Country Magazine, September 2023

Page 1

All projects shown are designed and built by Airoom © All designs and photography are a copyright of Airoom LLC. Use without written consent is strictly prohibited. Chicagoland’s Preferred Choice for Remodeling and Additions. We’re proud to have been designing and building in your community for 65 years. Our commitment to our craft and our clients is showcased in every project we undertake. We handle everything, from first sketch to the final nail. Call us or visit Airoom.com to schedule a free consultation today! 6825 N. Lincoln Ave., Lincolnwood IL 60712 847-485-1966 | airoom.com Visit our 30,000 sq. ft. Design & Build showroom. Open six days a week. Additions | Kitchens | Baths | Interior Remodeling | Lower Levels | Condos & Lofts | Exteriors
Experience Transcendent Immerse yourself in the ultimate living experience, connected to an iconic 5-star hotel. The Residences at The St. Regis Chicago will captivate you with unparalleled services and amenities. Located at Chicago’s best address in Lakeshore East, live high above it all, right in the middle of it all. To schedule your personal tour, please contact Leila Zammatta with Magellan Marketing Group at +1 312 467 7569. Ultra-luxurious lakefront residences, from 1,097 SF pieds-à-terre to full floor, 6,800 SF, 360°-view penthouses. One-to-five-bedroom homes from $860,000 to $18,500,000. 363 E. Wacker Drive, Chicago, IL 60601 | srresidenceschicago.com The St. Regis logos are the trademarks of Marriott International, Inc., or its affiliates. The Residences at The St. Regis Chicago are not owned, developed, or sold by Marriott International, Inc., or its affiliates (“Marriott”). The developer of the residential project, Parcel C LLC, Dev. License #2418452, uses the St. Regis marks under a license from Marriott, which has not confirmed the accuracy of any of the statements or representations made about the project. If this license is terminated or expires without renewal, the residential project will no longer be associated with, or have any right to use, the St. Regis tradenames or trademarks. Sales by Magellan Marketing Group.

AskConnie

What are the advantages of purchasing a newly built home?

When deciding between purchasing a newly built home or an existing property, the choice hinges largely on your preferences, budget, and priorities. Choosing new construction as a home buyer comes with several compelling advantages:

Customization: New construction often allows buyers to customize certain aspects of the home, such as selecting the floor plan, finishes, and even some architectural elements. This personalization ensures your home suits your preferences from the start.

Latest Technology: New homes incorporate modern designs and state-of-the-art technology, including energy-efficient appliances, smart home features, and improved insulation. This translates to reduced utility bills and a more comfortable living environment.

Warranty and Low Maintenance: New homes typically come with warranties, providing a sense of security and potential cost savings. Additionally,

new construction requires less immediate maintenance compared to older homes, reducing unexpected repair costs.

Less Stressful Move-In: You won’t deal with the repairs, renovations, and updates that often accompany older homes.

Incentives: Builders may offer financing or upgrade incentives, which can make the overall cost more manageable.

Resale Value: A newly constructed home can potentially have higher resale value compared to older homes, as it begins with contemporary features that appeal to buyers for years to come. Ultimately, choosing new construction offers the advantage of moving into a home that is tailored to your preferences, equipped with modern conveniences, and backed by warranties, all while potentially providing long-term savings and a higher quality of life.

This might be the opportune time to ask a trusted real estate advisor to help you navigate through the process. Work with someone you Know, Like and most importantly Trust to do the right thing for you and your family.

303 E Main Street, Suite 102, Barrington, IL 60010 223 Cook Street, Suite J, Lake Geneva WI 53147 The Sanctuary of Lake Zurich Model, 42 Natalie Lane, Lake Zurich, IL Call Connie at +1 847.508.7775 for more information. Jameson Sotheby's International Realty has offices in Barrington | Chicago - Lincoln Park | Evanston | Gold Coast | Hinsdale | Winnetka Source: All data from MRED. Data deemed reliable but not guaranteed. InfoSparks © ShowingTime. © 2023 Jameson Sotheby’s International Realty. All rights reserved. Sotheby’s International Realty® and the Sotheby’s International Realty Logo are service marks licensed to Sotheby’s International Realty Affiliates LLC and used with permission. Jameson Sotheby’s International Realty fully supports the principles of the Fair Housing Act and the Equal Opportunity Act. Each office is independently owned and operated. Any services or products provided by independently owned and operated franchisees are not provided by, affiliated with or related to Sotheby’s International Realty Affiliates LLC nor any of its affiliated companies. Connie
email me at questionsforconnie@gmail.com
Antoniou answers all of your real estate questions, please
connie.antoniou@sothebysrealty.com.
If you would like to discuss your unique real estate needs confidentially, you may call or text me at +1 847.508.7775 or email
Michael A. Lovda, D.D.S. and Michael A. Lovda Jr., M.S., D.D.S 1564 West Algonquin Road | Hoffman Estates, IL 60192 847-991-0790 | www.drlovda.com Smile Smile
©2023 Closet Factory. All rights reserved. Call 847-327-0896 , visit us online at closetfactory.com or scan this code to schedule your free in-home or virtual design consultation. the art of organization Remaster your closet and gain added flow, space and time. Just ask Closet Factory to reveal it.
123 West Main Street, Barrington, IL 60010 • 847.381.7900 • www.millerjewels.com • info@mjmillerjewelers.com

PALM RAT

ON THE COVER

Callie wearing Gucci top and pleated skirt, ikram, John Hardy necklace, John Hardy bracelet, CD Peacock, vintage earrings, stylist owned. Bria wearing Gucci dress, jacket and silk bow, ikram, Spark ring, CD Peacock

ON THIS PAGE

Find your fashion edge. Callie wearing Alexander McQueen dress and Valentino shoes, Neiman Marcus

JWC | COUNTRY 10 CONTENTS SEPTEMBER 2023
GOLF Big Things Are Happening in the World of Active Menswear MAKE YOUR MARK Define the Season with the Newest in Fall Fashion CELEBRATING 30 YEARS Barrington Dance Ensemble’s Come Dance With Me Gala 50 54 68 FEATURES
DEPARTMENTS EDITOR’S NOTE UP FRONT THE BUZZ COUNTRY LOVES BEAUTY LIVING & GIVING COUNTRY VS TOWN FASHION COLLECTOR’S CORNER FOOD & TRAVEL RECIPE FIRST CLASS HOUSE & HOME LUXURY OFFERINGS HOME STYLE ONE LAST THING 20 23 24 26 28 32 42 44 46 71 72 74 79 80 88 90
THIS PAGE
ON
JWC | COUNTRY 11
Bria wearing Alexander McQueen peplum jacket, pants, and leather belt, Carolina Herrera blouse, Neiman Marcus

Barrington, we ® you

DEAR BARRINGTON:

We love your endless recreational opportunities, from golfing to horseback riding to cross-country skiing. We love your charming downtown and its mix of quaint shops and lively restaurants. We love the sense of community that comes alive at local events like the Barrington Art Festival, Cruise Nights, and Wine Walks. We love your historic district, your natural beauty, your welcoming spirit. We love YOU.

LOVE,

atproperties.com
EXPERIENCE MORE

and exceeds your expectations. When you purchase from us, you get these additional benefits. We pride ourselves on providing an unparalleled car

NAPLETON’S PALATINE MAZDA 1811 N. Rand Road Palatine, IL 60074 (847) 882-9000 PalatineMazda.com SCHAUMBURG MAZDA 110 W. Golf Road Schaumburg, IL 60195 (847) 882-5050 SchaumburgMazda.com COMPLIMENTARY FIRST MAINTENANCE PRICE MATCH GUARANTEE OVER 4,700 5-STAR REVIEWS
buying experience for our customers.

EVERYTHING AND THE KITCHEN SINK

Our unmatched selection of kitchen brands will make this your favorite gourmet destination.

|

THEMART.COM
CHICAGO SHOP OUR DESIGN SHOWROOMS ON FLOORS 1, 3, 6, 10, 11, & 14 NEW STYLE CABINETS | SUITE 163
847-382-9195 | www.KHhelps.com This ad is for general information and is not intended to provide legal advice with respect to any specific matter, nor is it intended to create an attorney-client relationship. Under rules applicable to the professional conduct of attorneys in various jurisdictions, this may be considered attorney advertising material. LICENSED IN: ARIZONA CALIFORNIA FLORIDA ILLINOIS MISSOURI SOUTH CAROLINA TENNESSEE WISCONSIN WYOMING FULL-SERVICE LAW FIRM WITH 14+ ESTATE PLANNING ATTORNEYS Wills + Trusts | Asset Protection Planning | Estate + Trust Litigation | Pre + Postnuptial Planning | Estate + Gift Tax Returns Family Limited Partnerships | Family Limited Liability Companies | Elder Law | Medicaid Planning | Contested Estates + Trusts ADDITIONAL ESTATE PLANNING SERVICES INCLUDE:
ADVERTISING INFORMATION 847.504.9481 Introduce your business to 80,000 of Barrington’s most socially and financially active monthly readers

Founder & Publisher

Editor-in-Chief

Advertising Manager

Contributing Editors

Executive Projects Director

Contributing Writers

Copy Editor

Production Manager/ Graphic Designer

Advertising Coordinator/ Graphic Designer

Graphic Designer

Style Director

Contributing Photographers

Illustrator

Advertising Sales

Assistant to the Publisher

J.W. CONATSER

MEGAN WEISBERG

JODY SCHUMACHER

MICHELLE CROWE, DUSTIN O’REGAN

KEMMIE RYAN

WENDY ALTSCHULER, ELISA DRAKE, TRICIA DESPRES, MONICA KASS ROGERS

MORGAN HOGERTY

LINDA LEWIS

CHRIS GEIMER

SAM SUAREZ

THERESA DEMARIA

ASHBEY BEASLEY, MARIA PONCE BERRE, IAN MCLEOD, RUNVIJAY PAUL, MONICA KASS ROGERS

ROBERT RISKO

GRETCHEN BARNARD, JENNIFER STURGEON

CHEYANNE LENCIONI

How to reach COUNTRY Magazine

ADVERTISING INQUIRIES: ADVERTISING@JWCMEDIA.COM / 847.504.9481

EDITORIAL INQUIRIES: MEGAN.WEISBERG@JWCMEDIA.COM / 847.370.5840

Corporate Headquarters

671 ACADEMY DRIVE, NORTHBROOK, ILLINOIS 60062 JWCMEDIA.COM

COUNTRY Magazine is published 10 times annually by JWC Media.

JWC Media accepts freelance contributions; however, there is no guarantee that unsolicited manuscripts, photographs, or graphics will be returned. All rights to the contents of this magazine are owned in full by JWC Media. COUNTRY Magazine may not be reproduced in whole or in part, including but not limited to advertisements and articles, without written permission from the publisher.

COUNTRY Magazine assumes no responsibility for statements made or opinions expressed by contributing writers, editors, or advertisers. However, comments or corrections or differing opinions are welcomed. The publisher reserves the right to edit and place all editorials and ads. © 2023 JWC Media

MEDIA INFORMATION 2021 847.504.9481 THE PREMIER MAGAZINE ABOUT THE BARRINGTONS
Licensed in Illinois and Michigan and now licensed in Florida 847-274-4983 Judy@JudyGibbonsGroup.com Judy-Gibbons.com Luxury is not just a price point, it’s a level of service.

EDITOR’S NOTE

or me, September always signifies the start of a new year. The excitement I always had as a child buying new school supplies for the upcoming year now translates to my excitement in curating a new wardrobe for the change in season. In this issue, we share one of my favorite special sections—our fall fashion photoshoot. Shot on location at the gorgeous property of Craig Bergmann Landscape Design these standout looks are sure to be coveted by all. And if you’re looking for something more casual, look no further than the newly launched Palm Rat Golf clothing line from two Barrington brothers-in-law, Chad Bright and Evan Hoobchaak.

FThe Wynstone Golf Club hosted the Barrington Area Chamber of Commerce’s 37th Annual Golf Classic

This month’s Living & Giving highlights many charitable events in our community, including the Barrington Area Chamber of Commerce’s 37th Annual Golf Classic held at The Club at Wynstone.

In Country vs. Town, Jennifer Miller shares with us some of her favorite items. And the Barrington Dance Ensemble celebrates their 30th anniversary with an upcoming gala featuring a piece choreographed by former Joffrey Ballet dancer Jacqueline Moscicke.

When I was a child, my family would visit Yosemite often, and my main memories were the novelty of staying in a cabin with no electricity, seeing deer (a true rarity to this Los Angeles native), and the enormous topping of whipped cream on my hot chocolate at the end of the day. This past winter, my family and I had a different Yosemite experience as we stayed at the marvelous Château du Sureau, located 16 miles from the entrance to Yosemite National Park. Read all about our memory making trip in First Class

In One Last Thing we catch up with young entrepreneurs Shane and Joshua Beniek who founded Highest Sneaker & Clothing, selling high end sneakers to a wide audience. The accompanying illustration shows the highest selling shoe on record—the Nike Air Jordan #13 from “The Last Dance,” Michael Jordan’s historic 1998 season. Only ten of these shoes were made, and this pair sold for an astounding $2.2 million.

megan.weisberg@jwcmedia.com

MY WISH LIST

Wearing SAINT

LAURENT’s Cassandre

Leather-Trimmed

Raffia Shoulder Bag, net-a-porter.com

Embracing color with Bottega

Veneta’s Cat-Eye Acetate

Sunglasses, matchesfashion.com

JWC | COUNTRY 20
Reading Louis Vuitton Virgil Abloh published by Assouline, net-a-porter.com Country vs. Town’s Jennifer Miller wearing Veronica Beard multi-colored sleeveless dress, sweetwilliamhinsdale.com Bria wearing Oscar de la Renta blouse, Neiman Marcus, Valentino embroidered jacket and pants Château du Sureau

UPCOMING AUCTIONS

Important Jewelry

September 12 | Chicago | Live + Online

Fall Fashion & Accessories

September 19 | Chicago | Timed Online

European Furniture & Decorative Arts

September 20 | Chicago | Live + Online

Prints & Multiples

September 21 | Chicago | Live + Online

Native American Art

September 22 | Cincinnati | Live + Online

Asian Works of Art

September 27 | Chicago | Live + Online

Post War & Contemporary Art

September 28 | Chicago | Live + Online

Antique, Diamond Lavalier Necklace

Estimate $25,000 – 35,000

Miranda Max eld | 312.334.4208

consignmentdays@hindmanauctions.com

HINDMANAUCTIONS.COM

The JCA London Fashion Academy

Renowned shoe designer Jimmy Choo’s JCA | London Fashion Academy (JCA) offers higher education and short courses with practice-based learning aimed at shaping the next wave of designer entrepreneurs. For those interested in fashion, JCA has taster, introduction, intermediate, advanced, and Executive Industry-based online courses available through their global learning program. jca.ac.uk/short-courses

JWC | COUNTRY 23
Sewing machines in use at JCA’s Hanover Square campus. European inspiration at JCA’s London campus. CULTURE, MURMURS & STYLE
UP FRONT

ATELIER JOLIE

Academy Award-winning actress Angelina Jolie has announced the launch of her purpose-driven fashion brand, Atelier Jolie. “I am building a place for creative people to collaborate with a skilled and diverse family of expert tailors, pattern makers, and artisans from around the world,” says Jolie. “We will use only leftover, quality vintage material and deadstock. You will be able to repair or upcycle pieces from your closet that you wish to revive, perfecting fit, breathing new life into what could have been thrown away, and creating quality heirloom garments with personal meaning.” Jolie and Chloé, led by Gabriela Hearst, have announced they are working on a capsule collection together. Atelierjolie.com

LUXURY ACTIVEWEAR CAPSULE PERFECT FOR PICKLEBALL

Newly launched Ayda Activewear seeks to brighten the world by redefining luxury and fitness as joy and wellness by combining high fashion design with athlete-inspired fabrics, trims, and details. Laure Heriard Dubreuil (LHD) grew up in Paris and worked as a top merchandiser for Balenciaga and Yves Saint Laurent before founding The Webster, a multi-brand luxury retailer. The LHD x Ayda Activewear collaboration features a 12-piece collection ranging from vintage-inspired pickleball dresses to gorgeously crafted leather racquet bags. A patchadorned varsity jacket banners the collection, alongside athlete-inspired pieces including a V-neck tennis sweater, a pleated tennis skirt, and statement accessories. Each piece represents the essence of who Ayda and Laure are at their core—cheeky, sophisticated, artistic, bold, colorful, and luxurious. shopayda. com and thewebster.com

TARTANS FOR THE TRUST

The Barrington Area Conservation Trusts (BACT) “Tartans for the Trust” is an annual fundraiser in support of preserving the community’s rare and exceptional open spaces for current and future generations. BACT permanently preserves open spaces through conservation easements and land donations, restores natural habitats, and inspires conservation stewards for a vision of sustainable, beautiful environments. “Tartans for the Trust” is a family friendly event with live music, activities for kids of all ages and great community partners who come together to support BACT. Sunday, September 24, 2023, 1 p.m. to 5 p.m., The Noyes Family Home, 260 Otis Road, Barrington, bactrust.org

JWC | COUNTRY 24 UP FRONT |THE BUZZ
Celebrate the Barrington Area Conservation Trust at the annual Tartans of the Trust event Get sporty. LHD x Ayda Activewear Rally Dress and Backspin Paddle Bag

DR. DENNIS GROSS SKINCARE DOUBLES DOWN ON LIP CARE

The DRx SpectraLite LipWare Pro is an FDAcleared, clinically proven LED lip device with 56 red lights that target the full lip area to address fine lines, wrinkles, and creases around the lips through natural collagen stimulation and improving circulation. The device uses multiple wavelengths of light to penetrate the unique, delicate skin of the lip for enhanced natural color and more fullness and definition. Also launching is the DermInfusions Plump + Repair Lip Treatment, a volumizer that immediately plumps, defines, and enhances natural lip color while restoring the moisture barrier for hydrated, younger-looking lips. Clinically proven, this formula has four molecular weights of hyaluronic acid and a volumizing complex of tripeptides. sephora.com

DOGWOOD HILL

Dogwood Hill’s story started in 2015 when founder Jennifer Hunt, a busy mother of two, waited a bit too long to order holiday cards. This fortunate error led her to the idea of a website where discerning customers could go for thoughtfully and gorgeously created cards featuring art by true artists. And so, Dogwood Hill—a name inspired by Hunt’s hometown of Birmingham, Alabama— was born. From weddings and holiday cards to paper goods to keep you organized, Dogwood Hill creates beautifully designed paper products featuring commissioned artwork from over 30 artists. dogwood-hill.com

THE BUZZ| UP FRONT JWC | COUNTRY 25
Dr. Dennis Gross DRx SpectraLite LipWare Pro Dogwood Hill’s Boxwood Lattice collection is the perfect start to a soirèe. Stationery from Dogwood Hill’s Epiphany Collection

JACQUI PIERONI LOVES

Gadget: My air fryer. I love how quick and easy it has made my busy weeknights. Scent: Spicebomb by Viktor&Rolf. It’s actually a men’s cologne that my husband wears but I am guilty of borrowing it myself. Barrington spot: Fox River Forest Preserve. I love to

walk there from my house. It has the best trails and views of Fox River. The scenery is absolutely breathtaking. Hostess gift to receive: A chilled bottle of chardonnay, always! Gift to give: You can never go wrong with fresh flowers or a good bottle of wine.

UP FRONT|COUNTRY LOVES JWC | COUNTRY 26
EDITED BY MORGAN HOGERTY PHOTOGRAPHY BY MARIA PONCE BERRE HAIR AND MAKEUP BY LEANNA ERNEST STYLING BY THERESA DEMARIA Pieroni wearing Samantha Sung dress, Sweet William, Hinsdale

What actress would play you in a movie? Kaley Cuoco. She seems down to earth and I think would capture my sarcastic personality quite well. And most importantly, she is a fellow dog lover. Who from history would you want to travel with? Eleanor Roosevelt. She was so much more than just a First Lady. She was well educated, progressive, and a force for human rights. I would love to travel the world with such an inspiring and amazing woman. Where do you look for inspiration? I’m actually a very introverted person, and I draw my energy and inspiration from being alone in nature, listening to a good nonfiction audiobook, or a motivational podcast.

Favorite book? Boundaries by Henry Cloud and John Townsend. This book was life-changing for me when I first read it. Since

then, I’ve probably reread it five times. I love to gift copies of it too; it’s a valuable resource that I believe everyone can learn from. Most beloved cookbook? Pinterest! I get all my recipe inspiration there. The options are endless, and I love to read reviews before I get in too deep.

Best dinner party hack? A good playlist! I am super intentional about curating the right background music when we have guests over. If you come to my home, you can guarantee I spent quite a bit of time thinking about your musical tastes and finding the perfect soundtrack for the night. What’s in your bag right now? My wallet, keys, Apple AirPods Pro, sunglasses, iPhone, and about 20 different lip products. Gotta have options.

COUNTRY LOVES| UP FRONT JWC | COUNTRY 27
Pieroni wearing Apiece Apart sweater, neimanmarcus.com

1 The Ordinary, Multi Peptide Lash and Brow Serum Duo, nordstrom.com 2 Olaplex, Bond Maintenance Conditioner, nordstrom.com 3 RéVive, Sensitif Calming Serum Skin Barrier Repair, net-a-porter.com 4 Dyson, Supersonic, nordstrom.com 5 Clarins, Precious La Lotion Age-Defying Treatment Essence, nordstrom.com 6 Hourglass, Veil Hydrating Skin Tint Foundation, net-a-porter.com

7 Dr. Barbara Sturm, Lip Balm, net-a-porter.com

8 TanLuxe, The Body Illuminating Self-Tan Drops, net-a-porter.com 9 TOM FORD BEAUTY, Ultra Length Mascara in Ultra Raven, net-a-porter.com

10 Creme De La Mer, Concentrate Duet, nordstrom.com

11 Charlotte Tilbury, Airbrush Flawless Lip Blur in Pillow Talk Blur, net-a-porter.com

12 Gucci Beauty, Rouge à Lèvres Mat Lipstick in Eadie Scarlet, net-a-porter.com

13 Gucci Beauty, Rouge à Lèvres Mat Lipstick in Patricia Pink, net-a-porter.com

14 Pat McGrath Labs, Divine Blush Legendary Glow Colour Balm in Forbidden Fleur, net-a-porter.com

17 Westman Atelier, Liquid Super Loaded in Peau de Soleil, net-a-porter.com

15 Charlotte Tilbury, Pillow Talk Beauty Blush Wand Dream Pop, nordstrom.com 16 Darphin, Intral Inner Youth Rescue Serum, nordstrom.com

18 Victoria Beckham Beauty, Victoria Beckham by Augustinus Bader Cell Rejuvenating Priming Moisturizer, net-a-porter.com

19 Olaplex, Bond Maintenance Shampoo, nordstrom.com 20 OSEA, Anti-Aging Body Balm Duo, nordstrom.com

UP FRONT |BEAUTY JWC | COUNTRY 28 Cooler tones for the changing seasons.
MEGAN WEISBERG
Off 1 2 3 17 18 20
EDITED BY
Cooling
19
BEAUTY| UP FRONT JWC | COUNTRY 29 5 4 6 9 11 16 12 7 8 10 13 14 15

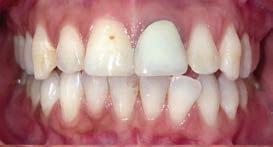
DIGITAL DENTISTRY

ental work has never been an experience that many find pleasing. Part of the experience used to include impressions. ese are the trays that are filled with that messy silicone type of material that hardens as it sits in your mouth for five minutes. e great news is, those impressions are gone forever.

Digital scanners are changing the world of dentistry. e dentist can prepare teeth for porcelain restorations and immediately scan them to save the information that they would usually get from the impressions. Patients no longer have to feel that unpleasant sense of gagging as the impression material hardens in their mouth.

Our office has been using the 3Shape Trios scanner for a year now and the results have been tremendous. e crowns, veneers, bridges, mouth guards, and implants have seen a significant in-

Dcrease in their quality of fit and finish. e scanner takes approximately 1,500 scans in a three-dimensional mode. e scans are then all stitched together by the software. A 3-D model can then be printed and used for any required restoration. I have been able to use it to measure clearances, preview smiles, and communicate shape and color to the laboratory technician. Our patients have been very vocal about the scanner and they approve. is technology is not limited to just restorations. Multiple scans of the same patient can be grouped together. is grouping is of different scans over time. e software allows us to see how the patient is wearing down their teeth and how teeth have moved over time. is type of diagnosis helps the patient visualize what is happening with their mouth.

If you are in need of dental work but dread the thought of all those impressions, come see us for a demonstration of our new Trios scanner. Once you have seen how it works, you will never go back.

WELLNESS
Dr. James T. Gavrilos is located at 129 Park Avenue in Barrington. For more information, call 847-381-4040 or visit barringtondentist.com.
UP FRONT |WELLNESS
847-602-8001 / www.pilatesstudio6.com /
Personalized instruction on the best equipment for your best body.
Chris Girard, Owner and Certified Instructor

SHANA VITEK

EQUITY PARTNER BEERMANN LLP

Shana Vitek is an Equity Partner at Beermann LLP, the largest family law firm in Illinois. For the past 20 years, she has practiced divorce and family law exclusively. She handles a wide range of cases, including divorces for business owners, high-profile and high-net-worth clients. Vitek’s ability to handle any type of case has allowed her to become one of only a handful of attorneys in Illinois to be Board Certified in Family Trial Law by the National Board of Trial Advocacy. She is also a Fellow of the American Academy of Matrimonial Lawyers and serves on the Board of Governors for the Illinois Chapter. “Every family is different, so each case that we handle needs an individualized approach,” she says. “I enjoy going to court and arguing my client’s position, but that typically isn’t a client’s first choice.” In addition to being a litigator, Vitek is also a trained mediator, arbitrator, and collaborative attorney. If a case can be handled using a cooperative approach, that is her preferred process as it allows the parties to decide what is best for their family and maintain confidentiality, keeping personal matters out of the public record. Vitek believes it is important to give back to the community. She is Chair of the Beermann LLP Family Law Clinic. In partnership with Chicago Volunteer Legal Services, this first of its kind family law clinic provides pro bono legal services to individuals going through domestic relations proceedings who could not otherwise afford legal representation. “We feel strongly about giving back to the community, and given the size of our firm, we are in a unique position to make a big difference for clients who would otherwise go unrepresented in family law matters,” says Vitek.

For more information, visit beermannlaw.com/team/shana-l-vitek. WWW.BEERMANNLAW.COM

312.621.1263 slvitek@beermannlaw.com

37 TH ANNUAL BACC GOLF CLASSIC

PHOTOGRAPHY BY IAN MCLEOD

The Barrington Area Chamber of Commerce (BACC) hosted the 37th annual BACC Golf Classic at the Club at Wynstone on Monday, August 7. The event helps support the BACC Lauren Brown Memorial Scholarship fund and small business programming. Golfers began the day’s events with a buffet lunch on Wynstone’s patio and practice at the driving range.

business.barringtonchamber.com

UP FRONT |LIVING & GIVING JWC | COUNTRY 32
Steve Roberts, Carson Orr, Andy McEnaneny, Jim Cursio Amber Luck, Char Neault Jill Minner, Suzanne Corr, Rebecca Bennett Maddie Kosir Jake Cox Aaron Bondi, Michael-Anne Peck, Amanda Decker, Kevin Bruning
JWC | COUNTRY 33 UP FRONT |LIVING & GIVING
Tommy Starasinich, Tim Corr, Steve Cook, Scott Thorson, Dennis Kelly Brett Koenig, Robert Finley, Rob Jones, Zach Witt Rob Jones

SURREAL CELEBRATION

An unforgettable evening of iconic fashions, dazzling surprises, performances, and incredible dancing celebrated Greg Cameron’s 10th anniversary as President and CEO of The Joffrey Ballet. More than 800 guests unleashed their imagination, unlocked their subconscious, and joined in the celebration at the Joffrey’s fantastical bash at The Old Post Office in Chicago. joffrey.org

UP FRONT |LIVING & GIVING JWC | COUNTRY 34
PHOTOGRAPHY BY SEAN SU Greg Cameron and Greg Thompson, Ashley Wheater Brian Smith, Brandis Friedman, Rachelle Pierre-Lott Performer Party guests Gloria Groom, Greg Cameron, Joe Berton Fernando Duarte, Brendan Fernandes
UP FRONT |LIVING & GIVING JWC | COUNTRY 35
Jim Bakken and Anne Kaplan, Greg Cameron, Ashley Wheater Anne Kaplan with performer Performer Performer MJ Savard, Karen Schmid, masked guest, Lori Rozdolsky
UP FRONT |LIVING & GIVING BARRINGTON BACK & BODY
BY MATTY JACOBSEN Barrington Back & Body hosted the Emfest Bus Tour’s demonstration of the newest in non-invasive and painless technologies for body and face sculpting. barringtonbackandbody.com
PHOTOGRAPHY
Dr. Wendy Hutton and the Barrington Back & Body Team
When your path DIVORCE ISSUES INVOLVING CHILDREN PROPERTY DIVISION FAMILY SUPPORT CHILD SUPPORT MAINTENANCE PRENUPTIAL AGREEMENTS Be Heard. Be Informed. Be Guided. changes course. FAMILY LAW SOLUTIONS Empowered by integrity. Resolved with confidence. FAMILYLAWSOLUTIONSCHICAGO.COM (312) 332-1344
Hilary Atamian
860 S Northwest Hwy | Barrington, IL 60010 | 847-387-3042 | equilibriumfit.com Become Who You Were Born To Be Equilibrium Personal Training Studio Back to School, Back to Fitness

SOUTH BARRINGTON GARDEN CLUB’S 30TH ANNIVERSARY

BY IAN MCLEOD

The South Barrington Garden Club recently held their annual fundraiser and celebration of their 30th anniversary. The theme was “Christmas in July,” and guests enjoyed vendor shopping, a fashion show, silent auction, and more. Proceeds raised will help fund its many endeavors to enhance the surrounding communities through educational scholarships, programs, plantings, and neighborhood beautification. sbgclub.org

UP FRONT |LIVING & GIVING JWC | COUNTRY 38
Cecilia Rose, Cindy Payne, Yasmin Kenton, Beverly Tarr Sheila Singh, Sharon Kissane Guests at the event Toni Suspenzi, Jan Diverno Eileen Koty, Colleen Scimeca, Natalie Giacomino, Theresa Scimeca Kim Ferrari, Sue Netzel, Debbie Hall
JWC | COUNTRY 39 UP FRONT |LIVING & GIVING
South Barrington Mayor Paula McCombie, Gina Scola, Beth Rejman, Stacy Kallas Karen Venetch, Dianne Lucca Cindy Zipparro, Dottie Rzeszutko Karen Johanson, Usha Murarka Jackie Kapcheck, Anastasia Andrews Karen Kroll, Rosie Palframan, Doreen Colletti

LAKE BARRINGTON SHORES CELEBRATES 50 YEARS

BY ASHBEY BEASLEY

Judy Gibbons with Jameson Sotheby’s International Realty sponsored fireworks for Lake Barrington Shores’ 50th anniversary celebration. Guests enjoyed an afternoon of games, food, and music by Anchors Away Yacht Rock Band. judy-gibbons.com

UP FRONT |LIVING & GIVING JWC | COUNTRY 40
PHOTOGRAPHY Muge Parmaksiz, Judy Gibbons Marina Josipovic, Blaire Grigoletti
JWC | COUNTRY 41 UP FRONT |LIVING & GIVING
Diego Uribe, Kirk Murdock, Lisa Babush, Alfredo Vega Residents of Barrington Shores Lynne O'Malley Lake Barrington Mayor Kevin Richardson, Ed Stogenson Barrington Shores HOA President Matthew Menoni Jr., Bruce Phillips

Growing up in Palatine, Jennifer Miller knew she wanted to return to the northwest suburbs to raise her own family. For the past six years, she has lived in Barrington with her husband and two beautiful daughters. Before having kids Miller worked as a physical therapist, but since being in Barrington she has devoted her time to raising her family and philanthropy, most recently serving as president of Barrington Junior Women’s Club (BJWC) to fundraise for and serve local organizations. She is excited to continue her work with BJWC as an advisor while becoming more involved at St. Anne Parish School.

Soaking up the gorgeous season, Miller is wearing Sara Roka belted dress, sweetwilliamhinsdale.com

UP FRONT|COUNTRY VS. TOWN
JWC | COUNTRY 42

Mantra? Happiness is a choice Best grooming tip? Use dry shampoo at night for a faster morning routine Guilty pleasure? Chocolate and a good romance novel Favorite foods? Sushi Music you love? Variety. It all depends on the mood Best advice ever given to you? Forget the mistake, remember the lesson Best advice you’ve given? Don’t borrow tomorrow’s problems Earliest memory? A family road trip Before bed, you? Read to the kids, chat with my husband about the day or just make each other laugh, thank God for all the gifts he’s given me What’s on your bookshelf? What isn’t on my bookshelf? You can’t live without? My family, my friends, and books

Love to escape to? Maui Advice you would give to your younger self? Do what you feel is right for you, not what you feel you should do

WHEN IN TOWN

WHEN IN THE COUNTRY

Your style is? A skirt and tank in the summer, leggings and a sweater in the winter Can’t leave the house without? My sunglasses and a giant purse filled with anything the kids could need for the day Transportation? A huge Escalade ESV Driving music?

Usually KIDZ BOP or one of the playlists we’ve made for the kids of their favorite songs Place to eat? Francesca’s, Shakou, Sunset Pavilion Shop? Kate Marker Home and The Sélectionner Best thing about country? The amazing community of friends we’ve made out here. We seldom go anywhere around here where we don’t run into someone we know Worst thing about country? Would love a greater variety of restaurants The perfect day is? Wake up early for a chance to read a little before everyone else is up. Breakfast or brunch with Joe and the girls, a day at the pool or other activity with family friends, then a barbeque with a bonfire, hanging with friends while the kids run around playing

Your style is? Either a dress or nice jeans with heels depending on the occasion Can’t leave the house without? Makeup pouch for touch-ups and my phone charger Transportation? An Uber or the Corvette Driving music? The radio or top Spotify hits Place to eat? Piccolo Sogno, Maple & Ash Shop? I love just walking around and window shopping down Oak Street Best thing about town? Always able to find unique activities and experiences to do Worst thing about town? Traffic The perfect day is? Doing brunch or tea at The Peninsula, going to see a show, then finishing off the night with drinks with friends

Miller in alice + olivia flower silk blouse and cream skirt, neimanmarcus.com
JWC | COUNTRY 43 COUNTRY VS. TOWN| UP FRONT
Piccolo Sogno
UP FRONT |FASHION JWC | COUNTRY 44 Looks straight from the Paris FW ’23 shows. EDITED BY MEGAN WEISBERG Vive Paris 1 2 3 4 5 17 18 19 21 23 22 20

2 Tory Burch, Hand-Crocheted Cotton Mini Skirt in French Cream, toryburch.com

1 Tory Burch, Hand-Crocheted Cotton Kendra Cardigan in French Cream, toryburch.com

3 Tory Burch, Galaxy Drop Earring, toryburch.com 4 KHAITE, Malek Double-Breasted Tuxedo Jacket, matchesfashion. com 5 Lurline, Skirt, lurlineofficial.com

6 AERIN, Noe Cashmere Throw in Golden Straw, aerin.com

8 H EREU, Pinar Braided-Trim Leather Cross-Body Bag, matchesfashion.com

9 ERDEM, Floral Print Silk Georgette Gown, matchesfashion.com

7 AERIN, Noe Cashmere Scarf in Nutmeg, aerin. com

10 Ulla Johnson, Honoria Belted Ruffled Tiered Cotton-Poplin Mini Dress, net-a-porter.com

11 Bottega Veneta, Monsieur Patent-Leather Loafers, matchesfashion.com

12 Tiffany, Lock Earrings in White Gold, tiffany.com

13 Ulla Johnson, Lily Ruffled Crochet-Trimmed Cotton-Blend Poplin Blouse, net-a-porter.com

14 Lurline, Lattice Top, lurlineofficial.com

15 Tory Burch, Speckled Knit Skirt, toryburch.com

16 Tory Burch, Speckled Knit Polo, toryburch. com

17 Tory Burch, Eleanor Shirtdress in Evening Plum, toryburch.com

18 Ulla Johnson, Wrap, net-a-porter.com

19 Gucci, Web Stripe Short-Sleeved Denim Jacket, matchesfashion.com

20 Giuliva Heritage, The Paolo Cotton-Blend Wide-Leg Trousers, matchesfashion.com

22 AERIN, Suede Flat Clutch in Sand, aerin.com

23 Tiffany, Lock Ring in Rose Gold with Pavé Diamonds, tiffany.com

21 Lurline, Trench Coat in Brown, matchesfashion.com.us

FASHION| UP FRONT JWC | COUNTRY 45
6 9 11 16 12 7 8 10 13 15 14

TALKING TIME: HINDMAN’S SEAN JOHNSON TAKES US BEHIND THE SCENES OF THE WATCH WORLD

Country Magazine (CM): Can you tell us what sparked your interest in watches?

Sean Johnson (SJ): I grew up in Geneva, Switzerland, the historical epicenter of horology and where time is an intrinsic part of the Swiss DNA. Being on time is a fundamental element in Swiss culture, so watches and clocks naturally play an important role in our everyday life.

Growing up next to some of the most important watch manufacturers like Rolex, Patek Philippe, and Richemont brands, certainly inspired my passion for watches. Living outside of Switzerland has also given me a deeper appreciation for Swiss timekeeping engineering and its impact around the world.

CM: We hear you are quite the traveler and have lived in several countries.

SJ: Throughout my career and life, I’ve been fortunate to reside in many different countries—I have lived in 20 countries and traveled to more than 100—but I’ve always brought a Swiss mindset with me. In some ways, I feel that I have become a personal ambassador to Switzerland.

CM: How did you begin your career?

SJ: Following my undergraduate degree, I attended GIA (Gemological Institute of America), the premier institution for those interested in jewelry. My first job was at a diamond trading company in Barcelona. I eventually ended up on 47th Street in New York City in my early 20s, which was a true turning point in my career. I honed my skills in how to authenticate, buy and sell, price, and negotiate, and eventually ended up moving into the auction world.

CM: What have been some of the most memorable watches in your personal collection?

SJ: The IWC Portuguese was the first major watch I ever purchased. I guess you could say it was my first “grown-up” watch. I bought it because I truly loved it, and I always encourage collectors to genuinely love what they buy. The watch I’m wearing currently (as seen in the image) is a Rolex GMT-Master II, nicknamed the “Batman.” I bought this one in 2017, back when it was still possible to buy these watches right off the shelf.

I also have a soft spot for small European and Asian brands and

CM: Tips for collectors?

typically hunt for watches during latenight online bidding. I love discovering new makers—there is definitely room for disruption and new watch concepts! It’s sometimes hard for me to separate my work from my passion for the industry.

CM: What are some watch brands to watch out for?

SJ:The most sought-after watches are usually from Rolex, Patek Philippe, Audemars Piguet, and Richard Mille (“the big four”). Vacheron Constantin, A. Lange & Söhne, and Jaeger-LeCoultre also do well at auction depending on the model, year of manufacture, and of course, the condition of the watch. For women looking for watches, a classic Rolex Datejust or a Patek Philippe Calatrava are always a good choice. Watches by independent manufacturers, such as F.P.Journe, De Bethune, and MB&F, have been performing exceptionally well at auctions in recent years.

SJ: Buy what you love, and love what you buy. Don’t fall into the misperception that every watch is an “investment.” Collecting watches is a journey. It’s about finding watches that bring you joy and appreciating the artistry and storytelling behind the piece. I encourage new collectors to learn about the history of watchmaking and the crucial role timekeeping has played in society. There is a true savoir-faire to watchmaking, being passed down from generation to generation, which I think is underappreciated.

CM: What have you been focused on at Hindman since you joined the firm last year?

SJ: There has been so much growth in the last decade in the world of pre-owned watches, and Hindman is poised to become a leading house for collectors to buy and sell some of the rarest and most desirable watches. My focus has been curating sales that feature exceptional collections and models from around the world while building a robust network of collectors throughout the country and beyond.

Hindman will present a single owner watch auction at 9 a.m. and a various owner watch auction at 1 p.m. on October 18. Bidding will be available via Hindman’s Digital Bid Room, bid.hindmanauctions.com.

Hindman’s Director of Watches Sean Johnson wearing Brunello Cucinelli, Neiman Marcus
UP FRONT |COLLECTOR’S CORNER JWC | COUNTRY 46
Sean Johnson is Hindman’s Director of Watches. Here, he shares more about his passion for watches and advice for budding and seasoned watch collectors.

Kids are back in school, it’s time to focus on YOU!

Offered EXCLUSIVELY at Barrington Back & Body, Barrington’s Premier Wellness Lounge. Ultra-Sculpt is the innovative combination of our two powerhouse body-sculpting technologies: UltraSlim and EmSculpt NEO.

UltraSlim is used for instant fat reduction to shrink the fat cell walls, thus creating a more slim physique. Once this process is complete, the EmSculpt Neo will build muscle and kill remaining fat cells for permanent fat reduction and a more sculpted, toned body. Results like these cannot be achieved by any other aesthetic procedure!

Experience Ultra-Sculpt today. . . Non-invasive, painless, no downtime!

$1000 OFF A PURCHASED PACKAGE

ONLY available at Barrington Back & Body ®

*

*Must be scheduled by 10.1.23 455 W Northwest Hwy Ste 10, Barrington, IL 60010 barringtonbackandbody.com • 847.857.8011
ULTRA
DR. PETER TROYAN DR. AGNES KUCHARSKA DR. EWELINA SZYLKOWSKA
DR. AL-YAZEED YOUSEF DR.
EUN All dental services under one roof! • COSMETIC DENTISTRY • SEDATION • SURGICAL EXTRACTIONS • IMPLANTS • BRACES/INVISALIGN • BIOCLEAR • ROOT CANALS • DENTURES • WISDOM TEETH EXTRACTIONS You wear your smile every day of the year... make it stand out. SCHAUMBURG 847.885.7645 | 1224 N. Roselle Rd., Suite A , Schaumburg, IL 60195 NORRIDGE 773.589.1062 | 7601 W. Montrose Ave. Suite 2, Norridge, IL 60706 royaldentalcare.com | facebook.com/Royaldentalcaree royaldentalcaree
DR. LUIS GRANADOS PAUCAR DR. ANETA KACZOWKA
SUNG
Maria Devins | 847.840.2520 | maria.devins@bairdwarner.com FOUNDER’S CLUB & TOP 10 OFFICE PRODUCER SINCE 2012 Information provided is not guaranteed and subject to change and withdrawal without notice. BUY, SELL, RELOCATE - LOCAL & GLOBAL JUST SOLD Under Contract in 25 Days Sold for 95% of List Price 21 PERAINO CIRCLE BARRINGTON HILLS YOUR REALTOR AS SEEN ON... Emmy-Nominated

Palm Rat

JWC | COUNTRY 50

Golf

Big Things Are Happening in the World of Active Menswear

“Work, Play, Live” is the dominant ethos for Chad Bright and Evan Hoobchaak, two Barrington dads and the co-owners of Palm Rat Golf, the brand-new golf lifestyle clothing brand for men. As game changers in the men’s athletic wear space, these two bright professionals have successfully linked their passion to their business goals, which is something many aspire to do.

Whether you work to live or live to work, striking a balance is key. Professionals are aiming for equilibrium, carving out time for pursuits and activities that are not only rewarding and meaningful but also fun. And, since the workplace is changing and evolving with more people having the ability to operate from home or function within a more flexible timetable, being able to flow from work to leisure is increasingly more important. This is where Palm Rat Golf shines, with easy-towear stylish attire for men enabling them to glide effortlessly from the office to an after-work social hour to the golf course to time at home with family and friends around the backyard barbecue.

North Barrington local, Hoobchaak, went to college out east but felt the pull of his hometown’s rural, private environment. And how could you blame him? The Village of Barrington has all the charm and character of a small Midwestern town with wide open spaces and a vibrant historic district. Once a farming community, transportation hub, and countryside retreat for wealthy Windy City businessmen, today the town’s residents continue to enjoy a high quality of living and a community-forward culture.

Bright, originally from Ohio, made his way to Barrington in 2017. “I love all the open space and opportunity to get outside in Barrington, but most importantly the communi-

ty,” says Bright. “The support we’ve received from friends new and old as we’ve been on this journey is a great reminder of what a special place this is.”

The bros became in-real-life bros through marriage. “Chad is my brother-in-law, and since we get along really well, we hit the brother-in-law lottery,” says Hoobchaak.

“I was friends with Evan’s sister for several years, wrote her a love letter, moved in with her two months later, and then eventually met him,” Bright remembers. “Natalya and I have been married for 11 years now and we love that we’re near Evan and his family and our kids get to grow up together—not to mention it’s harder for

Evan
Performance Polo
Green; On Course to Off Course Pants in Limoges; Performance Series
in
Palmetto Deep V Performance Polo in Pirate Black and All Day Every Day Short in Limoges,
wearing Nicobar
in Kelly
Hat
Grey; Chad wearing
palmratgof.com
JWC | COUNTRY 51
Chad in Palmetto Deep V Performance Polo in Veiled Rose and On Course to Off Course Pants in Gull Grey, palmratgof.com Evan in Mazan Quilted Performance Pullover in Burnt Coral / Grey, Performance Series Hat in Grey.

our spouses to give us grief for golfing when it’s with a brotherin-law.”

So, where did the impetus for a business come from? “Palm Rat Golf was hatched over drinks in Florida, as any good idea should be,” explains Hoobchaak. “We were discussing various aspects of golf brands and what we liked and didn’t like—collars, cut, buttons, patterns, fabric, etc.—and we decided we should just combine the best features into one product line with classic styles and modern fit that we would all love.”

“We had half-jokingly talked about starting an apparel brand on several golf trips,” Bright recalls. “But this time the conversation felt different and more solid. The key was keeping the momentum going. We rather quickly created a vision board for the brand, identified a designer, got our trademarks in order, and then we were off to the races.”

The quality of the apparel is what makes this company different from other golf brands on the market. “We think our fabric is some of the best out there,” says Hoobchaak. “The clothes wear great, fit right, launder well, and have a classic look that we feel has been missing from current golf trends.”

Bright wanted to move beyond the golf clothing that didn’t optimally fit or featured wild patterns and designs. “We want-

ed something that looked just as good on the course as off and allowed for easy transitions from the office to the course to hanging with friends,” Bright says.

The clothing, designed to maintain its high quality over time, can be worn everywhere, in any warm or active environment. “I find myself wearing the clothes as much off the course as I do on, whether in social settings or at work,” says Bright. “With so many jobs going virtual or hybrid, the office attire has gotten more casual with people looking for something that is comfortable yet stylish. We think our clothing fits that need perfectly, and it doesn’t hurt when you’re already looking sharp and can sneak out for a quick nine!”

And for those interested in an active women’s or a kid’s line? You’ll have to wait but good things are on the horizon as the company grows. “Both wives have been very supportive,” Hoobchaak says. “We’ve had plenty of interest in a women’s and kid’s line, and I imagine that in a few seasons we’ll likely have some product. Our design team is itching to use our fabric for some women’s wear.”

Shoppers can find the styles at palmratgolf.com and DIBI Menswear at 28686 W. Northwest Highway, Lake Barrington.

JWC | COUNTRY 52
Chad in Palmetto Deep V Performance Polo in Kelly Green, On Course to Off Course Pants in Gull Grey, and Performance Series Hat in White, palmratgolf.com Evan wearing Nicobar Performance Polo in Veiled Rose, Performance Series Hat in Grey.
BROKER YOUR CHEERS TO FIFTEEN YEARS! 847.826.2178 TARAKELLEHER.COM TARA@TARAKELLEHER.COM TARA KELLEHER TEAM

Make Your Mark

Define the Season with the Newest in Fall Fashion

WORDS BY MEGAN WEISBERG

PRODUCTION BY DUSTIN O’REGAN

PHOTOGRAPHY RUNVIJAY PAUL

STYLING BY THERESA DEMARIA

HAIR & MAKEUP BY KAYLA JARZAB

MODELING BY BRIA CONDON AND CALLIE

JOHNSON, SELECT MODEL MANAGEMENT

STYLE ASSISTANTS NELLIE HASLEY, LOUISE

BRICKMAN, JULIA PAULMAN, SOPHIE DOUCETTE

LOCATION: THE GARDENS AT 900, LAKE FOREST

JWC | COUNTRY 54
Bria wearing evergreen Balenciaga dress, ikram Bottega Veneta shoes, Neiman Marcus
JWC | COUNTRY 55
Bria wearing Alexander McQueen peplum jacket, pants, and leather belt, Carolina Herrera blouse, Neiman Marcus
JWC | COUNTRY 56
Callie wearing Gucci top and pleated skirt, ikram, Gucci shoes, stylist owned, John Hardy necklace, John Hardy bracelet, CD Peacock, vintage earrings, stylist owned. Bria wearing Erdem dress, ikram Zara shoes Oscar Heyman earrings, CD Peacock Bria wearing Oscar de la Renta blouse, Neiman Marcus Valentino embroidered jacket, ikram
JWC | COUNTRY 57
Callie wearing Zimmermann dress and long sleeve turtleneck, Neiman Marcus
JWC | COUNTRY 58 Bria wearing
Balenciaga dress, Neiman Marcus
JWC | COUNTRY 59
Bria wearing Cyril Verdavainne custom dress, The Lake Forest Shop Roberto Coin necklaces, Spark ring, CD Peacock Callie wearing Cyril Verdavainne dress, The Lake Forest Shop Oscar Heyman earrings, Fope necklace, CD Peacock
JWC | COUNTRY 60
Callie wearing Carolina Herrera dress, Zimmermann blouse, Neiman Marcus Roberto Coin bracelets, CD Peacock Purse, stylist owned
JWC | COUNTRY 61
Zac Posen tulle dress, Neiman Marcus ERDEM gold silk bow belt, ikram Diamond sunburst pendant, CD Peacock Gucci shoes, stylist owned
JWC | COUNTRY 62
Callie wearing pink ALAÏA jacket and dress, Neiman Marcus, Zara shoes. Bria in purple ALAÏA knit set, Neiman Marcus Fope necklace, Roberto Coin necklaces, CD Peacock Vintage earrings, stylist owned
JWC | COUNTRY 63
Bria wearing green Alexander McQueen dress, Neiman Marcus Valentino shoes, Neiman Marcus Roberto Coin bracelets, vintage earrings, CD Peacock
JWC | COUNTRY 64
Callie wearing blue Alexander McQueen dress, Neiman Marcus Jimmy Choo shoes, ikram Mikimoto and John Hardy jewelry, CD Peacock Bria wearing green Alexander McQueen dress, Neiman Marcus Valentino shoes, Neiman Marcus Roberto Coin bracelets, vintage earrings, CD Peacock
JWC | COUNTRY 65 Callie wearing Erdem, ikram
Cult Gaia earrings, stylist owned
847.957.1091 • VSIveins.com 1670 Capital St., Suite 500 | Elgin, IL 60124 795 Ela Rd., Suite 115 | Lake Zurich, IL 60047 © 2023 Vein Specialists of Illinois Specialized Treatment of: Varicose Veins • Spider Veins • Venous Ulcers Lymphedema • Cosmetic Facial & Hand Veins Your Active Lifestyle Requires Healthy Legs. Focusing solely on the treatment of venous disorders. Vein Specialists of Illinois, a locally owned, independent medical practice is a leader in non-surgical, personalized treatment of venous disorders. VSI serves your community with two convenient locations in Lake Zurich and Elgin. Dr. Sorenson and Dr. Lutz are double Board Certified, and Diplomates of the American Board of Venous and Lymphatic Medicine with a combined 35+ years experience. Utilizing the latest equipment and techniques to treat varicose and spider veins, VSI professionals will change the way you look and feel. Affiliated Hospitals: AdvocateAurora Good Shepherd Hospital AdvocateAurora Sherman Hospital St. Alexius Hospital Northwest Community Healthcare Alexian Brothers Medical Center St. Joseph Hospital-Elgin Stephen Sorenson, MD RVT RPVI Thomas Lutz, MD RVT RPVI 1005000.1 **Based on A.M. Best written premium. State Farm Mutual Automobile Insurance Company, State Farm Indemnity Company – Bloomington, IL Find your way to savings. Save an average of Stop here for great rates with America’s #1 car insurance company**. Give me a call today. statefarm.com® Zach Hasselbring, Agent 130 S Northwest Highway Barrington, IL 60010 Bus: 847-381-0047 www.zachismyagent.com $500* *Average annual per household savings based on a national 2012 survey of new policyholders who reported savings by switching to State Farm. 1005000.1 **Based on A.M. Best written premium. State Farm Mutual Automobile Insurance Company, State Farm Indemnity Company – Bloomington, IL Find your way to savings. Save an average of Stop here for great rates with America’s #1 car insurance company**. Give me a call today. statefarm.com® Zach Hasselbring, Agent 130 S Northwest Highway Barrington, IL 60010 Bus: 847-381-0047 www.zachismyagent.com $500* *Average annual per household savings based on a national 2012 survey of new policyholders who reported savings by switching to State Farm. 1005000.1 **Based on A.M. Best written premium. State Farm Mutual Automobile Insurance Company, State Farm Indemnity Company – Bloomington, IL Find your way to savings. Save an average of Stop here for great rates with America’s #1 car insurance company**. Give me a call today. statefarm.com® Zach Hasselbring, Agent 130 S Northwest Highway Barrington, IL 60010 Bus: 847-381-0047 www.zachismyagent.com $500* *Average annual per household savings based on a national 2012 survey of new policyholders who reported savings by switching to State Farm. 1005000.1 **Based on A.M. Best written premium. State Farm Mutual Automobile Insurance Company, State Farm Indemnity Company – Bloomington, IL Find your way to savings. Save an average of Stop here for great rates with America’s #1 car insurance company**. Give me a call today. statefarm.com® Zach Hasselbring, Agent 130 S Northwest Highway Barrington, IL 60010 Bus: 847-381-0047 www.zachismyagent.com $500* *Average annual per household savings based on a national 2012 survey of new policyholders who reported savings by switching to State Farm. 1005000.1 **Based on A.M. Best written premium. State Farm Mutual Automobile Insurance Company, State Farm Indemnity Company – Bloomington, IL Find your way to savings. Save an average of Stop here for great rates with America’s #1 car insurance company**. Give me a call today. statefarm.com® Zach Hasselbring, Agent 130 S Northwest Highway Barrington, IL 60010 Bus: 847-381-0047 www.zachismyagent.com $500* *Average annual per household savings based on a national 2012 survey of new policyholders who reported savings by switching to State Farm. 1005000.1 **Based on A.M. Best written premium. State Farm Mutual Automobile Insurance Company, State Farm Indemnity Company – Bloomington, IL Find your way to savings. Save an average of Stop here for great rates with America’s #1 car insurance company**. Give me a call today. statefarm.com® Zach Hasselbring, Agent 130 S Northwest Highway Barrington, IL 60010 Bus: 847-381-0047 www.zachismyagent.com $500* *Average annual per household savings based on a national 2012 survey of new policyholders who reported savings by switching to State Farm. 1005000.1 **Based on A.M. Best written premium. State Farm Mutual Automobile Insurance Company, State Farm Indemnity Company – Bloomington, IL Find your way to savings. Save an average of Stop here for great rates with America’s #1 car insurance company**. Give me a call today. statefarm.com® Zach Hasselbring, Agent 130 S Northwest Highway Barrington, IL 60010 Bus: 847-381-0047 www.zachismyagent.com $500* *Average annual per household savings based on a national 2012 survey of new policyholders who reported savings by switching to State Farm. 1005000.1 **Based on A.M. Best written premium. State Farm Mutual Automobile Insurance Company, State Farm Indemnity Company – Bloomington, IL Find your way to savings. Save an average of Stop here for great rates with America’s #1 car insurance company**. Give me a call today. statefarm.com® Zach Hasselbring, Agent 130 S Northwest Highway Barrington, IL 60010 Bus: 847-381-0047 www.zachismyagent.com $500* *Average annual per household savings based on a national 2012 survey of new policyholders who reported savings by switching to State Farm. 1005000.1 **Based on A.M. Best written premium. State Farm Mutual Automobile Insurance Company, State Farm Indemnity Company – Bloomington, IL Find your way to savings. Save an average of Stop here for great rates with America’s #1 car insurance company**. Give me a call today. statefarm.com® Zach Hasselbring, Agent 130 S Northwest Highway Barrington, IL 60010 Bus: 847-381-0047 www.zachismyagent.com $500* *Average annual per household savings based on a national 2012 survey of policyholders who reported savings by switching to State Farm. 1005000.1 **Based on A.M. Best written premium. State Farm Mutual Automobile Insurance Company, State Farm Indemnity Company – Bloomington, IL Find your way to savings. Save an average of Stop here for great rates with America’s #1 car insurance company**. Give me a call today. statefarm.com® Zach Hasselbring, Agent 130 S Northwest Highway Barrington, IL 60010 Bus: 847-381-0047 www.zachismyagent.com $500* *Average annual per household savings based on a national 2012 survey of new policyholders who reported savings by switching to State Farm. 1005000.1 **Based on A.M. Best written premium. State Farm Mutual Automobile Insurance Company, State Farm Indemnity Company – Bloomington, IL Find your way to savings. Save an average of Stop here for great rates with America’s #1 car insurance company**. Give me a call today. statefarm.com® Zach Hasselbring, Agent 130 S Northwest Highway Barrington, IL 60010 Bus: 847-381-0047 www.zachismyagent.com $500* *Average annual per household savings based on a national 2012 survey of new policyholders who reported savings by switching to State Farm. 1005000.1 **Based on A.M. Best written premium. State Farm Mutual Automobile Insurance Company, State Farm Indemnity Company – Bloomington, IL Find your way to savings. Save an average of Stop here for great rates with America’s #1 car insurance company**. Give me a call today. statefarm.com® Zach Hasselbring, Agent 130 S Northwest Highway Barrington, IL 60010 Bus: 847-381-0047 www.zachismyagent.com $500* *Average annual per household savings based on a national 2012 survey of new policyholders who reported savings by switching to State Farm. 1005000.1 **Based on A.M. Best written premium. State Farm Mutual Automobile Insurance Company, State Farm Indemnity Company – Bloomington, IL Find your way to savings. Save an average of Stop here for great rates with America’s #1 car insurance company**. Give me a call today. statefarm.com® Zach Hasselbring, Agent 130 S Northwest Highway Barrington, IL 60010 Bus: 847-381-0047 www.zachismyagent.com $500* *Average annual per household savings based on a national 2012 survey of new policyholders who reported savings by switching to State Farm. 1005000.1 **Based on A.M. Best written premium. State Farm Mutual Automobile Insurance Company, State Farm Indemnity Company – Bloomington, IL Find your way to savings. Save an average of Stop here for great rates with America’s #1 car insurance company**. Give me a call today. statefarm.com® Zach Hasselbring, Agent 130 S Northwest Highway Barrington, IL 60010 Bus: 847-381-0047 www.zachismyagent.com $500* *Average annual per household savings based on a national 2012 survey of new policyholders who reported savings by switching to State Farm. 1005000.1 **Based on A.M. Best written premium. State Farm Mutual Automobile Insurance Company, State Farm Indemnity Company – Bloomington, IL Find your way to savings. Save an average of Stop here for great rates with America’s #1 car insurance company**. Give me a call today. statefarm.com® Zach Hasselbring, Agent 130 S Northwest Highway Barrington, IL 60010 Bus: 847-381-0047 www.zachismyagent.com $500* *Average annual per household savings based on a national 2012 survey of new policyholders who reported savings by switching to State Farm. 1005000.1 **Based on A.M. Best written premium. State Farm Mutual Automobile Insurance Company, State Farm Indemnity Company – Bloomington, IL Find your way to savings. Save an average of Stop here for great rates with America’s #1 car insurance company**. Give me a call today. statefarm.com® Zach Hasselbring, Agent 130 S Northwest Highway Barrington, IL 60010 Bus: 847-381-0047 www.zachismyagent.com $500* *Average annual per household savings based on a national 2012 survey of new policyholders who reported savings by switching to State Farm. JWCMEDIA.COM
#1 TEAM 2022 Coldwell Banker Barrington CLOSED, PENDING & CONTINGENT VOLUME & NUMBER OF HOMES SOLD* *per MRED 1/1/2022 - 12/31/2022 Your home is exceptional. Why would you work with a real estate team that is anything less? The Dean Tubekis Team is the #1 real estate team at Coldwell Banker Barrington, year after year. Find out what makes us the exceptional choice. Contact us today to arrange a confidential meeting to discuss your real estate needs. BARRINGTON’S EXCEPTIONAL CHOICE FOR REAL ESTATE THE DEAN TUBEKIS TEAM Coldwell Banker Barrington 847-809-8070 dtubekis@gmail.com deantubekis.com ©2023 Coldwell Banker Residential Real Estate LLC. All Rights Reserved. Coldwell Banker Residential Brokerage fully supports the principles of the Fair Housing Act and the Equal Opportunity Act. Operated by a subsidiary of NRTLLC. Coldwell Banker and the Coldwell Banker Logo are registered service marks owned by Coldwell Banker Real Estate LLC. Real estate agents affiliated with Coldwell Banker Residential Brokerage are independent contractor sales associates and are not employees of Coldwell Banker Residential Brokerage. TOP 2% OF ALL COLDWELL BANKER AGENTS WORLDWIDE Based on 2022 sales

CELEBRATING 30 YEARS

BY

JWC | COUNTRY 68
Jacqueline Moscicke wearing Alexis dress, bunnyandbabe.com Barrington Dance Ensemble’s Come Dance With Me Gala

All 24 Barrington Dance Ensemble (BDE) dancers, ages 13 to 18, have been rehearsing a new work since February, and they’re ready to take the stage. Channeling Ol’ Blue Eyes himself, this year’s BDE gala presents the premier of “Staging Sinatra,” choreographed by former Joffrey Ballet dancer Jacqueline Moscicke. BDE Founder and Artistic Director Mary Brennan describes the dance as “classical ballet with a twist.”

Hosted once again in the stunning Place de Musique at the Sanfilippo Estate in Barrington Hills, the annual event gives guests a chance to help support the esteemed, local not-for-profit dance company.

Performing the role of the Sugar Plum Fairy in BDE’s Nutcracker last season, Moscicke was a standout and is excited to work with BDE again. “It was the perfect opportunity to have Jacqueline back, as the dancers were already comfortable with her,” says BDE Assistant Artistic Director Elizabeth Francesconi. “She was so kind to our students and so welcoming, and the students are loving it.”

After a brainstorming session, Moscicke and Brennan selected a medley of five Frank Sinatra songs, all focused on leaving the audience feeling “happy and fulfilled, looking towards the future,” Moscicke says. Even if the students originally had no idea who Sinatra was.

“It was kind of funny at the beginning, because many of the dancers were not very familiar with these songs,” Francesconi says. “But now they know all the words, and they’re grooving along with the music and getting into that cool kind of style.”

While the dancers will wow with their beautiful technique, Moscicke notes, “I also wanted them to have a lot of fun.” One of Moscicke’s favorite moments is a pas de deux between two of the younger dancers, set to the perfectly ironic song, “I Won’t Dance.” The same young teen who has been with BDE since he was six years old has been supported through the Rusty Hernandez Schol-

arship for Boys with a full training scholarship.

The gala helps raise funds for the Rusty Hernandez scholarship as well as the Barrington Dance Ensemble Scholarship for Financial Need, the Patricia Whitmore Scholarship for professionally bound students, and the organization’s many community outreach programs.

A special fundraising goal this year is to complete a full facelift of their Nutcracker set, just in time for the company’s 30th anniversary season of the holiday performance. “Every single part of this set is going to be

redesigned, rebuilt or refurbished,” Brennan explains. “In the past, the pieces were built very solidly. However, it was very heavy and hard to move. Now it’s going to be more user-friendly because it’s lighter, while retaining the original artwork, which was very important to me.”

The fundraiser will also include live and silent auctions, live music by popular musician Erik Donner, and dinner and dancing. Come dance with the BDE and help them continue to bring the community their own classic style with a twist.

The event will be held Saturday, October 7 at 5:00 p.m. To make your reservations call 847-382-6333 or visit barringtondance.org. Silent auction online bidding starts Friday, September 29.

JWC | COUNTRY 69
“She was so kind to our students...”
Former Joffrey Ballet dancer Jacqueline Moscicke choreographs a set for the upcoming gala wearing M Seam Apparel’s Emma leotard and Josephine skirt, mseamapparel.com
Estate Planning | Estate & Trust Administration | Business Law Asset Protection | Litigation | Employment Law | Real Estate Congratulations to Barrington 220 School District on 50 Years of Excellence Call to schedule a consultation 201 S. Grove Avenue | 4th Floor | Barrington, IL | BuckleyFineLaw.com 847.381.0011 We are honored to serve the Barrington community and are proud to have BHS graduates on our team.

Experience UNESCO World Heritage Site

Yosemite from the spectacular Château du Sureau and round out the season with a radicchio and lettuce flavor explosion.

FIRST-CLASS DINING AND TRAVEL EXPERIENCES
JWC | COUNTRY 71
FOOD & TRAVEL
Yosemite
PHOTOGRAHY PROVIDED BY VISIT YOSEMITE MADERA COUNTY
FOOD ^ TRAVEL |RECIPE JWC | COUNTRY 72

Bitter Good

(Radicchio & Lettuces with Pancetta, Blue Cheese, and Roasted Garlic Vinaigrette)

RECIPE, WORDS, AND PHOTOGRAPHY MONICA KASS ROGERS

Ilike bitter lettuces—radicchio, endive, —even dandelion, when balanced. So, this salad has just a few leaves of the most pungent ones, with lots of oak leaf and arugula. I sweetly mellowed the mix with a roasted garlic and white balsamic vinaigrette, pancetta crisped in olive oil that you spoon over to wilt the lettuces a bit, and a perfect blue cheese.

SERVES 4

INGREDIENTS

• 1 head garlic, oven roasted with 2 Tbsp extra virgin olive oil until garlic is soft

• Extra virgin olive oil from roasting the garlic plus enough to make 4 Tbsp

• 2 Tbsp white balsamic vinegar, plus more to taste

• 1 tsp palm sugar

• 1 tsp Dijon mustard

• Salt and freshly cracked black pepper to taste (about ½ tsp of each)

• 1 head oak leaf lettuce, torn into bite-sized pieces

• 3 young dandelion leaves, torn into small pieces

• 3 leaves endive, torn into bite-sized pieces

• ½ head of radicchio, torn into bite-sized pieces

• 4 handfuls (about two cups) of baby arugula

• 1 more drizzle of olive oil

• ½ cup finely diced pancetta OR prosciutto

• ½ cup mellow gorgonzola or blue cheese crumbles

METHOD

ROAST GARLIC

Preheat oven to 350 degrees. Slice the top of the garlic head off to expose the tops of the cloves. Place garlic in oven-friendly crock with 2 Tbsp. Roast until garlic is soft.

MAKE VINAIGRETTE

In a small bowl add olive oil from roasting the garlic plus enough to make 4 Tbsp. Add vinegar, sugar, and two of the soft roasted garlic cloves. Mash and whisk into a smooth paste. Add white balsamic vinegar, palm sugar and salt and pepper. Taste and adjust seasoning, adding more white balsamic if desired. Whisk well.

MAKE SALAD

In a large bowl, combine all lettuces. Add a drizzle of olive oil to a sauté pan over medium heat along with the pancetta or prosciutto and two more of the soft roasted garlic cloves. Mash garlic into the meat and fry until meat is crispy on the edges. Turn out onto the salad to wilt lettuces a bit. Drizzle with some of the vinaigrette and toss to coat. Taste and add more vinaigrette as needed, plus more pepper to taste. Sprinkle with prosciutto and blue cheese crumbles. Serve immediately.

RECIPE| FOOD & TRAVEL JWC | COUNTRY 73

Majestic Beauty

Château du Sureau is the Perfect Luxury Country House from Which to Explore Yosemite National Park

FOOD ^ TRAVEL | FIRST CLASS JWC | COUNTRY 74
A storybook setting, Château du Sureau, near Yosemite National Park.
.
The Cellar Bar

This past winter, my family and I traveled to Yosemite Natural Park where we experienced the breathtaking beauty of this UNESCO World Heritage Site while reveling in the luxury that is the spectacular Château du Sureau. While visiting these two very special places, we created memories sure to last our lifetimes.

resort offers ten guestrooms in the château. No two rooms are alike, but all are resplendent with Empire-era furnishings, colorful tapestries, wood-burning fireplaces, canopy beds, and private balconies that offer sweeping views of the Sierra Nevada Mountains.

A private-gated entrance leads to the property’s most exclusive accommodation, Villa Sureau, which we were lucky enough to call home for the weekend. After ascending a sweeping outdoor marble staircase, we entered the 2,000-square-foot Parisian-style manor where we were delighted to discover dramatic 14-foot ceilings, glamorous four-poster canopied beds in the two bedrooms, and luxurious en suite marble bathrooms. The elegant sitting room was centered around a wood-burning fireplace and a baby grand Steinway piano—perfect to play on while enjoying a nightcap from the full bar in the stocked kitchen. The room’s floor-to-ceiling French doors opened to a serene balcony, near a wood-paneled library ideal for reading and board games. I felt like I had stepped into Downton Abbey, especially when learning the Villa has its own Mr. Carson (so to speak) as personal butler services are available.

Located just 16 miles from the entrance of Yosemite, this Relais & Châteaux hideaway makes an ideal base for exploring a national treasure. Since the mid-1800s, Yosemite’s epic scenery has beguiled both professional and amateur photographers. This November, Château du Sureau is saluting the visionary photographer Ansel Adams with an Ansel Adams Photography Weekend, where participants will follow in the footsteps of this legend learning his innovative techniques (now adapted for digital cameras) while visiting the iconic park scenes he made famous.

Château du Sureau feels like a piece of Provence has been transported to Oakhurst, California. Sited on 9 acres, the

A lovely stroll through the Villa’s private gardens led us to The Elderberry House, where newly appointed Culinary Director Chris Flint uses the finest seasonal and organic ingredients from nearby Central Valley farms. A seasoned culinarian, Chef Flint was formerly the Executive Chef at a famed One Michelin Star restaurant in Beverly Hills. He also spent ten years with the globally acclaimed fine dining group Make It Nice Hospitality where he was chef de cuisine at Eleven Madison Park, their flagship restaurant, and played an integral role in the expansion of the hospitality group’s NoMad restaurants in Los Angeles and Las Vegas. Chef Flint’s flavorful dishes are complemented by an extensive wine list. Curated by sommelier Erica Ruiz, the list features 800 labels

JWC | COUNTRY 75
FIRST CLASS|FOOD & TRAVEL
Relax by the pool at Château du Sureau. Vernal Fall on the Mist Trail in Yosemite, Photography provided by Visit Yosemite Madera County

representing wines from around the world, with an emphasis on California and French selections.

We began our five-course meal with the ahi tuna, paired with radish and sorrel, a truly fresh and exquisite combination, and “weeds” from the acclaimed Kern Family Farm with cured egg yolk, ricotta, and puffed amaranth. The deliciousness continued as we savored the steelhead trout paired with lemon thyme, snap peas, and roe and a black truffle tortellini delightfully accented with parmesan, asparagus, and pickled mushroom (a flavor I had never tried before). Our wine pairings were from Coquelicot, the owner’s organic vineyard, where wines are produced in the traditions of France. After dinner, we wandered back through the Villa’s gardens to our weekend retreat. A game of cards in front of the sitting room’s expansive fireplace was a cozy end to the night.

The next morning began with a three-course breakfast in the main property’s charming dining room. Baskets of warm croissants and hot strong coffee greeted us at our table before a breakfast of yogurt parfaits, fresh fruit, and omelets with local vegetables was served. We then ventured off to see the fabled “Firefall” at Horsetail Fall. Firefall occurs only in mid to late February when a confluence of natural events—clear skies and temperatures warm enough to melt the frozen Horsetail Fall—allows the sunset to backlight the waterfall. The resulting orange glow looks like fire cascading over the mountain’s edge.

Our adventure began when a guide from Discover Yosemite picked us up in the early afternoon. We first stopped at Wildcat Falls to relax by the river and eat lunch surrounded by ground that sparkled with gold flakes. Our next stop was Tunnel View, one of the

most remarkable views of natural majestic glory in all the world. As it neared sunset, our guide dropped us off near the mountain. After walking about a mile to our destination, we jockeyed for a position amongst the throngs of other Firefall fans. With the sun going down and temperatures sinking as we stood on piles of snow, we wondered if it were worth waiting for a natural phenomenon that might not even occur. Not only did it live up to the hype, but the experience was so breathtakingly beautiful that we will treasure the memory for the rest of our lives.

Our third day was spent on the property enjoying all the Villa had to offer. After breakfast, my son and I enjoyed playing a game of chess in the main room before meeting up with the rest of our family who were busy playing their own game of life-size chess on the Villa’s private grounds. Amidst the walking trails on the Villa’s grounds was a bocce court, which brought out our competitive sides as we played round after round. After spending so much time outside in the winter chill, the Villa’s outdoor hot tub was the perfect place for our family to warm up.

Time will tell which of the weekend’s moments will earn the status of “favorite memory.” While I would have expected my children to choose the blazing Firefall, my money is now on them remembering our stay in the magical, storybook Villa. Book now and let the memory-making begin.

For more information and to learn about the upcoming Ansel Adams Photography Weekend November 3 to 4, 2023, visit chateausureau.com. To book your Yosemite tour, visit discoveryosemite.com.

FOOD ^ TRAVEL | FIRST CLASS JWC | COUNTRY 76
The Eldeberry House Restaurant
Pool FIRST CLASS| FOOD ^ TRAVEL JWC | COUNTRY 77
Guestroom

HOUSE & HOME

Tableware brand Misette’s co-founders and sisters, Amy Burstyn Fritz and Sarah Pecaut, are partnering with Agua by Agua Bendita’s co-founders and best friends, Mariana Hinestroza and Catalina Álvarez, on the dreamiest collaboration yet. Marrying Misette’s flare for unique tableware designs with Agua by Agua Bendita’s love of intricate prints, the exclusive collection includes beloved embroidered linens, handblown glassware, hand-painted plates, and candles in a blue and white color palette featuring exquisite motifs of abstract flowers and magical vines inspired by the Colombian fashion label’s latest collection. kirnazabete.com

JWC | COUNTRY 79
AN INSIDE LOOK AT CHICAGO’S MOST EXCLUSIVE ADDRESS—THE BARRINGTONS
JWC | COUNTRY 80
LUXURY OFFERINGS: WHAT YOU GET FOR $5 MILLION From a new villa in Baden-Baden, Germany to magnificent views in Ibiza to a beautiful home right here in Barrington Hills … all for close to $5 million. HOUSE & HOME |LUXURY OFFERINGS

BADEN-BADEN $5.6 million

BADEN-WÜRTTEMBERG, GERMANY

This exclusive new villa is being built on a semi-elevated site in one of the best locations in Baden-Baden. Surrounded by nature and lush greenery, it offers an exclusive lifestyle within the pleasant setting of this

The Details: 5 Bedrooms, 5 Baths • 4,413 square feet, $1,268 per square foot • Vintage or sports car garage on the lower part of the property Contact: Frank Strei, Engel & Völkers Baden-Baden, 0049 7221 97 08 60

famed spa town. The architecture of Belle Époque-style building exudes charm with its elegantly designed floor plans, views, and facades. Natural stone, parquet flooring, and high-quality bathroom fixtures create a stylish ambiance inside.

JWC | COUNTRY 81 LUXURY OFFERINGS| HOUSE & HOME

PLAYA D’EN BOSSA

$5 million

IBIZA, SPAIN

This Italian-style penthouse, located on Playa d’en Bossa beachfront promenade, comes fully furnished. The contemporary designer kitchen is part of the open floor plan living and dining area. A magnificent roof terrace,

The Details: 6 Bedrooms, 5 Baths • 3,013 square feet, $1,649 per square foot • 24-hour concierge and security service, fitness room, private beach Contact: Esmeralda Fernández, Engel & Völkers Ibiza, +34 971 31 13 36

outdoor kitchen, and several outdoor areas overlook the surrounding mountains and sea. A private heated swimming pool enhances the outdoor grounds, and the property has direct access to the sea.

JWC | COUNTRY 82
HOUSE & HOME |LUXURY OFFERINGS
JWC | COUNTRY 83 LUXURY OFFERINGS| HOUSE & HOME

24 ROLLING HILLS DRIVE $4.995 million

BARRINGTON HILLS

Barrington Hills meets Southern California in this incredible contemporary resort-style home set on a serene 5-acre site. Offering the ultimate in luxury, design, and cutting-edge technology, this light-filled home radiates elegance and energy. Soaring ceilings,

The Details: 6 Bedrooms, 6.1 Baths • 8,300+ finished square feet, $601 per square foot • Built in 2022, Smart Home technology, four-car heated garage with epoxy flooring and glass garage doors Contact: John Morrison, @properties Christie’s International Barrington, 847-409-0297

oversized windows, floating staircases, and incredible views welcome you to this show-stopping home. The home’s open floor plan and a spectacular outdoor area, featuring an inground saltwater pool, spa hot tub, huge patio, and a sunroom that transforms into an outdoor oasis, are ideal for entertaining family and friends.

JWC | COUNTRY 84 HOUSE & HOME |LUXURY OFFERINGS
JWC | COUNTRY 85 LUXURY OFFERINGS| HOUSE & HOME
A trusted name in the community for 45 years. ANY ASPHALT PAVE JOB EXPIRES MAY 30, 2023 Not to be combined with any other offer or discount. Good for any Pave Job above $2600. Offer must be mentioned at time of confirmed scheduling. $200 OFF Barrington, IL Licensed, Bonded & Insured www.parisipaving.com 847-382-1077 PARISI PAV I N G & SEA L C O AT I NG A+ Rating ECO Friendly materials today for our customers of tomorrow. ASPHALT PAVING | ASPHALT SEALING Residential l Commercial BRICK PAVER SERVICES | CONCRETE SERVICES Driveways, Walkways, Ribbons & Patios We design, build & maintain all your pavement projects. EXPIRES JULY 2023 ANY ASPHALT PAVE JOB EXPIRES OCTOBER 31, 2023 Not to be combined with any other offer or discount. Good for any Pave Job above $2900. Offer must be mentioned at time of confirmed scheduling. $300 OFF
INTRODUCING... KATE FANSELOW GROUP KATE FANSELOW | MO MARIENTHAL | ANNE MANNELLY
leading Realtors in the Barrington-area market and women in the community, we have joined forces to offer our clients an even higher level of service and to walk together alongside our neighbors as they make the biggest decisions of their lives.
as a team of collaborators, we bring expertise, experience, hustle - and a little bit of fun - to the homebuying/ home-selling process… all with the highest levels of dedication and integrity. ©2022 Sotheby’s International Realty Affiliates LLC. All rights reserved. Sotheby’s International Realty® and the Sotheby’s International Realty Logo are service marks licensed to Sotheby’s International Realty Affiliates LLC and used with permission. Sotheby’s International Realty Affiliates LLC fully supports the principles of the Fair Housing Act and the Equal Opportunity Act. Each office is independently owned and operated. Kate Fanselow kate@jamesonsir.com | (773) 621-4597 katefanselow.com
US.
As
Working
YOU ARE NOT A NUMBER TO
YOU ARE OUR COMMUNITY.
JWC | COUNTRY 88 HOUSE & HOME |HOME STYLE Layer your home. Add a Layer 1 2 3 4 13 14 12 6 8 7 5 9 10 11

7

8 CABANA + Ulla Johnson, Printed Linen Tablecloth, net-a-porter.com

10 CABANA + Ulla Johnson, Murrine Floral Murano Water Glass, net-a-porter.com

11 Casa Branca, Palm Tree Candle Holder, casabranca.com

9 Casa Branca, Champagne Flute in Green, casabranca.com

12 CABANA + Ulla Johnson, Painted Porcelain Dinner Plates, net-a-porter.com

13 Casa Branca, Pelmet Cocktail Napkins, casabranca.com

14 Tory Burch, Gingham Napkin, toryburch.com

15 AERIN, Velvet Backgammon_ in Moss Green, aerin.com

16 AERIN, Classic Shagreen Bar Set in Chocolate, aerin.com

17 Ulla Johnson and interior design authority Cabana introduce a dreamy tableware collection. 18 Casa Branca, Cathy Bruni Norris Coasters, casabranca.com

19 Casa Branca, Stag Cocktail Napkin, casabranca.com

20 Casa Branca, Raffia Hurricane, casabranca.com

22 Matouk, Celine Tissue Box Cover in Redberry, matouk.com

21 Matouk, Aziza Euro Sham in Green, matouk.com

23 Tory Burch, Rose Jacquard Square Tablecloth, toryburch.com

HOME STYLE| HOUSE & HOME JWC | COUNTRY 89 15 16 17 18 19 20 21 22 23
1 Casa Branca, Nantes Celery Dessert Plates, casabranca.com 2 Casa Branca, Celery Napkin, casabranca.com 3 Casa Branca, Iraca Palm Placemat, casabranca.com 4 Casa Branca, Cacatua Leaf Bowl, casabranca.com 5 Casa Branca, Jean Roger Artichoke Cachepot, casabranca.com 6 Casa Branca, Dragonfly Napkin Ring, casabranca.com Matouk, Atlas Flat Linen in Hacienda, matouk.com

Soles for the Soul

Joshua and Shane Beniek Embark on a New Chapter for Highest Sneakers & Clothing

Joshua Beniek can still remember it like it was yesterday.

“My brother Shane and I were getting ready to go into Barrington Middle School,” recalls Beniek. “We were at Woodfield Mall and both wanted a pair of basketball shoes that we could wear as an everyday shoe.”

Beniek returned home that day with a pair of pricey Nike LeBron Southern Soldier shoes in a bright turquoise and orange color, adding to the growing collection in his closet. He also returned home that day with a kernel of an idea that was to be the beginning of the brothers’ company, Highest Sneakers & Clothing.

“We wore those shoes to school for a couple of months until we realized we could actually sell them on eBay for more than what we had paid for them,” remembers Beniek with a smile. “So yes, the foundations of our business, Highest Sneakers & Clothing store, started all the way back then.”

Previously located at 115 North Northwest Highway in Barrington, Highest Sneakers & Clothing now serves as one of the premier online shoe retail sites, offering a selection of shoes ranging anywhere from $100 to $4,000 in price at thehighestofficial.com.

“The retail space was amazing when we had it, and we’re so grateful for the support of the community,” says Beniek, who alongside his brother will attend the University of Tampa this fall. “But growing thehighestofficial.com is something we are focused on for now. We want our customers to know that they are getting high-end shoes at a good price.”

Granted, while customers of thehighestofficial.com can be confident in knowing that the Beniek brothers are working hard to keep their inventory as affordable as possible, their main goal is to bring in the most high-end shoes on the market right now.

Take for example the Nike Air Force 1 Low Tiffany & Co. shoes they currently have in stock which run around $4,000. Or the few pairs of the Travis Scott x Air Jordan 1 Low OG Olive shoes that can run anywhere from $800 to $1,000 depending on the size that they are carrying currently.

“While most of our customers are buying shoes to wear, we also have numerous customers who love to purchase sneakers as investments, betting that they go up in price over time,” explains Beniek, who hopes to return to Barrington after college graduation and open a storefront here, while also opening an additional storefront in Florida.

He lets out a laugh. “It’s truly crazy what some people spend on shoes.”

And no matter where life takes them, the Beniek brother’s excitement about shoes is sure to never waver.

“I’ll never forget when I got my hands on my first pair of Doernbecher shoes,” remembers Beniek. “I couldn’t wait to tell our customers about them because I just knew someone would love to purchase them.” Since 2004, Nike has teamed up with Oregon Health & Science University (OHSU) Doernbecher Children’s Hospital with the Doernbecher Freestyle initiative. Every year, Nike collaborates with a select few OHSU Doernbecher pediatric patients to craft motivational designs in footwear, apparel, and equipment. This one-of-a-kind collaboration has raised over $33 million to help cover the cost of care for families in need, expand pioneering research, and support specialized care. These shoes are extremely limited and range in price from $200-$2,500. Truly soles that are good for the soul.

For more information, visit thehighestofficial.com.

ONE LAST THING
JWC | COUNTRY 90
#1 in Barrington since 2010 $1.607B+ CAREER VOLUME ** $74.9M+ CLOSED YTD * 2,673 HOMES SOLD ** Our Numbers Speak Volumes Interested in Your Home Value? *MRED, LLC Total Closed Sales Volume, Morrison Home Team 01/01/23-07/31/23. **BrokerMetrics, LLC, career sales from 07/21/2003-present. ^BrokerMetrics, LLC: #1 Team in Barrington in total sales volume, year over year 01/01/10-07/31/23. Call John Morrison TODAY! 847.409.0297 | MorrisonHomeTeam.com ^
RAZNY.COM

Turn static files into dynamic content formats.

Create a flipbook
Issuu converts static files into: digital portfolios, online yearbooks, online catalogs, digital photo albums and more. Sign up and create your flipbook.