EdgeTaper Platinum - Klinische Ergebnisse und klinische Fälle

Page 1

Unsere Mission ist es, endodontische Produkte und Lösungen zu einem günstigeren Preis anzubieten, der wiederum Ärzten und Patienten überall zugutekommt.

About EdgeEndo

EdgeEndo wurde 2012 vom US-amerikanischen Endodontologen Dr. Charles Goodis gegründet. EdgeEndo betreibt Geschäfte in über 30 Ländern auf der ganzen Welt und hat es sich zur Aufgabe gemacht, qualitativ hochwertige Dentalprodukte und -lösungen zu erschwinglichen Preisen anzubieten, die wiederum Ärzten und Patienten überall zugutekommen. Innovation ist das Herzstück von EdgeEndo. Wir glauben, dass PremiumTechnologie nicht zwangsläufig mit einem Premium-Preis einhergehen sollte.

– Charles J. Goodis , DDS-Endodontologe, Albuquerque, NM, USA, Gründer und Eigentümer von EdgeEndo®

Wir helfen Ihnen, großartige Wurzelkanalbehandlungen durchzuführen.

Klinische Ergebnisse und klinische Fälle

Klinischer Fall

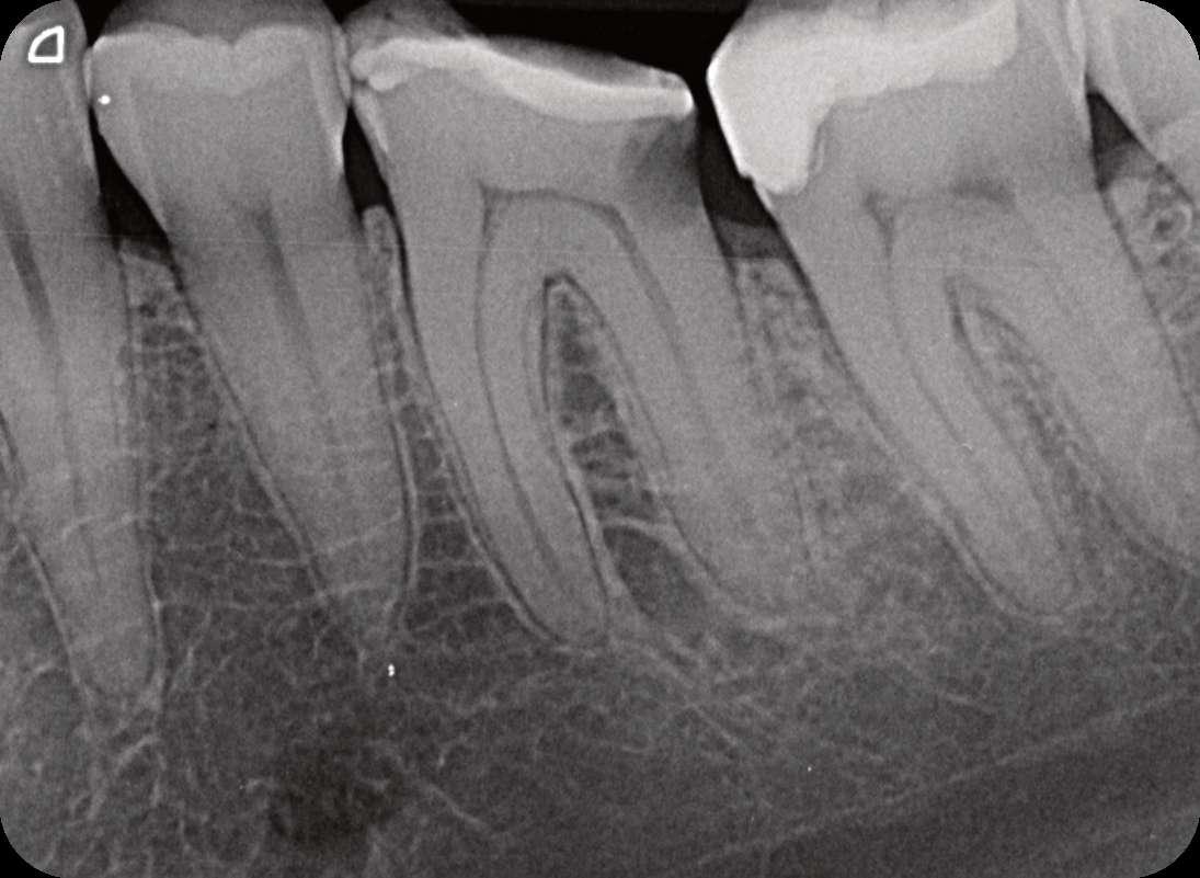
Präoperativ

Der erste untere, linke Backenzahn zeigt einen Zerfall auf dem distalen Teil mit dem Symptom einer irreversiblen Pulpitis. Zuerst wird der Karies entfernt und der Zahn wird mit einer temporären Füllung wieder aufgebaut. Danach wird der Kofferdam platziert und der Zugangshohlraum steht.

Vier Kanäle wurden mit dem SX EdgeTaper Platinum eröffnet. Auch der koronale Teil wurde mit dem S1 EdgeTaper Platinum erweitert. Arbeitslänge und Durchgängigkeit werden mit einer #10 K-Feile erreicht. Die A #15 K-Feile wurde verwendet, um Länge und Durchgängigkeit zu gewährleisten. Dank der Technologie von EdgeNedo war ich im Stande, die Feile für eine komfortable Formgebung vorzuformen, auch wenn die Öffnung reduziert wurde. S1, S2, F1 und F2 EdgeEndo Platin wurde bis zur gesamten Länge des Kanals eingebracht.

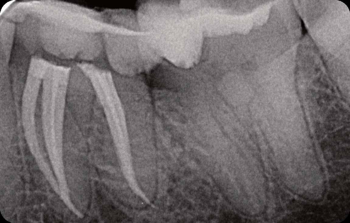
Während der Isthmus-Reinigung zeigte sich zwischen den mesialen Kanälen ein zusätzlicher Kanal. Die Formgebungsphase erfolgte schnell und effizient dank SX zum F2.

Das Röntgenbild zeigte eine große Länge und einen gemeinsamen Ausgang für zwei der drei mesialen Kanäle.

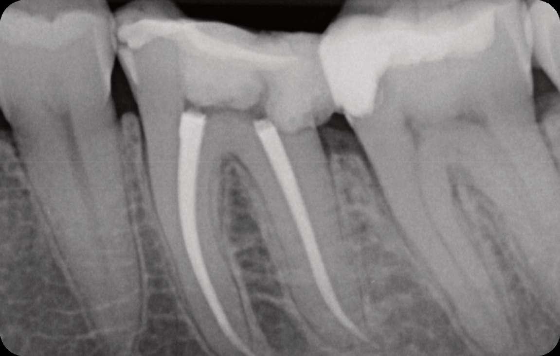
Die Wurzelfüllung erfolgte mit einer einzigen Kegeltechnik unter Verwendung des BUSA EndoSequence Bioceramic Sealer. Das Post-OP-Röntgen zeigt sehr hohe Dichte in der gesamten Länge der Wurzelfüllung.

EdgeTaper Platinum™

mit den meisten Handstücken kompatibel

mit den Parametern von

Gold®.

der

nahtlos

zu

und

stellt

EdgeTaper Platinum™ verfügt über unser wärmebehandeltes Firewire™ NiTi, das es bei 90°-Krümmungen robust und flexibler macht. EdgeTaper Platinum™ weist eine doppelt bessere zyklische Belastbarkeit auf als ProTaper Gold® und eine 6-mal bessere zyklische Belastbarkeit als ProTaper®. Beide Feilensysteme verfügen über einen verstärkten dreieckigen Querschnitt mit einer sich progressiv ändernden Konizität. Erhältlich in den Längen 21 mm, 25 mm, 31 mm mit sechs gleich großen Feilen in jeder Packung. Erleben Sie den neuen Standard in Sachen Feilensicherheit und Kanalzentrierung.

Die
ist
und arbeitet
ProTaper®
ProTaper
Dieser vertraute Ablauf
sicher, dass
Wechsel
EdgeTaper Platinum™
vonstattengeht. 4% 12% 5% 5% SX S 1 S2 F 1 F2 F3 F4 F5 .17 .19 .20 8% .20 10% .25 11% .30 6% .40 5% 6% 9% 7% 6% 6% 5% 5% 5% 5% 4% 5% 5% 4% 5% .50 14mm 9mm 3mm 3mm 9mm

Der Konus wurde kantenbehandelt

Unübertroffene Flexibilität

Wärmebehandeltes FireWire™ NiTi bietet erstaunliche Flexibilität, die 90°Krümmungen ermöglicht. Kein Zurückspringen FireWire™ NiTi springt nicht zurück und schützt so die apikale Anatomie.

Unglaubliche Festigkeit

Zweifaches der zyklischen Belastbarkeit von Protaper Gold® und das Sechsfache von ProTaper®.

Eigenschaften

Wir sind der Meinung, dass Premium-Technologie nicht mit einem Premium-Preis einhergehen sollte.

Leistung Preis Technologie

Turn static files into dynamic content formats.

Create a flipbook
Issuu converts static files into: digital portfolios, online yearbooks, online catalogs, digital photo albums and more. Sign up and create your flipbook.
EdgeTaper Platinum - Klinische Ergebnisse und klinische Fälle by Henry Schein Dental Austria - Issuu