Hervey Bay Advertiser and Hervey Bay Property Guide

Page 1

WE WANT YOU TO BE A PART OF OUR GYM COMMUNITY • UNLIMITED CLASSES $30PW • GROUP CLASSES • NO SIGN UP FEES • NO CANCELLATION FEES • PERSONAL TRAINING • CHILD MINDING CALL ALI TODAY ON 0417 652 484 f Coastal Wastewater Specialists PRE-PURCHASE INSPECTIONS 07 4128 8019 www.cwws.com.au A FAMILY OWNED & OPERATED LOCAL BUSINESS QBCC LIC: 15249942 HOME SEWERAGE TREATMENT SYSTEMS We use and recommend SUPPLY • INSTALL SERVICE • REPAIR EPOXY FLOORS PAINTING 0418 410 965 QBCC 1133418 www.classiccoatings.com.au Fixed or Variable Interest Rate? Need advice? Ph: 0407 699 022 SELL YOUR HOUSE WITH US MESSAGE US ON g OR primeagents.com.au 4194 1754 April 20, 2023 Awarded BEST FREE NEWSPAPER in Queensland YOUR NUMBER IN REAL ESTATE oneagencyfc.com.au FRASER COAST From farm gate to your plate 97 Main Street, Pialba (next to ALDI) P 07 4194 1566 The name says it all! The business has been part of the Hervey Bay community for over a decade with the mission of sourcing local quality produce at a great price. The owners of this business take great pride in their presentation and quality of products, so call in today and see for yourself.
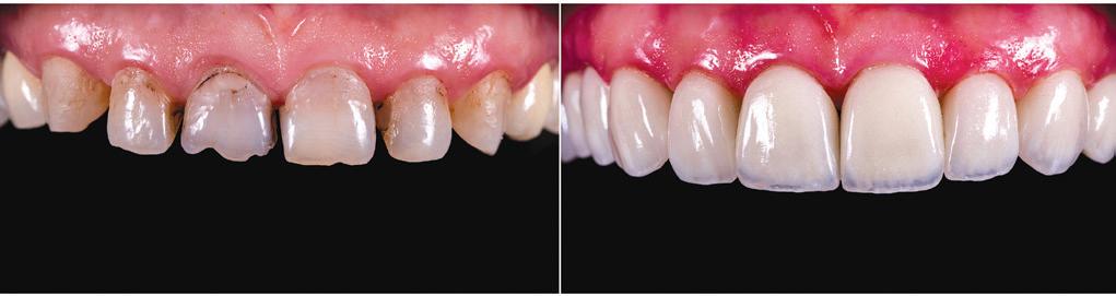
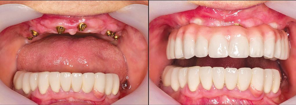
All Health Funds Accepted Michael Carson a Shop 4, 10 Liuzzi St, Pialba p 4124 0800 e info@mydentureplace.com.au w mydentureplace.com.au Revolutionary INTRAORAL SCANNER is here IF YOU GOT YOUR DENTURES OVER 6 YEARS AGO, IT’S TIME FOR A NEW ONE 3D imaging your gums for the perfect fit! Precise Durable Consistency Digital backup Customisable Convenient CAD DESIGNED DIGITAL DENTURES AVAILABLE NOW IN HERVEY BAY NEW My Denture Place - Michael Carson a Shop 4, 10 Liuzzi St, Pialba | p 4124 0800 e info@mydentureplace.com.au | w All Health Funds Accepted If you got your Dentures over 6 years ago, It’s tIMe for Revolutionary INTRAORAL SCANNER IS HERE 3d imaging your gums for the Perfect Fit Precise CAD designed Durable Miled from premanufactured Consistency Same set of reproduced Digital backup Can be remade Customisable Many shades available Convenient Faster to make, CAD Designed Digital Dentures available now in Hervey Bay new! COPY DENTURES
you’re happy with your current FULL dentures, we can copy them for youno impressions required.
If
PHONE: (07) 4129 7132 MOBILE: 0427 297 132 G&D ROSS BUS CHARTERS 1197 Bidwill Road, Maryborough QLD 4650 e: rossbuscharters@bigpond.com www.ganddrossbuscharters.com.au WHO,S FOR TAMWORTH 2024? GET IN FAST WHILE SEATS ARE STILL AVAILAB LE ON THIS POPULAR TOUR! $990 per person THURSDAY 18/01/24 TO TUESDAY 23/01/24 All bookings must be followed by a deposit of $100 within 14 days to hold a spot. The balance and final payment must be received by the 11/11/22 Conditions of Cancellation –• 1 month before tour a full refund will be given. • Within 21 days of the tour a partial refund will be given. • Within 14 days of the tour no refund will be given. BUS BED & BREAKIE We have planned a trip just for you ALL FOR JUST $3300 PER PERSON The trip is from 18th of September up to and including 28th of September, with Country/Western, Rock’n’Roll entertainment every night from 12 different artists. This is our 11th year doing this trip. THE GREAT WESTERN PLAY & STAY MUSICAL TOUR 2023 BUS, BED, BREAKFAST, NIGHTLY MEALS & ENTERTAINMENT For more information or to book; contact Greg or Donna at G & D ROSS BUS CHARTERS Taking Bookings Now for a 2nd Coach
SOLD RUSH IN THE LAST TWO YEARS, OUR AVERAGE SALE PRICE HAS INCREASED BY OVER $210,000* IF YOU ARE THINKING OF SELLING, LET’S START A CONVERSATION SCAN THE QR CODE, MESSAGE US ON FACEBOOK OR PHONE OUR OFFICE ON 4194 1754 WE’VE STRUCK SOME AMAZING DEALS FOR OUR SELLERS primeagents.com.au 4194 1754 SELL YOUR HOUSE WITH US MICHAEL BATTERHAM 0401 788 792 TERESE PAYNE 0427 842 590 STACEY PYNE 0438 694 307 ASH HECKELS 0418 986 867 DON BRYANT 0427 225 004 VICKI MAYNARD 0439 955 576 * Average sale price 2020/2021 = $448,313. Average sale price 2022/2023 = $663,000

Join

2 COURSE MEAL | 3 HOUR BEVERAGE PACKAGE

Live music by Frank Benn

Dance the night away to Soul City plus other high energy surprise acts

Hervey Bay RSL Club

SATURDAY MAY 27TH 2023

Doors open 6:00pm for 6:30pm show start

GROUP TABLES & SEATS

AVAILABLE NOW VIA

re invited to our biggest event
ANNIVERSARY You’
ever
us for an incredible night
fun
amazing entertainment
of food,
and
FI4976 *Get any size for the price of a single in the corresponding range. The Any Size for a single offer must be completed in the original transaction, during the promotional period. The upsized mattress, will be the same brand and model as the original mattress chosen. Selected brands only. Mattress only. Exclusions apply. Super King not available on all mattresses. *Terms and conditions apply, see in store for details. The full Forty Winks terms and conditions can also be found on www.fortywinks.com.au/terms-conditions. You must be a Qantas Frequent Flyer member to earn points. Membership and points are subject to the Qantas Frequent Flyer program terms and conditions, available at qantas.com/terms. A joining fee usually applies however, Forty Winks customers can join for free. Qantas Frequent Flyer members will earn 2 Qantas Points per $ 1 spent (usually 1 point per $1 spent) on selected mattress purchases made between 17/04/2023 to 07/05/2023 from participating Forty Winks retail or online stores and must present their Qantas Frequent Flyer membership number at the time of purchase. Not valid in conjunction with other Forty Winks promotions which enable members to earn Qantas Points by purchasing products. Qantas Points will be allocated within 14 days of the product delivery date. Hervey Bay 127 Boat Habour Drive, Pialba (opp. the cinema) Ph: 4194 5099 fortywinks.com.au * timeLimited only! PLUS PLUS ANY SIZE FOR THE PRICE OF A SINGLE QANTAS POINTS DOUBLE Earn 2 Qantas Points per $1 spent (usually 1 point per $1) Get ANY SIZE mattress, even a SUPER KING, for the price of a single!

or

Mayor and Councillor’s Loss of all Common Sense

John A Neve and my letter in Letters to the Editor is what most ratepayers are thinking. I had phone calls after you printed my letter (complaining of the waste of the ratepayer’s money on the new library and council office) saying that they all felt the same way.

The original City Centre Master Plan had Main Street as a dining hub, and I believe a motel was also in the original plan. That plan and

Vaping leaves a very bad taste in my mouth

THIS instalment of my column can easily be best described by the famous Buzz Lightyear line in the original Toy Story movie – ‘I don’t believe that man’s ever been to medical school’.

I definitely haven’t, but I have to be honest; vaping gets up my nose.

It’s an increasing issue amongst our young people in Hervey Bay, in schools and shopping centres, and there appears to be virtually no consideration for the unknown impacts on themselves or others.

I don’t want to be walking behind you, inhaling your second hand boysenberry juice or whatever it is. Enough already.

Is this the vaping generation, and how have

layout was extensive, and all that is left of that plan now is the new council offices and library that we don’t need in Main Street.

Glenn Winney’s Property Talk in your newspaper was an interesting reading.

He is all for the new library and council offices and stated it would stimulate the CBD revitalisation.

Main Street is not where tourists and locals who want to relax or want to be.

They want to be eating and shopping on the Esplanade, with the beach just across the road.

Tourists come to Hervey Bay for the lay-back atmosphere that it offers to just relax and unwind and for their children to have some fun on the beach or at the water park.

The caravan parks along the Esplanade are also why tourists come here and enjoy the beach right on their doorsteps of their caravans or tents.

Leave Main Street as it is, and let us retain some of our local history in Main Street. Years ago, the Council and the RSL wanted the railway station building and the Memorial Hall moved to

e-cigarettes made it into the hands of children?

Apart from oxygen and medications, I’m not aware of anything that makes perfectly good sense to inhale into your lungs.

According to the Qld Government, you can’t vape anywhere smoking is banned, and it’s illegal to sell vapes to anybody under 18.

I must be living in a parallel universe.

Last year Queensland Poisons Information Centre got calls about more than 80 children exposed to e-cigarette liquid or fumes, with almost a quarter referred to hospital.

The John Hopkins School of Medicine acknowledges that there are many unknowns about vaping, including what chemicals make

another location; we had to protest to keep them where they belonged in Main Street.

Delma Taylor

I just want to ‘voice’ my agreement with Val Spencer’s ‘Letter to the Editor’ (23/3/23) re the ‘Voice to Parliament’. As she says, throughout history, the world’s human population has always been on the move...even our own Aboriginal people came here from somewhere else, albeit a long time ago! Over so many years, so

UNDERBODY

ELECTRONIC RUST PREVENTION UNIT STARTING $795*

•  Engineered using nanotechnology which creates superior bonding to the treated surface.

•  Creates a hydrophobic surface, repelling moisture between metal surfaces.

• Helps preserve resale value.

•  Used in other industries for sealing against harmful effects from environmental damage.

up the vapour and how they affect physical health over the long term.

Similarly, both e-cigarettes and regular cigarettes contain nicotine, which research suggests may be as addictive as heroin and cocaine.

Have we simply not learned from the mistakes of the past?

I personally know parents who let their teenage kids vape, and social media is rife with it like it’s the latest cool thing to do.

How long will it be until we wake up to this?

Surely we cannot be that naïve?

Send us a note to tell us your thoughts.

many have chosen to migrate and make their home here, bringing their own culture and customs with them and adding so much to our Australian society!

Of course, our own unique Aboriginal/TSI cultures should be at the top of that list and need to be kept alive, encouraged and taught!

We are ALL Australians, equal under the law, but l feel that singling out one group for special consideration over everyone else is a recipe for division, dissent, disagreement and discontent!

There are already many

extremely capable members in our Parliament who identify as Aboriginal or TSI and who have been properly elected by their constituent communities - surely, they are the Voices who should be allowed to speak and who we should be listening to!!

Thanks!

Anne Bigelow Point Vernon

The Publisher (in Publisher’s Point) invited Advertiser readers to comment on the widespread community

Our

impressively rejecting

BEAT THE HEAT & GIVE US A CALL TODAY FOR YOUR FREE QUOTE! 07 4125 9552 66 TORQUAY ROAD, HERVEY BAY – QLD 4655

top-of-the-line automotive tint is engineered to deliver enhanced heat-blocking performance-
•  The Auto Saver System works by drawing a tiny amount of current from the vehicle’s battery and impressing into the metal through a contact point. The electrons from the current enrich the metal surfaces of the vehicle and serve to inhibit the corrosion of the iron molecules exposed to oxygen and moisture. higher levels of infrared
heat. Prices start at $295* enquire within
MOTOR ONE UNDERBODY RUST PREVENTITIVE STARTING $899*
& ELECTRONIC RUST PREVENTION AUTOMOTIVE – COMMERCIAL RESIDENTIAL TINTING Page 8 | Hervey Bay Advertiser | April 20, 2023 THE
• A black water based, environmentally friendly coating.
PUBLISHER’S POINT
Send us an email to edit@herveybayadvertiser.com.au
send a message via Facebook or Instagram
Got something to say about THE PUBLISHERS POINT?
Got something to say? Send your letters to: edit@herveybayadvertiser.com.au or send a message to our Facebook or Instagram pages
LETTERSTOTHEEDITOR

opposition to the proposed council HQ and library in Pialba.

My suggestion is that many of the objectors are the ratepayers who will ultimately have to foot the bill for the project.

Like many other councils along the Queensland coast, the Fraser Coast Council is struggling to find the cash for its basic operations, so any reduction in future rates is unlikely.

Both residents and small business operators are finding the present rates a real burden.

Whatever the advertised cost of the project is at present, it is likely to be twice that figure by the time the building is complete.

Add to this the price of necessary changes to the surrounding road network and the ongoing costs of operating in a multi-storey building.

All-in-all it adds up to a cost that many ratepayers feel they can’t afford.

Different location

In response to The Publisher’s Point (April

6,2023), I’d suggest most issues have already been covered.

However, I will revisit the main ones.

Why would you spend $100,000,000 to build in a flood prone area, when there are flood free options?

The corner of Main St and Torquay Rd is traffic congested now, why make matters worse?

Does council really believe that the proposed “Council headquarters”, will improve trading in the area, when we have shopping centres with free parking north, south and west of the proposed site?

If the Fraser Coast Reginal Council wants/needs to puff out its chest, let’s build this edifice to power in the centre of our region, for all the world to see. Not in the back corner of Hervey Bay.

Common sense on future development

Many thanks to the Advertiser and its editor for publishing my letter in its original form, no editing or censoring done.

I’ve experienced this with previous newspapers and it

can be very frustrating.

The expression that described us anti Council Administration Centre development protesters as the Torch and Pitchfork Brigade was very funny; I loved it, much better than being called whingers haha,

There has to be an opposition to this development otherwise the council can do whatever they like whenever they want. We need to remind them that we are paying some of the highest rates for homeowners in this state.

I know they have tried to keep rates steady with only little increases lately, but they are still very high.

I moved here in the 80s when Maryborough had a greater population than Hervey Bay, each year though the Bay grew at a phenomenal rate (leaps and bounds) and is still doing so.

We need to “SLOW” development, we don’t need to be another Gold Coast or Noosa, let’s slow the pace down (Baby Steps) lets calm the farm and concentrate on maintaining the beautiful city that we have now and keeping the rates to an acceptable level.

Scotty’s Mad About Meats Bay Plaza, Torquay Road, Pialba | Phone 4124 MEAT Tender Juicy T-Bones WHILE STOCKS LAST 2 kg for $ 2800 Sausages Any flavour - thick or thin per kg $1999 April 20, 2023 | Hervey Bay Advertiser | Page 9 Adrian TANTARI MP Member for Hervey Bay Keeping the Hervey Bay electorate SAFE & STRONG 4183 8100 hervey.bay@parliament.qld.gov.au Not fast food but a smile, a friendly chat and a meal We’ll bring in the mail, offer a hand or call help if it’s needed. OPEN TO ALL – BREAKFAST, LUNCH & DINNER OPTIONS AVAILABLE. www.mowfc.org.au BIG DISCOUNTS AVAILABLE TO HOME CARE PACKAGE CLIENTS thanMorejust a meal CALL OUR FRIENDLY TEAM TODAY 39A Islander Road, Hervey Bay – 4128 1334 78 Walker Street, Maryborough – 4121 4297
LETTERSTOTHEEDITOR

AT BLUE SKY DENTAL

Let’s vote on it

Dear Editor,

Let’s try to see if you can better understand the backlash against the Council’s ill-conceived decision to build a new facility since you claim you “don’t get it”.

First of all, the people were never asked if this was needed, wanted, or if we were willing to pay for this facility; and your point about not getting the millions of federal dollars is specious since those are tax dollars from other areas that also are asking—and getting—money for similar unnecessary projects.

People are willing to spend money on useful, needed projects; this obviously is a questionable one.

Second: the library. As an ex-English professor, I love libraries and giving people the opportunity to expand their horizons with good books.

But there is absolutely no evidence that the current library does not satisfy the needs of the community.

When was the last time you went to the library and couldn’t find a good book to read, or a seat to sit in, or had to wait a long time for service?

The library staff are wonderful folks, and the technology they’ve

continually upgraded, including better online access, is great, but there is no good reason, other than making a hollow point, for building a brand new facility.

Third: value to the community. This new building will do absolutely nothing about creating a “more vibrant CBD”, and will add to the already awful congestion anyone driving in that part of town already experiences.

And frankly, given how easy and uncongested the current Council quarters are to access and use, as is the library, of course people are not happy about spending all this money on something that simply won’t improve services, access or community spirit.

This is empire building of the worst kind.

Fourth: jobs. This old chestnut by government is a total fallacy. What building this facility will create is tax-payer funded work, not jobs. Do you understand the difference? We all get it.

I could go on, but let’s make this simple: if this is such a good idea, then put it to a vote. And not just a 51% majority, but an overwhelming 2/3’s result to demonstrate significant agreement and support.

Let the people of this community decide if this is something worth investing in.

I won’t argue with that. Regards,

Rising Sea Levels

I know of a bloke who built his home on the banks of a river in Wales. If you walk just 20 metres from the house, you would be at the water’s edge. The waves lap against his lawn, a large bank of reeds is used and encouraged to reduce wave height. He monitors the sea level out of interest. Whilst he doesn’t have very posh instruments, he is a sailor and always has been and he owns a small yacht.

In the 54 years that he has lived there, there has been no perceptible rise in the water level. His house is built on bedrock and has never moved a millimetre, up or down.

The other night the ABC had a doco on climate change in Fiji and the rising sea levels.

I was thinking, at Fort Denison in Sydney Harbour the water level has remained constant for years. If it was rising in the Pacific then it should also be rising in Sydney Harbour.

Maybe the sea level isn’t rising, it may be the islands that are sinking … Regards, Gaz

More Than Just Scooters SALES • HIRE • SERVICE 'The Widest Range of Quality Scooters & Mobility Aids on the Fraser Coast' 2/42 Torquay Rd, Pialba Ph 4124 6433 33 Designs Page 10 | Hervey Bay Advertiser | April 20, 2023 Shop 15 - Melory Place - 53 Torquay Rd Monday to Friday 9.00am - 4.00pm Saturday 9.00am - 12.00pm replenishrefill.com.au BULK BEAUTY PRODUCTS | HOMEWARES ECO CLEANING | BATH AND BODY | BABY AVOIDING THE DENTIST?
A focus on good customer service from the moment of entry until departure
To provide you with the highest standard of dental care in a safe and healthy environment
To strive for pain-free and positive treatment outcomes
A fair and competitive pricing structure
To make every effort to run on time, our aim being to see you within fifteen minutes of your appointed time
Manageable treatment plans
To make every endeavour to see you on the day if you have an emergency
Child-friendly environment to allow your little ones to feel relaxed and comfortable
William Dean Ave, Urangan (near the airport) P 07 4128 9276 www.blueskydental.com.au Opening Hours: Mon to Thurs 8.30am-5pm | Friday 8.30 to 1.30pm Outside hours appointments are available by prior arrangement
TO
FRIENDLY
1
TIME
SEE THE
TEAM
LETTERSTOTHEEDITOR

NEWSINBRIEF

Z-PAC Theatre

Auditions

Mark your calendar for Z-PAC Theatre’s ‘Sense and Sensibility’ auditions. Based on the Jane Austen novel, this romantic classic is given a hilarious twist in this bold, frenetic, laugh-outloud version. Auditions are being held at Z-PAC Theatre,

15 Zephyr St Scarness on Saturday 13th May at 1pm. See the theatre’s website for more information.

Interested Growers Group

The HB Orchid Club is holding the ‘Interested Growers Group’ at the Orchid House. Details as follows

Venue - HB Botanical Gardens, Orchid House

Date - Sat 22 Apr 2023

Time - 10am (Tea & Coffee available - BYO food)

There will be an array of orchids on show, plus demos for repotting, splitting, helpful hints -this includes ‘brag plants’ plus those orchids heading for cloud land :) All are very welcome.

56 TORQUAY ROAD PIALBA April 20, 2023 | Hervey Bay Advertiser | Page 11

Hervey Bay’s own Sleepbus arrives

COMMUNITY Bank Hervey Bay is excited to announce the arrival of Hervey Bay’s own sleepbus which they have funded with a donation to the community to the value of $100,000.

This investment has enabled the build of a sleepbus® vehicle, which will provide a safe, temporary overnight accommodation service, getting people off the street by offering an immediate, first stop, cost-effective solution for our society’s most vulnerable, catching them early until they can get back on their feet.

Each sleepbus® has up to 20 secure, climate controlled, individual sleep pods with a lockable door and toilet.

Everyone is looked after with overnight volunteer caretakers and CCTV surveillance, we have under bus storage for belongings, and pets are welcome to stay also.

Sleepbus® is the brainchild of Simon Rowe, with multiple services operating across Australia,

which have provided more than 1,500 safe sleeps to people in need.

Simon understands the feeling of being homeless when in his 20s, found himself evicted from his rental and lived in his car for four months.

His story is very relevant today with a housing crisis being one of the biggest social issues Australia is facing.

After a successful business career, his devotion to this cause is “hands on” as he works on the full refurbishment of each bus with his small team. He states, “sleep changes everything.

Locally owned and operated, Community Bank Hervey Bay is part of Bendigo Bank, one of Australia’s biggest banks where profits are returned to the people and local community that generates them.

Tim Evans, Branch Manager for Community Bank Hervey Bay, is excited that the sleepbus has generated much anticipation from the

RAHC NOT NALPSE D BOATHARBOURDRIVE M L R S RE JETTY RO D NAGNAERHS F RM N PA Urangan Fisheries Retail Ph 4125 2621 860 Boat Harbour Drive Urangan Find Us on G Urangan Fisheries Pty Ltd Valid 12/11/2020 - 25/11/2020 • Specialising in fresh local seafood • Bulk buy at wholesale prices • Gourmet seafood pies now available • Stock up on our tantalising range of local crumbed products • Bait & Ice available OCEAN AUSTRALIA RAW SCALLOP OCEAN AUSTRALIA CRUMBED SCALLOP COOKED KING PRAWNS $32/kg* 330g PACK 300g PACK $1565/ $17/ Urangan Fisheries Retail Ph 4125 2621 860 Boat Harbour Drive Urangan Find Us on G Urangan Fisheries Pty Ltd Valid 20/04/2023 - 04/05/2023 • Specialising in fresh local seafood • Bulk buy at wholesale prices • Bait & Ice available • Stock up on our tantalising range of local crumbed products Straight from the sea to you CHECK OUT THIS WEEK’S GREAT SPECIALS DIAMOND SCALE MULLET FILLETS RAW AUSTRALIAN OCEAN KING PRAWN $17.90/kg $20.00/kg Page 12 | Hervey Bay Advertiser | April 20, 2023 Bewelcomedintoacomfortable modernenvironmentbyourfriendly team. Discussyourdentalhistoryandhealth whilehavingacomprehensive examinationofyourteeth,gumsand mouth. Ourcaring,experienceddentistwilltalk aboutyourpreventionandtreatment optionsandgiveyoutheopportunityto askquestions. WhattoExpectatYour DentalAppointment Yourteethwilllook andfeelclean.

community.

“Homelessness is a heartbreaking reality in our community. We see the issues first hand for affordable housing and we love making it possible for families to find a home but we understand not everyone can achieve this.”

Mr Evans says the importance of central and accessible location for the sleepbus was the key consideration for discussions with the Fraser Coast Regional Council.

The sleepbus will be based most nights at Apex Park car park from 8pm to 8am subject to a six month trial period through the approval of Fraser Coast Regional Council.

The sleepbus returns to the depot during the day for cleaning and reset tasks.

Mr Evans is also excited about an announcement in making sleepbus available for viewing by the public prior to service launch to gather support of volunteers and sponsorship to ensure the long term viability of this project.

There will be a private viewing of shareholders and the local Hervey Bay Chamber of Commerce members on Friday 21st April, followed by a public opening at Apex Park on Saturday morning Saturday 22nd April 9am-12 noon.

Sleepbus founder Simon Rowe, also congratulated the Hervey Bay Community Bank for their investment and for working with the Fraser Coast Regional Council “to facilitate a fantastic parking location for sleepbus.”

Culture Caf presents Bollywood Dhamaka

Where:

Hervey Bay Community Centre

22 Charles Street, Pialba

20 May 2023

5pm

$35 for adults, $17 for children under 12

April 20, 2023 | Hervey Bay Advertiser | Page 13
www hbnc com au/Events
us for a special Bollywood event!
course meal and dancing
Down with DJ Jerry Brown
bright colourful clothes!
When: Time: Cost:
Join
Three
Get
Wear

St James Lutheran Church

‘Called to Share’

Lower speeds proposed in Hervey Bay City Centre

TRAFFIC speed on a section of Main Street will be lowered to make it safer for pedestrians as part of the Hervey Bay City Centre revitalisation.

Fraser Coast Regional Council engaged engineering consultants GHD to do traffic modelling as part of the delivery of the 20-year Hervey Bay City Centre Master Plan and ahead of the development of a new Hervey Bay Library and Council Administration Building.

The modelling examined four scenarios to reduce traffic speed and volume through the city centre to make it more pedestrian friendly.

“The scenarios covered a range of options from reducing speed limits to 10km/hr on Main Street and lowering speeds to 20, 30 or 40km/hr along Main Street and Torquay Road,” Cr Denis Chapman said.

“The modelling, using 2021 traffic figures, also looked at how changes to city centre speed limits would redistribute traffic across other roads and intersections.

“The modelling determined where the traffic would reroute through the network and looked at how the changes to traffic volumes under each scenario would impact other roads and intersections.

“It found that reducing the

speed to 30km/hr along Main Street and Torquay Road would be the best outcome to support the Hervey Bay City Centre Master Plan 2021-2041.

“This scenario balanced diverting some traffic from Main Street and Torquay Road while maintaining key access routes through the Hervey Bay City Centre.

“Additionally, it would make it safer for pedestrians and provide opportunities to ensure the city centre is a pedestrianfriendly destination rather than a thoroughfare.”

Council have now start further investigations into what would be needed to upgrade intersections to ensure smooth traffic flow and minimise traffic congestion across the Hervey Bay network as the city centre is revitalised.

“The investigation will also

examine ways to divert traffic from Beach Road to Tooth Street as an alternative northsouth route, including reducing speeds on the Esplanade,” Cr Chapman said.

“For the next step Council will use intersection software to develop concept options that will help us plan for intersection upgrades to ensure smooth traffic flow as the Hervey Bay City Centre is revitalised.”

Council has recently released the ‘Hervey Bay Placemaking and Public Realm Vision’ document, which builds on the 20-year master plan for the city centre and outlines how the streetscape could be reshaped. Residents and businesses can view a copy of the vision document at www.frasercoast. engagementhub.com.au/hbccstreetscaping

World class cardiac care available in Hervey Bay. Dr Peter Larsen MBBS (Hons) FRACP FCSANZ
Director Heart HQ Sippy Downs Birtinya Buderim Tewantin Gympie Caboolture Nambour Hervey Bay Heart HQ has a new location in Hervey Bay to assist you with all your heart concerns, without having to travel to Brisbane! We can provide world-class care locally in Hervey Bay and at the Sunshine Coast University Private Hospital (SCUPH) Patients from the Wide Bay region will have access to Dr Peter Larsen's clinic, including appointments with our nurse practitioner, Silvia Gres and access to our heart murmur clinic to help detect diagnose and treat valvular heart disease GPs will have access to our cardiologist on-call service available 24/7/365 Are you a GP or Patient and want to learn more? www.hearthq.com.au 07 5414 1100 Page 14 | Hervey Bay Advertiser | April 20, 2023 Please call for a free measure and quote on any of our products Phone 4125 4127 1 Kruger Court, Urangan | www.herveybayshades.com QBCC 1058883 Crank-IT Channel Awnings Wide choice of colours Easy crank handle operation Motorised control Can be installed in hard to reach areas Will withstand the harshest of coastal exposure No need for ropes/pulleys or awkward tie down points ORDER NOW 9am every Sunday Urraween Road - West of Hospital
Managing

Swimming champ brings home gold

ANGUS Von Douglas decided to take up swimming at the age of 63 due to a boating accident that left him with an injured back.

“The doctor recommended swimming to strengthen my back,” says Angus.

20 years later and Angus is still swimming and winning gold medals in most events he competes in. He is now recognised as the fastest 80-85 year old breaststroke swimmer in Queensland and a proud member of the Barbarians Masters Swim Team.

Mr Von Douglas is celebrating another Masters event, recently competing in

five events at the MSQ State LC Championships in Mackay and bringing home four gold medals and one silver. He was also celebrating his wedding anniversary to Fe at the same time.

His gold medal wins were the 100 metre, 200m, 400m and 800m breaststroke, with a silver medal in the 50 metre event.

So why didn’t he take on the 1500 metre event?

“The 1500 and the 200 were too close together. Also the water was too warm. Mackay was hot!”

He also made mention of seven other Hervey Bay swimmers that performed well

at the meet that represented the region with distinction.

Angus turns 83 in June and has no plans in slowing down. He tries to do five to six Masters Events each year and enjoys the thrill of winning.

“I win four gold medals most of the time at these events, so I like to compete”, says Mr Von Douglas.

He not only does his regular swimming, but you can also see Angus on a bicycle riding with local Hervey Bay ‘Bugs’ along the streets of Hervey Bay.

“I love the morning ride and the coffee time afterwards.”

April 20, 2023 | Hervey Bay Advertiser | Page 15 Our professional & friendly team is committed to providing THE BEST DENTAL CARE to our patients in a relaxed environment. Online bookings www.auradental.com.au MONDAY TO FRIDAY 8AM – 5PM 4194 2225 YOUR SMILE IS OUR PASSION

Historical Village is set for Antiques & Handcraft Fair

THE HERVEY Bay Historical Village & Museum will once again hold their annual Antiques and Handcraft Fair on the 6th May at the Museum in Scarness. This is an opportunity for the public to be part of the day and book a stall and turn your unwanted “treasures” into helpful cash.

The day is modelled on the BBC “Antiques Road Show” TV program, where you bring in your valuables to be valued by our Valuers, Craig and Claire Winter, and the Hervey Bay Gem Club.

organizing committee says, “The day is not a Flea Market but is limited to stall holders selling antiques, old wares and collectables as well as handmade arts and crafts (not mass produced items!)” “You can book your old stall for a modest fee and we have a limited number of tables and gazebos as well for hire on the day if needed.”

The day will also include two Fashion Parades of vintage clothing, with local community radio station 107.5 FM broadcasting the day live.

There will be free Lucky Door tickets to all attending,

with a great prize to be drawn on the day and a large raffle with all proceeds to improve facilities at the Museum.

There will be a special Souvenir and Museum Books Stall while all Museum buildings will be open on the day, plus other surprise events.

There will be a five-dollar special admission price for adults, with children admitted for free.

For site bookings or any other enquiries, call the museum office on Tuesday or Thursday mornings on 4128 4804 or speak with John Anderson on 0412 166 447.

Page 16 | Hervey Bay Advertiser | April 20, 2023 COSMETIC DENTAL CROWNS & BRIDGES DENTAL IMPLANTS FIXED IMPLANT DENTURES • GENERAL & EMERGENCY DENTAL • CHILDRENS DENTISTRY • DENTAL IMPLANTS • COSMETIC DENTAL • CROWN & BRIDGES Trusted by the Hervey Bay community since 1982 Suite 2, 70 Torquay Road, Pialba 4128 2185 www.pialbadental.com.au DR GURBACHAN LAL B.D.S M.CLIN DENT (IMPLANTS) DR MONIKA GUPTA B.D.S DR MAREK ROHOZINSKI B.D.S MS RUBY TYSON B.Oral.Hlth
John Anderson from the

Dry Rot show, proof that perhaps crime does pay?

HILARIOUS British farce returns to Z-PAC Theatre in the upcoming Faulty Towers meets Fools and Horses show, Dry Rot.

The play revolves around a gang of crazy but likeable bookies; potential criminals who take residence at an old country house hotel to be near their latest scam and the racecourse.

The hotel’s new owners struggle to deal with the antics of their suspicious guests.

Originally written in the 1950s by John Chapman, this classic play has taken a firm hold of Z-PAC’s stalwart director Roger Jennings who has been involved with three productions of this play.

“It’s brilliant play; genuinely funny; I just love it,” said Roger.

“The first time I saw it was with my mum and dad in the UK in 1955, through a haze of tobacco smoke, and I have loved it since then!”

Roger previously brought the show to Z-PAC Theatre in 2005 to sell out shows, and the first time the theatre had experienced a sell-out matinee performance.

This version sees some gender swaps to contemporise the plot, but the gags remain as funny as ever, said Roger.

He is expecting the show will be as popular this time, especially with its strong cast of experienced well-known local actors.

“The actors are having a great time through the rehearsals; they’re laughing at themselves and getting really into it. You know it’s funny when the cast is laughing at the jokes.”

Farce relies on split-second timing and high-speed action where the audience has little time to rationalise the plot, which Roger said the play delivers in spades.

The play has no swearing and is suitable for all ages.

Roger encourages all to come and experience live theatre in the intimate 128 seater theatre, “You’re getting a great experience at a cheap price.”

He expressed the importance of supporting the volunteerrun theatre as it provides a valuable cultural service to the community and an opportunity for people to showcase their talents.

Dry Rot runs from 12 - 27 May at Z-PAC Theatre, 15 Zephyr St, Scarness.

Ticket prices range from $16.50 to $27.50. Book online at zpactheatre.com.au

April 20, 2023 | Hervey Bay Advertiser | Page 17 PASSENGER 4WD 175/70R 13 $74 175/65R 14 $84 195/65R 15 205/65R 225/65R 17 $152 245/65R 17 $165 235/60R 17 $155 235/55R $165 235/75R 15 $179 245/70R 16 $205 215/70R $145 215/60R 16LT $124 1 899 Tyre & Wheel Packages largest selection of tyre brands Small & Medium 85 SUV & 4WD 169 Performance 115 Family 100 Mechanical Free tyre Batteries Wheel Puncture Free coffee HERVEY BAY 88-92 Boat Harbour Drive, PIALBA | 07 4194 1350 sales@herveybaytyreright.com.au Buy now, pay later with flexible payment options ALL PRICES INCLUDE: FITTING | BALANCING TUBLESS VALVES & DISPOSAL Australia’s largest selection of tyre brands Great deals on tyres for all vehicles. Time to see the experts. best tyre guarantees *Visit giti.com.au website for T&Cs Save rotation & balance Valid between $1,899 Tyre & Wheel Packages from Australia’s largest selection Small & Medium $85 tyres from Performance $115 tyres from Family $100 tyres from Mechanical services Free safety check Batteries for all vehicles Wheel alignments Puncture repairs Valid between 1 Jul - 31 Aug 2022 *See website for T&Cs Shop in-store or online. Time to see the experts. Valid between 1 Jul - 31 Aug 2022 *See website for T&Cs Valid between 1 Jul - 31 Aug 2022 *See website for T&Cs Great deals on tyres for all vehicles. Time to see the experts. PRICE GUARANTEE WE WONT BE BEATENON ANY ADVERTISEDPRICE Valid between 1 Mar - 30 Apr 2023 *See website for T&Cs WHEN YOU PURCHASE 4 OR MORE MICHELIN PILOT SPORT TYRES. $2,060 Tyre & Wheel Packages from Australia’s largest selection of tyre brands Small & Medium $105 tyres from SUV & 4WD 159 Performance Family $119 tyres from Mechanical services Free tyre safety check Batteries for all vehicles Wheel alignments Puncture repairs Free coffee while you wait Valid between 1 Mar - 30 Apr 2023 *See website for T&Cs Valid between 1 Mar - 30 Apr 2023 *See website for T&Cs Valid between 1 Mar - 30 Apr 2023 *See website for T&Cs Over 25+ brands available Valid between 1 - 31 Mar 2023 *See website for T&Cs Valid between 1 - 31 Mar 2023 *See website for T&Cs Shop in-store or online. Time to see the experts. UP TO $150 CASH BACK * INSTANT
The cast of Dry Rot having fun in character during rehearsals. Sophie Ridgley, David Coleman, Leigh Scheltinga, Robert Garland, Janette Barne. Elliot Ashton, Shane King, Leanna Gallagher. Front: Christine Service, Underneath: Noah Byrne
AVOID RISING ENERGY PRICES GO SOLAR TODAY! SAVE $1000* ON A SOLAHART SOLAR POWER SYSTEM UP TO SAVE $500 SAVE $750 SAVE $1000 when you purchase a 5KW system and above THE BIGGER THE SYSTEM THE BIGGER THE SAVING SMART SMARTER SMARTEST when you purchase a 8KW system and above when you purchase a 11KW system and above GET A BIGGER SYSTEM MAKE A SMARTER SAVING Call 1300 721 946 or visit solahart.com.au *Saving applied as a point-of-sale discount at time of purchase for Solahart Solar Power Systems: (a) Save $500 on 5kW and above, (b) Save $750 on 8kW and above, (c) Save $1,000 on 11kW and above. System size refers to the total kW output capacity of solar PV panels installed. These offers are available from 01/2/2023 until 30/04/2023 and are subject to stock availability. Excludes commercial installations. Participating Solahart Dealers only. Not available in conjunction with any other offer or promotion unless otherwise stated. Discounts are not transferable or redeemable for cash. See solahart.com.au for full details. © Solahart Industries Pty Ltd (2023). Solahart and the Solahart logo are registered trademarks of Solahart Industries Pty Ltd. INCLUDING OUR NEW SOLAHART SILHOUETTETM 415W PANELS * * *

Have your say – stalls or events on piers and jetties

THE FRASER Coast Regional Council wants feedback on the idea for market stalls or other types of businesses and community events on the Urangan Pier or the jetties at Scarness and Torquay.

“Council occasionally receives requests from people interested in setting up businesses or holding community events on the Urangan Pier or jetties at Torquay and Scarness,” Cr David Lee said.

“I’d like to know what

residents think of the idea.

“Ideas floated include businesses setting up stalls, or possibly using mobile carts to sell items or restaurants or wedding organisers using the piers and jetties for functions.

“The same would apply for sporting and community groups being able to close of the pier to hold an event such as a fishing competition or maybe a market or fundraising event.

“Calling for feedback does not mean that Council will accept any offers, it only

means we want to know what people think about the idea and what types of businesses or events they think could be operated on the pier or jetties.

“The Urangan Pier especially, is a Fraser Coast icon. It is a drawcard for tourists and a fantastic facility which locals love and cherish.”

To have your say go to the Council Engagement Hub https://frasercoast. engagementhub.com.au/hbpier-jetty-use

Feedback closes at 11.55pm on May 1.

LOCAL, STATE & NATIONAL MASTER BUILDERS

We pride

Whether

April 20, 2023 | Hervey Bay Advertiser | Page 19 97 MAIN STREET, PIALBA (NEXT TO ALDI) 4194 1566 OPEN 7 DAYS MONDAY - FRIDAY 8AM – 5:30PM SATURDAY 8AM – 4PM & SUNDAY 9AM – 4PM HELPING YOU REDUCE THE COST OF LIVING! SPECIALS VALID WHILE STOCK LASTS GOLD SWEET POTATO $149 KG 1KG CARROTS $149 1 KG BAG PACKHAM PEARS $199 KG BUNDABERG LEMONS $299 KG SHEPARD AVOCADO $199EACH OR 3 FOR $5 BUTTON MUSHROOMS $999 KG 1 KG PEELED GARLIC $299 BAG IMPERIAL MANDARINS $399 KG FROMGAYNDAH Nathan 0439 397 705 or Helen 0437 011 188 www.nhhomes.com.au QBCC15218933 • Custom Built New Homes
YOU CAN
“BUILDERS
TRUST”
ourselves on our personal involvement at every stage, our willingness to listen, our attention to detail and our commitment to making the building process stress free.
it's building a brand new home or renovating your existing living space, contact us for reliable, honest advice and a free quote. We listen and we care
AWARD WINNER
HERVEY BAY 93 Main St, Pialba Ph: 4124 1855 MARYBOROUGH 14 Rocky Street Ph: 4121 2288 After Hours: 0427 722 746 Your Fraser Coast 4WD Specialist FIND THE LATEST 4X4, CAMPING & TOURING EQUIPMENT AT BOB’S HERVEY BAY & MARYBOROUGH YOUR LOCAL DEALER IN DARCHE ROOFTOP TENTS & GME HANDHELD RADIOS BUY LOCAL

Councillor wants Bay airport to be privatised

COUNCILLOR David Lee

is calling on the Fraser Coast Regional Council to review the governance of the Hervey Bay and Maryborough Airports.

Cr Lee said, “The Hervey Bay and Maryborough Airports have come of age.

It’s time to consider whether a public administration model is the most effective way to govern our airports.”

“We need to consider whether an alternative governance model such as a private airport corporation is much more effective in strategically promoting and developing our airport infrastructure,” said Cr Lee.

Cr Lee’s motivation is based on bringing the best expertise to the region. Regional Airports

are now and the councillor feels to that consideration to a separate organisation to manage the facility needs a better understanding as other regional airports have adopted.

“Our Council staff have done a great job in maintaining our airports but it’s time to seriously consider whether the status quo is strategically ‘fit for purpose’.

Cr Lee said, “We need more of an entrepreneurial approach in collaborating with the commercial airline and aviation industry and tourism to better promote and attract aviation investment to the region”.

“The management of our airports is a highly specialized field and I have legitimate concerns that a public

administration model is no longer suitable.”

He expanded on this statement that “council can better focus on core business”.

“An Aviation Steering Group with representatives including aviation, tourism, property and the business community could provide expert advice such as developing new flight routes in and out of Hervey Bay,” said Cr Lee.

“In my opinion, it’s time Fraser Coast Regional Council took a 30 year long term view on the economic development of our Airports. We have an obligation to ensure that our community is getting an economic and commercial return on our airport and logistical infrastructure.”

or

April 20, 2023 | Hervey Bay Advertiser | Page 21
experience the family friendly jungle room

Relish ticketed events:

Dan and Steph. A threecourse curated meal with matched refreshments.

event at Portside Café & Restaurant including a Signature High Tea and beverage options.

• 45-minute Hidden Sea Cruise aboard the Boat Club’s M.V. Amaroo. Live music, drinks and wine!

• Twilight River Cruise (one way tour to Hervey Bay) on the Boat Club’s M.V. Amaroo to Hervey Bay.

• Paint & Sip class with Annabel from Get Off Your Arts! Materials, wine and step by step guide included!

• Pigs, Pots + Pinots with Fraser Coast’s celebrity chefs

• Pre-Order Cheese and Charcuterie by MAD Providore. An arrangement of goodies to pair perfectly with your choice of beverages from one of the many pop-up bars.

• Surf’n’Turf 2 course seated dining experience presented by Ricardo’s Italiano & Seafood Restaurant and The Low ‘n’ Slow BBQ Shack.

• Return Bus Transfer from Hervey Bay with G & D Ross. Buses will depart from the Hervey Bay Transit Centre.

• Experience packages for out-of-town visitors, including a 3-night stay, daily breakfast, Relish admission and session tickets.

93B Main Street, Pialba Phone 4325 3803 Open Mon-Fri 9am-5pm | Sat 9am-3pm Closed Sundays & Public Holidays Thank you for your support! CELEBRATING FOUR YEARS IN THE BAY! Visit us for all your outdoor and heating needs. Don’t forget to fill your gas bottle! Hervey Bay Page 22 | Hervey Bay Advertiser | April 20, 2023 JOIN TODAY & SAVE $300 Hervey Bay COMING SOON Simply SMS Your Name & Email to: 0433 202 924 LIMITED Relish Food & Wine Festival session tickets have been released online, offering special food and beverage options for locals and visitors to enjoy! The ticketed sessions are a marked addition to the 10th annual 2023 Relish Food & Wine Festival, which returns to Maryborough’s Queens Park and Portside precinct on Saturday 3rd June. The sessions include eight options, an accommodation package for visitors, and return bus transfers from Hervey Bay. All ticketed sessions are strictly limited. General Admission – Adult $15 (Presale) or $19 (Gate) / Child $10. For more information visit: https://relishfrasercoast. com.au/sessions/ or https:// www.facebook.com/ RelishFraserCoast Ticketed Relish Festival sessions up for grabs! • Curated 4 course long lunch with the fine dining Odyssey Bistro team with matching beverages. • “Matilda Gin” microdistillery

Angel Families supports the Fraser Coast locals

ALICIA Thomas suffered a parent’s worst nightmare. She received a phone call in February 2021 that would change her life forever.

She was told her 16 year old son Jayden was in a motorcycle accident that would prove to be fatal. Such a loss is never prepared for by any parent and Alicia’s world would never be the same.

Nearly 18 months later, Alicia saw another parent experience a similar loss and wanted to help in some way.

“Part of the reason for creative a support group for parents who have lost a child was because the pain I could see in their eyes and understanding how they feel”, says Alicia.

With the support by charity

Rally With A Cause, Angel Families was formed in leading the way to support families through their journey of child loss.

Angel Families is an informal community where people can support each other through the difficult times they face. It is a group of people who have experienced the death of a child that tragically lost their life before their 21st birthday could be celebrated and share their feelings openly.

“All too often families harbour their feelings to protect others because they do not want to burden anyone else with the darkness and sadness of reality. It is a lonely truth that no one knows the extraordinary

emotions of a bereaved parent unless they too have experienced loss,” says Alicia.

Angel Families peer support model consists of bringing people together in groups where they participate in activities to promote discussion, learning and exploration.

The group creates a safe environment for families to remember and share their grief story and develop a sense of possibility and hopefulness for the future.

For more information, the group can be found on Facebook or by contacting Alicia on 0447 492 857 or angelfamiliesfrasercoast@ rallyforacause.org.au to find out more.

April 20, 2023 | Hervey Bay Advertiser | Page 23 9-4 Monday to Friday, 9-1 Saturday House of GIFT BOXES & HAMPERS | LIFESTYLE | FASHION | HOMEWARES | COFFEE NOW AT SHOP 1, 264 BAZAAR ST, MARYBOROUGH GIFT BOXES & HAMPERS DELIVERED ACROSS THE FRASER COAST, CUSTOMISE YOUR OWN OR CHOOSE FROM OUR PRE-DESIGNED RANGE AT WWW.HOLABOX.COM.AU
Brett Hanwright 0427 621 985 herveybay.eldersrealestate.com.au SELLING? BUYERS WAITING ALL PRICE BRACKETS

Cost

A Message from Adrian,

With Easter just gone, the year is passing quickly. Exciting

projects are underway and others nearing completion. I look forward to continuing to deliver for our community and building a better Hervey Bay for our future.

• electricity rebate of up to $372.20/year • up to $129 off water costs • up to $200 of local Govt rates • free basic prescription glasses every 2 years • Home Assist Secure - $500/year home maintenance for seniors * Check your eligibility by scanning the QR code below *Concept Design 2022 - Urangan SHS New TAFE Nurse Training Hub FEE FREE TAFE Now Available New School Halls $26.7M TANTARI MP Adrian Building a better Hervey Bay 07 4183 8100 3/357 Esplanade Scarness 4655 hervey.bay@parliament.qld.gov.au
of Living Assistance
Kind Regards, Adrian. “Some of the ways I have been delivering for the Hervey Bay electorate”
new

Renovated Urangan High canteen officially open

A GRANT of more than $300 000 from the School Subsidy Scheme (SSS) has enabled an upgrade to Urangan State High School’s 28 year old canteen.

This upgrade is now complete and was officially re-opened by Principal, Tony McCormack, and the Member for Hervey Bay, Adrian Tantari MP, in March.

With kitchen refurbishment, roofing replacment, wall demolishment and landscaping, the canteen has truly been transformed.

“The long-awaited Urangan SHS canteen upgrade has been a significant priority for

our P&C for some time, and it is fantastic to have been able to work in consultation with our parents, community and the State Government to make it a reality,” said Mr McCormack.

“Our P&C – who draw the majority of their income from our canteen – are an amazing group of people who enable so much for our students and broader school community.”

“I am so pleased to see this superb upgrade has been completed, as it brings this important school facility up to modern standards for the benefit of the whole school community and I congratulate

all P&C members, the canteen staff and school for getting this project done,” said Mr Tantari.

It is anticipated that the improved infrastructure will result in increased revenue, allowing the P&C to contribute to more projects that provides opportunities for students of Urangan State High School.

“This canteen refurbishment means that our students and staff are able to enjoy the highest quality facilities, and in turn contribute to the broader enhancement of our school environment through future P&C support,” said Mr McCormack.

April 20, 2023 | Hervey Bay Advertiser | Page 25 46 Main St, Pialba 4655 www.bayrad.com.au Medicare MRIeligibleScans Bulk Billed X-Ray CT MRI Ultrasound 3D Mammography Biopsies & Aspirations Echocardiogram Interventional Procedures Bone Mineral Density Dental/OPG General bookings Tel: (07) 4197 6600 E: bookings@bayrad.com.au MRI bookings Tel: (07) 4197 6642 E: mri@bayrad.com.au BULK BILLED 3T MRI COMING SOON | May 2023 Shop 3, Bay Plaza, 27 Torquay Rd 4194 1707 www.floristherveybay.com FRESH FLOWERS ARRIVING DAILY FRASER COAST’S FRESHEST FLOWERS florist + gifts Same day delivery Hervey Bay & Maryborough Easy online ordering system Extensive gift range in store Corporate servicing – to keep your office fresh and bright on a weekly rotation Bookings for Formals, Weddings & Special Occasions ►Flights ►Rail Tours ►Escorted Coach Tours ►Holiday Packages ► Accommodation SHOP 1 STOCKLAND SHOPPING CENTRE , PIALBA herveybaytravel.com.au Call4124 4000 Ticket sales Open Hours: Mon -Fri: 8.30am -4.00pm / Sat & Sun: Closed HERVEY BAY to BRISBANE •QR Tilt Train –Daily •Greyhound -Daily •Premier •Atkinson's Shuttles-Daily HERVEY BAY to ROCKY •QR Tilt Train •Greyhound •Premier HERVEY BAY to CAIRNS •QR Spirit of Queensland •Greyhound •Premier TO LONGREACH •QR Spirit of The Outback •Greyhound (ex Rocky) •Greyhound (ex Brisbane) FREE PENSION BOOKINGS The Ghan & Indian Pacific FREE BOOKING SERVICE BOOK TRAVEL HERE 1, 2 & 3 DAY TOURS Fraser Island -K’Gariis the world’s largest sand island and stretches for 123km. Tours depart daily. Shuttles Locally Owned
Urangan State High School Principal, Tony McCormack, with Member for Hervey Bay Adrian Tantari MP, joined by canteen staff and USHS P&C members

ADRIAN Hauritz, better known as A.J. to all who know him, came into the world in 1985. He was born prematurely and came fourteen weeks early after mother and son were rushed to the Royal Women’s Hospital in Brisbane. After that little hiccup, A.J. spent his earlier life in Kingaroy and has two older sisters that he is close to. “Kingaroy was great. I didn’t mind country life. We grew up in town, so we weren’t farmers.

“We had a typical childhood playing with the other kids, riding our bikes on the weekends, fishing and playing

local sports.

“My grandfather used to own a concrete company in Kingaroy, so my father managed that for many years until my grandfather sold it”.

A.J.’s first job ever was washing the local milk truck on the weekends for a bit of cash. He would have been about fourteen at the time and still in school.

Growing up, A.J. knew that he wanted to be a chef as he always liked to cook.

“The love of cooking came from my family. As a kid, we always used to sit on the kitchen bench and help Mum

cook dinner, and that was what got me interested in being a chef.

“When I left grade ten, Mum and Dad told me I had to either get a job or study something. Mum suggested a TAFE course in hospitality, so I did that and landed an apprenticeship in Kingaroy.

“Sadly, Mum passed away about sixteen years ago from a heart attack. She had diabetes. Her death was so sudden, so it was a huge shock to the family, and we still miss her dearly.

“As a chef, you are working in a very high-stress environment full of long hours and away

Page 26 | Hervey Bay Advertiser | April 20, 2023
FREE METALLIC PAINT Free Metallic paint on any in-stock Sky Silver MG3 Core + Nav Available at Wide Bay MG Hervey Bay & Maryborough only. Regular Price: $20,490 (Incl $500 Metallic Paint Charge). New Price: $19,990 Drive Away DRIVE AWAY $19990 MG3 Core + Nav Wide Bay MG | Hervey Bay & Maryborough | Ph 07 4125 9500 | Value since 1924 mgmotor.com.au • Rear Parking Sensors • Satellite Navigation • Rear View Camera • 1.5L Engine • 4 Speaker Audio System W/ Yamaha 3D Sound Field • 8 Colour Infotainment Screen with Apple Carplay MUST END APRIL 30th EVERYDAYPEOPLE For Home Delivery Please order online www.giovannispizzabar.com.au or on Menulog Opening Hours: Dinner Tuesday to Sunday 4pm-8pm Shop 50/30 Main St Pialba Inside Pialba Place Shopping Centre next to Big W entrance Ph 0412 440 920 Takeaway or Dine-in • BYO 0401991826 * Pre Sale detailing * Cut and Polish * Upholstery Shampoo * Paint Protection + more CAR DETAILING *From $110 *FREE Headlight Restoration (With every pre sale detail)

from families. You miss out on children’s birthdays, dinners and special events, which is very hard”.

A.J. has called Hervey Bay home for nineteen years and still loves being a chef all these years later.

Many may remember when A.J. was the head chef at the old Hoolihans Irish Restaurant and bar in Torquay. He was there for about fifteen years.

“I loved Hoolihans. It was a beautiful atmosphere to work in and had some great staff. The restaurant was such a big part of Hervey Bay and

visitors alike. It was a shame to see the restaurant go”.

A.J. and his wife Loran have been married for sixteen years and have three children. They both cook at home, with A.J. preferring wholesome food that makes you feel warm inside and that everyone can enjoy. His favourite dish has always been lasagne.

Now working in aged care, A.J. is the head chef at Torbay, where the kitchen produces roughly six hundred meals per day. A.J. says that the residents look forward to the daily interaction with the staff,

dining.

“I now work during the day from Monday to Friday, so I am very lucky as I get to spend more time with my family. The kids are in scouts, and my wife is a scout leader, so that can take up quite a lot of time”.

When A.J. is not working, the family enjoys camping, kayaking, hiking, and fishing. They love the outdoors. While money is important, A.J. wants us all to remember to live our best life and not to get caught up so much in working ourselves to the bone that we miss the important

April 20, 2023 | Hervey Bay Advertiser | Page 27
www.tranquilitymedia.com.au 0404 467 036 | darren@tranquilitymedia.com.au Website Development Brand Development Search Engine Optimisation (SEO) Social Media Management Digital Marketing tactics Bring “Tranquility” to your business and let us help grow your customer base with our decades of marketing experience. A HERVEY BAY BASED BUSINESS FOR ALL YOUR STRATEGIC & DIGITAL MARKETING NEEDS
Adrian Hauritz A passion for food WE ARE LOOKING FOR WOULD YOU LIKE TO EARN SOME EXTRA INCOME? TO DELIVER THE DELIVERY DRIVERS Phone Adrian 0435 961 243
from What’s On Fraser Coast

POP - UPS

Howard Markets (Howard Library)

Saturday 6 May|10am

Yengarie

Thursday 11 May|10am

Maaroom

Wednesday 17 May|10am

Granville

Myositis Awareness Month in Hervey Bay

MYOSITIS Association

Australia (MAA) is holding its 20th anniversary charity event this year with a Hervey Bay event.

The Sapphire Apartments in the Bay Club will have a gathering on Friday 26th May from 9:30am to 2pm for all residents and their guests are invited to attend.

Nationwide, Myositis patients and their families are recognizing May as International Myositis Awareness Month. This is a time to come together for patients and carers battling this disease, as well as an opportunity to educate the public on this group of extremely rare conditions.

Unless you have a friend or relative with one of the forms of Myositis, you’ve never likely heard of it. Myositis is the general term used to describe inflammation of the muscles. There are a number of forms of Myositis. The majority of people suffer from Inclusion Body Myositis for which there is no cure or treatment.

Myositis causes weakness and loss of muscle that over time it has a direct major impact on mobility and dangerous falls are frequent. Other impacts are the uncertain future, daily living frustrations, access to support and impact upon family and carers. These issues can often

affect mental health and relationships.

“Many people suffer with Myositis alone, for years, before finding other patients they can relate to. If we can tell our story and spread the word to help or encourage other patients, then it’s worth the effort,” says Anita Chalmers who was awarded an OAM in 2018 for her volunteer work with Myositis in the community and with the Myositis Association.

Tickets are available for $25 that includes morning tea and lunch. Entertainment will be provided by Jim and the Tonics Quartet. Call 0412 215 348 for enquiries.

Meet the team at Bay Chiropractic Centre

Dr Tracy Suzanne BSc ( Chiro ) MClinChiro

Dr Tracy holds a Masters Degree in chiropractic and has previously been a registered nurse and remedial massage therapist. She is an excellent practitioner that takes a patient centered approach and uses a variety of techniques to gain best outcomes and to care for people of all ages, from infants to the elderly.

When she is not caring for patients, you will find her spending time with her family and exploring this beautiful region.

Dr Mary Bausbacher D.C.USA

Dr Mary graduated from the University of California, San Diego with a Bachelor of Science degree in Physiology before completing her Doctor of Chiropractic degree from Life Chiropractic College in 1989. She moved to Australia in 1990 to satisfy her long term desire to travel to this country. Her and her husband Craig purchased the practise in 1994 and have watched in grow from strength to strength. She is passionate about chiropractic and the benefits of a healthy lifestyle.

Dr Adam East BSc D.C. ( UK )

Dr Adam is an experienced Chiropractor working for the last 35 years in his own multi-doctor practice in Brisbane. He has been visiting the Wide Bay area for many years and now lives in Burrum Heads. Adam has been involved in the cricket scene as both coach and helping his four sons in their sporting endeavours.

Dr Will Pollard D.C. USA

Dr Will has practised for several years in the USA and Australia. A Bachelor of Science graduate of Southwest State University, majoring in biology and elementary education. Will also has a Doctor of Chiropractic degree specialising in chiropractic orthopaedics. Will’s interests are music and sport and has worked with local rugby league clubs in the past. Will brings a wealth of knowledge and experience to the team.

To make an appointment please call Bay Chiropractic Centre 4124 1313 Shop 3/55 Main Street, Pialba

Page 28 | Hervey Bay Advertiser | April 20, 2023 Making Your Next Move A Success ACTIVE AGENTS activeagents.com.au 1300 141 446 View Our Properties For Rent View Our Properties For Sale
Come and join us for stories rhymes music and movement for children under 5 years Bring your own blanket, hat and sunscreen If weather conditions are unfavourable sessions may be cancelled
Hervey Bay Myositis Group
May|10am
Wook-Koo Wednesday 3
June|10am 1 0 a m S t o r y t i m e Check our website and Facebook page for details: facebook com/LibrariesFC frasercoast qld gov au/children-and-young-people Pub c bra ies are a par ner h p between Local Governmen and he Queens and Governmen through Sta e L brary o Queensland F rs 5 Forever s an n t at ve o the Queens and Governmen coord nated by State L brary o Queens and and del vered n pa tne sh p wi h oca governmen t q d g l b i
Wednesday 14

THERE HAS been a lot of discussion recently about privatisation of the Hervey Bay Airport. This has been especially relevant since Hervey Bay missed out on the new Bonza airlines landing in our city. It seems this was a decision made by Council alone, with no consultation with the local business community, tourism industry or the general public. The problem with Councils running an airport is that it is seen as a cost centre to the rate payers and not as a commercial opportunity. This results in the management and risk aversion implemented being very different than if it was run by a private organisation chasing new and increased business.

I believe this is a debate we should be having.

The Hervey Bay Airport has

Should the Hervey Bay Airport be Privatised?

Some of the key advantages that could result from the Hervey Bay Airport being owned and operated by a private organisation are:

1. Increased Investment: Private investors are more likely to invest in the airport, allowing for upgrades and improvements in infrastructure, technology and services.

2. Increased Efficiency: Private owners are more likely to be efficient with resources, reducing costs for customers and allowing for more competitive fares.

3. Improved Customer Service: Private owners are more likely to be customer-

gone backwards over the last 10 years or so in terms of the number of airlines landing in our city, the number of available flights, and the number and level of services provided. This decline has occurred during a period where our

oriented, providing better customer service, and more, higher quality amenities.

4. Increased Profitability: Private owners may be more likely to generate more revenue for the airport, allowing for more investment in new services and better experiences for customers.

5. Enhanced Competition: Private owners are more likely to be competitive with other airports, leading to lower fares and more options for travellers.

population growth and increased tourism should have led to dramatic increases in these areas.

with GLEN WINNEY of FCPIA @fcpia.frasercoast www.fcpia.com.au

THE FIRM WORDS with Melissa Guilfoyle

Domestic Violence

THE ETYMOLOGY of the term ‘gaslighting’ comes originally from a play that was written in 1938 and made famous by a movie of the same name ‘Gaslight’ in 1944. Without giving away the plot too much, the movie centres on a Husband and Wife, where the Husband convinces the wife that she is delusional in order to try and have her committed to a mental health facility so that he can find her family jewels and inherit her estate.

The term gaslighting is now used colloquially to describe when someone uses psychological manipulation to have an individual question their reality, and it is usually for financial benefit or to retain control of the other person in the relationship. This is a form of Domestic Violence. This is different to having disagreements

or conflicts, which can be a normal part of a relationship. Gaslighting is a manipulation of the truth despite the evidence, in order to make someone appear to be mentally unstable, paranoid, or feel worthless.

In the mental health journal The Lancet published on 21 June 1969, psychologists Russel Barton and J.A Whitehead described some extreme instances of gaslighting. In each case, the gaslighting was undertaken in order to remove an unwanted relative by having them referred to a residential mental health facility. In one case, it was a wife framing her husband as being dissociative and violent so that she could leave the relationship for her lover. The other case was a wife alleging

that her husband was an alcoholic so that she could leave him and take over the business (a pub). The final case was an aged care facility manager who gave medication to an elderly patient in order to have her assessed as demented and incontinent so that she was placed into high care.

In each case, the person believed that they had an illness or mental illness and recovered quickly when they were taken out of that environment.

Gaslighting is emotional abuse that allows the person to remain in control of the aggrieved because the aggrieved is unable to trust their own perceptions, and as a consequence they are less likely to leave, or others are less likely to believe that they are the victim when they choose to leave.

Domestic Violence can be complex. If you need help navigating a domestic violence application or a response to a domestic violence application, call The Firm on the Avenue.

April 20, 2023 | Hervey Bay Advertiser | Page 29
Michael Toohey Erica Williams
THE FIRM ON THE AVENUE www.hblawyers.com.au Ph: 4128 4777
Not just Broken Bones
PROPERTYTALK
Page 30 | Hervey Bay Advertiser | April 20, 2023 FACESOFTHEBAY
Easter Sunday on the beach in Torquay and Scarness
SATURDAY 22ND APRIL - 9AM TO 4PM SUNDAY 23RD APRIL - 9AM TO 2PM RIVERSIDE COLLEGE 23 Royle Street, East Maryborough Ex Maryborough Showgrounds Fair $8 ADULTS • CHILDREN UNDER 14 YEARS FREE WWW.AUSSIEFAIRS.COM Fraser Coast Antiques & Collectables Fair
Photos by Kim Parnell, What’s On Fraser Coast Nikki, Kloe & Karla Rose are organised for Easter Alice Davidson, 9, with mum Madeleine, enjoy a day at the beach Ariel Goldstein, 4, gets stuck into a chocolate cookie Mollie McPhee, 14, decorated some tasty Easter cupcakes Tobias Linecker, 6, with sister Charlotte, 9 & Tom Smart, all got R2-D2s for Easter Surf Life Savers Sharon Roberts & Daniel Rich enjoy an easter egg or two The Yow Yeh’s-Peter 6, Kevin 7 & Dre 8 enjoy a day in the water Natalie Fernandes & Will Stynes get into the Easter spirit

1 Peter Cundall hosted which Australian lifestyle TV show from 1990 to 2008?

2 What is the largest hot desert on Earth?

3 In which 2021 movie does Sandra Bullock play the role of Ruth Slater?

4 Who was named WTA Player of the Year for 2021?

5 In relation to the common technology term, IOT, what do the letters IOT stand for?

6 Who wrote the classic 1930s novel, National Velvet?

7 Yeonpyeongdo is a group of islands belonging to which country?

8 Which musician released the 1985 album, No Jacket Required?

9 Mount Semeru is an active volcano located in which country?

10 Alleged conwoman, Emese Fajk, was involved in a controversy surrounding the 2020 season of which Australian reality TV series?

11 What is the capital city of Mozambique?

12 In Roman mythology, who was the king of the gods?

13 Which movie won 11 awards at the 2021 AACTA Awards presentations?

14 What is the nickname of the Tasmanian NBL team?

15 In the 2021 reboot of Sex and the City, which major character was killed off in episode one?

16 Málaga is a popular tourist destination and municipality of which European

country?

17 Who took 5/38 on the first day of the first Test in the 2021 Ashes series?

18 Aardvarks are only found in the wild on which continent?

19 Which best-selling 2021 novel features the character, Jack Reacher?

20 Somalia has a coastline on which ocean?

21 Which company makes Bertie Beetle chocolate bars?

22 John Mellencamp released his 1978 single, I Need a Lover, under what name?

23 What is the main element mixed with copper to make brass?

24 Chaz Mostert drove for which team at the 2021 Bathurst 1000?

25 Fretilin is a significant political party in which country?

26 In early December 2021, which country announced its Smokefree 2025 action plan in a push to completely ban smoking?

27 The Playboy Mansion is located in which US city?

28 What is the name of the famous sculpture in Brussels which depicts a naked little boy urinating?

29 In 2021, Xiomara Castro was elected to become the first female president of which Central American country?

30 True or false? The Mo Awards began during the 1960s.

31 The Perth Scorchers defeated which team in the final of the 2021 Women’s

Big Bash League season?

32 In 2019, who became the Federal Minister for Indigenous Australians?

33 What is the German word for Germany?

34 Who was named Time magazine’s Athlete of the Year for 2021?

35 What type of animal is Curious George in the Curious George children’s books?

36 Which 2013 animated movie featured the song, Let It Go?

37 Chess grandmaster, Magnus Carlsen, was born in which country?

38 Helen Norville, Geoff Walters, and Lindsay Cunningham are characters in which award-winning 2021 Australian TV series?

39 What are the two ingredients of a Baby Guinness cocktail?

40 The Barton Highway connects which Australian capital city to the Hume Highway?

41 In 2021, Winston Marshall left which band due to social media backlash over a tweet?

Mount Song is one of the Five Great Mountains of which Asian country?

43 In what year did SBS begin full-time transmission in Australia?

44 A baby alligator is most commonly known by what name starting with H?

45 Australia played against which two countries at the 2021 Davis Cup Finals tournament?

46 The Encyclopædia Britannica was first published during which century?

47 Guarana, a plant with a high concentration of caffeine, is native to which continent?

48 The 1962 painting, Cahill Expressway, is one of the best-known works by which Australian artist?

49 What are the two colours on the flag of North Macedonia?

50 As at 2021, which country has won the FIBA Women’s World Cup the most times

128 Boat Harbour Drive, Pialba www.mybigscreen.com.au Check our facebook & website for current session times DELUXE MealDelivery InCafeHours Licenced ScreensTheBIGGESTintheBay PRIVATE BOOKINGS ARE AVAILABLE, CALL NOW TO ENQUIRE PH 41248200
THEQUIZZY TEST YOUR KNOWLEDGE 41 April 20, 2023 | Hervey Bay Advertiser | Page 31 Answers 1. Gardening Australia 2. Sahara 3. The Unforgivable 4. Ashleigh Barty 5. Internet of things 6. Enid Bagnold 7. South Korea 8. Phil Collins 9. Indonesia 10. The Block 11. Maputo 12. Jupiter 13 Nitram 14. JackJumpers 15. John James Preston (Mr. Big) 16. Spain 17. Pat Cummins 18. Africa 19. Better off Dead 20. Indian Ocean 21. Nestlé 22. Johnny Cougar 23. Zinc 24. Walkinshaw Andretti United 25. East Timor 26. New Zealand 27. Los Angeles 28. Manneken Pis 29. Honduras 30. False 31. Adelaide Strikers 32. Ken Wyatt 33. Deutschland 34. Simone Biles 35. Monkey 36 Frozen 37. Norway 38. The Newsreader 39. Coffee liqueur, Irish cream 40. Canberra 41. Mumford & Sons 42. China 43 1980 44. Hatchling 45. Croatia, Hungary 46 18th century 47. South America 48. Jeffrey Smart 49. Yellow, red 50. United States 8 1980 18
82 TORQUAY ROAD, HERVEY BAY 4125 9500 WWW.WBMG.COM.AU | AFTER HOURS - GARY 0477 820 351 HUGE RANGE OF QUALITY PRE-OWNED VEHICLES FINANCE AVAILABLE HUGE RANGE ACROSS TWO SITES TRADE-INS WELCOME SEE THEM ALL AT WBMG.COM.AU 2021 MG3 Core • 18,929k’s • Low Mileage • Excellent Condition • Great Fuel Economy • Rear Camera $16,990.00 Drive Away 2015 Kia Cerato S • 79,495k’s • Great Fuel Efficiency • Rear View Camera • 6 Airbags For Safety • Spacious Interior $18,990.00 Drive Away 2016 Toyota Corolla • 121,865k’s • Alloy Wheels • 1.8lt 4 Cylinder Petrol • ABS Brakes • 6 Speaker Sound System $19,990.00 Drive Away 2014 Suzuki Grand Vitara • 124,568k’s • 4cyl Diesel • Manual • Power Windows • Cold Aircon • Bluetooth • 4x4 $19,990.00 Drive Away 2018 Mitsubishi ASX LS • 68,362k’s • Alloy Wheels • Cold Air Conditioning • Bluetooth • Compact and Fuel Efficient $26,990.00 Drive Away 2018 Mitsubishi Triton GLX+ • 60,434k’s • Manual • Great Service History • Hill Holder Assist • Canopy • Ready For Adventure $39,990.00 Drive Away 2020 Mazda CX-5 GT • 37,642k’s • Balance Factory Warranty • Leather Interior • Power Tailgate • Bose Sound System • All Wheel Drive $43,990.00 Drive Away 2021 Mazda BT-50 XTR • 31,833k’s • 3lt Turbo Diesel • 5 Star ANCAP • Bed Liner • Electric Hard Lid • Infotainment System • 1000kg Payload $57,990.00 Drive Away 2019 Kia Cerato S • 45,433k’s • Balance of New Car Warranty • 16 Inch Alloys • 2L 4cyl Petrol • Rear View Camera $25,990.00 Drive Away 2012 Nissan Patrol • 88,940k’s • Very Low Mileage • 5 Seater With Drawers • Winch • Bulbar and Rear Bar Setup • Automatic • Four Wheel Drive $41,990.00 Drive Away 2013 Toyota 79 Series GXL • 161,151k’s • Ready To Travel • Air Compressor • Water • 2 Fuel Tanks • Hema Navigator • Winch $74,990.00 Drive Away 2017 Toyota Corolla Hybrid • 60,650k’s • 1.8lt Petrol + Hybrid • Reverse Camera • Bluetooth • Cruise Control $26,990.00 Drive Away
10 regular services (at 15,000km/12 month scheduled ntervals) Some items excluded or subject to separate warranty Conditions apply Excludes Government, Rental and National Business customers See Mitsubishi-motors.com.au for further deta ls MMA2243 Step up the st yle, pump up the power and take luxur y to the top with the new Pajero Spor t GSR. Up the ante with bold black alloys, front grille, roof and rear spoiler Then double down with Super Select II 4WD1 and make your presence known any where you please. 82 TORQUAY ROAD, HERVEY BAY | 105 LENNOX STREET, MARYBOROUGH WWW.WIDEBAYMITSUBISHI.COM.AU | 4125 9500 Get ready for an adventure like no other with the Mitsubishi Tritonathon! With its advanced safety features, powerful engine, and sleek design, the Mitsubishi Triton is the perfect vehicle for all your off-road adventures. So why wait? Join the Tritonathon today and experience the ultimate driving adventure! Join the Mitsubishi Tritonathon Engineered beyond tough IMMEDIATE DELIVERY IN STOCK NOW
1800 444 244 FRASER COAST MOTOR CENTRE QUALITY USED CARS USED CAR SUPERSITE 105 BOAT HARBOUR DRIVE SEE OUR FULL RANGE AT WWW.FCMC.COM.AU ✓ YES - WE BUY CARS FOR CASH - CALL US TODAY ✓ FRASER COAST MOTOR CENTRE 2014 VOLKSWAGEN AMAROK 179,262 klms 4 Cylinder 2 Litre Diesel Utility Auto Good Condition DRIVE AWAY $29,990 STK: 701153 DRIVE AWAY $32,990 SKT: 701186 2021 SUZUKI JIMNY JB74 30,000 klms 4 Cylinder 1.5 Litre Manual Off-Road SUV Hardtop DRIVE AWAY $54,888 2018 VOLKSWAGEN TOUAREG V6 TDI 82,093 klms 8 SP Sports Auto 6 Cylinder 3 Litre Diesel SUV Immaculate Condition STK: 701092 DRIVE AWAY $44,890 112,726 klms 6 Cylinder 3 Litre Diesel 8 Speed Auto Excellent Safety Features STK: 701181 2017 VOLKSWAGEN AMAROK TDI550 DRIVE AWAY $41,000 2016 JEEP WRANGLER SPORT 64,944 klms 6 Cylinder 3.6 Litre 4x4 Soft-top Excellent Condition STK: 700847 20,317 klms 4 Cylinder • 2 Litre Diesel Sports Auto 17-inch Alloys 2020 LDV T60 TRAILRIDER 2 SK8C STK: 701188 DRIVE AWAY $32,990 DRIVE AWAY $11,990 2009 HYUNDAI I30 SLX STK: 701182 • 143,758 klms 4 Cylinder 2 Litre Auto • Excellent Condition Hatchback DRIVE AWAY $21,890 2018 MAZDA 3 NEO SKYACTIV-DRIVE STK: 701147 • 77,712 klms 4 Cylinder 2 Litre Sedan • 16 Alloy Wheels Great Safety Features DRIVE AWAY $19,490 STK: 701194 2017 VOLKSWAGEN GOLF • 26,377 klms 1.4 Litre Turbo 7 Speed Direct Shift 6.5 Inch Touchscreen • 16 Inch Alloys Excellent Condition DRIVE AWAY $29,990 2015 JEEP GRAND CHEROKEE STK: 701184 64,000 klms 3 Litre Turbo 8 Speed Auto Leather Upholstery Keyless Entry Excellent Condition DRIVE AWAY $29,990 2014 FORD RANGER XLS STK: 701185 163,294 klms 3.2 Litre 6 Speed Sports Auto Hill Descent Control Diesel Excellent Condition 2017 HYUNDAI KONA GREY • • 25,000 klms • 4 Cylinder • 2 Litre • 6 Speed Auto • • Low Klms • Keyless Entry DRIVE AWAY $29,990 STK: 700867

T-Cross 85TSI Life

From $33,990* Driveaway

T-Cross 85TSI Style

From $35,990* Driveaway

Plus receive a Free 3 Year Care Plan when you finance with Volkswagen Financial Services. Max Term 60 months+.

BIG CROSSWORD

Media

Ph (07) 4124 5922 Shop 4 & 5 / 97 Old Maryborough Rd, Pialba Email herveybay@ultratune.com.au Ultra Tune Hervey Bay Quality car service, repairs and maintenance Opening Hours Mon-Fri 8am-5pm • Saturday 8am-12noon SPECIALISTS IN: Vehicle handbook servicing Car maintenance & repairs Car tyres & wheel alignments Brake service & repair Suspension & shock absorbers Air conditioning service & repair Roadside Assist National warranty Page 36 | Hervey Bay Advertiser | April 20, 2023 SUDOKU Sudoku is an 81 square number grid with nine blocks each containing nine cells. To solve the puzzle, all the blank cells must be filled in using numbers from 1 to 9. Each number can only appear once in each row, column and in the nine 3x3 blocks. MEDIUM 5 4 1 8 3 9 7 2 8 7 9 4 3 4 7 6 5 1 4 6 1 2 3 9 5 TINY CROSS WORD FIND All the words listed below can be found in the grid. And Ask Bolt Car Cube Denied Differs Dock Else Feet Glory Grant Isolation Main Odd Off Pea Reign Roar Saucer Send Sir Smart Solid Source Step Temperature Time Used Weight T E M P E R A T U R E B E S T E P A N E K S D I X V K L P C G F P C E K P S M C O U I K L X X D E S L E S B E S L W O I E B Y M N E R A O R S L R B T I I H T N R L F O O O Y T F J S D H R A S F R U R S E M R E K G T R A M S R N P E E N C C I Y S R A U C C X F I O Z O E L D U I U E N F E D L N T W G R A N T X I D D D O V X G S A P I G D
1 Pushed forward 4 Poor (coll) (4,2) 8 Schoolgirl’s uniform 12 Hunter of fur 13 Classless 15 Equip 16 Kneeling cushion 17 Smudge 18 Female pronoun 19 Road edge 21 Colour range 23 Tempt 24 Old tax 26 Deception 28 Salad fruit 29 Perfume (4,5) 31 Star divination 32 Layered 33 Perished 35 Lather 36 Minor 37 Certified 40 Harvest 41 Gremlin 43 Revises 45 Beginnings 47 Gains by labour 49 Unfortunate 50 Duplicate 51 Laundry machine 52 Excuse (3,3) 53 Concurs 1 Poor work (5-2) 2 Drifts 3 Using 5 Copied 6 Speak slowly 7 Artist’s equipment 8 Cheap 9 Pins 10 Speculated 11 Hiker 14 Eat hastily 20 Impetuously 22 Confined 25 Purveyor 27 Amazing (3-9) 28 Relocated 29 Go to bed 30 Impressive 33 Near the back 34 Retainer 38 Racers 39 Shooting star 42 Misty 44 First showing 46 Incensed 48 Gold-bearing vein ACROSS DOWN Solution No. 3040 XPRESS. VER.4.03 publication can be separate text box. 1 12 16 21 28 31 35 41 49 51 2 22 42 3 39 43 36 11 15 19 26 30 52 4 5 13 20 23 44 47 14 17 33 40 6 29 48 7 34 37 45 50 32 53 8 27 24 9 18 25 46 10 38 B O T C H U P T R A N S F E R R E D A R A A O S U L E R R O A M S L I M I T E D F O G G Y G P S E A R S R E E X P L O I T A T I O N M E T E O R D E C T O L J M T T R E K K E R M O N U M E N T A L H N E U G N N A E A P E D R A S H L Y I D E B U T R G O B B L E D O R S A L O D R A W L L R E T I R E R E E F U L O U O E A N F P A I N T B R U S H D E P O S I T T C E E T N R M A T R A S H Y A W E I N S P I R I N G U R S A E U G T R N A I L S C A T E R E R I R A T E I A H O E E E N T E C O N J E C T U R E D D A S H E R S PO Box 8271 Bundall Qld Australia 4217 Telephone: (07) 5553 3200 Toll Free: 1 800 652 284 Fax: (07) 5553 3201 Auspac Media Email: auspac@auspacmedia.com.au Visit our site: www.auspacmedia.com.au The Feature People ACROSS 1 Office worker 4 Brood of chickens 8 Rich cake 1 2 Affably 1 3 Desertion 1 5 Tired 1 6 Civilian soldiers 1 7 Designate 1 8 Marine 1 9 Sigh 2 1 Grassland 23 Just claims 24 Rain lightly 26 Considerable 28 Raw recruit (coll) 29 Public decree 3 1 Invited celebrity (5,4) 32 Inaugurations 33 Dawdles 35 Habitual routine 36 Matched 37 Difficult position (3,4) 40 Category 4 1 Not on 43 Garland 45 Suffer anxiety 47 Heron, for example 49 Cautiously 50 Part of the UK 5 1 Hawks 52 Channel 53 Sculpture DOWN 1 Wounds 2 Ampoule 3 Prove 5 Cargo 6 Amphibians 7 Was anxious (coll) (3,7) 8 Renter 9 Spools 1 0 Removal of teeth 1 1 Nightwear 1 4 Knitted cap 20 Knight’s protection 22 Fierce 25 Stance 27 Postscript 28 Stiffening after death (5,6) 29 Faulty condition 30 Amazing 33 Deadly 34 Removed fleece from 38 Foot lever 39 Curses 42 Conclusive 44 Chirp 46 Unfit 48 Trench Solutions 2 8 7 3 6 5 4 1 9 5 9 4 7 1 2 3 6 8 6 3 1 4 8 9 5 7 2 3 6 8 5 7 1 9 2 4 1 5 2 9 4 3 7 8 6 4 7 9 6 2 8 1 5 3 7 2 5 8 3 4 6 9 1 8 4 6 1 9 7 2 3 5 9 1 3 2 5 6 8 4 7 T E M P E R A T U R E B E S T E P A N E K S D I X V K L P C G F P C E K P S M C O U I K L X X D E S L E S B E S L W O I E B Y M N E R A O R S L R B T I I H T N R L F O O O Y T F J S D H R A S F R U R S E M R E K G T R A M S R N P E E N C C I Y S R A U C C X F I O Z O E L D U I U E N F E D L N T W G R A N T X I D D D O V X G S A P I G D ACROSS DOWN Solution No. 3493 Crossword 19 x 19 Grid O Release No. 3493 VER.4.03 can be text box. 1 12 16 21 28 31 35 41 49 51 2 22 42 3 39 43 36 11 15 19 26 30 52 4 5 13 20 23 44 47 14 17 33 40 6 29 48 7 34 37 45 50 32 53 8 27 24 9 18 25 46 10 38 T R A U M A S R G O R M O R T S Y M I A O U O F E E P H I A L V I O L E N T F I N A L A A K S E T L S U B S T A N T I A T E S W E A R S T L I N E S A R T P Y J A M A S S T A G G E R N G C A O O A R A V U L O A D A R M O U R E T W E E T U B E A N E L E T H A L T T O A D S G M A L A D Y D Y K E C N S H A G P E R H A D K I T T E N S S H E A R E D O G S D O G N S T E N A N T A F T E R T H O U G H T O M S E B S N L A R E E L S P O S T U R E N A P T T N E I T T A S N U E X T R A C T I O N S T R E A D L E PO Box 8271 Bundall Qld Australia 4217 Telephone: (07) 5553 3200 Toll Free: 1 800 652 284 Fax: (07) 5553 3201 Auspac
Email: auspac@auspacmedia.com.au Visit our site: www.auspacmedia.com.au The Feature People 1 2 3 4 5 6 7 Across 1 Moved towards 5 Employed 6 Echo 7 Move gently Down 1 Preserve 2 Continent 3 Belonging to the males 4 Boundary TINY CROSS Across: 1 Came, 5 Used, 6 Ring, 7 Ease. Down: 1 Cure, 2 Asia, 3 Men’s, 4 Edge.
YOUR LOCAL TRADES & SERVICES ADVERTISE YOUR BUSINESS Email Kristie today on sales@herveybayadvertiser.com.au ADVERTISE YOUR BUSINESS Email Kristie today on sales@herveybayadvertiser.com.au Choose your own heading YES 3 Reach 22,500 Homes YES 3 Multi-booking discounts YES 3 PACKAGES FROM ONLY $65 PER ISSUE HOME DELIVERED EVERY FORTNIGHT ACCOUNTING/BOOKKEEPING CERTIFIED PRACTISING ACCOUNTANT • Accounting Business Services • Self Managed Superfund • Tradies,Contractors, Individuals and Small Business ABN Clients Specialty • Tax Accountant • Business Advisory Service • Personalised client service for their customised needs & high level of customer satisfaction guaranteed Suite 6, 19 Main Street, Pialba CALL 0466 868 964 VJD Business Advisor & Tax Accountant is a CPA Business AUTO REPAIRS SANDY STRAITS MECHANICAL 0434 666 212 Mobile Mechanic Service • Log Book Servicing All Mechanical Repairs • Air Conditioning Re-Gas Servicing and Repairs LIC AU40528 BATHROOMS BEN STUBBINGS 0428 165 033 QBCC1091848 – donnabenstubbings@bigpond.com • Supply & Fit New Shower Screens • Shower Renovations • Bathroom Renovations • Leaking Shower Repairs • Tiling to Bedrooms & Big Floors • Fully Licensed & Experienced Waterproofers STUBBINGS WALL & FLOOR TILERS All Aspects of Tiling & Waterproofing BOBCAT, BACKHOE & DINGO smythe’s Bobcat & Mini Excavator Hire Attachments: Augers Rock Grab Hammer Spreader Bar Call John 0419 789 684 ALL TYPES OF EARTHWORKS 8 Ton excavator 4 Ton bobcat • Tip truck Contact Jeff for a FREE QUOTE m: 0418 456 697 e: jeff.doyle@hotmail.com BUILDING SERVICES Your Project, Our Experience, Quality Outcome New Homes • Renovations Extensions Patios Decks and Home Improvement Kirt Phillips - QBCC 1089802 build@fcconstruct.com.au 0419 700 167 CARAVANS Late Model CARAVANS Hervey Bay Caravans Ricky 0417 033 852 (07) 4128 1777 WANTED TO BUY Cash Paid CARPENTRY PB Carpentry Trade Qualified Carpenter | 25 Years Experience • All Your Carpentry Jobs • Inside & Out • Home Renovations • Plus Maintenance & Repairs Phone Paul for a FREE QUOTE 0450 612 621 (No jobs over $3300) ROB CRADDOCK CARPENTRY QBCC1168764 ALL ASPECTS OF CARPENTRY with 30 Years Experience Reliable & Professional Service 0429 967 238 April 20, 2023 | Hervey Bay Advertiser | Page 37
YOUR LOCAL TRADES & SERVICES ADVERTISE YOUR BUSINESS Email Kristie today on sales@herveybayadvertiser.com.au CLEANING SERVICES Mark’s Window Cleaning & Exterior Washing Ph Rachelle 0405 105 790 • Windows Professionally Cleaned • High Access Windows • Pressure Cleaning – gutters, eaves, roofs, buildings & carparks • Builders Cleans • Bond Cleans • Carpet Cleaning (from $65) • Domestic House Cleaning • Commercial Cleaning • Free Quotes – Friendly Service INSURED FULLY | NDIS PROVIDER 20 YEARS LOCALLY OWNED BUSINESS CLOCK & WATCH REPAIRS CLOCK AND WATCH REPAIRS Office Hours 8:30am – 4pm Monday – Friday Phone Glen Powell 4123 4488 or Mobile 0417 640 604 Shop 2/70 Walker Street Maryborough WSeiko atch BatterieS Fitted CONCRETING SERVICES Greg Winney (Concreter) 30 years exp. in local area · Garage slabs · Patio · Driveways · Exposed aggregate, etc A Local You Can Trust Ph 0417 710 904 After Hour 4128 7316 QBCC No 57000 QBCC 15023760 Hervey Bay & Surrounding Areas MARK HOLSTEIN CONCRETING 0410 965 508 • Driveways • Shed Slabs • Patios • Pool Surrounds • Decorative Concreting • Footpaths etc ELECTRICAL SERVICES A.C.C. ELECTRICAL Over 20 Years Servicing Hervey Bay All Electrical, TV, Ph, HW, A/C Split Systems, T-Tag Needs FREE QUOTES - NO CALL OUT FEE Phone Col 0427 027 472 - 4124 4600 FULLY INSURED LIC NO 10574 Glenn Darlington ELECTRICAL • New Homes • Renovations • Stove and Hot Water System Repairs • TV & Phone Outlets • Sheds • Airconditioning Sales & Installation Domestic and commercial installations and Maintenance Lic#67059 ARC Lic No L151443 0418 797 239 or 4124 0457 glenndarlingtonelectrical@hotmail.com Lic No: 37045 All electrical work Always on time Servicing Hervey Bay area since 1951 Free quotes - no job too small Business & after hours 4128 1988 or find us on www.watkinselectrical.com.au LIC# 81551 FOR ALL YOUR ELECTRICAL NEEDS CALL DANIEL ON 0408 706 436 Email: sunnysideelectricalservice@gmail.com AIR CONDITIONING INSTALLATION FREE NO OBLIGATION QUOTES DOMESTIC - COMMERCIAL - RURAL find us on FENCING BILL RAWORTH FENCING AND GATES · All Aspects of Fencing · Colorbond · Service and Repairs · Sliding Gates PH: BILL 0459 715 117 B & S FENCING WORLD and Landscaping bsfencingworld@bigpond.com Pool & Garden Rust Free Aluminium Glass Semi Frameless & Frameless Landscaping Concrete Water Features Balcony Glass, Aluminium or stainless Steel Gates Sliding, Swing & Auto Garden Sheds Made by Stratco COLORBOND FENCING www.bsfencingworld.com.au 0417 678 200 or 0428 565 063 Lic: BSA NO. 1105026 FUNERAL DIRECTOR SERVICES J. Kirk & Sons Established 1865 Where Funerals, Cremations & Memorials Cost Less! Maryborough 4121 4183 Hervey Bay 4124 2524 100% Family Owned 100% Locally Owned ~Funeral Plans Available~ Hervey Bay Crematorium 224 Urraween Road, Hervey Bay Ph: 4124 2524 Maryborough Crematorium Bruce Highway, Maryborough Ph: 4121 4183 GARAGES & SHEDS Aussie Improvements Sheds•Carports COMPLETION 7 WEEKS Email: aussie.outdoor.improvements@gmail.com PHONE 0438 905 216 18 Southern Cross Circ, Urangan Sheds, Garages, Carports Quality products Great price 4124 2099 1/85 Islander Rd, Pialba request a quote www.ranbuild.com.au • General Repairs • Maintenance • Installation • Automation of Existing Doors • Annual Servicing OBLIGATION FREE QUOTES SERVICING FRASER COAST Scott Green 0405 307 191 sdgaragedoors81@gmail.com GUTTER CLEANING BAY GUTTER VACUUM Corporate . Commercial . Residential Chris 0419 650 054 bayguttervacuum@gmail.com Gutter Vacuuming eliminates dirt, mud and leaves Roof Inspections Minor Roof & Downpipe Repairs Prepare now for Storm & Fire Season No Mess HOME MAINTENANCE A&B Touch Ups Chips Cracks Damaged Surfaces CALL ALBERT 0437 788 385 *JOBS UP TO $3300 ONLY* ShowerRe-groutRe-siliconeFloorTilesGlueDrummyTilesDrivewayRepairs ian’s home maintenance service • PAINTING INTERNAL AND EXTERNAL (WATER BASE ONLY) DAMAGE INTERNAL WALLS REPAIRED AND PAINTED • PRESSURE CLEANING DRIVEWAYS – WALLS –SOLAR PANELS LAWN MOWING AND EDGING • TURFING DAMAGED FLY SCREENS REPLACED • SHOWER WALL REGROUTING • LABOUR HIRE & MUCH MORE RUBBISH REMOVAL CALL IAN ON 0422566617 FULLY INSURED services For all types of required maintenance around the house We pride ourselves on offering an honest and reliable service All work is guaranteed•Fully insured NO WORK OVER $3,300 For a FREE quote call Noel 0457 478 727 or email thecolourfulhandyman@outlook.com.au April 20, 2023 | Hervey Bay Advertiser | Page 38 Email Kristie today on sales@herveybayadvertiser.com.au Packages from only $65 per issue ADVERTISE YOUR BUSINESS Choose your own heading YES 3 Reach 22,500 Homes YES 3 Multi-booking discounts YES 3
YOUR LOCAL TRADES & SERVICES ADVERTISE YOUR BUSINESS Email Kristie today on sales@herveybayadvertiser.com.au Handyman Plus All household repairs Plus Carpentry, Concreting, Painting Paving & Decks Very reasonable rates - Pensioner Discounts Phone: Kevin 0417 849 698 For free quote No work over $3,300 MARINE SERVICES PH: DEN 0432 285 401 HERVEY BAY OUTBOARD SPARES BUY & SELL OUTBOARDS WANTED FOR WRECKING PAINTING & DECORATING QBCC 1194109 LIC 15075446 Phone 0423 964 496 www.frasercoastwaterproofing.com DISCOUNT PAINTING All Work Guaranteed By Local Qualified Tradesman NEW WORK & REPAINTS Water Blasting & Roof Painting at Affordable Prices · PENSIONER DISCOUNTS · Phone: Stewart 4125 6138 or 0408 452 434 QBCC: 1187889 PAINTER Small enough to care Big enough to cope Phone Derek on 0457 077 599 or 4128 2816 or Tracey on 0438 592 339 True Father & Daughter Team QBCC Lic No: 15160797 QBCC Lic. No. 1076503 Painting Contractor Phone 4194 6092 Mobile 0418 152 868 New work • Repaints • Wallpapering Commercial & Domestic Work For a free quote ring Fred today Quality Internal and External Painting Over 30 years experience Lic. No. 53585 S.D. & K.M. Tanner PH: 4128 3229 Mobile: 0411 032 478 Email: sydneytanner@bigpond.com Reliable Honest Quality Stirling Painters Discount Painting Small and Medium job specialist FREE QUOTES (within 48 hrs) · Interior · Exterior · Roofs · Water Blasting · Repaint Specialists COME AS LOCAL TRADESMEN... LEAVE AS FRIENDS Looking after locals for 38 years 0422 566 004 or 4125 4794 QBCC 81429 PEST CONTROL HERVEY BAY & MARYBOROUGH Specalising In: • Cockroaches • Silverfish • Ants • Spiders, Redbacks • Fleas & Ticks • Termites • Timber Pest Inspections • Mosquitos • Sandflies • Rats & Mice For environmentally responsible treatment call 4128 3072 0412 458 440 Local Owner/Operator Peter Stiler QBCC 1012203 Cockroach, Silverfish & Spider Treatment $130* Plus Shed Treated FREE ONLY (inc. ceilings & external wall cavities. Plus 12 Month Warranty) Standard house size PLUMBING SERVICES CUNNINGHAM PLUMBING ABN 89796274769 QBCC 50336 For all your plumbing, repairs, maintenance & bathroom renovations including taps, mixers & toilets, servicing hot waters or replacement. OVER 40 YEARS EXPERIENCE Hervey Bay area Call Alan 0418 157 711 Simon 0417 596 495 For all you plumbing and maintenance Email: hartwellplum@gmail.com Simon & Catherine Hartwell HARTWELL PLUMBING Pty Ltd REPLACEMENTS - NEW INSTALLS MAINTENANCE - REPAIRS QBCC 1140025 Lic No: 24340 Gas: 130001 • Waterproofing all wet areas • Leaking shower base repairs • Full shower renovations • Wall and floor tiling • Structural timber & gyprock repairs • All work guaranteed • 7 Years on waterproofing CALL IAN FOR A FREE WRITTEN QUOTE 0422566617 QBBC LIC NO 95419 C H20 Leaking Shower Repairs & Waterproofing DOUG KELLY PLUMBING QBCC 5030291 MAINTENANCE & NEW CONSTRUCTION SEWER DRAINAGE BLOCKAGES SHANE 0407 798 805 TRUE BLUE WATER FILTERS Never buy bottled water again! • Pure, clean and great tasting chemical free water • Reliable and friendly, Hervey Bay owned & operated • Free quotes available, including shower filters & whole house systems Royce 0419 856 088 CARAVAN & MARINE GAS CERTIFICATES SERVICE, REPAIRS, SALES INSTALL, FREE QUOTES 4128 2111 80 Torquay Road, Hervey Bay QBCC 1077287 ROOFING SERVICES 0408 724 047 AH (07) 4125 5590 0408 724 047 AH (07) 4125 5590 GABLE ROOFING GABLE ROOFING Specialist in Tiled Roof Maintenance • Re-bed & Re-point • Roof Restorations • Storm Damage & Repairs • Roof Inspections FULLY LICENSED & INSURED “BETTER THAN THE ORIGINAL” 30 YEARS EXPERIENCE QBCC 733635 QMRTA 1153 $2450 • we use Dulux and Tilemaster • 5% pensioner discounts • fully insured • restore all roof types • all work guaranteed • family business 3rd generation • will beat any written quote by 10% QBCC: 1270953 Ph: 0451 716 383 www.newlookroofpainting.com.au RM6444259 GET FREE QUOTES EXTERIOR PAINTING FROM RUBBISH REMOVAL PHONE BADEN MOORE 0403 346 165 FREE QUOTES NO TIME TO TAKE THAT EXTRA RUBBISH AWAY? LET ME DO IT FOR YOU! |GARDEN WASTE | BED/MATTRESS |WASHING MACHINES/DRYERS | BUILDING MATERIALS |PROPERTY CLEAN-UP PLEASE NOTE PHONE NUMBER HAS CHANGED TREE SERVICES M. 0421 255 178 REMOVAL OF DEAD& DANGEROUS TREES TREE TRIMMING STUMP GRINDING . LAND CLEARING 24 HOURS EMERGENCY WORKS FIRE MANAGEMENT CLEARING FULLY INSURED QUALIFIED ARBORIST . MACHINE HIRE MULCH SALES PICK UP OR DELIVERED owen@advancetreeworks.com.au www.advancetreeworks.com.au Budget Tree Service Vegetation Management Tree & Stump Removal Qualified Arborists Qualified Climbers 24hr Emergency Service 15” 18” & 20” Chippers Stump Grinders 19m & 22m EWPs Mini Loader Fully Insured ph 4129 0487 0429 019 448 Servicing Wide Bay and Surrounding Areas www.budgettreeservice.com.au budgettreeservice@bigpond.com Hervey Bay SPecialiSTS AFFORDABLE TREE REMOVAL, TRIMMING & PRUNING STUMP GRINDING | PALM TREES REMOVED Free Quotes. Fully Insured Call Luke 0478 822 956 FRASER COAST STUMP GRINDING April 20, 2023 | Hervey Bay Advertiser | Page 39 ADVERTISE YOUR BUSINESS Email Kristie today on sales@herveybayadvertiser.com.au Packages from only $65 per issue
April 20, 2023 Read the full digital version @ www.herveybayadvertiser.com.au BPI www.bpic.com.au BUILDING & PEST INSPECTIONS QBCC BUILDERS LICENCE: 1318788 PEST TECHNICIAN LICENCE: 3005499615 • BUILDING & TIMBER PEST INSPECTIONS • PRE-SALE & PRE-AUCTION INSPECTIONS • TAX DEPRECIATION SCHEDULES All inspections include the use of our thermal imaging camera and moisture detection equipment. Offering a 24hr turn around period on our detailed 40+ page reports. CALL US TODAY FOR A QUOTE OR TO MAKE A BOOKING 4125 2944 / 1800 663 390 FIXED FEE CONVEYANCING 07 4197 5600 www.lawessentials.net.au 79 Torquay Road, Hervey Bay 9/81 Boat Harbour Drive, Urraween Phone: 07 4128 9919 Email: rentals@dsbpm.com.au Web: dsbpm.com.au Facebook: www.facebook.com/dsbpm CARPET . TIMBER . VINYL . TILES BLINDS . SHUTTERS . RUGS 1300 305 095 FOR FREE QUOTES Amazing Home with Spectacular Views A photo says a thousand words, but nothing compares to seeing this magnificent home with your own eyes.... Built to a high standard this beautiful home is in a highly desirable location with sweeping and uninterrupted views of Hervey Bay and its surrounds that will never be built out. 4128 6600 2 Ansons Road, Dundowran Beach www.rayedward.com.au 38-42 Hennessy Drive, DUNDOWRAN BEACH
Lot 100 Lucinda Way Eli Waters Price: $524,600 3 Bed, 2 Living, 2 Bath, 2 Car • Brand new home commencing April • Stainless steel appliances • Open plan living with under roof alfresco • Completion due late 2023 Lot 110 Lucinda Way Eli Waters Price: $643,928 4 Bed, 2 Living, 2 Bath, 2 Car • Level 600sqm block • Stainless steel appliances, incl dishwasher • Split system A/C to bed 1 and living room • Completion due end 2023 HOUSE AND LAND PACKAGES FROM $525,000* Rod Marks 0408 619 491 markspartners.com.au *Prices and status are correct at time of publication and subject to change without notice. Images and representations may be indicative only, not of actual property featured. Purchasers should inform and assure themselves by inspection or independent advice prior to purchase. *Average land price $203,600. Home + Land prices valid for contracts signed prior to 22 February 2023. *Average house and land price $549,000. #Home+Land packages are sold as separate contracts for land purchase from developer and construction contract with builder. • Land from $170,000 • Blocks from 375m2 to 800m2 • Construction well advanced • Titles due mid 2023 Don’t delay, call today! Out of the Blue: a dream lifestyle Earthworks have now commenced at our latest land release at Azure, Hervey Bay. Whilst many sites are nestled next to natural bushland, the green open spaces surrounding the estate create an inviting, healthy environment in which to build your new home and start your new life! LAND NOW SELLING

KERRY CAMPBELL HOMES

Kerry Campbell Homes are Hervey Bay’s house & land specialists. Servicing the region for more than 25 years. Building quality, affordable homes to suit any budget.

AMBER – EXECUTIVE INCLUSIONS:

LOT 56 GIRRAWEEN WAY, ELI WATERS

LATROBE - EXECUTIVE INCLUSIONS:

LOT 57 GIRRAWEEN WAY, ELI WATERS

BOTTLEBRUSH - EXECUTIVE INCLUSIONS:

4 BRM, ENS, WIR, FAM/DIN, SEP LNG, AIR CON, SECURITY SCREENS, DISHWASHER, DLUG + MORE $629,000

LOT SIZE 579sqm

4 BRM, ENS, WIR, FAM/DIN, SEP LNG, AIR CON, SECURITY SCREENS, DISHWASHER, DLUG + MORE $589,000

4 BRM, ENS, WIR, FAM/DIN, SEP LNG, AIR CON, SECURITY SCREENS, DISHWASHER, DLUG + MORE $585,000

LOT SIZE 522sqm

LOT 51 GIRRAWEEN WAY, ELI WATERS

MAGNOLIA – DELUXE INCLUSIONS:

impression LOT SIZE 476sqm

4 BRM, ENS, WIR, FAM/DIN, SEP LNG, AIR CON, SECURITY SCREENS, DISHWASHER, DLUG + MORE $569,000

Artist impression
Artist
Artist impression
Artist impression LOT
MORE $569,000 Artist impression LOT SIZE 510 SQM
WATERS PHONE TODAY FOR MORE DETAILS 4124 2747 Tina 0428 589 010 Email: sales@kerrycampbell.com.au PHONE TODAY FOR MORE DETAILS 4124 2747 Tina 0428 589 010 LOT 50 GIRRAWEEN WAY, ELI WATERS FIONA - DELUXE INCLUSIONS: 4 BRM, ENS, WIR, FAM/DIN, SEP LNG, AIR CON, SECURITY SCREENS, DISHWASHER, DLUG + MORE $565,000 Artist impression LOT SIZE 476sqm LOT 49 GIRRAWEEN BLVD, ELI WATERS BROOK - SUPERIOR PLUS INCLUSIONS: 4 BRM, ENS, WIR, FAM/DIN, SEP LNG, AIR CON, SECURITY SCREENS, DISHWASHER, DLUG + MORE $529,000 Artist impression LOT SIZE 494 SQM LOT 6 GIRRAWEEN WAY, ELI WATERS LATROBE - EXECUTIVE INCLUSIONS: 4 BRM, ENS, WIR, FAM/DIN, SEP LNG, AIR CON, SECURITY SCREENS, DISHWASHER, DLUG + MORE LOT SIZE 703sqm $589,000 LOT 59 GIRRAWEEN WAY, ELI WATERS MAGNOLIA - DELUXE INCLUSIONS: 4 BRM, ENS, WIR, FAM/DIN, SEP LNG, AIR CON, SECURITY SCREENS, DISHWASHER, DLUG + MORE $569,000 Artist impression LOT SIZE 493sqm
SIZE 580sqm LOT 2 IBIS BLVD, ELI WATERS LILLYPILLY - DELUXE INCLUSIONS: 4 BRM, ENS, WIR, FAM/DIN, SEP LNG, AIR CON, SECURITY SCREENS, DISHWASHER, DLUG +
LOT 54 GIRRAWEEN WAY, ELI

 AGENCY OF THE YEAR 403 Esplanade Torquay | Call 4125 5399 | sales @ccrhb.com.au | www.cartercooperrealty.com.au KIM CARTER 0417 790 526 Scan the QR code to view OFFERS FROM $1,100,000 • 1012m2 vacant land in prime location • High density residential zone • Suitable for commercial and residential uses, including hotels and restaurants (STCA) • Less than 300m from Enzo’s on the Beach and beach access • 5-minute walk to The Beach House and Odyssey Bistro Design Your Dream Investment 360 ESPLANADE SCARNESS NEW LISTING KIM CARTER 0417 790 526 Scan the QR code to view
OVER $450,000 • 3 bedrooms with ceiling fans and built-in wardrobes • Family bathroom, separate toilet and laundry • Front patio + entertaining area with pull down blinds • Separate BBQ area, solar panels, garden shed, good size backyard • Secure carport with drive through access to the rear • Fully fenced 712m2 block, 3 minute walk to Eli Waters Shopping Centre Packed & Gone – Make Your Offer! 5 BUNKER AVENUE URRAWEEN KIM CARTER 0417 790 526 Scan the QR code to view $525,000 • 4 bedrooms with ceiling fans, master complete with ensuite • Practical kitchen with ample storage, tiled
OFFERS
open plan living area • Family bathroom with bath tub and separate toilet
• Security screens throughout, covered rear alfresco area
amenities
• Single lock-up garage, very short drive or walk to all
Fully fenced, low maintenance
side access Solid Entry Level Home 67 BIRRABEEN AVENUE PIALBA NEW LISTING JANA LEVAK 0431 155 140 Scan the QR code to view • 3 spacious bedrooms with modern 2 way bathroom
Modern kitchen, dining & separate lounge room
727m2 block with
Huge
enclosed outdoor room plus outdoor deck
Shed at rear
to home office & storage area • Single lock up garage plus double tandem port • Walk to shopping, restaurants, cafes Esplanade & beach Secluded in Beachside Torquay OFFERS OVER $699,000 5 CULLEN AVENUE TORQUAY Scan the QR code to view MATT DORROUGH 0410 369 996 $1,299,000 • Stunning 4 bed 2 bath 6 car home • Outdoor entertaining with magnesium pool • Large sheds and work space • Electric roller shutters on windows • Irrigation throughout all gardens • 9 foot ceilings with fans throughout The Wow Factor 49 SANDRABARBARA DRIVE BOORAL NEW LISTING KIM CARTER 0417 790 526 Scan the QR code to view • 3 bedroom home with ceiling fans and security screens throughout • Recently renovated family bathroom with walk in linen closet • Air-conditioned open plan living and dining area • Practical kitchen boasting lots of storage space • 13 solar panels, single garage, outdoor covered patio, garden shed • 607m2 block with side access to the rear, room for the addition of a shed 5 JUNJAREE STREET SCARNESS OFFERS OVER $475,000 An Investment with Great Potential KIM CARTER 0417 790 526 Scan the QR code to view OFFERS OVER $699,000 • 3 bedrooms, master complete with ensuite • Stone benchtops, electric cooking and ducted rangehood in kitchen • Media room + open plan living with designated dining space • Double lock up garage on the home with internal access • Set on a 573m2 block with side access for a caravan or boat • Walk to schools, Tafe & hospital precinct, short drive to shopping centres Modern Near New Home 26 FINN DRIVE URRAWEEN NEW LISTING KIM CARTER 0417 790 526 Scan the QR code to view • 3 bedrooms with built in wardrobes • Neat and tidy kitchen, air conditioned living area • Set on a fully fenced 680m2 corner block • Outdoor undercover entertainment area • Single lock up garage with internal access • Walk to; Hervey Bay Health Club, Bowls Club, shopping centers, schools and beach 62 ANN STREET TORQUAY $525,000 Easy Beachside Living or Investing PRICE REDUCED
fully
converted

NEW

1 HOCKLEY LANE URANGAN

Great Location - Close To The Beach!

bathroom

• Central kitchen lots of room

• Lounge and sunroom

• Single garage, carport, additional studio

• Just under 1,000sqm corner allotment

LOCKERBIE COURT KAWUNGAN NEW LISTING

3

A Home for Relaxing and Entertaining

• 4 bedrooms, master complete with ensuite

• Air-conditioned open plan living + separate lounge room

• Spacious outdoor entertaining area and pergola

• Double lock up garage on the home with internal access

• Fully fenced 750m2 block with established gardens

• Close to CBD, medical precinct and quality schools

Scan the QR code to view $660,000

KIM CARTER 0417 790 526

PRICE REDUCED

3/44 FRESHWATER STREET SCARNESS

Affordable Beachside Unit

• 2 bedroom ground floor unit

• Ensuite to master bedroom

• Open plan air-conditioned living

• Pool in complex, underground parking

• Opposite beach, shops and cafes nearby

• Nest or invest with tenant currently in place

OFFERS FROM $499,000

Scan

Big

Block, Big Possibilities

• Just 500m from the beach and vibrant Torquay Esplanade

• Neat and tidy 3 bedroom home on site with 2 living areas

• Set on a 969m2 medium density allotment

• Current DA approval for multiple dwelling in place (renders available)

• Primary school around the corner and the high school is a safe and easy bike ride for the older kids

Scan the QR code to view

Luxury Coastal Lifestyle Beckons

• 4 bedrooms, 2 masters with walk-in wardrobe and ensuite

• Kitchen with Smeg appliances, Caesarstone benchtops and Butlers pantry

• Private alfresco area at the rear as well as front balcony

• Double garage with epoxy flooring & storage + room for van/boat

• Plantation shutters, 3 x air-conditioners, 24 solar panels

• Security system and screens, water tank with electric pump

QR

KIM CARTER 0417 790 526

OPEN HOME

9-11 HERVEY STREET SCARNESS

Blue-Chip Unit Block Investment

• Rare entire block of units: 4 x 1-bedroom units, 1 x 2-bedroom unit

• Set on a 1361m2 allotment with ocean views

• Zoned medium density, redevelop now or in the future (STCA)

• All units are tenanted to give an instant return on your investment

• Although an older building, it’s the location that really counts

OFFERS OVER $1,300,000

KIM CARTER 0417 790 526

 AGENCY OF THE YEAR 403 Esplanade Torquay | Call 4125 5399 | sales @ccrhb.com.au | www.cartercooperrealty.com.au KIM CARTER 0417 790 526 BRAD MITCHELL 0418 764 530 Scan the QR code to view • Immaculate light & airy 4 b/r, 2 bathroom home • Generous open plan living with a modern kitchen • Stylish ensuite to the master with a WIR • 1,230m2 block is private with lush tropical gardens • Solar panels, plantation shutters. DLUG • Private & secure in a very desirable beachside location A Tropical Paradise Near The Beach 51A HELSHAM STREET POINT VERNON $950,000 KIM CARTER 0417 790 526 Scan the QR code to view OFFERS OVER $435,000 • 2 spacious bedrooms & bathroom upstairs • Kitchen, airconditioned open plan living, laundry, 2nd toilet & courtyard • Ceiling fans, security screens, solar panels • Single garage, access to complex facilities • Backing onto quiet Coral Street, walk to Woolworths, Botanical Gardens, iconic Urangan Pier & the beach Price Reduced for Immediate Sale! 74/34-56 ELIZABETH STREET URANGAN Scan the QR code to view MAURICE ELLIS 0427 246 261 OFFERS OVER $849,000 • Good sized bedrooms • Main
LISTING
ANNETTE MITCHELL 0428 255 824 the QR code to view
KIM CARTER 0417 790 526
OFFERS OVER $565,000
38 TOTNESS STREET TORQUAY
Scan the
code to view
OFFERS OVER $1,100,000
Scan the QR code to view
11 SEAHAVEN CIRCUIT PIALBA
• Situated less than 100m from the Esplanade
 AGENCY OF THE YEAR 403 Esplanade Torquay | Call 4125 5399 | sales @ccrhb.com.au | www.cartercooperrealty.com.au KIM CARTER 0417 790 526 BRAD MITCHELL 0418 764 530 Scan the QR code to view OFFERS OVER $525,000 • Renovate or knock down and re-build • 2 large bedrooms, family bathroom, kitchen and living area • A/C, fully fenced yard, single lock up garage • Corner allotment just 200m from the beach • Boat Harbour and Marina precinct close by • Nearby boutique shops, cafes, restaurants, Woolworths and bus stops add convenience Location, Location - Bring Your Tools! 16 ELIZABETH STREET URANGAN KIM CARTER 0417 790 526 JANA LEVAK 0431 155 140 Scan the QR code to view Superb Quality, Luxury & Style • Custom designed 314m2 home built by Geoff Clark Homes • 4 bedrooms, 2 bathrooms, double lock up garage • Open plan living with soaring ceilings, spacious interiors • Expansive alfresco outdoor area complete with outdoor kitchen • In-ground pool, solar power/water, ducted air con, many extras • Fully fenced, dedicated port for van/boat – central location $1,100,000 ALL OFFERS SUBMITTED 6 SONGBIRD PLACE URRAWEEN KIM CARTER 0417 790 526 Scan the QR code to view
OVER $575,000 • 4 bedrooms, master with walk-in wardrobe & ensuite • Freshly painted with new blinds
Tiled throughout for low maintenance living • Media room + open plan kitchen, living & dining area • Double lock up garage + carport with drive through access • A/C, water tank, covered alfresco area, 660m2 allotment This Is It! Affordable Family Home 11 PROTECTOR WAY ELI WATERS Scan the QR code to view MATT DORROUGH 0410 369 996 OFFERS OVER $550,000 • Conveniently located 3 bed 1 bath 1 car home • Great first home or investment property • Large single lock up garage • Air-conditioned living space • Family bathroom with separate toilet • Short walk to the beach Opportunity Awaits 117 TRURO STREET TORQUAY NEW LISTING MAURICE ELLIS 0427 246 261 Scan the QR code to view OFFERS OVER $600,000 • Located with Grand Mercure Allegra Apartments • 2 bedrooms, generous ensuite and spa bath • Open plan living space and secure balcony • Generous kitchen – modern appliances • Fully furnished (inventory available), underground parking • Fantastic on site facilities, and awesome position Fabulous Waterfront Position 306/468 ESPLANADE TORQUAY KIM CARTER 0417 790 526 BRAD MITCHELL 0418 764 530 Scan the QR code to view • 200m from the beach and Urangan Peir • 4 bedrooms, 1 bathroom, separate toilet • Air-conditioned open plan living area • Hardwood timber flooring throughout • Tandem lock up garage, fully fenced yard • Set on a low maintenance 519m2 allotment Looking For a Beach House? 14 ELIZABETH STREET URANGAN OFFERS OVER $625,000 KIM CARTER 0417 790 526 Scan the QR code to view $650,000 • 2 bedrooms with built in robes, airconditioning in bedrooms and living area • Office, multi-purpose room, open plan kitchen and living, enclosed patio • 22 solar panels + solar hot water, 787m2 corner allotment • 3-bay shed, middle bay with high clearance + large storage shed • Outstanding opportunity for future capitalisation (STCA) • Bowls Club, Health Club 1km away, walk 200m to the beach Remove, Renovate or Rent 14 ALEXANDER STREET URANGAN ANNETTE MITCHELL 0428 255 824 Scan the QR code to view OFFERS ABOVE $485,000 • 3b/rs, master with ensuite & WIR • Modern kitchen, stone benchtops, dishwasher • Powder room, timber staircase, SLUG • Security screens, solar panels, courtyard • Fully air-conditioned, fans throughout • Small complex, walk to the beach & shops As New Centrally Located Townhouse UNIT 4/104 TORQUAY ROAD SCARNESS
OFFERS

22 GREENWAY DRIVE PIALBA

Endless Potential, Exceptional Value

• 3 spacious bedrooms situated around a family bathroom

• New kitchen with plenty of cupboard space

• Airconditioned open plan living area and polished timber flooring upstairs

• Concreted utility room, laundry and single lock-up garage downstairs

• Fully fenced 603m2 allotment with side access

• Close to the beach, shopping, golf course, restaurants, cafes & schools

OFFERS OVER $499,000

KIM CARTER 0417 790 526

• Neat & tidy 3-bedroom brick home

• Air-conditioned living area, multi-purpose room, kitchen & dining

• Outdoor area with pizza oven, outdoor sink & built-in wet bar

• Solar panels, fire-pit, fully fenced and landscaped 800m2 block

• Double shed + massive boat/van port with power

• Walk to the beach, Marina precinct, restaurants, shopping centre & schools

Scan

OFFERS OVER $699,000

KIM CARTER 0417 790 526

• This beautiful home is ready to move into now

• Open plan kitchen, dining & family room

• 4 spacious bedrooms,

UNIT 6/625 ESPLANADE URANGAN

• 2 bedrooms, master complete with ensuite

• Spacious open plan living, ducted air-con

• Stone-top kitchen with great storage space

• Concertina folding doors to balcony, stylish decor

• Secure underground parking, lift access to unit

• On site managers, live in or rent out the choice is yours!

Akama Resort Quality Apartment $519,000

0417 648 840

 AGENCY OF THE YEAR 403 Esplanade Torquay | Call 4125 5399 | sales @ccrhb.com.au | www.cartercooperrealty.com.au KIM CARTER 0417 790 526 BRAD MITCHELL 0418 764 530 Scan the QR code to view OFFERS OVER $499,000
Let This Catch Get Away!
Master with A/C, ensuite and walk-in robe • Updated carpet, blinds & fans in bedrooms • Timber raked ceilings in living room • Fantastic entertaining deck with shade sail • Good size front and rear yard, 6.5kw solar • Tandem carport + single garage the rear • With so much value on offer and now vacant, you really must act fast 3 HOOK WAY URRAWEEN KIM CARTER 0417 790 526 Scan the QR code to view
OVER $750,000
Coastal Living In Central Location
Don’t
OFFERS
Relaxed
• 3 bedrooms, all with built in wardrobes and ceiling fans
• Airconditioned open plan living with raked ceilings
roof
shed, underground water tank
electronic gates
corner allotment
street access 53 BIDEFORD STREET TORQUAY KIM CARTER 0417 790 526 DARRYN SHAWCROSS
the QR code to view
• Polished timber floors throughout, recently replaced
• Single lock up garage, large garden
• Magnesium pool, pergola, tropical gardens,
• 881m2
with dual
Scan
the QR code to view
Scan
the QR code to view
Boat
From The Harbour
ARTHUR STREET URANGAN JANA LEVAK
Scan the QR code to view
Park The
Here – 1km
19
0431 155 140
master with ensuite & WIR • Separate media/lounge room – Outdoor entertaining patio • Double lock up garage, great side access & fully fenced Just Like New! OFFERS OVER $579,000 36 TRANQUIL DRIVE WONDUNNA ANNETTE MITCHELL 0428 255 824 Scan the QR code to view OFFERS ABOVE $550,000 • Nicely presented 3 bedroom ensuite home • Fully tiled, fans throughout, DLUG • Air conditioned lounge room and master bedroom • North facing deck, 800m2 fully fenced block • Shopping village and boat ramps nearby • Idyllic lifestyle in a quiet popular location Relaxing Lifestyle With Views & Breezes 52 PETREL AVENUE RIVER HEADS KIM CARTER 0417 790 526 Scan the QR code to view OFFERS OVER $780,000 • 4 bedrooms, air-conditioned master with ensuite • Formal lounge room + air-conditioned open plan living area • In-ground pool, solar panels, covered patio, double lock up garage • Shed with workshop, lock up bay & high clearance carport • Fully fenced 800m2 allotment with side access • Walking distance to schools, 2km from Eli Waters Shopping Centre I’ve Got The Lot - House, Pool & Shed 7 EMPIRE CIRCUIT DUNDOWRAN PRICE REDUCED PRICE REDUCED

• Ready to move in - beach house with water views

• 2-3 bedrooms with modern kitchen & open plan living

• 2 bathrooms, polished timber floors, air conditioning

• Expansive front verandah & entertaining at rear

• Double gate access to huge shed and double port parking

• 1113m2 block, 2 street access – subdivision potential

• 4 bedrooms, master complete with ensuite

• Open plan living with A/C + lounge room

• Outdoor patio area, huge shed at the rear & double garage

• 2225m2 block, potential to subdivide (STCA)

• School bus for the kids, 15 minutes to Hervey Bay’s CBD

• Close proximity to Boat Ramps & Fraser Island Ferry

• 4 bedrooms, 2 with ensuite & walk in robe

• Main bathroom with free standing bathtub

• Kitchen with 900mm Westinghouse oven, dishwasher & butlers pantry

• 2 living rooms + media room, ducted A/C

• Huge entertaining area, inground pool, landscaped, fully fenced, 10kw solar system

Scan the QR code to view

KIM CARTER 0417 790 526

Scan

code to

 AGENCY OF THE YEAR 403 Esplanade Torquay | Call 4125 5399 | sales @ccrhb.com.au | www.cartercooperrealty.com.au KIM CARTER 0417 790 526 Scan the QR code to view OFFERS OVER $995,000 • 4 bedrooms, 2 bathrooms + powder room, 2 living areas • Fantastic alfresco area with pull down blinds and fans • In-ground pool, irrigated gardens, 1026m2, 24 solar panels • Security screens, tinted windows, ducted A/C, 13,500L water tank • Kitchen; granite bench tops, walk-in pantry, barista corner and servery • Double garage + 2 bay shed with paved side driveway access Energy Efficient Beachside Living 70 LONG STREET POINT VERNON KIM CARTER 0417 790 526 Scan the QR code to view
OVER $765,000 • Total of 5 bedrooms and 3 bathrooms spread over 2 levels • Upstairs master bedroom with ensuite and parent’s retreat • 2 self-contained living environments, kitchen and laundry on each level • Front and rear deck, 1350m2 block separated into 2 backyards • Single garage on the home + detached double shed • Rent, holiday let or live in (potential permanent rental return of $910pw) Extended Family or Extend Your Income 34 VICTOR DRIVE KAWUNGAN KIM CARTER
JANA LEVAK
Scan the QR code to view Beach
Location
OFFERS
0417 790 526
0431 155 140
Home in Blue Ribbon
OFFERS OVER $975,000
FLINDERS STREET POINT VERNON
CARTER
the QR code to view
9
KIM
0417 790 526 Scan
51 MATHIESEN ROAD BOORAL Room For Everyone & Everything! $650,000
Living On A Grand Scale
$1.099,000 Statement
58 SPRING WAY NIKENBAH
• 7x7m drive through shed, 3m clearance
HOME
the QR
KIM CARTER 0417 790 526 view
• Family bathroom with bathtub and separate toilet
Designated dining area and spacious air-conditioned lounge room • Outdoor undercover entertaining space • 737m2 block, side access to rear, room for a shed or pool • Minutes from boat ramps, beach & schools OFFERS OVER $595,000 Secure Investment For The Future 24 SHARYN COURT POINT VERNON KIM CARTER 0417 790 526 Scan the QR code to view OFFERS OVER $585,000 • 4 bedrooms, master with ensuite and walk in wardrobe • Open plan living area + separate lounge room • Garden shed and rainwater tank at the rear • North facing outdoor undercover entertaining area • Fully fenced 848m2 block with fantastic side access • Close to shops, sporting fields, aquatic centre and schools Park the Van Here - Owner Wants It Sold! 27 TOPAZ CIRCUIT URANGAN KIM CARTER 0417 790 526 Scan the QR code to view OFFERS OVER $585,000 • 3 bedrooms with built-in wardrobes, master with ensuite • Large living area with separate kitchen/dining room • Ceiling fans and air-conditioning throughout • Spacious outdoor entertaining area, double lock up garage • Set on a 607m2 allotment with established gardens • 500m walk to the Esplanade and local café Neat as a Pin & Ready to Move in 15 GRANADA COURT POINT VERNON
• 4 bedrooms, air-conditioned master complete with ensuite

501/468 ESPLANADE TORQUAY

Luxury On The 5th Floor

• 3 bedrooms, master with spa ensuite

• Open plan living and dining, ducted A/C

• Gourmet kitchen with quality appliances

• Secure car accommodation, storage cage

• Resort facilities; On-site management, heated lagoon pool, sauna & gym

• Walk to it all location, directly opposite magnificent Shelly Beach

OFFERS OVER $750,000

KIM CARTER 0417 790 526

Come Home To The Good Life

• Boasting superb lake views from the comfort of home

• Fully air conditioned 4 bedroom home with DLUG

• Open plan lounge, dining and well appointed kitchen

• Spacious outdoor entertaining patio- access to pontoon/jetty

• Fully landscaped & low maintenance terraced backyard

• Walk to shopping centre, close to CBD & hospitals

CARTER 0417 790 526

LEVAK 0431 155 140

55/17 BUCCANEER DRIVE URANGAN

Fantastic Position & Breath Taking Views

• 2 good size bedrooms with ceiling fans

• Single lock up garage, secure gated complex

• Full use of resort facilities; 2 swimming pools, tennis court and games room

• Walking distance to the Marina precinct including; Boat Club, restaurants & cafes

OFFERS OVER $450,000

22/80 MOOLYYR STEET URANGAN

Looking For a Holiday Investment?

• 2-bedroom townhouse located at the Quarterdeck Harbour Retreat

• Full use of complex facilities: inground pool, sauna, spa, BBQ area

• Perfect to live in permanently or occasionally

• Holiday let or rent out with on-site managers

• Walk to the beach, marina precinct, clubs, restaurants and cafes

• Minutes from Urangan shopping complex

OFFERS OVER $450,000

KIM CARTER 0417 790 526

Scan the QR code to view

 AGENCY OF THE YEAR 403 Esplanade Torquay | Call 4125 5399 | sales @ccrhb.com.au | www.cartercooperrealty.com.au KIM CARTER 0417 790 526 • Ocean views from balcony and bedrooms • Modern bathroom, separate toilet & laundry • Air-conditioned open plan living, galley kitchen • Ceiling fans & security screens throughout • Walk to schools and shopping precinct • Well maintained complex of 7 units with in-ground pool Scan the QR code to view 5/3 BEACH ROAD PIALBA OFFERS OVER $435,000 Beachside Beauty KIM CARTER 0417 790 526 Scan the QR code to view OFFERS OVER $895,000 • 4 bedrooms + study, ensuite with glass atrium overlooks fernery • Renovated kitchen, A/C and ceiling fans throughout • Multiple living and dining options, undercover outdoor entertaining area • Double lock up garage + double carport • Inground pool, room to park the caravan • Private, low maintenance 981m2 allotment Quiet And Convenient Oasis 12 ADAIR COURT KAWUNGAN ANNETTE MITCHELL 0428 255 824 Scan the QR code to view $975,000 NEGOTIABLE • Stunning 4 bedroom, three bathroom home complete with views of K’gari • Open plan kitchen with stone benchtops & Italian floor tiles • Multiple living areas inside & out, plenty
of room for entertaining
• Inground saltwater pool, 8kw Solar & landscaped garden throughout • An exceptional property full of quality and space
Minutes
boat ramps
to the Island Inspect Today 9 JOYCELYN TERRACE RIVER HEADS Scan the QR code to view MATT DORROUGH 0410 369 996
• 3 Bedrooms upstairs • Master bedroom with walk in robe & ensuite
Fans in all bedrooms • Generous sized kitchen • Lock up garage • Short walk to the beach Ideal Town House In A Perfect Location 4/7 HERVEY STREET SCARNESS
JANA
Scan the QR code to view Stunning
from
and the barge out
$540,000
KIM
Lake Outlook
OFFERS OVER
SATINWOOD
URRAWEEN HOME 303/569 ESPLANADE URANGAN KIM CARTER 0417 790 526 Scan the QR code to view
2 bedrooms,
bathrooms
Oaks Resort
$699,000 9
AVENUE
2
unit in
Spacious open plan kitchen, living & dining
Balcony
ocean views
overlooking pool and
• Secure underground car parking
Facilities
include: 2 lagoon pools, gym, day spa & function rooms
beach
• Walk to restaurants, cafes, Urangan Pier and
CARTER
Scan the QR code to view
Air-conditioned
OFFERS OVER $600,000 KIM
0417 790 526
open plan kitchen, living and dining area with stunning views
Scan the QR
to
code
view
HOME
403 Esplanade, Torquay | Call 4125 5399 sales@ccrhb.com.au | www.ccrhb.com.au KIM CARTER 0417 790 526 kim@ccrhb.com.au JANA LEVAK 0431 155 140 jana@ccrhb.com.au BRAD MITCHELL 0418 764 530 brad@ccrhb.com.au ANNETTE MITCHELL 0428 255 824 annette@ccrhb.com.au MAURICE & NICOLE ELLIS 0427 246 261 maurice@ccrhb.com.au DARRYN SHAWCROSS 0417 648 840 darryn@ccrhb.com.au MATT DORROUGH 0410 369 996 matt@ccrhb.com.au Call Our Team TODAY! 1 Atherton Road, Urraween 1 Delta Way, Point Vernon 1,235 Esplanade, Pialba 10,451 Esplanade, Torquay 15 Barry Street, Torquay 18 Tenimby Stret, Pialba 19 Mia Court, Nikenbah 2 Louis Way, Kawungan 21 Harmony Ave, Urraween 2b,2 Talasea Drive, Kawungan 3 Ivybird Court, Torquay 32 Anchorage Circuit, Point Vernon 4,328 Esplanade, Scarness 41 Earl St Vincent, Eli Waters 41b Truro Street, Torquay 49 Peppermint Circuit, Nikenbah 62 Anchorage Circuit, Point Vernon 73 Ladbroke Crescent, Urangan 91 Urangan Street, Torquay Unit 205 239 Esplanade, Pialba

View Saturday 22nd April 9.45 to 10.15am

Saturday 29th April 1.30 to 2.00pm

Price $710,000

Web rh.com.au/herveybay/L21871662

47 Cromdale Cct, Kawungan

Prime Location

Positioned in the highly sought-after pocket of Kawungan, this well presented 4 bedroom, 2 bathroom home is conveniently located in a quiet estate in close proximity to all major amenities and only a short drive to Hervey Bays beautiful beaches, cafes and restaurants. This property was built by the popular “Ron Brown “ and is the perfect choice for families, retirees, and anyone who desires a relaxed and comfortable lifestyle in a prime location. Features you will LOVE!

• Inside, the home boasts a spacious layout. A modern kitchen complete with stone bench tops, quality appliances and plenty of storage space

• Designed with a separate air-conditioned loungeroom, dining area and living area

• The 4 bedrooms are all well-sized with built in robes and ceiling fans, the main bedrooms features an ensuite, large walk in robe, plantation shutters and air conditioning

• Well maintained family bathroom plus separate laundry

• Boasting a fantastic undercover tiled patio area overlooking the manicured gardens, perfect for outdoor entertaining and relaxation

• Resting on a beautifully landscaped 833m2 allotment with great side access, plus a shed providing ample storage space for vehicles and equipment. There is also irrigated watering system throughout the gardens and solar panels

Don’t miss your opportunity secure this stunning home in one of Hervey Bay’s most desirable suburbs, call today to book an inspection

Hervey Bay 4128 2188

357 Esplanade, Scarness

rh.com.au/herveybay

2 2 4

View Saturday 22nd April 3.00 to 3.30pm

Saturday 29th April 11.15 to 11.45am

Price $658,000 Web rh.com.au/herveybay/L20844201

Immaculate Family Home Boasting Space and Luxurious Renovation

This beautiful 3 Bedroom 2 Bathroom Home has been completely refurbished to the highest of standards! This incredible home features a spacious newly renovated kitchen with stone bench tops, the bathroom and main bedroom en-suite have had some fantastic upgrades.

This immaculate family home is full of potential with available space and side access for a pool or a great size shed to store your caravan or boat in! This beautiful home boasting luxurious renovations is one you don’t want to miss out on!

Property Highlights:

• 3 Bedrooms

• 2 Bathrooms

• 2 Car Garage featuring a study and Laundry

• Airconditioned Main Bedroom features newly renovated Ensuite and Built in Robes

• Bedrooms feature Built in Robes

• A beautiful newly renovated Kitchen featuring Stone bench tops and all new appliances!

• Spacious Airconditioned Open Living and Dining area that leads out to a great size outdoor entertainment area

• Fully fenced 699m2 allotment with Side access and room for either a Shed to store a Caravan, Boat or other Motor Vehicles or a Pool!!

Hervey Bay 4128 2188 357 Esplanade, Scarness rh.com.au/herveybay

2 Jasper Court, Urangan
2 2 3

View Saturday 22nd April 1.30 to 2pm Saturday 29th April 10.30 to 11.00am

Price $730,000 Web rh.com.au/herveybay/L22064576

14 Rochester Court, Urraween

Welcome home!

If you are looking for a quality home in a great location then this is the property for you. This Ross Collins built home sits at the end of a quiet cul de sac, adjacent to a reserve in the popular Highfields Estate. Close to shops, schools, transport and the hospital this property will have wide appeal. The four bedrooms all have split system aircons, ceiling fans & built-ins, the master also boasts an ensuite & plantation shutters. There are two living areas plus a dining room and the chefs kitchen with stone benchtops & quality appliances, including induction cooktop & Smeg oven, really is the heart of the home. Outdoor entertaining is a breeze in the huge covered alfresco area which overlooks the manicured gardens. There is a double lock up garage under roof plus access down both sides of the home for the boat or van. There is even 6.6Kwt of solar panels to a 5Kwt WiFi inverter.

The 700+ sqm block has plenty of room for a shed or pool (STCA) The love & care that has been put into this beautiful home by the current owners is plain to see, so book your inspection today.

Homes of this calibre in this location do not last long. An inspection is a must!

Hervey Bay 4128 2188

357 Esplanade, Scarness

rh.com.au/herveybay

2 3 4

Auction Thursday 27/4

Auction Thursday 27/4

Private Landscaped Acre In Town!

This property has it all – Sheds, carports, multiple indoor/outdoor entertaining areas, pool and more. This family home is situated on just over 4000m2 block including 4 bedrooms, 2 bathrooms with open plan living - high vaulted ceilings with air conditioning for greater comfort. The kitchen is modern, light and spacious with gas cooking and dishwasher. Minutes away from Hervey Bays shopping centres, schools, medical precincts and the beautiful beaches/ cafes along the Esplanade this home is in a prime location for a peaceful family living.

View Saturday 22nd April 10.30 to 11.00am

Saturday 29th April 10.30 to 11.00am

Auction 27th April 2023 at 7.00pm – In Rooms Web rh.com.au/hervey bay/L22151476

Auction Thursday 27/4

21 Bay Breeze Close ,Wondunna

Spacious, versatile and quality modern home

This modern 3 Bedroom home is perfectly located in the well-established Parklands Estate. In close proximity of Fraser Coast Anglican College, and a short drive to the Hervey Bay’s CBD. What really makes this wonderful property stand out is the 9-foot ceiling throughout the entire home, versatility and dedicated caravan port that can easily cover a motor home, caravan or boat.

View Saturday 22nd April 9.45 to 10.15am

Saturday 29th April 9.45 to 10.15am

Auction 27th April 2023 at 7.00pm – In Rooms Web rh.com.au/hervey bay/L1404080

Auction Thursday 27/4

12 Wodalla Mews, Point Vernon

Lake front living

This beautiful home is located in a peaceful cul-de-sac and offers stunning views of the lake. Featuring four generously sized bedrooms, the master bedroom includes a huge ensuite and a WIR. The property is equipped with ducted AC that ensures comfortable temperatures all year round. There are two living areas + dining area that takes full advantage of the picturesque outlook. The enormous Queensland room is perfect as an extra living space, games room, or simply a place to relax and enjoy the peace and quiet, a covered BBQ area, and a fantastic greenhouse.

View Saturday 22nd April 1.30 to 2.00pm

Saturday 29th April 9.45 to 10.15am

Auction 27th April 2023 at 7.00pm – In Rooms Web rh.com.au/hervey bay/L22133319

Hervey Bay 4128 2188

357 Esplanade, Scarness rh.com.au/herveybay

5 Morinda Way, Urraween

Lakeside Home in Prestigious Kingfisher Lakes

This property is 4 bed and 2 bath with high ceilings and tinted windows, completing this home there is side access for van/trailer/boat parking. Positioned on a private and tranquil leafy area, superbly designed for comfortable living and everyday practicality, this home is the perfect escape on a serene lakefront setting. Undercover entertaining area overlooking peaceful lake and gardens with pull down shade for yearround comfort on allotment size of 454m2.

View Saturday 22nd April 11.15 to 11.45am

Saturday 29th April 12.45 to 1.15pm

Auction 27th April 2023 at 7.00pm – In Rooms Web rh.com.au/hervey bay/L22141261

2 2 4
36-42 Carrick Way, Wondunna
2 4 4
2 4 4
2 2 3

Auction Thursday 27/4

Auction Thursday 27/4

27 Yarrilee Cct, Dundowran

Perfect lakeside family home

Looking for a spacious and affordable lakeside home that is a “stone’s throw away” from great schools. Check out this lake side property today! The spacious and open living areas are perfect for entertaining, and with the views over the lake, makes this a perfect buy for a homeowner/investor.

Outstanding features include:

• Fully fenced 813m2 block

• Double bay lockup garage with remote control door

• Screened off undercover entertaining area

View Saturday 22nd April 10.30 to 11.00am Saturday 29th April 2.15 to 2.45pm

Auction 27th April 2023 at 7.00pm – In Rooms Web rh.com.au/hervey bay/L22135308

Auction Thursday 27/4

Neat and Tidy Family Home

Neat and tidy 3 bedroom brick home features kitchen with family/dining area and separate rumpus/ office area, all bedrooms with built in robesmaster bedroom with ensuite. Covered entertaining area overlooks a low maintenance yard with large garden shed plus a SLUG with attached single carport in addition to the single carport at the front of the home. Minutes to the Eli Waters shopping centre and a short drive to nearby schools and Stockland’s shopping precinct. All offers submitted prior to Auction.

View Saturday 22nd April 9.00 to 9.30am

Saturday 29th April 9.00 to 9.30am

Auction 27th April 2023 at 7.00pm – In Rooms Web rh.com.au/hervey bay/L1074480

Auction Thursday 18/5

58

Superior Finish With Lifestyle Focus

A superb statement in quality and style, from the moment you enter. This home emphasizes, relaxed coastal living. The intelligently designed open plan kitchen and living zone blend effortlessly to create light and space with an easy relaxed ambience.

• Superb finishes

• Fully fenced 857m2 block with side access

• Huge 12m x 8m shed with 4m wide van port

• Versatility with separated living - Teenagers retreat with AC

View Saturday 22nd April 1.30 to 2.00pm

Saturday 29th April 1.30 to 2.00pm

Auction 27th April 2023 at 7.00pm – In Rooms Web rh.com.au/hervey bay/L22229823

Hervey Bay 4128 2188

357 Esplanade, Scarness rh.com.au/herveybay

90

The Million Dollar View!

Nothing short of speculator! This “one of a kind” home points North at the tip of Point Vernon which will guarantee sea breezes and the best ocean views Hervey Bay has to offer. With no competition for view, a huge upstairs open planned living area with outstanding kitchen, connecting to the versatile out door entertaining area, makes this is a home you will be proud of. Host dinner parties or enjoy a family meal while taking in the breathtaking views of the ocean. Step outside onto the expansive deck and soak up the sun or watch the sunset in this ultimate coastal retreat. 180-degree view of the ocean from deck plus a self-contained studio in the back of the block.

View By Appointment

Auction 18th May 2023 at 7.00pm – In Rooms Web rh.com.au/hervey bay/L22119412

2 1 3
37 Bunker Ave, Urraween
3 4 3
Aimee Dr, Urangan
3 2 3
Esplanade, Point Vernon
2
2 4

Auction Thursday 27/4

69

Potential plus!

Positioned on a large 1214m2 block of land in the heart of Torquay is this charming 3 bedroom lowsest Queenslander offering potential for development or a renovator’s delight. Property Features-

• 3 bed, 1 bath

• Functional kitchen

• Airconditioned kitchen/dining area

• Large under cover deck, great side access, shed, carport Superb location! Close proximity to the local shops and a short distance to the Esplanade, beach, cafes and restaurants.

View Saturday 22nd April 11.15 to 11.45am

Saturday 29th April 11.15 to 11.45pm

Auction 27th April 2023 at 7.00pm – In Rooms Web rh.com.au/hervey bay/L22287789

Fauna

It’s all about the “lifestyle.”

Master-built units in a secure gated community consisting of 18 units.

• 8 x Units - 2 x bedroom/ensuite / single lock up garage

• 2 x Waterfront units- 2 x bedroom /ensuite /single lock up garage

• 8 x Waterfront units -3 x bedroom/ensuite/double lock up garage

All units are designed with A/C, ceiling fans, high ceilings, BIR to all bedrooms. open plan kitchen with designer stone bench tops, dishwasher, wall oven and built in microwave, laundry with stone bench tops, washing machine and dryer, plantation shutters to bedroom windows, outdoor alfresco area, solar panels and private courtyards.

View Saturday 22nd April 12.45 to 1.15pm Saturday 29th April 2.15 to 2.45pm

Price On Application Web rh.com.au/hervey bay/L21216382

31 Finch Court, Walligan

Amazing 4-Bedroom Home Set On 40 Acres

Spacious home, private setting, potential to subdivide. (Subject to council approval). Located on 15+ hectares a wonderful family home with high ceilings 4 large bedrooms, master with ensuite and WIR. A ‘chef style’ kitchen with spacious living areas, and more. Keeping the kids entertained will be a breeze as outside has an undercover patio great for family BBQ’s, an in-ground pool and a lot of room for a game of cricket!

The land has 15 paddocks used for horses, cattle and sheep. 3 dams, 4 bay shed and feed shed

View Saturday 22nd April 9.00 to 9.30am

Price $1,495,000 Web rh.com.au/hervey bay/L1074808

Hervey Bay 4128 2188

357 Esplanade, Scarness rh.com.au/herveybay

74 Pacific Haven Circuit, Pacific Haven

Pacific Haven’s Best Kept Secret!

Welcome to your own private oasis. Tranquil, private and grand! This elevated architecturally designed Pavilion style home proudly sits on the waterfront of ‘Cherwell River’.

This masterpiece truly offers a peaceful country lifestyle, positioned on an impressive 2.14 acres of beautiful tropical gardens and one of the best crab and fishing spots right at your front door.

Situated only (approx) 35 minutes to beautiful Hervey Bay and a short drive to Howard town centre.

View By Appointment

Price $1,000,000

Web ID rh.com.au/hervey bay/L20939533

2 2 4 1
3 2 3
Lakes, 3 Shell Street, Urangan
1 2 3
Urangan St, Torquay

108

Position and Potential

• 1,194m2 one street back from the beach

• Fantastic opportunity for a development site in one of the best locations Hervey Bay has to offer

• Walking distance to cafes, restaurants and shops

• Currently has a cottage style home with two bedrooms, one bathroom, spacious kitchen and outside patio

View By Appointment

Price $1,200,000 Web rh.com.au/hervey bay/L17323570

Spacious & Peaceful Living in Immaculate Location!

This incredible home is graced with beautiful gardens, great extended size entertainment area, open plan living and dining airconditioned area with a massive refurbished kitchen and newly renovated ensuite! But that’s not all! This home boasts a big 6x4m shed in the backyard and even has an undercover caravan port that could also store your boat, trailer or another vehicle!

This property is a rare opportunity that lies in the heart of Hervey Bay, Minutes’ walk to the new Bunnings and Stockland shopping Centre and just minutes’ drive to Schools, Medical, Sporting precincts and The Esplanade.

View Saturday 22nd April 9.00 to 9.30am Saturday 29th April 1.30 to 2.00pm

Price $740,000 Web rh.com.au/hervey bay/ L21454817

What a Location!

• 4 bedrooms with BIR and ceiling fans, main bedroom with ensuite

• Good sized kitchen electric cooking, plenty of cupboard space and open plan living/dining area

• Undercover entertainment area

• Positioned on a generous 709m2 corner block with great side access for a caravan or boat

• Double lock up remote-controlled garage with internal access

View Saturday 22nd April 2.15 to 2.45pm

Friday 28th April 11.15 to 11.45pm

Price Sumbit Offer Web rh.com.au/hervey bay/ L5134424

Hervey Bay 4128 2188

357 Esplanade, Scarness rh.com.au/herveybay

Spacious Family Home- Pool & Lake Views!

If you want to enjoy all that the Queensland outdoor lifestyle has to offer this could be the property for you. The home features four bedrooms, all with ceiling fans & built-in wardrobes. The master bedroom boasts an ensuite & walk-in robe. The large living area with bay window is at the front of the home and the well-appointed kitchen overlooks the separate dining room. There is a double lock-up garage & plenty of storage space throughout. The huge covered outdoor entertaining area is the showpiece of this home as it overlooks the sparkling in-ground pool and the lake beyond.

View Saturday 22nd April 12.45 to 1.15pm

Price $675,000 Web rh.com.au/herveybay/L21660133

Freshwater Street, Torquay
1 1 2
3 Arlington Court, Kawungan
2 2 4
4 Banks Crt, Torquay
2 2 4
35 Archer Dr, Point Vernon
2 2 4

Quality Home in Highfields Estate

This lovely 4-bedroom, 2-bathroom home features air-conditioned open plan living/dining area which provides ample space for relaxing. The great-sized kitchen boasts plenty of cupboard space for all your storage needs. The tremendous size enclosed entertainment area, perfect for hosting family gatherings and parties. Fully fenced 718m2 allotment that comes with side access and the potential for a shed or swimming pool, providing plenty of opportunities for outdoor living making it perfect for families.

View Saturday 22nd April 9.45 to 10.15am

Saturday 29th April 11.15 to 11.45am

Price $675,000 Web rh.com.au/hervey bay/ L1072578

18 Mylne Court, Torquay

In beautiful Torquay, an incredible 4 bedroom 2 bathroom family home full of potential! Boasting a great airconditioned living area that flows through to a great size kitchen with plenty of cupboard space and also provides service options to your outdoor entertainment area and dining area!!. Sitting upon just under half an acre and fully fenced, this property is waiting for new owners to show off its full potential with space for a new shed or a pool or both!!

View Saturday 29th April 10.30 to 11.00pm

Price $578,000 Web rh.com.au/hervey bay/L1072260

104 Shellcot St, Toogoom

2

Located only 200m from lovely Toogoom Beach, this amazing 4 bedroom home really provides you with the beachside lifestyle you have been after!! Main bedroom with en-suite and WIR. Airconditioned open living and dining area provides comfort from the hot weather. A great size galley style kitchen and covered entertaining area. This property is best suited for a family, first home buyer or investor who are wanting that beach lifestyle!

View Saturday 29th April 3.00 to 3.30pm

Price $518,000 Web rh.com.au/hervey bay/L21539375

Hervey Bay 4128 2188

357 Esplanade, Scarness

rh.com.au/herveybay

4

4 Bedroom Air-Conditioned Home Ready To Inspect

This spacious home has open plan, family living in mind. Combining creature comforts such as separate air-conditioned lounge, modern kitchen and the dining area leads out to the undercover entertaining area. The main bedroom is complimented by walk in robe, ensuite, fan and A/C. The DLUG has remote control and direct access to the home. The expanded length of one bay creates extra storage. Your family will feel right at home here!

View Saturday 29th April 9.45 to 10.15am

Price $599,500 Web rh.com.au/hervey bay/ L20947655

2 Banksia Park Rd, Scarness

1 3 3

This well presented 3 bedroom home is ideal for first-time homebuyers or a savvy investor looking to add to their portfolio. Centrally located in the popular pocket of Scarness, being close proximity to all major amenities, shops, schools, restaurants and just a short drive to all that Hervey Bays beautiful Esplanade has to offer.

This property will not last long in todays market. A viewing is recommended.

View Saturday 22nd April 12.45 to 1.15pm

Friday 28th April 9.45 to 10.15am

Price $535,000 Web rh.com.au/hervey bay/L1071639

1

This 2 bedroom home is situated in Urraween close to schools/ Hospitals and major shops. The home boasts a DLUG with internal access, an under roof entertainment area adjacent to the living area, open up the sliding doors and you have an awesome indoor outdoor area extending the living space. Great kitchen and dining area and more.

View Saturday 29nd April 1.30 to 2.00pm

Price $475,000

Web rh.com.au/herveybay/L21566558

2 4
2
2
4
73 Augustus Blvd, Urraween
2 4
2 2 2
4 Pembridge CCt, Urraween Mandi Court, Urraween
2 2 4

Hervey Bay 4128 2188

357 Esplanade, Scarness rh.com.au/herveybay

114/230 Pulgul St, Urangan

1 3

2

This sensational 3 bedroom modern home boasts a spacious open plan air-conditioned living and dining area with a great sized kitchen and plenty of cupboard space, which leads out to a terrific outdoor entertainment area that generates nice sea breezes, so perfect to sit out the back in summer and entertain your family and friends!! Facilities such as a 20m Swimming pool, BBQ area, Gym and Tennis courts just to name a few!!

View Saturday 29th April 12.45 to 1.15pm

11 Rachael St, Point Vernon

This 3 bedroom home offers a short stroll to the beautiful Esplanade and only a short drive to shops, cafes and restaurants. This property would ideally suit a savvy investor wanting to add to their portfolio or a perfect starter for a first home buyer who wants to secure a property into todays fast paced market. At this price this property will not last long. A viewing is a must!

View Saturday 22nd April 2.15 to 2.45pm Saturday 29th April 9.00 to 9.30am

Price $470,000 Web rh.com.au/hervey bay/L21752493

40 Dayman St, Urangan

3 5 4

• Four bedrooms + office or fifth bedroom

• Master suite w/- walk-in robe, ensuite & private balcony

• Three bathrooms

• Chefs kitchen w/- gas cooking

• Huge shed with plenty of room for the van & boat

Expansive views to Fraser (K’gari)

1012 Sqm fully fenced block

View By Appointment

Price Submit Offer Web rh.com.au/hervey bay/L21693817

8

Parklink East Avenue, Wondunna

2

• 4 Good sized bedrooms with built in robes

• Main bedroom features ensuite

• Modern family bathroom

• Open plan kitchen/dining + A/C

• Remote double lock up garage

• Separate laundry

• Fully fenced 650m2 allotment

2 2 4

Just a 25 minute drive to Hervey Bay CBD, beautiful Queenslander featuring a big newly renovated bathroom and a spacious modern kitchen. The kitchen opens out onto the great sized outdoor entertainment area. Just perfect for relaxing and enjoying some quiet time or entertaining family and friends! This home boast character and heaps of potential, sitting upon 1062m2 featuring great side access and great backyard space. Perfect for a good sized Shed or Pool!!

View Friday 21st April 4.00 to 4.30pm Saturday 29th April 3.00 to 3.30pm

Price $479,000 Web rh.com.au/hervey bay/L21891043

57 Nissen St, Urraween

3 4 4

4 bedrooms, master complete with WIR and ensuite, parent’s retreat/office off the master bedroom. 2nd bedroom/guest wing complete with ensuite and living area. Multiple living zones and a spacious kitchen overlooking the private yard. Air-conditioning and ceiling fans throughout. Alfresco dining area at the front of the home and Separate entertaining pavilion and Bali hut at the rear. Massive 4 bay shed

View By Appointment

Price Submit Offer Web rh.com.au/hervey bay/L1074485

13 South St, Urangan

1 2

Located only two blocks back from Hervey Bays popular Shelly Beach sits the fully refurbished hidden gem. Tucked away in a country garden, this property has been modernised to incorporate a spacious kitchen featuring flowing stone bench tops, updated appliances and open plan living. Bathroom and laundry have been stylishly renovated to incorporate light and function.

Three bedrooms plus office, large outdoor alfresco space, two and half bay shed, fully fenced with good side access.

View Saturday 22nd April 2.15 to 2.45pm

Saturday 29th April 3.00 to 3.30pm

Price Submit Offer Web rh.com.au/hervey bay/L21825854

1591 Booral Rd, Nikenbah

An opportunity for those who are seeking a little land but want to be close to everything Hervey Bay has to offer. Great for building your dream home and/or combining a business or just a little farming. Imagine the veggie patch, sheds, pool & outdoor entertaining, you could create here. Almost anything is possible. Plenty of open space!

View Saturday 29th April 9.00 to 9.30am

View By Appointment

Price Submit Offer Web rh.com.au/hervey bay/L21430783

3
1 2 3
Price Submit Offer Web rh.com.au/hervey bay/L19316479 2 4
Price $498,000 Web rh.com.au/herveybay/L21694056
58 Rocky St, Maryborough

STUNNING WATER VIEWS AND LUXURY LIVING

Downstairs:

• Beautiful entry way with wide hallways

• Extra-large library / office

• Third family room / potential media room downstairs

• Stunning kitchen with double oven and dishwasher

• Large walk-in pantry and plenty of storage

• Open plan kitchen, living and dining area

• Exiting under cover entertaining area with ceiling fan & light

Inspect By Appointment

• Extended large patio frame ready to convert into your dream outdoor space

If you have been looking for beautiful, easy living and stunning views of K’Gari (Fraser Island) then look no further – 5 Ridge View Court has it all and then some. Truly impressive with 3 separate living spaces, spacious bedrooms, modern kitchen with walk in pantry, the whole family has been catered for in this well thought out floor plan. Additional bonuses like ducted air-conditioning, beautiful high ceilings, stunning floor tiles, wide hallways and that ever impressive view – your forever home is waiting for you to move in an enjoy. With the main living areas downstairs, and bedrooms plus extra living areas upstairs, the house is perfectly laid out with space and relaxation in mind. The beautiful colour scheme and finishes flow seamlessly through the home giving it beautiful feel of “home”. This beautiful home, on an easy to maintain block, uses its space well and with its central location to schools, shops, medical facilities and sporting facilities – your relaxing, easy living lifestyle is a breeze. 4

Upstairs:

• Large master suite with views to K’Gari (Fraser Island)

• Large ensuite with double basins through to walk-in wardrobe

• Extra living space/retreat

• 3 large bedrooms

• Beautiful family bathroom

• Two balconies with views to K’Gari (Fraser Island) from back balcony

Land size: 778m2

2 2
5 RIDGE VIEW COURT, NIKENBAH offers over $995,000 considered

282 ESPLANADE, PIALBA offers over $1.19M considered

ESPLANADE LIFESTYLE LIVING AWAITS!

Situated in the heart of Hervey Bay, 282 Esplanade, Pialba is relaxed coastal living at its best. Currently holiday rented, this fantastic property, has everything you need plus everything at your fingertips. Designed with lifestyle in mind, this beautiful home has dual living potential, or plenty of space for the whole family to enjoy. Downstairs you will find 2 bedrooms, plus living space, bathroom and laundry. Moving up stairs, is the 3rd bedroom plus large main bedroom, fantastic open plan living and kitchen area with a great walk-in pantry. No compromise to the QLD desire of a home with a shed – that is here too, complete with an outdoor kitchenette! With a fantastic deck, you will be able to bring the outside in and enjoy beautiful sea breezes all year round. With views across the Esplanade to Seafront Oval, the parks and beaches, this amazing location is yours to enjoy.

• Large master bedroom with ensuite and walk-in robe

• 3 bedrooms with fans and built-in wardrobes

• Fantastic private balcony over looking the Esplanade capturing ocean breezes

• High ceilings and open plan layout

• DLUG + 9x9m shed

• Great 600m2 landscaped block with electric front gate

Inspect By Appointment

• Remote controlled thermal blinds in all bedrooms for full block out to keep cool

• Split air-conditioning throughout

• Large open plan kitchen / dining area

• 2 x 5000L rainwater tanks with pressure pump

• Fantastic central location in the heart of Hervey Bay

Land size: 600m2

2 2
4

31 PEPPERMINT CIRCUIT, NIKENBAH offers over $975,000 considered

FABULOUS FAMILY LIVING IN THE SPRINGS

Nestled in the popular Springs Estate, this stunning, near new home is an opportunity not to be missed. Truly impressive with 3 separate living spaces, spacious bedrooms, modern kitchen with walk in pantry, covered outdoor area, beautiful sparkling inground pool plus yard to still enjoy. Nothing has been left out of this build, from the fantastic and practical layout, beautiful high ceilings, custom doors and plantation shutters, extra wide double garage with storage and double extra high timber doors to entry. You will also find newly installed 6kW solar system and security camera system. This beautiful home, on an easy to maintain block, uses its space well and with its central location to schools, shops, medical facilities and sporting facilities –your relaxing, easy living lifestyle is a breeze.

• Beautiful high ceilings, wide hallways, custom doors and plantation shutters

• Ducted zone air conditioning throughout

• Separate media room

• Open plan living/dining opening onto entertainment area

• Modern functional kitchen with large walk-in pantry, stone bench-tops and large island bench

Inspect By Appointment

• Family/ activity room connected to additional bedrooms

• 6kW solar system

• Sparkling inground pool

• Elevated position with Fraser Island views from backyard capturing beautiful breezes

• Desirable Estate surrounded by quality homes and close proximity to all amenities

Land size: 900m2 / Pool

2 2
4

10 NOEME STREET, BURRUM HEADS offers over $825,000 considered

SPACIOUS HOME WITH MULTIPLE LIVING AREAS

Entertaining or finding your own place to relax in this stunning low-set quality-built home has been cleverly designed with living areas to meet all the family needs. Media room to enjoy all your favourite movies, outdoor all weather entertainment area, enclosed glass entertainment area. The centrally located kitchen is perfect for the entertainer with a quality finish, beautiful lighting and ample bench space to prepare your culinary creations. Featuring nine-foot ceilings, double insulated and air-conditioning, you certainly will keep your cool this summer. The master bedroom featuring a luxurious spacious ensuite with spa bath is perfect for relaxing after a hard day. Not forgetting the side access to the two sheds at the rear featuring a mezzanine floor for extra storage and a carport for the family caravan. Fully landscaped with established low maintenance gardens and lush lawn perfect for the family to run and play. A few minutes’ drive to the boat ramp, swimming and shopping, this location is the lifestyle change you have been dreaming about.

• Open plan kitchen, dining and lounge plus media room

• Kitchen with quality finishes, beautiful lighting and ample bench space

• Walk in robe, ensuite and spa bath to main bedroom

• 9ft ceilings, split system air con. 2kw solar

• Fully enclosed entertainment/living area

Inspect By Appointment

• Double lock up garage

• Two sheds plus carport

• 1041m2 fully fenced block with side access

• Fully landscaped, established low maintenance gardens

• Close to boat ramp and local shops

Land size: 1041m2

4 2 4

ROOM FOR THE SHED, THE POOL OR BOTH!

2 Bergamot Circuit, Nikenbah is a stunning and newly built home that boasts modern design and style. Featuring four generously sized bedrooms and two luxurious bathrooms, providing ample space for a growing family or those seeking a comfortable and contemporary living environment.

The heart of the home is the open-plan living area, which seamlessly flows from the kitchen to the dining/living areas. The kitchen is well-appointed with modern appliances and features a large butler's pantry.

Outside, the property features beautiful gardens and an enclosed undercover entertainment area, perfect for hosting barbeques and gatherings. The property also has plenty of room for a pool, shed, or even both, providing endless possibilities for outdoor living and recreation.

Located in the highly sought-after Springs Estate in Nikenbah, this property offers a peaceful and private lifestyle, while still being close to all amenities. With its stylish and modern design, this property is sure to impress.

• Four good size bedrooms all with built ins and fans

• Extra-large master bedroom with air conditioning & ensuite featuring claw foot both

• Modern kitchen with plenty of bench space and butler’s pantry

• Large outdoor undercover entertainment area

• Double garage with remote and internal access

Inspect By Appointment

• Room for the shed, pool, or both

• Very low maintenance property

• 6kw solar panels

• Short drive to local shops, schools and sporting fields and close to major shopping centre

Land size: 966m2

Michael Batterham 0401 788 792 Terese Payne 0427 842 590 SETTLE FOR MORE TERESE PAYNE 0427 842 590 terese.payne@primeagents.com.au MICHAEL BATTERHAM 0401 788 792 michael.batterham@primeagents.com.au
4 2 2
2 BERGAMOT COURT, NIKENBAH offers over $985,000 considered

O’REGAN

15 Oregon Drive, Craignish, is a charming property located just a short walk away from the beach. This delightful 3-bedroom house has renovated kitchen, bathroom and laundry fitted with modern appliances. Featuring a single garage, fully fenced yard, separate double gate access that can be used to store a caravan or a boat securely. The large backyard provides ample space for a pool or for the children to play. The house also has 6kw of solar panels, which not only reduces your carbon footprint but also helps you save on energy bills.

IMPRESSIVE LA PIAZZA COMPLEX 10/2 BARNSTAPLE STREET, TORQUAY

offers over $550,000 considered

792

• 4 3 1

Land Size: 144m2

Inspect By Appointment

www.primeagents.com.au SELL YOUR HOUSE WITH US CALL US TODAY ON 4194 1754 OR SCAN THIS QR CODE TO MESSAGE US
offers over $589,000 considered
Impressive private 4 bedroom/3-bathroom townhouse
The property located at 10/2 Barnstaple Street, Torquay, is a spacious and modern townhouse located in the security gated complex La Piazza with 4 bedrooms and 3 bathrooms. The living space is well-lit with natural light and features high ceilings, creating a spacious and airy feel. The kitchen is modern and well-appointed, with ample storage space, lots of bench space, and quality appliances. The large master bedroom features an ensuite and walk in robe, whilst there are two bedrooms upstairs and third bedroom downstairs with the 3rd bathroom. There is also a private outdoor courtyard area that is perfect for entertaining or relaxing with family and friends. The complex has secure electric entry and exit gates and a beautiful inground pool and BBQ area. Beautifully landscaped low maintenance oasis • Open plan living and dining area • Three good size bedrooms upstairs, all with ceiling fans • Large bedroom downstairs plus downstairs bathroom • Air conditioning and large ensuite to the main bedroom • Undercover oasis in your outdoor entertainment area • Single lock up garage with remote access • Located close to Esplanade, cafes, schools and shopping TERESE PAYNE 0427 842 590 • MICHAEL BATTERHAM 0401 788 792
Inspect By Appointment
NEAT & TIDY AND NEAR THE BEACH
15
DRIVE, CRAIGNISH
3 1 1 TERESE PAYNE 0427 842 590 • MICHAEL BATTERHAM 0401
• Very neat and tidy, recently renovated family home • Great kitchen with plenty of bench space • 3 good size bedrooms, all with built ins and fans • Air conditioning to main bedroom • Level 809m2 block of land • Fully fenced with a great back yard • Located close to the beach • Invest or live with a long-term tenant in place until September
788
Land Size: 809m2

7/201 TORQUAY TERRACE, TORQUAY offers over $500,000 considered

WALK TO THE BEACH & RESTAURANTS

Introducing 7/201 Torquay Terrace, a stunning three-bedroom townhouse located in the heart of Hervey Bay. Boasting a spacious open plan living area, this large townhouse is perfect for families and entertainers alike.

On the top level, you'll find a large outdoor entertainment area, as well as a modern and fully equipped kitchen, and a comfortable living area. The main bedroom with ensuite is also located on this level, offering a private retreat for the homeowners.

The lower-level features two additional bedrooms, each with plenty of space. The double garage provides ample storage space, while the bathroom, toilet, and laundry make daily life convenient and easy.

Inspect By Appointment

• Well equipped kitchen and dining • Main bedroom with ensuite • Large balcony

• Two bedrooms plus shower and toilet • Double garage plus good storage

27 PELICAN AVENUE, BOORAL EXPRESSIONS OF INTEREST

ABSOLUTE MAJESTIC WATERFRONT PROPERTY

Dreams of the ocean at your back door can now become reality with this prestige property which ensures its immense appeal with a private marina, slipway and pontoon. The position of the residence ensures privacy from surrounding homes offering spectacular views across the ocean towards Fraser Island. Quality is first class throughout. This spectacular residence boasts extensively utilized natural timbers, hardwood flooring throughout, exposed hardwood beams and trusses, New Guinea Rosewood bifold doors and cedar exteriors. The gourmet kitchen features Corinthian bench tops and sinks, glass splash-backs, Ilve cooking centre and wine fridge. With only a handful of properties on the East Coast of Australia which have a freehold private deepwater marina, with direct access to the Ocean, this property is in unique and in exclusive company.

Inspect By Appointment

gardens

• Private deep-water slipway, Pontoon with cleats for boat mooring, deep-water private marina

TERESE PAYNE 0427 842 590

• MICHAEL BATTERHAM 0401 788 792

www.primeagents.com.au SELL YOUR HOUSE WITH US CALL US TODAY ON 4194 1754 OR SCAN THIS QR CODE TO MESSAGE US
• Open plan kitchen, dining and lounge room • Vaulted rumpus room • LG split ducted air-conditioning with smart zone controls to every room • Covered verandah • Swimming pool fully automated system, auto water leveller and heat pump water heater • External cooking centre with fitted barbeque and plumbed sink • Boat shed plus Six vehicle garage • Bore and water pump supplying irrigation system to all
5 2 6
Land Size: 7539m2
Upstairs
Downstairs
3 2 2 TERESE PAYNE
• MICHAEL BATTERHAM 0401 788 792
• Covered entertainment area
0427 842 590

15 SIGNATURE COURT URRAWEEN offers over $870,000 considered

EVERYTHING YOU WANT IN A HOME

Introducing 15 Signature Court, Hervey Bay - the epitome of luxury living in one of Queensland's most desirable coastal locations. Consisting of 5 large bedrooms with built-ins, 2 living areas, open plan kitchen and dining area, media room, large kitchen pantry, activity room (utility room). With a modern and sophisticated design, 9-foot ceilings, high-quality finishes and fittings, ensuring a luxurious living experience. The kitchen features stunning stone benchtops with loads of bench and cupboard plus walk in pantry. In addition to this stunning home, the beautiful pool provides a refreshing escape right in your own back yard. The fully fenced 804m2 block offers you side access plus room for a large shed or the caravan and boat.

Inspect By Appointment

• 5 bedrooms with built ins, master with ensuite

• Approximately 4 years young

• Ducted air-conditioning plus 9-foot ceilings through out

• Separate media room plus activity room

• Open plan living, dining, kitchen area

• Undercover entertaining area overlooking inground pool

• Double lock up garage plus room for shed, caravan and boats

• Fully fenced 804m2 block with side access

• Close to major shopping areas, schools and hospitals

TERESE PAYNE 0427 842 590

210/350

PERFECT

UNIT- OR LIVE LIKE YOUR ON

Perfectly positioned right in the heart of Scarness is this two-bedroom, fully furnished Esplanade unit. Entertaining is made easy with a fantastic covered alfresco area, the perfect place to enjoy a drink or two while watching the kids splash in the pool. The open plan kitchen and family area is spacious, air conditioned, and flows seamlessly to the balcony, and there is a separate dining room which can be enclosed for privacy. There are two bedrooms, the main boasting an ensuite and access to the balcony. Adding to the appeal of this unit, it also comes fully furnished with recently upgraded furniture, air conditioning, allocated car parking and access to the complex pooll.

Inspect By Appointment

Land Size: 804m2 / Pool

• MICHAEL BATTERHAM 0401 788 792

a quick walk to parks, cafe's, restaurants and shops

STACEY PYNE 0438 694 307

www.primeagents.com.au SELL YOUR HOUSE WITH US CALL US TODAY ON 4194 1754 OR SCAN THIS QR CODE TO MESSAGE US
HOLIDAY
HOLIDAYS
ESPLANADE,
offers over $499,000 considered
SCARNESS
• Ducted reverse cycle air conditioning and heating • Two bedrooms plus study, ensuite to the master bedroom • Functional kitchen with caesarstone bench tops, and dining room • Good size balcony with privacy shutters and ceiling fan, overlooking the pool • Sunroom with blinds, great for storage • Resort facilities such as pool and onsite manager • Currently used as an AirBnB • Body corporate fees approximately $4900 annually (discounted amount when paid on time) • Situated opposite Scarness Beach, and
2 2 1
5 2 2
www.primeagents.com.au SELL YOUR HOUSE WITH US CALL US TODAY ON 4194 1754 OR SCAN THIS QR CODE TO MESSAGE US Inspect By Appointment LOW MAINTENANCE FAMILY HOME 30 MAGELLAN CIRCUIT, URRAWEEN offers over $749,000 considered Made for entertaining and low maintenance living, there is so much to appreciate when you step inside 30 Magellan Circuit. Set out over two levels, this architecturally designed home delivers a flawless design utilising space, natural flow, and soothing neutral tones.. • Open plan dining and family, separate living room • Functional kitchen with stone benchtops, gas cooktop, great storage • Main bedroom with walk in robe and ensuite with double sink vanity • Three additional bedrooms plus a study • Main bathroom plus powder room, functional laundry • Ducted and zoned air conditioning throughout • 6.5kw solar, natural plumbed gas • Covered and screened outdoor alfresco area with fans • Woodfire pizza oven, water tank and garden shed • Great side access on both sides of the property with ample parking • Low maintenance 650m2 block, minutes to all amenities STACEY PYNE 0438 694 307 Inspect By Appointment AFFORDABLE VALUE, GREAT LOCATION 10 STEEL STREET, NIKENBAH offers over $579,000 considered Situated in the quiet area of "Bayridge Heights" close to private schools and only minutes to CBD is this brick and tile property. Consisting of 4 good sized bedrooms, 2 separate living areas, fully fenced yard, double garage, this property ticks all the boxes for any investment property or ideal family home. • Open plan family, kitchen and dining, air conditioned and tiled • Kitchen with dishwasher • Separate living area, carpeted • Main bedroom with ensuite and walk in robe • Additional three bedrooms with fans and built in robes • Main bathroom with vanity, shower, bath and toilet • Wide entrance, wheelchair friendly • Double lock up garage • Undercover entertainment area plus gazebo • Fully fenced 627m2 block 4 2 2 STACEY PYNE 0438 694 307 Land Size: 627m2 4 2 2 Land Size: 650m2

49 CUNNINGHAM STREET, URANGAN $1,299,000

SERENITY LIVES HERE, YOU COULD TOO…

Imagine living in a resort style home with design influences from Europe to Indonesia. This fusion has created classic Victorian style living to the everyday holiday vibe of Bali and beyond. Unwind in the formal dining/living area, read a book from your own library, gaze out of the French doors and enjoy the view of the garden. Entertaining your family and guests will be an absolute dream in the stand- alone kitchen with free standing cooker, massive walk-in pantry, bifold

Inspect By Appointment

77 DAYMAN STREET, URANGAN

LUXURY COASTAL LIVING QUEENSLANDER STYLE

77 Dayman has been transformed into a stunning home that has retained the charm and warmth of its vintage whilst providing the essential modern comforts. The design of this home lends itself perfectly to entertaining with the main home featuring spacious open plan living. Retreating to the exterior upper deck that spills off the living area with views of the pool and rear cottage you can sit and relax with a delicious drink or two as the evening falls each day. The lower entertainment area has been designed to capture all the light, breezes and maintain the continued vibe of coastal style living. Cool off in the magnesium pool then relax with bubbles in the free- standing bath.

Inspect By Appointment

• Fully Renovated throughout all areas.

• Stunning Kitchen, bifold windows, quality free standing cooker, stone benchtops (suede look)

• Timber Floors throughout, High Ceilings

• Bifold doors to deck

• Split Systems – Air-Conditioning Living, Dining and Master Bedroom

• Inground Magnesium Pool

• Fully Fenced, Double Bay Shed at rear

• Cottage with kitchenette, living, ensuited bedroom and undercover entertainment area VICKI MAYNARD 0439 955 576

www.primeagents.com.au SELL YOUR HOUSE WITH US CALL US TODAY ON 4194 1754 OR SCAN THIS QR CODE TO MESSAGE US
offers
over $1,250,000 considered
doors and windows overlooking the pool with Balinese design alfresco dining area. Featuring also a two- bedroom fully self-contained modern Villa separate from the front home that is perfect for additional guests. • Master Bedroom -Victorian Themed, Extra Large Ensuite- European Style • Victorian Themed Living and dining, Library and Sitting Area – Window Seat • 3 Meter (10 Foot) Ceilings, Parquetry and Timber Floors Throughout • Stand Alone Kitchen – Gabled Ceiling, Exposed Beams, Walk-in Pantry, Granite benchtops • Balinese Themed Alfresco Dining/Entertainment Area • Magnesium Resort Style Pool, New pool appliances • Bore Water 5x5000L TANKS (Services Garden and Pool) • Fully Fenced with Automatic Gate, Solar 8.kw, Electric Hot Water System • Villa with 2 Bedrooms, living room, modern kitchen and pool views. 5 3 2 VICKI MAYNARD 0439 955 576 Land Size: 1244m2 4 4 3 Land Size: 1012m2

HEADS offers over $849,000 considered

Located in River Heads, this home captures amazing views from every outlook with three separate decks to enjoy your new peaceful lifestyle. The modern Federation Queensland home includes 4 large bedrooms, 3 bathrooms, rumpus room and utility room that could be used as study or for further storage. Ducted air-conditioning throughout the home will keep you cool but with an elevated position you get those beautiful breezes flowing through the home. With a double garage attached to the house, plus an 11x6m shed with an additional 11x6m carport attached at the back of the property. Positioned on a 2,276m 2 block, bring the boat and caravan, or even put in a pool.

www.primeagents.com.au SELL YOUR HOUSE WITH US CALL US TODAY ON 4194 1754 OR SCAN THIS QR CODE TO MESSAGE US Inspect By Appointment CALLING ALL INVESTORS – $53,000/YEAR 9 DEAN COURT, URRAWEEN offers over $725,000 considered Situated on a 1,316m2 block, with subdivision potential, this renovated 4-bedroom, 3-bathroom home, is currently tenanted, and set up for either share house or family in mind. The large home has two great living spaces, plus an extra area off the main bedroom, a large kitchen, with plenty of storage, plus a third bathroom. With a high ceiling, double lock up garage, with extra storage space, plus side access to the large, fully fenced backyard – there is room for a boat, caravan or even a pool. The undercover patio is home to a great succulent garden, as well as low-maintenance gardens around the rest of the property. • 4 bedrooms, 3 with built-in’s • Walk-in robe and ensuite to main • Large open kitchen with great storage • 2 living areas + “retreat” off main bedroom • Large 1,316m 2 fully fenced block – subdivision potential • DLUG with high ceilings • 5 x split air-conditioners • Fantastic rental return • Quiet street in central location 4 3 2 Inspect By Appointment STUNNING VIEWS - NOTHING BUT SPACE! 94 ARIADNE ST, RIVER
• 4 Bedrooms 3 with built ins • Large family bathroom plus ensuite to main • Ducted and split aircon plus fans throughout • 2 separate living areas + rumpus room • Beautiful kitchen with
cooktop, electric stove & dishwasher • Storage room • DLUG, 4 bay shed + attached carport • Stunning views
elevated position • 3 separate decks and undercover entertaining areas ASH HECKELS 0418 986 867 ASH HECKELS 0418 986 867 Land Size: 1,316m2 4 3 10 Land Size: 2,276m2
gas
from

GREAT LOCATION & BEACHSIDE LIFESTYLE 20 JONWEST CLOSE, TORQUAY $749,000

What an ideal location and only a short walk to Torquay Esplanade, café’s, restaurants and the beach. This is a well presented home and fits the bill for coastal living with multiple entertaining areas. This home offers excellent side access to a powered back shed and 2 large carports plus a workshop with space for tinkering or the serious hobbyist. Walk to Hervey Bay's beautiful Esplanade which is perfect to take in fresh sea breezes and explore your surroundings.

Inspect By Appointment

• 802m2 block with excellent side access to shed and carports

• Huge covered outside entertainment area off the living area’s

• Airconditioned open plan living area & a separate media room

• Master bedroom with ensuite, walk in robe and air conditioning

• Kitchen with dishwasher, pantry and plenty of cupboard space

• 6 kw solar system, fire pits, epoxy garage floor and much more

• Very quiet cul de sac with sea breezes almost guaranteed

• Bi fold doors to combine indoor and outdoor living area

Land Size: 802m2

DON BRYANT 0427 225 004

A “STONES THROW” TO THE BEACH 69 CUNNINGHAM STREET, URANGAN $740,000

69 Cunningham Street is situated in Urangan, one of Hervey Bay's most desirable suburbs. In a quiet street and only a "stones throw" to the Esplanade, this hidden gem is in the perfect location for the buyer wanting laid-back lifestyle and the beach life almost at your doorstep. Beautiful beaches, coffee shops, and restaurants are just minutes away.

Bring your beach gear because you’re going to need it if you live here! Just a couple of minutes’ walk to beautiful Shelly Beach, so don’t delay to take advantage of this excellent opportunity to purchase in such a great location.

Inspect By Appointment

• Main bedroom & ensuite area with sliding door to covered outdoor area

• Kitchen with dishwasher, ample cupboards & bench space

• Spacious air-conditioned L shaped lounge & dining room

• Massive covered outdoor entertainment to the rear of living area

• 6m x 6m powered shed with extra high roller doors

• New living area air-conditioner & gas instant hot water system

• New LED downlights, power points & blinds throughout

• The 683m2 allotment is privacy fenced and near level

• Plenty of room for the boat and the fishing gear here!

Land Size: 683m2

DON BRYANT 0427 225 004

www.primeagents.com.au
YOUR HOUSE WITH US CALL US TODAY ON 4194 1754
SCAN THIS QR CODE TO MESSAGE US
SELL
OR
4 2 3
3 2 3
www.primeagents.com.au SELL YOUR HOUSE WITH US CALL US TODAY ON 4194 1754 OR SCAN THIS QR CODE TO MESSAGE US • 4 bedrooms, with built-in’s • Walk-in robe and ensuite to main • Kitchen with electric appliances Great outdoor entertaining area • Air conditioning and fans throughout • 6.6 KW Solar power • 2 x garden sheds • DLUG – plus double carport • Central location 38 Moonstone Drive, URANGAN 4 Bed 2 Bath 2 Car 600m INSPECT BY APPOINTMENT 18 Hayworth Street, POINT VERNON 4 Bed 2 Bath 2 Car 600m INSPECT BY APPOINTMENT ASH HECKELS 0418 986 867 • Four bedrooms with built ins, ensuite to main Renovated ensuite and main bathroom • Renovated kitchen overlooking living/dining area • Ceiling fans throughout Electric oven and hotplate • Electric hot-water system • Front and rear outdoor entertaining area Fully fenced with solar powered electric gates ASH HECKELS 0418 986 867 offers over $629,000 considered offers over $665,000 considered 36 Esplanade, POINT VERNON 3 Bed 1 Bath | 4 Car 705m2 INSPECT BY APPOINTMENT $1,290,000 ASH HECKELS 0418 986 867 • 3 bedrooms • Living / dining room • Kitchen with SMEG dishwasher • Air conditioned • Side access, Single lock up garage • Workshop / utility room under house • Large deck out the back and veranda out the front • Closely located to Esplanade and Point Vernon beaches 15 Paradise Street, POINT VERNON 3 Bed 1 Bath | 1 Car 600m2 INSPECT BY APPOINTMENT • North-facing aspect capturing sea breezes. • 3 large bedrooms with built ins • 4 undercover parking spaces • 180-degree ocean views • Renovated bathroom • Split air conditioning, Solar power • Stunning timber floorboards throughout • Front & back quality stainless steel security doors ASH HECKELS 0418 986 867 offers over $499,000 considered 7 Nautilus Court, DUNDOWRAN BEACH 4 Bed | 2 Bath | 3 Car | 2,098m2 INSPECT BY APPOINTMENT offers over $1.85M considered ASH HECKELS 0418 986 867 • Fully renovated home set in landscaped grounds • 3 bedrooms, 2 bathrooms, 2 living areas • Double car garage with new roof and automatic doors • Brand new impeccable Peter Liddle kitchen and laundry • Master bedroom with ensuite & huge robe • New in-ground swimming pool with coloured lighting • Fantastic outdoor entertaining area with outdoor kitchen • Great location – street back from Esplanade 135 Long Street, POINT VERNON 4 Bed 2 Bath 2 Car 716m2 INSPECT BY APPOINTMENT • 4 large bedrooms • 3 flexible living zones • Ducted reverse cycle air conditioning • Multiple alfresco entertainment areas • 5.1 kw SMA inverter solar system • Automated irrigation to lawns and gardens • 6-person magnesium spa • 10x7m shed plus triple lock up garage ASH HECKELS 0418 986 867 offers over $869,000 considered 47-49 Parview Drive, Craignish 5 Bed | 2 Bath | 4 Car | 2097m2 INSPECT BY APPOINTMENT $1,200,000 ASH HECKELS 0418 986 867 Four bedrooms with BIR, walk-in-robe to ensuite • Two very generous living areas and Hamptons style kitchen • Huge Entertainment Area, plus multiple outdoor seating areas • Magnesium Pool • Air-conditioning, ceiling fans, 5KW Solar system, fully fenced Triple garage, Shed 8M Rear access (7.9m X 3.6m X 2.5Mm) • Shade port, suitable for Caravan/Boat (7.9m X 3.1m X 3.4m) Private Members' gate access to the premier Hervey Bay Golf and Country Club 11 Bowerbird Avenue, ELI WATERS 4 Bed 2 Bath | 2 Car 1068m2 INSPECT BY APPOINTMENT • 6 Bedrooms, all with built ins • Unique double main with adjoining ensuite • Beautiful kitchen with stone benches and gas cooker • Massive media/loungeroom & rumpus/gym • Lots of under house storage for all of the toys • Two large timber covered decks & lower-level entertaining VICKI MAYNARD 0439 955 576 offers over $869,000 considered • 8 x 3.5 Solar Heated Swimming Pool • Well-designed out-door living area over-looking pool • Four Bedrooms with recessed robes Air Conditioning Living and Main Bedroom • Well Equipped Kitchen 5.6kW • 4.8 Wide Side Access with 3.0 Gates Ample Parking for Boat & Caravan 51 Archer Drive, POINT VERNON 4 Bed 2 Bath | 4 Car 750m2 INSPECT BY APPOINTMENT Villa 410 / 74-98 Emerald Park Way, URANGAN 2 Bed | 2 Bath | 2 Car INSPECT BY APPOINTMENT VICKI MAYNARD 0439 955 576 • Modern home with wheelchair access throughout. • Ensuite plus large main bathroom. • Open plan kitchen / dining / living. Double garage with remote door. • Security screens and air conditioning. • Over 55’s living • No stamp duty – contact us today for Village Comparison Document. VICKI MAYNARD 0439 955 576 offers over $769,000 considered $390,000 GREAT VALUE WITH CONVENIENT LOCATION 6 Grey Gum Court, URRAWEEN 4 Bed | 2 Bath | 2 Car | 720m2 • Generous sized kitchen with plenty of bench space, dishwasher • Tiled dining/family room with sliding door to outdoor area • Master bedroom with air con, built in robes, ensuite • 3 Additional bedrooms with built in robes (2 with split system air-cons) • Multipurpose room with built in desk and storage, external access • Spacious tiled covered outdoor entertaining area • 2 bay + workshop colourbond shed with power + single carport • Ducted air conditioning, solar panels, solar hot water, security screens and security cameras INSPECT BY APPOINTMENT $610,000 STACEY PYNE 0438 694 307 CHARMING QUEENSLANDER WITH DUAL LIVING offers over $725,000 considered VICKI MAYNARD 0439 955 576 21 Avolet Crescent, RIVER HEADS 5 Bed | 2 Bath | 2 Car | 800m2 Upper Level – Queenslander • 3 Bedroom with built ins • Open Plan Air-conditioned Living /Dining • Renovated Kitchen - Electric Stove and Cook Top • Undercover- Verandah Lower Level-Modern • 2 Bedrooms, Living/Dining, Kitchenette • Spa and Entertainment Area • Split System Air-Conditioning, Solar Hot Water, Security Screens • Fully Fenced – Private and High. INSPECT BY APPOINTMENT IT'S ALL ABOUT LOCATION - LOCATION - LOCATION offers over $750,000 considered STACEY PYNE 0438 694 307 43 Zephyr Street, SCARNESS 3 Bed | 2 Bath | 2 Car | 598m2 • Open plan family/dining kitchen with sliding doors to outdoor entertainment area • Spacious separate living room with plantation shutters • Modern kitchen with stone benchtops, 900mm cooktop, dishwasher and ample storage Main bedroom with ensuite, walk in robe and sliding doors to outdoor area • Spacious covered outdoor are with fan and weather blind • 2550 high ceilings, plantation shutters and crimsafe throughout • Ducted aircon, solar panels, garden shed, steel frame build • Double lock up garage with internal access plus double carport attached to property INSPECT BY APPOINTMENT
www.primeagents.com.au SELL YOUR HOUSE WITH US CALL US TODAY ON 4194 1754 OR SCAN THIS QR CODE TO MESSAGE US IMPRESSIVE AND PRIVATE OASIS $620,000 TERESE PAYNE 0427 842 590 MICHAEL BATTERHAM 0401 788 792 3B Bronte Place, URRAWEEN • Impressive private 3 bedroom en-suited home • Beautifully landscaped, low maintenance oasis • Open plan living and dining area • Three good size bedrooms, all with ceiling fans • Air conditioning and large ensuite to the main bedroom • Undercover oasis in your outdoor entertainment area • Solar panels and security screens • Double lock up garage with remote access INSPECT BY APPOINTMENT LIVE OR INVEST 11 Wonga Street, SCARNESS 4 Bed | 1 • Centrally located, close to schools and shops. • Four good size bedrooms. • Near new kitchen and bathroom • Covered outdoor entertainment area overlooking the private back yard. • Private, fully fenced yard with side access • 6m x 6m shed with power and workbench • Close to transport and schools • Low maintenance 617m2 block INSPECT BY APPOINTMENT offers over $480,000 considered TERESE PAYNE 0427 842 590 MICHAEL BATTERHAM 0401 788 792 5 ACRES WITH A HOUSE & A LARGE SHED CLOSE TO HERVEY BAY 52 Tableland Road, SUNSHINE ACRES 3 Bed | 2 Bath | 5 Car | 2Ha • Level and private 2ha/5 acres close to Hervey Bay • 3 separate fully fenced paddocks and a dam • Three-bedroom home with 2 bathrooms and air conditioning • Good sized living area and dining room • Large outdoor undercover entertainment area • Large 9m x 9m shed with drive through access • High clearance roller door to accommodate caravan/ motorhome • 6m x 6m shed plus carport and water tanks INSPECT BY APPOINTMENT offers over $865,000 considered TERESE PAYNE 0427 842 590 MICHAEL BATTERHAM 0401 788 792 PRIVACY, POSITION IN POINT VERNON 85 Wattle Street, POINT VERNON 4 Bed | 2 Bath | 2 Car | 675m2 • 3 good size bedrooms with built-ins plus office • Ensuite to the main, fully renovated • 2 large separate living areas, large renovated kitchen • Air-conditioned and security screens to the property • Great outdoor entertainment area • Double Shed 6m x6m • Security electric gate to the property • Close to the Esplanade high up in Point Vernon. INSPECT BY APPOINTMENT offers over $630,000 considered TERESE PAYNE 0427 842 590 MICHAEL BATTERHAM 0401 788 792 • Good kitchen opening onto combined dining and lounge area • Stone bench tops plus large walk-in pantry • Four good size bedrooms, master with walk through robe plus ensuite • Two living areas and large deck and views • Private, fully fenced yard with side access • Ducted air conditioning throughout • Close to schools, medical precinct and shops • Tenant in place until November paying $550pw 25 Sandy View Drive, NIKENBAH 4 Bed | 2 Bath 2 Car | 650m2 INSPECT BY APPOINTMENT 186 Dayman Street, URANGAN 922m2 INSPECT BY APPOINTMENT • Ready to build your dream home • Plenty of room for pool and shed 922m2 block 3min drive to Esplanade offers over $650,000 considered TERESE PAYNE 0427 842 590 MICHAEL BATTERHAM 0401 788 792 offers over $450,000 considered TERESE PAYNE 0427 842 590 MICHAEL BATTERHAM 0401 788 792 • Great investment property or first home • Three great size bedrooms and large bathroom • Good kitchen opening onto combined dining and lounge area • Large second living area overlooking the private back yard • Private, fully fenced yard with side access • Large shed with parking for 3 vehicles • Close to Esplanade, transport, shops and schools • Low maintenance 619m2 block 162 Torquay Road, SCARNESS 3 Bed | 1 Bath | 3 Car | 619m2 INSPECT BY APPOINTMENT 15 Wynne Parade, MARYBOROUGH 3 Bed 1 Bath 1 Car | 508m2 INSPECT BY APPOINTMENT • High set, recently renovated family home • 3 good size bedrooms, all with built ins and fans Air conditioning to main bedroom • Great kitchen with plenty of bench space • Located close to Maryborough Hospital • Level fully fenced 508m2 block of land Fully enclosed area underneath the home Long-term tenant in place unit Feb 2024 paying $390pw offers over $485,000 considered TERESE PAYNE 0427 842 590 MICHAEL BATTERHAM 0401 788 792 offers over $350,000 considered TERESE PAYNE 0427 842 590 MICHAEL BATTERHAM 0401 788 792 METICULOUS ATTENTION TO DETAIL AND AN AIR OF UNDERSTATED SOPHISTICATION offers over $1,400,000 considered TERESE PAYNE 0427 842 590 MICHAEL BATTERHAM 0401 788 792 41 Sandy View Drive, NIKENBAH 5 Bed | 4 Bath | 2 Car | 983m2 Open plan living, dining and kitchen with large porcelain tiles throughout Kitchen with stone benchtops, ample bench/cupboard space and large walk-in pantry • Home gym (or extra bedroom) with views to Fraser Island • Private lounge room and formal dining space on second level • Main master bedroom with walk-in, ensuite with double vanity and private balcony Second master with walk-in, ensuite and private balcony • Three additional bedrooms with built-ins, plantation shutters to all bedrooms • Undercover outdoor entertainment area overlooking inground pool • Remote controlled electric gate, ducted air-con, ducted vacuum system INSPECT BY APPOINTMENT PERFECT HOME, PERFECT POSITION offers over $695,000 considered TERESE PAYNE 0427 842 590 MICHAEL BATTERHAM 0401 788 792 36 Faye Avenue, SCARNESS 4 Bed | 2 Bath | 3 Car | 645m2 • 4 good size bedrooms with built-ins • Master bedroom with walk-through robe plus a large ensuite • Low maintenance property with beautiful gardens • 2 large separate living areas plus 2 dining areas • Double garage plus carport • Ducted air conditioning, 4klw solar panels • Fully fenced 645m2 block • Close to major shopping and hospital precinct INSPECT BY APPOINTMENT
thespringsherveybay.com.au Spring Way VILLAGE OF DREAMS New 1300 METRICON metricon.com.au OPENING HOURS Open 7 Days a Week 10am to 5pm 131 828 abchomes.com.au OPENING HOURS Open Saturday to Wednesday 10am to 5pm 1800 STROUD stroudhomes.com.au OPENING HOURS Mon - Fri 9am to 5pm Sat - Sun 10am to 4pm OPENING HOURS Thurs - Mon: 9am to 4pm Tues & Wed: By appointment 1300 956 743 vividhomebuilders.com.au Custom Home Building Specialist OPENING HOURS Fri - Tues: 9am to 4pm 0448 488 374 coralhomes.com.au 07 4124 4941 winprojects.com.au John Bone 0433 980 948 contact agent The Images and illustrations are artist’s impressions only. Purchasers must rely on their own enquiries and the Contract for sale
NEW LAND RELEASE SPRINGS EAST NOW SELLING CHOICE OCCU PIERS • LOT SIZES FROM 600M2 TO 1688M2 contact agent John Bone 0433 980 948 07 4124 4941 winprojects.com.au contact agent John Bone 0433 980 948 contact agent Karen Campbell 0438 359 507 -Architecturally Designed -UpmarketFinishes -Clever, SpaciousArrangements - Contact us for an Information Memoradum -Enviable Lifestyle & Location -Now Selling Off The Plan Pier Street, Urangan 0741244941 The Images and illustrations are artist’s impressions only. Purchasers must rely on their own enquiries and the Contract for sale. 3 x 2 x 2 x PIER STREETLUXURYTOWNHOUSES ONLY3REMAINING Currently underconstruction with completion Sept23* • PRICES FROM $235,000 • SECURE YOUR LOT VIA E.O.I WITH JUST A $1000 DEPOSIT 07 4124 4941 winprojects.com.au John Bone 0433 980 948 contact agent The Images and illustrations are artist’s impressions only. Purchasers must rely on their own enquiries and the Contract for sale
St Helens • • • 20 MINS FROM HERVEY BAY “Space for your Lifestyle” Saltwater CreekRd GladysSt Lawson St Fazio Road From$204,000 LOT 61 LOT 60 LOT 59 LOT 58 LOT 50 LOT 54 LOT 55 LOT 5 LOT 3 LOT 2 • 50% SOLD IN STAGES 1 & 2 LARGE ACRE SITES FROM 4000m2 TOWN WATER, POWER & NBN LEVEL BUILDING SITES • Karen Campbell 07 4124 4941 winprojects.com.au John Bone 0433 980 948 contact age nts contact age nts 0438 3 5 9 50 7 The Images and illustrations are artist’s impressions only. Purchasers must rely on their own enquiries and the Contract for sale. Karen Campbell 0741244941 winprojects.com.au John Bone 0433 980 948 contact agents contact agents 0438 359 507 The Images and illustrations are artist’s impressions only. Purchasers must rely on their own enquiries and the Contract for sale.
NEW L AND RELEASE Stockland Shopping Centre CBD Bunnings HERVEY BAY INDIGO BLUE Lot sizes from 600m2 - 1000m2 07 4124 4941 winprojects.com.au John Bone 0433 980 948 contact agent The Images and illustrations are artist’s impressions only. Purchasers must rely on their own enquiries and the Contract for sale NOW SELLING

LUXURY BEACH FRONT FULLY REFURBISHED - 5TH FLOOR

502/239 Esplanade, PIALBA

• Spectacular views and breezes taking in Hervey Bay and Fraser Island

• Private gym, swimming pool and outdoor BBQ area set in beautiful gardens

• 2 bedrooms master with large walk-in robe and ensuite, large 2nd bedroom with close access to main

WALK TO BOAT CLUB/ BEACH INVESTORS DREAM

58 Moolyyir Street, URANGAN

• Immaculate 4 bedroomed 2 bathroom brick residence, updated in prime beachside location

• 2 Separate living areas plus renovated kitchen/ dining area

• Master bedroom, air conditioned with ensuite plus another 2 bedrooms with built-in robes

• Another 4th bedroom plus spacious updated bathroom with bath, shower and 2nd separate toilet

• Set on fully fenced 600m2 corner block with double carport - room to park caravan or big boat

OPTIONS! - FIRST HOME, DOWN SIZE OR INVESTMENT

65 North Street, POINT VERNON

• Queenslands number 3 regional hot spot!!

• WALK TO BEACH - Quiet no through street

• Side access 6x7m shed

• This gorgeous home is immaculate

• Walk in the Artisane front door to peace, quiet and tranquility

• Featuring open plan modern kitchen, lounge area opening onto outdoor undercover entertaining area

• Living area has air conditioning, big enough to cool the whole house

Mary-Lou Lloyd 0407 762 054

• 3 Good size bedrooms all with fans and built-in $515,000 NEGOTIABLE

MAGICAL MASTER BUILT BEACHSIDE HOME

3 Dougan Street, POINT VERNON

• PEACE QUIET AND TRANQUILITY

• Walk to beach and parks or just relax at home with the sound of the gentle flow of the beautiful fountain in the fish pond

• Huge front door opens to this beautiful home with polished wooden look floors

• Master suite comprising of a kingsize bedroom, ensuite and walk-in robe plus air conditioning and plantation shutters

• Open plan kitchen, dining and lounge with air conditioning all opening onto outdoor living at its best

Mary-Lou Lloyd 0407 762 054

• Kitchen has stone bench tops loads of drawers, $767,250

Mary-Lou Lloyd 0407 762 054

Chris Couper 0427 400 012

• Close to major shopping, schools, marina and beach $575,000

LOCATION LOCATION! - HIGHLY SOUGHT AFTER POINT VERNON

24 Spence Street, POINT VERNON

• Walk to the beach and Gatakers boat ramp.

• Easy stroll to the best sunset vantage point in Hervey Bay.

• Enjoy peaceful lifestyle opposite natural bush parklands

• SIDE ACCESS - Room for boat, caravan or motor home

• Main house - New kitchen

• Open plan living with beautiful hardwood floorboards, opening onto breezy front veranda

• Air Conditioning, 3 bedrooms, Family room, 1 study, 1 bathroom, 2 car - carport

• Fully fenced backyard separated from rear studio/shed

Mary-Lou Lloyd 0407 762 054

NOW $650,000

BUYING - SELLING - RENTALS 0427 400 012 www.chriscouperherveybay.com
3 1 3
3 1 2
4 2 2
5 2 4
bathroom • Open plan living flowing throughout to large north facing balcony • New kitchen with plenty of smart storage, gourmet appliances including dishwasher • Lounge dining combined with stunning views flowing onto balcony • Separate closed in laundry • New LED lights throughout and upmarket slider blind • Single car spot with stage cage OFFERS OVER $660,000 2 1 1 Mary-Lou Lloyd 0407 762 054 OWNER SAYS SELL, SELL, SELL!!! - GLIMPSES OF FRASER IS 58 Samarai Drive, KAWUNGAN • Priced right for a quick sale! • Good sized kitchen with dining area • Single lockup garage with entry to the living room • Large veranda at rear • 3 Bedrooms, 2 with built-in robes • Close to schools, hospital, shopping centres but away from heavy traffic • Great Investment Property! $489,000 3 1 1 Chris Couper 0427 400 012 SOLD SOLD SOLD SOLD SOLD SCARNESS LIQUIDATION CLOSE TO BEACH 27 Moonbi Street, SCARNESS • Spacious 3 bedroomed 2 bathroomed residence in blue chip location close to Beach, Schools, Shops etc. • Separate lounge onto good sized kitchen, separate dining room onto big family room • Separate sunroom with attached under roof storage or workshop tool house • Big double garage with tiled floor- multi purpose • Big master bedroom with ensuite and walk-in robes • Two other double bedrooms with built-in robes • Tropical landscaped grounds with garden shed and rear patio for outside entertainment • Vendors have to liquidate because of moving to retirement unit • One of Queensland’s Regional Coastal Hot Spot OFFERS OVER $589,000 3 2 2 Chris Couper 0427 400 012 SOLD SOLD BEACHSIDE - SCARNESS CENTRAL LOCATION SWIMMING POOL 346 Boat Harbour Drive, SCARNESS • Superb investment blue chip property with loads of potential in great beachside location • Upstairs includes open plan living with 2 verandas and near new kitchen including 3 spacious bedrooms and bathroom with separate toilet • Downstairs open plan living with kitchenette, laundry onto lounge and separate bedroom with another bathroom and toilet (could be ensuite) • Good sized 771m2 Beachside block with fully fenced tropical landscaped magnesium pool and entertainment shed plus garden shed • Will rent for $600 per week for investor $589,000 4 2 6 Chris Couper 0427 400 012 SOLD

CENTRAL HERVEY BAY SCARNESS INVESTORS DREAM

110 Oleander Avenue, KAWUNGAN

• Vendor has moved up north to be with family, so vacant and ready to move into

• Three bedrooms plus study or 4th bedroom plus 2 bathrooms

• Master bedroom has double built-in robes and ensuite

• Open plan living, dining and spacious kitchen

• Air conditioning in lounge and master bedroom

• Good access for parking with carport to house and adjoining double carport plus side parking as on corner block, room for caravan/ boat

• Will rent for $525 per week for investor

One of Queensland’s Regional Coastal Hot Spot Properties

SURPRISE BIG FAMILY HOME

16 Wagani Street, KAWUNGAN

• Well appointed house perfect for home business

• Good size kitchen with open plan living, dining area that is air conditioned

• 4 good sized bedrooms plus possible 5th bedroom/ rumpus room, studio or office Large ensuite and walk-in robe to the main bedroom plus air conditioning

• Second bathroom big with separate toilet Large outdoor entertainment area including outdoor power points views to Fraser Island

• High tandem lock up garage with additional roller door access to backyard with power Great elevated position - Views and Breezes

• Close to schools, shopping, the hospital & medical facilities, far away from the hustle & bustle

One of Queensland’s Coastal Hot Spot Properties

Mary-Lou Lloyd 0407 762 054

601M2

$635,000

638M2 4

BUYING - SELLING - RENTALS 0427 400 012 www.chriscouperherveybay.com 3 2 2 Chris
0427 400 012 $625,000
Couper
• This stylish home boast 2 levels - upstairs has 2 spacious bedrooms with built-in robes, bathroom, large linen cupboard plus extra roof void storage
• Downstairs boasts entrance foyer/ lounge area with access to double lock up garage with work bench and storage shelves and a seperate laundry,
• Large modern kitchen with electric appliances, stone bench tops, dishwasher and plenty of storage
• Family and dining area fully air conditioned • Master bedroom with walk-in robes and ensuite
• Family room opening onto covered outdoor courtyard with landscaped gardens and BBQ area
34/29 Stephenson Street, PIALBA
AND SAFETY IN GATED COMMUNITY 4 2 2 Mary-Lou
OFFERS ABOVE $590,000
• Full security system installed • 25m Swimming pool in heart of complex with undercover BBQ areas
STYLE
Lloyd 0407 762 054
Large kitchen and dining opening on to outdoor entertaining area
• Big separate lounge/ media room
• 4 Bedrooms, master with ensuite and walk-in robes
• 7KW Air Conditioning
• Double lock up garage
HOT
83 Endeavour
FANTASTIC FAMILY HOME 600M2 4 2 3 Chris
$489,000
• SIDE ACCESS - Plenty of room for boats and caravan
VALUE
Way, ELI WATERS
Couper 0427 400 012
2
1
Phone 4128 4255 www.herveybay.realway.com.au | 363 The Esplanade, Scarness QLD 4655 217 PULGUL ST, URANGAN MAKE AN OFFER! AIR-CONDITIONED LIVING MODERN KITCHEN WITH DISHWASHER MAIN BEDROOM WITH AIR CONDITIONER + ENSUITE TWO OTHER BEDROOMS WITH BUILT-IN ROBES CEILING FANS DOUBLE LOCK-UP GARAGE WITH INTERNAL ACCESS FULLY FENCED 563M2 BLOCK CURRENTLY TENANTED TO MARCH 2023, PAYING $360 3 Bed 2 Bath 2 Car OFFERS ABOVE $510,000 1 Bed 1 Bath 1 Car + POOL $325,000 19/386 ESPLANADE, TORQUAY FULLY FURNISHED OPEN PLAN LIVING WITH AIR CONDITIONING KITCHEN WITH DISHWASHER COVERED BALCONY OVERLOOKING THE ESPLANADE RENOVATED BATHROOM BEDROOM WITH BALCONY FULLY EQUIPPED LAUNDRY LIFESTYLE UNIT IN THE HEART OF TORQUAY! LAND AVAILABLE 359 BOAT HARBOUR DR SCARNESS BLOCK SIZE 304M2 PRICE: $275,000 333 BOAT HARBOUR DR SCARNESS BLOCK SIZE 594M2 PRICE: $333,000 339 BOAT HARBOUR DR SCARNESS BLOCK SIZE 594M2 PRICE: $385,000 11/383 ESPLANDE, TORQUAY BEACHSIDE UNIT OPPORTUNITY! 1 Bed 1 Bath 1 Car + POOL $325,000 FULLY FURNISHED MODERN KITCHEN AIR- CONDITIONED LIVING BATHROOM BEDROOM WITH BUILT IN ROBES BALCONY SECURE COMPLEX LIFT & POOL UNDERGROUND SECURE CAR SPACE LOW BODY CORPORATE FEES CURRENT RENTAL APPRAISAL $350/WEEK 113 PACIFIC DR, BOORAL PEACE & TRANQUIL LIFESTYLE ONE BEDROOM ONE BATHROOM KITCHENETTE DINING AREA LOUNGE VIEWS SITUATED ON 1018M2 BLOCK 5/394 ESPLANADE, TORQUAY RIGHT ON THE ESPLANADE! FURNISHED UNIT SPACIOUS BALCONY MODERN KITCHEN WITH DISHWASHER SEPARATE LIVING TWO BEDROOMS, BUILT IN ROBES. BATHROOM SEPARATE TOILET WITH VANITY. LAUNDRY UNDERGROUND CAR PARKING CURRENT RENTAL RETURN $475 PER WEEK 2 Bed 1 Bath 1 Car $425,000 26 FAIRWAY DR, URRAWEEN LOCATION, AFFORDABLE, CONVENIENCE! THREE BEDROOMS, TWO WITH BUILT-INS MAIN BATHROOM WITH SHOWER & BATH SEPARATE TOILET. LAUNDRY KITCHEN WITH AIR CONDITIONING DINING AREA. SEPARATE LOUNGE SECURITY SCREENS. CEILING FANS GARDEN SHED. FULLY FENCED LOW SET VILLA IN SECURE GATED COMMUNITY! 3 Bed 2 Bath 1 Car + POOL $475,000 THREE BEDROOMS, MAIN WITH ENSUITE OPEN PLAN LIVING WITH AIR CONDITIONING MODERN KITCHEN WITH DISHWASHER MAIN BATHROOM PRIVATE OUTDOOR AREA SEPARATE LAUNDRY SINGLE LOCK UP GARAGE ONSITE POOL & BBQ AREA 106/230 PULGUL ST, URANGAN 17 MICHELLE DR, POINT VERNON OWNERS COMMITTED ELSEWHERE THREE BEDROOMS. SECURITY SCREENS SOLAR. AIR CONDITIONED DRIVE THROUGH GARAGE TO ACCESS BACK YARD VERY LARGE UNDERCOVER OUTDOOR PATIO SINGLE LOCK UP GARAGE 3MX3M GARDEN SHED FENCED 652M2 BLOCK 29/56-58 MAIN ST, PIALBA FIRST HOME BUYERS, DOWNSIZERS OR INVESTORS! GALLEY STYLE KITCHEN WITH DISHWASHER LARGE UNDER STAIR CUPBOARD WITH SHELVING AIR CONDITIONED LIVING AREA LAUNDRY WITH SECOND TOILET TWO BEDROOMS, BUILT IN ROBES MAIN WITH BALCONY & AIR CONDITIONING CEILING FANS. LINEN/STORAGE CUPBOARD BATHROOM. LOW BODY CORPORATE 2 Bed 1 Bath 1 Car OFFERS OVER $320,000 SOLD! SOLD! SOLD! MORE LISTINGS NEEDED 4 Bed 2 Bath 2 Car $730,000 672M2 BLOCK. WELL ESTABLISHED GARDENS SOLAR POWER 3.6KW. SOLAR HWS SPRINKLER SYSTEM GAS COOKTOP AND ELECTRIC OVEN DISHWASHER . WALK IN PANTRY 3 X 3 GARDEN SHED TIMBER LOOK AND TILED FLOORING FOUR BEDROOMS WITH BUILT INS & CEILING FANS DUCTED A/C AND AIRCON UNIT IN LOUNGE SPACIOUS AND MODERN. OPEN PLAN LIVING 4 BEDROOMS, 2 BATHROOMS, DOUBLE GARAGE LARGE OUTDOOR ENTERTAINMENT AREA WALKING DISTANCE TO SCHOOL, BEACH SURROUNDED BY QUALITY HOMES 26 JONWEST CL ,TORQUAY BEAUTIFUL HOME IN PREMIER LOCATION OPENSAT 10.00-10.30AM UNDER CONTRACT ENQUIRIES STILL WELCOME UNDER CONTRACT ENQUIRIES STILL WELCOME PRICE REDUCED!
9 PALM MEADOWS PLC, PIALBA BIG SHED, BIG BLOCK & CLOSE TO THE BEACH! SOLAR POWER. THREE BEDROOMS MAIN BEDROOM WITH AIR CONDITIONING, WIR, ENSUITE • MAIN LOUNGE WITH AIR CONDITIONING BREAKFAST NOOK. LARGE KITCHEN. DINING ROOM ENCLOSED RUMPUS ROOM WITH BAR MAIN BATHROOM WITH BATH & SHOWER 3 Bed 2 Bath 3 Car $580,000 52 SWAN DR, BOORAL QUEENSLANDER STYLE HOME WITHOUT THE MAINTENANCE 1 ACRE WITH LARGE SHEDS 100,000 LITRES WATER, PLUS BORE WATER ENTERTAINERS DELIGHT 4182M2 FULLY FENCED MANICURED ALLOTMENT WITH ELECTRONIC GATES 6M X 6M SHED AND 15M X 9M SHED BOTH WITH 3 PHASE POWER STEEL FRAME HOME WITH 24 PANELS OF SOLAR = 5KW FULLY EQUIPPED KITCHEN WITH QUALITY APPLIANCES OPEN PLAN LOUNGE/DINING WITH WOOD FIRE FOR THE COOL EVENINGS MASTER BEDROOM WITH ENSUITE AND SLIDING DOOR OPENING OUT TO BALCONY REAR BALCONY HAS BUILT-IN WOOD FIRE 4 Bed 2 Bath 7 Car $980,000 Phone 4128 4255 www.herveybay.realway.com.au | 363 The Esplanade, Scarness QLD 4655 34/27-29 STEPHENSON ST, PIALBA LUXURIOUSLY SPACIOUS TOWNHOUSE 3 Bed 2 Bath 2 Car + POOL $625,000 MASTER BEDROOM WITH W.I.R, ENSUITE & AIR CONDITIONING TWO LIVING AREAS, ONE WITH AIR CONDITIONER DOWNSTAIRS LARGE POWDER ROOM WALK-IN STORAGE CUPBOARD UNDER STAIRS MODERN KITCHEN WITH STONE BENCHTOPS, ELECTRIC COOKING & DISHWASHER DOUBLE PANTRY’S COVERED OUTDOOR ENTERTAINING AREA GAS HOT WATER POOL ON SITE DOUBLE GARAGE SECURE GATED COMPLEX 775 RIVER HEADS RD, RIVER HEADS PRIVATE RETREAT ON 2.19HA 3 BEDROOMS PLUS STUDY OR 4TH BEDROOM MAIN WITH ENSUITE & WALK IN ROBE LARGE AIR-CONDITIONED LOUNGE ROOM KITCHEN DINING WITH ACCESS TO UNDERCOVER OUTDOOR AREA MAIN BATHROOM WITH SEPARATE BATH & SHOWER FRUIT TREES. WATER TANK & TOWN WATER SECURITY SCREENS DOUBLE CARPORT DOUBLE SHED PLUS CARPORT & WORKSHOP SPACE 3+ Bed 2 Bath 5 Car OFFERS FROM $700,000 8 EARL ST VINCENT CCT, ELI WATERS NO NEED TO LEAVE HOME TINTED WINDOWS TIMBER VINYL FLOOR’S SOLAR 6.6 KW ALARM SYSTEM OPEN PLAN KITCHEN WITH SKYLIGHT 2 LIVING AREAS FISHING JETTY WITH SUN SHELTER 4 Bed 2 Bath 2 Car $925,000 OPENSAT 12.00-12.30PM 41 CROMDALE CCT, KAWUNGAN FAMILY HOME OR INVESTMENT MASTER BEDROOM WITH WIR AND ENSUITE 3 BEDROOMS WITH BUILT-IN ROBES FULLY TILED LARGE OPEN PLAN KITCHEN, DINING & LIVING AREA LARGE OUTDOOR ENTERTAINING AREA DOUBLE GARAGE WITH INTERNAL ACCESS 809M2 BLOCK 4 Bed 2 Bath 4 Car $649,000 OPENSAT 10.00-10.30AM 4 DELMO CT, URRAWEEN SPLASH YOU WAY THROUGH SUMMER SOLAR POWER TWO SEPARATE LIVING AREAS KITCHEN WITH GAS COOKTOP, DISHWASHER AIR-CONDITIONED MAIN BEDROOM WITH W.I.R & ENSUITE THREE OTHER BEDROOMS WITH BUILT IN ROBES & CEILING FANS 33/30 EAST ST, SCARNESS KASBAH BY THE SEA IN HERVEY BAY • 3 BEDROOMS 2 BATHROOMS 1 GARAGE + ADDITIONAL PARKING REMOTE ROLLER DOOR UNDERCOVER ENTERTAINING AREA MODERN KITCHEN SECURITY SCREENS 3 Bed 2 Bath 2 Car $510,000 OPENSAT 11.00-11.30AM OPENSAT 9.00-9.30AM UNDER CONTRACT ENQUIRIES STILL WELCOME OPENSAT 9.00-9.30AM LIFESTYLE LAKE LIVING 4 Bed 2 Bath 2 Car FAMILY SIZED HOME WITH LAKE FRONTAGE DUCTED AIR-CONDITIONED 1015M2 BLOCK FAMILY SIZED LIVING AREAS MODERN DESIGN COVERED ENTERTAINING AREA SEPARATE LOUNGE WITH ACCESS TO OUTDOOR 27 LADY NELSON DR, ELI WATERS OPENSAT 11.00-11.30AM OFFERS OVER $895,000 2/21 ABODE WAY, KAWUNGAN MODERN, EXECUTIVE DUPLEX – NEAR NEW! MODERN KITCHEN WITH STONE BENCHTOPS VINYL PLANK FLOORING THROUGHOUT THREE BEDROOMS WITH ROBES MAIN WITH WALK IN ROBE & ENSUITE VERY GENEROUS MAIN BATHROOM, SEPARATE BATH & LARGE SHOWER LINEN CUPBOARD TO HALLWAY CEILING FANS THROUGHOUT AIR-CONDITIONED LIVING AREA & MAIN BEDROOM DINING AREA WITH ACCESS TO COVERED PATIO DOUBLE GARAGE WITH INTERNAL ACCESS & STORAGE CUPBOARD LAUNDRY NBN READY – FTTP 3 Bed 2 Bath 2 Car OFFERS OVER $550,000 37 OLEANDER AVE, KAWUNGAN AFFORDABLE FIRST HOME OR INVESTMENT OPPORTUNITY! LARGE FRONT COVERED VERANDAH SEPARATE LOUNGE WITH WITH FRENCH DOORS OPENING ONTO VERANDAH DINING AREA WITH ACCESS TO BACK DECK MODERN KITCHEN WITH DISHWASHER BREAKFAST NOOK THREE BEDROOMS WITH BUILT IN ROBES MAIN WITH ENSUITE CEILING FANS THROUGHOUT MAIN BATHROOM WITH SEPARATE BATH SEPARATE LAUNDRY DOUBLE GARAGE DOWNSTAIRS WITH PLENTY OF STORAGE FULLY FENCED 756M2 BLOCK 3 Bed 2 Bath 2 Car OFFERS OVER $560,000 OPENSAT 1.00-1.30PM OPENSAT 12.00-12.30PM

OPPORTUNITY AWAITS with this well presented property is situated on a 718sqm fully fenced block within walking distance to the Hervey Bay Marina, Boat Club, restaurants and cafes. Offering a great opportunity for downsizers, investors or first home buyers.

Offers

This prime beachfront resort provides visitors to Hervey Bay a high standard of self contained accommodation with 3 floors of spacious two bedroom apartments, each with fully equipped kitchen, laundry, reverse cycle air conditioning, large private open balconies with stunning views of beaches and Fraser Island. Ideal investment opportunity. Fully furnished with open plan living, 2 large private balconies

• 2 spacious bedrooms, one double, other bedroom with twin singles

Fully equipped kitchen & laundry, 2 way bathroom, separate bath & shower

Sparkling inground pool, secure carpark with lift to all levels

• Only 10 metres from pristine swimming beach and fishing hotspots

Close to all amenities, restaurants, clubs, major shops

Vacant land close to the ocean is extremely rare, particularly in Torquay, one of Hervey Bay’s most central and desirable beachside suburbs. Surrounded by high-end contemporary homes and within walking distance to trendy cafes, restaurants and gorgeous swimming beaches, this is an outstanding opportunity not to be missed.

MAGNIFICENT

Taking full advantage of an elevated and north easterly aspect, this 2075sqm vacant block provides an ideal location to build a stunning home befitting this premium position.

• 23,000L concrete water tank with trafficable lid installed Electricity and water connected

With

elevated block, you can custom design and build a stylish multi-level lifestyle home that maximises height to showcase glorious views whilst inviting in an abundance of natural light and gentle sea

• 14m x 6m powered colourbond shed with roof insulation, double sliding glass door plus large remote garage door with enough clearance to house a boat or caravan.

• Opportunity to convert shed into a living dwelling, preliminary design available

Secondary treatment system installed with 8 person capacity

402 Esplanade, Torquay herveybay.eldersrealestate.com.au Sales / Rentals: 4125 5244 sales@eldersherveybay.com.au pm@eldersherveybay.com.au Robyn Taylor 0402 588 153 Lauren Leaver 0436 485 555 Offers Over $1,100,000 124 Long Street Point Vernon Set on 1017 sqm fully fenced block one street from beach 3 bedrooms upstairs, main with air con & walkin robe 2 bedrooms downstairs plus study/office & full bathroom Central kitchen, island bench, dishwasher, plumbed fridge, microwave & near new oven Undercover 11 x 3 mtr entertainment area up & down, sparkling magnesium pool & heated spa Great side access to 9 x 6 powered shed with, high carport, enough parking for 6 vehicles Massive 2 storey 5-6 bedroom home would ideally suit dual living or air B&B opportunity with ocean & Island views NEW LISTING! John Wood 0419 796 692 ARE YOU LOOKING FOR A TREE CHANGE? 3 Bedrooms with ceiling fans 1 Bathroom • Hardwood flooring Kitchen Dining and living rooms Laundry Verandah 2 car garage under house • Tool shed 2 large water tanks On offer here is a high-set Queenslander on 4975m2, only a short drive to Hervey Bay Price $492,500 26 Sandrabarbara Drive Booral Brett Hanwright 0427 621 985 NEW LISTING! This fully furnished 2 bedroom apartment is positioned on the ground floor offering easy access to the sparkling resort style pool and private grassed area. Offering a relaxing seaside atmosphere located within minutes stroll to the Marina, cafes, restaurants and the Boat Club. Spacious open plan kitchen, lounge and dining Gourmet kitchen with stone bench tops, glass splash backs and quality appliances. 2 Spacious bedrooms with built in robes, master king size bedroom with spacious ensuite. Expansive bifold doors opening onto the huge alfresco area, zoned ducted air conditioning throughout • Secure single car accommodation, resort style pool, BBQ facility and onsite
This
stays $580,000 3/625 Esplanade Urangan Robyn Taylor 0402 588 153 Lauren Leaver
485 555 NEW LISTING!
management.
apartment offers the opportunity for permanent seaside living or luxury holiday
0436
Above $470,000 10/496 Esplanade Torquay John Wood 0419 796 692 NEW LISTING!
47-49 Longview Drive River Heads Robyn Taylor 0402 588 153 Lauren Leaver 0436 485 555 NEW LISTING!
$449,000
ISLAND AND OCEANS VIEWS! Robyn Taylor 0402 588 153 Lauren Leaver 0436 485 555
Offers Above $450,000 Robyn Taylor 0402 588 153 Lauren Leaver 0436 485 555
OPPORTUNITY - VACANT BLOCK IN TORQUAY! Offers From $400,000 358 Torquay Terrace Torquay
GOLDEN
this 992sqm
Robyn Taylor 0402 588 153 Lauren Leaver 0436 485 555 NEW LISTING! NEW LISTING! REST OR INVEST $530,000 129 Elizabeth Street Urangan Great first home or investment. Priced to sell quickly, phone now to arrange a private inspection. • 3 builtin bedrooms, all with electric shutters Combined kitchen/dining Full width rear verandah, great for entertaining Drive through single carport • Huge fully fenced 914 sqm allotment with access for boat or caravan • Fantastic location, walk to Urangan Shopping Centre & Botanical Gardens Only minutes away from schools, Esplanade & Marina Bill Dow 0412 644 422 John Wood 0419 796 692 3 Bedrooms one with built in robe • Modern kitchen with dishwasher Open plan kitchen and dining with separate living 3 klw solar panels, reverse cycle A/C and security screens Double lock up garage and attached carport to accommodate 4 vehicles Undercover outdoor entertaining area, great side access on both sides of block 71 Limpus Street Urangan
breezes.
Sales / Rentals: 4125 5244 sales@eldersherveybay.com.au pm@eldersherveybay.com.au 402 Esplanade, Torquay herveybay.eldersrealestate.com.au Robyn Taylor 0402 588 153 Lauren Leaver 0436 485 555 27 Acres – 2 Homes – Superb Riverfront Acreage CONTACT AGENT $1,120,000 48 Smith Road Howard Nearly 27 acres of good pastureland – 5 paddocks Main home – 4 bedrooms 2 bathrooms, open plan 2nd home – 2 good size bedrooms, 3rd bedroom/office Good size sheds at both homes, undercover parking Cattle pen and loading dock, water tanks, bore water Located on river 4km from amenities at Howard Central between Hervey Bay, Maryborough, & Childers Too many features to list – Speak to Agent If living on acreage is your dream lifestyle then it can’t get better than this for the whole family. A superb location on 27 acres approximately, with the main home in an elevated position looking over the whole property toward the second home at the opposite end with the river frontage beyond. Tom McLeod 0458 914 873 Lakeside Living On 1015m2 Offers Over $800,000 21 Lady Nelson Drive Eli Waters An exceptional waterfront home with its own jetty located in Mariners Cove, Eli Waters. If you’re wanting to live the dream then this home is one not to miss. Great location, strong investment opportunity or practical family home. 4 large bedrooms, ensuite to main Recently renovated modern kitchen • Air conditioned living areas and main bedroom Fans throughout, 31 solar panels - 9kw Double lock up garage with internal access Recently painted inside and out, new carpets • Large wrap around verandas with screens Side access with extra carport Shelly Smith 0402 152 192 MUST BE SOLD! All Reasonable Offers Considered H10/208 Elizabeth Street Urangan • No rates, body corp or stamp duty costs Pets allowed 2 bedrooms, plus extra 3rd room for office Open plan living area, kitchen, bathroom Air conditioning in lounge room and main bedroom Fans, 2 garden sheds, front verandah Car accommodation, community room, pool & BBQ area Short drive to beach, shops and restaurants Cheapest in Village for sale • Large yard Shelly Smith 0402 152 192 Robyn Taylor 0402 588 153 Lauren Leaver 0436 485 555 Country Living on 2001m2 Block With Shed Offers Over $710,000 22 Pedelty Lane Dundowran 4 bedrooms with built in robes Main bedroom with walk in robe and ensuite Modern kitchen with dishwasher and breakfast bar • 2 open plan living areas 9 x 6m shed/workshop with light and power 8 solar panels and solar hot water Lockable security screens, tinted windows • Double lock up garage, 5000l rainwater tank This modern family home is only 9 years old, set on a large 2001m2 block would suit all buyers. If you are looking for property with heaps of space, then this is it! Smith 0402 152 192 Prime Location! Walking Distance To Beach 506m2 on a corner block Fully fenced 3 bedrooms, 1 bathroom • Kitchen/dining Living room Laundry Ceiling fans Brett Hanwright 0427 621 985 Price Reduction $535,000 19 Beach Road Pialba Great investment opportunity awaits in beautiful Hervey Bay. Robyn Taylor 0402 588 153 Lauren Leaver 0436 485 555 Offers from $1,200,000 122 Esplanade Point Vernon 4 spacious bedrooms, main with ensuite, walk in robe and separate sitting room Well appointed kitchen with loads of storage and dishwasher 3 separate living areas, open plan dining and family room Ceiling fans throughout, air conditioning in main living area, solar panels North facing undercover entertaining deck overlooking tranquil waters of Hervey Bay and across to Fraser Island Long term tenants in place Proposed land subdivision Just sit back, relax and watch the world go by. This large family home provides a once in a lifetime opportunity for anyone looking to create a desirable lifestyle or capitalise on a blue chip address. Esplanade Property With Breathtaking Views! CONTACT AGENT Robyn Taylor 0402 588 153 Lauren Leaver 0436 485 555 Security Gated Lifestyle Awaits $579,000 36/80 Moolyyir Street Urangan • 3 large double bedrooms with built in robes, master with ensuite & walkin robe Open plan living & dining opening onto the alfresco area • Gourmet kitchen with stone bench tops, powder room downstairs • Private courtyard ideal for entertaining, additional living/ study area Ducted air con, high ceilings throughout • Double tandem remote garage with direct entry Resort style facilities with onsite manager, security access, inground pool, spa, sauna and BBQ area Positioned only metres from the beach & Marina, this spacious fully furnished townhouse occupies a north easterly aspect to welcome the morning sun and ocean breeze. The practical yet versatile layout offers low maintenance living & enough space to spread out and relax. Robyn Taylor 0402 588 153 Lauren Leaver 0436 485 555 Offers above $419,000 Beautifully Presented Apartment Unit 3, 6 Ann Street Torquay • 2 good size bedrooms with built in robes Bright and airy dining and living areas Living area opens onto front balcony Modern kitchen with stainless steel appliances • Single lock up garage Air conditioning and security screens Boutique complex consisting on only 8 units with Low Body Corp fees Robyn Taylor 0402 588 153 Lauren Leaver 0436 485 555 $499,000 Free Standing Four Bedroom Duplex Unit 2, 5 Ladbroke Crescent Urangan Spacious modern brick and tile home No Body Corp fees • Ensuite to master bedroom Spacious open plan living and dining Functional kitchen with dishwasher Family bathroom complete with bath • Air conditioning and solar panels Single garage with direct entry Robyn Taylor 0402 588 153 Lauren Leaver 0436 485 555 91/14 Ibis Boulevard Eli Waters Owners Ready to Go $279,000 No Body Corp, No Rates, No Stamp Duty Steel frame home with easy maintenance gardens Immaculately looked after home with 2 good sized bedrooms plus office Separate lounge and dining, high ceilings in living area Modern kitchen with heaps of cupboards, split air con, ceiling fans Covered verandah, car accommodation Weekly fees apply, no pets allowed Facilities include inground pool, community room, bowls green Shelly Smith 0402 152 192

• 4 Bed 3 Bath Master with stunning ensuit

• Ultra modern kitchen featuring duel dishwasher & self cleaning over

• Glistening saltwater pool

• Wrap around verandas overlooking pool and lagoon

• Separate studio room

• Stunnin home-stunning location

• Absolute immaculate inside and out

• Manicures lawns with computerised irrigation systems in place

All offers Considered

8 Caryota Court, DUNDOWRAN BEACH

Beautiful Burrum Heads…989m2

LAND FOR SALE

• 4 beds; study ; 3 baths; 4 x Living Spaces

• Ducted Air Conditioning,

• Shed (9m x 5m)

• R.V Carport (3.2m High)

• Large Kitchen

• Fully Fenced

• Solar Panels approx..9 KW

• Stroll to Beach approx.. 400m walk

13 Bentwood Street, BURRUM HEADS

Moments to the Beach – Coastal Breeze $798,000

• Beachside Location, footsteps to the beach

• 3 bedrooms 2 bathrooms + granny flat options

• Large above ground swimming pool

• Multiple living spaces

• Large balcony off master bedroom

• Ample outdoor and indoor storage

• Plentiful fruit trees

$800,000

• Dual Living Potential

• 6 Spacious Bedrooms

• Large Living Spaces

• Side access to back yard

• In-ground Pool with entertaining area

• 797m2 Block

Views

4128
2
FLEUR KEYS SALES CONSULTANT 0437
fleur@rayedward.com.au
BARRON SALES CONSULTANT 0459
cody@rayedward.com.au
WHEWAY SALES CONSULTANT 0431
cam@rayedward.com.au
GRAY SALES CONSULTANT
warren@rayedward.com.au
6600
Ansons Road, Dundowran Beach www.rayedward.com.au
835 212
CODY
960 405
CAMERON
995 485
WARREN
0419 706 799
27
O’Regan Drive, CRAIGNISH
Side access for large caravan Classic Brick Beauty
34
Moonbi Street, SCARNESS
3 Bathrooms
• 2 Kitchens
• Ocean
Stunning Beachside Home
$865,000
DUNDOWRAN BEACH 3528m2 Offers Over $480,000 Lot 1 / 58 WATERVIEW DRIVE DUNDOWRAN BEACH 2030m2 $495,000 75 WATERVIEW DRIVE 12x9 Powered Shed CRAIGNISH 2373m2 Offers Over $320,000 Lot 2 / 6-8 SAWMILL ROAD DUNDOWRAN BEACH 1971m2 $395,000 LOT 2/49 CARLS RD 2 Bay shed with
NIKENBAH 2420m2 $395,000
BASIL CRT,
SPRINGS Rural Views CRAIGNISH 2279m2 $550,000 29 STRAITS OUTLOOK With Large Shed CRAIGNISH 934m2 $395,000 45 O’REGAN DRIVE SUNSHINE ACRES 1.835ha $439,000 LOT 2/247 CONDOR DRIVE
solar
14
THE

$785,000

Affordable Family Home

13 Highview Drive, CRAIGNISH

This three-bedroom, two-bathroom, two-storey family home is the perfect choice for families looking for a spacious and comfortable place to call their own. Located in a quiet and peaceful neighborhood, this home offers an ideal balance between indoor and outdoor living, making it the perfect place to relax, unwind and enjoy quality family time.

One of the standout features of this home is the generous size of each bedroom, all of which have built-in wardrobes and air conditioning, ensuring a comfortable and peaceful night’s sleep all year round. The master bedroom features a walk-in robe, well laid out ensuite and its own air conditioning unit, providing a private and luxurious retreat for parents.

The large full-length veranda is a great place to entertain and take in the sweeping views, with plenty of space for outdoor furniture, BBQs, and relaxing with family and friends. Whether you’re enjoying a morning coffee or a glass of wine at sunset, this veranda is the perfect place to unwind and soak up the beautiful surroundings.

Downstairs, the super-sized rumpus/entertainment room is a great space for kids and adults alike. Perfect for movie nights, games, and family gatherings, this room offers plenty of space to spread out and have fun, while also providing a separate and private area for parents to relax and unwind.

The home and lawns and gardens are very well kept, with plenty of space for kids and pets to play and explore. Whether you’re gardening, playing cricket or just relaxing in the shade, this home offers the perfect blend of indoor and outdoor living, making it a great place to call home.

Overall, this spacious and comfortable family home is the perfect choice for families looking for a peaceful and relaxing place to call their own. With generous-sized bedrooms, a large full-length veranda, and a super-sized rumpus/entertainment room, this home is designed for families to enjoy quality time together, while also offering plenty of private and peaceful retreats for parents to unwind and relax.

To arrange your private inspection of this well presented home please call our office on 0741 28 6600 and speak to one of our five professional staff. You will be glad you made the call.

4128 6600

2 Ansons Road, Dundowran Beach www.rayedward.com.au

This illustration is indicative for marketing purposes only. Please refer to the developer for detailed and accurate block information.

STAGE 2C

STAGE 4C

STAGE 4B

Call today on 1300 705 405 Sales Office 2 Richard Charles Dr, Kawungan Email living@kingstonherveybay.com.au LAND. LIFESTYLE. LOVE. www.kingstonherveybay.com.au Land For Sale COMMUNITY AREAS NBN READY MEDICAL & CARE FOOD & SHOPPING FULLY SERVICED
4B Titled
4C Titled
2C Titled 36 37 17 24 23 19 22 20 21 18 11 12 13 14 15 16 38 39 40 41 42 25 26 27 28 29 30 31 32 33 34 35 6 5 4 10 1 9 8 2 3 7 58 57 51 50 49 48 47 46 163 140 162 43 45 44 151 143 142 165 164 141 147 137 148 146 145 149 150 144 117 118 122 121 120 119 66 65 158 159 64 63 160 161 54 55 53 52 56 152 153 108 107 154 155 106 156 157 744m2 795 m2 790m2 744m2 738m2 667m2 814m2 744m2 744m2 740m2 688m2 684m2 688m2 684m2 739m2 67 744m2 744m2 739m2 739m2 744m2 803m2 702m2 802m2 612m2 619m2 601m2 602m2 602m2 611m2 851m2 792m2 792m2 792m2 792m2 792m2 948m2 902m2 729m2 795m² 536m2 536m2 536m2 536m2 728m2 908m2 772m2 892m2 833m2 746m2 745m2 717m2 703m2 803m2 804m2 725m2 735m2 809m2 725m2 752m2 761m2 705m2 704m2 800m2 916m2 805m2 870m2 758m2 784m2 750m2 773m2 896m2 916m2 833m2 821m2 711m2 712m2 713m2 714m2 715m2 817m2 826m2 754m2 826m2 772m2 861m2 726m2 726m2 805m2 817m2 724m2 983m2 790m² 900m2 842m2 790m2 790m2 790m2 1208m2 561m2 70 71 72 73 62 61 82 77 76 75 59 60 701m2 707m2 922m2 742m2 674m 742m 742m 714m2 742m 714m2 892m2 89 714m2 90 805m2 789m2 81 91 701m2 701m2 80 92 701m2 701m2 79 93 701m2 701m2 78 94 701m2 701m2 96 95 783m2 753m2 74 648m2 714m2 788m2 69 103 97 68 788m 104 788m2 788m2 105 648m2 801m2 102 802m2 101 100 691m2 670m2 99 98 678m2 858m2 116 139 854m2 138 700m2 701m2 115 714m2 114 109 714m2 110 714m2 113 714m2 112 820m2 111 776m2 83 900m2 84 770m2 85 770m2 86 770m2 87 770m2 88 770m2 N Urraween Road Main Street Milkman Way Messer Drive L oui s Wa y R ic har d Ch a r le s D r v e Watermelon Way Canecutter Court A m y Cou r Mackay Drive KINGSTON HERVEY BAY PARK
Stage
Stage
Stage
Expected Titles Aug 2023 STAGE 5B Expected Titles Aug 2023 STAGE 5A Expected Titles Aug 2023 STAGE 5C
TITLED TITLED TITLED
L ive the life in Toogoom 28 Periwinkle Crescent – Toogoom4 Bed I 2 Bath I 2 Car 3 year old home on half an acre and walk to the beach! Contact Steve on 0409 006 511 Offers over $765,000 39 Northshore Avenue – Toogoom4 Bed I 2 Bath I 2 Car 5 year old home on 970m2 lake front allotmentWalk to the beach! Contact Steve on 0409 006 511 or Shane on 0405 372 339 Offers from $725,000 372 Oregan Creek Road – Toogoom4 Bed I 2 Bath I 4 Car Spacious entertainer on half an acre with all the extras. Stunning landscaping, inground pool and shed! Contact Steve on 0409 006 511 Offers from $925,000 4 Seaside Circuit – Toogoom4 Bed I 2 Bath I 5 Car Architecturally designed four bed homeShort walk to Toogoom shops and beach! Contact Shane on 0405 372 339 Offers from $650,000 16 Northshore Avenue – Toogoom4 Bed I 2 Bath I 2 Car Charismatic four bedroom home with ensuite & carportWalk to the beach! Contact Steve on 0409 006 511 Offers from $575,000 6 Beachcomber Way – Toogoom4 Bed I 2 Bath I 2 Car Beachside half acre with gorgeous four year young home! Contact Steve on 0409 006 511 Offers from $795,000 Toogoom’s #1 Real Estate Team 2/6 Jeppesen Rd, Toogoom QLD 4655 | Phone: (07) 4128 0040 65 Moreton St, Toogoom QLD 4655 | Phone: (07) 4128 0040 www.allenproperty.com.au

Turn static files into dynamic content formats.

Create a flipbook
Issuu converts static files into: digital portfolios, online yearbooks, online catalogs, digital photo albums and more. Sign up and create your flipbook.