Skin Pathology January 2025

Page 1


FRCPath Part 1 Dermatopathology

Salford Royal Hospital

• Single best answer (SBA) questions

• Stem

• Lead in

• Option list

• Extended matching questions (EMQ)

• 5 sub-question

• Questions each have a theme (i.e. speciality) and a focus (e.g. macroscopy, cut up, governance)

• Likely skin will be a few SBA questions and 1 or 2 EMQs

• Certain topics keep coming up

• Immunobullous disorders

• Lichenoid conditions

• Useful resources

• Robbins or similar

• Weedon

• McKee

• RCPath pathway documents

• DermnetNZ

• St Johns institute website

Inflammatory dermatoses Adnexal neoplasms Syndromes

Melanocytic lesions

Inflammatory Dermatoses

• A. Tissue reaction patterns

• Spongiotic

• Psoriasiform

• Lichenoid

• Vasculopathic

• Granulomatous

• Vesiculobullous

• B. Patterns of inflammation

Spongiotic reaction

Eczematous dermatitis

• Early/’typical’ lesions: spongiosis and lymphocyte exocytosis

• Overlying parakeratin, acanthosis

• Late lesions: psoriasiform hyperplasia

• Always perform a fungal stain for dermatophyte infection

• Eosinophilic spongiosis (eosinophils in the epidermis with spongiosis)

• Drug reaction

• Allergic/contact dermatitis

• Insect bite reaction

• Pre-bullous bullous pemphigoid

• Langerhan cell vesicles – allergic/contact

• Underlying vascular changes – stasis dermatitis

• Lipping or separation of keratin (‘teapot sign’) – pityriasis rosea

• Hyphae – dermatophyte infection

MCQ 1

33 year old male printer complained of a 3 month history of hand dermatitis. Patch testing was negative. A biopsy showed spongiosis and lymphocyte exocytosis. No Munro’s microabcesses are seen. Identify the most likely diagnosis.

• A. Prebullous pemiphigoid

• B. Psoriasis vulgaris

• C. Irritant/contact eczematous dermatitis

• D. Mycosis fungoides

• E. Drug reaction

Psoriasiform reaction

• Regular elongation and broadening of rete

•Psoriasis

•Lichen simplex chronicus

•Pityriasis rubra pilaris

•Psoriasiform changes in eczematous dermatitis

Psoriasis

• Chronic non-infectious inflammatory dermatosis

• Well demarcated erythematous plaques topped with silvery scales

• Two peaks 2nd to 3rd and 6th decades

• FH; HLA Cw6, B13 and B17

• Precipitating factors include: Koebner phenomenon, Infection, Drugs, Sunlight, Psychological stress

• Variants: Plaque, Palmoplantar, Scalp, Guttate, Flexural, Nail

• Early

• Vascular proliferation in dermal papillae

• Slight spongiosis

• Established lesions

• Regular acanthosis with regular elongation of rete ridges

• Thinning of supra-papillary epidermal plate

• Parakeratosis

• Increased mitotic activity at the base of epidermis

• Reduced/absent granular cell layer

• Neutrophil pustules – Munro microabscesses

MCQ 2a

• Which statement is false.

• Psoriasis:

a. Can result in alopecia

b. Sacrum affected

c. Pustular form exists

d. Histologically shows spongiform pustule of Kogoj

e. Vascular ectasia is seen with margination of neutrophils

MCQ 2b

• A 34 year old patient presents with multiple silvery skin plaques. A skin biopsy is performed to confirm the diagnosis.

• Identify the finding which would not be consistent with a diagnosis of psoriasis.

a. Can result in alopecia

b. Sacrum affected

c. Pustular form exists

d. Histologically shows spongiform pustule of Kogoj

e. Vascular ectasia is seen with margination of neutrophils

MCQ 2c

• A 34 year old patient presents with multiple silvery skin plaques involving the extensor surface of the limbs, scalp and lower back. The condition is worse after periods of stress and localises to areas of trauma. A skin biopsy is performed to confirm the diagnosis.

• Identify the finding which would not be expected in this condition.

a. Can result in alopecia

b. Sacrum affected

c. Pustular form exists

d. Histologically shows spongiform pustule of Kogoj

e. Vascular ectasia is seen with margination of neutrophils

MCQ 2d

• A 34 year old patient presents with multiple silvery skin plaques involving the extensor surface of the limbs, scalp and lower back. The condition is worse after periods of stress and localises to areas of trauma. A skin biopsy is performed to confirm the diagnosis.

• Identify the finding which would not be expected in this condition.

a. Fibrous replacement of hair follicles

b. Parakeratosis

c. Neutrophilic pustules in the epidermis

d. Vascular ectasia is seen with margination of neutrophils

e. Loss of the granular cell layer

Pityriasis rubrapilaris (PRP)

• Red-orange well demarcated scaling patches

• Islands of sparing

• Can present with erythoderma

• ‘Alternating orthokeratin and parakeratin’ in a checkerboard pattern

• Psoriasiform hyperplasia

Lichen simplex chronicus/nodular prurigo

• Dermatosis related to chronic excoriation without an underlying aetiology

• Common in practice but a difficult exam question to write

• Many biopsies show an element of this with other clues to underlying cause

Syphilis

• Secondary syphilis

• Shows a widespread hyperpigmented maculopapular eruption.

• Typical copper penny macules with surrounding annular scale (Biette’s collarette)

• Marked hyperkeratosis and parakeratosis.

• Epidermis shows psoriasiform hyperplasia.

• A dense inflammatory cell infiltrate (plasmacytic) in the dermis.

• Can look like anything (with plasma cells)…..

Lichenoid reaction

• Basal cell vacuolation

• Apoptotic cells

• Pigment incontinence

• Band-like lymphoid infiltrate obscuring the dermo-epidermal junction

Lichenoid reaction

-Lichen planus

-Lichenoid keratosis

-Lichen nitidus

-Erythema multiforme/Stephen Johnson syndrome/toxic epidermal necrolysis (TEN)

-Lupus erythematosus

-Graft versus host disease

-Lichen sclerosus

• Interface change

• Basal cell vacuolation

• Apoptotic cells

• Pigment incontinence

• Band like lymphocytic infiltrate obscuring the dermo-epidermal junction = associated lichenoid inflammation

Lichen Planus

• Violaceous, flat-topped papules, which are usually pruritic

• Flexor surfaces of wrists, trunk, thighs, and genitalia

Histopathology

• Typical lichenoid features -

• No parakeratosis

• ‘Saw tooth’ acanthosis

Basal cell vacuolation

Apoptotic cells

Pigment incontinence

Band-like lymphoid infiltrate obscuring the dermo-epidermal junction

• Wedge shaped hypergranulosis

Lichen planus – like keratosis (lichenoid keratosis)

• Solitary discrete slightly raised lesions

• Arms and presternal area of middle aged and elderly women>men

• Clinically diff. diagnosis: BCC ? Bowen’s ?

• Histopathology

• Lichenoid reaction – lichen plaus –like!

• Thought to be an inflamed/regressing seborrheic keratosis

Lichen nitidus

• Less common, chronic eruption, multiple small flesh coloured papules

• Upper extremities, chest, abdomen and genitalia of children and young adults

• Histopathology

• Dense, well circumscribed sub-epidermal infiltrate, sharply limited to one or two adjacent dermal papillae.

• Claw-like acanthotic rete ridges, which appear to grasp the infiltrate

Erythema multiforme spectrum

• Erythema multiforme: Targetoid lesions - central blister surrounded by an outer erythematous border

• Stevens–Johnson syndrome: mucosal involvement with <30% skin involved

• Toxic epidermal necrolysis: >30% skin involvement

Erythema multiforme spectrum

• Causes: idiopathic, viral, bacterial, fungal, drugs (antibiotics, NSAIDs), other

• Oral, conjunctival, genital lesions not uncommon

• Interface change >lichenoid infammation

• A 44 year old taxi-driver presents with an sudden eruption on the trunk and limbs. Target lesions are present on the hands and feet. His skin biopsy shows basal cell damage with apoptotic keratinocytes.

• Identify the most likely diagnosis.

a. Lichen planus

b. Dermatomyositis

c. Erythema multiforme

d. Chronic graft versus host disease

e. Lichen nitidus

Toxic epidermal necrolysis (TEN)

• Sub-epidermal blisters with necrotic overlying epidermis

• Medical emergency

• Treated as a burns patient

• Main clinical differential – staphylococcal scalded skin

Lupus erythematosus

• Clinically: Sharply demarcated erythematous, scaly patches with follicular plugging.

• Characterised by 1. Interface change +/- lichenoid reaction 2. Superficial and deep perivascular and periadnexal chronic inflammatory cell infiltrate.

3. Hyperkeratosis, follicular plugging and epidermal atrophy.

4. Thickening of basement membrane

5. Increased dermal mucin

Graft versus host disease

• Usually a clinical diagnosis

• Following transplantation the donor's immune cells in the transplant (graft) make antibodies against the patient's tissues (host).

• Organs most often affected include the skin, gastrointestinal (GI) tract and the liver.

• Acute < 100 days

• Chronic > 100 days

Lichen sclerosus

• Pale atrophic patches

• Clinical DD often morphoea

• Lichenoid reaction (often subtle)

• Homogenisation of dermal collagen

• Thickening of basement membrane

• Ectatic vessels

• Underlying inflammatory infiltrate – often contains eosinophils

Vasculopathic conditions

• Vasculopathic just means it involves the blood vessels.

• Conditions include:

• Inflammation of vessels – vasculitis.

• Changes in the walls – porphyria, amyloid.

• Something in the lumen – thrombosis.

• More widespread changes – stasis dermatitis, arteriopathic changes.

Leukocytoclastic vasculitis

• Tissue reaction pattern which can be idiopathic or have underlying associations including drugs, connective tissue disease, infection and systemic vasculitis.

• Intramural neutrophils

• Red blood cell extravasation

• Fibrinoid necrosis

• Leukocytoclasis

Polyarteritis nodosa (PAN)

• Necrotising vasculitis of medium sized vessels

• Uncommon

• Tender nodules

• May develop hypertension, renal failure and neuropathy

• Similar findings to leukocytoclastic vasculitis but involves deeper vessels (into subcutis)

Wegener’s granulomatosis/Granulomatosis with polyangiitis

• Multiple purpuric macules and papules

• Possible to have ulcerating plaques and nodules.

• Histology

• Leukocytoclastic vasculitis.

• May see ill-defined granulomatous infiltrate surrounding vessels.

• c-ANCA positive

• Respiratory tract (nasal and lung) biopsies show necrosis associated with a granulomatous infiltrate

• Which of the following conditions does not show a leukocytoclastic vasculitis?

A. Erythema nodosum

B. Microscopic polyangiitis

C. Wegeners granulomatosis

D. Polyarteritis nodosa

E. Urticarial vasculitis

MCQ 4b

• A 42 year old patient presents with purpuric lesions involving both limbs. Inflammatory markers are raised. A skin biopsy is taken and shows features of a leukocytoclastic vasculitis.

• Identify the condition which does not show this feature.

A. Erythema nodosum

B. Eosinophilic granulomatosis with polyangiitis

C. Granulomatosis with polyangiitis

D. Polyarteritis nodosa

E. Urticarial vasculitis

MCQ 4c

• A 42 year old patient presents with purpuric lesions involving both limbs. Inflammatory markers are raised. A skin biopsy is taken and shows fibrinoid necrosis of vessel walls with leukocytoclasis and red blood cell extravasation.

• Identify the condition which would not show these features.

A. Erythema nodosum

B. Eosinophilic granulomatosis with polyangiitis

C. Granulomatosis with polyangiitis

D. Polyarteritis nodosa

E. Urticarial vasculitis

MCQ 4d

• A 42 year old patient presents with purpuric lesions involving both limbs. Inflammatory markers are raised. A skin biopsy is taken and shows fibrinoid necrosis of vessel walls with leukocytoclasis and red blood cell extravasation.

• Identify the most likely diagnosis.

A. Erythema nodosum

B. Eczematous dermatitis

C. Epidermolysis bullosa acquista

D. Erythema multiforme

E. Polyarteritis nodosa

Granulomatous inflammation/reaction

Types of granulomatous inflammation

• Sarcoidal

Foreign body

Suppurative

Tuberculoid

Necrobiotic • Interstitial

Differential always includes infection in all patterns of granulomatous inflammation

Sarcoidal granulomas

• Sarcoidosis • Reaction to foreign

Secondary Syphilis

Infection • Crohn’s disease

materials

Sarcoidosis

• Multisystem disorder

• Skin, liver, spleen, lung, eyes, lymph nodes

• 10-35% patients with systemic sarcoid have cutaneous lesions

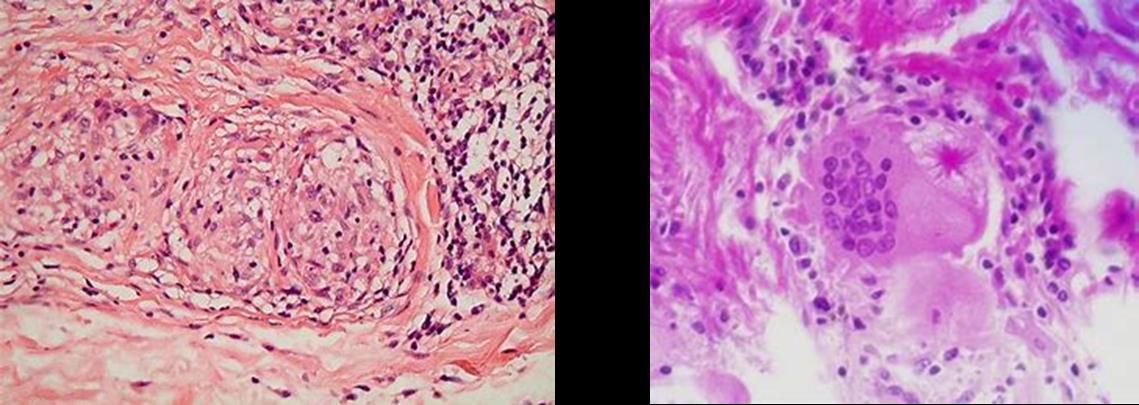
• Sarcoidal granulomas are composed of epithelioid cells and giant cells, some containing asteroid bodies or other inclusions.

Foreign Body Granulomas

• Seen every day

• Scar/re-excision specimens

• Ruptured epidermoid cysts/follicles

Suppurative Granulomas

• Neutrophils within and sometimes surrounding the granuloma. The granulomatous component is not always well defined.

• Infection needs to be excluded – special stains don’t necessarily do this.

• Gram – Bacteria

• PAS and Grocott silver – fungal infection

• Ziehl Neelsen and Wade-Fite –acid fast bacilli

Tuberculosis – Tuberculoid granulomas

• Primary tuberculosis

• Miliary tuberculosis of skin

• Lupus vulgaris

• Scrofuloderma

• Tuberculous gumma

• Tuberculosis cutis orificialis

• Papulonecrotic

Necrobiotic granulomas

• Palisading of histiocytes around degenerate collagen

Necrobiotic granulomatous dermtoses

• Granuloma Annulare – palpable annular lesions on hands, feet or face

• Necrobiosis lipoidica – shiny atrophic yellowish red plaques on shins (62% in diabetics)

• Rheumatoid nodule - a local swelling or tissue lump, over bony prominences which occurs almost exclusively in association with rheumatoid arthritis

• Granuloma annulare

• Superficial/mid dermis

• Often intersitial (‘incomplete’)

• No plasma cells

• Eosinophils

• Mucin stain

• Necrobiosis lipoidica

• Diabetes

• Mid to deep dermis

• Linear pattern

• Plasma cells

• Rheumatoid nodules

• History

• Over joints

• Deep dermis to subcutis

• Palisading of histiocytes around eosinophilic material

• Fibrin/Trichrome stain

MCQ 5a

• Which of the following conditions is not associated with granulomatous inflammation.

A. Sarcoidosis

B. Granuloma annulare

C. Pemphigus vulgaris

D. Fungal infection

E. Tuberculosis

MCQ 5b

• A 58 year year old woman presents with itchy annular skin lesions. She has a history of Crohn’s disease for which she is on systemic therapy. A skin biopsy show aggregates of histiocytes. A Grocott silver stain is positive.

• Identify the most likely diagnosis.

A. Sarcoidosis

B. Granuloma annulare

C. Necrobiosis lipoidica

D. Fungal infection

E. Metastatic Crohn’s disease

MCQ 5c

• A 59 year old lady presents with annular lesions over the dorsal surfaces of both hands. A biopsy shows an interstitial infiltrate of histiocytes with mucin deposition and focal necrobioisis. No plasma cells are seen.

• Identify the most likely diagnosis

• Necrobiosis lipoidica

• Sarcoidosis

• Granuloma annulare

• Fungal infection

• Rheumatoid nodules

Blistering conditions

1. Anatomical level of split

2. Mechanism responsible

3. Nature of inflammatory cell infiltrate

Anatomical Level of Split

•Intracorneal/ subcorneal

•Intraepidermal (within stratum spinosum)

•Suprabasal

•Sub-epidermal

•Correlates with clinical type of blister

Mechanism responsible

•Cytopathic

•Spongiotic

•Autoimmune - immunobullous

•Vasculitic

•Trauma

Intracorneal/ Subcorneal

• Impetigo

• Dermatophytosis

• Staphylococcal scalded skin

• Superficial variants of pemphigus

Intraepidermal

• Herpes Infection

• Spongiotic vesicles - blisters

• Friction blister

• Acantholytic disorders

Suprabasal

• Acantholytic

Acantholytic disorders

• Loss of cell-to-cell adhesion in epidermis

• Immune mediated

• Blisters tend to be fragile as suprabasal or above

• Immunofluoresence helps distinguish the pemphigus variants from other conditions

Differential Diagnosis – Acantholytic disorders

• Suprabasal

• Pemphigus vulgaris

• Suprabasal/intraepidermal

• Hailey-Hailey

• Darier’s Disease

• Grover’s Disease (transient acantholytic dermatosis)

• Acantholytic actinic keratosis

• Paraneoplastic pemphigus

Differential Diagnosis

• Pemphigus Vulgaris

• Hailey-Hailey disease

• Acantholysis

• Intracellular IgG and C3c on IMF

• Mucosal involvement

• Acantholysis

• Autosomal dominant, flexural

• Dilapidated brick wall/intraepidermal

• Spares adnexal epithelium

• Negative IMF

• ATP2C1 gene

• Darier’s Disease

• Acantholysis

• Autosomal dominant, sebaceous areas

• Suprabasal and intraepidermal

• Dyskeratotic cells = corps ronds and grains

• Involves adnexal epithelium

• Negative IMF

Differential Diagnosis

• Grover’s Disease (transient acantholytic dermatosis)

• Acantholytic actinic keratosis

• Acantholysis

• Itchy papules trunk

• Can show similar findings to HH, Dariers or PV)

• Negative IMF

• Multiple tissue reaction patterns now recognised

• Epidermal dysplasia

• Paraneoplastic pemphigus

• Blistering

• Acantholytic

• Both intercellular and linear (BMZ) IgG and C3c on IMF

Subepidermal

• Immunobullous

• Bullous pemphigoid

• Dermatitis herpetiformis

• Epidermolysis bullosa

• Linear IgA ( = Chronic bullous disease of childhood)

• Traumatic

• Vasculitis

• Lichenoid/interface dermatoses

• Bullous diabeticorum

• Bullous amyloidosis

Bullous pemphigoid

• Large often tense blisters with a predilection for trunk and flexural extremities

• Subepidermal blister with eosinophils

• ‘Eosinophilic spongiosis’

• Direct IMF - linear IgG and C3c at BMZ

• Linear IgG and C3c along BMZ

• Bullous pemphigoid

• Epidermolysis bullosa acquista

• Pemphigoid gestationalis

• Paraneoplastic pemphigus (+chicken wire pattern of intercellular deposition)

Dermatitis herpetiformis

• Young adults

• Intense pruritic vesicles with excoriation

• Predilection for extensor surfaces

• Invariably associated with gluten enteropathy although often subclinical

• Sub-epidermal neutrophilrich blister

• Dermal neutrophil-rich infiltrate with leukocytoclasis

• Neutrophil micro-abscess in adjacent dermal papillae

• Granular IgA in the tips of the dermal papillae on direct immunofluorescence.

• Vesiculo-bullous eruption of hepatobiliary disease may also present with dermatitis herpetiformis-like features

• Linear IgA disease (and chronic bullous disease of childhood) show similar morphology

• Older individuals – present with blisters

• Distinguish by immunofluoresence

MCQ 6

• A 68 year old female has a 1/52 history of tense large blisters arising on erythematous skin. A skin biopsy shows a subepidermal blister containing eosinophils.

• Identify the most likely diagnosis.

A.Pemphigus vulgaris

B.Pemphigus foliaceus

C.Darier’s disease

D.Bullous pemphigoid

E.Grover’s disease

Cell poor subepidermal blisters

• Bullous pemphigoid

• Porphyria cutea tarda

• Burns

• Toxic epidermal necrolysis

• Suction blister

• Drugs

• Bullous amyloid

• Bullous diabeticorum

Porphyria cutea tarda

• Increasingly fragile skin hands and feet

• Fluid filled blisters (vesicles and bullae)

• Tiny cysts (milia) arising as the blisters heal

• Increased sensitivity to the sun

• Cell poor sub-epidermal blister

• Deposition of basement membrane material in epidermis – ‘caterpillar bodies’

• Thickening and increased eosinophilic in dermal vessels

• PAS and DPAS

• A. Tissue reaction patterns

• Spongiotic

• Psoriasiform

• Lichenoid

• Vasculopathic

• Granulomatous

• Vesiculobullous

• B. Patterns of inflammation

TUMOURS OF THE SKIN

Skin tumour origin (=normal skin histology)

• Epidermis

• Keratinocytes

• Melanocytes

• Dermis

• Supporting connective tissues – collagen and elastin

• Blood vessels

• Nerves

• Adnexal structures – hair follicles, eccrine glands, sebaceous glands

• Subcutis + Haematolymphoid + Local infiltration + Metastasis

• Epithelial

• Epidermis

• Adnexal structures

• Sweat glands

• Sebaceous glands

• Hair follicles

• Merkel cells

• Mesenchymal (dermal)

• Muscle

• Nerves

• Blood vessels

• Fibroblasts

• Adipose tissue

• Melanocytic

• Haematolymphoid

• Lymphoid

• Histiocytes

• (Germ cell tumour)

• Epithelial

• Epidermis

Seborrheoic keratosis

Actinic keratosis

Squamous cell carcinoma

• Adnexal structures

• Sweat glands

Sebaceoma

Sebaceous carcinoma

• Sebaceous glands

• Hair follicles

• Merkel cells

Merkel cell carcinoma

Cylindroma

Porocarcinoma

Trichoblastoma

Basal cell carcinoma

• Mesenchymal (dermal)

• Muscle

• Nerves

• Melanocytic

Naevus

Dysplastic naevua

Melanoma

Tumour of uncertain malignant potential

Intermediate lesions – “the specials”

• Haematolymphoid

• Lymphoid

• Histiocytes

Lymphoma

Leukaemia cutis

Langerhan cell histiocytosis

Juvenile xanthogranuloma

• (Germ cell tumour)

Fibroma

Pilar leiomyoma

Atypical smooth muscle meoplasm/cutaneous leiomyosarcoma

Neurofibroma

Malignant peripheral nerve sheath tumour

• Blood vessels

• Fibroblasts

Fibrosarcoma

• Adipose tissue

Haemangioma

Kaposi sarcoma??

Angiosarcoma

Lipoma

Liposarcoma

• Sebaceous neoplasms

• Eccrine and apocrine neoplasms

• Follicular neoplasms

Adnexal neoplasms Syndromes

Adnexal neoplasms

• All derived from epithelium

• Positive for cytokeratins

• AE1/3, CK5/6, p63, p40

• Melanocytes - MelanA, HMB45, S100 and SOX10

• Spitzoid – NTRK, ROS1 and ALK

• Deep penetrating naevus – Beta catenin

• BAP inactivated – Loss of BAP1

• Smooth muscle – desmin and actin

• Nerves – S100 and SOX10

• Neuroendocrine – chromogranin, synaptophysin and CD56

• Merkel cell – CK20 (CAM5.2 and AE1/3) – dot like or signet ring positivity, CK7 and TTF1 negative

• Pleomorphic dermal sarcoma and AFX – All generally negative (except CD10 and CD99)

• DFSP – CD34 and COL1A1-PDGF

Tumours: Adnexal neoplasms

Benign v malignant (epithelial)

BENIGN

• +/-Remain in continuity with the epidermis

• Grow around dermal structures

• Cytonuclear features bland or mild variation only

• Few mitoses usually only in basal layers

• No perineural or lymphovascular invasion

MALIGNANT

• Extends beyond the epidermis into dermis (and beyond)

• Destruction of dermal structures

• Cytonuclear atypia

• Increased mitoses and apoptosis

• Perineural invasion

• Lymphovascular invasion

Tumours: Adnexal neoplasms

Sebaceous neoplasms

• Benign

• Sebaceous adenoma

• Sebaceoma

• Malignant

• Sebaceous carcinoma

Tumours: Adnexal neoplasms

Sebaceous neoplasms

• Sebaceous adenoma

• Lobular proliferation

• Peripheral basaloid/germinative cells

• Central mature sebocytes – large cells with indented nuclei and abundant pale vacuolated cytoplasm

• Sebaceoma

• Lobular proliferation

• Admixed basaloid/germinative cells and mature sebocytes

• Sebaceous carcinoma

• Irregular infiltrative growth pattern

• Many have little sebaceous differentiation (i.e. not many sebocytes)

• Can be basaloid or squamoid

• Positive for EMA and adipophilin, negative for BerEP4

Tumours: Adnexal neoplasms

• Absence of immunoreactivity for mismatch repair gene products including MLH1, MSH2, MSH6 and PMS2 can be associated with Muir-Torre syndrome

Muir-Torre syndrome

• Muir in 1967 and Torre in 1968

• Sebaceous neoplasms – most commonly sebaceous adenoma

• Carcinomas of the endometrium, ovary, breast, parotid, upper GI tract and larynx, and haematological malignancies

• Autosomal dominant inherited germline mutation in one of the DNA mismatch repair genes, most commonly hMSH2.

• The male:female ratio is 3:2.

Tumours: Adnexal neoplasms

Eccrine/apocrine neoplasms

Derived from eccrine or apocrine glands/ducts

Apocrine

• Apocrine snouts or blebs

Apocrine carcinoma – dd is metastatic breast carcinoma

Tumours: Adnexal neoplasms

Tumours: Adnexal neoplasms

• Syringoma

• Lower eyelids

• Eccrine duct derived

• Small cysts and cords with ‘tadpole’ appearance

• Poroma

• Extremities

• Intradermal pt eccrine duct

• Interconnected downgrowths from the epidermis of small bland cells (in comparison to normal keratinocytes with small duct-like spaces

Tumours: Adnexal neoplasms

• Spiradenoma

• Multinodular benign eccrine gland derived

• Face/upper trunk

• Admixed basaloid and clear cells

• Brooke-Spiegler syndrome - CYLD

• Cylindroma

• Head and neck

• Well defined nests of basaloid cells in a jigsaw pattern with eosinophilic PAS positive basement membrane-type material

• Brooke-Spiegler syndromeCYLD

Tumours: Adnexal neoplasms

• Syringocystadenoma papilliferum

• Benign apocrine neoplasm

• Isolated or in association with naevus sebaceous

• Endophytic crateriform proliferation with papillary architecture

• Mixed tumour

• Benign mixed tumour of the skin

• Epithelial and mesenchymal components

• PLAG and EWSR1

Tumours: Adnexal neoplasms

• Microcystic adnexal carcinoma

• Head/face

• Superficial keratocysts

• Infiltrative cords of relatively bland cells

• Ductal differentiation

• Perineural invasion

• DD: Desmoplastic trichoepithelioma and infiltrative BCC

• Mucinous carcinoma

• Nests/single cells in abundant mucin

• Can be associated with endocrine mucin producing sweat gland carcinoma

• Mucin: blue appearance; positive for Alcian blue PASD and Hales colloidal iron stains

• DD: Metastatic (breast) carcinoma

Tumours: Adnexal neoplasms

• Porocarcinoma

• Arising from the epidermis

• Nests of atypical cells with duct formation

• Can appear squamoid

• EMA and CEA highlight ducts

• Digital papillary adenocarcinoma

• HPV42

• Nodular tumour of fingers, toes and palms

• Papillary architecture

• Epithelial and myoepithelial cells (S100)

Tumours: Adnexal neoplasms

Follicular neoplasms

Derived from hair follicles

+ Basal cell carcinoma

+ Follicular variant squamous cell carcinoma

Tumours: Adnexal neoplasms

• Trichoblastoma and trichoepithlioma

• Dual differentiation towards follicular germinative epithelium and follicular papillae

• Head and neck

• Can be associated with naevus sebaceous and syndromes (BSS)

• Well defined, nodular nested proliferation of basaloid cells with follicular differentiation

• Palisading of cells

• Papillary mesenchymal bodies

• No cytonuclear atypia

• No retraction – dd with BCC

• Contain Merkel cells – CK20

Multiple familial trichoepitheliomas

• Pilomatricoma

• Differentiation towards matrical cells and hair cortex

• Usually sporadic, can be familial or multiple or occur in myotonic dystrophy, Garnder syndrome, Turner syndrome, Rubinstei-Taybu syndrome

• Mutations of CTNNB1 – beta catenin gene

• Nodular basaloid tumour with small germinative basaloid cells and ‘ghost cells’.

• Calcification.

• Tricholemmoma

• Epithelial proliferation associated with follicule infundibulum

• Can be verroucous

• Frequently develop in naevus sebaceous, multiple in Cowden syndrome

• HRAS multation – suggesting true neoplasm

• Endophytic nested proliferation of pale bland cells, peripheral palisading

• Positive for PAS and CD34

Tumours: Adnexal neoplasms

• Trichofolliculoma

• Panfollicular differentiation

• Central dilated follicular infundibulum with small secondary follicles radiating from it

• Trichodiscoma and fibrofolliculoma

• Hamartomas

• Differentiate towards epithelium and mesenchyme of hair follicle mantle

• Multiple lesions – BHDS

• Morphological continuum

• Fibrofolliculoma – epithelial strands arising from hair follicle resulting in fenestrated appearance, stroma with mucin, collagen and fibroblasts

• Trichodiscoma – More stromal than epithelial components Tumours: Adnexal neoplasms

• Proliferating trichilemmal tumour

• Solid-cystic neoplasm with differentiation towards outer root sheath

• Well defined interconnected proliferation of squamoid cells

Tumours: Adnexal

Syndromes

• BAP1 tumour predisposition syndrome

• Xeroderma pigmentosum

• Naevoid basal cell carcinoma syndrome (Gorlin syndrome)

• Carney complex

• Muir-Torre syndrome

• Brooke-Spiegler and related syndromes

• Cowden syndrome

• Gardner syndrome

• Birt Hogg Dube syndrome

BAP1 tumour predisposition syndrome

BAP-1 inactivated melanocytoma

• Characterised by mutation in the BAP-1 gene (BRCA-Associated Protein 1 on chromosome 3)

• Can occur sporadically or as part of a syndrome

• Typical morphological findings: Epithelioid and naevoid components with associated lymphoid aggregates

Wiesner T, et al. Nat Genet. 2011;43(10):1018-21.

Wiesner T, et al. Am J Surg Pathol. 2012;36(6):818-30

Familial cases:

• Autosomal dominant

• Patients with germline mutation in BAP-1 are at increased risk of cutaneous melanoma, uveal melanoma, mesothelioma and meningioma

Wiesner T, et al. Nat Genet. 2011;43(10):1018-21

Xeroderma pigmentosa

• Skin

• Eyes

• Nervous system

• Tumours/malignancy

Naevoid BCC syndrome

• ‘Gorlin syndrome’

• Multiple basal cell carcinomas from young age

• Germline mutation in genes involved in hedgehog signalling pathway

• PTCH1

• Loss of function mutation 9p22.3

• Constant activation of hedgehog signalling pathway

Vismodegib is an orally bioavailable Hedgehog pathway signalling inhibitor of G-protein coupled receptor-like protein Smoothened (SMO)

Naevoid BCC syndrome

• Skin – BCC, sebaceous cysts/facial milia, palmoplantar pits, epidermal inclusion cysts, multiple naevi

• Jaw – odontogenic keratocysts, cleftlip/palate

• Bone – Congenital abnormalities

• CNS – macrocephaly, falx cerebri, medulloblastoma, meningioma, craniopharyngioma

• Fibromas – ovarian, cardiac

Carney complex

• Autosomal dominant, PRKAR1A inactivation

• Skin pigmentation

• Lips, inner eyes, conjunctiva, genital

• Myxomatosis (cardiac myxoma)

• Secretory endocrine tumours

• Pigmented schwannomas

• Pigmented epithelioid melanocytoma

Brooke-Spiegler syndrome (BSS)

• Autosomal dominant, CYLD – tumour suppressor gene

• Multiple cutaneous spiroadenomas

• Cylindromas

• Spiroadenocylinidromas

• Trichoepitheliomas

Cowden syndrome

• Autosomal dominant

• Hamartomas in breast, thyroid, brain and mucocutaneous

• PTEN hamartoma tumour sydrnome

• Increased breast and thyroid cancer

• Mucocutaneous

• Tricholemmomas

• Acral keratoses

• Papillomatous lesions

• Mucosal lesions

Gardner syndrome

• Variant of familial adenomatous polyposis with extracolonic features

• Autosomal dominant, APC gene

• GI polyps, osteomas, cutaneous lesions

• Epidermoid cysts – earlier, unusual sites, multiple, hybrid pilomatricoma-like histology

• Fibromas, lipomas, leiomyomas, neurofibromas

Birt Hogg Dube syndrome (BHDS)

• Autosomal dominant, BHD or FLCN gene

• Benign tumour face, head, upper body

• Fibrofolliculoma

• Trichodiscoma

• Angiofibroma (fibrous papule)

• Dermal, ectatic vessels, increased spindled cell/fibroblasts, some are stellate

• Acrichordon

• Increased colon and renal cancer (15%), spontaneous pneumothorax, pulmonary cysts

Question EMQ 1

Options

A.Trichoepithelioma

B.Basal cell carcinoma

C.Halo naevus

D.Compound melanocytic naevus

E.Intradermal melanocytic naevus

F.Blue naevus

G.Keratoacanthoma

H.Lichen planus

I. Malignant melanoma

J. Trichilemmoma

K.Seborrhoeic keratosis

L.Simple lentigo

M.Squamous cell carcinoma

Question 1 A 55 year old female present with a pigmented lesion on the hand. Histology shows naevus cells in the dermis with pigmented dendritic processes with overlying normal epidermis.

• Each of these subjects has a skin biopsy. For each one, select the most likely condition form the list of options. Each may be use once, more than once, or not at all.

Question EMQ 1

Options

A.Trichoepithelioma

B.Basal cell carcinoma

C.Halo naevus

D.Compound melanocytic naevus

E.Intradermal melanocytic naevus

F.Blue naevus

G.Keratoacanthoma

H.Lichen planus

I. Malignant melanoma

J. Trichilemmoma

K.Seborrhoeic keratosis

L.Simple lentigo

M.Squamous cell carcinoma

Question 2

A 35 year old man present with a pigmented lesion on the arm with an outer hypo-pigmented area. Biopsy shows a band of inflammatory cells at the dermo-epidermal junction with scattered bland nests of naevus cells.

• Each of these subjects has a skin biopsy. For each one, select the most likely condition form the list of options. Each may be use once, more than once, or not at all.

Question EMQ 1

Options

A.Trichoepithelioma

B.Basal cell carcinoma

C.Halo naevus

D.Compound melanocytic naevus

E.Intradermal melanocytic naevus

F.Blue naevus

G.Keratoacanthoma

H.Lichen planus

I. Malignant melanoma

J. Trichilemmoma

K.Seborrhoeic keratosis

L.Simple lentigo

M.Squamous cell carcinoma

Question 3

A 28 year old female with a papule on the nose. Histology shows islands of basaloid cells with occasional mitotic activity and papillary mesenchymal bodies.

• Each of these subjects has a skin biopsy. For each one, select the most likely condition form the list of options. Each may be use once, more than once, or not at all.

Question EMQ 1

Options

A.Trichoepithelioma

B.Basal cell carcinoma

C.Halo naevus

D.Compound melanocytic naevus

E.Intradermal melanocytic naevus

F.Blue naevus

G.Keratoacanthoma

H.Lichen planus

I. Malignant melanoma

J. Trichillemmoma

K.Seborrhoeic keratosis

L.Simple lentigo

M.Squamous cell carcinoma

Question 4

A 70 year old man presents with a ulcerated lesion on the face. Skin biopsy shows squamous islands in the dermis with atypia and dyskeratosis.

• Each of these subjects has a skin biopsy. For each one, select the most likely condition form the list of options. Each may be use once, more than once, or not at all.

Question EMQ 1

Options

A.Trichoepithelioma

B.Basal cell carcinoma

C.Halo naevus

D.Compound melanocytic naevus

E.Intradermal melanocytic naevus

F.Blue naevus

G.Keratoacanthoma

H.Lichen planus

I. Malignant melanoma

J. Trichilemmoma

K.Seborrhoeic keratosis

L.Simple lentigo

M.Squamous cell carcinoma

Question 5

A 68 year old man with multiple papules on the face. Histology shows epidermal proliferation with glycogenated keratinocytes, peripheral palisade and thickened basement membrane. No atypia or mitoses are seen.

• Each of these subjects has a skin biopsy. For each one, select the most likely condition form the list of options. Each may be use once, more than once, or not at all.

Non-melanoma skin cancers

Non-melanoma skin cancers

• Squamous cell carcinoma

• Basal cell carcinoma

• Cumulative genetic abnormalities

• Chromosomal aberrations can be

• Structural rearrangements

• Copy number variations

• Often associated with

• Age

• UV exposure

TNM – T stage NMSC

MCQ 7a

• Predisposing factors for squamous cell carcinoma are all the following except:

a. UVB exposure

b. HPV Infection

c. Immunosuppression

d. Scarring

e. HHV-8 Infection

MCQ 7b

• A 35 year old presents with an invasive poorly differentiated squamous cell carcinoma of the scalp.

• Identify the most likely aetiological factor.

a. Solar damage/sun exposure

b. Immunosuppression

c. HHV8 infection

d. Previous radiotherapy

e. Idiopathic

• A 72 year old presents with a squamous cell carcinoma of the scalp. An excision biopsy is performed and reported as per the RCPath dataset.

• Identify which feature would upstage the tumour to pT3.

a. Perineural invasion –subcutis nerves

b. Location in head and neck

c. Depth of invasion 5.5mm

d. Clinical diameter >20mm

e. Lymphovascular invasion

MCQ 9

• A 72 year old presents with an ulcerating tumour of the scalp. He has had androgenetic alopecia for many years. A biopsy shows basaloid nests of atypical cells infiltrating the dermis.

• Identify the most likely predisposing factor in this case.

a. Solar damage

b. Immunosuppression

c. Gorlins syndrome

d. Xeroderma pigmentosum

e. Underlying lichen planopilaris

Keratoacanthoma

• Classic History – rapidly increasing in size then may regress

• Crateriform squamoproliferative lesion

• Epithelial Collarette

• Bulbous nested downgrowths with well defined borders

• Neutrophil microabscesses

• Abundant glassy cytoplasm

Merkel cell carcinoma

• Primary cutaneous neuroendocrine carcinoma

• UV radiation

• Clonal integration of Merkel cell polyomavirus (MCPyV)

• x10 in HIV +ve

• x5-10 in solid organ recipients

• x40 in patients with chronic lymphocytic lymphoma

• Cell of origin unknown – possibly not a Merkel cell

• MCPyV positive and negative tumours

• Negative group

• More mutations in TP53 and RB1 genes

• UV mutation signature

• Higher mutation burden

• Positive for neuroendocrine markers

– chromogranin, synaptophysin and CD56

• Main clinical difficulty:

• Is it primary skin tumour or metastasis?

• Panel of immunohistochemistry

• CK7 –ve, CK20 +ve, TTF1 -ve

• MCPyVm IHC

Benign epithelial entities

Inverted Follicular Keratosis

• ? Variant of seborrhoeic keratosis

• Numerous whorls/ eddies – eosinophilic flattened squamous cells arranged in an onion-peel fashion

• No cytological atypia

Clear Cell Acanthoma

• Arise on the shin of elderly females

• Distinctive tumour

• Collarette often seen at periphery

• Pale cells

• Intraepidermal neutrophils

• PAS and EMA positive

Cutaneous Horn

• Viral Wart

• Seborrhoeic keratosis

• Actinic keratosis

• Lichenoid keratosis

• Squamous cell carcinoma

Melanocytic neoplams

Tumours: Melanocytic neoplasms

Common blue naevus

• Dorsum of hands and feet

• Slate blue nodule

• Melanocytes are of the same appearance as naevus of Ito/Ota but show much greater density

• Epidermis normal

• Melanocytes contain fine granules of melanin

Tumours: Melanocytic neoplasms

Cellular blue naevus

• Usually larger than a common blue naevus (1-3 cms)

• 50% over the buttocks

• Histopathology

• Areas similar to blue naevus admixed with more cellular islands composed of closely aggregated, rather larger spindle shaped cells with ovoid nuclei and abundant pale cytoplasm.

• Extends into the superficial subcutis

• May have atypical features

Special variants of melanocytic naevi

• Halo Naevus

• Spitz naevus

• Pigmented spindle cell naevus of Reed

• BAP1 inactivated naevus/melanocytoma

• Deep penetrating naevus/melanocytoma

• Dysplastic naevus

Tumours: Melanocytic neoplasms

Halo Naevus

• Clinical appearance

• Nest of naevus cells in the papillary dermis associated with a lympho-histiocytic inflammatory cell infiltrate

Tumours: Melanocytic neoplasms

Spitz naevus

• Children and young to early middle aged adults

• Solitary, lower limbs and face

• Histopathology

• Small, symmetrical and well circumscribed

• Usually compound

• Epithelioid and spindled cells

• Maturation can be hard to assess

• Kamino bodies

• Spitzoid lesions

• BRAF V600E negative

• Spitz defining mutations with IHC – ALK, NTRK, ROS1 Tumours: Melanocytic neoplasms

Pigmented Spindle Cell Naevus of Reed

• ?Variant of Spitz naevus

• Young adults, lower extremities

• Spindle shaped cells in nests.

• Prominent vertical orientation of cells are noted.

• Heavily pigmented + melanophages.

• Junctional clefting is noted in some cases.

Tumours: Melanocytic neoplasms

Deep penetrating naevus/melanocytoma

• First described by Helwig et al and 1989

• Dermal based melanocytic lesion composed of pigmented spindled and/or epithelioid cells with deep architecture

• Melanocytes maintain size and pigmentation throughout the dermis (i.e. don’t mature)

• Morphological overlap with conventional, blue and Spitz naevi

• Rarely progress to melanoma

• WNT activated deep penetrating/plexiform melanocytoma

• Caused by combined activation of MAP-kinase and WNT signalling pathways

• Beta catenin – nuclear positive

• Usually BRAF positive

Tumours: Melanocytic neoplasms

Tumours: Melanocytic neoplasms

Dysplastic Naevus

• Clinically and histologically form a continuum extending from common naevus to a superficial spreading melanoma

• Histopathology

• Architectural atypia

• Lentiginous proliferation of melanocytes

• Bridging between adjacent rete ridges

• Lamellar fibroplasia

• Cytological atypia

• Shouldering of dermal component

Tumours: Melanocytic neoplasms

Malignant melanoma

• Useful pointers to malignant melanoma

• Ulceration

• Asymmetrical Lesion

• Architectural Atypia

• Pagetoid Spread

• Diffuse cytological atypia with prominent eosinophilic nucleolus

• Dermal Mitoses

• Lack of Maturation

• Regression

• Factor in age!

Tumours: Melanocytic neoplasms

Tumours: Melanocytic neoplasms

• Melanoma associated with CSD

• Superficial spreading melanoma

• Lentigo maligna melanoma

• Desmoplastic melanoma

• Melanoma not associated with CSD

• Spitzoid

• Acral

• Mucosal

• Uveal

• Melanoma arising in congenital naevi

• Melanoma arising within blue naevi

• Nodular melanoma

Tumours: Melanocytic neoplasms

Tumours: Melanocytic neoplasms

Superficial spreading melanoma

• May develop in any part of the body and at any age. It is commonly noted on the trunk and lower extremities.

• Episodic skin damage – episodes of sun burn

• Histologically , the lesion is characterized by proliferation of atypical melanocytes at all levels in the epidermis.

• The tumour cells are present singly and in nests.

• Pagetoid spread in the epidermis.

Lentigo Maligna

• In 1969, Clark and Mihm described LM

• Most frequently occurs on the sun-exposed face and upper extremities of elderly people (chronic sun exposure)

• Histologically, there is proliferation of atypical melanocytes singly and in nests along the basal layer of the epidermis.

Tumours: Melanocytic neoplasms

Nodular melanoma

• 2nd most common subtype of melanoma. It represents 15% of all melanomas.

• The most common sites for nodular melanoma are the trunk, head, and neck.

• Macroscopically, the lesion presents as a nodular, polypoid or pedunculated dark brown or blue black lesion. May also present as an amelanotic nodule.

• Often ulcerated

• Often no junctional component – dd. metastasis

Tumours: Melanocytic neoplasms

MCQ 10

• All the following lesions are benign except

A. Spitz naevus

B. Lentigo maligna

C. Cellular blue naevus

D. Naevus of ota

E. Freckles

Acral lentiginous melanoma

• The most common type of malignant melanoma in skin type

3+

• Peak incidence in the seventh decade for males and in the sixth decade for females.

• These lesions are usually located on palmar, plantar and subungual skin.

• Lentiginous and some nesting proliferation of atypical melanocytes.

• Perineural invasion not uncommon

• Genetic mutation in cKIT most common Tumours:

• A 23 year old woman presents with a changing melanocytic lesion on the sole of the foot. An excision biopsy shows malignant melanoma.

• Identify the most likely genetic mutation.

c. ALK

d. k-RAS

e. Tyrosine kinase

a. cKIT
b. BRAF

• Breslow thickness

• Most important prognostic factor

• Only for invasive lesions

• Measure from Granular cell layer

• If Ulcerated; base of ulcer Tumours: Melanocytic

• A 27 year old man presents with a pigmented lesion on the upper arm. An excision biopsy is performed. The lesion is compound in nature with prominent Pagetoid ascent in the epidermis and multiple dermal mitoses (3 per mm2).

• Identify the most important prognostic factor.

a. Depth of invasion

b. Macroscopic diameter

c. Presence of dermal mitoses

d. Pagetoid ascent

e. Absence of tumour infiltrating lymphocytes

• Microsatellite – Foci of metastatic tumour cells in the skin or subcutis adjacent or deep to but discontinuous from the primary tumour detected in microscopic examination of tissue

• Satellite metastasis – Foci of clinically evident cutaneous and/or subcutaneous metastasis occurring within 2cm of but discontinuous from the primary melanoma

• In-transit metastasis – Clinically evident cutaneous and/or subcutaneous metastasis occurring >2cm from the primary melanoma in the region between the primary and the regional lymph node basin

• Any cutaneous metastasis that does not fall into the above categories is considered distant metastasis and staged under the M category

Tumours: Melanocytic neoplasms

Question EMQ 2

Options

A.MelanA

B.SOX10

C.S100

D.HMB45

E.P16

F.BRAF V600E

G.BAP1

H.Ki67

I. Beta-catenin

J. NTRK

K.ROS1

L.ALK

M.PRAME

Question 1

An intradermal melanocytic lesion show spindle cell morphology with fibrillary cytoplasm. A diagnosis of deep penetrating melanocytoma is suspected on H&E sections.

Identify the IHC stain which would be most helpful in confirming this diagnosis.

• Each of these immunohistochemistry stains can be used in diagnosing melanocytic lesion. Identify the more relevant option based on the descriptions above.

Question EMQ 2

Options

A.MelanA

B.SOX10

C.S100

D.HMB45

E.P16

F.BRAF V600E

G.BAP1

H.Ki67

I. Beta-catenin

J. NTRK

K.PRAME

Question 2

A 9 year old child presents with a compound melanocytic lesion demonstrating epithelioid morphology and prominent Kamino bodies. Identify the IHC stain which would be most helpful in confirming this is a Spitzoid lesion.

• Each of these immunohistochemistry stains can be used in diagnosing melanocytic lesion. Identify the more relevant option based on the descriptions above.

Question EMQ 2

Options

A.MelanA

B.SOX10

C.S100

D.HMB45

E.P16

F.BRAF V600E

G.BAP1

H.Ki67

I. Beta-catenin

J. NTRK

K.PRAME

Question 3

A 52 year old patient is diagnosed with malignant melanoma. Complete loss of which IHC stain suggests homozygous deletion of CDKN2a?

• Each of these immunohistochemistry stains can be used in diagnosing melanocytic lesion. Identify the more relevant option based on the descriptions above.

Question EMQ 2

Options

A.MelanA

B.SOX10

C.S100

D.HMB45

E.P16

F.BRAF V600E

G.BAP1

H.Ki67

I. Beta-catenin

J. NTRK

K.PRAME

Question 4

A 72 year old patient presents with an ill defined junctional melanocytic lesion on their face and is diagnosis with lentigo maligna. IHC is performed and one of the markers show strong and diffuse nuclear positive staining throughout the lesion, helping to confirm the diagnosis. Identify the most likely answer.

• Each of these immunohistochemistry stains can be used in diagnosing melanocytic lesion. Identify the more relevant option based on the descriptions above.

Question EMQ 2

Options

A.MelanA

B.SOX10

C.S100

D.HMB45

E.P16

F.BRAF V600E

G.BAP1

H.Ki67

I. Beta-catenin

J. NTRK

K.PRAME

Question 5

A 31 year old patient is diagnosed with stage pT4b invasive malignant melanoma. Which IHC stain should be performed to guide further management.

• Each of these immunohistochemistry stains can be used in diagnosing melanocytic lesion. Identify the more relevant option based on the descriptions above.

Question EMQ 2

Options

A.MelanA

B.SOX10

C.S100

D.HMB45

E.P16

F.BRAF V600E

G.BAP1

H.Ki67

I. Beta-catenin

J. NTRK

K.PRAME

Question 6

A 25 year of patient presents with a melanocytic lesion on their arm. They have a FHx of thyroid and renal cancer and ocular melanoma. The lesion is compound and shows mixed naevoid and epithelioid morphology on H&E sections with an associated lymphocytic infiltrate. Identify the relevant IHC stain to confirm the specific diagnosis in this case.

• Each of these immunohistochemistry stains can be used in diagnosing melanocytic lesion. Identify the more relevant option based on the descriptions above.

Thank you and good luck!

Acknowledgment to Dr Mikheil and Dr Iskander H Chaudhry

Sarcoma and soft tissue tumours involving the skin

• Dermatofibrosarcoma protuberans

• Angiosarcoma

• Clear cell sarcoma (melanoma of soft tissue)

Dermatofibrosarcoma protuberans (DFSP)

• Superficial fibroblastic neoplasm

• Prone to local recurrence

• Characteristic storiform arrangement of monomorphic spindled cells strongly positive for CD34

• t(17;22)(q21.3;q13.1) results in COL1A1-PDGFB fusion

Angiosarcoma

• Malignant neoplasm of blood vessels

• Head and neck of elderly patients

• In areas of lymphoedema

• Post-radiotherapy

• MYC positive in >90% cases related to lymphoedema and radiotherapy

Clear cell sarcoma (melanoma of soft tissue parts)

• Morphologically and immunohistochemistry profile same as a melanoma

• Can involve dermis (but coming from below)

• Characteristic t(12,22)(q13,q12) EWSR1-ATF translocation

Turn static files into dynamic content formats.

Create a flipbook
Issuu converts static files into: digital portfolios, online yearbooks, online catalogs, digital photo albums and more. Sign up and create your flipbook.