3M Filtek One Bulk Fill Case Study

Page 1

3M™ Filtek™ One Bulk Fill Restorative

Bulk Fill in Class II – Proximal Caries

About the case: Second upper premolar with deep carious lesion close to the pulp.

Challenge: Use additive dentistry to increase the thickness of the tooth. Enhance esthetics by improving shape and hiding margins and defects.

Clinical dentistry and photography by Dr. Jordi Manauta

Santa Margherita Ligure, Italy

Before:

After:

Products featured in this case:

© 3M 2023. All rights reserved.
!
3M™
Universal Adhesive 3M™
3M™
?
Scotchbond™
Filtek™ One Bulk Fill Restorative
Sof-Lex™ Diamond Polishing System

3M™ Filtek™ One Bulk Fill Restorative

Bulk Fill in Class II – Proximal Caries

Clinical dentistry and photography by Dr. Jordi Manauta

Santa Margherita Ligure, Italy

Products featured in this case:

© 3M 2023. All rights reserved.
3M™
▲ 3M™ Filtek™
▲ 3M™ Sof-Lex™
▲ 3M™ Sof-Lex™
Scotchbond™ Universal Adhesive
One Bulk Fill Restorative
Contouring and Polishing Discs
Diamond Polishing System
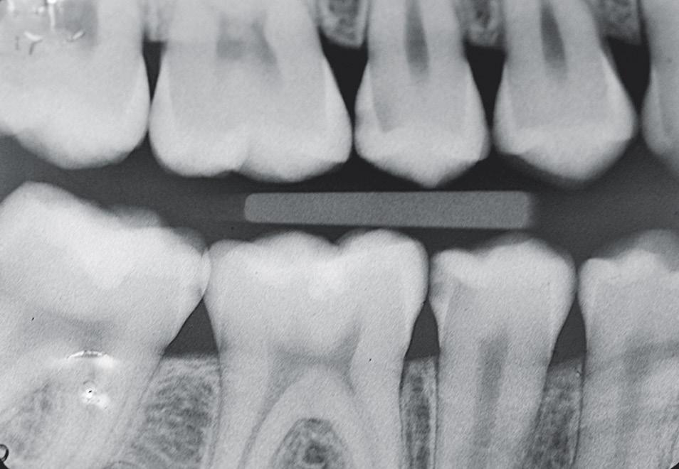
Fig. 1: Radiograph of initial situation: second upper premolar with deep carious lesion close to pulp. Fig. 2: Preop: intact occlusal surface of the second premolar, carious lesion was visible on radiograph. Fig. 3: Insertion of a proximal wedge. Fig. 4: Customization of sectional matrix clamp.

3M™ Filtek™ One Bulk Fill Restorative

Bulk Fill in Class II – Proximal Caries

Clinical dentistry and photography by Dr. Jordi Manauta

Santa Margherita Ligure, Italy

diagnostic aid.

Products featured in this case:

DeepCure-S

* According to the manufacturer’s Instructions for Use

© 3M 2023. All rights reserved.
Fig. 5: Caries removal and cavity preparation. Caries detection dye was used as a Fig. 6: A 15 second selective enamel etch using 3M™ Scotchbond™ Universal Etchant followed by rinsing and air drying. Fig. 7: 3M™ Scotchbond™ Universal Adhesive was scrubbed into the preparation for 20 seconds followed by air-drying and light-curing with 3M™ Elipar™ LED Curing Light for 10 seconds.* Fig. 8: 3M™ Filtek™ One Bulk Fill Restorative A3 was placed in one increment. The composite was cured for 10 seconds on the occlusal surface.*
▲ 3M™ Scotchbond™
▲ 3M™ Filtek™
▲ 3M™ Sof-Lex™
▲ 3M™ Sof-Lex™
Universal Adhesive
One Bulk Fill Restorative
Contouring and Polishing Discs
Diamond Polishing System

Bulk Fill in Class II – Proximal Caries

* According to the manufacturer’s Instructions for Use

© 3M 2023. All rights reserved.
3M™ Filtek™ One Bulk Fill Restorative
Clinical dentistry and photography by Dr. Jordi Manauta
Ligure, Italy
in this case: ▲ 3M™ Scotchbond™ Universal Adhesive ▲ 3M™ Filtek™ One Bulk Fill Restorative ▲ 3M™ Sof-Lex™ Contouring and Polishing Discs ▲ 3M™ Sof-Lex™ Diamond Polishing System
Santa Margherita
Products featured
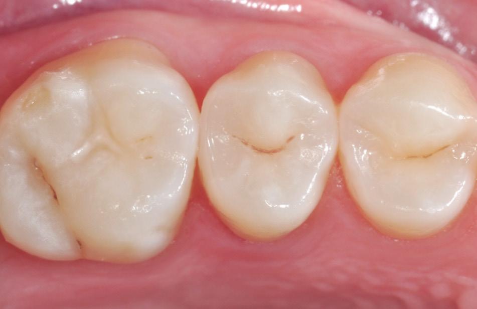
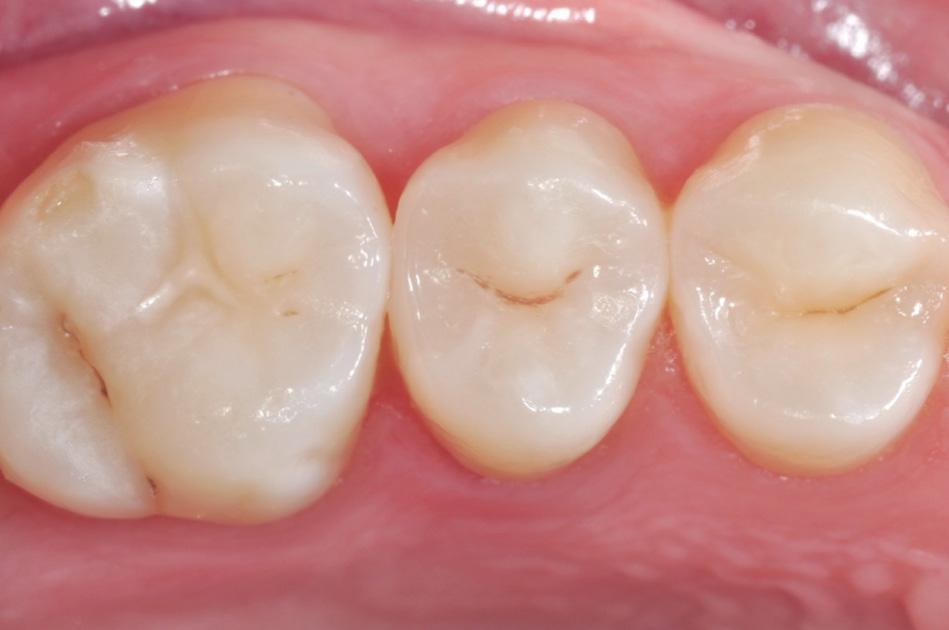
Fig. 9: After removal of the matrix band, the composite was cured for 10 seconds on both the buccal and lingual surface.* Fig. 10: After finishing and pre-polishing, the 3M™ Sof-Lex™ Diamond Polishing System on moist surface was used to create a high gloss polish.
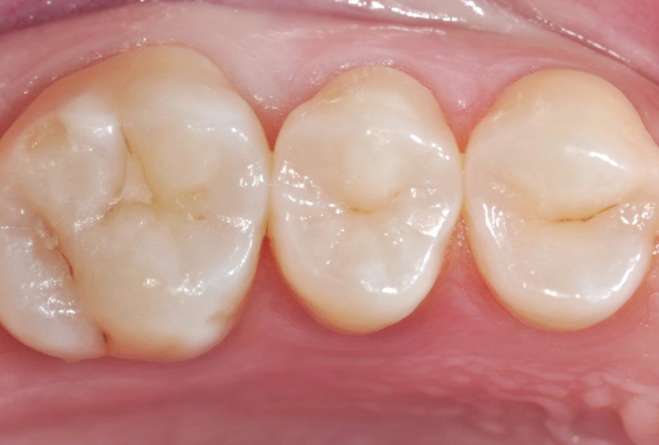
Fig. 11: Final outcome using 3M™ Filtek™ One Bulk Fill Restorative.

Turn static files into dynamic content formats.

Create a flipbook
Issuu converts static files into: digital portfolios, online yearbooks, online catalogs, digital photo albums and more. Sign up and create your flipbook.
3M Filtek One Bulk Fill Case Study by HenryScheinUK - Issuu