Dürr Dental - Röngten Aktion 2023

Page 1

Jetzt in die Röntgentechnik der Zukunft investieren!

Diagnostische Geräte aktualisieren und von Aktionsvorteilen profitieren.

Jetzt Preisvorteile sichern!

Steigen Sie jetzt um auf unsere innovative Röntgendiagnostik für exzellente Bilder!

Schnellerer Workflow, höhere Sicherheit, bessere Bilder

Auf diese Vorteile innovativer Röntgentechnik von DÜRR DENTAL setzen zahlreiche Zahnarztpraxen weltweit seit über 50 Jahren. Wir bieten Ihnen jetzt für kurze Zeit eine besondere Austauschp rämie für ausgewählte Röntgensysteme.

Nutzen Sie Ihre Chance!

Machen Sie Ihre Praxis zukunftssicher! Steigen Sie jetzt um auf die innovativen Systemlösungen von DÜRR DENTAL

02

Automatische Bildrotation

Ein auf künstlicher Intelligenz basierender Algorithmus der Imaging Software prüft die Orientierung intraoraler Röntgenbilder anhand der dargestellten Anatomie und korrigiert bei Bedarf automatisch die Bildrotation. Das spart Ihnen wertvolle Arbeitszeit.

Falschseiten ­ Belichtungs ­ Erkennung

VistaSoft AI erkennt automatisch eine potentiell vorliegende Falschseitenbelichtung der Speicherfolie und gibt dem Benutzer einen entsprechenden Hinweis.

Automatische Zahnerkennung

Mittels künstlicher Intelligenz werden direkt nach der Aufnahme alle dargestellten Zähne erkannt und im Zahnschema hinterlegt.

AI ­ gestützte Einzeichnung des Nervkanals

Die AI ­ gestützte Mandibularkanaldetektion errechnet automatisch die Lage des Nervkanals in dreidimensionalen Röntgenbildern. Auf dieser Basis muss der Diagnostiker diesen Vorschlag lediglich kontrollieren.

03
Website Website Website Website
VistaSoft AI inklusive

2D- und 3D-Röntgenaufnahmen in hervorragender Bildqualität.

Listenpreis:

€ 73.590

Angebotspreis:

€ 53.800

VistaVox S und S-Ceph

▪ Ideales 3D­Abbildungsvolumen Ø 130 x 85 mm in Kieferform, so dass der vollständige Bereich bis zu den hinteren Molaren sicher abgebildet wird

▪ 50 x 50 mm Volumen in bis zu 80 μm Voxelgröße

▪ Reduzierte Strahlendosis durch anatomisch angepasstes Volumen

▪ S­Pan­Technologie für exzellente OPG­Aufnahmen in 7 Sek.

▪ 7“­Touch­Display für intuitive Bedienung

▪ VistaSoft – intuitive und offene Bildverarbeitungssoftware

▪ AI­gestützte automatische Nervkanaleinzeichnung

▪ AI­gestützte anatomieangepasste Panorama­Rekonstruktion

Preisangabe netto zzgl. MwSt. gültig bis 31.10.2023, Satz und Druckfehler vorbehalten

04
Mit VistaSoft können Sie den, dank AI automatisch errechneten, Mandibularkanal komfortabel darstellen und über die transversalen Schichtaufnahmen (TSA ­ Ansicht) seinen korrekten Verlauf kontrollieren.

Schneller zum besseren Bild.

Listenpreis:

€ 32.890

Angebotspreis:

€ 24.300

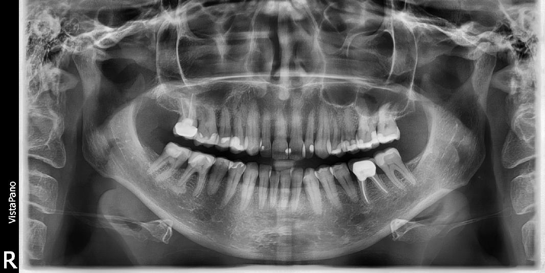
VistaPano S und S-Ceph

▪ S­Pan­Technologie für einfachere Diagnostik

▪ Extrem schnell: OPG Aufnahme in 7 Sekunden

▪ Csl­Sensor für bessere Bildqualität und reduzierte Strahlung

▪ Kleine Stellfläche (nur 130 x 99 cm)

▪ 7“­Touch­Display für intuitives Bedienen

▪ Einfachere Positionierung Face to Face, 3 Positionierlaser

▪ Intuitiver, einfacher Workflow

Preisangabe netto zzgl. MwSt. gültig bis 31.10.2023, Satz und Druckfehler vorbehalten

Bei der S

Pan

werden aus einer großen Vielzahl paralleler Schichten automatisch diejenigen Bildbereiche selektiert, die der tatsächlichen Anatomie am besten entsprechen.

05
Technologie

IO Röntgen in seiner besten Form.

Austauschaktion!!

Listenpreis:

€ 10.499

Angebotspreis:

Bei Austausch eines Entwicklers oder eines alten intraoralen Scanners (Sensor).

VistaScan Mini View 2.0

Hochauflösendes, farbiges Glas­Touch­Display

Alle intraoralen Formate möglich Anbindung über WLAN und LAN Autarkes Arbeiten auch bei einem Ausfall der IT oder im mobilen Einsatz möglich

Listenpreis: € 14.980

Angebotspreis: € 9.900

Patentierte PCS­Technologie für hervorragende Auflösung

▪ Farbakzente passend zu Ihrer Praxis mit dem Ambient Light

▪ Der SmartScan Workflow sorgt durch Automatisierung für ein entspannteres, effizienteres und sichereres Arbeiten.

VistaRay 7 Sensor-Bundle

Sensor Size 1 und/oder Size 2

▪ Hervorragende Bildqualität dank CsI Sensor

▪ Schnelle Bildverfügbarkeit – Plug & Play

▪ Optimale Ergänzung zur Speicherfolie in Endodontie, Implantologie und Zahnerhaltung

06
Preisangabe netto zzgl. MwSt. gültig bis 31.10.2023, Satz und Druckfehler vorbehalten

Strahlenschutzverordnung §114 – mit DÜRR DENTAL kein Problem!

Eine Röntgeneinrichtung darf seit dem 01.01.2023 nur verwendet werden, wenn sie „[…]über eine Funktion verfügt, die die Parameter, die zur Ermittlung der Exposition der untersuchten oder behandelten Person erforderlich sind, elektronisch aufzeichnet und für die Qualitätssicherung elektronisch nutzbar macht“. (StrlSchV §114 Abs. 1 Nr. 2)

Nac h § 195 Abs. 2 S. 1 StrlSchV ist diese Anforderung von Geräten zu erfüllen, die ab dem 1. Januar 2023 erstmals in Betrieb genommen werden.

DÜR R D ENTAL stellt seit dem 01.01.2023 eine Lösung bereit. Mit unserer VistaScan Speicherfolienscanner Familie und den VistaRay Sensoren sind Sie bestens aufgestellt! Unsere Lösung erfüllt die Anforderungen der StrlSchV. und gliedert sich komplett in Ihren bestehenden Workflow ein. Ein entsprechendes Gutachten eines Strahlenschutz­ Sachverständigen liegt vor. Mittels VistaSoft Connect ist ebenfalls eine Lösung zur Einbindung der oben genannten Geräte in Fremdsoftware verfügbar.

VistaIntra DC – perfekt in Funktion und Design

▪ Einfaches Bedienkonzept

▪ Hohe Qualität dank 0,4­mm­Brennfleck und konstanter Strahlung

▪ Perfekt vorkonfiguriert für VistaScan Speicherfolien und VistaRay Sensor – auch für andere Bildempfänger einstellbar

▪ Flexibel dank drei unterschiedlicher Armlängen

▪ Schnelle Installation durch optionale Montage­Adapterplatten

Preisangabe netto zzgl. MwSt. gültig bis 31.10.2023, Satz und Druckfehler vorbehalten

Listenpreis: € 6.190

Angebotspreis: €4.200

07

Vereinbaren Sie einen kostenlosen Termin mit unseren Experten und lassen Sie sich für Ihre individuelle Praxislösung beraten.

Kontaktieren Sie uns!

Mail: einrichtung@henryschein.at

Tel: 05 / 9992 - 3333

Turn static files into dynamic content formats.

Create a flipbook
Issuu converts static files into: digital portfolios, online yearbooks, online catalogs, digital photo albums and more. Sign up and create your flipbook.
Dürr Dental - Röngten Aktion 2023 by Henry Schein Dental Austria - Issuu