Maguza 102

Page 1

maguza

Afgiftekantoor Antwerpen X, Maguza 102, Tijdschrift –kwartaalblad, oktober –november –december 2015, v.u. Johnny Van der Straeten, Universitair Ziekenhuis Antwerpen, Wilrijkstraat 10, 2650 Edegem

UZA behaalt kwaliteitslabel JCI

oktober 2015

Het dagboek van Mathias

HYPOSPADIE Opereren of niet? BORSTVOEDING De beste start JCI Kwaliteit verzekerd

UZA behaalt kwaliteitslabel JCI
dossier OBESITAS
Diagnose diabetes
www.maguza.be – UZAnieuws UniversitairZiekenhuisAntwerpen
Zorgmagazine van het UZA

Verlichting van spier- en gewrichtspijnen Goed bij reuma, artrose en fibromyalgie Verbetert uw algemene conditie Verlicht astma en bronchitis

Goed tegen rug- en nekklachten Verbetert de bloeddoorstroming Verdrijft afvalstoffen uit uw lichaam

Goed tegen psoriasis, eczeem en acné Vermindert stress en hoofdpijn Vermindert cellulitis en verbrandt calorieën Verhoogt uw immuniteit Surf naar www.healthmate.be voor meer informatie. Of bel 03 295 50 25 voor een gratis brochure.

Specialist
ligcabines
Geef
THERAPEUTISCHE INFRAROODSAUNA’S MET LEVENSLANGE GARANTIE Raadpleeg steeds uw arts als u een Health Mate® infraroodcabine wil gebruiken voor medische doeleinden. Je hebt reeds een Health Mate vanaf 3.895,-
in
met verwarmde ligbanken
je gezondheid een boost
Mijn natuurlijke pijnstiller ?
www.cobretti.be 36 ANTWERPEN: Health Mate shop LIER 03 295 50 25 | Van den Berg HOOGSTRATEN 03 315 75 31 | Sanik GEEL 014 58 86 70 | AquaVision OUD-TURNHOUT 014 35 91 71 | Fonne Smeulders KALMTHOUT 03 62 01 620 | Health Mate SHOP SCHOTEN 03 685 44 50 | NG Project BALEN 014 73 53 99 | Schrauwen: BRASSCHAAT 03 645 24 79 | Sanal BORSBEEK 03 366 17 70 | LIMBURG: ‘t Hoveniertje WELLEN 012 74 53 60 | Schrauwen GENK 089 30 86 20 | Varey LOMMEL 011 54 43 69 | Sleurs & Vangompel BOCHOLT 089 46 56 00 | D&A Pool Technics ZONHOVEN 011 82 37 65 | Aquamaax SCHERPENHEUVEL 0495 35 07 13 | WEST-VLAANDEREN: Spa-Wellness ZWEVEGEM 0477 59 58 13 | DC infrarood RUDDERVOORDE 050 28 07 87 | Health Mate Shop Knokke 0486 51 89 83 | Delaere IZEGEM 051 30 11 82 | Wellness La Rose GISTEL 059 27 61 84 | Florisan VEURNE 058 31 53 15 | Vanderhaeghe IEPER 057 21 37 23 | Vermeersch KORTEMARK 051 57 52 08 | Lamo RUISELEDE 051 68 82 53 | Ovalco OOSTKAMP 050 82 75 86 | Xavier Covemaeker WERVIK 056 20 01 69 | OOST-VLAANDEREN: Aquatropic MALDEGEM 050 71 93 92 | Aquazure NINOVE 054 50 01 69 | Het Buitenhuis DENDERMONDE 052 25 61 16 | Wellness Decor KRUISHOUTEM 09 383 70 83 | Wida MELSELE 03 336 54 94 | Esento: BRAKEL 055 42 76 08 | Van Poucke ZOTTEGEM 09 360 16 91 | Vepa ZELZATE 09 345 56 25 | Schrauwen ST-NIKLAAS 03 766 18 17 | Sani-en Keukendecor WAASMUNSTER 03 250 66 90 | DC Pools GAVERE 0473 25 22 74 | DC infrarood GENT 09 231 25 85 | VLAAMS-BRABANT: Van Poucke LENNIK 02 582 35 03 | L’air et L’eau BEGIJNENDIJK 016 41 42 66 | Ventimec LEUVEN 016 23 39 74 | Van Diest HALLE 02 361 14 16 | Vanhie MEISE 02 272 01 72 | HENEGOUWEN: Kachels Mario (Sario) DERGNEAU 069 78 13 19 NAMUR: Rochette BEAURAING 082 71 18 89 | Aquaconfort SAMBREVILLE 071 77 55 02 | Ets Leblanc METTET 071 72 71 12 | Joris Ciney 083 21 52 23 | LIEGE: Be Well Home HOGNOUL 042 767 904 | Ets Banneux ESNEUX 043 80 93 80 | HAINAUT: Induscabel: JUMET 071 34 34 44 – CUESMES 069 21 41 21 – TOURNAI 069 21 41 21 | BRABANT WALLON : Van Poucke NIVELLES 067 21 29 91 | Induscabel BRAINE L’ALLEUD 023 67 93 93 | LUXEMBOURG : Cozier LIBRAMONT 061 22 57 25 | Sanica PALISEUL 061 53 42 24 | Bumatherm VIRTON 063 57 85 14 | Joris BASTOGNE 061 21 82 32 | Roiseux MARCHE-EN-FAMENNE 084 31 21 21 Volledig overzicht op www.healthmate.be

Levensstijl, genen, hormonen, milieuvervuiling … de oorzaken van obesitas blijken erg complex en de gevolgen ingrijpender dan gedacht.

10

MEDISCH

Urologie: hypospadie opereren of niet?

Diagnose diabetes: het dagboek van Mathias (13) 10 jaar kunstharten in het UZA

GEZOND ZORG

Probiotica: levende beestjes op uw bord? Borstvoeding: goed voorbereid aan de start

UZA behaalt kwaliteitslabel JCI Bijtanken in zorghotel Drie Eiken

Vrijwilligers in het UZA: versterking gezocht!

‘Eetgewoontes aanpassen en meer bewegen blijven de basis van elke behandeling.’

14 35 36

EN VERDER

Uitgedokterd: Moeilijke diagnoses U zegt: DNR

Witjas van dienst: technisch operator

Schrijf je vandaag nog in op onze elektronische nieuwsbrief. Ga naar www.maguza.be/ abonnement

3 IN DIT NUMMER
12 17 28 30 32 34 39
19
ZORGHOTEL BORSTVOEDING HYPOSPADIE dossier OBESITAS Prof. dr. Luc Van Gaal
Alle artikels zijn te vinden op maguza.be
34 30 10

Zen en kwaliteit

Tijdens onze reis naar het behalen van het internationale JCI-kwaliteitslabel dacht ik aan het roadboek ‘Zen en de kunst van het motoronderhoud’ van Robert Pirsig. Het boek gaat niet over Zen en ook niet over motoronderhoud, maar over waarden en kwaliteiten. Voor de liefhebbers: het is zéér jaren 70. Pirsig definieert kwaliteit niet als dusdanig. Het is voor hem een metafysisch begrip. In tegenstelling daarmee is kwaliteit in het UZA de band tussen de zorgverlener en de patiënt: de arts of paramedicus levert kwaliteit in de zorg, gedreven door de gemeenschappelijke waarden die we samen uitdragen. Kwaliteit is hier reëel.

Pirsig beschrijft zijn zoektocht naar kwaliteit gedurende een maandenlange moeizame reis met de motor door het westen van Amerika. De moeilijkheden die hij tegenkwam op die reis kan je vergelijken met de onze tijdens de aanloop naar de JCI-audit. Kwaliteit vraagt opoffering, discipline, doorzettingsvermogen, professionalisme en verstandig gebruik van technologie. Iedereen in de organisatie moet op basis van die eigenschappen samenwerken om resultaat te halen.

We zijn trots dat we de erkenning gekregen hebben voor onze inspanningen en de kwaliteit die we leveren. Het is tegelijkertijd de start van een dynamiek om nog beter te worden.

VOORAF
We zijn trots op de erkenning die we gekregen hebben
4

Gemaskerd?

In het ziekenhuis ziet u wel eens patiënten een mondmasker dragen. Soms is de patiënt drager van een ziektekiem en mag hij geen anderen besmetten. Heel vaak gaat het echter om patiënten die zelf beschermd moeten worden tegen kiemen in de lucht, omdat hun immuun-

systeem sterk verzwakt of tijdelijk uitgeschakeld is. Zo moeten patiënten die een orgaantransplantatie ondergaan en leukemiepatiënten vaak een tijdlang elk risico op infectie vermijden en dus een mondmasker dragen. Zelfs een verkoudheid kan hen immers al fataal zijn.

5
DOORGELICHT

DAG TEGEN KANKER 15 OKTOBER

Koken met Jaro, Hanne, Jeroen en Sarah

De Dag tegen Kanker schuift een maandje op en vindt nu plaats de derde donderdag van oktober. Traditiegetrouw worden patiënten met kanker die dag door het UZA en het AZ Monica extra verwend. Dit jaar kunnen pati enten samen met een familielid of vriend(in) deelnemen aan een kookworkshop. Koks van dienst zijn Jaro en Hanne, winnaars van Mijn Pop-uprestaurant 2014 en tv-chef Jeroen De Pauw. Speciaal voor de kinderen komt Sarah van Ketnet langs om cupcakes te bakken. De workshops vinden plaats in Zorghotel Drie Eiken, vlak naast het UZA. Inschrijven is noodzakelijk en kan via www.uza.be/dagtegenkanker.

Op de Dag tegen Kanker organiseert Kom op Tegen Kanker, in samenwerking met de ziekenhuizen, overal in Vlaanderen activi teiten voor kankerpatiënten. Iedereen wordt ook opgeroepen om die dag het gele lintje op te spelden als teken van verbondenheid met kankerpatiënten en hun naasten.

Meer info: www.uza.be/dagtegenkanker www.dagtegenkanker.be

1248

elementen van de zorg in het UZA zijn door de onafhankelijke waarnemers van Joint Commission International (JCI) onder de loep genomen, met het oog op een veilige en kwaliteitsvolle zorg voor de patiënt. En de evaluatie was positief: lees op p. 32 alles over het JCI-kwaliteitslabel dat we in augustus in de wacht sleepten.

Maguza.be: de enquête

Misschien hebt u in het voorjaar ook deel genomen aan de elektronische enquête over maguza.be, het online luik van dit maga zine? Dan verneemt u wellicht ook graag enkele resultaten:

• de helft van de ondervraagden bezoekt maandelijks maguza.be, vaak om gericht informatie op te zoeken;

• 80% is vooral geïnteresseerd in nieuws over medische innovaties;

• 53 % van de respondenten leest MagUZA nog altijd graag op papier, vaak tijdens het wachten in het ziekenhuis.

De resultaten van het lezersonderzoek zullen we gebruiken om MagUZA online verder te versterken. Bedankt aan alle deelnemers!

Een ethische kwestie op uw bord?

Elke laatste donderdag van de maand vindt er in het UZA een informeel over leg over ethische vraagstukken plaats, vroeg in de ochtend bij een kop koffie en eventueel een zelf meegebracht ontbijt. UZA-medewerkers, externe artsen, pati enten en hun naasten, allemaal krijgen ze wel eens te maken met een ethisch vraag stuk. In het UZA buigt het ethisch comité zich over die kwesties. Om de drempel naar dat ethisch comité te verlagen, is het ethisch ontbijt in het leven geroepen. Iedereen welkom! De ethische vraagstuk ken worden bij voorkeur op voorhand bezorgd aan het secretariaat van het ethisch comité via ethisch.comite@uza.be

Ethisch ontbijt, elke laatste donderdag van de maand, van 8 tot 9 uur in de Blauwe Zaal (route 12). Meer info: ethisch.comite@uza.be

6 KORT

Nemo zwemt op de spoedafdeling

Kinderen die op de dienst spoedgevallen terecht komen, kunnen sinds kort wat afleiding vinden in de mooie illustraties op de muren van de spoedboxen. Schilderes Marjolein Daemen maakte de schilderingen in overleg met kinderspoedarts Marjolein Mattheij. Dat de kunstwerken speciaal voor het UZA werden gemaakt, kan je zien aan de UZA-pakjes die de diertjes aanhebben. Dr. Mattheij verklapt ook haar geheim om de kindjes af te leiden zodat ze even niet aan de pijn denken: ‘Ik laat hen zoeken hoeveel Nemo-visjes er op de tekening staan!’

LEESTIP

Prof. Olivier Vanderveken onthulde de posi tieve onderzoeksresultaten van de SPT bij patiënten met positiegebonden slaapapneu (POSA). Het toestel trilt van zodra de slaper op de rug gaat liggen.

Het UZA volgen? facebook.com/ UniversitairZiekenhuisAntwerpen twitter.com/UZAnieuws

Leren ontspannen met sprookjes

Relax Kids is een voorleesboek waarmee je kinde ren kunt leren tot rust te komen, om bijvoorbeeld ‘s avonds sneller in slaap te vallen. Elk kort sprookje of verhaal uit het boek is een relaxatie-oefening, waarbij de kinderen zich kunnen voorstellen dat ze zelf in het verhaal zitten. Op die manier worden ze afgeleid van hun gedachten en ontspannen ze zich. ‘Elk kind heeft wel eens last van spanning,’ zegt Ann Roete, pijnverpleegkundige op de kinderafdeling. ‘Dat hoeft geen negatieve stress te zijn: ook leuke dingen zoals een vakantie kunnen voor spanning zorgen. Met het boek kun je kinderen aanleren hoe ze zichzelf tot rust kunnen brengen. Zeker voor ze gaan slapen is dat belangrijk. Als je dat als kind leert, is dat nuttig voor de rest van je leven.’ Intus sen zijn er in de reeks Relax Kids al verschillende boeken verschenen.

Relax kids - sprookjesmeditaties voor kinderen, Marneta Viegas, ISBN: 9789020230659

7
innovatieve Slaap
Trainer (SPT) dringt slaapapneu bij rugslapers drastisch
‘De
Positie
terug.’

Hypospadie: opereren of niet?

Ongeveer 1 op de 200 jongens wordt geboren met hypospadie, een aandoening waarbij de plasbuis te laag uitmondt. ‘Belangrijk is om de patiënt na een eventuele operatie niet zomaar los te laten.’

Hypospadie is een van de meest voorkomende aandoeningen van de mannelijke geslachtsorganen. Het voornaamste kenmerk is dat de plasbuis niet in het midden van de eikel, maar ergens lager uitkomt. Dat kan de onderkant van de eikel zijn, maar ook halverwege de penis, in de balzak of zelfs onder de balzak. Plassen gebeurt langs die opening. Daarnaast ontbreekt

meestal ook de voorhuid aan de achterzijde van de penis. Ook is er vaak sprake van kromstand, wat later problemen kan geven als de jongere seksueel actief wordt. De afwijking wordt meestal bij de geboorte ontdekt. ‘Het is geen dringend probleem’, zegt UZA-kinderuroloog dr. Gunter De Win. ‘Ouders hoeven niet onmiddellijk naar de uroloog. Wel is het belangrijk DSD (Disorders of Sexual Differentiation) uit te sluiten, afwijkingen waarbij het geslacht van de baby onduidelijk is. Een enkele keer is hypospadie daar immers een symptoom van.’

Esthetische operatie?

Een operatie is de eerste maanden niet aan de orde. Tot een half jaar na de geboorte ontwikkelt de penis zich immers nog verder, waardoor ook de aandoening nog

8 MEDISCH

Hypospadie kan voor functionele problemen zorgen, zoals moeilijkheden met rechtopstaand plassen, seksuele betrekkingen of latere vruchtbaarheid.

evolueert. ‘Een ingreep is ook niet altijd nodig’, nuanceert De Win. ‘Bij lichte vormen van hypospadie, waarbij het plasgaatje nog op de eikel uitmondt en er maar lichte kromstand is, hoeft de aandoening eigenlijk geen probleem te zijn. Het valt dan ook nauwelijks op. Het zou jammer zijn als we al die kinderen moeten opereren louter om esthetische redenen. Als ouders op dat moment beslissen het kind niet te laten opereren, sta ik daar volledig achter. Ik raad dan wel aan om geen besnijdenis te laten doen om problemen zoals fistelvorming of huidtekort bij een eventuele latere reconstructie te voorkomen.’

Een ander verhaal zijn heel uitgesproken vormen, waarbij er een sterke kromstand is of de plasbuis heel laag eindigt. In dat geval wordt meestal een operatie rond het eerste levensjaar aangeraden. Op die

leeftijd is het weefsel nog elastisch, waardoor de operatie de meeste kans op slagen heeft en het herstel vlot verloopt. Bij mildere vormen kunnen ouders ook kiezen om voorlopig niet te opereren, en de beslissing aan het kind te laten. De Win: ‘Meestal wordt er dan gewacht tot de leeftijd van veertien of vijftien jaar. Een jonger kind kan immers moeilijk zelf die beslissing nemen.’

De operatie vergt heel fijn precisiewerk. Bij een uitgebreide ingreep wordt de plasbuis verlengd, waarna een plasopening wordt gecreëerd in de eikel en de kromstand wordt gecorrigeerd. Vaak wordt voor de reconstructie weefsel van de binnenzijde van de voorhuid gebruikt.

nieuw aangelegde plasbuis, waarna er eigenlijk twee plasopeningen zijn. Soms ontstaat er ook een vernauwing in de nieuwe plasopening, als een gevolg van littekenweefsel. In die gevallen is een kleine tweede ingreep nodig. Bij volwassenen of oudere kinderen gebruiken we dan soms weefsel van de binnenzijde van de wang om een nieuwe plasbuis te creëren.’

Taboe blijft Hypospadie is niet zomaar een ‘technisch’ euvel. Zelfs als er geen functionele problemen zijn – met

Bij lichte vormen is een operatie niet nodig

Vandaag lijdt

1 op de 200 jongens

aan hypospadie.

Soms zijn er twee ingrepen nodig, vooral bij zeer uitgebreide vormen van hypospadie.

Zeker bij kleine kinderen is het leed snel vergeten. Ze krijgen een week lang een buisje om de urine af te voeren en een stevig verband. ‘Na een week hebben ze nog weinig last en na een maand zijn ze vaak weer helemaal in orde’, zegt De Win. ‘Bij 15 procent van de patiënten kunnen er achteraf complicaties optreden. Zo gebeurt het wel eens dat er een gaatje ontstaat in de

Bij hypospadie bevindt het plasgaatje zich niet bovenaan de eikel, maar

lager op de eikel onder de eikel

halverwege de penis

ter hoogte van de balzak

onder de balzak

9
Dr. Gunter De Win

Een operatie is de eerste maanden niet aan de orde. Tot een half jaar na de geboorte ontwikkelt de penis zich immers nog verder.

rechtopstaand plassen, seksuele betrekkingen of latere vruchtbaarheid – kunnen jongeren behoorlijk lijden onder hun aandoening. ‘Er is immers ook een psychoseksueel aspect: tieners willen zijn zoals iedereen’, verklaart De Win. Anders dan je misschien zou denken is er ook vandaag nog een groot taboe op alles wat de genitale zone betreft. Dat taboe is zelfs nog groter dan vroeger, denkt De Win. ‘Jonge mensen hebben vandaag vaker opeenvolgende relaties en door het internet weet iedereen wat ‘normaal’ is. Dat speelt allemaal mee.’

Net omdat het probleem zo gevoelig ligt, probeert de dienst de patiënten tot aan de volwassen

lijk.’ Toch ziet hij af en toe jongeren die heel lang hebben gewacht om naar de dokter te stappen. ‘Ik krijg soms zeventien- of achttienjarigen op de raadpleging die geen relatie durven aangaan omwille van hun hypospadie. Of die angstvallig verstoppen dat ze al jaren zittend via twee gaatjes moeten plassen. Zoiets heeft een geweldige impact op hun leven.’

Naarmate de patiënten ouder worden, is een raadpleging met vader of moeder erbij niet meer altijd vanzelfsprekend. Om die

reden hebben we voor jongeren een specifieke adolescentieraadpleging op woensdagnamiddag. Sommige problemen bespreekt een jongere nu eenmaal liever onder vier ogen. ‘Als een jongen van twaalf of dertien de hele tijd zwijgt tijdens de raadpleging, is het tijd om het over een andere boeg te gooien. Dan stel ik voor dat de ouders even op de gang wachten en er nadien weer bij komen zitten. Sommigen kijken vreemd op als ik dat vraag, maar de patiënten waarderen het des te meer’, lacht De Win. 

leeftijd op te volgen. De Win: ‘We proberen ze minstens een keer per jaar nog te zien. Bij kinderen kunnen we zo onder meer nagaan of ze een normale plasstraal hebben. Op latere leeftijd kunnen we andere zaken aankaarten, zoals kromstand bij erectie. En als er alsnog andere problemen opduiken, is de drempel voor de jongere om hulp te zoeken lager. Het gebeurt bijvoorbeeld dat de plasopening alsnog of opnieuw vernauwt. Zoiets behandel je het best zo snel moge-

Jenthe (1) werd in juni 2015 geopereerd voor hypospadie. Kelly, mama van Jenthe: ‘Bij zijn geboorte zagen we dat zijn piemeltje er niet helemaal normaal uitzag, maar volgens de kinderarts van het ziekenhuis zou dat vanzelf goed komen. Pas na een controle maanden later werd hypospadie vastgesteld. We zijn toen doorverwezen naar dr. De Win en hebben ook de info-avond over hypospadie in het UZA bijgewoond. Eigenlijk beseften we toen pas wat er aan de hand was. Dr. De Win raadde ons een operatie aan. Bij Jenthe eindigt het plasgaatje maar een klein beetje lager, maar er is ook

sprake van kromstand. Dat zou later problemen geven.

Jenthe is kort voor zijn eerste verjaardag geopereerd. De ingreep duurde zo’n twee uur en een half en we moesten een nacht in het ziekenhuis blijven. Ik heb wel wat angsten doorstaan, vooral toen de eerste avond het verband werd gecontroleerd. Dat was best pijnlijk voor Jenthe. Maar daarna liep het allemaal wel los. Op dit moment kun je nog zien dat er een ingreep is gebeurd, maar volgens dr. De Win komt dat helemaal goed. Gelukkig maar, want ik zou niet willen dat hij zich later anders voelt dan andere jongens.’

10 MEDISCH
‘Ik zou niet willen dat hij zich anders voelt’
Jongeren kunnen behoorlijk lijden onder de aandoening.

dat we niet hebben gewacht’

Bij Matteo, nu vier, werd hypospadie vastgesteld toen hij bijna 2,5 jaar oud was. Catherine, mama van Matteo: ‘Op die leeftijd is Matteo via adoptie in ons gezin gekomen. Ik zag snel dat er iets mis was: het plasgaatje bevond zich onderaan zijn piemel. Al na een paar dagen zaten we tegenover dr. De Win. We hebben toen beslist om Matteo snel te laten opereren, ook al hadden we kunnen wachten tot na de puberteit of later. Ook niet opereren was strikt genomen een optie. Maar dan had Matteo bijvoorbeeld nooit op een natuurlijke manier vader kunnen worden, aangezien

ook het sperma via de plasbuis het lichaam verlaat.

Intussen ben ik blij dat alles al achter de rug is. Matteo heeft nauwelijks beseft wat er aan de hand was en het was ook gemakkelijk dat hij nog een luier droeg. Die bood extra bescherming zolang de operatiewonde nog niet genezen was. Hij is een paar maanden later ook zonder probleem zindelijk geworden.

Dat Matteo ook besneden moest worden, vinden we niet erg. Toen zijn jonger neefje hem een keer zonder kleren zag, zei die zelfs spontaan wat heb jij een mooie piemel (lacht).’

De dienst urologie organiseert vier keer per jaar een infoavond rond hypospadie in het UZA. Dr. Gunter De Win en dr. Karen de Baets leggen dan uit wat hypospadie is, hoe het ontstaat, wanneer een operatie nodig is en wat die inhoudt. Ook de gevolgen op langere termijn worden belicht. De info-avond richt zich tot patiënten en hun ouders. Ook adolescenten en volwassenen met hypospadie zijn welkom.

De eerstvolgende info-avonden zijn op 5 oktober 2015 en 25 januari 2016, telkens van 19 tot 21 uur. De sessies zijn gratis, maar u moet wel op voorhand inschrijven.

Via het inschrijvingsformulier kunt u ook vooraf vragen doorgeven, die discreet worden behandeld.

11
‘Blij
INFO EN INSCHRIJVING: www.uza.be/hypospadias T 03 821 35 11, 03 821 30 47 Info-avond
Infoavond Hypospadias Bij hypospadias mondt de plasbuis uit aan de onderkant van de eikel, halverwege de penis of in de balzak. Tijdens de infoavond ontdekt meer over deze aandoening, een mogelijke ingreep en de gevolgen op langere termijn. Meer info en inschrijven: www.uza.be/hypospadias en in de uitnodiging Doelgroep: ouders van kinderen met hypospadias
rond hypospadie

Mathias (13) kreeg in mei 2015 de diagnose

diabetes type 1. Die eerste dagen in het ziekenhuis waren best heftig, met veel informatie én emoties te verwerken. Het verhaal van een bewogen week.

Diagnose diabetes Het dagboek van Mathias

Patiënten met diabetes verblijven minstens vijf dagen in het ziekenhuis om hun behandeling onder de knie te krijgen.

Woensdag 29 april. Afspraak bij de huisarts. Mathias is de laatste tijd sterk vermagerd, voelt zich futloos en heeft almaar dorst. Uit de bloedtest blijkt een verhoogd glucosegehalte. Diabetes type 1, luidt de diagnose. Mathias wordt nog die avond met spoed in het UZA opgenomen. Daar krijgt hij insuline en moet hij aan een infuus met vocht. Mama Sabine: ‘Ik deed die nacht geen oog dicht. Toen de verpleegkundige Mathias’ bloed kwam controleren, nam ze me mee voor een koffie. Jij slaapt toch niet, zei ze.’

Donderdag 30 april. Om 8.30u komt de kinderarts langs. Later komen ook de diabeteseducator en de diëtiste uitleg geven. Het gezin moet flink wat informatie

verwerken. Wat is diabetes? Hoe meet je je bloedsuikergehalte? Hoe werkt insuline? Mathias wordt vanaf dag één aangemoedigd om alles zelf te doen. ‘Die eerste dag heb ik al bloed geprikt en mezelf een insuline-injectie gegeven’, herinnert hij zich.

Diabeteseducator Anne Gotemans: ‘Patiënten die de diagnose diabetes krijgen, worden minstens vijf werkdagen opgeno men. De bedoeling is dat zij en hun familie zelf de verantwoordelijkheid voor de behan deling leren dragen. Ze moeten immers de rest van hun leven met diabetes verder.’ In het UZA worden ze opgevangen door een team van kinderartsen, diabeteseducatoren, diëtisten en psychologen. Via een schema wordt gepland wie wanneer langsgaat. Alles samen gaat het al gauw om een twintigtal uur educatie. ‘We vragen dat beide ouders altijd

12 MEDISCH
INFO Dienst kindergeneeskunde, T 03 821 56 66 DONDERDAG 30 APRIL
VRIJDAG 1 MEI

aanwezig zijn. In de mate van het mogelijke stemmen we onze agenda’s op hen af’, vult diëtist-diabeteseducator Katrien Wellens aan. Sabine noteerde haar vragen altijd vooraf, soms hele bladzijden vol. ‘Sommige dingen vroeg ik wel zes keer. En zes keer kreeg ik een geduldig antwoord (lacht). Het team stond ons altijd vriendelijk en positief te woord. Zonder die ondersteuning had ik het niet gered.’

Vrijdag 1 mei. Vandaag komt alleen de diëtiste met weekenddienst langs. Zij is de rest van hun verblijf elke dag present. Sabine brengt op haar vraag de verpakkingen mee van voedingswaren die ze thuis geregeld eten. Katrien: ‘Ik vertel van bij het begin dat patiën ten nog alles mogen eten, maar dat het gecon troleerd moet gebeuren. Ze moeten leren tellen hoeveel koolhydraten ze binnenkrijgen en berekenen hoeveel insuline ze daarvoor moeten inspuiten. Dat leren ze al doende bij elke maaltijd, samen met ons. Ik vraag hen ook om een eetdagboek bij te houden.’

Zaterdag 2 mei. De grootouders van Mathias komen op bezoek. De diëtiste geeft ook aan hen uitleg. Ook zusje Yinthe (11) wordt bij de educatie betrokken. Anne: ‘We willen iedereen mee op de kar hebben: niet alleen de patiënt en zijn ouders, maar ook grootouders, eventuele plusouders, school,

opvang … Positieve ondersteuning vanuit de omgeving is ontzettend belangrijk.’

Maandag 4 mei. Vanaf vandaag oefent Mathias elke dag twintig minuutjes op de loopband. Zo bouwt hij opnieuw zijn spieren op. Ook de psychologe komt kennismaken. Anne: ‘Indien nodig beginnen we al tijdens de opname met begeleiding, zo niet wordt er een gesprek na de opname voorgesteld. Voor velen is de diagnose immers een zware slag.’

Dinsdag 5 mei. Naarmate de week vordert, komen er meer thema’s aan bod. Wat doen als je suiker te hoog staat? Wat met sport en beweging? Hoe vang je een zware hypo op? Papa Nico: ‘Ook over de mogelijke complicaties van diabetes, zoals hart- en vaatziekten, werd open gepraat. Dat is nodig, want zo begrijp je waarom een goede diabetescontrole zo belangrijk is.’ Anne: ‘We bespreken die zaken meteen en kaderen ze ook. Soms moet je misvattingen ontkrach ten en bijvoorbeeld uitleggen dat oog- en niercomplicaties eerder zeldzaam zijn als de diabetes goed geregeld is.’

Woensdag 6 mei. Mathias ziet er veel beter uit dan een week geleden. De hele week heeft hij veel geslapen en gegeten. Van de zes verloren kilo’s zijn er alweer vier bij.

Donderdag 7 mei. Terug naar huis! Mathias krijgt een uitgebreide informatie map mee. De eerste dagen zijn niet gemakkelijk: hij krijgt de ene hypo na de andere. De familie heeft dagelijks contact met het diabetesteam. Samen overlopen ze de bloedsuikerwaarden en passen ze de nsulinedosissen aan waar nodig. ‘In het ziekenhuis verliep alles erg gecontroleerd, thuis moet je het zelf doen. Dat was niet gemakkelijk’, blikt Nico terug.

Maandag 11 mei. Voor het eerst weer naar school. Diabeteseducator Sien is er ook. Ze legt voor de klas uit wat diabetes is en wat de gevolgen zijn voor Mathias. Zo moet hij soms een kleine snack eten tijdens de lesuren. Voor het middagmaal meet hij zijn bloedsuiker en spuit hij insuline in.

Juli. Alles gaat goed. Mathias’ suikerwaarden zijn vrij stabiel en de eerste horden zijn met succes genomen: een picknick met de klas, de eerste barbecue bij vrienden. Mathias: ‘Ik heb enorm veel moeten leren, maar uiteindelijk wordt het toch routine.’ Al bij al redden ze het prima. ‘En als we het even niet weten, bellen we de diabeteseducator op. Die is permanent bereikbaar voor dringend overleg, ook ‘s nachts en in het weekend. Dat is een enorme steun’, besluit Nico. 

13
ZATERDAG 2 MEI MAANDAG 11 MEI MAANDAG 4 MEI

Wie zoekt, die vindt? Moeilijke diagnoses

Patiënten gaan met hun klachten naar de dokter om te weten te komen wat er scheelt. Maar wat als de dokter het ook niet weet? Prof. dr. Didier Ebo (immunologie, allergologie, reumatologie) en prof. dr. François Eyskens (erfelijke metabole aandoeningen) over de soms moeilijke zoektocht naar een diagnose.

Hoe stel je als arts een diagnose?

Prof. dr. Didier Ebo: ‘Het verhaal van de patiënt is en blijft extreem belangrijk, samen met het klinisch onderzoek dat de arts doet. Pas in tweede instantie vullen we dat aan met bijvoorbeeld bloedonderzoeken, medische beeldvorming of andere onderzoeken.’

Prof. dr. François Eyskens: ‘Op basis van de ondervraging en het onderzoek van de patiënt weten we inderdaad al heel veel. Als we een erfelijke stofwisselingsziekte

14 UITGEDOKTERD

soms associaties met aandoeningen die er niet zijn. Of ze hebben in het alternatieve circuit een soort diagnose gekregen. Eigenlijk besteden wij vaak heel wat tijd aan het ontkrachten van diagnoses die er geen zijn.’

De volgende stap in het proces zijn onderzoeken?

Roepen jullie soms ook de hulp in van collega’s of andere centra?

vermoeden, vragen we zeker ook door naar de voorgeschiedenis van de patiënt en naar aandoeningen die in de familie voorkomen.’

Is het altijd makkelijk om op die manier tot een diagnose te komen?

Ebo: ‘Nee, verschillende factoren maken het moeilijk. Als allergologen zien wij de patiënten vaak als de symptomen, huiduitslag bijvoorbeeld, al weg zijn. Dan hang je dus af van de beschrijving van de patiënt.’

Eyskens: ‘Bij zeldzame stofwisselingsziekten zijn de symptomen dan weer vaak aspecifiek, wat betekent dat het meestal onmogelijk is om een diagnose te stellen op basis van de klinische symptomen en tekens.’

Eyskens: ‘Bij stofwisselingsziekten doen we vooral urine- en bloedonderzoek, eens we een idee hebben in welke richting we moeten zoeken – gerichte screening dus. Als daaruit iets blijkt, zoeken we verder via enzymdiagnostiek en vaak ook via DNA-analyse. We toetsen eigenlijk af of de afwijking die we vermoeden, bevestigd kan worden. Als er niks duidelijks uit de urineanalyses komt, kan het natuurlijk zijn dat het probleem zich op dat moment niet voordoet. Daarom wachten we soms op een nieuwe crisis om op dat moment de onderzoeken opnieuw te doen.’

Ebo: ‘Ook bij ons gebeuren de onderzoeken heel gericht. Op basis van wat de patiënt vertelt, gaan we als een Sherlock Holmes zoeken en speuren, tot we enkele mogelijke boosdoeners kunnen identificeren. Daarop gaan we dan testen met een bloed- of een huidtest, of allebei. Op alle mogelijke allergieën gaan screenen, heeft absoluut geen zin, want veel bloed- en huidtesten geven positieve resultaten zonder dat er ook echt een allergie is.’

Ebo: ‘Ja, je hebt vaak andere specialisten nodig, zowel binnen het ziekenhuis als daarbuiten. Indien nodig verwijzen wij ook door, als we zelf niet gespecialiseerd zijn in een bepaald gebied. Zo is het UZA in België het enige referentiecentrum voor mastocytose. Net als hereditair angio-oedeem (HAE), ook een specialisme van ons, is dat een aandoening waar men niet snel aan denkt. Beiden zijn behoorlijk zeldzaam en geven symptomen die vaak voorkomen, zoals netelroos en zwellingen, het zogenaamde Quincke oedeem. Men denkt dan al snel aan een voedsel- of geneesmiddelenallergie. Het duurt soms tien of vijftien jaar voor iemand eraan denkt om op mastocytose of HAE te testen. We krijgen dan ook vaak mensen op raadpleging die al jaren sukkelen. Daarom is multidisciplinaire samenwerking zo belangrijk: je hebt nu eenmaal elkaars expertise nodig.’

Eyskens: ‘Voor de zeldzame stofwisselingsziekten geldt dat nog meer, doordat er zoveel zijn en ze zo zeldzaam zijn. Er is al enige tijd sprake van een Belgisch netwerk voor zeldzame ziekten. De overheid heeft een plan opgezet, maar de uitvoering laat op zich wachten. In elk geval is het de bedoeling dat de verschillende ziekenhuizen, elk met

Samenwerking

Ebo: ‘Patiënten interpreteren hun symptomen ook vaak en maken ➝

tussen disciplines is erg belangrijk: je hebt elkaars expertise nodig

15
Prof. dr. Didier Ebo
1 2 2 1
Prof. dr. François Eyskens

hun eigen specialisaties, hun expertise samenleggen. Want niet iedereen kan alles doen. En ook voor de internationale netwerking is er aandacht. Zo proberen we ook de samenwerking met buitenlandse labo’s te stroomlijnen, want een heel aantal diagnostische tests gebeurt in het buitenland.’

Wat doe je als alle onderzoeken niks opleveren? Als het onduidelijk blijft waar de klachten vandaan komen?

Eyskens: ‘Dat is moeilijk en frustrerend voor arts én patiënt, maar als arts moet je dan eerlijk durven zijn. Als je je hele diagnostische arsenaal hebt uitgeput en je hebt niks gevonden, moet je de patiënt aanraden om te stoppen met zoeken.’

Ebo: ‘Dat zijn geen gemakkelijke situaties. Nu, een diagnose is ook maar een diagnose. Vaak kan je patiënten wel degelijk goed symptomatisch behandelen, ook al weet je niet precies wat er aan de hand is. Het beste voorbeeld is hoge bloeddruk. Vaak weten we niet waar het vandaan komt, maar toch kunnen we het heel goed behandelen.’

Eyskens: ‘Als bepaalde symptomen niet begrepen kunnen worden, betekent dat trouwens niet automatisch dat het om een zeldzame ziekte gaat. Vaak denkt men

van wel, maar zeldzame ziekten zijn … zeldzaam.’

Ebo: ‘Veel vaker gaat het om functionele klachten. Buikpijn bijvoorbeeld, kan simpelweg veroorzaakt worden door een vertraagde of versnelde darmwerking. Niet alle klachten worden veroorzaakt door een ziekte. Sommige patiënten vinden dat moeilijk te aanvaarden, ze willen dat ‘het’ een naam krijgt, terwijl wij als arts juist blij zijn dat we niets ernstigs vinden.’

Eyskens: ‘Het omgekeerde is pijnlijker. Als je wel een diagnose hebt, maar geen behandeling, wat vaak voorkomt bij erfelijke aandoeningen. En toch zijn ook die mensen vaak blij dat ze eindelijk weten wat er aan de hand is, zelfs al zijn de vooruitzichten niet goed. Patiënten kunnen het blijkbaar beter plaatsen als hun aandoening een naam heeft.’

Gebeurt het soms dat na jaren, met nieuwe kennis, toch

duidelijk wordt wat er met een patiënt aan de hand was?

Eyskens: ‘Ja, dat gebeurt zeker, en dan contacteren wij die mensen. Zeker in de erfelijke stofwisselingsziekten blijven er nieuwigheden komen. De patiënten leven ook langer, zodat we nu nieuwe pathologieën zien die we vroeger niet kenden.’

Ebo: ‘Soms krijgt een patiënt na verloop van tijd ook nieuwe symptomen, en die kunnen nieuwe aanknopingspunten geven, of een eerder gestelde diagnose tegenspreken. Een patiënt wordt bijvoorbeeld jarenlang behandeld voor reumatoïde artritis of een andere systeemaandoening, tot op een dag duidelijk wordt dat hij lupus heeft. Er komen ook steeds nieuwe diagnostische tests en nieuwe therapieën bij. Dan bellen wij patiënten vaak op die daarvoor in aanmerking komen. Of patiënten nemen zelf contact op nadat ze iets vernomen hebben in de pers.’ 

Symposium zeldzame ziekten in de immunologie

Op zaterdag 7 november houdt de dienst immunologie, allergologie en reumatologie een symposium over zeldzame ziekten in de immunologie, met onder meer aandacht voor een snellere herkenning. Het symposium richt zich tot artsen en artsen in opleiding.

Meer info: www.uza.be/immunologie_zeldzame_ziekten

16 UITGEDOKTERD
Niet alle klachten worden veroorzaakt door een ziekte INFO Dienst immunologie, allergologie, reumatologie, T 03 821 32 99, Centrum voor erfelijke metabole aandoeningen, T 03 821 57 45
lijnen, want een heel aantal

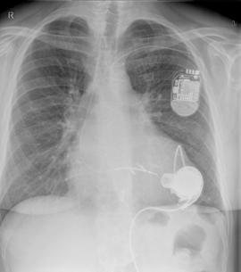
10 jaar kunstharten in het UZA

Tien jaar geleden deden de eerste kunstharten hun intrede in het UZA. Intussen hebben de hoogtechnologische pompen het leven van 62 patiënten gered of drastisch verbeterd.

et was een spannend moment toen prof. dr. Inez Rodrigus tien jaar geleden voor het eerst een kunsthart implanteerde bij een patiënt in het UZA. De operatie bleek een succes. ‘Vandaag is de patiënt nog altijd in leven’, vertelt de hartchirurg trots. Sinds die eerste implantatie heeft het ziekenhuis op korte tijd een grote expertise uitgebouwd op het vlak van kunstharten. ‘Kunstharten kun je opdelen in twee types. Bij de buitenlichamelijke pompen, ook wel Excors genoemd, bevindt

het toestel zich op de buik van de patiënt. Het is via twee slangen verbonden met een aandrijf console. Tussen 2005 en 2015 brachten we een buitenlichamelijk kunsthart aan bij 45 patiënten. Het UZA is op het vlak van Excors dan ook het centrum met de meeste ervaring in heel België.’

‘Een tweede type zijn de LVAD’s, de Left Ventricular Assist Devices: toestellen die de linkerhartkamer ondersteunen. Dat soort kunst harten wordt volledig in het lichaam geïmplanteerd. Wij zijn meteen op de tweede generatie

van die kunstharten overgestapt. Intussen maken we gebruik van de derde generatie. Daarbij komt alleen nog een fijne draad uit het lichaam, verbonden met een controller in een schoudertasje. Tot nog toe kregen 17 patiënten zo’n hartimplantaat in het UZA.’

Slaagkans van 70%

De introductie van de kunstharten betekende een enorme vooruitgang voor patiënten met hartfalen. Prof. Rodrigus: ‘In België worden kunst harten gebruikt voor patiënten die wachten op een harttransplantatie. Sommigen kunnen zonder de pomp gewoonweg niet overleven, andere sterken gevoelig aan, zodat ze in betere conditie verkeren wan neer de transplantatie plaatsvindt.’

Het gebruik van de kunstharten is vandaag een behoorlijk succes. Prof. Rodrigus: ‘Globaal genomen komt 70% van de patiënten voldoende op

krachten om een transplantatie te ondergaan. De pompen worden ook steeds handiger om te implanteren en geven minder kans op compli caties. En waar de eerste generatie kunstharten hoogstens twee jaar meeging, hebben de nieuwste toestellen een levensduur van vijf tot zeven jaar. Dat is ook nodig, want de wachttijden voor donor harten zijn spectaculair gestegen. Omdat de ziekenhuizen steeds meer levens kunnen redden en het aantal verkeersdoden daalt, zijn er steeds minder donororganen beschikbaar. Vroeger duurde het ongeveer zes maanden voor je een harttransplan tatie kreeg, vandaag staan patiënten vaak meer dan twee jaar op de lijst. Het zou mooi zijn mocht er ooit een toestel komen dat het hart volledig en permanent vervangt, zodat het nijpende donorprobleem opgelost raakt. Maar dat is voorlopig nog verre toekomstmuziek.’ 

17 MEDISCH
INFO Dienst cardiochirurgie, T 03 821 30 71 H
Prof. dr. Inez Rodrigus LVAD’s zijn kunstharten die de linkerhartkamer ondersteunen en volledig in het lichaam worden geïmplanteerd. De batterijen en bedieningsconsole draagt de patiënt in een tas bij zich.
mag VERRUIM UW HORIZON EN GRIJP UW KANS OM VAN DE EERSTE ZONNESTRALEN TE GENIETEN. DESKUNDIG ADVIES ACTIE SCOOTERS
veilig
Een
opties, accessoires en speciale
ORTHOPEDIE • BANDAGISTERIE • SCHOENEN • INVALIDENWAGENS • HOMECARE • REVALIDATIE RIZIV 1/6/10422/96/100 - 1/6/27017/88/200 Schaeps • Turnhoutsebaan 92-94 • 2100 Deurne Tel. 03 326 11 30 • Fax 03 326 06 79 • www.schaeps.be Maandag t.e.m. vrijdag 9u - 18u, zaterdag 9u - 13u Tram 10, bus 33, 410, 411 en 412 • GRATIS PARKING -10% bij afgifte van deze bon BEZOEK ONZE AANGEPASTE WEBSITE WWW.SCHAEPS.BE LIKE ONS OP FACEBOOK Geldig t.e.m. 31 oktober 2015
Comfortabel,
en betrouwbaar.
breed assortiment aan
aanpassingen. Functioneel in al zijn eenvoud. Gebruiksvriendelijke en veilige modellen. Verschillende merken.

oktober 2015

maguza

www.maguza.be – UZAnieuws UniversitairZiekenhuisAntwerpen Zorgmagazine van het UZA

Obesitas verslaan

Overgewicht en obesitas zijn een wereldwijde epidemie. In het UZA kunnen patiënten rekenen op een uitgebalanceerde behandeling, met een multidisciplinair obesitasteam dat bestaat uit endocrinologen, voedingsdeskundigen, diëtisten en chirurgen. De dienst zet ook sterk in op wetenschappelijk onderzoek. Met de juiste aanpak en motivatie is obesitas te verslaan!

19
DOSSIER OBESITAS

OBESITAS

WAT?

We spreken van overgewicht vanaf een BMI (Body Mass Index, gewicht gedeeld door het kwadraat van de lengte) van 25. Vanaf een BMI van 30 heb je te maken met obesitas, ernstige zwaarlijvigheid die gepaard gaat met belangrijke gezondheidsrisico’s. Daarnaast is ook de omtrek van het middel een belangrijk criterium: vet ter hoogte van de buik is schadelijker dan vet op andere plaatsen (middelomtrek ≥ 88 cm bij vrouwen en ≥ 102 cm bij mannen).

WIE?

Wereldwijd lijden 200 miljoen mannen en 300 miljoen vrouwen aan obesitas. 37 à 38 % kampt met overgewicht.

BEHANDELING?

Een aanpassing van de voedingsgewoontes en meer beweging zijn de hoekstenen van elke behandeling. Soms helpt ook medicatie. Bij heel ernstig overgewicht is ook een vermageringsoperatie een optie.

1 op 2 Belgen te zwaar

Obesitas: complexer dan het

Is overgewicht louter een probleem van onze

genen? Waar blijft die wonderpil die ons snel en blijvend doet vermageren? En hoe effectief is een maagverkleining? De nieuwste bevindingen rond obesitas op een rij.

In België heeft 48 % van de volwassen bevolking overgewicht. 14 % is obees, wat wil zeggen dat er sprake is van ernstige zwaarlijvigheid met belangrijke gezondheidsrisico’s. Gewichtsproblemen zijn in de eerste plaats het gevolg van een ongezond voedingspatroon en een gebrek aan beweging. Toch is het verhaal genuanceerder dan dat. Hoe meer wetenschappelijk onderzoek er gebeurt, hoe complexer het probleem blijkt te zijn.

‘Zo weten we dat ook hormonale factoren een grote rol spelen’, zegt prof. dr. Luc Van Gaal, diensthoofd endocrinologie, diabetologie en

metabole ziekten. ‘En er worden ook almaar meer genen ontdekt die verband houden met gewichtsproblemen. Het gaat dan over genen die verantwoordelijk zijn voor onder meer voedselverbranding, eetlust en de aanmaak van bepaalde hormonen. Vandaag zijn er vijftig à zeventig gekend, waarvan een vijftal echt cruciaal zijn. Bij naar schatting 40 % van de mensen met overgewicht spelen genetische factoren een rol.’

Genen maken je kwetsbaarder

Toch mag genetische aanleg geen vrijgeleide zijn om niets aan de

20 DOSSIER OBESITAS

© Grammbo / photocase.com

Prof. dr. Luc Van Gaal, diensthoofd endocrinologie, diabetologie en metabole ziekten

lijkt

kilo’s te doen, onderstreept Van Gaal. ‘Ook die groep kan veel bereiken met een verandering van de levensstijl. We moeten de zaken ook in het juiste perspectief plaatsen: onze genen zijn de afgelopen vijftig jaar weinig veranderd, terwijl overgewicht in onze maatschappij enorm is toegenomen. Je genetische achtergrond maakt je dus hooguit kwetsbaarder.’ Ook milieuvervuiling lijkt een

p. 23). ‘En ook medicatiegebruik is een belangrijke oorzaak van gewichtsproblemen’, vervolgt Van Gaal. ‘Denk maar aan cortisone en hormonale middelen, maar ook aan sommige geneesmiddelen tegen hartproblemen, diabetes, epilepsie, hiv en bepaalde psychische aandoeningen. Patiënten met schizofrenie komen gemakkelijk tien tot vijftien kilo bij door de medicatie. Gelukkig bestaan er vaak alternatieve middelen.’

Wat ook de oorzaken zijn, met een verandering van levensstijl kun je veel bereiken

rol te spelen bij het ontstaan van zwaarlijvigheid. UZA-endocrinologe dr. Eveline Dirinck wijdde haar doctoraatsonderzoek aan het verband tussen bepaalde chemische stoffen en overgewicht (zie

Opgepast met zoetstoffen Opmerkelijk genoeg werkt ook overmatig gebruik van kunstmatige zoetstoffen overgewicht mogelijk mee in de hand. Het zou bovendien ook een rol kunnen spelen bij het ontstaan van aanverwante problemen, zoals diabetes, een opstapeling van buikvet en slechte cholesterolwaarden. De verklaring zou liggen bij een negatieve invloed van de zoetstoffen op de darmflora.

Vast staat dat overgewicht en obesitas een belangrijk gezondheidsprobleem zijn. Ze vergroten ➝

Slaap je slank?

Wetenschappelijk onderzoek toont aan dat wie te weinig slaapt, meer risico op overgewicht loopt. Als de nachtrust vijf in plaats van acht uur bedraagt, kan de BMI verhogen met 3,6%. Op het eerste gezicht zou je denken dat dat met omringende factoren te maken heeft: wie te weinig slaapt, is overdag allicht prikkelbaarder en grijpt daardoor sneller naar een ongezonde snack. Er is echter meer aan de hand: het gebrek aan slaap beïnvloedt onze hormonen, zoals ook het geval is bij een jetlag. Door het slaaptekort worden bepaalde hormonen geactiveerd die niet alleen het aantal vetcellen maar ook hun omvang doen toenemen. Het fenomeen lijkt alleszins mee een verklaring te bieden voor de huidige obesitasepidemie. De voorbije decennia zijn mensen immers almaar meer gaan beknibbelen op hun slaap. Verbeterde slaapkwaliteit en -duur verminderen het hongergevoel ook via hormonen (onder andere cortisol) en andere mechanismen in het menselijke brein.

21

Een gastric bypass of maagomleiding is momenteel de meest uitgevoerde ingreep in de obesitasheelkunde.

Ook bij een maagverkleining hangt het succes af van de motivatie van de patiënt.

de kans op diabetes type 2 en hart- en vaatziekten en doen ook het risico op kanker stijgen, meer bepaald op darmkanker, borst- en baarmoederkanker bij vrouwen en slokdarm- en nierkanker bij mannen. Een andere kwaal die meer voorkomt bij zwaarlijvige mensen is obstructief slaapapneu, een vorm van snurken die gepaard gaat met nachtelijke ademhalingspauzes.

Een probleem dat de afgelopen jaren meer aandacht krijgt, is leververvetting als een gevolg van overgewicht. In de Verenigde Staten zou obesitas vandaag de voornaamste oorzaak van levercirrose zijn, belangrijker dan bijvoorbeeld alcoholmisbruik. UZA-voedingsdeskundige An Verrijken deed onderzoek naar het thema (zie pagina hiernaast).

Uitkijken naar nieuwe medicatie

Op het vlak van behandeling is het vooral uitkijken naar een aantal nieuwe medicijnen. Zo komen er binnenkort geneesmiddelen op basis van hormonen op de markt, in Europa en wellicht ook in België. Het gaat om medicijnen

die de patiënt dagelijks of wekelijks moet inspuiten. ‘Ze bevatten een hormoon uit de darm, peptiden genaamd, dat vrijkomt tijdens het eten. Het zorgt voor een betere opname van de voeding en een hoger verzadigingsgevoel. Het medicijn is bedoeld voor mensen met een BMI tussen pakweg 30 en 35’, licht Van Gaal toe. Daarnaast zijn er nieuwe geneesmiddelen in tabletvorm in aantocht die op het neurologische stelsel inwerken.

De nieuwe middelen hebben minder nevenwerkingen dan de bestaande vermageringspillen. ‘Al is ook hun effect eerder beperkt: patiënten verliezen er hooguit 8 à 9 kilo per jaar mee. Er zijn echter nieuwe medicijnen in ontwikkeling, opvolgers van de huidige inspuitbare peptiden, die vermoedelijk een groter effect zullen hebben’, vervolgt Van Gaal.

Maagverkleining en motivatie

Het meest spectaculaire gewichtsverlies wordt nog altijd behaald na een maagverkleiningsoperatie: patiënten verliezen daarmee al gauw 25 à 30 % van hun gewicht.

De behandeling is wel alleen bedoeld voor patiënten met heel ernstige zwaarlijvigheid. Ze wordt maar terugbetaald vanaf een BMI van 40, of een BMI van 35 die gepaard gaat met diabetes, obstructief slaapapneu of een onbehandelbare hoge bloeddruk. Van Gaal: ‘Zo’n operatie geeft heel snel resultaat, al weten we intussen dat het effect op de algemene gezondheid minder groot is dan eerst gedacht. Van de patiënten die door hun overgewicht ook diabetes type 2 hebben, heeft 70 % vijf à tien jaar na de ingreep opnieuw normale bloedsuikerwaarden. Maar na twaalf à vijftien jaar is dat percentage gezakt naar 32 à 33 %.’

Net als bij elke behandeling hangt het succes ook af van de motivatie van de patiënt. Ook na de operatie blijft gezond eten immers een must. ‘Want zelfs met een sterk verkleinde maag kun je bijvoorbeeld nog altijd te veel frisdrank drinken. Dan heeft zo’n ingreep natuurlijk weinig zin. Maar als de patiënt bereid is ook zijn eetgewoontes aan te passen, zijn de resultaten doorgaans heel goed’, aldus Van Gaal. 

22 DOSSIER OBESITAS INFO
821 32 75
Dienst endocrinologie, diabetologie en metabole ziekten, T 03
Klein maagcompartiment Nietjes Voedselstroom Dunne darm Overgeslagen gedeelte van de dunne darm Middenrif Slokdarm Overgeslagen (‘bypassed’) compartiment van de maag

Van sommige chemische stoffen zoals insectenverdelger is geweten dat ze de hormoonhuishouding verstoren en zo mogelijk mee overgewicht veroorzaken.

De dienst endocrinologie doet voortdurend onderzoek naar de oorzaken en de behandeling van obesitas. Een arts en een voedingsdeskundige stellen hun doctoraatsonderzoek in een notendop voor.

Onderzoek naar obesitas

Vervuiling als dikmaker?

Wie?

Endocrinologe dr. Eveline Dirinck

Waarover ging het onderzoek?

Het team deed onderzoek naar een aantal chemische stoffen waarvan is geweten dat ze de hormoonhuis houding verstoren en zo mogelijk mee overgewicht veroorzaken. Het ging meer bepaald over de insectenverdelger DDT en PCB’s, stoffen die in de vorige eeuw in allerlei producten werden verwerkt en die nu nog altijd aanwezig zijn in het milieu. Beide spelen we vooral binnen via onze voeding. Voor het onderzoek werden zo’n 300 patiënten met en zonder overgewicht onderzocht. Het team ging na in welke mate de stoffen

aanwezig waren in hun lichaam en hoe de chemicaliën zich gedroegen bij gewichtsverlies.

Conclusies?

De stoffen in kwestie nestelen zich vooral in het lichaamsvet en waren dan ook verhoogd aanwezig bij de patiënten met overgewicht. Bij vermagering steeg het gehalte van de chemicaliën in het bloed. Dat deed echter geen afbreuk aan de gezondheidseffecten van het gewichtsverlies, zoals betere bloedsuiker- en cholesterolwaar den. In hoever de chemische stoffen inderdaad overgewicht ver oorzaken, is nog niet aangetoond. Er zijn echter voldoende signalen dat we de blootstelling aan deze chemicaliën moeten beperken.

Leverproblemen bij overgewicht

Wie?

An Verrijken, onderzoekster en voe dingsdeskundige op de metabole eenheid. Het onderzoek gebeurde in samenwerking met de dienst gastro-enterologie en hepatologie.

Waarover ging

het onderzoek? Het team verdiepte zich in leverver vetting bij patiënten met obesitas. De klemtoon lag op NAFLD, een vorm van leververvetting die niet het gevolg is van alcoholmisbruik, medicatie of andere leverziekten. Een 300-tal patiënten onderging een leverbiopsie, een onderzoek waarbij een klein stukje van de lever wordt afgenomen en onderzocht. De bedoeling was onder meer om zo na te gaan hoe je de ziekte kunt opsporen, hoe vaak ze voorkomt en hoe ze het best wordt behandeld.

Conclusies?

Conclusies waren onder meer dat de ziekte wijd verspreid is bij mensen met overgewicht: bij 75 % van de patiënten waren er tekenen van niet-alcoholische leververvetting. De klassieke levertesten in het bloed blijken echter geen nauwkeurige methode om de aandoening op te sporen. Een andere aanpak zou kunnen zijn om waakzaam te reageren op symptomen die vaak samengaan met NAFLD, zoals vetopstapeling in de buik en verstoorde bloed suikerwaarden. Die patiënten zou de arts dan kunnen doorverwijzen voor verder onderzoek. De studie toonde ook aan dat een dieet een positieve invloed heeft op de aandoening, al is het effect van een vermageringsoperatie een stuk groter. 

23
© J0KeR / photocase.com
Dr. Eveline Dirinck An Verrijken 1
2
2 1

Help, Kinderen

1

Almaar meer kinderen lijden aan overgewicht Juist. Van Hoorenbeeck: ‘Bijna één op vijf Vlaamse kinderen is vandaag te zwaar. Naast het overgewicht neemt ook de bewustwording toe: terwijl ouders het vroeger zelfs leuk vonden als hun kind wat mollig was, zien ze het nu – terecht – als een probleem. Ook kinderartsen en de CLB’s trekken sneller aan de alarmbel. De drempel om met een te zwaar kind naar de dokter te stappen, is lager geworden.’

2 Overgewicht op jonge leeftijd groeit er vaak vanzelf uit

Niet juist. ‘Zeker kinderen die veel te zwaar zijn, evolueren zelden vanzelf naar een gezonder gewicht. Meestal zie je net het tegenovergestelde: de BMI (Body Mass Index, gewicht gedeeld door de lengte in het kwadraat) stijgt vaak nog met het ouder worden. Zolang het kind geen gezondere eetgewoontes aanneemt, blijft het probleem bestaan. Bij kinderen met maar licht overgewicht is de kans op spontane verbetering uiteraard groter.’

3 Elk pondje gaat door het mondje

Niet juist. ‘Het staat vast dat overgewicht door een samenspel

24 DOSSIER OBESITAS
van
Over kinderen met overgewicht hebben mensen al gauw een mening klaar. Kinderarts dr. Kim Van Hoorenbeeck houdt tien veel gehoorde uitspraken tegen het licht. ‘Het probleem is complexer dan het lijkt.’

mijn kind is te zwaar! en overgewicht

factoren wordt veroorzaakt. Voe ding en beweging spelen weliswaar een grote rol, maar ook genetische aanleg en hormonale factoren liggen mee aan de basis van het probleem. Sommige mensen zullen zelfs met de grootste moeite nooit echt slank zijn. Maar ook zij kunnen hun overgewicht binnen de perken houden.’

4Overgewicht houdt risico’s in voor de gezondheid

Juist. ‘Ernstig overgewicht heeft vaak al op jonge leeftijd gevol gen, zoals het begin van diabetes, slechte cholesterolwaarden, een verdikking van de hartspier of leververvetting. Rechtstreekse gevolgen zijn vooral overbelaste gewrichten en een slechte conditie. Als overgewicht bij kinderen niet wordt behandeld, hebben ze later ook een hoger risico op hart- en vaatziekten. Gelukkig zijn al die problemen meestal omkeerbaar.’

5 Hoe vroeger je overgewicht behandelt, hoe beter

Juist. ‘Bij pubers is overgewicht moeilijker te behandelen, onder

Niet alleen het kind, maar het hele gezin gaat mee in de nieuwe eetgewoontes

meer door hormonale verande ringen. Bovendien worden slechte gewoontes hardnekkiger naarmate iemand ouder wordt. Dat geldt ook voor eetgewoontes. Ook het psychologische aspect mag je niet uit het oog verliezen: veel kinderen met overgewicht voelen zich slecht in hun vel. Met wat kilo’s minder staan ze sterker in hun schoenen.’

wel gespecialiseerd zijn in over gewicht bij kinderen.’

goed scoren, terwijl een kind met maar licht overgewicht soms al verstoorde bloedwaarden heeft.’

7

Kinderen die te zwaar zijn, moeten net als volwassenen diëten Niet juist. ‘Zeker bij kinderen is het beter om het voedingspatroon geleidelijk aan te passen. Bij ons gaan kinderen met overgewicht om de paar weken naar de diëtiste, die telkens een specifiek aspect van de voeding met hen bekijkt: het ontbijt, het avondmaal, het vieruurtje … Als je meteen het vol ledige eetpatroon omgooit, riskeer je dat de patiënt afhaakt. Daarom zeg ik ook nooit hoeveel een kind moet afvallen: dat werkt alleen maar ontmoedigend.’

9 Van sporten word je niet (meteen) slanker

Juist. ‘Sport verandert in eerste instantie de lichaamssamenstelling: het vetweefsel wordt afgebroken, terwijl de spiermassa toeneemt. Daardoor verlies je niet meteen gewicht. Wel heeft sport op lange termijn een positief effect op de stofwisseling, waardoor je op de duur wel gemakkelijker kilo’s verliest. Bovendien zijn kinderen die sporten, meer gemotiveerd om gezonder te eten.’

10 Obesitas is een chronische ziekte

6

Obesitas bij kinderen behandel je het best in teamverband Juist. ‘Op onze dienst wordt obesitas behandeld door een team van kinderartsen, diëtisten en een psychologe. Meestal worden de kinderen eerst een tweetal dagen opgenomen om hun gezond heidstoestand in kaart te brengen. Wie wil, kan ook een diëtist uit de buurt inschakelen. Die moet dan

8

Een gezond kind is een slank kind

Niet juist. ‘Ik zeg altijd tegen mijn patiënten dat we niet streven naar een slanke lijn, maar naar een gezond gewicht. Er is trouwens geen eenduidig verband tussen een gezonde BMI en goede bloedwaar den, zoals een normaal choles terolgehalte, gezonde lever- en suikerwaarden … Een vrij zwaar kind kan op de bloedtests heel

Juist. ‘Als kinderen neigen naar overgewicht, blijft dat een kwets baar punt. Naarmate de behande ling aanslaat, kunnen we het aantal controles uiteraard afbouwen. Maar we dringen er wel op aan dat ze blijvend worden opgevolgd door een diëtist, de huisarts of de kinderarts. Daarom ook is het belangrijk dat niet alleen het kind, maar het hele gezin meegaat in de nieuwe eetgewoontes.’ 

25
INFO Dienst kindergeneeskunde, T 03 821 32 51.
Kinderarts dr. Kim Van Hoorenbeeck

Jesse ruilde zijn Playstation in voor een hometrainer en een halterbank en begon zelf volop te lezen over gezonde voeding.

Jesse verloor 47 kilo

Zo’n drie jaar geleden kreeg hij nog smalende opmerkingen over zijn gewicht, nu is Jesse (18)

een en al spieren en zweert hij bij gezonde voeding. ‘Als je iets echt wilt, kun je veel’, zegt hij.

Toen moeder Randa een paar jaar gele den Jesse probeerde te motiveren om gezonder te gaan leven, haalde die zijn schouders op. Ook al wees de weegschaal heel wat kilo’s te veel aan en was zijn bloeddruk te hoog. ‘Onze toenmalige kinderarts verwees ons door naar dr. Kim Van Hoorenbeeck om Jesses over gewicht te laten behandelen’, ver telt ze. Jesse onderging een aantal onderzoeken waaruit bleek dat hij een voorloper van diabetes 2 had. Dat en zijn BMI van 34 vroegen om een drastische aanpak. Toch duurde het nog een hele tijd voor hij ‘de klik’ maakte, zoals Randa het noemt.

De sessies bij de diëtisten zorgden voor een eerste positieve kente

ring. Jesse ging op hun advies veel minder vet en meer groente en fruit eten. Ook aardappelen, brood en andere koolhydraten moest hij de eerste tijd sterk beperken. Hij en Randa kregen een voedings schema en lijsten mee van wat wel en niet toegelaten was. Zij kookte voor hem een apart potje en de kilo’s gingen er vlot af. ‘Maar ik voelde dat hij er zelf niet echt om maalde. En na een tijdje ging het toch weer de verkeerde kant uit’, vertelt ze.

Hometrainer

De echte ommekeer kwam er nadat Jesse via het internet in de ban raakte van bodybuilding. Verhalen van afgetrainde spierbundels die ooit begonnen waren als schriele jongens met een flinke dosis door

zettingsvermogen, zetten hem aan het dromen. Zijn ogen lichten op als hij erover vertelt. ‘Als je echt iets wil bereiken, moet het helemaal uit jezelf komen. Een kwestie van motivatie, maar meer nog van discipline.’

toen ging het snel. In minder dan een jaar gingen er 47 kilo’s af.

Dr. Van Hoorenbeeck vond zijn wilskracht een voorbeeld voor anderen en de sessies bij de diëtiste werden overbodig’, blikt Randa terug. Op de speelplaats oogstte hij meer blikken dan hem lief was en leerkrachten spraken hem aan op zijn opvallende transformatie.

Hij ruilde zijn Playstation in voor een hometrainer en een halterbank en begon zelf volop te lezen over gezonde voeding. Op zijn kamer hing hij een groot bord waarop hij de kilo’s afstreepte. ‘Vanaf

Vandaag sport Jesse nog altijd uren per dag. Hij raakt geen druppel alcohol aan en gaat er prat op nooit af te wijken van zijn gezonde voedingspatroon. ‘Zelfs op vakantie staat hij erop dat ik dezelfde maaltijden kook als thuis’, lacht Randa. Of hij al dat sporten binnenkort zal kunnen combi neren met zijn hogere studies? Jesse is er gerust op. ‘Ik vind wel een manier.’ 

26 DOSSIER OBESITAS
‘Het moet uit jezelf komen’

Niks vergeten?

Zorg goed voor je spullen. Je verliest ze sneller dan je denkt.

Regelmatig worden kleine spullen zoals brillen, hoorapparaten, gsm’s en gebitten vergeten. Wij trachten er zo goed mogelijk voor te zorgen. U ook?

Tip : Breng geen waardevolle spullen mee.

Probiotica

Levende beestjes op uw bord?

Bacteriën en gisten associëren we met ziekte. Toch zijn er ook gunstige soorten die ons net gezonder maken: probiotica. Wat zijn dat precies en wat doen ze? Bio-ingenieur en microbiologe Sarah Lebeer geeft antwoord op enkele veelgestelde vragen.

28 GEZOND

Wat zijn probiotica?

‘Probiotica zijn levende microorganismen die een positief effect hebben op onze gezondheid. Je vindt ze in voeding en voedings supplementen. Ze dringen het aantal ziekteverwekkende bacteriën terug, ondersteunen het immuunsysteem en beschermen de darmwand, als je ze in vol doende hoeveelheden inneemt. Vaak zijn het stammen van Lactobacillus of Bifidobacterium species. De verschillende stammen probiotica hebben ook verschil lende effecten.’

Welke effecten hebben ze op de gezondheid?

‘De gevolgen zijn heel uiteen lopend, van een vlottere spijs vertering tot een betere mentale gezondheid.’

• Goede darmwerking: ‘Probiotica herstel len de darmflora en stimuleren de darmtransit. Enterol, een probioticum dat diarree tegengaat, is trouwens erkend als geneesmiddel. Weten schappers zijn het er ook over eens dat probiotica helpen bij sommige darmontstekingen, het prikkelbaredarmsyndroom en NEC, een darmaandoening bij (vaak vroeggeboren) baby’s.’

• Hulp bij vertering van lactose: ‘Regelmatig probiotica of levende yoghurtbacteriën innemen verbetert de klachten van mensen die intolerant zijn voor melksuiker of lactose. Een gezondheidsclaim die aanvaard is door de Europese Autoriteit voor Voedselveiligheid (EFSA).’

• Verhoogde weerstand: ‘Uit labexperimenten en studies bij vrijwilligers blijkt dat bepaalde probiotica het immuunsysteem kunnen stimuleren.’

• Bescherming tegen vaginale infecties: ‘Probiotica houden niet alleen de flora van de darm, maar ook die van de vagina in evenwicht en verlagen zo de kans op infecties en ontstekingen.’

• Minder risico op eczeem en allergieën: ‘Wetenschappelijke studies toonden aan dat het innemen van specifieke soorten probiotica in het laatste trimester van de zwangerschap de baby beschermt tegen atopisch eczeem en allergieën.’

Daarnaast hebben probiotica wellicht nog andere positieve gevolgen die momenteel volop worden onderzocht. Zo zijn er aanwijzingen dat sommige probiotica een gunstige invloed hebben op diabetes type 2, infec ties van de bovenste luchtwegen, een hoog cholesterolniveau en een hoge bloeddruk.

Er zou zelfs een link zijn met onze mentale gezondheid: proefpersonen gaven aan minder depressief te zijn na het innemen van bepaalde probioticastammen.

Heeft het zin voedingssupplementen met probiotica in te nemen? ‘Bij darmklachten, een lage weer stand of na een antibioticakuur bewijzen probiotica zeker hun nut. Hebt u een gezonde levensstijl, eet u gevarieerd en hebt u geen klach ten, dan bieden probiotica minder directe voordelen, al kunnen ze wel preventief beschermen.’

Hoe komt het dat yoghurtdrankjes met probiotica geen gezondheidsclaims meer mogen maken? ‘Sinds 2007 verplicht Europa de fabrikanten om alle gezondheids claims op voeding wetenschap pelijk te bewijzen, net als bij geneesmiddelen. Bij probiotica is dat niet evident omdat het gaat om verschillende soorten levende bacteriën, opgebouwd uit verschil

Probiotica: van apotheek tot zuurkool

Waar vindt u probiotica?

Bij de apotheek kunt u onder meer Enterol (herstelt de darm flora) kopen, naast Probiotical en Probactiol (ondersteuning van de darmfunctie en immuniteit) en Protectis (bedoeld voor kinderen). Gynoflor en Progyn brengen de vaginale flora in evenwicht.

In de supermarkt vindt u gefer menteerde yoghurtdrankjes zoals Actimel en Yakult (verhogen de

weerstand) en Activia (verbetert de vertering). Kies bij voorkeur voor producten met goed gedocumen teerde probioticastammen.

Tot slot kunt u ook natuurlijke voedingswaren eten met veel melkzuurbacteriën die verwant zijn aan probiotica, zoals zuurkool, kaas, augurken, kefir, kombucha en miso, een pasta van gefermen teerde sojabonen afkomstig uit de Japanse keuken.

lende componenten, en niet om één molecule zoals bij een medicijn. Bovendien zijn sommige effecten – een versterkt immuunsysteem bij gezonde mensen bijvoorbeeld – moeilijk aan te tonen. Voor een studie met duizend proefpersonen heb je tot slot veel middelen nodig. Meer en meer fabrikanten van voedingsmid delen werken daarom samen met farmaceutische bedrijven. De kans bestaat dat in de nabije toekomst enkele gezondheidsclaims worden goedgekeurd en dat de toepassing van probiotica in farmaceutische vormen toeneemt.’

Hebben probiotica bijwerkingen?

‘In tegenstelling tot antibiotica heb ben probiotica nauwelijks nevenef fecten. Toch zijn probiotica niet in alle gevallen aangewezen. Bij patiën ten met een geperforeerde darmwand bijvoorbeeld bestaat het gevaar dat er bacteriën terechtkomen op plaatsen waar ze niet thuishoren. Probiotica werken ook trager dan antibiotica, waardoor ze minder geschikt zijn voor acute problemen.’ 

29

Tijdens de internationale week van de borstvoeding in oktober wordt ook in het UZA borstvoeding in de kijker gezet. Want wat de natuur maakt, kun je niet verbeteren. Drie tips voor een succesvolle borstvoeding van lactatiekundige Marijke Van Hoeck.

Borstvoeding

Goed voorbereid aan de start

1Weet hoe het werkt

logisch gevolg van de bevalling. Hoe meer je erover weet, hoe meer vertrouwen je erin zal hebben en hoe beter je ook kunt reageren als het eens minder goed loopt.’

2 Regel tijdig begeleiding

3Kies een babyvriendelijk ziekenhuis

Als je weet hoe het werkt, krijg je ver trouwen in je lichaam

Informeer u goed vooraf. Lees een goed boek over borst voeding of volg een borstvoedings cursus – sommige ziekenfondsen betalen de kosten van een cursus terug. Marijke Van Hoeck: ‘Het is belangrijk dat je weet wat borst voeding is en hoe je lichaam werkt. Op die manier krijg je vertrouwen in je lichaam. Borstvoeding is een

Neem ruim voor uw bevalling contact op met een vroedvrouw of lactatiekundige (een gezondheids werker die zich gespecialiseerd heeft in borstvoeding). Doe dat op voorhand, want eens de baby er is, wordt de kans kleiner dat u nog tij dig iemand vindt. De vroedvrouw of lactatiekundige kan u vooraf helpen een goed geïnformeerde keuze te maken. Na de bevalling zorgt ze (of hij) voor de nodige ondersteuning bij de borstvoeding thuis. Zeker nu mama’s steeds korter in het ziekenhuis verblijven, wordt die begeleiding thuis belang rijker. Op de sites www.bvl-borst voeding.be of www.vlov.be kunt u lactatiekundigen en vroedvrouwen in uw buurt opzoeken.

Kies voor een ziekenhuis dat het label Baby Friendly Hospital (BFHI) draagt, waarmee Unicef en de Wereldgezondheidsorganisatie zie kenhuizen erkennen die borstvoeding promoten en pas bevallen moeders optimaal begeleiden. Het UZA heeft dat label sinds 2006. Marijke Van Hoeck: ‘In een babyvriendelijk ziekenhuis krijgt borstvoeding alle kansen. Dat begint al bij de beval ling, die zo natuurlijk mogelijk wordt gehouden. Ook erna kan elke kunstmatige ingreep – een fopspeen bijvoorbeeld – invloed hebben op het drinken van de baby en dus op de borstvoeding. Die staat of valt immers met de appetijt van de baby. In een babyvriendelijk ziekenhuis is iedereen goed opgeleid rond borst voeding. We moedigen bijvoorbeeld huidcontact zoveel mogelijk aan, en zorgen voor extra begeleiding bij premature kindjes. Er heerst een heel specifieke mentaliteit.’ 

INFO Dienst verloskunde, T 03 821 59 99. www.uza.be/verloskunde, www.bvl-borstvoeding.be, www.vlov.be

GEZOND
30
© Franzworks
/ photocase.com

Borstvoeding is meer dan voeding alleen: het heeft een beschermende werking tegen allerlei ziekten.

Voordelen van borstvoeding?

Voor de baby

• Borstvoeding is de meest natuurlijke voeding. De samenstelling is volledig aangepast aan de behoeften, de groei en het afweersysteem van de baby.

• De borst geeft gemakkelijk troost aan een huilende baby.

• Borstvoeding ontwikkelt de kaak- en tongspieren van de baby.

• Borstvoeding is meer dan voeding. Het heeft ook een bescher mende werking tegen acute oorontstekingen, darm- en luchtweginfecties, wiegendood, diabetes type 1, allergieën waaronder koemelkallergie, overgewicht …

• Bij prematuren zijn de gezondheidsvoordelen van borstvoeding nog belangrijker.

Voor de mama

• Snel herstel van de baarmoeder. Door het zuigen aan de borst komt het hormoon oxytocine vrij, dat de baarmoeder laat samentrekken, zodat ze sneller haar oorspronkelijke vorm terugkrijgt.

• Sneller terug op gewicht. Borstvoeding geven vraagt energie zodat de vetreserves die tijdens de zwangerschap werden aangelegd, sneller worden verbruikt.

• Vrouwen die minstens drie maanden borstvoeding geven, lopen minder risico op borst- en eierstokkanker.

• Borstvoeding geven schept een intense band tussen moeder en baby.

• Borstvoeding geven schept rustmomenten voor de moeder.

Lees meer in de brochure ‘Borstvoeding, de beste start’ www.uza.be/verloskunde/documenten

Wij verhogen uw comfort ! VRIJBLIJVENDE OFFERTE / BEZOEK BEL GRATIS : 0800 20 950 TRAPLIFTEN, HUISLIFTEN & PLATEAULIFTEN SERVICE 24/24 - 7/7 WWW.COMFORTLIFT.BE Mannebeekstraat 3 | B-8790 Waregem | info@comfortlift.be

Grote vreugde in het UZA in augustus: het ziekenhuis kreeg het JCI-label toegekend, een internationaal kwaliteitslabel voor ziekenhuizen. Ver van mijn bed, denkt u?

Toch niet. Juist voor patiënten is het kwaliteitslabel belangrijk.

‘We blijven continu verbeteren’

UZA haalt kwaliteitslabel JCI

In een grote en complexe organisatie als een zieken huis heb je een goed sys teem nodig om de kwaliteit te bewaken en te verbeteren. JCI is zo’n systeem. Onafhankelijke waarnemers hebben de deskun digheid in het UZA op allerlei vlakken onder de loep genomen en aanbevelingen gegeven om het ziekenhuis nog veiliger en kwa liteitsvoller te maken. ‘Patiënten konden natuurlijk al gerust zijn dat het UZA goed en veilig werkt, maar met JCI worden de puntjes op de i gezet,’ zegt kwaliteits coördinator Kristien Van Brussel. ‘Nog meer dan vroeger werken we nu volgens gestandaardiseerde processen waarvan wetenschap pelijk bewezen is dat ze het best mogelijke resultaat hebben. Het mooiste compliment dat de JCI-auditoren ons gaven, was dat ze in dit ziekenhuis graag zelf patiënt wilden zijn.’

Welke extra’s inzake kwaliteit en veiligheid levert JCI zoal op voor de patiënten?

Medicatieveiligheid. Er zijn speciale voorzorgsmaatregelen genomen om zogenaamde Hoog Risico Medicatie te bewaren en toe te dienen. Nieuwe medicatievoorschrif ten worden systematisch door de apotheek gecontroleerd op dosis, allergieën, andere inter acties … vooraleer de medi cijnen naar de patiënt gaan.

Veilige chirurgie. Naast het gebruik van de Safe Surgery Checklist van de Wereldgezond heidsorganisatie in het opera tiekwartier wordt ook telkens een time-out gedaan voor elke ingreep buiten het OK. Dan wordt nog eens de identiteit van de patiënt gecontroleerd, de aard en plaats van de ingreep,

de nodige materialen … om te garanderen dat de juiste ingreep plaatsvindt bij de juiste patiënt en aan de juiste kant.

Infecties voorkomen. Hand hygiëne blijft erg belangrijk, maar er zijn ook globale maat regelen genomen om infecties te voorkomen, zoals bijvoorbeeld een heel strikte scheiding van vuil en proper materiaal in het hele ziekenhuis.

Zorgplan. Elke gehospitaliseerde patiënt krijgt binnen de 24 uur een individueel zorgplan op maat, zodat alle betrokken zorg verleners kunnen inspelen op de noden van de patiënt.

Pijnbeleid. Elke patiënt (gehos pitaliseerd of ambulant) wordt gescreend op pijn. Als de patiënt veel pijn blijkt te hebben, volgt er een grondigere evaluatie

32 ZORG

en wordt de pijn nadien ook frequenter opgevolgd om na te gaan of ze afneemt. Het UZA maakt van pijnmanagement een speerpunt.

Uniforme zorg. Patiënten krijgen uniforme zorg en voor speciale diensten zoals intensieve zorgen en de ontwaakzaal zijn er vaste criteria opgesteld voor opname en ontslag, gebaseerd op vitale parameters.

Triage op spoed. Op de spoedafdeling worden de patiënten volgens wetenschappelijke criteria getrieerd: op die manier komen de patiënten met het meest dringende probleem het eerst aan de beurt.

Transfers. Patiënten overbrengen tussen verschillende diensten in en buiten het ziekenhuis verloopt vlotter door een gestructureerde communicatie.

Dossier. Essentiële informatie staat nu in elk patiëntendossier op dezelfde plaats, zodat de informatie sneller te vinden is voor alle betrokken zorgverleners.

Opvolging. Voor gehospitaliseerde patiënten wordt er dagelijks een opvolgnota geschreven in het dossier, zodat alle zorgverleners op de hoogte zijn van de dagelijkse toestand van de patiënt. Ook dat gebeurt volgens een vaste structuur.

Ontslag. De ontslagplanning start al bij de opname, zodat de vervolgzorg goed aansluit bij de behoeften van de patiënt.

Om de drie jaar volgt

een nieuwe doorlichting.

Informatie. Meer dan vroeger krijgen patiënten en hun familie documentatie, informatie en educatie, zodat ze weten wat ze kunnen verwachten van de zorg of hun verblijf in het UZA. Zonder geïnformeerde toestemming (informed consent) vertrekt de patiënt niet naar het operatiekwartier.

Reanimatietraining. Er is altijd een zorgverlener in de buurt met een certificaat van Basic Life Support (reanimatietraining). Ruim 8 op 10 zorgverleners in het UZA hebben het certificaat intussen op zak.

Het UZA begon het JCItraject eind 2012. Het vroeg een grote inspanning van alle mede-

werkers, en van de patiënten die tijdens de audits door de JCI-consultants werden geïnterviewd. Is het werk daarmee nu afgelopen? ‘De belangrijkste horde hebben we genomen en daar mogen we heel trots op zijn,’ zegt Kristien Van Brussel. ‘Nu komt het erop aan het niveau te behouden. Geneeskunde en verpleegkunde evolueren voortdurend. We moeten dus de veiligheid en de kwaliteit van de zorg permanent verbeteren. Daarvoor gebruiken we een hele reeks kwaliteitsindicatoren, en dankzij JCI kunnen we onze scores vergelijken met de duizenden andere JCI-geaccrediteerde ziekenhuizen in de wereld. Om de drie jaar volgt er immers een nieuwe doorlichting waarbij de lat telkens een beetje hoger ligt.’ 

JCI?

JCI staat voor Joint Commission International, een Amerikaanse organisatie die wereldwijd de kwaliteit van ziekenhuizen meet, vergelijkt en opvolgt. JCI is wereldwijd koploper op dat gebied. Een accreditatie zoals JCI betekent dat het ziekenhuis streeft naar veilige en kwaliteitsvolle zorg, met het oog op continue verbetering en dus nog een stap verder gaat dan wat wordt opgelegd door de overheid.

Bijtanken in zorghotel Drie Eiken

Toen Anita (69) na een longontsteking het ziekenhuis mocht verlaten, bleek thuis revalideren niet haalbaar. Zorghotel Drie Eiken bood een prima alternatief. ‘Ik kwam er mentaal en fysiek tot rust.’

De lobby van Drie Eiken doet in niets aan een ziekenhuis denken. Sobere maar luxueuze inrichting, trendy receptie, prettige achtergrondmuziek. Zorgmanager Chloë Lucas en de verpleegkundigen zitten vlakbij, maar tegelijk afgescheiden in hun respectievelijke bureaus.

Op het terras ontmoeten we Anita, die zaterdag naar huis gaat. ‘Een maand ben ik hier gebleven. Dat is lang, maar het was nodig’, vertelt ze. Eind juni werd ze met een longont steking opgenomen in het AZ Klina in Brasschaat. Na een week mocht ze weer naar huis, maar dat viel flink tegen. ‘Ik ben altijd in de weer’, bekent ze. ‘Ook met de zorg voor mijn echtgenoot, die zware rug

problemen heeft. Binnen de kortste keren ging het weer bergaf. Mijn man en kinderen drongen er toen op aan dat ik naar een revalidatie centrum ging, maar daar konden we niet zomaar terecht. En toen hoorde ik toevallig over Drie Eiken.’

Professionele zorg

en de luxe van een viersterrenhotel.

als herboren

Je hebt een operatie in het ziekenhuis achter de rug. Of je hebt ’s morgensvroeg een afspraak voor een dagconsultatie. Of je moet gedurende een periode behandelingen ondergaan in het ziekenhuis ...

Dan is het een hele geruststelling dat je voor een tijd kan verblijven in een zorghotel vlakbij het UZA. Met medisch personeel dat dag en nacht tot je dienst staat, en met je partner, mantelzorger of familie al of niet aan je zij.

Tijdelijk lichte zorg nodig? Zorghotel Drie Eiken ligt pal naast het UZA en mikt in eerste instantie op mensen die tijdelijk lichte zorg nodig hebben. Bijvoorbeeld na een operatie of zware behandeling, of omdat hun mantelzorger een tijdje niet voor hen kan zorgen. Het combineert professionele zorg met de luxe van een viersterrenhotel. Zorgmanager Chloë regelt de opnames. ‘Meestal neemt de familie contact met ons op. We

bespreken dan de verblijfsduur en de zorgnoden en vragen om een aanvraagformulier te laten invullen door de arts of de sociale dienst. Wij regelen dan alles: verpleeg kundige zorg, kinesitherapie, medicatie, verzorgingsmateriaal Onze gasten kunnen ook dag en nacht terecht bij onze eigen zorgkundigen. Die verstrekken basiszorg: wondzorg, inspuitingen, bloedsuikercontrole, helpen met wassen en aankleden …

Op 200 meter wandelafstand van het UZA bevindt zich Drie Eiken. Een hotel dat veel meer biedt dan een klassiek hotel. Je wordt er onthaald door medewerkers die ervoor zorgen dat je in alle rust herstelt, genietend van een deugddoende luxe. Op jouw ritme, volgens jouw wensen.

Na een verblijf in zorghotel Drie Eiken -kortstondig of voor lange duur- voel je je echt als herboren.

34 ZORG

zijn welkom’, licht manager Stefaan Desmyttere toe.

Anita kikkerde tijdens haar ver blijf helemaal op. Ze volgde trouw haar kinesitherapie en oefende daarnaast op eigen houtje in de fitnessruimte. De rest van haar tijd vulde ze met bezoek, lezen, breien en wandelen in de omgeving. ‘Toen ik hier aankwam, was mijn conditie nul. Nu voel ik me stuk ken beter. Maar ook geestelijk ben ik hier helemaal tot rust gekomen. De verpleegkundige kwam regel matig eens langs om te vragen hoe het ging. Dan kon ik mijn verhaal kwijt. Dat deed deugd, want mijn man en ik hebben de afgelopen jaren heel wat gezondheids problemen gehad.’ Ook aan de andere gasten had ze veel steun. ‘In het restaurant kent iedereen iedereen. Sommige gasten zijn echt vrienden geworden.’ 

Alle kamers en badkamers hebben trouwens een oproepsysteem. Daarnaast werken we samen met een huisarts.’ De gast betaalt voor de geleverde zorg het vastgestelde terugbetalingstarief.

Ook voor ‘gewone’ gasten Behalve patiënten met een zorg vraag kunnen ook ‘gewone’ gasten in Drie Eiken terecht. ‘Door onze ligging trekken we nogal wat artsen aan die voor hun werk in het UZA of de Universiteit Antwerpen moeten zijn, bijvoorbeeld voor een congres. Ook familieleden van opgenomen UZA-patiënten vinden de weg naar ons. En ook jonge moeders die na hun bevalling of hun kraamverblijf nog even willen bekomen met hun baby,

Kamer boeken?

Wilt u een verblijf boeken in Drie Eiken? Neem dan contact op via 03 821 12 11 of info@zorghotel3eiken.be. Verblijft u in het ziekenhuis, dan kan de dienst patiënten begeleiding dat voor u doen. Een overnachting in een eenpersoonskamer met vol pension kost 125 euro (lagere prijs bij lang verblijf). Sommige ziekenfondsen en ziekte verzekeringen betalen daarvan een stuk terug. Meer info op www.drie-eiken.com.

Wat

DNR?

betekent DNR?

DNR staat voor Do Not Resuscitate (‘Niet reani meren’). Bij patiënten die zwaar ziek zijn en van wie de situatie uitzichtloos is, kan de behande lende arts beslissen dat de patiënt niet meer gereanimeerd zal worden bij een hartstilstand.

Wat is een DNR­code?

De beslissing om niet meer te reanimeren wordt in het medisch dossier van de patiënt gezet, in de vorm van een DNR-code (DNR1). Op die manier zijn alle zorgverleners op de hoogte van de beslissing, ook als er onverwachts iets gebeurt. Er bestaan ook DNR-codes waarbij de behandeling daarnaast op andere manieren wordt beperkt, in overleg met de patiënt of zijn omgeving, door levensverlengende behande lingen niet meer op te starten of uit te breiden (DNR2) of stop te zetten (DNR3).

Kan een patiënt zelf vragen om niet gereanimeerd te worden?

Ja, dat kan. Breng uw arts en uw omgeving zeker op de hoogte van uw wensen. Dat kan ook schriftelijk: in de ‘negatieve wilsverklaring’ kunt u aangeven welke behandelingen uw wel of niet nog wil krijgen wanneer uw gezondheids situatie uitzichtloos geworden is.

Info Ombudsdienst, T 03 821 31 60, ombudsdienst@uza.be, www.patientrights.be

35 U ZEGT
  

Borremans

uw advertentie hier?

Een waterlek, een koelinstallatie die het laat afweten, verf die afbladdert … In een organisatie zo groot als het UZA duiken elke dag tientallen kleine en grotere problemen op. Voor al die technische mankementen kan het personeel terecht bij een meldpunt. Joeri Borremans is een van de operatoren.

Eerste hulp bij

‘Vandaag start mijn werkdag in de namiddag. Omdat het meldpunt permanent bemand is, werken we in een ploegensysteem. Het eerste wat ik doe, is het digitale dagboek lezen zodat ik weet wat er in de loop van de dag is gebeurd. Daarna kijk ik in het interne dagboek welke herstellingen ik nog moet doorgeven aan interne medewerkers of externe firma’s. Vandaag zijn er zo’n tien dossiers lopende. Een vrij rustige dag.’

‘Piekuur voor het meld punt. Bij het begin van de

late shift komen er vaak verschillende oproepen binnen. Vandaag belt de hoofdverpleegkundige van de dienst nefrologie om wateroverlast in de toiletten te melden. De toevoerkraan van de wastafel is losgekomen. Ik los het probleem voorlopig op door de hoofdkraan dicht te draaien.

Ook het lab vraagt hulp. In de buizenpost waar mee de bloedstalen worden ver zonden, zit een koker vast. Na wat schroefwerk lukt het me de koker te recupereren. Grotere problemen geven we door, kleine herstellingen voeren we vaak zelf uit.’

INFO Media Surplus Daknamdorp 25, Lokeren T 09/349 69 64 – 0475/52 27 15 info@media-surplus.be www.media-surplus.be

technische problemen

‘Terug in het meldpunt. Op de beelden van de bewakingscamera’s ziet alles er rustig uit. Het ideale moment om mijn mails te lezen.’

‘Via Macq, het software programma dat alle belangrijke toestellen in het zieken huis monitort, loopt een foutmelding binnen. Het gaat om de ijskast in het magazijn, die belangrijk medisch materiaal bevat. Bij inspectie blijkt dat de deur is blijven openstaan.’

‘Voor de mensen van de nachtdienst

aankomen, controleer ik of de automaat met werkkledij goed functioneert. Soms blijven de kapstokken in elkaar haken en moeten we ze ontwarren voor we het systeem opnieuw kun nen opstarten. Vandaag loopt alles op rolletjes.’

‘Tijd om mijn boterhammen boven te halen. Ook ‘s middags eet ik zelden in het restaurant van het ziekenhuis. De kans bestaat dat je een dringende oproep binnen krijgt, en dan moet je je maaltijd onaangeroerd laten staan.’

‘Omdat het vrij rustig is, heb ik tijd om enkele lokalen te inspecteren: zijn de ramen aan vervanging toe, is de vloer beschadigd, hebben de muren een nieuw laagje verf nodig …? Elk jaar inspecteren we zo’n driehonderd ruimtes.’

‘Er loopt een oproep binnen op mijn draag bare telefoon. Een patiënt op de spoeddienst reageert agressief en er wordt bijstand gevraagd. Wanneer ik samen met tien andere UZAmedewerkers ter plaatse kom, is het probleem al opgelost. De patiënt

was verward door de medicatie die hij innam en is intussen weer rustig.’

‘Ik begin aan mijn dage lijkse ronde door het zie kenhuis. Ik sluit de hoofdingangen af, controleer de technische installa ties, kijk of alle toestellen in de keu ken uitgeschakeld zijn … Het komt wel eens voor dat de frituurpan in de keuken van het personeelsrestaurant nog aanstaat.’

‘Mijn shift loopt ten einde. Ik vul het dag boek in en geef mijn collega van de nachtdienst een korte briefing.’

37 WITJAS VAN DIENST

gratis deelname

LEVENSLOOP EDEGEM

INFOAVOND OVER HYPOSPADIE

Samen met UZA en Stich ting tegen Kanker lopen, stappen en bewegen gedu rende 24 uur om kanker patiënten te steunen. Deelnemers en supporters zijn welkom! Data 10 – 11 oktober 2015 Uur 16:00 – 16:00 Locatie Fort V Edegem Info www.uza.be/ levensloop

Kom meer te weten over de behandeling van hypos padie, een aangeboren penisafwijking bij mannen. Datum ma. 5 oktober 2015 Uur 19:00 – 21:00 Locatie UZA Gemeen schapszaal (route 12) Info en inschrijven tel. 03 821 35 11 www.uza.be/ hypospadias-2015

IBD CURSUS

oktober november december 2015

Jaarcursus voor patiënten met chronische inflamma toire darmziekten (IBD). Het thema van deze sessie is “stress en doseren”. Datum di. 13 oktober 2015

Uur 10:00 – 12:00 Locatie UZA dienst CVS/CGVF Info en inschrijven www.uza.be/IBDcursus

PRENATALE INFOAVONDEN

Infosessie als voorbereiding op een bevalling in het UZA. De sessie bestaat uit twee opeenvolgende maandagen. Datum ma. 2 en 9 november 2015 Uur 19:30 – 21:30

Locatie UZA Auditorium Kinsbergen (route 12) Info en inschrijven www.uza.be/ prenatale-infoavond

ACTIVITEITEN VOOR KANKERPATIËNTEN

INFOAVONDEN

Het Multidisciplinair Onco logisch Centrum Antwerpen (MOCA) organiseert een aantal keer per jaar een informatieavond over verschillende thema’s. U bent van harte welkom. Info en inschrijven tel. 03 821 52 34 www.uza.be/kankeractiviteiten

Blaaskanker

Datum do. 6 oktober 2015 Uur 19:00

Locatie UZA Auditorium Kinsbergen (route 12) Seksualiteit en intimiteit bij kanker

Datum di. 27 oktober 2015 Uur 19:00

Locatie UZA Auditorium Kinsbergen (route 12)

Vermoeidheid

Data ma. 12 oktober en do. 12 november 2015 Uur 18:15 – 21:00

Locatie Zorghotel Drie Eiken (naast het UZA)

Omgaan met stress en angst

Data ma. 7 december 2015 Uur 19:00 – 21:00

Locatie UZA Auditorium Kinsbergen (route 12)

GROEPSSESSIES

VOOR KINDEREN VAN (GROOT) OUDERS MET KANKER

Speciaal voor (klein)kinderen van kankerpatiënten organiseren de UZA-psychologen sessies in groep om hen te helpen de ziekte

te verwerken. Wat 4 sessies op woensdag namiddag vanaf dit najaar Aantal deelnemers 4 tot 8 Doelgroep kinderen van 6 tot 12 jaar wiens (groot)ouder wegens kanker behandeld wordt in het UZA. Info en inschrijven deelname is gratis. Silvia.peeters@uza.be, tel. 03 821 56 31, www.uza.be/groepssessieskids

LOOK GOOD, FEEL BETTER Workshop schoonheidsverzorging van Kom op tegen Kanker om de nevenwerkingen van een kanker behandeling te maskeren en het gelaat te verzorgen. Data di. 27 oktober en woe. 9 december 2015 Uur 12:00 – 16:00

WERELDBEROERTEDAG

Informatiedag over beroerte. Infostand over symptomen, risicofactoren en aanpak. Laat uw risico factoren zoals bloeddruk, bloedsuikerwaarde en overgewicht testen! Data do. 29 oktober 2015 Uur 9:00 – 17:00 Locatie UZA inkomhal Info www.uza.be/ wereldberoertedag

(met broodjeslunch)

Locatie UZA VIP-restaurant Info en inschrijven tel. 03 821 44 58 www.uza.be/kankeractiviteiten

DAG TEGEN KANKER 2015

Om patiënten met kanker te steunen organiseren UZA en Kom op tegen Kanker een kookwork shop met Hanne & Jaro (mijn Pop-uprestaurant) en tv-chefkok Jeroen De Pauw. Kinderen met kanker kunnen cupcakes maken samen met Sarah van Ketnet. Datum do 15 oktober 2015 Uur 11:00 – 15:00

Locatie Drie Eiken, gelegen naast het UZA. Info en inschrijven www.uza.be/dagtegenkanker tel. 03 821 53 28

38 UZA AGENDA
1 2
3 4

‘Vrijwilliger worden in het UZA is een van de beste beslissingen die ik de laatste jaren heb genomen’, vindt Nine. Net als Leo begeleidt ze minder mobiele patiënten

van hun kamer naar de therapieruimte en terug. En dat schenkt veel voldoening.

‘Je voelt je heel erg gewaardeerd’

Vrijwilligers in het UZA

Het UZA werkt al lan ger met vrijwilligers aan het onthaal en op de afdelingen, voor een babbel of wandeling met de patiënten. Sinds vorig jaar zetten we ook vrijwilligers in om patiënten te begeleiden van en naar de fysio- of de ergotherapie, of naar de afdeling oogheelkunde. ‘We krijgen een oproep op onze gsm met een kamernummer en de naam van een patiënt. Wij gaan die patiënt dan ophalen en brengen hem naar zijn afspraak’, legt Leo Bruyninckx (57) uit. ‘Meestal zitten de patiënten in een rolstoel, soms ook helpen we een bed verrollen.’

Gezond moe ‘Sinds twee jaar ben ik met brugpensioen’, zegt Leo. ‘Omdat

ik niet stil wou blijven zitten, ben ik op zoek gegaan naar vrijwilli gerswerk. Als diabetespatiënt kom ik regelmatig op controle in het UZA. Zo kwam ik te weten dat het ziekenhuis vrijwilligers zocht voor de dienst intern transport. Een functie waarin je heel wat kilo meters aflegt – dinsdag nog heb ik 20 km gewandeld. Dat komt mij als diabetespatiënt goed uit: bewegen helpt om je bloedsuikerwaarden op peil te houden. Ik doe dit vrijwilli gerswerk heel graag. Wat me vooral voldoening geeft, zijn de gesprek ken met de patiënten. Ze hebben vaak behoefte aan een babbel. Het werk zelf valt niet te onderschatten, maar ik kom altijd heel ontspan nen en gezond moe thuis. Ik voel me veel beter in mijn vel nu dan toen ik nog gewoon thuis zat.’

Opengebloeid

Ook Nine Camps (53) ziet alleen maar voordelen aan het vrijwilli gerswerk. ‘Vroeger was ik actief in de naschoolse opvang’, vertelt ze. ‘Later ben ik thuis gebleven om voor mijn kleinkind te zorgen. Maar na een tijdje miste ik de collega’s. Een vrien din die in het UZA werkt, stelde me voor vrijwilliger te worden. Zo ben ik hier terechtgekomen. Net als Leo engageer ik me twee dagen per week van negen tot drie. Het werk is vrij

zwaar – ik heb echt bewondering voor de mensen die dit elke dag doen – maar ik haal er veel voldoe ning uit. Vrijwilliger worden in het UZA is een van de beste beslissingen die ik de laatste jaren heb genomen. Ik ben helemaal opengebloeid, voel me weer gewaardeerd en opge nomen in een gemeenschap. Na verloop van tijd bouw je een hechte band op met de patiënten en het personeel. Ik hoop dat ik dit nog heel lang kan blijven doen.’ 

Wordt u ook vrijwilliger?

Bent u een enthousiaste, positief ingestelde persoon in goede conditie en wilt u graag vrijwilliger worden, op de afdeling intern patiëntentransport of elders? Neem dan contact op met Nora Lens, T 03 821 40 11 of nora.lens@uza.be.

39 ZORG

Neem de vacatuza mee

en ontdek het overzicht aan jobs bij het UZA voor artsen, paramedici, verpleegkundigen, administratieve en technische profielen.

ook naar www.uzatrektaan.be

surf

Nuttige telefoonnummers

• algemeen nummer UZA: T 03 821 30 00

• onthaal en opname: T 03 821 31 01

• patiëntenbegeleiding: T 03 821 37 00 (maatschappelijk werk, vrijwilligers, intercultureel bemiddelaar, transfercoördinator, levensbeschouwelijke begeleiding, tolken en tolken Vlaamse gebarentaal)

• ombudsdienst: T 03 821 31 60

• inlichtingen facturen: T 03 821 31 28

• mobiele medische urgentiegroep: T 03 821 38 06

• school in het UZA: T 03 821 58 86

Herstellen in zorghotel Drie Eiken

Na een operatie kunt u verder aansterken in zorghotel Drie Eiken, een comfortabel verblijf met professionele zorgvoorziening. Ook familie en vrienden kunnen er terecht voor overnachting vlakbij het UZA. Meer info en reservaties: www.drie-eiken.com, T 03 821 12 11

Gastenkamers Ter Weyde

Wilt u in de buurt van het ziekenhuis overnachten, dan kunt u terecht in onthaaltehuis Ter Weyde. Vrijwilligers bieden er een eenvoudig maar warm onthaal aan een billijke prijs. Ter Weyde bevindt zich op 200 meter van het UZA (Edegemsesteenweg 240, 2610 Wilrijk). Voor meer info: T 03 440 48 18.

Winkelgalerij

In de inkomhal vindt u:

• de cafetaria, in de week open van 8.30 tot 20 uur; in het weekend en op feestdagen van 12 tot 20 uur

• een broodjeszaak, in de week open van 9 tot 14.30 uur

• een winkel Momen’to Shop Delhaize met een ruim aanbod verse voe ding, drank, lectuur, geschenkartikelen … Open op weekdagen van 8.30 tot 20 uur. In het weekend en op feestdagen van 12 tot 17.15 uur.

• een bloemen- en pralinewinkel ‘Gift Shop’, open van maandag tot en met vrijdag van 11 tot 19:30 uur. In het weekend en op feestdagen gesloten.

• een bankautomaat

Restaurant

Het restaurant vindt u op -1 op het einde van de bezoekersgang. Het is elke werkdag open van 12 tot 14 uur.

Meer info: www.uza.be

Abonnement

Wenst u een gratis abonnement op Maguza, wilt u een adreswijziging doorgeven of wilt u het magazine niet langer ontvangen? Bel 03 821 32 96 of stuur uw naam en adres naar UZA, afdeling communicatie, Wilrijkstraat 10, 2650 Edegem, of surf naar www.maguza.be/abonnement. U kunt hier ook inschrijven op de gratis digitale nieuwsbrief van Maguza.

De eerste schreeuw

Elke bevalling is een onvergetelijk moment. Gynaecoloog Yves Leroy ziet bijna dagelijks baby’s geboren worden, maar sommige bevallingen blijven ook hem lang bij.

‘Een bevalling hoort een blijde gebeurtenis te zijn, de bekro ning van een spannende tijd van hoop en verwachting. De fysieke inspanning is enorm en de emoties lopen soms hoog op. Het moment dat de baby zijn eerste schreeuw laat, is onvergetelijk. Samen met de pijn verdwijnen de zorgen als sneeuw voor de zon.

Maar soms loopt het anders. Een tijd geleden werd ik naar de spoedafdeling geroepen bij een koppel, 35 weken zwanger van hun eerste kindje. De toekomstige mama voelde het kindje niet meer bewegen. Op de echografie kon ik alleen vaststellen dat het overleden was. Het ongeloof en het verdriet waren enorm. Enkele dagen later was ik bij de bevalling. Op het moment dat het kind ter wereld kwam, kon je een speld horen vallen. Zo stil was het. Het koppel kreeg zijn overleden kindje in de armen om te koesteren. Er zat een vaste knoop in de navelstreng: een zeldzame maar onverbiddelijke complicatie die het leven kan kosten aan een perfect normaal kindje.

Smits, Kris Thieren, Paul Van Aken, Miranda Van De Wiele · Redactie & realisatie: Jansen & Janssen Creative Content, www.jaja.be · Fotografie: Frank Bahnmuller, shutterstock.com, photocase. com · Illustratie p. 14-16: Frederik van den Stock · Kruiswoordraadsel: Freddy Roegiest · Reclameregie: Media Surplus, www.media-surplus.be · De inhoud van de advertenties valt niet onder de redactionele verantwoordelijkheid van het UZA. Maguza wordt gedrukt op FSC-papier, afkomstig van duurzaam beheerde bossen.

Een jaar nadien was het koppel opnieuw zwanger. De roze wolk was deze keer ver te zoeken. De ongerustheid was er dag na dag. Na een vlot verlopen zwangerschap werd de bevalling ingeleid. De mama ging voluit tijdens het persen, goed bijgestaan door een zeer ongeruste papa. Traagjes werd het hoofdje geboren. De baby was er. Eindelijk. Wat mij altijd zal bijblijven is de ontlading, de opluchting en de vreugde bij de ouders toen het kindje zijn eerste schreeuw liet. En de tranen bij de papa, die zo lang op zich hadden

…’

41 ONVERGETELIJK UZA PRAKTISCH
laten wachten Colofon Maguza · driemaandelijks tijdschrift van het Universitair Ziekenhuis Antwerpen · jaargang 27, oktober 2015 · Redactieadres: UZA, afdeling Communicatie, Wilrijkstraat 10, 2650 Edegem, communicatie@uza.be · Verantwoordelijke uitgever: Johnny Van der Straeten · Eindredacteur: Kris Thieren · Redactieraad: Bettina Blaumeiser, Patrick Cras, Annick Deckers, Anneleen De Vos, Jonas De Wolf, Marc Peeters, Ann Segers, Bharati Shivalkar, Elke

Puzzel & win!

Horizontaal

kindertanden – totale afwezigheid van zuurstoftoevoer naar de weefsels 2. Amerikaanse universiteit – loofboom – telwoord 3. senior – Braziliaanse stad – knaagdier – Calvin Klein –met dank 4. heilig sacrament – Indonesisch eiland 5. bijbelse hogepriester – niet meer willen hebben 6. afval van riet – besmet met het aidsvirus 7. schors – reeks – achter – titanium

8. idem – ajuin – Nederlandse emissierichtlijn –helium – judograad 9. gelofte – niet parkeren – moed – strand (Fr.) 10. sluw – publiciteit 11. bloedaandrang – vochtdoorlatend – rechtbank 12. gezichtsorgaan – mastbalk – laatste strofe in een Franse ballade – uitroep van schrik 13. lagere school – binnen – reeds – garenoogje 14. braakliggende akker – overdreven – grote menigte 15. clown – autostrades – United Press 16. blaasgezwel – ontsteking van de maagwand

Verticaal

1. infectievrees – karteldarm 2. Engelse graaf – wanhopig – actinium 3. laatstleden – een beetje – voorwerp – sec 4. manspersoon – Trade Union – soortelijk gewicht – ingenieur 5. Egyptische godin – specialist voor inwendige ziekten 6. struisvogel – loofboom – stad in Italië – een zekere 7. bijzonder onderwijs – Romeinse huisgoden –gigaton – Oudnoorse godheid 8. Europeaan – riviervis – dun – lange golf 9. hevig zweten – Trans World Airlines 10. bruto – gesloten – ferrum – dierlijk voedsel 11. astronomische eenheid – woud – hoogtepunt –genietroepen 12. middel om van het roken af te komen 13. Grieks eiland – vernis – maand 14. xenon – Nederlands Normalisatie-Instituut –dijk – ijzergrond 15. honingbij – pronkkastje – vlaag 16. stof die door de hersenen wordt afgescheiden en een pijnstillende werking heeft – bovenarmspier

Doe mee en win!

Heb je het letterwoord ontdekt? Mail het dan voor 10 november 2015 met je naam en adres naar maguza@uza.be of stuur een briefkaart naar Maguza, UZA – Afdeling communicatie, Wilrijkstraat 10, 2650 Edegem en maak kans op één van de vijf cadeaubonnen van Oxfam t.w.v. 15 euro.

Oplossing maguza 101

SLAGADER

De winnaars zijn: Chantal De Winter, Vremde; JeanMarie Guiette, Aartselaar; Luc Leenaerts, Hove; Nicole Vanderputte, Oostende; Maria Francken, Wuustwezel.

42 KRUISWOORDRAADSEL
1 2 3 4 5 6 7 8 9 10 11 12 13 14 15 16 1 8 2 3 4 6 7 2 5 6 5 7 8 9 10 10 3 11 12 1 13 14 4 15 9 16 1 2 3 4 5 6 7 8 9 10 11 12 13 14 15 16 1 S P A S M O G E E N + D O N O R 2 T A C T + T I C + O O S T + P E 3 R A + A P O T H E E K + T E A K 4 U L K + A S + O S + S H O T + V 5 M + L U N C H + P L A Y + U R E 6 A N A B I O S E + T A P B I E R 7 + O M + E P + B H + L E O + K B 8 T G + S K I P + Y D + R A D J A 9 H A R K + E I N D S O M + R E N 10 I + U I T + E E R + M E N U + D 11 A K S + H O M E O P A T H I E + 12 M I + M O D E + P I + R + L E B 13 I M M E R + L O S + R O B + G O 14 N + E D A M + E + G E P R A A T 15 E R G O + A D I E U + I O N + O 16 + M A C U L A + A P P E N D I X 1 2 3 4 5 6 7 8 9 10 1 2 5 4 3 6 7 8
1.

Landelijke Thuiszorg

helpt met een waaier van diensten

Bij Landelijke Thuiszorg vinden wij zorgen voor jou de normaalste zaak van de wereld. Je bent jong of oud, samen of alleen? We komen bij je thuis op die momenten waar extra hulp meer dan welkom is : een geboorte, ziekte, handicap, ouderdom of moeilijke omstandigheden. Onze medewerkers zijn deskundig opgeleid en helpen je met plezier én op jouw maat.

❙ gezinszorg ❙ kraamzorg ❙ poetshulp ❙ groen- en klusjesdienst ❙ woningaanpassing ❙ gastopvang ❙ dagopvang

bel GRATIS 0800 112 05

thuiszorg@ons.be www.landelijkethuiszorg.be

Katty Allaert werkt al 20 jaar als journalist op de vrt-nieuwsdienst. Voor Het Journaal maakt ze reportages over gezondheid. Ze schreef mee aan een boek over allergieën en werkt nu aan een boek over rugpijn. Ze is geboeid door alle mooie dingen in het leven.

Alles met mate …

Twee bruine boterhammetjes, eentje met kaas, het andere met confituur. Zo lang ik hem kende, was dat zijn avondmaal. ’s Avonds at hij nog een stukje chocolade, een rechthoekige brok fondant met hazelnoten, de echte chocolade, met de olifant Met een glaasje Elixir d’Anvers erbij – een kleintje – en geen twee of drie. Hij zette zijn dagelijkse proviand ruim op tijd klaar op zijn tafeltje, voor de televisieavond begon. Zo leefde mijn opa, en zo is hij 95 geworden. Twee oorlogen had hij overleefd: honger, kou en ratten in bed. Ook de komst van de koelkast had hij meegemaakt, de telefoon, de auto, de televisie, de gsm en de magnetron. En de overvloed aan eten die er was gekomen: conserven, groenten in bokaaltjes, tropische vruchten, snoep, diepvriesgroenten, ijs, chips. Hij liet zich niet verleiden en bleef gedoseerd eten en drinken. Nooit dronken, geen overgewicht, zelden ziek. En precies omdat hij de kunst verstond om met mate te genieten, kon hij dat ook blijven doen tot hij 95 werd. Hij zou stilzwijgend het hoofd hebben geschud als hij zag hoe we nu schran sen. De gigantische porties friet, mayonaise, stoofvlees, hamburgers, ijs, wafels en vettigheid die mensen in één maaltijd naar binnen werken. Maar even verbaasd was hij geweest bij het zien van de gezondheidsgoeroes met hun doorgedreven detoxprogramma’s voor een gezond leven vol energie. Geen zuivel, geen witte suiker, geen thee, geen koffie, geen alcohol, geen vers brood, geen confituur, geen steenvruchten, geen krabsalade, geen koekje. GEEN dus en vooral niet meer genieten van een glas wijn of een stukje kaas. Door de ogen van mijn opa zie ik hoe we ons gezond verstand verliezen als het over voedsel gaat. Wat is er mis met een boterham met kaas of confituur ? Met een glas wijn? Zo veel mensen hebben een moeizame relatie met eten. De meerderheid eet te veel, te vet, te zoet. Maar ik voel me even ongemakkelijk bij het andere uiterste. Bij mensen die zich fanatiek alles onthouden om gezond te blijven. Waarom is het zo moeilijk geworden om matig om te gaan met alles wat lekker, gezond en smaakvol is? Twee boterhammetjes, no more, no less. En daarna een brokje chocolade met een glaasje likeur. Zo moeilijk kan dat toch niet zijn …

43 COLUMN KATTY ALLAERT

Donderslag bij heldere hemel

Yücel (45) uit Vlissingen kroop in juni 2015 door het oog van de naald toen hij hals over kop in het UZA moest worden geopereerd aan een aortaverwijding.

‘Het voelt als een tweede kans.’

Wat vage pijn op de borst, meer klachten had Yücel niet. De echo van zijn hart in het ziekenhuis in Vlissingen was dan ook een donderslag bij heldere hemel. Zijn aorta bleek bij de aansluiting met het hart uitgezet tot een diameter van liefst 8,5 centimeter. Een tikkende tijdbom: bij een aortaverwijding van die omvang is de kans op een fatale bloeding immers groot. ‘De dokter vermoedde zelfs een scheur en liet me onmiddellijk met de ambulance naar het UZA brengen. Mijn wereld stortte in. Het leek alsof ik in een zwart gat viel waar ik nooit meer uit zou komen.

In het UZA was er van een scheur gelukkig geen sprake. De volgende ochtend werd ik geopereerd. Tijdens een urenlange operatie

heeft dr. Dina De Bock het aangetaste stuk van de aorta en de hartklep, die mee beschadigd was, vervangen. In totaal heb ik tien dagen in het UZA gelegen. Dankzij de goede zorg van de verpleegkundigen op intensieve zorg en de afdeling cardiochirurgie heb ik weinig pijn gehad. En dr. De Bock stond regelmatig aan mijn bed om uitleg te geven, dat was geruststellend. Ook de kinesitherapeuten hebben mij heel goed begeleid.

Erfelijk?

Ik had ook al vrij snel contact met prof. Bart Loeys van de cardiogeneticakliniek. Er is namelijk een behoorlijke kans dat mijn aandoening erfelijk is. Mijn vader is immers om dezelfde reden geopereerd toen hij 55

was. Ik had altijd in mijn achterhoofd dat ik het ook kon krijgen, maar dat me dat al zo jong zou overkomen, had ik niet verwacht. Momenteel loopt er een genetisch onderzoek en daar ben ik best wel mee bezig. Als het inderdaad om een erfelijke kwaal gaat, lopen mijn kinderen immers ook risico. Intussen ben ik nog aan het revalideren, maar binnenkort kan ik weer deeltijds aan het werk. Mijn aandoening heeft wel wat gevolgen: ik zal blijvend medicatie moeten nemen en gezonder moeten gaan eten. Voor mij geen fastfood meer. Sporten deed ik gelukkig al veel. Eigenlijk voelt dit als een tweede kans. Je denkt altijd dat er jou niets kan overkomen, en dan maak je zoiets ingrijpends mee. Dus reken maar dat ik die gezondheidsadviezen ter harte neem.’ 

Oproep Hebt u ook iets bijzonders meegemaakt in het UZA? Laat het ons weten via maguza@uza.be

44 GEHOLPEN

Turn static files into dynamic content formats.

Create a flipbook
Issuu converts static files into: digital portfolios, online yearbooks, online catalogs, digital photo albums and more. Sign up and create your flipbook.