IMF Virtual Regional Community Workshop (RCW) - New England

Page 1


Thank you for joining us today for the October 8, 2024,

International Myeloma Foundation’s New

England Virtual Regional Community Workshop

Thank you to our sponsors!

IMF Regional Community Workshop

October 8, 2024 - Agenda

5:30 – 5:35 PM Welcome & Introductions – Joseph Mikhael, MD

5:35 – 5:55 PM Myeloma 101 – Joseph Mikhael, MD

5:55 – 6:15 PM Taking the Reins of Your Multiple Myeloma Care – Kevin Brigle, PhD, ANP

6:15 – 6:45 PM Frontline Therapy – Monique Hartley-Brown, MD, MMSc

6:45 – 7:05 PM

7:15 – 7:25 PM Maintenance Therapy – Monique Hartley-Brown, MD, MMSc

7:25 – 7:55 PM Relapsed Therapy & Clinical Trials – Joseph Mikhael, MD

7:55 – 8:25 PM Q&A with Panel

8:25 – 8:30 PM Closing Remarks

Multiple Myeloma affects patients and families.

The IMF provides FREE resources to help both patients and families.

Established in 1990, the IMF’s InfoLine assists over 4600 callers annually and answers questions across a wide variety of topics including:

Frequent topics:

• Treatment questions along the spectrum of care

• Clinical Trial access and understanding

• Side effect management and health issues

• Financial resources for myeloma-related expenses

• Myeloma Specialist Referral contact information

• Support group information

• Caregiver Support

Paul Hewitt, Missy Klepetar, & Teresa Miceli

Educational Publications

A core mission of the IMF is to provide thorough and cutting- edge education to the myeloma community. Link to Pubs

Shared Experiences Help to Better Understand the Myeloma Journey

• Support Groups Empower Patients & Care Partners with information, insight, & hope

• The IMF provides educational support to a network of over 150 myeloma specific groups

IMF – Special Interest Virtual Groups

Special interest groups are designed as a supplemental support for specific populations of patients, in addition to their local Support Groups

 Las Voces de Mieloma

 Designed for Spanish speaking patients only

 Living Solo & Strong with Myeloma

 Designed for patients without a care partner

Care Partners Only

 Designed to address the needs of care partners only

 High Risk Multiple Myeloma

 Designed to address the needs of the high-risk MM population

 Smolder Bolder

 Created for people living with Smoldering Multiple Myeloma

 MM Families

 For patients/care partners with young children

GenAI Chatbot | Welcome Myelo!

Myelo is an AI-powered chatbot serving as the International Myeloma Foundation's virtual assistant for patients, care partners, and healthcare professionals.

on Myeloma Symptoms, diagnosis, treatments, research 24/7 Availability

Symptom

SparkCures: Clinical Trials Finder

• Online platform for cancer patients, focusing on clinical trials

• Specializes in multiple myeloma and related blood cancers

• Simplify the process of finding relevant clinical trials

• Empower patients with information about treatment options

• Features:

• Clinical trial search engine

• Personalized trial matching

• Educational resources on clinical trials

Myeloma 101

Joseph Mikhael, MD

International Myeloma Foundation

Objectives

• Review the basics of blood and cancer

• Define multiple myeloma and its key features

• Discuss the staging and classification of myeloma

• Outline the approach to therapy of myeloma

• Appreciate the importance of health disparities in myeloma

The Basics of Blood

• The blood is an “organ” made up of both cells and liquid “plasma” • Think of wine (red/white/rose)

1. Red Cells – carry Oxygen…trucks
White Cells
Platelets

What is Multiple Myeloma?

Multiple Myeloma* is a blood cancer that starts in plasma cells from the center of bones (bone marrow).

– This is where stem cells mature into red blood cells, white blood cells, and platelets

– Myeloma cells are abnormal plasma cells that make an abnormal antibody called “M protein” – M = monoclonal (“identical” or cancerous)

* Myeloma is NOT a bone cancer or skin cancer (melanoma), it is a type of blood cancer.

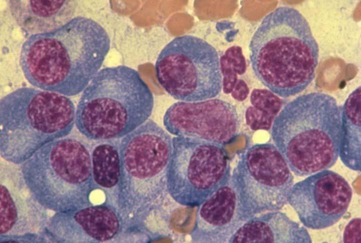
Myeloma Is a Cancer of Plasma Cells

• Cancer of plasma cells

• Healthy plasma cells produce immunoglobulins G, A, M, D, and E

• Myeloma cells produce abnormal immunoglobulin “paraprotein” or monoclonal protein (=M protein)

Bone marrow of patient with multiple myeloma

Image courtesy of American Society of Hematology

Kyle et al. Mayo Clin Proc. 2003;78:21-33;

FAST STATS

1.8% of all cancers; 17% of hematologic malignancies in the United States

Most frequently diagnosed in ages 65 to 74 years (median, 69 years)

The average age of diagnosis of 4-5 years younger in African American and Hispanic patients

Multiple Myeloma Snapshot

National MM Statistics

Approx 35,000 Estimated

New Cases in 2023 Approx 13,000 Estimated Deaths in 2023

The Average Survival of patients with myeloma is IMPROVING!

The expected survival is nearly 10 years for all patients, but still less than 5 years in patients with high risk disease

Trends in MM Natural History by Race

Incidence

Higher incidence in AA vs White patients:

15.9 vs 7.5 cases per 100,000 per year

Mortality

5.6 vs 2.4 MM deaths per 100,000

5-year relative survival evolution from 1973 to 2005 • Survival for White patients increased significantly from 26.3% to 35% • Survival for AA patients increased from 31% to 34.1%

Types of Monoclonal Protein (M Protein) in Multiple Myeloma

• For example:

• IgG+kappa

• IgG+lambda

• IgA+kappa

• IgA+lambda

• etc…

• 80% of myeloma cases

Bence Jones protein

• 18% of all myeloma cases

• Renal failure more common in light chain multiple myeloma; creatinine >2 mg/dL in 1/3 of cases

protein present

• Less than 3% of cases of multiple myeloma

Multiple Myeloma - Types

• Subtypes of MM are determined based on the kind of abnormal protein IgG – 55%

IgA – 25%

IgD – 1-2%

IgM – 1% Light Chain Disease only – 20%

Non Secretors 1-2 %

M spike in gamma region

Diagnosis of multiple myeloma: Monoclonal immunoglobulin

- both “heavy” and ”light” chains

Multiple Myeloma Typically Preceded by Premalignant Conditions

Condition

Clonal plasma cells in bone marrow

Presence of Myeloma

Defining Events

MGUS1-4 (Monoclonal Gammopathy of Undetermined Significance)

SMM1-5,8 (Smoldering Multiple Myeloma) Active Multiple Myeloma6-8

Likelihood of progression ~1% per year ~10% per year Not Applicable

Premalignant Malignant * In clinical trial (preferred) or offer treatment for those likely to progress within 2 years

1. Kyle RA, et al. N Engl J Med. 2007;356:2582-90.

2. International Myeloma Working Group. Br J Haematol. 2003;121:749-57.

3. Jagannath S, et al. Clin Lymphoma Myeloma Leuk. 2010;10(1):28-43

4. Kyle RA, et al. Curr Hematol Malig Rep. 2010;5(2):6269.

5. Mateos M-V, et al. Blood. 2009;114:Abstract 614.

6. Durie BG, Salmon SE. Cancer. 1975;36:842-854.

7. Durie BG, et al. Leukemia. 2006;20(9):1467-1473.

8. Rajkumar SV, et al. Lancet Oncology 2014; 15:e538e548.

Multiple Myeloma Diagnosis Can Be Challenging

Kyle RA. Mayo Clin Proc. 2003;78:21-33.

2014 IMWG Active Myeloma Criteria:

Myeloma-Defining Events

Clonal bone marrow ≥10% or bony/extramedullary plasmacytoma AND any one or more Myeloma-Defining Events

alcium elevation enal complications nemia one disease

More About the Common “CRAB” Symptoms

Low Blood Counts

• May lead to anemia and infection

• Anemia is present in 60% at diagnosis

Decreased Kidney Function

• Occurs in over half of myeloma patients

Bone Damage

• Affects 85% of patients

• Leads to fractures

Bone Turnover

• Leads to high levels of calcium in blood (hypercalcemia)

Weakness Fatigue

Infection

Weakness

Bone pain

Loss of Appetite & Weight loss

About 10% to 20% of patients with newly diagnosed myeloma will not have any symptoms.

Learn Your Labs

CBC Counts the number of red blood cells, white blood cells, and platelets

CoMP

Measures levels of albumin, calcium, and creatinine to assess kidney and liver functions, bone status ,and the extent of disease

MicroG Determines the level of a protein linked to MM and kidney function: USED FOR STAGE Immuno

LDH Lactate Dehydrogenase Determines the level of myeloma cell production and extent of MM : USED FOR STAGE

Serum Protein EP Detects the presence & level of M protein = how much myeloma. No Heavy Chain = No M-Spike Serum Free Light Chain Measures myeloma free light chains (kappa or lambda) in blood = how much myeloma Urine Protein EP Detects Bence-Jones proteins (otherwise known as myeloma light chains) in urine (to determine if it’s present or not present)

Identifies the type of abnormal antibody proteins: IgG, IgA, IgM

Testing To Determine A Diagnosis of Myeloma: Blood & Urine

Test Name

CBC + differential

Complete metabolic panel

Beta-2 Microglobulin (B2M)

Lactate Dehydrogenase (LDH)

Serum Immunofixation and Protein electrophoresis (SPEP+IFE)

Immunoglobulins (G, A, M, D, E)

Free light chain assay with kappa/lambda ratio

Urine immunofixation & protein electrophoresis (UPEP+IFE)

What it means

Hemoglobin, WBC, Platelets

Creatinine, Calcium, Albumin,

Liver function

Part of staging and risk stratification

Measures the level of normal and clonal protein

Identifies the type of clonal protein

Measures the level of normal and clonal protein

Identifies the type of clonal protein

This Photo by Unknown Author is licensed under CC BY-SA-NC

Testing To Determine A Diagnosis of Myeloma: Imaging

Imaging:

– Skeletal survey: Series of X-rays; less sensitive than other techniques

Healthy bone versus myeloma bone disease

– Whole body low dose (CTWB-LD CT )

– Positron Emission Tomography (PET/CT)

– Magnetic Resonance Imaging (MRI)

This Photo by Unknown Author is licensed under CC BY-NC-ND

Testing To Determine A Diagnosis of Myeloma: Bone Marrow

Bone marrow biopsy & aspirate

• Bone marrow plasma cells (%)

• Congo Red staining if concern for AL-Amyloid

Bone marrow genetics

• Cytogenetics

• Fluorescence in situ hybridization (FISH)

• Next generation sequencing (NGS)

Photo

Staging and Risk Stratification

High Risk FISH Results

Fluorescence in situ hybridization (FISH) and Chromosomal abnormalities

Treatment Planning

Treatment Planning is the process of thinking about the treatment steps you can take with your doctor, based on your goals and preferences.

Treatment decisions are based on:

• The results of biomarker tests, cytogenetic (FISH) test, and the stage of multiple myeloma

• Your values, goals, and preferences

• Your age

• Your health and symptoms (if you have kidney disease, heart disease, anemia, or other issues)

• Your medical history and past treatments for multiple myeloma

Myeloma Treatment Schema

Transplant

Eligible Patients

Transplant (ASCT) Maintenance

Initial Therapy

Transplant

Ineligible Patients Consolidation / Maintenance Continued therapy

Treatment of Relapsed disease

TREATMENT DECISION

Your Preference

Supportive Care

Everyone

Philippe Moreau. ASH 2015.

Second/Expert Opinion

• You have the right to get a second opinion. Insurance providers may require second opinions.

• A second opinion can help you:

– Confirm your diagnosis

– Give you more information about options

– Talk to other experts

– Introduce you to clinical trials

– Help you learn which health care team you’d like to work with, and which facility

Tools of the Trade Standard Drug Overview

Class Drug Name

IMiD

immunomodulatory drug

Abbreviation Administration

Pomalyst (pomalidomide) P or Pom

Revlimid (lenalidomide) R or Rev

Thalomid (thalidomide) T or Thal

V or Vel or B

Velcade (bortezomib)

Proteasome inhibitor

Chemotherapy

Steroids

Monoclonal Antibodies

Kyprolis (carfilzomib) C or K or Car

Ninlaro (ixazomib) N or I

Intravenous (IV) or subcutaneous injectionSC (under the skin)

Cytoxan (cyclophosphamide) C Oral or intravenous

Alkeran or Evomela (melphalan) M or Mel

Decadron (dexamethasone) Dex or D or d

Prednisone P or Pred

Darzalex (daratumumab)

Sarclisa (isatuximab)

Empliciti (elotuzumab) Dara Isa Elo

XPO1 Inhibitors Xpovio (selinexor)

Oral or intravenous

Intravenous (IV or SC)

Tools of the Trade Novel Immunotherapy Drug Overview

Class Drug Name

Abbreviation Administration

Peptide Drug Conjugate* Pepaxto (Melphalan Flufenamide) Melflufen Intravenous

BCMA Targeted Antibody Drug

Conjugate (ADC)*

Blenrep (belantamab mafodotin) Bela, Belamaf, or B Intravenous

CAR T Cell therapy

Bispecific Antibodies

Abecma (idecabtagene vicleucel)

Carvycti (ciltacabtagene vicleucelel) Cilta-cel

Tecvayli (teclistimab)

Talvey (Talquetamab)

Ide-cel Intravenous (IV) or subcutaneous injectionSC (under the skin)

Elrexfio (Elranatamab) Tec Talq Elra SC or IV

* these agents are currently off the market but available through special programs

Antibody-dependent Cellular cytotoxicity (ADCC) ADCC

Effector cells:

Monoclonal Antibody-Based Therapeutic Targeting of Myeloma

Complement-dependent Cytotoxicity (CDC)

Apoptosis/growth arrest via targeting signaling pathways

• Lucatumumab or Dacetuzumab (CD40)

• Elotuzumab (CS1; SLAMF7)

• Daratumumab, SAR650984/Isatuximab (CD38)

• XmAb 5592 (HM1.24)

• Daratumumab

• SAR650984/Isatuximab (CD38)

• huN901-DM1 (CD56)

• nBT062-maytansinoid (CD138)

• Siltuximab (1339) (IL-6)

• BHQ880 (DKK1)

• RAP-011 (activin A)

• Daratumumab, SAR650984/Isatuximab (CD38)

Antibody-Drug Conjugates

Effector cell

The Process of CAR T Cell Therapy

Hucks G, Rheingold SR. Blood Cancer J. 2019;doi:10.1038/s41408-018-0164-6.

Manufacture of CAR T Cells

Bispecific Antibodies

Mechanism

of Action

• Incorporates 2 antibody fragments to target and bind both tumor cells and T cells

• Brings target-expressing MM cells and T cells into close proximity, enabling T cells to induce tumor-cell death

Bispecific Molecule Targets Vary

“Off the Shelf”

Advantage

• No manufacturing process, unlike CAR T-cell therapy (but like ADC/belantamab therapy)

• Thus, no delay between decision to treat and administration of drug

ADC = Antibody-Drug Conjugate; BCMA = B-Cell Maturation Antigen; CD3 = Cluster of Differentiation 3; FcRH5 = Fc receptor-homolog 5; GPRC5D = G-protein

Targets on the Myeloma Cell Surface and Therapeutic Antibodies

Bi-Specific Antibodies

Talquetamab

CAR-T

Antibody Drug Elotuzumab

Bi-Specific Antibodies

Bi-Specific Antibodies

CAR-T

Antibody Drug

Daratumumab and Darzalex Faspro Isatuximab

TAK-079 MOR202

Immune Therapies Ide cel CAR T

Teclistamab

Cilta cel CAR T

Other Bi-Specific Antibodies

Other CAR-Ts

The Evolution of Myeloma Therapy

Bortezomib

Lenalidomide

Carfilzomib

Pomalidomide

Panobinostat

Daratumumab

Ixazomib

Elotuzumab

Lenalidomide

Bortezomib

Ixazomib

Lenalidomide + PI

SCT +/- More induction

Carfilzomib

Combinations

Selinexor

Isatuximab

Idecabtagene autoleucel

Ciltacabtagene autoleucel

Teclistamab

Talquetamab

Elranatamab

CAR T or Bispecifics?

Daratumumab?

Novel CAR T Cell Therapies

Bispecific/Trispecific Antibodies

CelMod Agents

Venetoclax?

Modakafusp

Multiple small molecules

ASCT, autologous stem cell transplant; CAR, chimeric antigen receptor; Cy, cyclophosphamide; d- daratumumab; D/dex, dexamethasone; isa, isatuximab; K, carfilzomib; M, melphalan; PD-L1, programmed death ligand-1; PI, proteasome inhibitor; Rev, lenalidomide; V, bortezomib. Speaker’s own opinions.

A Call to Action – Facts About African Americans and Myeloma

The core vision of this initiative is to improve the short- and longterm outcomes of African American patients with myeloma. We want to empower patients and communities to change the course of myeloma…

provide

M-Power Is Both a National and Local Movement

Objectives

• Review the basics of blood and cancer

• Define multiple myeloma and its key features

• Discuss the staging and classification of myeloma

• Outline the approach to therapy of myeloma

• Appreciate the importance of health disparities in myeloma

How common is Myeloma?

Rate of New Cases per 100,000 Persons by Race/Ethnicity & Sex How common is Myeloma?

Percent of New Cases by Age

https://seer.cancer.gov/statfacts/html/mulmy.html; dated

Multiple Myeloma Diagnosis Can Be Challenging

Kyle RA. Mayo Clin Proc. 2003;78:21-33.

What

Causes Myeloma? How/Why Did I Get This?

Biochemical or Symptomatic Progression/Relapse

Environmental Factors:

• Exposure to some chemicals

• Radiation exposure

Examples:

 Agent Orange

 Burn pits

 Pesticides, Herbicides

 Firefighter/First Responder exposures

Individual Factors:

• Age

• Family History of related disorders

• Personal History of MGUS or SMM

• Obesity

In most cases, the honest truth
WE DON’T KNOW

Bone Marrow Cells – Good & Bad

Hematopoietic stem cell
White Blood cell
Graphic Credit: Teresa Miceli
Platelets
Red Blood Cells
Plasma cell
Photo Credit
Clonal Plasma cells

(Mono)clonal Plasma Cells

Heavy Chain: G, A, M, D, E

Heavy Chain = M-Spike

 65% IgG – most common

 20% IgA – associated with AL Amyloid

 5% to 10% light chain-only (kappa, lambda)

 Less common: IgD, IgE, IgM

eGFR = estimated glomerular filtration rate; M-spike = monoclonal spike; Ig = Immunoglobulin

Clonal Plasma cells

Spectrum of Monoclonal Protein Disorders

Condition

Presence of Myeloma

Defining Events

Likelihood of progression

MGUS1-4 (Monoclonal Gammopathy of Undetermined Significance)

1. Kyle RA, et al. N Engl J Med. 2007;356:2582-90.

2. IMWG. Br J Haematol. 2003;121:749-57.

3. Jagannath S, et al. Clin Lymphoma Myeloma Leuk. 2010;10(1):28-43.

• AL-Amyloid

• POEMS

• Light or Heavy Chain Deposition Disease

• MGRS = Renal

• MGNS = Neuro

SMM1-5,8 (Smoldering Multiple Myeloma) Active Multiple Myeloma6-8

* In clinical trial

5. Mateos M-V, et al. Blood. 2009;114:Abstract 614.

6. Durie BG, Salmon SE. Cancer. 1975;36:842-854.

7. Durie BG, et al. Leukemia. 2006;20(9):1467-1473.

4. Kyle RA, et al. Curr Hematol Malig Rep. 2010;5(2):62-69.

8. Rajkumar SV, et al. Lancet Oncology 2014; 15:e538-

Multiple Myeloma and Myeloma Defining Events

Testing For Myeloma: Blood & Urine

Test Name

CBC + differential

Complete metabolic panel

Beta-2 Microglobulin (B2M)

Lactate Dehydrogenase (LDH)

Serum Immunofixation and Protein electrophoresis (SPEP+IFE)

Immunoglobulins (G, A, M, D, E)

Free light chain assay with kappa/lambda ratio

Urine immunofixation & protein electrophoresis (UPEP+IFE)

What it means

Hemoglobin, WBC, Platelets

Creatinine, Calcium, Albumin,

Liver function

Part of staging and risk stratification

Measures the level of normal and clonal protein

Identifies the type of clonal protein

Measures the level of normal and clonal protein

Identifies the type of clonal protein

This Photo by Unknown Author is licensed under

Testing For Myeloma: Imaging

Imaging:

– Skeletal survey: Series of X-rays; less sensitive than other techniques

Healthy bone versus myeloma bone disease

– Whole body low dose (CTWB-LD CT )

– Positron Emission Tomography (PET/CT)

– Magnetic Resonance Imaging (MRI)

This Photo by Unknown Author is licensed under CC BY-NC-ND

Testing For Myeloma: Bone Marrow

Bone marrow biopsy & aspirate

• Bone marrow plasma cells (%)

• Congo Red staining if concern for AL-Amyloid

Bone marrow genetics

• Cytogenetics

• Fluorescence in situ hybridization (FISH)

• Next generation sequencing (NGS)

High Risk FISH Results* Deletions Translocations Gain

of people with NDMM

This Photo by Unknown Author is licensed under CC BY-SA

Staging and Risk Stratification

International Staging System (ISS) (only β2M and albumin)

1 β2M < 3.5 mg/L;

2 β2M < 3.5 mg/L;

Myeloma Treatment Schema

Transplant

Eligible Patients

Initial Therap y Transplant (ASCT) Maintenance

Transplant Ineligible Patients Consolidation / Maintenance Continued therapy

Treatment of Relapsed disease

Everyone

Supportive Care

HCP Clinical Experience Research Results

Your Preference TREATMENT DECISION

Philippe Moreau. ASH 2015.

Drug Class Overview

(thalidomide)

(lenalidomide)

(pomalidomide)

Drug Class Overview

Peptide Drug Conjugate* Pepaxto (Melphalan Flufenamide)

BCMA Targeted Antibody Drug

Conjugate (ADC)*

Bispecific Antibodies

Pipeline

Blenrep (belantamab mafodotinblmf )

Abecma (idecabtagene vicleucel)

Carvykti (ciltacabtagene vicleucel)

Tecvayli (teclistimab)

Talvey (Talquetamab)

Elrexfio (Elranatamab)

Bela, Belamaf, or B

Tec Talq Elra

Cevostamab, Iberdomide, Mezigdomide, Venetoclax

Linvoseltamab, LCAR-B38M, ABBV-383 ……………………………

* These agents are currently off the market but available through special programs

Measuring Disease Response: IMWG Response Criteria

Negative by next generation flow (NGF) (minimum sensitivity 1 in 10-5 nucleated cells or higher)*

mCR AND normal Free Light Chain ratio, Bone Marrow negative by flow, 2 measures

CR AND negative PCR

Complete Response: Negative immunofixation (IFE); no more than 5% plasma cells in BM; 2 measures

Very Good Partial Response: 90% reduction in myeloma protein

Partial Response: at least 50% reduction in myeloma protein

Minimal Response

Stable Disease: Not meeting above criteria

Progressive Disease: At least 25% increase in identified myeloma protein from lowest level

MRD = Minimal Residual Disease

sCR = Stringent Complete Response; BM = Bone Marrow

Kumar, S., Paiva, B., Anderson, K. C., Durie, B., Landgren, O., Moreau, P., ... & Dimopoulos, M. (2016). International Myeloma Working Group consensus criteria for response and minimal residual disease assessment in multiple myeloma. The lancet oncology, 17(8), e328-e346.

When Do I Need A New Treatment?

Biochemical or Symptomatic Progression/Relapse

• Not every relapse requires immediate therapy

• Each case is different

Symptomatic or extramedullary disease

Initiate Treatment

Asymptomatic biochemical relapse on 2 consecutive assessments

Consider Treatment

Patient-/Disease-Specific Monitor Carefully

Asymptomatic high-risk disease or rapid doubling time or extensive marrow involvement Consider Observation Monitor Carefully

Targets on the Myeloma Cell Surface and Therapeutic Antibodies

Bi-Specific Antibodies Talquetamab

Bi-Specific Antibodies

Antibody Drug Elotuzumab

Bi-Specific Antibodies

Antibody Drug Daratumumab and Darzalex Faspro

Immune Therapies

Ide-cel CAR-T

Cilta-cel CAR-T Teclistamab

Other CAR Ts

Other Bi Specific Antibodies

Antibody Drug Conjugates

How it works:

An antibody directed at a target (BCMA) combined with a cytotoxic agent (chemotherapy)

ADC = Antibody-Drug Conjugate

BCMA = B-Cell Maturation Antigen

ADCP/ADCC = Antibody-Dependent Cellular

Cytotoxicity & Phagocytosis

Image Credit: https://creativecommons.org/licenses/by-nc/3.0/

The Process of CAR T Cell Therapy

Relapsed MM with 4 prior LOT CAR T therapy recommended. Insurance approved and ready to move forward.

Bispecific Antibodies: Mechanism of Action

• Incorporates 2 antibody fragments to target and bind both tumor cells and T cells

• Brings target-expressing MM cells and T cells into close proximity, enabling T cells to induce tumor-cell death

Targets of Bispecific Molecule Vary

“Off the Shelf” Advantage

• No manufacturing process, unlike CAR T-cell therapy (but like ADC/belantamab therapy)

• Thus, no delay between decision to treat and administration of drug

Image Source: Shah N, et al. Leukemia. 2020;34:985–1005. Creative Commons

CC BY 4.0. Barilà G, et al. Pharmaceuticals (Basel). 2021;14(1):40.

The Evolution of Myeloma Therapy

VD

Rev/Dex

CyBorD

VTD

VRD

KRD

D-VMP

DRD

Tandem ASCT (?)

Nothing

Thalidomide?

Bortezomib

Ixazomib

Lenalidomide

Combinations

D-VRD

Isa-VRD

D-KRD

Isa-VRD “More” induction?

Daratumumab?

Carfilzomib?

Lenalidomide + PI

ASCT, autologous stem cell transplant; CAR, chimeric antigen receptor; Cy, cyclophosphamide; d- daratumumab; D/dex, dexamethasone; isa, isatuximab; K, carfilzomib; M, melphalan; PD-L1, programmed death ligand-1; PI, proteasome inhibitor; Rev, lenalidomide; V, bortezomib. Speaker’s own opinions.

Bortezomib

Lenalidomide

Carfilzomib

Pomalidomide

Selinexor

Panobinostat

Daratumumab

Ixazomib

Elotuzumab

Isatuximab

Belantamab mafodotin*

Melphalan flufenamide*

Idecabtagene autoleucel

Ciltacabtagene autoleucel

Teclistamab, Talquetamab

Elranatamab

CAR T Cell Therapy

Bispecific/Tri-specific Antibodies

Cell Modifying Agents

Venetoclax

PD/PDL-1 Inhibition?

Small Molecules

* These agents are currently off the market but available through special programs

What about Disease Control and Cure in Myeloma?

Biochemical or Symptomatic Progression/Relapse

 Control is the immediate priority with active disease  Cure remains the overall goal

Defining “Cure” has many considerations:

Minimal Residual Disease Negative (MRD-)

Time Off Therapy

Functional Cure

Unmeasurable Disease, Receiving No Treatment Active Disease Requiring Treatment Stable or Unmeasurable Disease, Receiving Treatment

https://seer.cancer.gov/statfacts/html/mulmy.html;

Second/Expert Opinion

• You have the right to get a second opinion. Insurance providers may require second opinions.

• A second opinion can help you:

– Confirm your diagnosis

– Give you more information about options

– Talk to other experts

– Introduce you to clinical trials

– Help you learn which health care team you’d like to work with, and which facility

A Call to Action – Facts About African Americans and Myeloma

The core vision of this initiative is to improve the short- and longterm outcomes of African American patients with myeloma. We want to empower patients and communities to change the course of myeloma…

provide

Taking The Reins of Your Multiple Myeloma Care

Massey Comprehensive Cancer Center

Virginia Commonwealth University

Richmond, VA &

Member - IMF Nurse Leadership Board

STABLE

OF TREATMENT

Myeloma and treatment options, side effects, symptom management, & supportive care FINDING

STABLE OF TREATME

FINDING YOUR GAIT

GOING THE DISTANCE

Stable of Treatment

Treatment options, side effects, symptom management, and supportive care

Treatment Goals

Myeloma Therapies

• Rapid and effective disease control

• Durable disease control

• Improved overall survival

• Minimize side effects

• Promote good quality of life

Supportive Treatment

• Prevent disease- and treatmentrelated side effects

• Optimize symptom management

• Promote quality of life

Discuss your goals and priorities with your healthcare team.

Stable of Treatment Options

FRONTLINE

MAINTENANCE

Velcade® (bortezomib)

Velcade® (bortezomib)

Ninlaro® (ixazomib)

Kyprolis® (carfilzomib)

RELAPSE

Ninlaro® (ixazomib)

Darzalex® (daratumumab)

Sarclisa® (Isatuximab)

Darzalex® (daratumumab) in clinical trial

Darzalex® (daratumumab)

Empliciti® (elotuzumab)

Sarclisa® (Isatuximab)

Revlimid® (lenalidomide)

Thalomid® (thalidomide)

Revlimid® (lenalidomide)

Thalomid® (thalidomide)

Revlimid® (lenalidomide)

Pomalyst® (pomalidomide)

Dexamethasone

Prednisone

Prednisolone

SoluMedrol Melphalan Cyclophosphamide

Dexamethasone

Prednisone

Prednisolone

SoluMedrol

Elrexfio (elranatamab)

Tecvayli® (teclistamab)

Talvey (talquetamab)

NOTED SIDE

EFFECTS

Xpovio® (Selinexor)

Doxil (liposomal doxorubicin)

Venclexta® (venetoclax):BCL2 inhibitor for t(11;14)

Blenrep (belantamab mafodotin)*: antibody drug conjugate

Myelosuppression, GI

Talvey

Xpovio®: low sodium

Blenrep : eye-related

The Old Horse: Stem Cell Transplant

ELIGIBILITY

Measuring treatment response

Determining Transplant Eligibility

Insurance authorization

Collecting stem cells

Duration: Approximately 2 weeks

TRANSPLANT

High Dose Chemotherapy, stem cell infusion

Supportive Care Engraftment

Location: Transplant Center POSTTRANSPLANT

Restrengthening

Appetite recovery “Day 100” assessment

Begin maintenance therapy

Duration: Approximately 3-4 weeks

Location: Transplant Center

Duration: Approximately 10-12 weeks

Location: HOME

CAR T: Another Treatment Approach

Ask for a referral to CAR Tcell center as soon as it is possible as next treatment option (ie, before relapse)

No driving for 8 weeks

“One & Done” with continued monitoring

T-Cell Collection

Manufacturing takes ≈ 4 to 6 Bridgingweekstherapy may be needed

• Away from home

• Often some hospital stay

• Care Partner needed

• Side effect management

• CRS, ICANS

• Low blood counts

• Fatigue and fever

• Some patients need ongoing transfusion support

Horse of Another Breed: Bispecific

Antibodies

• Different bispecific antibodies have differences in efficacy, side effects

– Available after 4 prior lines of therapy (or clinical trial)

– About 7 in 10 patients respond

– Off-the-shelf treatment; no waiting for engineering cells

– CRS and neurotoxicity

– Risk of infection

• BCMA target: greater potential for infection

– Tecvayli® (teclistamab)

STABLE OF TREATME

FINDING YOUR GAIT GOING THE DISTANCE

BISPECIFIC ANTIBODIES

– Elrexfio (elranatamab)

• GPRC5D target: potential for skin and nail side effects, GI issues of taste change, anorexia and weight loss

– Talvey (talquetamab)

CAR T and Bispecific Antibodies: Unique Side Effects

FINDING YOUR GAIT GOING THE DISTANCE

CRS is a common but often a mild & manageable side effect

CAR = chimeric antigen receptor; CRS = cytokine release syndrome. Oluwole OO, Davila ML. J Leukoc Biol. 2016;100:1265-1272. June CH, et al. Science. 2018;359:1361-1365. Brudno JN, Kochenderfer JN. Blood. 2016;127(26):3321-3330. Brudno JN, Kochenderfer JN. Blood Rev. 2019:34:45-55. Shimabukuro-Vornhagen, et al. J Immunother Cancer. 2018;6:56. Lee DW, et al. Biol Blood Marrow Transplant. 2019;25:625-638.

CAR T and Bi-specific Antibodies: Unique Side Effects

Neurotoxicity is a rare but serious side effect

Steroids: The Good, The Bad, The Ugly

FINDING YOUR GAIT

GOING THE DISTANCE

Steroids enhance the effectiveness of other myeloma therapies

Do not stop or alter your dose of steroids without discussing it with your provider

Managing Steroid Side Effects

• Consistent schedule (AM vs. PM)

• Take with food

• Stomach discomfort: Over-the-counter or prescription medications

• Medications to prevent shingles, thrush, or other infections

Steroid Side Effects

• Irritability, mood swings, depression

• Difficulty sleeping (insomnia), fatigue

• Blurred vision, cataracts

• Flushing/sweating

• Increased risk of infections, heart disease

• Muscle weakness, cramping

• Increased blood pressure, water retention

• Stomach bloating, hiccups, heartburn, ulcers, or gas

• Weight gain, hair thinning/loss, skin rashes

• Increased blood sugar levels, diabetes

Infection Can Be Serious for People With Myeloma

[P]reventing infections is paramount.

Infection remains the leading cause of death in patients with multiple myeloma. Several factors account for this infection risk, including the overall state of immunosuppression from multiple myeloma, treatment, age, and comorbidities (e.g., renal failure and frailty).

IMWG Consensus guidelines and recommendations for infection prevention in multiple myeloma; Lancet Haematol.2022;9(2):143–161.

Infection Prevention Tips

Good personal hygiene (skin, oral)

Environmental control (avoid crowds and sick people; use a high-quality mask when close contact is unavoidable)

FINDING

GOING THE DISTANCE

Report fever of more than 100.4°F, shaking chills even without fever, dizziness, shortness of breath, low blood pressure to HCP as directed.

As recommended by your healthcare team:

Immunizations:

Flu, COVID, RSV & and pneumococcal vaccinations; avoid live vaccines

Preventative and/or supportive medications (next slide)

Medications Can Reduce Infection Risk

Type of Infection Risk

Herpes virus reactivation (HSV/VZV); CMV reactivation Acyclovir prophylaxis

Bacteremia, pneumonia, and urinary tract infection

Consider prophylaxis with levofloxacin PJP (P jirovecii pneumonia)

FINDING

Fungal infections (aspergillus)

Consider prophylaxis with fluconazole

Some people receiving BCMA-targeting therapies have experienced infections that are less common like CMV, PJP and fungal

Skin and Nail Side Effects

Possible side effects to some treatments and supportive care medications

Body Rash:

• Prevent dry skin; apply lotion

– Ammonium lactate 12% lotion

• Steroids:

– Topical for grades 1-2,

– Systemic and topical for Grade 3 and dose hold

• Antihistamines, as needed

Nail Changes:

.

FINDING

• Keep your nails short and clean. Watch for “catching and tearing”

• Apply a heavy moisturizer like Vaseline or salve. Wear cotton hand coverings to bed

• A nail hardener may help with thinning

• Tell the team if you have signs of a fungal infection, like thickened or discolored nails

Photos: Mount Sinai Hospital, NY, NY

Management of Oral Toxicities

FINDING YOUR GAIT GOING THE DISTANCE

Taste Changes

Dry Mouth

Dexamethasone oral solutions “swish and spit” have been tried but with no proven benefit yet. Sour citrus or candies before meals are also recommended.

OTC dry mouth rinse, gel, spray are recommended. Advise patients to avoid hot beverages. Preventative dental care and cleaning

Glossitis and Thrush

EARLY initiation of nystatin or Mycelex is key to manage symptoms.

• Weight loss and anorexia are associated with taste changes. Nutritionist involvement and dietary modifications are recommended to support patients. Appetite stimulant with Marinol, if indicated, can also be utilized.

Dietary modifications with small bites, eating upright, and sips with food can help manage symptoms.

• Education and emotional support are key strategies to manage oral toxicities.

Dysphagia
Catamero D, Purcell K, Ray C, et al. Presented at the 20th International Myeloma Society (IMS) Annual Meeting Nurse Symposium; September 27–30, 2023; Athens, Greece.

GI Symptoms: Prevention & Management

Diarrhea may be caused by medications and supplements

– Laxatives, antacids with magnesium

– Antibiotics, antidepressants, other (check with provider, pharmacist)

– Supplements: milk thistle, aloe, cayenne, saw palmetto, ginseng Management:

 Avoid caffeinated, carbonated, or heavily sugared beverages

 Take anti-diarrheal medication if recommended

 Bile Acid Sequestrants can reduce bile acid diarrhea (Ex: cholestyramine, Colestid® (colestipol), Welchol® (colesevelam)

Constipation may be caused by medications and supplements

– Opioid pain relievers, antidepressants, heart or blood pressure medications (check with provider, pharmacist)

– Supplements: Calcium, Iron, vitamin D (rarely), vitamin B-12 deficiency

Increase fiber

• Fruits, vegetables, high fiber whole grain foods

• Fiber binding agents – Metamucil®, Citrucel®, Benefiber®

Fluid intake can help with both diarrhea and constipation and helps kidney function

Discuss GI issues with health care providers to identify causes and make adjustments to medications and supplements Weight Management

Anorexia (difficulty eating)  Weight loss; Steroids  Weight gain

– Monitor weight for significant loss or gain

2016;20(4):E100-E105.

– Adjust diet (reduce calories or add supplements )

Pain Prevention and Management

Pain can significantly compromise quality of life

Sources of pain include bone disease, neuropathy and medical procedures

• Management

– Prevent pain when possible

• Bone strengtheners to decrease fracture risk

• Antiviral to prevent shingles

• Sedation before procedures

– Interventions depend on source of pain

Tell your healthcare provider about any new bone or chronic pain that is not adequately controlled

• May include medications, activity, surgical intervention, radiation therapy, etc

• Complementary therapies (Mind-body, medication, yoga, supplements, acupuncture, etc)

• Scrambler therapy for neuropathy

Sufficient Sleep: Important for Good Health

Adequate rest and sleep are essential to a healthful lifestyle

• Shortened and disturbed sleep cause

– Increased heart-related death

– Increased anxiety

– Weakened immune system

– Worsened pain

– Increased falls and personal injury

• Things that can interfere with sleep

– Medications: steroids, stimulants, herbal supplements

– Psychologic: fear, anxiety, stress

– Physiologic: sleep apnea, heart issues, pain

Sleep hygiene is necessary for quality nighttime sleep and daytime alertness

– Engage in exercise but not too near bedtime

– Increase daytime natural light exposure

– Avoid daytime napping

– Establish a bedtime routine - warm bath, cup of warm milk or tea

– Associate your bed ONLY with sleep

– Avoid before bedtime:

• Caffeine, nicotine, alcohol and sugar

• Large meals and especially spicy, greasy foods

• Computer screen time

– Sleep aid may be needed

Rod NH et al 2014. PloS one. 9(4):e91965; Coleman et al. 2011. Cancer Nurs. 34(3):219-227.National Sleep Foundation. At: http://sleepfoundation.org/ask-the-expert/sleep-hygiene

Mustian et al. Journal of clinical Oncology. Sep 10 2013;31(26):3233-3241; Stan DL, et al. Clin J Oncol Nurs. Apr 2012;16(2):131-141; Zeng Y et al., Complementary therapies in medicine. Feb 2014;22(1):173-186.

Peripheral Neuropathy Management

Peripheral neuropathy happens when there is damage to nerves in the extremities (hands, feet, limbs). Damage can be the result of myeloma, treatment or unrelated conditions (i.e. diabetes).

Symptoms:

• Numbness

• Tingling

• Prickling sensations

• Sensitivity to touch

• Burning and/or cold sensation

• Muscle weakness Prevention / management:

• Bortezomib once-weekly or subcutaneous administration

• Massage area with cocoa butter regularly

• Neuroprotective Supplements:

– B-complex vitamins (B1, B6, B12)

– Green tea

• Safe environment: rugs, furnishings, shoes

If neuropathy worsens, your provider may:

• Adjust your treatment plan

• Prescribe oral or topical pain medication

• Suggest physical therapy

Report

symptoms

of peripheral neuropathy early to your health care provider; nerve damage from neuropathy can be permanent if unaddressed

B, et al. CJON. 2017;21(5)suppl:19-36. Tariman, et al. CJON.2008;12(3)suppl:29-36. Zhao T, et al. Molecules. 2022;27(12):3909.

Understanding Changes to Kidney Function

• Risk Factors

– Active multiple myeloma (light chains, high calcium)

– Other medical issues (ex: Diabetes, dehydration, infection)

– Medications (MM treatment, antibiotics, contrast dye)

• Prevention

– Stay hydrated – drink water

– Avoid certain medications when possible (i.e., NSAIDs), dose adjust as needed

• Treatment

– Treatment for myeloma

– Hydration

– Dialysis

FINDING YOUR GAIT GOING THE DISTANCE

Many myeloma patients will experience kidney issues at some point; protecting your kidney function early and over time is important Brigle K, et al. CJON. 2017;21(5)suppl:60-76. Faiman B, et al. CJON. 2017;21(5)suppl:19-36. Faiman B, et al. CJON. 2011;15suppl:66-76.

Why the Long Face?

Fatigue

Fatigue is the most commonly reported symptom. Sources include anemia, pain, reduced activity, insomnia, treatment toxicity, bone marrow suppression 98.8%

>35% of patients

≈25% of patients

Often, people do not share these symptoms with their provider. Talk to your provider about symptoms that are not well controlled or if you have thoughts of self harm. Help is available.

Additional Supportive Care

Faiman B, et al. CJON. 2017;21(5)suppl:19-36. Dimopoulous M, et al. Leukemia. 2009;23(9):1545-56. Brigle K, et al. CJON. 2017;21(5)suppl:60-76. Faiman B, et al. CJON. 2017;21(5)suppl:19-36. Faiman B, et al. CJON. 2011;15suppl:6676. Miceli TS, et al. CJON. 2011;15(4)suppl:9-23.

Financial burden comes from

• Medical costs

– Premiums

– Co-payments

– Travel expenses

– Medical supplies

• Prescription costs

• Loss of income

– Time off work or loss of employment

– Caregiver time off work

• Funding and assistance may be available

– Federal programs, IRA & Medicare “Extra Help”

– Pharmaceutical support

– Non-profit organizations (TriageCancer.org)

– Websites:

• Medicare.gov

• SSA.gov

• LLS.org

• Rxassist.org

• NeedyMeds.com

• HealthWellFoundation.org

• Company-specific website Contact the Social Services department at your hospital or clinic to talk to a social worker for assistance.

Finding Your Gait

Be an empowered patient; engage in your care

Don’t Ride Alone

YOU are central to the care team

Be empowered

• Ask questions, learn more

• Express your goals/values/preferences

• Ask for time to consider options Communicate with your team

• Understand the roles of each team member and who to contact for your needs

• Arrive at a treatment decision together

Create a support network

Primary Care Provider (PCP)

and Your Care Partner(s)

Don’t Get Left in the Dust: Communicate How You Feel With Your Team

Your team may be able to help, but only if they know how you feel.

Unmanaged

Myeloma

can cause:

• Calcium elevation

• Renal dysfunction

• Low blood counts

• Infection Risk

• Blood clots

• Bone pain

• Neuropathy

• Fatigue

How You Feel

Side Effects of Treatment

can cause:

• GI symptoms

• Renal dysfunction

• Low blood counts

• Infection Risk

• Blood clots

• Neuropathy

• Fatigue

IMF Videos

Going the Distance

Healthful and meaningful living

Care Partners Are Essential to Going the Distance

If you want to go fast, go alone, if you want to go far, go together

• Care partners may help in many ways including medical appointments, managing medication, daily living, physical assistance, emotional support, myeloma knowledge, healthy lifestyle, patient advocacy, financial decisions

• Care partners can be a spouse, close relative, a network of people (family, friends, neighbors, church members, etc)

• Caring for the Care Partner

– Recognize that caregiving is difficult/stressful

– Encourage care partners to maintain their health, interests, and friendships

– The IMF has information and resources to help care partners

African Proverb

Form A Posse: Build Strong Social Ties & Cultivate a Sense of Belonging

• Multiple studies demonstrate that strong social ties are associated with

– Increased longevity including people with cancer

– Improved adherence to medical treatment leading to improved health outcomes

– Lower risk of developing cardiovascular diseases

– Increased sense of purpose and life satisfaction

– Reduced stress and anxiety

– Improved mood and happiness

– Enhanced resilience

GOING THE DISTANCE

• Strategies for enhancing social connection

– Deepen existing relationships with family, friends, and loved ones

– Build new relationships by participating in a support group, joining clubs or organizations, or volunteering

Tip: Start with small steps outside your comfort zone. Call a loved one you haven’t spoken to in a while. Invite a person you’d like to know better for lunch, coffee, or a walk.

Martino J, et al. Am J of Lifestyle Med. 2015;11(6):466-475. Yang YC, et al. Proc Natl Acad Sci U S A. 2016;113(3):578-583.

Pinquart M and Duberstein PR. Crit Rev Oncol Hematol. 2010; 75(2):122–137.

Hetherington C. Healthnews. https://healthnews.com/longevity/healthspan/social-connection-andlongevity/#:~:text=Research%20consistently%20demonstrates%20t hat%20people,of%20fulfillment%20in%20your%20life. Accessed Feb 1 2024.

Maintain Good Health

Have a Primary Care Doctor

Have Recommended Health Screenings

• Blood pressure

• Cholesterol

• Cardiovascular disease

• Dermatology (Skin)

• Diabetes

• Colonoscopy

• Vision

• Hearing

• Dental checkups & cleaning

• Women specific: mammography, pap smear

• Men specific: prostate

Maintain a healthy weight

• Good nutrition

• Activity or exercise

• Sufficient sleep

FINDING YOUR GAIT GOING THE DISTANCE

An ounce of prevention is worth a pound of cure.

Benjamin Franklin

Faiman B, et al. CJON. 2017;21(5)suppl:19-36. Dimopoulous M, et al. Leukemia. 2009;23(9):1545-56.

Brigle K, et al. CJON. 2017;21(5)suppl:60-76. Faiman B, et al. CJON. 2017;21(5)suppl:19-36. Faiman B, et al. CJON. 2011;15suppl:66-76. Miceli TS, et al. CJON. 2011;15(4)suppl:9-23.

Q&A

Frontline Therapy

Dana Farber Cancer Institute, Boston, MA

Jerome Lipper Multiple Myeloma Center,

Objectives

• Review the importance of DEPTH of response in early treatment of myeloma and the increasing use of MRD testing

• Discuss emerging approaches in transplant eligible patients, including quadruplet therapy and stem cell transplantation

• Outline the approach to a patient not going to transplant and how to optimize continuous therapy

Goals of Therapy: The Iceberg Model of Myeloma

>1 Trillion

Disease Burden (# of myeloma cells)

>1 Billion

>10 Million

1 myeloma cell in 100K to 1 million normal cells

Symptomatic Myeloma

At diagnosis

Partial response

50% reduction in M protein

Very good partial response 90% reduction in M protein immunofixation positive only

Complete remission

No M-protein immunofixation negative

Minimal Residual Dis Flow Cytometry

Minimal Residual Dis Next Generation Molecular testing

Depth of response matters!

MRD refers to the persistence of residual tumor cells after treatment and is responsible for relapse1

Current techniques can detect MRD with a sensitivity of 10-6 for MM cells2

MR→PR→

VGPR→CR →sCR

10–2 10–6 Induction Consolidation Maintenance Preemptive

MRDhigh

MRDlow

MRDneg

MRDpos

1. Adapted from Hauwel M, Matthes T. Swiss Med Wkly 2014:144:w13907

2. Biran N, et al. Curr Hematol Malig Rep 2014;9:368–78
MR, minimal response; neg, negative; pos, positive; R, relapse

MRD is Prognostic – Both for PFS and OS

B,

al. J Clin Oncol. 2017; 35(25): 2900–2910

Lahuerta JJ, Paiva
et

Personalized Approach to Frontline Therapy

Newly Diagnosed MM and Risk

Stratified

Factors to be considered for ASCT

Age, performance status (PS), comorbidities (R-MCI score, HCT-Cl) and organ function

ASCT Eligible

ASCT Ineligible

General Principles of Initial Therapy

1. Most patients will be given a combination of drugs to control the disease quickly

2. We don’t “save the best for last” because early therapies have a long term effect on survival

3. We seek a DEEP and DURABLE response

4. We mix and match from the 3 major classes of drugs and add steroids:

Proteasome Inhibitors – most often botezomib (Velcade)

Immunomodulatory Drugs – lenalidomide (Revlimid)

Monoclonal Antibodies – daratumumab (Darzalex)

5. We decide early on whether or not someone will have a stem cell transplant

RVD +Stem Cell Transplant vs. RVD without Transplant DETERMINATION Trial of Newly Diagnosed MM: DESIGN

-Patients aged 18-65 yrs with symptomatic newly diagnosed MM following 1 cycle of RVD -56 sites within the United States from 2010 to 2018

End Points of Study and Follow-up

ASCT: Melphalan 200 mg/m2 + Stem Cell Support (n = 310)

• Primary end point: progression-free survival (time to next relapse)

• Secondary end points included:

• Response rates, overall survival, quality of life, and adverse events

• Follow-up on participant status : median of 6 years

Primary endpoint: Progression-free survival (PFS)

CI, confidence interval; HR, hazard ratio; Data cut off: 12/12/21

Key secondary endpoint: Overall survival (OS)

Median follow-up 76 months

*p-value adjusted using Bonferroni’s correction to control overall family-wise error rate for secondary outcomes

RVD +Stem Cell Transplant vs. RVD without Transplant DETERMINATION Trial of Newly Diagnosed MM Quality of Life

Global Health Status/QoL, Physical Functioning

DETERMINATION Discussion

• ASCT remains very relevant and important in prolonging PFS in younger and eligible patients

• BUT it may not be mandatory in all eligible patients upfront

• As with other agents, we INDIVIDUALIZE the sequencing patterns

• ASCT does carry genuine toxicity, short term and long term

• We may become callous to these toxicities

• Maintenance therapy remains an important part of myeloma therapy

Joseph Mikhael
But can we do better than triplets?

NDMM- Transplant Eligible: Phase III PERSEUS Study Design

Key eligibility criteria

• Transplanteligible NDMM

• Age 18-70 years

• ECOG PS ≤2 1:1 randomization (N=709) a VRd V: 1.3 mg/m2 SC Days 1, 4, 8, 11

R: 25 mg PO Days 121

d: 40 mg PO/IV Days 1-4, 9-12 D-VRd

DARA: 1,800 mg SCb

QW Cycles 1-2

Q2W Cycles 3-4

VRd administered as in the VRd group

Induction Consolidation Maintenance 4 cycles of 28 days 2 cycles of 28 days 28-day cycles

VRd V: 1.3 mg/m2 SC Days 1, 4, 8, 11 R: 25 mg PO Days 121 d: 40 mg PO/IV Days 1-4, 9-12 D-VRd

DARA: 1,800 mg SCb

Q2W

VRd administered as in the VRd group D-R DARA: 1,800 mg SCb Q4W R: 10 mg PO Days 1-28 MRD positive MRD negativ e R R: 10 mg PO Days 1-28 until PD

Continue D-R until PD

Discontinue DARA therapy only

Primary endpoint: PFSc

Key secondary endpoints: Overall ≥CR rate,c overall MRD-negativity rate,d OS

Discontinue DARA therapy only after ≥24 months of D-R maintenance for patients with ≥CR and 12 months of sustained MRD negativity

Restart DARA therapy upon confirmed loss of CR without PD or recurrence of MRD

et. al. Late-breaking Abstracts Session, ASH 2023. Accessed from: https://ash.confex.com/ash/2023/webprogram/Paper191911.html

et. al. Late-breaking Abstracts Session, ASH 2023. Accessed from: https://ash.confex.com/ash/2023/webprogram/Paper191911.html

PERSEUS: Safety

The first phase 3 study evaluating Isa + RVd for induction and maintenance in Te NDMM patients

Isa (IV) 10 mg/kg Cycle 1 Cycle 2–3

Bor (SC) 1.3 mg/m² Len (PO) 25 mg

(PO) 20 mg

Induction phase (3 x 6-week cycles)

Isa (IV) 10 mg/kg: Cycle 1

phase (4-week cycles)

and Heidelberg University Hospital | ASH 2021

ASCT, autologous stem cell transplant; D, day; d/Dex, dexamethasone; HDT, high-dose therapy; Isa, isatuximab; IV, intravenous; NDMM, newly diagnosed multiple myeloma; PD, progressive disease; PO, oral; R/Len, lenalidomide; SC, subcutaneous; Te, transplant eligible; V/Bor, bortezomib; RVd is off label use in some countries according to the lenalidomide summary of product characteristics. 1. ClinicalTrials.gov: NCT03617731

First primary endpoint, end of induction MRD negativity by NGF (10-5), was met in ITT analysis

Patients with MRD negativity at the end of induction therapy

OR 1.83 (95% CI 1.34–2.51)

Low number of not assessable/missing† MRD status: Isa-RVd (10.6%) and RVd (15.2%)

Isa-RVd is the first regimen to demonstrate a rapid and statistically significant benefit from treatment by reaching a MRD negativity of 50.1% at the end of induction and to show superiority vs. RVd in a Phase 3 trial

IsKia EMN24 Study Design

42 active sites; enrollment: Oct 7, 2020 ‒ Nov 15, 2021

Induction

Key eligibility criteria: TE NDMM patients

aged <70 years

Stratification:

- Centralized FISH (standard risk/missing vs. high risk defined as del(17p) and/or t(4;14) and/or t(14;16); - ISS (I vs. II and III)

MOBILIZATION

Cy: 2-3 g/m2 followed by G-CSF for stem-cell collection and MEL200-ASCT

MEL: 200 mg/m2 followed by ASCT

Post-ASCT consolidation

Primary Endpoint: Post-consolidation MRD negativity

NGS, 10-5

(N=151) KRd (N=151) Patients

Patients

(ITT analysis)

10-6

(N=151) KRd (N=151)

≥VGPR after consolidation was 94% in both arms; ≥CR 74% vs 72% and sCR 64% vs 67% in the IsaKRd vs KRd arms.

High MRD compliance and sample quality (97-100% of sample evaluable at 10-5 and 10-6 cut off.

Consistent MRD results were detected by next-generation flow

In the logistic regression analysis, ORs, 95% CIs, and p-values were adjusted for stratification factor.

MRD negativity rates improved over time (10-5)

(N=151)

Post-consolidation MRD negativity by NGS

Subgroup analysis by cytogenetic risk

NGS, 10-5 NGS, 10-6

1 HRCA was defined as the presence of one of the following high-risk cytogenetic abnormalities: del(17p13.1), t(4;14) (p16.3;q32.3), t(14;16) (q32.3;q23), gain(1q21), or amp(1q21); 2+ HRCA was defined as the presence of at least

Conclusions

• Isa-KRd significantly increased post-consolidation 10-5 and 10-6 MRD negativity, as compared with KRd

• Isa-KRd significantly increased 10-5 and 10-6 MRD negativity after each treatment phase (Induction, Transplantation, Consolidation) .

• Isa-KRd consistently increased MRD negativity at 10-5 and 10-6 in all subgroups of patients, including high-risk and very high-risk disease.

• Isa-KRd treatment was tolerable, with a toxicity profile similar to that in previous reports.

• 10-6 MRD negativity cut-off is more informative.

• 1-year sustained MRD negativity will be available in 2024

• With a longer follow-up, this trial can offer the opportunity to explore the correlation between depth of MRD negativity and PFS/OS.

Will MRD guide us to stop therapy?

MASTER Trial - Treatment

Dara-KRd

• Daratumumab 16 mg/m2 days 1,8,15,22 (days 1,15 C 3-6; day 1 C >6)

• Carfilzomib (20) 56 mg/m2 Days 1,8,15

• Lenalidomide 25 mg Days 1-21

• Dexamethasone 40mg PO Days 1,8,15,22

Progression-Free and Overall Survival

Frontline

Therapy and Transplant - Conclusions

• We are transitioning to quadruplets in frontline eligible patients

• BUT the optimal length of a quadruplet is still to be determined!

• Transplant still has a role in MM even with long term use of novel agents

• Consolidation therapy may deepen responses and should be considered in patients who have not achieved VGPR

• MRD guided discontinuation may be possible in lower risk groups but not high risk patients

How do we decide who is eligible for transplant?

ASCO: What criteria are used to assess eligibility for autologous stem cell transplant (SCT)?

Recommendation

Patients should be referred to a transplant center to determine transplant eligibility

Evidence Rating

Type: Evidence based

Evidence quality: Intermediate, benefit outweighs harm

Strength of recommendation: Moderate

Chronologic age and renal function should not be the sole criteria used to determine eligibility for SCT.

Type: Evidence based

Evidence quality: Intermediate, benefit outweighs harm

Strength of recommendation: Moderate

Mikhael J, et al. J Clin Oncol. April 1, 2019. DOI:10.1200/JCO.18.02096.

Several Indices for Myeloma ‘Frailty’ assessment

IMWG score of 1 = Intermediate-Fit

3-year OS was 76% (HR=1.61; 95% CI 1.02-2.56; p=.042)

Toxicities 16.7% (HR 1.23, 95% CI 0.89-1.71; p=.217) and

Discontinuation 20.8% (HR=1.41; 95% CI 1.00-2.01; p=.052).

Palumbo A Blood
Engelhardt M. Haematologica 2016 Facon et al. Leukemia 2020 Bonanad et al. JGO 2015

Upfront Therapy for Myeloma: Patients Ineligible for Transplant

MAIA

Study Design – DRD vs RD

‒ Patients were enrolled in MAIA from March 2015 through January 2017

D: 16 mg/kg IV

Key eligibility criteria

• TIE NDMM

• ECOG PS score 0-2

• CrCl

≥30 mL/min

QW Cycles 1-2, Q2W Cycles 3-6, then Q4W thereafter until PD

R: 25 mg PO Days 1-21 until PD

da: 40 mgb PO or IV

Days 1, 8, 15, 22 until PD

R: 25 mg PO Days 1-21 until PD

d: 40 mg PO Days 1, 8, 15, 22 until PD

Rd Cycles: 28 days Rd

End-oftreatment visit (30 days after last dose) Longterm follow-up

Primary endpoint

• PFS Key secondary endpoints

• OS

• PFS2

• ORR

• CR/sCR rate

• MRD (NGS; 10–5) 1:1 randomisation

MAIA is a multicentre, randomised, open-label, active-controlled, phase 3 study of D-Rd versus Rd alone in patients with NDMM who are transplant

Demographics and Baseline Characteristics

Demographics

ORRa

Median follow-up

Primary: 28.0 months1

Median follow-up

Update: 56.2 months

• D-Rd induced deeper responses with significantly higher rates of ≥CR and

• With >28 months of additional follow-up, responses deepened with continued DARA therapy

Updated PFS

• D-Rd continued to demonstrate a significant PFS benefit, with median PFS not reached with D-Rd

• These data provide a new PFS benchmark in patients with NDMM who are transplant ineligible

Conclusions in Transplant Ineligible Patients

• Although ASCT remains the standard of care, use is likely to decline in patients who are 65-75 or with significant comorbidities

• Continuous therapy has resulted in better outcomes

• The balance of toxicity and efficacy is particularly important in this population

• ESPECIALLY with dexamethasone

• Most common approach is to select 2 agents from the 3 Novel Classes (PIs, IMiDs and MoAbs)

• Most will use DRD in standard risk patients

• Some may favor VRD in certain high risk patients

• DRD is more easily delivered and feasible

• D-VRD may well be a future standard of care even in these patients

The Evolution of Myeloma Therapy

Bortezomib

Lenalidomide

Carfilzomib

Pomalidomide

Panobinostat

Daratumumab

Ixazomib

Elotuzumab

Lenalidomide

Bortezomib

Ixazomib

Lenalidomide + PI

SCT +/- More induction

Carfilzomib

Combinations

Selinexor

Isatuximab

Idecabtagene autoleucel

Ciltacabtagene autoleucel

Teclistamab

Talquetamab

Elranatamab

Isa-VRD Isa-KRD D-KRD

CAR T or Bispecifics?

Daratumumab?

Novel CAR T Cell Therapies

Bispecific/Trispecific Antibodies

CelMod Agents

Venetoclax?

Modakafusp

Multiple small molecules

ASCT, autologous stem cell transplant; CAR, chimeric antigen receptor; Cy, cyclophosphamide; d- daratumumab; D/dex, dexamethasone; isa, isatuximab; K, carfilzomib; M, melphalan; PD-L1, programmed death ligand-1; PI, proteasome inhibitor; Rev, lenalidomide; V, bortezomib. Speaker’s own opinions.

Q&A

BREAK

Thank you to our sponsors!

Maintenance Therapy

Jerome Lipper Multiple Myeloma Center,

Dana Farber Cancer Institute, Boston, MA

Objectives

• Discuss the principle of consolidation therapy and its application in myeloma

• Outline the major options for maintenance therapy

• Introduce the newer trend for the use of dual maintenance

• Provide an algorithm for maintenance based on risk status

Understanding the Terms

• Induction: Intense and short term therapy with goal to achieve rapid remission

• Consolidation: Intense and shorter term therapy with goal of deep remission

• Maintenance: Less intense longer term therapy with goal of better PFS and OS

What does the Ideal Maintenance therapy look like?

• Deepen remission

• Prolong remission

• Easy to administer

• Minimal toxicity

Meta-Analysis of Lenalidomide Maintenance after ASCT

CALGB 100104

(accrual 8/2005 – 11/2009)

INDUCTION

ASCT

1:1 RANDOMIZATION

“NO EVIDENCE OF PD”

Primary Endpoint: PFS

IFM 2005-02

(accrual 6/2006 – 8/2008)

INDUCTION

ASCT

1:1 RANDOMIZATION

“NO EVIDENCE OF PD”

Primary Endpoint: PFS

LEN: 2 COURSES

LEN MNTCa (n = 231) PLACEBO (n = 229)

2 × 2 DESIGN

LEN + DEX × 4 INDUCTION

Primary Endpoint: PFS

GIMEMA (RV-MM-PI-209) (accrual 11/2007 – 7/2009) LEN MNTCb (n = 67) NO TREATMENT (n = 68)

MPR: 6 COURSES

INTERIM AN Dec 2009 Jan 2010

INTERIM ANALYSIS AND UNBLINDING

CROSSOVER BEFORE PD ALLOWED CONTINUED TREATMENT

LEN MNTCa (n = 307) PLACEBO (n = 307) ALL TREATMENT DISCONTINUED Jan 2011 CONTINUED TREATMENT NO CROSSOVER BEFORE PD ALLOWED

CONTINUED TREATMENT CONTINUED TREATMENT PRIMARY ANALYSIS

Target population of patients with NDMM who received LEN maintenance or placebo/no maintenance after ASCT

a Starting dose of 10 mg/day on days 1-28/28 was increased to 15 mg/day if tolerated and continued until PD.

b Patients received 10 mg/day on days 1-21/28 until PD.

ASCT, autologous stem cell transplant; LEN, lenalidomide; NDMM, newly diagnosed multiple myeloma; MNTC, maintenance; MPR, melphalan, prednisone, and Len; PD, progressive disease.

Meta-analysis of lenalidomide maintenance post-

ASCT: overall survival

McCarthy et al. J Clin Oncol. 2017, 35:3279-3289.

Lenalidomide maintenance and second primary malignancy risk

McCarthy et al. J Clin Oncol. 2017, 35:3279-3289.

Key Results of Initial Meta-Analysis

randomized trials: 1,209 patients:

• Median follow up 6.6 years

• PFS 52.8 months for lenalidomide vs 23.5 in placebo

• PFS2 also prolonged 73.3 months vs 56.7 (ie not creating more aggressive clone)

• Median overall survival: 86 months v. not reached: P = 0.001

• Benefit for ≤ PR as well as VGPR/CR patients

• 29% discontinuation rate with lenalidomide

• Second primary malignancy rate higher at 6.1% vs 2.8% in placebo after PD

Induction

Treated on Myeloma XI induction protocols

N=1551 (TE=828; TNE=723)

Maintenance

10 mg/day, days 1‒21/28

Observation

Median follow-up: 27 months (IQR 13‒43)

Exclusion criteria

• Failure to respond to lenalidomide as induction IMiD, or development of PD

• Previous or concurrent active malignancies Lenalidomide

Overall PFS

Significant improvement in PFS from 18 to 36 months, HR=0.45

Median PFS, months [95% CI]

Lenalidomide (n=857) 36 [31, 39]

Observation (n=694) 18 [16, 20]

Meta-analysis of all four randomized studies evaluating lenalidomide maintenance

But can we do better than lenalidomide alone?

FORTE Trial design

474 NDMM patients, transplant-eligible and younger than 65 years

4x KCd

K: 36^ mg/m2 d 1-2,8-9,15-16

C: 300 mg/m2 d 1,8,15

d: 20 mg. d 1-2,8-9,15-16,22-23

4x KRd

K: 36^ mg/m2 d 1-2,8-9,15-16

R: 25 mg d 1-21

d: 20 mg. d 1-2,8-9,15-16,22-23

Intensification with high-dose melphalan followed by autologous stem-cell reinfusion

4x KCd

K: 36 mg/m2 d 1-2,8-9,15-16

C: 300 mg/m2 d 1,8,15

d: 20 mg. d 1-2,8-9,15-16,22-23

R: 10 mg days 121, until progression or intolerance

4x KRd

K: 36 mg/m2 d 1-2,8-9,15-16

R: 25 mg d 1-21

d: 20 mg. d 1-2,8-9,15-16,22-23

4x KRd

K: 36^ mg/m2 d 1-2,8-9,15-16

R: 25 mg d 1-21

d: 20 mg. d 1-2,8-9,15-16,22-23

4x KRd

K: 36 mg/m2 d 1-2,8-9,15-16

R: 25 mg d 1-21

d: 20 mg. d 1-2,8-9,15-16,22-23

4x KRd

K: 36 mg/m2 d 1-2,8-9,15-16

R: 25 mg d 1-21 d: 20 mg. d 1-2,8-9,15-16,22-23

K: 36 mg/m2 d 1, 2, 15, 16 up to 2 years*

R: 10 mg days 1-21, until progression or intolerance

^20 mg/m2 on days 1-2, cycle 1 only. *Carfilzomib 70 mg/m2 days 1, 15 every 28 days up to 2 years for patients that have started the maintenance treatment from 6 months before the approval of Amendment 5.0 onwards.

NDMM, newly diagnosed multiple myeloma, R1, first randomization (induction/consolidation treatment); R2, second randomization (maintenance treatment); ASCT, autologous stem-cell transplantation; K, carfilzomib; R, lenalidomide; C, cyclophosphamide; d, dexamethasone; KCd_ASCT, KCd induction-ASCT-KCd consolidation; KRd_ASCT, KRd induction-ASCT-KRd consolidation; KRd12, 12 cycles of KRd.

Progression-free survival

Median follow-up from Random 1: 51 months (IQR 46‒55)

Median follow-up from Random 2: 37 months (IQR 33‒42)

3-year PFS reported in the figure. Random 1, first randomization (induction/consolidation treatment); ASCT, autologous stem-cell trasplantation; K, carfilzomib; R, lenalidomide; C, cyclophosphamide; d, dexamethasone; KCd_ASCT, KCd induction-ASCT-KCd consolidation; KRd_ASCT, KRd induction-ASCT-KRd consolidation; KRd12, 12 cycles of KRd; Random 2, second randomization (maintenance treatment); p, p-value; HR, hazard ratio; CI,

Progression-free survival: Random 2

KR vs. R

Conclusions about FORTE

• It appears that dual maintenance therapy prolongs PFS

• This occurs in both standard risk AND high risk patients

• It further opens the door to other dual maintenance strategies currently being used and explored:

• Lenalidomide + Bortezomib

• Lenalidomide + Ixazomib

• Lenalidomide + Daratumumab

• Others??

What about Daratumumab?

• CASSIOPEIA randomized pts to no maintenance vs dara q 8 weeks

• Overall there was a benefit to having dara maintenance vs placebo

• However, if dara had been given at induction, that benefit did not seem to continue (ie If you had dara upfront, it didn’t add more to maintenance)

• However, PERSEUS added Dara to Lenalidomide for up to 2 years based on sustained MRD status

• There is still more to learn, but there is much more comfort use dara+len as maintenance, especially in higher risk patients

Key eligibility criteria

• Transplanteligible NDMM

• Age 18-70 years

• ECOG PS ≤2 1:1 randomization (N=709) a VRd V: 1.3 mg/m2 SC Days 1, 4, 8, 11

R: 25 mg PO Days 121

d: 40 mg PO/IV Days 1-4, 9-12 D-VRd DARA: 1,800 mg SCb

QW Cycles 1-2

Q2W Cycles 3-4

VRd administered as in the VRd group

Maintenance 4 cycles of 28 days 2 cycles of 28 days 28-day cycles

Discontinue DARA therapy only Induction

VRd V: 1.3 mg/m2 SC Days 1, 4, 8, 11 R: 25 mg PO Days 121 d: 40 mg PO/IV Days 1-4, 9-12 D-VRd

DARA: 1,800 mg SCb

Q2W

VRd administered as in the VRd group D-R DARA: 1,800 mg SCb Q4W R: 10 mg PO Days 1-28

positive MRD negative R R: 10 mg PO Days 1-28 until PD

Continue D-R until PD

Primary endpoint: PFSc

Key secondary endpoints: Overall ≥CR rate,c overall MRD-negativity rate,d OS

Discontinue DARA therapy only after ≥24 months of D-R maintenance for patients with ≥CR and 12 months of sustained MRD negativity

Restart DARA therapy upon confirmed loss of CR without PD or recurrence of MRD

How long should maintenance last?

Defining the optimum duration of lenalidomide maintenance after autologous stem cell transplant

data from the Myeloma XI trial.

Charlotte Pawlyn1,2, Tom Menzies3, Faith Davies4, Ruth de Tute5, Rowena Henderson3, Gordon Cook3,6, Matthew Jenner7, John Jones8, Martin Kaiser1,2, Mark Drayson9, Roger Owen8, David Cairns3, Gareth Morgan4, Graham Jackson10

1) The Institute of Cancer Research, London, UK; 2) The Royal Marsden Hospital, London, UK; 3) Clinical Trials Research Unit, Leeds Institute of Clinical Trials Research, University of Leeds, Leeds, UK; 4) Perlmutter Cancer Center, NYU Langone Health, New York, US; 5) HMDS, Leeds Cancer Centre, Leeds Teaching Hospitals NHS Trust, Leeds, United Kingdom; 6) Leeds Cancer Centre, Leeds Teaching Hospitals NHS Trust, Leeds, UK; 7) University Hospital Southampton NHS Foundation Trust, Southampton, UK; 8) Kings College Hospital NHS Foundation Trust, London, UK; 9) Institute of Immunology and Immunotherapy, University of Birmingham, Birmingham, UK; 10) Department of Haematology, University of Newcastle, Newcastle-upon-Tyne, UK

On behalf of the Myeloma XI Trial Management Group and NCRI Haem-Onc Clinical Studies Group

Multiple landmark analyses

Conclusions

• These data suggest an ongoing PFS benefit associated with continuing lenalidomide maintenance beyond at least 4-5 years in the overall patient population

• Even in patients with sustained MRD negativity, there is evidence of benefit from continuing lenalidomide maintenance for at least 3 years in total

• Randomised trials to address the impact of stopping lenalidomide maintenance in patients with sustained MRD negativity could be considered, at no earlier than 3 years

• In patients who are MRD +ve these data support continuing lenalidomide until disease progression

• No evidence of cumulative haematological toxicity was identified

• These findings emphasise the need for long term follow up of maintenance studies to enable the exploration of such questions

• There is a planned powered OS update of Myeloma XI in 2023

Commonly asked maintenance questions

• Should post-transplant maintenance therapy be recommended for all patients?

• Yes

• Which agent should be used?

• Lenalidomide remains the standard of care – we may be adding daratumumab soon

• What is the optimal duration?

• Treatment until progression remains the standard of care

• What should patients with high-risk cytogenetics receive?

• Consider lenalidomide + proteasome inhibitor or daratumumab; clinical trial

• Should MRD status dictate maintenance therapy?

• Not outside of a clinical trial

• What about Second Primary Malignancies?

• They are real, require a discussion and monitoring, but are outweighed by benefit

Relapsed Therapies & Clinical Trials

International Myeloma Foundation

Relapsed Therapy

Objectives

• Discuss an approach to treating relapsed myeloma based on patient, disease and treatment characteristics

• Review the important trend of using an aggressive approach in early treatment of myeloma

• Outline the key results from recent trials in early relapse

• Discuss the approach to late relapse and the use of novel therapies such as CAR T and bispecific antibodies

Early lines treatment are important!

1st Relapse 2nd 3rd 4th 5th and beyond

Fewer patient are eligible for therapy in each subsequent line of therapy (LOT)

Figure adapted from: Yong, K et al. Br J Haematol 2016;175(2):252-264

An Approach to Relapsed MM

• It is not a simple algorithm of treatment #1 then 2 then 3…

• Leverage the benefit of multiple mechanisms of action in combination therapy

Categories:

• 1-3 prior lines

• Later Relapse

• Refractory to PI, IMiD and MoAb = Triple Class Refractory

Principles

1. Depth of Response matters…likely incorporate MRD soon 2. High risk vs standard risk…more aggressive Rx in high risk

3. Balance efficacy and toxicity…initially and constantly assess

4. Overcome drug resistance…change mechanism of action when possible

Definitions: What is relapsed/refractory disease and a line of therapy?

• Relapsed: recurrence (reappearance of disease) after a response to therapy

• Refractory: progression despite ongoing therapy

• Progression: change in M protein/light chain values

• Line of therapy: change in treatment due to either progression of disease or unmanageable side effects

• Note: initial (or induction) therapy + stem cell transplant + consolidation/ maintenance therapy = 1 line of therapy

Therapy Selection Considerations

Disease-Related

• Nature of the relapse

– Biochemical vs symptomatic

• Risk stratification

– High-risk chromosomal abnormalities: del(17p), t(4;14), t(14;16)

• Disease burden

Therapy-Related

• Previous therapies

• Prior treatmentrelated adverse event

• Regimen-related toxicity

• Depth and duration of previous response

• Cost to patient

Patient-Related

• Renal insufficiency

• Hepatic impairment

• Comorbidities

• Preferences

• Social factors

– Support system

– Accessibility to treatment center

– Insurance coverage

Multiple Myeloma is Not One Disease!

General principles

1. Therapies change over time—clinical trials make this possible

2. Outcomes (e.g. survival) changes over time, as new therapies emerge

3. If one therapy did not work well, it doesn’t mean another won’t

4. Terms like “overall survival” and “progression free survival” typically refer to statistical probabilities for GROUPS of people and do not seal the fate of an INDIVIDUAL

5. At a given point in time, there may not be a known “right answer;” hence many opinions

Pillars of Myeloma therapy

Emerging immunotherapies in multiple myeloma

Modified from: Shah A, Mailankody S. BMJ 2020; 370

Carvykti
Talquetamab (CPRC5D)
Cevostamab (FcRH5)

NAKED ANTIBODIES

Examples:

1. Daratumumab (Darzalex) — recognizes CD38

2. Isatuximab (Sarclisa) — recognizes CD38

3. Elotuzumab (Empliciti) — recognizes SLAMF7

Naked monoclonal antibody

Cancer cell

ANTIBODY DRUG CONJUGATE

Belantamab mafodotin

— recognizes

IS BLENREP (BELANTAMAB) COMING

BACK?

DREAMM 7: Velcade-Dex with Belantamab or daratumumab

Progression free Survival Overall Survival

Hungria V. NEJM; 391(5): 393-407.

DREAMM 8: POM-DEX WITH BELANTAMAB OR VELCADE

Progression free Survival

Dimopoulos MA. NEJM 2024; 391(5): 408-421.

Overall Survival

BISPECIFIC ANTIBODY

Bispecific MM target Brand name

Teclistamab BCMA Tecvayli

Talquetamab GPRC5D Talvey

Elranatamab BCMA Elrexfio

Cevostamab FcRH5

Livoseltamab BCMA

Bispecific antibody

Plasma cell aka myeloma cell T-cell • Cytokine release • T cell activation • Perforin/Granzymes

Fc domain

CAR-T CELLS

CAR-T cell
Ide-cel
Cilta-cel CARVYKTI (BCMA)

Early Relapse

General Principles

Use mechanisms of action not previously used

Do not continue to use lenalidomide if progressing on len maintenance

Triplets are preferred over doublets

In real practice - most patients receiving VRD (Bortezomib-Lenalidomide-Dex) like regimens, 1st relapse is typically

Daratumumab + Pomalidomide + Dex (APOLLO)

Isatuximab + Pomalidomide + Dex (ICARIA)

Daratumumab + Carfilzomib + Dex (CANDOR)

Isatuximab + Carfilzomib + Dex. (IKEMA)

Selinexor + Bortezomib + Dex (BOSTON) And this JUST IN – CAR T cell therapies can be used as early as first relapse!

First or Second Relapse (Options after Considering Clinical Trials) (Modified from mSMART But Added New CAR-T Approvals)

Not Refractory to Anti-CD38 Refractory to Anti-CD38 and Len

Not refractory to Lenalidomide and standard risk or long 1st remission

Refractory to Lenalidomide

DRd

Standard Risk and >2-3 years remission <2 years of remission and/or HRCA > 2-3 year remission and standard risk < 2 year remission or HRCA

DPd or IsaPd Or DVd

Cilta-cel CAR T or AntiCD38 + Kd

Dingli D, et al. Mayo Clin Proc. 2017;92(4):578-59. Updated 2024.

KPd or PVd or PCd or EloPd Or CAR-T (Cilta-cel If 1+ prior LOT, Ide-cel if 2+ LOT)

Favor CAR-T Cilta-cel (1+ prior LOT) Or Ide-cel (2+ prior LOT)

Others to the left if not candidate for CAR-T

Abecma (CAR T) vs Standard of Care

2-4 prior lines of therapy

Cayvykti (CAR T) vs Standard of Care

1-3 prior lines of therapy

OVERALL RESPONSE RATE AND PFS OF RECENTLY

APPROVED THERAPIES IN RRMM

> 4 LOT and triple refractory

Richardson Blood 2014; 123:1826-32

Siegel Blood 2012; 120:2817-25

Lonial Lancet 2016; 387:1551-60

Rasche EHA 2024, P915

Van de Donk ASCO 2023; abs 8011

Lesohkin Nat Med 2023; 29:2259-67

Munshi NEJM 2021; 384:705-16

Munshi EHA 2023; S202

Huang ASCO 2024; 7511

Second or later Relapse (≥3rd line)

Not Plasma Cell Leukemia (PCL) or Similar extramedullary disease (EMD)

Triple Class Refractory, Type 1*

Refractory to:

• Bortezomib

• Lenalidomide

• Anti-CD38 moAB

Off-Study Treatment Options

Triple Class Refractory, Type 2*

Refractory to:

• Bortezomib and Carfilzomib

• Lenalidomide

• Anti-CD38 moAB

Triple Class Refractory, Type 3*

Refractory to:

• Bortezomib & Carfilzomib

• Lenalidomide & Pomalidomide

• Anti-CD38 moAB

# Listed regimens are not in the order of preference

Venetoclax-based therapy if t(11;14)

Bispecific Antibody

Venetoclax-based therapy if t(11;14)

*Auto transplant is an option, if transplant candidate and feasible; **If known to be refractory to Daratumumab as single agent, use elotuzumab instead

CAR T-Cell Therapy Patient Journey

Fludarabine and Cytoxan are used to create “immunologic space”

CAR T: Expected Toxicities

Cytokine release syndrome (CRS) Neurotoxicity (ICANS)

Cytopenias

Infections

CRS

ICANS

Onset 1 9 days after CAR T-cell infusion 2 9 days after CAR T-cell infusion

Duration 5 11 days 3 17 days

Symptoms

• Fever

• Difficulty breathing

• Dizziness

• Nausea

• Headache

• Rapid heartbeat

• Low blood pressure

Management

• Actemra (tocilizumab)

• Corticosteroids

• Supportive care

• Headache

• Confusion

• Language disturbance

• Seizures

• Delirium

• Cerebral edema

• Antiseizure medications

• Corticosteroids

*Based on the ASTCT consensus; †Based on vasopressor; ‡For adults and children >12 years; §For children ≤12 years; ‖Only when concurrent with CRS

Xiao X et al. J Exp Clin Cancer Res. 2021;40(1):367. Lee DW et al. Biol Blood Marrow Transplant. 2019;25:625; Shah N et al. J Immunother Cancer. 2020;8:e000734.

Bispecific and Trispecific Antibodies

There are currently 3 approved bispecific antibodies:

Teclistamab (Tecvayli)

Talquetamab (Talvey)

Elranatamab (Elrexfio)

Bispecific Antibodies

Bispecific antibodies are also referred to as dual specific antibodies, bifunctional antibodies, or T-cell engaging antibodies

Bispecific antibodies can target two cell surface molecules at the same time (one on the myeloma cell and one on a T cell)

Many different bispecific antibodies are in clinical development; none are approved for use in myeloma

Availability is off-the-shelf, allowing for immediate treatment

Cohen A et al. Clin Cancer Res. 2020;26:1541.

BCMA, GPRC5D, or FcRH5

Examples:

• Elranatamab

• Teclistamab

• TNB-303B (ABBV-383)

• REGN5458

• Cevostamab

• Talquetamab

Bispecific Antibodies: Expected Toxicities

• Cytokine release syndrome (CRS)

• Neurotoxicity (ICANS)

• Usually occurs within first 1–2 weeks

• Frequency (all grade and grade 3–5) higher with CAR T

• Cytopenias

• Target unique

• For example, rash, taste disturbance seen with GPRC5D, but not with BCMA

• Infections

• Incidence for bispecifics at RP2D not yet known

• Viruses: CMV, EBV

• PCP/PJP

• Ongoing discussions regarding prophylactic measures

 IVIG

 Anti-infectives

Similarities and Differences Between CAR T-Cell Therapy and Bispecific Antibodies

CAR T-cell therapy Bispecific antibody

Approved product

How given One-and-done

Where

Notable

IV or SC, weekly to every 3 weeks until progression

Key Points – CAR T and Bispecifics

CAR T and bispecific antibodies are very active even in heavily pretreated patients.

Side effects of CAR T cells and bispecific antibodies include cytokine release syndrome, confusion, and low blood counts, all of which are treatable.

Abecma and Carvykti are only the first-generation CAR T cells and target the same protein. Different CAR Ts and different targets are on the way.

Bispecific antibodies represent an “off-the-shelf” immunotherapy; Tecvayli was approved in October 2022, and now Talvey and Elrexfio in August 2023

Several additional bispecific antibodies are under clinical evaluation.

Refractory MM

Refractory to IMIDs (Lenalidomide and Pomalidomide), PIs

Bortezomib and Carfilzomib), Alkylators, CD38, and BCMA

Options

• Talquetamab

• Another anti-BCMA treatment approach

• Other non-BCMA immunotherapy (eg., cevostamab on clinical trial)

• Selinexor-based regimen

• VDT-PACE

• Alkylator or Bendamustine-based regimens

*CVAD or similar regimen can be used in place of VDT-PACE in older patients or patients with poor functional status

Emerging Therapies for

Relapsed/Refractory

Multiple Myeloma

Bispecific antibodies

• Cevostamab, Alnuctamab, ABBV383, and others

• Target BCMA, GPRC5D, or FcRH5 on myeloma cells and CD3 on T cells

• Redirects T cells to myeloma cells

Cereblon E3 ligase modulators (CELMoDs)

• Iberdomide

• Targets cereblon

• Enhances tumoricidal and immune-stimulatory effects compared with immunomodulatory agents

Small molecule inhibitors

• Venetoclax

• Targets Bcl-2

• Induces multiple myeloma cell apoptosis

The Evolution of Myeloma Therapy

Bortezomib

Lenalidomide

Carfilzomib

VTD

D-VRD

D-KRD

Isa-KRD

SCT +/- More induction

Lenalidomide

Bortezomib

Ixazomib

Lenalidomide + PI

Carfilzomib

Combinations

Pomalidomide

Selinexor

Panobinostat

Daratumumab

Ixazomib

Elotuzumab

Isatuximab

Idecabtagene autoleucel

Ciltacabtagene autoleucel

Teclistamab

Talquetamab

Elranatamab

New

Isa-VRD

D-KRD

CAR T or Bispecifics?

Daratumumab?

Novel CAR T Cell Therapies

Bispecific/Trispecific Antibodies

CelMod Agents

Venetoclax?

Belantamab soon?

Multiple small molecules ++++++++

ASCT, autologous stem cell transplant; CAR, chimeric antigen receptor; Cy, cyclophosphamide; d- daratumumab; D/dex, dexamethasone; isa, isatuximab; K, carfilzomib; M, melphalan; PD-L1, programmed death ligand-1; PI, proteasome inhibitor; Rev, lenalidomide; V, bortezomib. Speaker’s own opinions.

Clinical Trials

Remember some of the important principles of clinical trials:

• The drive of research has brought us to where we are

Clinical TrialsOverview

• No one is expected to be a “guinea pig” with no potential benefit to them

• Research is under very tight supervision and standards

• Open, clear communication between the physician and the patient is fundamental

Clinical Trials –Why Me??

• Every patient is unique and must be viewed that way

• Benefits of trials are numerous and include:

• Early access to “new” therapy

• Delay use of standard therapy

• Contribution to myeloma world – present and future

• Financial access to certain agents

• Must be balanced with potential risks

• “Toxicity” of side effects

• Possibility of lack of efficacy

Clinical Trials Phases

ANIMAL STUDIES: Examine safety and potential for efficacy

FIRST INTRODUCTION OF AN INVESTIGATIONAL DRUG INTO HUMANS

Determine metabolism and PK/PD actions, MTD, and DLT

Identify AEs

Gain early evidence of efficacy, studied in many conditions; typically, 20 to 80 patients; everyone gets agent

EVALUATION OF EFFECTIVENESS IN A CERTAIN TUMOR TYPE

Determine short-term AEs and risks; closely monitored

Includes up to 100 patients, typically

GATHER ADDITIONAL EFFECTIVENESS AND SAFETY INFORMATION

COMPARED TO STANDARD OF CARE

Placebo may be involved if no standard of care exists; hundreds to several thousand patients

Often multiple institutions; single or double blind; sometimes open label

APPROVED AGENTS IN NEW POPULATIONS OR NEW DOSE FORMS

Why Do So Few Cancer Patients Participate in Trials?

Patients may:

• Be unaware of clinical trials

• Lack access to trials

• Fear, distrust, or be suspicious of research

• Have practical or personal obstacles

• Face insurance or cost problems

• Be unwilling to go against their physicians’ wishes

• Not have physicians who offer them trials

• Have a disconnect with their healthcare team

Diversity in Clinical Trials

There has been a lack of diverse representation in clinical trials in myeloma.

• In the U.S., approximately 20% of all myeloma patients are of African descent, but only 5%–8% of patients in myeloma clinical trials are of African descent.

This is significant for the following reasons:

• All patients of all races and ethnicities should be able to benefit from clinical trials.

• Diverse patient representation in clinical trials is required to ensure that the outcomes are applicable to all patients.

Reasons for underrepresentation in clinical trials are complex and include:

• systemic racism, accessibility of clinical trials, sensitivity to diversity by medical professionals

• misconduct in medicine in the past, the lack of trust in the system, and more.

cancer.org/home/attend/webinartemplate/2022/07/25/on-demand/just-askincreasing-diversity-in-cancer-clinical-research

Upcoming IMF Events

In-Person Community Workshops

M-Power – October 10, 2024 – Richmond, VA –

Ebenezer Baptist Church

Webinars

Living Well with Myeloma - Nutrition – October 17, 2024

In-Person Regional Community Workshops

October 19, 2024 – Kansas City, MO – The Westin

Kansas City at Crown Center

Thank you to our sponsors!

Thank you for attending today’s program!

October 8, 2024,

Turn static files into dynamic content formats.

Create a flipbook
Issuu converts static files into: digital portfolios, online yearbooks, online catalogs, digital photo albums and more. Sign up and create your flipbook.