Hervey Bay Advertiser and Hervey Bay Property Guide

Page 1

WE WANT YOU TO BE A PART OF OUR GYM COMMUNITY • UNLIMITED CLASSES $30PW • GROUP CLASSES • NO SIGN UP FEES • NO CANCELLATION FEES • PERSONAL TRAINING • CHILD MINDING CALL ALI TODAY ON 0417 652 484 f Coastal Wastewater Specialists PRE-PURCHASE INSPECTIONS 07 4128 8019 www.cwws.com.au A FAMILY OWNED & OPERATED LOCAL BUSINESS QBCC LIC: 15249942 HOME SEWERAGE TREATMENT SYSTEMS We use and recommend SUPPLY • INSTALL SERVICE • REPAIR EPOXY FLOORS PAINTING 0418 410 965 QBCC 1133418 www.classiccoatings.com.au Fixed or Variable Interest Rate? Need advice? Ph: 0407 699 022 SELL YOUR HOUSE WITH US MESSAGE US ON g OR primeagents.com.au 4194 1754 May 18, 2023 Awarded BEST FREE NEWSPAPER in Queensland YOUR NUMBER IN REAL ESTATE oneagencyfc.com.au FRASER COAST New Real Estate Photographer on the Fraser Coast Paul Robins, a former local pub manager and visual creator enthusiast, has shifted his focus to the real estate industry as a new Real Property Photography franchisee in the Fraser Coast region. Equipped with a passion for visual marketing, Paul aims to help homeowners and agents showcase their properties in the best possible light with the support of one of Australia’s leading real estate visual marketing providers. Phone: 0499 366 482 www.realpropertyphotography.com paul@realpropertyphotgraphy.com.au
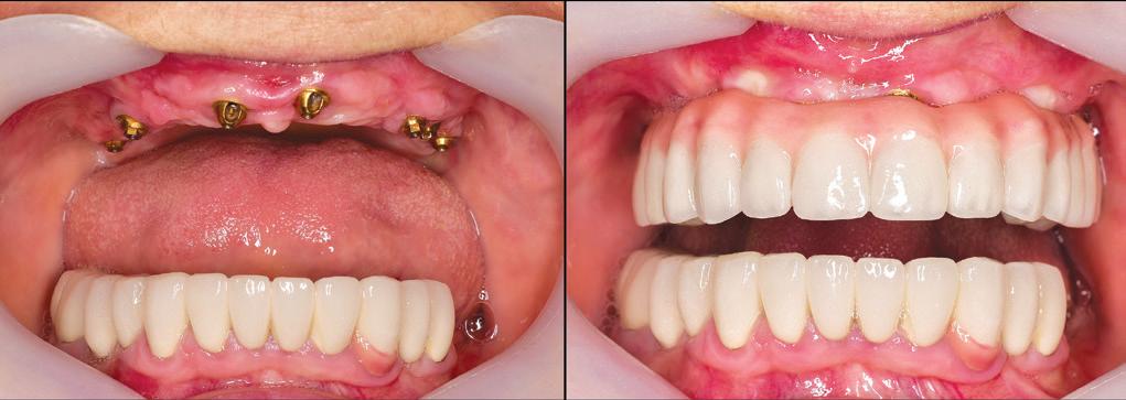
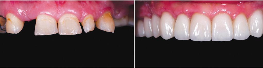
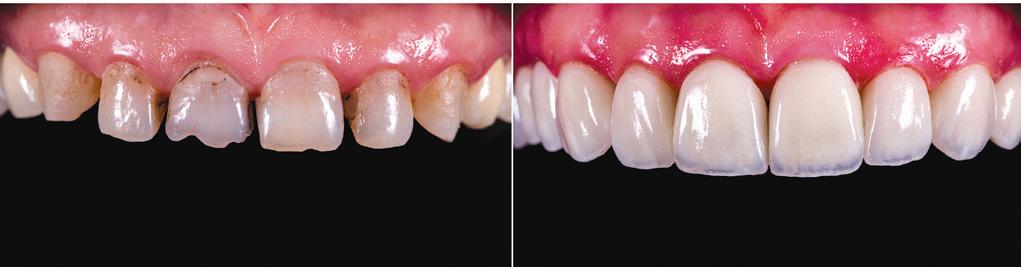
All Health Funds Accepted Michael Carson a Shop 4, 10 Liuzzi St, Pialba p 4124 0800 e info@mydentureplace.com.au w mydentureplace.com.au Revolutionary INTRAORAL SCANNER is here IF YOU GOT YOUR DENTURES OVER 6 YEARS AGO, IT’S TIME FOR A NEW ONE 3D imaging your gums for the perfect fit! Precise Durable Consistency Digital backup Customisable Convenient CAD DESIGNED DIGITAL DENTURES AVAILABLE NOW IN HERVEY BAY NEW My Denture Place - Michael Carson a Shop 4, 10 Liuzzi St, Pialba | p 4124 0800 e info@mydentureplace.com.au | w All Health Funds Accepted If you got your Dentures over 6 years ago, It’s tIMe for Revolutionary INTRAORAL SCANNER IS HERE 3d imaging your gums for the Perfect Fit Precise CAD designed Durable Miled from premanufactured Consistency Same set of reproduced Digital backup Can be remade Customisable Many shades available Convenient Faster to make, CAD Designed Digital Dentures available now in Hervey Bay new! COPY DENTURES
you’re happy with your current FULL dentures, we can copy them for youno impressions required.
If
PHONE: (07) 4129 7132 MOBILE: 0427 297 132 G&D ROSS BUS CHARTERS 1197 Bidwill Road, Maryborough QLD 4650 e: rossbuscharters@bigpond.com www.ganddrossbuscharters.com.au WHO,S FOR TAMWORTH 2024? GET IN FAST WHILE SEATS ARE STILL AVAILAB LE ON THIS POPULAR TOUR! $990 per person THURSDAY 18/01/24 TO TUESDAY 23/01/24 All bookings must be followed by a deposit of $100 within 14 days to hold a spot. The balance and final payment must be received by the 11/11/22 Conditions of Cancellation –• 1 month before tour a full refund will be given. • Within 21 days of the tour a partial refund will be given. • Within 14 days of the tour no refund will be given. BUS BED & BREAKIE We have planned a trip just for you ALL FOR JUST $3300 PER PERSON The trip is from 18th of September up to and including 28th of September, with Country/Western, Rock’n’Roll entertainment every night from 12 different artists. This is our 11th year doing this trip. THE GREAT WESTERN PLAY & STAY MUSICAL TOUR 2023 BUS, BED, BREAKFAST, NIGHTLY MEALS & ENTERTAINMENT For more information or to book; contact Greg or Donna at G & D ROSS BUS CHARTERS Taking Bookings Now for a 2nd Coach

Mike and Nate Cornish will be travelling to the Fraser Coast and Gympie areas for 4 days only from June 7th - 10th. We want to buy your unwanted items listed below. Please visit us at one of the venues shown below for an on the spot appraisal.

If you live outside the area, or have too many items to bring in and would like a home visit, phone Nate on 0426 820 646 NOW to arrange a time.

These events are often compared to the ‘Antiques Roadshow’ on TV, but without the long queues. Don’t miss this opportunity!

If you have concerns about coming due to Covid, please call for a Home Visit. Fully Licensed Antique, Numismatic, and Precious Metal Buyers with over 45 years Industry Experience. Security Supplied by Security International Limited.

Are you moving or downsizing? Are you worried about security? Unwanted coins or antiques?

Damaged jewellery? Are you no longer collecting? Do they sit in a drawer or cupboard? Are the family not interested? Would

Gold & Silver Jewellery

All Modern, Vintage & Antique Jewellery, Rings, Chains, Bracelets, Earrings, Brooches, & Pendants, All Worn or Broken Jewellery

Military Medals

Australian Military Medals

Silver Coins

Aust. – Crowns, Half Crowns, Florins, Shillings, Sixpences, Threepences, all coins from NZ, Great Britain, Fiji, South Africa, USA, Canada, Misc Silver Coins & Tokens, and all Other World Coins

Silver

Sterling Silver, Tea Sets, Cutlery, Trophy Cups, Trays, Baskets, Vases, Photo frames, Jugs, Mugs, Cigarette & Card Cases, Bullion Bars

Jewellery

All Jewellery, Rings, Diamond and other stones, Coral Jewellery, Brooches, Pendants, Lockets, Bracelets & Bangles, Gold Cuff Links, Necklaces, All Broken or Worn Jewellery

Decimal World Notes Predecimal World Notes Error and Misprint Private & Trading Bank Notes Specimen & Cancelled Notes
World Notes Mike
Bank Notes (Aust. & World)
All
All Other Military Medals Orders & Decorations Bravery & Long Service Medals Groups & Accumulations
All Watches (Modern & Vintage) Any Condition – working or not, Omega, Rolex, Tudor, Seiko, Longines, Tissot, Breitling, Tag Heuer, Cartier, Hamilton, Gold, Silver, and Other Watches, and all Pocket Watches.
the money be more of use to you? For any questions or home visit requests phone Nate 0426 820 646 Heritage International www.heritageint.nz No Appointment necessary. No need to sort or clean coins. We’ll buy 1-10,000 items. Fully vaccinated buyers. Covid safe environment. FRIDAY 9TH JUNE MARYBOROUGH THURSDAY 8TH JUNE HERVEY BAY Maryborough Services & Citizens' Memorial Club (Lennox Room) 9:00am – 12:00pm 163-175 Lennox Street Hervey Bay RSL (Boardroom) 9:30am – 1:00pm 11 Torquay Rd, Pialba SATURDAY 10TH JUNE MARYBOROUGH Maryborough Services & Citizens' Memorial Club (Lennox Room) 9:00am – 12:00pm 163-175 Lennox Street Home Visits 12:00pm – 6:00pm Phone 0426 820 646 For a Home Visit Home Visits 1:00pm – 6:00pm Phone 0426 820 646 For a Home Visit Home Visits 12:00pm – 6:00pm Phone 0426 820 646 For a Home Visit WEDNESDAY 7TH JUNE GYMPIE Gympie RSL (Rhythm Room) 9:30am – 1:30pm 217 Mary St, Gympie Home Visits 1:30pm – 6:00pm Phone 0426 820 646 For a Home Visit Silver & Gold Bars, Pendants • Any size or weight, even unspecified • Any condition • All brands including ABC, Perth Mint, Harrington, Engelhard, Geomin, and all other brands • Also Platinum & Palladium coins/ bars Buying Now

REACH HIGHER

UNLEASH THEIR CREATIVE POTENTIAL AT ST JAMES

At St James Lutheran College, we pride ourselves on state-of-the-art contemporary learning spaces to offer an exceptional educational experience for all of our students.

Our innovative approach focusses on unlocking every students full potential and allowing them to chase their dreams and reach as high as possible.

We are truly passionate about creating future leaders and supporting every pursuit. We believe each and every student has limitless potential.

If you are interested in discussing your child’s future at St James, please contact us for a personal tour of the college.

138-172 Pantlins Lane, Urraween
4128 5500
|
registrar@stjameslc.qld.edu.au
ENROLMENT OPPORTUNITIES AVAILABLE
NOW!
inspired to learn – empowered to serve
FI4976 *Get any size for the price of a single in the corresponding range. The Any Size for a single offer must be completed in the original transaction, during the promotional period. The upsized mattress, will be the same brand and model as the original mattress chosen. Selected brands only. Mattress only. Exclusions apply. Super King not available on all mattresses. *Terms and conditions apply, see in store for details. The full Forty Winks terms and conditions can also be found on www.fortywinks.com.au/terms-conditions. You must be a Qantas Frequent Flyer member to earn points. Membership and points are subject to the Qantas Frequent Flyer program terms and conditions, available at qantas.com/terms. A joining fee usually applies however, Forty Winks customers can join for free. Qantas Frequent Flyer members will earn 2 Qantas Points per $ 1 spent (usually 1 point per $1 spent) on selected mattress purchases made between 17/04/2023 to 07/05/2023 from participating Forty Winks retail or online stores and must present their Qantas Frequent Flyer membership number at the time of purchase. Not valid in conjunction with other Forty Winks promotions which enable members to earn Qantas Points by purchasing products. Qantas Points will be allocated within 14 days of the product delivery date. Hervey Bay 127 Boat Habour Drive, Pialba (opp. the cinema) Ph: 4194 5099 fortywinks.com.au * Must endSunday! PLUS PLUS ANY SIZE FOR THE PRICE OF A SINGLE QANTAS POINTS DOUBLE Earn 2 Qantas Points per $1 spent (usually 1 point per $1) Get ANY SIZE mattress, even a SUPER KING, for the price of a single!

Is youth crime a problem that we can jail our way out of?

THERE is little doubt that the issue of youth crime is a major talking point in many communities across the county, including ours.

The beat on the street in Hervey Bay is of a growing problem.

It’s not a solved problem as some of our local politicians might like to purport in keynote addresses. Amongst my friend groups and associates, opinion is fairly divided about the best way to deal with this growing social issue. It is also emotionally heightened amongst those directly impacted as victims, as you can justifiably expect.

I am certainly no expert, but like most, I have a view.

Youth rehabilitation vs incarceration are the two most discussed approaches to dealing with young offenders who have committed crimes.

LETTERSTOTHEEDITOR

Council says “this is the cheapest option”, but is it the best?

On reading the Advertiser (May 4 2023), I am bemused by both comments made by our council and letters supporting them! Does council’s “cheapest option” include all associated works and the proposed Maryborough admin building? Which raises the question, does our region need two new admin buildings?

The small public support for this $100,000,000 also is of concern. Some don’t seem to

know who is going to pay! We are, $40 million from taxes and $ 60 million from rates and charges. That is if the project stays on budget?

But the real issue, is, is the corner of Main Street and Torquay Rd. Is Pialba the best location for a Regional Council’s chambers? Which in fact is within a flood prone area?

What impact if any will it have on the rest of our region?

OH, that is right, they will be helping to pay for it.

Myositis Awareness

May is Myositis Awareness month globally and this is the 20th anniversary dedicated to help raise awareness to the public, as not many people have heard of the problem.

The funding for research comes from bequests and public donations, but this is very limited, that is why the Hervey Bay Men’s Shed decided to come on board with a donation of $500.00 to help in some way.

The cheque for this amount will be handed over to Mr Robert Anderson, Regional Co-ordinator of the Bay Area Myositis Group, at a fundraising event to be held on

With the dual aim of reducing crime and promoting public safety, I believe youth rehabilitation is generally considered a greater long-term solution to incarceration. Rehabilitation focuses on addressing the root causes of criminal behaviour, whereas incarceration is primarily punitive in nature.

As a community, we need to address the underlying issues that led to the criminal behaviour in the first place.

Many young offenders come from troubled backgrounds and may have experienced trauma, abuse, neglect, or other forms of adversity.

These experiences can contribute to a range of problems, including poor mental health, substance abuse, and social dysfunction.

Friday 26th May.

Thanks to the members of the Mens Shed for their generous donation, more donations are always welcome, if you would like to donate please visit www.myositis.org. au.

Thanking You

Leon Baldwin - President Hervey Bay Men’s Shed Publishers Point

I have been following your editorial for the last few weeks and have noted that there is a recurring theme of ‘dog bashing’ happening. I have been a resident in

By providing youth with the support and resources they need to overcome these challenges, rehabilitation programs can help them develop the skills, resilience, and self-esteem necessary to avoid future criminal behaviour.

Sounds simple, I know.

It is a complex and emotive problem. Incarceration can have lifelong consequences, including stigmatization, limited employment opportunities, and difficulty re-integrating into society. Offending often has lifelong consequences for the victims of crime and their families.

I just don’t think we can jail our way out of systemic problems.

Send us an email or leave a comment on our Facebook page and tell us what you think.

Urangan for the last six years and have exercised my senior dog on the Margaret Street leash free beach every day for this time. Occasionally dogs will have a bit of a scuffle but nearly always, the owners will have the situation under control quickly.

10 months ago, I took on a Jack Russell puppy because his dying owner knew I would give him a good life.

I have taken him to puppy preschool, passed with flying colours. Have enrolled him with Hervey Bay Dog Obedience, and he is now in Intermediate class and is doing well. He also had basic

training with a local dog trainer.

However, sometimes he makes mistakes, and because he is a friendly well socialised pup he gets excited and jumps on people wanting a pat, I always correct this action by putting him on a lead until he settles down.

According to your opinion and lots of your contributors, he should be kept on lead at all times.

I guess we all make mistakes from time to time, same as dogs. Pity some of our mistakes couldn’t be leashed. I have been to the Maryborough markets

find us on 66 Torquay Road, Pialba | Enquire Today 4125 9552 Gift vouchers available. sales@5startint.com.au • TINT STARTING FROM $295! • INTERIOR PROTECTION • CERAMIC PAINT PROTECTION • UNDERBODY RUST PROTECTION WE OFFER A MAINTENANCE KIT FOR OUR PROTEKTIV PRODUCTS SO YOU CAN CONTINUE PROTECTING - AT HOME! PROUDLY SUPPORTING Page 8 | Hervey Bay Advertiser | May 18, 2023 THE PUBLISHER’S POINT Got something to say about THE PUBLISHERS POINT? Send us an email to edit@herveybayadvertiser.com.au or send a message via Facebook or Instagram
Got something to say? Send your letters to: edit@herveybayadvertiser.com.au or send a message to our Facebook or Instagram pages

this morning and was disappointed to see a large No Dog sign in the park adjacent. I have always sat in the park with my dogs, listened to the entertainment, enjoyed a coffee and cake and have never seen any nuisance dog behaviour. Now I can’t do this because of this rule, and the stallholders miss out on my purchases. Can’t believe this bureaucratic nonsense.

Your comments “fuel the fire” of people who dislike dogs and the council has obviously had a “knee jerk reaction” to all the rhetoric.

Just to finalise my rant, I would suggest that people who don’t like dogs should not go to off leash beaches, there are plenty of others to enjoy.

Will be eagerly waiting to see if my comments are published.

The long term eyesore at the Hervey Bay Marina continues unresolved

Hervey Bay has long been a city of high unemployment and gross underemployment.

While health, education and tourism are our main drivers for employment, the blocked off, unstable and unsafe boardwalk at the Marina, which is a State Government responsibility, continues to hinder tourism best practices. This issue has continued

unresolved for (much) more than 10 years, reflecting our State Government’s lack of care for Hervey Bay’s amenities, safety and marina presentation.

While our State member of Hervey Bay remains silent on resolving the issue, I am perplexed by his apparent poor fit for this role.

He simply seems to struggle to connect with our community.

We should never accept living with this eyesore but rather seek a new, better suited State Member for Hervey Bay (at the State elections next year) that will tackle this long term issue and restore the presentation and functionality of our Marina to an acceptable level.

Shame on our Hervey Bay State Member forefathers for not resolving this issue over a very long time.

Phil Waser – Pialba

Vaping

Vaping is worse than cigarettes. You are inhaling many more doses of whatever soft metals are in the coil which burns the juice to make the vapour. Hospitals have documented cases of wet lung and cancer that is much faster than cancer onset from regular smoking. And it is an unregulated market.

Bring back normal prices on tobacco. This was ridiculous in the first place.

Reader – Hervey Bay Leave Main St as is David Brandt and Delma Taylor’s letters says it all. Fraser Coast is one of the top lowest social economic areas. The percentage of the population on some form of government sustenance is just under 50% last I read. So this new high rise council chambers planned for Pialba is out of the question. Sounding very like the water park story. MP Andrew McNamara received $5M grant for some project. Last time I enquired it had so far cost $16M and much has been spent since then so guessing this council buildings costs will perform similarly but on a grander scale. Why not build a new library on the land between the current building and PCYC or on the land in Charles St and cancel that 16 storey high rise? With so much done on computers these days surely demand for space at Tavistock Street must decrease. Reduce red tape and build on. We will never have a CBD as planned towns had. Life has changed. Even Surfers Paradise doesn’t have one. Leave Main St as is.

Jill French - Point Vernon

per kg $999 Scotty’s Mad About Meats Bay Plaza, Torquay Road, Pialba | Phone 4124 MEAT Bacon Hocks per kg $1999 Meaty Bacon Bones WHILE STOCKS LAST $499 per kg Lamb Loin Chops LETTERSTOTHEEDITOR f May 18, 2023 | Hervey Bay Advertiser | Page 9 hervey.bay@parliament.qld.gov.au 4183 8100 Adrian TANTARI MP Member for Hervey Bay Agreatvarietyofnutritious,convenient, home-stylereadymeals,pies&burgersavailable tothepublicforpickupordelivery. (Conditions Apply) FROZEN MEALS SUPPORT YOUR LOCAL COMMUNITY ORGANISATION CALL OUR FRIENDLY TEAM TODAY 39A Islander Road, Hervey Bay – 4128 1334 78 Walker Street, Maryborough – 4121 4297 www.mowfc.org.au

• A focus on good customer service from the moment of entry until departure

• To provide you with the highest standard of dental care in a safe and healthy environment

• To strive for pain-free and positive treatment outcomes

• A fair and competitive pricing structure

AT BLUE SKY DENTAL

• To make every effort to run on time, our aim being to see you within fifteen minutes of your appointed time

• Manageable treatment plans

• To make every endeavour to see you on the day if you have an emergency

• Child-friendly environment to allow your little ones to feel relaxed and comfortable

1 William Dean Ave, Urangan (near the airport) P 07 4128 9276 www.blueskydental.com.au

NEWSINBRIEF

Priority Crossing improves safety on rail trail

The safety of people using the Mary to Bay Rail Trail will be improved by installing a concrete raised priority crossing in Ann Street at its intersection with Boat Harbour Drive. The project has been awarded to local company Jac Civil, and it

is anticipated that work will start in early May and be finished in mid July 2023, weather permitting.

Visit the Fraser Coast Council website to read more https://www.frasercoast.qld. gov.au/all-news-articles

Interested Growers

The HB Orchid Club is holding the ‘Interested Growers Group’ at the

Orchid House. Details as follows

Venue - HB Botanical Gardens, Orchid House

Date - Sat 27 May 2023

Time - 10am (Tea & Coffee available - BYO food)

There will be an array of orchids on show, plus demos for repotting, splitting, helpful hints -this includes ‘brag plants’ plus those orchids heading for cloud land :) All are very welcome.

33 Designs

More Than Just Scooters SALES • HIRE • SERVICE 'The Widest Range of Quality Scooters & Mobility Aids on the Fraser Coast' 2/42 Torquay Rd, Pialba Ph 4124 6433
Page 10 | Hervey Bay Advertiser | May 18, 2023 Shop 15 - Melory Place - 53 Torquay Rd Monday to Friday 9.00am - 4.00pm Saturday 9.00am - 12.00pm replenishrefill.com.au BULK BEAUTY PRODUCTS | HOMEWARES ECO CLEANING | BATH AND BODY | BABY AVOIDING THE DENTIST?
Outside hours
TIME TO SEE THE FRIENDLY TEAM
Opening Hours: Mon to Thurs 8.30am-5pm | Friday 8.30 to 1.30pm
appointments are available by prior arrangement

$25k on offer for Fraser Coast National Art Prize

ARTISTS are being rallied to submit works for the inaugural Girra: Fraser Coast National Art Prize.

Entries are now being accepted until 21 June 2023.

The prize offers an exciting opportunity for contemporary artists working in any visual art form to showcase their work and potentially become a significant early acquisition for the newly focused art collection of the Fraser Coast.

Acting Director and Senior Curator at the University of Queensland Art Museum and Art Prize judge Peta Rake said she was honoured to be involved with the competition.

“Butchulla Country is well regarded for its natural diversity and its strong cultural connections to country, so I am humbled to be asked to be part of this jury,” she said.

Rake said the prize on offer would make a real difference to an artist’s career.

“I am looking forward to seeing a diverse range of applications--from the

emerging to established artists-that are deeply thinking about the importance of storytelling and enduring narratives,” she said.

“A prize of $25,000 is a transformational amount of money for an artist.

“This level of support goes a long way to develop new projects and ongoing studio practices.”

Fraser Coast Regional Councillor David Lewis said the new initiative would be an important key in cementing the Hervey Bay Regional Gallery (HBRG) as a place of consequence known for excellence.

“The HBRG was recently referred to as the best regional gallery in Australia by a nationally renowned artist,” he said.

“We hope other artists will recognise this and decide to join us by entering Girra.”

Cr Lewis said he was hoping to see a diverse offering of works entered.

The finalists’ exhibition, held at the Hervey Bay Regional Gallery 23 September to 12 November 2023.

More information about the prize is available at https:// hbrg.ourfrasercoast.com.au/ fraser-coast-national-artprize-1

M
C
4194 5959 56 TO R Q UAY R OA D P I A L B A May 18, 2023 | Hervey Bay Advertiser | Page 11
A
& M A C B O O K R E PA I R S

May in the Bay delivers a very epic local event

THE WIDEBAY Rodders brought Hervey Bay alive over the May long weekend when they presented their annual May in the Wide Bay event. The hugely popular Esplanade Cruise was the highlight of Saturday afternoon, with hundreds of beautiful Hot Rods, Classics, Australian and American Muscle Cars, along with Vintage Motorcycles streaming along the foreshore. The Sports and Recreation Precinct was the new home for the Show and Shine Day, and it was an incredible success.

“Last year, our May in the Wide Bay event raised over $30,000 for the local community and attracted people from all over the country to Hervey Bay,” said President Allen White.

“We are still working through the outcomes of this year’s event and look forward to announcing our 2023 charity recipients soon.”

“This year, with the move to the Sports and Recreation Precinct, the event has exploded again and affirmed its place as the biggest event of its kind in the country.”

The Fraser Coast Regional Council has pledged support for the event for the next three years, ensuring the vital local tourism driver remains vibrant and growing.

“This event injects between $2.5 and $3 million dollars into our local community. There were well over 3,000 visitors to the event.”

“We cannot thank the vision of the Council and all of our other valued sponsors enough.

Our volunteers were fantastic and worked tirelessly to put together an amazing event.”

“Major events like this offer a window into the hobbies of fellow residents, give enthusiasts an opportunity to showcase their hobby; provide locals an outing and importantly, they attract people to the Fraser Coast.”

“The Wide Bay area has the highest concentration of Hot Rods in Australia, and we had entrants from all over the country make their way to Hervey Bay for this event.”

The WideBay Rodders conduct other events throughout the year, including coffee runs to support local businesses and Hang Out Nights at Stockland. Check them out on Facebook.

hello@bigbosscollectables.com.au www.bigbosscollectables.com.au 0413 673 867 YOUR LOCAL CARD COLLECTING STORE 5, 56 Torquay Road, Pialba Visit Our Website Page 12 | Hervey Bay Advertiser | May 18, 2023 HC O NALPSE OATHAR OURDRIVE M LER TR T ETTY ROA NARU ER SE RMEH N PA Urangan Fisheries Retail Ph 4125 2621 860 Boat Harbour Drive Urangan Find Us on G Urangan Fisheries Pty Ltd Valid 12/11/2020 - 25/11/2020 • Specialising in fresh local seafood • Bulk buy at wholesale prices • Gourmet seafood pies now available • Stock up on our tantalising range of local crumbed products • Bait & Ice available OCEAN AUSTRALIA RAW SCALLOP OCEAN AUSTRALIA CRUMBED SCALLOP COOKED KING PRAWNS $32/kg* 330g PACK 300g PACK $1565/ $17/ Urangan Fisheries Retail Ph 4125 2621 860 Boat Harbour Drive Urangan Find Us on G Urangan Fisheries Pty Ltd Valid 18/05/2023 - 01/06/2023 • Specialising in fresh local seafood • Bulk buy at wholesale prices • Bait & Ice available • Stock up on our tantalising range of local crumbed products Straight from the sea to you CHECK OUT THIS WEEK’S GREAT SPECIALS CRUMBED AUSTRALIAN WHITING FILLET BUTTERFLY FLAKE FILLETS $20.00/1 kg bag $19.60/kg Bewelcomedintoacomfortable modernenvironmentbyourfriendly team. Discussyourdentalhistoryandhealth whilehavingacomprehensive examinationofyourteeth,gumsand mouth. Ourcaring,experienceddentistwilltalk aboutyourpreventionandtreatment optionsandgiveyoutheopportunityto askquestions. WhattoExpectatYour DentalAppointment Yourteethwilllook andfeelclean.

A safe haven for women in crisis - Myriam Cottage

MYRIAM Cottage will never be promoted for it’s location for a specific reason. It is a safe haven for women in desperate need of accommodation as they are victims of domestic violence, sexual assault or undiagnosed PTSD symptoms. Often these ladies need confidential safe lodgings and require collaborative support for healing to take place, says President of the complex Alicia Ann Wade. “We provide support to women who are fleeing mental health issues or at risk of homelessness. We aim to empower our residents to rebuild their lives and reach their full potential. Our services are so important as we see the increasing percentages of these local issues, which are all on

the rise in our community. We understand that our haven is very much needed in this community.”

Relying on funding from grants, donations and fundraising, the volunteers are a mixture of formally qualified mental health, counsellors, disability, nursing and crisis workers and also have valuable “lived experience”.

The founder of Myriam Cottage is Marie Gibbon who wanted to honor her mother Myriam by fulfilling her mother’s greatest desire; to provide a home for the homeless and the poor. The family purchased the property as an interim measure until such time that Myriam Cottage could purchase the house in its

own right.

Myriam Cottage is a “shared house facility” with 4 single bedrooms. It is surrounded by beautiful gardens and several outside spaces where residents can enjoy some peaceful and restful alone times.

Since commencement of operation in 2016 the cottage has run at full capacity with a ‘waiting list”. More than 80 women have been provided with supported accommodation, with many obtaining employment before leaving and have kept in touch with staff often at times referring other women in need. For further details, visit their website on https:// myriamcottage2016.wixsite. com/myriam-cottage

May 18, 2023 | Hervey Bay Advertiser | Page 13 Limited services available at Hervey Bay Regional Gallery. Visit the Libraries page on Council’s website for more information www.frasercoast.qld.gov.au/libraries Public libraries are a partnership between Local Government and the Queensland Government through State Library of Queensland. frasercoast.qld.gov.au/libraries TEMPORARY CLOSURE FROM 14 JUNE FOR ROOF REPAIRS HERVEY BAY LIBRARY BUILDING The Neighbourhood Hive 184 Boat Harbour Dr, Pialba Saturday 17 June 2023 12pm to 4pm FREE Where: When: Time: Cost: More info Join us at the FREE public Expo with stalls selling organic vegetables, seeds, cuttings and more. There will be Electric Vehicles and Scooters on display and bush tucker demos! Bookings will be essential for mini-lectures from experts on topics such as growing leafy greens, recycling, small ecosystems, your health and climate change Sustainable, Edible, Native! Expo - Sat 17 June 2023 Save the Date to share ways to put the environment first Managed by:

St James Lutheran Church

‘Called to Share’

New Honour Board unveiled at hospital

WIDE BAY Hospital and Health Service has unveiled an Honour Board to recognise its Fraser Coast Medical Education Awardees.

The Honour Board was designed and donated by the Hervey Bay Woodcrafts Club, which is linked to the health service through retired Hervey Bay Hospital surgeon Dr Henk Van Rooyen.

Russell McCaliece, the President of the Hervey Bay Woodcrafts Club, crafted the beautiful board out of special 7 ply laminated hoop pine.

Director of Clinical Training for Hervey Bay Hospital Dr John Inderhaug said the health service was grateful to the Hervey Bay Woodcrafts Club for putting their time,

effort and expertise into the Honour Board.

“It’s wonderful to have the Hervey Bay Woodcrafts Club support our hospital and provide us with an Honour Board that highlights the outstanding educators within our local hospital team,” Dr Inderhaug said.

“To have skilled members of the club design and craft it provides our hospital with a high-quality Honour Board which also has a true connection to the community that we partner with and support each day. It is from the Community, for the Community.

“It adds to that connection that a former member of our team, Dr Van Rooyen is

a member of the club and contributed to the creation of the Honour Board.

Dr Van Rooyen served at Hervey Bay Hospital as a staff specialist surgeon for 18 years from 2003-2021, and held the position of clinical director in 2003/2004 and again in 2006/2007. He also served as the University of Queensland (UQ) Rural Clinical School Hervey Bay Discipline Lead for Surgery and Senior Lecturer for many years. The Honour Board was unveiled by Dr Inderhaug and by the UQ Rural Clinical School representative Associate Professor Penelope Prasad at the April Grand Rounds.

Page 14 | Hervey Bay Advertiser | May 18, 2023 COSMETIC DENTAL CROWNS & BRIDGES DENTAL IMPLANTS FIXED IMPLANT DENTURES • GENERAL & EMERGENCY DENTAL • CHILDRENS DENTISTRY • DENTAL IMPLANTS • COSMETIC DENTAL • CROWN & BRIDGES Suite 2, 70 Torquay Road, Pialba 4128 2185 www.pialbadental.com.au DR GURBACHAN LAL B.D.S M.CLIN DENT (IMPLANTS) DR MONIKA GUPTA B.D.S DR MAREK ROHOZINSKI B.D.S MS RITA FIU B.Oral.Hlth Trusted by the Hervey Bay community since 1982 DR JAMES CHIEN B.D.S Please call for a free measure and quote on any of our products Phone 4125 4127 1 Kruger Court, Urangan | www.herveybayshades.com QBCC 1058883 Crank-IT Channel Awnings Wide choice of colours Easy crank handle operation Motorised control Can be installed in hard to reach areas Will withstand the harshest of coastal exposure No need for ropes/pulleys or awkward tie down points ORDER NOW 9am every
Urraween
- West of Hospital
Sunday
Road
Medical Honour Board Rachel Baird, Amanda Walden, Mark Thomson and Jacqueline Haskew were among the 2022 Fraser Coast Medical Education Awardees whose names are on the Board.

Sydney Writers’ Festival Streamed Live to the Bay

SYDNEY Writers’ Festival

Live & Local program comes to Hervey Bay in 2023 to bring the best of the festival direct to Hervey Bay Neighbourhood Centre.

One of Australia’s most loved forums for literature, ideas and storytelling, Sydney Writers’ Festival will live-stream its headline events to Hervey Bay Neighbourhood Centre on Thursday 25, Saturday 27 and Sunday 28 May.

This year’s Festival will stream live events to over 50 different local areas in regional Australia which Hervey Bay is fortunately part of. This offering to audiences provides access to new ideas across the country, and the opportunity to participate in sessions by sending questions direct to the Sydney stage.

This will involve conversations, debates and discussions featuring some of the world’s finest writers and thinkers. The program includes crime novelist Jane Harper who will talk about her new crime novel Exiles. Also Pulitzer Prize-winning author and journalist Geraldine Brooks discusses her bestselling novel Horse and much-loved radio host and author Richard Fidler delves into his recent book The Book

of Roads & Kingdoms.

Audiences are able to participate in live Q&A sessions at each event, sending their thoughts via SMS straight to the Sydney stage.

With this year’s festival theme, Stories For The Future, in mind, the events cover various topics spanning from food to politics and technology to comedy.

Live to the Bay, culinary icons Stephanie Alexander

and Maggie Beer reflect on their decades-long friendship and decorated careers which have transformed how Australians think about food and the future of Australian politics is unpicked by political correspondent Barrie Cassidy and other Australian political commentators.

Join like-minded readers and thinkers to ponder, debate and revel in the literary festivity this May.

Meet the team at Bay Chiropractic Centre

Dr Tracy Suzanne BSc ( Chiro ) MClinChiro

Dr Tracy holds a Masters Degree in chiropractic and has previously been a registered nurse and remedial massage therapist. She is an excellent practitioner that takes a patient centered approach and uses a variety of techniques to gain best outcomes and to care for people of all ages, from infants to the elderly.

When she is not caring for patients, you will find her spending time with her family and exploring this beautiful region.

Dr Mary Bausbacher D.C.USA

Dr Mary graduated from the University of California, San Diego with a Bachelor of Science degree in Physiology before completing her Doctor of Chiropractic degree from Life Chiropractic College in 1989. She moved to Australia in 1990 to satisfy her long term desire to travel to this country. Her and her husband Craig purchased the practise in 1994 and have watched in grow from strength to strength. She is passionate about chiropractic and the benefits of a healthy lifestyle.

Dr Adam East BSc D.C. ( UK )

Dr Adam is an experienced Chiropractor working for the last 35 years in his own multi-doctor practice in Brisbane.

He has been visiting the Wide Bay area for many years and now lives in Burrum Heads. Adam has been involved in the cricket scene as both coach and helping his four sons in their sporting endeavours.

Dr Will Pollard D.C. USA

Dr Will has practised for several years in the USA and Australia. A Bachelor of Science graduate of Southwest State University, majoring in biology and elementary education. Will also has a Doctor of Chiropractic degree specialising in chiropractic orthopaedics. Will’s interests are music and sport and has worked with local rugby league clubs in the past. Will brings a wealth of knowledge and experience to the team.

May 18, 2023 | Hervey Bay Advertiser | Page 15 To make an appointment please call Bay Chiropractic Centre 4124 1313 Shop 3/55 Main Street, Pialba
4128 9643 EVERYONE IS WELCOME at THE BOAT CLUB Children prices under 14yrs. *T&C's apply. Select drink range. Images for display purposes only. $30.90 Mon & Tue Mon & Tue from 6:00PM $12.90 $21.90 Plus a Schooner or Wine! 250g Rump steak... NATURAL NEW ZEALAND $12.95 $12.95 FRIDAY'S & SATURDAY'S 4:00 PM - 6:00 PM * * Everyone is welcome at The best view in the Bay!
Jane Harper

PAUL has spent most of his career in the hospitality industry, managing pubs throughout south east QLD. But his love for the creative arts, specifically video, has been a long-time passion. He has filmed various weddings throughout his time, and now, he's turning his focus to the real estate industry.

"I've always had an interest in real estate," Paul said. "I love the idea of helping people sell their homes by showcasing them in the best possible light."

Paul also has some history in real estate, having owned and operated a Raine and Horne franchise with his father and brother. This experience has given him a deep understanding of the industry and the skills needed to succeed in it.

But it's Paul's creativity that truly sets him apart. He has a unique eye for visual marketing and a passion for creating beautiful, compelling imagery. He's excited to bring his skills to the real estate industry and help agents and homeowners alike

present their properties in the best possible way.

"I think that visual marketing is more important now than ever before," Paul said. "With so much competition in the real estate

industry, new tools to promote property such as social media, it's essential to have high-quality, eyecatching photos and videos that really showcase a property's best features."

Paul is now leading a Real Property Photography franchise in the Fraser Coast region, and he's wasted no time in canvassing the area for opportunities. Backed by one of

Advertisement
You might know his face from running around any one of three local watering holes in Hervey Bay and Maryborough, but now, Paul Robins is bringing his talents to a new industry: real estate photography.
“I’ve always had an interest in real estate,” Paul said. “I love the idea of helping people sell their homes by showcasing them in the best possible light.”
“I think that visual marketing is more important now than ever before,” Paul said. “With so much competition in the real estate industry, new tools to promote property such as social media, it’s essential to have high-quality, eye-catching photos and videos that really showcase a property’s best features.”
“I’m really excited to be doing something that I’m passionate about,” Paul said. “I love working with people and helping them achieve their goals. Whether it’s selling a home or promoting someone’s investment, I’m committed to providing the highest quality service possible.”

Grants support community groups and sporting clubs

FRASER Coast sporting clubs and community groups will share in more than $88,000 in Council grants to improve their equipment and facilities.

“The grants will help clubs and groups to invest in a range of new equipment, from trailers to take equipment to events, to shade structures and canteen upgrades,” Fraser Coast Mayor George Seymour said.

“These clubs are so important for our community. Supporting them helps to make the Fraser Coast remains a vibrant, active and healthy community.”

Council supported 24 applications through Round 3 of the 2022-23 Community

Grants Program, with only $60,055 left to be allocated in Round 4.

More information is available at https://www.frasercoast.qld. gov.au/grants

Round 3 successful grants for Hervey Bay include:

• Burrum District Community Men’s Shed, equipment and materials for workshop, bathroom and stormwater management, $3,000;

• Rotary Club Hervey Bay Sunrise, box trailer to transport gear to service functions, $2,500;

• Burrum District Outrigger Canoe Club, shade marquees, $3,670;

• Riding For The Disabled Association Hervey Bay, covered accessible

parking space, $5,340;

• The Uniting Church in Australia Property Trust (Q) represented by Hervey Bay Uniting Church, Burrum Heads Memorial Wall and Garden, $4,140;

• Fraser Coast Historic Vehicle Club, defibrillator, $1,220;

• Hervey Bay Archers, defibrillator and two laptops, $2,450;

• Fraser Coast Bicycle Users Group, Mary2Bay Rail Trail upgrades, $9,840;

May 18, 2023 | Hervey Bay Advertiser | Page 17 Our professional & friendly team is committed to providing THE BEST DENTAL CARE to our patients in a relaxed environment. Online bookings www.auradental.com.au MONDAY TO FRIDAY 8AM – 5PM 4194 2225 YOUR SMILE IS OUR PASSION PASSENGER SUV 4WD LIGHT TRUCK 175/70R 13 $74 175/65R 14 $84 195/65R 15 $105 205/65R 15 $105 205/55R 16 $114 205/60R 16 $114 215/60R 16 $114 235/45R 17 $122 235/40R 18 $128 245/45R 18 $148 225/65R 17 $152 245/65R 17 $165 235/60R 17 $155 235/55R 18 $165 235/75R 15 $179 245/70R 16 $205 265/70R 16 $205 265/65R 17 $205 31x10.50R 15 $205 165R 13LT $105 185R 14LT $105 195R 14LT $114 195R 15LT $135 215/70R 15LT $145 215/60R 16LT $124 1 899 Tyre & Wheel Packages 85 $169 $115 Family $100 Free tyre HERVEY BAY 88-92 Boat Harbour Drive, PIALBA | 07 4194 1350 sales@herveybaytyreright.com.au Buy now, pay later with flexible payment options ALL PRICES INCLUDE: FITTING | BALANCING TUBLESS VALVES & DISPOSAL Australia’s largest selection of tyre brands Great deals on tyres for all vehicles. Time to see the experts.

ZIGGY NOMAD NOW AVAILABLE

Mary Poppins Festival celebrating 15 years

RETURNING to Queens Park and Portside precinct in Maryborough on Sunday 2nd July 2023 for its 15-year anniversary, this year the much-loved event showcases the depth of Maryborough’s history and ‘Storytelling through time’.

This year’s Mary Poppins festival celebrates 150 years since the original Mary Ann locomotive was built in the heritage city and the first built in Queensland!

Built by John Walker & Co. Ltd. in 1873, now recognised internationally as the Downer Group, the loco was built for timber pioneers William Pettigrew and William Sim who used the Mary Ann to haul logs in the Tin Can Bay area. Festival goers can step back in time and grasp the history of one of Queensland’s oldest rail lines, shipping channels and industrial estates by jumping on the Mary Ann replica who will be lugging guests along the scenic route of the Mary River as part of the Mary Poppins festival experience.

Suitable for all ages, the festival guarantees to delight the young and the young at heart with plenty of exhibitions, performances and entertainment for the whole

family.

Celebrate creativity and imagination on the day with fun and interactive activities or dress up as your favourite character or sign up on the day to compete in the Great Nanny Race or Chimney Sweep Challenge.

Festival goers can join the Grand Parade at 2pm, unite with an array of colourful floats and entertainers filling the streets with their musical vibes, before the highly anticipated Grand finale, an inspiring exhibition filled with

music and song.

The Mary Poppins Festival celebrates all the historic stories connected to Maryborough’s past and the imaginative stories written by author PL Travers who was born in the heritage listed building in Maryborough now known as the Story Bank. For more information on the Mary Poppins Festival follow Fraser Coast Events on Facebook and Instagram or visit the website www. marypoppinsfestival.com.au.

or experience the family friendly jungle room www.breakout theroom.com.au Page 18 | Hervey Bay Advertiser | May 18, 2023 • Can be used with all current One burner ZIGGY accessories • Powerful enough to cook with hood open or closed • Hood folds under firebox for compact transport & storage • 7 years comprehensive warranty Open Mon-Fri 9am-5pm Sat 9am-3pm 93B Main Street, Pialba Phone 4325 3803 Closed Sundays & Public Holidays Hervey Bay One burner ZIGGY NOMAD with flame failure - meets requirements of new gas standards, allowing connection to the gas supply system of CARAVAN or BOAT.
AVOID RISING ENERGY PRICES GO SOLAR TODAY! SAVE $1000* ON A SOLAHART SOLAR POWER SYSTEM UP TO SAVE $500 SAVE $750 SAVE $1000 when you purchase a 5KW system and above THE BIGGER THE SYSTEM THE BIGGER THE SAVING SMART SMARTER SMARTEST when you purchase a 8KW system and above when you purchase a 11KW system and above GET A BIGGER SYSTEM MAKE A SMARTER SAVING Call 1300 721 946 or visit solahart.com.au *Saving applied as a point-of-sale discount at time of purchase for Solahart Solar Power Systems: (a) Save $500 on 5kW and above, (b) Save $750 on 8kW and above, (c) Save $1,000 on 11kW and above. System size refers to the total kW output capacity of solar PV panels installed. These offers are available from 01/2/2023 until 30/04/2023 and are subject to stock availability. Excludes commercial installations. Participating Solahart Dealers only. Not available in conjunction with any other offer or promotion unless otherwise stated. Discounts are not transferable or redeemable for cash. See solahart.com.au for full details. © Solahart Industries Pty Ltd (2023). Solahart and the Solahart logo are registered trademarks of Solahart Industries Pty Ltd. INCLUDING OUR NEW SOLAHART SILHOUETTETM 415W PANELS * * * OFFER EXTENDED

Xavier students walk for homelessness

STUDENTS at Xavier Catholic College are putting their best foot forward to raise awareness around homelessness in Hervey Bay.

Year 12 Health students organised a ‘Relay for Homelessness’ earlier this month.

The event saw students and staff walk laps of the College oval for 12-hours from 6pm on Wednesday 3 May until 6am the following morning.

Participants walked in hourlong shifts and spent the night sleeping rough on the oval. College Captain Charlotte Davies said, while they were looking to raise money to donate to organisations assisting the homeless in Hervey Bay, their ‘Relay for Homelessness’ was primarily about getting them out of their comfort zones and creating awareness.

“Our class has spent some time learning about homelessness and we felt there was an opportunity for us to do something about it – not just to raise money – but also awareness by taking on this challenge,” Charlotte said.

“Seeing people out there who are struggling really puts it into perspective how privileged we are - being able to go to a

good school, have a safe home to go to every night and be supported by a loving family. This is something not everyone in our community has and we wanted to make a difference.”

Year 12 Health teacher, Tracy Grambower said she was proud when students come up with the idea of the overnight relay.

Mrs Grambower said money raised will be used to buy meal vouchers, hygiene products and other essentials.

“There are so many people on the edge of homelessness, and with the cost of living

Saturday 7 and Sunday 8 October 2023

Fraser Coast Libraries is proud to announce the line-up for a weekend of Author Talks and Writing Workshops in Hervey Bay and Maryborough

going up, it really could be anyone – the person you’re sitting or working next to,” she said.

Money raised will be donated to organisations like the Hervey Bay Neighbourhood Centre, the Red Cross and We Care 2. Businesses and community members wanting to support the Year 12 Health students’ cause can contact the College and reach out to Mrs Tracy Grambower.

For more information, call 07 4197 1177 or Email psherveybay@bne.catholic. edu.au.

May 18, 2023 | Hervey Bay Advertiser | Page 21 Shop 3, Bay Plaza, 27 Torquay Rd 4194 1707 www.floristherveybay.com FRESH FLOWERS ARRIVING DAILY FRASER COAST’S FRESHEST FLOWERS florist + gifts Same day delivery Hervey Bay & Maryborough Easy online ordering system Extensive gift range in store Corporate servicing – to keep your office fresh and bright on a weekly rotation Bookings for Formals, Weddings & Special Occasions 97 MAIN STREET, PIALBA (NEXT TO ALDI) 4194 1566 OPEN 7 DAYS MONDAY - FRIDAY 8AM – 5:30PM SATURDAY 8AM – 4PM & SUNDAY 9AM – 4PM HELPING YOU REDUCE THE COST OF LIVING! SPECIALS VALID WHILE STOCK LASTS BUNDARBERG ROCKMELONS BUNDABERG SWEET POTATOES 99c KG LARGE GATTON GROWN CELERY $199 BUNCH LARGE CHILDERRS AVOS 5KG BRUSHED POTATOES $599 5KG BAG GAYNDAH MANDARINS $199 KG 99c EACH GATTON BROCCOLI $299 KG AVAILABLE THURSDAY SWEET GAYNDAH NAVELS $299 2 KG BAG SWEET $199EACH OR 3 FOR $5 SWEET
P b b p h p b L G t d h Q d Gove nmen th ou h S a e b a y o Que ns an as oa t q d g a / b a e
MATTHEW CONDON LISA CURRY JAN-ANDREW HENDERSON
Bookings will be available in September. Subscribe to the Fraser Coast Libraries Newsletter to ensure you don’t miss out on ticket updates and news!
Year 12 student Charlotte Davies and the Hervey Bay Neighbourhood Centre’s Tara Duerkop complete a shift at Xavier Catholic College’s recent ‘Relay for Homelessness.’
PREMIER EVENT
Lines in the Sand
Saturday 3 June 10am – 5pm Mary River Parklands & Queens Park Maryborough
by Fraser Coast Tourism & Events relishfrasercoast.com.au Tickets on sale now! Food Lovers Marquee hosted by Alistair McLeod • Return Bus Transfers – Hervey Bay • Odyssey Long Lunch by Odyssey Bistro • Pigs Pots & Pinot by EAT @ Dan + Stephs • Surf’n’Turf Sesh by Ricardo’s Italiano & Seafood x Low’n’Slow BBQ Shack • Matilda Gin High Tea by Portside Café & Restaurant • Hidden Seas Cruise by Boat Club Adventure Cruises • Twilight Cruise by Boat Club Adventure Cruises • Paint & Sip by Get Off Your Arts • Pre-Order Cheese and Charcuterie by MAD Providore Live Music Emma Newman | Red Betty | Ryza Kurilpa Reach | Jon Vea Vea Sam Maddison | Doug Edwards Bre Ferguson | Frank Benn
Presented

Broadway smash hit at the Brolga Theatre

MACABRE Theatre

Company have a big year planned for 2023. It is the 10th year they have been bringing musical theatre productions to the stage here on the Fraser Coast. Matthew King opened the Company in 2013 with an adaption of the classic Peter Pan. Since then he has produced and directed many productions, most recently the teen musical production of The Little Mermaid.

The next production with rehearsals well underway is Broadway’s smash hit, The Producers.

The Producers is a musical comedy that tells the story of two showbiz producers, Max Bialystock and Leo Bloom, who team up to stage a flop

in order to make a fortune.

They set out to find the worst musical script they can find, and end up discovering a play called “Springtime for Hitler,” written by Franz Liebkind, an eccentric former Nazi. Max and Leo then hire a flamboyant director, Roger De Bris, to turn the offensive script into a musical.

Despite their initial intentions, the show becomes a hit, leading to chaos and mishaps. Along the way, Max and Leo meet a wide range of characters, including a Swedish bombshell named Ulla, who becomes their secretary and love interest.

The Producers is a satirical take on the entertainment industry, as well as a witty

commentary on the themes of greed, ambition, and fame. With catchy songs, hilarious one-liners and over-the-top dance numbers, this Tony Award-winning musical is a must-see for any lover of musical theatre.

Later in the year will see the return of Peter Pan to delight and entertain us. Look out for further information coming soon. In the meantime though, be sure to mark your calendars for The Producers. Performances will be held at The Brolga Theatre on Friday 19th May at 7.30pm and a matinee on Saturday 20th May at 1.30pm. Tickets are on sale now through the Brolga Theatre.

THE FIRM WORDS with Melissa Guilfoyle

Innocent until Proven Guilty Part I – The Presumption of Bail

ANYONE can make an allegation against you at any time about anything. Just because there is some evidence available to support the allegation (and therefore charges) does not necessarily mean there is enough evidence to support a finding of guilt of an offence, or a legal reason for detainment. Everyone has the right to be considered innocent until they are proven guilty beyond a reasonable doubt determined by the Courts.

In Queensland, when you are charged with an offence you can either be granted bail (by police or the Court) or remanded in custody until your matters are heard.

Bail is a right, not a privilege. It might be refused if the Court believes that

you are an unacceptable risk of absconding, reoffending, interfering with witnesses or are a danger to the community and the evidence provided by the police is strong. Refusal of bail does not mean that the Court has made any findings of guilt.

Blackstone’s Principle is a fundamental theory that underpins our legal system.

STRICTLY 18 + STRICTLY LIMITED

DATE Saturday 10th June TICKETS $ $45 - $85

This philosophy frames the way the law approaches the procedure to deal with allegations to ensure that the risk of wrongful imprisonment is ameliorated. People have a right to a trial before a jury

of their peers before being found guilty of an offence.

This is also reflected in our constitution (the rules that we subscribe to as citizens of this country).

The writ of Habeas Corpus requires someone who is detained to be bought before the Court in order for the Court to determine whether they can be legally detained, or if not released. In the case of serious offences, it can take in excess of 12 months for a matter to be finally determined by a Court. Bail is a mechanism to ensure that someone is not detained for a period of time that would not otherwise be justified.

The presumption of bail ensures that people are not detained on allegations alone unless there are extenuating circumstances to justify their detention.

If you have been charged with a criminal offence in Queensland, call the Firm on the Avenue.

May 18, 2023 | Hervey Bay Advertiser | Page 23
NUMBER ONE MALE REVIEW PERFORMANCE ONE SHOW
AUSTRALIA’S
SCAN TO BOOK ONLINE Torquay Hotel
FREE QUOTES We fit new roofs & fix old ones! Call Adam today on 0408 198 973
years industry experience 100% locally owned family company We fit new roofs We offer a full re-roof service Fascia, gutters and battens Supply and fit prices available QBCC – 15203921 Master Builders Member – 73308 ABN- 82 632 641 788 New Colorbond roofs Let us quote on your new roof
20
“Better ten guilty persons go free than one innocent suffer”
THE FIRM ON THE AVENUE www.hblawyers.com.au Ph: 4128 4777

Waste station consolidation to save $426,000 per year

FRASER Coast ratepayers will save about $426,000 a year following a Council decision to consolidate its waste facility network and close smaller, inefficient transfer stations.

At its recent meeting, Fraser Coast Regional Council resolved to close four of its 11 waste facilities to deliver financial savings to the community and improve operations and resource recovery at the remaining facilities.

“Ratepayers are currently funding a level of service in some areas that greatly exceeds best practice standards which aim to have more than 80 per cent of residents within a 20-minute drive and 95 per cent within a 30-minute drive of a waste facility,” Cr David Lee said.

“By closing the Burrum Heads and Yengarie transfer stations along with the Granville and Tinana landfills,

Council will continue to provide a level of service above the benchmark while delivering annual financial savings of about $426,000.

“The changes will mean 90 per cent of Fraser Coast residents will still be within a 15-minute drive of a waste facility, 97 per cent of residents will still be within a 20-minute drive, and 99 per cent will still be within a 30-minute drive.

“The significant financial savings for the community flowing from this decision can be used to improve infrastructure at the sites remaining open in Hervey Bay, Maryborough, Howard, Toogoom, Aramara, Boonooroo and Bauple.

“It will also allow Council to increase our recycling efforts, which is a key element of our 2019-2029 Waste Strategy.”

Council will now work with contractors over the coming weeks to finalise the closure

date for the four facilities.

In addition, all these areas will continue to receive a weekly waste and fortnightly recycling kerbside bin collection.

Cr Lee said the savings come through reduced site supervision costs, the reduced costs needed to move material from the transfer stations, reduced costs of handling material for the landfill as more material will be recycled, and increased returns from the sale of recycled material.

In recent years, Council has invested millions to improve the efficiency, environmental effectiveness, and lifespan of the Saltwater Creek Road Landfill in Maryborough.

Council is also building a new regional Material Recovery Facility (MRF) at the Saltwater Creek Road Landfill to increase the recycling rate in the region.

May 18, 2023 | Hervey Bay Advertiser | Page 25
Nathan 0439 397 705 or Helen 0437 011 188 www.nhhomes.com.au “BUILDERS YOU CAN TRUST” At NH Homes we want to make your building experience stress free. Whether it’s a new home, extension or renovation our aim is to achieve a stylish, quality finish, within budget and on time all by a local Hervey Bay Builder. We pride ourselves on creating individual custom designed homes to suit your lifestyle. LOCA L, STATE & NATIONAL MASTE R BUILDERS AWARD WINNER QBCC15218933

Road resurfacing to provide safer and smoother journeys

SIX Hervey Bay roads will be made safer and smoother as part of an $800,000 Fraser Coast Regional Council asphalt resurfacing project that gets underway this month.

Deputy Mayor Denis Chapman said Council was responsible for about 2700 kilometres of roads and footpaths throughout the region, with about a third of the capital works budget put towards maintaining roads, footpaths, bridges and drainage.

“Asphalt resurfacing involves grinding sections of the existing asphalt away and replacing

these sections - and the full length and width of the roadwith a new surface to improve safety and prolong the life of the road,” he said.

“This project will focus on streets in Urraween, Pialba and Point Vernon, which were selected following inspections as part of Council’s ongoing asset monitoring program.

“Work will start this month and be completed by July, weather permitting, with traffic management plans to be put in place and nearby residents to be notified before the works start in their streets.

“We thank everyone in

advance for their patience while this important work is carried out.”

The Hervey Bay streets being resurfaced include:

• Masters Court, Urraween;

• Dean Court, Urraween;

• McLiver Street, Pialba (sectional resurfacing works 20m east of Davis Street Roundabout to Oleander Avenue, excluding 20m on both sides of Davis Street Roundabout);

• Katandra Street, Point Vernon;

• Parraweena Court, Point Vernon; and

• Cumberland Court, Point Vernon.

Local access to leading specialists. Personalised care close to home.

May 18, 2023 | Hervey Bay Advertiser | Page 27 ►Flights ►Rail Tours ►Escorted Coach Tours ►Holiday Packages ► Accommodation SHOP 1 STOCKLAND SHOPPING CENTRE , PIALBA herveybaytravel.com.au Call4124 4000 Ticket sales Open Hours: Mon -Fri: 8.30am -4.00pm / Sat & Sun: Closed HERVEY BAY to BRISBANE •QR Tilt Train –Daily •Greyhound -Daily •Premier •Atkinson's Shuttles-Daily HERVEY BAY to ROCKY •QR Tilt Train •Greyhound •Premier HERVEY BAY to CAIRNS •QR Spirit of Queensland •Greyhound •Premier TO LONGREACH •QR Spirit of The Outback •Greyhound (ex Rocky) •Greyhound (ex Brisbane) FREE PENSION BOOKINGS The Ghan & Indian Pacific FREE BOOKING SERVICE BOOK TRAVEL HERE 1, 2 & 3 DAY TOURS Fraser Island -K’Gariis the world’s largest sand island and stretches for 123km. Tours depart daily. Shuttles Locally Owned
Brett Hanwright 0427 621 985 herveybay.eldersrealestate.com.au SELLING? BUYERS WAITING ALL PRICE BRACKETS

A Message from Adrian,

A Message from Adrian,

Cost of living is biting hard on our home budgets, so I have added a number of QR Codes above that you can scan with your phone to access information on what subsidies and rebates you may be eligible to receive. Visit my website to see what other assistance may be available.

Cost of living is biting hard on our home budgets, so I have added a number of QR Codes above that you can scan with your phone to access information on what subsidies and rebates you may be eligible to receive. Visit my website to see what other assistance may be available.

Kind Regards,

Kind Regards,

TANTARI MP Adrian Building a better Hervey Bay
4183 8100 3/357 Esplanade Scarness 4655
07
hervey.bay@parliament.qld.gov.au
SCAN NOW TO FIND OUT WHAT ASSISTANCE MAY BE AVAILABLE TO YOU
TANTARI MP Adrian Building a better Hervey Bay 07 4183 8100 3/357 Esplanade Scarness 4655 hervey.bay@parliament.qld.gov.au
SCAN NOW TO FIND OUT WHAT ASSISTANCE MAY BE AVAILABLE TO YOU

Sudoku is an 81 square number grid blocks each containing nine cells. puzzle, all the blank cells must be numbers from 1 to 9. Each number appear once in each row, column nine 3x3 blocks.

WORD FIND

All the words listed below can be found in the grid.

WORD

Checked: Barbara

Qxpress: Carole

Creator Copy No.3162

Created: David Stickley

The Big One Crossword

Note to Editor: Created in QUARK XPRESS. VER.4.03

The Big One Crossword

May 18, 2023 | Hervey Bay Advertiser | Page 29 Level 1 / 73 Main Street, Hervey Bay | Phone: 4124 6222 | Email: info@riwidebay.com.au www.riwidebay.com.au | Facebook: RetireInvest Wide Bay *Authorised Representatives of RI Advice Group Pty Ltd ABN 23 001 774 125 AFSL 238429
Wide Bay has been providing quality personalised advice to clients across our region for over 27 years.
know what it takes to build solid relationships with our clients who are: • Planning for retirement • Already retired • Receiving a redundancy or inheritance • Wanting a meaningful and transparent plan If you are looking for a Financial Adviser who will help you achieve your Ideal Life, call 4124 6222 to book an appointment • Retirement Planning • Wealth Accumulation • SMSFs & Superannuation • Centrelink
Aged Care
Estate Planning
Life, Trauma & Income Protection Insurance Our one purpose, the reason we exist, is to help each of our clients GET MORE out of life. Your Financial Specialists in life
RetireInvest
We
GENEVIEVE DE SZOEKE* Our one purpose, the reason we exist, is to help each of our clients GET MORE out of life. Kathy Paget CFP®, Dip.FP Genevieve de Szoeke Adv DipFS (FP) Nathan Green Dip FS (FP) The secret of our long standing success is our sense of stability, strong governance and continued focus on clients first. Our clients know we have been in the local area for 24 years, they feel confident tomorrow we’ll be there for them and for future generations too. Whatever stage in life you are at, we can help you grow, protect & enjoy your wealth. Call us today for a 1 hour complimentary meeting to discuss what is important to you NATHAN GREEN* DipFS (FP) Solutions R G R O R B A T H C O C K S C O M B M O O H I T U F A L L E N I N M A T E S S L S P P E I T S O V U M F L O R I N S W I M C I E D A E R Y F A C E S B A L L N Y A S T O U M A I D B R I M W S E E C W A F L A T M A B S T A I N I B O I L H S N G T L R E A E N PO Box Bundall Australia Auspac CROSS Echo, 5 Area, 6 Sort, 7 Twos. East, 2 Crow, 3 Hero, 4 Oats. Refrigerators 9 8 52 Telephone: (07) 5553 3200 Free: 1 800 652 284 (07) 5553 3201 auspac@auspacmedia.com.au www.auspacmedia.com.au Feature People SUDOKU Sudoku is an 81 square number grid with nine blocks each containing nine cells. To solve the puzzle, all the blank cells must be filled in using numbers from 1 to 9. Each number can only appear once in each row, column and in the nine 3x3 blocks. MEDIUM WORD FIND All the words listed below can be found in the grid. Solutions 4 8 3 7 6 2 5 1 9 6 5 1 3 4 9 2 8 7 7 2 9 8 1 5 3 6 4 2 1 5 4 9 6 8 7 3 8 7 6 5 3 1 4 9 2 3 9 4 2 7 8 1 5 6 1 4 7 9 5 3 6 2 8 5 3 2 6 8 7 9 4 1 9 6 8 1 2 4 7 3 5 Q S Q L U W E S A E L E R R U T S A E K S T X B A E Y O Q I T W T T H G I R F N E Y M W O U U H B Y G R V N I S P E O N E X O M I H A V S N U G R N J I X G O L S O S Q N G M H P O E T L O B E T S T C E T M R X E A C S T L L E Y O U A H C R K R N R O T H L E T A S L I U F U E K U Y E O R I A F P X G F A P H E R C M X Y U F P H C T I W S Solution No.3494 The Big One Crossword Release No. 3494 Note to Editor: Created in QUARK XPRESS. VER.4.03 Items not needed for publication can be erased as each is in a separate text box. 23 33 37 44 48 51 38 24 30 42 39 31 45 49 25 34 47 26 40 46 32 7 19 27 43 52 28 35 8 13 22 41 50 20 B L O O D B A T H C O C K S C O M B A M E M O O H I T U C R E S T F A L L E N I N M A T E S K N E S L S P P E I I N S E R T S O V U M F L O R I N N R S W I M C I E G U I D E D A E R Y F A C E S N N B A L L N Y A S R I S O T T O U M A I D B R I M E U W S E E C W A F O R D F L A T M A B S T A I N R E E I B O I L H S I N D E X N O T E F A T H O M G A G R A M P N I E X P E C T Z A N Y R E G R E S S R T L P S E R T U A C Q U R E E S T A B L S H E S T U N A Z E L O E E M E R G E N C E C O L L A P S E D Created: David Stickley Creator Copy No.3162 Qxpress: Carole Checked: Barbara PO Box 8271 Bundall Qld Australia 4217 Telephone: (07) 5553 Toll Free: 1 800 652 Fax: (07) 5553 Auspac Media Email: auspac@auspacmedia.com.au Visit our site: www.auspacmedia.com.au The Feature People TINY CROSS Across: 1 Echo, 5 Area, 6 Sort, 7 Twos. Down: 1 East, 2 Crow, 3 Hero, 4 Oats. Aim Arc Ash Bolt Box Cabs Ear East Egg Fright Get Guns Haul Him Miscellaneous Nut Oar Owe Oxen Purses Refrigerators Release Rely Stops Switch Too Yea Yell Yes You E R A E R F G R M I X G O E M R U A E T E O E R W S 4 6 2 5 4 8 5 7 3 7 6 1 2 9 1 1 3 8 7 9 9 8 4 5 3 24 30 42 21 39 4 12 31 45 49 18 25 5 34 47 26 6 16 40 46 15 32 7 19 27 43 52 28 35 8 13 22 41 50 20 9 29 10 36 8271 Qld 4217 Telephone: (07) 5553 3200 Toll Free: 1 800 652 284 Fax: (07) 5553 3201 Auspac Media Email: auspac@auspacmedia.com.au Visit our site: www.auspacmedia.com.au The Feature People PUZZLES CROSS WORD FIND All the words listed below can be found in the grid. Solutions 4 4 8 3 7 6 2 5 1 9 6 5 1 3 4 9 2 8 7 7 2 9 8 1 5 3 6 4 2 1 5 4 9 6 8 7 3 8 7 6 5 3 1 4 9 2 3 9 4 2 7 8 1 5 6 1 4 7 9 5 3 6 2 8 5 3 2 6 8 7 9 4 1 9 6 8 1 2 4 7 3 5 Q S Q L U W E S A E L E R R U T S A E K S T X B A E Y O Q I T W T T H G I R F N E Y M W O U U H B Y G R V N I S P E O N E X O M I H A V S N U G R N J I X G O L S O S Q N G M H P O E T L O B E T S T C E T M R X E A C S T L L E Y O U A H C R K R N R O T H L E T A S L I U F U E K U Y E O R I A F P X G F A P H E R C M X Y U F P H C T I W S ACROSS DOWN Solution No.3494 The Big One Crossword 19 x 19 Grid P Release No. 3494 Note to Editor: Created in QUARK XPRESS. VER.4.03 Items not needed for publication can be erased as each is in a separate text box. 1 11 14 17 23 33 37 44 48 51 2 38 3 24 30 42 21 39 4 12 31 45 49 18 25 5 34 47 26 6 16 40 46 15 32 7 19 27 43 52 28 35 8 13 22 41 50 20 9 29 10 36 B L O O D B A T H C O C K S C O M B A M E M O O H I T U C R E S T F A L L E N I N M A T E S K N E S L S P P E N S E R T S O V U M F L O R N N R S W M C E G U D E D A E R Y F A C E S N N B A L L N Y A S R S O T T O U M A D B R M E U W S E E C W A F O R D F L A T M A B S T A I N R E E I B O I L H S I N D E X N O T E F A T H O M G A G R A M P N I E X P E C T Z A N Y R E G R E S S R I T L P S E R T U A C Q U I R E E S T A B L I S H E S T U N A Z I E L O E E M E R G E N C E C O L L A P S E D Created: David Stickley Creator Copy No.3162 Qxpress: Carole Checked: Barbara PO Box 8271 Bundall Qld Australia 4217 Telephone: (07) 5553 3200 Toll Free: 1 800 652 284 Fax: (07) 5553 3201 Auspac Media Email: auspac@auspacmedia.com.au Visit our site: www.auspacmedia.com.au The Feature People TINY CROSS Across: 1 Echo, 5 Area, 6 Sort, 7 Twos. Down: 1 East, 2 Crow, 3 Hero, 4 Oats. Aim Arc Ash Bolt Box Cabs Ear East Egg Fright Get Guns Haul Him Miscellaneous Nut Oar Owe Oxen Purses Refrigerators Release Rely Stops Switch Too Yea Yell Yes You Q S Q L U W E S A E L E R R U T S A E K S T X B A E Y O Q I T W T T H G I R F N E Y M W O U U H B Y G R V N I S P E O N E X O M I H A V S N U G R N J I X G O L S O S Q N G M H P O E T L O B E T S T C E T M R X E A C S T L L E Y O U A H C R K R N R O T H L E T A S L I U F U E K U Y E O R I A F P X G F A P H E R C M X Y U F P H C T I W S 9 1 1 3 8 7 9 9 8 4 5 48 51 49 47 52 50 O N S A N G R I A A T B E M L N A P U R S U E I C D R S D E F Y N I E C E S N T M C G R A B L A V A H Y S N T R T H R E A D S B O N Y O T O P U R E E D R U X N E N T L A D D E R S E A W X I A R A T R O O P E R U E R E E S C R A M B L E D PO Box 8271 Bundall Qld Australia 4217 Telephone: (07) 5553 3200 Toll Free: 1 800 652 284 Fax: (07) 5553 3201 Auspac Media Email: auspac@auspacmedia.com.au Visit our site: www.auspacmedia.com.au The Feature People 8 Believe 9 Gain 10 Outgrowth 16 Level 18 Sphere 19 Bank bill 45 Meets 47 Lip
“Feeling financially secure at this time of life is worth so much more than just dollars alone. We trusted our advisers and they never let us down. We wouldn’t be where we are today without them ‘having our back’.” Clients, Glenn and Tina
4 8 3 7 6 2 5 1 9 6 5 1 3 4 9 2 8 7 7 2 9 8 1 5 3 6 4 2 1 5 4 9 6 8 7 3 8 7 6 5 3 1 4 9 2 3 9 4 2 7 8 1 5 6 1 4 7 9 5 3 6 2 8 5 3 2 6 8 7 9 4 1 9 6 8 1 2 4 7 3 5 Q S Q L U W E S A E L E R R U T S A E K S T X B A E Y O Q I T W T T H G I R F N E Y M W O U U H B Y G R V N I S P E O N E X O M I H A V S N U G R N J I X G O L S O S Q N G M H P O E T L O B E T S T C E T M R X E A C S T L L E Y O U A H C R K R N R O T H L E T A S L I U F U E K U Y E O R I A F P X G F A P H E R C M X Y U F P H C T I W S ACROSS Solution No.3494
Solutions
Release No. 3494 Note to Editor: Created in QUARK XPRESS. VER.4.03 Items not needed for publication can be erased as each is in a separate text box. 23 33 37 44 48 51 38 24 30 42 21 39 31 45 49 25 34 47 26 40 46 15 32 7 19 27 43 52 28 35 8 13 22 41 50 B L O O D B A T H C O C K S C O M B A M E O O H I T U C R E S T F A L L E N I N M A T E S K N E S L S P P E I I N S E R T S O V U M F L O R I N N R S W I M C I E G U I D E D A E R Y F A C E S N N B A L L N Y A S R I S O T T O U M A I D B R I M E U W S E E C W A F O R D F L A T M A B S T A I N R E E I B O I L H S I N D E X N O T E F A T H O M G A G R A M P N I E X P E C T Z A N Y R E G R E S S R I T L P S E R T U A C Q U I R E E S T A B L I S H E S T U N A Z I E L O E E M E R G E N C E C O L L A P S E D Created: David Stickley Creator Copy No.3162 Qxpress: Carole Checked: Barbara PO Box 8271 Bundall Qld Australia 4217 Telephone: (07) Toll Free: 1 Fax: (07) Auspac
Email: auspac@auspacmedia.com.au Visit our site: www.auspacmedia.com.au The Feature TINY CROSS Across: 1 Echo, 5 Area, 6 Sort, 7 Twos. Down: 1 East, 2 Crow, 3 Hero, 4 Oats. Aim Arc Ash Bolt Box Cabs Ear East Egg Fright Get Guns Haul Him Miscellaneous Nut Oar Owe Oxen Purses Refrigerators Release Rely Stops Switch Too Yea Yell Yes You R E F R I G E R A T O R S 4 6 2 5 4 8 5 7 3 7 6 1 2 9 1 1 3 8 7 9 9 8 4 5 39 31 45 49 25 34 47 26 40 46 32 27 43 52 28 35 41 50 29 36 Qld 4217 Telephone: (07) 5553 3200 Toll Free: 1 800 652 284 Fax: (07) 5553 3201 Auspac Media Email: auspac@auspacmedia.com.au our site: www.auspacmedia.com.au The Feature People
Media
TINY CROSS
FIND
the words listed below can be
in the grid. Solutions 1 2 3 4 5 6 7 2 5 1 9 9 2 8 7 5 3 6 4 6 8 7 3 1 4 9 2 8 1 5 6 3 6 2 8 7 9 4 1 4 7 3 5 W E S A E L E R E K S T X B A E W T T H G I R F O U U H B Y G R E O N E X O M I U G R N J I X G Q N G M H P O E T S T C E T M R T L L E Y O U A N R O T H L E T F U E K U Y E O X G F A P H E R F P H C T I W S ACROSS DOWN Solution No.3494 Crossword 19 x 19 Grid P Release No. 3494 XPRESS. VER.4.03 publication can be separate text box. 1 11 14 17 23 33 37 44 48 51 2 38 3 24 30 42 21 39 4 12 31 45 49 18 25 5 34 47 26 6 16 40 46 15 32 7 19 27 43 52 28 35 8 13 22 41 50 20 9 29 36 B L O O D B A T H C O C K S C O M B A M E M O O H I T U C R E S T F A L L E N I N M A T E S K N E S L S P P E I I N S E R T S O V U M F L O R I N N R S W I M C I E G U D E D A E R Y F A C E S N N B A L L N Y A S R I S O T T O U M A I D B R I M E U W S E E C W A F O R D F L A T M A B S T A I N R E E I B O I L H S N D E X N O T E F A T H O M G A G R A M P N I E X P E C T Z A N Y R E G R E S S R I T L P S E R T U A C Q U I R E E S T A B L I S H E S T U N A Z I E L O E E M E R G E N C E C O L L A P S E D PO Box 8271 Bundall Qld Australia 4217 Telephone: (07) 5553 3200 Toll Free: 1 800 652 284 Fax: (07) 5553 3201 Auspac
Email: auspac@auspacmedia.com.au Visit our site: www.auspacmedia.com.au The Feature People TINY CROSS Across: 1 Echo, 5 Area, 6 Sort, 7 Twos. Down: 1 East, 2 Crow, 3 Hero, 4 Oats. Aim Arc Ash Bolt Box Cabs Ear East Egg Fright Get Guns Haul Him Miscellaneous Nut Oar Owe Oxen Purses Refrigerators Release Rely Stops Switch Too Yea Yell Yes You Q S Q L U W E S A E L E R R U T S A E K S T X B A E Y O Q I T W T T H G I R F N E Y M W O U U H B Y G R V N I S P E O N E X O M I H A V S N U G R N J I X G O L S O S Q N G M H P O E T L O B E T S T C E T M R X E A C S T L L E Y O U A H C R K R N R O T H L E T A S L I U F U E K U Y E O R I A F P X G F A P H E R C M X Y U F P H C T I W S ACROSS 1 Imitate 5 Region 6 Classify 7 Deuces DOWN 1 Compass point 2 Black bird 3 Principal character 4 Cereal 4 6 2 5 4 8 5 7 6 1 9 1 3 7 9 8 4 Solution No. 3041 11 14 17 23 33 37 44 48 51 38 24 30 42 21 39 12 31 45 49 18 25 34 47 26 16 40 46 15 32 19 27 43 52 28 35 13 22 41 50 20 29 36 B A C K P E D A L F O O T S L O G S E A H R A I U U G I A C C L A M A T I O N S A N G R I A R A R W D A T B E M I V O R I E S U L N A P U R S U E N S E P I C D R S G E N I A L D E F Y N I E C E O I S I P S N T M C M A N X C A T I G R A B L A V A I P O T H Y S N T C O L T O P U S R T H R E A D S K U S G B O N Y O T E N S U E A L S O P U R E E D Y M P C R U X N E M E L L O W W A N T L A D D E R S O U L P L E A W X I U K R A I N E P A R A T R O O P E R S I N S E U E R E E E N D E A V O U R S C R A M B L E D PO Box 8271 Bundall Qld Australia 4217 Telephone: (07) 5553 3200 Toll Free: 1 800 652 284 Fax: (07) 5553 3201 Auspac Media Email: auspac@auspacmedia.com.au Visit our site: www.auspacmedia.com.au The Feature People Across 1 Endorsing 5 Cool down 11 Portents 12 Guaranteed 13 Nettle 14 Hindrance 15 Strict 17 Gather 18 Indoor sport 20 Thin 23 Empty 25 Lechery 27 Acrobat’s swing 30 Medicine bottle 32 Head (coll) 33 Eat 34 Reminder 35 Secret 37 Fried potato 39 Sceptical 41 Mutineer 44 Streamline 46 Utopia (7-2) 48 Weasel-like mammal 49 Vehicle-cleaning device (3,4) 50 Beliefs 51 Entrepreneur 52 Ill-treated Down 1 Massacre 2 Dejected 3 Supplements 4 Directed 5 Italian rice dish 6 Car maker 7 Indicator 8 Believe 9 Gain 10 Outgrowth 16 Level 18 Sphere 19 Bank bill 21 Dip 22 Crazy 24 Egg cell 26 Realise 28 Slope 29 Sets up 31 Lofty (poet) 32 Churn 33 Jester’s cap 34 Domestic 36 Fell 38 Prisoners 40 Refrain from voting 41 Fall back 42 Old gold coin 43 Understand 45 Meets 47 Lip Solutions 4 8 3 7 6 2 5 1 9 6 5 1 3 4 9 2 8 7 7 2 9 8 1 5 3 6 4 2 1 5 4 9 6 8 7 3 8 7 6 5 3 1 4 9 2 3 9 4 2 7 8 1 5 6 1 4 7 9 5 3 6 2 8 5 3 2 6 8 7 9 4 1 9 6 8 1 2 4 7 3 5 Q S Q L U W E S A E L E R R U T S A E K S T X B A E Y O Q I T W T T H G I R F N E Y M W O U U H B Y G R V N I S P E O N E X O M I H A V S N U G R N J I X G O L S O S Q N G M H P O E T L O B E T S T C E T M R X E A C S T L L E Y O U A H C R K R N R O T H L E T A S L I U F U E K U Y E O R I A F P X G F A P H E R C M X Y U F P H C T I W S Solution No.3494
All
found
Media
B L O O D B A T H C O C K S C O M B A M E M O O H I T U C R E S T F A L L E N I N M A T E S K N E S L S P P E I I N S E R T S O V U M F L O R I N N R S W I M C I E G U I D E D A E R Y F A C E S N N B A L L N Y A S R I S O T T O U M A I D B R I M E U W S E E C W A F O R D F L A T M A B S T A I N R E E I B O I L H S I N D E X N O T E F A T H O M G A G R A M P N I E X P E C T Z A N Y R E G R E S S R I T L P S E R T U A C Q U I R E E S T A B L I S H E S
Items not needed for publication can be erased as each is in a separate text box.
TINY CROSS Across: 1 Echo, 5 Area, 6 Sort, 7 Twos. Down: 1 East, 2 Crow, 3 Hero, 4 Oats. 7 6 1 2 9 1 1 3 8 7 9 9 8 4 5 5553 3200 652 284 5553 3201 People

WE HAVE PLANNED A TRIP JUST FOR YOU

The Great Western Play & Stay Musical Tour 2023...

With; Bus, Bed, Breakfast, Nightly Meals and Entertainment all for just $3,300 per person!

The trip is from 18th of September up to and including 28th of September, with Country/ Western, Rock n Roll Entertainment every night from 12 different artists. This is our 11th year doing this trip.

Itinerary:

Day 1: Takes in Mundubbera, Eidsvold - RM Williams Shed, formerly Fred Brophy’s Pub at Cracow, Theodore; then play and stay the night in Springsure.

Day 2: Fairburn Dam, Emerald, Rubyvale, Sapphire; then play and stay the night in Alpha.

Day 3: Barcaldine “Tree of Knowledge”, IIfracombe Machinery Museum, entertaining at the Longreach Woolshed and stay the night in Longreach.

Day 4: Qantas Musuem, Australian Stockman’s Hall of Fame, and explore Longreach; cruise the Thompson River with Kinnon & Co, stay the night.

COVID has supercharged our Property Market

WELL, the stats are in from PropTrack, and Hervey Bay has done incredibly well, with Nikenbah one of the best performing suburbs in the State.

The pandemic has caused a psyche change in the Australian population resulting in people rethinking priorities such as work and liveability. People now know they can work remotely and have a coastal regional lifestyle and still have a career. This means regional property could perform well for the next decade.

PropTrack has looked at the median house prices from April 2020 to April 2023 and at the percentage change in value over those 3 years.

Nikenbah has been the second-best performing suburb in the State, with a 153.8% increase in value and a new median house price of

$825,000, which is amazing.

Maryborough has also had great growth with a 66.7% increase and median price of $345,000.

Within the unit market, the best performing area has been Urangan with a 65.9% increase and median price of $435,000.

This is great news for our region as we have caught

up after many years in an undervalued market preCOVID and look to have a solid sustainable property market for many years ahead. We just need the infrastructure to keep up with demand.

@fcpia.frasercoast www.fcpia.com.au

Day 5: Winton Outback Festival, Waltzing Matilda Musuem, Truck Museum, Musical Fence, Arnies Wall in Winton, travelling onto Hughenden where we play and stay the night.

Day 6: Take in historical sights through Hughenden, chasing Dinosaur’s around the local township; play and stay the night in Charters Towers.

Day 7: Castle Hill in Townsville, taking in the sights along the Strand; then play and stay the night in Rollingstone.

Day 8: Travel onto Ayr, enjoying some downtime to shop; enteraining at Giru International.

Day 9: Journey down to Mackay, enjoying some downtime to shop; entertaining at the Homebush Pub.

Day 10: Explore Rockhampton Zoo, enjoy some downtime shopping; entertaining at Gracemere.

Day 11: Returning home; say goodbye to friends made during the ‘Great Western Play & Stay Musical Tour. Come and have a great fun trip with us.

For more information or to book; contact Greg or Donna at G & D ROSS BUS CHARTERS

PHONE: (07) 4129 7132 OR MOBILE: 0427 297 132 e: rossbuscharters@bigpond.com - www.ganddrossbuscharters.com.au

Breakaway
to 19/6 subject to availability and new bookings only For stays of 2 nights plus Surcharge applies Friday and Saturday night stays. 371 Esplanade, Scarness QLD 4655 P: 4194 1118 • E: info@thebayapartments.com.au www.thebayapartments.com.au 15% off all apartment styles
@ The Bay Valid
PROPERTYTALK
• Toogoom - 98.6% increase, median price $685,000. • Booral - 90.3% increase, median price $737,500. • Burrum Heads - 85.7% increase, median price $703,500. • Pialba - 78.7% increase, median price $575,000. • Kawungan - 75.7% increase, median price $615,000. • Craignish - 74.6% increase, median price $860,000. • Eli Waters - 74.4% increase, median price $575,500. • Scarness - 72.8% increase, median price $540,000. • Torquay - 72.8% increase, median price $560,000. • Dundowran Beach - 71.9% increase, median price $980,000. • Point Vernon - 71.5% increase, median price $575,000. • Urangan - 71.4% increase, median price $600,000. • Urraween - 70.7% increase, median price $640,000. Other strong performers in our region are: Page 30 | Hervey Bay Advertiser | May 18, 2023
InTheHeartofHerveyBay HuntingdaleCentralisHerveyBay’snewestpremiumdevelopment,consistingofover170 lotsandofferingresidentslargerlotsizesandanultimatelocationintheheartofHerveyBay. Comewherenatureandconvenienceexistinperfectharmony. FRASERCOASTANGLICANCOLLEGE HERVEYBAYAIRPORT HERVEYBAYGOLFCLUB STOCKLANDSHOPPINGCENTRE HERVEYBAYSTATEHIGHSCHOOL HERVEYBAYSURFLIFESAVINGCLUB K’GARI(FRASERISLAND) MARINA&BOATCLUB HOSPITALPRECINCT Large,LevelLotsfrom$235,000 Stage1SOLDOUT-Stage2NOWSELLING Call 0407 099 697 Visit huntingdalecentral.com.au SOLD HOLD HOLD HOLD HOLD SOLD SOLD SOLD SOLD Stage1-SOLDOUT * LandregistrationanticipatedOctober2023 *Lot15-684sqm

gala

I HAVE had the pleasure of knowing Luke Strochnetter since he was in primary school. Back then, he was a shy boy, tech-savvy and eager to please. Luke didn’t have an easy time during those years as he was bullied incessantly. I look at him now and see how far he has come.

He has gained confidence and is comfortable within himself. He is an entrepreneur, a business owner of two businesses, an event planner and organiser, a public speaker, and a supporter of various charities, and he’s only twenty-two.

Luke was born in Launceston, Tasmania and has an older sister. At the age

of eight, the family moved to Hervey Bay to join relatives and have never looked back. He has a very close relationship with his mum and dad.

Luke has lived in Hervey Bay for fifteen years and did much of his schooling here.

As mentioned earlier, those were tough years.

“I was never the popular kid, especially in primary school. I endured a triple hit of bullying. I was a bigger kid, had buck teeth and a speech impediment.

“I was born without some of my lower tongue muscles, so my tongue can’t do all the movements required for speech. I was the perfect target

for bullies.

“As a result, I was very shy and had difficulty making friends and putting myself out there. School was a very lonely place. Things improved a little in high school as I found a great group of people who would encourage and challenge me. They got me out of my shell.”

From the age of twelve, while kids of the same age were out playing, Luke found his own path and spent his weekends walking the streets approaching local businesses and asking for raffle donations, first for the MS Foundation and then for Relay For Life.

“Knocking on doors taught

Page 32 | Hervey Bay Advertiser | May 18, 2023
charity
Raffles + Live Auctions Saturday 17th June 2023 at 5.30pm at the beautiful Hervey Bay Boat Club LIVE ENTERTAINMENT BY Soul City Band INCLUDES A WELCOME DRINK AND THREE COURSE DINNER FULL BAR AVAILABLE A Place of Peace supporting For more information and tickets contact Hervey Bay Boat Club on 07 4128 9643 EVERYDAYPEOPLE For Home Delivery Please order online www.giovannispizzabar.com.au or on Menulog Opening Hours: Dinner Tuesday to Sunday 4pm-8pm Shop 50/30 Main St Pialba Inside Pialba Place Shopping Centre next to Big W entrance Ph 0412 440 920 Takeaway or Dine-in • BYO 0401991826 * Pre Sale detailing * Cut and Polish * Upholstery Shampoo * Paint Protection + more CAR DETAILING *From $110 *FREE Headlight Restoration (With every pre sale detail)
HOSPICE

me a lot and took me outside my comfort zone. I look back now, and that period has contributed greatly to where I am now. Without me knowing it at the time, the experience created a springboard to creating my own business.”

That business came to fruition when Luke was seventeen; it was called Out Of The Box Promotions. But it didn’t take Luke long to realise that there was not much money to be made from events, and the COVID pandemic compounded this. Luke knew that to stay in business, he would have to adapt.

“It was humbling because

I had to go on Centrelink and get another job, but in the background, I worked hard and learnt everything I could about marketing, then rebranded, and 360 Degrees Marketing was born.

“One of our very first clients was Pie and Pastry Paradise. Theirs was the first business whose door I knocked on as a shy twelve-year-old boy asking for donations. So, it was a real full-circle moment for me, and I am forever grateful.”

His other business is Occasions by the Bay, and Luke has recently celebrated two years as the business owner.

Luke has several projects in

the works and is also writing a book designed for young people wanting to start their own businesses.

“I want to create a community of young entrepreneurs and spark innovation in our community.”

He is also Vice President of the Fraser Coast Young Professionals and says it is great to be part of a group that gives young people a voice in business.

As mentioned in the May 4th edition of the Hervey Bay Advertiser, Luke’s efforts have been recognised by becoming a semi-finalist in the 7 News Queensland Young Achievers Awards in two categories.

May 18, 2023 | Hervey Bay Advertiser | Page 33
www.tranquilitymedia.com.au 0404 467 036 | darren@tranquilitymedia.com.au Website Development Brand Development Search Engine Optimisation (SEO) Social Media Management Digital Marketing tactics Bring “Tranquility” to your business and let us help grow your customer base with our decades of marketing experience. A HERVEY BAY BASED BUSINESS FOR ALL YOUR STRATEGIC & DIGITAL MARKETING NEEDS
What’s On
Luke Strochnetter Overcoming adversity Our dedicated real estate professionals are here to guide you every step of the way. Scan our QR codes to view our latest rental and sales listings today. Making Your Next Move A Success ACTIVE AGENTS activeagents.com.au 1300 141 446 iew r Properties For Rent V Ou Properties For Sale ACTIVE AGENTS Making Your Next Move A Success ACTIVE AGENTS activeagents.com.au 1300 141 446 View Our Properties For Rent View Our Properties For Sale View Our Properties For Rent Making Your Next Move A Success ACTIVE AGENTS activeagents.com.au 1300 141 446 View Our Properties For Rent View Our Properties For Sale View Our Properties For Sale Meet the team that’s making your next move a success!
from
Fraser Coast

COMPACT

THERE'S A CLEARVIEW TOWING MIRROR FOR EVERYONE WITH 3 STYLES TO CHOOSE FROM!

1 T h e s i n g l e m i r r o r C l e a r v i e w C o m p a c t T o w i n g M i r r o r i s o u r s m a l l e s t t o w i n g m i r r o r w h i c h s l i d e s r i g h t b a c k i n t o t h e v e h i c l e w h e n n o t t o w i n g , t o l o o k j u s t l i k e a n O E M m i r r o r .

2 . W h e n s e t t o t h e i r n o r m a l d r i v i n g p o s i t i o n , t h e N e x t G e n T o w i n g m i r r o r s r e m a i n u n o b t r u s i v e d u r i n g y o u r d a i l y c o m m u t e w h e n y o u d o n ’ t n e e d e x t e n d e d m i r r o r s , o r w h e n y o u n e e d t o f i t i n t o t i g h t s p a c e s

NEXT GEN

ORIGINAL

3 O u r O r i g i n a l T o w i n g M i r r o r s a r e m u c h l a r g e r

t h a n a n y s t a n d a r d m i r r o r a n d f e a t u r e a h u g e s i n g l e m i r r o r a b o v e a s m a l l e r c o n v e x m i r r o r – f o r s e r i o u s t o w i n g !

L o w e r a n d r a i s e y o u r f r i d g e w i t h t h e p r e s s o f a b u t t o n f o r c o n v e n i e n t a c c e s s t o i t s c o n t e n t s .

L i g h t w e i g h t E f f i c i e n c y

L o w P o w e r C o n s u m p t i o n

1 8 0 k g L o a d R a t i n g s m o o t h l y l o w e r s a n d r a i s e s a f u l l y l o a d e d f r i d g e

C L E A R V I E W A C C E S S O R I E S C O M A U
C L E A R V I E W A C C E S S O R I E S C O M A U g 38kg www.bobsauto.com.au HERVEY BAY 93 Main St, Pialba Ph: 4124 1855 MARYBOROUGH 14 Rocky Street Ph: 4121 2288 After Hours: 0427 722 746 BUY LOCAL CHECK OUT THE CLEARVIEW ACCESSORY RANGE AT BOB’S
FACESOFTHEBAY Fraser Coast Wedding Industry Showcase
What’s On
Coast May18, 2023 | Hervey Bay Advertiser | Page 35 Ph (07) 4124 5922 Shop 4 & 5 / 97 Old Maryborough Rd, Pialba Email herveybay@ultratune.com.au Ultra Tune Hervey Bay Quality car service, repairs and maintenance Opening Hours Mon-Fri 8am-5pm • Saturday 8am-12noon SPECIALISTS IN: Vehicle handbook servicing Car maintenance & repairs Car tyres & wheel alignments Brake service & repair Suspension & shock absorbers Air conditioning service & repair Roadside Assist National warranty Sharni Blaxland from Had Me At Hello Photobooths & Photography Catherine Reid & Christine Batt have fun with their business CaCh Tours & Events Caitlin Catterick knows how to glam you up on your special day
Photos by Kim Parnell,
Fraser
Lachlan Wheeler & Chloe Junor plan for their big day Brea Martin loves being behind the lens and captures any occasion Simon & Tayla Brown know how to style
your event
Ruby Tyson & Ella Kleinschmidt pick up lots of wedding ideas Ready to tie the knot are Chris Gunn & Danielle Puetter
10 regular services (at 15,000km/12 month scheduled ntervals) Some items excluded or subject to separate warranty Conditions apply Excludes Government, Rental and National Business customers See Mitsubishi-motors.com.au for further deta ls MMA2243 Step up the st yle, pump up the power and take luxur y to the top with the new Pajero Spor t GSR. Up the ante with bold black alloys, front grille, roof and rear spoiler Then double down with Super Select II 4WD1 and make your presence known any where you please. 82 TORQUAY ROAD, HERVEY BAY | 105 LENNOX STREET, MARYBOROUGH WWW.WIDEBAYMITSUBISHI.COM.AU | 4125 9500 Get ready for an adventure like no other with the Mitsubishi Tritonathon! With its advanced safety features, powerful engine, and sleek design, the Mitsubishi Triton is the perfect vehicle for all your off-road adventures. So why wait? Join the Tritonathon today and experience the ultimate driving adventure! Join the Mitsubishi Tritonathon Engineered beyond tough IMMEDIATE DELIVERY IN STOCK NOW
82 TORQUAY ROAD, HERVEY BAY 4125 9500 WWW.WBMG.COM.AU | AFTER HOURS - CHRIS 0416 150 900 HUGE RANGE OF QUALITY PRE-OWNED VEHICLES FINANCE AVAILABLE HUGE RANGE ACROSS TWO SITES TRADE-INS WELCOME SEE THEM ALL AT WBMG.COM.AU 2013 Toyota Camry Altise • 172,000k’s • For The Family on a Budget • Good Fuel Economy • Well Serviced • 12 Month Warranty $14,990.00 Drive Away 2015 Kia Cerato S • 79,495 K’s • Great Fuel Efficiency • Rear View Camera • 6 Airbags For Safety • Spacious Interior $18,990.00 Drive Away 2016 Toyota Corolla • 121,865k’s • Alloy Wheels • 1.8lt 4 Cylinder Petrol • Abs Brakes • 6 Speaker Sound System $19,990.00 Drive Away 2016 Toyota Camry Atara • 100,275k’s • 2.5l 4 Cylinder Petrol • Leather Interior • 5 Star ANCAP • 18 inch Alloys • Sporty Look! $24,990.00 Drive Away 2011 Ford Ranger Wildtrak • 155,671k’s • Amazing Condition • Automatic Transmission • Canopy with Solar $29,990.00 Drive Away 2016 Mitsubishi Pajero Sport • 166,636k’s • 4x4 • Reverse Camera • Bluetooth • 7 Seater • 18 inch Alloys $32,990.00 Drive Away 2012 Nissan Patrol • 88,940k’s • Very Low Mileage • 5 Seater with Drawers • Winch • Bulbar and Rear Bar Setup • Automatic • Four Wheel Drive $39,990.00 Drive Away 2019 Mazda CX-8 • 44,988k’s • 2.2lt Diesel • Sat Nav • 7 Seater • Premium Audio Sound • Reverse Camera • Great Condition Inside and Out $40,590.00 Drive Away 2019 Kia Cerato S • 45,433k’s • Balance of New Car Warranty • 16 inch Alloys • 2l 4 Cyl Petrol • Rear View Camera $25,990.00 Drive Away 2018 Mitsubishi Triton GLX+ • 60,434k’s • Manual • Great Service History • Hill Holder Assist • Canopy • Ready for Adventure $37,990.00 Drive Away 2021 Mazda BT-50 XTR • 31,833k’s • 3lt Turbo Diesel • 5 Star ANCAP • Bed Liner • Electric Hard Lid • Infotainment System • 1000kg Payload $55,990.00 Drive Away 2020 Mitsubishi ASX • 45,681k’s Avoid The Wait • 2lt 4 Cyl Petrol • CVT Transmission • Led Running Lights • 18 inch Alloys $28,990.00 Drive Away
1800 444 244 FRASER COAST MOTOR CENTRE QUALITY USED CARS USED CAR SUPERSITE 105 BOAT HARBOUR DRIVE SEE OUR FULL RANGE AT WWW.FCMC.COM.AU ✓ YES - WE BUY CARS FOR CASH - CALL US TODAY ✓ FRASER COAST MOTOR CENTRE DRIVE AWAY $32,500 SKT: 701193 2015 JEEP GRAND CHEROKEE LIMITED 77,848 klms 3 Litre Diesel 6 Cylinder 8 SP Sports Auto Four-Wheel Drive 8.4-Inch Touchscreen DRIVE AWAY $32,990 2014 FORD RANGER XLT PX 189,452 klms 3.2 Litre Diesel 5 Cylinder 4x4 Dual Range Utility Dual CAB Excellent Condition STK: 701198 DRIVE AWAY $11,990 • 96,000 klms 2 Litre Diesel 6 SP Sports Auto • Keyless Excellent Condition STK: 701216 2013 HOLDEN CRUZE CD JH DRIVE AWAY $27,890 2014 FORD RANGER XLS PX • 163,294 klms 3.2 Litre Diesel 5 Cylinder 6 SP Sports Auto • Selectable 4WD system Utility Dual CAB STK: 701185 DRIVE AWAY $61,990 2020 FORD EVEREST SPORT UA STK: 701190 41,218 klms 3.2 Litre Diesel 5 Cylinder 4x4 Dual Range 6 SP Sports Auto Keyless Entry DRIVE AWAY $32,990 2020 LDV T60 TRAILRIDER 2 STK: 701188 DRIVE AWAY $23,890 STK: 700798 2015 HYUNDAI I30 GD3 • 86,495 klms 1.6 Litre Diesel 4 Cylinder Sports Auto • 17-inch Alloy Wheels Excellent Condition DRIVE AWAY $41,500 2022 SUZUKI S-CROSS TURBO JY STK: 701170 1,060 klms 1.4 Litre 4 Cylinder 6 SP Sports Auto Blind-Spot Monitoring CarPlay & Android Auto DRIVE AWAY $29,990 2017 TOYOTA C-HR S-CVT STK: 701084 79,589 klms 1.2 Litre 4 Cylinder Compact SUV AWD Excellent Condition 2018 VOLKSWAGEN TOUAREG V6 TDI 82,093 klms 3 Litre Diesel 6 Cylinder 8 SP Sports Auto 4MOTION All-Wheel-Drive Excellent Condition DRIVE AWAY $50,588 STK: 701092 2020 KIA SPORTAGE QL 54,275 klms 2.0 Litre 4 Cylinder 6 Speed Automatic Electronic Stability Control Hill start assist Touchscreen Display STK: 701211 DRIVE AWAY $28,990 2022 FORD PUMA JK STK: 501012 DRIVE AWAY $30,888 1,472 klms 1 Litre • 3 Cylinder 7 SP Sports Auto CarPlay & Android Auto 8 Year Warranty 20,317 klms 2 Litre Diesel 4 Cylinder 4x4 Dual Range 6 SP Sports Auto Excellent Condition

1 Which Australian won the 2021 Formula 2 Championship?

2 In which decade of the 19th century was the Dingo Fence built?

3 Which three famous actresses were the main stars of the 2002 movie, The Hours?

4 What is the fifth letter of the Greek alphabet?

5 Which member of the rock band, Queen, earned a PhD degree in astrophysics in 2007?

6 Pillar of Shame is a significant sculpture that was on display in a university in which Chinese city until 22 December 2021?

7 Who was the first female Attorney-General of Australia?

8 The popular Christmas carol, Silent Night, was composed during which century?

9 Which 1945 novel features the characters, Old Major, Napoleon, Mr. Jones, and Mr. Pilkington?

10 Gold medal winner, Kyle Chalmers, is best known for his involvement in which sport?

11 The Houthi movement is a political and armed movement connected to which religion?

12 In relation to the 1969 moon landing, Neil Armstrong and Buzz Aldrin landed in the ‘Sea of’ what?

13 Abbie Chatfield was a contestant on which 2019 reality TV series?

14 Who scored the most points in the 2021 NRL season?

15 The Orkney Islands are part of which constituent country of the United Kingdom?

16 In 2021, who became the President of Puerto Rico?

17 Which Australian river’s name means “big water” in the Wiradjuri language?

18 Double-double, triple-double and quadruple-double are terms used in which sport?

19 Who was the lead singer of the 1970s English new wave band, Tubeway Army?

20 Which pizza franchise has the advertising slogan, “People Powered Pizza”?

How many US states start with the letter, L?

22 The Guiana Space Centre is based in an overseas region of which country?

23 Paul Mercurio played the role of Scott Hastings in which classic 1992 movie?

24 The symbol for which chemical element comes from the Latin word, kalium?

25 Which composer wrote the 1830 piece, The Hebrides Overture, aka Fingal’s Cave?

26 In December 2021, Siaosi Sovaleni replaced Pohiva Tuionetoa as Prime Minister of which island country?

27 Which historical figure us most closely associated with a dead man’s hand in the game of poker?

28 As at 2021, which country has won the Women’s Rugby League World Cup the most times?

29 Which movie starring Marilyn Monroe featured a band called, Sweet Sue and Her Society Syncopators?

30 What is the closest capital city to the Bungle Bungle Range?

31 True or false? Watermelon is classified as a berry.

32 What is the main artery in the human body?

33 Which bowler took 5/42 in the second innings of the second Test of the 2021 Ashes series?

34 A moshav is a town or settlement in which country?

35 Who wrote the 1969 hit song, Polk Salad Annie, that was also a hit for Elvis Presley in the 1970s?

36 Chrematophobia is the fear of which commonly used thing?

37 Dartmouth Dam, Australia’s highest dam as at 2021, is located in which state or territory?

38 Head lice feed exclusively on what?

39 An instrumental version of which song

is played during the title sequence of the popular 1970s-80s TV series, M*A*S*H?

40 Which team won the 2021-22 Scottish League Cup tournament?

If you flew due west from Madagascar, which country would you reach first?

42 Which professional snooker player had the nickname, Dracula?

43 The white-tailed spider is native to which country?

44 Who won the 2021 season of The Masked Singer (Australia)?

45 What are the three main ingredients of puff pastry?

46 Who was the first person to defeat Paul Gallen in a professional heavyweight boxing bout?

47 How many books were written by L. Frank Baum in his Oz book series?

48 Which team played some of its home games at GMHBA Stadium during the 2021-22 Big Bash League season?

49 As at December 2021, who has been the longest serving Prime Minister of Australia in the 21st century?

50 What colours are the two horizontal bands on the flag of San Marino?

128 Boat Harbour Drive, Pialba www.mybigscreen.com.au Check our facebook & website for current session times DELUXE MealDelivery InCafeHours Licenced ScreensTheBIGGESTintheBay PRIVATE BOOKINGS ARE AVAILABLE, CALL NOW TO ENQUIRE PH 41248200 Page 40 | Hervey Bay Advertiser | May 18, 2023
THEQUIZZY TEST YOUR KNOWLEDGE 31 Answers 1. Oscar Piastri 2 1880s 3. Nicole Kidman, Meryl Streep, Julianne Moore 4. Epsilon 5. Brian May 6. Hong Kong 7. Nicola Roxon 8 19th 9. Animal Farm 10. Swimming 11. Islam 12. Tranquility 13. The Bachelor (Australia) 14. Reuben Garrick 15. Scotland 16. Joe Biden 17. Murrumbidgee River 18. Basketball 19. Gary Numan 20. Domino’s Pizza 21. One 22. France 23. Strictly Ballroom 24. Potassium 25. Felix Mendelssohn 26. Tonga 27. Wild Bill Hickok 28. New Zealand 29. Some Like It Hot 30. Darwin 31. True 32. Aorta 33. Jhye Richardson 34. Israel 35. Tony Joe White 36 Money 37. Victoria 38. Human blood 39. Suicide Is Painless 40. Celtic 41. Mozambique 42 Ray Reardon 43. Australia 44. Anastacia 45. Butter, flour, water 46. Justis Huni 47. Fourteen 48 Melbourne Renegades 49. John Howard 50. White, blue 3 1880s
YOUR LOCAL TRADES & SERVICES ADVERTISE YOUR BUSINESS Email Kristie today on sales@herveybayadvertiser.com.au ADVERTISE YOUR BUSINESS Email Kristie today on sales@herveybayadvertiser.com.au Choose your own heading YES 3 Reach 22,500 Homes YES 3 Multi-booking discounts YES 3 PACKAGES FROM ONLY $65 PER ISSUE HOME DELIVERED EVERY FORTNIGHT ADVERTISE YOUR BUSINESS ACCOUNTING/BOOKKEEPING CERTIFIED PRACTISING ACCOUNTANT • Accounting Business Services • Self Managed Superfund • Tradies,Contractors, Individuals and Small Business ABN Clients Specialty • Tax Accountant • Business Advisory Service • Personalised client service for their customised needs & high level of customer satisfaction guaranteed Suite 6, 19 Main Street, Pialba CALL 0466 868 964 VJD Business Advisor & Tax Accountant is a CPA Business AUTO REPAIRS SANDY STRAITS MECHANICAL 0434 666 212 Mobile Mechanic Service • Log Book Servicing All Mechanical Repairs • Air Conditioning Re-Gas Servicing and Repairs LIC AU40528 BATHROOMS BEN STUBBINGS 0428 165 033 QBCC1091848 – donnabenstubbings@bigpond.com • Supply & Fit New Shower Screens • Shower Renovations • Bathroom Renovations • Leaking Shower Repairs • Tiling to Bedrooms & Big Floors • Fully Licensed & Experienced Waterproofers STUBBINGS WALL & FLOOR TILERS All Aspects of Tiling & Waterproofing BOBCAT, BACKHOE & DINGO smythe’s Bobcat & Mini Excavator Hire Attachments: Augers Rock Grab Hammer Spreader Bar Call John 0419 789 684 ALL TYPES OF EARTHWORKS 8 Ton excavator 4 Ton bobcat • Tip truck Contact Jeff for a FREE QUOTE m: 0418 456 697 e: jeff.doyle@hotmail.com BUILDING SERVICES Your Project, Our Experience, Quality Outcome New Homes • Renovations Extensions Patios Decks and Home Improvement Kirt Phillips - QBCC 1089802 build@fcconstruct.com.au 0419 700 167 CARAVANS Late Model CARAVANS Hervey Bay Caravans Ricky 0417 033 852 (07) 4128 1777 WANTED TO BUY Cash Paid CARPENTRY PB Carpentry Trade Qualified Carpenter | 25 Years Experience • All Your Carpentry Jobs • Inside & Out • Home Renovations • Plus Maintenance & Repairs Phone Paul for a FREE QUOTE 0450 612 621 (No jobs over $3300) ROB CRADDOCK CARPENTRY QBCC1168764 ALL ASPECTS OF CARPENTRY with 30 Years Experience Reliable & Professional Service 0429 967 238 May 18, 2023 | Hervey Bay Advertiser | Page 41
YOUR LOCAL TRADES & SERVICES ADVERTISE YOUR BUSINESS Email Kristie today on sales@herveybayadvertiser.com.au CLEANING SERVICES Mark’s Window Cleaning & Exterior Washing Ph Rachelle 0405 105 790 • Windows Professionally Cleaned • High Access Windows • Pressure Cleaning – gutters, eaves, roofs, buildings & carparks • Builders Cleans • Bond Cleans • Carpet Cleaning (from $65) • Domestic House Cleaning • Commercial Cleaning • Free Quotes – Friendly Service INSURED FULLY | NDIS PROVIDER 20 YEARS LOCALLY OWNED BUSINESS CLOCK & WATCH REPAIRS CLOCK AND WATCH REPAIRS Office Hours 8:30am – 4pm Monday – Friday Phone Glen Powell 4123 4488 or Mobile 0417 640 604 Shop 2/70 Walker Street Maryborough WSeiko atch BatterieS Fitted CONCRETING SERVICES Ph: 0415 347 772 broadhurstconcreting@outlook.com NO JOB TOO BIG OR TOO SMALL FOR ALL YOUR CONCRETING NEEDS QBCC: 15045329 Servicing Hervey Bay and surrounds Greg Winney (Concreter) 30 years exp. in local area · Garage slabs · Patio · Driveways · Exposed aggregate, etc A Local You Can Trust Ph 0417 710 904 After Hour 4128 7316 QBCC No 57000 QBCC 15023760 Hervey Bay & Surrounding Areas MARK HOLSTEIN CONCRETING 0410 965 508 • Driveways • Shed Slabs • Patios • Pool Surrounds • Decorative Concreting • Footpaths etc RAD’S RENDERING All types of rendering and textured finishes 20 years experience HONEST AND RELIABLE SERVICE MOB: 0429 211 465 ELECTRICAL SERVICES A.C.C. ELECTRICAL Over 20 Years Servicing Hervey Bay All Electrical, TV, Ph, HW, A/C Split Systems, T-Tag Needs FREE QUOTES - NO CALL OUT FEE Phone Col 0427 027 472 - 4124 4600 FULLY INSURED LIC NO 10574 Glenn Darlington ELECTRICAL • New Homes • Renovations • Stove and Hot Water System Repairs • TV & Phone Outlets • Sheds • Airconditioning Sales & Installation Domestic and commercial installations and Maintenance Lic#67059 ARC Lic No L151443 0418 797 239 or 4124 0457 glenndarlingtonelectrical@hotmail.com Lic No: 37045 All electrical work Always on time Servicing Hervey Bay area since 1951 Free quotes - no job too small Business & after hours 4128 1988 or find us on www.watkinselectrical.com.au LIC# 81551 FOR ALL YOUR ELECTRICAL NEEDS CALL DANIEL ON 0408 706 436 Email: sunnysideelectricalservice@gmail.com AIR CONDITIONING INSTALLATION FREE NO OBLIGATION QUOTES DOMESTIC - COMMERCIAL - RURAL find us on FENCING BILL RAWORTH FENCING AND GATES · All Aspects of Fencing · Colorbond · Service and Repairs · Sliding Gates PH: BILL 0459 715 117 B & S FENCING WORLD and Landscaping bsfencingworld@bigpond.com Pool & Garden Rust Free Aluminium Glass Semi Frameless & Frameless Landscaping Concrete Water Features Balcony Glass, Aluminium or stainless Steel Gates Sliding, Swing & Auto Garden Sheds Made by Stratco COLORBOND FENCING www.bsfencingworld.com.au 0417 678 200 or 0428 565 063 Lic: BSA NO. 1105026 FUNERAL DIRECTOR SERVICES J. Kirk & Sons Established 1865 Where Funerals, Cremations & Memorials Cost Less! Maryborough 4121 4183 Hervey Bay 4124 2524 100% Family Owned 100% Locally Owned ~Funeral Plans Available~ Hervey Bay Crematorium 224 Urraween Road, Hervey Bay Ph: 4124 2524 Maryborough Crematorium Bruce Highway, Maryborough Ph: 4121 4183 ADVERTISE YOUR BUSINESS GARAGES & SHEDS Aussie Improvements Sheds•Carports COMPLETION 7 WEEKS Email: aussie.outdoor.improvements@gmail.com PHONE 0438 905 216 18 Southern Cross Circ, Urangan Sheds, Garages, Carports Quality products Great price 4124 2099 1/85 Islander Rd, Pialba request a quote www.ranbuild.com.au • General Repairs • Maintenance • Installation • Automation of Existing Doors • Annual Servicing OBLIGATION FREE QUOTES SERVICING FRASER COAST Scott Green 0405 307 191 sdgaragedoors81@gmail.com GUTTER CLEANING BAY GUTTER VACUUM Corporate . Commercial . Residential Chris 0419 650 054 bayguttervacuum@gmail.com Gutter Vacuuming eliminates dirt, mud and leaves Roof Inspections Minor Roof & Downpipe Repairs Prepare now for Storm & Fire Season No Mess HOME MAINTENANCE A&B Touch Ups Chips Cracks Damaged Surfaces CALL ALBERT 0437 788 385 *JOBS UP TO $3300 ONLY* ShowerRe-groutRe-siliconeFloorTilesGlueDrummyTilesDrivewayRepairs ian’s home maintenance service • PAINTING INTERNAL AND EXTERNAL (WATER BASE ONLY) DAMAGE INTERNAL WALLS REPAIRED AND PAINTED • PRESSURE CLEANING DRIVEWAYS – WALLS –SOLAR PANELS LAWN MOWING AND EDGING • TURFING DAMAGED FLY SCREENS REPLACED • SHOWER WALL REGROUTING • LABOUR HIRE & MUCH MORE RUBBISH REMOVAL CALL IAN ON 0422566617 FULLY INSURED services For all types of required maintenance around the house We pride ourselves on offering an honest and reliable service All work is guaranteed•Fully insured NO WORK OVER $3,300 For a FREE quote call Noel 0457 478 727 or email thecolourfulhandyman@outlook.com.au May 18, 2023 | Hervey Bay Advertiser | Page 42
YOUR LOCAL TRADES & SERVICES ADVERTISE YOUR BUSINESS Email Kristie today on sales@herveybayadvertiser.com.au Handyman Plus All household repairs Plus Carpentry, Concreting, Painting Paving & Decks Very reasonable rates - Pensioner Discounts Phone: Kevin 0417 849 698 For free quote No work over $3,300 MARINE SERVICES PH: DEN 0432 285 401 HERVEY BAY OUTBOARD SPARES BUY & SELL OUTBOARDS WANTED FOR WRECKING PAINTING & DECORATING QBCC 1194109 LIC 15075446 Phone 0423 964 496 www.frasercoastwaterproofing.com DISCOUNT PAINTING All Work Guaranteed By Local Qualified Tradesman NEW WORK & REPAINTS Water Blasting & Roof Painting at Affordable Prices · PENSIONER DISCOUNTS · Phone: Stewart 4125 6138 or 0408 452 434 QBCC: 1187889 PAINTER Small enough to care Big enough to cope Phone Derek on 0457 077 599 or 4128 2816 or Tracey on 0438 592 339 True Father & Daughter Team QBCC Lic No: 15160797 QBCC Lic. No. 1076503 Painting Contractor Phone 4194 6092 Mobile 0418 152 868 New work • Repaints • Wallpapering Commercial & Domestic Work For a free quote ring Fred today Quality Internal and External Painting Over 30 years experience Lic. No. 53585 S.D. & K.M. Tanner PH: 4128 3229 Mobile: 0411 032 478 Email: sydneytanner@bigpond.com Reliable Honest Quality Stirling Painters Discount Painting Small and Medium job specialist FREE QUOTES (within 48 hrs) · Interior · Exterior · Roofs · Water Blasting · Repaint Specialists COME AS LOCAL TRADESMEN... LEAVE AS FRIENDS Looking after locals for 38 years 0422 566 004 or 4125 4794 QBCC 81429 PEST CONTROL HERVEY BAY & MARYBOROUGH Specalising In: • Cockroaches • Silverfish • Ants • Spiders, Redbacks • Fleas & Ticks • Termites • Timber Pest Inspections • Mosquitos • Sandflies • Rats & Mice For environmentally responsible treatment call 4128 3072 0412 458 440 Local Owner/Operator Peter Stiler QBCC 1012203 Cockroach, Silverfish & Spider Treatment $130* Plus Shed Treated FREE ONLY (inc. ceilings & external wall cavities. Plus 12 Month Warranty) Standard house size PLUMBING SERVICES CUNNINGHAM PLUMBING ABN 89796274769 QBCC 50336 For all your plumbing, repairs, maintenance & bathroom renovations including taps, mixers & toilets, servicing hot waters or replacement. OVER 40 YEARS EXPERIENCE Hervey Bay area Call Alan 0418 157 711 Simon 0417 596 495 For all you plumbing and maintenance Email: hartwellplum@gmail.com Simon & Catherine Hartwell HARTWELL PLUMBING Pty Ltd REPLACEMENTS - NEW INSTALLS MAINTENANCE - REPAIRS QBCC 1140025 Lic No: 24340 Gas: 130001 • Waterproofing all wet areas • Leaking shower base repairs • Full shower renovations • Wall and floor tiling • Structural timber & gyprock repairs • All work guaranteed • 7 Years on waterproofing CALL IAN FOR A FREE WRITTEN QUOTE 0422566617 QBBC LIC NO 95419 C H20 Leaking Shower Repairs & Waterproofing DOUG KELLY PLUMBING QBCC 5030291 MAINTENANCE & NEW CONSTRUCTION SEWER DRAINAGE BLOCKAGES SHANE 0407 798 805 TRUE BLUE WATER FILTERS Never buy bottled water again! • Pure, clean and great tasting chemical free water • Reliable and friendly, Hervey Bay owned & operated • Free quotes available, including shower filters & whole house systems Royce 0419 856 088 CARAVAN & MARINE GAS CERTIFICATES SERVICE, REPAIRS, SALES INSTALL, FREE QUOTES 4128 2111 80 Torquay Road, Hervey Bay QBCC 1077287 ROOFING SERVICES 0408 724 047 AH (07) 4125 5590 0408 724 047 AH (07) 4125 5590 GABLE ROOFING GABLE ROOFING Specialist in Tiled Roof Maintenance • Re-bed & Re-point • Roof Restorations • Storm Damage & Repairs • Roof Inspections FULLY LICENSED & INSURED “BETTER THAN THE ORIGINAL” 30 YEARS EXPERIENCE QBCC 733635 QMRTA 1153 $2450 • we use Dulux and Tilemaster • 5% pensioner discounts • fully insured • restore all roof types • all work guaranteed • family business 3rd generation • will beat any written quote by 10% QBCC: 1270953 Ph: 0451 716 383 www.newlookroofpainting.com.au RM6444259 GET FREE QUOTES EXTERIOR PAINTING FROM RUBBISH REMOVAL PHONE BADEN MOORE 0403 346 165 FREE QUOTES NO TIME TO TAKE THAT EXTRA RUBBISH AWAY? LET ME DO IT FOR YOU! |GARDEN WASTE | BED/MATTRESS |WASHING MACHINES/DRYERS | BUILDING MATERIALS |PROPERTY CLEAN-UP PLEASE NOTE PHONE NUMBER HAS CHANGED TREE SERVICES M. 0421 255 178 REMOVAL OF DEAD& DANGEROUS TREES TREE TRIMMING STUMP GRINDING . LAND CLEARING 24 HOURS EMERGENCY WORKS FIRE MANAGEMENT CLEARING FULLY INSURED QUALIFIED ARBORIST . MACHINE HIRE MULCH SALES PICK UP OR DELIVERED owen@advancetreeworks.com.au www.advancetreeworks.com.au Budget Tree Service Vegetation Management Tree & Stump Removal Qualified Arborists Qualified Climbers 24hr Emergency Service 15” 18” & 20” Chippers Stump Grinders 19m & 22m EWPs Mini Loader Fully Insured ph 4129 0487 0429 019 448 Servicing Wide Bay and Surrounding Areas www.budgettreeservice.com.au budgettreeservice@bigpond.com Hervey Bay SPecialiSTS AFFORDABLE TREE REMOVAL, TRIMMING & PRUNING STUMP GRINDING | PALM TREES REMOVED Free Quotes. Fully Insured Call Luke 0478 822 956 FRASER COAST STUMP GRINDING May 18, 2023 | Hervey Bay Advertiser | Page 43 ADVERTISE YOUR BUSINESS Email Kristie today on sales@herveybayadvertiser.com.au Packages from only $65 per issue

entertainer. The separate media room is the perfect spot for winding down with a family movie complete with raised platform, projector and 120-inch cinema screen. Additionally, there a 2nd outdoor living space, solar energy, home security, an electric gate, and low maintenance gardens. Located just a short drive from the medical precinct, sporting precinct, shopping and pristine beaches.

May 18, 2023 Read the full digital version @ www.herveybayadvertiser.com.au BPI www.bpic.com.au BUILDING & PEST INSPECTIONS QBCC BUILDERS LICENCE: 1318788 PEST TECHNICIAN LICENCE: 3005499615 • BUILDING & TIMBER PEST INSPECTIONS • PRE-SALE & PRE-AUCTION INSPECTIONS • TAX DEPRECIATION SCHEDULES All inspections include the use of our thermal imaging camera and moisture detection equipment. Offering a 24hr turn around period on our detailed 40+ page reports. CALL US TODAY FOR A QUOTE OR TO MAKE A BOOKING 4125 2944 / 1800 663 390 FIXED FEE CONVEYANCING 07 4197 5600 www.lawessentials.net.au 79 Torquay Road, Hervey Bay 9/81 Boat Harbour Drive, Urraween Phone: 07 4128 9919 Email: rentals@dsbpm.com.au Web: dsbpm.com.au Facebook: www.facebook.com/dsbpm CARPET . TIMBER . VINYL . TILES BLINDS . SHUTTERS . RUGS 1300 305 095 FOR FREE QUOTES A Fusion of Style, Comfort & Luxury When first impressions matter, this home won’t disappoint. Boasting multiple living areas with large windows and luxury vinyl plank flooring. The kitchen is a showcase in contemporary design, overlooking the living areas and out to the alfresco dining where you can entertain all your family and friends, offering ample storage space, integrated dishwasher, stone benchtops, gas cooktop, electric oven and walk in pantryNo doubt it will satisfy the most decerning master chef and
Kim
37 Peppermint Circuit, NIKENBAH 4 Bed | 2 Bath | 2 Car Offers Over $999,000
Carter 0417 790 526 cartercooperrealty.com.au

KERRY CAMPBELL HOMES

NEW RELEASE – STAGE 2 GIRRAWEEN ESTATE NOW SELLING – FULL TURN KEY HOUSE AND LAND PACKAGES LOT 33 GALWAY CRT – LATROBE/EXECUTIVE INCLUSIONS, 4 BRM, ENS, WIR, SEP LNG, AIR CON + MORE $589,000 LOT 34 GALWAY CRT – BLUEBELL/EXECUTIVE INCLUSIONS, 4 BRM, ENS, WIR, SEP LNG, AIR CON + MORE $580,000 LOT 47 GALWAY CRT – APOLLO/SUPERIOR PLUS INCLUSIONS, 4 BRM, ENS, WIR, SEP LNG, AIR CON + MORE $525,000 LOT 48 GALWAY CRT – BLUEBELL/EXECUITVE INCLUSIONS, 4 BRM, ENS, WIR, SEP LNG, AIR CON + MORE $585,000 LOT 60 GIRRAWEEN WAY – JASMINESUPEIOR PLUS INCLUSIONS, 4 BRM, ENS, WIR, SEP LNG, AIR CON + MORE $525,000 LOT 61 GIRRAWEEN WAY – CATHY/SUPEIOR PLUS INCLUSIONS, 3 BRM, ENS, WIR, SEP LNG, AIR CON + MORE $499,000 Kerry Campbell Homes are Hervey Bay’s house & land specialists. Servicing the region for more than 25 years. Building
quality, affordable homes to suit any budget.
LOT 51 GIRRAWEEN WAY, ELI WATERS MAGNOLIA – DELUXE INCLUSIONS: 4 BRM, ENS, WIR, FAM/DIN, SEP LNG, AIR CON, SECURITY SCREENS, DISHWASHER, DLUG + MORE $569,000 Artist impression LOT SIZE 476sqm PHONE TODAY FOR MORE DETAILS 4124 2747 Tina 0428 589 010 Email: sales@kerrycampbell.com.au PHONE TODAY FOR MORE DETAILS 4124 2747 Tina 0428 589 010 LOT 50 GIRRAWEEN WAY, ELI WATERS FIONA - DELUXE INCLUSIONS: 4 BRM, ENS, WIR, FAM/DIN, SEP LNG, AIR CON, SECURITY SCREENS, DISHWASHER, DLUG + MORE $565,000 Artist impression LOT SIZE 476sqm LOT 49 GIRRAWEEN BLVD, ELI WATERS BROOK - SUPERIOR PLUS INCLUSIONS: 4 BRM, ENS, WIR, FAM/DIN, SEP LNG, AIR CON, SECURITY SCREENS, DISHWASHER, DLUG + MORE $529,000 Artist impression LOT SIZE 494 SQM LOT 54 GIRRAWEEN WAY, ELI WATERS AMBER - EXECUTIVE INCLUSIONS: 4 BRM, ENS, WIR, FAM/DIN, SEP LNG, AIR CON, SECURITY SCREENS, DISHWASHER, DLUG + MORE LOT SIZE 579sqm $629,000 LOT 6 GIRRAWEEN WAY, ELI WATERS LATROBE - EXECUTIVE INCLUSIONS: 4 BRM, ENS, WIR, FAM/DIN, SEP LNG, AIR CON, SECURITY SCREENS, DISHWASHER, DLUG + MORE $589,000 Artist impression LOT SIZE 703sqm SOLD UNDER CONTRACT

15 BRYPAT CLOSE BURRUM HEADS

• 4 bedrooms, office, 2 bathrooms, 2 living areas

• Modern industrial style kitchen with dishwasher & stone benchtops

• Tinted windows, plantation shutters, fans and air-con to every room

• Enclosed outdoor living space with ceiling fan

• Inground pool, 6.67kw solar, water tank, fire pit, side access

• Double garage + 2 bay shed + 2 bay carport, power and water to shed

OFFERS OVER $925,000

KIM CARTER 0417 790 526

Entertainers

• 4 bedrooms, master complete with ensuite

• 2 spacious living areas, ceiling fans and air-conditioning throughout

• Solar panels on top, small water tank at the rear

• Double lock up garage with attached shade sail

• Separate single garage with carport extension

• Close to Eli Waters shopping centre and schools

OFFERS OVER $695,000

Open plan living/dining has views out to the water and parklands

Open plan kitchen has plenty of cupboard space and dishwasher

Main bedroom with ensuite, WIR and views

2 additional bedrooms have built in wardrobes & ceiling fans

Double car park plus storage cage underneath complex

Scan

vacant land in prime location

• High density residential zone

• Suitable for commercial and residential uses, including hotels and restaurants (STCA)

• Less than 300m from Enzo’s on the Beach and beach access

22

Park The Boat Here – 1km From The Ocean

• Neat & tidy 3-bedroom brick home

• Air-conditioned living area, multi-purpose room, kitchen & dining

• Outdoor area with pizza oven, outdoor sink & built-in wet bar

• Solar panels, fire-pit, fully fenced and landscaped 800m2 block

• Double shed + massive boat/van port with power

Design Your Dream Investment 360 ESPLANADE SCARNESS Scan the QR code to view MATT DORROUGH 0410 369 996 $820,000

 AGENCY OF THE YEAR 403 Esplanade Torquay | Call 4125 5399 | sales @ccrhb.com.au | www.cartercooperrealty.com.au JANA LEVAK 0431 155 140 Scan the QR code to view • Stunning ex display home built with the finest of inclusions • Formal lounge, theatre room, family room & dining • 4 bedrooms, 2 bathrooms, double lock up garage • Ducted air con, solar power, remainder of builders warranty • Professionally landscaped with multiple outdoor entertaining areas • Fully fenced with side access & room to park van/boat When Only The Best Will Do! OFFERS OVER $985,000 33 SPRING WAY NIKENBAH NEW LISTING KIM CARTER 0417 790 526 BRAD MITCHELL 0418 764 530 Scan the QR code to view • 5 bedrooms in total, 5 stunning bathrooms (3 ensuites) • Sound proofing throughout the house, perfect for air BNB • Study nook, ducted A/C, plantation shutters, Vj walls, timber floors, 9.5ft ceilings • 11.2kw solar system, brand new PVC Hamptons style fencing • Kitchen and laundry can be found on both levels • Double garage with storage room + double carport In A Class Of Its Own 663 ESPLANADE URANGAN OFFERS OVER $1,900,000 KIM CARTER 0417 790 526
the QR code to view
Scan
Dream in a Central Location
25 MAWSON COURT URRAWEEN NEW LISTING
Scan the QR code to view
Got The Lot! - Shed & Pool on 2363m2
MAURICE & NICOLE ELLIS 0427 246 261 the QR code to view
Resort facilities include inground pool, BBQ & gym, and Balinese hut 207/239 ESPLANADE PIALBA Time For Some Fun!
$745,000 KIM CARTER 0417 790 526 Scan the QR code to view
OFFERS OVER
FROM $1,100,000 • 1088m2
OFFERS
3 bed 2 bath air conditioned home
location with everything you need
cars accommodation
• 5-minute walk to The Beach House and Odyssey Bistro
• Quiet
• Shed with 5
pool and
area
• Inground
entertaining
of grass area for kids
• Set on 5169m2 with plenty
drive through access Gorgeous Coastal Home! 103 OSLOVE DRIVE BOORAL NEW LISTING
Scan the QR code to view
• Fully fenced with
KIM CARTER 0417 790 526
$699,000
OFFERS OVER
MILLER STREET URANGAN
• Walk to the beach, Marina precinct, restaurants, shopping centre & schools

Sheds

Galore on 949m2 Beachside Block

• 4 bedrooms, family bathroom with a separate toilet

• Air-conditioning in living area and 2 x bedrooms

• Spacious kitchen with ample storage space

• Front covered patio + large rear entertaining area

• 2-bay shed + 3-bay shed with workshop + large carport

• Metres from boat ramps, general store and the beach

9 SATINWOOD AVENUE

• Suit retirees or empty nesters – 4 bed/2 bath

• Kitchen with modern appliances – air con throughout

• Large outdoor patio & paved terrace overlooking lake

• DLUG with workshop/storage – 457m2 block

• Walk to shopping centre & close to all amenities

• Kingfisher lakes private friendly community

140

the QR code

Scan

53

BIDEFORD STREET TORQUAY

Relaxed

Coastal Living In Central Location

• 3 bedrooms, all with built in wardrobes and ceiling fans

• Air conditioned open plan living with raked ceilings

• Polished timber floors throughout, recently replaced roof

• Single lock up garage, large garden shed, underground water tank

• Magnesium pool, pergola, tropical gardens, electronic gates

• 881m2 corner allotment with dual street access

KIM CARTER 0417 790 526

Scan the QR code to view

 AGENCY OF THE YEAR 403 Esplanade Torquay | Call 4125 5399 | sales @ccrhb.com.au | www.cartercooperrealty.com.au KIM CARTER 0417 790 526 Scan the QR code to view OFFERS OVER $650,000 • Master complete with ensuite and walk-in wardrobe • Spacious open plan kitchen, dining and living area • Modern kitchen boasts island benchtop and dishwasher • Double lock up garage, covered outdoor patio • Fully fenced 607m2 block, side access, room for shed • 1km from the beach, easy access to CBD Modern Near New Home 46 HILLCREST AVENUE SCARNESS NEW LISTING JANA LEVAK 0431 155 140 Scan the QR code to view OFFERS OVER $485,000 CONSIDERED 32 KEHLET STREET POINT VERNON Neat & Sweet With Studio At Rear • 3 bedroom, 1 bathroom home with 2 carports • Open plan kitchen, dining & lounge • Enclosed outdoor multi-purpose room • Spacious entertaining at rear – verandah at front • Large studio at rear with kitchenette & bathroom • Less than 450m to Esplanade, beach – 100m to shops Scan the QR code to view MAURICE ELLIS 0427 246 261 OFFERS OVER $725,000 • Only short stroll to the water and Boat Harbour precinct • 3 bedroom renovators delight • Lounge, galley style kitchen • single garage has internal access • level 536 sqm block • Great spot - just add your own touches! Renovator by the water! 92 MILLER STREET URANGAN NEW LISTING Scan the QR code to view MATT DORROUGH 0410 369 996 $569,000 • 2 Bed 2 Bath 2 Car • Over 50s Community Living • Master bedroom with ensuite and walk-in robe • Modern kitchen with electric oven and cooktop • Extension to alfresco area with roller blinds • Double garage with internal access Modern Luxury Living 13/2-20 ISLAND VIEW DRIVE URANGAN NEW LISTING ANNETTE MITCHELL 0428 255 824 Scan the QR code to view OFFERS FROM $550,000 • Recently updated 3 bedroom home • Fully air-conditioned, tiled living area • Upgraded kitchen and bathroom • Large rear timber entertainment deck • Side access to a 5m x 11m shed, power, remote • Great location. All amenities nearby Feel Like You’ll Never Find It? 16 JACK STREET PIALBA NEW LISTING KIM CARTER 0417 790 526 JANA LEVAK 0431 155
NEAREST OFFER
Maintenance Living On The Lake
$695,000 OR
Low
URRAWEEN
KIM CARTER 0417 790 526 to view
OFFERS OVER $499,000
VERNON
56 BARKER STREET POINT
LISTING
NEW
OFFERS OVER $750,000

OFFERS

OFFERS OVER

OFFERS

11

Time To Unwind!

• 3 bedrooms + study, 3 ensuites

• Open plan + separate media room

• Extensive outdoor entertaining

• Massive shed + ensuite, extra bay for van

• 5 mins to beach, 10 mins to town

Prime

Position – 500m to

• 3 bedrooms with built-in wardrobes, master with ensuite

• Large living area with separate kitchen/dining room

• Ceiling fans and air-conditioning throughout

• Spacious outdoor entertaining area, double lock up garage

• Set on a 607m2 allotment with established gardens

OFFERS OVER $585,000

 AGENCY OF THE YEAR 403 Esplanade Torquay | Call 4125 5399 | sales @ccrhb.com.au | www.cartercooperrealty.com.au ANNETTE MITCHELL 0428 255 824 Scan the QR code to view
FROM $499,000 • 2 bedroom ground floor unit • Ensuite to master bedroom • Open plan air-conditioned living • Pool in complex, underground parking • Opposite beach, shops and cafes nearby • Nest or invest with tenant currently in place Fully Furnished Beachside Unit 3/44 FRESHWATER STREET SCARNESS KIM CARTER 0417 790 526 BRAD MITCHELL 0418 764 530 Scan the QR code to view • Immaculate light & airy 4 b/r, 2 bathroom home
Generous open plan living with a modern kitchen
Stylish ensuite to the master with a WIR
1,230m2 block is private with lush tropical gardens
Solar panels, plantation shutters. DLUG
Private & secure in a very desirable beachside location
Sanctuary Near The Beach 51A HELSHAM STREET POINT VERNON
Private
$900,000 KIM CARTER 0417 790 526 Scan the QR code to view
OFFERS OVER
Just 500m from the beach and vibrant Torquay Esplanade
Neat and tidy 3 bedroom home on site with 2 living areas
OVER $565,000 •
Set on a 969m2 medium density allotment
Current DA approval for multiple dwelling in place (renders available)
Primary school around the corner and the high school is a safe and easy bike ride for the older kids
Block, Big Possibilities 38 TOTNESS STREET TORQUAY KIM CARTER 0417 790 526 Scan the QR code to view
Big
$700,000
Fully fenced 3808m2 flat, level block
15m
Colourbond
returns
x 20m
shed - currently rented with great
at each end of shed • Wide frontage, great exposure and flexibility in design • Large, concreted area, easy access for trucks and haulage vehicles • Location, location - Close to all amenities Commercial Investment Opportunity 11 SOUTHERN CROSS CIRCUIT URANGAN NEW LISTING KIM CARTER 0417 790 526 Scan the QR code to view
OVER $760,000 • 6 spacious bedrooms, master complete with ensuite • Generous kitchen, open plan living + separate lounge room • Ducted air conditioning with zone control • Spacious outdoor entertaining area • 885sqm block, 2 bay shed & solar panels • Walking distance to schools, 2km to beach Executive Family Home With Pool 96 ROBERT STREET URANGAN Scan the QR code to view MATT DORROUGH 0410 369 996 $975,000 • 5Bed 2 Bath 4 Car 2001m2 private allotment • In ground pool with entertaining area • Ducted air conditioning throughout • Separate dining and lounge • Open Plan kitchen with ample storage • Close to local beach’s and shops Tranquil Retreat 11 BRYPAT CLOSE BURRUM HEADS NEW LISTING KIM CARTER 0417
526 Scan the QR code to view
• Grey water system for watering front garden and 4 taps
OFFERS
790
Beach!
GRANADA
• 500m walk to the Esplanade and local café POINT VERNON Scan the QR code to view MAURICE ELLIS
15
COURT
0427 246 261
OFFERS OVER $1,150,000
HUMMOCK VIEW DRIVE CRAIGNISH
• Low maintenance 2417sqm allotment
PRICE REDUCED
PRICE REDUCED

 AGENCY OF THE YEAR 403 Esplanade Torquay | Call 4125 5399 | sales @ccrhb.com.au | www.cartercooperrealty.com.au KIM CARTER 0417 790 526 JANA LEVAK 0431 155 140 Scan the QR code to view The Epitome Of Luxury City Living • Custom designed 314m2 home built by Geoff Clark Homes • 4 bedrooms, 2 bathrooms, double lock up garage • Open plan living with soaring ceilings, spacious interiors • Expansive alfresco outdoor area complete with outdoor kitchen • In-ground pool, solar power/water, ducted air con, many extras • Fully fenced, dedicated port for van/boat – central location OFFERS ABOVE $999,000 CONSIDERED 6 SONGBIRD PLACE URRAWEEN ANNETTE MITCHELL 0428 255 824 Scan the QR code to view
OVER $540,000 • Nicely presented 3 bedroom ensuite home • Fully tiled, fans throughout, DLUG • Air conditioned lounge room and master bedroom • North facing deck, 800m2 fully fenced block • Shopping village and boat ramps nearby • Idyllic lifestyle in a quiet popular location Relaxing Lifestyle With Views & Breezes 52 PETREL AVENUE RIVER HEADS KIM CARTER 0417 790 526 BRAD MITCHELL 0418 764 530 Scan the QR code to view
OFFERS
OFFERS OVER $599,000
3 bedrooms
study
with built-in wardrobes plus
• Air-conditioned open plan living with polished timber floors
• Kitchen boasts stone benchtops & dishwasher
• Family bathroom, separate toilet & laundry
• Tandem lock up garage + double carport
Fully
street Stunning Blue-Chip Opportunity 12 ELIZABETH STREET URANGAN KIM CARTER 0417 790 526 BRAD MITCHELL 0418 764 530 Scan the QR code to view
fenced and private from the
OFFERS OVER $525,000
Renovate
• 2 large bedrooms, family bathroom, kitchen and living area • A/C, fully fenced yard, single lock up garage • Corner allotment just 200m from the beach • Boat Harbour and Marina precinct close by • Nearby boutique shops, cafes, restaurants, Woolworths and bus stops add convenience Location, Location - Bring Your Tools! 16 ELIZABETH STREET URANGAN KIM CARTER 0417 790 526 BRAD MITCHELL 0418 764 530 Scan the QR code to view • 200m from the beach and Urangan Pier • 4 bedrooms, 1 bathroom, separate toilet • Air-conditioned open plan living area • Hardwood timber flooring throughout • Tandem lock up garage, fully fenced yard • Set on a low maintenance 519m2 allotment Looking For a Beach House? 14 ELIZABETH STREET URANGAN OFFERS OVER $625,000 Scan the QR code to view MAURICE ELLIS 0427 246 261 OFFERS OVER $849,000 • Good sized bedrooms • Main bathroom • Central kitchen lots of room • Lounge and sunroom • Single garage, carport, additional studio • Just under 1,000sqm corner allotment Great Location - Close To The Beach! 1 HOCKLEY LANE URANGAN KIM CARTER 0417 790 526 Scan the QR code to view OFFERS OVER $550,000 • 4 bedrooms, master with walk-in wardrobe & ensuite • Freshly painted with new blinds • Tiled throughout for low maintenance living • Media room + open plan kitchen, living & dining area • Double lock up garage + carport with drive through access • A/C, water tank, covered alfresco area, 660m2 allotment This Is It! Affordable Family Home 11 PROTECTOR WAY ELI WATERS Scan the QR code to view MATT DORROUGH 0410 369 996 $599,000 • 4 Bed 3 Bath 2 Car • Open plan living and dining areas • Entertain friends in the private alfresco area • Double lock-up garage with internal access • Complex offers a sparkling inground pool • Stroll to beach, restaurants, cafes, shops Huge Luxury Townhouse 2/2 BARNSTAPLE STREET TORQUAY NEW LISTING PRICE REDUCED PRICE REDUCED
or knock down and re-build

• Upstairs master bedroom with ensuite and parent’s retreat

• Kitchen and laundry on each level

• Front and rear deck, 1350m2 block separated into 2 backyards • Single garage on the home + detached double

• Ready to move in - beach house with water views

• 2-3 bedrooms with modern kitchen & open plan living

• 2 bathrooms, polished timber floors, air conditioning

• Expansive front verandah & entertaining at rear

• Double gate access to huge shed and double port parking

• 1113m2 block, 2 street access – subdivision potential

• All bedrooms have built ins and air-con, renovated bathrooms & 3rd toilet

• Fully renovated kitchen with dishwasher and gas cooktop

• 5th bedroom or loft/kids retreat, separate lounge + custom built cinema room

• Double garage with mezzanine floor and study

• Massive alfresco living area, front courtyard

22 GREENWAY DRIVE PIALBA

• 3 spacious bedrooms situated around a family bathroom

• New kitchen with plenty of cupboard space, freshly painted throughout

• Polished timber flooring, front and rear verandahs

• Concreted utility room, laundry and single lock-up garage downstairs

• Fully fenced 603m2 allotment with side access

• Close to the beach, shopping, golf course, restaurants, cafes & schools

OFFERS OVER

KIM CARTER 0417 790 526

• 3 bedroom brick home, modern kitchen, dishwasher

• His & her bathrooms, tiled living area

• Tank, bore, dam

the QR code to view $725,000

MITCHELL 0428 255 824 BRAD MITCHELL 0418 764 530

OFFERS

• Kitchen with dishwasher and breakfast bar, spacious open plan living area

• Fantastic rear courtyard with covered patio, perfect for pets!

• Air-conditioning, high ceilings, single lock up garage on the home

• Caravan parking and boat storage yard available on site with easy access

 AGENCY OF THE YEAR 403 Esplanade Torquay | Call 4125 5399 | sales @ccrhb.com.au | www.cartercooperrealty.com.au KIM CARTER
Scan the QR code to view
0417 790 526
$750,000
OFFERS OVER
• 5 bedrooms and 3 bathrooms spread over 2 levels
• 2 self-contained living environments
Attention Investors – Returning $880pw 34 VICTOR DRIVE KAWUNGAN
JANA
140 Scan the QR code to view Beach
shed
KIM CARTER 0417 790 526
LEVAK 0431 155
Home in Blue Ribbon Location
$925,000
FLINDERS STREET POINT VERNON KIM
BRAD
530 Scan the QR code to view
OFFERS OVER
9
CARTER 0417 790 526
MITCHELL 0418 764
Hard To Find - Impossible To Forget 141 TRURO STREET TORQUAY OFFERS OVER $950,000
Scan the QR code to view
$480,000
Endless Potential, Exceptional Value
ANNETTE
Scan
water and solar panels • 6m x 6m shed, 12m x 9m shed, annexure • 2nd kitchen, utility room, bathroom in shed
Fully fenced for privacy and security Your Lifestyle Choice On 2 Acres 53 CARTER LANE DUNDATHU KIM CARTER 0417 790 526 Scan the QR code to view
OVER $650,000
4 bedrooms,
wardrobe
Air-conditioning
master with ensuite and walk-in
in 2 x bedrooms and both living areas
room
• Open plan kitchen/living + separate lounge
Covered
garage on the home
Low maintenance
gate side access
Walking distance to
Coast
College
drive to
Bay’s
precinct Family Home or First-Class Investment 11 WAGTAIL CIRCUIT KAWUNGAN KIM CARTER 0417 790 526 Scan the QR code to view $530,000
outdoor entertaining area, double
541m2 block with double
Fraser
Anglican
and a short
Hervey
hospital and medical
• 3 bedrooms, main with air-con and 2-way bathroom/ensuite
Reside By The Seaside 16/25-67 PIALBA BURRUM HEADS ROAD ELI WATERS KIM CARTER 0417 790 526 Scan the QR code to view
• Recreational and sports facilities, gated complex, live-in management
$895,000
OFFERS OVER
• 4 bedrooms + study, ensuite with glass atrium overlooks fernery
• Renovated kitchen, A/C and ceiling fans throughout
• Multiple living and dining options, outdoor entertaining area
• Double lock up garage + double carport
Inground
pool, room to park the caravan
Quiet And Convenient Oasis 12 ADAIR COURT KAWUNGAN PRICE REDUCED PRICE REDUCED
• Private, low maintenance 981m2 allotment

Boat Ramps & Fraser Island Ferry

• Located with Grand Mercure Allegra Apartments

• 2 bedrooms, generous ensuite and spa bath

• Open plan living space and secure balcony

• Generous kitchen – modern appliances

• Fully furnished (inventory available), underground parking • Fantastic on site facilities, and awesome position

• 4 bedrooms, air-conditioned master complete with ensuite

• Family bathroom with bathtub and separate toilet

• Designated dining area and spacious air-conditioned lounge room

• Outdoor undercover entertaining space

• 737m2 block, side access to rear, room for a shed or pool

• Minutes from boat ramps, beach & schools OFFERS

KIM CARTER 0417 790 526

Blue-Chip Unit Block Investment

• Situated less than 100m from the Esplanade

• Rare entire block of units: 4 x 1-bedroom units, 1 x 2-bedroom unit

• Set on a 1361m2 allotment with ocean views

• Zoned medium density, redevelop now or in the future (STCA)

• All units are tenanted to give an instant return on your investment

• Although an older building, it’s the location that really counts

KIM CARTER 0417 790 526

 AGENCY OF THE YEAR 403 Esplanade Torquay | Call 4125 5399 | sales @ccrhb.com.au | www.cartercooperrealty.com.au KIM CARTER 0417 790 526 • Ocean views from balcony and bedrooms • Modern bathroom, separate toilet & laundry • Air-conditioned open plan living, galley kitchen • Ceiling fans & security screens throughout • Walk to schools and shopping precinct • Well maintained complex of 7 units with in-ground pool Scan the QR code to view 5/3 BEACH ROAD PIALBA OFFERS OVER $435,000 Beachside Beauty HOME 303/569 ESPLANADE URANGAN KIM CARTER 0417 790 526 Scan the QR code to view • 2 bedrooms, 2 bathrooms unit in Oaks Resort • Spacious open plan kitchen, living & dining • Balcony overlooking pool and ocean views • Secure underground car parking • Facilities include: 2 lagoon pools, gym, day spa & function rooms • Walk to restaurants, cafes, Urangan Pier and beach Come Home To The Good Life OFFERS OVER $600,000 KIM CARTER 0417 790 526 Scan the QR code to view Luxury On The 5th Floor 501/468 ESPLANADE TORQUAY • 3 bedrooms, master with spa ensuite • Open plan living and dining, ducted A/C • Gourmet kitchen with quality appliances • Secure car accommodation, storage cage • Resort facilities; On-site management, heated lagoon pool, sauna & gym • Walk to it all location, directly opposite magnificent Shelly Beach OFFERS OVER $750,000 ANNETTE MITCHELL 0428 255 824 Scan the QR code to view OFFERS FROM $900,000 • Stunning 4 bedroom, three bathroom home complete with views of K’gari • Open plan kitchen with stone benchtops & Italian floor tiles • Multiple living areas inside & out, plenty of room for entertaining • Inground saltwater pool, 8kw Solar & landscaped garden throughout • An exceptional property full of quality and space • Minutes from boat ramps and the barge out to the Island Eagle Has Landed 9 JOYCELYN TERRACE RIVER HEADS KIM CARTER 0417 790 526 Scan the QR code to view • 3 bedrooms with built in wardrobes • Neat and tidy kitchen, air conditioned living area • Set on a fully fenced 680m2 corner block • Outdoor undercover entertainment area • Single lock up garage with internal access • Walk to; Hervey Bay Health Club, Bowls Club, shopping centres, schools and beach 62 ANN STREET TORQUAY $525,000 Easy Beachside Living or Investing Scan the QR code to view MATT DORROUGH 0410 369 996 OFFERS OVER $550,000 • Conveniently located 3 bed 1 bath 1 car home • Great first home or investment property • Large single lock up garage • Air-conditioned living space • Family bathroom with separate toilet • Short walk to the beach Opportunity Awaits 117 TRURO STREET TORQUAY KIM CARTER 0417 790 526 Scan the QR code to view $660,000 • 4 bedrooms, master complete with ensuite • Air-conditioned open plan living + separate lounge room • Spacious outdoor entertaining area and pergola • Double lock up garage on the home with internal access • Fully fenced 750m2 block with established gardens • Close to CBD, medical precinct and quality schools A Home for Relaxing and Entertaining 3 LOCKERBIE COURT KAWUNGAN KIM CARTER 0417 790 526 Scan the QR code to view • Air-conditioned open plan kitchen, living and dining area with stunning views • 2 good size bedrooms with ceiling fans • Single lock up garage, secure gated complex • Full use of resort facilities; 2 swimming pools, tennis court and games room • Walking distance to the Marina precinct including; Boat Club, restaurants & cafes 55/17 BUCCANEER DRIVE URANGAN OFFERS OVER $450,000 Fantastic Position & Breath Taking Views KIM CARTER 0417 790 526 Scan the QR code to view • 4 bedrooms, master complete with ensuite • Open plan living with A/C + lounge room • Outdoor patio area, huge shed at the rear & double garage • 2225m2 block, potential to subdivide (STCA) • School bus for the kids, 15 minutes to Hervey Bay’s CBD • Close proximity to
51 MATHIESEN ROAD BOORAL Room For Everyone & Everything! $650,000 HOME
the QR code to view
Scan
OVER
Secure Investment For The Future 24 SHARYN COURT POINT VERNON MAURICE ELLIS 0427 246 261 Scan the QR code to view OFFERS OVER
$595,000
$600,000
Fabulous Waterfront Position 306/468 ESPLANADE TORQUAY OPEN HOME
the QR code to view
Scan
OFFERS OVER $1,300,000
HERVEY
SCARNESS
9-11
STREET

View Saturday 20th May 9.00-9.30am

Saturday 27th May 9.00-9.30am

Auction 18th May 2023 at 7.00pm—In Rooms Web rh.com.au/herveybay/L20844201

Immaculate Family Home Boasting Space and Luxurious Renovation

This beautiful 3 bedroom 2 bathroom home has been completely refurbished to the highest of standards! This incredible home features a spacious newly renovated kitchen with stone benchtops, the bathroom and main bedroom ensuite have had some fantastic upgrades. This immaculate family home is full of potential with available space and side access for a pool or a great sized shed to store your caravan or boat in! This beautiful home boasting luxurious renovations is one you don’t want to miss out on!

Property Highlights:

• 3 bedrooms

• 2 bathrooms

• 2 car garage featuring a study and laundry

• Air conditioned main bedroom features newly renovated ensuite and built in robes

• Bedrooms feature built in robes

• A beautiful newly renovated kitchen featuring stone benchtops and all new appliances!

• Spacious air conditioned open living and dining area that leads out to a great size outdoor entertainment area

• Fully fenced 699m2 allotment with side access and room for either a shed to store a caravan, boat or other motor vehicles or a pool!!

Hervey Bay 4128 2188

357 Esplanade, Scarness rh.com.au/herveybay

2 Jasper Court, Urangan
2 2 3 Auction Thursday 18/5

View Saturday 20th May 9.45-10.15am

Price $735,000 Web rh.com.au/herveybay/ L22133319

12 Wodalla Mews, Point Vernon Lakeside Living

This beautiful home is located in a peaceful cul-de-sac and offers stunning views of the lakeside from its backyard. Featuring four generously sized bedrooms, all equipped with ceiling fans and wardrobes, the master bedroom includes a huge ensuite and a walk-in robe. The property is equipped with zoned, ducted air conditioning that ensures comfortable temperatures all year round.

There are both formal and informal living areas, along with a dining area that takes full advantage of the picturesque outlook. The chef’s kitchen is a standout feature of the property, boasting ample bench space, a large pantry, and high-quality appliances.

The enormous Queensland room is perfect as an extra living space, games room, or simply a place to relax and enjoy the peace and quiet. Outside, there is a spacious alfresco area with pull-down blinds for added privacy, a covered BBQ area, and a fantastic greenhouse for those with a green thumb.

The property also offers a double lock-up garage under roof, an enclosed carport, and a caravan or boat pad for additional parking options. An additional shed provides ample space for storage of tools and toys.

Hervey Bay 4128 2188

357 Esplanade, Scarness

rh.com.au/herveybay

2 4 4

View Saturday 20th May 10.30-11.00am

Saturday 27th May 10.30-11.00am

Price On Application

Web rh.com.au/hervey bay/ L21216382

Seeking Modern Convenience and Stylish Living!

These gorgeous two-bedroom units feature an ensuite, single lock-up garage, and street access. Every unit in this complex is thoughtfully designed to offer a comfortable and contemporary lifestyle! The units feature air conditioning throughout, with a multi-system, ceiling fans provide a sense of spaciousness and luxury, while the open-plan kitchen is designed with plenty of cupboard space, designer stone bench tops, and quality appliances, including a dishwasher, wall oven, and built-in microwave. The laundry features a designer stone benchtop, washing machine, and dryer for added convenience. Both bedrooms feature built-in robes and plantation shutters on the windows, adding a touch of elegance and privacy. Enjoy the outdoor alfresco area and a fully fenced Courtyard, perfect for entertaining guests or relaxing in the fresh air. With solar panels, this unit is both eco-friendly and secure.

View Saturday 20th May 10.30-11.00am

Saturday 27th May 10.30-11.00am

Price On Application

Web rh.com.au/hervey bay/ L21216382

Hervey Bay 4128 2188

357 Esplanade, Scarness

rh.com.au/herveybay

It’s all about the “lifestyle”

Here’s an opportunity for you to obtain an exclusive unit in the serene “Fauna Lakes Complex,” which is masterfully built by Ron Brown homes a prestigious local builder, to offer a distinct and peaceful beach lifestyle within a gated community. Situated on the lakeside in Urangan, one of Hervey Bay’s most coveted suburbs, you can relish in the convenience of living walking distance to restaurants, cafes, the Esplanade, and breathtaking beaches. Enjoy your cantilevered deck overlooking Fauna Lakes, ideal for entertaining friends and family, a perfect spot to relax and watch the wildlife. The complex features 8 waterfront units with 3 bedrooms, ensuites, and a double lock-up garage, providing a premium lifestyle. All units are thoughtfully designed with air conditioning throughout, ceiling fans, high ceilings, an open-plan kitchen complete with plenty of cupboard space, designer stone benchtops, and quality appliances.

Fauna Lakes, 3 Shell Street, Urangan 2
1 2
Fauna Lakes, 3 Shell Street, Urangan 2 2 3

11 Rachael St, Point Vernon

Move in or Invest!

This 3 bedroom home offers a short stroll to the beautiful Esplanade and only a short drive to shops, cafes and restaurants. This property would ideally suit a savvy investor wanting to add to their portfolio or a perfect starter for a first home buyer who wants to secure a property into todays fast paced market.

73

Low maintenance special

This 2 bedroom home is situated in Urraween close to schools/hospitals and major shops. The home boasts a DLUG with internal access, an under roof entertainment area adjacent to the living area, open up the sliding doors and you have an awesome indoor outdoor area extending the living space. Great kitchen and dining area and more.

View Saturday 20th May 9.00-9.30am

Saturday 27th May 1.30-2.00pm

Price $470,000 Web rh.com.au/hervey bay/L21752493

At this price this property will not last long. A viewing is a must! 2

58 Rocky St, Maryborough

Remarkably Renovated Queenslander!

Just a 25 minute drive to Hervey Bay CBD, beautiful Queenslander featuring a big newly renovated bathroom and a spacious modern kitchen. The kitchen opens out onto the great sized outdoor entertainment area. Just perfect for relaxing and enjoying some quiet time or entertaining family and friends! This home boast character and heaps of potential, sitting upon 1062m2 featuring great side access and great backyard space. Perfect for a good sized shed or pool!!

View Saturday 20th May 2.00-2.30pm

Saturday 27th May 2.00-2.30pm

Price $479,000

Web rh.com.au/hervey bay/L21891043

Hervey Bay 4128 2188

357 Esplanade, Scarness rh.com.au/herveybay

View Saturday 20th May 3.00-3.30pm Saturday 27th May 9.00-9.30am

Price $475,000 Web ID rh.com.au/herveybay/L21566558

114/230 Pulgul St, Urangan

Private Living in a Prime Lifestyle Complex!

This sensational 3 bedroom modern home boasts a spacious open plan air conditioned living and dining area with a great sized kitchen and plenty of cupboard space, which leads out to a terrific outdoor entertainment area that generates nice sea breezes, so perfect to sit out the back in summer and entertain your family and friends!! Located in the Domain! One of Hervey Bay’s best gated communities which features top quality facilities such as a 20m Swimming pool, BBQ area, Gym and Tennis courts just to name a few!!

View Saturday 20th May 2.15 -2.45pm

Price $498,000 Web rh.com.au/herveybay/L21694056

1 2 3
2 4
2 1 3 1
Augustus Blvd, Urraween
1 2 2

Nest or Invest in Scarness

This well presented 3 bedroom home is ideal for first-time homebuyers or a savvy investor looking to add to their portfolio. Centrally located in the popular pocket of Scarness, being close proximity to all major amenities, shops, schools, restaurants and just a short drive to all that Hervey Bay’s beautiful Esplanade has to offer. This property will not last long in todays market. A viewing is recommended.

View Saturday 20th May 1.30-2.00pm

Saturday 27th May 12.45-1.15pm

Price $499,000 Web rh.com.au/hervey bay/L1071639

Modern Family Home

• 4 good sized bedrooms with built in robes

• Main bedroom features ensuite

• Modern family bathroom

• Open plan kitchen/dining + A/C

• Remote double lock up garage

• Separate laundry

• Fully fenced 650m2 allotment

View Saturday 27th May 12.00-12.30pm

Price $530,000 Web rh.com.au/hervey bay/ L19316479

36 Bauhinia Dr, Kawungan

A Gem Within the Heart!

This incredible 3 bedroom home is located in the heart of Hervey Bay, Kawungan! Boasting an immaculate newly refurbished kitchen which features stone benchtops and near new appliances, flows through to the open and airconditioned living and dining area but that’s not all! Sitting upon a massive 971m2 fully fenced allotment features great side access and a 6mx6m double bay shed perfect for storing a caravan or boat and even has space available for a pool!

View Saturday 20th May 11.15-11.45am

Saturday 27th May 2.15-2.45pm

Price $548,000 Web rh.com.au/hervey bay/L22503832

Hervey Bay 4128 2188

357 Esplanade, Scarness rh.com.au/herveybay

3 Musgrave Close, Kawungan

Amazing Home, Incredible Location, Large Size Block!!!

• Air conditioned main bedroom with walk-in robe and ensuite

• Spacious Family Living Area

• Open Kitchen with plenty of cupboard space

• Generous undercover entertainment area

• Great sized laundry

• Large 932 m2 allotment, located in a quiet cul-de-sac

• Ideal location positioned in the Kawungan School catchment area, short drive to Hervey Bays main CBD and Hospitals.

View: Saturday 20th May 12.45-1.15pm Saturday 27th May 1.30-2.00pm

Price $560,000

Web ID: rh.com.au/hervey bay/L21908631

1 3 3
2 Banksia Park Rd, Scarness 8 Parklink East Ave, Wondunna
2 2 4 1 3 3
2 1 4

4 Mandi Court, Urraween

4 Bedroom Air Conditioned Home Ready To Inspect

This spacious home has open plan, family living in mind. Combining creature comforts such as separate air-conditioned lounge, modern kitchen and the dining area leads out to the undercover entertaining area. The main bedroom is complimented by walk in robe, ensuite, fan and A/C. The DLUG has remote control and direct access to the home. The expanded length of one bay creates extra storage. Your family will feel right at home here!

View Saturday 20th May 1.30-2.00pm

Price $599,500 Web rh.com.au/hervey bay/ L20947655

4 Banks Crt, Torquay

What a Location!

• 4 bedrooms with BIR and ceiling fans, main bedroom with ensuite

• Good sized kitchen electric cooking, plenty of cupboard space and open plan living/dining area

• Undercover entertainment area

• Positioned on a generous 709m2 corner block with great side access for a caravan or boat

• Double lock up remote-controlled garage with internal access

View Saturday 20th May 9.00-9.30am Saturday 27th May 9.45-10.15am

Price $649,000 Web rh.com.au/hervey bay/ L5134424

21 Bay Breeze Close ,Wondunna

Spacious, Versatile and Quality Modern Home

This modern 3 bedroom home is perfectly located in the well-established Parklands Estate. In close proximity of Fraser Coast Anglican College, and a short drive to the Hervey Bay’s CBD. What really makes this wonderful property stand out is the 9-foot ceiling throughout the entire home, versatility and dedicated caravan port that can easily cover a motor home, caravan or boat.

View Saturday 20th May 12.45-1.15pm Saturday 27th May 12.45-1.15pm

Price $650,000 Web rh.com.au/hervey bay/L1404080

Hervey Bay 4128 2188

357 Esplanade, Scarness rh.com.au/herveybay

14 Rochester Court, Urraween

Welcome Home!

If you are looking for a quality home in a great location then this is the property for you. The four bedrooms all have split system aircon, ceiling fans & built-ins, the master also boasts an ensuite & plantation shutters. There are two living areas plus a dining room and the chefs kitchen with stone benchtops & quality appliances, including induction cooktop & Smeg oven, really is the heart of the home. Outdoor entertaining is a breeze in the huge covered alfresco area which overlooks the manicured gardens. There is a double lock up garage under roof plus access down both sides of the home for the boat or van.

View Saturday 20th May 12.45-1.15pm

Price $720,000 Web rh.com.au/hervey bay/L22064576

2 2 4 2 2 4
2 2 4 2 2 3

2

5 Morinda Way, Urraween

Lakeside Home in Prestigious Kingfisher Lakes

This property is 4 bed and 2 bath with high ceilings and tinted windows, completing this home there is side access for van/trailer/boat parking. Positioned on a private and tranquil leafy area, superbly designed for comfortable living and everyday practicality, this home is the perfect escape on a serene lakefront setting. Undercover entertaining area overlooking peaceful lake and gardens with pull down shade for yearround comfort on allotment size of 454m2.

Price $738,000 Web rh.com.au/hervey bay/L22141261

3 4 3

A superb statement in quality and style, from the moment you enter. This home emphasizes, relaxed coastal living. The intelligently designed open plan kitchen and living zone blend effortlessly to create light and space with an easy relaxed ambience.

Superb finishes

Fully fenced 857m2 block with side access

Huge 12m x 8m shed with 4m wide van port

• Versatility with separated living - Teenagers retreat with ACScreened off undercover

entertaining area

View Saturday 20th May 9.45-10.15am

Saturday 27th May 9.45-10.15am

Price $868,000

108 Freshwater Street, Torquay

1

1,194m2 one street back from the beach Fantastic opportunity for a development site in one of the best locations Hervey Bay has to offer

• Walking distance to cafes, restaurants and shops

• Currently has a cottage style home with two bedrooms, one bathroom, spacious kitchen and outside patio

View By Appointment

Price $1,200,000

Hervey Bay 4128 2188

357 Esplanade, Scarness rh.com.au/herveybay

27 Yarrilee Cct, Dundowran

4

Looking for a spacious and affordable lakeside home that is a “stone’s throw away” from great schools. Check out this lake side property today! Spacious and open with 3 living areas, perfect for entertaining, and with the views over the lake, makes this a perfect buy for a homeowner/investor. Outstanding features include:

• Fully fenced 813m2 block

• Double bay lockup garage with remote control door

View Saturday 20th May 2.15-2.45pm

Saturday 27th May 9.45-10.15am

Price $745,000

Web rh.com.au/hervey bay/22135308

74 Pacific Haven Ct, Pacific Haven

3 2 3

Welcome to your own private oasis. Tranquil, private and grand! This elevated architecturally designed Pavilion style home proudly sits on the waterfront of ‘Cherwell River’. This masterpiece truly offers a peaceful country lifestyle, positioned on an impressive 2.14 acres of beautiful tropical gardens and one of the best crab and fishing spots right at your front door. Situated only (approx) 35 minutes to beautiful Hervey Bay and a short drive to Howard town centre..

View By Appointment

Price $1,000,000

Web rh.com.au/hervey bay/L20939533

31 Finch Court, Walligan

2 5 4 1

Spacious home, private setting, potential to subdivide. (Subject to council approval). Located on 15+ hectares a wonderful family home with high ceilings 4 large bedrooms, master with ensuite and WIR. A ‘chef style’ kitchen with spacious living areas, and more. Keeping the kids entertained will be a breeze as outside has an undercover patio great for family BBQ’s, an in-ground pool and a lot of room for a game of cricket! The land has 8 paddocks used for horses, cattle and sheep. 7 dams, 4 bay shed and feed shed

View By Appointment

40 Dayman St, Urangan

3 5 4

Four bedrooms + office or fifth bedroom Master suite w/- walk-in robe, ensuite & private balcony

• Three bathrooms

• Chefs kitchen w/- gas cooking

• Huge shed with plenty of room for the van & boat

• Expansive views to Fraser (K’gari)

• 1012 Sqm fully fenced block

View By Appointment

Price Submit Offer

Web rh.com.au/hervey bay/L21693817

Web rh.com.au/hervey bay/L17323570 1 2
2 4
Price $1,495,000 Web rh.com.au/herveybay/L1074808
View By Appointment
2 2
58 Aimee Dr, Urangan
Web rh.com.au/hervey bay/L22229823

Auction Thursday 18/5

57 Nissen St, Urraween

Four bedrooms, master complete with WIR and ensuite, parent’s retreat/office off the master bedroom. 2nd bedroom/guest wing complete with ensuite and living area. Multiple living zones and a spacious kitchen overlooking the private yard. Air-conditioning and ceiling fans throughout. Alfresco dining area at the front of the home and Separate entertaining pavilion and Bali hut at the rear. Massive 4 bay shed

View By Appointment

Price Submit Offer Web rh.com.au/hervey bay/L1074485

36-42 Carrick Way, Wondunna

This property has it all – sheds, carports, multiple indoor/outdoor entertaining areas, pool and more. This family home is situated on just over 4000m2 block including 4 bedrooms, 2 bathrooms with open plan living - high vaulted ceilings with air conditioning for greater comfort. The kitchen is modern, light and spacious with gas cooking and dishwasher. Minutes away from Hervey Bays shopping centres, schools, medical precincts and the beautiful beaches/ cafes along the Esplanade.

View Saturday 20th May 10.30-11.00am

Saturday 27th May 10.30-11.00am

Price Submit Offer Web rh.com.au/hervey bay/L22151476

37 Bunker Ave, Urraween

Neat and tidy 3 bedroom brick home features kitchen with family/dining area and separate rumpus/ office area, all bedrooms with built in robes - master bedroom with ensuite. Covered entertaining area overlooks a low maintenance yard with large garden shed plus a SLUG with attached single carport in addition to the single carport at the front of the home. Minutes to the Eli Waters shopping centre and a short drive to nearby schools and Stockland’s shopping precinct.

View Saturday 20th May 11.15-11.45am

Saturday 27th May 10.30-11.00am

Auction 18th May 2023 at 7.00pm—In Rooms Web rh.com.au/hervey bay/L22151594

Auction Thursday 18/5

90 Esplanade, Point Vernon

3 2 3

Nothing short of speculator! This “one of a kind” home points North at the tip of Point Vernon which will guarantee sea breezes and the best ocean views Hervey Bay has to offer. With no competition for view, a huge upstairs open planned living area with outstanding kitchen, connecting to the versatile out door entertaining area, makes this is a home you will be proud of. Host dinner parties or enjoy a family meal while taking in the breathtaking views of the ocean.

View By Appointment

Auction 18th May 2023 at 7.00pm—In Rooms Web rh.com.au/hervey bay/L22119412

Hervey Bay 4128 2188

357 Esplanade, Scarness

rh.com.au/herveybay

13 South St, Urangan

1

Located only two blocks back from Hervey Bays popular Shelly Beach sits the fully refurbished hidden gem. Tucked away in a country garden, this property has been modernised to incorporate a spacious kitchen featuring flowing stone bench tops, updated appliances and open plan living. Bathroom and laundry have been stylishly renovated to incorporate light and function. Three bedrooms plus office, large outdoor alfresco space, two and half bay shed, fully fenced with good side access.

View Saturday 20th May 11.15-11.45am

Saturday 27th May 11.15-11.45am

Price Submit Offer Web rh.com.au/hervey bay/L21825854

Auction Thursday 18/5

1-3 Sittella Close, Eli Waters

2 2 3

Situated at the beginning of a quiet cul-de-sac, this neat and tidy property boasts 3 bedrooms, all with BIR, the master bedroom features an ensuite and air con. A modern kitchen that seamlessly connects to the living room. What sets this property apart is its corner block location, with two side gates providing easy access for cars and trailers. Outdoors, the entertainment area offers the perfect setting for hosting guests, and there is plenty of room to park a caravan or boat.

View Saturday 20th May 10.30-11.00am

Saturday 27th May 11.15-11.45am

Auction 18th May 2023 at 7.00pm—In Rooms Web rh.com.au/hervey bay/L22502177

Auction Thursday 18/5

69 Urangan St, Torquay

1 3 3

Positioned on a large 1214m2 block of land in the heart of Torquay is this charming 3 bedroom lowset Queenslander offering potential for development or a renovator’s delight. Property Features-

• 3 bed, 1 bath

• Functional kitchen

Air conditioned kitchen/dining area

• Large under cover deck, great side access, shed, carport

• Superb location!

View Saturday 20th May 9.45-10.15am

Saturday 27th May 9.00-9.30am

Auction 18th May 2023 at 7.00pm—In Rooms Web rh.com.au/hervey bay/L22287789

9

Located in beautiful Nikenbah and in the highly sought after estate “Th e Springs”, we present to you 9 Woodruff Crescent a 952m2 allotment! If you are looking to build your dream home this block of land is perfect and ready!!

View By Appointment

Price $360,000 Web rh.com.au/hervey bay/L22609841

2 3
2 4
3
2 4 4
2 3 3
Woodruff Crs, Nikenbah

9 NAUTILUS COURT, DUNDOWRAN BEACH offers over $1,700,000 considered

PRIVATE, PEACEFUL AND BEACHSIDE LOCATION

When it comes to family homes, praise goes to the design. A floor plan that is designed for the parents to have their own retreat boasting a walk-in-robe, decadent ensuite with double vanity and freestanding tub. Featuring five bedrooms and a study that can be utilized as a sixth bedroom. The effortless connection between indoors and outdoors encourages an idyllic flow. The outdoor entertainment area wraps around the pool and provides an enviable space to relax in the sunshine. For the avid foodie, the kitchen will be a culinary dream with stone bench tops, quality appliances and a massive walk-in pantry. Enjoy some popcorn and a movie in the air-conditioned spacious media room or head outdoors on those chilly nights warmed by the firepit. An abundance of space for the cars, boat, caravan and big toys with a carport, two bay shed, double garage and wide side access.

• Parents retreat with decadent ensuite and walk-in-robe

• Guest bedroom with ensuite

• Five bedrooms plus study/sixth bedroom and three bathrooms

• Undercover entertainment area, decking and tiles surrounds.

• Inground Saltwater Pool with Pool Hut

• Spacious media room

• Open plan kitchen with stone bench tops, quality appliances and walk-in Pantry

Inspect By Appointment

• Air-conditioned living, dining, kitchen and media and two bedrooms.

• High ceilings, ceiling fans plus quality fittings throughout

• Low maintenance gardens, fully secured fencing

• Dedicated Firepit area

• Shed 6mx6m, parking for Six Vehicles

• Massive block 2265m2 corner block

Land size: 2265m2

5 3 6

17

RARE OPPORTUNITY, FAMILY HOME ON LARGE BLOCK 1203M2

If you have a caravan, boat, need parking for more than two cars then don’t miss the opportunity to view this home. With ease you can access the rear of the property with caravan or boat in tow. No problem to store all those toys in the double bay shed with carport. There is plenty of room to add additional sheds, pool or a granny flat. Making this property ideal for the tradesperson who needs storage or hobbyist who needs a shed. Featuring open plan kitchen and dining which spills out on to large undercover entertainment area enabling you to unwind, relax and enjoy the outdoors with family and friends. Ample lawn areas, low maintenance gardens, this home truly is a place for the family to come together. Situated in the sought after area of Kawungan don’t miss the opportunity to live in a central location. Kawungan’s proximity is suitable for professionals and families looking for convenient living and an easy drive to work, schools and shopping.

• 3 bedrooms with built in robes

• Master bedroom with ensuite, walk-in-robe and air conditioning

• Ceiling fans throughout

• Fully Screened

• Spacious Separate Lounge- Airconditioned

• Kitchen and Dining Combined

Inspect By Appointment

• Undercover Entertainment area / Carport

• Solar Power

• Double Bay Shed with Carport and power, parking for up to 6 vehicles

• Fully fenced with extra wide side access

• Central location, close to Schools, Shopping and Hospital

• Low maintenance 1203m2 block with manicured gardens

Land size: 1203m2

3 2 5
MAGNOLIA STREET, KAWUNGAN offers over $679,000 considered

2 NEWHAVEN STREET, PIALBA offers over $489,000 considered

BEACHSIDE CENTRAL, OPPORTUNITY AWAITS

Are you looking for a Queenslander styled home right near the beach to renovate or rent as is and earn an income?

Featuring two bedrooms, open plan living dining and kitchen with K’Gari timber floors this could be renovated to create your very own beach home.

Enjoy the breezes on the deck with ocean glimpses this location doesn’t get any better.

This property is walking distance to the Fraser Coast Regional Council revitalization that is going enhance the quality of local life for generations. The new community hub will have a new Library, Council Chambers, and a diverse range of dining, shopping and a lively inner-city hub to catch up with family, friends and enjoy community events, live music and our beautiful climate.

Don’t miss an opportunity to be part of this exciting development and invest now.

• Queenslander Styled Home

• 2 Bedrooms

• Open Plan Living

• Rear Deck with ocean glimpses.

• Air-Conditioning

• Solar Hot Water System

Inspect By Appointment

• Town Water and Sewered

• Hi-Set- 1.8m underneath

• Fully Enclosed Underneath with Laundry

• 590m2 block LOT 1

• Approx 130m to beach,

• Approx 700m to new Community Hub Development

Land size: 590m2

2
1 1

48 AUGUSTUS BOULEVARD, URRAWEEN offers over $550,000 considered

MODERN DESIGN - 3 BEDROOM HOME

48 Augustus Boulevard is a stunning property that boasts a spacious and modern design featuring three generously-sized bedrooms with ensuite to the main. The kitchen is designed with a modern touch, featuring sleek stone benchtops that offer both functionality and style. The open plan combined dining and living area creates a warm and welcoming atmosphere, perfect for entertaining guests or spending time with family. The property features a double remote-controlled garage, providing secure parking for vehicles. Side access is also available, offering additional convenience for caravan and boats. The fully fenced yard provides a sense of privacy and security, perfect for families with young children or pets. The beautifully landscaped gardens provide a serene outdoor space, ideal for relaxation or hosting outdoor activities. Conveniently located near schools, medical precincts, and shopping centres, making it an ideal location for those seeking easy access to essential amenities.

• Impressive private 3-bedroom home

• Currently rented

• Open plan living and dining area

• Three good size bedrooms, all with ceiling fans

• Master bedroom with ensuite

• Undercover outdoor entertainment area

Inspect By Appointment

• Double lock up garage with remote access

• Beautifully landscaped low maintenance yard

• Fully fenced 622m 2 block with side access

• Located close to medical precinct, golf club, schools and shopping centre

3 2 2

Land

Batterham
792
Payne
SETTLE FOR MORE TERESE PAYNE 0427 842 590 terese.payne@primeagents.com.au
BATTERHAM 0401 788 792 michael.batterham@primeagents.com.au
size: 622m2 Michael
0401 788
Terese
0427 842 590
MICHAEL

85 MARTIN STREET, POINT VERNON offers over $499,000 considered

PERFECT POINT VERNON LIFESTYLE!

This fantastic three-bedroom property in the sought-after suburb of Point Vernon has low maintenance gardens, large backyard, side access and is ready for its new family to enjoy!

This neat and tidy property has three bedrooms with built-ins and fans throughout, as well as kitchen flowing on to the living/dining area. A great first home, addition to your rental portfolio or perfect for downsizing – the options are plenty!

The enclosed undercover entertainment area is ready for your enjoyment, providing a great outdoor living space to use all year round. Located approximately five minutes to the beach, golf club, boat ramp and local shopping centre this home is ready and waiting for you to make that lifestyle change. Contact Ash Heckels from Prime Agents on 0418 986 867 today to arrange a private inspection.

• Three Bedrooms with built-ins and fans

• Ensuite to main

• Electric hot plate and stove

• Ceiling Fans Throughout

• Undercover entertaining area

Inspect By Appointment

• Large fully fenced back yard with garden shed

• 750m 2 block with side access

• SLUG plus carport

• Central location close to beach, CBD and schools

Land size: 750m2

3 2 2

WE MAKE DEALS HAPPEN THAT MAKE YOU HAPPY

We love where we live and because we are at the very tip of property success in this market, we know Hervey Bay is continuing to rise.

The Prime Agents team is made up of exceptional sales and marketing professionals, just like Ash Heckels.

As a strong negotiator, Ash strives to obtain the best possible results for his clients, every time. He is known for his superior knowledge of the local property market.

We have been selling the benefits of living in our beautiful

slice of paradise for many years and we know how to predict and to pivot, to be in front of the trends, not simply reacting to them.

We are so thankful that over one-thousand property owners, families and investors have placed their trust in our ability to provide outstanding service and most importantly, incredible results.

If you would like to experience the Prime Agents difference and want to best understand your options right now, we invite you to start a conversation with us.

www.primeagents.com.au SELL YOUR HOUSE WITH US ASH HECKELS 0418 986 867 OR SCAN THIS QR CODE TO MESSAGE US

10/187 TORQUAY ROAD, SCARNESS

EXECUTIVE TOWNHOUSE IN A FANTASTIC LOCATION

$539,000

This stunning end townhouse has a spacious, very private courtyard, side gate, garden shed, plus 3 bedrooms, 3 bathrooms, spa bath, a fantastic master suite. This is one of the best townhouses, available on the market right now! Make sure you put this one on the top of your list! This townhouse is nestled to the rear of a well-maintained complex of only 10 townhouses, and positioned just a short walk to the beach, cafe's, restaurants and the beautiful Scarness foreshore. To top it all off through the gate to the rear of the complex is the popular Hervey Bay Rail Trail bike path....You cannot beat this one for location!

This property features:

• Entrance way with full height feature glass window

• Air-conditioned open plan living and dining area

• Modern kitchen with plenty of storage and an induction cooktop

• Downstairs laundry and bathroom combination

• Master bedroom with walk through robe, en-suite & private balcony

Inspect By Appointment

• 2 further queen sized bedrooms upstairs

• A large tropical outdoor decked entertaining area with shade sails

• Low Body Corporate fees

• Amazing location close to the Esplanade

3 3 2
BRYANT 0427 225 004
DON
don.bryant@primeagents.com.au

38 KINGFISHER PARADE, TOOGOOM offers over $815,000 considered

BEACHFRONT - WHERE THE BUSH MEETS THE SEA

Be spoilt for choice, whether living the family dream, or entertaining in this perfectly positioned home with ocean views. The 2 storey brick home is set in a Blue chip location at Toogoom. This home is situated in a quiet location and only a short walk to the Salty Squid Cafe, Goodys On The Beach Bar and Bistro and the boat ramp. Feel the sand between your toes walking Toogoom's long beaches, and don't forget to bring the dog! The Toogoom Convenience Store, Pharmacy and Hair Studio are a short bike ride away from home.

Hospitals and shopping centres are an easy 15 minutes' drive away.

Inspections are by appointment – Please call Don Bryant on 0427 225 004.

Features include:

• Water as well as bush views & guaranteed ocean breezes

• This home offers beautiful surrounds & colourful gardens

• Spacious open plan living area overlooks private backyard

• Large bedrooms have built ins and their own bathrooms

• Kitchen with pantry, dishwasher & plenty of cupboard space

• Multiple utility rooms downstairs plus a bathroom and toilet

Inspect By Appointment

• Double garage is big enough for 3 vehicles plus workshop

• Carport for the boat, solar power/hot water & a spear pump

• Home is solid as with great bones and a hardwood frame

• Cooling sea breezes in summer & warm as toast in winter

• Public transport & school bus run right past the front door

• Your very own private meandering beach access track

Land size: 546m2

2 3 4
DON BRYANT 0427 225 004 don.bryant@primeagents.com.au

14 BLUE WATER ROAD, BOORAL offers over $695,000 considered

DUAL LIVING

POTENTIAL

- SEA VIEWS - QUIET AREA

Situated on a half acre block with stunning sea views from the back deck, this two-storey home with a spacious floor plan offers huge potential for dual living, the largest of families or even working from home. Downstairs offers a large rumpus room, family room plus a study/4th bedroom, bathroom and a great combined laundry/storage room.

Upstairs consists of a large living room, dining room, modern renovated kitchen plus three bedrooms and two bathrooms. Do you dream of lovely views, serenity, space? Well don't just dream, this could be your reality when you are the new owners of 14 Blue Water Road, Booral.

• Renovated kitchen with stone benchtops

• Dining room off kitchen, sliding doors onto back deck

• Spacious living room, sliding doors onto front and back decks

• Main bedroom with air conditioning and ensuite

• Additional two bedrooms with built in robes and fans

• Main bathroom with spa bath

Inspect By Appointment

• Downstairs rumpus with kitchenette and bar

• Downstairs family room, study, laundry, bathroom, toilet

• 2kw solar panels, double colourbond shed with power

• Separate workshop shed, garden shed, bore

• Extra caravan and boat parking area at front of property

Land size: 2000m2

4 3 4
STACEY PYNE 0438 694 307 stacey.pyne@primeagents.com.au

KNOWING MY CUSTOMERS ARE BEYOND HAPPY. THAT’S WHAT MATTERS THE MOST.

Stacey Pyne is one of the regions highest performing sales professionals, selling more than $45M in property over the last two years.

Not only is she a highly experienced Sales Agent, who consistently achieves fantastic outcomes for her clients, Stacey is a true professional and embodies all of the hallmark qualities required, when entrusted to help people buy or sell their greatest asset.

Stacey excels at presenting properties and developing compelling campaigns that attract exceptional interest.

She understands the process, and is a thoughtful listener with empathy for both vendors and purchasers, in all situations. Stacey focuses on being ethical, reliable and down to earth, the perfect choice for your real estate transaction.

If you would like to experience the Prime Agents difference and want to best understand your options right now, we invite you to start a conversation with us.

STACEY PYNE 0438 694 307 stacy.pyne@primeagents.com.au
www.primeagents.com.au SELL YOUR HOUSE WITH US Stacey Pyne direct on 0438 694 307 OR SCAN THIS QR CODE TO MESSAGE US
$1,299,000 VICKI MAYNARD 0439 955 576 INSPECT BY APPOINTMENT
LIVES
TOO… • Master Bedroom -Victorian Themed, Extra Large Ensuite- European Style • Victorian Themed Living and dining, Library and Sitting Area – Window Seat • 3 Meter (10 Foot) Ceilings, Parquetry and Timber Floors Throughout • Stand Alone Kitchen – Gabled Ceiling, Exposed Beams, Walk-in Pantry, Granite benchtops • Balinese Themed Alfresco Dining/Entertainment Area • Magnesium Resort Style Pool, New pool appliances • Bore Water 5x5000L TANKS (Services Garden and Pool) • Fully Fenced with Automatic Gate, Solar 8.kw, Electric Hot Water System • Villa with 2 Bedrooms, living room, modern kitchen and pool views. 49 Cunningham Street, URANGAN 5 Bed | 3 Bath | 2 Car | 1244m2
living in a resort style home with design influences from Europe to Indonesia. This fusion has created classic Victorian style living to the everyday holiday vibe of Bali and beyond. Unwind in the formal dining/living area, read a book from your own library, gaze out of the French doors and enjoy the view of the garden. Entertaining your family and guests will
an absolute dream in the stand- alone kitchen with free standing cooker,
walk-in pantry,
doors
with Balinese
alfresco dining area. Featuring also a two- bedroom fully self-contained modern Villa separate from the front home that is perfect for additional guests. Four bedrooms with built ins, ensuite to main • Renovated ensuite and main bathroom • Renovated kitchen overlooking living/dining area • Ceiling fans throughout • 5kw solar panels New solar hot-water system • Front and rear outdoor entertaining area Fully fenced with solar powered electric gates 18 Hayworth Street, POINT VERNON 4 Bed 2 Bath 2 Car 600m INSPECT BY APPOINTMENT ASH HECKELS 0418 986 867 offers over $665,000 considered 135 Long Street, POINT VERNON 4 Bed 2 Bath 2 Car | 716m INSPECT BY APPOINTMENT offers over $869,000 considered ASH HECKELS 0418 986 867 Fully renovated home set in landscaped grounds 3 bedrooms, 2 bathrooms, 2 living areas • Double car garage with new roof and automatic doors • Brand new impeccable Peter Liddle kitchen and laundry • Master bedroom with ensuite & huge robe New in-ground swimming pool with coloured lighting • Fantastic outdoor entertaining area with outdoor kitchen • Great location – street back from Esplanade Extra-large library / office Third family room / potential media room downstairs • Stunning kitchen with double oven, dishwasher, walk-in pantry • Open plan kitchen, living and dining area • Existing under cover entertaining area with ceiling fan & light Extended large patio frame ready to convert into your dream outdoor space • Large master suite with ensuite views to K’Gari (Fraser Island) • Two balconies with views to K’Gari (Fraser Island) from back balcony 5 Ridge View Court, NIKENBAH 4 Bed | 2 Bath 2 Car | 778m INSPECT BY APPOINTMENT ASH HECKELS 0418 986 867 offers over $995,000 considered • North-facing aspect capturing sea breezes. • 3 large bedrooms with built ins 4 undercover parking spaces • 180-degree ocean views Renovated bathroom • Split air conditioning, Solar power • Stunning timber floorboards throughout Front & back quality stainless steel security doors 36 Esplanade, POINT VERNON 3 Bed | 1 Bath 4 Car | 705m2 INSPECT BY APPOINTMENT ASH HECKELS 0418 986 867 offers over $1,250,000 considered www.primeagents.com.au SELL YOUR HOUSE WITH US CALL US TODAY ON 4194 1754 OR SCAN THIS QR CODE TO MESSAGE US • 3 bedrooms Living / dining room • Kitchen with SMEG dishwasher • Air conditioned • Side access, Single lock up garage • Workshop / utility room under house Large deck out the back and veranda out the front • Closely located to Esplanade and Point Vernon beaches 15 Paradise Street, POINT VERNON 3 Bed 1 Bath | 1 Car 600m INSPECT BY APPOINTMENT ASH HECKELS 0418 986 867 offers over $480,000 considered 282 Esplanade, PIALBA 4 Bed 2 Bath 2 Car 600m2 INSPECT BY APPOINTMENT offers over $1.18M considered ASH HECKELS 0418 986 867 • Large master bedroom with ensuite and walk-in robe • 3 bedrooms with fans and built-in wardrobes • Fantastic private balcony over looking the Esplanade capturing ocean breezes • DLUG + 9x9m shed Great 600m2 landscaped block with electric front gate • Split air-conditioning throughout, 2 x 5000L rainwater tanks with pressure pump • Large open plan kitchen / dining area • Fantastic central location in the heart of Hervey Bay 99 Cunningham Street, URANGAN 2 Bed 1 Bath | 1 Car | 645m2 INSPECT BY APPOINTMENT offers over $649,000 considered ASH HECKELS 0418 986 867 • 2 bedrooms, 1 bathroom • Rumpus room • Separate office/study space • Air-conditioning Galley style kitchen • Living / dining area • Beautiful gardens and outdoor living area • Fantastic location • Beautiful high ceilings, wide hallways, custom doors and plantation shutters • Separate media room, open plan living/dining opening onto entertainment area Modern functional kitchen with large walk-in pantry, stone bench-tops and large island bench Family/ activity room connected to additional bedrooms • 6kW solar system, Ducted zone air conditioning throughout • Sparkling inground pool • Elevated position with Fraser Island views from backyard capturing beautiful breezes 31 Peppermint Circuit, NIKENBAH 4 Bed | 2 Bath 2 Car 900m2 Pool INSPECT BY APPOINTMENT ASH HECKELS 0418 986 867 offers over $975,000 considered $565,000 VICKI MAYNARD 0439 955 576 INVEST, LIVE, LOCATION, LOCATION 29 Barnstaple Street, TORQUAY 3 bed | 1 bath | 1 car | 580m2 • 3 bedrooms with BIR’s • Open plan lounge/dining • Separate rumpus room with air-conditioner • Kitchen with gas cooker and electric oven • Ceiling fans throughout • Outdoor entertainment area • Fully fenced, Garden shed, • 500L rainwater tank, 4.5kW solar system INSPECT BY APPOINTMENT offers over $695,000 considered VICKI MAYNARD 0439 955 576 21 Avolet Crescent, RIVER HEADS 5 bed | 2 bath | 2 car | 800m2 INSPECT BY APPOINTMENT Upper Level – Queenslander • 3 Bedroom with built ins • Open Plan Air-conditioned Living /Dining, Renovated Kitche • Undercover Verandah Lower Level-Modern • 2 Bedrooms, Living/Dining, Kitchenette • Spa and Entertainment Area • Split System Air-Conditioning, Solar Hot Water, Security Screens, fully fenced CHARMING QUEENSLANDER WITH DUAL LIVING
SERENITY
HERE, YOU COULD
Imagine
be
massive
bifold
and windows overlooking the pool
design

INSPECT BY APPOINTMENT

ESPLANADE UNIT WITH MAGIC OCEAN VIEWS

The unit is superbly finished with stainless steel appliances, stone floors and bench tops. The open plan living area opens out to the balcony providing sweeping ocean views across the Bay to Fraser Island. The unit also comes fully furnished, with the owners having recently upgraded some of the furniture pieces. Ideally suited to the owner occupier or the investor - the complex features 2 heated pools bordered by timber decks and set amongst tropical landscaping to provide a haven for poolside relaxing when on holidays or after a hard day at work.

• Fully furnished with quality fixtures & fittings throughout

• 3 bedrooms all with ensuite, one disability friendly bathroom

• Kitchen with stone bench tops & modern appliances

• Air-conditioning • Balcony with ocean views • Secure

2 Bergamot Circuit, Nikenbah is a stunning and newly built home that boasts modern design and style. Featuring four generously sized bedrooms and two luxurious bathrooms, providing ample space for a growing family or those seeking a comfortable and contemporary living environment.

The heart of the home is the open-plan living area, which seamlessly flows from the kitchen to the dining/living areas plus added media room. The kitchen is well-appointed with modern appliances and features a large butler's pantry.

Outside, the property features beautiful gardens and an enclosed undercover entertainment area, perfect for hosting barbeques and gatherings. The property also has plenty of room for a pool, shed, or even both, providing endless possibilities for outdoor living and recreation.

and butler’s pantry

• Media room at front of house

• Large outdoor undercover entertainment area

TERESE PAYNE 0427 842 590

MICHAEL BATTERHAM 0401 788 792

• Double garage with remote and internal access

• Room for the shed, pool, or both

• Very low maintenance property

• 6kw solar panels

Located in the highly sought-after Springs Estate in Nikenbah, this property offers a peaceful and private lifestyle, while still being close to all amenities. With its stylish and modern design, this property is sure to impress. offers over $649,000 considered

• Short drive to local shops, schools and sporting fields and close to major shopping centre

www.primeagents.com.au SELL YOUR HOUSE WITH US CALL US TODAY ON 4194 1754 OR SCAN THIS QR CODE TO MESSAGE US offers over $420,000 considered TERESE PAYNE 0427 842 590 MICHAEL BATTERHAM 0401 788 792 186 Dayman Street, URANGAN 922m2 INSPECT BY APPOINTMENT DON’T JUST DREAM IT, LIVE IT OR INVEST 37/17 Buccaneer Drive, URANGAN 2 Bed | 1 Bath | 1 Car • Second floor unit capturing views and sea breezes Air conditioned and open plan kitchen, living and dining with great views • Two good size bedrooms with fans • Under cover balcony overlooking the marina • Single lock up garage Walking distance to the boat club, restaurants, cafes and cinemas • Security gated complex with plenty of amenities and visitor parking INSPECT BY APPOINTMENT offers over $490,000 considered TERESE PAYNE 0427 842 590 MICHAEL BATTERHAM 0401 788 792 METICULOUS ATTENTION TO DETAIL AND AN AIR OF UNDERSTATED SOPHISTICATION offers over $1,400,000 considered TERESE PAYNE 0427 842 590 MICHAEL BATTERHAM 0401 788 792 41 Sandy View Drive, NIKENBAH 5 Bed | 4 Bath | 2 Car | 983m2 • Open plan living, dining and kitchen with large porcelain tiles throughout • Kitchen with stone benchtops, ample bench/cupboard space and large walk-in pantry Home gym (or extra bedroom) with views to Fraser Island • Private lounge room and formal dining space on second level • Main master bedroom with walk-in, ensuite with double vanity and private balcony • Second master with walk-in, ensuite and private balcony • Three additional bedrooms with built-ins, plantation shutters to all bedrooms • Undercover outdoor entertainment area overlooking inground pool • Remote controlled electric gate, ducted air-con, ducted vacuum system INSPECT BY APPOINTMENT LIVE OR INVEST 11 Wonga Street, SCARNESS 4 Bed | 1 Bath | 3 Car | 617m2 INSPECT BY APPOINTMENT $469,000 TERESE PAYNE 0427 842 590 MICHAEL BATTERHAM 0401 788 792 offers over $950,000 considered TERESE PAYNE 0427 842 590 MICHAEL BATTERHAM 0401 788 792 INSPECT BY APPOINTMENT ROOM FOR THE SHED, THE POOL OR BOTH!
Four good size bedrooms all with built ins and fans • Extra-large master bedroom with air conditioning & ensuite • Modern kitchen with plenty of bench space
2
4 Bed | 2 Bath | 2
| 966m2
Bergamot Court, NIKENBAH
Car
Unit 309/569 Esplanade, URANGAN 3 Bed | 3 Bath | 2 Car
parking
features of the unit include: • Centrally located, close to schools and shops. • Four good size bedrooms. • Near new kitchen and bathroom • Covered outdoor entertainment area overlooking the private back yard. • Private, fully fenced yard with side access • 6m x 6m shed with power and workbench • Close to transport and schools • Low maintenance 617m2 block • Ready to build your dream home • Plenty of room for pool and shed • 922m2 block • 3min drive to Esplanade 923M2 BLOCK, SO CLOSE TO THE ESPLANADE
Some
50% SOLD IN STAGES 1 & 2 • Karen Campbell 07 4124 4941 winprojects.com.au co n tac t ag e n t s 0 4 3 8 3 5 9 5 0 7 The Images and illustrations are artist’s impressions only. Purchasers must rely on their own enquiries and the Contract for sale. Karen Campbell 07 4124 4941 winprojects.com.au contact agent s 0438 359 507 The Images and illustrations are artist’s impressions only. Purchasers must rely on their own enquiries and the Contract for s a e thespringsherveybay.com.au Spring Way VILLAGE OF DREAMS New 1300 METRICON metricon.com.au OPENING HOURS Open 7 Days a Week 10am to 5pm 131 828 abchomes.com.au OPENING HOURS Open Saturday to Wednesday 10am to 5pm 1800 STROUD stroudhomes.com.au OPENING HOURS Mon - Fri 9am to 5pm Sat - Sun 10am to 4pm OPENING HOURS Thurs - Mon: 9am to 4pm Tues & Wed: By appointment 1300 956 743 vividhomebuilders.com.au Custom Home Building Specialist OPENING HOURS Fri - Tues: 9am to 4pm 0448 488 374 coralhomes.com.au 07 4124 4941 winprojects.com.au John Bone 0433 980 948 contact agent The Images and illustrations are artist’s impressions only. Purchasers must rely on their own enquiries and the Contract for sale
Karen Campbell 07 4124 4941 winprojects.com.au co n tac t ag e n t s 0 4 3 8 3 5 9 5 0 7 The Images and illustrations are artist’s impressions only. Purchasers must rely on their own enquiries and the Contract for sale. Karen Campbell 07 4124 4941 winprojects.com.au contact agent s 0438 359 507 The Images and illustrations are artist’s impressions only. Purchasers must rely on their own enquiries and the Contract for s a e NEW LAND RELEASE SPRINGS EAST NOW SELLING CHOICE OCCU PIERS • LOT SIZES FROM 600M2 TO 1688M2 contact agent John Bone 0433 980 948 07 4124 4941 winprojects.com.au contact agent John Bone 0433 980 948 contact agent Karen Campbell 0438 359 507 -Architecturally Designed -UpmarketFinishes -Clever, SpaciousArrangements - Contact us for an Information Memoradum -Enviable Lifestyle & Location -Now Selling Off The Plan Pier Street, Urangan 0741244941 The Images and illustrations are artist’s impressions only. Purchasers must rely on their own enquiries and the Contract for sale. 3 x 2 x 2 x PIER STREETLUXURYTOWNHOUSES ONLY3REMAINING Currently underconstruction with completion Sept23* • PRICES FROM $235,000 • SECURE YOUR LOT VIA E.O.I WITH JUST A $1000 DEPOSIT 07 4124 4941 winprojects.com.au John Bone 0433 980 948 contact agent The Images and illustrations are artist’s impressions only. Purchasers must rely on their own enquiries and the Contract for sale
St Helens
LARGE ACRE SITES FROM 4000m2 • LEVEL BUILDING SITES • 20 MINS FROM HERVEY BAY “Space for your Lifestyle” Saltwater CreekRd GladysSt Lawson St Fazio Road From$204,000 LOT 61 LOT 60 LOT 59 LOT 58 LOT 50 LOT 54 LOT 55 LOT 6 LOT 5 LOT 3 LOT 2 • OVER 50% SOLD IN STAGES 1 & 2 TOWN WATER, POWER & NBN
Karen Cambell 07 4124 4941 winprojects.com.au The Images and illustrations are artist’s impressions only. Purchasers must rely on their own enquiries and the Contract for sale. Karen Campbell Charmaine Vella 07 4124 4941 winprojects.com.au contact agents 0438 359 507 The Images and illustrations are artist’s impressions only. Purchasers must rely on their own enquiries and the Contract for sale. 0400 667 618 contact agents
Karen Campbell 07 4124 4941 winprojects.com.au co n tac t ag e n t s 0 4 3 8 3 5 9 5 0 7 The Images and illustrations are artist’s impressions only. Purchasers must rely on their own enquiries and the Contract for sale. Karen Campbell 07 4124 4941 winprojects.com.au contact agent s 0438 359 507 The Images and illustrations are artist’s impressions only. Purchasers must rely on their own enquiries and the Contract for s a e NEW L AND RELEASE Stockland Shopping Centre CBD Bunnings HERVEY BAY INDIGO BLUE Lot sizes from 600m2 - 1000m2 07 4124 4941 winprojects.com.au John Bone 0433 980 948 contact agent The Images and illustrations are artist’s impressions only. Purchasers must rely on their own enquiries and the Contract for sale NOW SELLING

83 Endeavour Way,

• Large kitchen and dining opening on to outdoor entertaining area

• Big separate lounge/ media room

• 4 Bedrooms, master with ensuite and walk-in robes

• 7KW Air Conditioning

• Double lock up garage

• SIDE ACCESS - Plenty of room for boats and caravan

HOT VALUE

Mary-Lou Lloyd 0407 762 054 - EXCLUSIVE AGENT OFFERS ABOVE $590,000

STYLE AND SAFETY IN GATED COMMUNITY

34/29 Stephenson Street, PIALBA

Swimming pool in heart of complex with undercover BBQ areas

BUYING - SELLING - RENTALS 0427 400 012 www.chriscouperherveybay.com 2 2 1 Mary-Lou Lloyd 0407 762 054 - EXCLUSIVE AGENT $480,000 • Catch the breeze near the ocean at right. North facing rear garden plus side access • New kitchen with heaps of storage, draws and lazy Susan’s, adjoining new laundry • Open plan lounge dining with beautiful cypress pine floors opening onto large front deck • 2 bedrooms both with built-in cupboards • Master bathroom with spa bath and toilet • Study/ sunroom off lounge • Ducted air conditioning, solar heart hot water and 2.5 KW Solar Panels • Single garage plus garden shed 40 Corfield Street, POINT VERNON VENDOR LIQUIDATION 571M2 3 2 2 Chris Couper 0427 400 012 - EXCLUSIVE AGENT OFFERS ABOVE $599,000 • This stylish home boast 2 levels - upstairs has 2 spacious bedrooms with built-in robes, bathroom, large linen cupboard plus extra roof void storage • Downstairs boasts entrance foyer/ lounge area with access to double lock up garage with work bench and storage shelves and a seperate laundry, • Large modern kitchen with electric appliances, stone bench tops, dishwasher and plenty of storage • Family and dining area fully air conditioned • Master bedroom with walk-in robes and ensuite • Family room opening onto covered outdoor courtyard with landscaped gardens and BBQ area • Full security system installed • 25m
4 2 2
ELI WATERS FANTASTIC FAMILY HOME 600M2 2 1 1 Chris Couper 0427 400 012 - EXCLUSIVE AGENT $315,000 • Come and retire to lovely Hervey Bay in this 2 bedroom 1 bathroom retirement home • No rates, no stamp duty or body corp to pay - no exit fees! • 2 Spacious bedrooms, open plan living with modern kitchen with dishwasher • Spacious bathroom with shower plus separate toilet and laundry • Split system air conditioning • Lovely veranda with cool breezes and lockup car accommodation attached to home
No yard maintenance, facilities include in ground pool, BBQ area and recreation
within
complex
Enjoy fabulous holiday living all year in Hervey Bay Paradise.
Pet friendly!
You may be eligible for rent assistance as well to help you with costs 23/295 Boat Harbour Drive, SCARNESS AFFORDABLE SEACHANGE RETIREMENT - ONLY 6 YEARS OLD
room located
immaculate

SCARNESS - CENTRAL HERVEY BAY - DREAM LIFESTYLE RESIDENCE

34 Oleander Avenue, SCARNESS

• Superb 4 bedroomed 2 bathroomed residence in great central suburb of Scarness close to beach, schools, restaurants and shopping centres

• A Complete package to enjoy a tropical retirement lifestyle with side access for caravan and/ or boat to rear garage/ workshop with power

• Large open plan living to kitchen, dining and lounge room onto big rear patio for outdoor living/ entertainment onto lovely established grounds

• Single lock up garage at front with the 2nd lockup which has been turned into an extra living area

• This residence has solar panels and solar hot water

• Come and Live The Dream!

• One of Queensland’s Regional Coastal Hot Spot Properties

INVESTORS DREAM - BLUE CHIP SUBURB - WONDUNNA

8 Maree Street, WONDUNNA

• Covered pergola for outside entertaining area with big side access to a double lockup garage

• Good sized block of land plenty of room to expand and put in pool

• Will rent for investor over $500 per week, tenants waiting

• One of Queensland’s Coastal Regional Hot Spot Properties

AGENT

TORQUAY - BEACHSIDE - ELEVATED POSITION - HI-SET RESIDENCE

351 Torquay Terrace, TORQUAY

• Suit astute purchaser this beachside hi-set residence only 8 years old in prime blue chip location

• Downstairs features fully tiled large lounge area and 2 large bedrooms with built-in robes, office, laundry and large modern shower and toilet

• Upstairs an internal polished wooden staircase leading up to main bedroom and ensuite combined with walk-in robes, internal door and door leading to large north facing veranda

• Polished timber floors throughout with modern granite kitchen, lounge room leading out to the front large north facing covered veranda

• Fully fenced with 2 car accommodation under front deck, 6x7 metre rear shed , outside 3rd enclosed covered hot shower, 2 water tanks, one being 20,000 litres connected to run house, 12 solar panels (3KW) , electric gate

• Walk to Shelly Beach - Ideal for swimming. Close to restaurants and cafes

• One of Queensland’s Coastal Regional Hot Spot Properties

Chris Couper 0427 400 012 - EXCLUSIVE AGENT OFFERS ABOVE $790,000

BEACHSIDE PARADISE LIVING - 300M FROM THE BEACH - ULTIMATE LOCATION

• New to market – Full block residence on raised peers (like double brick) split level with 3 car uncover parking + workshop and remote doors

• 4th bedroom for extra family member onto bathroom ideal for elderly family member or teenagers on ground floor

• Upstairs – Master bedroom with large walk-in robe, large ensuite with double vanity and spa bath, balcony overlooking lake (Water Views)

• Another 2 bedrooms upstairs plus another bathroom

• Downstairs – Spacious lounge room with built-in brick fireplace and built-in entertainment centre plus new inverter air conditioner

• Renovated kitchen with walk-in pantry, stone bench tops, gas stove and new dishwasher

• Dining room leading out to BBQ area and built-in bar overlooking lake

• Also day room leading out to closed in brick courtyard, security locked. Solar and solar hot water

Chris Couper 0427 400 012 - EXCLUSIVE AGENT

690M2

$959,000

BUYING - SELLING - RENTALS 0427 400 012 www.chriscouperherveybay.com 4
2 2 Chris Couper 0427 400 012 - EXCLUSIVE
$689,000
689M2 3 1 2 Chris Couper 0427
-
400 012
EXCLUSIVE AGENT $490,000
• Hervey Bay Central close to beach, shops, schools everything • Low set brick & tile residence with 3 bedrooms, open plan with kitchen, dining & lounge area
3 2 2
779M2
651M2 4 3 3
2 William Street, URANGAN

8yearsandstill goingstrong

8 Years of 100% Property Management in Hervey Bay

DSB Property Management understands that property management is not Monday to Friday, 9 to 5 and for that reason, we are 24/7 for tenants and landlords alike.

We conduct viewing on vacant properties from 6.30am till 7pm later by appointment, 7 days a week.

We do not make bookings or have set times to show properties, we have someone ready to show a property when it suits the prospective tenant.

We are NOT Monday to Friday 9am to 5pm

9/81 Boat Harbour Drive, Urraween

Phone: 07 4128 9919 Email: rentals@dsbpm.com.au

dsbpm.com.au fi

This illustration is indicative for marketing purposes only. Please refer to the developer for detailed and accurate block information.

STAGE 2C

STAGE 4C

STAGE 4B

Call today on 1300 705 405 Sales Office 2 Richard Charles Dr, Kawungan Email living@kingstonherveybay.com.au LAND. LIFESTYLE. LOVE. www.kingstonherveybay.com.au Land For Sale COMMUNITY AREAS NBN READY MEDICAL & CARE FOOD & SHOPPING FULLY SERVICED
4B Titled
4C Titled
2C Titled 36 37 17 24 23 19 22 20 21 18 11 12 13 14 15 16 38 39 40 41 42 25 26 27 28 29 30 31 32 33 34 35 6 5 4 10 1 9 8 2 3 7 58 57 51 50 49 48 47 46 163 140 162 43 45 44 151 143 142 165 164 141 147 137 148 146 145 149 150 144 117 118 122 121 120 119 66 65 158 159 64 63 160 161 54 55 53 52 56 152 153 108 107 154 155 106 156 157 744m2 795 m2 790m2 744m2 738m2 667m2 814m2 744m2 744m2 740m2 688m2 684m2 688m2 684m2 739m2 67 744m2 744m2 739m2 739m2 744m2 803m2 702m2 802m2 612m2 619m2 601m2 602m2 602m2 611m2 851m2 792m2 792m2 792m2 792m2 792m2 948m2 902m2 729m2 795m² 536m2 536m2 536m2 536m2 728m2 908m2 772m2 892m2 833m2 746m2 745m2 717m2 703m2 803m2 804m2 725m2 735m2 809m2 725m2 752m2 761m2 705m2 704m2 800m2 916m2 805m2 870m2 758m2 784m2 750m2 773m2 896m2 916m2 833m2 821m2 711m2 712m2 713m2 714m2 715m2 817m2 826m2 754m2 826m2 772m2 861m2 726m2 726m2 805m2 817m2 724m2 983m2 790m² 900m2 842m2 790m2 790m2 790m2 1208m2 561m2 70 71 72 73 62 61 82 77 76 75 59 60 701m2 707m2 922m2 742m2 674m 742m 742m 714m2 742m 714m2 892m2 89 714m2 90 805m2 789m2 81 91 701m2 701m2 80 92 701m2 701m2 79 93 701m2 701m2 78 94 701m2 701m2 96 95 783m2 753m2 74 648m2 714m2 788m2 69 103 97 68 788m 104 788m2 788m2 105 648m2 801m2 102 802m2 101 100 691m2 670m2 99 98 678m2 858m2 116 139 854m2 138 700m2 701m2 115 714m2 114 109 714m2 110 714m2 113 714m2 112 820m2 111 776m2 83 900m2 84 770m2 85 770m2 86 770m2 87 770m2 88 770m2 N Urraween Road Main Street Milkman Way Messer Drive L oui s Wa y R ic har d Ch a r le s D r v e Watermelon Way Canecutter Court A m y Cou r Mackay Drive KINGSTON HERVEY BAY PARK
Stage
Stage
Stage
Expected Titles Aug 2023 STAGE 5B Expected Titles Aug 2023 STAGE 5A Expected Titles Aug 2023 STAGE 5C
TITLED TITLED TITLED

FIRST HOME BUYERS, DOWNSIZERS OR INVESTORS!

29/56-58

Phone 4128 4255 www.herveybay.realway.com.au | 363 The Esplanade, Scarness QLD 4655 217 PULGUL ST, URANGAN MAKE AN OFFER! AIR-CONDITIONED LIVING MODERN KITCHEN WITH DISHWASHER MAIN BEDROOM WITH AIR CONDITIONER + ENSUITE TWO OTHER BEDROOMS WITH BUILT-IN ROBES CEILING FANS DOUBLE LOCK-UP GARAGE WITH INTERNAL ACCESS FULLY FENCED 563M2 BLOCK CURRENTLY TENANTED TO SEPTEMBER 2023, PAYING $360 3 Bed 2 Bath 2 Car OFFERS ABOVE $510,000 19/386 ESPLANADE, TORQUAY FULLY FURNISHED OPEN PLAN LIVING WITH AIR CONDITIONING KITCHEN WITH DISHWASHER COVERED BALCONY OVERLOOKING THE ESPLANADE RENOVATED BATHROOM BEDROOM WITH BALCONY FULLY EQUIPPED LAUNDRY LIFESTYLE UNIT IN THE HEART OF TORQUAY!
ENQUIRIES STILL WELCOME
359 BOAT HARBOUR DR SCARNESS BLOCK SIZE 304M2 PRICE REDUCED TO $240,000 333 BOAT HARBOUR DR SCARNESS BLOCK SIZE 594M2 PRICE: $333,000
ESPLANDE, TORQUAY BEACHSIDE UNIT OPPORTUNITY!
Bed 1 Bath 1 Car
POOL OFFERS FROM $300,000 FULLY FURNISHED MODERN KITCHEN AIR- CONDITIONED LIVING BATHROOM BEDROOM WITH BUILT IN ROBES BALCONY SECURE COMPLEX LIFT & POOL UNDERGROUND SECURE CAR SPACE LOW BODY CORPORATE FEES CURRENT RENTAL APPRAISAL $350/WEEK
ESPLANADE, TORQUAY RIGHT ON THE ESPLANADE! FURNISHED UNIT • SPACIOUS BALCONY MODERN KITCHEN WITH DISHWASHER SEPARATE LIVING • TWO BEDROOMS, BUILT IN ROBES. BATHROOM SEPARATE TOILET WITH VANITY. LAUNDRY UNDERGROUND CAR PARKING • CURRENT RENTAL RETURN $490 PER WEEK 2 Bed 1 Bath 1 Car $425,000 LOW SET VILLA IN SECURE GATED COMMUNITY! 3 Bed 2 Bath 1 Car + POOL $475,000 THREE BEDROOMS, MAIN WITH ENSUITE OPEN PLAN LIVING WITH AIR CONDITIONING MODERN KITCHEN WITH DISHWASHER MAIN BATHROOM PRIVATE OUTDOOR AREA SEPARATE LAUNDRY SINGLE LOCK UP GARAGE ONSITE POOL & BBQ AREA 106/230 PULGUL ST, URANGAN
UNDER CONTRACT
LAND AVAILABLE
11/383
1
+
5/394
MAIN ST, PIALBA
GALLEY STYLE KITCHEN WITH DISHWASHER LARGE
AIR CONDITIONED LIVING
LAUNDRY
TWO BEDROOMS,
MAIN
CEILING FANS. LINEN/STORAGE
BATHROOM.
Bed 1 Bath 1 Car OFFERS
$320,000
UNDER STAIR CUPBOARD WITH SHELVING
AREA
WITH SECOND TOILET
BUILT IN ROBES
WITH BALCONY & AIR CONDITIONING
CUPBOARD
LOW BODY CORPORATE 2
OVER
KASBAH
IN HERVEY BAY 3 BEDROOMS 2 BATHROOMS 1 GARAGE + ADDITIONAL PARKING REMOTE ROLLER DOOR UNDERCOVER ENTERTAINING AREA MODERN KITCHEN • SECURITY SCREENS PRIVATE COURTYARD DUCTED AIRCON 800M TO ESPLANADE/BEACH 3 Bed 2 Bath 2 Car OFFERS OVER $490,000 PRICE REDUCED! 37 OLEANDER AVE, KAWUNGAN AFFORDABLE FIRST HOME OR INVESTMENT OPPORTUNITY! LARGE FRONT COVERED VERANDAH SEPARATE LOUNGE WITH FRENCH DOORS OPENING ONTO VERANDAH DINING AREA WITH ACCESS TO BACK DECK MODERN KITCHEN WITH DISHWASHER BREAKFAST NOOK THREE BEDROOMS WITH BUILT IN ROBES MAIN WITH ENSUITE • MAIN BATHROOM WITH SEPARATE BATH DOUBLE GARAGE DOWNSTAIRS WITH PLENTY OF STORAGE FULLY FENCED 756M2 BLOCK GARDEN SHED CURRENTLY TENANTED AT $425 PER WK 3 Bed 2 Bath 2 Car OFFERS OVER $560,000 34/27-29 STEPHENSON ST, PIALBA LUXURIOUSLY SPACIOUS TOWNHOUSE 3 Bed 2 Bath 2 Car + POOL OFFERS ABOVE $599,000 MASTER BEDROOM WITH W.I.R, ENSUITE & AIR CONDITIONING TWO LIVING AREAS, ONE WITH AIR CONDITIONER DOWNSTAIRS LARGE POWDER ROOM WALK-IN STORAGE CUPBOARD UNDER STAIRS MODERN KITCHEN WITH STONE BENCHTOPS, ELECTRIC COOKING & DISHWASHER DOUBLE PANTRY’S COVERED OUTDOOR ENTERTAINING AREA GAS HOT WATER POOL ON SITE DOUBLE GARAGE SECURE GATED COMPLEX PRICE REDUCED! OPENSAT 11.00-11.30AM 9 PALM MEADOWS PLC, PIALBA BIG SHED, BIG BLOCK & CLOSE TO THE BEACH! SOLAR POWER. THREE BEDROOMS MAIN BEDROOM WITH AIR CONDITIONING, WIR, ENSUITE MAIN LOUNGE WITH AIR CONDITIONING BREAKFAST NOOK. LARGE KITCHEN. DINING ROOM ENCLOSED RUMPUS ROOM WITH BAR MAIN BATHROOM WITH BATH & SHOWER SOLD! SOLD! SOLD! MORE LISTINGS NEEDED 41 CROMDALE CCT, KAWUNGAN FAMILY HOME OR INVESTMENT MASTER BEDROOM WITH WIR AND ENSUITE 3 BEDROOMS WITH BUILT-IN ROBES FULLY TILED LARGE OPEN PLAN KITCHEN, DINING & LIVING AREA LARGE OUTDOOR ENTERTAINING AREA • DOUBLE GARAGE WITH INTERNAL ACCESS 809M2 BLOCK 4 Bed 2 Bath 4 Car OFFERS OVER $630,000 OPENSAT 10.00-10.30AM
33/30 EAST ST, SCARNESS
BY THE SEA
Phone 4128 4255 www.herveybay.realway.com.au | 363 The Esplanade, Scarness QLD 4655 775 RIVER HEADS RD, RIVER HEADS FAMILY HOME ON 5 ACRES 3 BEDROOMS PLUS STUDY OR 4TH BEDROOM MAIN WITH ENSUITE & WALK IN ROBE LARGE AIR-CONDITIONED LOUNGE ROOM KITCHEN DINING WITH ACCESS TO UNDERCOVER OUTDOOR AREA MAIN BATHROOM WITH SEPARATE BATH & SHOWER FRUIT TREES. WATER TANK & TOWN WATER SECURITY SCREENS DOUBLE CARPORT DOUBLE SHED PLUS CARPORT & WORKSHOP SPACE 3+ Bed 2 Bath 5 Car $690,000 OPENSAT20TH 10.00-10.30AM LIFESTYLE LAKE LIVING FAMILY SIZED HOME WITH LAKE FRONTAGE • DUCTED AIR-CONDITIONED 1015M2 BLOCK FAMILY SIZED LIVING AREAS MODERN DESIGN COVERED ENTERTAINING AREA SEPARATE LOUNGE WITH ACCESS TO OUTDOOR 27 LADY NELSON DR, ELI WATERS 41 Ibis Blvd, Eli Waters CENTRALLY LOCATED! THREE BEDROOMS TWO BATHROOMS NEW MODERN KITCHEN AIR-CONDITIONED LIVING RENOVATED LAUNDRY GARAGE WITH INTERNAL ACCESS FULLY SCREENED ENCLOSED BACK PATIO DOUBLE GARDEN SHED FREESTANDING PERGOLA/CARPORT WITH POWER FULLY FENCED 838M2 BLOCK SIDE ACCESS AND ROOM FOR A POOL NBN – FIBRE TO THE NODE (FTTN) 3 Bed 2 Bath 1 Car $635,000 PRICE REDUCED! UNDER CONTRACT ENQUIRIES STILL WELCOME 4 Bed 2 Bath 2 Car $730,000 672M2 BLOCK. WELL ESTABLISHED GARDENS SOLAR POWER 3.6KW. SOLAR HWS SPRINKLER SYSTEM GAS COOKTOP AND ELECTRIC OVEN DISHWASHER . WALK IN PANTRY 3 X 3 GARDEN SHED TIMBER LOOK AND TILED FLOORING FOUR BEDROOMS WITH BUILT INS & CEILING FANS DUCTED A/C AND AIRCON UNIT IN LOUNGE SPACIOUS AND MODERN. OPEN PLAN LIVING 4 BEDROOMS, 2 BATHROOMS, DOUBLE GARAGE LARGE OUTDOOR ENTERTAINMENT AREA WALKING DISTANCE TO SCHOOL, BEACH SURROUNDED BY QUALITY HOMES 26 JONWEST CL ,TORQUAY BEAUTIFUL HOME IN PREMIER LOCATION 8 EARL ST VINCENT CCT, ELI WATERS NO NEED TO LEAVE HOME TINTED WINDOWS TIMBER VINAL FLOOR’S SOLAR 6.6 KW ALARM SYSTEM OPEN PLAN KITCHEN WITH SKYLIGHT 2 LIVING AREAS FISHING JETTY WITH SUN SHELTER 2ND OUTDOOR KITCHEN 12M2 TOOL SHED 4 Bed 2 Bath 2 Car $925,000 APPOINTMENTINSPECTIONBY PRICE REDUCED! OPENSAT 9.00-9.30AM 7/371 ESPLANADE, SCARNESS ESPLANADE LIVING AT ITS FINEST! THREE BEDROOMS MAIN WITH ENSUITE & W.I.R OPEN PLAN LIVING WITH AIR CONDITIONING STUDY OR SECOND LIVING MAIN BATHROOM, SEPARATE TOILET SEPARATE LAUNDRY LARGE COVERED BALCONY WITH SPA 3 Bed 2 Bath 2 Car + POOL $785,000 NEW LISTING! 4 Bed 2 Bath 7 Car OFFERS OVER $899,000 1 ACRE WITH LARGE SHEDS. ENTERTAINERS DELIGHT 100,000 LITRES WATER, PLUS BORE WATER 4182M2 FULLY FENCED MANICURED ALLOTMENT WITH ELECTRONIC GATES 6M X 6M SHED & 15M X 9M SHED BOTH WITH 3 PHASE POWER STEEL FRAME HOME WITH 24 PANELS OF SOLAR = 5KW FULLY EQUIPPED KITCHEN WITH QUALITY APPLIANCES OPEN PLAN LOUNGE/DINING WITH WOOD FIRE FOR THE COOL EVENINGS MASTER BEDROOM WITH ENSUITE & SLIDING DOOR OPENING OUT TO BALCONY REAR BALCONY HAS BUILT-IN WOOD FIRE PIZZA OVEN & WINE FRIDGE 52 SWAN DR, BOORAL MASSIVE PRICE REDUCTION - OWNER SAID SELL! PRICE REDUCED! APPOINTMENTINSPECTIONBY
402 Esplanade, Torquay herveybay.eldersrealestate.com.au Sales / Rentals: 4125 5244 sales@eldersherveybay.com.au pm@eldersherveybay.com.au Robyn Taylor 0402 588 153 Lauren Leaver 0436 485 555 Beautiful Unit in Quiet Part of Town! $499,000 Brett Hanwright 0427 621 985 NEW LISTING! 2 bedrooms with built-ins, 2 bathrooms • Fans, Split A/C (main living area) Lounge, dining, laundry, new window coverings Large patio, 1 garage with remote and lock New garden locker, new screen door in garage • All windows and door (crim-safe), new solar (7.7kw) Fully fenced, walking distance to beach 1/20 Thomas Street Pialba Robyn Taylor 0402 588 153 Lauren Leaver 0436 485 555 Immaculate Property Uniquely Designed To Be Wheelchair Friendly This immaculately presented property is located in a quiet street and offers an opportunity to any buyer looking for extra living space with the added convenience of being wheelchair friendly. Boasting a flowing floor plan with modern finishes this one is a must to inspect. $639,000 Robyn Taylor 0402 588 153 Lauren Leaver 0436 485 555 NEW LISTING! 3 Good sized bedrooms with built in robes Massive master comes complete with ensuite and double built in robes Open plan living features a combined kitchen, meals and living room which extends onto the fully screened undercover alfresco area Air conditioning, 6klw solar panels plus security screens 9m x 6m powered colourbond shed with remote doors Situated on a generous 739sqm block with enough side access to accommodate the large van or boat 1 Kirton Road Point Vernon Priced To Sell Price Reduction $495,000 129 Elizabeth Street Urangan Great first home or investment. Priced to sell quickly, phone now to arrange a private inspection. • 3 builtin bedrooms, all with electric shutters Combined kitchen/dining Full width rear verandah, great for entertaining Drive through single carport • Huge fully fenced 914 sqm allotment with access for boat or caravan • Fantastic location, walk to Urangan Shopping Centre & Botanical Gardens Only minutes away from schools, Esplanade & Marina Bill Dow 0412 644 422 John Wood 0419 796 692 Robyn Taylor 0402 588 153 Lauren Leaver 0436 485 555 Genuine Offers Considered 124 Long Street Point Vernon Set on 1017 sqm fully fenced block one street from beach • 3 bedrooms upstairs, main with air con & walkin robe 2 bedrooms downstairs plus study/office & full bathroom Central kitchen, island bench, dishwasher, plumbed fridge, microwave & near new oven • Undercover 11 x 3 mtr entertainment area up & down, sparkling magnesium pool & heated spa Great side access to 9 x 6 powered shed with, high carport, enough parking for 6 vehicles Massive 2 storey 5-6 bedroom home would ideally suit dual living or air B&B opportunity with ocean & Island views NEW LISTING! John Wood 0419 796 692 This prime beachfront resort provides visitors to Hervey Bay a high standard of self contained accommodation with 3 floors of spacious two bedroom apartments, each with fully equipped kitchen, laundry, reverse cycle air conditioning, large private open balconies with stunning views of beaches and Fraser Island. Ideal investment opportunity. Fully furnished with open plan living, 2 large private balconies • 2 spacious bedrooms, one double, other bedroom with twin singles Fully equipped kitchen & laundry, 2 way bathroom, separate bath & shower Sparkling inground pool, secure carpark with lift to all levels • Only 10 metres from pristine swimming beach and fishing hotspots Close to all amenities, restaurants, clubs, major shops Offers Above $470,000 10/496 Esplanade Torquay John Wood 0419 796 692 NEW LISTING! Robyn Taylor 0402 588 153 Lauren Leaver 0436 485 555 Offers Over $599,000 10/80 Moolyyir Street Urangan 2 double bedrooms upstairs with another living/ office area, bathroom and separate toilet Master bedroom comes complete with stylish ensuite and built-in wardrobe Gourmet kitchen featuring stone benchtops, quality appliances and ample storage Spacious open plan living, kitchen and dining bathed in natural light Air conditioning, crim safe security screens and high ceilings Single garage with remote and direct entry • Pet friendly, Resort style facilities Flowing over two levels, this generous fully furnished townhouse presents an ideal fusion of low maintenance living with a fresh coastal style. NEW LISTING! Robyn Taylor 0402 588 153 Lauren Leaver 0436 485 555 Stylish Coastal Retreat This fully furnished 2 bedroom apartment is positioned on the ground floor offering easy access to the sparkling resort style pool and private grassed area. Offering a relaxing seaside atmosphere located within minutes stroll to the Marina, cafes, restaurants and the Boat Club. Spacious open plan kitchen, lounge and dining • Gourmet kitchen with stone bench tops, glass splash backs and quality appliances. 2 Spacious bedrooms with built in robes, master king size bedroom with spacious ensuite. Expansive bifold doors opening onto the huge alfresco area, zoned
air conditioning throughout Secure single car accommodation, resort style pool, BBQ facility and onsite management. • This apartment offers the opportunity for permanent seaside living or luxury holiday stays Offers Over $550,000 3/625 Esplanade Urangan Robyn Taylor 0402 588 153 Lauren Leaver 0436 485 555 NEW LISTING! Are You Looking For a Tree Change? 3 Bedrooms with ceiling fans 1 Bathroom Hardwood flooring • Kitchen • Dining and living rooms Laundry Verandah 2 car garage under house • Tool shed • 2 large water tanks On offer here is a high-set Queenslander on 4975m2, only a short drive to Hervey Bay Price $455,500 26 Sandrabarbara Drive Booral Brett Hanwright 0427 621 985
ducted

Located in one of Hervey Bay’s most sought-after dress circle neighbourhoods, this 900sqm parcel of prime land presents the perfect opportunity for you to build your dream family home at The Springs. Enjoy a two minute stroll to the lakes & park with kids playground. All while only a few minutes drive to local shopping centres, hospitals, beaches, cafes and Hervey Bay airport.

• Generous 900m2 land

with high quality

Offers

Vacant land close to the ocean is extremely rare, particularly in Torquay, one of Hervey Bay’s most central and desirable beachside suburbs. Surrounded by high-end contemporary homes and within walking distance to trendy cafes, restaurants and gorgeous swimming beaches, this is an outstanding opportunity not to be missed.

Sales / Rentals: 4125 5244 sales@eldersherveybay.com.au pm@eldersherveybay.com.au 402 Esplanade, Torquay herveybay.eldersrealestate.com.au Robyn Taylor 0402 588 153 Lauren Leaver 0436 485 555 Dress Circle Locale, Luxury Land Release $380,000 51 Peppermint Circuit Nikenbah
homes
parcel. Elevated, slightly sloping block Surrounded by quality, well maintained
Family-friendly neighborhood
lakeside park and gardens. Close to beach, shops, medical precinct and schools Plenty of room to build a lifestyle home
Robyn Taylor 0402 588 153 Lauren Leaver 0436 485 555 Golden
- Vacant Block in Torquay!
Opportunity
From $400,000 358 Torquay Terrace Torquay
Robyn Taylor 0402 588 153 Lauren Leaver 0436 485 555
Robyn Taylor 0402 588 153 Lauren Leaver 0436 485 555 Security Gated Lifestyle Awaits 36/80 Moolyyir Street Urangan • 3 large double bedrooms with built in robes, master with ensuite & walkin robe Open plan living & dining opening onto the alfresco area Gourmet kitchen with stone bench tops, powder room downstairs • Private courtyard ideal for entertaining, additional living/ study area Ducted air con, high ceilings throughout • Double tandem remote garage with direct entry Resort style facilities with onsite manager, security access, inground pool, spa, sauna and BBQ area Positioned only metres from the beach & Marina, this spacious fully furnished townhouse occupies a north easterly aspect to welcome the morning sun and ocean breeze. The practical yet versatile layout offers low maintenance living & enough space to spread out and relax. Robyn Taylor 0402 588 153 Lauren Leaver 0436 485 555 Robyn Taylor 0402 588 153 Lauren Leaver 0436 485 555 Free Standing Four Bedroom Duplex $499,000 Unit 2, 5 Ladbroke Crescent Urangan Spacious modern brick and tile home No Body Corp fees • Ensuite to master bedroom Spacious open plan living and dining Functional kitchen with dishwasher Family bathroom complete with bath • Air conditioning and solar panels Single garage with direct entry This well presented “Free Standing” duplex showcases light filled, spacious interiors with an emphasis on lifestyle. Enjoy this low maintenance property located within minutes to the Marina, cafes and shopping. Robyn Taylor 0402 588 153 Lauren Leaver 0436 485 555 Robyn Taylor 0402 588 153 Lauren Leaver 0436 485 555 Walk to Woolworths $275,000 4/14 Ibis Boulevard Eli Waters No Body Corp, No Rates, No Stamp Duty • 2 good sized bedrooms, modern bathroom, laundry Security screens, solar panels High ceilings in living area, separate dining Modern kitchen with heaps of cupboards, split air con, ceiling fans Covered veranda, car accommodation, backyard, water tank No Pets Allowed, weekly fees apply Facilities include inground pool, community room, bowls green Located in Over 50’s village - Retire & Relax Shelly Smith 0402 152 192 Price Reduction $575,000 Robyn Taylor 0402 588 153 Lauren Leaver 0436 485 555 Country Living on 2001m2 Block With Shed Offers Over $710,000 22 Pedelty Lane Dundowran 4 bedrooms with built in robes Main bedroom with walk in robe and ensuite Modern kitchen with dishwasher and breakfast bar • 2 open plan living areas 9 x 6m shed/workshop with light and power 8 solar panels and solar hot water Lockable security screens, tinted windows • Double lock up garage, 5000l rainwater tank This modern family home is only 9 years old, set on a large 2001m2 block would suit all buyers. If you are looking for property with heaps of space, then this is it! Smith 0402 152 192 Lakeside Living On 1015m2 Offers Over $800,000 21 Lady Nelson Drive Eli Waters An exceptional waterfront home with its own jetty located in Mariners Cove, Eli Waters. If you’re wanting to live the dream then this home is one not to miss. Great location, strong investment opportunity or practical family home. 4 large bedrooms, ensuite to main Recently renovated modern kitchen Air conditioned living areas and main bedroom • Fans throughout, 31 solar panels - 9kw Double lock up garage with internal access Recently painted inside and out, new carpets Large wrap around verandas with screens • Side access with extra carport Shelly Smith 0402 152 192 Taking full advantage of an elevated and north easterly aspect, this 2075sqm vacant block provides an ideal location to build a stunning home befitting this premium position. 14m x 6m powered colourbond shed with roof insulation, double sliding glass door plus large remote garage door with enough clearance to house a boat or caravan. Opportunity to convert shed into a living dwelling, preliminary design available 23,000L concrete water tank with trafficable lid installed Electricity and water connected Secondary treatment system installed with 8 person capacity Offers Over $480,000 47-49 Longview Drive River Heads Robyn Taylor 0402 588 153 Lauren Leaver 0436 485 555 NEW LISTING! Magnificent Island and Oceans Views!
With this 992sqm elevated block, you can custom design and build a stylish multi-level lifestyle home that maximises height to showcase glorious views whilst inviting in an abundance of natural light and gentle sea breezes.
NEW LISTING!

Moments to the Beach – Coastal Breeze

• Beachside Location, footsteps to the beach

• 3 bedrooms 2 bathrooms + granny flat options

• Large above ground swimming pool

• Multiple living spaces

• Large balcony off master bedroom

• Ample outdoor and indoor storage

• Plentiful fruit trees

• Side access for large caravan

$798,000

27 O’Regan Drive, CRAIGNISH

• Private cul-de-sac position

• Resort style living 200 metres from the beach

• Three spacious bedrooms

• Formal & Informal living spaces

• Games room with pool table

• 12 metre in-ground pool

• Double garage UMR

• Separate 9m x 6m shed

• 6.3kw solar

• 4952m2 block

$1,190,000

14 Belmoreana Court, DUNDOWRAN BEACH

• 15 Minutes to the heart of Hervey Bay

• Quality-built solid brick home set back from the street

• 2.5 Acres (approx.) of level fully fenced land

• Triple garage under main roof with access to home

• Spacious 4 bedroom, 2 bathroom

• Large Undercover verandas to three sides of the home

• High ceilings throughout; Fireplace

• Walk to golf course

• 6kw solar system, town water

4128 6600 2 Ansons Road, Dundowran Beach www.rayedward.com.au FLEUR KEYS SALES CONSULTANT 0437 835 212 fleur@rayedward.com.au CODY BARRON SALES CONSULTANT 0459 960 405 cody@rayedward.com.au CAMERON WHEWAY SALES CONSULTANT 0431 995 485 cam@rayedward.com.au WARREN GRAY SALES CONSULTANT 0419 706 799 warren@rayedward.com.au Sweeping Ocean Views $785,000 13 Highview Drive, CRAIGNISH • 3 bed 2 bath [master with wir and ensuite • All bedrooms have separate air conditioners • Huge veranda with sea views • Large rumpus room • Fully fenced 2,204m2 block Just Listed Offers over $699,000 3 Julie Street , DUNDOWRAN BEACH • Perfect North facing position • Popular sought after Dundowran Beach location • Ocean Views • Low maintenance 807m2 block • Open plan light filled living space • Three good sized bedrooms with built in robes • Main bedroom with ensuite and walk in robe • Two bathrooms (incl. Bed 1 ensuite) • Additional TV / Multi-purpose room • Side access to back yard • Ideally located within walking distance to supermarket, doctor, chemist Four Bed on 9951m2 block Offers Over $990,000 7 McCarthy Drive, CRAIGNISH • Quiet Location
Beach-Side Paradise

Modern, Spacious Home

$1,050,000

Here is a marvellous home with multiple living rooms and an exceptional outdoor living space. There’s plenty of room for everyone.

From the moment you enter this private property you’re embraced by sophistication, warmth and modern charm. With 9ft ceilings and crisp white plantation shutters, this large spacious open plan residence will be pleasing to your eyes. The spacious master bedroom with a large ensuite and walk in robe with three other large bedrooms, open study area, media room, separate lounge and a combined kitchen/family dining space. The private outside patio deck is ever-so inviting and greets you immediately as you enter the room. The kitchen is finished with a stone bench; dual dish drawer dishwasher; 900m dual fuel oven and a walk-in pantry. The yard is ideal for loved ones to play or family pets to roam. With five car spaces in total including the carport which would suit a decent size boat or caravan.

• 4 spacious bedrooms

• A picturesque view front verandah

• 9 Ft Ceilings; Plantation Shutters

• Spacious galley kitchen with stone tops

• Air Conditioning Split Systems

• 6m x 9m shed.

• R.V or Boat port (Approx 7m (L) x 3m (w) 3.2m (h)

• Inground saltwater swimming pool

• Walk in Pantry

• 2239m2 fenced block

Town is near but far at approximately 7 mins drive to Eli waters shopping centre. Local conveniences are just two minute drive away Local Bulk Billing Doctor; Pharmacy; Post Office; Foodworks grocery store and Take away shop. There is a courtesy bus to the local Golf & Country Club, where you can have meal or cool beverage. Listed at only $1,050,000 this is must inspect property.

4128 6600

2 Ansons Road, Dundowran Beach www.rayedward.com.au

51 Mac Stocks Drive, DUNDOWRAN BEACH
Lot 100 Lucinda Way Eli Waters Price: $524,600 3 Bed, 2 Living, 2 Bath, 2 Car • Brand new home commencing April • Stainless steel appliances • Open plan living with under roof alfresco • Completion due late 2023 Lot 110 Lucinda Way Eli Waters Price: $643,928 4 Bed, 2 Living, 2 Bath, 2 Car • Level 600sqm block • Stainless steel appliances, incl dishwasher • Split system A/C to bed 1 and living room • Completion due end 2023 HOUSE AND LAND PACKAGES FROM $525,000* Rod Marks 0408 619 491 markspartners.com.au *Prices and status are correct at time of publication and subject to change without notice. Images and representations may be indicative only, not of actual property featured. Purchasers should inform and assure themselves by inspection or independent advice prior to purchase. *Average land price $203,600. Home + Land prices valid for contracts signed prior to 22 February 2023. *Average house and land price $549,000. #Home+Land packages are sold as separate contracts for land purchase from developer and construction contract with builder. • Land from $170,000 • Blocks from 375m2 to 800m2 • Construction well advanced • Titles due mid 2023 Don’t delay, call today! Out of the Blue: a dream lifestyle Earthworks have now commenced at our latest land release at Azure, Hervey Bay. Whilst many sites are nestled next to natural bushland, the green open spaces surrounding the estate create an inviting, healthy environment in which to build your new home and start your new life! LAND NOW SELLING

We are celebrating five amazing years!

Thank you to all of our incredible clients, both past and present, for their amazing support over the last five years. We know the world is full of choices. Thank you for choosing us and helping us to become Toogoom’s #1 Real Estate Team.

Allen Property strives to ensure your experience with us is excellent, with great pride in serving you and your needs.

We look forward to providing our community with the very best service we can as we grow together into the future.

Turn static files into dynamic content formats.

Create a flipbook
Issuu converts static files into: digital portfolios, online yearbooks, online catalogs, digital photo albums and more. Sign up and create your flipbook.