Skip to main content

Industria Acuícola Edición 14.6

Page 1


EVALUACIÓN DE UNA DIETA FUNCIONAL COMERCIAL EN CAMARONES BLANCOS JUVENILES DEL PACÍFICO INFECTADOS CON AHPND.

14 No. 6 Septiembre 2018 www.industriaacuicola.com ESTRATEGIAS BÁSICAS PARA EL DESARROLLO DE LA PISCICULTURA MARINA Y ESTUARINA EN EL CARIBE. ALGAS MARINAS: EL SUPERALIMENTO QUE PODRÍA AYUDAR A COMBATIR EL CAMBIO CLIMÁTICO. ÚLTIMOS AVANCES EN TECNOLOGÍAS DE CONGELACIÓN DE ALIMENTOS

06 EVALUACIÓN DE UNA DIETA FUNCIONAL COMERCIAL EN CAMARONES BLANCOS JUVENILES DEL PACÍFICO INFECTADOS CON AHPND.

INFORME DE CASO CLÍNICO: BROTE DE EMS/ AHPND EN AMÉRICA LATINA.

ESTRATEGIAS BÁSICAS PARA EL DESARROLLO DE LA PISCICULTURA MARINA Y ESTUARINA EN EL CARIBE.

DECLARAR LA GRAN RESERVA DE LA BIOSFERA MAR DE CÓRTES Y PACÍFICO COMO ÁREA NATURAL PROTEGIDA, TRAERÍA UN COLAPSO SOCIAL Y ECONÓMICO EN LA REGIÓN.

SE VA A REFUNDAR LA PESCA EN EL PAÍS CON AMLO, ASEGURA RAÚL ELENES ANGULO, PRÓXIMO COMISIONADO NACIONAL DE PESCA.

ALGAS MARINAS: EL SUPERALIMENTO QUE PODRÍA AYUDAR A COMBATIR EL CAMBIO CLIMÁTICO.

LA PROMESA NO CUMPLIDA DE PCR AL BORDE DE LOS ESTANQUES.

ÚLTIMOS AVANCES EN TECNOLOGÍAS DE CONGELACIÓN DE ALIMENTOS

CÓMO EMPEZAR UN CRIADERO DE PECES

-Noticias Nacionales -Noticias Internacionales -Humor -Congresos y Eventos -Receta

Editorial

NUEVOS AIRES PARA LA ACUACULTURA Y PESCA EN MÉXICO.

En este sexenio que está por finalizar, la industria acuícola y pesquera en México concluye con protestas a nivel nacional por parte de los pescadores de altamar ante la amenaza del decreto del Golfo de California como Área Natural Protegida, en la modalidad de Reserva de la Biósfera, situación que de llevarse a cabo, colapsaría la pesca de altamar en esta basta e importante área geográfica. De manera general, pareciera que la propuesta de decreto previamente señalada no se vincula con la industria acuícola, sin embargo, hay que recordar que en el Golfo de California existen importantes esfuerzos de piscicultura marina o maricultura, por lo que es muy probable que dichas actividades pudieran verse afectadas de algún modo con ese proyecto de decreto. Si bien es cierto que una de las prioridades de todos los mexicanos debe ser el cuidado y respeto del medio ambiente, también es cierto que debemos buscar un equilibrio, un punto medio donde se garantice la subsistencia de nuestros pescadores y acuacultores del país y no pretender desaparecer o afectar de golpe las actividades de sectores económicos tan importantes como lo son la acuacultura y la pesca. Las problemáticas que aquejan en México, sin duda, son muy variadas y complejas, pero a la vez existen puntos donde dichas problemáticas son muy similares para ambos sectores, por ejemplo: altos costos de los energéticos, insuficientes programas de investigación científica, falta de planes de ordenamiento, concentración en pocas especies objetivo y deficientes programas de inspección y vigilancia, entre otros. Es preciso señalar que resulta motivador para la industria acuícola y pesquera, las nuevas directrices que viene proponiendo la nueva administración federal, ya que se habla de cambios para “refundar la pesca nacional” y de manera general se propone que “la acuacultura y la pesca ya no será considerada sólo una actividad económica, sino también uno de los motores para garantizar la seguridad alimentaria del país”.

Bajo todo este escenario propuesto, la Revista Industria Acuícola seguirá apoyando desde su trinchera a nuestros Acuacultores y Pescadores del país, difundiendo información veraz y oportuna para fortalecer el desarrollo de sus actividades productivas. Sin duda, se vislumbran nuevos aires para estas actividades, esperamos que la nueva política sea un parteaguas y lleve sus beneficios a todos los rincones de la República Mexicana. Confiamos en que prevalecerán los criterios técnicos y científicos sobre los políticos para la toma de decisiones; urge organizar mesas redondas y foros con líderes del sector para pulir y delinear los nuevos planes que se habrán de llevar a cabo en los próximos seis años. Resulta imperativo impulsar estas actividades bajo un enfoque de producción sustentable, para lo cual se requiere reformar la Ley General de Pesca y Acuacultura Sustentable y su respectivo Reglamento, para alinearla con las políticas internacionales en materia de pesca y acuacultura responsable que promueve la FAO. Una de las materias pendientes en la que las autoridades han quedado mucho a deber, es en la “Transparencia para la Asignación de Permisos, Concesiones y Subsidios destinados a la Acuacultura y Pesca”, por lo que sería recomendable que durante esta nueva administración federal se logren importantes avances en esta materia, para darle certeza a la inversión privada y garantizar la aplicación oportuna de los recursos públicos. Finalmente, se estima que el éxito que alcanzará la acuacultura y la pesca en los próximos años, dependerá del nivel de participación de los productores en la toma de decisiones a favor del sector en coordinación con los tres niveles de gobierno, buscando la participación de universidades, centros de investigación, instituciones financieras, organizaciones no gubernamentales, iniciativa privada y la sociedad civil en general.

DIRECTORIO

DIRECTOR

Daniel Reyes Lucero daniel.reyes@industriaacuicola.com

ARTE Y DISEÑO

LDG. Verónica Analy Medina Vázquez areacreativa@industriaacuicola.com

VENTAS

Verónica Sánchez Díaz ventas@industriaacuicola.com

SUSCRIPCIONES

Jannet Aguilar Cobarruvias suscripciones@industriaacuicola.com

REPORTAJES

Virginia Ibarra Rojas atencionclientes@industriaacuicola.com

CONTABILIDAD Y FINANZAS

C.P. Alejandrina Zavala Osuna administracion@industriaacuicola.com

COLABORADORES

Mtro. En Ciencias Marinas Jesús Alfredo Gutierrez Barreras

PhD. Ricardo Sánchez Díaz

COMENTARIOS Y SUGERENCIAS daniel.reyes@industriaacuicola.com

OFICINAS

MATRIZ

Av. Carlos Canseco No. 6081-1 Mediterraneo Club Residencial C.P. 82113 Mazatlán, Sinaloa. Tel/Fax (669) 981-8571

SUCURSAL

Coahuila No. 155-A Norte Col. Centro C.P. 85000 Cd. Obregón, Sonora, México Tel/Fax (644) 413-7374

INDUSTRIA ACUICOLA, Año 14, No. 6 - Septiembre 2018, es una publicación bimestral editada por Aqua Negocios, S.A. de C.V. Av. Carlos Canseco No. 6081-1 Mediterraneo Club Residencial Mazatlán, Sinaloa. C.P. 82113. Teléfono (669) 981 85 71 www.industriaacuicola.com editor responsable: Manuel de Jesús Reyes Fierro manuel.reyes@industriaacuicola.com Número de Certificado de Reserva otorgado por el Instituto Nacional del Derecho de Autor: 04-2012-051010450800-102. Número de Certificado de Licitud de Contenido: 11574 y número de Certificado de Licitud de Título: 14001, emitidos por la Comisión Calificada de publicaciones y Revistas Ilustradas de la Secretaría de Gobernación. Registro Postal PP25-0003. Permiso SEPOMEX No. PP25-0003, Impresión Celsa Impresos, Cuencamé 108, 4a Etapa Parque Industrial Lagunero Gómez Palacio, Dgo. 35070 México. www.celsaimpresos.com.mx La publicidad y promociones de las marcas aquí anunciadas son responsabilidad de las propias empresas. La información, opinión y análisis de los artículos contenidos en esta publicación son responsabilidad de los autores y no refleja, necesariamente, el criterio de esta editorial. Queda estrictamente prohibida la reproducción total o parcial de los contenidos e imágenes de la publicación sin previa autorización.

Potencia tu alimento acuícola también.

DESCUBRE EL PROGRAMA DE SALUD ACUICOLA DE NUTRIAD

El equipo de acuicultura de Nutriad trabaja en conjunto con investigadores y productores de todo el mundo para desarrollar una innovadora gama de promotores de salud y optimizar su aplicación bajo las difíciles condiciones actuales de producción. Basado en ingredientes naturales, estos aditivos especiales reducen el impacto de enfermedades y parásitos sobre la productividad de peces y camarones. Desarrollado y comprobado científicamente con actividades antibacterianas y antiparasitarias, inmuno-moduladores, hepato-protectores, así como novedosos modos de acción como inhibición del Quorum Sensing. Hoy, nuestras lineas especificas de productos para acuicultura SANACORE®, APEX®, AQUASTIM® y BACTI-NIL®, se aplican en marcas premium de alimentos funcionales para peces y camarones. El alimento es mucho más que solo nutrición.

¿Esta usted interesado? Encuentre a su contacto local en nutriad.com

E valuación de una dieta funcional comercial en camarones blancos juveniles del Pacífico infectados con AHPND

Los resultados muestran una reducción en la bacteria Vibrio, y una mejor supervivencia

El estudio mostró que la dieta funcional de Lorica redujo la bacteria Vibrio in vitro y promovió la supervivencia del camarón juvenil, y puede ser una alternativa válida a los antibióticos.

El desarrollo sostenible de la acuacultura requiere estrategias de prevención de enfermedades. En los últimos veinte años, la industria mundial del camarón ha sufrido grandes pérdidas económicas debido a enfermedades virales, bacterianas y fúngicas causadas por patógenos como el virus de la enfermedad de la mancha blanca (WSSV), el virus del síndrome de Taura (TSV), Vibrio parahaemolyticus y Vibrio harveyi. Comprender la interacción de la inmunidad del camarón, la dieta y el medio ambiente es fundamental para la implementación exitosa de estrategias para disminuir el efecto de estos patógenos.

Comenzando aproximadamente en 2009, una nueva enfermedad emergente llamada Síndrome de Mortalidad Temprana (EMS) más descriptivamente llamada Enfermedad de Necrosis Hepatopancreática Aguda o AHPND comenzó a causar importantes pérdidas de producción en el sur de China. Como ha sido el caso con otras enfermedades epizoóticas del camarón, el EMS estaba causando graves pérdidas de producción en

las áreas afectadas y también está afectando el empleo, el bienestar social y los mercados internacionales.

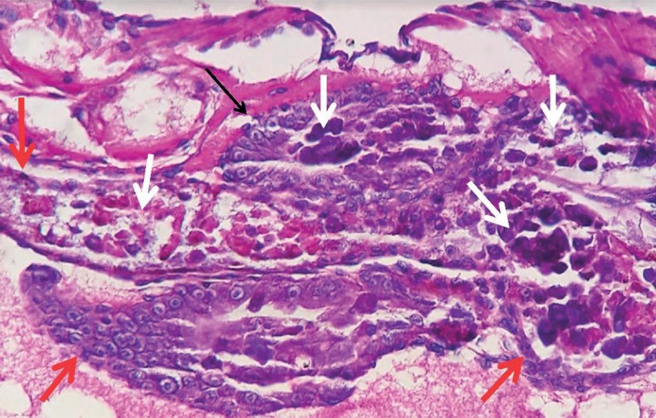
En la Fig. 1 se puede ver un ejemplo de la patología típica del hepatopáncreas del camarón infectado con AHPND.

Fig. 1: Imágenes de hepatopáncreas de L. vannamei que muestran las variaciones morfológicas del tejido características de la patología AHPND. (A) Histomorfología del camarón no infectado que muestra túbulos de hepatopáncreas normales (HP) con distintas células R- (resorción), B- (tipo ampolla), F- (fibrilar) y E (embrionarias). (B) Histopatología de HP, que muestra lesiones típicas de AHPND: degeneración progresiva de las células epiteliales de túbulos del

HP, acompañada de una disminución de las células R, B y F seguida de una marcada reducción de la actividad mitótica en células y E inter-tubulares con infiltración hemocítica (flechas); (C) desprendimiento necrótico (SL) de las células epiteliales del túbulo HP en los lúmenes y los restos de túbulos HP rodeados por infiltrados hemocíticos. Este último no tiene células R, B o F y algunas células epiteliales presentan una cariargalia prominente (núcleos agrandados). Las secciones histológicas se tiñeron

Configuración experimental

El Skretting Aquaculture Research Center (ARC) llevó a cabo una serie de experimentos para investigar si su

dieta funcional Lorica podría reducir la mortalidad asociada con la enfermedad. Estos experimentos incluyeron ensayos in vitro, in vivo y también de campo. Los ingredientes funcionales candidatos se examinaron in vitro para actividad antibacteriana contra V. parahaemolyticus y V. harveyi. Después de que se identifi caron los ingredientes potenciales, tanto los ingredientes singulares como sus combinaciones se probaron in vivo en el Laboratorio de Patología Acuícola de la Universidad de Arizona (Tucson, Arizona, EE. UU.) a un protocolo estandarizado.

Los tanques por triplicado de camarones de 1 gramo fueron alimentados con dietas basadas en el control (sin incluir los ingredientes funcionales) o las dietas funcionales durante un período de 21 días antes de la prueba con el V. parahaemolyticus causante de AHPND. El desafío fue o por vía oral, por impregnación del alimento o por inmersión donde se agregaba una suspensión bacteriana directamente al tanque que contenía el camarón.

Resultados

Los resultados mostraron una mortalidad del 96 por ciento en el grupo alimentado con el control, mientras que en el grupo alimentado con los ingredientes funcionales de Lorica la mortalidad fue aproximadamente del 50 por ciento. Esto representa un porcentaje relativo de aumento de la supervivencia del 48 por ciento (Fig. 2). Tenga en cuenta que hubo mortalidad en el grupo de alimentado con Lorica, por lo que está claro que todos los animales en todos los tanques estaban infectados, lo que se confirmó por la puntuación histológica del hepatopáncreas (HP). Con el fin de confirmar si los resultados eran reproducibles, se realizó

una prueba independiente en AquaMekong ShrimpVet Lab en Vietnam en condiciones de prueba similares (21 días antes del desafío; control y dieta funcional: 4 tanques replicados por grupo de tratamiento). Estos resultados mostraron que la mortalidad media para Lorica alcanzó un máximo del 46 por ciento, mientras que el control alcanzó una mortalidad media del 70 por ciento, ocho días después de la infección. Esto representa un porcentaje relativo de aumento de la supervivencia del 34 por ciento (Figura 3). Si bien el efecto no fue tan grande como el observado en la Universidad de Arizona, sí redujo la mortalidad, y de nuevo la curva de supervivencia muestra una cierta mortalidad que se estabiliza, por lo que sabíamos que la dieta era efectiva para detener la enfermedad. La infección se confirmó en este experimento mediante el uso de histología; estos resultados también demostraron que los animales alimentados con Lorica pudieron recuperarse rápidamente después de la infección. En resumen, Lorica no solo protegió a los animales, sino que también los mantuvo durante la infección.

Skretting ARC luego confirmó el protocolo de alimentación apropiado, tanto el período de alimentación antes del desafío como la frecuencia de alimentación óptima. Como los camarones no tienen memoria inmunológica, y el hecho de que la dieta es a la vez bacteriostática y reduce la producción de toxinas, signifi ca que la dieta debe estar presente en el animal para estar activo. Por lo tanto, la frecuencia de alimentación, un mínimo de 4 alimentaciones por día, es necesaria para mantener la efi cacia de la dieta. Durante las pruebas de campo, se observó que el cre-

cimiento óptimo era de seis comidas por día o más. Por lo tanto, nuestra compañía recomienda que el alimento se aplique al menos seis veces al día.

Los resultados de ensayos de campo de Skretting Ecuador mostraron el efecto benefi cioso de las dietas sobre la supervivencia y, posteriormente, la productividad del estanque. Al fi nal del ciclo de producción, en un sistema intensivo (32 por metro cuadrado), se encontró una diferencia de más del 25 por ciento de supervivencia entre el tratamiento Lorica y el control. Cuando el rendimiento se analiza en términos de libras por hectárea por día (Fig. 4), se observa un aumento superior al 60 por ciento como consecuencia de la mayor supervivencia y la mayor tasa de crecimiento (Fig. 5). El crecimiento fue mayor para el grupo de camarones alimentados con Lorica, seguido del alimento con otros aditivos y mayor diferencia con el control.

Perspectivas

Hemos demostrado la efi cacia de la dieta funcional Lorica en ensayos de laboratorio, así como en ensayos de campo. Se ha comprobado que los ingredientes funcionales reducen la bacteria Vibrio in vitro y promueven la supervivencia durante ensayos de desafío in vivo en dos centros de investigación independientes. Los resultados de laboratorio fueron corroborados por ensayos de campo que demostraron que Lorica mejoró tanto la supervivencia como la productividad del estanque. El uso de Lorica es una alternativa válida al uso de antibióticos, particularmente si se considera que estos compuestos no requieren tiempo de retiro antes de la cosecha, ni tampoco causan resistencia en las bacterias patógenas presentes en el sistema de cultivo.

El estudio mostró que la dieta funcional de Lorica redujo la bacteria Vibrio in vitro y promovió la supervivencia del camarón juvenil, y puede ser una alternativa válida a los antibióticos.

Fig. 3: Curso del tiempo de supervivencia del camarón L. vannamei alimentado con la dieta funcional (Lorica) o con una dieta base control, mientras fue desafi ado con V. parahaemolyticus en AquaMekong ShrimpVet Lab.

Fig. 4: Supervivencia de L. vannamei alimentado con una dieta control o dieta de prueba (Lorica) en estanques bajo condiciones comerciales en la provincia de Guayas, Ecuador (octubre de 2016).

Fig. 5: Productividad del estanque (lbs. /ha/día) de L. vannamei alimentado con una dieta de control o dieta de prueba (Lorica) en estanques bajo condiciones comerciales en la provincia de Guayas, Ecuador (octubre de 2016).

REFERENCIA: Global Aquaculture Advocate. Matthew A.G. Owen, Ph.D. Charles McGurk, Ph.D. Polyana F. Silva, Ph.D. Cesar Molina-Poveda, Ph.D.

Informe de caso clínico: Brote de EMS / AHPND en América Latina

Detección temprana, respuesta de emergencia adecuada puede detener

Historia de caso

Este informe de caso clínico ocurrió en una instalación de producción de camarón blanco del Pacífico (Penaeus vannamei ) ubicada en la costa del Pacífico de América Central. El evento de enfermedad aguda fue en uno de cinco tanques de pre-cría de 100 toneladas que se habían sembrado el mismo día de un lote común de postlarvas (PL). La densidad de siembra fue de 1.5 millones de PL/tanque (15 PL/L). PL enfermas y moribundas no se observaron (en ese momento o posteriormente) en los otros cuatro tanques de pre-cría en el edificio cerrado.

Posición relativa de los tanques de pre-cría en el estudio de caso.

El manejo rutinario y diario de los cinco tanques incluyó un flujo de agua continuo con un 10 a 20 por ciento de recambio de agua. Se administró un alimento comercial en migaja importado de

La detección temprana y la respuesta de emergencia apropiada pueden ser efectivas para detener la progresión de una epidemia de AHPND en PL sanas de camarones como estos.

350 micras (tamaño de partícula) cada dos horas a todos los tanques sembrados en el edifi cio. Los fondos de tanques no se inspeccionaban rutinariamente ni se sifoneaban para extraer el sedimento acumulado. Productos probióticos no se usaron en los tanques antes o después del inicio de la enfermedad. No se aplicaron otras medidas rutinarias de manejo químico o biológico en los cinco tanques.

Observaciones clínicas

El inicio de los signos clínicos se produjo en PL16, que fue cuatro días después de que los tanques habían sido sembrados. El día del inicio de la enfermedad, los parámetros de calidad del agua de referencia incluyeron una temperatura del agua 28.7 grados-C, salinidad 29 ppt y oxígeno disuelto (OD) 5.3 mg/L (se utilizó aireación permanente con sopladores). El pH del agua no se midió. La turbidez se consideró alta, pero las mediciones del disco Secchi no se registraron, con abundantes grumos suspendidos de materia orgánica en la columna de agua de los cinco tanques. La turbidez era tal que los fondos del afectado, así como de los otros tanques de pre-cría, no eran visibles cuando los tanques estaban llenos. La mayor parte de las PL16 parecían no afectadas en el tanque. Las PL16 anormales tenían los hepatopáncreas (HP) encogidos y blanquecinos (HP), decoloración corporal blanquecina, intestino vacío, natación superfi cial errática y pérdida del “reflejo de escape.” El diagnóstico presuntivo fue AHPND para la enfermedad y el diagnóstico diferencial presuntivo fue enfermedad de la mancha blanca (WSD) o toxicosis química (por ejemplo, amoníaco). Aproximadamente a las 7 a.m., los técnicos de pre-cría informaron a la gerencia

Camarón afectado PL con tripas vacías y HP pálidos.

que se observaron PL enfermas y moribundas en el tanque 6. Después de la consulta y discusión entre el personal y los gerentes a las 10 a.m., se iniciaron los pasos de intervención abajo:

Pasos de intervención tomados

1. El nivel del agua se bajó en el tanque.

2. El detritus acumulado (que era inusualmente abundante) se sifoneo del tanque 6, se realizó un recambio de agua del 200 por ciento y se rellenó el tanque.

3. Posteriormente, se realizó una reemplazo de agua del 100 por ciento y un sifoneo del fondo para eliminar los detritus, y si se había consumido el alimento previamente administrado, se volvió a aplicar alimento nuevo (40 por ciento de proteína, de alta calidad para PL). Esto se continuó hasta que el tanque de PL se cosechó 5 días después del inicio. A medida que progresó la intervención del tanque, el personal recolectó y conservó muestras de PL moribundas para análisis de PCR e histología.

A las pocas horas de la remediación, la mortalidad de PL disminuyó a menos de la detección por observación visual. El personal no observó más mortalidad de PL al día siguiente o después. Cinco días después del inicio de la enfermedad, se cosecharon los cinco tanques. Las PL en todos los tanques parecían robustas y activas. La supervivencia de la cosecha fue del 70 por ciento para el tanque afectado por AHPND y la supervivencia media ± desviación estándar fue de 83.5 ± 0.027 por ciento para los cuatro tanques de pre-cría no afectados (Fig. 1).

Fig. 1: PL afectadas por AHPND (flechas), hepatopáncreas (HP) pálido, pigmentación reducida, músculo abdominal opaco (no muy claro debido a la cuchara blanca baja – contraste). El recuadro muestra una PL saludable para la comparación.

Fig. 2: Hepatopáncreas (HP), PL moribunda (AHPND aguda). Los túbulos del HP son visibles (flechas rojas) y los cúmulos de células epiteliales del HP desprendidas (fl echas gruesas) son evidentes en la luz de los túbulos. No hay bacterias (células o colonias) o infl amación (infi ltración de hemocitos/ zonas de tejido melanizado) en la sección. H & E, 400X.

Fig. 3: Porcentaje de supervivencia de PL en la cosecha.

Resultados del análisis de laboratorio y discusión

El informe del laboratorio indicó que tanto el PCR AP4 como las pruebas histopatológicas fueron positivas para AHPND. No hubo otros hallazgos de laboratorio signifi cativos.

El Diagrama 1 muestra la disposición física de los ocho tanques en la pre-cría y la ubicación del tanque 6 en relación con los otros tanques. El tanque 6 fue el único tanque impactado por AHPND. Debido a que el AHPND solo comprometió un tanque y no los otros cuatro tanques, que se sembraron y mantuvieron utilizando los Procedimientos de Operación Estándar (SOP) de la instalación, el patrón de ataque reveló que los factores predisponentes que contribuyeron al brote de AHPND en el tanque 6 fueron aislados a un tanque

Además, es improbable que los factores comunes a todos los tanques (calidad del agua entrante, calidad de PL cuando se sembraron los tanques, la calidad de los alimentos aplicados a todos los tanques de PL, etc.) nutrieron la aparición del AHPND, sino más bien el factor iniciador se limitó solo al tanque 6. En nuestra opinión, el factor desencadenante fue la sobre-alimentación accidental la noche previa al inicio del AHPND en el tanque 6. Como uno de nosotros (JAB) y co-autores informaron en 2015, el alimento no consumido fue colonizado por AHPNDVp y en aproximadamente 4 horas de incubación, la alimentación contaminada presentó un riesgo de riesgo significativo (AHPND) para los camarones que ingirieron los alimentos colonizados y contaminados con toxinas Pir A/B. Abajo se enumeran los sustratos que se sabe que soportan el rápido crecimiento y la excreción de las altamente nocivas toxinas Pir A/B por AHPNDVp.

Ejemplos de sustratos que promueven la excreción de AHPNDVp de toxinas Pir A/B

1. Medio de caldo microbiológico denso en nutrientes.

2. Fertilizantes orgánicos, melaza, exceso de alimento de camarón, etc. aplicados antes o después de la siembra del camarón.

3. Alimento de camarón sin consumir y/o los sedimentos ricos en nutrientes en estanques y tanques.

4. Cadáveres de camarones. Además, los datos de la curva de mortalidad respaldan la interpretación de que las toxinas Pir A/B se elaboraron y acumularon en el alimento no consumido y en los sedimentos orgánicos del fondo del tanque. Nuestra hipótesis es que durante la noche las PL ingirieron alimentos no consumidos y/o desperdicios del fondo y al hacerlo, consumieron abundantes bacterias + niveles dañinos de toxinas Pir A/B.

Los genes de la toxina Pir parecen estar regulados positivamente cuando las bacterias toxigénicas Pir A/B encuentran condiciones ambientales y de nutrientes que apoyarán la rápida multiplicación de las bacterias y proporcionan las condiciones adecuadas para la detección del quórum y la producción de toxinas Pir A/B. Enumeramos ejemplos arriba que creemos que son sustratos adecuados que promueven la formación y la excreción de estas toxinas.

Pasos rápidos de respuesta a un brote de AHPND en un tanque de pre-cría de camarones con fondo revestido

1. ¡Esta es una emergencia de salud animal! Una vez reconocida, la respuesta inmediata es esencial.

2. Si es necesario, baje el nivel del agua en el tanque hasta que el fondo del tanque esté claramente visible. Continúe con el reemplazo de agua si el agua entrante no tiene una turbidez significativa.

3. Comience con el sifón para eliminar los restos de detritus y los restos de camarones.

4. Detenga la aplicación de alimento y reduzca la intensidad de aireación para permitir que se asiente el material suspendido. Tan rápido como sea posible, use el sifón en el fondo del tanque para eliminar el detritus acumulado y todos los cadáveres de camarones.

5. Recolecte las muestras de camarón sintomático en un fijador de tejidos apropiado para las pruebas de laboratorio para confirmar o no que la causa es AHPND. Recoja las muestras de camarón de los detritos sifonados. Los cadáveres de camarones se pueden usar como muestras para la prueba de PCR para AHPND.

6. Inspeccione el tanque cada hora y evalúe el estado. Reanude la aplicación de alimento cada hora, pero aplíquelo con cuidado y reduzca la cantidad de alimento si aún hay alimento no consumido en el tanque.

7. Sifonée el fondo del tanque dos veces al día, o con mayor frecuencia si es necesario.

8. Después de tres a cinco días, reanude los SOP estándar para el manejo del tanque de pre-cría.

9. En regiones donde el AHPND es nativo, siempre tenga en cuenta el peligro de acumular detritus en los tanques de pre-cría de camarones y, si no es parte de los SOP de sanitización de tanques, considere una mejora a la

6.

GRACIAS A LA TRANSFORMACIÓN

DIGITAL

PRODUCTIVIDAD Y REDUCCIÓN DE RIESGOS

inspección diaria o más frecuente del fondo del tanque y la extracción con sifón del detritus y sedimentos acumulados.

La ingestión de toxinas Pir A / B causó necrosis y exudado del epitelio del túbulo del hepatopáncreas expuesto. Los desechos celulares proporcionaron un ambiente rico en nutrientes que se combinó con una alta densidad de V. parahaemolyticus y, presumiblemente, otros Vibrio spp., en cascada hacia una enfermedad potencialmente mortal para el camarón envenenado por Pir A / B. Recientemente, se confirmó que un evento grave de enfermedad AHPND con inicio en un criadero en América Latina fue causado por V. owensii utilizando herramientas moleculares (Cuéllar-Anjel, datos no publicados). Históricamente, la prevención de AHPND fue reconocida por productores progresistas en Tailandia y, quizás, en otros lugares desde 2013 hasta 2014. Los productores progresistas abordaron el problema de AHPND lógicamente y a través de prueba y error descubrieron que las pérdidas de AHPND podrían reducirse signifi cativamente o en gran medida a través de ajustes a la alimentación (pequeña cantidad, aplicado cada pocas horas) junto con la remoción diaria o varias veces por día de residuos del fondo de los raceways, tanques o estanques revestidos. Si bien el caso reportado aquí demuestra que la detección temprana y la implementación de la respuesta de emergencia apropiada pueden ser efectivas para detener la progresión de una epidemia de AHPND, los autores enfatizan que la prevención es preferible a la intervención de emergencia en el manejo de la enfermedad.

Perspectivas

Este informe de caso destaca que el control de AHPND se puede lograr en tanques de pre-cría por la acción correctiva rápida (barra lateral 3), cuando el inicio de la enfermedad se reconoce temprano. Para la prevención de AHPND, los autores subrayan la importancia de evitar la sobre-alimentación, y la inspección regular y la eliminación de alimentos no consumidos y otros sedimentos orgánicos suspendidos, de los fondos de tanques o estanques revestidos de pre-cría. El saneamiento del fondo del tanque de pre-cría es una clave para evitar el AHPND en regiones y zonas donde el AHPNDVp es nativo.

FUENTE: Global Aquaculture Advocate. Jorge Cuéllar-Anjel, D.V.M., M.Sc., Cert. Aq. Prof. James A. Brock, D.V.M.

SOFTWARE DE OPTIMIZACIÓN DE PRODUCTIVIDAD

iQuatic™ es el primer software análitico en la industria camaronera que centraliza fuentes múltiples de datos en una plataforma única en la nube

Eficiencia + Productividad

Datos De Calidad Del Agua y Alimentos

DESARROLLO DE LA CONECTIVIDAD DE CAMARONERA

iQuatic™ propone una plataforma para integrar un ecosistema de sensores y equipos inteligentes de terceros

Datos Meteológicos Integrados

de aireadores Alimentadores automáticos

COMO OPERA

Una app móvil de captura de datos que se sincroniza en directo con el tablero de mando de la camaronera en tiempo real para dar perspectivas y previsiones análiticas

RECOPILA ANALIZA DECIDE

COMO LES AYUDARÁ

Perspectivas analíticas para ayudarles a optimizar sus decisiones diarias y estratégicas

Conozca más en www.iquatic.com

Sensores de calidad de agua inalámbricos Control
Tableros De Mando y Gráficas Personalizados
Optimiza Fechas De Cosechas
Impugna Resultados Subóptimos
Mejora Crecimiento Y Conversión
Fig. 4: Mortalidad diaria registrada para el tanque

ESTRATEGIAS BÁSICAS PARA

EL DESARROLLO DE LA PISCICULTURA MARINA Y ESTUARINA EN EL CARIBE.

La producción pesquera mundial se ha estabilizado en las últimas décadas alrededor de 90 millones de toneladas (FAO, 2015), de las cuales aproximadamente una tercera parte se destina a la fabricación de harina y aceite de pescado (FAO, 2014); sin embargo, según Pauly et al. (2002) y Pauly y Watson (2009) las pesquerías tradicionales más importantes han estado disminuyendo en aproximadamente 0.7 millones de toneladas anualmente desde finales de la década de 1980, mientras que la mayor parte de los recursos pesqueros tradicionales se encuentran completamente explotados o sobreexplotados.

Esta disminución ha estado enmascarada por la expansión de las pesquerías hacia el Sur, hacia aguas cada vez más alejadas de las costas y a mayor profundidad y las dirigidas a especies no tradicionales, usualmente de niveles tróficos inferiores en las tramas alimentarias (Pauly y Watson, 2009). En el 2013 la acuicultura mundial sobrepasó la producción total y la de consumo humano de la pesca extractiva (FAO, 2015) y las perspectivas estimadas para el 2030 en las producciones acuícolas (capturas pesqueras y acuicultura) presentan una proyección en que se mantiene en el nivel en que se han estabilizado en relación con las capturas pesqueras, sin embargo, las producciones de la acuicultura casi duplicarán los niveles alcanzados en el 2008, cuya proporción en el consumo humano será casi el doble de la proveniente de las capturas pesqueras (FAO, 2015).

Por lo anterior, la estrategia mundial desde hace muchos años con vistas a continuar incrementando las producciones acuáticas y responder a las demandas crecientes de la población mundial, ha sido la de desarrollar la

acuicultura en agua dulce, salobre y salada, con la aplicación de tecnologías de cultivo (FAO, 2012). Debido a que no hay esperanzas de incrementar las capturas mundiales de peces marinos / estuarinos, es importante tener en cuenta que el cultivo de estas especies es la rama de la acuicultura que más ha crecido en los últimos años, con un valor en 2016 de > US$13 x 109 y la demanda se estima que crecerá un 2% anual durante los próximos años (FAO, 2012, 2017).

Otras razones para ese gran desarrollo son el mayor valor nutricional de los peces marinos, cuyos contenidos de ácidos grados -3: > 4 veces los de peces de agua dulce, además del mayor valor comercial de estas especies respecto a los de agua dulce (US$4.17 vs. US$1.63 según FAO, 2015). En América Latina y el Caribe, la situación pesquera es similar, con una tendencia a la disminución en las capturas pesqueras desde mediados de la década de 1990 mientras que la acuicultura ha crecido casi siete veces en el mismo periodo (Wurmann, 2010).

Hay diversos aspectos de gran importancia que requieren ser tomados en cuenta, como definiciones y estrategias básicas para poder desarrollar el cultivo de peces marinos/estuarinos, con la aplicación de los conocimientos y tecnologías previamente desarrolladas y evitar errores que lamentablemente son comunes y que retrasan o incluso imposibilitan dicho desarrollo.

Definiciones y estrategias básicasde trabajo

De forma general, hay dos vías principales para dominar las tecnologías de cultivo, por transferencias tecnológicas y por desarrollo de investigaciones en las que aplican técnicas que se han descrito en la literatura para las espe-

cies de interés u otras similares o que se dominan por especialistas que son contratados para tales fines. Además de la vía para dominar las tecnologías de cultivo (transferencia o desarrollo), hay otras definiciones y estrategias básicas que se recomiendan tener en cuenta:

a) la selección de especies, sitios y sistemas de cultivo.

b) la escala de trabajo.

c) la integración de grupos interdisciplinarios de trabajo.

d) la obtención o producción de los juveniles requeridos.

A continuación, se analizan estos aspectos y se señalan errores comunes que retrasan significativamente los resultados a obtener o incluso impiden lograrlos, así como recomendaciones que se han considerado importantes.

Selecciones: especies, sitios y sistemas de cultivo Estos tres aspectos requieren ser analizados y definidos de forma interrelacionada, requisito para lograr eficiencias productivas y económicas adecuadas, pues hay una relación muy estrecha entre esos tres aspectos. Para cada especie hay sistemas de cultivo más adecuados para aplicar en determinados sitios (Alvarez-Lajonchère, 2016). Tres de los errores más comunes que se cometen son: a) el análisis de cada uno de estos aspectos de forma independiente; b) sólo considerar un número reducido de criterios y aspectos a evaluar (2-4); c) no aplicar un sistema que integre de forma objetiva, las valoraciones de los diversos criterios analizados de acuerdo a su importancia para los objetivos a alcanzar. Después de muchos años de trabajo, el autor desarrolló sistemas objetivos para la selección de sitios (AlvarezLajonchère y Pérez Roa, 2012) y de especies de peces marinos/estuarinos

para el Caribe (Alvarez-Lajonchère e Ibarra-Castro, 2013). Estos sistemas tienen cinco etapas, en los cuales las primeras son de preselección de aquellas de mayor potencialidad, en la cuarta se realiza una evaluación de las preseleccionadas con un sistema de puntos y factores elevadores de acuerdo a la importancia de cada uno de los criterios y aspectos considerados y en la quinta se realiza la selección final, con pruebas a escala piloto y evaluación técnica, financiera y ambiental.

En la selección de especies se requiere que éstas sean sobresalientes, para lo cual los criterios y aspectos a considerar deben ser destacados, como el precio mayorista y el crecimiento. Dado el alto costo que tienen la mayor parte de los sistemas de cultivo, especialmente los intensivos, el precio mínimo por kg debe ser ≥ US$2-3, mientras que el crecimiento mínimo para considerarlo aceptable debe ser ≥ 2-3 g/día.

Para la preselección de especies se calcularon 10 relaciones empíricas entre diversos parámetros y el crecimiento absoluto (g/día) en cría intensiva de peces marinos/estuarinos (Fig. 1) y con éstas se prepararon nomogramas para estimar el crecimiento absoluto (g/ día) en cultivo intensivo (Alvarez-Lajonchère, Ibarra-Castro, 2012) (Fig. 2).

Como resultado de estos trabajos, se llegó a estimar varios indicadores generales de especies de buen crecimiento, como es que su talla total máxima observada en la naturaleza sea de no menos de 100 cm, que tengan no menos de 35 cm de talla de primera maduración sexual y que el crecimiento en la etapa de alevinaje sea de no menos de 0.3 g/ día. Esos límites son los que están directamente relacionados con un estimado de ≥ 2-3 g/día de crecimiento absoluto

en ceba intensiva. Al comparar los crecimientos estimados con estas relaciones calculadas y los nomogramas con los crecimientos reportados en muchas especies de peces marinos/estuarinos tropicales, se evidencia una correlación significativa, expresada por la siguiente ecuación: Y = -0.35977 + 1.3474X (r = 0.829024) (Alvarez-Lajonchère, no publicado). Una de los grupos de mayor potencialidad para el Caribe son las palometas, y de no haber diferencias notables de precio localmente los trabajos deben comenzar, con Trachinotus falcatus, que es la de mejor crecimiento, cuya tecnología está siendo desarrollada por el Centro de Investigación, Educación y Recreación (CEINER) en el Caribe colombiano, con la adaptación de la tecnología de cultivo adquirida en la Universidad de Miami, EE.UU. (Jaime Rojas, comunicación personal).

Además, otro criterio para la preselección de las especies de mayor

potencialidad, es un nuevo índice de rendimiento de juveniles (número de juveniles necesarios para producir cada t / año, que combina la mortalidad en ceba con el crecimiento absoluto y el peso de cosecha) (Alvarez-Lajonchère, Ibarra-Castro, 2012). Este índice resalta la importancia del número de juveniles a emplear, los cuales conllevan usualmente altos costos y por tanto, mientras menos juveniles se requieran para una determinada producción, mejor será la especie.

En la selección de especies de peces marinos/estuarinos, ha habido muy poco consenso en América Latina y el Caribe y ello ha determinado la dispersión de los esfuerzos, instalaciones, así como recursos de personal y financieros.

Lo anterior se evidencia en que en esta región se han trabajado durante los últimos 30 años, más de 80 especies, mientras que en Europa los esfuerzos en las

Fig.5
Fig.1a

décadas del 60 al 90 se concentraron, fundamentalmente en tres especies: la dorada (Sparus aurata), la lubina (Dicentrarchus labrax) y el rodaballo (Psetta maxima). Esta es la principal razón para que se haya podido alcanzar una producción de casi 400,000 t anuales de estas especies (FAO, 2018). Si tomamos en cuenta los índices generales expuestos anteriormente, más de la mitad de las especies que se han trabajado en nuestra región tienen parámetros inferiores a los adecuados para esperar un buen crecimiento y buenos precios en el mercado mayorista. Entre los aspectos elementales a ser aplicados en las estrategias de desarrollo de tecnologías de cultivo se encuentran los ecológicos y fisiológicos. Si bien la mayor parte de las especies marinas/estuarinas cuyo cultivo se ha intentado en el Caribe han sido nativas de esa región, hay algunos casos de especies exóticas. Este aspecto ha sido motivado, en general, por ser especies cuyas tecnologías de cultivo se dominan en regiones subtropicales; sin embargo, el cultivo de muchas de ellas ha fracasado, pues requieren de temperaturas significativamente inferiores a las ambientales en el Caribe, así como el no poseer la resistencia a las enfermedades típicas de estas aguas, sufriendo retrasos de crecimiento y mortalidades que pueden llegar a ser masivas. Una de las excepciones ha sido la corvina roja Sciaenops ocellata, oriunda de la América del Norte, la cual se ha introducida exitosamente en algunos países del Caribe como Panamá y Martinica (Goyard y Falguière, 1997).

El no haber tenido en cuenta los conocimientos ecológicos y fisiológicos con especies subtropicales, ha sido la causa del fracaso de trabajos con peces marinos como la lubina y la dorada, así como de invertebrados como el ostión del Pacífico Crassostrea gigas; ésta última especie que, además, requiere de una densidad de fitoplancton mayor que la que dispuso en las aguas donde se realizaron los trabajos piloto (Jorge Rodríguez, comunicación personal), por ello se considera un error incluirla entre las especies con potencialidad para el cultivo en países del Caribe. En estos aspectos ecológicos, también es importante tener en cuenta los casos de especies del mismo género, como los jureles cola amarilla (Seriola spp.), entre las cuales hay un de carácter más tropical cuyo cultivo ha sido muy exitoso en tales regiones, como el medregal Seriola rivoliana, respecto a otros de carácter menos tropical como el gran jurel S. dumerili que se cría en el Mediterráneo.

Entre los sistemas de cultivo a utilizar en el Caribe se encuentran los estanques costeros, ya sean similares a los utilizados para el cultivo de camarones o especialmente diseñados para peces (usualmente más profundos y a menudo ovalados con el uso de aireadores) (Fig. 3), los tanques supra-litorales (con flujo abierto o con sistemas de recirculación con una renovación de 10-20% de su volumen diario, para una mayor eficiencia, con rendimientos de ≥100-500 kg/m3, en dependencia de los tratamientos del agua, la especie, densidad de siembra y técnicas de manejo, etc. (Fig. 4), así como las jaulas. Para el Caribe no se recomiendan las flotantes para mar abierto y solo módulos costeros en zonas protegidas, como se utilizan en diversas zonas de Asia y el Mediterráneo (Fig. 5), mientras que para mar abierto, caracterizados fundamentalmente por ser áreas oligotróficas con mayor capacidad de asimilar los nutrientes producto de los desechos de la alimentación artificial (mayor capacidad de carga), se recomiendan las sumergidas para el Caribe.

Las jaulas sumergidas (Fig. 9), usualmente de varios miles de m3 de volumen, requieren de no menos de 3 – 5 millones de dólares como capital de inversión inicial (D. Benetti, comunicación personal) pues, además de las jaulas propiamente, se requieren otras instalaciones como el sistema de anclaje de grandes dimensiones, un personal especializado Fig.1b

Lo anterior se debe a la alta incidencia de eventos ciclónicos en la región (Fig. 6), que debido al cambio climático serán cada vez más frecuentes, más fuertes y que alcanzarán los niveles superiores de fortaleza en un menor tiempo, especialmente debido a las altas temperaturas del agua en la región. Lo anterior se ha podido comprobar recientemente con los huracanes de gran categoría como Katia, Irma y José (Fig. 7) y otros que han azotado la región del Caribe y el Golfo de México. La importancia decisiva de este aspecto se evidencia en los registros de la temporada ciclónica de 2017 en la región del Caribe sumaron 18 organismos tropicales, de los cuales 10 alcanzaron la categoría de huracán, seis de ellos fueron de gran intensidad (≥ 2) y dos alcanzaron la máxima categoría 5 en la escala Saffir-Simpson. Entre los huracanes de gran categoría en el Caribe, sobresale por su acción destructiva al sistema de jaulas flotantes, el huracán Richard, que en octubre de 2010 y con categoría 2 impactó la zona de las jaulas flotantes modelo noruego de gran resistencia de la firma Marine Farm Belize y destruyó un 85% de las mismas (Fig. 8), por lo que la firma tomó la decisión de trasladar sus actividades para Vietnam (donde ya había empezado a operar en una zona protegida), a pesar de dejar de utilizar el centro de producción comercial de 2 x 106 juveniles anuales y las instalaciones para la operación eficiente de las jaulas flotantes, por un valor de inversión de más de US$10 x 106 de conjunto (Jorge Alarcón, comunicación personal).

Fig.2
Fig.3

para operarlas, instalaciones en tierra para atenderlas y las embarcaciones para la comunicación frecuente o diaria con las mismas. Estas jaulas de gran volumen requieren de instalaciones de producción de juveniles de gran envergadura para producir en cada ciclo la cantidad requerida de juveniles de talla similar para introducir en al menos en una jaula y todo ello representa unos costos operacionales muy altos.

Por lo anterior, en los casos de países e instituciones con pocos recursos de capital y poca o ninguna experiencia con jaulas sumergidas, su utilización es prohibitiva, especialmente durante los primeros años de trabajo. Se pueden considerar diversas combinaciones exitosas de especies, sitios y sistemas de cultivo. Por ejemplo, en estanques costeros, las mejores especies son aquellas que tienen amplia tolerancia a parámetros ambientales para el cultivo semi-intensivo o intensivo y el policultivo; para los trabajos con jaulas costeras, se requiere aplicar sistemas de cultivo intensivo, con especies que poseen tolerancia media a parámetros ambientales, así como a corrientes y oleajes moderados; para el cultivo en jaulas de mar abierto, el sistema de cultivo adecuado es el intensivo en jaulas especialmente diseñadas para las condiciones reinantes en esos sitios, con especies nadadoras rápidas que toleran corrientes y oleajes fuertes y un ambiente poco variable para el que no se requieren especies de amplia tolerancia a parámetros ambientales; para los trabajos con tanques supra-litorales, se requiere aplicar tecnologías de cultivo super-intensivo con especies que toleren altas densidades en ambientes reducidos, con altos valores de biomasa por unidad de flujo (Tabla 1).

Tabla 1. Mejores combinaciones de sistemas de cultivo, sitios y especies para el Caribe (Modificado de Alvarez-Lajonchère e Ibarra-Castro, 2013). Por lo anterior es indispensable realizar un análisis que integre las especies, los sitios y los sistemas de cultivo, pues, por ejemplo, es incorrecto considerar especies detritófagas, como los mugílidos, para utilizarlas en sistemas de cultivo intensivo, puesto que son ideales para cultivos semi-intensivos en estanques costeros en monocultivo o policultivo, mientras que las más adecuadas para los sistemas intensivos son las especies carnívoras u omnívoras.

Estrategias de trabajo

En el desarrollo de las tecnologías de cultivo pueden distinguirse tres escalas, la experimental, la piloto y la comercial. Las dos primeras son escalas de investigación, la primera a escala de laboratorio o de pequeña escala y la segunda es propiamente de desarrollo tecnológico.

Las combinaciones de especies, sitios y sistemas de cultivo que requieran comenzar los trabajos por la escala experimental, necesitarán de plazos de tiempo muy prolongados y no se recomiendan para las entidades que requieren dominar tecnologías de cultivo en un periodo relativamente corto. Por ello se recomienda aquellas cuyos trabajos pueden comenzar a escala piloto, sea por transferencias tecnológicas o por desarrollo investigativo independiente, con la adaptación de tecnologías vigentes en otras especies o mediante el escalado de resultados previos obtenidos a escala experimental. Por lo anterior, la escala más importante en el desarrollo de las tecnologías de cultivo es la piloto, pues es requerida para evitar errores por desconocimiento o apresuramiento y que se puedan evaluar las técnicas que se apliquen, con la estimación de la variabilidad y la eficiencia económica; además, en ella se deben aplicar las reglas fundamentales de las investigaciones. Esta escala, es del perfeccionamiento, simplificación e incremento de los rendimientos, disminución de los costos para elevar la eficiencia económica, así como servir de base a los estudios de factibilidad técnica, económico-financiera y ambiental; sin embargo, la escala piloto es frecuentemente ignorada en los trabajos de acuicultura en la región e incluso en algunas de las pocas ocasiones en que se ha referido, se considera parte de las actividades de producción comercial. Las evaluaciones relacionadas sobre la factibilidad técnica, la económico-financiera y la ambiental son solo válidas cuando se realizan con los trabajos que se han llevado a cabo en ins-

talaciones piloto, pues a escala experimental los resultados no pueden extrapolarse a la escala comercial (Huguenin, 1975). Una gran parte de los fracasos pueden atribuirse, parcialmente al menos, a haber supuesto que escalar los experimentos de laboratorio directamente hasta el nivel comercial es un proceso directo, lineal y libre de riesgos (Huguenin y Weber, 1981; Davy, 1991). En la etapa piloto se requieren instalaciones con una en-

Fig.4
Fig.7
Fig.8

vergadura significativa para lograr producciones masivas importantes siguiendo técnicas, esquemas de trabajo y concepciones propias de un nivel comercial, pero dotadas del número de unidades requeridas para la aplicación del rigor científico y flexibilidad necesarios (diseño de experimentos, réplicas, tamaño de muestra, precisión y exactitud, etc.) cuyas dimensiones mínimas sean las necesarias para que los resultados puedan ser extrapolables a la escala comercial. Es la etapa en la cual se deben realizar las transferencias tecnológicas y para la adaptación de nuevas tecnologías a otras especies. Es un eslabón establecido en las industrias y ramas agropecuarias; sin embargo, es frecuentemente obviada en la acuicultura. La etapa piloto es la etapa en que se alcanza la madurez tecnológica requerida para su aplicación a nivel comercial, en la que se logra un alto grado de integración y armonía en sus componentes, se libera de los de todo lo innecesario o superfluo que complique y encarezca la producción comercial y se perfeccionan los aspectos de producción masiva (Woodal, 1959). A la vez, es indispensable trabajar con sentido práctico y tecnológico y no meramente académico, para que las tecnologías que se desarrollen puedan alcanzar los niveles de eficiencia requeridos en el menor tiempo posible y ser transferidas a la escala de producción comercial en un tiempo relativamente corto.

El requisito esencial de realizar los trabajos piloto con un mínimo de tres réplicas por tratamiento, es debido a que es indispensable lograr un estimado de la variabilidad de los parámetros que se analicen para poder evaluar los resultados y alcanzar un alto grado de repetición. La importancia del señalamiento anterior se evidencia en que diversas revistas científico-técnicas como Bamidgeh (The Israeli Journal of Aquaculture), incluyen en la guía para la preparación de los manuscritos, el que los experimentos en los que se basan los trabajos que sean sometidos a la revista cumplan con tal requisito, pues de no ser así, se especifica que no serán aceptados para su revisión; sin embargo, a pesar de que este precepto es elemental en el diseño de experimentos, se dan casos de trabajos en que sólo se ha utilizado un tanque o una jaula flotante.

El desarrollo de las tecnologías de cultivo ha tenido lugar de acuerdo a situaciones ecológicas, sociales, técnicas y económicas específicas y las más adecuadas son las que presentan una relación más armónica entre los componentes y sus interacciones. En muchas especies estos trabajos se han realizado simultáneamente por decenas de investigadores en numerosas instituciones de varios países, como por ejemplo los de cultivo de la lubina y la dorada del Mediterráneo, durante un periodo de más de 15 años. Debido a lo anterior, las transferencias tecnológicas correctamente ejecutadas son las que logran el dominio tecnológico en los plazos más breves y las exitosas son aquellas en que se

han realizado procesos de adaptación y ajuste tecnológicos, en instalaciones de tipo piloto-demostrativo. Entre las transferencias relevantes que han aplicado esa estrategia de desarrollo se encuentran las del rodaballo en Chile (Alvial y Trujillo, 1993; Alvial y Manrique, 1999; R. Prickett, 2002, comunicación personal) y la corvina roja Sciaenops ocellatus en Martinica (Soletchnik et al., 1991; Goyard y Falguiere, 1997).

En las transferencias tecnológicas el éxito no está garantizado por su mera aplicación, pues hay ejemplos de fracasos técnicos y económicos en casos en que se han ignorado las etapas requeridas desde la concepción o incluso no se han tenido en cuenta las diferencias considerables que tienen los sitios en que usualmente se desarrollaron dichas tecnologías y aquellas de los lugares donde se transferirán dichas tecnologías. Además, mientras mayores diferencias presenten las condiciones locales de aquellas en que se desarrolló la tecnología a transferir, se necesitarán de plazos más prolongados y las probabilidades de fracasar son mayores. Ejemplos clásicos de lo anterior es el empleo de especies sub-tropicales en el Caribe, que es una región tropical. Es muy importante destacar que las instalaciones piloto mantienen su vigencia y utilidad después de haber transferido una tecnología a la escala comercial, ya que se requieren para realizar los procesos ininterrumpidos de mejoras en su eficiencia y rendimiento con las evaluaciones técnicas y económico-financieras, para mantener su validez y actualidad. Esto puede ejemplificarse en el caso del cultivo de lubina y dorada por los incrementos paulatinos en los rendimientos logrados desde inicios de la década de 1980 (Ver Fig. 4 de Moretti et al., 1999). Las evaluaciones relacionadas sobre la factibilidad técnica, la económicofinanciera y la ambiental son solo válidas cuando se realizan con los trabajos que se han llevado a cabo en instalaciones piloto, pues a escala experimental los resultados no pueden extrapolarse a la escala comercial (Huguenin, 1975).

Una gran parte de los fracasos pueden atribuirse, parcialmente al menos, a

haber supuesto que escalar los experimentos de laboratorio directamente hasta el nivel comercial es un proceso directo, lineal y libre de riesgos (Huguenin y Weber, 1981; Davy, 1991).

Producción de juveniles Es imprescindible el tener desarrollada una tecnología de producción masiva de juveniles al menos a escala piloto, lista para su aplicación comercial, antes de comenzar a aplicar las tecnologías de cultivo a escala comercial; ese es el prerrequisito esencial de la piscicultura marina/estuarina. Lo anterior significa que en instalaciones piloto se logren producir varios cientos de miles de juveniles por año en pocos tanques de 5-10 m3, con rendimientos de más de 100,000 juveniles por ciclo de cría larval, como los reportes de Alvarez-Lajonchere et al. (1994) en Eugerres brasilianus, Gutiérrez-Sigeros et al. (2017) en Ocyurus chrysurus e Ibarra-Castro et al. (2017) en Centropomus viridis (Fig. 10). Es común el considerar que se ha logrado establecer a nivel piloto una tecnología de producción de juveniles de determinada especie, por haber producido algunos miles o decenas de miles de juveniles en un año. Tales resultados, a pesar de haber requerido de varios años de trabajo y el empleo de recursos importantes, constituyen una etapa preliminar en el desarrollo y dominio de dichas tecnologías. Ese es otro error que puede conllevar pérdidas millonarias si, basados

Fig.9
Fig.10

en ese error conceptual, se inician las inversiones comerciales para las cuales no se podrán utilizar los cientos de miles de juveniles que serán necesarios para alcanzar las densidades de siembra adecuadas en las instalaciones de ceba comerciales. De acuerdo a las mejores experiencias mundiales en la producción de juveniles de peces marinos/estuarinos logradas en Asia y el Mediterráneo, se recomienda trabajar con una estrategia multi-específica (varias especies) en cuanto a la producción de juveniles, que es la más eficiente. De esta manera se pueden trabajar las especies en su temporada natural de desove en las que se logran los mejores resultados y el hecho de que se cambie de especie en ciclos de cría larval consecutivos, aun utilizando los mismos insumos y organismos del alimento vivo, se logra que cambie la composición presente y se evita que éstas se hagan resistentes a las técnicas de desinfección que se apliquen.

En todo caso, no es recomendable que al iniciar estas actividades y en los primeros años, se trabajen muchas especies, pues se necesita concentrar recursos y esfuerzos para dominar las tecnologías de cultivo. Es de gran importancia que las instalaciones para producir juveniles estén ubicadas en sitios adecuados y diseñadas, construidas, operadas y mantenidas satisfactoriamente. En América Latina es demasiado frecuente encontrar instalaciones de este tipo abandonadas o con una eficiencia muy baja, especialmente por haber sido construidas en sitios inadecuados y estar mal diseñadas por personas o entidades sin los conocimientos requeridos para tales fines. En un trabajo anterior (Alvarez-Lajonchère y Pérez Roa, 2012) se presentó un método objetivo para evaluar diversos sitios especialmente para ubicar centros de producción de juveniles, basado en diversos aspectos, entre los cuales, los más importantes son la calidad y disponibilidad del agua salada y dulce, así como las condiciones para la toma de agua salada, la protección contra el viento, marea, olas e inundaciones,

lejanía de cursos de agua dulce (varios kilómetros) y la cercanía a las zonas de cría y de obtención de reproductores.

Personal

Para cada actividad principal o etapa de cultivo se requiere un personal especializado, tanto profesionales como técnicos y auxiliares. Por ejemplo, para un centro de producción de juveniles, se necesita por lo menos dos profesionales para la producción del alimento vivo, uno dedicado a las microalgas (sea por sistemas semi-intensivo tradicional de incremento de volumen, o por el uso de foto-bio-reactores) y otro para la producción del zooplancton, especialmente para la producción intensiva de rotíferos de las diferentes especies (Proales similis; Brachionus sp. de pequeño y de mediano tamaño e incluso del Brachionus plicatilis en algunos casos), de los nauplios y metanauplios de Artemia y copépodos. También se requiere un personal especializado en la atención a los reproductores (obtención y mantenimiento de un banco de reproductores), así como para su reproducción. Para la cría larval es importante contar con un personal especializado por la importancia decisiva de esta etapa y otro para el alevinaje (alevinaje I hasta 1-2 g y alevinaje II hasta 10-40 g, por ejemplo). La instalación deber ser operada y mantenida por un personal especializado, tanto un ingeniero como al menos un ayudante. En las instalaciones de gran envergadura, es importante contar con un personal, ya sea propio o por contratación de sus servicios especializados con cierta frecuencia o cuando sea necesario para atender las posibles contaminaciones y enfermedades. Por lo anterior, cuando en un país o región se va a empezar la actividad de cultivo de peces marinos/estuarinos, lo cual debe empezar con máxima prioridad por asegurar la producción de sus juveniles; es un error pretender comenzar estas actividades en dos o más sitios simultáneamente, pues la necesidad de personal especializado lo hará prohibitivo. Además, se importante poner en marcha desde el inicio un programa de especiali-

zación y entrenamientos, tanto en la propia instalación por personal foráneo como en instituciones similares en el exterior, para asegurar los conocimientos necesarios, que usualmente requieren de varios años y es muy costoso, por lo que hay que mantener bien estimulado al personal, tanto en condiciones de trabajo y de vida como salarialmente, para lograr una estabilidad del personal clave, el cual debe tener la potencialidad de intercambiar puestos de trabajo en caso de enfermedad, vacaciones, salidas por entrenamiento e incluso traslados de personal.

REFERENCIAS

Debido a la gran cantidad de referencias que hubo necesidad de citar y discutir, no se han podido incluir en este artículo. A los lectores que requieran consultar algunas de ellas se les recomiendan ponerse en contacto directamente con el autor (alajonchere@gmail.com).

PIE DE FIGURAS

Figura 1. Algunas de las relaciones empíricas del crecimiento absoluto de peces marinos durante la ceba, con: a) largo máximo observado; b) largo a la primera maduración sexual (AlvarezLajonchère e Ibarra-Castro, 2012).

Figura 2. Nomograma para estimar el crecimiento potencial absoluto (g/día) en cultivo intensivo de especies de peces marinos de América Latina basado en las relaciones del crecimiento absoluto con el largo máximo observado y el largo a la primera maduración sexual (AlvarezLajonchère e Ibarra-Castro, 2012).

Figura 3. Estanque de tierra para la ceba del barramundi, Lates calcarifer, en Australia (foto cortesía de L. Ibarra-Castro, CIAD, México).

Figura 4. Tanques para la ceba intensiva de bacalao, Gadus morhua de AquaOptima, Noruega (foto cortesía de G. Schipp).

Figura 5. Módulo de jaulas para aguas someras en Filipinas (foto cortesía de M. J. Phillips, WorldFish Center).

Figura 6. Trayectoria de ciclones tropicales en el Caribe de 1851 a 2015 (https://coast.noaa.gov/data/ digitalcoast/video/hurricanes.mp4).

Figura 7. Huracanes de gran categoría como Katia, Irma y José en el Caribe y Golfo de México (NOAA).

Figura 8. Jaulas flotantes modelo noruego de Marine Farm Belize que sufrieron los embates del huracán Richard, que en octubre de 2010 con categoría 2 de la escala Saffir-Simpson.

Figura 9. Jaulas para mar abierto sumergible modelo “Sea Station” de Ocean Spar Technologies (foto cortesía de Kona Blue Farms, Inc., Hawái, EE.UU.).

Figura 10. Más de 120 000 larvas del robalo blanco del Pacífi co Centropomus viridis pocos días antes de su cosecha en un tanque de 6 m3 (foto cortesía de L. Ibarra-Castro, Planta de Peces Marinos, CIAD Mazatlán.

Dr. Sc. Luis Alvarez-Lajonchère Gr. Piscimar, calle 41 No. 886, N. Vedado, Plaza, La Habana, C.P. 10600, Cuba. E-mail: alajonchere@gmail.com

Fig.6

DECLARAR LA GRAN RESERVA DE LA BIOSFERA MAR DE CÓRTES

Y PACÍFICO COMO ÁREA NATURAL

PROTEGIDA, TRAERÍA UN COLAPSO SOCIAL Y ECONÓMICO EN LA REGIÓN.

El sector pesquero en México ha tenido que sortear una serie de dificultades los últimos años, estas situaciones han orillado a que la actividad este al borde del colapso poniendo en riesgo a una industria que genera millones de empleos de forma directa e indirecta, además y lo más importante, la industria pesquera produce una cantidad importante de proteínas y alimentos que aportan a la seguridad alimentaria nacional.

Si bien es cierto, que las políticas públicas que involucran el desarrollo pesquero en México, no han sido encaminadas de forma correcta para el beneficio del sector, también los actores principales de la industria han descuidado el negocio, es una corresponsabilidad compartida y es de esa forma que se debería solucionar. México está por vivir una transición histórica y el sector pesquero tiene la oportunidad de verse realmente representado y acabar de una vez por todas con los vicios que han hundido esta actividad.

Respecto a esta situación, es importante que quienes están por tomar las

riendas del quehacer político, se involucren desde ya, para que al momento del cambio de gobierno inicien con acciones de resultado a estos problemas, al respecto Maximiliano Ruiz Arias, diputado federal electo indicó que declarar la gran reserva de la biosfera mar de Cortes y Pacífi co, como área natural protegida, traería un colapso social y económico e la región.

Ruiz Arias señaló que el decreto de establecer una zona de restricción en el Golfo de California de aproximadamente 19.2 millones de hectáreas, nace por la iniciativa de proyectos turísticos y de explotación energético/mineros y pesca rivereña que en conjunto lo venden como una necesidad de salva guardar el ecosistema, ya que Golfo de California es considerado como el acuario del mundo, pero la última palabra respecto al cierre de esta zona la debe dar un experto, debe ser mediante investigación científi ca que surjan las sugerencias de que zonas deben estar restringidas a la pesca y por qué, debe existir una explicación amplia y clara para los pescadores, no debe hacerse a partir de de-

cretos que son superficiales en el tema. “Es necesario meterse a fondo en la problemática para conocer realmente cual es el alcance de la restricción y saber hasta qué punto tienen razón, porque el argumento que manejan es la depredación por los sistemas de pesca, la extinción de especies como la vaquita marina, donde señalan que quedan 14 ejemplares, pero falta investigación que garantice que realmente estén monitoreando y contando la población de la vaquita marina, puede haber mas o incluso menos ejemplares, la disminución de la especie también puede obedecer a otras circunstancias, puede ser por razones evolutivas de la propia especie, por el ecosistema y no por la pesca o los métodos de pesca, sino por la alteración que sufre el Golfo por la aportación de agua dulce por parte del rio Colorado, pues las cantidades de agua que llegan ya no son las mismas y esta restricción puede alterar el ecosistema, que finalmente repercute en algunas especies y puede ser que la vaquita marina este dentro de esta circunstancia, todo esto sin negar que las redes de pesca inadecuadas, como las redes galleras, también causan deterioro y afectación al ecosistema, pero finalmente es una situación que puede controlarse. Lo que se busca es que la conservación del ecosistema como un derecho natural, pero sin afectar las fuentes de empleo de las personas”.

De declararse zona restringida las mas de 19.2 hectáreas en el mar de Cortes y

el Pacífico se perderían 1millon 200mil empleos directos e indirectos, donde se involucran desde pescadores, reparadores de barcos, proveedores, congeladoras etc.

Además de que el 60 porciento de la producción marítima nacional se extrae de esa región, en esta zona pesca la flota de los estados de Sinaloa, Sonora, Oaxaca, Nayarit y naturalmente de las Bajas Californias, señaló

El diputado federal señalo que deberá ser mediante un estudio científico que se determine cuáles son las acciones a tomar, un estudio que no esté vinculado con intereses políticos o comerciales, sino exclusivamente con la razón de protección ambiental y en base a eso se dicten medidas.

“Seguramente los pescadores, si les dan una razón sustentada, y les establecen áreas y procedimientos de pesca perfectamente verificables y de razón sustentable, no tendrán ningún problema en cumplirlo, pues a ellos les interesa que el medio ambiente se conserve.”

Ruiz Arias puntualizo que un país que no tiene seguridad alimentaria en términos de agricultura y producción de proteína, no tiene columna vertebral, no se puede mantener de pie, se hace dependiente de otros países productores, se convierte en consumidor, en comprador de algo que puede producir, por eso el gobierno federal tiene que poner mucha atención en el tema de restricción de la pesca.

La decisión de cerrar la zona de pesca debe involucrar la participación de empresarios pesqueros, armadores, cooperativas, industriales y a toda la gente vinculada a la pesca, debe hacerse con un trabajo de análisis, con la idea de que la actividad pesquera debe conservarse para beneficio de todos, no solamente de los grandes empresarios o algunos cuantos reiteró Ruiz Arias.

“Se tienen que buscar opciones, no se puede cerrar una zona de trabajo que genera la mayor producción pesquera nacional, sin antes contemplar una alternativa de empleo para quienes se dedican a la pesca en esa región, y sobre todo como se va a sustituir el producto para alimentar a la gente que depende de los productos marinos de esa región”.

Por: Virginia Ibarra Rojas reportajes.virginiaibarra@gmail.com

Se va a refundar la pesca en el país con AMLO, asegura Raúl Elenes Angulo, próximo Comisionado Nacional de Pesca

Una reestructuración a fondo de la Conapesca, acabar con la corrupción en el sector y convertir a México en potencia pesquera y acuícola, son las metas del próximo comisionado en el gobierno de Andrés Manuel López Obrador

Ciudad de México/Sinaloa.-“Se va a refundar… Se va a reestructurar toda la política pesquera nacional”. De esta manera, el sinaloense Raúl Elenes Angulo puso en dimensión la sacudida que viene para la industria pesquera y acuícola en el país, de cumplirse el plan alternativo de nación de Andrés Manuel López Obrador, hoy Presidente electo de México.

Ratificado como el próximo titular de la Comisión Nacional de Acuacultura y Pesca (Conapesca), Elenes Angulo replica el discurso de AMLO contra la corrupción. Esto implicará una “revisión exhaustiva” en el ámbito administrativo de todos los programas sociales, de los sueldos, de la planta laboral…

“Forma parte de las instrucciones para todo el gobierno federal, por ejemplo, ya se estableció que ningún funcionario ganará más que el Presidente,

así que si este ganará unos 120 mil pesos al mes, los demás funcionarios tendremos que ganar mucho menos.”

Pero más allá de la revisión institucional, ¿qué cambios se pueden esperar en esta industria de cristalizarse el proyecto del nuevo gobierno?

De acuerdo al Plan de Nación 20182024 y los planteamientos del próximo titular de la Conapesca, este giro tiene que ver principalmente con: la inclusión de la seguridad alimentaria como eje de

la política pesquera; la conversión de la pesca ribereña a la maricultura comunitaria y el combate a la corrupción, sobre todo en el Instituto Nacional de la Pesca.

EL MAR: MOTOR DE SEGURIDAD ALIMENTARIA

Raúl Elenes afirmó que la acuacultura y la pesca ya no será considerada sólo una actividad económica, sino también uno de los motores para garantizar la seguridad alimentaria del país.

“México puede ser una potencia pesquera y acuícola, pero también alimentar a los mexicanos, hoy en día se produce lo que es rentable y se desperdicia mucho producto, haremos programas para que ese alimento llegue a alimentar a quienes tienen menos posibilidades”, expresó.

El actual dirigente estatal de Morena aseguró que con el inicio de los gobiernos neoliberales, con Carlos Salinas de Gortari (1988-1994), el sector social de la pesca se vino a pique y los barcos y empresas pesqueras fueron privatizadas. Entonces, apuntó, su objetivo fue hacer negocio y se dejó en el olvido su vocación de producir alimento.

En este aspecto, una de las acciones más importantes será incentivar el consumo de pescado en México, ya que actualmente sobresale la ingesta de mariscos como el camarón y otros, que no aportan un alto valor nutrimental. Para lo cual, se lanzarán campañas decididas a modificar los hábitos alimenticios de los mexicanos para impulsar la comercialización de los productos nacionales. Por otro lado, se trabajará con la consigna de dar continuidad a los programas que funcionan, modificar los que sean deficientes, y de plano, eliminar o sustituir a aquellos que no sirven.

Raúl Elenes Angulo, próximo titular de la Comisión Nacional de Acuacultura y Pesca (Conapesca).

EL DIAGNÓSTICO: UN BARCO SIN RUMBO

En 2017 se produjeron en México 1.8 millones de toneladas de productos pesqueros y acuícolas, una cantidad suficiente para alimentar a miles de personas.

Esta producción representó un valor de 38 mil millones de pesos, que ubicaron a nuestro país en la posición número 17 en producción pesquera y 24 en acuacultura, según datos de la Conapesca. Se estima que en esta actividad participan 300 mil pescadores y acuacultores de manera directa, y alrededor un millón y medio de personas dependen de esta actividad.

No obstante, apuntó Elenes Angulo, desde gobiernos centralistas esta cantidad no figura en un país de más de 127 millones de habitantes.

“Han tenido un criterio estrictamente económico, sin ver el potencial que tiene la pesca y la acuacultura, pero también hay otros factores, como el político, entonces dicen es poquito, no me genera suficientes

votos y ahí lo van dejando”, analizó. Otro tema que preocupa al próximo Presidente es el porqué el 70 por ciento de la producción proviene sólo de cuatro estados: Sinaloa, Sonora, Baja California y Baja California Sur, cuando el país cuenta con extensas regiones con ese potencial.

En su opinión, el gobierno de Salinas de Gortari marcó el inicio de la debacle de la pesca como actividad estratégica del país, por lo que ahora se buscará cambiar esa visión.

Las problemáticas que aquejan a la pesca son variadas y complejas: alto costo de energéticos, defi ciente inspección y vigilancia, falta de ordenamiento, insufi ciente investigación científica y concentración de esfuerzo pesquero en pocas especies. Tal como sucede también en la acuacultura.

LA

MARICULTURA, EL NUEVO SECTOR CLAVE

Proyecciones de la FAO, la organización de las Naciones Unidas para la Agri-

cultura y la Alimentación, prevén que para este año la producción de granjas acuícolas supere a la de las capturas en medios silvestres. Sin embargo, México no se ha preparado para esta tendencia.

Uno de las acciones de este gobierno será la conversión de la pesca ribereña a la maricultura comunitaria a través de “poner en marcha micro-empresas sociales comunitarias o unidades de producción acuícola en modalidades que sean sustentables”. Se establece en el apartado de acuacultura y pesca en el Plan de Nación 2018-2024.

La maricultura se plantea como una estrategia para disminuir las afectaciones por la incertidumbre ante los cambios climáticos y como una manera de garantizar las condiciones de inocuidad e higiene que demandan los mercados internacionales.

Al impulsar este tipo de opciones productivas, se espera también inhibir la pesca ilegal, actualmente una de las más graves amenazas para la sustentabilidad de los productos pesqueros.

INAPESCA: DECISIONES DIFÍCILES, NO POLÍTICAS

Una de las áreas fundamentales es el Instituto Nacional de la Pesca. Es el órgano encargado de la investigación científica que da soporte a las decisiones del sector, como concesión de permisos, declaratoria de vedas y zonas de reserva.

Sin embargo, advirtió el próximo comisionado, su funcionamiento está en revisión, así como su permanencia. “Hay denuncias de que el Inapesca es juez y parte, un organismo para las decisiones políticas de quienes se han encargado de la Conapesca, necesitamos incentivar la investigacion científica y tecnológica de primer nivel”, insistió el morenista.

De cualquier manera, agregó, se requiere

que las instituciones de educación superior apoyen en esta labor y aporten una opinión que no venga del sector gubernamental.

Bajo esa dinámica, será necesario también incentivar la educación tecnológica pesquera, que había sido abandonada a raíz del neoliberalismo.

Aunque muchos puntos no son definitivos, desde este martes iniciaron los trabajos para elaborar los planes de acción antes de la toma de funciones en esta comisión nacional, que por lo pronto se queda con esta figura, dependiente de la Sagarpa. Aunque no se descarta que eventualmente se convierta en una secretaría.

Por lo pronto, viene una serie de consultas con los empresarios y líderes más representativos de este sector en todo el país, para ajustar el proyecto que habrá de regir una actividad que da sustento a miles de mexicanos.

ACCIONES EN MATERIA DE PESCA PLANTEADAS POR AMLO:

1. Mantener la producción pesquera y acuícola nacional por encima de los 1.7 millones de toneladas aplicando medidas de producción sustentables e impulsando la acuacultura.

2. Promulgar la nueva Ley de Pesca y Acuacultura Responsables.

3. Transparentar la asignación de permisos.

4. Trasladar de la CONAPESCA a la PROFEPA las facultades de Inspección y Vigilancia para evitar Conflictos de Intereses.

5. Suscribir Convenios con la Dirección General de Ciencia y Tecnologías del Mar de la SEP (administra 74 planteles en los litorales mexicanos y en aguas interiores) para desarrollar un programa permanente de capacitación e instrucción a todos los actores de esta actividad.

6. Promover el ordenamiento pesquero comprometido con el desarrollo sustentable.

7. Organizar al sector social de la pesca.

8. Fortalecer los Sistemas-Producto con la participación de pescadores, acuicultores, maricultores y productores en general, de forma que puedan ser utilizadas también otras figuras asociativas diferentes al cooperativismo, y que también se constituyen con partes sociales (p. ej. S. de R.L. de C.V.).

9. Fomentar el desarrollo tecnológico nacional para mejorar y fortalecer la pesca, la acuacultura y la maricultura.

Por : virginia Ibarra Rojas

Algas marinas: el superalimento que podría ayudar a combatir el cambio climático

Podrían alimentar a una gran población y ayudar al medio ambiente, pero no es suficiente para que la gente lo coma

Las algas marinas cubren las playas sobre las que caminas, se secan en tus paquetes instantáneos de miso, y los investigadores en laboratorios de todo el mundo las están estudiando. Científicos, compañías de alimentos y los defensores del medio ambiente quieren que comas más de este producto, más apeteciblemente titulado "vegetales de mar". Pero quienes crecieron en hogares occidentales podrían no considerar en algas marinas como alimento.

Jonathan Kauffman, autor de Hippie Food, dice que esto se debe, en parte, a cómo se les presentó a los occidentales, como un alimento saludable comido por los "hippies" en la década de 1960. "Las algas marinas nunca causaron una gran impresión en el público en general, que en su mayoría las englobaba con otros alimentos saludables extraños que estaban cancelando", comentó.

Según él, además de las personas que elogiaban las virtudes nutricionales de las algas marinas, como las que seguían las dietas macrobióticas, los vegetales marinos no eran un elemento básico de la despensa. "Creo que los sabores eran demasiado oceánicos y la textura demasiado gelatinosa para los comensales que no crecieron comiendo algas marinas".

Pero la estrella de algas está en crecimiento. Se espera que el mercado global de algas marinas valga $9 mil millones en los próximos seis años, y la mayor parte proviene de su uso como alimento, particularmente en países de Asia-Pacífico como Japón. Mientras que los occidentales han sido mucho más lentos en la adopción de algas marinas en su dieta, se espera que esto cambie a medida que los consumidores se familiaricen con él y la publicidad crez-

ca en torno a sus posibles beneficios nutricionales, de salud y ambientales.

Los nombres que Kauffman usa para hablar sobre las variedades de vegetales marinos muestran cuántos de nosotros los encontramos en la actualidad: en las cocinas japonesa y oriental. El nori envuelve tu sushi, el hijiki puede ser el zarcillo crujiente de tu ensalada de algas marinas, y te costaría mucho no encontrar pequeños pedazos de wakame en tu tazón de miso.

Pero Nancy Singleton Hachisu argumentaría que te estás perdiendo si eso es todo lo que crees que hay para las posibilidades culinarias de las verduras de mar. La nativa de California ha vivido en Japón durante 20 años y escribe sobre comida japonesa. Uno de los puntos de venta de las verduras marinas, dice Hachisu, es su vida útil. El enfoque de Hachisu para introducir a los occidentales los vegetales marinos es comenzar de manera simple y usarlo como un bloque de construcción de sabor, como en el dashi, una ajedrea de alga marina conocida como konbu en Japón.

Las algas reciben la etiqueta ubicua y generalmente sin sentido de “súper alimento”. Pero hay investigaciones sobre sus beneficios potenciales para la salud, que se dice van desde una mejor salud cardíaca hasta contribuir a una mayor esperanza de vida. Chigozie Okolie y la Dra. Beth Mason de la Universidad Cape Breton en Nova Scotia, Canadá, están investigando el potencial de los vegetales marinos para beneficiar nuestro intestino, por ejemplo.

“Se ha demostrado científicamente que las fibras dietéticas de las algas marinas actúan como prebióticas, es decir, fuente de alimento para los microbios intestinales beneficiosos”, dijo Okolie en un correo electrónico. Él cree que un mayor interés en observar las algas marinas en las dietas proviene de las credenciales de sostenibilidad de la planta en comparación con los alimentos de fuentes de plantas cultivadas en tierra. Se está hablando de las algas como un alimento maravilloso por sus beneficios medioambientales. A medida que la población mundial crece, se espera que alcance los 10 mil millones para 2050, también lo hace la demanda de alimentos. La Organización de Alimentos y Agricultura de Estados Unidos, ha estimado que necesitaremos aumentar la producción de alimentos en un 70 por ciento entre 2007 y 2050. Esto ejerce presión sobre la tierra y los recursos de agua dulce en un momento en que los científicos dicen que el cambio climático ya está aumentando los fenómenos climáticos extremos que interrumpen la agricultura. En este contexto, los defensores dicen que las algas marinas ofrecen una solución casi perfecta. No requiere fertilizantes ni agua dulce para crecer, absorbe el dióxido de carbono que calienta el clima de la atmósfera y también ayuda a contrarrestar la acidificación

Tamsen Peeples, Alaska Mariculture Manager for Blue Evolution, a kelp company, holds up some of her crop.
Ensalada con algas marinas.

de los océanos. También están creciendo rápidamente, al ver de 30 a 60 veces la tasa de crecimiento de las plantas de cultivo de tierra, según el científico australiano Tim Flannery. Thierry Chopin, profesor de biología marina y director del Laboratorio de Investigación de Acuicultura Multi-Trófica Integrado de Algas Marinas de la Universidad de New Brunswick en Canadá, se ha centrado en la creación de sistemas marinos sostenibles donde el salmón, los mariscos y las algas marinas crecen juntos. Además de absorber el carbono, dice Chopin, las algas ayudan a reciclar el exceso de nitrógeno y fósforo de las heces de los peces que de lo contrario causan la contami- nación del agua. Él ve las algas marinas como un ancla en el fomento del equilibrio, tanto económica como ambientalmente.

Granjeros en Kelp, Kodiak, Alaska, cosechando. Chopin también está explorando aplicaciones medicinales potenciales. Su trabajo lo lleva a la Bahía de Fundy, donde la temperatura del agua varía desde aproximadamente -35 a 99 grados Fahrenheit. Las algas tienen que resistir eso, dice, “lo que significa que las algas deben estar muy bien equipadas para proteger sus proteínas”. Es el estudio de los mecanismos que Chopin espera que lo lleven a posibles tratamientos para la enfermedad de Parkinson, un trastorno neurológico causado por una degradación del funcionamiento de ciertas proteínas en el cuerpo. Sin embargo, no todos son tan inequívocos sobre las algas marinas y su atractivo. En Cape Cod, Tamar Haspel está tratando de pensar más allá del botiquín de medicina, la despensa y el medio ambiente para explorar si los norteamericanos realmente adoptarán las algas marinas como alimento. Haspel es una granjera de ostras que también escribe la columna Unearthed ganadora del premio James Beard en The Washington Post que cubre los problemas de suministro de alimentos.

Cuando se trata de vegetales marinos, tiene dos ideas: debemos cultivarla, pero no esperamos mágicamente que comamos en manadas. En una columna de 2015, escribió que el sabor de las algas es “un poco un obstáculo”. Las algas marinas, desafortunadamente, no son deliciosas “.

Para Haspel, todo se reduce a las elecciones del consumidor, y esas elecciones se guían por lo que percibimos como buen sabor. “Si hay una verdad fundamental sobre la dieta estadounidense es que deberíamos comer más vegetales”, señaló en una entrevista a través de Skype. “Pero si nos fijamos en el consumo, se ha reducido desde los años 70. Si no podemos lograr que la gente coma vegetales, ¿cómo vamos a convencerlos de que coman verduras (de mar)? La gente considera el gusto, el precio y su propia salud personal, en ese orden “. Haspel es comprensiva con los argumentos de que el cultivo de vegetales marinos es bueno para los océanos, ya que ella misma trabaja en y con el océano. Pero no cree que las consideraciones ecológicas pongan alga marina en su plato. “Eso no es un problema para los consumidores”, dice ella. “Es un problema de la cadena de suministro”.

La responsabilidad puede recaer en las grandes compañías de alimentos para suministrarles a los consumidores productos envasados, con mejores perfiles nutricionales, para que participen en ellos, comentó. Sin embargo, dice que no será fácil. “La verdad de las algas marinas y la dieta estadounidense es que a la gente le gusta que se le vendan cosas deliciosas”.

FUENTE: www.huffingtonpost.com.mx

La promesa no cumplida de PCR al borde de los estanques

La prueba de reacción en cadena de la polimerasa, o PCR, podría ayudar a los productores de camarón a combatir enfermedades como el virus de la mancha blanca, particularmente si se dispusiera de kits de prueba económicos y portátiles. Pero no todos creen en la tecnología y lo que puede ofrecer. Foto de Avery Siciliano.

El interés es alto en herramientas de diagnóstico de enfermedades acuícolas, pero algunos dicen que incluso la tecnología más nueva es demasiado limitada.

La ciencia del diagnóstico de las enfermedades del camarón ha recorrido un largo camino desde la década de 1970, cuando los productores y patólogos todavía confiaban en los métodos anticuados para detectar infecciones. Una nueva generación de tecnología, la PCR portátil, ahora ofrece el potencial de diagnóstico de estanques asequible e inmediato en kits de mano fáciles de usar. Pero, ¿estará a la altura del despliegue publicitario?

Los expertos dicen que la tecnología podría satisfacer una necesidad en la industria acuícola del camarón, pero no será la solución mágica para combatir enfermedades como el virus de la mancha blanca.

“Hay varias compañías que están trabajando en pruebas rápidas para el diagnóstico de estanques, por lo que creo que este es un tema popular,” dijo George Chamberlain, presidente de la Global Aquaculture Alliance y experto mundialmente reconocido en la producción de camarones.

La idea de la PCR es descentralizar el diagnóstico, de modo que en lugar de enviar muestras de tejidos a un laboratorio para su análisis y recuperar los resultados días o incluso semanas más tarde, los productores puedan realizar las pruebas ellos mismos, en el sitio, y obtener los resultados inmediatamente.

“Algunas de estas enfermedades pueden arrasar estanques enteros dentro de 24 a 48 horas, por lo que esperar dos semanas para que los resultados vuelvan no es una opción,” dijo Grant Stentiford, patólogo de animales acuáticos del Centro para el Medio Ambiente, Pesca y Acuicultura Ciencia (CEFAS) en el Reino Unido. Stentiford es co-Investigador Principal de la Red Internacional para la Salud del Camarón, que recibió una subvención de $ 260,000 del Fondo Newton en 2017 para investigación y desarrollo en kits de diagnóstico portátiles.

La ciencia en el corazón de la tecnología es la reacción en cadena de la polimerasa, o PCR. Iniciadas a fines de la década de 1990, las pruebas de PCR permiten a los científicos el aislar una cadena de ADN, por ejemplo, ADN exclusivo de un patógeno específico, y replicarla a través de un proceso de calentamiento y enfriamiento. El proceso actúa como un amplificador, aumentando rápidamente el número de copias de la pieza de ADN objetivo, lo que hace que sea fácilmente detectable.

Tanto la PCR, que arrojó un diagnóstico positivo / negativo simple, como la posterior PCR cuantitativa, que proporciona un conteo de la carga de patógenos, representaron un gran avance para la detección de enfermedades, tanto en velocidad como en precisión, dijo Arun Dhar, virólogo y

director del Laboratorio de Patología Acuícola de la Universidad de Arizona. Está limitado en la cantidad de diagnósticos que puede hacer.

Si los camarones ya comenzaron a morir, hay muy poco que puedas hacer. Acabas solamente de satisfacer tu curiosidad sobre lo que ha matado a tu estanque.

Anteriormente, los patólogos y los veterinarios habían diagnosticado enfermedades del camarón utilizando métodos como la histología, examinando visualmente las células del tejido animal con un microscopio para buscar las marcas reveladoras de la infección. “(PCR) realmente cambió el panorama de los diagnósticos de enfermedades, porque la sensibilidad es mucho mayor,” y genera resultados de diagnóstico mucho más rápido, dijo Dhar.

El siguiente paso, espera Stentiford, es sacar por completo a los científicos de la ecuación y poner la tecnología directamente en manos de los productores.

Los dispositivos portátiles de PCR ya se están utilizando en medicina humana, incluso en las pruebas de enfermedades como la tuberculosis en los países en desarrollo, señaló Dhar.

“La plataforma está ahí, pero aún no se ha incorporado al mundo de la acuacultura en su potencial,” dijo.

“Es una forma en miniatura del laboratorio. Si puede tener una forma de detectar los patógenos del camarón en el lado del estanque, esa es la próxima generación de diagnósticos en la enfermedad del camarón.”

Pero reducir la tecnología viene con sus propios desafíos, agregó Dhar. Hasta ahora, los modelos de prototipos no han sido tan sensibles como las máquinas de PCR de tamaño completo, lo que resulta en más falsos negativos, señaló.

También tienen una capacidad más limitada. Mientras que un laboratorio convencional podría procesar alrededor de 90 muestras de PCR en una hora, los prototipos que ha visto podrían manejar alrededor de una docena.

“En la prisa por llevar algo al mercado, tenemos que asegurarnos de que no comprometamos la calidad,” dijo Dhar.

La tecnología también tiene usos limitados, señaló Chamberlain. “Solo puede detectar patógenos conocidos,” dijo. “La PCR es súper precisa y súper específica, pero el hecho de que encuentres una respuesta negativa para cierto patógeno no significa que el organismo esté sano, podría haber otras cosas sucediendo.”

La tecnología no impresiona a Robins McIntosh, vicepresidente senior de Charoen Pokphand Foods en Bangkok, Tailandia, uno de los productores de camarón más grandes del mundo.

“Es limitado en la cantidad de diagnósticos que puede hacer,” dijo.

“Si crees que tienes mancha blanca, puedes ir y probar y decir: ‘Sí, tengo una mancha blanca’.”

Los kits no ofrecen una solución o ayudan a los productores a tratar al camarón moribundo, señaló, y si producen un resultado negativo,

“Ud. aún no está más cerca de determinar qué es.”

Incluso si los productores diagnostican con éxito una enfermedad como mancha blanca con los kits, preguntó, ¿entonces qué?

“Si ya comenzaron a morir, es muy poco lo que puedes hacer,” dijo.

“Acabas de satisfacer tu curiosidad sobre qué ha matado a tu estanque.”

McIntosh también cuestionó la comerciabilidad de la tecnología. Muchas granjas de camarón más grandes tienen laboratorios de diagnóstico en el lugar, dijo, mientras que los países con industrias acuícolas desarrolladas como Tailandia y Vietnam ya tienen una red de laboratorios asequibles equipados con PCR que están disponibles para los operadores más pequeños.

McIntosh dijo que miraría a países como Bangladesh, con una industria del

camarón naciente que carece de la infraestructura, el capital y la experiencia para hacer que las pruebas de laboratorio estén ampliamente disponibles.

Ud quiere que la prueba sea lo suficientemente sensible como para detectar niveles bajos de virus, pero no para detectar otros patógenos relacionados que no causan enfermedades.

“Ahí es donde llevaría mi máquina,” dijo.

“¿Pero cuántas unidades puedes vender en Bangladesh?”

Stentiford estuvo de acuerdo en que la PCR portátil podría ser útil en países en desarrollo o en países que reciben asistencia internacional para desarrollar sus industrias acuícolas.

“En esos países, hay muy pocos profesionales de salud de animales acuáticos y laboratorios centralizados que puedan ofrecer un servicio de prueba rápido, barato y preciso,” dijo.

Para ser viable, dijo, la tecnología debe estar a la par con las pruebas de laboratorio de precisión y sensibilidad.

“Ud. quiere que la prueba sea lo suficientemente sensible como para captar niveles bajos del virus, pero no para detectar otros patógenos relacionados que no causen enfermedades”.

Stentiford cree que los investigadores finalmente encontrarán la manera de cumplir con ese criterio, y que el factor limitante en los dispositivos no sería tecnológico; en cambio, se reduciría a usuarios humanos.

La educación y la capacitación serían importantes para un grupo de usuarios que probablemente incluiría a pequeños productores con conocimientos científicos limitados, dijo.

“Los factores socioeconómicos deben tenerse en cuenta,” dijo.

“El precio debe ser el correcto, y la aceptación del usuario también debe estar allí.”

Idealmente, se alentaría a los productores a enviar datos de diagnóstico a través de la aplicación de teléfono inteligente, para permitir que las autoridades entiendan y manejen importantes enfermedades acuícolas dentro de sus fronteras, agregó Stentiford.

“Creo que a todos nos gustaría ver algo fácil, conveniente, confiable y barato,” dijo Chamberlain con una sonrisa.

“Creo que la tecnología probablemente llegue a ese punto, pero varios grupos competirán, y no estoy seguro de quién será el ganador.”

Fuente:Global Aquaculture Advocate. Autor: Ilima Loomis.

ÚLTIMOS AVANCES EN TECNOLOGÍAS DE CONGELACIÓN DE ALIMENTOS

Elmercado de alimentos congelados en España ha experimentado un aumento continuo durante los últimos años. Así, sólo en el año 2011 creció un 3% con relación al año anterior, casi el doble del crecimiento registrado en el sector alimentación durante el mismo período (Vives, 2012). Los datos presentados por la consultora Kantar Worldpanel en el Salón Alimentaria muestran que el 99% de los hogares españoles consume alimentos congelados de forma habitual y que éstos representan el 6% de la cesta de la compra. Este incremento progresivo en el consumo de alimentos congelados, generalizado a nivel mundial, junto con los requerimientos de los consumidores cada vez más exigentes han provocado el interés en mejorar los actuales sistemas de congelación y desarrollar otros nuevos que incrementen la calidad final del producto obtenido (Fikiin, 2003; Kiani & Sun, 2011; Li & Sun, 2002b; Mermelstein, 2001; Petzold & Aguilera, 2009).

Como es bien sabido, la congelación consiste básicamente en la disminución de la temperatura del producto por debajo de su punto de congelación, lo que provoca la cristalización del agua que contiene. El proceso de congelación transcurre en una serie de etapas que se esquematizan en la Figura 1. En ella se puede observar cómo, durante la etapa de preenfriamiento (A-B), la temperatura del alimento se reduce paulatinamente desde su valor inicial (T0) hasta alcanzar el punto de conge-

lación (Tc) para seguir disminuyendo sin que se produzca cambio de estado en el producto. Tenemos, entonces, un alimento subenfriado; esto es, un alimento que llevado por debajo de su punto de congelación no se ha congelado. Sin embargo, en un momento dado, de forma espontánea y no predecible, se produce la nucleación; es decir, se forma una cierta cantidad de núcleos de hielo que provocan que la temperatura se eleve hasta alcanzar su punto de congelación (B-C) debido al calor latente desprendido. Tras la nucleación, la temperatura del alimento se mantiene constante, formando lo que se llama plato de congelación o etapa de cambio de fase (C-D), hasta que toda el agua disponible se ha convertido en hielo. Una vez que se ha congelado toda la masa de agua, la temperatura comienza a descender durante la etapa de atemperamiento (D-E) hasta que el alimento alcanza la temperatura final programada.

Un factor determinante en la calidad organoléptica del producto congelado es el tamaño de los cristales de hielo formados. Éste depende de la tasa de nucleación y de la velocidad de extracción de calor del sistema (Kiani & Sun, 2011; Petzold & Aguilera, 2009). Si la tasa de nucleación es baja, se forman pocos núcleos de hielo y éstos; por tanto, dan lugar, durante la etapa de cambio de fase, a pocos cristales de hielo, pero de gran tamaño. Estos cristales grandes producen daños en la estructura de los alimentos, provocando desde alteracio-

nes en su textura hasta una importante pérdida de agua durante la descongelación. Por el contrario, si la tasa de nucleación es elevada, se forma una gran cantidad de núcleos de hielo. Estos núcleos dan lugar a muchos cristales de hielo que, si la velocidad de extracción de calor del sistema es adecuada, serán de pequeño tamaño y causarán pocas pérdidas de calidad en los alimentos. Por eso, la principal recomendación que hace el Instituto Internacional del Frío durante el proceso de congelación es que ésta se lleve a cabo lo más rápidamente posible, no sólo para producir cristales de hielo pequeños, sino también para inhibir rápidamente los procesos de deterioro de los alimentos.

De todo lo expuesto anteriormente, se deduce que los dos factores principales sobre los que se puede actuar para mejorar el proceso de congelación son la tasa de nucleación y la velocidad de extracción de calor del sistema (Kiani & Sun, 2011; Petzold & Aguilera, 2009). A continuación, se van a describir las principales estrategias desarrolladas en las últimas décadas para mejorar el proceso de congelación de alimentos. Muchas de ellas se aplican actualmente en la industria mientras que otras están aún en fase de investigación.

2. Estrategias tradicionales para mejorar el proceso de congelación: incremento de la velocidad de extracción de calor del sistema.

Tradicionalmente, los esfuerzos se han centrado en tratar de mejorar la velocidad de extracción de calor del sistema. Para ello, se han desarrollado distintas estrategias relacionadas bien con el producto a congelar o bien con el sistema de congelación. Si nos centramos, en primer lugar, en las estrategias relacionadas con el producto a congelar, es evidente que el que la congelación sea rápida o lenta va a depender de algunas de las características del pro-

ducto tales como su tamaño y forma, su temperatura inicial o su contenido de agua. Así, prácticas habituales en la industria para acelerar el proceso de congelación son el troceado de productos (patatas, coliflor, zanahoria, etc), la aplicación de tratamientos de pre-enfriamiento (con aire forzado, agua fría, hielo o a vacío) o la deshidratación parcial del alimento. En cuanto a las estrategias relacionadas con el sistema de congelación, los sistemas de congelación criogénica se centran en reducir la temperatura del medio de refrigeración para acelerar el proceso de congelación. Para ello, emplean refrigerantes tales como nitrógeno líquido o dióxido de carbono que permiten alcanzar temperaturas extremadamente bajas. En los últimos años, se han desarrollado también sistemas híbridos como la congelación criomecánica que combina la inmersión criogénica, durante un tiempo corto, con la congelación clásica en un congelador tradicional de aire. Tras la inmersión criogénica, se forma una costra de hielo que reduce la tasa de deshidratación, el apelmazamiento y el pegado del producto que se termina de congelar por un método tradicional. De esta manera, con un bajo coste de refrigerante criogénico, se reduce la duración del proceso de congelación y se obtiene un producto de buena calidad. Por otra parte, los sistemas de congelación individual ultra-rápida o sistemas IQF, del inglés, individual quick freezing, se centran en aumentar la superficie de contacto entre el medio de refrigeración y el alimento. El producto ha de ser de pequeño tamaño o haber sido troceado anteriormente y se congela de forma individual, aumentando así considerablemente la relación superficie/volumen. Este método es útil en productos con alto contenido en agua tales como frambuesas, maíz, daditos de jamón o gambas, que son difíciles de congelar satisfactoriamente por otros métodos, sin que se peguen unos con otros. Para aumentar los coeficientes de transferencia de calor superficial y reducir las resistencias a la transmisión de calor, se han desarrollado sistemas tales como la congelación por lecho de impacto en la que el producto recibe gran cantidad de chorros de aire frío a gran velocidad que impactan sobre su superficie inferior y superior, la congelación en lecho fluidizado donde el producto fluye en una corriente de aire frío en un túnel o la hidrofluidización donde el producto se mueve en un lecho fluidizado de líquido frío altamente turbulento. La alta turbulencia y las interacciones fluido-partícula generadas en estos sistemas incrementan la eficacia de la transferencia de calor con lo que los tiempos de congelación se reducen considerablemente (Fikiin, 2003).

3. Modernas estrategias de congelación: Incremento de la tasa de nucleación En los sistemas descritos hasta ahora se han aplicado una o varias estrategias para aumentar la velocidad de extracción de calor. Sin embargo, para obtener buenos resultados el producto ha de ser pequeño y ha de congelarse de forma individual. Si se aplican estos sistemas a productos de gran tamaño, sólo se consigue que se produzcan nucleaciones en la superficie de los mismos. Posteriormente, a medida que avanza la congelación, las moléculas de agua se van adicionando a estos pocos núcleos de la periferia y dan como resultado final cristales de gran tamaño que reducen la calidad de los alimentos (Petzold & Aguilera, 2009). Para solventar este problema, las investigaciones más novedosas se centran en la fase de nucleación para tratar de producir un elevado número de núcleos de hielo uniformemente repartidos en todo el volumen del producto (Kiani & Sun, 2011). En este caso, el parámetro que interesa es la tasa de nucleación que define el número de núcleos formados. En la actualidad, existen tres tecnologías físicas diferentes que permiten actuar sobre el fenómeno de la nucleación: los ultrasonidos, los campos electromagnéticos y la alta presión.

3.1. Congelación asistida por ultrasonidos En los últimos tiempos, se han desarrollado muchas y muy variadas aplicaciones con ondas ultrasónicas, tanto de potencia como de señal (Tabla 1), en ámbitos muy dispares tales como la medicina (ecografías, ultrasonoterapia, …) o la ingeniería civil (detección de grietas, caracterización interna de materiales, etc) entre otros. Sin embargo, y a pesar de que los efectos positivos de los ultrasonidos de potencia sobre el proceso de congelación son bien conocidos, no se han desarrollado aún aplicaciones industriales para la congelación de alimentos. Los ultrasonidos de potencia se pueden definir como un tipo de onda acústica de baja frecuencia (entre aproximadamente 20 y 100000 Hz) y alta intensidad (generalmente mayor de 1 W/cm2). Es bien sabido que si se aplican ultrasonidos

de potencia a un producto que se está congelando, éstos producen cavitación sobre la fase líquida que aún no se ha congelado. La cavitación, tal y como se describe en la Figura 2, consiste en la formación de pequeñas burbujas que crecen al disminuir la presión acústica y se comprimen al aumentar ésta hasta colapsarse violentamente. Estas burbujas actúan como agentes nucleantes favoreciendo; por lo tanto, la formación de núcleos de hielo en todo el volumen de la muestra (Inada, Zhang, Yabe, & Kozawa, 2001; Zhang, Inada, Yabe, Lu, & Kozawa, 2001). El movimiento oscilatorio de las burbujas induce, además, fuertes microcorrientes que facilitan la transferencia de calor y masa, acelerando, de esta manera, el proceso de congelación. Por otra parte, las tensiones ejercidas por los ultrasonidos ocasionan fracturas en los cristales de hielo lo que da lugar a que el producto final congelado tenga cristales de hielo más pequeños (Delgado & Sun, 2011; Zheng & Sun, 2005, 2006).

Distintos experimentos de laboratorio, descritos en la literatura, prueban que la aplicación de ultrasonidos de potencia durante la congelación permite acelerar el proceso. Así, Li & Sun (2002a) demostraron que la aplicación de ultrasonidos (25 kHz/15.85 W/2 min) durante la congelación de rodajas de patata por inmersión permite aumentar sensiblemente la velocidad de extracción de calor del sistema. Estos autores, además, comprobaron que los resultados obtenidos dependen de la etapa de la congelación en la que se aplican los ultrasonidos, la potencia de éstos y el tiempo de exposición. Los mejores resultados se consiguen cuando los ultrasonidos se aplican durante la etapa de cambio de fase; ya que, es en esta etapa cuando se produce la nucleación y se genera mayor cantidad de calor. Por otra parte, cuanto mayor es la potencia y el tiempo de exposición, más deprisa desciende la temperatura de la muestra. Sin embargo, hay que tener en cuenta, también, que cuanto mayor es la potencia de los ultrasonidos que atraviesan el medio y mayor el tiempo de aplicación, más energía acústica se transforma en calor. Por tanto, es necesario buscar un equilibrio entre estos parámetros para optimizar el proceso. La aplicación de ultrasonidos de potencia durante la congelación permite mejorar significativamente la calidad

del alimento congelado. Así, fotografías realizadas con microscopía electrónica de barrido por Sun & Li (2003) en tejido de patata revelan que las muestras congeladas con ultrasonidos presentan menores daños estructurales que aquellas congeladas de forma tradicional. Esto es un claro indicador del menor tamaño de los cristales de hielo formados, bien sea ello por una mayor tasa de nucleación inducida por las burbujas de cavitación o bien por la fragmentación de los cristales de hielo debida a las tensiones causadas por los ultrasonidos.

En la literatura, se han descrito distintas aplicaciones, muchas de ellas patentadas, para aprovechar los efectos que provocan los ultrasonidos de potencia durante la congelación de alimentos. Algunos ejemplos de procesos tecnológicos que podrían verse beneficiados con la aplicación de ultrasonidos de potencia son la fabricación de helados, la crioconcentración y la liofilización (Acton & Morris, 1992; Botsaris & Qian, 1999; Mortazavi & Tabatabaie, 2008; Zheng & Sun, 2006). Así, en el proceso de fabricación de helados, la aplicación de ultrasonidos de potencia durante la etapa de cristalización en el intercambiador de calor de superficie raspada puede tener importantes ventajas. Por una parte, permite la fragmentación

de los cristales de hielo, deseable para obtener una mejor textura en el helado y, por otra parte, la acción limpiadora de la cavitación sobre las paredes del intercambiador puede evitar que se formen gruesas capas de hielo sobre éstas. Mortazavi & Tabatabaie (2008) demostraron que la aplicación de ultrasonidos permite reducir, también, el tiempo de congelación del producto. Es importante, sin embargo, tener en cuenta que uno de los atributos del helado, determinante de su calidad, es el elevado porcentaje de aire que contiene. En este sentido, el conocido efecto desgasificante de los ultrasonidos podría provocar efectos negativos en la textura final del producto. Para evitar esto, Acton & Morris (1992) plantean distintas soluciones tales como incrementar el contenido inicial de aire en el producto o incorporar el aire en el helado parcialmente congelado tras la aplicación de los ultrasonidos. Otros procesos tecnológicos, tales como la crioconcentración o la liofilización buscan obtener, al contario de lo que ocurre en la fabricación de helados, cristales de hielo de gran tamaño para facilitar su separación o la sublimación, respectivamente (Petzold & Aguilera, 2009). En este sentido, la aplicación de ultrasonidos de potencia puede ser también una herramienta útil pues permite iniciar la nucleación de hielo a una temperatura controlada gracias al efecto nucleante de las burbujas de cavitación. Es bien sabido que cuanto mayor es el grado de subenfriamiento (∆T, Figura 1) alcanzado por una muestra antes de su nucleación, mayor va a ser la cantidad de núcleos de hielo formados y; por tanto, menor el tamaño de los cristales de hielo obtenidos. Acton & Morris (1992) han demostrado que la aplicación de ultrasonidos cuando el subenfriamiento es pequeño; es decir, a temperaturas relativamente altas, provoca la nucleación. Pero, dado que ésta se ha producido con un grado de subenfriamento pequeño, se producen pocos núcleos de hielo que dan lugar a pocos cristales, pero de gran tamaño. De todo lo anterior se deduce que la aplicación de ultrasonidos de potencia puede resultar muy prometedora para la congelación de alimentos, especialmente en productos con un alto valor añadido. A las ventajas descritas cabe añadir el hecho de que la técnica es no-invasiva y; por tanto, no requiere el contacto directo con el producto a

congelar. Sin embargo, es importante destacar que la implantación futura de ultrasonidos para la congelación de alimentos no va a depender únicamente de su capacidad para resolver problemas reales, sino también del desarrollo de equipos adaptados a la industria. Hay que subrayar que los ultrasonidos de potencia no remplazan a las técnicas actuales de congelación sino que se emplean para hacer que éstas sean más eficientes. En este sentido, los dispositivos ultrasónicos deberían incorporarse a los actuales equipos de congelación de distintos modos según la aplicación en cuestión: sobre las paredes del tanque o dentro del fluido refrigerante en la congelación por inmersión, de modo que atraviesen el aire en los sistemas continuos de congelación por aire, en la parte inferior de la superficie de contacto en los congeladores por placas o bien sobre las paredes de los intercambiadores de calor de superficie raspada (Zheng & Sun, 2005, 2006). 3.2. Congelación electromagnética

El proceso consiste en la aplicación, a bajas temperaturas, de un campo magnético (0.520000 G) fluctuante (5-15%), en el que la intensidad de campo es unidireccional. Ello provoca una reorientación del espín electrónico y del espín nuclear de las moléculas de agua del objeto que se pretende congelar (Norio & Satoru, 2001). Debido a ello, se pueden producir cristales de pequeño tamaño y en un número más elevado que con un sistema de congelación convencional (Woo & Mujumdar, 2010).

La aplicación del campo magnético induce fuerzas de vibración magnética en las moléculas de agua, lo que evita la formación temprana de los cristales de hielo y su crecimiento (Kiani & Sun, 2011) aun estando a temperaturas muy bajas. Así, se puede retrasar la cristalización del agua del alimento, pudiendo alcanzarse un elevado grado de subenfriamiento (Fikiin, 2003, 2008; Woo & Mujumdar, 2010). Además, al controlar la cristalización mediante el campo magnético, la congelación sucede rápidamente y de manera uniforme en todo el producto, en vez desde la superficie hacia el interior del alimento como en los métodos tradicionales (Mohanty, 2001). En función del tipo de aplicación, el campo magnético puede cesar durante la etapa de subenfriamiento, induciendo la congelación del producto, o bien puede mantenerse a lo largo de todo el proceso para un mejor control del proceso de cristalización (Norio & Satoru, 2001; Kiani & Sun, 2011).

Como consecuencia de lo anteriormente expuesto, la aplicación de un campo magnético durante la congelación, siempre según la teoría, permite obtener un producto tras la descongelación con unas características mejores que con los métodos convencionales, disminuyendo los daños en su estructura y la presencia de exudados (Roca & Montes, 2010). En Japón, la congelación electromagnética se comenzó a utilizar en productos de alto valor añadido y cuya presencia en los mercados en estado fresco está sujeta a cierta temporalidad, como es el caso

del atún rojo. Así, aproximadamente la mitad de los equipos vendidos en Japón hasta la fecha actual se utilizan para la congelación de pescado. Por otro lado, también se aplica esta tecnología en otra clase de matrices alimentarias especialmente sensibles a la congelación como masas de panadería, salsas, hortalizas, o preparados de sushi.

Actualmente existen en el mercado dos empresas que fabrican y comercializan equipos de congelación industriales basados en esta tecnología: ABI Co. Ltd. y Altruist Co. Mientras en los equipos de ABI el campo magnético es inducido por una corriente eléctrica, los equipos de Altruist están construidos con materiales magnéticos permanentes. Esta es la diferencia fundamental entre ambos fabricantes. Los equipos comercializados, además de aplicar campos magnéticos, poseen un sistema de aire forzado de alta velocidad (hasta 5 m/s), que permite trabajar a temperaturas de hasta -60 ºC (Roca & Montes, 2010). La empresa ABI fue pionera en la venta de estos equipos y posee varias patentes en Japón, Europa, EE.UU., China y Australia (ABI Co, 2011; Glen, 2006). Por ello, el sistema que quizás ha recibido mayor atención, al ser el primero en ser comercializado, es el llamado “Cell Alive System” (CAS) de ABI. El principal mercado de ambas empresas es el japonés, aunque en España existen ya algunos equipos de congelación electromagnética tanto destinados a investigación y demostración (AZTI) como a aplicaciones comerciales.

La producción científica relacionada con esta técnica es muy escasa. Sólo se puede encontrar una reseña en Internet (http://kaken.nii.ac.jp/ en/p/13680166/2002/6/en) y un único artículo científico acerca de un estudio en alimentos que se realizó en la Universidad de Tokushima Bunri, financiado por un proyecto de investigación japonés (Yamamoto et al., 2005). De los resultados de este proyecto es im-

portante destacar que no se muestran mejoras tan contundentes en la calidad de los diferentes productos congelados (pechugas de pollo, zanahoria, espárrago y calabaza) como las que se han publicitado por las empresas ABI Co. Ltd. y Altruist Co. Otro de los pocos estudios científicos existentes sobre la efectividad real de estos sistemas de congelación ha sido realizado por el grupo del Dr. Toshitsugu Kawata de

la Universidad de Hiroshima (Japón), dentro de un área muy alejada de la congelación alimentaria, el área de la congelación dental para trasplantes (Kaku et al., 2007; Kawata et al., 2010). Estos investigadores utilizaron un equipo CAS comercial, obteniendo resultados esperanzadores. Según sus datos, la tecnología CAS permitiría obtener, una vez descongelado el producto, una supervivencia de un 90% en cultivos de células periodontales. Sin embargo, los autores no aportaron referencias sobre el campo magnético real aplicado ni compararon los datos obtenidos con los sistemas convencionales, por lo que no se pueden extraer conclusiones sólidas sobre el efecto real del campo magnético en la congelación. Para cubrir el vacío existente en cuanto a datos científicos que establezcan los principios de esta tecnología y sus efectos sobre la calidad de los alimentos, en la actualidad, el grupo de investigación que firma este artículo en colaboración con la empresa AZTI están desarrollando el proyecto AGL2012-39756-C02-01: “Caracterización de la congelación electromagnética en matrices alimentarias”, financiado por el Plan Nacional de Investigación Científica, Desarrollo e Innovación Tecnológica del Ministerio de Economía y Competitividad.

3.3. Congelación por cambio de presión Otro método para controlar la nucleación es el de la aplicación de altas presiones. El procesado a altas presiones hidrostáticas se aplica habitualmente a los alimentos con el fin de alargar su vida útil (Balasubramaniam et al., 2008). La tecnología está basada en el principio de Pascal según el cual la presión se transmite de forma instantánea y uniforme a través de un líquido. Para ello,

se coloca un alimento en un recinto cilíndrico de acero y se cierra (Figura 3). El recinto puede estar lleno del alimento a procesar si se trata de un líquido (compresión directa) o puede estar lleno de un fluido de grado alimentario (habitualmente agua) que le transmitirá la presión, tanto si se trata de un alimento líquido como sólido (compresión indirecta). En este último caso, un envasado a vacío previo del alimento evita los intercambios de materia fluidoalimento. El envase debe ser flexible para permitir la transmisión de la presión y el cambio de volumen asociado. Mediante una bomba hidráulica y un intensificador de presión (Figura 3), se somete el fluido a presiones que pueden alcanzar hasta los 900 MPa. El fluido transmite integralmente la presión a todos los puntos del alimento, independientemente de su tamaño y geometría. El alimento se mantiene así bajo presión, entre 2 y 15 min, tiempo necesario para inactivar los micro-organismos objeto del tratamiento. Después, se libera la presión y se saca el producto. La gran ventaja del procesado a altas presiones frente al procesado térmico tradicional es que se puede realizar a temperatura ambiente (10-20 ºC). Gracias a ello, las sustancias termolábiles presentes en el producto quedan preservadas dando lugar a una calidad nutricional y organoléptica superior a la de un producto tratado por calor. En caso de combinar la presión con temperaturas altas (> 6090 ºC), moderadas (10-60 ºC) o bajas (< 0-10ºC), también se produce la inactivación de microrganismos patógenos y se mantienen generalmente mejor las características de calidad del producto que por procesado tradicional. En los tratamientos a bajas temperaturas, los alimentos pueden someterse a alta presión en estado congelado o bien en su estado fresco. Para ello, es necesario utilizar un fluido de presurización que no se congele durante tratamiento. Se suelen emplear glicoles, etanol, aceite de ricino, puros o mezclados con agua. El estado final del producto tras el tratamiento depende de las condiciones de presión y temperatura a las cuales ha sido sometido y de la cinética del proceso. En la Figura 4, se representan las principales combinaciones

presión-temperatura sobre el diagrama de fases del agua. En particular, observamos que existen algunas formas de congelar el alimento con la ayuda de las altas presiones (Sanz et al., 2005). Entre ellas, la congelación por cambio brusco de presión aparece como la más interesante desde el punto de vista del control de la etapa de nucleación. Para llevar a cabo un proceso de congelación por cambio brusco de presión se siguen los siguientes pasos: - Introducir el alimento fresco en el recinto de altas presiones (punto A) - Aplicar al alimento el nivel de presión acorde al objetivo de subenfriamiento (tramo AB) - Enfriar el alimento hasta que alcance una temperatura cercana a su punto inicial de congelación bajo presión (tramo BC) - Liberar la presión de forma brusca: expansión quasi-instantánea (tramo CD) - Retirar el alimento para finalizar el proceso de congelación y almacenarlo. Es importante destacar que la congelación del alimento no se produce a alta presión sino a presión atmosférica tras la expansión. Justo tras ésta, el agua entra en estado metaestable y la nucleación del hielo es más probable cuanto mayor es el grado de subenfriamiento alcanzado. A continuación, se explica con más detalle cómo el cambio brusco desde la alta presión a la presión atmosférica permite desencadenar la nucleación en condiciones de máximo subenfriamiento y uniformidad térmica del producto.

Como se observa en el diagrama de fases del agua (Figura 4), existe una región por debajo de 0 ºC donde el estado estable del agua es el líquido. Esta región está situada a temperaturas entre 0 y -22 ºC, y presiones entre 0.1 y 632 MPa. Las curvas de cambio de estado líquido-sólido delimitan esa región, separándola de las regiones de existencia de hielos estables (hielo I, II, III, V, VI…) con distintas estructuras a distintas presiones. Tal y como se observa en la Figura 4, la temperatura más baja a la que podemos enfriar agua sin que ésta se congele es aproximadamente de -22 ºC bajo una presión de 210 MPa. En este punto, el estado estable del agua es el líquido. En el caso de un alimento, su punto de congelación a

210 MPa se situará algo por debajo de -22 ºC debido a la presencia de solutos (descenso crioscópico). Entonces, si se libera la presión, se cruza la curva de cambio de estado líquido-sólido (tramo CD) y el alimento entra en la región del hielo I. Si la liberación de presión es instantánea (1-2 s), las moléculas de agua no tienen tiempo de organizarse para formar la estructura del hielo y pasan, de forma transitoria, por un estado metaestable; es decir, se mantienen en estado líquido a presión atmosférica y temperatura por debajo de 0 ºC. La temperatura en el alimento al llegar a presión atmosférica es del orden de -26/-28 ºC en todo su volumen; ya que, debido al calor adiabático de expansión, el alimento sufre, con el cambio de presión, un enfriamiento adicional de unos 2-3 ºC por cada 100 MPa. En estas condiciones, la probabilidad de nucleación del hielo es grande, debido al alto grado de subenfriamiento alcanzado y, casi inmediatamente, aparecen núcleos de cristales de hielo en todo el volumen del alimento. Debido a la correspondiente liberación del calor latente, la temperatura sube hasta punto de congelación del alimento (tramo DE en la Figura 4) y la congelación prosigue. El control de la nucleación del hielo se realiza gracias a un sencillo ajuste de la presión en base al diagrama de fases del agua: la liberación brusca de presión permite colocar al alimento en la región de congelación, en el momento deseado, con un alto grado de subenfriamiento, y desencadenando la nucleación de forma quasiinstantánea. Los alimentos más apropiados para congelar por cambio brusco de presión son los que no contienen mucho aire en su estructura. Dado que la compresibilidad del aire es mucho mayor que la

de los líquidos y sólidos, las estructuras porosas o con gran contenido en aire tienden a colapsarse con la compresión y pueden no recuperarse en la expansión. Como consecuencia de ello, el alimento se estropearía por el efecto de la presión antes que por la congelación en sí. En cambio, dado que las altas presiones permiten la nucleación uniforme del hielo independiente del tamaño del alimento, esta congelación está especialmente indicada para congelar alimentos de gran volumen. En la literatura, existen muchos ejemplos de alimentos congelados por cambio brusco de presión tales como berenjena, melocotón, brócoli, patata, carne, pescado, gelatina, entre otros (Sanz et al., 2005; Otero & Sanz, 2011). El estudio de la microestructura de estos alimentos muestra que los cristales de hielo formados son redondeados, de tamaño inferior a los obtenidos en una congelación tradicional y se sitúan tanto en el interior como en el exterior de las células (Figura 5). Gracias a la alta tasa de nucleación inicial –puede alcanzar un 30% del agua presente, frente a menos del 10% en una congelación tradicional– los cristales de hielo formados, al ser más numerosos, son también más pequeños. Los cristales de hielo formados crecen en todo el volumen del alimento, aunque a velocidades más altas en la superficie que en el interior. Estas características de los cristales de hielo son favorables a la preservación de la integridad de las células. En consecuencia, tras la descongelación del producto, las pérdidas por exudado son menores que las que se producen en un alimento congelado, por ejemplo, en un túnel de congelación.

A nivel industrial, no existen empresas que apliquen este método de conge-

lación. Sin embargo, se recogen dos patentes basadas en la congelación por cambio brusco de presión. La primera protege su uso en pescado y derivados (Tanaka et al., 2002). La segunda protege su aplicación a la producción de postres helados (Puaud et al., 2007 & 2009). Como se ha indicado, es un método particularmente adaptado a la congelación de alimentos de gran volumen y/o de frágil microestructura. Como ventaja adicional a otros métodos de congelación, se recoge la inactivación de ciertos microorganismos y enzimas, y el ahorro de la etapa de escaldado, en su caso. El mayor obstáculo que encuentra la congelación por cambio brusco de presión en la actualidad es de orden tecnológico y económico. No existen equipos industriales comerciales de alta presión que permitan trabajar a temperaturas por debajo de 0ºC. El ratio entre los diámetros externo e interno de un recinto de alta presión es del orden de 3. Así, por ejemplo, en un recinto a escala industrial con una apertura 30 cm, el diámetro externo sería de unos 90 cm y el espesor de la pared del cilindro rondaría los 30 cm. Esto representa una masa térmica de acero considerable para un cilindro que contaría con más de 2 m de largo. Para enfriar el equipo y el producto a la temperatura deseada bajo presión, el tiempo necesario y el coste energético asociado podrían ser demasiado grandes para ser rentable. En la actualidad, los equipos de alta presión utilizados para la congelación son a escala de laboratorio o a escala piloto. El enfriamiento se realiza por inmersión en un fluido de refrigeración o mediante un serpentín situado en las paredes del recinto de alta presión. La duración de la etapa de enfriamiento bajo presión varía según los parámetros

de operación desde unos 10 min hasta 23 horas. Hay que tener en cuenta que se trata de equipos versátiles, capaces de procesar alimentos en otras condiciones de presión y temperatura, y por lo tanto, no concebidos específicamente para la congelación. Existen distintas estrategias posibles para asegurar que el proceso sea viable a nivel industrial. Aquí presentamos dos métodos potenciales, objeto de alguna patente. El primero propone sustituir el refrigerante por un fluido frigorígeno (Díaz Serrano et al., 2004). De esta manera, se muestra que es posible reducir el tiempo de enfriamiento en un factor 8. El segundo propone diseñar un equipo tubular, similar a los extrusores de polietileno, que funcione en modo continuo

(Otero et al., 2007). Introduciendo el producto a 10 ºC a una velocidad de 3 m·min-1, el producto tardaría unos 38 min en recorrer los 114 m necesarios para enfriarlo a -26 ºC antes de realizar la expansión. Además de la congelación propiamente dicha, el proceso descrito se puede aplicar a la crioconcentración de líquidos, como se describe en una patente reciente (Sanz et al., 2011).

En ella se muestran las principales ventajas que ofrece la sustitución del intercambiador de calor de superficie raspada (cristalizador) por un equipo de congelación por cambio brusco de presión. Los cristales de hielo se forman uniformemente en todo el volumen de líquido y no sólo en su-

perficie como ocurre en el caso del intercambiador de superficie raspada. Se elimina el raspado de superficie y la energía necesaria para la rotación de las cuchillas. Los cristales formados son más grandes y redondeados; por lo tanto, son más fáciles de separar para recoger el concentrado.

Como se puede apreciar, la congelación por cambio brusco de presión ha dado lugar a una serie de patentes de distinta índole. A pesar de ello, no existe aún ninguna empresa que las explote. Una de las claves para desbloquear esta situación radica ciertamente en el diseño y desarrollo de equipos específicos a cada aplicación y con un balance energético equivalente al de un proceso de congelación tradicional. El futuro de las altas presiones a bajas temperaturas también depende de su competitividad frente a otras tecnologías propuestas como las descritas anteriormente para mejorar la calidad de los alimentos congelados.

4. Perspectivas futuras

Los hábitos del consumidor actual están favoreciendo el aumento continuo de la producción de alimentos congelados. Ello provoca la necesidad de buscar nuevas tecnologías que aporten mayor calidad a los mismos. En este trabajo se describen distintas tecnologías, más o menos prometedoras, que pueden tener distintas aplicaciones en la industria. Sin embargo, la implantación industrial de toda nueva tecnología va a depender tanto de su capacidad para resolver problemas reales como del desarrollo de equipos adaptados a la industria que puedan competir con los sistemas implantados en la actualidad. Por ello, se requiere la colaboración estrecha entre investigadores, tecnólogos, fabricantes de equipos y empresas de alimentos congelados.

Fuente: Laura Otero, Bérengère Guignon y Pedro D. Sanz Procesos Innovadores y Calidad en Alimentos (INNOTECHFOOD). MALTA Consolider Team Departamento de Procesos. Instituto de Ciencia y Tecnología de Alimentos y Nutrición (ICTAN-CSIC)
José Antonio Novais 10, 28040 Madrid

CÓMO EMPEZAR UN CRIADERO DE PECES

Incubar y criar peces en varias capacidades y por diversas razones está aumentando rápidamente en popularidad. Una razón para el creciente número de criaderos de peces es el incremento en la demanda de productos alimenticios con aletas a medida que más y más personas reconocen los beneficios de una dieta con mucho pescado. Con base en tus intereses e intenciones personales, puedes optar por criar peces para tu propio disfrute o a un nivel comercial para venderlos en varios mercados.

Determinar el tipo y propósito del criadero

1.- Determina el propósito de tu criadero. Existen criaderos para diferentes tipos de peces para diferentes propósitos. A fin de seguir adelante con tu intención de iniciar un criadero, hay algunas determinaciones que debes saber de antemano. En su forma más simple, debes saber qué tipo de peces criarás (y por qué) a fin de empezar a instalar tu criadero o redactar un plan de negocios. En particular, considera lo siguiente y ten respuestas concretas para cada uno antes de seguir adelante.

• ¿Qué vas a hacer con todos los peces? ¿Criarás peces destinados a ser comida, mascotas o simplemente adornos para estanques?

• ¿Tienes la intención de tomar un enfoque más casero y construir un agujero de pesca para ti y tus amigos o buscas construir un imperio comercial con base en la producción con fines de lucro de los peces de mayor calidad en el mercado global?

2.- Decide qué tipo específico de pez quieres criar. El tipo de pez que críes se determinará en parte por el tipo de criadero que quieras empezar. Si bien el sistema que esperas construir puede infl uenciar tu decisión sobre qué peces criar, hay varios factores que debes considerar respecto a tus opciones en cuanto a los peces en sí:[2]

• Una vez que te empieces a inclinar por un determinado tipo de pez, contacta a los criaderos que críen ese tipo de pez para saber sobre la factibilidad de abastecer el criadero.

• Reconoce que los costos asociados la cría de diferentes tipos de peces variarán ampliamente por una variedad de razones, incluyendo la cantidad de manejo que diferentes especies necesitan y el costo de la comida.

• También considera el clima en el que operarás el criadero. Determinados peces necesitan agua a una determinada temperatura para vivir. Si es posible, debes evitar los costos asociados a la calefacción o el enfriamiento del agua, los cuales pueden ser sustanciales.

3.- Opta por la ruta fácil con la tilapia. La tilapia es uno de los peces más fáciles de criar y se come alrededor del mundo. Como tal, se encuentra entre los tipos más rentables de peces que puedes criar. Es lo sufi cientemente resistente como para tolerar diferentes condiciones en el agua, incluidos bajos niveles de oxígeno y altos niveles de amoniaco, e incluso es más resistente a las enfermedades que muchos otros peces.[3]

• La tilapia necesita criarse en agua lo más cerca posible de los 29 °C (84 °F). Sobrevivirá en agua de temperaturas entre los 18 y los 32 °C (64 a 90 °F) pero morirá si la temperatura baja hasta los 10 °C (50 °F).

• Si bien hay diferentes tipos de tilapia, las tilapias Bava, azul y del Nilo son las más apropiadas para los criaderos caseros y comerciales.

4.- Instala un criadero de peces gato. Los peces gato son cada vez más populares en la gastronomía y son

algunos de los peces más fuertes en términos de resistencia a las enfermedades y parásitos. También crecen bastante rápido. Los peces gato americanos son una de las opciones más populares (y rentables) para los criaderos caseros y hay varios tipos de los que elegir.[4]

• Las temperaturas del agua recomendadas para criar peces gato varían con base en la estación y la edad de los peces. Como tal, los peces gato comúnmente se crían en estanques al aire libre.

• Específicamente, los alevines de pez gato americano deben introducirse al criadero cuando las temperaturas estén entre 18 y 20 °C (65 a 68 °F). Debido a que son peces gato, crecerán más rápidamente en agua a una temperatura de 28 a 30 °C (83 a 86 °F).[5]

5.- Construye un criadero de róbalos. El róbalo es único en el sentido de que muchas personas de hecho prefi eren el sabor del róbalo criado al del róbalo silvestre. Criar róbalos es más factible en sistemas más grandes y bien circulados. Los alevines de róbalo, sin embargo, son más sensibles que muchos otros peces jóvenes y requieren un suministro nutricional estricto, una manipulación suave e incluso cantidades particulares de luz.[6]

• Criar róbalos puede requerir tanques de retención adicionales ya que los especímenes de diferentes tamaños deben almacenarse por separado. • Los róbalos prefi eren el agua lo más cerca posible de los 27 °C (80 °F) pero pueden sobrevivir en agua a temperaturas de los 18 a los 29 °C (65 a 85 °F).

6.- Considera criar truchas, salmones o percas. La trucha y el salmón son especialmente populares para el consumo humano, pero requieren condiciones más específi cas que los otros peces mencionados en este artículo. Cuando se crían en negocios sostenibles y bien dirigidos, estos tipos de peces pueden ser opciones de una rentabilidad confiable. La perca amarilla es popular también en algunos mercados, aunque la perca en general no tiene la popularidad global de la trucha o el salmón. Estos tres

tipos pueden crecer hasta un tamaño en el que se puedan faenar en solo una temporada.[7]

• La trucha y el salmón pueden criarse juntos, proporcionando cierta variedad a tu producción.

• Mantén el agua en la que vayas a criar la trucha y el salmón a una temperatura de entre 13 y 16 °C (55 a 60 °F).

• Si solo vas a criar truchas, el agua puede estar un poco más caliente, pero monitorea los niveles de oxígeno más de cerca.

• La trucha arcoíris y la trucha común son particularmente populares, así como también lo son el salmón coho y el salmón del Atlántico.

7.- Obtén los permisos y licencias necesarios. Antes de empezar a construir un criadero de cualquier tamaño o tipo, toma en cuenta las leyes del lugar en donde vivas. Existen muchas reglas sobre criar animales y aún más sobre criar animales para su consumo. Además, debes abordar las formas en las que el criadero puede afectar a la tierra o el agua en los alrededores antes de seguir adelante.

• Dependiendo del tipo, el tamaño y la ubicación del criadero, el papeleo variará, pero cuenta con que habrá mucho de él.

• Si planeas operar un criadero de producción, tendrás que obtener también una licencia comercial. Luego está el otro lado de la ley y una pila completamente nueva de papeleo.

8.- Cría un pez mascota que satisfaga un nicho. Una opción para un criadero que no ocupe mucho espacio es criar un pez de acuario para el mercado de los peces como mascotas o decoración. Los tipos raros de peces que son populares entre las personas que tienen acuarios generalmente no se crían usando equipo de alta producción y pueden criarse en interiores en unos cuantos tanques pequeños y con mucho menos equipo que el que se necesita para los criaderos más grandes.[8]

• Los peces ángel, por ejemplo, pueden criarse fácilmente con equipo que puedes conseguir en un conjunto listo para usarse.

• Para diferentes tipos de peces, necesitarás diferentes tipos específi cos de filtros, tanques, equipo para tratar el agua y comida. Sin embargo, para los acuarios pequeños, podrás encontrar la mayoría de estos suministros en tiendas de mascotas especializadas.

• Elige una raza de pez (como el pez ángel) que ya se venda comúnmente en las tiendas de mascotas, de forma que sepas que habrá una demanda para estos animalitos apenas estén listos para encontrar su propio hogar.

Parte 2

Desarrollar un plan de negocios para un criadero de producción

1.- Edúcate sobre los criaderos de peces. Si no estás familiarizado con la industria, tendrás que adquirir un poco de experiencia de primera mano antes de empezar tu propio criadero. Incluso si tienes alguna experiencia, tener y operar un criadero propio requerirá un conocimiento sustancial de tu negocio específi co y de la industria en general. Si solo tienes la intención de tener un criadero y supervisar el lado comercial, de todas formas tienes que saber lo sufi ciente como para tomar decisiones comerciales y contratar personal competente para dirigir tu negocio.[9]

• Trabaja en un criadero en operación que sea lo más similar posible al tipo de criadero que imaginas abrir.

• Consulta recursos en línea y publicaciones impresas,

Casa Matriz en Francia Oficinas de Ventas : Bogotá & Bangkok www.bcf-lifesciences.com contact@bcf-lifesciences.com

muchas de las cuales son específi cas a determinados estilos de criaderos o para criar determinados tipos de peces.

• Toma cursos sobre negocios de criaderos en una universidad o escuela de oficios. Esta es una buena idea al principio, ya que el conocimiento amplio y suplementario que proporciona un curso te ayudará a tomar decisiones sobre el tipo de criadero que te gustaría empezar.

2.- Haz un plan de negocios. Un plan de negocios sólido será crucial para adquirir cualquier capital de inversión necesario. Además de una cantidad razonable de equipo, también necesitarás el capital para poner en marcha el negocio y para pagar a los empleados para ayudarte a mantenerlo en marcha. Además de atraer a los inversionistas, necesitarás un plan de negocios para ayudarte a conocer a posibles socios comerciales y obtener préstamos.[10]

• Incluye un informe de viabilidad claro y específico en tu plan de negocios. Esto debe incluir cálculos minuciosos de tus gastos iniciales, costos operativos y benefi cios anticipados para los primeros años del negocio.

• Debes saber que los costos anticipados de empezar un criadero dependen completamente del tipo de criadero que quieras empezar. Aunque una instalación casera pequeña puede costar apenas unos cuantos cientos de dólares, una instalación de producción requerirá miles de dólares de inversión únicamente en equipos.

3.- Enfócate en las consideraciones financieras. El capital y los costos de operación de empezar un negocio (sobre todo un negocio de producción) pueden terminar siendo mucho más de lo esperado. Prepárate completamente para tener expectativas precisas y para adquirir una cantidad sufi ciente de capital inicial. Sopesa cuidadosamente tanto las consideraciones generales como las específicas y no olvides considerar factores importantes aparte de los pormenores del criadero en sí.[11]

• Asegúrate de que haya sufi ciente demanda en el mercado para satisfacer el nivel de ventas que necesitas

para tener éxito financiero.

• Considera si un criadero es el mejor uso posible de los inmuebles y el capital específicos que tienes la intención de usar.

• Refl exiona honestamente sobre si tienes el tiempo y la seguridad financiera para empezar un nuevo negocio.

4.- Pronostica los costos de operación teniendo cifras específi cas listas para inversionistas potenciales. Debes estar preparado para citar los costos anticipados de abastecer el criadero inicialmente, la comida para los peces, la electricidad y otras fuentes de energía, la mano de obra, los químicos para el tratamiento del agua, el seguro, los impuestos y las cosas externas como el mantenimiento y el transporte. Conocer lo más posible asegurará que hagas estimados precisos tanto de los costos de puesta en marcha iniciales como de los costos de operación.[12]

• Los costos imprevistos pueden ponerle trabas a una nueva empresa y la mejor forma de evitarlo es sabiendo que has pensado en todo.

5.- Asegúrate de haber considerado todos los gastos de construcción y equipos. Asegúrate de haber considerado necesidades potencialmente costosas en particular. Por ejemplo, incluso si ya tienes el terreno, piensa en lo que tienes que hacerle. ¿Necesitarás construir o excavar algo? Además, ¿en dónde albergarás a los peces? Todos los costos deben tomarse en cuenta, hasta el equipo de seguridad que usará el personal.[13]

• En una producción a gran escala, necesitarás un tractor, espacio suficiente de almacenamiento y quizás incluso camiones.

• ¿Has tomado en cuenta todas las tuberías que conectarán a los tanques, estanques y equipo acuático?

• ¿Has tomado en cuenta los medidores de oxígeno y otros suministros de prueba?

6.- Desarrolla una estrategia específica de marketing. Aunque criar peces puede no parecer un empeño comercial que requiera publicidad, un plan de marketing ayudará mucho a poner tu negocio en marcha. Si hay un mercado establecido, ¿cómo entrarás

en él? ¿La demanda será constante durante todo el año? Considera qué lugar será ideal para los intentos concentrados de ventas.

7.- Termina el plan de negocios con una buena dosis de análisis de riesgos. Aunque no es agradable pensar en ello, debes tomar en cuenta los riesgos potenciales intrínsecos a tu negocio. Una consideración clásica es si podrías sobrevivir si perdieras todo un cultivo de peces. Necesitarás la inversión necesaria para poder hacerlo ya que perder todo un cultivo de peces es una posibilidad realista.[15]

• Desarrolla un plan para una fuente de agua de respaldo si la actual baja a un nivel por debajo del umbral de calidad.

• Evalúa y aborda el riesgo de contaminación por pesticidas, metales o cualquier otra cosa en la ubicación que tengas en mente.

• Desarrolla y mantén contactos para pedir consejo e información incluso antes de que los necesites, particularmente en términos de la salud de los peces.

Parte 3

Criar peces en tu patio trasero

1.- Excava tu propio estanque. Un estanque pequeño es una de las formas más baratas y fáciles de empezar un criadero de peces ya sea para uso personal o para ventas locales. De todas formas, es probable que cueste por lo menos unos cuantos miles de dólares poner en marcha un criadero basado en un estanque. Además, el tamaño del estanque y el clima del lugar en donde vivas determinarán qué tipos de peces te será más viable criar.[16]

• A menudo está bien llenar un estanque artifi cial con agua municipal, aunque puede ser preferible bombear agua de un cuerpo de agua natural cerca de donde vivas.

• Asegúrate de no violar ninguna regla o ley al manipular algún cuerpo natural de agua o línea divisoria consultando con las agencias regulatorias locales de los peces, la vida silvestre y el medio ambiente.

• En áreas en donde los estanques podrían congelarse, puedes bombear y ciclar agua a través de un calefactor artifi cial para mantener el estanque cálido y lo suficientemente líquido como para que los peces puedan sobrevivir en él. Sin embargo, los climas fríos incrementarán sustancialmente el costo de operación y el riesgo involucrado en la operación del criadero.

2.- Abastece el estanque según su tamaño. Al abastecer el estanque con alevines, usa la capacidad para determinar la cantidad de peces que se pueden albergar de forma segura. De-

pendiendo del tipo de pez que elijas criar, mantén el estanque a un tamaño y profundidad determinados.[17]

• Ten extremo cuidado de no abarrotar el estanque ya que la calidad del agua y la salud de los peces pueden deteriorarse rápidamente en un cuerpo de agua abarrotado.

3.- Equilibra el estanque para minimizar la necesidad de administrarlo. Las plantas acuáticas son muy útiles por muchas razones. En un sentido inmediato, proporcionan cubierta para tus peces durante el día. Además, las plantas ayudan a mantener un estanque ecológicamente equilibrado y convertirán a un pequeño estanque en un paraíso para criar peces con muy poco esfuerzo de tu parte.[18]

• Determina los tipos de plantas que incluirás en el estanque con base en el tipo de pez que planees criar, así como en los tipos de plantas que crezcan naturalmente en los estanques en tu área.

4.- Alimenta a los peces del estanque dependiendo de varios factores. Otro benefi cio de los criaderos en estanques caseros es que probablemente puedas alimentar a tus peces con menor frecuencia, ya que los peces podrían comer plantas e insectos. Incluso para un crecimiento y una cosecha rápidos, solo tendrás que alimentar a tus peces de vez en cuando.[19]

• Ten cuidado de no alimentar a los peces en exceso ya que esto puede contribuir a las enfermedades, a una mayor cantidad de bacterias en el agua y a una disminución en la calidad del agua en general.

• Para determinar si tus peces necesitan más comida, observa su comportamiento cuando añadas comida al agua. Si los peces se vuelven frenéticos y comen toda la comida extremadamente rápido, empieza a alimentarlos con una frecuencia ligeramente más regular.

5.- Cría peces por medio de jaulas. Si ya hay un cuerpo de agua presente al que tengas acceso, es probable que puedas instalar un pequeño criadero de peces con materiales fácilmente disponibles. Por ejemplo, puedes construir una jaula con tubos de plástico y redes y luego anclarla al borde de un cuerpo de agua y usarla para criar peces.[20]

• Asegúrate de que el agua a la que tengas acceso sea adecuada para criar peces antes de decidir empezar un criadero en un cuerpo de agua natural.

• Abastece la jaula con alevines y simplemente aliméntalos hasta que sean lo suficientemente grandes como para cosecharlos.

• Para una cría pequeña en jaulas, espera pagar solo por los materiales de la jaula, los alevines y la comida, lo cual podría costar apenas $100 en total.

6.- Construye un criadero de fl ujo. Desvía una fuente continua de agua fría, como un arroyo o río natural, hacia corredores que contengan peces a la vez que les permites nadar en agua corriente. Es probable que necesites menos agua de la que crees, pero el flujo debe mantenerse constante. En la ubicación adecuada, los criaderos de flujo pueden ser una forma relativamente simple de criar peces.[21]

• Sé consciente de las regulaciones adicionales involucradas en el desvío y el benefi cio del uso de recursos naturales. Contacta a las autoridades de conservación locales para discutir tus planes.

• Este es el método que se usa para ayudar a muchas organizaciones de conservación dirigidas por el gobierno. Sin embargo, es más difícil de instalar que muchas otras opciones, a menudo no está permitido y no es tan comercialmente factible como las demás opciones.

Parte 4

Empezar un criadero comercial

1.- Amplía un criadero basado en un estanque. Para los criaderos basados en estanques de mayor escala, necesitarás varios estanques, una buena cantidad de terreno y una cantidad sustancial de equipo adicional. Conceptualiza la ampliación de un criadero basado en estanques como el equivalente a pasar de tener un jardín a tener una granja comercial: requerirá una gran cantidad de planificación, tiempo e inversión.

2.- Cría peces en tanques, recipientes o tinas. Una de las limitaciones

de los estanques es la cantidad de espacio literal que ocupan. Si bien los estanques ofrecen un gran método para criar peces en cantidades limitadas, los criaderos de peces basados en recipientes pueden manejar una capacidad de producción más alta dentro de una cantidad relativamente limitada de espacio.[22]

• Los suministros municipales de agua generalmente sirven para llenar tanques, aunque es probable que el agua tenga que tratarse.

• Ten en cuenta que los sistemas de acuaponía tienen costos de puesta en marcha mucho más altos y una mayor necesidad de suministros y equipo y necesitan un mayor conocimiento de la cría comercial de peces.

3.- Instala una bomba y equipo de aireación. Sea cual sea el tipo de criadero que tengas la intención de dirigir (y especialmente para un criadero acuapónico de producción) necesitarás una bomba para ayudar a asegurarte de que tus peces siempre tengan suficiente agua fresca. De forma similar, el agua en la que tus peces vivan probablemente requiera una afl uencia constante de oxígeno proporcionado por el equipo de aireación.[23]

• Las bombas a menudo son necesarias para ciclar el agua desde los tanques de retención hasta las piscinas de reciclaje o el equipo que pueda limpiar el agua y remover las impurezas.

• Mientras más peces intentes criar, sobre todo en un criadero en interiores, necesitarás más equipo de limpieza de agua y aireación.

4.- Resuelve cómo capturar, manipular y califi car a tus peces. Para los criaderos de producción, necesitarás mucho equipo para lidiar con el producto. En términos de la industria, necesitarás una red de cerco. Las redes de cerco se usan para cultivar a los peces o recolectarlos del agua. Al hacerlo, tendrás que ordenarlos por tamaño. También necesitarás una forma de manipularlos y potencialmente una forma de transportarlos a los compradores.[24]

• Para los criaderos de mayor escala, necesitarás carretes y otros equipos que puedan usarse para arrastrar redes grandes. Es probable que necesites un tractor y montacargas para manejar redes llenas de peces.

• A medida que los peces sean calificados, tendrán que trasladarse a diferentes tanques de retención. También puedes usar equipo de conteo para monitorear tu cosecha.

Las industrias acuícola y pesquera nacional, tienen bien en claro que para crecer es necesario innovar, ambas actividades están estrechamente ligadas; por ello compartieron la primer Expo Innovación Acuícola y Pesquera 2018, la cual se desarrolló con gran éxito los días 6 y 7 de septiembre en las instalaciones del Centro de Convenciones en la ciudad de Mazatlán, Sinaloa. Con una exhibición comercial, conferencias magistrales y un área gastronómica, los asistentes se encontraron con nuevos sabores y procesos de valor agregado para los productos acuícolas y pesqueros, así como las nuevas tendencias del negocio, además de poder degustar platillos elaborados con exquisito producto nacional del mar. Francisco Coppel, presidente del Comité Organizar de Expo In-novación Acuícola y Pesquera 2018, comentó que durante los últimos años, se ha posicionado el producto asiático en el mercado mexicano, y ha desplazado los productos frescos de muchas pesquerías nacionales. Por ese sentido, se creó “Expo Innovación Acuícola y Pesquera 2018”, para conocer las tendencias de mercado y las herramientas para desarrollar nuevos productos para mercados potenciales. El evento arrancó con potencial, esperemos se perfile como uno de los favoritos para productores, proveedores y comercializadoras, y que la innovación sea la principal fuente para que nuestra industria siga creciendo.

industria acuicola Septiembre
Revista Industria Acuicola
Grupo INFRA
CARDONAL
REST BOX
CAVIC
industria acuicola Septiembre 2018 | 47
CELULOSA Y CORRUGADOS DE SONORA, S.A. DE C.V.
OCEAN GARDEN
PIASA

DESARROLLO ECONIMICO DE SINALOA

JOFFROY GROUP

industria acuicola | Septiembre 2018 48
MAYEKAWA
LAQUIN
PETROIL
ORORA INAPESCA
IOSA DE LOS MOCHIS S.A. DE C.V.
industria acuicola Septiembre 2018 | 49
TIPSA
MANUEL HUERTA

23 de Agosto 2018

Acuicultores reportan buen rendimiento pero cae el precio

Aunque el fin del ciclo termina el 30 de noviembre el Comité Estatal de Sanidad Acuícola de Sinaloa optará por guardar la producción de camarón generada en este segundo ciclo en espera de que mejoren las condiciones de precio en el mercado.

Santos Quintero Benítez, presidente de este organismo, mencionó que de acuerdo con los rendimientos que han tenido por hectárea sí llegarán a las 63 mil hectáreas de producción, como ocurrió en el 2017, pero que la estrategia a implementar será para buscar mejorar el precio que en esta temporada cayó considerablemente.

Problema “Nos está yendo bien, lo único que nos afectó mucho fue el precio, el precio nos bajó más de 30 pesos por kilo esta temporada de mayo a la fecha y la preocupación más es que nos pega a nosotros y no se refleja en el consumidor final, es el último eslabón el que aprovecha esa bajada de precio, desgraciadamente no le llega al consumidor”, expuso.

Aunque el precio de la producción podría mejorar un poco mencionó que al levantarse la veda para la captura de camarón en bahías y posteriormente en altamar, eso los obliga a bajar un poco más el precio.

TAMAULIPAS.-

9 de Septiembre 2018

Doce proyectos de acuacultura, dos de ellos para la producción de tilapia en jaulas en el río Tamesí, en Altamira, y diez más para la engorda de ostión en estanques de la zona norte del estado.

Proyectos de acuacultura, dos de ellos para la producción de tilapia en jaulas en el río Tamesí, en Altamira, y diez más para la engorda de ostión en estanques de la zona norte del estado, han comenzado con pescadores organizados, Conapesca y la Secretaría de Pesca de Tamaulipas.

Se trata de proyectos punteros para aprovechar la capacidad productiva de la entidad, en la que se han involucrado más de 300 familias en ambas regiones, afirmó el director de Fomento de Pesca y Acuacultura, Jorge de Jesús Montagner Mendoza.

Muchos acuicultores optarán por guardar la producción en espera de que haya mejor precio.

Baja el precio

El precio del camarón 41-50 anda en alrededor de 85 pesos el kilo, cuando anteriormente llegó a estar en más de 100 pesos.

En busca de proteger el precio de la producción mencionó que se han estado organizando para formar una comercializadora en el municipio, aunque también podrían adherirse a una confederación que los ayude a buscar estrategias para proteger el precio.

“Es un proyecto a mediano y largo plazo que poco a poco vamos a irle dando y se van a ver resultados de aquí a un par de años creo yo”, expuso.

Producirán tilapia en jaulas en el río Tamesí

Manifestó que la Comisión Nacional de Acuacultura y Pesca cerrará así en Tamaulipas apoyos para desencadenar el crecimiento de la acuacultura, y en en el caso del ostión, propiciar una producción a futuro de 100 a

Rendimiento

Respecto al rendimiento por hectárea consideró que ha sido favorable y que con ello lograrán sostener el nivel de producción generado el año pasado, que fue de casi 63 mil toneladas en total, generadas en 45 mil hectáreas aproximadamente que hay en todo el estado de Sinaloa.

En Guasave son alrededor de 10 mil hectáreas las que se siembran de camarón.

“Gracias a Dios todo lo que es la zona norte hasta la zona centro ha tenido muy buenos resultados”, dijo.

150 toneladas de la ostra tamaulipeca.

La producción del ostión se hará específicamente en la zona norte, entre pequeños productores, pero será detonante para todo el estado, explicó.

SONORA.-

06 SEPTIEMBRE 2018.

Piden no arriesgar pesca de merluza

La pesquería de merluza podría colapsar si se aprueban nuevos permisos para su explotación en Guaymas, Puerto Peñasco y San Felipe, advirtió la representante de los armadores ante el Comité de Manejo.

La también armadora guaymense, Claudia Higuera, informó que en el Golfo de California hay 80 barcos pesqueros con permisos para la captura de la merluza, para no poner en riesgo la actividad de la que dependen 2 mil 400 familias. Señaló que esta pesquería fue inscrita en junio del año en curso en la Carta Nacional Pesquera por el Inapesca, estableciéndose que el límite de permisos actual es el idóneo para no sobreexplotar el recurso.

“Aumentar el número de barcos o dar permisos a personas ajenas a la pesquería generaría una sobrepesca, queremos que la Conapesca nos ofrezca una explicación sobre la intención de aumentar los permisos a personas de otros Estados que no han invertido en generar más empleos ni una pesca sustentable en Sonora y Baja California”, cuestionó. En más de una ocasión, dijo, le han solicitado a la Comisión Nacional de Pesca convocar a reunión del Comité Consultivo de Manejo para pedirle que respete los acuerdos tomados y considerar historiales de arribos para otorgar permisos.

“En la pesquería de merluza no sólo trabaja la gente de los barcos, están también todas las personas que participan en la cadena de valor, siendo la mayoría de ellas mujeres, por ello otorgar permisos de pesca a personas de otros estados, que no han invertido en generar más empleos en esta región ni en tener una pesquería responsable, sería poner en riesgo la actividad”, consideró.

En la reunión que realizó el Grupo Técnico de Merluza, el cual está conformado por investigadores, mencionó, se estableció que al autorizar nuevos permisos, la población estará en riesgo, pues sus embarcaciones disponen de equipos que les permiten pescar a mayores profundidades.

“La pesquería de merluza se desarrolla en los Estados de Sonora y Baja California desde hace más de una década. Desde el 2012 los productores de Guaymas, Puerto Peñasco y San Felipe hemos trabajado junto con científi cos y con la autoridad para tratar de ordenar la pesquería y tener un aprovechamiento sustentable, incluso ya estamos viendo la manera de certificarla”, finalizó.

Industria Acuícola | NOTICIAS

ENSENADA, BAJA CALIFORNIA(GH)

21 de agosto 2018

Canainpesca considera que hay intereses mineros en áreas protegidas

Grandes intereses mineros y de otro tipo pueden estar detrás de las declara- torias de las Áreas Naturales Protegidas (ANP) y la protección de la vaquita marina cuya supervivencia no se ve afectada por las actividades que realizan los pescadores, opinó presidente de la Cámara Nacional de las Industrias Pesquera y Acuícola de Baja California (Canainpesca) Alfonso Rosiñol De Vecci.

Al participar como orador invitado a la reunión semanal de Compañías Mexicanas de la Industria de la Construcción de Ensenada (Comice), dijo que con pretextos ambientalistas, el gobierno federal ha ido incrementando las áreas de exclusión para la pesca comercial. Señaló que a pesar del apoyo económico para los pescadores de curvina que operan en el Golfo de Cortés, es insuficiente para las familias que viven de esa actividad, pero además se afecta el resto de la economía, ya que

se deja fuera talleres de reparaciones, venta de combustibles, de artículos para la pesca y prestadores de servicios. Lo mismo ocurre con la veda a la pesca del camarón cuya captura no pone en riesgo a la vaquina marina, de la que se dice hay 30 ejemplares, ya que el tejido de las redes camaroneras es muy pequeño y es imposible que el cetáceo se enmalle, dijo Rosiñol De Vecchi ante la membresía de Comice encabezada por Orlando López Acosta. Además. Consideró que los ambientalistas se contradicen ya que afirman que la vaquita marina se ve afectada por el ruido, lo que, de ser así, la alejaría de las embarcaciones de pesca, consideró.

El dirigente aseveró que lo que daña a esa especie endémica del golfo es el cambio en su hábitat por la falta de flujo de agua dulce en el delta del río colorado que altera el PH de las aguas del alto golfo de California (Mar de Cortés).

MAZATLÁN, SINALOA

Respecto de las amenazas de los Estados Unidos de embargar las exportaciones de camarón, el presidente de Canainpesca señaló que no hay nada que embargar, ya que desde hace tiempo el gobierno federal mantiene en veda la pesca del crustáceo y lo que actualmente surte el mercado es el camarón de cultivo.

Con esas acciones el Gobierno fomenta el furtivismo ya que la actual política pesquera, incluyendo las declaratorias de ANP, lo que hacen es dejar el espacio libre a los pescadores y traficantes ilegales de totoaba que son los que pudieran afectar a la vaquita marina. Rosiñol de Vecchi reveló que se tiene información de que el multimillonario Carlos Slim es dueño de 160 kilómetros de costas entre San Felipe y Bahía de Los Ángeles y existen en la región 148 mil hectáreas concesionadas a la minería, lo que si afectará el medio ambiente por la utilización de químicos en los procesos de extracción de oro y plata. “No se explica como es que el Gobierno Mexicano insiste en declarar ANP más allá de lo que tiene comprometido en tratados internacionales como el Acuerdo de Aichi en el que está obligado a un 10% de áreas marinas protegido, cifra que ya se rebasó hace un año al llegar a un 22.3%”, explicó.

El líder empresarial puntualizó que nadie está en desacuerdo con la protección del ambiente, pero este se debe dar tomando en cuenta la sustentabilidad de la población.

www.frontera.info

Se echó para atrás decreto contra la pesca, afirma López Obrador 17, Septiembre 2018

Durante su gira del agradecimiento, además de anunciar apoyos a jóvenes y refrendar el plan de austeridad, el Presidente electo de México dio a conocer que intervino ante el Presidente Peña para frenar la intención de cerrar el Golfo de California a la actividad pesquera Durante su gira del agradecimiento en Mazatlán, Andrés Manuel López Obrador anunció que, debido a su intervención ante el presidente Enrique Peña Nieto, se echó para atrás el decreto que buscaba restringir el Golfo de California a la actividad pesquera de altamar, lo que detonó los aplausos de pescadores y empresarios que se encontraban entre los cientos de personas que abarrotaron el paseo Olas Altas. “En estos días nos visitaron pescadores de Sinaloa, preocupados, porque el gobierno federal estaba queriendo decretar la prohibición de la pesca en el Golfo de California hasta acá, en Mazatlán... Intervenimos, se habló con el presidente Peña y se paró ese decreto”. Así lo indicó el presidente electo en su discurso, que duró más de cuarenta minutos y en el que enunció compromisos con el pueblo sinaloense: impulso al sector agropecuario, apoyos a los jóvenes para que puedan trabajar y estudiar; seguridad con bienestar y justicia y encabezar un gobierno

sin autoritarismo, respetando la autonomía del Gobierno del Estado y de los municipios que no sean gobernados por su partido, el Movimiento de Regeneración Nacional, que arrasó en las elecciones del 1 de julio.

Sobre el decreto para declarar una gran reserva de la biósfera en aguas del Golfo de California, López Obrador recalcó que era una iniciativa que carecía de sustento técnico o científico, y no daba opciones a los pescadores, quienes habían advertido de la pérdida de empleo para cientos

de familias si esto llegaba a concretarse. Recordó que días atrás los trabajadores del mar lo abordaron para plantearle la problemática, ante lo cual decidió actuar para poner fin a esa iniciativa, que era promovida por la Coalición de Defensa de los Mares (Codemar), una organización no gubernamental con apoyo de la Semarnat. Eso sí, dijo, el compromiso fue promover la pesca responsable, por lo que exhortó a los pescadores a respetar las vedas y cuidar los recursos naturales.

TAMPICO ALTO.-

03 de septiembre 2018

Preocupa muerte de ostión por inundaciones

El nivel de la laguna es bajo y permite la captura, pero las inundación mata al ostión. Pescadores integrantes de la Cooperativa de la Ribera indicaron que esperan que las próximas lluvias no generen inundaciones graves ya que el desmedido nivel de la laguna provoca la masiva muerte del ostión, esto al ingresar agua dulce a la laguna de Tamiahua, además de que se complica mucho la pesca porque las gafas (pinzas) no llegan al fondo. Sobre el tema Edgar Daniel Sosa Martinez pescador de la cooperativa “La Ribera” indicó que cada temporada de lluvias es la situación que les preocupa por el aumento del nivel del agua que puede registrar la laguna. Indicó por el contrario que cuando

SAN LUIS POTOSI.-

16 - Septiembre 2018

el aumento del nivel es regular este es excelente al referir “Con un nivel regular el agua se purga y se registra también la reproducción del ostión que logra buen tamaño, con ello se generan garantías para una buena producción que deriva en mayores benéficios económicos.

Manifestó que en estas fechas las capturas han sido buenas por el bajo nivel de la laguna al extraer ostión de buen tamaño y en menor tiempo de trabajo. Agregó que actualmente les pagan un precio justo por la arpilla de 35 kilos por 115 pesos para que la cooperativa los saque a 150 pesos.

FUENTE: EXPRESO.PRESS

Lluvias afectan a acuacultores, pero son benéficas para el campo

Las lluvias afectan a la acuacultura porque las corrientes arrastran basura, desechos, residuos de insecticidas, aguas negras y demás, lo que va a dar a cauces de arroyos y luego a los ríos, lo cual es causa de que los peces que se crían en jaula, se vean afectados seriamente.

Por la información que dio el presidente del Sistema Producto Bagre, Miguel Salinas, quienes se dedican a la producción de bagre en la región lo que se conoce como acuacultura, como la reproducción de esta especie es en jaulas, en los ríos, en esta temporada enfrentan problemas, pero como ya ha ocurrido antes, toman las medidas de precaución para hacer frente a esto.

La tierra que arrastran las aguas y que llega a los ríos, provoca que se tapen las branquias de los pescados, muchas de las veces superan este problema, pero hay veces que no, por lo que al iniciar la temporada de lluvias, se tienen que preparar para hacer frente a esta situación y evitar que las pérdidas les afecte su economía, lo que hasta el momento les ha dado resultado.

Ya antes se han tomado muestras y se han analizado las aguas de los ríos, y se ha encontrado desde pesticidas,

fungicidas, fertilizantes, heces fecales, residuos de aguas industriales y demás contaminantes, lo que afectan sobremanera a quienes se dedican a la acuacultura en esta parte del Estado.

Las pérdidas no se consideran graves, pero señaló que es importante hacer conciencia en el sentido del uso de contaminantes, tanto en la zona urbana como en el medio rural, porque cuando se presentan las lluvias, los residuos que quedan van a dar a los cauces de los ríos, lo cual contamina de manera grave los afluentes lo que se debe evitar.

FUENTE:

INTERNACIONALES

CHINA.06 AGOSTO 2018.

El

salmón y la trucha son lo mismo, según los chinos por este motivo...

En China ya se declaró que el pescado etiquetado como salmón y la trucha son lo mismo, algo que está indignando a muchos.

Durante años, los vendedores de pescado en China han etiquetado como salmón algo que no es salmón, de acuerdo con un reporte en los medios locales que indignó a los amantes del sushi en el País. Ahora, las autoridades de piscicultura chinas han respondido: no hay problema. Los reguladores chinos dijeron recientemente que la trucha arcoiris puede ser vendida como salmón, de acuerdo con nuevos estándares establecidos por una asociación de piscicultura afiliada al Gobierno y 13 pesquerías comerciales. Para justificar el cambio en la definición, los funcionarios hicieron referencia a la biología: el salmón y la trucha arcoiris pertenecen a la misma familia.

La vaga definición tocó una fibra sensible en un País con un historial de problemáticas respecto al etiquetado de alimentos y una población de consumidores cada vez más sofisticados. Miles se abocaron a la internet para criticar a los reguladores por bajar los estándares alimenticios, en lugar de arreglar la problemática.

Algunos declararon que nunca volverían a comer salmón. Incluso los comensales en un restaurante de sushi dijeron que ya no podían confiar lo suficiente en el salmón como para comerlo crudo. La mayoría del salmón asiático pasa la mayor parte de su vida en agua sal. Las truchas arcoiris con frecuencia

CHILE.septiembre 6, 2018

con cultivadas en tanques de agua o estanques, lo que podría exponerlos a parásitos de agua dulce que podrían infectar a los humanos si el pez fuera consumido crudo.

En Hong Kong, una ciudad china que tiene sus propias leyes, servir pescado de agua dulce crudo es ilegal. Las nuevas reglas llegaron tres meses después de que los medios estatales recircularon un segmento en video que retrataba una pesquería de agua dulce en el Embalse Longyangxia, en la Provincia de Qinghhai.

La pesquería, dijo suministraba un tercio del salmón de China. Eso despertó el interés de los medios, puesto que Qinghai es una provincia tierra adentro, lejos del mar. Reportes subsecuentes dijeron que una cantidad considerable de pescados etiquetados como salmón era trucha arcoiris. Aunque la trucha puede ser comercializada como

salmón, los mercados y restaurantes deben listar la especie del pez y su origen. Por ejemplo, una etiqueta podría rezar “salmón (salmón del Atlántico)” o “salmón (trucha arcoiris)”.

La industria pesquera de China dice que el agua en las granjas de peces es monitoreada cuidadosamente.

La Asociación de Pesquerías Chinas, un grupo de la industria, dijo que los consumidores podrían estar más satisfechos con la trucha que con el salmón. En Noruega y Chile, dijo, “mucha gente local prefiere la trucha arcoiris, y el precio de la trucha arcoiris es más alto que el del salmón del Atlántico”. Sin embargo, los usuarios chinos de internet se burlaron de afirmaciones respecto al mayor valor de la trucha arcoiris, al decir que preferirían comprar el salmón común y corriente, por favor, porque no podían darse el lujo de portar parásitos.

FUENTE: www.am.com.mx

Investigaciones revelan los efectos beneficiosos de las algas para la salud

La Dra. Jara Pérez Jiménez, Científica Titular del Instituto de Ciencia y Tecnología de los Alimentos y Nutrición de Madrid visitó la Universidad Austral de Chile. (Mundo Acuícola).

A nivel mundial existe una demanda creciente por alimentos que mejoren la salud o que puedan evitar la aparición de enfermedades. En ese contexto, Chi-

le tiene un potencial aún no explorado para obtener ingredientes con actividad biológica que puedan incorporase a alimentos que ayuden a lograr dicho objetivo, indicó el Dr. Javier Parada Silva, académico del Instituto de Ciencia y Tecnología de los Alimentos (Icytal) de la Universidad Austral de Chile.

El profesor director de la Escuela de Ingeniería en Alimentos de la UACh desarrolla el proyecto Fondecyt Nº 1170594 “Capacidad de extractos de algas chilenas para la inhibición selectiva de enzimas relacionadas con la digestión del almidón y respuesta glicémica postprandial”, que estudia la capacidad de algunas algas chilenas para proveernos de ingredientes funcionales.

El docente quien también es integrante del grupo CISVo informó que la idea es abrir una línea de investigación en esta área “con un equipo que ya hemos constituido y que nos permita continuar estudiando el tema en proyectos futuros”.

En este contexto, hace unos días (23-28 de agosto) visitó Valdivia la por la Dra. Jara Pérez Jiménez, científica titular del Instituto de Ciencia y Tecnología de los Alimentos y Nutrición (ICTAN-CSIC) con sede en Madrid y que se ha especializado en la investigación de compuestos bioactivos de la dieta a través de una aproximación multidisciplinar. La especialista se reunió con el grupo de trabajo del Dr. Parada, entre ellos el Dr. José Pérez Correa, co investigador del Fondecyt, académico de la Pontificia Universidad Católica de Chile. Asimismo, el viernes 24 de agosto, dictó una charla titulada “Polifenoles en algas: conocimientos actuales y perspectivas”.

En la ocasión explicó cuáles son las posibilidades de aplicación e investigación el área de polifenoles en las algas, indicando que participó en un estudio efectuado en las costas de la isla de Chiloé, así como dando a conocer el resultado de algunas investigaciones en salud humana y sobre los procesos que se pueden aplicar a este alimento sin alterar sus aportes beneficiosos para la salud de las personas.

¿Qué son los polifenoles?

Los polifenoles son compuestos con actividad antioxidante, que se encuentran en abundancia en los alimentos como especies secas, frutas, vegetales, vino tinto y cocoa. También son abundantes en las algas, siendo éste el objeto de estudio del proyecto Fondecyt indicado.

La Dra. Jara Pérez al referirse a este tema señaló que existe evidencia científica del aporte de las algas para prevenir enfermedades cardiovasculares y diabetes tipo 2, los que están basados en estudios clínicos y epidemiológicos. “Los polifenoles -como los presentes en las algas- muestran efectos antoxidantes, especialmente relevantes en tracto gastrointestinal y colon. Igualmente, tienen efectos beneficios en salud a través de otros mecanismos, que estimulan nuestros propios sistemas de defensa antioxidante. También favorecen el desarrollo de especies beneficiosas del microbiota intestinal; inhiben la acción de ciertas enzimas, regulando la glucosa en sangre; regulan diferentes procesos celulares, reduciendo, por ejemplo, la inflamación”, explicó Jara. La científica destacó que la población a nivel mundial consume cada vez más algas.

De Ahí la importancia de profundizar en estudios sobre la obtención de compuestos bioactivos a partir de las algas, entre ellas las chilenas que tienes gran cantidad de estos componentes. Por su parte, el Dr. Javier Parada, coincide en que “los ingredientes funcionales que se encuentran las algas, son de conocimiento aún limitado, lo que nos abre un mundo de posibilidades para efectuar estudios en esta materia”.

Por eso es necesario, según la Dra. Pérez avanzar en la identificación de los compuestos presentes en las algas comestibles con potenciales implicaciones en salud.

Tipos de algas comestibles y su composición

Las algas son organismos eucariotas fotosintéticos que viven en medios húmedos y que pueden ser de color rojos,

verdes y pardas. Mientras que en las algas pardas se encuentran una clase de polifenoles llamada fl orotaninos, las rojas y verdes se caracterizan por la presencia de otra familia de estos compuestos, los llamados bromofenoles.

Por otro lado, a pesar de los múltiples compuestos beneficiosos presentes en algas, se debe tener en cuenta que el alto contenido de las mismas en yodo, sobre todo en ciertas especies y cuando se consumen crudas, puede favorecer el hipertiroidismo, indica Jara Pérez.

Agrega que existen algas con un contenido en yodo hasta 1.000 veces superior al del pescado (el alimento común más rico en este elemento), de manera que el consumo de tan sólo un gramo de alga seca, podría aportar más de 10 veces la cantidad diaria requerida de iodo.

Por eso para la investigadora “es muy necesario establecer categorías de alga comestible en función de su composición completa, evaluar los efectos de los procesos a lo que son sometidas (secado o cocinado), así como también evaluar el potencial de extractos que contengan sólo aquellos compuestos con un potencial beneficio en salud”.

Desde el punto de vista de la salud sostiene que es relevante conocer la interacción de las algas con el microbiota, profundizando en su actividad sobre enzimas digestivas incluyendo estudios clínicos. De igual modo, para la experta, es necesario establecer las dosis de algas que debe recibir una persona según sus requerimientos, entre otros aspectos.

QUITO.-

septiembre 10, 2018

Gobierno de Ecuador anuncia incremento precio del diesel para pesca y camarón

El Gobierno de Ecuador anunció hoy el incremento del precio del diesel para los sectores pesquero y camaronero, como parte de un conjunto de medidas que buscan sostener la economía nacional y obtener liquidez.

El secretario general de la Presidencia, Eduardo Jurado, hizo el anuncio en la ciudad costera de Manta, donde también detalló un plan de incentivos y acciones para los sectores pesquero y camaronero, y la “actualización del precio” del diesel industrial. Esta estrategia ya fue esgrimida por el presidente ecuatoriano, Lenín Moreno, el pasado 21 de agosto, cuando anunció la elevación del precio de la gasolina “súper”, de mayor octanaje, y otras medidas de austeridad y de ahorro. “Somos una administración transparente, frontal y responsable con el país. Analizamos minuciosamente la realidad, principalmente la económica, y tomamos las mejores decisiones”, señaló Jurado en declaraciones reproducidas por la Secretaría Nacional de Comunicación (Secom).

El diesel industrial para los secto-

res atunero y camaronero elevará su valor en 0,25 centavos de dólar el galón (3,78 litros), sin el impuesto al valor añadido (IVA), y de 0,10 centavos para otro tipo de pesquerías. Además, Jurado informó de que en un mes más se procederá a una reclasifi cación de las embarcaciones del sector pesquero, “con el fin de atender una demanda histórica de más de 40 años de este importante sector”.

También anunció la apertura de líneas de crédito al sector pesquero a través del banco público BanEcuador y un proceso de trabajo conjunto con esta industria sobre un modelo de gestión que garantice todas las facilidades para la producción y exportación.

Asimismo, mencionó un programa de reconversión energética para el sector camaronero, con el fin de sustituir el uso del diesel por una generación eléctrica limpia. Jurado aseguró que el Ministerio de Hidrocarburos publicará el nuevo tarifario del combustible.

“Lo más importante es el mensaje que el sector (pesquero) le da al país, que es el momento de arrimar el hombro

porque el país atraviesa una situación que requiere el apoyo de todos”, señaló Jurado que hoy se reunión con representantes de ese colectivo. El pasado 21 de agosto, el presidente Moreno anunció varias medidas para sostener la economía y obtener liquidez, según dijo entonces para recuperar a un “país quebrado” por su antecesor, el exmandatario Rafael Correa, quien gobernó entre 2007 y 2017.

“Recibimos un país quebrado económicamente, con una deuda total de cerca de 60.000 millones de dólares”, afi rmó Moreno y calculó en 18.000 dólares la deuda con la que nace cada niño ecuatoriano.

Para Moreno, “esto es inhumano” y si no se corrige se pondría en riesgo “el presente de nuestros hijos” y se hipotecaría su futuro.

No obstante, sindicaos, indígenas y estudiantes han amenazado con acciones de protesta contra las medidas económicas del Gobierno de Moreno, a las que consideran lesivas para el pueblo y que responden a las directrices del Fondo Monetario Internacional.

por: Contacto Hoy

JAPON.-

septiembre 10, 2018

Japón pide retomar la pesca de ballenas con fines comerciales

El Comisión Ballenera Internacional decidirá esta semana sobre la propuesta de Japón de acabar con la prohibición de la caza comercial de ballenas. Esta prohibición ha estado vigente durante 32 años porqué algunas poblaciones de ballenas llegaron a aproximarse a la extinción

Vista de ballenas piloto muertas en el muelle de Jatnavegur, cerca

a Vagar en las Islas. Los países que defi enden fl exibilizar la actual prohibición de la caza de ballenas con fines comerciales, encabezados por Japón, y los que quieren mantenerla y crear nuevas reservas de cetáceos, liderados por Australia, miden sus fuerzas a partir de hoy en la ciudad brasileña de Florianópolis en la reunión plenaria bianual de la Comisión Ballenera Internacional (CBI).

El japonés Joji Morishita, que preside desde este año la CBI, quiere aprovechar su liderazgo para buscar la derogación de la prohibición de la caza de ballenas en la reunión que se extenderá hasta el viernes 14 de septiembre.

”Queremos una cuota para aquellas especies de ballenas cuyas poblaciones se consideran saludables por el Comité Científico de la CBI”, dijo

Hideki Moronuki, de la Autoridad de Pesca de Japón, al diario “The Japan Times”.

Una moratoria de 32 años

La prohibición de cazar ballenas se estableció en 1986 cuando se detectó que varias poblaciones de estos cetáceos habían alcanzado cifras alarmantes que les acercaban a la extinción.

Los miembros de la CBI aprobaron una moratoria sobre la caza hace 32 años para permitir la recuperación de las po-

blaciones de ballenas. Pero, las naciones procaza de ballenas esperaban que la moratoria fuera temporal, hasta que se pudiera alcanzar un consenso sobre las cuotas de capturas sostenibles.

En lugar de eso, se convirtió en una prohibición casi permanente, por regocijo de los conservacionistas. Ahora los países con una fuerte tradición de caza de ballenas como es Japón, Noruega o Islandia, piden anular la moratoria y permitir la caza, siempre de forma sostenible.

Japón ha seguido pescando ballenas Una excepción en la prohibición establecida por la CBI, que permite la caza de ballenas con fines científicos, ha permitido a Japón capturar entre 200 y 1.200 ballenas al año.

Lo han hecho escudándose bajo la supuesta investigación del número de ejemplares de cada población y para saber si estas continúan en peligro o no.

Fuente: lavanguardia.com

revista de acuacultura más leída de México.

· Reportajes · Estudios de Mercado

Estadisticas

Reseñas

Tecnología

Producción y mas...

Datos del SUSCRIPTOR MÉXICO EXTRANJERO

Puesto:

E-mail:

Nombre: Nombre:

Datos de FACTURACIÓN

Empresa:

Dirección:

C.P.:

RFC:

Dirección:

Colonia: Colonia:

Ciudad:

Estado:

C.P.:

Municipio: Ciudad: País:

Teléfono:

Estado:

País:

Favor de enviar esta forma adjuntando el depósito bancario por medio de correo electrónico Mazatlán TEL: +52 (669) 981 8571 Obregón TEL: +52 (644) 413 7374 suscripciones@industriaacuicola.com www.industriaacuicola.com

CONGRESOS

Y EVENTOS NACIONALES E INTERNACIONALES

Octubre

D IRECTORIO DE P UBLICIDAD

1 Proaqua

3 Innovaciones Acuícolas

5 Nutriad

9 Phibro Animal Health

11 Conacua 2018

13 Cargill

17 Bacsol

19 INVE

21 Nutrimentos Acuícolas Azteca

23 Membranas Plásticas de Occidente

27 AQUA 2019

29 Jefo

31 DAMSA

33 Aqua Veterinaria

35 Bioplanet

37 YSI a Xylem brand

39 HANNA Instruments

43 BCF Kera Aqua

51 Pesin

53 E.S.E. & INTEC

57 LAQUA 2018

59 Sumilab

Contraportada: Grupo Acuícola Mexicano

1 Forro: Skretting

2 Forro: Fitmar

HUMOR

3-5 5° Foro Nacional Tilapia Centro de Convenciones de Chetumal, Quintana Roo forotilapia.qroo2018@gmail.com @5_foro (Twitter)

24-25 Simposio de Sanidad Acuícola WTC Boca Del Río, Veracruz sanidadacuicola2018@colpos.mx http://rcveracruz.org/#

23-26 Lacqua 2018 Ágora Bogotá Centro de Convenciones Bogotá Colombia www.was.org

24-26 FIGAP 2018 Expo Guadalajara Guadalajara, Jalisco. www.figap.com

Noviembre

29-30 Noviembre CONACUA ‘18 Salón Figlos SNTE Los Mochis, Sinaloa. info@acualcultoresdeahome.com y unacahome@gmail.com

Marzo 2019

7-11 Aquaculture 2019 New Orleans Marriot www.was.org

RE��������

CAMARONES A LA PIMIENTA (6 porciones)

INGREDIENTES :

- Para los camarones -

• 2 cucharadas de aceite de oliva

• 1 taza de arroz remojado y enjuagado

• 1 cucharadita de sal con ajo

• 2 tazas de agua

• 850 g. de camarones sin cáscara y asados

• 1 cucharadita de pimienta

• 1/4 de cebolla picada

• 1 diente de ajo picado

- Para la salsa -

• 400 g. de Crema Lyncott® Reducida en Grasa

• 1 cucharadita de pimienta

• ½ cucharadita de sal

• 1 diente de ajo

PREPARACIÓN :

1. En el aceite de oliva sofríe el arroz, añade la sal con ajo y deja por 2 minutos más. Añada agua hirviendo, tápalo y deja que se cueza a fuego lento.

2. Divide el arroz en 7 porciones y colócalo en un aro. Presiona y vacíalo sobre cada plato.

3. Sobre cada timbal, coloca los camarones previamente asados y baña con la salsa.

4. Para la salsa, licúa la Crema Lyncott® Reducida en Grasa con la pimienta, la sal y el ajo.

5. Caliéntala por 2 minutos y sirve sobre los camarones.

Turn static files into dynamic content formats.

Create a flipbook