Skip to main content

Hervey Bay Advertiser and Hervey Bay Property Guide

Page 1

WE WANT YOU TO BE A PART OF OUR GYM COMMUNITY • UNLIMITED CLASSES $30PW • GROUP CLASSES • NO SIGN UP FEES • NO CANCELLATION FEES • PERSONAL TRAINING • CHILD MINDING CALL ALI TODAY ON 0417 652 484 f Coastal Wastewater Specialists PRE-PURCHASE INSPECTIONS 07 4128 8019 www.cwws.com.au A FAMILY OWNED & OPERATED LOCAL BUSINESS QBCC LIC: 15249942 HOME SEWERAGE TREATMENT SYSTEMS We use and recommend SUPPLY • INSTALL SERVICE • REPAIR EPOXY FLOORS PAINTING 0418 410 965 QBCC 1133418 www.classiccoatings.com.au SELL YOUR HOUSE WITH US MESSAGE US ON g OR primeagents.com.au 4194 1754 Free Home Loan Health check CALL US NOW Ph: 0407 699 022 Edition #69 - September 7, 2023 Awarded BEST FREE NEWSPAPER in Queensland YOUR NUMBER IN REAL ESTATE oneagencyfc.com.au FRASER COAST THE FIRM ON THE AVENUE www.hblawyers.com.au Ph: 4128 4777 • Traffic Matters • Criminal Law • Wills / Estates Family Law • Conveyancing WE ARE HERE TO HELP Stay updated at herveybayadvertiser.com.au Showroom Now Open Looking to give life to your new or old concrete with some colour? Well... Fraser Coast Waterproofing & Epoxy Floors - SHOWROOM NOW OPEN! Go see the full range of decorative concrete coatings at unit 6 - 97 Old Maryborough Road, Hervey Bay. The Team specializing in Seamless Epoxy Flooring & Covercrete & Colour Master Sealers. 6/97 Old Maryborough Road, Pialba QLD Ph: 0423 964 496 • www.frasercoastwaterproofing.com
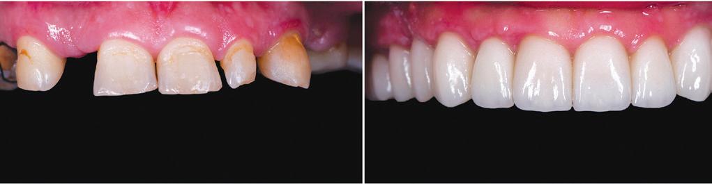
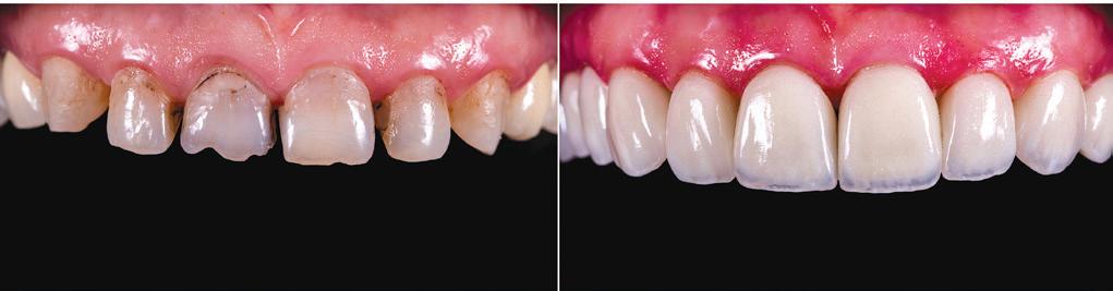
All Health Funds Accepted Michael Carson a Shop 4, 10 Liuzzi St, Pialba p 4124 0800 e info@mydentureplace.com.au w mydentureplace.com.au Revolutionary INTRAORAL SCANNER is here IF YOU GOT YOUR DENTURES OVER 6 YEARS AGO, IT’S TIME FOR A NEW ONE 3D imaging your gums for the perfect fit! Precise Durable Consistency Digital backup Customisable Convenient CAD DESIGNED DIGITAL DENTURES AVAILABLE NOW IN HERVEY BAY NEW My Denture Place - Michael Carson a Shop 4, 10 Liuzzi St, Pialba | p 4124 0800 e info@mydentureplace.com.au | w All Health Funds Accepted If you got your Dentures over 6 years ago, It’s tIMe for Revolutionary INTRAORAL SCANNER IS HERE 3d imaging your gums for the Perfect Fit Precise CAD designed Durable Miled from premanufactured Consistency Same set of reproduced Digital backup Can be remade Customisable Many shades available Convenient Faster to make, CAD Designed Digital Dentures available now in Hervey Bay new!
DENTURES
you’re happy with your current FULL dentures, we can copy them for youno impressions required.
COPY
If

FOR JUST $3300

Day 1: Takes in Mundubbera, Eidsvold - RM Williams Shed, formerly Fred Brophy’s Pub at Cracow, Theodore; then play and stay the night in Springsure.

Day 2: Fairburn Dam, Emerald, Rubyvale, Sapphire; then play and stay the night in Alpha.

Day 3: Barcaldine “Tree of Knowledge”, IIfracombe Machinery Museum, entertaining at the Longreach Woolshed and stay the night in Longreach.

Day 4: Qantas Musuem, Australian Stockman’s Hall of Fame, and explore Longreach; cruise the Thompson River with Kinnon & Co, stay the night.

Day 5: Winton Outback Festival, Waltzing Matilda Musuem, Truck Museum, Musical Fence, Arnies Wall in Winton, travelling onto Hughenden where we play and stay the night.

Day 6: Take in historical sights through Hughenden, chasing dinosaurs around the local township; play and stay the night in Charters Towers.

Day 7: Castle Hill in Townsville, taking in the sights along the Strand; then play and stay the night in Rollingstone.

Day 8: Travel onto Ayr, enjoying some downtime to shop; enteraining at Giru International

Day 9: Journey down to Mackay, enjoying some downtime to shop; entertaining at the Homebush Pub.

Day 10: Explore Rockhampton Zoo, enjoy some downtime shopping; entertaining at Gracemere.

Day 11: Returning home; say goodbye to friends made during the ‘Great Western Play & Stay Musical Tour. Come and have a great fun trip with us.

We have planned a trip just for you BUS, BED, BREAKFAST, NIGHTLY MEALS & ENTERTAINMENT ALL
PER
The trip is from 18th of September up to and including 28th of September, with Country/Western, Rock’n’Roll Entertainment every night from 12 different artists. This is our 11th year doing this trip. THE GREAT WESTERN PLAY & STAY MUSICAL TOUR 2023 Come and have a great fun trip with us ITINERARY | ITINERARY | ITINERARY | ITINERARY | ITINERARY | ITINERARY | ITINERARY For more information or to book; contact Greg or Donna at G & D ROSS BUS CHARTERS G&D ROSS BUS CHARTERS PHONE: (07) 4129 7132 MOBILE: 0427 297 132 1197 Bidwill Road, Maryborough QLD 4650 e: rossbuscharters@bigpond.com www.ganddrossbuscharters.com.au
PERSON

Mike and Nate Cornish will be travelling to the Fraser Coast and Gympie areas for 3 days only from Thursday, 14th September, to Saturday, 16th September. We want to buy your unwanted items listed below. Please visit us at one of the venues shown below for an on the spot appraisal.

If you live outside the area, or have too many items to bring in and would like a home visit, phone Nate on 0426 820 646 NOW to arrange a time. These events are often compared to the ‘Antiques Roadshow’ on TV, but without the long queues. Don’t miss this opportunity!

Gold & Silver Jewellery

All Modern, Vintage & Antique Jewellery, Rings, Chains, Bracelets, Earrings, Brooches, & Pendants, All Worn or Broken Jewellery

Silver Coins

If you have concerns about coming due to Covid, please call for a Home Visit. Fully Licensed Antique, Numismatic, and Precious Metal Buyers with over 45 years Industry Experience. Security Supplied by Security International Limited. Bank

Aust. – Crowns, Half Crowns, Florins, Shillings, Sixpences, Threepences, all coins from NZ, Great Britain,

Notes (Aust. & World) Decimal World Notes Predecimal World Notes Error and Misprint Private & Trading Bank Notes Specimen & Cancelled Notes All World Notes Mike Military
Australian
All Other
Orders & Decorations
Stars &
Groups & Accumulations
Medals
Military Medals
Military Medals
Bravery & Long Service Medals
Crosses
Fiji, South Africa, USA, Canada, Misc Silver Coins & Tokens, and all Other World Silver Coins Silver Sterling Silver, Tea Sets, Cutlery, Trophy Cups, Trays, Baskets, Vases, Photo frames, Jugs, Mugs, Cigarette & Card Cases, Bullion Bars
Jewellery, Rings, Diamond
other
All Watches (Modern & Vintage) Any Condition – working or not, Omega, Rolex, Tudor, Seiko, Longines, Tissot, Breitling, Tag Heuer, Cartier, Hamilton, Gold, Silver, and Other Watches, and all Pocket Watches. Watchmakers parts and tools. For any questions or home visit requests phone Nate 0426 820 646 Heritage International www.heritageint.nz No Appointment necessary. No need to sort or clean coins. We’ll buy 1-10,000 items. Silver & Gold Bars, Pendants • Any size or weight, even unspecified • Any condition • All brands including ABC, Perth Mint, Harrington, Engelhard, Geomin, and all other brands • Also Platinum & Palladium coins/ bars Buying Now
you moving or downsizing? Are you worried about security? Unwanted coins? Damaged jewellery? Are you no longer collecting? Do they sit in a drawer or cupboard? Are the family not interested? Would the money be more of use to you? Hervey Bay RSL (Boardroom) 9:30am – 2:30pm 11 Torquay Rd, Pialba Maryborough Services & Citizens' Memorial Club (Lennox Room) 9:00am – 12:30pm 163-175 Lennox Street Home Visits 2:30pm – 6:00pm Phone 0426 820 646 For a Home Visit Home Visits 12:30pm – 6:00pm Phone 0426 820 646 For a Home Visit Gympie RSL (Rhythm Room) 9:30am – 1:00pm 217 Mary St, Gympie Home Visits 1:00pm – 6:00pm Phone 0426 820 646 For a Home Visit THURSDAY 14TH SEPT GYMPIE FRIDAY 15TH SEPT MARYBOROUGH SATURDAY 16TH SEPT HERVEY BAY
Jewellery All
and
stones, Coral Jewellery, Brooches, Pendants, Lockets, Bracelets & Bangles, Gold Cuff Links, Necklaces, All Broken or Worn Jewellery
Are
SEE YOU AT THE FAMOUS TORQUAY HOTEL HERVEY BAY CNR ESPLANADE & BIDEFORD ST, TORQUAY PH 4125 2266 “SUPPORT YOUR LOCAL INDEPENDENT BOTTLE SHOP” SPECIALS - 11.9.23 TILL 24.9.23 VICTORIA BITTER 30 PK CANS XXXXGOLD STUBBIES CTN HAHN SUPER DRY 3.5% STUBBIES CTN ASAHI DRY STUBBIES CTN CARLTON DRY STUBBIES CTN BYRON BAY PREM LAGER VICKERS GIN 700ML BOTTLE BUFFALO TRACE BOURBON HOWLER HEAD BANANA WHISKEY WILD TURKEY & COLA 10 PK GRANT BURGE PETITE SPARKLING RANGE DEVILS LAIR 5TH LEG WINE RANGE We are launching “Rebal Mates” Loyalty Program. Enquire in store to join $5490 MATES RATES $5590 $3990 MATES RATES $4090 5790 MATES RATES 5990 $5790 MATES RATES $5990 $4490 MATES RATES $4690 $1190 MATES RATES $1290 $100 MATES RATES $5290 2 FOR Must be a member of REBEL MATES to receive deal XXXX GOLD 30 PK CANS $5590 MATES RATES $5790 $5390 MATES RATES $5690 $1290 MATES RATES $1490 Hervey Bay BARBECUES, SMOKERS, OUTDOOR FURNITURE, WOOD HEATING AND MORE IN STORE NOW! Talk to our friendly specialist staff and check out the extensive range Open Mon-Fri 9am-5pm | Sat 9am-3pm 93B Main Street, Pialba Phone 4325 3803 CHECK OUT THE GREAT DEALS AT www.barbequesgalore.com.au
FI5147 Ends Sunday Terms, conditions and exclusions apply. Products and Savings will vary from store to store. See in-Store for full details. While Stock last. Valid between 28/08/2023 – 10/09/2023. ACROSS THESE MATTRESS BRANDS Hervey Bay 127 Boat Habour Dr, Pialba, (opp. the cinema) Ph: 4194 5099 fortywinks.com.au

Got something to say about THE

Fraser Coast Mates – A great way to say – Are you ok?

R U OK? Day 2023 is upon us next Thursday, September 14, and it’s our national day of action when we remind Australians that every day is the day to ask, ‘Are you OK?’

It is the perfect time to start a meaningful conversation with anyone in your part of the world who might be struggling with life.

It’s days like this that call on all of us to let the people we care about know we’re here, to really hear them.

By taking the time for an R U OK? conversation and genuinely listening with an open mind, we can all help the people in our world feel supported and connected. That conversation can change a life.

Here in Hervey Bay, on a hyper-local level, we have our own champions of mental health, with Fraser Coast Mates.

LETTERSTOTHEEDITOR

Amended local laws

I am amazed to read in Changes Taking Effect as the Council adopts amended local laws. The fines, if your block is unsightly or overgrown. $1548 for a first offence to $7740 for a third offence within twelve months seems to be way overkill, especially in these financially strained times. Where are the compassionate warnings to start with? How much will you be fined if you don’t mow your nature strip in front of your house and make sure the mower strips are straight? Maybe we can claim to the Council for this mowing?

Why Replace Councillor

I’d like to comment on the recent article “Nominations now open for vacant councillor position”. Firstly, I do want to declare my opinion that they are part-time roles. I don’t see the need to have full-time positions so they can attend the openings or birthday celebrations of organisations. Therefore, a natural thought is why we need a full-time councillor to represent a division that will need more than seven months to show results from their input. Surely there is some coverage available internally at the council that can support

the division’s constituents so they can be heard. I understand this is a law that the Fraser Coast Regional Council has no power to overturn, but I’d rather see the funds go towards local not for profit organisations.

Mark Peters

Hire E -Scooters

I am concerned about hire E-Scooters that the Council has allowed to operate all across Hervey Bay. Now I read that after allowing them to operate, the Council is going to rely on education, training and leave the enforcement of Laws of the use of E-Scooters to be handled by

Fraser Coast Mates was formed by a group of local community members concerned by the rise of debilitating mental health issues and rising suicide rates, especially among men, across the Fraser Coast region.

Their aim is to build awareness about mental health issues, bridge the gap between support services and give mates the tools to help their friends and colleagues when they may be struggling.

Over the past seven years, Fraser Coast Mates have raised almost half a million dollars for free local counselling services.

An awesome way that you can get involved is to grab some tickets to the upcoming Fraser Coast Mates Annual Pink Dinner, presented by Prime Agents and hosted at the Hervey Bay RSL on October 13.

This is a chance to connect with mates and raise

the Queensland Government under State Laws.

I believe this is referring to Police enforcing the laws who don’t have the manpower or time to chase up the riders who I observe every day breaking the law by going full speed on footpaths, bikeways and piers, not wearing a helmet, more than one person on an E-Scooter and not slowing down when approaching pedestrians and giving way to them on our bikeways and footpaths.

We have enough privately owned E-Scooters to watch out for and their bad behaviour without the Council changing laws to allow them and the hundreds of hire E

funds for mental health awareness and support across the Fraser Coast.

The Annual Pink Dinner will feature guest speaker The Unbreakable Farmer - Warren Davies. Warren Davies is not just any average farmer. There is more to this farmer than meets the eye. His eventful life has tested his resilience, persistence and determination; had a massive impact on his young family, relationships and finances and made Warren the Farmer he is todayThe Unbreakable Farmer.

Entertainment by Killer Queen, Australia’s premiere Queen Tribute Show.

Follow the QR code to get your tickets.

-Scooters on our footpaths, bikeways, pier and jetties.

This is a lazy attitude of our Council as their statement of Education and Training shows that there is a real danger from E -Scooters to the residents and visitors on the Fraser Coast. They are quiet and when coming up from behind you, you don’t hear them, and if you had taken a step to the right or left of you, then you could be knocked down by the E- Scooter. I was coming out from a shop on the Esplanade and an E-Scooter just came out of nowhere and zoomed past in front of me.

One young mother told me that she was walking with her young child beside her

and pushing a pram on the beachside footpath, and two hire E-Scooters came at her from the other direction and did not slow down or form a single file and forced her to grab her child that was walking beside her and push the pram with her baby in it off the path.

Another elderly lady told me she was walking on the pier, and three E-Scooters were riding abreast and full speed towards her and didn’t slow down and forced people to the side of the pier.

I am sure there are other readers who have had a run-in with a E-Scooter and have similar stories to tell. The Council allowed hundreds of E-Scooters to be placed and

COSMETIC DENTAL CROWNS & BRIDGES DENTAL IMPLANTS FIXED IMPLANT DENTURES • GENERAL & EMERGENCY DENTAL • CHILDRENS DENTISTRY • DENTAL IMPLANTS • COSMETIC DENTAL • CROWN & BRIDGES Suite 2, 70 Torquay Road, Pialba 4128 2185 www.pialbadental.com.au DR GURBACHAN LAL B.D.S M.CLIN DENT (IMPLANTS) DR MONIKA GUPTA B.D.S DR MAREK ROHOZINSKI B.D.S MS RITA FIU B.Oral.Hlth Trusted by the Hervey Bay community since 1982 DR JAMES CHIEN B.D.S Page 8 | Hervey Bay Advertiser | September 7, 2023 THE PUBLISHER’S POINT
PUBLISHERS
Send us an email to edit@herveybayadvertiser.com.au or send a message via Facebook or Instagram
POINT?
Got something to say? Send your letters to: edit@herveybayadvertiser.com.au or send a message to our Facebook or Instagram pages

hired all over Hervey Bay and then told residents they were going to change Council Laws to allow this bad behaviour to continue without a way of enforcing the Laws about the use of E-Scooters and passed that problem onto the Police to enforce the laws.

So now people using E-Scooters have no worries about being pulled up or fined for their bad and unsafe use of the E-Scooter they are using.

So many elderly residents and young children use our footpaths and bikeways, and we need more responsible action by our Mayor and Councillors about their safety.

I know a lot of riders observe the laws, but if you are the one that is injured by an E-Scooter accident, then you have a hospital visit; if you are employed then time off work if you have no leave available, then without a pay coming in, a child may have to miss time from school, rehabilitation if you a more serious injury like a broken hip for example if you are elderly.

This is an ongoing cost to the person injured or taxpayers if the Public Hospital System is used.

The death and injuries have increased dramatically over the years since E-Scooters were introduced in Queensland.

Time for the Mayor and Councillors to re-think this

decision and can people sue the Council for such an accident on their footpaths, bikeways, pier and jetties when a hire E-Scooter is at fault as the Council allowed their use on Council land? Common sense again missing from our Mayor and Councillors.

Hooning and juvenile delinquency

I refer to the letters from Mr Alan Host and Syl Mod regarding hooning and disturbing the peace in the area of Eli Waters and the Hervey Bay/Maryborough Highway. The ongoing nightly behaviour of immature motorists is totally unacceptable, as well as the failure of law enforcement to act.

I note that while Adrian Tantari has failed to respond to contact by Syl Mod, right next to that article was an ad posted by Mr Tantari, MP.

“Building a better Hervey Bay” Say what?? If not the job of the police or Mr Tantari, then whose job is it? I like the idea of incarcerating the perpetrators until such time they can be escorted to observe their cars placed into a car crusher while it is being demolished into recyclable junk! Then released to find their way home. If laws must be enacted to accommodate such punishment, then let’s

get with it!

Further, if Mr Tantari cannot find time to respond to a constituent complaint, then perhaps the next election can solve that problem! Further, considering the escalating level of youth crime in Hervey Bay, I strongly suggest in no uncertain terms that Councillors and MPs visit Robert H. Davis, and his Hard Yakka campus at Susan River to see firsthand how that operation works.

I was privileged to be invited to observe a graduating class of former juvenile delinquents who were about to be released back into their parents’ care. I was highly impressed to have met and shook hands with each of those young ‘gentlemen’ whom I would have been proud to have called one of my own. The guy in the red shirt in Maryborough has been invited to pay a visit, but to my knowledge, he has shown zero interest.

I strongly recommend our councillors and MPs visit Hard Yakka as I did, with the goal of securing government funding to support that outstanding organization. To do less is to condone the nightly activities of hoons and juvenile delinquents in our community. That too can be remedied at the next council elections!

Nathan 0439 397 705 or Helen 0437 011 188 www.nhhomes.com.au QBCC15218933 • Custom Built New Homes “BUILDERS YOU CAN TRUST” We pride ourselves on our personal involvement at every stage, our willingness to listen, our attention to detail and our commitment to making the building process stress free. Whether it's building a brand new home or renovating your existing living space, contact us for reliable, honest advice and a free quote. We listen and we care LOCAL, STATE & NATIONAL MASTER BUILDERS AWARD WINNER LETTERSTOTHEEDITOR f September 7, 2023 | Hervey Bay Advertiser | Page 9 hervey.bay@parliament.qld.gov.au 4183 8100 Adrian TANTARI MP Member for Hervey Bay From companionship, to caregiving, to 24/7 nursing. 1300 100 247 nursenextdoor.com.au Our Talent is Caring.

Straight from the sea to you

NEWSINBRIEF

Cool Country Social Music Club is a Not for profit Incorporation located here in Hervey Bay. Our aim is to bring people, and music together and raise funds for other local not for profit organisation’s in the Fraser Coast district. Our doors are always open to people looking for somewhere to sing, play an instrument either solo or accompanied by the Cool Country

Band. Age is no barrier, we encourage our youth to come along with all genres of music welcomed. If you are not a performer you are most welcome to come along and enjoy the friendly and welcoming atmosphere.

The club practices every Thursday night, 4.30pm start, cost $5.00 includes, tea and coffee, at the Hervey Bay Citizens Hall, Cnr.Totness St & Denmans Camp Road, Torquay. If you sing, play or just love to listen to music,

come along and enjoy the fellowship and music. The club holds its Open Day concerts the second Sunday of each month. Come along and enjoy a great afternoon of entertainment with the doors opening at 10am for a 10.30am start at the Citizens Hall. Canteen facilities, lucky door, raffle and plenty of entertainment for a $5 entry fee. Our next concert is on Sunday 10 September. For further information ring 0427 150 015.

More Than Just Scooters SALES • HIRE • SERVICE 'The Widest Range of Quality Scooters & Mobility Aids on the Fraser Coast' 2/42 Torquay Rd, Pialba Ph 4124 6433 Page 10 | Hervey Bay Advertiser | September 7, 2023 hello@bigbosscollectables.com.au www.bigbosscollectables.com.au 0413 673 867 YOUR LOCAL CARD COLLECTING STORE 5, 56 Torquay Road, Pialba Visit Our Website CHECK OUT THIS WEEK’S GREAT SPECIALS NOTLRAHC E EDANALP BOATHARBOURDRIVE MILLER STREET JETTY ROAD U NAGNA F ERHS SE F I NARMEHS S KRPA Urangan Fisheries Retail Ph 4125 2621 860 Boat Harbour Drive Urangan Find Us on G Urangan Fisheries Pty Ltd Valid 12/11/2020 - 25/11/2020 • Specialising in fresh local seafood • Bulk buy at wholesale prices • Gourmet seafood pies now available • Stock up on our tantalising range of local crumbed products • Bait & Ice available OCEAN AUSTRALIA RAW SCALLOP OCEAN AUSTRALIA CRUMBED SCALLOP 32/kg 330g PACK 300g PACK $1565/ Urangan Fisheries Retail Ph 4125 2621 860 Boat Harbour Drive Urangan Find Us on G Urangan Fisheries Pty Ltd DON’T FORGET SOME OCEAN AUSTRALIA PRAWN CUTLETS OR SCALLOPS • Specialising in fresh local seafood • Bulk buy at wholesale prices • Gourmet seafood pies now available • Stock up on our tantalising range of local crumbed products • Bait & Ice available
Cool Country Social Music Club

Australia Day Awards nominations open now

FRASER Coast residents are being encouraged to nominate local unsung heroes and high achievers from all walks of life for the 2024 Australia Day Awards.

Deputy Mayor Denis Chapman said nominations were open now, and there was a range of different award categories to recognise outstanding individuals and organisations, including sports, arts and culture, STEM, community groups and volunteers.

“If you know someone in our local community who has gone above and beyond, then nominate them for a Fraser Coast Australia Day Award,” he said.

“Nominating someone for an Australia Day Award is a way of acknowledging and celebrating their contributions and achievements to make our community a better place.

“Our current Fraser Coast Australia Day Young Citizen of the Year Emmily Lingard is a shining example of this.

“Emmily represented the Hervey Bay district in seven sports and was a Wide Bay representative in four sports. She mentored young children at the surf club and swim club, and also volunteered

and worked as a support worker for children with disabilities.

“I urge members of the many community groups, sporting clubs and service organisations throughout the Fraser Coast to consider nominating someone for a 2024 Australia Day Award.

“A nomination is a great way to say thank you to someone who tirelessly serves our community or to celebrate a star in their chosen field.”

Nominations are open now and can be filled in online at www.frasercoast. qld.gov.au/australia-day

Nominations close on Friday 24 November 2023. A nominees recognition ceremony will be held at the Hervey Bay Regional Gallery on Friday 19 January 2024 with the Australia Day Awards Presentation occurring at the Brolga Theatre on Friday 26 January 2024.

Details of the 2023 Australia Day Award nominees and recipients are also available at www. frasercoast.qld.gov.au/ australia-day

• Citizen of the Year

• Young Citizen of the Year

• Sportsperson of the Year

• Young Sportsperson of the Year

• Cultural Award of the Year

• Young Cultural Award of the Year

• Volunteer of the Year

• Young Volunteer of the Year

• STEM Award of the Year

• Young STEM Award of the Year

• Community Project of the Year

• Community Group or Organisation of the Year.

56 TO R Q UAY R OA D P I A L B A September 7, 2023 | Hervey Bay Advertiser | Page 11
M A C & M A C B O O K R E PA I R S 4194 5959
2024 Australia Day Award categories include:

Empowering with social prescription initiative

A BOLD and innovative new initiative is set to change the way we think about loneliness and community connection.

HBNC’s Connecting Communities Social Prescription Pilot - a firstof-its-kind service for the Wide Bay region - aims to support and empower every person to connect, participate, contribute and thrive in our community.

Based on models developed in the UK, social prescription aims to improve health outcomes by addressing the issues of social isolation and loneliness within our community.

The term ‘social prescribing’ is listed as one of the 10 high-impact actions in the General Practice Forward View (NHS England 2016) and is a non-medical option used by health professionals when a person has needs related to socio-economic and psychosocial issues.

Social prescribing is an opportunity to implement a sustained, structural change to how a person moves between professional sectors and into their community.

The Connecting Communities Social Prescription Pilot program will enable health care

professionals to refer patients to a link worker, to co-design a non-clinical social prescription approach to improving their health and wellbeing.

Connecting Communities, funded by the Queensland Government’s Communities Innovation Fund, will explore and address factors including socio-economic challenges,

happiness of individuals and overall wellbeing of the community in turn reducing impacts on the overburdened health and mental health services,” Tanya said.

Community members will be able to seek support to access activities, groups or other programs with the aim of providing long-term friendship, engagement and purpose. Using a communitybased social prescription framework, community members can join the program through self-referral or via another service such as a medical practitioner, psychologist or allied health professional.

distance from family and friends, public transport access, language barriers, information insecurity and social challenges.

Tanya Stevenson, HBNC CEO, said this new initiative was indicative of the organisation’s commitment to evolve its services and address emerging community challenges.

“We believe that addressing underlying issues to improve connection will enhance the long-term health and

A Link Support Volunteer will work closely with participants to address any barriers to engagement and identify the activities or groups most likely to match with participants’ needs and desires.

The Link Support volunteer may accompany the participant to a number of the activity sessions to reduce the fear and overwhelm often associated with new environments.

To find out more about this program, please visit: www. hbnc.com.au

Bewelcomedintoacomfortable modernenvironmentbyourfriendly team.

Discussyourdentalhistoryandhealth whilehavingacomprehensive examinationofyourteeth,gumsand mouth.

Ourcaring,experienceddentistwilltalk aboutyourpreventionandtreatment optionsandgiveyoutheopportunityto askquestions.

DentalAppointment Yourteethwilllook andfeelclean. Page 12 | Hervey Bay Advertiser | September 7, 2023 Scotty’s Mad About Meats Bay Plaza, Torquay Road, Pialba | Phone 4124 MEAT Crumbed Lamb Cutlets per kg $1250 Chicken Rissoles WHILE STOCKS LAST Chicken Sausages Plain and gourmet flavours per kg $1250 per kg $2999
WhattoExpectatYour

Leukaemia’s Light The Night in the Bay

DES and Rita have been shining a Light on blood cancers and have been supporting Light The Night in Hervey Bay for the past 13 years. Previous events have seen over 300 attendees.

In 2010, Rita was diagnosed with Multiple Myeloma and will be carrying a white lantern at Light The Night.

Light The Night is an important stepping stone in Rita's journey with Multiple Myeloma and other Hervey Bay Leukaemia Group members.

The support group are keen to show support, raise funds and continue to spread awareness of blood cancers.

Light The Night is a special evening that brings together patients, carers, family, friends and the wider community to reflect on Leukaemia, Myeloma, Lymphoma & blood-related disorders' impact on so many lives.

Light the Night begins at 6pm on the Seafront Oval with speeches followed by local piper Duncan Birt leading off the parade with Amazing Grace.

The main event of the evening is a peaceful stroll around Seafront Oval with

• Friday 29th September from 6 pm at the Seafront Oval

• The Hervey Bay Leukaemia group meet on the last Monday of each month.

• For more information, please contact Des on 0419771925

participants and their brightly glowing lanterns.

Lanterns will be available on the night for purchase but may be limited. Each colour lantern has a symbolic meaning.

White lanterns are carried for blood cancer patients and survivors; gold lanterns are for those remembering a loved one lost and the blue lanterns symbolise your awareness and support for carers and those

Meet the Neighbours

affected by blood cancer.

You can expect great entertainment, inspiring moments, a coffee van, ice cream and food from the Hervey Bay Lions Club. Plus, there's a chance to win one of our three prizes in the raffle. Please come join us for a fun-filled evening to show support, share hope and raise vital funds.

Community groups can apply now for grants to host Christmas or New Year’s Eve events, purchase and install festive decorations in our smaller townships, or to plan and host an Australia Day event.

For more information go to www.frasercoast.qld.gov.au/grants

September 7, 2023 | Hervey Bay Advertiser | Page 13
inviting you to come along and celebrate The trailer is packed with fun games and activities for all ages, including giant chess, snakes and ladders, pong, twister, and more There will also be a chance to learn about the HBNC s services and resources, and to connect with your neighbours Apex Park Pialba 10/01/2024 Anzac Park Maryborough 24/01/2024 Pulgul Street Reserve Urangan 7/02/2024 Seafront Oval Pialba 21/02/2024 Find out more nc com au Pialba Downs Eli Waters 16/08/2023 Bill Fraser Park Torquay 30/08/2023 Queens Park Maryborough 13/09/2023 Margaret Lin Park Kawungan 27/09/2023 3pm to 4:30pm River Heads Community Park 11/10/2023 The Pines Park Pialba 25/10/2023 Esa Park Pt Vernon 8/11/2023 Botanic Gardens Urangan 22/11/2023 Lions Park Burrum Heads 6/12/2023 Howard Reserve Howard 20/12/2023
Des and Rita Hervey Bay Leukaemia Light The Night

LEADERSHIP

UNLEASH THEIR CREATIVE POTENTIAL AT ST JAMES ENROLMENT OPPORTUNITIES

At St James Lutheran College, we pride ourselves on state-of-the-art contemporary learning spaces to offer an exceptional educational experience for all of our students.

Our innovative approach focusses on unlocking every students full potential and allowing them to chase their dreams and reach as high as possible.

AVAILABLE NOW!

We are truly passionate about creating future leaders and supporting every pursuit. We believe each and every student has limitless potential.

If you are interested in discussing your child’s future at St James, please contact us for a personal tour of the college.

138-172
Pantlins Lane, Urraween | 4128 5500 registrar@stjameslc.qld.edu.au
inspired to learn – empowered to serve

Exclusive film screening with more projects to come

FRASER Coast was on the big screen with the recent exclusive private screening of “13 Summers” at the Brolga Theatre in Maryborough.

The feature film, which was filmed in Hervey Bay last year, was shown to over 200 invited guests with an overwhelmingly positive review for the new Australian thriller.

The lead actress, Hannah Levien, who played Vee Trainor enjoyed the screening with the company of Fraser Coast Regional Council Mayor George Seymour and the local state member Adrian Tantari.

Starring actors Nathan Phillips (Ben Trainor), Bec Hewitt (Kate), Ben Turland (Alex), Jeremy Standford (Patrick) and Georgie Parker (Debbie), will be now available to be sold internationally on streaming platforms, giving the Fraser Coast enormous recognition across the world.

The film has been supported by the Fraser Coast Regional Council, Sunshine Coast Regional Council and many local businesses through sponsorship and investments.

The filmmakers of “13 Summers”, Director Tam Sainsbury, Writer and Producer Jeremy Stanford and Bill

Missett, Editor and Producer have formed a new venture with local businessman Glen Winney called Fraser Coast Films.

The company’s aim is to establish a film industry locally that showcases the region’s natural assets.

The new venture has not wasted anytime in searching for a future project with the next movie “He Loves Me Not” starring Rhiannon Fish (Home and Away, Neighbours) ready to start filming in October.

“The rewards for the area through tourism, employment, international profile and

creative enrichment are undeniable”, said Mr Winney.

He said local investors are invited to support this project which provides international exposure for the region.

Fraser Coast Films is currently securing sponsors for “He Loves Me Not’. Businesses will have an opportunity to have product placement in a scene and participate in the marketing throughout this feature film.

You can get in contact with them through the website www.frasercoastfilms.com.au/ engage-with-us

September 7, 2023 | Hervey Bay Advertiser | Page 15 PASSENGER SUV 4WD LIGHT TRUCK 175/70R 13 $78 175/65R 14 $84 195/65R 15 $114 205/65R 15 $109 205/55R 16 $114 $114 235/45R 17 $128 235/40R 18 $128 245/45R 18 225/65R 17 $165 245/65R 17 $165 235/60R 17 $155 235/55R 18 $165 235/75R 15 $179 245/70R 16 $205 265/70R 16 $205 265/65R 17 $205 31x10.50R 15 $205 165R 13LT 185R 14LT 195R 14LT $114 195R 15LT $135 215/70R 15LT $145 215/60R 16LT $124 HERVEY BAY 88-92 Boat Harbour Drive, PIALBA | 07 4194 1350 sales@herveybaytyreright.com.au Buy now, pay later with flexible payment options ALL PRICES INCLUDE: FITTING | BALANCING TUBLESS VALVES & DISPOSAL Australia’s largest selection of tyre brands Great deals on tyres for all vehicles. Time to see the experts. *See website for T&Cs and offer end dates. Shop in-store or online Time to see the experts. 1300 192 364 z Small/medium $86 tyres from z Performance $138 tyres from z Tyre & wheel $1,200 packages from z Family $124 tyres from z SUV & 4WD $248 tyres from z Puncture repairs z Batteries for all vehicles z Wheel alignments z Mechanical services z Free tyre safety check z Truck tyre emergency roadside services z Free coffee while you wait z On-farm tractor tyre services Over 25+ brands available SHOP NOW For all your servicing needs Australia’s largest selection of tyre brands Great deals on tyres for all vehicles Buy now, pay later with flexible payment options* Save fuel & treat your car to a rotation & balance wheel alignment WHEN YOU PURCHASE A SET OF 4 OFF ROAD TYRES INSTANT CASH BACK $150 RECEIVE UP TO AN Get up to an instant cash back * when you buy 4 or more select pilot sport range tyres. $200 Shop 3, Bay Plaza, 27 Torquay Rd 4194 1707 www.floristherveybay.com FRESH FLOWERS ARRIVING DAILY FRASER COAST’S FRESHEST FLOWERS florist + gifts Same day delivery Hervey Bay & Maryborough Easy online ordering system Extensive gift range in store Corporate servicing – to keep your office fresh and bright on a weekly rotation Bookings for Formals, Weddings & Special Occasions
Tam Sainsbury, Hervey Bay MP Adrian Tantari, actress Hannah Levien, Mayor George Seymour and film writer Jeremy Standford

Bayside Christian College Castaway Café opening

BAYSIDE Christian College has announced the Opening of the Castaway Café – a stunning space in the very centre of the College campus. The café is part of the College’s multi-million-dollar Masterplan with modern facilities, new teaching laboratories and a range of new programs.

The Castaway Café is a nautical themed eatery with an authentic ship’s helm and brass bell, marine inspired artwork, picnic rugs and shaded seating, all surrounded by beautiful gardens. Students can order their lunch via a state-of-the-art app and have it delivered to their classroom or collect from the café. There is a dedicated barista

counter so that parents, staff, and their Year 11 and 12 Senior Students can get a delicious coffee, tea, or hot chocolate. The College will hold special days throughout the year in which students can order a picnic basket to share with their friends or an authentic pizza for one.

With a leading Head Chef at the helm, with years of experience in hospitality, the Castaway Café will not only prepare the most amazing lunches but also train students in hospitality. Students have had the opportunity to apply for roles within the College and will learn valuable skills in food handling, cooking, barista training and business skills, as they eventually take

Out Of The Shadows 9km Walk on World Suicide Prevention Day Operation Underground

over the ordering and logistics of this eatery.

The new café is just one of many exciting new projects at the College including a specialised Rugby League program called the Bayside Barracudas. The College has invited students who will be in Year 6, 7 or 8 in 2024 to try out for this program. Successful applicants will be given a scholarship to attend the College. With a unique partnership with the Hervey Bay Seagulls Rugby League Club and the mighty NRL Dolphins, the program is looking to develop the next generation of Rugby League stars.

at 9am for a leisurely 9km stroll around beautiful Hervey Bay. We will finish our walk back at Crafty Cargo Taphouse for some refreshments. The kitchen will be open and the meals are amazing!

Page 16 | Hervey Bay Advertiser | September 7, 2023 FREE QUOTES We fit new roofs & fix old ones! Call Adam today on 0408 198 973 20 years industry experience 100% locally owned family company We fit new roofs We offer a full re-roof service Fascia, gutters and battens Supply and fit prices available QBCC – 15203921 Master Builders Member – 73308 ABN- 82 632 641 788 New Colorbond roofs Let us quote on your new roof $1 from each Coffee and Beer Purchased will be donated to Lifeline. All Welcome Red Bikers wear your Shirts and we hope to see you on the 10th September. If you would like to Donate please click here link to be https://www.outoftheshadowswalk.org.au/fundraisers/redbikeadventures And make sure you follow us and our supporters: Facebook.com/RedBikeAdventuresInc facebook.com/operationundergroundcoffee | facebook.com/craftycargo Join us to walk on World Suicide Prevention Day (September 10) to remember those we’ve lost to suicide, and raise funds to provide crisis support and suicide prevention services to save lives. You can walk to remember a loved one, as a personal tribute for a friend or family member, or to show your support for Australians experiencing emotional distress or mental illness. Meet at Operation Underground 6 Bideford street Torquay at 8:30am for a morning coffee before we set off
Simon Deane, café manager serving Brad Douglas, the College Board Chair
bookings www.auradental.com.au
TO FRIDAY
2225 YOUR SMILE IS
Our professional & friendly team is committed to providing THE BEST DENTAL CARE
to
our patients in a relaxed environment.
Online
MONDAY
8AM – 5PM 4194
OUR PASSION

Support for the local Connection project

THE FRASER Coast’s collaborative creative writing and art project Connection –Words Inspiring Art is gaining great momentum and support in various forms.

It is one of 59 projects announced by the Queensland government as successful in its application for a grant supporting activities for Senior’s Month 2023, whose theme is a celebration of social connections.

The Minister for Seniors and Disability Services, Craig Crawford, said The Council on the Ageing Queensland (COTA) received applications for a diverse range of events and considered the Hervey Bay initiative a great addition to the 2023 Seniors Month calendar.

The project was launched by The University of the Third Age (U3A) Hervey Bay and the Hervey Bay Art Society in May with an invitation to all writers in the Fraser Coast region to contribute a piece of creative writing on the theme

Connection.

Sunshine Coast author, editor and publisher Trudy Graham read all entries and selected 25 for inclusion in an illustrated anthology promoting the value of

Connection: Words Inspiring Art, will be officially launched on Sunday 8 October.

U3A Hervey Bay president Lyn Quince said the project had already been a demonstration of the benefit of connection at a community level.

“More than 60 people, through their involvement, have built new connections,” she said.

“The artists’ work was photographed and prepared for publication by Howard residents David and Lynn Munn, Gympie resident Melanie Fulker is designing and preparing the book for publication.

Connection in our lives and community.

Members of the Hervey Bay Art Society then created 25 paintings inspired by those stories. These will appear in the book and form the exhibition at Gallery 5 where the book

”Mayor, George Seymour and the Fraser Coast Regional Council have provided generous support and funds provided by Member for Hervey Bay, Adrian Tantari MP, the Hervey Bay RSL Club and Officeworks Hervey Bay have enabled us to create a project with multi-layered community benefits.”

September 7, 2023 | Hervey Bay Advertiser | Page 17 or experience the family friendly jungle room www.breakout theroom.com.au 97 MAIN STREET, PIALBA (NEXT TO ALDI) 4194 1566 OPEN 7 DAYS MONDAY - FRIDAY 8AM – 5:30PM SATURDAY 8AM – 4PM & SUNDAY 9AM – 4PM WE ARE HELPING YOU REDUCE THE COST OF LIVING! GEM COS PACKS $299 EACH SPECIALS VALID WHILE STOCK LASTS HASS AVOCADOS STRAWBERRIES - 500G $399EACH OR 2 FOR $6 88c EACH HONEY MURCOTT MANDARINS $299 KG CUP MUSHROOMS $799 KG LARGE CAULIFLOWER $199 EACH
Artists Lynn Munn (left) and Lorraine Romaior with U3A president Lyn Quince (centre)

Servicing the entire Fraser Coast for over 15 years, our team of eight have over 50 years of experience. Our team provides the very best in waterproofing internal & external, seamless flake epoxy flooring, driveway rectification & covercreting, driveway exposed stone cleaning & reseals, concrete grinding, tile and floor stripping, complete strip-outs and non-structural demolitions, as well as concrete remedial works. We take pride in providing prompt, affordable work across the region for the domestic and commercial sector.

No matter what size job needs completing, you can trust the father-son team of Matt and Seth!

Utilising the best products from industry-leading suppliers and we ensure beautiful results that will stand the test of time.

All our workmanship and warranties are backed by Australian industry leading companies and products like CCS Concrete Colour Systems , APC All Purpose Coatings , Rhino Linings Australia , Durable Concrete Coatings.

100% OBLIGATION FREE QUOTES
496 6/97 Old Maryborough Road, Pialba QLD www.frasercoastwaterproofing.com f FRASER COAST WATERPROOFING UPDATE – MODERNISE & ADD VALUE TO YOUR HOME EPOXY FLAKE FLOORING • COVERCRETE STYLEPAVE • OUTDOOR LIVING AREAS • POOL & BBQ AREAS • PATIOS • GARAGES & SHEDS • FLOOR COVERINGS TO LIVING AREAS • DRIVEWAYS & WALKWAYS  • ALL EXTERNAL CONCRETE AREAS
& modernizing you home & property by simply using decorative concrete coatings doesn’t just look awesome, but will help increase the value of your property and that’s money well spent. Now Taking Bookings VISIT OUR SHOWROOM - 6/97 OLD MARYBOROUGH ROAD, PIALBA QLD FRASER COAST’S LEADING DECORATIVE CONCRETE COATINGS SPECIALISTS
0423 964
Upgrading

New multi-purpose hall for Urangan Point State School

THE FIRST sod has been turned and construction is underway on the new Urangan Point State School’s $11.3 million multi-purpose hall.

The Member for Hervey Bay, Adrian Tantari MP and the school Principal, Matt Winter, along with school leaders Evelyn Rich and Omar Salim, were on hand to turn the sod on this exciting new multipurpose hall.

Mr Tantari, said “This new multi-purpose hall will not only become a focal point for the school, but for the greater local community as a whole.

“When the hall is complete, it will be available for many community and school activities in the years to come, and that’s a massive outcome for this part of Urangan and for Hervey Bay at large.

“This new facility will have various benefits for our students, our teachers and our local community and will significantly improve the outcomes and experiences of our students”, said Mr Tantari.

The new Hall is being delivered as part of the Queensland Government’s Great Schools Great Future commitment to boost education infrastructure investment across Queensland. In addition to providing a

covered space, it will be large enough to hold full school assemblies and events, the impressive new multi-purpose facility will include:

• a sports court and amenities

• a kiosk,

• a multi-purpose room and office

• additional storage rooms

• a formalised car park

These brand-new amenities will give students greater opportunities to participate in expanded activities, such as creative arts and sports.

The UPSS Principal, Mr Matt Winter said, “We are

committed to providing an educational experience that goes beyond the classroom. The new building will not only serve as a venue for various sports and recreational activities but also as a hub for cultural events, performances, and community gatherings”.

“The hall will be a place where students can discover and pursue their passions, talents, and interests, allowing them to thrive in all aspects of their education”, said Mr Winter.

The new hall is scheduled to be completed by Term 2 in 2024.

September 7, 2023 | Hervey Bay Advertiser | Page 19 FOR MORE INFORMATION VISIT MIDCOASTAIR.COM.AU OR CALL OUR FRIENDLY TEAM ON 41244782 #letstalk Tickets available on our website www.frasercoastmates.com.au FRIDAY 13TH OCTOBER HERVEY BAY RSL 6PM START Dress in pink, white or blue GUEST THESPEAKER UNBREAKABLE FARMER Warren Davies $120 PER PERSON includesTABLESOF10$1,100dinner,speakerandshow MAJOR SPONSOR
Evelyn Rich (UPSS Student Leader), Adrian Tantari (Member for Hervey Bay), Omar Salim (UPSS Student Leader) & Matt Winters (Principal)

St

James Lutheran Church ‘Called to Share’

On Par for national championship win

9am every Sunday Urraween Road - West of Hospital

ROBIN Harrison and his father Elgar Harrison are well known at the Hervey Bay Golf Club for their great form and unmistakable Broncos golf cart rolling around the greens at many local competitions. Elgar has been a member for over 25 years and Robin over 15 years as a member. The highly respected golfers represent their culture with pride in any event they play including the annual NAIDOC Golf Day for the past 11 years where the duo have always teamed up for the win.

Now both single figure handicappers will take their game to the next level when they head to Darwin to compete against the best

of the best in the National Aboriginal and Torres Strait Islander Golf Championships from September 18 to 22.

A Hervey Bay RSL Community Grant of $2000 has helped the golfers make competing a reality by helping pay for flights and accommodation.

“This event means a lot to me to be able to compete and represent my culture and Hervey Bay,” Robin said.

“It gives the opportunity for indigenous golfers to come together and compete against other indigenous golfers and is played through Golf Australia… it’s a great event to get recognised for our golf experience.

“It will also give me a great

chance of future selection for overseas competitions.”

Elgar said he’s looking forward to getting on the greens and showing the over 60s how it’s done.

“I have always supported other golfers in any way I can with my skills and knowledge, and I have a great passion for golf.

“I love sharing this with my sons and looking forward to continuing this tradition with Robin in Darwin.”

The championships are scheduled to be played over 72 holes stroke play at Darwin and Palmerston golf courses with a practice and four further rounds over the course of the five days.

If you would like to nominate a superstar from the community who deserves recognition for their achievements, then this is your chance.

nomination form

Please call for a free measure and quote on any of our products Phone 4125 4127 1 Kruger Court, Urangan | www.herveybayshades.com QBCC 1058883 Crank-IT Channel Awnings Wide choice of colours Easy crank handle operation Motorised control Can be installed in hard to reach areas Will withstand the harshest of coastal exposure No need for ropes/pulleys or awkward tie down points ORDER NOW Page 20 | Hervey Bay Advertiser | September 7, 2023
Simply ll in and
the
at frasercoast.qld.gov.au/awards before October 30, 2023. Please contact Council’s Community Development Officer on 1300 79 49 29 for any questions or assistance. November 29, 2023
submit
Elgar Harrison and his son Robin – Photo credit to Kerrie from the Hervey Bay RSL

Is the residential market still strong?

THE SHORT answer to that is yes, our property market is still very healthy.

We do not have the frenzy we were seeing during Covid, but we still have very good growth.

House prices are going up, rental markets are tight, land supply is still lagging behind demand and builders are still busy.

These are all key indicators we have a healthy market.

So, let’s put some facts around what we all see and feel.

At the end of June, according to REIQ, our rental vacancy

rate was 1.3%, which is still very tight, but not as tight as at the Covid peak of 0.6%.

As far as house prices go, we had massive jumps during

Covid, up around the 75% mark over 3 years.

A lot of this was catch up due to a decade of undervalued property in Hervey Bay.

Over the last 12 months, this has settled a bit but we still have very healthy growth rates as you can see from the chart below.

The big winner over last 12 months has been Nikenbah, with the median house price at $835,000 up 42%.

The trends are showing growth in apartments closer to the beach and amenities and in the housing market, quality estates are seeing the best growth.

According to realestate.com.au, here are some suburb trends for houses over the last 12 months:

Overall, the market is very healthy with sustainable growth and, based on the commercial infrastructure and population growths happening currently, we should continue to have a healthy market in the foreseeable future.

President

@fcpia.frasercoast www.fcpia.com.au

IN THE lead up to Father’s Day, we have been having some fun at the Firm telling our best ‘Dad’ jokes.

But what is a Dad according to the Law?

There have been a few key judgments on this issue, as a Dad is not always necessarily the biological father of a child and vice versa.

According to the Law, there are several mechanisms that make you a parent at law, and DNA is only one part of that.

Generally, this is only an issue determining the Father, although not always. Setting aside the issues that can arise in adoption, surrogacy and

artificial contraception, at Law you can be considered a father if you are a man, and any of the following apply:

1. The mother gave birth to a child and you were married to her (or de facto) at the time.

2. You are named as a father on the birth certificate of the child.

3. If you were separated from the child’s mother but had lived with her at any time in the 44 weeks prior to the child being born and ending 20 weeks before the child was born.

4. If you were married to the Child’s mother separated, and then resumed the relationship for three months or less,

and the child was born within 44 weeks of the end of the last period, but after you were divorced.

If you dispute parentage, you can get a DNA test to confirm whether you are the Father. This needs to be a Legal paternity test. But DNA is not the only factor the Courts consider in determining who is a Father. They can also consider intention and conduct. It can be complicated and unique to every situation.

Unfortunately, “Teller of the best Dad Jokes” does not make the list of criteria, even if we think it should. If you want to know more about the law in relation to parenting, give us a call and book in with one of our Solicitors in either Hervey Bay or Maroochydore.

Making curly hair soft, smooth with no frizz. Agi One is a vegan keratin smoothing treatment. Unlike traditional keratin treatments Agi One is based on silk proteins and amino acids to aid the hair and its health. It repairs and nourishes the hair from the inside while creating a protective layer on the outside of the hair shaft.

THE FIRM WORDS
with Melissa Guilfoyle
When does a joke become a “Dad joke”? When it becomes a(p)parent THE FIRM ON THE AVENUE www.hblawyers.com.au
4128 4777
Ph:
3/6 Jeppsen Road Toogoom CALL 4128 0449 TO BOOK AGI ONE SMOOTHING TREATMENT AGI ONE DEAL SHORT $99 NORMALLY $170 MED $119 NORMALLY $200 LONG $159 NORMALLY $270 X-LONG $169 NORMALLY $300 AGI SHAMPOO & CONDITIONER $84.00 PROPERTYTALK
September 7, 2023 | Hervey Bay Advertiser | Page 21 ►Flights ►Rail Tours ►Escorted Coach Tours ►Holiday Packages ►Accommodation SHOP 1 STOCKLAND SHOPPING CENTRE , PIALBA herveybaytravel.com.au Call4124 4000 Ticket sales Open Hours: Mon -Fri: 8.30am -4.00pm / Sat & Sun: Closed HERVEY BAY to BRISBANE •QR Tilt Train –Daily •Greyhound -Daily •Premier •Atkinson's Shuttles-Daily HERVEY BAY to ROCKY •QR Tilt Train •Greyhound •Premier HERVEY BAY to CAIRNS •QR Spirit of Queensland •Greyhound •Premier TO LONGREACH •QR Spirit of The Outback •Greyhound (ex Rocky) •Greyhound (ex Brisbane) FREE PENSION BOOKINGS The Ghan & Indian Pacific FREE BOOKING SERVICE 1, 2 & 3 DAY TOURS Fraser Island -K’Gari is the world’s largest sand island and stretches for 123km. Tours depart daily. Shuttles Locally Owned Brett Hanwright 0427 621 985 herveybay.eldersrealestate.com.au
BUYERS WAITING ALL PRICE BRACKETS
Pialba – Median House price $555,000 up 14.4% over
months, apartments $360,500 up 6.2% • Scarness – Median House price $525,000 up
months, apartments $470,000 20.2% • Torquay – Median House price $585,000
apartments
Urangan – Median House price
apartments
SEELLING?
12
2.9% over 12
up 4.9% over 12 months,
$400,000 up 14.3% •
$608,750 up 9.2% over 12 months,
$451,000 up 17%
House
• Urraween – Median
price $660,000 up 14 % over 12 months, apartments $455,000 up 3.4%
House
• Kawungan – Median
price $616,500 up 10.5% over 12 months.

Our New Community Hub Get the Facts

What is this project all about?

Council is partnering with the Australian Government to breathe new life into the Hervey Bay City Centre.

This is a once-in-a-generation opportunity to transform and revitalise the city centre, create jobs, and drive business investment.

The backbone of this transformation will be a new community hub with a larger library, a Council administration centre and a Disaster Resilience Centre.

More than three-quarters of the development will be community space. There will be study zones, meeting rooms, creative spaces and areas for large functions available for community use, day and night.

There’ll also be a bustling outdoor public plaza where there could be events, markets and live music.

This will be your one-stop spot for learning, socialising and accessing Council services. Bringing hundreds of workers together into the city centre will be a huge boost for nearby businesses. It also means better collaboration between staff and more efficient services for the community.

What’s wrong with the existing library?

Why do we need a new one?

The current library is only half the size it should be to meet Australian and Queensland library building standards.

By improving the library’s floor space and design, we can build on our community programs, cater for our growing population and help improve education outcomes in our region.

The new library provides an opportunity to ensure that collection items are reachable without excessive bending or stretching, and to provide suitable space for wheelchairs, mobility aids and prams to manoeuvre between aisles.

By building a new library in a new location, the current library building will be used to expand education opportunities for local students.

Why not build more offices at Tavistock Street in Torquay?

Building more offices in a residential suburb doesn’t help revitalise the Hervey Bay City Centre, it doesn’t deal with the fact that our current library is not big enough for our growing population, and it wouldn’t allow the university to expand.

The sale of the Tavistock Street site will help offset the costs of the new community hub and potentially help address the housing availability crisis in our region. About 50 residential housing blocks, up to 200 units or about 120 homes in an over50s lifestyle community development could be built on the site

The relocation has been on the drawing board for decades, local business groups support it as the number one project to help grow the economy, and the Australian Government funding through the Hinkler Regional Deal means it can finally become a reality.

Wouldn’t it cost less to expand on the existing site rather than construct a new building?

An independent economic report found that constructing a new building would cost less than upgrading existing facilities.

AEC Group’s analysis found that building a new library and Council administration centre is between $42.5 million and $53.6 million cheaper than the alternative option.

How can Council afford to pay for this?

Is that why rates are going up?

No rate rise can be attributed to one project. Council develops its budget each year after determining the overall level of community services and facilities to provide.

Council is facing challenges with its operational budget – the day-to-day costs of running the organisation, and the new community hub has no impact on this year’s operational budget.

Council is receiving $40 million from the Australian Government towards this project through the Hinkler Regional Deal. The rest of this important capital works project will be funded through a combination of Council’s general revenue and land sales.

A report by independent economic consultants, the AEC Group, found that there was a “clear need for change” and doing nothing was not an option.

AEC Group found that constructing a new library and administration building will cost the Council and the community less than upgrading existing facilities. It also delivers the most economic and social benefits.

Will Council have to go more into debt to pay for this?

No. This project is being funded by a combination of a $40 million Australian Government grant, land sales and Council’s general revenue.

Council has reduced its debt from more than $174m in 2013 to just over $30m in 2023. That’s like someone with a $400,000 house having less than $5,000 left to pay on their mortgage.

With

all the challenges

facing

the

building industry, isn’t the cost of this project going to keep blowing out?

Building contractors and tradies have been under pressure for many years. This pressure has increased since COVID-19 surfaced with supply chain challenges, materials/labour shortages and global events like the war in Ukraine all leading to increased costs for the building industry.

This has led to some increases since the early estimates from November 2021, but the contract has now been awarded for a price of $108.7 million, with the project funded by a $40 million Australian Government commitment, Council’s general revenue and land sales.

The contract has been awarded as a Guaranteed Maximum Price tender, which provides cost certainty and protects against future cost overruns.

Council will also share in any cost savings if the cost falls below the Guaranteed Maximum Price.

Where is everyone going to park?

While parking studies have shown there are a significant number of existing community car parks in the area, Council is investigating additional on-street parking options and will develop a new car park near the current library site and the Hervey Bay PCYC.

Council is also actively exploring additional parking options within the Hervey Bay City Centre.

Why is Council building this centre in an area that is prone to flash flooding?

Council’s extensive flood modelling is being considered in the building’s design and construction, with the building to be designed to sit above a one-in-500-year flood.

The site did not flood in a severe weather event in 2022 that saw more than 100mm fall in Hervey Bay in less than 24 hours, as the site has a flood detention basin behind it to hold back rain surges.

It’s important to understand that a Disaster Resilience Centre is used primarily for training, education, and planning for disaster events. Responses to disasters will be coordinated from the centre when appropriate, and at other times, could be coordinated through virtual video conferencing.

When will construction start and when will it be finished?

Construction on the new community hub is expected to start in January 2024.

Work is now underway on undergrounding power in the area, which is expected to be completed by November, paving the way for construction of the new building to then start.

Construction will occur progressively over the next three years with the community hub due for completion in mid-2026.

How can I find out more?

frasercoast.engagementhub.com.au Scan here

Save Thousands! Don’t Miss Out!! TO GET YOUR SUPER SAVER CONTACT: Teresa Hollingbery 0400 224 334 1800 270 935 Clifford Gardens Shopping Centre (next to Donut King) • Okin German Brand Motor • 25 year Guarantee SAVE OVER 5 % OFF MASSIVE ADJUSTABLE BED SALE 3 weeks only World Leading German Brand Motors TO GET YOUR SUPER SAVER CONTACT: Mike Alvisio 0475 586 182 Pialba Place Shopping Centre (Coles mall next to Spec Savers)

RSL Grants makes huge impact on Chaplaincy Program

IT IS unimaginable to think that children in this day and age are sent to school without shoes and socks, breakfast, a jumper during winter or have head lice so bad that their head is bleeding.

This is sadly the reality for a small number of students who attend Urangan Point State School.

That is why the Hervey Bay RSL Grants Committee didn’t hesitate to become a major sponsor of the school’s chaplaincy program which has provided “chappy” Carmen Pampeyan with an extra day per week for the next 12 months, thanks to a $20,000 grant.

This means that Carmen will be on hand for three days rather than two to provide care for the 1/3 of the students who so desperately need her support.

Carmen ensures that there is toast for breakfast, sandwiches for lunch, give shoes, socks and clothing for the kid’s feet, much of which is donated by generous community members including Woolworth and Brumby’s Bakery in Urangan.

“There’s always emergency sandwiches in the freezer for lunch because some of the kids don’t come to school with any food at all,” Carmen said.

“We have 75 kids that have toast two mornings a week and when it’s cold that number increases.”

Principal Matt Winter said the extra financial

support is vital not only for the children’s wellbeing but also for their mental health.

“The assistance that chappy gives these kids

is why the chaplaincy program is so vital.

“The public don’t see that there’s this tremendous community need, feeding the kids, cleaning their hair, dressing them.

“With my principal lens on, the ultimate role of school is education but that can’t happen if you have head lice so bad that your head is bleeding or your feet are so cold because you don’t have socks on.

“We are just so grateful for what the RSL has done because the funding

with each child.

She now has the time to assess each child’s need and offer specialised programs, calming picnics, games, crafts and much more.

“It (funding) means that I can do extra programs and see extra kids and that is the whole point,” Carmen said.

“Two days a week was just not enough. It was very overwhelming because there are some very heavy issues so having that extra day is definitely making a difference.

“Time is one of the most precious gifts I can give and the RSL grant has given me that.”

Carmen recalls one special moment in her role when students were lining up for the bus to attend football for Gala Day.

The children had their footy boots tied to their bags ready for the game, except for one young lad who chappy knew couldn’t afford a pair of his own.

is wide and varied,” he said.

“Some kids have very difficult home lives.

We have many families going through divorce, domestic violence and homelessness.

“We’ve had one little fellow that is coping with three deaths in the family in a short time and those sorts of things have a big impact on them with anxiety.”

Matt said education is not the only aspect of schooling for teaching staff today with so much more going on behind the scenes which

means that chappy has an extra day to have more time with these kids, plus take the pressure off her.”

Prior to the extra funding, chappy’s extraordinarily big workload meant that on paper she only had three minutes to spend

Having four children of her own and a good sense kids shoe sizes, she ran back to her office, grabbed a pair of brand-new donated Nike boots which she tied to the young boy’s bag because he “forgot his boots”.

“His smile was just so big,”

Carmen said.

“He could go to the gala day and be like the rest of the kids. It’s sometimes not just the needs, it’s the wants as well.

“For that student to feel like the rest of his other friends is a huge deal.”

“We are all about kindness and we want to be a school that cares about each other.”

September 7, 2023 | Hervey Bay Advertiser | Page 25 *T&Cs apply, see https://solahart.com.au/ev-competition for details and entry. Open to AU res 18+. Ends: 11:59pm AEST 30/9/23. Limit 1 entry p/purchase. Retain receipt/s. Draw: Anisimoff Legal, G13, 3 Amy Close, Wyong NSW 2259 at 12pm AEDST on 17/10/23. Prize: 1 x Tesla Model 3 car of the winner’s choice up to a maximum of $70,000. Winner published at https://solahart.com.au from 24/10/23. NSW Authority: TP/02730 Permits: ACT TP 23/01113 SA T23/ 871. ^Have an authorised order of $4,000 or more with Solahart to go in the draw to win 1 of 70 $1,000 Zip credit prizes. Ends 7 October 2023. T&Cs apply, see zip.co/au/page/solahart-70-years-giveaway-terms-conditions for more. NSW Authority No. NTP/06907, ACT Permit No. TP 23/01046, SA Permit No. T23/817. T&Cs, fees and credit approval apply. Other charges may be payable. Credit provided by ZipMoney Payments Pty Ltd (ABN 58 164 440 993, Australian Credit Licence Number 441878). Call 1300 721 946 or visit solahart.com.au For your chance to win* buy any Solahart Solar Power System, Solahart Water Heater, Heat Pump, or Home Battery and enter online. One entry for each system purchased. SOLAHART HELPING SMART AUSSIES GO SOLAR FOR 70 YEARS Celebrate 70 years of Solahart WIN A NEW MODEL 3 WORTH UP TO $70K FROM SOLAHART* PLUS, WIN ONE OF 70 x $1,000 PRIZES IF YOU PURCHASE A SYSTEM WITH ZIP MONEY

Celebratory opening of latest section of Mary to Bay Rail Trail

THE LATEST section on the Mary to Bay Rail Trail (M2BRT) was officially opened on Saturday August 26, with over 300 cyclists, walkers/ runners and horse riders attending.

The 11 kilometre section of Rail Trail has been developed by Fraser Coast Bicycle User Group volunteers over the last two years on a licence issued by Queensland Transport and Main Roads.

Fraser Coast Regional Council and TMR have kindly supported the project with grant funding. This new section extends from the Takura Trailhead (formerly the Takura Railway Station) on PialbaTorbanlea Road beside Koppers Wood Products to 3.8 kms west of Churchill Mine Road.

Cyclists, walkers/runners and horse riders are all welcome on this new section of the M2BRT.

When completed the Rail Trail will cover nearly 50 kilometres linking the

heritage city of Maryborough with the seaside city of Hervey Bay.

The day started with cyclists and walkers/runners exploring the new portion of the M2BRT. The trail was officially opened by Bruce Saunders MLA.

Cyclists from many parts of Queensland and NSW attend the opening.

One cyclist travelled by train from Gosford to Brisbane then rode to Takura over several days on the Brisbane Valley and Kingaroy to Kilkivan Rail Trails.

Andrew Demack from Bicycle Queensland lead a party of cyclists up to Takura on the same route. Each group cycled for nearly a week with no rest days.

The Hervey Bay Branch railway line was built in 1896 to Pialba opening some months early and it was extended to Urangan Pier in 1916.

Caltex built a fuel depot at

Urangan in 1960 with a pipeline out to the end of the Pier to unload tankers.

By the mid 1980s passenger services had stopped as well as fuel transport and the line finally closed in 1993 with the line lifted back as far as Takura a couple of years later.

Hervey Bay City Council started building a walk/cycle path in the town section of the old corridor soon after which eventually became the Mary to Bay Rail Trail.

In recent years Fraser Coast Regional Council and now Fraser Coast Bicycle User Group have started developing the rural sections of the Rail Trail.

For more information check out the growing Mary2Bay RailTrail discussion group on Facebook. There are plenty of maps, information and shared experiences, all with a good dash of camaraderie.

HERVEY BAY HOT WATER GAS & ELECTRIC SERVICE, REPAIRS, SALES INSTALL, FREE QUOTES 4128 2111 80 Torquay Road, Hervey Bay QBCC 1077287 Published Authority in Business Sales 0409 357 337 www.morganbusinesssales.com jasmine@morganbusinesssales.com J ASMINE CORRICK Specialist Business Broker Want to sell your business? Contact the Fraser Coast’s local Business Broker for a FREE appraisal! Discover the western coast of K’gari hassle-free! With Fraser Island Boat Charters, you can hire a yacht right here in Hervey Bay. Experience the ultimate freedom as you set sail on your own or opt for our skippered options. Explore untouched beaches, dive into turquoise waters and witness incredible marine life. No license required. Min 3 Night Hire. BOOK NOW www.fraserislandboatcharters.com.au or call 0488 413 210 THE DIFFERENT AGENCY 0491 667 283 info@homeinthebay.com.au www.HomeInTheBay.com.au Page 26 | Hervey Bay Advertiser | September 7, 2023 SELL YOUR HOUSE WITH ME DON BRYANT 0427 225 004 or message me on g USE THE QR CODE TO CONTACT ME All States Training • Agriculture • Civil Plant Operator Tickets • Electrical • High Risk Licensing • Industry Short Courses • Mining Plant Operator Tickets • Non-Accredited • Security & Firearms Training • Beauty Services Phone 4123 0415 • Maryborough Training RTO#32577 “TRULY INDEPENDENT SUPPORT COORDINATION” Our team of Specialists are looking to help the community and advocate for our participants Level 1 and 2 Support Coordination Recovery Coaching Specialist Support Coordination frasercoastsupportcoordination.com.au • admin@frasercoastsupportcoordination.com.au QUALIFIED PHYSIOTHERAPIST 12 YEARS IN THE INDUSTRY WORKING ALL OVER AUSTRALIA AND IN UK. • Sports Massage • Lymphatic Drainage • Hand Therapy www.fcah.com.au • admin@fcah.com.au • 0403 553 664 • Dry Needling • Soft Tissue Treatment • Assessments and Treatment Plans MEDICARE - PRIVATE PATIENTS - DVA - NDIS • Short Term Accommodation Specialists • MEEP (Employment and small business support) • In Home Supports • Community Access Supports • Special Interest Clubs admin@tropicaltransformations.org 07 4184 2145 Client Liaison Officer: 0466 472 599 NDIS Support
Latitide25 RV Lifestyle Community cycling team

DID

WANT TO SAVE ON POWER COSTS?

If you are a:

• Senior

• Veteran

• Primary Producer

• Charitable or community service

You may be eligible for a concession on your car or boat registration!

Find out at Queensland Savers!

A Message from Adrian,

I know that every cent counts to ease cost of living pressures for Hervey Bay families. With quarterly rebates being applied to electricity accounts it’s important to make sure that your appliances are energy saving too. Please scan the QR codes above to find out more on the savings available to you.

Kind Regards, 07 4183 8100

Upgrading to a more energy efficient appliance? Don’t forget – the Climate Smart Energy Savers program is NOW OPEN!
$300 - $1,000
Rebates between
are available for eligible applicants who decide to make the switch to new 4 star-rated (or higher) appliances and hot water systems.
a better Hervey Bay
TANTARI MP Adrian Building
Esplanade Scarness 4655
3/357
hervey.bay@parliament.qld.gov.au
YOU KNOW?
• Pensioner
Scan for more info

SHAMI Kedasseri was born and raised with his sister in a village in the southern part of India.

He was fortunate to have parents who were open-minded and supportive, allowing him the freedom to choose his own path in life, unlike the traditional cultural norms that often dictate one’s choices in India.

Growing up in India, his parent’s house was nestled near the beach. There was a lake behind it and a small pond along one side.

Even though he was surrounded by water, Shami never learned to swim. As a child, he didn’t have any hobbies but enjoyed playing soccer. Life was good.

Shami stayed in India until he got

his Master’s in Engineering.

Shami’s very first job was in India as a Manufacturing Engineer for a prominent engineering firm, which manufactured machines for global tyre companies and worked on projects for the Indian Defence.

Shami’s life took a significant turn when he met and married Sneha in Dubai. They met through a mutual friend, and it was love at first sight.

“Shortly after we began dating, I had a stroke of luck and won the lotto in Dubai. It was split among four friends as we had been putting money on the lotto for a few months.

“While not a massive amount, winning the lotto gave us a solid start in Australia and helped cover

Sneha’s education expenses.

“Without that bit of luck, we might not have been able to make the move without assistance from our parents,” said Shami.

After tying the knot, they decided not to settle in Dubai or India and explored options in both Canada and Australia.

They ultimately chose Australia, as Shami has an aversion to cold weather.

Sneha pursued her Master’s Degree in Architecture and then completed a Master’s in Urban Planning in Melbourne.

Shami’s first business, Green Direct, was all about reducing green house gas emissions by creating an energy-aware home. He still has

Page 28 | Hervey Bay Advertiser | September 7, 2023
EVERYDAYPEOPLE 171
(07) 4124 4417 bayside.qld.edu.au 5 West St, Torquay • 0437 407 219 support@intuitivetechnology.au www.intuitivetechnology.au • IT Support and Services Computer and Laptop Repairs • Network and Internet Setup • Printer Setup • Managed IT • Microsoft 365 Installation and Configuration • Backup and Disaster Recovery Solutions • Online Database Solutions Fun • Engaging • Life-Changing Sunday Services 1st service: 8.30am (with Kids program) 2nd service: 10.00am 3rd Service: 6:00pm Friday Youth (Grades 7-12): 6:30pm—9pm 229 Main Street, Urraween office@newlifechurch.org.au New Life Christian Church (07) 4124 0913 www.newlife.org.au newlifeccherveybay Toogoom’s #1 Real Estate Team 2/6 Jeppesen Rd, Toogoom | Phone: (07) 4128 0040 www.allenproperty.com.au THINKING OF SELLING YOUR HOME? Toogoom’s number ONE office since opening 5+ years ago Contact me personally to discuss your needs Steve Allen 0409 006 511 For Home Delivery Please order online www.giovannispizzabar.com.au or on Menulog Opening Hours: Dinner Tuesday to Sunday 4pm-8pm Shop 50/30 Main St Pialba Inside Pialba Place Shopping Centre next to Big W entrance Ph 0412 440 920 Takeaway or Dine-in • BYO Scrumptious breakfast or lunch by the lake Daily specials and plenty of lakeside seating ALL DAY BREAKFAST AVAILABLE Ask us about catering platters for your work! LocalChef 15yearsin HerveyBay Owners John & Michelle Schmidt look forward to seeing you soon Shop 9 / 6 Liuzzi Street - Pialba 7am to 4pm - Mon to Fri Centrally located in Liuzzi Street Call in for Coffee and Cake or a chef prepared meal We Care Inc. Why not try our Extra Choices Low Cost Food Support Centre Open to all Concession & Seniors card holders, self -funded retirees & anyone in need - become a member for $5 a year Open Monday-Friday 9am-2pm Are you struggling to afford food? Your support of our Centre helps us to provide Emergency Relief (free food), and free breakfasts for homeless 225 Main St Urraween Ph: 4124 0913 www.wc2.org.au email: office@wc2.org.au Nearest bus stops : Kawungan Shops, Main Street & Tafe Campus, Urraween Rd 229 Main St, Urraween Ph: 4124 0913 www.wc2.org.au E: office@wc2.org.au Are you struggling to afford food? Why not try our Extra Choices Low Cost Food Support Centre Open to all Concession & Seniors card holders, self-funded retirees and anyone in need. Become a member for $5 a year. OPEN Mon-Fri 9am-2pm We Care Inc. Why not try our Extra Choices Low Cost Food Support Centre Open to all Concession & Seniors card holders, self-funded retirees & anyone in need - become a member for $5 a year Open Monday-Friday 9am-2pm Are you struggling to afford food? Your support of our Centre helps us to provide Emergency Relief (free food), and free breakfasts for homeless 225 Main St Urraween Ph: 4124 0913 www.wc2.org.au email: office@wc2.org.au Nearest bus stops Kawungan Shops, Main Street & Tafe Campus, Urraween Rd Your support of our centre helps us to provide Emergency Relief (free food), and free breakfasts for homeless More than just your average agency CALVIN MARAIS Sales Associate & Working Director Mobile: 0421 517 941 calvin.marais@expaustralia.com.au MOJO RECYCLING 0466 053 053 We buy - copper, brass, aluminium, batteries, air conditioners, electrical cables, stainless steel, lead, radiators, electrical motors, old cars, trucks, machinery and any old iron. www.mojorecycling.com.au WE BUY SCRAP METAL, CASH ON THE SPOT
Pantlins Ln Urraween

Shami Kedasseri Making a difference in our community

this business today. He then opened a Fitstop Gym in Melbourne that is looked after by a manager.

However, Shami’s most significant life change occurred when he and Sneha decided to move to Hervey Bay in July of last year.

Dissatisfied with apartment living in Melbourne, especially with a two-year-old, they sought a house near the beach and found themselves considering business opportunities in Hervey Bay and Bundaberg.

After visiting the area, they settled on their current venture, Sea Breeze Café.

Taking over the café was Shami’s

and Sneha’s first foray into hospitality. To understand the business thoroughly, he started working in the kitchen while Sneha managed the front of the house and made coffee.

The restaurant has provided them with the opportunity to make a difference in their community.

They have connected with NDIS service providers, which has opened doors to employing individuals with disabilities, providing them the chance to work and learn valuable skills.

The restaurant also hosts free cooking sessions for NDIS participants on Thursdays. Shami and Sneha are also

responsible for bringing Niku-Yaki and Social Box to Hervey Bay. Both are prepared fresh at the restaurant; diversifying the food options that are available in our region. When not working, which is rarely, Shami dreams of travelling. He also listens to music, his favourites being psychedelic trance, heavy metal, and old-school hip hop. He also loves motorbikes and used to own one. If he can find the time to ride, he may even buy another one.

Shami continues to embrace new challenges and looks forward to a future filled with opportunities, adventures, and a perfect work-life balance.

A Place of Peace

September 7, 2023 | Hervey Bay Advertiser | Page 29
TORQUAY DOCTORS & CRAIGNISH DOCTORS BUILDING A HEALTHY COMMUNITY ONE PATIENT AT A TIME BOOK ONLINE OR CALL US FOR AN APPOINTMENT TODAY TORQUAY DOCTORS 418 The Esplanade, Torquay Phone (07) 4125 2422 www.torquaydoctors.com.au Accepting New Patients! 222 Urraween Road, Urraween Ph: (07) 4334 0030 Email: admin@frasercoasthospice.com.au frasercoasthospice.com.au
Providing fee free care for terminally ill people in the last days & weeks of their life. Scan the QR code to make a donation SELL YOUR HOUSE WITH ME ASH HECKELS 0418 986 867 or message me on g USE THE QR CODE TO CONTACT ME Call us for all your moving needs PH 0499 011 304 HERVEY BAY DOOR 2 DOOR REMOVALS YOUR REMOVALIST / DELIVERY SERVICE • 10+ years servicing the Fraser Coast! • Local moves no depots charged • Delivery from all retailers and private purchases Attention small business owners! Are you struggling with the demands of marketing your business online? At The Belton Marketing Co, we specialise in digital marketing so you can focus on growing your business. With over 12 years experience in growing digital presence for small business, we offer tailored solutions across social media, websites, copywriting and more. Contact Steph Whitcombe today for a free consultation on 0448 806 946 or info@beltonmarketingco.com.au New Car Protection Packages Call Justin 0401 991 826 Latest technology PAINT PROTECTION right here in Hervey Bay! Call us - 4125 5399 cartercooperrealty.com.au LET US MANAGE YOUR INVESTMENT PROPERTY The Carter Cooper Property Management team is your first choice to protect your valued investment. Let’s start a conversation today 0487 404 604 enquiries@selfstorageshedsherveybay.com.au 30-32 Southern Cross Circuit, Urangan Affordable Storage 360degreesmarketing com au
| September 7, 2023 FACESOFTHEBAY Hervey
Bay Parkrun’s 9th Anniversary
Photos by Kim Parnell, What’s On Fraser Coast Jane Esman & Lesley Hazell think bees are legends. Karen Glasgow with Maggie the dog & Jeanie Jackson with her dog Zoey. Jenni Spain pretends to be the wicked witch of the West. Angela Novak is Glenda, the good witch. Rita Faris has come as the yellow brick road. Asta James looks the part and is ready to run.
Ph. 4128-8069 or Arkarra Gardens Ph. 4334-0030 or frasercoasthospice.com.au Champagne on arrival 3 Course Luncheon Lucky Door Prize Fashion Parade by Banana Bender Best Dressed Best Fascinator Sweeps & Raffles Watch the race on the screen You’re invited to our... Arkarra Gardens Cafe Restaurant - Dundowran Presented by...
Sam Cooper, 5, with mum Stacey, Colin Romer & Elliot Cooper, 10, with dogs Lucy and Luna, love a good dress up. Where’s Wally? There he is. Oh, wait! It’s Derek Brennan.

1 Which Russian Oblast is bordered by Poland to the south, and Lithuania to the north and east?

2 In which year of the 1980s was the first major release of Microsoft Windows, Windows 1.0x, first released?

3 Which former Australian politician wrote the 2022 book, The Avoidable War?

4 What are the five colours on the flag of Seychelles?

5 Who painted the 1932 painting, Nude, Green Leaves and Bust?

6 Which tyre manufacturer uses the slogan, “Power is Nothing Without Control”?

7 What nationality was Alois Alzheimer who identified the first published case of early onset dementia

8 Anthony Callea was the runner-up to which person on the 2004 series of Australian Idol?

9 In relation to the Shure SM58 live vocal performance microphone, what does SM stand for?

10 Who directed the 2021 documentary series, The Beatles: Get Back?

11 The Lonely Planet guide books were first published during which decade of the 20th century?

12 As at June 2022, which three Prime Ministers of Australia have died in office?

13 Camille Vasquez gained fame for representing which person in court in 2022?

14 Which country won the 2021-22 SailGP championship?

15 Yeardley Smith is the voice of which main character in the TV series, The Simpsons?

16 The Dnieper is one of the major rivers on which continent?

17 John Safran wrote a 2013 award-winning memoir titled, “Murder in” what?

18 How many legs does a prawn have?

19 In May 2022, who immediately replaced Simon Birmingham as the Leader of the Government in the Senate?

20 Brendan Fevola finished his AFL playing career with which team?

21 In which iconic Australian TV series did Carol Raye play the role of Baroness Amanda von Pappenburg?

22 Hindu Kush is a mountain range that stretches though Afghanistan, Pakistan and which other country?

The annual Kooyong Classic tennis tournament is played during which month?

24 Which country and western singer was born Herbert Henry Brown?

25 Jim Jim Falls is a popular tourist attraction in which of Australia’s national parks?

In January 2022, which country announced that it was going to build the $1.4 billion Bitcoin City at the base of a volcano?

27 Shayna Jack won a gold medal in which event at the 2022 World Aquatics Championships?

28 An artificial island the size of two tennis courts which is colloquially referred to as “wet wipe island” is located on which river in England?

29 Who starred as Lieutenant S.D. “Snake” Plissken in the 1981 movie, Escape from New York?

30 As at 2022, Amanda Serrano has won boxing world titles in how many weight divisions in total?

31 What name, starting with N, is used to describe pressed sheets of edible seaweed?

32 The César Awards is the national film award of which country?

33 Jock Sturrock represented Australia in which sport at the 1956 Summer Olympics?

34 Rhapsody in Blue is a classic 1924 musical composition by which person?

35 Which car manufacturer makes the Noah minivan?

36 In baseball, the shortstop stands between which two bases?

37 Which Australian band had the 1990 hit, I Don’t Want to Be with Nobody but You?

38 What is the capital city of Bangladesh?

39 Who was named Player of the Series for the 2022 Twenty20 International series between Australia and Sri Lanka?

40 What name did Katy Perry and Orlando Bloom give to their first-born daughter?

41 Which Gold Logie winner was the drummer in the 1990s-2000s band, The Fantastic Leslie?

42 The Testaments is the 2019 sequel to which 1985 novel by Margaret Atwood?

43 Which state would you be in if you were playing basketball at the Lauren Jackson Sports Centre?

In relation to computer code, what colour is represented by #FFFFFF?

45 Gord Downie is best remembered as the lead singer and lyricist for which rock band?

What is the shape of each of the four faces of a regular tetrahedron?

47 True or false? The first version of traffic lights were introduced during the 19th century.

48 What is the name of Michael Schumacher’s son, who is also a racing driver?

49 In Greek mythology, a hippocampus is a combination of a fish and which other creature?

50 The Brenner Pass forms the border between which two countries

128 Boat Harbour Drive, Pialba www.mybigscreen.com.au Check our facebook & website for current session times SEPTEMBER 7TH SEPTEMBER 7TH SEPTEMBER 14TH SEPTEMBER 7TH SEPTEMBER 14TH SEPTEMBER 14TH
THEQUIZZY TEST YOUR KNOWLEDGE 40 September 7, 2023 | Hervey Bay Advertiser | Page 31 Answers 1. Kaliningrad 2 1985 3. Kevin Rudd 4. Blue, yellow, red, white, green 5. Pablo Picasso 6. Pirelli 7. German 8. Casey Donovan 9. Studio microphone 10. Peter Jackson 11 1970s 12. Joseph Lyons, John Curtin, Harold Holt 13. Johnny Depp 14. Australia 15. Lisa Simpson 16. Europe 17 Mississippi 18. Ten 19. Penny Wong 20. Brisbane Lions 21. Number 96 22. Tajikistan 23. January 24. Smoky Dawson 25. Kakadu National Park 26. El Salvador 27. Women’s 4 × 100 metre freestyle relay 28. River Thames 29. Kurt Russell 30. Seven 31. Nori 32. France 33. Sailing 34. George Gershwin 35. Toyota 36. Second base, third base 37. Absent Friends 38. Dhaka 39. Aaron Finch 40. Daisy Dove Bloom 41. Tom Gleeson 42. The Handmaid’s Tale 43. New South Wales 44. White 45. The Tragically Hip 46. Triangle 47. True 48. Mick Schumacher 49. Horse 50. Italy, Austria 15 1970s 96 1985 100 4
September 7, 2023 Read the full digital version www.herveybayadvertiser.com.au ALL-NEW AMAROK HERVEY BAY
MOTORING
1800 444 244 FRASER COAST MOTOR CENTRE QUALITY USED CARS USED CAR SUPERSITE 105 BOAT HARBOUR DRIVE SEE OUR FULL RANGE AT WWW.FCMC.COM.AU ✓ YES - WE BUY CARS FOR CASH - CALL US TODAY ✓ FRASER COAST MOTOR CENTRE DRIVE AWAY $14,990 2014 MITSUBISHI MIRAGE ES STK: 701299 110,000 klms 2 Litre • 3 Cylinder Central Locking Great On Fuel Excellent Condition DRIVE AWAY $21,990 2017 HYUNDAI I30 GO 99,706 klms 2 Litre • 4 Cylinder 6 SP Manual Hatchback Excellent Condition STK: 701297 DRIVE AWAY $18,990 STK: 701304 2013 SUZUKI GRAND VITARA 104,390 klms 2.4 Litre • 4 Cylinder 2WD Wagon Multi-Function Screen Excellent Condition 2017 KIA CERATO SPORT+ YD 79,915 klms 2 Litre 4 Cylinder • 6 SP Sports Auto Apple CarPlay & Android Alloy Wheels DRIVE AWAY $20,990 STK: 701301 DRIVE AWAY $21,990 STK: 501620 2022 SUZUKI IGNIS GL MF 11,798 klms 1.2 Litre Manual 4 Cylinder • Reversing Camera Apple CarPlay & Android Excellent Condition DRIVE AWAY $27,990 79,589 klms 2 Litre Turbo 4 Cylinder • 7-Inch Touchscreen AWD Excellent Condition STK: 701084 2017 TOYOTA C-HR S-CVT DRIVE AWAY $22,990 2016 KIA OPTIMA GT JF STK: 701286 118,541 klms 2 Litre 4 Cylinder • 6 SP Sports Auto Excellent Safety Features Immaculate Condition 2014 VOLKSWAGEN GOLF GTI 117,996 klms 2 Litre Turbo 4 Cylinder • 6 SP Sports Auto Attention Detection Excellent Condition STK: 701305 DRIVE AWAY $25,990 DRIVE AWAY $69,990 2022 HYUNDAI PALISADE ELITE 2.2 Litre Diesel 4 Cylinder 8 SP Sports Auto 4x4 On Demand In-Car Voice Sysyem • Wireless Charging STK: 501621 2022 SUZUKI S-CROSS TURBO STK: 701170 DRIVE AWAY $39,990 • 1.4 Litre 4 Cylinder 6 SP Sports Auto Blind-Spot Monitoring Apple CarPlay & Android Excellent Condtion DRIVE AWAY $50,990 2015 TOYOTA LANDCRUISER PRADO STK: 701316 150,578 klms 3 Litre Diesel 4 Cylinder 5 SP Sports Auto Bull Bar • 4x4 Dual Range DRIVE AWAY $39,990 2017 VOLKSWAGEN AMAROK TDI550 STK: 701181 112,726 klms 3 Litre V6 Turbo Diesel 6 Cylinder 8 SP Auto Apple CarPlay/Android • Excellent Condition
DEMO MODEL STOCK # PRICE CURRENT DEMOS Now Was Save 2022 Volkswagen Tiguan 132TSI Life Allspace 5N 501047 $48,490 $ 49,990 $ 1,500 2022 Suzuki Vitara 2WD LY Series II MY22 501109 $32,890 $ 36,380 $ 3,490 Ford Ranger Dual cab XLS 2.0L Bi-turbo Auto 501112 $51,990 $ 53,566 $ 1,576 2022 Volkswagen Touareg 210TDI Elegance CR MY23 501325 $117,490 $ 128,000 $ 10,510 2022 Suzuki Swift GLX Turbo AZ Series II MY22 501430 $30,990 $ 31,790 $ 800 2022 Volkswagen Arteon 206TSI R-Line 3H MY23 501442 $69,490 $ 83,392 $ 13,902 2022 Hyundai Santa FE DCT TM.V4 MY22 4X4 On Demand 501450 $49,490 $ 54,640 $ 5,150 Ford Puma ST Line V Auto 501492 $40,990 $ 41,448 $ 458 2022 Hyundai Tucson Elite NX4.V1 MY22 AWD 501519 $49,490 $ 51,035 $ 1,545 Ford Everest Trend 2.0L Bi-turbo Auto 501585 $67,990 $ 68,614 $ 624 Hyundai Venue Elite Black sunroof 1.6 Auto 501616 $32,490 $ 33,115 $ 625 2022 Volkswagen T-Cross 85TSI Style C11 MY23 501672 $39,990 $ 40,552 $ 562 2022 Volkswagen T-Cross 85TSI Style C11 MY23 501719 $39,890 $ 40,552 $ 662 2023 Hyundai Tucson Elite NX4.V2 MY23 AWD 501736 $47,990 $ 48,945 $ 955 Ford Everest Ambiente 2.0L Bi-turbo Auto 501753 $58,990 $ 59,990 $ 1,000 2023 Suzuki Swift GL Plus AZ Series II 501808 $27,990 $ 28,600 $ 610 VW Amarok Aventura Dual Cab 3.0 TDI600 Auto V6 501894 $87,990 $ 88,443 $ 453 Suzuki Swift GL Navi Auto 501943 $27,990 $ 28,490 $ 500 2022 Volkswagen Multivan TDI340 Edition T6.1 MY23 501797 $85,261 $ 87,370 $ 1,749 Suzuki Vitara GL 2WD 1.6L Auto 501984 $31,990 $ 34,990 $ 3,000 EX DEMOS IN USED CARS Now Was Save 2022 Ford Escape ST-Line ZH MY22 501222 $39,990 $ 44,512 $ 4,522 Hyundai Staria Highlander People carrier 8 seater Auto Diesel 500507 $61,990 $ 72,916 $ 10,926 Hyundai Palisade Elite wagon AWD 7 seater Auto Diesel 501621 $69,990 $ 71,490 $ 1,500 2022 Suzuki Ignis GL MF Series II MY22 501620 $21,990 $ 23,990 $ 2,000 2022 Suzuki S-Cross Turbo JY MY22 701170 $39,990 $ 44,490 $ 4,500
82 TORQUAY ROAD, HERVEY BAY 4125 9500 WWW.WBMG.COM.AU | AFTER HOURS - CHRIS 0416 150 900 HUGE RANGE OF QUALITY PRE-OWNED VEHICLES FINANCE AVAILABLE HUGE RANGE ACROSS TWO SITES TRADE-INS WELCOME SEE THEM ALL AT WBMG.COM.AU 2010 Mazda 3 SP25 • 160,771k’s • 2.5L 4 Cyl Petrol • Manual Gearbox • Bluetooth • ABS Brakes • Airbags • Great Learner Car $13,990.00 Drive Away 2021 MG MG3 Excite • 2,245k’s • 1.5L 4 Cyl Petrol • Auto Transmission • 6 Speaker Stereo • Reverse Camera • Great on Fuel $18,990.00 Drive Away 2016 Mazda CX-3 Maxx • 55,585k’s • 2.0L 4 Cyl Petrol • Touchscreen Display • Bluetooth • Fuel Miser • Enhanced Safety $23,990.00 Drive Away 2017 Toyota C-HR • 1.2L 4 Cyl Petrol • Super Popular Car • Touchscreen Display • Bluetooth • Dual Zone Climate Control • LED Running Lights. $24,990.00 Drive Away 2018 Toyota Corolla Hybrid • 50,439k’s • Hybrid Efficiency • Super Fuel Efficient • Striking Blue Duco • Cold Aircon • Cruise Control $30,990.00 Drive Away 2020 Mitsubishi Eclipse Cross • 27,739k’s • 1.5L Turbo 4 Cylinder • Spacious Interior • Keyless Entry • Cruise Control • Alloy Wheels $31,990.00 Drive Away 2018 Hyundai IMAX • 89,097k’s • 2.5L 4 Cyl Diesel • 8 Passenger Seating • Dual Zone Climate Control • Alloy Wheels $37,990.00 Drive Away 2016 Toyota Fortuner Crusade • 94,297k’s • 2.8L 4 Cyl Diesel • Leather Interior • GPS Navigation • Bluetooth • 4x4 Capability $48,990.00 Drive Away 2017 Mitsubishi Outlander • 113,867 k’s • 4 Cyl Diesel • Cruise Control • 7 Seater • Bluetooth • Cold Aircon • All Wheel Drive $29,990.00 Drive Away 2017 Toyota Hiace • 127,517k’s • 3L Turbo Diesel • Ample Cargo Space • Toyota Certified Van • ABS, Airbags • Bluetooth $34,990.00 Drive Away 2021 BMW M135i Hatch • 35,575k’s • 2L 4 Cyl Turbo • 302hp Performance • Premium Leather Interior • Adaptive Cruise Control $54,990.00 Drive Away 2019 Mazda 3 Touring • 33,282k’s • 2.0L 4 Cyl Petrol • Balance New Car Warranty • Heads up Display • Adaptive Cruise Control $28,990.00 Drive Away

DRIVE YOUR STYLE

DRIVE YOUR STYLE

The MG3 Auto offers value, personality and most importantly, style. Key features:

BOOK A TEST DRIVE

The MG3 Auto offers value, personality and most importantly, style. Key features:

+ 8” colour infotainment screen with Apple CarPlay

+ 15” Alloy wheels

+ 8” colour infotainment screen with Apple CarPlay

+ Rear parking sensors

+ 15” Alloy wheels

+ Rear view camera

+ Rear parking sensors

+ LED ‘London Eye’ daytime running lights

+ Rear view camera

+ Tartan fabric trim seating

+ LED ‘London Eye’ daytime running lights

+ seating

BOOK A TEST DRIVE

WIDE BAY MG

(07)4125 9500

WIDE BAY MG

(07)4125 9500

HERVEY BAY & MARYBOROUGH

HERVEY BAY & MARYBOROUGH

WIDEBAYMG.COM.AU

WIDEBAYMG.COM.AU

Wide Bay MG | Hervey Bay & Maryborough | Ph 07 4125 9500 | Value since 1924 mgmotor.com.au
HERVEY BAY 93 Main St, Pialba Ph: 4124 1855 MARYBOROUGH 14 Rocky Street Ph: 4121 2288 After Hours: 0427 722 746 Your Fraser Coast 4WD Specialist FIND THE LATEST 4X4, CAMPING & TOURING EQUIPMENT AT BOB’S HERVEY BAY & MARYBOROUGH YOUR LOCAL DEALER IN DARCHE ROOFTOP TENTS & GME HANDHELD RADIOS BUY LOCAL www.bobsauto.com.au HERVEY BAY 93 Main St, Pialba Ph: 4124 1855 MARYBOROUGH 14 Rocky Street Ph: 4121 2288 After Hours: 0427 722 746 BUY LOCAL
YOUR LOCAL TRADES & SERVICES ADVERTISE YOUR BUSINESS Email Kristie today on sales@herveybayadvertiser.com.au BATHROOMS BEN STUBBINGS 0428 165 033 QBCC1091848 – donnabenstubbings@bigpond.com • Supply & Fit New Shower Screens • Shower Renovations • Bathroom Renovations • Leaking Shower Repairs • Tiling to Bedrooms & Big Floors • Fully Licensed & Experienced Waterproofers STUBBINGS WALL & FLOOR TILERS All Aspects of Tiling & Waterproofing BOBCAT, BACKHOE & DINGO smythe’s Bobcat & Mini Excavator Hire Attachments: Augers Rock Grab Hammer Spreader Bar Call John 0419 789 684 ALL TYPES OF EARTHWORKS 8 Ton excavator 4 Ton bobcat • Tip truck Contact Jeff for a FREE QUOTE m: 0418 456 697 e: jeff.doyle@hotmail.com BUILDING SERVICES Your Project, Our Experience, Quality Outcome New Homes • Renovations Extensions Patios Decks and Home Improvement Kirt Phillips - QBCC 1089802 build@fcconstruct.com.au 0419 700 167 CARAVANS Late Model CARAVANS Hervey Bay Caravans Ricky 0417 033 852 (07) 4128 1777 WANTED TO BUY Cash Paid CARPENTRY PB Carpentry Trade Qualified Carpenter | 25 Years Experience • All Your Carpentry Jobs • Inside & Out • Home Renovations • Plus Maintenance & Repairs Phone Paul for a FREE QUOTE 0450 612 621 (No jobs over $3300) ADVERTISE YOUR BUSINESS ROB CRADDOCK CARPENTRY QBCC1168764 ALL ASPECTS OF CARPENTRY with 30 Years Experience Reliable & Professional Service 0429 967 238 CLEANING SERVICES Mark’s Window Cleaning & Exterior Washing Ph Rachelle 0405 105 790 • Windows Professionally Cleaned • High Access Windows • Pressure Cleaning – gutters, eaves, roofs, buildings & carparks • Builders Cleans • Bond Cleans • Carpet Cleaning (from $65) • Domestic House Cleaning • Commercial Cleaning • Free Quotes – Friendly Service INSURED FULLY | NDIS PROVIDER 20 YEARS LOCALLY OWNED BUSINESS CLOCK & WATCH REPAIRS CLOCK AND WATCH REPAIRS Office Hours 8:30am – 4pm Monday – Friday Phone Glen Powell 4123 4488 or Mobile 0417 640 604 Shop 2/70 Walker Street Maryborough WSeiko atch BatterieS Fitted September 7, 2023 | Hervey Bay Advertiser | Page 39 Phone 07 5227 8947 Today! www.coastalsandsoilandmulch.com.au • UNDERTURF SOIL • GARDEN SOIL • SAND • GRAVEL • MULCH • DECORATIVE STONE • RECYCLED CONCRETE PRODUCTS GET YOUR GARDEN READY FOR SPRING CONTACT US TODAY FOR ALL YOUR:
YOUR LOCAL TRADES & SERVICES ADVERTISE YOUR BUSINESS Email Kristie today on sales@herveybayadvertiser.com.au CONCRETING SERVICES Ph: 0415 347 772 broadhurstconcreting@outlook.com NO JOB TOO BIG OR TOO SMALL FOR ALL YOUR CONCRETING NEEDS QBCC: 15045329 Servicing Hervey Bay and surrounds Greg Winney (Concreter) 30 years exp. in local area · Garage slabs · Patio · Driveways · Exposed aggregate, etc A Local You Can Trust Ph 0417 710 904 After Hour 4128 7316 QBCC No 57000 QBCC 15023760 Hervey Bay & Surrounding Areas MARK HOLSTEIN CONCRETING 0410 965 508 • Driveways • Shed Slabs • Patios • Pool Surrounds • Decorative Concreting • Footpaths etc ELECTRICAL SERVICES A.C.C. ELECTRICAL Over 25 Years Servicing Hervey Bay All Electrical, TV, Ph, HW, A/C Split Systems, FULLY INSURED FREE QUOTES - NO CALL OUT FEE Phone Col 0427 027 472 - 4124 4600 LIC NO 10574 Glenn Darlington ELECTRICAL • New Homes • Renovations • Stove and Hot Water System Repairs • TV & Phone Outlets • Sheds • Airconditioning Sales & Installation Domestic and commercial installations and Maintenance Lic#67059 ARC Lic No L151443 0418 797 239 or 4124 0457 glenndarlingtonelectrical@hotmail.com Lic No: 37045 All electrical work Always on time Servicing Hervey Bay area since 1951 Free quotes - no job too small Business & after hours 4128 1988 or find us on www.watkinselectrical.com.au LIC# 81551 FOR ALL YOUR ELECTRICAL NEEDS CALL DANIEL ON 0408 706 436 Email: sunnysideelectricalservice@gmail.com AIR CONDITIONING INSTALLATION FREE NO OBLIGATION QUOTES DOMESTIC - COMMERCIAL - RURAL find us on FENCING B & S FENCING WORLD and Landscaping bsfencingworld@bigpond.com Pool & Garden Rust Free Aluminium Glass Semi Frameless & Frameless Landscaping Concrete Water Features Balcony Glass, Aluminium or stainless Steel Gates Sliding, Swing & Auto Garden Sheds Made by Stratco COLORBOND FENCING www.bsfencingworld.com.au 0417 678 200 or 0428 565 063 Lic: BSA NO. 1105026 FUNERAL DIRECTOR SERVICES J. Kirk & Sons Established 1865 Where Funerals, Cremations & Memorials Cost Less! Maryborough 4121 4183 Hervey Bay 4124 2524 100% Family Owned 100% Locally Owned ~Funeral Plans Available~ Hervey Bay Crematorium 224 Urraween Road, Hervey Bay Ph: 4124 2524 Maryborough Crematorium Bruce Highway, Maryborough Ph: 4121 4183 GARAGES & SHEDS Aussie Improvements Sheds•Carports COMPLETION 7 WEEKS Email: aussie.outdoor.improvements@gmail.com PHONE 0438 905 216 18 Southern Cross Circ, Urangan Sheds, Garages, Carports Quality products Great price 4124 2099 1/85 Islander Rd, Pialba request a quote www.ranbuild.com.au • General Repairs • Maintenance • Installation • Automation of Existing Doors • Annual Servicing OBLIGATION FREE QUOTES SERVICING FRASER COAST Scott Green 0405 307 191 sdgaragedoors81@gmail.com GUTTER CLEANING BAY GUTTER VACUUM Corporate . Commercial . Residential Chris 0419 650 054 bayguttervacuum@gmail.com Gutter Vacuuming eliminates dirt, mud and leaves Roof Inspections Minor Roof & Downpipe Repairs Prepare now for Storm & Fire Season No Mess HOME MAINTENANCE A&B Touch Ups Chips Cracks Damaged Surfaces CALL ALBERT 0437 788 385 *JOBS UP TO $3300 ONLY* ShowerRe-groutRe-siliconeFloorTilesGlueDrummyTilesDrivewayRepairs Handyman Plus All household repairs Plus Carpentry, Concreting, Painting Paving & Decks Very reasonable rates - Pensioner Discounts Phone: Kevin 0417 849 698 For free quote No work over $3,300 MARINE SERVICES PH: DEN 0432 285 401 HERVEY BAY OUTBOARD SPARES BUY & SELL OUTBOARDS WANTED FOR WRECKING PAINTING & DECORATING 6 / 9 7 O l d M a r y b o r o u g h R o a d , P i a l b a Q L D VISIT OUR SHOWROOM DECORATIVE CONCRETE COATINGS DISCOUNT PAINTING All Work Guaranteed By Local Qualified Tradesman NEW WORK & REPAINTS Water Blasting & Roof Painting at Affordable Prices PENSIONER DISCOUNTS Phone: Stewart 4125 6138 or 0408 452 434 QBCC: 1187889 PAINTER Small enough to care Big enough to cope Phone Derek on 0457 077 599 or 4128 2816 or Tracey on 0438 592 339 True Father & Daughter Team QBCC Lic No: 15160797 QBCC Lic. No. 1076503 Painting Contractor Phone 4194 6092 Mobile 0418 152 868 New work • Repaints • Wallpapering Commercial & Domestic Work For a free quote ring Fred today Quality Internal and External Painting Over 30 years experience ADVERTISE YOUR BUSINESS September 7, 2023 | Hervey Bay Advertiser | Page 40
YOUR LOCAL TRADES & SERVICES ADVERTISE YOUR BUSINESS Email Kristie today on sales@herveybayadvertiser.com.au Lic. No. 53585 S.D. & K.M. Tanner PH: 4128 3229 Mobile: 0411 032 478 Email: sydneytanner@bigpond.com Reliable Honest Quality Sassy’s Mowing & Gardening Maintenance ABN: 9515682638 CALL 0484 655 092 FOR A FREE QUOTE FULLY INSURED PEST CONTROL HERVEY BAY & MARYBOROUGH Specalising In: • Cockroaches • Silverfish • Ants • Spiders, Redbacks • Fleas & Ticks • Termites • Timber Pest Inspections • Mosquitos • Sandflies • Rats & Mice For environmentally responsible treatment call 4128 3072 0412 458 440 Local Owner/Operator Peter Stiler QBCC 1012203 Cockroach, Silverfish & Spider Treatment $130* Plus Shed Treated FREE ONLY (inc. ceilings & external wall cavities. Plus 12 Month Warranty) Standard house size PLUMBING SERVICES CUNNINGHAM PLUMBING ABN 89796274769 QBCC 50336 For all your plumbing, repairs, maintenance & bathroom renovations including taps, mixers & toilets, servicing hot waters or replacement. OVER 40 YEARS EXPERIENCE Hervey Bay area Call Alan 0418 157 711 Simon 0417 596 495 For all you plumbing and maintenance Email: hartwellplum@gmail.com Simon & Catherine Hartwell HARTWELL PLUMBING Pty Ltd REPLACEMENTS - NEW INSTALLS MAINTENANCE - REPAIRS QBCC 1140025 Lic No: 24340 Gas: 130001 0407 102 529 BLOCKED DRAINS LEAKING TAPS NEW HOT WATER SYSTEMS GENERAL PLUMBING & MAINTENANCE QBBC 1300257 DOUG KELLY PLUMBING QBCC 5030291 MAINTENANCE & NEW CONSTRUCTION SEWER DRAINAGE BLOCKAGES SHANE 0407 798 805 TRUE BLUE WATER FILTERS Never buy bottled water again! • Pure, clean and great tasting chemical free water • Reliable and friendly, Hervey Bay owned & operated • Free quotes available, including shower filters & whole house systems Royce 0419 856 088 CARAVAN & MARINE GAS CERTIFICATES SERVICE, REPAIRS, SALES INSTALL, FREE QUOTES 4128 2111 80 Torquay Road, Hervey Bay QBCC 1077287 RENDERING RAD’S RENDERING All types of rendering and textured finishes 20 years experience HONEST AND RELIABLE SERVICE MOB: 0429 211 465 ROOFING SERVICES 0408 724 047 AH (07) 4125 5590 0408 724 047 AH (07) 4125 5590 GABLE ROOFING GABLE ROOFING Specialist in Tiled Roof Maintenance • Re-bed & Re-point • Roof Restorations • Storm Damage & Repairs • Roof Inspections FULLY LICENSED & INSURED “BETTER THAN THE ORIGINAL” 30 YEARS EXPERIENCE QBCC 733635 QMRTA 1153 $2450 • we use Dulux and Tilemaster • 5% pensioner discounts • fully insured • restore all roof types • all work guaranteed • family business 3rd generation • will beat any written quote by 10% QBCC: 1270953 Ph: 0451 716 383 www.newlookroofpainting.com.au RM6444259 GET FREE QUOTES EXTERIOR PAINTING FROM RUBBISH REMOVAL ALL AREAS RUBBISH REMOVAL Servicing the Wide Bay Region Call for a No Obligation Free Quote Phone Jack - 0406 953 304 aawidebay@gmail.com PHONE BADEN MOORE 0403 346 165 FREE QUOTES NO TIME TO TAKE THAT EXTRA RUBBISH AWAY? LET ME DO IT FOR YOU! |GARDEN WASTE | BED/MATTRESS |WASHING MACHINES/DRYERS | BUILDING MATERIALS |PROPERTY CLEAN-UP PLEASE NOTE PHONE NUMBER HAS CHANGED TREE SERVICES M. 0421 255 178 REMOVAL OF DEAD& DANGEROUS TREES TREE TRIMMING STUMP GRINDING . LAND CLEARING 24 HOURS EMERGENCY WORKS FIRE MANAGEMENT CLEARING FULLY INSURED QUALIFIED ARBORIST . MACHINE HIRE MULCH SALES PICK UP OR DELIVERED owen@advancetreeworks.com.au www.advancetreeworks.com.au Budget Tree Service Vegetation Management Tree & Stump Removal Qualified Arborists Qualified Climbers 24hr Emergency Service 15” 18” & 20” Chippers Stump Grinders 19m & 22m EWPs Mini Loader Fully Insured ph 4129 0487 0429 019 448 Servicing Wide Bay and Surrounding Areas www.budgettreeservice.com.au budgettreeservice@bigpond.com Hervey Bay SPecialiSTS AFFORDABLE TREE REMOVAL, TRIMMING & PRUNING STUMP GRINDING | PALM TREES REMOVED Free Quotes. Fully Insured Call Luke 0478 822 956 EAGLE TREES AND STUMP GRINDING September 7, 2023 | Hervey Bay Advertiser | Page 41 Email Kristie today on sales@herveybayadvertiser.com.au ADVERTISE YOUR BUSINESS HOME DELIVERED EVERY FORTNIGHT Choose your own heading YES 3 Reach 22,500 Homes YES 3 Multi-booking discounts YES 3 PACKAGES FROM ONLY $65 PER ISSUE
Read the full digital version @ herveybayadvertiser.com.au BPI www.bpic.com.au BUILDING & PEST INSPECTIONS QBCC BUILDERS LICENCE: 1318788 PEST TECHNICIAN LICENCE: 3005499615 • BUILDING & TIMBER PEST INSPECTIONS • PRE-SALE & PRE-AUCTION INSPECTIONS • TAX DEPRECIATION SCHEDULES All inspections include the use of our thermal imaging camera and moisture detection equipment. Offering a 24hr turn around period on our detailed 40+ page reports. CALL US TODAY FOR A QUOTE OR TO MAKE A BOOKING 4125 2944 / 1800 663 390 FIXED FEE CONVEYANCING 07 4197 5600 www.lawessentials.net.au 79 Torquay Road, Hervey Bay 9/81 Boat Harbour Drive, Urraween Phone: 07 4128 9919 Email: rentals@dsbpm.com.au Web: dsbpm.com.au Facebook: www.facebook.com/dsbpm CARPET . TIMBER . VINYL . TILES BLINDS . SHUTTERS . RUGS 1300 305 095 FOR FREE QUOTES www.realpropertyphotography.com paul@realpropertyphotography.com.au Paul Robins 0499 366 482 Edition #69 - September 7, 2023 5 Acre Blocks Minutes to the City Presenting five 5 Acre blocks in Dundowran. Situated in an ideal location close enough but far enough from town so you can enjoy acreage living with city conveniences. Each block has its own features and each block is priced at Offers Over $500,000 Considered. Please contact our office to arrange an inspection. There are cattle currently on the blocks and live fencing. 4128 6600 2 Ansons Road, Dundowran Beach www.rayedward.com.au * ALL IMAGES ARE INDICTIVE ONLY
NOW SELLING – FULL TURN KEY HOUSE AND LAND PACKAGES LOT 97 LUCINDA WAY - FIONA/ DELUXE INCLUSIONS, 4 BRM, ENS, WIR, SEP LNG, AIR CON + MORE $569,000 LOT 98 LUCINDA WAY - LATROBE/EXECUTIVE INCLUSIONS, 4 BRM, ENS, WIR, SEP LNG, AIR CON + MORE $599,000 LOT 112 LUCINDA WAY - AVAH/SUPERIOR PLUS INCLUSIONS, 4 BRM, ENS, WIR, SEP LNG, AIR CON + MORE $525,000 LOT 113 LUCINDA WAY - CALLA /SUPERIOR PLUS, 3 BRM ENS, WIR, SEP LNG, AIR CON + MORE $509,000
Campbell
house & land specialists.
the
for
quality, affordable homes to
budget. KERRY CAMPBELL HOMES PHONE TODAY FOR MORE DETAILS 4124 2747 Tina 0428 589 010 Email: sales@kerrycampbell.com.au LOT 37 GALWAY CRT, ELI WATERS CATHY DESIGN - SUPERIOR PLUS INCLUSIONS: 3 BRM, ENS, WIR, FAM/DIN, SEP LNG, DLUG, DW, AIR CON + MORE $509,000 LOT SIZE 580sqm Artist impression AZURE - ELI WATERS NEW RELEASE
HOUSE & LAND PACKAGES
PROPERTIES NOW AVAILABLE - STAGE 2B GIRRAWEEN ESTATE, ELI WATERS UNDER CONSTRUCTION LOT 36 GALWAY CRT, ELI WATERS AVAH DESIGN - SUPERIOR PLUS INCLUSIONS: 4 BRM, ENS, WIR, FAM/DIN, SEP LNG, DLUG, DW, AIR CON + MORE $525,000 LOT SIZE 579sqm Artist impression LOT 44 GALWAY CRT, ELI WATERS CATHY DESIGN - SUPERIOR PLUS INCLUSIONS: 3 BRM, ENS, WIR, FAM/DIN, SEP LNG, DLUG, DW, AIR CON + MORE $509,000 LOT SIZE 461sqm Artist impression LOT 42 GALWAY CRT, ELI WATERS FIRESTONE DESIGN – EXECUTIVE INCLUSIONS: 4 BRM, ENS, WIR, FAM/DIN, SEP LNG, DLUG, DW, AIR CON + MORE $599,000 LOT SIZE 587sqm Artist impression UNDER CONTRACT UNDER CONTRACT UNDER CONTRACT
Kerry
Homes are Hervey Bay’s
Servicing
region
more than 25 years. Building
suit any
-
SELECTED

 AGENCY OF THE YEAR 403 Esplanade Torquay | Call 4125 5399 | sales @ccrhb.com.au | www.cartercooperrealty.com.au KIM CARTER 0417 790 526 BRAD MITCHELL 0418 764 530 Scan the QR code to view • Rare oceanfront jewel, ready to build on • Unquestionably, one of the finest positions on the Hervey Bay foreshore
1067m2 allotment with two-street frontage
Opposite a dog friendly beach and parks
Close proximity to local boat ramps
2 minute drive from local café & Gatakers Bay
Degree Ocean Views 92 ESPLANADE POINT VERNON AUCTION 9TH SEPT - 11AM AUCTION KIM CARTER 0417 790 526 Scan the QR code to view OFFERS OVER $750,000 • 4 bedrooms, 3 upstairs and 1 downstairs • Bathroom and living area on each floor • Kitchen with dishwasher and storage space • Timber balcony with stunning ocean views • Remote double lock up garage + single shed • Beaches, boat ramps and walking tracks moments away Location, Lifestyle & Ocean Views 6 BRIGHTON STREET POINT VERNON KIM CARTER 0417 790 526 Scan the QR code to view OFFERS OVER $2,999,000 • 10 x self-contained apartments - 5 of them newly renovated • Current net income $153,000 with potential of additional income • High Density Zoning for future development opportunities • Massive upside if converted to Air BNB • Sparkling in-ground pool, 1232m2 allotment • Property Memorandum available on request Rare Opportunity Along the Esplanade 494 ESPLANADE TORQUAY NEW LISTING KIM CARTER 0417 790 526 Scan the QR code to view OFFERS OVER $725,000 • 3 bedrooms; family bathroom with bathtub • Large living room • Kitchen and dining area overlooking the huge yard • Beautiful hardwood floors throughout • Wrap around verandah • 3 bay shed/workshop all on a generous 2890m2 allotment A Charming Home on a Huge Block 77 PANORAMA DRIVE DUNDOWRAN BEACH NEW LISTING JANA LEVAK 0431 155 140 Scan the QR code to view
ABOVE $349,000 5/25 HERVEY ST SCARNESS Affordable Living Only 300m From Beach
Neat & tidy townhouse in small complex of 6
3 Bedrooms
throughout
Tiled lounge,
laundry downstairs
180
OFFERS
upstairs – ceiling fans
kitchen, bathroom
Single carport
vehicle
at
of unit
for
parking
rear
Fenced
courtyard NEW LISTING Scan the QR code to view BRAD MITCHELL 0418 764 530 $825,000 • Executive, upmarket 3 bedroom townhouse • Contemporary design with superior finishes • Ensuite, stunning kitchen with stone benchtops • Kitchenette, rumpus, balcony on 2nd level • Air-conditioned throughout, DLUG, LED lighting • One street from the beach in quiet popular street Boutique Beachside Townhouse 14A HOCKLEY LANE URANGAN NEW LISTING KIM CARTER 0417 790 526 Scan the QR code to view OFFERS OVER $750,000 • Modern 4 bedroom home, built in 2021 • Kitchen with dishwasher and stone benchtop • Open plan living, media room, ducted air-con, solar panels • Covered alfresco area with pull down blinds • Double lock up garage, large garden shed, 648m2 block • Close to schools, CBD & hospital precinct Near New And Ready For You! 3 BANBURY COURT URRAWEEN
use of east facing

and plenty of storage space

• Covered alfresco area with pull down blinds for all-weather and allseason entertaining

• Fenced and landscaped 1143m2 block with unobstructed views of lake and parklands

• Walk to local parks, schools and shops plus you can

• Extensively renovated ground floor unit

• 2 bedrooms, air-conditioned master boasts ensuite

• Family bathroom with separate toilet

• Air-conditioned open plan kitchen, living and dining area

• Kitchen features rangehood, oven, and ample storage space

OFFERS OVER $399,000

ocean views, 4-minute drive to cafes and

• 4 bedrooms, air-conditioned master complete with ensuite

• 2 additional bathrooms, one on each level

• Security screens and ceiling fans throughout

• Separate laundry with access to back undercover patio area

• Double lock up garage, fully fenced,

• 3 bedrooms with a/c, situated around a renovated family bathroom

• Air-conditioned open plan kitchen, living and dining area

• Kitchen with dishwasher, stone benchtops and breakfast bar

• Resort- style Inground pool with shade brolly and deck

• Landscaped, private and fully fenced, double lock up garage, 7.2kw solar system

• Health Club, Bowls Club, schools, major shopping centre

KIM CARTER 0417 790 526

Got

Shed & Pool

• 4 bedrooms, office, 2 bathrooms, 2 living areas

• Modern industrial style kitchen with dishwasher & stone benchtops

• Tinted windows, plantation shutters, fans and air-con to every room

• Enclosed outdoor living space with ceiling fan

• Inground pool, 6.67kw solar, water tank, fire pit, side access

OFFERS OVER $899,000

 AGENCY OF THE YEAR 403 Esplanade Torquay | Call 4125 5399 | sales @ccrhb.com.au | www.cartercooperrealty.com.au Scan the QR code to view MAURICE ELLIS 0427 246 261 AUCTION 30TH SEPT 12.00PM • Only short stroll to the water and Boat Harbour precinct • 3 bedroom renovators delight • Lounge, galley style kitchen • Single garage has internal access • Level 536 sqm block • Great spot - just add your own touches! A+ Location 92 MILLER STREET URANGAN KIM CARTER 0417 790 526 BRAD MITCHELL 0418 764 530 Scan the QR code to view • 5 bedrooms in total, 5 stunning bathrooms (3 ensuites) • Sound proofing throughout the house, perfect for air BNB • Study nook, ducted A/C, plantation shutters, Vj walls, timber floors, 9.5ft ceilings • 11.2kw solar system, brand new PVC Hamptons style fencing • Kitchen and laundry can be found on both levels • Double garage with storage room + double carport Luxury Beach House 663 ESPLANADE URANGAN $1,790,000 KIM CARTER 0417 790 526 Scan the QR code to view OFFERS OVER $740,000 • 3 bedrooms, master complete with ensuite and walk-in wardrobe • Spacious kitchen with dishwasher
Live Life On The Lake 40 BUSHLARK AVENUE ELI WATERS NEW LISTING
CARTER
Scan the QR code to view
fish on the lake
KIM
0417 790 526
Priced Reduced To Sell 4/383 ESPLANADE TORQUAY KIM CARTER
Scan the QR code to view
Easy access to resort pool and covered entertaining area
0417 790 526
$765,000
low maintenance 456m2 allotment • Short walk to boutique shops, cafes, restaurants and beautiful Shelley Beach 3 Rooftops to the Beach 7 NEW STREET URANGAN KIM CARTER 0417 790 526 Scan the QR code to view $1,100,000 • 3 bedrooms, master complete with ensuite • Direct access to the beach from backyard • Kitchen with stone benchtops, dishwasher and plenty of prep space • Air-conditioned open plan living and dining area + separate media room • Teenager’s retreat with kitchenette and bathroom downstairs • 1183m2 block,
restaurants The Beachfront Lifestyle Awaits You
KINGFISHER PARADE TOOGOOM
the QR code to view
160
Scan
$749,000
Lifestyle Investment - Walk to the Beach
STREET TORQUAY
526
the QR code to view
32 ANN
KIM CARTER 0417 790
Scan
The Lot! -
on
• Double garage + 2 bay shed + 2 bay carport, power and water to shed AUCTION
2363m2 15 BRYPAT CLOSE BURRUM HEADS

renovated home on 690m2 block

• Light & airy interiors with neutral coastal tones

• Premium use of fittings & fixtures through out

• 3 bedrooms, living room adjoin kitchen & dining

• Expansive outdoor gabled entertaining patio

• Single lockup garage plus port plus shed

• Leafy location, short stroll to beach & Esplanade

• 4 bedroom home in sought after location

• Separate loungeroom, open plan

$750,000

MITCHELL 0418 764 530

 AGENCY OF THE YEAR 403 Esplanade Torquay | Call 4125 5399 | sales @ccrhb.com.au | www.cartercooperrealty.com.au Scan the QR code to view KIM CARTER 0417 790 526 50 ESPLANADE POINT VERNON Exquisite Oceanfront Living OFFERS OVER $1,750,000
Kitchen with dishwasher, fully integrated fridge / freezer, induction cooking and more • Sliding doors seamlessly connecting to the alfresco dinning /BBQ area with ocean views • Master with built-in robes & sublime ensuite • Home office / study, broadband connection • Garage with extra 3m high remote door, 961m2 block providing ample space KIM CARTER 0417 790 526 Scan the QR code to view
OVER $675,000
4 bedrooms, master bedroom with ensuite
Family bathroom
bathtub,
toilet and laundry
Ducted air-conditioning
ceiling fans throughout
Large open plan kitchen, living and dining area
Covered patio overlooking low maintenance yard • Fully fenced 600m2 block, close to schools, shops, transport and hospitals Your Family Home Awaits 18 PICADILLY CIRCUIT URRAWEEN NEW LISTING ANNETTE MITCHELL 0428 255 824 JANA LEVAK 0431 155 140 Scan the QR code to view Simply Elegant Coastal Home
Meticulously
OFFERS
with
separate
and
$649,000 78 CORSER STREET POINT VERNON Scan the QR code to view BRAD
air-conditioned living • Kitchen with stone benchtops, dishwasher • Double lock up garage, 6mx4m shed, caravan space • 3.5kws solar, multi-purpose room • Superb outdoor living area, lovely gardens Quiet & Cosy ‘A’ Grade Location 4 AQUALINE DRIVE POINT VERNON Scan the QR code to view MAURICE ELLIS 0427 246 261 OFFERS OVER $675,000 • 4 bedroom, 2 bathroom, 3 car space • Open plan air- conditioned kitchen, dining & lounge • Kitchen – plenty of cupboards, modern appliances • Extensive covered outdoor entertaining • Large carport + 6m x 6m double garage at rear, water tank • Great spot close to major shops, Boat Harbour A Great Family Home 6 LADBROKE CRESCENT URANGAN KIM CARTER 0417 790 526 Scan the QR code to view $575,000 • 4 bedrooms, master complete with ensuite • Large kitchen, living and dining area plus second living area/rumpus room • Beautiful hybrid flooring in living areas, ceiling fans throughout • Outdoor undercover patio area, above-ground pool • Spacious backyard, garden shed and established veggie garden • Fully fenced 750m2 block, close to shops, beach and golf course Great Location To Raise The Family! 11 BRONTON WAY POINT VERNON NEW LISTING KIM CARTER 0417 790 526 Scan the QR code to view OFFERS OVER $1,100,000 • 4 bedrooms, 2 masters with walk-in wardrobe and ensuite • Kitchen with Smeg appliances, Caesarstone benchtops and Butlers pantry • Private alfresco area at the rear as well as front balcony • Double garage with epoxy flooring & storage + room for van/boat • Plantation shutters, 3 x air-conditioners, 24 solar panels • Security system and screens, water tank with electric pump Modern & Vibrant Beachside Beauty 11 SEAHAVEN CIRCUIT PIALBA Scan the QR code to view KIM CARTER 0417 790 526 MATT DORROUGH 0410 369 996 • Spacious 4 bedroom, two bathroom family home with double garage • Built in home office or kids work area • Open plan Kitchen / dining / living with separate media room • Ducted air conditioning with high ceilings throughout • Main bedroom with luxurious ensuite • Fully fenced 902sqm block with side access for caravan or boat Spacious Family Haven 55 PEPPERMINT CIRCUIT NIKENBAH $899,000

This

• 3 bedrooms, master with ensuite and walk-in robe

• Ducted air-conditioning, high ceilings & security screens throughout

• Spacious open plan living and dining area + separate media room

• Modern kitchen with stone benchtops, dishwasher & walk-in pantry

• Outdoor alfresco area with pull down blinds, sparkling in-ground pool

• Solar panels, side access, double lock up garage, 6m x 3m shed with power

OFFERS OVER

PRICE REDUCED

• 3 bedrooms, large 2-way ensuite bathroom

• Air-conditioned master bedroom

• Separate toilet and large laundry

• Designated lounge and dining area

• Kitchen overlooks the entertaining area

• 788m2 block with

OFFERS OVER $525,000

CARTER 0417 790 526

AUCTION

AUCTION 30TH SEPT 10.00AM

PRICE REDUCED

Coastal Paradise Awaits

• Beautifully renovated four-bedroom home

• Open plan living / dining

• Huge outdoor entertaining area

• Fully fenced 532sqm corner block

• Double side gates for the caravan or boat

• Close proximity to the beach and local amenities

DORROUGH 0410 369 996

28 MORGAN CIRCUIT URRAWEEN

Great Family Home or Investment

• 4 bedrooms, master with air-conditioning and ensuite

• Air-conditioned open plan living area + separate lounge room

• Modern kitchen with ample storage space and stone benchtop

• Remote double lock-up garage with internal access

• Set on a fully fenced 651m2 allotment

• Close to schools, shops, transport and hospital precinct

Scan

OFFERS OVER $650,000

• Airconditioned open plan living with raked ceilings

• Polished timber floors throughout, recently replaced roof

• Single lock up garage, large garden shed, underground water tank

PRICE REDUCED

15 CRYSTAL COURT URANGAN

The Perfect Family Home Or Investment

• 2 separate living areas

• Air-conditioned with security screens

• Large outdoor entertaining area

• Fully fenced 727m2 block with side access

• Currently leased until March 2024 returning $450 per week

$585,000

KIM CARTER 0417 790 526

 AGENCY OF THE YEAR 403 Esplanade Torquay | Call 4125 5399 | sales @ccrhb.com.au | www.cartercooperrealty.com.au
140 Scan the QR code to view
4
JANA LEVAK 0431 155
• Beautiful home with living spread over 2 levels • Formal & informal living plus parents retreat •
Bedrooms – 2 bathrooms – powder room & office
Private
Centrally
beach Central – Secluded – Sea & Island Views $859,000 3 EURONG AVENUE PIALBA
Scan the QR code to view
• Double garage & workshop/man cave & 6x6m shed •
balcony & outdoor entertaining deck •
located to CBD – walk to Esplanade &
KIM CARTER 0417 790 526
$899,000
is Living, Residential Bliss!
KAWUNGAN Scan the QR code to view
6 AMY COURT
$599,000
URANGAN MATT
KIM
Scan the QR code to view
6 BELLERO STREET
spacious outdoor entertaining area Ideal First Home or Investment 9 BANGALOW COURT KAWANGAN Scan the QR code to view MAURICE ELLIS 0427 246 261 • Easy stroll to the beach, cafes and Urangan Pier • Plenty of room on this 1012sqm allotment • Level with minimal gardens • 3 bedroom Queenslander style home has been in the family for over 40 years • Options to remove the house or keep a piece of history A + For Size + Position 40 SHELL STREET URANGAN KIM CARTER 0417 790 526 STEPH MULHERON 0423 231 706 Scan the QR code to view $729,000
In Central Location
Relaxed Coastal Living
3 bedrooms, all with built in wardrobes and ceiling fans
• Magnesium pool, pergola, tropical gardens, electronic gates
53 BIDEFORD STREET TORQUAY Scan the QR code to view
• 881m2 corner allotment with dual street access
• 4 bedrooms, master with ensuite and WIR
KIM CARTER 0417 790 526 the QR code to view

The Possibilities

• 4 bedrooms + self-contained teenager’s retreat

• Modern kitchen with stone benchtops and walk-in pantry

• 3 living areas, ducted A/C, LED lighting, 5.4kw solar panels

• Irrigational system to established orchard, bore water and dam

• 10m x 7m enclosed entertainment area with panel lift screen

• Water tanks: 70,000 underground + 22,500 aboveground

• Multiple sheds and carports some with high entry, 3 phase power

OFFERS OVER $1,199,000

KIM CARTER 0417 790 526 BRAD MITCHELL 0418 764 530

11 SOUTHERN CROSS CIRCUIT URANGAN

Commercial Investment Opportunity

• Fully fenced 3808m2 flat, level block

• 15m x 20m Colourbond shed - currently rented with great returns

• Grey water system for front garden and 4 taps at each end of shed

• Wide frontage, great exposure and flexibility in design

• Large, concreted area, easy access for trucks and haulage vehicles

• Location, location - Close to all amenities

OFFERS OVER $700,000

KIM CARTER 0417 790 526

• 4 bedrooms, master with walk-in wardrobe and ensuite

• Family bathroom and separate powder room

butler’s pantry, alfresco area overlooks lake and saltwater pool

OFFERS OVER $1,280,000

Scan

24 SHARYN COURT POINT VERNON

Secure Investment For The Future

• Outdoor undercover entertaining space

• 737m2 block, side access to rear, room for a shed or pool

• Minutes from boat ramps, beach & schools

OFFERS OVER $595,000

room

OFFERS

 AGENCY OF THE YEAR 403 Esplanade Torquay | Call 4125 5399 | sales @ccrhb.com.au | www.cartercooperrealty.com.au Scan the QR code to view MAURICE ELLIS 0427 246 261 OFFERS OVER $825,000 • Good sized bedrooms • Main bathroom • Central kitchen lots of room • Lounge and sunroom • Single garage, carport, additional studio • Just under 1,000sqm corner allotment Great Location - Close To The Beach! 1 HOCKLEY LANE URANGAN Scan the QR code to view CONTACT AGENT 5 WATERMANS WAY RIVER HEADS KIM CARTER 0417 790 526 • Ground level: Kitchen with stone benchtops, breakfast bar, gas cooktop and dishwasher • Open plan living, office, media room, large family/games room, powder room • Downstairs: 4 bedrooms, 2 bathrooms, laundry and double lock up garage • Upstairs: Indulgent master suite with ocean views, walk-in robe, ensuite and coffee station • Outdoor entertaining area, in-ground pool, 2045m2 block, 12m x 9m shed Statement Living on A Grand Scale HOME KIM CARTER 0417 790 526 Scan the QR code to view • 4 bedrooms, air-conditioned master complete with ensuite • Family bathroom with bathtub and separate toilet • Designated dining area and spacious air-conditioned lounge
Scan the QR code to view
Are Endless 3261 MARYBOROUGH HERVEY BAY RD NIKENBAH
QR
Scan the
code to view
KIM CARTER 0417 790 526 the QR code to view
Open plan family room, theatre room and children’s retreat • 9ft ceilings, security screens, ceiling fans, 6kw solar, electric gate • 1561m2 block, double lock up garage on the home + 15m x 4.5m shed Indulge In Prestige Lakefront Living 9 KIRRA COURT ELI WATERS KIM CARTER 0417 790 526 Scan the QR code to view 5/3 BEACH ROAD PIALBA $429,000
Ocean views from balcony and bedrooms
Modern bathroom, separate toilet & laundry
2 bedrooms, air-conditioned open plan living
Ceiling fans & security screens throughout
Walk to schools and shopping precinct
Well maintained complex of 7 units with in-ground pool
• Kitchen with
Beauty Scan the QR code to view BRAD MITCHELL 0418 764 530
OVER $575,000
4-bedroom brick, colourbond lowset
Air-conditioned master bedroom, 2-way bathroom
Freshly painted inside, new floor coverings
2 large timber entertainment decks, • 878m2 corner block • 5 1/2klws solar, security screens & doors Centrally Located and Nothing To Spend 40 HAYDN DRIVE KAWUNGAN
Beachside

SEA EAGLES ROAD BOORAL

Modern,

Luxurious, Coastal Living

• Open plan living and dining, separate office and media room, surround sound speakers

• Kitchen with 40mm Stone benchtops, gas cooktop, Smeg appliances & butler’s pantry

• Outdoor kitchen with BBQ, pizza oven, sandstone fire pit

• 24m x 12m shed, fully enclosed mezzanine floor

OFFERS OVER $1,690,000

• 4 bedrooms, master with walk-in wardrobe and ensuite

• Office space with built-in cabinetry and 2 x desks

• Media room, rumpus room, open plan kitchen, living and dining

• Kitchen with stone benchtops and island bench

• 2 entertaining areas, in-ground pool, solar and security system

• 2000m2 block, side access, 18m x 27m shed with studio

OFFERS OVER

KIM CARTER 0417 790 526

Attention

Investors

• 5 bedrooms and 3 bathrooms spread over 2 levels

• Upstairs master bedroom with ensuite and parent’s retreat

• 2 self-contained living environments

• Kitchen and laundry on each level

• Front and rear deck, 1350m2 block separated into 2 backyards

OFFERS OVER $750,000

CARTER 0417 790 526

12 BALMORAL COURT URRAWEEN

• 180-degree Northerly views overlooking both Hervey Bay and the ocean • 5 bedrooms + office, 3 bathrooms, multiple living areas • Central kitchen with thick stone benchtops, dishwasher, and large fridge space • Entertaining space overlooks in-ground pool with water feature • Sparkling in-ground pool, 4 bay shed with power - 2 x remote doors • 3001m2 allotment with flat lawn space at front of block - potential to subdivide (STCA) ANNETTE MITCHELL 0428 255 824 Scan the QR code to view OFFERS ABOVE $500,000 • Recently updated 3 bedroom home • Fully air-conditioned, tiled living area • Upgraded kitchen and bathroom • Large rear timber entertainment deck • Side access to a 5m x 11m shed, power, remote • Great location. All amenities nearby Must Be Sold 16 JACK STREET PIALBA KIM CARTER 0417 790 526 BRAD MITCHELL 0418 764 530 Scan the QR code to view • 5 bedrooms, 2 bathrooms + large rumpus/games room • Kitchen with gas cooktop, dishwasher and ample storage • Spacious timber deck overlooking the inground pool • 13kw solar, 3 x air-cons, powder room, hardwood flooring • 6m x 7m colourbond shed, remote doors, electric gates • 845m2 block, 600m from beach and minutes to CBD Is This The Perfect Family Home? 40 WINCHELSEA STREET PIALBA OFFERS OVER $895,000 LAND FOR SALE OFFERS OVER $999,000 1088m2 360 ESPLANADE, SCARNESS OFFERS OVER $399,000 1712m2 LOT 1/144 DOOLONG ROAD, KAWUNGAN $390,000 2032m2 22 WOONGOOLBVER COURT, RIVER HEADS OFFERS OVER $250,000 650m2 39 JANNIK CLOSE, PIALBA Scan the QR code to view MAURICE ELLIS 0427 246 261 OFFERS OVER $725,000 • 3 bed, office, 2 bathrooms, 3rd toilet • Main lounge, separate dining, plus massive living • Timber kitchen overlooks the back yard • Three patios to relax and unwind • Single garage, long carport & 1.5m shed/work shop/storage area • Side access to 1012sqm, level and low maintenance gardens No.1 For Position & Design 51 TRURO STREET, TORQUAY PRICE REDUCED

 AGENCY OF THE YEAR 403 Esplanade Torquay | Call 4125 5399 | sales @ccrhb.com.au | www.cartercooperrealty.com.au
Scan the QR code to view
$1,200,000
For Everyone and Everything!
URANGAN
Scan the QR code to view
Space
52 HUGHES ROAD
KIM
VICTOR
• Single garage on the home + detached double shed KAWUNGAN
Returning $840pw 34
DRIVE
Scan the QR code to view
KIM CARTER 0417 790 526
• Studio with kitchen sink, shower and toilet, air-conditioned gym
Scan the QR code to view
111
KIM CARTER 0417 790 526
Grand Hilltop Living & Entertaining $1,600,000

View By Appointment

Price $699,000

Web rh.com.au/herveybay/L23990129

66 Chancellor Drive, Urraween

Quality Modern Family Home in Outstanding Location!

Welcome to 66 Chancellor Drive, an immaculate 4-bedroom home situated in a private and quiet centralised location! Surrounded by stunning landscaped gardens this home boasts amazing modern features and more!!

The air-conditioned open plan living/dining area flows right out onto the enclosed outdoor entertainment area which overlooks the amazing pool, provides an entertainer’s delight or perfect areas to sit back and relax!

Location is gold, literally being minutes from Stockland Shopping Centre, medical facilities, high schools and primary schools, sporting precincts and the Esplanade!

Property Highlights:

• 4-bedrooms featuring fans & built-in robes

• Master bedroom features an ensuite and large built-in robe

• Air-conditioned open plan living/dining area

• Great size kitchen boasting plenty of cupboard and bench space

• Separate laundry

• Large enclosed outdoor entertainment area that overlooks the pool and the lovely landscaped backyard

• Fully fenced 620 m2 allotment featuring great side access with the potential to store caravan, boat or a motor vehicle!

• Located just minutes from Stockland shopping centre, medical, schools and the Esplanade

Hervey Bay 4128 2188

357 Esplanade, Scarness

rh.com.au/herveybay

2 3 4

View Saturday 9th September 3.00-3.30pm Saturday 16th September 9.00-9.30am

Auction 28th September 2023 at 7.00pm—In Rooms Web rh.com.au/herveybay/L24013145

2 Charles Bruce Drive, Oakhurst

Lifestyle Property with Potential

Discover this captivating 3-bedroom, 1-bathroom residence boasting a double lock-up garage with convenient internal access. This gem demands your attention; embrace the allure of year-round outdoor living with skilfully crafted custom pergolas on both flanks of the house.

This dwelling is equipped with solar hot water. Step inside to unveil a spacious haven with 9-foot ceilings and an expansive open floor plan. Among its remarkable features, two bedrooms are furnished with built-in wardrobes, while the master suite boasts air-conditioning and a walk-in wardrobe. The generously sized bathroom includes a freestanding bathtub, complemented by a separate toilet – an ideal setup for families. Not only does the garage accommodates your vehicles but also houses a separate office and laundry area.

On the property’s second half, accessible via its own driveway, lies a barn-style shed with a lofty 3-metre-tall door, allowing for convenient drive-through access. Originally comprising two separate parcels of land, they were combined post-construction of the house. If desired, the land can be divided again to suit individual needs.

Hervey Bay 4128 2188

357 Esplanade, Scarness

rh.com.au/herveybay

1 9 3 Auction Thursday 28/9

Auction Thursday 28/9

View Saturday 9th September 12.45-1.15pm

Saturday 16th September 9.00-9.30am

Auction 28th September 2023 at 7.00pm—In Rooms Web rh.com.au/hervey bay/L24021063

20 Aqualine Drive, Point Vernon

Welcome Home

Located in a quiet pocket of Point Vernon this home deserves your attention. All the hard work has been done, this beautiful home is just waiting for its’ new owner to move in and enjoy. Featuring 2-bedrooms, the main with renovated ensuite, walk-in robe & bay window, an air-conditioned Lshaped living/dining area, refurbished kitchen with quality appliances, family room, renovated main bathroom & laundry. A large screened outdoor entertaining area overlooks the manicured gardens. There is a single garage under roof plus a car/boat or caravan port with a 3m high roof & roller door. The 759 sqm block is beautifully landscaped, backs onto a reserve & has double gate rear access. With too many extras & features to mention this property should be on your must see list. Call today to arrange a private inspection or attend one of our open homes.

View Saturday 9th September 11.15-11.45am

Saturday 16th September 9.00-9.30am

Price $640,000 Web rh.com.au/hervey bay/L1070608

Hervey Bay 4128 2188

357 Esplanade, Scarness rh.com.au/herveybay

15 Kestrel Court, Eli Waters

Big House … Big Shed ...

Located in a quiet Cul-de-Sac, in the established part of popular Eli Waters, here is an airconditioned full sized, 4-bedroom home on a large 800m2 allotment with a large 2-bay powered shed. There’s 2 living areas, a computer nook, screen enclosed entertainment area, solar hot water, solar panels, seamless flooring in the double lock up garage, internal access and so much more. Close to both junior & senior schools and nearby Eli Waters shopping centre, it is just a short stroll to popular fishing lakes and only a few minutes to the golf club and Hervey Bay’s famous beaches. This property will not last on the market very long at all, interested parties should call for a private inspection as soon as possible.

2 4 4
2 2 2

Auction Thursday 28/9

Auction Thursday 28/9

49 Royal Drive, Kawungan

Charming Home Ready to Move In!

Welcome to this charming 3-bedroom, ensuite home, perfectly situated in a central location of Kawungan. This well-designed residence features a single lock-up garage with internal access, providing both security and ease of entry. Additionally, the property includes a spacious double shed, adding valuable storage and workspace options. The master bedroom boasts its own ensuite, ensuring privacy and convenience. With a prime location, thoughtful layout, proximity to shopping, a double shed, and a sizable block.

View Saturday 9th September 10.30-11.00am

Saturday 16th September 9.45-10.15am

Auction 28th September 2023 at 7.00pm—In Rooms Web rh.com.au/hervey bay/L24061150

Auction Thursday 28/9

130 Moorabina Dr, Sunshine Acres

Charming Queenslander on 5 Acres Boasting an Abundance of Potential!!

Introducing a charming 3-bedroom Queenslander boasting original character, situated on a sprawling 5-acre property. This rural gem offers an abundance of potential and serves as a private oasis where you can enjoy spacious surroundings, peace and quiet and stunning natural landscapes!! Located just 10-15 minutes from town, you have access to all of Hervey Bay’s best shopping centres, medical facilities, schools, beaches and all of the great restaurants and cafes

View Saturday 9th September 9.00-9.30am

Saturday 16th September 3.00-3.30am

Auction 28th September 2023 at 7.00pm—In Rooms Web rh.com.au/hervey bay/L23984415

191 Long St, Pialba

Potential Plus

This property at just over 1000sqm is just waiting for the right buyer to unlock its potential. The house consists of two bedrooms, open plan living, kitchen, bathroom & separate toilet all in desperate need of refurbishing ... that’s the bad news, the good news is the property has original weatherboard cladding, hardwood floors and high ceilings — a renovator’s challenge. Alternatively, given the location and the size of the block this property could be the ideal development site or land bank.

View Saturday 9th September 2.15-2.45pm

Saturday 16th September 10.30-11.00am

Auction 28th September 2023 at 7.00pm—In Rooms Web rh.com.au/hervey bay/L24039714

Hervey Bay 4128 2188

357 Esplanade, Scarness rh.com.au/herveybay

Coastal Lifestyle Home!

Spread across 2 levels, lending itself to multiple living possibilities which will suit the largest of families. The layout offers 4 spacious bedrooms, main bedroom features ensuite and walk-in robe and a balcony to capture cool ocean views and breezes. The tastefully renovated kitchen is a cook’s delight, complete with quality appliances, plenty of bench space and storage. A spacious, light filled living area and separate dining that leads out to the sunny deck, perfect for entertaining family and friends.

View Saturday 9th September 11.15-11.45am

Saturday 16th September 2.15-2.45pm

Price $1,150,000 Web rh.com.au/hervey bay/L21693817

2 2 3
1 1 2
1 2 3
3 5 4
40 Dayman St, Urangan

18 Blaxland Rd, Urraween

Neat and Tidy Family Home!

This meticulously maintained 4-bedroom, 2- bathroom home is located within the sought-after Augustus Estate. The kitchen boasts a gas stove top, perfect for culinary enthusiasts, while the living room is fitted with air conditioning to ensure year-round comfort. The double lock-up garage with internal access, provides convenience and security. The highlight of this home is the fantastic outdoor entertainment area, providing an ideal space for hosting gatherings with friends and family.

View Saturday 16th September 9.45-10.15am

Price $580,000 Web rh.com.au/hervey bay/L22717365

90 Esplanade, Point Vernon

Ultimate in Ocean Views

This “one of a kind” home points North at the tip of Point Vernon which will guarantee sea breezes and stunning ocean views, Hervey Bay has to offer. A huge upstairs open planned living area with outstanding kitchen, connecting to the versatile outdoor entertaining area, makes this is a home you will be proud of. The large dining area is perfect for hosting dinner parties or enjoying a family meal. All three generously sized bedrooms include private ensuites and ocean views.

View Saturday 9th September 10.30-11.45am Saturday 16th September 9.45-10.15am

Price $2,200,000 Web rh.com.au/hervey bay/L22119412

Fauna Lakes, 3 Shell Street, Urangan

Lifestyle Plus

Welcome to the tranquil beach lifestyle at the exclusive “Fauna Lakes Complex” in the sought-after suburb of Urangan. This gated community comprises a total of 18 units, there are 8 two-bedroom units with ensuite and a single lock-up garage, as well as 10 waterfront units boasting three-bedrooms, ensuite, and a double lock-up garage. The units are equipped with solar panels, offering environmental sustainability. There are limited units left, contact us today to arrange a viewing and seize the opportunity.

View Saturday 9th September 2.15-2.45pm

Saturday 16th 11.15-11.45am

Price On Application Web rh.com.au/hervey bay/L22630796 / L22630764

Hervey Bay 4128 2188

357 Esplanade, Scarness rh.com.au/herveybay

37 Lancaster Cct, Urraween

Looks Brand New

This beautiful property boasts 4 spacious bedrooms and 2 contemporary designed bathrooms, providing ample space for family members or guests to unwind and relax. Inside, the property has been thoughtfully renovated with meticulous attention to detail. The kitchen is a standout feature of this property, boasting modernization and functionality featuring an impressive island bench providing ample space for culinary creations and serves as a central gathering point.

View By Appointment

Price $815,000 Web rh.com.au/hervey bay/L22975176

2 1/2 2/3
3 2 3
2 3 4
2 2 4

Ready to Move In Now!

With this well maintained, 4-bedroom, 2-bathroom family home, you will get to enjoy the best of both worlds, with the lakeside directly across the road and just a short stroll to the beautiful Esplanade. The bedrooms all have built-in robes, with the master also featuring an ensuite. The well equipped kitchen overlooks the open plan living/dining area with plenty of natural light and access to the covered outdoor area, perfect for entertaining or enjoying some quality family time.

View Saturday 9th September 9.00-9.30am Saturday 16th September 11.15-11.45am

Price $649,000 Web rh.com.au/hervey bay/L5134424

56

Luxurious Renovation

This is one home you don’t want to miss out on! With 3-bedrooms, 2-bathrooms and a 2-integral car garage, this home has been completely refurbished to the highest of standards! The newly renovated spacious kitchen with stone bench tops, all new appliances and stone benchtops is perfect for the aspiring chef. The master bedroom not only has airconditioning and built-in robes but has a recently modernized ensuite. The remaining bedrooms each have built-in robes and ceiling fans. The family bathroom has also been upgraded to a luxury standard.

View By Appointment

Price $620,000 Web rh.com.au/hervey bay/L20844201

1

Welcome to 56 Washington Drive in beautiful Wondunna. Nestled among the trees on rare, in-town acreage we have an iconic 100-yearold Queenslander that’s been respectfully renovated while still boasting original character and privacy!! This incredible home features 3 great size bedrooms, a big kitchen with plenty of cupboard space and a servery that goes out onto the outdoor entertainment area. If you like entertaining guests or love relaxing your dream Queenslander awaits!!

View Saturday 9th September 12.45-1.15pm Saturday 16th September 12.45-1.15pm

Price $918,000 Web rh.com.au/hervey bay/L22682364

2 Havenna Rd, River Heads

Welcome to 2 Havenna Road in breath taking River Heads! We have a large 5-bedroom prestigious family home boasting a spacious floor plan that excites all! This Immaculate home offers the best of both worlds whether you like to entertain or just sit back and relax!! Location couldn’t get much better with K’gari (Fraser Island) on your door step! Boasting space and potential to add sheds and a pool with already having access to a double lockup garage and undercover car port which can store 4 vehicles underneath!

View Saturday 9th September 3.00-3.30pm Saturday 16th September 2.15-2.45pm

Price Submit Offer Web rh.com.au/hervey bay/L23670416

Hervey Bay 4128 2188

357 Esplanade, Scarness rh.com.au/herveybay

66 Tina Drive, Urangan

Private Paradise in the Heart of Town

With 4-bedrooms, 2 impeccably designed and modern bathrooms, this home is a testament to thoughtful planning and sophistication. The sleek and fully functional kitchen, adorned with stone bench tops, is complemented by a substantial butler’s pantry that’s perfect for culinary enthusiasts. However, the true gem of this property is the expansive deck, gracefully positioned beside the inground pool and spa. Overlooking a serene lagoon, this outdoor oasis offers a peaceful retreat.

View Saturday 9th September 12.45-1.15pm Saturday 16th September 1.30-2.00pm

Price $1,365,000 Web rh.com.au/hervey bay/L22518966

4 Banks Crt, Torquay
2 2 4 2 2 3
2 Jasper Court, Urangan Washington Drive, Wondunna
2 3
2 2 5 2 3 4

74 Pacific Haven Ct, Pacific Haven

3

Welcome to your own private oasis. Tranquil, private and grand! This elevated architecturally designed Pavilion style home proudly sits on the waterfront of ‘Cherwell River’. This masterpiece truly offers a peaceful country lifestyle, positioned on an impressive 2.14 acres of beautiful tropical gardens and one of the best crab and fishing spots right at your front door. Situated only (approx) 35 minutes to beautiful Hervey Bay and a short drive to Howard town centre..

View By Appointment

Price $1,000,000 Web rh.com.au/hervey bay/L20939533

31 Finch Court, Walligan

2

This low set spacious brick home is perfect for a family looking for the country lifestyle. Located on 15+ hectares is a wonderful family home with high ceilings 4 large bedrooms, master with ensuite and walk-in robe. A ‘chef style’ kitchen with spacious living areas, and more. Keeping the kids entertained will be a breeze as outside has an undercover patio great for family BBQ’s, an in-ground pool and a lot of room for a game of cricket! The land has 15 paddocks used for horses, cattle and sheep. 3 dams, 4 bay shed and feed shed.

View By Appointment

Price $1,450,000 Web rh.com.au/herveybay/L1074808

13 South St, Urangan

Located only two blocks back from Hervey Bays popular Shelly Beach, sits the fully refurbished hidden gem. Tucked away in a country garden, this property has been modernised to incorporate a spacious kitchen featuring flowing stone bench tops, updated appliances and open plan living. Bathroom and laundry have been stylishly renovated to incorporate light and function. Three bedrooms plus office, large outdoor alfresco space, two and half bay shed, fully fenced with good side access.

View Saturday 9th September 10.30-11.00am

Saturday 16th September 10.30-11.00am

Price Submit Offer Web rh.com.au/hervey bay/L21825854

90 Oslove Drive, Booral

2 15 4

This exceptional property offers the perfect blend of modern living and a tranquil lifestyle on a spacious 5-acre block. Four bedrooms, each equipped with split system air conditioning with the master bedroom featuring a walk-in robe and ensuite, providing privacy and convenience. The heart of the home is the chef’s kitchen, designed to inspire culinary creativity perfect for family gatherings and entertaining guests.

View By Appointment

Price $1,149,000

Web rh.com.au/hervey bay/L23221891

Hervey Bay 4128 2188

357 Esplanade, Scarness

rh.com.au/herveybay

69 Urangan St, Torquay

1 3

Positioned on a large 1214m2 block of land in the heart of Torquay is this charming 3 bedroom lowset Queenslander offering potential for development or a renovator’s delight.

Property Features:

• 3 bed, 1 bath

Functional kitchen

• Air conditioned kitchen/dining area

• Large under cover deck, great side access, shed, carport

• Superb location!

View By Appointment

Price $645,000 Web rh.com.au/hervey bay/L22287789

108 Freshwater Street, Torquay

1 1 2

This property is a fantastic opportunity to grab yourself a development site in one of the best locations Hervey Bay has to offer. Positioned only one street back from the Esplanade/ beach and walking distance to cafes, restaurants and shops. Currently has a cottage style home with two-bedroom, one-bathroom, spacious kitchen and outside patio.

View By Appointment

Price $1,200,000

Web rh.com.au/hervey bay/L17323570

15 Boat Harbour Drive, Urraween

1

This well maintained neat and tidy 3-bedroom home presents ready for you to move in, enjoying a super central location close to everything, shops, golf course, medical & cafes are all at your fingertips. Perfect for the retiree couple or those who want low maintenance, the gardens are designed for easy care leaving plenty of time to relax and enjoy the large fully screened outdoor entertaining area. Homes like this one sell quickly, call today and let’s arrange an inspection.

View Saturday 9th September 1.30-2.00pm Saturday 16th September 11.15-11.45am

Price Submit Offer

Web rh.com.au/hervey bay/L23360760

1/12 Rossington Drive, Urraween

2 2 3

Located in the renowned High View estate, you’ll experience a sense of privacy and tranquillity that is highly sought after. This 2-year-old home has been well looked after, boasting 3-bedrooms with 2 well-appointed bathrooms, including a double lock-up garage with internal access. In arguably the best locations, only minutes away from the Bayside Christian College and Hospital precinct. It doesn’t get any better, give the office a call to book an inspection today.

View Saturday 9th September 9.00-9.30am Saturday 16th September 1.30-2.00pm

Price Submit Offer Web rh.com.au/hervey bay/L13149321

2 4 1
2 3
1
3
2 3
1 3

Auction Thursday 26/10

2/12 Rossington Drive, Urraween

2 2 3

Welcome home to this, beautiful 3-bedroom, 2bathroom, double lockup garage with internal access. Positioned on an elevated battle axe block, in the idyllic High View Estate. Located only a stone throw away from hospital precinct, with a short drive to the shops and our beautiful beaches. For the home cook the kitchen is equipped with all the appliances and ample bench space for preparation.

View Saturday 9th September 9.45-10.15am

Saturday 16th September 12.45-1.15pm

Price Submit Offer Web rh.com.au/hervey bay/L13393339

141 Moorabinda Drive, Sunshine Acres

Nestled amidst picturesque surroundings, this well kept 3-bedroom, 1-bathroom lowset brick home set on the front side of a sprawling 10-acre property boasts a separate laundry, ensuring convenience and functionality. The property also includes an additional carport, offering sheltered parking for vehicles. An enticing aspect of this property is the potential for future development and subdivision. With current surveyor’s plans in place to divide the property into two 5-acre blocks, there is the opportunity for dual occupancy.

View Saturday 9th September 9.45-10.15am

Saturday 16th September 2.15-2.45pm

Price $1,175,000 Web rh.com.au/hervey bay/L23238949

21 Cunningham St, Torquay

2 2 3/4

Only two blocks away from the Torquay beach, this standalone home are to be marveled at. Soon to be completed they will be ready to be lived in. Boasting 3/4-bedrooms, 2- bathrooms and a media room, including the all-important double garage with internal access. The quality of the Ron Brown homes are second to none, keep this home at the top of your list.

Price On Application Web rh.com.au/hervey bay/L23534961 /L23535111

4/3 Totness St, Scarness

2 1 2

This single-story unit offers a central and convenient lifestyle in Hervey Bay, step inside, and you’ll be greeted by a unit that appears as though it was just built yesterday. This home boasts two generously sized bedrooms, the primary bedroom featuring its own private ensuite, while the second bedroom comes complete with built-in robes and a ceiling fan. The kitchen is a highlight, adorned with a sleek stone benchtop that doubles as a breakfast bar, overlooking the spacious living area and an extended dining room.

View Saturday 9th September 1.30-2.00pm

Saturday 16th September 10.30-11.00am

Auction 26th October 2023 at 7.00pm - In Rooms Web rh.com.au/hervey bay/L24039059

Hervey Bay 4128 2188

357 Esplanade, Scarness rh.com.au/herveybay

132 Moorabinda Dr, Sunshine Acres

We present to you a 5-acre allotment that provides a great balance of space and convenience! Surrounded by the beauty of nature, it’s hard not to embrace the tranquility and privacy of your very own tropical oasis featuring 2 Dams!! Located in Sunshine Acres, you’ll find yourself approximately 10-15 minutes from town which provides the best of both worlds between enjoying the peacefulness of a rural setting and having easy access to great shopping centres, medical and all that Hervey Bay has to offer!!

Price $550,000 Web rh.com.au/hervey bay/L23984557

9 Woodruff Crs, Nikenbah

Located in beautiful Nikenbah and in the highly sought after estate “The Springs”, we present to you 9 Woodruff Crescent a 952m2 allotment! If you are looking to build your dream home this block of land is perfect and ready!!

Price Submit Offer Web rh.com.au/hervey bay/L22609841

1 Shore Road East, Booral

Just listed, the crown jewel of 5-acre landlot with the most incredible sea views. Positioned at the end of the road yet incredibly handy to shops is this GEM, just imagine your view will never be built out again. Inspect today and put an offer in on this beauty as quick as you can or miss out.

Price Submit Offer Web rh.com.au/hervey bay/L1074072

326-364 River Heads Rd, Booral

Situated in Hervey Bay, arguably one of the fastest growing regional areas in QLD is this fully approved 32.4ha development ready site. Approved for 91, 2,000sqm (half acre) lifestyle lots, close to all amenities, including medical, retail, clubs, cafes, marina precinct all at your fingertips. This site represents a rare opportunity in regard to developed blocks similar to these already being in demand with supply not being sufficient.

Price Submit Offer Web rh.com.au/hervey bay/L23174492

1 4 3

SOPHISTICATION MEETS UNRIVALLED FAMILY LIVING

An immaculate contemporary family residence in the highly desirable suburb of Dundowran Beach. On location alone this single level home is hard to ignore, being within walking distance to the beautiful Dundowran beach and surrounded by quality homes yet exceptionally private beyond the front door. Beautifully crafted, the residence greets you with a striking facade accented by timber and stone elements and landscaped tropical gardens. Entering through the oversized timber feature door into the entry you will immediately be in awe of the grand scale and sophistication this immaculate home has to offer. With contemporary modern sophistication, this five-bedroom prestige home on a 2011m2 allotment promises to elevate your lifestyle. Boasting spectacular entertainment options, impressive and refined interiors and also offers a tranquil outlook on to the mesmerising lagoon.

• Stunning kitchen with 2 x Pyrolytic ovens, large island bench with 60mm stone benchtops

• Butlers pantry with large walk in pantry storage and additional sink

• Open plan tiled dining/family area with large sliding doors opening onto alfresco area

• Spacious carpeted living room, sliding doors onto entertaining area

• Separate media room/2nd living area with vinyl timber look flooring

• Master suite with a massive walk-in robe, ensuite, access to outdoor sitting area

• Bedroom 2 with attached ensuite and walk in robe, fan

• Bedrooms 3 and 4 with fans and built in robes

• Bedroom 5 with fan and walk in robe

Inspect By Appointment

• Stunning guest bathroom with extra-large shower, double vanity, free standing bath

• Large functional laundry with walk-in linen cupboard and ample bench/ storage space

• 19kw solar, and 3 phase power, Crimsafe, security cameras, ducted air con throughout

• 3 bay garage with epoxy flooring and internal access

• Expansive undercover entertainment area with feature timber ceiling, fans

• Built in outdoor kitchen with BBQ and double door bar fridge

• 12x9m shed with 3.2m high clearance doors, mezzanine floor power/ plumbing connected

• 2011m2 level block backing onto lagoon, side access, pop up irrigation for gardens

STACEY PYNE 0438 694 307

stacey.pyne@primeagents.com.au

5 3 7

Land size: 2011m2

17 BLUE LAGOON WAY, DUNDOWRAN BEACH offers over $1,549,000 considered

25 OSLOVE DRIVE, BOORAL offers over $945,000 considered

BIG BLOCK – BIG HOUSE – BIG POOL – BIG SHED

The family-friendly floor plan offers 4 bedrooms, 2 bathrooms and 3 large living spaces. BUT what will really impress is the fantastic outdoor entertaining area overlooking the huge inground pool - the perfect place for all the family to enjoy all year round.

The great sized 4981m2 block offers ample room for vehicles and storage with a 3 bay shed, 3 bay carport and fantastic access for the largest of boats and vans. Added benefits of solar panels, security screens and a cubby for the kids, this spacious home ticks all the boxes for family-friendly living in peaceful, rural surrounds. Located just minutes away from the barge and boat ramp at River Heads, you'll have easy access to the renowned Fraser Island, the added benefit of access through a gazetted easement also gives access through Francis Street to a boat ramp - ideal for the avid boaty and fisherman.

• Open plan kitchen, family and dining, air conditioning

• Functional kitchen with dishwasher

• Living room with timber look flooring, air conditioning

• Spacious multipurpose room with timber look flooring and air conditioning

• Main bedroom with timber look flooring, air-con, walk in robe, ensuite

Inspect By Appointment

• Additional 3 bedrooms with fans and built in robes

• Main bathroom with shower and vanity

• Large in ground pool, huge outdoor entertainment area

• 3 Bay shed with 2 roller doors and 15 amp power

• Solar panels, water tanks, cubby house, 3 bay carport

4 2

5

Land size: 4981m2

STACEY PYNE 0438 694 307 stacey.pyne@primeagents.com.au

6 GALLERY COURT, KAWUNGAN

KAWUNGAN LIVING AT ITS BEST

offers over $799,000 considered

Situated in a quiet pocket of Kawungan, 6 Gallery Court is sure to impress. With 4 bedrooms, 2 great living spaces, beautiful landscaped gardens, place for the caravan or boat AND a shed… everything is all here ready for you!

All bedrooms are complete with built in robes and fans, plus a great sized ensuite and walk in robe to the main bedroom. You will also find well-positioned kitchen, with plenty of storage, Smeg appliances, new dishwasher and a 681-litre fridge freezer that comes with purchase. Plantation shutters throughout, ducted air conditioning, Crimsafe doors and security screens, solar tinted windows and newly painted outside – there is nothing left to do but move in and enjoy!

Outside in the established gardens you will enjoy this peaceful setting from either under the patio, sitting out amongst the beautiful trees or tinkering in the shed. There is a watering system in place, water tank, herb gardens as well as solar hot water and solar panels on the roof.

Features:

• 4 bedrooms with built ins and fans

• Large ensuite and walk in robe to main

• 2 great living areas + outdoor entertaining area with pull down blinds

• Ducted air conditioning throughout

• Kitchen with ample storage, Smeg appliances and new dishwasher

Inspect By Appointment

• 681-litre fridge/freezer with 2 freezer sections to complete the kitchen

• Ducted air-conditioning and fans throughout

• Backyard watering system, water tank and herb garden

• 4x5m shed plus 6x4x3.5 caravan or boat port with concrete slab

• Solar hot water and solar panels

• Centrally located close to shops, schools and medical facilities

Land size: 800m2

2 2
4

29 WYLIE WAY, URRAWEEN offers over $649,000 considered

COMPLETE LIFESTYLE CONVENIENCE

Spring is in the air and there’s no better time to purchase a home that has everything you need. Situated in a peaceful cul-de-sac you can enjoy the serenity of this immaculate home.

This fabulous, contemporary designed home has been lovingly maintained, is beautifully presented, and is ready to move in and make some everlasting memories.

Highlighting a spacious open-plan kitchen and a covered outdoor entertainment space, revel in gentle breezes and leisurely moments with loved ones, whether it's a delightful alfresco meal, quality time with family and friends, or playful interactions with children and pets in the fully enclosed, well-kept yard and established lawn and a fuss-free garden.

Whether it be the centralised parkland, which includes a fenced dog park, or the kilometres of footpaths, the connectivity of the neighbourhood was carefully considered when this premier estate was established.

The modern, 2016 built contemporary home is centrally located, and is in close proximity to local schools, hospital and medical precincts, shopping, and so much more.

• 4 Bedrooms with Built-in

• Master Bedroom with WIR and ensuite (Air-Conditioned)

• New carpets throughout bedrooms

• Media Room

• Open Plan Kitchen, Dining and Living (Air-Conditioned)

• Spacious undercover outdoor entertainment area

Inspect By Appointment

• Solar Panels 5.6kw

• Solar Hot Water System

• Gas Cooking – Underground Gas to Property

• Low Maintenance established Gardens

• Secure -Fully Fenced 600m2

• Fully Screened

• Easy spacious side access

Land size: 600m2

4 2 2

IDEAL TOWNHOUSE - LIVE OR INVEST WITH AIRBNB POTENTIAL

Welcome to Unit 13/136 Pulgul Street, Urangan, located in the desirable Quarterdeck complex. This three-bedroom townhouse offers a fantastic opportunity for the buyer looking for townhouse living or investor looking to add to their portfolio. Sold fully furnished, this is ideal for Air BNB due to its easy access to the beach, Marina, restaurants, and the Hervey Bay Boat Club.

The property features a well-designed MasterChef kitchen, seamlessly integrated with an open-plan lounge and living area. The master bedroom, complete with an ensuite bathroom, is conveniently located on the ground level. Upstairs has two bedrooms, second bathroom and living area.

The townhouse is equipped with ducted air conditioning throughout the property, double garage with remote control and internal access plus extra space for storage. The property boasts a low maintenance outdoor entertainment area, perfect for hosting gatherings or enjoying outdoor leisure.

As part of the upmarket Quarterdeck complex, residents can enjoy the added amenities of a pool, spa, sauna, and barbecue area.

• Quarterdeck three-bedroom townhouse

• MasterChef kitchen

• Open plan lounge and living area

• Master bedroom downstairs with ensuite

• Two bedrooms upstairs with separate lounge

• Outdoor entertainment area

Inspect By Appointment

• Double garage with internal access

• Ducted air-conditioning

• Fully furnished with Air BNB potential

• Access to complex amenities – pool, spa, sauna, BBQ area

• Close to Marina, beach and restaurants and local shopping

3 2 2 13/136 PULGUL STREET, URANGAN $595,000 Michael Batterham 0401 788 792 Terese Payne 0427 842 590 SETTLE FOR MORE TERESE PAYNE 0427 842 590 terese.payne@primeagents.com.au MICHAEL BATTERHAM 0401 788 792 michael.batterham@primeagents.com.au

EXECUTIVE TOWNHOUSE IN THE HEART OF HERVEY BAY 1/29 STEPHENSON STREET, PIALBA offers over $630,000

Welcome to Unit 1 at 29 Stephenson Street, Scarness - an exceptional townhouse in a secure gated community at Hervey Bay's heart. This residence offers convenience, comfort, and style, making it an ideal home. Situated on Stephenson Street, it's close to shopping and the beach. The centerpiece is a MasterChef's kitchen with elegant Granite benchtops. The open-plan living area, with ducted air-conditioning, seamlessly connects the kitchen, dining, and two living areas. There are three spacious bedrooms with built-in wardrobes and ducted aircon. The outdoor area is perfect for barbecues and entertaining, with landscaped gardens providing natural light. Ample parking space is available for two vehicles with remote access.

Inspect By Appointment

• Three large bedrooms, ensuite to main

• Open plan living with two living areas

• Modern fixtures and fittings throughout

• MasterChef kitchen with granite benchtops

• Very private, large outdoor entertainment area

• Ducted air-conditioned, fully screened plus plantation blinds

• Double garage with plenty of storage

• Solar electricity

• Security gated complex a security-gated complex with in-ground pool

Welcome to 11 Marcocci Street, Urraween, in Central Park estate. This spacious four-bedroom home boasts an ensuite in the main bedroom, an open-plan kitchen, dining, and living area with a generous kitchen space. The property features solar electricity and offers side access for a shed or caravan on its 766m2 fully fenced lot. Conveniently located near schools, a shopping centre, and a medical precinct, it's perfect for families and individuals. This property also presents a promising investment opportunity in today's market. Whether for investment or a spacious family home, 11 Marcocci Street exceeds expectations. Don't miss this opportunity!

Land Size: 766m2

TERESE PAYNE 0427 842 590 | MICHAEL BATTERHAM 0401 788 792 TERESE PAYNE 0427 842 590 | MICHAEL BATTERHAM 0401 788 792 www.primeagents.com.au SELL YOUR HOUSE WITH US CALL US TODAY ON 4194 1754 OR SCAN THIS QR CODE TO MESSAGE US
BEDROOM HOME
FOR YOU 11 MARCOCCI STREET URRAWEEN offers over $650,000 considered
Inspect By Appointment FOUR
READY
• 4 bedrooms plus ensuite to main
• Open plan kitchen, living and dining
• Large kitchen with plenty of bench space
• Double garage
Solar
Electricity
• Side access on 766m 2 block
• Walking distance to shops and schools
3 2 2 4 2 2

UNIT 20/34-56 ELIZABETH STREET, URANGAN UNDER OFFER

ASKING PRICE!

• Two bedrooms with fans and built in robes

WE HAVE BUYERS WHO MISSED OUT AND ARE STILL WANTING TO PURCHASE IN THIS

COMPLEX! Presented to market is 'Unit 20" an immaculately presented townhouse in the highly sought after "Seachange Lifestyle Resort". The complex is ideally situated within walking distance to the beautiful Esplanade, botanical gardens, Urangan shopping centre and has all the facilities to complete a laid-back lifestyle even more desirable - pool, library, gym.

• Spacious, open plan kitchen, living and dining with air conditioning

• Functional kitchen with new bench tops, dishwasher

• Large main bathroom with shower, vanity, toilet and bath

• Master bedroom with private balcony, walk in robe, air conditioning and ensuite

• Large private patio with weather blinds

• Tandem garage with storage, Solar panels, Security screens throughout

• Access to resort facilities - inground magnesium pool, gym, library, BBQ area, caravan parking and community hall

• Walk to restaurants, botanical gardens, Woolworths shopping complex and Urangan Pier

STACEY PYNE 0438 694 307

www.primeagents.com.au SELL YOUR HOUSE WITH US CALL US TODAY ON 4194 1754 OR SCAN THIS QR CODE TO MESSAGE US Inspect By Appointment EXCELLENT VALUE IN IDEAL LOCATION! 98 HONITON STREET, TORQUAY $599,000 A fantastic opportunity to step into the property market, downsize or add to your investment portfolio. 98 Honiton Street, Torquay is ideally located within close proximity to Schools, Shopping Centre, Sporting fields and the beautiful Esplanadeeverything is conveniently located. The practical floor plan offers 4 bedrooms, 2 bathrooms, open plan living and the potential for an extra living space with a converted garage. Situated on a manageable 672m2 block with established gardens, covered outdoor area and ample garaging with a tandem carport and drive through access to a double colourbond shed this property offers a lot for a little price. • Open plan family/dining, air conditioned • Updated kitchen with dishwasher • Main bedroom with built in robe, fan and ensuite • Bedrooms 2 and 3 with fans and built in robes - 4th bedroom/study • Single lock up garage with internal access or additional living area (carpeted) • Under cover outdoor patio and low maintenance gardens • Shade cloth covered side outdoor area • Side access with tandem carport • Double colourbond shed Inspect By Appointment UNDER OFFER IN LESS THAN ONE WEEK OF BEING ON THE MARKET, WITH MULTIPLE OFFERS, ALL OVER THE
3 2 2 4 2 4
STACEY PYNE 0438 694
Land Size: 672m2
307

7 SCRIBBLY GUM COURT, URRAWEEN offers over $549,000 considered

CUL-DE-SAC LIVING AT IT’S FINEST

This perfectly positioned home is ideal for the young family or investor seeking convenience and easy maintenance. Situated in a quiet cul-de-sac, close to Schools, Shopping, and Hospital.

This home offers the easy breezy open plan internal living space which flows directly out to the substantial undercover entertaining area. This large fully fenced yard with 7 x 8m shed is situated on a dream 700m2 block awaiting your arrival with side access to the backyard, you have room to park your caravan, boat or car – the space is there for whatever you need.

The home has been well maintained and presents with a fresh and clean feel. Offering 3 bedrooms, 2 bathrooms, large yard, shed and side access, it ticks all the boxes.

Inspect By Appointment

• Open plan living, kitchen with breakfast bar

• Master bedroom with ensuite and separate toilet

• Extra wide hallways, great for wheelchair access

• Internal access from the garage straight into the kitchen

• Large undercover entertainment area

• Fully fenced yard, side access with concrete drive way

• Brand new 7 x 8m Shed

• Solar 5.6kw, Solar Hot Water System

• Located close to hospital and shopping precinct

Land Size: 701m2

VICKI MAYNARD 0439 955 576

ENJOY THE PEACEFUL LIFESTYLE 11 PARKLANDS BOULEVARD, WONDUNNA $630,000

This impressive home boasts a spacious master bedroom with an ensuite and walkin robe, plus two more sizable bedrooms with built-ins and ceiling fans. Natural light streams in through large windows and skylights, complemented by new carpeting. The open-plan kitchen, family, and dining areas create a roomy feel, and the air-conditioned living area seamlessly connects to the alfresco space. Enjoy the expansive media room and a double garage with epoxy flooring. Outside, the paved courtyard gardens are perfect for entertaining. Additional features include a 6.6 kW solar system, gas instant hot water, fresh paint, security doors, and a fully fenced, low-maintenance 660m2 landscaped lot. This home overlooks a 3.5-hectare park

Inspect By Appointment

with amenities like a children's playground, open fields, natural springs, BBQ gazebos, and walking tracks, ideal for families and outdoor enthusiasts.

• King-sized, air-conditioned master with ensuite & walk-in robe

• Full length windows as well as skylights & brand new carpet

• Spacious open plan kitchen, family room and dining area

• Air-conditioned living area opens onto alfresco area

• Huge media room & double garage with internal access

• Paved courtyard gardens - just ideal for outdoor entertaining

• Save with 6.6 kw solar system & gas instant hot water

• Freshly painted & security doors on all external entry points

• 660m 2 fully fenced low maintenance landscaped allotment

DON BRYANT 0427 225 004

Land Size: 660m2

www.primeagents.com.au SELL YOUR HOUSE WITH US CALL US TODAY ON 4194 1754 OR SCAN THIS QR CODE TO MESSAGE US
3 2 3 3 2 2

OWNERS OVER-CAPITALISED! TURN THEIR LOSS INTO YOUR

www.primeagents.com.au SELL YOUR HOUSE WITH US CALL US TODAY ON 4194 1754 OR SCAN THIS QR CODE TO MESSAGE US • Open plan kitchen, family and dining • Kitchen with stone benchtops Separate living room, carpeted with air conditioning • Main bedroom with air conditioning, fan, walk in robe and ensuite Undercover patio • Double lock up garage with internal access • Fully fenced with side access Excellent tenant in place, lease ends March 2024 • Renovated kitchen, soft close drawers, timber look flooring • Bedrooms 1 and 2 with air-conditioning, built-in robes and fans • Security screens throughout • Single lock up garage with internal access Outdoor covered entertainment area with tiled floor • Beautiful landscaped gardens front and back, garden shed • 775m2 corner block fully fenced New electrical including fans, lights, insulated roof 3 Robin Road, KAWUNGAN 4 Bed | 2 Bath | 2 Car | 630m2 1 Fiona Court, URANGAN 3 Bed | 1 Bath | 1 Car | 775m2 INSPECT BY APPOINTMENT INSPECT BY APPOINTMENT offers over $579,000 considered offers over $585,000 considered STACEY PYNE 0438 694 307 STACEY PYNE 0438 694 307 • Modern, functional kitchen with dishwasher • Dining room with timber look floors Two living areas, one with air conditioning • Main bedroom - air conditioned and walk in robe • Large undercover patio, Inground plunge pool Single bay shed 3.5 x 6 with power • Single carport, 2.3m high, with drive-through access to the backyard Fully fenced 800m2 block -2nd car/van space • Open plan kitchen and dining, air conditioned • Great size kitchen with gas cooktop, dishwasher and walk in pantry Separate carpeted living room, study with fan • Main bedroom with air-conditioning, walk-in robe and ensuite • Bedroom 2 with fan and built in robe Bedroom 3 with air conditioning, fan and built in robe • Single lock up garage with internal access • Fully fenced, great side access, 2 x parking bays for large boats/vans Solar panels 3 Kentia Court, KAWUNGAN 3 Bed 1 Bath | 2 Car 800m2 29 Sandpiper Street, RIVER HEADS 3 Bed 2 Bath 1 Car | 804m2 INSPECT BY APPOINTMENT INSPECT BY APPOINTMENT offers over $599,000 considered offers over $579,000 considered STACEY PYNE 0438 694 307 STACEY PYNE 0438 694 307 36 Esplanade, POINT VERNON 3 Bed | 1 Bath 4 Car 705m2 INSPECT BY APPOINTMENT offers over $1,175,000 considered ASH HECKELS 0418 986 867 • North-facing aspect capturing sea breezes. • 3 large bedrooms with built ins 4 undercover parking spaces • 180-degree ocean views • Renovated bathroom • Split air conditioning, Solar power • Stunning timber floorboards throughout Front & back quality stainless steel security doors 33 Wonga Street, SCARNESS 3 Bed 1 Bath | 1 Car | 610m2 INSPECT BY APPOINTMENT offers over $469,000 considered ASH HECKELS 0418 986 867 • 3 bedrooms – 2 with built-ins • Blockout blinds Split air-conditioning • Fully fenced – high and very private • SLUG with remote and internal access • Security screens • Great central location Ideal investment VICKI MAYNARD 0439 955 576 $655,000 21 Avolet Crescent, RIVER HEADS 5 Bed | 2 Bath | 2 Car | 800m2 INSPECT BY APPOINTMENT Upper Level – Queenslander 3 Bedroom with built ins • Open Plan Air-conditioned Living /Dining, Renovated Kitche • Undercover Verandah Lower Level – Modern • 2 Bedrooms, Living/Dining, Kitchenette • Spa and Entertainment Area • Split System Air-Conditioning, Solar Hot Water, Security Screens, fully fenced 18 Hayworth Street, POINT VERNON 4 Bed 2 Bath 2 Car 600m2 INSPECT BY APPOINTMENT offers over $619,000 considered ASH HECKELS 0418 986 867 • Four bedrooms with built ins, ensuite to main • Renovated ensuite and main bathroom Renovated kitchen overlooking living/dining area • Ceiling fans throughout • 5kw solar panels • New solar hot-water system • Front and rear outdoor entertaining area Fully fenced with solar powered electric gates offers over $799,000 considered offers over $899,000 considered 135 Long Street, POINT VERNON 3 Bed | 2 Bath | 2 Car | 716m2 12 Sempfs Road, DUNDOWRAN BEACH 4 Bed | 2 Bath | 4 Car | 3,071m2 INSPECT BY APPOINTMENT INSPECT BY APPOINTMENT • 3 bedrooms, 2 bathrooms, 2 living areas • OUTDURE composite deck • Outdoor kitchen, 4.5m long stainless-steel bench, insulated fly-over roof • Double car garage, new roof, automatic doors • Hot water solar system • In-ground swimming pool, fully fenced garden for children and pets • Raised aggregate concrete pathways, patios and pool area • Easy access to fabulous walking tracks and the beach • Renovated 4-bedroom home • 3 spacious, flexible living spaces • Recently painted, plus new carpet and vinyl planking • Large master bedroom, walk through to ensuite plus study nook • Ceiling fans throughout and air-conditioning to main bedroom and living room • Large block, walking distance to the beach • Great 2 bay shed with room for all the toys • Access to property from both sides of the block
GREAT HOME ON A GREAT SIZE BLOCK - CLOSE TO THE BEACH! ASH HECKELS 0418 986 867 ASH HECKELS 0418 986 867 $580,000 offers over $1,585,000 considered 4 Greenway Drive, PIALBA 3 Bed | 2 Bath | 1 Car | 670m2 9 Nautilus Court, DUNDOWRAN BEACH 5 Bed | 3 Bath | 6 Car | 2,265m2 INSPECT BY APPOINTMENT INSPECT BY APPOINTMENT • Three bedrooms with built-ins and fans, master bedroom with ensuite • Inviting saltwater swimming pool, providing endless hours of enjoyment • Two spacious living areas, accommodating various activities and socializing • Well-appointed dining area adjacent to the kitchen, fostering togetherness • Beautifully maintained established gardens, enhancing the overall ambiance • Convenient 3m x 3m garden shed for additional storage • Side access, allowing easy accommodation for a caravan or boat • Generous 670m2 block, providing ample space for outdoor activities • Parents retreat with decadent ensuite and walk-in-robe • Five bedrooms plus study/sixth bedroom and three bathrooms • Undercover entertainment area, decking and tiles surrounds. • Inground saltwater pool with pool hut • Open plan kitchen with stone bench tops, quality appliances and walk-in pantry • Air-conditioned living, dining, kitchen and media and two bedrooms. • Low maintenance gardens, dedicated firepit area • Shed 6mx6m, parking for six vehicles INVEST IN PIALBA –ULTIMATE FAMILY HOME WITH A SWIMMING POOL PRIVATE, PEACEFUL AND BEACHSIDE LOCATION VICKI MAYNARD 0439 955 576 VICKI MAYNARD 0439 955 576
GAIN!

ROOM FOR CARAVANS AND SHEDS

Welcome to 1-3 Sittella Close. This fantastic property offers a spacious and comfortable home for you to live in. With three bedrooms, ensuite to the master bedroom and built ins to all bedrooms. Open plan living to the kitchen dining and living area with air-conditioning.

The property is on a corner block that gives you the advantage of side access on both sides of the property. The double garage comes with internal access to the home and could be converted into extra rooms or living area if required. There is good side access on the 714m2 block with plenty of room for the shed, caravan or boat. Situated in a cul-de-sac, around quality homes and a great neighbourhood, 1-3 Sitella Close is only 5 mins to Woolworths, Golf Club, Hospitals, Schools and all services that you require.

areas

• Outdoor entertainment area

• Side access on a 714m2 block

• Corner block with two street access

• Room for shed, caravan and boat

DUAL LIVING 200M TO THE BEACH

INSPECT BY APPOINTMENT

THIS BEAUTIFUL HOME OFFERS A COMFORTABLE AND CONVENIENT LIVING

Welcome to 8 Alana Court, Torquay! This beautiful 4-bedroom home sits on a spacious 642m2 low maintenance block. Inside, it offers a master bedroom with an ensuite, ideal for families or guests. The property features two separate living areas, providing flexibility and comfort. A highlight is the inground plunge pool, perfect for hot summer days. The house also includes side access for caravans and recreational vehicles. Situated in a peaceful cul de sac with parkland behind, it offers a serene living environment. Equipped with 2.5kW solar panels and air conditioning, it ensures energy efficiency and comfort. The location provides easy access to amenities, schools, shops, and medical precinct.

• Low maintenance home

• 642m2 block with side access

• Inground plunge pool

• Great outdoor entertainment area

• Four bedrooms plus ensuite

• Two separate living areas plus dining room fully tiled

• 2.5kw of solar panels plus air conditioning

• Side access for the caravan or boat

• Close to all facilities such as shopping centres and sporting areas

TERESE PAYNE 0427 842 590

MICHAEL BATTERHAM 0401 788 792

$639,000

offers over $1,250,000 considered TERESE PAYNE 0427 842 590 MICHAEL BATTERHAM 0401 788 792 $565,000 TERESE PAYNE 0427 842 590 MICHAEL BATTERHAM 0401 788 792 offers over $1,290,000 considered TERESE PAYNE 0427 842 590 MICHAEL BATTERHAM 0401 788 792 $665,000 TERESE PAYNE 0427 842 590 MICHAEL BATTERHAM 0401 788 792 www.primeagents.com.au SELL YOUR HOUSE WITH US CALL US TODAY ON 4194 1754 OR SCAN THIS QR CODE TO MESSAGE US 5- 7 Manchester Court, DUNDOWRAN BEACH 4 Bed | 3 Bath | 4 Car | 4,538m2 123 Exeter Street, TORQUAY 4 Bed | 2 Bath | 3 Car | 592m2 INSPECT BY APPOINTMENT INSPECT BY APPOINTMENT • Remarkable property with stunning sea and rural views • Subdivision potential without obstructing main residence's view • Ideal for retirement or raising a family, short drive to the beach • Meticulously constructed home with open and spacious layout • Upper level: 2 bedrooms, 2 bathrooms, study • Lower level: 2 bedrooms, 1 bathroom, kitchenette • Luxurious features and finishes throughout the home • Conveniently located near beach, golf courses, medical precinct, schools, and shops • Open plan kitchen, living and dining, separate lounge • Wide hallways, wheelchair friendly • Security screens and ceiling fans throughout • Outdoor entertainment area, 5000L water tank • Double lock up garage • Powered 6x3m shed with roller door • 592m2 corner block with two street access • Close to schools, sporting facilities and local shops BREATHTAKING PANORAMIC
OVER DUNDOWRAN FAMILY HOME IN A GREAT LOCATION 5 Meadow Drive, DUNDOWRAN BEACH 6 Bed | 4 Bath | 5 Car | 4,019m2 776 Boat Harbour Drive, URANGAN 4 Bed | 1 Bath | 2 Car | 804m2 INSPECT BY APPOINTMENT INSPECT BY APPOINTMENT • Open plan main living area, office/study area • Generous main kitchen with stone benchtops and ample storage • Vast undercover outdoor space with bi-fold doors, inground pool • Master suite with two walk-in robes and ensuite • Four additional bedrooms with built-in robes, large attic connecting to fourth bedroom • Dual living or guest accommodation with kitchen, bedroom and bathroom • 3 bay shed with high clearance and double carport at main entry • Four-bedroom home • Renovated kitchen and bathroom • Covered entertainment area • 6m x 6m double shed • Fully fence 804m2 corner block • Currently tenanted • Close to major shopping, schools and Urangan Marina precinct • Ideal for investors or first home buyers
VIEWS
LIVE OR INVEST offers over $579,000 considered TERESE PAYNE 0427 842 590 MICHAEL BATTERHAM 0401 788 792 INSPECT BY APPOINTMENT • Three bedrooms with built-ins • Main bedroom with ensuite and air-conditioning • Open plan kitchen dining and living • Air-conditioning to living
1-3 Sitella Close, ELI WATERS 3 Bed | 2 Bath | 2 Car
Close to local shops and schools • 5mins to Golf Club and Hospital
8 Alana Court, TORQUAY 4 Bed | 2 Bath | 2 Car | Pool | 642m2
• Affordable Seaside Living • Choose Your Own Builder • Level Building Lots • Close to Stocklands, Schools And Hospitals LIFESTYLE BLOCKS FROM $215,000 John Bone 0433 980 948 07 4124 4941 winprojects.com.au The Images and illustrations are artist’s impressions only. Purchasers must rely on their own enquiries and the Contract for sale contact agent John Bone 0433 980 948 07 4124 4941 winprojects.com.au The Images and illustrations are artist’s impressions only. Purchasers must rely on their own enquiries and the Contract for sale contact agent
John Bone 0433 980 948 07 4124 4941 winprojects.com.au The Images and illustrations are artist’s impressions only. Purchasers must rely on their own enquiries and the Contract for sale contact agent John Bone 0433 980 948 07 4124 4941 winprojects.com.au The Images and illustrations are artist’s impressions only. Purchasers must rely on their own enquiries and the Contract for sale contact agent NEW LAND RELEASE • SECURE YOUR LOT VIA EXPRESSION OF INTEREST CALL OUR TEAM • LOT SIZES FROM 600M2 TO 1688M2 • PRICED FROM $240,000 OW N ER CHOICE OCCU PIERS Springs East Now Selling FINAL RELEASE
thespringsherveybay.com.au Spring Way 1300 METRICON metricon.com.au OPENING HOURS Open 7 Days a Week 10am to 5pm 131 828 abchomes.com.au OPENING HOURS Open Saturday to Wednesday 10am to 5pm OPENING HOURS Fri - Tues: 9am to 4pm 0448 488 374 coralhomes.com.au St Helens • • • 20 MINS FROM HERVEY BAY “Space for your Lifestyle” Saltwater CreekRd GladysSt Lawson St Fazio Road From$204,000 LOT 61 LOT 60 LOT 59 LOT 58 LOT 50 LOT 54 LOT 55 LOT 5 LOT 3 LOT 2 • 50% SOLD IN STAGES 1 & 2 LARGE ACRE SITES FROM 4000m2 TOWN WATER, POWER & NBN LEVEL BUILDING SITES • Karen Campbell 07 4124 4941 winprojects.com.au John Bone 0433 980 948 contact age nts contact age nts 0438 3 5 9 50 7 The Images and illustrations are artist’s impressions only. Purchasers must rely on their own enquiries and the Contract for sale. Karen Campbell 0741244941 winprojects.com.au John Bone 0433 980 948 contact agents contact agents 0438 359 507 The Images and illustrations are artist’s impressions only. Purchasers must rely on their own enquiries and the Contract for sale. John Bone 0433 980 948 07 4124 4941 winprojects.com.au The Images and illustrations are artist’s impressions only. Purchasers must rely on their own enquiries and the Contract for sale contact agent John Bone 0433 980 948 07 4124 4941 winprojects.com.au The Images and illustrations are artist’s impressions only. Purchasers must rely on their own enquiries and the Contract for sale contact agent

PANORAMIC VIEWS - OCEANFRONT ONTO RESERVE OVERLOOKING K’GARI

60 Fraser Street, RIVER HEADS

• North facing, architecturally designed 3 bedroomed in prime oceanfront location

• 1 Bedroom downstairs with open plan kitchen/ living with downstairs toilet and big front balcony

• Upstairs another 2 bedrooms with main bathroom and toilet

• Feature Tasman Oak floors, views everywhere with billion dollar views, steel posts making property elevated

• Same vendor for 21 years, great investment property

Chris Couper 0427 400 012

$779,000

SCARNESS - CENTRAL HERVEY

BAY - DREAM LIFESTYLE

34 Oleander Avenue, SCARNESS

• Superb 4 bedroomed 2 bathroomed residence in great central suburb of Scarness close to beach, schools, restaurants and shopping centres

• A Complete package to enjoy a tropical retirement lifestyle with side access for caravan and/ or boat to rear garage/ workshop with power

• Large open plan living to kitchen, dining and lounge room onto big rear patio for outdoor living/ entertainment onto lovely established grounds

• Single lock up garage at front with the 2nd lockup which has been turned into an extra living area

Chris Couper 0427 400 012

$659,000

TORQUAY - BEACHSIDEELEVATED POSITION - HIGH-SET

351 Torquay Terrace, TORQUAY

• Suit astute purchaser this beachside hi-set residence only 8 years old in prime blue chip location

• Downstairs features fully tiled large lounge area and 2 large bedrooms with built-in robes, office, laundry and large modern shower and toilet

• Upstairs an internal polished wooden staircase leading up to main bedroom and ensuite combined with walk-in robes, internal door and door leading to large north facing veranda

• Polished timber floors throughout with modern granite kitchen, lounge room leading out to the front large north facing covered veranda

Chris Couper 0427 400 012

$790,000

WELCOME TO 206 PALM LAKE RESORT

206/25 Burrum Heads Road, ELI WATERS

This large home featuring high ceilings and large living areas is perfect for resort style living.

• Modern kitchen with heaps of storage and bench space

• Open plan living and dining area

• 3 bedrooms master with ensuite and large built-in robes plus new carpet and air conditioning

• Very private outdoor entertainment area.

• Low maintenance garden with water tank

• Large double lock up garage with large storage

Mary-Lou Lloyd 0407 762 054

$625,000

ESPLANADE FRONTAGEOPPOSITE BEACH - SUPERB

47/835 Boat Harbour Drive, URANGAN

• Come and enjoy an ocean tropical lifestyle with spacious master bedroom off a large deck facing onto ocean, wake up in the morning and gaze at the water and relax in paradise. Ensuite and big walk-in robes

• The Lower level boasts a stylish open plan living area opening onto a large alfresco, paired with the gourmet kitchen, walk-in pantry and large retractable doors onto downstairs outdoor entertaining area, ideal for pet dog with yard

• This superb residence is designed for entertaining and enjoying this idyllic location

Chris Couper 0427 400 012

$1,175,000

BIG BLOCK – SIDES ACCESSBEACHSIDE BREEZES 1050m2

14 Richard Street, URANGAN

• This beauty has heaps of potential, load of room to park caravans, boats & motor home plus there is still space in the rear garden

• Backing onto tranquil fauna park and lakes with access to walk ways to the Botanical Gardens

• Upstairs – Kitchen, open plan living and lounge

• Rear deck with a gorgeous outlook

• 3 double bedroom plus new bathroom

• Ground floor – Large rumpus room/ office/ gym, 1 bathroom

• Double garage with workshop

• Put your stamp on this

Mary-Lou Lloyd 0407 762 054

$695,000

HERVEY BAY SPECIAL - CENTRALKAWUNGAN - 3 BAY REAR SHED

26 Durham Court, KAWUNGAN

• New to market - superb 4 bedroomed 2 bathroomed residence in great central location

• Rear patio onto rear grounds, front security gate

• Wide side access onto rear 3 bay garage, 5.9KW solar panels and reverse cycle air conditioning

• Side access for caravan, boat and all your toys plus double garage at front of house

One of Queensland’s Regional Coastal Hot Spot Properties

Chris Couper 0427 400 012

$690,000

HERVEY BAY/ HOWARD REGION - 1/2 ACRES RETREAT-

3 Philip Street, HOWARD 4659

• Finished in 2007 superb spacious 4 bedroom

2 bathroomed residence on valuable 2039m2 landscaped land

• Separate lounge then onto family/ dining room, good kitchen with dishwasher and pantry onto superb enclosed rear patio looking onto grounds for paradise living

• 3 Good sized bedrooms all with built-in robes and main bathroom tiles to ceiling and separate toilet

• Great master bedroom with ensuite and double built-in robes

Chris Couper 0427 400 012

$679,000

BEACHSIDE PARADISE LIVING - 300M FROM THE BEACH

2 William Street, URANGAN

• New to market – Full block residence on raised peers (like double brick) split level with 3 car uncover parking + workshop and remote doors

• 4th bedroom for extra family member onto bathroom ideal for elderly family member or teenagers on ground floor

• Upstairs – Master bedroom with large walk-in robe, large ensuite with double vanity and spa bath, balcony overlooking lake (Water Views)

• Another 2 bedrooms upstairs plus another bathroom

• Downstairs – Spacious lounge room with built-in brick fireplace and built-in entertainment centre plus new inverter air conditioner

Chris Couper 0427 400 012

$939,000

CHARMING BEACHSIDE MANOR - MINUTES TO GOLF

8 Tanna Street, PIALBA

• New to market superb modern 5 bedroomed

2 bathroomed residence with side access to rear garage

• Downstairs open plan lounge with bay windows onto dining room and big modern kitchen with dishwasher and walk-in pantry

• Big bedroom with ensuite and bedroom or study

• Upstairs - Large master bedroom with plantation shutters, air conditioning and walk-in robes onto large ensuite which is two way

• Another 2 bedrooms with built-in robes and plantation shutters

Chris Couper 0427 400 012

OFFERS ABOVE $690,000

BUYING - SELLING - RENTALS 0427 400 012 www.chriscouperherveybay.com
3 2 2
3 1 3
4 2 5
3 2 2
4 2 2
4 3 3
3 2 2
2 2.5 2
3 1 1
5 2 1
BUYING - SELLING - RENTALS 0427 400 012 www.chriscouperherveybay.com SELL NOW IN SPRING WE HAVE A HUGE RANGE OF BUYERS FROM ALL OVER AUSTRALIA & BEYOND DON’T UNDER SELL GET TOP MONEY WITHOUT PAYING HUGE MARKETING COSTS CALL NOW FOR ACTION! AND GOOD OLD FASHIONED SERVICE! CHRIS COUPER 0427 400 012
Phone 4128 4255 www.herveybay.realway.com.au | 363 The Esplanade, Scarness QLD 4655 LAND AVAILABLE 333 BOAT HARBOUR DR SCARNESS BLOCK SIZE 594M2 PRICE: $333,000 2 WOODRUFF CRES NIKENBAH BLOCK SIZE 925M2 PRICE: $350,000 33/30 EAST ST, SCARNESS MODERN TOWNHOUSE - WALK TO BEACH 3 BEDROOMS 2 BATHROOMS, 3 TOILETS 1 GARAGE + ADDITIONAL PARKING REMOTE ROLLER DOOR MODERN KITCHEN WITH DISHWASHER PRIVATE COVERED COURTYARD DUCTED AIRCON UPSTAIRS 800M TO BEACH AND CAFES 3 Bed 2 Bath 2 Car $487,000 LOW SET VILLA IN SECURE GATED COMPLEX 3 Bed 2 Bath 1 Car + POOL THREE BEDROOMS, MAIN WITH ENSUITE OPEN PLAN LIVING WITH AIR CONDITIONING MODERN KITCHEN WITH DISHWASHER MAIN BATHROOM, SEPARATE LAUNDRY PRIVATE OUTDOOR AREA SINGLE LOCK UP GARAGE ONSITE POOL & BBQ AREA TENNIS COURT, GYMNASIUM CURRENTLY TENANTED TO NOV 2023 106/230 PULGUL ST, URANGAN OFFERS FROM $449,000 33 ROMNEY ST, PIALBA LARGE HOME - WALK TO BEACH, CAFES, SCHOOLS & MORE FIVE BEDROOMS TWO BATHROOMS • LARGE KITCHEN WITH DISHWASHER AIR-CONDITIONED LOUNGE ROOM OPEN PLAN FAMILY & DINING AREA PLENTY OF STORAGE THROUGHOUT THE HOME DOUBLE CARPORT • UNDERCOVER OUTDOOR AREA GARDEN SHED FULLY FENCED CORNER BLOCK, 666M2 5 Bed 2 Bath 2 Car $569,000 775 RIVER HEADS RD, RIVER HEADS RETREAT ON 5 ACRES 3 BEDROOMS PLUS STUDY OR 4TH BEDROOM MAIN WITH ENSUITE & WALK IN ROBE LARGE AIR-CONDITIONED LOUNGE ROOM KITCHEN DINING WITH ACCESS TO UNDERCOVER OUTDOOR AREA MAIN BATHROOM WITH SEPARATE BATH & SHOWER FRUIT TREES. WATER TANK & TOWN WATER SECURITY SCREENS DOUBLE CARPORT DOUBLE SHED PLUS CARPORT & WORKSHOP SPACE 3+ Bed 2 Bath 5 Car $690,000 113 TORQUAY RD, SCARNESS PERFECT RENOVATOR, 1250M2 BLOCK TIMBER FLOORS TWO BEDROOMS KITCHEN DINING AREA SEPARATE LOUNGE BATHROOM SEPARATE TOILET • VJ BOARDS TO WALLS HIGH CEILINGS LAUNDRY UNDER THE HOUSE TWO CAR ACCOMMODATION TENANTED TO JANUARY 2024 2 Bed 1 Bath 2 Car $595,000 5/394 ESPLANADE, TORQUAY YOUR SEASIDE UNIT AWAITS! TWO BEDROOMS WITH BUILT-INS TWO-WAY BATHROOM SEPARATE TOILET WITH OWN WASH BASIN OPEN PLAN LIVING AREA WITH ACCESS TO BALCONY DINING AREA WITH STORAGE CUPBOARD KITCHEN WITH DISHWASHER. LAUNDRY SECURE UNDERGROUND CARPARKING RENTAL RETURN $440 PER WEEK. LOW BODY CORPORATE 2 Bed 1 Bath 1 Car OFFERS FROM $419,000 8 SUMMIT RIDGE DR, NIKENBAH SPACIOUS ENTERTAINER SOLAR POWER 9M X 6M SHED WITH POWER MAIN BEDROOM WITH AIR CON, W.I.R & ENSUITE THREE OTHER GENEROUS SIZE BEDROOMS BUILT-IN ROBES SEPARATE LOUNGE DINING AREA MODERN KITCHEN WITH GAS COOKTOP FAMILY ROOM WITH AIR CONDITIONING CEILING FANS & SECURITY SCREENS THROUGHOUT TV POINTS TO ALL BEDROOMS LARGE UNDERCOVER OUTDOOR AREA VIEWS TO K’GARI FENCED 802M2 BLOCK SIDE ACCESS 4 Bed 2 Bath 2 Car $669,000 OPENSAT 10.00-10.30AM 16/13-15 ANN ST, TORQUAY YOUR IDEAL BEACHSIDE INVESTMENT OPPORTUNITY! 2 BEDROOMS, THOUGHTFULLY DESIGNED FOR COMFORT AND PRIVACY SPACIOUS AIR-CONDITIONED LIVING AREA WITH TASTEFUL FURNISHINGS MODERN KITCHEN EQUIPPED WITH GAS COOKTOP BATHROOM WITH CONTEMPORARY FINISHES PARKING FOR YOUR CONVENIENCE SHARED LAUNDRY WITH WASHING MACHINES & DYERS WELL-MAINTAINED COMPLEX WITH LOW BODY CORPORATE FEES PROVEN RENTAL POTENTIAL FOR INVESTORS @ $370 PER WEEK 2 Bed 1 Bath 1 Car + POOL $270,000 NEW LISTING!

QUEENSLANDER STYLE HOME WITH POOL, SHED, CARPORT & MORE!

148 BIDEFORD ST, TORQUAY

TIMBER FLOORS INGROUND SWIMMING POOL

FOUR BEDROOMS, MAIN WITH ENSUITE

MAIN BATHROOM

AIR-CONDITIONED LIVING AREA

SEPARATE DINING ROOM. KITCHEN

UNDERCOVER DECK OVERLOOKING POOL LARGE LAUNDRY WITH STORAGE FRONT DECK FULLY FENCED 904M2 BLOCK

DOUBLE

Phone 4128 4255 www.herveybay.realway.com.au | 363 The Esplanade, Scarness QLD 4655 8 EARL ST VINCENT CCT, ELI WATERS INTRODUCING A SPECTACULAR WATERFONT PROPERTY! 6.6 KW SOLAR SECURITY SCREENS THROUGHOUT ALARM SYSTEM SPACIOUS KITCHEN WITH DISHWASHER 2 LIVING AREAS, ONE WITH AIRCON FISHING PONTOON WITH SUN SHELTER OUTDOOR KITCHEN COVERED OUTDOOR ENTERTAINING AREA 12M2 TOOL SHED 918M2 BLOCK 4 Bed 2 Bath 2 Car $899,000 APPOINTMENTINSPECTIONBY 18 ARCHER DR, POINT VERNON SPACIOUS FAMILY HOME, TRIPLE GARAGE – WALK TO BEACH! FIVE BEDROOMS, MAIN WITH ENSUITE BUILT-IN ROBES & CEILING FANS AIR-CONDITIONED LIVING AND MAIN BEDROOM MODERN KITCHEN WITH DISHWASHER SEPARATE LIVING AREA MAIN BATHROOM WITH BATH SEPARATE MAIN TOILET LAUNDRY SECURITY SCREENS COVERED OUTDOOR AREA FULLY FENCED 833M2 BLOCK, WITH SIDE ACCESS ELECTRIC REMOTE GATE TO FRONT OF PROPERTY CURRENTLY TENANTED PAYING $500 PER WEEK 5 Bed 2 Bath 3 Car OFFERS FROM $690,000 4 Bed 3 Bath 6 Car OFFERS OVER $880,000 FOUR BEDROOMS, BUILT INS & CEILING FANS THREE BATHROOMS. SPA BATH NEW KITCHEN DUCTED AIRCONDITIONING SIX CAR ACCOMMODATION, WORK SHOP 15 AMP TO 15X9 SHED WITH HIGH DOORS TWO LIVING AREAS, STUDY NOOK/AREA WOOD FIREPLACE GAMES ROOM/RUMPUS ROOM TWO OUTDOOR AREAS FTTC (FIBRE TO THE CURB) DOUBLE HIGH CARPORT 7 CHANTILLY ST, URANGAN ULTIMATE MANCAVE - FOUR BEDROOM HOME 12 SAMARAI DR, KAWUNGAN GET READY FOR SUMMER, POOL, SPA & VIEWS! SOLAR POWER SOLAR HOT WATER FOUR BEDROOMS, MAIN WITH ENSUITE MODERN KITCHEN, STONE BENCH TOPS & GAS COOKING AIR-CONDITIONED LIVING MODERN MAIN BATHROOM IN-GROUND POOL & SPA PIZZA OVEN DOUBLE GARAGE FRONT DECK WITH VIEWS FENCED 810M2 BLOCK 4 Bed 2 Bath 2 Car POOL & SPA $639,000 26 JONWEST CL ,TORQUAY SHORT STROLL TO BEACH, CAFES & RESTAURANTS 672M2 BLOCK WELL ESTABLISHED GARDENS SOLAR POWER 3.6KW SOLAR HWS SPRINKLER SYSTEM GAS COOKTOP AND ELECTRIC OVEN DISHWASHER WALK IN PANTRY 3 X 3 GARDEN SHED DUCTED AIRCONDITIONING THROUGHOUT FOUR BEDROOMS WITH BUILT INS & CEILING FANS SECURITY SCREENS LARGE OUTDOOR ENTERTAINMENT AREA SPACIOUS AND MODERN OPEN PLAN LIVING 4 Bed 2 Bath 2 Car $730,000 55 CORFIELD ST, POINT VERNON DUAL LIVING POTENTIAL – MINUTES TO BEACH &
2 BATHROOMS DOUBLE
GARDEN
LAUNDRY RUMPUS
BOAT RAMP 5 BEDROOMS WITH BUILT IN ROBES
GARAGE WITH INTERNAL ACCESS
SHED
ROOM DOWNSTAIRS
MAIN BEDROOM WITH AIRCON & ENSUITE SEPARATE TOILETS LOUNGE ROOM WITH ACCESS TO FRONT VERANDAH MODERN KITCHEN WITH DISHWASHER DINING AREA WITH ACCESS TO BACK VERANDAH 5 Bed 3 Bath 2 Car OFFERS FROM $755,000
CARPORT & HUGE SHED CURRENTLY TENANTED TO DECEMBER 2023 4 Bed 2 Bath 6 Car + POOL OFFERS OVER $590,000 21-29 ISLAND VIEW DR, URANGAN LIFESTYLE ON 5 ACRES! PERFECT FOR FAMILIES, THE HOBBY FARMIST 6.4KW SOLAR POWER. GAS HOT WATER THREE BEDROOMS WITH BUILT-INS & CEILING FANS MAIN BATHROOM WITH SHOWER & TOILET SEPARATE SECOND TOILET AIR-CONDITIONED LOUNGE. DINING AREA KITCHEN WITH DISHWASHER & GAS STOVE LAUNDRY WITH DOUBLE SINKS TWO CARPORTS, ONE TO FIT 4 VEHICLES DOUBLE GARAGE WITH WORKSHOP SPACE • ROOM FOR ALL THE BOYS TOYS 2700L RAINWATER TANK. BIRD AVIARY CHICKEN COOP & YARD FOR FREE-RANGE CHICKENS FRUIT TREES MULTIPLE ENTERTAINING AREAS INCLUDING POOL 3 Bed 1 Bath 7 Car + POOL OFFERS FROM $949,000 OPENSAT 11.00-11.30AM OPENSAT9SEPT 12.00-12.30PM OPENSAT9SEPT 11.00-11.30AM PRICE REDUCED!
12-14 Bideford Street, Torquay QLD 4655 herveybay.eldersrealestate.com.au Sales / Rentals: 4125 5244 sales@eldersherveybay.com.au pm@eldersherveybay.com.au Robyn Taylor 0402 588 153 Lauren Leaver 0436 485 555 Offers Above $900,000 140 Cypress Street Urangan This unique coastal home is packed with individuality and character and positioned in one of Hervey Bay’s most sought after beachside suburbs. NEW LISTING! Robyn Taylor 0402 588 153 Lauren Leaver 0436 485 555 Spacious Family Beachouse Rich in Character 4 generous size bedrooms all with built in robes • The stunning light filled master bedroom features timber floors, built in robes Spacious open plan kitchen, living and dining with large picture window • Kitchen with 5 burner gas stove, dishwasher and walkin pantry North facing deck overlooking the large rear yard with recently installed inground concrete pool Separate pool house creating a great multi-purpose area, the convenience of an additional toilet to service outdoor entertaining • Large garage perfect for van/boat and workshop, 1108 sqm fully fenced allotment with great side access obyn Taylor 0402 588 153 Lauren Leaver 0436 485 555 Centrally Located $579,000 Bill Dow 0412 644 422 John Wood 0419 796 692 4 good sized bedrooms Ensuite and walk in robe to main bedroom • Modern kitchen, plenty of bench space and cupboards Outdoor Alfresco entertainment area Double lock up garage Good side access for boat or caravan • Fully fenced 540 sqm block Close to college, major shops and hospital 28 Shearwater Street Kawungan Lowset family home looking for a new owner or investor. Price Reduced $649,000 5 Tristania Crescent Urangan Robyn Taylor 0402 588 153 Lauren Leaver 0436 485 555 NEW LISTING! Family Home in Sought After Location! 4 Good sized bedrooms all with built in robes Master comes complete with ensuite • Spacious kitchen with ample storage Open plan living and dining area with splitsystem A/C 6mx6m powered shed Fully fenced low maintenance 800sqm block • Good entertainment area Walking distance to the pristine waters of Urangan south beach This well loved property is truly where you can enjoy the lifestyle and convenience of having key amenities all within minutes from your doorstep. $649,000 John Wood 0419 796 692 Peace & Quiet on 3 Acres - Short Drive to Town 2 good sized bedrooms, 2 way bathroom plus large robe to main Huge air conditioned open plan living and dining area Modern kitchen, electric oven, gas cooktop, dishwasher with plenty of bench and cupboard space Outdoor living, balcony at front of home • Double lock up garage with extra toilet Added carport, garden shed and rainwater tank A must view - be first or miss out! This great opportunity to get out of town onto a quiet and peaceful rural property ... only a short 5 minute drive to Eli Waters Shopping Centre. This 2 bedroom home comes to the market when acreage properties are hard to find! 30-38 Lord Street Sunshine Acres Bring Boat, Caravan and Pets $280,000 17/208 Elizabeth Street Urangan • No Stamp Duty, Rates or Body Corp fees to Pay Two Bedrooms Plus enclosed area for computer Front verandah extra patio/carport at the back Modern kitchen open living area, ceiling fans Split air conditioning in living area and bedroom 1 • Bathroom with shower ,separate laundry 2 Car accommodation attached Repainted, 3 Garden Sheds, fenced yard Inground pool sauna, spa, gymnasium and community hall and BBQ area Shelly Smith 0402 152 192 Robyn Taylor 0402 588 153 Lauren Leaver 0436 485 555 Offer Over $1,299,000 56 Corfield Street Point Vernon 5 bedrooms with built in robes with study Spacious master comes complete with ensuite and walkin robe Stunning kitchen with stone benchtops, gas cooktop and quality appliances Spacious separate media/living room Open plan kitchen, dining that flows onto a fully in-closed indoor family/entertainment room with built-in BBQ bench plus bar The convenience of 2 extra rooms that could be utilised for a teenage retreat or playroom Sparkling 12.5m saltwater resort style pool • Ducted air-conditioning, 5kw solar panels and security system installed Huge 18x7.5m shed with conveyor lift and air-conditioning Great side access to accommodate the boat or van Privately tucked away, this immaculately presented property boasts a sprawling 5-bedroom home, sun-drenched resort style swimming pool, extensive parking, and a huge shed, spacious fully fenced 2,040sqm block. NEW LISTING! Robyn Taylor 0402 588 153 Lauren Leaver 0436 485 555 Stunning Location / Grand Proportions! Beachside Townhouse $525,000 106/34 Elizabeth Street Urangan You will love living in this spacious immaculately presented townhouse only a short stroll to beach, cafes, restaurants, shopping, and botanical gardens. With all the features for a great low maintenance home with no back neighbours this property is sure to impress! Pet friendly, onsite manager, well looked after complex. DOWNSTAIRS Main bedroom with ensuite & WIR with A/C system Open plan dining /dining, modern kitchen with dishwasher, electric oven, induction hot plate,range hood and plenty of storage space Laundry, under stairs storage Covered outdoor area in private courtyard Lovely front patio area, low maintenance courtyard (no mowing) Car accommodation UPSTAIRS 2 bedrooms with robes with A/C systems Main bathroom with separate toilet Facilities include Swimming pool, BBQ, gym , library Shelly Smith 0402 152 192 NEW LISTING! Robyn Taylor 0402 588 153 Lauren Leaver 0436 485 555 $535,000 3/625 Esplanade Urangan Spacious open plan kitchen, lounge and dining Gourmet kitchen with stone bench tops, glass splash backs and quality appliances. • 2 Spacious bedrooms with built in robes, master king size bedroom with spacious ensuite Expansive bifold doors opening onto the huge alfresco area, zoned ducted air conditioning throughout Secure single car accommodation, resort style pool, BBQ facility and onsite management. This apartment offers the opportunity for permanent seaside living or luxury holiday stays Robyn Taylor 0402 588 153 Lauren Leaver 0436 485 555
Sales / Rentals: 4125 5244 sales@eldersherveybay.com.au pm@eldersherveybay.com.au 12-14 Bideford Street, Torquay QLD 4655 herveybay.eldersrealestate.com.au $285,000 77/14 Ibis Boulevard Eli Waters No body corp! no rates, no stamp duty Immaculate well-maintained home High ceilings in living area Modern kitchen with heaps of cupboards, electric cooking with stainless steel appliances and built in microwave Modern bathroom, 2 good size bedrooms Separate lounge and dining, laundry with built in ironing board Security screens and doors, ceiling fans throughout Air conditioning in lounge area & main bedroom Verandah, garden shed, side access, easy maintenance gardens Car accommodation to fit 2 vehicles with lockup remote control roller door • No pets allowed, community building, Bowls green, In ground pool & BBQ area Shelly Smith 0402 152 192 Offers Over $270,000 48/14 Ibis Boulevard Eli Waters 2 Good size bedroom with built in robes and air conditioning Room behind garage for office or workshop Modern kitchen with heaps of cupboards, electric oven, hotplates and rangehood Bathroom with modern shower, separate laundry & toilet Fans and security screens throughout Plenty of windows with light to shine through the home Quality flooring and décor, enjoy the breezes on a new verandah Low maintenance established gardens Garage with remote lockup, garden shed 14 solar panels Shelly Smith 0402 152 192 Offers Over $800,000 Lakeside Living On 1015m2 - Owner Ready to Go! 21 Lady Nelson Drive Eli Waters 4 large bedrooms, ensuite to main Recently renovated modern kitchen Air conditioned living areas and main bedroom Fans throughout, 31 solar panels - 9kw Double lock up garage with internal access • Recently painted inside and out, new carpets Large wrap around verandas with screens Side access with extra carport Lake views throughout house Shelly Smith 0402 152 192 NEW LISTING! NEW LISTING! $725,000 36 Turrum Street Scarness 4 Bedrooms all with built in robes Large master comes complete with stylish ensuite and walkin robe Ultra modern kitchen with stone bench tops, 5 burner gas cooktop, pyrolytic combi steam microwave oven and dishwasher • Spacious open plan kitchen, dining and family Separate living/media room • High ceilings and air conditioning throughout, 3 klw solar panels Fully enclosed outdoor entertaining deck with built in bbq and bar fridge allowing all year entertaining Double remote garage with internal access, 684 sqm block with side access Conveniently located close to beach, major shopping, restaurants and schools NEW LISTING! Robyn Taylor 0402 588 153 Lauren Leaver 0436 485 555 $260,000 11/14 Ibis Boulevard Eli Waters Open plan living and dining area with high ceilings Split air conditioning in lounge room 2 good size bedrooms with built in robes Modern kitchen heaps of cupboards, electric oven, hotplates • Bathroom with modern shower • Separate laundry Fans throughout, security screens Plenty of windows and light Quality flooring and décor Lovely covered outdoor entertainment area - conditions apply Enjoy the breezes reading a book or having a BBQ in the outdoor gazebo area • Carport, large garden shed with power, NBN • No need for a car everything is in walking distance Facilities include inground pool, BBQ area, bowls green and community room Situated in an ideal location, walk to the Woolworth’s shopping complex and medical centre, Golf course only 5 mins away, this well-maintained home is ideal if you’re looking to downsize Over 50’s village, No Rates, No Bodycorp, No Stamp Duty NEW LISTING! Owners Want This Home Sold ASAP Smith 0402 152 192 Robyn Taylor 0402 588 153 Lauren Leaver 0436 485 555 Offers Over $590,000 Shelly Smith 0402 152 192 2 large bedrooms • 2nd bedroom has a 2 way bathroom Study/media room, laundry Main bedroom with ensuite & walkin robe Chef kitchen with stone benchtops, dishwasher, all electric cooking • Open plan lounge/dining room featuring high ceilings Plantation shutters, split system air conditioning in living area and main bedroom • A beautiful sunlit outdoor tiled Alfresco area Security screen and crimsafe door screens Easy maintenance fenced courtyard Total floor plan under 160sqm • Double lockup remote garage 48/5 Serenity Drive Eli Waters A perfect retirement over 50’s lifestyle, less than 6 months old, corner block located in a gate complex, easy stroll to walking paths!! Enjoy community club & swimming pool. Position is Everything!! $529,000 9 Matthew Drive Urangan Robyn Taylor 0402 588 153 Lauren Leaver 0436 485 555 A Perfect Opportunity! 3 bedrooms with built in robes Spacious kitchen with good storage and bay window Open plan dining and living area with cathedral ceiling Newly renovated bathroom, laundry and toilet Security screens and air conditioning • Single garage Undercover outdoor entertaining deck Fully fenced low maintenance 607sqm block This well presented single level home is centrally located and is the perfect first home purchase or investment. Price Reduced $380,000 358 Torquay Terrace Torquay Robyn Taylor 0402 588 153 Lauren Leaver 0436 485 555 Golden Opportunity - Vacant Block in Torquay!
land close to the ocean is extremely rare, particularly in Torquay, one of Hervey Bay’s most central and desirable beachside suburbs. Surrounded by high-end contemporary homes and within walking distance to trendy cafes, restaurants and gorgeous swimming beaches, this is an outstanding opportunity not to be missed. With this 992sqm elevated block, you can custom design and build a stylish multi-level lifestyle home that maximises height to showcase glorious views whilst inviting in an abundance of natural light and gentle sea breezes. Robyn Taylor 0402 588 153 Lauren Leaver 0436 485 555 Bring the Boat and Van!! Offers Over $540,000 3 generous bedroom, all with ceiling fans and built-in robes, additional study Two-way bathroom • Separate lounge and dining areas Large modern kitchen with plenty of cupboards, dishwasher and ample bench space and storage, quality appliances & servery Air conditioning to living area, security screens, fully tiled throughout Extra carport plus heaps of storage, covered outdoor entertainment area Front remote controlled security gates Fully fenced, 916 sqm block 5 car accommodation 6 Burnett Court Eli Waters Plenty of shed space with the first shed being 6 x 6 meters with an electric door. The big shed is 9 x 8 metres with an electric 3.3 metre high door and mezzanine level. Shelly Smith 0402 152 192 $595,000 Great Location - Elevated Above Sea Level!! 3 good sized bedrooms with built ins and fans 2 separate full bathrooms Large open plan air conditioned living area with separate dining Massive outdoor undercover entertainment area Sparkling inground swimming pool, set on a 1000 sqm block • Close to schools, major shopping centres and hospital John Wood 0419 796 692 19 Andersen Avenue Urraween Robyn Taylor 0402 588 153 Lauren Leaver 0436 485 555 Genuine Offers Welcome Unique Dual Living Opportunity! 19 Pineapple Avenue Torquay Main House: 3 bedrooms, built-ins in 2, and ceiling fans to all 3 Open plan living, separate dining leading to outdoor entertainment area Central kitchen, gas cooking, ample bench & cupboard space Single bathroom and separate laundry Double carport Great side access to both dwellings Studio: 3 bedrooms, 1 bathroom Open plan living / dining / kitchen, electric stove Double carport Great retreat for teenager or Granny Good long term tenants in place John Wood 0419 796 692
Vacant

with 2 bay, carport and bathroom

• Plenty of room for boats, caravan & additional vehicles

• 3091m2 block

200 Metres to Beach

• Spacious home on large 3914m2 fully fenced beach-side block

• Versatile & family friendly layout

• 4 bedrooms plus home office or 5th bedroom

• Private balcony’s from three bedrooms looking out over the beautiful gardens

• Oversized living areas - lounge and

Offers over $1,200,000

downstairs rumpus room

• Central kitchen with plenty of cupboard and bench space

• Plenty of room for a pool

• Double garage under main roof with direct house access

• Large powered shed with bathroom

30 Meadow Drive, DUNDOWRAN BEACH

Beautiful Burrum Heads…989m2

• 4 beds; study ; 3 baths; 4 x Living Spaces

• Ducted Air Conditioning,

• Shed (9m x 5m)

• R.V Carport (3.2m High)

• Large Kitchen

• Fully Fenced

• Solar Panels approx..9 KW

• Stroll to Beach approx.. 400m walk

$849,000

13 Bentwood Street, BURRUM HEADS

4128 6600 2 Ansons Road, Dundowran Beach www.rayedward.com.au FLEUR KEYS SALES CONSULTANT 0437 835 212 fleur@rayedward.com.au CAMERON WHEWAY SALES CONSULTANT 0431 995 485 cam@rayedward.com.au WARREN GRAY SALES CONSULTANT 0419 706 799 warren@rayedward.com.au Stunning Sea & Rural Views Offers over $900,000 considered 70 Mal Campbell Drive, CRAIGNISH • 4 bed 3 bath • Ducted air-conditioning • Ducted vacuum system • Stunning sea& rural views • Formal dining room • Designed for family living • Large rear deck for entertaining SHAUN EDWARD PRINCIPAL 4128 6600 shaun@rayedward.com.au Investor Special $625,000 11 Julie Street, DUNDOWRAN BEACH • 3 bed 2 bath • Master with ensuite • Sea Views • Ducted airconditioning • Close to beach and local shops • Solar power • Enables investor to get into Dundowran Beach • File photos as tenant in place Modern Home – Great Views Offers Over $1,100,000 59 Straits Outlook, CRAIGNISH • Modern 6 year old home on large block • Large outdoor entertaining area with views to the ocean • Open plan living, dining & kitchen • Spacious master bedroom with ensuite & WIR • Double garage with internal access • Shed

5 Acre Blocks Minutes to the City

Offers Over $500,000 Considered

Lot 1 Dundowran Road; 2.001ha/4.94

Lot 2 Dundowran Road: 2.028ha/5.01 acres. An Easterly aspect with wide frontage. A good dam site (STCA) at the back of the block. Best block for horses. UNDER OFFER

Lot 3 Dundowran Road: Homestead Block (Not Available)

Lot 4 Dundowran Road: 2.544ha/6.28 acres, The largest of the blocks. Easterly or Southern aspect, Access to 3 Phase Power.

Lot 5 Craignish Road: 2.204ha/ 5.44 acres, Southerly aspect. Wide frontage. UNDER CONTRACT

Lot 6 Craignish Road: 2.04ha/4.96 acres, Southerly aspect. Good frontage. Traditional rectangular shaped block. A good dam site at the rear of the block. UNDER CONTRACT

FEATURES OF ALL BLOCKS:

• Level land

• 5 Minutes to Hervey Bay’s Northern beaches

• 15 Minutes to Stockland Shopping Centre

• 5 Minutes to Craignish Shopping Village

• 10 minutes to Eli Waters Shopping Centre

• Less than 10 minutes to Xavier College and Yarrilee State School

• Individual Cross Overs installed

• Power to the front of each Lot

• 5 Acre blocks this close to the beach are very rare

Please contact our office to arrange an inspection. There are cattle currently on the blocks and live fencing.

4128 6600 2 Ansons Road, Dundowran Beach www.rayedward.com.au

Presenting five 5 Acre blocks in Dundowran. Situated in an ideal location close enough but far enough from town so you can enjoy acreage living with city conveniences. Each block has its own features and each block is priced at Offers Over $500,000 Considered. acres, An Easterly aspect with a creek on the Northern boundary to a dam. Note the trees on the Northern boundary are protected. Dundowran Rd & Craignish Rds, DUNDOWRAN
* ALL IMAGES ARE INDICATIVE ONLY

SAVE $25,000 ON HALF-ACRE

BLOCKS

HURRY! OFFER AVAILABLE FOR LIMITED TIME ONLY! *

Situated within close proximity to village shops, local schools and Hervey Bay town centre, this is the perfect time to embrace a sea change or start your retirement dream on the Fraser Coast.

• Blocks from 2,000m2 to 2,920m2

• Now priced from $312,000 to $395,000”

• $25,000 savings available for a limited time only*

• Titles anticipated end 2023

Rod Marks 0408 619 491 markspartners.com.au

Details, prices and status are correct at time of publication and subject to change without notice. Images and representations may be indicative only, not of actual property featured. Purchasers should inform and assure themselves by inspection or independent advice prior to purchase. *Subject to Government eligibility criteria (Average land price $363,393. June 2023). *$25,000 discount available to next 10 sales between 1 July 2023 and 30 September 2023. Offer is subject to change at any time without notice View the site at 62 Mahalo Road Booral (eastern end of Mahalo Road) For more details or to arrange an inspection contact Rod Marks rod@markspartners.com.au 0408 619 491
Located on 45 hectares of gently undulating land complete with sweeping vistas of the Great Sandy Straits and Fraser Island, Fraser Vista is arguably the best new water and island view address on the Fraser Coast..

25 KATHLEEN CRESCENT WONDUNNA PRICE: $930,000

SUBURBAN OASIS ON 1971sqm

25 Kathleen Crescent is a suburban oasis, featuring a beautifully presented family home with sublime indoor/outdoor living on a 1971sqm block close to town.

The open plan living area is the hub of the home. The generously sized kitchen features a 900mm freestanding cooker, walk-in pantry and plenty of bench-space and adjoins the central living/dining area, while the separate lounge is at the front of the home. Enjoy the serenity of the peaceful surroundings from the front veranda or entertain year-round in the undercover alfresco and cool off in the large saltwater pool. This is the ideal opportunity to purchase your own suburban oasis. Don’t miss your chance, contact Rod to arrange your inspection.

4 2 2

• 4 bedrooms all with built ins. Ensuite & WIR to Bed 1

• 2 living areas plus undercover alfresco

• Modern swimming pool and landscaped yard

• Large 2 car garage plus undercover storage.

• 1971sqm block

• Close to sporting fields, shops, schools and esplanade.

For more details or to arrange an inspection contact Rod Marks | rod@markspartners.com.au

Stage 6 at Azure is now selling. Build your new home in this connected community close to your everyday conveniences.
Land from $183,000 to $260,000
12 Lucinda Street Eli Waters Price: $627,940 4 Bed, 2 Living, 2 Bath, 2 Car • Spacious open plan living with separate media room • Under roof alfresco
600sqm block with 5m side access
Completion due November 2023 LAND AND
AVAILABLE NOW
markspartners.com.au *Prices and status are correct at time of publication and subject to change without notice. Images and representations may be indicative only, not of actual property featured. Purchasers should inform and assure themselves by inspection or independent advice prior to purchase. *Average land price $203,600. Home + Land prices valid for contracts signed prior to 22 February 2023. *Average house and land price $549,000. #Home+Land packages are sold as separate contracts for land purchase from developer and construction contract with builder.
• Blocks from 500sqm to 800sqm • Construction well advanced • Titles anticipated Oct/Nov 2023
HOMES
Rod Marks 0408 619 491
0408 619 491
|
Inspection by appointment. Rod Marks 048 619 491

This illustration is indicative for marketing purposes only. Please refer to the developer for detailed and accurate block information.

STAGE 2C

STAGE 4C

STAGE 4B

Call today on 1300 705 405 Sales Office 2 Richard Charles Dr, Kawungan Email living@kingstonherveybay.com.au LAND. LIFESTYLE. LOVE. www.kingstonherveybay.com.au Land For Sale COMMUNITY AREAS NBN READY MEDICAL & CARE FOOD & SHOPPING FULLY SERVICED
4B Titled
4C Titled
2C Titled 36 37 17 24 23 19 22 20 21 18 11 12 13 14 15 16 38 39 40 41 42 25 26 27 28 29 30 31 32 33 34 35 6 5 4 10 1 9 8 2 3 7 58 57 51 50 49 48 47 46 163 140 162 43 45 44 151 143 142 165 164 141 147 137 148 146 145 149 150 144 117 118 122 121 120 119 66 65 158 159 64 63 160 161 54 55 53 52 56 152 153 108 107 154 155 106 156 157 744m2 795 m2 790m2 744m2 738m2 667m2 814m2 744m2 744m2 740m2 688m2 684m2 688m2 684m2 739m2 67 744m2 744m2 739m2 739m2 744m2 803m2 702m2 802m2 612m2 619m2 601m2 602m2 602m2 611m2 851m2 792m2 792m2 792m2 792m2 792m2 948m2 902m2 729m2 795m² 536m2 536m2 536m2 536m2 728m2 908m2 772m2 892m2 833m2 746m2 745m2 717m2 703m2 803m2 804m2 725m2 735m2 809m2 725m2 752m2 761m2 705m2 704m2 800m2 916m2 805m2 870m2 758m2 784m2 750m2 773m2 896m2 916m2 833m2 821m2 711m2 712m2 713m2 714m2 715m2 817m2 826m2 754m2 826m2 772m2 861m2 726m2 726m2 805m2 817m2 724m2 983m2 790m² 900m2 842m2 790m2 790m2 790m2 1208m2 561m2 70 71 72 73 62 61 82 77 76 75 59 60 701m2 707m2 922m2 742m2 674m 742m 742m 714m2 742m 714m2 892m2 89 714m2 90 805m2 789m2 81 91 701m2 701m2 80 92 701m2 701m2 79 93 701m2 701m2 78 94 701m2 701m2 96 95 783m2 753m2 74 648m2 714m2 788m2 69 103 97 68 788m 104 788m2 788m2 105 648m2 801m2 102 802m2 101 100 691m2 670m2 99 98 678m2 858m2 116 139 854m2 138 700m2 701m2 115 714m2 114 109 714m2 110 714m2 113 714m2 112 820m2 111 776m2 83 900m2 84 770m2 85 770m2 86 770m2 87 770m2 88 770m2 N Urraween Road Main Street Milkman Way Messer Drive L oui s Wa y R ic har d Ch a r le s D r v e Watermelon Way Canecutter Court A m y Cou r Mackay Drive KINGSTON HERVEY BAY PARK
Stage
Stage
Stage
Expected Titles Aug 2023 STAGE 5B Expected Titles Aug 2023 STAGE 5A Expected Titles Aug 2023 STAGE 5C
TITLED TITLED TITLED
L ive the life in Toogoom 515 Oregan Creek Road – Toogoom5 Bed I 3 Bath I 5 Car Beachside Resort Home. Huge Pool and massive pavilion, tennis court. This is the life in Hervey Bay. Contact Steve on 0409 006 511 Offers from $1.5M 1922 Churchhill Mine Road 235 acres with DA Approval For 14 Lots - Right near Torbanlea Train Building Facility. Amazing development opportunity. Contact Steve on 0409 006 511 $2,500,000 70 Porpita Circuit – Toogoom 4 Bed I 2 Bath I 5 Car In as new condition, this lovely home sits proudly on a level 2,015m2 allotment and it’s less than 5 minutes-walk from the beach. Contact Steve on 0409 006 511 Offers from $1,050,000 118 Esplanade - Toogoom 3 Bed I 2 Bath I 3 Car Experience the ultimate beachside lifestyle with this charming Queenslander located straight across the road from 7 klms of pristine sandy beach at Toogoom Contact Steve on 0409 006 511 Offers from $850,000 2 Wave Court - Toogoom 4 Bed I 2 Bath I 2 Car In excellent condition, this lovely four-bedroom property sits perfectly on a corner allotment giving great vehicle access to the side yard. Less than 2 minutes-walk to the beach. Contact Steve on 0409 006 511 $699,000 7 Beachside Court – Toogoom 4 Bed I 2 Bath I 4 Car Amazing four-bedroom home, so close to the beach!. Incredible indoor / outdoor living with plenty of room for the van and the boat Contact Steve on 0409 006 511 Toogoom’s #1 Real Estate Team 2/6 Jeppesen Rd, Toogoom QLD 4655 | Phone: (07) 4128 0040 www.allenproperty.com.au
from $900,000
Offers

Turn static files into dynamic content formats.

Create a flipbook