Charlotte RCW Slide Deck

Page 1

Thank you for joining us today for the June 22nd, 2024, International

Welcome!
Myeloma Foundation’s Regional Community Workshop –Charlotte

Thank you to our sponsors!

IMF Regional Community Workshop June 22nd, 2024 - Agenda

9:00 – 9:05 AM Welcome & Introductions, Yelak Biru

9:05 – 9:20 AM IMF’s Vision, Yelak Biru

9:20 – 9:50 AM Myeloma 101, Pete Voorhees, MD

9:50 – 10:00 AM Q&A

10:00 – 10:35 AM Life is a Canvas, You are the Artist – Amy Pierre, RN, MSN, ANP-

10:35 – 10:45 AM Q&A

10:45 – 11:00 AM Coffee Break

11:00 – 11:35 AM Frontline Therapy, Cindy Vargas, MD

11:35 – 11:45 AM Q&A

11:45 AM – 12:00 PM Engaging & Partnering with the IMF Sylvia Dsouza

11:45 AM – 12:40 PM LUNCH

BC

12:40 – 1:10 PM

IMF Regional Community Workshop

June 22nd, 2024 – Agenda after lunch

Local Patient & Care Partner Panel

Patients – Ellen Herman & Ivy Walker

Care Partners – Bruce Herman & Ron Walker

1:10 – 1:30 PM Maintenance Therapy, Cindy Varga, MD

1:30 – 1:40 PM Q&A

1:40 – 2:25 PM Relapsed Therapies & Clinical Trials, Pete Voorhees, MD

Closing Remarks/Coffee & Networking

Q&A
2:25 – 2:35 PM
2:35 – 3:00 PM

Multiple Myeloma affects patients and families.

The IMF provides FREE resources to help both patients and families.

Established in 1990, the IMF’s InfoLine assists over 4600 callers annually and answers questions across a wide variety of topics including:

Frequent topics:

 Treatment questions along the spectrum of care

 Clinical Trial access and understanding

 Side effect management and health issues

 Financial resources for myeloma-related expenses

 Myeloma Specialist Referral contact information

 Support group information

 Caregiver Support

6 Contact the InfoLine: 800-452-CURE (2873) InfoLine@myeloma.org
Paul Hewitt, Missy Klepetar, & Teresa Miceli

Educational Publications

A core mission of the IMF is to provide thorough and cutting-edge education to the

New publications
The IMF Support Group Team is Here For You! 8 Shared Experiences Help to Better Understand the Myeloma Journey • Support Groups Empower Patients & Care Partners with information, insight, & hope • The IMF provides educational support to a network of over 150 myeloma specific groups We are happy to help connect you with an existing support group or help form a new one! We assist with virtual, in-person, and hybrid options for meetings. Reach out to us at SGTeam@myeloma.org Support.myeloma.org

Local Support Groups: You Are Not Alone!

 The Charlotte Area Multiple Myeloma Support Group

 Meets in-person on the 3rd Saturday of every other month at 10am Eastern

 The Asheville Multiple Myeloma Support Group

 Meets in-person on the 1st Tuesday of each month at 10am Eastern

 The Historic West

Charlotte Multiple Myeloma Support Group

 Meets virtually on the 3rd Saturday of each month at 11am Eastern

9

Local Support Groups: You Are Not Alone!

 The Lake Norman Area Multiple Myeloma Support Group

 Meets in-person on the 3rd Thursday of each month at 6:30pm Eastern

 The Triangle Area Multiple Myeloma Support Group

 Meets in-person on the 4th Saturday of each month at 10am Eastern

 The Western Wake Multiple Myeloma Support Group

 Meets in a hybrid fashion on the 2nd Saturday of each month at 10am Eastern

 The Winston-Salem Multiple Myeloma Support Group

 Meets in a hybrid fashion on the 4th Wednesday of each month at 11:30am Eastern

10

IMF – Special Interest Virtual Groups

Special interest groups are designed as a supplemental support for specific populations of patients, in addition to their local Support Groups

 Las Voces de Mieloma

 Designed for Spanish speaking patients only

 Living Solo & Strong with Myeloma

 Designed for patients without a care partner

New!

Care Partners Only

 Designed to address the needs of care partners only

 Smolder Bolder

 Created for people living with Smoldering Multiple Myeloma

 MM Families

 High Risk Multiple Myeloma

 Designed to address the needs of the high-risk MM population

 MGUS 4 Us

 Created for people living with MGUS

 For patients/care partners with young children

11

IMF’s Vision

year Myeloma Patient

Vision

A world where every myeloma patient can live life to the fullest, unburdened by the disease.

Our Four Pillars

The potential of coordinated, consolidated and global SUPPORT to patients and their partners is unparalleled

The need for informed and global ADVOCACY is critical to both improving lives and finding the cure

Raise the Bar

Examine the why of all our actions to ensure they are purpose-driven, meaningful, and effective.

Mission

Improving the quality of life of myeloma patients while working toward prevention and a cure!

Myeloma specific EDUCATION historically was not patient directed nor of high caliber – the right knowledge is power

The medical and RESEARCH world can often exist in silos due to institutional demands and limitations

Strategy

Broaden our Reach

Address unmet patient needs by expanding our reach to diverse & underserved populations in everything we do.

Innovate Every Step of The Way

Provide those who need it most with what they need the most, throughout their myeloma journeys.

13 8

Myeloma 101

Pete Voorhees, MD

Atrium Health, Levine Cancer Institute Charlotte,

NC

Clinical Professor of Medicine, Wake Forest University School of Medicine

Myeloma 101

• Multiple myeloma is a cancer of plasma cells

• Plasma cells are a type of white blood cell that reside in the bone marrow and produce antibodies to fight infection

• When a plasma cell acquires the right set of gene mutations and chromosome changes, they can turn cancerous and accumulate in the bone marrow, leading to multiple myeloma

What is Multiple Myeloma?
Bone marrow

• The 2nd most common blood cancer in the US

• The most common blood cancer in Black patients in the US

• Represents 1.8% of all new cancer diagnoses in the US

• 34,920 newly diagnosed patients in the US in 2021

• 138,415 patients living with myeloma in 2021

SEER Cancer Stat Facts: Myeloma. National Cancer Institute. Bethesda, MD, http://seer.cancer.gov/statfacts/html/mulmy.html

Myeloma Statistics

From Precursor Myeloma, or MGUS, to Multiple Myeloma

Multiple

International Myeloma Working Group Diagnostic Criteria for Plasma Cell Dyscrasias Diagnosis

myeloma

Multiple myeloma Not required >10% (or <10% if plasmacytoma + CRAB or biomarker of malignancy or >1 plasmacytoma)

One of the following:

1. CRAB criterion present*

2. Clonal bone marrow PCs ≥60%

3. Involved:uninvolved SFLC ratio ≥100 AND affected light chain 100 mg/L or higher

4. >1 focal lesion on MRI studies

Updated IMWG Diagnostic Criteria
M-protein Bone marrow PCs Myeloma-defining events*
No
MGUS < 3g/dL < 10%
OR
No
Smoldering
≥ 3g/dL in serum OR >500 mg/24hr in urine
> 10% - 60% PCs
*CRAB
1. HyperCalcemia. Serum calcium >1mg/dL higher than the ULN or >11mg/dL 2. Renal insufficiency. CrCl <40ml/min or SCr >2mg/dL 3. Anemia. Hgb <10g/dL or >2g/dL below the LLN 4. Bone lesions. >1 osteolytic lesion on skeletal radiography, CT, or PET-CT
criteria for myeloma-defining events

• 77,469 healthy adults 55 to 74 years of age were enrolled in the prospective prostate, lung, colorectal and ovarian cancer screening trial

• 71 developed MM over the study

* Presence of M-protein or abnormal serum FLC ratio Landgren, O. et al. Blood 2009;113:5412-5417

MGUS precedes Myeloma
Blood draw prior to MM diagnosis, years MGUS* n/N % (95% CI) 2 27/27 100 (87.2 – 100) 3 57/58 98.3 (90.8 – 100) 4 47/48 97.9 (88.9 – 100) 5 35/37 94.6 (81.8 – 99.3) 6 25/25 100 (86.3 – 100) 7 14/15 93.3 (68.1 – 99.8) 8 14/17 82.4 (56.6 – 96.2)

MGUS Prevalence: Olmsted

County, Minnesota

21,463 of 28,038 residents of Olmstead County ≥ 50 evaluated

• Serum samples obtained through Mayo Clinic or its affiliates

• SPEP performed. Abnormal results followed up with serum IFE

• Largely Caucasian population

Age Men Women Total 50-59 82/4038 (2.0) 59/4335 (1.4) 141/8373 (1.7) 60-69 105/2864 (3.7) 73/3155 (2.3) 178/6019 (3.0) 70-79 104/1858 (5.6) 101/2650 (3.8) 205/4508 (4.6) ≥80 59/709 (8.3) 111/1854 (6.0) 170/2563 (6.6) Total 350/9469 (3.7) 344/11,994 (2.9) 694/21,463 (3.2)
Kyle et al. N Engl J Med. 2006 Mar 30;354(13):1362-9

Defined as: 1) No heavy chain M spike; 2) abnormal serum FLC ratio; 3) elevation of affected free light chain

• 19% of MGUS is light chain MGUS

• 23% of light chain MGUS pts had renal disease

Men Women Total 50-59 22/3450 (0.6%) 14/3717 (0.4%) 36/7167 (0.5%) 60-69 25/2554 (1.0%) 15/2776 (0.5%) 40/5330 (0.8%) 70-79 28/1608 (1.7%) 15/2242 (0.7%) 43/3850 (1.1%) 80-89 6/577 (1.0%) 21/1433 (1.5%) 27/2010 (1.3%) Total 81/8189 (1.0%) 65/10,168 (0.6%) 146/18,357 (0.8%)
Light Chain MGUS Prevalence: Olmstead County, Minnesota
Dispenzieri et al. Lancet.
2010 May 15;375(9727):1721-8

• The risk of evolution is ~1% per year for all comers

• The risk of developing myeloma or other plasma cell disorder persists over >20 years of follow-up.

Kyle et al. N Engl J Med. 2002 Feb 21;346(8):564-9

MGUS: Risk of Progression to Myeloma

The increased risk of MM in African-Americans is due to an increased risk of MGUS, not an increased rate of progression from MGUS to MM

Landgren et al. Blood. 2006 Feb 1;107(3):904-6

Risk of Progression of MGUS to Myeloma by Race

10% per year for 5 years then 3% per year for 5 years then 1% per year thereafter

Progression of Smoldering Myeloma to Symptomatic Myeloma
Kyle et al. N Engl J
Med. 2007 Jun 21;356(25):2582-90

Risk Stratification of SMM: Mayo Criteria Over Time

et al. Blood. 2008;111(2):785-9

et al. Blood Cancer J 2018;8:59.

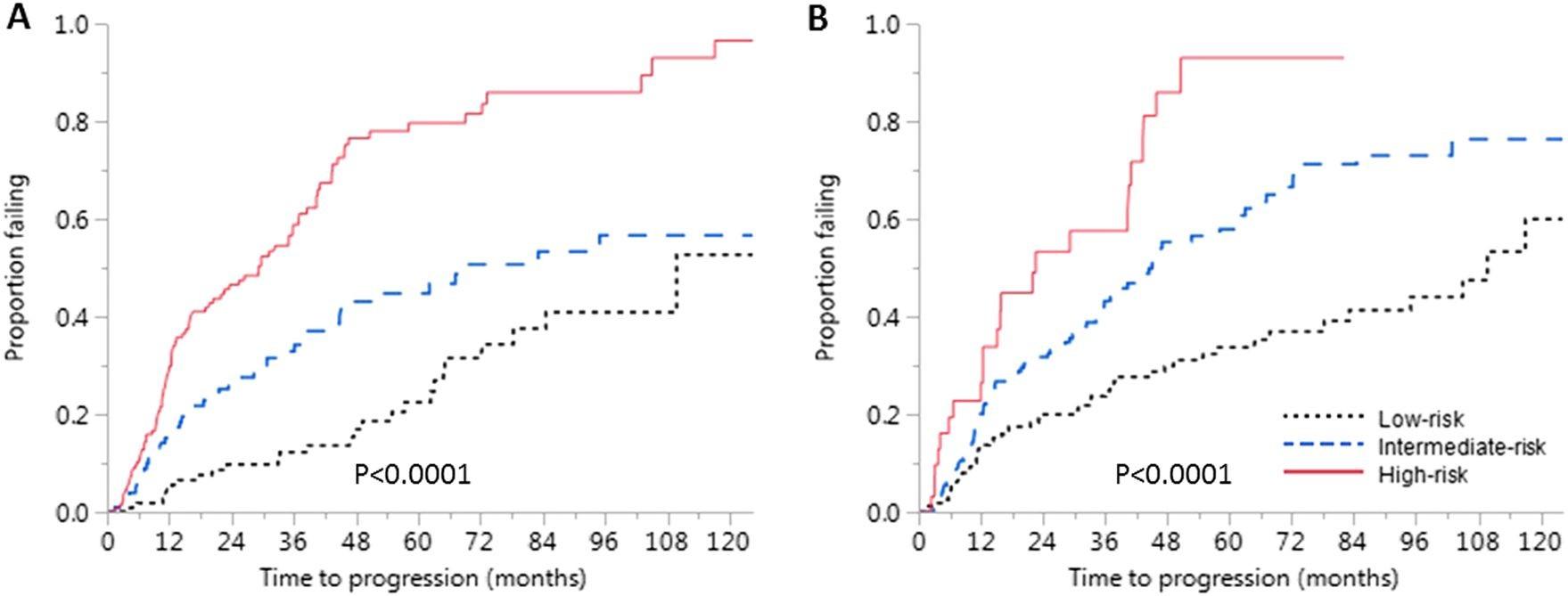
Risk 2 Yr 5 Yr 10 Yr High (≥2 RFs) 47.4% 81.5% 96.5% Intermediate (1 RF) 26.3% 46.7% 65.3% Low (0 RFs) 9.7% 22.5% 52.7% Risk 2 Yr 5 Yr 10 Yr High (3 RFs) 52% 76% 84% Intermediate (2 RFs) 27% 51% 65% Low (1 RF) 12% 25% 52% RFs: • PCs >20% • M spike >2.0 g/dL • FLCr >20 29.2 67.8 109.8 Time Median Time to Progression (mos) P a ti e n t s w i t h P r o g r e s s i o n Lakshman A,
RFs: • PCs ≥10% • M spike ≥ 3.0 g/dL • FLCr >8 Time 2008 2018 Dispenzieri
P a ti e n t s w i t h P r o g r e s s i o n

Median TTP: 1.2 vs 7.2 yrs (P < 0.01)

Median TTP: 2.6 vs 9.3 yrs (P = 0.004)

Genomic Risk Factors (gRFs): MAPK pathway mutations (NRAS, KRAS), MYC alterations (amplication, translocation), DNA repair pathways (TP53 mutations, del[17p], ATM SNVs)

et al. J Clin Oncol. 2020;38(21):2380-9

Median TTP: 1.2 vs 3.5 yrs (P = 0.001)

≥1 gRF 0 gRF ≥1 gRF ≥1 gRF 0 gRF 0 gRF Mayo 2018 Intermediate Risk Mayo 2018 High Risk
Bustoros
M

Evolving Smoldering Multiple Myeloma

• eMP: ≥10% ↑ in serum M protein and / or Ig within 6 mos of diagnosis (only if initial M protein was ≥3.0 g/dL) and/or ≥25% ↑ in serum M protein and/or Ig within 12 mos of diagnosis with a minimum ↑ of 0.5 g/dL in M protein or 500 mg/dL in Ig

• eHb: ≥0.5 g/dL ↓ in Hb within 12 months of diagnosis

eMP = evolving (increasing) M spike

eHb = evolving (decreasing) hemoglobin

Risk Factor Progression to Symptomatic MM within 2 Years eMP only 63.8% eHb only 64.6% eMP and eHb 81.5% Both + BMPCs ≥20% 90.5%
Ravi P, et al. Blood Cancer J
2016;6:454.

Signs and symptoms of disease because of…

• Cancerous plasma cell growth in the marrow

• Anemia

• Bone disease

• Bone pain

• Fractures

• High calcium levels

• Myeloma antibody production

• Kidney failure

• Free light chain antibodies

• Neuropathy

• Amyloidosis

•Suppression of normal plasma cell function

• Low antibody levels

• Frequent infection

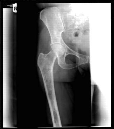
Clinical Features: Bone Disease

• Bone pain present at diagnosis in ~60% of patients.

• Lytic bone disease seen in 60% of patients at diagnosis.

• Osteopenia (bone thinning), pathologic fractures, compression fractures seen in 20% each.

• Management: kyphoplasty, surgical stabilization, radiation, zometa / xgeva

Adapted from the American Society of Hematology (ASH) Image Bank

RANKL ↑ in MM

DKK-1 ↑ in MM + -

Osteoblasts: Build bone

RANKL = receptor activator of NF-kappaB ligand,

DKK-1 = Dickkopf-

Bone
Myeloma
Disease down bone
Normal Myeloma

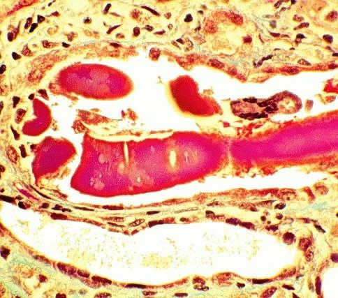
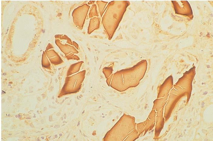
Clinical Features: Causes of Kidney Damage

• High calcium levels

• Myeloma Kidney (Cast nephropathy)

• Amyloidosis

• Kidney injury causes protein loss in urine which leads to problems with fluid retention

• Monoclonal immunoglobulin deposition disease

Adapted from Serum Free Light Chain Analysis. 4th Edition. AR Bradwell.

Cast Nephropathy

• The most common cause of kidney failure in myeloma pts.

• Monoclonal free light chains precipitate in the kidneys leading to damage

• Higher serum free light chain burden → higher risk of kidney injury.

• Precipitants of cast formation and worsening kidney function

• Volume depletion

• Loop diuretics (e.g. Lasix)

• Contrast dye for CT scans

• NSAIDs (e.g. ibuprofen)

Adapted from the University of North Carolina Nephropathology Biopsy Cases.

Myeloma

•Univariate and multivariate analysis of numerous prognostic factors

• 10,750 pts over 1981 through 2002

• β2-microglobulin and albumin emerged as a powerful, simple predictor of outcome

•Pitfalls

β2M increased in renal failure, regardless of cause

Albumin can transiently drop in the setting of acute illness (e.g. pneumonia)

PR, et al. J Clin Oncol. 2005;23:3412-3420.

International Staging System
Stage β2-microglobulin (mg/L) Albumin (g/dL) Median OS (mos) ISS I <3.5 ≥3.5 62 ISS 2 Neither stage 1 or 3 44 ISS 3 ≥5.5 Any level 29 Greipp

•R-ISS stage 1: normal LDH, no high risk cytogenetic abnormality (CA)*, ISS stage 1 disease

•R-ISS stage 2: not stage 1 or 3

•R-ISS stage 3: ISS stage 3 disease PLUS high LDH OR high risk CA

*High risk CA = del(17p) and/or t(4;14) and/or t(14;16)

Revised International Staging System
Palumbo et al. JCO 2015;33:2863-2869
Non Transplant-Based Tx Transplant-Based Tx IMiD-Based Tx Bortezomib-Based Tx

• 1069 newly-diagnosed MM pts

• Adverse CG lesions in multivariate analysis:

• Adverse IgH translocation (4;14, 14;16, 14;20), del17p13, +1q21

• Median OS for those with 3 adverse lesions: 9.1 mos.

Boyd KD et al. Leukemia. 2012;26:349-55.

FISH in the MRC IX study
24
4
16
40
Tai T et al. Clin Cancer Res 2015;21: 2148-56 Not all del(17p) multiple myeloma is created equal
mo
mo
mo
mo (P < 0.001) (P < 0.001)

Are we overestimating the risk conferred by del(17p)?

Not all del(17p) multiple myeloma is created equal
MMRF
Study Keats
Unpublished
CoMMpass
et al:

Not

1q gain multiple myeloma is created equal P r o g r e s s i o nF r e e S u r v i v a l

v e r a l l S u r v i v a l

Gain of 1q = 3 copies; amplification of 1q = 4 copies

all
O
Walker B et al. JCO 2015;33:3911-20.

Whole Genome Sequencing in MM

• 203 patients underwent whole genome sequencing of their myeloma.

• Recurring mutations seen, some present in the majority of myeloma cells, others in subpopulations.

Lohr JG. et al.
Cancer Cell 2014;25:91-101.

• Array comparative genomic hybridization (aCGH) and FISH identify 3 types of MM evolution

• Genetically stable

• No new copy number alterations (CNAs, 35.7%)

• Linear evolution

• Only new CNAs (21.4%)

• Shifting dominance

• Loss and gains of CNAs, including reemergence of regions previously homozygously deleted (42.9%)

• Implications regarding optimal initial treatment strategy and choice of therapy at relapse

FISH analysis of a patient with t(4;14) MM over time

Clonal Heterogeneity in MM
Keats J J et al. Blood 2012;120:1067-76

• Paired bone marrow samples from the iliac crest and CT-guided fine needle aspirates of focal bone lesions

• 42 newly-diagnosed and 11 relapsed multiple myeloma patients

• 8 out of 13 patients with high-risk multiple myeloma by GEP70 had discordant results from the 2 sites

• 2 out of 6 patients with del(17p) multiple myeloma had discordant results from the 2 sites

Spatial Cytogenetic Heterogeneity
Rasche L, et al. Nat Commun
2017;8:268.

Are we missing high risk disease with our current diagnostic workups?

Clonal Heterogeneity
Spatial
Rasche L, et al. Nat Commun 2017;8:268.
Myeloma
Measuring

What is an M-spike?

Intact antibodies

• A blood or urine marker indicating a clonal plasma cell or lymphoid population that produces immunoglobulin (Ig), also called antibody

• The M-spike (M protein):

• Heavy chain Ig

• IgG, IgA, IgM, IgD, IgE

• Light chain Ig

• Kappa or lambda Light chains

Adapted from Serum Free Light Chain Analysis. 4th Edition. AR Bradwell.

Plasma cell

Serum

Band of restricted mobility

Protein Electrophoresis and Immunofixation Electrophoresis
SPEP
Monoclonal IgA lambda
Adapted from ASH Image Bank
Serum IFE

Daratumumab IFE Reflex Assay

• Daratumumab is a monoclonal IgG kappa antibody directed against CD38

• Daratumumab is picked up as an IgG kappa “M spike” on SPEP / immunofixation testing.

• To clear the daraumumab, patient samples are incubated with a mouse antibody directed against daratumumab followed by standard SPEP / immunofixation testing

Thoren K, et al.
J Appl Lab Med 2019;3:857-63.

Serum Free Light Chain (FLC) Testing

• Up to 1000-fold more sensitive at detecting free light chains than SPEP

• Quantitative

• Can monitor response to treatment

• Lot to lot variability of reagents

• Coefficient of variability 10 – 20%

• Antigen excess

• Underestimation of light chain levels Dispenzieri et al. Leukemia. 2009 Feb;23:214-24.

• 3 patterns of myeloma disease progression after an initial response

• Paraprotein only (IgA kappa M protein only)

• Free light chain only (serum free kappa light chains only)

• Paraprotein and free light chains (IgA kappa M protein and serum free kappa light chains)

Serum FLC Escape Brioli A, et al. Blood 2014;123:3414-9. 35.2% 10.4% 49.6%

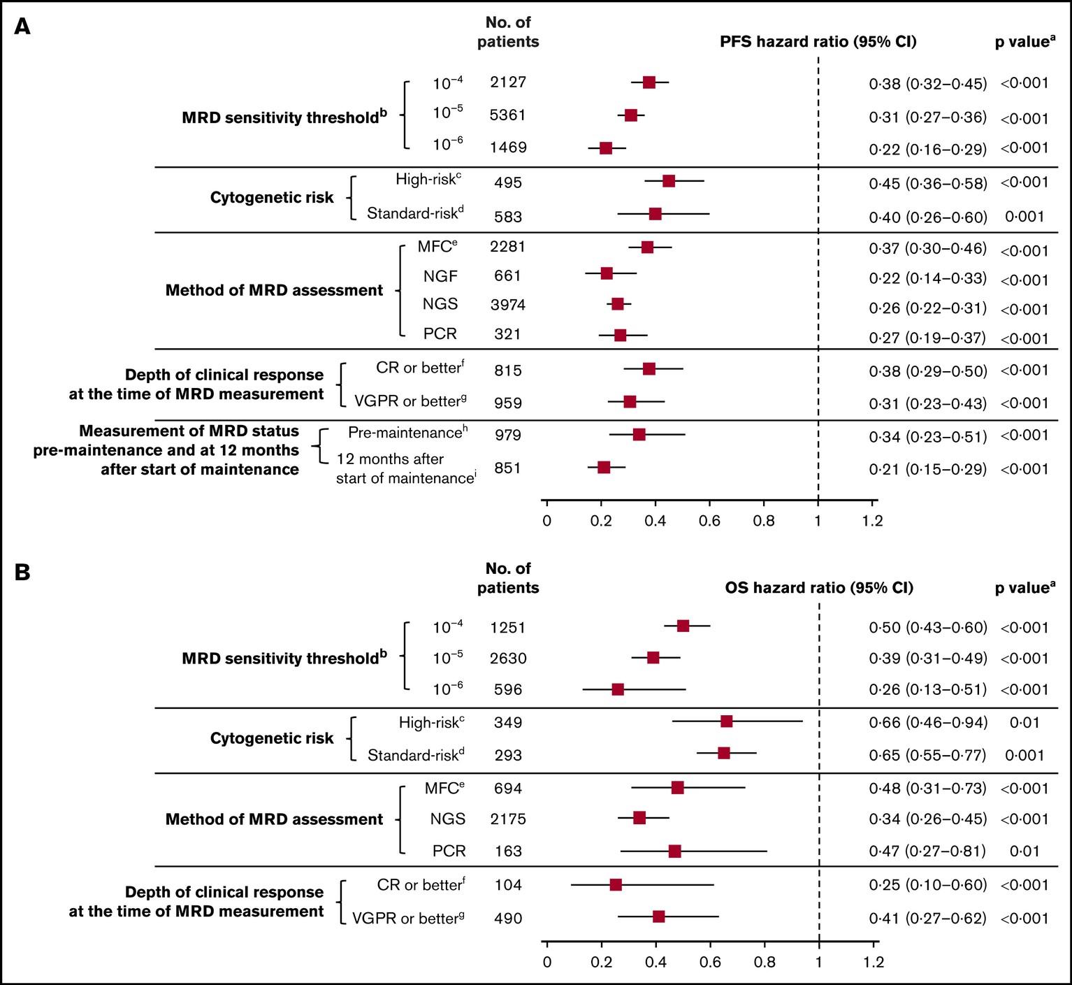
MRD and Progression-Free Survival in Multiple Myeloma: A Meta-Analysis

• 93 publications included; 85 on PFS, 48 on OS

N et al. Blood Adv 2020;4:5988-99.

Newly-Diagnosed, Transplant Eligible Relapsed / Refractory Newly-Diagnosed, Transplant Ineligible

Munshi,
P r o g r e s s i o nF r e e S u r v i v a l P r o g r e s s i o nF r e e S u r v i v a l P r o g r e s s i o nF r e e S u r v i v a l

MRD and Overall Survival in Multiple Myeloma: A Meta-Analysis

Newly-Diagnosed, Transplant Eligible

N et al. Blood Adv 2020;4:5988-99.

Relapsed / Refractory

Munshi,
O v e r a l l S u r v i v a l O v e r a l l S u r v i v a l

MRD: Subset Analysis of PFS and OS

Munshi, N et al. Blood Adv 2020;4:5988-99.

Survival Overall Survival
Progression-Free

Mass Spec: Performance

Sensitive… Linear…

Quantifiable

Mills J, et al. Clin Chem
2016;62:1334-44.
…and

• Retrospective analysis of 61 patients who underwent induction  ASCT at Mayo Clinic and achieved MRD negativity by NGF

• Median follow-up 33 months

• Patients who were also MRD- by Mass-Fix had a longer PFS and Time to next treatment

• 33-month PFS: 96% vs 72%

J, et al. Br J Haematol 2021;193:380-5.

Mass Spec
Abeykoon

• Myeloma starts as a precursor form called MGUS

• Myeloma is a heterogeneous disease

• Between patients

• Within an individual patient in different areas of the body

• Within an individual patient over time

• Myeloma is complicated

• There are standard risk and high-risk versions of the disease

• A Myeloma Specialist can navigate you through the meaning of these diagnostic tests

• A thorough understanding of your disease at diagnosis is crucial to making best decisions about your care

• Peripheral blood molecular diagnostics and MRD assessment in development and will eventually replace the need for bone marrow and bone biopsies

Conclusions

Charlotte, NC

June 22, 2024

Life Is A Canvas,

You Are The Artist

Amy E. Pierre, RN, MSN, ANP-BC Memorial Sloan Kettering Cancer Center, Flatiron Health & IMF Nurse Leadership Board

Patient Education Slides 2021

YOU Can Change the Course of Myeloma in Your Community

Know the symptoms

Speak to your doctor about your risk

Ask if you should be screened

Talk to friends & family about what you’ve learned about Multiple Myeloma

@#$ % #!? %^ Be M - Powered

Note: Some patients have nonsecretory disease that does not produce detectable myeloma protein.

“Myeloma is among the worst of all cancers for delayed diagnosis.”
Drayson

M, et al. Br J Haematol. 2024;204(2):476-486.

58 Understanding Your Test Results, International Myeloma Foundation 2018.
Bone marrow

The average myeloma patient sees

their primary care doctor 3 times with symptoms and signs consistent with MM

The delay is even longer in African Americans, for many reasons:

Confounding diagnoses (like diabetes)

ACCESS to diagnostics and care

AWARENESS in primary care providers

TIMELY REFERRAL to specialists

African Americans have twice the incidence of myeloma and, on average, are diagnosed at a

How Patients With Myeloma Commonly Present

ROUTINE PHYSICAL

VISIT FOR SPECIFIC COMPLAINT

EMERGENCY ROOM

• Patient with few/no symptoms

• Abnormal blood work

• Persistent symptom or injury

• Abnormal test result (eg, x-ray)

• Severe pain—often spinal fractures

• Kidney failure

60 Brigle K, et al. J Adv Pract Oncol. 2022;13(suppl 4):7-14. Brigle K, et al. Clin J Oncol Nurs. 2017;21(5 suppl):60-76. Faiman B, et al. J Adv Pract Oncol. 2016;2016:7(suppl 1):17-29. Kurtin S, et al. J Adv Pract Oncol. 2016;7(suppl 1):59-70.
treatment!
MEDICAL EMERGENCY; need immediate
NON-EMERGENCY; More time for shared decision-making

WHAT IS AN EMPOWERED PATIENT?

“An

empowered patient is an individual who takes an active role in managing their own health and healthcare journey. They are informed, engaged, and assertive in making decisions about their health and treatment options.”

Understanding Your Test Results, International Myeloma Foundation 2018.

1. Ownership of Health: They take responsibility for their health outcomes by adhering to treatment plans, adopting healthy lifestyle behaviors, and actively managing chronic conditions.

2. Health Literacy: Empowered patients understand medical terminology, treatment procedures, and healthcare systems well. They can interpret medical information accurately and make informed choices about their health.

3. Active Participation: Empowered patients actively engage in discussions with healthcare providers, asking questions and expressing concerns.

4. Self-Advocacy: They advocate for themselves to ensure their needs, preferences, and concerns are addressed by healthcare providers. This may involve asserting their rights, seeking second opinions, or challenging recommendations that do not align with their goals or values.

5. Informed Decision-Making: They seek out information about their health condition, treatment options, and healthcare providers. They stay updated on the latest research and medical advancements relevant to their condition.

10 CHARACTERISTICS OF AN EMPOWERED PATIENT

6. Share in Decision-Making: They collaborate with healthcare providers in making decisions about their care, weighing the benefits, risks, and alternatives of treatment options based on their personal values and preferences.

7. Proactive Communication: Empowered patients take the initiative to communicate with their healthcare team, informing them about side effects, changing circumstances, or preferences

8. Resilience and Adaptability: Empowered patients demonstrate resilience in coping with health challenges and setbacks. They adapt to changes in their health status or treatment plans with a positive attitude and a willingness to explore new strategies for managing their condition.

9. Seeking Support Networks: They actively seek out support from peers, support groups, or online communities to share experiences, gather information, and find emotional support in their healthcare journey.

10. Continuous Learning and Improvement: Empowered patients embrace opportunities for learning and self-improvement in managing their health. They remain open to new information, perspectives, and treatment options that may enhance their well-being.

OF AN
10 CHARACTERISTICS
EMPOWERED PATIENT (CONTINUED)

CARE TEAM COLLAGE

Keep a contact list of your providers

Understand the different roles

Consult a specialist

You and Your Caregiver(s) Support Network Allied Health Staff Subspecialists Myeloma Specialist General P h a r m a c i s t
64
Be M-Powered ► Ask questions ► Participate in decisions ► Communicate effectively with your entire team

Many Doctors and Nurses Believe Empowered

Patients have better Outcomes

Do patients who research their symptoms and/or treatment options typically have better or worse outcomes than patient who do not?

N=1089 physicians and

nurses

No Effect

Worse Outcomes

#REF!Nurses Physicians

65 Frellick M. Most Physicians, Nurses Say Empowered Patients Are Helpful. https://www.medscape.com/viewarticle/883783. Access date 4/30/2024.
0% 10% 20% 30% 40% 50% 60%
ge
Percenta

Barriers: Reasons Why

Shared Decision-Making Is Not Used

Practice Barriers

 Limited time during patient encounter, “too busy”

 Lack of commitment by all multidisciplinary team members

 Nurses/Doctors might not think they make a difference.

Patient Barriers

Institutional Barrier

Scope of Practice Barrier

Administration Barrier

 Patient is hesitant to “speak up”

 Difference in goals between patient and caregiver

 Not sure what is important to them – “trust provider’s judgment”

 Lack of policy or time commitment

Laws and guidelines prohibiting autonomous practice

Inadequate support by hospital administration (types of treatments restricted)

McCarter SP, et al. Barriers and promoters for nurses’ participation in cancer treatment decision making process and patient satisfaction with treatment decision. Sigma Theta Tau International’s 26th International Nursing Research Congress. 2015. On-line: https://stti.confex.com/stti/congrs15/webprogram/Paper71335.html

What to Communicate

•Family History

− Risk factors also include Black race, male, age, obesity

•Symptoms

− Don’t ignore or self-medicate for pain

− Address changes with your healthcare providers

•Side Effects

•Questions About Test Results and Treatments

•YOUR Priorities, Preferences and Goals for Treatment

The GOOD News: Many, Many Treatment Options for MM

Immunotherapies

Dexamethasone

Frontline Relapse

Velcade® (bortezomib)

Darzalex® (daratumumab)

Maintenance

Velcade® (bortezomib)

Kyprolis® (carfilzomib)

Ninlaro® (ixazomib)

Darzalex® (daratumumab)

Empliciti® (elotuzumab)

Sarclissa® (Isatuximab)

Thalomid® (thalidomide)

Revlimid® (lenalidomide)

Revlimid® (lenalidomide)

Thalomid® (thalidomide)

Revlimid® (lenalidomide)

Pomalyst® (pomalidomide)

CelMods

• Iberdomide

• Mezigdomide

Neuropathy

Carfilzomib: Cardiac

SoluMedrol®

Dexamethasone

Prednisone

Prednisolone

SoluMedrol®

Elrexfio™ (elranatamab)

Tecvayli® (teclistamab)

Talvey™ (talquetamab)

Melphalan + ASCT

Abecma® (Idecabtagene Vicleucel)

Carvykti® (ciltacabtagene autoleucel)

Blenrep®* (Belantamab mafodotin)

Infusion reaction

Blenrep: Keratopathy

Other CAR-T

Xpovio® (Selinexor)

Doxil (liposomal doxorubicin)

Infection risk

CAR-T: CRS and neurotoxicity

Venclexta® (venetoclax)

Myelosuppression, GI

Selinexor: Low sodium

-Mibs -MAbs -Mides Steroids Alkylators Bispecific Antibody Cellular Therapies Others
Prednisone Prednisolone
Melphalan Cyclophosphamide
+ ASCT
Melphalan
Melphalan Cyclophosphamide Bendamustine
DVT/PE
Infusion reaction
See steroid slide Myelosuppression
Pending FDA Approval
effects 68 ASCT = autologous stem cell transplant; CAR-T cell therapy; CRS = cytokine release syndrome; DVT = deep vein thrombosis; PE = pulmonary embolism *Withdrawn from FDA but still available in certain situations IMF Nurse Leadership Board ONS Symposia 2022; NCCN Guidelines. Multiple Myeloma. V3.2024. Accessed March 25, 2024.
Noted Side

DISCUSS SYMPTOMS AND SIDE EFFECTS

Myeloma cells in excess can cause symptoms

Treatments for myeloma kill myeloma cells

but

can cause symptoms

• Calcium elevation

• Renal dysfunction

• Anemia

• Bone pain

• Fatigue

• Infection

• Other symptoms

• Myelosuppression

• Peripheral neuropathy

• Diarrhea

• Fatigue

• Deep vein thrombosis

• Infection (eg, shingles)

• Other symptoms

Myeloma and Treatments

Both Contribute to How You Feel

PATIENT-REPORTED SYMPTOMS

A meta-analysis identified the most common patient-reported symptoms and impact on QOL, and were present at all stages of the disease.

Symptoms resulted from both myeloma disease and treatment, including transplant, and were in these categories:

Physical

• Fatigue

• Constipation

• Pain

• Neuropathy

• Impaired Physical Functioning

• Sexual Dysfunction

Psychologica

l

• Depression

• Anxiety

• Sleep Disturbance

• Decreased Cognitive Function

• Decreased Role & Social Function

Financial

• Financial burden (80%)

• Financial toxicity (43%)

Ramsenthaler, et al. 2016. https://doi.org/10.1111/ejh.12790. 70

Immunotherapy Side Effects

Cytokine Release Syndrome (CRS)

Immune effector cell–

associated neurotoxicity syndrome (ICANS)

Neuro Toxicity

Infection

71 CRS = cytokine release syndrome; ICANS = immune effector cell–associated neurotoxicity syndrome.
Physical

Immunotherapies: UNIQUE SIDE EFFECTS

CRS

IS A COMMON BUT USUALLY MILD SIDE EFFECT WITH CAR T

CRS = cytokine release syndrome. Oluwole OO, Davila ML. J Leukoc Biol. 2016;100:1265-1272. June CH, et al. Science. 2018;359:1361-1365. Brudno JN, Kochenderfer JN. Blood. 2016;127(26):3321-3330. Brudno JN, Kochenderfer JN. Blood Rev. 2019:34:45-55. Shimabukuro-Vornhagen, et al. J Immunother Cancer. 2018;6:56. Lee DW, et al. Biol Blood Marrow Transplant. 2019;25:625-638.

CRS Fever
Headache Nausea / vomiting Shortness of Breath Diarrhea Weakness Confusion
Fatigue
72 Physical

Immunotherapies: UNIQUE SIDE EFFECTS

Headache Confusion Altered wakefulness Hallucinations Ataxia Apraxia Facial nerve palsy Tremors Seizures Encephalopathy Neurotoxicity CRS = cytokine release syndrome; ICANS = immune effector cell–associated neurotoxicity syndrome; ICE = Immune Effector Cell Encephalopathy screening tool; MRI = magnetic resonance imaging. Brudno JN, Kochenderfer
Blood.
JN.
2016;127(26):3321-3330. Lee DW, et al. Biol Blood Marrow Transplant. 2019;25:625-638.
NEUROTOXICITY IS A RARE
SERIOUS SIDE EFFECT OF CAR T 73 Physical
BUT

INFECTION CAN BE SERIOUS FOR PEOPLE WITH MYELOMA

[P]reventing infections is paramount.

Infection remains the leading cause of death in patients with multiple myeloma. Several factors account for this infection risk, including the overall state of immunosuppression from multiple myeloma, treatment, age, and comorbidities (e.g., renal failure and frailty).

IMWG Consensus guidelines and recommendations for infection prevention in multiple myeloma; Lancet Haematol.2022;9(2):143–161.

Report fever of more than 100.4°F, shaking chills even without fever, dizziness, shortness of breath, low blood pressure to HCP as directed.

As recommended by your healthcare team: Infection Prevention Tips

Good personal hygiene (skin, oral)

Environmental control (avoid crowds and sick people; use a high-quality mask when close contact is unavoidable)

Immunizations: Flu, COVID, RSV & and pneumococcal vaccinations; avoid live vaccines

Preventative and/or supportive medications (next slide)

IMWG = International Myeloma Working Group; HCP = healthcare provider. Raje NS, et al. Lancet Haematol.2022;9(2):143–161. IMF Nurse Leadership Board ONS Symposia 2023.

Physical

MEDICATIONS CAN REDUCE INFECTION RISK

Type of Infection Risk

Viral: Herpes Simplex (HSV/VZV); CMV

Bacterial: blood, pneumonia, and urinary tract infection

PJP (P. jirovecii pneumonia)

Fungal infections

COVID-19 and Influenza

Medication Recommendation(s) for Healthcare Team

Consideration

Acyclovir prophylaxis

Consider prophylaxis with levofloxacin

Consider prophylaxis with trimethoprim-sulfamethoxazole

Consider prophylaxis with fluconazole

Antiviral therapy if exposed or positive for covid per institution recommendations

IgG < 400 mg/dL (general infection risk) IVIg recommended

ANC < 1000 cells/μL (general infection risk)

Consider GCSF 2 or 3 times/wk (or as frequently as needed) to maintain ANC > 1000 cells/μL and maintain treatment dose intensity

Some people receiving BCMA-targeting therapies have experienced infections that are less common like CMV, PJP and fungal infections

ANC = absolute neutrophil count; BCMA = B-cell maturation antigen; CAR = chimeric antigen receptor; CMV, cytomegalovirus; GCSF = granulocyte colony-stimulating factor; HSV = herpes simplex virus; IVIg = intravenous immunoglobulin; PJP = Pneumocystis jirovecii pneumonia; VZV = varicella zoster virus.

Raje NS, et al. Lancet Haematol.2022;9(2):143–161.

Physical

MANAGEMENT OF ORAL SIDE EFFECTS

Dry Mouth

OTC dry mouth rinse, gel, spray are recommended. Advise patients to avoid hot beverages. Initiate antifungal therapy for oral thrush

Dexamethasone oral solutions “swish and spit” have been tried but with no proven benefit yet. Sour citrus or candies before meals are also recommended. Taste Changes

Dental Care

Attention to oral hygiene.

Regular dental cleaning and evaluation. Close monitoring for ONJ, oral cancer and dental caries

ONJ = osteonecrosis of the jaw; OTC = over the counter.

Dysphagia

Weight Management

Dietary modifications with small bites, eating upright, and sips with food can help manage symptoms.

Some medications lead to weight gain, others to weight loss.

Dry mouth leads to taste changes which can lead to anorexia.

Meet with a Nutritionist

Consider diet changes, supplements

Monitor weight

Education and emotional support are key strategies to manage oral toxicities.

Catamero D, Purcell K, Ray C, et al. Presented at the 20th International Myeloma Society (IMS) Annual Meeting Nurse Symposium; September 27–30, 2023; Athens, Greece.

Physical

GI SYMPTOMS: PREVENTION & MANAGEMENT

Diarrhea may be caused by medications and supplements

Laxatives, antacids with magnesium

Antibiotics, antidepressants, others

Milk thistle, aloe, cayenne, saw palmetto, ginseng

Sugar substitutes in sugar free gum

Avoid caffeinated, carbonated, or heavily sugared beverages

Take anti-diarrheal medication

Imodium®, Lomotil®, or Colestid if recommended

Fiber binding agents – Metamucil®, Citrucel®, Benefiber®

Welchol® if recommended

Constipation may be caused by

• Opioid pain relievers, antidepressants, heart or blood pressure medications, others

• Supplements: Calcium, Iron, vitamin D (rarely), vitamin B-12 deficiency

Increase fiber

• Fruits, vegetables, high fiber whole grain foods

• Fiber binding agents – Metamucil®, Citrucel®, Benefiber®

Fluid intake can help with both diarrhea and constipation, and good for kidneys.

Discuss GI issues with health care providers to identify causes and make adjustments to medications and supplements.

Smith LC, et al. CJON.2008;12(3)suppl:37-52. Faiman B. CJON. 2016;20(4):E100-E105.
Physical
77

Management of Skin and Nail Side Effects

Skin Rash:

•Prevent dry skin; apply lotion

•Report changes to your care team

•Medication interruption or alternative, as needed

•Steroids:

• Topical for grades 1-2,

• Systemic and topical for Grade 3

•Antihistamines, as needed

Nail Changes:

•Keep your nails short and clean. Watch for “catching and tearing”

•Apply a heavy moisturizer like Vaseline or salve. Wear cotton hand coverings to bed

•A nail hardener may help with thinning

•Tell the team if you have signs of a fungal infection, like thickened or discolored nails

Photos: Mount Sinai Hospital, NY, NY Nurse Leadership Board
targeting GPRC5D
Seen more commonly with treatments
Physical

The Bright Dark Side to Steroids

Steroid Synergy

Steroids are a backbone and work in combination to enhance myeloma therapy

Managing Steroid Side Effects

Consistent schedule (AM vs. PM)

Take with food

Stomach discomfort: Over-the-counter or prescription medications

Medications to prevent shingles, thrush, or other infections

Do not stop or adjust steroid doses without discussing it with your health care provider

Steroid Side Effects

• Irritability, mood swings, depression

• Difficulty sleeping (insomnia), fatigue

• Increased risk of infections, heart disease

• Muscle weakness, cramping

• Increase in blood pressure, water retention

• Blurred vision, cataracts

• Flushing/sweating

• Stomach bloating, hiccups, heartburn, ulcers, or gas

• Weight gain, hair thinning/loss, skin rashes

• Increase in blood sugar levels, diabetes

Rajkumar SV, et al. Lancet Oncol. 2010;11(1):29-37. King T, Faiman B. Clin J Oncol Nurs. 2017;21(2):240-249.
& 79 Physical Psychological

PAIN PREVENTION AND MANAGEMENT

Pain can significantly compromise quality of life

Sources of pain include bone disease, neuropathy and medical procedures

Management

Prevent pain when possible

Bone strengtheners to decrease fracture risk; anti viral to prevent shingles; sedation before procedures

Interventions depends on source of pain

May include medications, activity, surgical intervention, radiation therapy, etc

Complementary therapies (Mind-body, medication, yoga, supplements, acupuncture, etc)

Tell your health care provider about any new bone pain or chronic pain that is not adequately controlled

Physical
Faiman B, et al. CJON. 2017;21(5)suppl:19-36.
80

PERIPHERAL NEUROPATHY MANAGEMENT

Peripheral neuropathy happens when there is damage to nerves in the extremities (hands, feet, limbs).

Damage can be the result of myeloma, treatment or unrelated conditions (i.e. diabetes).

Symptoms:

•Numbness

•Tingling

•Prickling sensations

•Sensitivity to touch

•Burning and/or cold sensation

•Muscle weakness

Prevention / management:

•Bortezomib once-weekly and/or subcutaneous administration

•Massage area with cocoa butter regularly

•Neuroprotective Supplements:

• B-complex vitamins (B1, B6, B12)

• Green tea

•Safe environment: rugs, furnishings, shoes

Report symptoms of peripheral neuropathy early to your healthcare provider; nerve damage from neuropathy can be permanent if unaddressed

If neuropathy worsens, your provider may:

•Adjust your treatment plan

•Prescribe oral or topical pain medication

•Suggest physical therapy

Faiman B, et al. CJON. 2017;21(5)suppl:19-36. Tariman, et al. CJON.2008;12(3)suppl:29-36. Zhao T, et al. Molecules. 2022;27(12):3909.

Physical

•Risk Factors

UNDERSTANDING CHANGES TO KIDNEY FUNCTION

• Active multiple myeloma (light chains, high calcium)

• Other medical issues (ex: Diabetes, dehydration, infection)

• Medications (MM treatment, antibiotics, contrast dye)

• Poor Nutrition

•Prevention

• Stay hydrated – drink water

• Avoid certain medications when possible (eg, NSAIDs), dose adjust as needed

•Treatment

• Treatment for myeloma

• Hydration

• Dialysis

Many myeloma patients will experience kidney issues at some point; protecting your kidney function early and over time is important

et al. CJON. 2017;21(5)suppl:60-76. Faiman B, et al. CJON. 2017;21(5)suppl:19-36. Faiman B, et al. CJON. 2011;15suppl:66-76.

82
Brigle
Physical
K,

ADDITIONAL SUPPORTIVE CARE OPTIONS

Faiman B, et al. CJON. 2017;21(5)suppl:19-36. Dimopoulous M, et al. Leukemia. 2009;23(9):1545-56. Brigle K, et al. CJON. 2017;21(5)suppl:6076. Faiman B, et al. CJON. 2017;21(5)suppl:19-36. Faiman B, et al. CJON. 2011;15suppl:66-76. Miceli TS, et al. CJON. 2011;15(4)suppl:9-23.

DVT/PE Prevention Bone Health Fatigue Anxiety
Medications Blood thinners Ex: Aspirin, DOACs Bone Strengthening Agents Calcium Vitamin D Stimulant medications Red Cell Transfusion (anemia) Anti-depressants Anti-anxiety Nonmedication Therapies Compression stockings Radiation Surgery Immobilization Physical therapy Relaxation Meditation Therapy Relaxation Meditation Lifestyle Options Activity Stop smoking Weight loss Activity Activity Improved sleep Activity Improved sleep
Supportive
Physical

Have these conversations…

• Whenever your treatment stops working

• Whenever you start a new treatment

• Whenever there is a change in your life priorities

• Whenever you have a question or concern Ask Important Questions at Your Appointments • What Can I Expect Now? • What Can I Expect In the Future?

Available for download at myeloma.org
WHEN TO DISCUSS PRIORITIES
HOW AND

TIPS FOR COMMUNICATING WITH YOUR TEAM

• Reflect on what’s important to you before each visit

How well will treatment work? Quality of life? Risks and side effects?

• Write out your questions

• Take notes

• Bring along a listener

• Ask for time to consider your options

• Continue to learn about Myeloma so you are more comfortable with the conversation

HEALTHY BEHAVIORS FOR PATIENTS & CARE PARTNERS

• Stress reduction, management

• Rest, relaxation, sleep hygiene

• Maintain a healthy weight, eat nutritiously

• Activity / exercise / prevent falls, injury

• Stop smoking

• Mental health / social engagement

• Sexual health / intimacy

• Complementary or alternative therapy

• Have a PCP for general check ups, preventative care, health screenings, vaccinations

• Have specialists for dental care, eye exams/screening, skin cancer screening

86

DEVELOP A CARE NETWORK

•Multiple studies demonstrate that strong social ties are associated with

• Increased longevity including people with cancer

• Improved adherence to medical treatment leading to improved health outcomes

• Lower risk of cardiovascular diseases

• Increased sense of purpose & life satisfaction

• Improved mood and happiness

• Reduced stress and anxiety

• Enhanced resilience

Martino J, et al. Am J of Lifestyle Med. 2015;11(6):466-475. Yang YC, et al. Proc Natl Acad Sci U S A. 2016;113(3):578-583. Pinquart M and Duberstein PR. Crit Rev Oncol Hematol. 2010;75(2):122–137.

•Strategies for enhancing social connection

• Deepen existing relationships with family, friends, and loved ones

• Build new relationships by participating in a support group, joining clubs or organizations, or volunteering

Tip: Start with small steps outside your comfort zone. Call a loved one you haven’t spoken to in a while. Invite a person you’d like to know better for lunch, coffee, or a walk.

Hetherington C. Healthnews. https://healthnews.com/longevity/healthspan/soci al-connection-and-longevity/#:~:text=Research %20consistently%20demonstrates%20that %20people,of%20fulfillment%20in%20your%20life. Accessed Feb 1 2024.

IMF OFFERS MANY RESOURCES You are not alone! eNewsletter: Myeloma Minute Website: http://myeloma.org IMF Videos Download or order at myeloma.org IMF InfoLine 1-800-452-CURE 9am to 4pm PST
Questions? 89

COFFEE BREAK

Thank you to our sponsors!

Frontline Therapy

Atrium Health, Levine Cancer Institute

Charlotte, NC

Frontline Therapy in Multiple Myeloma

Clinical Associate Professor

Plasma Cell Division

Levine Cancer Institute Atrium Health

June 22nd, 2024

Disclosures

•Janssen (advisory board), Arcellx (advisory board)

OUTLINE

•How do we treat newly diagnosed MM now?

•How do we choose the right therapy?

•Is there still a role for stem cell transplant in this era?

•How do we treat transplant eligible patients?

•How do we treat transplant ineligible patients?

•How do we manage or prevent adverse events?

•What is to come?

•Conclusions

TREATMENT PARADIGM

TREATMENT PHASES

Induction

Goal

First phase of Treatment

Destroy as many cancer cells as possible in order to achieve (induce) a remission

Duration fixed # cycles of chemo +/ASCT

Consolidation

Goal

Duration

Maintenance

Goal

Duration

Second phase of treatment

Further deepen response

Finite number of cycles (1-2) using the same induction regimen

Third phase of treatment

Prolong remission and prevent disease relapse

Lower dose, usually 1 agent

Until progression or intolerance

THE THREE PILLARS

Immunomodula tor

• Thalidomide • Lenalidomide (Revlimid) • Pomalidomide

Proteasome

Inhibitor

• Bortezomib (Velcade) • Carfilzomib (Kyprolis) • Ixazomib (Ninlaro) Anti-CD38 • Daratumumab • Isatuximab

Autologous Stem Cell Transplant

What is high risk disease?

Cytogenetics

• t(4;14)

• t(14;16)

• t(14;20)

• del(17p)

• gain/amp(1q)

• High risk GEP

Laboratory Features

 ISS stage III, R-ISS III

 Elevated LDH

Functional High Risk

 Primary Refractory Disease

 Rapid Progression (disease kinetics)

Clinical Features  Plasma cell leukemia

 Extra medullary disease

Selecting Appropriate Treatment

Patient Factors

 Age/frailty

 Performance status

 Lifestyle

 Distance from infusion site

 Patient preference

 Caregiver support

 Comorbidities

 Cardiac issues

Disease Factors

 Kidney Dysfunction  Low blood counts  Disease burden: ISS

Rate of progression

Marrow burden

CRAB symptoms

Extramedullary disease

Cytogenetics

Toxicity

Treatment Factors

Myelosuppression

Infections

Neuropathy

Secondary cancers

Ocular toxicity

Cost

Administration route

Management/Prevention of Adverse Events

Immunomodulatory
• ASA or
Anti-CD38 •
(URTI, PNA)
Proteasome Inhibitor
Peripheral Neuropathy
Agents
Thrombosis
blood
Infections

Infection Management

Stay current on vaccinations

‒ COVID 19

‒ Pneumococcal

‒ Influenza

Antibacterial and antifungals if persistent low WBC

IVIG if recurrent infections

HOW DO YOU TREAT TRANSPLANT INELIGIBLE PATIENTS?

IS TRIPLET BETTER THAN DOUBLET?

SWOG S0777: Triplet versus Doublet

SWOG: Response Rates

SWOG S0777: Survival

> 3 Peripheral Neuropathy 33%
Grade

CONCLUSIONS: TRIPLE BEATS DOUBLET

Addition of bortezomib to Rd (VRd) induction: ‒ Significantly longer PFS, overall survival Higher rate of neuropathy in RVd arm

VRd represents a new standard of care

RVDlite: Can we dose reduce?

Grade > 3 peripheral neuropathy only 2%

O’Donnell et al. BJH 2018

ENDURANCE: KRd vs. VRd

Stratified by intent for SCT at PD (yes vs no)

Newly diagnosed, previously untreated MM; ECOG PS 0-2; no high-risk features*; no plasma cell leukemia; no grade ≥ 2 PN; no heart failure or MI < 6 mos (N = 1087)

*t(14;20), t(14;16), del(17p), LDH > 2 x ULN.

Induction

= 542)

Stratified by induction regimen (VRd vs KRd)

= 545)

 Coprimary endpoints: PFS after induction, OS with maintenance

 Secondary endpoints: ORR, MRD, TTP, OS, safety

 QoL assessed during and after induction

Maintenance

Lenalidomide

15 mg PO days 1-21

24 four-wk cycles

Lenalidomide

15 mg PO days 1-21 until PD or excess toxicity

Observation until PD

Kumar. ASCO 2020. Abstr LBA3. Slide credit: clinicaloptions.com
VRd (n
KRd
(n

ENDURANCE: Survival From Induction Randomization

Slide credit: clinicaloptions.com Kumar. ASCO 2020. Abstr LBA3.
VRd KRd Median PFS, Mos (95% CI) 34.4 (30.1-NE) 34.6 (28.8-37.8) HR (95% CI) 1.04 (0.83-1.31; P = .742) PFS P F S ( % ) Mos Patients at Risk, n KRd 545 401 252 187 127 83 59 38 25 13 3 VRd 542 377 243 183 114 73 43 31 26 14 0 10 0 80 60 40 20 0 0 6 1 2 1 8 24 30 36 VRd KRd 42 48 54 60
Reproduced with permission.

Completely Different Side Effects

Nonhematologic Treatment-Related AEs ≥ 2%

Peripheral neuropathy

Thromboembolic event

Diarrhea

Acute

Generalized

*Not required reporting.

Slide credit: clinicaloptions.com
Kumar. ASCO 2020.
Abstr LBA3. Reproduced with permission.
Rash
infection
Dyspnea Hyperglycemia Fatigue
Lung
failure
Hypertension Heart
kidney injury
Edema, limbs
muscle weakness
Grade ≥ 3 0 1 2 3 4 5 6 7 8 % VRd (n = 527) KRd (n = 526)
Insomnia Hypotension

ENDURANCE: Conclusions

KRd did not improve PFS compared with VRd

VRd should remain standard of care for newly diagnosed MM unless comorbidities dictate otherwise

Kumar. ASCO 2020. Abstr LBA3.

Slide credit: clinicaloptions.com

MAIA: DARA-Rd vs. Rd

 Randomized phase III trial

Stratified by ISS (I vs II vs III), region (N America vs other), age (< 75 vs ≥ 75 yrs)

Patients with ASCT-

ineligible NDMM, ECOG PS 0-2, CrCl ≥ 30 mL/min (N = 737)

Daratumumab 16 mg/kg IV

(QW cycles 1-2, Q2W cycles 3-6, Q4W cycle 7+) +

Lenalidomide 25 mg/day PO on Days 1-21 +

Dexamethasone 40 mg/wk* PO or IV

Rd

Lenalidomide 25 mg/day PO on Days 1-21 +

Dexamethasone 40 mg/wk* PO or IV

28-day cycles until progression

Primary endpoint: PFS

Secondary endpoints : ≥ CR rate, ≥ VGPR rate, MRD negativity, ORR, OS, safety

Slide credit: clinicaloptions.com
Dara-RD
Facon. ASH 2018. Abstr LBA-2.

MAIA: DRd Wins!

Slide credit: clinicaloptions.com
Kumar. ASH 2020. Abstr 2276. Reproduced with permission.
Slide credit: clinicaloptions.com O R R ( % ) 100 80 60 40 20 0 D-Rd Rd sCR CR VGPR PR D-Rd N = 368 Rd N = 369 D-Rd N = 368 Rd N = 369 D-Rd N = 368 (update) Rd N = 369 (update) Primary: 28.0 mos 36.4 mos Update: 47.9 mos Median Follow-up 14% 32% 17% 30% 28% 28% 13% 13% 13% 31% 17% 33% 27% 28% 13% 14% 93% 81% 93% 82% 12% 30% 17% 34% 25% 27% 15% 14% 93% 82%
MAIA: ORR (ITT Population)

MAIA: MRD Analyses (ITT Population)

MRD negativity in patients with high-risk cytogenetics: 23% with D-Rd vs 2% with Rd

ASH 2020. Abstr 2276. Reproduced with permission.

Kumar.
Slide
MRD Negativity Rate Sustained MRD Negativity M R Dn e g a ti v i t y R a t e ( % ) 25 20 15 10 5 0 D-Rd N = 368 Rd N = 369 D-Rd N = 368 Rd N = 369 D-Rd N = 368 (update ) Rd N = 369 (update ) Primary: 28.0 mos P < .0001 36.4 mos P < .0001 Update: 47.9 mos P < .0001 24 % 7 % 29 % 9 % 31 % 10 % 35 30 Median Follow-up S u s t a i n e d M R Dn e g a ti v i t y R a t e ( % ) P < .0001 P < .0001 25 20 15 10 5 0 D-Rd N = 368 Rd N = 369 D-Rd N = 368 Rd N = 369 20% 5% 16% 3% ≥ 6 mos sustained MRD negativity ≥ 12 mos sustained MRD negativity
credit: clinicaloptions.com

CONCLUSIONS: Triplet wins!

•The addition of Dara:

• reduced the risk of progression or death by 46%

• tripled the rate of MRD negativity

•DRd now the standard of care for transplant ineligible patients

DRd vs VRd?

Retrospective analysis of data from Acentrus EMR database comparing time to next treatment or death with Dara-Rd or VRd in 643 patients* between January 2018 and May 2023

Slide credit: clinicaleducationalliance.com:
Hansen.
Time to Next Treatment/Death
32% of patients treated with DRd vs 51% of patients treated with VRd received a subsequent line of therapy or died Median TTNT/death: 37.8 mo vs 18.7 mo HR: 0.58 (95% CI: 0.35-0.81); P <.001 *After
treatment weighting 120 Time From Index Date (Mo) P a ti e n t s R e m a i n i n g o n T r e a t m e n t ( % ) 100 80 60 40 20 0 0 6 1 2 1 8 2 4 3 0 3 6 302 (100) 341 (100) 171 (57) 161 (47) 83 (28) 74 (22) 18 (6) 27 (8) Patients at Risk, n (%) DR d VR d DR d VR d
ASH 2023. Abstr 543.
inverse probability of

IS QUADRUPLET BETTER THAN TRIPLET?

BENEFIT: Isa-RVd vs. Isa-Rd

Multicenter, open-label, randomized, phase III trial

Stratified by age (<75 vs ≥75 yr), cytogenic risk by FISH, treatment center

Patients aged 65-79 yr with NDMM who are nonfrail and transplant-ineligible; no prior systematic treatment; measurable disease; ECOG PS ≤2 (N = 270)

Primary endpoint: MRD (10-5) at 18 mo

Key secondary endpoints: ORR (CR, ≥ VGPR), MRD− CR (10

Slide credit: clinicaloptions.com
-5), PFS, OS, safety
Leleu. Nature Medicine. 2024. [Epub]. Leleu. ASCO 2024. Abstr 7501. Isatuximab
1, Days
15 cycle 2-12
Rd*
135) Cycle
28-day cycles Isatuximab 10 mg/kg IV Day 1 + R* + Bortezomib 1.3 mg/m2 SC Day 1, 15 Isatuximab 10 mg/kg IV Day 1 + R* Isatuximab
cycle
Days
15 cycle
Rd* + Bortezomib
SC Days
Isatuximab + R* *R:
Cycles
28-day cycles Cycle 19 onwards 28-day cycles Weekly velcade
IV 10 mg/kg QW cycle
1,
+
(n =
13-18
10 mg/kg IV QW
1,
1,
2-12 +
1.3 mg/m2
1, 8 ,15 (n = 135)
lenalidomide 25 mg PO Days 1-21, d: dexamethasone 20 mg IV QW.
1-12

BENEFIT: Rate of MRD− in ITT

Slide credit: clinicaloptions.com
sensitivity
Leleu. Nature Medicine. 2024. [Epub]. Leleu. ASCO 2024. Abstr 7501. OR:
(95% CI:
6.62) P <.0001 OR: 2.97 (95% CI: 1.605.50) P = .0005 OR: 3.16 (95% CI: 1.895.28) P <.0001 OR: 2.74 (95% CI: 1.544.87) P = .0006 12 Mo 18 Mo 10-5 10-5 10-6 10-6 21 51 13 32 26 53 17 36 P a ti e n t s ( % ) Isa-VRd Isa-Rd 60 50 40 30 20 10 0
Isa-VRd significantly improved 12- and 18-mo MRD- rate and at 10-5 or 10-6
vs Isa-Rd
3.88
2.27-

IMROZ:

Study Design

International, randomized, open-label phase III trial

Stratified by age (<70 vs ≥70 yr), R-ISS stage (I or II vs III vs not classified), and China vs nonChina

Patients 18 to ≤80 yr of age with symptomatic NDMM not considered for transplant due to older age or comorbidities (N = 446)

(4 x 6-wk cycles)

(4-wk cycles) 3:2

Isatuximab* + VRd† (n = 265) VRd† (n = 181)

Isatuximab‡ + Rd§ (n = 265) Rd§ (n = 181)

*Isa IV (C1 only) 10 mg/kg Q1W; Isa IV (C2-4) 10 mg/kg Q2W. †V: SC 1.3 mg/m2 on D1,4,8,11,22,25,29,32; R: PO 25 mg on D1-14 and 22-35; d: IV/PO 20 mg on D1,2,4,5,8,9,11,12,15,22,23,25,26,29,30,32,33.

‡Isa IV (C5-17) 10 mg/kg Q2W; Isa IV (C18+) 10 mg/kg monthly. §R: PO 25 mg on D1-21; d: IV/PO 20 mg on Q1W.

Primary endpoints: PFS

Secondary endpoints: CR rate, MRD− CR (NGS 10-5) rate, ≥ VGPR rate, OS

Facon. ASCO 2024. Abstr 7500. Facon. NEJM. 2024;[Epub].

Until PD, unacceptable toxicity, or patient withdrawal

Crossover from Rd to Isa-Rd allowed upon progression

Slide credit:
clinicaloptions.com
Continuous
Induction
Treatment

IMROZ:

PFS in ITT Population, Interim Analysis

follow-up: 59.7 mo (IQR: 56.0-63.2)

Slide credit: clinicaloptions.com
Facon. ASCO 2024. Abstr 7500. Facon. NEJM. 2024;[Epub]. Parameter, n (%) Isa + VRd (n = 265) VRd (n = 181) Median PFS, mo NR 54.34 HR (98.5% CI) 0.60 (0.41-0.88) P value <.001 Patients at Risk, n Isa-VRd VRd Mo P F S ( % ) 60-mo PFS rate: 63.2% 100 80 60 40 20 0 0 6 12 18 24 30 36 42 48 54 60 66 72 265 181 243 155 234 141 217 121 201 104 190 96 177 89 164 81 153 70 104 51 43 20 2 2 0 0
Isa-VRd VRd 60-mo PFS rate: 45.2%
Median

ALGORITHM FOR TRANSPLANT INELIGIBLE

Transplant Ineligible

Standard Risk

DRVd or Isa-RVD?

RVd x 8-9 cycles

Until Progression Len maintenance until progression

Transplant Ineligible High Risk

DRVd or Isa-RVD?

RVd x 12 cycles

Len + bortezomib maintenance until progression

DRd

HOW DO YOU TREAT TRANSPLANT ELIGIBLE PATIENTS?

DETERMINATION: RVd + ASCT vs. RVd

Multicenter, randomized, open-label phase III trial conducted in 56 sites within the United States

Stratification by ISS disease stage, cytogenetic risk

Patients aged 18-65 yr with symptomatic NDMM following 1 cycle of VRd; ECOG PS 0-2 (N = 722)

VRd in 21-day cycles: R 25 mg/day PO Days 1-14; V 1.3 mg/m 2 IV/SC Days 1, 4, 8, 11; d 20/10 mg PO Days 1, 2, 4, 5, 8, 9, 11, 12. R maintenance 10 mg/day during Mo 1-3, 15 mg/day from Mo 4 onward.

Primary endpoint: PFS

Key secondary endpoints: DoR, TTP, OS, QoL, safety

Richardson. ASCO 2022. Abstr LBA4. Richardson. NEJM. 2022;[Epub].

Slide credit: clinicaloptions.com
S t e m c e l l c o l l e c ti o n Induction Consolidation Maintenanc e Until PD VRd cycles 2-3 (n = 357) VRd cycles 2-3 (n = 365) VRd cycles 4-8 VRd cycles 4-5 R (n = 291) R (n = 289) Melphalan
ASCT
200 mg/m2 + ASCT (n = 310)

DETERMINATION: PFS (Primary Endpoint)

Slide credit: clinicaloptions.com
HR: 1.53 (95% CI: 1.23-1.91; P <.001) VRd + ASCT 67.5 (58.6-NR) VRd alone 46.2 (38.1-53.7) Median PFS, Mo (95% CI) 1.0 0.8 0.6 0.4 0.2 0.0 P r o b a b i l i t y Transplantation VRd Alone 84 0 12 24 36 48 60 72 Months Since Randomization 365 357 276 250 226 187 191 160 160 126 118 96 77 60 42 40 No. at Risk Transplantation VRd Alone
Median follow-up: 76 mo Richardson. ASCO 2022. Abstr LBA4. Richardson. NEJM. 2022;[Epub].

DETERMINATION: PFS by Cytogenetic Risk

Median follow-up: 76 mo

Slide credit: clinicaloptions.com
Richardson. ASCO 2022. Abstr LBA4. Richardson. NEJM. 2022;[Epub]. High-Risk Cytogenetics Standard-Risk Cytogenetics VRd + ASCT 82.3 VRd alone 53.2 Median PFS, Mo HR: 1.38 (95% CI: 1.07-1.79) 1.0 0.8 0.6 0.4 0.2 0 P r o b a b i l i t y o f P F S 0 12 24 36 48 60 72 84 Time From Randomization (Mo) 274 268 212 197 175 156 94 83 58 50 VRd+ASCT VRd-alone 151 134 126 109 29 34 Patients at Risk HR: 1.99 (95% CI: 1.21-3.26) VRd + ASCT 55.5 VRd alone 17.1 Median PFS, Mo 1.0 0.8 0.6 0.4 0.2 0 P r o b a b i l i t y o f P F S 0 12 24 36 48 60 72 84 Time From Randomization (Mo) 66 66 45 36 37 19 16 8 12 6 VRd+ASCT VRd-alone 29 16 24 11 8 3 Patients at Risk

DETERMINATION: PFS by MRD at Start of Maintenance

Preliminary Analysis of MRD at Start of Maintenance

Slide credit: clinicaloptions.com
Richardson. ASCO 2022. Abstr LBA4. Richardson. NEJM. 2022;[Epub].
Event VRd Alone (n = 108) VRd + ASCT (n = 90) MRD negative (10-5) by NGS, % 39.8 54.4 Odds ratio (95% CI) 0.55 (0.30-1.01) MRD-Status 5-year PFS, % HR (Unadjusted 95% CI) VRd + ASCT 53.5 0.91 (0.46-1.79) VRd alone 59.2 MRD-status Median PFS, Mo HR (Unadjusted 95% CI) VRd + ASCT 50.6 1.67 (0.98 – 2.85) VRd alone 33.4 1.0 0.8 0.6 0.4 0.2 0 P r o b a b i l i t y o f p r o g r e s s i o nf r e e s u r v i v a l Time since MRD evaluation at start of maintenance (months) 108 0 12 24 36 48 60 72 84 96 Patients at risk VRd + ASCT, MRDVRd alone, MRDVRd + ASCT, MRD+ VRd alone, MRD+ 49 43 41 65 47 37 32 39 37 33 26 32 32 28 20 25 25 22 15 15 19 16 11 14 13 11 6 10 3 5 2 3 3 1 2 0 0 0 0 0 + + + + + + + + + + ++ + ++ ++ + + ++ ++ + + + + + + ++ + + + +++ + + + ++++ + ++++++ + + + + + ++ + + ++ ++ + + + + + + + + ++ ++++ + ++ + +

DETERMINATION: OS (Key Secondary Endpoint)

Slide credit: clinicaloptions.com
Richardson. ASCO 2022. Abstr LBA4. Richardson.
2022;[Epub]. Events, n (%) 5-Yr OS, % HR (Adjusted CI) P Value VRd alone 90 (25.2) 72.9 1.10 (0.73-1.65) >.99* VRd + ASCT 88 (24.1) 80.7 *CI
P value
control
overall family-wise error rate for secondary outcomes. 1.0 0.8 0.6 0.4 0.2 0.0 P r o b a b i l i t y Transplantation VRd Alone 84 0 12 24 36 48 60 72 Months Since Randomization 365 357 353 332 324 313 300 285 275 258 228 214 165 143 95 88 No. at Risk Transplantation VRd alone
NEJM.
and
adjusted using Bonferroni correction to
for

DETERMINATION: Conclusions

ASCT prolonged median PFS but similar OS

ASCT let to higher rates of MRD-negative responses at start of maintenance

Support personalized treatment based on lack of an OS difference 1. Richardson. ASCO 2022. Abstr LBA4. 2. Richardson. NEJM. 2022;[Epub].

Slide credit: clinicaloptions.com

GRIFFIN: DRVd vs. RVd

Transplant-eligible adults with ND MM; ECOG PS ≤2; CrCl ≥30 mL/min* (N = 207)

Multicenter, open-label, randomized phase II trial Laubach. ASH 2021. Abstr 79.

Induction: Cycles 14

D-VRd in 21-day cycles

D: 16 mg/kg IV D1, 8, 15

V: 1.3 mg/m2 SC D1, 4, 8, 11

R: 25 mg PO D1-14

d: 20 mg PO D1, 2, 8, 9, 15, 16 (n = 104)

VRd in 21-day cycles

V: 1.3 mg/m2 SC D1, 4, 8, 11

R: 25 mg PO D1-14

d: 20 mg PO D1, 2, 8, 9, 15, 16 (n = 103)

Consolidation: Cycles 5-6† Maintenance: Cycles 732‡

D-VRd in 21-day cycles

D: 16 mg/kg IV D1

VRd: as in induction

D-R in 28-day cycles

D: 16 mg/kg IV D1 Q4W or Q8W

R: 10 mg PO D1-21 of C7-9 and 15 mg PO D1-21 of C10+§

VRd in 21-day cycles

VRd: as in induction R in 28-day cycles

R: 10 mg PO D1-21 of C7-9 and 15 mg PO D1-21 of C10+§

*Lenalidomide dose was adjusted in patients with CrCl ≤50 mL/min. †Consolidation began 60-100 days after transplant. ‡Patients completing maintenance phase were permitted to continue single-agent lenalidomide. §15 mg administered only if tolerable.

 Primary endpoint: sCR by end of consolidation with 1-sided α = 0.1

 Key secondary endpoints: rates of MRD negativity, ORR, ≥VGPR, CR, PFS, OS

Slide credit: clinicaloptions.com
AS CT

GRIFFIN: Responses Deepen Over Time

Slide credit: clinicaleducationalliance.com:
Voorhees. Lancet Haematol. 2023;10:e825. 135 10 0 8 0 6 0 4 0 2 0 0 P a ti e n t s ( % ) End of induction End of postautologous HSCT consolidation Final analysis D-VRd Group sCR CR VGPR PR SD, PD, or NE 26 % 53 % 7 % 12 % 8 % 39 % 9 % 42 % 2 % 13 % 16 % 67 % 1 % 1 % 3 % CR or better, 19% CR or better, 52% CR or better, 83% 10 0 8 0 6 0 4 0 2 0 0 End of induction End of postautologous HSCT consolidation Final analysis VRd Group 35 % 43 % 6 % 7 % 19 % 31 % 10 % 32 % 8 % 17 % 12 % 48 % 8 % 8 % 14 % CR or better, 13% CR or better, 42% CR or better, 60%

GRIFFIN: At Follow Up of 4y, mPFS was NOT REACHED

Slide credit: clinicaleducationalliance.com: 92.2 %
Overall Survival Voorhees. Lancet Haematol. 2023;10:e825. Progression-Free Survival 136 100 80 60 40 20 0 P F S ( % )
3 6 9 12 15 18 21 24 27 30 33 36 39 42 45 48 51 54 57 60 HR 0.45 (95% CI: 0.210.95) P = .032 3-yr PFS 4-yr PFS 89.0 % 87.2 % 80.7 % 70.0 % 100 80 60 40 20 0 P F S ( % )
0 3 6 9 12 15 18 21 24 27 30 33 36 39 42 45 48 51 54 57 60 HR 0.90 (95% CI: 0.312.56) P = .84 3-yr PFS 4-yr PFS 92.7 % 92.7 % 92.2 % DVRd VRd DVRd VRd
Mo Since Randomization 0
Mo Since Randomization

GRIFFIN: MRD-Negativity Rates Over Time

Negative MRD rates were higher for D-RVd compared with RVd and continued to deepen and improve over time

Slide credit: clinicaleducationalliance.com:
D-RVd End of Induction End of Consolidation End of Study M R D N e g a ti v e ( % ) 8 0 7 0 6 0 5 0 4 0 3 0 2 0 1 0 0 105 106 64 36 11 1 22 50 10-5 threshold 10-6 threshold 10-5 threshold 10-6 threshold Voorhees. Lancet Haematol. 2023;10:e825. End of Induction RVd End of Consolidation End of Study 8 20 30 3 16 105 106 137

PERSEUS

: DRVd vs. RVd

 International, randomized, open-label phase III trial

Stratified by ISS stage and cytogenetic risk

Adults aged 18-70 yr with transplanteligible NDMM; ECOG PS ≤2 (N = 709)

Induction: Cycles 1-4 (28-day cycles)

(n = 355)

Consolidation: Cycles 56 (28-day cycles)

Maintenance: Cycles 7+ (28-day cycles)

(n = 354)

Dosing: D 1800 mg SC QW (induction cycles 1-2)/Q2W (induction cycles 3-4 and consolidation)/Q4W (maintenance); V 1.3 mg/m 2 SC on Days 1, 4, 8, 11; R 25 mg PO on D1-21 (induction and consolidation)/10 mg PO on Days 1-28 (maintenance); d 40 mg PO/IV on Days 1-4, 9-12. *D stopped after 2 yr in those with ≥CR and sustained MRD negativity (10-5) for 12 mo. †Restart D if confirmed loss of CR without PD or MRD recurrence.

Primary endpoint: PFS

Key secondary endpoints: ≥CR rate, overall MRD-negativity rate (proportion of patients achieving MRD negativity and ≥CR), OS

 Current analysis evaluates deepening of response and MRD negativity during maintenance

Slide credit: clinicaloptions.com
Rodriguez-Otero. ASCO 2024. Abstr 7502. NCT03710603.
D-VRd
D-VRd D-R x ≥2 yr* AS CT
VRd
VRd R until PD
D-R until PD R† MRDMRD +

PERSEUS Primary Analysis: PFS Subgroup Analysis

Slide credit: clinicaleducationalliance.com:
Sonneveld. ASH 2023.
2024;390:301. Subgroup D-VRd n/N VRd n/N D-VRd mo VRd mo
 Male  Female 36/211 14/144 61/205 42/149 NE NE NE NE 0.51 (0.34-0.77) 0.29 (0.16-0.53) Age  <65 yr  ≥65 yr 30/261 20/94 84/267 19/87 NE NE NE NE 0.30 (0.20-0.46) 0.97 (0.52-1.81) Race  White  Other 47/330 3/25 95/323 8/31 NE NE NE NE 0.42 (0.30-0.60) 0.40 (0.11-1.50) ISS disease stage  I  II  III 18/186 19/114 13/55 35/178 43/125 25/50 NE NE NE NE NE 41.9 0.46 (0.26-0.81) 0.37 (0.22-0.64) 0.42 (0.22-0.83) Type of multiple myeloma  IgG  Non-IgG 28/204 13/78 58/185 31/96 NE NE NE NE 0.36 (0.23-0.57) 0.46 (0.24-0.88) Cytogenetic risk
Standard  High  Indeterminate 25/264 24/76 1/15 62/266 38/78 3/10 NE NE NE NE 44.1 NE 0.35 (0.22-0.56) 0.59 (0.36-0.99) 0.16 (0.02-1.56) ECOG performance-status score  0  ≥1 28/211 22/134 60/230 43/124 NE NE NE NE 0.42 (0.27-0.66) 0.41 (0.25-0.69) D-VRd Better VRd Better 0. 1 1. 0 10. 0
Abstr LBA-1. Sonneveld. NEJM.
Sex
Median PFS Hazard Ratio for PD or Death (95% CI) 139
PD or Death

PERSEUS

MRD Analysis: Cumulative MRD-Negativity Rates in ITT Population

to

Rate of deeper MRD negativity (10-6) approximately doubled with D-VRd → D-R vs VRd → R

Deeper MRD negativity (10-6) increased by ~30% during D-R maintenance

D-VRd → D-R vs VRd → R consistently improved MRD-negativity rates (10

or 10

) across subgroups

Slide credit:
clinicaloptions.com
MRD-Negativity Rate, % D-VRd (n = 355) VRd (n = 354) End of consolidation  10-5  10-6 57.5 34.4 32.5 16.1 Up to 12 mo  10-5  10-6 65.1 43.9 38.7 20.9 Up
mo  10-5  10-6 72.1 57.7 44.9 27.4 Up to 36 mo  10-5  10-6 74.6 63.9 46.9 30.8 Rodriguez-Otero. ASCO 2024. Abstr 7502.
-5
-6
24

PERSEUS MRD Analysis: High-Risk MM

Rates were approximately doubled for MRD negativity (10-6) and sustained MRD negativity ≥12 mo with D-VRd → D-R vs VRd → R

PFS numerically improved with D-VRd → D-R vs VRd → R among patients with high-risk MM and MRD negativity (10-6)

‒ HR for PFS: 0.62 (95% CI: 0.21-1.84; P = .3853)

Slide credit: clinicaloptions.com
Rate, % D-VRd (n = 76) VRd (n = 78) MRD negativity  10-5  10-6 68.4 57.9 47.4 30.8 Sustained
negativity for
mo  10-5  10-6 48.7 30.3 25.6 14.1 Rodriguez-Otero. ASCO 2024. Abstr 7502.
MRD
≥12

IsKia EMN24: IsaKRd vs KRd

Open-label, randomized phase III trial

Stratified by centralized FISH (standard risk/missing vs high risk), ISS (I vs II and III) Induction (4 x 28-day cycles)

Transplant eligible patients aged <70 yr with newly diagnosed MM (N = 302)

IsaKRd (n = 151)

KRd (n = 151)

Isa: 10 mg/kg IV C1 D1, 8, 15, 22, followed by C2-4 D1, 15; K: 20 mg/m2 IV C1 D1 only, followed by 56 mg/m2 C1 D8, 15 and C2-4 D1, 8, 15;

R: 25 mg PO QD D1-21; d: 40 mg PO D1, 8, 15, 22

Cy 2-3 g/m2 followed by G-CSF and MEL200-ASCT MEL 200 mg/m2 followed by ASCT

(4 x 28-day cycles)

(12 x 28-day cycles)

Isa: 10 mg/kg IV C5-8 D1, 15; K: 56 mg/m2 C5-8 D1, 8, 15; R: 25 mg PO QD D1-21; d: 40 mg PO D1,8, 15, 22

Primary endpoint: MRD negativity by NGS after postASCT consolidation

Secondary endpoints: MRD negativity after induction, PFS, sustained MRD negativity

Isa: 10 mg/kg IV D1; K: 56 mg/m2 D1, 15;

R: 10 mg PO QD D1-21;

d: 20 mg PO D1, 15

Slide credit: clinicaleducationalliance.com:
Consolidation
Mobilizatio n IsaKRd KRd Gay. ASH 2023. Abstr 4. NCT04483739.
Post-ASCT
Light Consolidation
IsaKRd KRd MRD by NGS MRD by NGS MRD by NGS MRD by NGS
142

IsKia EMN24: Postconsolidation

MRD Negativity (ITT) and Response

Postconsolidation MRD Negativity

Gay. ASH 2023. Abstr 4. Outcome Isa-KRd (n = 151) KRd (n = 151) Odds Ratio P Value Postconsolidation response, %  ≥ VGPR  ≥ CR  sCR 94 74 64 94 72 67 -- --
NGS, 10-5 NGS, 10-6 P a ti e n t s ( % ) P a ti e n t s ( % ) 100 80 60 40 Isa-KRd (n = 151) 20 0 KRd (n = 151) 77% 67% OR: 1.67; P = .049 100 80 60 40 20 0 Isa-KRd (n = 151) KRd (n = 151) 67 % 48 % OR: 2.29; P <.001

IsKia

EMN24:

MRD Negativity by Cytogenic Risk

Postconsolidation MRD Negativity

Subgroup Analysis by Cytogenetic Risk

1 HRCA was defined as the presence of one of the following high-risk cytogenetic abnormalities: del(17p13.1), r(4;14) (p16.3;q32.3), T(14;16) (q32.3;q23), gain(1q21), or amp(1q21); 2+ HRCA was defined as the presence of at least 2 high-risk cytogenetic abnormalities.

Gay. ASH 2023. Abstr 4.
P a ti e n t s ( % ) 100 80 60 40 20 0 0 HRCA 1 HRCA 2+ HRCA NGS, 10-5 NGS, 10-6 79% 72% 78% 65% 77% 53% Very high risk 0 20 40 60 80 100 0 HRCA 1 HRCA 2+ HRCA 65% 48% 69% 53% 77% 27% Isa-KRd KRd Very high risk

GMMG-HD7: IsaRVd vs. RVd

Open-label, randomized, multicenter phase III trial

Induction (3 x 6-Wk Cycles)

Isatuximab 10 mg/kg*

Bortezomib 1.3 mg/m2†

Lenalidomide 25 mg†

Adults with NDMM who are eligible for HDT and ASCT (N = 662)

Dexamethasone 20 mg† (n = 331)

Bortezomib 1.3 mg/m2

Lenalidomide 25 mg

Dexamethasone 20 mg† (n = 329)

*Cycle 1: D1, 8, 15, 22, 29; cycles 2-3: D1, 15, 29.

Maintenance (4-Wk Cycles)

Isatuximab 10 mg/kg‡ +

Lenalidomide 10 → 15 mg§

Dexamethasone 20 mg

HDT ASCT

†Bortezomib D1, 4, 8, 11, 22, 25, 29, 32; lenalidomide Days 1-14 and 22-35; dexamethasone D1, 2, 4, 5, 8, 9, 11, 12, 15, 22, 23, 25, 26, 29, 30, 32, 33.

Data cutoff: April 2021.

3 yr or PD

Lenalidomide 10 → 15 mg§

Dexamethasone 20 mg║

‡Cycle 1: D1, 8, 15, 22; Cycles 2-3: D1, 15; Cycle 4+: D1.

§Days 1-28. Increase dose to 15 mg after 3 mos

Dexamethasone D1, 8, 15, 22 in C1. Goldschmidt. ASH 2021. Abstr 463.

 Primary endpoint: MRD negativity at end of induction (NGF, sensitivity 10-5) stratified according to R-ISS

 Secondary endpoints: CR after induction, safety

 MRD negativity assessed after cycle 3, HDT, 12 mos, and 24 mos as well as at end of study

Slide credit: clinicaloptions.com

GMMG-HD7: MRD Negativity (Primary Endpoint) and Response Rates at End of Induction

Not assessable/missing* MRD status

low:
 Significant increase in ≥VGPR with IsaVRd  Significant increase in ORR Slide credit: clinicaloptions.com
samples,
P <.001*
at End of Induction OR 1.83 (95% CI 1.34–2.51) Isa-VRd (n = 331) VRd (n = 329) P a ti e n t s ( % ) P = .46* P = .15* P <.001* P = .02* Response
at
of
CR ≥nCR ≥VGPR ≥PR P a ti e n t s ( % ) 50.1% 35.6% 60 50 40 30 20 10 0 100 80 60 40 20 0 Isa-RVd† RVd 90.0% 83.6% 77.3% 60.5% 41.7% 36.2% 24.2% 21.6% Goldschmidt.
Isa-VRd, 10.6%; VRd, 15.2%
*Due either to loss to follow-up, missing bone marrow
or technical failures in measurement counted as nonresponders.
Patients with MRD Negativity
Rates
End
Induction
ASH 2021. Abstr 463. Reproduced with permission.

Quadruplet vs. Triplet Question is now Settled

IsaRVd vs. RVd N/A

IsaKRd vs. KRd 77%

Trial Regimen Overall MRD neg (10-5) GRIFFIN DRVd
63% PERSEUS DRVd
75% GMMG-HD7
vs. RVd
vs. RVd
IsKia

Transplant Eligible

Standard Risk

Transplant Eligible Algorithm

DRVd or RVd x 3-4 cycles

ASCT

Len maintenance until progression

Collect & store stem cells

DRVd or RVd x 4 cycles Len maintenance until progression

Transplant Eligible High Risk

DRVd x 3-4 cycles

ASCT

Len and bortezomib maintenance until progression

CONCLUSIONS

The addition of Dara completely changed the treatment landscape of myeloma for both TE and TIE patients

‒ Deeper responses

‒ Longer remissions

‒ Very tolerable

Transplant can prolong remission but does not prolong lifespan

‒ For high risk patients, transplant upfront

‒ For standard risk patients, it is a discussion

Conclusions

Quadruplet wins over triplet in TE patients (ie. DRVd, IsaRVd, DKRd, IsaKRd)

Will quadruplet therapy be the new standard of care for TIE?

Treatment can be tweaked to improve tolerability and QOL

Important to provide aggressive supportive care

Questions?

Partnering with the IMF

WHO AM I  WHAT DO I DO?

 Vice President of Development for the IMF

 Securing support and resources for the IMF through diverse mechanisms

 Oversee a team of passionate and determined fundraising professionals who are committed to advancing the mission of the IMF

 Have the incredible honor of working with dedicated volunteers from the US and across the globe.

153

Become a Partner, Be a Change Agent

Peer-to-Peer Fundraising

• Peer-to-Peer Fundraisers are created from YOUR ideas. Starting a Fundraiser is easy and fun. They also make a world of difference in the myeloma community.

• Engage your family, friends, co-workers, your network who honor your journey with myeloma and want to support you. Let them show you that you are not alone.

Join the HOPE Society (Recurring Monthly & Annual Giving Program)

• Help us cultivate the future by joining the International Myeloma Foundation's Hope Society.

• Monthly gifts starting at $10 support IMF core programs, including educational events, publications, the toll-free InfoLine, and more.

• Turn your monthly contribution into a yearly commitment.

Transformative Gifts (Major Giving and Principal Giving)

• Gifts can be designated toward a specific program, project or initiative .

 Unrestricted, Direct and Endowment

154

What will your legacy be?

Planned Giving

• Join the Brian D. Novis Legacy Society and make a planned gift!

• Gain immediate tax benefits

• Potentially increase your income during your lifetime.

• Continue to fund our core programs and four pillars.

• Make a bequest (a gift from your estate)

• Include a provision in your will or living trust.

• Designated us as a beneficiary of a life insurance policy, or retirement plan (IRA, 401(k), or 403(b).

• Leave us in your will is one of the most profound ways to support the people and causes important to you.

Corporate and Foundation Gifts

• Your organization can contribute a corporate gift or foundation grant

• Provide seed funding that is necessary to accelerate the path to a cure.

155

3 Ways to Engage

Philanthropy

• Make a donation to support research, patient programs, and advocacy efforts.

• Sponsor or participate in fundraising events such as walks, runs, or galas.

• Create a fundraising campaign online to raise awareness and funds.

Community/network

• Join your local support group/become a Support Group Leader

• Volunteer your time through mentorship or support programs.

• Engage on social media to connect with others affected by myeloma.

Intellectual capacity

• Attend conferences/webinars to stay updated on the latest news.

• Offer your expertise as a speaker or panelist at events.

156

Start the Conversation

We welcome you to continue to learn more about our programs, projects, and initiatives at the IMF and find alignment with your own myeloma journey as well as ways to deepen and strengthen your engagement with us.

Reach out to the IMF Development Team to start a conversation on how you can make a difference in the lives of the people impacted by myeloma.

•Sylvia Dsouza - IMF Vice President, Development  sdsouza@myeloma.org | 818.487.7455 ext. 268

157

Join us - Miles for Myeloma on Saturday, May 4

158

QUESTIONS?

LUNCH BREAK

IMF
Regional Community Workshop
Agenda after lunch 12:40 – 1:10 PM Local Patient & Care Partner Panel Patients
Ellen Herman
Ivy Walker Care Partners – Bruce Herman
Ron Walker
– 1:30 PM Maintenance Therapy, Cindy Varga, MD 1:30 – 1:40 PM Q&A 1:40 – 2:25 PM Relapsed Therapies & Clinical Trials, Pete Voorhees, MD 2:25 – 2:35 PM Q&A 2:35 – 3:00 PM Closing Remarks/Coffee & Networking
June 22nd, 2024 –
&
&
1:10

Thank you to our sponsors!

Local Patient & Care Partner

Ellen Herman & Ivy Walker Bruce Herman & Ron Walker

Maintenance Therapy

Atrium Health, Levine Cancer Institute

Charlotte, NC

Maintenance Therapy

Levine Cancer Institute Atrium Health

June 22nd, 2024

Outline

•Evidence behind maintenance therapy

•Doublet vs. monotherapy in maintenance therapy

•MRD-guided decision making

•What is in the pipeline

Maintenance

•Goal:

• Less intense therapy which would prolong disease control and possibly survival

• Long term therapy (vs. induction therapy)

•Execution

• Well-tolerated

• Convenient

• Disease sensitivity

• Not overly $$$

Transplant Ineligible

RVd x 8-9 cycles

Treatment Algorithms

Transplant Eligible

DRVd or RVd x 3-6 cycles

Len maintenance until progression

Until Progression

ASCT

Len maintenance until progression

DRd

Potential Maintenance Agents

•Immunomodulators

• Lenalidomide 10mg oral days 1-21

• Pomalidomide 2-4mg oral days 1-21

•Proteasome Inhibitor

• Bortezomib SQ every other week

• Ixazomib oral weekly days 1,8,15

• Carfilzomib IV ever other week

•AntiCD38

• Daratumumab SQ monthly

What is the rationale behind maintenance therapy?

Attal et al. NEJM 2012

IFM 2005: Len prolongs PFS

Attal et al. NEJM 2012 mPFS 41m v. 23m, p<0.001

CALGB

mPFS 46 mos vs. 27 mos (P<0.001)

OS at 3 years was 88% vs. 80%

al. NEJM 2012
McCarthy et

Secondary Malignancy

McCarthy et al. NEJM 2012

Meta-Analysis: Len doubles PFS

•3 studies

• CALGB

• IFM

• GIMEMA (Spanish)

McCarthy et al. JCO 2017

Conclusions

•Len can prolong PFS after ASCT compared to placebo

• (median 46m vs. 24m, p<0.001)

•Possible overall survival benefit?

•Risk of secondary malignancy is increased on len maintenance

• 13% vs. 7%

• BUT lower risk compared to MM relapse

Does Duration Matter?

Len for 12 mos

Median PFS was longer in the DFCI trial

Len until progression

IFM DFCI mPFS 67.5 mos vs. 46.2 mos
mPFS
50 mos vs. 36 mos

What is the optimal duration?

Myeloma XI Trial: What is the Optimum Duration?

Open-label, randomized phase III study with 3 randomizations: induction, intensification, and maintenance treatment

‒ Current analysis: maintenance with lenalidomide monotherapy vs observation following ASCT

Patients with newly diagnosed, symptomatic, transplant-eligible MM completing Myeloma XI induction protocols* and ASCT; responded to lenalidomide; without PD (N = 1248)

Maintenance Phase

Lenalidomide 10 mg/day on Days 1-21/28 (n = 730)

Observation (n = 518)

Continued until disease progression

Median follow-up: 44.7 mo (IQR: 32.4-62.7); median duration of lenalidomide therapy:

28 cycles (range: 1-96) with 45% of patients (330/730) still on therapy

Endpoints: Overall PFS, PFS2; landmark PFS by genetic risk subgroups and MRD status

Slide credit: clinicaloptions.com
Pawlyn. ASH 2022. Abstr 570.

Myeloma XI Trial: PFS From

Maintenance Randomization

Median PFS, Mo (95% CI)

Pawlyn. ASH 2022. Abstr 570. Reproduced with permission.

Slide
clinicaloptions.com
credit:
P F S ( % ) Lenalidomid
Observation
HR: 0.52 (95% CI: 0.45-0.61); P <.001
Lenalidomid e Observation Patients at Risk, n (censored) Mo 730 (4) 518 (0) 641 (13) 401 (4) 509 (51) 288 (22) 327 (174) 151 (94) 175 (295) 81 (137) 96 (359) 42 (160) 50 (394) 20 (175) 9 (432) 4 (190) 1 (438) 0 (194) 0 (439) 10 0 90 80 70 60 50 40 30 20 10 0 10 8 0 12 24 36 48 60 72 84 96
PFS
e
64 (5476) 32 (2836)

Myeloma XI Trial: PFS From Maintenance Randomization

by Cytogenetic Risk Status

Risk or Ultra-High Risk

Pawlyn. ASH 2022. Abstr 570. Reproduced with permission.

Slide credit: clinicaloptions.com
Standard
P F S ( % ) Lenalidomid e Observation 64 (5476) 36 (2746) HR: 0.40 (95% CI: 0.28-0.58); P <.0001 Median PFS, Mo (95% CI) Lenalidomid e Observation 38 (3059) 21 (1130) HR: 0.50 (95% CI: 0.35-0.70); P <.0001 Median PFS, Mo (95% CI) Lenalidomid e Observation Patients at Risk, n (censored) Mo 130 (0) 130 (0) 125 (0) 108 (1) 112 (4) 77 (5) 60 (20) 43 (27) 45 (57) 21 (37) 25 (70) 14 (41) 14 (78) 8 (43) 3 (87) 1 (49) 0 (50) 0 (50) 10 0 90 80 70 60 50 40 30 20 10 0 10 8 0 12 24 36 48 60 72 84 96 P F S ( % ) Lenalidomid e Observation Mo 151 (0) 82 (0) 122 (2) 47 (0) 60 (9) 34 (5) 60 (26) 13 (14) 33 (45) 8 (17) 14 (61) 3 (10) 6 (65) 1 (21) 1 (71) 1 (21) 0 (72) 0 (22) 10 0 90 80 70 60 50 40 30 20 10 0 10 8 0 12 24 36 48 60 72 84 96 Patients at Risk, n (censored)
Risk High

Myeloma XI Trial: PFS From

Maintenance Randomization by MRD Negativity Status

Pawlyn. ASH 2022. Abstr 570. Reproduced with permission.

clinicaloptions.com
Slide credit:
*MRD
cytometry
MRD
MRD
P F S ( % ) HR: 0.72 (95% CI: 0.55-0.95); P = .022 HR: 0.37 (95% CI: 0.27-0.50); P <.0001 Lenalidomid e Observation Patients at Risk, n Mo 299 (3) 175 (0) 273 (4) 154 (1) 213 (24) 125 (7) 127 (83) 53 (45) 63 (132) 35 (59) 35 (153) 19 (72) 19 (106) 9 (78) 0 (184) 2 (85) 0 (87) Lenalidomide Observation 59 (50-NE) 44 (35-50) Median PFS, Mo (95% CI) 10 0 90 80 70 60 50 40 30 20 10 0 10 8 0 12 24 36 48 60 72 84 96 P F S ( % ) Lenalidomid e Observation Patients at Risk, n Mo 153 (0) 122 (0) 120 (5) 79 (1) 92 (13) 39 (5) 60 (31) 23 (8) 39 (45) 9 (14) 23 (50) 3 (17) 13 (67) 1 (18) 3 (76) 0 (19) 0 (78) Lenalidomide Observation 47 (33-76) 18 (13-22) Median PFS, Mo (95% CI) 10 0 90 80 70 60 50 40 30 20 10 0 10 8 0 12 24 36 48 60 72 84 96
assessed by flow
with median sensitivity of 4 x 105 .
Negative
Positive

Conclusions

•There is ongoing PFS benefit associated with continuous Len maintenance beyond 4-5 years in the OVERALL population

•In sustained MRD-negative patients, continuation beyond 3 years appeared to be of limited value

•In MRD-positive patients, results support continuing lenalidomide until disease progression

What about Dara as

a maintenance agent?

CASSIOPEIA:

What about single agent Dara maintenance?

 Open-label, global, multicenter, randomized phase III trial

Stratified by induction treatment (D-VTd vs VTd), depth of response

Patients aged 18-65 yr with transplanteligible newly diagnosed MM,

ECOG PS 0-2 (N = 1085)

Part 1

Patients with ≥PR after completion of part 1 treatment (N = 886)

Dara Q8W until PD (max of 2 yrs followed by observation until PD)

Observation until PD (maximum of 2 yrs)

Part 2

 Primary endpoint (part 2): PFS (after second randomization)

 Key secondary endpoints (part 2): TTP (after second randomization), rates of ≥CR, MRD negativity rates (in ≥CR at a threshold of 10-5 by NGS), OS

Slide credit: clinicaloptions.com
Moreau. ASCO 2021. Abstr 8004. Maintenanc e VTd 4 cycles Daratumumab + VTd 4 cycles ASCT ASCT VTd 2 cycles Daratumumab + VTd 2 cycles

CASSIOPEIA: PFS by Combination of Induction and Maintenance Therapy

24 months: end of treatment VTd/DARA

Comparison

VTd/DARA vs VTd/OBS

D-VTd/DARA vs D-VTd/OBS

Is Dara needed in

induction and maintenance or is one or the other adequate?

Moreau. ASCO 2021. Abstr 8004. Reproduced with permission. Slide credit: clinicaloptions.com Mo P F S ( % ) 
0 2 0 4 0 6 0 8 0 10 0 0 6 1 2 1 8 2 4 3 0 3 6 4 2 4 8 HR (95% Cl) P value* 0.32 (0.23-0.46) <.0001 1.02 (0.71-1.47) .9133
both
D-VTd/OBS
D-VTd DARA 229 226 217 204 198 145 76 30 0 D-VTd OBS 229 223 216 207 195 144 75 38 2 VTd/DARA 213 203 189 182 174 138 79 34 1 VTd/OBS 215 201 176 155 131 83 43 15 1
D-VTd/DARA
VTd/OBS

CASSIOPEIA: PFS by Subgroups

Moreau. ASCO 2021. Abstr 8004. Reproduced with permission. Slide credit: clinicaloptions.com Hazard Ratio (95% Cl) Hazard Ratio (95% Cl) Sex Male Female Age <50 years 50-60 years >60 years Site IFM HOVON ISS Staging I II III Cytogenetic risk High Risk Standard Risk 0.57 (0.42-0.76) 0.53 (0.35-0.81) 0.38 (0.20-0.74) 0.56 (0.39-0.79) 0.67 (0.46-0.98) 0.56 (0.43-0.72) 0.59 (0.31-1.13) 0.50 (0.32-0.78) 0.56 (0.40-0.79) 0.75 (0.44-1.29) 0.43 (0.25-0.73) 0.62 (0.48-0.82) 0.1 1 Favors DARA Favors OBS Premaintenance baseline renal function CrCl >90 mL/min CrCl ≤90 mL/min Type of MM IgG Non-IgG
0 ≥1 Induction/ASCT/consolidation
VTd D-VTd MRD Positive Negative Response VGPR or better PR 0.51 (0.38-0.68) 0.72 (0.47-1.12) 0.64 (0.48-0.87) 0.44 (0.26-0.75) 0.55 (0.40-0.76) 0.57 (0.40-0.82) 0.34 (0.24-0.47) 1.05 (0.73-1.51) 0.46 (0.31-0.67) 0.61 (0.44-0.83) 0.58 (0.45-0.75) 0.39 (0.21-0.73) 0.1 1 Favors DARA
Premaintenance baseline ECOG PS
tx group
Favors OBS

What about dual maintenance therapy?

GEM2014MAIN: Ixazomib +

Len Maintenance

Maintenance: Rd vs. IRd

Toxicity of Adding Ixazomib

FORTE: Combination Maintenance

Multicenter, randomized, open-label phase II study

Patients with ND

MM, eligible for ASCT and < 65 yrs of age (N = 474)

4 x 28-Day Cycles

Arm A: KCd (n = 159)

Arm B: KRd (n = 158)

Arm C: KRd (n = 157) Induction

Single ASCT Arm C:

4 x 28-Day Cycles Endpoint 1:

4 x 28-Day Cycles

Arm A: KCd (n = 159)

Arm C: KRd (n = 157) Consolidation

Arm B: KRd (n = 158)

Gay. ASCO 2021. Abstr 8002. Slide credit: clinicaloptions.com
M o b i l i z a ti o n
KRd
Rate of VGPR
premaintenance VGPR, sCR, MRD negativity, safety, rate of early relapse S e c o n d R a n d o m i z a ti o n R KR
Endpoint 2:
Dosing in slide notes.

Maintenance: KR vs. R

K vs. KR

GRIFFIN Maintenance Phase Update:

Study Design

Multicenter, open-label, randomized phase II trial

Induction: Cycles 14

D-VRd in 21-day cycles

D: 16 mg/kg IV D1, 8, 15

V: 1.3 mg/m2 SC D1, 4, 8, 11

Transplant-eligible adults with ND MM, ECOG PS ≤ 2, and CrCl ≥ 30 mL/min* (N = 207)

R: 25 mg PO D1-14

d: 20 mg PO D1, 2, 8, 9, 15, 16 (n = 104)

VRd in 21-day cycles

V: 1.3 mg/m2 SC D1, 4, 8, 11

R: 25 mg PO D1-14

d: 20 mg PO D1, 2, 8, 9, 15, 16 (n = 103)

Consolidation: Cycles 5-6†

Maintenance: Cycles 7-32‡

D-VRd in 21-day cycles

D: 16 mg/kg IV D1

VRd: as in induction

D-R in 28-day cycles

D: as in consolidation Q4W or Q8W

R: 10 mg PO D1-21 of C7-9 and 15 mg PO D1-21 of C10+§

VRd in 21-day cycles

VRd: as in induction

R in 28-day cycles

R: 10 mg PO D1-21 of C7-9 and 15 mg PO D1-21 of C10+§

*Lenalidomide dose was adjusted in patients with CrCl ≤ 50 mL/min. †Consolidation began 60-100 days after transplantation. ‡Patients completing maintenance phase were permitted to continue single-agent lenalidomide. §15 mg administered only If tolerable.

Primary endpoint: sCR by end of consolidation with 1-sided α = .1

Secondary endpoints: MRD, CR, ORR, ≥ VGPR

Kaufman. ASH 2020. Abstr 549.

Slide credit: clinicaloptions.com
AS CT

Responses Deepened While on Maintenance

Conclusions

Cannot make any conclusions on DR vs. R maintenance

‒ no 2nd randomization

‒ Any benefit may have been related to Dara inclusion in the induction

AURIGA

Closed

NearingEndof Enrollment

SWOG S1803

Minimal Residual Disease is the New CR!

Performed on bone marrow samples

Can detect 1 myeloma cell out of 100,000 cells

Deepest response we can achieve

Surrogate for remission duration

FDA recognizes MRD as a clinical endpoint in trials

MASTER Trial: Can you Eliminate Maintenance Therapy using MRD?

CONCLUSIONS

For NDMM with standard risk or 1 high risk cytogenetic abnormality, Dara-KRD/ASCT + MRD adapted therapy

‒ may be able to discontinue therapy and forgo maintenance with a low risk of progression

‒ Same is not true for pts with 2 high risk factors even if MRD neg = require maintenance therapy

Pipeline

EMN26: Iberdomide Maintenance

•Celmod

• Iberdomide is a novel, potent, oral cereblon E3 ligase modulator (CELMOD)

• Greater tumoricidal and immunemodulatory effects compared with Len

Overall “Take Homes”

•Len remains the standard of care for maintenance therapy in MM

• Convenient

• Low toxicity

•Can consider Len + PI maintenance for high-risk patients if feasible

•Dara-Len after ASCT – remains to be seen with SWOG and AURIGA trials

•Duration?

• Indefinite though we are likely overtreating some patients this way

•MRD-Adapted?

• De-escalate?

• Perhaps in standard risk patients

• Re-escalate?

Questions?

Relapsed Therapies & Clinical Trials

Peter Voorhees, MD Atrium Health, Levine Cancer Institute
Charlotte, NC

Relapsed Therapies and Clinical Trials

Clinical Professor of Medicine, Wake Forest University School of Medicine

National Cancer Institute Dictionary of Cancer Terms:

Progressive Disease: Cancer that is growing, spreading, or getting worse.

Relapse: The return of a disease or the signs and symptoms of a disease after a period of improvement.

Disease progression / progressive disease, disease coming out of remission, and relapse are used interchangeably. In all cases, it means that the myeloma cells are growing and dividing, and the burden of disease is increasing.

https://www.cancer.gov/publications/dictionaries/cancer-terms/

Doc, am I in Remission?

Identifying Relapse

Blood and urine studies

Regular SPEP and serum free light chain testing

Serum free light chain can replace 24-hour urine testing in many cases

Free light chain escape

When myeloma cells stop making the heavy chain and just make the light chain part of the antibody

e.g. IgA kappa myeloma changes into free kappa light chain myeloma

Picked up by serum free light chain testing.

Non-secretory and oligo-secretory myeloma.

The myeloma cells lose the ability to make any antibody or make minimal antibody

Not measurable by SPEP and serum free light chains

More frequent imaging and bone marrow biopsies required to track the myeloma

Identifying Relapse

Imaging

Bone Imaging

Skeletal survey

Low dose CT

CT, MRI, whole body PET-CT

Monitoring for disease outside of the bones (extra-medullary multiple myeloma)

PET-CT, CT, MRI

Clinical symptoms

New, progressive bone pain

Worsening fatigue

The patient is a 67-year-old Black man with IgG lambda multiple myeloma. The patient had ISS stage 2 disease and an (11;14) translocation at original diagnosis. Past medical history included diabetes and hypertension. He received 4 cycles of daratumumab, lenalidomide, bortezomib and dexamethasone induction therapy followed by high dose melphalan / autologous stem cell transplantation to which he achieved a complete response. Treatment was complicated by bortezomib-induced neuropathy with pain. Three months after transplant, he started lenalidomide maintenance therapy and has remained on it for the last 3.5 years. Aside from low grade fatigue and intermittent diarrhea and muscle cramps, he has done well with therapy and is able to live his life with minimal impact on quality of life. His bortezomib-induced neuropathy is well controlled but there is residual numbness and tingling in the feet for which he takes duloxetine.

He now presents with worsening low back pain, and his M spike has risen from undetectable to 1.1 g/dL. Plain xrays of the spine are unremarkable, but an MRI reveals a new lytic lesion with soft tissue extension at the level of L3.

What to do next?

Case

NCCN Guidelines for Relapsed Multiple Myeloma: 1 – 3 Prior

Bortezomib-Refractory Lenalidomide-Refractory Regimen Level of Evidence Level of Evidence Lenalidomide, carfilzomib, dex 1 Daratumumab, bortezomib, dex 1 Lenalidomide, daratumumab, dex 1 Pomalidomide, bortezomib, dex 1 Carfilzomib, daratumumab, dex 1 Selinexor, bortezomib, dex 1 Carfilzomib, isatuximab, dex 1 Carfilzomib, daratumumab, dex 1 Carfilzomib, pomalidomide, dex Carfilzomib, isatuximab, dex 1 Pomalidomide, daratumumab, dex 1 Carfilzomib, pomalidomide, dex Pomalidomide, isatuximab, dex 1 Pomalidomide, daratumumab, dex 1 Pomalidomide, isatuximab, dex 1 Pomalidomide, ixazomib, dex Pomalidomide, elotuzumab, dex 1 CAR T
Ciltacabtagene Autoleucel (after 1 prior therapy including an IMiD and a PI, refractory to lenalidomide) 1 Idecabtagene Vicleucel (after 2 prior therapies including an IMiD, a PI, and a CD38 antibody 1 Accessed June 2024 14 preferred regimens, 11 other recommended regimens, 13 regimens useful in certain circumstances = 38 regimens
Therapies, Preferred Regimens
Cell Therapy

PABST: The Blue Ribbon Approach to Treatment

of Relapsed Multiple Myeloma

Patient preference

Relative value of quality vs quantity of life, oral vs IV therapy

Adverse events and Comorbidities

What toxicities were experienced with prior therapy?

What co-morbidities will impact tolerability of therapy?

Biochemical vs clinical relapse/progression

Standard vs high-risk disease biology

Treatment history

Is the disease resistant to specific drug classes?

Carfilzomib refractory = bortezomib and ixazomib refractory

Pomalidomide refractory = lenalidomide refractory

Daratumumab refractory = isatuximab refractory

Back to our Patient

Patient preference: Lives close to the infusion center and wants the treatment that his doctor thinks will produce a long remission.

Adverse events and Comorbidities: Prior history of bortezomib-induced neuropathy with pain – avoid bortezomib-based therapy at relapse. Diabetes – cautiously dosed dex and get rid of it quickly; Hypertension – carfilzomib and dex ok but monitor for worsening.

Biochemical vs clinical relapse: This patient has clinical relapse with increasing pain and a new bone lesion – we need to use a therapy with a high likelihood of success and deep response.

Standard vs high risk: This patient has standard risk disease – no issues.

Treatment History: The patient has disease that has progressed on lenalidomide –avoid the use of a lenalidomide-based regimen

NCCN Guidelines for Relapsed Multiple Myeloma: 1 – 3 Prior

Bortezomib-Refractory Lenalidomide-Refractory Regimen Level of Evidence Level of Evidence Lenalidomide, carfilzomib, dex 1 Daratumumab, bortezomib, dex 1 Lenalidomide, daratumumab, dex 1 Pomalidomide, bortezomib, dex 1 Carfilzomib, daratumumab, dex 1 Selinexor, bortezomib, dex 1 Carfilzomib, isatuximab, dex 1 Carfilzomib, daratumumab, dex 1 Carfilzomib, pomalidomide, dex Carfilzomib, isatuximab, dex 1 Pomalidomide, daratumumab, dex 1 Carfilzomib, pomalidomide, dex Pomalidomide, isatuximab, dex 1 Pomalidomide, daratumumab, dex 1 Pomalidomide, isatuximab, dex 1 Pomalidomide, ixazomib, dex Pomalidomide, elotuzumab, dex 1 CAR T Cell Therapy Ciltacabtagene Autoleucel (after 1 prior therapy including an IMiD and a PI, refractory to lenalidomide) 1 Idecabtagene Vicleucel (after 2 prior therapies including an IMiD, a PI, and a CD38 antibody 1 Accessed June 2024 14 preferred regimens, 11 other recommended regimens, 13 regimens useful in certain circumstances = 38 regimens
Therapies, Preferred Regimens

CD38 Monoclonal Antibodies with Carfilzomib or

Pomalidomide in Relapsed Myeloma

Pomalidomide Carfilzomib

Attal, M, et al. Lancet 2019;394:2096 - 2107 Moreau, P, et al. Lancet 2021;397:2361 - 2371

Dimopoulos, M, et al. Lancet Oncol 2021;22:801-812 Usmani S, et al. Lancet Oncol 2022;23:65-76

I s a t u x i m a b D a r a t u m u m a b
The addition of CD38 antibodies to pomalidomide and carfilzomib reduce the risk of myeloma progression and death by 37% - 47%

Back to our Patient

After a discussion with their physician, the patient chooses 2nd line therapy with subcutaneous daratumumab with carfilzomib and dexamethasone. He achieves a very good partial response within 4 cycles of treatment start. One and a half years into treatment, the patient experiences new right hip pain. The M spike remains at its nadir of 0.1 g/dL. However, the serum free lambda light chain level has increased from a nadir of 24.6 mg/L to 112.2 mg/L. An MRI of the hip reveals an impending fracture of the right hip for which the patient undergoes a total hip replacement.

After recovery, what to do next?

Back to our Patient

Patient preference: The patient is tired of frequent visits to the infusion center and indefinite treatment and is interested in something that would provide him a chance to get off treatment.

Adverse events and Comorbidities: Prior history of bortezomib-induced neuropathy with pain – avoid bortezomib-based therapy at relapse. Diabetes – cautiously dosed dex and get rid of it quickly; Hypertension –dex ok but monitor for worsening.

Biochemical vs clinical relapse: This patient has clinical relapse – we need to use a therapy with a high likelihood of success and deep response.

Standard vs high risk: This patient had an unexpectedly short response to treatment. As such, he is functionally a high-risk patient now.

Treatment History: The patient has disease that has progressed on lenalidomide, carfilzomib and daratumumab – avoid the use of regimens with these agents.

Shah N, et al. Leukemia 2020;34(4):985-1005.

CAR T Cell Therapy
BCMA-Targeted

CAR T Cell Process

Step 1: CAR T-Cell Candidate Identification/Screening

Step 2: Collection of T-Cells

Step 3: Manipulation of T-Cells into CAR T-Cells

Step 4: Lymphodepleting Chemotherapy

Step 5: Infusion of CAR T-Cells

Step 6: Post CAR T-Cell Monitoring, Complication Management, and Care

Maus MV et al. Clin Cancer Res 2016;22:1875

Complication: Cytokine Release Syndrome (CRS)

Cytokine Release syndrome (CRS) occurs when a large number of cytokines (immune substances) are released in the blood.

Onset:

CRS is most often seen within the first 14 days post CAR T-Cell infusion. It may also be seen up to 28 days post CAR T-Cell infusion.

Symptoms include:

Fever

Nausea

Headache

Low blood pressure

Fast heart rate

Difficulty breathing

Treatment:

Tocilizumab (IL-6 antagonist)

Dexamethasone

Complication: Immune Effector Cell Associated Neurotoxicity Syndrome (ICANS)

Onset:

ICANS often occurs within 5-10 days post CAR T-Cell infusion

Neuro checks are performed pre-infusion for baseline and Q12 hours (minimum) to help identify if patient has associated symptoms.

Symptoms:

Aphasia

Confusion

Delirium

Headache

Tremor

Hallucinations

Loss of consciousness

Seizures

Treatment:

Tocilizumab (IL-6 antagonist)

Steroids

Anti-Seizure medication

Other Potential Complications of BCMA-Targeted

CAR T Cell Therapies

• Low blood counts

• Infection

• Other cancers

• Myelodysplastic syndrome, acute myeloid leukemia

• Other unusual neurologic effects

• Bell’s palsy

• Neuropathy

• Parkinson-like effects

Ciltacabtagene Autoleucel:

A BCMA-Targeted CAR T Cell

Therapy

CARTITUDE-1

Phase Ib/II study of the CAR T cell product ciltacabtagene autoleucel for RRMM. High risk CGs 23.7%, Extramedullary plasmacytomas 13.4%, Median prior lines of therapy: 6 (3 – 18), Triple class refractory 87.6%, Refractory to last line 99%

0% 20% 40% 60% 80% 100% 3.1% 12.4% 82.5% ORR: 97.9% (95/97) P a ti e n t s , % sCR VGP R PR Best response = ≥VGP R: 94.9% Martin, T et al. ASH 2021. Median
CI, 25.2–NE)
PFS: 34.9 Months (95%
Median OS: Not reached

CARTITUDE-4: Phase III Study of Ciltacabtagene Autoleucel vs Investigators Choice for RRMM

Design

• 1 – 3 prior lines of therapy, lenalidomide refractory, PI exposed

• SoC regimens: Dara-Pom-Dex, Pom-Bortezomib-Dex

• 84.6% of pts assigned to Cilta-cel received it per protocol

• SoC Group: 86.7% DPd, 12.3% PVd

• Cilta-cel Group: No pts received therapy prior to apheresis, All received bridging therapy after apheresis (87.5% DPd, 12.5% PVd)

Baseline Characteristics

• Enrollment 7/2020 – 11/2021

• Median prior lines of therapy: 2 (range 1 – 3)

• 100% Len refractory, 21.3 – 23.1% dara refractory, 14.4% - 15.6% triple class refractory disease

• 59.4% - 62.9% HRCGs

Cilta-Cel: Not reached HR 0.26 (95% CI 0.18 – 0.38, P<0.001)

SoC: 11.8 months

*87.5% and 32.7% for those with MRD evaluable samples

Median Follow-Up: 15.9 Months

Cilta-Cel SoC ORR 84.6% 67.3% sCR 58.2% 15.2% CR 14.9% 6.6% VGPR 8.2% 23.7% PR 3.4% 21.8% MRD (10-5) 60.6%* 15.6%* San-Miguel J et al. N Engl J Med 2023;389:335-47

CARTITUDE-4: Safety

Adverse Event

*7 vs 1 patient died of COVID-19; 65.9% vs 12.5% of pts received IVIg prophylaxis, respectively

1 pt with MNT, 16 with CN palsies, 5 with peripheral neuropathy

Cilta-Cel SoC Regimens
All
All
Neutropenia 89.9% 89.9% 85.1% 82.2% Anemia 54.3% 35.6% 26.0% 14.4% Thrombocytopenia 54.3% 41.3% 31.2% 18.8% Infections* 62.0% 26.9% 71.2% 24.5% Fatigue 28.8% 1.9% 32.7% 1.0% CRS 76.1% 1.1% Neurotoxicity ICANS Other† 20.5% 4.5% 17.0% 2.8% 0.1% 2.3% SAEs 44.2% 38.9% Treatment-Related Deaths 4.8% 2.7% SPMs 4.3% 6.7%
San-Miguel
Grades Grade 3 and 4
Grades Grades 3 and 4
J et al. N Engl J Med 2023;389:335-47

Back to our Patient

After a discussion about pomalidomide-based treatment vs CAR T cell therapy, the patient elects to receive 3rd line therapy with ciltacabtagene autoleucel (Carvykti). He has grade 2 cytokine release syndrome while in the hospital after his CAR T cell infusion that recovers without incident. He has no ICANS but develops a Bell’s palsy 3 weeks after his CAR T cell infusion that resolves over 2 months after a course of prednisone therapy. A restaging evaluation 3 months after treatment reveals that he is in an MRD negative complete response.

3.5 years later, his M spike reappears and slowly climbs to 0.6 g/dL. He has no symptoms of disease, but a repeat PET-CT shows new FDG avid bone lesions that were not present before. The patient is placed on 4th line therapy with elotuzumab, pomalidomide and dex. He achieves a partial response but experiences disease progression 6 months later. Repeat imaging demonstrates 2 liver lesions and several enlarged lymph nodes. A biopsy of a lymph node reveals myeloma.

What to do next?

Preferred Regimens Level of Evidence

Bispecific Antibodies

Elranatamab

Teclistamab

Talquetamab

CAR T Cell Therapy

Idecabtagane Vicleucel

Ciltacabtagene Autoleucel

6 other recommended regimens, 1 useful in certain circumstances

NCCN
Guidelines for Relapsed Multiple Myeloma: ≥4 Prior Therapies
Accessed June 2024

Back to our Patient

Patient preference: The patient recognizes that his treatment options are more limited at this time and wants the therapy that is most likely to be successful.

Adverse events and Comorbidities: Prior history of bortezomib-induced neuropathy with pain – avoid bortezomib-based therapy at relapse. Diabetes – cautiously dosed dex and get rid of it quickly; Hypertension – dex ok but monitor for worsening.

Biochemical vs clinical relapse: This patient has biochemical relapse.

Standard vs high risk: Once high risk, always high risk.

Treatment History: The patient has disease that has progressed on lenalidomide, pomalidomide, carfilzomib, elotuzumab and daratumumab – avoid the use of regimens with these agents. He has already received CAR T cell therapy.

et al. Leukemia 2020;34(4):985-1005.

Therapy Shah
BCMA-Targeted Bispecific Monoclonal Antibody
N,
AMG420 Teclistamab

MajesTEC-1: Phase I/II Study of Teclistamab in RRMM

• Phase II enrollment 3/2020 – 8/2021

• 17% with EMM, 25.7% with HRCGs

• Median Prior Lines of Therapy: 5 (2 – 14)

• 77.6% triple class refractory, 89.7% refractory to last line of therapy

• Neutropenia 70.9% (64.2% ≥grade 3), hypogammaglobulinemia 74.5%

• Infections 76.4% (44.8% ≥grade 3)

• 12 COVID-19 deaths

• Median DoR: 18.4 mos (95% CI 14.9 – NE mos)

• Median PFS: 11.3 mos (95%

8.8 – 17.1 mos)

CI
N=165 Moreau P, et al. N Engl J Med
2022;387:495-505.

Relapsed / Refractory Multiple Myeloma: MonumenTAL-1

Key objectives

• Describe the efficacy and safety at the RP2Ds

Key eligibility criteria

• Adults with measurable MM

• Phase 1: Progression on or intolerance to all established therapies, ECOG PS 0–1

• Phase 2: ≥3 prior lines of therapy that included a PI, an IMiD, and an anti-CD38 antibody, ECOG PS 0–2

RP2D 0.4 mg/kg QW SC

Prior anti-BCMA ADC treatment allowed T-cell redirection therapy naive

(Phase 1 [n=21] + Phase 2 [n=122]: N=143)

RP2D 0.8 mg/kg Q2W SC

Prior anti-BCMA ADC treatment allowed T-cell redirection therapy naive

(Phase 1 [n=36] + Phase 2 [n=109]: N=145)

Prior

T-cell redirection (QW and Q2W)

Previously exposed to T-cell redirection therapies

Dosed with either 0.4 mg/kg weekly SC or 0.8 mg/kg Q2W SC

(Phase 1 [n=17] + Phase 2 [n=34]: N=51)

Talquetamab, a GPRC5D-Directed Bispecific Monoclonal Antibody, for
Chari A et al. ASH 2022, Abstract 157.

Talquetamab for Relapsed / Refractory Multiple

Myeloma: MonumenTAL-1 Key Phase II Efficacy Results

0.8 mg/kg Q2W: 11.9 months Key eligibility criteria (0.4 mg/kg QW / 0.8 mg/kg Q2W): HR CGs 31.1% / 28.9%, Extramedullary disease 23.1% / 26.9%, ISS stage 3 disease 19.6% / 24.3%, 5 median prior lines of therapy, Triple class refractory 74.1% / 69.0%

• Median Time to Best Response

0.4 mg/kg QW: 2.2 months

0.8 mg/kg Q2W: 2.7 months • Median Duration of Response

0.4 mg/kg QW: 9.3 months

0.8 mg/kg Q2W: 13.0 months • Median Progression-Free Survival

0.4 mg/kg QW: 7.5 months

0 20 40 60 80 100 14.7% 15.9% 25.9% 24.8% 9.8% 12.4% 23.8% 20.0% PR VGPR CR sCR 74.1% (106/143) 73.1% (106/145) ≥VGPR: 59.4% 0.4 mg/kg SC QW 0.8 mg/kg SC Q2W P a ti e n t s ( % ) ≥VGPR: 57.2% 100% 80% 60% 40% 20% 0%
Chari A et al. ASH 2022, Abstract 157.

Talquetamab for Relapsed / Refractory Multiple

Myeloma: MonumenTAL-1 Key Phase II Safety Results

*Opportunistic infections seen in 3.5% and 2.8%, respectively.

0.4 mg/kg QW 0.8 mg/kg Q2W All Grades ≥Grade 3 All Grades ≥Grade 3 Neutropenia 34.3% 30.8% 28.3% 22.1% Thrombocytopenia 27.3% 20.3% 26.9% 16.6% Infections* 57.3% 16.8% 50.3% 11.7% CRS 79.0% 2.1% 72.4% 0.7% Neurotoxicity 10.7% 1.6% 10.1% 1.8% Skin-Related AEs 55.9% 0.0% 67.6% 0.7% Nail-Related AEs 51.7% 0.0% 43.4% 0.0% Dysgeusia 48.3% NA 46.2% NA Dry Mouth 25.2% 0.0% 36.6% 0.0% Dysphagia 23.8% 0.0% 22.8% 2.1% Loss of appetite 17.5% 1.4% 20.0% 1.4% Weight loss 39.9% 2.1% 32.4% 1.4%
Chari A et al. ASH 2022, Abstract 157.

Talquetamab after Exposure to T

• Median prior lines of therapy: 6 (3 – 15)

• 70.6% (N = 36) prior CAR T cell therapy, 35.3% (N = 18) prior bispecific antibody therapy (3 patients received both)

• ORR with prior CAR T: 70.6%

• ORR with prior bispecific antibodies: 44.4%

• Median DoR: 12.7 months (range 3.7 months

- not reached)

• Median follow-up: 11.8 months (1.0 –25.4 months)

• 56.3% of patients censored

cell Redirecting Therapy
A et al. ASH 2022, Abstract 157.
Chari

Back to our Patient

After a discussion about bispecific antibody therapy, the patient elects to receive treatment with on the RedirecTT-1 study, a phase II study evaluating the combination of two bispecific monoclonal antibodies, teclistamab and talquetamab for the treatment of extra-medullary myeloma. 4 cycles into treatment, he has achieved a complete response. 8 cycles into treatment, the patient is feeling better, and the taste changes are improved.

Phase I Study of Talquetamab + Teclistamab in RRMM

(RedirecTT-1)

Tec 3.0 mg/kg + Tal 0.8 mg/kg Q8Wks

Baseline Characteristics

• Median age: 65 (41 – 80)

• EMM: 32.4%

• HRCGs: 33.3%

• Median prior lines of therapy: 4 (2 – 10)

• 76.5% triple refractory

88.2% refractory to last line of therapy

to

• Infections (all cohorts): 83.9% (52.7% grade 3/4)

• Death due to drug-related TEAE: 6.5%

• 81.7% with ≥1 postbaseline IgG value <400 mg/dL or hypogammaglobulinemia TEAE (all grade 1 or 2)

Cohen Y, et al. ASCO 2023.
All dose levels (N=93) Tec 3.0 mg/kg Q2W + tal 0.8 mg/kg Q2W (n=34) Median follow-up, months (range) 13.4 (0.3–25.6) 8.1 (0.7–15.0) Median DOR, months
CI) NE (NE–NE) NE (NE–NE) Median time
first
months (range) 1.97 (0–7.7) 1.48 (0–4.0) Median time to best response, months (range) 3.98 (1.1–15.7) 3.22 (1.4–10.7) Median PFS, months (95% CI) 20.9 (13.0–NE) NE (9.9–NE) 9-month PFS rate (95% CI) 70.1 (58.0–79.4) 77.1 (50.8–90.5)
(95%
response,

• There are numerous options available for patients whose myeloma has relapsed.

• Outcomes for patients with relapsed myeloma are better than ever and continue to improve.

• Immunotherapy, particularly T cell-redirecting therapy with CAR T cell therapy and bispecific antibodies, plays a key role in the treatment of patients with relapsed myeloma.

• Clinical trial participation is how better therapy gets to myeloma patients. If a study is a good fit for your circumstances, get involved!!!

Conclusions

Thank you to our sponsors!

Upcoming IMF Events

Patient and Family Seminars

Minneapolis – July 18th & 19th – JW Marriott

Minneapolis Mall of America

Los Angeles – August 16th & 17th, 2024 – Hilton Los

Angeles/Universal City; please check the website for updates!

Thank you for attending today’s program!

June 22nd, 2024, International Myeloma Foundation’s

Regional Community Workshop –

Charlotte

Turn static files into dynamic content formats.

Create a flipbook
Issuu converts static files into: digital portfolios, online yearbooks, online catalogs, digital photo albums and more. Sign up and create your flipbook.