Journal Hispanic Dental Association (8th Edition)

Page 1

“Asadiversenationofpeople withdifferentbackgroundsand beliefs,democracyholdsus together.” U.S.PresidentialCentersJointStatement September7,2023 “Comonacióndiversadepersonas condiferentesorígenesycreencias, lademocracianosmantiene unidos”. DeclaraciónConjuntadelosCentros PresidencialesdeEE.UU. 7deSeptiembrede2023

PUBLISHERS

Dr.ManuelA.Cordero,DDS,CPH,MAGD

ExecutiveDirector&CEO HispanicDental Association

TyroneF.Rodriguez,DDS,FACD,FPFA,FAAPD,FICD

PastPresident-HispanicDentalAssociation

DISTRIBUTION

EDITORIAL/SECTIONBOARD

TyroneF.Rodriguez,DDS,FACD,FPFA,FAAPD,FICD

ChiefEditor,JHDA

PrivatePractice,San Antonio,TX

PastProgramDirector,YalePediatricDentistry

ADASpokesperson

AAPDSamuelD.Harris-PastFellow

LuisCamiloYepes,DDS,MS

AssistantEditor

AssistantClinicalProfessorUTHealthSanAntonio,TX AdvanceGeneralDentistryClinicDirectorUT HealthSan Antonio,TX

DenisseGonzálezEstrada,DDS,MEd,FCMO SecretaryandInternationalEditor

PastClinical AssociateProfessor, UniversidadNacional AutónomadeMéxico

ElíasMorón,DDS,MPH,MHL,MHSM

SectionEditor,ContinuingEducation

ClinicalAssistantProfessor,NovaSoutheasternUniversity

VictorRodriguez,DDS,MEd,FICD

SectionEditor,Financial/ProfessionalServices

GeneralDentistPrivatePractice,Houston,TX ClinicalAssistantProfessor, UTHealthHoustonSchoolofDentistry

Alejandro(Alex)MartinezAlanis,RDA,BS,MIOPsy

SectionEditor,SocialMedia/DentalIndustryServices Houston,TX

HerminioPérez,DMD,MBA,EdD,FPFA

SectionEditor,Academia

AssistantDean,StudentAffairs,DiversityandInclusion RutgersSchoolofDentalMedicine,NewJersey

NathaliaHernandez,DMDCandidate,D4

JHDAStudentLeader

UniversityofConnecticutSchoolofDentistry,CT

JOURNALOFTHEHISPANICDENTAL ASSOCIATION(JHDA)

(ISSN2770-324X)online(ISSN2770-3231)print,ispublishedquarterlyon Behalf oftheHispanicDental Association.Allrightsreserved, Copyright©2023by theHispanicDentalAssociation.

Annual Subscription rates:Electronic issues for Members Free.Reprints are $20.00perissue.A$5.00shippingandhandlingfeehasbeenaddedforall subscriptions.SubscriptionsoutsideoftheUnitedStatesmustbepre-paid. Totalreprintcost$25.00.

PrintedindividualcopiesforoutsideoftheUnitedStatesareanadditional15.00 USdollarsforairfreightdelivery.

Disclaimer: ThestatementsandopinionsinthearticlesoftheJournalofthe HispanicDental Associationaresolelythoseoftheindividualauthorsand contributorsandnotoftheHispanicDental Association.Theappearanceof advertisementsintheJournaloftheHispanicDental Associationisnota warranty,endorsementorapprovaloftheproductsorsafety.Theappearance ofadvertisementsintheJournaloftheHispanicDentalAssociationand/orthe publisherdonotmakeanyrepresentationastotheaccuracyorsuitabilityofany oftheinformationcontainedinadvertisementsanddisclaimresponsibilityfor anyinjurytopersonsorpropertyresultingfromanyideasorproductsreferred tointhearticlesoradvertisements.JHDAreservestherighttoacceptorreject alladvertisementssubmittedaswellastherighttowithdrawanyadvertisement.

For advertising information please visit email us: journal@hdassoc.org You canalsocallHDAat 1-853-353-9459or 1-203-919-1048

Permissionsandphotocopying:Forpermissionand/orrightstousecontent fromtheJournaloftheHispanicDental Association, e-mail journal@hdassoc.org forassistance.

andquestionsoropportunitiesaboutyourjournalsubscriptionpleasee-mail:

Journalcustomerservices:Fororderingandadvertisinginformation,claims, enoryt1989@yahoo.com or call 1-203-919-1048.

TarifasdeSuscripciónAnual:EmisioneselectrónicasparaMiembrosGratis. Lasreimpresionescuestan20dólarespornúmero.Sehaañadidounatarifade envíoymanipulaciónde5dólaresparatodaslassuscripciones.Las suscripcionesfueradelosEstadosUnidosdebenpagarseporadelantado.El costototaldelareimpresiónesde25dólares.

LascopiasindividualesimpresasparafueradelosEstadosUnidostienenun costoadicionalde15dólaresestadounidensesparalaentregaportransporte aéreo.

Descargoderesponsabilidad: Lasdeclaracionesyopinionesenlosartículos delaRevistadelaAsociaciónDentalHispanasonúnicamentedelosautoresy colaboradoresindividualesynodelaAsociaciónDentalHispana.Laaparición deanunciosenlaRevistadela AsociaciónDentalHispananoconstituyeuna garantía,respaldooaprobacióndelosproductosolaseguridad.Laaparición deanunciosenlaRevistadela AsociaciónDentalHispanay/oeleditorno hacenningunarepresentaciónencuantoalaprecisiónoidoneidaddela informacióncontenidaenlosanunciosyrenuncianaresponsabilidadpor cualquierdañoapersonasopropiedadqueresultedecualquieridea.o productosalosquesehacereferenciaenlosartículosoanuncios.JHDAse reservaelderechodeaceptarorechazartodoslosanunciosenviados,asícomo elderechoderetirarcualquieranuncio.

Paraobtenerinformaciónpublicitaria,envíenosuncorreoelectrónicoa: journal@hdassoc.org.TambiénpuedellamaraHDAal 1-856-353-9459oal 1-203-919-1048.

Permisosycopias: Paraobtenerpermisoy/oderechosparausarelcontenido delaRevistadela AsociaciónDentalHispana,envíeuncorreoelectrónicoa journal@hdassoc.org paraobtenerayuda.

Serviciosalclientedelarevista: Parasolicitarinformacióndepublicidad, reclamosy cualquierconsultarelacionadaconsususcripciónalarevista, envíeuncorreo electrónico enoryt1989@yahoo.com

ollame 1-203-919-1048

ChristinaMeiners,DDS,FICD President,HispanicDental Association
www.journal@hdassoc.org
MercedesMotaMartinez,DDS,FICOI,FICD,FPFA ImmediatePastPresident,HispanicDental Association BOTLiason/EditingAdvisor

TABLEOFCONTENTS/TABLADECONTENIDO

CEOWELCOME/BIENVENIDADIRECTOREJECUTIVO (Pgs.3-6)

Manuel A.Cordero,DDS,CPH,MAGD

PRESIDENTIALEDITORIALHISPANICDENTALASSOCIATION (Pgs.7-8)

ChristinaMeiners,DDS,FICD

CHIEFEDITOREDITORIAL/EDITORIALEDITORPRINCIPAL (Pgs.9-14)

TyroneF.Rodriguez,DDS,FACD,FAAPD,FICD

GUESTEDITORIAL/EDITORIALINVITADA (Pgs.15-16)

IsabelRambob,DDS

GUESTEDITORIAL/EDITORIALINVITADA (Pg.17)

AideeNietoHerman,DDS,MS

GUESTEDITORIAL/EDITORIALINVITADO (Pgs.18-24)

EricShapira,DDS,MAGD,MA,MHA

ARTICLES/ARTICULOS

1.StalledProgress:TrendsinRacialandEthnicCompositionofDentistsandDentalStudents (Pgs.25-33)

ComparedtotheU.S.Population,ADAH.P.I.)

Progressoestancado:TendenciasenlacomposiciónracialyétnicadeOdontólogosyEstudiantes

deOdontologíaencomparaciónconlapoblacióndeEE.UU.ADAH.P.I.

BrittanyHarrison,MA,BradleyMunson,RachelMorrissey,MA,MatthewMikkelsen,MarkoVujicic,PhD.

2.ALetter:TheConnectionbetweenWomen’sOralHealthandCancer:AnUrgentGlobalCallforAction (Pgs.34-40) UnaCarta:LaConexiónentrelaSaludBucaldelasMujeresyelCáncer:UnLlamadoUrgentealaAcción.

JosefineOrtizWolfe,PhD,MPH,RDH,CHES,DenisseGonzálezEstrada,DDS,MEd,FCMO,

MarthaMutis,DDS,MPH,EdD,FICD,MercedesMotaMartínez,DDS,FICOI,FICD,FPFA ChristinaMeiners,DDS,FICD,MagdadelaTorre,RDH,MPH

3.TheChallengesofDentalMedicaid/CHIPandPossibleSolutions

(Pgs.41-58) LosDesafíosdeMedicaid/CHIPDentalyPosiblesSoluciónes

TyroneF.Rodriguez,DDS,FACD,FPFA,FAAPD,FICD,MauricioMarcushamer,DDS,MS

4.AffirmativeDistraction,ASocialBattleLostbutaHumaneWartoWageOn. (Pgs.59-63)

DistracciónAfirmative,UnaBatallaSocialPerdida,perounaGuerraHumanaporlacualLuchar. Roberto“Bert”Johansson,MD,PhD

5.The“GoldenStandard”isNoMore,PediatricDentistry“AlaCarte.” (Pgs.64-71)

¿”ElEstándardeOro”YaNoExiste?OdontologíaPediátrica¿”AlaCarta”?

GladysCarrasco,DDS,DenisseEstrada,DDS,MEd,FCMO

6.DismissalofAffirmativeActioninHigherEducation. (Pgs.74-76)

DespidodeAcciónAfirmativaenlaEducaciónSuperior.

MychaelMcKeever,BS,SaritaArteaga,DMD,MA,MAGD

7.TheEffectofAnti-DEILegislationonHispanicsinDentistry. (Pgs.77-87)

ElEfectodelaLegislaciónAnti-DEISobrelosHispanosenlaOdontología

ChristinaMeiners,DDS,FICD,VictorRodriguez,DDSMEd,MichelleA.Thompson,DDS

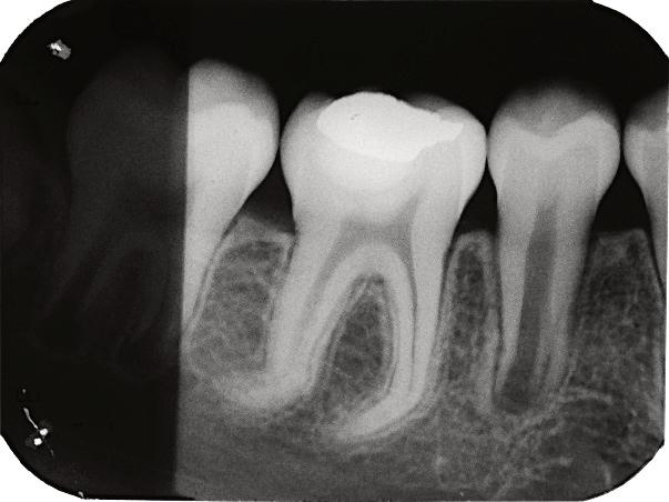
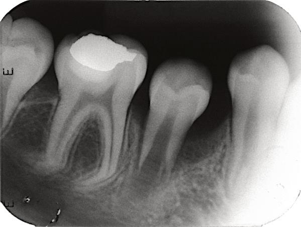
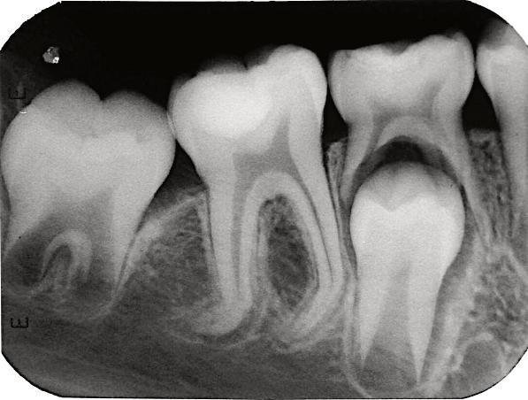
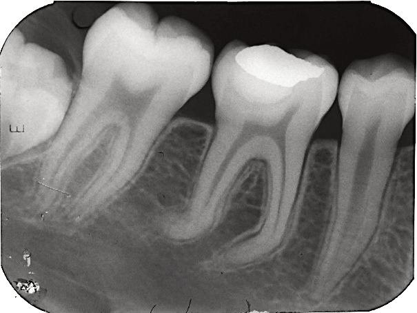
8.Biodentine®AnalternativeinVitalPulpTherapyinYoungPermanentTeeth.ClinicalCase,40monthFollow-Up. (Pgs.88-96)

Biodentine®UnaalternativaenlaTerapiaPulparVitalenDientesPermanentesJóvenes.CasoClínico.Seguimientode40Meses.

LuisDavidRamosFlores,DDS,

9.JHDAQuiz(ContinuingEducationCredit)-ADACERP (Pg.98)

10.InternationallyTrainedDentists:TheSolutiontoaRisingProblemintheU.S. (Pgs.100-110) OdontólogosEntrenadosInternacionalmente:LaSoluciónaunProblemaCrecienteenlosE.E.U.U.

GracelinBrito,DDS

11.Commentary:ProtectagainstSocialInjusticeinScience:HowdoWeLearnfromPastMistakes? (Pgs.111-115)

Comentario:ProtegernoscontrallaInjusticiaSocialenlaCiencia: ¿ComóAprendemosdelosErroresdelPasado?

HerminioPérez,DMD,MBA,EdD,FPFA,TyroneFernandoRodriguez,DDS,FACD,FPFA,FAAPD,FICD

12.InMemoriamSandyReed,PastHDAExecutiveDirector (Pgs.116-121)

INTRODUCTIONS/INTRODUCCIONES

OurLatino/Latinaancestryisrichinits contributionstotheworldbeforeandafter Europeancolonization.Givenwhattheworldhas gainedfromtheinfluencesofpre-European Americasinintellectual,governmental,culinary, musical,andscientificgains,wehavemuchtobe proudof.

Amongsthistorianstheworldhadsixregionsof developmentforcivilization,theseweretheAndes, China,Egypt,IndusValley,Mesoamerica,and Mesopotamia.1

TheOlmecs(1200-300B.C.)werethefirstMesoAmericangrouptocontributetheconceptofzero andhaddevelopedtheirhieroglyphicwriting system.2,4

TheIncas(1400A.D.)usedhighways,rope bridges,andmessengerstokeeptheirempire connectedaswellasadvancedterracingand freeze-dryingtofeedtheirpeople.3

TheAztecsdevelopedarchitecture(pyramids)and hydrologybuildingcitiesuponlakes,art,war,and governmentalframeworks,andgeneticallybased agriculture(developingcorn,beans,tomatoes, pumpkins,chocolate,andchilistonameafew) wereusedtoexpandapowerfulpoliticalempire withover500statesandcloseto6million inhabitants.1,5 JustimagineaworldwithoutFrench fries,pizza,popcorn,whiskey,oracupofhot chocolateonacoldwinterday,ourpeople, “nuestrosantepasados,”madethispossible. TheMayanshelpeddevelopaveryprecise calendarbeforeEuropeandwereatthevanguardof astronomyandmathematics,waterfiltration,and itsmanagement.6 Advancedfarming,the developmentofrubber,andchocolatewerealso areasdevelopedbytheMayans.6 Advanced

medicaltechniqueslikesuturing,useofcasts,and, yes,evendentalfillingsmadeofironpyrite!6

AneconomicrebirthinEuropeaftertheMiddle Ageswasdriveninpartbythehundredsoftonsof goldandsilverextractedfromtheAmericasby colonizingnations.7

Manyworldeventsincludingimperialism,the slavetrade,famines,epidemics,andthegreat worldwarshavepaintedthecanvasofthe Americaswithabroadpalateofinterwoven culturesandpeoples.

“Tosumup,theheritageoftheCaribbean,Central, andLatinAmericablendsindigenous,European, African,andAsianpeoples,languages,andcultural traditions.Thereisno one LatinAmerica,orLatino orLatinAmericanculture—rather,itis all these things.”8

MorerecentlyintheUnitedStates,theterm Hispanicwascoined.Hispanicisatermthatis barelyfiftyyearsold,introducedbytheU.S. CensusBureauin1970asaresultoftheadvocacy effortstoconsolidateMexican,Cuban,andPuerto Ricanimmigrantsas“white.”8

IfweweretolistalltheHispanicsthathave impactedtheUSA'shistory,economy,technology, culture,arts,andwhowehavebecome,itwould takehundredsofpagesjusttonametheoutstanding ones.Ironically,ourmostsalientcharacteristicis thatwerepresenteveryethnic,racial,and phenotypethatexistsonplanetEarth.Itisforthis veryreasonthatweareinvisibleinthiscountry,we donothaveacolororasinglelookbutthe universalityofbeinghuman.

Hispanicsarepresentlythelargestminorityinthe USA,andwecontinuebeingundercountedandnot givencreditforoureconomicimpactwhichgives ourcountrythevibranteconomythatitdependson forgrowthandsustainabilitytobeagloballeader. TheHDAiscommittedtoeducatingand enlighteningourcommunitiesaboutourpositive impactandtheimportanceofcorrectingthe shortageofculturallycompetenthealthcare professionalstoservetheneedsofourunderserved population.Wewillcontinueourpursuitofmore educationalopportunitiesonbothsidesof AcademicinstitutionsandProfessional environmentssinceweneedtoeducatemore HispanicyouthaswellasprovidemoreHispanic educatorsthatcanensureasuccessfuland empoweringarmyofcompetenthealthcare providers,regardlessofbackground,tomitigate theshortagesthatweremadeobviousduringour recentbattlewithSARS-Covid19.Itisduring PublicHealthdisastersthatwebecomeawareof

“Wehavebeenheresincethe beginning”
ManuelA.Cordero,DDS,CPH,MAGD ExecutiveDirector&CEO,HDA
3

whatsilentlyaffectsmillionsincommunities aroundthenation.Onceweseethemagnified effectsonthedisadvantagedandtheinvisible,they becomerealitywhichoursocietymustfaceina reactionaryversuspreventivefashion.Nowisthe time,weaddressandresolvedisparitiesthatrisk ournationandnationalsecurity.9,10 Ourhistoryis richandlongasblendedpeoplesandour contributionswillcontinuetoimpactAmerica.

MorerecentcontributionstotheworldbyLatinos include:11-14

•InventionofColortelevisionandBroadcast: GuillermoGonzálezCamarena,Mexico.11

•EarthquakeDetectionandSeismic Engineering:ArturoAriasSuárez,Chile.11

•CAPTCHAhumanvsrobotwebsite identification:LuisvonAhn,Guatemala.11

•CardiovascularStent:JulioPalmaz, Argentina.11

•X-RayReflectionusedin(Micro/Tele)scopes: AlbertVinicioBáez,Mexico.11

•OriginalContraceptivepill:LuisMiramontes, Mexico.11

•Firsttotalartificialimplantedheart:Domingo SantoLiotta,Argentina.11

•Monoclonalantibodiesusedinbirthdetection, bloodtyping,anddetectionofbacteriaand viruseslikeCovid-19:CésarMilstein, Argentina.12

•Aprolificbotanistandwomen’srights advocate:YnésMexía,MexicanAmerican.12

•PioneerPediatricianandfirstLatinaPresident APHA:HelenRodríguezTrías,PuertoRican American.12

•YoungestPersontobuildandflyaircraft, Astrophysicist,SabrinaGonzalesPasterski, CubanAmerican.12

•FirstpersontolinkYellowFevertransmission tomosquitos:CarlosJuanFinlay,Cuban American.12

•Discoveredhowmanmadecompoundsaffected theOzoneLayer:MarioMolina,Mexico.13

•AerospaceinventorandfirstLatinadirectorof NASAJohnsonSpaceCenter,EllenOchoa. American.13

•Dr.AntoniaNovellowasthefirstwomanandthe firstHispanictobecomeSurgeonGeneralofthe UnitedStates,PuertoRico.14

Asyoucansee,thisbriefhistoricaloverviewplaces intocontextwhatbeingaHispanic,Latino,or Latinasignifiesbecauseofourdeeprootsand creativefruitbornbyourpeople.Thiseditionand itsauthorswillconstitutethediscussionoftopics relatedtosocialandpoliticaltrendsopenandsubtle inchanginglandscapeofOralHealthchallengesfor Hispanics.Weinvitethereadershiptolookbeyond

theproblemsandchallengestousetheawareness gainedtogeneratenovelsolutionsforsocialequity.

VerySincerely,

ManuelA.Cordero,DDS,CPH,MAGD

INTERACTIVEQR-CODEMAPOFTHEMANY PRE-EUROPEANCIVILIZATIONSAND TRIBESINTHEAMERICASANDCARIBBEAN (SeenBelow): https://native-land.ca

Sources/Fuentes:

1.Mineo,L.,UnearthingthesecretsoftheAztecs.Arts& Humanities,TheHarvardGazette.April9,2018.

https://news.harvard.edu/gazette/story/2018/04/unearthingthe-secrets-of-the-aztecs/ #:~:text=They%20grew%20maize%2C%20beans%2C%20to matoes,to%20stunning%20art%20and%20architecture.

2.Olmecs,UniversityofBerkley.AccessedJune29,2023.

https://www.ocf.berkeley.edu/~kennyk/Project/New/Olmecs

3.Franco,M.,Top5AncientIncanInventions.HowStuff Works.AccessedJune29,2023.

https://science.howstuffworks.com/innovation/inventions/5ancient-incan-inventions.htm

4.Talley,P.A.,VastCivilizationsExistedinAmericaBefore theEuropeans.ImagineMexico.August31,2022.

https://imagine-mexico.com/native-maps-of-the-americas/ 5.Diaz,J.,HowtheAztecsshapedthemodernworld.Foothill DragonPress.May9,2020.

https://foothilldragonpress.org/271076/intersections/how-theaztecs-shaped-the-modern-world/

6.7MayanInventionsyouneedtoknow.AccessedJune29, 4

Drs.AntoniaNovelloandManuelCordero

2023

https://www.chichenitza.com/blog/7-mayan-inventions-youneed-to-know

7.Cartwright,M.,TheGoldoftheConquistadors.WorldHistory Encyclopedia.July25,2022.

https://www.worldhistory.org/article/2045/the-gold-of-theconquistadors/

8.Turner-Trujillo,E.,DelToro,M.,Ramos,A.,AnOverviewof LatinoandLatinAmericanIdentity,Getty.September13,2017

https://www.getty.edu/news/an-overview-of-latino-and-latinamerican-identity/

9.Hodge,J.G.,Weidenaar,K.,PublicHealthEmergenciesas ThreatstoNationalSecurity.JournalofNationalSecurityLaw& Policy.April2017

https://jnslp.com/wp-content/uploads/2017/04/ Public_Health_Emergencies_as_Threats_to_National_Security_ FINAL.pdf

10.Abir,M.,Gerstein,D.M.,HealthyNation,SafeNation:Build HealthSecurityintoNationalSecurity.TheRANDBlog.Rand Corporation.March17,2023.

https://www.rand.org/blog/2023/03/healthy-nation-safe-nationbuild-health-security-into.html

11.Carillo,K,J.7GroundbreakingInventionsbyLatino Innovators.History.October15,2021.

https://www.history.com/news/latino-hispanic-inventions

12.Cull,M.,5HispanicScientiststhatmadeamazing contributionstoscience.TheSciences:Discover.September22, 2022.

https://www.discovermagazine.com/the-sciences/5-hispanicscientists-that-made-amazing-contributions-to-science

13.Luna,M.Z.,11FamousHispanicScientistsWhoChangedthe CourseofHistory.HomeschoolSpanishAcademy.October2, 2021.

https://www.spanish.academy/blog/11-famous-hispanicscientists-who-changed-the-course-of-history/

14.NationalInstitutesofHealth.CelebratingAmerica’sWomen Physicians.Biography.USA.Gov.AccessedAugust17,2023.

https://cfmedicine.nlm.nih.gov/physicians/biography_239.html

imperio,asícomoavanzadosandenesyliofilización paraalimentarasupueblo.3

Losaztecasdesarrollaronlaarquitectura(pirámides)y lahidrologíaconstruyendociudadessobrelagos,el arte,laguerraylosmarcosgubernamentales,yla agriculturabasadaenlagenética(desarrollodemaíz, frijoles,tomates,calabazas,chocolateychiles,por nombraralgunos)seutilizaronparaexpandirun poderosoimperiopolíticoconmásde500estadosy cercade6millonesdehabitantes.1,5 Imagínenseun mundosinpapasfritas,pizza,palomitasdemaíz, whiskyounatazadechocolatecalienteenunfríodía deinvierno,nuestragente,“nuestrosantepasados,” hizoestoposible.

Losmayasayudaronadesarrollaruncalendariomuy precisoantesdeEuropayestuvieronalavanguardiade laastronomíaylasmatemáticas,lafiltracióndelagua ysugestión.6 Laagriculturaavanzada,eldesarrollodel cauchoyelchocolatetambiénfueronáreas desarrolladasporlosmayas.6 Técnicasmédicas avanzadascomosuturas,usodeyesosy,sí,¡incluso empastesdentaleshechosdepiritadehierro!6

UnrenacimientoeconómicoenEuropadespuésdela EdadMediafueimpulsadoenparteporloscientosde toneladasdeoroyplataextraídosdelasAméricaspor lasnacionescolonizadoras.7

Muchoseventosmundiales,incluidoselimperialismo, latratadeesclavos,lashambrunas,lasepidemiasylas grandesguerrasmundialeshanpintadoellienzodelas Américasconunampliopaladardeculturasypueblos entrelazados.

“Enresumen,laherenciadelCaribe,AméricaCentral yAméricaLatinamezclapueblos,lenguasy tradicionesculturalesindígenas,europeas,africanasy asiáticas.NohayunaAméricaLatina,olatinoocultura latinoamericana,másbien,sontodasestascosas.”8

Nuestraascendencialatina/latinaesricaensus contribucionesalmundoantesydespuésdela colonizacióneuropea.Teniendoencuentaloqueel mundohaganadograciasalasinfluenciasdelas Américaspreeuropeasenloslogrosintelectuales, gubernamentales,culinarios,musicalesycientíficos, tenemosmuchodequéenorgullecernos.

Entreloshistoriadores,elmundoteníaseisregionesde desarrolloparalacivilización,estaseranlosAndes, China,Egipto,elValledelIndo,Mesoaméricay Mesopotamia.1

Losolmecas(1200-300a.C.)fueronelprimergrupo mesoamericanoenaportarelconceptodelceroy habíandesarrolladosusistemadeescritura jeroglífica.2,4

Losincas(1400d.C.)utilizaroncarreteras,puentes colgantesymensajerosparamantenerconectadosu

MásrecientementeenEstadosUnidosseacuñóel términohispano.Hispanoesuntérminoqueapenas tienecincuentaaños,introducidoporlaOficinadel CensodelosEstadosUnidosen1970comoresultado delosesfuerzosdepromociónparaconsolidaralos inmigrantesmexicanos,cubanosypuertorriqueños como“blancos”8 .

Situviéramosqueenumeraratodosloshispanosque hanimpactadolahistoria,laeconomía,latecnología, lacultura,lasartesdelosEE.UU.yenquiénesnos hemosconvertido,tomaríacientosdepáginassolo nombraralosmásdestacados.Irónicamente,nuestra característicamásdestacadaesquerepresentamos todaslasetnias,razasyfenotiposqueexistenenel planetaTierra.Esporesomismoquesomosinvisibles enestepaís,notenemosuncolorniunasolamirada sinolauniversalidaddelserhumano.

“Hemosestadoaquídesdeel principio.”
ManuelA.Cordero,DDS,CPH,MAGD. DirectorEjecutivo&CEO,HDA
5

Loshispanossonactualmentelaminoríamásgrande enlosEE.UU.,yseguimossiendosubestimadosyno senosdacréditopornuestroimpactoeconómicoque ledaanuestropaíslaeconomíavibrantedelaque dependeparaelcrecimientoylasostenibilidadpara serunlídermundial.

LaHDAsecomprometeaeducareinformaranuestras comunidadessobrenuestroimpactopositivoyla importanciadecorregirlaescasezdeprofesionalesde lasaludculturalmentecompetentesparaatenderlas necesidadesdenuestrapoblacióndesatendida. Continuaremosnuestrabúsquedademás oportunidadeseducativasenambosladosdelas institucionesacadémicasylosentornosprofesionales, yaquenecesitamoseducaramásjóveneshispanosy proporcionarmáseducadoreshispanosquepuedan garantizarunejércitoexitosoyempoderadorde proveedoresdeatenciónmédicacompetentes, independientementedesusantecedentes.paramitigar laescasezquesehizoevidentedurantenuestra recientebatallacontraelSARS-Covid19.Esdurante losdesastresdesaludpúblicaquenosdamoscuentade loqueafectasilenciosamenteamillonesen comunidadesdetodoelpaís.Unavezquevemoslos efectosmagnificadossobrelosdesfavorecidosylos invisibles,seconviertenenunarealidadquenuestra sociedaddebeenfrentardemanerareaccionariaversus preventiva.Ahoraeselmomento,abordamosy resolvemoslasdisparidadesqueponenenriesgo nuestranaciónylaseguridadnacional.9,10 Nuestra historiaesricaylargacomopueblosmixtosynuestras contribucionescontinuaránimpactandoaEstados Unidos.

Lascontribucionesmásrecientesdeloslatinosal mundoincluyen:11-14

•Invencióndelatelevisiónencolorylatransmisión: GuillermoGonzálezCamarena,México.11

•DeteccióndeTerremotoseIngenieríaSísmica: ArturoAriasSuárez,Chile.11

•CAPTCHAIdentificacióndelsitiowebhumanovs robot:LuisvonAhn,Guatemala.11

•StentCardiovascular:JulioPalmaz,Argentina.11

•ReflexiónderayosXutilizadaen(Micro/ Tele)scopios:AlbertVinicioBáez,México.11

•PíldoraAnticonceptivaOriginal:LuisMiramontes, México.11

•Primercorazónartificialtotalimplantado:Domingo SantoLiotta,Argentina.11

•Anticuerposmonoclonalesutilizadosendetecciónde nacimientos,tipificaciónsanguíneaydetecciónde bacteriasyviruscomoelCovid-19:CésarMilstein, Argentina.12

•Prolíficabotánicaydefensoradelosderechosdela mujer:YnésMexía,mexicoamericana.12

•PediatrapionerayprimerapresidentalatinaAPHA: HelenRodríguezTrías,puertorriqueña estadounidense.12

•Personamásjovenenconstruiryvolaraviones, astrofísica,SabrinaGonzalesPasterski, cubanoamericana.12

•Primerapersonaenvincularlatransmisióndela FiebreAmarillaalosmosquitos:CarlosJuanFinlay, cubanoamericano.12

•Descubriócómoloscompuestoshechosporel hombreafectaronlacapadeozono:MarioMolina, México.13

•Inventoraaeroespacialyprimeradirectoralatinadel CentroEspacialJohnsondelaNASA,EllenOchoa. Americano.13

•LaDra.AntoniaNovellofuelaprimeramujeryla primerahispanaenconvertirseenCirujanaGeneralde losEstadosUnidos,PuertoRico.14

Comopuedenver,estabrevereseñahistóricaponeen contextoloquesignificaserhispano,latinoolatina pornuestrasprofundasraícesyelfrutocreativoque nacedenuestropueblo.Estaediciónysusautores constituiránladiscusióndetemasrelacionadosconlas tendenciassocialesypolíticasabiertasysutilesenel panoramacambiantedelosdesafíosdesaludbucal paraloshispanos.Invitamosaloslectoresamirarmás alládelosproblemasydesafíosparautilizarla concienciaadquiridaparagenerarsoluciones novedosasparalaequidadsocial.

Sinceramente,

MAPAINTERACTIVOCODIGO-QRDELAS MUCHASCIVILIZACIONESYTRIBUS PREEUROPEASENLASAMÉRICASYEL

CARIBE(Vistoabajo):

https://native-land.ca

ManuelA.Cordero,DDS,CPH,MAGD
6

U.S.SupremeCourtJustice,SoniaSotomayor

ChristinaMeinersDDS,FICD

HDAPresident

“Ihopetonotonlybeaninspirationforbutareflection ofthefutureofleadershipinDentistry”-thesewere thewordsIspokeduringmyinstallationceremonyas PresidentoftheSanAntonioDistrictDentalSociety. IspokethesewordsthroughaZoommeetingin2020 asCovidhitandweasaprofessionweresidelined, labeled“non-essential”andmadetofeellessthan equaltoourothermedicalcolleagues.Asan organization,wecametogethertodefendour professionandstandforwhatweknewwasright. Now,duringmytimeasPresidentoftheHispanic DentalAssociation,Iamagainfacedwithmembersof ourprofessionbeingsidelined,theirjobtitlesbeing takenawayandpositionsandofficesconsidered “unnecessary”,andmadetofeellessthanequal.And whereisthejusticeinthis?

Over22states,includingmyhomestateofTexas,have introducedorpassedover40HouseorSenatebills relatedtoAnti-DEIlegislation.Thesebillswouldforce publiclyfundedcolleges,governmentagencies,and universitiestoclosetheirdiversity,equity,and inclusionoffices,eliminatepositionsandfunding relatedtoDEI,bananymandatorytrainingpertaining toDEI,andeliminatediversitystatementsaspartof thehiringprocess.TheseBillsaimtoreversethe progresswehavemadeoverthelastcenturyand continuetocreatebarriersratherthanbridgesforour communitiesofcolor.

Thislegislativeseason,myhometownofTexas,astate thathasthelargestpopulationofAfricanAmericans andwhereLatinosnowoutnumbernon-Hispanic whites,becameoneof4statestosignintolawAntiDEIlegislation.ThispastJunetheSupremeCourt alsooverturnedAffirmativeActionincollege admissionsfurtherincreasingbarriersforourHispanic andotherunder-representedminoritystudents. Our

HDAWhitepaperhighlightsthelackofdiversityand representationinthedentalworkforceandlawslike thiswillonlycontinuetofurtherthisdivide.

IamheretodaybecauseoftheopportunitiesIhad throughDEIpathwayrecruitmentprogramsandthe mentorshipIreceivedwithaccesstoadiverse, Hispanicfaculty,bothofwhicharebeingthreatened today.ManyofourHDAmembersandleadershipare proudalumnaoftheADA’sInstituteforDiversityand Leadership,andarepartofthe“ADA’sDiversity& InclusionChampionNetwork”-butachampionof what?Wearecurrentlyfightinganuphillbattle.These billsarejustthestartandifwestaysilentnow,where/ whenwillitend?Althoughwemaybeaminority withinthisprofession,andfurtherwithinpositionsof leadershipinorganizeddentistry,wewillonly continuetobeaminoritywithretrogradelegislation thatseekstoeliminatetheprogresswehavealready made.

EversinceIwasastudenttheHDAhasbeenan organizationwhereIfeltsafetobemyselfandhada supportivefamilyalongsideme.Itrulystandbehind ourbeliefthatTheHispanicDentalAssociationstrives tofosterinclusivity,diversity,andequality/equityfor all.Forthisreason,wehavedraftedalegislativeletter speakingoutagainsttheseAnti-DEIlawsandare askingourmembersandcolleaguestobeaChampion forDiversity&Inclusionandtakea standwithus!I inviteyoutosharethisjournalwithyourstateand nationallegislatorsandjoinourcalltoactionby signingourpetition hereorthe QRbelow:

https://chng.it/gdQLgttbRN

UnidosServimos,JuntosAdelante!

“Equalityrequires acknowlegmentofinequality.”
7

“Esperonosoloserunainspiración,sinotambién unreflejodelfuturodelliderazgoenodontología”, estasfueronlaspalabrasquepronunciédurantemi ceremoniadetomadeposesióncomopresidentede laSociedadDentaldelDistritodeSanAntonio. Pronunciéestaspalabrasatravésdeunareuniónde Zoomen2020cuandollegóCovidynosotros, comoprofesión,fuimosmarginados,etiquetados como"noesenciales"ynoshicieronsentirmenos queigualesanuestrosotroscolegasmédicos. Comoorganización,nosunimosparadefender nuestraprofesiónydefenderloquesabíamosque eracorrecto.Ahora,durantemitiempocomo presidentedelaAsociaciónDentalHispana, nuevamentemeenfrentoamiembrosdenuestra profesiónquesondejadosdelado,selesquitanlos títulosdetrabajoyseconsideranpuestosyoficinas “innecesarios”,yseleshacesentirmenosque iguales.¿Ydóndeestálajusticiaenesto?

Másde22estados,incluidomiestadonatalde Texas,hanpresentadooaprobadomásde40 proyectosdeleydelaCámaraoelSenado relacionadosconlalegislaciónAnti-DEI.Estos proyectosdeleyobligaríanaloscolegios,agencias gubernamentalesyuniversidadesfinanciadoscon fondospúblicosacerrarsusoficinasdediversidad, equidadeinclusión,eliminarpuestosyfondos relacionadosconDEI,prohibircualquier capacitaciónobligatoriarelacionadaconDEIy eliminardeclaracionesdediversidadcomoparte delprocesodecontratación..Estosproyectosde leytienencomoobjetivorevertirelprogresoque hemoslogradoduranteelsiglopasadoycontinúan creandobarrerasenlugardepuentesparanuestras comunidadesdecolor.

Estatemporadalegislativa,mipueblonatalde Texas,unestadoquetienelamayorpoblaciónde afroamericanosydondeloslatinosahorasuperan ennúmeroalosblancosnohispanos,seconvirtió enunodelos4estadosenpromulgarlalegislación Anti-DEI.Enjuniopasado,laCorteSuprema tambiénrevocólaAcciónAfirmativaenlas admisionesuniversitarias,aumentandoaúnmáslas barrerasparanuestrosestudianteshispanosyde

otrasminoríassubrepresentadas.Nuestroinforme técnicodeHDAdestacalafaltadediversidady representaciónenlafuerzalaboraldentalyleyes comoestasolocontinuaránaumentandoesta división.

Estoyaquíhoydebidoalasoportunidadesquetuve atravésdelosprogramasdereclutamientodeDEI ylatutoríaquerecibíconelaccesoaunafacultad hispanadiversa,lascualesestánsiendo amenazadashoy.Muchosdenuestrosmiembrosy líderesdeHDAsonexalumnosorgullososdel InstitutoparalaDiversidadyelLiderazgode ADA,ysonpartedela"Reddecampeonesde diversidadeinclusióndeADA",pero¿campeónde qué?Actualmenteestamoslibrandounabatalla cuestaarriba.Estosproyectosdeleysonsoloel comienzoysipermanecemosensilencioahora, ¿dónde/cuándoterminará?Sibienpodemosser unaminoríadentrodeestaprofesión,ymásallá dentrodelospuestosdeliderazgoenla odontologíaorganizada,soloseguiremossiendo unaminoríaconunalegislaciónretrógradaque buscaeliminarlosavancesqueyahemoslogrado. Desdequeeraestudiante,laHDAhasidouna organizaciónenlaquemesentíseguradeseryo mismaytuveunafamiliaquemeapoyaba. Realmenteapoyonuestracreenciadequela AsociaciónDentalHispanaseesfuerzapor fomentarlainclusión,ladiversidadylaigualdad/ equidadparatodos.Porestarazón,hemos redactadounacartalegislativaencontradeestas leyesAnti-DEIyestamospidiendoanuestros miembrosycolegasqueseandefensoresdela diversidadylainclusiónytomenunaposicióncon nosotros.Losinvitoacompartirestediarioconsus legisladoresestatalesynacionalesyunirsea nuestrollamadoalaacción firmandonuestra peticiónaquí oel QRabajo:

https://chng.it/gdQLgttbRN

UnidosServimos,JuntosAdelante!

“Laigualdadrequiereel reconocimientodela desigualdad”.
MagistradadelaCorteSupremaEE.UU., SoniaSotomayor
8

AmyChua

TyroneFernandoRodriguez,DDS,FACD, FPFA,FAAPD,FICD

Anideacanbeapowerfulforcethatcanshape thinkingbasedoninterpretation.Thinkingcan changebehaviors.Thesebehaviorsunderthemuseof anideacanencouragetraditionsimpactingsocieties. Sohowcananideahelporhurtanationoreventhe globe?The“AmericanDream”,aradicalideaatits inception,droveimmigrationfromaroundtheglobe toAmericanshores.Thisideaispowerfulbeaconin aworldofdarknessthatcontinuestofuelhopeof unbiasedjustice.TheconceptofDemocracyisa societygovernedbythepeopleforthepeopleand supportintheory,thisidea.TheUnitedStatesisa “ConstitutionalDemocracy”sinceitisguidedbythe originalConstitutionplusthefirstadded10 Amendments(a.k.a.BillofRights)aswellasthe additional17addedones.Soasasocietythe Constitutionplus27Amendmentsgoverninconcept oursociety.BasedontheOxfordEnglishDictionary, theAmericanDreamis“theidealthateverycitizen oftheUnitedStatesshouldhaveanequal opportunitytoachievesuccessandprosperity throughhardwork,determination,and initiative.” Aswewatchthenews,peruseour electronicmedia,andinteractwithourcommunities, isthiswhatwenoticetakingplacetoday?

The“AmericanDream”ismorecomplexifwe reviewhistory.Aswithanystory,historydependson whointerpretseventsandtheparticipants'pastbiases. Mydaughter,arising3rdgrader,recentlysharedher classprojectwithme.ShehadtoselectanAmerican hero.Shewasinstructedtofindinformationto answeraworksheetwithsomebasicquestionsabout aleadersuchasbirthplace,contributiontothe country,andhowtheypromotedthe“American Dream.”So,shechose,GeorgeWashington,thefirst presidentoftheUnitedStatesofAmerica.Afterall,

thiswasthehistoricalfigureshewaslearningaboutin classandonthefaceoftheone-dollarbillthatshe wasveryfamiliarwith.Wesharedwithourdaughter, thathistorytellsstoriesaboutpeoplebutmanytimes factsareomittedandamorefavorableportrayal makesitswayintotheeducationalsystemto perpetuatethe“AmericanDream.”Asweshared withourdaughter,thewebsitemountvernon.org states,“GeorgeWashingtonbecameaslaveownerat themereageof11andwasinvolvedinthepracticeof slaveryfor56years.OnhisestateofMountVernon, 317people,slaves,includingmen,womenand childrenresideduntilhediedin1799.”1 Thesefacts challengetheideaofthe“AmericanDream”asto whetheradreamforallmightbeanightmarefor others.

Historically,ascolonizationinNorthAmericahas takenplace,the“AmericanDream”hasbeena powerfultoolusedbythoseinpower.Thegoalof fabricatingahomogenousculturehasbeen implementedbymanycivilizationstomeettheneeds oftheruling.AfewexamplesinAmericanHistory havebeenhowcaptiveswerebroughtfromAfrica (slaves)asproperty,forciblyrelocatedNative Americanshadtheirlandsstolen,discrimination againstJapaneseandChinesefamiliesoutoflabor andwarinterestswerecommonplace,andmany otherimmigrants/refugeeshavebeen“usedand reprogrammed”oryoucouldsayassimilatedtofitin a“veileddemocratic”systemsupportingthe “AmericanDream.”IntheSearchfortheAmerican Dreamstudy,theauthorobserved“thefaster youth assimilated to“American ways”,says becomingfluentinEnglish,themorelikelytheywere togainupwardmobility.”2

IdaresayarecenttrendstrikesastheheartofLatino/ Latinaculture.Recentimmigrationandglobal conflictshavebroughthometheeffectsofgenocide. Genocide,atermcoinedin1944byRaphaelLemkin, aPolishJewandcivilrightslawyer,is alarge-scale andsystematickillingmadetowipeoutaspecific group. 3 Aparallel,yetveryactivehomologue,known as“Ethnocide”alsocoinedbyRaphaelLemkinin 1944butnotgiventhesamedegreeofimportance. “Ethnocide”isthe destructionofculturewhile keepingthepeople. 3 Thisisafarmoresinister constructinmyopinionduetothemulti-frontattack withthegoalofreprogrammingmindsandsocial norms.Thinkingandlanguageareinextricablytiedas Scienceshows.Languageisapillarthathelpsto preserveculture,therefore,therestrictionoflanguage isdetrimentaltoanycultureanditsidentity.

Inaverysubtlebutopenfashion,the“American Dream”hasbeenusedtojustifytheeradicationof manyculturesincludingHispanicCulturehereinthe U.S.

“Doyouknowwhataforeign accentis?It’sasignofbravery.”
9

InmyhomestateTexas,the“No-SpanishRule”was implementedin1918aspartoftheTexaseducational systemwithlegislativeactsandlastedupuntilJune3, 1973,wherespeakingSpanishwasprohibitedand punishableforthepurposeofeducating“culturally dissimilar”Tejanos.4 Beforethepandemic,thePew ResearchCenterconductedanationalsurveyin2019 ofover3,000AdultLatinosontheawarenessanduse oftheterm“Latinx.”Interestingly,only3%ofthose surveyedtendtousethetermwithapredominanceof youngHispanicwomendoingso.5 Wemustcautiously avoidthegenderdivideasthishasnotbodewellfor otherethnicgroupsintheUnitedStates.

SpanishisaLatin-basedlanguageandyesnounshave gendersinSpanishaswellasotherLatin-based languages(French,Italian,Romanian),thisispartof ourheritage.WhetherweidentifyasLatino,Latina, Hispanic,orotherAmerican/Caribbeannationality, wemustappreciatethatwecomefromgreat civilizationsandcomefromstrongunitedfamilies. Wehada“people”withabroadhistoryinthe Americas,asmanyas112millionstrongbeforethe 1492,theEuropeaninvasion.Thispopulation,our people,wasdecimatedtolessthan5millionby1650.6

Whatisattemptingtotakeplaceistrulyan“epic ethnocide”,ofproportions.Awisepersononcesaid, ashumans,wefacetwodeaths.Thefirstoneiswhen wephysicallydie.Thesecondiswhenweare forgotten.Itisinmyhumbleopinion,“Latinxor Latine”,areTrojanHorsesinthewarofcultural assimilation.Youngergenerationsonthefrontlines areunawareofthismenace.Thesetermsarejustified bythosecontrollingthe”AmericanDream”neointellectualmindsetwithafasttracktoeraseour culturethroughanotherwaveofhomologous thinking.Asforme,Iwillalwaysbeadescendantof LatinosandLatinasaswellasHispanosandHispanas, IhaveAbuelosandAbuelasnot“Abuelixsor Abuelines”whichIamproudtorememberandkeep alivethroughmyculture,traditions,andLanguage.I don’tseeEnglishinahurrytochange“Human, Woman,andMankind”to“Huminx,Wominx,and Minxkind.”Blockthisideologythataimstoforsake ourpricelessHeritage.

“Soyquiensoy,nuncalonegareyesome enorgullecera,hoy,mañanaysiempre.”

LatinxorLatine=ethnocide.Thesepromoted termsstrivetominimizeourhistoryandourculturein theUnitedStatesandabroad. Wehavemuchtofightforincludinghealthdisparities inourcommunities.Aspublishedin2022,over1/3 (36%)ofHispanicadultsages20-64haduntreated decaywhencomparedto22%ofnon-Hispanicwhite adultsinthesameagegroup.7 Theideaof acculturationwasexploredinthisstudy. Acculturationisdefinedastheabilityofanindividual, usuallyfromaracialorethnicminoritygroup,to adapttotheculture(e.g.,beliefs,customs,and language)ofthemajoritygroup.Asthestudypoints

out,“Contrarytoourhypothesis,Hispanicadultswith highoralhealthliteracyandhighacculturationwere notmorelikelytohaveuseddentalcareinthepast yearthanthosewithloworalhealthliteracyandlow acculturation.”7 Forme,thisclearlymeansopen assimilationandsubtleethnocidedon’tprovidebetter healthoutcomes,theymerelyprovideafalsesenseof securityinthe“system”andabetrayalofourancestry.

Thisissuewillexplorecomplexsocial,personal,and systematicissuesregardingraceandethnicityinour nationaswellasinotherpartsoftheworldwith impactsontheoralhealthcommunitysharednotonly

10
*Phillipines

byLatinos/Latinasbutourbrothersandsistersof color. Undoubtedly,theauthorsandmyselfloveour countrysowemustspeakupandacttoguidethe future. Severalofourtopicsmightbeuncomfortable inthesepagescontainedwithinbutthedialogueand theperspectivemustbesharedtoanswerhowdowe makea“DreamaRealitytoperpetuateourrich culturesandethnicities?”Americaisaheterogenous societybuiltuponglobalimmigration.As Americans,wemustbeabletolivebyan“equal opportunitytoachievehealthandprosperity throughhardwork,determination,and inalienablerights,makingthe“American Dream”areality.

Sources/Fuentes:

1.https://www.mountvernon.org/george-washington/ slavery/ten-facts-about-washington-slavery/

2.Smith,Milenna(2016)"TheSearchforthe AmericanDream:Interpersonal,Cultural,and StructuralConstraintsonImmigrants,"Silicon ValleyNotebook:Vol.14,Article9https:// scholarcommons.scu.edu/cgi/ viewcontent.cgi?article=1022&context=svn

3.https://www.americanbar.org/groups/ human_rights/dignity-rights-initiative/ethnocideproject/what-is-ethnocide-/

4.Rodríguez,R. BilingualEducation.TexasState HistoricalAssociation(AnIndependentNonprofit Since1897),February15,2020.

https://www.tshaonline.org/handbook/entries/ bilingual-education

5.Noe-Bustamante,L.,Mora,L.,Lopez,M.H., AboutOne-in-FourU.S.HispanicsHaveHeardof Latink,butJust3%Useit:YoungHispanicwomen amongthemostlikelytousetheterm.Pew ResearchCenter.August11,2020.

https://hispanicad.com/wp-content/uploads/2020/08/ phgmd_2020.08.11_latinx_final.pdf

6.Denevan,W.M.,TheNativepopulationofthe Americasin1492.UniversityofWisconsinPress, 1992.

https://uwpress.wisc.edu/books/0289.htm

7.NguyenDP,McQuistanMR,QianF,Hernández M,MacekMD,ChiDL.Theinteractiveeffectsof oralhealthliteracyandacculturationondentalcare useamongHispanicadults.JPublicHealthDent. 2022Jun;82(3):295-302.doi:10.1111/jphd.12529. Epub2022May29.PMID:35644999;PMCID: PMC9546387.

https://www.ncbi.nlm.nih.gov/pmc/articles/ PMC9546387/

11

Unaideapuedeserunafuerzapoderosaquepuede darformaalpensamientobasadoenla interpretación.Elpensamientopuedecambiarlos comportamientos.Estoscomportamientosbajola musadeunaideapuedenfomentartradiciones impactandosociedades.Entonces,¿cómopuede unaideaayudarodañaraunanaciónoinclusoal mundo?El“SueñoAmericano”,unaidearadicalen susinicios,impulsólainmigracióndetodoel mundoalascostasestadounidenses.Estaideaesun poderosofaroenunmundodeoscuridadque continúaalimentandolaesperanzadeunajusticia imparcial.ElconceptodeDemocraciaesuna sociedadgobernadaporelpuebloparaelpuebloy sustentaenteoría,estaidea.EstadosUnidosesuna "democraciaconstitucional"yaqueserigeporla Constituciónoriginalmáslasprimeras10 enmiendasañadidas(tambiénconocidascomo Declaracióndederechos),asícomolas17 adicionalesañadidas.Entonces,comosociedad,la Constituciónmás27enmiendasgobiernanen conceptonuestrasociedad.BasadoenelOxford EnglishDictionary,elSueñoAmericanoes“el idealdequetodoslosciudadanosdelosEstados Unidosdeberíantenerlamismaoportunidadde lograreléxitoylaprosperidadatravésdel trabajoarduo,ladeterminaciónylainiciativa”. Mientrasmiramoslasnoticias,examinamos nuestrosmedioselectrónicoseinteractuamoscon nuestrascomunidades,¿esestoloquenotamosque sucedehoy?El“sueñoamericano”esmás complejosirepasamoslahistoria.Comocon cualquierhistoria,lahistoriadependedequién interpreteloseventosylosprejuiciospasadosde losparticipantes.

Mihija,unafuturaestudiantedetercergrado, recientementecompartióconmigosuproyectode clase.Teníaqueseleccionarunhéroe estadounidense.Seleindicóquebuscara informaciónpararesponderunahojadetrabajocon algunaspreguntasbásicassobreunlíder,comoel lugardenacimiento,lacontribuciónalpaísycómo promovieronel“SueñoAmericano”.Entonces eligióaGeorgeWashington,elprimerpresidente delosEstadosUnidosdeAmérica.Despuésde

todo,estaeralafigurahistóricasobrelaqueestaba aprendiendoenclaseyenelanversodelbilletede undólarconelqueestabamuyfamiliarizada. Compartimosconnuestrahijaquelahistoria cuentahistoriassobrepersonas,peromuchasveces seomitenhechosyunarepresentaciónmás favorableseabrecaminoenelsistemaeducativo paraperpetuarel“sueñoamericano”.Como compartimosconnuestrahija,elsitioweb mountvernon.orgafirma:“GeorgeWashingtonse convirtióendueñodeesclavosalaedadde11años yestuvoinvolucradoenlaprácticadelaesclavitud durante56años.EnsupropiedaddeMount Vernon,residían317personas,esclavos,incluidos hombres,mujeresyniños,hastasumuerteen 1799.”1 Estoshechosdesafíanlaideadel“sueño americano”encuantoasiunsueñoparatodos podríaserunapesadillaparaotros.

Históricamente,amedidaquesellevóacabola colonizaciónenAméricadelNorte,el“Sueño Americano”hasidounapoderosaherramienta utilizadaporquienesestánenelpoder.Elobjetivo defabricarunaculturahomogéneahasido implementadopormuchascivilizacionespara satisfacerlasnecesidadesdelosgobernantes. AlgunosejemplosenlahistoriadelosEstados Unidoshansidocómoloscautivosfuerontraídos deÁfrica(esclavos)comopropiedad,losnativos americanosreubicadosalafuerzalesrobaronsus tierras,ladiscriminacióncontralasfamilias japonesasychinasdebidoaltrabajoylosintereses deguerraeranunlugarcomún,ymuchosotros inmigrantes/Losrefugiadoshansido"utilizadosy reprogramados"o,podríadecirse,asimiladospara encajarenunsistema"democráticovelado"que apoyael"sueñoamericano".EnelestudioSearch fortheAmericanDream,elautorobservóque “cuantomásrápidose asimilen losjóvenesalos “estilosestadounidenses”,dicequedominanel inglés,másprobableesqueobtenganmovilidad ascendente”.2

Meatrevoadecirqueunatendenciareciente golpeacomoelcorazóndelaculturalatina/latina. Lainmigraciónrecienteylosconflictosglobales hantraídoacasalosefectosdelgenocidio.El genocidio,untérminoacuñadoen1944por RaphaelLemkin,unjudíopolacoyabogadode derechosciviles,esunasesinatosistemáticoya granescalahechoparaacabarconungrupo específico.3

Unhomólogoparalelo,peromuy activo,conocidocomo“Etnocidio”también acuñadoporRaphaelLemkinen1944peronosele daelmismogradodeimportancia.“Etnocidio”es ladestruccióndelaculturamanteniendoala gente.3 Estaesunaconstrucciónmuchomás siniestraenmiopinióndebidoalataquede

“¿Sabesloqueesunacento extranjero?Esunsignode valentía”. AmyChua
12

múltiplesfrentesconelobjetivodereprogramarlas mentesylasnormassociales.Elpensamientoyel lenguajeestánindisolublementeligados,como muestralaciencia.Elidiomaesunpilarqueayudaa preservarlacultura,porlotanto,larestriccióndel idiomaesperjudicialparacualquierculturaysu identidad.

Deunamaneramuysutilperoabierta,el“Sueño Americano”sehautilizadoparajustificarla erradicacióndemuchasculturas,incluidalacultura hispanaaquíenlosEE.UU.

Enmiestadonatal,Texas,la“Regladenoespañol” seimplementóen1918comopartedelsistema educativodeTexasconactoslegislativosyduró hastael3dejuniode1973,dondeseprohibióyse castigóhablarespañolconelpropósitodeeducar “culturalmente”.disímiles”tejanos.4 Antesdela pandemia,elPewResearchCenterrealizóuna encuestanacionalen2019entremásde3000adultos latinossobreelconocimientoyelusodeltérmino “latinx”.Curiosamente,soloel3%delos encuestadostiendeausareltérminoconun predominiodemujereshispanasjóvenesquelo hacen.5 Debemosevitarconcautelaladivisiónde género,yaqueestonoesunbuenaugurioparaotros gruposétnicosenlosEstadosUnidos.

ElEspañolesunidiomabasadoenellatínysí,los sustantivostienengénerosenespañol,asícomoen otrosidiomasbasadosenellatín(francés,italiano, rumano),estoespartedenuestraherencia.Yaseaque nosidentifiquemoscomoLatinos,Latinos,Hispanos Hispanas,uotranacionalidadestadounidense/

Caribeña,debemosapreciarquevenimosdegrandes civilizacionesyvenimosdefamiliasfuertesyunidas. Teníamosun“pueblo”conunaampliahistoriaenlas Américas,hasta112millonesantesde1492,la invasióneuropea.Estapoblación,nuestragente,fue diezmadaamenosde5millonesparael1650.6 Loqueseintentaproduciresverdaderamenteun “etnocidiodeproporcionesépicas.”,Unapersona muysabiamedijounavez,comohumanos,nos enfrentamosadosmuertes.Laprimeraescuando morimosfísicamente.Lasegundaescuandosomos olvidados.Esenmihumildeopinión,“Latinxo Latine”,sonCaballosdeTroyaenlaguerrade asimilacióncultural.Lasgeneracionesmásjóvenes enprimeralíneanosonconscientesdeestaamenaza. Estostérminosestánjustificadosporquienes controlanlamentalidaddel"SueñoAmericano"con unavíaneo-intelectualprestaparaborrarnuestra culturaatravésdeotraoladepensamiento homólogo.Encuantoamí,siempreseré descendientedeLatinosyLatinasasícomode HispanoseHispanas,tengoabuelosyabuelasno “abuelixsoabuelines”quemeenorgullecerecordary mantenervivosatravésdemicultura,tradicionese idioma.NoveoalInglésapresurándoseacambiar “Human,Woman,andMankind”por“Huminx, WominxyMinxkind.”Bloqueemosestaideología quepretendeabandonarnuestroinvaluable patrimonio.

“Soyquiensoy,nuncalonegareyesome enorgullecera,hoy,mañanaysiempre.”

*LasFilipinas

13

LatinxoLatine=etnocidio Estostérminospromocionadosseesfuerzanpor minimizarnuestrahistoriaynuestraculturaenlos EstadosUnidosyenelextranjero.

Tenemosmuchoporloquelucharparaincluirlas disparidadesdesaludennuestrascomunidades. Comosepublicóen2022,másde1/3(36%)de losadultoshispanosde20a64añosteníancaries notratadasencomparaciónconel22%delos adultosblancosnohispanosdelmismogrupode edad.7 Enesteestudioseexplorólaideadela aculturación..Laaculturaciónsedefinecomola capacidaddeunindividuo,generalmentedeun grupominoritarioracialoétnico,paraadaptarsea lacultura(porejemplo,creencias,costumbrese idioma)delgrupomayoritario.Comoseñalael estudio,“Contrariamenteanuestrahipótesis,los adultosHispanosconaltosconocimientosde saludbucalyaltaaculturaciónnoteníanmás probabilidadesdehaberusadoatencióndentalen elúltimoañoqueaquellosconbajos conocimientosdesaludbucalybaja aculturación”.7 Paramí,estoclaramentesignifica quelaasimilaciónabiertayeletnocidiosutilno brindanmejoresresultadosdesalud,simplemente

brindanunafalsasensacióndeseguridadenel "sistema"yunatraiciónanuestradescendencia. Estaediciónexplorarátemassociales,personales ysistemáticoscomplejosrelacionadosconlaraza yelorigenétnicoennuestranación,asícomoen otraspartesdelmundo,conimpactosenla comunidaddesaludbucalcompartidosnosolo porlosLatinos/Latinassinotambiénpornuestros hermanosyhermanasdecolor.Sinduda,los autoresyyoamamosanuestropaís,porloque debemoshablaryactuarparaguiarelfuturo. Variosdenuestrostemaspuedenresultar incómodosenestaspáginas,peroeldiálogoyla perspectivadebencompartirsepararesponder cómohacemosun"sueñoenrealidadpara perpetuarnuestrasricasculturasyetnias". EstadosUnidosesunasociedadheterogénea construidasobrelainmigraciónglobal.Como estadounidenses,debemospodervivircon “igualdaddeoportunidadesparalograrla saludylaprosperidadatravésdeltrabajo arduo,ladeterminaciónylosderechos inalienables,haciendorealidadel“Sueño Americano”.

WomeninDentistry: WhatisNext?

Thehistoryofwomenindentistryisastoryof perseverance,determination,andovercomingbarriers. Theearliestrecordedinstanceofawomanpracticing dentistryintheUnitedStatesdatesbackto1855. EmelineRobertsJones,oftenreferredtoasthefirst recognizedfemaledentist,receivedherdental educationfromherhusband,adentist.1 In1866,Lucy HobbsTaylorbecamethefirstwomantograduatefrom adentalcollege,theOhioCollegeofDentalSurgery.2 Despitethebarriers,morewomenentereddental schoolsandbeganpracticingdentistryduringtheearly 20thcentury.TheformationoftheAmerican AssociationofWomenDentists(AAWD)in1921 providedaplatformforwomendentiststoconnect, supportoneanother,andadvocatefortheirinterests withintheprofession.

Thepercentageofwomendentistshasbeensteadily increasingovertheyears.Accordingtodatafromthe ADAHealthPolicyInstitute,womengraduatingfrom dentalschoolsgrewfrom46%to50.6%between2009 and2019andwomendentistsintheworkforcegrew from24.1%to34.5%between2010and2020.4 While therehasbeensignificantprogress,womenindentistry stillfacecertainchallengesandbarriersthatcanimpact theirexperiencesandopportunitieswithinthe profession.Someofthesechallengesinclude:5-7

1.GenderBiasandStereotypes: Genderbiasesand stereotypescanaffectthewaywomendentistsare perceivedandtreatedbycolleagues,patients,andeven withineducationalandprofessionalsettings.These biasesmayimpacthiringdecisions,promotions,and opportunitiesforleadershiproles.

2.PerceptionofClinicalCompetence: Womenin certainspecialtiesorleadershiprolesmightface skepticismregardingtheirclinicalcompetence,which canstemfromdeeplyingrainedbiasesandstereotypes.

3.Work-LifeBalance: Balancingthedemandsofa dentalcareerwithfamilyresponsibilitiescanbe

particularlychallengingforwomen.Thisincludes managingmaternityleave,childcare,andotherfamilyrelatedcommitmentswhilemaintainingtheir professionalgrowth.

4.UnderrepresentationinLeadership: Despitethe increasingnumberofwomenenteringthefield,they areoftenunderrepresentedinleadershippositions withindentalorganizations,academicinstitutions,and privatepractice.Barrierstoaccessingleadershiproles canlimittheirabilitytoinfluencedecision-makingand drivechange.

Addressingtheseissuesrequiresongoingeffortsto fostergenderequalityanddiversitywithinthefield.As womencontinuetoexcelandmaketheirmarkinthe fieldofdentistry,theprofessionbecomesmore representative,inclusive,andresponsivetotheneeds ofallpatients.Promotingsocialjusticeindentistry involvesrecognizingtheuniquechallengesandneeds thatwomenmightfacewithintheprofessionand workingtocreateanenvironmentwhereeveryonehas theopportunitytosucceedandcontribute.By addressingsystemicbarriersandpromotingdiversity andinclusion,thefieldofdentistrycanbecomeamore equitableandeffectivehealthcarediscipline.

Overall,thefutureofwomenindentistryisbright,with opportunitiesforincreasedrepresentation,leadership, andinfluence.Thefutureofwomenindentistrywill likelybeshapedbythecollectiveeffortsof individuals,organizations,andthedentalcommunity asawhole.Asthefieldofdentistrycontinuesto evolve,womendentistswillundoubtedlyplayavital roleinshapingitsfuture.Theircontributionsare helpingtocreateamorediverse,inclusive,andpatientcenteredprofessionthatreflectsthechanging landscapeofhealthcare.Bycontinuingtoaddress challenges,advocatingforgenderequityliketheHDA, andpromotingadvancementsinoralhealthcare, womendentistswillcontributetoshapingthe profession’sevolutioninpositiveandimpactfulways.

Abouttheauthor: President,AmericanAssociationof WomenDentists

ClinicalAssociateProfessor,DepartmentofNeural&Pain Sciences,UniversityofMarylandSchoolofDentistry Founder&ExecutiveDirector,RambobTrainingServices, LLC 301-257-7049irambob@umaryland.edu

Sources/Fuentes:

1.ConnecticutWomen’sHallofFame.Availableat: https:// www.cwhf.org/inductees/emeline-roberts-jones.Accessed August15,2023.

2.KansasHistoricalSociety.Availableat: https://www.kshs.org/ kansapedia/lucy-hobbs-taylor/15500.AccessedAugust15,2023.

3.AmericanAssociationofWomenDentists.Availableat: https:// aawd.org/about-aawd/.AccessedAugust15,2023.

4.Versaci,MaryBeth.HPI:WomenMakeUpGrowing PercentageofDentalWorkforce. ADANews,March30,2021. Availableat: https://adanews.ada.org/ada-news/2021/march/ women-make-up-growing-percentage-of-dental-workforce/. Accessed15,2023.

15

5.Cullen,Jackie.WomeninDentistry:Challengesand Opportunities.OntarioAcademyofGeneralDentistry,October 18,2021.Availableat: https://agd.org/constituent/news/ 2021/10/18/women-in-dentistry-challenges-and-opportunities. AccessedAugust15,2023.

6.Syrop,Jackie.TalkingWithWomenWhoAreForgingNew PathsinDentistry. InsideDentistry,vol.16,no.2,Feb.2020. Availableat: https://www.aegisdentalnetwork.com/id/2020/02/ talking-with-women-who-are-forging-new-paths-in-dentistry. AccessedAugust15,2023.

7.Needham,Stephanie.TheShiftingParadigmofDentistry:The PredominanceofWomen. DentalEconomics,May1,2017. Availableat: https://www.dentaleconomics.com/macro-op-ed/ article/16389709/the-shifting-paradigm-of-dentistry-thepredominance-of-women.AccessedAugust15,2023.

Mujeresen

Odontología:¿Quésigue?

IsabelRambob,DDS

President,AAWD

Lahistoriadelasmujeresenodontologíaesuna historiadeperseverancia,determinaciónysuperación debarreras.Elprimercasoregistradodeunamujer practicandoodontologíaenlosEstadosUnidosse remontaa1855.EmelineRobertsJones,amenudo conocidacomolaprimeramujerdentistareconocida, recibiósueducacióndentaldesuesposo,undentista.1 En1866,LucyHobbsTaylorseconvirtióenlaprimera mujerengraduarsedeunafacultaddeodontología,la FacultaddeCirugíaDentaldeOhio.2 Apesardelas barreras,másmujeresingresaronalasfacultadesde odontologíaycomenzaronapracticarlaodontologíaa principiosdelsigloXX.LaformacióndelaAsociación EstadounidensedeMujeresDentistas(AAWD)en 1921proporcionóunaplataformaparaquelasmujeres dentistasseconectaran,seapoyaranmutuamentey defendieransusinteresesdentrodelaprofesión.3 Elporcentajedemujeresdentistashaidoaumentando constantementealolargodelosaños.Segúndatosdel ADAHealthPolicyInstitute,lasmujeresgraduadasen escuelasdeodontologíaaumentarondel46%al50,6 %entre2009y2019ylasmujeresdentistasenla fuerzalaboralcrecierondel24,1%al34,5%entre 2010y2020.4 Sibienhahabidounprogreso significativo,Lasmujeresenodontologíatodavía enfrentanciertosdesafíosybarrerasquepuedenafectar susexperienciasyoportunidadesdentrodela profesión.Algunosdeestosdesafíosincluyen:5-7

1.Sesgosyestereotiposdegénero: Lossesgosy estereotiposdegéneropuedenafectarlaformaenque lasdentistassonpercibidasytratadasporcolegas, pacienteseinclusodentrodeentornoseducativosy profesionales.Estossesgospuedenafectarlas decisionesdecontratación,losascensosylas oportunidadesparapuestosdeliderazgo.

2.Percepcióndelacompetenciaclínica: lasmujeres endeterminadasespecialidadesorolesdeliderazgo puedenenfrentarescepticismoconrespectoasu

competenciaclínica,loquepuededeberseasesgosy estereotiposprofundamentearraigados.

3.Equilibrioentrelavidapersonalylaboral: equilibrarlasexigenciasdeunacarreradentalconlas responsabilidadesfamiliarespuederesultar especialmentedifícilparalasmujeres.Estoincluye gestionarlalicenciadematernidad,elcuidadodelos niñosyotroscompromisosrelacionadosconlafamilia mientrassemantienesucrecimientoprofesional.

4.Subrrepresentaciónenelliderazgo: apesardel crecientenúmerodemujeresqueingresanaeste campo,amenudoestánsubrepresentadasenpuestosde liderazgodentrodeorganizacionesdentales, institucionesacadémicasyconsultoriosprivados.Las barrerasparaaccederarolesdeliderazgopueden limitarsucapacidadparainfluirenlatomade decisioneseimpulsarelcambio.

Abordarestosproblemasrequiereesfuerzoscontinuos parafomentarlaigualdaddegéneroyladiversidad dentrodelcampo.Amedidaquelasmujerescontinúan sobresaliendoydejandosuhuellaenelcampodela odontología,laprofesiónsevuelvemásrepresentativa, inclusivayreceptivaalasnecesidadesdetodoslos pacientes.Promoverlajusticiasocialenodontología implicareconocerlosdesafíosynecesidadesúnicos quelasmujerespuedenenfrentardentrodelaprofesión ytrabajarparacrearunentornodondetodostenganla oportunidaddetriunfarycontribuir.Alabordarlas barrerassistémicasypromoverladiversidadyla inclusión,elcampodelaodontologíapuede convertirseenunadisciplinasanitariamásequitativay eficaz.

Engeneral,elfuturodelasmujeresenodontologíaes brillante,conoportunidadesdemayorrepresentación, liderazgoeinfluencia.Elfuturodelasmujeresen odontologíaprobablementeestarádeterminadoporlos esfuerzoscolectivosdeindividuos,organizacionesyla comunidaddentalensuconjunto.Amedidaqueel campodelaodontologíacontinúaevolucionando,las mujeresdentistassindudadesempeñaránunpapelvital enlaconfiguracióndesufuturo.Suscontribuciones estánayudandoacrearunaprofesiónmásdiversa, inclusivaycentradaenelpacientequereflejael panoramacambiantedelaatenciónmédica.Al continuarabordandolosdesafíos,abogandoporla equidaddegénerocomolaHDAypromoviendo avancesenlaatencióndelasaludbucal,lasmujeres dentistascontribuiránadarformaalaevolucióndela profesióndemanerapositivaeimpactante.

Acercadelaautora:

Presidenta,AsociaciónEstadounidensedeMujeres Dentistas(AAWD)

Profesorclínicoasociado,DepartamentodeCiencias NeuralesydelDolor,FacultaddeOdontologíadela UniversidaddeMaryland

Fundadoraydirectoraejecutiva,RambobTrainingServices, LLC

16

Dr.AideeNieto-Herman

OnJune29th,2023,theSupremeCourtstruckdown AffirmativeAction.HowdoesAffirmativeAction work?Inlegalterms,itconstitutes“asetofprocedures designedtoeliminateunlawfuldiscriminationamong applicants,remedytheresultsofsuchprior discrimination,andpreventsuchdiscriminationinthe future”1.TheuseofAffirmativeActionincollege admissionsdatesbacktothe1960swhensomeschools beganimplementingpoliciesdesignedtoadmitmore studentsofcolor,whohadbeenhistoricallyexcluded fromhighereducation.Asarace-basedpractice, affirmativeactioninhighereducationhaslongfaced oppositionandhasbeenbannedinninestates throughoutitshistory.In2016,thecourtheardFisher V.UniversityofTexas,Austinwheretheoutcomewas arejectionofthechallengemadeagainstaraceconsciousadmissionsprogramattheUniversityof Texas,Austin.2 Thedecisionupheldthatadmissions departmentscanuseraceasafactorinconsidering applicantstocreatediversityoncampuses.3 InJanuary of2022,theSupremeCourtheardthecaseStudentsfor FairAdmissionV.Harvardand StudentsforFairAdmissionV. UniversityofNorthCarolinaatChapel Hill.Thequestionraisedwas“Are race-consciousadmissionspolicies unlawful?”TheSupremeCourt announcedthatitwoulddecide whetherHarvard’sandUNC’s admissionspolicies,whichconsideran applicant’sracealongwithother factorslikeSATscoresand extracurricularsinordertocreatea diversestudentbody,arelegal.

WithAffirmativeActionoffthetable,collegescould incidentallyendupfavoringwealthy,mostlywhite studentswhowerealreadylikelytobeacceptedinthe firstplace.Thissituationwillmakeadramatic differenceinwhodoesanddoesnotgetanadmissions letterfromuniversities.4

Abouttheauthor: Dr.AideeNieto-Herman AssociateProfessorDept.OfPeriodontology TuftsUniversitySchoolofDentalMedicine.

FormerChairoftheEqualEducationalOpportunity Committee[EEO]

FormerPresidentofMAHDA. FormerPresidentoftheHDA

References/Fuentes:

1.JonathanFeingold.AffirmativeAction.BostoniaMagazine. Fall2022

2.BuanDuignen.FisherV.UniversityofTexasatAustin. EncyclopediaBritanicInc.June2023

3.AideeN.Herman,WandaWright.ReportoftheDiversityTask Force.TuftsUniversitySchoolofDentalMedicine.2013

4.AndrewPerry.TheHechingerReport:MakingEliteColleges WhiteAgain.October2019

Acciónafirmativa,11/07/23

Dr.AideeNieto-Herman

El29dejuniode2023,laCorteSupremaanulóla AcciónAfirmativa.¿CómofuncionalaAcción Afirmativa?Entérminoslegales,constituye“un conjuntodeprocedimientosdiseñadosparaeliminarla discriminaciónilegalentresolicitantes,remediarlos resultadosdedichadiscriminaciónanterioryprevenir dichadiscriminaciónenelfuturo”1.ElusodelaAcción Afirmativaenlasadmisionesuniversitariasseremonta aladécadade1960,cuandoalgunasescuelas comenzaronaimplementarpolíticasdiseñadaspara admitiramásestudiantesdecolor,quehistóricamente habíansidoexcluidosdelaeducaciónsuperior.Como prácticabasadaenlaraza,laacciónafirmativaenla educaciónsuperiorhaenfrentadooposicióndurante muchotiempoyhasidoprohibidaennueveestadosa lolargodesuhistoria.En2016,eltribunalescuchó FisherV.UniversidaddeTexas,Austin,dondeel resultadofueunrechazodelaimpugnaciónpresentada contraunprogramadeadmisionesqueteníaencuenta larazaenlaUniversidaddeTexas,Austin.2 Ladecisión confirmóquelosdepartamentosdeadmisionespueden utilizarlarazacomofactorunfactoralconsideraralos solicitantesparacreardiversidadenloscampus.3 En enerode2022,laCorteSupremaescuchó elcasoStudentsforFairAdmissionV. HarvardyStudentsforFairAdmissionV. UniversityofNorthCarolinaenChapel Hill.Lapreguntaquesurgiófue:“¿Son ilegaleslaspolíticasdeadmisiónque tienenencuentalaraza?”LaCorte Supremaanuncióquedecidiríasilas políticasdeadmisióndeHarvardyla UNC,queconsideranlarazadel solicitantejuntoconotrosfactorescomo lospuntajesdelSATylasactividades extracurricularesparacrearuncuerpo estudiantildiverso,sonlegales.Enenerode2022,la CorteSupremaescuchóelcasoStudentsforFair AdmissionV.HarvardyStudentsforFairAdmissionV. UniversityofNorthCarolinaenChapelHill.La preguntaquesurgiófue:“¿Sonilegaleslaspolíticasde admisiónquetienenencuentalaraza?”LaCorte Supremaanuncióquedecidiríasilaspolíticasde admisióndeHarvardylaUNC,queconsideranlaraza delsolicitantejuntoconotrosfactorescomolos puntajesdelSATylasactividadesextracurriculares paracrearuncuerpoestudiantildiverso,sonlegales. ConlaAcciónAfirmativafueradelamesa,las universidadespodríanterminarfavoreciendoalos estudiantesricos,ensumayoríablancos,queyatenían probabilidadesdeseraceptadosenprimerlugar.Esta situaciónmarcaráunadiferenciadramáticaenquién recibeyquiénnorecibeunacartadeadmisióndelas universidades.4

Acercadelaautora: Dra.AideeNieto-Herman ProfesorAsociadoDepartamentodePeriodoncia FacultaddeMedicinaDentaldelaUniversidaddeTufts. ExpresidentedelComitédeIgualdaddeOportunidades Educativas[EEO]

ExpresidentedeMAHDA.

ExpresidentedelaHDA

AffirmativeAction,July11,2023
17

Editorial:Fearofthe

Unknown…promotes:Social Injustice,Prejudice,Racism, Ageismet.al…

Giftscomeinallforms.It’snotveryoftenthatwe havethechancetocareforanonagenarian,someone intheir90’s,inourdentalchair.Moreimportantly, havingtheopportunitytobefriendafascinating Holocaustsurvivorthatendearedmetohispersona. ThisclosefriendwasthesmartestpersonIevermet, holdingfourPhD’s!HisnamewasHeinzVon Forester.HewasborninViennaandbecamea prisoneroftheNaziregimeduringWWII,ashewas ofJewishdescent.Thiswasthepinnacleofsocial injustice!Intheend,hisfamilywasdestroyed,but hemanagedtoescapewithseveralotherknown celebritiesofhistime,age,andcaliber,suchas SigmundFreud,andCarlJungtonameafew.He toldmeabouta“mantra”thathecameupwiththat heusedasapsychologistwithhispatients,whichhe fabricatedwhileaprisonerinaconcentrationcamp: “Wedon’tknowwhatwedon’tknow,andWedon’t seewhatwedon’tsee.” Sosimple,yetsoprofound, agifttounderstandinglivinginadiverseworld moldedbyalternativerealities.

Ingrowingup,Iwasshelteredandprotectedfrom therealitiesoftheworld.Asayoungteenstrapped withteenageconfidence,Iaccompaniedmymother onawalk.Westoodonthestreetcornerwaitingfor thelighttochange.Therewasayoungblindperson ontheoppositesideofthestreettappinghiscaneon thecurb.Helistenedtotrafficandwhenthecars stopped,heattemptedtocrossthestreet,but repeatedlyfailedduetohiscompromisedmobility

andvision.Heendedupsteppingbackuponthe curbtimeaftertimeresortingtotappinghiscanein frustration.Mymothertoldmetogooverandhelp him.Irespondedwith“no,hehastolearntodoiton hisown.”Iwasyoung,brash,andnaïveandtrying tosowmyownoats,ifyouwill,inasmuchas wantingtobeindependentandabletomakemyown choices.IfIhadtofigurethingsout,whynotthe blindpersonberequiredtodothesame.Mymother immediatelyranacrossthestreet,tooktheman’s arm,andassistedhimacrosstotheotherside.One canimaginehowIfelt,crushedbytheweightofmy indifference.OnherreturnIwasquiet,andthentold hershedidagoodjob.Shehadnocommentforme. Iwaslefttopondermyownthoughts,actions,and therealityofothers.Welearnfromallthatweseeor doovertime.Itellmystudentsthat: “Thereareno mistakes,onlyexperience.Goodjudgmentcomes fromexperienceandexperiencecomesfrombad judgment.” Ilearnedalessonthatday,anempirical one,whichwouldguidemeforalifetime,another gift.

Whatisallthisleadingupto,youmightask?Well, prejudicecomesinmanyforms,bothbyaction, reaction,andinaction,aswellasthroughwordsat someobjectorperson.Theresponseisusually directedawayfromthepersonwhocontrolsit;not realizingtheharmitexertsonthosethatreceiveit, aswellasthosewhogiveit.

Growingup,Ihadnotbeenexposedtopeoplewho were“different”frommyself.Inthiscase,Iam talkingabout“specialneeds/differentlyable” people,underservedpeople,marginalizedandpoor people,andthosepeoplewhowerevictims/ survivors.Atthetime,mydentalschoolexperience didnotinvolvespecialneedspatients.Noteven knowingwhattoexpect,Iconvincedaclassmateof minetocomewithmetoanearbymentalhealth institutiontoobserveanothersegmentofour Society.Neitheroneofushadeverseenor experiencedthispopulationbefore.Iwasscared, unsureaboutwhatIsawandcouldonlyimaginethat thiswouldbea monstrous place.Irememberforcing myselftofacemyfearsandgoingovertoayoung boywhosufferedatraumaticbraininjuryafterhe felloffaski-lift.Hecaughthisneckscarfontheseat ashefell,basicallyhanginghimself.Hewas hypoxiclongenoughtosufferpermanentbrain damagefromthisaccident.Hewashighlyanxious, angry,evasive,andcombative.Hisparentsnever cametoseehimastheywerefraughtwithmegaguilt,accordingtothenursingstaff.Tobreaktheice, Isatquietlyandslowlyspokesoftlytohim.Iheld

18

outmyhandandwithtimehetouchedme.Forme thistaughtmeinDentistry,thatoneofourmost intimateformsofcommunication,exhibitedby compassion,istouch,anothergift.Ispenthalfayear goingbackandforthfromdentalschooltothis facilityoutsidetheCityofPhiladelphia,whereI attendedTempleUniversitySchoolofDentistry.The boyandIbecamefriends,andhelookedforwardto seeingmeandviceversa.Therewereothersofthe sameilkthere,bothmentallyandphysically challenged,andIbegantounderstandtherewere differencesIdidnotevenimaginebeforeIvisited there.Weneversaw“specialneeds”patientsas dentalstudents.Butthisexperiencepreparedmefor thiskindofclinicalexperienceinthefuture.Being abletocopewithmyownfear,fearoftheunknown, iswhatheldmeback.Fearsfertilizeprejudice especiallywhenwedon’tknoworunderstanda person,aculture,orawayofliving.Istandasan exampleofthisbywhatIamwritingabout.

Ithasbeenahalfcenturynowofdentalpractice, mostlyinmyownofficeforover35years,andIhave givenmygiftsasa practitioneroforal healthalloverthe worldtothoseless fortunatethanmyselfat myownexpense.I havebeenteaching dentistrywithempathy forover40yearsas well.

Sincemovingsixyears agofromtheSan FranciscoBayarea,I haveworkedinSan DiegoCountyforthe correctionalsystem. Thepeoplethereareinvisibletomostofus.They arenotpatientswhocometoourofficesonadaily basis.Theselivesareasegmentofsocietythathas beenbasicallybanishedfromthepubliceyethrough incarceration.ThesearehumanslikeyouandIand needourcareandskills.Atworkoneday,aprisoner askedmeabouthowteethwerelost.Iaskedmy dentalassistantforapenanduseditasanexample ofatooth.Usingmyfingerstoenvelopeitasa ligamentandthenexplainedtheperiodontaldisease processtohim.Hethankedmeandwenthisway withaguardsecuringshacklesaroundhislegs. Immediatelyafterhelefttheroom,mycorrectional dentalassistantgrabbedthepenfrommeandyelled inmyface,“Don’tyoueverdothatagain!What’sto

keephimfromtakingthepenoutofyourhandand stabbingyouintheface,theeyesoryourneckor chest!”Iwasaghastatfirst,thenreticent,finally disillusionedasIreflectedonwhathadtakenplace. AnalyzingwhatIhaddone,Itreatedthismanasany otherpersonthatwouldsitinmydentalchairand whowouldasktobeeducated.Itookforgrantedhis socialstatuswherepotentiallyhecouldharmmeand whopossiblyhadharmedothersforunknown reasons.Thiswasdailysurvivalinacultureof money,drugs,andotherprioritiesthatcomprisedhis lifestyle.ThiswasaneyeopenerformebecauseI wasthrownbackintoDrVonForester’squote:“We don’tknowwhatwedon’tknowandwedon’tsee, whatwedon’tsee.”Iwasa“newbie”totheprison system,butthatexperienceopenedmyeyes.Itdid notmeanthatIwasprejudicedagainstthesepeople, bothmenandwomen,onthecontrary,Iwasoverly trusting.Myrealitywasdifferentintermsofa survivalperspective.Inowhadadifferentrespectfor whattheymightdounderduress.Containingmy own“fearfactor”wasimportantformebecauseI neverreally thoughtthatI mightbein dangerpriorto thatexperience. Despitehaving fears,theydid notdictatemy professionalism andcompassion. Istillgavethem mybestcareand attentionasif theyweremy ownpatients backinmy privatepractice.

Morerecently,Ihavebeenworkingperdiemin severalFederallyfundedNativeAmericanclinics. Thedentistryisfreeforthecommunitieswhose tribesarerunningeachfacility.However,thereisa slidingscaleforallotherpatientsbasedonthe percentageofNativeAmericantheyhaveintheir bloodlines.Manyofthepeoplehavebeenandare currentlybeingabusedinsomewayandmanyare victimsofsocialprejudice,drugabuse,alcoholism, abandonment,andsexualdysfunctiondueto prostitution,andsubsequentabusivehandlingby otherNativeAmericanpersonswhocontrolthem anddehumanizethem.

19

Manyofthedentalpopulationthatfrequentthe clinicdonotrespectthetimetheyareallottedanddo notshowupfortheirappointments.Thisisdone withoutrespectforthetimeandenergyinvolvedin preparingfortheircare.Theoralconditionofmany ofthesepatientsisdiseaseriddenwithrampant caries,missingteeth,periodontaldisease,abscesses, andoralinjury.Thereisalackofeducationabout oralhealthandadesiretolearnintheirupbringing andculture.Insomecases, “ignoranceisbliss.” However,painisthedrivingforcethatbringsthem totheclinicandeventhen,sometimestheydonot showupfortreatment.Positivereinforcementis beingtriedasanincentivetokeepthemcomingfor carebygivingoutcouponseachtimetheycometo theirappointment.Aftersomanyvisitsandcoupons, theyareinlineforacashaward;buteventhisisnot enoughincentiveforthemtokeepcominginfor care.Perhapstheyare“entitled”fromanassumed “safetynet”andcancomebackanytimetheywant, whichupuntilnowistrue.Butthingswillchangein thefuture.Behavioralhealthisimportanttopractice andchallengingtoreinforce.Constantqualityof careanditsutilizationisnecessary,andaboveall,so istheeducationthatreinforcesit.Wecannotundo thatwhichourpatientswillnotletusdo.So,it behoovesustokeeptryinginthebestwayweknow how:goodcommunication,beinghonestandopen, providingeducationandreinforcementofhomecare andlifestyle,understandingofthepersonwiththe conditiontheybringwiththem,andkeepingoureyes andearsopentolearningaboutthepatientasa humanbeinginneed.Mutualrespectisimportant andlearningtoopenourselvesuptotheother person’sphysical,mental,andemotionalmake-up, andthethingswemightnotunderstandbecausewe lacktheknowledgeandinformationtodoso.Mutual respectleadstotrust,andonecannothaveagood andlong-lastingrelationshipwithapatientwithout thisentity.

Compassionextendsbeyondborders.Ispent10 yearsworkingpart-timeinMainlandChina,insmall citiesandtowns,inclinicsandhospitalsteaching medicine,dentistry,nursingandhospital administrationattherequestoftheU.S.Department ofStateandCommercethroughanon-profit corporation.Ididnotreceivecompensationforthis work,exceptintermsofgainingexperienceand knowledge.Iopenedmyselfuptolearningaboutthe peopleIknewnothingabout,andwhomIfeared.

TheylearnedfrommeaboutoralhealthandWestern Medicine,andIlearnedabouthomeopathic medicine,ancienttechniquesofhealingandabout thepeople.Theyarelikeusinmanyways,andthey wantwhatwehaveinourcountry:agoodlife withoutadictator,goodoralandphysicalhealth, safetyinallaspectsandthefreedomtospeaktheir minds,aswellasopportunitiestosucceedandthrive. Ithasnothappenedyet,butIcan’thelpthinkingthat IchangedtheirperceptionaboutAmericansbybeing there;aboutbeinghumanandacceptingothersasI wouldacceptmyown.Openmindstotreatingand healingallpeoplewillbringpeacetotheworldand assistinalleviatingpainandsufferingfromour mindsandbodies.Thisismyhopeforthefutureof notjustourSociety,butforallofMankind.Dentistry andgoodoralhealtharethe“GatewaytoLongevity andLife-LongHealth.”Stoppinghatred,prejudice, bigotry,andallthe-ismsonlyhappenswithselfeducation,ethics,empathy,teachingandmutual respect:allowingotherstohavethoughts, information,andfeelingsdifferentthanourown.We needtogoforwardwithanopenmind,openeyes, openhearts,andopenhandstoworktochange othersforthebetter.

Havingworkedwith“theAged”,“SpecialNeeds”, and“Marginalized”patientsformanyyearsinthe officeandtheoperatingroomhasfosteredinmea specialgratitudeandappreciation.Whathavewe gainedifwedonotallowourselvestheopportunity togrowbylearningabouttheexperienceof humanity?Thisisapricelessgift.Again,“wedon’t know,whatwedon’tknow,andwedon’tsee,what wedon’tsee.”

Itallstartswithusmakingthechangefirst.Thisis whatIloveaboutdentistry…wecanhavebotha physicalandemotionalconnectiontoallour patients,nomatterwhattheybringus.Wejustneed toapproachtheircarewithoureyeswideopen,not shut,aswellasourminds,andourhearts.Thisisthe nidusforchangeinwhatthepatientwillultimately dotoeventuallyhelpthemselves.Andintheend, thisiswhatwilleradicateinfectiousprejudice, corrosivebiases,blindingignorance,dehumanizing racism,andmetastasizingsocialinjusticetosuppress ourinternalfearsfocusedonourminimaldifferences aninsteadfortifylovethroughouractionsbyvaluing ourgreatercommonalitiesasthe humanfamily

20
CarpeDiem…...SeizetheDay!Dr.EricShapira

ProfesordeOdontologíayMedicinaGeriátrica, Odontólogo,GerontólogoClínico,Autory Conferencista

Losregalosvienenentodaslasformas.Noesmuy frecuentequetengamoslaoportunidaddecuidaraun nonagenario,alguiende90años,ennuestrasilla dental.Másimportanteaún,tenerlaoportunidadde entablaramistadconunsobrevivientedel Holocaustofascinantequemeganósupersonalidad. ¡Esteamigocercanoeralapersonamásinteligente queheconocido,concuatrodoctorados!Sunombre eraHeinzVonForester.NacióenVienayseconvirtió enprisionerodelrégimennazidurantelaSegunda GuerraMundial,yaqueeradeascendenciajudía. ¡Estefueelpináculodelainjusticiasocial!Alfinal, sufamiliafuedestruida,perologróescaparcon variasotrascelebridadesconocidasdesutiempo, edadycalibre,comoSigmundFreudyCarlJung,por nombraralgunos.Mehablódeun“mantra”quesele ocurrióyqueusabacomopsicólogoconsus pacientes,quefabricabamientrasestabapresoenun campodeconcentración:“Nosabemosloqueno sabemos,ynolosabemos”.Noveamosloque nosotrosnovemos.Tansimple,perotanprofundo, unregaloparaentendervivirenunmundodiverso moldeadoporrealidadesalternativas.

Alcrecer,estabaprotegidoyprotegidodelas realidadesdelmundo.Cuandoeraunjoven adolescentellenodeconfianzaadolescente, acompañéamimadreacaminar.Nosquedamosenla esquinadelacalleesperandoquecambiarael semáforo.Habíaunjovenciegoenelladoopuestode lacallegolpeandosubastónenlaacera.Escuchóel tráficoycuandolosautossedetuvieron,intentó cruzarlacalle,perofracasórepetidamentedebidoa sumovilidadyvisióncomprometidas.Terminó volviendoasubirsealaaceraunayotravez recurriendoagolpearsubastónconfrustración.Mi madremedijoquefueraaayudarlo.Lerespondí“no, tienequeaprenderahacerlosolo”.Yoerajoven, temerarioeingenuoytratabadesembrarmipropia avena,porasídecirlo,enlamedidaenquequeríaser

independienteycapazdetomarmispropias decisiones.Situvieraqueresolverlascosas,¿porqué noselepediríaalapersonaciegaquehicieralo mismo?Mimadreinmediatamentecruzólacalle corriendo,tomóelbrazodelhombreyloayudóa cruzaralotrolado.Unopuedeimaginarcómome sentí,aplastadoporelpesodemiindiferencia.Asu regresomequedécalladoyluegoledijequehizoun buentrabajo.Ellanoteníaningúncomentariopara mí.Medejaronreflexionarsobremispropios pensamientos,accionesylarealidaddelosdemás. Aprendemosdetodoloquevemosohacemosconel tiempo.Amisalumnoslesdigoque:“Nohayerrores, soloexperiencia.Elbuenjuicioprovienedela experienciaylaexperienciaprovienedelmaljuicio”. Esedíaaprendíunalección,empírica,quemeguiaría todalavida,otroregalo.

¿Aquéconducetodoesto,podríaspreguntar?Bueno, elprejuiciosepresentademuchasformas,tantopor acción,reaccióneinacción,asícomoatravésde palabrashaciaalgúnobjetoopersona.Larespuesta suelealejarsedelapersonaquelacontrola;sindarse cuentadeldañoqueejerceenlosquelareciben,así comoenlosqueladan.

Alcrecer,nohabíaestadoexpuestoapersonasque eran"diferentes"amí.Enestecaso,estoyhablando depersonascon“necesidadesespeciales/capacidades diferentes”,personasdesatendidas,marginadasy pobres,yaquellaspersonasquefueronvíctimas/ sobrevivientes.Enesemomento,miexperienciaen laescueladeodontologíanoinvolucrabaapacientes connecesidadesespeciales.Sinsabersiquieraqué esperar,convencíauncompañerodeclaseparaque meacompañaraaunainstitucióndesaludmental cercanaparaobservarotrosegmentodenuestra Sociedad.Ningunodenosotroshabíavistoo experimentadoestapoblaciónantes.Estabaasustado, insegurodeloqueviysolopodíaimaginarqueeste seríaunlugarmonstruoso.Recuerdoquemeobligué aenfrentarmismiedosymeacerquéaunniñoque sufrióunalesióncerebraltraumáticadespuésde caersedeuntelesilla.Seatrapóelpañuelodelcuello enelasientomientrascaía,básicamente ahorcándose.Estuvohipóxicoeltiemposuficiente parasufrirdañocerebralpermanenteporeste accidente.Estabamuyansioso,enojado,evasivoy combativo.Suspadresnuncafueronaverloporque estabanllenosdeculpa,segúnelpersonalde enfermería.Pararomperelhielo,mesentéen silencioylentamentelehabléenvozbaja.Letendíla manoyconeltiempometocó.Paramíestome enseñóenOdontología,queunadenuestrasformas

Editorial:Elmiedoalo
desconocido...promueve:la injusticiasocial,losprejuicios,el racismo,ladiscriminaciónpor edadyotros...
21

másíntimasdecomunicación,exhibidaporla compasión,eseltacto,otrodon.Pasémedioaño yendoyviniendodelaescueladeodontologíaaesta instalaciónfueradelaciudaddeFiladelfia,donde asistíalaEscueladeOdontologíadelaUniversidad deTemple.Elniñoyyonoshicimosamigos,yél esperabavermeyviceversa.Allíhabíaotrosdel mismotipo,tantomentalcomofísicamente discapacitados,ycomencéacomprenderquehabía diferenciasquenisiquieraimaginabaantesde visitarlo.Nuncavimospacientescon"necesidades especiales"comoestudiantesdeodontología.Pero estaexperienciamepreparóparaestetipode experienciaclínicaenelfuturo.Sercapazdehacer frenteamipropiomiedo,elmiedoalodesconocido, esloquemedetuvo.Losmiedosfertilizanlos prejuiciosespecialmentecuandonoconocemoso entendemosaunapersona,unaculturaounaforma devida.Meparocomounejemplodeestoporloque estoyescribiendo.

Hapasadoyamediosiglodeprácticadental, principalmenteenmipropioconsultoriodurantemás de35años,yhedadomisdonescomoprofesionalde lasaludbucalentodoelmundoapersonasmenos afortunadasqueyoamisexpensas.Tambiénhe estadoenseñandoodontologíaconempatíadurante másde40años.

DesdequememudédeláreadelaBahíadeSan Franciscohaceseisaños,hetrabajadoenelsistema correccionaldelcondadodeSanDiego.Lagenteallí esinvisibleparalamayoríadenosotros.Noson pacientesqueacudenadiarioanuestrasoficinas. Estasvidassonunsegmentodelasociedadque básicamentehasidodesterradodelojopúblicoa travésdelencarcelamiento.Estossonhumanos comotúyyoynecesitannuestrocuidadoynuestras habilidades.Undíaeneltrabajo,unpresome preguntócómosehabíanperdidolosdientes.Le pedíamiasistentedentalunbolígrafoylousécomo ejemplodeundiente.Usandomisdedospara envolverlocomounligamentoyluegoleexpliquéel procesodelaenfermedadperiodontal.Mediolas graciasysiguiósucaminoconunguardiaquele poníagrilletesalrededordelaspiernas. Inmediatamentedespuésdequesaliódela habitación,miasistentedentalcorreccionalmequitó elbolígrafoymegritóenlacara:“¡Nuncavuelvasa hacereso!¡Quéleimpidequitartelaplumadela manoyapuñalarteenlacara,losojos,elcuellooel pecho!Estabahorrorizadoalprincipio,luego reticente,finalmentedesilusionadomientras reflexionabasobreloquehabíasucedido.

Analizandoloquehabíahecho,tratéaestehombre

comocualquierotrapersonaquesesentaríaenmi sillóndentalyquepediríasereducado.Dipor sentadosuestatussocialenelquepotencialmente podríadañarmeyqueposiblementehabíadañadoa otrosporrazonesdesconocidas.Estaerala supervivenciadiariaenunaculturadedinero,drogas yotrasprioridadesquecomponíansuestilodevida. EstomeabriólosojosporquevolvíalacitadelDr. VonForester:"Nosabemosloquenosabemosyno vemos,loquenovemos".Yoeraun“novato”enel sistemapenitenciario,peroesaexperienciameabrió losojos.Noqueríadecirquetuvieraprejuicios contraestaspersonas,tantohombrescomomujeres, alcontrario,meconfiabademasiado.Mirealidadera diferenteentérminosdeunaperspectivade supervivencia.Ahorateníaunrespetodiferentepor loquepodríanhacerbajopresión.Contenermi propio"factordemiedo"fueimportanteparamí porquerealmentenuncapenséquepodríaestaren peligroantesdeesaexperiencia.Apesardetener miedos,nodictaronmiprofesionalismoy compasión.Todavíalesbrindabamimejorcuidadoy atencióncomosifueranmispropiospacientesenmi prácticaprivada.

Másrecientemente,heestadotrabajandopordíaen variasclínicasdenativosamericanosfinanciadas confondosfederales.Laodontologíaesgratuitapara lascomunidadescuyastribusadministrancada instalación.Sinembargo,existeunaescalamóvil paratodoslosdemáspacientesbasadaenel porcentajedenativosamericanosquetienenensus líneasdesangre.Muchasdelaspersonashansidoy estánsiendoabusadasdealgunamaneraymuchas sonvíctimasdeprejuiciossociales,abusodedrogas, alcoholismo,abandonoydisfunciónsexualdebidoa laprostitución,yelposteriormanejoabusivopor partedeotraspersonasnativasamericanasquelas controlanydeshumanizan.aellos.

Granpartedelapoblaciónodontológicaque frecuentalaclínicanorespetaeltiempoasignadoy nosepresentaasuscitas.Estosehacesinrespeto poreltiempoylaenergíainvolucradosenla preparaciónparasucuidado.Lacondiciónoralde muchosdeestospacientesestáplagadadecaries rampantes,dientesperdidos,enfermedad periodontal,abscesosylesionesorales.Hayuna faltadeeducaciónsobresaludoralyundeseode aprenderensucrianzaycultura.Enalgunoscasos, "laignoranciaesfelicidad".Sinembargo,eldolores elmotorquelosllevaalaclínicay,aunasí,aveces nosepresentanpararecibirtratamiento.Seestá probandoelrefuerzopositivocomoincentivopara quesiganacudiendoarecibiratenciónmediantela

22

entregadecuponescadavezqueacudenasucita. Despuésdetantasvisitasycupones,estánenlafila pararecibirunpremioenefectivo;peroinclusoesto noessuficienteincentivoparaquesiganviniendo pararecibiratención.Talveztienen"derecho"de unasupuesta"reddeseguridad"ypuedenregresaren cualquiermomentoquequieran,loquehastaahora escierto.Perolascosascambiaránenelfuturo.La saludconductualesimportanteparapracticary desafianteparareforzar.Esnecesarialacalidad constantedeloscuidadosysuaprovechamiento,y sobretodolaeducaciónquelosrefuerce.No podemosdeshacerloquenuestrospacientesnonos dejanhacer.Porlotanto,noscorrespondeseguir intentándolodelamejormaneraquesabemos:una buenacomunicación,serhonestosyabiertos,brindar educaciónyreforzarelcuidadoenelhogaryelestilo devida,comprenderalapersonaconlacondición quetraeconsigoymantenernuestrosojosyoídos abiertosparaconoceralpacientecomoserhumano necesitado.Elrespetomutuoesimportantey aprenderaabrirnosalaconfiguraciónfísica,mental yemocionaldelaotrapersona,ylascosasque quizásnoentendamosporquecarecemosdel conocimientoylainformaciónparahacerlo.El respetomutuollevaalaconfianza,ynosepuede tenerunabuenayduraderarelaciónconunpaciente sinestaentidad.

Lacompasiónseextiendemásalládelasfronteras. Pasé10añostrabajandoatiempoparcialenChina continental,enpequeñasciudadesypueblos,en clínicasyhospitalesenseñandomedicina, odontología,enfermeríayadministración hospitalariaapedidodelDepartamentodeEstadoy ComerciodeEE.UU.atravésdeunacorporación sinfinesdelucro.Norecibícompensaciónporeste trabajo,exceptoentérminosdeexperienciay conocimiento.Meabríaaprendersobrelaspersonas delasquenosabíanadayalasquetemía. Aprendierondemísobresaludbucalymedicina occidental,yyoaprendísobremedicina homeopática,técnicasancestralesdecuracióny sobrelaspersonas.Soncomonosotrosenmuchos sentidosyquierenloquetenemosennuestropaís: unabuenavidasinundictador,buenasaludoraly física,seguridadentodoslosaspectosylalibertad dedecirloquepiensan,asícomooportunidadespara teneréxitoyprosperar.Todavíanohasucedido,pero nopuedoevitarpensarquecambiésupercepción

sobrelosestadounidensesalestarallí;sobreser humanoyaceptaralosdemáscomoaceptaríaalos míos.Lasmentesabiertasparatratarysanaratodas laspersonastraeránpazalmundoyayudarána aliviareldoloryelsufrimientodenuestrasmentesy cuerpos.Estaesmiesperanzaparaelfuturonosolo denuestraSociedad,sinodetodalaHumanidad.La odontologíaylabuenasaludoralsonla"Puertade entradaalalongevidadylasaluddurantetodala vida".Detenerelodio,losprejuicios,laintolerancia ytodoslos-ismossolosucedeconlaautoeducación, laética,laempatía,laenseñanzayelrespetomutuo: permitirquelosdemástenganpensamientos, informaciónysentimientosdiferentesalosnuestros. Necesitamosavanzarconunamenteabierta,ojos abiertos,corazonesabiertosymanosabiertaspara trabajarparacambiaraotrosparamejor.

Habertrabajadoconpacientes"Ancianos", "Necesidadesespeciales"y"Marginados"durante muchosañosenlaoficinayenelquirófanoha fomentadoenmíunagratitudyaprecioespeciales. ¿Quéhemosganadosinonosdamoslaoportunidad decreceraprendiendosobrelaexperienciadela humanidad?Esteesunregaloinvaluable. Nuevamente,"nosabemos,loquenosabemos,yno vemos,loquenovemos".

Todocomienzaconnosotroshaciendoelcambio primero.Estoesloquemeencantadela odontología...podemostenerunaconexióntanto físicacomoemocionalcontodosnuestrospacientes, sinimportarloquenostraigan.Solonecesitamos acercarnosasucuidadoconlosojosbienabiertos, nocerrados,asícomoconnuestrasmentesynuestros corazones.Esteeselpuntodeenfoqueparael cambioenloqueelpacientefinalmenteharápara ayudarseasímismo.Yalfinal,estoesloque erradicarálosprejuiciosinfecciosos,losprejuicios corrosivos,laignoranciacegadora,elracismo deshumanizanteylainjusticiasocialmetastatizante parasuprimirnuestrosmiedosinternoscentradosen nuestrasdiferenciasmínimasy,encambio,fortalecer elamoratravésdenuestrasaccionesalvalorar nuestrospuntosencomúnmásgrandessiendola familiahumana.

23
CarpeDiem….¡Aprovechaeldía!Dr.EricShapira
JUNE 21-23, 2024 NEW YORK SAVE THE DATE www.hdassoc.org membership@hdassoc.org Visit Us Contact Us HISPANIC DENTAL ASSOCIATION PRESENTS 856-353-9459

StalledProgress:Trendsin

RacialandEthnic CompositionofDentistsand DentalStudentsComparedto theU.S.Population

ADAHealthPolicyInstitute(HPI)

Keywords: diversity,dentalstudents,dentists, Hispanic

Introduction

Comparedtootherhigh-incomecountries,the UnitedStatesrankspoorlyformultiplemeasures ofhealthcaresystemperformance,including equity,accesstocare,andhealthcareoutcomes. Fordentalcareespecially,theU.S.demonstrates persistentdisparitiesincareaccess,utilization, andoralhealthoutcomesbetweenincomelevels andracial/ethnicgroups.,, Theexactlinkbetween healthdisparities,incomelevel,race/ethnicity, andothersocialdeterminantsofhealthis complex,, butmorepolicymakersagreethat increasingracial/ethnicdiversitywithinthe dentalcareworkforceiskeytoimprovingaccess tocareforvulnerablepopulations.Allelseequal, dentistswhoareracialandethnicminoritiesare morelikelytoacceptMedicaidpatientsandwork inlow-incomeareas.Further,sincepatient surveysindicateracialdiscriminationwithinthe healthcaresystemiscommon,,, amorediverse workforcecanboostpatients’comfortleveland trustinhealthcareproviders,leadingtohigher ratesofcareutilization.11,

Toassessthediversityofthedentalcare workforce,wecomparetheracial/ethnic breakdownofdentalstudentsanddentiststothat oftheoverallUnitedStatespopulationoverthe last10years.

Data&Methods

Ouranalysiscomparestheracial/ethnic breakdownofdentalstudentsanddentiststothe UnitedStatespopulation.Therace/ethnicity informationofdentalstudentsiscollected throughtheCommissiononDental Accreditation’s(CODA)SurveyofDental Education,distributedasanonlinesurveybythe HealthPolicyInstitute(HPI)inthefallofeach academicyear.All69dentalschoolsbasedinthe UnitedStatesarerequiredtocompletethesurvey

aspartoftheiraccreditationprocess.Dental schoolsreportstudents’self-identifiedgender andrace/ethnicityinformationinaggregateby classyear.WeusedtheCODAsurveyreports from2012through2022togatherhistorical informationontheprofileofdentalstudents.

Therace/ethnicityinformationofdentistsis basedonHPIanalysisoftheADAmasterfile, whichisupdatedthroughavarietyofmethods includingreconciliationwithstatelicensure databases,deathrecords,andvarioussurveysand censusesofdentistscarriedoutbytheADA.We usedthemasterfile’sarchiveddatasetsfrom 2012through2022togatherhistorical informationontheprofileofthedentist population.Theanalysisofactivedentists includesthosewhoarelistedintheADA masterfileaslicensed;notretired;workinginthe 50states,DistrictofColumbia,orPuertoRico; andhavingaprimaryoccupationofprivate practice(fullorpart-time),dentalschool/faculty staffmember,armedforces,otherfederal services(i.e.,Veterans'Affairs,PublicHealth Service),stateorlocalgovernmentemployee, hospitalstaffdentist,graduatestudent/intern/ resident,orotherhealth/dentalorganizationstaff member.Thisanalysisexcludesdentistsinthe U.S.armedforcesoverseas.

Othersourcesinclude(1)U.S.CensusBureau, PopulationDivision,AnnualEstimatesofthe ResidentPopulationfortheUnitedStates, Regions,States,DistrictofColumbiaandPuerto Rico;(2)U.S.CensusBureau,Population Division,ST-EST00INT-SEXRACEHISP: IntercensalEstimatesoftheResidentPopulation bySex,RaceandHispanicOriginforStatesand theUnitedStates;(3)U.S.CensusBureau, PopulationDivision,SC-EST2019-ALLDATA6: AnnualStateResidentPopulationEstimatesfor 6RaceGroups(5RaceAloneGroupsandTwoor MoreRaces)byAge,Sex,andHispanicOrigin; (4)AmericanCommunitySurvey5-Year Estimates,TableDP05.Duetodatalimitations, CensusBureaudataforPuertoRicoin2022are representedbydatafrom2021.

OuranalysiscoverstheUnitedStatesandPuerto Ricocombined,forpopulation,thedentist workforce,anddentalstudents.Ouranalysis examinesthefollowingrace/ethnicitygroups: AmericanIndianorAlaskaNative(NonHispanic),Asian(Non-Hispanic),Black(NonHispanic),Hispanic,NativeHawaiianorOther PacificIslander(Non-Hispanic),TwoorMore Races(Non-Hispanic),andWhite(NonHispanic).

25

Results

Asof2022,58.3%ofthepopulationintheUnited StatesisWhite(notHispanic),downfrom62.2%in 2012.TheBlack(notHispanic)population,onthe otherhand,hasbeenrelativelystableovera10-year

timeframe.TheHispanicandAsianpopulations haveseenconsiderablegrowthsince2012,with Hispanicsmakingupone-fifthoftheU.S.population asof2022(Exhibit1).

Withinthedentalstudentbody,racial/ethnic breakdownshistoricallyhaveskewedtowarda Whitemajority.Thishaschangedovertime, however.Inthelast10years,first-yeardentalschool enrollmentofWhitestudentshasdroppedfrom 57.3%in2012-13to47.8%in2022-23.Meanwhile, bothBlackandHispanicdentalstudentssaw gradualincreasesinenrollmentsincethe2012-13 academicyear.Blackfirst-yearenrollmentrose from5.5%in2012-13to7.1%in2022-23.Inthe sametimeperiod,theshareofHispanicfirst-year enrollmentrosefrom7.4%to9.8%(Exhibit2).

ComparedtotheoverallU.S.population,Blackand Hispanicdentalstudentsarehighly underrepresented.Thefiguresareevenmoreskewed whencomparingthedentalstudentbodytotheU.S. populationthatiscollege-aged(ages18-24).Asof 2020,nearlyone-quarter(23.6%)of18to24-yearoldsareHispaniccomparedto9.8%offirst-year dentalstudentsin2022.Similarly,13.3%of18to 24-year-oldsareBlackasof2020comparedto7.1% offirst-yeardentalstudentsin2022.Itshouldbe notedthatincreasesinfirst-yearenrollmentamong BlackandHispanicstudentswerenotstrictlylinear duringthepast10years.

Exhibit1.UnitedStatesPopulationbyRace/Ethnicity
26
Exhibit2.UnitedStatesFirst-YearDentalStudentPopulationbyRace/Ethnicity

Inrecentyears,femalefirst-yeardentalstudents haveoutnumberedmalefirst-yeardentalstudents. Asof2022-23,56.4%offirst-yeardentalstudents arefemale.However,Hispanicfemalefirst-year enrollmenthassurpassedmaleenrollmentforover twodecades,atrendalsomirroredamongBlackand Asiandentalstudents.Althoughthemargin

fluctuatedslightlyfromyeartoyear,thepercentage ofHispanicfirst-yeardentalstudentswhowere femalestoodat62.4%in2022-23(Exhibit3).

IntermsoftheU.S.dentistworkforce,whilethe Whiteshareofthedentistworkforcedecreasedfrom 75.6%to68%over10years,Whitedentistsare overrepresentedcomparedtotheU.S.population.

Asiansarealsooverrepresentedamongthedentist workforce,buttheirshareofdentistsgrewfrom 14.1%to19.3%over10years.Amongpopulations underrepresentedindentistry,therehasbeenvery

slowgrowthintheshareofdentistswhoareBlack orHispanic(Exhibit4).

TheHispanicshareofthedentistworkforce increasedfrom5.5%to6.5%over10years,while theirshareoftheU.S.populationincreasedfrom

Exhibit4.UnitedStatesDentalWorkforcebyRace/Ethnicity
27
Exhibit3.First-YearDentalSchoolEnrolleesbyRace/EthnicityandGender

17.8%to19.9%overthesameperiod.TheBlack shareofthedentistworkforcedecreasedfrom3.9% (2012)to3.8%(2022).Bycontrast,theBlackshare oftheU.S.populationis12.5%asof2022.

TheTwoorMoreRaces(Non-Hispanic)grouphas grownslowlyamongboththedentistworkforce (from0.5%to2.0%)andtheU.S.population(from 1.9%to2.4%)over10years.TheshareoftheU.S. populationidentifyingasAmericanIndianorAlaska Nativewas0.7%from2012to2022,whiletheir shareofthedentistworkforcewentunchangedfrom 0.3%(2012)to0.3%(2022).TheNativeHawaiianor OtherPacificIslandershareoftheU.S.andPuerto Ricopopulationwas0.2%from2012to2022and overthesameperiod,theirshareofthedentist workforcegrewfrom0.1%to0.2%.

Conclusion

Whiletheshareofdentistsanddentalstudentswho areracialandethnicminoritieshasbeenrisingover thedecades,certaingroupsarestillwoefully underrepresentedwhencomparedtothegeneralU.S. population.Hispanicsmakeupone-fifthoftheU.S. populationwhileonlymakingup9.8%ofthefirstyeardentalstudentpopulationand6.5%ofthe dentistworkforce.Only3.8%ofdentistsareBlack comparedto12.5%oftheU.S.population.Trendsin dentalschoolenrollmentindicatethattheshareof HispanicandAsiandentistsareincreasingwhile otherracialgroupsareremainingstagnant.

Importantpolicyconsiderationsareemergingfrom ouranalysis.Thereisevidencefromvarious healthcaredisciplinesthatoutcomessuchaspatient satisfaction,healthoutcomes,andevenmortalityare relatedtopatient-providerracialconcordance.12,,, To ourknowledge,thereisnosimilarresearchrelating oralhealthoutcomesorqualityofdentalcareand patient-dentistracialconcordance.However,thereis strongevidenceshowingthatallelseequal,nonWhitedentistsaremorelikelytotreatlow-income, vulnerablepopulations8, whotraditionallyhavehada hardertimefindingadentist.Giventhisrelationship, anargumentcouldbemadethatdiversifyingthe dentistworkforcewouldbebeneficialtothemost vulnerablepopulationsintheU.S.whenitcomesto dentalcareneeds.Nevertheless,thisisnota straightforwardtaskforavarietyofreasonsand wouldrequirecommitmentfromvarious stakeholders.7 Diversifyingthedentistworkforceto morecloselymimictheU.S.populationand,in particular,thesegmentsoftheU.S.populationless likelytobeaccessingdentalcare,isanimportant policyissueandwelookforwardtocontributing additionalresearchinthecomingyearsonthistopic.

Abouttheauthors:

BrittanyHarrison,MA Manager,DigitalContentandEditing HealthPolicyInstitute

AmericanDentalAssociation

312-440-2510 harrisonb@ada.org

BradleyMunson SeniorResearchAnalyst HealthPolicyInstitute

AmericanDentalAssociation

312.587.4137 munsonb@ada.org

RachelMorrissey,MA SeniorResearchAnalyst HealthPolicyInstitute

AmericanDentalAssociation

312.440.2574 morrisseyr@ada.org

MatthewMikkelsen

SeniorManager,Education,andPanelSurveys HealthPolicyInstitute

AmericanDentalAssociation

312.440.2831 mikkelsenm@ada.org

MarkoVujicic,PhD ChiefEconomistandVicePresident HealthPolicyInstitute AmericanDentalAssociation 312.440.7745 vujicicm@ada.org

P.S.AspecialthankyoutoElíasMorón,DDS,MPH, MHL,ClinicalAssistantProfessoratNova SoutheasternUniversityforhisassistanceand Spanishtranslation.

References/Referencias:

1.SchneiderEC,ShahA,DotyMM,etal.Mirror,Mirror2021: Reflectingpoorly.HealthcareintheU.S.comparedtoother high-incomecountries.TheCommonwealthFund.August4, 2021.Availablefrom: https://www.commonwealthfund.org/ publications/fund-reports/2021/aug/mirror-mirror-2021reflecting-poorly.AccessedAugust1,2023.

2.CentersforDiseaseControl&Prevention.Disparitiesinoral health.February5,2021.Availablefrom: https://www.cdc.gov/ oralhealth/oral_health_disparities/index.htm.AccessedAugust 1,2023.

3.AmericanDentalAssociation.Costbarrierstodentalcare amongU.S.population,byraceandethnicity.HealthPolicy Institute.Infographic.April2021.Availablefrom: https:// www.ada.org/-/media/project/ada-organization/ada/ada-org/ files/resources/research/hpi/hpigraphic_0421_3.pdf.Accessed August1,2023.

4.AmericanDentalAssociation.Dentalcareutilizationamong theU.S.population,byraceandethnicity.HealthPolicy Institute.Infographic.April2021.Availablefrom: https:// www.ada.org/-/media/project/ada-organization/ada/ada-org/ files/resources/research/hpi/hpigraphic_0421_4.pdf.Accessed August2,2023.

28

5.ChoiSE,WhiteJ,MertzE,etal.Analysisofraceand ethnicity,socioeconomicfactors,andtoothdecayamongUS children. JAMA.2023;6(6):e2318425.

6.NduggaN,ArtigaS.Disparitiesinhealthandhealthcare:5 keyquestionsandanswers.KaiserFamilyFoundation.April 21,2023.Availablefrom: https://www.kff.org/racial-equityand-health-policy/issue-brief/disparities-in-health-and-healthcare-5-key-question-and-answers/.AccessedAugust2,2023.

7.WrightJT,VujicicM,Franzier-BowersS.Elevatingdentistry throughdiversity. JADA.2021;152(4):253-255.

8.NassehK,FosseC,VujicicM.Dentistswhoparticipatein Medicaid:whotheyare,wheretheylocate,howtheypractice. MedCareResandRev.2023;80(2):245-252.

9.NongP,RajM,CrearyM,etal.Patient-reportedexperiences ofdiscriminationintheUShealthcaresystem. JAMANetw Open.2020;3(12):e2029650.

10.HamelL,LopesL,MunanaC,etal. KFF/TheUndefeated Surveyonraceandhealth.KaiserFamilyFoundation.October 13,2020.Availablefrom: https://www.kff.org/reportsection/kff-the-undefeated-survey-on-race-and-health-mainfindings/.AccessedAugust1,2023.

11.FunkC,HugoLopezM.HispanicAmericans’experiences withhealthcare.PewResearchCenter.June14,2022.

Availablefrom: https://www.pewresearch.org/science/ 2022/06/14/hispanic-americans-experiences-with-health-care/ #:~:text=About%20a%20third%20of%20Hispanic,see%20a% 20Spanish%2Dspeaking%20provider.AccessedAugust2, 2023.

12.TakeshitaJ,WangS,LorenAW,etal.Associationofracial/ ethnicandgenderconcordancebetweenpatientsandphysicians withpatientexperienceratings. JAMA. 2020;3(11):e2024583.

InstitutodePolíticasdeSaluddelaADA (HPI)

Palabrasclave: diversidad,estudiantesde odontología,odontólogos,Hispanos

Introducción

Encomparaciónconotrospaísesdealtosingresos, EstadosUnidosocupaunlugarbajoenmúltiples medidasdeldesempeñodelsistemadeatenciónen salud,incluidalaequidad,elaccesoalaatencióny losresultadosdelaatenciónensalud.Especialmente paralaatencióndental,losEstadosUnidos demuestradisparidadespersistentesenelaccesoala atención,lautilizaciónylosresultadosdesaludoral entrelosnivelesdeingresosylosgruposraciales/ étnicos.,, Elvínculoexactoentrelasdisparidadesen lasalud,elniveldeingresos,laraza/etnicidadyotros determinantessocialesdelasaludescomplejo,, pero máslegisladoresestándeacuerdoenqueaumentar

13.FreyWH.New2020censusdatashowsanagingAmerica andwideracialgapsbetweengenerations.TheBrookings Institute.August1,2023.Availablefrom: https:// www.brookings.edu/articles/new-2020-census-data-shows-anaging-america-and-wide-racial-gaps-between-generations/ AccessedAugust2,2023.

14.GreenwoodBN,HardemanRR,HuangL,SojournerA. Physician–patientracialconcordanceanddisparitiesinbirthing mortalityfornewborns.ProceedingsoftheNationalAcademy ofSciencesoftheUnitedStatesAmerica.August17,2020. Availablefrom: https://www.pnas.org/doi/10.1073/ pnas.1913405117.AccessedAugust4,2023.

15.NationalPublicRadio.Akeytoblackinfantsurvival?Black doctors.September18,2020.Availablefrom: https:// www.npr.org/transcripts/913718630.AccessedAugust4,2023. 16.FrakesMD,GruberJ.Racialconcordanceandthequalityof medicalcare:evidencefromthemilitary.December2022. NationalBureauofEconomicResearch.Availablefrom: https:/ /www.nber.org/papers/ w30767#:~:text=We%20find%20striking%20evidence%20that ,and%20ultimately%20lower%20patient%20mortality AccessedAugust4,2023.

17.VujicicM,NassehK,FosseC.Dentistparticipationin Medicaid:howshoulditbemeasured?Doesitmatter? AmericanDentalAssociation.HealthPolicyInstitute.Research brief.October2021.Availablefrom: https://www.ada.org/-/ media/project/ada-organization/ada/ada-org/files/resources/ research/hpi/hpibrief_1021_1.pdf.AccessedAugust4,2023.

ladiversidadracial/étnicadentrodelafuerzalaboral deatencióndentalesclaveparamejorarelaccesoa laatenciónparalaspersonasvulnerables poblaciones.Enigualdaddecondiciones,esmás probablequelosodontólogosquepertenecena minoríasracialesyétnicasaceptenpacientesde Medicaidytrabajenenáreasdebajosingresos.8 Además,dadoquelasencuestasdepacientesindican queladiscriminaciónracialdentrodelsistemade atenciónensaludescomún,9,10,11 unafuerzalaboral másdiversapuedeaumentarelniveldecomodidad delospacientesylaconfianzaenlosproveedoresde atenciónensalud,loquellevaatasasmásaltasde utilizacióndelaatención.11,12

Paraevaluarladiversidaddelafuerzalaboralde atencióndental,comparamoseldesgloseracial/ étnicodelosestudiantesdeodontologíaylos odontólogosconeldelapoblacióngeneraldelos EstadosUnidosdurantelosúltimos10años.

DatosyMétodos

Nuestroanálisiscomparaeldesgloseracial/étnicode estudiantesdeodontologíaylosodontólogosconla poblacióndelosEstadosUnidos.Lainformación sobreraza/etnicidaddelosestudiantesde odontologíaserecopilaatravésdelaEncuestade EducaciónDentaldelaComisióndeAcreditación Dental(CODA),distribuidacomounaencuestaen líneaporelInstitutodePolíticasdeSalud(HPI)en

Progresoestancado:Tendencias enlacomposiciónracialyétnica deOdontólogosyestudiantesde Odontologíaencomparación conlapoblacióndeEE.UU.
29

elotoñodecadaañoacadémico.Todaslas69 escuelasdeodontologíaconsedeenlosEstados Unidosdebencompletarlaencuestacomopartedesu procesodeacreditación.Lasescuelasdeodontología reportanlainformacióndegéneroyraza/etnicidad autoidentificadadelosestudiantesenconjuntopor añodeclase.Utilizamoslosinformesdelaencuesta CODAdesde2012al2022pararecopilar informaciónhistóricasobreelperfildelosestudiantes deodontología.

Lainformaciónderaza/etnicidaddelosodontólogos sebasaenelanálisisdelHPIdelarchivomaestrode laAsociaciónDentalAmericana(ADA),quese actualizaatravésdeunavariedaddemétodosque incluyenlaconciliaciónconbasesdedatosde licenciasestatales,registrosdedefunciónyvarias encuestasycensosdeodontólogosrealizadosporla ADA.Utilizamoslosconjuntosdedatosarchivados delarchivomaestrodesdeelaño2012hastaelaño 2022pararecopilarinformaciónhistóricasobreel perfildelapoblacióndeodontólogos.Elanálisisde losodontólogosactivosincluyeaaquellosque figuranenelarchivomaestrodelaADAcomo licenciados;nojubilados;trabajandoenunodelos50 estados,DistritodeColumbiaoPuertoRico;ytener unaocupaciónprincipaldeprácticaprivada(atiempo completooparcial),miembrodelpersonaldeuna escuela/facultaddeodontología,fuerzasarmadas, otrosserviciosfederales(esdecir,Asuntosde Veteranos,ServiciodeSaludPública),empleadodel gobiernoestatalolocal,odontólogodelpersonaldel hospital,estudiantedeposgrado/pasante/residenteo miembrodelpersonaldeunaorganizacióndesalud/ dental.Esteanálisisexcluyealosodontólogosdelas fuerzasarmadasestadounidensesenelexterior.

Otrasfuentesincluyen(1)OficinadelCensodelos EstadosUnidos,DivisióndePoblación,Estimaciones

AnualesdelaPoblaciónResidenteparalosEstados Unidos,Regiones,Estados,DistritodeColumbiay PuertoRico;(2)OficinadelCensodelosEstados Unidos,DivisióndePoblación,ST-EST00INTSEXRACEHISP:Estimacionesintercensalesdela poblaciónresidenteporsexo,razayorigenhispano porestadosylosEstadosUnidos;(3)Oficinadel CensodelosEstadosUnidos,DivisióndePoblación, SC-EST2019-ALLDATA6:Estimacionesanualesde poblaciónresidenteporestadosparalos6grupos raciales(5gruposracialessolosydosomásrazas) poredad,sexoyorigenhispano;(4)Estimacionesde 5añosdelaEncuestasobrelaComunidad Estadounidense,TablaDP05.Debidoalimitaciones dedatos,losdatosdelaoficinadelCensoparaPuerto Ricoen2022estánrepresentadospordatosde2021. NuestroanálisiscubrelosEstadosUnidosyPuerto Ricocombinados,paralapoblación,lafuerzalaboral deodontólogosylosestudiantesdeodontología. Nuestroanálisisexaminalossiguientesgruposde raza/etnicidad:indioamericanoonativodeAlaska (nohispano),asiático(nohispano),negro(no hispano),hispano,nativodeHawáiuotroisleñodel Pacífico(nohispano),dosomásrazas(nohispanos) yblancos(nohispanos).

Resultados

Apartirde2022,el58,3%delapoblacióndelos EstadosUnidosesblanca(nohispana),frenteal62,2 %en2012.Lapoblaciónafrodescendiente(no hispana),porotrolado,sehamantenido relativamenteestableduranteunperíodode10años. Laspoblacioneshispanayasiáticahan experimentadouncrecimientoconsiderabledesde 2012,yloshispanosrepresentanunaquintapartede lapoblacióndelosEstadosUnidosapartirde2022 (Anexo1).

30
Anexo1.PoblacióndelosEstadosUnidosporraza/origenétnico

Dentrodelcuerpoestudiantildeodontología,los desglosesraciales/étnicoshistóricamentesehan sesgadohaciaunamayoríablanca.Sinembargo,esto hacambiadoconeltiempo.Enlosúltimos10años,la inscripcióndeestudiantesblancosenelprimerañode laescueladeodontologíaseredujodel57,3%en 2012-13al47,8%en2022-23.Mientrastanto,los estudiantesdeodontologíaafrodescendientese

hispanosvieronaumentosgradualesenlainscripción desdeelañoacadémico2012-13.Lainscripciónde primerañodeafrodescendientesaumentódel5,5% en2012-13al7,1%en2022-23.Enelmismo período,laproporcióndeestudianteshispanos matriculadosenelprimerañoaumentódel7,4%al 9,8%(Anexo2).

Encomparaciónconlapoblacióngeneraldelos EstadosUnidos,losestudiantesdeodontología afrodescendientesehispanosestánmuypoco representados.Lascifrassonaúnmásdistorsionadas cuandosecomparaelalumnadodeodontologíaconla poblaciónestadounidenseenedaduniversitaria(entre 18y24años).13 Apartirde2020,casiunacuartaparte (23,6%)delosjóvenesde18a24añossonhispanos encomparaciónconel9,8%delosestudiantesde odontologíadeprimerañoen2022.Demanera similar,el13,3%delosjóvenesde18a24añosson afrodescendientescomode2020encomparacióncon el7,1%delosestudiantesdeodontologíadeprimer añoen2022.Cabeseñalarquelosaumentosenla inscripcióndeprimerañoentrelosestudiantes

afrodescendientesehispanosnofueronestrictamente linealesdurantelosúltimos10años.

Enlosúltimosaños,lasestudiantesdeodontologíade primerañohansuperadoennúmeroalosestudiantes deodontologíadeprimeraño.Apartirde2022-23,el 56,4%delosestudiantesdeodontologíadeprimer añosonmujeres.Sinembargo,lamatrículadeprimer añodemujereshispanashasuperadolamatrículade hombresdurantemásdedosdécadas,unatendencia quetambiénsereflejaentrelosestudiantesde odontologíaafrodescendientesyasiáticos.Aunqueel margenfluctuólevementedeunañoaotro,el porcentajedeestudianteshispanosdeprimerañode odontologíaqueeranmujeresfuedel62,4%en202223(Anexo3).

Anexo3:Inscritosdeprimerañoenlaescueladeodontologíaporraza/origenétnicoygénero

Anexo2.PoblacióndeestudiantesdeodontologíadeprimerañodelosEstadosUnidospor
31

Entérminosdelafuerzalaboraldeodontólogosde losEstadosUnidos,mientrasquelaproporciónde blancosdelafuerzalaboraldeodontólogos disminuyódel75,6%al68%en10años,los odontólogosblancosestánsobrerrepresentadosen comparaciónconlapoblacióndelosEstados Unidos.Losasiáticostambiénestán sobrerrepresentadosentrelafuerzalaboraldelos odontólogos,perosuporcentajeaumentódel14,1% al19,3%en10años.Entrelaspoblaciones subrepresentadasenodontología,hahabidoun crecimientomuylentoenlaproporcióndedentistas afrodescendientesohispanos(Anexo4).

Laparticipaciónhispanadelafuerzalaboralde odontólogosaumentódel5,5%al6,5%durante10 años,mientrasquesuparticipaciónenlapoblación delosEstadosUnidosaumentódel17,8%al19,9% duranteelmismoperíodo.Laparticipación afrodescendientedelafuerzalaboraldeodontólogos disminuyódel3,9%(2012)al3,8%(2022).Porel contrario,laproporcióndeafrodescendientesdela poblacióndelosEstadosUnidosesdel12,5%a partirde2022.

Elgrupodedosomásrazas(nohispanos)hacrecido lentamenteentrelafuerzalaboraldeodontólogos

(del0,5%al2,0%)ylapoblacióndelosEstados Unidos(del1,9%al2,4%)durante10años.La proporcióndelapoblacióndelosEstadosUnidos queseidentificócomoindígenaestadounidenseo nativodeAlaskafuedel0,7%entre2012y2022, mientrasquesuproporcióndelafuerzalaboralde odontólogospermaneciósincambiosdel0,3% (2012)al0,3%(2022).Laparticipacióndenativos deHawáiuotrasislasdelPacíficoenlapoblación delosEstadosUnidosyPuertoRicofuedel0,2% entre2012y2022y,duranteelmismoperíodo,su participaciónenlafuerzalaboraldeodontólogos creciódel0,1%al0,2%.

Conclusión

Sibienlaproporcióndeodontólogosyestudiantes deodontologíaquepertenecenaminoríasracialesy étnicashaaumentadoalolargodelasdécadas,

lamentablementeciertosgrupostodavíaestán subrepresentadosencomparaciónconlapoblación generaldelosEstadosUnidos.Loshispanos constituyenunaquintapartedelapoblacióndelos EstadosUnidos,mientrasquesolorepresentanel 9,8%delapoblacióndeestudiantesdeodontología deprimerañoyel6,5%delafuerzalaboraldelos odontólogos.Soloel3,8%delosodontólogosson afrodescendientesencomparaciónconel12,5%de lapoblaciónestadounidense.Lastendenciasenla matriculaciónenlasfacultadesdeodontología indicanquelaproporcióndeodontólogoshispanos yasiáticosestáaumentando,mientrasqueotros gruposracialespermanecenestancados.

Hayimportantesconsideracionespolíticasque surgendenuestroanálisis.Hayevidenciadevarias disciplinasdeatenciónensaluddequelos resultadoscomolasatisfaccióndelpaciente,los

32
Anexo4.FuerzaLaboralDentaldelosEstadosUnidosporRaza/Etnia

resultadosdesaludeinclusolamortalidadestán relacionadosconlaconcordanciaracialentreel pacienteyelproveedor.12,14,15,16 Segúnnuestro conocimiento,noexisteunainvestigaciónsimilar querelacionelosresultadosdesaludoralolacalidad delaatencióndentalylaconcordanciaracialentre elpacienteyelodontólogo.Sinembargo,existe evidenciasólidaquemuestraque,enigualdadde condiciones,losodontólogosquenosonblancos tienenmásprobabilidadesdetrataralaspoblaciones vulnerablesdebajosingresos8,17 que tradicionalmentehantenidomásdificultadespara encontrarunodontólogo.Dadaestarelación,se podríaargumentarqueladiversificacióndelafuerza laboraldelosodontólogosseríabeneficiosaparalas poblacionesmásvulnerablesdelosEstadosUnidos enloquerespectaalasnecesidadesdeatención dental.Sinembargo,estanoesunatareasencillapor unavariedadderazonesyrequeriríaelcompromiso devariaspartesinteresadas.7 Ladiversificacióndela fuerzalaboraldelosodontólogosparaimitarmásde cercaalapoblacióndelosEstadosUnidosy,en particular,alossegmentosdelapoblacióndelos EstadosUnidosconmenosprobabilidadesde accederalaatencióndental,esuntemadepolítica importanteyesperamoscontribuircon investigacionesadicionalesenlospróximosaños sobreestetema.

Acercadelosautores:

BrittanyHarrison,MA

GerentedeContenidosDigitalesyEdición InstitutodePolíticasdeSalud

AsociaciónDentalAmericana

312-440-2510

harrisonb@ada.org

BradleyMunson

Analistadeinvestigaciónsénior InstitutodePolíticasdeSalud

AsociaciónDentalAmericana

312.587.4137 munsonb@ada.org

RachelMorrissey,MA

Analistadeinvestigaciónsénior InstitutodePolíticasdeSalud

AsociaciónDentalAmericana

312.440.2574 morrisseyr@ada.org

MateoMikkelsen

Gerentesénior,educaciónyencuestasdepanel InstitutodePolíticasdeSalud

AsociaciónDentalAmericana

312.440.2831

mikkelsenm@ada.org

Dr.MarkoVujicic

Economistajefeyvicepresidente InstitutodePolíticasdeSalud

AsociaciónDentalAmericana

312.440.7745

vujicicm@ada.org

PD.UnagradecimientoespecialaElías Morón,DDS,MPH,MHL,FICD,ClinicalAssistant ProfessordeNovaSoutheasternUniversity,porsu ayudaytraducciónalespañol.

33

TheConnectionBetween Women’sOralHealthand Cancer:AnUrgentGlobalCall forAction

JosefineOrtizWolfe, PhD,MPH,RDH,CHES, DenisseGonzálezEstrada, DDS,MEd,FCMO, MarthaMutis, DDS,MPH,EdD,FICD, MercedesMotaMartinez DDS,FICOI,FICD,FPFA, ChristinaMeiners,DDS,FICD, MagdadelaTorre,RDH,MPH

Goodoralhealthisimportantfromthemomentwe takeourfirstbreathtoourfirstmealandthroughout ourlives.Goodoralhealthhelpsusexpressjoy, developspeech,andenhancesocialinteractions, anditalsocontributestoouroverallwell-beingand survivalaswomen.Thehumanmouth,ourgateway tonourishment,communication,andexpression,is alsoathrivingecosysteminhabitedbyamyriadof microorganismscollectivelyreferredtoastheoral microbiota.Thesemicroorganisms—bacteria, archaea,fungi,protists,andviruses—arenot merelypassiveresidents.Instead,theyactively interactwithourbodies,influencingnumerous aspectsofourhealth,rangingfromdigestionand metabolismtoimmunityandmentalwell-being (Brennan&Garrett,2019).

Despiteevidenceestablishingaprofoundlink betweenoralhealthandthepathogenesisof systemicdiseases,thereisasurprisinglackof researchregardingitsimpactonwomen'shealth. Studieshaveexploredtheconnectionbetweenoral healthandvariousmedicalconditionslikeheart diseaseanddiabetes(CareQuestInstituteforOral Health,2023a).However,thespecificimplications forwomenremainlargelyunexplored.This knowledgegapisconcerning,aswomenexperience uniquehealthissuesthroughouttheirlives,suchas changesinhormonesduringpregnancyand menopause,whichcouldaffecttheiroralhealth (CareQuestInstituteforOralHealth,2023b).Good oralhealthsurpassestheboundsofthemouth—it isasilentbutpotentallyinourcollectivefight againstcancer,safeguardingwomen'shealth worldwide.

Theoralmicrobiotaplaysacrucialroleinoverall health,maintainingadelicatebalancethatcaneasily bedisrupted.Factorssuchaspoororalhygiene, unhealthydietaryhabits,andneglectofpreventive carecantipthisbalance.Forexample,whenour moderndiet,richinfats,leadstodysbiosis,itresults inendotoxemiaor"leakygut",increasingintestinal permeability.Thisconditioninducesinflammation andpavesthewayfortheonsetofcancerandother healthissues.Inthisdisruptedstate,opportunistic microorganismslikeFusobacteriumnucleatum flourish.Foundintheoralcavity,F.nucleatum specificallytargetsinflamedtissues,emphasizingits cancer-promotingproperties(Cuellar-Gómezetal., 2022).

34

Lackofpreventivedentalcareallowsharmful bacteria,suchasFusobacteriumnucleatum,to thrive.Classifiedasanoncobacterium, Fusobacteriumnucleatumisacancer-promoting bacteriumthatcontributestotheformationofdental plaqueorbiofilmwhenoralhygieneisneglectedor accesstopreventivedentalcareisinaccessible (Brennan&Garrett,2019).Theimpactsof Fusobacteriumnucleatumextendfarbeyondtheoral cavity.Recentresearchhasdemonstratedalink betweenthisbacteriumandendometriosis,a debilitatingconditionaffectingnearlyoneinsix women(Muraokaetal.,2023).Thisstudy emphasizesanalarmingreality:aninflammatory andcarcinogenicorganismoriginatingfromthe mouthcaninvadetissuesoutsidetheoralcavity, leadingtofar-reachingimplicationsonreproductive health.Furthermore,oralbacteria,including FusobacteriumandProphyromonas,havebeen linkedtobreastcancer,whichaffectsoneineight women(Issranietal.,2021),themostcommon cancerinwomenaccordingtotheNationalCancer Institute(2020).Thisbridgethatconnectsthe alimentarytracttothebreastisknownasthe “entero-mammarypathway.”Inadditiontolinks betweenoralbacterialikeFusobacteriumnucleatum andcancer,evidencealsodemonstratesaconnection betweenoralandgastrichealth.ChronicH.pylori infectionshavebeenassociatedwithanincreased riskofnon-cardiagastricadenocarcinoma,cancerin themainpartofthestomach.Thisrelationship emphasizesthesystemicimpactoforalhealth. Moreover,poorperiodontalhealthhasbeenlinked toH.pyloriinfectioninadults.Thisfinding reinforcestheimportanceoforalhealthforthe potentialpreventionandcontrolofsystemic conditionslikestomachcancer(Dyeetal.2001).

TheCentersforDiseaseControlandPrevention (2023)reportthatcanceristheleadingcauseof deathforHispanicpeople.Giventheconnection betweenoralhealthandcancer,itisimportantto recognizethatHispanicwomen,inparticular,face uniquechallengeswhenitcomestooralhealth. Languagebarriers,limitedaccesstoaffordable dentalcare,andculturalbeliefscanallcontributeto disparitiesinoralhealthoutcomesamongthis population. Healthcareprofessionals,community leaders,andpolicymakersshouldstrivetoraise awarenessandprovideculturallysensitiveeducation andresourcestoensurethatHispanicwomen receivethenecessarysupportformaintaininggood oralhealthandreducingtheirriskofcancer.In essence,thebattlefororalhealthisn'tmerelyagainst toothdecayorgumdisease—it'safightagainst cancerandforthelivesofwomenacrosstheworld. However,itiscrucialtoacknowledgethatthe solutiongoesbeyondprescribingbasicoralcare

practiceslikebrushingandflossingtowomen,as thisisnotanexhaustivesolution.Rather,weneed conscious,intentionalstepsthatcanspur transformativechangesinwomen'soralhealth.

Advocatingfororalhealthgoesbeyondpreventing dentaldiseases—itisaglobalfightagainstcancer aimedatimprovingwomen'shealthoutcomes.It callsforcollectiveactionfrominstitutions, organizations,andgovernmentstoeradicatehealth inequities,particularlyinmarginalized communities.Forexample,intheU.S.,although Hispanicsrepresentnearly20%ofthepopulation, Hispanicdentistsonlyrepresent6%oforalhealth providers(HispanicDentalAssociationand CareQuestInstituteforOralHealth,2023).This disproportion,compoundedbyculturaland linguisticbarriersinhealthcare,restrictsHispanic women'saccesstoqualityoralhealthservices. Thesesystemichealthinequitiesresultin suboptimalpreventivecareanddelayeddiagnoses, potentiallyincreasingtheincidenceandseverityof diseasessuchasoralcancerandperiodontaldisease amongHispanicwomen,affectingtheiroverall health.

RecognizingthatHispanicwomenare disproportionatelyaffectedbyhealthinequitiesis crucial.Byfocusingonaddressingthesocial determinantsofhealth,suchasprovidingaccessible andaffordabledentalcareandcallingattentionto theinequitiessurroundingresearchsubjectsand fundingforresearchtounderstandoralhealth’s impactonwomen'shealth,wecanmotivatethosein leadershippositionstoprioritizewomen'soral health.Furtherresearchisneededtoconductlargescalestudiesusingdiversepopulationsandrigorous methodologiestofillthisknowledgegapand providehealthcareprofessionalswithevidencebasedguidelinesforpromotingoralhealthin women.

Moreover,advocatingforresearchandinnovationin oralhealthcarethatspecificallycaterstotheunique needsofwomencanplayasignificantrolein narrowingthegapinoralhealthandcancer disparities.Prioritizingfundingtoexploringthelink betweenpoororalhealthandanincreasedriskof developingcertaintypesofcancerinwomenis crucial,asitcanleadtobettertreatmentoutcomes andreducemortalityrates.Forexample,without

“Inessence,thebattlefor oralhealthisn’tmerely againsttoothdecayorgumdisease. It’sagainstCANCERandfor thelivesofwomenacrosstheworld.”
35

adequateresearch,healthcareprovidersmaynotbe awareoftheincreasedriskofgumdiseaseduring pregnancy,leadingtoundiagnosedanduntreated oralhealthissuesthatcannegativelyimpactboththe motherandthebaby(Buteraetal.,2023).Taking theseproactivestepscanreducesufferingand improvewomen'squalityoflifeworldwide.

OrganizationsincludingtheHispanicDental Association(HDA)andCareQuestInstituteforOral Healthhaveplayedinstrumentalrolesinexposing theseinequities.TheHDA,theleadingvoicefor Hispanicoralhealthsince1990,andCareQuest Institute,anactiveadvocateforhealthequity, continuetosupportresearchexploringthecomplex interplaybetweenwomen'soralhealth,systemic health,andsocialinequity(Leeetal.,2020;Auger etal.,2023).Nevertheless,thereisaneedformore institutionstopassionatelyadvocateforhealth equity,promoteoptimaloralhealthpractices,and investigatetheintricaterelationshipsbetween women'soralhealthandsystemicdiseases.

Ouroralhealthprofessionalsplayacriticalrolein theeducation,prevention,management,and treatmentofperiodontaldisease,whichhasbeen linkedtovariousillnesses.Oralhealthprofessionals areinstrumentalinensuringouroverallhealth;their roleispivotalinthiseraofhealthcare transformation(Brennan&Garrett,2019). However,thisadvocacyshouldnotbeconfinedto oralhealthprofessionalsorhealthcare organizations.Weareallresponsibleforechoing thisurgency,appealingtopolicymakers,healthcare providers,thepublic,and,importantly,themedia. Journalistsandmediaprofessionalsareuniquely influentialinraisingpublicawarenessandshaping discourseonpressinghealthissues.Theycan amplifytheworkdonebyorganizationslikethe HDAandCareQuestInstitute,bringingthe significanceoforalhealthintomainstream conversations.

Despitesignificantstridesinimprovingglobal health,glaringinequitiespersist.Women'shealth issuesremainunder-resourcedand underrepresented,andtheprofoundimpactoforal healthonsystemicdiseasesisoftenoverlooked.We needaparadigmshifttorecognizethateverystep towardimprovingoralhealthisasteptoward improvingsystemichealth,cancerprevention,and women'shealthworldwide.Thisisthetimefor globalaction,forunyieldingandboldadvocacyfor ahealthierfuture.Journalists,mediaprofessionals, researchers,oralhealthprofessionals,andeachone ofusplaysacrucialroleinthisshared responsibility.Byactingnow,wecanchangethe narrativeandmakeameaningfuldifferenceinthe livesofmillions.

SixUrgentStepsWeMustTakeforWomen's Healthare:

1.RecognizingthatHispanicWomenAreat Risk: HispanicwomenintheU.S.facea disproportionatethreatfromcancer,withoralhealth beingasignificantfactor.Awarenesscampaigns targetingthisdemographiccanprovidevital knowledgeandresourcestocombattheserisks.

2.FocusingonAddressingSocialDeterminants ofHealth(SDOH): Economic,social,and environmentalfactorsplayapivotalroleinwomen's healthoutcomes.Withproperpolicyandlegislative support,addressingthesedeterminantscanensure betterhealthequityandreducedisparities, especiallyinoralhealthandrelatedcancers.

3.ConductingAdditionalResearch: Itisessential todivedeeperintothelinksbetweenoralhealth, microbiota/microbiomeimbalances,andcancer. Fundingfortailoredresearchcanuncoverspecific risks,andpotentialinterventions,andofferaclearer pathtopreventivecare.

4.SupportingInnovationTailoredtoUnique Needs: Women,especiallythosefrommarginalized communities,haveuniquehealthrequirements. Innovationsinhealthcaretechnologyandpractices thatcatertothesespecificneedscanleadtobetter diagnosis,treatment,andprevention.

5.PrioritizingFundingforWomen'sHealth Research: Financialbackingcanacceleratethe paceofdiscoveriesandinnovationsinwomen's health.Prioritizingsuchfundingensuresthat researchcancontinueunhindered,leadingtotimely interventionsandsolutions.

6.EquippingOralHealthProvidersandAlliesto Advocate:Oralhealthprofessionalsandstudents areonthefrontlineofthishealthcrisis.Wecan empowerthemtochampionwomen'shealth, educatepatients,andofferearlyinterventionsby providingthemwiththenecessarytools, information,andtraininginlinguisticandcultural understanding.

AbouttheAuthors:

1.JosefineOrtizWolfe,PhD,MPH,RDH,CHES CareQuestInstituteforOralHealth EducationalSpecialist

2.DenisseGonzálezEstrada,DDS,MEd,FCMO JHDAJournal InternationalEditor,Secretary PastSecondYearDentalProgramCoordinatorUNAM, FES.

36

3.MarthaMutisDDS,MPH,EdD,FICD PresidentElect,HispanicDentalAssociation ChairofResearch,Grants,andProfessional Development.

4.MercedesMotaMartinez,DDS,FICOI,FICD,FPFA, PastPresidentHispanicDentalAssociation

5.ChristinaMeiners,DDS,FICD President,HispanicDentalAssociation DirectorofCommunityLearning, UTHealthSanAntonio

6.MagdaA.delaTorre,RDH,MPH InterimProgramDirector DivisionofDentalHygieneUTHSCSA

References/Referencias:

1.Auger,S.,Preston,R.,Tranby,E.P.,&Heaton,L. J.(2023).TheroleofMedicaidadultdentalbenefits duringpregnancyandpostpartum. CareQuest InstituteforOralHealth. https://doi.org/10.35565/ CQI.2023.2006

2.Brennan,C.A.,&Garrett,W.S.(2019). Fusobacteriumnucleatum—symbiont,opportunist andoncobacterium. NatRevMicrobiol,17, 156–166. https://doi.org/10.1038/s41579-018-01296

3.Butera,A.,Maiorani,C.,Morandini,A.,Trombini, J.,Simonini,M.,Ogliari,C.,&Scribante,A.(2023). Periodontitisinpregnantwomen:Apossiblelinkto adversepregnancyoutcomes. Healthcare(Basel, Switzerland),11(10),1372. https://doi.org/10.3390/ healthcare11101372

4.CareQuestInstituteforOralHealth.(2023a). Beyondanicesmile:Linksbetweenoralhealthand overallhealthforolderadults.CareQuestInstitute. https://www.carequest.org/resource-library/beyondnice-smile

5.CareQuestInstituteforOralHealth.(2023b). AddressingtheRoleofOralHealthinMaternal MortalityandPregnancyOutcomes. Boston,MA. https://www.carequest.org/system/files/ CareQuest_Institute_Addressing-the-Role-ofOral%20Health-in-Pregnancy-Outcomes-VisualReport_4.24.23.pdf

6.CentersforDiseaseControlandPrevention. (2023).HispanicorLatinopeopleandcancer. https:/ /www.cdc.gov/cancer/health-equity/groups/ hispanic-latino.htm

7.Dye,B.A.,Kruszon-Moran,D.,&McQuillan,G. (2002). Therelationshipbetweenperiodontal diseaseattributesandHelicobacterpyloriinfection amongadultsintheUnitedStates. AmJPublic

Health,92(11),1809-15. https://doi.org/10.2105/ ajph.92.11.1809

8.Groeger,S.,Zhou,Y.,Ruf,S.,&Meyle,J.(2022). PathogenicmechanismsofFusobacterium nucleatumonoralepithelialcells. FrontOral Health,3,831607. https://doi.org/10.3389/ froh.2022.831607

9.HispanicDentalAssociation&CareQuest InstituteforOralHealth.(2023). Addressingthe oralhealthneedsofHispanicsintheU.S.:An explorationoforalhealthstatus,dentalneeds, utilizationofdentalservices,andworkforce. https:// www.carequest.org/resource-library/addressingoral-health-needs-hispanics-us

10.Issrani,R.,Reddy,R.J.,El-Metwally,T.H.,& Prabhu,N.(2021).Periodontitisasariskfactorfor breastcancer-Whatweknowtodate? AsianPacJ CancerPrev,22(10),3109-3114. https://doi.org/ 10.31557/APJCP.2021.22.10.3109

11.Lee,H.,Okunev,I.,Tranby,E.,&Monopoli,M. (2020).Differentlevelsofassociationsbetween medicalco-morbiditiesandpretermbirthoutcomes amongracial/ethnicwomenenrolledinMedicaid 2014-2015:Retrospectiveanalysis. BMC PregnancyChildbirth,20(1),33. https://doi.org/ 10.1186/s12884-020-2722-8

12.Muraoka,R.etal.(2023).Fusobacterium infectionfacilitatesthedevelopmentof endometriosisthroughthephenotypictransitionof endometrialfibroblasts. SciTranslMed,15(700), eadd1531. https://doi.org/10.1126/ scitranslmed.add1531

13.NationalCancerInstitute,NationalInstitutesof Health.(2020).Cancerstatistics. https:// www.cancer.gov/about-cancer/understanding/ statistics

37

Laconexiónentrelasaludbucal delasmujeresyelcáncer:un llamadomundialurgenteala acción

JosefineOrtizWolfe, PhD,MPH,RDH,CHES, DenisseGonzálezEstrada, DDS,MEd,FCMO, MarthaMutis, DDS,MPH,EdD,FICD, MercedesMotaMartinez DDS,FICOI,FICD,FPFA, ChristinaMeiners,DDS,FICD, MagdadelaTorre,RDH,MPH

Unabuenasaludbucalesimportantedesdeel momentoenquerespiramosporprimeravezhasta nuestraprimeracomidaydurantetodanuestravida. Unabuenasaludbucalnosayudaaexpresaralegría, desarrollarelhablaymejorarlasinteracciones sociales,ytambiéncontribuyeanuestrobienestar generalysupervivenciacomomujeres.Laboca humana,nuestrapuertadeentradaalaalimentación, lacomunicaciónylaexpresión,estambiénun ecosistemaprósperohabitadoporunagrancantidad demicroorganismosdenominadoscolectivamente microbiotaoral.Estosmicroorganismos(bacterias, arqueas,hongos,protistasyvirus)nosonmeros residentespasivos.Encambio,interactúan activamenteconnuestrocuerpo,influyendoen numerososaspectosdenuestrasalud,desdela digestiónyelmetabolismohastalainmunidadyel bienestarmental(Brennan&Garrett,2019).

Apesardelaevidenciaqueestableceunvínculo profundoentrelasaludbucalylapatogénesisdelas enfermedadessistémicas,existeunasorprendente faltadeinvestigaciónsobresuimpactoenlasaludde lasmujeres.Losestudioshanexploradolaconexión entrelasaludbucalydiversasafeccionesmédicas comolasenfermedadescardíacasyladiabetes (CareQuestInstituteforOralHealth,2023a).Sin embargo,lasimplicacionesespecíficasparalas mujeressiguenengranmedidainexploradas.Esta brechadeconocimientoespreocupante,yaquelas mujeresexperimentanproblemasdesaludúnicosa lolargodesusvidas,comocambioshormonales duranteelembarazoylamenopausia,quepodrían afectarsusaludbucal(CareQuestInstituteforOral Health,2023b).Labuenasaludbucaltrasciendelos límitesdelaboca:esunaliadosilenciosopero potenteennuestraluchacolectivacontraelcáncer, salvaguardandolasaluddelasmujeresentodoel mundo.

Lamicrobiotabucaldesempeñaunpapelcrucialen lasaludgeneralymantieneundelicadoequilibrio quepuedealterarsefácilmente.Factorescomouna malahigienebucal,hábitosalimentariospoco saludablesyeldescuidodelaatenciónpreventiva puedeninclinaresteequilibrio.Porejemplo,cuando nuestradietamoderna,ricaengrasas,conduceala disbiosis,seproduceunaendotoxemiao"intestino permeable",aumentandolapermeabilidadintestinal. Estacondicióninduceinflamaciónyallanael caminoparalaaparicióndecánceryotros problemasdesalud.Enesteestadoalterado,florecen microorganismosoportunistascomoFusobacterium nucleatum.F.nucleatum,queseencuentraenla cavidadbucal,sedirigeespecíficamentealostejidos inflamados,enfatizandosuspropiedadespromotoras delcáncer(Cuellar-Gómezetal.,2022).

Lafaltadeatencióndentalpreventivapermiteque prosperenbacteriasdañinas,comoFusobacterium nucleatum.Clasificadacomounaoncobacteria, Fusobacteriumnucleatumesunabacteriapromotora delcáncerquecontribuyealaformacióndeplaca dentalobiopelículacuandosedescuidalahigiene bucaloelaccesoalaatencióndentalpreventivaes inaccesible(Brennan&Garrett,2019).Los impactosdeFusobacteriumnucleatumseextienden muchomásalládelacavidadbucal.Investigaciones recienteshandemostradounvínculoentreesta bacteriaylaendometriosis,unaenfermedad debilitantequeafectaacasiunadecadaseismujeres (Muraokaetal.,2023).Esteestudioenfatizauna realidadalarmante:unorganismoinflamatorioy cancerígenoqueseoriginaenlabocapuedeinvadir lostejidosfueradelacavidadbucal,loquetiene implicacionesdegranalcanceparalasalud reproductiva.Además,lasbacteriasorales,incluidas FusobacteriumyProphyromonas,sehan relacionadoconelcáncerdemama,queafectaauna decadaochomujeres(Issranietal.,2021),elcáncer máscomúnenmujeressegúnelInstitutoNacional delCáncer(2020).Estepuentequeconectaeltracto alimentarioconlamamaseconocecomo“vía entero-mamaria”.Ademásdelosvínculosentrelas bacteriasoralescomoFusobacteriumnucleatumyel cáncer,laevidenciatambiéndemuestrauna conexiónentrelasaludbucalygástrica.Las infeccionescrónicasporH.pylorisehanasociado conunmayorriesgodeadenocarcinomagástricono cardiaco,cáncerenlaparteprincipaldelestómago. Estarelaciónenfatizaelimpactosistémicodela saludbucal.Además,lamalasaludperiodontalseha relacionadoconlainfecciónporH.pylorien adultos.Estehallazgorefuerzalaimportanciadela saludbucalparalaposibleprevenciónycontrolde afeccionessistémicascomoelcáncerdeestómago (Dyeetal.2001).

LosCentrosparaelControlylaPrevenciónde

38

Enfermedades(2023)informanqueelcánceresla principalcausademuerteentreloshispanos.Dada laconexiónentrelasaludbucalyelcáncer,es importantereconocerquelasmujereshispanas,en particular,enfrentandesafíosúnicosenloque respectaalasaludbucal.Lasbarrerasdelidioma,el accesolimitadoaatencióndentalasequibleylas creenciasculturalespuedencontribuiralas disparidadesenlosresultadosdesaludbucalentre estapoblación.Losprofesionalesdelasalud,los líderescomunitariosylosformuladoresdepolíticas debenesforzarseporcrearconcienciaybrindar educaciónyrecursosculturalmentesensiblespara garantizarquelasmujereshispanasrecibanelapoyo necesarioparamantenerunabuenasaludbucaly reducirsuriesgodecáncer.Enesencia,labatallapor lasaludbucalnoessimplementecontralascarieso lasenfermedadesdelasencías:esunaluchacontra elcánceryporlasvidasdelasmujeresentodoel mundo.Sinembargo,esfundamentalreconocerque lasoluciónvamásalládeprescribiralasmujeres prácticasbásicasdecuidadobucalcomoelcepillado yelusodehilodental,yaquenoesunasolución exhaustiva.Másbien,necesitamosmedidas conscienteseintencionalesquepuedanimpulsar cambiostransformadoresenlasaludbucaldelas mujeres.

desproporcionadaporlasdesigualdadesensalud.Al centrarnosenabordarlosdeterminantessocialesde lasalud,comobrindaratencióndentalaccesibley asequibleyllamarlaatenciónsobrelas desigualdadesquerodeanalossujetosde investigaciónyfinanciarinvestigacionespara comprenderelimpactodelasaludbucalenlasalud delasmujeres,podemosmotivaraquienesocupan puestosdeliderazgoapriorizarlasaluddelas mujeres.saludbucal.Senecesitamásinvestigación pararealizarestudiosagranescalautilizando poblacionesdiversasymetodologíasrigurosaspara llenarestevacíodeconocimientoyproporcionara losprofesionalesdelasaludpautasbasadasen evidenciaparapromoverlasaludbucalenlas mujeres.

Abogarporlasaludbucalvamásalládela prevencióndeenfermedadesdentales:esunalucha mundialcontraelcáncerdestinadaamejorarlos resultadosdesaluddelasmujeres.Exigeunaacción colectivadeinstituciones,organizacionesy gobiernosparaerradicarlasdesigualdadesensalud, particularmenteenlascomunidadesmarginadas. Porejemplo,enEstadosUnidos,aunquelos hispanosrepresentancasiel20%delapoblación, losdentistashispanossolorepresentanel6%delos proveedoresdesaludbucal(AsociaciónDental HispanayCareQuestInstituteforOralHealth, 2023).Estadesproporción,agravadaporlasbarreras culturalesylingüísticasenlaatenciónmédica, restringeelaccesodelasmujereshispanasa serviciosdesaludbucaldecalidad.Estas desigualdadessistémicasensaluddancomo resultadounaatenciónpreventivasubóptimay diagnósticosretrasados,loquepotencialmente aumentalaincidenciaygravedaddeenfermedades comoelcánceroralylaenfermedadperiodontal entrelasmujereshispanas,loqueafectasusalud general.Escrucialreconocerquelasmujeres hispanassevenafectadasdemanera

Además,abogarporunainvestigacióneinnovación enlaatencióndelasaludbucalqueatienda específicamentelasnecesidadesúnicasdelas mujerespuededesempeñarunpapelimportantepara reducirlabrechaenlasdisparidadesenlasalud bucalyelcáncer.Escrucialpriorizarlafinanciación paraexplorarelvínculoentrelamalasaludbucaly unmayorriesgodedesarrollarciertostiposde cáncerenlasmujeres,yaquepuedeconducira mejoresresultadosdeltratamientoyreducirlas tasasdemortalidad.Porejemplo,sinuna investigaciónadecuada,esposiblequelos proveedoresdeatenciónmédicanoseanconscientes delmayorriesgodeenfermedaddelasencías duranteelembarazo,loquegeneraproblemasde saludbucalnodiagnosticadosnitratadosque puedenafectarnegativamentetantoalamadrecomo albebé(Buteraetal.,2023).Tomarestasmedidas proactivaspuedereducirelsufrimientoymejorarla calidaddevidadelasmujeresentodoelmundo.

OrganizacionescomolaAsociaciónDentalHispana (HDA)yelInstitutoCareQuestparalaSaludBucal handesempeñadounpapelfundamentalalahorade exponerestasdesigualdades.LaHDA,lavozlíder enmateriadesaludbucalhispanadesde1990,y CareQuestInstitute,undefensoractivodela equidadensalud,continúanapoyandola investigaciónqueexploralacomplejainteracción entrelasaludbucaldelasmujeres,lasalud sistémicayladesigualdadsocial(Leeetal.,2020; Augeretal.,2023).Sinembargo,esnecesarioque másinstitucionesdefiendanapasionadamentela equidadensalud,promuevanprácticasóptimasde saludbucaleinvestiguenlasintrincadasrelaciones entrelasaludbucaldelasmujeresylas enfermedadessistémicas.

Nuestrosprofesionalesdelasaludbucal desempeñanunpapelfundamentalenlaeducación, prevención,manejoytratamientodelaenfermedad periodontal,queseharelacionadocondiversas enfermedades.Losprofesionalesdelasaludbucal

"Enesencia,labatallaporlasalud bucalnoessimplementecontralas cariesolasenfermedadesdelas encías:esunaluchacontraelcáncer yporlasvidasdelasmujeresentodo elmundo".
39

sonfundamentalesparagarantizarnuestrasalud general;supapelesfundamentalenestaerade transformacióndelaatenciónsanitaria(Brennan& Garrett,2019).Sinembargo,estapromociónnodebe limitarsealosprofesionalesdelasaludbucalnialas organizacionessanitarias.Todossomosresponsables dehacernosecodeestaurgencia,apelandoalos formuladoresdepolíticas,alosproveedoresde atenciónmédica,alpúblicoy,loqueesmás importante,alosmediosdecomunicación.Los periodistasyprofesionalesdelosmediostienenuna influenciasingularalahoradeaumentarla concienciapúblicaydarformaaldiscursosobre cuestionesdesaludapremiantes.Puedenamplificarel trabajorealizadopororganizacionescomoHDAy CareQuestInstitute,llevandolaimportanciadela saludbucalalasconversacionesgenerales.

Apesardelosimportantesavanceslogradosenla mejoradelasaludmundial,persistendesigualdades flagrantes.Losproblemasdesaluddelasmujeres siguencareciendoderecursosyrepresentación,ya menudosepasaporaltoelprofundoimpactodela saludbucalenlasenfermedadessistémicas. Necesitamosuncambiodeparadigmaparareconocer quecadapasohacialamejoradelasaludbucalesun pasohacialamejoradelasaludsistémica,la prevencióndelcáncerylasaluddelasmujeresen todoelmundo.Esteeselmomentodeactuaranivel mundial,dedefenderdemanerainquebrantabley audazunfuturomássaludable.Periodistas, profesionalesdelosmedios,investigadores, profesionalesdelasaludbucalycadaunodenosotros desempeñamosunpapelcrucialenesta responsabilidadcompartida.Siactuamosahora, podemoscambiarlanarrativaymarcarunadiferencia significativaenlasvidasdemillonesdepersonas.

Seispasosurgentesquedebemostomarparala saluddelamujerson:

1.Reconocerquelasmujereshispanasestánen riesgo: LasmujereshispanasenlosEE.UU. enfrentanunaamenazadesproporcionadadecáncer, siendolasaludbucalunfactorimportante.Las campañasdeconcientizacióndirigidasaestegrupo demográficopuedenproporcionarconocimientosy recursosvitalesparacombatirestosriesgos.

2.Centrarseenabordarlosdeterminantessociales delasalud(SDOH): Losfactoreseconómicos, socialesyambientalesdesempeñanunpapel fundamentalenlosresultadosdesaluddelasmujeres. Conelapoyopolíticoylegislativoadecuado,abordar estosdeterminantespuedegarantizarunamayor equidadensaludyreducirlasdisparidades, especialmenteenlasaludbucalyloscánceres relacionados.

3.Realizarinvestigacionesadicionales: Esesencial profundizarenlosvínculosentrelasaludbucal,los desequilibriosdelamicrobiota/microbiomayel cáncer.Lafinanciacióndeinvestigaciones personalizadaspuededescubrirriesgosespecíficosy posiblesintervenciones,yofreceruncaminomás clarohacialaatenciónpreventiva.

4.Apoyarlainnovaciónadaptadaalas necesidadesúnicas: lasmujeres,especialmentelas decomunidadesmarginadas,tienennecesidadesde saludúnicas.Lasinnovacionesenlatecnologíaylas prácticassanitariasquesatisfacenestasnecesidades específicaspuedenconduciramejoresdiagnósticos, tratamientosyprevención.

5.Priorizarlafinanciaciónparalainvestigación sobrelasaluddelamujer: Elrespaldofinanciero puedeacelerarelritmodelosdescubrimientose innovacionesenlasaluddelamujer.Darprioridada dichafinanciacióngarantizaquelainvestigación puedacontinuarsinobstáculos,loqueconduciráa intervencionesysolucionesoportunas.

6.Equiparalosproveedoresyaliadosdesalud bucalparadefender: Losprofesionalesy estudiantesdelasaludbucalestánenlaprimeralínea deestacrisisdesalud.Podemosempoderarlaspara quedefiendanlasaluddelasmujeres,eduquenalas pacientesyofrezcanintervencionestempranas proporcionándoleslasherramientas,lainformacióny lacapacitaciónencomprensiónlingüísticaycultural.

Acercadelasautoras:

1.JosefineOrtizWolfe,PhD,MPH,RDH,CHES InstitutoCareQuestparalaSaludBucal EspecialistaEducativa

2.DenisseGonzálezEstrada,DDS,MEd,FCMO RevistaJHDA

EditoraInternacional,Secretaria ExCoordinadoradelProgramaOdontológicodeSegundo AñodelaUNAM,FES.

3.MarthaMutisDDS,MPH,EdD,FICD Presidenteelecto,AsociaciónDentalHispana CátedradeInvestigación,BecasyDesarrolloProfesional.

4.MercedesMotaMartínez,DDS,FICOI,FICD,FPFA, ExpresidentedelaAsociaciónDentalHispana

5.ChristinaMeiners,DDS,FICD Presidente,AsociaciónDentalHispana DirectoradeAprendizajeComunitario, UTSaludSanAntonio

6.MagdaA.delaTorre,RDH,MPH Directoradeprogramainterina DivisióndeHigieneDentalUTHSCSA

40

THECHALLENGESOF DENTALMEDICAID/CHIP ANDPOSSIBLESOLUTIONS.

*TyroneF.Rodriguez,DDS,FACD, FPFA,FAAPD,FICD

Abstract: Closeto1outof4Americansareserved bythehealthcaresafetynetknownasMedicaid/ CHIPin2023.Dentalservicescomprisean importantaspectofpreventativeandemergency careforthispopulation.Almosthalfofthis populationrepresentspediatricpatients.The challengeisthatthecurrentsystemofdentalcarein placeisnotsustainablefromaservicingaspect becauseofmultipleburdensdisproportionately carriedbyindividualprovidersandprivatesector clinics.Thepediatricpopulationthatrepresentsthis grouphasahighdensityofcomorbiditiesinsocial, mental,anddevelopmentalcontexts.Thisreportwill bringtolightasnapshotoftheeverydaypediatric Medicaid/CHIPprovider.Thecasereportsanddata providedwithinhelpprovideacontexttocallfor reformtobetterservethispopulation.

KeyWords: Medicaid/CHIP,Dental,Pediatric, Reform,Atriskpopulation

July30,1965,markedahistoricdateforhealthcare intheUnitedStates.PresidentLyndonB.Johnson

(fromTexas)signedintolawtheMedicareand MedicaidActaspartoftheSocialSecurity Amendments.Medicaidwasahealthinsurance programestablishedtoaidpeoplewithlimited income.Thislawwastheculminationaftertwo decadesofpoliticaldebateonthefearofcreating “socializedmedicine”withthechallengeofhowto provideforthis“illness-prone/badrisk”population thatprivateinsurancecompaniesshunneddueto financialrisk.1 Dataattheendofthefirstquarterof 2023showedthatenrollmentfortheMedicaid/CHIP programstoodat94,151,768millionparticipants.2 Thisnumberofenrolleesrequiresanampleoral healthworkforcetocovertheirneeds.Accordingto theAmericanDentalAssociation’s(ADA)Health PolicyInstitute(HPI)estimatesabout1outof3 dentistsintheUnitedStatesserveMedicaidpatients intheFallof2022.3 TheADAmentionedthatin 2022therewere202,536activedentistsinthe UnitedStates.4 IfwetakethenumberofMedicaid/ CHIPparticipantsatover94millionandone-third ofactivedentists(67,512)weobtainafigureof 1,395patientsneedtobeseenbyeachprovider twiceayear,(1,395x2=2,790yearlyvisits).The 2,790visitswouldaccountforpreventative examinationstoestablishaproperdentalhome. Whenwelookatthepediatricdemographicthe figuresappearabitmoredaunting.TheMedicaid/ CHIPprogramhas42,215,380children(not includingArizona)enrolledasofAprilof2023 representingalmost46%percentoftotal enrollment.2 Thereare8,767pediatricdentistsinthe UnitedStatesandif90%(7,890)areprovidersthat carefortheover42millionchildrenenrolledin Medicaid/CHIP,wecanobserveanenormous workloadofover5,300patientsperproviderforthis specialtydentalgroup.5 Therealityisthatpediatric dentistsbearthebruntoftheworkloadincaringfor Medicaid/CHIPpediatricpatientsintheUnited States.Generalpractitionersprovideaninvaluable supportiverolewhenitcomestocaringforchildren inournationaswell.

Verylittleisdocumentedinthechallengesofcaring fortheMedicaid/CHIPpopulation.Thisreport wishestoconveysomeofthesubtlechallengesand risksthattoday’sMedicaid/CHIPdentalproviders facetomoveawarenessintofruitfullegislation.

41

Thefirstchallengeisstagnantreimbursement rateswithincreasedoperationalexpenses: Firstandforemostisthechallengeoflow reimbursementratesconsideringinflationinseeing thesepatientscovercosts.HereareTHREE examplesofMedicaid/CHIPpatients,asmall

sample,seenbypediatricdentistsinastandard week,andfinancialapproximationsincoststo providecareforthem.Allimagesandrightsto presentthefollowingcaseswereprovidedbythe familiestomakeevidenttherealitiesofcarefor thesewonderfulpatientsandfamilies.

42
43
44

Thesecondchallengeisno-shows: Unlikeothertypesofprivateinsuranceplansor self-paypatients,Medicaid/CHIPpatientsarefor themostpartimpunefornon-complianceinthe useofservicesortreatmentofdiagnosedprovider recommendations.Achallengeoftreating Medicaid/CHIPpatientsisthatclinics/providers arenottoimposelast-minutecancellationfeesto

patientsthatno-shows.Thetimespenttoprepare theoffice:scheduling,disposables,andthechair timeiscompletelylostwhenaMedicaid/CHIP patientfailsascheduled/confirmedappointment. Thisfinancialhardshipisassumedbythe provider/clinic.Providersandclinicsare informedthattheycanwritelettersforchronic absenteeismorlast-minute“no-shows”butthe

45

realityisthatthetimeinvestedinthisadministrative effortisunfruitfulandfurtheraddstotheprovider/ clinic’sfinancialburden.Anytypeofconsequence orrepercussionisverydifficulttoobtainand administrativelycumbersometodealwithmissed dentalappointmentsforthispopulation.

During2023fromJanuary1st throughJuly31st a periodofroughly30weeks,atotalof467noshows/last-minutecanceleddentalappointments tookplaceinthispatientdemographic(Medicaid/ CHIP)withinourpractice.Thisisalmost16patients perweek(15.6)withsame-daycancellationsper weekinvolvingMedicaid/CHIPpatients.The impactsofthesefiguresarecomplexandgenerate lostchairtime,increasedoperationalexpense,and retroactiveprovider/staff/administrativetimethat

can’tberecovered.Thecollateralimpactisthat essentialpreventativevisitsareomittedforthisatriskpopulationwithamoreconcerningobservation takingplace.Missedvisitsinvolvingtreatment, sedation,andevenhospitalvisitsaretakingplaceas partofthesemissedappointments.Thisbringsto lightthatastrongargumentmustbemadetoconsider notjustaccesstocarebutlackofutilizationofcare.

*Thegraphbelowshowsmissedappointment“a.k.a. NoShow”numbersfor2023inmypractice.The incentivestomakeappointmentsandtheaspectof accountabilityfornotappearingonscheduled/ confirmedvisitsarenotworkinginthecurrent socioeconomicenvironment.

Thethirdchallengeisthatthispopulationisat veryhighriskofdietary,medical,mental,and socialrisks:

Whenconsideringthispopulationthereisan increasedhealth,medical,andsocialcomplexity involved.6 Thismakeseducation,compliance, preventative,andtreatmentservicesmore challengingfromacontinuitystandpoint.The provider/clinicisfacedwithapotential multifactorialhindranceinestablishingand maintainingadentalhomewithidealpreventative careandtreatmentofdisease,trauma,and malfunctionoftheoralcavity.Manyoftheservice/

insuranceagreementsareconvertingto“onceper lifetime”coverageofbenefitssuchassealants, crowns,andspace-maintainersfurtherhampering maintenancecareforthesefamilies.Additionally, hisgrouprepresentsamajorcomponentofchildren withdisabilitiesinAmericaaswellaschildrenin theFosterCare/ChildProtectiveServicessystem.6 ThisfactmeansthatMedicaid/CHIPprovidersare theabsolutesafetynetfor“thespecialneeds population”andasidefrompiecemealemergency roomservicesatexorbitantcoststostateandfederal agencies.

46

Thefourthchallengeisdealingwithauditsand recoupments:

ManyifnotmoststateMedicaid/CHIPprograms aremanagedbyprivatecompaniesthatlookfor fraudonthesurface.Deepdownthereisthemore commontrendtofindclericalorproceduralerrors toaskformoneybackfromproviders.Takefor exampleabitewingthatisobtainedfromachild withastronggagreflex.Thechildmaynothave fullybittendownonthesensortocapturefullupper andlowerarchesresultinginlessthanoptimal interproximalcontacts.Thechildisalready anxiousandorcryingsofurtheroralmanipulation isnotadvisedintheclinicalsettingtodistressthe patient.Alongcomesoneoftheadministrative companies,sometimesforeign-owned,and requestsasampleof25chartstobeauditedfor notes,images,andbilling.Despitehavinga descriptionofthepatient'sbehaviorduringthe visit,theauditortakestheimagequestionand multipliesitbythenumberofimagestheprovider/ clinichastakenoverthreeyears.Thisisknownas extrapolationandinmanyinstances,rebuttalsare fruitlessforthedefendingparty.7 Theimagenow becomesaquestionoftensofthousandsofdollars thattheadministrativeinsurancecompanyasksto berefundedusuallywithintwoweeks.Ironically, ifanerrorismadeintheotherdirectionbythe

insurancecompany,thereisnoremedyforthe provider/clinictorecoverthismoneymuchlessuse extrapolation.Auditsimpactalldentalproviders butespeciallythoseundercontractwithstateand federalprograms.

Whatcanbedonetohelpremedytheprovider shortageandamelioratethecurrentsituationforall partiesinvolved?Apossiblerecommendationisto considerhelpingwithstricterregulationof processedfoodsandbeverages.Theravagesonthe oral,systemic,andmentalhealthofprocessed foodsandbeveragesarewell-knownscience. Betternutritionwillhelptorelievetheburdenof oraldiseaseanddisabilityinournation. Additionally,increasingtheworkforceservingthis robustsegmentoftheAmericanpopulation involvesimprovingreimbursementratesand expandingstudentloanreimbursement opportunities.Itisimperativetorecruitadditional dentalprovidersperhapsforeign-trainedtoremedy thecurrentnationalshortage.

Take,forexample,federal,state,andtribal agenciesthathavearrangementstofundcarefor theseat-riskpopulationsthatcurrentproviders/ clinicsareexcludedfrom.Theseentitiesreapthe rewardsofgrantsforequipment,facilities, workforce,training,andincreasedreimbursement

47

underthecallofaccesstocare,whichissomething allMedicaid/CHIPprovidershavecommittedto.

NationalReimbursementratesforFQHC(Federal HealthQualifiedCenters)isat$187.19fromJanuary 1,2023,toDecember31,2023.8 AsofJanuary2022, FQHCEncounterswereat$272.45onTribalLand.* Thereareatotalof15,838FQHCsintheUnited StatesasofMay2022andthetopfivehad 13,497,617visitsforarevenueofover1.5billion dollars.9

Asof2010,2.2millionpatientsaccountedforalmost 5milliondentalpatientvisits(providedbydentists, dentalhygienists,ordentaltherapists)inFQHCsand thisnumberincreasedto4.8millionpatientsby 2014.10,11 FQHCsastrongrelianceonreimbursement fromMedicaidtocovercostsofprovidinghealth servicestotheirpatients,whileuninsuredpatients areeligibleforaslidingfeescale.11 From2006to 2012dentalofficessawa9.1%declinewhileFQHCs sawanalmost75%increasefromsixmillionto10 milliondentalvisits.11 Asof2018,FQHCshad reached6.4milliondentalpatientsby2018.12 In2016,theHealthResourcesandServices Administration(HRSA)awardedFQHC’sawarded 156milliondollarsfortheexpansionoforalhealth infrastructureto420FQHCsin47states.11 Interestingly,Non-FQHCscomparedtoFQHCs, respectivelyprovidefewerdiagnosticservices (perhapsfewerradiographs)42%vs47%,more preventiveservicessuchassealants(6-9yrs)27%vs 23%andFluorideVarnish(0-20yrs)86%vs83%.12 Thisbegsthequestion,Areencountersfostering singlecareappointments,andputtingoutfires,isthis betterthananestablisheddentalhomesince48%of FQHCpatientsdidn’thaveanestablisheddental hometheyearpriorversusalmost2/3ofnon-FQHC patientsthatdid?12

Nowisthetimetoconsiderreimbursementofcareas anessentialcomponenttoaccesstocare.NonFQHCproviders,unlessperforminglargesedation orgeneralanesthesiacasesareatagreat disadvantagefinanciallytocoverever-increasing consumables,costofstaffing,andfacilityfees(rents, utilities,insurances)inprovidingcare.Accessto hospitalandoutpatientanesthesiaserviceshasbeen furthercomplicatedbyadministrativechangesat manyhospitalsandcarefacilitiesbecauseofthe pandemic.13

Non-FQHCprovidersareanessentialpartofthe dentalsafetynetandarethefoundationforthe DentalHometohelpestablishhealthylifelong habits.AsofJuly2022,only11stateshavepassed partlyimpactfulreimbursementincreasesfor Medicaidproviders.14

•Connecticutpasseda25%Medicaidincrease.

•Georgiaisincreasingselectdentalservices.

•Illinoiswilladd$10milliontothestatebudget

toincreasepreventivedentalservices.

•Kansasismovingadultpatientsfromemergency toanimprovedcomprehensiveplan.

•Louisianawillnowcoveradultswith intellectualordevelopmentaldisabilities.

•Marylandwilladdadultcoverageforthoseat 133%belowfederalpoverty.

•Mississippiwillincreasereimbursementfor restorativeservices.

•MissouriwillsetMedicaidat80%ofthe average2022fees.

•Nebraskaadopteda%10feeincreaseand removedthe$750peradultspendingcap.

•SouthDakotawillmovetomakeMedicaidfees apercentofmarketfeestoattractproviders.

•Tennesseewilladddentalcoveragefor600,000 adultsandincreasefeesby6.5%forsome treatmentservices.

•Vermontwilladd$1milliontoMedicaid funding.

•Virginiawillincreasefeereimbursementby 30%.

Unfortunately,Texas,whereIpracticeisnotoneof themhavinga27$Billiondollarsstatebudget surplusandnothingforchildren/specialneeds patientsthemostvulnerabletooralhealthand qualityoflifeissues.14 Costsofprovidingdentalcare keepincreasingwellaheadofthefinancial remuneration.Staffingexpenseshaverisenfrom 20-50%after2019possiblyduetopandemicgeneratedlaborshortages.Thepandemic-fueled contractingworkforcegeneratedfromearly retirementsandmovementoutofthedentalfieldhas furtherstressedtheoralhealthcaredeliveryteam. Facingthefuture,theprivatepractitionerandsmall clinicmodeldonothavethesameeconomicsafety net,lobbyinginfluence,andnegotiatingleverageas thecorporate(dentalserviceorganizations)or governmentsector-funded(FQHC)entities.This doesnotbodewellforthisvitalaspectoforalhealth safetynetproviders.

Asinterestratesriseandcostsoflivingincrease,oral healthpreventionbecomeslessofapriorityandthe amplepresenceofmorbiditythatcomeswith postponedcarebecomesmanifest.Thecostof havingtheinsurancebenefitdoesnottakeinto accounttherealitiesoftransportation,timeoffwork, andchildcareexpenseswhichareveryreal deterrentsforthepoorandworkingpoorseeking dentalcare.Additionally,Americahasamore antagonisticsocialenvironmentwherecultural, linguistic,ethnic,andimmigrationpoliciesare generatingfearsthatdiscouragepreventativecare services.15

Economicpressuresareever-growingfortoday’s practitionersandsmallclinics.TheA.D.A.has shownthatgeneralpractitionershaveseenan

48

increaseof7.7%inexpensesinjust2022.16 These figuresseemlowfortheveryvolatilesocioeconomic environment.Thesechangesmakeitincreasingly challengingtoprovidecareforthisimportantand vulnerablepopulationnowapproaching100million. Whattomorrowbringsisbasedontherealizationof learningfromtoday’soversightsandinefficienciesso thatdentalhealthcanbeaccessible,utilized,and optimalforallAmericansregardlessofinsurance plan.

AbouttheAuthors:

Dr.MauricioMarcuschamerisaboardCertified PediatricDentistwith35yearsofprivatepractice experienceinbothMexicoandtheUnitedStates.He hasalsoservedasfacultyatUTHealthSanAntonio DentalSchoolandhasbeenalifelongadvocate treatingchildrenandspecialneedpatientsnowwith familiesintheirthirdgenerationthatseehimfor dentalcareathisbilingualdentalpracticeinTexas.

Dr.TyroneF.Rodriguez,servesastheChiefEditorof theJHDA.HeisthepastprogramDirectorofYale, PediatricDentistryandPastPresidentoftheHDA. HeisinprivatepracticeasaBoardCertifiedPediatric DentistandBAAPDFellowinTexas.Heisanational andinternationallecturerandADABilingual Spokesperson.

P.S.WithAppreciationtoDr.DenisseEstradaforher helpandpreparationoftheslideswithgraphic informationoftheclinicalcases.

Sources/Fuentes:

1.NationalArchives.MilestoneDocuments.Medicareand MedicaidAct(1965).AccessedAugust5,2023.

https://www.archives.gov/milestone-documents/medicare-andmedicaidact#:~:text=On%20July%2030%2C%201965%2C%20Presiden t,for%20people%20with%20limited%20income

2.April2023Medicaid&CHIPEnrollmentDataHighlights. AccessedAugust5,2023.

https://www.medicaid.gov/medicaid/program-information/ medicaid-and-chip-enrollment-data/report-highlights/ index.html#:~:text=42%2C215%2C380%20individuals%20we re%20enrolled%20in,Medicaid%20and%20CHIP%20program %20enrollment

3.DentistsWhoParticipateinMedicaid:WhoTheyAre,Where DoTheyLocate,Howdotheypractice?HealthPolicyInstitute, AmericanDentalAssociation,September2022. https:// www.ada.org/resources/research/health-policy-institute/ coverage-access-outcomes/dentists-inmedicaid#:~:text=September%202022%20%2D%2061%20mi n,our%20previous%20estimate%20of%2043%25

4.Thedentistworkforce:HealthPolicyInstitute,American DentalAssociation,2022. https://www.ada.org/en/resources/ research/health-policy-institute/dentistworkforce#:~:text=As%20of%202022%2C%20there%20are,de ntist%2Dto%2Dpatient%20ratio%3F

5.Portalatin,A.,Numberofpediatricdentistsbystate.Becker’s Dental+DSOReview.October6,2022.

https://www.beckersdental.com/benchmarking/39498-numberof-pediatric-dentists-bystate.html#:~:text=There%20are%208%2C767%20pediatric%2 0dentists,from%20the%20Kaiser%20Family%20Foundation

6.Bruner,C.,Johnson,K.,Bethell,C.,RiskStratificationfor ChildreninMedicaid:AchievingthePotentialofPrevention. InCKMarksandChildandAdolescentHealthMeasurement Initiative(CAHMI)ResourceBrief.April2019.

https://www.cahmi.org/docs/default-source/resources/riskstratification-for-children-in-medicaid.pdf?sfvrsn=3753a8f5_0

7.WhyDoAlmostAllDentaQuestAuditsEndwith$20,00 Recoupments?TexasDentistsforMedicaidReform.April12, 2022.

https://www.tdmr.org/why-do-almost-all-dentaquest-auditsend-with-20000-recoupments/

*Jan.2022FQHCEncounterRates.(billersandproviders spreadsheetXLS)AccessedApril18,2023.

https://www.hca.wa.gov

8.CMSManualSystem.Pub100-04MedicareClaims Processing:Transmittal11677,CentersforMedicare& MedicaidServices(CMS).November4,2022.

https://www.cms.gov/files/document/r11677cp.pdf

9.HowmanyFederallyQualifiedHealthCentersarethere? DefinitiveHealthcare.AccessedApril18,2023.

https://www.definitivehc.com/blog/how-many-fqhcs-are-there

10. BeazoglouT,BailitH,MauleMD.Federallyqualifiedhealth centerdentalprogramfinances:acasestudy.PublicHealthRep. 2010Nov-Dec;125(6):888-95.doi: 10.1177/003335491012500616.PMID:21121234;PMCID: PMC2966670.

https://www.ncbi.nlm.nih.gov/pmc/articles/PMC2966670/

11.SurduS.,LangelierM.,TrendsintheProvisionofOral HealthServicesbyFederallyQualifiedHealthCenters.Oral HealthWorkforceResearchCenter,SchoolofPublicHealth, UniversityatAlbany,StateUniversityofNewYork.January 2018.

https://www.ncbi.nlm.nih.gov/pmc/articles/PMC2966670/ 12.OralHealthValue-BasedCare:WhitePaper.TheFederally QualifiedHealthCenter(FQHC)Story.NationalAssociationof CommunityHealthCenters,DentaQuest:PartnershipforOral HealthAdvancement.2020

https://www.nachc.org/wp-content/uploads/2020/08/ NACHC_DQP_VBC-FQHC_FINAL_8.31.2020.pdf

13. GoriucA,SanduD,TatarciucM,LuchianI.TheImpactof theCOVID-19PandemiconDentistryandDentalEducation:A NarrativeReview.IntJEnvironResPublicHealth.2022Feb 22;19(5):2537.doi:10.3390/ijerph19052537.PMID:35270230; PMCID:PMC8909967.

https://www.ncbi.nlm.nih.gov/pmc/articles/PMC8909967/ 14.11StatesIncreasingMedicaidDentalReimbursement,Texas isnotoneofthem.

https://www.tdmr.org/11-states-increasing-medicaid-dentalreimbursements-texas-not-one-of-them/

15. WilsonFA, StimpsonJP.FederalandStatePolicies AffectingImmigrantAccesstoHealthCare. JAMAHealth Forum. 2020;1(4):e200271.doi:10.1001/ jamahealthforum.2020.0271

https://jamanetwork.com/journals/jama-health-forum/ fullarticle/2764349

16.Crozier,S.,HPIsurveyshowsgeneraldentistincome declinesduetorisingexpenses.ADANews.August08,2023 https://adanews.ada.org/ada-news/2023/august/hpi-surveyshows-general-dentist-income-declines-due-to-rising-expenses/

49

LOSDESAFÍOSDE MEDICAID/CHIPDENTALY POSIBLESSOLUCIONES.

*TyroneFernandoRodríguez,DDS, FACD,FPFA,FAAPD,FICD

Resumen: Cercade1decada4estadounidenses recibiráserviciosdelareddeseguridadsanitaria conocidacomoMedicaid/CHIPen2023.Los serviciosdentalescomprendenunaspecto importantedelaatenciónpreventivayde emergenciaparaestapoblación.Casilamitadde estapoblaciónrepresentapacientespediátricos.El desafíoesqueelsistemaactualdeatencióndental noessostenibledesdeelpuntodevistadelservicio debidoalasmúltiplescargasquesoportan desproporcionadamentelosproveedores individualesylasclínicasdelsectorprivado.La poblaciónpediátricaquerepresentaestegrupotiene unaaltadensidaddecomorbilidadesencontextos sociales,mentalesydedesarrollo.Esteinforme sacaráalaluzunainstantáneadelproveedordiario deMedicaid/CHIPpediátrico.Losinformesde casosylosdatosproporcionadosenlaayuda evidencianuncontextoparaexigirreformaspara servirmejoraestapoblación.

Palabrasclave: Medicaid/CHIP,Dental,Pediátrico, Reforma,Poblaciónenriesgo

El30dejuliode1965marcóunafechahistórica paralaatenciónsanitariaenEstadosUnidos.El presidenteLyndonB.Johnson(deTexas)promulgó laLeydeMedicareyMedicaidcomopartedelas EnmiendasalSeguroSocial.Medicaideraun programadeseguromédicoestablecidoparaayudar alaspersonasconingresoslimitados.Estaleyfuela culminacióndespuésdedosdécadasdedebate políticosobreelmiedoacrearuna“medicina socializada”coneldesafíodecómoatenderaesta población“propensaaenfermedades/dealtoriesgo” quelascompañíasdesegurosprivadasevitaban debidoalriesgofinanciero.1 DatosenAlcierredel primertrimestrede2023semostróquela inscripciónalprogramaMedicaid/CHIPascendíaa 94.151.768millonesdeparticipantes.2 Estenúmero deinscritosrequieredeunaampliafuerzalaboralen saludbucalparacubrirsusnecesidades.Según estimacionesdelInstitutodePolíticasdeSalud (HPI)delaAsociaciónDentalEstadounidense

(ADA),aproximadamente1decada3dentistasen losEstadosUnidosatiendeapacientesdeMedicaid enelotoñode2022.3 LaADAmencionóqueen 2022había202,536dentistasactivosenlosEstados Unidos.4 Sitomamoselnúmerodeparticipantesde Medicaid/CHIPenmásde94millonesyunterciode losdentistasactivos(67,512)obtenemosunacifra de1,395pacientesquenecesitanseratendidospor cadaproveedordosvecesalaño(1,395x2=2,790 anualmentevisitas).Las2.790visitasrepresentarían exámenespreventivosparaestablecerunhogar dentaladecuado.Cuandoobservamoslademografía pediátrica,lascifrasparecenunpocomás desalentadoras.ElprogramaMedicaid/CHIPtiene 42,215,380niños(sinincluirArizona)inscritosa abrilde2023,loquerepresentacasiel46%dela inscripcióntotal.2 Hay8,767dentistaspediátricosen losEstadosUnidosysiel90%(7,890)son proveedoresqueatiendenaEntrelosmásde42 millonesdeniñosinscritosenMedicaid/CHIP, podemosobservarunaenormecargadetrabajode másde5,300pacientesporproveedorparaeste grupodeespecialidaddental.5 Larealidadesquelos dentistaspediátricossoportanlapeorpartedela cargadetrabajoenelcuidadodelospacientes pediátricosdeMedicaid/CHIP.enlosEstados Unidos.Losmédicosgeneralestambiénbrindanun papeldeapoyoinvaluablecuandosetratadel cuidadodelosniñosennuestranación.

Haymuypocodocumentadosobrelosdesafíosde cuidaralapoblacióndeMedicaid/CHIP.Este informedeseatransmitiralgunosdelosdesafíosy riesgossutilesqueenfrentanhoylosproveedores dentalesdeMedicaid/CHIPparaconvertirla concienciaenunalegislaciónfructífera.

Elprimerdesafíosonlastasasdereembolso estancadasconmayoresgastosoperativos: Elprimeroymásimportanteeseldesafíodelas bajastasasdereembolsoconsiderandolainflación paraqueestospacientescubranloscostos.Aquíhay TRESejemplosdepacientesdeMedicaid/CHIP,una pequeñamuestra,atendidospordentistaspediátricos enunasemanaestándar,yaproximaciones financierasenloscostosparabrindarlesatención. Todaslasimágenesyderechosparapresentarlos siguientescasosfueronproporcionadosporlas familiasparahacerevidenteslasrealidadesdela atenciónaestosmaravillosospacientesyfamilias.

50
51
52
53
54

Elsegundodesafíosonlasausencias: Adiferenciadeotrostiposdeplanesdeseguro privadosopacientesquepaganporsucuenta,los pacientesdeMedicaid/CHIPsonensumayor parteimpunesporincumplimientoenelusode serviciosotratamientodelasrecomendaciones delosproveedoresdiagnosticados.Undesafíoal tratarapacientesdeMedicaid/CHIPesquelas clínicas/proveedoresnodebenimponertarifasde cancelacióndeúltimomomentoalospacientes quenosepresentan.Eltiempodedicadoa prepararelconsultorio:programación, desechablesytiempoenlasillasepierdepor completocuandounpacientedeMedicaid/CHIP nocumpleconunacitaprogramada/confirmada. Estadificultadfinancieralaasumeelproveedor/ clínica.Seinformaalosproveedoresyalas clínicasquepuedenescribircartaspor ausentismocrónicoo“ausencias”deúltimo momento,perolarealidadesqueeltiempo invertidoenesteesfuerzoadministrativoes infructuosoyaumentaaúnmáslacarga financieradelproveedor/clínica.Cualquiertipo deconsecuenciaorepercusiónesmuydifícilde obteneryadministrativamenteengorrosolidiar conlascitasdentalesperdidasparaesta población.

Durante2023,desdeel1deenerohastael31de julio,unperíododeaproximadamente30

semanas,seprodujeronuntotalde467ausencias ocitasdentalescanceladasdeúltimominutoen estegrupodemográficodepacientes(Medicaid/ CHIP)dentrodenuestrapráctica.Estoescasi16 pacientesporsemana(15,6)concancelacionesel mismodíaporsemanaqueinvolucranapacientes deMedicaid/CHIP.Losimpactosdeestascifras soncomplejosygenerantiempoperdidode presidencia,aumentodegastosoperativosy tiemporetroactivodelproveedor/personal/ administrativoquenosepuederecuperar.El impactocolateralesqueseomitenlasvisitas preventivasesencialesparaestapoblaciónen riesgoyseproduceunaobservaciónmás preocupante.Lasvisitasperdidasqueimplican tratamiento,sedacióneinclusovisitasalhospital seproducencomopartedeestascitasperdidas. Estoponedemanifiestoquesedebepresentarun argumentosólidoparaconsiderarnosóloel accesoalaatención,sinotambiénlafaltade utilizacióndelamisma.

*Elgráficoabajomuestraunacitaperdida“a.k.a. Númerosde“NoShow”para2023enmi práctica.Losincentivosparaconcertarcitasyel aspectoderesponsabilidadpornopresentarsea lasvisitasprogramadas/confirmadasnoestán funcionandoenelentornosocioeconómico actual.

55

Eltercerdesafíoesqueestapoblacióncorreun riesgomuyaltodesufrirriesgosdietéticos, médicos,mentalesysociales: Alconsideraraestapoblación,existeunamayor complejidadsanitaria,médicaysocialinvolucrada.6 Estohacequelosserviciosdeeducación, cumplimiento,prevenciónytratamientoseanmás desafiantesdesdeelpuntodevistadela continuidad.Elproveedor/clínicaseenfrentaaun posibleobstáculomultifactorialalahorade establecerymanteneruncentrodentalconatención preventivaytratamientoidealesdeenfermedades, traumatismosymalfuncionamientodelacavidad bucal.Muchosdelosacuerdosdeservicio/segurose

estánconvirtiendoenunacobertura“unavezpor vida”debeneficioscomoselladores,coronasy mantenedoresdeespacio,loquedificultaaúnmás laatencióndemantenimientoparaestasfamilias. Además,sugruporepresentauncomponente importantedelosniñoscondiscapacidadesen EstadosUnidos,asícomodelosniñosenelsistema decuidadosdecrianza/serviciosdeprotección infantil.6 Estehechosignificaquelosproveedores deMedicaid/CHIPsonlareddeseguridadabsoluta para“lapoblaciónconnecesidadesespeciales”y ademásdeserviciosfragmentadosdesalade emergenciaacostosexorbitantesparalasagencias estatalesyfederales.

Elcuartodesafíosonlasauditoríasylas recuperaciones:

Muchos,sinolamayoría,delosprogramas estatalesdeMedicaid/CHIPsonadministradospor empresasprivadasquebuscanfraudeenla superficie.Enelfondoexistelatendenciamás comúnaencontrarerroresadministrativosode procedimientoparapedirladevolucióndeldinero alosproveedores.Tomemos,porejemplo,unala demordidaqueseobtienedeunniñoconunfuerte

reflejonauseoso.Esposiblequeelniñonohaya mordidocompletamenteelsensorparacapturar losarcossuperioreinferiorcompletos,loqueda comoresultadocontactosinterproximalesno óptimos.Elniñoyaestáansiosoollorando,porlo quenoserecomiendaunamayormanipulación oralenelentornoclínicoparaangustiaral paciente.Llegaunadelasempresas administrativas,avecesdepropiedadextranjera,y solicitaunamuestrade25cartasparaserauditadas

56

encuantoanotas,imágenesyfacturación.Apesar detenerunadescripcióndelcomportamientodel pacientedurantelavisita,elauditortomala preguntasobrelaimagenylamultiplicaporla cantidaddeimágenesqueelproveedor/clínicaha tomadodurantetresaños.Estoseconocecomo extrapolacióny,enmuchoscasos,lasrefutaciones soninfructuosasparalapartedemandada.7 La imagenahoraseconvierteenunacuestiónde decenasdemilesdedólaresquelacompañía administrativadesegurospidequesele reembolsen,normalmenteenunplazodedos semanas.Irónicamente,silacompañíadeseguros cometeunerrorenlaotradirección,nohayremedio paraqueelproveedor/clínicarecupereestedineroy muchomenosutilicelaextrapolación.Las auditoríasafectanatodoslosproveedoresdentales, peroespecialmenteaaquellosquetienencontrato conprogramasestatalesyfederales.

¿Quésepuedehacerparaayudararemediarla escasezdeproveedoresymejorarlasituaciónactual paratodaslaspartesinvolucradas?Unaposible recomendaciónesconsiderarayudarconuna regulaciónmásestrictadelosalimentosybebidas procesados.Losestragosquelosalimentosy bebidasprocesadoscausanenlasaludbucal, sistémicaymentalsonunacienciabienconocida.

Unamejornutriciónayudaráaaliviarlacargadelas enfermedadesbucalesyladiscapacidadennuestra nación.Además,aumentarlafuerzalaboralque atiendeaestesegmentorobustodelapoblación estadounidenseimplicamejorarlastasasde reembolsoyampliarlasoportunidadesde reembolsodepréstamosestudiantiles.Es imperativocontratarproveedoresdentales adicionales,quizáscapacitadosenelextranjero, pararemediarlaactualescaseznacional.

Tomemos,porejemplo,lasagenciasfederales, estatalesytribalesquetienenacuerdospara financiarlaatencióndeestaspoblacionesenriesgo delasquelosproveedores/clínicasactualesestán excluidos.Estasentidadesobtienenlosbeneficios desubvencionesparaequipos,instalaciones,fuerza laboral,capacitaciónymayoresreembolsosbajoel llamadodeaccesoalaatención,algoaloquesehan comprometidotodoslosproveedoresdeMedicaid/ CHIP.

LastasasdereembolsonacionalparaFQHC (CentrosFederalesCalificadosdeSalud)sonde $187,19desdeel1deenerode2023hastael31de diciembrede2023.8 Apartirdeenerode2022,los encuentrosdeFQHCfueronde$272,45entierras tribales.*Hayuntotalde15,838FQHCenlos EstadosUnidos.Losestadosamayode2022ylos

cincoprimerostuvieron13.497.617visitaspara unosingresosdemásde1.500millonesdedólares.9 En2010,2,2millonesdepacientesrepresentaron casi5millonesdevisitasdentales(proporcionadas pordentistas,higienistasdentalesoterapeutas dentales)enlosFQHCyestenúmeroaumentóa4,8 millonesdepacientesen2014.10,11 LosFQHC dependenengranmedidadelreembolsode Medicaidparacubrenloscostosdebrindar serviciosdesaludasuspacientes,mientrasquelos pacientessinsegurosonelegiblesparaunaescala móvildetarifas.11 De2006a2012,losconsultorios dentalesexperimentaronunadisminucióndel9,1%, mientrasquelosFQHCexperimentaronun aumentodecasiel75%,deseismillonesa10 millonesdevisitasaldentista.11 En2018,losFQHC habíanllegadoa6,4millonesdepacientesdentales en2018.12

En2016,laAdministracióndeRecursosyServicios deSalud(HRSA)otorgóalosFQHC156millones dedólaresparalaexpansióndelainfraestructurade saludbucala420FQHCen47estados.11 Curiosamente,losnoFQHCencomparacióncon losFQHC,respectivamente,brindanmenos serviciosdediagnóstico(quizásmenos radiografías).)42%frentea47%,másservicios preventivoscomoselladores(6-9años)27%frente a23%ybarnizdeflúor(0-20años)86%frentea 83%.12 Estoplantealapregunta:¿sonencuentros quefomentanelcuidadoindividual?citasyapagar incendios,¿esestomejorqueunhogardental establecido,yaqueel48%delospacientesde FQHCnoteníanunhogardentalestablecidoelaño anteriorversuscasi2/3delospacientesquenoeran deFQHCquesílotenían?12

Ahoraeselmomentodeconsiderarelreembolsode laatencióncomouncomponenteesencialparael accesoalamisma.Losproveedoresqueno pertenecenaFQHC,amenosquerealicencasos importantesdesedaciónoanestesiageneral,se encuentranenunagrandesventajafinancierapara cubrirloscadavezmayoresconsumibles,costosde personalytarifasdelasinstalaciones(alquileres, serviciospúblicos,seguros)albrindaratención.El accesoalosserviciosdeanestesiahospitalariosy ambulatoriossehavistoaúnmáscomplicadopor loscambiosadministrativosenmuchoshospitalesy centrosdeatencióndebidoalapandemia.13

LosproveedoresquenopertenecenaFQHCson unaparteesencialdelareddeseguridaddentaly sonlabasedelHogarDentalparaayudara establecerhábitossaludablesparatodalavida.

Hastajuliode2022,solo11estadoshanaprobado

57

aumentosdereembolsoparcialmenteimpactantes paralosproveedoresdeMedicaid.14

•Connecticutaprobóunaumentodel25%en Medicaid.

•Georgiaestáaumentandolosserviciosdentales selectos.

•Illinoisagregará$10millonesalpresupuesto estatalparaaumentarlosserviciosdentales preventivos.

•Kansasestátrasladandoalospacientesadultosde unaemergenciaaunplanintegralmejorado.

•Luisianaahoracubriráaadultoscon discapacidadesintelectualesodeldesarrollo.

•Marylandagregarácoberturaparaadultospara aquellosqueseencuentrenun133%pordebajodel nivelfederaldepobreza.

•Mississippiaumentaráelreembolsoporservicios restaurativos.

•MissourifijaráMedicaidenel80%delastarifas promediode2022.

•Nebraskaadoptóunaumentodetarifasdel10%y eliminóellímitedegastode$750poradulto.

•DakotadelSurtomarámedidasparaquelastarifas deMedicaidseanunporcentajedelastarifasdel mercadoparaatraerproveedores.

•Tennesseeagregarácoberturadentalpara600.000 adultosyaumentarálastarifasenun6,5%para algunosserviciosdetratamiento.

•Vermontagregará$1millónalafinanciaciónde Medicaid.

•Virginiaaumentaráelreembolsodetasasenun 30%.

Desafortunadamente,Texas,dondepractico,noes unodelosquetieneunsuperávitpresupuestario estatalde27milmillonesdedólaresynadapara niños/pacientesconnecesidadesespeciales,losmás vulnerablesaproblemasdesaludbucalycalidadde vida.14Loscostosdebrindaratencióndentalsiguen aumentando.pordelantedelaremuneración financiera.Losgastosdepersonalhanaumentado entreun20%yun50%despuésde2019, posiblementedebidoalaescasezdemanodeobra generadaporlapandemia.Lacontratacióndefuerza laboralimpulsadaporlapandemiageneradaporlas jubilacionesanticipadasyelabandonodelcampo dentalhaestresadoaúnmásalequipodeprestación deatencióndesaludbucal.Decaraalfuturo,el modelodemédicoprivadoyclínicapequeñano tienelamismareddeseguridadeconómica, influenciadelobbyypoderdenegociaciónquelas entidadescorporativas(organizacionesdeservicios dentales)ofinanciadasporelsectorgubernamental (FQHC).Estonoauguranadabuenoparaeste aspectovitaldelosproveedoresderedesde seguridadparalasaludbucal.

Amedidaqueaumentanlastasasdeinterésylos costosdevida,laprevencióndelasaludbucalse vuelvemenosprioritariaysevuelvemanifiestala ampliapresenciademorbilidadqueconllevala atenciónpospuesta.Elcostodetenerelbeneficiodel seguronotieneencuentalasrealidadesdel transporte,eltiempolibreeneltrabajoylosgastos decuidadoinfantil,quesonfactoresdisuasorios muyrealesparalospobresylostrabajadorespobres quebuscanatencióndental.Además,Estados Unidostieneunentornosocialmásantagónico dondelaspolíticasculturales,lingüísticas,étnicasy deinmigraciónestángenerandotemoresque desalientanlosserviciosdeatenciónpreventiva.15

Laspresioneseconómicassoncadavezmayores paralosmédicosylaspequeñasclínicasdehoy.La ADAhademostradoquelosmédicosgeneraleshan experimentadounaumentodel7,7%enlosgastos soloen2022.16Estascifrasparecenbajasparaun entornosocioeconómicomuyvolátil.Estoscambios hacenqueseacadavezmásdifícilbrindaratención aestaimportanteyvulnerablepoblaciónqueahora seacercaalos100millones.Loquetraeráel mañanasebasaenaprenderdelosdescuidose ineficienciasdehoyparaquelasaluddentalpueda seraccesible,utilizadayóptimaparatodoslos estadounidenses,independientementedelplande seguro.

AcercadelosAutores:

ElDr.MauricioMarcuschameresundentista pediátricocertificadocon35añosdeexperienciaen prácticaprivadatantoenMéxicocomoenEstados Unidos.Tambiénsehadesempeñadocomodocente enlaFacultaddeOdontologíadeUTHealthSan Antonioyhasidoundefensordetodalavidaque trataaniñosypacientesconnecesidadesespeciales, ahoraconfamiliasdetercerageneraciónquelo visitanpararecibiratencióndentalensuconsultorio dentalbilingüeenTexas.

ElDr.TyroneF.Rodríguezsedesempeñacomo editorjefedelaJHDA.Eselexdirectordel programadeOdontologíaPediátricadeYaley ExPresidentedelaHDA.Ejercesuprácticaprivada comodentistapediátricocertificadoymiembrode BAAPDenTexas.Esconferencistanacionale internacionalyportavozbilingüedelaADA.

P.D.ConagradecimientoalaDra.DenisseEstrada porsuayudayelaboraciónalasdiapositivascon informacióngraficadeloscasosclinicos.

58

“AffirmativeDistraction”

“ASocialBattlelostbutaHumaneWarto Wageon”

Abstract: Thechallengeofadiverseworkforcein healthcarehasbeencompromisedbyrecent legislativeandpoliticalevents.Xenophobiaand culturalmisconceptionshavecultivatedagreatdivide inourblendedsociety.Creativesolutions, compassion,andincreasedcommunicationwillhelp dispelthetorrentofmisinformationathand.The presentpoliticalpowergrabisbeingfedbythe undertonesofnationalism,reminiscentofthenot-toodistantpastpoliticalmovementthatresultedinthe RacialIntegrityActof1924andJohnson-ReedActof 1924anditssubtlebutinfluentialgrasponthecurrent socialpsyche.Whenthecurrenteducationalsystemis beingplaguedbyanepidemicofdogmaticideals metastasizingthe“usversusthem”mindset,wearein acriticalstateasasocietyfailingtohealandgrowour collectivebodycalledAmericaoutoftheglobal IntensiveCareUnit.

Keywords: OralHealth,Physicians,Diversity, Equity,UnderRepresentedMinority,URM,Hispanic

OverallHealthandthepoliciesthatgovernit, includingoral,mental,physical,andpublichealthare interwovenintheUnitedStates.1 WeasaNationhave triedtomakeourHealthcaresystemmoreequitable, sincethepassageoftheStabilizationActof1942,the HMOActof1971,totheAffordableCareActof 2010,thelatestattempttomodifyourpresent healthcaresystem.Althoughweareanationbuilton Equality,Freedom,andtheconceptofDemocracy,we haveasofrecentlydisplayedaprofoundCognitive Dissonance2,thatistosayasAmericans,ourwords andactionsarenotinlinewithourthoughtsand values.Theinternationalfacadeofalandof“equality

forall”haserodedtoevidenceanationdividedbyfear ofcultures,languages,genders,accents,faith,and skintones.

TherecentSupremeCourtRulinghasbeena continuationofaStatelikemyown,abolishing Diversity,Equity,andInclusionPractices.Asa Texan,Iseethatnottoolongago,President,Lyndon B.Johnson,carriedforwardthesocialgainsarising fromthecivilrightsmovementofthe60’sinenacting federallawtopreventdiscriminationinthe workforce.HeissuedanExecutiveorderstating, “…takeaffirmativeactiontoensurethatapplicantsare employedandthatemployeesaretreatedduring employment,withoutregardstotheirrace,color, religion,sex,ornationalorigin.”3 Thisorderstill todayrepresentsahealthypathforsustainabilityand socialdevelopment.

Movingtheclockforward,wenowknowthat educationandhealthcarearepartofacontinuum. Today,sciencehasshownthatourcommunitiesboth benefitfromhealthmeasuresandoutcomesbyhaving accesstohealthcareprovidersoftheirownrace/ ethnicityaswellashavingtheopportunitytoacquire ahighereducation.Arecentstudypublishedinthe JournaloftheAmericanMedicalAssociation(JAMA) showedthatwhenBlackphysicians,andhealthcare providers,takecareoftheirownsocial/ethnicgroup bothabetterqualityoflifeandlife-expectancy measureswereproduced,despitehavingaprofound work-forceshortageacrossthenation.4

WecanappreciatethatAmericahasattemptedtoseta foundationbasedonequality,anideallevelplaying field,however,thisfieldhasofrecentlyonlyimproved throughequity.Equityistheidentificationof disparities,whichallowsforchangetobolsterthose affectedbydirectlyprovidingthemwiththe assistanceneededforsuccess.Weclearlyseethisin theAmericanswithDisabilitiesAct,where individualswithhandicappingconditionsare providedwiththespecifictoolstohaveoptimalsocial, physical,andeducationaloutcomespromotinga healthystandardofliving.Without“Equity”asa society,webecomeastatewiththesoulofancient Sparta,whereonlythestrongandfitaremeantto survivethroughtheirmentalandphysicalfitnessand therestmustbepurged.InourownAmerica,wehave witnessedthepassageoftheRacialIntegrityActof 1924andtheSupremeCourtdecisionofBuckvs.Bell in1927,theformer,promotedracialsegregationby forbiddinginterracialmarriageandthelatterwhich permittedcompulsorysterilizationofthe intellectuallyunfit.Indeed,myownimmigrant parent’smarriagewasnotconsidered“legal”untilthe SupremeCourtdecisionofLovingvs.Virginia1967. Willthistoobereversed?Wecanagreethatthistype ofgovernmentisunacceptable,unethical,andselfdestructive.

59

TherecentU.S.SupremeCourtrulingon AffirmativeActionhasbeenastunningblowto socialadvancesmadeinmylifetime.Asaphysician, Ipledgedtocareforallwhopresentforcare,asan under-representedminorityphysician,mypledge hasbeenextendedtoserveadiversepopulationat theUnitedStates-Mexicoborder,witnessingona dailybasiswhattheHealthcaredisparitiesare. Racismandbiasareoftennotpartofourconscious behavior,butunconsciousbiascaninfiltrateour beingandactions;forexample,whentheamountof timethatpediatricICUdoctorsspentwithpatientsof differentracesandethnicitieswasexaminedand controlledforfactorssuchastheneedforan interpreterandhowillthepatientwas,wefoundthat doctorsspentlesstimewiththeirHispanicpatients comparedtotheirnon-Hispanicpatientsbyafactor of9.Thatmeansthatforeveryminutethatdoctors spentwiththeirHispanicpatients,theyspent9with non-Hispanicpatients.Thinkaboutwhatcanbe accomplishedwithapatientevenin8minutesand everythingthatislostifyoudon’tspendthattime withthem.Thelesstimespentwithyourpatientsis lesstimetocommunicatewiththemabouttheir illness,lesstimetoknowthemashumanbeings,and lesstimetolearnhowdiseaseandtheirjourney throughthehealthcaresystemaffectsthem.Whatis lostisthatyoudon’tseethem.Onadailybasis,I witnessHispanicpatients’symptomsandpain ignored;indeed,IhearalltoooftenHispanic patients’painascribedtothe“waytheydealwith pain” orthat ‘theyaredrugseeking.” Howbigofa roledoesthisbiasplayinthehighmaternal-infant mortalityrateandhighcancermorbidityand mortalityamongBorderresidingHispanics?

OurHealthcareworkforcewilltakeamajorhitinour vowtoassistthevulnerableandat-riskpopulations thatformthefutureofourNation.The2023 AffirmativeActionrulinggenerateslimitationsinthe admissionsprocessandeducationalpipeline,Studies haveshownthatnoothermechanism,including usingtheapplicants’socio-economicstatuscan accomplishthelevelofdiversityAffirmativeAction has.Inturn,thiswillrestrictthecurrentlightflowof applicantsdowntoatrickleofUnderRepresented Minority(URM)candidatestoserveanevergrowingdiversepopulation.Black,Hispanic,Native AmericanandPacificIslanderstudentsremain underrepresentedamongmedicalschool matriculantscomparedwiththeUSpopulation5 . Thereisagreatneedforboththedevelopmentand theevaluationofmorerobustpoliciesandprograms tocreateaphysicianworkforcethatis demographicallyrepresentativeoftheUS population.Thesefederalandstaterulingsare

transformingourcountryintothe“DisunitedStates ofAmerica.”Whenaffirmativeactionisvilifiedas beingpreferentialtreatmentinupwardmobilityfor URMs,whilelegacyadmissions,whicharealmost 25%ofincomingclassesateliteuniversitiesandare comprisedof70%non-Hispanicwhitestudentsis overlooked,thereisundoubtedlyanethnocentric doublestandard.6 Iftherulesarebeingrewrittenin thehighestcourts,thenthelawshouldapplytoall stakeholdersinoursociety.AsIlookforwardto passingonthetorchtothenextgenerationof healthcareproviders,Iaskoftheinstitutionsof higherlearningthatfostertheworkforceof tomorrow,toalsobethoseleadingthewayinhigher ethicsanddotherightthingforthebenefitofmy people,migenteandforallAmericans.

AbouttheAuthor:

Dr.Roberto“Bert"Johanssonaboard-certified pediatricianandpediatriccriticalcarephysicianis currently,anExecutiveBoardMemberoftheNational HispanicMedicalAssociationasChair-Electanda2021 NationalHispanicMedicalLeadershipFellow.Heisthe proudsonofimmigrantstotheUnitedStates.Becauseof thelackoffundingforschoolingafterhighschool,he enlistedintheUSArmy,AfterservingasaMedic,he continuedhisstudies.Dr.JohanssonearnedhisMDfrom TulaneUniversityandaPh.D.inBiomedicalEngineering fromtheCityUniversityofNewYorkinNewYorkCity. Dr.JohanssonisamemberofAlphaOmegaAlphaand TheArnoldGoldHumanitarianSociety.Aftercompleting apediatricresidencyattheChildren'sHospitalofNew YorkatColumbiaUniversity,hecontinuedhistraining withafellowshipinpediatriccriticalcaremedicineat CornellUniversity.TheAmericanSocietyfor MicrobiologyawardedhimanICAACYoung InvestigatorAward,hereceivedanNIHFogarty FellowshipforInfluenzaResearch,andhasseveral awardsforteachingandpatientadvocacy.Heisonthe EditorialBoardsfortheAmericanAcademyofPediatrics journalsandfortheJournaloftheNationalHispanic MedicalAssociation.

Sources/Fuentes:

1.Vujicic,M.,Obamacare,Trumpcare,AndYourMouth. HealthAffairs,January13,2017.

https://www.healthaffairs.org/content/forefront/obamacaretrumpcare-and-your-mouth

2.Villines,Z.,Safai,Y.,Cognitivedissonance:Whattoknow. MedicalNewsToday.May23,2023.

https://www.medicalnewstoday.com/articles/326738

3.Carlton,G.,AHistoryofAffirmativeActionin CollegeAdmissions.BestColleges.December7, 2022.

https://www.bestcolleges.com/news/analysis/2020/08/10/ history-affirmative-action-college/

4.Snyder,J.E.,Upton,R.D.,Hassett,T.C.,Lee,H.,Nouri,Z., Dill,M.,BlackRepresentationinthePrimaryCarePhysician WorkforceandItsAssociationwithPopulationLife ExpectancyandMortalityRatesintheUS.Equity,Diversity,

60

andInclusion,JAMA.April14,2023. https://jamanetwork.com/journals/jamanetworkopen/ fullarticle/2803898

5.LettE,MurdockHM,OrjiWU,AysolaJ,SebroR.Trendsin Racial/EthnicRepresentationAmongUSMedicalStudents. JAMANetwOpen.2019;2(9):e1910490.Published2019Sep 4.doi:10.1001/jamanetworkopen.2019.10490

6.Binkley,C.,Affirmativeactionforwhitepeople?Legacy collegeadmissionscomeunderrenewedscrutiny.Associated Press,June30,2023. https://apnews.com/article/supremecourt-affirmative-action-legacy-collegeadmissions-5d6f34a13045752c6a37db67c66c7d63

Roberto“Bert”Johansson,MD,PhD

Resumen: Eldesafíodeunafuerzalaboraldiversa enelcuidadodelasaludsehavistocomprometido porlosrecientesacontecimientoslegislativosy políticos.Laxenofobiaylosconceptoserróneos culturaleshancultivadounagrandivisiónennuestra sociedadmixta.Lassolucionescreativas,la compasiónyunamayorcomunicaciónayudarána disipareltorrentedeinformaciónerróneadisponible. Laactualtomadepoderpolíticoestásiendo alimentadaporlosmaticesdelnacionalismo,que recuerdaelmovimientopolíticodelpasadonomuy lejanoqueresultóenlaLeydeIntegridadRacialde 1924ylaLeyJohnson-Reedde1924ysu comprensiónsutilperoinfluyenteenlapsiquesocial actual.Cuandoelsistemaeducativoactualestá plagadodeunaepidemiadeidealesdogmáticosque hacenmetástasislamentalidadde"nosotroscontra ellos",estamosenunestadocríticocomouna sociedadquenolograsanaryhacercrecernuestro cuerpocolectivollamadoAméricafueradela UnidaddeCuidadosIntensivosglobal.

Palabrasclave: saludbucal,médicos,diversidad, equidad,minoríasubrepresentada,Hispano,Hispana Lasaludgeneralylaspolíticasquelarigen,incluida lasaludoral,mental,físicaypública,están entrelazadasenlosEstadosUnidos.1 Nosotros,como nación,hemostratadodehacerquenuestrosistema deatenciónmédicaseamásequitativo,desdela aprobacióndelaLeydeEstabilizaciónde1942,ala LeyHMOde1971,alaLeydelCuidadodeSaluda BajoPreciode2010,elúltimointentodemodificar nuestroactualsistemadesalud.Aunquesomosuna naciónconstruidasobrelaIgualdad,laLibertadyel conceptodeDemocracia,recientementehemos mostradounaprofundaDisonanciaCognitiva2,es decir,comoestadounidenses,nuestraspalabrasy accionesnoestánenlíneaconnuestrospensamientos yvalores.Lafachadainternacionaldeunatierrade “igualdadparatodos”sehaerosionadopara evidenciarunanacióndivididaporelmiedoalas culturas,losidiomas,losgéneros,losacentos,lafey lostonosdepiel.

ElrecientefallodelaCorteSupremahasidouna continuacióndeunestadocomoelmío,queabolió lasprácticasdediversidad,equidadeinclusión. Comotejano,veoquenohacemuchotiempo,el presidenteLyndonB.Johnsonllevóadelantelos logrossocialesquesurgierondelmovimientode derechoscivilesdelosaños60alpromulgarunaley federalparaprevenirladiscriminaciónenlafuerza laboral.Emitióunaordenejecutivaquedecía: “…tomemedidasafirmativasparagarantizarquelos solicitantesseanempleadosyquelosempleados seantratadosduranteelempleo,sinimportarsuraza, color,religión,sexouorigennacional”.3 Estaorden aúnhoyrepresentauncaminosaludableparala sustentabilidadyeldesarrollosocial.

Avanzandoelreloj,ahorasabemosquelaeducación ylaatenciónmédicasonpartedeuncontinuo.Hoy endía,lacienciahademostradoquenuestras comunidadessebeneficiantantodelasmedidasde

“Distracciónafirmativa”
“UnaBatallaSocialperdida,perouna GuerraHumanaporlacualLuchar”
61

saludcomodelosresultadosalteneraccesoa proveedoresdeatenciónmédicadesupropiaraza/ origenétnico,asícomoaltenerlaoportunidadde adquirirunaeducaciónsuperior.Unestudioreciente publicadoenelJournaloftheAmericanMedical Association(JAMA)mostróquecuandolos médicosnegros,proveedoresdeatenciónmédica, cuidandesupropiogruposocial/étnico,seproduce unamejorcalidaddevidaymedidasdeesperanza devida,estoapesardetenerunaprofundaescasez demanodeobraentodoelpaís.4

PodemosapreciarqueEstadosUnidoshaintentado establecerunabasebasadaenlaigualdad,uncampo dejuegoniveladoideal,sinembargo,estecampo recientementesolohamejoradoatravésdela equidad.Laequidadeslaidentificacióndelas disparidades,loquepermitequeelcambiorefuerce alosafectadosbrindándolesdirectamentela asistencianecesariaparaeléxito.Vemosesto claramenteenlaLeydeEstadounidensescon Discapacidades,dondelaspersonascon condicionesdediscapacidadrecibenlas herramientasespecíficasparatenerresultados sociales,físicosyeducativosóptimosque promuevanunniveldevidasaludable.Sin "Equidad"comosociedad,nosconvertimosenun estadoconelalmadelaantiguaEsparta,dondesolo losfuertesyenformaestándestinadosasobrevivir atravésdesuaptitudmentalyfísicayelrestodebe serpurgado.EnnuestrapropiaAmérica,hemossido testigosdelaaprobacióndelaLeydeIntegridad Racialde1924yladecisióndelaCorteSupremade BuckvsBellen1927,laprimerapromovióla segregaciónracialalprohibirelmatrimonio interracialylasegundapermitiólaesterilización obligatoriadelosintelectualmentenoaptos.De hecho,elmatrimoniodemispropiospadres inmigrantesnoseconsideró"legal"hastala decisióndelaCorteSupremadeLovingvsVirginia 1967.¿Serevertiráestotambién?Podemosestarde acuerdoenqueestetipodegobiernoesinaceptable, pocoéticoyautodestructivo.

ElrecientefallodelaCorteSupremadelosEE.UU. sobrelaAcciónAfirmativahasidoungolpe sorprendenteparalosavancessocialesrealizadosen mivida.Comomédico,mecomprometíaatendera todoslosquesepresentenpararecibiratención, comomédicodeunaminoríasubrepresentada,mi compromisosehaampliadoparaatenderauna poblacióndiversaenlafronteraentreEstados UnidosyMéxico,siendotestigoadiariodelas disparidadesenlaatenciónmédica.son.Elracismo ylosprejuiciosamenudonosonpartedenuestro comportamientoconsciente,perolosprejuicios inconscientespuedeninfiltrarseennuestrosery

acciones;porejemplo,cuandoseexaminóy controlólacantidaddetiempoquelosmédicos pediátricosdelaUCIpasabanconpacientesde diferentesrazasyetniasparafactorescomola necesidaddeunintérpreteyquétanenfermoestaba elpaciente,descubrimosquelosmédicospasaban menostiempoconsuspacienteshispanos.pacientes encomparaciónconsuspacientesnohispanospor unfactorde9.Esosignificaqueporcadaminuto quelosmédicospasaronconsuspacientes hispanos,pasaron9conpacientesnohispanos. Piensaenloquesepuedelograrconunpaciente aunqueseaen8minutosytodoloquesepierdesi nolededicasesetiempo.Cuantomenostiempo paseconsupaciente,menostiempotendrápara comunicarseconélacercadesuenfermedad,menos tiempoparaconocerlocomoserhumano,menos tiempoparaaprendercómolaenfermedadycómo leafectasuviajeporelsistemadesalud.Loquese pierdeesquenolosves.Diariamente,soytestigode cómoseignoranlossíntomasyeldolordelos pacienteshispanos;dehecho,escuchocon demasiadafrecuenciaqueeldolordelospacientes hispanosseatribuyeala“maneraenquemanejanel dolor”oque“estánbuscandodrogas”.¿Qué importanciatieneestesesgoenlaaltatasade mortalidadinfantilmaternaylaaltamorbilidady mortalidadporcáncerentreloshispanosresidentes enlafrontera?

Nuestrafuerzalaboraldeatenciónmédicarecibirá ungrangolpeennuestrocompromisodeayudara laspoblacionesvulnerablesyenriesgoqueforman elfuturodenuestranación.ElfallodeAcción Afirmativade2023generalimitacionesenel procesodeadmisiónylacanalizacióneducativa,los estudioshandemostradoqueningúnotro mecanismo,incluidoelusodelestatus socioeconómicodelossolicitantes,puedelograrel niveldediversidadquetienelaAcciónAfirmativa. Asuvez,estorestringiráelligeroflujoactualde solicitantesaungoteodecandidatosdeminorías subrepresentadas(URM)paraatenderauna poblacióndiversaenconstantecrecimiento.Los estudiantesnegros,hispanos,nativosamericanose isleñosdelPacíficosiguenestando subrepresentadosentrelosmatriculadosenlas facultadesdemedicinaencomparaciónconla poblacióndelosEE.UU.5.Existeunagran necesidadtantodeldesarrollocomodela evaluacióndepolíticasyprogramasmássólidos paracrearunafuerzalaboralmédicaquesea demográficamenterepresentativadelapoblaciónde losEE.UU.Estosfallosfederalesyestatalesestán transformandoanuestropaísenlos“Estados DesunidosdeAmérica”.Cuandosevilipendiala

62

acciónafirmativacomountratopreferencialenla movilidadascendenteparalosURM,mientrasse pasaporaltoellegadodeadmisiones,que representacasiel25%delasclasesentrantesenlas universidadesdeéliteyestácompuestoporun70 %deestudiantesblancosnohispanos, indudablementehayundobleetnocéntrico estándar.6 Silasreglasseestánreescribiendoenlos tribunalessuperiores,entonceslaleydebería aplicarseatodoslosinteresadosennuestra sociedad.Mientrasesperopasarlaantorchaala próximageneracióndeproveedoresdeatención médica,lespidoalasinstitucionesdeeducación superiorquefomentanlafuerzalaboraldelmañana quetambiénliderenelcaminoenéticasuperiory haganlocorrectoparaelbeneficio.demipueblo, migenteyparatodoslosamericanos.

SobreelAutor:

Dr.Roberto"Bert"Johansson,pediatracertificadoporla juntayespecialistaenpediatríamédicodecuidados intensivosesactualmente,unmiembrodelaJunta

EjecutivadelaAsociaciónMédicaNacionalHispana comopresidenteelectoymiembrodelLiderazgo MédicoHispanoNacional2021.Eselorgullosohijode inmigrantesalosEstadosUnidos.Debidoalafaltade fondosparalaeducacióndespuésdelaescuela secundaria,sealistóenelejércitodelosEE.UU., despuésdeservircomomédico,continuósusestudios. ElDr.JohanssonobtuvosuMDdelaUniversidadde TulaneyunPh.D.enIngenieríaBiomédicadela UniversidaddelaCiudaddeNuevaYorkenlaCiudad deNuevaYork.ElDr.JohanssonesmiembrodeAlpha OmegaAlphaydelaSociedadHumanitariaArnold Gold.Despuésdecompletarunaresidenciapediátricaen elChildren'sHospitalofNewYorkenlaUniversidadde Columbia,continuósuformaciónconunabecaen medicinadecuidadoscríticospediátricosenla UniversidaddeCornell.LaSociedadEstadounidensede MicrobiologíaleotorgóunpremioICAACYoung Investigator,recibióunabecaNIHFogartyparala investigacióndelainfluenzaytienevariospremiospor laenseñanzayladefensadelpaciente.Formapartede losconsejoseditorialesdelasrevistasdelaAcademia EstadounidensedePediatríaydelaRevistadela AsociaciónMédicaNacionalHispana.

63

THE“GOLDSTANDARD”IS NOMORE?

PEDIATRICDENTISTRY “ALACARTE?”

DenisseEstrada,DDS,MEd,FCMO

Abstract: Thedentalprofessionisnostrangerto havingsetrequirementsandbestpractices formulatedonevidence-baseddentistry.Theability toprovideconsistentanddurablecareisamaxim healthcareseeks,especiallyinfieldsinvolving surgery.Theeliminationofdiseasemeasures successfulsurgicaloutcomes,returntopain-free function,andbiocompatibilityofmaterials introducedtothehumanbody,withmost importantly,thedurabilityofthecorrection provided.Whenteetharerestored,whatisrepaired tohelpcontainthespreadofthediseaseprocess knownascaries,thedentistisguidedbythe standardsestablishedbytheirprofessionand focusedontheguidelinesoftheirspecialty. Pediatricdentistryisnostrangertohavingevolved intreatingandmanagingdentaldisease.This populationisimpactedbydentalanatomyspecific toprimaryteethanddietsthattendtobemore caloricbecauseofmarketinginfluencesandsocial trends.Therecentguidelinerecommendationby theAmericanDentalAssociation(ADA)madein Julyof2023isavariationinestablishedrestorative standardsplacedbytheAmericanAcademyof PediatricDentistry(AAPD)andtheInternational AcademyofPediatricDentistry(IAPD).This editorialwishestoexplorethenewlyreleased recommendationsbytheADA.

Keywords: pediatricdentistry,restorative dentistry,2023guidelines,biomaterials, underservedpopulations,ethniccommunities

TheprevalenceofdentalcariesinChildren worldwideis46.2%asof2020.1 Therealitythat oneoutoftwochildrenisimpactedbydestructive dentaldiseasearoundtheglobeiscauseforalarm, andprofoundconcernmustbetakenintomanaging thispervasivephysicalcondition.IntheUnited States,approximately23%ofchildrenages2-5 havedentalcariesintheirteeth,withaprevalence of1outof3Mexican-Americanchildrenbeing impacted.2 Cariesisknowntoimpactchildren throughdiminishedweightgain,pain,lossof dentition,alteredgrowthpatterns,diminished

qualityoflife,underperformanceinschool,andthe additionalburdenoffuturedental,oral,and systemicdisease.2

Knowingtheimpactofthishighlyprevalent condition,itsmanagementbythedentalprovideris ofutmostrelevance.Theguidelinessetforthbya consensusofpediatricdentalassociationshave shownthatevidence-basedpracticesworkbestin restoring,preserving,anderadicatingdental disease.Thenowapparentdichotomyinstandards setsthestageformisinterpretationandthepotential forareductioninqualityofcarebasedonprovider skillsetversusthepatient’sbestinterests.

TheAmericanAcademyofPediatricDentistryhas outlineditsguidelinesandcarerecommendations tohelpallchildrenand“vulnerablepopulations,” definedaslimitedaccessgroupsimpactedbyage, financial,geographic,medical,andsocial discriminationconditions.3Whenthetoothneedsto berestoredtoreceiveastructuralchange,the AAPDrecommendsthatrestorativetreatmentaims to"repairorlimitthedamagefromcaries,protect andpreservethetoothstructure,andmaintainpulp vitalitywheneverpossible.”4 Careanddecisionmakingonthepediatricpatient'srestorativeneeds shouldinvolvecariesriskprogression, comprehensionofpersonalizeddiseaseprocess, monitoringofdiseaseevolution,andacombination ofpreventativetherapiesandrestorativecarewhen indicated.4 Ataminimum,restorativetherapymust clinicallyevidencecavitatedorshadowedenamel oradvancementradiographicallyofthelesion.4 Strongretrospectiveevidenceindicatesthat StainlessSteelCrowns(SSCs)aretherestorations ofchoiceoveramalgamsandresinsinprimary teeth,especiallyinhigh-riskchildren.4

TheADA’sapproachtopediatricrestorativecare comesfromarecommendationof“conservative approaches,especiallyforadvancedlesions,” where“allincludeddirectrestorativematerials maybeeffectiveintreatingmoderateandadvanced lesionsonvital,non-endodonticallytreated primaryteeth.”5,6

Thisapproachdeclaresthatallbiomaterialsusedin restorativedentistryforpediatricpatientsare effective.Thisdeclarationmaymisleadclinicians andparentsintohavingafalsesenseofsecurityin thedurabilityandeffectivenessofallcommonly usedrestorativematerialsandtechniques.Isthe mostconvenientmaterialbasedonesthetics, affordability,oravailabilitythebestlong-termfor thechild?Thepediatricpopulationisavulnerable andat-riskgroupthatrequiresadditional

64

considerationinoptimaloralhealthcaredelivery. Thesocialramificationsofthisproclamationarea heightenedsenseofretrograderandomizationversus advancingstandardizationinthedeliveryofpediatric dentalcare.

Wasthisacaseofgeneralacceptancetoeasedental providersfromthestringentevidence-based standardstoimproveaccesstomediocrecare?Dowe questionwhyorganizeddentistryhasforgottenthe stridesmadeinpediatricdentalcareinthelast30 years?Timewilltellhowthesepointsofviewwillbe amalgamatedtoenhancethecareofchildrenfor betterorworse.

Willthisdiminishedstandardfacilitateapathwayfor thelessproficientpractitionerinbehavior managementtechniquestorendercare?Mightthis openthewayforothertypesofexpandeddental auxiliariestoprovidecarewiththeacceptancethat anycareisbetterthannocare?Itisdifficultto

speculatewhythebroadbrushoftreatment modalitieswasusedinthis2023algorithmfor pediatricdentalcare.

Whenitcomestovitalnon-endodonticallycarious primaryteeth,itisonlyduringtherestorationofclass IandclassIIrestorationsthatdiscussionismadeby the2023ADAEvidence-BasedClinicalPractice GuidelinestorecommendtheuseofStainlessSteel Crowns.7 Thepediatricdentalcommunityis incrediblyawareoftheevidence-basedclinical successthatthefullcoveragecrownrepresentsfor thepediatricpatientregardingsurvivabilityand durabilityinprotectingtheprimarydentition.7 Furthermore,itiswellknownthatunderserved populationsandethniccommunitiesaremoreatrisk forincreaseddentaldecayrates.Doesthismeanthat careshouldreverttoamorearchaicrestorative standard?

Source: https://www.ada.org/-/media/project/ada-organization/ada/ada

TABLE.2 https://www.ada.org/-/media/project/ada-organization/ada/ada
FIGURE1.ADA2023DirectRestorativeMaterialsforPrimaryTeethAlgorithm
65

Duetoanatomicalanddevelopmentaldifferences fromthepermanenttooth,theprimarytoothcannot beconsideredasmallerhomologtoberestored successfullybythisbroadsetofrecommended treatmentmodalities.Thedirect/deciduoustoothis notthesameasthepermanenttooth.Inmultiple ways,thedeciduoustoothissubstantiallymore vulnerabletofailureofinternalrestorativetreatment, a.k.a.fillings,versusitspermanentcounterpart.

Herearesomereasons:

•Deciduousteethhavemoreporousenamel.8

•Deciduousteetharesmallerwiththinner enamel.8 Thismeansbiteforcesareconcentrated overasmallerareaasachild’smusclesof masticationcontinuetodevelop.

•Deciduousteethhavesmallerandsparser enamelprismswithcurveddevelopment.M7

•DeciduousteethhaveahigherCO3 2- content, alsoknownascarbonate,comparedto permanentteeth,makingtheenamelmore vulnerabletolowpH,akaerosion.8

•Deciduousteethhaveahigherorganiccontent intheirenamel,meaninglesselasticityanda lowersurfacemicrohardness.8 Primaryteethare moresusceptibletodeformationforces.

•Additionally,pediatricsalivahaslessCalcium contentandaprotectiveproteincompositionto helpbufferandprotectthedentition.8

Consideringallthesefactorsclearlyshowsthatthe biochemicalandhistologicpropertiesofprimary teethshouldnotbetreatedinthesamemanneras permanentteeth.Structuralvulnerabilitiesmakea strongargumentforthemeritsoffullcoverage supportinmanyinstances,suchasthestainless-steel crown.Today’sdentalpractitionermustheavily considerthehighlyacidicWesterndietsoprevalent today.Additionally,theincrementalbiomechanical andbiochemicalforcesrepeatedlyappliedtothese teeththroughphysicalanddietarydevelopment maketheserestorationspronetofailure.The additionalburdenofgestationalstressors,including prematurity,canfurthercompromisethequalityof enamelandtoothstructure,wheresomestudieshave showntheseconditionscanincreaseenameldefects byover400%.8

TheADAguidelinerecommendationfortheclassIII restorationisonetoquestionfurthersincemany providersfindtheclinicalchallengeinpreparation ontheseanteriorsurfacesbecauseofsize,behavior, andproximitytogingivaltissues.Moreoftenthan not,theserestorationshaveaminimallifespan.The histologicevidenceprovidedearlierbytheCarvalho study(March2022)showsthattheanteriorteeth

enamel,beingthinnerthantheposteriorteeth,will faceamoreaggressivestructuralchallengefromthe directacidifiedbeverageandbruxismchallenge, erosion,andattrition.Theirinnatenatureorhaving lesselasticityviaahigherorganiccontentinthe crownmeanstheyarepronetodeformation.This increasesthemicroleakageofrestorationsand, eventually,theirmechanicalfailure.Surprisingly,the 2023ADAguidelinefailstomentionthepreformed crownasaviableoptionfortreatingdecayon anteriorteeth.

The2023ADAguidelineomitsthedistinction betweenclassVrestorations.NotallclassV restorationsarethesame.ClassVrestorationscanbe subjectedtocompressionortensileforcesdepending onocclusion.6 Forexample,inidealocclusion,lower archbuccalsurfacesaresubjecttocompression forces,whileflexion/tensileforcesprevailonthe buccalaspectoftheupperarch.Thisdivisionin function/stressesshouldfactorinwhenconsidering restorativemodalityforfunctionandsurvivability. Onceagain,the2023ADAguidelinesomitto mentionfullcoveragerestorations,suchasthe stainless-steelcrown,asaviableoptionfor managingclassVdecay.Today’sstainless-steel crownshaveestheticoptionsthatsignificantly improvewearcharacteristicsandretentionsincethey canbecontouredforenhancedmechanicalretention. Furthermore,thisassuresthatallthetoothsurfaces arehermeticallysealedandstructurallysupported.

Disturbingly,thedooris“keptopen”bytheseADA guidelinesfortheuseofdentalamalgaminclassI andclassIIrestorationsonprimaryteeth.The EuropeanUnion(EU)hasbannedamalgam’s clinicalusesince2018inagesunder15andin breastfeedingandpregnantwomen.9 Furthermore, afterDecember31,2024,themanufactureand distributionofdentalamalgamwillbeillegaldueto its50%orhighercontentofmercurythatinevitably endsupinthefoodchainasanevenmoreharmful methylmercury.9 Aresix-year-oldsoutsidethe EuropeanUniondifferentfromfifteen-year-olds insidetheEU?Furthermore,nationssuchasBolivia andEcuadorhavediscontinuedtheuseofdental amalgamintheAmericas.9 AreAmericanchildren impervioustothedevelopmentalharmsscientifically provenbythisarchaicbiomaterial?Thereshouldbe amoratoriumformercuryandanyotherharmful acceptedmaterialplacedinthemouth;afterall,the ethicalHippocraticOathweareboundbyas providersreferences“Donoharm.”

Beneficence,NOTMaleficence.

66

AbouttheAuthors:

Dr.Gladys Carrasco isapediatricdentist/clinical assistantprofessoratthe BostonUniversityHenryM. GoldmanSchoolofDentalMedicine(GSDM).She wasbornandraisedinCuliacan,Sinaloa,Mexico wheresheattendeddentalschooland receivedher DDSfrom UniversidadAutonomadeSinaloain2011. Followinggraduation,Dr.Carrascomovedto Massachusettsseekingopportunitiesinteachingand growinginthedentalfield.GSDMhasbeenherhome for12+years.Shefirststarted asaClinicalInstructor ofGlobalandPopulationHealth,School-Based ProgramsandpracticedasadentistatChelseaSchool DentalCenterandOrchardGardensSchooland supervisedtheGSDMpre-doctoralstudentsatthese locations.Thisroleinspiredhertofurtherher educationandin2020,she completedherpostgraduatetrainingandreceivedherCertificatein AdvancedGraduateStudyinPediatricDentistry (CAGS)fromGSDM.Herpriorityhasalwaysbeento improvetheoralhealthofchildrenindisadvantaged communities,improvingtheiraccesstocareandto helpthesechildrenachievethehighestlevelofdental health.Shewantschildrentolearnaboutcaringfor theirteethandkeepingahealthymouth.

Dr.DenisseGonzálezEstradaisagraduateofthe NationalAutonomousUniversityofMexico (UNAM).SheisamemberoftheMexicanAcademy ofPediatricDentistryandtheNationalCollegeof DentalSurgeons.ShehasbeenaProfessorinthe UNAMDentistrycoursefor10years,wasincharge ofthesecondyearofthecourse,andofthePediatric Dentistryservice,aswellasgroupdirectorand coordinatoroftheformationofthetheorycurriculum, laboratoryandcareerclinic.TheDoctorisaPediatric Dentistwithamaster'sdegreeinHigherEducation,

whoisamemberofaPlanningCommittee,whichwas amemberoftheacademicteamtomakesignificant changesintheStudyPlanssuchasAcademic ProgramsoftheDentistryCareerandCurriculum PlanninginthepandemicCOVID-19forthe synchronous-asynchronousandhybrideducationof theCareer.Inadditiontobeingamemberofthe UNAMDentistryCareerContinuousImprovement Committee,shehasbeeninprivatepracticeformore than15years.Nowsheistransitioningtoadvanceher studiesintheUnitedStates.

Sources,Fuentes:

1.Kazeminia,M.,Abdi,A.,Shohaimi,S. etal. Dentalcariesin primaryandpermanentteethinchildren’sworldwide,1995to 2019:asystematicreviewandmeta-analysis. HeadFace Med 16,22(2020). https://doi.org/10.1186/s13005-020-00237-z

2.ScreeningandInterventionstoPreventDentalCariesin ChildrenYoungerThan5YearsUSPreventiveServicesTask ForceRecommendationStatement

Davidson,KW (Davidson,KarinaW.); Barry,MJ (Barry, MichaelJ.); Mangione,CM (Mangione,CarolM.); Cabana, M (Cabana,Michael); Caughey,AB (Caughey,Aaron B.); Davis,EM (Davis,EsaM.); Donahue,KE (Donahue, KatrinaE.); Doubeni,CA (Doubeni,ChykeA.); Kubik, M (Kubik,Martha); Li,L (Li,Li); Ogedegbe,G (Ogedegbe, Gbenga); Pbert,L(Pbert,Lori); Silverstein,M (Silverstein, Michael); Stevermer,J (Stevermer,James); Tseng,CW (Tseng, Chien-Wen); Wong,JB (Wong,JohnB.)

https://jamanetwork.com/journals/jama/fullarticle/2786823

3.AmericanAcademyofPediatricDentistry.Policyoncarefor vulnerablepopulationsinadentalsetting.TheReferenceManual ofPediatricDentistry.Chicago,Ill.:AmericanAcademyof PediatricDentistry;2022:34-40.

https://www.aapd.org/globalassets/media/policies_guidelines/ p_vulnerablepopulations.pdf

4.AmericanAcademyofPediatricDentistry.Pediatricrestorative dentistry.TheReferenceManualofPediatricDentistry.Chicago, Ill.:AmericanAcademyofPediatricDentistry;2022:401-14.

67

https://www.aapd.org/globalassets/media/policies_guidelines/ bp_restorativedent.pdf

5.Dhar,V.,etal,Evidence-basedclinicalpracticeguidelineon restorativetreatmentforcariesllesions.Areportfromthe AmericanDentalAssociation.July2023. https://jada.ada.org/ article/S0002-8177(23)00258-1/ fulltext?_gl=1*1bieutk*_ga*MzcwMDQyNjY2LjE2ODg1NzY wNTI.*_ga_NJ0EYRGSL1*MTY5MTcxODM5Ni4xNy4wLjE 2OTE3MTg0MDQuNTIuMC4w*_ga_X8X57NRJ4D*MTY5 MTcxODM5Ni4xNy4wLjE2OTE3MTgzOTYuMC4wLjA.&_g a=2.107318210.1308383509.1691718397-370042666.1688576

052

6.Evidence-BasedClinicalPracticeGuidelineonRestorative TreatmentsforCariesLesions:AReportfromtheAmerican DentalAssociation.

https://www.ada.org/-/media/project/ada-organization/ada/adaorg/files/resources/research/ 13406_chairside_guide_caries_lesions_primary_teeth.pdf?rev= fd1d097c43ff4894a8c57a6445c26b2b&hash=B36ABAC4C6C A2D2504C4C50311B4E601

7.Carvalho,T.S.,Lussi,A.,Schlueter,N. etal. Differencesin susceptibilityofdeciduousandpermanentteethtoerosionexist, albeitdependingonprotocoldesignandmethodof assessment. SciRep 12,4153(2022).https://doi.org/10.1038/ s41598-022-08116-0

https://www.nature.com/articles/s41598-022-08116-0

8.AlshehhiA,AlHalabiM,HusseinI,SalamiA,HassanA, KowashM.Enameldefectsandcariesprevalenceinpreterm childrenaged5-10yearsinDubai.LibyanJMed.2020 Dec;15(1):1705633.doi:10.1080/19932820.2019.1705633. PMID:31873070;PMCID:PMC6968668.

https://www.ncbi.nlm.nih.gov/pmc/articles/PMC6968668/

9.EUCommissionBansUseofDentalAmalgamfrom2025. TodaysDentalNews.DentistryToday.July14,2023. https://www.dentistrytoday.com/eu-commission-bans-use-ofdental-amalgam-from-2025/

¿EL“ESTÁNDARDEORO”YA NOEXISTE?

ODONTOLOGÍAPEDIÁTRICA

GladysCarrasco,DDS

DenisseEstrada,DDS,MEd,FCMO

Resumen: Laprofesiónodontológicanoesajenaa haberestablecidorequisitosymejoresprácticas formuladasenodontologíabasadaenevidencia.La capacidaddeproporcionarunaatenciónconstantey duraderaesunamáximaquebuscalaatención sanitaria,especialmenteenloscamposrelacionados conlacirugía.Laeliminacióndelaenfermedadmide losresultadosquirúrgicosexitosos,elretornoauna funciónsindolorylabiocompatibilidaddelos materialesintroducidosenelcuerpohumano,ylo másimportante,ladurabilidaddelacorrección proporcionada.Cuandoserestaurandientes,loquese reparaparaayudaracontenerlapropagacióndel procesopatológicoconocidocomocaries,el odontólogoseguíaporlosestándaresestablecidos porsuprofesiónyenfocadoenloslineamientosdesu especialidad.Laodontologíapediátricanoesajenaa haberevolucionadoeneltratamientoymanejodelas

enfermedadesdentales.Estapoblaciónseveafectada porlaanatomíadentalespecíficadelosdientes primariosylasdietasquetiendenasermáscalóricas debidoainfluenciasdemarketingytendencias sociales.Larecienterecomendacióndelaguíadela AsociaciónDentalEstadounidense(ADA)realizada enjuliode2023esunavariacióndelosestándares restaurativosestablecidosporlaAcademia EstadounidensedeOdontologíaPediátrica(AAPD)y laAcademiaInternacionaldeOdontologíaPediátrica (IAPD).Esteeditorialdeseaexplorarlas recomendacionesrecientementepublicadasporla ADA.

Palabrasclave: odontopediatría,odontología restauradora,guías2023,biomateriales,poblaciones desatendidas,comunidadesétnicas

Laprevalenciadecariesdentalenniñosentodoel mundoesdel46,2%en2020.1 Larealidaddequeuno decadadosniñosseveafectadoporunaenfermedad dentaldestructivaentodoelmundoesmotivode alarma,ysedebetenerunaprofundapreocupaciónen elmanejodeestacondiciónfísicageneralizada.En losEstadosUnidos,aproximadamenteel23%delos niñosde2a5añostienencariesdentalenlosdientes, conunaprevalenciade1decada3niñosmexicanoestadounidensesafectados.2 Sesabequelacaries afectaalosniñosatravésdeunadisminucióndel aumentodepeso,dolor,pérdidadedentición, patronesdecrecimientoalterados,disminucióndela calidaddevida,bajorendimientoescolarylacarga adicionaldefuturasenfermedadesdentales,bucalesy sistémicas.2

Conociendoelimpactodeestacondicióntan prevalente,sumanejoporpartedelproveedor odontológicoesdesumarelevancia.Laspautas establecidasporconsensodeasociacionesde odontologíapediátricahandemostradoquelas prácticasbasadasenevidenciafuncionanmejorpara restaurar,preservaryerradicarlasenfermedades dentales.Laahoraaparentedicotomíaenlos estándarespreparaelterrenoparainterpretaciones erróneasylaposibilidaddeunareducciónenla calidaddelaatenciónbasadaenlashabilidadesdel proveedorfrentealosmejoresinteresesdelpaciente.

LaAcademiaEstadounidensedeOdontología Pediátricahadelineadosuspautasyrecomendaciones deatenciónparaayudaratodoslosniñosyalas “poblacionesvulnerables”,definidascomogruposde accesolimitadoafectadosporcondicionesdeedad, financieras,geográficas,médicasydediscriminación social.3 Cuándoesnecesariosacareldiente restauradopararecibiruncambioestructural,la AAPDrecomiendaqueeltratamientorestaurador tengacomoobjetivo"repararolimitareldañodela caries,protegerypreservarlaestructuradentaly mantenerlavitalidaddelapulpasiemprequesea

“¿ALACARTA?”
68

posible". 4 Cuidadoytomadedecisionessobreel tratamientorestaurativodelpacientepediátrico.las necesidadesdebenincluirlaprogresióndelriesgode caries,lacomprensióndelprocesopersonalizadodela enfermedad,elseguimientodelaevolucióndela enfermedadyunacombinacióndeterapias preventivasycuidadosrestaurativoscuandoesté indicado.4 Comomínimo,laterapiarestaurativadebe evidenciarclínicamenteesmaltecavitadoo sombreadooavanceradiográficodelalesión.4 Una fuerteevidenciaretrospectivaindicaquelascoronas deaceroinoxidable(SSC)sonlasrestauracionesde elecciónsobrelasamalgamasyresinasenlosdientes primarios,especialmenteenniñosdealtoriesgo.4

ElenfoquedelaADAparaelcuidadorestaurativo pediátricoprovienedeunarecomendaciónde "enfoquesconservadores,especialmenteparalesiones avanzadas",donde"todoslosmaterialesde restauracióndirectaincluidospuedenserefectivosen eltratamientodelesionesmoderadasyavanzadasen dientesprimariosvitalesnotratadoscon endodoncia".5,6

Esteenfoquedeclaraquetodoslosbiomateriales utilizadosenodontologíarestauradoraparapacientes pediátricossoneficaces.Estadeclaraciónpuede induciraerroralosmédicosyalospadres haciéndolestenerunafalsasensacióndeseguridaden ladurabilidadyeficaciadetodoslosmaterialesy técnicasderestauracióncomúnmenteutilizados.¿El materialmásconvenientebasadoenlaestética,la asequibilidadoladisponibilidadeselmejoralargo plazoparaelniño?Lapoblaciónpediátricaesun grupovulnerableyenriesgoquerequiere consideraciónadicionalenlaprestaciónóptimade atencióndesaludbucal.Lasramificacionessociales deestaproclamaciónsonunamayorsensaciónde aleatorizaciónretrógradaversusunaestandarización

avanzadaenlaprestacióndeatencióndental pediátrica.

¿Fueesteuncasodeaceptacióngeneralparaaliviara losproveedoresdentalesdelosestrictosestándares basadosenevidenciaparamejorarelaccesoauna atenciónmediocre?¿Nospreguntamosporquéla odontologíaorganizadahaolvidadolosavances logradosenlaatenciónodontológicapediátricaenlos últimos30años?Eltiempodirácómosefusionarán estospuntosdevistaparamejorarelcuidadodelos niños,parabienoparamal.

¿Esteestándardisminuidofacilitaráuncaminopara queelprofesionalmenoscompetenteentécnicasde manejodelcomportamientopresteatención?¿Podría estoabrirelcaminoparaqueotrostiposdeauxiliares dentalesampliadosbrindenatenciónconlaaceptación dequecualquieratenciónesmejorqueninguna atención?Esdifícilespecularporquéseutilizóuna gamaampliademodalidadesdetratamientoeneste algoritmode2023paralaatenciónodontológica pediátrica.

Cuandosetratadedientesprimariosvitalesno endodónticamentecariados,essolodurantela restauraciónderestauracionesdeclaseIyclaseIIque lasPautasdeprácticaclínicabasadasenevidenciade laADAde2023recomiendanelusodecoronasde aceroinoxidable.7 Lacomunidaddeodontología pediátricaesincreíblementeconscientedeléxito clínicobasadoenevidenciaquerepresentalacorona decoberturatotalparaelpacientepediátricoencuanto alasupervivenciaydurabilidadenlaproteccióndela denticióntemporal.7Además,esbiensabidoquelas comunidadesétnicasypoblacionesdesatendidas correnmayorriesgodesufrirmayorestasasdecaries dental.¿Significaestoquelaatencióndeberíavolver aunestándarrestaurativomásarcaico?

TABLA1.,ADA2023AlgoritmodeOperatoriaenDientesPrimarios 69

Debidoadiferenciasanatómicasydedesarrollocon respectoaldientepermanente,eldientetemporalno puedeconsiderarseunhomólogomáspequeñoque puedaserrestauradoexitosamentemedianteeste amplioconjuntodemodalidadesdetratamiento recomendadas.Eldientedirecto/deciduonoeslo mismoqueeldientepermanente.Enmúltiplesformas, eldientetemporalessustancialmentemásvulnerable alfracasodeltratamientorestauradorinterno,también conocidocomoempastes,encomparaciónconsu contrapartepermanente.

Aquíhayalgunasrazones:

•Losdientestemporalestienenunesmaltemás poroso.8

•Losdientestemporalessonmáspequeñosytienen unesmaltemásfino.8 Estosignificaquelasfuerzasde lamordidaseconcentranenunáreamáspequeñaa medidaquelosmúsculosdelamasticacióndelniño continúandesarrollándose.

•Losdientestemporalestienenprismasdeesmalte máspequeñosyescasoscondesarrollocurvo.7

•Losdientestemporalestienenunmayorcontenido deCO3 2-,tambiénconocidocomocarbonato,en comparaciónconlosdientespermanentes,loquehace queelesmalteseamásvulnerablealbajopH,también conocidocomoerosión.8

•Losdientestemporalestienenunmayorcontenido orgánicoensuesmalte,loquesignificamenos elasticidadyunamenormicrodurezasuperficial.8 Los dientestemporalessonmássusceptiblesalasfuerzas dedeformación.

•Además,lasalivapediátricatienemenoscontenido decalcioyunacomposiciónproteicaprotectorapara ayudaraamortiguaryprotegerladentición.8

Laconsideracióndetodosestosfactoresmuestra claramentequelaspropiedadesbioquímicase histológicasdelosdientestemporalesnodeben tratarsedelamismamaneraquelasdelosdientes permanentes.Lasvulnerabilidadesestructurales constituyenunfuerteargumentoafavordelas ventajasdeunsoportedecoberturatotalenmuchos casos,comolacoronadeaceroinoxidable.El odontólogodehoydebeconsiderarseriamenteladieta occidentalaltamenteácidaqueprevalecehoyendía. Además,lasfuerzasbiomecánicasybioquímicas incrementalesaplicadasrepetidamenteaestosdientes atravésdeldesarrollofísicoydietéticohacenque estasrestauracionesseanpropensasalfracaso.La cargaadicionaldelosfactoresestresantes gestacionales,incluidalaprematuridad,puede comprometeraúnmáslacalidaddelesmalteyla estructuradental,dondealgunosestudioshan demostradoqueestascondicionespuedenaumentar losdefectosdelesmalteenmásdeun400%.8

LarecomendacióndelaspautasdelaADAparala restauracióndeclaseIIIesaúnmáscuestionable,ya quemuchosproveedoresencuentraneldesafíoclínico enlapreparacióndeestassuperficiesanteriores debidoaltamaño,elcomportamientoylaproximidad alostejidosgingivales.Lamayoríadelasveces,estas restauracionestienenunavidaútilmínima.La evidenciahistológicaproporcionadaanteriormente porelestudiodeCarvalho(marzode2022)muestra queelesmaltedelosdientesanteriores,alsermás delgadoquelosdientesposteriores,enfrentaráun desafíoestructuralmásagresivodebidoalabebida acidificadadirectayalbruxismo,laerosiónyel desgaste.Sunaturalezainnataosumenorelasticidad porunmayorcontenidoorgánicoenlacoronahace

70
TABLA.2 https://www.ada.org/-/media/project/ada-organization/ada/ada

queseanpropensosadeformarse.Estoaumentalas microfiltracionesdelasrestauracionesy, eventualmente,sufallomecánico. Sorprendentemente,ladirectrizdelaADAde2023 nomencionalacoronapreformadacomounaopción viableparaeltratamientodelascariesenlosdientes anteriores.

LadirectrizADAde2023omiteladistinciónentre restauracionesdeclaseV.Notodaslasrestauraciones declaseVsoniguales.LasrestauracionesdeClaseV puedenestarsujetasafuerzasdecompresióno traccióndependiendodelaoclusión.6 Porejemplo, enunaoclusiónideal,lassuperficiesbucalesdelarco inferiorestánsujetasafuerzasdecompresión, mientrasquelasfuerzasdeflexión/tracción prevalecenenlacaravestibulardelarcosuperior. Estadivisiónenfunción/estrésdebetenerseen cuentaalconsiderarlamodalidadderestauración paralafunciónylasupervivencia.Unavezmás,las pautasdelaADAde2023omitenmencionarlas restauracionesdecoberturatotal,comolacoronade aceroinoxidable,comounaopciónviableparatratar lacariesdeclaseV.Lascoronasdeaceroinoxidable actualestienenopcionesestéticasquemejoran significativamentelascaracterísticasdedesgasteyla retención,yaquepuedenmoldearseparamejorarla retenciónmecánica.Además,estoaseguraquetodas lassuperficiesdelosdientesesténherméticamente selladasysoportadasestructuralmente.

EsinquietantequeestaspautasdelaADA “mantenganlapuertaabierta”paraelusode amalgamadentalenrestauracionesdeclaseIyclase IIendientesprimarios.LaUniónEuropea(UE)ha prohibidoelusoclínicodelaamalgamadesde2018 enmenoresde15añosyenmujereslactantesy embarazadas.9 Además,apartirdel31dediciembre de2024,lafabricaciónydistribucióndeamalgama dentalseráilegaldebidoasucontenidodel50%o superior.contenidodemercurioqueinevitablemente terminaenlacadenaalimentariacomoun metilmercurioaúnmásdañino.9 ¿Sondiferenteslos niñosdeseisañosfueradelaUniónEuropeadelos dequinceañosdentrodelaUE?Además,países comoBoliviayEcuadorhandescontinuadoelusode amalgamadentalenlasAméricas.9 ¿Sonlosniños estadounidensesinmunesalosdañosaldesarrollo científicamenteprobadosporestebiomaterial arcaico?Deberíahaberunamoratoriaparael mercurioycualquierotromaterialnocivoaceptado queseintroduzcaenlaboca;despuésdetodo,el juramentohipocráticoéticoalqueestamosobligados comoproveedoreshacereferenciaa"nohacerdaño".

Acercadelasautoras:

Dra.Carrascoesunadentistapediatraydocente clínicaenlaBostonUniversityHenryM.Goldman SchoolofDentalMedicine(GSDM).Nacióysecrió enCuliacán,Sinaloa,Méxicodondeasistióala facultaddeodontologíayrecibiósudiplomade cirujanodentistaenlaUniversidadAutónomade Sinaloaenel2011.Despuésdegraduarse,Dr. CarrascosemudóaMassachusettsbuscando oportunidadesendocenciaycrecereneláreade odontología.GSDMhasidosucasapormásde12 años.PrimerocomenzócomoInstructoraClincaen eldepartamentode GlobalandPopulationHealth, School-BasedProgramsypracticócomodentistaen elChelseaSchoolDentalCenterylaescuelaOrchard Gardens,supervisandoestudiantesdeodontologíaen estaslocaciones.Esterollainspiróacontinuarsu educaciónyenel2020terminósuentrenamientode posgradoyrecibiósu CertificateinAdvanced GraduateStudyinPediatricDentistry(CAGS)en GSDM.Suprioridadsiemprehasidomejorarla saludoralenniñosdecomunidadesdesfavorecidas, mejorarelaccesoaserviciosyayudaraestosniñosa alcanzarelnivelmásaltodesusaluddental.Dr. Carrascoquierequelosniñosaprendanacuidarse susdientesyamantenerunabocasaludable.

LaDra.DenisseGonzálezEstradaesegresadadela UniversidadNacionalAutónomadeMéxico (UNAM).EsmiembrodelaAcademiaMexicanade OdontopediatríaydelColegioNacionaldeCirujanos Dentistas.HasidoDocenteenlacarrerade OdontologíadelaUNAMdurante10años,estuvoa cargodelsegundoañodelacarreraydelserviciode Odontopediatría,asícomodirectoradegrupoy coordinadoradelaformacióndelplandeestudiosde teoría,laboratorioycarrera.clínica.ElDoctores OdontopediatraconmaestríaenEducaciónSuperior, quienesmiembrodeunComitédePlaneación,el cualfueintegrantedelequipoacadémicopara realizarcambiossignificativosenlosPlanesde EstudiocomoProgramasAcadémicosdelaCarrera deOdontologíayPlaneaciónCurricularenla pandemiaCOVID-19paralaeducaciónsincrónicaasincrónicaehíbridadelaCarrera.Ademásdeser miembrodelComitédeSuperaciónContinuadela CarreradeOdontologíadelaUNAM,tienemásde 15añosenlaprácticaprivada.Ahoraestáen transiciónparaavanzarensusestudiosenlos EstadosUnidos.

Beneficiencia,NOMaleficiencia.

71

Diversity: theinclusion ofpeopleofdifferent races,cultures,etc.ina groupororganization

Equity: justiceaccording tonaturallaworright specifically:freedomfrom biasorfavoritism

Inclusion: theactor practiceofincludingand accommodatingpeople whohavehistoricallybeen excluded(becauseoftheir race,gender,sexuality,or ability)

Diversidad: lainclusión depersonasdediferentes razas,culturas,etc.enun grupouorganización.

Equidad: justiciasegún laleyoderechonatural específicamente:ausencia deprejuicioso favoritismo

Inclusión: elactoo prácticadeincluiry acomodarapersonasque históricamentehansido excluidas(debidoasu raza,género,sexualidado capacidad).

DISMISSALOF AFFIRMATIVEACTIONIN HIGHEREDUCATION

Abstract

Affirmativeactionisresponsibleforthe advancementofdiversityinhighereducationand theworkforce.Theconsiderationandadmittance ofqualifiedminoritycandidatesareimperativeto effortstoincreasediversityandinclusioninthe healthcareenvironment.Withasignificant disproportionofblackandHispanicpracticing dentistsintheUScomparedtowhitedentists, thereiscauseforconcern.Inlieuoftherecent SupremeCourtcase,affirmativeactionhasbeen removedfromhighereducation,leaving institutionstofindotherwaystoadmitqualified minoritystudentstoresolvetheissue.

KeyWords

diversity,affirmativeaction,minorities,dentists

June5,2023,wasadaytoremember.Thisisthe daytheSupremeCourtdecidedtoeliminate affirmativeactionincollegeadmissions.Efforts todiversifyhighereducationhavesteadily increasedoverthelastyears,withdocumented studiesthatidentifytheimportanceandsuccesses ofdiverseworkplacesandschoolsystems.After thisunfortunateruling,thenationmayexperience areversalofadvancementsindiversityand inclusion.

AccordingtotheMerriam-WebsterDictionary, affirmativeactionisdefinedas‘theuseof policies,legislation,programs,andproceduresto improvetheeducationaloremployment opportunitiesofmembersofcertaindemographic groupsasaremedyfortheeffectsoflongstandingdiscriminationagainstsuchgroups,” (n.d.).1 Manyindividualswereandstillareunder theimpressionthataffirmativeactioninvolved admittingunqualifiedstudentsprimarilybasedon theirrace.However,thisisfarfromthetruth. Affirmativeactiongrantedlimitedpreferenceto qualifiedcandidatesforadmissiontoinstitutions ofhighereducationandotherenvironments,such astheworkplace.

TheUnitedStateshasalonghistoryofunfair treatmentamongitspeople,particularly minorities.Slavery,JimCrowLaws,police brutality,redlining,andmassincarcerationare justafewexamplesofsocialinjusticesfaced. Theseformsofinjusticehaveledtoasubstantial gapbetweenminoritiesandwhitesinnearly everyenvironmentandworkplace.

Thepurposeofaffirmativeactionwastoimprove therepresentationofminoritygroupswhohave enduredsocialinjusticesthroughouthistoryin highereducation.Itwasasteptowardsclosing thegapbetweenminoritiesandthemajority.Even withtheimplementationofaffirmativeactionin highereducation,only5%ofphysiciansare Blackand5.8%areHispanic,comparedto approximately57%whoarewhite.2Inthefieldof dentalmedicinein2022therewereover202,000 practicingdentistsbutonly3.8%ofdentistswere Blackand5.9%Hispanic.3 Although202,000 soundslikealargenumber,thereareonly60.8 dentistsper100,000people.

Theoverturningofaffirmativeactionnotonly affectsthosewhoaspiretopursuehigher educationbutalsohasanimpactonpatients. Thereissomethingspecialaboutbeingcaredfor bysomeonewholookslikeyou.Patientsaremore likelytotrustandfollowinstructionsfroma doctorofthesameraceorethnicity.

Inhealthcare,itisnecessaryforstudentstotrain indiverseenvironmentstoprepareforproviding carefordiversepatientpopulationsand understandthevariousbackgroundsand socioeconomicfactorsthatinfluencetheirhealth. AtUCONN,wepracticeinterprofessional collaborationineducation.Dentalandmedical studentsparticipateinajointbiomedical curriculumforthefirsttwoyears.Inadditionto learningalongsidefuturephysicians,inthe schoolofdentalmedicine,wealsocollaborate withotherdentalteammembers:dentalhygiene students.

TheStudentNationalDentalAssociation (SNDA)isanationalorganizationdevotedto supportingminoritystudentsthroughpromoting, aiding,andsupportingtheiracademicandsocial environments4.SNDAcomprisesacommunityof studentsdedicatedtoaddressinghealthdisparities inunderservedpopulations.IntheUConnSNDA

74

chapter,wefrequentlyserveunderrepresented patientsthroughcommunityeventswiththegoalof reducingoralhealthdisparitiesthroughpatient educationandoralevaluations.

SNDAhostsanannualnationalconventionforits membersandpre-dentalstudentstopromote networkingandasenseofcommunityachievement amongfuturedoctors.Attheconference,predentalstudentshavetheopportunitytoengagewith variousschoolsaboutadmissions,attend applicationworkshops,andengageinpanelsabout pursuingacareerindentistryasminority applicants.Theseeffortswillpersistevenwiththe eliminationofaffirmativeactioninhigher education.Thisinstillshopeandembodies perseveranceintheoverallmissiontoincrease diversityinthenation'seducationaland professionalsettings.

Althoughtherulingofaffirmativeactioninhigher educationisasetbackforprospectiveminority students,advocacyfordiversityandthe continuationofservingthoseinneedarecrucialfor thefutureofourcountry.Inthewakeoftherecent SupremeCourtcase,numerousacademic institutionswillcontinuetoberesoluteintheir dedicationtocultivatingvariedstudent populations.Thereisstillhopeforincreasing diversityineducationalinstitutions.

References/Referencias

1.Merriam-Webster.(n.d.). Affirmativeaction definition&meaning.Merriam-Webster. https:// www.merriam-webster.com/dictionary/ affirmative%20action

2.PercentageofallactivephysiciansbyRace/ ethnicityFigure18,2018.AAMC.(n.d.). https:// www.aamc.org/data-reports/workforce/data/figure-18percentage-all-active-physicians-race/ethnicity-2018

3.USDentistDemographics.(n.d.). Www.ada.org. https://www.ada.org/resources/research/ health-policy-institute/us-dentist-demographics

4.AboutSNDA.StudentNationalDental Association.(2022,December24). https:// sndaonline.net/about/

DESPIDODEACCIÓN AFIRMATIVAENLA EDUCACIÓNSUPERIOR

MychaelMcKeever,BS,SaritaArteaga

Abstracto

Laacciónafirmativaesresponsabledelavancede ladiversidadenlaeducaciónsuperiorylafuerza laboral.Laconsideraciónyadmisióndecandidatos minoritarioscalificadossonimprescindiblespara losesfuerzosdeaumentarladiversidadyla inclusiónenelentornodelaatenciónmédica.Con unadesproporciónsignificativadedentistas afroamericanosehispanosenlosEE.UU.en comparaciónconlosdentistasblancos,existeun motivodepreocupación.Enlugardelcasoreciente delaCorteSuprema,laacciónafirmativase eliminódelaeducaciónsuperior,dejandoquelas institucionesencuentrenotrasformasdeadmitira estudiantesminoritarioscalificadospararesolverel problema.

Palabrasclave

diversidad,acciónafirmativa,minorías, odontólogos

El5dejuniode2023fueundíapararecordar.Este eseldíaenquelaCorteSupremadecidióeliminar laacciónafirmativaenlasadmisiones universitarias.Losesfuerzosparadiversificarla educaciónsuperiorhanaumentadoconstantemente enlosúltimosaños,conestudiosdocumentados queidentificanlaimportanciayloséxitosdelos diversoslugaresdetrabajoysistemasescolares. Despuésdeestedesafortunadofallo,lanación puedeexperimentarunretrocesoenlosavancesen diversidadeinclusión.

SegúnelDiccionarioMerriam-Webster,laacción afirmativasedefinecomo"elusodepolíticas, legislación,programasyprocedimientospara mejorarlasoportunidadeseducativasolaborales delosmiembrosdeciertosgruposdemográficos comoremedioparalosefectosdeladiscriminación delargadatacontraesosgrupos”,(s.f.).1 Muchas personasteníanytodavíatienenlaimpresiónde quelaacciónafirmativaimplicabaadmitir estudiantesnocalificadosprincipalmenteen

DMD,MA,MAGD
75

funcióndesuraza.Sinembargo,estoestálejosde laverdad.Laacciónafirmativaotorgópreferencia limitadaacadidatoscalificadosparalaadmisióna institucionesdeeducaciónsuperioryotros entornos,comoellugardetrabajo.

EstadosUnidostieneunalargahistoriadetrato injustoentresugente,particularmentelasminorías. Laesclavitud,lasleyesdeJimCrow,labrutalidad policial,laslíneasrojasyelencarcelamiento masivosonsoloalgunosejemplosdelasinjusticias socialesqueenfrentamos.Estasformasdeinjusticia hanllevadoaunabrechasustancialentrelas minoríasylosblancosencasitodoslosentornosy lugaresdetrabajo.

Elpropósitodelaacciónafirmativaeramejorarla representacióndelosgruposminoritariosquehan sufridoinjusticiassocialesalolargodelahistoria enlaeducaciónsuperior.Fueunpasohaciaelcierre delabrechaentrelasminoríasylamayoría.Incluso conlaimplementacióndelaacciónafirmativaenla educaciónsuperior,soloel5%delosmédicosson negrosyel5,8%sonhispanos,encomparacióncon aproximadamenteel57%quesonblancos2.El% delosdentistaserannegrosyel5,9%hispanos3 . Aunque202.000pareceunagrancantidad,solohay 60,8dentistasporcada100.000habitantes.

Elvuelcodelaacciónafirmativanosoloafectaa quienesaspiranacursarestudiossuperiores,sino quetambiénrepercuteenlospacientes.Hayalgo especialenseratendidoporalguienqueseparecea ti.Esmásprobablequelospacientesconfíeny siganlasinstruccionesdeunmédicodelamisma razaoetnia.

Enelcuidadodelasalud,esnecesarioquelos estudiantessecapacitenendiversosentornospara prepararseparabrindaratenciónadiversas poblacionesdepacientesycomprenderlosdiversos antecedentesyfactoressocioeconómicosque influyenensusalud.EnUCONN,practicamosla colaboracióninterprofesionalenlaeducación.Los estudiantesdeodontologíaymedicinaparticipanen unplandeestudiosbiomédicoconjuntodurantelos dosprimerosaños.Ademásdeaprenderjuntoalos futurosmédicos,enlaescueladeodontología tambiéncolaboramosconotrosmiembrosdel equipodental:losestudiantesdehigienedental.

LaAsociaciónDentalNacionalEstudiantil(SNDA) esunaorganizaciónnacionaldedicadaaapoyara losestudiantesdeminoríasatravésdela

promoción,ayudayapoyoasusentornos académicosysociales4.SNDAcomprendeuna comunidaddeestudiantesdedicadosaabordarlas disparidadesdesaludenlaspoblaciones desatendidas.EnelcapítulodeSNDAdeUConn, confrecuenciabrindamosserviciosapacientes subrepresentadosatravésdeeventoscomunitarios conelobjetivodereducirlasdisparidadesenla saludoralatravésdelaeducacióndelpacienteylas evaluacionesorales.

SNDAorganizaunaconvenciónnacionalanual parasusmiembrosyestudiantesdepre-odontología parapromoverlacreaciónderedesyunsentidode logrocomunitarioentrelosfuturosmédicos.Enla conferencia,losestudiantesdepre-odontología tienenlaoportunidaddeinteractuarconvarias escuelassobreadmisiones,asistiratalleresde solicitudyparticiparenpanelessobrecómoseguir unacarreraenodontologíacomosolicitantesde minorías.Estosesfuerzospersistiráninclusoconla eliminacióndelaacciónafirmativaenlaeducación superior.Estoinfundeesperanzayencarnala perseveranciaenlamisióngeneraldeaumentarla diversidadenlosentornoseducativosy profesionalesdelanación.

Aunqueelfallodeacciónafirmativaenla educaciónsuperioresunrevésparalosfuturos estudiantesdeminorías,ladefensadeladiversidad ylacontinuacióndeserviralosnecesitadosson crucialesparaelfuturodenuestropaís.Araízdel recientecasodelaCorteSuprema,numerosas institucionesacadémicasseguiránresueltasensu dedicaciónacultivarpoblacionesestudiantiles variadas.Todavíahayesperanzadeaumentarla diversidadenlasinstitucioneseducativas.

76

THEEFFECTOFANTI-DEI LEGISLATIONON HISPANICSINDENTISTRY

ChristinaMeiners,DDS,FICD

Keywords: anti-DEIlegislation,diversity,equity, andinclusion,Hispanics,affirmativeaction, Dentistry

BACKGROUND

Diversity,Equity,andInclusion(DEI)havebeen underattackthelastfewmonthswithanti-DEI legislationbeingintroducedandpassedthroughout thecountry.Over40anti-DEIlegislativeHouseand SenatebillsintheUnitedStateshavebeenintroduced and7stateshavepassedanti-DEIlegislation.As dentistsandleadersoftheHispanicDental AssociationwhohaveembracedDEI,wefeltitis importanttosharewhyweareopposedtosuch legislationandhowitcanaffectthedentalprofession longterm.

UnderstandingDiversity,Equity,andInclusion

Diversity,accordingtotheOxfordDictionary,isthe practiceorqualityofincludingorinvolvingpeople fromarangeofdifferentsocialandethnic

backgroundsandofdifferentgenders,sexual orientations,etc.1 Equity isthequalityofbeingfair andimpartial. Inclusion isthepracticeorpolicyof providingequalaccesstoopportunitiesandresources forpeoplewhomightotherwisebeexcludedor marginalized,suchasthosewhohavephysicalor intellectualdisabilitiesandmembersofother minoritygroups.

ThereisoftenamisconceptionthatDEIdividesand separatesgroupsfromoneanotherbasedonrace,sex, religionoranyotherbackground.Further,itcreatesa problemwhereaspecificgroupmaybedeemed superiortoothers.Thisisuntrueastheintentionof DEIistoprovideequalopportunitiesforall.DEIis intentionalandgiveseveryoneanopportunitytoget involved,regardlessofwhotheyareandwherethey camefrom.DEIisnotdivisive;itisinclusive, bringingpeopletogether.

TheUSpopulationisbecomingmorediverseyetit’s notreflectedinourindustry.Thecurrentpopulation ofalmost70millionHispanicsintheUSmakesup almost20%ofthepopulationandarecurrently representedbylessthan6%HispanicDentists. Further,dentaladmissionsdatahasshownthat Hispanicsonlyrepresentabout11.2%oftheapplicant pooland10.1%ofthedentalstudentpopulation.2 AlthoughthecumulativeenrollmentofHispanic studentshasincreasedoverthelastdecade,from 7.8%in2012to10.1%in2022,thelatestreportfrom theAmericanDentalEducationAssociationshowsa slightdecreaseinHispanicstudents’enrollmentfrom 2021to2022(11%to10.1%).Indentalhygiene programsfor2020-2021,TheAmericanDental

77

Associationreportedthat18.9%ofthetotal enrollmentswerebyHispanicstudents. Comparingtrendsfrom2017to2021,therewas anenrollmentdecreaseofalmosttenpercentage points(-9.3%)inalldentalalliedcareers, includingallracesandethnicities.3 Inthesame way,Hispanicsrepresentonly7%ofdental schoolfacultyaccordingtoADEAdatafrom 2019andpreviouslywasat9%in2012.4 With anti-DEIlegislationaffectingpublicuniversities, thisnumbercoulddecreaseevenfurther,which couldbedetrimentaltodentaleducationand dentistryasawhole.Thetrainingandretentionof minorityfacultydependonDEIbudgetsallocated byfederalandstateagenciesforpublicand privateuniversities.WithoutDEIprogramsand initiativesinplace,howcanwemaintaina presenceindentistry,organizations, anddental institutions?Howdowedevelopthenext generationofHispanicleaderswhowillhelp moldourfutureifwedecreaseDEIprograms meanttoeducate,inform,andprepareHispanics forthesepositions?Withaprojectedpopulation of110millionby2060andthecurrentlegislative climateposingarisktominorityenrollment,we aresettingourselvesupforafurtherfragmented healthcaresystemthatfailsourpatientsethically, morally,andeconomically.

BENEFITSOFDEIINITIATIVES

DEIinitiativesinschools,universities,and communityprogramsprovideresourcesto studentsacrossthecountry,withaspecial emphasisonsupportingunderrepresented minorities.Resourcessuchasaccessto educationalsupport(DATpreparationcourses, interviewandapplicationsupport),financial support(scholarshipsandgrantstooffset application,testing,andtuitioncosts),andaccess todiversefacultyandmentorshelptoimprove theapplicant’schancesofacceptanceintohigher educationprograms.

TheseDEIinitiativesalsoassistwiththe recruitmentofHispanicstudentsintohigher educationprograms.Hispanicstudentsare knowntofacegreaterbarrierstoentryintohigher education.Inadditiontothefinancialand educationalchallengesunderrepresented minoritystudentsface,sincemanyarethefirst generationtopursuehighereducation,Hispanics faceculturalandlanguagebarrierswithEnglish beingtheirsecondlanguage.Withanestimated 11millionpeoplewholiveintheUSillegally,for

someHispanicstudentapplicants,thereisan addedchallengeofcitizenshipandimmigration status.NotalldentalschoolsintheUSaccept undocumentedimmigrantsand,evenifaccepted, undocumentedstudentsdonotqualifyforfederal financialaidnorloanrepaymentprogramssuch astheNationalHealthServiceCorpstohelp lessenthefinancialburdenofdentalschoolloans.

ANTI-DEIANDEFFECTSON WORKFORCEISSUES

Dentistry,likeotherhealthprofessions,isfacing aseriousworkforceshortageatnationalandstate levels.Severaldentalorganizations,including dentalminorityorganizations,havereportedover theyearsthedisadvantages,barriers,and inequitiesthatminoritiesfacetoaccesshigher educationandenterintodentalcareers.5

Thepathforminoritiesinhighereducationhas notbeeneasy,andtoday,wearecallingattention tothedangerousnationalenvironmentthathas beengrowinginrecenttimesattackingDiversity, Equity,andInclusion(DEI)effortsinHigher Education.Thecurrentnationallandscapecould resultinthelossofrightsachievedformillionsof minorityandethnicAmericans,limitingtheir accessandstudentretentioninhighereducation, includingallthoseinterestedinthedental profession.

Statebillsaffectingfundinganddiversityefforts inpubliccollegeswillhaveaneffecton mentoringandpathwayprogramsthreateningto reducethenumberofstudentsapplyingtoand acceptedintodentalprograms.Also,thosebills willreduceeffortstosupportminoritystudent groupsthatcurrentlyworkinpartnershipwith organizations,suchastheHispanicDental Association,andwiththeDEIofficesindental anddentalhygieneschools.

Inthiscontext,whilecollegeshavegrownmore diverseinthepastcentury,theymustcontinueto striveforinclusion,equity,andaccessibility. Diversitywithindentaleducationplaysacritical roleintheprofessionaldevelopmentofa culturallycompetentdentalworkforceforthe future.Thus,schoolsmusteffectivelyteach studentsaboutculturalcompetencyandcreatean environmentwherestudentsarecomfortable sharingtheirbeliefsandideasregardlessoftheir background.Inschoolsthatlackthis environment,studentsloseanopportunityto learnaboutdiversityasitrelatestogender,

78

socioeconomicstatus,race,ethnicity,religion,etc. Further,therecruitmentandretentionofstudents whocomefromthesediversebackgroundsmay leadtoapublichealthcrisisinthefuture,where patientscannolongerfindpractitionersofsimilar backgrounds.Diversitybenefitsallstudentson campusandsupportsthegrowingnumberof minoritiesteachingandstudyinghealthcareers,as dentistsanddentalhygienists.Diverseleadership inhighereducationcancontinuetochangeand betterreflecttheshiftingdemographicsofthe nationandanewfoundculturalawareness.Inthe sameway,diversitywithinacademiaisimportant, however, trainingandretentionofminorityfaculty iscurrentlybeingthreatenedbyanti-DEI legislationasitdependsonDEIbudgetsallocated byfederalandstateagenciesforpublicandprivate universities.Hispanicsrepresent8.5%ofthe facultyinDentalSchoolsandDentalHygiene programsandthepresenceofdiversefacultywithin adentalschoolhasthepotentialtonotonlyprovide mentorshipbutalsofurtherinfluenceastudent’s choiceindentalschoolsandtheirpost-graduate careerchoice.

Accordingtoresearch,Minoritydentistsand healthcareprovidersaremorelikelytopracticein underservedcommunities,acceptMedicaidand publichealthinsuranceprograms,andhavea stronginterestinreducinghealthdisparities.6 Improvingworkforcediversitypromotesincreased accesstocare,oralhealthequity, andquality, particularlyforminoritypopulations.

Inthelongterm,anti-DEIlegislationthreatensto furtherreduceminoritydentistsandwillaffect employability,especiallyinDentalHealth ProfessionalShortageAreas(D-HPSAs);which willultimatelyincreasethehighmorbidityinoral healththatwealreadyhaveinthiscountry.In addition,thesestatebillswillincreasethedental desertsthatwearecurrentlyexperiencingdueto thelackofminoritydentalprofessionalsinurban, suburban,andruralareas.

HISTORYOFAFFIRMATIVEACTIONAND ANTI-DEILEGISLATION

Westartedachievingrightsforourminoritiesinthe 1960s,startingwith"affirmativeaction"fromthe PresidentialExecutiveOrderNo.10925of1961 signedbyPresidentJohnF.Kennedy,which includedaprovision“ensuringthatapplicantsare employed,andemployeesaretreated[fairly] duringemployment,withoutregardtotheirrace,

creed,color,ornationalorigin".Followingthis,the CivilRightsActof1964banneddiscriminationon thebasisofrace,statinginitsTitleVI"Noperson intheUnitedStatesshall,onthegroundofrace, color,ornationalorigin,beexcludedfrom participationin,bedeniedthebenefitsof,orbe subjectedtodiscriminationunderanyprogramor activityreceivingFederalfinancialassistance."In thatcontext,TitleVIbannedracialdiscrimination inthecountry'spublicandprivatecolleges.The lawappliestocollegeadmissions,financialaid, studentservices,academicprograms,grading,and housing.Further,theHigherEducationActof1965 (HEA)madecollegemoreaccessibletomillionsof low-incomeandmiddle-incomestudentsby creatingthemodernfederalstudentaidprogram, includingtheFederalWork-StudyProgram,federal studentloans,andoutreachprogramslikethe FederalTRIOprograms.Equally,TitleIXofthe EducationAmendmentsof1972bannedsex discrimination,andSection504ofthe RehabilitationActof1973banneddiscrimination againstpeoplewithdisabilities.7,8

Anexampleoftheeffectofanti-DEIlegislation wasinthe1990s,whenCalifornia,Texas,Florida, andWashingtonbannedaffirmativeaction.These banshadanimmediateandnegativeimpacton campusdiversity.Afterstatesbannedaffirmative action,studentsofcolorsawtheirchancesofbeing admittedintotoppublicinstitutionsdropby23 percentagepoints,accordingtoa2013studybythe CenterforAmericanProgress.InCalifornia'sstate universitysystem,Blackstudentsmadeup8.1%of thestudentbodyin1997,oneyearbeforethestate's banonaffirmativeaction.By2018,thatnumber hadfallento4.3%.Inthesameway,10stateshave bannedAffirmativeactioninthepast30years, makingqualifiedstudentsofcolor23%lesslikely tobeadmittedinpubliccollegeslocatedinstates withoutaffirmativeaction.8 Affirmativeaction revealsthelimitsofnon-discriminationlaws. Eliminatingmeasuresthatalsohelphistorically excludedgroupsaccesshighereducationresultsin lessdiversity.9

Therearecurrentlymorethan40legislativebills acrosstheU.S.targetingDEIinitiativesatpublic colleges,andacrossthecountry,statelawmakers areproposingbillstolimitdiversity,equity,and inclusionprogramsatstate-fundedinstitutions (Figure1).These40billsacrossthecountrytarget DEIfunding,practices,andpromotionatschools, andcouldimpactawiderangeofinitiatives,from defundingDEIofficesandofficerstoremoving

79

diversitystatementsfromhiringpractices(Figure 2).7oftheselegislativebillshavebeensignedinto law,whileothersarependingthenextlegislative session.9,10 FollowtheQRcodeshownbelowfor linkstoupdatedanti-DEIlegislationinformation.

Figure1:StateswithAnti-DEILegislativeBills (A)SignedintoLaw,(B)TabledorFailedtoPass, (C)IntroducedorinFinalStagesofApproval

Figure2:StateswithAnti-DEILegislationby ProposedRestriction(D)DEIOfficesandStaff,(E) MandatoryDEITraining,(F)DiversityStatements,

(G)Identity-BasedPreferencesforHiringand Admissions

80

LinkstoAnti-DEIlegislation:

“Wewillallprofitfromamorediverse,inclusive society,understanding,accommodating,even celebratingourdifferences,whilepullingtogether forthecommongood.”

-RuthBaderGinsburg

SignourHDAPetitiononChange.org:

TAKINGACTIONTODAY

AsmembersoftheHispanicDentalAssociation,we urgeourcolleaguesto calltheirnationalandstate legislators, representingalltheconstituentsofour participatorydemocracy,representingourbetter interestsaselectedofficers, toopposeanti-DEI legislation.Wealsoinviteyoutosharethisjournal andtheHDAStatementLetterwithyourlegislators andjointheHDAinitscalltoactionagainstanti-DEI legislationbysigningtheirpetitionon www.change.org.Itisimportantforustoprotectour rightsacquiredinthelast60yearsrelatedto Diversity,Inclusion,andEquityinHighereducation andhealthlaborsectors.

HDAsupportsthedifferentidentities,beliefsand perspectivesofitsdiversemembership,leadership, andworkforceandembracesdiversityofthought, background,andexperiencetocreateimaginativeand responsivesolutionsforourdentalcommunity. Theseanti-DEIlegislativebillswillbedetrimentalto theeffortsandprogressofdiversity,equity,and inclusionthroughoutthecountry.

References/Referencias:

1.OxfordUniversityPress.(n.d.). OxfordAdvanced Learner’sDictionary.RetrievedAugust20,2023,from https://www.oxfordlearnersdictionaries.com/us/definition/ english/diversity

2.Singh,P,LawtonKB,IstrateEC.U.S.DentalSchool ApplicantsandEnrollees,2022EnteringClass. Washington,DC:AmericanDentalEducationAssociation, April2023.

3.HealthPolicyInstitute.CommissiononDental Accreditationdentaleducationprogramenrollmentand graduatesreport,2022-23[Internet].Chicago(IL): AmericanDentalAssociation;2023.Availablefrom:https:/ /www.ada.org/resources/research/health-policy-institute/ dental-education

4.AmericanDentalEducationAssociationSurveyofU.S. DentalSchoolFaculty,2011-12,2013-14and2018-19

5.López,A.N.,Mutis,M.J.,Morón,E.M.,BeltránAguilar,E.D.,&Borrell,L.N.(2022). Oralhealth inequities:Recommendedpublicpoliciestoachievehealth equity.Journalofdentaleducation,86(9),1242–1248. https://doi.org/10.1002/jdd.13071.ISBN 979-8-9870460-1-7

AbouttheAuthors: ChristinaMeiners,DDS,FICD HDAPresident DirectorofCommunityLearning AssistantProfessor,UTHealthSanAntonio Christina.meiners@yahoo.com

VictorRodriguez,DDS,MEd HDAPastPresident ClearLakeDentalAssociates PrivatePractice vicrod@yahoo.com

MichelleA.Thompson,DDS AssistantProfessor DepartmentofGeneralPracticeandDentalPublicHealth UTHealthHoustonSchoolofDentistry Michelle.a.Thompson@uth.tmc.edu

6.SmedleyBD,StithAY,NelsonAR,NelsonAR,Nelson AR(AlanR. UnequalTreatmentConfrontingRacialand EthnicDisparitiesinHealthCare.NationalAcademy Press;2003.

7.AcademicLeadershipInstitute–ALI,Universityof Michigan(June,2021).TheHistoryofDiversityinHigher Education. https://sites.lsa.umich.edu/leadership-institute/ 2021

8.HispanicDentalAssociationandCareQuestInstitutefor OralHealth.AddressingtheOralHealthNeedsof HispanicsintheU.S.:AnExplorationofOralHealth Status,DentalNeeds,UtilizationofDentalServices,and Workforce,Boston,MA:April2023.Copyright©2023 HispanicDentalAssociationandCareQuestInstitutefor OralHealth,Inc. https://www.carequest.org/resourcelibrary/addressing-oral-health-needs-hispanics-us

9.Bryant,J.,ApplebyC.(May,2023).LegislationMay ImpactHigherEducation.BestCollegeEditorial. https:// www.bestcolleges.com/

10.HDAResearchTeam(April,2023).MappingofState LegislationsaffectingAffirmativeActioninHigher Education.April2023.

81

ELEFECTODELA LEGISLACIÓNANTI-DEI SOBRELOSHISPANOSEN LAODONTOLOGÍA

ChristinaMeiners,DDS,FICD

VictorRodriguez,DDS,MEd

MichelleA.Thompson,DDS

Palabrasclave: legislaciónanti-DEI,diversidad, equidadeinclusión,Hispanos,acciónafirmativa, odontología

Abstracto

Ladiversidad,laequidadylainclusión(DEI)han sidoatacadasenlosúltimosmesesconla introducciónyaprobacióndeleyesanti-DEIen todoelpaís.Sehanpresentadomásde40 proyectosdeleyanti-DEIenlaCámarayelSenado deEstadosUnidos,y7estadoshanaprobadoleyes anti-DEI.Comodentistasylíderesdela AsociaciónDentalHispanaquehemosadoptadola DEI,creemosqueesimportantecompartirporqué nosoponemosadichalegislaciónycómopuede afectaralaprofesióndentalalargoplazo.

Comprenderladiversidad,laequidadyla inclusion:

Ladiversidad,segúneldiccionariodeOxford,esla prácticaocualidaddeincluiroinvolucrara personasdediferentesorígenessocialesyétnicosy dediferentesgéneros,orientacionessexuales,etc.1 Laequidadeslacualidaddeserjustoeimparcial. Lainclusióneslaprácticaopolíticadebrindar igualdaddeaccesoaoportunidadesyrecursosa personasquedeotromodopodríanquedar excluidasomarginadas,comoaquellasquetienen discapacidadesfísicasointelectualesymiembros deotrosgruposminoritarios.

AmenudoexistelaideaerróneadequeDEIdivide yseparaagruposentresísegúnsuraza,sexo, religiónocualquierotroorigen.Además,creaun problemacuandoungrupoespecíficopuede considerarsesuperioraotros.Estoesfalsoyaque laintencióndeDEIesbrindarigualdadde oportunidadesparatodos.DEIesintencionaly brindaatodoslaoportunidaddeparticipar, independientementedequiénesseanydedónde vengan.DEInoesdivisivo;esinclusivoyunealas personas.

Lapoblaciónestadounidenseseestávolviendomás diversa,peroestonosereflejaennuestraindustria.

Lapoblaciónactualdecasi70millonesde hispanosenlosEE.UU.representacasiel20%de lapoblaciónyactualmenteestárepresentadapor menosdel6%dedentistashispanos.Además,los datosdeadmisionesenodontologíahan demostradoqueloshispanossolorepresentan alrededordel11,2%delgrupodesolicitantesyel 10,1%delapoblacióndeestudiantesde odontología.2 Aunquelainscripciónacumuladade estudianteshispanoshaaumentadodurantela últimadécada,del7,8%en2012al10,1%En2022, elúltimoinformedelaAsociaciónEstadounidense deEducaciónDentalmuestraunaligera disminuciónenlamatrículadeestudiantes hispanosde2021a2022(11%a10,1%).Enlos programasdehigienedentalpara2020-2021,la AsociaciónDentalAmericanainformóqueel 18.9%deltotaldeinscripcionesfueronde estudianteshispanos.Comparandolastendencias de2017a2021,hubounadisminuciónenla inscripcióndecasidiezpuntosporcentuales (-9,3%)entodaslascarrerasafinesala odontología,incluidastodaslasrazasyetnias.3 De lamismamanera,loshispanosrepresentansoloel 7%delpersonaldocentedelasescuelasde odontología,segúnsegúndatosdeADEAde2019 yanteriormenteeradel9%en2012.4 Conla legislaciónanti-DEIqueafectaalasuniversidades públicas,estenúmeropodríadisminuiraúnmás,lo quepodríaserperjudicialparalaeducacióndental ylaodontologíaensuconjunto.

Lacapacitaciónyretencióndeprofesores minoritariosdependedelospresupuestosdelaDEI asignadosporagenciasfederalesyestatalespara universidadespúblicasyprivadas.Sinprogramase iniciativasdeDEIimplementados,¿cómo podemosmantenerunapresenciaenla odontología,lasorganizacionesylasinstituciones dentales?¿Cómodesarrollamoslapróxima generacióndelídereshispanosqueayudarána moldearnuestrofuturosireducimoslosprogramas DEIdestinadosaeducar,informaryprepararalos hispanosparaestospuestos?Conunapoblación proyectadade110millonespara2060yelclima legislativoactualquerepresentaunriesgoparala inscripcióndeminorías,nosestamospreparando paraunsistemadesaludaúnmásfragmentadoque fallaanuestrospacientesética,moraly económicamente.

BENEFICIOSDELASINICIATIVASDEI

LasiniciativasdeDEIenescuelas,universidadesy programascomunitariosbrindanrecursosa estudiantesdetodoelpaís,conespecialénfasisen apoyaralasminoríassubrepresentadas.Recursos

82

comoelaccesoaapoyoeducativo(cursosde preparaciónDAT,apoyoparaentrevistasy solicitudes),apoyofinanciero(becasy subvencionesparacompensarloscostosde solicitud,exámenesymatrícula)yelaccesoa diversosprofesoresymentoresayudanamejorar lasposibilidadesdeaceptacióndelsolicitante.en programasdeeducaciónsuperior.

Enestecontexto,sibienlasuniversidadessehan vueltomásdiversasenelúltimosiglo,deben seguiresforzándoseporlograrlainclusión,la equidadylaaccesibilidad.Ladiversidaddentrode laeducaciónodontológicajuegaunpapel fundamentaleneldesarrolloprofesionaldeuna fuerzalaboraldentalculturalmentecompetente paraelfuturo.Porlotanto,lasescuelasdeben enseñareficazmentealosestudiantessobre competenciaculturalycrearunambientedonde losestudiantessesientancómodoscompartiendo suscreenciaseideasindependientementedesu origen.Enlasescuelasquecarecendeeste entorno,losestudiantespierdenlaoportunidadde aprendersobreladiversidadenrelaciónconel género,elnivelsocioeconómico,laraza,elorigen étnico,lareligión,etc.Además,elreclutamientoy laretencióndeestudiantesqueprovienendeestos diversosorígenespuedeconduciraunacrisisde saludpúblicaenelfuturo,dondelospacientesya nopuedanencontrarprofesionalescon antecedentessimilares.Ladiversidadbeneficiaa todoslosestudiantesenelcampusyapoyaal crecientenúmerodeminoríasqueenseñany estudiancarrerasdesalud,comodentistase higienistasdentales.Elliderazgodiversoenla educaciónsuperiorpuedeseguircambiandoy reflejarmejorloscambiosdemográficosdela naciónyunanuevaconcienciacultural.Dela mismamanera,ladiversidaddentrodelmundo académicoesimportante;sinembargo,la capacitaciónyretencióndeprofesores minoritariosseveactualmenteamenazadaporla legislaciónanti-DEI,yaquedependedelos presupuestosdeDEIasignadosporagencias federalesyestatalesparauniversidadespúblicasy privadas.Loshispanosrepresentanel8,5%del personaldocentedelasfacultadesdeodontología ydelosprogramasdehigienedental,yla presenciadeprofesoresdiversosdentrodeuna facultaddeodontologíatieneelpotencialnosolo debrindartutoríasinotambiéndeinfluiraúnmás enlaeleccióndeunestudianteenlasfacultadesde odontologíayensueleccióndecarrerade posgrado.

EstasiniciativasdeDEItambiénayudanconel reclutamientodeestudianteshispanosen programasdeeducaciónsuperior.Sesabequelos estudianteshispanosenfrentanmayoresbarreras paraingresaralaeducaciónsuperior.Ademásde losdesafíosfinancierosyeducativosque enfrentanlosestudiantesminoritarios subrepresentados,dadoquemuchossonla primerageneraciónenseguirunaeducación superior,loshispanosenfrentanbarreras culturalesylingüísticas,yaqueelinglésessu segundoidioma.Conaproximadamente11 millonesdepersonasquevivenilegalmenteen EstadosUnidos,paraalgunosestudiantes hispanossolicitantes,existeundesafíoadicional deciudadaníayestatusmigratorio.Notodaslas escuelasdeodontologíaenlosEE.UU.aceptan inmigrantesindocumentadosy,inclusosison aceptados,losestudiantesindocumentadosno calificanparaayudafinancierafederalni programasdepagodepréstamoscomoelCuerpo delServicioNacionaldeSaludparaayudara disminuirlacargafinancieradelospréstamosde lasescuelasdeodontología.

ANTI-DEIYEFECTOSENCUESTIONES LABORALES

Laodontología,aligualqueotrasprofesiones sanitarias,seenfrentaaunagraveescasezde manodeobraanivelnacionalyestatal.Varias organizacionesdentales,incluidasorganizaciones deminoríasdentales,haninformadoalolargode losañossobrelasdesventajas,barrerase inequidadesqueenfrentanlasminoríaspara accederalaeducaciónsuperioreingresaralas carrerasdentales.5

Elcaminoparalasminoríasenlaeducación superiornohasidofácilyhoyllamamosla atenciónsobreelpeligrosoentornonacionalque haidocreciendoenlosúltimostiemposatacando losesfuerzosdeDiversidad,EquidadeInclusión (DEI)enlaEducaciónSuperior.Elpanorama nacionalactualpodríaresultarenlapérdidade derechoslogradosparamillonesde estadounidensesétnicosyminoritarios,limitando suaccesoyretencióndeestudiantesenla educaciónsuperior,incluidostodosaquellos interesadosenlaprofesióndental.

Losproyectosdeleyestatalesqueafectanla financiaciónylosesfuerzosdediversidadenlas universidadespúblicastendránunefectoenlos programasdetutoríaydetrayectoriaque amenazanconreducirlacantidaddeestudiantes

83

quesolicitanysonaceptadosenprogramas dentales.Además,esosproyectosdeleyreducirán losesfuerzosparaapoyaralosgruposde estudiantesminoritariosqueactualmentetrabajan enasociaciónconorganizaciones,comola AsociaciónDentalHispana,yconlasoficinasde DEIenlasescuelasdeodontologíaydehigiene dental.

Enestecontexto,sibienlasuniversidadessehan vueltomásdiversasenelúltimosiglo,deben seguiresforzándoseporlograrlainclusión,la equidadylaaccesibilidad.Ladiversidaddentrode laeducaciónodontológicajuegaunpapel fundamentaleneldesarrolloprofesionaldeuna fuerzalaboraldentalculturalmentecompetente paraelfuturo.Porlotanto,lasescuelasdeben enseñareficazmentealosestudiantessobre competenciaculturalycrearunambientedonde losestudiantessesientancómodoscompartiendo suscreenciaseideasindependientementedesu origen.Enlasescuelasquecarecendeeste entorno,losestudiantespierdenlaoportunidadde aprendersobreladiversidadenrelaciónconel género,elnivelsocioeconómico,laraza,elorigen étnico,lareligión,etc.Además,elreclutamientoy laretencióndeestudiantesqueprovienendeestos diversosorígenespuedeconduciraunacrisisde saludpúblicaenelfuturo,dondelospacientesya nopuedanencontrarprofesionalescon antecedentessimilares.Ladiversidadbeneficiaa todoslosestudiantesenelcampusyapoyaal crecientenúmerodeminoríasqueenseñany estudiancarrerasdesalud,comodentistase higienistasdentales.Elliderazgodiversoenla educaciónsuperiorpuedeseguircambiandoy reflejarmejorloscambiosdemográficosdela naciónyunanuevaconcienciacultural.Dela mismamanera,ladiversidaddentrodelmundo académicoesimportante;sinembargo,la capacitaciónyretencióndeprofesores minoritariosseveactualmenteamenazadaporla legislaciónanti-DEI,yaquedependedelos presupuestosdeDEIasignadosporagencias federalesyestatalesparauniversidadespúblicasy privadas.Loshispanosrepresentanel8,5%del personaldocentedelasfacultadesdeodontología ydelosprogramasdehigienedental,yla presenciadeprofesoresdiversosdentrodeuna facultaddeodontologíatieneelpotencialnosolo debrindartutoríasinotambiéndeinfluiraúnmás enlaeleccióndeunestudianteenlasfacultadesde odontologíayensueleccióndecarrerade posgrado.

Segúnlainvestigación,losdentistasyproveedores deatenciónmédicademinoríastienenmás

probabilidadesdeejercerencomunidades desatendidas,aceptarMedicaidyprogramasde seguromédicopúblico,ytienenungraninterésen reducirlasdisparidadesenlasalud.6 Lamejorade ladiversidaddelafuerzalaboralpromueveun mayoraccesoalaatenciónylaequidadenlasalud bucal.ycalidad,particularmenteparalas poblacionesminoritarias.

Alargoplazo,lalegislaciónanti-DEIamenazacon reduciraúnmáselnúmerodedentistas minoritariosyafectarálaempleabilidad, especialmenteenlasÁreasdeEscasezde ProfesionalesdeSaludDental(D-HPSA);loquea lalargaaumentarálaaltamorbilidadensalud bucalqueyatenemosenestepaís.Además,estos proyectosdeleyestatalesaumentaránlosdesiertos dentalesqueestamosexperimentandoactualmente debidoalafaltadeprofesionalesdentales minoritariosenáreasurbanas,suburbanasy rurales.

HISTORIADEACCIÓNAFIRMATIVAY LEGISLACIÓNANTI-DEI

Comenzamosaganarderechosparanuestras minoríasenladécadade1960,comenzandoconla "acciónafirmativa"delaOrdenEjecutiva PresidencialNo.10925de1961yfirmadaporel PresidenteJohnF.Kennedy,queincluíauna disposición"garantizandoquelossolicitantessean empleadosyquelosempleadosseantratados [justamente]duranteelempleo, independientementedesuraza,credo,coloru origennacional".Acontinuación,laLeyde DerechosCivilesde1964prohibióla discriminaciónpormotivosderaza,estableciendo ensuTítuloVI"NingunapersonaenlosEstados Unidos,pormotivosderaza,coloruorigen nacional,seráexcluidadelaparticipación,seráse lenegaránbeneficiososeráobjetode discriminaciónencualquierprogramaoactividad querecibaasistenciafinancierafederal".Eneste contexto,elTítuloVIprohibíaladiscriminación racialenlasuniversidadespúblicasyprivadasdel país.Laleyseaplicaalasadmisiones universitarias,laayudafinanciera,losservicios estudiantiles,losprogramasacadémicos,las calificacionesylavivienda.Además,laLeyde EducaciónSuperiorde1965(HEA)hizoquela universidadfueramásaccesibleparamillonesde personasdebajosingresos.-estudiantesde ingresosydeingresosmediosmediantela creacióndelmodernoprogramafederaldeayuda estudiantil,incluidoelProgramaFederalde TrabajoyEstudio,préstamosfederalespara

84

estudiantesyprogramasdeextensióncomolos programasfederalesTRIO.Demanerasimilar,el TítuloIXdelasEnmiendasEducativasde1972 prohibióladiscriminaciónsexualylaSección504 delaLeydeRehabilitaciónde1973prohibióla discriminacióncontrapersonascon discapacidades.7,8

Unejemplodelefectodelalegislaciónanti-DEIfue enladécadade1990,cuandoCalifornia,Texas, FloridayWashingtonprohibieronlaacción afirmativa.Estasprohibicionestuvieronunimpacto inmediatoynegativoenladiversidaddelcampus. Despuésdequelosestadosprohibieronlaacción afirmativa,losestudiantesdecolorvieronsus posibilidadesdeseradmitidosenlasprincipales institucionespúblicascaeren23puntos porcentuales,segúnunestudiode2013delCentro paraelProgresoAmericano.Enelsistema universitarioestataldeCalifornia,losestudiantes negrosconstituíanel8,1%delcuerpoestudiantilen 1997,unañoantesdelaprohibiciónestataldela acciónafirmativa.En2018,esacifrahabíacaídoal 4,3%.Delamismamanera,10estadoshan prohibidolaacciónafirmativaenlosúltimos30 años,loquehacequelosestudiantesdecolor calificadostenganun23%menosdeprobabilidades deseradmitidosenuniversidadespúblicasubicadas enestadossinacciónafirmativa.8 Laacción

afirmativarevelaloslímitesdelasleyescontrala discriminación.Eliminarmedidasquetambién ayudanagruposhistóricamenteexcluidosaacceder alaeducaciónsuperiordacomoresultadouna menordiversidad.9

Actualmentehaymásde40proyectoslegislativosen todoEstadosUnidosdirigidosainiciativasDEIen universidadespúblicas,yentodoelpaís,los legisladoresestatalesestánproponiendoproyectos deleyparalimitarlosprogramasdediversidad, equidadeinclusióneninstitucionesfinanciadaspor elestado(Figura1).Estos40proyectosdeleyen todoelpaís,dirigidosalafinanciación,lasprácticas ylapromocióndelaDEIenlasescuelas,podrían afectarunaampliagamadeiniciativas,desderetirar fondosalasoficinasyfuncionariosdelaDEIhasta eliminarlasdeclaracionesdediversidaddelas prácticasdecontratación(Figura2).Sietedeestos proyectosdeleysehanconvertidoenley,mientras queotrosestánpendientesdelapróximasesión legislativa.9,10 SigaelcódigoQRquesemuestraa continuaciónparaobtenerenlacesainformación actualizadasobrelalegislaciónanti-DEI.

Figura1:Estadosconproyectosdeleyanti-DEI(A) promulgadoscomoley,(B)pospuestosono aprobados,(C)introducidosoenetapasfinalesde aprobación

85

Figura2:Estadosconlegislaciónanti-DEIpor restricciónpropuesta(D)Oficinasypersonalde DEI,(E)CapacitaciónobligatoriadeDEI,(F)

Declaracionesdediversidad,(G)Preferencias basadasenlaidentidadparalacontrataciónylas admisiones

EnlacesalalegislaciónAnti-DEI:

laHDAconsuslegisladoresyunirsealaHDAen sullamadoalaaccióncontralalegislaciónantiDEIfirmandosupeticiónenwww.change.org.Es importanteparanosotrosprotegernuestros derechosadquiridosenlosúltimos60años relacionadosconlaDiversidad,Inclusióny Equidadenlossectoreslaboraldeeducación superiorysalud.

TOMANDOACCIÓNHOY

ComomiembrosdelaAsociaciónDentalHispana, instamosanuestroscolegasallamarasus legisladoresnacionalesyestatales,querepresentan atodoslosconstituyentesdenuestrademocracia participativa,querepresentannuestrosmejores interesescomofuncionarioselectos,paraoponerse alalegislaciónanti-DEI.Tambiénloinvitamosa compartirestarevistaylaCartadeDeclaraciónde

HDAapoyalasdiferentesidentidades,creenciasy perspectivasdesusdiversosmiembros,líderesy fuerzalaboralyabrazaladiversidadde pensamiento,antecedentesyexperienciaspara crearsolucionesimaginativasyreceptivaspara nuestracomunidaddental.Estosproyectosdeley anti-DEIseránperjudicialesparalosesfuerzosy avancesdeladiversidad,laequidadylainclusión entodoelpaís.

"Todosnosbeneficiaremosdeunasociedadmás diversaeinclusiva,quecomprenda,seadaptee inclusocelebrenuestrasdiferencias,mientrasnos unimosporelbiencomún".

-RuthBaderGinsburg

86

FirmenuestraPeticiónHDAenChange.org:

AcercadelosAutores: ChristinaMeiners,DDS,FICD PresidentedelaHDA

DirectoradeAprendizajeComunitario Profesoraasistente,UTHealthSanAntonio christina.meiners@yahoo.com

VíctorRodríguez,DDS,MEd ExpresidentedelaHDA

AsociadosdentalesdeClearLake Practicaprivada vicrod@yahoo.com

MichelleA.Thompson,DDS Profesoraasistente

DepartamentodePrácticaGeneralySalud PúblicaDental

FacultaddeOdontologíadeUTHealthHouston Michelle.a.Thompson@uth.tmc.edu

EDITORIALPOLICY-CopyrightDisclaimer

Theinformationprovidedthroughopinion,education,andinformationalpurposesandproposedfactsarepublishedbytheauthorityof theauthors,includingeditorials,images,andletters.ThewritingsarenottobeacceptedastheviewsoftheHispanicDental Associationoritsaffiliates,sponsors,unlesstheinformationprovidedhasbeenexpresslycreatedand/oradoptedbytheAssociation. Articlesareacceptedwiththeunderstandingthattheyhavenotbeenpublishedpreviouslyandthattheyhavebeensubmitted exclusivelytotheJHDA.Products,services,andorinformationpublishedshouldbeavailablefromtheauthors.TheHispanicDental Associationanditssubsidiariesrequiresthatallauthorsdiscloseanyfinancialorotherintereststheymayhaveinproducts,services describedinanyofthearticles.ReprintingwithoutpriorauthorizationisstrictlyprohibitedandprotectedunderSection107ofthe CopyrightActof1976oftheUnitedStates.

POLIZAEDITORIAL-Descargoresponsabilidaddederechosdeautor.

Lainformaciónproporcionadaatravésdeopinión,educación,conpropositosdedivulgaciónyhechospropuestos,sonpublicadospor laautoridaddelosautoresincluyendoeditoriales,imágenesycartas.Losescritosnodebenaceptarsecomolospuntosdevistadela AsociaciónDentalHispanaosusafiliados,amenosquelaAsociaciónhayacreadoy/oadoptadoexpresamentelainformación proporcionada.Losartículosseaceptanenelentendidodequenohansidopublicadospreviamenteyquehansidoenviados exclusivamentealaJHDA.Losproductos,serviciosy/olainformaciónpublicadadebenestardisponiblesatravésdelosautores.La AsociaciónDentalHispanaysussubsidiariasrequierenquetodoslosautoresrevelencualquierinterésfinancieroodeotrotipoque puedantenerenlosproductososerviciosdescritosencualquieradelosartículos.Reimprimirsinautorizaciónpreviaesprohibidoy protejidobajolasección107delaLeydeDerechosdeAutoresdelosEstadosUnidos.

87

BIODENTINE®AN ALTERNATIVEINVITAL PULPTHERAPYINYOUNG PERMANENTTEETH.

CLINICALCASE,40-MONTH FOLLOW-UP.

Summary

Introduction.Cariesareapublichealthproblemthat isnotfullycoveredbyhealthservicesintheworld, soitisimportanttomaintainthepulpalvitalityof youngpermanentteethtopromoteproperroot formationandavoidfurthertreatment.radicalsthat causetoothloss.Biodentine®isanexcellent materialthatiseffectiveinindirectpulpcappingand helpscorrectrootformationofyoungpermanent teeth. Clinicalcase A10-year-old7-month-oldmale patientwithdeepcariesonmolar46,referred spontaneouspain.Whentakingtheperiapical radiograph,theradiolucentareacorrespondingtothe cariesclosetothedistalpulphornisobservedandan incompletedevelopmentoftherootsisobserved,the carioustissueisremovedandBiodentine®isplaced asanindirectpulpcap.Results.Biodentine®turned outtobeasuccessfulmedicineinvitalpulptherapy sinceclinicalandradiographicfollow-upofthe patientwascarriedoutfor40months,hedidnot presentpain,mobility,orfistulaandradiographically didnotshowapicalpathology,wideningofthe periodontalligament,internalorexternalresorption. Discussion. Severalcurrentlypublishedcasesreport successratesofmorethan90%invitalpulptherapy usingBiodentine.® Conclusions. Biodentine®isan effectivemedicationinvitalpulptherapy,inthis case,inindirectpulpcapping,sincethe40-month follow-upresultwassuccessful

Keywords. Deepcaries,Biodentine®,Vitalpulp therapy,Youngpermanentteeth.

Introduction

Atpresent,cariesisconsideredapublichealth problem,whichaffects80%oftheworldpopulation, itstreatmentinmostcountriesisnotcoveredoronly partiallycoveredbypublichealthservices.1 Itisachronicmultifactorialdiseasethatmanifests itselfasaconsequenceoftheacidsproducedby biofilmbacteriathatadheretothedentalsurface, causingsuperficialdemineralizationand, consequently,enamelcollapse.Later,theappearance ofcavitationbeginsclinicallyandisgoingtobe observedinasoftandhumidareacorrespondingto theinfectedtissue.2 Ascariesprogresses,thelayer closesttothepulpwillalsodemineralize(buttoa lesserextent)andthebacterialloadwillbe significantlylower,theodontoblastswillhave greatersecretoryactivity,andthepotentialfor remineralizationandrepairwillbegreater.3,4

Currently,carieshavebeenclassifiedasdeep(caries thatreachthedentin,butwhenitisremoved,ahard orfirmarearemainsbetweenthedentinandthepulp, andextremelydeepcariesthatpenetratetheentire thicknessofthedentin.5

Itisvitallyimportanttoremovecariesinatoothor toavoiditatallcosts,butwhenitcomestodeep cariesinayoungpermanenttoothwithopenapices, averygreatefforthastobemadetosaveitand maintainpulpvitalitytohelptothecorrectformation oftheroots,otherwise,therootcanaltreatmentwill stoptheirdevelopment,causingthewallsoftheroots tothinandhaveaconsiderableriskofsufferinga fracture.2,6

Thegreatadvantagethatyoungpermanentteeth haveistheirregenerativecapacity,sinceitisgreater thanthatofamaturepermanenttooth,althougha correctassessmentofthepulptissueandagood clinicaldiagnosismustbemade,takingintoaccount thehistoryofpain,vitalitytests,percussion,andxrays.1 Thesuccessofthetreatmentwillbeevident withacorrectpreoperativediagnosis,sinceincases ofreversiblepulpitisthepulpiscapableofhealing, whichdoesnothappeninirreversiblepulpitis processes,inthesecases,thetreatmentwillbenonreversiblepulptherapy.vital.7,8

Vitalpulptherapyhasasitsmainobjectiveto preservethevitalityofthetissueinteeththatsuffer fromtraumaordeepcariesandisdividedinto indirect,directpulpcappingandthemostinvasive suchaspartialpulpotomyandcomplete pulpotomy.9,10

Inthiscase,werelyonindirectpulpcappingsince thistreatmentisveryeffectiveinyoungpermanent teeth,theobjectiveistoprovideprotectiontothe pulpandstimulatetheformationoftertiarydentin,in additiontohelpingtheformationofroots.3,11 Almost

88

alloftheinfecteddentinisremovedandtheaffected dentincanbepreservedbygeneratingreparativeand scleroticdentintoincreasethedistancebetweenthe affecteddentinandthepulp,allwiththehelpofa materialthatisbacteriostatic,itmustalsobeperfectly sealedtoprotectthedentin-pulpcomplexfrom microleakageandthusavoidpossiblebacterial penetration.6,12

Accordingtothelatest2019updatesapprovedbythe EuropeanSocietyofEndodontics,thecomplete removalofcariousdentinuntilreachingfirmdentinis consideredanaggressivetreatment,duetotheriskof pulpexposure,whichiswhystaggeredexcavation hascurrentlybeenmanaged.inanindirecttechnique.4

Itisaboutremovingthesuperficialcariousdentin fromthemostdemineralizeddentinwithouttouching thelesionclosesttothepulp,followedbyatemporary restoration,andre-entryisscheduledfor8to12 weeks.Firmdentinisthenremovedandapermanent restorationisplaced,allowingsufficienttimeforany remainingbacteriatodieandreparativedentinand/or remineralizationofthedentintoform.Thisnew conservativeandminimallyinvasiveapproachis stronglyassociatedwiththefactthattheprofessionis slowlychanging.Itisimportanttomentionthatonestepveneeringisnotruledout,removingallormost oftheinfecteddentinandplacingthefinalrestoration withamaterialcapableofstimulatingtertiarydentin formationisstillvalid.2,13 Biodentine®wasintroducedin2011andconsistsof acapsulecontaining0.7grofpowdercomposedof tricalciumsilicateasthemainmaterial(80%), calciumcarbonateasfiller(15%),andzirconium

oxide(5%)togiveitradiopacitytothedrug.Italso includesacapsulecontainingwater,calciumchloride (usedtoacceleratesetting),andawater-soluble polymerasawater-reducingagent.14 Ithasasetting timeof12minutesandispreparedbyplacing5drops oftheliquidinthetabletwithpowderandwiththe helpofanamalgamatorweplacethetabletat 4000-4500revolutionsperminutefor30secondsand thentransportthemixturetothetooth.withan amalgamator.6,8,13 Inaddition,agreatadvantageof Biodentineisthatitdoesnotcontaincalcium aluminate,calciumsulfate,orbismuthoxidelike MTA,sincebismuthoxideretardssetting.9 BiodentineincreasesthepH(12)ofthesurrounding tissueresultinginapowerfulmicrobialeffect,the alkalineenvironmentwillpromotetissuerepair.9,15 It hasagoodsealandbetterretentionduetothe penetrationthatitcausesinthedentintubules.13 In addition,ithasbioactiveproperties,whichmeansthat ithasbeendesignedtoinducespecificbiological activities,itactsbyincreasingodontoblastic stimulationandrapidcelldifferentiationleadstothe formationofreactionaryandtertiarydentin.9,12,15

Clinicalcase

A10-year-old,7-month-oldmalewithadenied familyhistory,deniedmedicalhistory,andnodata relevanttothequestioningofdevicesandsystems. Shepresentsspontaneouspaininmolar46whenshe eatshotorcoldthings,butthepaindisappearswhen thestimulusisremoved.Absoluteisolationwas placed,theprocedureisdescribedintheclinical photographs. Figure1.

A B C D E
Clinical photographs Deepcaries withabundantinfected dentin(A) Decayed tissuewasremoved witha number5carbide burand high-speedhandpiece, plus a sharp spoon toremove remaining infected dentin (B). Final placement of Biodentine (C). After30 days, the patient did not report painor mobilityand there was no presenceof a fistula, so the biodentine was loweredto placea temporaryrestoration withglass ionomer (D). At 12 months, the glass ionomer is completelyremoved to leaveonlythebiodentineand placeanamalgam asthefinal restoration(E).
89
Figure1.30daysafterwardstheBiodentineisreducedtoplacetheglassionomer.

Fromthefirstdayoftreatment,radiographiccontrolwascarriedoutat3,6,9,12,19and40months todeterminethesuccessofthetreatment(Figure2).

Fig.2InitialX-ray.Theproximityofthecariestothedistalpulphornisobserved,openapicesareobserved. (A)3months(B)6months(C)9months(D)12months.TheglassionomerisremovedtoleavetheBiodentine ®andcolorthefinalrestorationwithamalgam(E)19months(F)At40monthsitisobservedthattheapices arecompletelyformed,withnosignofanyperiapicalpathologyorinternalorexternalresorption(G).

C E F A G
D C A E F G B 90

Results

Clinicalsuccesswasfavorableintheclinicalcase sincetheparametersusedweretheabsenceofpain, pulppathology,mobilityorfistula.Theradiographic criteriatodeterminethesuccessofthetreatment weretheabsenceofpathologiesattheapexlevel, internalorexternalresorption,inadditionto observingcorrectrootdevelopmentuntilcomplete closure.Intheclinicalcase,noproblemwas observed,duringthe40monthsthepatientdidnot presentpainormobilityandacorrectformationof therootswasobserved.

Discussion

Themainobjectiveofvitalpulptherapyinyoung permanentteethistomaintainpulpvitalitysothat thereisproperrootformation.Inthiscase,indirect pulpcappingwasusedasatreatmentcarefullyto avoidpulpcontact.Clinicalcasesweresimilarto ourshavebeenpublishedinvitalpulptherapywith Biodentine®inyoungpermanentteeth, demonstratingitshigheffectiveness,forexample, thatofRahmanBandMousumiG15 (2021)used60 youngpermanentmolarswithnearbycariestothe pulpusingBiodentine,®theoverallmeanagewas 12.3years±2witharangeof7to15years.Clinical andradiographicexaminationswereperformedat3 weeks,3months,6months,12months,18months, and24months. Thesuccessratewas94.44%.The authorsusedclinicalandradiographiccriteria similartoourstodeterminethesuccessofthe treatment,suchasthepresenceofpostoperative pain,tendernessonpalpation,percussion,mobility, andavisualexaminationofthesofttissues. surroundingcellstodetectthepresenceofany inflammation,sinustract,orfistula.Radiographic criteriaincludedthepresenceofexternalorinternal resorptionoftheteeth,wideningoftheperiodontal ligament,periapicalinvolvement,anddevelopment oftherootapexoftheteeth.Thesesamecriteria wereusedbyKaulS.etal.(12)(2021)in24young permanentmolarstreatedwithindirectpulpcapping withBiodentine®,allcaseswerefollowedupfor clinicalandradiographicevaluationat4,8,and16 months.After16months,95.83%ofthecases showedsuccessfulresultsbothclinicallyand radiographically.

Havingsaidtheabove,weconcludethat Biodentine®isanexcellentoptionforvitalpulp therapysincetheaforementionedcasesreporthigh percentagesofeffectivenessintheindirectpulp cappingofyoungpermanentteeth,sowehopethat thiscasewillbeofgreathelpforthenext generationsofdentistswhowanttotakeother alternativestopreservepulpvitality.

Conclusions

-Biodentine®turnedouttobeaneffectivemedicine invitalpulptherapy.

-Thesuccessofvitalpulptherapywilldependona correctdiagnosisandthematerialused.

-Biodentine®helpstheformationoftheapices whilemaintainingpulpvitality.

-Biodentine®isveryeffectiveinindirectpulp capping

-Casesofmorethan90%effectivenessof Biodentine®havebeenpublished

AbouttheAuthor:

LuisDavidFloresRamosisadentalsurgeon graduatedfromtheNationalAutonomous UniversityofMexicoandisanUNAMpost graduatecandidate.

References/Rerencias

1.LlenaC,HernándezM,MeloM,SanzJL,FornerL. Follow-upofpatientssubjectedtodirectandindirect pulpcappingofyoungpermanentteeth. Aretrospective study.ClinExpDentRes.2021;7:429–435.

2.ManhasS,PanditIK,GugnaniN, etal. Comparative EvaluationoftheEfficacyofStepwiseCariesExcavation vsIndirectPulpCappinginPreservingtheVitalityof DeepCarious LesionsinPermanentTeethofPediatric Patients:An InVivo Study.IntJ ClinPediatrDent 2020;13(S-1):S92–S97.

3.KocVuralU,KiremitciA,GokalpS.Whichisthemost effectivebiomaterialinindirectpulpcapping? 4-year comparativerandomizedclinicaltrial.EurOralRes 2022;56(1):35-41.

4.Banerjee,A.,Mercadé,M.(2022). BiodentineTM ClinicalApplicationsinVitalPulpTherapy inPermanentTeeth.In:About,I.(eds)Biodentine™. Springer,Cham.https://doiorg.pbidi.unam.mx:2443/10.1007/978-3-030-80932-4_5

5.Duncan,H.F.(2022)Presentstatusandfuture directions—Vitalpulptreatmentandpulppreservation strategies. InternationalEndodonticJournal,55(Suppl. 3),497–511.

6.SahinN,SaygiliS,AkcayM.Clinical,radiographic, andhistologicalevaluationofthreedifferentpulpcappingmaterialsinindirectpulptreatmentofprimary teeth:arandomizedclinicaltrial. Springer.2021

7.AmericanAcademyofPediatricDentistry.Pulp therapyforprimaryandimmaturepermanentteeth.The ReferenceManualofPediatricDentistry.Chicago,Ill.: AmericanAcademyofPediatricDentistry;2022;415-23.

8.SamerH,AlfayateR,PrichardJ.VitalPulpTherapyan InsightOvertheAvailableLiteratureandFuture Expectations. EUREndodJ.2020;1:46-53

91

9.NajiZiadArandi,MohammadThabet.Minimal InterventioninDentistry:ALiteratureReviewon BiodentineasaBioactivePulpCappingMaterial. HindawiBioMedResearchInternational.2021

10.CushleyS,DuncanHF,LappinMJ,ChuaP,Elamin AD,ClarkeM,El-KarimIA.Efficacyofdirectpulp cappingformanagementofcariouslyexposedpulpsin permanentteeth:asystematicreviewandmetaanalysis. InternationalEndodonticJournal,54, 556–571,2021.

11.Widbiller,M.,Jeanneau,C.,Galler,K.M.,Laurent, P.,About,I.(2022).BiocompatibilityandBioactive PropertiesofBiodentineTM.In:About,I.(eds) Biodentine™. Springer,Cham. https://doiorg.pbidi.unam.mx:2443/10.1007/978-3-030-80932-4

12.KaulS,KumarA,JasrotiaA,etal.Comparative AnalysisofBiodentine,CalciumHydroxide,and2% ChlorhexidinewithResin-modifiedGlassIonomer CementasIndirectPulpCappingMaterialsinYoung PermanentMolars.JContempDentPract. 2021;22(5):511–516.

13.KunertM,Lukomska-SzymanskaM.Bio-Inductive MaterialsinDirectandIndirectPulpCapping—A ReviewArticle. 2020.131204;

14.Camilleri,J.(2022).BiodentineTM Microstructure andComposition.In:About,I.(eds)Biodentine™. Springer,Cham.https://doiorg.pbidi.unam.mx:2443/10.1007/978-3-030-80932-4_

15.RahmanB,MousumiG.ComparativeEvaluationof IndirectPulpTherapyinYoungPermanentTeethusing BiodentineandTheracal:ARandomizedClinicalTrial. TheJournalofClinicalPediatricDentistry.2021;45(3) 159-164.

BIODENTINE® UNA ALTERNATIVAENLA TERAPIAPULPARVITAL ENDIENTES

PERMANENTESJÓVENES.

CASOCLÍNICO, SEGUIMIENTODE40 MESES.

LuisDavidFloresRamos,DDS RESUMEN

Introducción. Lacariesesunproblemadesalud públicaquenoestácubiertaensutotalidadporlos serviciosdesaludenelmundo,porloquees importantemantenerlavitalidadpulpardelos dientespermanentesjóvenesparapromoveruna correctaformacióndelaraízyevitartratamientos másradicalesqueprovoquenlapérdidadeldiente.

Biodentine® esunexcelentematerialqueresultó serefectivoenelrecubrimientopulparindirectoy ayudaalacorrectaformaciónradiculardelos dientespermanentesjóvenes. Casoclínico Pacientemasculinode10años7mesesdeedadcon cariesprofundaenelmolar46,refieredolor espontáneo.Alatomadelaradiografíaperiapical, seobservalazonaradiolúcidacorrespondienteala cariescercanaalcuernopulpardistalyseobserva undesarrolloincompletodelasraíces,seretirael tejidocariadoysecolocaBiodentine® como recubrimientopulparindirecto. Resultados. Biodentine® resultóserunmedicamentoexitosoen laterapéuticapulparvital,puessellevóun seguimientoclínicoyradiográficodelpaciente durante40meses,nopresentódolor,movilidado fístulayradiográficamentenomostrópatología apical,ensanchamientodelligamentoperiodontal, reabsorcióninternaoexterna. Discusión. Diversos casospublicadosactualmentereportantazasde éxitodemásdel90%enlaterapéuticapulparvital utilizandoBiodentine. ® Conclusiones. Biodentine® esunmedicamentoefectivoenla terapiapulparvital,enestecaso,enel recubrimientopulparindirecto,pueselresultado delseguimientode40mesesfueexitoso.

Palabrasclave. Cariesprofunda,Biodentine® , Terapiapulparvital,Dientespermanentesjóvenes.

Introducción

Enlaactualidad,lacariesesconsideradacomoun problemadesaludpública,queafectaal80%dela poblaciónmundial,sutratamientoenlamayoríade lospaísesnoestácubiertoosololoestá parcialmenteporlosserviciospúblicosdesalud. (1)

Esunaenfermedadmultifactorialcrónicaquese manifiestaaconsecuenciadelosácidosproducidos porlasbacteriasdelbiofilmqueseadhierenala superficiedentalprovocandouna desmineralizaciónsuperficialyenconsecuencia,el colapsodelesmalte.Después,comienzala aparicióndeunacavitaciónqueclínicamenteseva aobservarunazonablandayhúmeda correspondientealtejidoinfectado. (2) Conforme avanzalacaries,lacapamáscercanaalapulpa tambiénseirádesmineralizando(peroenmenor medida)ylacargabacterianaserá significativamentemenor,losodontoblastos tendránmayoractividadsecretorayelpotencialde remineralizaciónyreparaciónserámayor. (3,4)

Actualmentelacariessehaclasificadocomo profunda(cariesquealcanzaladentina,peroqueal retirarlaquedaunazonaduraofirmeentrela dentinaylapulpa)ylacariesextremadamente profundaquepenetratodoelespesordeladentina. (5)

_3
1
92

Esdevitalimportanciaeliminarlacariesenun dienteoevitarlaatodacosta,perocuandosetrata deunacariesprofundaenundientepermanente jovenconápicesabiertos,setienequehacerun esfuerzomuygrandeporsalvarloymantenerla vitalidadpulparparaayudaralacorrecta formacióndelasraíces,delocontrario,el tratamientodeconductosvaadetenersu desarrolloprovocandoquelasparedesdelas raícesadelgacenytenganunriesgoconsiderable desufrirunafractura. (2,6)

Lagranventajaquetienenlosdientes permanentesjóveneseslacapacidadde regeneración,yaqueesmayorqueladeundiente permanentemaduro,aunquedebehacerseuna correctavaloracióndeltejidopulparyunbuen diagnósticoclínico,tomandoencuentaelhistorial dedolor,pruebasdevitalidad,percusióny radiografías. (1) Eléxitodeltratamientoserá evidenteconuncorrectodiagnóstico preoperatorio,yaqueencasosdepulpitis reversiblelapulpaescapazdecicatrizar,loqueno pasaenprocesosdepulpitisirreversible,enesos casos,eltratamientoserálaterapiapulparnovital. (7,8)

Laterapiapulparvitaltienecomoobjetivo principalpreservarlavitalidaddeltejidoen dientesquesufrendetraumatismosocaries profundasysedivideen:recubrimientopulpar indirecto,directoylosmásinvasivoscomola pulpotomíaparcialypulpotomíacompleta. (9,10)

Enestecasonosbasamosenelrecubrimiento pulparindirectoyaqueestetratamientoresulta muyefectivoendientespermanentesjóvenes,el objetivoesdarleprotecciónalapulpayestimular laformacióndedentinaterciaria,ademásde ayudaralaformacióndelasraíces. (3,11) Seretira casiensutotalidadladentinainfectadayla dentinaafectadasepuedeconservarmediantela generacióndedentinareparadorayesclerótica paralograraumentarladistanciaentreladentina afectadaylapulpa,todoconayudadeunmaterial queseabacteriostático,ademásdebeestar perfectamenteselladoparaprotegerelcomplejo dentino-pulpardelasmicrofiltracionesyasíevitar lasposiblespenetracionesbacterianas. (6,12)

Deacuerdoconlasúltimasactualizacionesdel 2019aprobadasporSociedadEuropeade Endodoncia,laeliminacióncompletadeladentina cariadahastaalcanzarladentinafirme,se considerauntratamientoagresivo,porelriesgode exposiciónpulparporloqueactualmenteseha manejadolaexcavaciónescalonadaenunatécnica indirecta. (4) Setratadeeliminarladentinacariada

superficialdeladentinamásdesmineralizadasin tocarlalesiónmáscercanaalapulpa,seguidode unarestauracióntemporalyseprogramaun reingresode8a12semanas.Después,seelimina ladentinafirmeysecolocaunarestauración permanente,dandosuficientetiempoparaquelas bacteriasrestantesmueranysedétiempoaquese formeladentinareparadoray/oremineralización deladentina.Estenuevoenfoqueconservadory mínimamenteinvasivoestáfuertementeasociado aquelaprofesiónestácambiandolentamente.Es importantemencionarqueelrecubrimientoenun solopasonoestádescartado,eliminartodaola mayorpartededentinainfectadaycolocarla restauraciónfinalconunmaterialcapazde estimularlaformacióndedentinaterciariasigue vigente. (2,13)

Biodentine® seintrodujoenel2011ysecompone deunacápsulaquecontiene0.7grdepolvo compuestodesilicatotricálcicocomomaterial principal(80%),carbonatodecalciocomorelleno (15%)yoxidodezirconio(5%)paradarle radiopacidadalmedicamento.Incluyetambién unacápsulaquecontieneagua,clorurodecalcio (utilizadoparaacelerarelfraguado)yunpolímero hidrosolublecomoagentereductordeagua. (14) Tieneuntiempodefraguadode12minutosyse preparacolocando5gotasdellíquidoenlapastilla conpolvoyconayudadeunamalgamador colocamoslapastillaa4000-4500revoluciones porminutodurante30segundosydespués transportamoslamezclaaldienteconunporta amalgama. (6,8,13) Además,unagranventajade Biodentineesquenocontienealuminatode calcio,sulfatodecalciouoxidodebismutocomo elMTA,yaqueelóxidodebismutoretardael fraguado (9)

BiodentineaumentaelpH(12)deltejido circundanteloquedaresultadoaunpotenteefecto microbiano,elambientealcalinopromoveráuna reparacióndelostejidos. (9,15) Tieneunbuen selladoyunamejorretencióndebidoala penetraciónqueprovocaenlostúbulosdedentina (13) Además,tienepropiedadesbioactivas,conesto serefiereaquehasidodiseñadoparainducir actividadesbiológicasespecíficas,actúa aumentandolaestimulaciónodontoblásticayla rápidadiferenciacióncelularconduceala formacióndedentinareaccionariayterciaria.

(9,12,15)

93

Casoclínico

Masculinode10años,7mesesdeedadcon antecedentesheredofamiliaresnegados, antecedentespersonalespatológicosnegados,y sindatosrelevantesalinterrogatoriopor

aparatosysistemas.Presentadolorespontáneo enelmolar46cuandocomecosasfríaso calientes,perodesapareceeldoloralretirarel estímulo.Secolocóaisladoabsoluto,el procedimientosedescribeenlasfotografías clínicas. Figura1.

Fotografíasclínicas.Cariesprofundidadconsiderableconabundantedentinainfectada(A).Seretiróeltejidocariadoconuna fresadecarburodelnúmero5ypiezadealtavelocidad,ademásdeunacucharillaafiladapararetirardentinainfectadarestante (B).ColocaciónfinaldeBiodentine(C).Alos30díaselpacientenorefiriódoloromovilidadynohubopresenciadefístulapor loqueserebajaelbiodentineparacolocarunarestauracióntemporalconionómerodevidrio(D).Alos12mesesseretirapor completoelionómerodevidrioparadejarsoloelbiodentineycolocarunaamalgamacomorestauraciónfinal(E).

BECOMEASPONSORANDLETUS

MAKEHISTORYTOGETHER!

(Readin50Nations.Leídoen50Naciones)

HAZTE PATROCINADOR Y

HAGAMOSHISTORIAJUNTOS!

B C D E
Figura1.30diasdespuésserebajaBiodentineparacolocarionomerodevidrio.
A 94

Desdeelprimerdíadeltratamientosellevóuncontrolradiográficoalos3,6,9,12,19y40 mesesparadeterminareléxitodeltratamiento(Figura2).

Fig.2Radiografíainicial.Seobservalacercaníadelacariesconelcuernopulpardistal,seobservanápices abiertos.(A)3meses(B)6meses(C)9meses(D)12meses.SeretiraelIonómerodevidrioparadejarel Biodentine ® ycolorarrestauraciónfinalconamalgama(E)19meses(F)Alos40mesesseobservaquelosápices estáncompletamenteformados,sinseñaldealgunapatologíaperiapicaloreabsorcióninternaoexterna(G).

C E A G
D C A E F G B 95

Resultados

Eléxitoclínicofuefavorableenelcasoclínicoya quelosparámetrosqueseutilizaronfueronla ausenciadedolor,patologíapulpar,movilidado fístula.Loscriteriosradiográficosparadeterminarel éxitodeltratamientofueronausenciadepatologíasa niveldeápice,reabsorcióninternaoexterna,además deobservaruncorrectodesarrollodelasraíceshasta elcierrecompleto.Enelcasoclíniconoseobservó ningúnproblema,durantelos40meseselpacienteno presentódoloromovilidadyseobservóunacorrecta formacióndelasraíces.

Discusión

Laterapiapulparvitalenlosdientespermanentes jóvenestienecomoobjetivoprincipalmantenerla vitalidadpulparparaquehayaunacorrecta formacióndelasraíces,enestecaso,seutilizócomo tratamientoelrecubrimientopulparindirectode maneracuidadosaparanohacercontactopulpar.Se hanpublicadocasosclínicossimilaresalnuestroen laterapiapulparvitalconBiodentine® endientes permanentesjóvenes,demostrandosualta efectividad,porejemplo,elde RahmanByMousumi

G (15) (2021)utilizaron60molarespermanentes jóvenesconcariescercanasalapulpautilizando Biodentine, ® laedadmediaglobalfuede12,3años ±2conunrangode7a15años.Serealizaron exámenesclínicosyradiográficosalas3semanas,3 meses,6meses,12meses,18mesesy24meses.La tasadeéxitofuedel94,44.%Losautoresutilizaron criteriosclínicosyradiográficossimilaresalnuestro paradeterminareléxitodeltratamientocomola presenciadedolorpostoperatorio,sensibilidadala palpación,percusión,movilidadyunexamenvisual delostejidosblandoscircundantesparadetectarla presenciadecualquierinflamación,trayectosinusal ofístula.Loscriteriosradiográficosincluyeronla presenciadereabsorciónexternaointernadelos

dientes,ensanchamientodelligamentoperiodontal, compromisoperiapicalydesarrollodelápice radiculardelosdientes.Estosmismoscriterios fueronutilizadosporKaulS.ycols. (12) (2021)en24 molarespermanentesjóvenestratadoscon recubrimientopulparindirectocon Biodentine® todosloscasosfueronsometidosaseguimientopara evaluaciónclínicayradiográficaalos4,8y16 meses.Despuésde16meses,el95,83%deloscasos mostraronresultadosexitosostantoclínicacomo radiográficamente.

Dicholoanteriorconcluimosque Biodentine® esuna excelenteopciónparalaterapiapulparvital,pueslos casosantesmencionadosreportanaltosporcentajes deefectividadenelrecubrimientopulparindirectode dientespermanentesjóvenes,porloqueesperamos queestecasoseadegranayudaparalassiguientes generacionesdeodontólogosquequierantomarotras alternativasparapreservarlavitalidadpulpar.

Conclusiones

-Biodentine® resultóserunmedicamentoefectivo enlaterapiapulparvital.

-Eléxitodelaterapiapulparvitaldependerádeun correctodiagnósticoydelmaterialusado.

-Biodentine® ayudaalaformacióndelosápices manteniendolavitalidadpulpar.

-Biodentine® esmuyefectivoenelrecubrimiento pulparindirecto.

-Sehanpublicadocasosdemásdel90%de efectividaddeBiodentine®

AcercadelAutor:LuisDavidFloresRamoses cirujanodentistaegresadodelaUniversidad NacionalAutónomadeMéxico,aspiranteaposgrado UNAM.

96

THANKYOUTOOURINSTITUTIONALSUPPORTERS. YOUMAKETODAYPOSSIBLEAND TOMORROWPOSSIBLE.

GRACIASANUESTROSPATROCINADORES INSTITUCIONALES.USTEDESHACENELHOY POSIBLEYELMAÑANAPOSIBLE.

The HispanicDentalAssociation isdedicatedtoincreasing thepresenceofHispanicstudentsandotherstudents interestedinservingHispanicpopulationsintheOralHealth careerfields.Asrepresentativesofthelargestminority groupintheUSrepresenting18%oftheUSpopulationthe HDAanditsInstitutionalmembersarepartoftheneeded changetoeliminatealldisparitiesandbiasinhigher educationaswellasinthegraduatesthatwillserveour countryandcommunities.Weknowthatoralhealth educationalprograms(dental,hygiene&assistants), throughouttheUnitedStatessharethisconcern.

WebelievethatbecomingpartoftheHDAwillhelp empowertheseinstitutionstoachievethegoalsofdiversity andinclusionamongstudents,facultyandstaff.

InstitutionalMembershiprunsfrom January1stthrough December31st at$650 andincludesthefollowingbenefits:

●OneFREEFacultyAdvisorMembership(valueof$250)

●FREEregistrationforOneProfessionalandOneStudent memberattheStudentRegionalConference(valueofover $150)

●FourprintedissuesoftheJHDAandaccesstothedigital versionforyourschoollibrary(valueof$100)

●TwocomplimentaryeblastcommunicationstoHDA membership(tobeprovidedbyschool)(valueof$400)

●InclusionintheInstitutionalMemberRecognitionadof1 JHDAissueperyear

●RecognitionintheHDAwebsitethroughouttheyear

●EligibletohostStudentRegionalConference

Formoreinformationcontact membership@hdassoc.org

Article:StalledProgress:TrendsinRacialandEthnic CompositionofDentistsandDentalStudentsCompared totheU.S.Population.

1.Non-HispanicWhitedentists,comparedwith AfricanAmerican,Hispanic,orAsiandentists,areless likelytoparticipateinMedicaidandworkinlow-income areas.

a.True

b.False

2.HowdoestheUnitedStatesrankintermsof healthcaresystemperformancecomparedtootherhighincomecountries?

a.Excellent

b.VeryGood

c.Good

d.Fair

e.Poor

3.PeoplewhoidentifyasHispanicare underrepresentedindentistrycomparedtotheU.S. workforce.

a.True

b.False

4.Whatisthesignificanceofincreasingracial/ethnic diversitywithinthedentalcareworkforceinrelationto healthcaredisparities?

a.Toimproveaccesstocareforvulnerable populations.

b.Toprovidebettertreatmentoptionstopatients.

c.Toincreasedentalhealthcarecosts.

d.Toreducepatientsatisfaction.

5.Whatistheprimarysourceofrace/ethnicity informationfordentalstudents?

a.ADAHealthPolicyInstitute

b.CommissiononDentalAccreditation’s(CODA)

SurveyofDentalEducation

c.HispanicDentalAssociation

d.StateDepartmentsofHealth

6.Althoughtheshareofdentistsanddentalstudents whoareracialandethnicminoritieshasbeenrisingover thedecades,thepercentageofHispanicdentistsanddental studentsin2022was:

a.About10percentofthefirst-yeardentalstudent population.

b.6.5percentofthedentistworkforce.

c.Alloftheabove.

d.Noneoftheabove.

7.Hispanicdentalstudentsareunderrepresented comparedtotheU.S.population.

a.True

b.False

8.Whichoutcomesfromvarioushealthcare disciplinesarerelatedtopatient-providerracial concordance?

a.Mortality

b.Healthoutcomes

c.PatientSatisfaction

d.Alloftheabove

9.TheevidencesuggeststhatNon-HispanicWhite dentistsaremorelikelytotreatvulnerable,low-income populations.

a.True

b.False

10.ComparedtotheoverallU.S.population,African Americansarehighly___________indentistry.

a.Overrepresented

b.Equitablerepresented

c.Underrepresented

d.Noneoftheabove

ToreceiveCEcreditforthiscourse:

a.Answersheetcanbemailedwithcreditcard informationoracheck(ifnomember)to: HispanicDental Association2TalonCourtSewell,NJ08080.

Pleasecircleyouranswer.

98
1.TF 2.ABCDE 3.TF 4.ABCD 5.ABCD 6.ABCD 7.TF 8.ABCD 9.TF 10.ABCD CREDITCARDINFORMATION NameonCard: Credit/DebitCardNumber: Exp.Date: CCV:

Keywords

InternationallyTrainedDentists,DentalCare Shortage,OralHealthcare,HealthcareWorkforce, CredentialingPathways,PandemicPreparedness, HealthcareAccess,DentalEducation,Healthcare Integration,EconomicGrowth.

Introduction

INTERNATIONALLY TRAINEDDENTISTS:THE SOLUTIONTOARISING PROBLEMINTHEU.S.

GracelynS.Britto,DDS

Abstract

Thisarticleexplorestherisingproblemofashortageof dentistsanddentalprofessionalsintheUnitedStates, particularlyinthecontextoftheincreaseddemandfor oralhealthcareservices.Thearticleproposesthat internationallytraineddentistscouldofferasolutionto thisissue.Itdiscussesthechallengesposedbythe shortageofdentalprofessionalsandtheneedforan adaptablehealthcaresystem,especiallyinthewakeof recentpandemics.Thearticlepresentsthepotential benefitsofintegratinginternationallytraineddentists intotheU.S.workforce,includingmeetingthedemand forservices,enhancinggeographicdistribution, bringingdiverseskillsets,ensuringcultural competence,anddrivingeconomicgrowth.Various pathwaysforcredentialinginternationallytrained dentists,alongwithassociatedchallengesandpotential solutions,areexplored.Thearticleemphasizesthe importanceofadvocatingforpolicychanges, conductingresearch,andpromotingeducationto facilitatetheintegrationoftheseprofessionals.In conclusion,thearticlehighlightsthesignificanceof recognizingthevalueofinternationalhealthcare professionals,ultimatelycontributingtoimprovedoral healthcareaccessibilityandqualityintheUnited States.

Thefieldofdentistryplaysacrucialroleinensuring theoralhealthandwell-beingofindividualsacross theUnitedStates.However,inrecentyears,the countryhasfacedasignificantchallenge:ashortage ofdentistsanddentalprofessionalstomeetthe growingdemandfororalhealthcareservices.Aswe haveexperiencedapandemicinrecentyears,the needforhealthcareworkershasbecomeincreasingly apparent.Itisourresponsibilitytopreparethe healthcaresystemandanticipateanyfuture challengesthatmayarise.AsnotedbyUNICEF,one ofthecriticalstepsinpreparingforpandemicsisto recruit,train,andprioritizehealthcareworkers.1

Asthepopulationcontinuestoexpandandage,the needforaccessibleandqualitydentalcarebecomes increasinglyimportant.Onepotentialsolutiontothis dilemmaliesinharnessingtheexpertiseof internationallytraineddentistswhoarealready livingintheUS.

TheGrowingDemandforDentalCare

TheUnitedStatesiscurrentlygrapplingwitha nationalhealthprofessionalcrisischaracterizedbya shortageofmedical,dental,andmentalhealth professionals.Thissituationisdrivenbyvarious factors,includingtheagingpopulation,the increasingrecognitionoftheimportanceoforal healthinoverallwell-being,andtheexpansionof dentalinsurancecoverage.Asaresult,thereisa surgingdemandfordentalservicesthattheexisting domesticworkforceisstrugglingtofulfill.

ThelatestreportfromtheUSDepartmentofHealth, informsthatforDentalhealthcarethereisa72 millionpopulationinHPSAs,7,330Health professionalshortageareas(HPSAs)and12,338 DentalPractitionersneededtoalleviatetheshortage ofDentalprofessionals.2

Figure1. NationalSummaryofHPSAs.2

TheAmericanImmigrationCouncilhasshareda researchseriesabout TheGrowingDemandfor HealthcareWorkers atthestatelevel.They share,“Between2017and2021,statesfrom ArizonatoVirginiasawanincreaseinthenumber ofonlinejobpostingsforuniquehealthcare workerpositions.Immigrantsoftenpunchabove theirweight,representingalargershareof workersinhealthcareroleslikephysicians, surgeons,dentalhygienists,andrespiratory therapiststhantheirshareofthepopulation. Althoughthereisagrowingneedforhealthcare workers,manyimmigrantswhoreceive

specializedtrainingabroadcannotpracticeinthe state.In2021,manyimmigrantswithhealthcarerelatedprofessionalanddoctoratedegreeswere workinginahealthcareoccupationthatdidnot requireone”.3

ForexampleinUtah,myhomestate,betweenthe years2017-2021,therewasanincreaseofonline jobpostingsof291.4%fordentalhygienistsand 32.2%fordentists.4

Also,thisstudyshowsanincreaseof38.8%inhealthcarejobpostingsrequiringbilingualskills. (figure3)

Figure2.Growingdemandforhealthcare workersinUtah.4
101
Figure3. Theaverageshareofhealthcareworkerswhowereimmigrantsandtheincreasein bilingualjobpostingsinUtah.4

Thesenumbersareproofofthetrendswehaveseen aroundourcommunitywiththefrustrationofdental officesnotbeingabletohireahygienistordentistto helptreattheirpatients.Thesenumbersarenotjust areflectionofUtah,theyareareflectionofwhat moststatesareexperiencing.

Internationally TrainedDentists:AValuable Resource

Addressingtheshortageofdentistsrequires innovativeapproaches,andonesuchapproach involvestappingintothepoolofinternationally traineddentistsalreadylivingintheStates. Theseprofessionalsbringawealthofexperience andskillsacquiredintheirhomecountries,often fromdiverseandrigorousdentaleducation programs.Byrecognizingandutilizingthe qualificationsofthesedentists,theUnitedStatescan bridgethegapbetweensupplyanddemandinthe dentalcaresector.

BenefitsofIntegratingInternationalTrained Dentists

MeetingtheDemand: Internationaltraineddentists cansignificantlycontributetomeetingtherising demandfordentalcareservices.Theirexpertisecan helpreduceappointmentwaitingtimesandensure timelyaccesstonecessarytreatments.

GeographicalDistribution: Thesedentistscanplay acrucialroleinaddressingtheshortageofdental professionalsinunderservedandruralareas.Their willingnesstopracticeinlocationswithlimited accesstodentalcarecanenhanceoralhealthequity andreducedisparities.

DiverseSkillSets: Dentiststrainedindifferent countriesoftenbringauniqueperspectiveand diverseskillsettotheirpractice.Thiscanenhance thequalityofcareprovidedandfosterinnovation withinthefield.

CulturalCompetence: Manyinternationallytrained dentistshaveexperienceworkingwithdiverse patientpopulations,allowingthemtoprovide culturallycompetentcarethatrespectspatients' backgroundsandpreferences.

EconomicBenefits: Integratinginternationally traineddentistsintotheworkforcecancontributeto economicgrowth.Itcanleadtoincreased productivity,jobcreation,andoverallimproved healthcareinfrastructure.

NavigatingPathwayChallengesandSolutions

Whiletheintegrationofdentiststrained internationallyholdspromise,itisimperativeto proactivelyaddresspotentialchallenges.These challengesencompassdisparitiesindentaleducation curricula,languagebarriers,andtheimperativefor licensureandcredentialing.Tosurmountthese hurdles,itisprudenttoestablishtargetedsupport andtraininginitiatives,facilitatingaseamless transitionforthesedentistsintotheU.S.healthcare system.

Althoughtheprocessforinternationallytrained dentiststoattaincredentialshingesonstatelicensing dentalboards'individualcriteria,theAmerican DentalAssociationhasadvocatedapathway.This pathwayentailsinternationallytraineddentists seekingcredentialsforU.S.practicetopursuean educationaccreditedbytheCommissiononDental Accreditation(CODA).Thisnecessitatesobtaining aDDSorDMDdegreefromarecognizedU.S. institutionand“gobacktodentalschool”. Essentially,internationaldentistsarerequiredto enrollinan"advancedstandingeducationprogram," orInternationaldentalprogramfordentistgraduated outsideofUS,entailingatwo-yearcommitment, oftenaccompaniedbyhighertuitioncoststhanthose oftypicaldentalstudents.

1.AdvancedStandingEducationProgramor InternationalDentalProgram

TheAdvancedStandingEducationProgramcomes intwoformats:aseparate2-yearprogramfor internationaldentistsatsomeschools,andan integratedapproachwhereinternationaldentistsjoin the3rdand4th-yearclassesofthedentalschool curriculumatotherinstitutions.Thisapproachis valuableforbringinginternationaldentistsuptothe U.S.standardandenablingthemtopracticeacross allU.S.states. However,italsointroducescertain challenges.

●Onechallengeisthelackofprogramavailability incertainstates,likeUtah,whichrequires relocatingtoanotherstate—aparticularlytough choicefornewimmigrants.

●Additionally,universitiesofferingtheprogram havelimitedannualslots,leadingtoamulti-year acceptanceprocessforsomedentists.

●Moreover,theprogram'scostissubstantial, rangingfrom$100,000to$250,000peryear.This financialbarrierposesanextrachallengeformany newimmigrantdentistswhoarenotyetableto accessfederalfunds.

102

Insummary,whiletheAdvancedStanding EducationProgramenhancesinternationaldentists' alignmentwithU.S.standardsandlicensure,it comeswithpotentialdifficultiesincludinglimited programavailabilityincertainstates,acompetitive acceptanceprocess,andhighcoststhatmayprove dauntingfornewimmigrantdentists.

AlternativePathwaysforInternationalDentists

Inadditiontotheaforementionedpathway,thereare otheroptionstoconsider:

2.SpecialtyPrograms

Internationaldentistshavetheopportunityto directlyapplyforspecialty"residency"programs. Thereare12recognizedspecialties,whichinclude DentalAnesthesiology,DentalPublicHealth, Endodontics,OralandMaxillofacialPathology, OralandMaxillofacialRadiology,Oraland MaxillofacialSurgery,OralMedicine,Orofacial Pain,OrthodonticsandDentofacialOrthopedics, Periodontics,PediatricDentistry,and Prosthodontics.Successfulcompletionofanyof theseprogramsresultsinaCODA-accredited certificate.However,thispathwaycomeswithits ownsetofchallenges:

●Somespecialtyprogramsrequireinternational dentiststopossessaDDSorDMDfromaCODAaccreditedU.S.school.

●Whilesomespecialtyprogramsaccept internationallytraineddentists,theymayoffer reducedstipendsorchargehighertuitionfor internationaldentistsevenwhentheydoequivalent serviceandcurriculum.

●Aftercompletingaspecialtyprogram,outdated statepoliciesmighthindertheinternational dentist'sabilitytoobtainalicenseiftheirinitial DDSorDMDdegreewasearnedfromaforeign dentalprogram.

3.AdvancedEducationinGeneralDentistry (AEGD)orGeneralPracticeResidency:

Theseareresidencyprogramsthatenhance education,training,andskillsingeneraldentistry. Typicallylastingforoneyear,withanoptional secondyear,successfulcompletionleadstoa CODA-accreditedcertificate. However,this pathwaysharessimilarchallengeswithspecialty programs.

Figure4. Pathwaystolicensingforforeign-trained dentistsintheUnitedStates.*Recognizedbya limitednumberofStates.5

4.Limiteddentalfacultylicense:

InsomestateslikeMassachusetts,facultydentists withlimitedlicenseregistration,workunderthe directionofaMassachusetts-licenseddentist. Thesedentistsprovideclassroomandclinical instructiontofuturedentists,performresearch,and treatpatientswithinthedentalschool’sclinics. Theyperformthesamedutiesasfullylicensed facultydentists.Afaculty-limitedlicense

registrationmustberenewedannuallybutcanbe renewedindefinitely.Thesedentistsarenever requiredtotaketheDentalBoardExamtocontinue intheirpositions.Thechallengeofthesepathways isthatyouarelimitedtopracticeonlyintheschool premisesbutopensthedoorsofresearchandthe academicpathwaythatisaveryimportant contribution,totrainingthefuturegenerationof Dentists.

103

5.DentalHygienelicense:

OtherstateslikeFloridawithanincreasedshortageof dentalhygienistshaveapprovedapathwayfor internationallytraineddentiststoobtainalicenseas dentalhygienistswithouthavingtogothroughdental hygieneschool.ThisLicenseisbyexamination,asan internationallytraineddentistyouarerequiredto presentyourofficialdiplomaandtranscriptsshowing proofofhavingaDDSorDMDdegree.After receivingapprovalfromthedentalboardyouare requiredtotakethefollowingexams:

●NationalBoardDentalHygieneExaminationor

IntegratedNationalDentalBoardExamination

●FloridaDentalLawsandRules

●ADEXDentalHygieneExamination:

1.CSCEorComputerSimulatedClinicalExam

2.PracticalclinicalexamwithapatientorManikin

Aftercompletingtheabove-mentionedexams,the internationaldentistobtainsalicensetopracticeasa dentalhygienist.Thisisagoodpathwayoptioneven ifthisisnottheendgoalforforeign-traineddentistsit isgreatbecauseallowsthedentisttobeintroducedto theUSdentalhealthcaresystem,theycanusetheir skillsettotreattheperiodontalhealthofthepatients andmostimportantlyeducatethem.Anothergreat benefitofthispathwayistheopportunitytolearnand receivementorshipfromadentistwhoworksatthe samedentalpractice.Themainchallengeofthis pathwayisthelimitationofpracticingonlyinFlorida becauseoftheregulationsinotherstateswherethey needtohaveadentalhygienedegreeaccreditedby CODA.

Proposedsolutions

●Toalleviatethesechallengesweneedtoadvocate andconductscientificresearchtoprovidethe evidencenecessarytomodifyoutdatedpoliciesthat werecreatedmanyyearsagowhentheneedsofthe populationwereverydifferentsothatmorepathways areavailableforcredentialinginternationaldentists wherethehealthcaresystemneedsthemthemost.

●Second,weshouldworkwiththepublichealth departmenttocreatemoreresidencyprogramsin generaldentistrythatcanbespecificallytargetedfor internationaldentistsservinginareasthathavebeen declaredHPSAs.

●Finally,weshouldallparticipateingroupsor organizationswhosepurposeistoeducate,serve,and leadthecommunity,sothatchangecanbeginata locallevel.AsthefounderoftheHispanicDental AssociationinUtah,Ihavebeenactivelyinvolved withthegovernmententitiesofUtah,Ihaveshared withthemthebarrierswefaceandtheyhaveseen theneedforchangewiththepurposeofeliminating brainwaistofmanyhealthprofessionalslivinginthe statethatcouldbecontributingtotheeradicationof

healthcaredisparitiesamongminoritiesgroupsand ruralareas.6

Conclusion

TheshortageofdentistsintheUnitedStatespresents asignificantobstacletoprovidingadequateoral healthcareforthenation'sgrowingpopulation.

Wemustacknowledgetheneedforinternational healthcareprofessionalsintheUSandmakethe necessarychangestowelcomeandintegratetheminto ourhealthcaresystem.Thiswillnotonlyimprovethe qualityofhealthcareservicesbutalsobringeconomic benefitstothecountry.Wemustworktogetherto advocateforthesechanges,conductresearch,and educatefutureleaderstocontinuethispositivetrend. Ourgoalshouldbetoprovideaccesstoquality healthcareservices.Integratinginternationallytrained dentistsintotheworkforcerepresentsaviableand practicalsolutiontothispressingissue.By recognizingthevalueoftheirskillsandexperiences, andunderstandingthepathwaysandchallengesthey facewecanimplementappropriatesupportsystems, theUnitedStatescannotonlyaddressthedentalcare shortagebutalsoenhancetheoverallqualityand accessibilityoforalhealthcareservices.

Abouttheauthor:

Dr.Brittoisageneraldentist,mother,President,and founderoftheUtahHispanicDentalAssociation Chapter.

Reference/Referencias:

1.UNICEF,BeyondCOVID-19:UNICEF'spushto improveprimaryhealthcare,May25,2022 https:// www.unicef.org/stories/how-to-improve-primaryhealthcare-to-prepare-for-pandemics

2.HealthResources&ServiceAdministration,Health WorkforceShortageAreas:NationalOverviewofHPSA’s, August2023. https://data.hrsa.gov/topics/healthworkforce/shortage-areas

3.AmericanImmigrationCouncil,TheGrowingDemand forHealthcareWorkers,January18,2023 https:// www.americanimmigrationcouncil.org/growing-demandhealthcare-workers-state-by-state

4.AmericanImmigrationCouncil,TheGrowingDemand forHealthcareWorkersinUtah,April18,2023 https:// www.americanimmigrationcouncil.org/sites/default/files/ growing_demand_healthcare_workers_utah.pdf

5.SergioVarelaKellesarian,ForeigntrainedDentistinthe US:ChallengesandOpportunities,July1st,2018

https://www.ncbi.nlm.nih.gov/pmc/articles/PMC6162558/

6.PressreleasefromtheAmericaImmigrationCouncil, NewResearchShowsImmigrantsAccountforNearly13 PercentofUtahPhysiciansasDemandforBilingual WorkersJumps38.8Percent,February7,2023

https://www.americanimmigrationcouncil.org/news/newresearch-shows-immigrants-account-nearly-13-percentutah-physicians-demand-bilingual

104

INTERNACIONALMENTE: LASOLUCIÓNAUN

PROBLEMACRECIENTE ENLOSEE.UU.

Abstracto

Esteartículoexploraelcrecienteproblemadela escasezdedentistasyprofesionalesdentalesenlos EstadosUnidos,particularmenteenelcontextode lacrecientedemandadeserviciosdeatención dental.Elartículoproponequelosdentistas entrenadosinternacionalmentepodríanofreceruna soluciónaesteproblema.Sediscutenlosdesafíos planteadosporlaescasezdeprofesionalesdentales ylanecesidaddeunsistemadeatencióndelárea delasaludpreparado,especialmentearaízdela pandemiareciente.Elartículopresentalos posiblesbeneficiosdeintegraralosdentistas entrenadosinternacionalmenteenlafuerzalaboral delosEstadosUnidos,incluyendolasatisfacción delademandadeservicios,lamejoradela distribucióngeográficadeprofesionalesdela salud,laincorporacióndehabilidadesdiversas,la garantíadelacompetenciaculturalyelimpulsoal crecimientoeconómico.Seexploranvariasvías paralaacreditacióndedentistasentrenados internacionalmente,juntoconlosdesafíos asociadosyposiblessoluciones.Elartículo enfatizalaimportanciadeabogarporcambiosen lasnormativas,realizarinvestigacionesy promoverlaeducaciónparafacilitarlaintegración deestosprofesionales.Enconclusión,elartículo resaltalaimportanciadereconocerelvalordelos profesionalesinternacionalesdelasalud, contribuyendoenúltimainstanciaamejorarla accesibilidadycalidaddelaatencióndentalenlos EstadosUnidos.

Palabrasclave

DentistasEntrenadosInternacionalmente,Escasez deAtenciónDental,AtenciónDental,Fuerza LaboraldeSalud,VíasdeAcreditación, PreparaciónparaPandemias,AccesoaAtención

enáreasdelasalud,EducaciónDental,Integración enelCuidadodelaSalud,Crecimiento Económico.

Introducción

Elcampodelaodontologíadesempeñaunpapel crucialengarantizarlasaludbucalyelbienestar delaspersonasentodoEstadosUnidos.Sin embargo,enlosúltimosaños,elpaíshaenfrentado undesafíosignificativo:laescasezdedentistasy profesionalesdentalesparasatisfacerlacreciente demandadeserviciosdeatencióndental.Como hemosexperimentadounapandemiaenlos últimosaños,lanecesidaddetrabajadoresdela saludsehavueltocadavezmásevidente.Es nuestraresponsabilidadprepararelsistemade atencióndelasaludyanticiparcualquierdesafío futuroquepuedasurgir.ComoseñalaUNICEF, unodelospasoscríticosparaprepararseparalas pandemiasesreclutar,capacitarydarprioridada lostrabajadoresdelasalud1

Amedidaquelapoblacióncontinúacreciendoy envejeciendo,lanecesidaddeatencióndental accesibleydecalidadsevuelvecadavezmás importante.Unasoluciónpotencialaestedilema radicaenaprovecharlaexperienciadelos dentistasentrenadosinternacionalmentequeviven actualmenteenelpaís.

LaCrecienteDemandadeAtenciónDental

Enlaactualidad,EstadosUnidosenfrentauna crisisnacionaldeprofesionalesdelasalud caracterizadaporlaescasezdeprofesionales médicos,dentalesydesaludmental.Estasituación sedebeadiversosfactores,incluidalapoblación envejecida,elreconocimientocrecientedela importanciadelasaludbucalparaelbienestar generalylaexpansióndelacoberturadeseguros dentales.Comoresultado,hayunademanda crecientedeserviciosdentalesquelafuerza laboralnacionalexistentetienedificultadespara satisfacer.

ElinformemásrecientedelDepartamentode SaluddelosEstadosUnidosinformaqueparala atencióndental,hayunapoblaciónde73millones enáreasconescasezdeprofesionalesdesalud, 7,347áreasconescasezdeprofesionalesdesalud (HPSAs)ysenecesitan12,582Odontólogospara aliviarlaescasezdeprofesionalesdentales2

DENTISTASENTRENADOS
105

ElConsejoEstadounidensedeInmigraciónha compartidounaseriedeinvestigacionessobrela CrecienteDemandadeProfesionalesdelaSalud anivelestatal.Comparten:"Entre2017y2021, estadosdesdeArizonahastaVirginiavieronun aumentoenelnúmerodepublicacionesdetrabajo enlíneaparapuestosúnicosdetrabajadoresdela salud.Losinmigrantesamenudologranresultados mejoresdeloesperado,representandouna proporciónmayordetrabajadoresenrolesdela salud,comomédicos,cirujanos,higienistas dentalesyterapeutasrespiratorios,quesu

proporciónenlapoblación.Aunquehayuna crecientenecesidaddetrabajadoresdelasalud, muchosinmigrantesquerecibieroncapacitación especializadaenelextranjeronopuedenejerceren elestadodonderadican.En2021,muchos inmigrantescontítulosprofesionalesydoctorados relacionadosconlasaludestabantrabajandoenuna ocupacióndesaludquenorequeríauno" 3

Porejemplo,enUtah,elestadoalquellamomi hogar,entrelosaños2017-2021,hubounaumento del291.4%enlaspublicacionesdetrabajoenlínea parahigienistasdentalesyun32.2%paradentistas entreotros. (Véasefigura2)

Figura1. ResumenNacionaldeHPSAs 2
106
Figura2. CrecientedemandadetrabajadoresdelasaludenUtah4 .

Tambiénseobservóunaumentodel38.8%enlas publicacionesdetrabajoeneláreadesaludque requierenhabilidadesbilingües(véasefigura3)

Figura3. PromediodeProfesionalesdelasalud quehansidoinmigrantesyelaumentode porcentajedetrabajosquerequierenhabilidades bilingües 4 .

Estascifrassonevidenciadelastendenciasque hemosvistoennuestracomunidadconlafrustración delosconsultoriosdentalesalnopodercontrataraun higienistaodentistaparatratarasuspacientes.Estas cifrasnosonsolounreflejodeUtah,sinodeloque lamayoríadelosestadosestánexperimentando.

DentistasEntrenadosInternacionalmente:Un RecursoValioso

Abordarlaescasezdedentistasyotrosprofesionales deláreadentalrequiereenfoquesinnovadores,yuno deesosenfoquesimplicaaprovecharelgrupode dentistasentrenadosinternacionalmentequeyaviven enlosEstados.

Estosprofesionalesaportanunaampliaexperienciay habilidadesadquiridasensuspaísesdeorigen,a menudoprovenientesdeprogramasdeeducación dentaldiversosyrigurosos.Reconociendoy utilizandolashabilidadesdeestosdentistas,los EstadosUnidospuedencerrarlabrechaentrela ofertaylademandaenelsectordelaatencióndental.

BeneficiosdeIntegraralosDentistasEntrenados Internacionalmente

SatisfacerlaDemanda: Losdentistasentrenados internacionalmentepuedencontribuir significativamenteasatisfacerlacrecientedemanda

deserviciosdeatencióndental.Suexperienciapuede ayudarareducirlostiemposdeesperaparalascitas ygarantizarunaccesooportunoalostratamientos necesarios.

DistribuciónGeográfica: Estosdentistaspueden desempeñarunpapelcrucialenabordarlaescasezde profesionalesdentalesenáreasdesatendidasy rurales.Sudisposiciónapracticarenlugarescon accesolimitadoalaatencióndentalpuedemejorarla equidadenlasaludbucalyreducirlasdisparidades.

HabilidadesDiversas: Losdentistasentrenadosen diferentespaísesamenudoaportanunaperspectiva únicayunconjuntodiversodehabilidadesala prácticadesuprofesión.Estopuedemejorarla calidaddelaatenciónproporcionadayfomentarla innovaciónenelcampo.

CompetenciaCultural: Muchosdentistas entrenadosinternacionalmentetienenexperienciaen eltrabajocondiversaspoblacionesdepacientes,lo quelespermitebrindaratenciónculturalmente competentequerespetalosantecedentesy preferenciasdelospacientes.

BeneficiosEconómicos: Integraralosdentistas entrenadosinternacionalmenteenlafuerzalaboral puedecontribuiralcrecimientoeconómico.Puede conduciraunaumentodelaproductividad,la creacióndeempleoyunamejorageneraldela infraestructuradeatencióneneláreadelasalud.

107

Navegandolasvíasdeacreditaciónlosdesafíosy soluciones

Sibienlaintegracióndedentistasentrenados internacionalmenteesprometedora,esimperativo abordarproactivamentelosposiblesdesafíos.Estos desafíosabarcandisparidadesenloscurrículosde estudio,barrerasenelidiomaylanecesidad imperativadelicenciasyacreditaciones.Parasuperar estosobstáculos,esprudenteestableceriniciativasde apoyoycapacitaciónespecíficas,facilitandouna transiciónsinproblemasparaestosdentistasenel sistemadeatenciónmédicadelosEstadosUnidos.

Aunqueelprocesoparaquelosdentistasentrenados internacionalmenteobtengancredencialesdepende deloscriteriosindividualesdelasjuntasdentalesde licenciadecadaestado,laAsociaciónDental Americana“ADA”haabogadoporuncamino.Este caminoimplicaquelosdentistasentrenados internacionalmentequebuscancredencialesparala prácticaenlosEstadosUnidosdebenbuscaruna educaciónacreditadaporlaComisiónde AcreditaciónDental“CODA”.Estorequiereobtener untítulodeDDSoDMDdeunainstitución reconocidaenlosEstadosUnidosy"volveracursar porlaescueladeodontología".Esencialmente,se requierequelosdentistasinternacionalesseinscriban enun"Programadeeducaciónavanzada"o “Programadentalparainternacionales”,queimplica uncompromisodedosaños,amenudoacompañado decostosdematrículamásaltosquelosdelos estudiantesdeodontologíatípicos.

1.ProgramadeEducaciónAvanzadao Programadentalparainternacionales.

ElProgramadeEducacióndePosiciónAvanzadase presentaendosformatos:unprogramaseparadopara dentistasinternacionalesde2año,ounenfoque integradoenelquelosdentistasinternacionalesse unenalasclasesexistenteenelde3ery4toañodel plandeestudiosdelaescueladeodontologíaqueson losúltimosdosañosdelprograma.Esteenfoquees valiosoparaasegurarsequelosdentistas internacionalescumplenconlosestándares estadounidenseylespermiteejercerentodoslos estadosdelosEstadosUnidos.Sinembargo,también introduceciertosdesafíos.

●Undesafíoeslafaltadedisponibilidaddel programaenciertosestados,comoUtah,loque requieremudarseaotroestado,unadecisión particularmentedifícilparalosnuevosinmigrantes.

●Además,lasuniversidadesqueofrecenel programatienencuposanualeslimitados,loque

llevaaunprocesodeaceptacióndevariosañospara algunosdentistas.

●Elcostodelprogramaessustancial,oscilando entre$100,000y$250,000poraño.Estabarrera financieraplanteaundesafíoadicionalparamuchos dentistasinmigrantesnuevosqueaúnnopueden accederafondosfederales.

Enresumen,sibienelProgramadeEducación Avanzadamejoralaalineacióndelosdentistas internacionalesconlosestándaresylicencias estadounidenses,presentadificultadespotenciales, comoladisponibilidadlimitadadelprogramaen ciertosestados,unprocesodeaceptación competitivodemuchosañosycostoselevadosque puedenresultardesalentadoresparalosnuevos dentistasinmigrantes.

VíasAlternasparaDentistasInternacionales

Ademásdelavíamencionadaanteriormente,hay otrasopcionesaconsiderar:

2.ProgramasdeEspecialización

Losdentistasinternacionalestienenlaoportunidad depostulardirectamenteaprogramasde"residencia" enespecialidades.Existen12especialidades reconocidasporelADA,queincluyen: AnestesiologíaDental,SaludPúblicaDental, Endodoncia,PatologíaOralyMaxilofacial, RadiologíaOralyMaxilofacial,CirugíaOraly Maxilofacial,MedicinaOral,DolorOrofacial, OrtodonciayOrtodonciaDentofacial,Periodoncia, OdontopediatríayProstodoncia.Lafinalización exitosadecualquieradeestosprogramasresultaen uncertificadoacreditadoporCODA.Sinembargo, estavíapresentasupropioconjuntodedesafíos:

●Algunosprogramasdeespecializaciónrequieren quelosdentistasinternacionalesposeanunDDSo DMDdeunaescuelaacreditadaporCODAenlos EstadosUnidos.

●Sibienalgunosprogramasdeespecialización aceptanadentistasentrenadosinternacionalmente, muchasvecesofrecenestipendiosreducidoso inclusocobranmatriculasmásaltasalos internacionalesaunqueelserviciodentalofrecidoy plandeestudiossonequivalentesaldelosno internacionales.

●Despuésdecompletarunprogramade especialización,laspolíticasestatales desactualizadaspuedenobstaculizarlacapacidaddel dentistaparaobtenerunalicenciasisutítuloinicial deDDSoDMDseobtuvoenunprogramadental extranjero.

108

Estossonprogramasderesidenciaquemejoranla educación,capacitaciónyhabilidadesen odontologíageneral.Usualmente,tieneduraciónde unaño,conunsegundoañoopcional,yla

finalizaciónexitosaconduceauncertificado acreditadoporCODA.

Sinembargo,estavíacompartedesafíossimilares conlosprogramasdeespecialización.

Figure4. Caminoshacialaobtencióndeuna licenciaparadentistasformadosenelextranjeroen losEstadosUnidos.*Reconocidoporunnúmero limitadodeEstados 5

EnalgunosestadoscomoMassachusetts,los dentistasdelafacultadconregistrodelicencia limitadatrabajanbajoladireccióndeundentista conlicenciaenMassachusetts.Estosdentistas brindaninstrucciónenelaulayclínicaafuturos dentistas,realizaninvestigacionesytratana pacientesdentrodelasclínicasdelaescuelade odontología.Realizanlasmismasfuncionesquelos dentistasdelafacultadconlicenciacompleta.El registrodelicencialimitadadelafacultaddebe renovarseanualmente,perosepuederenovar indefinidamente.Aestosdentistasnuncaseles exigeaprobarelExamendelaJuntaDentalpara mantenersusposiciones.Eldesafíodeestasvíases queestánlimitadosapracticarsoloenlas instalacionesdelaescuela,peroconelaspecto positivoqueseabrenlaspuertasalainvestigación ylavíaacadémica,queesunacontribuciónmuy importanteparalaformacióndelafutura generacióndedentistas.

5.LicenciadeHigienistaDental:

EnotrosestadoscomoFlorida,conunaescasez crecientedehigienistasdentales,sehaaprobado unavíaparaquelosdentistascapacitados internacionalmenteobtenganunalicenciacomo higienistasdentalessintenerquecursarporla escueladehigienedental.Estalicenciaseotorga medianteunprocesodeexaminación.Como dentistacapacitadointernacionalmente,debes presentartudiplomaoficialycertificacióndenotas quedemuestrenhaberobtenidountítulodeDDSo DMDentulugardeorigen.Despuésderecibirla aprobacióndelajuntadental,debesrealizarlos siguientesexámenes:

-ExamenNacionaldeHigienistaDentaldelaJunta NacionaloExamenNacionalDentalIntegrado

-LeyesyReglasDentalesdeFlorida

-ExamendeHigieneDentalADEX:constituido por

-ExamenClínicoSimuladoporComputadora (CSCE)

-ExamenClínicoPrácticoconunpacienteo maniquí

3.EducaciónAvanzadaenOdontología General(AEGD)oResidenciaenPráctica General: 4.LicenciaLimitadadeFacultadDental:
109

Despuésdecompletarlosexámenesmencionados anteriormente,eldentistainternacionalobtieneuna licenciaparaejercercomohigienistadental. Estaesunabuenaopcióncomovíainicial,incluso siestenoeselobjetivofinalparalosdentistas capacitadosenelextranjero,yaquelespermite familiarizarseconelsistemadeatencióndentalde losEstadosUnidos.Puedenutilizarsushabilidades paratratarlasaludperiodontaldelospacientesy,lo queesmásimportante,educarlosyayudarlesa tenercalidaddevida.Otrogranbeneficiodeestavía eslaoportunidaddeaprenderyrecibirmentoríade undentistaquetrabajaenlamismaprácticadental. Elprincipaldesafíodeestavíaeslalimitaciónde ejercersoloenFloridadebidoalasregulacionesen otrosestados,dondesenecesitateneruntítulode higienedentalacreditadoporCODAynoaceptan lascredencialesdepaísdeorigen.

Solucionespropuestas

●Paraaliviarestosdesafíos,necesitamosabogary llevaracaboinvestigacionescientíficaspara proporcionarlaevidencianecesariaparamodificar políticasdesactualizadasquefueroncreadashace muchosañoscuandolasnecesidadesdela poblaciónerandiferentesyasítenermásvías disponiblesparalaacreditacióndedentistas internacionales.

●Ensegundolugar,debemostrabajarconel departamentodesaludpúblicaparacrearmás programasderesidenciaenodontologíageneral específicamentedirigidosadentistas internacionalesquepodríantrabajarenáreas designadascomoHPSAs(ÁreasdeEscasezde ProfesionalesdelaSalud).

●Finalmente,todosdeberíamosparticiparen gruposuorganizacionescuyopropósitoseaeducar, serviryliderarenlacomunidad,paraqueelcambio puedacomenzaranivellocal.Comofundadorade laAsociaciónDentalHispanaenUtah,heestado involucradaactivamenteconlasentidades gubernamentalesdeUtah.Hecompartidoconellos lasbarrerasqueenfrentamosyhanvistola necesidaddeuncambioconelpropósitode eliminareldesperdiciodetalentodemuchos profesionalesdelasaludqueresidenenelestadoy podríancontribuiralaerradicacióndelas disparidadesenlaatenciónmédicaentrelosgrupos minoritariosylasáreasrurales.

Conclusión:

LaescasezdedentistasenlosEstadosUnidos presentaunobstáculosignificativoparabrindar atenciónoraladecuadaalacrecientepoblacióndel país.Debemosreconocerlanecesidadde profesionalesdelasaludinternacionalenlos EstadosUnidosyrealizarloscambiosnecesarios paradarleslabienvenidaeintegrarlosennuestro sistemadesalud.Estonosolomejorarálacalidad delosserviciosdeatenciónmédica,sinoque tambiéntraerábeneficioseconómicosalpaís. Debemostrabajarjuntosparaabogarporestos cambios,realizarinvestigacionesyeducarafuturos líderesparacontinuarconestatendenciapositiva. Nuestroobjetivodebeserproporcionaraccesoa serviciosdeatenciónmédicadecalidad.La integracióndedentistascapacitados internacionalmenteenlafuerzalaboralrepresenta unasoluciónviableyprácticaparaesteapremiante problema.Alreconocerelvalordesushabilidades yexperiencias,ycomprenderlasvíasydesafíosque enfrentan,podemosimplementarsistemasdeapoyo adecuados.Deestamanera,EstadosUnidosnosolo podráabordarlaescasezdeatencióndental,sino tambiénmejorarlacalidadyaccesibilidaddelos serviciosdeatenciónoralengeneral.

AcercadelaAutora:

LaDra.Brittoesdentistageneral,madre,presidenta yfundadoradelCapítulodelaAsociaciónDental HispanadeUtah.

110

Commentary:Protectagainst socialinjusticeinscience:How dowelearnfrompastmistakes?

Ethics:Howdowelearnfrompast mistakes

HerminioPérez,DMD,MBA,EdD,FPFA

TyroneFernandoRodríguez,DDS, FACD,FPFA,FAAPD,FICD

Ourdentalcodeofethicshasmuchincommonwith thecodeofmedicalethics.Theirpillarsarerootedin patientautonomy(self-governance),nonmaleficence (donoharm),beneficence(dogood),justice (fairness),andveracity(truthfulness).1 Attheheartof ourprofession,wehaveanethicalobligationto providequalitycaretoallwhilepromotingthewelfare ofourpatientpopulation.Undeniably,thereareevents inthehistoryofmedicinewherethecodehasbeen omitted,consciouslyorintentionally.

TheMedicalCodeofEthicswasadoptedbythe AmericanMedicalAssociationin1847.Itstartedasa socialcontractbetweentheprofessionofmedicine andsocietytoavoidtransformationintoa marketplace.2 In1866,theAmericanDental Association(ADA)adopteditsfirstCodeofEthics.3 Likeitsmedicalcounterpart,theevolutionofthe dentalcodeofethicswasonethatreflectsthe professionasamoralcommunitythatservesthe publicwhilemaintainingconstantcommunication withsociety.4

DespiteconsideringtheCodeofEthicsasadynamic documentthatreflectsconstantcommunication betweentheprofessionandthecommunity,history hasbroughttolightthedarksideofmedicalresearch backedbythoseinpowerintheUnitedStates.Sadly, thevictimsofthesescientificabusesareperfect examplesofnotrespectingthepatient’srightsofselfgovernanceaswellastheprinciplesinthecodeof ethics.Forexample,someareawareofthetravesty enduredbyunsuspectingAfricanAmericanmenin 1932undertheguidanceoftheU.S.PublicHealth Service(USPHS),where399participantsofthe600 unknowinglyhadsyphilis.5 Theunsuspecting participants,pooranduneducateddidnothave informedconsentandweretreatedfortheirailments bythehealthcareprofessionalsandinreturnreceived “freehealthcare,food,andburialinsurance”to participateinaninnocenthealthstudy.5 Itturnedout thattheprogramcouldhavecuredtheparticipants’ syphiliswithpenicillinwidelyavailablein1943but neveradministeredthemedicationtoobservethe long-termeffectsoftheillnesstotheprogressionof deathinmanyinstances,1974aclassaction settlementof$10milliondollarswasawardedtothe

survivingvictimsandtheirfamilieswithapresidential apologybyPresident,BillClintongrantedbyMay16, 1997.5

Asunthinkableasitsounds,therewouldbeother groupsofvictimsoftheUnitedStates'questfor medicaladvancement,theseinnocentandunaware experimentalsubjectswouldbefromtheHispanic community.

The1946Guatemalanproject,involvedover5128 people(children,orphans,juvenileprostitutes,Mayan descendants,mentalhealthpatients,andprisoners) guidedbytheUnitedStatesPublicHealthService infectedmanyofthetestsubjectsunsuspectinglyto observetheeffectsofsyphilis,gonorrhea,and chancroiddiseaseprogression.6 Toquoteasampleof themedicalrecordsreferringtoDr.JohnCutler,lead investigatorandafterinjectingamentallyillpatient withsyphilis,“Bertaappearedasifshewasgoingto die,buthedidnotspecifywhy.Thatsamedayheput gonorrhealpusfromanothermalesubjectintobothof Berta’seyes,aswellasinherurethraandrectum.He alsore-infectedherwithsyphilis.Severaldayslater, Berta’seyeswerefilledwithpusfromthegonorrhea, andshewasbleedingfromherurethra.OnAugust27, Bertadied.”6

AnapologywaseventuallyissuedbyPresident BarackObamain2010anddespitethemorallywrong findingsoftheUnitedStatesPresidentialCommission fortheStudyofBioethicalIssues, noreparations wereawardedtothevictimsortheirfamilies.6 Undisputedlythisisanabominationofsocialjustice andunbridledmedicalresearch,homicideby healthcare.

In1955,womenofPuertoRicounknowinglytook partinoneofthelargestglobalbirthcontrol experiments,wheretheywerepressuredinto becomingreproductiveexperimentalsubjectsandat timessterilizedforthewell-beingofAmericansociety inthedevelopmentofmodernbirthcontrol.7 AnOBGYN,JohnCharlesRock,andanEndocrinologist GregoryGoodwinPincusexploitedthepopulation densitylackofeducation,andlow-socioeconomic statusofwomenontheislandtoadministervarious dosesofprogesteroneandestrogentofindtheoptimal doseofhormones,inthedevelopmentof pharmacologicalcontraceptionwithalargeenough testgrouptogetapprovalfromtheFoodandDrug Administration,sadlyresultingwithgreatmorbidity andlimitedmortality.8 TheUnitedStateshadonce againleftitscolonialismmarkonPuertoRico,where theinfluenceofMargaretSanger,theheroine heraldingthatwomenshouldbefreetocontroltheir bodies,wasalsoknownforchampioningthetheoryof Eugenicsinthat“undesirablepopulationscouldbe reducedoreliminatedbycontrollingtheirbreeding.8 TheProctor&GambleheirAmericaneugenicist,

111

ClarenceGamble,fundedandranprogramstoenable more“fit”membersofthepopulationtoreproduce andapproximately1/3ofPuertoRicanwomenwere sterilizedmanyinvoluntarilybytheunquestioned actionsandexperimentationofindividualsinmedical powerwithouttheinformedconsentoftheislanders, ourHispanicbrothers,andsisters.9

Asidefromgovernmentagenciesandprivatefunders, peopleofcolorhavebeenthevictimsofinstitutions ofhigherlearningthathaveusedtheirnumbersinthe Americancorrectionalsystem,andprisonsfor experimentation.Duringthe1960sand1970sover 2,600menhadexperimentsconductedonthemby twoUniversityofCaliforniaatSanFrancisco physicians,oneofwhichwasadepartmentchair,Drs HowardMaibachandWilliamEpstein,whereover 7,000documentsrevealeddermatologicaland intravenousexperimentationonprisonerswith pesticides,herbicides,andmosquitos.10 Dr.Albert Kligman,aUniversityofPennsylvaniaphysician experimentedonincarceratedpeopleofcolortesting onhazardouschemicals,pathogens,andpsychedelics resultingintheinventionoftheacnemedication, Retin-Aandtherejuvenationmedication,Renova.10

Thisarticleaimstoprovidehistoricaleventsinwhich humanandscientificinterestshaveomittedthe principlesofthecodeofethicsimpactingtheless fortunateinourcommunity.Thehistoricaleventsas wellasthereferencespresentedshouldbeusedasan educationaltooltoteachthenextgenerationof healthcareproviderstounderstand,value,and executetheimportanceofkeepingourcommitment toserveandprotectthecommunity.

Wemustbevigilantandeducatehealthcareproviders intheUnitedStatesaboutthesehorrificabusesof powerinthenameoftheadvancementofscience. Morality,knowingwhatcanharmanotherhumanor helpthem.Integrity,havingthetransparencyto informandquestionwhatisbeingperformed includingthebenefits,alternatives,risks,and financialcostsarecentraltoethicalinvestigation.As wemoveintotheeraofrelyingonArtificial Intelligencefortheadvancementofscience,anew challengeawaits,onethatpresentsseveralredflags witharapidlyevolvingtechnologythatwillgrowin influenceinallaspectsofhealthcareincluding Dentistry.

AbouttheAuthors:

Dr.HerminioL.PerezservesastheAssistantDean ofStudentAffairs,Diversity&Inclusion.Heisan AssistantProfessoratRutgersSchoolofMedicinein NewJersey.HeservesasaTrusteeontheBoardof theHispanicDentalAssociation,ADEACouncilon D.E.I.,andisalsotheAcademicSectionEditorfor theJHDA.

Dr.TyroneF.Rodriguez,servesastheChiefEditorof theJHDA.HeisthepastprogramDirectorofYale, PediatricDentistryandPastPresidentoftheHDA. HeisinprivatepracticeasaBoardCertifiedPediatric DentistandBAAPDFellowinTexas.Heisanational andinternationallecturerandADABilingual Spokesperson.

Sources/Fuentes:

1.AmericanDentalAssociation.PrinciplesofEthicsand CodeofProfessionalConduct.RevisionMarch2023.(1) ADA.org:2023PrinciplesofEthicsandCodeofConduct

2.AmericanMedicalAssociation.HistoryoftheCode. (2017).AccessedAugust21,2023 ama-code-ethics-history.pdf(ama-assn.org).

3.AmericanDentalAssociation.TheADAHistory. AccessedAugust21,2023. HistoryoftheADA| AmericanDentalAssociation

4.Holden,A.C.,Exploringtheevolutionofadentalcode ofethics:acriticaldiscourseanalysis.BMCMedical Ethics.2020.21:45. https://doi.org/10.1186/ s12910-020-00485-3

5.TheU.S.PublicHealthServiceSyphilisStudyat Tuskegee,CentersforDiseaseControlandPrevention. ReviewedDecember5,2022. https://www.cdc.gov/ tuskegee/timeline.htm

6.RodriguezMA,GarcíaR.First,donoharm:theUS sexuallytransmitteddiseaseexperimentsinGuatemala. AmJPublicHealth.2013Dec;103(12):2122-6.doi: 10.2105/AJPH.2013.301520.Epub2013Oct17.PMID: 24134370;PMCID:PMC3828982.

https://www.ncbi.nlm.nih.gov/pmc/articles/ PMC3828982/

7.EugenicsandReproductiveCoercioninPuertoRico. CollegeofLetters&Science,CenterforLatinAmerican &CaribbeanStudies,UniversityofWisconsin Milwaukee.April28,2022.

https://uwm.edu/clacs/eugenics-and-reproductivecoercion-in-puerto-rico/

8.ThePuertoRicoPillTrials,AmericanExperience,PBS, AccessedApril21,2023

https://www.pbs.org/wgbh/americanexperience/ features/pill-puerto-rico-pill-trials/

9.Blakemore,E.,TheFirstBirthControlPillUsedPuerto RicanWomanasGuineaPigs:Eugenicsandunethical clinicaltrialsarepartofthepill’slegacy.History.March 11,2019.

https://www.history.com/news/birth-control-pill-historypuerto-rico-enovid

10.TheTimesEditorialBoard,Editorial:Reckoningwith UCSF’sdarkhistoryofunethicalmedicalexperimentson inmates.January17,2023.

https://www.latimes.com/opinion/story/2023-01-17/laed-prisoner-experiments-apology

112

“MEDICALINJUSTICE/INJUSTICIAMEDICA”

HenriettaLackspassedin1951atage31fromcervicalcancer.SurgeonsatJohnsHopkins harvestedcellsfromhertumorwithoutherorherfamilyknowing.Thesebecameknownasthe “HeLa”(Henrietta Lacks)Humancelllineofimmortalcells. Thesecells,seenbelow,were responsibleforover80,000papersandnumerousmedicaldiscoveriessuchasthecreation ofthePolioandHPVVaccines,advancementinHIV/AIDSmedications,breakthroughs forinvitrofertilizationandthehumangenome,andmostrecentlyvitalresearchfor COVID-19response. Unfortunately,manyPharmaceuticalandBiotechnologycompanies madeenormouseconomicreturnsasaresultofthisclandestinediscovery.Tothisdayhumanity owesagreatdealtothis,African-American,motheroffiveimpactedbythe inequity in healthcare.

Sources/Fuentes:

1.https://embryo.asu.edu/pages/henrietta-lacks-1920-1951

2. https://www.who.int/news-room/events/detail/2021/10/13/default-calendar/henriettalacks-recognizing-her-legacy-across-the-world

HenriettaLacksfallecióen1951alaedadde31añosdebidoauncáncerdecuellouterino.Los cirujanosdeJohnsHopkinsrecolectaroncélulasdesutumorsinqueellanisufamilialo supieran.Estosseconocieroncomolalíneacelularhumanadecélulasinmortales“HeLa” (Henrietta Lacks). Estascélulas,vistasarriba,fueronresponsablesdemásde80.000 artículosynumerososdescubrimientosmédicos,comolacreacióndelasvacunascontra lapolioyelVPH,avancesenlosmedicamentoscontraelVIH/SIDA,avancesenla fertilizacióninvitroyelgenomahumanoy,másrecientemente,investigacionesvitales paralarespuestaalCOVID-19. Desafortunadamente,muchasempresasfarmacéuticasyde biotecnologíaobtuvieronenormesbeneficioseconómicoscomoresultadodeeste descubrimientoclandestino.Hastaeldíadehoy,lahumanidadledebemuchoaesta afroamericana,madredecincohijos,afectadaporla inequidad enlaatenciónsanitaria.

Protegernoscontralainjusticia socialenlaCiencia:¿Cómo aprendemosdeloserroresdel pasado?

Ética:¿Cómoaprendemosde losErroresdelPasado?

HerminioPérez,DMD,MBA,EdD, FPFA

TyroneFernandoRodríguez,DDS, FACD,FPFA,FAAPD,FICD

Nuestrocódigodeéticadentaltienemuchoen comúnconelcódigodeéticamédica.Suspilares tienensusraícesenlaautonomíadelpaciente (autogobierno),lanomaleficencia(nohacerdaño), labeneficencia(hacerelbien),lajusticia (imparcialidad)ylaveracidad(veracidad).1 Enel corazóndenuestraprofesión,tenemosuna obligaciónética.Brindaratencióndecalidadatodos yalmismotiempopromoverelbienestardenuestra poblacióndepacientes.Esinnegablequehay acontecimientosenlahistoriadelamedicinaenlos quesehaomitidoelcódigo,conscienteo intencionadamente.

ElCódigodeÉticaMédicafueadoptadoporla AsociaciónMédicaEstadounidenseen1847. Comenzócomouncontratosocialentrelaprofesión médicaylasociedadparaevitarlatransformaciónen unmercado.2 En1866,laAsociaciónDental Estadounidense(ADA)adoptósuprimerCódigo.de Ética.3 Aligualquesucontrapartemédica,la evolucióndelcódigodeéticadentalreflejala profesióncomounacomunidadmoralquesirveal públicomientrasmantieneunacomunicación constanteconlasociedad.4

ApesardeconsiderarelCódigodeÉticacomoun documentodinámicoquereflejaunacomunicación constanteentrelaprofesiónylacomunidad,la historiahasacadoalaluzelladooscurodela investigaciónmédicarespaldadaporquienes detentanelpoderenEstadosUnidos. Lamentablemente,lasvíctimasdeestosabusos científicossonejemplosperfectosdenorespetarlos derechosdeautogobiernodelpaciente,asícomolos principiosdelcódigodeética.Porejemplo,algunos sonconscientesdelafarsaquesufrieronloshombres afroamericanosdesprevenidosen1932bajola direccióndelServiciodeSaludPúblicadeEstados Unidos(USPHS),donde399participantesdelos

600sinsaberloteníansífilis.5 Losparticipantes desprevenidos,pobresysineducación,notuvieron consentimientoinformadoyfuerontratadosporsus dolenciasporlosprofesionalesdelasaludya cambiorecibieron“seguromédico,alimentacióny entierrogratuitos”paraparticiparenunestudiode saludinocente.5 Resultóqueelprogramapodría habercuradolasífilisdelosparticipantescon penicilinaampliamentedisponibleen1943,pero nuncaadministróelmedicamentoparaobservarlos efectosalargoplazodelaenfermedadhastala progresióndelamuerteenmuchoscasos,1974se otorgóunacuerdodedemandacolectivade$10 millonesdedólaresalasvíctimassobrevivientesy susfamiliasconunacuerdopresidencialdisculpadel presidenteBillClintonconcedidael16demayode 1997.5

Porimpensablequeparezca,habríaotrosgruposde víctimasdelabúsquedadeavancesmédicosenlos EstadosUnidos;estossujetosexperimentales inocenteseinconscientesseríandelacomunidad Hispana.

Elproyectoguatemaltecode1946,queinvolucróa másde5128personas(niños,huérfanos,prostitutas juveniles,descendientesmayas,pacientesdesalud mentalyprisioneros)guiadoporelServiciodeSalud PúblicadelosEstadosUnidos,infectóamuchosde lossujetosdepruebasinsospecharnadapara observarlosefectosdelasífilis,lagonorrea.y progresióndelaenfermedadchancroide.6 Paracitar unamuestradelosregistrosmédicosqueserefieren alDr.JohnCutler,investigadorprincipalydespués deinyectarsífilisaunpacientementalmente enfermo,“Bertaparecíacomosifueraamorir,pero noespecificóporqué.Esemismodíalepusopus gonorreicodeotrosujetomasculinoenambosojos deBerta,asícomoensuuretrayrecto.Tambiénla volvióainfectarconsífilis.Variosdíasdespués,los ojosdeBertasellenarondepusdebidoalagonorrea ysangrabaporlauretra.El27deagostoBerta murió”6

Finalmente,elpresidenteBarackObamapidió disculpasen2010y,apesardelasconclusiones moralmenteerróneasdelaComisiónPresidencialde losEstadosUnidosparaelEstudiodeCuestiones Bioéticas,noseconcedieronreparacionesalas víctimasniasusfamilias.6 Sinlugaradudas,setrata deunaabominacióndelajusticiasocial.e investigaciónmédicadesenfrenada,homicidiopor partedelaasistenciasanitaria.

En1955,lasmujeresdePuertoRico,sinsaberlo, participaronenunodelosmayoresexperimentos mundialesdecontroldelanatalidad,dondefueron presionadasparaconvertirseensujetos

114

experimentalesreproductivosy,enocasiones, esterilizadasparaelbienestardelasociedad estadounidenseeneldesarrollodelcontroldela natalidadmoderno.7 Unobstetra-ginecólogo,John CharlesRock,yunendocrinólogo,Gregory GoodwinPincus,aprovecharonladensidadde población,lafaltadeeducaciónyelbajonivel socioeconómicodelasmujeresenlaislapara administrarvariasdosisdeprogesteronayestrógeno paraencontrarladosisóptimadehormonas,enel desarrollodeanticonceptivosfarmacológicosconun grupodepruebalosuficientementegrandecomo paraobtenerlaaprobacióndelaAdministraciónde AlimentosyMedicamentos,loquelamentablemente resultóenunagranmorbilidadymortalidad limitada.8 LosEstadosUnidoshabíanvueltoadejar suhuelladecolonialismoenPuertoRico,dondela influenciadeMargaretSanger,laheroínaque proclamabaquelasmujeresdeberíantenerlibertad paracontrolarsuscuerpos,tambiéneraconocidapor defenderlateoríadelaeugenesiaenelsentidodeque “laspoblacionesindeseablespodíanreducirseo eliminarsecontrolandosureproducción”.8 El eugenistaestadounidenseherederodeProctor& Gamble,ClarenceGamble,financióydirigió programasparapermitirquemiembrosmás"aptos" delapoblaciónsereprodujeranyaproximadamente 1/3delasmujerespuertorriqueñasfueron esterilizadas,muchasdeellasinvoluntariamente,por accionesincuestionablesyexperimentaciónde individuosconpodermédicosinelconsentimiento informadodelosisleños,nuestrosHermanosy hermanasHispanos.9

Apartedelasagenciasgubernamentalesylos financiadoresprivados,laspersonasdecolorhan sidovíctimasdeinstitucionesdeeducaciónsuperior quehanutilizadosusnúmerosenelsistema correccionalylasprisionesestadounidensespara experimentar.Durantelasdécadasde1960y1970, dosmédicosdelaUniversidaddeCaliforniaenSan Francisco,unodeloscualeserajefede departamento,losdoctoresHowardMaibachy WilliamEpstein,realizaronexperimentosconmás de2.600hombres,dondemásde7.000documentos revelaronexperimentosdermatológicose intravenososenprisionerosconpesticidas, herbicidasymosquitos.10 ElDr.AlbertKligman, médicodelaUniversidaddePensilvania, experimentóconpersonasdecolorencarceladas probandosustanciasquímicaspeligrosas,patógenos ypsicodélicos,loquediocomoresultadola invencióndelmedicamentoparaelacné,Retin-Ay elmedicamentorejuvenecedor.Renova.10

Esteartículotienecomoobjetivobrindareventos históricosenlosquelosintereseshumanosy científicoshanomitidolosprincipiosdelcódigode éticaimpactandoalosmenosafortunadosdenuestra comunidad.Loseventoshistóricos,asícomolas referenciaspresentadas,debenusarsecomouna herramientaeducativaparaenseñaralapróxima generacióndeproveedoresdeatenciónmédicaa comprender,valoraryejecutarlaimportanciade mantenernuestrocompromisodeserviryprotegera lacomunidad.

Debemosestaratentosyeducaralosproveedoresde atenciónmédicaenlosEstadosUnidossobreestos horriblesabusosdepoderennombredelavancedela ciencia.Moral,saberquépuededañaraotroser humanooayudarlo.Laintegridad,tenerla transparenciaparainformarycuestionarloquese estárealizando,incluidoslosbeneficios,las alternativas,losriesgosyloscostosfinancieros,es fundamentalparalainvestigaciónética.Amedida queavanzamoshacialaeradedependerdela InteligenciaArtificialparaelavancedelaciencia, nosesperaunnuevodesafío,unoquepresentavarias señalesdealertaconunatecnologíaenrápida evoluciónquecreceráeninfluenciaentodoslos aspectosdelaatenciónmédica,incluidala odontología.

AcercadelosAutores:

ElDr.HerminioL.Pérezsedesempeñacomo VicedecanodeAsuntosEstudiantiles,Diversidade Inclusión.EsprofesorasistenteenlaFacultadde MedicinadeRutgersenNuevaJersey.Sedesempeña comoFideicomisariodelaJuntadelaAsociación DentalHispana,elConsejodeADEAenDEI,y tambiéneselEditordelaSecciónAcadémicadela JHDA.

ElDr.TyroneF.Rodríguezsedesempeñacomo editorjefedelaJHDA.Eselexdirectordel programadeOdontologíaPediátricadeYaley ExPresidentedelaHDA.Ejercesuprácticaprivada comodentistapediátricocertificadoymiembrode BAAPDenTexas.Esconferencistanacionale internacionalyportavozbilingüedelaADA.

115

“Bereavementisfoundatthecrossroads oflossandcelebrationofameaningful life.Thisiswherethecoldcloudsof sadnessarepiercedbythewarmraysof memoriesandthelovetheyconveyfora purposefulexistencethathasforever touchedothers.”

WithlovefromyourHDAFamilia.

InMemoriam

TheHispanicDentalAssociationmournsthe passingoflongtimeandbeloved HDAExecutive DirectorSandraLoisReed.Sandywasa longtimeresidentofSkokie,Illinois,anddiedon April20,2023,afterabattlewithlungcancerand SARSCovid-19relatedcomplications.Sandywas aninstrumentalleaderintheformativeyearsofthe HispanicDentalAssociationintheearly1990sin Chicago.Sandywasadedicated,intellectual, innovative,andwarmExecutiveDirectorserving intheleadershiprole fromtheearly1990suntil herretirementin2004 andthenforafewmore yearsasnewslettereditor. Workingalongsidethe foundingmembersof HDA,Sandyhelped createstudentand professionalchaptersin 1994thathaveincreased to49studentchaptersand 13professionalchapters today.Shealsohelped createtheScholarship programthatasof2023 hasawardedover600 scholarshipstoworthy Hispanicdentalstudents anddentalhygienestudents.Sandyhadadeep passionforHispanicandunderservedcommunities andfullyunderstoodtheimportanceandimpactof Hispanicrepresentationandadvocacy.She impactedandinfluencedmanyHispanicdental professionalswithherdynamicpersonalityand enthusiasmandwaswellrespectedinthedental professionalcommunity.

HDAPastPresidentMarioRamos,DMD,MS rememberstheearlyhistoryofSandyReedand HDAstating “Sandytoldmethestoryofthe creationoftheHDA.Atthattime,shewasan employeeofColgateandIbelieveshewasan administrativeassistanttoanexecutive.Atthat timeColgatewantedtofocustheirmarketingon Hispanicdentists...Sandywasaskedtogetalistof

allHispanicdentistsintheU.S.,soSandydidsome researchwhichincludedreachingouttotheADA, andfoundnothing.Theonlythingthatshecould getwasthebookofmembershipinADAwhich listedalldentistmembersintheU.S.Shewent throughthebook,namebyname,andtriedto identifydentistswithHispanicsurnames.Afterthe discoveryofthislackofidentificationofHispanic dentists,theexecutiveatColgategottheideaof forminganassociationofHispanicdentistsand foundtheresourcestofundtheinitialformationof whatwenowknowastheHDA.Althoughnot Hispanic,Sandywasaconsistentsupporterand championedtheadvancementofHDA.”

TheHispanicDentalAssociationisforevergrateful forhermanyyearsofservicetoHDA.Sandy enjoyedreading,takingclasses,listeningtomusic, anddiscussingpoliticsandwasanaccomplished seamstress.Contributionsonherbehalfcanbe giventoTrinityServices,IncorASPCA.Many HDAcurrentandpastleadersrememberherfondly, belowaresomeoftheircommentsandmemories.

Iwasfortunateenoughto haveencounteredSandy's contagioussmile,soul, anddevotiontohelping create(withColgate's funding),nurture,and scaletheHispanicDental Association,andthenthe fruitsofherquiet leadershipvisibleinmany oftheleadersthatwenton toleadtheHDAandthe Foundation. Notwithstanding,the bondthatSandyandLiz createdmoldedtheteam shipweallfollowedand therespectweallhadfor eachotherateverylevel. Hercoachingwasonpoint,herfriendship undeterred,andherspiritwasforeverembeddedin themissionofourbelovedorganization.Irecall callingtheHDAasayoungfacultymemberand Sandyansweringandthefirstthingwedidtogether wastoconvertthelocal"LatinAmericanDental StudentSociety"organizationintoanH.D.A. studentchapteratthedentalschoolIwasatthe time....andourjointcareerhighlightwasmany yearslater,theyearIwaspresidentandthe memorable"wow"conventionSandy,Liz,andthe entireleadershipworkedtodeliverinPuertoRico withtheex-USSecretaryofHealthandStanley Bergmanaskeynotespeakers! Porsiempre, queridaSandra.TuFamilia,H.D.A.

116

Iwantedtotakeamomenttoexpressmyheartfelt appreciationforSandy’sincrediblementorshipand friendship.Herguidanceandsupportwere invaluableonmyincredibleamazingjourneyasa proudmember,President,andPastPresidentofour belovedHDA. Herabilitytoofferinsights,challenge mythinking,andprovideconstructivefeedback helpedmegrowbothpersonallyandprofessionally asanHDAleader.

Herdedicationtoourassociationandmemberswas unwavering,andIcertainlywasinspiredbyher commitmenttohelpingallofustoreachourfull potential.

Sandy’swillingnesstoshareherexperiencesand offeradvicemadeaprofoundimpactonmydecisions andactionswhilebeinganHDAleaderand president.

Iamsoproudandgratefultohavehadherasa mentorandconsidermyselffortunatetolearnfrom someoneasaccomplishedanddedicatedasshewas toimproveOralHealthamongtheHispanicand LatinoXcommunities.

WethankamazingSandyforbeingourguidinglight inouramazingjourneywithinHDA.Shealwayswill berememberedasapivotalfounderandleaderofour cause.

Herinspiringpassion,expertise,andgenuinecare forHispanicshavemadeaworldofdifference.

IwillrememberSandywithloveinmyheartand gratitude.In1996whenIwasHDAPresident,Ihad thehonortotraveltoChicagowithSandytotheADA MeetingandtospeakwiththeADAPresidentand ADAExecutiveBoard.Shewasinstrumentalinthis meeting,shehelpedmetopreparetheHDAagenda andwebrought50HDANewsletterstomy presentation...Italkedaboutwhyitwassoimportant tocreatetheHDAinAmerica.Wefocusedonthe MissionandVisionofHDA.Shewassokind,nice andveryprofessionalwithgreatexperienceas ExecutiveDirector,formeshewasoneofthebest. Also,agreathumanbeingwithawarmandbeautiful smileandveryapproachable.Itwasablessingto haveservedwithSandyduringmytimeasHDA President,tomeether,toworkwithher,andtolearn fromher.RIPSandy.

AideeNieto-Herman,DMD,MS

HDAPastPresident

AcceptingtheinvitationtojointheH.D.A.asa memberofDr.IvanLugowasunderstood.Being acceptedintotheH.D.A.familiafromSandyReedas theExecutiveDirectorwaswarmand welcoming.Shewasknowledgeableandstronginher leadershipofthisneworganizationwithaneclectic group.Sandywasadeptathavingeachleaderuse theirtalentsandsocialskillstogrowtheH.D.A.and makeamarkinthedentalorganizationworld.Her

goalwastohaveeveryonerecognizetheH.D.A.asa leaderintheHispaniccommunitywhilemaking knowntheneedsofthecommunity.Andshediditall withacalmmannerandawonderfulsmile.Ifeel blessedtohavebeenamemberandontheH.D.A. boardduringSandyReed’stenure.

SandyReedwasoneofmyfavoritepeopleIevermet throughHDA.Irememberconnectingandtalkingto herin1994and1995whenourstudentchapterin Houston,TXwasjustforming.Shewassohelpful andaccommodatinginaidingusinorganizingand creatingthestudentchapter.Butitwasafewyears laterthatIgottoknowSandyandformafriendship. Shewasinstrumentalinhelpingusstartthe professionalchapterinHoustonin2003whena groupofdentistprofessionalswantedtoforma professionalchapterandcontinuethewonderful friendshipswehadmadeasstudentsinthestudent chapter.Sandywasincredibleinencouragingand inspiringustocreatetheprofessionalchapterandit isthatinspirationandpositivitythatmakesusall loveSandyReedsomuch.TheyearIbecame PresidentofHDA,Sandywasoneofthefirstpeople tocallmeandcongratulatemeandofferbestwishes andsupport.ThatyearIsoughtheradviceoftenand enjoyedourrivetingconversationsaboutissuesand topicsaffectingtheHispaniccommunity.Overthe subsequentyears,westayedintouchviaemailsand cellphonemessagescontinuouslytalkingabouthot topicsandissuesaffectingtheworldtoday.Iam gratefultohaveknownSandyReedbutevenmore gratefulthatIgottoknowthewonderfulpersonthat shewasandcallherfriend.Iwillmissherbroad beautifulsmilealways.RIPdearSandy.

Myfirstjobin1995wasasanAdministrative AssistantattheHispanicDentalAssociation,hired bytheExecutiveDirector,SandyReed.Shewasan exceptionalmentorandanamazingfriend.Overthe yearsshebecamepartofourfamilyandshetruly enjoyedattendingourfamilygatherings.Ihavemany wonderfulmemoriesofSandy.Iwillalways rememberhowsheonedayrevealedtomeher elevatordance,andfromthenafterwewoulddoher danceeverytimewewereinanelevatoranditwas trulythefunniestthing!But,mymostmemorable timewithherwaswatchingWhenHarryMetSally; fromthatmovie,wewereeachother’s“Pepper”. SandyandIgotalongsowellthatshewouldalways say,“Liz,youareanoldsoul”.

HavingSandyinmylifewassuchapreciousgiftand Ifeelextremelyluckyandprivilegedtohaveknown someoneasthoughtful,generous,andaskindasher. ShealwaysknewhowtopickmeupwhenIwasdown,

117

withoutadoubtshewasanamazingfriendandIwill alwaysbegratefulforherguidanceandallher support.Sheislovedbeyondwordsandmissed beyondmeasure.

MyremembranceofSandyalwaysbringsasmileto myfaceandjoytomyheart.Sandywasoneofthose individualswhowasloving,caring,optimistic, realistic,andinclusive.Asayoungdentistinthe worldoforganizeddentistry,shehelpedtoguide, teach,support,andmostofall,helpedmebecomea leader.Herpassionanddevotiontoourbeloved HispanicDentalAssociationwasevidentthe momentyoumether.HergenuinecarefortheOral HealthoftheHispaniccommunitywas unprecedented.Herdedicationandrelentless pursuitofestablishingandexpandingtheHDAwas undeniable.Hersmileandsenseofhumorwere infectious.AsapastBoardofTrustee andPresident, Icantrulysaythatherinspiration,love,andhard worklaidthegroundworkforourpresentgrowing andthrivingorganization.Ifeelveryfortunatethat SandytouchedmylifeandIwillmissherdearly. MarioRamos,DMD,MS,HDAPastPresident

SandyReedprovidedmesuchawarmwelcomeasa first-timeattendeeatthe2001HDAannualmeeting inPhiladelphia,PAwhichIattendedasaHSDA FacultyAdvisorwithdentalstudentTyrone RodriguezanddentalhygienestudentMyriam Zambrano.BeforeIleftthemeeting,shehad recruitedmetojointheScholarshipCommitteeand thatiswheremyHDAleadershipbegan,allbecause ofSANDY!

WhenSandyretiredfromtheHDA,Ihadthe privilegetobeknownasoneofherfriends.Every timeIwenttoChicagoforanymeetings,wewould makeitapointformetocomeandvisit/staywithher adayortwobeforeoraftermymeeting.Ourtime wouldconsistofgoingtolunch,dinner,movies, goingtothebotanicalgardens,watchingTVsuchas theOscars,andsittingonherbackyarddeck enjoyingthelovelyweather(whenapplicable).But mostimportantly,sheLOVEDherdog,Max-hewas herprideandjoy.WhenSandybecameillandhad toleaveMaxwithafriend,shewassoheartbroken butsheknewhewasingoodhands.Icanstillsee Maxsittingonthetopofthecouchatthewindow waitingforhertoarrivehome.

So,Ihavenodoubtwhenthetimecomesformeto seeSandyagaininparadise,shewillprovideme withthatwarmwelcomeshedidinPhiladelphia,PA :)

Asasingermentioned“LaVidaesunratito.” I remembermeetingSandyandLizinpersonin Chicagoin2000.ThiswasduringDr.Baez’sannual meeting.Theywerelikethedynamicduohelping withournewsletterandtheonlynational professionalchapteratthetimewasMassachusetts. Allthestudentsattheannualmeetingfitattwo tablesatthetime.SandyReedwasalwaysamenable toworkingwithprofessionalsandstudentsalike withher“sageabuelaofHDA”roleandawarm smile.Ihavenothingbutfondmemoriesand appreciationforherguidanceasadentalstudent andsupportintransitioningontotheHDABoardto becomingnationalpresident.Shehelpedguideme toobtainnon-profitstatusfortheHoustonStudent chapter,guidedmeincreatingthefirststudent newsletter“LaSonrisa”whichgotfundedbyCrest, andeventuallyledtothecreationofthe“Orgullo Award”withRogerElem,VPatCrest.Asan empoweringforcefortheoriginsofHDAanddental students,shewillbegreatlymissed.

TyroneRodriguez,DDS,FACD,FPFA,FAAPD, FICD

HDAPastPresident

ImetSandymanyyearsagowhenIwasPresidentof theADAAandlateritsDirectorofEducation.She wassofriendlyandhelpful.Shehadacontagious smile.WehadameetingatyourofficeinChicago.I gaveapresentationfordentalassistantsatoneof yourannualmeetingsandthenshehelpedmegetan ADAAeducationcoursetranslatedintoSpanish. LittledidIknowatthatpointIwouldbecomeapart ofthefamilia.

JenBlake,CDA

HispanicDentalAssociationFoundationDirector

SandyoftenspokeaboutherexperiencesatHDAto me.Shewasverygenerouswithabigheart.Shewas veryproudoftheplaquesandawardsshehad receivedfromtheHispanicDentalAssociation.She spokeaboutmanyofyourpastHDAleadersand coworkersassherememberedyouallfondly.

RobertReed

BrotherofSandyReed

118

“Eldueloseencuentraenlaencrucijada delapérdidaylacelebracióndeunavida significativa.Aquíesdondelasfrías nubesdetristezasonatravesadasporlos cálidosrayosdememoriasyelamorque transmitenporunaexistenciacon propósitoquesiemprehatocadoalos demás”. ConamordetuFamiliaHDA.

Enmemoria

LaAsociaciónDentalHispanalamentael fallecimientodelaqueridayqueridadirectora ejecutivadelaHDA,SandraLoisReed.Sandy residiódurantemuchotiempoenSkokie,Illinois,y murióel20deabrilde2023,despuésdeunabatalla contraelcáncerdepulmónylascomplicaciones relacionadasconelSARSCovid-19.Sandyfueun líderfundamentalenlosañosdeformacióndela AsociaciónDentalHispanaaprincipiosdeladécada de1990enChicago.Sandyfueunadirectora ejecutivadedicada,intelectual,innovadoraycálida quedesempeñóunpapeldeliderazgodesde principiosdeladécadade1990hastasujubilación en2004yluegodurantealgunosañosmáscomo editoradeboletines.

Trabajandojuntoconlosmiembrosfundadoresde HDA,Sandyayudóacrearcapítulosestudiantilesy profesionalesen1994quehanaumentadoa49 capítulosestudiantilesy13capítulosprofesionales enlaactualidad.Tambiénayudóacrearelprograma debecasque,hasta2023,haotorgadomásde600 becasaestudianteshispanosdeodontologíayde higienedentaldignos.Sandyteníaunaprofunda pasiónporlascomunidadeshispanasydesatendidas yentendíacompletamentelaimportanciayel impactodelarepresentaciónydefensahispana.Ella impactóeinfluyóenmuchosprofesionalesdentales hispanosconsupersonalidaddinámicay entusiasmoyfuemuyrespetadaenlacomunidad profesionaldental.

ElexpresidentedelaHDA,MarioRamos,DMD, MS,recuerdalahistoriatempranadeSandyReedy laHDAyafirma:“Sandymecontólahistoriadela creacióndelaHDA.Enesemomentoellaera empleadadeColgateycreoqueeraasistente administrativadeunejecutivo.Enesemomento, Colgatequeríacentrarsumarketingenlosdentistas

hispanos...SelepidióaSandyqueobtuvierauna listadetodoslosdentistashispanosenlosEE.UU., porloqueSandyhizoalgunasinvestigacionesque incluyeroncomunicarseconlaADA,ynoencontró nada.Loúnicoquepudoconseguirfueellibrode membresíadelaADAqueenumerabaatodoslos dentistasmiembrosenlosEE.UU.Revisóellibro, nombrepornombre,ytratódeidentificardentistas conapellidoshispanos.Trasdescubrirestafaltade identificacióndelosdentistashispanos,alejecutivo deColgateseleocurriólaideadeformaruna asociacióndedentistashispanosyencontrólos recursosparafinanciarlaformacióninicialdeloque hoyconocemoscomolaHDA.Aunquenoes hispana,Sandyfueunapartidariaconstantey defendióelavancedelaHDA”.

LaAsociaciónDentalHispanaestaráeternamente agradecidaporsusmuchosañosdeservicioaHDA. Sandydisfrutabaleyendo,tomandoclases, escuchandomúsicaydiscutiendosobrepolíticay eraunacostureraconsumada.Sepuedenrealizar contribucionesensunombreaTrinityServices,Inc oASPCA.Muchoslíderesactualesypasadosde HDAlarecuerdanconcariño;acontinuaciónse muestranalgunosdesuscomentariosyrecuerdos. Tuvelasuertedehaberencontradolacontagiosa sonrisa,elalmayladevocióndeSandyparaayudar acrear(conelfinanciamientodeColgate),nutriry escalarlaAsociaciónDentalHispana,yluegolos frutosdesusilenciosoliderazgovisiblesenmuchos deloslíderesquecontinuaronparaliderarlaHDA ylaFundación.Noobstante,elvínculoquecrearon SandyyLizmoldeóelequipoquetodosseguimosy elrespetoquenosteníamosunosaotrosentodoslos niveles.Suentrenamientofuepreciso,suamistad imperturbableysuespírituestuvosiempre arraigadoenlamisióndenuestraquerida organización.RecuerdohaberllamadoalaHDA cuandoeraunjovenmiembrodelafacultadySandy respondióyloprimeroquehicimosjuntosfue convertirlaorganizaciónlocal"Sociedad LatinoamericanadeEstudiantesdeOdontología" enunaH.D.A.capítuloestudiantildelafacultadde odontologíaenelqueestabaenesemomento...y nuestropuntoculminanteprofesionalconjuntofue muchosañosdespués,elañoenquefuipresidentey lamemorableconvención"wow"queSandy,Lizy todoelliderazgotrabajaronparalograrenPuerto RicoconelexSecretariodeSaluddeEstados UnidosyStanleyBergmancomooradores principales.Porsiempre,queridaSandra.Tu Familia,H.D.A.

R.IvanLugo,DMD,MBA,FACD,FICDHDAEx

Queríatomarmeunmomentoparaexpresarmimás sinceroagradecimientoporlaincreíbletutoríay amistaddeSandy.Suorientaciónyapoyofueron invaluablesenmiincreíbleviajecomomiembro

119

orgulloso,presidenteyexpresidentedenuestra queridaHDA.Sucapacidadparaofrecerideas, desafiarmiformadepensarybrindarcomentarios constructivosmeayudóacrecertantopersonal comoprofesionalmentecomolíderdeHDA.

Sudedicaciónanuestraasociaciónyanuestros miembrosfueinquebrantableyciertamenteme inspirósucompromisodeayudarnosatodosa alcanzarnuestromáximopotencial.

LadisposicióndeSandyparacompartirsus experienciasyofrecerconsejostuvounprofundo impactoenmisdecisionesyaccionesmientrasera líderypresidentadeHDA.

Estoymuyorgullosayagradecidadehaberla tenidocomomentoraymeconsideroafortunadade aprenderdealguientanexitosaydedicadacomo ellaamejorarlasaludbucalentrelascomunidades hispanaylatinaX.

AgradecemosalaincreíbleSandyporsernuestra luzguíaennuestroincreíbleviajedentrodeHDA. Siempreserárecordadacomounafundadoray líderfundamentaldenuestracausa. Supasióninspiradora,experienciaycuidado genuinoporloshispanoshanmarcadounagran diferencia.

FranciscoRamos-Gómez,DDS,MS,MPH

ExpresidentedelaHDA

RecordaréaSandyconamorenmicorazóny gratitud.En1996,cuandoerapresidentedela HDA,tuveelhonordeviajaraChicagoconSandy paraasistiralareunióndelaADAyhablarconel presidentedelaADAylajuntaejecutivadela ADA.Ellajugóunpapeldecisivoenestareunión, meayudóaprepararlaagendadelaHDAy trajimos50boletinesdelaHDAami presentación...Hablésobreporquéeratan importantecrearlaHDAenEstadosUnidos.Nos centramosenlaMisiónyVisióndeHDA.Ellafue muyamable,simpáticaymuyprofesionalcongran experienciacomoDirectoraEjecutiva,paramífue unadelasmejores.Además,ungranserhumano conunacálidayhermosasonrisaymuyaccesible. FueunabendiciónhaberservidoconSandy durantemitiempocomopresidentadeHDA, conocerla,trabajarconellayaprenderdeella. QEPDSandy.

AideeNieto-Herman,DMD,MS

ExpresidentedelaHDA

AceptandolainvitaciónparaunirsealaH.D.A. comoseentendiócomointegrantedelDr.Iván Lugo.SeraceptadoenelH.D.A.Lafamiliade SandyReedcomodirectoraejecutivafuecáliday acogedora.Teníaconocimientosyerafuerteensu liderazgodeestanuevaorganizaciónconungrupo ecléctico.Sandyeraexpertaenhacerquecada líderusarasustalentosyhabilidadessocialespara hacercrecerlaH.D.A.ydejarunahuellaenel mundodelasorganizacionesdentales.Suobjetivo

eraquetodosreconocieranelH.D.A.comolíderen lacomunidadhispanamientrasdaaconocerlas necesidadesdelacomunidad.Ylohizotodocon actitudtranquilayunasonrisamaravillosa.Me sientobendecidodehabersidomiembroyestaren elH.D.A.juntadirectivaduranteelmandatode SandyReed.

SaritaArteaga

ExpresidentedelaHDA

SandyReedfueunademispersonasfavoritasque conocíatravésdeHDA.Recuerdoconectarmey hablarconellaen1994y1995cuandonuestro capítuloestudiantilenHouston,TXreciénse estabaformando.Ellafuemuyservicialy complacientealayudarnosaorganizarycrearel capítuloestudiantil.Perofueunosañosmástarde queconocíaSandyytrabéunaamistad.Ellajugó unpapeldecisivoalayudarnosainiciarelcapítulo profesionalenHoustonen2003,cuandoungrupo dedentistasprofesionalesqueríaformarun capítuloprofesionalycontinuarlasmaravillosas amistadesquehabíamoshechocomoestudiantes enelcapítuloestudiantil.Sandyfueincreíbleal alentarnoseinspirarnosacrearelcapítulo profesionalyesesainspiraciónypositividadloque hacequetodosamemostantoaSandyReed.Elaño queasumílapresidenciadeHDA,Sandyfueunade lasprimeraspersonasenllamarme,felicitarmey ofrecermemismejoresdeseosyapoyo.Eseaño busquésuconsejoconfrecuenciaydisfrutéde nuestrasfascinantesconversacionessobretemas queafectanalacomunidadhispana.Durantelos añossiguientes,nosmantuvimosencontactoa travésdecorreoselectrónicosymensajesde teléfonoscelulares,hablandocontinuamentesobre temascandentesyproblemasqueafectanalmundo dehoy.Estoyagradecidodehaberconocidoa SandyReed,peroaúnmásagradecidodehaber podidoconoceralamaravillosapersonaqueeray llamarlaamiga.Siempreextrañarésuampliay hermosasonrisa.QEPDqueridaSandy.

VíctorRodríguez,DDS,MEd

ExpresidentedelaHDA

Miprimertrabajoen1995fuecomoAsistente AdministrativoenlaAsociaciónDentalHispana, contratadoporlaDirectoraEjecutiva,SandyReed. Fueunamentoraexcepcionalyunaamiga increíble.Conelpasodelosaños,seconvirtióen partedenuestrafamiliayrealmentedisfrutaba asistiendoanuestrasreunionesfamiliares.Tengo muchosrecuerdosmaravillososdeSandy.Siempre recordarécómoundíaellamerevelósubaileenel ascensor,ydesdeentonceshacíamossubailecada vezqueestábamosenunascensory¡erarealmente lomásdivertido!Peromimomentomásmemorable conellafuecuandoviCuandoHarryconocióa Sally;Apartirdeesapelícula,éramosel“Pepper”

120

delotro.Sandyyyonosllevábamostanbienqueella siempredecía:"Liz,eresunalmavieja".

TeneraSandyenmividafueunregalotanvaliosoy mesientoextremadamenteafortunadayprivilegiada dehaberconocidoaalguientanconsiderada, generosayamablecomoella.Ellasiempresupo levantarmecuandoestabadeprimido,sindudafue unaamigaincreíbleysiempreestaréagradecidapor suguíaytodosuapoyo.Laamanmásalládelas palabrasylaextrañansinmedida.

LizValdivia

EmpleadadeHDAycompañeradetrabajodeSandy Reed

MirecuerdodeSandysiempremehacesonreíry alegrarmicorazón.Sandyeraunadeesaspersonas cariñosas,afectuosas,optimistas,realistase inclusivas.Comojovendentistaenelmundodela odontologíaorganizada,ellameayudóaorientarme, enseñarme,apoyarmey,sobretodo,meayudóa convertirmeenunalíder.Supasiónydevociónpor nuestraqueridaAsociaciónDentalHispanafue evidenteenelmomentoenquelaconoció.Su cuidadogenuinoporlasaludbucaldelacomunidad hispananotuvoprecedentes.Sudedicacióne incansablebúsquedadeestableceryexpandirla HDAfueroninnegables.Susonrisaysentidodel humorerancontagiosos.Comoexmiembrodela JuntaDirectivaypresidenta,puedodecir verdaderamentequesuinspiración,amoryarduo trabajosentaronlasbasesparanuestraactual organizaciónprósperayencrecimiento.Mesiento muyafortunadadequeSandyhayatocadomividay laextrañarémuchísimo.

MarioRamos,DMD,MS

ExpresidentedeHDA

SandyReedmebrindóunacálidabienvenidacomo asistenteporprimeravezalareuniónanualdela HDAde2001enFiladelfia,PA,alaqueasistícomo asesordocentedeHSDAconelestudiantede odontologíaTyroneRodríguezylaestudiantede higienedentalMyriamZambrano.Antesdedejarla reunión,ellamehabíareclutadoparaunirmeal ComitédeBecasyahíesdondecomenzómi liderazgoenHDA,¡todograciasaSANDY!

CuandoSandyseretiródelaHDA,tuveelprivilegio deserconocidacomounadesusamigas.Cadavez queibaaChicagoparaalgunareunión,nos propusíamosiravisitarlaoquedarmeconellaunoo dosdíasantesodespuésdemireunión.Nuestro tiempoconsistiríaeniraalmorzar,cenar,iralcine, iralosjardinesbotánicos,mirartelevisión,comolos Oscar,ysentarnosenlaterrazadesupatiotrasero disfrutandodelhermosoclima(cuando corresponda).PerolomásimportanteesqueAMAba asuperro,Max;élerasuorgulloyalegría.Cuando SandyenfermóytuvoquedejaraMaxconunamigo, sesintiómuydesconsolada,perosabíaqueélestaba

enbuenasmanos.TodavíapuedoveraMaxsentado enloaltodelsofájuntoalaventanaesperandoque ellallegueacasa. Entonces,notengoningunadudadequecuando llegueelmomentodevolveraveraSandyenel paraíso,ellamebrindarálacálidabienvenidaque medioenFiladelfia,PA:)

ExpresidentedelaHDA

Comomencionóuncantante“LaVidaesunratito”. RecuerdohaberconocidoaSandyyLizenpersona enChicagoenelaño2000.Estofuedurantela reuniónanualdelDr.Báez.Erancomoeldúo dinámicoqueayudabaconnuestroboletínyelúnico capítuloprofesionalnacionalenesemomentoera Massachusetts.Todoslosestudiantesenlareunión anualcabenendosmesasalmismotiempo.Sandy Reedsiempreestuvodispuestaatrabajarcon profesionalesyestudiantesporigualconsupapelde “abuelasabiadeHDA”yunacálidasonrisa.No tengomásquebuenosrecuerdosyagradecimiento porsuorientacióncomoestudiantedeodontologíay suapoyoenlatransiciónalaJuntadeHDApara convertirseenpresidentanacional.Ellameayudóa obtenerelestatusdeorganizaciónsinfinesdelucro paraelcapítuloestudiantildeHouston,meguióen lacreacióndelprimerboletínestudiantil"La Sonrisa",quefuefinanciadoporCresty,finalmente, condujoalacreacióndel"PremioOrgullo"con RogerElem.VicepresidentedeCrest.Comofuerza empoderadoraparalosorígenesdeHDAylos estudiantesdeodontología,laextrañaremosmucho. TyroneRodríguez,DDS,FACD,FPFA,FAAPD, FICD

ExpresidentedelaHDA

ConocíaSandyhacemuchosañoscuandoera presidentedeADAAyluegodirectordeEducación. Ellafuemuyamableyservicial.Teníaunasonrisa contagiosa.Tuvimosunareuniónensuoficinaen Chicago.Hiceunapresentaciónparaasistentes dentalesenunadesusreunionesanualesyluegoella meayudóatraduciruncursoeducativodeADAAal español.Enesemomentonosabíaqueme convertiríaenpartedelafamilia.

JenBlake,CDA

Sandymehablabaamenudodesusexperienciasen HDA.Ellaeramuygenerosaydegrancorazón. Estabamuyorgullosadelasplacasypremiosque habíarecibidodelaAsociaciónDentalHispana. Hablódemuchosdesusanterioreslíderesy compañerosdetrabajodeHDAylosrecordabaa todosconcariño.

RobertoReed

HermanodeSandyReed

121

NextEdition PróximaEdición

Celebrating Hispanic Heritage CareQuest Institute for Oral Health is proud to support the mission of the Hispanic Dental Association and to partner on their comprehensive report, Addressing the Oral Health Needs of Hispanics in the U.S. Together, we are working to create an oral health system designed for everyone. Read the report at carequest.org Addressing the Oral Health Needs of Hispanics in the U.S. AN EXPLORATION OF ORAL HEALTH STATUS, DENTAL NEEDS, UTILIZATION OF DENTAL SERVICES, AND WORKFORCE White Paper and Gallery Report Copyright ©2023 Hispanic Dental Association and CareQuest Institute for Oral Health, Inc. Addressing the Oral Health Needs of Hispanics in the U.S. AN EXPLORATION OF ORAL HEALTH STATUS, DENTAL NEEDS, UTILIZATION OF DENTAL SERVICES, AND WORKFORCE White Paper SUGGESTED CITATION: Hispanic Dental Association and CareQuest Institute for Oral Health. Addressing the Oral Health Needs of Hispanics in the U.S.: An Exploration of Oral Health Status, Dental Needs, Utilization of Dental Services, and Workforce Boston, MA: April 2023. Copyright ©2023 Hispanic Dental Association and CareQuest Institute for Oral Health, Inc.

Turn static files into dynamic content formats.

Create a flipbook
Issuu converts static files into: digital portfolios, online yearbooks, online catalogs, digital photo albums and more. Sign up and create your flipbook.
Journal Hispanic Dental Association (8th Edition) by Journal of the Hispanic Dental Association - Issuu