing the seismic shift in consumer behavior, as news and content became instantly accessible with platforms like CNN.com, ignited a new passion for digital media and really anchored my career.”

Rogers later pumped up her CV with a successful stint at Google managing teams in their retail sector. “I spent more than four years witnessing a transformative shift in the retail industry. Retailers, inspired by Amazon’s lead, began monetizing their valuable data and online properties through advertising. Today, retail media is one of the fastest growing ad channels, growing by more than 20 percent each year. By 2027, it’s projected to rival social media and surpass television advertising.”

In 2023, after a six-month battle with cancer, Rogers’ beloved father died. She was devastated. Then, a restructuring at Google left her without a job. But she rebounded, taking a position at Target. “The opportunity to join Target, a retailer I admired for its customer experience, allowed me to leverage my media expertise while also learning about merchandising. At Target, I’m leading a team responsible for selling Target’s valuable data and ad space to a wide range of brands, including Levi’s, Hanes, Carter’s, and Graco.”

Clearly at home in the corporate world, Rogers is no one-hit wonder. Inspired by her father’s maverick, entrepreneurial spirit, she has launched her own venture—Mise en Place, a home organization service. “Mise en place is a French culinary term that means ‘everything in its place,’” explains Rogers. “I possess a meticulous eye for detail and an unwavering commitment to keeping my home organized. Friends and family would always comment on my organized closets or kitchen, frequently asking me to help them. The demand for these services was evident.”

While plenty of home design services celebrate stylish interiors, offering tips on how to achieve a look, not many deal with the nitty-gritty of keeping a home functioning at its best. And when they do, the advice issued can be too one-size-fits-all to be truly helpful. Rogers takes a different tact.

“When I organize a home, I see it as a personal journey,” she says. “I want to understand the unique rhythms of each family—the way they live, the things that bring them joy. I spend time getting to know the kids, their interests, and how everyone interacts within the space. This helps me create a plan that’s not just functional but also feels authentic. I believe in creating a space that’s sustainable. I want to leave you with a system that you can maintain after I’m gone. It’s not about a perfect, pristine home. It’s about a home that works for your family’s lifestyle.”

The most pleasing homes aren’t pristine. And as Rogers knows well, careers are rarely crystal clear either. Looking back at her professional life, she muses, “Not having a clear path forced me to keep an open mind for what’s next. It’s been a journey of exploration and growth, fueled by a willingness to embrace the unexpected.”

Follow Rogers on Instagram @mise_en_place_chi.

Rogers wearing Giorgio Armani dress, Neiman Marcus Northbrook
BOUNTE founder Steve Sinclair

BOUNTE ON HIS MIND

Lake Forest software developer Steve Sinclair’s AI-driven app helps the travel industry and educational and healthcare systems return lost items and find customer satisfaction.

Steve Sinclair was 4 years old and sitting on the living room floor when he played with a Fisher Price toy phone for the first time.

Seconds later, after rotating the spring-loaded dial clockwise, he attacked the phone.

“I had to,” recalls the 52-year-old Sinclair, who grew up in Winnetka. “I had to take it apart. I just had to know why the rotary dial started fast and then slowed down. My problem was not knowing, so I took an engineering approach to problem-solving. That approach,” he adds, “is part of my DNA.”

But Sinclair’s calling wound up being something other than disassembling phones and putting them back together.

Sinclair put his perpetual curiosity and enterprising mind to good use, embarking on a software development career after college that preceded leadership positions in more than a few tech start-ups including a role as chief technology officer at Performance Trust Capital Partners, where he delivered technical and business solutions in a fast-moving, demanding financial services environment.

His latest position is founder of Lake Forest-based BOUNTE, which launched in 2019 to help hotels, airports, universities and colleges, and health systems manage their Lost & Found divisions through the start-up’s modern app.

Born from Sinclair’s personal experience, BOUNTE solves three key problems with lost and founds: poor customer satisfaction, staff frustration, and operational inefficiency.

“My family stayed at a hotel in Wisconsin and returned home when we realized we left one of our son’s two blankets behind,” says Sinclair, who has lived in Lake Forest since 2005. “I called the hotel, waited for a call back, spoke with the security office, and then with the front desk. I was told they’d found one of the blankets. I made more phone calls to the hotel and asked myself, ‘Why is this so difficult?’ I felt bad for the hotel’s employees.”

BOUNTE’s AI-enabled Lost & Found service uses AI image recognition to significantly reduce the time it takes to log, match, and protect guests’ lost items, greatly enhancing the guest experience.

“Our hotel clients (Four Seasons, Hilton, and Fairmont, among others) have their housekeeping staff take photos of the items left behind, and AI does most of the heavy lifting from there,” says Sinclair, holder of AI certifications from the University of Michigan and Stanford University. “The guest experience is so critical to hotels; AI augments the employees’ ability to deliver on a better guest experience.”

It helps in a college setting, too.

“Say you’re a student who left behind an $80 scientific calculator in a classroom on a Friday afternoon,” Sinclair says. “The professor takes a photo of the device, with the image ending up in an AI-enabled mobile and storage platform as part of a more efficient lost-and-found process that aids both the college and the student.”

“Recently, one of the most rewarding things of fatherhood is getting peppered with questions from my children about my journey with BOUNTE.”

A graduate of Loyola Academy in Wilmette and Babson College in Massachusetts, Sinclair, who had originally wanted to be an investment banker, used $1,200—what had remained from his college graduation gift—to buy a Dell computer. That purchase triggered the start of 25 years of software engineering experience in fields ranging from banking to commodity trading to insurance to professional football.

Yes, professional football—specifically the NFL.

“When (Chicago Bears great) Mike Singletary was coaching the San Francisco 49ers, he asked me to develop a software that would make it easier for his rookie defensive players to learn where they needed to be on the field in schemes,” Sinclair recalls. “Mike gave me access to his defense’s playbook. I couldn’t believe it. I then built software coding that allowed the players to use a touch screen similar to an ATM’s display screen.”

“The iPhone hadn’t been invented then,” adds the former Fisher Price toy phone mauler.

Sinclair’s hero is his father, also named Stephen, who served as president of Rubloff’s real estate development division.

“My father, while I was growing up, had this uncanny ability to turn off his business side and instantly become an approachable, accessible dad for his three kids,” says Sinclair, the husband of Alyssa and the father of their children—Stephen III, Collin, and Sophia. “Recently, one of the most rewarding things of fatherhood is getting peppered with questions from my children about my journey with BOUNTE.”

Noting he’s in “the third quarter” of his work life, Sinclair, who’s on track to earn his pilot’s license in 2025, has high aspirations for his final quarter.

“I’ll be in my mid-50s then, when it’ll be time to direct all my energy to humanitarian projects,” he says. “I want to be behind the AI that will solve the most challenging issues, maybe even eradicate diseases. Why do people launch tech start-ups? Because tech start-ups solve problems.”

For more information, visit bounte.net.

LIVING & GIVING

GOLD COAST FASHION SHOW

PHOTOGRAPHY BY PURPLE PHOTO GROUP

Fashion and philanthropy reigned at the Children’s Service Board’s 68th Annual Gold Coast Fashion Show. Cutting-edge fashions from Neiman Marcus-Michigan Avenue were showcased in a fast-paced runway show and cocktail reception. Event proceeds supported the Board’s two-year, $2 million commitment to the Hematology, Oncology & Stem Cell Transplantation Fellowship Program at Ann & Robert H. Lurie Children’s Hospital. The event was hosted by Children’s Service Board President Danielle Hoeg with cochairs Marie Geanuleas and Kasey Macha. Paired with a luncheon and runway show earlier in the week, the 68th Gold Coast Fashion Show raised nearly $1.3 million. csb.luriechildrens.org

Danielle Hoeg, Andrea Chadwick, Kim Kozminski, Cathryn Schmalz
Evgenia Voytsekhovskiy, Nicole Kneedy, Jenny Polster, Susie Silich, Marie Geanuleas
Sydney Caine, Danielle Hoeg
Co-chairs Marie Geanuleas and Kasey Macha
Colton Riemenschneider and Elizabeth Klein
Christa Cottrell, Kasey Macha, Cassidy Neveux

INSTANT

LIVING & GIVING

AN EVENING OF HOPE

TPHOTOGRAPHY BY SHERI WHITKO

he Lynn Sage Breast Cancer Foundation recently hosted its annual benefit at Theater on the Lake, honoring Dr. Olusimbo Ige, Commissioner of the Chicago Department of Public Health. Special guest Guerdy Abraira, breast cancer survivor and star of The Real Housewives of Miami , was a special guest. The Fall Benefit raised more than $1.2 million to support early-career doctors and fund innovative breast cancer research. This year, the foundation introduced the Chicago Breast Cancer Research Consortium, committed to providing equitable access to cutting-edge clinical trials. lynnsage.org

Laura Sage, Guerdy Abraira, Halee Sage
Some of the Lynn Sage Breast Cancer Foundation Board with Guerdy Abraira
Geoff Alexander, Lara and Tom Fielding, Lori Alexander, Halee Sage
Laura Sage, Dr. Simbo Ige, Commissioner of Chicago Department of Public Health
Co-Chairs Jenny Stevens, Dana Sanders
The Adalina team including Executive Chef Soo Ahn from Season 21 Top Chef
Suzanne Le Mignot, Laura Sage, Guerdy Abraira, Candace Jordan, Beth Heller, Lisa Fielding

LIVING & GIVING

VISIONARY LUNCHEON

PHOTOGRAPHY BY JEREMY LAWSON

PHOTOGRAPHY, © MCA CHICAGO

The Museum of Contemporary Art Chicago (MCA) held its annual Visionary Luncheon, celebrating leadership in the arts. Nearly 350 guests—including cultural, business, civic, and artistic leaders— were in attendance to celebrate the museum’s education initiatives, hear a dynamic conversation between Pritzker Director Madeleine Grynsztejn and artist Sarah Sze, and recognize this year’s honorees. BMO Bank N.A. received the 2024 Arts Philanthropy Award for its support of arts education in Chicago, with Darrel Hackett, President and Chief Executive Officer of BMO Bank N.A., accepting the award on behalf of the bank. The 2024 Arts Philanthropy Award also honored Darrel Hackett and MCA Trustee Nickol Hackett. Visionary 2024’s event leadership includes King Harris, MCA Board of Trustees and Visionary co-chair; Rachel Grund, MCA Women’s Board President; Marlene Breslow-Blitstein, MCA Board of Trustees, MCA Women’s Board, and Visionary co-chair; Susan Brunstrum, MCA Women’s Board and Visionary co-chair; and Marcia Fraerman, MCA Women’s Board and Visionary co-chair. The event raised more than $640,000 in support of MCA’s Learning programs. mcachicago.org

2024 Visionary Arts Philanthropy Honorees MCA Trustee Nickol Hackett and Darrel Hackett
Madeleine Grynsztejn, Sarah Sze
King Harris
Marcia Fraerman, Rachel Grund, Marlene Breslow-Blitstein
Marilyn Fields, MCA Marilyn and Larry Fields Curator Carla Acevedo-Yates, MCA Trustee Larry Fields
Max Mara models
MCA Chicago Pritzker Director Madeleine Grynsztejn, artist Sarah Sze, MCA Board Chair Cari B. Sacks

LIVING & GIVING

WINGS PURPLE TIE BALL

PHOTOGRAPHY

WINGS 24th Annual Purple Tie Ball transported 550 guests to a winter wonderland. The sold-out event, chaired by Katherine Banich and Shanna Nikolic, raised more than $1,000,000 for survivors of domestic violence. Set at the Lincolnshire Marriott Resort, the whimsical evening treated attendees to a cocktail reception, dinner, live auction, spectacular raffle prizes, mesmerizing entertainment, and live music by the Bluewater Kings Band. wingsprogram.com

Katherine Banich, Shanna Nikolic
Becky and Jim Sulecki
Melissa Routhier, Mike McCauley, Julie McCauley, Eric Routhier
John and Melissa Canning
Julie McCauley, Lisa Lahey, Katherine Banich, Bonnie Tripton
Eleanor Miz, Chelsea Mobley, Erin Stutland, Cheryl Loeding, Annie Cacchione, Katelyn Schultz, Claire Parker, Sonya Hoxie, Shelby Hasten

LIVING & GIVING

THE CURIO

PHOTOGRAPHY BY ALEX

At the opening runway show of Chicago Fashion Week, some of Chicago’s best fashion designers including Maria Pinto, Barbara Bates, Sheila Rashid, Christina Karin, Gente Fina, Justin LeBlanc, and I Am Studios presented their collections on the runway before a soldout audience of 500 fashion industry influencers and enthusiasts at the Chicago Cultural Center. Notable attendees included Chicago Fire star midfielder Kellyn Acosta, Deputy Commissioner of the Department of Cultural Affairs and Special Events Sangini Brahmbhatt and Director of Economic Development Tom Anderson representing the city, as well as fashion industry/organizers and influencers. The event also awarded influencer Amy Anderson the first $10,000 Ceta Walters Fashion Content Creator Award. curioexperience.com

Curio Partners Maggie Gillette (left) and Ian Gerard (right) with designers Maria Pinto, Emmanuel Cabrera of Gente Fina, Christina Karin, Sheila Rashid, Barbara Bates, Justin LeBlanc, Alex McDermott of I Am Studios. Photography by Stephanie Jensen
Stylist Sal Yvat puts the finishing touches on a model backstage
Chip Hendon, John Rodgers, Frank Rubel
Yaa Stanley, Trenisha Reid, Christine Griffith, Corey Williams
Designer Maria Pinto takes the runway with a model at the finale of the show
Streetwear look by Gente Fina
Christina Karin’s iconic Chicago, New York, Paris top
A model wears a look by Barbara Bates while carrying one of the line’s signature bags

LIVING & GIVING

THE BREAKTHROUGH BALL

PHOTOGRAPHY BY JACLYN SIMPSON AND JESSICA TAMPAS

The Breakthrough Board hosted a spectacular evening celebrating life-saving innovations at UChicago’s Comprehensive Cancer Center. The gala raised more than $1.3 million to fund future cancer research initiatives with high breakthrough potential. The Breakthrough Board is one of Chicago’s oldest charitable boards and has raised more than $25 million since its inception 75 years ago. This year’s theme, “Where Breakthroughs Blossom,” captured the recent growth of the board as they welcomed a talented class of new members. Co-chaired by Bridget Rahr and Anna Smith, the ball was held at the Four Seasons Chicago. cancerresearchfdn.org/thebreakthroughboard

Barbara C. Sessions, Kunle Odunsi, M.D., Ph.D., Anna Smith, Bridget Rahr
Jack and Kimi Werner, Laura and Michael Werner
Louise Rahr, Bridget and David Rahr, Erin O’Rourke and Gordon Rahr
Jane Chun, Lesley Kompare, Kim Kort, Hannah Steadman, Shannon Traylor
Rosendo, Noel, and Isamar Lopez
Auctioneer Gary Metzner of Sotheby’s
Michele Hoffman, Reid Yamauchi, Molly Curley, Augie Hoffman

LIVING & GIVING

MADAME ZUZU POP-UP

PHOTOGRAPHY BY ROBIN SUBAR

“Night at Old Orchard with Madame Zuzu’s” brought together hundreds of attendees for an unforgettable evening of fun and philanthropy. Hosted by Westfield Old Orchard, the event blended the vintage charm of Madame Zuzu’s pop-up, co-owned by Chloé Mendel Corgan and Smashing Pumpkins frontman Billy Corgan, with electric entertainment transforming a conventional shopping experience into an electrifying evening. Highlights included a showcase from the National Wrestling Alliance (NWA), exclusive giveaways, and retro beats from DJ Greg Corner. All proceeds benefited PAWS Chicago. pawschicago.org

Billy Corgan and Chloé Mendel Corgan
Rachel White, Margan Akres
Prof Pinkerton, Eufelia Quintana
Brooke Jay, Chloé Mendel Corgan, Patricia Miller, Lisa Lange, Michelle Mekky
Chloé Mendel Corgan
DJ Greg Corner
Billy Corgan with his children

LIVING & GIVING

LYRIC OPENING GALA

LPHOTOGRAPHY BY JACYLN SIMPSON AND KYLE FLUBACKER

yric Opera of Chicago hosted its spectacular Lyric Opening Gala in partnership with the Lyric Women’s Board. Chaired by Ann Jones of Lake Forest alongside Women’s Board President Karen Z. Gray-Krehbiel of Chicago, this black-tie affair welcomed more than 300 guests. Patti LuPone headlined the night with her show Patti LuPone: A Life in Notes . Directed by Scott Wittman and written by Jeffrey Richman, this two-hour concert, featuring her longtime musical director Joseph Thalken, mesmerized the soldout crowd. The concert included personal reflections and iconic songs spanning her legendary career on stage and screen. The proceeds from the gala will support Lyric Opera of Chicago, ensuring that the company continues to create new work, reach diverse audiences, and maintain its commitment to artistic excellence. lyricopera.org

Ann Jones, Karen Z. Gray-Krehbiel
Enrique Mazzola
Penelope Steiner, Nicole Steiner, Sara Steiner, Robert Steiner
Nancy and Scott Santi, Emily Keiser
Joseph Thalken, Patti LuPone, Brad Phillips
Caroline and Charlie Huebner
Antonietta Colasanto and Santino Bibbo
Sylvia Neil, John Mangum

LIVING & GIVING

WOMEN’S BOARD SOIRÉE

PHOTOGRAPHY BY MICHAEL

The Women’s Board of the Illinois Holocaust Museum & Education Center (IHMEC) raised $400,000 at its annual signature event—Soirée. More than 350 guests came together at Bryn Mawr Country Club to support the Museum’s mission to combat hatred, prejudice, and indifference and to inspire visitors to become Upstanders. Guests mingled, enjoyed hors d’oeuvres and cocktails, and bid on silent auction items. Kelley Szany, Senior VP of Education & Exhibitions, gave remarks drawing from her 20-plus years with IHMEC, sharing the Museum’s groundbreaking work in holographic and virtual reality technology. Funds from this event will support upcoming special exhibitions, field trips to the Museum for students in underserved communities, teacher professional development trainings, and the Museum’s new Mobile Virtual Reality Program. ilholocaustmuseum.org

Juliet Gray, Amy Resnick, Co-President Sue Spinello
Danielle Pearlman, Helene Berns Freedberg, Leslie Sarnoff
Michael Gray, David Golder, Rob and Abbey Romanek.
The Bauer Family—Stuart Primack, Aaron Bauer, Dr. Jerry Bauer, Adrienne Bauer, Michelle Primack, Dr. Hillary Bauer-Cohen and Jeff Cohen
Alex Lallanilla, Jim Spinello, Ken Perlmutter
Mandee Polonsky, Jessica Zar, Ellie Forman

LIVING & GIVING

GLENKIRK

PHOTOGRAPHY BY EVA HO

Northbrook-based Glenkirk, a nonprofit supporting people with intellectual and developmental disabilities, hosted its 27th annual Benefit Bash at the newly remodeled Highland Park Country Club. More than 175 guests enjoyed cocktails, dinner, a special video presentation, live music, and a raffle. Founded in 1954, Glenkirk’s mission is to provide quality lifetime support empowering individuals with developmental disabilities to participate fully in all areas of community life. This year’s event commemorated the organization’s 70th anniversary. Event proceeds help Glenkirk launch new recreation and enrichment programs in the community, increase disability employment at local businesses, purchase accessible vehicles, and renovate Glenkirk group homes. This year the event raised more than $276,000. glenkirk.org

Rose Marie Carlson, Alice Abt, Carmen Franco
Brian Bentz, Molly Kuhlman
Eileen Bennin, Kim Berenberg
Ted Hirsberg, Suzi and Dr. Jeffrey Draluck
Nicole Cox, Christeon Mayfield
Michael Stewart, Adia Hulon, Tajane Stewart-Smith, Kim Berenberg, Christeon Mayfield, Helen Maritim-Adipo, Lindsay Stuart
Bari Michelon, Eileen Bennin, Maureen and Lester Lampert
SHERIDAN ROAD 112

LIVING & GIVING

33RD ANNUAL CURES GALA

PHOTOGRAPHY BY GEORGE BURNS PHOTOGRAPHY

Gateway for Cancer Research held the 33rd annual Cures Gala and celebrated the brilliant trial doctors, brave patients, and generous donors that are changing lives every day. Hosted at the private, historic residence of Dr. Stacie and Mr. Richard J Stephenson, Gateway’s Vice Chairman and Chairman in Barrington Hills, the event raised millions of dollars, 100 percent of which goes to funding vital phase I and II cancer clinical trials. This event featured a breakthrough cancer trial, notable award recipients, and world class entertainment.

Richard J Stephenson and Dr. Stacie Stephenson
David Foster
Matteo Bocelli
Theresa and Chuck Harris
Bob and Cindy Mayo
Dr. Lawrence Piro
Joey Fatone, Dr. Lawrence Piro, Richard J Stephenson and Dr. Stacie Stephenson, David Foster, Pia Toscano, Daniel Emmet, Matteo Bocelli
JC Huizenga and Tammy Born Huizenga

“Leslie is the best in the business. Her expertise led us to buy our dream house, as well as sell our house. She is working 24/7 and is always optimistic and honest throughout the entire process. If it were possible to give Leslie more than 5 stars, I would give her 10! Buying a home is the largest life purchase for most people, and she worked hard to keep the process stress-free. Thank you, Leslie for everything you did for us!” - J.M & J.M

“We chose Leslie to be our REALTOR® because of her reputation and her many years of experience in our neighborhood. She gave excellent advice about pricing our house and walked us through what the process would entail. She listened to our concerns and opinions. Leslie is organized, punctual, knowledgeable, responsive to phone calls and texts, thorough with legal paperwork, and beyond her expertise, she is always calm and pleasant. Don’t hesitate to hire Leslie!” - B.C. & K.C.

“We had a fabulous experience with Leslie helping us find our home in an incredibly hot and competitive market. Leslie is direct, honest, quick to reply, and VERY knowledgeable. We think her reputation as a fair and easy to work with REALTOR® on the North Shore is what helped us seal the deal in a highly competitive, multiple offer situation. We are in LOVE with our home and neighborhood and graciously have Leslie to thank for it!” S.D. & M.D.

MOMENTOUS OCCASION

A SPECTACULAR NIGHT OF HOPE AND HEALING AT THE 33RD ANNUAL CURES GALA

PHOTOGRAPHY

BY

GEORGE BURNS PHOTOGRAPHY

On October 26, 2024, Gateway for Cancer Research held the 33rd annual Cures Gala and celebrated the brilliant trial doctors, brave patients, and generous donors that are changing lives every day. The event was hosted at the private, historic estate of Gateway’s Vice Chairman and Chairman, Dr. Stacie and Mr. Richard J Stephenson, located in Barrington Hills. The exclusive affair serves to advance Gateway’s mission to accelerate practice-changing discoveries in cancer care by harnessing the unrelenting passion of the research community and empowering patients to triumph over their disease. Together, the Gateway community raised millions of dollars, 100 percent of which goes to funding vital phase I and II cancer clinical trials.

Since its inception, Gateway has invested more than $114 million to support over 234 early phase cancer clinical trials. These studies have delivered hope and healing to more than 30,000 cancer patients and families. Families like those of Bruce Koehler, Joe Ragey, and Orricia Denbow, who are all participants in the Gateway-funded trial spotlighted at this year’s event.

The featured trial showcased the innovation, ingenuity and impact of Gateway-funded research. The trial aims to evaluate the efficacy of an already approved cancer drug in the treatment of the rare pre-cancerous blood condition clonal cytopenias of undetermined significance (C-CUS). Led by Kelly Bolton, M.D., Ph.D., a medical oncologist at Washington University in St. Louis, Missouri, the three-year phase II study is differentiated for

being a decentralized trial. Using this trial model, Koehler, Ragey, and Denbow have been able to receive study-related care and treatment from their communities in Georgia, California, and St. Lucia, respectively.

This year’s recipient of the Mary Brown Stephenson Award— one of Gateway’s highest honors—was Dr. Lawrence Piro, President and CEO of The Angeles Clinic and Research Institute. Dr. Piro is widely known as an authority on lymphoma and cancer drug development including immunotherapy treatments for cancer.

The entertainment at the Cures Gala further proved the wide reach of Gateway’s support. Headlining the incredible night of giving was 16-time Grammy Award winner David Foster. Additional performances and celebrity guests included singers Pia Toscano, Matteo Bocelli, and Daniel Emmet. Joey Fatone appeared at the Cures Gala as Master of Ceremonies.

There are currently 62 active Gateway funded clinical trials around the globe. In the last 30-plus years, they have altered the standard of care at some of the most trusted hospitals and health care institutions. Additionally, they have contributed to the development of new FDA-approved treatments and therapies that improve quality of life and save lives. In the process, Gateway has never forgotten that its work is ALWAYS and ONLY about the patient.

To learn more, please visit gatewaycr.org.

Dr. Stacie Stephenson, Dr. Lawrence Piro, Mr. Richard J Stephenson
Matteo Bocelli, Daniel Emmet, Pia Toscano, David Foster

LWORDS BY

PLASTIC SURGERY UPDATE: Vaser 4-D Hi Definition Liposculpture Plus Renuvion

iposuction has been in existence for close to thirty years. It continues to be refined and improved. Two years ago I discussed Hi-Definition Liposculpture. Since that time I’ve performed hundreds of procedures. Results have been excellent with significant improvement over past procedures. It has become a true art form where the underlying anatomy is contoured, sculpted, and enhanced. Like every procedure, over time one realizes that there are some limitations. The single biggest limitation in achieving the desired result is the status of the overlying skin. More specifically the level of the skin’s elasticity. In the younger patient where the skin tone is better, results are more predictable and consistent. In the older patient, if there is significant laxity of skin, the procedure may be combined with skin reduction or excision. It is that middle group of patients who present the most challenge. Obviously, most patients want the best results with the least invasive method. For this group, I’m now combining Vaser Hi-Definition Liposculpture to contour and sculpt the body with a minimally invasive treatment called Renuvion.

Renuvion is a cosmetic technology combining the unique properties of the helium plasma with a proprietary form of radiofrequency energy. The trick is always to sufficiently heat up the deeper tissues to promote collagen tightening and elasticity without burning the overlying skin. Renuvion has a very shallow depth of penetration. It has a dual thermal effect where it provides unique heating with near-instantaneous tissue cooling. The delivery of energy beneath the skin and thru the helium plasma allows 360-degree energy application to all desired tissues in the subdermal space. The fibroseptal network beneath the skin can be effectively heated to promote contraction and tightening of the overlying skin. The full effect of this treatment can take up to six months to see.

So basically, tumescent fluid is injected into the area to be treated and Vaser ultrasound is introduced to emulsify the fat. Liposuction is performed if need be and the Renuvion is introduced to promote skin tightening.

To see if you are a candidate for this procedure a consultation and an exam are required. As with any surgical procedure risks and possible complications will be discussed.

For additional information, visit bodybybloch.com or Dr. Bloch can be reached at his Highland Park office at 847-432-0840. Follow us on social

PHOTOGRAPHY BY MONICA KASS ROGERS
“Do one thing every day that scares you.”

– ELEANOR ROOSEVELT

FAMILY CENTERED APPROACH

SHANA VITEK is an Equity Partner at Beermann LLP, the largest family law firm in the country. For more than 20 years, she has practiced divorce and family law—handling a wide range of cases, including divorces for business owners, high-profile, and high-net-worth clients. Her ability to handle any type of case has allowed her to become one of only a few attorneys in Illinois to be Board Certified in Family Trial Law by the National Board of Trial Advocacy. “Every family is different, so each case that I handle needs an individualized approach,” she says. “All initial consultations include information about the alternatives to litigation and keeping the divorce process out of court.” In addition to being a litigator, Vitek is also a trained mediator, arbitrator, and collaborative attorney who serves as Chair of the Beermann LLP Family Law Clinic. “We feel strongly about giving back to the community,” she says. “Given the size of our firm, we are in a unique position to make a big difference for clients who would otherwise go unrepresented in family law matters.”

Most rewarding part of what you do? Helping people through a very difficult time and watching them get to a more positive place in their lives.

How should women support other women? By forming relationships with each other, both at the peer level and through mentorship. Women have unique career challenges, so it is extremely valuable to connect with other women in similar professional and personal situations.

Powerful woman you admire the most? Ruth Bader Ginsberg. She stayed true to herself and her goals, while being a wife and mother in a time when she had to fight for every opportunity.

For more information, visit beermannlaw.com and follow @shanavitek on Instagram.

Dress by Burberry from Neiman Marcus

PARTING WORDS

ROAD TO HOBBITON

Winnetka native Alina Taber weighs in from the other side of the world to talk about her role as half-elven queen Arwen in The Lord of the Rings –A Musical Tale, which made its New Zealand debut in November.

Growing up in Winnetka, Alina Taber wasn’t really exposed to The Hobbit until she started watching the films as a student at New Trier Township High School. But when she landed the role of the half-elven queen Arwen in Chicago Shakespeare Theater’s (CST) The Lord of the Rings – A Musical Tale, which made its U.S. premiere this summer, she couldn’t wait to read J.R.R. Tolkien’s legendary masterpiece.

“It’s been fun learning more about the incredible world that Tolkien built. I see playing Arwen less about playing Liv Tyler’s character from the films, and more about playing Arwen as written by Tolkien. I’m trying my best to do the elves justice. Arwen is a very powerful healer, so it’s important for me to find the balance of that whilst also being an elvish princess,” says Taber, who joined other CST cast members for the show’s November 5 debut at The Civic theatre in Auckland, New Zealand—a country that has become the embodiment of Middle-earth since the release of Peter Jackson’s Oscar-winning film trilogy adaptation of the novels. “Playing this role in New Zealand is an absolute honor. The theater is located about an hour from the Hobbiton Movie Set. To be able to play an iconic role in an even more iconic location is nothing short of amazing.”

The Lord of the Rings – A Musical Tale opens with Bilbo Baggins’ 111st birthday celebration in the Shire. When Baggins gifts his nephew Frodo his most precious belonging—a gold ring—it launches Frodo on a perilous quest. Frodo proceeds to travel to the darkest realms of Mordor to vanquish evil, bringing the familiar Tolkien tale to life on stage with live music.

and perhaps the most complex I’ve been a part of to date.”

While she can’t remember the name of the first play she appeared in, Taber does have a distinct memory of being in a production at Winnetka’s popular Together We Influence Growth (TWIG) summer camp.

“One year we did Princess and the Pea so I was probably 9, but there may have been moments before that,” she recalls. “Even as a kid, my friends and I, along with my sister, would make up plays and perform them for our parents. I think that imaginative playtime is where I got my start in theater.”

“I play five instruments and learned how to play the harp specifically for this show,” says Taber, explaining how the live Irish and folk-inspired music sets the atmosphere for the magical, Middle-earth tale. “As actors, we are building a world through music, puppetry, and dancing. It’s an incredible feat of live theater,

By the time she got to New Trier Township High School (where she starred as Golde in the school’s production of Fiddler on the Roof), she had an agent. Her big television break on Chicago P.D. came at age 16 during her junior year. Taber played the character of Lexi Olinsky for four seasons, which took her through college. Agents would continue to book her for commercial spots and print ads but soon after earning a degree in history with a minor in sign language from DePaul University, she committed herself to the pursuit of live theater.

“All roads lead back to this,” says Taber, who received rave reviews as Stella in Paramount Theatre’s A Streetcar Named Desire prior to being cast in the CST premiere of The Lord of the Rings – A Musical Tale. “I feel a lot more actualized as a performer with this show. It would be great if this role would lead to more opportunities, and it would be even greater to continue to be taken more seriously as a multi-faceted performer in Chicago and elsewhere.”

For now, she’s savoring the experience of being part of what is shaping up to be a global phenomenon.

“After the show closes, I’ll be staying an extra week with some of the other cast members to explore some of the beautiful scenic spots New Zealand has to offer,” adds Taber, reflecting on how far she’s come this year. “With the fragility of this industry, nothing is guaranteed, so it’s an honor to get this opportunity and I am very hopeful about what will come next.”

Turn static files into dynamic content formats.

Create a flipbook
Issuu converts static files into: digital portfolios, online yearbooks, online catalogs, digital photo albums and more. Sign up and create your flipbook.
Sheridan Road, December/January 2025 by JWC Media - Issuu