Hervey Bay Advertiser and Hervey Bay Property Guide

Page 1

WE WANT YOU TO BE A PART OF OUR GYM COMMUNITY • UNLIMITED CLASSES $30PW • GROUP CLASSES • NO SIGN UP FEES • NO CANCELLATION FEES • PERSONAL TRAINING • CHILD MINDING CALL ALI TODAY ON 0417 652 484 f Coastal Wastewater Specialists PRE-PURCHASE INSPECTIONS 07 4128 8019 www.cwws.com.au A FAMILY OWNED & OPERATED LOCAL BUSINESS QBCC LIC: 15249942 HOME SEWERAGE TREATMENT SYSTEMS We use and recommend SUPPLY • INSTALL SERVICE • REPAIR EPOXY FLOORS PAINTING 0418 410 965 QBCC 1133418 www.classiccoatings.com.au Jo Seeger SMASH REPAIRS Ph: 4128 3410 Ph: 0417 790 526 Hervey Bay 2023 G & D Ross are here for the long haul G & D Ross are celebrating their 30th year of operating buses in the region. Their Bus Charters are equipped to provide ultimate comfort in your journey. Combined with their professional attitude and high standards of customer service, the staff know that your ride is about safety and enjoyment. Greg and Donna welcome you to call the office on (07) 4129 7132 ANYTIME, DAY or NIGHT to make an enquiry. G&D ROSS BUS CHARTERS Phone: (07) 4129 7132 Mobile: 0427 297 132 www.ganddrossbuscharters.com.au May 4, 2023 Awarded BEST FREE NEWSPAPER in Queensland YOUR NUMBER IN REAL ESTATE oneagencyfc.com.au FRASER COAST
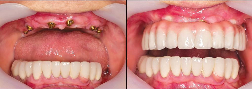
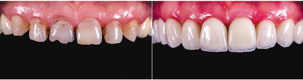
All Health Funds Accepted Michael Carson a Shop 4, 10 Liuzzi St, Pialba p 4124 0800 e info@mydentureplace.com.au w mydentureplace.com.au Revolutionary INTRAORAL SCANNER is here IF YOU GOT YOUR DENTURES OVER 6 YEARS AGO, IT’S TIME FOR A NEW ONE 3D imaging your gums for the perfect fit! Precise Durable Consistency Digital backup Customisable Convenient CAD DESIGNED DIGITAL DENTURES AVAILABLE NOW IN HERVEY BAY NEW My Denture Place - Michael Carson a Shop 4, 10 Liuzzi St, Pialba | p 4124 0800 e info@mydentureplace.com.au | w All Health Funds Accepted If you got your Dentures over 6 years ago, It’s tIMe for Revolutionary INTRAORAL SCANNER IS HERE 3d imaging your gums for the Perfect Fit Precise CAD designed Durable Miled from premanufactured Consistency Same set of reproduced Digital backup Can be remade Customisable Many shades available Convenient Faster to make, CAD Designed Digital Dentures available now in Hervey Bay new! COPY DENTURES
you’re happy with your current FULL dentures, we can copy them for youno impressions required.
If

TWILIGHT COVE, WA

FIT MY CAR

FINDING THE RIGHT ROOF RACK HAS NEVER BEEN EASIER.

With thousands of vehicles and even more products designed to specifically fit particular vehicles it is so important to get it right. A Rhino-Rack® roof rack that fits perfectly means you can rest easy knowing the gear you carry is safe and sound on the roof of your vehicle.

The right Rhino-Rack® product for your vehicle can easily be found when you visit www.rhinorack.com/fitmyvehicle then select your vehicle Manufacturer, Model, Year and Body type to browse every applicable product that fits your vehicle best.

From there, you can see all retail prices & dive into specifications, features, & benefits with installation instructions included. You can also add products to your wish list and email a friend or your local Rhino-Rack® Dealer.

Find your local dealer by going to www.rhinorack.com/where-to-buy.

Always refer to the product specification, installation instructions and vehicle owner’s manual for suitability, fit, installation and use of a specific product. Contact your local Rhino-Rack® dealer if in doubt or have any questions relating to the product.

P R I M A R Y LO C K U P - HO R I Z O N TA L S E C O N D A R Y LO C K U P - S M A L L F O R M AT A N D D G I TA L P R I MA R Y LO C K U P - V E R T I C A L T hi s R h i n o - R a c k - M a k e S p a c e F o r A d v e n t u r e l o c k u p s ho u l d b e u s e d f o l l o w i n g t h e s a m e p r i n c i p l e s a s t h e m a i n l o g o
CATALOGUE 2021/2022
! www.bobsauto.com.au HERVEY BAY 93 Main St, Pialba Ph: 4124 1855 MARYBOROUGH 14 Rocky Street Ph: 4121 2288 After Hours: 0427 722 746 BUY LOCAL FOR ALL YOUR ROOF RACK NEEDS SEE THE RHINO RACK SPECIALISTS AT
BOB’S
SOLD RUSH IN THE LAST TWO YEARS, OUR AVERAGE SALE PRICE HAS INCREASED BY OVER $210,000* IF YOU ARE THINKING OF SELLING, LET’S START A CONVERSATION SCAN THE QR CODE, MESSAGE US ON FACEBOOK OR PHONE OUR OFFICE ON 4194 1754 WE’VE STRUCK SOME AMAZING DEALS FOR OUR SELLERS primeagents.com.au 4194 1754 SELL YOUR HOUSE WITH US MICHAEL BATTERHAM 0401 788 792 TERESE PAYNE 0427 842 590 STACEY PYNE 0438 694 307 ASH HECKELS 0418 986 867 DON BRYANT 0427 225 004 VICKI MAYNARD 0439 955 576 * Average sale price 2020/2021 = $448,313. Average sale price 2022/2023 = $663,000

Join

2 COURSE MEAL | 3 HOUR BEVERAGE PACKAGE

Live music by Frank Benn

Dance the night away to Soul City plus other high energy surprise acts

Hervey Bay RSL Club

SATURDAY MAY 27TH 2023

Doors open 6:00pm for 6:30pm show start

GROUP TABLES & SEATS

AVAILABLE NOW VIA

re invited to our biggest event
ANNIVERSARY You’
ever
us for an incredible night
fun
amazing entertainment
of food,
and
FI4976 *Get any size for the price of a single in the corresponding range. The Any Size for a single offer must be completed in the original transaction, during the promotional period. The upsized mattress, will be the same brand and model as the original mattress chosen. Selected brands only. Mattress only. Exclusions apply. Super King not available on all mattresses. *Terms and conditions apply, see in store for details. The full Forty Winks terms and conditions can also be found on www.fortywinks.com.au/terms-conditions. You must be a Qantas Frequent Flyer member to earn points. Membership and points are subject to the Qantas Frequent Flyer program terms and conditions, available at qantas.com/terms. A joining fee usually applies however, Forty Winks customers can join for free. Qantas Frequent Flyer members will earn 2 Qantas Points per $ 1 spent (usually 1 point per $1 spent) on selected mattress purchases made between 17/04/2023 to 07/05/2023 from participating Forty Winks retail or online stores and must present their Qantas Frequent Flyer membership number at the time of purchase. Not valid in conjunction with other Forty Winks promotions which enable members to earn Qantas Points by purchasing products. Qantas Points will be allocated within 14 days of the product delivery date. Hervey Bay 127 Boat Habour Drive, Pialba (opp. the cinema) Ph: 4194 5099 fortywinks.com.au * Must endSunday! PLUS PLUS ANY SIZE FOR THE PRICE OF A SINGLE QANTAS POINTS DOUBLE Earn 2 Qantas Points per $1 spent (usually 1 point per $1) Get ANY SIZE mattress, even a SUPER KING, for the price of a single!

POINT

Got something to say about THE PUBLISHERS POINT?

Council takes the lead on walking your dog

SOME may recall my Publishers Point published on January 12th, titled ‘Community gets fired up over dogs on the beach’.

On that particular date, I was addressing the growing problem of irresponsible dog ownership around ‘off-leash’ areas. I hastened to add to that particular column that it was a really tough one for the council to handle, and I would assume the vast majority of poor dog behaviour on the beach goes unreported.

I also suggested Council think about undertaking an education process to help owners understand what is expected at dog-friendly beaches and off-leash areas.

Hats off to the furry friend lovers at FCRC, as they have done that very thing.

LETTERSTOTHEEDITOR

Council Survey: pier, jetties and area around them for private enterprise

The Council’s common sense is again called into question when it comes to the newest survey about our pier, jetties and the land around them.

This is public reserve land and public pier and jetties.

There are plenty of community events held throughout the year all along the Esplanade on the areas along and around these areas, which I am all for but

not on the pier and jetties.

This has been brought up in the past, and common sense prevailed.

These are not for private or commercial use as the survey wants.

Commercial: selling goods and services like business hosting an event, coffee and refreshments cart, yoga classes and fishing and tackle carts.

Private: special activities where family, friends and people known to the host (the word host sounds like a private business wanting to hold an event) are invited to attend a wedding ceremony, birthday party or memorial,

permanent kiosk on the pier, structure attached to the pier for a cafe /restaurant.

Partial hire for a private function to be held on the pier or jetty/ full hire for a private function hosting a dinner or wedding reception on the pier or jetty.

All these are questions in the survey as well; do they want to change local laws to allow this to happen?

At no time should the public be stopped from accessing public reserve land, public pier and jetties. The Council spent a fortune on a huge timber set up at the Botanical Gardens that you can hire for these private functions. There

ELECTRONIC RUST PREVENTION UNIT STARTING $795*

•  The Auto Saver System works by drawing a tiny amount of current from the vehicle’s battery and impressing into the metal through a contact point. The electrons from the current enrich the metal surfaces of the vehicle and serve to inhibit the corrosion of the iron molecules exposed to oxygen and moisture.

MOTOR ONE UNDERBODY RUST PREVENTITIVE STARTING $899*

•  Engineered using nanotechnology which creates superior bonding to the treated surface.

•  Creates a hydrophobic surface, repelling moisture between metal surfaces.

• Helps preserve resale value.

•  Used in other industries for sealing against harmful effects from environmental damage.

• A black water based, environmentally friendly coating.

There is a great radio campaign running across the region at the moment talking about ‘Dog offleash etiquette 101’.

It goes on to say that ‘Council understands the importance of exercising and socialising your dog and has provided several designated off-leash areas where dog owners can safely exercise their animals.’

‘However, despite your dog being the wiggliest, cuddliest, sweetest pup ever, their temperament can’t prevent unexpected accidents’.

That’s a cute way of saying, smarten up your act if your dog doesn’t play well with others.

There is a new off-leash brochure on their website, and they cover issues such as what to do if you think your cute pup ‘wouldn’t hurt a fly’.

are established businesses already holding weddings or wedding receptions, or private functions that will lose business.

There are cafes and restaurants all along the Esplanade that will lose business.

The fishing and tackle shops will lose business, and even yoga businesses will lose business if these are available right on the land, pier and jetties near or on the beach.

The Council tell us to support the already established local businesses as they are struggling, and then the Council threatens to take their livelihood off them

Being a dog owner means that you are legally responsible for your dog’s behaviour at all times. Even in off leash areas, it’s important to stop your dog from causing a nuisance or being aggressive towards other dogs. At no time should your dog impede other people’s enjoyment.

Let me tell you, that happens all the time. This initiative by Council is a great one, and I applaud them for getting on the front foot of a growing issue.

Ultimately this is up to every dog owner to take it seriously. Your dog must be under your control and return to you when called.

Tell me about your experiences with dogs on the beach or in other off-leash areas. We would love your feedback.

by even suggesting this to happen in their survey.

The pier and jetties are not very wide and have only a small area at the end of the Jetties for people to stand or fish.

The Council has already allowed private businesses to operate one at Urangan as you walk off the Pier, one at Scarness that went from being out last remaining boat shed to a huge cement building that is an eyesore and one at Point Vernon that is in the process of refurbishment.

These used to be just boat sheds and the original leases allowed boat sheds to be

built and operated as they offered a service to locals and tourists who wanted to use the beach in the hire of water activity equipment.

The only one that still does that is the one at Torquay, that is why I didn’t add that one to the three above. Leave our public reserve land, pier and jetties for what they have been used for generations by my family and others, walking, sitting and relaxing, fishing or just enjoying the view.

Please do the survey and tell the Mayor and Councillors “NO”.

top-of-the-line automotive tint is engineered to deliver enhanced heat-blocking performanceimpressively rejecting higher levels of infrared heat.
start at $295* enquire within
Our
Prices
BEAT THE HEAT & GIVE US A CALL TODAY FOR YOUR FREE QUOTE! 07 4125 9552 66 TORQUAY ROAD, HERVEY BAY – QLD 4655
& ELECTRONIC RUST PREVENTION AUTOMOTIVE – COMMERCIAL RESIDENTIAL TINTING Page 8 | Hervey Bay Advertiser | May 4, 2023 THE PUBLISHER’S
UNDERBODY
Send us an email to edit@herveybayadvertiser.com.au or send a message via Facebook or Instagram
Got something to say? Send your letters to: edit@herveybayadvertiser.com.au or send a message to our Facebook or Instagram pages

SPECIALCITYCENTREFEEDBACK

A central hub will have benefits for Hervey Bay, my understanding is that this isn’t just council offices. As a side note, the funding came from grants from the last federal government, so failure to proceed now would guarantee all of the money goes back to the Federal Government coffers and none of it would be available for Fraser Coast to spend on other projects. So Fraser Coast would miss out on things again.

Andrew Broad

Should have built it years ago. Bay is growing very fast.

Craig Wotton

I can’t believe the negative comments about the new building. We need to be proud of our growing city and have a building that will last us into the next century (Only 70+ years) Stop grumbling!

Most of you, including me won’t be around to see it beyond its first few years.

Most of you don’t understand either how these things - and many other things are funded in local government, state government and federal government. Find out! Pam Coles

Why just pick one area to develop? How is this development going to increase jobs after it’s been completed?

We are Hervey Bay, why do we need $100 million council building? Stop using the library as a reason why. The ridiculous speed limits for the area are a joke. Anyone would think we’re the Gold Coast, but then again we’re paying the same sort of rates but receiving no way near the benefits. What are our rates going to be after this starts, as the budget is bound to blow out? I don’t believe one benefit that you say this development will bring will help the whole of Fraser Coast only Pialba will look pretty. The council needs to be more in touch with the area as a regional town and invest in the infrastructure to maintain the ever increasing population. Head out of the clouds and feet on the ground guys. We need a council who’s more in touch with the needs of the people and not with their work environment. Bec Bee

The council building now is doing the job, Council are being too upper class and spoilt and not thinking of local everyday people.

It’s a beautiful building & concept we need to be proud of it; it’s Hervey Bay’s future, grow up, you negative people.

I support Council building a cultural centre, including space for their admin/headquarters, in Pialba. Doing that was planned and budgeted for by the then Hervey Bay City Council prior to my time on Council when Ted Sorrensen was Mayor. So we are talking early 2000’s. Then amalgamation was forced upon us. I would prefer Council retain the current library and include a theatre, performance and exhibition space suitable to attract large conferences in this new building.

I have always said, and I continue to say, we all may like to have a flash ocean view new home with everything, to live in (to help employment of course, a good excuse?) The fact remains 95% of the Fraser Coast couldn’t afford to do that so we make do with what we have, perhaps until we possibly could afford it.

Unlike Councils, they have a tap to turn the money flow on-that of course is our rates. We have already one of the highest rates levels in Oz, so stand by, we may soon have THE highest title. Why not spend a fraction of that money to upgrade the current building which would save us $’s and improve your work environment?

I also wish Hervey Bay would de-amalgamate. Our level of service has decreased considerably since amalgamation. Amalgamation was designed to make it cheaper to run Councils. What a lie we were forced to accept. We need to de-amalgamate asap.

Fantastic development for the Bay, and hopefully will bring a large expansion of the uni for our youth locally.

The whole thing is a total fantasy. It’s time they stopped trying to turn Hervey Bay into something it isn’t and never will be. The demographic of the community is nothing like the Gold or Sunny Coast. Endless uncontrolled development and minimum job opportunities will only turn HB into another Logan. After all the crime rate is already heading there. If they do go ahead with their Taj Mahal, I hope they will include public showers and toilets for the ever growing homeless unable to afford ridiculous inflated rental prices.

More Than Just Scooters SALES • HIRE • SERVICE 'The Widest Range of Quality Scooters & Mobility Aids on the Fraser Coast' 2/42 Torquay Rd, Pialba Ph 4124 6433 33 Designs May 4, 2023 | Hervey Bay Advertiser | Page 9 Adrian TANTARI MP Member for Hervey Bay Keeping the Hervey Bay electorate SAFE & STRONG 4183 8100 hervey.bay@parliament.qld.gov.au  Meetings  Events  Training  Morning or Afternoon Tea  Funerals  Parties  Dinner Functions WWW.MOWFC.ORG.AU SUPPORT YOUR LOCAL COMMUNITY ORGANISATION All delivered fresh to you on platters or individual packs. CALL OUR FRIENDLY TEAM TODAY 39A Islander Road, Hervey Bay • 4128 1334 78 Walker Street, Maryborough • 4121 4297 CORPORATE & PRIVATE CATERING
Your
Say

TIME TO SEE THE FRIENDLY TEAM AT BLUE SKY DENTAL

• A focus on good customer service from the moment of entry until departure

• To provide you with the highest standard of dental care in a safe and healthy environment

• To strive for pain-free and positive treatment outcomes

• A fair and competitive pricing structure

• To make every effort to run on time, our aim being to see you within fifteen minutes of your appointed time

• Manageable treatment plans

• To make every endeavour to see you on the day if you have an emergency

• Child-friendly environment to allow your little ones to feel relaxed and comfortable

1 William Dean Ave, Urangan (near the airport) P 07 4128 9276 www.blueskydental.com.au

Opening Hours: Mon to Thurs 8.30am-5pm | Friday 8.30 to

NEWSINBRIEF

Cool Country Music

Cool Country Social Music Club is a not for profit group that not only donate regularly to local charities but invite club members and the public to come along and experience the soothing magic of music and singing at our practice nights, commencing at 4.30pm and the open social concert performance on

the second Sunday of every month.

Doors open at 10.00am for 10.30am start.

Both events are held in the Hervey Bay Senior Citizens Hall, cnr.Denmans Camp Rd. and Totness St. Torquay.

Our fabulous club band perform several genres of music, including Blues, Rock n Roll and Country.

Come along and sing with the band or simply enjoy the

friendly atmosphere listening to music. Beginners are welcome.

The Cool Country band will be featured. The next monthly concert will be held on Sunday 14th May 2023. Come on down and celebrate ‘Mother’s Day’ in our friendly atmosphere. For further information contact Max Butler – President on 0418767521.

HC O NALPSE OATHAR OURDRIVE M ER TR ET ET Y ROA NARU ER SE RMEH N PA Urangan Fisheries Retail Ph 4125 2621 860 Boat Harbour Drive Urangan Find Us on G Urangan Fisheries Pty Ltd Valid 12/11/2020 - 25/11/2020 • Specialising in fresh local seafood • Bulk buy at wholesale prices • Gourmet seafood pies now available • Stock up on our tantalising range of local crumbed products • Bait & Ice available OCEAN AUSTRALIA RAW SCALLOP OCEAN AUSTRALIA CRUMBED SCALLOP COOKED KING PRAWNS $32/kg* 330g PACK 300g PACK $1565/ $17/ Urangan Fisheries Retail Ph 4125 2621 860 Boat Harbour Drive Urangan Find Us on G Urangan Fisheries Pty Ltd Valid 04/05/2023 - 18/05/2023 • Specialising in fresh local seafood • Bulk buy at wholesale prices • Bait & Ice available • Stock up on our tantalising range of local crumbed products Straight from the sea to you CHECK OUT THIS WEEK’S GREAT SPECIALS RAW WILD CAUGHT BANANA PRAWNS LOCAL WILD CAUGHT BARRA FILLETS $17.00/kg $39.50/kg Page 10 | Hervey Bay Advertiser | May 4, 2023 AVOIDING THE DENTIST?
1.30pm Outside hours appointments are available by prior arrangement

Clinicians hit the road for Mental Health plan

THE FRASER Coast community is benefitting from an innovative program which sees a partnering of Wide Bay Hospital and Health Service (WBHHS) mental health clinicians with the Queensland Ambulance Service (QAS) to respond to people experiencing mental health distress.

The Mental Health CoResponder (MHCoRe) program offers faster access to care for Hervey Bay and Maryborough locals in mental health crisis. Working in partnership, a senior WBHHS mental health clinician and a QAS senior paramedic attend mental health emergencies, providing assessment and care on the ground where it’s most needed.

MH-CoRe Team Leader Anna Anderson said the MHCoRe program puts patients and their individual needs at the forefront of care delivery and allows both WBHHS and QAS to tailor services with each emergency call.

“Prior to launching this service, people in significant mental health distress often called an ambulance or went to the emergency department,” Ms Anderson said.

“The emergency department environment, wait times, and processes can potentially escalate their condition and cause further distress.

“This program removes some of those triggers, providing the opportunity for clients to receive specialised mental health care in in their own home.

people calling 000 for mental health support by providing treatment outside the emergency department, we’re also improving wait times for people who do present at emergency.” Ms Scanlan said.

Queensland Ambulance Service, Mental Health Response Program Director Sandra Garner said we know emergency departments aren’t always the best place for patients suffering a mental health crisis.

“That is where the MH-CoRe teams are able to provide the same care and treatment which would occur in an emergency department to people in their own environment,” Ms Garner said.

“This program does not replace the need for existing mental health services, it complements these services and allows for timely and responsive assessment and referral, if needed.”

WBHHS Acting Chief Executive Robyn Scanlan said the MH-CoRe program demonstrates WBHHS’s commitment to provide care, connection, compassion for all.

“This service supports

Ms Scanlan said the co-responder program has proven successful across pilot sites throughout the state for both consumers and health services.

Early indications suggest a similar level of success locally since it launched in February, with the WBHHS MH-CoRe team having supported 32 emergency calls which has resulted in 19 people not needing to be transported to an emergency department.

PC & LAPTOP REPAIRS

4194 5959 May 4, 2023 | Hervey Bay Advertiser | Page 11
Cindy Ramos of the Queensland Ambulance Service and Fiona Meredith of the Wide Bay Hospital and Health Service

Council says ‘this is the on the proposed new

WhattoExpectatYour DentalAppointment

Bewelcomedintoacomfortable modernenvironmentbyourfriendly team.

Discussyourdentalhistoryandhealth whilehavingacomprehensive examinationofyourteeth,gumsand mouth.

Ourcaring,experienceddentistwilltalk aboutyourpreventionandtreatment optionsandgiveyoutheopportunityto askquestions.

Yourteethwilllook andfeelclean.

DESPITE the touting of its significant community benefit, the development of the new Hervey Bay City Centre project has come under intense scrutiny since the announcement in the middle of last year.

The project is funded through a combination of Australian Government funding ($40 million), Council’s general revenue, land sales and borrowings, and is estimated to cost almost $100 million.

To evaluate this bold project, an understanding of the background is vital.

Council has garnished significant government funding to build a new library and administration centre incorporating a disaster resilience centre in Pialba. The new building will overcome the significant deficiencies and

constraints of the existing library in Pialba and the existing administration centre in Hervey Bay. It will also provide a central facility for disaster resilience agencies to come together to plan and respond to disaster events in the region. It is worth noting that Council has undertaken an extensive assessment to determine the case for constructing the new library and administration centre against other potential options available to Council.

What has potentially been lost in the tirade of discussion over this project is the need for the community. This isn’t just a council administration building; more than three quarters of the development will be community space.

The current Pialba library does not meet the

Shop 15 - Melory Place - 53 Torquay Rd Monday to Friday 9.00am - 4.00pm Saturday 9.00am - 12.00pm replenishrefill.com.au BULK BEAUTY PRODUCTS | HOMEWARES ECO CLEANING | BATH AND BODY | BABY Page 12 | Hervey Bay Advertiser | May 4, 2023

the cheapest option’

city centre project

existing or future needs of the community and should be more than double its current size to meet the needs of our current and growing population over the next decade. Importantly, the existing library also does not appropriately cater for disabled and elderly users and, in some instances, is non-compliant, with the building also requiring significant investment to overcome significant defects.

The current Hervey Bay Council administration centre is too small to meet the organisational operational needs of the region’s largest business. At present, teams are being located across many buildings and locations.

Equally, Council does not currently have a disaster resilience facility to house a call centre and operations room with sufficient space for key agencies to come together to plan and respond to disasters and emergency events effectively.

Due to the significant issues with the current Pialba library space and the current Hervey Bay Council Administration centre, Council must act to do something or face a substantial risk of failing to meet the community’s needs.

For Fraser Coast Regional Council CEO Ken Diehm, the answer is not only a simple one, but a matter of pure economics.

“There are basically two options, and doing nothing isn’t one of them,” Ken said.

“Option one would be to terminate the University of Sunshine Coast’s (USC) lease of part of the current Pialba library building to free up space for major refurbishment and expansion and then refurbish, extend or demolish and replace the current Hervey Bay Administration Centre to incorporate a disaster resilience centre.”

“Option two is the current vision to exit and sell the current Hervey Bay Administration Centre, exit the current Pialba library site and building and offer it to the USC to expand its offering to local students, and construct a new Pialba library and administration centre, incorporating a disaster resilience centre.”

“There is an overwhelming need to expand the library facilities. We ave less than half the space identified by the Public Libraries Board and State for a community of our size. The State makes a substantial funding contribution to the operations of our library and there is an expectation that we will comply with their guidelines and provide contemporary library facilities. We have not been doing that and our community deserves better.”

“The proposed new Council Administration Centre, library and community spaces is a significantly cheaper option than refurbishing the current ones we have. That is a simple economic fact.”

When asked about the ongoing cost to the community, the message was a simple one.

“We are getting the benefit of a $40M contribution from the Australian Government. That is not transferable. It is for the City Centre activation. If we don’t move ahead with this project, the loss of this funding would make any other scenario far more costly.”

“Not only that, we are talking in the hundreds of millions of dollars when I refer to new development enquiries, in and around the Hervey Bay City Centre project, that is waiting for this project to get up and running.”

“As a community, we need to do this, and it is simply the cheapest option long term. Period.”

May 4, 2023 | Hervey Bay Advertiser | Page 13
new
Open Mon-Fri 9am-5pm | Sat 9am-3pm 93B Main Street, Pialba | Phone 4325 3803 Hervey Bay DON’T BE LEFT OUT IN THE COLD THIS WINTER • Wood and electric heaters • Firewood & kindling • Freestanding & insert versions • Flue kits • Firebricks, door seals, cleaners • Hearths • Child guards • Tool sets • Wood Holders Discuss your heating needs with our friendly, specialist staff. We have a wide range of heaters and accessories to choose from: “Bringing people together around the flame” Australian made Austwood wood heaters now available PARTS AND ACCESSORIES WOOD HEATING IS GOOD HEATING LOCAL OWNERS Closed Sundays & Public Holidays

Shade and bush tucker on Rail Trail

PEOPLE using a section of the Mary to Bay Rail Trail at Urraween in Hervey Bay will be able to eat bush tucker as well as stay cool.

The project to plant an avenue of trees along the section of Rail Trail beside Urraween Road is part of the Fraser Coast Regional Council Greening the Fraser Coast Strategy.

“As part of our Greening the Fraser Coast Strategy, Council is committed to planting 100,000 trees by 2030,” Councillor Paul Truscott said.

“This avenue of Eumundi quandong and Fraser Island apple trees planted by Council’s Natural Environment Team, will have a number of benefits.

“It will provide shade for people using the trail, bush tucker for people and animals, habitat for native animals and lower heat in urban areas as well as enhancing stormwater management and water quality.”

Council has used satellite

images to develop heat maps of the Fraser Coast,” Cr Truscott said.

“Planting trees in urban areas can help reduce heat, providing cooler environments.

“A recent study in Sydney by Doctors for the Environment Australia showed that streets with tree cover were up

plant 100,000 trees by 2030 about 55,000 trees have been planted within road verges, drainage lines, parkland areas, water reuse plantations and community revegetation sites.

to 20 degrees cooler than neighbouring streets where there was no tree cover.

“Council intends to use the heat maps to guide its street tree and urban forest planting program.

“Reducing heat islands benefits the whole of the Fraser Coast.”

Since January 2019, when Council adopted the target to

The Urraween planting consists of 72 Eumundi quandong (Elaeocarpus eumundii) along the Urraween Road corridor, and 20 Fraser Island apple (Achronychia imperforata) planted along the smaller pathways leading into the park area nearby. Trees absorb carbon dioxide and provide oxygen, improve air quality, conserve water, preserve soil and support wildlife.

Planting 100,000 trees will provide environmental benefits and make our region a more attractive place to reside and visit.

A running tally of trees planted is posted on the Council webpage www. frasercdoast.qld.gov.au/100000-trees each month.

Hervey Bay Advertiser | Page 15 Hervey Bay Community Centre 22 Charles Street, Pialba 20 May 2023 5pm $35 for adults, $17 for children under 12 Where: When: Time: Cost: www.hbnc.com.au/Events Join us for a special Bollywood event! Three course meal and dancing Get Down with DJ Jerry Brown Wear bright colourful clothes!
Culture Caf presents Bollywood Dhamaka
Cr Paul Truscott and avenue of trees
AVOID RISING ENERGY PRICES GO SOLAR TODAY! SAVE $1000* ON A SOLAHART SOLAR POWER SYSTEM UP TO SAVE $500 SAVE $750 SAVE $1000 when you purchase a 5KW system and above THE BIGGER THE SYSTEM THE BIGGER THE SAVING SMART SMARTER SMARTEST when you purchase a 8KW system and above when you purchase a 11KW system and above GET A BIGGER SYSTEM MAKE A SMARTER SAVING Call 1300 721 946 or visit solahart.com.au *Saving applied as a point-of-sale discount at time of purchase for Solahart Solar Power Systems: (a) Save $500 on 5kW and above, (b) Save $750 on 8kW and above, (c) Save $1,000 on 11kW and above. System size refers to the total kW output capacity of solar PV panels installed. These offers are available from 01/2/2023 until 30/04/2023 and are subject to stock availability. Excludes commercial installations. Participating Solahart Dealers only. Not available in conjunction with any other offer or promotion unless otherwise stated. Discounts are not transferable or redeemable for cash. See solahart.com.au for full details. © Solahart Industries Pty Ltd (2023). Solahart and the Solahart logo are registered trademarks of Solahart Industries Pty Ltd. INCLUDING OUR NEW SOLAHART SILHOUETTETM 415W PANELS * * *

Helping community and sporting groups grow

FORMER rugby union international and now Queensland Representative Rugby Union Coach, Maia Tua-Davidson, will lead two Active Inclusion Workshops to help Fraser Coast community groups and sporting clubs expand their membership.

“Sporting clubs and community groups are the backbone of the Fraser Coast,” Mayor George Seymour said.

“The workshops will help them attract more members, to build capacity and sustainability to ensure the Fraser Coast remains a vibrant and caring community.”

Course facilitator Maia TuaDavidson, now the Welcoming Clubs network manager, will facilitate the free workshops in Maryborough and Hervey Bay in May.

The former player is a community club volunteer and committee member at two Southeast Queensland clubs.

The Active Inclusion Workshops will provide information on how clubs can better understand and embrace diversity to increase membership and reinforce their role in the community as a safe, welcoming and inclusive place.

The workshops support clubs to be proactive about inclusion and be confident to make small changes to attract and retain a wider audience. There is no limit to numbers, so clubs may have multiple committee members, coaches, managers or members attending the workshops. For further information, contact the Community Development team at Council

on 1300 79 49 29.

The workshops will be held at:

Maryborough City Hall Reception Room from 6pm to 7:30 on May 24.

Please RSVP for catering purposes.

Hervey Bay Neighbourhood Centre, from 6pm to 7:30 on May 25.

Please RSVP for catering purposes.

May 4, 2023 | Hervey Bay Advertiser | Page 17 COSMETIC DENTAL CROWNS & BRIDGES DENTAL IMPLANTS FIXED IMPLANT DENTURES • GENERAL & EMERGENCY DENTAL • CHILDRENS DENTISTRY • DENTAL IMPLANTS • COSMETIC DENTAL • CROWN & BRIDGES Trusted by the Hervey Bay community since 1982 Suite 2, 70 Torquay Road, Pialba 4128 2185 www.pialbadental.com.au DR GURBACHAN LAL B.D.S M.CLIN DENT (IMPLANTS) DR MONIKA GUPTA B.D.S DR MAREK ROHOZINSKI B.D.S MS RUBY TYSON B.Oral.Hlth Please call for a free measure and quote on any of our products Phone 4125 4127 1 Kruger Court, Urangan | www.herveybayshades.com QBCC 1058883 Crank-IT Channel Awnings Wide choice of colours Easy crank handle operation Motorised control Can be installed in hard to reach areas Will withstand the harshest of coastal exposure No need for ropes/pulleys or awkward tie down points ORDER NOW
Maia Tua-Davidson

Free online course for committee members

IF YOU are thinking about refreshing your skills to be a part of a club committee, then the Fraser Coast Regional Council has some good news for you.

“The efforts and contributions of community groups, sports and recreation clubs and progress associations are critical to creating a true sense of community and a place of belonging for so many of our residents across the region,” Fraser Coast Mayor George Seymour said.

“To help people thinking about taking a position on a club committee, Council has created a free, self-paced online learning package.

“The modules cover law

and compliance, committee governance, holding meetings that matter, finance, fundraising and grants.”

To log on to the course go to www.frasercoast.qld.gov. au/supporting-communitygroups-clubs.

“Each participant will be asked to sign in and create a profile,” Cr Seymour said.

“The profile helps participants move through the course by keeping track of where you are up to,” he said.

“Then when you log on for your next session you will be right where you left off, rather than having to wade through material to find your place.”

One of the people who tested the online program is president

of the Bay Strikers Football Club, Belinda McLeod.

“It has been 10 years since I had a similar position as an executive member of a club,” she said.

“I found it very helpful to clarify and understand my role as president.

“The course brought back a lot of information.”

The self-paced component was an advantage.

“Rather than having to juggle my diary and set times to attend classes or workshops I could do the work from home in my own time at my own pace,” she said.

The online course is available on the Living and Community tab of the Council website.

New event bringing job skills into the future

ILLUMINATE, the first event of its kind, aims to provide community members with the skills they need to drive innovative and creative thinking throughout their careers with a launch of 100 days of innovation and creativity on the 11th of May, 6pm – 8pm at the Neighbourhood Hive. Learn from local innovative leaders who are truly committed to driving change in our community and from those who are getting work done in completely new ways.

The winners of the innovation race will land the next generations of consumers and provide better services to stakeholders more efficiently.

CEO of Hervey Bay Neighbourhood Centre, Tanya Stevenson said, “A recent McKinsey survey indicated that 70% of senior executives view innovation as one of the top three drivers of growth for their companies in the next three years.

“Yet most executives are generally disappointed in their ability to stimulate innovation. It has also been suggested that by 2025, 52% of all work will be completed by a form of artificial intelligence, algorithms and robots.

“The Fraser Coast’s youth unemployment rate is currently still the second highest in the State. “Illuminate will help you

find your spark, explore what it means for young people entering the workforce, support community members looking for a career change or just to upskill.” Illuminate will include one-off events and ongoing workshops that cover freelancing, developing AI skills, technology for everyone, how to start a small business or side hustle, how to write and publish a book and many more.

If you are an innovator, creative or have a skill you would like to share, please contact organisers through our website: www.hbnc.com. au/forms/get-in-touch

May 4, 2023 | Hervey Bay Advertiser | Page 19 97 MAIN STREET, PIALBA (NEXT TO ALDI) 4194 1566 OPEN 7 DAYS MONDAY - FRIDAY 8AM – 5:30PM SATURDAY 8AM – 4PM & SUNDAY 9AM – 4PM HELPING YOU REDUCE THE COST OF LIVING! SPECIALS VALID WHILE STOCK LASTS XL ROCKMELON $299 EACH SMALL SWEET POTATO $149 KG 1KG CARROTS $169 1 KG BAG CAVENDISH BANANAS $149 KG SHEPARD AVOCADO’S BUNDABERG BEANS $199 BAG IMPERIAL MANDARINS $299 KG 99c EACH BEAUTIFUL BROCCOLI $399 KG JOIN TODAY & SAVE $300 Hervey Bay COMING SOON Simply SMS Your Name & Email to: 0433 202 924

Prestigious nomination for local primary school

URANGAN Point State School was recently nominated as a finalist for the prestigious 2022 Premier’s Awards for Excellence. While they were not the eventual winner, they were the only school in Queensland recognised for their educational reform program. The Premier’s Awards for Excellence recognises high performance and outstanding achievement across the Queensland public service. There were five categories of awards that were announced at a ceremony in Brisbane on Tuesday 4th April which School Principal Matt Winter and some of the teachers were able to attend.

Urangan Point State School was a finalist for ‘Delivering education and social services’ category for their Literate

Futures program, which has systematically launched an improved teaching and learning culture, leading to significantly improved outcomes for all UPSS students.

Winners of the category, Queensland Police, received the award by Qld Police Commissioner Katarina Carroll & Chief Detective Superintendent Craig Morrow. Principal Matt Winter was very pleased to have a mention from the winners as an acknowledgement of their work.

“Literate Futures program gives students the best start through improved student outcomes and engagement in schooling, as evidenced by high percentages of students reaching and/or exceeding

year level benchmarks, setting them up on a trajectory for continued engagement and success in schooling”, says school principal Matt Winter. The primary school has focussed on student wellbeing, engagement and inclusion as well as community confidence in the school.

“Our cultural history has been honoured and embraced through innovation, cultural education and awareness, and enhanced community partnerships,” says Mr Winter. “This provides an affirmation that Urangan Point State School staff are dedicated, committed professionals who want nothing but the best for our students and parents know that the school is doing the right work to prepare their children for the future.”

Meet the team at Bay Chiropractic Centre

Dr Tracy Suzanne BSc ( Chiro ) MClinChiro

Dr Tracy holds a Masters Degree in chiropractic and has previously been a registered nurse and remedial massage therapist. She is an excellent practitioner that takes a patient centered approach and uses a variety of techniques to gain best outcomes and to care for people of all ages, from infants to the elderly.

When she is not caring for patients, you will find her spending time with her family and exploring this beautiful region.

Dr Mary Bausbacher D.C.USA

Dr Mary graduated from the University of California, San Diego with a Bachelor of Science degree in Physiology before completing her Doctor of Chiropractic degree from Life Chiropractic College in 1989. She moved to Australia in 1990 to satisfy her long term desire to travel to this country. Her and her husband Craig purchased the practise in 1994 and have watched in grow from strength to strength. She is passionate about chiropractic and the benefits of a healthy lifestyle.

Dr Adam East BSc D.C. ( UK )

Dr Adam is an experienced Chiropractor working for the last 35 years in his own multi-doctor practice in Brisbane. He has been visiting the Wide Bay area for many years and now lives in Burrum Heads. Adam has been involved in the cricket scene as both coach and helping his four sons in their sporting endeavours.

Dr Will Pollard D.C. USA

Dr Will has practised for several years in the USA and Australia. A Bachelor of Science graduate of Southwest State University, majoring in biology and elementary education. Will also has a Doctor of Chiropractic degree specialising in chiropractic orthopaedics.

Will’s interests are music and sport and has worked with local rugby league clubs in the past. Will brings a wealth of knowledge and experience to the team.

Page 20 | Hervey Bay Advertiser | May 4, 2023 We've helped over 100,000 Aussies find a better deal on finance Personal loans, cashflow funding & debtor finance Induustrial plant, equipment & machinery Proudly supporting our community C Contact Darren & Heather Senter 1300 648 110 strattonfinance.com.au/WideBay To make an appointment please call Bay Chiropractic Centre 4124 1313 Shop 3/55 Main Street, Pialba
Urangan Point State School staff

Young Entrepreneur Nominated for Award

LUKE Strochnetter is passionate about businesses in the region and thrives on being labelled an entrepreneur. His hard work and efforts have been recognised, being announced as a semi-finalist in two categories for the 7 News Queensland Young Achiever Awards.

The Young Achiever Awards is to acknowledge, encourage and promote the positive achievements of all young people throughout Queensland who are 30 years of age and under.

The two awards are for a finalist in the Australian Small Business and Family Enterprise Ombudsman Entrepreneurship Award category and The Hospitality and Customer Service Award category.

He also has a chance of winning the People’s Choice Award category.

“It’s an absolute honour to be a finalist in not one but two categories for the 7 News Queensland Young Achiever Awards,” said Luke.

“It’s a great honour to be recognized alongside so many incredible young people doing amazing things in so many different ways across Queensland.”

Luke has had a busy 12 months that includes organising some significant events in Hervey Bay that included the Carols by Candlelight and the recent business event, The Equipping.

“It’s been a great journey over the five years I have been in business, and I

am just so grateful for the amazing clients, colleagues, staff, friends and people in the community who always support me, encourage me and push me,” said Luke.

Another young rising local entrepreneur, Sara Diana Faraj has also been nominated as a finalist in a category whom Luke describes as “another trailblazing young person on the Fraser Coast.”

Both Luke and Sara are members of the committee for Fraser Coast Young Professionals, which is a network group for like-minded professionals and business people that meet at events. See the Facebook page for more details.

Our professional & friendly team is committed to providing THE BEST DENTAL CARE to our patients in a relaxed environment. Online bookings www.auradental.com.au Monday to Friday 8am – 5pm 4194 2225 YOUR SMILE IS OUR PASSION PASSENGER 4WD 175/70R 13 $74 175/65R 14 $84 195/65R 15 205/65R 225/65R 17 $152 245/65R 17 $165 235/60R 17 $155 235/55R $165 235/75R 15 $179 245/70R 16 $205 215/70R $145 215/60R 16LT $124 $1 899 Tyre & Wheel Packages Australia’s largest selection of tyre brands 85 $169 $115 Family $100 Mechanical safety check Batteries alignments repairs Free coffee while you wait HERVEY BAY Buy now, pay later with flexible payment options ALL PRICES INCLUDE: FITTING | BALANCING TUBLESS VALVES & DISPOSAL Australia’s largest selection of tyre brands Great deals on tyres for all vehicles. Time to see the experts. best tyre guarantees *Visit giti.com.au website for T&Cs Save rotation & balance Valid between $1,899 Tyre & Wheel Packages from Australia’s largest selection Small & Medium $85 tyres from Performance $115 tyres from Family $100 tyres from Mechanical services Free safety check Batteries for all vehicles Wheel alignments Puncture repairs Valid between 1 Jul - 31 Aug 2022 *See website for T&Cs Shop in-store or online. Time to see the experts. Valid between 1 Jul - 31 Aug 2022 *See website for T&Cs Valid between 1 Jul - 31 Aug 2022 *See website for T&Cs Great deals on tyres for all vehicles. Time to see the experts. PRICE GUARANTEE* WE WONT BE BEATENON ANY ADVERTISEDPRICE Valid between 1 Mar - 30 Apr 2023 *See website for T&Cs WHEN YOU PURCHASE 4 OR MORE MICHELIN PILOT SPORT TYRES. $2,060 Tyre & Wheel Packages from Australia’s largest selection of tyre brands Small & Medium $105 tyres from SUV & 4WD 159 Performance Family $119 tyres from Mechanical services Free tyre safety check Batteries for all vehicles Wheel alignments Puncture repairs Free coffee while you wait Valid between 1 Mar - 30 Apr 2023 *See website for T&Cs Valid between 1 Mar - 30 Apr 2023 *See website for T&Cs Valid between 1 Mar - 30 Apr 2023 *See website for T&Cs Over 25+ brands available Valid between 1 - 31 Mar 2023 *See website for T&Cs Valid between 1 - 31 Mar 2023 *See website for T&Cs Shop in-store or online. Time to see the experts. UP TO $150 CASH BACK * INSTANT
9am every Sunday Urraween Road - West of Hospital St James Lutheran Church ‘Called to Share’

Embracing diversity helping locals shine

WOLFPACK Print, a leading print and design business in the Wide Bay area, has recently taken on Alaric, a young man with a passion and talent for creative work.

Alaric, who lives with anxiety, had struggled to find employment after leaving school. But with the help of his MAX Employment Job Coach, Robert, Alaric’s star is on the rise.

“It didn’t take us long to learn that Alaric is incredibly talented in the creative space. However, for him to develop his creative skills in a professional setting, he needed to get started in a supportive environment,” says Robert.

Robert used his local connections to introduce Alaric to Naomi and Craig, the co-owners of Wolfpack Print, with the aim of securing work experience.

In their first meeting, it could have been Alaric’s anxiety that left the lasting impression as his nerves took over and he struggled to make eye contact with Naomi.

“Alaric was clearly shy but we’ve always had a soft spot for youth and helping them out however we can,” she says.

“And when we found out about his creative interests and

skills, we kind of had an ‘aha’ moment and felt we wanted to see what he could do,” says Naomi.

He now designs a range of content for the company’s social media, including animation, GIFs, and cartoon characters.

Alaric has also demonstrated his graffiti art skills, which has opened up a new avenue for the business.

For the team at MAX Employment, connecting customers to open and supportive employers like Naomi and Craig is just as important as giving people skills to succeed in work.

Wolfpack Print’s decision to offer Alaric a role shows the company’s commitment to helping young people with passion and talent to find their

way into the workforce.

Robert is delighted with the progress Alaric has made and is grateful to Naomi and Craig for their willingness to adapt their thinking and give Alaric an opportunity to showcase and develop his skills.

“As more employers open themselves up to recruiting people with disability, the more we will see fabulous outcomes like this – where both the individual and the business thrive,” says Robert.

Alaric is excited about the future and hopes to become a professional in his chosen field, surrounded by awesome people.

“Everything has really fit into place, and I’m just getting better and better,” shares Alaric.

Nathan 0439 397 705 or Helen 0437 011 188 www.nhhomes.com.au QBCC15218933 • Custom Built New Homes “BUILDERS YOU CAN TRUST” We pride ourselves on our personal involvement at every stage, our willingness to listen, our attention to detail and our commitment to making the building process stress free. Whether it's building a brand new home or renovating your existing living space, contact us for reliable, honest advice and a free quote. We listen and we care LOCAL, STATE & NATIONAL MASTER BUILDERS AWARD WINNER Page 22 | Hervey Bay Advertiser | May 4, 2023 FRASER COAST’S FRESHEST FLOWERS ORDER YOUR FLOWERS & GIFTS INSTORE, BY PHONE, OR ONLINE THIS MOTHER’S DAY WITH OUR EASY ONLINE ORDERING SYSTEM. GET IN EARLY TO AVOID MISSING OUT ON THE FRASER COAST’S FRESHEST FLOWERS. FRESH FLOWERS ARRIVING DAILY SUNDAY 14TH MAY 2023 Same day delivery Hervey Bay & Maryborough Easy online ordering system Extensive gift range in store Corporate servicing – to keep your office fresh and bright on a weekly rotation Bookings for Formals, Weddings & Special Occasions 4194 1707 | Shop 3, Bay Plaza, 27 Torquay Road www.floristherveybay.com

Local golfer targets no.1 ranking in the world

THE STORY of a golfer with the surname “Woods” having a serious car accident and aiming to be number one in the world for golf sounds like a familiar story, but this one is real for a local Hervey Bay golfer.

Lachie Wood is living this story. Lachie is heading off to Europe with the chance of achieving the number one ranking in the world for All Abilities. The achievement is particularly special considering a life-changing car accident 16 years ago.

As a 16 year old, his dreams of a golf career were challenged when a car accident nearly claimed his life. The outcome was more than 30 surgeries, a left leg requiring 14 screws and a metal plate to hold it together but now shorter than his right leg. It still requires constant physio and likely future surgeries.

“I spent a year in a wheelchair and the next year on crutches. I was angry my dream had been taken away”, said Lachie.

He tried for many years to return to golf, but the cold winters made it hard for him to walk some days. He relocated to a warmer state

and chose Hervey Bay as his new home. The big move started to pay dividends for his health.

This year he decided to return to competitive golf in the all abilities category and quickly gained wins in tournaments such as the Victorian Inclusive Championships and, recently the New Zealand All Abilities Open.

His world ranking has

jumped to number six in the world, making the top ranking position within his grasp on his journey to England this month for The G4D Open, contested by up to 80 international players at Woburn. This has also been made possible by financial support from local businesses and the community.

“A win will guarantee me number one in the world”, said Mr Wood.

May 4, 2023 | Hervey Bay Advertiser | Page 23 Brett Hanwright 0427 621 985 herveybay.eldersrealestate.com.au SELLING? BUYERS WAITING ALL PRICE BRACKETS
46 Main St, Pialba 4655 www.bayrad.com.au Medicare MRIeligibleScans Bulk Billed X-Ray CT MRI Ultrasound 3D Mammography Biopsies & Aspirations Echocardiogram Interventional Procedures Bone Mineral Density Dental/OPG General bookings Tel: (07) 4197 6600 E: bookings@bayrad.com.au MRI bookings Tel: (07) 4197 6642 E: mri@bayrad.com.au MRI SERVICES NOW AVAILABLE AT BAYSIDE RADIOLOGY ►Flights ►Rail Tours ►Escorted Coach Tours ►Holiday Packages ► Accommodation SHOP 1 STOCKLAND SHOPPING CENTRE , PIALBA herveybaytravel.com.au Call4124 4000 Ticket sales Open Hours: Mon -Fri: 8.30am -4.00pm / Sat & Sun: Closed HERVEY BAY to BRISBANE •QR Tilt Train –Daily •Greyhound -Daily •Premier •Atkinson's Shuttles-Daily HERVEY BAY to ROCKY •QR Tilt Train •Greyhound •Premier HERVEY BAY to CAIRNS •QR Spirit of Queensland •Greyhound •Premier TO LONGREACH •QR Spirit of The Outback •Greyhound (ex Rocky) •Greyhound (ex Brisbane) FREE PENSION BOOKINGS The Ghan & Indian Pacific FREE BOOKING SERVICE BOOK TRAVEL HERE 1, 2 & 3 DAY TOURS Fraser Island -K’Gariis the world’s largest sand island and stretches for 123km. Tours depart daily. Shuttles Locally Owned

RITUAL

GREAT DEALS ON ALL IPL SKIN & HAIR TREATMENTS

ZAP AWAY YOUR SKIN’S IMPERFECTIONS WITH IPL

IPL Skin treatments can be effectively used to treat:

> Freckles, sunspots and other hyperpigmented areas

> Fine lines, wrinkles and other signs of ageing

> Acne and acne scarring

> Sun damage and/or redness

> Broken capillaries

> Uneven colouring

UNWANTED HAIR. BE GONE! Be effortlessless Smoth & Hair Free with IPL Hair Reduction

07 4325 4060 | skinandwax.com.au Pialba Place, Shop 44 Crn Hunter St & Old Maryborough Rd, Pialba For a skin + wax experience with one of our Paramedical Skin Technicians, call us today to make an appointment on 07 4325 4060 or book online. SAY GOODBYE TO SUN DAMAGE! Now is the perfect time of the year to startt your course of IPL treatments.
Glow
Relax and
PACKAGE
Day
you to relax
bliss.
Peel
We have created this special Mother’s
package for
and glow in pure
Treatments included are: > Youth Accelorator
> LED Light Therapy > Rejuvenating Facial > Hydration Mask > Relaxing Hand and Arm Massage

Trauma Teddies need a home

BELINDA Watts is new to Hervey Bay and is offering gifts for people in challenging times.

Mrs Watts has previously been a care support worker for many years both in the communities and a day respite centre on the sunshine coast hinterland. She once had a client that was making ‘trauma teddies’ and that she decided to continue this work of producing the hand-knitted teddy bears.

She found the knitting enjoyable, but the task of putting the bears together was a challenge.

Her lady client continued to help her put the teddy bears together and slowly built a good stock of bears for patients.

Once she had a suitable amount to distribute, the Starlight Foundation would come along to collect them, which were given either to the hospital or the ambulance service.

Unfortunately, her client passed away, but Belinda Watts continued the tradition with the knitting.

In November 2021, Mrs Watts was to receive some news that would change her life forever. She was diagnosed with breast cancer.

After discussions with her husband, they decided it was time to sell their dream home in the Sunshine Coast Hinterlands and prepare for an early retirement.

“We always had conversations about retiring in

Hervey Bay; we enjoyed family holidays every year for the previous 26 years.”

“We now call Hervey Bay home,” said Mrs Watts.

She now would like to see these trauma teddies go to recipients in need, as she previously donated to places such as children’s wards at the hospital and the local ambulance service.

Mrs Watts very much wants to support the local community as she knows the importance of locals when in times of need.

“Any way we can help someone…… these teddies brighten a person’s day,” said Mrs Watts.

For more information, contact Belinda Watts at pbwatts007@hotmail.com

Introducing Dr Chrissy Halliday

Dr Chrissy Halliday graduated with a Bachelor of Medicine and Bachelor of Surgery in 2006 from the University of Tasmania. She gained her Fellowship with the Royal Australian College of General Practitioners in 2018. After completing a Certificate in Sexual and Reproductive Health in 2017, Dr Halliday worked at Family Planning Tasmania and a Youth Health Clinic. Outside of medicine, Dr Halliday enjoys travel, trekking, and amateur pottery.

Dr Halliday will be conducting a Women’s Health Clinic providing the following services:

CONTRACEPTION

FAMILY PLANNING

MIRENA INSERTION AND REMOVAL

ANTENATAL & POSTNATAL CARE

EMERGENCY CONTRACEPTION

NON-DIRECTIVE PREGNANCY OPTIONS COUNSELLING

STI SCREENINGSELF-REFERRAL (NO GP REFERRAL REQUIRED)

FEMALE DOCTOR AVAILABLE

NON-MEDICARE CARD HOLDERS

WELCOME (FULL PRIVATE FEES APPLY INCLUDING MEDICATION)

WHEELCHAIR ACCESSIBLE SERVICE

YOUTH FRIENDLY

May 4, 2023 | Hervey Bay Advertiser | Page 25 or experience the family friendly jungle room www.breakout theroom.com.au HEALTH CARE WITH A DIFFERENCE YOUR FAMILY FRIENDLY AND PROFESSIONAL HEALTH SERVICE TORQUAY DOCTORS AND IT’S WOMEN’S HEALTH CLINIC ARE TAKING NEW PATIENTS TORQUAY DOCTORS 418 The Esplanade, Torquay Qld 4655 Phone (07) 4125 2422 PHONE 4125 2422 www.torquaydoctors.com.au

Platinum Sponsorship helps Seagulls fly into new season

Connecting local writers and artists

A UNIQUE opportunity for writers to demonstrate their story telling skills and artists to interpret those words with images that speak to people in a different way is being promoted by U3A Hervey Bay and the Hervey Bay Art Society (HBAS).

The collaboration will culminate in October with an art exhibition and the publication of an anthology of illustrated creative writing interpreting the theme Connection and its importance for seniors.

Twenty-five original pieces of prose or poetry will feature in the publication, each illustrated by an HBAS artist.

The joint project will climax with a book launch and exhibition of the artworks at Gallery 5 in Hervey Bay in Seniors Month, October 2023.

ONE of Hervey Bay’s biggest Rugby League clubs has had a fresh start to the season with a new and enthusiastic committee and major financial boost from the Hervey Bay RSL Community Grants Program.

The RSL is proud to be a naming sponsor of the Hervey Bay RSL Seagulls for the 2023 season which kicked off in late March with hundreds of local Mini Mods, Mods, Internationals and Seniors signed up to play.

The platinum sponsorship of over $20,000 includes 500 water bottles, mods and mini mods (juniors) equipment,

The Seagulls have been an institution in Hervey Bay for over 50 years and this year’s President Joey Witteman is no stranger to the red, white and green jersey. His parents were coaches when the club first started and Joey and his two brothers started as juniors and played through the ranks.

He has now been coaching for the past four years and his two twin boys play in the Under 12s.

The Presidents position was a natural fit for the self-confessed sports fantastic who just loves to see players of any skill or level get involved in sport.

Writers need not be seniors or members of U3A but must be residents of the Fraser Coast Regional Council area. Entry is limited to one story per author and must not exceed 1000 words. Deadline for entries is 2 June, 2023.

U3A Hervey Bay president, Lyn Quince, who with HBAS president Mark Brose, is facilitating the collaboration, said while the project is itself

connecting writers and artists in the community, the final product will promote the wider community’s understanding of the value of social connection, chosen by the Council on the Aging Australia (COTA) as its theme for Seniors Month this year.

Detailed information, entry forms and terms and conditions are available on the U3A Hervey Bay website www. u3aherveybay.net. Printed entry forms and event details are available at Gallery 5, Sandy Street, Urangan, Fraser Coast Regional libraries and community centres in Hervey

Bay, Maryborough, River Heads and Howard.

Through this collaboration U3A seeks to promote its objective of lifelong learning for seniors and raise awareness of its broad program of activities aimed at developing new interests and social contacts, while the Art society seeks to encourage residents of the Fraser Coast to make the connection with their valuable resource, be inspired by the diversity and talent of people in the community and unlock their own.

CONNECTION

Calling all Fraser Coast writers

The challenge:

‘The importance of connection for seniors in our community’ 1000 words or less - prose or poetry

To be published in an illustrated anthology of prose and poetry by U3A Hervey Bay and Hervey Bay Art Society in Seniors Month, October 2023.

Deadline 2 June 2023

For further information www.u3aherveybay.net

Applications and guidelines for applying to the program can be found at www.herveybayrsl.com.au under the ‘contact us’ tab.

Contact Kerrie Alexander on 4197 7444 or email community@herveybayrsl.com.au

HBRSL COMMUNITY
Over $4.9 million has gone back into the local community through donations, in-kind support and sponsorship since the inception of the Hervey Bay RSL Community Grants program 10 years ago.
Lyn Quince president U3A Hervey Bay and Mark Brose, president Hervey Bay Art Society worked together on a poster design for their collaborative writing inspiring art project.

New Dining At Kingfisher

KINGFISHER Bay Resort has returned to full operation with the opening of a fresh new dining venue.

Dune Restaurant comes following the refurbishment of former dining venue, Seabelle, which stopped service at the beginning of the pandemic. Not only does this announcement add a breath of fresh air to Kingfisher Bay Resort, but it also marks the resort’s full recovery from staff shortages that have been present throughout the whole tourism industry in recent years.

Kingfisher Bay Resort again can now offer their guests a full suite of dining options that will boost their experience staying with the premier accommodation provider on

K’gari, Fraser Island.

In addition to our current modern-Australian style eateries, guests of the resort can now take a journey through Dune Restaurant and discover a refreshing and aromatic dining destination with the bright spices and fresh flavours of Asian fusion.

Dune’s creations will truly tantalise the senses, as guests indulge in sweet, salty and spicy selections, from decadent dumplings to fragrant curries and sizzling stir-fried meats to noodle dishes packed with taste.

“It’s an exciting time here at Kingfisher Bay Resort. To see how far we’ve come as a business in our post pandemic recovery shows great resiliency from the team,” said Kane

Bassett, the Resort Manager.

“With staff shortages less than six months ago……. to now bounce back with a fully refurbished, modern restaurant is an incredible achievement that places us in a great position moving forward. Our third restaurant, Dune, provides guests with a culinary journey that perfectly ties together a day full of adventures on the world’s largest sand island with a relaxing evening at the resort”, he said.

Guests can pair sharable dishes of perfectly prepared fresh produce with a bold beverage list, including unique wines and fresh to order, island-themed cocktails.

GIFT BOXES & HAMPERS LIFESTYLE FASHION HOMEWARES COFFEE Open 9-4 Monday to Friday, 9-1 Saturday GIFT BOXES & HAMPERS DELIVERED ACROSS THE FRASER COAST - CUSTOMISE YOUR OWN OR CHOOSE FROM OUR PRE-DESIGNED RANGE AT WWW.HOLABOX.COM.AU SPOIL YOUR MAMA THIS MOTHER’S DAY WITH House of TREAT YOUR MAMA RIGHT! This Mother’s Day spoil your mum with in your beautiful house or in ours! SHOP 1, 264 BAZAAR ST MARYBOROUGH May 4, 2023 | Hervey Bay Advertiser | Page 27

Optimising Your Retirement Savings: How Downsizing Your Home Can Help

Downsizing your family home is a common strategy for many older Australians as part of their long-term financial plans. However, did you know that you could consider investing the proceeds of the sale of your family home to your super as a downsizer contribution? This strategy can help you maximize your retirement savings and achieve your financial goals.

From 1 January 2023, if you’re aged 55 years or over, you may be eligible to make a downsizer contribution of up to $300,000 to a complying super fund from the proceeds of the sale of your primary residence, which is owned for 10 years or more. This is a great opportunity to boost your super savings and make the most of your retirement.

The Benefits of Downsizer Contributions

One of the benefits of the downsizer contribution is that contribution caps don’t apply, meaning that it doesn’t matter how much you already have in your super. The total super savings test (must be $1.7 million or less to make after-tax contributions) doesn’t apply for downsizer contributions. It’s important to note that the downsizer form must be received by the fund before or at the time of the contribution to be eligible.

Another benefit is that the downsizer contribution is an after-tax contribution, so no

tax is paid on the way in. This means that it may be more tax-efficient for you in the long run. Furthermore, you don’t have to buy a new home with the money you make from the sale. There is no need to move to something smaller or cheaper, giving you the flexibility to use the funds in a way that suits your retirement plans.

How Downsizer Contributions Work

To be eligible for the downsizer contribution, there are certain criteria that need to be met. The property must be located in Australia and owned for at least 10 years. When you sell the property, you need to be eligible for some form of exemption from capital gains tax (CGT) on the sale of the property under the “main residence” provision. This means the property needs to be your principal place of residence for at least some time during its ownership.

Planning Your Retirement with Downsizer Contributions

It’s crucial to be clear on the rules and implications before making a decision regarding the downsizer superannuation contribution provision.

At RetireInvest, we’re committed to helping you achieve your financial goals and make the most of your retirement. Our team of experienced financial advisers can guide you through the process and help you develop a personalized downsizing strategy that works for you.

Don’t miss out on this opportunity to boost your retirement savings. Speak with Kathy, Genevieve or Nathan* today to discuss the right strategy for your downsizing plans.

DISCLAIMER:

This information does not consider your personal circumstances and is general advice only. You should not act on any recommendation without considering your personal circumstances and objectives. RI AdviceGroup recommends you obtain professional financial advice specific to your circumstances.

MELISSA Lambie (Rowell) was born in Auckland, New Zealand, forty-two years ago and is the only child of wellknown builder Bill Lambie and his wife, Margaret.

While fishing with his mates, Bill mentioned he was taking his family to Australia for a holiday. One of his friends declared that he had to take his family to Hervey Bay in Queensland as they had the best fishing in the world. So he did!

The family loved the place, packed up and moved here. Melissa was eight.

“I went to Pialba State School and had a good circle of friends. I found myself in

the recorder band and became Band Captain in year seven.

“High School was a different story. Halfway through grade eight, I was shunned by that same circle of friends for not sharing their interests.

When she got to grade ten, Melissa was constantly bullied for being a larger person. She would get to school as late as possible, spend her lunchtime in the library and go straight home after school.

In year eleven, Melissa found Outrigging, made a new group of friends, and felt like she fitted in again. Her involvement in Outrigging got her through the remainder of high school. She even got

Junior Paddler of the Year in 1998.

She lost weight and then found that she had gone from being the last person to be picked on a basketball team in PE to being one of the first because of what she looked like. But they never got to know the real person inside.

“I loved kids and wanted to be a kindergarten teacher. So, I finished year twelve, went straight to TAFE, and did my Certificate III in childcare.

“During that year, I went to a Living Expo and spoke to staff from Lady Elliot Island. I still had to finish my certificate but ended up working in their kid’s club during the school

Page 28 | Hervey Bay Advertiser | May 4, 2023
DOWNSIZING AT 55+
Level 1 / 73 Main Street, Hervey Bay | Phone: 4124 6222 | Email: info@riwidebay.com.au www.riwidebay.com.au | Facebook: RetireInvest Wide Bay *Authorised Representatives of RI Advice Group Pty Ltd ABN 23 001 774 125 AFSL 238429 Understanding the Downsizer Contribution EVERYDAYPEOPLE Active Agents value honesty, collaboration, efficiency and customer service. Dedicated to our business and our clientele, Active Agents are always at the top of their game. As a result, we take immense pride in everything we do, and will continue to be devoted to each and every one of our clients, through every step of the process. WE ARE 100% LOCALLY OWNED Making Your Next Move A Success ACTIVE AGENTS activeagents.com.au 1300 141 446 View Our Properties For Rent View Ou Properties For Sale ACTIVE AGENTS Making Your Next Move A Succe ACTIVE AGEN activeagents.com.au 1300 141 446 View Our Properties For Rent View O Proper For Sa View Our Properties For Rent Making Your Next Move A Success ACTIVE AGENTS activeagents.com.au 1300 141 446 View Our Properties For Rent View Our Properties For Sale View Our Properties For Sale Making Your Next Move A Success

holidays.

After the first three or four days of working in the kid’s club, Melissa realised it wasn’t for her. She then worked in housekeeping and as a kitchen hand. After finishing her certificate, Melissa went back to the island, where she worked in activities where among other things, she met and greeted guests fresh off the plane, a job she loved.

“That was my first experience of being away from home. It was lovely to live on the island. But because of the bullying in high school, I wasn’t in the right head space to appreciate it as much as I do now, looking back.

On her return home, Melissa enrolled in a Certificate II in Hospitality, planning to work on all the islands up the Queensland Coast. She got as far as Great Keppel Island, which was where she met her now exhusband Brenden in 1999.

The pair were married for close to fourteen years and had two gorgeous children together. Georgia is now seventeen, and Shayla is fourteen.

In 2006 Hervey Bay became home for the final time.

Fourteen years ago, while pregnant with Shayla. Melissa lost her nana.

“Her last words to me were,

Notice of Intention to Appoint a Grantee

The Minister for Resources intends to appoint the Butchulla Aboriginal Corporation RNTBC as grantee for land described as Lot 46 on SP329974 and Lot 60 on SP273771, located on Fraser Island (K’gari).

The appointment is proposed to be made pursuant to section 40 of the Aboriginal Land Act 1991 with the grantee holding the land for Aboriginal people particularly concerned with the land and their ancestors and descendants.

An Aboriginal person particularly concerned with the land may make written representations to the Minister about the proposed appointment.

A locality map showing the land is available from the Department of Resources.

Representations must be received by 5.00 pm on 2 June 2023 and may be made to:

Minister for Resources

c/- Jan Bradley (Manager)

Indigenous Land Transfers and Leasing Department of Resources PO Box 15216, City East QLD 4002

For further information, contact Dianne Mew, Senior Land Officer, Native Title and Indigenous Land Services on 3137 4212.

The Honourable Scott Stewart MP

Minister for Resources

“You should become a nurse”.

“So, with those words in my head, I worked part-time towards becoming a nurse for the next ten years, with lots of stops and starts along the way.

“I worked as a nurse in a GP’s office for a year but realised that nursing wasn’t for me either.

“It seemed I enjoyed the study and could prove that I could finish what I started.

“I am now back in hospitality and working at the Hervey Bay RSL, and I have found myself again.

“I enjoy the work, love the social scene, and look forward to going to work every day”.

May 4, 2023 | Hervey Bay Advertiser | Page 29
M8597
Rowell A sense of achievement For Home Delivery
order online www.giovannispizzabar.com.au or on Menulog Opening Hours: Dinner Tuesday to Sunday 4pm-8pm Shop 50/30 Main St Pialba Inside Pialba Place Shopping Centre next to Big W entrance Ph 0412 440 920 Takeaway or Dine-in • BYO 0401991826 * Pre Sale detailing * Cut and Polish * Upholstery Shampoo * Paint Protection + more CAR DETAILING *From $110 *FREE Headlight Restoration (With every pre sale detail) tranquilitymedia.com.au 0404 467 036 darren@tranquilitymedia.com.au Website Development Brand Development Search Engine Optimisation (SEO) Social Media Management Digital Marketing tactics Bring “Tranquility” to your business and let us help grow your customer base with our decades of marketing experience. FOR ALL YOUR STRATEGIC & DIGITAL MARKETING NEEDS A HERVEY BAY BASED BUSINESS Enquire about GROUP BOOKING discounts for opening weekend
Melissa
Please
Page 30 | Hervey Bay Advertiser | May 4, 2023 FACESOFTHEBAY Saturday afternoon at the Hervey Bay
Club
On
Coast Ph (07) 4124 5922 Shop 4 & 5 / 97 Old Maryborough Rd, Pialba Email herveybay@ultratune.com.au Ultra Tune Hervey Bay Quality car service, repairs and maintenance Opening Hours Mon-Fri 8am-5pm • Saturday 8am-12noon SPECIALISTS IN: Vehicle handbook servicing Car maintenance & repairs Car tyres & wheel alignments Brake service & repair Suspension & shock absorbers Air conditioning service & repair Roadside Assist National warranty
some adult time
kids are
Boat
Photos by Kim Parnell, What’s
Fraser
Izayah Doherty & Liz Emmins enjoy while the
at the movies
Merilyn Pullen (centre) celebrates her 80th birthday with children Jenny, Yvonne & Tony Madeline Rowden & India Morgan have just arrived on the Greyhound Bus all the way from Winchester in the UK Jacqui Rein catches up with her brother John Booshand Samantha Pullen and her brother Andrew are at the club for a celebration Gerry & Josie Chizzotti make a great team Enjoying the afternoon are (Front) – Brendan Kay & Les Ross. (Back) – Yvonne Ross & Jenny Kay June Beddows turns 90 and celebrates in style

1 Who was named Time magazine’s 2021 Person of the Year?

2 Sugar Plum Fairy, Mother Ginger, Mouse King, and Snowflakes are characters in which ballet by Tchaikovsky?

3 What is Canada’s largest province by area?

4 Bones Hillman is best remembered for his work with which iconic Australian band?

5 True or false? Octopuses have beaks.

6 Which two actors were on the motor yacht, Splendour, when Natalie Wood mysteriously drowned?

7 The Yalu and Tumen rivers form the majority of the border between China and which other country?

8 Lactose is most commonly found in which food?

9 Who played the role of Margaret “Meg” March in the 2019 movie, Little Women?

10 In which decade was Isaac Isaacs the Governor-General of Australia?

11 Il trittico is a collection of three oneact operas by which 19th-20th century composer?

12 What is the official language of Namibia?

13 Grenzgipfel is the highest point on the border between which two European countries?

14 Which sport was featured in the 2011 movie, Moneyball?

15 The Troubles was a significant 20th century conflict in which constituent

country of the United Kingdom?

16 Who won the 2021 Australian reality TV series, Big Brother VIP?

17 Johann Gottfried Moritz and Wilhelm Friedrich Wieprecht invented which instrument in the brass family during the 19th century?

18 What is the largest member of the oceanic dolphin family?

19 Marsala wine originated in which country?

20 Rapper Andre Romelle Young is better known by what name?

21 Which car manufacturer makes the Boxster series of sports cars?

Mitchell Swepson represents which state in Sheffield Shield cricket?

23 Which person in the Bible was swallowed by a large sea creature, only to return three days later?

24 What is the title of the fourth instalment in The Matrix movie series?

25 The NPL NSW team, APIA Leichhardt, knocked which A-League Men team out of the 2021 FFA Cup tournament in their Round of 16 match?

26 Which future French President led the government-in-exile, known as Free France, during World War II?

27 The David Bowie song, Life on Mars, originally appeared on which album?

28 The Chukchi Sea lies between which two countries?

29 Oneirology is the scientific study of what, starting with the letter D?

30 The 2019 album, Better in Blak, is the debut album of which Australian singersongwriter?

31 Who was named Player of the Match for the first Test in the 2021 Ashes series?

32 Sokushinbutsu is a mummification process that was practiced in which religion?

33 Who are the two main hosts of the 2021 comedy panel TV show, The Cheap Seats?

34 Brandon Smith started his NRL career with which team?

35 What are the four colours on the flag of the Philippines?

36 Tommy Woodcock is most closely associated with which racehorse?

37 Desert Breath is a famous land artwork set on 10 hectares in a desert in which African country?

38 In Roman mythology, who is the god of fire?

39 Ménière’s disease is a disorder of which part of the human body?

40 Who won the 2021 Formula One World Championship?

41 Thwaites Glacier, also known as the Doomsday Glacier, is located on which continent?

42 Which branch of mathematics deals with sines, cosines, and tangents?

43 In which long-running soap opera did Ingo Rademacher play the role of Jasper “Jax” Jacks?

44 As at December 2021, Dana White was the president of which sporting organisation?

45 What were the names of the two sides in the American Civil War?

46 Which Australian journalist, broadcaster and writer wrote the 2009 memoir, The Blaze of Obscurity?

47 Bangka and Belitung islands are a popular tourist destination in which island country?

48 Don Diego de la Vega is the alter ego of which famous fictional character?

49 How many blank tiles are in a standard game of Scrabble?

50 In 2017, who immediately preceded Emmanuel Macron as President of France?

128 Boat Harbour Drive, Pialba www.mybigscreen.com.au Check our facebook & website for current session times DELUXE MealDelivery InCafeHours Licenced ScreensTheBIGGESTintheBay PRIVATE BOOKINGS ARE AVAILABLE, CALL NOW TO ENQUIRE PH 41248200
THEQUIZZY TEST YOUR KNOWLEDGE 34 May 4, 2023 | Hervey Bay Advertiser | Page 31 Answers 1. Elon Musk 2. The Nutcracker 3. Quebec 4. Midnight Oil 5. True 6. Robert Wagner, Christopher Walken 7. North Korea 8. Milk 9. Emma Watson 10 1930s 11. Giacomo Puccini 12. English 13 Italy, Switzerland 14. Baseball 15. Northern Ireland 16. Luke Toki 17. Tuba 18. Killer whale (Orca) 19. Italy 20. Dr. Dre 21. Porsche 22. Queensland 23. Jonah 24. The Matrix Resurrections 25 Western Sydney Wanderers 26. Charles de Gaulle 27. Hunky Dory 28. Russia, United States 29 Dreams 30. Thelma Plum 31. Travis Head 32. Buddhism 33. Melanie Bracewell, Tim McDonald 34. Melbourne Storm 35. Blue, red, white, gold (yellow) 36. Phar Lap 37. Egypt 38. Vulcan 39 Ears 40. Max Verstappen 41. Antarctica 42. Trigonometry 43. General Hospital 44. Ultimate Fighting Championship 45. Union, Confederacy 46. Clive James 47. Indonesia 48. Zorro 49. Two 50. François Hollande 4 1930s
10 regular services (at 15,000km/12 month scheduled ntervals) Some items excluded or subject to separate warranty Conditions apply Excludes Government, Rental and National Business customers See Mitsubishi-motors.com.au for further deta ls MMA2243 Step up the st yle, pump up the power and take luxur y to the top with the new Pajero Spor t GSR. Up the ante with bold black alloys, front grille, roof and rear spoiler Then double down with Super Select II 4WD1 and make your presence known any where you please. 82 TORQUAY ROAD, HERVEY BAY | 105 LENNOX STREET, MARYBOROUGH WWW.WIDEBAYMITSUBISHI.COM.AU | 4125 9500 Get ready for an adventure like no other with the Mitsubishi Tritonathon! With its advanced safety features, powerful engine, and sleek design, the Mitsubishi Triton is the perfect vehicle for all your off-road adventures. So why wait? Join the Tritonathon today and experience the ultimate driving adventure! Join the Mitsubishi Tritonathon Engineered beyond tough IMMEDIATE DELIVERY IN STOCK NOW
82 TORQUAY ROAD, HERVEY BAY 4125 9500 WWW.WBMG.COM.AU | AFTER HOURS - GARY 0477 820 351 HUGE RANGE OF QUALITY PRE-OWNED VEHICLES FINANCE AVAILABLE HUGE RANGE ACROSS TWO SITES TRADE-INS WELCOME SEE THEM ALL AT WBMG.COM.AU 2008 Toyota Corolla • 95,814k’s • Perfect First Car • Cold Air Conditioning • Fuel Efficient • Automatic • Service History $11,990.00 Drive Away 2013 Toyota Camry Altise • 172,000k’s • For The Family on a Budget • Good Fuel Economy • Well Serviced • 12 Month Warranty $14,990.00 Drive Away 2015 Kia Cerato S • 79,495k’s • Great Fuel Efficiency • Rear View Camera • 6 Airbags For Safety • Spacious Interior $18,990.00 Drive Away 2014 Suzuki Grand Vitara • 124,568k’s • 4cyl Diesel • Manual • Power Windows • Cold Aircon • Bluetooth • 4x4 $19,590.00 Drive Away 2011 Ford Ranger Wildtrak • 155,671k’s • Amazing Condition • Automatic Transmission • Canopy With Solar $29,990.00 Drive Away 2017 Nissan X-Trail ST • 33,241k’s • 4 Cyl Petrol • CVT Auto Transmission • Air Conditioning • Excellent Condition $29,990.00 Drive Away 2012 Nissan Patrol • 88,940k’s • Very Low Mileage • 5 Seater With Drawers • Winch • Bulbar And Rear Bar Setup • Automatic • Four Wheel Drive $39,990.00 Drive Away 2021 Toyota Camry Hybrid SX • 26,253k’s Certified Preowned Vehicle • Hybrid Economy • Adaptive Cruise Control • Leather Interior $49,990.00 Drive Away 2016 Toyota Corolla • 121,865k’s • Alloy Wheels • 1.8lt 4 Cylinder Petrol • ABS Brakes • 6 Speaker Sound System $19,990.00 Drive Away 2018 Mitsubishi Triton GLX+ • 60,434k’s • Manual • Great Service History • Hill Holder Assist • Canopy • Ready for Adventure $39,990.00 Drive Away 2021 Mazda BT-50 XTR • 31,833k’s • 3lt Turbo Diesel • 5 Star Ancap • Bed Liner • Electric Hard Lid • Infotainment System • 1000kg Payload $55,990.00 Drive Away 2019 Kia Cerato S • 45,433k’s • Balance of New Car Warranty • 16 Inch Alloys • 2l 4 Cyl Petrol • Rear View Camera $25,990.00 Drive Away

T-Cross 85TSI Life

From $33,990* Driveaway

T-Cross 85TSI Style

From $35,990* Driveaway

Plus receive a Free 3 Year Care Plan when you finance with Volkswagen Financial Services. Max Term 60 months+.

1800 444 244 FRASER COAST MOTOR CENTRE QUALITY USED CARS USED CAR SUPERSITE 105 BOAT HARBOUR DRIVE SEE OUR FULL RANGE AT WWW.FCMC.COM.AU ✓ YES - WE BUY CARS FOR CASH - CALL US TODAY ✓ FRASER COAST MOTOR CENTRE DRIVE AWAY $29,990 SKT: 701195 2015 JEEP GRAND CHEROKEE 94,000 klms 6 Cylinder 3 Litre Diesel Four-Wheel-Drive 8.4 Inch Touchscreen Excellent Condition DRIVE AWAY $28,990 2020 KIA SPORTAGE • 54,275 klms 2.0 Litre 6 Speed Auto Electronic Stability Control • Hill Start Assist Touchscreen Display STK: 701211 DRIVE AWAY $27,990 • 128,984 klms 2.5 Litre Turbo Diesel 5 Speed Manual 4X4 • Traction Control Electronic Stability Control STK: 701200 2015 MITSUBISHI TRITON 2015 DRIVE AWAY $35,999 2018 HYUNDAI TUCSON HIGHLANDER WAGON 88,765 klms 1.6 Litre 4 Cylinder Petrol Turbo 7 Speed Auto AWD Dual Zone Air Con STK: 701202 DRIVE AWAY $29,990 2017 HYUNDAI ILOAD TQ3-V STK: 701205 130,496 klms 4 Cylinder 2.5 Litre Manual Diesel Dual Sliding Doors DRIVE AWAY $29,990 2014 VOLKSWAGEN AMAROK CANYON STK: 701153 179,262 klms 4 Cylinder 2 Litre Diesel Utility Auto Good Condition DRIVE AWAY $39,890 STK: 700847 2016 JEEP WRANGLER SPORT 64,944 klms 6 Cylinder 3.6 Litre 4x4 Soft-Top Excellent Condition DRIVE AWAY $39,000 2017 TOYOTA HILUX WORKMATE STK: 700827 85,976 klms 4 Cylinder 2.4 Litre Diesel Manual 4x4 CAB Chassis * FREE FUEL CARD * DRIVE AWAY $14,990 2014 VOLKSWAGEN TIGUAN 118TSI STK: 701206 • 100,230 klms 4 Cylinder 1.4 Litre 6 Speed Sports Auto • Dual Clutch Excellent Condition 2015 VOLKSWAGEN AMAROK TDI420 107,261 klms 4 Cylinder 2 Litre Diesel 8 Speed Auto 19-Inch Alloy Wheels * FREE FUEL CARD * DRIVE AWAY $39,888 STK: 700812 2018 MAZDA BT-50 STK: 701203 DRIVE AWAY $41,990 2017 HYUNDAI KONA ELITE MODEL • 49,673 klms 6 Speed Sports Auto Electronic Stability Control Anti Lock Brakes • Push Button Start Dual Zone Climate A/C STK: 701212 DRIVE AWAY $22,990 41,651 klms 3.2 Litre Turbo Diesel • 6 Speed Auto 4x4 7 Inch Touchscreen Dual Zone Climate Control
YOUR LOCAL TRADES & SERVICES ADVERTISE YOUR BUSINESS Email Kristie today on sales@herveybayadvertiser.com.au ADVERTISE YOUR BUSINESS Email Kristie today on sales@herveybayadvertiser.com.au Choose your own heading YES 3 Reach 22,500 Homes YES 3 Multi-booking discounts YES 3 PACKAGES FROM ONLY $65 PER ISSUE HOME DELIVERED EVERY FORTNIGHT ADVERTISE YOUR BUSINESS ACCOUNTING/BOOKKEEPING CERTIFIED PRACTISING ACCOUNTANT • Accounting Business Services • Self Managed Superfund • Tradies,Contractors, Individuals and Small Business ABN Clients Specialty • Tax Accountant • Business Advisory Service • Personalised client service for their customised needs & high level of customer satisfaction guaranteed Suite 6, 19 Main Street, Pialba CALL 0466 868 964 VJD Business Advisor & Tax Accountant is a CPA Business AUTO REPAIRS SANDY STRAITS MECHANICAL 0434 666 212 Mobile Mechanic Service • Log Book Servicing All Mechanical Repairs • Air Conditioning Re-Gas Servicing and Repairs LIC AU40528 BATHROOMS BEN STUBBINGS 0428 165 033 QBCC1091848 – donnabenstubbings@bigpond.com • Supply & Fit New Shower Screens • Shower Renovations • Bathroom Renovations • Leaking Shower Repairs • Tiling to Bedrooms & Big Floors • Fully Licensed & Experienced Waterproofers STUBBINGS WALL & FLOOR TILERS All Aspects of Tiling & Waterproofing BOBCAT, BACKHOE & DINGO smythe’s Bobcat & Mini Excavator Hire Attachments: Augers Rock Grab Hammer Spreader Bar Call John 0419 789 684 ALL TYPES OF EARTHWORKS 8 Ton excavator 4 Ton bobcat • Tip truck Contact Jeff for a FREE QUOTE m: 0418 456 697 e: jeff.doyle@hotmail.com BUILDING SERVICES Your Project, Our Experience, Quality Outcome New Homes • Renovations Extensions Patios Decks and Home Improvement Kirt Phillips - QBCC 1089802 build@fcconstruct.com.au 0419 700 167 CARAVANS Late Model CARAVANS Hervey Bay Caravans Ricky 0417 033 852 (07) 4128 1777 WANTED TO BUY Cash Paid CARPENTRY PB Carpentry Trade Qualified Carpenter | 25 Years Experience • All Your Carpentry Jobs • Inside & Out • Home Renovations • Plus Maintenance & Repairs Phone Paul for a FREE QUOTE 0450 612 621 (No jobs over $3300) ROB CRADDOCK CARPENTRY QBCC1168764 ALL ASPECTS OF CARPENTRY with 30 Years Experience Reliable & Professional Service 0429 967 238 May 4, 2023 | Hervey Bay Advertiser | Page 36
YOUR LOCAL TRADES & SERVICES ADVERTISE YOUR BUSINESS Email Kristie today on sales@herveybayadvertiser.com.au CLEANING SERVICES Mark’s Window Cleaning & Exterior Washing Ph Rachelle 0405 105 790 • Windows Professionally Cleaned • High Access Windows • Pressure Cleaning – gutters, eaves, roofs, buildings & carparks • Builders Cleans • Bond Cleans • Carpet Cleaning (from $65) • Domestic House Cleaning • Commercial Cleaning • Free Quotes – Friendly Service INSURED FULLY | NDIS PROVIDER 20 YEARS LOCALLY OWNED BUSINESS CLOCK & WATCH REPAIRS CLOCK AND WATCH REPAIRS Office Hours 8:30am – 4pm Monday – Friday Phone Glen Powell 4123 4488 or Mobile 0417 640 604 Shop 2/70 Walker Street Maryborough WSeiko atch BatterieS Fitted CONCRETING SERVICES Greg Winney (Concreter) 30 years exp. in local area · Garage slabs · Patio · Driveways · Exposed aggregate, etc A Local You Can Trust Ph 0417 710 904 After Hour 4128 7316 QBCC No 57000 QBCC 15023760 Hervey Bay & Surrounding Areas MARK HOLSTEIN CONCRETING 0410 965 508 • Driveways • Shed Slabs • Patios • Pool Surrounds • Decorative Concreting • Footpaths etc ELECTRICAL SERVICES A.C.C. ELECTRICAL Over 20 Years Servicing Hervey Bay All Electrical, TV, Ph, HW, A/C Split Systems, T-Tag Needs FREE QUOTES - NO CALL OUT FEE Phone Col 0427 027 472 - 4124 4600 FULLY INSURED LIC NO 10574 Glenn Darlington ELECTRICAL • New Homes • Renovations • Stove and Hot Water System Repairs • TV & Phone Outlets • Sheds • Airconditioning Sales & Installation Domestic and commercial installations and Maintenance Lic#67059 ARC Lic No L151443 0418 797 239 or 4124 0457 glenndarlingtonelectrical@hotmail.com Lic No: 37045 All electrical work Always on time Servicing Hervey Bay area since 1951 Free quotes - no job too small Business & after hours 4128 1988 or find us on www.watkinselectrical.com.au LIC# 81551 FOR ALL YOUR ELECTRICAL NEEDS CALL DANIEL ON 0408 706 436 Email: sunnysideelectricalservice@gmail.com AIR CONDITIONING INSTALLATION FREE NO OBLIGATION QUOTES DOMESTIC - COMMERCIAL - RURAL find us on FENCING BILL RAWORTH FENCING AND GATES · All Aspects of Fencing · Colorbond · Service and Repairs · Sliding Gates PH: BILL 0459 715 117 B & S FENCING WORLD and Landscaping bsfencingworld@bigpond.com Pool & Garden Rust Free Aluminium Glass Semi Frameless & Frameless Landscaping Concrete Water Features Balcony Glass, Aluminium or stainless Steel Gates Sliding, Swing & Auto Garden Sheds Made by Stratco COLORBOND FENCING www.bsfencingworld.com.au 0417 678 200 or 0428 565 063 Lic: BSA NO. 1105026 FUNERAL DIRECTOR SERVICES J. Kirk & Sons Established 1865 Where Funerals, Cremations & Memorials Cost Less! Maryborough 4121 4183 Hervey Bay 4124 2524 100% Family Owned 100% Locally Owned ~Funeral Plans Available~ Hervey Bay Crematorium 224 Urraween Road, Hervey Bay Ph: 4124 2524 Maryborough Crematorium Bruce Highway, Maryborough Ph: 4121 4183 GARAGES & SHEDS Aussie Improvements Sheds•Carports COMPLETION 7 WEEKS Email: aussie.outdoor.improvements@gmail.com PHONE 0438 905 216 18 Southern Cross Circ, Urangan Sheds, Garages, Carports Quality products Great price 4124 2099 1/85 Islander Rd, Pialba request a quote www.ranbuild.com.au • General Repairs • Maintenance • Installation • Automation of Existing Doors • Annual Servicing OBLIGATION FREE QUOTES SERVICING FRASER COAST Scott Green 0405 307 191 sdgaragedoors81@gmail.com GUTTER CLEANING BAY GUTTER VACUUM Corporate . Commercial . Residential Chris 0419 650 054 bayguttervacuum@gmail.com Gutter Vacuuming eliminates dirt, mud and leaves Roof Inspections Minor Roof & Downpipe Repairs Prepare now for Storm & Fire Season No Mess HOME MAINTENANCE A&B Touch Ups Chips Cracks Damaged Surfaces CALL ALBERT 0437 788 385 *JOBS UP TO $3300 ONLY* ShowerRe-groutRe-siliconeFloorTilesGlueDrummyTilesDrivewayRepairs ian’s home maintenance service • PAINTING INTERNAL AND EXTERNAL (WATER BASE ONLY) DAMAGE INTERNAL WALLS REPAIRED AND PAINTED • PRESSURE CLEANING DRIVEWAYS – WALLS –SOLAR PANELS LAWN MOWING AND EDGING • TURFING DAMAGED FLY SCREENS REPLACED • SHOWER WALL REGROUTING • LABOUR HIRE & MUCH MORE RUBBISH REMOVAL CALL IAN ON 0422566617 FULLY INSURED services For all types of required maintenance around the house We pride ourselves on offering an honest and reliable service All work is guaranteed•Fully insured NO WORK OVER $3,300 For a FREE quote call Noel 0457 478 727 or email thecolourfulhandyman@outlook.com.au May 4, 2023 | Hervey Bay Advertiser | Page 37 Email Kristie today on sales@herveybayadvertiser.com.au Packages from only $65 per issue ADVERTISE YOUR BUSINESS Choose your own heading YES 3 Reach 22,500 Homes YES 3 Multi-booking discounts YES 3
YOUR LOCAL TRADES & SERVICES ADVERTISE YOUR BUSINESS Email Kristie today on sales@herveybayadvertiser.com.au Handyman Plus All household repairs Plus Carpentry, Concreting, Painting Paving & Decks Very reasonable rates - Pensioner Discounts Phone: Kevin 0417 849 698 For free quote No work over $3,300 MARINE SERVICES PH: DEN 0432 285 401 HERVEY BAY OUTBOARD SPARES BUY & SELL OUTBOARDS WANTED FOR WRECKING PAINTING & DECORATING QBCC 1194109 LIC 15075446 Phone 0423 964 496 www.frasercoastwaterproofing.com DISCOUNT PAINTING All Work Guaranteed By Local Qualified Tradesman NEW WORK & REPAINTS Water Blasting & Roof Painting at Affordable Prices · PENSIONER DISCOUNTS · Phone: Stewart 4125 6138 or 0408 452 434 QBCC: 1187889 PAINTER Small enough to care Big enough to cope Phone Derek on 0457 077 599 or 4128 2816 or Tracey on 0438 592 339 True Father & Daughter Team QBCC Lic No: 15160797 QBCC Lic. No. 1076503 Painting Contractor Phone 4194 6092 Mobile 0418 152 868 New work • Repaints • Wallpapering Commercial & Domestic Work For a free quote ring Fred today Quality Internal and External Painting Over 30 years experience Lic. No. 53585 S.D. & K.M. Tanner PH: 4128 3229 Mobile: 0411 032 478 Email: sydneytanner@bigpond.com Reliable Honest Quality Stirling Painters Discount Painting Small and Medium job specialist FREE QUOTES (within 48 hrs) · Interior · Exterior · Roofs · Water Blasting · Repaint Specialists COME AS LOCAL TRADESMEN... LEAVE AS FRIENDS Looking after locals for 38 years 0422 566 004 or 4125 4794 QBCC 81429 PEST CONTROL HERVEY BAY & MARYBOROUGH Specalising In: • Cockroaches • Silverfish • Ants • Spiders, Redbacks • Fleas & Ticks • Termites • Timber Pest Inspections • Mosquitos • Sandflies • Rats & Mice For environmentally responsible treatment call 4128 3072 0412 458 440 Local Owner/Operator Peter Stiler QBCC 1012203 Cockroach, Silverfish & Spider Treatment $130* Plus Shed Treated FREE ONLY (inc. ceilings & external wall cavities. Plus 12 Month Warranty) Standard house size PLUMBING SERVICES CUNNINGHAM PLUMBING ABN 89796274769 QBCC 50336 For all your plumbing, repairs, maintenance & bathroom renovations including taps, mixers & toilets, servicing hot waters or replacement. OVER 40 YEARS EXPERIENCE Hervey Bay area Call Alan 0418 157 711 Simon 0417 596 495 For all you plumbing and maintenance Email: hartwellplum@gmail.com Simon & Catherine Hartwell HARTWELL PLUMBING Pty Ltd REPLACEMENTS - NEW INSTALLS MAINTENANCE - REPAIRS QBCC 1140025 Lic No: 24340 Gas: 130001 • Waterproofing all wet areas • Leaking shower base repairs • Full shower renovations • Wall and floor tiling • Structural timber & gyprock repairs • All work guaranteed • 7 Years on waterproofing CALL IAN FOR A FREE WRITTEN QUOTE 0422566617 QBBC LIC NO 95419 C H20 Leaking Shower Repairs & Waterproofing DOUG KELLY PLUMBING QBCC 5030291 MAINTENANCE & NEW CONSTRUCTION SEWER DRAINAGE BLOCKAGES SHANE 0407 798 805 TRUE BLUE WATER FILTERS Never buy bottled water again! • Pure, clean and great tasting chemical free water • Reliable and friendly, Hervey Bay owned & operated • Free quotes available, including shower filters & whole house systems Royce 0419 856 088 CARAVAN & MARINE GAS CERTIFICATES SERVICE, REPAIRS, SALES INSTALL, FREE QUOTES 4128 2111 80 Torquay Road, Hervey Bay QBCC 1077287 ROOFING SERVICES 0408 724 047 AH (07) 4125 5590 0408 724 047 AH (07) 4125 5590 GABLE ROOFING GABLE ROOFING Specialist in Tiled Roof Maintenance • Re-bed & Re-point • Roof Restorations • Storm Damage & Repairs • Roof Inspections FULLY LICENSED & INSURED “BETTER THAN THE ORIGINAL” 30 YEARS EXPERIENCE QBCC 733635 QMRTA 1153 $2450 • we use Dulux and Tilemaster • 5% pensioner discounts • fully insured • restore all roof types • all work guaranteed • family business 3rd generation • will beat any written quote by 10% QBCC: 1270953 Ph: 0451 716 383 www.newlookroofpainting.com.au RM6444259 GET FREE QUOTES EXTERIOR PAINTING FROM RUBBISH REMOVAL PHONE BADEN MOORE 0403 346 165 FREE QUOTES NO TIME TO TAKE THAT EXTRA RUBBISH AWAY? LET ME DO IT FOR YOU! |GARDEN WASTE | BED/MATTRESS |WASHING MACHINES/DRYERS | BUILDING MATERIALS |PROPERTY CLEAN-UP PLEASE NOTE PHONE NUMBER HAS CHANGED TREE SERVICES M. 0421 255 178 REMOVAL OF DEAD& DANGEROUS TREES TREE TRIMMING STUMP GRINDING . LAND CLEARING 24 HOURS EMERGENCY WORKS FIRE MANAGEMENT CLEARING FULLY INSURED QUALIFIED ARBORIST . MACHINE HIRE MULCH SALES PICK UP OR DELIVERED owen@advancetreeworks.com.au www.advancetreeworks.com.au Budget Tree Service Vegetation Management Tree & Stump Removal Qualified Arborists Qualified Climbers 24hr Emergency Service 15” 18” & 20” Chippers Stump Grinders 19m & 22m EWPs Mini Loader Fully Insured ph 4129 0487 0429 019 448 Servicing Wide Bay and Surrounding Areas www.budgettreeservice.com.au budgettreeservice@bigpond.com Hervey Bay SPecialiSTS AFFORDABLE TREE REMOVAL, TRIMMING & PRUNING STUMP GRINDING | PALM TREES REMOVED Free Quotes. Fully Insured Call Luke 0478 822 956 FRASER COAST STUMP GRINDING May 4, 2023 | Hervey Bay Advertiser | Page 38 ADVERTISE YOUR BUSINESS Email Kristie today on sales@herveybayadvertiser.com.au Packages from only $65 per issue
May 4, 2023 Read the full digital version @ www.herveybayadvertiser.com.au BPI www.bpic.com.au BUILDING & PEST INSPECTIONS QBCC BUILDERS LICENCE: 1318788 PEST TECHNICIAN LICENCE: 3005499615 • BUILDING & TIMBER PEST INSPECTIONS • PRE-SALE & PRE-AUCTION INSPECTIONS • TAX DEPRECIATION SCHEDULES All inspections include the use of our thermal imaging camera and moisture detection equipment. Offering a 24hr turn around period on our detailed 40+ page reports. CALL US TODAY FOR A QUOTE OR TO MAKE A BOOKING 4125 2944 / 1800 663 390 FIXED FEE CONVEYANCING 07 4197 5600 www.lawessentials.net.au 79 Torquay Road, Hervey Bay 9/81 Boat Harbour Drive, Urraween Phone: 07 4128 9919 Email: rentals@dsbpm.com.au Web: dsbpm.com.au Facebook: www.facebook.com/dsbpm CARPET . TIMBER . VINYL . TILES BLINDS . SHUTTERS . RUGS 1300 305 095 FOR FREE QUOTES Lifestyle plus! 357 Esplanade, Scarness Ph: 4128 2188 | rh.com.au/hervey bay Fauna Lakes, 3 Shell Street, URANGAN Price on Application Master-built units in a secure gated community consisting of 18 units. • 8 x Units - 2 x bedroom/ensuite / single lock up garage • 2 x Waterfront units- 2 x bedroom /ensuite /single lock up garage • 8 x Waterfront units -3 x bedroom/ensuite/double lock up garage All units are designed with A/C, ceiling fans, high ceilings, BIR to all bedrooms. open plan kitchen with designer stone bench tops, dishwasher, wall oven and built in microwave, laundry with stone bench tops, washing machine and dryer, plantation shutters to bedroom windows, outdoor alfresco area, solar panels and private courtyards.
Slade & Aletha Walters

KERRY CAMPBELL HOMES

Kerry Campbell Homes are Hervey Bay’s house & land specialists. Servicing the region for more than 25 years. Building quality, affordable homes to suit any budget.

LOT 51 GIRRAWEEN WAY, ELI WATERS MAGNOLIA – DELUXE INCLUSIONS:

4 BRM, ENS, WIR, FAM/DIN, SEP LNG, AIR CON, SECURITY SCREENS, DISHWASHER, DLUG + MORE $569,000

LOT SIZE 476sqm AMBER – EXECUTIVE INCLUSIONS:

LOT 56 GIRRAWEEN WAY, ELI WATERS

LATROBE - EXECUTIVE INCLUSIONS:

BOTTLEBRUSH - EXECUTIVE INCLUSIONS:

4 BRM, ENS, WIR, FAM/DIN, SEP LNG, AIR CON, SECURITY SCREENS, DISHWASHER, DLUG + MORE $629,000

LOT SIZE 579sqm

4 BRM, ENS, WIR, FAM/DIN, SEP LNG, AIR CON, SECURITY SCREENS, DISHWASHER, DLUG + MORE $589,000

4 BRM, ENS, WIR, FAM/DIN, SEP LNG, AIR CON, SECURITY SCREENS, DISHWASHER, DLUG + MORE

LOT 57 GIRRAWEEN WAY, ELI WATERS
Artist impression
$585,000
LOT SIZE 522sqm
Artist
impression
Artist impression
Artist impression LOT
580sqm
WATERS
DLUG
MORE $569,000 Artist impression LOT SIZE 510 SQM
54 GIRRAWEEN
WATERS PHONE TODAY FOR MORE DETAILS 4124 2747 Tina 0428 589 010 Email: sales@kerrycampbell.com.au PHONE TODAY FOR MORE DETAILS 4124 2747 Tina 0428 589 010 LOT 50 GIRRAWEEN WAY, ELI WATERS FIONA - DELUXE INCLUSIONS: 4 BRM, ENS, WIR, FAM/DIN, SEP LNG, AIR CON, SECURITY SCREENS, DISHWASHER, DLUG + MORE $565,000 Artist impression LOT SIZE 476sqm LOT 49 GIRRAWEEN BLVD, ELI WATERS BROOK - SUPERIOR PLUS INCLUSIONS: 4 BRM, ENS, WIR, FAM/DIN, SEP LNG, AIR CON, SECURITY SCREENS, DISHWASHER, DLUG + MORE $529,000 Artist impression LOT SIZE 494 SQM LOT 6 GIRRAWEEN WAY, ELI WATERS LATROBE - EXECUTIVE INCLUSIONS: 4 BRM, ENS, WIR, FAM/DIN, SEP LNG, AIR CON, SECURITY SCREENS, DISHWASHER, DLUG + MORE LOT SIZE 703sqm $589,000 LOT 59 GIRRAWEEN WAY, ELI WATERS MAGNOLIA - DELUXE INCLUSIONS: 4 BRM, ENS, WIR, FAM/DIN, SEP LNG, AIR CON, SECURITY SCREENS, DISHWASHER, DLUG + MORE $569,000 Artist impression LOT SIZE 493sqm SOLD UNDER CONTRACT UNDER CONTRACT
SIZE
LOT 2 IBIS BLVD, ELI
LILLYPILLY - DELUXE INCLUSIONS: 4 BRM, ENS, WIR, FAM/DIN, SEP LNG, AIR CON, SECURITY SCREENS, DISHWASHER,
+
LOT
WAY, ELI

View Saturday 6th May 9.00 to 9.30am

Saturday 13th May 3.00 to 3.30pm

Price $475,000

Web rh.com.au/herveybay/L21566558

73 Augustus Blvd, Urraween

Low maintenance special

Are you looking for a easy care low maintenance home?

This 2 bedroom home even has a back yard big enough for your furry friends or space to kick a ball/ ride bikes and more.

Situated in Urraween close to schools/hospitals and major shops, this will impress those looking for a well-designed and well maintained property, the suburb of Augustus also has a large family park combined with an enclosed dog park for those who have a furry friend.

The home boasts a double lock garage with internal access and an exit to the back yard, an under roof entertainment area adjacent to the living area, open up the sliding doors and you have an awesome indoor outdoor area extending the living space. Great kitchen and dining area and more.

This property has to be inspected if you are looking to downsize. Call our office today for a private inspection before it’s too late!

Hervey Bay 4128 2188

357 Esplanade, Scarness

rh.com.au/herveybay

1 2 2

View Saturday 6th May 12.45 to 1.15pm

Saturday 13th May 9.45 to 10.15am

Price Submit Offer

Web rh.com.au/herveybay/L1404080

21 Bay Breeze Close ,Wondunna

Spacious, Versatile And Quality Modern Home

This Modern 3 Bedroom home is perfectly located in a cul-de-sac in the well-established Parklands estate. In close proximity of Fraser Coast Anglican College, and a short drive to the Hervey Bay’s Hospital and CBD. What really makes this wonderful property stand out is the 9-foot ceiling throughout the entire home, along with the dedicated caravan port that can easily cover a motor home, caravan or boat.

Other features include

• 3 bedrooms

• 2 baths

• Van port

• Airconditioning in main living room and main bedroom

• Separate laundry

• Double bay lock-up garage

• Under roof extension

• Great open plan living/kitchen that leads onto outside entertainment area

• Rendered brick with colorbond roof

• Built in 2013 and original owner

• 1.5kw solar panels

• Short walk to the Parklands with features walking paths, playground and BBQ’s

• Positioned on a 700sqm block with side access

Call to book an inspection today.

Hervey Bay 4128 2188

357 Esplanade, Scarness

rh.com.au/herveybay

2 2 3

Auction Thursday 18/5

Auction Thursday 18/5

90 Esplanade, Point Vernon

The Million Dollar View!

Nothing short of speculator! This “one of a kind” home points North at the tip of Point Vernon which will guarantee sea breezes and the best ocean views Hervey Bay has to offer. With no competition for view, a huge upstairs open planned living area with outstanding kitchen, connecting to the versatile out door entertaining area, makes this is a home you will be proud of. Host dinner parties or enjoy a family meal while taking in the breathtaking views of the ocean. Step outside onto the expansive deck and soak up the sun or watch the sunset in this ultimate coastal retreat. 180-degree view of the ocean from deck plus a self-contained studio in the back of the block.

View Saturday 6th May 10.30 to 11.00am

Auction 18th May 2023 at 7.00pm – In Rooms Web rh.com.au/hervey bay/L22119412

Auction Thursday 18/5

Immaculate Family Home Boasting Space and Luxurious Renovation

This beautiful 3 bedroom 2 bathroom home has been completely refurbished to the highest of standards! This incredible home features a spacious newly renovated kitchen with stone bench tops, the bathroom and main bedroom en-suite have had some fantastic upgrades. This immaculate family home is full of potential with available space and side access for a pool or a great size shed to store your caravan or boat in! This beautiful home boasting luxurious renovations is one you don’t want to miss out on!

View Saturday 6th May 12.45 to 1.15pm

Saturday 13th May 11.15 to 11.45am

Auction 18th May 2023 at 7.00pm – In Rooms Web rh.com.au/hervey bay/L20844201

Auction Thursday 18/5

1 2 3

Neat and Tidy Family Home

Neat and tidy 3 bedroom brick home features kitchen with family/dining area and separate rumpus/ office area, all bedrooms with built in robesmaster bedroom with ensuite. Covered entertaining area overlooks a low maintenance yard with large garden shed plus a SLUG with attached single carport in addition to the single carport at the front of the home. Minutes to the Eli Waters shopping centre and a short drive to nearby schools and Stockland’s shopping precinct. All offers submitted prior to Auction.

View Saturday 6th May 10.30 to 11.00am

Saturday 13th May 1.30 to 2.00pm

Auction 18th May 2023 at 7.00pm – In Rooms Web rh.com.au/hervey bay/L22151594

Hervey Bay 4128 2188

357 Esplanade, Scarness rh.com.au/herveybay

69 Urangan St, Torquay

Potential plus!

Positioned on a large 1214m2 block of land in the heart of Torquay is this charming 3 bedroom lowset Queenslander offering potential for development or a renovator’s delight. Property Features-

• 3 bed, 1 bath

• Functional kitchen

• Airconditioned kitchen/dining area

• Large under cover deck, great side access, shed, carport Superb location! Close proximity to the local shops and a short distance to the Esplanade, beach, cafes and restaurants.

View Saturday 6th May 9.45 to 10.15am

Saturday 13th May 10.30 to 11.00am

Auction 18th May 2023 at 7.00pm—In Rooms Web rh.com.au/hervey bay/L22287789

3 2 3
2 2 3
2 Jasper Court, Urangan
2 1 3
37 Bunker Ave, Urraween

Fauna Lakes, 3 Shell Street, Urangan

It’s all about the “lifestyle.”

Master-built units in a secure gated community consisting of 18 units.

• 8 x Units - 2 x bedroom/ensuite / single lock up garage

• 2 x Waterfront units- 2 x bedroom /ensuite /single lock up garage

• 8 x Waterfront units -3 x bedroom/ensuite/double lock up garage

All units are designed with A/C, ceiling fans, high ceilings, BIR to all bedrooms. open plan kitchen with designer stone bench tops, dishwasher, wall oven and built in microwave, laundry with stone bench tops, washing machine and dryer, plantation shutters to bedroom windows, outdoor alfresco area, solar panels and private courtyards.

View Saturday 6th May 2.15 to 2.45pm

Saturday 13th May 1.30 to 2.00pm

Price On Application Web rh.com.au/hervey bay/L21216382

11 Rachael St, Point

Move in or Invest!

Vernon

This 3 bedroom home offers a short stroll to the beautiful Esplanade and only a short drive to shops, cafes and restaurants. This property would ideally suit a savvy investor wanting to add to their portfolio or a perfect starter for a first home buyer who wants to secure a property into todays fast paced market. At this price this property will not last long. A viewing is a must!

View Saturday 6th May 2.15 to 2.45pm

Saturday 13th May 9.00 to 9.30am

Price $470,000 Web rh.com.au/hervey bay/L21752493

58 Rocky St, Maryborough

Remarkably Renovated Queenslander!

Just a 25 minute drive to Hervey Bay CBD, beautiful Queenslander featuring a big newly renovated bathroom and a spacious modern kitchen. The kitchen opens out onto the great sized outdoor entertainment area. Just perfect for relaxing and enjoying some quiet time or entertaining family and friends! This home boast character and heaps of potential, sitting upon 1062m2 featuring great side access and great backyard space. Perfect for a good sized shed or pool!!

View Saturday 6th May 2.00 to 2.30pm Saturday 13th May 3.00 to 3.30pm

Price $479,000 Web rh.com.au/hervey bay/L21891043

Hervey Bay 4128 2188

357 Esplanade, Scarness rh.com.au/herveybay

114/230 Pulgul St, Urangan

Private Living in a Prime Lifestyle Complex!

This sensational 3 Bedroom modern home boasts a spacious open plan air-conditioned living and dining area with a great sized kitchen and plenty of cupboard space, which leads out to a terrific outdoor entertainment area that generates nice sea breezes, so perfect to sit out the back in summer and entertain your family and friends!!

located in the Domain! One of Hervey Bay’s best gated communities which features top quality facilities such as a 20m Swimming pool, BBQ area, Gym and Tennis courts just to name a few!!

View Saturday 6th May 11.15 to 11.45am

Price $498,000 Web rh.com.au/herveybay/L21694056

1 2 3
2 2 4
2 1 3 1

Nest or Invest in Scarness

This well presented 3 bedroom home is ideal for first-time homebuyers or a savvy investor looking to add to their portfolio. Centrally located in the popular pocket of Scarness, being close proximity to all major amenities, shops, schools, restaurants and just a short drive to all that Hervey Bays beautiful Esplanade has to offer. This property will not last long in todays market. A viewing is recommended.

View Saturday 6th May 9.45 to 10.15am

Saturday 13th May 9.45 to 10.15am

Price $499,000 Web rh.com.au/hervey bay/L1071639

Family home on large allotment

In beautiful Torquay, an incredible 4 bedroom 2 bathroom family home full of potential! Boasting a great airconditioned living area that flows through to a great size kitchen with plenty of cupboard space and also provides service options to your outdoor entertainment area and dining area!!. Sitting upon just under half an acre and fully fenced, this property is waiting for new owners to show off its full potential with space for a new shed or a pool or both!!

View By Appointment

Price $578,000 Web rh.com.au/hervey bay/L1072260

4 Mandi Court, Urraween

4 Bedroom Air-Conditioned Home Ready To Inspect

This spacious home has open plan, family living in mind. Combining creature comforts such as separate air-conditioned lounge, modern kitchen and the dining area leads out to the undercover entertaining area. The main bedroom is complimented by walk in robe, ensuite, fan and A/C. The DLUG has remote control and direct access to the home. The expanded length of one bay creates extra storage. Your family will feel right at home here!

View Saturday 13th May 10.30 to 11.00am

Price $599,500 Web rh.com.au/hervey bay/ L20947655

Hervey Bay 4128 2188

357 Esplanade, Scarness rh.com.au/herveybay

This lovely 4-bedroom, 2-bathroom home features air-conditioned open plan living/dining area which provides ample space for relaxing. The great-sized kitchen boasts plenty of cupboard space for all your storage needs. The tremendous size enclosed entertainment area, perfect for hosting family gatherings and parties. Fully fenced 718m2 allotment that comes with side access and the potential for a shed or swimming pool, providing plenty of opportunities for outdoor living making it perfect for families.

View Saturday 6th May 9.45 to 10.15am Saturday 13th May 2.15 to 2.45pm

Price $638,000 Web rh.com.au/hervey bay/ L1072578

1 2 3
2 Banksia Park Rd, Scarness
2 1 3
18 Mylne Court, Torquay
2 2 4 2 2 4
4 Pembridge CCt, Urraween Quality Home in Highfields Estate

View Saturday 6th May 10.30 to 11.00am

Saturday 13th May 9.00 to 9.30am

Price Submit Offer

Web rh.com.au/hervey bay/ L5134424

What a Location!

• 4 bedrooms with BIR and ceiling fans, main bedroom with ensuite

• Good sized kitchen electric cooking, plenty of cupboard space and open plan living/dining area

• Undercover entertainment area

• Positioned on a generous 709m2 corner block with great side access for a caravan or boat

• Double lock up remote-controlled garage with internal access

Prime Location

Positioned in the highly sought-after pocket of Kawungan, this well presented 4 bedroom, 2 bathroom home is conveniently located in a quiet estate close proximity to all major amenities and is only a short drive to Hervey Bays beautiful beaches, cafes and restaurants. Inside, the home boasts a spacious and wellappointed kitchen complete with modern appliances and plenty of storage space Designed with a seperate loungeroom, dining area plus there is also a living area. The 4 bedrooms are all well-sized with built in robes and celling fans.

View Saturday 6th May 11.15 to 11.45pm

Saturday 13th May 12.45 to 1.15pm

Price $710,000 Web rh.com.au/hervey bay/L21871662

Hervey Bay 4128 2188

357 Esplanade, Scarness rh.com.au/herveybay

Welcome Home!

If you are looking for a quality home in a great location then this is the property for you. The four bedrooms all have split system aircon, ceiling fans & built-ins, the master also boasts an ensuite & plantation shutters. There are two living areas plus a dining room and the chefs kitchen with stone benchtops & quality appliances, including induction cooktop & Smeg oven, really is the heart of the home. Outdoor entertaining is a breeze in the huge covered alfresco area which overlooks the manicured gardens. There is a double lock up garage under roof plus access down both sides of the home for the boat or van.

View Saturday 6th May 9.00 to 9.30am

Saturday 13th May 10.30 to 11.00am

Price $720,000 Web rh.com.au/hervey bay/L22064576

2 2 4
47 Cromdale Cct, Kawungan
2 2 4
14 Rochester Court, Urraween 4 Banks Crt, Torquay
2
2 4

Lake front living

This beautiful home is located in a peaceful cul-de-sac and offers stunning views of the lake. Featuring four generously sized bedrooms, the master bedroom includes a huge ensuite and a WIR. The property is equipped with ducted AC that ensures comfortable temperatures all year round. There are two living areas + dining area that takes full advantage of the picturesque outlook. The enormous Queensland room is perfect as an extra living space, games room, or simply a place to relax and enjoy the peace and quiet, a covered BBQ area, and a fantastic greenhouse.

View Saturday 6th May 1.30 to 2.00pm Saturday 13th May 9.45 to 10.15am

Price $735,000 Web rh.com.au/hervey bay/L22133319

Pacific Haven’s Best Kept Secret!

Welcome to your own private oasis. Tranquil, private and grand! This elevated architecturally designed Pavilion style home proudly sits on the waterfront of ‘Cherwell River’.

This masterpiece truly offers a peaceful country lifestyle, positioned on an impressive 2.14 acres of beautiful tropical gardens and one of the best crab and fishing spots right at your front door.

Situated only (approx) 35 minutes to beautiful Hervey Bay and a short drive to Howard town centre.

View By Appointment

Price $1,000,000 Web ID rh.com.au/hervey bay/L20939533

• 1,194m2 one street back from the beach

• Fantastic opportunity for a development site in one of the best locations Hervey Bay has to offer

• Walking distance to cafes, restaurants and shops

• Currently has a cottage style home with two bedrooms, one bathroom, spacious kitchen and outside patio

View By Appointment

Price $1,200,000 Web rh.com.au/hervey bay/L17323570

2 2 4

This property is 4 bed and 2 bath with high ceilings and tinted windows, completing this home there is side access for van/trailer/ boat parking. Positioned on a private and tranquil leafy area, superbly designed for comfortable living and everyday practicality, this home is the perfect escape on a serene lakefront setting. Undercover entertaining area overlooking peaceful lake and gardens with pull down shade for year-round comfort on allotment size of 454m2.

View Saturday 6th May 12.45 to 1.15pm Saturday 13th May 11.15 to 11.45pm

Price Submit Offer Web rh.com.au/hervey bay/L22141261

Hervey Bay 4128 2188

357 Esplanade, Scarness rh.com.au/herveybay

Spacious home, private setting, potential to subdivide. (Subject to council approval). Located on 15+ hectares a wonderful family home with high ceilings 4 large bedrooms, master with ensuite and WIR. A ‘chef style’ kitchen with spacious living areas, and more. Keeping the kids entertained will be a breeze as outside has an undercover patio great for family BBQ’s, an in-ground pool and a lot of room for a game of cricket!

The land has 8 paddocks used for horses, cattle and sheep. 7 dams, 4 bay shed and feed shed

View By Appointment

Price $1,495,000

Web rh.com.au/herveybay/L1074808

36-42 Carrick Way, Wondunna

2 4 4

This property has it all – Sheds, carports, multiple indoor/outdoor entertaining areas, pool and more. This family home is situated on just over 4000m2 block including 4 bedrooms, 2 bathrooms with open plan living - high vaulted ceilings with air conditioning for greater comfort. The kitchen is modern, light and spacious with gas cooking and dishwasher. Minutes away from Hervey Bays shopping centres, schools, medical precincts and the beautiful beaches/ cafes along the Esplanade.

View Saturday 6th May 9.00 to 9.30am Saturday 13th May 9.00 to 9.30am

Price Submit Offer Web rh.com.au/hervey bay/L22151476

2 4 4
12 Wodalla Mews, Point Vernon 74 Pacific Haven Circuit, Pacific Haven
3 2 3
108 Freshwater Street, Torquay
1 1 2
31 Finch Court, Walligan
2 2 4 1
5 Morinda Way, Urraween

58 Aimee Dr, Urangan

Hervey Bay 4128 2188

357 Esplanade, Scarness rh.com.au/herveybay

2 4

2

Looking for a spacious and affordable lakeside home that is a “stone’s throw away” from great schools. Check out this lake side property today! Spacious and open with 3 living areas, perfect for entertaining, and with the views over the lake, makes this a perfect buy for a homeowner/investor.

Outstanding features include:

• Fully fenced 813m2 block

• Double bay lockup garage with remote control door

View Saturday 6th May 11.15 to 11.45am

Saturday 13th May 12.45 to 1.15pm

13 South St, Urangan

1 2 3

Located only two blocks back from Hervey Bays popular Shelly Beach sits the fully refurbished hidden gem. Tucked away in a country garden, this property has been modernised to incorporate a spacious kitchen featuring flowing stone bench tops, updated appliances and open plan living. Bathroom and laundry have been stylishly renovated to incorporate light and function.

Three bedrooms plus office, large outdoor alfresco space, two and half bay shed, fully fenced with good side access.

View Saturday 6th May 3.00 to 3.30pm Saturday 13th May 2.15 to 2.45pm

Price Submit Offer Web rh.com.au/hervey bay/L21825854

8 Parklink East Avenue, Wondunna

3 4 3

A superb statement in quality and style, from the moment you enter. This home emphasizes, relaxed coastal living. The intelligently designed open plan kitchen and living zone blend effortlessly to create light and space with an easy relaxed ambience.

• Superb finishes

• Fully fenced 857m2 block with side access

• Huge 12m x 8m shed with 4m wide van port Versatility with separated living - Teenagers retreat with ACScreened off undercover entertaining area

View Saturday 6th May 1.30 to 2.00pm

Saturday 13th May 12.45 to 1.15pm

Price Submit Offer Web rh.com.au/hervey bay/L22229823

2 1 4

• Airconditioned Main Bedroom with WIR and ensuite

• Spacious Family Living Area & Open kitchen with plenty of cupboard space

• Generous undercover entertaining area

• Large 932m2 allotment, located in a quiet culde-sac in the Kawungan School catchment area

View Saturday 6th May 10.30 to 11.00m Friday 12th May 11.15 to 11.45am

Price Submit Offer Web rh.com.au/hervey bay/L21908631

40 Dayman St, Urangan

2 4

2

• 4 Good sized bedrooms with built in robes

• Main bedroom features ensuite

Modern family bathroom

Open plan kitchen/dining + A/C Remote double lock up garage

Separate laundry

• Fully fenced 650m2 allotment

View Saturday 13th May 2.00 to 2.30pm

57 Nissen St, Urraween

2

4 bedrooms, master complete with WIR and ensuite, parent’s retreat/office off the master bedroom. 2nd bedroom/guest wing complete with ensuite and living area. Multiple living zones and a spacious kitchen overlooking the private yard. Air-conditioning and ceiling fans throughout. Alfresco dining area at the front of the home and Separate entertaining pavilion and Bali hut at the rear. Massive 4 bay shed

View By Appointment

• Four bedrooms + office or fifth bedroom

• Master suite w/- walk-in robe, ensuite & private balcony

Three bathrooms

Chefs kitchen w/- gas cooking

Huge shed with plenty of room for the van & boat

• Expansive views to Fraser (K’gari)

• 1012 Sqm fully fenced block

View By Appointment

Price Submit Offer Web rh.com.au/hervey bay/L21693817

1591 Booral Rd, Nikenbah

An opportunity for those who are seeking a little land but want to be close to everything Hervey Bay has to offer. Great for building your dream home and/or combining a business or just a little farming. Imagine the veggie patch, sheds, pool & outdoor entertaining, you could create here. Almost anything is possible. Plenty of open space!

View By Appointment

Price Submit Offer Web rh.com.au/hervey bay/L21430783

3 5 4
Price Submit Offer Web rh.com.au/hervey bay/L1074485 2 4
Price Submit Offer Web rh.com.au/hervey bay/L19316479
27 Yarrilee Cct, Dundowran
Price Submit Offer Web rh.com.au/hervey bay/L22141261
3 Musgrave Close, Kawungan

OFFERS OVER

 AGENCY OF THE YEAR 403 Esplanade Torquay | Call 4125 5399 | sales @ccrhb.com.au | www.cartercooperrealty.com.au Scan the QR code to view KIM CARTER 0417 790 526 BRAD MITCHELL 0418 764 530 5 5 4 • 5 bedrooms in total, 5 stunning bathrooms (3 ensuites) • Sound proofing throughout the house, perfect for air BNB • Study nook, ducted A/C, plantation shutters, Vj walls, timber floors, 9.5ft ceilings • 11.2kw solar system, brand new PVC Hamptons style fencing • Kitchen and laundry can be found on both levels • Double garage with storage room + double carport In A Class Of Its Own OFFERS OVER $1,900,000 663 ESPLANADE URANGAN NEW LISTING Scan the QR code to view MAURICE ELLIS 0427 246 261 OFFERS OVER $1,150,000 4 4 5 • 3 bedrooms + study, 3 ensuites • Open plan + separate media room • Extensive outdoor entertaining • Massive shed + ensuite, extra bay for van • 5 mins to beach, 10 mins to town • Low maintenance 2417sqm allotment Time To Unwind! 11 HUMMOCK VIEW DRIVE CRAIGNISH NEW LISTING Scan the QR code to view JANA LEVAK 0431 155 140 3 2 2
CONSIDERED • 3 bedroom, 1 bathroom home with 2 carports • Open plan kitchen, dining & lounge • Enclosed outdoor multi-purpose room • Spacious entertaining at rear – verandah at front • Large studio at rear with kitchenette & bathroom • Less than 450m to Esplanade, beach – 100m to shops Neat & Sweet With Studio At Rear 32 KEHLET STREET POINT VERNON NEW LISTING Scan the QR code to view KIM CARTER 0417 790 526 4 2 6
• 4 bedrooms, office, 2 bathrooms, 2 living areas • Modern industrial style kitchen with dishwasher & stone benchtops • Tinted windows, plantation shutters, fans and air-con to every room • Enclosed outdoor living space with ceiling fan • Inground pool, 6.67kw solar, water tank, fire pit, side access • Double garage + 2 bay shed + 2 bay carport, power and water to shed Got The Lot! - Shed & Pool on 2363m2 15 BRYPAT CLOSE BURRUM HEADS NEW LISTING
$485,000
OFFERS OVER $925,000

Hard To Find - Impossible To Forget

Your Lifestyle Choice On 2 Acres

Superb Quality, Luxury & Style

• Custom designed 314m2 home built by Geoff Clark Homes

• 4 bedrooms, 2 bathrooms, double lock up garage

• Open plan living with soaring ceilings, spacious interiors

• Expansive alfresco outdoor area complete with outdoor kitchen

• In-ground pool, solar power/water, ducted air con, many extras

• Fully fenced, dedicated port for van/boat – central location

OFFERS ABOVE $999,000 CONSIDERED

A Tropical Paradise Near The Beach

• Solar panels, plantation shutters. DLUG

• Private & secure in a very desirable beachside location

 AGENCY OF THE YEAR 403 Esplanade Torquay | Call 4125 5399 | sales @ccrhb.com.au | www.cartercooperrealty.com.au 4 2 3 Scan the QR code to view KIM CARTER 0417 790 526 JANA LEVAK 0431 155 140
6 SONGBIRD PLACE URRAWEEN Scan the QR code to view KIM CARTER 0417 790 526 BRAD MITCHELL 0418 764 530 4 2 2 • Immaculate light & airy 4 b/r, 2 bathroom home
Generous open plan living with a modern kitchen
• Stylish ensuite to the master with a WIR
• 1,230m2 block is private with lush tropical gardens
51A HELSHAM STREET POINT VERNON Scan the QR code to view KIM CARTER 0417 790 526 BRAD MITCHELL 0418 764 530 4 2 2 • All bedrooms have built ins and air-con, renovated bathrooms & 3rd toilet • Fully renovated kitchen with dishwasher and gas cooktop • 5th bedroom or loft/kids retreat, separate lounge + custom built cinema room • Double garage with mezzanine floor and study • Massive alfresco living area, front courtyard • North facing 936m2 block, short walk to the beach
$950,000
OFFERS OVER $950,000 141 TRURO STREET TORQUAY NEW LISTING 3 2 5 Scan the QR code to view ANNETTE MITCHELL 0428 255 824 BRAD MITCHELL 0418 764 530 • 3 bedroom brick home, modern kitchen, dishwasher • His & her bathrooms, tiled living area • Tank, bore, dam water and solar panels • 6m x 6m shed, 12m x 9m shed, annexure • 2nd kitchen, utility room, bathroom in shed • Fully fenced for privacy and security
$725,000 53 CARTER LANE DUNDATHU NEW LISTING

• 1088m2 vacant land in prime location

• High density residential zone

• Suitable for commercial and residential uses, including hotels and restaurants (STCA)

• Less than 300m from Enzo’s on the Beach and beach access

• 5-minute walk to The Beach House and Odyssey Bistro

Scan the QR code to view

OFFERS FROM $1,100,000

KIM CARTER 0417 790 526

5 JUNJAREE STREET SCARNESS

An Investment with Great Potential

• 3 bedroom home with ceiling fans and security screens throughout

• Recently renovated family bathroom with walk in linen closet

• Air-conditioned open plan living and dining area

• Practical kitchen boasting lots of storage space

• 13 solar panels, single garage, outdoor covered patio, garden shed

• 607m2 block with side access to the rear, room for the addition of a shed

QR code to view

OFFERS OVER $475,000

• 4 bedrooms + study, ensuite with glass atrium overlooks fernery

• Renovated kitchen, A/C and ceiling fans throughout

• Multiple living and dining options, outdoor entertaining area

• Double lock up garage + double carport

• Inground pool, room to park the caravan

• Private, low maintenance 981m2 allotment

OFFERS OVER $895,000

KIM CARTER 0417 790 526

Scan the QR code to view

 AGENCY OF THE YEAR 403 Esplanade Torquay | Call 4125 5399 | sales @ccrhb.com.au | www.cartercooperrealty.com.au KIM CARTER 0417 790 526 Scan the QR code to view $799,500 • 6 spacious bedrooms, master complete with ensuite • Generous kitchen, open plan living + separate lounge room • Ducted air conditioning with zone control • Spacious outdoor entertaining area • 885sqm block, 17 solar panels & 2 bay shed at the rear • Walking distance to schools, 2km to beach Executive Family Home With Pool 96 ROBERT STREET URANGAN NEW LISTING ANNETTE MITCHELL 0428 255 824 Scan the QR code to view OFFERS FROM $499,000 • 2 bedroom ground floor unit • Ensuite to master bedroom • Open plan air-conditioned living • Pool in complex, underground parking • Opposite beach, shops and cafes nearby • Nest or invest with tenant currently in place Fully Furnished Beachside Unit 3/44 FRESHWATER STREET SCARNESS Scan the QR code to view MAURICE ELLIS 0427 246 261 OFFERS OVER $400,000 • 2 spacious bedrooms • Lounge dining combined • Separate toilet • Large bathroom, separate shower and bath • Single lock up garage • Gated and secure complex Excellent Position UNIT 3/36 TRURO STREET TORQUAY NEW LISTING KIM CARTER 0417 790 526 Scan the QR code to view OFFERS OVER $450,000 • 3 bedrooms with ceiling fans and built-in wardrobes • Family bathroom, separate toilet and laundry • Front patio + entertaining area with pull down blinds • Separate BBQ area, solar panels, garden shed, good size backyard • Secure carport with drive through access to the rear • Fully fenced 712m2 block, 3 minute walk to Eli Waters Shopping Centre Packed & Gone – Make Your Offer! 5 BUNKER AVENUE URRAWEEN KIM CARTER 0417 790 526 BRAD MITCHELL 0418 764 530 Scan the QR code to view • 4 bedrooms, master complete with ensuite • Air-conditioned living area, designated dining space • Outdoor undercover entertaining area with pull down blinds • Set on a fully fenced 741m2 block with side access • Double garage, 14 solar panels, water tank, garden shed • Close to shopping center & marina precinct, schools within walking distance This is Living! Residential Bliss 54 MOONSTONE DRIVE URANGAN $575,000 NEW LISTING KIM CARTER 0417 790 526 Scan the
Your Dream Investment
Design
SCARNESS
360 ESPLANADE
Quiet And Convenient Oasis 12 ADAIR COURT KAWUNGAN

• Open plan living/dining has views out to the water and parklands

• Open plan kitchen has plenty of cupboard space and dishwasher

• Main bedroom with ensuite, WIR and views

• 2 additional bedrooms have built in wardrobes & ceiling fans

• Double car park plus storage cage underneath complex

• Resort facilities include inground pool, BBQ & gym, and Balinese hut

OFFERS OVER

Big Block, Big Possibilities

• Just 500m from the beach and vibrant Torquay Esplanade

• Neat and tidy 3 bedroom home on site with 2 living areas

• Set on a 969m2 medium density allotment

• Current DA approval for multiple dwelling in place (renders available)

• Primary school around the corner and the high school is a safe and easy bike ride for the older kids

OFFERS OVER $565,000

19/17 BUCCANEER DRIVE URANGAN

Prime

• 3 bedrooms, main with air-con and 2-way bathroom/ensuite

• Kitchen with dishwasher and breakfast bar, spacious open plan living area

• Fantastic rear courtyard with covered patio, perfect for pets!

• Air-conditioning, high ceilings, single lock up garage on the home

• Caravan parking and boat storage yard available on site with easy access

• Recreational and sports facilities, gated complex, live-in management

• 3 bedrooms, 2 bathrooms waterfront unit

• Air-conditioned open plan kitchen, living and dining area

• Balcony with stunning views overlooking the Boat Harbour

• Full use of resort facilities; 2 swimming pools, tennis court and games room

• Walking distance to the Marina precinct including; Boat Club, restaurants & cafes

OFFERS OVER $475,000

9 SATINWOOD AVENUE URRAWEEN

Low Maintenance

• Suit retirees or empty nesters – 4 bed/2 bath

• Large outdoor patio & paved terrace overlooking lake

• DLUG with workshop/storage – 457m2 block

• Walk to shopping centre & close to all amenities

• Kingfisher lakes private friendly community $695,000

the QR code to view

• Total of 5 bedrooms and 3 bathrooms spread over 2 levels

and parent’s retreat

2 self-contained living environments, kitchen and laundry on each level

Front and rear deck, 1350m2 block separated into 2 backyards

OFFERS OVER $765,000

KIM CARTER 0417 790 526

Rent, holiday let or live in (potential permanent rental return of $910pw) Extended Family or Extend Your Income 34 VICTOR DRIVE KAWUNGAN KIM CARTER 0417 790 526 Scan the QR code to view OFFERS OVER $650,000 • 4 bedrooms, master with ensuite and walk-in wardrobe

 AGENCY OF THE YEAR 403 Esplanade Torquay | Call 4125 5399 | sales @ccrhb.com.au | www.cartercooperrealty.com.au
Scan the QR code to view
MAURICE & NICOLE ELLIS 0427 246 261
$745,000
Time For Some Fun! 207/239 ESPLANADE PIALBA
Scan the QR code to view
KIM CARTER 0417 790 526
38 TOTNESS STREET TORQUAY KIM CARTER
790 526 Scan the QR code to view $530,000
0417
Reside By The Seaside
PIALBA BURRUM HEADS ROAD ELI WATERS NEW LISTING
Scan the QR code to view
16/25-67
KIM CARTER 0417 790 526
• Situated in a secure gated complex at BreakFree Great Sandy Straits Harbourside Investment
KIM CARTER 0417 790 526
JANA LEVAK 0431 155 140 Living On The Lake
Scan
• Kitchen with modern appliances – air con throughout
Scan the QR code to view
• Upstairs master bedroom with ensuite
Single garage on the home + detached double shed
Air-conditioning in 2 x bedrooms and both living areas • Open plan kitchen/living + separate lounge room • Covered outdoor entertaining area, double garage on the home • Low maintenance 541m2 block with double gate side access • Walking distance to Fraser Coast Anglican College and a short drive to Hervey Bay’s hospital and medical precinct Family Home or First-Class Investment 11 WAGTAIL CIRCUIT KAWUNGAN NEW LISTING HOME KIM CARTER 0417 790 526 Scan the QR code to view • 4 bedrooms, air-conditioned master complete with ensuite • Family bathroom with bathtub and separate toilet • Designated dining area and spacious air-conditioned lounge room • Outdoor undercover entertaining space • 737m2 block, side access to rear, room for a shed or pool • Minutes from boat ramps, beach & schools OFFERS OVER $595,000 Secure Investment For The Future 24 SHARYN COURT POINT VERNON

14 ELIZABETH STREET URANGAN

from the beach and Urangan Peir

• 4 bedrooms, 1 bathroom, separate toilet

• Air-conditioned open plan living area

• Hardwood timber flooring throughout

• Tandem lock up garage, fully fenced yard

• Set on a low maintenance 519m2 allotment

Blue-Chip Unit Block Investment

• Situated less than 100m from the Esplanade

• Rare entire block of units: 4 x 1-bedroom units, 1 x 2-bedroom unit

• Set on a 1361m2 allotment with ocean views

• Zoned medium density, redevelop now or in the future (STCA)

• All units are tenanted to give an instant return on your investment

• Although an older building, it’s the location that really counts

OVER

KIM CARTER 0417 790 526

• Neat & tidy 3-bedroom brick home

• Air-conditioned

OFFERS OVER

KIM CARTER 0417 790 526

 AGENCY OF THE YEAR 403 Esplanade Torquay | Call 4125 5399 | sales @ccrhb.com.au | www.cartercooperrealty.com.au KIM CARTER 0417 790 526 BRAD MITCHELL 0418 764 530 Scan the QR code to view OFFERS OVER $599,000 • 3 bedrooms with built-in wardrobes plus study • Air-conditioned open plan living with polished timber floors • Kitchen boasts stone benchtops & dishwasher • Family bathroom, separate toilet & laundry • Tandem lock up garage + double carport • Fully fenced and private from the street Stunning Blue-Chip Opportunity 12 ELIZABETH STREET URANGAN KIM CARTER 0417 790 526 BRAD MITCHELL 0418 764 530 Scan the QR code to view OFFERS OVER $525,000 • Renovate or knock down and re-build • 2 large bedrooms, family bathroom, kitchen and living area • A/C, fully fenced yard, single lock up garage • Corner allotment just 200m from the beach • Boat Harbour and Marina precinct close by • Nearby boutique shops, cafes, restaurants, Woolworths and bus stops add convenience Location, Location - Bring Your Tools! 16 ELIZABETH STREET URANGAN KIM CARTER 0417 790 526 BRAD MITCHELL 0418 764 530 Scan the QR code to view • 200m
For a Beach House?
Looking
HOME
OFFERS OVER $625,000 OPEN
Scan the QR code to view
OFFERS
$1,300,000
SCARNESS
9-11 HERVEY STREET
Scan the QR code to view
$699,000
living area, multi-purpose room, kitchen & dining
Outdoor area with pizza oven, outdoor sink & built-in wet bar
Solar panels, fire-pit, fully fenced and landscaped 800m2 block
Double shed + massive boat/van port with power
Walk to beach, Marina precinct, restaurants, shopping centre & schools Park The Boat Here – 1km From The Ocean 22 MILLER STREET URANGAN ANNETTE MITCHELL 0428 255 824 Scan the QR code to view
ABOVE $485,000
3b/rs, master with ensuite & WIR • Modern kitchen, stone benchtops, dishwasher • Powder room, timber staircase, SLUG • Security screens, solar panels, courtyard • Fully air-conditioned, fans throughout • Small complex, walk to the beach & shops As New Centrally Located Townhouse UNIT 4/104 TORQUAY ROAD SCARNESS Scan the QR code to view MATT DORROUGH 0410 369 996 OFFERS OVER $550,000 • Conveniently located 3 bed 1 bath 1 car home • Great first home or investment property • Large single lock up garage • Air-conditioned living space • Family bathroom with separate toilet • Short walk to the beach Opportunity Awaits 117 TRURO STREET TORQUAY MAURICE ELLIS 0427 246 261 Scan the QR code to view OFFERS OVER $600,000 • Located with Grand Mercure Allegra Apartments • 2 bedrooms, generous ensuite and spa bath • Open plan living space and secure balcony • Generous kitchen – modern appliances • Fully furnished (inventory available), underground parking • Fantastic on site facilities, and awesome position Fabulous Waterfront Position 306/468 ESPLANADE TORQUAY
OFFERS

sized

PRICE

ELLIS 0427 246 261

11

Luxury Coastal Lifestyle Beckons

• 4 bedrooms, 2 masters with walk-in wardrobe and ensuite

• Kitchen with Smeg appliances, Caesarstone benchtops and Butlers pantry

• Private alfresco area at the rear as well as front balcony

• Double garage with epoxy flooring & storage + room for van/boat

• Plantation shutters, 3 x air-conditioners, 24 solar panels

OFFERS OVER $1,100,000

This Is It! Affordable Family Home 11 PROTECTOR WAY ELI WATERS

• 4 bedrooms, master with walk-in wardrobe & ensuite

• Freshly painted with new blinds

• Tiled throughout for low maintenance living

• Media room + open plan kitchen, living & dining area

• Double lock up garage + carport with drive through access

 AGENCY OF THE YEAR 403 Esplanade Torquay | Call 4125 5399 | sales @ccrhb.com.au | www.cartercooperrealty.com.au KIM CARTER 0417 790 526 • Ocean views from balcony and bedrooms • Modern bathroom, separate toilet & laundry • Air-conditioned open plan living, galley kitchen • Ceiling fans & security screens throughout • Walk to schools and shopping precinct • Well maintained complex of 7 units with in-ground pool Scan the QR code to view 5/3 BEACH ROAD PIALBA OFFERS OVER $435,000 Beachside Beauty HOME 303/569 ESPLANADE URANGAN KIM CARTER 0417 790 526 Scan the QR code to view • 2 bedrooms, 2 bathrooms unit in Oaks Resort • Spacious open plan kitchen, living & dining • Balcony overlooking pool and ocean views • Secure underground car parking • Facilities include: 2 lagoon pools, gym, day spa & function rooms • Walk to restaurants, cafes, Urangan Pier and beach Come Home To The Good Life OFFERS OVER $600,000 KIM CARTER 0417 790 526 Scan the QR code to view Luxury On The 5th Floor 501/468 ESPLANADE TORQUAY • 3 bedrooms, master with spa ensuite • Open plan living and dining, ducted A/C • Gourmet kitchen with quality appliances • Secure car accommodation, storage cage • Resort facilities; On-site management, heated lagoon pool, sauna & gym • Walk to it all location, directly opposite magnificent Shelly Beach OFFERS OVER $750,000 KIM CARTER 0417 790 526 Scan the QR code to view $660,000 • 4 bedrooms, master complete with ensuite • Air-conditioned open plan living + separate lounge room • Spacious outdoor entertaining area and pergola • Double lock up garage on the home with internal access • Fully fenced 750m2 block with established gardens • Close to CBD, medical precinct and quality schools A Home for Relaxing and Entertaining 3 LOCKERBIE COURT KAWUNGAN ANNETTE MITCHELL 0428 255 824 Scan the QR code to view OFFERS FROM $900,000 • Stunning 4 bedroom, three bathroom home complete with views of K’gari • Open plan kitchen with stone benchtops & Italian floor tiles • Multiple living areas inside & out, plenty of room for entertaining • Inground saltwater pool, 8kw Solar & landscaped garden throughout • An exceptional property full of quality and space • Minutes from boat ramps and the barge out to the Island Eagle Has Landed 9 JOYCELYN TERRACE RIVER HEADS Scan the QR code to view MAURICE
Good
bedrooms • Main bathroom
Central
OFFERS OVER $849,000 Lounge
kitchen lots of room •
and sunroom
Great Location - Close To The Beach!
HOCKLEY LANE URANGAN
Scan the QR code to view
• Single garage, carport, additional studio • Just under 1,000sqm corner allotment
1
KIM CARTER 0417 790 526
SEAHAVEN CIRCUIT PIALBA
CARTER
526 Scan the QR code to view
• Security system and screens, water tank with electric pump
KIM
0417 790
OFFERS OVER $575,000
REDUCED
• A/C, water tank, covered alfresco area, 660m2 allotment

Relaxed Coastal Living In Central Location

• 3 bedrooms, all with built in wardrobes and ceiling fans

• Airconditioned open plan living with raked ceilings

• Polished timber floors throughout, recently replaced roof

• Single lock up garage, large garden shed, underground water tank

• Magnesium pool, pergola, tropical gardens, electronic gates

• 881m2 corner allotment with dual street access

OFFERS OVER $750,000

KIM CARTER 0417 790 526

51 MATHIESEN ROAD BOORAL Room For Everyone & Everything!

living with A/C + lounge room

• Outdoor patio area, huge shed at the rear & double garage

• 2225m2 block, potential to subdivide (STCA)

• School bus for the kids, 15 minutes to Hervey Bay’s CBD

• Close proximity to Boat Ramps & Fraser Island Ferry

$650,000

• 3 bedrooms with built-in wardrobes, master with ensuite

• Large living area with separate kitchen/dining room

• Ceiling fans and air-conditioning throughout

• Spacious outdoor entertaining area, double lock up garage

• Set on a 607m2 allotment with established

OFFERS OVER $585,000

KIM CARTER 0417 790 526

Relaxing Lifestyle With Views & Breezes 52

• Nicely presented 3 bedroom ensuite home

• Fully tiled, fans throughout, DLUG

• Air conditioned lounge room and master bedroom

• North facing deck, 800m2 fully fenced block

• Shopping village and boat ramps nearby

• Idyllic lifestyle in a quiet popular location

MITCHELL 0428 255 824

 AGENCY OF THE YEAR 403 Esplanade Torquay | Call 4125 5399 | sales @ccrhb.com.au | www.cartercooperrealty.com.au KIM CARTER 0417 790 526 Scan the QR code to view
OVER $499,000 • 3 spacious bedrooms situated around a family bathroom • New kitchen with plenty of cupboard space, freshly painted throughout • Polished timber flooring, front and rear verandahs • Concreted utility room, laundry and single lock-up garage downstairs • Fully fenced 603m2 allotment with side access • Close to the beach, shopping, golf course, restaurants, cafes & schools Endless Potential, Exceptional Value 22 GREENWAY DRIVE PIALBA KIM CARTER 0417 790 526 JANA LEVAK 0431 155 140 Scan the QR code to view Beach Home in Blue Ribbon Location • Ready to move in - beach house with water views • 2-3 bedrooms with modern kitchen & open plan living • 2 bathrooms, polished timber floors, air conditioning • Expansive front verandah & entertaining at rear • Double gate access to huge shed and double port parking • 1113m2 block, 2 street access – subdivision potential OFFERS OVER $975,000 9 FLINDERS STREET POINT VERNON KIM CARTER 0417 790 526 Scan the QR code to view • 4 bedrooms, master complete with ensuite • Open plan
OFFERS
Scan the QR code to view
53 BIDEFORD STREET TORQUAY ANNETTE
Scan the QR code to view
$550,000
PETREL AVENUE RIVER HEADS
Scan the QR code to view
gardens
Prime Position – 500m to Beach! 15 GRANADA COURT POINT VERNON KIM CARTER 0417 790 526 Scan the QR code to view
OVER $780,000
• 500m walk to the Esplanade and local café
OFFERS
• 4 bedrooms, air-conditioned master with ensuite
• Formal lounge room + air-conditioned open plan living area
• In-ground pool, solar panels, covered patio, double lock up garage
• Shed with workshop, lock up bay & high clearance carport
• Fully fenced 800m2 allotment with side access
Shopping Centre I’ve Got The Lot - House, Pool & Shed 7 EMPIRE CIRCUIT DUNDOWRAN KIM CARTER 0417 790 526 Scan the QR code to view
in wardrobes
• Walking distance to schools, 2km from Eli Waters
• 3 bedrooms with built
• Neat and tidy kitchen, air conditioned living area
• Set on a fully fenced 680m2 corner block
• Outdoor undercover entertainment area
Single lock up garage with internal access
62 ANN STREET TORQUAY $525,000 Easy Beachside Living or Investing
• Walk to; Hervey Bay Health Club, Bowls Club, shopping centers, schools and beach
INVITED
ALL OFFERS

23 PINEHURST DRIVE, WONDUNNA offers over $850,000 considered

COASTAL LIFESTYLE ON LARGE BLOCK

New to the market, 23 Pinehurst Drive in Wondunna, should be top of your list for properties to look at – with so much to offer, this property is ready for its new family to make it their own. Located in a quite street, in the popular family suburb of Wondunna, the large home has plenty of room for the entire family. With a fantastic layout, this home uses its space with functionality in mind. The chef of the family will enjoy the spacious kitchen, looking out to the open plan living/dining area.

The separate media room allows for more room to spread out and enjoy.

Outside you will find a fantastic covered patio area for plenty of barbeques and entertaining to enjoy the sprawling yard and quiet surrounds. Complete with a large shed with high double doors for all the toys. There is also plenty of room for a pool or more sheds

You will not want to miss this one, contact Ash Heckels at Prime Agents today, to arrange an inspection.

• 4 bedrooms with built-ins plus walk- in to main

• Great sized ensuite and family bathroom

• Ducted air conditioning

• 6x9m shed with high double-door opening (3.8m)

• Large kitchen with dishwasher

Inspect By Appointment

• Open plan family and dining area

• Large outdoor entertaining area

• Plenty of room for the caravan and toys

• 6.6KW Solar System

• Fantastic 2001m2 block

Land size: 2,001m2

4 2 4
Inspect By Appointment ATTENTION FIRST HOMEOWNERS, FAMILIES AND INVESTORS! • 4 bedrooms, ensuite to main • Air-conditioning in living room and master, plus fans throughout • Built in wardrobes • Family bathroom, separate laundry • Dining area and separate loungeroom • Undercover entertaining area • Double shed, with power as well as garden shed • Solar power • Fantastic location This great air conditioned 4-bedroom home is perfect for investors and young families. With four well positioned bedrooms, ensuite and family bathroom, this home is ready for its new family to enjoy. With a great sized yard, undercover entertaining area, 2 bay shed and side access, there is plenty of potential and room to enjoy. You will also find a great sized kitchen, flowing on to an open plan dining area and separate living room at the front of the house. With a great central location, set in a quiet cul de sac, with shops, schools and CBD all close by, this home is in a sought-after position and won’t last long! Contact Ash Heckels today to arrange an inspection. 4 2 2 6 BORDER COURT, TORQUAY offers over $599,000 considered Land size: 702m2

99

LOCATION LOCATION LOCATION!

With the beach at your doorstep, 99 Cunningham Street, Urangan is easy Hervey Bay living at its best. This neat and tidy home, has great potential as an investment property, holiday home, first home buyer or those looking to downsize! The options are endless, and with a prime location, and fantastic yard to enjoy – it should definitely be on your list of properties to inspect.

Inside you will find 2 bedrooms, 1 bathroom, plus a great rumpus room to make into your own ideal space. There is also a great office/storage room off the kitchen as well, freshly painted, and ready to be converted into whatever you need!

Out the back is your own private oasis, with beautiful gardens and plants making for lush outdoor living.

Situated in the popular suburb of Urangan, walking distance to the beach, local restaurants and cafes, you will settle in to your new, relaxed living lifestyle with ease.

• 2 bedrooms

• 1 bathroom

• Rumpus room

• Separate office/study space

• Air-conditioning

Inspect By Appointment

• Galley style kitchen

• Living / dining area

• Beautiful gardens and outdoor living area

• Fantastic location

Land size: 645m2

2 1 1
CUNNINGHAM STREET, URANGAN offers over $649,000 considered

FANTASTIC OPPORTUNITY - CALLING ALL INVESTORS

Attention investors! This 3 year old, immaculately presented home is situated within walking distance to Fraser Coast Anglican College, and is just a short drive to Hervey Bay CBD, restaurants, hospitals, schools and sporting facilities. Neat and tidy comprising of 4 bedrooms, 2 bathrooms, open plan living plus separate air conditioned family room, functional kitchen, good outdoor entertainment area, fully fenced with side access, plus a great tenant already in place, this one is perfect for investors looking to secure a low maintenance property in a great area.

• Open plan kitchen, family and dining

• Kitchen with stone benchtops

• Separate living room, carpeted with air conditioning

• Main bedroom with air conditioning, fan, walk in robe and ensuite

• Additional three bedrooms with fans and built in robes

Inspect By Appointment

• Main bathroom with vanity, shower and bath

• Separate toilet

• Undercover patio

• Double lock up garage with internal access

• Fully fenced with side access

• Excellent tenant in place, lease ends March 2024

Land size: 630m2

3 ROBIN ROAD, KAWUNGAN offers over $579,000 considered STACEY

2 2
4
PYNE 0438 694 307 stacey.pyne@primeagents.com.au

UNDER CONTRACT

UNDER CONTRACT, WITH MULTIPLE OFFERS IN THE FIRST WEEK

Neat as a pin, this 3 bedroom home comprises of a large living area, 3 bedrooms, two way bathroom, good size kitchen and laundry plus a dining/family area off the kitchen. The outside is equally as well kept with a tiled alfresco area overlooking the private backyard, the perfect place to enjoy no matter what time of the day. Ideally positioned and situated on a level 611m 2 fully fenced block with lovely established gardens with rear access via a covered carport to a single colourbond shed, plus a single garage attached to the home-there is plenty of room for all the vehicles and workshop space.

• Functional kitchen with ample cupboard and bench space

• Dining/family area with sliding door to outdoor entertaining area

• Spacious carpeted living room with sliding door access to patio area

• Main bedroom with fan, built in robe and access to two-way bathroom

Inspect By Appointment

• Bedrooms 2 and 3 with fans and built in robes

• Covered outdoor entertaining area with weather blinds

• Single colourbond shed with power

• Extra wide, single carport with double gate access

• Established gardens and garden shed

• Fully fenced yard 611 sqm block

2 3
3
21 KURUMAN STREET, SCARNESS
STACEY PYNE 0438 694 307 stacey.pyne@primeagents.com.au
size: 611m2
Land

108 LAUREN STREET, URANGAN offers over $649,000 considered

RENOVATED – SOLAR PANELS – BIG SHED – 801M2 BLOCK

Situated on an elevated 801m 2 block with a spacious floor plan there is plenty of room both inside and out for everyone in the family. Comprising of a large renovated kitchen, 3 spacious bedrooms, 2 modern bathrooms, open plan tiled living plus a multi-use front enclosed porch. Equally as spacious is the outdoor areas, with a fantastic enclosed entertainment area with a built in fireplace connecting the house with the shed. An additional covered patio accessible by the sliding doors off the back of the property connects the dining/kitchen area. The man of the house will not be disappointed with a high clearance 3 bay shed with easy access - the perfect place to house all the big toys and tinker, plus there is an additional shower/toilet for the mans cave. To complete the package there is 5 kw Solar panels, air conditioning, freshly painted, tiled throughout and a fully fenced 801m 2 block within close proximity to Schools and Shopping Centre.

• Large open plan kitchen with stone benchtops and ample cupboard space

• Tiled air-conditioned living/dining room

• Front enclosed porch/multi-purpose area

• Main bedroom with air-con, built in robes, renovated modern ensuite

• Bedroom 2 & 3 with air-conditioning

Inspect By Appointment

• Renovated modern main bathroom with shower, bath and vanity

• 5kw solar panels, security screens and windows

• Undercover entertainment area plus covered rear patio

• Three bay shed with two high clearance doors, shower and toilet

• Extra parking space for caravan or boat

Land size: 801m2

3 2 2
STACEY PYNE 0438 694 307 stacey.pyne@primeagents.com.au

18 TRAVIS ROAD, BURRUM HEADS offers over $749,000 considered

MEDITERRANEAN INSPIRED WITH OCEAN VIEWS

This elegant abode provides a serene environment for you to relax in and enjoy throughout the year. Mediterranean inspired, this coastal home focuses on simplicity and functionality while being situated within walking distance to Burrum Heads calm and quiet beaches. On the upper level you will find ducted air conditioning, open plan kitchen, living and dining, beautiful deck with ocean views and breezes, large master bedroom connecting to the two-way bathroom with spa bath, plus the second bedroom. Downstairs is an air-conditioned living area, back patio, two more bedrooms with air conditioning, study, main bathroom and the double lock up garage. With extras like solar, a water tank plus a large shed, this seaside home has it all.

• Main bedroom with built in robe, air con, fan and private balcony

• Additional bedrooms with air con and built in robes

• Separate study

• Open plan kitchen, dining and family

• Large deck off the family room with ocean views and breezes

• Separate living area with air con, doors to downstairs patio

Inspect By Appointment

• Ducted air con throughout upper level, 4kw solar panels

• Double lock up garage with epoxy flooring and internal access

• 16.7 x 4.5m shed with power

• 3000 litre water tank and garden shed

• Walk to the beach location

4 2 5
STACEY PYNE 0438 694 307 stacey.pyne@primeagents.com.au
Land size: 607m2

EXECUTIVE TOWNHOUSE IN A FANTASTIC LOCATION

This stunning end townhouse has a spacious, very private courtyard, side gate, garden shed, plus 3 bedrooms, 3 bathrooms, spa bath, a fantastic master suite. This is one of the best townhouses, available on the market right now! Make sure you put this one on the top of your list! This townhouse is nestled to the rear of a well-maintained complex of only 10 townhouses, and positioned just a short walk to the beach, cafe's, restaurants and the beautiful Scarness foreshore. To top it all off through the gate to the rear of the complex is the popular Hervey Bay Rail Trail bike path....You cannot beat this one for location!

• Entrance way with full height feature glass window

• Air-conditioned open plan living and dining area

• Modern kitchen with plenty of storage and an induction cooktop

• Downstairs laundry and bathroom combination

• Master bedroom with walk through robe, en-suite & private balcony

Inspect By Appointment

• 2 further queen sized bedrooms upstairs

• A large tropical outdoor decked entertaining area with shade sails

• Low Body Corporate fees

• Amazing location close to the Esplanade

10/187 TORQUAY ROAD, SCARNESS $539,000 DON

3 3 2
BRYANT 0427 225 004 don.bryant@primeagents.com.au

PERFECT HOME, PERFECT POSITION

37 Lancaster Circuit, Urraween is a stunning property that boasts a spacious and comfortable living space perfect for families. Featuring four well-appointed bedrooms with an ensuite for added convenience. The kitchen and bathrooms have been recently renovated, ensuring a modern and fresh feel throughout the house. The open plan living area creates a welcoming and comfortable atmosphere that is perfect for entertaining guests or spending time with family. The property sits on a beautiful 800m 2 level block that has been landscaped and has side access, providing plenty of room for a shed or a pool. The house is conveniently located close to the medical precinct, private schools and major shopping centres, providing easy access to everything you need. This is definitely a property that you must inspect and you will be pleasantly surprised. Contact Michael and Terese for your private viewing. 4

• 4 good size bedrooms with built-ins

• Master with walk- in robe plus a large ensuite

• Low maintenance property, renovated through out

• Open plan living with dining and kitchen

• 800m2 block with side access and room for a shed or pool

Inspect By Appointment

• Double garage plus 3m x 6m shed with power and lights

• 5000 litre water tank

• 6.4 klw and 16 solar panels

• NBN upgraded to property

• Close to major shopping and medical precinct and private schools and major shopping centre

2
2
offers
Michael Batterham 0401 788 792 Terese Payne 0427 842 590 SETTLE FOR MORE TERESE PAYNE 0427 842 590 terese.payne@primeagents.com.au MICHAEL BATTERHAM 0401 788 792 michael.batterham@primeagents.com.au
size: 800m2
37 LANCASTER CIRCUIT, URRAWEEN
over $740,000 considered
Land

alike, along with her hard work, honesty and integrity, make her the perfect choice for your next real estate transaction.

a highly approachable and outcome driven motivation, Vicki brings a transparent and ethical passion to her work. If you would like to experience the Prime Agents difference and want to best understand your options right now, we invite you to start a conversation with us.

MY
BEING THE DIFFERENCE
BETWEEN
& EXCELLENT A Fraser Coast local, Vicki’s parents Vic and Margaret Kennedy owned and operated a Real Estate for over 10 years in the 80’s and 90’s. Vicki grew up with dinner table conversations about the Real Estate market of those times. She has over 20 years of sales experience, as a small business owner
as a real estate owner and investor. She
unforgettable
An unwavering
buyers
sellers
www.primeagents.com.au SELL YOUR HOUSE WITH US Vicki Maynard direct on 0439 955 576 OR SCAN THIS QR CODE TO MESSAGE US
IDEA OF SERVICE IS
,
GOOD
as well
creates
experiences for her clients.
commitment to
and
With
www.primeagents.com.au SELL YOUR HOUSE WITH US CALL US TODAY ON 4194 1754 OR SCAN THIS QR CODE TO MESSAGE US • Fully renovated home set in landscaped grounds 3 bedrooms, 2 bathrooms, 2 living areas • Double car garage with new roof and automatic doors • Brand new impeccable Peter Liddle kitchen and laundry • Master bedroom with ensuite & huge robe • New in-ground swimming pool with coloured lighting Fantastic outdoor entertaining area with outdoor kitchen • Great location – street back from Esplanade 135 Long Street, POINT VERNON 4 Bed 2 Bath 2 Car | 716m INSPECT BY APPOINTMENT 29 Barnstaple Street, TORQUAY 3 Bed 1 Bath 1 Car | 580m INSPECT BY APPOINTMENT VICKI MAYNARD 0439 955 576 • 3 bedrooms with BIR’s Open plan lounge/dining • Separate rumpus room with air-conditioner • Kitchen with gas cooker and electric oven Ceiling fans throughout • Outdoor entertainment area • Fully fenced, Garden shed, 500L rainwater tank, 4.5kW solar system ASH HECKELS 0418 986 867 offers over $869,000 considered offers over $575,000 considered 15 Paradise Street, POINT VERNON 3 Bed 1 Bath | 1 Car 600m2 INSPECT BY APPOINTMENT offers over $499,000 considered ASH HECKELS 0418 986 867 • 4 bedrooms, 3 with built-in’s, main with walk-in & ensuite • Large open kitchen with great storage • 2 living areas + “retreat” off main bedroom • Large 1,316m2 fully fenced block – subdivision potential • DLUG with high ceilings • 5 x split air-conditioners • Fantastic rental return • Quiet street in central location 9 Dean Court, URRAWEEN 4 Bed | 3 Bath 2 Car | 1,316m2 INSPECT BY APPOINTMENT • 3 bedrooms • Living / dining room • Kitchen with SMEG dishwasher • Air conditioned • Side access, Single lock up garage • Workshop / utility room under house • Large deck out the back and veranda out the front • Closely located to Esplanade and Point Vernon beaches ASH HECKELS 0418 986 867 offers over $725,000 considered 31 Peppermint Circuit, NIKENBAH 4 Bed | 2 Bath | 2 Car | 900m / Pool INSPECT BY APPOINTMENT offers over $975,000 considered ASH HECKELS 0418 986 867 • Large master bedroom with ensuite and walk-in robe • 3 bedrooms with fans and built-in wardrobes Fantastic private balcony over looking the Esplanade capturing ocean breezes • DLUG + 9x9m shed Great 600m2 landscaped block with electric front gate • Split air-conditioning throughout, 2 x 5000L rainwater tanks with pressure pump • Large open plan kitchen / dining area • Fantastic central location in the heart of Hervey Bay 282 Esplanade, PIALBA 4 Bed 2 Bath 2 Car 600m2 INSPECT BY APPOINTMENT • Beautiful high ceilings, wide hallways, custom doors and plantation shutters • Separate media room, open plan living/dining opening onto entertainment area Modern functional kitchen with large walk-in pantry, stone bench-tops and large island bench • Family/ activity room connected to additional bedrooms • 6kW solar system, Ducted zone air conditioning throughout • Sparkling inground pool • Elevated position with Fraser Island views from backyard capturing beautiful breezes ASH HECKELS 0418 986 867 offers over $1.19M considered 11 Bowerbird Avenue, ELI WATERS 4 Bed | 2 Bath 7 Car 1068m2 INSPECT BY APPOINTMENT offers over $869,000 considered VICKI MAYNARD 0439 955 576 • Four bedrooms with BIR, walk-in-robe to ensuite • Two very generous living areas and Hamptons style kitchen • Huge Entertainment Area, plus multiple outdoor seating areas • Magnesium Pool • Air-conditioning, ceiling fans, 5KW Solar system, fully fenced Triple garage, Shed 8M Rear access (7.9m X 3.6m X 2.5Mm) • Shade port, suitable for Caravan/Boat (7.9m X 3.1m X 3.4m) • Private Members' gate access to the premier Hervey Bay Golf and Country Club • Modern home with wheelchair access throughout. • Ensuite plus large main bathroom. • Open plan kitchen / dining / living. Double garage with remote door. • Security screens and air conditioning. Over 55’s living • No stamp duty – contact us today for Village Comparison Document. Villa 410 / 74-98 Emerald Park Way, URANGAN 2 Bed | 2 Bath | 2 Car INSPECT BY APPOINTMENT 21 Avolet Crescent, RIVER HEADS 5 Bed 2 Bath | 2 Car 800m INSPECT BY APPOINTMENT VICKI MAYNARD 0439 955 576 Upper Level – Queenslander • 3 Bedroom with built ins • Open Plan Air-conditioned Living / Dining, Renovated Kitche • Undercover Verandah Lower Level-Modern • 2 Bedrooms, Living / Dining, Kitchenette • Spa and Entertainment Area • Split System Air-Conditioning, Solar Hot Water, Security Screens, fully fenced VICKI MAYNARD 0439 955 576 $390,000 offers over $725,000 considered SERENITY LIVES HERE, YOU COULD TOO… 49 Cunningham Street, URANGAN 5 Bed | 3 Bath | 2 Car | 1244m2 • Master Bedroom -Victorian Themed, Extra Large Ensuite- European Style • Victorian Themed Living and dining, Library and Sitting Area – Window Seat • Stand Alone Kitchen – Gabled Ceiling, Exposed Beams, Walk-in Pantry, Granite benchtops • Balinese Themed Alfresco Dining/Entertainment Area • Magnesium Resort Style Pool, New pool appliances • Bore Water 5x5000L TANKS (Services Garden and Pool) • Fully Fenced with Automatic Gate, Solar 8.kw, Electric Hot Water System • Villa with 2 Bedrooms, living room, modern kitchen and pool views. INSPECT BY APPOINTMENT $1,299,000 VICKI MAYNARD 0439 955 576 STUNNING WATER VIEWS AND LUXURY LIVING offers over $995,000 considered ASH HECKELS 0418 986 867 5 Ridge View Court, NIKENBAH 4 Bed | 2 Bath | 2 Car | 778m2 • Extra-large library / office • Third family room / potential media room downstairs • Stunning kitchen with double oven, dishwasher, walk-in pantry • Open plan kitchen, living and dining area • Existing under cover entertaining area with ceiling fan & light • Extended large patio frame ready to convert into your dream outdoor space • Large master suite with ensuite views to K’Gari (Fraser Island) • Two balconies with views to K’Gari (Fraser Island) from back balcony INSPECT BY APPOINTMENT LUXURY COASTAL LIVING QUEENSLANDER STYLE offers over $1,250,000 considered VICKI MAYNARD 0439 955 576 77 Dayman Street, URANGAN 3 Bed | 2 Bath | 3 Car | 1012m2 • 3 Bedrooms with BIR, Master with ensuite, massive WIR • Fully Renovated throughout all areas. • Stunning Kitchen, bifold windows, quality free standing cooker, stone benchtops (suede look) • Timber Floors throughout, High Ceilings Bifold doors to deck • Split Systems – Air-Conditioning Living, Dining and Master Bedroom • Inground Magnesium Pool • Fully Fenced, Double Bay Shed at rear • Cottage with kitchenette, living, ensuited bedroom and undercover entertainment area INSPECT BY APPOINTMENT • Four bedrooms with built ins, ensuite to main • Renovated ensuite and main bathroom • Renovated kitchen overlooking living/dining area • Ceiling fans throughout • 5kw solar panels • New solar hot water system • Front and rear outdoor entertaining area • Fully fenced with solar powered electric gates 18 Hayworth Street, POINT VERNON 4 Bed 2 Bath 2 Car 600m2 INSPECT BY APPOINTMENT ASH HECKELS 0418 986 867 offers over $665,000 considered

If you would like to experience the Prime Agents difference and want to best understand your options right now, we invite you to start a conversation with us.

Michael Batterham 0401 788 792 Terese Payne 0427 842 590 SETTLE FOR MORE TERESE PAYNE 0427 842 590 terese.payne@primeagents.com.au MICHAEL BATTERHAM 0401 788 792 michael.batterham@primeagents.com.au www.primeagents.com.au SELL YOUR HOUSE WITH US Terese Payne 0427 788 792 | Michael Batterham 0438 694 307 OR SCAN THIS QR CODE TO MESSAGE US These are the driving forces behind the real estate career and life of one of the region’s highest performing sales teams. Their award winning formula is based on unsurpassed local property knowledge, tenacious negotiation skills and a positive approachable attitude. Michael and Terese believe real estate is about people, not houses, and every property is different, and so is every owner’s situation. They are property marketing experts and excel in creating specific marketing plans for each particular property they are
with.
Batterham
involved
Michael
and Terese Payne are personable, enthusiastic and take a positive outlook to everything that they do.
TEAMWORK IS AT THE HEART OF EVERY GREAT SALE

2 Bergamot Circuit, Nikenbah is a stunning and newly built home that boasts modern design and style. Featuring four generously sized bedrooms and two luxurious bathrooms, providing ample space for a growing family or those seeking a comfortable and contemporary living environment.

The heart of the home is the open-plan living area, which seamlessly flows from the kitchen to the dining/living areas plus added media room. The kitchen is well-appointed with modern appliances and features a large butler's pantry.

Outside, the property features beautiful gardens and an enclosed undercover entertainment area, perfect for hosting barbeques and gatherings. The property also has plenty of room for a pool, shed, or even both, providing endless possibilities for outdoor living and recreation.

Located in the highly sought-after Springs Estate in Nikenbah, this property offers a peaceful and private lifestyle, while still being close to all amenities. With its stylish and modern design, this property is sure to impress.

master bedroom with air conditioning & ensuite featuring claw foot both

• Modern kitchen with plenty of bench space and butler’s pantry

• Media room at front of house

• Large outdoor undercover entertainment area

• Double garage with remote and internal access

• Room for the shed, pool, or both

• Very low maintenance property

• 6kw solar panels

• Short drive to local shops, schools and sporting fields and close to major shopping centre

www.primeagents.com.au SELL YOUR HOUSE WITH US CALL US TODAY ON 4194 1754 OR SCAN THIS QR CODE TO MESSAGE US METICULOUS ATTENTION TO DETAIL AND AN AIR OF UNDERSTATED SOPHISTICATION offers over $1,400,000 considered TERESE PAYNE 0427 842 590 MICHAEL BATTERHAM 0401 788 792 41 Sandy View Drive, NIKENBAH 5 Bed | 4 Bath | 2 Car | 983m2 • Open plan living, dining and kitchen with large porcelain tiles throughout • Kitchen with stone benchtops, ample bench/cupboard space and large walk-in pantry • Home gym (or extra bedroom) with views to Fraser Island • Private lounge room and formal dining space on second level • Main master bedroom with walk-in, ensuite with double vanity and private balcony • Second master with walk-in, ensuite and private balcony • Three additional bedrooms with built-ins, plantation shutters to all bedrooms • Undercover outdoor entertainment area overlooking inground pool • Remote controlled electric gate, ducted air-con, ducted vacuum system INSPECT BY APPOINTMENT GREAT LOCATION & GREAT INVESTMENT PROPERTY 25 Sandy View Drive, NIKENBAH 4 Bed | 2 Bath | 2 Car | 650m2 • Good kitchen opening onto combined dining and lounge area • Stone bench tops plus large walk-in pantry • Four good size bedrooms, master with walk through robe plus ensuite • Two living areas and large deck and views • Private, fully fenced yard with side access • Ducted air conditioning throughout • Close to schools, medical precinct and shops • Tenant in place until November paying $550pw INSPECT BY APPOINTMENT offers over $650,000 considered TERESE PAYNE 0427 842 590 MICHAEL BATTERHAM 0401 788 792 923M2 BLOCK, SO CLOSE TO THE ESPLANADE • Ready to build your dream home • Plenty of room for pool and shed • 922m2 block • 3min drive to Esplanade INSPECT BY APPOINTMENT 186 Dayman Street, URANGAN 922m2 offers over $450,000 considered TERESE PAYNE 0427 842 590 MICHAEL BATTERHAM 0401 788 792 IMPRESSIVE LA PIAZZA COMPLEX 10/2 Barnstaple Street, TORQUAY 4 Bed | 3 Bath | 1 Car | 144m2 • Impressive private 4 bedroom/3-bathroom townhouse Beautifully landscaped low maintenance oasis • Open plan living and dining area • Three good size bedrooms upstairs, all with ceiling fans • Large bedroom downstairs plus downstairs bathroom • Air conditioning and large ensuite to the main bedroom Undercover oasis in your outdoor entertainment area • Single lock up garage with remote access • Located close to Esplanade, cafes, schools and shopping INSPECT BY APPOINTMENT offers over $589,000 considered TERESE PAYNE 0427 842 590 MICHAEL BATTERHAM 0401 788 792 LIVE OR INVEST offers over $480,000 considered TERESE PAYNE 0427 842 590 MICHAEL BATTERHAM 0401 788 792 11 Wonga Street, SCARNESS 4 Bed | 1 Bath | 3 Car | 617m2 • Centrally located, close to schools and shops. • Four good size bedrooms. • Near new kitchen and bathroom Covered outdoor entertainment area overlooking the private back yard. • Private, fully fenced yard with side access • 6m x 6m shed with power and workbench • Close to transport and schools • Low maintenance 617m2 block INSPECT BY APPOINTMENT WALK TO THE BEACH & RESTAURANTS 7/201 Torquay Terrace, TORQUAY 3 Bed | 2 Bath | 2 Car Upstairs • Well equipped kitchen and dining • Main bedroom with ensuite • Large balcony Downstairs • Two bedrooms plus shower and toilet • Double garage plus good storage • Covered entertainment area INSPECT BY APPOINTMENT offers over $500,000 considered TERESE PAYNE 0427 842 590 MICHAEL BATTERHAM
792
over $985,000 considered
BY APPOINTMENT
FOR THE SHED, THE POOL OR BOTH!
0401 788
offers
TERESE PAYNE 0427 842 590 MICHAEL BATTERHAM 0401 788 792 INSPECT
ROOM
Extra-large
• Four good size bedrooms all with built ins and fans •
2 Bergamot Court, NIKENBAH 4 Bed | 2 Bath | 2 Car | 966m2
50% SOLD IN STAGES 1 & 2 • Karen Campbell 07 4124 4941 winprojects.com.au co n tac t ag e n t s 0 4 3 8 3 5 9 5 0 7 The Images and illustrations are artist’s impressions only. Purchasers must rely on their own enquiries and the Contract for sale. Karen Campbell 07 4124 4941 winprojects.com.au contact agent s 0438 359 507 The Images and illustrations are artist’s impressions only. Purchasers must rely on their own enquiries and the Contract for s a e thespringsherveybay.com.au Spring Way VILLAGE OF DREAMS New 1300 METRICON metricon.com.au OPENING HOURS Open 7 Days a Week 10am to 5pm 131 828 abchomes.com.au OPENING HOURS Open Saturday to Wednesday 10am to 5pm 1800 STROUD stroudhomes.com.au OPENING HOURS Mon - Fri 9am to 5pm Sat - Sun 10am to 4pm OPENING HOURS Thurs - Mon: 9am to 4pm Tues & Wed: By appointment 1300 956 743 vividhomebuilders.com.au Custom Home Building Specialist OPENING HOURS Fri - Tues: 9am to 4pm 0448 488 374 coralhomes.com.au 07 4124 4941 winprojects.com.au John Bone 0433 980 948 contact agent The Images and illustrations are artist’s impressions only. Purchasers must rely on their own enquiries and the Contract for sale
Karen Campbell 07 4124 4941 winprojects.com.au co n tac t ag e n t s 0 4 3 8 3 5 9 5 0 7 The Images and illustrations are artist’s impressions only. Purchasers must rely on their own enquiries and the Contract for sale. Karen Campbell 07 4124 4941 winprojects.com.au contact agent s 0438 359 507 The Images and illustrations are artist’s impressions only. Purchasers must rely on their own enquiries and the Contract for s a e NEW LAND RELEASE SPRINGS EAST NOW SELLING CHOICE OCCU PIERS • LOT SIZES FROM 600M2 TO 1688M2 contact agent John Bone 0433 980 948 07 4124 4941 winprojects.com.au contact agent John Bone 0433 980 948 contact agent Karen Campbell 0438 359 507 -Architecturally Designed -UpmarketFinishes -Clever, SpaciousArrangements - Contact us for an Information Memoradum -Enviable Lifestyle & Location -Now Selling Off The Plan Pier Street, Urangan 0741244941 The Images and illustrations are artist’s impressions only. Purchasers must rely on their own enquiries and the Contract for sale. 3 x 2 x 2 x PIER STREETLUXURYTOWNHOUSES ONLY3REMAINING Currently underconstruction with completion Sept23* • PRICES FROM $235,000 • SECURE YOUR LOT VIA E.O.I WITH JUST A $1000 DEPOSIT 07 4124 4941 winprojects.com.au John Bone 0433 980 948 contact agent The Images and illustrations are artist’s impressions only. Purchasers must rely on their own enquiries and the Contract for sale
St Helens
LARGE ACRE SITES FROM 4000m2 • LEVEL BUILDING SITES • 20 MINS FROM HERVEY BAY “Space for your Lifestyle” Saltwater CreekRd GladysSt Lawson St Fazio Road From$210,000 LOT 61 LOT 60 LOT 59 LOT 58 LOT 50 LOT 54 LOT 55 LOT 6 LOT 5 LOT 3 LOT 2 • OVER 50% SOLD IN STAGES 1 & 2 TOWN WATER, POWER & NBN
Karen Campbell 07 4124 4941 winprojects.com.au contact a g en ts 04 38 3 59 507 The Images and illustrations are artist’s impressions only. Purchasers must rely on their own enquiries and the Contract for sale. Karen Campbell 0741244941 winprojects.com.au contact agents 0438 359 507 The Images and illustrations are artist’s impressions only. Purchasers must rely on their own enquiries and the Contract for sale.
Karen Campbell 07 4124 4941 winprojects.com.au co n tac t ag e n t s 0 4 3 8 3 5 9 5 0 7 The Images and illustrations are artist’s impressions only. Purchasers must rely on their own enquiries and the Contract for sale. Karen Campbell 07 4124 4941 winprojects.com.au contact agent s 0438 359 507 The Images and illustrations are artist’s impressions only. Purchasers must rely on their own enquiries and the Contract for s a e NEW L AND RELEASE Stockland Shopping Centre CBD Bunnings HERVEY BAY INDIGO BLUE Lot sizes from 600m2 - 1000m2 07 4124 4941 winprojects.com.au John Bone 0433 980 948 contact agent The Images and illustrations are artist’s impressions only. Purchasers must rely on their own enquiries and the Contract for sale NOW SELLING
BUYING - SELLING - RENTALS 0427 400 012 www.chriscouperherveybay.com 2 2 1 Mary-Lou Lloyd 0407 762 054 $480,000 • Catch the breeze near the ocean at right. North facing rear garden plus side access • New kitchen with heaps of storage, draws and lazy Susan’s, adjoining new laundry • Open plan lounge dining with beautiful cypress pine floors opening onto large front deck • 2 bedrooms both with built-in cupboards • Master bathroom with spa bath and toilet • Study/ sunroom off lounge • Ducted air conditioning, solar heart hot water and 2.5 KW Solar Panels • Single garage plus garden shed 40 Corfield Street, POINT VERNON VENDOR LIQUIDATION 571M2 4 2 1 Mary-Lou Lloyd 0407 762 054 NEGOTIABLE $635,000 • Well appointed house perfect for home business • Good size kitchen with open plan living, dining area that is air conditioned • 4 good sized bedrooms plus possible 5th bedroom/ rumpus room, studio or office Large ensuite and walk-in robe to the main bedroom plus air conditioning • Second bathroom big with separate toilet Large outdoor entertainment area including outdoor power points views to Fraser Island • High tandem lock up garage with additional roller door access to backyard with power Great elevated position - Views and Breezes • Close to schools, shopping, the hospital & medical facilities, far away from the hustle & bustle One of Queensland’s Coastal Hot Spot Properties 16 Wagani Street, KAWUNGAN SURPRISE BIG FAMILY HOME 601M2 4 2 3 Chris Couper 0427 400 012 $489,000 • Vendor has moved up north to be with family, so vacant and ready to move into • Three bedrooms plus study or 4th bedroom plus 2 bathrooms • Master bedroom has double built-in robes and ensuite • Open plan living, dining and spacious kitchen • Air conditioning in lounge and master bedroom • Good access for parking with carport to house and adjoining double carport plus side parking as on corner block, room for caravan/ boat • Will rent for $525 per week for investor One of Queensland’s Regional Coastal Hot Spot Properties 110 Oleander Avenue, KAWUNGAN CENTRAL HERVEY BAY SCARNESS INVESTORS DREAM 638M2 UNDER CONTRACT 3 2 2 Chris Couper 0427 400 012 OFFERS ABOVE $599,000
This stylish home boast 2 levels - upstairs has 2 spacious bedrooms with built-in robes, bathroom, large linen cupboard plus extra roof void storage
Downstairs boasts entrance foyer/ lounge area with access to double lock up garage with work bench and storage shelves and a seperate laundry,
Large modern kitchen with electric appliances, stone bench tops, dishwasher and plenty of storage
Family and dining area fully air conditioned
Master bedroom with walk-in robes and ensuite
Family room opening onto covered outdoor courtyard with landscaped gardens and BBQ area
Full security system installed
25m Swimming pool in heart of complex with undercover BBQ areas 34/29 Stephenson Street, PIALBA STYLE AND SAFETY IN GATED COMMUNITY

GOLDMINE INVESTMENT - 4204M2 - DEVELOPMENT DUPLEX SITES

136 Exeter Street, TORQUAY

• Incredibly poised for now or future investment with a massive 4204m2 development site (subject to council approval)

• Live in the the established home and develop the remaining vacant areas in your own time, zoned low density residential allowing a wide range of options for development, subdivision, retirement living, tourist park, childcare ect.

• 3 bedroom home with walk through bathroom off the master, sunroom, lounge room and one long bedroom with an office, full front veranda

• 3 Bay garage, 3 car port and 2 bay garage, heaps of room for the handyman or car enthusiast

• Extra shower and toilet in shed. 4.8KW solar panels

• Dam, chook pen and 3x3 garden shed, 2 Rain water tanks

Chris Couper 0427 400 012

Mary-Lou Lloyd 0407 762 054

4204M2

$1,200,000

BLUE CHIP BEACHSIDE DUNDOWRAN - SUPERB QUEENSLANDERS - 2 HOUSES

25 Carolyn Street, DUNDOWRAN BEACH

and walk-in robes plus main bathroom with spa bath

• Large kitchen with gas stove and dishwasher onto family room

• Also separate lounge, dining rooms with open plan

• Another 2 bedroom cottage with separate lounge, family room, kitchen and bathroom with private veranda

• Heaps of parking with rear double carport(suitable for caravan, boat ect.) and heaps of storage underneath main house with 2 car parking - room to expand

• Furniture available walk in walk out for a further $10,000

3996M2

BUYING - SELLING - RENTALS 0427 400 012 www.chriscouperherveybay.com 4 2 2 Mary-Lou Lloyd 0407 762 054 OFFERS ABOVE $590,000 • Large kitchen and dining opening on to outdoor entertaining area • Big separate lounge/ media room • 4 Bedrooms, master with ensuite and walk-in robes • 7KW Air Conditioning • Double lock up garage • SIDE ACCESS - Plenty of room for boats and caravan HOT VALUE 83 Endeavour Way, ELI WATERS FANTASTIC FAMILY HOME 600M2 3 2 2 Chris Couper 0427 400 012 $599,000 • Vendor having to move south and relocate with family, selling this superb 3 bedroomed 2 bathroomed brick and tile residence close to beach • Spacious master bedroom with ensuite and walk-in robe • Rear Patio for private entertaining lifestyle plus side atrium outdoor sitting area • One of the coasts most bluechip beachside locations • One of Queensland’s Regional Coastal Hot Spot Properties HOT VALUE 3 Brooke Court, TORQUAY TORQUAY BEACHSIDE - BLUE CHIP LOCATION - SUPERB INVESTMENT 433M2 6 3 4 Chris Couper 0427 400 012 Mary-Lou Lloyd 0407 762 054 $1,075,000 • Big 4 bedroomed Queenslander in prestige beachside location with wide veranda/ balcony around the whole house to capture tropical sea breezes • 2 Bathrooms with with master ensuite
3 2 8

This illustration is indicative for marketing purposes only. Please refer to the developer for detailed and accurate block information.

STAGE 2C

STAGE 4C

STAGE 4B

Call today on 1300 705 405 Sales Office 2 Richard Charles Dr, Kawungan Email living@kingstonherveybay.com.au LAND. LIFESTYLE. LOVE. www.kingstonherveybay.com.au Land For Sale COMMUNITY AREAS NBN READY MEDICAL & CARE FOOD & SHOPPING FULLY SERVICED
4B Titled
4C Titled
2C Titled 36 37 17 24 23 19 22 20 21 18 11 12 13 14 15 16 38 39 40 41 42 25 26 27 28 29 30 31 32 33 34 35 6 5 4 10 1 9 8 2 3 7 58 57 51 50 49 48 47 46 163 140 162 43 45 44 151 143 142 165 164 141 147 137 148 146 145 149 150 144 117 118 122 121 120 119 66 65 158 159 64 63 160 161 54 55 53 52 56 152 153 108 107 154 155 106 156 157 744m2 795 m2 790m2 744m2 738m2 667m2 814m2 744m2 744m2 740m2 688m2 684m2 688m2 684m2 739m2 67 744m2 744m2 739m2 739m2 744m2 803m2 702m2 802m2 612m2 619m2 601m2 602m2 602m2 611m2 851m2 792m2 792m2 792m2 792m2 792m2 948m2 902m2 729m2 795m² 536m2 536m2 536m2 536m2 728m2 908m2 772m2 892m2 833m2 746m2 745m2 717m2 703m2 803m2 804m2 725m2 735m2 809m2 725m2 752m2 761m2 705m2 704m2 800m2 916m2 805m2 870m2 758m2 784m2 750m2 773m2 896m2 916m2 833m2 821m2 711m2 712m2 713m2 714m2 715m2 817m2 826m2 754m2 826m2 772m2 861m2 726m2 726m2 805m2 817m2 724m2 983m2 790m² 900m2 842m2 790m2 790m2 790m2 1208m2 561m2 70 71 72 73 62 61 82 77 76 75 59 60 701m2 707m2 922m2 742m2 674m 742m 742m 714m2 742m 714m2 892m2 89 714m2 90 805m2 789m2 81 91 701m2 701m2 80 92 701m2 701m2 79 93 701m2 701m2 78 94 701m2 701m2 96 95 783m2 753m2 74 648m2 714m2 788m2 69 103 97 68 788m 104 788m2 788m2 105 648m2 801m2 102 802m2 101 100 691m2 670m2 99 98 678m2 858m2 116 139 854m2 138 700m2 701m2 115 714m2 114 109 714m2 110 714m2 113 714m2 112 820m2 111 776m2 83 900m2 84 770m2 85 770m2 86 770m2 87 770m2 88 770m2 N Urraween Road Main Street Milkman Way Messer Drive L oui s Wa y R ic har d Ch a r le s D r v e Watermelon Way Canecutter Court A m y Cou r Mackay Drive KINGSTON HERVEY BAY PARK
Stage
Stage
Stage
Expected Titles Aug 2023 STAGE 5B Expected Titles Aug 2023 STAGE 5A Expected Titles Aug 2023 STAGE 5C
TITLED TITLED TITLED

FIRST HOME BUYERS, DOWNSIZERS OR INVESTORS!

29/56-58 MAIN ST, PIALBA

GALLEY STYLE KITCHEN WITH DISHWASHER LARGE UNDER STAIR CUPBOARD WITH SHELVING AIR CONDITIONED LIVING AREA LAUNDRY WITH SECOND TOILET

TWO BEDROOMS, BUILT IN ROBES MAIN WITH BALCONY & AIR CONDITIONING CEILING FANS. LINEN/STORAGE CUPBOARD

ST, URANGAN

Phone 4128 4255 www.herveybay.realway.com.au | 363 The Esplanade, Scarness QLD 4655 217 PULGUL ST, URANGAN MAKE AN OFFER! AIR-CONDITIONED LIVING MODERN KITCHEN WITH DISHWASHER MAIN BEDROOM WITH AIR CONDITIONER + ENSUITE TWO OTHER BEDROOMS WITH BUILT-IN ROBES CEILING FANS DOUBLE LOCK-UP GARAGE WITH INTERNAL ACCESS FULLY FENCED 563M2 BLOCK CURRENTLY TENANTED TO MARCH 2023, PAYING $360 3 Bed 2 Bath 2 Car $510,000 217 PULGUL ST, URANGAN MAKE AN OFFER! AIR-CONDITIONED LIVING MODERN KITCHEN WITH DISHWASHER MAIN BEDROOM WITH AIR CONDITIONER + ENSUITE TWO OTHER BEDROOMS WITH BUILT-IN ROBES CEILING FANS DOUBLE LOCK-UP GARAGE WITH INTERNAL ACCESS FULLY FENCED 563M2 BLOCK CURRENTLY TENANTED TO MARCH 2023, PAYING $360 3 Bed 2 Bath 2 Car OFFERS ABOVE $510,000 1 Bed 1 Bath 1 Car + POOL $325,000 19/386 ESPLANADE, TORQUAY FULLY FURNISHED OPEN PLAN LIVING WITH AIR CONDITIONING KITCHEN WITH DISHWASHER COVERED BALCONY OVERLOOKING THE ESPLANADE RENOVATED BATHROOM BEDROOM WITH BALCONY FULLY EQUIPPED LAUNDRY LIFESTYLE UNIT IN THE HEART OF TORQUAY! LAND AVAILABLE 359 BOAT HARBOUR DR SCARNESS BLOCK SIZE 304M2 PRICE: $275,000 333 BOAT HARBOUR DR SCARNESS BLOCK SIZE 594M2 PRICE: $333,000 339 BOAT HARBOUR DR SCARNESS BLOCK SIZE 594M2 PRICE: $385,000 1 Bed 1 Bath 1 Car + POOL $325,000 FULLY FURNISHED MODERN KITCHEN AIR- CONDITIONED LIVING BATHROOM BEDROOM WITH BUILT IN ROBES BALCONY SECURE COMPLEX WITH LIFT & POOL UNDERGROUND SECURE CAR SPACE BEACHSIDE UNIT OPPORTUNITY! 11/383 ESPLANDE, TORQUAY 113 PACIFIC DR, BOORAL PEACE & TRANQUIL LIFESTYLE ONE BEDROOM ONE BATHROOM KITCHENETTE DINING AREA LOUNGE VIEWS SITUATED ON 1018M2 BLOCK 26 FAIRWAY DR, URRAWEEN LOCATION, AFFORDABLE, CONVENIENCE! THREE BEDROOMS, TWO WITH BUILT-INS MAIN BATHROOM WITH SHOWER & BATH SEPARATE TOILET. LAUNDRY KITCHEN WITH AIR CONDITIONING DINING AREA. SEPARATE LOUNGE SECURITY SCREENS. CEILING FANS GARDEN SHED. FULLY FENCED LOW SET VILLA IN SECURE GATED COMMUNITY! 3 Bed 2 Bath 1 Car + POOL $475,000 THREE BEDROOMS, MAIN WITH ENSUITE OPEN PLAN LIVING WITH AIR CONDITIONING MODERN KITCHEN WITH DISHWASHER MAIN BATHROOM PRIVATE OUTDOOR AREA SEPARATE LAUNDRY SINGLE LOCK UP GARAGE ONSITE POOL & BBQ AREA 106/230 PULGUL
BATHROOM. LOW BODY CORPORATE 2 Bed 1 Bath 1 Car OFFERS OVER $320,000 4 Bed 2 Bath 2 Car $730,000 672M2 BLOCK. WELL ESTABLISHED GARDENS SOLAR POWER 3.6KW. SOLAR HWS SPRINKLER SYSTEM GAS COOKTOP AND ELECTRIC OVEN DISHWASHER . WALK IN PANTRY 3 X 3 GARDEN SHED TIMBER LOOK AND TILED FLOORING FOUR BEDROOMS WITH BUILT INS & CEILING FANS DUCTED A/C AND AIRCON UNIT IN LOUNGE SPACIOUS AND MODERN. OPEN PLAN LIVING 4 BEDROOMS, 2 BATHROOMS, DOUBLE GARAGE LARGE OUTDOOR ENTERTAINMENT AREA WALKING DISTANCE TO SCHOOL, BEACH SURROUNDED BY QUALITY HOMES 26 JONWEST CL ,TORQUAY BEAUTIFUL HOME IN PREMIER LOCATION OPENSAT 9.00-9.30AM SOLD! SOLD! SOLD! MORE LISTINGS NEEDED SOLD! SOLD! SOLD! MORE LISTINGS NEEDED 41 Ibis Blvd, Eli Waters CENTRALLY LOCATED! THREE BEDROOMS TWO BATHROOMS NEW MODERN KITCHEN AIR-CONDITIONED LIVING RENOVATED LAUNDRY GARAGE WITH INTERNAL ACCESS FULLY SCREENED ENCLOSED BACK PATIO DOUBLE GARDEN SHED FREESTANDING PERGOLA/CARPORT WITH POWER FULLY FENCED 838M2 BLOCK SIDE ACCESS AND ROOM FOR A POOL NBN – FIBRE TO THE NODE (FTTN) 3 Bed 2 Bath 1 Car $645,000 NEW LISTING!

MODERN, EXECUTIVE DUPLEX – NEAR NEW!

ABODE WAY, KAWUNGAN

MODERN KITCHEN WITH STONE BENCHTOPS

CEILING FANS THROUGHOUT AIR-CONDITIONED LIVING AREA & MAIN BEDROOM

AFFORDABLE FIRST HOME OR INVESTMENT OPPORTUNITY!

LARGE FRONT COVERED VERANDAH

LOUNGE WITH WITH FRENCH

9 PALM MEADOWS PLC, PIALBA BIG SHED, BIG BLOCK & CLOSE TO THE BEACH! SOLAR POWER. THREE BEDROOMS MAIN BEDROOM WITH AIR CONDITIONING, WIR, ENSUITE • MAIN LOUNGE WITH AIR CONDITIONING BREAKFAST NOOK. LARGE KITCHEN. DINING ROOM ENCLOSED RUMPUS ROOM WITH BAR MAIN BATHROOM WITH BATH & SHOWER 52 SWAN DR, BOORAL QUEENSLANDER STYLE HOME WITHOUT THE MAINTENANCE 1 ACRE WITH LARGE SHEDS 100,000 LITRES WATER, PLUS BORE WATER ENTERTAINERS DELIGHT 4182M2 FULLY FENCED MANICURED ALLOTMENT WITH ELECTRONIC GATES 6M X 6M SHED AND 15M X 9M SHED BOTH WITH 3 PHASE POWER STEEL FRAME HOME WITH 24 PANELS OF SOLAR = 5KW FULLY EQUIPPED KITCHEN WITH QUALITY APPLIANCES OPEN PLAN LOUNGE/DINING WITH WOOD FIRE FOR THE COOL EVENINGS MASTER BEDROOM WITH ENSUITE AND SLIDING DOOR OPENING OUT TO BALCONY REAR BALCONY HAS BUILT-IN WOOD FIRE 4 Bed 2 Bath 7 Car $980,000 Phone 4128 4255 www.herveybay.realway.com.au | 363 The Esplanade, Scarness QLD 4655 41 CROMDALE CCT, KAWUNGAN FAMILY HOME OR INVESTMENT MASTER BEDROOM WITH WIR AND ENSUITE 3 BEDROOMS WITH BUILT-IN ROBES FULLY TILED LARGE OPEN PLAN KITCHEN, DINING & LIVING AREA LARGE OUTDOOR ENTERTAINING AREA DOUBLE GARAGE WITH INTERNAL ACCESS 809M2 BLOCK ESTABLISHED FRUIT TREES & GARDEN BEDS FULLY FENCED WITH SIDE ACCESS TO BOAT / VAN CARPORT / 3.5M X 7M SHED GARDEN SHED WITH POWER PERGOLA 10M X5M IDEAL FOR ENTERTAINING SECURITY SCREENS AND TINTED FRONT WINDOWS 4 Bed 2 Bath 4 Car OFFERS OVER $630,000 775 RIVER HEADS RD, RIVER HEADS PRIVATE RETREAT ON 2.19HA 3+ Bed 2 Bath 5 Car 3 BEDROOMS PLUS STUDY OR 4TH BEDROOM MAIN WITH ENSUITE & WALK IN ROBE LARGE AIR-CONDITIONED LOUNGE ROOM KITCHEN . DINING WITH ACCESS TO UNDERCOVER OUTDOOR AREA MAIN BATHROOM WITH SEPARATE BATH & SHOWER FRUIT TREES. WATER TANK & TOWN WATER 8 EARL ST VINCENT CCT, ELI WATERS NO NEED TO LEAVE HOME TINTED WINDOWS TIMBER VINYL FLOOR’S SOLAR 6.6 KW ALARM SYSTEM OPEN PLAN KITCHEN WITH SKYLIGHT 2 LIVING AREAS FISHING JETTY WITH SUN SHELTER 4 Bed 2 Bath 2 Car $925,000 APPOINTMENTINSPECTIONBY OPENSAT 10.00-10.30AM 4 DELMO CT, URRAWEEN SPLASH YOU WAY THROUGH SUMMER SOLAR POWER TWO SEPARATE LIVING AREAS KITCHEN WITH GAS COOKTOP, DISHWASHER AIR-CONDITIONED MAIN BEDROOM WITH W.I.R & ENSUITE THREE OTHER BEDROOMS WITH BUILT IN ROBES & CEILING FANS APPOINTMENTINSPECTIONBY LIFESTYLE LAKE LIVING 4 Bed 2 Bath 2 Car FAMILY SIZED HOME WITH LAKE FRONTAGE DUCTED AIR-CONDITIONED 1015M2 BLOCK FAMILY SIZED LIVING AREAS MODERN DESIGN COVERED ENTERTAINING AREA SEPARATE LOUNGE WITH ACCESS TO OUTDOOR 27 LADY NELSON DR, ELI WATERS OFFERS OVER $895,000 2/21
THREE
MAIN
VERY
BATH &
LINEN CUPBOARD
VINYL PLANK FLOORING THROUGHOUT
BEDROOMS WITH ROBES
WITH WALK IN ROBE & ENSUITE
GENEROUS MAIN BATHROOM, SEPARATE
LARGE SHOWER
TO HALLWAY
DINING
DOUBLE
STORAGE
LAUNDRY NBN
2
Car
AREA WITH ACCESS TO COVERED PATIO
GARAGE WITH INTERNAL ACCESS &
CUPBOARD
READY – FTTP 3 Bed
Bath 2
OFFERS OVER $550,000 37 OLEANDER AVE, KAWUNGAN
SEPARATE
DOORS
DINING
MODERN KITCHEN WITH DISHWASHER BREAKFAST NOOK THREE BEDROOMS WITH BUILT IN ROBES MAIN WITH ENSUITE CEILING FANS THROUGHOUT MAIN BATHROOM WITH SEPARATE BATH SEPARATE LAUNDRY DOUBLE GARAGE DOWNSTAIRS WITH PLENTY OF STORAGE FULLY FENCED 756M2 BLOCK 3 Bed 2 Bath 2 Car OFFERS OVER $560,000 34/27-29 STEPHENSON ST, PIALBA LUXURIOUSLY SPACIOUS TOWNHOUSE 3 Bed 2 Bath 2 Car + POOL OFFERS ABOVE $599,000 MASTER BEDROOM WITH W.I.R, ENSUITE & A/C • TWO LIVING AREAS, ONE WITH AIR CONDITIONER LARGE POWDER ROOM WALK-IN STORAGE CUPBOARD UNDER STAIRS MODERN KITCHEN WITH STONE BENCHTOPS, ELECTRIC COOKING & DISHWASHER • DOUBLE PANTRY’S PRICE REDUCED! PRICE REDUCED! UNDER CONTRACT ENQUIRIES STILL WELCOME SOLD! SOLD! SOLD! MORE LISTINGS NEEDED 33/30 EAST ST, SCARNESS KASBAH BY THE SEA IN HERVEY BAY 3 BEDROOMS 2 BATHROOMS 1 GARAGE + ADDITIONAL PARKING REMOTE ROLLER DOOR UNDERCOVER ENTERTAINING AREA MODERN KITCHEN SECURITY SCREENS 3 Bed 2 Bath 2 Car $510,000 OPENSAT 11.00-11.30AM OFFERS FROM $700,000 OPENSAT 10.00-10.30AM
OPENING ONTO VERANDAH
AREA WITH ACCESS TO BACK DECK
402 Esplanade, Torquay herveybay.eldersrealestate.com.au Sales / Rentals: 4125 5244 sales@eldersherveybay.com.au pm@eldersherveybay.com.au Robyn Taylor 0402 588 153 Lauren Leaver 0436 485 555 Immaculate Property Uniquely Designed To Be Wheelchair Friendly This immaculately presented property is located in a quiet street and offers an opportunity to any buyer looking for extra living space with the added convenience of being wheelchair friendly. Boasting a flowing floor plan with modern finishes this one is a must to inspect. $639,000 Robyn Taylor 0402 588 153 Lauren Leaver 0436 485 555 NEW LISTING! • 3 Good sized bedrooms with built in robes Massive master comes complete with ensuite and double built in robes • Open plan living features a combined kitchen, meals and living room which extends onto the fully screened undercover alfresco area • Air conditioning, 6klw solar panels plus security screens 9m x 6m powered colourbond shed with remote doors Situated on a generous 739sqm block with enough side access to accommodate the large van or boat 1 Kirton Road Point Vernon Robyn Taylor 0402 588 153 Lauren Leaver 0436 485 555 Country Living on 2001m2 Block With Shed Offers Over $710,000 22 Pedelty Lane Dundowran • 4 bedrooms with built in robes Main bedroom with walk in robe and ensuite Modern kitchen with dishwasher and breakfast bar 2 open plan living areas • 9 x 6m shed/workshop with light and power 8 solar panels and solar hot water Lockable security screens, tinted windows Double lock up garage, 5000l rainwater tank This modern family home is only 9 years old, set on a large 2001m2 block would suit all buyers. If you are looking for property with heaps of space, then this is it! Shelly Smith 0402 152 192 Are You Looking For a Tree Change? 3 Bedrooms with ceiling fans 1 Bathroom Hardwood flooring • Kitchen • Dining and living rooms Laundry Verandah 2 car garage under house • Tool shed • 2 large water tanks On offer here is a high-set Queenslander on 4975m2, only a short drive to Hervey Bay Price $492,500 26 Sandrabarbara Drive Booral Brett Hanwright 0427 621 985 Priced To Sell Price Reduction $495,000 129 Elizabeth Street Urangan Great first home or investment. Priced to sell quickly, phone now to arrange a private inspection. • 3 builtin bedrooms, all with electric shutters Combined kitchen/dining Full width rear verandah, great for entertaining Drive through single carport • Huge fully fenced 914 sqm allotment with access for boat or caravan • Fantastic location, walk to Urangan Shopping Centre & Botanical Gardens Only minutes away from schools, Esplanade & Marina Bill Dow 0412 644 422 John Wood 0419 796 692 Robyn Taylor 0402 588 153 Lauren Leaver 0436 485 555 Offers Over $1,100,000 124 Long Street Point Vernon Set on 1017 sqm fully fenced block one street from beach 3 bedrooms upstairs, main with air con & walkin robe 2 bedrooms downstairs plus study/office & full bathroom Central kitchen, island bench, dishwasher, plumbed fridge, microwave & near new oven Undercover 11 x 3 mtr entertainment area up & down, sparkling magnesium pool & heated spa Great side access to 9 x 6 powered shed with, high carport, enough parking for 6 vehicles Massive 2 storey 5-6 bedroom home would ideally suit dual living or air B&B opportunity with ocean & Island views NEW LISTING! John Wood 0419 796 692 Robyn Taylor 0402 588 153 Lauren Leaver 0436 485 555 Offers from $1,200,000 122 Esplanade Point Vernon 4 spacious bedrooms, main with ensuite, walk in robe and separate sitting room Well appointed kitchen with loads of storage and dishwasher 3 separate living areas, open plan dining and family room Ceiling fans throughout, air conditioning in main living area, solar panels North facing undercover entertaining deck overlooking tranquil waters of Hervey Bay and across to Fraser Island Long term tenants in place • Proposed land subdivision Just sit back, relax and watch the world go by. This large family home provides a once in a lifetime opportunity for anyone looking to create a desirable lifestyle or capitalise on a blue chip address. Esplanade Property With Breathtaking Views! CONTACT AGENT Lakeside Living On 1015m2 Offers Over $800,000 21 Lady Nelson Drive Eli Waters An exceptional waterfront home with its own jetty located in Mariners Cove, Eli Waters. If you’re wanting to live the dream then this home is one not to miss. Great location, strong investment opportunity or practical family home. 4 large bedrooms, ensuite to main Recently renovated modern kitchen Air conditioned living areas and main bedroom Fans throughout, 31 solar panels - 9kw Double lock up garage with internal access Recently painted inside and out, new carpets Large wrap around verandas with screens Side access with extra carport Shelly Smith 0402 152 192 Prime Location! Walking Distance To Beach 506m2 on a corner block Fully fenced 3 bedrooms, 1 bathroom • Kitchen/dining Living room Laundry Ceiling fans Brett Hanwright 0427 621 985 Price Reduction $535,000 19 Beach Road Pialba Great investment opportunity awaits in beautiful Hervey Bay.

Offers From $400,000

Golden Opportunity - Vacant Block in Torquay!

Vacant land close to the ocean is extremely rare, particularly in Torquay, one of Hervey Bay’s most central and desirable beachside suburbs. Surrounded by high-end contemporary homes and within walking distance to trendy cafes, restaurants and gorgeous swimming beaches, this is an outstanding opportunity not to be missed.

With this 992sqm elevated block, you can custom design and build a stylish multi-level lifestyle home that maximises height to showcase glorious views whilst inviting in an abundance of natural light and gentle sea breezes.

Magnificent Island and Oceans Views!

design available

water tank

trafficable lid

This fully furnished 2 bedroom apartment is positioned on the ground floor offering easy access to the sparkling resort style pool and private grassed area. Offering a relaxing seaside atmosphere located within minutes stroll to the Marina, cafes, restaurants and the Boat Club.

• Spacious open plan kitchen, lounge and dining

Gourmet kitchen with stone bench tops, glass splash backs and quality appliances.

2 Spacious bedrooms with built in robes, master king size bedroom with spacious ensuite.

• Expansive bifold doors opening onto the huge alfresco area, zoned ducted air conditioning throughout

• Secure single car accommodation, resort style pool, BBQ facility and onsite management.

• This apartment offers the opportunity for permanent seaside living or luxury holiday stays

Sales / Rentals: 4125 5244 sales@eldersherveybay.com.au pm@eldersherveybay.com.au 402 Esplanade, Torquay herveybay.eldersrealestate.com.au Robyn Taylor 0402 588 153 Lauren Leaver 0436 485 555 Dress Circle Locale, Luxury Land Release $380,000 51 Peppermint Circuit Nikenbah Generous 900m2 land parcel. Elevated, slightly sloping block • Surrounded by quality, well maintained homes Family-friendly neighborhood with high quality lakeside park and gardens. • Close to beach, shops, medical precinct and schools Plenty of room to build a lifestyle home Located in one of Hervey Bay’s most sought-after dress circle neighbourhoods, this 900sqm parcel of prime land presents the perfect opportunity for you to build your dream family home at The Springs. Enjoy a two minute stroll to the lakes & park with kids playground. All while only a few minutes drive to local shopping centres, hospitals, beaches, cafes and Hervey Bay airport. Robyn Taylor 0402 588 153 Lauren Leaver 0436 485 555 Taking full advantage of an elevated and north easterly aspect, this 2075sqm vacant block provides an ideal location to build a stunning home befitting this premium position. 14m x 6m powered colourbond shed with roof insulation, double sliding glass door plus large remote garage door with enough clearance to house a boat or caravan. Opportunity to convert shed into a living dwelling, preliminary
Secondary
person capacity
153 Lauren
555
23,000L concrete
with
installed • Electricity and water connected •
treatment system installed with 8
Offers Over $480,000 47-49
Longview Drive River Heads Robyn Taylor 0402
588
Leaver 0436 485
NEW LISTING!
358 Torquay Terrace Torquay
Robyn Taylor 0402 588 153 Lauren Leaver 0436 485 555 NEW
LISTING!
$580,000 3/625 Esplanade Urangan Robyn Taylor 0402 588 153 Lauren Leaver 0436 485 555 NEW LISTING! Robyn Taylor 0402 588 153 Lauren Leaver 0436 485 555 Security Gated Lifestyle Awaits 36/80 Moolyyir Street Urangan • 3 large double bedrooms with built in robes, master with ensuite & walkin robe Open plan living & dining opening onto the alfresco area Gourmet kitchen with stone bench tops, powder room downstairs • Private courtyard ideal for entertaining, additional living/ study area Ducted air con, high ceilings throughout • Double tandem remote garage with direct entry Resort style facilities with onsite manager, security access, inground pool, spa, sauna and BBQ area Positioned only metres from the beach & Marina, this spacious fully furnished townhouse occupies a north easterly aspect to welcome the morning sun and ocean breeze. The practical yet versatile layout offers low maintenance living & enough space to spread out and relax. Robyn Taylor 0402 588 153 Lauren Leaver 0436 485 555 This prime beachfront resort provides visitors to Hervey Bay a high standard of self contained accommodation with 3 floors of spacious two bedroom apartments,
Fully
private balconies 2 spacious bedrooms, one double,
bedroom with twin singles • Fully equipped kitchen & laundry, 2 way bathroom, separate bath & shower
all levels Only 10
fishing hotspots •
to
amenities, restaurants,
shops Offers Above $470,000 10/496 Esplanade Torquay John Wood 0419 796 692 NEW LISTING! MUST BE SOLD! Price Reduction $200,000 H10/208 Elizabeth Street Urangan • No rates, body corp or stamp duty costs Pets allowed 2 bedrooms, plus extra 3rd room for office Open plan living area, kitchen, bathroom Air conditioning in lounge room and main bedroom Fans, 2 garden sheds, front verandah Car accommodation, community room, pool & BBQ area Short drive to beach, shops and restaurants Cheapest in Village for sale • Large yard Shelly Smith 0402 152 192 Walk to Woolworths $275,000 4/14 Ibis Boulevard Eli Waters No Body Corp, No Rates, No Stamp Duty 2 good sized bedrooms, modern bathroom, laundry Security screens, solar panels High ceilings in living area, separate dining Modern kitchen with heaps of cupboards, split air con, ceiling fans Covered veranda, car accommodation, backyard, water tank No Pets Allowed, weekly fees apply Facilities include inground pool, community room, bowls green Shelly Smith 0402 152 192 Located in Over 50’s village - Retire & Relax Robyn Taylor 0402 588 153 Lauren Leaver 0436 485 555 Free Standing Four Bedroom Duplex $499,000 Unit 2, 5 Ladbroke Crescent Urangan Spacious modern brick and tile home No Body Corp fees • Ensuite to master bedroom Spacious open plan living and dining Functional kitchen with dishwasher Family bathroom complete with bath • Air conditioning and solar panels Single garage with direct entry This well presented “Free Standing” duplex showcases light filled, spacious interiors with an emphasis on lifestyle. Enjoy this low maintenance property located within minutes to the Marina, cafes and shopping. Robyn Taylor 0402 588 153 Lauren Leaver 0436 485 555 Price Reduction $575,000
each with fully equipped kitchen, laundry, reverse cycle air conditioning, large private open balconies with stunning views of beaches and Fraser Island. Ideal investment opportunity.
furnished with open plan living, 2 large
other
Sparkling inground pool, secure carpark with lift to
metres from pristine swimming beach and
Close
all
clubs, major

• 4 beds; study ; 3 baths; 4 x Living Spaces

• Ducted Air Conditioning,

• Shed (9m x 5m)

• R.V Carport (3.2m High)

• Large Kitchen

• Fully Fenced

• Solar Panels approx..9 KW

Sweeping

• Perfect north facing property with stunning ocean views

• 4 good sized bedrooms,

• Master bedroom with walk in robe and ensuite

• Galley style kitchen with great bench & storage space

• Spacious lounge room plus separate dining

• Tiled family room

• Self-contained rumpus/parent/teenage retreat ideal for additional living space

• Sparkling in ground pool with spa jets

$865,000

• Stroll to Beach approx.. 400m walk Country

Offers Over $1,250,000 Considered 80 Karinya Cct, SUNSHINE ACRES

Offers

• Wrap around verandah with a choice of areas to entertain Just

CAMERON

Dual Living with Sea Views

WARREN

• Elevated position with ocean views

• Teenage retreat/extended family living space

• 4 queen size bedrooms with built in robes

• 3 living spaces, 3 bathrooms

• Separate office space – perfect for a home business

• Fully fenced with remote solar powered gate

• In-ground pool with booster spa

• Separate shed/ workshop plus garden shed

• 9.9 kW solar panel system

• Town water plus additional 9000 litre water tanks

• Air conditioning and ceiling fans

• Short drive to beaches

Offers Over $990,000 22-24 Mal Campbell Drive, CRAIGNISH

4128 6600 2 Ansons Road, Dundowran Beach www.rayedward.com.au FLEUR KEYS SALES CONSULTANT 0437
fleur@rayedward.com.au
BARRON SALES CONSULTANT 0459 960 405 cody@rayedward.com.au
835 212
CODY
WHEWAY SALES
cam@rayedward.com.au
CONSULTANT 0431 995 485
GRAY SALES
warren@rayedward.com.au
CONSULTANT 0419 706 799
Ocean Views
over $1,100,000
Hamilton Drive, CRAIGNISH
38
Listed Offers over $725,000 17-19 Pedelty Lane, DUNDOWRAN • Country living on the Coast • 4 bedroom home on 8200m2 block • Master with ensuite • Single garage, large workshop/ tack room; double carport • Air-conditioning and ceiling fans • Above ground pool with deck
Fully fenced 2 acre block
Close to shops, schools & beach
Beautiful Burrum Heads…989m2
13 Bentwood Street, BURRUM HEADS
Living
Close To Beach
4 bed 2 bath master with ensuite and parents retreat
• Modern open plan layout
• Large 12m x 12m shed with high access roller door
Separate media room & separate office
6.6kw solar & three water storage tanks
2.O ha flat dog fenced block

Stunning Coastal Hampton Home

Offers Over $1,550,000

Welcome to 4 Cockatiel Court, Dundowran Beach.

This Hamptons inspired home is prestigiously located in one of Hervey Bays most exclusive suburbs. This remarkably built home with its stunning street appeal is on a generous 2008 m2 landscaped block. Spacious single level residence blends sophisticated, modern living with a practical friendly lay-out offering four bedrooms and informal living areas. The open plan custom made kitchen with stone bench tops and 2 pack cabinets has quality appliances and ample cupboard space including a walk in pantry and a large island bench overlooking the dining area and adjoining lounge room, positioned with views out to the alfresco living area and in-ground pool.

The king sized master bedroom boasts a walk-in wardrobe and elegant ensuite. The other bedrooms access the modern family bathroom with separate activity living room.

Ample side access through to the rear shed with high access roller doors, a covered port for camper trailer or boat plus garden storage shed.

Privacy is assured with high fences lining the boundary within walking distance to the pristine beachside, all of this only minutes from Hervey Bays CBD, schools, medical facilities and shopping centres.

With so many features this immaculate home is a credit to the owners, to fully appreciate call the Ray Edward Sales Team and book a private inspection today.

4128 6600

2 Ansons Road, Dundowran Beach www.rayedward.com.au

4 Cockatiel Court, DUNDOWRAN BEACH
Lot 100 Lucinda Way Eli Waters Price: $524,600 3 Bed, 2 Living, 2 Bath, 2 Car • Brand new home commencing April • Stainless steel appliances • Open plan living with under roof alfresco • Completion due late 2023 Lot 110 Lucinda Way Eli Waters Price: $643,928 4 Bed, 2 Living, 2 Bath, 2 Car • Level 600sqm block • Stainless steel appliances, incl dishwasher • Split system A/C to bed 1 and living room • Completion due end 2023 HOUSE AND LAND PACKAGES FROM $525,000* Rod Marks 0408 619 491 markspartners.com.au *Prices and status are correct at time of publication and subject to change without notice. Images and representations may be indicative only, not of actual property featured. Purchasers should inform and assure themselves by inspection or independent advice prior to purchase. *Average land price $203,600. Home + Land prices valid for contracts signed prior to 22 February 2023. *Average house and land price $549,000. #Home+Land packages are sold as separate contracts for land purchase from developer and construction contract with builder. • Land from $170,000 • Blocks from 375m2 to 800m2 • Construction well advanced • Titles due mid 2023 Don’t delay, call today! Out of the Blue: a dream lifestyle Earthworks have now commenced at our latest land release at Azure, Hervey Bay. Whilst many sites are nestled next to natural bushland, the green open spaces surrounding the estate create an inviting, healthy environment in which to build your new home and start your new life! LAND NOW SELLING

Turn static files into dynamic content formats.

Create a flipbook
Issuu converts static files into: digital portfolios, online yearbooks, online catalogs, digital photo albums and more. Sign up and create your flipbook.