3M Filtek Supreme XTE Case Study

Page 1

Dual Shade in Class IV Composite Replacement

About the case: Eight years after restoration of a fractured upper right central, this patient was no longer satisfied with the esthetics and desired a more natural look.

Challenge: Provide high-level, natural esthetics, using a simplified shading and layering technique.

Before:

After:

© 3M 2023. All rights reserved.
3M™ Scotchbond™ Universal Adhesive 3M™ Filtek™ Supreme XTE Restorative 3M™ Sof-Lex™ Contouring and Polishing Discs 3M™ Sof-Lex™ Diamond Polishing System 3M™ Filtek™ Supreme XTE Restorative Products featured in this case: Clinical dentistry and photography by Dr. Jordi Manauta Santa Margherita Ligure, Italy
! ?

3M™ Filtek™ Supreme XTE Restorative

Dual Shade in Class IV Composite Replacement

Clinical dentistry and photography by Dr. Jordi Manauta

Santa Margherita Ligure, Italy

Products featured in this case: ▲ 3M™ Scotchbond™ Universal Adhesive

© 3M 2023. All rights reserved.
Fig. 1: Initial Situation: Upper right central incisor with an unsatisfactory composite restoration. Fig. 2: A guide was made with silicone impression material in order to replicate the incisal anatomy. Fig. 3: The old restoration was removed using a ceramic bur taking care not to harm the adjacent tooth structure. Fig. 4: Removing interproximal debris.
▲ 3M™ Filtek™ Supreme XTE Restorative
3M™ Elipar™ DeepCure-S LED Curing Light ▲ 3M™ Sof-Lex™ Contouring and Polishing Discs ▲ 3M™ Sof-Lex™ Diamond Polishing System

3M™ Filtek™ Supreme XTE Restorative

Dual Shade in Class IV Composite Replacement

Clinical dentistry and photography by Dr. Jordi Manauta

Santa Margherita Ligure, Italy

Products featured in this case:

Elipar™ DeepCure-S LED Curing Light

Sof-Lex™ Contouring and Polishing Discs

* According to the manufacturer’s Instructions for Use

© 3M 2023. All rights reserved.
Fig. 5: Final preparation prior to placement of adhesive. Tooth was etched with 3M™ Scotchbond™ Universal Etchant followed by rinsing and air drying. Fig. 6: 3M™ Scotchbond™ Universal Adhesive was scrubbed into the preparation for 20 sec followed by 5 sec. air-drying and 10 sec. light-curing with 3M™ Elipar™ DeepCure-S LED Curing Light.* Fig. 7: Placement of the palatal layer of 3M™ Filtek™ Supreme XTE Restorative A3E with the aid of the silicone matrix. Fig. 8: Sectional matrix placed cervico-incisally to give a round contour to the proximal wall.
▲ 3M™ Scotchbond™ Universal Adhesive
3M™ Filtek™ Supreme XTE Restorative
3M™
▲ 3M™
▲ 3M™ Sof-Lex™ Diamond Polishing System

Dual Shade in Class IV Composite Replacement

Clinical dentistry and photography by Dr. Jordi Manauta

Santa Margherita Ligure, Italy

Products featured in this case:

© 3M 2023. All rights reserved.
Fig. 9: Mesial wall after light curing* and removal of the sectional matrix. The contour of the wall is precise, rounded and clean, especially in the cervical area where no excess is present. Fig. 10: Placement of A2D shade of 3M™ Filtek™ Supreme XTE Restorative. Fig. 11: The depth of the dentin layer is calibrated with a Misura instrument (LM-Arte). The composite excess is removed and the incisal edge is contoured in order to leave 0.5 mm space for the final enamel layer of composite. Fig. 12: Placement of A3E shade of 3M™ Filtek™ Supreme XTE Restorative. The final layer should be as smooth as possible before light-curing for 10 seconds with an LED curing light (1000–2000mW/cm²).*
* According to the manufacturer’s Instructions for Use
3M™ Filtek™ Supreme XTE Restorative
▲ 3M™ Scotchbond™ Universal Adhesive ▲ 3M™ Filtek™ Supreme XTE Restorative ▲ 3M™ Elipar™ DeepCure-S LED Curing Light ▲ 3M™ Sof-Lex™ Contouring and Polishing Discs ▲ 3M™ Sof-Lex™ Diamond Polishing System

Dual Shade in Class IV Composite Replacement

© 3M 2023. All rights reserved.
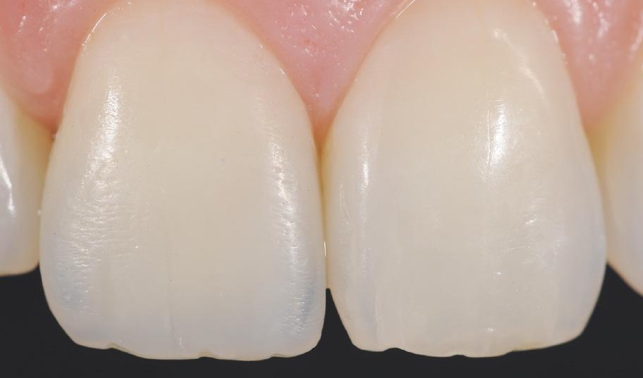
Fig.13: Finishing with a low-speed medium/coarse diamond bur to smooth the surface. Fig. 14: Final restoration immediately after finishing and polishing. Fig. 15: After rubber dam removal the restoration looks slightly yellowish due to dehydration. Fig. 16: Final restoration.
3M™ Filtek™ Supreme XTE Restorative Products featured in this case: ▲ 3M™ Scotchbond™ Universal Adhesive ▲ 3M™ Filtek™ Supreme XTE Restorative ▲ 3M™ Elipar™ DeepCure-S LED Curing Light ▲ 3M™ Sof-Lex™ Contouring and Polishing Discs ▲ 3M™ Sof-Lex™ Diamond Polishing System Clinical dentistry and photography by Dr. Jordi Manauta Santa Margherita Ligure, Italy ▲

Turn static files into dynamic content formats.

Create a flipbook
Issuu converts static files into: digital portfolios, online yearbooks, online catalogs, digital photo albums and more. Sign up and create your flipbook.
3M Filtek Supreme XTE Case Study by HenryScheinUK - Issuu