Winter 2024-25

Page 1


In this Issue:

• Orofacial-Myofunctional Therapy as an Adjunct to the Successful Treatment of an Adolescent Patient with a Thumb Sucking Habit, a Reverse Swallow, and an Anterior Open Bite: A Case Study

• Distal End Cutter: Use It Efficiently

• A Case for the Early Extraction of Third Molars for the Management of Impacted Second Molars in Adolescents

• Evaluation of Long-Term Stability of Skeletal Class II Malocclusion by Surgery First Approach

• Esthetic-Functional Interceptive Treatment in a Patient with Dental Agenesis and Trauma: Case Report

Table of Contents

Editor

Rob Pasch, DDS, MSc, IBO

Mississauga, Ontario, Canada

E-mail: paschrob@rogers.com

Managing Editor

Allison Hester

8305 Pennwood Dr. Sherwood, AR 72120

E-mail: allisonhijo@gmail.com

Consultants

Adrian Palencar, ON, Canada

Michel Champagne, QC, Canada

Dany Robert, QC, Canada

Scott J. Manning, USA

Mike Lowry, AB, Canada

Edmund Liem, BC, Canada

Yosh Jefferson, NJ, USA

G Dave Singh, CO, USA

Monika Tyszkowski, IL, USA

William Buckley, OH, USA

International Journal of Orthodontics, copyright 2020 (ISSN #1539-1450). Published quarterly (March, June, September, December) by International Association for Orthodontics, 750 North Lincoln Memorial Drive, #422, Milwaukee, WI 53202 as a membership benefit. All statements of opinion and of supposed fact are published on the authority of the writer under whose name they appear and are not to be regarded as views of the IAO. Printed in the USA. Periodical postage paid at Milwaukee, WI and additional mailing offices. Subscription for member $15 (dues allocation) annually; $40 U.S. non-member; $60 foreign. Postmaster: Send address changes and all correspondence to: International Journal of Orthodontics 750 North Lincoln Memorial Drive, #422 Milwaukee, WI, USA 53202 Phone 414-272-2757, Fax 414-272-2754

E-mail: worldheadquarters@iaortho.org

International Journal for Orthodontics (IJO) readers can receive one hour of continuing education (CE) for each issue. The IJO is a critical piece of the International Association for Orthodontics (IAO) mission. The journal uses practice management, studies, and case base articles to: “To promote the study and disseminate the knowledge of the cause, control, treatment and prevention of malocclusion of the teeth and any possible resulting dysfunction, such as dysfunction of the temporomandibular joint.” For CE credit, please read the articles found in this issue of the IJO. Then scan the QR code below. Fill out and submit the required quiz and evaluation. Once accepted by the IAO, the CE credit will automatically be recorded in the users profile. IAO Members dues must be paid in full to receive CE credit. As the IJO and accompanying CE credit is included with IAO membership, there is no cancelation or refund for the IJO subscription.

International Journal of Orthodontics

WINTER 2024/2025  VOLUME 35  NUMBER 4

FEATURES Departments

Orofacial-Myofunctional Therapy as an Adjunct to the Successful Treatment of an Adolescent Patient with a Thumb Sucking Habit, a Reverse Swallow, and an Anterior Open Bite: A Case Study, by Dr. Adrian J. Palencar, MUDr, MAGD, IBO, FADI, FPFA, FICD and Dr. David Pampena, BSc (Hon), MSc, DDS, FAAI

Distal End Cutter: Use It Efficiently, by Dr. Prasad Gayake

A Case for the Early Extraction of Third Molars for the Management of Impacted Second Molars in Adolescents, by Dr. Gajanan Kulkarni

Evaluation of Long-Term Stability of Skeletal Class II Malocclusion by Surgery First Approach, by Dr. Amrit Thapa, Dr. Saugat Ray, Dr. BS Walia, Dr. Indranil Deb Roy, Dr. B Jayan, and Dr. Amit Antil

Relationship Between Vertical Facial Pattern and Dental Arch Form in Class II Division I Malocclusion, Dr. Kurapati Krishna Teja, Dr. Saugat Ray, Dr. BS Walia, Dr. Indranil Deb Roy, Dr. B Jayan, and Dr. Amit Antil

Writer’s Guidelines

Editorial, by Dr. Rob Pasch, DDS MSc IBO, Editor

Practice Management Tips: The Unspoken Truth about Dental Profits, by Scott J Manning, MBA; Founder, Dental Success Today

Tips from the Experienced: The Sidekick, by Dr. Adrian J. Palencar, MUDr, MAGD, IBO, FADI, FPFA, FICD

The 2024/2025 Winter IJO Issue was released on January 31, 2025. Continuing Education credit expires January 31, 2026.

The IAO is an ADA CERP Recognized Provider. ADA CERP is a service of the American Dental Association to assist dental professionals in identifying quality providers of continuing dental education. ADA CERP does not approve or endorse individual courses or instructors, nor does it imply acceptance of credit hours by boards of dentistry. Concerns or complaints about a CE provider may be directed to the provider or to the ADA CERP at www.ada.

Author Guidelines

MANUSCRIPT SUBMISSION

Manuscripts are to be submitted electronically at www. editorialmanager.com/iaortho. If the manuscript is written in a language other than English, the author(s) must submit an English translation. The author may also submit a copy in his or her native language that will published in the online version only with a mention in the printed issue that the article is available online in his or her own language. The manuscript must be original and submitted exclusively to IJO.

The Journal invites authors to submit:

• Clinical reports

• Technique articles

• Review articles

• Case reports

MANUSCRIPT FORMAT

Abstract. Must include a short abstract no more than 50 words that describe the significance of the article.

Keywords. Must include keywords to help categorize the article.

Length. Manuscript should be no longer than 15 doublespaced pages, excluding figures and illustrations.

Tooth Numbering. The numbering of teeth should be international numbering. (US numbering can be added and put in parentheses.)

Non-English Manuscripts. Authors are encouraged to submit the manuscript in languages other than English for posting on the IAO website. A mention will be added to the English version published in the International Journal of Orthodontics, directing readers online for other translations.

Illustrations. Images must be available electronically as separate files. High quality digital images must be presented in one of the following formats: .tiff, .eps,.jpg, or .pdf with resolution of a minimum 300 dpi. Images must not be embedded in software programs such as Word or Power Point. The names on the digital files for photo/illustration files should match the manuscript reference. For example, if manuscript copy references Figure 1, electronic file should be titled Figure 1.jpg. No more than 16 photographs, figures, & illustrations are recommended; if greater than 16, IJO has the right to select and limit the number if necessary. Figures must be clearly referenced as to their placement in the manuscript. Brief captions for the figures, identified by number, must be provided. All images must be titled. Radiographs must be of superior quality.

References. References must be included and authors are responsible for the accuracy of references. Manuscripts without them will be returned. Cite references in the text as endnotes and number them consecutively. Citations must be referenced in the following style:

Periodical:

1. Sim JM, Jefferson Y, Dillingham SE, & Keller DC. Diagnosing an orthodontic patient using three different analyses. IJO 1990; 1(4):101-106.

Book:

2. Fonder AC. The Dental Physician. 2nd ed. Rock Falls, IL; Medical Dental Arts; 1985:25-82.

World Wide Web site:

3. Health Care Financing Administration. 1996 statistics at a glance. Available at: http://www.hcfa.gov/stats/stathili.htm”. Accessed Dec. 2, 1996.

Products: Any products mentioned in the manuscript should be footnoted disclosing the company name and address.*

*XYZ Orthodontic Co., 123 Main St., Los Angeles, CA 90000.

REVIEW AND EDITING PROCESS

Editor. Articles will initially be reviewed by the editor. If author fails to adhere to the guidelines set forth, manuscript will be returned to the author for revision and correction.

Peer review. Articles in IJO are subject to an anonymous peer review process. Reviews may take up to eight weeks to complete.

Decision. Once the reviewing consultants have completed their critiques, the editor examines their comments and makes a decision to accept, accept with minor revisions, revise and resubmit, or reject.

Editing. IJO reserves the right to edit manuscript for conciseness, clarity, and stylistic consistency. The author has final approval before publication.

Questons? Contact Managing Editor, Allison Hester at allisonhijo@gmail.com, 501-517-1620.

AUTHOR RESPONSIBILITIES

Copyright transfer. IAO holds the copyright for all editorial content published in the journal. All accepted manuscripts become the permanent property of the IAO, and may not be published elsewhere in full or in part, in print or electronically, without written permission from the IAO.

Reprint permission. The author is responsible for obtaining written permission from the publisher, or the person or agency holding the copyright for any material that is reproduced from a published source.

Consent forms. Any patient clearly identified in the article must sign a form indicating his or her consent to be depicted in the article. It is the author’s responsibility to confirm consent. Author’s photo and bio. The author(s) must submit a headshot (preferably professional) and current biographical sketch. If author holds a teaching position, the title, department, and school should be included. Any position or relationship with a dental manufacturer must be identified. The sketch should include rank or title and station of authors who are in federal service, and should be limited to 60 words or less.

Conflict of interest. The author will identify any conflicts of interest upon submission of any articles.

REPRINTS

The International Journal of Orthodontics provides the corresponding author a final electronic copy of the Journal in which the article appears as well as an electronic copy (.pdf) of the pages where the article appears. Requests for individual reprints of the article should be directed to Chris McKay, IAO, 414-272-2757 or at chris@iaortho.org.

Patients have a right to privacy that should not be infringed without informed consent. Identifying information, including patients’ names, initials, or hospital numbers, should not be published in written descriptions, photographs, and pedigrees unless the information is essential for scientific purposes and the patient (or parent/guardian) gives written informed consent for publication. Informed consent for this purpose requires that a patient who is identifiable be shown the manuscript to be published. Authors should identify Individuals who provide writing assistance and disclose the funding source for this assistance. Identifying details should be omitted if they are not essential. Complete anonymity is difficult to achieve, however, and informed consent should be obtained if there is any doubt. For example, masking the eye region in photographs of patients is inadequate protection of anonymity. If identifying characteristics are altered to protect anonymity, such as in genetic pedigrees, authors should provide assurance that alterations do not distort scientific meaning and editors should so note. (Source: International Committee of Medical Journal Editors (“Uniform Requirements for Manuscripts Submitted to Biomedical Journals”), February 2006).

Editorial

Happy New Year IAO. It is with sadness that I am following the devastating fires in California. North America is rallying around California to help, and it is hopeful that the affected communities will rebuild and enjoy life like it use to be. Please consider helping either in kind or financially to offset natures wrath.

This organization will be celebrating its 64th annual convention in Washington this coming April 30 - May 4, 2025. This is an opportunity to increase your orthodontic knowledge which you can take to your practice and start using immediately. Also the networking opportunity with practitioners from away is stellar and may start a mentorship of likeminded individuals. It is with great pleasure that we present this current edition of the IJO to you for your enjoyment and continued education. As such, we wish everyone an enjoyable read of the journal this Winter. I look forward to communicating with you should you have comments, complaints or suggestions. Thank you to Ms Allison Hester, our managing editor, for her invaluable role in completing this good looking journal.

I have a request to all who read this, and ask you to please help each other to write and submit articles or case reports to the journal. For the journal is YOUR journal and you can make it reflect what is important to you today, and in doing so making the journal better for everyone – both now and in the future.

Also send the journal to your friends and share the knowledge. It is a very good feeling to see your name in print. Besides, your patients will appreciate it as well.

Yours for accredited GP orthodontic education and better patient care. I remain Respectfully,

Dr. Rob Pasch DDS MSc IBO General Practitioner. Winter, 2025.

Dr. Rob Pasch Editor

Orofacial-Myofunctional Therapy as an Adjunct to the Successful Treatment of an Adolescent Patient with a Thumb Sucking Habit, a Reverse Swallow, and an Anterior Open Bite: A Case Study.

Abstract:

AUTHORS

Dr. Adrian Palencar

Doctor of Universal Medicine, specialty Stomatology, Komensky University, Bratislava, Slovakia. Recertified at University of Western Ontario, Canada. Master of the AGD, Diplomate of the IBO, Fellow of the Academy of Dentistry International, Fellow of the Pierre Fouchard Academy, and Fellow of the International College of Dentists. IAO Pinsker Award recipient. IBO Examiner from 2005 – 2014. IAO Master Senior Instructor, IAO Education Committee Examiner, and a Consultant to the IJO and Spectrum Ortho. He has been an Assistant Instructor to Rondeau Seminars for the past 21 years. Published author of 15 articles, authored 61 IAO Monthly Tips, and author of “Case Finishing and Mechanics” manual for Rondeau Seminars.

Dr. David Pampena

M.Sc. in Biochemistry, Schulich School of Medicine and Dentistry, Western University, Ontario, Canada. Published scientific author for his work entitled “The inhibition of Hydroxyapatite formation by Osteopontin.” His research has seen application in the pharmaceutical treatment of Osteoporosis. Graduate of Dr. Steven Olmos’ mini residency in TMD and Sleep Therapy. He published and co-authored with Dr. Palencar two articles “Treatment of Short Upper Lip and Gummy Smile with the assistance of TADs: A Case Study,” and “Treatment of Transposed Maxillary Lateral incisors with the Assistance of TADs. A Case Study.”

This article presents a case of a 13-year and 2-month-old female (Afro – Canadian), with Class I/III skeletal and Angle Class I, Division 1 dental malocclusion, with a slight hyper-divergence. The patient had an anterior open bite due to a longstanding thumb sucking habit and the consequential functional abnormalities that are associated with the habit. The patient had a reverse swallow, anterior tongue thrust, and she was a habitual mouth breather. This complex case was treated firstly with an orofacialmyofunctional therapy (OMT) approach and placement of a tongue thrusting and thumb sucking habit breaker. These interventions were followed by a Straight Wire Appliance protocol and then retentive appliances. Despite a COVID epidemic and poor compliance and cooperation, the authors were able to finish the case in 20 months.

The post-treatment followup was an interesting and satisfying experience. When the patient arrived three years post treatment not wearing the removable retainer at all, the teeth had settled into a better occlusion than when we had initially finished the treatment. OrofacialMyofunctional therapy may have been an important factor in the improved stability of this case

Keywords: Orofacial-myofunctional therapy (OMT), macroglossia, ankyloglossia, Kotlow I, mouth breathing, anterior open bite, reverse swallow, habit breaker, elastics, lingual and labial frenectomy, Dr. Nanda Mushroom loop arch wire

Conflict of Interest: None

*This

Introduction:

Thumb sucking as a teenager1 Thumb sucking is a natural, reflexive behavior that helps infants sooth themselves and learn how to accept nourishment. Most newborns demonstrate thumb, finger, or toe sucking within hours after birth. Many will have sucked their thumbs in the uterus. Thumb sucking is common among babies, toddlers, and young children. Many kids who suck their thumbs stop doing so without intervention once they reach school age. Others respond to mild intervention from their parents. No specific data exists that indicates how often the thumb sucking continues into the teens and the adult years but anecdotal evidence suggests that there are many adults who suck their thumbs, perhaps 1 in 10. While most childhood thumb suckers stop on their own, a percentage continue in private for decades. For some, thumb sucking may even be a lifelong habit. The reasons for this are not completely understood. However, it has been postulated that this behaviour provides comfort and reduces anxiety for those who do it.

Implications of thumb sucking.

1. Open bite

2. Negative overbite

3. Speech disorder

4. Altered jaw shape

5. Increased sensitivity on the roof of the mouth

6. Breathing problems

7. Distortion of the facial structure

8. Bacterial infection

9. Change of the shape of the thumb

Treatment of thumb sucking

1. Positive reinforcement

2. Identify triggers

3. Offer gentle reminders

4. Consult the dentist

5. Placing a bitter nail polish on the thumb nail

6. Using a bandage or thumb guard

7. Using habit breakers – removable or fixed

Anterior open bite2,3

An anterior open bite is one of the most difficult abnormalities to treat. This malocclusion may present with both a dental and/or a skeletal component. The skeletal open bite will require intrusion of the posterior sextants with the assistance of bite blocks, TADs, high pull head gear, and/or, as a last resort, orthognathic surgery. The orthodontic treatment can be augmented with orofacialmyofunctional therapy (OMT), with the intention being to increase post-treatment stability.

There are three types of open bites:

1 Dental: the patient is normo-divergent or hypo-divergent and the maxillary incisor display is none or minimal with lips in repose. The anterior teeth are intruded, and posterior sextants are within the norm.

2. Skeletal: the patient is hyper-divergent, the posterior alveolar process is elongated, and posterior teeth over erupted.

3. A Combination of dental and skeletal open bite.

The main factors contributing to an open bite include: thumb sucking, pacifiers, tongue position, a reverse swallowing pattern, a tethered tongue (ankyloglossia), a heavy frenum, and hereditary growth anomalies.

There are three types of open bites caused by tongue thrusting and a reverse swallowing pattern.

1. Simple: where the patient has an anterior open bite

2. Complex: where the patient has a lateral open bite

3. Infantile: where the patient is occluding only on the molars

The treatment of an open bite is complex and difficult. It may include, but is not limited to, interventions such as orofacialmyofunctional therapy (OMT), habit breaker appliances and orthodontic treatment. Furthermore, lifetime retention is normally required. Even with indefinite retention, however, the open bite has the proclivity to recur over time if the aberrant tongue posture is not corrected.4

The benefits of OMT have been noted to include the following:6

1. Elimination of the oral habits

2. Improvement of the position and the tone of the tongue and the oropharynx

3. Improvement of the lip seal

4. Better swallowing and chewing

5. Better breathing

Although treatment regimens may differ between clinicians, most involve the practise of numerous exercises to promote the following:

1. Establish nasal breathing

2. Establish ideal tongue resting position

3. Establish correct positioning of the tongue during swallowing

4. Strengthen the tongue and lips to aid in the aforementioned processes

Furthermore, OMT typically involves bimonthly or monthly appointments to track the patient’s progress, assess compliance and provide encouragement.6 It is noteworthy that successful treatment using OMT techniques is highly dependent on excellent cooperation.

4. Better swallowing and chewing

5. Better breathing

Although treatment regimens may differ between clinicians, most involve the practise of numerous exercises to promote the following:

1. Establish nasal breathing

2. Establish ideal tongue resting position

3. Establish correct positioning of the tongue during swallowing

4. Strengthen the tongue and lips to aid in the aforementioned

The Case

An Afro-Canadian female Z. M., age 13-years and 2-month, presented to our office with the complaints: “I have a large space between my front teeth, I cannot bite an apple, and I have problems with pronunciation.” Her mother stated: “My daughter still sucks her thumb, and she cannot quit.” At the time of the examination and consultation, it was suspected that the patient had a developmental delay in cognition. However, no cognitive, behavioural, or communicative abnormalities were divulged by the patient’s mother or the patient herself.

Anamnesis

The patient’s medical history was non-contributory. She exhibited a thumb- sucking habit that began as a young child and continued to present day. Concerning dental history, the patient had good oral hygiene and a moderate number of restorations.

Examination

Clinical Macro-esthetic appraisal revealed a normal facial symmetry, a slightly longer lower face height and a straight profile. The patient’s upper (+3.0 mm) and lower lip (+2.0 mm) were convex in relation to the “S” line (Steiner), and they were competent (Figure 1-A, B, C).

Fig. 1-A (Above Left) Pre-treatment frontal view
Fig. 1-B (Above Right) Pre-treatment, lateral view
Fig. 1-C (Left) Pre-treatment, posed smile

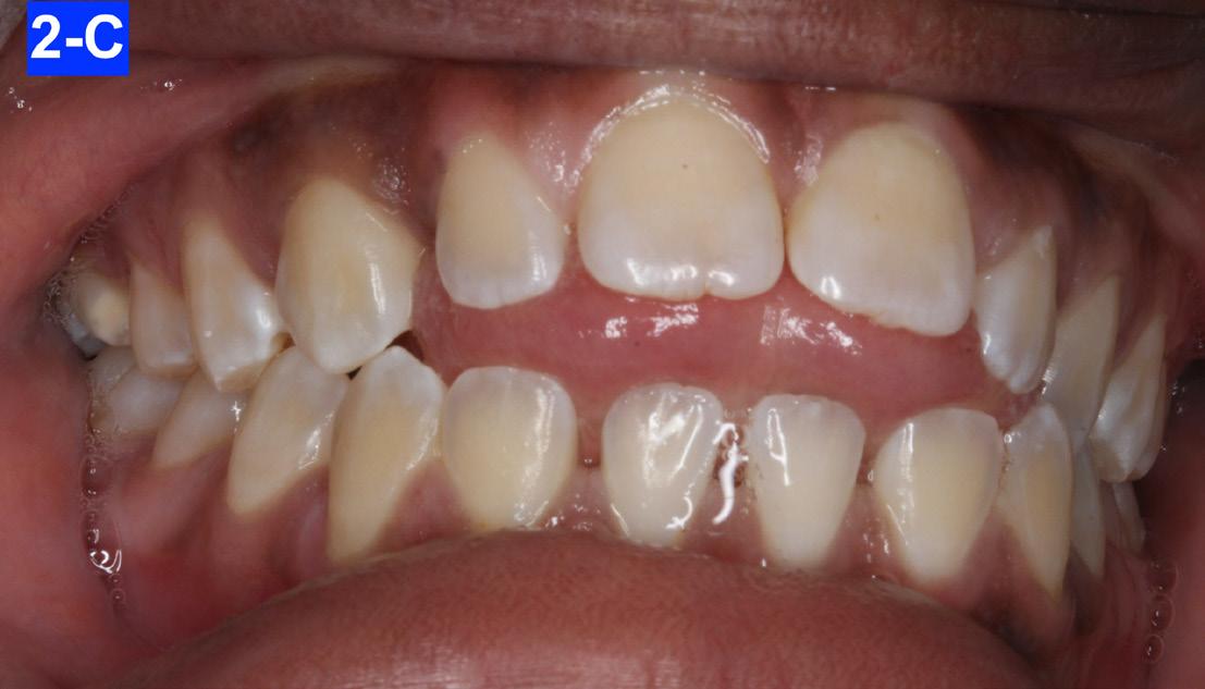
Mini-esthetic appraisal revealed competent full upper and lower lips and an incongruent smile arc to the lower lip. The patient’s posed smile revealed negative buccal corridors and a significant anterior open bite. Lips in reposed showed no tooth display. The patient showed signs of a reverse swallowing pattern (Figures 2-A, 2-B, 2-C).

Clinical appraisal of the airway revealed a patent airway: Pharynx - 10/10 mm, Oropharynx - Mallampati IV, Nasopharynxvery patent (Figures 3-A, B, C, D, E).

Fig. 2-C: Reverse Swallow
Fig. 2-A Lips in Repose
Fig.2-B: Posed Smile
Fig. 3-A: Pharynx
Fig. 3-C: Oropharynx II
Fig. 3-B: Oropharynx I

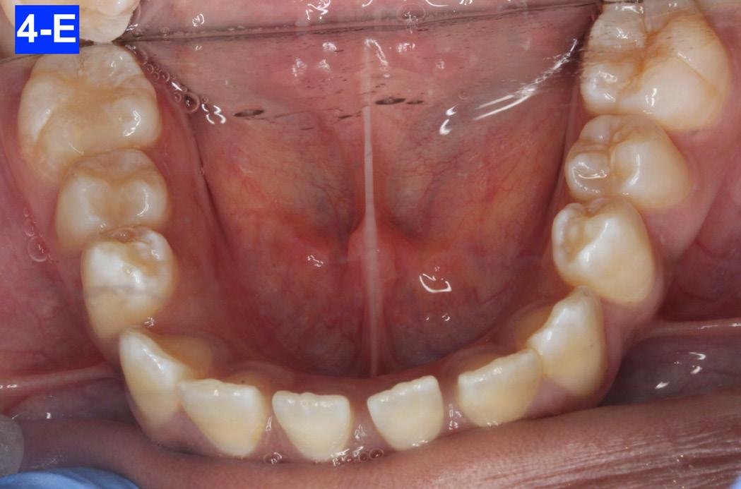
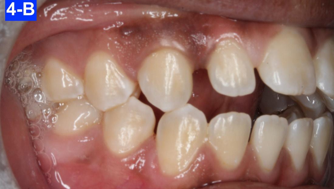
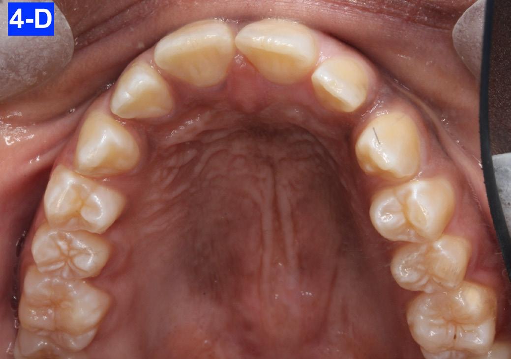
Clinical Micro-esthetic appraisal revealed a full Angle Class I molar and cuspid relationship. The arches were wide, there was generalized spacing in the anterior region. The patient had 2.0 mm overjet and -3.0 mm overbite. Maxillary lateral incisors appeared to be microdonts (Figures 4-A, B, C, D).

Fig. 3-E: Expulsion of the air
Fig. 4-E: Pre-treatment, MN occlusal view
Fig. 3-D: Nostrils
Fig. 4-A: Pre-treatment, frontal view
Fig. 4-B: Pre-treatment, right lateral view
Fig. 4-C: Pre-treatment, left lateral view
Fig. 4-D: Pre-treatment, MX occlusal view

Clinical Nano-esthetic appraisal revealed no signs of attrition or abrasion. Oral hygiene and periodontal health were good, and the patient had few restorations.

TMJ appraisal: there were no symptoms nor signs of TM dysfunction.

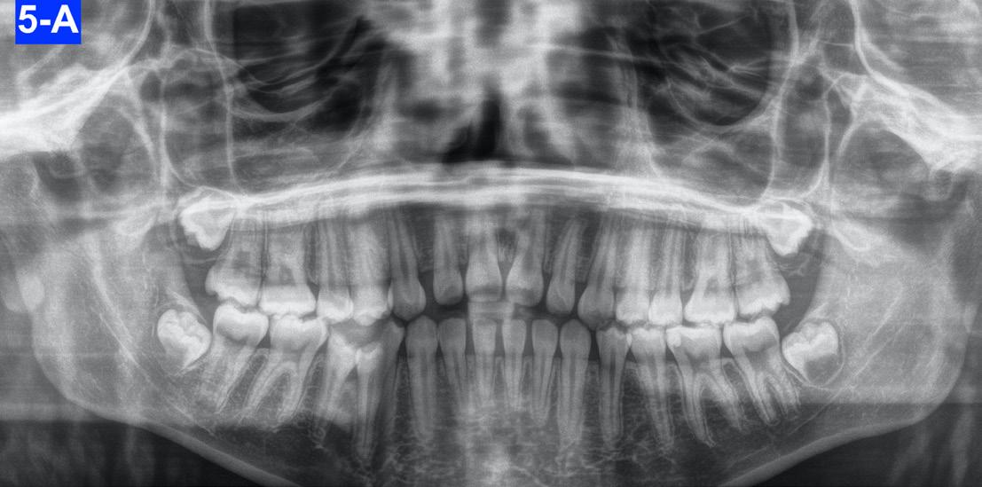
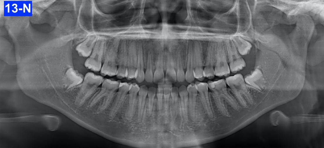
Panoramic radiogram revealed a complete permanent dentition with four impacted wisdom teeth. There was excellent bone support and no signs of periodontal or periapical pathology (Figure 5-A).

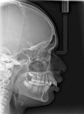
Lateral Cephalometric radiogram and tracing revealed a wide pharyngeal airway (10.0 /10.0 mm), CVMS 3-4, a prognathic maxilla (SNA - 85°), and an orthognathic mandible (SNB - 82 °). Furthermore, a Class I skeletal relationship was noted (ANB – 2.9 mm, Witts – 0.5 mm). The patient was slightly hyperdivergent (NS/GoM – 34°, ALFH – 71.8 mm), exhibited protrusive maxillary incisors (U1/SN – 118.8 ° ) with normally inclined mandibular incisors (L1/GoM 93.5°). The Harvold was 30.5 mm suggesting a Class III tendency. The soft tissue profile (lips) was convex and her Nasio-labial angle (96°) was acute (Figure 5-B).

Diagnosis

The patient exhibited an Angle Class I dental classification superimposed on a skeletal Class I with a Class (III) tendency. She showed a mild hyper-divergent tendency, a straight profile, and her dentition had spacing. The patient was found to have -3.0 mm overbite, 2.0 mm overjet with protrusive maxillary incisors and mandibular incisors that were torqued within normal limits. The soft tissue profile was convex, the tongue was enlarged, and there was mild ankyloglossia (Kotlow Class I). A heavy maxillary frenum was also noted. Importantly, the patient had a 3.0 mm anterior open bite due to thumb sucking, with a tongue thrust and reverse swallowing habit. There was no display of teeth at lips in repose.

Treatment Plan

The authors proposed orofacial-myofunctional therapy, maxillary labial and mandibular lingual frenectomies, placement of a maxillary fixed habit breaker, and straight-wire appliances. Retention was to be provided via a three-pronged approach. First, a bonded retainer on the maxillary and mandibular anterior teeth. Secondly, a maxillary removable retainer with a spinner and a crib,5 and finally, the patient would continue to perform OMT exercises.

Results

There was an eleven-month hiatus between the examination and commencement of the treatment. Therefore, the patient was already 14-years old. The patient, and her parent, declined the mandibular lingual and maxillary labial frenectomy. However, they proceeded with the OMT. Once the patient was able to repeatedly demonstrate the correct swallowing pattern upon unprovoked observation, the fixed habit breaker was inserted in the maxilla. It was cemented on the first molars and bonded on the first bicuspids (Figure 6-A, B, C).

Fig. 6-A: Maxillary habit breaker
Fig. 6-B: Habit breaker in situ I
Fig. 5-B: Pre-treatment, lateral cephalometric radiogram
Fig. 5-A: Pre-treatment, panoramic radiogram

One month after insertion of the habit breaker, the patient ceased the thumb sucking. Treatment continued with bands being cemented on the maxillary first molars and twin brackets bonded from the second bicuspid to the second bicuspid (.022 x .028 MBT). A .016 Niti leveling arch wire was then inserted. At the next appointment, we placed a .018 NiTi arch wire in the maxillary arch. Bands were cemented on the mandibular arch on the first molars and twin brackets were bonded from the second bicuspid to the second bicuspid. A .016 Niti arch wire was inserted. An elastomeric chain (EC) was placed from #13(6) to #23(11), and in the mandible from #31(24) to 34(21) to shift the midline to the left.

The following appointment, we placed a .018 SS in the maxilla and a .018 NiTi in the mandible. An EC was placed from #13(6) to #23(11), and in the mandible from #43(27) to 34(21) to close the spaces (Figure 7-A, B. C).

After seven months of treatment, we placed a 016x.022 SS in the maxilla with a gradual 1.0 mm step down distally to the first bicuspids, distally to the cuspids and distally to the laterals. These bends were used to accelerate the extrusion of the maxillary anterior sextant. There was a .018 SS arch wire in the mandible.

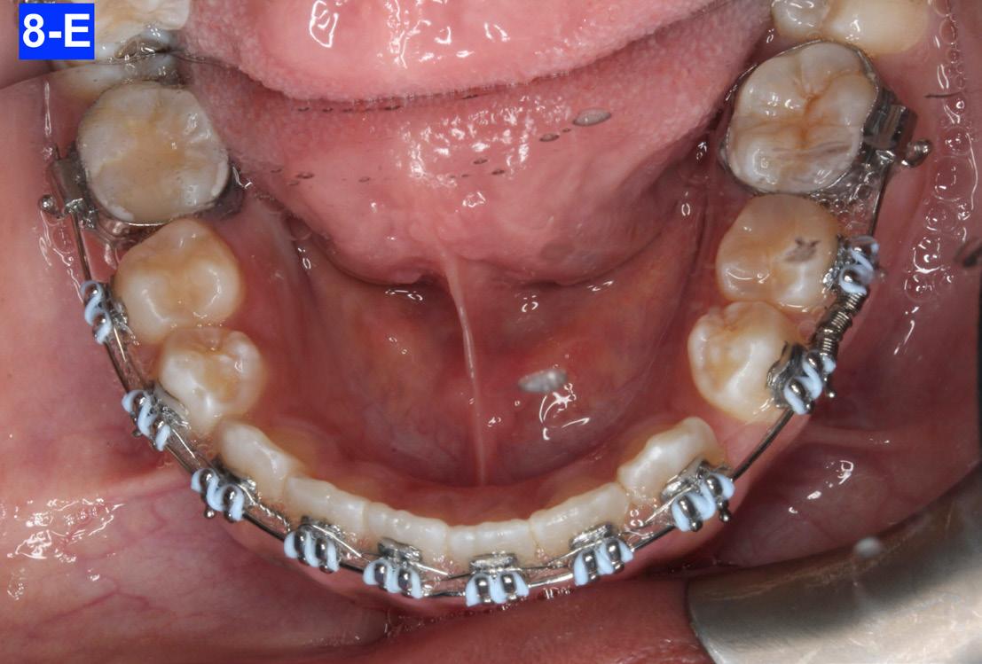
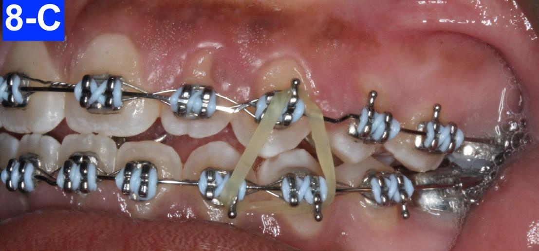
The maxillary and mandibular six anterior teeth were undertied with a lace-back (a .010 ligature tie) to crystalize the space closure. There was an open coil spring between #44(28) and #45(29) to close the space between the first bicuspid and the cuspid. In addition, there were ¼ " , 4.5 oz triangular elastics stretched between the maxillary cuspids and mandibular cuspids and bicuspids (8-A, B, C, D, E).

Fig. 6-C: Habit breaker in situ II
Fig. 7-C: MX a. 018 SS, MN a .019 NiTi
Fig. 7-A: Maxilla, a .016 NiTi
Fig. 7-B: MX a .018 NiTi, MN a .016 NiTi
Fig. 8-A: Triangular elastics, frontal view
Fig. 8-B: Triangular elastics, right lateral view
Fig. 8-C: Triangular elastics, left lateral view

After eight months of treatment, the maxillary habit breaker was removed. We added box elastics (5/16” x 6.5 oz) that were stretched around the mandibular cuspids and maxillary laterals, to accelerate the closing of the anterior open bite. The patient was already very happy with the progress and the amelioration of her posed smile (Figure 9-A, B, C, D).

After eleven months of treatment, the overbite had significantly improved. We then placed a .019x025 V- Force 3 (3 force NiTi arch wire – 150/200/300 grams of force) in the maxilla and a .018 SS in the mandible. At this point, a box elastic (5/16 x 6.5 oz) in the anterior sextants was continued along with two triangular elastics (1/4”x 4.5 oz) in the posterior sextants. The posterior triangular elastics were used to close the posterior open bite created by the previous anterior (3) step downs in the maxilla (Figures 10-A, B, C).

Fig. 9-D: Posed smile II
Fig. 9-B: Maxilla, progress, occlusal view
Fig. 9-C: Posed smile I
Fig. 8-E: Mandible, occlusal view
Fig. 8-D: Maxilla, occlusal view
Fig. 9-A: Box elastic. Frontal view

After twelve months of treatment, we inserted a Dr. Nanda Mushroom loop arch wire (019 x .025 CNA) in the maxilla to condense the spaces.7,8 The mushroom loop is opened 1.0 mm per month on both sides by pulling the arch wire back and placing a crisp bend back (cinch). It is advisable to heat treat and anneal the ends of the arch wire first. There was a .018 SS arch wire in the mandible. The patient continued with triangular and box elastics as previously (Figures 11-A, B, C).

Due to COVID restrictions and patient/parent apprehension, the patient did not attend the office for five months.

The next three appointments only involved reties, during which time the progress and oral hygiene was monitored.

After twenty months of treatment, the patient’s commitment towards, and cooperation with, the treatment began to wane. Her oral hygiene had become extremely deficient and she voiced apprehension relating to COVID-19 infection. Due to these concerns, the parent, the patient, and the orthodontic clinicians agreed to terminate treatment prior to final case detailing.

Retention and Post-Treatment Follow-up

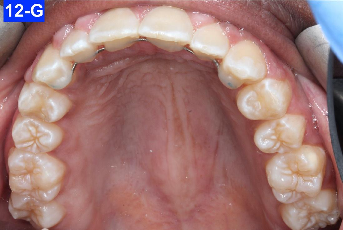
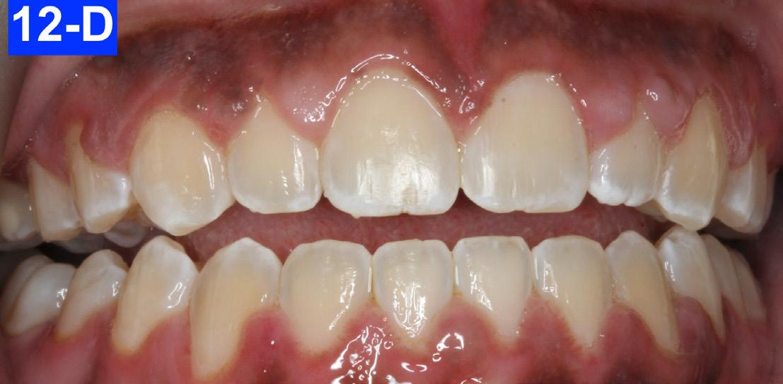
The retainers comprised of a maxillary wraparound modified Hawley retainer with a crib and a spinner. Also, bonded retainers from #43(27) to #33(22) and from #13(9) to #23(11) were inserted. The bonded retainers were made of a .0215 SS flexible spiral (braided) wire, and bonded with Unitec Bond 1, and Tetric Evo (Ivoclar). The patient was instructed to wear her Hawley retainer 24/7 (except sports, brushing her teeth and meals) for 12 months, and after this, only at night. The bonded retainers were recommended to stay indefinitely. The prescribed OMT were reviewed and the benefits of continually practising them reinforced.

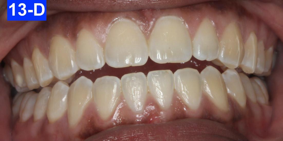
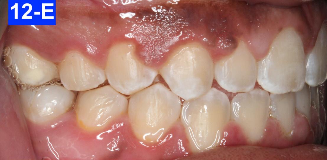
Figures 12-A to 12-M show the post-treatment images at the time of insertion of the retainers. We had an opportunity to evaluate the patient’s occlusion three years post-treatment. Compared to the initial post treatment evaluation, it was noted that the occlusion had settled into an even more stable position after three years.

Fig. 10-A: V-Force3, frontal view
Fig. 10-B: V-Force3, right lateral view
Fig. 10-C: V-Force3, left lateral view
Fig. 11-A: Mushroom AW, frontal view
Fig.11-C Mushroom AW, left lateral view
Fig. 12-A: Retainers
Fig. 11-B: Mushroom AW, right lateral view
Fig. 12-I: Post-treatment, lips in repose
Fig. 12-G: Post-treatment, MX occlusal view
Fig. 12-H: Post-treatment, MN occlusal view
Fig. 12-J: Post-treatment, posed smile
Fig. 12-B: Modified Hawley retainer in situ
Fig. 12-D: Post-treatment, teeth apart
Fig. 12-C: Post-treatment, frontal view
Fig. 12-E: Post-treatment, right lateral view
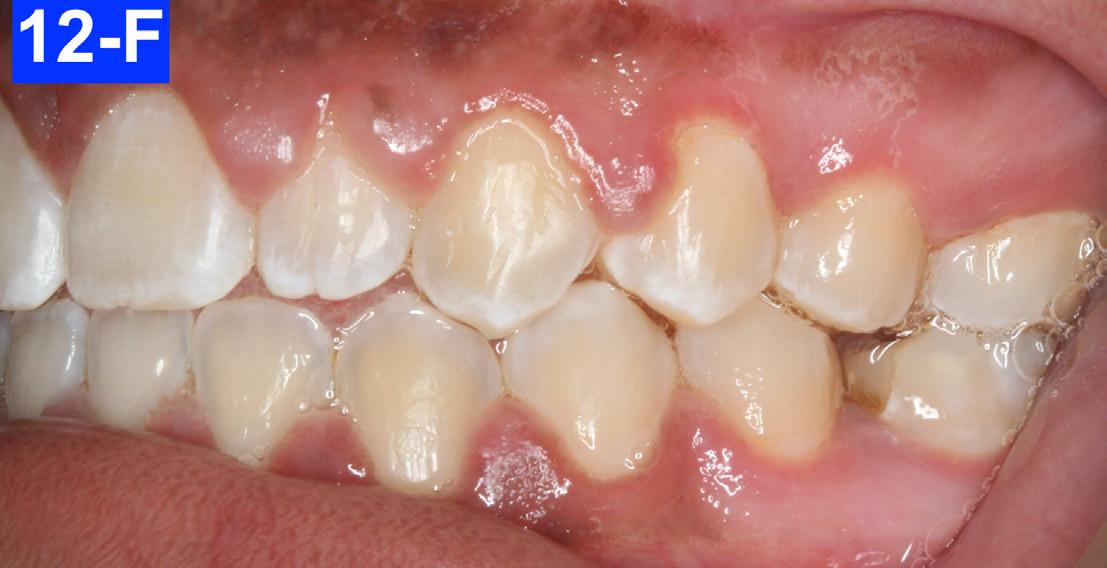
Fig. 12-F: Post-treatment, right lateral view

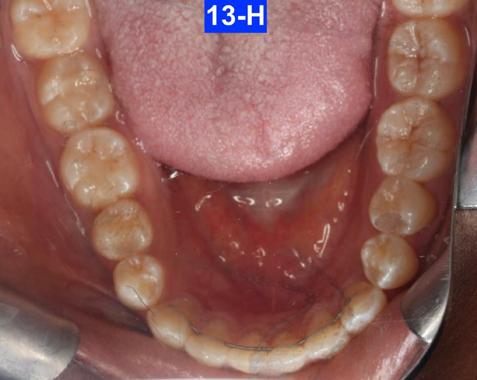
The patient reported that she had not been wearing her retainer, no longer sucked her thumb, and no longer performed the OMT exercises (Figures 13A-O).

Fig. 12-M: Post-treatment, posed smile
Fig. 12-K: Post-treatment, frontal view
Fig. 12-L: Post-treatment, lateral view
Fig. 13-A: 3 years post-treatment, lips in repose
Fig. 13-B: 3 years post-treatment, posed smile
Fig. 13-C: 3 years post treatment, frontal view
Fig. 13-D: 3 years post-treatment, teeth apart

All patient photos used with signed consent

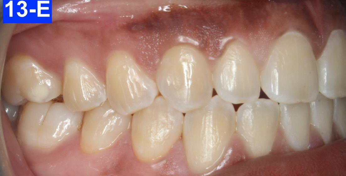
Fig. 13-E: 3 years post-treatment, right lateral view
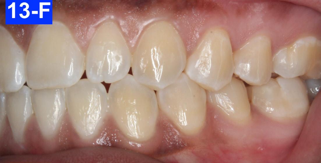
Fig. 13-F: 3 years post-treatment, left lateral view
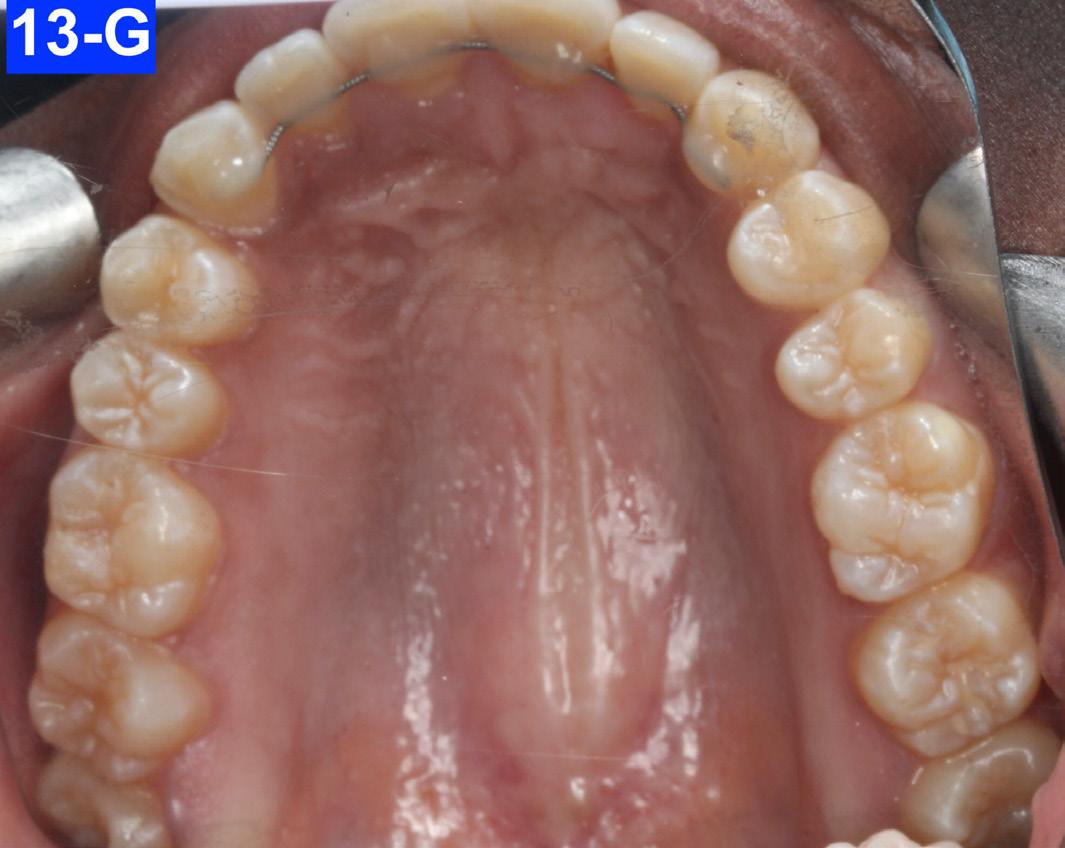
Fig. 13-G: 3 years post-treatment, MX occlusal view
Fig. 13-H: 3 years post-treatment, MN occlusal view
Fig. 13-I: 3 years post-treatment, frontal view
Fig. 13-J: 3 years post-treatment, lateral view
Fig. 13-K: 3 years post-treatment, posed smile
Fig. 13-L: 3 years post treatment, panoramic radiogram

Discussion

This orthodontic case involved several functional and esthetic concerns. The clinical concerns were:

1. Incompetent lips and protrusive maxillary incisors

2. Anterior open bite

3. Anterior tongue thrust and reverse swallow

4. Habitual mouth breathing

5. Ankyloglossia (Kotlow Class I)

6. Macroglossia

7. Thumb sucking habit till age 14

8. Heavy maxillary labial frenum

9. Poor instructional comprehension with possible cognitive delay

Although the treatment was disrupted due to the COVID-19 epidemic and despite poor compliance and cooperation, our outcome was favourable. The patient was finished with a skeletal class I, Class III tendency and Angle Class I cuspid and molar relationship with minimal overjet and overbite. ANB improved from 2.9° to 2°. However, the Wits value suggested the patient had grown into a Class III relationship (0.5 mm to -4.4mm). ALFH stayed almost the same, from 72 mm to 72.6 mm.

This patient’s anterior open bite was dental in origin and resulted from an unusually prolonged thumb-sucking habit. When her thumb was not in her mouth, the patient was observed to have aberrant tongue posture during swallowing. Following the treatment, the position of the maxillary anterior teeth was more favourable, U1/SN from 118° to 102°, however, less favourable in the mandible as L1/GoM went from 93° to 86.3°. This effect on the anterior teeth was likely caused from a palato-lingual moment of force from the box elastics. The Naso-labial angle became more acute from 96° to 83°. The Facial axis (Growth axis – Ricketts) stayed almost the same, from 92° to 91°. The soft tissue profile remained slightly convex (lips to S line – Steiner).

Fig. 13-M: 3 years post-treatment, lateral cephalometric radiogram
Fig. 13-N: Superimposition I
Fig. 13-O: Superimposition II
Table 1: Mid-sagittal Cephalometric Analysis

Of particular significance to the authors was the observation that the occlusion stabilized and improved over time, despite poor compliance with retention protocols. The patient did the following exercises: lip seal, tongue push-up, vowel practice, nose touch, tongue clicking, chin touch, side-to-side tongue hold, spoon push, and tongue roll. We suggest that this positive result largely stemmed from the improvement of the patient’s tongue posture learned via the Orofacial-myofunctional therapy. As outlined previously, the main objectives of OMT are the treatment of disorders of the stomatognathic system, such as orofacial abnormalities, mouth-breathing pattern, lip incompetence, tongue thrust habit, mandibular deviation and improper joint patterns during speech, chewing and swallowing, as well as assistance in the correction of parafunctional oral habits, such as thumb-sucking and bruxism.4 Therefore, it is fair to postulate that further settling of the occlusion may be attributed to the learned improvement in tongue posture. Indeed, a systematic review of the effectiveness of OMT in orthodontic patients by Homem et al., showed several instances where the occlusion post-treatment was retained more favourably when treatments included the myofunctional training versus without it. 4 Specifically with respect to anterior open bites, Smithpeter and Covell showed that patients treated with the combined approach of orthodontics with OMT had 0.5mm open bite relapse compared with 3.4 mm relapse with orthodontic treatment alone.10

Although the case was not finished to our normal standards, we felt we had reached a maximum improvement. The patient had an acceptable occlusion, was very satisfied with her gains, and showed signs that she was unwilling to continue with treatment. The decision to complete the treatment was based on the aforementioned factors.

To summarize, the authors presented a case encompassing numerous clinical abnormalities that required a variety of treatment techniques.

The treatment involved:

1. Orofacial-Myofunctional therapy

2. Elimination of a thumb sucking habit

3. Labial and lingual frenectomy (declined)

4. Thumb sucking and tongue thrust habit breaker

5. SWA with elastics

6. Finishing the case

7. Multiple Retentive measures

Certainly, although more research is needed, the results reported herein support the benefits of OMT in helping to crystallize the corrected post-orthodontic bite. This case also highlights the importance of addressing causative functional contributors to adverse growth patterns and poor occlusions. Dr. German Ramirez, paediatric dentist, suggests that diagnosing a malocclusion has to include evaluation of those dysfunctions that may be causing, influencing or worsening the malocclusion, and thus, those dysfunctions have to be corrected with the treatment.11 It may even be reasonable to assume that OMT can be significantly beneficial towards helping our young patients form better oropharyngeal structures. Indeed, the authors are eager to further explore any opportunity to help our patients achieve life-long oral and systemic health.

References

1. Davidson L., Thumb and Finger Sucking, Pediatric Review, 2008, June 29; (207 – 208)

2. Palencar A. J., Dilemmas in Treatment of Recurrent Recalcitrant Anterior Open Bite, International Journal of Orthodontics, VOL 27, NO 1; SPRING 2016; (19 -24)

3. Champagne M., The anterior open bite problem (infra-occlusion), Journal of General Orthodontist 1995; 6(2); (5-10)

4. Homen M.A. Effectiveness of orofacial myofunctional therapy in orthodontic patients: A systematic review, Dental Press J Orthod. 2014 Jul-Aug; 19(4): 94–99.

5. Kotlow L. TOTS – Tethered oral tissue, Oral Health, March 2015; (64 - 68)

6. Jefferson Y., Anterior open bite, simplified non-surgical technique to correct in adults, IJO, year 26 – 1; (19 – 24)

7. Goodman J., Myofunctional therapy, dentistry and your practice, Oral Health, March 2015; (3 - 7)

8. Nanda R., Biomechanics and Esthetic Strategies in Clinical Orthodontics; (205-209)

9. Palencar A. J., Dr. Nanda Mushroom loop CNA arch wire, Case Finishing and Mechanics, 2024 (143 -144)

10. Smithpeter J, Covell D., Jr Relapse of anterior open bites treated with orthodontic appliances with and without orofacial myofunctional therapy. Am J Orthod Dentofacial Orthop. 2010;137(5);(605–614)

11. Ramirez-Yanez, G., (2009) Early Treatment of Malocclusions. Cucuta, Colombia: J. Ramirez Press

Distal End Cutter: Use It Efficiently

MDS

AUTHOR

Dr. Prasad Gayake

Distal end cutter is used intraorally to cut the excess of archwire protruding through buccal tube of the dital molar in fixed orthodontic treatment. The distal end cutter has contra angled beak with inserted tungsten carbide tips.1 The distal end cutter’s tungsten carbide cutting tip is approximately 10-12 mm in length. Depending on the manufacturer, length of the cutting tip may vary. For the understanding purpose of this article, the color coding of the cutting tip of the distal end cutter is done. The outer half length of the cutting tip is depicted in white color and the inner half in red color (Fig. 1).

Whenever orthodontist is using distal end cutter intraorally, cutting tip’s only outer half-length (i.e. outer 4 to 5 mm) is used. Inner half length of the cutting tip cannot be used intraorally, as it is getting an interference of buccal surface of the distal molar (Fig. 2). Once the edges of the outer half length of the cutting tip (i.e. white color part of the cutting tip) of the distal end cutter is blunt or loses its cutting efficiency, orthodontist discards the distal end cutter. But the edges of the inner half length (i.e. red color part of the cutting tip) of the cutting tip of the discarded distal end cutter is still sharp and can cut the archwire efficiently. Orthodontist can use its inner half length of the tip (i.e. red color part of the cutting tip) which is still sharp to cut the archwires extra orally (Fig. 3). There is no need of using another plier called heavy archwire cutter. Thus, an orthodontist can re-use the same discarded distal end cutter for an extra oral purpose and utilize it with maximum efficiency.

The advantages are-

• By following this useful clinical tip, orthodontists can not only help in preventing the environmental damage by following

*This article has been peer reviewed

one method of recycling that is reusing but also helping in conservation of national wealth.

• Generally, orthodontist uses another instrument called heavy wire cutter to cut the excess of archwire extraorally. Instead, the discarded distal end cutter can be re-used and it is going to be cost saving for an orthodontist.

• In clinical situations, orthodontist has to be very careful while cutting the excess of archwire with heavy wire cutter, extraorally. As piece of wire may fly off and can injure someone. Due to the safety hold feature of the distal end cutter, such kind of risk can be eliminated while cutting the excess of archwire extraorally.

Conflict of Interest: None

Reference-

1. O’neill JR. Distal end cutters-efficiency, safty and design. Br J Orthod. 23:172-176,1996.

Fig. 1: Distal end cutter’s outer half of cutting tip is shown in white color and inner half in red color. Tip- The color coding of the cutting tip is done
Fig. 2: Distal end cutter’s outer half of cutting tip is shown in white color and inner half in red color. Tip- The color coding of the cutting tip is done
Fig. 3: Inner half of the cutting tip depicted in red color can be used to cut the archwire extra orally.only for the understanding purpose.

A Case for the Early Extraction of Third Molars for the Management of Impacted Second Molars in Adolescents

AUTHORS

Introduction:

Impacted teeth can have various effects on the surrounding structures and in the development of a proper occlusion. The definition of impaction is tooth retention due to an obstacle in the eruption path or ectopic position of the developing tooth. Primary or secondary retention is defined as an impaction that occurs without an obstacle in the eruption path, either before or after gingival emergence, respectively. 2 Tooth impaction occurs in almost 20% of the population.3 The most commonly seen impactions in clinical practice are the mandibular or maxillary third molars, maxillary canines, or central incisors, and mandibular second premolars.1 Impaction of a second molar is usually not a concern from a patient’s perspective because the patient is unaware of the condition and is often diagnosed incidentally. Impaction of the mandibular second molars is relatively rare, occurring in only 0.06-0.3% of the population,4-6 but a higher incidence of 2-3% has been reported among orthodontic patients.7 A prevalence of 1.8% was found for second mandibular molar impaction in orthodontically treated patients.8

Second-molar impactions occur more frequently in the mandible than in the maxilla, which may be attributed to the later development of the upper third molar5 and the likely lack of anteroposterior growth of the mandible. Mandibular second molar impaction is found more often in males, occurs more frequently unilaterally and is present more commonly on the right side.5 Mandibular second molar impaction may present in three forms of angulations: mesially inclined, distally inclined and vertically positioned. Most are found to be mesially inclined with their long axis more than 30 degrees mesially inclined relative to the first molar.9,10 These mesioangular impactions generally not only, not self-correct, but they can further worsen with the eruption of the third molar.

The etiology of second molar impactions is varied and can include developmental, pathological, or iatrogenic causes. The ectopic positioning of the developing second molar, obstacles in the eruption path such as impacted third molars due to lack of anteroposterior length of the mandible, supernumerary teeth, cysts, or tumors, ankylosis or dilacerations11 or placement of oversized extra-coronal restorations such as crowns on the first molar, can all lead to impactions of the second molar.

One of the most common causes of mesial angulation of the lower second molar is attributed to posterior crowding.12 The use of a lip bumper or an Arnold appliance to increase mandibular arch length can also result in the iatrogenic impaction of the lower

second molar.13 Other causes can include early treatment for decrowding or retraction of the mandibular anterior dentition. An incorrectly fitted crown or an orthodontic band cemented on the first mandibular molar may give rise to eruption problems in the second molars.14

As the second molar gets more mesially inclined during the course of its eruption it becomes impacted below the bulge of the first molar. The developing second molar likely needs the close guidance of the distal root of the first molar for its normal vertical eruption, a situation analogous to the eruption pattern of the maxillary canine, which requires the guidance provided by the root of the lateral incisor.15 Mandibular second molar impaction may be related to other genetic variations, for example, patients with second-molar impactions have been shown to have a higher occurrence of morphological tooth anomalies such as root deflections, invaginations, and taurodontism.16 An unerupted mandibular second molar only in one quadrant while the remaining second molars having erupted normally in a preadolescent should alert the clinician to rule out an impaction. If a third molar bud or follicle is positioned above the height of a developing mesially impacted mandibular second molar crown, then this may be an early sign for a future impaction of the second molar.17

Very few management strategies for up-righting of an impacted second molar are suggested in published literature. These include the use of a variety of springs and traction from removable appliances.18-24 Apart from orthodontic treatments, other approaches include surgical techniques25-27 and combined surgical and orthodontic treatment.28 Recently, the use of miniscrews as an anchorage for up-righting second molars has been advocated.29,30 Surgical exposure of the second molar and extraction of the third molar has also been reported.31

This case report aims to alert clinicians about early diagnosis, prevention and early intervention in the management of mandibular second molar impactions, specifically making a case for the early extraction of the developing third molars in adolescents.

Case Report:

A healthy 12-year-7-month-old female, with an adult dentition, presented with a chief complaint of “teeth not coming in straight,” as was identified to her and her parents by a referring dentist. On clinical examination, the patient had pleasing facial esthetics on an orthognathic skeletal base. Intraorally, the patient had Angle Class I molar relationship bilaterally with well-aligned arches but impacted mandibular second molars with partially visible crowns (Figure 1). The panoramic radiograph confirmed the mesioangular impactions of the mandibular second molars bilaterally along with the third molars at the early crown calcification stage of development (Figure 1). An increase in inclination of second molars can be seen bilaterally, on examination of panoramic radiographs at ages of 10 years and 5 months and 11 years 10 months, which were 17 months apart (Figures 1 and 2).

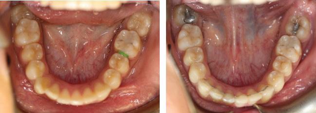
Given the clinical and radiographic presentations, the treatment plan to surgically extract the developing third molars prior to orthodontic treatment was presented to the patient and parents for their consent. The mandibular third molars were surgically removed by an oral surgeon under deep sedation. A follow-up panoramic radiograph obtained approximately 7 months following the surgery, at 12 years and 7 months of age, revealed completely healed third molar extraction sites, spontaneous improvement in the angulation of the left mandibular second molar but little change in the angulation of the right second molar. Orthodontic records were obtained at this stage and treatment was initiated with complete maxillary and mandibular orthodontic MBT, 0.022’’ slot size brackets. Orthodontic bands were placed on the mandibular first permanent molars that were modified with laboratory soldered Halterman appliances from the lingual surfaces of the bands. Orthodontic buttons were bonded on the occlusal surfaces of the impacted molars. Initial disimpaction of the second molars was achieved by sequential distal traction with the use of chain elastics. When the molars were sufficiently uprighted and the buccal surfaces were visible, orthodontic direct-bond brackets were placed and the Halterman arm and occlusal buttons were removed. All further orthodontic tooth movements including uprighting of the second molars were achieved through 4-6-weekly sequential changes of Nickel-Titanium followed by stainless steel archwires. The sequence of archwires were as follows: Ni-Ti0.012”, 0.014”, 0.016”, 0.018” 0.016x0.022”, 0.017x0.025 and SS- 0.016x0.022”, 0.017x0.025, all wires ligated with elastics. Bonded lingual wire retainers, as well as removable Essix retainers, were delivered to the patient to maintain the results.

The left photo shows the impacted second molars, post third molar extraction surgery but pre-orthodontic treatment. The photograph on the right shows 5-year follow-up post-orthodontic treatment. Note mesio-occlusal caries restored with amalgam restorations during the course of orthodontic treatment.

Discussion:

The delayed eruption of second molars can present a clinical dilemma from diagnosis to treatment options and the timing of the various interventions. This can lead to problems affecting the outcome and stability of treatment. Here we suggest that the better option is the early extraction of the developing third molar that simplifies the mechanics of uprighting the impacted second molar. This would be a viable option in cases where second molar impaction is excepted around this age group of 10-12 years.

The surgical exposure of the third molar indirectly adds to the spontaneous eruption of the second molar by easing the eruption load in cases when it is partially covered by fibrous gingival tissues distally. This procedure does not have a direct effect on the second molar but would place it in a more conducive environment that is needed to reach the occlusal plane. In addition to this, there is also a boost at the cellular level by the mechanism of the RAP

Fig. 1: Initial presentation of mesioangular impacted mandibular second molars at 10 years and 5 months of age. Note that the mandibular third molars are at about a third crown completion stage of development.only for the understanding purpose.
Fig. 2: Follow-up radiograph at the age of 11 years and 10 months, 17 months after the initial detection of the mandibular second molar impactions. Note that the mesioangular inclinations of both molars had worsened with the further crown development of the mandibular third molar crowns and their positions translating superiorly.
Fig. 3: Seven-month post-surgical removal of developing third molars showing spontaneous improvement in the angulation of the left mandibular second molar at 12 years and 7 months of age. The right mandibular second molar showed little change.
Fig. 4: Post orthodontic uprighting of the mandibular second molars at 14 years and 10 months.
Fig. 5a: Age: 12 years, 7 months
Fig. 5b: Age: 17 years 7 months

i.e., regional acceleratory phenomenon. When RAP is coupled with the orthodontic forces it speeds up the process of uprighting and torquing the second molar in the desired occlusal plane. In this case report, we used bilaterally Halterman appliance. The major advantage of orthodontic repositioning with the Halterman appliance is the uprighting and distal tipping of the impacted second molar without the necessity of bone removal or splinting after surgery.

Treatment options like retromolar TADs, surgical repositioning of second molars and surgical auto transplants of third molars have recently been widely used. Though these interventions do have their merits, we believe that they are options to be used at the later stages when a more definite impaction is diagnosed. Furthermore, the use of TAD in the retromolar region is more successfully used when there is a mature type of bone but using it in a preadolescent would raise a concern about stability and ease of placement. Other options like surgical repositioning the second molar, might be more traumatic to the tooth and surrounding periodontium when compared to a slow uprighting with orthodontics. Lastly, extraction of second molars and transplantation of third molars are treatment options more specific when the second molar is severely impacted, ankylosed or carious. Also, transplantation of third molars can only be chosen for a case-specific condition, when a third molar has a normal anatomic crown, root, shape and size, with no pathology which is not the case most often.

Overall, all these definitive treatments can best be planned if the patient reports late when there is a more severe impaction with time and due to growth. Hence, the current study suggests an outline for the clinician to seek preventive treatment and improved outcomes for the patient.

Conclusion

Early surgical extraction of the developing third molar along with orthodontic uprighting of the impacted second molar should be considered as an option in adolescents at their early permanent dentition stage.

Conflict of Interest: None

References:

1. Aitasalo K, Lehtinen R, Oksala E. An orthopantomographic study of prevalence of impacted teeth. International journal of oral surgery. 1972;1(3):117-120. https:// www.ncbi.nlm.nih.gov/pubmed/4199159.

2. Raghoebar GM, Boering G, Vissink A, Stegenga B. Eruption disturbances of permanent molars: A review. Journal of oral pathology & medicine. 1991;20(4):15966. https://api.istex.fr/ark:/67375/WNG-CVCCFSTN-X/fulltext.pdf. doi: 10.1111/j.1600-0714.1991.tb00913.x.

3. Andreasen JO. Textbook and color atlas of tooth impactions. 1. ed. ed. Copenhagen: Munksgaard; 1997.

4. Grover PS, Lorton L. The incidence of unerupted permanent teeth and related clinical cases. Oral surgery, oral medicine, oral pathology. 1985;59(4):420-425. https:// dx.doi.org/10.1016/0030-4220(85)90070-2. doi: 10.1016/0030-4220(85)90070-2.

5. Varpio M, Wellfelt B. Disturbed eruption of the lower second molar: Clinical appearance, prevalence, and etiology. ASDC journal of dentistry for children. 1988;55(2):114-118. https://www.ncbi.nlm.nih.gov/pubmed/3162471.

6. Johnsen DC. Prevalence of delayed emergence of permanent teeth as a result of local factors. The Journal of the American Dental Association (1939). 1977;94(1):100-106. https://dx.doi.org/10.14219/jada.archive.1977.0268. doi: 10.14219/jada.archive.1977.0268.

7. JCO-online copyright 2010 early surgical management of impacted mandibular second molars.

8. Shpack N, Finkelstein T, H. Lai Y, M. Kuftinec M, Vardimon A, Shapira Y.

Mandibular permanent second molar impaction treatment options and outcome. Open journal of dentistry and oral medicine. 2013;1(1):9-14. doi: 10.13189/ ojdom.2013.010103.

9. SHAPIRA Y, FINKELSTEIN T, SHPACK N, LAI YH, KUFTINEC MM, VARDIMON A. Mandibular second molar impaction. part 1: Genetic traits and characteristics. American journal of orthodontics and dentofacial orthopedics. 2011;140(1):32-37.

10. Wellfelt B, Varpio M. Disturbed eruption of the permanent lower second molar: Treatment and results. ASDC journal of dentistry for children. 1988;55(3):183-189. https://www.ncbi.nlm.nih.gov/pubmed/3164337.

11. Magnusson C, Kjellberg H. Impaction and retention of second molars: Diagnosis, treatment and outcome. A retrospective follow-up study. The Angle orthodontist. 2009;79(3):422-427. https://www.ncbi.nlm.nih.gov/pubmed/19413377. doi: 10.2319/021908-97.1.

12. Kravitz ND. Treatment with the mandibular Arnold expander. Journal of clinical orthodontics. 2014;48(11):689-696. https://www.ncbi.nlm.nih.gov/ pubmed/25707948.

13. Sawicka M, Racka-Pilszak B, Rosnowska-Mazurkiewicz A. Uprighting partially impacted permanent second molars. The Angle orthodontist. 2007;77(1):148-154. https://www.ncbi.nlm.nih.gov/pubmed/17029525. doi: 10.2319/010206-461R.1.

14. Becker A, Zilberman Y, Tsur B. Root length of lateral incisors adjacent to palatallydisplaced maxillary cuspids. The Angle orthodontist. 1984;54(3):218-225. https:// www.ncbi.nlm.nih.gov/pubmed/6592994.

15. Vedtofte H, Andreasen J, Kjær I. Arrested eruption of the permanent lower second molar. European journal of orthodontics. 1999;21(1):31-40. https://api.istex.fr/ ark:/67375/HXZ-NR8V6HNN-8/fulltext.pdf. doi: 10.1093/ejo/21.1.31.

16. Kravitz ND, Yanosky M, Cope JB, Silloway K, Favagehi M. Surgical uprighting of lower second molars. Journal of clinical orthodontics. 2016;50(1):33-40. https:// www.ncbi.nlm.nih.gov/pubmed/26919636.

17. Cerny R. Jumbo separators for partial molar impactions. Journal of clinical orthodontics. 2003;37(1):33-35. https://www.ncbi.nlm.nih.gov/pubmed/12621746.

18. Santoro M, Kim E, Teredesai M, Karaggiannopoulos N. Modified removable transpalatal bar for rapid uprighting of impacted second molars. Journal of clinical orthodontics. 2002;36(9):496-499. https://www.ncbi.nlm.nih.gov/ pubmed/12374035.

19. Miao YQ, Zhong H. An uprighting appliance for impacted mandibular second and third molars. Journal of clinical orthodontics. 2006;40(2):110-116. https://www. ncbi.nlm.nih.gov/pubmed/16534151.

20. Sato K. Impacted mandibular second molar with extruded maxillary second molar: A case report. World journal of orthodontics. 2005;6(1):25-29. https://www.ncbi. nlm.nih.gov/pubmed/15794039.

21. Zachrisson BU, Bantleon H. Optimal mechanics for mandibular molar uprighting. World journal of orthodontics. 2005;6(1):80-87. https://www.ncbi.nlm.nih.gov/ pubmed/15794045.

22. Shellhart WC, Moawad M, Lake P. Case report: Implants as anchorage for molar uprighting and intrusion. The Angle orthodontist. 1996;66(3):169-172. https:// www.ncbi.nlm.nih.gov/pubmed/8805910.

23. Prashanth CS. Molar uprighting simplified. International journal of contemporary dentistry. 2010;1(2). https://search.proquest.com/docview/901246745.

24. Davis WH, Patakas BM, Kaminishi RM, Parsch NE. Surgically uprighting and grafting mandibular second molars. American journal of orthodontics. 1976;69(5):555-561. https://dx.doi.org/10.1016/S0002-9416(76)80028-0. doi: 10.1016/S0002-9416(76)80028-0.

25. Haralabakis NB, Tsianou A, Nicolopoulos C. Surgical correction of mesially impacted mandibular second molars. Journal of clinical orthodontics. 2003;37(4):209-12; quiz 204. https://www.ncbi.nlm.nih.gov/pubmed/12747074.

26. Johnson JV, Quirk GP. Surgical repositioning of impacted mandibular second molar teeth. American journal of orthodontics and dentofacial orthopedics. 1987;91(3):242-251. https://dx.doi.org/10.1016/0889-5406(87)90454-9. doi: 10.1016/0889-5406(87)90454-9.

27. Proffit W FH. Contemporary orthodontics. 3rd ed. 3rd ed. St louis, mo: Mosby; 2000:11,541.

28. Giancotti A, Arcuri C, Barlattani A. Treatment of ectopic mandibular second molar with titanium miniscrews. American journal of orthodontics and dentofacial orthopedics. 2004;126(1):113-117. https://dx.doi.org/10.1016/j.ajodo.2003.08.025. doi: 10.1016/j.ajodo.2003.08.025.

29. Sohn BW, Choi JH, Jung SN, Lim KS. Uprighting mesially impacted second molars with miniscrew anchorage. Journal of clinical orthodontics. 2007;41(2):94-7; quiz 72. https://www.ncbi.nlm.nih.gov/pubmed/17473409.

30. Wellfelt B, Varpio M. Disturbed eruption of the permanent lower second molar: Treatment and results. ASDC journal of dentistry for children. 1988;55(3):183-189. https://www.ncbi.nlm.nih.gov/pubmed/3164337.

Evaluation of Long-Term Stability of Skeletal Class II Malocclusion by Surgery First Approach

Abstract:

AUTHORS

Dr. Amrit Thapa

MDS (Orthodontics & Dentofacial Orthopedics), Reader and Instructor, Department of Dental surgery & Oral Health Sciences, AFMC, Pune

Dr. Saugat Ray

MDS, Orthodontics & Dentofacial Orthopedics, Reader and Instructor Department of Dental Surgery and Oral Health Sciences, AFMC, Pune

Dr. BS Walia

M.D.S. (Orthodontics & Dentofacial Orthopedics), Assoc Professor, Department of Dental surgery & Oral Health Sciences, AFMC, Pune

Dr. Indranil Deb Roy MDS (Oral and Maxillofacial Surgery), HOD and Professor, Department of Dental surgery & Oral Health Sci-ences, AFMC, Pune

Dr. B Jayan

MDS (Orthodontics & Dentofacial Orthopedics), Commandant and Command Dental Advisor, Command Military Dental Centre, Lucknow

Dr. Amit Antil

BDS, Postgraduate Resident (Orthodontics & Dentofacial Orthopedics), Department of Dental Surgery & Oral Health Sciences, AFMC, Pune

A prospective cohort study was carried out at four different time intervals: T1 (pre-surgical), T2 (post-surgical), T3 (debonding), and T4 (8 years on average). The 23 outpatients who reported in tertiary hospital with skeletal class II dentofacial abnormalities included in study who underwent and successfully completed orthognathic surgery throughout the time frame of September 2008 to September 2015. The following cephalometric characteristics were examined: B, Go, Me, PoG, OJ (five horizontal and five vertical each) and GA, IA, MPA, RI, SNB (five angular). Surgical stability was assessed by evaluating the relapse rate over four different time intervals. Pre- and postsurgical relapse rates (T1 and T2), postsurgical relapse rates and debonding rates (T2-T3), and post-debonding and post-eight-year follow-up rates (T3 and T4) were all compared. The changes observed with respect to all the measured cephalometric parameters were subjected to repeated measures Analysis of Variance (ANOVA) where pair wise comparison was conducted for every parameter at four different time intervals. The comparison between pre-surgical and post-surgical (T1 and T2) and changes post debonding and post eight year follow up (T3 and T4) has been shown in Table 3. All parameters show statistically significant differences between time interval T1 and T2 (P-value>0.05). Whereas while evaluating the stability of the outcomes between T3 and T4, it was observed that no parameters showed statistically significant differences that showed skeletal stability even after long term evaluation. The SFOA is effective and reliable method as seen in follow up cases for long term duration.

Keywords: Surgery first approach, long term skeletal stability, bilateral saggital split osteotomy

Conflict of Interest: None

Introduction:

Orthognathic surgery is used to treat both the function and aesthetic elements of a dentofacial malformation by correcting its skeleton. Preoperative orthodontic treatment, orthognathic surgery, and postoperative orthodontic treatment are all included in the traditional threestage approach (CTM). 1 Though it has a number of disadvantages, including being time-consuming and having an ugly appearance during the compensatory period, this standard method is thought to be steady and predictable. The 1960s saw the beginnings of the now-burgeoning field of surgery-first orthognathic technique. The development of SFOA is illustrated by a summary of the surgery-first orthognathic technique. The ideas and methods of “jaw surgery” pioneers and predecessors influenced the development of the surgeryfirst orthognathic approach (SFOA). SFOA underwent a rebirth in the context of the changing arsenal and evidence of the contemporary day, transitioning from a strong dependence on “methodological judgment” of the early resurrection days to a more concrete cognitive process.2,3

Preoperative orthodontic treatment usually takes 12 to 24 months. During this phase, patients may experience discomfort as a result of deteriorating mastication and distorted facial aesthetics due to the decompensation done during alignment phase. 4,5 In 2009, Nagasaka et al. suggested a surgery-first strategy for orthognathic surgery in an effort to counteract this drawback. The period of treatment can be greatly reduced with this strategy. Furthermore, changes in the face profile can be seen instantaneously, which encourages patient cooperation during therapy. Furthermore, the localized acceleratory phenomenon causes tooth movement to accelerate during postoperative treatment.6

The long-term stability of the surgery first method in a large sample size has not yet been assessed in any publication. In order to assess any surgical recurrence, we have examined our patients who have undergone surgery-first orthognathic

*This article has been peer reviewed

method over a different time interval as mentioned in methodology using various cephalometric markers tabulated in Table 1. The purpose of present study was to assess the degree of short- and long-term skeletal relapse using cephalometric methods and to identify the elements that contribute to it at various postoperative phases.

Materials and Methods

A prospective cohort study was carried out where surgical results of the procedure were examined in this study, initially at four different time intervals: T1 (pre-surgical), T2 (post-surgical), T3 (debonding), and T4 (8 years on average). The 23 patients with skeletal class II dentofacial abnormalities included in study who underwent and successfully completed orthognathic surgery throughout the time frame of September 2008 to September 2015. Institutional Review Boards waiver was taken for the study as part of tertiary hospital protocol. Patients in the surgeryfirst group were included in the study after considering the inclusion and exclusion criteria. In order to minimize bias in our study, various exclusion criteria include patients with cleft-related syndromes, those who had orthognathic operations due to facial asymmetry or class II deformity, and with severe open bite. Based on clinical representation, model analysis and cephalometric tracing, the patients were selected for SFOA and comprehensive treatment plan was formulated by orthodontist and maxillofacial surgeon. A splint was fabricated and model surgery was carried out without perfuming orthodontic alignment. Following that, the patient underwent orthognathic surgery while under general anaesthesia were bilateral sagittal split osteotomy with symmetrical advancement of mandible was done. After a two-week surgical recovery period, orthodontic treatment was initiated. The duration of postoperative orthodontic treatment was recorded at different time interval.

An attempt was made to obtain cephalometric radiographs at various time interval i.e. T1 (Preoperative), T2 (Post surgical), T3 (Debonding) and after average of eight years. In order to keep variability of the measurement error at a minimum, all cephalometric radiographs were taken in the same cephalostat using

a cephalometric head holder. The same examiner traced and examined each radiograph. On the radiographs, an x–y cranial base coordinate system was created as the foundation for the measurement. The Sella-Nasion line, or Se-N-line, was designated as the horizontal reference line on an x-axis. At the sella (y-axis), a vertical

reference line was produced and drawn perpendicular to this line. Fig. 1 displays the reference lines that were used and the cephalometric landmarks that were found. Table. 1 lists the landmarks’ definitions. A surrogate horizontal plane (XN) was constructed 70 above the SN plane. A perpendicular (X0 Y) was drawn from XN

Fig.1: Cephalometric landmarks identified and the reference lines.
Table. 1: Definition of the Landmarks

at Sella (S) point.7

The following angular characteristics were examined: changes in gonial angle, ramus inclination, and interincisal angle; changes in mandibular plane angle (for change in mandibular plane (ML) in relation to Frankfort Horizontal (FH) plane); and SNB angle (for change in mandibular sagittal position). Pre- and post-surgical relapse rates, post-surgical relapse rates and debonding rates, and post-debonding and post-eight-year follow-up rates were all compared. Single operator performed all of the cephalometric tracings obtained at various time interval mentioned in the study. After three weeks, a senior orthodontist (SD) and the same operator retraced twenty randomly chosen cephalograms to determine intra- and inter-operator bias. With a kappa score of 0.9, both intra- and inter-operator agreement was excellent. After being assembled into Microsoft Excel sheets, the data was statistically analyzed.

STATISTICAL EVALUATION

The cephalometric values at different time intervals were recorded in Excel sheet and statistical evaluation was conducted in SPSS 21 ver. The changes observed with respect to all the measured cephalometric parameters were subjected to repeated measures Analysis of Variance (ANOVA) where pair wise comparison was conducted for every parameter at four different time intervals with level of significance at 0.05 and 95 % confidence interval. Mauchly’s Test of Sphericity was conducted to check for the variances of the differences between all possible pairs.

RESULTS

Descriptives data showed means and standard deviation of all 15 parameters at four different stages. The p-values associated with Mauchly’s Test for all the parameters were less than the level of significance of 0.05. Therefore, there was enough data to draw the conclusion that assumption of equal variances of the differences between every feasible combination of within-subject conditions was not met as reflected in Table 2.

Repeated measures ANOVA was conducted to find out the changes in all parameters from T1 to T4 followed by pairwise comparison of all the parameters at different stages. The comparison between pre-surgical and post-surgical

Table. 2: Descriptive values for all parameters
Table. 3: Pairwise comparison of all parameters

and changes post debonding and post eight year follow up (T3 and T4) has been shown in Table 3. All parameters show statistically significant differences between time interval T1 and T2. Whereas while evaluating the stability of the outcomes between T3 and T4, it was observed that no parameters showed statistically significant differences that showed skeletal stability even after long term evaluation. Statistical analysis of the changes in selected cephalometric landmarks using the linear model where horizontal and angular cephalometric parameters showed significant changes in time interval T1 -T2 period with no significant changes in time interval between T2-T3 and T3-T4 whereas vertical cephalometric parameters showed significant changes in time interval T1 -T2 and T2-T3 period with no significant changes in time interval between T3-T4 (Fig. 2, 3 & 4).

Discussion

Two orthodontic phases are involved in conventional orthognathic–orthodontic treatment: a preoperative phase during which the majority of the orthodontic movements are executed to produce a precise, stable occlusion, and a postoperative period during which minor adjustments are made. In order to align the mandible and maxillary dentition into an ideal occlusion following orthognathic surgery, preoperative orthodontic treatment is performed to decompensate prior to the procedure. It is thought that when correcting the skeletal abnormality, tooth position limits bone movement if proper presurgical dental decompensation is not performed.8, 9 However, this is time consuming and unpleasant. The duration of presurgical orthodontic preparation varies based on severities, ranging from 12 to 24 months. Due to the dental decompensation required in the classical surgery last protocol, patients can experience a slight worsening of their quality of life as it worsens the profile and alter the function during the lengthy preoperative orthodontic period. In the surgery first approach procedure, which allows patients to experience an sudden improvement immediately following orthognathic surgery due to improvement in facial profile at early phase of treatment.10,11 The surgical technique offers numerous benefits, particularly for patients with obstructive sleep apnoea syndrome and those who may experience psychological effects. A reduction in the total treatment time is the most notable benefit of a surgery first approach, which has been well documented in the literature.12 However, because of significant study heterogeneity, significant reporting bias, and a lack of long-term follow-up in all planes, there is disagreement over the long-term stability of the SFOA comparison to the SL protocol.13,14,15

But in our study, anteroposterior stability was recorded at time interval T3-T4 by examining various cephalometric landmarks such as HBT, HGoT, HMeT, HPoGT, HOJT, VBT, VGoT, VMeT, VPoGT, VOBT, GAT, IAT, MPAT, RIT, SNBT (Table. 2). Although the groups initially showed minor significant difference in certain vertical cephalometric parameters such as VGoT, VMeT, VPoGT and VBT at time interval T2-T3. Clinically, all surgery first cases were observed for duration of average of eight years at time interval T3-T4 showed good surgical stability in horizontal, vertical and angular parameters (Table. 3). Without orthodontic treatment before to orthognathic surgery, the mandible often exhibits mild degree of relapse especially in vertical parameters due to dental interference which was removed over period of treatment post surgically as reflected in during time interval T2-T3 (Table 2). Similar finding was observed in study done by Woo Shik Jeong et al in 2017 where

Fig.2: Horizontal parameters
Fig.3: Vertical parameters
Fig. 4: Angular parameters

they have compared surgery first approach cephalometrically with convention orthognathic surgery where they observed that anteroposterior stability only was maintained in the surgery first approach whereas this study which was initiated for considerable period of eight years and more is the only study done till now related to surgery first approach surgical stability in all planes.16 Reduced treatment duration appears to be significantly influenced by the direction of postsurgical orthodontic movement, which aligns with natural dental compensational movement. Because postsurgical orthodontic treatment overcomes the transient postoperative occlusal instability, it would be significantly more effe ctive than presurgical orthodontic treatmen t in g uid ing dental movement in the opposite direction of the normal dental adaptation process.1

Conclusion

T his study concluded that th e S F OA is very effective a nd stable procedure in selected cases over long period follow up, who met the inclusion criteria as mentioned in methodology. Despite the SFOA’s inherent advantages, there are a numerous challenges and drawbacks that need to be taken into account like the final occlusion cannot be predicted since it cannot be used as a reference to determine treatment targets. An accurate diagnosis and thorough therapy planning are necessary for this therapeutic st r ategy were surgical plan a n d postoperative orthodo n t ic movements are precisely coordinated, necessitating ongoing contact between the orthodontist and the surgeon.

References

1. Jeong WS, Lee JY, Choi JW. Large-Scale Study of Long-Term Anteroposterior Stability in a Surgery-First Orthognathic Approach Without Presurgical Orthodontic Treatment. Journal of Craniofacial Surgery. 2017;28(8): p 2016-2020.

2. Proffit WR TT, Phillips C: Orthognathic surgery: a hierarchy of stability. Int J Adult Orthodon Orthognath Surg.1996; 11:1991.

3. Xu B JZ, Hagg U, Tideman H, Piette E: Presurgical orthodontic decompensation of mandibular incisors. Aust Orthod J Oct.1995;14(1):28-33.

4. Flanary CM, Alexander JM. Patient responses to the orthognathic surgical experience: factors leading to dissatisfaction. J Oral Maxillofac Surg.1983 41:770–4.

5. Dowling PA, Espeland L, Krogstad O, Stenvik A, Kelly A. Duration of orthodontic treatment involving orthognathic surgery. Int J Adult Orthodon Orthognath Surg.1999; 14:146–52.

6. Nagasaka H, Sugawara J, Kawamura H, Nanda R. Surgery first skeletal class III correction using the skeletal anchorage system. J Clin Orthod.2009; 43:97–105.

7. Eggensperger N, Smolka K, Luder J, Iizuka T. Short- and long-term skeletal relapse after mandibular advancement surgery. Int J Oral Maxillofac Surg.2006; 35:36–42.

8. Sabri R. Orthodontic objectives in orthognathic surgery: state of the art today. World J Orthod 2006; 7:177–91.

9. Grubb J, Evans C. Orthodontic management of dentofacial skeletal deformities. Clin Plast Surg.2007; 34:403–15.

10. Park JK, Choi JY, Yang IH, Baek SH. Patient’s satisfaction in skeletal Class III cases treated with two-jaw surgery using orthognathic quality of life questionnaire: conventional three-stage method versus surgery-first approach. J Craniofac Surg.2015; 26:2086–93.

11. Vongkamolchoon S, Sinha SP, Liao YF, Chen YR, Huang CS. The impact of a surgery-first approach on oral health-related quality of life. Int J Oral Maxillofac Surg.2021 50:1336–41.

12. Giralt-Hernando M, Valls-Ontanon A, Guijarro-Martínez R, Masià-Gridilla J, Hernández-Alfaro F. Impact of surgical maxillomandibular advancement upon pharyngeal airway volume and the apnoea–hypopnoea index in the treatment of obstructive sleep apnoea: systematic review and meta-analysis. BMJ Open Respir Res.2019 9;6(1): e000402.

13. Peiró-Guijarro MA, Guijarro-Martínez R, Hernández-Alfaro F. Surgery first in orthognathic surgery: a systematic review of the literature. Am J Orthod Dentofacial Orthop.2016;149:448–62.

14. Yang L, Xiao YD, Liang YJ, Wang X, Li JY, Liao GQ. Does the surgery-first approach produce better outcomes in orthognathic surgery? A systematic review and meta-analysis. J Oral Maxillofac Surg.2017; 75:2422–9.

15. Wei H, Liu Z, Zang J, Wang X. Surgery first / early-orthognathic approach may yield poorer postoperative stability than conventional orthodontics-first approach: a systematic review and meta-analysis. Oral Surg Oral Med Oral Pathol Oral Radiol.2018;126:107–16.

16. Woo Shik Jeong. Large-Scale Study of Long-Term Anteroposterior Stability in a Surgery-First Orthognathic Approach Without Presurgical Orthodontic Treatment: Part II J Craniofac SurgJun.2018;29(4):953-958.

The Key to Better Patients is to Educate and Elevate

The success of your practice comes down to one simple truth: you can’t wait for better patients to walk in the door – you have to create them. And you do this by following a powerful process: educate and elevate.

This is the key to turning every interaction into an opportunity to build long-term patient loyalty and transform your practice. Many doctors make the mistake of lowering their standards to meet the expectations of patients who aren’t aware of all that dentistry can do for their lives. They only offer quick fixes to urgent needs or let patients dictate the conversation from the start.

But that’s the wrong approach.

You don’t start at the patient’s level. You start at your level – and you bring them up. You educate them about their longterm health and then you elevate their mindset about what they deserve.

That’s how you build better patients.

Educate and Elevate

The truth is, it’s not difficult to get patients to make smart decisions about their health. If they’re properly educated, they will see the value. But that’s on you. Your job is to inform, inspire, and guide them to make those decisions for themselves.

And believe me, there are plenty of great patients out there. You don’t need to attract everyone. In fact, that’s the problem – too many practices try to be all things to all people. They cater to the masses and wonder why they can’t break free from volume-driven care.

Here’s what you need to do: focus on the 20%. The toptier patients. These are the ones who appreciate the value of comprehensive care, who are committed to their health, and who will invest in long-term solutions. Screen out the 80%who don’t align with your practice philosophy.

What happens when you do this?

You create better patients. Patients who value you, your expertise, and the care you provide. And in return, you create a better practice – one built on relationships, not transactions.

Beat Them, Don’t Join Them

Don’t worry about what the rest of the industry is focused on – simply focus on your practice mission and clinical philosophy. After all, you can’t beat the competition by copying the DSO approach.

Most of these practices are built on the idea of volume. And that’s where you can win by playing a different game. You’re not chasing volume – you’re chasing value. By focusing on relationship-based care, you position yourself to beat DSO-types in the one place they can never compete: personalized, patientfocused care.

While DSOs are growing, you can carve out your own space. Play the game on your own terms, in your own arena. Don’t get sucked into the volume trap or commoditized care.

Stay focused on your identity, your mission, and your philosophy of care.

Insurance Isn’t Your Savior – It’s Your Shackle

Let’s get real about insurance. Insurance doesn’t bring you patients. What it brings is a pre-conditional commoditized mentality to your practice by putting you in a pool of other providers. When you rely on insurance, you’re letting your value be dictated by third parties who don’t care about you or your patients.

Now, don’t get me wrong – insurance can be leveraged. It can be used as a tool, even a form of patient generation. But don’t fool yourself into thinking that discount dentistry will help you achieve your goals.

If your practice is dependent on insurance, you don’t have a truly independent business. You’re at the mercy of insurance companies. You don’t own your economy – they do.

Create Your Own Economy

Now, on that topic, here’s the most important part: you can create your own economy.

Too many doctors get caught up in what the larger economy is doing – what the market looks like, how money is moving, what the competition is doing. But the truth is that it doesn’t matter.

Generally, it’s all manipulated anyways. Strings are pulled, decisions are made, and outside forces control the narrative.

But inside the four walls of your practice, you control everything.

That’s the power of creating your own economy. You build a bubble around your practice, your patients, and your community. The care you provide, the relationships you build, and the loyalty you inspire all exist inside that bubble.

And in that space, you design the rules.

This is how you make your own economy. You stop worrying about what the rest of the world is doing and focus on your practice, your vision, and your patients.

By doing that, you create independence. You create freedom from the constraints of insurance, corporate dentistry, and market conditions. You aren’t bound by external forces because you’ve built a world where you’re in control.

This is where independence lives. This is where you make your own rules and build a better future for yourself, your team, and your patients.

The result? More profitable dentistry on your own terms, and the satisfaction of knowing you’re not at the mercy of the industry.

Relationship Between Vertical Facial Pattern and Dental Arch Form in Class II Division I Malocclusion

Abstract:

AUTHORS

Dr. Kurapati Krishna Teja

MDS (Orthodontics & Dentofacial Orthopedics), Reader and Instructor, Department of Dental surgery & Oral Health Sciences, AFMC, Pune

Dr. Mayuri Thomas

MDS, Orthodontics & Dentofacial Orthopedics, Reader and Instructor Department of Dental Surgery and Oral Health Sciences, AFMC, Pune

Dr. V Deepti

M.D.S. (Orthodontics & Dentofacial Orthopedics), Assoc Professor, Department of Dental surgery & Oral Health Sciences, AFMC, Pune

Dr. Akshay Goje

MDS (Oral and Maxillofacial Surgery), HOD and Professor, Department of Dental surgery & Oral Health Sci-ences, AFMC, Pune

Dr. Sonali Rathore

MDS (Orthodontics & Dentofacial Orthopedics), Commandant and Command Dental Advisor, Command Military Dental Centre, Lucknow

Dr. Vennela

BDS, Postgraduate Resident (Orthodontics & Dentofacial Orthopedics), Department of Dental Surgery & Oral Health Sciences, AFMC, Pune

Background: This study investigates dental arch widths relative to vertical facial patterns in Class II Division I malocclusion, examining variations across horizontal, average, and vertical growth patterns.

Methods: A cohort of 120 subjects aged 8-30 years was categorized based on vertical growth patterns. Measurements from cephalograms and dental casts were subjected to statistical analyses including Kruskal-Wallis and Chi-Square tests (p ≤ 0.05).

Results: Significant differences in dental arch widths were observed among vertical growth patterns, with horizontal growth presenting wider arches compared to average and vertical growth patterns. Negative correlations were noted between SN-MP angle and arch widths, indicating narrower arches with increased SN-MP angles.

Conclusion: Vertical facial morphology significantly influences dental arch dimensions in Class II Division I malocclusion. Orthodontic treatment planning should consider these variations to achieve optimal and stable outcomes tailored to individual growth patterns.

Keywords: Dental arch form, Class II Division I malocclusion, Inter-molar and premolar width, Cephalometric analysis, Arch dimensions, SN-MP angle.

Conflict of Interest: None

Introduction:

In orthodontic practice, achieving optimal dental arch form is crucial for treatment success and long-term stability. This goal is influenced by a complex interplay of genetic, functional, and environmental factors, particularly in relation to vertical growth patterns. Maintaining appropriate arch forms not only prevents relapse but also enhances overall dental health.

Recent advancements in orthodontic materials and techniques have facilitated faster alignment of dental arches. However, the challenge persists in matching available arch wires with patient-specific arch dimensions effectively. Understanding the impact of vertical facial morphology on dental arch dimensions is pivotal for accurate diagnosis and treatment planning. For instance, individuals with longer facial structures often exhibit narrower maxillary intermolar widths and reduced transverse dimensions, whereas those with shorter facial profiles tend to display larger crosssectional measurements.1

Gender-specific variations in dental arch dimensions further underscore the complexity of orthodontic treatment. Studies by Wei (1970) 2 and Eroz et al. (2000) 3 have documented significant differences in maxillary and mandibular inter-canine and intermolar widths across different populations and age groups, highlighting the need for personalized treatment approaches.

The stability of orthodontic outcomes, characterized by achieving and maintaining optimal occlusion, remains a primary concern. This study focuses on exploring the relationship between dental arch widths and vertical growth patterns in Class II Division I malocclusion. By elucidating these connections, the research aims to contribute valuable insights for refining orthodontic interventions and improving treatment longevity.4

Materials and Methods

The study sample consisted of 120 subjects, both male and female, aged 8-30 years. Vertical facial patterns were

*This article has been peer reviewed

categorized into three groups: horizontal growth pattern, average growth pattern, and vertical growth pattern (Figure 1). Pretreatment lateral cephalograms (Figure 2) and dental casts (Figure 3) were obtained for each subject. Measurements of intercanine widths, intermolar widths, arch lengths of maxillary and mandibular casts, and arch perimeter were taken using digital calipers (Figure 4). Statistical analyses were performed using the Kruskal-Walli’s test and Chi-Square test, with a significance level set at p ≤ 0.05.

Fig.1: Cephalometric Tracing for Hard Tissue Analysis
Fig.2: Lateral Cephalogram
Fig.3: Dental Cast
Fig. 4: Digital Vernier Calipar

RESULTS

The study revealed notable differences in dental arch widths across various vertical facial growth patterns. Subjects with a horizontal growth pattern consistently displayed the largest inter-premolar and inter-molar distances, with average maxillary inter-premolar and inter-molar distances of 37.51 mm and 47.72 mm, respectively (Table 1, 2, and Graph 1, 2). Conversely, those with a vertical growth pattern exhibited the smallest measurements, averaging 33.86 mm for maxillary inter-premolar and 44.12 mm for maxillary inter-molar distances. These differences were statistically significant (p < 0.001). Significant negative correlations were found between the SN-MP angle and dental arch widths, indicating that as the SN-MP angle increased, the inter-premolar and inter-molar distances decreased Table 3, 3a, 4). Landmark identification is greatly affected by operator experience, which might be as important as the tracing method itself. Because interoperator error has in general been found to be greater than intraoperator error, all measurements in this study were carried out by one examiner to minimize error.5

Graph 1: Descriptive statistics of age
Table 2: Distribution based on gender
Graph 2: Distribution based on gender
Graph 3: Mean comparison of maxillary inter-premolar distance according to growth
Table 3: Mean comparison of maxillary inter-premolar distance according to growth
Table 3a: Pairwise comparison- post hoc analysis (Dunn’s test)
Table 1: Descriptive statistics of age

Table 4: Mean comparison of maxillary inter-molar distance according to growth

4A: Pairwise comparison – post hoc analysis (Dunn’s test)

4: Mean comparison of maxillary inter-molar distance according to growth

5: Mean comparison of mandibular inter-premolar distance with growth

Graph 5: Mean comparison of mandibular inter-premolar distance with growth

6: Mean comparison of mandibular inter-molar distance according to growth

Table 6a: Pairwise comparison-post hoc analysis (Dunn’s test)

Table
Graph
Table
Table 5a: Pairwise comparison – post hoc analysis (Dunn’s test)
Table
Graph 6: Mean comparison of mandibular inter-premolar distance with growth

7: Mean comparison of

according

Discussion

Vertical Growth Patterns and Dental Arch Dimensions

The findings of this study confirm that individuals with different vertical growth patterns exhibit significant differences in their dental arch dimensions. Subjects with a horizontal growth pattern consistently displayed the largest inter-premolar and inter-molar distances. In contrast, those with a vertical growth pattern exhibited the smallest measurements. These differences were statistically significant, indicating a clear relationship between vertical facial growth and dental arch width.

Previous studies have reported similar findings, suggesting that vertical growth patterns can influence dental arch morphology. For instance, studies by Björk and Skieller (1983)6 and Schudy (1964)7 have shown that long-faced individuals tend to have narrower dental arches, while short-faced individuals have broader arches. The current study adds to this body of evidence by providing specific measurements of inter-premolar and intermolar distances across different vertical growth patterns.

Implications for Orthodontic Treatment

Understanding the relationship between vertical facial morphology and dental arch dimensions has practical implications for orthodontic treatment planning. For example, individuals with a vertical growth pattern may require different treatment strategies compared to those with a horizontal growth pattern. Orthodontists need to consider these differences when selecting arch wires and designing treatment plans to ensure optimal outcomes.

One practical implication is the selection of arch wire shapes and sizes. For patients with a vertical growth pattern and narrower dental arches, orthodontists may need to use arch wires that promote transverse expansion to achieve a more favorable arch form8. Conversely, for patients with a horizontal growth pattern, maintaining the existing arch width might be more appropriate.

Stability and Relapse

The stability of orthodontic treatment outcomes is a critical concern for both orthodontists and patients. The current study’s findings suggest that vertical facial growth patterns can influence post-treatment stability. Patients with a vertical growth pattern and narrower dental arches may be more prone to relapse, as their dental arches may not have the inherent stability seen in patients with broader arches.4

To mitigate the risk of relapse, orthodontists may consider using retention strategies that are tailored to the patient’s vertical growth pattern. For instance, fixed retainers or long-term use of removable retainers may be necessary to maintain arch width and prevent relapse in patients with a vertical growth pattern. Additionally, addressing underlying skeletal discrepancies through orthognathic surgery or other means may enhance the stability of orthodontic outcomes in these patients.

Cephalometric Analysis and SN-MP Angle

The significant negative correlations between the SN-MP angle and dental arch widths further support the influence of vertical facial growth on dental arch morphology. The SN-MP angle is a commonly used cephalometric measurement to assess mandibular plane inclination and vertical growth pattern. The findings of this study indicate that as the SN-MP angle increases,

Table
maxillary inter-premolar distance
Graph 5: Mean comparison of maxillary inter-premolar distance according to growth
Table 8: Correlation of Sn-Mp with inter-premolar and inter-molar distance.

indicating a more pronounced vertical growth pattern, the interpremolar and inter-molar distances decrease.9

These correlations underscore the importance of comprehensive cephalometric analysis in orthodontic diagnosis and treatment planning. By evaluating the SN-MP angle and other cephalometric parameters, orthodontists can gain a better understanding of the patient’s vertical growth pattern and its impact on dental arch dimensions. This information can guide the selection of appropriate treatment modalities and improve the predictability of treatment outcomes.

Gender Differences and Age Factors

While this study did not specifically analyze gender differences or age-related changes in dental arch dimensions, previous research has indicated that these factors can also influence arch morphology. For instance, males typically exhibit larger dental arch dimensions compared to females, and dental arch dimensions can change with age due to growth and development.10

Future research could further explore these aspects to provide a more comprehensive understanding of the factors influencing dental arch dimensions. Including a larger and more diverse sample could help to generalize the findings and enhance their applicability in clinical practice.

Conclusion:

This study underscores the importance of considering vertical facial morphology in orthodontic diagnosis and treatment planning. Significant differences in dental arch dimensions were observed across different vertical facial growth patterns, with horizontal growth patterns showing the largest arch widths and vertical patterns showing the smallest. Negative correlations between the SN-MP angle and dental arch widths further support that increased vertical facial dimensions are associated with narrower dental arches. These findings provide valuable insights for orthodontists in devising effective and stable treatment plans, tailored to individual growth patterns.

References:

1. McNamara, J. A., Jr. (2000). Maxillary transverse deficiency. American Journal of Orthodontics and Dentofacial Orthopedics, 117(5), 567-570. doi:10.1016/S0889-5406(00)70205-9

2. Wei, S. H. Y. (1970). Maxillary and mandibular arch width in normal occlusion and malocclusion. Angle Orthodontist, 40(1), 36-41. doi:10.1043/0003-3219(1970)040<0036>2.0.CO;2

3. Eroz, U., Ceylan, I., & Aydemir, S. (2000). Inter-canine and inter-molar width in a Turkish population. American Journal of Orthodontics and Dentofacial Orthopedics, 117(5), 499-504. doi:10.1016/ S0889-5406(00)70201-1

4. Proffit, W. R., Fields, H. W., & Sarver, D. M. (2012). Contemporary Orthodontics (5th ed.). St. Louis, MO: Elsevier.

5. An evaluation of the errors in cephalometric measurements on scanned cephalometric images and conventional tracings KorkmazSayinsu, FulyaIsik, GöksuTrakyaliand TülinArun Department of Orthodontics, Faculty of Dentistry, Yeditepe University, Istanbul, Turkey

6. Björk, A., & Skieller, V. (1983). Growth of the maxilla in three dimensions as revealed radiographically by the implant method. British Journal of Orthodontics, 10(1), 53-70. doi:10.1179/bjo.10.1.53

7. Schudy, F. F. (1964). Vertical Growth versus Anteroposterior Growth as Related to Function and Treatment. The Angle Orthodontist, 34(2), 75-93. doi:10.1043/0003-3219(1964)034<0075>2.0.CO;2

8. Wagner, D. M., & Chung, C. H. (2005). Transverse growth of the maxilla and mandible in untreated girls with low, average, and high MP-SN angles: a longitudinal study. American Journal of Orthodontics and Dentofacial Orthopedics, 128(6), 716-723. doi: 10.1016/j.ajodo.2004.09.014

9. Kim, Y. H., & Kim, J. H. (2011). Relationship between vertical growth patterns and dental arch dimensions in Korean adults. Journal of Korean Association of Oral and Maxillofacial Surgeons, 37(4), 209-215. doi:10.5125/jkaoms.2011.37.4.209.

10. Bhowmik, S. G., Hazare, P. V., & Bhowmik, H. (2012). Correlation of the arch forms of male and female subjects with those of preformed rectangular nickel-titanium archwires. American Journal of Orthodontics and Dentofacial Orthopedics, 142(3), 364-373. doi: 10.1016/j. ajodo.2012.02.020

TIPS FROM THE EXPERIENCED

The Sidekick

The Sidekick is a bondable hook which was engineered to work seamlessly with Carriere Motion 3D Appliances, as opposed to other hook options. Features include low profile for comfort, a micro-etched base for bond strength, and a hook shape to better hold elastics in place.

The author was exposed to the Sidekick when he was introduced to the Carrier 3D Appliances. He developed a penchant for it, and he uses it also as a hook for forced eruption (elevation) of mandibular posterior sextants during the orthodontic phase of TM dysfunction treatment.

References

1. Palencar A. J. Case Finishing and Mechanics, Rondeau Seminars

2. Personal experience

3. Cerum Ortho Organizers Catalpogue; I6

Turn static files into dynamic content formats.

Create a flipbook
Issuu converts static files into: digital portfolios, online yearbooks, online catalogs, digital photo albums and more. Sign up and create your flipbook.
Winter 2024-25 by internationaljournaloforthodontics - Issuu