Hervey Bay Advertiser and Hervey Bay Property Guide

Page 1

Cocktails at the Beach

WE WANT YOU TO BE A PART OF OUR GYM COMMUNITY • UNLIMITED CLASSES $30PW • GROUP CLASSES • NO SIGN UP FEES • NO CANCELLATION FEES • PERSONAL TRAINING • CHILD MINDING CALL ALI TODAY ON 0417 652 484 f Coastal Wastewater Specialists PRE-PURCHASE INSPECTIONS 07 4128 8019 www.cwws.com.au A FAMILY OWNED & OPERATED LOCAL BUSINESS QBCC LIC: 15249942 HOME SEWERAGE TREATMENT SYSTEMS We use and recommend SUPPLY • INSTALL SERVICE • REPAIR EPOXY FLOORS PAINTING 0418 410 965 QBCC 1133418 www.classiccoatings.com.au January 26, 2023 Awarded BEST FREE NEWSPAPER in Queensland YOUR NUMBER IN REAL ESTATE oneagencyfc.com.au FRASER COAST Consolidate Your Debts Ph: 0407 699 022 SELL YOUR HOUSE WITH CALVIN Contact him direct on Calvin Marais 0421 517 941 OR SCAN THE QR CODE HERE SELL YOUR HOUSE WITH US
Visit The Beachhouse Mixology experts for the latest thirst quenching cocktails on the esplanade, with live entertainment 7 nights a week. Corner of Esplanade & Queens Rd, Scarness beachhousehotel.com.au Phone 4196 9366
Nissen St Old Maryborough Rd Islander Rd Boat Harbour Drive Beach Road 87 Open Mon – Fri 6am – 5pm Open Sat 7am – 12pm WAGYU RUMP STEAKS NOW ON SALE! QLD CRUMBED WHITING FILLETS $2200 per kg PORK SAUSAGES THICK OR THIN $1199 per kg CHICKEN AND BEEF PIES $400 each WHALE CITY WHOLESALE & BULK MEATS WAREHOUSE PRICES DIRECT TO THE PUBLIC 87 Islander Rd, Pialba Ph 4128 3922 Order online www.herveybaybutchers.com.au SPECIALS VALID 26.1.2023 - 9.2.2023 UNTIL STOCKS LAST PENSIONERS BEST FRIEND! COOL ROOM & SPIT HIRE! LAMB LION CHOPS 2KG LOTS $1699 per 2 kg TOMATO, ONION & BACON RISSOLES $899 per kg REEF FISH • CHICKEN PET MINCE AND BOX BUY $1.50 KG • HANDS PICKLED PORK $5.99 KG • ROO DICED AND MINCED $9.50 KG • BACON HOCKS $7.99 KG BBQ PORK CHOPS 2KG LOTS $699 per kg LEAN BEEF MINCE 2KG LOTS $1399 per kg WAGYU - ANGUS - LAMB & CHICKEN BURGERS GARLIC BALLS $999 per kg $1999 per kg VENISON – RABBITS – QUAIL – CROC – BUFFALO – GOAT – FISH PRAWNS – BEER STICKS – RUM WURST – KABANA – SALAMI – KRANSKY All Health Funds Accepted Michael Carson a Shop 4, 10 Liuzzi St, Pialba p 4124 0800 e info@mydentureplace.com.au w mydentureplace.com.au Revolutionary INTRAORAL SCANNER is here IF YOU GOT YOUR DENTURES OVER 6 YEARS AGO, IT’S TIME FOR A NEW ONE 3D imaging your gums for the perfect fit! Precise Durable Consistency Digital backup Customisable Convenient CAD DESIGNED DIGITAL DENTURES AVAILABLE NOW IN HERVEY BAY NEW My Denture Place - Michael Carson a Shop 4, 10 Liuzzi St, Pialba | p 4124 0800 e info@mydentureplace.com.au | w All Health Funds Accepted If you got your Dentures over 6 years ago, It’s tIMe for Revolutionary INTRAORAL SCANNER IS HERE 3d imaging your gums for the Perfect Fit Precise CAD designed Durable Miled from premanufactured Consistency Same set of reproduced Digital backup Can be remade Customisable Many shades available Convenient Faster to make, CAD Designed Digital Dentures available now in Hervey Bay new! COPY DENTURES If you’re happy with your current FULL dentures, we can copy them for youno impressions required.
SPECIALS VALID FROM 30/1/23 - 12/2/23 OR WHILE STOCKS LAST “SUPPORT YOUR LOCAL INDEPENDENT BOTTLE SHOP” POWERS GOLD 30PK CANS CARLTON DRY STUB XXXX GOLD STUB TAYLORS ESTATE RANGE BROWN BROS PROSECCO RANGE VODKA CRUISER 10PK MIXED KAHLUA ESPRESSO MARTINI 4PKCANS VODKA “O” 700ML ARKTIKA VODKA 700ML SOUTHERN COMFORT 700ML 2 FOR 2 FOR 2 FOR 2 FOR 2 FOR 2 FOR 19 CRIME RANGE (EXC SNOOP CALI ) SEE YOU AT THE FAMOUS TORQUAY HOTEL HERVEY BAY CNR ESPLANADE & BIDEFORD ST, TORQUAY PH 4125 2266 TRY YOUR LUCK! 45 gaming machines with live hyperlink jackpots HERVEY BAY’S LARGEST INDEPENDENT BOTTLESHOP AT WAREHOUSE PRICES! SATURDAY MONSTER RAFFLES MULTIPLE PRIZES MEAT/SEAFOOD SATURDAYTRAYS FROM 12PM $18 Chicken Breast Schnitzel Served with Chips & Salad or Veggies Sauce Toppers $2.99 Add Garlic & Herb Bread $8.99 MONDAY Crumbed Steak Served with Chips & Salad or Veggies $18 TUESDAY Grilled MSA Rump Served with Chips & Salad or Veggies Sauce Toppers $2.99 Add Garlic & Herb Bread $8.99 $18 WEDNESDAY Local Whiting & Cajun Calamari Served with Chips & Salad or Veggies Add Garlic & Herb Pizza $12.99 $18 THURSDAY Roast Roll with Chips Filled with our roast of the day, topped with onion and gravy and served with chips $18 FRIDAY Sunday Roast Roast of the day with roast potatoes, fresh vegetables and rich gravy $18 SUNDAY FRIDAY NIGHT IS BURGER NIGHT $20 Choice of delicious gourmet burgers with lettuce, tomato, cheese & beetroot. Served with fries or sweet potato fries. Your choice of sauce on the side. KITCHEN OPEN EVERYDAY 11AM - 9PM 2 FOR 2 FOR 2 FOR $3390 2 FOR $4890 $4990 $4690 $3999 $3890 $2290 $1690 BAILEYS 1LTR $1790 2 FOR $3890 $3790 $2200 2 FOR

We are proudly 100% Australian owned and our exclusive formulas are crafted right here in Australia.

We’ve been in the health and therapeutic industry for over 37 years, so we know what works. We understand that safeguarding your health and strengthening your immune system is of the utmost importance.

We never cut corners with our formulas or ingredients, so you can rest assured that Proma Optimum Health supplements are powerful, effective and unbeatable value.

Nowadays supermarkets are rampant with the latest must-have vitamins and supplements. But the truth is: many commercial brands compromise the effectiveness of their products by cutting costs and leaving out vital ingredients. Brands can spend millions

of dollars on aggressive marketing campaigns and celebrity endorsements instead of thorough research and product development.

We’ve put our money into sourcing premium natural ingredients that work with your body. Our formulas are all Australian made, backed by real science and crafted to the highest Australian standards.

Our endorsements come from our customers, not from paid celebrities We don’t need aggressive marketing and there’s no gimmicks here.

Just wholesome nutrition for the modern family.

At Grace Cosmetics we are passionate about helping people find natural solutions to their skincare concerns. The number one ingredient in all of our skincare formulas is certified organic Aloe Vera. This high content of Aloe Vera, when combined with potent botanicals and cosmeceutical actives works in perfect synergy to restore skin health, providing dramatic and lasting results. We are committed to only using botanical and naturally derived ingredients in all of our skincare formulations. Cosmeceutical simply means our ingredients have been proven to affect and actually change skin cell function, giving you real, lasting results. Cruelty Free Recyclable Packaging No Sulphates Australian Made Natural Botanical Cosmecutical Tough on dirt, gentle on your family & the environment. Spills, stains and mess - we’ve got you covered. Pro-Ma Home Products are the hard-working essentials you need on the daily. These Australian made formulas are designed to be tough on dirt, yet gentle on your family and the environment. Highly concentrated levels of active ingredients means a small dose does the job, saving you money and minimising waste. We are serious about our responsibility to the community and future generations. That’s why each of our formulas are: Superior additives improving efficiency, performance & engine life. We pride ourselves on our performance product division. Developed from Dr R J Bell’s revolutionary chemical bond, we have had over three decades to perfect our formulas. The result: a global distribution of products that enhance vehicle performance and maintenance. We offer tailored products for the domestic, commercial, industrial, agricultural and marine sectors. There is something for everyone. G&D Ross Charters are the Wide Bay’s local Pro-Ma Systems Independent Distributors, contact Greg for all your amazing Pro-Ma Systems products. WHAT MAKES OPTIMUM HEALTH SO UNIQUE? NO ORDINARY SKINCARE BRAND A NEW WAY TO DO HOME! MAXIMUM DRIVE BIODEGRADABLE decomposing into harmless substances. PHOSPHATE FREE, reducing the amount of phosphorus entering the waterways. MINIMISE the use of fillers and extenders to reduce harmful waste reaching waterways. Formulated with LOW FRAGRANCE LEVELS to minimise reactions and irritation NEVER TESTED ON ANIMALS. PHONE: (07) 4129 7132 MOBILE: 0427 297 132 1197 Bidwill Road, Maryborough QLD 4650 gregross.proma.global
Phone 4196 9366 | find us on G Corner of Esplanade & Queens Rd, Scarness | wwww.beachhousehotel.com.au The only thing we overlook is Fraser Island OPEN EVERYDAY GREAT FOOD GAMING FUNCTIONS & EVENTS BISTRO open 7 Days from 11:30am till 8:30pm with All Day Dining Courtesy Bus runs 7 nights a week CALL TO BOOK 07 4196 9373 Beach House Hotel Bottle Shop & Drive Through | Pialba Place Bottle-O | Airport Bottle-O AUSTRALIA’S BEST BOTTLE SHOP AHA 2019 SPECIALS START 24/01/2023 –7/02/2023 $2500 EA Penfold Max range 19 Crimes range $2200 2 FOR Yellow Glen range $1500 2 FOR $1400 EA Elephant in the Room range $1400 Tread Softly ranges EA Roa Boat Wine $2000 2 FOR $1500 EA Jacob’s Creek Market Hall range Wolf Blass Red Label range $2800 4 FOR $4700 XXXX Gold 30pk $5200 Pure Blonde Stubs 24pk $5300 Great Northern 24pk stubs Wild Turkey 10pk $4500 EA $4200 SUNTORY -196 10pk EA $4200 Bundy 10pk range EA $5000 Teachers 1 litres EA $5800 Malfy 700ml Gin range EA $4200 Smirnoff Red Vodka 700ml EA $5700 Monkey Shoulder Scotch EA $6800 Kraken Coffee Rum 700ml EA $4200 Captain Morgan Rum 700ml EA EA Taku range $1400 EA
FI4882 Terms, conditions and exclusions apply. Products and savings may vary store to store. Further reductions on floorstock items only. Valid until 29/01/2023. Hervey Bay 127 Boat Habour Drive, Pialba, (opp. cinema) Ph: 4194 5099 fortywinks.com.au Boat Harbour Drive Cinemas Beach Road MUST ENDSUNDAY! PLUS EXTRA 20% OFF SELECTED FLOORSTOCK

How I can tell if you are a local or not

THERE are many fantastic facilities across Hervey Bay and one of my favourites is the walking and bike path that extends all the way from Gatakers to the Boat Harbour.

I’ve only been in Hervey Bay for fifteen years, so I cannot speak intelligently about how long it has been there, but I can dip my hat to the Council of the time, who clearly had the vision to commit to the project.

Conversely, I commend the current Council for always maintaining this important piece of community connectivity.

And that is exactly what I think it is.

I’m fortunate enough to live along the Esplanade, and I use the path every day, mostly for an early morning walk.

Along the stretch that I traverse, there is a definitive social code of human behaviour. You must say ‘Good Morning’ to everyone you pass, and they in turn, will do the same. It’s natural and flows freely. Not only does it fill the heart with a sense of the human spirit, but it’s a sense of the relaxed fabric and intrinsically kind nature of the people who call Hervey Bay home. This is where my amateur profiling kicks in. If I’m walking along the boardwalk of the Riverside in Brisbane or the path at Burleigh Heads, I don’t say good morning to people I pass. I’ve been down that track and they look at you like you’re from out of space.

During holiday times here in The Bay, if

someone gives you that same look or doesn’t acknowledge you at all, I turn to my wife and voice my usual explanation.

“They are obviously not a local.”

Don’t get me wrong. I’m not expressing disdain, but rather a hope they will soon learn the Hervey Bay way.

Hervey Bay is booming, and from every report that you can lay your hands on, this city is set to explode even more over the next decade.

Let’s hope that the more things change, the more they stay the same, and the path ‘hello’ shall live long into the future.

Write in and tell me what you think…..

Dog owners follow the rules..

Dear Editor

I too have been watching social media in regard to communications about dogs off leash and the problems that can occur.

Living in Toogoom, my dogs are very fortunate to have off leash areas on the beach and these appear to be clearly sign posted.

As with all daily living, there are usually rules to follow; You must obey traffic signals and laws, You must attend school up to a certain age, You cannot legally drink alcohol

underage, If you want your rubbish bins emptied, they must be out on a particular day, and so on...

When it comes to people doing the right thing with their dogs on or off leash, it usually comes down to the same thing – these people don’t believe the rules apply to them. Drive speeding and get caught – you get a fine, possibly demerit points.

Badly behaving dog owners need to be held accountable for both their and their dogs actions. After all, dogs are our 4 legged children, are they not?

I truly hope the Fraser

Council does not ban off leash dog areas on beaches as they are one of the few places dogs can really stretch their legs. Quite often the majority of people and dogs doing the right thing are punished by the minority doing the wrong thing. Sad.

More dog enclosed areas

I take my dog to the leash free area at Tooan Tooan creek every morning.

I know a lot of the regulars and there isn’t usually any aggression (between the dogs

or the people!)

However there is an elderly lady (85+?) who has two rescue dogs and one of hers punctured my dogs neck once when she was trying to steal his ball.

She doesn’t have any control over those dogs and it’s only a matter of time before she gets knocked over by running dogs (this happened to a lady at this area and her leg broke!)

I would much prefer to take my dog to an enclosed leash free area such as the one in Augustus estate.

It has agility equipment and separate areas for large and small dogs. There used to be

an enclosed area on Raward road but it appears to have been removed by council.

The only other one I’m aware of is in Craignish - it would be great if there were more.

However, since council don’t even have after hours dog patrols to pick up strays, I very much doubt they are willing to invest in installing any more.

Rate Payers right to know

Further to Delma Taylor’s letter (Advertiser 12/1/23), I’d ask has there ever be a

business case made supporting the new Council Chambers in the proposed location?

One should also ask, having spent $ 1000,000 plus, why a new building is required in Maryborough?

Two new Council chambers, thirty minutes apart seems like overkill to me!

Just why is the corner of Main Street and Torquay Road better than any other location?

Don’t the ratepayers of this region have the right to know, or are our councillors a law unto themselves?

find us on 66 Torquay Road, Pialba | Enquire Today 4125 9552 Gift vouchers available. sales@5startint.com.au PROTECT AGAINST THE ELEMENTS HOUSE & COMMERCIAL TINTING FREE MEASURE & QUOTE LIFETIME WARRANTY Up to 94% Glare Reduction Up to 69% Heat Reduction Up To 80% Fading Reduction 99% UV Reduction Page 8 | Hervey Bay Advertiser | January 26, 2023 THE PUBLISHER’S POINT Got something to say about THE PUBLISHERS POINT? Send us an email to edit@herveybayadvertiser.com.au or send a message via Facebook or Instagram
Got something to say? Send your letters to: edit@herveybayadvertiser.com.au or send a message to our Facebook or Instagram pages
LETTERSTOTHEEDITOR

Dog beach issues

I totally agree with your article that you wrote glad someone has spoken out.

As you know from being your neighbour for several years not all dogs get on with each other and so many irresponsible dog owners especially small dog owners.

I take my dogs to training each week to socialise but so many dog owners seem to think that because is it unleashed area the dogs still need to have no control of when their dogs come back.

I think the council should at least put better signage saying unleased dog area but dogs must be under control and have rung them a few times after multiple incidents with dogs just running up to especially small dog owners and think it is funny that their dogs do not come back to them when called.

I believe if your dog does not come back when called then keep them on a lead and keep them in eyesight.

I am the same as I live close to the beach I no longer take my dogs much because it causes too many drama which is sad too as our dogs love the water.

Be a responsible dog owner

I agree time and time again you see the same problems on the beach, unruly dogs let

loose while owners stroll over 100 metres back.

Yes, dogs should be allowed to run and let off some of that energy but not at the cost of other beach users and their fur-babies.

If your dog isn’t well trained and doesn’t listen to commands then they should remain on a leash at all time.

Dog owners also need to be reminded that they are responsible to pick up after their dogs.

Don’t just comment oh I forgot a bag and walk-off or pretend you didn’t see it happen.

You should have a bag with you at all times when walking your dogs.

Limited freedom

Wow, you certainly leave no doubt about wanting further restrictions on dogs and their already very limited outdoor freedom to run, sniff, swim and play on beaches.

Most of them probably spend 23 hours a day confined behind fences, some of which don’t allow the dogs to even see the street.

You see trouble as a weekly occurrence??

Then I’m so pleased I don’t live in your area as during my 16 years of daily beach walks with my dog on any one of 3 beaches I may have witnessed, been involved with scraps or heard of fights only about two dozen times and very few of them were serious.

There are occasions when a dog will be put on a leash while passing other walkers, not necessarily because it could be aggressive but because the other person or dog show nervousness or aggression.

On the whole dogs seem to recognize that the beach is neutral territory.

Some regulars get to know one another, and they and their dogs walk together.

More signage, particularly for visitors and newcomers, is one thing, but perhaps having the council compliance people holding lessons on regulations and managing dogs, on various beaches, every fortnight or so could be beneficial.

Dogs need a place to run

The beach is a great place for dogs and dog owners to relax and let off some steam.

A small handful of misbehaved dogs shouldn’t affect us all that have, but time and effort is needed (sic) to gain a well manned and trained companion.

These go unnoticed yet one or two bad incidents puts them all in the same basket?

If your dog isn’t well trained and does not come back on command then yes it should remain on a lead instead of making us all look irresponsible.

Scotty’s Mad About Meats Bay Plaza, Torquay Road, Pialba | Phone 4124 MEAT 2 kg any sausage thick or thin per 2 kg $28 WHILE STOCKS LAST January 26, 2023 | Hervey Bay Advertiser | Page 9 Adrian TANTARI MP Member for Hervey Bay Keeping the Hervey Bay electorate SAFE & STRONG 4183 8100 hervey.bay@parliament.qld.gov.au Not fast food but a smile, a friendly chat and a meal We’ll bring in the mail, offer a hand or call help if it’s needed. OPEN TO ALL – BREAKFAST, LUNCH & DINNER OPTIONS AVAILABLE. www.mowfc.org.au BIG DISCOUNTS AVAILABLE TO HOME CARE PACKAGE CLIENTS thanMorejust a meal CALL OUR FRIENDLY TEAM TODAY 39A Islander Road, Hervey Bay – 4128 1334 78 Walker Street, Maryborough – 4121 4297
LETTERSTOTHEEDITOR

NEWSINBRIEF

Green thumbs gathering next month

Hervey Bay Garden Club will be meeting on Thursday 9 February 2023 at the Community Centre in Charles St, Pialba. The gathering will

commence at 9.00am for a 9.30am start.

This month the guest speaker, Ian Fluerty, will be covering Tillandsia’s (commonly known as air plants).

There will also be a Bring and Buy table, Plant of the Month Competition (The

Tropics - foliage, flower or small potted tropical plant) and the ever popular raffle. The club are excited to be able to provide tea and coffee, however ask attendandants to please bring your own cup and nibbles, or a plate to share.

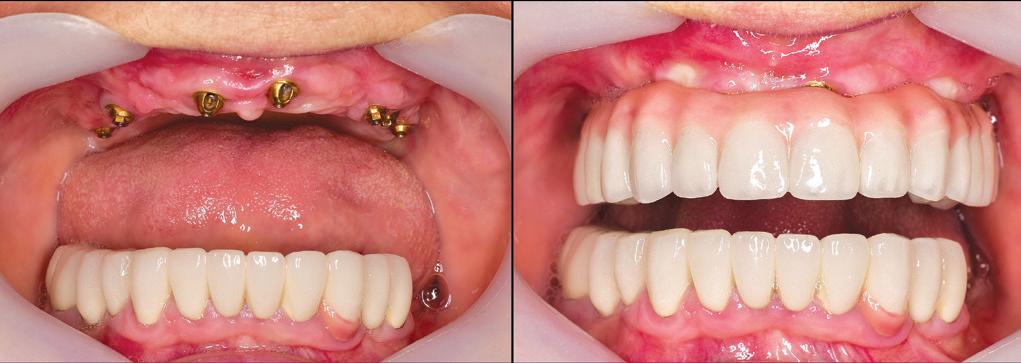
More Than Just Scooters SALES • HIRE • SERVICE 'The Widest Range of Quality Scooters & Mobility Aids on the Fraser Coast' 2/42 Torquay Rd, Pialba Ph 4124 6433 33 Designs Page 10 | Hervey Bay Advertiser | January 26, 2023 Shop 15 - Melory Place - 53 Torquay Rd Monday to Friday 9.00am - 4.00pm Saturday 9.00am - 12.00pm replenishrefill.com.au BULK BEAUTY PRODUCTS | HOMEWARES ECO CLEANING | BATH AND BODY | BABY AVOIDING THE DENTIST? • A focus on good customer service from the moment of entry until departure • To provide you with the highest standard of dental care in a safe and healthy environment • To strive for pain-free and positive treatment outcomes • A fair and competitive pricing structure • To make every effort to run on time, our aim being to see you within fifteen minutes of your appointed time • Manageable treatment plans
To make every endeavour to see you on the day if you have an emergency
Child-friendly environment to allow your little ones to feel relaxed and comfortable 1 William Dean Ave, Urangan (near the airport) P 07 4128 9276 www.blueskydental.com.au Opening Hours: Mon to Thurs 8.30am-5pm | Friday 8.30 to 1.30pm Outside hours appointments are available by prior arrangement TIME TO SEE THE FRIENDLY TEAM AT BLUE SKY DENTAL

HBNC delivered a big year for local community

disenfranchised people

from

To

Some of the notable highlights include:

• Working

• Sustainability of our

• Update

developing and providing programs, activities, and services that respond to the needs of the most disadvantaged and isolated people in the community. This is Hervey Bay Community Centre’s charter for our community.

They develop and deliver programs and services in response to community needs.

Presently, the Hervey Bay Neighbourhood Centre manages thirty funded programs that encompass aspects of aged care, family services, diversity, and social isolation.

During 2022, they reinforced the importance of working collectively through advocacy to deliver outcomes for the residents who need it most.

NOTLRAHC DANA BOAT ARBOURDRIVE M ER R T ETTY ROAD NAGNERHS F ARM S PA Urangan Fisheries Retail Ph 4125 2621 860 Boat Harbour Drive Urangan Find Us on G Urangan Fisheries Pty Ltd Valid 12/11/2020 - 25/11/2020 • Specialising in fresh local seafood • Bulk buy at wholesale prices • Gourmet seafood pies now available • Stock up on our tantalising range of local crumbed products • Bait & Ice available OCEAN AUSTRALIA RAW SCALLOP OCEAN AUSTRALIA CRUMBED SCALLOP COOKED KING PRAWNS $32/kg* 300g PACK Urangan Fisheries Retail Ph 4125 2621 860 Boat Harbour Drive Urangan Find Us on G Urangan Fisheries Pty Ltd Valid 26/01/2023 - 09/02/2023 • Specialising in fresh local seafood • Bulk buy at wholesale prices • Bait & Ice available • Stock up on our tantalising range of local crumbed products Straight from the ea to you CHECK OUT THIS WEEK’S GREAT SPECIALS WILD CAUGHT AUSTRALIAN RAW BANANA PRAWNS WILD CAUGHT AUSTRALIAN COOKED KING PRAWNS $22.00/KG $28.50/KG January 26, 2023 | Hervey Bay Advertiser | Page 11 THE
Centre was founded in 1989 as a communitybased initiative
them
HERVEY Bay Neighbourhood
to provide help, friendship, and support to the most
in the community. The emphasis of their activities has firmly been on people, and the relief of issues and concerns that impede
living a successful and happy life.
build a strong, cohesive, and healthy community by
The Neighbourhood Collective: 10 Years in the Hervey Bay Community Centre building, one year at the Neighbourhood Hive and opening of the Urangan Community Wellness Centre in July. This new facility has supported more than 3000 people by providing information, advice and referral through reception services, events and programs over the past six months, and continues to grow. Expansion of the Youth Centre to include the new LIFT (Local Industry Futures Training) program. It has now supported 1,477 community members to learn skills and gain employment. with peak bodies to achieve systems reform Neighbourhood and Community Centres under the Strategic Re-positioning Committee and developing the Disaster Resilience Maturity project with Community Service Industry Alliance. innovative programs with the Fraser Coast Youth Survey with over 800 responses, 400+ Read Bears distributed to early years literacy program, 18 Social Innovators Pitched their ideas to create positive change in our community. of the Strategic Housing Issues Paper to provide short, medium and long term strategies.

Fraser Coast Australia Day

A PASSIONATE promoter of Maryborough events, a zoologist who has discovered 40 new marine species, and a centre providing support to the most disadvantaged in the community are among the recipients of Fraser Coast 2023 Australia Day Awards.

Fraser Coast Mayor George Seymour said the annual Australia Day Awards were an opportunity to recognise outstanding local heroes and high achievers from all walks of life, including sporting, arts and culture, STEM, community groups and volunteers.

“It is an honour to be able to present the

Citizen of the Year - Ginger Maryland

Ginger Maryland, for her passionate advocacy for the community, volunteering her time to promote Maryborough events, clubs, activities and op shops through her self-funded Shopfront Showcase project.

awards to such a diverse, talented, caring and hard working group of local people and organisations,” he said.

“The recipients have volunteered thousands of hours of their time to the Fraser Coast community over many years, which is one of the reasons our community is so vibrant and resilient.

“It is the community spirit shown by the Australia Day Award recipients and nominees that makes the Fraser Coast such a great place to live, work and play.”

She has also been the Program Officer for the Maryborough Combined Probus Club for the last two years, and is actively involved in many community events and festivals.

Young Citizen of the Year - Emmily Lingard

Ms Emmily Lingard, for excelling at school and in sport, while also working as mentor for young athletes and volunteering to support children with disabilities.

Emmily is a patrolling member of Hervey Bay Surf Life Saving Club and mentors younger children at the surf club and swim club.

Sportsperson of the Year - Annette Clifford

Annette Clifford, for her role with the Fraser Coast 8 Ball Association coaching young, enthusiastic pool players, representing Queensland and competing in many local, state

and national tournaments.

Annette helps with a weekly juniors’ program and has also facilitated a ‘ladies’ night’ at the pool hall, working hard to create a safe space for all.

Young Sportsperson of the Year - Jaden Hardy

Mr Jaden Hardy, for excelling in his chosen sport of scooter riding, and for his advice and support for others learning the sport. Jaden has competed in the Junior

World Titles in Arizona in the USA, where he placed 5th, a massive accomplishment considering there is no longer an indoor skate park locally.

Cultural Award of the Year - John and Sue Erbacher

Mr and Mrs Erbacher, for their five decades of work researching, documenting and preserving the local history of Hervey Bay and K’gari. Sue and John also donate a significant

amount of time volunteering at the Salvation Army and are involved in numerous activities to raise funds to help the less fortunate.

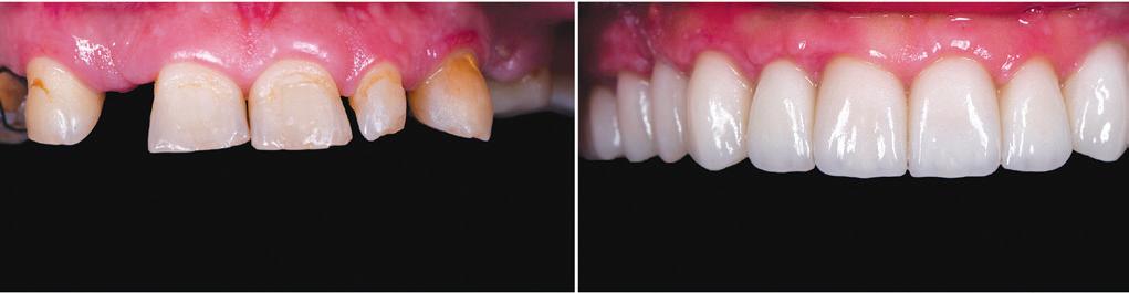
Page 12 | Hervey Bay Advertiser | January 26, 2023 Bewelcomedintoacomfortable modernenvironmentbyourfriendly team. Discussyourdentalhistoryandhealth whilehavingacomprehensive examinationofyourteeth,gumsand mouth. Ourcaring,experienceddentistwilltalk aboutyourpreventionandtreatment optionsandgiveyoutheopportunityto askquestions. WhattoExpectatYour DentalAppointment Yourteethwilllook andfeelclean.

Young

Mr Rhys Canham, for his performances, guidance and leadership in many aspects of local theatre both on and off the stage.

Rhys has played both leading and ensemble roles in various

STEM

Dr Vernon Harris, for his work in zoology in universities in the United Kingdom, Africa and Australia and in particular for discovering 40 new species of copepods, a marine

Young

Mr Charlie Morris, for showing innovation through the introduction and development of the Hervey Bay State High School’s Farmbot, an automated farm that plants seeds,

Community

productions by Macabre Theatre and Flame Studios, including the 2022 original production of Rose Glasses, which he directed and helped write the script.

species previously unknown to science that he collected from New Zealand, Japan and Australia.

waters and eliminate weeds using a cartesian plane robotic arm.

Charlie has a passion for STEM and using it to solve real world problems.

Over the past year, the centre has developed a greater understanding

The Mobility Scooter/Wheelchair Convoy, for being a unique and inclusive event that promotes the safe use of mobility scooters, while also providing a social opportunity

of the ongoing and emerging community needs through a strong focus on partnerships with children, family and youth; legal and tenancy advice; aged and disability care; multicultural services and social innovation services.

for people with mobility issues.

The Safe Scooter Committee have vowed to attempt to break the world record again this year.

Volunteer of the Year - Jenny Elliott

Mrs Jenny Elliott, for her decades of volunteering service with a range of local organisations and events. Jenny is an outstanding community worker and volunteer who has

contributed countless hours to help make the Fraser Coast a great place to live, work and play.

For opening times, please visit:

Made up of nine linked challenges which test strength, agility, coordination, and stamina.

January 26, 2023 | Hervey Bay Advertiser | Page 13 TEST YOURSELF AGAINST THE CLOCK
ON AUSTRALIA’S FIRST COURSE!
Nathan 0439 397 705 or Helen 0437 011 188 www.nhhomes.com.au QBCC15218933 • Custom Built New Homes “BUILDERS YOU CAN TRUST” We pride ourselves on our personal involvement at every stage, our willingness to listen, our attention to detail and our commitment to making the building process stress free. Whether it's building a brand new home or renovating your existing living space, contact us for reliable, honest advice and a free quote. We listen and we care LOCAL, STATE & NATIONAL MASTER BUILDERS AWARD WINNER Day Awards celebrate locals
Award of the Year - Dr Vernon Harris Community Project or Event of the Year - Scooter Convoy The Hervey Bay Neighbourhood Centre, for providing programs and support to the most disadvantaged and isolated people in the community. Group or Organisation of the Year – HBNC STEM Award of the Year - Charlie Morris Cultural Award of the Year - Rhys Canham

At St James Lutheran College, we pride ourselves on state-of-the-art contemporary learning spaces to offer an exceptional educational experience for all of our students.

Our innovative approach focusses on unlocking every students full potential and allowing them to chase their dreams and reach as high as possible.

We are truly passionate about creating future leaders and supporting every pursuit. We believe each and every student has limitless potential.

If you are interested in discussing your child’s future at St James, please contact us for a personal tour of the college.

138-172 Pantlins Lane, Urraween | 4128 5500 registrar@stjameslc.qld.edu.au

inspired to learn – empowered to serve

UNLEASH THEIR CREATIVE POTENTIAL AT ST JAMES ENROL NOW COLLABORATE

Wandering Minds Reaches the Bay

BAILEY Seamer likes to walk…..a lot. The idea of walking 5000 kilometres within 12 months may not be everyone’s realistic goal but Bailey is more than half way and Hervey Bay is her latest destination.

This is a physically challenging journey but what gives Bailey the motivation is her own chronic mental illness and the determination to raise awareness around mental health.

Her trek started in May 2022 from “South Point” (most southern point of Australia mainland) and travels along the eastern coastline to the most northern tip of Cape York Peninsula in Queensland.

She has followed foot trails of the most rugged terrain, walked the beaches under all weather conditions and even crossing rivers, often twice at a time to transfer her camping equipment and clothing supplies.

“I crossed a river recently when after the final crossing a large Bull Shark swam pas,” says Miss Seamer.

Seven months can be a long time away from home but

medications, regular visits to mental health services and the many different diagnosis given to her.

“I was very fortunate to have a supportive family,” She said.

It was after one of her many times spent in a psychiatric ward that she set her goal to walk the east coast of Australia.

Two and half years later, she is walking the talk and was about to trek K’gari for a few days to include as part of her journey.

“This has put life into perspective for me,” said Bailey.

“I’ve found purpose in my life but most of all I have met some wonderful people along the way. Everyone has a story.”

Bailey has set her goal to tackle majority of this challenge alone with no support crew.

Bailey openly talks about her battles with mental illness and her teenage years being a constant battle with

Her journey can be followed on her Facebook page Wandering Minds.

Bailey is raising funds for Black Dog Institute and donations can be made on her website https://wanderingminds.org

January 26, 2023 | Hervey Bay Advertiser | Page 15 Our professional & friendly team is committed to providing THE BEST DENTAL CARE to our patients in a relaxed environment. Online bookings www.auradental.com.au MONDAY TO FRIDAY 8AM – 5PM 4194 2225 YOUR SMILE IS OUR PASSION 4128 9643 Information for members, guests and visitors. 4 TH Feb 6:00pm Brian Speirs 9:00pm UK Bee Geez
Bailey Seamer - Wandering Minds
FOR MORE INFORMATION VISIT MIDCOASTAIR.COM.AU OR CALL OUR FRIENDLY TEAM ON 41244782 www.tranquilitymedia.com.au 0404 467 036 | darren@tranquilitymedia.com.au SEO (Search Engine Optimisation) is an investment for your business to capture new customers HOW IMPORTANT IS GOOGLE RANKINGS FOR YOUR WEBSITE?

THE FRASER Coast Meals on Wheels organisation have received a grant from the State Government towards new equipment.

Visiting Meals on Wheels on Thursday 12th January, the Member for Hervey Bay Adrian Tantari said it is great to see the organisation receive $55,327 in funding towards buying new equipment to continue to provide their extraordinary service to our community.

“The Palaszczuk Government understands the vital role that organisations as such Meals on Wheels play in providing care to some of our most venerable in the community. Providing not only meals but building and fostering community spirit.”

Meals on Wheels Manager Maria Daye said, “This funding allows Meals on Wheels to continue to provide good nutritious meals for clients.”

“Receiving this funding gives Meals on Wheels the capacity to further provide meals to some of our most needly in the community. The new equipment has already been well utilised.”

Ms Daye is also calling on willing community members

to come forward and volunteer their time to assist Meals on Wheels provide its valuable community service.

“If you have some spare time, then consider volunteering your time to Meals on Wheels,” Ms Daye said.

Mr Tantari said, “Since 2020 Hervey Bay electorate community groups have received around $2,000,000 in funding across our community from the Gambling Community Benefit Fund.

“This valuable funding has been used for projects such as upgrading artificial greens at the Hervey Bay Bowls Club, purchasing wheelchairs for Fraser Coasters Wheelchair

Basketball, purchasing a bus for Ka ’lang and now, providing new equipment to Meals on Wheels”, said Mr Tantari.

The Gambling Community Benefit Fund Grants (GCBF) is the largest one – off community grants program in Queensland, that allows for non-for-profit community groups to provide services, leisure activities and opportunities for Queensland communities.

The GCBF Grants open mid-January and closes 28 February 2023. Visit https:// www.justice.qld.gov.au/ initiatives/community-grants for more information.

Flavours of K’gari

January 26, 2023 | Hervey Bay Advertiser | Page 17 STAY & DINE PACKAGE FROM PER PERSON TWIN SHARE $559* Welcome sunset drink + cheese platter 2 nights’ resort hotel accommodation Six-course degustation with paired wines Daily buffet breakfast poolside Return passenger ferry transfers (ex-Hervey Bay) 1800 372 737 kingfisherbay.com/wine
AN EVENING WITH OATLEY WINES AND KINGFISHER BAY RESORT EXPERIENCE THE EXCLUSIV E EVENT MARCH SATURDAY STAY & DINE 25TH *Terms and conditions apply. Scan me FOR DETAILS
Grant keeps Meals on Wheels turning PASSENGER SUV 4WD LIGHT TRUCK 175/70R 13 $69 175/65R 14 $78 195/65R 15 $95 205/65R 15 $95 205/55R 16 $105 205/60R 16 $114 215/60R 16 $114 235/45R 17 $115 235/40R 18 $124 245/45R 18 $138 225/65R 17 $144 245/65R 17 $159 235/60R 17 $148 235/55R 18 $148 235/75R 15 $179 245/70R 16 $205 265/70R 16 $189 265/65R 17 $205 31x10.50R 15 $189 165R 13LT $95 185R 14LT $105 195R 14LT $114 195R 15LT $125 215/70R 15LT $135 215/60R 16LT $124 HERVEY BAY 88-92 Boat Harbour Drive, PIALBA | 07 4194 1350 sales@herveybaytyreright.com.au Buy now, pay later with flexible payment options ALL PRICES INCLUDE: FITTING | BALANCING TUBLESS VALVES & DISPOSAL Australia’s largest selection of tyre brands Summer’s upon us great time to get out and about. EXCEPTIONAL DEALS ON 4WD TYRES.

COME AND JOIN THE ALLIED

AND EMBRACE YOUR FITNESS GOALS

programming, motivation, and able to handle any situation. That’s where our training, meets every expectation.

NO SIGN UP OR CANCELLATION FEES WITH OUR $30 p.w DEAL

UNLIMITED CLASSES WITH OUR $30 p.w DEAL

We operate in excess of thirty classes per week, as a part of our extensive timetable. Your $30 p.w membership allows you exclusive access to each and every class. Within the framework of our classes, our trainers ensure they scale movements for each individual member, enabling all of our gym mates to be challenged, while progressing as safely as possible. Our expert trainers focus on full body and functional movements that embrace strength and technique, coupled with one or more conditioning workouts. The workouts are also different every single day, programmed and customised by our highly qualified and experienced trainers. This means you consistently improve in your fitness and skills.

OPEN GYM WITH OUR $30 p.w DEAL

When you become a $30 p.w member, you also have exclusive access to ‘open gym’ hours. This allows you to use these allocated times to train yourself, whilst using our state-of-the-art equipment. Our $30 p.w membership offer really is all about exclusive and extensive access.

FULLY QUALIFIED TRAINERS WITH OUR $30 p.w DEAL

Our chief coach owns and operates the gym and in tandem with our other partner coaches, deliver you the very best programming, in the safest of possible environments. Training is about more than just taking you through the motions, a good trainer is highly skilled at technique, the ability to give cues,

We think we are experts at making big changes to your health and fitness, by paying attention to all of the little things that are important to you. We do not charge any sign up fee. If, in the unlikely event, that you wish to cancel your membership two weeks notice is required without any further cancellation fee.

CHILDMINDING SERVICES

Allied Fitness is owned and operated by a working mother, we know the vital importance of access to child-minding services whilst you train and still have ‘that time for yourself’. We also have plenty of dads, bringing the kids into the gym for some social time of their own. Allied Fitness is pleased to offer child-minding services as an option for you to consider.

KICK START YOUR 2023 HEALTH AND FITNESS JOURNEY, WITH OUR MEGA $30p.w. MEMBERSHIP OFFER To start your journey at Allied, please contact: Ali Bennett on 0417 652 484 or send us a message on the Allied Fitness social media channels *$30 p.w membership deal applies to direct debit only
COMMUNITY,
At Allied Fitness, we create an environment where people from all different backgrounds and fitness levels love to come together to train, achieve their goals, and most of all, enjoy themselves. Because you’re never going to stick with something you don’t enjoy. We embrace a friendly family-based community, where your fellow members will quickly become some of your closest friends, sharing a passion for having fun inside and outside the gym. KIDS CLASSES AT ALLIED FITNESS Monday 4:15pm to 4:45pm Classes are capped Combining Cardio, Strength and Gymnastic Skills $80 per child – per term Call Ali to discuss on 0417 652 484 ALLIED – 8 WEEK CHALLENGE Starts February 6th Limited places still available All fitness levels and goals Advanced Accredited Dietitian ALLIED ONLINE COACHING You can now get the full Allied Coaching Experience online. Personalised programming to your needs. Open Gym Membership included Call Ali to discuss on 0417 652 484

THE FRASER Coast Hospice has received a $27,000 donation from the Community Bank Hervey Bay to fund solar power for the facility.

The generous donation will help reduce the electricity costs by approximately 50% which potentially saves the organisation over $100,000s with their power bills.

The Fraser Coast Hospice is a six-bed purpose-built facility that offers a flexible client and family palliative care in their final phase of their life. They have received over 170 admissions in the last 12 months where the region is recognised as a growing population.

The Hospice provides a safe, welcoming space, where clients and loved ones can feel supported. They allow

family members to resume their roles as spouse, child, parent or concerned friend, and step back from the role of carer, which many families can struggle to cope with.

Alicia Trimingham-Turl, Director of Care for the Fraser Coast Hospice, says the support from the local Community Bank will make a big difference to their operational costs. “Our future running costs will rely more on community support and donations, so this makes an enormous reduction in power costs”.

Local business Solahart Fraser Coast provided a 30 KW system that included 95 solar panels that will potentially return the investment in cost savings in less than 5 years.

Tim Evans, Branch Manager

for the Community Bank, says this support fits well with community projects they have identified that is needed in the Fraser Coast. “Our last major donation was a sleepbus to support the homeless that arrives in Hervey Bay early this year. Helping the Fraser Coast Hospice was another service to the community we believe is required urgently and the solar cost support will benefit the facility for many decades.”

While this support helps their operational costs significantly, ongoing fundraising efforts are requiring to cover the daily costs. Future events can donations can be actioned through their website www. frasercoasthospice.com.au

January 26, 2023 | Hervey Bay Advertiser | Page 19 COSMETIC DENTAL CROWNS & BRIDGES DENTAL IMPLANTS FIXED IMPLANT DENTURES • GENERAL & EMERGENCY DENTAL • CHILDRENS DENTISTRY • DENTAL IMPLANTS • COSMETIC DENTAL • CROWN & BRIDGES Trusted by the Hervey Bay community since 1982 Suite 2, 70 Torquay Road, Pialba 4128 2185 www.pialbadental.com.au DR GURBACHAN LAL B.D.S M.CLIN DENT (IMPLANTS) DR MONIKA GUPTA B.D.S DR MAREK ROHOZINSKI B.D.S MS RUBY TYSON B.Oral.Hlth
9-4 Monday to Friday, 9-1 Saturday House of GIFT BOXES & HAMPERS | LIFESTYLE | FASHION | HOMEWARES | COFFEE NOW AT SHOP 1, 264 BAZAAR ST, MARYBOROUGH GIFT BOXES & HAMPERS DELIVERED ACROSS THE FRASER COAST, CUSTOMISE YOUR OWN OR CHOOSE FROM OUR PRE-DESIGNED RANGE AT WWW.HOLABOX.COM.AU
Care
Board
Member
Gay Lavery, Board Chair Chris Tanner, Alex from Bendigo Bank,
Director of
Alicia
Brett Hanwright 0427 621 985 herveybay.eldersrealestate.com.au SELLING? BUYERS WAITING ALL PRICE BRACKETS
Trimingham-Turl & Dani from Bendigo Bank
Hospice
Community Bank supports local

Specsavers launches new hearing health service in Hervey Bay

Hearing loss affects 7,203 people in Wide Bay and, according to research, it takes Australians on average 7-10 years to acknowledge they have hearing loss before taking action. At Specsavers, we don’t want the community of Wide Bay to wait that long, and that’s why we are delighted to announce the introduction of a new audiology service in-store. Specsavers Audiology Hervey Bay Central is now open to help with any hearing concerns, with a qualified audiology professional Chris Abuto onsite to test and care for locals’ hearing health.

“Once you reach 50 years old, hearing checks should be as regular as eye checks. When you visit Specsavers Hervey Bay Central, we will ensure we provide quality care and a solution based on your lifestyle and budget. We will never recommend hearing aids if you don’t need them or suggest spending more money than you

have to. Prices for our full range of latest technology hearing devices are available online or instore so you know exactly how much you will pay. Our comprehensive hearing assessments are the start of your hearing journey that we can support along the way for years to come,” Chris says.

SIGNS YOU OR SOMEONE YOU LOVE MAY BENEFIT FROM A HEARING CHECK

“Hearing loss can be incredibly isolating, and our ability to form and maintain good social relationships is important to life satisfaction and good mental health. We are innately social creatures after all,” Chris says.

Our research found that Australians aged 50 years and older know at least two people they think suffer from hearing loss. It also found that 80% say they have felt concerned about their own hearing at some point in time and of these, the equivalent to 2,000,000 Australians

have felt concerned about their hearing frequently. That’s a lot of conversations missed!

Chris Abuto says if you or anyone you know experiences any of the below tell-tale signs, you may benefit from some expert qualified advice that begins with a free 15-minute hearing check at Specsavers Hervey Bay Central.

• Do you have the TV or radio turned up louder?

• Do you find telephone conversations hard work or find yourself always using the speaker option?

• Do you ask people to repeat things?

• Do you have difficulty following conversations in groups of people or find yourself lip reading?

• Has someone suggested you might not be hearing as well as you used to?

HOW TO ENSURE YOU PROTECT YOUR HEARING HEALTH

Chris recommends a few simple things to help prolong your hearing. “Test the noise around you with the ‘one metre rule’. If you need to raise your voice t o talk to someone one metre away, the sound level is likely to be hazardous to hearing.

Insist on wearing personal hearing protection such as earplugs, earmuffs or both remembering that everyday equipment, such as lawnmowers and power tools may be loud enough to negatively impact your hearing. And of course, create a normal routine of hearing checks.”

For more information or to book a hearing check, visit www.specsavers. com.au/hearing.

Alternatively contact Specsavers Hervey Bay Central on 4124 5602.

*This is a 15-minute appointment, if further testing is required a fee will be incurred. ADVERTORIAL Hear better at Specsavers Book your free 15-minute hearing check today Specsavers Hervey Bay Stockland Hervey Bay (near Fresh and Save) Tel 4124 5602 Free 15-minute appointment: If further testing is required in a longer appointment, a fee may be incurred.

N Groove first Friday in February

THERE is only one chance left to join our favourite evening in the park! One last time to gather the family for our free outdoors entertainment, delicious food trucks, local market stalls, our fabulous summer weather and unforgettable Hervey Bay sunsets.

The Fraser Coast Tourism & Events team welcomes guests and visitors to make themselves comfortable on the grass and enjoy the community atmosphere. Grab your picnic blanket or camping chair, your appetite, smile, great attitude, singing voice and come and join us for one last boogie!

Food n Groove Fridays is

fully licenced to enable you to indulge in a well earnt beverage at the end of your working week or start of your weekend. All whilst soaking up our fantastic community vibes and watching the sun set over the fabulous City Park. There is plenty of amusement for the whole family including jumping castles, bubbles and light up toys for the kids. The dance floor is set to go off for one last time so make sure you polish your dancing shoes! We hope to see everyone get bopping.

Food n Groove Fridays a free family friendly evening on the grass of Hervey Bays City Park from October right through to

February. This will be the final Food n Groove Friday for the 2022-2023 season so don’t miss it!

Everyone who attends these events has a reason to love Food n Groove Fridays whether it be the entertainment, the street food, sunsets or the community atmosphere. Don’t forget to tag us in all your favourite memories. #FoodNGrooveFridays. To keep up to date with all the latest entertainers, stalls and themes follow our Facebook page @FoodnGrooveFridays. A great way to end the week or start your weekend.

January 26, 2023 | Hervey Bay Advertiser | Page 21 ►Flights ►Rail Tours ►Escorted Coach Tours ►Holiday Packages ► Accommodation SHOP 1 STOCKLAND SHOPPING CENTRE , PIALBA herveybaytravel.com.au Call4124 4000 Ticket sales Open Hours: Mon -Fri: 8.30am -4.00pm / Sat & Sun: Closed HERVEY BAY to BRISBANE •QR Tilt Train –Daily •Greyhound -Daily •Premier •Atkinson's Shuttles-Daily HERVEY BAY to ROCKY •QR Tilt Train •Greyhound •Premier HERVEY BAY to CAIRNS •QR Spirit of Queensland •Greyhound •Premier TO LONGREACH •QR Spirit of The Outback •Greyhound (ex Rocky) •Greyhound (ex Brisbane) FREE PENSION BOOKINGS The Ghan & Indian Pacific FREE BOOKING SERVICE BOOK TRAVEL HERE 1, 2 & 3 DAY TOURS Fraser Island -K’Gariis the world’s largest sand island and stretches for 123km. Tours depart daily. Shuttles Locally Owned Hervey Bay BARBECUES, SMOKERS, OUTDOOR FURNITURE, WOOD HEATING AND MORE IN STORE NOW! Open Mon-Fri 9am-5pm | Sat 9am-3pm 93B Main Street, Pialba Phone 4325 3803 CHECK OUT THE GREAT DEALS AT www.barbequesgalore.com.au TRADIE ALERT WE ARE LOOKING FOR A WOOD HEATER INSTALLER FOR HERVEY BAY/MARYBOROUGH. INQUIRE INSTORE FOR DETAILS OR SEND AN EMAIL TO: team@bbqgaloreherveybay.com.au Shop 3, Bay Plaza, 27 Torquay Rd 4194 1707 www.floristherveybay.com FRESH FLOWERS ARRIVING DAILY FRASER COAST’S FRESHEST FLOWERS florist + gifts Same day delivery Hervey Bay & Maryborough Easy online ordering system Extensive gift range in store Corporate servicing – to keep your office fresh and bright on a weekly rotation Bookings for Formals, Weddings & Special Occasions
call...Food
Last

VENUE HIRE

Rooms, halls and spaces available for hire

Whether you are looking to host a business meeting, community group get together or large event, we can help find the space that's right for you.

Book here

Surviving a fitness fad

IT’S THAT time of the year when most of us are past our Christmas food coma and getting into a new routine, but are we sticking to it?

Each year many people take the opportunity of the new year to make resolutions. How are your New Year’s resolutions going?

The Advertiser spoke to personal trainers Josh Hoodless from LIFT (Lifestyle Individual Fitness Training) and Ali Bennett from Allied Fitness to get their perspective on how to stay on track.

Mr Hoodless said one of the ways to keep resolutions afloat is to “set realistic goals that are more long term for the whole year”.

He suggested creating a regular routine and sticking to that such as aiming for three activities a week to keep

consistency.

Mr Hoodless said it’s important to be aware of the balance between the calories consumed and energy used, “My number one tip is to go and find out from a professional who knows what they’re doing to give you the right tools to achieve that goal in a realistic manner without having to flog or starve yourself.”

Mr Hoodless also stressed the need to have a healthy environment free from unhealthy food options or toxic people around you that can tempt you into unhealthy habits.

For those hoping to break unhealthy habits such as overeating or binge drinking, focusing too much on what not to do can be harmful, we are human after all and balance is

necessary, he said.

Ms Bennett said she noticed the regular pattern happening each year, “The first couple of weeks in January are our busiest times at Allied Fitness and then the rush quietens after that.”

“I tell all clients to write down their goals on a piece of paper or in a journal; goals are about 70% more accomplishable if written down in front of you.”

She also suggested working out with someone else whether it is a buddy or a personal trainer, “It gives you the extra motivation and push to keep going; you don’t want to let that person down by cancelling on them.”

“It is more achievable if you can commit to working out with someone else.”

THE FIRM WORDS with Melissa Guilfoyle

Australia Day

The History and the Controversy

AUSTRALIA Day is currently observed as a public holiday on the 26th of January every year. This is widely regarded as the anniversary of the date in 1788, the first permanent European settlement was established on the continent of Australia. This was when Arthur Phillip and his ship of passengers (including almost half of those being convicts) from Britain landed in Sydney and erected the British flag, claiming it as their own.

Initially, only New South Wales observed ‘Australia Day’, which was originally known as ‘Anniversary Day’. Other States started following suit and by 1935, all States recognised the day as ‘Australia Day’ except for NSW, which still referred to the day as ‘Anniversary Day’. It wasn’t until 1988 that Australia Day was a

gazetted public holiday for all States and Territories.

Australia Day activities in all States often involve Citizenship ceremonies and Australia Day awards recognising contributions to Australia over the previous year by its citizens. Many people celebrate the sand, sun, surf, barbeques, and of course Triple JJJ hottest 100. It also marks a time in Australian History that is still very painful for some of our citizens and therefore is not necessarily a day of celebration but one of remembrance.

There has been a great deal of discourse around whether Australia Day ‘celebrations’ should be moved to a different day so that the history of that time can be divorced from the celebration of what Australia has become, what we have achieved despite

our history, and what it means to us today.

Imagine if, on Australia Day this year, a foreign country that didn’t speak our language, didn’t observe our traditions and did not live the same way that we are accustomed to landed on our foreshore and claimed us as their own. They forced us to only speak their language, go to their schools, live with their families, took control of the land we own and forced us to follow their rules and observe their customs and tradition. Would we still celebrate this day?

I don’t think there is an easy answer here, and certainly not one I would be qualified to give. The Triple JJJ hottest 100 has taken a step; it will be interesting to see how this debate and people’s perceptions evolve over time.

THE FIRM ON THE AVENUE

www.hblawyers.com.au Ph: 4128 4777

January 26, 2023 | Hervey Bay Advertiser | Page 23
UNDER NEW MANAGEMENT HERVEY BAY POOL AND SPA IS A ONE-STOP SHOP FOR ALL YOUR POOL AND SPA NEEDS WITH FRIENDLY AND KNOWLEDGEABLE STAFF Off street parking available 77 Torquay Road, Pialba (opposite Wide Bay Motor Group) Ph 07 4128 2880 • Email hbpoolandspa@bigpond.com FREE FUEL FRENZY! WIN WITH KREEPY KRAULY Free Water Testing Pool servicing all areas of the Wide Bay & Maryborough SPA SHOWROOM WE STOCK DAVEY PUMPS & KREEPY KRAWLY POOL CLEANERS

Hervey Bay beginner line dancers get ready

LINE dancing continues to be popular in Hervey Bay, thanks to the many physical, mental and social benefits it offers, especially for seniors.

Hervey Bay’s first classes were started back in 1994 by the Bay’s dancing queen Elaine Hughes that’s nearly 30 years ago now.

With a background in nursing and working in the army, Elaine joked that she loved being in control.

There are many reasons that Elaine continues to love line dancing and she is excited to continue to introduce line dancing to newcomers with the beginner’s classes run from Friday 10th February.

“I love line dancing because of the friendships. It gives great companionship and friendship; I just love the social aspect of it.”

She said that there were so many lonely people at home looking for something to do and line dancing was a great social outlet as well as offering plenty of health benefits.

Ms Hughes said there were many health benefits for seniors in particular, it gets

“You’re with people that you can interact with.”

“You don’t need a partner.”

Ms Hughes has been teaching dancing for a long time and said she is very professional in her approach.

She said her beginner’s classes keep you fit, healthy and happy by teaching step by step at a slow pace.

“Every step is cued out; I teach you how to turn and count to the music.”

She said they used lots of varied and interesting music, not just Country and Western music.

If you are interested to join, Ms Hughes said you just need sensible closedin shoes and comfortable clothes.

There are several options for Line Dancing classes in Hervey Bay including our beginner’s class run by Elaine Hughes of Hervey Bay Boot Scooters.

you moving again which in turn gives you good balance, improves your breathing and it’s good to give that brain a test by having to think about the steps.”

The beginners class commences on Friday 10th February from 9:30am to 12:30pm at the John Paul Hall on Hillyard St in Pialba. Classes cost $10 per class. Call Elaine Hughes for more information 0431 350 426

January 26, 2023 | Hervey Bay Advertiser | Page 25 97 MAIN STREET, PIALBA (NEXT TO ALDI) 4194 1566 OPEN 7 DAYS MONDAY - FRIDAY 8AM – 5:30PM SATURDAY 8AM – 4PM & SUNDAY 9AM – 4PM HELPING YOU REDUCE THE COST OF LIVING! SPECIALS VALID WHILE STOCK LASTS FRESH WALNUTS $799 KG RED CABBAGE $199 EACH LOCAL R2E2 MANGO $199EACH OR 3 FOR $5 CARROTS $149 1 KG BAG SWEET CORN 99C EACH SUGARLOAF CABBAGE $199 EACH SILVERBEET $199 EACH JAP PUMPKIN 79¢ KG 2023 Bookings available now for your next party, wedding, formal or promo event. Sleek design, easy to use photo kiosk delivered directly to your event. Email - digitalimagekiosk@gmail.com • Ph 0457 275 145 • www.facebook.com/digitalimagekiosk Hervey Bay Boot Scooters LINE DANCE CLASSES FOR BEGINNERS FRIDAYS COMMENCING 10TH FEBRUARY 2023 JOHN PAUL CENTRE – HILLYARD STREET CONTACT ELAINE HUGHES – 0431 350 426 BEGINNER CLASS 9:30AM UNTIL 11AM BASIC DANCING 11AM UNTIL 12:30PM BASIC, EASY TO FOLLOW NO PARTNER REQUIRED PER$10 CLASS
Dancing Queen - Elaine Hughes Bootscootin

Stronger laws for community safety

The Queensland Government has announced new action and stronger laws to further protect community safety. This tough new action includes: 1. Increasing the maximum penalty for stealing a car from 7 years to 10 years imprisonment

A more severe penalty of 14 years if the offence of stealing a car is committed at night, where the offender uses violence or threatens violence, is armed or pretends to be armed, is in company or damages or threatens to damage any property

Amend the Youth Justice Act requiring courts to take into account previous bail history, criminal activity and track record when sentencing

Increased penalties for criminals who share these crimes on social media

Extreme High Visibility Police Patrols

A $9.89 million fast-track sentencing program in Brisbane, Townsville, Southport and Cairns so children spend less time on remand and more time serving their sentences

The construction of two new youth detention centres

A trial of engine immobilisers in Mt Isa, Cairns and Townsville

The appointment within Queensland Police Service of an Assistant Commissioner to the position of Youth Crime Taskforce Commander 10. The increased penalties apply to adults as well as juvenile offenders. The Government will introduce the required legislative changes into the Queensland Parliament in February 2023. For more information and to have your say visit www.qld.gov.au/strongerlaws

DPC8567\F Advertisement
2.
3.
4.
5.
6.
7.
8.
9.
Authorised by the Queensland Government, William Street, Brisbane.

Time to GET GRUBBY this year at school

FRASER Coast Regional Council has teamed up with dirtgirlworld and Get Grubby TV to roll out the Get Grubby Program to all early learning centres, family day cares and primary schools in Fraser Coast for free!

The program, is a set of teaching material for educators to guide children to get outside, get grubby, connect with nature and make better environmental choices.

Fraser Coast Mayor George Seymour said that the program was built around concepts that families value.

“We know that early childhood educators and schools are always looking for practical and fun ideas and activities that encourage getting to know nature, inspire great recycling, support growing food and celebrate ‘reducing’,” he said.

“This educational material is championed by ABC kid stars dirtgirl, scrapboy and Costa the Garden Gnome.”

The fun learning materials includes videos, songs, printables, games and hands on activities.

There are 10 units in the program. Most of them coincide with world events such as World Environment Day and National Recycling Week. There’s lots of fun activities

to choose from on each topic including games, crafts, quizzes, music, videos and drama.

For more information on the Get Grubby Program visit the website at www. getgrubbyprogram.com.

“Designed for young children this program helps our learning communities grow together, caring for nature from now and into the future,” Cr Seymour said.

“Council is excited to be able to offer this award-winning program valued at $1500 per subscription for free.”

To get involved contact robyn@dirtgirlworld. com for more information about how to sign up and mention Fraser Coast Regional Council.

Single serve dinners made on the Fraser Coast snap frozen to lock in the flavour • 24 Different Meals to choose from • Soups • Pies & Sausage rolls Order online or phone for home delivery or click and collect or shop instore. We have accounts with all major care providers HEAT & EAT! Deliona Foods 6/17 Liuzza Street, Pialba Ph. 4124 2093 www.delionafoods .com.au January 26, 2023 | Hervey Bay Advertiser | Page 27

WE MAKE DEALS HAPPEN THAT MAKE YOU HAPPY

The Prime Agents team is made up of exceptional sales and marketing professionals, just like Ash Heckels.

As a strong negotiator, Ash strives to obtain the best possible results for his clients, every time. He is known for his superior knowledge of the local property market. We have been selling the benefits of living in our beautiful

slice of paradise for many years and we know how to predict and to pivot, to be in front of the trends, not simply reacting to them.

We are so thankful that over one-thousand property owners, families and investors have placed their trust in our ability to provide outstanding service and most importantly, incredible results.

If you would like to experience the Prime Agents difference and want to best understand your options right now, we invite you to start a conversation with us.

We love where we live and because we are at the very tip of property success in this market, we know Hervey Bay is continuing to rise.
www.primeagents.com.au SELL YOUR HOUSE WITH US ASH HECKELS 0418 986 867 OR SCAN THIS QR CODE TO MESSAGE US
Phone 4128 0449 | 3/6 Jeppsen Road, Toogoom | www.toogoomhair.com.au Toogoom Hair Studio would like to welcome DONNA to the team Donna comes with a wealth of hairdressing experience. She is fabulous at blondes and colour corrections. FREE QUOTES We fit new roofs & fix old ones! New Colorbond roofs Call Adam today on 0408 198 973 20 years industry experience 100% locally owned family company We fit new roofs We offer a full re-roof service Fascia, gutters and battens Supply and fit prices available QBCC – 15203921 Master Builders Member – 73308 ABN- 82 632 641 788 Let us quote on your new roof SOLUTIONS R W W C G N 49 57 60 S T O P U P D E B A T E S R E O A E O U H A W S M A N N E Q U I N I T P C S G S I N G W E R E C H I C D U I S C R O I L S K I N S O A P I E L D H S R I E E X E R T H A N G M A N A R A A I E L L S U P E R C A N E D S E E R E C T I Y A S T R I D E R O T S T H S A L I I A T O P C O M E D I A N X W E C E R F T I C S B A C K S L I D E E U B U S C L D P O S E R S W H E T PO Box Bundall Australia Auspac CROSS Tone, 5 Area, 6 Pats, 7 Else. Tape, 2 Oral, 3 Nets, 4 Ease. Importance 1 3 Telephone: (07) 5553 3200 Free: 1 800 652 284 (07) 5553 3201 auspac@auspacmedia.com.au www.auspacmedia.com.au Feature People SUDOKU Sudoku is an 81 square number grid with nine blocks each containing nine cells. To solve the puzzle, all the blank cells must be filled in using numbers from 1 to 9. Each number can only appear once in each row, column and in the nine 3x3 blocks. MEDIUM WORD FIND All the words listed below can be found in the grid. SOLUTIONS 4 2 5 7 1 8 6 3 9 8 9 1 4 3 6 5 2 7 7 3 6 2 9 5 4 8 1 3 8 9 1 5 4 2 7 6 1 4 2 3 6 7 9 5 8 6 5 7 8 2 9 3 1 4 2 7 4 6 8 3 1 9 5 9 1 8 5 4 2 7 6 3 5 6 3 9 7 1 8 4 2 G D S W K D K C R H V A P F K A P E L V E S N U P P L I E B O S D L F X O R E A I X O L R D T F T U F T N Y T X Y E C Y F O M U I I C E C N A T R O P M I R F U N A N O F F E R S M W G I D N S M E J S A N O W W D U X N T L B B J C E K C A Z E Q R K E O L I T C L U X T M S B A R G M N G W T P E B B Q L H A S S N C I R C U M S T A N C E S ACROSS DOWN Solution No. 3502 The Big One Crossword 19 x 19 Grid L Release No. 3502 Note to Editor: Created in QUARK XPRESS. VER.4.03 Items not needed for publication can be erased as each is in a separate text box. 1 11 20 23 29 35 41 49 57 60 2 17 36 3 15 21 34 53 16 30 50 4 12 22 24 46 58 13 18 42 5 25 37 43 6 31 51 54 61 44 47 7 28 32 55 26 48 52 8 14 27 40 45 59 19 38 L U L U S T O P U P D E B A T E S Y O R E O A E O U R C K S H A W S M A N N E Q U N E U T P C S G S B U M B L I N G W E R E C H C R O D U S C R R E D O O L S K N S O A P E D W O R L D H S R E S P K E E X E R T H A N G M A N N M A R A A E O D D B A L L S U P E R C A N E D S L R S E E R E C T C H E E K Y A S T R D E R O T S S T H S A L L F T A T O P C O M E D A N L R A X W E C E R F A C O U S T C S B A C K S L D E T Z E U B U S C E M E R A L D P O S E R S W H E T Created: David Stickley Creator Copy No.3170 Qxpress: Carole Checked: Barbara PO Box 8271 Bundall Qld Australia 4217 Telephone: (07) 5553 Toll Free: 1 800 652 Fax: (07) 5553 Auspac Media Email: auspac@auspacmedia.com.au Visit our site: www.auspacmedia.com.au The Feature People TINY CROSS ACROSS: 1 Tone, 5 Area, 6 Pats, 7 Else. DOWN: 1 Tape, 2 Oral, 3 Nets, 4 Ease. Able Add Annual Axe Bad Bed Box Circumstances Crops Cup Dig Dry East Elves Extend Final Grabs Hurt Importance Inn Left Lie Next Now Offers Ore React Robs Weigh Write A P P P R E F T U I I R M W O W E K T C N G S N E S 7 3 9 4 3 5 2 7 4 3 8 2 2 5 6 5 3 4 6 1 5 1 5 4 3 9 7 3 15 21 34 53 16 30 50 4 12 22 24 46 58 13 18 42 5 25 37 43 6 31 51 54 61 44 47 7 28 32 55 26 48 52 8 14 27 40 45 59 19 38 9 39 10 33 56 8271 Qld 4217 Telephone: (07) 5553 3200 Toll Free: 1 800 652 284 Fax: (07) 5553 3201 Auspac Media Email: auspac@auspacmedia.com.au Visit our site: www.auspacmedia.com.au The Feature People PUZZLES CROSS WORD FIND All the words listed below can be found in the grid. SOLUTIONS 4 4 2 5 7 1 8 6 3 9 8 9 1 4 3 6 5 2 7 7 3 6 2 9 5 4 8 1 3 8 9 1 5 4 2 7 6 1 4 2 3 6 7 9 5 8 6 5 7 8 2 9 3 1 4 2 7 4 6 8 3 1 9 5 9 1 8 5 4 2 7 6 3 5 6 3 9 7 1 8 4 2 G D S W K D K C R H V A P F K A P E L V E S N U P P L I E B O S D L F X O R E A I X O L R D T F T U F T N Y T X Y E C Y F O M U I I C E C N A T R O P M I R F U N A N O F F E R S M W G I D N S M E J S A N O W W D U X N T L B B J C E K C A Z E Q R K E O L I T C L U X T M S B A R G M N G W T P E B B Q L H A S S N C I R C U M S T A N C E S ACROSS DOWN Solution No. 3502 The Big One Crossword 19 x 19 Grid L Release No. 3502 Note to Editor: Created in QUARK XPRESS. VER.4.03 Items not needed for publication can be erased as each is in a separate text box. 1 11 20 23 29 35 41 49 57 60 2 17 36 3 15 21 34 53 16 30 50 4 12 22 24 46 58 13 18 42 5 25 37 43 6 31 51 54 61 44 47 7 28 32 55 26 48 52 8 14 27 40 45 59 19 38 9 39 10 33 56 L U L U S T O P U P D E B A T E S Y O R E O A E O U R C K S H A W S M A N N E Q U N E U T P C S G S B U M B L I N G W E R E C H C I R O D U I S C R R E D O O I L S K I N S O A P I E D W O R L D H S R I E S P I K E E X E R T H A N G M A N N M A R A A I E O D D B A L L S U P E R C A N E D S L R S E E R E C T I C H E E K Y A S T R I D E R O T S I S T H S A L I I L I F T A T O P C O M E D I A N L R A X W E C E R F A C O U S T I C S B A C K S L I D E T Z I E U B U S C E M E R A L D P O S E R S W H E T Created: David Stickley Creator Copy No.3170 Qxpress: Carole Checked: Barbara PO Box 8271 Bundall Qld Australia 4217 Telephone: (07) 5553 3200 Toll Free: 1 800 652 284 Fax: (07) 5553 3201 Auspac Media Email: auspac@auspacmedia.com.au Visit our site: www.auspacmedia.com.au The Feature People TINY CROSS ACROSS: 1 Tone, 5 Area, 6 Pats, 7 Else. DOWN: 1 Tape, 2 Oral, 3 Nets, 4 Ease. Able Add Annual Axe Bad Bed Box Circumstances Crops Cup Dig Dry East Elves Extend Final Grabs Hurt Importance Inn Left Lie Next Now Offers Ore React Robs Weigh Write G D S W K D K C R H V A P F K A P E L V E S N U P P L I E B O S D L F X O R E A I X O L R D T F T U F T N Y T X Y E C Y F O M U I I C E C N A T R O P M I R F U N A N O F F E R S M W G I D N S M E J S A N O W W D U X N T L B B J C E K C A Z E Q R K E O L I T C L U X T M S B A R G M N G W T P E B B Q L H A S S N C I R C U M S T A N C E S 6 5 3 4 6 1 5 1 5 4 3 9 7 57 60 53 58 54 61 55 59 56 N E G O T I A T E U H H T L J I L T B E L L N S F B T E D J E T S K I A A L N D Y P E T F O O D O P H B O U G E E M B E D T A G R E E E G H O R N T R I P S A W E L N S E W E R A G E S A A C T P A V A R O T T I A E E O U R E S S E D E N PO Box 8271 Bundall Qld Australia 4217 Telephone: (07) 5553 3200 Toll Free: 1 800 652 284 Fax: (07) 5553 3201 Auspac Media Email: auspac@auspacmedia.com.au Visit our site: www.auspacmedia.com.au The Feature People 6 Eccentric (coll) 7 Brash 8 Elevate 9 Sound properties 10 Jewel 13 Earth 53 Elegant 55 Perishes 56 Make keen WORD FIND All the words listed below can be found in the grid. SOLUTIONS 4 2 5 7 1 8 6 3 9 8 9 1 4 3 6 5 2 7 7 3 6 2 9 5 4 8 1 3 8 9 1 5 4 2 7 6 1 4 2 3 6 7 9 5 8 6 5 7 8 2 9 3 1 4 2 7 4 6 8 3 1 9 5 9 1 8 5 4 2 7 6 3 5 6 3 9 7 1 8 4 2 G D S W K D K C R H V A P F K A P E L V E S N U P P L I E B O S D L F X O R E A I X O L R D T F T U F T N Y T X Y E C Y F O M U I I C E C N A T R O P M I R F U N A N O F F E R S M W G I D N S M E J S A N O W W D U X N T L B B J C E K C A Z E Q R K E O L I T C L U X T M S B A R G M N G W T P E B B Q L H A S S N C I R C U M S T A N C E S ACROSS DOWN Solution No. 3502 The Big One Crossword 19 x 19 Grid L Release No. Note to Editor: Created in QUARK XPRESS. VER.4.03 Items not needed for publication can be erased as each is in a separate text box. 1 11 20 23 29 35 41 49 57 60 2 17 36 3 15 21 34 53 16 30 50 4 12 22 24 46 58 13 18 42 5 25 37 43 6 31 51 54 61 44 47 7 28 32 55 26 48 52 8 14 27 40 45 59 L U L U S T O P U P D E B A T E S Y O R E O A E O U R I C K S H A W S M A N N E Q U I N E U I I T P C S G S B U M B L I N G W E R E C H I C I R O D U I S C R R E D O O I L S K I N S O A P I E D W O R L D H S R I E S P I K E E X E R T H A N G M A N N M A R A A I E O D D B A L L S U P E R C A N E D S L R S E E R E C T I C H E E K Y A S T R I D E R O T S I S T H S A L I I L I F T A T O P C O M E D I A N L R A X W E C E R F A C O U S T I C S B A C K S L I D E T Z I E U B U S C E M E R A L D P O S E R S W H E T Created: David Stickley Creator Copy No.3170 Qxpress: Carole Checked: Barbara PO Box 8271 Bundall Qld Australia 4217 Telephone: (07) Toll Free: 1 800 Fax: (07) 5553 Auspac Media Email: auspac@auspacmedia.com.au Visit our site: www.auspacmedia.com.au The Feature TINY CROSS ACROSS: 1 Tone, 5 Area, 6 Pats, 7 Else. DOWN: 1 Tape, 2 Oral, 3 Nets, 4 Ease. Able Add Annual Axe Bad Bed Box Circumstances Crops Cup Dig Dry East Elves Extend Final Grabs Hurt Importance Inn Left Lie Next Now Offers Ore React Robs Weigh Write P P E T I R W W K C G N S 7 3 9 4 3 5 2 7 4 3 8 2 2 5 6 5 3 4 6 1 5 1 5 4 3 9 7 30 50 46 58 42 37 43 31 51 54 61 44 47 32 55 48 52 40 45 59 38 39 33 56 8271 Qld 4217 Telephone: (07) 5553 3200 Toll Free: 1 800 652 284 Fax: (07) 5553 3201 Auspac Media Email: auspac@auspacmedia.com.au our site: www.auspacmedia.com.au The Feature People Sudoku is an 81 square number grid blocks each containing nine cells. puzzle, all the blank cells must be numbers from 1 to 9. Each number appear once in each row, column nine 3x3 blocks. TINY CROSS WORD FIND All the words listed below can be found in the grid. SOLUTIONS 1 2 3 4 5 6 7 8 6 3 9 6 5 2 7 5 4 8 1 4 2 7 6 7 9 5 8 9 3 1 4 3 1 9 5 2 7 6 3 1 8 4 2 D K C R H V A P L V E S N U P P S D L F X O R E R D T F T U F T E C Y F O M U I A T R O P M I R O F F E R S M W M E J S A N O W T L B B J C E K R K E O L I T C S B A R G M N G B Q L H A S S N M S T A N C E S ACROSS DOWN Solution No. 3502 Crossword 19 x 19 Grid L Release No. 3502 XPRESS. VER.4.03 publication can be separate text box. 1 11 20 23 29 35 41 49 57 60 2 17 36 3 15 21 34 53 16 30 50 4 12 22 24 46 58 13 18 42 5 25 37 43 6 31 51 54 61 44 47 7 28 32 55 26 48 52 8 14 27 40 45 59 19 38 9 39 10 33 56 L U L U S T O P U P D E B A T E S Y O R E O A E O U R C K S H A W S M A N N E Q U N E U I I T P C S G S B U M B L I N G W E R E C H I C I R O D U I S C R R E D O O I L S K I N S O A P I E D W O R L D H S R E S P K E E X E R T H A N G M A N N M A R A A I E O D D B A L L S U P E R C A N E D S L R S E E R E C T I C H E E K Y A S T R I D E R O T S S T H S A L L I F T A T O P C O M E D I A N L R A X W E C E R F A C O U S T I C S B A C K S L I D E T Z I E U B U S C E M E R A L D P O S E R S W H E T Stickley PO Box 8271 Bundall Qld Australia 4217 Telephone: (07) 5553 3200 Toll Free: 1 800 652 284 Fax: (07) 5553 3201 Auspac Media Email: auspac@auspacmedia.com.au Visit our site: www.auspacmedia.com.au The Feature People TINY CROSS ACROSS: 1 Tone, 5 Area, 6 Pats, 7 Else. DOWN: 1 Tape, 2 Oral, 3 Nets, 4 Ease. Able Add Annual Axe Bad Bed Box Circumstances Crops Cup Dig Dry East Elves Extend Final Grabs Hurt Importance Inn Left Lie Next Now Offers Ore React Robs Weigh Write G D S W K D K C R H V A P F K A P E L V E S N U P P L I E B O S D L F X O R E A I X O L R D T F T U F T N Y T X Y E C Y F O M U I I C E C N A T R O P M I R F U N A N O F F E R S M W G I D N S M E J S A N O W W D U X N T L B B J C E K C A Z E Q R K E O L I T C L U X T M S B A R G M N G W T P E B B Q L H A S S N C I R C U M S T A N C E S ACROSS 1 Pitch 5 Field of study 6 Taps 7 Additionally DOWN 1 Record 2 Not written 3 Brings home 4 Alleviate 7 4 3 7 3 8 2 6 5 4 6 1 5 4 3 9 7 Solution No. 3037 11 20 23 29 35 41 49 57 60 17 36 15 21 34 53 16 30 50 12 22 24 46 58 13 18 42 25 37 43 31 51 54 61 44 47 28 32 55 26 48 52 14 27 40 45 59 19 38 39 33 56 B E T A T A X I N G L A W L E S S A E L S E I I L P C Y M B I D I U M N E G O T I A T E K P B V S U H H T L P R O M I S E D J I L T B E L L A A S P F N S F B C A S K I M P U T E D J E T S K I K H E N N A H A A L N S P I R E T A R D Y P E T F O O D F G U E O P H B T A T T L E R R O U G E E M B E D R E E E T A G R E E E I N D I C T F O G H O R N T R I P G T C N S A W E L G O B I O V E N S E W E R A G E E I I I E S A A C T R E S I D E N C Y P A V A R O T T I E O O E E A E E O D A N G L E D D U R E S S E D E N PO Box 8271 Bundall Qld Australia 4217 Telephone: (07) 5553 3200 Toll Free: 1 800 652 284 Fax: (07) 5553 3201 Auspac Media Email: auspac@auspacmedia.com.au Visit our site: www.auspacmedia.com.au The Feature People Across 1 Australian birds 6 Vibrate 11 Deputy doctor 12 Taper off 14 Died of cold 15 Stream 17 Storage tower 18 Mentions 19 Continent 21 God 23 Railway locomotive 24 Moral values 26 Cruised 29 Nuisance 30 Guides 32 Exposes (5,2) 35 Ancient buried city 37 Narrows 38 Wanes 41 Balls 42 Communal 45 Take place 47 500 sheets 49 Insects 50 Plaster moulding 52 Sediment 54 Bitter 57 Rugged 58 Allspice 59 Celtic tongue 60 Skin protector 61 Sterilise Down 1 Outstanding thing (coll) 2 Man-powered vehicles 3 Clumsy 4 Make over 5 Add alcohol to (coll) 6 Eccentric (coll) 7 Brash 8 Elevate 9 Sound properties 10 Jewel 13 Earth 16 Bar 20 Plug (4,2) 22 Waterproof cloth 25 Bring to bear 27 On the crest 28 Straddling 31 Delightful 33 Show-offs 34 Plural of “was” 36 Dummy 39 Relapse 40 Joker 41 Argues 43 Word game 44 Standing 46 TV serial (coll) 48 Great boxer 51 Flogged 53 Elegant 55 Perishes 56 Make keen SOLUTIONS 4 2 5 7 1 8 6 3 9 8 9 1 4 3 6 5 2 7 7 3 6 2 9 5 4 8 1 3 8 9 1 5 4 2 7 6 1 4 2 3 6 7 9 5 8 6 5 7 8 2 9 3 1 4 2 7 4 6 8 3 1 9 5 9 1 8 5 4 2 7 6 3 5 6 3 9 7 1 8 4 2 G D S W K D K C R H V A P F K A P E L V E S N U P P L I E B O S D L F X O R E A I X O L R D T F T U F T N Y T X Y E C Y F O M U I I C E C N A T R O P M I R F U N A N O F F E R S M W G I D N S M E J S A N O W W D U X N T L B B J C E K C A Z E Q R K E O L I T C L U X T M S B A R G M N G W T P E B B Q L H A S S N C I R C U M S T A N C E S ACROSS DOWN Solution No. 3502 The Big One Crossword 19 x 19 Grid Note to Editor: Created in QUARK XPRESS. VER.4.03 Items not needed for publication can be erased as each is in a separate text box. L U L U S T O P U P D E B A T E S Y O R E O A E O U R I C K S H A W S M A N N E Q U I N E U I I T P C S G S B U M B L I N G W E R E C H I C I R O D U I S C R R E D O O I L S K I N S O A P I E D W O R L D H S R I E S P I K E E X E R T H A N G M A N N M A R A A I E O D D B A L L S U P E R C A N E D S L R S E E R E C T I C H E E K Y A S T R I D E R O T S I S T H S A L I I L I F T A T O P C O M E D I A N L R A X W E C E R F A C O U S T I C S B A C K S L I D E Created: David Stickley Creator Copy No.3170 Qxpress: Carole Checked: Barbara TINY CROSS ACROSS: 1 Tone, 5 Area, 6 Pats, 7 Else. DOWN: 1 Tape, 2 Oral, 3 Nets, 4 Ease. 2 5 6 5 3 4 6 1 5 1 5 4 3 9 7 56 5553 3200 652 284 5553 3201 www.auspacmedia.com.au People January 26, 2023 | Hervey Bay Advertiser | Page 29

TANTARI MP Adrian

Building a better Hervey Bay

Creating 1000’s of new local regional jobs since coming to Government.

Secured the 2032 Olympic Games showcasing Queensland to the world and supporting 91,600 jobs

Hervey Bay Hospital - Major Upgrade taking the pressure off our emergency department with 35 new beds.

Connecting schools with local industries providing career pathways in hydrogen, aerospace and aquaculture.

Employing new nurses, more doctors and new ambulance officers in Hervey Bay.

Delivering new local infrastructure programs for roads, hospitals, schoolssupporting many 100’s of new jobs.

Employing new local teachers and teacher aides, reversing the LNP’s frontline cuts.

Building more new school buildings in Hervey Bay commencing 2023.

Putting in place a 70% renewable energy target by 2032 with large scale renewable projects underway.

Delivering a strong response to the COVID-19 global pandemic, allowing our economic recovery to begin.

Put in place a Local COVID-19 Economic Recovery Plan, supporting jobs and local business.

Bringing rail manufacturing back to Maryborough, with major regional effects.

Banning single-use plastics, saving marine life and expanding our national parks.

Building a New Police Station and deploying extra police personnel across Hervey Bay.

Making wage theft a crime and cracking down on unfair labour hire practices.

Kept our energy assets in public hands, providing $450 in rebates on household power bills over the last 4 years.

$63 billion plan to turn Queensland into a renewable energy and hydrogen powerhouse.

Making Queensland a global film & TV production paradise, with 36 productions worth $1 billion, supporting 13,000 jobs.

Air-conditioning every classroom, library and staff room in all Hervey Bay state schools.

Delivering free TAFE and free apprenticeships for Queenslanders under the age of 25.

Investing in water infrastructure, including rebuilding Paradise Dam.

A Message from Adrian, 2023 will be an exciting year for Hervey Bay. With a number of exciting projects commencing and others completed, I look forward to continuing to deliver for our community by building a better Hervey Bay for our future.

Kind Regards, Adrian.

07 4183 8100 3/357 Esplanade Scarness 4655
hervey.bay@parliament.qld.gov.au
“Some of the ways I have been working with the Palaszczuk Government to deliver new services and projects for the Hervey Bay electorate”

1 The first bombing of Darwin occurred during which year of World War II?

2 Which actress was married to Jonny Lee Miller from 1996 to 2000?

3 What is the name of Rubeus Hagrid’s dog in the Harry Potter series?

4 Which team won the 2022 Super Bowl?

5 Who wrote the classic 1954 poem, The Charge of the Light Brigade?

6 The Citadel of Saladin is a significant religious fortification in which country?

7 In February 2022, which soft drink company announced a new flavour called Starlight?

8 What are the three colours on the flag of Yemen?

9 Australian sportsperson, Bob Shearer, is best remembered for his involvement in which sport?

10 The four main island of the Balearic Islands are Mallorca, Menorca, Formentera and what?

11 A popular 1969 children’s book by Eric Carle is titled, ‘The Very Hungry’ what?

12 Who was Deputy Prime Minister of Australia in 2000?

13 The Ukraine shares borders with which three countries to its west?

14 As at 2022, how many times has Woody Allen won the Academy Award for Best Director?

15 Lewis Hamilton started his Formula One career with which team in 2007?

16 The interatrial septum is located in which organ of the human body?

17 “In brightest day, in blackest night, no

evil shall escape my sight” is the vow of which superhero?

18 Sina Weibo is one of the biggest social media platforms in which country?

19 The 1970s album, Physical Graffiti, is the sixth studio album by which iconic band?

20 Who won the 2022 Belinda Clark Award for being Australia’s best women’s international cricketer?

Madeleine West played the roles of both Andrea Somers and Dee Bliss in which longrunning TV series?

22 Casus belli is an act or situation that provokes or justifies what?

23 In relation to noninterchangeable units of data stored on a blockchain, what do the letters NFT stand for?

24 Jared and Shannon Leto are the two main members of which band?

25 The Eraring Power Station, Australia’s largest power station, is located in which state or territory?

26 What nationality was wellknown artist, M. C. Escher?

27 “The numbers all go to eleven” is a quote from which 1980s movie?

28 Peruvian marching powder is a popular slang term for which drug?

29 Who was the first Australian to win the IndyCar Series Drivers’ championship?

30 The award-winning 2021 animated docudrama, Flee, is based on the life of Amin Nawabi who fled from which country?

31 What type of animal is an Australian Mist?

32 In which decade was NASA established?

33 Which famous author wrote the 1964 novel, Chitty-Chitty-BangBang: The Magical Car?

34 The São Francisco River is one of the longest rivers in which South American country?

35 Who was “married” to Selina Chhaur in the 2022 series of Married at First Sight (Australia)?

36 What is the only extremely flexible weapon in the boardgame, Cluedo?

The UCI World Tour is the annual male elite tour in which sport?

38 Picodon cheese is made from the milk of which animal?

39 Stretch, Fatso, and Stinkie, aka the Ghostly Trio, are the uncles of which fictitious character?

40 In which event did Jakara

Anthony win a gold medal at the 2022 Winter Olympics?

41 Who immediately succeeded Stephen Harper as Prime Minister of Canada? Liam Payne gained fame as a member of which boy band?

43 The musical, Lestat, is based on which series of novels by Anne Rice?

44 Who scored the most goals at the 2022 AFC Women’s Asian Cup tournament?

Which 2010s TV series includes the characters, Cleaver Greene, Barney “Barnyard” Meagher and Scarlet “Red” Engles SC?

46 In 2012, what new name was officially given to the clock tower that houses Big Ben?

47 True or false? Bella Hadid is older than her sister Gigi Hadid.

48 What is the main herb used to make traditional French persillade?

49 The Great Western Tiers Conservation Area is a popular tourist destination in which Australian state?

A big bank with heart. Seriously.

^

THEQUIZZY TEST YOUR KNOWLEDGE 38 January 26, 2023 | Hervey Bay Advertiser | Page 31 9 Answers 1 1942 2. Angelina Jolie 3. Fang 4. Los Angeles Rams 5. Alfred, Lord Tennyson 6. Egypt 7. The Coca-Cola Company 8. Red, white, black 9. Golf 10. Ibiza 11. Caterpillar 12. John Anderson 13 Poland, Slovakia, Hungary 14. One 15. McLaren 16. Heart 17. Green Lantern 18. China 19. Led Zeppelin 20. Ashleigh Gardner 21. Neighbours 22. War 23. Non-fungible token 24. Thirty Seconds to Mars 25. New South Wales 26. Dutch 27. This Is Spinal Tap 28. Cocaine 29. Will Power 30 Afghanistan 31. Cat 32 1950s 33. Ian Fleming 34. Brazil 35. Cody Bromley 36. Rope 37. Road cycling 38. Goat 39. Casper the Friendly Ghost 40. Women’s moguls 41. Justin Trudeau 42. One Direction 43. The Vampire Chronicles 44. Sam Kerr 45. Rake 46. Elizabeth Tower 47. False 48 Parsley 49. Tasmania 50. New York City 19 1942

As one of Australia’s biggest banks, and most trusted brands , Bendigo Bank has everything you need. We combine the service and technology you expect from a big bank, with the personal attention and genuine commitment you expect from us. Call us on 4124 6201 or search Bendigo Bank Hervey Bay. ^ Roy Morgan Risk Monitor 2020. Bendigo and Adelaide Bank Limited ABN 11 068 049 178, AFSL/Australian Credit Licence 237879 (1415657-1415654)(OUT_27579945)(20/01/2023)
50 Rudy Giuliani was the mayor of which US city from 1994 to 2001?
07 4325 4060 Pialba Place, Shop 44, Crn Hunter St & Old Maryborough Rd, Pialba COLLAGEN INDUCTION THERAPY IPL HAIR REMOVAL BROW & LASH BAR PERFECTING THE ART OF BEAUTIFUL SKIN IS WHAT WE DO.

Charlton Esplanade, Pialba

Notice hereby given, under Section 96 of “Transport Operation Road Use Management Act” that Esplanade from Bideford Street to Churchill Street will be closed to all vehicular traffic on 3rd and 4th February 2023 between hours of 5.30am and 11.30am (3rd) and 5.30am and 11.30am (4th) for purpose of conducting the Queensland Schools Triathlon and Aquathlon Championships. Alternate route available via Cypress Street.

Hervey Bay Welding Works hereby states that after 28 days we will sell the unclaimed property of Michael (no surname supplied), being one Sport Deck Boat and partial Trailer unless our Invoice for work completed is paid in full.

Signed and dated 26th January 2023.

FACESOFTHEBAY
The Kondari BBQ Fest, Kondari-Hotel, Hervey Bay Photos by Kim Parnell, What’s On Fraser Coast Beefy Brothers BBQ all the way from Rockhampton make a great team It’s a family affair for the team from Love Handles BBQ All the way from Adelaide - Team - Dusty Que Big Red from Pit Crew BBQ loves low n slow Team Primal Iron Barbeque come back for more Triple B BBQ are ready to turn up the heat
January 26, 2023 | Hervey Bay Advertiser | Page 33
The Bro N Slow Barbecue team give a thumbs up Dan Barrett from Adelaide makes up Big Smoke Barbecue
TEMPORARY ROAD CLOSURE
to Sell 9am every Sunday Urraween Road - West of Hospital St James Lutheran Church ‘Called to Share’ Please call for a free measure and quote on any of our products Phone 4125 4127 1 Kruger Court, Urangan | www.herveybayshades.com QBCC 1058883 Crank-IT Channel Awnings Wide choice of colours Easy crank handle operation Motorised control Can be installed in hard to reach areas Will withstand the harshest of coastal exposure No need for ropes/pulleys or awkward tie down points ORDER NOW
Notice of Intention

CATHY McDonald was born at the Royal Woman’s Hospital in Brisbane fifty years ago. A year later, her sister arrived to make the family complete. At the age of one, her mum and dad took the whole family to New Zealand to live, which was where her father was born. They were hoping for new opportunities and a better life. Cathy said, “We used to live out at Muriwai Beach; it’s a beautiful spot. I did Nippers, and then when I got older, I was a lifeguard there. I was quite sporty at the time, so I played netball and tennis. They were good times”.

After meeting Mark in New

Zealand, they became good friends and tied the knot in 1996. Their firstborn son Jason came into the world in 1998, and Matthew was born two years later.

The young couple were chasing a different lifestyle and a better climate, so, with two young kids in tow, in 2004, the family packed up and headed across the ocean to Hervey Bay, leaving Cathy’s parents behind. They weren’t strangers to the region as they used to holiday in Hervey Bay. They never looked back. Her parents joined them about five years ago.

Cathy’s whole working

history has been as a pharmacy retail manager at various chemists both here and in New Zealand. Currently, she is between jobs and enjoying taking some time off for herself while looking after her husband, the home and Roxy, the foxy cross.

“For the first time in my adult life, I can stop and contemplate life for a bit.

I will be looking for a parttime job down the track and would love to try something new. The future looks quite exciting,” said Cathy.

Her boys have now grown up, got jobs, and moved away.

Her eldest son lives in Brisbane

Page 34 | Hervey Bay Advertiser | January 26, 2023 EVERYDAYPEOPLE
For Home Delivery Please order online www.giovannispizzabar.com.au or on Menulog Opening Hours: Dinner Tuesday to Sunday 4pm-8pm Shop 50/30 Main St Pialba Inside Pialba Place Shopping Centre next to Big W entrance Ph 0412 440 920 Takeaway or Dine-in • BYO 0401991826 * Pre Sale detailing * Cut and Polish * Upholstery Shampoo * Paint Protection + more CAR DETAILING *From $110 *FREE Headlight Restoration (With every pre sale detail)

GET DUCTED

Cathy McDonald A life-changing moment

and her youngest now lives back in New Zealand.

Cathy says, “When they left, it took some time for me to adjust from being a full-time mum to an empty nester. It wasn’t easy. Then Covid hit, and I didn’t get to see them at all. I missed my boys very much. But they have both grown up to be lovely young men, and I am very proud of them.

Luckily now that restrictions have been lifted, I get to see a little bit more of them”.

Cathy’s husband leads an active lifestyle, and after cheering him on from the sidelines for many years, she

gave Parkrun a go.

“I started off walking, then as the weeks, months, and years passed, graduated to jogging, then running. I have now done over 230 Parkruns.

A few years ago, I joined Tee Fit (a Bootcamp), which absolutely changed my life. Tee was a fantastic trainer and did so much for my self-esteem and helped me on my weight loss journey.

When Tee moved away, the ladies and I joined Run with Rob. Rob is a lovely man who raises money for various charities. Now I have taken up riding, swimming, and running.”

Cathy completed her first Mooloolaba Triathlon last year and is about to do her second one this coming March. Last year she also did the Hervey Bay 50.

Her husband is very supportive, and Cathy enjoys the feeling of accomplishment and pride that comes with competing and training.

“I don’t get to sleep in very often as I train nearly every morning but finding the healthy me has helped me to find my own identity other than just as a wife and mother. I feel complete.”

$5,000

The air conditioning we sell has been recognised by CHOICE®, as Australia’s best brand of air conditioner four years in a row - something no other air conditioner brand has done before.

The award is based on test reviews of over 200 reverse cycle air conditioners and the results of the annual reliability and satisfaction survey completed by CHOICE® members.

Mid Coast are giving you the chance to win $5,000 cash, if you install a ducted air system before the end of February.

All our systems are of the highest quality and are backed by a full 5 year parts and labour warranty.

Our powerful yet quiet reverse cycle ducted systems let you enjoy the comfort of air conditioning in every part of your home with one packaged solution.

With a discreet, low profile design that can be completely concealed in your ceiling and a variety of capacities and control options available, our ducted systems offer a flexible solution for any new or existing home.

Call us today to arrange a ducted quote for your home, 100% obligation free.

January 26, 2023 | Hervey Bay Advertiser | Page 35
FOR MORE INFORMATION VISIT MIDCOASTAIR.COM.AU OR CALL OUR FRIENDLY TEAM ON 41244782 STAY COOL THIS SUMMER INSTALL A DUCTED AIRCONDITIONING SYSTEM WITH MID COAST AIR AND AUSTRALIA’S BEST AIR CONDITIONER BRAND AND YOU COULD WIN YOURSELF Volunteer with us hbnc com au\apply-to-volunteer Give back to your community by becoming a Fraser Coast Volunteering Hero! Register at frasercoastheroes.com More info
www.bigbosscollectables.com.au YOUR LOCAL CARD COLLECTING STORE Visit Our Website hello@bigbosscollectables.com.au www.bigbosscollectables.com.au 0413 673 867 YOUR LOCAL CARD COLLECTING STORE 5, 56 Torquay Road, Pialba Visit Our Website

Officially one of the best Grey Nomad experiences

ORGANISERS of a festival

that showcases the Fraser Coast’s seafood and lifestyle are celebrating for the second consecutive year, having been named as a returning finalist in the national Grey Nomad Awards.

The Hervey Bay Seafood Festival has been shortlisted in the 2022 Best Grey Nomad Festival or Event category after proving to national tourism leaders that it provided an exceptional experience for visitors aged over 50.

Awards Director, Kim Morgan, said the Grey Nomad Awards shine a light on regional and remote Australia by rewarding organisations and destinations which cater to mature age visitors in an exemplary way.

Ms Morgan said that through evidence-based assessment, the Awards foster a better lifestyle for over 50s while providing verified information which guides travellers’ decisions on where to visit, play and stay.

“Having said that, the past year proved to be a particularly challenging one for those wanting to welcome grey nomads into their communities and tourism businesses.

Across Australia destinations either suffered at the hands of Mother Nature or were

flooded with more visitors but insufficient workers,” she said.

“So, It took unmatched courage and focus to choose a path in 2022 where the pursuit of excellence became part of the fabric of your organisation or community,” Ms Morgan said.

Hervey Bay’s Seafood Festival, held annually, is one of the state’s most anticipated culinary delights. It features an array of mouthwatering fresh seafood from Australian providers, the best regional breweries, distilleries and wineries, cooking demonstrations with celebrity chefs and a star-studded line-up of live entertainment.

In its 23rd year the Hervey Bay Seafood Festival is held in August and attracts visitors

from all over the state.

The judges congratulated the Hervey Bay Seafood Festival on a successful year of operation despite hurdles, saying “This one-day festival packs in so many experiences that are quintessentially Queensland and therefore a bonus for visitors, and the organisers are to be commended for developing innovations such as a VIP zone for those visitors seeking a little more opulence. We love the pop-up Visitor Centre where RV travellers could find out what else to see and do while holidaying on the Fraser Coast”.

Winners in all 11 categories will be announced on Friday 17 February

WE ARE LOOKING FOR WOULD YOU LIKE TO EARN SOME EXTRA INCOME? TO DELIVER THE DELIVERY DRIVERS Phone Adrian 0435 961 243 January 26, 2023 | Hervey Bay Advertiser | Page 37 LIGHTING & POWER PRODUCTS FOR CAMPING AND 4WD www.bobsauto.com.au HERVEY BAY 93 Main St, Pialba Ph: 4124 1855 MARYBOROUGH 14 Rocky Street Ph: 4121 2288 After Hours: 0427 722 746 OWN IT NOW, PAY LATER NEED SOME LIGHT? FIND HARDKORR SPOTTIES • BATTERY BOXES • CAMP LIGHTING AT BOB’S HERVEY BAY & MARYBOROUGH
4194 5959
PC & LAPTOP REPAIRS

Registrations for Corporate Triathlon Challenge open

TRIATHLON: As reported in September last year, the Col Pearce Corporate Triathlon Challenge is returning.

The event will run on Sunday, April 23 and will be held around the Hervey Bay Surf Lifesaving Club.

After a four-year hiatus, the event honouring Col will return after the blessing of Gary Pearce and the Pearce family.

With a 300m swim, 10km ride and 3km run, every team stands a chance to win, with the champion team finishing closest to their nominated time.

With the support of the Hervey Bay Neighbourhood Centre and the Hervey Bay Triathlon Club, the aim is to get people out and active at a community event.

The Hervey Bay Tri-

club and the Hervey Bay Neighbourhood Centre are asking for community support to raise funds for the Youth Mentoring Program run by the Hervey Bay Neighbourhood Centre.

“Having benefited various charities in the six years the event ran previously, helping the Hervey Bay Neighbourhood Centre take on this event to fund critical Youth Mentoring initiatives is something the club is energised about,” Hervey Bay Triathlon club president Paul Smith said.

The Youth Mentoring Program provides one-on-one mentoring for young people aged 7-17 years in partnership with local schools.

Rowey Allen, the Collective Impact Coordinator of the

Hervey Bay Neighbourhood Centre, believes the event will create some fun whilst raising much-needed funds for the Youth Mentoring Program.

“This event will help keep the valuable program going in the community,” Allen said.

She encourages everyone to get involved.

“It will be a really fun day, and there will be prizes for the best-dressed team. It is not about who finishes first. Each team nominate a time and try to come as close to it as possible.

To register a team for the event, visit the Col Pearce Corporate Triathlon Facebook page or visit the Hervey Bay Triathlon Club webpage www. herveybaytriclub.org.au/ charitytriathlon

Flames on fire in preseason friendly game

FOOTBALL: The Fraser Flames ladies’ teams began their 2023 season’s campaign on Saturday afternoon with a pre-season game against the Nambour Yandina United Football Club at the Fraser Coast Sports Recreation Precinct.

After a solid start in pre-season training, the teams were ready to hit the pitch for some football action. Under heavy skies and light rain, the Flames Division One ladies and Premier League teams

had their first hit-outs. The division one ladies

It was the first time the team had played together, and they produced a great first half going ahead, but unfortunately couldn’t hold onto it losing 4-2.

were the first to take to the field before the FQPL team.

In an entertaining match that blew out the cobwebs, the Fraser Flames FQPL team, who are the current premiers and champions of the Wide Bay Premier League, defeated the visitors 3-0, with Kirsty Frehmann scoring a double and Emily McDougall scoring the first.

128 Boat Harbour Drive, Pialba www.mybigscreen.com.au Check our facebook & website for current session times STARTS 26TH january STARTS 9TH february STARTS 2ND february January 26, 2023 | Hervey Bay Advertiser | Page 39 SPORTSINTHEBAY
Hervey Bay Triathlon Clubs Paul Smith and Jeff Morris chat about the upcoming event with the Hervey Bay Neighbourhood Centres Rowey Allen Brooke Lewis protects the ball
82 TORQUAY ROAD, HERVEY BAY 4125 9500 WWW.WBMG.COM.AU | AFTER HOURS - GARY 0477 820 351 HUGE RANGE OF QUALITY PRE-OWNED VEHICLES FINANCE AVAILABLE HUGE RANGE ACROSS TWO SITES TRADE-INS WELCOME SEE THEM ALL AT WBMG.COM.AU 2009 Hyundai Getz SX • 119,672k’s • Ideal First Car • Bluetooth • Power Windows • Air Conditioning • Airbags $9,990.00 Drive Away 2014 Holden Trax LS • 35,017k’s • 1.8lt 4 Cyl Petrol • Reverse Camera & Sensors • Cruise Control • Bluetooth $17,990.00 Drive Away 2016 Holden Captiva LTZ • 92,500k’s • Turbo Diesel • 7 Seat • All Wheel Drive • Auto • Reverse Camera • Bluetooth • Cruise Control $23,990.00 Drive Away 2017 Mazda CX-3 MAXX • 32,000k’s • 2L Petrol Engine • Auto • Keyless Start • Bluetooth • Cruise Control $27,490.00 Drive Away 2017 Toyota Corolla Hybrid • 60,650k’s • 1.8lt Petrol + Hybrid • Reverse Camera • Bluetooth • Cruise Control $29,990.00 Drive Away 2020 Kia Cerato Sport • 15,500k’s Balance New Car Warranty • Power and Economy • Reverse Camera • Cruise Control $29,990.00 Drive Away 2019 Mitsubishi ASX • 28,500k’s Climate Air Conditioning • Power Mirrors • Good Service History • Rear Camera and Sensors $30,990.00 Drive Away 2020 Toyota Rav4 GX • 20,000k’s HYBRID • Balance New Car Warranty • Blind Spot Monitoring • Sat Nav • Parking Control $57,990.00 Drive Away 2021 MG ZST Excite • 30,168k’s • 1.3lt Turbo Petrol • Adaptive Cruise Control • Leather Interior • Sat Nav • 360 Degree Cameras $27,990.00 Drive Away 2018 Jaguar E-Pace D180 • 40,000k’s Turbo Diesel • Gorgeous Inside and Out • 17 Inch Alloy Wheels • Brake Assist $52,590.00 Drive Away 2020 Mazda CX-9 GT • 23,154k’s • Balance New Car Warranty • 2.5lt Turbo Engine • Leather Trim • Alloy Wheels • 7 seats $57,990.00 Drive Away 2018 Mitsubishi Eclipse Cross • 83,500k’s • 1.5lt Turbo Petrol • Apple Carplay • Mutli Function Screen • Cruise Control $29,990.00 Drive Away
NO WAITING ON STOCK from from • 8” colour infotainment screen with Apple CarPlay™ • Rear view camera and rear parking sensors • Stylish interior with tartan fabric trim seating • 15” Alloy wheels • Optional Sat Nav In addition the Excite features: • 16” Two-tone machined alloy wheels • Body colour door mirrors with integrated turn signal • 6 Speaker audio system w/ Yamaha 3D Sound Field • Rear spoiler $18990* $20490~ DRIVEAWAY DRIVEAWAY *$18,990 is the driveaway price for the MG3 Auto Core MY22 without any options. ~ $20,490 is the driveaway price for the MG3 Auto Excite MY22 without any options. Offers available at participating MG Dealers for new stock vehicles only, sold and delivered between 01 August and 30 September 2022. While stock lasts. Offers are not available to fleet, government, or rental buyers, or with any other offers. ^7-year factory warranty T&C’s and exclusions at www.mgmotor.com.au/warranty. Wide Bay MG | Hervey Bay & Maryborough | Ph 07 4125 9500 | Value since 1924 mgmotor.com.au
1800 444 244 FRASER COAST MOTOR CENTRE QUALITY USED CARS USED CAR SUPERSITE COME AND VISIT US AT OUR ALL NEW 105 BOAT HARBOUR DRIVE SEE OUR FULL RANGE AT WWW.FCMC.COM.AU ✓ YES - WE BUY CARS FOR CASH - CALL US TODAY ✓ DRIVE AWAY $15,990 2010 FORD FOCUS XR5 • 155,922 klms • 6 SP Manual • 5 Cylinder • 2.5 Litre Petrol • Hatchback • Recaro Sports Seats STK:701073 DRIVE AWAY $26,500 2020 HYUNDAI i30 • 37,752 klms • 6 SP Sports Auto • 4 Cylinder • Hatchback • Power Steering • Air Con DRIVE AWAY $15,990 2010 NISSAN MURANO ST • 150,789 klms • 6 SP Variable • 6 Cylinder • 3.5 Litre Petrol • 4X4 Constant • Great Family Car STK:701100 DRIVE AWAY $27,990 2010 MITSUBISHI PAJERO • 185,674 klms • Majorca Black • 5 SP Sport Auto • 4 Cylinder • 3.2 Litre Diesel • 7 Seat Wagon STK: 701055 DRIVE AWAY $28,990 2014 MITSUBISHI OUTLANDER • 39,527 klms • 6 SP Variable • 4 Cylinder • 2.4 Litre Petrol • 4X4 On Demand • 18” Alloy Wheels STK: 701096 DRIVE AWAY $37,490 2018 MITSUBISHI TRITON GLS • 102,464 klms • 5 SP Sports Auto • 4 Cylinder • 2.4 Litre Diesel • Dual CAB Utility • Immaculate Condition STK: 701070 DRIVE AWAY $29,888 2016 VOLKSWAGEN AMAROK • 8-speed Auto • 4X4 Constant • Pristine Tray • 4 Cylinders • 2 Litre Diesel • Immaculate Amarok STK: 700856 DRIVE AWAY $41,990 2018 ISUZU MU-X • 53,435 klms • 6 SP Sports Auto • 4 Cylinder • 3 Litre Diesel • Rear Wheel Drive • Immaculate Condition DRIVE AWAY $41,990 2020 VOLKSWAGEN T-ROC • 9,840 klms • 7 SP Sports Auto • 4 Cylinder • 2 Litre • Dual Clutch • Four Wheel Drive STK: 701053 DRIVE AWAY $50,888 2016 TOYOTA LANDCRUISER PRADO GXL • 123,459 klms • 6 SP Sports Auto • 4 Cylinder • 2.8 Litre Diesel • Snorkel • Immaculate Condition STK: 701032 DRIVE AWAY $41,990 2020 FORD FOCUS ST SA • 21,896 klms • 7 SP Auto • 4 Cylinder • 2.3 Litre Petrol • Hatchback • Power Steering STK: 701027 DRIVE AWAY $82,990 2021 FORD RANGER RAPTOR X • 27,410 klms • 10 SP Sports Auto • 4 Cylinder • 2 Litre Diesel • 4X4 Dual Range • Dual Cab Utility STK: 701105 STK: 701011 STK:701103
YOUR LOCAL TRADES & SERVICES ADVERTISE YOUR BUSINESS Email Kristie today on sales@herveybayadvertiser.com.au AUTO REPAIRS SANDY STRAITS MECHANICAL 0434 666 212 Mobile Mechanic Service • Log Book Servicing All Mechanical Repairs • Air Conditioning Re-Gas Servicing and Repairs LIC AU40528 BATHROOMS BEN STUBBINGS 0428 165 033 QBCC1091848 – donnabenstubbings@bigpond.com • Supply & Fit New Shower Screens • Shower Renovations • Bathroom Renovations • Leaking Shower Repairs • Tiling to Bedrooms & Big Floors • Fully Licensed & Experienced Waterproofers STUBBINGS WALL & FLOOR TILERS All Aspects of Tiling & Waterproofing BOBCAT, BACKHOE & DINGO smythe’s Bobcat & Mini Excavator Hire Attachments: Augers Rock Grab Hammer Spreader Bar Call John 0419 789 684 BOOKKEEPING SERVICES BUILDING SERVICES Your Project, Our Experience, Quality Outcome New Homes • Renovations Extensions Patios Decks and Home Improvement Kirt Phillips - QBCC 1089802 build@fcconstruct.com.au 0419 700 167 ADVERTISE YOUR BUSINESS CARAVANS Late Model CARAVANS Hervey Bay Caravans Ricky 0417 033 852 (07) 4128 1777 WANTED TO BUY Cash Paid CARPENTRY PB Carpentry Trade Qualified Carpenter | 25 Years Experience • All Your Carpentry Jobs • Inside & Out • Home Renovations • Plus Maintenance & Repairs Phone Paul for a FREE QUOTE 0450 612 621 (No jobs over $3300) ROB CRADDOCK CARPENTRY QBCC1168764 ALL ASPECTS OF CARPENTRY with 30 Years Experience Reliable & Professional Service 0429 967 238 Ph (07) 4124 5922 Shop 4 & 5 / 97 Old Maryborough Rd, Pialba Email herveybay@ultratune.com.au Ultra Tune Hervey Bay Opening Hours Mon-Fri 8am-5pm • Saturday 8am-12noon We are excited to announce new owners Andrew and the team Specialists in: Vehicle handbook servicing Car maintenance & repairs Car tyres & wheel alignments Brake service & repair Suspension & shock absorbers Air conditioning service & repair Roadside Assist National warranty Packages from only $65 per issue ADVERTISE YOUR BUSINESS January 26, 2023 | Hervey Bay Advertiser | Page 43
YOUR LOCAL TRADES & SERVICES ADVERTISE YOUR BUSINESS Email Kristie today on sales@herveybayadvertiser.com.au CLEANING SERVICES Mark’s Window Cleaning & Exterior Washing Ph Rachelle 0405 105 790 • Windows Professionally Cleaned • High Access Windows • Pressure Cleaning – gutters, eaves, roofs, buildings & carparks • Builders Cleans • Bond Cleans • Carpet Cleaning (from $65) • Domestic House Cleaning • Commercial Cleaning • Free Quotes – Friendly Service INSURED FULLY | NDIS PROVIDER 20 YEARS LOCALLY OWNED BUSINESS CLOCK & WATCH REPAIRS CLOCK AND WATCH REPAIRS Office Hours 8:30am – 4pm Monday – Friday Saturdays by appointment only Phone Glen Powell 4123 4488 or Mobile 0417 640 604 Shop 2/70 Walker Street Maryborough WSeiko atch BatterieS Fitted CONCRETING SERVICES Greg Winney (Concreter) 30 years exp. in local area · Garage slabs · Patio · Driveways · Exposed aggregate, etc A Local You Can Trust Ph 0417 710 904 After Hour 4128 7316 QBCC No 57000 QBCC 15023760 Hervey Bay & Surrounding Areas MARK HOLSTEIN CONCRETING 0410 965 508 • Driveways • Shed Slabs • Patios • Pool Surrounds • Decorative Concreting • Footpaths etc ELECTRICAL SERVICES A.C.C. ELECTRICAL Over 20 Years Servicing Hervey Bay All Electrical, TV, Ph, HW, A/C Split Systems, T-Tag Needs FREE QUOTES - NO CALL OUT FEE Phone Col 0427 027 472 - 4124 4600 FULLY INSURED LIC NO 10574 Glenn Darlington ELECTRICAL • New Homes • Renovations • Stove and Hot Water System Repairs • TV & Phone Outlets • Sheds • Airconditioning Sales & Installation Domestic and commercial installations and Maintenance Lic#67059 ARC Lic No L151443 0418 797 239 or 4124 0457 glenndarlingtonelectrical@hotmail.com Lic No: 37045 All electrical work Always on time Servicing Hervey Bay area since 1951 Free quotes - no job too small Business & after hours 4128 1988 or find us on www.watkinselectrical.com.au LIC# 81551 FOR ALL YOUR ELECTRICAL NEEDS CALL DANIEL ON 0408 706 436 Email: sunnysideelectricalservice@gmail.com AIR CONDITIONING INSTALLATION FREE NO OBLIGATION QUOTES DOMESTIC - COMMERCIAL - RURAL find us on FENCING BILL RAWORTH FENCING AND GATES · All Aspects of Fencing · Colorbond · Service and Repairs · Sliding Gates PH: BILL 0459 715 117 B & S FENCING WORLD and Landscaping bsfencingworld@bigpond.com Pool & Garden Rust Free Aluminium Glass Semi Frameless & Frameless Landscaping Concrete Water Features Balcony Glass, Aluminium or stainless Steel Gates Sliding, Swing & Auto Garden Sheds Made by Stratco COLORBOND FENCING www.bsfencingworld.com.au 0417 678 200 or 0428 565 063 Lic: BSA NO. 1105026 FUNERAL DIRECTOR SERVICES J. Kirk & Sons Established 1865 Where Funerals, Cremations & Memorials Cost Less! Maryborough 4121 4183 Hervey Bay 4124 2524 100% Family Owned 100% Locally Owned ~Funeral Plans Available~ Hervey Bay Crematorium 224 Urraween Road, Hervey Bay Ph: 4124 2524 Maryborough Crematorium Bruce Highway, Maryborough Ph: 4121 4183 GARAGES & SHEDS Aussie Improvements Garages FOR A FREE QUOTE Email: aussie.outdoor.improvements@gmail.com PHONE 0438 905 216 18 Southern Cross Circ, Urangan Sheds, Garages, Carports Quality products Great price 4124 2099 1/85 Islander Rd, Pialba request a quote www.ranbuild.com.au • General Repairs • Maintenance • Installation • Automation of Existing Doors • Annual Servicing OBLIGATION FREE QUOTES SERVICING FRASER COAST Scott Green 0405 307 191 sdgaragedoors81@gmail.com GUTTER CLEANING BAY GUTTER VACUUM Corporate . Commercial . Residential Chris 0419 650 054 bayguttervacuum@gmail.com Gutter Vacuuming eliminates dirt, mud and leaves Roof Inspections Minor Roof & Downpipe Repairs Prepare now for Storm & Fire Season No Mess ADVERTISE YOUR BUSINESS HOME MAINTENANCE BUDGET MOWING SERVICING HERVEY BAY & SURROUNDS FOR ALL YOUR GARDENING NEEDS DRIVEWAY & PATIO CLEANING SERVICE CURRENT POLICE CHECK FREE QUOTES PHONE 0457 255 622 Email Kristie today on sales@herveybayadvertiser.com.au ADVERTISE YOUR BUSINESS HOME DELIVERED EVERY FORTNIGHT Choose your own heading YES 3 Reach 22,500 Homes YES 3 Multi-booking discounts YES 3 PACKAGES FROM ONLY $65 PER ISSUE January 26, 2023 | Hervey Bay Advertiser | Page 44
YOUR LOCAL TRADES & SERVICES ADVERTISE YOUR BUSINESS Email Kristie today on sales@herveybayadvertiser.com.au Handyman Plus All household repairs Plus Carpentry, Concreting, Painting Paving & Decks Very reasonable rates - Pensioner Discounts Phone: Kevin 0417 849 698 For free quote No work over $3,300 A&B Touch Ups Chips Cracks Damaged Surfaces CALL ALBERT 0437 788 385 *JOBS UP TO $3300 ONLY* ShowerRe-groutRe-siliconeFloorTilesGlueDrummyTilesDrivewayRepairs MARINE SERVICES PH: DEN 0432 285 401 HERVEY BAY OUTBOARD SPARES BUY & SELL OUTBOARDS WANTED FOR WRECKING PAINTING & DECORATING QBCC 1194109 LIC 15075446 Phone 0423 964 496 www.frasercoastwaterproofing.com DISCOUNT PAINTING All Work Guaranteed By Local Qualified Tradesman NEW WORK & REPAINTS Water Blasting & Roof Painting at Affordable Prices · PENSIONER DISCOUNTS · Phone: Stewart 4125 6138 or 0408 452 434 QBCC: 1187889 PAINTER By Trade & By Name Small enough to care Big enough to cope Phone Derek on 0457 077 599 or 4128 2816 True Father & Daughter Team QBCC Lic No: 15160797 QBCC Lic. No. 1076503 Painting Contractor Phone 4194 6092 Mobile 0418 152 868 New work • Repaints • Wallpapering Commercial & Domestic Work For a free quote ring Fred today Quality Internal and External Painting Over 30 years experience Lic. No. 53585 S.D. & K.M. Tanner PH: 4128 3229 Mobile: 0411 032 478 Email: sydneytanner@bigpond.com Reliable Honest Quality Stirling Painters Discount Painting Small and Medium job specialist FREE QUOTES (within 48 hrs) · Interior · Exterior · Roofs · Water Blasting · Repaint Specialists COME AS LOCAL TRADESMEN... LEAVE AS FRIENDS Looking after locals for 38 years 0422 566 004 or 4125 4794 QBCC 81429 PEST CONTROL HERVEY BAY & MARYBOROUGH Specalising In: • Cockroaches • Silverfish • Ants • Spiders, Redbacks • Fleas & Ticks • Termites • Timber Pest Inspections • Mosquitos • Sandflies • Rats & Mice For environmentally responsible treatment call 4128 3072 0412 458 440 Local Owner/Operator Peter Stiler QBCC 1012203 Cockroach, Silverfish & Spider Treatment $130* Plus Shed Treated FREE ONLY (inc. ceilings & external wall cavities. Plus 12 Month Warranty) Standard house size PLUMBING SERVICES Simon 0417 596 495 For all you plumbing and maintenance Email: hartwellplum@gmail.com Simon & Catherine Hartwell HARTWELL PLUMBING Pty Ltd REPLACEMENTS - NEW INSTALLS MAINTENANCE - REPAIRS QBCC 1140025 Lic No: 24340 Gas: 130001 DOUG KELLY PLUMBING QBCC 5030291 MAINTENANCE & NEW CONSTRUCTION SEWER DRAINAGE BLOCKAGES SHANE 0407 798 805 TRUE BLUE WATER FILTERS Never buy bottled water again! • Pure, clean and great tasting chemical free water • Reliable and friendly, Hervey Bay owned & operated • Free quotes available, including shower filters & whole house systems Royce 0419 856 088 CARAVAN & MARINE GAS CERTIFICATES SERVICE, REPAIRS, SALES INSTALL, FREE QUOTES 4128 2111 80 Torquay Road, Hervey Bay QBCC 1077287 ROOFING SERVICES 0408 724 047 AH (07) 4125 5590 0408 724 047 AH (07) 4125 5590 GABLE ROOFING GABLE ROOFING Specialist in Tiled Roof Maintenance • Re-bed & Re-point • Roof Restorations • Storm Damage & Repairs • Roof Inspections FULLY LICENSED & INSURED “BETTER THAN THE ORIGINAL” 30 YEARS EXPERIENCE QBCC 733635 QMRTA 1153 RUBBISH REMOVAL PHONE BADEN MOORE 0403 346 165 FREE QUOTES NO TIME TO TAKE THAT EXTRA RUBBISH AWAY? LET ME DO IT FOR YOU! |GARDEN WASTE | BED/MATTRESS |WASHING MACHINES/DRYERS | BUILDING MATERIALS |PROPERTY CLEAN-UP PLEASE NOTE PHONE NUMBER HAS CHANGED TREE SERVICES M. 0421 255 178 REMOVAL OF DEAD& DANGEROUS TREES TREE TRIMMING STUMP GRINDING . LAND CLEARING 24 HOURS EMERGENCY WORKS FIRE MANAGEMENT CLEARING FULLY INSURED QUALIFIED ARBORIST . MACHINE HIRE MULCH SALES PICK UP OR DELIVERED owen@advancetreeworks.com.au www.advancetreeworks.com.au Budget Tree Service Vegetation Management Tree & Stump Removal Qualified Arborists Qualified Climbers 24hr Emergency Service 15” 18” & 20” Chippers Stump Grinders 19m & 22m EWPs Mini Loader Fully Insured ph 4129 0487 0429 019 448 Servicing Wide Bay and Surrounding Areas www.budgettreeservice.com.au budgettreeservice@bigpond.com Hervey Bay SPecialiSTS AFFORDABLE TREE REMOVAL, TRIMMING & PRUNING STUMP GRINDING | PALM TREES REMOVED Free Quotes. Fully Insured Call Luke 0478 822 956 FRASER COAST STUMP GRINDING ADVERTISE YOUR BUSINESS Email Kristie today on sales@herveybayadvertiser.com.au January 26, 2023 | Hervey Bay Advertiser | Page 45
January 26, 2023 Read the full digital version @ www.herveybayadvertiser.com.au BPI www.bpic.com.au BUILDING & PEST INSPECTIONS QBCC BUILDERS LICENCE: 1318788 PEST TECHNICIAN LICENCE: 3005499615 • BUILDING & TIMBER PEST INSPECTIONS • PRE-SALE & PRE-AUCTION INSPECTIONS • TAX DEPRECIATION SCHEDULES All inspections include the use of our thermal imaging camera and moisture detection equipment. Offering a 24hr turn around period on our detailed 40+ page reports. CALL US TODAY FOR A QUOTE OR TO MAKE A BOOKING 4125 2944 / 1800 663 390 FIXED FEE CONVEYANCING 07 4197 5600 www.lawessentials.net.au 79 Torquay Road, Hervey Bay 9/81 Boat Harbour Drive, Urraween Phone: 07 4128 9919 Email: rentals@dsbpm.com.au Web: dsbpm.com.au Facebook: www.facebook.com/dsbpm CARPET . TIMBER . VINYL . TILES BLINDS . SHUTTERS . RUGS 1300 305 095 FOR FREE QUOTES Looking For The ‘WOW’ Factor? Undeniably spectacular in design and execution, this exquisite brand-new residence, has been expertly designed for luxury living. There are 4 bedrooms on offer here including 2 master suites, you can take your pick. Choose to relax in the sitting room, enjoy a movie in the media room or hang with the family in the open plan kitchen and dining room. The kitchen is the heart of the home, with a large stone benchtop and bi-fold servery window, allowing you to prep while never missing the party. While the butler’s pantry keeps all the clutter separate with extensive storage options. Open the sliding doors and eat alfresco on the undercover patio, on a balmy evening, poolside is the place to be with a chilled glass of wine. Offers Over $1,100,000 Kim Carter 0417 790 526 cartercooperrealty.com.au 58 Spring Way, Nikenbah 4 3 2
Lot 74 Bonavista Way Eli Waters# Price: $525,700 3 Bed, 2 Living, 2 Bath, 2 Car
Spacious 3 bedroom home with turnkey inclusions
20mm stone benchtop, stainless steel appliances
Open plan living with under roof alfresco
Completion due July 2023 Lot 63 Bonavista Way Eli Waters Price: $485,000 3 Bed, 1 Living, 2 Bath, 2 Car
3 bedroom home with turnkey inclusions
Stainless steel appliances
Open plan living with covered alfresco
Completion due mid 2023 Lot 73 Bonavista Way Eli Waters# Price: $545,400 4 Bed, 2 Living, 2 Bath, 2 Car
Stylish family home
20mm stone benchtop, stainless steel appliances
A/C to living room and master bedroom.
Completion due July 2023 Lot 71 Bonavista Way Eli Waters Price: $499,000 4 Bed, 2 Living, 2 Bath, 2 Car
Affordable family home with turnkey inclusions
Stainless steel appliances
A/C to lounge & bed 1
Completion due mid 2023 HOUSE AND LAND PACKAGES FROM $485,000* Rod Marks 0408 619 491 markspartners.com.au *Prices and status are correct at time of publication and subject to change without notice. Images and representations may be indicative only, not of actual property featured. Purchasers should inform and assure themselves by inspection or independent advice prior to purchase. *Average land price $195,166. Home + Land prices valid for contracts signed prior to 22 December 2022. *Average house and land price $542,000. #Home+Land packages are sold as separate contracts for land purchase from developer and construction contract with builder.
Blocks from 375m2 to 800m2
Construction well advanced
Titles due mid 2023 Don’t delay, call today! Out of the Blue: a dream lifestyle Earthworks have now commenced at our latest land release at Azure, Hervey Bay. Whilst many sites are nestled next to natural bushland, the green open spaces surrounding the estate create an inviting, healthy environment in which to build your new home and start your new life! NEW LAND RELEASE REGISTER NOW
PHONE TODAY FOR MORE DETAILS 4124 2747 Tina 0428 589 010 Email: sales@kerrycampbell.com.au PHONE TODAY FOR MORE DETAILS 4124 2747 Tina 0428 589 010 Kerry Campbell Homes are Hervey Bay’s house & land specialists. Servicing the region for more than 25 years. Building quality, affordable homes to suit any budget. LOT 126 WREN DR, KAWUNGAN AMBER - EXECUTIVE INCLUSIONS: 4 B/R, ENS, WIR, FAM/DIN, SEP LNG, 2 BATHROOMS + MORE, DLUG - BONUS CONSTRUCTION COMPLETE $585,000 LOT 1 IBIS BLVD, PT VERNON TRIBUNE - EXECUTIVE INCLUSIONS: 4BRM, ENS, WIR, FAM/DIN, DLUG + MORE $615,000 LOT SIZE 606sqm LOT 4 GIRRAWEEN WAY, PT VERNON CRYSTAL - PRESTIGE INCLUSIONS: 4BRM, ENS, WIR, FAM/DIN, DLUG + MORE $649,000 LOT SIZE 704sqm LOT 6 GIRRAWEEN WAY, PT VERNON LATROBE - EXECUTIVE INCLUSIONS: 4BRM, ENS, WIR, FAM/DIN, DLUG + MORE $589,000 Artist impression Artist impression Artist impression KERRY CAMPBELL HOMES Artist impression LOT SIZE 703sqm LOT 34 BRADMAN WAY, URANGAN HANNAH - PRESTIGE INCLUSIONS: 4BRM, ENS, WIR, FAM/DIN, DLUG + MORE $569,000 Artist impression LOT SIZE 534sqm AZURE - ELI WATERS HOUSE & LAND PACKAGES GREAT LOCATION • TURNKEY • NOTHING MORE TO SPEND SOMETHING TO SUIT EVERYONE LOT 59 BONAVISTA WAY, ELI WATERS, 3BRM, $499,000 LOT 61 BONAVISTA WAY, ELI WATERS, 4BRM, $575,000 LOT 62 BONAVISTA WAY, ELI WATERS, 4BRM, $575,000 LOT 63 BONAVISTA WAY, ELI WATERS, 3BRM, $499,000
 AGENCY OF THE YEAR 403 Esplanade Torquay | Call 4125 5399 | sales @ccrhb.com.au | www.cartercooperrealty.com.au 4 2 2 Scan the QR code to view KIM CARTER 0417 790 526 Offers Over $625,000 • 4 bedrooms with built in wardrobes, master complete with ensuite • Separate media room + open plan kitchen, living and dining area • A/C in master and living area, kitchen with dishwasher and gas cooktop • Outdoor covered entertaining area with pull down blinds • Double lock up garage, fenced and landscaped corner block • Transport options, parks, popular cafes and schools all within walking distance Quality Built & Available Now! 2 ROEBUCK STREET URRAWEEN Scan the QR code to view DARRYN SHAWCROSS 0417 648 840 3 1 4 • 3 Bedrooms of good proportions • Spacious Kitchen with good cupboard space • Large open plan living • Split system Air conditioning • 2 bay car shed and carport • Panoramic water and Island views Island Views and Cool Sea Breezes 37 PETREL AVE RIVER HEADS $749,000 NEW LISTING Scan the QR code to view JANA LEVAK 0431 155 140 3 2 5 Offers Above $1,100,000 • 3 spacious bedrooms, ocean facing master with ensuite & WIR • Open plan gourmet kitchen dining and living room • Expansive outdoor entertaining deck with plantation shutters • Unique 12m lap swimming pool adjoining upper deck • 3373m2 block, hilltop location, tropically inspired landscaping • DLUG, 6m x 9m shed, option to build in under home Lifestyle Oozes Out Of This Property 45 OCEAN OUTLOOK RIVER HEADS 5 2 8 Scan the QR code to view KIM CARTER 0417 790 526 & BRAD MITCHELL 0418 764 530 • 5 bedrooms with A/C, master with walk in wardrobe and spa ensuite • Open plan living, modern kitchen with dishwasher, cozy fireplace • Saltwater inground pool, 2 car garage + 4 car shed • Outdoor firepit and a covered timber deck • Working cattle yards, 6 paddocks with dams, 4 holding pens, round yard, fruit trees • Approx 800m of River frontage, pontoon with deep water mooring & 2-bay shed 148 Magic Coastal Acres Close To Town! Offers Over $1,500,000 637 NOBLE ROAD SUSAN RIVER
 AGENCY OF THE YEAR 403 Esplanade Torquay | Call 4125 5399 | sales @ccrhb.com.au | www.cartercooperrealty.com.au 4 2 2 Scan the QR code to view KIM CARTER 0417 790 526 Offers Over $750,000 • Master boasts ensuite, walk in wardrobe & lakeside views • Open plan kitchen, dining and family area + separate lounge room • Alfresco entertaining space overlooking the lake • Kitchen with stone benches, electric cooktop & quality appliances • Air-conditioning, solar panels, security alarm system • Set on a 765m2 manicured, low maintenance block Relax On The Lake 33 ENDEAVOUR WAY ELI WATERS NEW LISTING 4 3 5 Scan the QR code to view ANNETTE MITCHELL 0428 255 824 Offers Over $950,000 • Stunning 4 bedroom, three bathroom home complete with views of K’gari • Open plan kitchen with stone benchtops & Italian floor tiles • Multiple living areas inside & out, plenty of room for entertaining • Inground saltwater pool, 8kw Solar & landscaped garden throughout • An exceptional property full of quality and space • Minutes from boat ramps and the barge out to the Island Magnificent Ocean & Fraser Island Views 9 JOYCELYN TERRACE RIVER HEADS Scan the QR code to view JANA LEVAK 0431 155 140 4 2 2 Offers From $580,000 • High density zoning 400m from Esplanade • Level 1012m2 block in heart of town • 3 bedroom/2 bathroom Queenslander home on site • Income producing with a tenant in place • Suit multi dwelling/office/shops *STCA • Central position close to Scarness Precinct Perfect Position – Plenty of Potential 132 TORQUAY ROAD SCARNESS 3 6 3 Scan the QR code to view KIM CARTER 0417 790 526 BRAD MITCHELL 0418 764 530 • 3 bedrooms, other rooms reconfigurable for at least 2 additional bedrooms (5 in total) • 6 bathrooms, 2 laundries, 3 outdoor patios • Huge main kitchen + separate secondary kitchen • Saltwater pool, gazebo, pool room with amenities. • DLUG with ensuite and a studio room, extra workshop or single car garage • Solar hot water + solar panels with 13kw hours battery backup, 3625m2 block, electronic front gate A Home of Grand Proportions $1,250,000 62 SEMPFS ROAD DUNDOWRAN BEACH
 AGENCY OF THE YEAR 403 Esplanade Torquay | Call 4125 5399 | sales @ccrhb.com.au | www.cartercooperrealty.com.au 3 1 6 Scan the QR code to view KIM CARTER 0417 790 526 Offers Over $699,000 • Neat & tidy 3-bedroom brick home • Air-conditioned living area, multi-purpose room, kitchen & dining • Outdoor area with pizza oven, outdoor sink & built-in wet bar • Solar panels, fire-pit, fully fenced and landscaped 800m2 block • Double shed + massive boat/van port with power • Walk to the beach, Marina precinct, restaurants, shopping centre, schools & more Great Home + Shed + Huge Boat/Van Port 19 ARTHUR STREET URANGAN Scan the QR code to view KIM CARTER 0417 790 526 & BRAD MITCHELL 0418 764 530 3 2 5 • Quality 3 bedroom, ensuite executive home • Contemporary kitchen with butler’s pantry • Expansive deck overlooking the 13m x 4m magnesium pool • 3kw solar panels + solar hot water system • A/C, ceiling fans, tinted windows, crimsafe screens and high ceilings feature throughout • Fully fenced 1071m2 block, double garage + detached double shed + boat/caravan port North Facing Home - Prestige & Position $1,350,000 42 HILLYARD ST PIALBA 12 6 9 Scan the QR code to view KIM CARTER 0417 790 526 Offers Over $2,950,000 • 2023m2 allotment with 2 street frontage • Zoned “Residential Medium Density” • 6 x 2-bedroom fully renovated apartments • Saltwater in ground pool and BBQ area • Strata works in place and completed • Development Permit granted from Fraser Coast Regional Council for Multiple Dwelling (additional 6 units where house is located) Rare Opportunity Along the Esplanade 405 ESPLANADE TORQUAY 5 4 4 Scan the QR code to view KIM CARTER 0417 790 526 Offers Over $1,500,000 • Multi award-winning home set on a landscaped 1503m2 allotment • Beautiful glass atrium, high ceilings, timber floors, exposed beams • 3 spacious living areas + 2 outdoor entertaining spaces • Resort-style pool with sun deck & water feature • Attached studio with bathroom & kitchenette • 3 bay garage with 3.5m clearance, 2.8m x 6m workshop space + carport Architecturally Designed 5 Bedroom Home 19 NEISLER COURT KAWUNGAN
 AGENCY OF THE YEAR 403 Esplanade Torquay | Call 4125 5399 | sales @ccrhb.com.au | www.cartercooperrealty.com.au KIM CARTER 0417 790 526 Scan the QR code to view OFFERS OVER $625,000 • Positioned just 500m from the beach • 3 bedrooms, 1 bathroom, 2 living areas • Open plan kitchen living and dining area • Attached tandem carport with power • Set on a 969m2 medium density allotment, development potential • Walk to Torquay State Schools and Torquay Esplanades vibrant restaurant/cafe scene Calling All Investors, Builders & Developers! 38 TOTNESS STREET TORQUAY KIM CARTER 0417 790 526 BRAD MITCHELL 0418 764 530 Scan the QR code to view Upstairs: • 4 bedrooms, master with ensuite & balcony, air-conditioned lounge/ dining, sitting room Downstairs: • 2 bedrooms, refurbished kitchen & bathroom, laundry, a/c in living area Extras: • Inground pool, 5kw solar, 9m x 9m 3-bay shed with 9m x 5m Massive Dual Occupancy Residence 91 URANGAN STREET TORQUAY OFFERS OVER $895,000 KIM CARTER 0417 790 526 Scan the QR code to view Lifestyle Investment - Walk To The Beach • 3 Bedroom home, metres from the beach • Updated kitchen with plenty of storage and bench space • Spacious living area + additional sunroom • Hardwood timber floors feature throughout • Single lock up garage on the home • Rear covered patio area, 908m2 block 12 MARTIN STREET PIALBA OFFERS OVER $550,000 DARRYN SHAWCROSS 0417 648 840 Scan the QR code to view OFFERS OVER $799,000 • Stunning master with large ensuite with free standing bath • Open plan living/dining with timber look flooring • Modern kitchen with butlers sink, island bench • Tiled covered outdoor entertaining area, overlooking saltwater pool • 6.5 x 8.5 x2.7 shed with power and extra storage • Zoned ducted air conditioning Family Home Oasis 19 MIA COURT NIKENBAH KIM CARTER 0417 790 526 Scan the QR code to view • 4 bedrooms, 3 bathrooms (2 ensuites) • Multiple living zones and a spacious kitchen • Airconditioning, timber floors, raked ceilings • Separate entertaining pavilion at the rear • 20 solar panels, inground pool, 19.5m x 6m shed, 2 bay boat port • Sprawled over a manicured 2023m2 block 57 NISSEN STREET URRAWEEN OFFERS OVER $950,000 So Much On Offer! KIM CARTER 0417 790 526 Scan the QR code to view OFFERS OVER $270,000 • Beautifully presented 2 bedroom unit in the heart of Hervey Bay • Both bedrooms complete with built-in wardrobes • Tiled open plan living and dining area, airconditioning throughout • Secure gated complex with low body corporate fees • Less than 1km from the beach, walk to local shops, cafes and restaurants Well Presented, Central & Affordable 31/70 MAIN STREET PIALBA NEW LISTING KIM CARTER 0417 790 526 Scan the QR code to view • 3 bedrooms, all with built in wardrobes and ceiling fans • Airconditioned open plan living with raked ceilings • Polished timber floors throughout, recently replaced roof • Single lock up garage, large garden shed, underground water tank • Magnesium pool, pergola, tropical gardens, electronic gates • 881m2 corner allotment with dual street access 53 BIDEFORD STREET TORQUAY OFFERS OVER $770,000 Are you looking for a Beach House? JANA LEVAK 0431 155 140 • This beautiful home on 642m2 block is just like new. • Open plan kitchen, dining & family room – air conditioned • 4 spacious bedrooms, master with air con, ensuite & WIR • Separate media/lounge room – Outdoor entertaining patio • Double lock up garage, great side access & fully fenced • Close proximity to schools, sporting facilities, shopping etc Built In 2021! OFFERS OVER $620,000 CONSIDERED 22 BRADMAN WAY URANGAN Scan the QR code to view
 AGENCY OF THE YEAR 403 Esplanade Torquay | Call 4125 5399 | sales @ccrhb.com.au | www.cartercooperrealty.com.au KIM CARTER 0417 790 526 DARRYN SHAWCROSS 0417 648 840 Scan the QR code to view • 2 bedrooms, 2 bathrooms, ensuite to master • Spacious open plan living, fully furnished • Ducted air-conditioning throughout • Inground swimming pool with spa & secure underground car park • On-site managers, live in or rent out Akama Resort Quality Apartment $529,000 UNIT 6, 625 ESPLANADE URANGAN MAURICE & NICOLE ELLIS 0427 246 261 Scan the QR code to view OFFERS OVER $745,000 • Open plan living/dining has views out to the water and parklands • Open plan kitchen has plenty of cupboard space and dishwasher • Main bedroom with ensuite, WIR and views • 2 additional bedrooms have built in wardrobes & ceiling fans • Double car park plus storage cage underneath complex • Resort facilities include inground pool, BBQ & gym, and Balinese hut Time For Some Fun! 207/239 ESPLANADE PIALBA KIM CARTER 0417 790 526 Scan the QR code to view • 3 bedrooms, built in wardrobes, A/C in 2 bedrooms and in living area • Spacious kitchen with designated dining space • Attached carport + 6m x 9m shed at rear • 2 garden sheds, solar hot water system, fully fenced 744m2 block • New colorbond fencing, electric front gate • 600m from the beach, 3 minutes to boat ramps 47 CORSER STREET POINT VERNON OFFERS OVER $450,000 Contract Crashed – Don’t Miss Out! KIM CARTER 0417 790 526 Scan the QR code to view $1,295,000 • 2 bedrooms have private ensuite & walk in wardrobe • Kitchen with stone benches, gas cooktop & dishwasher • 2 living areas + undercover alfresco area • 7m concrete pool with Balinese hut • A/C, 3.4m raked ceilings, solar panels, bore water, shed, 875m2 block • Electric front gate, double garage + room for a boat or van Resort Style Lifestyle - 350m From Beach 3 CUNNINGHAM STREET TORQUAY KIM CARTER 0417 790 526 JANA LEVAK 0431 155 140 Scan the QR code to view Not Kidding – Must Be Sold! • Boasting superb lake views from the comfort of home • Fully air conditioned 4 bedroom home with DLUG • Open plan lounge, dining and well appointed kitchen • Spacious outdoor entertaining patio- access to pontoon/jetty • Fully landscaped & low maintenance terraced backyard • Walk to shopping centre, close to CBD & hospitals OFFERS OVER $699,000 9 SATINWOOD AVENUE URRAWEEN KIM CARTER 0417 790 526 Scan the QR code to view • 4 bedrooms, all with built in wardrobes • Ensuite, family bathroom, separate toilet & laundry • Well-appointed kitchen and dining area + separate lounge room • Covered outdoor patio, security screens, lock up garage • Fully fenced back yard, great size for the kids and pets to play with room to add a shed or pool • Walk to the beach, parks, local cafe, childcare OFFERS OVER $550,000 Secure Investment For The Future 30 GUNSYND WAY POINT VERNON Scan the QR code to view BRAD MITCHELL 0418 764 530 Designed For Leisure & Pleasure • Impeccably presented 4 b/r, 2 bathroom home • Fully airconditioned, ensuite to the master • Well designed kitchen, multiple spacious living areas • DLUG plus attached 2 bay carport • 5kw solar, security screens & doors • 722sqm block, large outdoor area & 3m x 3m garden shed OFFERS OVER $650,000 56 BOWERBIRD AVENUE ELI WATERS KIM CARTER 0417 790 526 Scan the QR code to view • Situated less than 100m from the Esplanade • Rare entire block of units: 4 x 1-bedroom units, 1 x 2-bedroom unit • 1361m2 allotment with ocean views • Zoned medium density, redevelop now or inthe future (STCA) • All units are tenanted to give an instant return on your investment • Although an older building, it’s the location that really counts OFFERS OVER $1,300,000 Blue-Chip Unit Block Investment 9-11 HERVEY STREET SCARNESS PRICE REDUCED
 AGENCY OF THE YEAR 403 Esplanade Torquay | Call 4125 5399 | sales @ccrhb.com.au | www.cartercooperrealty.com.au LAND FOR SALE 19B BEACH ROAD PIALBA OFFERS OVER $350,000 506m2 86-90 LONGVIEW DRIVE, RIVER HEADS $435,000 2000m2 OFFERS FROM $170,000 PER LOT 681sqm – 977sqm OFFERS OVER $1,200,000 1001m2 104 ESPLANADE, POINT VERNON KINGFISHER BAY, FRASER ISLAND ANNETTE MITCHELL 0428 255 824 JANA LEVAK 0431 155 140 6 BIRCHWOOD COURT BURRUM HEADS • Lovely home offering spacious formal & informal living • Well appointed kitchen with s/s appliances & plentiful bench space • King size master with WIR/ensuite & 3 additional bedrooms • Private & expansive outdoor entertaining overlooking gardens • DLUG with internal access – fully fenced 2048m2 block • 6x6m shed & 7x7m shed & separate studio/workshop Stunning Property in Leafy Enclave Scan the QR code to view OFFERS ABOVE $799,000 MAURICE ELLIS 0427 246 261 DARRYN SHAWCROSS 0417 648 840 Scan the QR code to view • 3 bedrooms with built in wardrobes and ceiling fans • Large, air-conditioned open plan lounge, dining, kitchen • Spacious kitchen with drawers, stone benchtops • Massive covered outdoor entertaining area with insulated roof • Inground salt water chlorinated pool, sand filtered • Studio/Retreat is 1 bedroom with open plan living/kitchen area House, Pool, Separate Retreat 73 LADBROKE CRESCENT URANGAN $825,000 MAURICE & NICOLE ELLIS 0427 246 261 Scan the QR code to view • Popular Apartment Complex • Amazing position- duck to family friendly beach, shops, restaurants and extensive bike way • Fully furnished 3 bedroom, ensuite • Air-conditioned open plan with views over water and parkland • Resort style inground pool and BBQ area • Live in or utilise pro-active on-site managers Incredible Location 10/451 ESPLANADE TORQUAY $589,000 JANA LEVAK 0431 155 140 • Beautiful home with living spread over 2 levels • Formal & informal living plus parents retreat • 4 Bedrooms – 2 bathrooms – powder room & office • Double garage & workshop/man cave & 6x6m shed • Private balcony & outdoor entertaining deck • Centrally located to CBD – walk to Esplanade & beach Central – Secluded – Sea & Island Views $859,000 3 EURONG AVENUE PIALBA KIM CARTER 0417 790 526 Scan the QR code to view 1/2 Acre, Large Shed, Town Convenience • 4 bedrooms, master complete with ensuite • Open plan living with A/C + lounge room • Outdoor patio area, huge shed at the rear & double garage • 2225m2 block, potential to subdivide (STCA) • School bus for the kids, 15 minutes to Hervey Bay’s CBD • Close proximity to Boat Ramps & Fraser Island Ferry 51 MATHIESEN ROAD BOORAL $690,000 KIM CARTER 0417 790 526 AMANDA CARTER 0447 686 194 Scan the QR code to view • 4 bedrooms, 2 bathrooms, 2 living areas • Master complete with dual wardrobes and ensuite • Remote controlled thermal blinds and air-con in all bedrooms • Butler’s pantry, 2 x 5000L water tanks, 6kw solar, 9m x 9m shed with power • North facing balcony, front row view to all events held at Sea Front Oval • Outdoor kitchenette (perfect for extended family or dual living) 282 ESPLANADE PIALBA The Beachfront Lifestyle Awaits You $1,385,000 KIM CARTER 0417 790 526 Scan the QR code to view OFFERS OVER $675,000 • 2 bedrooms with built in robes, airconditioning in bedrooms and living area • Office, multi-purpose room, open plan kitchen and living, enclosed patio • 22 solar panels + solar hot water, 787m2 corner allotment • 3-bay shed, middle bay with high clearance + large storage shed • Outstanding opportunity for future capitalisation (STCA) Prime Position Just 200m From Beach 14 ALEXANDER STREET URANGAN Scan the QR code to view
 AGENCY OF THE YEAR 403 Esplanade Torquay | Call 4125 5399 | sales @ccrhb.com.au | www.cartercooperrealty.com.au KIM CARTER 0417 790 526 Scan the QR code to view • 4 bedrooms, air-conditioned master complete with ensuite • Family bathroom with bathtub and separate toilet • Designated dining area and spacious air-conditioned lounge room • Outdoor undercover entertaining space • 737m2 block, side access to rear, room for a shed or pool • Minutes from boat ramps, beach & schools OFFERS OVER $595,000 Ideal First Home or Investment 24 SHARYN COURT POINT VERNON ANNETTE MITCHELL 0428 255 824 46 BIRRABEEN AVENUE PIALBA • 3 Bedrooms with fans & built ins • New kitchen with dishwasher and beautiful gas oven • Beautifully renovated bathroom & laundry • Airconditioned living, dining and master bedroom • New flooring, paintwork and window coverings • Absolutely massive timber outdoor entertainment deck Character & Charm Scan the QR code to view Offers Over $550,000 Location, Lifestyle And Elevated Ocean Views Upstairs: • Master bedroom complete with ensuite • Open plan kitchen living & dining area Downstairs: • 2 additional bedrooms & family bathroom • Double lock up garage on the home 2B/2 TALASEA DRIVE KAWUNGAN KIM CARTER 0417 790 526 Scan the QR code to view $570,000 KIM CARTER 0417 790 526 1/9 ISIS COURT ELI WATERS • 3 bedrooms, master with ensuite and WIR • Spacious, air-conditioned open plan living • Modern galley style kitchen, tinted windows • Tiled living areas with carpet to bedrooms • Solar hot water, double lockup garage • Covered patio area, fully fenced backyard • Close to schools and Eli Waters Shopping Centre House Size Duplex with Great Yard! Scan the QR code to view OFFERS OVER $430,000 Scan the QR code to view BRAD MITCHELL 0418 764 530 • Solid 3 bedroom brick home • Ensuite to master, large living area • 607m2 block with easterly aspect • 4 bay shed plus carport (good access) • Vinyl planking, security screens & doors • 1 km to the beach. All amenities nearby $575,000 Centrally Located and Easy To Maintain 7 BARRY STREET TORQUAY KIM CARTER 0417 790 526 • Ocean views from balcony and bedrooms • Modern bathroom, separate toilet & laundry • Air-conditioned open plan living, galley kitchen • Ceiling fans & security screens throughout • Walk to schools and shopping precinct • Well maintained complex of 7 units with in-ground pool Scan the QR code to view 5/3 BEACH ROAD PIALBA OFFERS OVER $435,000 Beachside Beauty 60m From Ocean 22/80 MOOLYYR STEET URANGAN KIM CARTER 0417 790 526 Scan the QR code to view Luxury Two Bedroom Townhouse • 2-bedroom townhouse located at the Quarterdeck Harbour Retreat • Full use of complex facilities: inground pool, sauna, spa, BBQ area • Perfect to live in permanently or occasionally • Holiday let or rent out with on-site managers • Walk to the beach, marina precinct, clubs, restaurants and cafes • Minutes from Urangan shopping complex OFFERS OVER $450,000 KIM CARTER 0417 790 526 BRAD MITCHELL 0418 764 530 Scan the QR code to view OFFERS OVER $995,000 Experience The Sea Change • Master bedroom complete with walk in robe, ensuite & sunken spa • Guest accommodation with a bedroom, bathroom, kitchenette & large living area • Additional living area off the pool with a bedroom, kitchenette & laundry • New flooring & carpet, complete roof restoration, reticulation, watering system, new septic system • Single lock up garage with internal access 15 SWAIN COURT CRAIGNISH Beachside Home with Shop Front • 3 Bedroom house, less than 400 meters to the beach • Generous kitchen with plenty of cupboard space • Open plan living/dining • Fenced 802sqm block • Shop front seen by the high volume of traffic from Beach Rd • Unparalleled opportunity to secure a home with business prospect • Perfectly positioned, close proximity to shops, school and the CBD 1 WATSON STREET PIALBA KIM CARTER 0417 790 526 Scan the QR code to view OFFERS OVER $650,000 303/569 ESPLANADE URANGAN KIM CARTER 0417 790 526 Scan the QR code to view • 2 bedroom, 2 bathroom unit in Oaks Resort • Spacious open plan kitchen, living & dining • Balcony overlooking pool and ocean views • Secure underground car parking • Facilities include: 2 lagoon pools, gym, day spa & function rooms • Walk to restaurants, cafes, Urangan Pier and beach Come Home To The Good Life OFFERS OVER $600,000 MAURICE ELLIS 0427 246 261 Scan the QR code to view OFFERS OVER $600,000 • Located with Grand Mercure Allegra Apartments • 2 bedrooms, generous ensuite and spa bath • Open plan living space and secure balcony • Generous kitchen – modern appliances • Fully furnished – inventory available • Secure underground parking • Fantastic on site facilities, and awesome position Allegra Apartments 306/468 ESPLANADE TORQUAY KIM CARTER 0417 790 526 Scan the QR code to view 2 TURRUM STREET SCARNESS OFFERS OVER $562,000 • 4 bedroom home, central to everything Hervey Bay has to offer • Spacious open plan living with designated dining area • Airconditioning, security screens and ceiling fans throughout • New colorbond fencing for privacy, excellent side access • Single garage on the home + detached shed with power • Set on a fully fenced and landscaped 798m2 corner block Neat as a Pin & Ready to Move in
sales @ccrhb.com.au | www.cartercooperrealty.com.au 9 9

3 Arlington Court, Kawungan Spacious & Peaceful Living in Immaculate Location!

This incredible 4-bedroom home is graced with beautiful gardens, great extended size entertainment area, open plan living and dining airconditioned area with a massive refurbished kitchen and newly renovated ensuite! But that’s not all!

This home boasts a big 6x4m shed in the backyard and even has an undercover caravan port that could also store your boat, trailer or another vehicle!!

This property is only a few minutes walk to Bunnings and Stockland shopping Centre and a short drive to Schools, Medical, Sporting Precincts and The Esplanade!!

Property Highlights:

• 4 Bedrooms

• 2 Bathrooms

• Main bedroom featuring a walk-in robe and newly renovated ensuite!

• 2 car garage with additional undercover parking area for your Caravan, Boat, Trailer or another car!

• Big kitchen with a generous amount of cupboard space.

• Spacious airconditioned Living and Dining area.

• Great sized laundry

• Amazing extended undercover entertainment area outside that overlooks beautiful gardens and a great 6x4m Shed.

• A beautiful home upon a lovely 842m2 allotment!

Hervey
4128 2188 357
rh.com.au/herveybay
Bay
Esplanade, Scarness
2 2 4 View Saturday 28th January 1.30 to 2.00pm Saturday 4th February 9.00 to 9.30am Price Submit Offer Web rh.com.au/herveybay/L21454817

17 Sager Crt, Torquay

A Place To Call Home!!

This incredible 3 bedroom, 2 bathroom family home is situated at the end of a quiet cul-de-sac in Torquay. Just minutes away from all amenities, local Schools and Sporting Precincts, Shopping Centers and Medical Precincts.

This home boasts a spacious open plan living and dining area with tiles and a built in bar for entertaining family and friends. Outside includes a large undercover patio for BBQ on those hot days.

This property is close to the Esplanade, where you can stroll along the beautiful beaches and stop for a coffee at one of our lovely cafes and specialty shops.

Eat breakfast right on the beach at Enzo’s or Aqua View or a short boat trip to beautiful World Heritage-listed K’gari (Fraser Island).

This home is on a large allotment 848m2 with side access and a separate/detached double lock up garage suitable for storing extra vehicles, toys or garden tools. This property offers the incredible opportunity for a pool!

Make sure you book an inspection today.

Hervey Bay 4128 2188 357 Esplanade, Scarness rh.com.au/herveybay
View Saturday 28th January 12.45 to
Saturday 4th February
am Price: Submit Offer Web rh.com.au/herveybay/L21299063 2 2 3
1.15pm
10.30 to 11.00

2 3 4

3 6 5

34 Aimee Dr, Urangan

Blue Chip Marina Precinct

• Located (appox) 400m to the foreshore & 900m to Boat ramp & marina

• 4 x Bed, 2 x Bath, 3 x Lockup Car, + Huge van/boat port

• Featuring split system air, fans, separated living areas

• Massive lockable, undercover entertaining patio

• 900m2 fully fenced block, 10,000L plumbed in water tank

• Inspection is a must, call to arrange a viewing today

View Saturday 28th January 2.15 to 2.45pm

Saturday 4th February 2.15 to 2.45pm

Auction Thursday 23rd February 2023

Web rh.com.au/hervey bay/L21051436

8 Hamer St, Urangan

1 2 3

In the highly sought after location of Urangan, this property will be pounced on by the first serious buyer! 3 bedrooms and 1 bathroom and an outdoor entertainment area is a great place to start. The under roof single lock up garage has been converted to an extra living space and potentially could be used as a 4th bedroom or second lounge room. Set on approx. 775m2 this is property has a separate double lockup garage at the rear with a concrete drive all the way up to it.

View Saturday 28th January 1.30 to 2.00pm

Saturday 4th February 1.30 to 2.00pm

Price Submit Offer

Web rh.com.au/hervey bay/L21252166

2 Prince St, Urangan

2 4 5

Set over 2 levels, air conditioned and with

bedrooms and 2 bathrooms, the options

accommodating families of all sizes and living this close to walking/cycling trails, every day will feel like a holiday. There is an upstairs area that can be utilised as an additional lounge/sitting area with access to an upper landing/deck. Staircase to the lower covered entertainment area. Downstairs has a generous living and dining space that opens out to the outdoor areas.

View Saturday 28th January 2.15 to 2.45pm

Saturday 4th February 12.45 to 1.15pm

Price Submit Offer

Web rh.com.au/hervey bay/L21246297

9 Sea Eagles Rd, Booral

Acreage With Options, Minutes To Town

The property boasts a main residence consisting of three bedrooms, two bathrooms, double lock up garage, vaulted ceilings, split system air-con, combined kitchen/dining and family room with front and back covered patio. As a bonus you will find a delightfully decked out Bungalow that is fully self-contained with independent drive way, all facilities, a private fully fenced garden complete with entertaining pergola.

View By Appointment

Auction Thursday 23rd February 2023

Web rh.com.au/hervey bay/L1072058

7 Trill Court, Urangan

2 2 3

• Spacious family living in all areas of the home

• 3 bright and airy bedrooms with privacy and space

• Main has ensuite and is positioned separately, offering comfort and space

• The central kitchen provides separation to the two living spaces

• Alfresco entertaining area makes for great entertaining, fully fenced yard, DLUG.

View Saturday 28th January 1.30 to 2.00pm

Saturday 4th February 3.00 to 3.30pm

Price Submit Offer

Web rh.com.au/hervey bay/L21051436

36/1 Ibis Blvd, Eli Waters

2 1 2

The complex has a communal BBQ area big enough for family and friends and a great pool area.

• Both bedrooms with A/C, ensuite and wir

• Large air conditioned open plan lounge/ dining/kitchen with triple slider glass door opening onto the patio

• Fabulous kitchen with island bench and dishwasher

• Powder room downstairs for added convenience

View Saturday 28th January 9.45 to 10.15 am

Saturday 4th February 9.45 to 10.15 am

Price $380,000

Web rh.com.au/hervey bay/L21318024

4128 2188
Hervey Bay
357 Esplanade, Scarness rh.com.au/herveybay
Auction Thursday 23/2
Auction Thursday 23/2
5
for

74 Pacific Haven Circuit, Pacific Haven

Pacific Haven’s Best Kept Secret!

3 2 3 2 5 4 1

Welcome to your own private oasis. Tranquil, private and grand! This elevated architecturally designed Pavilion style home proudly sits on the waterfront of ‘Cherwell River’.

This masterpiece truly offers a peaceful country lifestyle, positioned on an impressive 2.14 acres of beautiful tropical gardens and one of the best crab and fishing spots right at your front door.

Situated only (approx) 35 minutes to beautiful Hervey Bay and a short drive to Howard town centre.

View By Appointment

Price Submit Offer

Web ID rh.com.au/hervey bay/L20939533

Lot 9 Starview Rd, Dundathu

Stunning Queenslander Set On 5 Acres At Dundathu

31 Finch Court, Walligan

Amazing 4-Bedroom Home Set On 40 Acres

Spacious home, private setting, potential to subdivide. (Subject to council approval). Located on 15+ hectares a wonderful family home with high ceilings 4 large bedrooms, master with ensuite and WIR. A ‘chef style’ kitchen with spacious living areas, and more. Keeping the kids entertained will be a breeze as outside has an undercover patio great for family BBQ’s, an in-ground pool and a lot of room for a game of cricket! The land has 15 paddocks used for horses, cattle and sheep. 3 dams, 4 bay shed and feed shed

View Saturday 28th January 9.45 to 10.15am Saturday 4th February 12.45 to 1:15pm

Price Submit Offer Web rh.com.au/hervey bay/L1074808

2 4 4

This property is a hobby famers delight and a great family home.

• 5 acres are sectioned off into paddocks for animals - dam connected to taps for gardens and troughs

• 4 bedrooms or 3 and an office, master bedroom with walk-in-robe, ensuite and air conditioning, 2 other bedrooms have built-ins and ceiling fans

• Large 4 bay shed with 3 roller doors with 3 phase power, solar panels on shed reducing the electricity bills.

There is so much more to this fantastic property. Call to book an inspection

View Saturday 28th January 9.00 to 9.30am

Saturday 4th February 2:15 to 2.45pm

Price Submit Offer

Web rh.com.au/hervey bay/ L21136125

Hervey Bay 4128 2188

357 Esplanade, Scarness rh.com.au/herveybay

34 Ti Tree Rd East, Booral

Selling Now - 5 Acres Close To Town

1 2 3

With the seller’s circumstances changing part way through a complete refurbishment, this property “MUST BE SOLD”, with instructions to present all offers.

Infrastructure on the property includes town water, double story house, with functional kitchen, bathroom and spacious bedroom, downstairs could be easily transformed to a bar/entertainment rumpus room. There is a partly kitted out studio/ bungalow, double color bond shed with carport and two dams.

View By Appointment Price Submit Offer

Web rh.com.au/hervey bay/L21316679

2 2 4

2 2 4

11 Captain Cook St, Urraween

Exceptional Investment And Or Excellent Family Home - Great Location

• 4 bedrooms with BIR’s, main bedroom with ensuite

• Well-appointed kitchen with stone beach tops

• Open plan kitchen/dining/family room and formal lounge

• Remote controlled double lock up garage with internal access

• Great side access, good backyard area.

• Covered outdoor entertainment area

• Fully fenced 624 m2 allotment

View By Appointment

Price $650,000

Web ID: rh.com.au/hervey bay/20930567

1 2 3

14 Captain Cook St, Urraween

Don’t Wait Call And Inspect Today!

Once you walk through the large double front doors you will be impressed by the presentation of this low maintenance large family home.

• Master with ensuite and walk-through robe

• Family/dining area with separate A/C in lounge room

• Tiled living areas, carpet to lounge and bedrooms

• Ceiling fans throughout

• Double lock up garage with internal access

View Saturday 28th January 11:15 to 11:45am Saturday 4th February 10.30 to 11.00am Price $660,000 Web ID: rh.com.au/hervey bay/L16490370

2 2 4

7 Par

Court, Urraween

A Hidden Gem Situated In A Quiet Cul-Desac!

Step inside and you will be pleased you did. The exposed beams in the ceiling gives character to this great home. This property is walking distance to shops and public transport. Tastefully renovated family home, 2 bay carport on 1162m2 Block. Set back from the road with awesome side access directly to the double lock up garage allows ample room for cars and entertaining in this back yard.

View Saturday 28th January 2.15 to 2.45 pm

Price Submit Offer Web rh.com.au/hervey bay/ L6473006

Hervey Bay 4128 2188 357 Esplanade, Scarness rh.com.au/herveybay

4 Payne Lane, Urraween

Stunning Home – Seachange Location

Don’t be the one to miss out on this low set, ‘as new’ brick home in the perfect sea change destination of Augustus Estate, Hervey Bay.

2 living areas, split system air conditioning, ceiling fans throughout, chef’s kitchen with stone finishes, gas cook top and spacious living zones that blend seamlessly with the alfresco entertaining terrace under the main roof. Positioned in a quiet cul-de-sac of only five homes with the added benefit of designated parking available for guests.

View Saturday 28th January 10.30 to 11.00am Saturday 4th February 12:00 to 12.30pm Price Submit Offer Web rh.com.au/hervey bay/L20443020

2 2 4

4 Mandi Court, Urraween

4 Bedroom Air-Conditioned Home Ready To Inspect

This spacious home has open plan, family living in mind. Combining creature comforts such as separate air-conditioned lounge, modern kitchen and the dining area leads out to the undercover entertaining area. The main bedroom is complimented by walk in robe, ensuite, fan and A/C. The DLUG has remote control and direct access to the home. The expanded length of one bay creates extra storage. Your family will feel right at home here!

View Saturday 28th January 12:00 to 12:30pm Saturday 4th February 10:30 to 11:00am

Price Submit Offer

Web rh.com.au/hervey bay/ L20947655

5 Bayside Close, Point Vernon

Luxury & Lifestyle

2 2 4 1

Located at the end of a cul-de-sac, featuring four bedrooms, all with BIR’s & split system A/C, the master suite boasts a large WIR & stylish ensuite. The kitchen features stone benchtops, quality appliances & WI pantry. Separate media room and a large open plan living/dining area flowing to the undercover entertaining area. Sparkling 11m x 4m magnesium pool set amid the beautifully landscaped gardens. Double garage under roof + large shed. Plenty of room for all the tools and toys!

View Saturday 28th January 10:30 to 11:00am

Saturday 4th February 1.30 to 2.00pm

Price $890,000

Web ID: rh.com.au/hervey bay/L20918295

Hervey Bay 4128 2188

357 Esplanade, Scarness rh.com.au/herveybay

2 2 4

8 Parklink East Ave, Wondunna

Modern Family Home

• Open plan kitchen/dining – airconditioned

• 4 good sized bedrooms with BIR’s

• Main bedroom features ensuite

• Modern family bathroom

• Fully fenced 650m2 allotment

• Remote controlled, double lock up garage

• Separate laundry

View By Appointment

Price Submit Offer Web rh.com.au/hervey bay/ L19316479

10A Rossington Dr, Urraween

Exceptional Quality and still under builders warranty!

2 2 3

Neat as a pin, still under Builders Warranty, 3 bedrooms, 2 bathrooms and even sea glimpses from the kitchen. Comfortably set out for living. Open plan kitchen, living and dining area that flows onto the outdoor entertaining space. High on the hill to capture the breezes, this home will impress from start to finish. Quality finishes throughout, water efficient, led lighting, air conditioning and more.

View Saturday 28th January 10:30 to 11:00am Saturday 4th February 11.15 to 11.45 pm

Price Submit Offer Web rh.com.au/hervey bay/ L21241577

42/30 East St, Scarness

2 1 3

• This modern townhouse is positioned in the “Kasbah By The Sea’ Complex and is central to town.

• 3 bedrooms with fans, BIR and ducted A/C

• Main bedroom features a walk in robe and ensuite

• Spacious kitchen, complete with plenty of cupboard space and dishwasher.

• The massive undercover alfresco entertaining terrace brings the outside indoors with seamless flow from one space to the other

View Saturday 28th January 3.00 to 3.30pm

Saturday 4th February 2:15 to 2:45pm

Price Submit Offer

Web rh.com.au/hervey bay/L18730980

20 Spoonbill Way, Eli Waters

2 2 4

This 4 bedroom, 2 bathroom, airconditioned home really does have it all.

Large well appointed family kitchen, open plan living, sensational fully screened outdoor entertaining area overlooking stunning water views.

Large covered and screened entertaining area Outdoor decking area

Private jetty with access ramp Double garage with internal access

View Saturday 28th January 9:00 to 9:30am

Saturday 4th February 9:00 to 9.30am

Price Submit Offer

Web rh.com.au/hervey bay/L1072246

10 Dawes Cres, Urraween

2 2 4

Near new 4 bed, 2 bath, family home, insulated covered entertainment area, raised garden beds and great potential for caravan/boat access down the side of the property.

Solar, reverse cycle A/C, open plan kitchen/ living/ dining and second living area, patio with pull down screens and a fully fenced, low maintenance yard.

Centrally located and close to major shopping, hospital precinct and schools.

View Saturday 28th Jan 10.45 to 10.15am

Saturday 4th February 11:15 to 11:45am

Price $685,000

Web rh.com.au/hervey bay/L19658958

3 Musgrave Close, Kawungan

2 1 4

View Saturday 28th Jan 12.45 to 1:15pm

Saturday 4th February 9:45 to 10.15am Price $599,000 Web rh.com.au/hervey bay/L20606854

18/30 East St, Scarness

2 1 3

This modern townhouse is positioned in ‘Kasbah By The Sea’ Complex and has everything you are looking for!

• 3 bedrooms with fans, BIR and ducted A/C

• Main bedroom features a walk in robe and ensuite

• Spacious kitchen, complete with plenty of cupboard space and dish washer

• A/C sunken loungeroom and dining area flowing to an outdoor entertaining area and undercover courtyard

View Saturday 28th January 3.00 to 3.30pm

Saturday 4th February 3.00 to 3.30pm

Price $495,000 Web rh.com.au/hervey bay/L1070734

38 Hamilton Drive, Craignish

2 4 4 1

This beautifully presented 4 bedroom home plus self-contained rumpus/parent/teenage retreat on 3,396m2 allotment (with side access) will comfortably accommodate your whole family offering multiple areas for everyone to sit back and relax. Boasting a galley style kitchen, spacious loungeroom, separate dining area plus a living area that flows out to the undercover entertaining area.

View Saturday 28th January 9:00 to 9:30 am

Saturday 4th February 9:00 to 9:30 am

Price: $1,250,000

Web ID: rh.com.au/hervey bay/L20620264

4 Banks Crt, Torquay

2 2 4

• 4 bedrooms with BIR and ceiling fans, main bedroom with ensuite

• Good sized kitchen electric cooking, plenty of cupboard space and open plan living/ dining area

• Undercover entertainment area

• Positioned on a generous 709m2 corner block with great side access for a caravan or boat

• Double lock up remote-controlled garage

View Saturday 28th Jan 12.00 to 12.30pm

Saturday 4th February 11.15 to 11.45am

Price $759,000

Web rh.com.au/hervey bay/L5134424

25 Zephyr St, Scarness

1 2 3

Act quickly to secure this 3 bedroom beachside gem! Ideally located just a short stroll to The Esplanade, Scarness beach and so close to all the amenities this highly sought-after location has to offer.

Property Highlights :

• Good sized kitchen, Separate loungeroom, Dining area

• 739m2 block with side access

View Saturday 28th January 3.00 to 3.30pm

Price $670,000 Web rh.com.au/hervey bay/L14374433

Hervey Bay 4128 2188 357 Esplanade, Scarness rh.com.au/herveybay
Airconditioned main bedroom featuring a walk-in robe and ensuite
Spacious Living Area
Open kitchen with plenty of cupboard space
Generous undercover entertainment area
Great sized laundry
Fully fenced spacious 932 m2 allotment, located in a quiet cul-de-sac
Ideal location positioned in the Kawungan

Fauna Lakes, 3 Shell Street, Urangan

It’s all about the “lifestyle.”

Master-built units in a secure gated community consisting of 18 units.

• 8 x Units - 2 x bedroom/ensuite / single lock up garage

• 2 x Waterfront units- 2 x bedroom /ensuite /single lock up garage

• 8 x Waterfront units -3 x bedroom/ensuite/double lock up garage

All units are designed with A/C, ceiling fans, high ceilings, BIR to all bedrooms. open plan kitchen with designer stone bench tops, dishwasher, wall oven and built in microwave, laundry with stone bench tops, washing machine and dryer, plantation shutters to bedroom windows, outdoor alfresco area, solar panels and private courtyards.

View By Appointment

Price On Application

173 Torquay Road, Scarness

3 4 5

This amazing property is situated only two minutes from the Esplanade on a 1,879m2 allotment. It is a developers, dream opportunity! Featuring a Queenslander home with three bedrooms, three bathrooms, study, separate two-bedroom granny flat and massive three bay farmer shed suitable for parking your truck & boat. Live in while you develop the site!

View By Appointment Price $765,000 Web rh.com.au/hervey bay/L8876007

1591 Booral Rd, Nikenbah

An opportunity for those who are seeking a little land but want to be close to everything Hervey Bay has to offer. Great for building your dream home and/or combining a business or just a little farming. Imagine the veggie patch, sheds, pool & outdoor entertaining, you could create here. Almost anything is possible. Plenty of open space!

View By Appointment Price Submit Offer Web rh.com.au/hervey bay/L21430783

115 Nissen St, Urraween

2 2 4

• 4 Bedrooms, main with ensuite & WIR

• Air-conditioned living & dining area

• Spacious kitchen

• Double lock-up garage

• Outdoor entertaining area

• 658m2 fenced block

View By Appointment Price $525,000 Web rh.com.au/herveybay/L1071036

108 Freshwater Street, Torquay

1 1 2

• 1,194m2 one street back from the beach

• Fantastic opportunity for a development site in one of the best locations Hervey Bay has to offer

• Walking distance to cafes, restaurants and shops

• Currently has a cottage style home with two bedrooms, one bathroom, spacious kitchen and outside patio

View By Appointment Price $1,200,000 Web rh.com.au/hervey bay/L17323570

Hervey Bay 4128 2188 357 Esplanade, Scarness rh.com.au/herveybay
Lots 11, 12 & 13 Bonita Crt, Urangan
• Outstanding, level blocks! • Quiet location • Close to schools, shopping, sporting facilities and the Marina
• Build your dream home today! Lot 11 – 1681m2 block – SOLD Lot 12 – 3683m2 block – $338,000 Lot 13 – 3806m2 block – SOLD
View By Appointment Web rh.com.au/hervey bay/L19843393, L19843521 & L19846839  33 Petersen Road, Craignish
677m2 Flat, cleared
block in a quiet suburb, with no through traffic
6 x 9, 3
bay Colorbond shed with power and water connected
2
• Approximately 250m from the ocean. You will be able to check on the waves when you clear the letterbox! View By Appointment Price Submit Offer Web rh.com.au/hervey bay/L19589573

URBAN OASIS, RESORT-STYLE LIVING, BORDERING GOLF-COURSE

This spectacular and immaculately presented resort-style property, situated on a huge 1068m2 fully-fenced allotment, is an absolute entertainer’s dream.

Whether you are entertaining family and friends in the therapeutic water of your magnesium pool, or cooking up a storm in the magnificent kitchen, your home will be the focal point where those dearest to you will gather. The modern Hampton-styled kitchen has an abundance of storage, and expansive 40mm thick stone benchtops, making it an ideal chef’s kitchen. By design the kitchen overlooks the swimming pool, complimenting the outdoor living that is synonymous with living in Hervey Bay; and allowing you to always be part of every conversation while cooking up a storm. Featuring two very generous living areas and several outdoor spaces to relax, there is ample room for the entire family to find their very own piece of tranquillity whenever they need to. The lush, established gardens lead out to a shade-port that can accommodate a caravan, and a single-bay shed that opens out to an easement and then leading to the private member’s gate of the fabulous Hervey Bay Golf Course. And if the available parking for your caravan and golf buggy aren’t enough, the property also features a double remote, triple size garage that provides for a considerable amount of additional storage. Centrally located, and close to major shopping centres, private schools, hospital and university this stunning property will impress those looking for a property with all the features of lifestyle living in beautiful Hervey Bay.

• Four bedrooms with BIR, walk-in-robe to ensuite

• Main Bathroom bath and shower, plus ensuite

• Two very generous living areas

• Huge Entertainment Area, plus multiple outdoor seating areas

• Magnesium Pool

• Hamptons Style Kitchen with 40mm thick Stone Benchtops

• Air-conditioned, plus ceiling fans throughout

• Fully insulated home with 5KW Solar system

• Triple garage, Shed 8M Rear access (7.9m X 3.6m X 2.5Mm)

• Shade port, suitable for Caravan/Boat (7.9m X 3.1m X 3.4m)

• Fully fenced with rendered block wall and glass panelling

• Private Members’ gate access to the premier Hervey Bay Golf and Country Club

Inspect By Appointment
Land size1068m2 4 2 7 11 BOWERBIRD AVENUE, ELI WATERS offers over $895,000 considered

MY IDEA OF SERVICE IS BEING THE DIFFERENCE, BETWEEN GOOD & EXCELLENT

A Fraser Coast local, Vicki’s parents Vic and Margaret Kennedy owned and operated a Real Estate for over 10 years in the 80’s and 90’s. Vicki grew up with dinner table conversations about the Real Estate market of those times.

She has over 20 years of sales experience, as a small business owner as well as a real estate owner and investor. She creates unforgettable experiences for her clients.

An unwavering commitment to buyers and sellers alike, along with her hard work, honesty and integrity, make her the perfect choice for your next real estate transaction.

With a highly approachable and outcome driven motivation, Vicki brings a transparent and ethical passion to her work.

If you would like to experience the Prime Agents difference and want to best understand your options right now, we invite you to start a conversation with us.

www.primeagents.com.au SELL YOUR HOUSE WITH US Vicki Maynard direct on 0439 955 576 OR SCAN THIS QR CODE TO MESSAGE US

TRAQUIL TOOGOOM LIFESTYLE AWAITS

Tucked away on a quiet and serene block, you will find the stunning 11 Fraser Waters Parade, Toogoom. The moment you drive down the flower lined driveway, you will know that this home is something special.

Set on a 1,404m2 block, this beautiful home is surrounded by stunning manicured grounds, with flowers at every turn, and positioned in a quiet and tranquil location.

Inside you will find 4 bedrooms, plus a study, two living areas and a fantastic completely enclosed outdoor entertaining area with plantation shutters. Peaceful living will be a breeze in this home, relax inside in the media room, or bring the outside in with the fantastic pergola area.

With air-conditioning, ceiling fans throughout, plus solar panels and a Tesla battery system, shed, nothing has been left out of this beautiful home, making settling into the relaxed Toogoom lifestyle will simple.

Situated in a quiet and tranquil location, it is only minutes walking distance to the beautiful Toogoom beach and the local Goody’s on the Beach restaurant. You won’t want to miss this one! Contact Ash Heckels today on 0418 986 867 to arrange an inspection.

• 4 bedrooms, with built-in’s

• Walk-in robe and ensuite to main

• Study

• Kitchen with gas appliances and great storage

• Fantastic outdoor entertaining area

• Split air conditioning and fans throughout

• 6x5m shed

• Solar power + Tesla battery system

• DLUG

• Large 1,404m2 block

Inspect By Appointment
Land size
4 2 2 11 FRASER WATERS PARADE, TOOGOOM offers over $850,000 considered
1,404m2

This 4-bedroom home is perfect in so many ways and if you have been looking for your new home you must inspect now. The home is positioned in a secluded hidden gem of a location which is centrally located in Hervey Bay. It has very good street appeal so as you walk towards the front door you can’t help but admire the beautiful gardens. As you enter through the front door you will feel relaxed and calm as you will see that this property is of a very high standard and it gives you that feeling that you have just walked into a quality home. On your left is the formal lounge room which leads onto the formal dining room which has beautiful plantation shutters to the windows. The kitchen is positioned to be in the heart of the home with stone bench tops, stainless - steel appliances, plenty of bench space plus walk in pantry. The kitchen opens onto the open family room and second dining area which is great for entertaining with direct access to the large undercover outdoor entertainment area. The bedrooms are large with built in wardrobes and the main has a walk- through wardrobe which leads into the large ensuite. The other 3 bedrooms can be closed off from the rest of the home so if you have guests or children, they have their own space.

PERFECT HOME, PERFECT POSITION • 4 good size
with
with
robe plus a
• Low maintenance property with
gardens • 2 large separate living areas plus 2 dining areas • Ducted air conditioning • Double garage plus carport • Quality fixtures and fittings throughout • 4klw solar panels • Fully
block • Close to major shopping and
Land Size 645m2 4 2 3 Inspect By Appointment 36 FAYE AVENUE, SCARNESS offers over $695,000 considered Michael Batterham 0401 788 792 Terese Payne 0427 842 590 SETTLE FOR MORE TERESE PAYNE 0427 842 590 terese.payne@primeagents.com.au MICHAEL BATTERHAM 0401 788 792 michael.batterham@primeagents.com.au
bedrooms
built-ins
Master bedroom
walk-through
large ensuite
beautiful
fenced 645m2
hospital precinct

KNOWING MY CUSTOMERS ARE BEYOND HAPPY

.

THAT’S WHAT MATTERS THE MOST.

Stacey Pyne is one of the regions highest performing sales professionals, selling more than $45M in property over the last two years.

Not only is she a highly experienced Sales Agent, who consistently achieves fantastic outcomes for her clients, Stacey is a true professional and embodies all of the hallmark qualities required, when entrusted to help people buy or sell their greatest asset.

Stacey excels at presenting properties and developing compelling campaigns that attract exceptional interest.

She understands the process, and is a thoughtful listener with empathy for both vendors and purchasers, in all situations. Stacey focuses on being ethical, reliable and down to earth, the perfect choice for your real estate transaction.

If you would like to experience the Prime Agents difference and want to best understand your options right now, we invite you to start a conversation with us.

www.primeagents.com.au SELL YOUR HOUSE WITH US Stacey Pyne direct on 0438 694 307 OR SCAN THIS QR CODE TO MESSAGE US
www.primeagents.com.au SELL YOUR HOUSE WITH US CALL US TODAY ON 4194 1754 OR SCAN THIS QR CODE TO MESSAGE US Inspect By Appointment DOWNSIZERS - INVESTORS - FIRST HOME BUYERS 10 LAWSON ROAD, URRAWEEN offers over $579,000 considered Downsizing, investing or buying your first home, this property is a must to inspect.
well-presented, three bedroom home with two separate living area’s and a low maintenance 375m2 block is conveniently located within close proximity to hospitals, shopping centers and schools.
you are looking for
‘lock up and leave’, downsizing or adding to your investment portfolio with
fantastic tenant
in place, 10 Lawson
of boxes. • Open plan living and dining room flow seamlessly to the outdoor area
Modern kitchen with stone benches, gas cooktop and quality appliances
Second living area, potential fourth bedroom or activity room
Tiled throughout the living area
Three bedrooms all with built in robes and ceiling fans
Master Bedroom with ensuite
Main bathroom with both shower and bath
Security screens throughout
Covered outdoor entertainment area
Double garage with automatic door and internal access 3 2 2 Inspect By Appointment JUST LIKE NEW & READY TO GO 10 CORMORANT COURT, KAWUNGAN offers over $599,000 considered
4 year old, well maintained home is situated within walking distance to Fraser Coast Anglican College, and
just a short drive to Hervey Bay CBD, restaurants, hospitals, schools and sporting facilities. Neat and tidy comprising of 4 bedrooms, 2 bathrooms, open plan living plus separate air conditioned family room, functional kitchen, good outdoor entertainment area, fully fenced and good side access, this one is perfect for buyers looking to secure a low maintenance home in a great area. • Tiled,
plan kitchen, dining and living
Separate family room, carpeted with air conditioning • Main bedroom with ensuite, walk in robe and air conditioning • Additional three bedrooms with built in robes and fans • Main bathroom with vanity, bath and shower • Separate toilet • Functional laundry • Security screens throughout • Fully fenced block with side access • Walking distance to Fraser Coast Anglican College • A short drive to Hervey Bay CBD, restaurants, hospitals, schools and sporting facilities • Built in 2018, builders’ warranty in place STACEY PYNE 0438 694 307 STACEY PYNE 0438 694 307 Land Size: 375m2 4 2 2 Land Size: 578m2
This immaculate,
If
a
a
already
Road ticks a lot
This
is
open
www.primeagents.com.au SELL YOUR HOUSE WITH US CALL US TODAY ON 4194 1754 OR SCAN THIS QR CODE TO MESSAGE US
By Appointment FANTASTIC POSITION WITH POTENTIAL 6 PORTER STREET, POINT VERNON offers over $539,000 considered
the
Esplanade and
in a quiet wellestablished area, this 3
home may be in need of some TLC but
functional
open
3 Bedrooms all with built in robes
Open plan living/dining with sliding door access to back patio
Functional kitchen and laundry
Main bathroom with shower and bath, separate toilet
Covered outdoor entertaining area
Double
with side access
Low
Close
3 1 2
Appointment LIFESTYLE & LOCATION 34 MELALEUCA CRESCENT, KAWUNGAN offers over $565,000 considered
need to look
further to find a stylish established brick home on
block,
elevated position in Kawungan. Entertaining is made easy in this three-bedroom home with the spacious outdoor area. The kitchen comes complete with island bench and gas cooktop to making cooking a breeze. The fully fenced yard allows access through the carport which has remote controlled roller door. A 6x7.5 shed on the block allows plenty of storage and includes a separate, airconditioned craft room. Plant lovers will be thrilled with the huge greenhouse found at the rear of the block. This property has plenty of extra added bonuses including solar power & hot water, security screens and water tank. Situated just a stones throw to Kawungan State School, Stockland Shopping Centre, Hospitals and shops. • 3 large bedrooms, 2 with built ins • Airconditioned living area with high ceilings • Kitchen with gas cooktop and island bench
Spacious entertainment area off living area
Fully fenced yard with access through carport • 6 x 7.5m powered shed with separate airconditioned craft room • Solar hot water, solar power and security screens throughout • Water tank and remote roller door to garage • Steel frame home and insulated ceiling
Huge
rear
block • Convenient
close to transport, short drive to beach, restaurants, gold course and local medical centres DON BRYANT 0427 225 004 STACEY PYNE 0438 694 307 Land Size: 638m2 3 1 3 Land Size: 1000m2
Inspect
A short stroll to
beautiful
situated
bedroom
offers loads of potential. Comprising of 3 spacious bedrooms,
bathroom,
plan living area, covered outdoor entertaining plus a double shed with side access all on manageable low maintenance 638m2 block. If you’re a handyman, renovator or a buyer looking for a great opportunity to secure a well-loved home in a great location this home is worthy of your time to inspect. •
colourbond shed
maintenance, fully fenced yard •
proximity to Esplanade, shopping centres, Hospitals
Inspect By
You won’t
any
1000m2
set in an
greenhouse at
of
location,

Located in the picturesque ‘On the Beach Estate’ is this four-bedroom home. Just a short walk to the beach, parks & playground and just a few minutes’ drive to the Services in Burrum Heads. There is a rural property behind, befitting of the private and relaxed mood you feel when inspecting. Burrum Heads is located approximately 30 minutes’ drive into the Hervey Bay CBD. The locals love the quiet pace of life, spending time exploring the kilometers of sandy beach, catching up with friends at home or at the local park, and fishing the Burrum River. Your day to day requirements are able to be met by the local facilities - service station, Foodworks, pharmacy, butcher, bakery, take away, plus the Burrum Heads Tavern and the Bowls Club.

• 4 bedrooms with built in robes and fans

• Master bedroom featuring walk-in robe and ensuite

• Open plan airconditioned kitchen, dining & living area

• Spacious media room & security screens throughout

• Covered entertainment area overlooking the farm behind

• Solar power system, rainwater tank & garden shed

• Easy side access to covered area for the boat or caravan

• Fully fenced low maintenance block

• Guaranteed sea breezes this close to the water

• Short walk to beach, parks and just minutes to amenities

www.primeagents.com.au SELL YOUR HOUSE WITH US CALL US TODAY ON 4194 1754 OR SCAN THIS QR CODE TO MESSAGE US
By Appointment PEACEFUL BEACHSIDE LIVING AT ITS BEST 62 SIRENIA DRIVE, BURRUM HEADS offers over $659,000 considered
Inspect
4 2 3 Inspect By Appointment A ‘STONES THROW’ TO THE BEACH 69 CUNNINGHAM STREET, URANGAN $740,000
is
in Urangan,
of Hervey Bay’s most desirable suburbs. In a quiet street and only a
throw” to the Esplanade, this hidden gem is in the
for the buyer wanting laid-back lifestyle and the beach life almost at your doorstep.
beaches, coffee shops, and restaurants are just minutes away. Don’t delay to take advantage of this excellent opportunity to purchase in such a great location. • Set in a quiet location only 2 streets to the beach • Well-presented brick home with 3 good sized bedrooms & 2 bathrooms • Extra-large main bedroom, nook & ensuite in a separate area of the house • Main bedroom & ensuite area with sliding door to covered outdoor area • Kitchen with dishwasher, ample cupboards & bench space • Spacious air-conditioned L shaped lounge & dining room • Massive covered outdoor entertainment to the rear of living area • Sliding door access to the front north facing patio • Roller door garage with remote & internal access door • 6m x 6m powered shed with extra high roller doors • Security doors, screens and ceiling fans throughout • New living area air-conditioner & gas instant hot water system • New LED downlights, power points & blinds throughout • The 683m2 allotment is privacy fenced and near level • Plenty of room for the boat and the fishing gear here! DON BRYANT 0427 225 004 DON BRYANT 0427 225 004 Land Size: 858m2 3 2 3 Land Size: 683m2
69 Cunningham Street
situated
one
“stone’s
perfect location
Beautiful

This home, located in Point Vernon, has enormous potential. If you have always wanted to live in the Point, then you must inspect this home!

Featuring 3 bedrooms with built ins and air conditioning, an office space, 2 living areas, 2 bathrooms and an inground swimming pool, workshop and garage. After some much needed TLC, this property will make a great family home or an ideal investment.

Enjoy the cool afternoon breezes in the outdoor entertaining area and take a dip on those warm summer days in the very private inground swimming pool. This property requires very little maintenance, leaving more time on the weekends for you to enjoy the Hervey Bay lifestyle.

Inspect

FAMILY

Located a short stroll from the Esplanade, this great family home may just be what you are looking for! Immaculately presented, this 3-bedroom home is ready to move in and enjoy. With a large modern kitchen, that has been tastefully styled to provide that Hampton’s look, the 900mm gas cooktop and electric oven will bring out the chef in you. Perfect on those warm summer days, you will love the relaxing, in the cool water of your inground swimming pool. Alternatively, why not

Inspect By Appointment

• Master bedroom with ensuite, built in, and air conditioning

• 2 additional bedrooms with built ins plus a study, all with air conditioning

• 2 separate living areas with air conditioning

• Good sized kitchen with dishwasher

• Outdoor entertainment area overlooking the inground pool

• 2 car accommodation with remote and internal access

• Very low maintenance property with security screens

• Large 9mx3m shed/workshop

• Close to Gatakers Bay Reserve and boat ramp, and the Esplanade

www.primeagents.com.au SELL YOUR HOUSE WITH US CALL US TODAY ON 4194 1754 OR SCAN THIS QR CODE TO MESSAGE US
WITH POTENTIAL IN POINT VERNON 54
VERNON offers over $640,000 considered
By Appointment GREAT LOCATION
CORFIELD STREET, POINT
3 2 2
CUNNINGHAM STREET, TORQUAY offers over $675,000 considered
ENTERTAINER, MOVE IN AND ENJOY 63
enjoy some backyard cricket and
the BBQ,
the generous backyard and outdoor entertainment area big
your
and friends? The property has side access leading
in size to meet the needs of the home hobbyist. • 3-bedrooms, master with ensuite
Combined living/dining
Air-conditioning to master and living, ceiling fans throughout
4.5mX6.5m undercover entertainment area
2.8mX5.2m utility room • 6mX9m shed • 3mX5m inground, saltwater swimming pool
7.7kW solar system
Fully Fenced 690m2 with 3.7m wide side access VICKI MAYNARD 0439 955 576 TERESE PAYNE 0427 842 590 | MICHAEL BATTERHAM 0401 788 792 Land Size: 688m2 3 2 2 Land Size: 690m2
fire up
with
enough accommodate
family
to the double-bay shed which is ample

• Ceiling fans throughout

Located

www.primeagents.com.au SELL YOUR HOUSE WITH US CALL US TODAY ON 4194 1754 OR SCAN THIS QR CODE TO MESSAGE US Inspect By Appointment AFFORDABLE COTTAGE, FABULOUS LOCATION 29 HONITON STREET, TORQUAY offers over $450,000 considered
The opportunity to enter the property market can still be achieved with this beautiful cottage which is nestled in the heart of Torquay.
Immaculately presented, both inside and out, you will enjoy the way of life that comes with living a mere 900 metres from local beaches, boutique shopping and the restaurant and café scene.
Attributes include 2 bedrooms, open planned living, combined kitchen and dining, and a generous outdoor living space which leads into the manicured gardens. With side access leading to a 2-bay shed, there is plenty of space to cater for your boat, jet ski, or any other outdoor toys that you will get out and about and living life to the fullest.
• Two bedrooms with built- ins
• Kitchen dining combined
Open plan living with air-conditioning
Spacious laundry with additional storage
Electric Stove and Hot water system
• Outdoor entertainment area
Fenced, plus side access
2 1 2 Inspect By Appointment LAND, LOCATION, LIVING 69 JANNIK TERRACE, PIALBA $269,000
Approximately 900 metres to beach and shopping precinct
parcel
Located in the beautiful suburb of Pialba, the opportunity to own your very own
of land in Baylinks Estate can now be realised.
This fantastic, 626m2 allotment has been titled and is ready for you to build your dream home.
close to all amenities, including shopping, local schools, beaches, and numerous indoor and outdoor recreational opportunities; you could not ask for a better location to live.
• 626m 2 block • Titled and ready to build • Close to local amenities such as shops, schools and beaches • Located in Baylinks Estate VICKI MAYNARD 0439 955 576 VICKI MAYNARD 0439 955 576 Land Size: 600m2 Land Size: 626m2
With the local beach a short 900m walk from your doorstep, and the fabulous Hervey Bay Golf Course a mere 1.3km away; you could start every day in the perfect way.
www.primeagents.com.au SELL YOUR HOUSE WITH US CALL US TODAY ON 4194 1754 OR SCAN THIS QR CODE TO MESSAGE US • 4 bedrooms, 2 with BIR’s • Living area plus separate dining • Modern kitchen • 2 bathrooms, incl. ensuite • 2x Outdoor entertainment area • Greenhouse, garden shed & 2000L rainwater tank • 3.3kW solar system • 3-Bay shed, featuring 2 car parking plus workshop area 34 Martin Street PIALBA 4 Bed | 2 Bath | 2 Car | 708m2 INSPECT BY APPOINTMENT offers over $525,000 considered VICKI MAYNARD 0439 955 576 • 4 Bedrooms 3 with built ins • Large family bathroom plus ensuite to main • Ducted and split aircon plus fans throughout • 2 separate living areas + rumpus room • Beautiful kitchen with gas cooktop, electric stove & dishwasher DLUG, 4 bay shed + attached carport • Stunning views from elevated position • 3 separate decks and undercover entertaining areas 94 Ariadne Street, RIVER HEADS 4 Bed | 3 Bath 10 Car 2,276m2 INSPECT BY APPOINTMENT offers over $940,000 considered ASH HECKELS 0418 986 867 • 780m2 block • Titled and ready to build • Close to local amenities such as shops, schools and beaches • Located in Baylinks Estate 52 Jannik Terrace, PIALBA 780m2 INSPECT BY APPOINTMENT $299,000 VICKI MAYNARD 0439 955 576 • Modern home with wheelchair accesses throughout • Large main bathroom • Separate study/craft room • Open plan kitchen/dining/living • Security screens and air conditioning • Secure parking for caravans and boats on site • Swimming pool, gym, library on site • No stamp duty – contact us today for Village Comparison Document. Villa 421/74 Emerald Park Way 1 Bed | 1 Bath | 1 Car INSPECT BY APPOINTMENT offers over $325,000 considered VICKI MAYNARD 0439 955 576 • 3 bedrooms - 2 with built-ins • 2 way bathroom • Living / dining area • Air conditioning • Large undercover patio • Fantastic shed • SLUG • Walk along the esplanade to the beach 214 Long Street, PIALBA 3 Bed 1 Bath 2 Car | 600m2 INSPECT BY APPOINTMENT offers over $575,000 considered ASH HECKELS 0418 986 867 • 830m2 Block • Nature reserve at rear of Property • Located in quiet cul-de-sac • Elevated Block • Ready to build • Serviced Block ready to build • Close to Hospital, Retail and Schools • Approximately 2.5km to beach 9 Hoberg Court, KAWUNGAN 830m INSPECT BY APPOINTMENT $325,000 VICKI MAYNARD 0439 955 576 LIVE IN YOUR DREAM HOME WHILST GETTING A RETURN ON YOUR INVESTMENT 504 Esplanade, URANGAN 5 Bed | 3 Bath | 1108m2 • 2 dwellings, 1x 2 bedroom and 1x 3 bedroom • Modern kitchens with quality appliances • Aircons, solar and security systems • Prime location, desirable address • Un-obstructed water views and the benefit of cool ocean breezes • Approx. 20m to the pristine waters of the beach • North-facing, 1108m2 fenced allotment • Historically used as holiday accommodation • Potential to build 3rd dwelling on the allotment INSPECT BY APPOINTMENT opportunity KnocKs - contact agent for price VICKI MAYNARD 0439 955 576 REFINED RELAXATION WITH ALL THE EXTRAS 7 McGregor Close, CRAIGNISH 5 Bed | 3 Bath | 6 Car | 2022m2 • Stylish kitchen with stone benchtops, walk in pantry, dishwasher, soft close drawers • Wrap around timber deck with views and cool breezes • Master bedroom with walk in robe, air conditioning and ensuite • Two additional bedrooms with robes and fans • Study/fourth bedroom with fan, fifth bedroom with ensuite and built-in • Saltwater pool, covered outdoor area, landscaped gardens • 3 bay shed 10m x 10m with power plus double covered carport • 6.6kw solar panels, gas hot water INSPECT BY APPOINTMENT $1,100,000 STACEY PYNE 0438 694 307 POINT VERNON LIFESTYLE IS WAITING 18 Hayworth Street, POINT VERNON 4 Bed | 2 Bath | 2 Car | 600m2 • Four bedrooms with built ins, ensuite to main • Renovated ensuite and main bathroom • Renovated kitchen overlooking living/dining area • Ceiling fans throughout • Electric oven and hotplate • Electric hot-water system • Front and rear outdoor entertaining area • Fully fenced with solar powered electric gates INSPECT BY APPOINTMENT offers over $680,000 considered ASH HECKELS 0418 986 867 BEACHSIDE FAMILY HOME WITH ALL THE EXTRAS. 90 Sempfs Road, DUNDOWRAN BEACH 5 Bed | 3 Bath | 5 Car | 2016m2 • 3 Separate spacious tiled living areas • Modern kitchen with granite benchtops, dishwasher and walk in pantry • Generous size master bedroom with walk in robe and ensuite • 4 additional bedrooms all with built in robes and fans • Large covered tiled outdoor area (13.5 x4m) • 9 x 7m colourbond shed plus additional 9 x 3.5m high clearance carport • Ducted air conditioning, high ceilings, solar panels approx 3kw • Close to beach and only a short drive to major shopping and hospital precinct INSPECT BY APPOINTMENT offers over $980,000 considered STACEY PYNE 0438 694 307 395M2 HOME ON ACRE BLOCK IN IDYLLIC PRIVATE LOCATION 14 Belmoreana Court, DUNDOWRAN BEACH 3 Bed | 2 Bath | 4 Car | 4,952m2 • 3 large bedrooms with built ins • Master with walk-in wardrobe • Large kitchen and 3 separate living areas • Pool room • Fantastic outdoor living area with gazebo overlooking the lake • Double lock up garage plus separate double shed • High ceilings, ducted air conditioning, solar panels INSPECT BY APPOINTMENT offers over $1.24M considered ASH HECKELS 0418 986 867
www.primeagents.com.au SELL YOUR HOUSE WITH US CALL US TODAY ON 4194 1754 OR SCAN THIS QR CODE TO MESSAGE US offers over $490,000 considered TERESE PAYNE 0427 842 590 MICHAEL BATTERHAM 0401 788 792 37/17 Buccaneer Drive, URANGAN 2 Bed | 1 Bath | 1 Car • Second floor unit capturing views and sea breezes • Air conditioned and open plan kitchen, living and dining with great views • Two good size bedrooms with fans • Under cover balcony overlooking the marina • Single lock up garage • Walking distance to the boat club, restaurants, cafes and cinemas • Security gated complex with plenty of amenities and visitor parking INSPECT BY APPOINTMENT offers over $450,000 considered TERESE PAYNE 0427 842 590 MICHAEL BATTERHAM 0401 788 792 FISHING, BOATING AND LIVING 5 Wilkin Street, RIVER HEADS 3 Bed | 1 Bath | 1 Car | 827m2 • Fully renovated, three-bedroom home • Two-way bathroom with direct access to the main bedroom • Modern kitchen • Generous deck and covered entertainment area • Elevated 827m2 block • Views to Susan River and Mary River • Concrete driveway with covered parking and storage area • Close to River Heads boat ramp, Fraser Island Barges and local shops INSPECT BY APPOINTMENT DON’T JUST DREAM IT, LIVE IT OR INVEST offers over $575,000 considered TERESE PAYNE 0427 842 590 MICHAEL BATTERHAM 0401 788 792 130 Torquay Road, SCARNESS 3 Bed | 1 Bath | 2 Car | 1012m2 • Private 1012m2 block centrally located in Hervey Bay • Three-bedroom home plus a shed with side access • Timber floors throughout • Close to Hervey Bay shops, schools and esplanade • Future redevelopment potential • Fantastic location and/or a great investment property INSPECT BY APPOINTMENT offers over $585,000 considered TERESE PAYNE 0427 842 590 MICHAEL BATTERHAM 0401 788 792 CENTRALLY LOCATED PROPERTY – ESPLANADE SIDE OF BOAT HARBOUR DRIVE 8 Beckwith Street, TORQUAY 3 Bed | 2 Bath | 4 Car | 607m2 • Queenslander style home • Good size bedrooms all with built ins and fans • Large master bedroom with walk in robe and ensuite • Large private front and rear veranda • Great kitchen with plenty of bench space • Extra 8m x 6m living area downstairs • Invest or live with a long-term tenant in place • Walk to the esplanade, shops, restaurants and the beaches of Hervey Bay. INSPECT BY APPOINTMENT GREAT INVESTMENT WITH FUTURE POTENTIAL offers over $450,000 considered TERESE PAYNE 0427 842 590 MICHAEL BATTERHAM 0401 788 792 INSPECT BY APPOINTMENT NEAR NEW VILLA CENTRALLY LOCATED IN HERVEY BAY • Large kitchen with stone bench tops and ample bench space • Large open plan air-conditioned living area with 3 metre raked ceilings • Two good size bedrooms, all with ceiling fans • Air-conditioned main bedroom and large ensuite • Undercover, outdoor entertainment area • Private backyard fully fenced • Security Gates and security screens • Double lock up garage with remote access • Located close to medical precinct, schools and shopping centre 22/1 Links court, URRAWEEN 2 Bed | 1 Bath | 1 Car This great two bedroom ensuited, open plan single storey unit is located in Villas on Main, close to the medical precinct, private schools and shopping centre. Set on a low maintenance block with a private back yard, the property boasts many extras such as two bathrooms, security screens, air conditioning, double lock up garage with remote and a very good master chef kitchen. The complex has security electric gate entrance for added security and low body corporate. Owner is relocating and would like to sell this beautiful unit. offers over $620,000 considered TERESE PAYNE 0427 842 590 MICHAEL BATTERHAM 0401 788 792 INSPECT BY APPOINTMENT GREAT FAMILY HOME, GREAT LOCATION • 4 bedrooms, master with ensuite plus walk in robe • Great kitchen with ample bench space • Open plan plus 2 living areas with air-conditioning • Solar panels and security screens • Built overlooking nature reserve • Large outdoor undercover entertainment area • Good position close to shops, medical precinct, golf club and transport 9 Thornbill Drive, ELI WATERS 4 Bed | 2 Bath | 3 Car | 700m2 This 4-bedroom home with ensuite is located in a quiet area and overlooks a beautiful nature reserve. This home has it all - solar panels, air conditioning, great open plan living with a large well-appointed kitchen plus security screens. There is also a covered entertainment area and side access for the boat or the caravan.
Hervey Bay Hospital St Stephens Hospital Stockland Shopping Centre University of Sunshine Coast Bunnings Sports Precinct St James College thespringsherveybay.com.au Springs Way Visit Hervey Bay’s quality built display homes by industry leaders. 1800 STROUD stroudhomes.com.au OPENING HOURS Mon - Fri 9am to 5pm Sat - Sun 10am to 4pm 1300 956 743 vividhomebuilders.com.au OPENING HOURS Thurs - Mon: 9am to 4pm Tues & Wed: By appointment 0448 488 374 coralhomes.com.au OPENING HOURS Fri - Tues: 9am to 4pm Custom Home Building Specialist The images and illustrations are artist’s impressions and are indicative only. Purchasers must rely on their own enquiries and the Contract for Sale. 07 4124 4941 winprojects.com.au contact agents JohnBone 0433 980 948 contact agents KarenCampbell 0438359507
Centre Bunnings Display Village Fraser Coast Anglican College VILLAGE OF DREAMS thespringsherveybay.com.au Springs Way OPENING HOURS Open Saturday to Wednesday 10am to 5pm 1300 METRICON metricon.com.au OPENING HOURS Open Saturday to Wednesday 10am to 5pm 131 828 abchomes.com.au 07 3136 1333 BY APPOINTMENT ONLY New The images and illustrations are artist’s impressions and are indicative only. Purchasers must rely on their own enquiries and the Contract for Sale. 07 4124 4941 winprojects.com.au contact agents KarenCampbell 0438359507 contact agents JohnBone 0433 980 948
07 4124 4941 winprojects.com.au John Bone 0433 980 948 contact agent The Images and illustrations are artist’s impressions only. Purchasers must rely on their own enquiries and the Contract for sale. St Helens, Maryborough PARK STAGE 1 & 2 Saltwater CreekRd GladysSt Lawson St Fazio Road • • TOWN WATER, POWER & NBN • 20 MINS FROM HERVEY BAY Lawson Street GladysSt . SCAN FOR FURTHER DETAILS contact agent Karen Campbell 0438 359 507 From$204,000
contact a g e nt John Bone 0433 980 948 contact ag e nt Karen Campbell 0438 359 507 - Architecturally Designed - Upmarket Finishes - Clever, Spacious Arrangements - Contact us for an Information Memoradum - Enviable Lifestyle & L ocation - Now Selling Off The Plan Pier Street, Urangan 07 4124 4941 The Images and illustrations are artist’s impressions only. Purchasers must rely on their own enquiries and the Contract for sale. 3 x 2 x 2 x PIER STREET LUXURY TOWNHOUSES ONLY3REMAINING Currently under construction with completion Sept 23*
BUYING - SELLING - RENTALS 0427 400 012 www.chriscouperherveybay.com 2 2 1 Mary-Lou Lloyd 0407 762 054 $525,000 • Catch the breeze near the ocean at right. North facing rear garden plus side access • New kitchen with heaps of storage, draws and lazy Susan’s, adjoining new laundry • Open plan lounge dining with beautiful cypress pine floors opening onto large front deck • 2 bedrooms both with built-in cupboards • Master bathroom with spa bath and toilet • Study/ sunroom off lounge • Ducted air conditioning, solar heart hot water and 2.5 KW Solar Panels • Single garage plus garden shed 40 Corfield Street, POINT VERNON BEACHSIDE BEAUTY – POINT VERNON 571M2 4 2 3 Mary-Lou Lloyd 0407 762 054 $695,000 • This home has heaps of extra including fully insulated walls - sound proof!! • Security system/ cameras wired to wifi phone operated • NBN fibre to the home - super fast • 4 Bedrooms - king size master with ensuite and walk-in robe plus air conditioning • Another 3 good sized bedrooms all with built-ins • Large modern kitchen with plenty of storage opening onto air conditioned lounge and dining • Open plan living extending to outdoor patio • 3 car garage plus 7mx3.6mx3m high fully insulated shed with two roller doors 16 Halcyon Drive, WONDUNNA ‘AS GOOD AS NEW’ - WALK TO FRASER COAST ANGLICAN COLLEGE 526M2 5 2 4 Mary-Lou Lloyd 0407 762 054 $775,000 • PEACE QUIET AND TRANQUILITY • Walk to beach and parks or just relax at home with the sound of the gentle flow of the beautiful fountain in the fish pond • Huge front door opens to this beautiful home with polished wooden look floors • Master suite comprising of a kingsize bedroom, ensuite and walk-in robe plus air conditioning and plantation shutters • Open plan kitchen, dining and lounge with air conditioning all opening onto outdoor living at its best • Kitchen has stone bench tops loads of drawers, gourmet appliances and walk-in pantry with large laundry connected • 3 further bedrooms all with built-in robes and ceiling fans, modern main bathroom with separate toilet • Double lockup garage plus double carport • Large media room or study 3 Dougan Street, POINT VERNON MAGICAL MASTER BUILT BEACHSIDE HOME 650M2 4 2 2 Mary-Lou Lloyd 0407 762 054 $575,000 • This property has so much to offer - Solarhart hot water, Solar panels and every bedroom Air Conditioned • Main House - 3 bedrooms, big kitchen with walk-in pantry, overlooking outdoor living and park • Air conditioned lounge, wheelchair friendly main bathroom and full size laundry • 1 Bedroom granny flat/ studio apartment with bathroom comprising of a bath and separate shower • Air conditioned open plan living area opening onto back garden with separate side entrance • Easy to separate into one large home • The back garden has a variety of healthy fruit trees and a fire pit for relaxing evenings • Outdoor deck area is ideally situated off the kitchen and dining area • 7 Glen Court would make a fantastic rental property or a great family home 7 Glen Court, POINT VERNON POSSIBLE NDIS DUAL INCOME - BEACHSIDE POINT VERNON - OVERLOOKING PARK 662M2

58 Moolyyir Street, URANGAN

• Immaculate 4 bedroomed 2 bathroom brick residence, updated in prime beachside location

• 2 Separate living areas plus renovated kitchen/ dining area

• Master bedroom, air conditioned with ensuite plus another 2 bedrooms with built-in robes

• Another 4th bedroom plus spacious updated bathroom with bath, shower and 2nd separate toilet

• Set on fully fenced 600m2 corner block with double carport - room to park caravan or big boat

• Close to major shopping, schools, marina and beach

patio over looking tropical pool and good sized yard

• One of Queensland’s Coastal Regional Hot Spot

Matthew Perez 0407 697 539 Chris Couper 0427 400 012

LOCATION LOCATION! - HIGHLY SOUGHT AFTER POINT VERNON

24 Spence Street, POINT VERNON

• Walk to the beach and Gatakers boat ramp.

• Easy stroll to the best sunset vantage point in Hervey Bay.

• Enjoy peaceful lifestyle opposite natural bush parklands

• SIDE ACCESS - Room for boat, caravan or motor home

• Main house - New kitchen

• Open plan living with beautiful hardwood floorboards, opening onto breezy front veranda

• Air Conditioning, 3 bedrooms, Family room, 1 study, 1 bathroom, 2 car - carport

• Fully fenced backyard separated from rear studio/shed

BUYING - SELLING - RENTALS 0427 400 012 www.chriscouperherveybay.com BEACHSTYLE BEACH PAD HIGHSET QUEENSLANDER 36/ 14 Exeter Street, TORQUAY • Renovated Queensland style 3 bedroomed upstairs with separate bathroom Downstairs large open plan living/ dining and kitchen with another bathroom onto large wrap around balcony • Want to be close to beach to enjoy tropical lifestyle with no money to spend? One of Queensland’s Regional Coastal Hot Spot Properties OFFERS OVER $565,000 3 2 2 Mary-Lou Lloyd 0407 762 054 TORQUAY BEACHSIDE - BLUE CHIP LOCATION - SUPERB 3 Brooke Court, TORQUAY • Vendor having to move south and relocate with family, selling this superb 3 bedroomed 2 bathroomed brick and tile residence close to beach • Spacious master bedroom with ensuite and walk-in robe • Rear Patio for private entertaining lifestyle plus side atrium outdoor sitting area • One of the coasts most bluechip beachside locations • One of Queensland’s Regional Coastal Hot Spot Properties $599,000 3 2 2 Chris Couper 0427 400 012 BIG BLOCK – SIDES ACCESSBEACHSIDE BREEZES 14 Richard Street, URANGAN • This beauty has heaps of potential, load of room to park caravans, boats & motor home plus there is still space in the rear garden • Backing onto tranquil fauna park and lakes with access to walk ways to the Botanical Gardens • Upstairs – Kitchen, open plan living and lounge • Rear deck with a gorgeous outlook • 3 double bedroom plus new bathroom • Ground floor – Large rumpus room/ office/ gym, 1 bathroom • Double garage with workshop • PUT YOUR STAMP ON THIS, THIS PROPERTY IS CURRENTLY RENTED, Inspect by Appointment only $695,000 3 2 2 Mary-Lou Lloyd 0407 762 054 GOLDMINE INVESTMENT4204 SQUARE METRES 136 Exeter Street, TORQUAY • Live in established home and develop remaining vacant areas, zoned low density residential allowing a wide range of options for development & subdivision.
3 Bay garage, 3 car port and 2 bay garage
Dam, chook pen, garden shed, 2 rain water tanks and 4.8KW solar
3 bedroom home with walk through bathroom off the master, sunroom, lounge room and one long bedroom with an office, full front veranda
One of Queensland’s Coastal Regional Hot Spot Properties $1,200,000 3 2 8 Chris Couper 0427 400 012 Mary-Lou Lloyd 0407 762 054 BLUE CHIP BEACHSIDE DUNDOWRAN – 2 HOUSES 25 Carolyn Street, DUNDOWRAN BEACH • Big 4 bedroomed Queenslander in prestige beachside location with wide veranda/ balcony • 2 Bathrooms with master ensuite and walk-in robes • Large kitchen with gas stove and dishwasher onto family room, separate lounge, dining rooms with open plan • Another 2 bedroom cottage with separate lounge, family room, kitchen and bathroom with private veranda • Heaps of parking with rear double carport(suitable for caravan, boat ect.) and heaps of storage underneath main house with 2 car
$1,090,000 6 3 4
400 012 Mary-Lou
762 054 KAWUNGAN - WHOLE PACKAGE CENTRAL ELITE LOCATION 32 Haydn Drive, KAWUNGAN
parking
Chris Couper 0427
Lloyd 0407
New to market - Vendor must downsize so we are proud to sell this 4 bedroomed (3 + studio) residence with 2 bathrooms
Separate lounge onto big kitchen with dishwasher onto family room with wood fired heater
Double garage attached to house with internal access
Side access to extra studio/ flat with air conditioning then onto double garage/ workshop
Big rear
$669,000 4 2 4
NOW $650,000 3 1 2
WALK TO BOAT CLUB/ BEACH INVESTORS DREAM
Mary-Lou Lloyd 0407 762 054
$575,000 4 2 2 Chris Couper 0427 400 012
Call today on 1300 705 405 Happy New Year! Sales Office 2 Richard Charles Dr, Kawungan Email living@kingstonherveybay.com.au LAND. LIFESTYLE. LOVE. www.kingstonherveybay.com.au Check out the map on our website Lot sizes 676m2 to 803m2 COMMUNITY AREAS NBN ready with fibre to the door offering superfast broadband. Community areas in planning including parks, BBQ, and nature walks. All blocks contain underground power, water and sewerage services. MEDICAL & CARE FULLY SERVICED Close to cafes and shopping and only a short drive to the beach. Minutes from major hospitals, clinics, aged care and retirement facilities. FOOD & SHOPPING Land for Sale at Kingston Hervey Bay
Phone 4128 4255 www.herveybay.realway.com.au | 363 The Esplanade, Scarness QLD 4655 6 FIONA CT URANGAN PERFECT INVESTMENT, MAKE AN OFFER! 4 Bed 2 Bath 1 Car $585,000 FOUR BEDROOMS MAIN BEDROOM WITH ENSUITE SECOND BATHROOM WITH SEPARATE BATH SEPARATE MAIN TOILET LARGE LOUNGE ROOM DINING AREA KITCHEN WITH PANTRY UNDERCOVER OUTDOOR PATIO SINGLE LOCK UP GARAGE FENCED 772M2 BLOCK WITH SIDE ACCESS ROOM FOR SHED AND POOL 27 LADY NELSON DR ELI WATERS 4 Bed 2 Bath 2 Car $925,000 BEAUTIFUL FAMILY HOME WITH SCENIC LAKE VIEWS 3 Bed 1 Bath 1 Car OPENSAT 10.00-10.30AM BRICK BEAUTY, PERFECT INVESTMENT THREE BEDROOMS SECURITY SCREEN VEGGIES INCLUDE: HERB GARDENS, BANANAS, DRAGON FRUIT, CORN, PAW-PAW ECT CHOOKS SOLAR DRIVE THROUGH GARAGE AIR CONDITIONED VERY LARGE UNDERCOVER OUTDOOR PATIO SINGLE LOCK UP GARAGE FENCED 652M2 BLOCK WITH ACCESS THROUGH GARAGE 3MX3M GARDEN SHED 217 PULGUL ST URANGAN MAKE AN OFFER! AIR-CONDITIONED LIVING MODERN KITCHEN WITH DISHWASHER MAIN BEDROOM WITH AIR CONDITIONER + ENSUITE TWO OTHER BEDROOMS WITH BUILT-IN ROBES CEILING FANS DOUBLE LOCK-UP GARAGE WITH INTERNAL ACCESS FULLY FENCED 563M2 BLOCK CURRENTLY TENANTED TO MARCH 2023, PAYING $360 3 Bed 2 Bath 2 Car $538,000 10 CROMDALE CCT KAWUNGAN QUALITY & SPACE IN KAWUNGAN LARGE OPEN PLAN LIVING AREA AND DINING SPACE KITCHEN WITH DISHWASHER, NEAR NEW ELECTRIC COOK TOP AMPLE STORAGE AND BENCH SPACE SEPARATE LOUNGE/MEDIA ROOM SECURITY SCREENS AND ADT VIDEO MONITORING CEILING FANS TO ALL BEDROOMS AND MAIN LIVING SPACES COVERED OUTDOOR PATIO LARGE 800M2 BLOCK 17 MICHELLE DR POINT VERNON $499,000 OPENSAT 11.00-11.30AM 10 HOLIDAY PDE SCARNESS LIVE IN STUDIO & BUILD YOUR NEW HOME! 1 Bed 1 Bath CONTACT AGENT NO BODY CORPORATE FEES AIR-CONDITIONED LIVING KITCHENETTE WITH WASHING MACHINE SEPARATE BATHROOM FULLY FENCED BACKYARD PERGOLA/BBQ AREA, COVERED 575M2 BLOCK SOIL TESTS AND HOUSE PLANS AVAILABLE UPON REQUEST 1/184 TORQUAY RD SCARNESS IMMACULATE LOW MAINTENANCE LIVING – ALL OFFERS PRESENTED OPENSAT 10.00-10.30AM 2 Bed 2 Bath 1 Car OFFERS OVER $440,000 DOWNSTAIRS: BEDROOM WITH BUILT IN ROBES ENSUITE MODERN KITCHEN WITH DISHWASHER • OPEN PLAN AIR-CONDITIONED LIVING PRIVATE FENCED COURTYARD LAUNDRY • SINGLE LOCK-UP GARAGE WITH REMOTE DOOR UPSTAIRS: LARGE AIR-CONDITIONED BEDROOM, ROBE & STUDY NOOK MAIN BATHROOM • SEPARATE TOILET GOOD SIZE HALLWAY COULD FIT STUDY DESK 4 Bed 2 Bath 2 Car $659,000 FAMILY SIZED HOME WITH LAKE FRONTAGE FAMILY SIZED LIVING AREAS. MODERN DESIGN SEPARATE LOUNGE WITH ACCESS TO OUTDOOR AREA COVERED ENTERTAINING AREA. ENJOY THE VIEWS CATCH FISH FROM THE BOTTOM OF THE BLOCK SIDE ACCESS FOR BOAT/CARAVAN DUCTED AIR-CONDITIONED 1015M2 BLOCK
LUXURY WATERFRONT LIVING Phone 4128 4255 www.herveybay.realway.com.au | 363 The Esplanade, Scarness QLD 4655 106/230 PULGUL ST URANGAN 3 Bed 2 Bath 1 Car Pool 11 SAMPHIRE ST ELI WATERS 4 Bed 2 Bath 4 Car $1,150,000 6.6KW SOLAR POWER DUCTED AIR CONDITIONING 9FT CEILINGS THROUGHOUT NBN – FIBRE TO THE PREMISES (FTTP) MASTER BEDROOM WITH W.I.R TWO-WAY ENSUITE WITH SEPARATE TOILET THREE OTHER BEDROOMS MAIN BATHROOM & SEPARATE POWDER ROOM KITCHEN WITH STONE BENCHES & BUTLERS PANTRY MEDIA ROOM CHEFS’ KITCHEN WITH STONE BENCHES, GAS COOKTOP PLUMBED IN FRIDGE SPACE BUTLER’S PANTRY 100% WOOL CARPET TO BEDROOMS AND MEDIA ROOM POLISHED PORCELAIN TILES LAUNDRY WITH LINEN AND BROOM CUPBOARD QUALITY SHUTTERS, DAY/NIGHT BLINDS AND CURTAINS LIFESTYLE UNIT IN THE HEART OF TORQUAY! 19/386 ESPLANADE TORQUAY 1 Bed 1 Bath 1 Car Pool $335,000 FULLY FURNISHED OPEN PLAN LIVING WITH AIR CONDITIONING KITCHEN WITH DISHWASHER COVERED BALCONY OVERLOOKING THE ESPLANADE RENOVATED BATHROOM BEDROOM WITH BALCONY FULLY EQUIPPED LAUNDRY POOL, SAUNA & SPA ON-SITE TENNIS COURT RESTAURANT LOW SET VILLA IN SECURE GATED COMMUNITY! THREE BEDROOMS, MAIN WITH ENSUITE OPEN PLAN LIVING WITH AIR CONDITIONING MODERN KITCHEN WITH DISHWASHER MAIN BATHROOM PRIVATE OUTDOOR AREA • SEPARATE LAUNDRY SINGLE LOCK UP GARAGE ONSITE POOL & BBQ AREA TENNIS COURT GYMNASIUM CURRENTLY TENANTED TO MAY 2023 $475,000 4 Bed 2 Bath 2 Car YOUR NEXT HOME AWAITS YOU, NEST OR INVEST – MAKE AN OFFER $649,000 FRESHLY PAINTED & NEW CARPETS THROUGHOUT FOUR BEDROOMS, MAIN WITH ENSUITE WALK IN ROBE TO MAIN AND BUILT-INS TO THE OTHERS LARGE WALK-IN STORAGE/LINEN CUPBOARD MODERN KITCHEN WITH STONE BENCHES AND DISHWASHER OPEN PLAN DINING AND FAMILY ROOM WITH AIR CONDITIONING SEPARATE LOUNGE ROOM DOUBLE LOCK UP GARAGE WITH INTERNAL ACCESS FULLY FENCED 773M2 BLOCK CURRENT RENTAL APPRAISAL $520-$540 PER WEEK OPENSAT 11.00-11.30AM 43 DUNN ST ALDERSHOT 4 Bed 2 Bath CONTACT AGENT RENOVATORS DELIGHT! 113 PACIFIC DR BOORAL PEACE & TRANQUIL LIFESTYLE ONE BEDROOM ONE BATHROOM KITCHENETTE DINING AREA LOUNGE VIEWS SITUATED ON 1018M2 BLOCK 1 BED 1 BATH 2 CAR $359,000 BLOCK OF LAND $385,000 COASTAL LIFESTYLE MEETS MODERN DESIGN 4/38 TAVISTOCK ST TORQUAY 3 Bed+Study 2 Bath 3 Car OFFERS OVER $615,000 DOUBLE LOCKUP GARAGE WITH INTERNAL ACCESS EXTRA CAR SPACE FOR THIRD VEHICLE SOLAR POWER, 5.9KW 2 X SIDE ACCESS INTO BACKYARD • 2 X GARDEN SHED 2 X 5000L RAINWATER TANKS 9FT CEILINGS THROUGHOUT RENOVATED THROUGHOUT LOW BODY CORPORATE FEES NBN – FTTC CONNECTED NEW LISTING 4 Bed 1 Bath 3 Car 550,000 25 GUNSYND WAY POINT VERNON 339 BOAT HARBOUR DR SCARNESS FOUR BEDROOMS, THREE WITH BUILT-INS KITCHEN WITH DISHWASHER DINING AREA. SEPARATE LOUNGE TILED THROUGHOUT MAIN BATHROOM, BATH, SHOWER & VANITY SEPARATE TOILET. SECURITY SCREENS LAUNDY WITH LINEN CUPBOARD SINGLE LOCK UP GARAGE WITH INTERNAL ACCESS 6M X 6M DOUBLE GARAGE GAS HOT WATER COVERED OUTDOOR PATIO NBN – FTTN CONNECTED DOWNSTAIRS: LIVING AREA STUDY X 2 TWO BEDROOMS BATHROOM WITH LAUNDRY UPSTAIRS: LOUNGE/DINING WITH AIR CONDITIONING UPDATED KITCHEN TWO BEDROOMS WITH BUILT IN ROBES TWO-WAY BATHROOM SEPARATE TOILET SCREENED IN FRONT VERANDAH GENERAL: 1426M2 FENCED BLOCK TWO STREET FRONTAGE RAINWATER TANKS X 2 READY TO INVEST OR MOVE IN, WALK TO ESPLANADE ELEVATED VACANT BLOCK –OCEAN VIEWS NEW LISTING NEW LISTING LOCATED IN A CENTRAL LOCATION 594M2 ELEVATED BLOCK TOWN WATER & NBN FTTN AVAILABLE IN THE STREET. OCEAN VIEWS FEW MINUTES TO BEACH, SHOPS, CAFES AND RESTAURANTS DIMENSIONS – (APPROXIMATE) 20M FRONTAGE 20M ACROSS THE BACK 30M FROM FRONT TO THE BACK 5 ZAC CT URRAWEEN
402 Esplanade, Torquay herveybay.eldersrealestate.com.au Sales / Rentals: 4125 5244 sales@eldersherveybay.com.au pm@eldersherveybay.com.au Robyn Taylor 0402 588 153 Lauren Leaver 0436 485 555 Immaculate Home - A Must For Your Inspection! $649,000 70 Wattle Street Point Vernon • 3 good size bedrooms Ensuite and built in robes to main 2 separate living areas, ducted air conditioning Well appointed kitchen, separate dining • Undercover outdoor area Sparkling in ground pool Remote double lock up garage Rainwater tank and garden shed This pleasing to the eye property sits on a fully fenced, 700m2 well manicured block and boasts a sparkling inground swimming pool. NEW LISTING! John Wood 0419 796 692 Robyn Taylor 0402 588 153 Lauren Leaver 0436 485 555 Luxury Three Bedroom Townhouse $619,000 Unit 3, 136 Pulgul Street Urangan 3 double bedrooms upstairs Living area, bathroom, separate toilet upstairs Master bedroom complete with huge ensuite • Modern kitchen with stone benchtops Spacious tiled living and dining Extra powder room downstairs Ducted air conditioning, solar panels • Undercover East facing alfresco Located in the sought after Quarterdecks complex, this beautifully presented three bedroom townhouse is generously proportioned making it ideal for downsizers looking for a low maintenance lifestyle without having to compromise on size and space. NEW LISTING! Your New Home Awaits! $240,000 House 1, 295 Boat Harbour Drive Scarness No rates, no Stamp Duty, no Body Corp Pets to be approved by Managers Immaculately looked after and well loved home 2 bedrooms with built in robes plus office 2 way bathroom with full length shower Separate lounge and dining area Modern kitchen with heaps of space Separate toilet, laundry, air conditioning Solar panels No age restriction, own your own home, pets approved by Management. Ideal lifestyle if you don’t want to look after yards, easy to lock up and go travelling. NEW LISTING! Free Standing Four Bedroom Duplex Spacious modern brick and tile home No Body Corp fees • Ensuite to master bedroom Spacious open plan living and dining Functional kitchen with dishwasher Family bathroom complete with bath • Air conditioning and solar panels Single garage with direct entry This well presented “Free Standing” duplex showcases light filled, spacious interiors with an emphasis on lifestyle. Enjoy this low maintenance property located within minutes to the Marina, cafes and shopping. $499,000 Unit 2, 5 Ladbroke Crescent Urangan Robyn Taylor 0402 588 153 Lauren Leaver 0436 485 555 NEW LISTING! Shelly Smith 0402 152 192 27 Acres – 2 Homes – Superb Riverfront Acreage Nearly 27 acres of good pastureland – 5 paddocks Main home – 4 bedrooms 2 bathrooms, open plan 2nd home – 2 good size bedrooms, 3rd bedroom/office Good size sheds at both homes, undercover parking Cattle pen and loading dock, water tanks, bore water Located on river 4km from amenities at Howard Central between Hervey Bay, Maryborough, & Childers Too many features to list – Speak to Agent Tom McLeod 0458 914 873 $1,200,000 48 Smith Road Howard CONTACT AGENT If living on acreage is your dream lifestyle, then it can’t get any better than this. A superb location on approximately 27 acres. The main home in an elevated position, overlooking the whole property toward the second home at the opposite end, with the river frontage beyond. Robyn Taylor 0402 588 153 Lauren Leaver 0436 485 555 Prime Location! Walking Distance To Beach $555,000 19 Beach Road Pialba 506m2 on a corner block Fully fenced 3 bedrooms, 1 bathroom • Kitchen/dining Living room Laundry Ceiling fans Great investment opportunity awaits in beautiful Hervey Bay. Brett Hanwright 0427 621 985 Robyn Taylor 0402 588 153 Lauren Leaver 0436 485 555 Country Living on 2001m2 Block With Shed Offers over $750,000 22 Pedelty Lane Dundowran 4 bedrooms with built in robes Main bedroom with walk in robe and ensuite • Modern kitchen with dishwasher and breakfast bar 2 open plan living areas 9 x 6m shed/workshop with light and power 8 solar panels and solar hot water • Lockable security screens, tinted windows Double lock up garage, 5000l rainwater tank This modern family home is only 9 years old, set on a large 2001m2 block would suit all buyers. If you are looking for property with heaps of space, then this is it! NEW LISTING! Shelly Smith 0402 152 192 Three Bedroom Duplex - No Body Corp • 3 good sized bedrooms, spacious living Combined kitchen and dining Air conditioning, security screens throughout Private undercover outdoor entertaining area • Single remote garage plus single carport Fully fenced with added bonus of electric gate Nice wide driveway with ample room to accommodate an extra vehicle Enjoy this low maintenance three bedroom duplex located minutes to the best beaches, cafes and shopping Hervey Bay has to offer. $420,000 Unit 1, 122 Bideford Street Torquay Robyn Taylor 0402 588 153 Lauren Leaver 0436 485 555 NEW LISTING!
Sales / Rentals: 4125 5244 sales@eldersherveybay.com.au pm@eldersherveybay.com.au 402 Esplanade, Torquay herveybay.eldersrealestate.com.au Spacious Family Living Price Reduction Offers over $599,000 81 St Joseph Drive Urraween 4 Bedrooms all with robes and fans Master comes complete with ensuite and walk in robe Combined kitchen, dining and family Well appointed kitchen with ample storage Separate living/media room North facing undercover alfresco area Double remote garage with direct entry 6m x 6m powered shed 812sqm fenced allotment with great side access Robyn Taylor 0402 588 153 Lauren Leaver 0436 485 555 John Wood 0419 796 692 One In A Million – Spectacular Views! Price Reduction $749,000 40 Johnston Boulevard Urraween CONTACT AGENT 3 good size bedrooms with built in robes 2 large living areas leading to balcony • Central kitchen with ample cupboard space 2nd full bathroom, separate toilet Double remote controlled garage Extra high-bay enclosed garage for boat/van Serviceable laundry and 3rd toilet 1000m2 block, garden shed, fruit trees This well presented home set on a 1/4 acre in an elevated suburb is close to major shops, state of the art hospitals, colleges and local CBD. Robyn Taylor 0402 588 153 Lauren Leaver 0436 485 555 Seaside Lifestyle Offers Above $850,000 5 Quarterdeck Avenue Pialba 4 generous bedrooms with built in robes Spacious master complete with ensuite • Modern kitchen with walk in pantry Spacious open plan kitchen, living and dining Separate activity/media room Ducted air conditioning throughout • North/East facing alfresco overlooking pool 576m2 fully fenced allotment Shelly Smith 0402 152 192 Offers from $1,200,000 Esplanade Property With Breathtaking Views! 122 Esplanade Point Vernon CONTACT AGENT 4 spacious bedrooms, main with ensuite, walk in robe and separate sitting room Well appointed kitchen with loads of storage and dishwasher 3 separate living areas, open plan dining and family room Ceiling fans throughout, air conditioning in main living area, solar panels North facing undercover entertaining deck overlooking tranquil waters of Hervey Bay and across to Fraser Island Long term tenants in place Proposed land subdivision Robyn Taylor 0402 588 153 Lauren Leaver 0436 485 555 Shelly Smith 0402 152 192 Shelly Smith 0402 152 192 NEW LISTING! Leave The Car At Home $240,000 14 Ibis Boulevard Eli Waters INSPECT NOW • 2 open plan living areas Large bedroom with built in robes and air-conditioning Modern kitchen with heaps of cupboards and electric cooking Split system air-conditioning and fans throughout Room behind the garage for office or workshop Enjoy the breezes on 3 verandas, 2 front and 1 back Low maintenance established gardens Carport with high roof line, garden shed Facilities include in-ground pool, BBQ area, bowls green and community room Weekly fees apply with assistance, No pets allowed Trust Your Most Prized Possession With A Trusted Agent LIST WITH JOHN TODAY Call Now For A Free Appraisal JOHN WOOD 0419 796 692 Robyn Taylor 0402 588 153 Lauren Leaver 0436 485 555 Investors & First Home Buyers! Offers from $499,000 82 Birrabeen Road Pialba 3 bedrooms with ensuite to main Wardrobes in all bedrooms • Spacious combined lounge, dining and kitchen Undercover outdoor area Single lock up garage with direct entry • 700m2 corner allotment Great side access for boat or van Shelly Smith 0402 152 192 Offers from $595,000 Genuine Family Home – Close to Everything 35 Shoreham Street Pialba CONTACT AGENT 4 good size bedrooms with built in robes Ensuite to main bedroom • State of the art kitchen with 2 ovens 2 large air conditioned living areas Separate dining Laundry, 2 full bathrooms Side access leading to 6 x 6m colourbond shed John Wood 0419 796 692 Situated in Pialba, close to major shops, schools, golf course and beach, this large 4 bedroom brick and tile home is new to the market. Located within a short distance to the beach, major shopping centres and all other amenities, this home provides great value for first home buyers, retirees and investors alike. Offers above $419,000 Beautifully Presented Apartment Unit 3, 6 Ann Street, Torquay 2 good size bedrooms with built in robes Bright and airy dining and living areas • Living area opens onto front balcony Modern kitchen with stainless steel appliances Single lock up garage Air conditioning and security screens • Boutique complex consisting on only 8 units with Low Body Corp fees Robyn Taylor 0402 588 153 Lauren Leaver 0436 485 555 U3-496 Esplanade Urangan CONTACT AGENT Seaside Beauty! $449,000 • Open plan Air-conditioning living, 2 good sized bedrooms with built ins Large kitchen, new electric stove, ample bench & cupboard space, dishwasher included Two way bathroom leading to main bedroom, covered laundry • Large balcony with ocean views, Ideal entertainment area Sparkling inground pool, secure underground parking. Beachfront resort, onsite manager, Low body corps. John Wood 0419 796 692 Wanting To Downsize? $270,000 208 Elizabeth Street Urangan Pets allowed - Over 50’s Village No Stamp Duty, Rates or Body Corp fees Weekly fees do apply • Three bedrooms, modern kitchen Open plan living, ceiling fans throughout Bathroom, separate laundry, two toilets Car accommodation, lovely covered dec 10 solar panels, Inground pool, BBQ area Shelly Smith 0402 152 192 Wanting To Downsize And Take Your Pets? $225,000 208 Elizabeth Street Urangan Two bedrooms with built in robes Kitchen, open plan living area Air conditioning in lounge and bedroom Separate toilet and separate laundry Security screens, garden shed Front veranda plus deck out the back Carport accommodates 2 cars No Body Corp, Rates or Stamp Duty This is the perfect place to retire, bring your pets as there is plenty of back yard for them to play. Over 50’s Village lifestyle you will enjoy, Urangan is located in the sought after area of Hervey Bay. Shelly Smith 0402 152 192 CONTACT AGENT Investment Opportunity Overlooking The Lake $180,000 Lot 36, 1 Shell Street Urangan Sleeps up to 5 people Self-contained fully furnished villa Open plan living with air conditioning Kitchen has heaps of cupboards Bathroom has plenty of space Balcony is overlooking the lake • Surrounded by landscaped gardens Plenty of parking for boats and trailers Shelly Smith 0402 152 192 Pets Allowed! Own Your Own Home! $299,000 208 Elizabeth Street Urangan 2 good size bedrooms, main with air conditioning Air conditioned living areas • Open plan living with high ceilings Modern kitchen with dishwasher Bathroom with shower suitable for disabled Separate laundry with 2nd toilet Outdoor veranda with ramp access Paved courtyard fully fenced Shelly Smith 0402 152 192 Leave The Car At Home! $275,000 14 Ibis Boulevard Eli Waters No Bodycorp, Rates or Stamp Duty Spacious lounge with high ceilings in living • Separate dining with bay window Modern kitchen with dishwasher Modern bathroom with shower Separate toilet, separate laundry Security screened, 18 solar panels Fans and split air conditioning Shelly Smith 0402 152 192 NEW LISTING! NEW LISTING! NEW LISTING! NEW LISTING! An Oldie But A Goldie Offers over $539,000 202 Truro Street Urangan Ideal for the investor, first homeowner or families Located in a highly sought after area of Urangan • 4 bedrooms with ensuite and walk-in robe Unique design of sunken living areas including lounge, dining and kitchen Ceiling fans throughout plus air-conditioning • Security screens on doors and windows Separate laundry with extra storage Shelly Smith 0402 152 192
4128 6600 2 Ansons Road, Dundowran Beach www.rayedward.com.au FLEUR KEYS SALES CONSULTANT 0437 835 212 fleur@rayedward.com.au CODY BARRON SALES CONSULTANT 0459 960 405 cody@rayedward.com.au CAMERON WHEWAY SALES CONSULTANT 0431 995 485 cam@rayedward.com.au WARREN GRAY SALES CONSULTANT 0419 706 799 warren@rayedward.com.au Large, Luxury Living near the Beach Offers over $1,300,000 21 Sawmill Road, DUNDOWRAN BEACH • Four spacious bedrooms with robes • Master suite with luxe ensuite and large walk-in robe • Open plan living area extending out to the alfresco area • Media room with insulated and doubled plaster walls • Dedicated office/study– great space to work from home • Large kitchen with plenty of bench space plus butlers pantry • Split-system air conditioning, ceiling fans, fully insulated • Large double garage under main roof • Rear shed 15 metres x 7 metres with lights, power and large work shop area • Wide side access through to the back yard • 6.5kw solar panels – only 12 months old Beautiful brick on an acre, moments from the beach $925,000 10 Straits Outlook, CRAIGNISH • 4 Bedrooms • 2 Bathrooms • Internal 2 Car garage • Large shed with solar • In-ground swimming pool • Multiple living spaces • Outdoor entertainment area Country Living Close To Beach Offers Over $1,250,000 Considered 80 Karinya Cct, SUNSHINE ACRES • 4 bed 2 bath master with ensuite and parents retreat • Modern open plan layout • Large 12m x 12m shed with high access roller door • Separate media room & separate office • 6.6kw solar & three water storage tanks • 2.O ha flat dog fenced block JUST LISTED Offers Over $1,800,000 Considered 36 Pandanus Drive, DUNDOWRAN BEACH • Absolute Beachfront • Stunning entertainment area facing the beach • 4 bed 2 bath. Ducted zoned air • DLUG plus separate 9m x 8m shed • 2,250m2 fully fenced block with front electric gate • Established lawns & gardens • Nothing to do but move in and unpack Beautiful home based on 4355m2 with dual access, spacious home with multiple living spaces Investor Opportunity – Dundowran Beach Offers Over $840,000 Considered 5 Eliza Crt, DUNDOWRAN BEACH • 4 bed 2 bath • Master with ensuite & walk in robe • Large study/media/5th bedroom • 6.6kw solar system • Large 12m x 7m shed with high roller doors • Fully fenced 4,670m2 large block secluded • Quiet cul-de-sac location

The master bedroom has a large walk-in-robe and a deluxe ensuite and adjoins the outdoor undercover area – a perfect spot for the morning coffee. A private fully fenced yard provides a lush lawn and is ideal for kids and pets along with the tropical style and lovely vege gardens and the added bonus of a low-maintenance plunge pool to relax in on the warmer summer days.

The oversized rear shed and workshop is powered and has an additional port attached for the van or boat. There’s fantastic access through the remote control entry gate into the yard and plenty of off street parking too.

To assist in keeping your everyday living costs down this property has been designed for easy-low maintenance, eco-friendly living with an array of solar panels, three large rain water tanks all connected to the home which can easily be converted back to the town water supply if you choose.

There is so much that this lovely property has to offer and all just minutes to the beach and within close proximity to local shops, this is an ideal family home – a quality property in a quiet and sought-after location.

This home is young and fresh and will impress. Contact the Ray Edward Team to book your personal inspection.

4128 6600 2 Ansons Road, Dundowran Beach www.rayedward.com.au Super Stylish Family Home on a private 2130m2 block Offers over $970,000 3A Jimilee Street, DUNDOWRAN BEACH If you are searching for a modern, low maintenance property close to the sea-side than this immaculate
your list.
home should be top of
Only two years young offering a private oasis both space and style with three bedrooms, media room that could easily be a 4th bedroom, open plan living area and a spectacular kitchen perfect for entertaining. Stunning stone benchtops with bespoke cabinetry and a walk-in pantry create a sleek & sophisticated finish in the kitchen. Leading off the living space is an inviting undercover outdoor area which includes full slide down blinds to enclose into a perfect entertaining space in a weather.
L ive The Life In Toogoom 5 Mark Avenue – Toogoom 4 Bed I 2 Bath I 4 Car So Close To The Beach You Can Hear the Waves –Two Street Frontage Contact Shane on 0405 372 339 Offers over $725,000 28 Periwinkle Crescent – Toogoom4 Bed I 2 Bath I 2 Car Three Year-Old Home On Half An Acre & Walk To The Beach! Contact Steve on 0409 006 511 $795,000 1 Kingfisher Parade – Toogoom3 Bed I 2 Bath I 3 Car Resort Style Living Across From The Beach –Lovely Character Property Contact Steve on 0409 006 511 or Shane on 0405 372 339 Offers from $800,000 30 Seaway Parade – Toogoom4 Bed I 2 Bath I 2 Car Spacious & Stylish Family Sized Home A Short Walk To The Beach Contact Steve on 0409 006 511 Offers from $695,000 4 Seaside Circuit – Toogoom4 Bed I 2 Bath I 5 Car Architecturally Designed 4 Bed Home –Short Walk To Toogoom Shops And Beach Contact Shane on 0405 372 339 Offers over $700,000 10 Trevalli Court – Toogoom3 Bed I 2 Bath I 4 Car Freshly Painted Lowset Home In A Quiet Cul-de-sac –Inground Pool & Walk To The Beach! Contact Steve on 0409 006 511 Offers over $650,000 Toogoom’s #1 Real Estate Team 2/6 Jeppesen Rd, Toogoom QLD 4655 | Phone: (07) 4128 0040 65 Moreton St, Toogoom QLD 4655 | Phone: (07) 4128 0040 www.allenproperty.com.au

Turn static files into dynamic content formats.

Create a flipbook
Issuu converts static files into: digital portfolios, online yearbooks, online catalogs, digital photo albums and more. Sign up and create your flipbook.