EdgeOne Fire - Klinische Ergebnisse und klinische Fälle

Page 1

Unsere Mission ist es, endodontische Produkte und Lösungen zu einem günstigeren Preis anzubieten, der wiederum Ärzten und Patienten überall zugutekommt.

About EdgeEndo

EdgeEndo wurde 2012 vom US-amerikanischen Endodontologen Dr. Charles Goodis gegründet. EdgeEndo betreibt Geschäfte in über 30 Ländern auf der ganzen Welt und hat es sich zur Aufgabe gemacht, qualitativ hochwertige Dentalprodukte und -lösungen zu erschwinglichen Preisen anzubieten, die wiederum Ärzten und Patienten überall zugutekommen. Innovation ist das Herzstück von EdgeEndo. Wir glauben, dass PremiumTechnologie nicht zwangsläufig mit einem Premium-Preis einhergehen sollte.

– Charles J. Goodis , DDS-Endodontologe, Albuquerque, NM, USA, Gründer und Eigentümer von EdgeEndo®

Wir helfen Ihnen, großartige Wurzelkanalbehandlungen durchzuführen.

Klinische Ergebnisse und klinische Fälle

Klinischer Fall

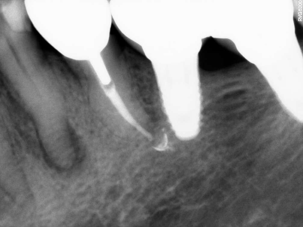
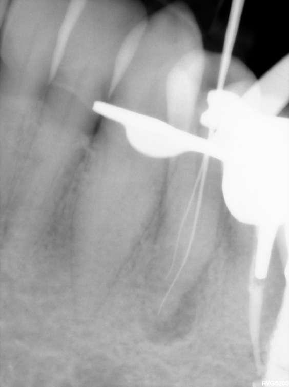
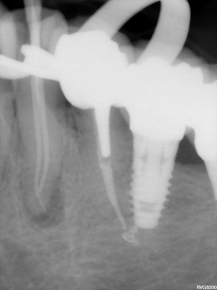
DIVERGIERENDE KANÄLE

Divergierende Kanäle (zwei Kanäle, die zusammen beginnen und sich dann im mittleren / apikalen Teil der Wurzel trennen) stellen ein klinisches Problem in der Endodontie dar, insbesondere bei der Verwendung traditioneller NiTiInstrumente. Aufgrund des superelastischen Verhaltens der Legierung können die Instrumente dem gleichen Kanal folgen (und zwar dem, der gerader ist) aber es ist schwieriger, den zweiten zu finden, insbesondere dann, wenn man den Eingang unmöglich wegen seiner Tiefe in der Wurzel sehen kann.

ZIEL

Der vorliegende Fall zeigt den klinischen Vorteil der Verwendung einer Einzelfeil-Reziprokationstechnik mit einer wärmebehandelten vorgebogenen martensitischen Feile (Edge One Fire) bei der Behandlung divergierender Kanäle auf.

FALLGESCHICHTE

Untere Prämolaren können manchmal zwei oder drei Kanäle aufweisen. Eine solche ungewöhnliche Anatomie ist oft mit engen, stark gekrümmten, konfluenten oder divergierenden Kanälen verbunden. Der letzte Fall ist sehr komplex und erfordert in der Regel den Einsatz von Instrumenten, welche in zwei verschiedenen Kanälen ( daher flexibel und präbendal ) mit unterschiedlichen Winkelstellungen ausgerichtet werden können. Ein angemessener Gleitpfad hilft auch bei der NiTi-Formung, er löst aber nicht immer das Problem. Daher wurde im vorliegenden Fall die primäre EinzelfeileReziproziertechnik EOF verwendet. Die Instrumente wurden in ihrem apikalen Teil vorgeformt, in die beiden verschiedenen Kanäle eingeführt und dann aktiviert. Die Wahl der Instrumente war effektiv, weil die mechanischen Eigenschaften des EOF-Primärs (flexibel und vorgebogen) es ermöglichen, präzise und einfach in jeden Kanal eingeführt zu werden und diese dann zu behandeln. Die Verwendung einer einzigen Feiltechnik ermöglichte es, sich der Herausforderung eines divergierenden Kanals nur einmal zu stellen, was Zeit spart und die Komplexität reduziert. Die Verwendung traditioneller Instrumente kann in vielen Fällen helfen, den Weg mit kleineren und flexibleren Instrumenten zu finden, aber nicht mit größeren. Durch die Verwendung von nur einer Feile erwies sich das gesamte Verfahren als einfacher und schneller, sodass beide Kanäle korrekt geformt, gereinigt und abgedichtet werden konnten.

Gianluca Gambarini, University of Rome, La Sapienza, Dental School; Director of Master of Endodontics Maya Feghali, Cabinet Dentaire Beausoleil, Paris, France

KLINISCHE RELEVANZ

Eine Single-File-Reziprozierungstechnik mit einer wärmebehandelten vorgebogenen martensitischen Feile (Edge One Fire) erwies sich als ausgezeichnete, einfache und schnelle Option für die Instrumentierung von divergierenden Kanälen.

SCHLUSSFOLGERUNGEN

Komplexe Kanalanatomien erfordern den rationalen Einsatz von NITIInstrumenten, indem die beste Option für den Fall in Bezug auf Effizienz, Sicherheit und Einfachheit ausgewählt wird. Die mechanischen Eigenschaften von EOF ermöglichen es, divergierende Kanäle mit großer Wirksamkeit zu behandeln, wobei iatrogene Fehler oder Komplikationen vermieden werden können.

Fire™ verfügt über unser wärmebehandeltes Fire-Wire™ NiTi und wurde entwickelt, um Kanäle in einer umgekehrtreziproken Bewegung zu formen. EdgeOne Fire funktioniert mit vorhandenen Handstücken, die mit dem Parameter von Wave One® Gold betrieben werden. Das Ermüdungsniveau von

Fire entspricht dem Fünffachen von WaveOne® Gold.

Fire™ ist in den Größen Small, Primary, Medium und Large erhältlich. Die Feilen haben einen

Querschnitt mit variabler Konizität. Jede Packung enthält drei Feilen, wahlweise als Sortimentspackung oder Einzelgrößenpackung. Erhältlich in den Längen 21mm, 25mm und 31mm.

EdgeOne
parallelogrammförmigen
EdgeOne
EdgeOne
Small Primary Medium Large 7 % 6 % 7 % 7 % 3 % 3 % 2 % 1 % 6 % 7 % 6 % 5% 5% 6 % 5% 4% 7 % 7 % 6 % 4% 15mm 12mm 9mm 6mm4mm 0.20 0.25 0.35 0.45

EdgeOne Fire™ wurde mit unterschiedlichen Konizitäten entworfen und bereitet Wurzelkanäle in umgekehrtreziproker Bewegung auf.

Unübertroffene Flexibilität

Wärmebehandeltes FireWire™ NiTi bietet erstaunliche Flexibilität, die 90°Krümmungen ermöglicht.

Kein Zurückspringen FireWire™ NiTi springt nicht zurück, wodurch die apikale Anatomie erhalten bleibt.

Unglaubliche Festigkeit Das Fünffache der zyklischen Belastbarkeit von WaveOne® Gold.

Eigenschaften

Wir sind der Meinung, dass Premium-Technologie nicht mit einem Premium-Preis einhergehen sollte.

Leistung Preis Technologie

Turn static files into dynamic content formats.

Create a flipbook
Issuu converts static files into: digital portfolios, online yearbooks, online catalogs, digital photo albums and more. Sign up and create your flipbook.