Crealign Gels and Pastes

Page 1

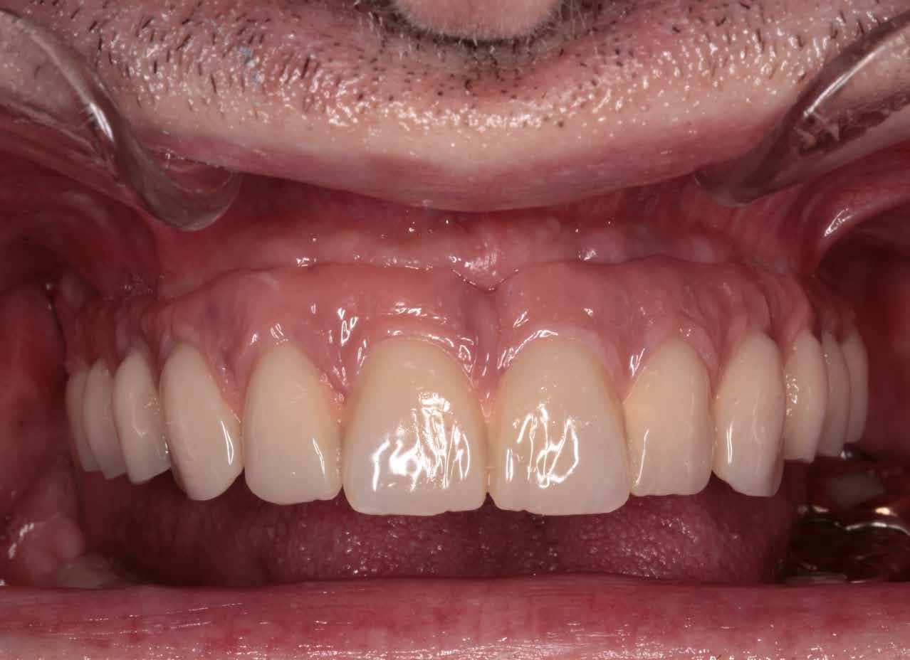
Opalescence of crea.lign®

Dr. Vincenzo Musella, Modena, Italy

Opalescence of natural tooth

MDT Jürgen Freitag, Bad Homburg, Germany

by visio.lign ®
create natural beauty
powered
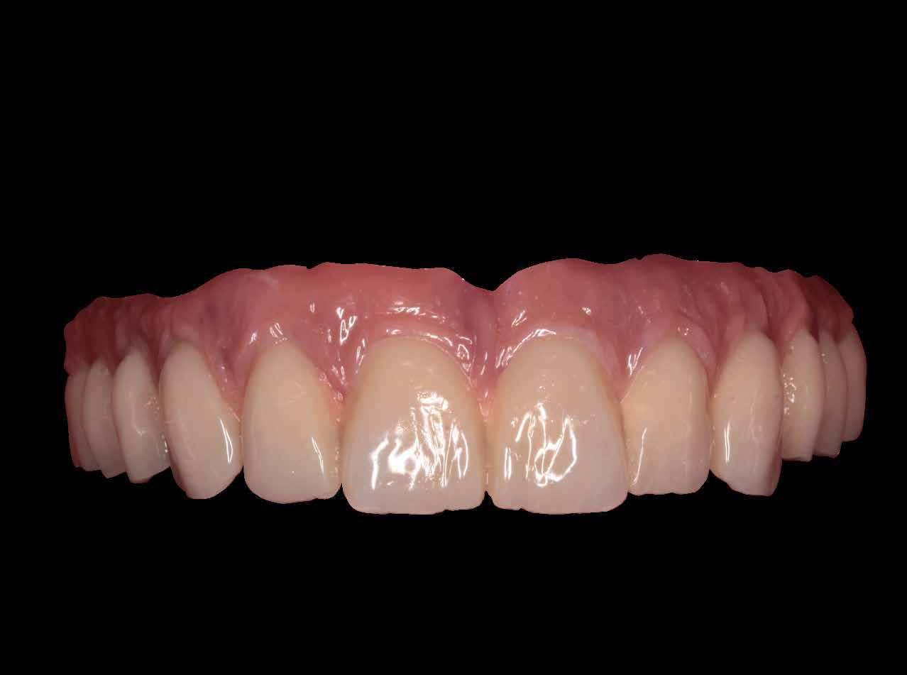
Veneering composite
crea.lign®
Photo: © 2016 by MDT Philipp von der Osten, Erlangen, Germany

crea.lign® veneering composite -for perfect harmony of red-white aesthetics. “ ”

crea.lign®

crea.lign® Veneering composite

Repair of chipping

Intraoral, permanent repairs on the “level of supra ceramics”

Intraoral application

• Approved for oral use: for intraoral application

• Repair of chipping of all veneering materials

• “What you see is what you get”: Result is immediately visible and adaptable

• Firing in the furnace is not required

• Fast repair in situ: direct and simple

Permanent repair without loss in quality

• Material is approved for permanent repairs

• Uncompromised aesthetics: no differences in the shade and “repair transitions” can be recognised

• No deterioration of mechanical properties

• The result is on the level of supra ceramics

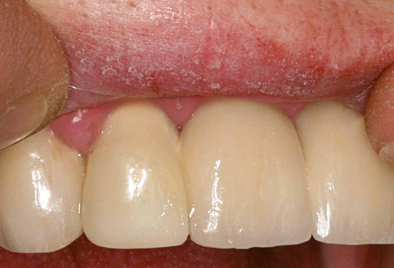
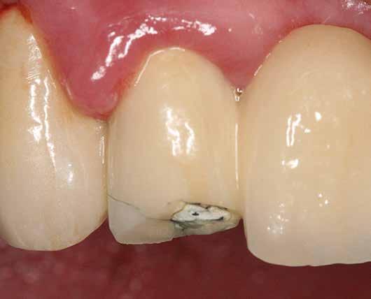
Photos of intraoral, permanent repair © 2016 by MDT Andreas Lüdtke, Bayreuth, Germany Frequent chipping of ceramic veneers After repairing with crea.lign® composite

The Chipping Repair Kit

Chipping cases easily and simply repaired

• Primer can be used in combination with all prosthetic materials

• crea.lign® Incisal and Dentin materials (in A2 and A3 for masking 80 % of all cases)

• Just one Chipping Repair Kit for 100 treatments

• No hydrofluoric acid required

Chipping Repair Kit for dentists

REF CLIGNSETA: includes crea.lign® composites in the shades A2/A3 including 4 primers and consumables.

crea.lign® Veneering composite
1 3 4
2
Gel Modifier Dentin Transpa Clear Enamel & Incisal GUM M1 beige M3 caramel M5 umbra M2 olive M4 lila G1 light G3 pink G2 rosa G4 red T1 clear E1 E2 I1 opal I2 blue E3 E4 I3 rose I4 universal Gel Gel Gel Gel Gel BL3 B3 B4 A4 B2 B1 C2 C4 C3 D2 A1 A3 A2 A3,5 C1 D3 D4
crea.lign® freestyle system components crea.lign®

The flowability of crea.lign® Paste and Gel can be increased with crea.lign® Modelling Liquid.

! When mixed with crea.lign®, the proportion of Mixing Liquid must not exceed 30 %.

composite
light PO opaque Paste
BL3 B3 B4 A4 B2 B1 C2 C4 C3 D2 A1 A3 A2 A3,5 C1 D3 D4
crea.lign® Veneering
crea.lign® Paste crea.lign® Stains crea.lign® Modelling liquid Dentin GUM S1 orange S2 brown PL
Paste
25 20 15 10 5 0 powered by visio.lign create natural beauty Range of pastes Veneering composite crea.lign create natural beauty crea.lign paste Veneering composite Discoloration tendency [∆ E] Colouring substances: Immersion in coffee, tobacco, red wine and methylene blue Graphic „Discoloration tendency ∆ E“ © Research report. May 7, 2012 by A. Rzanny and R. Göbel, University clinic Jena, Germany © 2018 by Andreas Lüdtke (dental technician), Bayreuth, Germany crea.lign novo.lign SRAdoro® (SRNexco®) VITAVM®LC Sinfony ™ Ceramic (HeraCeram®) 4.42 11.96 24.4 2.73 1.21 2.19 All designations bearing the symbols ® or ™ are registered trademarks and/or brand names from third party copyright holders. crea.lign opaquers system shades123456789 Classic A–D shades A1 / B2A2A3B1 / C1 / BL3 C2 / C3 / D2 / D4 B3 / B4A3.5A4 / C4D3 crea.lign Enamel Classic A–D shades A1A2A3A3.5A4B1B2B3B4C1C2C3C4D2D3D4BL3 E1 E2 E3 E4 The Transpa opal customising material can be used in addition to all dentine and enamel materials. In addition to the crea.lign opaquers 1–9, a crea.lign opaquer GUM and a crea.lign opaquer Z are available.
opaquer GUM is suitable for all GUM shades. The opaquer Z is a special opaquer for zirconia frameworks.
Mistake and subject to change reserved 009907GB-20190628 bredent GmbH & Co. KG Weissenhorner Str. 2 89250 Senden Germany T: +49 7309 872-441 F: +49 7309 872-444 www.visio-lign.com @: info@bredent.com
The
crea.lign pastes Shade combination tables

Naturalshadeeffect

The balance between opalescence, fluorescence and translucency ensures a natural vibrant shade effect. Opacity and translucency are determined by the layer thickness.

The opacity increases with the layer thickness whereas the translucency decreases.

The crea.lign incisal materials are perfectly matched with the dentine materials.

crea.lign pastes

The new formulation provides a softer and smoother consistency. Contouring is very easy. No undesired adhesion; very fine transitions in the model.

The filler content of approx. 60 % reduces polymerisation shrinkage.

A high curing depth is achieved thanks to the composition.

The ceramic fillers used increase abrasion resistance and prevent plaque accumulation and discoloration.

Lasting gloss can be quickly achieved with the crea.lign paste in a simple polishing process.

Reliabl e and qui ck a ppl i c a t i o n

Optimisedb trength val u e s
Exce llent modellingproperties
GUM Dentin Enamel Transpa opal
PASTE
enhanced
Enamel E2 (paste) Transpa opal (paste) Dentin A3 (paste) Modifier M4, lila (gel) crea.lign – layers GUM P (paste light) Surface roughness after polishing [µm] novo.ligncrea.lign VITAVM®LC Sinfony ™ Graphic “Surface roughness after polishing“ © Research report, May 7, 2012 by A. Rzanny and R. Göbel, University clinic Jena, Germany 0.100 0.075 0.050 0.025 0 0.06 0.05 0.04 0.03 0.03 Photo: © 2018 by Andreas Lüdtke (dental technician), Bayreuth, Germany Opalescence Transucency All designations bearing the symbols ® or ™ are registered trademarks and/or brand names from third party copyright holders. SRAdoro® (SRNexco®) 17 dentine materials 5 GUM materials 4 enamel materials Transpa opal E1 E2 E3 E4 T.op. New GUM materials! Dentin-materials based on the classic A-D shades and Bleach BL3 C4 C3 C1 D4 BL3 C2 B4 B3 B2 B1 A4 A3.5 A3 A2 A1 D3 D2 PL PO bright brown orange crea.lign Veneering composite crea.lign Study results crea.lign pastes Complete overview
crea.lign
formulation
GUM PO (paste opaque)

crea.lign® freestyle complete set

115 pcs., aluminium case

“The complete solution for professionals” Freestyle layering on PM/NPM, ceramic, zirconia, PMMA, novo.lign® veneers and neo.lign® denture teeth as well as high-performance polymers, such as BioHPP® and CAD/CAM materials, such as visio.CAM. The complete set includes all available shades of the crea.lign® opaque, paste, gel and stains as well as visio.paint and the bond.lign primers/bonders.

REF CLIGNSETFK

system components
crea.lign®

Red-White aesthetic set

19 pcs.

“All you need for the gingiva” Use the crea.lign® GUM materials in the visio.lign® system to individualise your dentures to achieve high-end aesthetics. Offer your customers this individualisation service and increase the profitability of your laboratory. Use your dentures to improve the reputation of your laboratory.

REF CLIGNSETG

crea.lign® Veneering composite

create natural beauty

The consistency of crea.lign® allows optimal use of the “Inverse Layering” technique since I am able to spread the various materials very precisely. Both the transitions in the finishing stage and polishing can be completed very easily thanks to the materials compactness and homogeneity, which ensures aesthetic, predictable and durable results.

The crea.lign® Gel GUM veneering material takes the benefits of substructures made of highperformance polymers to the next level. Feeling in the mouth, appearance and durability are a unique combination.

MDT Philipp von der Osten “ “ ” ”

The perfect interaction of the neo.lign® denture teeth and the crea.lign® veneering composite enables individual, three-dimensional and dynamic layering in red-white aesthetics - for a lasting and harmonious smile of the patient.

After a long search I have finally found a composite that does not only provide ceramic-like properties, such as durability and translucency, but also excels with its natural opalescence. After I discovered crea.lign®, I hardly see any reason to use ceramics.

crea.lign® Veneering composite
“ “ ” ”
visio.lign® bre.Lux PowerUnit 2 Unleash the power of light neo.lign combine natural beauty visio.lign Overview of visio.lign® media crea.lign® Red-White
red-white aesthetics. REF 000651GB
000590GB REF 000305GB
Functional system
Aesthetic Learn more about the possibilities of crea.lign® in
bre.Lux PowerUnit 2 The LED light-curing device is optimised for processing crea.lign® - a short summary of the most relevant information. neo.lign® Denture teeth Design and function of the neo.lign® denture teeth will fascinate you. Discover the variety of teeth and select your favourite design. REF
The Aesthetic and

visio.lign®

REF 000274GB

crea.lign® - veneering composite

The light-curing composite features impressive natural opalescence and unparalleled light transmission for natural beauty.

crea.lign® Veneering composite

novo.lign® - veneers

The novo.lign® veneers feature an extended neck and a natural depth thanks to the morphological layer structure. The gold standard in implant prosthetics.

visio.CAM - composite blanks

The material benefits from the visio.lign® system are also available for CAD/CAM processing. The blanks from the visio.CAM line are compatible with the entire visio.lign® system.

neo.lign® - denture teeth

The neo.lign® denture teeth feature the same shades, designs and materials as the novo.lign® veneers – optimised for fixed/ removable restorations.

bond.lign - primer/bonder

The primer/bonder system for a permanent and secure chemical adhesive bond between all system components and common framework materials – including BioHPP® (PEEK).

visio.paint - stains

The visio.paint stains enable fast and simple individualisation of veneers.

visio.lign® Info folder

The most relevant materials for the visio. lign® system in a handy info folder.

REF 009504GB

visio.lign® Presentation of the system

A compact summary of the variety of products of the visio.lign® system.

REF 000234GB

visio.lign® Manual

Step-by-step instructions of the various processing techniques and possibilities of the visio.lign® system.

The Aesthetic and Functional System visio.lign visio.lign layeringveneeringsetting upmillingstainingbonding Manual The Aesthetic and Functional System visio.lign® Presentation of the system 12.2016
The Aesthetic and Functional System
with natural beauty.-
perform
create natural beauty crea.lign® Veneering composite 000577GB-20170124 Subject to errors and changes bredent GmbH & Co. KG · 89250 Senden · Germany · T: (+49) 0 73 09 / 8 72-4 41 · F: (+49) 0 73 09 / 8 72-4 44 · www.bredent.com ·@: info@bredent.com

Turn static files into dynamic content formats.

Create a flipbook
Issuu converts static files into: digital portfolios, online yearbooks, online catalogs, digital photo albums and more. Sign up and create your flipbook.